1 - Cerchiari-Giordani_Feeding and Swallowing Disorders in Infant with neuronal Damage

Page 1


The project is being implemented with the support of UNICEF Ukraine and with financial support from the Government of Norway.

Implemented by: Partner:

Feeding and Swallowing Disorders

in Infant, Children and Young People with Neuronal Damage.

Antonella Cerchiari

Speech Language Pathologist

Program Coordinator Feeding and Swallowing Services

U.O.C. Day Hospital Neuroriabilitazione e attivit‡ sportiva

adattata

Carolina Giordani

Speech Language Therapist

U.O.C. Oncoematologia, trapianto emopoietico e terapie cellulari trial

Material provided by Antonella erchiari

Overview

Introduction: feeding and swallowing disorders in neurological damage

Definition and terminology

Common signs and symptoms of dysphagia in neurologically impaired children

An assessment and management protocol:

Interdisciplinary feeding/swallowing team approach

Assessment process:

– Family, developmental and feeding history

– Physical examination of oral structure

– Development milestones

– Upper airway and Cardiopulmonary features

– Feeding observation

Instrumental evaluation:

– Fiberoptic Endoscopic Evaluation

– Videofluoroscopic swallowing study

Treatment principles and perspectives: needs and objectives

Prevention of complications due to aspiration: tube feeding

Material provided by Antonella erchiari

INTRODUCTION

Feeding problems and disorders swallowing are very common in infant and children with neurological damage.

About 80% of pediatric population with neurological disabilities has these difficulties

Cerebral palsy is the most common type of neurologic problem associated with swallowing problems

Material provided by Antonella erchiari

Introduction : Feeding and swallowing disorders in children with brain demage

Swallowing feeding disorders are often diagnosed after multiple hospitalisations for breathing infections.

Feeding and swallowing disorders have enormous consequences for the health of the child and the quality of life of the whole family. It is important to make an early diagnosis.

Feeding and swallowing disorders are the principal cause of death in severely disabled children.

More than 90% of children with cerebral palsy die from pneumonia.

Material provided by Antonella erchiari

Introduction : Feeding and swallowing disorders in children with brain demage

Feeding and swallowing disorders are the principal cause of death in severely disabled children.

More than 90% of children with cerebral palsy die from pneumonia.

Swallowing feeding disorders are often diagnosed after multiple hospitalisations for breathing infections.

Feeding and swallowing disorders have enormous consequences for the health of the child and the quality of life of the whole family. It is important to make an early diagnosis.

Material provided by Antonella erchiari

Introduction : Feeding and

swallowing

disorders in children with brain demage

Extent of the Problem

✓ improved survival rates

✓ development of diagnostic techniques

✓ more understanding of the issue

✓ increased life expectancy in children with neuromotor disabilities

Material provided by Antonella erchiari

Definition and Terminology:

Feeding disorders:

Problems in a broad range of feeding activities that may or may not be accompanied by a difficulty with swallowing food or/and liquid.

J.C. Arvedson 2008
Material provided by Antonella erchiari

Definition and Terminology:

Swallowing disorders:

Dysphagia in one or more phases of swallowing.

Dysphagia: a swallowing disorders.

(J.C. Arvedson 2008)

Oral phase

Pharyngeal Phase

pharyngeal/e sophageal phases

Esophageal phase

Definition and Terminology

Swallowing disorders - Dysphagia

Penetration

The bolus and/or oral secretion goes into the laryngeal vestibule but remains above the vocal cords

Material provided by Antonella erchiari

Definition and Terminology

Swallowing disorders - Dysphagia

Aspiration

The bolus and/or oral secretion goes into the larynx, passes through the vocal cords and goes down in to the lungs

Material provided by Antonella erchiari

Penetration Aspiration Scale

Material provided by Antonella erchiari

Aspiration:

Definition and Terminology

Unintentional movement of liquid, food or oral secretion that enters the airways and goes to the trachea moving belove the vocal cords.

