PEG ylation

With this guiding theme in mind, Iris Biotech’s mission is to support researchers by supplying
• innovative technologies, rare compounds, as well as a broad portfolio on standard consumables, available in flexible quantities from small scale to bulk quantities. To fulfill our dedication “Empowering Peptide Innovation”, we are attending various conferences, symposia, and exhibitions each year. This allows us to remain in direct contact with scientists all over the world, both from academia and industry, to exchange knowledge, and to gather new ideas to tackle your current challenges.
Guided by our dedication to provide competent service, as well as novel substances and latest technologies,
Iris Biotech is your trusted partner for the world of peptides, while having strong expertise in associated disciplines. Thus, our portfolio comprises reagents and tools for the synthesis and modification of peptides, e.g. amino acids, resins and solvents but also for related technologies such as Drug Delivery, Linkerology® and Life Sciences.
Owed to the growing demand for tailor-made compounds, our portfolio is fine-tuned by our Custom Synthesis Service at Iris Biotech Laboratories. Our skilled scientists offer profound expertise in
• de novo route development,
• upscaling towards larger scale production,
• as well as synthesis optimization for increased efficiency.
Examples are the synthesis of rare chiral building blocks, unnatural amino acid derivatives, sophisticated orthogonal protecting groups, heterocycles, building blocks for nucleotides, PEGs and PEG-analogues as well as specific linkers for controlled drug delivery and release.
(Protected) Amino Acids
Standards such as Fmoc-D/L-AAA and Boc-D/L-AAA, Smoc amino acids for peptide synthesis in water, variety of protecting groups (e.g. Pbf, Trt, tBu, Bzl, Acm, Mob, SIT, Phacm, Allocam, Mmt), unusual amino acids, fluorinated derivatives, substituted prolines, arginine analogues
Building Blocks
Amino alcohols, amino aldehydes, diamines and hydrazines, (pseudoproline) dipeptides, polyamines and spermines, fatty acid derivatives
Reagents
Coupling reagents, solvents and scavengers, protecting groups
Resins
Preloaded resins (e.g. based on Trityl, TCP, TentaGel, Methoxybenzhydryl, Merrifield, PAM, Rink, Wang), scavenger resins, hydrazone resins
Linkers for Solid Phase Peptide Synthesis
Cleavable Linkers
Val-Ala based, Val-Cit based, disulfide based, Dde-helping hands
Photo-Activatable Linkers
Functionalized Linkers
Clickable linkers, trifunctional linkers, linkers with maleimide function, cross-linkers, selective N-term acylation and biotinylation
PROTACs
Ligands, linkers & modules
Fullerenes & Poly(2-oxazolines)
Poly-Amino Acids
Poly-Arg, Poly-Glu, Poly-Lys, Poly-Orn, Poly-Sar
PEGylation
Branched PEGylating reagents, (amino-)PEG-acids, PEG-amines & hydrazides & guanidines, reagents for Click-conjugation, Biotin-PEG-reagents, PEG-thiols, PEG-maleimides, other PEGylating reagents
Carbohydrates
Galactose, Glucose, Maltose, Mannose, Xylose and others
Drug Metabolites
Peptides
Substrates & Inhibitors
E.g. protein kinase inhibitors, substrates for fusion (Halo/ Snap/Clip)-tagged proteins
Natural Products
Dyes and Fluorescent Labels
E.g. ICG, AMC, DAPI
Maillard & Amadori Reaction Products
Large portfolio of derivatives useful as standards for food, pharma and cosmetics industry
Vitamins
• Customer’s demands
Your project requires a compound not listed in our portfolio? Get in contact and inquire about our custom synthesis capabilities. Our experienced scientists are excited to accept your synthetic challenge! In such cases, your request undergoes the following stages:
Detailed literature review
• Synthetic possibilities
Protocol development
• Method development and validation
• Customized synthesis
Identity confirmation
• Purity verification
All our services are based on high standards, transparency & documentation, trust, honesty & confidentiality, as well as the required know-how.
• Values: sustainability & responsibility
• State-of-the-art equipment & latest technologies
High quality standards
• Qualified suppliers & regular audits
Intergenerational business valuing partnerships
• Meeting the customer‘s expectations Integrity towards our customers
• Talk to our specialists – customer care
• Certificates of analysis & impurity profiling
Analytical and process reports
One-step reactions & complex multi-step synthesis
• Scalability from mg to kg quantities
Route scouting
PEGylated proteins were the first polymer therapeutic drugs reaching market approval around 1990. PEGs show a spectrum of unique physical and chemical properties which have been described in literature extensively. Here are summarized the most common ones:
PEG fragments can be attached to many different positions in a protein. Amino groups of any solvent accessible lysines as well as the N-termini are the most prominent candidates for conjugation together with thiol functions of cysteines. The C-terminus or carboxylic groups from aspartic acid and glutamic acid are also possible for conjugation, however, are less frequently used.
• PEG can serve as spacer or cross linker between two moieties.
• PEG provides high solubility and does not contain charged side chains.
PEG is FDA-approved for internal application, is non-toxic, lacks T-cell epitopes, and shows no signs of immunogenicity in most animal experiments.
• PEG derivatives are available from uniform molecules with short chain lengths (down to two ethylene oxide units only), to long disperse constructs, allowing regio-specific chemical conjugation with small molecules, proteins, peptides, and biopharmaceuticals through their broad variety of available terminal chemical groups.
• Good solubility in BOTH hydrophilic AND hydrophobic solvents as water, toluene, methylene chloride, and many other organic solvents. Insoluble in diethyl ether, hexane, ethylene glycol.
• Insoluble in water at elevated temperature.
• The solubility is influenced by formed derivatives.
• Highly mobile in water with high exclusion volume; large hydrodynamic radius.
• Complex formation with metal cations is possible. Can be used to precipitate proteins and nucleic acids. Form two-phase systems with aqueous solutions of other polymers. Non-toxic and FDA-approved for use in drug products.
PEGylation of biopharmaceuticals or small molecules brings the following effects:
• Improves solubility of conjugated molecules. Renders proteins non-immunogenic and tolerogenic. Reduces the rate of renal clearance through the kidney and alters pharmacokinetics. Alters electroosmotic flow.
Increases cell permeability.
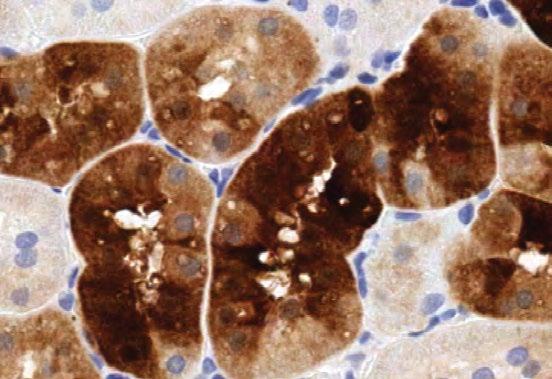
The increasing use of PEG and PEGylated products in pharmaceutical research and on the market provides new insights into the underlying mechanism of their properties. PEGs are e.g. not biodegradable in the human body, so it can lead to certain accumulation in cytoplasmic vacuoles, particularly at high doses and especially in kidneys:
Fig. 1: (Left) PEG immunoreactivity in kidney from rats given 100 mg/kg 10kPEG IV. There is variable but diffuse PEG staining in tubular epithelial cells throughout the renal cortex. PEG staining is not associated with epithelial cell vacuolation (Magnification 230x).
(Right) Cytoplasmic vacuoles (arrows) are associated with variable levels of PEG immunoreactivity in the kidney (300x) in rats given 100 mg/kg 40kPEG. The cortical tubule and choroid plexus had both darkly stained and clear vacuoles (pictures adapted from Rudman et al . 2013).
Despite all sporadic drawbacks as mentioned above, PEG, nevertheless, is still the most widely applied polymer in drug delivery.
This brochure displays a portfolio of a thousand different PEG derivatives with a length ranging from only 2 ethylene glycol units (with a molecular weight around 100 g/mol) up to long chain PEGs of molecular weights beyond 20,000 g/mol. Further to this standard portfolio, we can produce also customized PEG variants according to your personal needs.
References:
→ Efficacy of PEGylated ciliary neurotrophic factor superagonist variant in diet-induced obesity mice; M. R. Battista, A. Grigoletto, T. Tedeschini, A. Cellucci, F. Colaceci, R. Laufer, G. Pasut, A. Di Marco; PLOS ONE 2022; 17: e0265749. https://doi.org/10.1371/journal.pone.0265749
→ Conjugation to PEG as a Strategy to Limit the Uptake of Drugs by the Placenta: Potential Applications for Drug Administration in Pregnancy; A. Dodd, A. A. Natfji, A. Evangelinos, A. Grigoletto, G. Pasut, F. Beards, L. Renshall, H. M. I. Osborn, F. Greco, L. K. Harris; Molecular pharmaceutics 2022; 19: 345-353.
https://doi.org/10.1021/acs.molpharmaceut.1c00498
→ Applying lessons learned from nanomedicines to understand rare hypersensitivity reactions to mRNAbased SARS-CoV-2 vaccines; J. Szebeni, G. Storm, J. Y. Ljubimova, M. Castells, E. J. Phillips, K. Turjeman, Y. Barenholz, D. J. A. Crommelin, M. A. Dobrovolskaia; Nature Nanotechnology 2022; 17: 337-346. https://doi.org/10.1038/s41565-022-01071-x
→ The role and impact of polyethylene glycol on anaphylactic reactions to COVID-19 nano-vaccines; P. Bigini, M. Gobbi, M. Bonati, A. Clavenna, M. Zucchetti, S. Garattini, G. Pasut; Nature Nanotechnology 2021; 16: 1169-1171. https://doi.org/10.1038/s41565-021-01001-3
→ Allergic Reactions and Anaphylaxis to LNP-Based COVID-19 Vaccines; S. M. Moghimi; Molecular Therapy 2021; 29: 898-900. https://doi.org/10.1016/j.ymthe.2021.01.030
→ Polyethylene glycol-based linkers as hydrophilicity reservoir for antibody-drug conjugates; T. Tedeschini, B. Campara, A. Grigoletto, M. Bellini, M. Salvalaio, Y. Matsuno, A. Suzuki, H. Yoshioka, G. Pasut; Journal of Controlled Release 2021; 337: 431-447. https://doi.org/10.1016/j.jconrel.2021.07.041
back to content arrow-up
→ PEG hydration and conformation in aqueous solution: Hints to macromolecular crowding; S. Di Fonzo, B. Bellich, A. Gamini, N. Quadri, A. Cesàro; Polymer 2019; 175: 57-64. https://doi.org/10.1016/j.polymer.2019.05.004
→ A head-to-head comparison of poly(sarcosine) and poly(ethylene glycol) in peptidic, amphiphilic block copolymers; D. Huesmann, A. Sevenich, B. Weber, M. Barz; Polymer 2015; 67: 240-248. https://doi.org/10.1016/j.polymer.2015.04.070
→ On the biodegradability of polyethylene glycol, polypeptoids and poly(2-oxazoline)s; J. Ulbricht, R. Jordan, R. Luxenhofer; Biomaterials 2014; 35: 4848-61. https://doi.org/10.1016/j.biomaterials.2014.02.029
→ Bioconjugate Techniques (Third Edition); G. T. Hermanson; G. T. Hermanson 2013: 1146. https://doi.org/10.1016/C2009-0-64240-9
→ Chapter 6 - Heterobifunctional Crosslinkers; G. T. Hermanson; Bioconjugate Techniques (Third Edition)
G. T. Hermanson 2013: 299-339. https://doi.org/10.1016/B978-0-12-382239-0.00006-6
→ High molecular weight polyethylene glycol cellular distribution and PEG-associated cytoplasmic vacuolation is molecular weight dependent and does not require conjugation to proteins; D. G. Rudmann, J. T. Alston, J. C. Hanson, S. Heidel; Toxicol Pathol 2013; 41: 970-83. https://doi.org/10.1177/0192623312474726
→ Poly(ethylene glycol)-Prodrug Conjugates: Concept, Design, and Applications; S. S. Banerjee, N. Aher, R. Patil, J. Khandare; J Drug Deliv 2012; 103973 . https://doi.org/10.1155/2012/103973
→ Overcoming the PEG-addiction: well-defined alternatives to PEG, from structure–property relationships to better defined therapeutics; M. Barz, R. Luxenhofer, R. Zentel, M. J. Vicent; Polymer Chemistry 2011; 2: 1900-1918. https://doi.org/10.1039/c0py00406e
→ Poly(ethylene glycol) in drug delivery: pros and cons as well as potential alternatives; K. Knop, R. Hoogenboom, D. Fischer, U. S. Schubert; Angew Chem Int Ed Engl 2010; 49: 6288-308. https://doi.org/10.1002/anie.200902672
→ Peptide and Protein PEGylation III: Advances in Chemistry and Clinical Applications; F. M. Veronese, J. M. Harris; Advanced Drug Delivery Reviews 2008; 60: 1-88.
→ PEGylation - The Magic Wand. Turning Proteins and other Biopharmaceuticals into Super Performing Block Busters; T. Bruckdorfer; PharManufacturing 2007; 1: 34-41.
→ PEGylation, successful approach to drug delivery; F. M. Veronese, G. Pasut; Drug Discov Today 2005; 10: 1451-8.
https://doi.org/10.1016/S1359-6446(05)03575-0
→ PEGylated antibodies and antibody fragments for improved therapy: a review; A. P. Chapman; Adv Drug Deliv Rev 2002; 54: 531-45.
https://doi.org/10.1016/S0169-409X(02)00026-1
→ Chemistry for peptide and protein PEGylation; M. J. Roberts, M. D. Bentley, J. M. Harris; Adv Drug Deliv Rev 2002; 54: 459-76.
https://doi.org/10.1016/S0169-409X(02)00022-4
→ Peptide and protein PEGylation: a review of problems and solutions; F. M. Veronese; Biomaterials 2001; 22: 405-17.
https://doi.org/10.1016/S0142-9612(00)00193-9
→ Synthesis and characterization of poly(ethylene glycol) derivatives; J. M. Harris, E. C. Struck, M. G. Case, M. S. Paley, M. Yalpani, J. M. Van Alstine, D. E. Brooks; Journal of Polymer Science: Polymer Chemistry Edition 1984; 22: 341-352.
https://doi.org/10.1002/pol.1984.170220207
→ Functionalization of poly(ethylene glycol) and monomethoxy-poly(ethylene glycol); A. F. Bückmann, M. Morr, G. Johansson; Die Makromolekulare Chemie 1981; 182: 1379-1384. https://doi.org/10.1002/macp.1981.021820509
Modern drug development technologies such as combinatorial chemistry and automated high-throughput screening have led to the identification of numerous potential new active pharmaceutical ingredients (APls). However, many of those promising new molecules never reach market approval because they are not sufficiently soluble, cannot reach the desired target, are attacked by the immune system, are degraded by endogenous enzymes, or suffer from rapid renal clearance. To overcome these restrictions, first attempts with polymers were made already in the 1960s - either by attaching the therapeutic agent covalently to a polymer or by entrapping it non-covalently in a polymer nanoparticle.
The first polymer-drug conjugates that showed promising results contained poly(ethylene glycol) “PEG”, and until today, PEG is the most widely used gold standard for stealth polymers in the continuously emerging field of polymer-based drug delivery. The pharmacological effects of PEG and many other first generation polymer attachments are mainly of physical nature:
PEG and many other polymers are very hygroscopic and hydrophilic and thus improve the plasma solubility of hydrophobic pharmaceuticals. By this, higher therapeutic concentrations in plasma and tissues are accessible.
Polymer chains are covering the surface of a pharmaceutical, thus efficiently shielding it against attacks by the immune system or degrading enzymes such as proteases. The polymeric shield has characteristics rather like a solvent than like a protein. This prevents uptake by the macrophage system. Recognition by the immune system (antibodies, proteases, and other degradation enzymes etc.) is significantly reduced. The drug stays intact and is not destroyed (degraded or metabolized) during its presence in the body and journey through the physiological system.
Hygroscopic polymers are surrounded by a large solvating sphere of water molecules. The hydrodynamic radius of the polymer-drug conjugate can be increased to a size larger than the diameter of the kidney’s glomerular capillaries (6 to 12 nm). Retarded renal filtration prolongs plasma half-life of the biological drug by means of a purely biophysical size effect, without any receptor interactions that may influence pharmacodynamics or lead to side effects.
Fig. 2: PEGylation increases the hydrodynamic radius and aqueous solubility of proteins. Hence, the pharmacokinetic properties of a PEGylated drug in contrast to a non-PEGylated one are significantly different. The half-time in plasma is, therefore, significantly longer.
back to content arrow-up
References:
→ Drug delivery systems for RNA therapeutics; K. Paunovska, D. Loughrey, J. E. Dahlman; Nat. Rev. Genetics 2022; 23: 265-280. https://doi.org/10.1038/s41576-021-00439-4
→ Drug delivery systems in cancer therapy; B. Qorri, A. DeCarlo, M. Mellon, M. R. Szewczuk; Drug Delivery Devices and Therapeutic Systems 2021; 423-454 . https://doi.org/10.1016/b978-0-12-819838-4.00016-x
→ Chapter One - Molecular platforms for targeted drug delivery; K. Maso, A. Grigoletto, M. J. Vicent, G. Pasut; International Review of Cell and Molecular Biology L. Galluzzi 2019; 346: 1-50. https://doi.org/10.1016/bs.ircmb.2019.03.001
→ Polymer-drug conjugate therapeutics: advances, insights and prospects; I. Ekladious, Y. L. Colson, M. W. Grinstaff; Nat. Rev. Drug discovery 2019; 18: 273-294. https://doi.org/10.1038/s41573-018-0005-0
→ Polymer Therapeutics: Design, Application, and Pharmacokinetics; B. A. Aderibigbe, H. E. Mukaya; Nano- and Microscale Drug Delivery Systems A. M. Grumezescu 2017: 33-48.
https://doi.org/10.1016/b978-0-323-52727-9.00003-0
→ Structure of a PEGylated protein reveals a highly porous double-helical assembly; G. Cattani, L. Vogeley, P. B. Crowley; Nat Chem 2015; 7: 823-8. https://doi.org/10.1038/nchem.2342
→ An Overview Of Polymer Therapeutics; G. Srinivasan, M. Vaishnavi; World Journal of Pharmaceutical Research 2014; 3: 1446-1467.
→ Polymer therapeutics: Top 10 selling pharmaceuticals — What next?; R. Duncan; Journal of Controlled Release 2014; 190: 371-380. https://doi.org/10.1016/j.jconrel.2014.05.001
→ Polymer therapeutics-prospects for 21st century: The end of the beginning; R. Duncan, M. J. Vicent; Advanced Drug Delivery Reviews 2013; 65: 60-70. https://doi.org/10.1016/j.addr.2012.08.012
→ Bioconjugate Techniques (Third Edition); G. T. Hermanson; G. T. Hermanson 2013: 1146. https://doi.org/10.1016/C2009-0-64240-9
→ Polymer-Based Therapeutics; S. Liu, R. Maheshwari, K. L. Kiick; Macromolecules 2009; 42: 3-13. https://doi.org/10.1021/ma801782q
→ The dawning era of polymer therapeutics; R. Duncan; Nat. Rev. Drug discovery 2003; 2: 347-60. https://doi.org/10.1038/nrd1088
The most important parameter describing a polymer is the degree of polymerization “DP”. DP describes the number of monomeric units in a polymer molecule. If a polymer consists of only one single molecular weight species (a defined number n of repeating units), the polymer is called “homopolymer” or “uniform”. A common term previously used is “monodisperse”. Most polymers consist of a range of species with an average mass and a distribution of n around a mean value. These polymers are referred to as “polydisperse”, “disperse”, or “non-uniform”. If the polymer is polydisperse, its mass spectrum will show a range of different molecular weights as shown in a typical mass spectrum Fig. 4:
A measure of the distribution of molecular weights in a polymer is given by the Polydispersity or simply Dispersity Đ, which is defined as the ratio between the weight average molecular weight M°w and the number average molecular weight M°n :
The weight average M°w does not “count” species just by their number but considers the total weight of each species and is therefore a much more realistic indicator of the gross mechanical properties of a polymer. In case of a homopolymer with a defined chain length, M°w is equal to M°n , thus the dispersity Đ equals 1.00 and the compound is referred to as uniform. Whenever there is a distribution of molecular weights, the weight average M°w is always higher than the number average M°n , and consequently the dispersity Đ is greater than 1.00. The dispersity of polymers typically used in polymer therapeutics ranges between 1.01 and 1.20.
Generally, a rather low Đ value close to 1.00 is aspired as it is an indication for a well-controlled and mastered polymerization process. However, such a narrow weight distribution is not always of advantage in practice. For the formation of some nanostructures, it may be necessary to have a rather broad distribution of molecule sizes, resulting in a rather high dispersity Đ. For example, some polymers can form spheric nanoparticles when used at high dispersity but will form fibrils if used in a dispersity close to 1.00. In other applications, it may be necessary to have material with very low dispersity. In order to reach reproducible results, it is crucial to work with highly pure polymers of good batchtobatch reproducibility.
References:
→ Polymer-drug conjugate therapeutics: advances, insights and prospects; I. Ekladious, Y. L. Colson, M. W. Grinstaff; Nat. Rev. Drug discovery 2019; 18: 273-294. https://doi.org/10.1038/s41573-018-0005-0
→ Polysarcosine-containing copolymers: Synthesis, characterization, self-assembly, and applications; A. Birke, J. Ling, M. Barz; Progress in Polymer Science 2018; 81: 163-208. https://doi.org/10.1016/j.progpolymsci.2018.01.002
→ Fundamentals of Polymer Science: An Introductory Text; P. C. Painter, M. M. Coleman; 1997: 22. https://doi.org/10.1201/9780203755211
For a small molecule, typically a rather limited set of analytical parameters (for example: purity by HPLC, identity by NMR or mass spectroscopy, and residual solvents content) is sufficient to describe the quality of each material batch.
For a polymer, a much more sophisticated analysis is necessary to describe the quality of the material comprehensively. Depending on the application’s needs and on authorities’ demand, the certificate of analysis for a therapeutic polymer may contain dozens of different analytical parameters.
The development of analytical methods and processes requires an extensive understanding of the polymer itself and about the expressiveness of the various analytical parameters.
For our therapeutic polymers, the analytical laboratory is staffed by highly-qualified personnel who use equipment specially focused, but not limited, to the quality control of polymers. All instruments are qualified, and the validated analysis conforms to international and European standards.
back to content arrow-up
During the last decades, PEG and several other polymers have entered the field of drug delivery: natural and nonnatural ones, biodegradable and non-degradable ones, such as: proteins, poly(amino acids), peptides, peptoids, polysaccharides, modified cellulose derivatives, polyesters, polyamides, polyanhydrides, polyphosphonates, polyacrylates, and many more. Independent of their chemical nature, polymer therapeutics can be classified by their mode of application:
The polymer itself is the active pharmaceutical ingredient. One market approved example is Copaxone®, a random copolymer of Alanine, Glutamate, Lysine, and Tyrosine for the treatment of multiple sclerosis.
Here, a polymer backbone carries one or several active moieties, as for example in Opaxio®, a poly(glutamic acid)-Paclitaxel conjugate for cancer treatment.
One or several polymer chains are attached to a protein, peptide, or antibody, as for example in Pegasys®, a PEGylated Interferon alpha 2a for the treatment of Hepatitis C.
Some polymers can be used to form hydrogels of defined pore size, water content, life-time and many more properties. Such hydrogels can be used to cage active ingredients, keep them perfectly hydrated, regulate their skin or tissue permeation, dose their release, and thus optimize their function. Often, such hydrogels are used in cosmetic applications.
These nanoparticles are typically formed by a mixture of different lipid and polymer types and can form - among others - micelles (consisting of a monolayer), liposomes (consisting of a bilayer), or lipid nanoparticles “LNPs” (composed of multiple lipid layers as well as microdomains of lipid and nucleic acid). Examples for such nanoparticles are the latest mRNA-based SARS-CoV2 vaccines from Moderna, BioNTech/Pfizer or CureVac.
These different application modes already point out that polymer therapeutics offer far more possibilities than the simple shielding and enlarging effects previously mentioned.
A large polyvalent polymeric carrier can enable the attachment of several active moieties on one macromolecule. If, for example, the pharmaceutical role of the active ingredient is to bind and block a surface receptor, the presence of several binding ligands will significantly increase the binding energy and thus lead to a more efficient receptor binding. As non-covalent receptor binding is a dynamic equilibrium of association and dissociation, a released single small molecule can easily be departed by the bloodstream and thus be prevented from re-binding. However, if it is part of a polymer which binds to the cell surface by several other of its binding moieties, it will not diffuse away, but will re-bind quickly to any free receptor on the surface.
A polymer carrier can be equipped both with a targeting moiety and with active molecules. For example, an RGD peptide can guide the polymer to cancer cells. After internalization, several bound cytotoxic molecules such as Paclitaxel can be released to kill the abnormal cell.
