
10 minute read
Gut health: A focal point of Chinese aquaculture
The importance of gut health for fish and shrimp and measures to avoid gut enteritis
By Yufan Zhang
Advertisement
A fish farm in Zhejiang province, China
Aquaculture plays a significant role in supplying high-quality aquatic animal products? to the global population, and its importance has grown in recent years, particularly in China. If we compare coastline length/ national territory area, China ranks only 94th globally. Combined with the pressure to feed her population, it is not hard to understand why the biggest country in East Asia needs to rely heavily on aquaculture.
In 2019, the total aquaculture production in China was about 50 million tonnes. However, at the same time, the wastes from aquaculture processes and their consequences to the environment have become more prominent, resulting in frequent outbreaks of aquatic animal diseases.
The physiological function of the gut
The gut is the main peptic and biggest immune organ in fish and shrimp. Damage to the gut can lead to decreased appetite, high incidence of disease, slow development, reduced ability to digest and absorb nutrients and many more.
Although the gut has many functions, digestion and absorption are among the most important. Fish and shrimp do not have intestinal glands like mammals. Still, as the most complex secretory organs, the gut of aquatic animals secretes the necessary digestive enzymes through goblet cells to aid in digestion and absorption. It is also a critical immune organ. The abundant folds of the intestines make
Master Your Aquafeed Universe



Sub 1 Millimeter
OUR UNIVERSE EXTRU-TECH AQUAFEED UNIVERSE

Sinking to floating. Sub-millimeter to pellet. When you select an Extrusion Processing System from Extru-Tech, you have a complete Universe with the ability to maintain size yields over 95%. As your business evolves, you have the flexibility to change your finished product without the need for significant capital expenditures. Contact Extru-Tech and optimize your flexibility and profitability.
Pellet
P.O. Box 8 100 Airport Road Sabetha, KS 66534, USA Phone: 785-284-2153 Fax: 785-284-3143 extru-techinc@extru-techinc.com www.extru-techinc.com
it the organ with the largest contact area with the external environment, giving it an essential role in resisting pathogenic infection and protecting the health of fish and shrimp.
The relationship between the gut and its microbes is fast becoming the focus of aquatic animal nutrition and immunity research. The intestinal microflora composition of aquatic animals is affected by various factors, and many studies show that some functions performed by the intestinal microflora are essential for maintaining normal physiological gut functions. In terms of immunity, beneficial intestinal flora interferes with and reduces the colonisation of harmful bacteria in the gut through isolation and competition. At the same time, by secreting extracellular enzymes and small molecule metabolites, aquatic animals can benefit from enhanced nutrition.
Factors that affect gut health
Feed, the most critical input in aquaculture, significantly impacts gut health. Plant protein sources are rarely part of the natural diet of commercially farmed aquatic animals, perhaps apart from grass carp. Despite high temperature and high pressure pelleting, many plant protein sources still contain anti-nutritional factors that can damage the gut. Not only that, other low-value proteins, peroxide lipids, mycotoxins and other unsafe factors are also a threat. It is worth nothing that with the slow expansion in aquafeed demand and increased competition, price has become an important factor. A common phenomenon is the use of suboptimal and cheaper feeds with higher plant protein sources which have adverse effects on the gut.

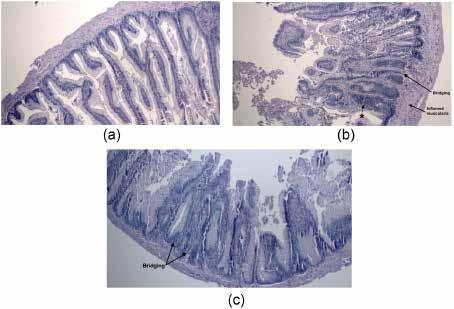
Figure 1. From (a) to (c): rainbow trout (Oncorhynchus mykiss) fed feed with increasing levels of soybean meal show villi and lamina propria that are highly inflamed. (Kumar et al., 2020).
The farming environment also poses a threat to intestinal health. Aquaculture practices are diverse and vary from farm to farm, species to species, and dependent on the culture density. Aquatic animals are susceptible to hypoxic stress due to high stocking density. Aquaculture with lax biosecurity is often at risk from a variety of bacteria and viruses. These common problems in aquaculture will put the fish in a state of sub-health. This state will make aquatic animals particularly sensitive to opportunistic pathogens, resulting in intestinal diseases and abnormalities. The abundance of microbes in the gut of fish and shrimp undoubtedly affects gut health. When beneficial microbes colonise the gut in large numbers, such as various anaerobic or facultative anaerobic bacteria (Lactobacillus, Bifidobacterium, Clostridium butyricum), they form a biological barrier that prevents harmful bacteria from colonising and multiplying. At the same time, some beneficial bacteria also secrete minor molecular nutrients, such as formic acid and butyric acid, that make it easier for the gut to recover from damage. Many factors, such as temperature, feed composition, the number of pathogens or the amount of antibiotics used, can alter the structure of gut microbes and thus affect gut health.
Common gut problems in aquaculture
In recent years, largemouth bass farming is a booming industry in China, with production estimated to exceed 600,000 tonnes by 2021. With its rising popularity, high economic value and a continuous increase of unit yield, the problems related to its farming also increase. In 2021, bacterial enteritis is taking a toll on largemouth bass farming.
The causes of bacterial enteritis vary. Pursuing higher economic benefits with increased feeding rate lead to adverse effects on the fish. The use of trash fish is also a contributing factor. Improperly stored trash fish often contain a variety of pathogenic bacteria and toxins, damaging the fish gut health. In addition, in high stocking density fish farming, the water quality is often


