Memorias IncubaFORUM- aviFORUM-CARNE 2023

Page 1

PROTECTING THE PLANET FOR FUTURE

OFRECIENDO MEJORAS EN LA PRODUCTIVIDAD Y SOSTENIBILIDAD

Para la industria del pollo durante los últimos 20 años

EFICIENCIA MEJORADA

El pollo moderno es más eficiente biológicamente por kg de peso vivo: 40

320 gr.

gr.

EXTRA DE RENDIMIENTO CÁRNICO

MENOS DE ALIMENTO USO DEL AGUA

Y además se incrementan la viabilidad, la salud y el bienestar animal a través de la selección balanceada

MEJOR INGESTA DE AGUA = Mejor Salud Intestinal

MENOS 0.57L

Requerido por 1,0 kg de pollo

Mejor calidad de la yacija

Mejor salud plantar

Más uso del agua eficiente y sostenible

POTENCIAL DE CALENTAMIENTO GLOBAL REDUCIDO

Mejora en Índice de Conversión y periodos de crías más cortos =

19 %

DE REDUCCIÓN

DE EMISIONES DE GASES DE EFECTO INVERNADERO

REDUCCIÓN DEL POTENCIAL DE CALENTAMIENTO GLOBAL

Mejor IC = Mejor utilización de los nutrientes

28%MENOR EXCRECIÓN DE NITRATO Y FOSFATO

Progreso de peso vivo, periodos de cría más cortos y menor producción de alimento y transporte=

MENOR USO DE LA TIERRA & MENOS TRANSPORTE

Mejora del I.C. = un pollo de 2,5 kg consume…

0.8 kg DE ALIMENTO MENOS

MENOS ALIMENTOS SUPONE…

42%

MENOS DE TIERRAS AGRÍCOLAS

requeridas para la producción de alimentos para la cría de pollo

ECONÓMICA AMBIENTAL SOCIAL

Descubre más sobre cómo Aviagen® protege el planeta para las generaciones futuras

19 % MENOS DE CONSUMO DE ENERGÍA

18.3%

MENOS VIAJES

Para suministrar materias primas y alimento para pollos

VER ONLINE

GENERATIONS

Editorial

Jornada Técnica Internacional de Incubación y Reproducción Jornada Técnica Internacional sobre la Eficiencia energética

Bienvenidos/as a unas nuevas Jornadas Técnicas Internacionales 2023 aviNews.

Organizar unas Jornadas tan especializadas en España para nosotros es siempre un desafío importante. Pero está claro que para aviNews es un orgullo haber podido reunir de nuevo a un grupo de los mejores profesionales del sector avícola de Europa y América con los mejores profesionales especializados de España.

Sin duda la presencia de tan importantes profesionales incrementa el valor de estas Jornadas y augura la mejor de las expectativas para los asistentes.

El programa de la Jornada Técnica Internacional de incubación y Reproducción INCUBAFORUM aviNews aborda variados e interesantes temas relacionados con la incubación y el arranque de las aves, así como de la nutrición de las reproductoras. Dicho programa, impartido por ponentes de prestigio, es ambicioso y pretende actualizar los aspectos más importantes en el quehacer diario para lograr la máxima calidad de nuestras aves. Nuestro objetivo al diseñarlo es que fuera dirigido a Directores de Integración, Responsables de Salas de Incubación, Veterinarios y Técnicos de Reproductoras y de pollos de engorde.

Organiza Grupo de Comunicación Agrinews SL

Mataró Barcelona España

T: +(34) 93 115 44 15

M: info@agrinews.es

Día jueves 25 y viernes 26 de mayo de 2023

Lugar WANDA METROPOLITANO

Madrid

El programa de la Jornada AVIFORUM CARNE aviNews está hecho con la intención de incidir en la eficiencia energética como base para el ahorro de costos de producción. El otro bloque de la Jornada estará dedicado al Bienestar animal y a las distintas opiniones técnico-científicas existentes en Europa en la actualidad.

Todas nuestras Jornadas intentan además ser un punto de encuentro para compartir experiencias entre los profesionales dedicados a tan altas especializaciones, donde los distintos actores del sector avícola puedan estrechar lazos de comunicación presente y futura. Un lugar donde interactuar para tener al alcance todos los contenidos y conocimientos que hagan que éste nuestro sector avícola de carne, se vea engrandecido.

Llegar a organizar un evento como éste no es fácil, puesto que desarrollar un proyecto de este calibre conlleva un gran esfuerzo y cooperación. Por ello queremos agradecer a todos los ponentes, patrocinadores y colaboradores, así como a todos los profesionales del sector avícola sus muestras de apoyo a nuestras Jornadas.

La organización Grupo Comunicación agriNews

08:30

Recepción y acreditaciones

10:00 - 10:45

Factores que influyen en la incubabilidad

Eduardo Romanini Especialista en Incubación, Investigación y Desarrollo de Petersime

10:45 - 11:30

CON EL APOYO DE

Huevos en el suelo y su efecto en los nacimientos

Juan Carlos López Especialista internacional en incubación

Coffee break 11:30 - 12:30

12:30 - 13:15

Programa

13:15 - 14:00

Desinfección en la incubadora

Opinión, análisis y actualizaciones del proceso de incubación

Almuerzo 14:00 - 16:00

Luc Ledoux Director desarrollo de negocio para Europa de CID LINES, An Ecolab Company CON EL APOYO DE Rodrigo García Director de la sala de incubación de UVESA David Jiménez Zarza Technical manager en Aviagen CON EL APOYO DE CON EL APOYO DE
¡Escanea el código QR y participa en la encuesta!

Eagle Trax™

Las plantas de incubación tienen una gran cantidad de datos valiosos. Desbloquear el potencial de esos datos es una gran oportunidad para mejorar el rendimiento general de las plantas de incubación y de toda la cadena de valor. Con Eagle Trax™, Petersime ofrece el primer software de incubación inteligente que convierte los datos en el máximo rendimiento avícola. Eagle Trax™ le permite digitalizar, analizar y utilizar de manera óptima los datos para incrementar cada vez más la eficiencia, la productividad y la calidad de los pollitos de la planta de incubación.

Con Eagle Trax™, su planta de incubación siempre maximizará el potencial genético de cada huevo fértil y ofrecerá una producción predecible y más rentable de los pollitos de un día para todos los implicados en la cadena de valor avícola.

Escanee para obtener más información:

¡Sigamos en contacto! www.petersime.com
©
-
El software de incubación inteligente que convierte los datos en el máximo rendimiento avícola
Petersime 2023
Todos los derechos reservados.

Factores que influyen en la incubabilidad

10:00 - 10:45 5
Eduardo
incubabilidad
Factores que influyen en la
JUEVES 25 de Mayo

Eduardo Romanini

Eduardo Romanini tiene una sólida formación académica en Ingeniería Agrícola y de Biosistemas. Se graduó (2006) y obtuvo una maestría (2009) de la Universidad de Campinas (Unicamp) - Brasil.

Eduardo Romanini fue responsable del soporte técnico de incubación en América Latina visitando varias plantas de incubación. En el 2018 se unió a la sede central de Investigación & Desarrollo de Petersime en Bélgica para coordinar la investigación y las pruebas de los clientes sobre la incubación y el rendimiento posterior al nacimiento.

Este artículo presenta una visión general de los factores de preincubación más relevantes relacionados con las reproductoras y la calidad y manejo de los huevos antes de la incubación que afecta los resultados de la incubadora.

En primer lugar, la calidad del huevo es el parámetro más importante para el proceso, considerando las propiedades externas e internas y el almacenamiento del huevo.

En segundo lugar, se analizan las condiciones y la duración del almacenamiento de los huevos.

El rendimiento de los pollos de engorde al final del período de engorde depende en parte de la calidad de los pollitos de un día en el momento de la llegada a granja, que se ve muy afectada por las condiciones de incubación, el tiempo de eclosión y el manejo de pollitos después del nacimiento.
1 6 6 Factores que influyen en
incubabilidad
la

A continuación, también analizamos los factores de incubación más relevantes que afectan al tiempo de eclosión, la incubabilidad y la calidad de los pollitos, centrándonos específicamente en cómo manejar la temperatura de la cáscara del huevo y controlar las tasas de ventilación para equilibrar los intercambios de gases y los niveles de humedad en la incubadora. Luego destacamos la importancia de voltear los huevos para lograr resultados óptimos en la incubación.

Condiciones previas a la incubación

Calidad del huevo

Un huevo para incubar es un espacio protegido para que se desarrolle el embrión.

Dentro del huevo se encuentran todos los nutrientes y mecanismos esenciales para apoyar el desarrollo y crecimiento óptimo del embrión.

Sin embargo, mientras el huevo se forma en el tracto reproductivo de la gallina, varios eventos pueden causar irregularidades en el huevo.

Algunas de estas irregularidades afectan la calidad del huevo.

Por lo tanto, la evaluación de la calidad del huevo, tanto de las propiedades externas como internas, debe ser una parte esencial de los procedimientos estandarizados en las plantas de incubación modernas. (Gundran, n.d.-a)

7
Factores que influyen en la incubabilidad

Factores que influyen en la incubabilidad

La calidad del huevo tiene un impacto significativo en la incubabilidad.

Por lo tanto, la calidad de los huevos incubables (fertilidad, espesor de la cáscara, la yema, la albúmina) y la duración de la incubación se ven muy afectadas, entre otros factores, por la edad de las reproductoras (Wolanski et al., 2007; Hamidu et al., 2007).

Por ejemplo, la incubabilidad puede aumentar del 88% para reproductoras jóvenes (27 semanas) a un máximo de 96% a las 40 a 42 semanas antes de caer al 73% para reproductores mayores a las 59 a 61 semanas (Tona et al., 2001).

La menor incubabilidad de los huevos de reproductoras viejas se debe en parte al aumento de la mortalidad embrionaria total.

Además, una cáscara anormal puede ser causada por una nutrición inadecuada (falta de calcio, fósforo, vitamina D), enfermedad o mala condición física de la gallina.

El espesor de la cáscara también está influenciado por la edad de la reproductora.

A medida que la gallina envejece, sus huevos se vuelven más grandes, lo que significa que la proporción de calcio por huevo disminuye, lo que hace que la cáscara del huevo sea más delgada.

A menudo, las caídas en la incubabilidad representan un problema de fertilidad.

La fertilidad suele disminuir con la edad de la reproductora debido a la menor eficiencia de los túbulos de almacenamiento de esperma en gallinas más viejas (Gumułka & Kapkowska, 2005).

8

Si el huevo es infértil (Figura 1), se puede ver un blastodisco con una forma rugosa e irregular. Un blastodisco también es de color más claro y más pequeño que un blastodermo (Gundran, nd-b).

Un huevo fértil se caracteriza por un blastodermo con una apariencia en forma de anillo claramente definida (Figura 1), visto como un anillo blanco simétrico con un área clara en el centro del anillo.
9 Factores que influyen en la incubabilidad
Figura 1. Huevo fértil con blastodermo a la izquierda y óvulo infértil con blastodisco a la derecha

Por ejemplo, una caída repentina en la fertilidad podría indicar un problema de reproducción y una razón para realizar un análisis más profundo.

Los niveles deseados de producción de huevo, alta calidad interna y del huevo, y una incubabilidad óptima no se pueden lograr cuando las reproductoras tienen problemas de salud.

El tipo de información recopilada durante el control de calidad del huevo debe usarse como un mecanismo de retroalimentación a las granjas de reproductores para mejorar su proceso.
10
Factores que influyen en la incubabilidad

La calidad de la yema y la albúmina también son relevantes.

La yema es una parte esencial del huevo para incubable y es una importante fuente de alimento para el embrión en desarrollo.

La condición de la yema se puede investigar realizando un análisis de rotura de huevo fresco.

La yema debe ser clara, no moteada.

La yema moteada es un indicador de estrés en la granja de reproductoras.

El huevo con yema de baja calidad aumenta el riesgo de mortalidad embrionaria temprana durante la incubación.

La albúmina (clara de huevo) proporciona proteínas esenciales para el embrión en desarrollo. También protege al embrión de las bacterias que podrían ingresar al huevo.

La prueba más común para la calidad de la albúmina (realizada durante un análisis de ruptura de huevo fresco) fue inventada por Raymond Haugh.

Después de pesarlo, se rompe un huevo sobre una superficie plana y se usa un calibrador micrométrico para determinar la altura de la albúmina que rodea la yema (Figura 2).

La altura (H) se correlaciona con el peso (W) según la fórmula de la Unidad Haugh: HU = 100 * Log10 (H – 1.7W0.37 + 7.6).

Cuanto mayor sea el número obtenido, mejor será la calidad de la albúmina del huevo.

11 Factores que influyen en la incubabilidad
Figura 2. Ilustración de la altura de la albúmina (H) utilizada para calcular la unidad Haugh como indicador de la calidad de la albúmina.

que influyen en la incubabilidad

Factores

Igualmente importante, los huevos de buena calidad deben tener los niveles de patógenos (bacterias, Escherichia coli, Salmonella, Pseudomonas y Aspergillus) mínimos posibles.

Por lo general, el nivel de contaminación puede variar entre 0 y 0,5% para reproductoras jóvenes y de mediana edad y entre 1% y 2% para lotes viejos.

El nivel de contaminación se puede determinar realizando un análisis de ruptura posterior a la eclosión.

Un aumento repentino de la contaminación caracterizado por explosiones ("huevos bomba") puede indicar problemas de manejo de huevos en la granja o la planta de incubación.

Las reproductoras con registros de contaminación superiores al 0,5% deben recibir atención especial con respecto al manejo de los huevos, los procedimientos de saneamiento, el transporte y las condiciones de almacenamiento.

Almacenamiento de huevos

El desarrollo del embrión comienza en el oviducto de la gallina. Después de la oviposición, el desarrollo del embrión se vuelve latente hasta que el huevo se encuentra en condiciones óptimas para la incubación.

Sin embargo, las condiciones ambientales durante el almacenamiento y la duración del almacenamiento pueden afectar drásticamente a la incubabilidad (Brake et al., 1997).

12

Sin embargo, incluso cuando los huevos se mantienen en condiciones óptimas, la calidad interna del huevo sigue deteriorándose, lo que es más evidente en los huevos almacenados durante períodos prolongados.

Se ha informado que la incubabilidad disminuye en un 0,2% hasta 7 días de almacenamiento, después de lo cual disminuye en un 0,5% por cada día hasta el día 14 (Yassin et al., 2009) o pérdidas más pronunciadas que alcanzan 1,2 % por día de almacenamiento (Schmidt et al., 2009).

Por lo tanto, se recomienda almacenar los huevos por no más de tres días a una temperatura del huevo de un máximo de 18 °C y una humedad relativa (HR) de 70% - 75% .
13 Factores que influyen en la incubabilidad

Factores que influyen en la incubabilidad

El almacenamiento prolongado de los huevos, independientemente de la edad de las reproductoras, disminuye la incubabilidad principalmente debido a las pérdidas embrionarias en todas las etapas, seguido de mayores porcentajes de descarte de pollitos.

Se sabe que la mayor contribuyente a los cambios durante el almacenamiento es la albúmina (Brake et al., 1997) aumentando el pH de la albúmina con la duración del almacenamiento .

Precalentar los huevos antes de la incubación es bien aceptado como una práctica para reducir los efectos negativos de un período prolongado de almacenamiento.

Se ha demostrado que el embrión en estado de pregástrula soporta peor los periodos de almacenamiento prolongados en comparación con los embriones en estado de gástrula.

En el cuarto frío, los huevos se mantienen a una temperatura igual o inferior a la llamada temperatura umbral o cero fisiológico de desarrollo. Sin embargo, por debajo de estas temperaturas umbrales, puede producirse un desarrollo parcial, pero no global ni proporcionado.

Las diferentes células o tejidos en estos embriones tempranos pueden tener diferentes temperaturas umbrales de desarrollo, por lo que podrían desarrollarse de forma desigual o desproporcionada.

Si este desarrollo desproporcionado avanza demasiado, puede perjudicar la viabilidad del embrión y, por tanto, su incubabilidad.

14

La aplicación de tratamientos térmicos periódicos durante el almacenamiento permite al embrión corregir el desarrollo desproporcionado y garantizar el grado necesario de desarrollo embrionario para todos los tejidos de forma proporcional antes de comenzar la incubación (Decuypere, n.d.).

Factores que influyen en la incubabilidad

15

Factores que influyen en la incubabilidad

Condiciones de incubación

Las diferencias de temperatura en la incubadora asociadas con las variaciones del huevo de diferentes orígenes y la calidad afectan significativamente la incubabilidad.

El rango de diferencias de temperatura no es el mismo en todas las incubadoras.

Depende en gran medida de la distribución y el diseño de las incubadoras de etapa única asociadas con los patrones de calefacción / refrigeración y la dinámica del flujo de aire.

Por lo tanto, al cargar los huevos en las incubadoras se deben seguir recomendaciones de mejores prácticas.

Carga de huevos

Aunque no es evidente, creamos un rango de temperatura aún más amplio en la incubadora colocando una mezcla de huevos en las posiciones incorrectas. Por lo tanto, el primer paso importante es comprender cómo los huevos intercambian calor con el entorno de la incubadora (Romanini, n.d.-a)

Los huevos incubados intercambian constantemente calor con el microambiente circundante.

Las incubadoras de carga única con un ventilador de mezcla central crean una corriente de aire que pasa alrededor de los huevos y absorbe el calor metabólico generado por el embrión en crecimiento.