An intelligent design of the drug delivery system can help transporting a payload to destinations where it could not go without the polymer’s help. There are systems that help crossing the skin barrier, some poly(amino acids) can help small molecules to cross cell membranes, LNPs as nonviral vectors can even transport DNA and RNA into living cells, and other polymers help crossing the blood-brain-barrier. back to content arrow-up
Some cells develop resistance to a pharmaceutical treatment. If this happens, the treatment must be changed to a new strategy and cells may subsequently also develop resistance to the altered therapy. However, in polymer therapeutics, the two different active ingredients can be attached to one polymer. The simultaneous delivery of two different active cargos strongly suppresses the formation of resistances, because cells would have to develop both resistances at the same time, which is almost impossible.
Interested in poly(amino acids) for polymeric support of small molecule drug formulation, lipidated nanoparticels, e.g. for encapsulation of mRNA, and other biodegradable polymers like poly(2-oxazolines) and polysarcosines?
Please investigate our brochure “Polymer Therapeutics“.
References:
→ Drug delivery systems for RNA therapeutics; K. Paunovska, D. Loughrey, J. E. Dahlman; Nat. Rev. Genetics 2022; 23: 265-280. https://doi.org/10.1038/s41576-021-00439-4
→ Polymer-based non-viral vectors for gene therapy in the skin; L. Tortajada, C. Felip-León, M. J. Vicent; Polymer Chemistry 2022; 13: 718-735. https://doi.org/10.1039/D1PY01485D
→ Polyamide/Poly(Amino Acid) Polymers for Drug Delivery; S. H. S. Boddu, P. Bhagav, P. K. Karla, S. Jacob, M. D. Adatiya, T. M. Dhameliya, K. M. Ranch, A. K. Tiwari; Journal of Functional Biomaterials 2021; 12: 58. https://doi.org/10.3390/jfb12040058
→ Polypeptides as building blocks for image-guided nanotherapies; I. Conejos-Sánchez, S. Đorđević, M. Medel, M. J. Vicent; Current Opinion in Biomedical Engineering 2021; 20: 100323. https://doi.org/10.1016/j.cobme.2021.100323
→ Carbohydrate-Derived Metal-Chelator-Triggered Lipids for Liposomal Drug Delivery; T. Holmstrom, M. Galsgaard Malle, S. Wu, K. J. Jensen, N. S. Hatzakis, C. M. Pedersen; Chemistry 2021. https://doi.org/10.1002/chem.202005332
→ From influenza to COVID-19: Lipid nanoparticle mRNA vaccines at the frontiers of infectious diseases; E. H. Pilkington, E. J. A. Suys, N. L. Trevaskis, A. K. Wheatley, D. Zukancic, A. Algarni, H. Al-Wassiti, T. P. Davis, C. W. Pouton, S. J. Kent, N. P. Truong; Acta Biomater 2021; 131. https://doi.org/10.1016/j.actbio.2021.06.023
circle-arrow-right
→ Drug-induced phospholipidosis confounds drug repurposing for SARS-CoV-2; T. A. Tummino, V. V. Rezelj, B. Fischer, A. Fischer, M. J. O’Meara, B. Monel, T. Vallet, K. M. White, Z. Zhang, A. Alon, H. Schadt, H. R. O’Donnell, J. Lyu, R. Rosales, B. L. McGovern, R. Rathnasinghe, S. Jangra, M. Schotsaert, J.-R. Galarneau, N. J. Krogan, L. Urban, K. M. Shokat, A. C. Kruse, A. García-Sastre, O. Schwartz, F. Moretti, M. Vignuzzi, F. Pognan, B. K. Shoichet; Science 2021; 373: 541-547. https://doi.org/10.1126/science.abi4708
→ The evolution of commercial drug delivery technologies; A. M. Vargason, A. C. Anselmo, S. Mitragotri; Nature Biomedical Engineering 2021; 5: 951-967. https://doi.org/10.1038/s41551-021-00698-w
→ A Review on Nano-Based Drug Delivery System for Cancer Chemoimmunotherapy; W. Mu, Q. Chu, Y. Liu, N. Zhang; Nano-Micro Letters 2020; 12. https://doi.org/10.1007/s40820-020-00482-6
→ Polysarcosine-Functionalized Lipid Nanoparticles for Therapeutic mRNA Delivery; S. S. Nogueira, A. Schlegel, K. Maxeiner, B. Weber, M. Barz, M. A. Schroer, C. E. Blanchet, D. I. Svergun, S. Ramishetti, D. Peer, P. Langguth, U. Sahin, H. Haas; ACS Applied Nano Materials 2020; 3: 10634-10645.
https://doi.org/10.1021/acsanm.0c01834
→ Polymer Therapeutics: Biomarkers and New Approaches for Personalized Cancer Treatment; S. P. Atkinson, Z. Andreu, M. J. Vicent; J Pers Med 2018; 8: 6. https://doi.org/10.3390/jpm8010006
→ Polymer Therapeutics: Design, Application, and Pharmacokinetics; B. A. Aderibigbe, H. E. Mukaya; Nano- and Microscale Drug Delivery Systems A. M. Grumezescu 2017: 33-48.
https://doi.org/10.1016/b978-0-323-52727-9.00003-0
→ A review of solute encapsulating nanoparticles used as delivery systems with emphasis on branched amphipathic peptide capsules; S. M. Barros, S. K. Whitaker, P. Sukthankar, L. A. Avila, S. Gudlur, M. Warner, E. I. Beltrao, J. M. Tomich; Archives of biochemistry and biophysics 2016; 596: 22-42.
https://doi.org/10.1016/j.abb.2016.02.027
→ Peptide-Based Polymer Therapeutics; A. Duro-Castano, I. Conejos-Sánchez, M. Vicent; Polymers 2014; 6: 515-551. https://doi.org/10.3390/polym6020515
→ Factors influencing in vivo disposition of polymeric micelles on multiple administrations; E. Hara, M. Ueda, A. Makino, I. Hara, E. Ozeki, S. Kimura; ACS Med Chem Lett 2014; 5: 873-7. https://doi.org/10.1021/ml500112u
→ An Overview Of Polymer Therapeutics; G. Srinivasan, M. Vaishnavi; World Journal of Pharmaceutical Research 2014; 3: 1446-1467.
→ Do HPMA copolymer conjugates have a future as clinically useful nanomedicines? A critical overview of current status and future opportunities; R. Duncan, M. J. Vicent; Adv Drug Deliv Rev 2010; 62: 272-82. https://doi.org/10.1016/j.addr.2009.12.005
back to content arrow-up
PEG1365 H2 N-PEG(2)-CO-Ot Bu
3-(2-(2-Aminoethoxy)ethoxy)propanoic acid t-butyl ester
CAS-No. 756525-95-8
Formula C11H23 NO4
Mol. weight 233,3 g/mol
PEG2420 H-O2Oc-OH
[2-(2-aminoethoxy)ethoxy]acetic acid
CAS-No. 134978-97-5
Formula C 6 H13 NO4
Mol. weight 163,17 g/mol
PEG7940 H-O2Oc-OH*HCl
8-amino-3,6-dioxaoctanoic acid hydrochloride
CAS-No. 134979-01-4
Formula C 6 H13 NO4*HCl
Mol. weight 163,17*36,45 g/mol
PEG2430 H-O2Oc-Ot Bu*HCI
[2-(2-aminoethoxy)ethoxy]acetic acid tert-butyl ester*HCl NH2
CAS-No. 2098500-69-5
Formula C10 H21NO4*HCI
Mol. weight 219,28*36,45 g/mol
PEG1370 H2 N-dPEG(4)-COOH
15-Amino-4,7,10,13-tetraoxa-pentadecanoic acid
CAS-No. 663921-15-1
Formula C11H23 NO 6
Mol. weight 265,3 g/mol
Product details
PEG1375 H2 N-dPEG(4)-CO-Ot Bu
15-Amino-4,7,10,13-tetraoxa-pentadecanoic acid
CAS-No. 581065-95-4
Formula
PEG1221 H-O2Oc-O2Oc-OH
17-Amino-10-oxo-3,6,12,15-tetraoxa-9-azaheptadecan1-oic acid
CAS-No. 1143516-05-5
Formula
weight 308,33 g/mol
PEG1300 H2 N-PEG(6)-COOH
1-Amino-3,6,9,12,15,18-hexaoxahenicosan-21-oic acid
CAS-No. 905954-28-1
Formula
weight 353,41 g/mol
PEG1305 H2 N-dPEG(6)-CO-Ot Bu
1-Amino-3,6,9,12,15,18-hexaoxahenicosan-21-oic acid
CAS-No. 1286281-32-0
Formula C19 H39 NO 8
weight 409,51 g/mol
PEG2770 H-O2Oc-O2Oc-O2Oc-OH
26-amino-10,19-dioxo-3,6,12,15,21,24-hexaoxa-9,18-diazahexacosan-1-oic acid
Formula
weight 453,48 g/mol
PEG8060 H-O2Oc-O2Oc-O2Oc-O2Oc-OH
8-amino-3,6-dioxaoctanoic acid tetramer
Formula
PEG1380
1-Amino-3,6,9,12,15,18,21,24-octaoxaheptaeicosane-27-oic acid
CAS-No. 756526-04-2
Formula C19 H39 NO 10
Mol. weight 441,51 g/mol
1-Amino-3,6,9,12,15,18,21,24-octaoxaheptaeicosane-27-oic acid t-butyl ester
CAS-No. 756526-06-4
Formula C 23 H47NO 10
Mol. weight 497,62 g/mol
1-Amino-3,6,9,12,15,18,21,24,27,30,33,36-dodecaoxano
natriacontan-39-oic acid
CAS-No. 1415408-69-3
Formula C 27H 55NO 14
Mol. weight 617,72 g/mol
PEG1350
1-Amino-3,6,9,12,15,18,21,24,27,30,33,36-dodecaoxanonatriacontan-39-oic acid t-butyl ester
CAS-No. 872340-65-3
Formula C 31H 63 NO 14
Mol. weight 673,83 g/mol
PEG1355
alpha-Amino-24(ethylene glycol)-omega-propionic acid
CAS-No. 196936-04-6
Formula C 51H103 NO 26
Mol. weight 1146,38 g/mol
PEG1360
alpha-Amino-24(ethylene glycol)-omega-propionic acid
t-butyl ester H2N
CAS-No. 872340-65-3
Formula C 55H111NO 26
Mol. weight 1202,49 g/mol
PEG3340 H2 N-dPEG™(36)-COOH
alpha-Amino-omega-propionic acid-36(ethylen glycol)
CAS-No. 196936-04-6
Formula C 75H151NO 38
weight 1674,99 g/mol
PEG3710 H2 N-dPEG™(36)-CO-Ot Bu
alpha-Amino-omega-(t-butyl propionate) 36(ethylene glycol)
CAS-No. 872340-65-3
Formula C 79 H159 NO 38 Mol. weight 1731,09 g/mol
PEG1096 H2 N-PEG-COOH*HCl (3 kDa)
alpha-Amino-omega-carboxy poly(ethylene glycol)
PEG1097 H2 N-PEG-COOH*HCl (5 kDa)
alpha-Amino-omega-carboxy poly(ethylene glycol)
PEG1095 H2 N-PEG-COOH*HCl (10 kDa)
alpha-Amino-omega-carboxy poly(ethylene glycol)
PEG7390 H2 N-PEG(12)-[PEG(24)-CO-Ot Bu] 3
Amino-PEG(12)-[PEG(24)-propionic acid t-butyl ester] 3
PEG7310 H2
N-PEG(4)-Glu-PEG(24)-OMe
N-alpha-(amino-tetra(ethylene glycol))-L-glutamic acid alpha-(mPEG(24)) ester
PEG7330
N-[PEG(4)-Glu] 3
tris[amino-tetra(ethylene glycol))-L-glutamyl]-(mPEG(24)) ester
PEG7320
bis[amino-tetra(ethylene glycol))-L-glutamyl]-(mPEG(24)) ester
alpha-(1,4,7,10-tetraazacyclododecan-1,4,7,10-tetraacetate)-tetra(ethylene glycol)-omega-(2,3,5,6-tetrafluorophenyl propionate) bistrifluoroacetate
8-(Allyloxycarbonyl-amino)-3,6-dioxaoctanoic acid
CAS-No. 560088-74-6 Formula C10 H17NO 6*C12H23 N
weight 247,11*181,32 g/mol
BAA5240
5-(t-Butyloxycarbonyl-amino)-3-oxapentanoic acid
CAS-No. 142929-49-5 net
Formula C9 H17NO 5*C12H23 N
weight 219,24*181,32 g/mol
BAA6070
5-[N-t-Butyloxycarbonyl-N‘-(2,2,4,6,7-pentamethyldihydrobenzofuran-5-sulfonyl)]amidino-3-oxapentanoic acid
CAS-No. 1263049-05-3
weight 513,61 g/mol
PEG8080
(2-(2-(t-Butyloxycarbonylamino)ethoxy)ethoxy)acetic acid
CAS-No. 108466-89-3
Formula C11H21NO 6
weight 263,29 g/mol
BAA1466
8-(t-Butyloxycarbonyl-amino)-3,6-dioxaoctanoic acid
560088-79-1
weight 263,29*181,32 g/mol
BAA6080 Boc,Pbf-amidino-O2Oc-OH
8-[N-t-Butyloxycarbonyl-N‘-(2,2,4,6,7-pentamethyldihydrobenzofuran-5-sulfonyl)]amidino-3,6-dioxaoctanoic acid
CAS-No. 1263049-06-4
Formula
weight 557,66 g/mol
PEG4930 Boc-NH-PEG(3)-COOH
1-(t-Butyloxycarbonyl)amino-3,6,9-trioxadodecan-12oic acid
CAS-No. 1347750-75-7
Formula C14H27NO
weight 321,37 g/mol
15-t-Butyloxycarbonylamino-4,7,10,13-tetraoxa-pentadecanoic acid
CAS-No. 756525-91-4
Formula C16 H31NO 8 Mol. weight 365,42 g/mol
17-(t-Butyloxycarbonyl-amino)-9-aza-3,6,12,15-te
traoxa-10-on-heptadecanoic acid
CAS-No. 1069067-08-8
Formula C17H32N
weight 408,45 g/mol
1-(t-Butyloxycarbonyl)amino-3,6,9,12,15-pentaoxaoctadecan-18-oic acid
CAS-No. 1347750-78-0
Formula C18 H35NO 9
Mol. weight 409,47 g/mol
PEG4910
1-(t-Butyloxycarbonyl)amino-3,6,9,12,15,18-hexaoxahenicosan-21-oic acid
CAS-No. 882847-13-4
Formula C 20 H39 NO 10
Mol. weight 453,52 g/mol
PEG2410
alpha-t-Butyloxycarbonylamino-omega-carboxy octa(ethylene glycol)
CAS-No. 1334169-93-5
Formula C 24H47NO 12
Mol. weight 541,63 g/mol
PEG1071 Boc-NH-PEG(8)-COOH
alpha-t-Butyloxycarbonylamino-omega-diglycolic acid octa(ethylene
PEG1070 Boc-NH-PEG(12)-COOH
alpha-t-Butyloxycarbonylamino-omega-[(aminocarboxymethoxy)acetic acid] dodecae(ethylene glycol)
weight 760,88 g/mol
PEG2415 Boc-NH-PEG(12)-COOH
alpha-
weight 717,84 g/mol
PEG4480 Boc-NH-dPEG™(24)-COOH
alpha-t-Butyloxycarbonylamino-omega-carboxy 24(ethylene glycol)
PEG1995 Boc-NH-PEG(27)-COOH
alpha-t-Butyloxycarbonylamino-27(ethylene glycol)-omega-propionic
PEG4490 Boc-NH-dPEG™(36)-COOH
alpha-t-Butyloxycarbonylamino-omega-carboxy 36(ethylene glycol)
CAS-No. 187848-68-6
Formula C 80 H159 NO
PEG1073 Boc-NH-PEG-COOH (3 kDa)
alpha-t-Butyloxycarbonylamino-omega-carboxy poly(ethylene glycol)
weight 3000 Da
PEG1074 Boc-NH-PEG-COOH (5 kDa)
alpha-t-Butyloxycarbonylamino-omega-carboxy
weight 5000 Da
PEG1072 Boc-NH-PEG-COOH (10 kDa)
alpha-t-Butyloxycarbonylamino-omega-carboxy po
weight 10000 Da
PEG1111 Boc-NH-PEG-NHS (3 kDa)
alpha-t-Butyloxycarbonylamino-omega-carboxy succinimidyl ester poly(ethylene glycol)
weight 3000 Da
PEG1112 Boc-NH-PEG-NHS (5 kDa)
alpha-t-Butyloxycarbonylamino-omega-carboxy succinimidyl ester poly(ethylene glycol)
weight 5000 Da
PEG1110 Boc-NH-PEG-NHS (10 kDa)
alpha-t-Butyloxycarbonylamino-omega-carboxy succinimidyl ester poly(ethylene glycol)
weight 10000 Da
DAA1016 Dde-O2Oc-OH
8-[(4,4-Dimethyl-2,6-dioxocyclohex-1-ylidene) ethyl-amino]-3,6-dioxaoctanoic acid, {2-[2-(Dde-amino) ethoxy]ethoxy}acetic acid
CAS-No. 1263045-93-7
Formula C16 H25NO 6 Mol. weight 327,37 g/mol
PEG2145 Dnp-NH-PEG(4)-COOH
1-(2,4-Dinitrophenylamino)-3,6,9,12-tetraoxapentadecanoic
CAS-No. 858126-76-8
Formula
weight 431,39 g/mol
PEG2150 Dnp-NH-PEG(4)-NHS
1-(2,4-Dinitrophenylamino)-3,6,9,12-tetraoxapentadecanoic acid succinimidyl ester
CAS-No. 858126-78-0
Formula
PEG2285
alpha-(2,4-Dinitrophenyl)amino-omega-carboxy dodeca(ethylene glycol)
CAS-No. 1334178-00-5
Formula C 33 H 57N3 O 18
weight 783,81 g/mol
PEG2290
alpha-(2,4-Dinitrophenyl)amino-omega-succinimidyl ester dodeca(ethylene glycol)
CAS-No. 1334178-01-6
Formula
weight 880,89 g/mol
Product details
Product details
PEG6880
DOTA-PEG(4)-TFP*2TFA
alpha-(1,4,7,10-tetraazacyclododecan-1,4,7,10-tetraacetate)-tetra(ethylene glycol)-omega-(2,3,5,6-tetrafluorophenyl propionate) bistrifluoroacetate
Formula C 33 H49 F4N 5 O 13*2CF 3 CO 2H Mol. weight 799,76*228,05 g/mol
PEG6890
DOTA-PEG(12)-TFP*2TFA
alpha-(1,4,7,10-tetraazacyclododecan-1,4,7,10-tetraacetate)-dodeca(ethylene glycol)-omega-(2,3,5,6-tetrafluorophenyl propionate) bistrifluoroacetate
alpha-(1,4,7,10-tetraazacyclododecan-1,4,7,10-tetraacetate tri-t-butyl ester)-dodeca(ethylene glycol)-omega-(2,3,5,6-tetrafluorophenyl propionate)
alpha-(1,4,7,10-tetraazacyclododecan-1,4,7,10-tetraacetate)-24(ethylene glycol)-omega-(2,3,5,6-tetrafluorophenyl propionate) bistrifluoroacetate
alpha-(1,4,7,10-tetraazacyclododecan-1,4,7,10-tetraacetate tri-t-butyl ester)-24(ethylene glycol)-omega-(2,3,5,6-tetrafluorophenyl propionate)
FAA1565 Fmoc-O1Pen-OH
5-(9-Fluorenylmethyloxycarbonyl-amino)-3-oxapentanoic acid
CAS-No. 260367-12-2
Formula C19 H19 NO 5
weight 341,37 g/mol
FAA1435 Fmoc-O2Oc-OH
8-(9-Fluorenylmethyloxycarbonyl-amino)-3,6-dioxaoctanoic acid
166108-71-0 Formula
weight 385,42 g/mol
FAA6020 Fmoc-O2Oc-PFP
8-(9-Fluorenylmethyloxycarbonyl-amino)-3,6-dioxaoctanoic acid pentafluorophenyl ester
1263044-39-8
PEG1810 Fmoc-AEEP
3-(2-(2-(9-Fluorenylmethyloxycarbonyl)aminoethoxy) ethoxy)propanoic acid
872679-70-4 Formula
PEG4970 Fmoc-Ebes
N-[8-(9-Fluorenylmethyloxycarbonyl)amino-3,6-dioxaoctyl]succinamic acid
CAS-No. 613245-91-3
Formula
weight 470,51 g/mol
PEG5180 Fmoc-DOOA-DIG-OH
2-(2-(2-(2-((9-Fluorenylmethyloxycarbonyl)amino) ethoxy)ethoxy)ethylamino)-diglycolic acid
CAS-No. 669073-64-7
Formula C 25H30
weight 486,51 g/mol
PEG4370 Fmoc-NH-PEG(3)-COOH
12-(9-Fluorenylmethyloxycarbonylamino)-4,7,10-trioxa-dodecanoic acid
CAS-No. 867062-95-1
Formula C 24H29 NO 7 Mol. weight 443,49 g/mol
PEG8200 Fmoc-NMe-PEG(3)-COOH
N-methyl-(9-Fluorenylmethyloxycarbonyl)amino-3,6,9-trioxydodecan-12-oic acid
CAS-No. 1807518-77-9
Formula C 25H31NO 7
Mol. weight 457,52 g/mol
FAA1568 Fmoc-TTDS-OH
[N1-(9-Fluorenylmethoxycarbonyl)-1,13-diamino-4,7,10-trioxatridecan-succinamic acid
CAS-No. 172089-14-4
Formula C 29 H38 N2
Mol. weight 542,63 g/mol
PEG1820 Fmoc-NH-PEG(4)-COOH
15-(9-Fluorenylmethyloxycarbonyl)amino-4,7,10,13-tetraoxa-pentadecanoic acid
CAS-No. 557756-85-1
Formula C 26 H33 NO 8
Mol. weight 487,54 g/mol
PEG8210 Fmoc-NMe-PEG(4)-COOH
N-methyl-(9-Fluorenylmethyloxycarbonyl)amino-3,6,9,12-tetraoxypentadecan-15-oic acid
CAS-No. 2170240-98-7
Formula C 27H35NO 8
Mol. weight 501,58 g/mol
PEG4410
15-(9-Fluorenylmethyloxycarbonyl)amino-4,7,10,13-tetraoxa-pentadecanoic acid succinimidyl ester
15-(9-Fluorenylmethyloxycarbonyl)amino-4,7,10,13-te
traoxa-pentadecanoic acid (2,3,5,6-tetrafluorophenyl) ester
17-(9-Fluorenylmethyloxycarbonyl-amino)-9-aza-3,6,12,15-tetraoxa-10-on-heptadecanoic acid
560088-89-3 Formula
17-(9-Fluorenylmethyloxycarbonyl-amino)-9-aza-3,6,12,15-tetraoxa-10-on-heptadecanoic acid pentafluorophenyl ester
18-(9-Fluorenylmethyloxycarbonylamino)-4,7,10, 13-tetraoxa-octadecanoic acid
CAS-No. 882847-32-7
Formula C 28 H37NO 9
Mol. weight 531,59 g/mol
N-methyl-(9-Fluorenylmethyloxycarbonyl)amino-3,6,9,12,15-pentaoxyoctadecan-18-oic acid
Formula C 29 H39 NO 9
PEG1825 Fmoc-NH-PEG(6)-COOH
1-(9-Fluorenylmethyloxycarbonyl)amino-3,6,9,12,15,18-hexaoxahenicosan-21-oic acid
CAS-No. 882847-34-9
Formula C 30 H41NO 10
Mol. weight 575,65 g/mol
PEG8230
Fmoc-NMe-PEG(6)-COOH
N-methyl-(9-Fluorenylmethyloxycarbonyl)amino3,6,9,12,15,18-henicosan-21-oic acid
Formula C 31H43 NO 10
Mol. weight 589,68 g/mol
PEG1830 Fmoc-NH-PEG(8)-COOH
1-(9-Fluorenylmethyloxycarbonyl)amino-3,6,9,12,15,18,21,24-octaoxaheptacosan-27-oic acid
CAS-No. 756526-02-0
Formula C 34H49 NO 12 Mol. weight 663,75 g/mol
PEG4420 Fmoc-NH-dPEG™(8)-NHS
alpha-(Fmoc-amino)-omega-(succinimidyl propionate) octa(ethylene glycol)
760,82 g/mol
PEG7820
Fmoc-NH-dPEG™(8)-TFP
alpha-(Fmoc-amino)-omega-(2,3,5,6-tetrafluorophenyl propionate) octa(ethylene glycol)
PEG1080 Fmoc-NH-PEG(12)-COOH
1-(9-Fluorenylmethyloxycarbonyl)amino-3,6,9,12,15,18,2 1,24,27,30,33,36-dodecaoxanonatriacontan-39-oic acid
CAS-No. 1952360-91-6
Formula C 42H 65NO 16
Mol. weight 839,98 g/mol
PEG4430
Fmoc-NH-dPEG™(12)-NHS
alpha-(Fmoc-amino)-omega-(succinimidyl propionate) dodeca(ethylene glycol)
PEG7830
Fmoc-NH-dPEG™(12)-TFP
alpha-(Fmoc-amino)-omega-(2,3,5,6-tetrafluorophenyl propionate) dodeca(ethylene glycol)
PEG1210
Fmoc-NH-PEG(27)-COOH
alpha-(9-Fluorenylmethyloxycarbonyl)amino-27(ethyle
ne glycol)-omega-propionic acid
CAS-No. 2101605-02-9
Formula C 74H129 NO 32 Mol. weight 1544,8 g/mol
PEG1815
Fmoc-NH-dPEG(24)-COOH
alpha-Fmoc-amino-24(ethylene glycol)-omega-carboxylic acid
CAS-No. 850312-72-0
Formula C 66 H113 NO 28
Mol. weight 1368,63 g/mol
PEG7840
Fmoc-NH-dPEG™(24)-TFP
alpha-(Fmoc-amino)-omega-(2,3,5,6-tetrafluorophenyl propionate) 24(ethylene glycol)
Formula C 72H113 F4NO 28 Mol. weight 1516,65 g/mol
PEG4400
Fmoc-NH-dPEG™(36)-COOH
alpha-Fmoc-amino-36(ethylene glycol)-omega-carboxylic acid
CAS-No. 850312-72-0
Formula C90 H161NO40
Mol. weight 1897,22 g/mol
PEG7850 Fmoc-NH-dPEG™(36)-TFP
alpha-(Fmoc-amino)-omega-(2,3,5,6-tetrafluorophenyl propionate) 36(ethylene glycol)
Formula C96 H161F4NO40
Mol. weight 2045,28 g/mol
PEG1108 Fmoc-NH-PEG-COOH (3 kDa)
alpha-(9-Fluorenylmethyloxycarbonyl)amino-omega-carboxy poly(ethylene glycol)
Mol. weight 3000 Da
PEG1109 Fmoc-NH-PEG-COOH (5 kDa)
alpha-(9-Fluorenylmethyloxycarbonyl)amino-ome
ga-carboxy poly(ethylene glycol)
Mol. weight 5000 Da
PEG1107 Fmoc-NH-PEG-COOH (10 kDa)
alpha-(9-Fluorenylmethyloxycarbonyl)amino-omega-carboxy poly(ethylene glycol)
Mol. weight 10000 Da
PEG1117 Fmoc-NH-PEG-NHS (3 kDa)
alpha-(9-Fluorenylmethyloxycarbonyl)amino-omega-carboxy succinimidyl ester poly(ethylene glycol)
Mol. weight 3000 Da
PEG1118 Fmoc-NH-PEG-NHS (5 kDa)
alpha-(9-Fluorenylmethyloxycarbonyl)amino-omega-carboxy succinimidyl ester poly(ethylene glycol)
Mol. weight 5000 Da
PEG1116 Fmoc-NH-PEG-NHS (10 kDa)
alpha-(9-Fluorenylmethyloxycarbonyl)amino-omega-carboxy succinimidyl ester poly(ethylene glycol)
PEG4650 Mtt-O2Oc-OH*DEA
N-(4-Methyltrity)-8-amino-3,6-dioxaoctanoic acid diethylamine
CAS-No. 2098500-66-2
Formula
Mol. weight 419,51*73,14 g/mol
PEG2161 Mtt-NH-PEG(4)-COOH*TEA
1-( p-Methytritylamino)-3,6,9,12-tetraoxapentadecanoic acid triethylamionium salt
CAS-No. 1310680-33-1 (net)
Formula
Mol. weight C31H39NO6*C6H15N g/mol
PEG4710 Z-O1Pen-OH
5-(Benzyloxycarbonyl-amino)-3-oxa-pentanoic acid
CAS-No. 1260092-43-0
Formula C12H 5NO 5
Mol. weight 253,25 g/mol
Product details
Product details
8-(Benzyloxycarbonyl-amino)-3,6-dioxaoctanoic acid dicyclohexylamine
CAS-No. 560088-84-8
Formula C14H19 NO 6*C12H23
Mol. weight 297,31*181,32 g/mol
15-Benzyloxycarbonylamino-4,7,10,13-tetraoxa-pentadecanoic acid
CAS-No. 756526-00-8
Formula C19 H29 NO 8 Mol. weight 399,44 g/mol
1-Benzyloxycarbonylamino-3,6,9,12,15,18-hexaoxahenicosan-21-oic acid
CAS-No. 1334177-80-8
Formula C 23 H37NO 10
Mol. weight 487,54 g/mol
1-Benzyloxycarbonylamino-3,6,9,12,15,18,21,24-octaoxaheptacosan-27-oic acid
CAS-No. 1334177-87-5
Formula C 27H45NO 12
Mol. weight 575,65 g/mol
PEG1785
Z-NH-dPEG(12)-COOH
1-Benzyloxycarbonylamino-3,6,9,12,15,18,21,24,27,30,33,36-dodecaoxanonatriacontan-39-oic acid
CAS-No. 1334177-88-6
Formula C 35H 61NO 16
Mol. weight 751,86 g/mol
PEG1790
Z-NH-dPEG(24)-COOH
alpha-Benzyloxycarbonylamino-24(ethylene glycol)-omega-propionic acid
CAS-No. 1334177-88-6
Formula C 59 H109 NO 28
Mol. weight 1280,52 g/mol
circle-arrow-right
PEG4590 Z-NH-dPEG™(36)-COOH
alpha-Benzyloxycarbonylamino-amino-36(ethylene glycol)-omega-carboxylic acid
CAS-No. 1334177-88-6
Formula C 83 H157NO40
Mol. weight 1809,12 g/mol
Find self-immolative linkers with PEG-based spacers in our brochure Linkerology ® .