Anterograde Aspiration:

Happens during swallowing

pre-swallowing aspiration

intra-swallowing aspiration

post-swallowing aspiration

Aspiration Retrograde: Happens during gastro-oesophageal reflux and oesophageal reflux

(S. R. Jadcherla 2010)
Material provided by Antonella erchiari

Prerequisites for the development of feeding and swallowing skills and comparison with NEUROLOGICAL DAMAGE

Normo-typical Brain development

Anatomical integrity of structures

Stability and postural control

Impaired conduction of neuronal signals and (sometime) epilepsy medications

Anatomical integrity of structures

Adequate food experiences

Lack of motor control, instability Hypotonia

Oro-facial Dyskinesia

Limited food sensory development

Material provided by Antonella erchiari

Signs and Symptoms of Dysphagia

Swallowing

is the ability to swallow food and liquids without functional deficits, manage oral secretions and satisfy nutritional needs through oral feeding.

Material provided by Antonella erchiari

Signs and Symptoms of Dysphagia

✓ Choking

✓ Aspiration and pneumonia

✓ Prolonged mealtime

✓ Posterior drooling

✓ Malnutrition and/or dysidratation

✓ Poor growth

✓ Feeding with consistency and unsuitable food for the child’s development stage

✓ Feeding tube

✓ Anatomical changes

Material provided by Antonella erchiari

Anatomical & Functional Differences in Swallowing: Children vs. Adults

Material provided by Antonella erchiari

antonella.cerchiari@opbg.net

Development of feeding abilities

The development of feeding and swallowing skills begins in the womb.

At the twelfth week of gestation, the baby starts to swallow amniotic fluid.

The baby is an active part of intrauterine life.

During intrauterine life, the first motor and sensory experiences are started.

Sensory experiences Motor experiences

Feeding ability development

Gastrointestinal

Otorinholaryngological

Cognitive-behavioural

Maxillofacial

neurological

Clinical conditions

Material provided by Antonella erchiari

Feeding ability development

Red Flags

✓ Low-Stimulation Environment

✓ Non-Developmental Situations.

✓ Absence of Daily Routines

✓ Negative Experiences

Environmental condition

Material provided by Antonella erchiari

Feeding ability development

Specifications

Size and form

Sensory difficulties: hyper- or hyposensitivity

Upper limbs: does not touch, does not bring to the mouth, does not get their hands dirty

Does not eat independently

Perioral region: does not want the mouth to be dirty, cleans quickly, gags, cries, turns the face away

Remains with a dirty mouth

Leaves food residues in the mouth

Overfills the mouth excessively

Feeding ability development

Weaning block

Texture

Specifications

Taste

Temperature

Size and form

•Holds food in the mouth

•Refuses food

•Eats only a few types of food

•Frequently gags

•Often coughs

•Continues using infant feeding and non-feeding aids for too long

•Does not eat independently

•Difficulty articulating sounds

Material provided by Antonella erchiari

provided by Antonella erchiari

Material

Interdisciplinary Feeding/swallowing team

Material provided by Antonella erchiari

Interdisciplinary Feeding/swallowing team

Collaboration is Crucial in Pediatric Dysphagia

Cannot, efficiently treat feeding and swallowing disorders in vacum

Material provided by Antonella erchiari

Overview

Introduction: feeding and swallowing disorders in neurological damage

Definition and terminology

Common signs and symptoms of dysphagia in neurologically impaired children

An assessment and management protocol:

Interdisciplinary feeding/swallowing team approach

Assessment process:

– Family, developmental and feeding history

– Physical examination of oral structure

– Development milestones

– Upper airway and Cardiopulmonary features

– Feeding observation

Instrumental evaluation:

– Fiberoptic Endoscopic Evaluation

– Videofluoroscopic swallowing study

Treatment principles and perspectives: needs and objectives

Prevention of complications due to aspiration: tube feeding

Material provided by Antonella erchiari

The assessment of paediatric feeding and swallowing abilities often represents an activity that cannot be postponed due to the complexity of pathologies and the presence of associated conditions. In the paediatric age, early intervention on swallowing and feeding aspects is fundamental to the child's health status. Failure to address swallowing disorders could create sequelae for the rest of the child's and family's life in terms of health, growth and quality of life.