16

Este proceso se llama 'transferencia de calor por convección'.

Las velocidades de aire más altas pueden causar una mayor transferencia de calor dentro o fuera del huevo, según la etapa de desarrollo del embrión.

Por ejemplo, los huevos cerca del ventilador central estarán sujetos a una convección ligeramente más eficiente.

Por lo tanto, estos deben ser huevos que generen relativamente más calor (huevos grandes, reproductoras de alta fertilidad, huevos almacenados por poco tiempo).

Por otro lado, los huevos colocados más lejos del ventilador estarán sujetos a una convección ligeramente menor (Figura 3).

Figura

17 Factores que influyen en la incubabilidad
3. Posición de carga correcta para huevos de reproductoras de diferentes lotes con diferencias en la producción de calor en una incubadora con ventilador central.

Factores que influyen en la incubabilidad

Además, hay algunas otras prácticas a las que prestar atención: Las diferentes especies de aves tienen características de huevo muy particulares y demandas de incubación específicas. Esa es una de las razones por las que nunca se deben mezclar huevos de pollos de engorde y ponedoras en la misma incubadora.

Incluso entre razas dentro de la misma especie y cepas dentro de la misma raza, existen diferencias en la producción de calor. Como resultado, el balance de calor y los resultados de incubación no pueden ser óptimos cuando se mezclan huevos.

Cuando observamos el tamaño de los huevos, es correcto suponer que los huevos más grandes producen más calor que los huevos más pequeños, especialmente en la segunda mitad del período de incubación. Por lo tanto, es importante poner huevos uniformes en tamaño y peso.

Los huevos más grandes y pesados son producidos por reproductoras más viejas que generalmente contienen una mayor energía en la yema para ser suministrada al embrión en crecimiento. Esta es una buena razón para evitar la incubación con huevos mixtos que superen las 10 semanas de diferencia en las edades de las reproductoras.

Cuando observamos los tiempos de almacenamiento, es probable que los huevos almacenados durante 3 días produzcan más calor que los huevos almacenados durante 21 días. Por lo tanto, son más deseables diferencias de un máximo de 5 a 7 días en los tiempos de almacenamiento cuando se mezclan huevos

18

Manejo de la temperatura de cáscara de huevo

El aspecto más importante del manejo de las incubadoras modernas es controlar la temperatura de la cáscara del huevo.

La temperatura superficial de los huevos representa la temperatura del embrión durante su desarrollo en la incubadora (Lourens et al., 2005). Se sabe que la temperatura del embrión durante el desarrollo se ve afectada por los siguientes factores:

la temperatura de la incubadora,

la capacidad de intercambio de calor entre el entorno de la incubadora y el embrión, y

la producción de calor metabólico del propio embrión que varía según la edad del embrión, desde 5 mW/huevo al principio hasta 150 mW/ huevo al final de la incubación (French, 1997).

Es fundamental mantener los embriones a la temperatura óptima de cáscara durante la incubación.

Generalmente, las especies de aves domésticas requieren una temperatura de incubación de (37,2 - 37,8 °C) para garantizar la máxima tasa de eclosión y calidad de los pollitos. Incluso pequeñas desviaciones afectan los resultados.

Por ejemplo, temperaturas prolongadas de cáscara del huevo por encima del objetivo pueden causar tasas de eclosión reducidas, acelerar el desarrollo del embrión y acelerar la eclosión con más pollitos que muestran ombligos mal cicatrizados (Decuypere & Michels, 1992; French, 1997).

1 2 3 19
Factores que influyen en la incubabilidad

Factores

Controlar la temperatura de la cáscara de huevo y tomar muestras de los huevos correctos como referencia para controlar el entorno de la incubadora se convierte en un problema aún más serio cuando se mezclan huevos de varios orígenes en una sola incubadora.

En este caso, los porcentajes de fertilidad o incubabilidad siempre deben ser considerados porque revelan el número total de huevos dentro de un determinado grupo, produciendo calor (Romanini, n.d.-b).

Las mediciones de temperatura de estos huevos muestreados ajustarán automáticamente la temperatura del aire en la incubadora para todos los huevos durante todo el tiempo de incubación.

Por lo tanto, las mejores prácticas sugieren que se tomen muestras de huevos que representen una condición promedio (producción de calor). En otras palabras, podrían ser huevos con fertilidad moderada de un lote de mediana edad y un tiempo de almacenamiento intermedio.

Como resultado, las incubadoras actúan como unidades de climatización, proporcionando o eliminando el calor de los huevos mientras circula aire climatizado alrededor de los huevos para mantener la temperatura del embrión en el objetivo.

20
que influyen en la incubabilidad

Gestión de los intercambios de gases y humedad

Durante la incubación, los embriones respiran por difusión (Rahn et al., 1987), que es el movimiento de moléculas de gas y agua desde concentraciones más altas a más bajas entre los ambientes interno y externo del huevo a través de los poros de la cáscara (Mortola, 2009).

En las incubadoras modernas, la ventilación variable se gestiona midiendo continuamente los niveles de CO2 o monitoreando la pérdida de peso del huevo en tiempo real.

La razón principal de las tasas de ventilación variables durante la incubación es que la tasa de difusión de gas y vapor de agua debe ajustarse para satisfacer las necesidades del embrión que cambian a medida que avanza la incubación (Banwell, n.d.).

Por ejemplo, suponga que la conductancia de la cáscara es demasiado alta para huevos con muchos poros.

El suministro de O2 puede ser adecuado para la demanda embrionaria en ese caso. Aun así, se puede perder demasiada agua, lo que lleva a la deshidratación.

Por otro lado, supongamos que la conductancia es baja debido a una cáscara más gruesa; el embrión puede asfixiarse debido a la reducción de O2 o ahogarse debido al H2O acumulado.

21
Factores que influyen en la incubabilidad

Factores que influyen en la incubabilidad

Es bien sabido que niveles iniciales más altos de CO2 impactan positivamente en el desarrollo del sistema cardiovascular durante la primera mitad de la incubación.

Los niveles de CO2 se vuelven a reducir a partir del día 9 para estimular el crecimiento del embrión (Özlü et al., 2019).

La ventilación reducida durante la primera mitad de la incubación también mejora la uniformidad de la temperatura en la incubadora.

Esta ventilación activa variable durante la incubación se denomina principio no lineal (Figura 4).

22
Además, las incubadoras modernas, incluidas las nacedoras, pueden bajar o subir automáticamente los niveles de humedad de acuerdo con los objetivos específicos de pérdida de peso.

Volteo de huevos

Girar los huevos se aplicó inicialmente en la incubación artificial como una tentativa para replicar el instinto de la madre gallina en el nido, incluso sin una gran comprensión de las razones.

En condiciones naturales de incubación, los huevos están siempre en posición horizontal en el nido.

La gallina a menudo rota los huevos con su pico durante el desarrollo del embrión.

Y ese comportamiento natural ocurre principalmente durante la primera mitad del período de incubación cuando hay un nivel máximo de atención del ave progenitora a los huevos incubados.

Figura 4. Ejemplo de ventilación variable por el principio no lineal y curvas de pérdida de peso resultantes.
23 Factores que influyen en la incubabilidad

La posición de los huevos en las incubadoras modernas cambió a una dirección vertical con el extremo ancho del huevo hacia arriba.

Con esto, girar los huevos de izquierda a derecha aproximadamente 40-45° se convirtió en una práctica habitual para intentar copiar a la naturaleza, aunque no a la perfección.

Después de la transferencia a la nacedora, los huevos se colocan horizontalmente en las cestas de la nacedora y se interrumpe el proceso de volteo.

La investigación sugiere que el volteo de huevos durante la incubación artificial tiene principalmente una función fisiológica de estimular el crecimiento embrionario y una función termofísica de ayuda al embrión en el intercambio de calor.

El período más crítico para el volteo de huevos es la primera semana de incubación.

Este período es importante para la formación del líquido subembrionario, que está íntimamente ligado al crecimiento de la red de vascularización.

Por lo tanto, la falta de volteo durante la primera semana de incubación tiene un inconveniente en la formación y viabilidad del embrión.

El segundo período crítico es la segunda semana de incubación.

Esta fase se relaciona principalmente con el desarrollo de la membrana del saco vitelino y el grado de absorción de la albúmina, completada aproximadamente a los 12 o 13 días de incubación.

El fracaso en esta fase principalmente restringirá el intercambio gaseoso a través de la membrana alantoidea y afectará el crecimiento del embrión.

24
Factores que influyen en la incubabilidad

La tercera semana de incubación es relativamente menos crítica con respecto a la fisiología del volteo de huevos.

De acuerdo con las recomendaciones de mejores prácticas, los huevos se deben voltear al menos 24 veces al día (1 volteo por hora). Aunque, algunos estudios reportan mejoras en la incubabilidad al voltear los huevos 96 veces al día (1 volteo / 15 minutos), especialmente en la primera semana de incubación (Elibol & Brake, 2006).

incubabilidad

25
Factores que influyen en la

Factores que influyen en la incubabilidad

CONCLUSIONES

Los diferentes factores de preincubación e incubación afectan en gran medida los resultados de incubabilidad (Bergoug et al., 2013).

Estos factores no pueden separarse y se influyen mutuamente.

La fertilidad y la calidad del huevo se correlacionan con la edad de las reproductoras y el manejo del huevo antes de la incubación.

Las pérdidas por almacenamiento se ven muy afectadas por la duración y las condiciones en que se mantienen los huevos.

Los efectos negativos sobre el desarrollo del embrión causados por el almacenamiento pueden mitigarse aplicando un tratamiento térmico a los huevos durante el almacenamiento con un control adecuado de la temperatura de la cáscara del huevo.

Además, las condiciones de incubación no se pueden configurar por separado, ya que el calentamiento, el enfriamiento y la ventilación afectan simultáneamente a la temperatura de la cáscara del huevo, la temperatura del aire, la humedad y la concentración de CO2

Para mejorar la incubabilidad, los jefes de las plantas de incubación pueden aplicar algunas recomendaciones de mejores prácticas al cargar las incubadoras con huevos de orígenes mixtos y ajustar los perfiles de incubación.

Referencias

Bibliográficas disponibles bajo petición

26
aviforum.info

El principal desafío es controlar con precisión las diferencias de temperatura asociadas con los huevos con diferencias en la producción de calor.

La clave es monitorear y manejar la temperatura de la cáscara del huevo durante la incubación de acuerdo con el metabolismo del embrión del pollito y ajustar la ventilación para alcanzar los niveles correctos de equilibrio de CO2 y O2 y los niveles de pérdida de peso.

Factores que influyen en la incubabilidad

27

Huevos de piso y su efecto en los nacimientos

10:45 - 11:30 29 Huevos de
en
nacimientos JUEVES 25 de Mayo
piso y su efecto
los

de piso y su efecto en los nacimientos

Especialista internacional en incubación avícola

Médico veterinario, Máster en Patología Aviar y PhD en inmunología

Veterinario y técnico global de incubación Hendrix Genetics por 9 años

Actualmente gerente técnico para centro América y el caribe de MSD

La recolección de esos huevos de piso es costosa para el avicultor.

Están usualmente más sucios, contienen más bacterias en su cáscara (Berrang et al. 1997) y más fisuras, comparados con los huevos colocados en nidos (De Reu, 2006).

Esas fisuras en un gran porcentaje son la puerta de entrada de las bacterias al interior del huevo generando menores nacimientos, pollitos de menor calidad y un incremento en la mortalidad en los primeros días en granja (Khabisi et al. 2012).

A pesar de todos los manejos a los que son expuestas nuestras gallinas reproductoras, un porcentaje de los huevos serán colocados en el piso de las naves.
30
Huevos

Comúnmente se cree que los huevos colocados en el piso, si se ven limpios no presentan ningún problema para la planta de incubación.

Tuellett 1990; Van den Brand et al. (2016) y Meijerhof et al. (2022) reportaron en sus estudios que los huevos de piso así se vean limpios o hayan sido lavados tienen un mayor grado de contaminación y generan un nacimiento menor que los huevos de nidos.

Ese porcentaje de nacimiento menor está entre 10 al 20%, dependiendo mucho del tipo de cama y del estado de esta, pudiendo ser una cifra nada despreciable.

La causa de ese nacimiento menor se le atribuye en gran parte a la muerte del embrión por contaminación del saco de la yema, primando alrededor del día 18 del desarrollo embrionario (Deeming et al. 2002), y a que algunas aves no se pueden liberar de la cáscara (Moosanezhad Khabisi et al. 2012).

31
Huevos de piso y su efecto en los nacimientos

de piso y su efecto en los nacimientos

Cabe destacar que algunos estudios reportan mortalidad en todas las edades del desarrollo embrionario como se puede ver en la tabla inferior adaptada de Van den Brand et al. (2016).

Adicional a la mortalidad embrionaria es bien sabido que en las incubadoras donde hay huevos de piso se incrementa el número de huevos que explotan, lo que genera una gran carga bacteriana dentro de las máquinas con todo el efecto deletéreo que esto puede tener.

% huevos podridos % mortalidad embrionaria temprana % mortalidad embrionaria Intermedia % mortalidad embrionaria tardía % nacimiento Nido Limpio 0 b 3.6b 1.9 b 1.9 b 78 a Piso 5.4 a 13a 5.1a,b 7.6a 55.7b Lavado de Piso 2.1b 14.3a 7.9a 7.1a,b 54b
32
Huevos

Los pollitos nacidos de huevos de piso, lavados o no, son de menor peso al salir de nacedoras debido en gran parte a que las fisuras de la cáscara que usualmente tienen este tipo de huevos generan una pérdida mayor de humedad durante la incubación o a cambios en la conductancia (Burton y Tullett, 1983) que hacen que las aves nazcan más pronto de lo programado y tengan que esperar dentro de las nacedoras sufriendo deshidratación.

Se ha reportado que los pollitos provenientes de huevo de piso son de menor calidad evaluada mediante el porcentaje de masa corporal libre de yema y longitud de las aves.

33
Algunos estudios muestran que la cama en las naves donde están alojadas aves provenientes de huevos de piso presentan una mayor humedad y por ende las aves pueden presentar más dermatitis plantar o lesiones en tarsos (Van den Brand et al. 2016). Se cree que esto puede ser debido a compromiso en el desarrollo intestinal.
Huevos de piso y su efecto en los nacimientos

de piso y su efecto en los nacimientos

¿Qué hacerle al huevo de piso?

Como se puede ver en la tabla superior (Van den Brand et al. 2016), el lavar los huevos de piso no es la respuesta al problema. La solución es evitar que las aves se acostumbren a colocar huevos en el piso. Se considera “normal” en aves pesadas hasta un 2% de huevo de piso, porcentajes superiores invitan a revisar los manejos de las aves como:

Recordar que el 80% de los huevos son colocados las primeras 4 horas posteriores a la presencia de luz en la nave.

Repasar el número de recogidas, mínimo 5 veces al día, 3 de ellas realizadas por la mañana.

Evitar densidades superiores a 5.5 aves/m2 , estas adicionan competencia muy fuerte por disponibilidad de nidos o crean problemas de movilidad para tener acceso a ellos.

Debe haber disponibilidad de un nido manual para 3-4

34
Huevos

Revisar la proporción de machos y hembras, muchos machos interfieren con la entrada de las hembras a los nidos.

Ubicar los comederos de los machos distantes de los nidos.

Si es posible levantar los comederos después de que las aves ingirieron el alimento para que no actúen como una barrera que interfiera con el acceso a los nidos de las gallinas.

La distancia entre comederos debe ser mínimo de 100-120 cm.

No colocar líneas de electricidad sobre bebederos y comederos.

Las primeras tres semanas de postura camine por la nave 10-12 veces al día, esto impulsa a las aves a subir a los slats. Después de las tres semanas puede reducir a 6 veces, recogiendo los huevos del piso y estimulando las aves a no anidar en él. Puede cargar las aves que están anidando en el piso e introducirlas a los nidos.

Evaluar la altura de los slats, esta debe ser menor a 45 cm para aves pesadas y si es necesario adicionar rampas para facilitar su acceso.

35
Huevos de piso y su efecto en los nacimientos

Huevos de piso y su efecto en los nacimientos

Adicionar bebederos al nivel de los slats para que las aves se acostumbren a subir a ellos.

Introducir perchas o plataformas desde el día 28 de edad.

Edad de traslado a granjas de producción (mínimo 2 semanas antes) y siempre teniendo todos los nidos y equipos instalados en la granja antes de la llegada de las aves.

Distribución uniforme de la luz en la nave. La aparición de áreas oscuras invita a las aves a anidar donde no deben.

Mantener los nidos cerrados hasta que se inicie la puesta, para que las aves los asocien con postura y no con un área para dormir.

Si los nidos son automáticos haga correr las bandas transportadoras un par de veces todos los días previos a la postura para que las aves se acostumbren al ruido.

Foto de Aviagen (Best practice in the breeder house)
36

En postura cierre los nidos una hora antes de que la luz se apague y ábralos 2 horas antes de que se prenda la luz.

Ubicar los nidos en áreas donde no les de la luz de manera directa.

37
Huevos de piso y su efecto en los nacimientos

los nacimientos

La temperatura corporal de la gallina al momento de la postura es de 40-41°C. El huevo con esta temperatura pasa a entrar en contacto con la “cama” del nido, que se encontrará con temperaturas entre 30°C a 20°C dependiendo si se queda dentro del nido o rueda a la banda transportadora. En ese enfriamiento el contenido del huevo se encoge más, no así la cáscara creando una succión hacia el interior del huevo.

