
4 minute read
ezt a módszert, nem térnek vissza más technikákhoz” Interjú dr. Jordi Manautával
Dr. Jordi P. Manautát kérdeztük a Style Italiano cégtől a közvetlen kompozitokkal történő diastema lezárására kifejlesztett front-wing technikájukról.
ni, akkor nem hagyunk ki valamit? Ez elgondolkodtatott minket.
Advertisement
A múltbeli klinikai tapasztalatokkal együtt azon a délutánon véglegesítettük azt az elképzelést, ami ma van. Gyors, közvetlen, wax-up nélkül, és a végleges restauráció minőségének kompromisszum nélkül. Megszületett a front-wing technika.
Milyen technikákat használt korábban a közvetlen diastema lezárására? Melyik volt a kedvenc technikája korábban?
Azt mondhatom, hogy szinte minden technikát kipróbáltam... és mindegyik jól működött egy bizonyos ponton, és egy bizonyos ponton mindegyik kudarcot vallott. A közvetlen diastema zárási technikákat három kategóriába sorolhatjuk:
• Wax-up alapú
Köszönjük, hogy időt szakított a kérdéseink megválaszolására. Nagy megtiszteltetés, hogy interjút készíthetünk a mai fogászat egyik legbriliánsabb és legkreatívabb elméjével.
Köszönöm ezt a bókot, büszkén veszem, mert ezzel teljesül az a cél, amit az évek során kitűztem magam elé. „Értelmes és hasznos megoldásokkal elérni a keményen dolgozó fogorvosokat”... Úgy gondolom, hogy oktatóként ez az egyik legjobb dolog, ami velem történt.
Először is, mi késztette Önt arra, hogy átgondolja és átalakítsa a jelenleg elérhető diastema zárási technikákat?
A megbízhatósága annak, amink akkoriban volt, legalábbis az én kezemben, szűkös és nem túl kiszámítható volt.
2015-ben történt, amikor az egyik gyakorlati foglalkozásunkat terveztük, és nehezen tudtunk lezárni egy diasztémát egy gyakorlati modellen, annak ellenére, hogy minden rendelkezésre álló erőforrással és ideális helyzettel rendelkeztünk a nagyszerű extrakorális munkához. Ehelyett mindig bonyolult technikákkal, furcsa klinikai lépésekkel és csúnya restaurációkkal végeztük.
Ettől kezdve... a kérdés az volt... ha még egy modellben sem vagyunk képesek valami jelentőset produkál-
• Nem wax-up alapú (mátrix formázott és szabadkézi)
• Hibrid (wax-up és intraoperatív szabadkézi módosítások)
Nem volt kedvencem, de kevésbé kedveltem a hibrid technikát, ahol a palatális fal wax-upal történő felépítése, majd a nyaki terület szabadkézi megerősítése után a restauráció többi részét mátrixszal lehetett kivitelezni (1. ábra). Bár a kezemben ez valahogy hatékony volt, mégis bonyolult volt.

Milyen problémák merültek fel a régebbi technikákkal, beleértve az Ön által használtat is?
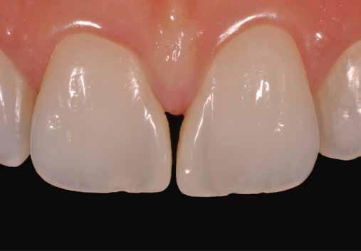
A szabadkézi technikák legnagyobb problémája kétségtelenül a nyaki pontosság hiánya és a túlnyúlások létrehozása. Számtalan olyan pácienst láttam, akiknek vérző ínyük volt, és nem tudtak megfelelően fogselymet használni. A másik gyakori probléma a klasszikus megközelítéssel kapcsolatban a végső forma volt. A dupla kiemelkedő profil miatt a végleges restaurációnak kellemetlen alakja volt (2-4. ábra). A kizárólag mátrixokkal történő közvetlen diasztémazárás problémái a nyaki szinten a túlkontúrozás és az alulkontúrozás, a diszkordáns kontaktpontok, az eltolt proximális kontaktok és a masszív többlettermelés. Hogy őszinte legyek, engem mindig is lebeszéltek arról, hogy ezzel a megközelítéssel próbálkozzam.
Hogyan oldja meg az új technika a régi problémákat?
A következő négy módon:

1. A kofferdámmal a legkritikusabb területen, amely megfelel a zenit és a kiemelkedési profilnak, RETRAKCIÓT hoz létre, amit semmilyen wax-up-al nem lehet megtenni (5. ábra).





2. A bukkális növekmény stabil kompozittal létrehozott szabadkézi felépítése, amely követi az Ön közvetlen látását és a fog megjelenését, ugyanolyan pontosan meghatározza a FORMÁT, mint egy wax-up. Más szóval, ez egy direkt wax-up.
3. A hátsó mátrixok OPTIMÁLJÁK az előzőleg felépített formát, és létrehozzák az ideális érintkezési pontot.
4. A hátsó kitöltés minden hézagot kiküszöböl, és tökéletes ZÁRÓDÁS-t hoz létre, különösen a restauráció legapikálisabb részén.
Hadd mutassak két esetet.
1. eset: Egy árnyalatú oldalsó peg (1 óra ülésidő)
2. eset: Egyszínű restauráció egy mikrodiasztémán, ahol a viasz nem kivitelezhető (1 óra ülésidő)
Használható-e a front-wing technika különböző opacitású kompozitok, például zománc és dentin árnyalatú kompozitok rétegezése során?