back to content arrow-up
PEG1535 HO-dPEG(4)-CO-Ot Bu
15-Hydroxy-4,7,10,13-tetraoxa-pentadecanoic acid
t-butyl ester
CAS-No. 518044-32-1
Formula C15H30 O 7
Mol. weight 322,39 g/mol
PEG7220 HO-PEG(4)-TFP
Hydroxy-tetra(ethylene glycol)-propionyl 2,3,5,6-tetrafluorophenyl ester
Formula C17H22F4O
weight 414,35 g/mol
PEG2355 HO-PEG(6)-CO-Ot Bu
alpha-Hydroxy-omega-carboxy t-butyl ester hexa(ethylene glycol)
CAS-No. 361189-64-2
Formula C19 H38 O 9
Mol. weight 410,5 g/mol
PEG1540 HO-dPEG(8)-CO-Ot Bu
t-Butyl 1-hydroxy-3,6,9,12,15,18,21,24-octaoxaheptaco
san-27-oate
CAS-No. 1334177-84-2
Formula C 23 H46 O 11
Mol. weight 498,6 g/mol
PEG1090 HO-PEG(12)-CO-Ot Bu
alpha-Hydroxy-omega-t-butyl propionat dodecae(ethylene glycol)
Formula C 31H 62O 15
Mol. weight 674,81 g/mol
PEG2360 HO-PEG(12)-COO-t Bu
alpha-Hydroxy-omega-carboxy t-butyl ester dodeca(ethylene glycol)
CAS-No. 1186025-29-5
Formula C 31H 62O 15 Mol. weight 674,81 g/mol
PEG7230 HO-PEG(12)-TFP
Hydroxy-dodeca(ethylene glycol)-propionyl 2,3,5,6-te
trafluorophenyl ester
Formula C 33 H 54F4O 15 Mol. weight 766,77 g/mol
PEG2365 HO-PEG(24)-CO-t Bu
alpha-Hydroxy-omega-carboxy t-butyl ester 24(ethyle
ne glycol)
CAS-No. 1186025-29-5
Formula C 55H110 O 27
Mol. weight 1203,45 g/mol
PEG7240 HO-PEG(24)-TFP
Hydroxy-24(ethylene glycol)-propionyl 2,3,5,6-tetrafluorophenyl ester
Formula C 57H102F4O 27
weight 1295,4 g/mol
PEG1093 HO-PEG-COOH (3 kDa)
alpha-Hydroxy-omega-carboxy poly(ethylene glycol)
weight 3000 Da
PEG1094 HO-PEG-COOH (5 kDa)
alpha-Hydroxy-omega-carboxy poly(ethylene glycol)
Mol. weight 5000 Da
PEG1092 HO-PEG-COOH (10 kDa)
alpha-Hydroxy-omega-carboxy poly(ethylene glycol)
10000 Da
PEG1985 DIG(Pfp)2
2,2‘-Oxydiacetic acid bis-pentafluorophenyl ester
158573-58-1
weight 466,18 g/mol
PEG1990 DIG(NHS)2
2,2‘-Oxydiacetic acid bis-N-succinimidyl ester
373614-12-1
DOODA
CAS-No. 23243-68-7 Formula C 6 H10 O
weight 178,14 g/mol
PEG4885 HOOC-dPEG™(2)-COOH
Ethyleneglycol-bis(propionic acid)
CAS-No. 19364-66-0
Formula C 8 H14
weight 206,19 g/mol
PEG2030 TUDA
3,6,9-Trioxaundecandioic acid
CAS-No. 13887-98-4
Formula C 8 H14O 7
Mol. weight 222,19 g/mol
PEG4120 NHS-PEG(2)-NHS
3,6-Dioxaoctandioic acid bissuccinimidyl ester
CAS-No. 65869-63-8
Formula C16 H20 N2O 10
Mol. weight 400,34 g/mol
PEG4875 HOOC-dPEG™(3)-COOH
Diethyleneglycol-bis(propionic acid)
CAS-No. 96517-92-9
Formula C10 H18 O 7
Mol. weight 250,25 g/mol
PEG4130 NHS-PEG(3)-NHS
3,6,9-Trioxaundecandioic acid bissuccinimidyl ester
CAS-No. 1314378-16-9
Formula C18 H24N2O 11
Mol. weight 444,39 g/mol
PEG4880 HOOC-dPEG™(4)-COOH
Tetraethyleneglycol-bis(propionic acid)
CAS-No. 31127-85-2
Formula C12H22O 8
Mol. weight 294,30 g/mol
PEG3960 NHS-dPEG™(4)-NHS
Bis-succinimidyl-4,7,10,13-tetraoxahexadecane-1,16-dioate
CAS-No. 1314378-11-4
Formula C 20 H28 N2O 12
Mol. weight 488,44 g/mol
PEG4041 Tfp-dPEG™(4)-Tfp
alpha,omega-Bis(tertrafluorphenyl propionate) tri(ethylene
PEG5090 NHS-dPEG™(5)-COOH
Succinimidyl-4,7,10,13,16-pentaoxanonadecane-1,19-dicarboxylic acid
Formula C18 H29 NO 11
weight 435,42 g/mol
PEG1435 NHS-dPEG(5)-NHS
Bis-succinimidyl-4,7,10,13,16-pentaoxanonadecane-1,19-dioate
756526-03-1
weight 532,51 g/mol
PEG2115 NHS-PEG(5)-CO-OBzl
alpha-succinimidyl ester-omega-carboxy benzyl ester penta(ethylene glycol)
CAS-No. 1263044-84-3
Formula C 25H35NO 11
Mol. weight 525,55 g/mol
PEG3970
NHS-dPEG™(7)-NHS
Bis-succinimidyl-4,7,10,13,16,19,22-heptaoxa pentacosane-1,25-dioate
CAS-No. 1334170-02-3
Formula C 26 H40 N2O 15
Mol. weight 620,6 g/mol
PEG7710 NHS-dPEG™(9)-COOH
alpha-succinimidyl nona(ethylen glycol)-alpha,omega-bispropionic acid
Formula C 26 H45NO 15
Mol. weight 611,63 g/mol
PEG1460 NHS-dPEG(9)-NHS
Bis-succinimidyl-4,7,10,13,16,19,22,25,28-nonaoxahentriacontane-1,31-dioate
PEG1091 HOOC-PEG(13)-COOH
alpha,omega-Bis(propionic acid) tridecae(ethylene glycol)
weight 690,77 g/mol
PEG5100 NHS-dPEG™(13)-COOH
alpha-succinimidyl trideca(ethylene glycol)-alpha,ome
PEG3980 NHS-dPEG™(13)-NHS
alpha,omega-bis(succinimidyl propionate) dodeca(ethylene glycol)
PEG3990 NHS-dPEG™(17)-NHS
alpha,omega-bis(succinimidyl propionate) hexadeca(ethylene
1061,13 g/mol
PEG4000 NHS-dPEG™(21)-NHS
alpha,omega-bis(succinimidyl propionate) 20(ethylene glycol)
CAS-No. 1008402-79-6
Formula
weight 1237,34 g/mol back to content arrow-up
PEG7720 NHS-dPEG™(25)-COOH
alpha-succinimidyl 25(ethylen glycol)-alpha,omega-bispropionic acid
Formula C 58 H109 NO 31 Mol. weight 1316,47 g/mol
PEG4010 NHS-dPEG™(25)-NHS
alpha,omega-bis(succinimidyl propionate) 24(ethylene glycol)
CAS-No. 1008402-79-6
Formula C 62H112N2O 33
Mol. weight 1413,55 g/mol
PEG4110 Tfp-dPEG™(25)-Tfp
alpha,omega-Bis(2,3,4,5-tetrafluorphenyl propionate)
Formula C 66 H106 F
weight 1515,52 g/mol
PEG1083 HOOC-PEG-COOH (2 kDa)
alpha,omega-Bis-carboxy poly(ethylene glycol)
weight 2000 Da
PEG1085 HOOC-PEG-COOH (3 kDa)
alpha,omega-Bis-carboxy poly(ethylene glycol)
weight 3000 Da
PEG1086 HOOC-PEG-COOH (6 kDa)
alpha,omega-Bis-carboxy poly(ethylene glycol)
weight 6000 Da
PEG1082 HOOC-PEG-COOH (10 kDa)
alpha,omega-Bis-carboxy poly(ethylene glycol)
weight 10000 Da
PEG1084 HOOC-PEG-COOH (20 kDa)
alpha,omega-Bis-carboxy poly(ethylene glycol)
weight 20000 Da
PEG1184 NHS-PEG-NHS (2 kDa)
alpha,omega-Di-succinimidyl ester poly(ethylene glycol)
weight 2000 Da
PEG1186 NHS-PEG-NHS (3 kDa)
alpha,omega-Di-succinimidyl ester poly(ethylene glycol)
weight 3000 Da
PEG1187 NHS-PEG-NHS (6 kDa)
alpha,omega-Di-succinimidyl ester poly(ethylene glycol)
weight 6000 Da
PEG1183 NHS-PEG-NHS (10 kDa)
alpha,omega-Di-succinimidyl ester poly(ethylene glycol)
weight 10000 Da
back to content arrow-up
PEG1185 NHS-PEG-NHS (20 kDa)
alpha,omega-Di-succinimidyl ester poly(ethylene glycol)
Mol. weight 20000 Da
PEG2020 DOHA 3,6-Dioxaheptaneoic acid
CAS-No. 16024-56-9
Formula C 5H10 O4 Mol. weight 134,13 g/mol
PEG1630 MeO-EPr-COOH
3-(2-Methoxyethoxy)propanoic acid, 4,7-Dioxa-octanoic acid
CAS-No. 149577-05-9
Formula C 6 H12O4 Mol. weight 148,16 g/mol
PEG1905 MeO-EPr-NHS
3-(2-Methoxyethoxy)propanoic acid succinimidyl ester
CAS-No. 1127247-34-0
Formula C10 H15NO 6 Mol. weight 245,23 g/mol
PEG5240 t BuO-Ethoxyacetic acid
2-(2-t-butoxyethoxy)acetic acid
CAS-No. 1566691-57-3
Formula C 8 H16 O4 Mol. weight 176,21 g/mol
PEG5250 t BuO-EEA
2-(2-(2-t-butoxyethoxy)ethoxy)acetic acid
CAS-No. 1993217-96-1
Formula C10 H20 O
weight 220,26 g/mol
PEG4990 Palm-AEEA
{2-[2-(Palmitoyl-amino)ethoxy]ethoxy}acetic acid
CAS-No. 1570043-00-3
Formula C 22H43 NO 5 Mol. weight 401,58 g/mol
PEG1203 Stea-O2Oc-OH
8-(Stearoylamido)-3,6-dioxaoctanoic acid
CAS-No. 1006054-22-3
Formula C 24H47NO
weight 429,65 g/mol
PEG1620 MeO-dPEG(3)-COOH
2,5,8,11-Tetraoxatetradecan-14-oic acid
CAS-No. 67319-28-2
Formula C10 H20 O 6 Mol. weight 236,26 g/mol
PEG1880 MeO-dPEG(3)-NHS
2,5,8,11-Tetraoxatetradecan-14-oic acid succinimidyl ester
CAS-No. 174569-25-6
Formula C14H23 NO 8 Mol. weight 333,33 g/mol
PEG1625 MeO-dPEG(8)-COOH
2,5,8,11,14,17,20,23-Octaoxahexacosan-26-oic acid
CAS-No. 1093647-41-6
Formula C18 H36 O 10 Mol. weight 412,47 g/mol
2,5,8,11,14,17,20,23-Octaoxahexacosan-26-oic acid succinimidyl ester
CAS-No. 756525-90-3
Formula C 22H39 NO 12
Mol. weight 509,54 g/mol
2,5,8,11,14,17,20,23,26,29,32,35-Dodecaoxaoctatriacontan-38-oic acid
CAS-No. 2135793-73-4
Formula C 26 H 52O 14
Mol. weight 588,68 g/mol
2,5,8,11,14,17,20,23,26,29,32,35-Dodecaoxaoctatriacontan-38-oic acid succinimidyl ester
CAS-No. 2207596-93-6
Formula C 30 H 55NO 16
Mol. weight 685,75 g/mol
2,5,8,11,14,17,20,23,26,29,32,35-dodecaoxaoctatriacontan-38-oic acid 2,3,5,6-tetrafluorophenyl ester
Formula C 224H422N10
weight 736,74 g/mol
PEG7430
alpha-Methoxy-23(ethylen glycol)-omega-propionic acid 2,3,5,6-tetrafluorophenyl ester
Formula C 56 H100 F4O 26
weight 1265,37 g/mol
PEG1640
alpha-Methoxy-24(ethylen glycol)-omega-propionic acid MeO
CAS-No. 125220-94-2
Formula C 52H104O 27
Mol. weight 1161,38 g/mol
PEG1902 MeO-PEG(25)-NHS
alpha-Methoxy-24(ethylene glycol)-omega-propionic acid succinimidyl ester
CAS-No. 174569-25-6
Formula C 56 H107NO 29
weight 1258,44 g/mol
PEG7440
MeO-dPEG™(25)-TFP
alpha-Methoxy-24(ethylen glycol)-omega-propionic acid 2,3,5,6-tetrafluorophenyl ester
Formula C 58 H104F4O 27
weight 1309,42 g/mol
PEG2320
NHS-PEG(4)-[PEG(8)-OMe]
Succinimidyl-PEG(4)-[PEG(8)-OMe]
CAS-No. 1333154-74-7
Formula C 84H158 N 6
weight 1892,17 g/mol
PEG5030 TFP-PEG(4)-[mPEG(11)]
Tetrafluorphenyl carboxylate-PEG(4)-[PEG(10)-OMe]
Formula C104H191F4
weight 2339,63 g/mol
PEG3210 MeO-dPEG™(37)-COOH
alpha-Methoxy-37(ethylene glycol)-omega-propionic acid
Formula C 76 H152O 39
weight 1690 g/mol
PEG3190 MeO-dPEG™(37)-NHS
alpha-Methoxy-37(ethylene glycol)-omega-propionic acid succinimidyl ester
CAS-No. 174569-25-6
Formula C 80 H155NO41
weight 1786,07 g/mol
PEG3221 MeO-dPEG™(48)-COOH
alpha-Methoxy-48(ethylene glycol)-omega-propionic acid
2259,68 g/mol
PEG7450 MeO-dPEG™(48)-TFP
alpha-Methoxy-47(ethylen glycol)-omega-propionic acid 2,3,5,6-tetrafluorophenyl ester
C108 H203 F4NO
weight 2407,74 g/mol
PEG1161 MeO-PEG-COOH (750 Da)
alpha-Methoxy-omega-carboxylic acid poly(ethylene glycol)
weight 750 Da
PEG1158 MeO-PEG-COOH (2 kDa)
alpha-Methoxy-omega-carboxylic acid poly(ethylene glycol)
weight 2000 Da
PEG1160 MeO-PEG-COOH (5 kDa)
alpha-Methoxy-omega-carboxylic acid poly(ethylene glycol)
weight 5000 Da
PEG1157 MeO-PEG-COOH (10 kDa)
alpha-Methoxy-omega-carboxylic acid poly(ethylene glycol)
weight 10000 Da
PEG1159 MeO-PEG-COOH (20 kDa)
alpha-Methoxy-omega-carboxylic acid poly(ethylene glycol)
20000 Da
PEG1166 MeO-PEG-NHS (750 Da)
alpha-Methoxy-omega-carboxylic acid succinimidyl ester poly(ethylene glycol)
weight 750 Da
PEG1163 MeO-PEG-NHS (2 kDa)
alpha-Methoxy-omega-carboxylic acid succinimidyl ester poly(ethylene glycol)
weight 2000 Da
PEG1165 MeO-PEG-NHS (5 kDa)
alpha-Methoxy-omega-carboxylic acid succinimidyl ester
PEG1162 MeO-PEG-NHS (10 kDa)
alpha-Methoxy-omega-carboxylic acid succinimidyl ester poly(ethylene glycol)
weight 10000 Da
PEG1164 MeO-PEG-NHS (20 kDa)
alpha-Methoxy-omega-carboxylic acid succinimidyl ester poly(ethylene glycol)
weight 20000 Da
back to content arrow-up
PEG6610 HO-PEG-SQA (3 kDa)
alpha-Hydroxy-omega-squaric acid ethyl ester poly(ethylene
weight 3000 Da
PEG6615 HO-PEG-SQA (5 kDa)
alpha-Hydroxy-omega-squaric acid ethyl ester poly(ethylene
weight 5000 Da
PEG6600 HO-PEG-SQA (10 kDa)
alpha-Hydroxy-omega-squaric acid ethyl ester po
weight 10000 Da
PEG6605 HO-PEG-SQA (20 kDa)
alpha-Hydroxy-omega-squaric acid ethyl ester poly(ethylene
weight 20000 Da
PEG6640 MeO-PEG-SQA (750 Da)
alpha-Methoxy-omega-squaric acid ethyl ester poly(ethylene glycol)
weight 750 Da
PEG6625 MeO-PEG-SQA (2 kDa)
alpha-Methoxy-omega-squaric acid ethyl ester poly(ethylene
weight 2000 Da
PEG6635 MeO-PEG-SQA (5 kDa)
alpha-Methoxy-omega-squaric acid ethyl ester poly(ethylene glycol)
Mol. weight 5000 Da
PEG6620 MeO-PEG-SQA (10 kDa)
alpha-Methoxy-omega-squaric acid ethyl ester poly(ethylene glycol)
Mol. weight 10000 Da
PEG6630 MeO-PEG-SQA (20 kDa)
alpha-Methoxy-omega-squaric acid ethyl ester poly(ethylene glycol)
Mol. weight 20000 Da
PEG7610 Bromoacetamido-PEG(4)-TFP
Bromoacetamido-tetra(ethylene glycol)-propionic acid
2,3,5,6-tetrafluorophenyl ester
Formula C19 H24BrF4NO 7
Mol. weight 534,29 g/mol
PEG7620 Bromoacetamido-PEG(12)-TFP
Bromoacetamido-dodeca(ethylene glycol)-propionic acid 2,3,5,6-tetrafluorophenyl ester
Formula C 35H 56 BrF4NO 15
Mol. weight 886,71 g/mol
Product details
back to content arrow-up
PEG7630 Bromoacetamido-PEG(24)-TFP
Bromoacetamido-24(ethylene glycol)-propionic acid
2,3,5,6-tetrafluorophenyl ester
PEG6980
DOTA-PEG(3)-bromoacetamide*2TFA
alpha-(1,4,7,10-tetraazacyclododecan-1,4,7,10-tetraace
tate)-tri(ethylene glycol)-omega-maleimido
PEG6990
DOTA-PEG(11)-bromoacetamide*2TFA
alpha-(1,4,7,10-tetraazacyclododecan-1,4,7,10-tetraacetate)-undeca(ethylene glycol)-omega-maleimido
PEG7000
DOTA-PEG(23)-bromoacetamide*2TFA
alpha-(1,4,7,10-tetraazacyclododecan-1,4,7,10-tetraacetate)-23(ethylene glycol)-omega-maleimido bistrifluo
PEG5080
Phth-NO-dPEG™(4)-NHS
1-Phthalimidoxy-3,6,9,12-tetraoxapentadecan-15-oic acid succinimdyl ester
PEG4630
Phth-NO-dPEG™(12)-NHS
alpha-Pthaloylaminoxy-omega-(succinimidyl propionate)-dodeca(ethylene glycol)
PEG4690 FB-dPEG(12)™-TFP
alpha-( p-Formylbenzoylamido)-omega-[(2,3,5,6-tetrafluorophenyl)propionate]-dodeca(ethylene glycol)
Formula C 41H 59 F4NO 16
Mol. weight 897,90 g/mol
PEG4700 FB-dPEG(24)™-TFP
alpha-( p-Formylbenzoylamido)-omega-[(2,3,5,6-te
trafluorophenyl)propionate]-24(ethylene glycol)
Formula C 65H107F4NO 28
Mol. weight 1426,53 g/mol
PEG1223 ACA-PEG-NHS (3 kDa)
alpha-Acryloyl-omega-carboxy succinimidyl ester
weight 3000 Da
PEG1224 ACA-PEG-NHS (5 kDa)
alpha-Acryloyl-omega-carboxy succinimidyl ester poly(ethylene glycol)
weight 5000 Da
PEG1222 ACA-PEG-NHS (10 kDa)
alpha-Acryloyl-omega-carboxy succinimidyl ester poly(ethylene
weight 10000 Da
PEG1208 Epoxy-PEG-COOH (3 kDa)
alpha-Epoxy-omega-carboxy poly(ethylene glycol)
Mol. weight 3000 Da
RL-4040 PFB-mercaptopropionyl-AEEA
Perfluorobiphenyl-mercaptopropionyl-AEEA
RL-4050 PFB-mercaptopropionyl-TOTA-Biotin
RL-4030 PFB-mercaptopropionyl-PEG3-N3
Perfluorobiphenyl-mercaptopropionyl-PEG(3)-N
. circle-arrow-right
Any Questions or Suggestions?