Cuando el huevo está en un ambiente sucio, las bacterias serán absorbidas a través de los poros y contaminará el huevo.

Es importante periódicamente revisar el estado de los nidos ya sean manuales o automáticos.

Cambie la cama de los manuales por material limpio cuando haya materia orgánica.

¿Por qué es importante la limpieza del nido?
38
Huevos de piso y su efecto en

En los automáticos los “pads” o almohadillas compuestas por prolongaciones de plástico también deben ser limpiadas y sanitizadas. Con el tiempo la altura de las prolongaciones de las almohadillas puede ser desuniforme generando dificultad para que el huevo ruede.

¿Qué hacerle al huevo fisurado?

El porcentaje de huevo fisurado debe ser inferior al 0.5%. Lo más práctico es prevenir que se presenten las fisuras mediante recolecciones frecuentes, buenas condiciones de los nidos y en el caso de los nidos automáticos que las bandas transportadoras estén bien alineadas para no magnificar el problema con fisuras por golpes.

AstroTurf® Poultry Nest Pads
39
Huevos de piso y su efecto en los nacimientos

de piso y su efecto en los nacimientos

Es importante determinar en qué momento se produce la fisura del huevo para poder corregirla.

La foto inferior muestra al típico huevo expuesto a las uñas de la gallina dentro del nido.

40 Huevos
Fisura por la uña de la gallina

De manera interesante se ha reportado que las fisuras lineales tipo cabello comprometen más la viabilidad del embrión que las fisuras en forma de estrella (Moosanezhad Khabisi et al. 2011).

Bartnet et al 2004 realizaron un estudio utilizando huevos con fisuras lineales tipo cabello, las cuales normalmente pasan desapercibidas en la planta y solo son visibles por iluminación.

No solo el nacimiento fue casi un 20% menor en los huevos fisurados comparados con los huevos normales, sino que la mortalidad en granja a los 14 días fue mayor respectivamente (7.5% Vs 2%).

Fisura cabello Fisura tipo estrella
41 Huevos
nacimientos
Meijerhof et al. 2022, reportó que si a un huevo fisurado se le coloca cinta quirúrgica independiente de que la fisura haya sido en granja o en la planta el porcentaje de nacimiento será casi normal.
de piso y su efecto en los

Huevos de piso y su efecto en los nacimientos

Es importante tener comunicación entre la planta y la granja para saber el porcentaje de huevos de piso que se está presentando y poder ajustar el número de huevos a incubar, ya que el nacimiento de esos huevos puede ser inferior a un 10-20% de lo normal.

Si el porcentaje de huevo de piso es superior al 2% se deben revisar varios manejos en cría y producción, con el fin de disminuir su presencia. aviforum.info

CONCLUSIONES
42

Excelente herramienta para una gestión eficiente de la producción

• Realice un análisis comparativo de sus granjas

• Visión de conjunto clara de los KPI

• Exporte datos y comparta con la fábrica de alimento, los veterinarios, etc.

• Copie la configuración de las granjas con mejor rendimiento

AGRENER S.L. Cal Marçal, 1 - 08692 PUIG-REIG, Barcelona (España) Tel.+34 93 829 04 20; agrener@agrener.com www.agrener.com

Virocid®

Cosechando éxitos en todo el mundo

Virocid®

es la decisión correcta

Desinfectante basado en amonio cuaternario. Para instalaciones y equipos en todo tipo de explotaciones

Eficaz contra:

• Influenza aviar

• PPA y PPC

• Pneumonia enzootica

• Mycoplasma

• Salmonella

• PRRS

Características:

• No és corrosivo

• Seguro para el uso humano.

• Biodegradable

• Puede utilizarse entre 4º y 60º

• No corrosivo para los vehiculos, con aprobación VDA

provetsa.com

5L 20L 200L 1000L EL DESINFECTANTE MÁS CONCENTRADO
Aportando soluciones innovadoras a las empresas desde 1983

Procedimientos para la higienización de las incubadoras y los

Procedimientos para la higienización de las incubadoras y los productos de elección

12:30 - 13:15 45
elección JUEVES 25
productos de
de Mayo

Procedimientos para la higienización de las incubadoras y los productos de elección

Licenciado  en Comercio exterior con master Internacional en Comercio. Master en economía aplicada.

En la actualidad director desarrollo de negocio para Europa de CID LINES, An Ecolab Company.

El punto de partida de la higiene en la incubadora es obviamente un lote saludable de reproductoras. Esto debe combinarse con una bioseguridad óptima (que incluye limpieza minuciosa del criadero completo y los programas de desinfección) y, también tomar todas las precauciones necesarias para neutralizar todos los vectores que amenazan a los huevos antes de que éstos lleguen al lugar de incubación.

La higienización de la incubadora comienza antes de que el huevo sea puesto. El estado sanitario de la nave de cría así como el manejo, transporte y condiciones de almacenamiento son aún más importantes que el programa de higienización de la incubadora.
46

Los preciados huevos para incubación están en riesgo de:

Contaminación externa a través de los poros y las fisuras en la cáscara.

La transmisión vertical (de lotes infectados).

La contaminación interna (de la yema y la albúmina).

Los vectores tales como manos, bandejas, roedores, equipo de transporte, etc.

Como todos sabemos el HACCP requiere de medidas de bioseguridad para: los nidales, las cintas transportadoras de huevos, las mesas de recolección de huevos y las manos que tocan los huevos.

47
Procedimientos para la higienización de las incubadoras y los productos de elección

Las manos deben lavarse primero con un jabón no perfumado y luego deben ser desinfectadas con un líquido o un producto en gel a base de alcohol.

El gel permite una mejor penetración en los poros superficiales de la piel y debajo de las uñas dónde se encuentran la mayoría de los microorganismos.

El esquema Integrado de Seguridad del Control de Calidad holandés y belga (IKB) requiere incluso de un diseño específico para la planta de incubación (con el fin de evitar la contaminación cruzada e indirecta de las zonas sucias a las zonas limpias).

El diseño también previene la entrada de infecciones, minimiza la transmisión horizontal y mantiene registros de los lotes de huevos y pollitos, así como también del que trabaja según el acuerdo de Buenas Prácticas Veterinarias (GPV).

Los equipos pueden rociarse preferentemente con un desinfectante no corrosivo, de amplio espectro y con acción residual.
48
Procedimientos para la higienización de las incubadoras y los productos de elección

En la planta de incubación

Idealmente, los huevos deben desinfectarse lo más pronto posible después de su recolección en la nave de puesta y nuevamente a su llegada a la planta de incubación.

La planta de incubación es un punto crucial; en ella se reciben los huevos de muchas granjas de reproductores (o incluso de huevos importados) y se distribuyen los pollitos recién nacidos a muchas naves de engorde.

Se debe tener siempre presente que las incubadoras no sólo incuban huevos (embriones), sino que también muchas bacterias.

En las incubadoras de carga múltiple, el crecimiento de las bacterias es ininterrumpido, a menos que se lleve a cabo una desinfección regular por spray o vaporización, se saquen los huevos que explotaron y sus restos sean eliminados.

La fumigación de la incubadora con formaldehído, un producto carcinogénico, no puede realizarse entre las 24 y 96 horas de desarrollo embrionario y está prohibido en España.

49
Procedimientos para la higienización de las incubadoras y los productos de elección

En las nacedoras, durante el picaje de los huevos se produce una explosión logarítmica del crecimiento de gérmenes.

Se debe recordar que las bacterias pueden doblar su número cada 20 minutos.

La Tabla 1 muestra lo que las bacterias necesitan para crecer y cómo podemos reducir este crecimiento.

Ítem Factor Solución

Alimento Yema y albúmina Eliminar los desechos y mantener limpio

Agua

En el huevo por el humidificador Evitar las fugas y tratar el agua

Temperatura En la sala de la incubadora

Almacenar los huevos en un área fría y limpia

Refugio En la cáscara, tuberías y conductos Limpiar y desinfectar los huevos, salas, máquinas y equipo

Aire Ventilación de las máquinas y el edificio Usar spray o niebla en las máquinas, rocío en las salas y renovar los filtros de aire

50
Tabla 1. Factores que fomentan las bacterias y sus soluciones.
Procedimientos para la higienización de las incubadoras y los productos de elección

Al diseñar una planta de incubación, se deben considerar los elementos importantes para mantener un programa de higienización efectivo. Por consiguiente, el arquitecto tiene que estar consciente de cuatro flujos:

Flujo de productos: No se debe permitir que se crucen los huevos con los pollitos.

Flujo de personas: Desde la zona limpia (huevos) a la zona sucia (pollitos) y no a la inversa, idealmente con áreas de distinto color que tengan duchas, lavabos para el lavado de manos, pediluvios para desinfectar el calzado a la entrada y entre cada zona de producción por la que circule el personal. Los conductores de los camiones no deben entrar nunca al edificio. Idealmente las oficinas, duchas y baños deben estar separados.

Flujo de aire: Siempre presión positiva en la zona limpia y sin ninguna toma de aire cercana al área de extracción de la zona sucia.

Flujo del agua de desecho: Desagües separados para la zona limpia y la zona sucia.

51
Procedimientos para la higienización de las incubadoras y los productos de elección

Procedimientos para el uso de los productos

Los huevos de suelo pueden lavarse con productos alcalinos, tanto clorados como no clorados, a base de hidróxido de potasio o sodio.

Es crucial un apropiado control de la temperatura (42-45° C ).

El tiempo de contacto se debe limitar a aproximadamente 5 minutos para no afectar la cutícula.

La desinfección posterior se debe realizar a una temperatura ligeramente más alta, para impedir que el producto entre en los poros (45-47°C o 113117°F); después enjuagar a la misma temperatura.

Idealmente, se deben usar productos con acción residual, para prevenir la recontaminación temprana.

Como una alternativa a la fumigación con formaldehído, el Instituto de Investigación Avícola Holandés "Praktijkonderzoek Pluimveehouderij Beekbergen" encontró que el producto aplicado mediante neblina ultrasónica era "tan eficiente como el formaldehído", sin afectar los nacimientos.

52
Procedimientos para la higienización de las incubadoras y los productos de elección

Las bandejas, canastas y cestos, pueden ser lavados con el mismo químico de los huevos.

Es importante que los productos no formen espuma cuando el lavado se hace en forma mecánica.

Obviamente, las temperaturas deben ser más altas (50-60° C) para detergentes clorados y 60-80° C para productos no clorados. Pero no tan altas como para que dañen el plástico. Idealmente, estos productos alcalinos, los cuales remueven principalmente grasa y proteínas, deben ser rotados con detergentes ácidos que no formen espuma para eliminar los depósitos minerales (hierro y cal) y los residuos de los productos de limpieza alcalinos.

Los canastos de las nacedoras y las cajas de pollitos deben desinfectarse por spray e inmediatamente después del lavado. Si los carros de la incubadora o las bandejas regresan a la granja, éstos también deben desinfectarse. Si se utilizan transportadores de granja, éstos también deben desinfectarse.

53
Procedimientos para la higienización de las incubadoras y los productos de elección

Los pisos, paredes e incubadoras pueden lavarse con un limpiador alcalino espumante, diseñado específicamente para eliminar la suciedad típica de una "zona limpia" (yema, albúmina y sangre).

Este detergente debe ser adecuado para su aplicación con una rociadora de espuma y debe tener una buena adherencia.

Es aconsejable alternar una vez al mes con una espuma ácida.

Una espuma de buena formulación que se adhiere a los techos y las superficies verticales, permitiendo un mayor tiempo de contacto para que actúe el químico.

Las características de estos detergentes son descritas en la Tabla 2.

Acción Efectos

Humedecer

Disminuye la tensión superficial

Dispersar Destruye las partículas de suciedad

Emulsificar Destruye y suspende los aceites y grasas Suspender Pone en suspensión y remueve las partículas de suciedad

Atrapar Disuelve las sales

Tabla 2. Características de los detergentes.

La desinfección final también debe ser muy versátil para permitir su aplicación en espray, espuma y niebla.

El utilizar niebla (o espray) en las salas de incubación y nacedoras, permite que el producto entre a las máquinas a través de las tomas de aire y así desinfectar al mismo tiempo el interior de las máquinas.

54
Procedimientos para la higienización de las incubadoras y los productos de elección

Las salas del personal y los baños pueden cepillarse o manguear con un limpiador universal, rotado con uno ácido, y enjuagando y desinfectando semanalmente con el mismo desinfectante terminal.

Se puede usar el mismo desinfectante para los pediluvios a la entrada y en cada sala de producción. Idealmente éstos deben renovarse cada dos días.

Debe ser un "Procedimiento de Operación

Estándar" el lavarse y desinfectarse las manos al entrar a la planta y después de ir al baño.

Tratando las zonas sucias

En la zona sucia (sala de nacedoras, sala de pollitos, sala de lavado, y sala de recepción y almacenamiento de cajas), se aconseja el uso de productos de limpieza sufficiente fuertes; sobre todo para la limpieza de las nacedoras, donde se necesita remover grandes cantidades de plumón (la Salmonella puede vivir durante años en el plumón).

Una espuma alcalina no corrosiva con una mayor viscosidad, hará el trabajo apropiadamente.

En lugar de confiar sólo en el trabajo duro también debemos utilizar productos químicos especialmente diseñados, los que permiten un mayor tiempo de contacto y minimizan de esta manera los costos del consumo de agua, energía gastada y el tiempo de limpieza de este laborioso trabajo.

55
Procedimientos para la higienización de las incubadoras y los productos de elección

Procedimientos para la higienización de las

y los productos de elección

Nuevamente, es aconsejable rotar mensualmente con una espuma ácida en caso de agua dura, especialmente en la zona sucia donde es importante seguir los procedimientos correctos, es decir:

1 Elimine manualmente todos los restos visibles (con pala y cepillo).

2 Lave con espuma con una pistola de alta presión.

3 Enjuague.

4 Permita que se seque.

5 Desinfecte.

A menudo, se olvida el cuarto paso. Cuando el desinfectante es rociado sobre una superficie húmeda, se puede diluir más de lo que debería.

Es más, la tensión superficial del agua que todavía está presente en las ranuras y agujeros impedirá una buena penetración de la solución del desinfectante (aun cuando contenga surfactantes).

Un producto bien formulado con surfactantes penetrará las ranuras secas más fácilmente.

56
incubadoras

Uso de la acción residual

Generalmente no existe la necesidad de enjuagar el desinfectante de la nacedora. Se puede simplemente aplicar un espray, o mejor aún, una espuma sobre todas las superficies, cargar los huevos de transferencia y cerrar las puertas. Se han observado excelentes resultados con el uso de niebla en los gabinetes de nacedoras.

Cuando no se dispone de un removedor de desechos de vacío y de un sistema de silo, los contenedores de desechos también necesitan ser limpiados (con un detergente y un desinfectante universal).

Los camiones deben lavarse por fuera (con un producto especial para eliminar la película que provoca el tráfico), y por dentro (con un detergente universal). Idealmente, estos químicos deben ser certificados para lavar vehículos (según la VDA: Asociación Alemana de Vehículos), para que no sean corrosivos.

Además de la desinfección, es importante establecer como rutina para la entrada a la nave, una inmersión de las ruedas y un rocío completo del vehículo. Después de lavar el exterior con un detergente desinfecte el interior con un desinfectante no corrosivo (aprobado VDA). De preferencia siempre haga el prelavado con los detergentes recomendados por el mismo proveedor de los desinfectantes.

57
Procedimientos para la higienización de las incubadoras y los productos de elección

En último lugar, pero no menos importante, es aconsejable tratar el agua dura y contaminada.

Si los depósitos minerales causan problemas, el uso de "neutralizador de minerales" impedirá que se tapen las boquillas.

Si el agua está microbiológicamente infectada por supuesto no rocíe estos gérmenes en las incubadoras funcionando, sino que primero desinfecte el agua con un buen sanitizador.

Plan de higienización

Un plan de higienización de la planta debe ser parte del sistema de Control de Calidad Integrado. La certificación ISO requerirá de un programa detallado con "Procedimientos de Operación de Rutina" bien definidos, tanto para su implementación como para el control de la higiene.

58
Procedimientos para la higienización de las incubadoras y los productos de elección

Las plantas de incubación con certificación ISO deben utilizar proveedores de productos de higiene que también tengan certificación ISO y BPM (Buenas Prácticas de Manejo).

La Bioseguridad Operacional debe motivar al personal a través de la comunicación, aplicación, control y retroalimentación de los resultados.

El correcto manejo de la higiene, con sus tres "p": las Personas, los Productos y los Procedimientos, llevará a la planta de incubación a lograr su objetivo: ¡más pollitos de excelente calidad y de este modo... una mayor ganancia!.

aviforum.info 59
Procedimientos para la higienización de las incubadoras y los productos de elección

¡Escanea el código QR y participa en la encuesta!

13:15 - 14:00 60 CARA A CARA: Opinión, análisis y actuación del proceso de incubación
CARA A CARA: Opinión, análisis y actuación del proceso de incubación

RODRIGO GARCÍA UVESA

Licenciado en Biología por la Universidad de León, empezó a trabajar en Uvesa, en el matadero de Tudela en Octubre de 2010 como técnico de Calidad.

En Noviembre de 2012, el responsable de la sala de Uvesa en Malón, se va a otra empresa y durante un tiempo le enseña todo lo que sabe de incubación y se quedó de responsable.