The aim of the assessment is to establish the anatomical integrity of the structures and the correct action of the districts involved in the feeding and swallowing functions.

Material provided by Antonella erchiari

Useful concepts for assessment

The assessment of feeding and swallowing disorders consists of two phases:

• Clinical assessment

- General and feeding history

- General physical and orofacial structure evaluation

- Meal-time evaluation

• Instrumental assessment – to be performed only if necessary

Material provided by Antonella erchiari

(Prasse 2010; Wilson 2009; Arvedson 2008 - 2002; Marrara 2008; Pettigrew 2007; Bernard-Bonin 2006 ; Boseley 2006; Thoyre 2005; Schwarz 2001; Newmann 2000; Hartinick 2000; Boyle 1991; Darrow 1998; Thomas 1998; Kramer 1993) .

Questions

1. How long does it take to feed the child ?

2. Is the child totally dependent on others for feeding?

3. Does the child refuse food?

4. Are mealtimes stressful?

5. Has the child slowed or stopped gaining weight in the previous 2–3 months?

6. Are there any signs of respiratory distress?

7. Does the child vomit regularly? When?

8. Does the child get irritable or become lethargic during mealtimes?

Joan C. Arvedson 2008
Material provided by Antonella erchiari

✓ Children born preterm

✓ Immature infant

✓ Low birth weight infants

✓ Children with growth deficits

✓ Infants who do not latch to breast or bottle

✓ Infants who refuse spoon feeding

Material provided by Antonella

✓ Children with respiratory/pulmonary disorders

✓ Children with recurrent respiratory infections

✓ Children coughing during and after meals

✓ Children with otitis media and sinusitis

✓ Children with GERD (gastroesophageal reflux disease)

✓ Children with neurological disorders

erchiari

Feeding and Swallowing Disorders - OPBG Protocol

Pediatric

Screening

Priority Evaluation

Dysphagia

Clinical Examination

Medical History

Phisical Examination

Pastmedical/surgical

Temporalmanifestationof disorders

Development History

FeedingHistory

Medication

Globalappearance Oralstructures

Signs/ymptomsdysphagia

Oraland feedingskills

Levelof dependenceor indipendence

Medical

Consultation

Digestive surgery, Pediatrician

Otolaryngology, Dietitian, Neurologist, …..

Management strategy

Treatment techniques

TEAM

MEETING

Functional Assessment

Child: seatand position

Caregiver:seatand position

Texiture,taste and temperature

Feedingequipment

Duration and qualityof the meal

Instrumental examination

FEES, Upper Gastrointestinal Examination,Gastric emptying scan, Videofluoroscopic Swallowing Study, Salivgramma,

Enteral nutrition

Material provided by Antonella erchiari

Screening Dysphagia

Material provided by Antonella erchiari

Screening: Background

✓Infants , children and young people with feeding and swallowing disorders are increasing significantly.

PEDIATRIC POPULATION WITH FEEDING AND SWALLOWING DISORDERS IS:

✓numerous

✓eterogeneous

✓complex conditions

• Greatersensitivityto de issue

• Improvementin medicalcare and tchnologicaldevelopment

• Highesurvival rate for childrenwith serioushealth conditions

INCREASED INCIDENCE OF DYSPHAGIA IN THE PEDIATRIC POPULATION

LONGER HOSPITAL STAY

FREQUENT HOSPITAL ADMISSIONS

INCREASED COSTS

CLINICAL NEEDS: PEDIATRIC DYSPHAGIA Screening

Material provided by Antonella erchiari

Goal of Screening

Identify children at risk of dysphagia

Material provided by Antonella erchiari

Priority Screening- Paediatric

Two levels of risk for dysphagia (low and at-risk) were identified according to PS–PED scores.