We are there for you – simply choose one of the numerous possibilities to get in touch!
BNN1017 Boc-EDA*HCl
N-t-Butyloxycarbonyl-ethylenediamine hydrochloride
CAS-No. 79513-35-2
Formula C 7H16 N2O 2*HCl
weight 160,2*36,45 g/mol
PEG7920 Boc-NH-ethoxy-ethylamine
1-(Boc-amino)-3-oxa-5-pentaneamine
CAS-No. 127828-22-2
Formula C9 H20 N2O 3
weight 204,27 g/mol
BNN1016 Boc-DOOA
1-(t-Butyloxycarbonyl-amino)-3,6-dioxa-8-octaneamine, liq.
CAS-No. 153086-78-3
Formula C11H24N2O
weight 248,32 g/mol
BNN1058 Boc-DSOA*HCl
1-(t-Butyloxycarbonyl-amino)-3,6-dithio-8-octaneamine hydrochloride
CAS-No. 1301739-93-4
Formula C11H24N2O 2 S 2*HCl
weight 280,45*36,45 g/mol
BNN1015 Boc-DODA
1-(t-Butyloxycarbonyl-amino)-4,9-dioxa-12-dodecanamine, liq.
CAS-No. 275823-77-3
Formula C15H32N2O4
weight 304,43 g/mol
Product details
BNN1028
1-(t-Butyloxycarbonyl-amino)-4,7,10-trioxa-13-tridecanamine, liq.
CAS-No. 194920-62-2 Formula C15
1-(t-Butyloxycarbonyl)amino-3,6,9-trioxa-undecan-11amine
CAS-No. 101187-40-0
Formula C13 H28 N
292,37 g/mol
1-(t-Butyloxycarbonyl)amino-3,6,9,12-tetraoxatetradecan-14-amine
811442-84-9
weight 336,42 g/mol
PEG7890
1-(t-Butyloxycarbonyl)amino-3,6,9,12,15-pentaoxahep
tadecan-17-amine
189209-27-6
380,48
PEG1066
alpha-Amino-omega-Boc-amino-hepta(ethylene glycol)
206265-98-7
468,59 g/mol
PEG1065
alpha-Amino-omega-Boc-amino-undecae(ethylene glycol)
CAS-No. 198227-38-2
Formula
weight 644,81 g/mol
PEG4660 Amino-dPEG™(11)-aminoxy-Boc
alpha-Amino-omega-(t-butyloxycarbonyl-aminoxy)-undeca(ethylene
PEG7690 Boc-NH-PEG(23)-NH2 alpha-Amino-omega-Boc-amino-23(ethylene
PEG1068 Boc-NH-PEG-NH2 (3 kDa)
PEG1069 Boc-NH-PEG-NH2 (5 kDa) alpha-
PEG1067 Boc-NH-PEG-NH2 (10 kDa)
alpha-t-Butyloxycarbonylamino-omega-amino po
PEG1335 H2 N-dPEG(4)-NHNH-Boc
15-Amino-4,7,10,13-tetraoxa-pentadecanoyl-N‘-(t-butyloxycarbonyl)-hydrazid
CAS-No. 1263047-17-1
Formula C16 H33 N3 O 7
weight 379,45 g/mol
PEG4230 H2 N-dPEG™(8)-NHNH-Boc
alpha-Amino-omega-(N‘-(t-butyloxycarbonyl)hydrazido propionate) octa(ethylene glycol)
CAS-No. 1334169-96-8
Formula C 24H49 N3
weight 555,66 g/mol
PEG4240
H2 N-dPEG™(12)-NHNH-Boc
alpha-Amino-omega-(N‘-(t-butyloxycarbonyl)hydrazido propionate) dodeca(ethylene glycol)
CAS-No. 1334169-97-9
Formula C 32H 65N3 O 15
weight 731,87 g/mol
PEG7340 H2 N-PEG(4)-Lys(Boc)-NH-PEG(24)-OMe
N-alpha-(amino-tetra(ethylene glycol))-epsilon-(t-butyloxycarbonyl)-L-lysine alpha-(mPEG(24)) ester
1563,89 g/mol
PEG1805 Fmoc-NH-dPEG(4)-NHNH-Boc
15-(9-Fluorenylmethyloxycarbonyl)amino-4,7,10,13-tetraoxa-pentadecanoyl-N‘-(t-butyloxycarbonyl)hydrazid
1263044-77-4
Mol. weight 601,69 g/mol
FNN1008 Fmoc-EDA*HCl
N1-(9-Fluorenylmethyloxycarbonyl)-ethylenediamine hydrochloride
CAS-No. 391624-46-7
Formula C17H18 N2O 2*HCl
Mol. weight 318,8 g/mol
FNN1007 Fmoc-DOOA*HCl
1-(9-Fluorenylmethyloxycarbonyl-amino)-3,6-dioxa-8-octaneamine hydrochloride
CAS-No. 868599-73-9
Formula C 21H26 N2O4*HCl
Mol. weight 370,45*36,45 g/mol
FNN1006
1-(9-Fluorenylmethyloxycarbonyl-amino)-4,9-dioxa-12-dodecanamine hydrochloride
CAS-No. 1274891-99-4
Formula C 25H34N2O4*HCl
Mol. weight 426,56*36,45 g/mol
1-(9-Fluorenylmethyloxycarbonyl-amino)-4,7,10-trioxa-13-tridecanamine hydrochloride
CAS-No. 868599-75-1
Formula C 25H34N2O 5*HCl
Mol. weight 442,56*36,45 g/mol
1-Benzyloxycarbonyl-4,7,10-trioxa-13-tridecaneamine
CAS-No. 220156-99-0
Formula C18 H30 N2O 5
Mol. weight 354,44 g/mol
1-Benzyloxycarbonylamino-3,6,9,12,15,18,21,24,27,30,33-undecaoxapentatriacontane-35-amine
alpha,omega-Bis-amino octa(ethylene glycol)
CAS-No. 332941-25-0
Formula C16 H36 N2O 7
H2N NH2 7
Product details
Mol. weight 368,47 g/mol back to content arrow-up
PEG1500 H2 N-dPEG(11)-NH2
N1,N19-bis(3-(2-(2-(3-aminopropoxy)ethoxy)ethoxy)
propyl)-4,7,10,13,16-pentaoxanonadecane-1,19-diamide
CAS-No. 1224728-09-9
Formula C 34H70 N4
Mol. weight 742,94 g/mol
PEG2001 H2 N-PEG(27)-NH2
alpha,omega-Bis-amino 27(ethylene glycol)
CAS-No. 24991-53-5
Formula C 56 H116 N2O 27
Mol. weight 1249,52 g/mol
PEG1002 H2 N-PEG-NH2 (2 kDa)
alpha,omega-Bis-amino poly(ethylene glycol)
CAS-No. 24991-53-5
Mol. weight 2000 Da
PEG1004 H2 N-PEG-NH2 (3 kDa)
alpha,omega-Bis-amino poly(ethylene glycol)
CAS-No. 24991-53-5
Mol. weight 3000 Da
PEG1005 H2 N-PEG-NH2 (6 kDa)
alpha,omega-Bis-amino poly(ethylene glycol)
CAS-No. 24991-53-5
Mol. weight 6000 Da
PEG1001 H2 N-PEG-NH2 (10 kDa)
alpha,omega-Bis-amino poly(ethylene glycol)
CAS-No. 24991-53-5
Mol. weight 10000 Da
PEG1003 H2 N-PEG-NH2 (20 kDa)
alpha,omega-Bis-amino poly(ethylene glycol)
CAS-No. 24991-53-5
Mol. weight 20000 Da
PEG1320 H2 N-PEG(4)-OH
2-(2-(2-(2-Aminoethoxy)ethoxy)ethoxy)ethanol
CAS-No. 86770-74-3
Formula C 8 H19 NO4
Mol. weight 193,24 g/mol
PEG1340 H2 N-dPEG(8)-OH
23-Amino-3,6,9,12,15,18,21-heptaoxatrieicosane-1-ol
CAS-No. 352439-37-3
Formula C16 H35NO 8 Mol. weight 369,45 g/mol
PEG1310 H2 N-dPEG(12)-OH
35-Amino-3,6,9,12,15,18,21,24,27,30,33-undecaoxapentatriacontan-1-ol
CAS-No. 933789-97-0
Formula C 24H 51NO 12
Mol. weight 545,66 g/mol
PEG1315 H2 N-dPEG(12)-O-DMT
35-Amino-3,6,9,12,15,18,21,24,27,30,33-undecaoxapentatriacontan-1-(4,4‘-dimethoxytrityl)ether
CAS-No. 879571-23-0
Formula C 45H 69 NO 14
Mol. weight 848,03 g/mol
PEG3740 H2 N-dPEG™(24)-OH
alpha-Amino-omega-hydroxy 24(ethylene glycol) H2N
CAS-No. 933789-97-0
Formula C 48 H99 NO 24
Mol. weight 1074,29 g/mol
PEG3750 H2 N-dPEG™(36)-OH
alpha-Amino-omega-hydroxy 36(ethylene glycol) H2N
CAS-No. 933789-97-0
Formula C 72H147NO 36
Mol. weight 1602,92 g/mol
PEG1007 H2 N-PEG-OH (3 kDa)
alpha-Amino-omega-hydroxy poly(ethylene glycol)
CAS-No. 32130-27-1
Mol. weight 3000 Da
PEG1008 H2 N-PEG-OH (5 kDa)
alpha-Amino-omega-hydroxy poly(ethylene glycol)
CAS-No. 32130-27-1
Mol. weight 5000 Da
PEG1006 H2 N-PEG-OH (10 kDa)
alpha-Amino-omega-hydroxy poly(ethylene glycol)
CAS-No. 32130-27-1
Mol. weight 10000 Da
BAL1048 Boc,Pbf-amidino-EtOH
2-[N-t-Butyloxycarbonyl-N‘-(2,2,4,6,7-pentamethyldihydrobenzofuran-5-sulfonyl)amidino]ethanol
CAS-No. 1263048-99-2
Formula C 21H33 N3 O 6 S
Mol. weight 455,57 g/mol
OH
BAL1047 Boc,Pbf-amidino-EEtOH
2-{2-[N-t-Butyloxycarbonyl-N‘-(2,2,4,6,7-pentamethyldihydrobenzofuran-5-sulfonyl)amidino]ethoxy}ethanol
CAS-No. 1263049-12-2
Formula C 23 H37
Mol. weight 499,61 g/mol
PEG1915 Boc-NH-PEG(4)-OH
2-(2-(2-(2-(t-Butyloxycarbonylamino)ethoxy)ethoxy) ethoxy)ethanol
CAS-No. 106984-09-2
Formula C13 H27NO 6
Mol. weight 293,36 g/mol
PEG7860 Boc2-AEEEE
2-(2-(2-(2-(Di-(t-butylmethyloxycarbonyl))aminoethoxy) ethoxy)ethoxy)ethanol
CAS-No. 2389064-37-1
Formula C18 H35NO 8
Mol. weight 393,47 g/mol
PEG5385 Boc,Z-AEEEE
2-(2-(2-(2-(Benzyloxycarbonyl-tert-Butylmethyloxycarbonyl)aminoethoxy)ethoxy)ethoxy)ethanol
CAS-No. 2389064-46-2
Formula C 21H33 NO 8
Mol. weight 427,49 g/mol
PEG1960 Boc-NH-dPEG(12)-OH
35-(t-Butyloxycarbonylamino)-3,6,9,12,15,18,21,24,27,30,33-undecaoxapentatriacontan-1-ol
CAS-No. 159156-95-3
Formula C 29 H 59 NO 14
Mol. weight 645,78 g/mol
PEG1021 Boc-NH-PEG-OH (3 kDa)
alpha-t-Butyloxycarbonylamino-omega-hydroxy poly(ethylene glycol)
Mol. weight 3000 Da
PEG1022 Boc-NH-PEG-OH (5 kDa)
alpha-t-Butyloxycarbonylamino-omega-hydroxy poly(ethylene glycol)
weight 5000 Da
PEG1020 Boc-NH-PEG-OH (10 kDa)
alpha-t-Butyloxycarbonylamino-omega-hydroxy po
ly(ethylene glycol)
weight 10000 Da
PEG1030 HO-PEG-CONH-NH-Boc (3 kDa)
alpha-Hydroxy-omega-t-butyloxycarbonyl-hydrazido
weight 3000 Da
PEG1031 HO-PEG-CONH-NH-Boc (5 kDa)
alpha-Hydroxy-omega-t-butyloxycarbonyl-hydrazido poly(ethylene
weight 5000 Da
PEG1029 HO-PEG-CONH-NH-Boc (10 kDa)
alpha-Hydroxy-omega-t-butyloxycarbonyl-hydrazido poly(ethylene
weight 10000 Da
FAL3010 Fmoc-O1Pen-ol
5-(9-Fluorenylmethyloxycarbonyl-amino)-3-oxa-1-pentanol
CAS-No. 299430-87-8
Formula C19 H
NO
Mol. weight 327,37 g/mol
PEG5370 Fmoc-AEEE
2-(2-(2-(9-Fluorenylmethyloxycarbonyl)aminoethoxy) ethoxy)ethanol
CAS-No. 560088-66-6
Formula
weight 371,43 g/mol
PEG5380 Fmoc-AEEEE
2-(2-(2-(2-(9-Fluorenylmethyloxycarbonyl)aminoethoxy)ethoxy)ethoxy)ethanol
CAS-No. 868594-41-6
Formula C 23 H29 NO 6
weight 415,48 g/mol
PEG1685 MeO-PEG(4)-NH2
2,5,8,11-Tetraoxatridecan-13-amine
CAS-No. 85030-56-4
Formula
2,5,8,11,14,17,20-heptaoxadocosan-22-amine
PEG1700 MeO-PEG(8)-NH2
2,5,8,11,14,17,20,23-Octaoxapentacosan-25-amine
CAS-No. 869718-81-0
Formula
weight 383,48 g/mol
PEG1655
2,5,8,11,14,17,20,23,26,29,32,35-Dodecaoxaheptatriacontan-37-amine
CAS-No. 32130-27-1
Formula C 25H 53 NO 12
Mol. weight 559,69 g/mol
PEG3290
alpha-Methoxy-omega-amino-15(ethylene glycol)
CAS-No. 32130-27-1
Formula C 31H 65NO 15
Mol. weight 691,85 g/mol
PEG1670
alpha-Methoxy-omega-amino-24(ethylene glycol)
CAS-No. 32130-27-1
Formula C 49 H101NO 24
Mol. weight 1088,34 g/mol
PEG3300
alpha-Methoxy-omega-amino-36(ethylene glycol)
CAS-No. 32130-27-1
Formula C 73 H149 NO 36
Mol. weight 1616,95 g/mol
PEG3310
alpha-Methoxy-omega-amino-48(ethylene glycol)
CAS-No. 32130-27-1
Formula C97H197NO48
Mol. weight 2145,58 g/mol
PEG7380 H2 N-PEG(12)-[PEG(24)-OMe] 3
Amino-PEG(12)-[PEG(24)-OMe] 3
Mol. weight 4147,94 g/mol
PEG1155 MeO-PEG-NH2 (750 Da)
alpha-Methoxy-omega-amino poly(ethylene glycol)
weight 750 Da
PEG1152 MeO-PEG-NH2 (2 kDa)
alpha-Methoxy-omega-amino poly(ethylene glycol)
weight 2000 Da
PEG1154 MeO-PEG-NH2 (5 kDa)
alpha-Methoxy-omega-amino poly(ethylene glycol)
weight 5000 Da
PEG1151 MeO-PEG-NH2 (10 kDa)
alpha-Methoxy-omega-amino poly(ethylene glycol)
weight 10000 Da
PEG1153 MeO-PEG-NH2 (20 kDa)
alpha-Methoxy-omega-amino poly(ethylene glycol)
weight 20000 Da
back to content arrow-up
PEG5430 Alkyne-PEG(4)-NH2
Alkyne-PEG(4)-amine
CAS-No. 1013921-36-2
Formula C11H21NO
Mol. weight 231,29 g/mol
PEG2960 H2 N-PEG-alkyne (3 kDa)
alpha-Amino-omega-propargylacetamido poly(ethylene glycol)
Mol. weight 3000 Da
PEG2980 H2 N-PEG-alkyne (5 kDa)
alpha-Amino-omega-propargylacetamido poly(ethylene glycol)
Mol. weight 5000 Da
PEG2950 H2 N-PEG-alkyne (10 kDa)
alpha-Amino-omega-propargylacetamido poly(ethylene glycol)
Mol. weight 10000 Da
PEG2970 H2 N-PEG-alkyne (20 kDa)
alpha-Amino-omega-propargylacetamido poly(ethylene glycol)
Mol. weight 20000 Da
Product details
PAA1050 Poc-O2Oc-OH*DCHA
8-(Popargylyloxycarbonyl-amino)-3,6-dioxaoctanoic acid dicyclohexylamine
Formula C10 H15NO 6*C12H23 N
Mol. weight 245,23*181,32 g/mol
PEG5410 Alkyne-PEG(4)-NHS
Alkyne-PEG(4)-succinimidyl ester
CAS-No. 1393330-40-9
Formula C18 H27NO 9
Mol. weight 401,41 g/mol
PEG5440 Alkyne-PEG(4)-mal
Alkyne-PEG(4)-maleimide
CAS-No. 1609651-90-2
Formula C18 H26 N2O 7
Mol. weight 382,41 g/mol
PEG8170 Propargyl-PEG(5)-COOH
4,7,10,13,16-pentaoxanonadec-18-ynoic acid
CAS-No. 1245823-51-1
Formula C14H24O 7 Mol. weight 304,34 g/mol
PEG2860 NHS-PEG-alkyne (3 kDa)
alpha-Succinimidyl ester-omega-propargylacetamido
3000 Da
PEG2880 NHS-PEG-alkyne (5 kDa) alpha-Succinimidyl ester-omega-propargylacetamido poly(ethylene glycol)
weight 5000 Da
PEG2850 NHS-PEG-alkyne (10 kDa)
alpha-Succinimidyl ester-omega-propargylacetamido poly(ethylene glycol)
Mol. weight 10000 Da
PEG2870 NHS-PEG-alkyne (20 kDa)
alpha-Succinimidyl ester-omega-propargylacetamido poly(ethylene glycol)
Mol. weight 20000 Da
PEG6570 Alkynyl-PEG-SQA (3 kDa)
alpha-Pentynyl-omega-squaric acid ethyl ester poly(ethylene glycol)
Mol. weight 3000 Da
PEG6575 Alkynyl-PEG-SQA (5 kDa)
alpha-Pentynyl-omega-squaric acid ethyl ester poly(ethylene glycol)
Mol. weight 5000 Da
PEG6560 Alkynyl-PEG-SQA (10 kDa)
alpha-Pentynyl-omega-squaric acid ethyl ester poly(ethylene glycol)
Mol. weight 10000 Da
PEG6565 Alkynyl-PEG-SQA (20 kDa)
alpha-Pentynyl-omega-squaric acid ethyl ester poly(ethylene glycol)
Mol. weight 20000 Da
PEG4950 Biotin-PEG(4)-alkyne
15-[D(+)-Biotinylamino]-4,7,10,13-tetraoxapentadec-1-yne
CAS-No. 1262681-31-1
Formula
PEG8010 Biotin-PEG(4)-Alkyne
(3aS,4S,6aR)-4-(5,21-dioxo-8,11,14,17-tetraoxa-4,20diazapentacos-1-yn-25-yl)tetrahydro-1H-thieno[3,4-d] imidazol-2(3H)-one
CAS-No. 1006592-45-5
Formula
PEG8110
Biotin-PEG(4)-SS-Alkyne
N-(2-((3-oxo-3-(prop-2-ynylamino)propyl)disulfanyl)ethyl)-1-(5-((3aS,4S,6aR)-2-oxohexahydro-1Hthieno[3,4-d]imidazol-4-yl)pentanamido)-3,6,9,12-tetraoxapentadecan-15-amide
CAS-No. 1260247-54-8
Formula
PEG7980
Biotin-PEG(4)-Dde-Alkyne
N-(15-(4,4-dimethyl-2,6-dioxocyclohexylidene)-3,6,9,12tetraoxa-16-azanonadec-18-ynyl)-5-((3aS,4S,6aR)-2oxohexahydro-1H-thieno[3,4-d]imidazol-4-yl)pentanamide
CAS-No. 1802908-00-4
Formula
PEG3110 I-PEG-alkyne (3 kDa)
alpha-Iodo-omega-propargylacetamido poly(ethylene glycol)
Mol. weight 3000 Da
PEG3120 I-PEG-alkyne (5 kDa)
alpha-Iodo-omega-propargylacetamido poly(ethylene glycol)
Mol. weight 5000 Da
PEG3090 I-PEG-alkyne (10 kDa)
alpha-Iodo-omega-propargylacetamido poly(ethylene glycol)
Mol. weight 10000 Da
PEG3100 I-PEG-alkyne (20 kDa)
alpha-Iodo-omega-propargylacetamido poly(ethylene glycol)
Mol. weight 20000 Da
PEG2840 MeO-PEG-alkyne (750 Da)
alpha-Methoxy-omega-propargylacetamido poly(ethylene glycol)
CAS-No. 1993176-75-2
Mol. weight 750 Da
PEG2810 MeO-PEG-alkyne (2 kDa)
alpha-Methoxy-omega-propargylacetamido poly(ethylene glycol)
Mol. weight 2000 Da
PEG2830 MeO-PEG-alkyne (5 kDa)
alpha-Methoxy-omega-propargylacetamido poly(ethylene glycol)
Mol. weight 5000 Da
PEG2800 MeO-PEG-alkyne (10 kDa)
alpha-Methoxy-omega-propargylacetamido poly(ethylene glycol)
weight 10000 Da
PEG2820 MeO-PEG-alkyne (20 kDa)
alpha-Methoxy-omega-propargylacetamido poly(ethylene glycol)
Mol. weight 20000 Da
PEG4810 Alkyne-PEG-Si(OMe)3 (3 kDa)
alpha-Propargylacetamido-omega-trimethoxysilyl poly(ethylene glycol)
weight 3000 Da
PEG4815 Alkyne-PEG-Si(OMe)3 (5 kDa)
alpha-Propargylacetamido-omega-trimethoxysilyl poly(ethylene glycol)
weight 5000 Da
PEG4820 Alkyne-PEG-Si(OMe)3 (10 kDa)
alpha-Propargylacetamido-omega-trimethoxysilyl poly(ethylene glycol)
weight 10000 Da
PEG4825 Alkyne-PEG-Si(OMe)3 (20 kDa)
alpha-Propargylacetamido-omega-trimethoxysilyl poly(ethylene glycol)
Mol. weight 20000 Da
back to content arrow-up
RL-3940
N-(4-(((2-amino-9H-purin-6-yl)oxy)methyl)benzyl)-3-(2(prop-2-yn-1-yloxy)ethoxy)propanamide
RL-2480
Dibenzoazacyclooctyne-PEG(3)-BisSulfon-Thiol-Linker
Dibenzoazacyclooctyne-tetra(ethylene glycol)-propio
nyl 2,3,5,6-tetrafluorophenol ester
714,7 g/mol
PEG6765
DBCO-PEG(36)-TFP
Dibenzoazacyclooctyne-36(ethylene glycol)-propionyl 2,3,5,6-tetrafluorophenol ester
weight 2124,41 g/mol
RL-2420
DBCO-PEG(4)-NH2*TFA
Dibenzoazacyclooctyne-tetra(ethylene glycol)-amine trifluoro acetic acid salt
CAS-No. 1255942-08-5 net
Formula C 29 H37N3 O 6*C 2F 3 HO 2
weight 523,62*114,02 g/mol
Dibenzoazacyclooctyne-tetra(ethylene glycol)amine
CAS-No. 2055198-05-3
Formula C 32H42N4O 10 S
Mol. weight 674,76 g/mol
PEG6790
Bromoacetamido-tetra(ethylene glycol)-amido-dibenzoazacyclooctyne
Formula C 31H38 BrN3 O 7
Mol. weight 644,55 g/mol
Dibenzoazacyclooctyne-tetra(ethylene glycol)-biotin
CAS-No. 1255942-07-4
Formula C 39 H 51N 5 O 8 S
Mol. weight 749,92 g/mol
PEG8140
N-(15-(4,4-dimethyl-2,6-dioxocyclohexylidene)-19-oxo19-(azadibenzocyclooctyn-1-yl)-3,6,9,12-tetraoxa-16azanonadecyl)-5-((3aS,4S,6aR)-2-oxohexahydro-1Hthieno[3,4-d]imidazol-4-yl)pentanamide