En 2014 comienzan el proyecto definitivo de una sala de incubación nueva en Tudela y en enero de 2016 sacan los primeros pollitos de la sala y dos meses después cierran la sala vieja. Actualmente es el responsable de Incubadoras de Uvesa, gestionando la sala de Tudela y la Sala de Burgos de reciente adquisición. Se encarga de todo lo relacionado con la producción de pollito de 1 día, así como compra-venta de huevo y de pollito para las necesidades del Grupo Uvesa.

Después de una dilatada experiencia en varias empresas del sector, en abril del año 2017 se incorpora a la empresa Aviagen SAU como Area Technical & Commercial Manager, y desde hace año y medio es el Director Técnico de dicha empresa con la principal labor de dar servicio técnico a la propia empresa y de asesoramiento y mejoramiento en la producción para clientes en España, Portugal y Marruecos además de colaborar con el grupo Aviagen en diferentes aspectos de carácter técnico como la incubación, ventilación y manejo de reproductoras y broilers.

Workshop Tarde

Sala PATOLOGÍA Y BIOSEGURIDAD POLLOS

CON EL APOYO DE

La importancia del transporte del pollito desde incubadora a granja

Serafín García Freire Asesor técnico avicultura en Boehringer Ingelheim Animal Health - España

CON EL APOYO DE

Centro de lavado de camiones en una sala de incubación
16:30
16:00-
16:30- 17:00
Lanxess
62

17:00 - 18:30

Futuras vacunas frente a la influenza aviar, Horizonte 2025

Beatriz Muñoz Hurtado

Subdirectora General de Sanidad e Higiene Animal y Trazabilidad

Sthephan Lemier

Director técnico global en Avicultura en Boehringer Ingelheim

CON EL APOYO DE

Alberto Villa, Vet Services Manager Ceva Salud Animal

CON EL APOYO DE

Pregunta al ponente

63
Centro de lavado de camiones en una sala de incubación
16:00 - 16:30 Workshop
Y BIOSEGURIDAD
65 Centro de lavado de camiones en una sala de incubación JUEVES 25 de Mayo
Christian Cassan
PATOLOGÍA
POLLOS

Limpieza y desinfección de camiones en una incubadora

La incubadora es el punto focal en el que se reciben materiales como huevos y equipos de una variedad de sitios, que pueden variar tanto en los estándares de bioseguridad como en el tipo de carga de patógenos.

Al ser el punto de origen común para todas las granjas de pollos en funcionamiento, la incubadora tiene el mayor potencial para amplificar esta contaminación y es crucial como fuente de contaminación y su diseminación.

Technical sales manager South Europe Actives & Disinfection LANXESS Material Protection Products. Estudió Ingeniería Industrial en KIHO Ghent.
66
Centro de lavado de camiones en una sala de incubación

Los vehículos y las personas son vectores importantes para propagar patógenos en una incubadora, ya que conectan el entorno exterior con la incubadora. Los vehículos deben limpiarse y desinfectarse a fondo con productos apropiados.

La limpieza y desinfección siempre deben hacerse sin exposición directa al sol, por lo que se prefiere un área cubierta.

La limpieza es parte del protocolo de limpieza y desinfección con el objetivo de:

1 Reducir el desafío orgánico

2 Reducir la carga de patógenos

3 Eliminar los biofilms

El interior del camión puede estar contaminado con alimentos residuales, plumas, excrementos, yemas y otros materiales orgánicos.

La limpieza de vehículos se realiza con un limpiador alcalino, ya que esto ayudará a eliminar la suciedad, los insectos, la grasa y cualquier materia orgánica que se acumule durante el transporte desde la granja reproductora hasta la incubadora y viceversa.
67
Centro de lavado de camiones en una sala de incubación

Al elegir un limpiador, es importante tener un limpiador no corrosivo que contenga una baja concentración de hidróxido de sodio; la presencia de un secuestrante ayudará a aumentar la eficacia de un limpiador en agua dura.

El limpiador se aplica con una lanza de espuma a alta presión de abajo hacia arriba, ya que la espuma aumentará el tiempo de contacto permitiendo que los detergentes penetren y eliminen la materia orgánica, lo cual normalmente toma de 20 a 30 minutos. Después, el camión debe ser enjuagado con agua a alta presión, ya que esto reemplaza la eliminación mecánica de la suciedad.

También es importante limpiar la cabina del camión, ya que el peldaño de acceso a la cabina tiene probablemente ¡la carga patógena más alta!
68 Centro de lavado de camiones en una sala de incubación
Diariamente debe realizarse una limpieza exhaustiva del camión, y el interior debe limpiarse después de cada transporte.

Desinfección

La desinfección se debe realizar en un camión limpio y eliminará la mayor parte de los patógenos restantes, lo que suele ser una reducción de un logaritmo 4 (99,99%).

La elección de un desinfectante depende de diferentes parámetros:

Tiempo de contacto:

Es el tiempo que necesita un desinfectante para matar el 99,99% de los virus o el 99,999% de las bacterias.

En la mayoría de las pruebas EN, el tiempo establecido es de 30 minutos para definir la concentración necesaria, pero en la práctica necesitamos un tiempo mucho más corto ya que las superficies lisas (metal y plásticos) se secarán rápido.

Si este es el parámetro más importante, se prefiere un desinfectante oxidante.

En un futuro próximo, solo se permitirán productos biocidas para el transporte y los rodaluvios si el tiempo de contacto necesario es inferior a 5 minutos.

Por ejemplo, hay un producto en el mercado que mata el virus de la influenza aviar altamente patógena H5N8 en 1 minuto a una concentración del 0,2%.

69
Centro de lavado de camiones en una sala de incubación

Actividad residual:

Esta actividad es interesante porque se tiene un efecto más prolongado para el desinfectante, desafortunadamente esto sólo es válido para superficies semi-porosas como el cemento y no es válido para plásticos o metal.

Seguridad:

Es importante usar ropa de protección al limpiar o desinfectar, el EPI depende de la fórmula química del producto utilizado y se puede encontrar en la hoja de datos de seguridad.

Algunos productos necesitan máscaras con un filtro de aire mientras que otros productos requieren protección facial.

Agua dura:

Un buen desinfectante contiene un secuestrante para tratar el Ca y Mg.

Amplio espectro:

El desinfectante debe ser de amplio espectro.

Corrosión:

El uso de un buen producto en la dosis correcta evitará daños a los vehículos.

70 Centro de lavado de
incubación
camiones en una sala de

Conductores

Cuando se encuentre en una granja de cría, el conductor debe permanecer en la cabina mientras el personal de la granja carga los huevos.

Si el conductor debe cargar el camión, debe usar monos protectores, botas y cubiertas para la cabeza mientras está fuera de la cabina y quitárselos inmediatamente antes de volver a entrar en la cabina.

Limpie y desinfecte los neumáticos y los pasos de ruedas en la entrada de la granja antes de salir.

Conduzca directamente de regreso a la planta incubadora por la misma ruta sin detenerse en otras explotaciones.

El camión será descargado, limpiado y desinfectado antes de proceder a otra explotación.

aviforum.info 71 Centro de lavado de camiones en una sala de incubación
Si entrega huevos para incubar en un día en el que se realizan operaciones de eclosión o procesamiento de pollitos, sólo ingrese a la planta incubadora después de que se hayan completado estas operaciones.

VAXXITEK® PRESERVA UN SISTEMA INMUNITARIO SÓLIDO

1 única aplicación para una protección de por vida

Protección frente a dos enfermedades inmunosupresoras

Protección duradera1

Más de 130.000 millones de aves vacunadas

Más de 100 publicaciones científicas

VACUNACIÓN O CON 1 DÍA DE VIDA INOVO EN POLLOS, REPRODUCTORAS Y PONEDORAS EXCELENTE SEGURIDAD DEMOSTRADA EN ESTUDIOS CLÍNICOS2

Factor de eficiencia europeo (FEEP)3

Ganancia media diaria7

Mejora de la uniformidad8

Peso de los huevos9

EN MÁS DE 100 PAÍSES

Sistema inmune sólido que mejora la producción, reduce el uso de antibióticos y genera retorno de la inversión10

Vector vaccines for poultry: their advantages and limitations compared to classical vaccines. Proceedings of the International Symposium on Poultry Diseases, December 14–15, 2015.

Alonso Castro M, Merino Cabria D, Fernandez Garcia D, Torrubia Diaz J, Herreras Viejo R, Fernandez Revuelta J, Mateo Oyague J, Carvajal Uruena A. Evaluation of the effects of vaccination with a HVT-IBD vector vaccine on bursa Fabricii, production parameters and meat properties in broilers. Abstract. XVIIIth Congress of the World Veterinary Poultry Association, Nantes, France, 2013; in-press. 4 Tang Shun F, He Shi J, Li Wan M & Lemiere S. Field experience of vaccination at day-old of Broiler chickens with a Herpesvirus Turkey – Infectious Bursal Disease (HVT-IBD) vector vaccine in different systems of chicken production across China, Article. XVIIth Congress of the World Veterinary Poultry Association, Cancun, Mexico, 2011). 5 Zhou X, Wang D, Xiong J, Zhang P, Li Y and She R. 2010. Protection of chickens, with or without maternal antibodies, againast IBDV infection by a recombinant IBDV-VP2 protein. Vaccine. 28:3990–3996). 6 Lemiere S, Rojo R, He S, Tang S, Li W, Herrmann A, Prandini F. Benefits of the Herpesvirus of Turkey vector vaccine of Infectious Bursal Disease in control of immune-depression in broilers and decrease of use of antibiotic medication. Abstract. XVIIIth Congress of the World Veterinary Poultry Association, Nantes, France, 2013; in-press. 7 Roh J-H, Kang M, Wei B, Yoon R-H, Seo H-S, Bahng J-Y, Kwon J-T, Cha S-Y and Jang H-K.; Efficacy of HVT-IBD vector vaccine compared to attenuated live vaccine using in-ovo vaccination against a Korean very virulent IBDV in commercial broiler chickens; Poultry Science 95, 2016, 1020-1024. 8 Garritty AT. The effect of vectored HVT+IBD (Vaxxitek® HVT + IBD) vaccination on body weights, uniformity and virus shedding in commercial broilers. Abstract. International Poultry Scientific Forum, Atlanta, 2011; p31. 9 Trotel A, Herin J-B, Devaud I, Pagot E, Adamczyk E, Voisin F.; Comparison of two IVD vaccinations in laying hens: benefit on growth, homogeneity of vaccination and production performances; Revue Méd. Vét., 2014, 165, 3-4, 68-76. 10 Morton DB. Vaccines and animal welfare. Rev Sci Tech. 2007;26:157–163.

Vaxxitek® HVT+IBD Suspensión y disolvente para suspensión inyectable. Composición: Cada dosis contiene virus vivo recombinante vHVT013-69, como mínimo de 3,6 a 5,0 log10 UFP (Unidad Formadora de Placa). Especies de destino: Pollitos de 1 día y huevos embrionados de 18 días. Indicaciones: Inmunización activa de pollitos para prevenir la mortalidad y reducir los signos clínicos y las lesiones debidas a la bursitis infecciosa aviar (Inicio de la inmunidad: a partir de los 14 días, duración de la inmunidad: al menos hasta la 9ª semana) y para reducir la mortalidad, los signos clínicos y las lesiones debidas a la enfermedad de Marek (Inicio de la inmunidad: a partir de los 4 días. Una única vacunación confiere protección durante el periodo de riesgo). Gestación, lactancia y puesta: No usar en aves durante la puesta ni en aves reproductoras. Reacciones adversas: Ninguna conocida. Interacciones: Por vía subcutánea: Esta vacuna se puede administrar en uso conjunto con las vacunas atenuadas de Merial de la cepa Rispens contra la enfermedad de Marek. También se puede administrar en el mismo día, pero no en uso conjunto con las vacunas atenuadas de Merial contra la enfermedad de Newcastle y la Bronquitis infecciosa. Posología: Una dosis única de 0,2 ml de vacuna por pollito de 1 día, por vía subcutánea o una dosis única de 0,05 ml de vacuna por huevo embrionado de 18 días, in ovo. Precauciones: la cepa de la vacuna es excretada por las aves vacunadas y puede propagarse a pavos. La cepa es segura para los pavos, no obstante, deben adoptarse precauciones para evitar cualquier contacto directo o indirecto entre los pollitos vacunados y los pavos. Tiempos de espera: Cero días. Conservación: Conservar y transportar congelado en nitrógeno líquido. Conservar la vacuna reconstituida a temperatura inferior a 25 °C. Conservar el disolvente a temperatura inferior a 30 °C, no congelar y proteger de la luz. Nº autorización: EU/2/02/032/001. Presentación: 1000 dosis de vacuna, en un soporte con 5 ampollas y 2000 dosis de vacuna, en un soporte con 4 ampollas. Titular: Boehringer Ingelheim Vetmedica GmbH. Medicamento sujeto a prescripción veterinaria. En caso de duda consulte a su veterinario.

Marek IBD X1
EFICAZ FRENTE
PROTECCIÓN IMPULSADA POR LA TECNOLOGÍA COSTE DE PRODUCCIÓN DE
GASTO EN MEDICAMENTOS6 PORCENTAJE
DECOMISOS3,5 ÍNDICE DE CONVERSIÓN3 1
EU
2
M.
VACUNA TECNOLÓGICA AMPLIAMENTE PROBADA Y
A HVT e IBD
LA CARNE3,4
DE
European Public Assessment Report - Collective Gumboro Vaccination Vaxxitek HVT + IBD –
products characteristics. 2006.
Bublot
3

La importancia del transporte del pollito de un día

16:30 - 17:00 Workshop PATOLOGÍA Y BIOSEGURIDAD
73
Serafín
García Freire
POLLOS
pollito de un día JUEVES 25 de Mayo
La importancia del transporte del

La importancia del transporte del pollito de un día

Veterinario, técnico superior de laboratorio de diagnóstico clínico y cursó el “Poultry Health Course” de patología aviar de la Universidad de Nottingham /Instituto Pirbright.

Fue veterinario de campo de recría/puesta de gallinas, de broilers, asesor internacional en control ambiental; operario en la cadena-asistente de calidad e inspector oficial en mataderos avícolas en Inglaterra, responsable técnico global de una farmacéutica (líder mundial en el antibiótico Fosfomicina) asesorando en campo sobre patologías aviares en el Sudeste asiático, Oriente medio, Latinoamérica y Rusia.

Actualmente es el responsable técnico de avicultura en Boehringer Ingelheim (España).

1 Importancia del confort ambiental en el transporte

La duración del transporte del pollito entre la incubadora y la granja sólo constituye alrededor del 1 por ciento de la vida del pollo broiler, pero aun siendo un periodo de tiempo corto, es de suma importancia para el ave.

Sus reservas hídricas y energéticas son limitadas y están en pleno proceso del desarrollo-maduración del sistema inmunitario y del sistema enzimático digestivo, lo que hace que sean muy sensibles a las condiciones ambientales.

Si la duración del transporte es excesiva o/y las condiciones del transporte no son las adecuadas, se pueden generar en las aves graves consecuencias en su desarrollo, algunas de ellas comprobables y visibles, y otras más difícilmente cuantificables.

74

Consecuencias visibles

Agotamiento energético

Los pollitos en ambiente frío pierden más energía y el glucógeno corporal se agotará más rápidamente (sobre todo en pollitos procedentes de reproductoras jóvenes, que al ser más pequeños tienen menos reserva energética).

Cuando la concentración de glucógeno es baja, la apatía del pollito se vuelve significativa.

Al no tener energía suficiente al llegar a la granja, habrá mayor porcentaje de pollitos que no buscarán la comida, y que acabarán muriendo.

Liver glycogen (mg/total liver)

Time posthatch, h

Control-SP: Alimento 36 h después del nacimiento.

IOF-SP: Alimentación in ovo + alimento 36 h después del nacimiento.

Control-EF: Alimento 6 h después del nacimiento.

IOF-EF: Alimentación in ovo + alimento 6 h después del nacimiento.

Kornasio et al.2011.

75
La
importancia del transporte del pollito de un día

del pollito de un día

La reserva energética del saco vitelino no es tan importante como comúnmente se pensaba.

En el momento de la eclosión, el saco vitelino contiene entre el 20% y el 40% de lípidos, principalmente triglicéridos (Noy & Sklan, 2005).

Suponiendo que el vitelo al nacimiento es un 10% del peso del pollito, el vitelo tendría aproximadamente 1 g de triglicéridos, que genera entre 8 a 9 kcal de energía metabolizable.

El requerimiento de energía de mantenimiento de un pollito de 60 g es de 34 kcal/día (2,2 kcal/g) López et al. (2012).

Por lo tanto, hay una inmediata necesidad de consumo de pienso para no agotar la energía corporal.

Un pollito en sus primeros dos días de vida consume entre 10 a 15 g de pienso, lo cual representa alrededor de 30 a 45 kcal de EM/día.

76 La importancia
transporte
Si hay agua y alimento disponibles, las aves no necesitan los nutrientes del saco vitelino, como lo demuestran estudios donde aves a las cuales les extirparon el saco vitelino, tuvieron un desarrollo igual al de aves que lo mantuvieron (Puvadolpirod et al. 1997).
del

Deshidratación

En condiciones óptimas de temperatura y humedad en el transporte, según Jacobs et al. 2015, los pollitos de reproductoras de 60 semanas se deshidratan 0,31% de su peso por hora y los pollitos de reproductoras de 29 semanas se deshidratan 0,39% de su peso por hora.