The PS–PED allows prioritization of dysphagia management and

according to the level of risk.

Material provided by Antonella erchiari

FEEDING AND SWALLOWING PROTOCOL

Material provided by Antonella erchiari

FEEDING AND SWALLOWING PROTOCOL

Data collection

Medical history and feeding and swallowing iter, are important for the understanding of the problem
The medical history contains all the information, news and sensations that can help clinicians to lead to a diagnosis.
Material provided by Antonella erchiari

FEEDING AND SWALLOWING PROTOCOL

Data collection

Medical history is the first step to form a relationship of trust and cooperation between the clinician and the parent

The medical history emphasizes the psychological and social aspects of the parent to the child's problem.

Material provided by Antonella erchiari

FEEDING AND SWALLOWING PROTOCOL

Data collection

The data, collected through the narration of the parent, should be monitored and controlled through the study of medical records

Material provided by Antonella erchiari

FEEDING AND SWALLOWING PROTOCOL

Medical and Feeding History

➢ GENERALITY: name, surname, …….

➢ PREGNANCY INFORMATION: physiologic, gestosis,…… ➢ CHILDBIRTH INFORMATION: natural o caesarean, …. etc. ➢ INFANT CONDITION AT BIRTH AND AFTER : umbilican cord, weight, cranial circumference, APGAR I and V min. , etc….

Material provided by Antonella erchiari

FEEDING AND SWALLOWING PROTOCOL

Medical and Feeding History

➢ INFANT CARE AFTER BIRTH: ducted, incubator, respiratory support etc

➢ INSIGHIS ABOUT PRIME PATHOLOGY: Heat Disease, Cerebral palsy, respiratory disease, genetic syndromes, epilepsy etc.

➢ INFORMATION ABOUT SECONDARY PATHOLOGY: Respiratory diseas , Gastroesophageal reflux, constipation etc.

➢ INFORMATION ABOUT DRUGS: antiepileptics, antacids medication,…. etc.

FEEDING AND SWALLOWING PROTOCOL

Medical and Feeding History

➢ INSTRUMENTAL EXAMINATION: cerebral ultrasonography, cerebral MRI , etc.

➢ SPECIFIC INSTRUMENTAL EXAMINATION: VFSS, EASF, digestive RX , PH testing etc.

Material provided by Antonella erchiari

FEEDING AND SWALLOWING PROTOCOL

Medical and Feeding History

➢ FEEDING HISTORY: parenteral nutrition, enteral feeding, gavage, tube feeding, oral feeding, breastfeeding, use bottle, use spoon…

➢ CURRENT NUTRITION: breakfast, lunch and dinner, (oral or tube feeding).

Material provided by Antonella erchiari

FEEDING AND SWALLOWING

PROTOCOL

Medical and Feeding History

➢ USE OF NUTRICIONAL AIDS : bottle, glass for child, pacifier.

➢ USE OF AIDS: aspirator (number of aspiration), etc…

➢ REHABILITATION: motor, psychomotor, speech pathologist….

➢ SPECIFIC REHABILITATION: feeding and swollowing disorder

Material provided by Antonella erchiari

FEEDING AND SWALLOWING PROTOCOL

Phisycal examination

EXAMINATION: check of altered parameters.

MANUAL PALPATION: muscle tone, symmetry e mass.

AUSCULTATION: voice,breathing befor and after swallowing and swallowing.

Material provided by Antonella erchiari

FEEDING AND SWALLOWING

PROTOCOL

Phisycal

examination

GENERAL CONDITION: walking, not walking, wheelchir. Postural Control, tracheostomic tube, nasogastric tube , PEG.