CAS-No. 1807512-43-1
Formula
PEG8120
N-(2-((3-(3-(azadibenzocyclooctyn-1-yl)-3-oxopropylamino)-3-oxopropyl)disulfanyl)ethyl)-1-(5-((3aS,4S,6aR)2-oxohexahydro-1H-thieno[3,4-d]imidazol-4-yl)pentanamido)-3,6,9,12-tetraoxapentadecan-15-am ide
Formula
Dibenzoazacyclooctyne-tetra(ethylene glycol)-maleimide
CAS-No. 1480516-75-3
Formula C 36 H42N4O 9 Mol. weight 674,74 g/mol
PEG6785 DBCO-PEG(36)-MAL
Dibenzoazacyclooctyne-36(ethylene glycol)-maleimide
RL-2510 DBCO-PEG(4)-OH
Dibenzoazacyclooctyne-tetra(ethylene glycol)
1416711-60-8
508,61 g/mol
RL-2450 DBCO-PEG(5)-COOH
Dibenzoazacyclooctyne-penta(ethylene glycol)-propa-
596,67 g/mol
RL-2460 DBCO-PEG(5)-NHS
Dibenzoazacyclooctyne-penta(ethylene glycol)-propanoic acid succinimidyl ester
1378531-80-6
weight 693,74 g/mol
PEG6800 Bromoacetamido-PEG(12)-DBCO
Bromoacetamido-dodeca(ethylene glycol)-amido-dibenzoazacyclooctyne
996,97
PEG7465 Me-PEG(12)-DBCO
Methyl-12(ethylene glycol)-amido-dibenzoazacyclooctyne
PEG6770
DBCO-PEG(12)-MAL
Dibenzoazacyclooctyne-dodeca(ethylene glycol)-maleimide
PEG6750 DBCO-PEG(12)-TFP
Dibenzoazacyclooctyne-dodeca(ethylene glycol)-pro
pionyl 2,3,5,6-tetrafluorophenol ester
PEG6810 Bromoacetamido-PEG(24)-DBCO
Bromoacetamido-24(ethylene glycol)-amido-dibenzoa-
PEG6780 DBCO-PEG(24)-MAL
Dibenzoazacyclooctyne-24(ethylene glycol)-maleimide
PEG6760
Dibenzoazacyclooctyne-24(ethylene glycol)-propionyl
ester
PEG6785
Dibenzoazacyclooctyne-36(ethylene glycol)-maleimide
PEG6765 DBCO-PEG(36)-TFP
Dibenzoazacyclooctyne-36(ethylene glycol)-propionyl 2,3,5,6-tetrafluorophenol ester
PEG6830 DBCO-dPEG(12)-(5)6-carboxyfluorescein
Dibenzoazacyclooctyne-dodeca(ethylene glycol)-(5)6-carboxyfluorescein
PEG7460 DBCO-PEG(24)-OMe
alpha-Methoxy-24(ethylene glycol)-amido-dibenzoazacyclooctyne
RL-2530 DBCO-mPEG (5kDa)
alpha-Dibenzoazacyclooctyne-omega-methoxy-poly(ethylene glycol)
CAS-No. 2262541-53-5 Mol. weight 5000 Da
RL-2540 DBCO-mPEG (10kDa)
alpha-Dibenzoazacyclooctyne-omega-methoxy-poly(ethylene glycol)
CAS-No. 2262541-53-5
Mol. weight 10000 Da
RL-2550 DBCO-mPEG (20kDa)
alpha-Dibenzoazacyclooctyne-omega-methoxy-poly(ethylene glycol)
CAS-No. 2262541-53-5
Mol. weight 20000 Da
RL-2560 DBCO-mPEG (30kDa)
alpha-Dibenzoazacyclooctyne-omega-methoxy-poly(ethylene glycol)
CAS-No. 2262541-53-5
weight 30000 Da
PEG4980 H2 N-PEG(2)-N3*TosOH
2-[2-(2-Azidoethoxy)ethoxy]ethanaminium tosylat
2173092-98-1
weight 174,20*172,20 g/mol
PEG4960 Boc-NH-PEG(2)-N3
1-(t-Butyloxycarbonyl-amino)-3,6-dioxa-8-octaneazide
CAS-No. 950683-55-3
weight 274,32 g/mol
BNN1150 N3 -TOTA
1-Azido-4,7,10-trioxa-13-tridecanamine
CAS-No. 1162336-72-2
Formula
weight 246,31 g/mol
PEG3060 H2 N-PEG(3)-N3
1-Amino-11-azido-3,6,9-trioxaundecane
CAS-No. 134179-38-7
Formula C 8 H18 N4O 3
weight 218,25 g/mol
Product details
PEG8160 N3 -PEG(3)-NH-Boc
t-Butyl N-(2-(2-(2-(2-azidoethoxy)ethoxy)ethoxy)ethyl)
CAS-No. 642091-68-7
C13
weight 318,37 g/mol
PEG5320 N3 -PEG(4)-NH2
14-Azido-3,6,9,12-tetraoxatetradecan-1-amine
CAS-No. 951671-92-4
Formula C10 H22N4
Mol. weight 262,31 g/mol
PEG1087 H2 N-PEG(6)-N3
alpha-Amino-omega-azido hexa(ethylene glycol)
CAS-No. 957486-82-7
Formula C14H30
weight 350,42 g/mol
PEG2350 H2 N-PEG(7)-N3
alpha-Amino-omega-azido hepta(ethylene glycol)
CAS-No. 1333154-77-0
Formula C16 H34
Mol. weight 394,46 g/mol
PEG3050 H2 N-PEG(8)-N3
alpha-Amino-omega-azido octa(ethylene glycol)
CAS-No. 857891-82-8
Formula C18 H38 N4
Mol. weight 438,52 g/mol
PEG1081 H2 N-PEG(11)-N3
alpha-Amino-omega-azido undecae(ethylene glycol)
CAS-No. 1800414-71-4
Formula C 24H 50 N4O 11
Mol. weight 570,69 g/mol
PEG3070 H2 N-PEG(23)-N3
alpha-Azido-omega-amino 23(ethylene glycol)
CAS-No. 2172677-19-7
Formula C 48 H98 N4O 23
Mol. weight 1099,3 g/mol
PEG3080 H2 N-PEG(35)-N3
alpha-Azido-omega-amino 35(ethylene glycol)
CAS-No. 749244-38-0
Formula C 72H146 N4O 35
Mol. weight 1627,94 g/mol
PEG3010 H2 N-PEG-N3 (3 kDa)
alpha-Amino-omega-azido poly(ethylene glycol)
Mol. weight 3000 Da
PEG3030 H2 N-PEG-N3 (5 kDa)
alpha-Amino-omega-azido poly(ethylene glycol)
Mol. weight 5000 Da
PEG3000 H2 N-PEG-N3 (10 kDa)
alpha-Amino-omega-azido poly(ethylene glycol)
Mol. weight 10000 Da
PEG3020 H2 N-PEG-N3 (20 kDa)
alpha-Amino-omega-azido poly(ethylene glycol)
Mol. weight 20000 Da
PEG2780
[2-(2-azidoethoxy)ethoxy]acetic acid cyclohexylamine
CAS-No. 2098500-94-6
4*C 6 H13 N Mol. weight 189,17*99,17 g/mol
Formula C 6 H11N3
PEG7950
Potassium 8-azido-3,6-dioxaoctanoate
CAS-No. 882518-90-3 net
Formula C 6 H10 KN3 O4 Mol. weight 39,10*188,16 g/mol
PEG5390
8-Azido-3,6-dioxaoctanoic acid t-butyl ester
CAS-No. 251564-45-1
Formula C10 H19 N3 O
Mol. weight 245,28 g/mol
PEG5000
{2-[2-(4-Azido-2,3,5,6-tetrafluorobenzoyl-amino)ethoxy] ethoxy}acetic acid
CAS-No. 1993119-45-1
Formula C13 H12F4N
weight 380,25 g/mol
PEG5400 N3 -AEEEA*CHA
11-Azido-3,6,9-trioxaundecanoic acid cyclohexylamine
CAS-No. 172531-37-2 net
Formula C 8 H15N3 O 5*C 6 H13 N Mol. weight 233,22*99,17 g/mol
PEG5170 N3 -TOTA-Suc
1-Azido-4,7,10-trioxa-13-tridecaneamine succinamic acid
CAS-No. 1993176-74-1
Formula C14H26 N
Mol. weight 346,38 g/mol
PEG2345 N3 -PEG(4)-COOH
15-Azido-4,7,10,13-tetraoxa-pentadecanoic acid
CAS-No. 1257063-35-6
Formula C11H21N3 O 6 Mol. weight 291,3 g/mol
PEG1400 N3 -dPEG(4)-NHS
15-Azido-4,7,10,13-tetraoxa-pentadecanoic acid succinimidyl ester
CAS-No. 944251-24-5
Formula C15H24N4O 8 Mol. weight 388,37 g/mol
PEG2790 N3 -O2Oc-O2Oc-OH
8-(8-Azido-3,6-dioxaoctanoylamido)-3,6-dioxaoctanoic acid
CAS-No. 1254054-60-8
Formula C12H22N4O 7 Mol. weight 334,33 g/mol
PEG4170 N3 -PEG™(8)-COOH
alpha-Azido-omega-(propionic acid) octa(ethylene glycol)
CAS-No. 1214319-92-2 Formula
PEG1405 N3 -dPEG(8)-NHS
1-Azido-3,6,9,12,15,18,21,24-octaoxaheptacosan-27-oic acid succinimidyl ester
CAS-No. 1204834-00-3
Formula C 23 H40 N4O 12 Mol. weight 564,58 g/mol
PEG2015 N3 -PEG(9)-COOH
O-(2-Azidoethyl)-O-[2-(diglycolyl-amino)ethyl]heptaethylene glycol
CAS-No. 846549-37-9
Formula C 22H42
554,59 g/mol
PEG4180 N3 -PEG™(12)-COOH
alpha-Azido-omega-(propionic acid) dodeca(ethylene glycol)
1167575-20-3
PEG1395 N3 -dPEG(12)-NHS
1-Azido-3,6,9,12,15,18,21,24,27,30,33,36-dodecaoxanonatriacontan-39-oic acid succinimidyl ester
1108750-59-9
740,79 g/mol
PEG4190 N3 -dPEG™(24)-COOH
alpha-Azido-omega-(propionic acid) 24(ethylene glycol)
1167575-20-3
1172,35 g/mol
PEG7650 N3 -dPEG™(24)-TFP
alpha-Azido-omega-(2,3,5,6-tetrafluorophenyl propionate) 24(ethylene glycol)
1320,41
PEG7660 N3 -dPEG™(36)-TFP
alpha-Azido-omega-(2,3,5,6-tetrafluorophenyl propionate) 36(ethylene glycol)
Formula C 81H149 F4N
Mol. weight 1849,04 g/mol
PEG6655 N3 -PEG-SQA (3 kDa)
alpha-Azido-omega-squaric acid ethyl ester poly(ethylene glycol)
Mol. weight 3000 Da
PEG6660 N3 -PEG-SQA (5 kDa)
alpha-Azido-omega-squaric acid ethyl ester poly(ethylene glycol)
Mol. weight 5000 Da
PEG6645 N3 -PEG-SQA (10 kDa)
alpha-Azido-omega-squaric acid ethyl ester poly(ethylene glycol)
Mol. weight 10000 Da
PEG6650 N3 -PEG-SQA (20 kDa)
alpha-Azido-omega-squaric acid ethyl ester poly(ethylene glycol)
Mol. weight 20000 Da
PEG4900 N3 -EEEt-OH
2-[2-(2-Azidoethoxy)ethoxy]ethanol
PEG3760 N3 -PEG(3)-OH
CAS-No. 86770-67-4
Formula
219,24 g/mol
PEG5300 N3 -PEG(4)-OH
2-(2-(2-(2-(2-Azidoethoxy)ethoxy)ethoxy)ethoxy)
CAS-No. 86770-68-5
Formula C10 H21
263,29 g/mol
PEG6720 N3 -PEG(5)-OH
17-Azido-3,6,9,12,15-pentaoxaheptadecan-1-ol
CAS-No. 86770-69-6
Formula C12H25N3
Mol. weight 307,34 g/mol
PEG1088 N3 -PEG(8)-OH
alpha-Azido-omega-hydroxy octa(ethylene glycol)
CAS-No. 352439-36-2
Formula C16 H33 N3
8 Mol. weight 395,45 g/mol
PEG1390 N3 -dPEG(12)-OH
35-Azido-3,6,9,12,15,18,21,24,27,30,33-undecaoxapentatriacontan-1-ol
CAS-No. 73342-16-2
weight 571,66 g/mol
PEG1220 N3 -PEG(20)-OH
alpha-Azido-omega-hydroxy icosa(ethylene glycol)
CAS-No. 1637297-21-2
Formula
Mol. weight 924,1 g/mol
PEG3770 N3 -dPEG™(24)-OH
alpha-Azido-omega-hydroxy 24(ethylene glycol)
CAS-No. 73342-16-2
Formula C 48 H97N3
Mol. weight 1100,29 g/mol
PEG3780 N3 -dPEG™(36)-OH
alpha-Azido-omega-hydroxy 36(ethylene glycol)
CAS-No. 73342-16-2
Formula C 72H145N3 O 36
Mol. weight 1628,92 g/mol
PEG4940 Biotin-PEG(3)-N3
11-[D(+)-Biotinylamino]-1-azido-3,6,9-trioxaundecane
CAS-No. 875770-34-6
Formula C18 H32N 6 O 5 S
Mol. weight 444,55 g/mol
PEG7990 Biotin-PEG(4)-N3
(3aS,4S,6aR)-4-(28-azido-5,21-dioxo-9,12,15,18-tetraoxa-6,22-diazaoctacosyl)tetrahydro-1H-thieno[3,4-d]imidazol-2(3H)-one
CAS-No. 1006592-62-6
Formula C 27H49 N7 O 7S
Mol. weight 615,79 g/mol
PEG8000 Biotin-PEG(4)-Picolyl-N3
(3aS,4S,6aR)-4-(1-(6-(azidomethyl)pyridin-3-ylamino)1,17-dioxo-4,7,10,13-tetraoxa-16-azahenicosan-21-yl) tetrahydro-1H-thieno[3,4-d]imidazol-2(3H)-one
CAS-No. 2222687-71-8
Formula
PEG8100 Biotin-PEG(4)-SS-Azide
N-(2-((3-((3-azidopropyl)amino)-3-oxopropyl)disulfaneyl)ethyl)-1-(5-((3aS,4S,6aR)-2-oxohexahydro-1Hthieno[3,4-d]imidazol-4-yl)pentanamido)-3,6,9,12-tetraoxapentadecan-15-amide
CAS-No. 1260247-52-6
Formula
N-(19-azido-15-(4,4-dimethyl-2,6-dioxocyclohexylidene)-3,6,9,12-tetraoxa-16-azanonadecyl)-5-((3aS,4S,6aR)-2-oxohexahydro-1H-thieno[3,4-d]imidazol-4-yl)pentanamide
CAS-No. 1802907-93-2
Formula C 32H 53 N7 O 8 S
weight 695,87 g/mol
PEG7970
Biotin-PEG(4)-Dde-Picolyl-N3
N-(6-(azidomethyl)pyridin-3-yl)-15-(4,4-dimethyl-2,6dioxocyclohexylidene)-1-(5-((3aS,4S,6aR)-2-oxohexahydro-1H-thieno[3,4-d]imidazol-4-yl)pentanamido)-3,6,9,12-tetraoxa-16-azanonadecan-19-amide
2055048-42-3
815,98
PEG4330
Biotin-dPEG™(7)-N3
alpha-Biotin-omega-azido hepta(ethylene glycol)
1334172-75-6
weight 620,76 g/mol
PEG4340 Biotin-dPEG™(11)-N3
956494-20-5
796,97
PEG4350 Biotin-dPEG™(23)-N3
alpha-Biotin-omega-azido 23(ethylene glycol)
956494-20-5
1325,6
PEG7190
Bromoacetamido-PEG(3)-N3
Bromoacetamido-tri(ethylene glycol)-azide
CAS-No. 940005-81-2 Formula C10 H19 BrN
weight 339,19 g/mol
PEG7200
Bromoacetamido-PEG(11)-N3
Bromoacetamido-undeca(ethylene glycol)-azide
691,61
PEG7210 Bromoacetamido-PEG(23)-N3
Bromoacetamido-23(ethylene glycol)-azide
Formula C 50 H99 BrN4O 24
Mol. weight 1220,24 g/mol
RL-3700 Halo-PEG(2)-Azide
1-Azido-12-chloro-3,6-dioxadodecane
CAS-No. 2568146-55-2
Formula C10 H20 ClN3 O 2
Mol. weight 249,74 g/mol
PEG3150 I-PEG-N3 (3 kDa)
alpha-Iodo-omega-azido poly(ethylene glycol)
weight 3000 Da
PEG3160 I-PEG-N3 (5 kDa)
alpha-Iodo-omega-azido poly(ethylene glycol)
Mol. weight 5000 Da
PEG3130 I-PEG-N3 (10 kDa)
alpha-Iodo-omega-azido poly(ethylene glycol)
weight 10000 Da
PEG3140 I-PEG-N3 (20 kDa)
alpha-Iodo-omega-azido poly(ethylene glycol)
weight 20000 Da
PEG1690 MeO-dPEG(4)-N3
13-Azido-2,5,8,11-tetraoxa-tridecane
CAS-No. 606130-90-9
Formula C9 H19 N3
Mol. weight 233,26 g/mol
PEG1705 MeO-dPEG(8)-N3
25-Azido-2,5,8,11,14,17,20,23-octaoxapentacosane MeO
Formula C17H35N3 O
Mol. weight 409,48 g/mol
PEG1660 MeO-dPEG(12)-N3
37-Azido-2,5,8,11,14,17,20,23,26,29,32,35-dodecaoxahep
CAS-No. 2170098-29-8
Formula
Mol. weight 585,69 g/mol
PEG1710 MeO-dPEG(24)-N3
alpha-Methoxy-omega-azido-24(ethylene glycol) MeO
CAS-No. 89485-61-0
Formula C 49 H99 N3
Mol. weight 1114,34 g/mol
PEG5350 HO-PEG-N3 (3 kDa)
alpha-Hydroxy-omega-azido poly(ethylene glycol)
Mol. weight 3000 Da
PEG5360 HO-PEG-N3 (5 kDa)
alpha-Hydroxy-omega-azido poly(ethylene glycol)
Mol. weight 5000 Da
PEG5330 HO-PEG-N3 (10 kDa)
alpha-Hydroxy-omega-azido poly(ethylene glycol)
Mol. weight 10000 Da
PEG5340 HO-PEG-N3 (20 kDa)
alpha-Hydroxy-omega-azido poly(ethylene glycol)
Mol. weight 20000 Da
PEG3430 MeO-dPEG™(36)-N3
alpha-Methoxy-omega-azido-36(ethylene glycol)
CAS-No. 89485-61-0
Formula C 73 H147N3 O 36
Mol. weight 1642,95 g/mol
PEG1219 MeO-PEG-N3 (750 Da)
alpha-Methoxy-omega-azido poly(ethylene glycol)
weight 750 Da
PEG1225 MeO-PEG-N3 (2 kDa)
alpha-Methoxy-omega-azido poly(ethylene glycol)
weight 2000 Da
PEG2040 MeO-PEG-N3 (5 kDa)
alpha-Methoxy-omega-azido poly(ethylene glycol)
weight 5000 Da
PEG2045 MeO-PEG-N3 (10 kDa)
alpha-Methoxy-omega-azido poly(ethylene glycol)
weight 10000 Da
PEG2050 MeO-PEG-N3 (20 kDa)
alpha-Methoxy-omega-azido poly(ethylene glycol)
weight 20000 Da
PEG4830 Azido-PEG-Si(OMe)3 (3 kDa)
alpha-Azido-omega-trimethoxysilyl poly(ethylene
weight 3000 Da
PEG4835 Azido-PEG-Si(OMe)3 (5 kDa)
alpha-Azido-omega-trimethoxysilyl poly(ethylene
weight 5000 Da
PEG4840 Azido-PEG-Si(OMe)3 (10 kDa)
alpha-Azido-omega-trimethoxysilyl poly(ethylene glycol)
weight 10000 Da
PEG4845 Azido-PEG-Si(OMe)3 (20 kDa)
alpha-Azido-omega-trimethoxysilyl poly(ethylene glycol)
weight 20000 Da
RL-3960 Azide-PEG(4)-SNAP
N-(4-(((2-amino-9H-purin-6-yl)oxy)methyl)benzyl)-3-(2-azidoethoxy)propanamide
RL-4030 PFB-mercaptopropionyl-PEG3-N3
Perfluorobiphenyl-mercaptopropionyl-PEG(3)-N
trans
TCO1040 TCO-PEG(4)-COOH trans
TCO1010 TCO-PEG(4)-NHS
trans-Cyclooctene-PEG(4)-carboxy succinimidyl ester
1621096-79-4
Formula
TCO1020 TCO-PEG(12)-NHS
trans-Cyclooctene-PEG(12)-carboxy succinimidyl ester
CAS-No. 2185016-39-9
weight 866,99 g/mol
TCO1050 TCO-PEG(3)-mal trans-Cyclooctene-PEG(3)-maleimide
1609659-01-9
weight 523,62 g/mol
MeTz-PEG(4)-COOH Methyltetrazine-PEG(4)-acid
1802907-91-0
weight 436,56 g/mol
RL-2330 MeTz-PEG(4)-NHS
Methyltetrazine-PEG(4)-propanoyl succinimidyl ester
CAS-No. 1802907-92-1
weight 533,53 g/mol
Methyltetrazine-PEG(4)-amine HCL salt
CAS-No. 1802908-05-9 net
Formula C17H25N 5 O4*HCl Mol. weight 363,41*HCl g/mol
RL-2380 MeTz-mPEG (5kDa)
alpha-Methyltetrazine-omega-methoxy-poly(ethylene glycol)
weight 5000 Da
RL-2390 MeTz-mPEG (10kDa)
alpha-Methyltetrazine-omega-methoxy-poly(ethylene glycol)
Mol. weight 10000 Da
RL-2400 MeTz-mPEG (20kDa)
alpha-Methyltetrazine-omega-methoxy-poly(ethylene glycol)
Mol. weight 20000 Da
RL-2340 MeTz-PEG(4)-mal
Methyltetrazine-PEG(4)-maleimide
1802908-02-6
PEG2910 NHS-PEG(NH-Boc)-alkyne (3 kDa)
alpha-Succinimidyl ester-omega-(N-t-Butyloxycarbonyl-L-propargyl-glycinyl) poly(ethylene glycol)
Product details
Mol. weight 3000 Da back
PEG2930
NHS-PEG(NH-Boc)-alkyne (5 kDa)
alpha-Succinimidyl ester-omega-(N-t-Butyloxycarbonyl-L-propargyl-glycinyl) poly(ethylene glycol)
Mol. weight 5000 Da
PEG2900
NHS-PEG(NH-Boc)-alkyne (10 kDa)
alpha-Succinimidyl ester-omega-(N-t-Butyloxycarbo
nyl-L-propargyl-glycinyl) poly(ethylene glycol)
Mol. weight 10000 Da
PEG2920
NHS-PEG(NH-Boc)-alkyne (20 kDa)
alpha-Succinimidyl ester-omega-(N-t-Butyloxycarbo
nyl-L-propargyl-glycinyl) poly(ethylene glycol)
Mol. weight 20000 Da
PEG2915
NHS-PEG(NH-Fmoc)-alkyne (3 kDa)
alpha-Succinimidyl ester-omega-(N-(9-Fluorenylmethyloxycarbonyl)-L-propargyl-glycinyl) poly(ethylene
Mol. weight 3000 Da
PEG2935
NHS-PEG(NH-Fmoc)-alkyne (5 kDa)
alpha-Succinimidyl ester-omega-(N-(9-Fluorenylmethyloxycarbonyl)-L-propargyl-glycinyl) poly(ethylene glycol)
Mol. weight 5000 Da
PEG2905
NHS-PEG(NH-Fmoc)-alkyne (10 kDa)
alpha-Succinimidyl ester-omega-(N-(9-Fluorenylmethyloxycarbonyl)-L-propargyl-glycinyl) poly(ethylene glycol)
Mol. weight 10000 Da
circle-arrow-right
PEG2925 NHS-PEG(NH-Fmoc)-alkyne (20 kDa) alpha-Succinimidyl ester-omega-(N-(9-Fluorenylmethyloxycarbonyl)-L-propargyl-glycinyl) poly(ethylene glycol)
Mol. weight 20000 Da
Interested in Click Chemistry?