Ez kedves kérdés! A szájpadláshibáktól vagy a nyaki túlnyúlásoktól való félelem nélküli felépítés szabadsága lehetővé teszi a felhasználó számára, hogy kreatív legyen a fedésekkel és a karakterisztikákkal, miközben tökéletes formát és tömítést biztosít. Bár az egyszínű restaurációk a legjobb indikáció, több színárnyalat is használható, és a zománc és a dentin többféle konfigurációjában is. Lehetőség van egy testszínt a nyaki és egy másik testszínt a metszőfogakba helyezni, vagy egy dentin a mélyben és zománc a felszínen, vagy dentin-test keverék. A lehetőségek tárháza végtelen.
3. eset: Diasztéma zárása, dentin és zománc rétegezéssel az opacitás és a metszőfog törések korrekciója érdekében (1 óra székben töltött idő)
Javasolja, hogy ehhez a technikához az utólagos metszeti mátrixokon kívül más mátrixot is használjanak? Ha igen, melyiket, és ha nem, milyen lehetséges problémák merülhetnek fel?
A kevesebb több. Minél összetettebb egy mátrix, annál több problémát okoz a beillesztés, az ülés, az adaptálás és a befejezés. Sokszor ezek az extravagáns anatómiák bizonyos mátrixokból károsak. Egy klasszikus mátrix itt univerzálisan megoldja az összes problémát, nagyobb láthatóságot ad, tökéletes anatómiát biztosít, és a legjobb az, hogy olcsó. Ahogy mindig ismétlem a küldötteinknek... „A mátrix beszél!”
Hogyan népszerűsítette a front-wing technikát?
Először a www.styleitaliano.org oldalon terjedt el cikkként, és így lett elég népszerű a közösségi hálózatainkon. Számos Style Italiano tag és követő több esete mutatta be a technika alkalmazását és sikerét.
2022 áprilisában jelent meg a Quintessence kiadó gondozásában a Layers 2 című új könyvünk, amelynek diasztéma fejezete minden információt tartalmaz ennek a technikának a múltjáról és jelenéről.

De hogy őszinte legyek, a technika népszerűsítésének legmegfelelőbb módja a műhelyeinkben részt vevő küldöttek munkája. A front-wing technika előtt szinte lehetetlen volt jó diasztémát látni, de a front-wing technika alkalmazásakor a csoport 98%-ának következetesen tökéletesen sikerül, és az a néhány ember, aki elrontotta, azonnal felismeri, hol történt a hiba. Igazi élmény a tanulásban.
Milyen volt a visszajelzés és az elfogadás a klinikusok részéről, akik alkalmazták ezt a technikát a napi munkafolyamatukban?
Túláradó... olyan mondatokkal, mint „Most már teljes az életem”, „El sem tudom képzelni, hogy a front-wing technika nélkül dolgozzak” vagy „Mit csináltam a front-wing előtt?”. Mivel mindennapi megoldásként megvalósíthatóvá vált, mivel nem volt wax-up, nem voltak buborékok, tökéletes kontúr és megbízható építési módszer, a klinikusok mindennapi gyakorlatában maradt. Ha az emberek egyszer használják ezt a módszert, többé nem térnek vissza más technikákhoz.
Végezetül, mesélne nekünk egy kicsit a Style Italianóval való kapcsolatáról és a csoport alapfilozófiájáról?
A Style Italiano a szerelmem és az életem. Eredeti tag vagyok. Alapítóink, Prof. Putignano és Dr. Walter Devoto, akkoriban világos vízióval és üzenettel rendelkeztek, és történetesen ugyanaz, amit ma is terjesztünk: Megvalósítható, tanítható és megismételhető.
A Style Italiano csoportban az én szerepem az „ötletgyár”, amely a csoport 2009es megalakulásával jött létre. Később, a 2014-es évben hivatalosan is megalakult, mint egy cég, amely három szabadalmat jelentett be, két színszoftver tulajdonosa, és több mint 30 eredeti eszközt és anyagot fejlesztett ki különböző cégekkel, és öt technikát publikált (az egyik az első szárny), jelenleg egy lakóhelyi és két világméretű oktatási projektet és egy új koncepciót működtet az online oktatásban.
Dr. Jordi Manauta
Mexikóvárosban született, és a Mexikói Technológiai Egyetemen (UNITEC) szerzett fogorvosi diplomát, jelentős ösztöndíjakkal. Posztgraduális tanulmányait az operatív és esztétikai fogászat területén folytatta, és a spanyolországi Barcelonában, a Katalán Nemzetközi Egyetemen (UIC) szerzett mesterdiplomát. Miguel Tames (Mexikóváros) és Walter Devoto (Olaszország) tanítványa, aki nemzetközi cégekkel együttműködve különböző anyagokat és műszereket fejlesztett és fejleszt jelenleg is az esztétikai fogászat, a fogászati kalorimetria és a fényképezés területén. Vendégtanár a Sienai Egyetemen, és két európai folyóirat tudományos tanácsadója. Dr. Manauta 2008 óta tagja a Style Italiano tanulmányi csoportnak. A Layers (Quintessence 2012) és a Layers 2 (Quintessence 2022) című könyv szerzője, valamint számos nemzetközi folyóiratban megjelent publikáció szerzője és társszerzője, Dr. Manauta gyakran meghívott előadó az esztétikai és operatív fogászat területén.