relatively poor. High ammonia nitrogen and nitrite impair fish immunity. With pathogenic bacteria in the water due to eutrophication, an outbreak of bacterial enteritis is significantly increased.
Penaeus vannamei is the most cultured crustacean in China. After several sluggish years, production is expected to exceed 1.1 million tonnes in 2021. In recent years, white faeces syndrome (WFS) in P. vannamei has plagued shrimp farmers in several producing countries. Under a microscope, we can see that the white strands floating in the water consist mainly of broken gut cells, diseased tissue, mucus and faeces. The causes of WFS vary, overfeeding in the pursuit of high yield, antinutritional factors and mycotoxins in feed, algal toxins or bacterial infections can all lead to this disease. In the first few days of the syndrome, shrimp are often seen swimming with long faecal strands trailing. Without timely intervention at this stage, the next phase of this syndrome can cause the sick shrimp to stop eating and gradually lead to higher mortality.
Measures to maintain gut health
As the most crucial input in aquaculture, safe and nutritious feed is the first condition to ensure good gut health. The freshness of animal protein sources, peroxide values of lipids and the mycotoxin content of starch sources are critical in ensuring good gut health.

A farmer testing improvement in gut health of a farmed fish via its gut thickness and toughness; he hangs scissors over dissected intestines to verify the increase in gut toughness. Checking the gut of a largemouth bass by a feed company technician

The replacement of fishmeal is a common topic in the study of nutrition and the operation of feed enterprises. In replacement studies, the alternatives used are often only validated during the 8–10 weeks of growth experiments but some alternative ingredients may damage the gut over time. Overfeeding in aquaculture is a problem. However, if farmers avoid excessive feeding in pursuit of high yields, they can significantly reduce digestive stress in the gut.
Methods aimed at regulating gut flora are becoming powerful tools to promote gut health. Research shows that adding probiotics and prebiotics to feed can improve the abundance and structure of gut flora. In Chinese aquaculture, probiotics such as Bacillus and Clostridium butyricum are often mixed with the diet before feeding. There is a lot of scientific evidence suggesting that this leads to the thickening and wrinkling of the gut mucosa, thus increasing the villi, and hence the digestive area. This is in line with what we have observed at farms, where some farmers hang scissors over dissected intestines to verify the increase in gut toughness.

Actigen® (Alltech, USA) is a bioactive mannan rich fraction (MRF) product derived from Saccharomyces cerevisiae, to optimise gut health (Figure 2). It can help maintain the immune defense systems in shrimp. Farmers using Actigen in their feed have seen alleviation in WFS in P. vannamei farming in China's Guangdong province. These results have been gathered from on-farm observations in China. In the early stages of the syndrome, 1% to 3% Actigen was added to the daily feed ration to alleviate or even stop white faeces symptoms. In a study where Antigen was added, we found that the beneficial anaerobic bacteria in the gut, such as Fusobacteria and Pseudoalteromonas, formed an antagonistic effect with Vibrio anguillarum. The content of its metabolites, such as formic acid, propionic acid and isovalerate, also increased significantly.

Figure 2 . The supplementation of Alltech Actigen® reduced the relative abundance of pathogens consistently.
In another experiment conducted in China, we also observed that based on the regulation of gut flora, the resistance of P. vannamei to a Vibrio parahaemolyticus challenge was significantly enhanced. We conducted a 10-week growth experiment with different groups of P. vannamei fed diets containing Actigen from 0.2–1.6g/ tonne. After 10 weeks, V. parahaemolyticus was injected for a seven-day disease challenge. In Figure 3, we see significant differences in survival rates. This suggests that this prebiotic supports the health and integrity of the gut flora of P. vannamei.
Figure 2. Effect of Actigen® on survival rate of shrimp after seven days of Vibrio
Dietparahaemolyticus challenge.) 1 Unpublished data. 2 3 4 5
Actigen® (%) Diet 1 2 03 0.02 4 0.04 5 0.08 0.16 Actigen® (%) 0 0.02 0.04 0.08 0.16Figure 3. Effect of Actigen® on survival rate of shrimp after seven days of Vibrio parahaemolyticus challenge.) Unpublished data.
It is important to note that standardised farming and water quality management are essential in any farming model. As the organ with the largest contact area in the fish body, the gut is greatly affected by the water environment. The recommendations are to disinfect water before it is used for culture and to be replaced only with It is important to note that standardised farming and water disinfected water; use formulated feed instead of trash fish, and regularly check quality management are essential in any farming model. water quality parameters to ensure that nitrogen wastes do not cause undue stress As the organ with the largest contact area in the fish body, to fish and shrimp and provide adequate dissolved oxygen in the water. the gut is greatly affected by the water environment. The These procedures are essential to maintain good gut health of fish and shrimp and recommendations are to disinfect water before it is used for the safe development of aquaculture. for culture and to be replaced only with disinfected water; use formulated feed instead of trash fish, and regularly -endDr Yufan Zhang is Alltech China Aqua Business Development Manager, Beijing China. check water quality parameters to ensure that nitrogen Email: Yufan.Zhang@alltech.com wastes do not cause undue stress to fish and shrimp and -endprovide adequate dissolved oxygen in the water. These procedures are essential to maintain good gut health of fish and shrimp and for the safe development of aquaculture.
References: Meng Xiaolin, Nie Guoxing, 2019. Advances of intestinal microbiota and lipid metabolism of fish. Journal of Fishery Sciences of China, 26(6): 1221-1229. DOI: 10.3724/ SP.J.1118.2019.19132. Kumar, V., Hossain, M.S., Ragaza, J.S., Rubio Benito, M. 2020. The potential impacts of soy protein on fish gut health. DOI:10.5772/intechopen.92695.
Dr Yufan Zhang is Alltech China Aqua Business Development Manager, Beijing China. Email: Yufan.Zhang@alltech.com