Download our brochure!
back to content arrow-up
Interested in biotin reagents with click functionality? Please browse through chapter 5 PEGs Functionalized for Click-Chemistry
PEG2560 Biotin-O2Oc-OH
8-Biotinylamido-3,6-dioxaoctanoic acid
CAS-No. 1238575-77-3
389,47 g/mol
PEG5280 Biotin-TOTA-glutaramic acid*DIPEA
5,21-dioxo-25-((3aS,4S,6aR)-2-oxohexahydro-1Hthieno[3,4-d]imidazol-4-yl)-10,13,16-trioxa-6,20-diazapentacosan-1-oic acid diisopropylethylamine salt
CAS-No. 1205744-09-7 Formula
weight 560,70*129,30 g/mol
PEG2565
8-Biotinylamido-3,6-dioxaoctanoic acid dimer
1301706-65-9
weight 534,62 g/mol
PEG1515
15-Biotinamino-4,7,10,13-tetraoxa-pentadecanoic acid
CAS-No. 721431-18-1 Formula
PEG1870 Biotin-dPEG(4)-NHS
15-Biotinamino-4,7,10,13-tetraoxa-pentadecanoic acid succinimidyl ester
CAS-No. 459426-22-3 Formula
PEG8090 Biotin-PEG(4)-SS-COOH
9,25-dioxo-29-((3aS,4S,6aR)-2-oxohexahydro-1Hthieno[3,4-d]imidazol-4-yl)-12,15,18,21-tetraoxa-4,5-dithia-8,24-diazanonacosan-1-oic acid
CAS-No. 1380166-80-2 Formula
PEG4440 Fmoc-L-Lys(dPEG™(4)-Biotin)-OH
N-alpha-(9-Fluorenylmethyloxycarbonyl)-N-epsilon-[15-(biotinamido)-4,7,10,13-tetraoxa-pentadecanoyl]-L-lysine
1334172-64-3
PEG2071 Biotin-TEG-TFP
Biotin-tetra(ethylene glycol)-2,3,5,6-tetrafluorphenyl ester
PEG1845 Biotin-dPEG(4)-NHS-(Biotinidase resistant)
18-Biotinamino-17-oxo-4,7,10,13-tetraoxa-16-azaicosan1-oic acid succinimidyl ester
CAS-No. 1334172-61-0
Formula
PEG7760 Biotin-dPEG™(4)-TFP-(Biotinidase resistant)
18-Biotinamino-17-oxo-4,7,10,13-tetraoxa-16-azaicosan1-oic acid (2,3,5,6-tetrafluorophenyl) ester
PEG1910
1-Biotinamino-15-oxo-3,6,9,12-tetraoxa-19,20-dithia-16-azatricosan-23-oic acid succinimidyl ester
CAS-No. 1260247-51-5 Formula
751,93 g/mol
PEG6690
21-[D(+)-Biotinylamino]-4,7,10,13,16,19-hexaoxaheneico
sanoic acid
1352814-10-8 Formula
579,7
alpha-Biotin-omega-(propionic acid)-dodecae(ethylene glycol)
948595-11-7
844,04 g/mol
PEG1860 Biotin-dPEG(12)-NHS
alpha-Biotin-omega-carboxy succinimidyl ester do
365441-71-0
weight 941,09 g/mol
PEG5130 Biotin-PEG(12)-TFP
alpha-Biotin-omega-propionic acid (2,3,5,6-tetrafluorophenyl) ester dodeca(ethylene glycol)
992,08
PEG7770 Biotin-dPEG™(12)-TFP-(Biotinidase resistant)
alpha-Biotinyl-(2-aminobutyryl)-omega-(2,3,5,6-tetrafluorophenyl propionate) dodeca(ethylene glycol)
PEG4450 Fmoc-L-Lys(dPEG™(12)-Biotin)-OH
N-alpha-(9-Fluorenylmethyloxycarbonyl)-N-epsilon-[alpha-Biotin-omega-propionyl dodeca(ethylene glycol)]-L-lysine
CAS-No. 1334172-65-4 Formula
1194,43 g/mol
PEG4260 Biotin-dPEG™(24)-COOH
alpha-Biotin-omega-(propionic acid) 24(ethylene glycol)
CAS-No. 721431-18-1
Formula
PEG4250 Biotin-dPEG™(24)-NHS
alpha-Biotin-omega-(succinimidyl propionate)
lene glycol)
CAS-No. 365441-71-0
Formula
weight 1469,72 g/mol
PEG7750 Biotin-dPEG™(24)-TFP
alpha-Biotin-omega-(2,3,5,6-tetrafluorophenyl propio
nate) 24(ethylene glycol)
weight 1520,71 g/mol
PEG4270
Biotin-dPEG™(48)-COOH
alpha-Biotin-omega-(propionic acid) 48(ethylene glycol)
CAS-No. 721431-18-1
Formula
PEG1053 Biotin-PEG-COOH (3 kDa)
alpha-Biotin-omega-carboxy poly(ethylene glycol)
weight 3000 Da
PEG1054 Biotin-PEG-COOH (5 kDa)
alpha-Biotin-omega-carboxy poly(ethylene glycol)
Mol. weight 5000 Da
PEG1052 Biotin-PEG-COOH (10 kDa)
alpha-Biotin-omega-carboxy poly(ethylene glycol)
Mol. weight 10000 Da
PEG1056 Biotin-PEG-NHS (3 kDa)
alpha-Biotin-omega-carboxy succinimidyl ester po
ly(ethylene glycol)
Mol. weight 3000 Da
PEG1057 Biotin-PEG-NHS (5 kDa)
alpha-Biotin-omega-carboxy succinimidyl ester poly(ethylene glycol)
Mol. weight 5000 Da
PEG1055 Biotin-PEG-NHS (10 kDa)
alpha-Biotin-omega-carboxy succinimidyl ester poly(ethylene glycol)
Mol. weight 10000 Da
PEG6590 Biotin-PEG-SQA (3 kDa)
alpha-Biotin-omega-squaric acid ethyl ester poly(ethylene glycol)
Mol. weight 3000 Da
PEG6595 Biotin-PEG-SQA (5 kDa)
alpha-Biotin-omega-squaric acid ethyl ester poly(ethylene glycol)
Mol. weight 5000 Da
PEG6580 Biotin-PEG-SQA (10 kDa)
alpha-Biotin-omega-squaric acid ethyl ester poly(ethylene glycol)
Mol. weight 10000 Da
PEG6585 Biotin-PEG-SQA (20 kDa)
alpha-Biotin-omega-squaric acid ethyl ester poly(ethylene glycol)
Mol. weight 20000 Da
PEG2760 Biotin-DOOA*HCl
1-Biotinyl-3,6-dioxa-8-octaneamine hydrochloride
CAS-No. 862373-14-6
Formula C16 H30 N4O4 S*HCl
Mol. weight 374,50*36,45 g/mol
RL-4060 Biotin-DOOA
Biotinyl-1-amino-3,6-dioxa-8-octanamine
CAS-No. 138529-46-1
Formula C16 H30 N4O4 S
Product details
Mol. weight 374,50 g/mol back to content arrow-up
N-[2-[2-[2-(2-Aminoethoxy)ethoxy]ethoxy]ethyl]biotinamide
359860-27-8 Formula
N-(13-amino-4,7,10-trioxatridecanyl)-D-biotinamide
183896-00-6
N-Biotin-3,3‘-(2,2‘-oxybis(ethane-2,1-diyl)bis(oxy)) dipropan-1-amine trifluoroacetate
CAS-No. 1334172-59-6 Formula
weight 446,60*114,01 g/mol
PEG8180
alpha-Biotinyl-omega-oxyamine-tri(ethylene glycol) hydrochloride
CAS-No. 1951424-88-6
Formula C18 H34N4O 6 S*HCl Mol. weight 434,55*36,45 g/mol
PEG5140 Biotin-TEG-O-NH2*HCl
N-(2-(2-(2-(2-(aminooxy)ethoxy)ethoxy)ethoxy) ethyl)-5-biotinamide hydrochloride
PEG1425 Biotin-dPEG(4)-NHNH2
15-Biotinamino-4,7,10,13-tetraoxa-pentadecanoyl hydrazide
CAS-No. 756525-97-0
Formula C 21H39 N 5 O 7S
weight 505,63 g/mol
PEG4290 Biotin-dPEG™(7)-NH2
alpha-Biotin-omega-amino hepta(ethylene glycol)
PEG1044 Biotin-PEG(9)-NH2
alpha-Biotin-omega-amino-nona(ethylene glycol)
960132-48-3
weight 682,88 g/mol
PEG4300 Biotin-dPEG™(11)-NH2
alpha-Biotin-omega-amino undeca(ethylene
604786-74-5
PEG4680 Biotin-dPEG™(11)-O-NH2*HCl
alpha-Biotinyl-omega-oxyamine-undeca(ethylene glycol) hydrochloride
786,97*36,45 g/mol
PEG4310 Biotin-dPEG™(23)-NH2
alpha-Biotin-omega-amino 23(ethylene glycol)
CAS-No. 604786-74-5
weight 1299,6 g/mol
PEG1046 Biotin-PEG-NH2 (3 kDa)
alpha-Biotin-omega-amino poly(ethylene glycol)
3000 Da
PEG1047 Biotin-PEG-NH2 (5 kDa)
alpha-Biotin-omega-amino poly(ethylene glycol)
weight 5000 Da
PEG1045 Biotin-PEG-NH2 (10 kDa)
alpha-Biotin-omega-amino poly(ethylene glycol)
weight 10000 Da
LS-3490 Biotin-AEEA-Tyramide
N-(2-(2-(2-(4-hydroxyphenethylamino)-2-oxoethoxy) ethoxy)ethyl)-5-((3aS,4S,6aR)-2-oxohexahydro-1Hthieno[3,4-d]imidazol-4-yl)pentanamide
CAS-No. 2561473-92-3
Formula C 24H36 N4O 6 S Mol. weight 508,63 g/mol
PEG8130 Biotin-PEG(4)-Dde-Tyramide
N-(15-(4,4-dimethyl-2,6-dioxocyclohexylidene)-18-(4hydroxyphenyl)-3,6,9,12-tetraoxa-16-azaoctadecyl)5-((3aS,4S,6aR)-2-oxohexahydro-1H-thieno[3,4-d] imidazol-4-yl)pentanamide
732,93 g/mol
PEG1206 Biotin-PEG-OH (3 kDa)
alpha-Biotin-omega-hydroxy poly(ethylene glycol)
3000 Da
Product details
PEG1207 Biotin-PEG-OH (5 kDa)
alpha-Biotin-omega-hydroxy poly(ethylene glycol)
weight 5000 Da
LS-4260
Biotin-PEG(3)-SH
N-(17-mercapto-15-oxo-4,7,10-trioxa-14-azaheptadecyl)-5-((3aS,4S,6aR)-2-oxohexahydro-1Hthieno[3,4-d]imidazol-4-yl)pentanamide
CAS-No. 1208242-09-4
Formula
LS-4240
Biotin-PEG(3)-SS-Py
N-(15-oxo-17-(pyridin-2-yldisulfaneyl)-4,7,10-trioxa-14azaheptadecyl)-5-((3aS,4S,6aR)-2-oxohexahydro-1Hthieno[3,4-d]imidazol-4-yl)pentanamide
PEG4705 Biotin-PEG(11)-SH
alpha-Biotin-omega-mercapto undeca(ethylene glycol)
PEG1213 Biotin-PEG-SH (3 kDa)
alpha-Biotin-omega-mercapto poly(ethylene glycol)
weight 3000 Da
PEG1214 Biotin-PEG-SH (5 kDa)
alpha-Biotin-omega-mercapto poly(ethylene glycol)
weight 5000 Da
PEG1212 Biotin-PEG-SH (10 kDa)
alpha-Biotin-omega-mercapto poly(ethylene glycol)
Mol. weight 10000 Da
PEG1226 Biotin-PEG-SH (20 kDa)
alpha-Biotin-omega-mercapto poly(ethylene glycol)
Mol. weight 20000 Da
PEG4770 Biotin-PEG-OPSS (3 kDa)
alpha-Biotin-omega-pyridyl-2-disulfid poly(ethylene glycol)
Mol. weight 3000 Da
PEG4775 Biotin-PEG-OPSS (5 kDa)
alpha-Biotin-omega-pyridyl-2-disulfid poly(ethylene glycol)
Mol. weight 5000 Da
PEG4780 Biotin-PEG-OPSS (10 kDa)
alpha-Biotin-omega-pyridyl-2-disulfid poly(ethylene glycol)
Mol. weight 10000 Da
PEG4785 Biotin-PEG-OPSS (20 kDa)
alpha-Biotin-omega-pyridyl-2-disulfid poly(ethylene glycol)
Mol. weight 20000 Da
PEG1605 Biotin-PEG(3)-mal
N-(3-(2-(2-(3-(Biotinamino)propoxy)ethoxy)ethoxy) propyl)-3-maleimidylpropanamide
CAS-No. 525573-22-2
Formula C 27H43 N 5 O 8 S
Mol. weight 597,72 g/mol
PEG1595 Biotin-dPEG(11)-mal
alpha-Biotin-omega-maleimido undeca(ethylene glycol)
CAS-No. 1334172-60-9
Formula C 41H71N 5 O 16 S
Mol. weight 922,09 g/mol
PEG4320 Biotin-dPEG™(23)-mal
alpha-Biotin-omega-maleimido 23(ethylene glycol)
CAS-No. 1334172-60-9
Formula C 65H119 N 5 O 28 S
Mol. weight 1450,72 g/mol
PEG1049 Biotin-PEG-mal (3 kDa)
alpha-Biotin-omega-maleimido poly(ethylene glycol)
weight 3000 Da
PEG1050 Biotin-PEG-mal (5 kDa)
alpha-Biotin-omega-maleimido poly(ethylene glycol)
weight 5000 Da
PEG1048 Biotin-PEG-mal (10 kDa)
alpha-Biotin-omega-maleimido poly(ethylene glycol)
weight 10000 Da
Product details
PEG2080 Biotin-TEG-Biotin
N,N‘-Bisbiotin-tetra(ethylene glycol)-diamine
1263044-47-8
weight 672,9
PEG4850 Biotin-PEG-Si(OMe)3 (3 kDa)
alpha-Biotinyl-omega-trimethoxysilyl poly(ethylene glycol)
weight 3000 Da PEG4855 Biotin-PEG-Si(OMe)3 (5 kDa)
alpha-Biotinyl-omega-trimethoxysilyl poly(ethylene glycol)
weight 5000 Da
PEG4860 Biotin-PEG-Si(OMe)3 (10 kDa)
alpha-Biotinyl-omega-trimethoxysilyl poly(ethylene glycol)
weight 10000 Da
PEG4865 Biotin-PEG-Si(OMe)3 (20 kDa)
alpha-Biotinyl-omega-trimethoxysilyl poly(ethylene glycol)
weight 20000 Da
RL-4050 PFB-mercaptopropionyl-TOTA-Biotin
Perfluorobiphenyl-mercaptopropionyl-TOTA-Biotin
PEG1970 HS-dPEG(4)-COOH
15-Mercapto-4,7,10,13-tertaoxa-pentadecanoic acid
CAS-No. 749247-06-1
PEG6710 Trt-S-PEG(4)-COOH*H2O
15-Tritylmercapto-4,7,10,13-tetraoxapentadecanoic acid
CAS-No. 882847-05-4 net
PEG1945 Ac-S-dPEG(4)-NHS
15-Acetylthio-4,7,10,13-tetraoxa-pentadecanoic acid succinimidyl ester
CAS-No. 937025-17-7
Formula C17H27NO 9 S
weight 421,46 g/mol
PEG1740
15-(4-Methoxytrityl)thio-4,7,10,13-tertaoxa-pentadecanoic acid
CAS-No. 1263047-31-9
Formula C 31H38 O 7S
Mol. weight 554,69 g/mol
PEG2230
N-[3-(o-Pyridyldisulfido)propanoyl]-15-amino-4,7,10,13-tetraoxa-pentadecanoyl succinimidyl ester
CAS-No. 1334177-95-5
Formula C 23 H33 N3 O 9
Mol. weight 559,65 g/mol
back to content arrow-up
PEG1120 HS-PEG(8)-COOH
alpha-Thio-omega-(propionic acid) octa(ethylene glycol)
CAS-No. 866889-02-3
Formula C19 H38 O 10 S
Mol. weight 458,57 g/mol
PEG1955
1-Acetylthio-3,6,9,12,15,18,21,24-octaoxaheptacosan-27-oic acid succinimidyl ester
CAS-No. 1070798-99-0
Formula C 25H43 NO 13 S
Mol. weight 597,67 g/mol
alpha-(4-Methoxytrityl)thio-octa(ethylene glycol)-omega-propionic acid
CAS-No. 1334177-82-0
Formula C 39 H 54O 11 S
Mol. weight 730,91 g/mol
PEG2240
alpha-[3-(o-Pyridyldisulfido)propanoylamido]-omega-succinimidyl ester octa(ethylene glycol)
CAS-No. 1252257-56-9
Formula C 31H49 N3 O 13 S
Mol. weight 735,86 g/mol
PEG1119
Propionic acid octa(ethylene glycol)-disulfid
CAS-No. 873013-93-5
Formula C 38 H74O 20 S 2
Mol. weight 915,11 g/mol
PEG1188
N-Hydroxy-succinimidy-propionate octa(ethylene glycol)-disulfid
CAS-No. 947601-98-1
Formula C 46 H 80 N2
Mol. weight 1109,26 g/mol
HS
PEG2000 HS-FA-PEG(12)-COOH
alpha-(11-Mercapto-undecanoylamido)-omega-carboxy dodeca(ethylene glycol)
Formula C 38 H75NO 15 S Mol. weight 818,06 g/mol
PEG3440 HS-dPEG™(12)-COOH
alpha-Thio-omega-(propionic acid) dodeca(ethylene glycol)
CAS-No. 1032347-93-5
Formula C 27H 54O 14 S Mol. weight 634,77 g/mol
PEG3630 Ac-S-dPEG™(12)-NHS
alpha-Acethylthio-omega-(succinimidyl propionate) dodeca(ethylene glycol)
CAS-No. 1334169-95-7
Formula C 33 H 59 NO 17S
Mol. weight 773,88 g/mol
PEG4600 Mmt-S-dPEG™(12)-COOH
alpha-(4-Methoxytrityl)thio-dodeca(ethylene glycol)-omega-propionic acid
CAS-No. 1334169-94-6
Formula C 47H70 O 15 S
Mol. weight 907,11 g/mol
alpha-[3-(o-Pyridyldisulfido)propanoylamido]-omega-succinimidyl ester dodeca(ethylene glycol)
CAS-No. 924280-65-9
Formula C 39 H 65N3 O 17S 2
Mol. weight 912,07 g/mol
PEG5060
alpha-Acethylthio-omega-(succinimidyl propionate) 24(ethylene glycol)
Formula C 57H107NO 29 S
Mol. weight 1302,51 g/mol back to content arrow-up
PEG2260 OPSS-PEG(24)-NHS
alpha-[3-(o-Pyridyldisulfido)propanoylamido]-omega-succinimidyl ester 24(ethylene glycol)
924280-65-9
PEG7900 OPSS-PEG(30)-NHS
alpha-(o-Pyridyldisulfido)-omega-succinimidyl propio
nate 30(ethylene glycol)
1633,94
PEG3920 OPSS-dPEG™(36)-NHS
alpha-[3-(o-Pyridyldisulfido)propanoylamido]-ome
ga-(succinimidyl propionate) 36(ethylene glycol)
CAS-No. 924280-65-9
Formula C 87H161
weight 1969,33 g/mol
PEG1099 HS-PEG-COOH (3 kDa)
alpha-Thio-omega-carboxy poly(ethylene glycol)
weight 3000 Da
PEG1100 HS-PEG-COOH (5 kDa)
alpha-Thio-omega-carboxy poly(ethylene glycol)
weight 5000 Da
PEG1098 HS-PEG-COOH (10 kDa)
alpha-Thio-omega-carboxy poly(ethylene glycol)
weight 10000 Da
PEG1216 OPSS-PEG-NHS (3 kDa)
alpha-Pyridyl-2-disulfid-omega-carboxy succinimidyl ester poly(ethylene glycol)
weight 3000 Da
PEG1217 OPSS-PEG-NHS (5 kDa)
alpha-Pyridyl-2-disulfid-omega-carboxy succinimidyl ester poly(ethylene glycol)
weight 5000 Da
PEG1215 OPSS-PEG-NHS (10 kDa)
alpha-Pyridyl-2-disulfid-omega-carboxy succinimidyl ester poly(ethylene glycol)
weight 10000 Da
PEG4720 OPSS-PEG-NHS (20 kDa)
alpha-Pyridyl-2-disulfid-omega-carboxy succinimidyl ester poly(ethylene glycol)
weight 20000 Da
PEG1200 Trt-S-PEG-NHS (3 kDa)
alpha-Tritylthio-omega-carboxy succinimidyl ester poly(ethylene glycol)
weight 3000 Da
PEG1201 Trt-S-PEG-NHS (5 kDa)
alpha-Tritylthio-omega-carboxy succinimidyl ester poly(ethylene glycol)
weight 5000 Da
PEG1199 Trt-S-PEG-NHS (10 kDa)
alpha-Tritylthio-omega-carboxy succinimidyl ester
poly(ethylene glycol)
Mol. weight 10000 Da
PEG6675 Trt-S-PEG-SQA (3 kDa)
alpha-3-(Tritylmercapto)propionyl-omega-squaric acid
ethyl ester poly(ethylene glycol)
Mol. weight 3000 Da
PEG6680 Trt-S-PEG-SQA (5 kDa)
alpha-3-(Tritylmercapto)propionyl-omega-squaric acid
ethyl ester poly(ethylene glycol)
Mol. weight 5000 Da
PEG6665 Trt-S-PEG-SQA (10 kDa)
alpha-3-(Tritylmercapto)propionyl-omega-squaric acid
ethyl ester poly(ethylene glycol)
Mol. weight 10000 Da
PEG6670 Trt-S-PEG-SQA (20 kDa)
alpha-3-(Tritylmercapto)propionyl-omega-squaric acid
ethyl ester poly(ethylene glycol)
Mol. weight 20000 Da
PEG1197 H2 N-PEG-SH*HCl (3 kDa)
alpha-Amino-omega-mercapto poly(ethylene glycol)
weight 3000 Da
PEG1198 H2 N-PEG-SH*HCl (5 kDa)
alpha-Amino-omega-mercapto poly(ethylene glycol)
weight 5000 Da
PEG1196 H2 N-PEG-SH*HCl (10 kDa)
alpha-Amino-omega-mercapto poly(ethylene glycol)
PEG1027 H2 N-PEG-Strt (3 kDa)
alpha-Amino-omega-tritylthio poly(ethylene glycol)
3000 Da
PEG1028 H2 N-PEG-Strt (5 kDa)
alpha-Amino-omega-tritylthio poly(ethylene glycol)
weight 5000 Da
PEG1026 H2 N-PEG-Strt (10 kDa)
alpha-Amino-omega-tritylthio poly(ethylene glycol)
weight 10000 Da
PEG1114 Boc-NH-PEG-SH (3 kDa)
alpha-t-Butyloxycarbonylamino-omega-mercapto poly(ethylene glycol)
weight 3000 Da
PEG1115 Boc-NH-PEG-SH (5 kDa)
alpha-t-Butyloxycarbonylamino-omega-mercapto poly(ethylene glycol)
weight 5000 Da
PEG1113 Boc-NH-PEG-SH (10 kDa)
alpha-t-Butyloxycarbonylamino-omega-mercapto poly(ethylene glycol)
weight 10000 Da
PEG1102 HS-PEG-CONH-NH-Boc (3 kDa)
alpha-Thio-omega-t-butyloxycarbonyl-hydrazido poly(ethylene glycol)
weight 3000 Da
PEG1103 HS-PEG-CONH-NH-Boc (5 kDa)
alpha-Thio-omega-t-butyloxycarbonyl-hydrazido poly(ethylene glycol)
weight 5000 Da
PEG1101 HS-PEG-CONH-NH-Boc (10 kDa)
alpha-Thio-omega-t-butyloxycarbonyl-hydrazido poly(ethylene glycol)
Mol. weight 10000 Da
PEG7010 Trt-S-EEE
S-Trityl-2-(2-(2-mercaptoethoxy)ethoxy)ethanol
CAS-No. 728033-15-6
Formula C 25H28 O 3
Mol. weight 408,55 g/mol
PEG6730 Trt-S-EEEE
S-Trityl-2-(2-(2-(2-mercaptoethoxy)ethoxy)ethoxy) ethanol
CAS-No. 125607-10-5
Formula C 27H32O4 S
Mol. weight 452,61 g/mol
PEG2095 Ac-S-TEG-OH
S-Acetyl-mercapto-tetra(ethylene glycol)
CAS-No. 223611-42-5
Formula C10 H20 O 5 S
Mol. weight 252,33 g/mol
PEG3470 MeO-dPEG™(4)-SH
alpha-Methoxy-omega-mercapto tetra(ethylene glycol)
CAS-No. 52190-55-3
Formula C9 H20 O4 S
Mol. weight 224,32 g/mol
PEG2470 Ac-S-OEG-OH
S-Acetyl-mercapto-octa(ethylene glycol)
CAS-No. 223611-42-5
Formula C18 H36 O 9 S
Mol. weight 428,54 g/mol
Product details
PEG1167 MeO-PEG(7)-SH
alpha-Methoxy-omega-mercapto hepta(ethylene glycol)
CAS-No. 651042-82-9
Formula C15H32O 7S
Mol. weight 356,48 g/mol
PEG1195 MeO-PEG(7)-SS-PEG(7)-OMe
Methoxy-hepta(ethylen glycol)-disulfid
710,93 g/mol
PEG5310 HO-PEG(8)-SH
alpha-Hydroxy-omega-mercapto octa(ethylene glycol)
Formula C16 H34O 8
Mol. weight 386,5 g/mol
PEG3480 MeO-dPEG™(8)-SH
alpha-Methoxy-omega-mercapto octa(ethylene glycol)
CAS-No. 651042-83-0
Formula C17H36 O 8 S Mol. weight 400,53 g/mol
PEG2010 HS-FA-PEG(8)-OH
alpha-(11-Mercapto-undecanoylamido)-omega-hydroxy octa(ethylene glycol)
Mol. weight 569,79 g/mol
PEG3790 Ac-S-dPEG™(12)-OH
alpha-Acethylthio-omega-hydroxy dodeca(ethylene glycol)
CAS-No. 165729-83-9
Formula C 26 H 52O 13
Mol. weight 604,75 g/mol
PEG3490 MeO-dPEG™(12)-SH
alpha-Methoxy-omega-mercapto dodeca(ethylene glycol)
CAS-No. 134874-49-0
Formula C 25H 52O 12
Mol. weight 576,74 g/mol
PEG5460 HO-PEG-SH (5 kDa)
alpha-Hydroxy-omega-mercapto poly(ethylene glycol)
Formula HO-CH2 -CH2 -PEG-CH2 -CH2 -SH
Mol. weight 5000 Da
PEG5470 HO-PEG-SH (3 kDa)
alpha-Hydroxy-omega-mercapto poly(ethylene glycol)
Formula HO-CH2 -CH2 -PEG-CH2 -CH2 -SH
Mol. weight 3000 Da
PEG5450 HO-PEG-SH (10 kDa)
alpha-Hydroxy-omega-mercapto poly(ethylene glycol)
Formula HO-CH2 -CH2 -PEG-CH2 -CH2 -SH
weight 10000 Da
PEG1018 HO-PEG-NH-CO-CH2CH2 -SH (3 kDa)
alpha-Hydroxy-omega-(3-mercaptopropionyl)-poly(ethylene glycol)
weight 3000 Da
PEG1019 HO-PEG-NH-CO-CH2CH2 -SH (5 kDa)
alpha-Hydroxy-omega-(3-mercaptopropionyl)-poly(ethylene glycol)
Mol. weight 5000 Da
PEG1017 HO-PEG-NH-CO-CH2CH2 -SH (10 kDa)
alpha-Hydroxy-omega-(3-mercaptopropionyl)-poly(ethylene glycol)
Mol. weight 10000 Da
PEG1024 HO-PEG-STrt (3 kDa)
alpha-Hydroxy-omega-tritylthio poly(ethylene glycol)
Mol. weight 3000 Da
PEG1025 HO-PEG-STrt (5 kDa)