VIGILANCE: excitation/depression

FEEDING AND SWALLOWING

PROTOCOL

Phisycal examination

FACIES: face caracteristics,symmetry at rest, symmetry with movement…. (many genetic desorders have unique characteristics! DOWN SYNDROME)

BMI AND NUTRITIONAL STATUS

FEEDING AND SWALLOWING

PROTOCOL

Phisycal examination

MUSCLE TONE: FAT MASS?? .

SKIN AND ORAL MUCOSA: HYPOXIA??

(skin color may indicate the absence of oxigen!)

FEEDING AND SWALLOWING

PROTOCOL

Phisycal examination

MUSCLE TONE: muscle orofacial (force, tone, symmetry) masseter, orbicular cheecks, lips, tongue etc…

MUSCLE ACTIVITY: lip open and close, tongue activity: lateral movement, protrusion, elevation .

FEEDING AND SWALLOWING

PROTOCOL

Phisical examination

TONGUE: color tongue, dry, cracked, wet, velvety,routh…

OROFACIAL

SENSORY

APPARTUS:general these children are hypersensitive! Touch hands, abdomen,face,lip,tongue….

FEEDING AND SWALLOWING

Physical examination

LARYNGEAL ELEVATION: Assess laryngeal elevation by gently palpating the thyroid cartilage during swallowing.

BREATHING AUSCULTATION:

In infants, auscultate the breathing and the swallowing act using a pediatric stethoscope placed directly on the cheek.

FEEDING AND SWALLOWING

Physical examination

SATURATION CONTROL: 90- 100 SPO2 %.

HEART RATE: in infant 130 beast per minute, in child 100 beast per minute.

Physical examination

VALUTAZIONE DEI RIFLESSI ORALI:

punti cardinali, ✓ Morso, ✓ SUZIONE.,

PERMANENZA DEI RIFLESSI INFANTILI INDICA UN IPOSVILUPPO DELLE ABILITA’ DI ALIMENTAZIONE E DEGLUTIZIONE. ✓ vomito ✓ tosse

RIFLESSI DI SICUREZZA

FEEDING AND SWALLOWING

PROTOCOL

functional assessment

Observation during mealtime

CHILD POSTURE: setting on the chair or stay in his mother’s arms .

LINE OUT head-trunk-basin

CARGIVERS POSTURE: must be good and easy to send peace of mind,

FEEDING AND SWALLOWING

PROTOCOL

functional assessment

Observation during mealtime:

RELATION BETWEEN CARGIVERS AND CHILD : EYE CONTACT, BODY CONTACT…..ETC

COMUNICATION IN MEALTIME: verbal comunication, not-

verbal comunication, lack of comunication, etc….

SETTING: QUIET, NOISY , USE OF MUSIC, BOOKS, DISORDERED,… etc

FEEDING AND SWALLOWING PROTOCOL

functional assessment

Observation during mealtime:

FOOD TEXTURE: solid, semisolid,liquid,semiliquid,…..

NUTRITIONAL AIDS: silicon spoon, hard plastic spoon, metal spoon, bottle, short or long teast, glass, cup, etc.

Time of the meal (from 30 to 45 mins)

FEEDING AND SWALLOWING

PROTOCOL

functional assessment

Observation during mealtime

Level of oral motor ability: sucking, chewing, chewing stile,use of glass for drinking ,use of straw, food loss from the mouth…. etc.

Child Reactions : cough, vomiting, refusal, crying, anger, etc.

Caregivers’ Reaction: anxiety, fear, refusal, anger… etc.