En condiciones de estrés térmico en el transporte, los pollitos se deshidratan 1,1% de su peso por hora (Jason Cormick).

Pollito sano Pollito deshidratado
77
Fuente: Verschuere (Petersime)
La importancia del transporte del pollito de un día

La importancia del transporte del pollito de un día

La cloaca empastada

Aparece en aves muy jóvenes y se produce porque el contenido del ciego tiene una consistencia pegajosa, y por lo tanto cuando se combina con el contenido intestinal, las heces manchan la zona pericloacal.

Diferentes autores indican varios factores favorecedores como:

Las condiciones de estrés por calor producidas en la nacedora, transporte y período de cría. La función principal del ciego es absorber agua, desde el lumen intestinal hacia el cuerpo. De modo que, durante el proceso de jadeo para liberar calor, el pollito pierde agua, por tanto, también el contenido cecal, por eso se hace pegajoso. Según Josué Sánchez Morales de Boehringer Ingelheim de México, haciendo mediciones cloacales rutinarias para controlar que la temperatura interna sea de 39,5°C, se reduce significativamente la incidencia de cloacas empastadas.

Otra posible causa es una mala digestión de las grasas del pienso y del saco vitelino, ya que la secreción de la lipasa pancreática es limitada la primera semana de vida.

Otros autores indican que al no haber alcanzado aún un adecuado equilibrio de la microbiota, la digestión del alimento no es del todo eficiente.

78

Consecuencias visualmente menos visibles

Alteración en el desarrollo del sistema inmune

Desde el 80 al 150 de incubación, células precursoras linfoides procedentes del hígado y la médula ósea, migran hacia la bolsa de Fabricio, donde se multiplican y diferencian, hasta dar lugar a linfocitos B maduros inmunocompetentes.

Justo en la eclosión, estos linfocitos B maduros migran masivamente, fundamentalmente al tejido linfoide asociado al intestino (GALT) que es 70 - 80% de todas las células del sistema inmune, al bazo y a otros tejidos linfoides periféricos (asociados a la conjuntiva o CALT, asociados a los bronquios o BALT).

Esta migración de linfocitos B inmunocompetentes de la bolsa a los tejidos linfoide periféricos dura hasta las 6 semanas de vida, como lo demuestra que, si realizamos una extracción quirúrgica de la bolsa de Fabricio en aves de 3 semanas, se produce una reducción intensa de linfocitos B circulantes en sangre periférica y en el bazo. Ratcliffe et al. 2022.

del pollito de un día

79 La importancia del transporte

del transporte del pollito de un día

El stress en aves muy jóvenes (por calor o por frío), interfiere de alguna manera el proceso de migración masiva de linfocitos, por lo que las aves acaban desarrollando diferentes grados de inmunodepresión; como así lo cuantifican estos 2 estudios:

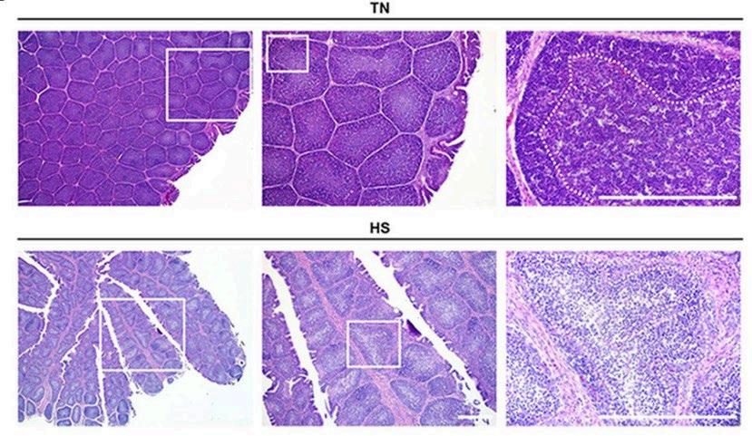
En el estudio de Olfati y colaboradores, se ve una relación directa entre la involución de la bolsa de Fabricio, un menor número de linfocitos circulantes y una menor producción de anticuerpos.

En el estudio de Hirakawa y colaboradores, encuentran que, en condiciones de estrés térmico, la densidad celular en la médula y la corteza de los folículos bursales disminuye dramáticamente, por inhibir la replicación y diferenciación de las células B. Hirakawa et al. 2020.

Confort térmico Estrés por calor Estrés frío IgG 2,07a 1,26b 1,27b Linfocitos circulantes 73,33a 56,88 b 55,33b Tamaño de bolsa de Fabricio 2.1b 14.3a 7.9a % sobre peso vivo 0,11a 0,08 b 0,08 b Olfati et al.2011.
80 La
importancia

Alteración en la maduración del sistema enzimático digestivo

Una correcta alimentación temprana mejora la utilización de los nutrientes del saco vitelino, proporciona un mejor desarrollo digestivo y una mejor producción de enzimas digestivas aportando al ave un mejor estado inmunológico, mejor termo tolerancia y un mejor desarrollo muscular (Chica et al., 2010).

Un transporte excesivamente largo causa reducción de la superficie de las vellosidades y profundidad de las criptas, particularmente en el yeyuno; así mismo, causa disminución en el número de enterocitos y alteración del proceso de síntesis de mucina en el intestino delgado (Fribourg Calderon, 2008).

confort térmico
estrés térmico
En
En
Hirakawa et al. 2020.
81 La
importancia
del transporte del pollito de un día

del pollito de un día

Barrera et al, 2018 vieron diferencias significativas en el ancho de las vellosidades intestinales de pollos de engorde de 21 días de edad que habían tenido un ayuno de 6, 24, 48 y 72 horas post-nacimiento.

Curiosamente, no hubo diferencias estadísticamente significativas en los índices productivos (I.C., GMD) de los 4 grupos, probablemente debido al avance genético del pollo de engorde actual, gracias al crecimiento compensatorio en las semanas finales de la crianza.

Desarrollo muscular

Las células satélites, que son precursoras de las células miogénicas y tienen capacidad de reparación muscular, se replican masivamente en la primera semana de vida (el día 3 de vida es el pico de proliferación de células satélite Halevy et al., 2006) y durarán toda la vida del pollo. Estas células se agotan con el tiempo, por lo tanto, un gran número de reserva de células satélite es esencial para reducir la incidencia de miopatías.

Si la duración del transporte es reducida y hay acceso al pienso de manera precoz, se favorecerá la proliferación de células satélite (Noy & Sklan, 1998).

Halevy et al., (2000) mostraron que el ayuno de los pollitos en los dos primeros días de vida compromete el desarrollo de las células satélite y el futuro desarrollo de las células musculares.

6 horas 24 horas 48 horas 72 horas 21 días 81,95a 61,62a 59,13ab 57,29 b 49 días 99,27 101,04 97,80 95,73
Ancho en µm de las vellosidades intestinales
82
La importancia del transporte

Condiciones ambientales en el transporte

Temperatura y humedad

Diferentes autores indican diferentes valores recomendados de temperatura y humedad, para las dos “zonas” en el transporte (zona del camión y zona del interior de las cajas). Estas diferencias pueden ser debidas a que la sensación térmica de un pollito no es igual a la cifra que indica un termómetro.

La temperatura de la “zona del camión” a la cual las aves estén en confort térmico depende de varios factores (algunos de ellos cambiantes):

Tamaño del pollito: los pollitos más pequeños necesitarán más temperatura (+ 1 0C).

Tipo de caja: La temperatura del camión con cajas de cartón debe ser menor que con cajas de plástico.

Humedad: A mayor % de humedad, mayor sensación térmica, menor tendrá que ser la temperatura del camión.

del pollito de un día

2
83 La importancia del transporte

La importancia del transporte del pollito de un día

Posición en el camión: si el camión tiene una velocidad del aire recirculante adecuada, que iguala la temperatura en todas las zonas del camión, las diferencias son menores. Si la velocidad del aire recirculante es baja, habrá grandes diferencias

Velocidad del aire recirculante: cuanto mayor sea la velocidad del aire, menor sensación térmica.

84

Como conclusión, la temperatura del aire en el camión debe decidirse en función de:

El comportamiento de las aves:

Aves en confort: Pollito distribuido uniforme por la caja. Pían suavemente.

Aves con frío: Pollito agrupado para disminuir la pérdida de calor (pían muy agudo llamando a la gallina para que regrese y los caliente).

Aves con estrés térmico: Se mueven hacia los bordes de la caja para buscar un sitio más fresco y jadean. Pían muy agudo como llamada de auxilio.

Y si queremos ser más precisos, podemos medir la temperatura cloacal de los pollitos, el objetivo es mantenerlos entre 35,5 0C y 40, 5°C.

3 Modelos de transporte de pollitos en función de la ventilación/ control ambiental

En nuestro mercado cercano, hay 3 tipos de camión/modelos de ventilación con diferentes diseños de trayectorias del aire, con diferentes caudales de ventilación, caudales de renovación, potencia calorífica y potencia de enfriamiento.

La elección de uno u otro sistema dependerá de nuestras necesidades específicas de transporte.

aviforum.info 85
La
importancia del transporte del pollito de un día
DEBATE: Futuras vacunas influenza aviar, Horizonte 2025 17:00 - 18:30 86 DEBATE: Futuras vacunas influenza aviar, Horizonte 2025
al ponente
Pregunta

Subdirectora General de Sanidad e Higiene Animal y Trazabilidad

Licenciada en Veterinaria por la Universidad Complutense de Madrid.

Funcionaria de carrera del Cuerpo Nacional Veterinario desde abril de 1990, trabajando de 1990 a 1994 como funcionario de los Servicios Periféricos del Ministerio de Sanidad y Consumo; de 1994 a 2004 como funcionaria del Ministerio de Administraciones Públicas, en el Área Funcional de Sanidad de la Delegación del Gobierno en Madrid, y desde 2004 en el Ministerio de Agricultura en la actual Subdirección General de Sanidad, Higiene y Trazabilidad Animal. Asimismo, representante del Ministerio de Agricultura en REMESA (Red Mediterránea de Sanidad Animal), punto de contacto en sanidad animal ante la Unión Europea, la FAO y la OIE.

Desde julio de 2016 como Subdirectora General de Sanidad e Higiene Animal y Trazabilidad

Stephane Lemiere

Director técnico global en Avicultura en Boehringer Ingelheim

Doctor veterinario especialista en enfermedades aviares (diploma de Europa – ECPVS). 35 años de experiencia en microbiología (virus y bacteria) e inmunología veterinaria. 25 años de experiencia en control de las enfermedades aviares como veterinario en varios roles en Boehringer Ingelheim

Licenciado en veterinaria (Especialidad Producción Animal y Economía) en la Universidad de Zaragoza en el año 2004. A partir del 2005 empieza a realizar Servicio técnico veterinario en distintas integradoras del país. En julio del 2018 se une a Ceva Salud Animal realizando seguimiento de lotes en campo, con el fin de asegurar la correcta inmunización de los animales frente a las patologías existentes, a través del estudio serológico y de muestreos en granja.

Alberto Villa Vet

Workshop Tarde

Sala NUTRICIÓN Y ALIMENTACIÓN POLLOS

La

Pere Borrell

CON EL APOYO DE

16:30- 17:00

Cibele Torres

Europe, Russia, MENA, South Africa ZINPRO Corporation

situación

88

importancia de la calidad física del pienso ante la nueva
Alimentación de la reproductora: la batalla embrionaria contra el estrés de la incubación de
costos
16:00- 16:30
Poultry Research and Nutritionist Responsable de Tecnología y Bioseguridad en QUALIVET
CON EL APOYO DE

Pregunta al ponente

Importancia de la alimentación temprana en los posteriores resultados productivos
- 17:30
Mesa Redonda y Preguntas
17:00
17:30 - 18:30
89
Clara Alfonso Carrillo Investigadora del Nutreco Poultry Research Center CON EL APOYO DE

PoultryStar ® Intestino sano – pollo fuerte!

Efectivo y específico para aves

Simbiótico que contiene múltiples cepas

Patentado y registrado en la UE

Permitido en la producción orgánica

Sin riesgo para la salud de los animales o humanos

Si no somos nosotros, ¿quién?

Si no es ahora, ¿cuándo?

WE MAKE IT POSSIBLE

www.dsm.com/anh

Síguenos en:

La importancia de la calidad física del pienso ante la nueva situación de costos

16:00 - 16:30 Workshop
Y ALIMENTACIÓN
91 La importancia de la calidad física del pienso ante la nueva situación de costos JUEVES 25 de Mayo
NUTRICIÓN
POLLOS

Diplomado en Dirección Industrial. EADA - Escuela de Alta Dirección y Administración.1991.

Director de Producción Coop. Comarcal de Reus 1989 – 1997

Director de producción PIEMA (1997 – sept 1998)

Director industrial de Granja Crusvi, S.A.1998 – abr 2019

Responsable de Tecnología y Bioseguridad en plantas de Alimentos para Animales QualiVet - EcoVet Economía

Veterinaria, S.L. mayo 2019 – actualidad

Presidente de la Asociación de Fabricantes de Alimentos Compuestos de Cataluña (ASFAC).2015 – actualidad

Ex vocal de la Lonja de cereales de Barcelona

La alimentación animal ha vivido durante las dos últimas décadas una cierta tranquilidad en lo que respecta a costes y a la calidad de las materias primas empleadas, dejando a un lado ciertas patologías que no son directamente achacables a la alimentación.

Por otro lado el avance que se ha producido en las genéticas a nivel de producción ha sido no menos que destacable, podríamos estar de acuerdo que en el año 2000 la nutrición iba por delante de la genética y en estos momentos creo que la nutrición no alcanza el potencial productivo que un pollo de carne nos puede dar (peso a 30 días 1,805 con un IC de 1306, tabla Ross 308), es evidente que esta situación tiene ventajas e inconvenientes desde el marco regulatorio de la UE hasta la calidad y presentación del alimento a nuestras aves, sin olvidar el título del taller LA NUEVA SITUACIÓN DE COSTES.

La importancia de la calidad física del pienso ante la nueva situación de los costes de fabricación
92
La importancia de la calidad física del pienso ante la nueva situación de costos

Desde mi punto de vista como especialista en tecnología de fabricación voy a intentar desgranar las limitaciones a las que nos enfrentamos en esta época de precios de insumos convulsos.

Todos sabemos que las fábricas de alimentos para animales las podemos separar en varias categorías y que estas nos limitarán para el producto final que queramos conseguir, primero tenemos las fábricas monoespecie y las fábricas multiespecie, esta distinción, aunque sea liviana será la primera limitación importante a afrontar.

Luego distinguiremos entre fábricas de premolienda y las de postmolienda, donde intentaremos ver las ventajas e inconvenientes de una frente a la otra a la hora de obtener un producto final adecuado.

En tercer lugar, veremos qué producto obtenemos con un molino de rodillos y cómo podemos adecuar un molino de martillos para minimizar el impacto de los “finos” de la mezcla. Y como no, si granulamos o bien nuestra presentación es en harina y seguiremos con toda la maquinaria que tenemos en nuestras instalaciones que nos pueden provocar limitaciones que nos afectan a nuestra calidad productiva del animal y por último daremos un repaso a nuestros costes energéticos y qué alternativas tenemos para intentar minimizar el impacto de estos.

93
La importancia de la calidad física del pienso ante la nueva situación de costos

La importancia de la calidad física del pienso ante la nueva situación de costos

Fábricas monoespecie:

En las fábricas monoespecie nos será más fácil configurar la línea de producción ya que el animal a alimentar necesita siempre la misma presentación y solo variará en sí presentamos en harina, migajas o en granulado, cabe decir que en el caso que nos ocupa las presentaciones serán diferentes si estamos en fase de ARRANQUE, CRECIMIENTO O ACABADO.

Es habitual que en fase de arranque tengamos

MIGAJAS O FIDEO hasta los 10 días, GRANO CORTO O HARINA EN CRECIMIENTO Y GRANULADO O HARINA

GROSERA EN ENGORDE Y ACABADO HASTA EL FINAL.

94

Como hemos dicho antes de tipología de fábricas tenemos de PREMOLTURACIÓN Y DE POSTMOLIENDA, aquí nos aparece la primera limitación importante que nos acompañará hasta el final de la exposición.

La primera, PREMOLIENDA, nos permite adecuar vía diámetro del tamiz y revoluciones del motor vía variador de frecuencia una granulometría para cada producto, con lo que ya podemos variar a voluntad el tamaño de partícula del maíz, trigo, cebada y en su caso también las harinas dependen como nos lleguen a fábrica.

A diferencia de estas las de POSTMOLIENDA TODOS LOS PRODUCTOS DE CIERTO TAMAÑO, generalmente superiores a 3mm tienen que pasar por la misma criba del molino, las inferiores a 3 mm las sacará la criba que dispondremos encima del molino y se juntaran en la tolva de encima la mezcladora.

Hasta aquí hablamos en la configuración de molinos de martillos que per se producen más finos que uno de rodillos, si nuestro objetivo es realizar una buena harina y tenemos una fábrica monoespecie, lo suyo sería disponer de un molino de rodillos ya que nos reducirá sistemáticamente los finos y además el consumo por tonelada producida es mucho menor comparado con uno de martillos.

95
La importancia de la calidad física del pienso ante la nueva situación de costos

Una empresa, en sus términos más simples, consiste en encontrar un cliente, determinar que necesita para ir bien, y organizarse para proporcionarle precisamente eso. Los procesos necesarios para conseguir este objetivo se componen de requerimientos medibles que cumplen unas personas y unas máquinas.