alpha-Hydroxy-omega-tritylthio poly(ethylene glycol)
Mol. weight 5000 Da
PEG1023 HO-PEG-STrt (10 kDa)
alpha-Hydroxy-omega-tritylthio poly(ethylene glycol)
Mol. weight 10000 Da
PEG1172 MeO-PEG-SH (750 Da)
alpha-Methoxy-omega-mercapto poly(ethylene glycol)
Mol. weight 750 Da
PEG1169 MeO-PEG-SH (2 kDa)
alpha-Methoxy-omega-mercapto poly(ethylene glycol)
Mol. weight 2000 Da
PEG1171 MeO-PEG-SH (5 kDa)
alpha-Methoxy-omega-mercapto poly(ethylene glycol)
weight 5000 Da
PEG1168 MeO-PEG-SH (10 kDa)
alpha-Methoxy-omega-mercapto poly(ethylene glycol)
weight 10000 Da
PEG1170 MeO-PEG-SH (20 kDa)
alpha-Methoxy-omega-mercapto poly(ethylene glycol)
weight 20000 Da
PEG4745 MeO-PEG-OPSS (750 Da)
alpha-Methoxy-omega-pyridyl-2-disulfid poly(ethylene glycol)
weight 750 Da
PEG4750 MeO-PEG-OPSS (2 kDa)
alpha-Methoxy-omega-pyridyl-2-disulfid poly(ethylene glycol)
weight 2000 Da
PEG4755 MeO-PEG-OPSS (5 kDa)
alpha-Methoxy-omega-pyridyl-2-disulfid poly(ethylene glycol)
weight 5000 Da
PEG4760 MeO-PEG-OPSS (10 kDa)
alpha-Methoxy-omega-pyridyl-2-disulfid poly(ethylene glycol)
Mol. weight 10000 Da
PEG4765 MeO-PEG-OPSS (20 kDa)
alpha-Methoxy-omega-pyridyl-2-disulfid poly(ethylene glycol)
Mol. weight 20000 Da
PEG1122 HS-PEG-SH (2 kDa)
Product details
alpha,omega-Bis-mercapto poly(ethylene glycol) HS
Mol. weight 2000 Da
PEG1124 HS-PEG-SH (3 kDa)
alpha,omega-Bis-mercapto poly(ethylene glycol) HS
Mol. weight 3000 Da
PEG1125 HS-PEG-SH (6 kDa)
alpha,omega-Bis-mercapto poly(ethylene glycol)
Mol. weight 6000 Da
HS
PEG1121 HS-PEG-SH (10 kDa)
alpha,omega-Bis-mercapto poly(ethylene glycol)
weight 10000 Da
PEG1123 HS-PEG-SH (20 kDa)
alpha,omega-Bis-mercapto poly(ethylene glycol)
weight 20000 Da
PEG4715 OPSS-PEG-OPSS (2 kDa)
alpha,omega-Bis(pyridyl-2-disulfid) poly(ethylene glycol)
weight 2000 Da
PEG4725 OPSS-PEG-OPSS (3 kDa)
alpha,omega-Bis(pyridyl-2-disulfid) poly(ethylene glycol)
weight 3000 Da
PEG4730 OPSS-PEG-OPSS (6 kDa)
alpha,omega-Bis(pyridyl-2-disulfid) poly(ethylene glycol)
weight 6000 Da
PEG4735 OPSS-PEG-OPSS (10 kDa)
alpha,omega-Bis(pyridyl-2-disulfid) poly(ethylene glycol)
weight 10000 Da
PEG4740 OPSS-PEG-OPSS (20 kDa)
alpha,omega-Bis(pyridyl-2-disulfid) poly(ethylene glycol)
Mol. weight 20000 Da
PEG3500
Lipoamide-dPEG™(4)-COOH
alpha-Lipoamide-omega-(propionic acid) tetra(ethylene glycol)
CAS-No. 1334172-69-8
Formula C19 H35NO 7S 2 Mol. weight 453,61 g/mol
PEG7480
Lipoamide-dPEG™(4)-TFP
alpha-Lipoamide-omega-(propionic acid 2,3,5,6-tetrafluorophenyl ester) tetra(ethylene glycol)
Formula C 25H35F4NO 7S
weight 601,67 g/mol
PEG3510
Lipoamide-dPEG™(8)-COOH
alpha-Lipomide-omega-(propionic acid) octa(ethylene glycol)
CAS-No. 1334172-70-1
Formula C 27H 51NO 11 S 2 Mol. weight 629,82 g/mol
PEG7490
Lipoamide-dPEG™(8)-TFP
alpha-Lipoamide-omega-(propionic acid 2,3,5,6-tetrafluorophenyl ester) octa(ethylene glycol)
Formula C 33 H 51F4NO 11 S 2 Mol. weight 777,88 g/mol
PEG3520
Lipoamide-dPEG™(12)-COOH
alpha-Lipoamide-omega-(propionic acid) dodeca(ethylene glycol)
CAS-No. 1334172-71-2 Formula
weight 806,03 g/mol
PEG7500
Lipoamide-dPEG™(12)-TFP
alpha-Lipoamide-omega-(propionic acid 2,3,5,6-tetrafluorophenyl ester) dodeca(ethylene glycol)
PEG3540
Lipoamide-dPEG™(24)-COOH
alpha-Lipoamide-omega-(propionic acid) 24(ethylene glycol)
CAS-No. 1334172-71-2
Formula C 59 H115NO 27S 2 Mol. weight 1334,66 g/mol
PEG7510
Lipoamide-dPEG™(24)-TFP
alpha-Lipoamide-omega-(propionic acid 2,3,5,6-tetrafluorophenyl ester) 24(ethylene glycol)
Formula C 65H115F4NO 27S 2
Mol. weight 1482,72 g/mol
PEG7520
Lipoamide-dPEG™(36)-TFP
alpha-Lipoamide-omega-(propionic acid 2,3,5,6-tetrafluorophenyl ester) 36(ethylene glycol)
Formula C 89 H163 F4NO 39 S 2
Mol. weight 2011,35 g/mol
PEG3570
Lipoamide-dPEG™(3)-biotin
alpha-Lipoamide-omega-biotinyl tri(ethylene glycol)
CAS-No. 1334172-74-5
Formula C 28 H 50 N4O 6 S 3
Mol. weight 634,91 g/mol
PEG3580
Lipoamide-dPEG™(11)-biotin
alpha-Lipoamide-omega-biotinyl undeca(ethylene glycol)
960069-81-2
959,28
PEG7530
Lipoamide-dPEG™(23)-biotin
alpha-Lipoamide-omega-biotinyl 23(ethylene glycol)
weight 1487,91 g/mol
PEG3550
Lipoamide-dPEG™(3)-mal
alpha-Lipoamide-omega-maleimido tri(ethylene glycol)
1334172-72-3
559,74 g/mol
PEG3560
Lipoamide-dPEG™(11)-mal
alpha-Lipoamide-omega-maleimido undeca(ethylene glycol)
1334172-73-4
884,11
PEG3590
Lipoamide-dPEG™(4)-OMe
alpha-Lipoamide-omega-methoxy tetra(ethylene glycol)
1334172-66-5
weight 395,58 g/mol
PEG3600
Lipoamide-dPEG™(8)-OMe
alpha-Lipoamide-omega-methoxy octa(ethylene glycol)
CAS-No. 1334172-67-6
PEG3610 Lipoamide-dPEG™(12)-OMe
alpha-Lipoamide-omega-methoxy dodeca(ethylene glycol)
CAS-No. 1334172-68-7
Formula
748 g/mol
PEG3620 Lipoamide-dPEG™(24)-OMe
alpha-Lipoamide-omega-methoxy 20(ethylene glycol)
CAS-No. 1334172-68-7
Formula C 57H113 NO
weight 1276,63 g/mol
CAS-No. 7423-55-4
Formula
{2-[2-(2,5-Dioxo-2,5-dihydro-1H-pyrrol-1-yl)ethoxy] ethoxy}acetic
CAS-No. 173323-23-4
Formula C10 H13 NO
243,21 g/mol PEG1555 mal-PEG(2)-COOH
3-(2-(2-(3-Maleimidopropanamido)ethoxy)ethoxy)
CAS-No. 756525-98-1
Formula C14H20 N2O 7
weight 328,32 g/mol
3-(2-(2-(3-Maleimidopropanamido)ethoxy)ethoxy) propanoic acid succinimidyl ester
955094-26-5
3-(2-(2-(3-Maleinimidopropanamido)ethoxy)ethoxy) propanoic acid 2,3,5,6-tetrafluorophenyl ester
1-Maleimido-3-oxo-7,10,13,16-tetraoxa-4-azanonadecan-19-oic acid
CAS-No. 1263045-16-4
weight 416,42 g/mol
15-[(3-Maleimid-1-yl)propanoylamido]-4,7,10,13-tetraoxa-pentadecanoyl succinimidyl ester
CAS-No. 756525-99-2
Formula C 22H31N3 O
weight 513,5 g/mol
1-Maleinimido-3-oxo-7,10,13,16-tetraoxa-4-azanonadecan-19-oic acid 2,3,5,6-tetrafluorophenyl ester
PEG5110 Mal-L-Lys(Mal)-dPEG™(4)-COOH
15-(N-alpha,N-epsilon-Bis(3-(maleimido)propionyl)-L-lysinyl-amino)-4,7,10,13-tetraoxa-pentadecanoic acid
2,3,5,6-Tetrafluorophenyl 15-(N-alpha,N-epsilon-bis(3-(maleimido)propionyl)-L-lysinyl-amino)-4,7,10,13-tetraoxa-pentadecanoate
alpha-Maleimido-hexa(ethylene glycol)-omega-propionic acid
CAS-No. 1334177-79-5
Formula
25-Maleimido-23-oxo-4,7,10,13,16,19-hexaoxa-22-azapentacosanoic acid succinimidyl ester
1137109-21-7 Formula
1-Maleimido-3-oxo-7,10,13,16,19,22,25,28-octaoxa-4-azahentriacontan-31-oic acid
CAS-No. 1334177-86-4
Mol. weight 592,63 g/mol
1-Maleimido-3-oxo-7,10,13,16,19,22,25,28-octaoxa-4-azahentriacontan-31-oic acid succinimidyl ester
CAS-No. 756525-93-6
Formula C 30 H47N3 O 15
Mol. weight 689,71 g/mol
1-Maleinimido-3-oxo-7,10,13,16,19,22,25,28-octaoxa-4-azahentriacontan-31-oic acid 2,3,5,6-tetrafluorophenyl ester
Formula
Mol. weight 740,69 g/mol
alpha-(3-(Maleinimido-1-yl)propanamido)-omega-(propionic acid)-dodecae(ethylene glycol)
871133-36-7
1-Maleimido-3-oxo-7,10,13,16,19,22,25,28,31,34,37,40-do
decaoxa-4-azatritetracontan-43-oic acid succinimidyl
326003-46-7
865,92
alpha-Maleinimido-omega-(2,3,5,6-tetrafluorophenyl propionate) dodeca(ethylen glycol)
alpha-Maleimido-24(ethylene glycol)-omega-propionic
871133-36-7
alpha-Maleimido-24(ethylene glycol)-omega-propionic acid succinimidyl ester
326003-46-7
1394,55 g/mol
alpha-Maleinimido-24(ethylen glycol)-omega-propionic acid 2,3,5,6-tetrafluorophenyl ester
1445,53 g/mol
PEG1209 mal-PEG(27)-NHS
alpha-Maleimido-omega-carboxy succinimidyl ester 27(ethylene glycol)
Formula C 70 H127N3 O 35
Mol. weight 1570,76 g/mol
PEG7590 mal-dPEG™(36)-TFP
alpha-Maleinimido-36(ethylen glycol)-omega-propionic acid 2,3,5,6-tetrafluorophenyl ester
Formula C 88 H156 F4N2O41
Mol. weight 1974,16 g/mol
PEG7600 mal-dPEG™(24)-dPEG™(24)-TFP
alpha-Maleinimido-bis[24(ethylen glycol)]-omega-pro
pionic acid 2,3,5,6-tetrafluorophenyl ester
Formula C115H209 F4N3 O 54
Mol. weight 2573,87 g/mol
PEG1059 mal-PEG-COOH (3 kDa)
alpha-Maleimido-omega-carboxy poly(ethylene glycol)
weight 3000 Da
PEG1060 mal-PEG-COOH (5 kDa)
alpha-Maleimido-omega-carboxy poly(ethylene glycol)
Mol. weight 5000 Da
PEG1058 mal-PEG-COOH (10 kDa)
alpha-Maleimido-omega-carboxy poly(ethylene glycol)
weight 10000 Da
PEG1062 mal-PEG-NHS (3 kDa)
alpha-Maleimido-omega-carboxy succinimidyl ester
3000 Da
PEG1063 mal-PEG-NHS (5 kDa)
alpha-Maleimido-omega-carboxy succinimidyl ester
5000 Da
PEG1061 mal-PEG-NHS (10 kDa)
alpha-Maleimido-omega-carboxy succinimidyl ester
10000 Da
PEG6930
DOTA-PEG(11)-MAL*2TFA
alpha-(1,4,7,10-tetraazacyclododecan-1,4,7,10-tetraacetate)-undeca(ethylene glycol)-omega-maleimido
1325728-37-7
PEG6910
alpha-(1,4,7,10-tetraazacyclododecan-1,4,7,10-tetraacetate tri-t-butyl ester)-undeca(ethylene glycol)-omega-maleimido
PEG6940
DOTA-PEG(23)-MAL*2TFA
alpha-(1,4,7,10-tetraazacyclododecan-1,4,7,10-tetraacetate)-23(ethylene glycol)-omega-maleimido bistrifluoroacetate
PEG6920 DOTA(t Bu3)-PEG(23)-MAL
alpha-(1,4,7,10-tetraazacyclododecan-1,4,7,10-tetraacetate tri-t-butyl ester)-23(ethylene glycol)-omega-mal-
PEG2375 MeO-PEG(4)-mal
alpha-Methoxy-omega-maleimido tetra(ethylene glycol)
PEG2380 MeO-PEG(8)-mal alpha-Methoxy-omega-maleimido
PEG1665 MeO-dPEG(12)-mal
Maleimidyl-N-(2,5,8,11,14,17,20,23,26,29,32,35-dodecaoxaheptatriacontan-37-yl)propanamide
PEG1675 MeO-dPEG(24)-mal
alpha-Methoxy-omega-maleimidyl-propanamide 24(ethylene glycol)
CAS-No. 88504-24-9
PEG7350 Mal-PEG(4)-Lys(Fluorescein)-NH-PEG(24)-OMe
N-alpha-(maleinimido-tetra(ethylene glycol))-epsilon-(5(6)-carboxyfluorescein)-L-lysine alpha-(mPEG(24))
PEG3360
alpha-Methoxy-omega-maleimidyl-propanamide
PEG3370
alpha-Methoxy-omega-maleimidyl-propanamide
88504-24-9
2296,7
PEG7360 Mal-PEG(12)-[PEG(24)-OMe]
Maleinimido-PEG(12)-[PEG(24)-OMe]
PEG7370 Mal-PEG(12)-[PEG(24)-COOH]
Maleinimido-PEG(12)-[PEG(24)-propionic acid]
PEG2310 mal-PEG(4)-[PEG(4)-OMe]
Maleimido-PEG(4)-[PEG(4)-OMe]
CAS-No. 1333154-72-5
PEG7470 Mal-PEG(4)-[mPEG(12)] 3
Maleinimidyl-PEG(4)-[PEG(11)-OMe] 3
PEG3420 mal-PEG(4)-[PEG(24)-OMe]
CAS-No. 1334178-05-0
Formula
PEG7300 Mal-PEG(4)-Lys-NH-PEG(24)-OMe*TFA
N-alpha-(maleinimido-tetra(ethylene glycol))-L-lysine alpha-(mPEG(24)) ester trifluoroacetate
Formula
O 33*CF 3 CO 2H
weight 1614,9*114,02 g/mol
PEG7290
Mal-PEG(4)-Lys(Boc)-NH-PEG(24)-OMe
N-alpha-(maleinimido-tetra(ethylene glycol))-epsilon-(t-butyloxycarbonyl)-L-lysine alpha-(mPEG(24)) ester
Formula C 78 H147N 5 O
PEG7250
Mal-PEG(4)-Glu-PEG(24)-OMe
N-alpha-(maleinimido-tetra(ethylene glycol))-L-glutamic acid alpha-(mPEG(24)) ester
PEG7260
Mal-PEG(4)-Glu(TFP)-PEG(24)-OMe
N-alpha-(maleinimido-tetra(ethylene glycol))-gamma-(2,3,5,6-tetrafluorophenyl)-L-glutamic acid alpha-(mPEG(24)) ester
Formula C 78 H134F4N4O 35
weight 1763,9 g/mol
PEG7270 Mal-PEG(4)-Glu(TFP)-PEG(4)-Glu(TFP)-PEG(24)OMe
N-maleinimido-bis[tetra(ethylene glycol))-gamma-(2,3,5,6-tetrafluorophenyl)-L-glutamyl]-(mPEG(24))
N,N‘-(6-(6-aminohexylamino)-6-oxohexane-1,5-diyl) bis(3-maleinimido-propanamide)
CAS-No. 1301738-40-8
Formula C 26 H38 N 6 O 7 *CF 3 CO 2H Mol. weight 546,62*114,02 g/mol
Bis-(1,13-(3-maleimidopropionyl)amido)-4,7,10-trioxatridecane
CAS-No. 756525-89-0
Formula
weight 522,55 g/mol
alpha,omega-Bis-[(3-maleimid-1-yl)propanoylamido] undeca(ethylene glycol)
CAS-No. 854753-78-9
Formula C 38 H 62N4O 17
Mol. weight 846,92 g/mol
PEG1127 mal-PEG-mal (2 kDa)
alpha,omega-Bis-maleimido poly(ethylene glycol)
weight 2000 Da
PEG1129 mal-PEG-mal (3 kDa)
alpha,omega-Bis-maleimido poly(ethylene glycol)
Mol. weight 3000 Da
Product details
PEG1130 mal-PEG-mal (6 kDa)
alpha,omega-Bis-maleimido poly(ethylene glycol)
PEG1126 mal-PEG-mal (10 kDa)
alpha,omega-Bis-maleimido poly(ethylene glycol)
PEG1128 mal-PEG-mal (20 kDa)
alpha,omega-Bis-maleimido poly(ethylene glycol)
weight 20000 Da
PEG7670 Mal-PEG(12)-[PEG(11)-Mal]
Maleinimido-PEG(12)-[PEG(11)-amido-maleinimide]
Bis-Mal-Lysine-PEG(4)-PEG(12)-tris(mPEG(24))
PEG7680 Bromoacetamido-PEG(12)-[PEG(11)-bromoacetamide]
Bromoacetamido-PEG(12)-tris[PEG(11)-bromoacetami-
PEG1016 HO-PEG(8)-OH Octa-ethylene glycol
CAS-No. 5117-19-1
PEG1015 HO-PEG(12)-OH
Dodeca-ethylene
PEG1009 HO-PEG(28)-OH
1251,49 g/mol
PEG1011 HO-PEG-OH (2 kDa)
alpha,omega-Bis-hydroxy poly(ethylene glycol)
CAS-No. 25322-68-3
Mol. weight 2000 Da
PEG1013 HO-PEG-OH (3 kDa)
alpha,omega-Bis-hydroxy poly(ethylene glycol)
CAS-No. 25322-68-3
Mol. weight 3000 Da
PEG1014 HO-PEG-OH (6 kDa)
alpha,omega-Bis-hydroxy poly(ethylene glycol)
CAS-No. 25322-68-3
Mol. weight 6000 Da
PEG1010 HO-PEG-OH (10 kDa)
alpha,omega-Bis-hydroxy poly(ethylene glycol)
CAS-No. 25322-68-3
Mol. weight 10000 Da
PEG1012 HO-PEG-OH (20 kDa)
alpha,omega-Bis-hydroxy poly(ethylene glycol)
CAS-No. 25322-68-3
Mol. weight 20000 Da
PEG1032 MeO-PEG(7)-OH
Hepta(ethylene glycol) methylether
CAS-No. 4437-01-8
Formula C15H32O 8
Mol. weight 340,41 g/mol
PEG1038 MeO-PEG(11)-OH
Undecae(ethylene glycol) methylether
CAS-No. 9004-74-4
Formula C 23 H48 O 12
Mol. weight 516,62 g/mol
PEG3270 MeO-dPEG™(23)-OH
alpha-Methoxy-omega-hydroxy-23(ethylene glycol) MeO
CAS-No. 9004-74-4
Formula C 47H96 O 24
Mol. weight 1045,25 g/mol
PEG3280 MeO-dPEG™(36)-OH
alpha-Methoxy-omega-hydroxy-36(ethylene glycol)
CAS-No. 9004-74-4
Formula C 73 H148 O 37
Mol. weight 1617,93 g/mol
PEG1037 MeO-PEG-OH (750 Da)
alpha-Methoxy-omega-hydroxy poly(ethylene glycol)
CAS-No. 9004-74-4
Mol. weight 750 Da
PEG1034 MeO-PEG-OH (2 kDa)
alpha-Methoxy-omega-hydroxy poly(ethylene glycol)
CAS-No. 9004-74-4
Mol. weight 2000 Da
PEG1036 MeO-PEG-OH (5 kDa)
alpha-Methoxy-omega-hydroxy poly(ethylene glycol) MeO
CAS-No. 9004-74-4
Mol. weight 5000 Da
PEG1033 MeO-PEG-OH (10 kDa)
alpha-Methoxy-omega-hydroxy poly(ethylene glycol)
CAS-No. 9004-74-4
Mol. weight 10000 Da
PEG1035 MeO-PEG-OH (20 kDa)
alpha-Methoxy-omega-hydroxy poly(ethylene glycol)
CAS-No. 9004-74-4
Mol. weight 20000 Da
PEG1218 MeO-PEG-OMs (5 kDa)
alpha-Methoxy-omega-mesitylate poly(ethylene glycol)
Mol. weight 5000 Da
PEG5210 MeO-dPEG™(8)-DSPE
(2R)-3-((hydroxy(26-oxo-2,5,8,11,14,17,20,23-octaoxa27-azanonacosan-29-yl)oxy)phosphoryl)oxy)propane-1,2-diyl distearate
Formula C 59 H116 NO 17P
Mol. weight 1142,52 g/mol
PEG0306 Palm3 -Cys-PEG-OH (3 kDa)
alpha-[(O,O‘-N-Trispalmitoyl)-2-amino-5,6-dihydroxy-4-thiahexanoylamido]-omega-hydroxy poly(ethylene glycol)
Mol. weight 3000 Da
PEG0506 Palm3 -Cys-PEG-OH (5 kDa)
alpha-[(O,O‘-N-Trispalmitoyl)-2-amino-5,6-dihydroxy-4-thiahexanoylamido]-omega-hydroxy poly(ethylene glycol)
Mol. weight 5000 Da
PEG1135 MeO-PEG-Br (750 Da)
alpha-Methoxy-omega-bromo poly(ethylene glycol)
Mol. weight 750 Da
PEG1132 MeO-PEG-Br (2 kDa)
alpha-Methoxy-omega-bromo poly(ethylene glycol)
weight 2000 Da
PEG1134 MeO-PEG-Br (5 kDa)
alpha-Methoxy-omega-bromo poly(ethylene glycol)
weight 5000 Da
PEG1131 MeO-PEG-Br (10 kDa)
alpha-Methoxy-omega-bromo poly(ethylene glycol)
weight 10000 Da
PEG1133 MeO-PEG-Br (20 kDa)
alpha-Methoxy-omega-bromo poly(ethylene glycol)
weight 20000 Da
PEG1145 MeO-PEG-CHO (750 Da)
alpha-Methoxy-omega-formyl poly(ethylene glycol)
weight 750 g/mol
PEG1142 MeO-PEG-CHO (2 kDa)
alpha-Methoxy-omega-formyl poly(ethylene glycol)
weight 2000 Da
PEG1144 MeO-PEG-CHO (5 kDa)
alpha-Methoxy-omega-formyl poly(ethylene glycol)
Mol. weight 5000 Da
PEG1141 MeO-PEG-CHO (10 kDa)
alpha-Methoxy-omega-formyl poly(ethylene glycol)
Mol. weight 10000 Da
PEG1143 MeO-PEG-CHO (20 kDa)
alpha-Methoxy-omega-formyl poly(ethylene glycol)
Mol. weight 20000 Da
PEG1179 OHC-PEG-CHO (2 kDa)
alpha,omega-Bis-formyl poly(ethylene glycol)
Mol. weight 2000 Da
PEG1181 OHC-PEG-CHO (3 kDa)
alpha,omega-Bis-formyl poly(ethylene glycol)
Mol. weight 3000 Da
PEG1182 OHC-PEG-CHO (6 kDa)
alpha,omega-Bis-formyl poly(ethylene glycol)
Mol. weight 6000 Da
PEG1178 OHC-PEG-CHO (10 kDa)
alpha,omega-Bis-formyl poly(ethylene glycol)
weight 10000 Da
PEG1180 OHC-PEG-CHO (20 kDa)
alpha,omega-Bis-formyl poly(ethylene glycol)
weight 20000 Da
PEG4790 MeO-PEG-Si(OMe)3 (2 kDa)
alpha-Methoxy-omega-trimethoxysilyl poly(ethylene glycol)
weight 2000 Da
PEG4795 MeO-PEG-Si(OMe)3 (5 kDa)
alpha-Methoxy-omega-trimethoxysilyl poly(ethylene glycol)
weight 5000 Da
PEG4800 MeO-PEG-Si(OMe)3 (10 kDa)
alpha-Methoxy-omega-trimethoxysilyl poly(ethylene glycol)
weight 10000 Da
PEG4805 MeO-PEG-Si(OMe)3 (20 kDa)
alpha-Methoxy-omega-trimethoxysilyl poly(ethylene glycol)
weight 20000 Da
back to content arrow-up
PEG1076 Br-PEG-Br (2 kDa)
alpha,omega-Bis-bromo poly(ethylene glycol)
weight 2000 Da
PEG1078 Br-PEG-Br (3 kDa)
alpha,omega-Bis-bromo poly(ethylene glycol)
weight 3000 Da
PEG1079 Br-PEG-Br (6 kDa)
alpha,omega-Bis-bromo poly(ethylene glycol)
weight 6000 Da
PEG1075 Br-PEG-Br (10 kDa)
alpha,omega-Bis-bromo poly(ethylene glycol)
weight 10000 Da
PEG1077 Br-PEG-Br (20 kDa)
alpha,omega-Bis-bromo poly(ethylene glycol)
weight 20000 Da
RL-3980 Mal-PEG(4)-SNAP
N-(4-(((2-amino-9H-purin-6-yl)oxy)methyl)benzyl)-3-(2(3-(2,5-dioxo-2,5-dihydro-1H-pyrrol-1-yl)propanamido) ethoxy)propanamide
CAS-No. 1151762-31-0
Formula
weight 536,55 g/mol
RL-4000 OPSS-PEG(4)-SNAP
N-(4-(((2-amino-9H-purin-6-yl)oxy)methyl)benzyl)-3-(2-(3-(pyridin-2-yldisulfaneyl)propanamido)ethoxy)
CAS-No. 2278175-10-1
RL-3680 Halo-PEG(2)-NH2*HCl
12-Chloro-3,6-dioxa-dodecan-1-amine hydrochloride
CAS-No. 1035373-85-3
Formula C10 H22ClNO 2*HCl
weight 223,74*36,46 g/mol
RL-3690
Halo-PEG(4)-NH2*HCl
18-Chloro-3,6,9,12-tetraoxa-octadecan-1-amine
drochloride
CAS-No. 1261238-20-3
Formula C14H30 ClNO4*HCl
Mol. weight 311,85*36,46 g/mol
RL-3470 Fmoc-AEEP-DMB
(9-Fluorenylmethyloxycarbonyl)amino-PEG(2)-Dtpp
PEG8150 Fmoc-PEG(4)-Dde
1-(9H-Fluorenylmethyloxycarbonylamino)-15-(4,4-dimethyl-2,6-dioxocyclohexylidene)-3,6,9,12-tetraoxapentadecyl-15-ol
CAS-No. 2093409-87-9
Formula C 34H43 NO 9
weight 609,71 g/mol
PEG7640 Formyl-PEG(12)-mal
alpha-(4-formyl-benzamido)-omega-(ethylenediamino-maleinimido)-dodeca(ethylene glycol)
PEG5220 Mal-dPEG™(12)-DSPE
(2R)-3-((((46-(2,5-dioxo-2,5-dihydro-1H-pyrrol-1-yl)4,44-dioxo-7,10,13,16,19,22,25,28,31,34,37,40-dodecaoxa3,43-diazahexatetracontyl)oxy)(hydroxy)phosphoryl) oxy)propane-1,2-diyldistearate
Formula C 75H140 N3 O 24P
Mol. weight 1498,89 g/mol
. circle-arrow-right You did not find the PEG of your choice?