QUANTITY OF FOOD : adapted to needs of the child, fluid intake

FEEDING AND SWALLOWING PROTOCOL

functional assessment

Observation during mealtime:

BREATHING AUSCULTATION: in different moment of the meal

SWOLLOWING AUSCULTATION : in different moment of the meal

OXIMETRY MEASUREMENT

Overview

Introduction: feeding and swallowing disorders in neurological damage

Definition and terminology

Common signs and symptoms of dysphagia in neurologically impaired children

An assessment and management protocol:

Interdisciplinary feeding/swallowing team approach

Assessment process:

– Family, developmental and feeding history

– Physical examination of oral structure

– Development milestones

– Upper airway and Cardiopulmonary features

– Feeding observation

Instrumental evaluation:

– Fiberoptic Endoscopic Evaluation

– Videofluoroscopic swallowing study

Treatment principles and perspectives: needs and objectives

Prevention of complications due to aspiration: tube feeding

Instrumental techniques used to evaluate oral, pharyngeal, laryngeal, upper esophageal, and respiratory function may include: VFFSS, Endoscopic assessment of swallowing function.

Fiberoptic endoscopic evaluation of swallowing

ADVANTAGES:

1) no radiation exposure;

2) position of patient is flexible;

3) observation of structures;

4) sensory component;

5) can be repeat frequently.

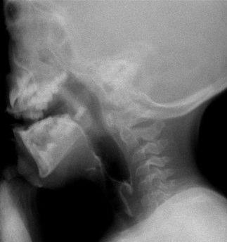
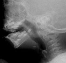
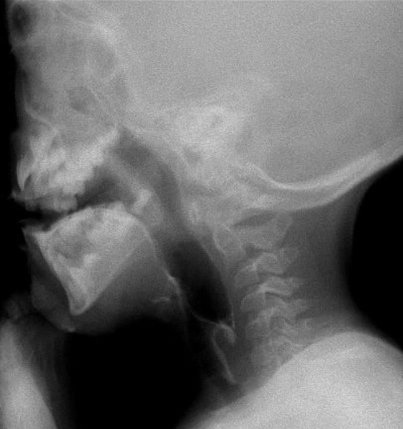
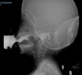
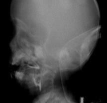
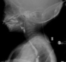
Videofluoroscopy

Videofluoroscopy

ORAL PREPARATORY PHASE IN EATING SOLID FOOD

✓ Loss of food out mouth, pushed out with tounge

✓ Food in anterior sulcus

✓ Limited tongue movement

✓ Problem about turning the food into bolus formation

✓ Food in valleculae and pharynx,

pre swallow

✓ Jaw grading inappropriate

ORAL PREPARATORY PHASE IN DRINKING LIQUID FOOD

✓ Loss of food out mouth

✓ Liquid in anterior sulcus

✓ Limited tongue movement

✓ Food pushed out with tounge

✓ Food in valleculae and pharynx, pre swallow

✓ Jaw grading inappropriate

ORAL PROPULSIVE. PHASE:

✓ Food or liquid remains in anterior and/or lateral sulcus

✓ Food or liquid remains on floor of mouth

✓ Limited posterior tongue movement

✓ Reduced base of tongue action

✓ Tongue-soft palate contact incomplete

✓ Multiple swallows per bolus

✓ Delayed oral transit time

Videofluoroscopy

PHARYNGEAL PHASE

✓ Nasopharyngeal regurgitation

✓ Slow bolus passage through Pharynx

✓ Reduced pharyngeal contraction/motility

✓ Residue cleared with next swallow

✓ Residue not cleared

✓ Reduced hyolaryngeal execursion

✓ Penetration to underside of epiglottis

✓ Penetration to laryngeal vestibule

✓ Aspiration before, during and after swallow

✓ Aspiration respons: not effective cough, no cough – silent aspiration

ESOPHAGEAL PHASE

✓ Slow bolus passage through UES

✓ Residual on UES

✓ Cricopharyngeal dysfunction

✓ Slow bolus passage through esophagus

Videofluoroscopy

Videofluoroscopy

Turn static files into dynamic content formats.

Create a flipbook
Issuu converts static files into: digital portfolios, online yearbooks, online catalogs, digital photo albums and more. Sign up and create your flipbook.