El trabajo de la dirección es seleccionar estos requerimientos, disponer que cada uno entienda su papel personal en cumplirlos, y entonces hacer que los requerimientos se cumplan de entrada.

Llegados a este punto quisiera hacer hincapié a cuestiones que afectan a todas las fábricas en común, que es la calidad de lo que entramos por la piquera y que podemos hacer para mejorar la calidad de estos ingredientes.
¡¡Atención, aparece la palabra calidad!! ¿Cómo la entendemos?
96 La importancia
de la calidad física del pienso ante la nueva situación de costos

La Calidad, entonces, puede ser definida como el establecimiento de requerimientos correctos y su estricta conformidad con estos requerimientos.

A medida que se saben más cosas, mejoramos continuamente los requerimientos, pero siempre tenemos que hacer que se cumplan a la primera. Eso es la Calidad.

¿Disponemos de equipos de inyección de ácidos para conservar la integridad de los productos ante mohos, insectos y otros ataques que pueden recibir las Materias Primas?

En la fábrica de POSTMOLIENDA, ¿que nos ofrece la tecnología para ayudarnos?

Una vez sabemos los requerimientos establecidos podemos actuar, ¿cómo?
¿Tenemos una limpia en la piquera para separar impurezas, polvo, grano partido…?
97
La importancia de la calidad física del pienso ante la nueva situación de costos

Aquí entra el Variador del Molino que nos permite jugar con las rpm de este y el agujero de la criba para obtener los mínimos finos exigibles sin pasar de un porcentaje alto de partículas groseras. Hay que tener en cuenta que todo el alimento nos va a pasar por aquí. Tan malo es un alto % de partículas finas + de un 15 % inferior a 1mm, como estar en + de un 10% por encima de 3,25mm y el resto a partes iguales entre + de 1mm y + de 2mm (datos obtenidos de las casas de genética).

Estos parámetros son para presentación en HARINA, si tenemos que GRANULAR, los parámetros serán, + de 1mm hasta el 10%, + de 0,5mm hasta 45%, + de 0,3mm hasta el 25% e inferior a 0,3mm mínimo de un 20% (requerimientos de Bühler).

98 La importancia de
¡A partir de estos requerimientos debemos adaptar nuestras instalaciones para acercarnos lo máximo posible al objetivo y tener en cuenta que nuestro cliente es el ANIMAL, NO EL GRANJERO!
la calidad física del pienso ante la nueva situación de costos

Con este panorama pasamos a la situación complicada que estamos viviendo actualmente como son los altos precios de la Materia Prima, así como los desorbitados precios de la energía necesaria para obtener nuestro producto.

Para realizar un ejercicio rápido a día de hoy con datos de septiembre de 2022 con el gas a 320€/MWh y la electricidad a 248€/MWh, estos precios nos llevan a tener unos costes de fabricación de +-8€/tn en fabricación de HARINA y de unos- 16-18€/tn si es en presentación GRANULADO, hay que remarcar que la granulación supone aproximadamente el 40-45% del coste energético de la fabricación.

Pensando que estamos en el Aviforum Carne y nuestros clientes son los POLLOS, que se definen como aves GRANIVORAS, creo que la alimentación tiene en la presentación del alimento un importante desafío.

Hoy en día las genéticas nos dicen que cobra mucha importancia como presentamos el alimento en cada fase, pero todas coinciden que tenemos que minimizar los finos ya sea en presentación HARINA como en GRANULADO, pero para acabar escribiré una frase que es una máxima en nuestro sector “MEJOR UNA BUENA HARINA QUE UN MAL GRANULADO” y aquí señores entramos los técnicos para obtener un buen resultado al mejor coste posible.

aviforum.info 99
La importancia de la calidad física del pienso ante la nueva situación de costos

Juntos, creamos poderosas alianzas.

Cuando la experiencia, la dedicación y el desempeño tienen un objetivo en común, suceden cosas sorprendentes y los desafíos comienzan a convertirse en oportunidades de crecimiento, esto es el poder de transformación del trabajo en equipo.

Escanee el código QR para comenzar a trabajar juntos o póngase en contacto con Juan Manuel Martin-Tereso: jmmartintereso@zinpro.com

#PowerOfZinpro

Alimentación de la reproductora: la batalla embrionaria contra el estrés de la incubación Cibele Torres 16:30 - 17:00 Workshop NUTRICIÓN Y ALIMENTACIÓN
101 Alimentación de la reproductora: la batalla embrionaria contra el estrés de la incubación JUEVES 25 de Mayo
POLLOS

La Dra. Torres obtuvo su título de Médica Veterinaria en la Universidad Federal de Rio Grande do Sul, Brasil y su Ph.D. en Ciencias Avícolas de la Universidad de Alberta, Canadá.

Como nutricionista avícola, la Dra. Torres dirige los programas de investigación avícola y las evaluaciones de campo de Zinpro en toda Europa y proporciona asistencia técnica a Europa, Oriente Medio y el Norte de África (MENA), Sudáfrica y Rusia.

A lo largo de 21 días de incubación, los lípidos de la yema y los nutrientes (vitaminas y micro minerales etc) son movilizados por el embrión durante su crecimiento.

La membrana del saco vitelino es responsable de transferir dichos nutrientes al embrión en desarrollo.

El oxígeno es la energía necesaria en este proceso. El aumento del consumo de oxígeno y la respiración mitocondrial son aspectos obligatorios del desarrollo embrionario que aumentan drásticamente a partir de los 12 días de incubación cuando la membrana corioalantoidea está completamente desarrollada.

Esta membrana cumple múltiples funciones durante el desarrollo del embrión, incluido el transporte de calcio desde la cáscara del huevo y el intercambio de gases.

Esta membrana tiene una red de vasos sanguíneos en su interior que se alinea contra la superficie interna de la cáscara de huevo.

Este es el lugar donde se produce el intercambio de gases respiratorios.

102
Alimentación de la reproductora: la batalla embrionaria contra el estrés de la incubación

El hierro (Fe), un mineral de gran importancia

El hierro (Fe) almacenado en la yema es fundamental, no solamente para el intercambio gaseoso en la membrana corioalantoidea, sino para el transporte de hierro en la circulación y metabolismo energético. Este mineral de gran importancia en diversas funciones biológicas es frecuentemente subestimado en la nutrición avícola.

La concentración de hierro en el huevo depende de la fuente y la cantidad suplementada a la gallina.

En un estudio publicado recientemente podemos ver que el mayor efecto sobre la deposición de la yema se observó cuando las gallinas fueron alimentadas con hierro quelatado con un aminoácido1

Esta fuente de hierro es una estructura única en la que el hierro se une estructuralmente a los aminoácidos de lisina o ácido glutámico en una proporción de 1:1.

Esta estructura permite que el metal sea absorbido eficientemente a través de los transportadores de aminoácidos.

Este complejo es soluble en agua, estable, no utilizado por bacterias intestinales y no afectado por antagonistas presentes en el lumen intestinal.

103
Alimentación de la reproductora: la batalla embrionaria contra el estrés de la incubación

La sustitución completa de FeSO4 por 45 ppm de Fe en forma de complejo de Fe con aminoácidos mejoró, no solamente el contenido de hierro en la yema (figura 1), sino también la producción de huevos, la actividad antioxidante y el estado hematológico y sérico de las gallinas en relación con las alimentadas con el mismo nivel pero en la forma inorgánica.

En este estudio las gallinas fueron alimentadas con dieta basal (75 mg Fe/kg proveniente de la materia prima) suplementada con 0 (control negativo), 15, 30, 45, 60 y 75 mg Fe/kg suplementado de dieta2 o 45 mg Fe/kg en la forma inorgánica FeSO4 (control positivo).3

104 Alimentación de
reproductora:
embrionaria
Figura 1.
la
la batalla
contra el estrés de la incubación

En otro estudio, se ha demostrado que las reproductoras alimentadas con 40 ppm de Fe como sustitución completa del Fe inorgánico experimentaron un aumento en la incubabilidad de los huevos fértiles y la progenie tuvo un efecto positivo en el rendimiento durante el engorde y la edad de sacrificio en comparación con gallinas

Pienso de reproductoras suplementadas con 40 ppm de Fe de Zinpro® Propath® Fe resultó en +3 pollitos por gallina alojada vs 40 ppm de Fe de FeSO4 inorgánico

105
Figura 2.
Alimentación de la reproductora: la batalla embrionaria contra el estrés de la incubación

Convertir los nutrientes de la yema en tejido embrionario no es un proceso perfecto. Paralelamente al aumento del crecimiento embrionario, hay una mayor producción de radicales libres, especialmente hacia la segunda y tercera semana de incubación.

La primera línea de defensa antioxidante incluye 3 enzimas que se complementan, que no se sustituyen entre sí, y que juegan un papel clave en la neutralización de los radicales libres. Estas enzimas también requieren oligoelementos en su estructura.

En primer lugar, la enzima superóxido dismutasa que depende del cobre (Cu), zinc (Zn) y manganeso (Mn) reacciona con el radical superóxido para formar peróxido de hidrógeno que sigue siendo tóxico.

Entonces, tanto la catalasa como la glutatión peroxidasa, que requieren Fe y selenio (Se) para funcionar correctamente, respectivamente, pueden convertir el peróxido de hidrógeno en agua.

106
Alimentación de la reproductora: la batalla embrionaria contra el estrés de la incubación

En el contexto actual de calentamiento global, la manipulación térmica de embriones de pollo ha recibido una atención cada vez mayor como estrategia para promover la tolerancia al calor en las especies de aves mediante el aumento de la temperatura de incubación del huevo.

Alimentación de la reproductora: la batalla embrionaria contra el estrés de la incubación

107

En condiciones de incubación con estrés por calor, la actividad de varias enzimas antioxidantes son afectadas sustancialmente.

Los minerales presentes en la yema, Cu, Zn, Mn, Se y Fe apoyan el crecimiento embrionario general y garantizan un óptimo funcionamiento del sistema antioxidante evitando que los radicales libres dañen los tejidos en desarrollo.

Por esto es tan importante suplementar a la gallina con la fuente de alta biodisponibilidad de micro minerales para soportar el crecimiento embrionario general, el transporte de oxígeno a través del cuerpo, los intercambios de gases a través de la cáscara del huevo y para garantizar que el sistema antioxidante funcione bien.

108 Alimentación
embrionaria
de la reproductora: la batalla
contra el estrés de la incubación

Un estudio reciente realizado en la Universidad de Georgia mostró una mayor incubabilidad de huevos fértiles y pollitos más robustos cuando las gallinas fueron alimentadas con un programa de minerales5 (zinc, manganeso, cobre y hierro) en comparación con las alimentadas con formas inorgánica. El programa de minerales usado en el estudio, no solo mejora la calidad de la cáscara del huevo, y aumenta la incubabilidad, sino que también mejora la calidad del embrión cuando crece en condiciones de incubación tanto estándar como las extremas (figura 3).

Alimentación de la reproductora: la batalla embrionaria contra el estrés de la incubación

1Zinpro® Propath® Fe

2en forma de Zinpro® Propath® Fe

3Este estudio respalda la adición de Zinpro® Propath® Fe como sustitución completa del Fe inorgánico al formular dietas para gallinas.

4de Zinpro® Propath® Fe

5Programa de minerales Zinpro Performance

6Performance Minerals de Zinpro

aviforum.info
109
Figura 3.

La importancia de la alimentación temprana en los posteriores resultados productivos

17:00 - 17:30 Workshop NUTRICIÓN Y ALIMENTACIÓN POLLOS 111 La importancia de la alimentación temprana en los posteriores resultados productivos JUEVES 25 de Mayo
Clara Alfonso Carrillo

Doctora Ingeniero Agrónomo especializada en Nutrición y Producción Animal por la Universidad Politécnica de Madrid. En 2005, tuvo su primer contacto con el Centro de Investigación del grupo Nutreco a través de una beca FEDNA, donde realizó su Trabajo Fin de Carrera enfocado en nutrición de reproductoras con distintas estirpes genéticas. Después de tres años de beca en Nutreco, trabajando como asistente de investigador en numerosas pruebas nutricionales en aves, conejos y cerdos, comenzó a trabajar como Investigadora principal en el mismo centro experimental, donde sigue actualmente. Completó su Tesis Doctoral en 2016, sobre nutrición y manejo en la cría de conejos.

En los últimos 10 años, ha centrado su trabajo en la investigación aplicada con gallinas ponedoras y reproductores, mostrando especial interés en la alimentación temprana. Su experiencia y conocimientos en el campo se reflejan en varios artículos publicados en revistas científicas, presentación de pósteres y comunicaciones en diversos congresos científicos, así como en su colaboración en diferentes proyectos tanto europeos como nacionales.

Es ampliamente conocido que la alimentación durante los primeros días de vida, o nutrición temprana, es esencial para asegurar un desarrollo inicial óptimo de los seres vivos. Pero, además, también es importante destacar que los efectos de esta nutrición temprana pueden ser significativos a largo plazo, no sólo en términos de salud y bienestar, sino también en el futuro desempeño productivo de los animales.

La nutrición temprana ha sido objeto de numerosos estudios en diferentes especies, incluyendo seres humanos y animales de granja, y han demostrado que ésta puede ser un factor importante en la prevención de enfermedades crónicas como la obesidad, la diabetes y las enfermedades cardiovasculares.

¿Cuál es el potencial biológico de la nutrición temprana?
112
La importancia de la alimentación temprana en los posteriores resultados productivos

Estos efectos a largo plazo son debidos a cambios producidos en la expresión génica y a la cada vez más estudiada programación metabólica, proceso mediante el cual el ambiente nutricional durante los períodos críticos de desarrollo temprano puede establecer patrones de regulación metabólica que persisten a lo largo de la vida del individuo.

En la cría de pollos de cebo, varios estudios han demostrado que existe una correlación significativa entre el crecimiento durante los primeros días de vida con el peso al sacrificio (Willemsen et al., 2008).

En el caso de gallinas, se ha observado un efecto significativo del nivel de crecimiento durante el periodo de recría sobre el nivel productivo posterior (Chi, 1985). Además, el peso en las primeras semanas de vida es incluso más relevante que el peso al final de la recría (Kwakkel et al., 1990).

También se han observado efectos a largo plazo tras producirse una disbiosis intestinal temprana, sobre una posterior respuesta específica de anticuerpos, a pesar de observarse una recuperación de la composición de la microbiota intestinal (Simón et al., 2016).

113
La importancia de la alimentación temprana en los posteriores resultados productivos

En la producción avícola actual, es común que los animales afronten dificultades para acceder a su primer alimento.

Debido a la llamada "ventana de nacimiento" en la incubadora, como a la duración del transporte hasta la granja, muchas veces los animales tienen acceso al alimento y al agua unas 36-48 horas tras su eclosión, lo que puede provocar una disminución del peso corporal y un retraso en el desarrollo gastrointestinal.

Además, la capacidad de digestión y absorción de nutrientes de los pollitos tras eclosionar no está completamente desarrollada y su sistema inmunitario es inmaduro y vulnerable a enfermedades, lo que les hace susceptibles a infecciones bacterianas y virales.

114
Por lo tanto, es crucial proporcionar a los pollitos una alimentación adecuada en su etapa inicial, lo que implica el uso de una dieta específica durante los primeros días de vida.
La importancia de la alimentación
temprana
en los posteriores
resultados productivos

En condiciones prácticas, tanto en la cría de pollos de carne como en la de futuros reproductores, los programas de alimentación temprana abarcan periodos relativamente largos comparados con los cambios tanto físicos como metabólicos que se producen en esta etapa de crecimiento.

Por ello, diseñar los programas de alimentación con periodos más cortos durante esta etapa temprana, ajustándose de forma más precisa a las necesidades de los animales, es una estrategia interesante que ayudará a conseguir el máximo potencial genético.

Sin embargo, el trabajo realizado hasta la fecha para estimar las necesidades nutricionales durante los primeros días de vida tanto en avicultura de carne como de puesta ha sido muy limitado.

En el grupo1, como empresa de nutrición animal comprometida con la salud, sostenibilidad y bienestar animal, existe una preocupación especial por esta etapa inicial del desarrollo de los animales y por ello empezó a trabajar hace ya más de 15 años en un proyecto de investigación global basado en la importancia de la alimentación temprana2 .

Este proyecto se centra en la investigación y el desarrollo de soluciones nutricionales innovadoras durante los primeros días, que permitan a los animales alcanzar todo su potencial genético, mejorando su bienestar y resistencia a enfermedades.

115
La importancia de la alimentación temprana en los posteriores resultados productivos

La importancia de la alimentación temprana en los posteriores resultados productivos

Los últimos avances de este proyecto2 han sido los llamados pre-iniciadores3: enfocado en pollitos de engorde durante los cuatro primeros días de vida; y otro producto4: desarrollado específicamente para pollitas de puesta y reproductores durante las dos primeras semanas de vida.

Ambos conceptos comparten el objetivo de satisfacer las necesidades nutricionales específicas durante la primera etapa crucial del desarrollo de estos animales con diferentes necesidades de crecimiento.

Para ello, se emplean fuentes energéticas y proteicas altamente digestibles y con una cinética de degradación rápida para evitar la llegada de nutrientes no deseados a nivel cecal.

Además, con el uso de proteínas funcionales se intenta potenciar el desarrollo inmunitario y reducir el impacto negativo de enfermedades digestivas.

En ambos casos, se ha diseñado un premix vitamínico-mineral específico para este periodo, haciendo uso de fuentes de minerales traza con alta estabilidad y disponibilidad, combinando fuentes orgánicas e hidroxilados.