Inquire with our Custom Synthesis Department.
PGA1125 N3 -PGA(20)
Azido-ethyltri(ethylene glycol)-poly(L-glutamic acid)
PGA1130 N3 -PGA(50)
Azido-ethyltri(ethylene glycol)-poly(L-glutamic acid)
PGA1135 N3 -PGA(100)
Azido-ethyltri(ethylene glycol)-poly(L-glutamic acid)
PGA1140 N3 -PGA(200)
Azido-ethyltri(ethylene glycol)-poly(L-glutamic acid)
PGA1290 n Bu-PGA(20)[PEG2-N3 (20)]
n-Butyl-poly(L-glutamic acid gamma-azido-ethyltri(ethylene glycol) amide) sodium salt (1020mol% azido substitution)
PGA1295 n Bu-PGA(50)[PEG2-N3 (20)]
n-Butyl-poly(L-glutamic acid gamma-azido-ethyltri(ethylene glycol) amide) sodium salt (1020mol% azido substitution)
Mol. weight 9100 Da
PGA1300 n Bu-PGA(100)[PEG2-N3 (20)]
n-Butyl-poly(L-glutamic acid gamma-azido-ethyltri(ethylene glycol) amide) sodium salt (1020mol% azido substitution)
Mol. weight 18300 Da
PGA1305 n Bu-PGA(200)[PEG2-N3 (20)]
n-Butyl-poly(L-glutamic acid gamma-azido-ethyltri(ethylene glycol) amide) sodium salt (1020mol% azido substitution)
Mol. weight 36700 Da
PGA1490 n Bu-PGA(20)[mPEG(20)]
n-Butyl-poly(L-glutamic acid gamma-(omega-methoxyhepta(ethylene glycol))) sodium salt (10-20mol% mPEG substitution)
Mol. weight 4300 Da
PGA1495 n Bu-PGA(50)[mPEG(20)]
n-Butyl-poly(L-glutamic acid gamma-(omega-methoxyhepta(ethylene glycol))) sodium salt (10-20mol% mPEG substitution)
Mol. weight 10900 Da
PGA1500 n Bu-PGA(100)[mPEG(20)]
n-Butyl-poly(L-glutamic acid gamma-(omega-methoxyhepta(ethylene glycol))) sodium salt (10-20mol% mPEG substitution)
Mol. weight 21800 Da
PGA1505 n Bu-PGA(200)[mPEG(20)]
n-Butyl-poly(L-glutamic acid gamma-(omega-methoxyhepta(ethylene glycol))) sodium salt (10-20mol% mPEG substitution)
Mol. weight 40600 Da
. circle-arrow-right
Interested in PEG alternatives and poly amino acids?
Download our brochure!
back to content arrow-up
As business activity of Iris Biotech GmbH impacts people’s lives and health, it must be operated in ethical and correct manner and act with integrity and responsibility. To ensure high ethical standards and fair business practices, Iris Biotech GmbH applies an integrated policy known as its Code of Conduct.
In 2001 Iris Biotech GmbH was founded just at the beginning of the Biotech movement and the first remarkable breakthrough of biotech pharma products. Although the biotech field is rather young compared to other industries we believe on long-term business, a good partnership between our business partners and Iris Biotech GmbH and a good reputation. It is our duty as well as our responsibility to maintain and to extend this over the next generations – based on the principles of an honourable and prudent tradesman which based upon the concept of honourable entrepreneurship.
This Code of Conduct has been developed following the “Voluntary Guidelines for Manufacturers of Fine Chemical Intermediates and Active Ingredients” issued by AIME (Agrochemical & Intermediates Manufacturers in Europe) and the requirements of some of our business associates.
Iris Biotech GmbH commits to hold this Code of Conduct and to include and apply its principles in the management system and the company policies.
Iris Biotech GmbH undertakes business in an ethical manner and acts with integrity. All corruption, extortion and embezzlement are prohibited. We do not pay or accept bribes or participate in other illegal inducements in business or government relationships. We conduct our business in compliance with all applicable anti-trust laws. Employees are encouraged to report concerns or illegal activities in the workplace, without threat of reprisal, intimidation or harassment.
Iris Biotech GmbH is committed to uphold the human rights of workers and to treat them with dignity and respect. Child labour, workplace harassment, discrimination, and harsh and inhumane treatment are prohibited. Iris Biotech GmbH respects the rights of the employees to associate freely, join or not join labour unions, seek representation and join workers’ councils. Employees are paid and their working timetable is established according to applicable wage and labour laws. Employees are able to communicate openly with management regarding working conditions without threat of reprisal, intimidation or harassment.
Contracts and Secrecy Agreements are binding and the confidential information received is only used for intended purposes. Clear management and organizational structures exist to provide efficient normal working and to address problems quickly. Know-how is protected and intellectual property isrespected.
Iris Biotech GmbH provides a safe and healthy working environment to the employees and protects them from overexposure to chemical and physical hazards. Products are produced, stored and shipped under the guidelines of the relevant chemical and safety legislation. Risks and emergency scenarios are identified and evaluated, and their possible impact is minimized by implementing emergency plans and written procedures. Safety information regarding hazardous materials is available to educate, train and protect workers from hazards. Preventive equipment and facilities maintenance is performed at suitable periods to reduce potential hazards. Employees are regularly trained in health and safety matters and are informed about product properties and risk classification when it is required.
Iris Biotech GmbH operates in an environmentally responsible and efficient manner, minimizing adverse impacts on the environment. Waste streams are managed to ensure a safe handling, movement, storage, recycling and reuse, before and after being generated. Systems to prevent and mitigate accidental spills and releases to the environment are in place. All required environmental permits and licenses are obtained and their operational and reporting requirements are complied with.
A quality management system following the Good Distribution Practices (GDP rules) of Active Pharmaceutical Ingredients is established covering all the aspects of the worldwide distribution of products. Regular audits are performed to evaluate the efficiency and fulfilling of the quality system. Process controls to provide reproducible product quality are established. There are preventive maintenance procedures to ensure plant reliability and the lowest risk of failure. Staff is trained periodically about GMP and GDP rules. Procedures are established and installations are designed to avoid cross contamination. Batch and analytical records are kept for inspection and audit purposes for suitable periods according guidelines.
Research and development staff education is appropriate to their functional activity and they are trained to develop, optimize and scale-up the processes. Intellectual property is respected and knowhow protected. Development of manufacturing processes reflects the principles of the Green Chemistry according to the American Chemical Society Green Chemistry Institute. Animal testing is not used unless alternatives are not scientifically valid or accepted by regulators. If animal testing is carried out, animals are treated so that pain and stress are minimized.
back to content arrow-up
All orders placed by a buyer are accepted and all contracts are made subject to the terms which shall prevail and be effective notwithstanding any variations or additions contained in any order or other document submitted by the buyer. No modification of these terms shall be binding upon Iris Biotech GmbH unless made in writing by an authorised representative of Iris Biotech GmbH.
Every order made by the buyer shall be deemed an offer by the buyer to purchase products from Iris Biotech GmbH and will not be binding on Iris Biotech GmbH until a duly authorised representative of Iris Biotech GmbH has accepted the offer made by the buyer. Iris Biotech GmbH may accept orders from commercial, educational or government organisations, but not from private individuals and Iris Biotech GmbH reserves the right to insist on a written order and/or references from the buyer before proceeding.
There is no minimum order value. At the time of acceptance of an order Iris Biotech GmbH will either arrange prompt despatch from stock or the manufacture/acquisition of material to satisfy the order. In the event of the latter Iris Biotech GmbH will indicate an estimated delivery date. In addition to all its other rights Iris Biotech GmbH reserves the right to refuse the subsequent cancellation of the order if Iris Biotech GmbH expects to deliver theproduct on or prior to the estimated delivery date. Time shall not be of the essence in respect of delivery of the products. If Iris Biotech GmbH is unable to deliver any products by reason of any circumstances beyond its reasonable control („Force Majeure“) then the period for delivery shall be extended by the time lost due to such Force Majeure. Details of Force Majeure will be forwarded by Iris Biotech GmbH to the buyer as soon as reasonably practicable.
Prices are subject to change. For the avoidance of doubt, the price advised by Iris Biotech GmbH at the time of the buyer placing the order shall supersede any previous price indications. The buyer must contact the local office of Iris Biotech GmbH before ordering if further information is required. Unless otherwise agreed by the buyer and Iris Biotech GmbH, the price shall be for delivery ex-works. In the event that the buyer requires delivery of the products otherwise than ex-works the buyer should contact the local office of Iris Biotech GmbH in order to detail its requirements. Iris Biotech GmbH shall, at its discretion, arrange the buyer‘s delivery requirements including, without limitation, transit insurance, the mode of transit (Iris Biotech GmbH reserves the right to vary the mode of transit if any regulations or other relevant considerations so require) and any special packaging requirements (including cylinders). For the avoidance of doubt all costs of delivery and packaging in accordance with the buyer‘s requests over and above that of delivery in standard packaging ex-works shall be for the buyer‘s account unless otherwise agreed by both parties. Incoterms 2020 shall apply. Any tax, duty or charge imposed by governmental authority or otherwise and any other applicable taxes, duties or charges shall be for the buyer‘s account. Iris Biotech GmbH may, on request and where possible, provide quotations for multiple packs or bulk quantities, and non-listed items. Irrespective of the type of request or means of response all quotations must be accepted by the buyer without condition and in writing before an order will be accepted by Iris Biotech GmbH. Unless agreed in writing on different terms, quotations are valid for 30 days from the date thereof. Payment terms are net 30 days from invoice date unless otherwise agreed in writing. Iris Biotech GmbH reserves the right to request advance payment at its discretion. For overseas transactions the buyer shall pay all the banking charges of Iris Biotech GmbH. The buyer shall not be entitled to withhold or set-off payment for the products for any reason whatsoever. Government/
Corporate Visa and MasterCard (and other such credit cards) may be accepted on approved accounts for payment of the products. Personal credit cards are not acceptable. Failure to comply with the terms of payment of Iris Biotech GmbH shall constitute default without reminder. In these circumstances Iris Biotech GmbH may (without prejudice to any other of its rights under these terms) charge interest to accrue on a daily basis at the rate of 2% per month from the date upon which payment falls due to the actual date of payment (such interest shall be paid monthly). If the buyer shall fail to fulfil the payment terms in respect of any invoice of Iris Biotech GmbH Iris Biotech GmbH may demand payment of all outstanding balances from the buyer whether due or not and/or cancel all outstanding orders and/or decline to make further deliveries or provision of services except upon receipt of cash or satisfactory securities. Until payment by the buyer in full of the price and any other monies due to Iris Biotech GmbH in respect of all other products or services supplied or agreed to be supplied by Iris Biotech GmbH to the buyer (including but without limitation any costs of delivery) the property in the products shall remain vested in Iris Biotech GmbH.
The buyer shall inspect goods immediately on receipt and inform Iris Biotech GmbH of any shortage or damage within five days. Quality problems must be notified within ten days of receipt. Goods must not be returned without prior written authorisation of Iris Biotech GmbH. Iris Biotech GmbH shall at its sole discretion replace the defective products (or parts thereof) free of charge or refund the price (or proportionate price) to buyer. Opened or damaged containers cannot be returned by the buyer without the written prior agreement of Iris Biotech GmbH. In the case of agreed damaged containers which cannot be so returned, the buyer assumes responsibility for the safe disposal of such containers in accordance with all applicable laws.
Products are analysed in the Quality Control laboratories of Iris Biotech GmbH’s production partners by methods and procedures which Iris Biotech GmbH considers appropriate. In the event of any dispute concerning reported discrepancies arising from the buyer’s analytical results, determined by the buyer’s own analytical procedures, Iris Biotech GmbH reserves the right to rely on the results of own analytical methods of Iris Biotech GmbH. Certificates of Analysis or Certificates of Conformity are available at the discretion of Iris Biotech GmbH for bulk orders but not normally for prepack orders. Iris Biotech GmbH reserves the right to make a charge for such certification. Specifications may change and reasonable variation from any value listed should not form the basis of a dispute. Any supply by Iris Biotech GmbH of bespoke or custom product for a buyer shall be to a specification agreed by both parties in writing. Technical information, provided orally, in writing, or by electronic means by or on behalf of Iris Biotech GmbH, including any descriptions, references, illustrations or diagrams in any catalogue or brochure, is provided for guidance purposes only and is subject to change.
All chemicals should be handled only by competent, suitably trained persons, familiar with laboratory procedures and potential chemical hazards. The burden of safe use of the products of Iris Biotech GmbH vests in the buyer. The buyer assumes all responsibility for warning his employees, and any persons who might reasonably be expected to come into contact with the products, of all risks to person and property in any way connected with the products and for instructing them in their safe handling and use. The buyer also assumes the responsibility for the safe disposal of all products in accordance with all applicable laws.
back to content arrow-up
All products of Iris Biotech GmbH are intended for laboratory research purposes and unless otherwise stated on product labels, in the catalogue and product information sheet of Iris Biotech GmbH or in other literature furnished to the buyer, are not to be used for any other purposes, including but not limited to use as or as components in drugs for human or animal use, medical devices, cosmetics, food additives, household chemicals, agricultural or horticultural products or pesticides. Iris Biotech GmbH offers no warranty regarding the fitness of any product for a particular purpose and shall not be responsible for any loss or damage whatsoever arising there from. No warranty or representation is given by Iris Biotech GmbH that the products do not infringe any letters patent, trademarks, registered designs or other industrial rights. The buyer further warrants to Iris Biotech GmbH that any use of the products in the United States of America shall not result in the products becoming adulterated or misbranded within the meaning of the Federal Food, Drug and Cosmetic Act (or such equivalent legislation in force in the buyer‘s jurisdiction) and shall not be materials which may not, under sections 404, 505 or 512 of the Act, be introduced into interstate commerce. The buyer acknowledges that, since the products of Iris Biotech GmbH are intended for research purposes, they may not be on the Toxic Substances Control Act 1976 („TSCA“) inventory. The buyer warrants that it shall ensure that the products are approved for use under the TSCA (or such other equivalent legislation in force in the buyer‘s jurisdiction), if applicable. The buyer shall be responsible for complying with any legislation or regulations governing the use of the products and their importation into the country of destination (for the avoidance of doubt to include, without limitation, the TSCA and all its amendments, all EINECS, ELINCS and NONS regulations). If any licence or consent of any government or other authority shall be required for the acquisition, carriage or use of the products by the buyer the buyer shall obtain the same at its own expense and if necessary produce evidence of the same to Iris Biotech GmbH on demand. Failure to do so shall not entitle the buyer to withhold or delay payment. Any additional expenses or charges incurred by Iris Biotech GmbH resulting from such failure shall be for the buyer‘s account. Save for death or personal injury caused by negligence of Iris Biotech GmbH, sole obligation of Iris Biotech GmbH and buyer‘s exclusive remedy with respect to the products proved to the satisfaction of Iris Biotech GmbH to be defective or products incorrectly supplied shall be to accept the return of said products to Iris Biotech GmbH for refund of the actual purchase price paid by the buyer (or proportionate part thereof), or replacement of the defective product (or part thereof) with alternative product. Iris Biotech GmbH shall have no liability to the buyer under or arising directly or indirectly out of or otherwise in connection with the supply of products by Iris Biotech GmbH to the buyer and/or their re-sale or use by the buyer or for any product, process or services of the buyer which in any way comprises the product in contract tort (including negligence or breach of statutory duty) or otherwise for pure economic loss, loss of profit, business, reputation, depletion of brand, contracts, revenues or anticipated savings or for any special indirect or consequential damage or loss of any nature except as may otherwise be expressly provided for in these terms. All implied warranties, terms and representations in respect of the products (whether implied by statute or otherwise) are excluded to the fullest extent permitted by law. The buyer shall indemnify Iris Biotech GmbH for and against any and all losses, damages and expenses, including legal fees and other costs of defending any action, that Iris Biotech GmbH may sustain or incur as a result of any act or omission by the buyer, its officers, agents or employees, its successors or assignees, its customers or all other third parties, whether direct or indirect, in connection with the use of any product. For the avoidance of doubt and in the event that Iris Biotech GmbH supplies bespoke or custom product to the buyer‘s design or specification, this indemnity shall extend to include any claim by a third party that the manufacture of the product for the buyer or the use of the product by the buyer infringes the intellectual property rights of any third party.
Iris Biotech GmbH shall be entitled to assign or sub-contract all or any of its rights and obligations hereunder. The buyer shall not be entitled to assign, transfer, sub-contract or otherwise delegate any of its rights or obligations hereunder. Any delay or forbearance by Iris Biotech GmbH in exercising any right or remedy under these terms shall not constitute a waiver of such right or remedy. If any provision of these terms is held by any competent authority to be invalid or unenforceable in whole or in part the validity of the other provisions of these terms and the remainder of the provision in question shall not be affected. These terms shall be governed by German Law and the German Courts shall have exclusive jurisdiction for the hearing of any dispute between the parties save in relation to enforcement where the jurisdiction of the German Courts shall be non-exclusive.
Iris Biotech GmbH
Adalbert-Zoellner-Str. 1 95615 Marktredwitz Germany
+49 (0) 9231 97121-0
+49 (0) 9231 97121-99 info@iris-biotech.de www.iris-biotech.de
The list contains the current distributors of Iris Biotech in different regions of the world. The latest list of distribution partners and contact details is available at: www.iris-biotech.de/distribution-partner
China:
Chengdu Yoo Technology Co., Ltd.
Japan:
BizCom Japan, Inc.
Shigematsu & Co., Ltd
Cosmo Bio Co., Ltd.
USA & Canada: Peptide Solutions LLC
India, Bangladesh, Oman, Sri Lanka, United Arab Emirates: Sumit Biosciences Pvt Ltd.
Singapore, Thailand, Malaysia, Indonesia, Vietnam, Philippines, Brunei, Burma (Myanmar), Laos, Cambodia, Timor-Leste:
SciClix Pte. Ltd.