116

Otro aspecto importante que se tuvo en cuenta en el desarrollo de ambos pre-iniciadores fue la correcta formación ósea.

En los pollos, es esencial tener una estructura ósea adecuada para soportar el intenso desarrollo muscular.

De la misma manera, en gallinas de puesta y reproductores, la talla del animal es un factor crítico para lograr una actividad reproductiva adecuada y un suministro de minerales provenientes del hueso medular eficiente.

Un buen desarrollo del esqueleto depende de la absorción y disponibilidad de ciertos minerales.

Así, la absorción del calcio y fósforo, entre otros minerales, es esencial para la formación y mantenimiento de la estructura ósea.

importancia de la alimentación temprana en los posteriores resultados

117
productivos
La

La importancia de la alimentación temprana en los posteriores resultados productivos

La yema es la principal fuente de fósforo durante los primeros días de vida y en el momento de la eclosión su almacenamiento es mínimo (Wang et al., 2020). Por el contrario, el contenido en calcio de la yema es mucho mayor debido a la movilización de Ca desde la cáscara del huevo durante la incubación.

Para que haya una adecuada asimilación de los minerales, es muy importante proporcionar a través de la dieta un equilibrio óptimo entre ellos.

Además, con la utilización de distintas fuentes minerales (orgánicos e hidorxilados) hemos observado resultados positivos en el crecimiento de los animales, no solo en términos de peso vivo, sino también en desarrollo esquelético o “talla”.

118

Para terminar, hay que destacar la importancia tanto de la presentación del pienso como el tamaño de partícula, siendo este último un factor que a menudo se pasa por alto.

Es conocido que el uso de gránulo o migaja ayuda a mejorar la ingesta de pienso.

Sin embargo, la utilización de moliendas muy finas para facilitar el proceso de fabricación en este tipo de presentaciones penaliza el desarrollo y la actividad de la molleja, aumentando la velocidad de tránsito y afectando negativamente a la digestibilidad de los nutrientes (Mateos y Sell, 1981).

Por ello, la estrategia que hemos utilizado para el desarrollo de nuestros pre-iniciadores implica una presentación de pienso dirigida a incrementar el consumo de alimento inicial a través de un micropellet de alta calidad, pero a su vez asegurando un tamaño de partícula óptimo, con el uso de materias primas fibrosas.

119
La importancia de la alimentación temprana en los posteriores resultados productivos

La importancia de la alimentación temprana en los posteriores resultados productivos

En conclusión, la nutrición temprana es un aspecto crucial en avicultura, ya que debido a la programación metabólica puede tener efectos a largo plazo en la salud y el rendimiento productivo de los animales.

Por ello, el uso de pre-iniciadores es una alternativa muy interesante tanto en pollos de crecimiento como reproductores, que ayudará a conseguir el máximo potencial genético.

aviforum.info

Nutreco 2LifeStart 3ChickCare® 4PullyCare® 120
1Grupo

SERVICIO INTEGRAL EN PLANTAS DE PROCESADO DE CARNE DE POLLO

Análisis y control microbiológico del proceso y producto final.

Optimización de resultados en planta de procesado: Auditorias de proceso

- Análisis de datos

PubA4 Plantas procesado Pollo.indd 1 20/2/23 14:34

09:30 - 10:00

10:00 - 11:00

Salmonella Infantis: El desafío

Dra. Clara Marín Orenga DVM, PhD

Profesora Titular Facultad de Veterinaria

Universidad CEU-Cardenal Herrera

Eficiencia energética en granjas avícolas

Rafael Torres Morcillo Consultor independiente en Energía y Medio Ambiente

Fernando Fonseca Barrio CEO en OPP Group y AGRENER Industrial

Andrea Ghiggini Application Specialist EMEA MUNTERS

Pregunta al ponente

CON EL APOYO DE

CON EL APOYO DE

FORUM CARNE 23

11:45 - 12:30

Programa

Coffee break 11:00 - 11:45

Visiones técnico - científicas de expertos sobre las tendencias de bienestar animal

Dr. Antonio Velarde Investigador y jefe del programa de Bienestar Animal del Institut de Recerca i Tecnologia Agroalimentàries (IRTA) en España

Antonio Alegre Asesor Veterinario especialista en Bienestar Animal

12:30 - 13:30

AVI-COLOQUIO

“Toda una vida en el sector”

Rafael Romero Director Gerente de la Asociación Avícola Andaluza y Director Sanitario de la ADSG Avícola de Andalucía

Ceva Salud Animal, S.A. Avenida Diagonal, 609-615, 9ª planta B, 08028 – Barcelona Telf. (34) 93 292 06 60 www.ceva.com – ceva.salud-animal@ceva.com El futuro es ahora. Siempre un paso por delante SE HACE CAMINO AL ANDAR. NO FUE FÁCIL AL PRINCIPIO . APRENDIMOS JUNTOS. Y JUNTOS SEGUIMOS. PORQUE LO PODEMOS HACER AÚN MEJOR. Y PORQUE EL FUTURO NO ESPER A .

Salmonella Infantis: El desafío

09:30 - 10:00 125 Salmonella Infantis: El desafío JUEVES 25 de Mayo
Dra. Clara Marín Orenga DVM, PhD

Diplomada Europea en Avicultura (ECPVS) y profesora titular del Departamento de Producción Animal y Sanidad Animal, Salud Pública Veterinaria y Ciencia y Tecnología de los Alimentos. Facultad de Veterinaria, Universidad CEU Cardenal Herrera (Valencia).

Existen numerosas fuentes de la infección humana, entre las que destacan el consumo de alimentos, el contacto directo con animales infectados (por ejemplo, mascotas, como reptiles) o ambientes contaminados (parques).

Sin embargo, la infección humana por Salmonella spp. ha estado ligada tradicionalmente al consumo de productos avícolas, entre los que destacan el huevo y la carne de ave (OMS, 2018).

A pesar de las estrictas medidas de control implementadas a nivel de todo el sistema productivo avícola y el importante descenso de la prevalencia de Salmonella spp. a nivel de campo, esta bacteria continúa siendo el segundo patógeno zoonótico de mayor relevancia en la Unión Europea (UE).
126
*Laura Montoro-Dasi, Laura Lorenzo-Rebenaque, Santiago Vega García.
Salmonella Infantis: El desafío

En este contexto, en el año 2004, la Autoridad Europea en Seguridad Alimentaria (EFSA, de sus siglas inglesas, European Food Safety Authority) publicó el primer informe de zoonosis y agentes zoonóticos de la UE, notificando un total de 192.703 casos de salmonelosis humana, de los que el 76% fueron provocados por el serotipo S. Enteritidis (fuertemente ligado al consumo de huevos y carne de pollo) y el 14% con S. Typhimurium (asociado al consumo de carne de cerdo, pollo y vacuno).

Como consecuencia, los dos serotipos fueron considerados, junto a S. Infantis, S. Hadar y S. Virchow, como los serotipos de mayor importancia en salud pública (posteriormente se incluyó la variante monofásica de S. Typhimurium, mST).

Los cinco serotipos fueron incluidos dentro de los Planes Nacionales de Control de Salmonella (PNCS).

Sin embargo, fuera de lo esperado, dichos planes fueron instaurados únicamente a nivel del sector avícola.

127
Salmonella Infantis: El desafío

Infantis: El desafío

Salmonella

En el año 2022, y tras la salida de Reino Unido de la UE, la EFSA ha publicado los resultados anuales de zoonosis y agentes zoonóticos obtenidos a nivel europeo, notificando un total de 60.050 casos de salmonelosis humana, 43.720 hospitalizaciones y 72 muertes.

En el caso de España se han notificado un total de 3.913 casos de salmonelosis humana, manteniéndose en los mismos niveles de infección que en años anteriores.

Entre los cinco principales serotipos de Salmonella involucrados actualmente en las infecciones humanas a nivel europeo, destacan S. Enteritidis (54,6%), S. Typhimurium (11,4 %), mST (1,4, [5],12:i:-) (8,8%), S. Infantis (2,0%) y S. Derby (0,93%) (EFSA, 2022).

Si nos centramos en los últimos resultados publicados por la EFSA a nivel del sector primario (EFSA, 2022), la mayor parte de las cepas de Salmonella spp. aisladas de los animales, pertenecen a la producción de: pollos de engorde (55.7%); seguidos de pavos (12,9%), cerdos (7,6%) y ponedoras (6,0%).

Además, cabe destacar que estos serotipos corresponden a aquellos más frecuentemente implicados en los casos de salmonelosis humana.

128

Sin embargo, a diferencia de lo que se observa en el ser humano, donde S. Enteritidis es el serotipo más prevalente, en el caso del sector avícola, el más prevalente es S. Infantis, suponiendo el 33.9% del total, y seguido muy de lejos por S. Enteritidis (8.2%), S. Typhimurium (3.8%), mST (1,4,[5],12:i:, 3.2%) y S. Derby (2.2%).

129 Salmonella Infantis:
Figura 1. Relación entre los principales serotipos de importancia en salud pública y la orientación productiva donde se aíslan (EFSA, 2022).
El desafío

Salmonella Infantis: El desafío

A diferencia del resto de serotipos de Salmonella spp., que pueden aislarse de diferentes orientaciones productivas, el 95,2% de las cepas de S. Infantis se relacionan únicamente con la producción de pollos de engorde, incluso se han observado diferencias entre diferentes líneas genéticas (Drauch et al., 2022b).

La presencia de este serotipo ha tenido un crecimiento exponencial en los últimos años, caracterizándose por la gran dificultad de eliminarlo del ambiente de las naves una vez se ha establecido en él (Newton et al., 2020).

Entre las diferentes causas que pueden explicar el incremento de S. Infantis en el sector avícola de engorde, encontramos que:

Se trata de un serotipo especialmente resistente que ha sido capaz de ocupar y persistir en el nicho, que los PNCS han dejado libre, tras controlar S. Enteritidis y S. Typhimurium (y mST) en avicultura.

Además, se ha descrito que S. Infantis presenta diferentes estrategias que le confieren un mayor potencial de supervivencia.

Entre ellos, destaca un plásmido denominado pESIlike-mega-plasmid, que confiere a la bacteria mayor facilidad de adquirir y transmitir genes de resistencia y multirresistencia antimicrobiana, mayor resistencia a los desinfectantes y a los metales pesados, junto a una mayor capacidad de crear biofilms (lo que la hace hasta mil veces más resistente a los productos utilizados tradicionalmente en los protocolos de limpieza y desinfección).

130

Por otro lado, S. Infantis, también presenta genes que le confieren mayor capacidad de adherirse, invadir las células del hospedador y sobrevivir intracelularmente, lo que incrementa su virulencia (Aviv et al., 2014; Velhner et al., 2018; Lapierre et al., 2020; Mughini-Gras et al., 2021, Medina-Santana et al., 2022, Alba et al., 2020).

Respecto a las resistencias antimicrobianas, el último informe de la EFSA notificó que S. Infantis fue el serotipo con mayor porcentaje de cepas multirresistentes (45,3%), junto con porcentajes significativamente elevados de resistencia frente a los grupos de las sulfonamidas y tetraciclinas, y antibióticos de especial relevancia, como el ciprofloxacino y la cefotaxima.

131
Todas estas características han convertido a S. Infantis en un serotipo distribuido mundialmente, con infecciones persistentes en avicultura de engorde. Por todo ello, es de gran importancia desarrollar herramientas eficaces a nivel de campo, especialmente diseñadas para su control.
Salmonella Infantis: El desafío

Infantis: El desafío

Salmonella

Entre las principales herramientas aplicadas a nivel del sector productivo y que han sido un éxito para el control de los serotipos de importancia en salud pública (S. Enteritidis y S. Typhimurium) destacan: la bioseguridad y manejo (destacando exhaustivos protocolos de limpieza y desinfección, así como de higienización de agua), aditivos alimentarios (cómo los ácidos, aceites, probióticos, prebióticos, etc.) y la vacunación (vacunas vivas e inactivadas).

Sin embargo, aún no existen muchos estudios de campo, que se basen en el control de S. Infantis en avicultura de engorde. A pesar de ello, estudiando la epidemiología de este serotipo, es fácil llegar a la conclusión de que entre los puntos más importantes para su control se encuentran:

Evitar la persistencia de S. Infantis en el ambiente de las naves de engorde.

Para ello, es fundamental eliminar el serotipo de las granjas positivas tan pronto sea identificado, evitando así el establecimiento de las poblaciones, y la creación de biofilms en las superficies y canalizaciones (Newton et al., 2020).

132

Entre los diferentes estudios publicados, se ha demostrado que una combinación de amonio cuaternario con aldehídos, seguidos por los peróxidos puede ser muy eficaz para evitar la persistencia S. Infantis en el ambiente de la explotación.

Sin embargo, sigue siendo necesario realizar más estudios a nivel de campo, especialmente con productos que sean complementarios a los utilizados habitualmente, novedosos, eficaces y respetuosos con el medio ambiente (Drauch et al., 2020a).

Evitar la infección de los nuevos lotes de animales por parte de S. Infantis, desde el inicio de la cadena de producción avícola hasta la llegada de los animales a matadero.

Para ello, es fundamental mantener una buena inmunidad y un equilibrio adecuado de la microbiota intestinal.

133
Salmonella Infantis: El desafío

Salmonella Infantis: El desafío

el transporte a matadero), por lo que se necesitará reducir al máximo el estrés de los animales (Clavijo y Flórez, 2018).

El estrés es un factor de riesgo altamente relacionado con la excreción de Salmonella spp. a través de las heces de los animales (Marin y Lainez, 2009).

Cualquier incremento de la excreción, dará lugar al aumento de la contaminación de las instalaciones y de las plumas de los animales, así como de los camiones de transporte y de las superficies del matadero.

Además, es fundamental utilizar aditivos en agua o pienso, que nos permitan modular esta población microbiana de manera efectiva, sostenible y respetuosa tanto con el animal, como con el medio ambiente, con el objetivo de conseguir animales más resilientes y capaces de evitar la colonización de bacterias como Salmonella

134

Dentro de estas herramientas alimentarias se pueden encontrar los probióticos (Lactobacillus, Bifidobacterium, etc.) o los ácidos (ácido butírico, propiónico, etc.), que han demostrado su eficacia en el control de Salmonella y otros microorganismos zoonóticos, tanto disminuyendo su capacidad de colonización, como potenciando los efectos de la vacunación mediante la modulación del sistema inmunitario (E-Saadony et al., 2022; Ruvalcaba-Gómez et al., 2022).

Por último, y una vez se consiga (1) instaurar unos protocolos de limpieza y desinfección adaptados a las características de la granja y (2) un equilibrio intestinal óptimo en los animales, la estimulación del sistema inmune es fundamental, por ello, la vacunación, se presenta como una de las herramientas más prometedoras en el control de S. Infantis (Eeckhaut et al., 2018, Crouch et al., 2020b, Saenz et al., 2022).

Actualmente, el sistema avícola cuenta con una vacuna comercial trivalente desarrollada contra S. Enteritidis, S. Typhimurium y S. Infantis, aplicable en gallinas reproductoras y ponedoras.

Sin embargo, muchos son los grupos de investigación, que sabiendo el papel fundamental que la aplicación de vacunas ha tenido en el control de S. Enteritidis y S. Typhimurium, siguen trabajando en el desarrollo de nuevas opciones que aplicar a nivel de campo.

Por un lado, se trabaja en el desarrollo de vacunas candidatas contra este serotipo y, por otro, testando la eficacia de la protección cruzada entre vacunas frente a diferentes serotipos.

Tras estos estudios, se han propuesto diferentes cepas atenuadas o inactivadas, así como vacunas recombinantes (mutantes, sistemas cocleares, vesículas de membrana).

Sin embargo, pese a que a nivel experimental se han observado resultados prometedores, de momento ninguna vacuna más ha sido autorizada para su uso comercial (Crouch et al., 2020a; Müştak y Yardımcı, 2019; Avedaño et al., 2021; Maiti et al., 2022).

135 Salmonella Infantis:
desafío
El

En conclusión, la avicultura es uno de los sectores productivos más importantes a nivel mundial. Sin embargo, continuamente surgen nuevos retos que debemos afrontar, siempre bajo una perspectiva One Health, entre los que destaca el incremento de nuevos serotipos de Salmonella spp., concretamente S. Infantis, una bacteria que evoluciona hacia una elevada resistencia y persistencia entre lotes.

Por ello, es necesario desarrollar nuevas herramientas de control, que sean novedosas, eficaces y respetuosas, tanto con el animal, como con el medio ambiente, para seguir produciendo alimentos saludables, nutritivos y competitivos para la sociedad.

aviforum.info Bibliografía disponible bajo petición 136 Salmonella Infantis:
El desafío
y *En
caso de duda consulte a su veterinario
DEBATE: Eficiencia energética
10:00 - 11:00 138 DEBATE: Futuras vacunas influenza aviar, Horizonte 2025
en granjas avícolas
Pregunta al ponente

Consultor independiente en Energía y Medio Ambiente

Ingeniero Agrónomo por la Universidad Politécnica de Madrid con más de 30 años de experiencia en distintas empresas, realizando funciones de dirección, organizativas, inversiones, etc. orientado a consecución de objetivos/resultados. En los últimos 15 años se ha vinculado a proyectos de valorización de residuos y otros relacionados con la mejora de la eficiencia energética.

CEO en OPP Group y AGRENER Industrial

Ingeniero Industrial por la Universitat Politècnica de Catalunya (UPC). CEO en la actualidad de OPP Group y Agrener Industrial. AGRENER es una empresa especialista en la climatización de explotaciones ganaderas que aporta soluciones integrales y personalizadas, enfocadas a satisfacer las necesidades y requisitos del cliente.

Application Specialist EMEA MUNTERS

Después de haberse formado como Ingeniero Agrónomo en la Universidad de Turín desde febrero de 2006 está trabajando para Munters, una empresa multinacional que emplea a 3700 trabajadores en 30 países y proporciona soluciones para la climatización de industrias, naves ganaderas e invernaderos.

DEBATE: Visiones técnico-
expertos
tendencias de bienestar animal 11:45 - 12:30 140 DEBATE: Visiones técnicocientíficas de expertos sobre las tendencias de bienestar animal Pregunta al ponente
científicas de
sobre las

Dr. Antonio Velarde

Investigador y jefe del programa de Bienestar Animal del Institut de Recerca i Tecnologia Agroalimentàries (IRTA) en España

Dr. Antonio Velarde es licenciado en Veterinaria y Doctor por la Universitat Autònoma de Barcelona. Tiene un máster en Producción Animal (1998) y otro en Ciencia y Bienestar del Animal de Laboratorio (2010). Desde 2011 es veterinario especialista en bienestar animal, ética y legislación por el European College of Animal Welfare and Behavioural Medicine (ECAWBM).

Desde el año 2002, trabaja de investigador del IRTA y desde 2009 responsable del programa de Bienestar Animal. Ejerce también como asesor en bienestar del comité ético de experimentación animal del IRTA.

Antonio Alegre

Asesor Veterinario especialista en Bienestar Animal

LICENCIADO EN VETERINARIA (1975-1980). Especialidad: Medicina y Cirugía animal. Curso de especialización en reproducción animal Derio (Vizcaya 1984). Seminarios de especialización en patología y producción aviar Universidad de Georgia (EE.UU.) (años: 1998,2006 y 2010).

Asistencia a más de 60 congresos, Symposium y jornadas técnicas de avicultura nacionales e internacionales. Formación complementaria en dirección y gestión de empresa (IESE). Autor de publicaciones en revistas del sector y colaborador en proyectos de investigación en diferentes centros y universidades..

Tendecias en bienestar de pollos de carne*

11:45 - 12:30 142 Tendecias en bienestar de pollos de carne VIERNES 26 de Mayo

Antonio Velarde

Dr. Antonio Velarde es licenciado en Veterinaria y Doctor por la Universitat Autònoma de Barcelona. Tiene un máster en Producción Animal (1998) y otro en Ciencia y Bienestar del Animal de Laboratorio (2010). Desde 2011 es veterinario especialista en bienestar animal, ética y legislación por el European College of Animal Welfare and Behavioural Medicine (ECAWBM).

Desde el año 2002, trabaja de investigador del IRTA y desde 2009 responsable del programa de Bienestar Animal. Desde 2012 es miembro del Panel de Salud y Bienestar Animal (AHAW) de la autoridad europea de seguridad alimentaria (EFSA).

*Antonio Velarde1, Cristina Rojo2, Yves Van der Stede2 and Virginie Michel3 1IRTA- Programa de Bienestar Animal, 17121 Monells, Spain; 2European Food Safety Authority, Biological Hazards, Animal Health and Welfare (BIOHAW) Unit, Via Carlo Magno, Parma, Italy; 3ANSeS Niort 60, Rue de Pied de Fond, CS 28440 79024 Niort Cedex, France.

La Autoridad Europea de Seguridad Alimentaria (EFSA) proporciona asesoramiento científico independiente y apoyo a responsables políticos de la UE. La Comisión Europea (CE) solicitó a la EFSA una evaluación de riesgo sobre el bienestar de los pollos de carne durante las distintas fases del ciclo de producción: pollitos de un día, reproductores y pollos destinados a la producción de carne.
143
Tendecias en bienestar de pollos de carne

en bienestar de pollos de carne

Tendecias

Esta presentación se centrará en los pollos destinados a la producción de carne.

Basándose en la bibliografía científica existente y el conocimiento de los expertos, la opinión científica describe los principales sistemas y prácticas de cría y las consecuencias de bienestar (CB), así como las medidas para evaluarlas.

Además, identifica los peligros que conducen a estas CB y proporciona recomendaciones para prevenir o corregir los peligros y/o mitigar las CB.

La CE también pidió a la EFSA que evaluara el bienestar de los pollos de crecimiento rápido y el riesgo asociado a la temperatura del aire y del suelo, el acceso al pienso y al agua, el espacio disponible y la calidad del aire. Por último, se describen medidas que se recogen o pueden recogerse en los mataderos para evaluar el bienestar de los pollos en la granja.

144

Los pollos de carne…

Los pollos de carne se crían principalmente en sistemas interiores de suelo con o sin jardín de invierno y/o acceso al aire libre y en alojamientos móviles con acceso al aire libre.

Se identificaron diez consecuencias muy relevantes de bienestar:

1 "problemas de reposo",

2 "estrés de grupo",

3 "incapacidad para realizar conductas de confort",

4 "incapacidad para realizar conductas exploratorias o de búsqueda de comida",

5 "restricción de movimientos",

6 "daños en tejidos blandos y tegumentos",

7 "estrés por frío",

8 "estrés por calor",

9 "trastornos locomotores" y

10 "trastornos gastroentéricos".

de pollos de

145 Tendecias
en bienestar
carne

en bienestar de pollos de carne

La aparición, severidad y duración de cada consecuencia varía en función del sistema de cría.

Se identificaron una variedad de peligros para las diferentes CB en los diferentes sistemas de cría: selección genética enfocada a una tasa de crecimiento rápido, densidad elevada, ausencia de sustrato o de mala calidad, temperatura demasiado alta, ausencia de estructuras elevadas o diseño no óptimo y una gestión de la luz no óptima.

En el dictamen también se describen las posibles medidas preventivas y correctoras de los peligros y las medidas paliativas para cada CB.

146 Tendecias
Una densidad elevada afecta varias CB que repercuten en la mortalidad de la explotación, el estrés térmico, los trastornos locomotores, la incapacidad para realizar comportamientos de confort y exploratorios, y el aumento de los daños en los tejidos blandos y el tegumento.

El impacto de la densidad sobre la dermatitis podal y el porcentaje de tiempo que pasan caminando se evaluó mediante la obtención de los estudios científicos disponibles y el conocimiento de expertos.

Además, en un segundo enfoque se utilizó un modelo comportamental para estimar el espacio necesario para satisfacer las necesidades de comportamiento de los pollos.

La densidad por encima de la cual aumenta la puntuación de dermatitis podal y se reduce el tiempo dedicado a caminar y el comportamiento exploratorio se estimó en 11 kg/m2 con una certeza del 66 al 100%.

En todo momento debe disponerse de material de cama seca y friable en la zona útil y es muy recomendable disponer de estructuras elevadas (rampas con fácil acceso).

Tendecias en bienestar de pollos de carne

147

Tendecias en bienestar de pollos de carne

La calidad del aire viene determinada por una compleja interacción entre factores como la ventilación, la densidad, la calidad de la cama y la edad y estado de salud de las aves.

La concentración de amoníaco no debe superar los 15 ppm. Debido a la falta de evidencias, no se pueden hacer recomendaciones específicas con respecto al CO2 y al polvo.

Los pollos deben tener fácil acceso a los sistemas de alimentación y bebida.

El entorno debe estar iluminado al menos con 20 lux, con zonas funcionales para el descanso que ofrezcan intensidades de hasta 0,5 lux.

En los sistemas con acceso al exterior y/o jardín de invierno, la luz del día tiene un efecto positivo sobre la actividad de las aves, por lo que se recomienda su utilización a partir de las 2 semanas de edad.

El acceso al exterior se considera especialmente útil en combinación con el jardín de invierno. Si se dispone de un acceso exterior, al menos el 70% del espacio debe estar cubierto de vegetación natural, de la cual el 50% deben ser árboles y arbustos.

148

Las medidas recomendadas en los mataderos para evaluar el bienestar de los pollos en la granja son las utilizadas para el " decomiso de canales", la "mortalidad total en granja" (sacrificios en granja y mortalidad en granja registrada semanalmente), las "heridas" y la "dermatitis podal".

Se considera necesario desarrollar sistemas de puntuación y protocolos armonizados y normalizados para supervisar y evaluar comparativamente el bienestar entre regiones y países. Actualmente se aplica el seguimiento automatizado de algunas de estas medidas en el matadero (por ejemplo, "dermatitis podal" y "heridas").

Para mejorar el bienestar de los pollos de carne, se recomienda aplicar las siguientes recomendaciones:

reducción de la densidad para que las aves puedan satisfacer sus necesidades de comportamiento,

limitación de la tasa de crecimiento a 50 g/día para mejorar la salud y actividad,

suministro de cama seca y friable en todo momento,

jardín de invierno disponible a partir de las 2 semanas de edad y plataformas elevadas.

Además, se recomienda armonizar las medidas recogidas en el matadero para evaluar el bienestar en granja.

Tendecias en bienestar de pollos de carne

aviforum.info 149
w w w . i n d t e c h g a n a d e r a . c o m 9 7 3 9 8 9 0 8 5 ∙ i n f o @ i n d t e c h g a n a d e r a c o m PACIPHYT FARMASEC SANIPHYT GLUTATech PROTech CALMATech+ RED PROTech Rendimiento Natural Aplicación en agua: en pienso: en camas:

Visiones técnicocientíficas de expertos sobre tendencias de bienestar animal

11:45 - 12:30 151 Visiones técnico-científicas de expertos sobre tendencias de bienestar animal
26 de
Antonio Alegre
VIERNES
Mayo

Visiones

LICENCIADO EN VETERINARIA (1975-1980). Especialidad: Medicina y Cirugía animal.

Curso de especialización en reproducción animal Derio (Vizcaya 1984).

Seminarios de especialización en patología y producción aviar Universidad de Georgia (EE.UU.) (años: 1998,2006 y 2010).

Asistencia a más de 60 congresos, Symposium y jornadas técnicas de avicultura nacionales e internacionales.

Formación complementaria en dirección y gestión de empresa (IESE).

Participación como ponente en Symposium y profesor en cursos de avicultura para profesionales.

Autor de publicaciones en revistas del sector y colaborador en proyectos de investigación en diferentes centros y universidades.

El bienestar de las aves puede tener diferentes enfoques, unos más técnico-científicos y otros más prácticos. Ambos enfoques son complementarios y en conjunto pueden esclarecer y resolver cuestiones relacionadas con el bienestar de nuestras aves.

El punto de vista práctico se basa en el conocimiento de las diferentes disciplinas relacionadas directa o indirectamente con el bienestar de las aves y la observación ”in situ” de las mismas, en materia de sanidad, alimentación y comportamiento.

El bienestar animal siempre ha estado presente en las producciones avícolas modernas, pero podríamos decir que de una manera implícita, ha estado ligado al desarrollo de otras disciplinas: Genética, sanidad y seguridad alimentaria, manejo, instalaciones, equipamientos y gestión de los recursos.

152
técnico-científicas
sobre
animal
de expertos
tendencias de bienestar

El sector de producción avícola de carne y las disciplinas relacionadas han tenido clásicamente unos objetivos:

Sociales

Producción de carne de ave saludable que los consumidores demandan

Creación de empleo y fijación de población en el sector primario

Económicos

Producir lo más eficazmente posible y suministrar proteína a la población a precios asequibles

En los últimos tiempos se han unido otros dos objetivos:

Sostenibilidad

Una producción respetuosa con el medio ambiente

Bienestar animal

Producir en condiciones óptimas de confort, sanidad y expresión del comportamiento propio de las aves.

153
Visiones técnico-científicas de expertos sobre tendencias de bienestar animal

La selección genética ha sido imprescindible

La selección genética ha sido imprescindible para obtener los objetivos y en numerosas ocasiones ha contribuido a mejorar facetas relacionadas con el bienestar animal.

De los más de 40 caracteres seleccionados -por una empresa de genética- en los últimos años 36%, están relacionados con el bienestar animal y la salud.

La selección ha llevado en los últimos 100 años a hablar de unas “nuevas razas” o estirpes, de amplia distribución mundial, con un fenotipo o morfotipo diferente, humano dependientes, con unas necesidades concretas y bien conocidas en el ámbito de la nutrición, sanidad, confort y de comportamiento muy concretos y que no siempre son las mismas que sus ancestros.

Debemos estudiar su comportamiento y la necesidad de su expresión del mismo.

No obstante la conservación de las razas tradicionales, imprescindible desde la conservación del patrimonio genético, sino también desde el punto de vista del bienestar, ya que no hay mayor pérdida de bienestar que la desaparición de una raza.

Hoy desde el punto de vista productivo han perdido protagonismo y en muchas ocasiones quedan poblaciones mantenidas como uso ornamental.

154
técnico-científicas de expertos sobre tendencias de bienestar animal
Visiones

Una mención especial requiere la figura del veterinario de granja, que, junto con el avicultor, que convive a diario con sus aves, es el responsable del bienestar animal, la máxima autoridad en materia de sanidad animal (prevención y curación de enfermedades, bioseguridad, controles zoosanitarios etc.), manejo de las aves, formación de trabajadores, comprometido con los resultados técnicos de las crianzas, la sostenibilidad y medio ambiente de la granja avícola. Es el garante de mantener altos estándares de bienestar animal en las aves que se producen en nuestro país.

El bienestar de las aves siempre ha estado presente en las personas relacionadas con las producciones aviares: avicultores, veterinarios, ingenieros agrónomos, nutricionistas, genetistas, procurando desde el punto de vista de sus competencias, proporcionar a las aves las mejores prácticas y condiciones para el desarrollo integral de las aves.
155
Visiones técnico-científicas de expertos sobre tendencias de bienestar animal

Una mejora continuada en instalaciones y equipamiento, que cubran los requerimientos de las aves en todas las facetas: nutrición, confort y expresión del comportamiento.

Aplicación de nuevos conocimientos y estrategias en sanidad, siempre que sea posible de forma preventiva, que eviten enfermedades y sufrimiento a las aves.

La situación actual, en materia de bienestar animal, viene marcada por la legislación en la materia(R.D.692/2010; R.D.348/2000; R.D.546/216 ;R.D. 637/2021;R.D.695/2022; RD990/2022) de obligado cumplimiento y que asegura unos amplios estándares de bienestar animal.

El sector, comprometido con el bienestar animal, va más allá de lo obligatorio por la legislación, abierto a mejoras razonables que no comprometan la viabilidad del sector avícola de carne y su compromiso con la sociedad y el medio ambiente.

El bienestar de las aves requiere una gestión integral, realizada por profesionales ganaderos, con formación, obligatoria para los avicultores, adecuada y continua.
156 Visiones técnico-científicas de expertos sobre tendencias de bienestar animal

En la última década se han implantado certificaciones en bienestar animal en todo el sector, como pasa en el resto de Europa, en general certificaciones basadas en pliegos particulares, de asociaciones, empresas o institutos, que en algunos casos han venido impuestas por la gran distribución, con un coste extra para el sector.

Estas certificaciones permiten un etiquetado facultativo sobre bienestar animal.

La alternativa sería un etiquetado obligatorio mediante la implantación de indicadores y metodologías comunes en toda la UE.

Sería importante la regulación de estas certificaciones en el conjunto de Europa y si es posible exigir niveles de bienestar similares a todo producto avícola que entre en Europa.

En el futuro:

Deberemos ampliar los conocimientos de las “razas” modernas en referencia a sus necesidades y comportamiento.

Es conveniente, la participación de genetistas, nutricionistas, veterinarios, etc. en los foros sobre bienestar animal.

Debemos buscar “puntos de encuentro” entre la opinión científica y la opinión práctica.

Sería conveniente la armonización de indicadores y metodologías comunes en toda la UE, así como la evaluación de la gestión y los índices técnicos como indicadores.

Implantación del etiquetado obligatorio en bienestar animal.

Imposiciones de sistemas de cría (densidades, bajas).

Valorar la opción recomendada de 11 Kgs/m2 u la opción más eficiente de 21-25/kgs/m2 (con salida al aire libre).

aviforum.info 157
Visiones técnico-científicas de expertos sobre tendencias de bienestar animal

“Toda una vida en el sector”

AVI-COLOQUIO
12:30 - 13:30 158 AVI-COLOQUIO “Toda una vida en el sector”

Director Gerente de la Asociación Avícola Andaluza y Director Sanitario de la ADSG Avícola de Andalucía

-Octubre 1977 incorporación al grupo AGROVIC.

-Tras un año de formación en la propia empresa (Cataluña y Aragón), director técnico de AGROVIC SUR hasta 2001.

-2002-2004 Asesor independiente.

-Doctor en veterinaria (tesis doctoral en septiembre de 2003, con la calificación de Sobresaliente Cum laude)

-2005 a la actualida Gerente de la Asociación Avícola Andaluza y Director Sanitario de la ADSG Avícola de Andalucía.

- Profesor colaborador en el Departamento de Sanidad Animal de la Facultad de Veterinaria de Córdoba, del curso académico 1985/86 al 2002/03.

- De 2001 a 2007, miembro de la Junta Directiva de AECA ocupando el cargo de Vicepresidente de 2004 a 2007.

Turn static files into dynamic content formats.

Create a flipbook
Issuu converts static files into: digital portfolios, online yearbooks, online catalogs, digital photo albums and more. Sign up and create your flipbook.