

At Barts Charity, we’ve been at the forefront of advancing healthcare in our East London community for hundreds of years. Too many people’s lives in East London are affected by ill health. We know that by working with our partners on research and healthcare, we can improve our community’s health.
We support the following five hospitals that are part of Barts Health NHS Trust:
• Mile End Hospital
• Newham Hospital
• St Bartholomew’s Hospital
• The Royal London Hospital
• Whipps Cross Hospital
We partner with the Faculty of Medicine and Dentistry at Queen Mary University of London and the School of Health & Medical Sciences at City St George’s, University of London, where we fund world-leading medical research.
Life-changing improvements to health for the people of East London.
A charity with its roots in East London, dedicated to supporting improvements to healthcare and transformative research for local health benefit. We work in partnership with the NHS, local research institutes and others who can help us achieve our goals and maximise our impact.
As our local community is one of the most diverse places to call home, what makes a difference in East London has the potential to touch lives across the world.
We collaborate with leading charitable healthcare funders – including individual philanthropists, trusts and foundations and corporations.
These relationships allow us to support the next generation of clinical research leaders, fund equipment and infrastructure to drive innovation, and help build the facilities needed for world-class care and medical research.
Our role as a funder
Between 2022 and 2027, we’re aiming to invest £150m in transforming people’s health in East London, making us one of the most significant healthcare funders in the country.
Our strategy is guided by key principles to make sure our funding decisions are aligned with our strategic objectives.
We focus our funding where:
• We can create transformational change
• We can leverage further support for our funded projects
• Other funders or revenue sources can’t, or don’t, fund the area
We make sure our funding benefits communities across East London. This means supporting projects that embed the voice of patients in their work, ensuring those closest to the problem are heard and included.
Since October 2023, we’ve been collecting diversity data from funding applications. This helps us shape our funding policy and apply unbiased and inclusive funding processes.
We also ask those applying to us for funding to consider the environmental impact of projects and to take steps to reduce any negative effects.
This year, we’ve invested £21.7m in research and healthcare. You’ll see throughout this Impact report how this is transforming lives for our East London community.
Our funding builds knowledge around people’s local health needs and enables innovation. This supports our community to access worldclass services. We’ve been ahead of the curve by accelerating the path to artificial intelligence (AI)-powered cancer care with an initiative called PharosAI (see page 21). We’re also responding to high rates of tuberculosis (TB) locally with the help of world-leading researchers (page 14). And our support for the Barts Heart Centre over the past 10 years has meant that 85,000 people a year are getting world-leading cardiac treatment – 5,000 more than originally intended (see page 12)
We’re on course to meet our ambitious target of investing £150m to improve the health of people in East London over five years from 2022 to 2027. Now, we’re starting to think about what comes next. We’re keen to build on the aspirations of this strategy, learn from it and make sure we’re continuing to evolve to the health needs of our community.
Over this past year, we’ve deepened relationships with our existing donors and supporters. We’ve also developed new relationships, which are helping us to realise our goals.
We’d like like to close by saying an enormous thank you to our donors and supporters. It’s thanks to you that we can fund life-changing improvements to healthcare in East London.
Fiona Miller Smith Chief Executive Officer
Steve Bonnard Chair of Trustees
Strategic theme covered by our funding:
Research into the health issues faced by East London
See page 22 to see more on how we’re investing in this area.
Targeted transformational funding
See more about the Centre for TB on page 14
Research training for healthcare professionals
See more on how we’re investing in research training on page 20
Improving health outcomes for patients
See page 32 for an example of how we’re investing in this area.
Improving experiences for patients, families and carers
See pages 34 and 35 for how we’re investing in this area through our Everyday Impact scheme.
£140,200
Supporting Barts Health staff wellbeing
See page 33 for an example of how we’re supporting NHS staff.
Through our funding we supported:
61 grants for healthcare improvement initiatives in East London
7 training fellowships so healthcare professionals can start PhD research training
12 new pieces of vital medical equipment
81 grants for world-leading medical research
545 scientific publications sharing new knowledge
20 improved spaces for patients and carers
£21.7m
given to support research and healthcare in East London
£16.6m
Faculty of Medicine and Dentistry at Queen Mary University of London
£5m
Barts Health NHS Trust
£0.1m
School of Health and Medical Sciences at City St George’s, University of London
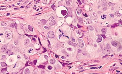
Research part-funded by Barts Charity discovered a potential new treatment for an aggressive type of blood cancer.
Professor Chloe Orkin received an MBE in recognition of her career. This includes her work at the SHARE Collaborative to tackle HIV in East London, which we supported.
Barts Hearts, the new staff recognition platform we funded at Barts Health, was shortlisted for the Nursing Times Workforce Awards.
Supporters celebrated the incredible work of St Bartholomew’s Hospital at the historic View Day, an event that began almost 500 years ago in 1551.
The Freemasons celebrated the success of CyberKnife, a revolutionary noninvasive cancer treatment which we supported at St Bartholomew’s Hospital, thanks to their generous donations.
September
143 supporters took part in Hike for Health, our annual East London fundraising walk, and raised over £20,000.
We launched My Thank You, a new way for patients to send personal messages of thanks to staff, at Whipps Cross Hospital. By March 2025, over 350 messages were sent.
Josephine and her son Jayden shared their story in our Christmas campaign. Jayden received life-saving critical care at The Royal London Hospital when he was just six-weeks old.
Staff came together to celebrate the annual Barts Health Heroes Awards, made possible with our funding.
Research we funded uncovered why some British South Asian people may develop earlyonset type 2 diabetes earlier than those from European backgrounds.
Starr International Foundation visited The Royal London Hospital to see the blood exchange machine which is transforming care for patients, thanks to their vital contribution.
We committed to support the Queen Mary & Barts Health Tuberculosis Centre (see page 14). With Barts Charity committed to funding £4.3m, experts are uniting to improve understanding, diagnosis and treatment of TB in East London.
This year marks a major milestone for Barts Heart Centre as it celebrates its 10-year anniversary.
Barts Heart Centre is the UK’s largest and busiest specialist heart hospital, bringing together three London cardiac services under one roof. The centre is leading advances in cardiac care in East London. From developing the first test to detect deadly heart inflammation, to using a robot to successfully operate on a beating heart for the first time in the UK.
Research from Barts Health shows that East London has some of the highest rates of cardiovascular disease in the country, so it’s vital that we work with our partners to address this. That’s why, in 2015, we invested an initial £10.2m to support the opening of the Barts Heart Centre.
£4.8m towards robotic cardiac, chest and thorax surgery at St Bartholomew’s Hospital
£2m to purchase three MRI scanners –supporting 8,500 patients annually
£750,000 to support the opening of the Cardiovascular Devices (CVD) Hub, developing new medical devices for cardiac treatment
£500,000 for community social prescribing for heart attack patients, providing practical advice and emotional support
Originally set up to treat 80,000 patients and save more than 1,000 lives annually, Barts Heart Centre now delivers care on an unprecedented scale. Last year alone, it helped 85,000 patients, surpassing its original ambition and saving even more lives.
Robotic surgery, enhanced recovery pathways and a dedicated cardiac surgery school have all helped reduce average hospital stays from over eight days to just five. This means faster recovery for patients and beds that are freed up for others.
More people are surviving cardiovascular disease thanks to treatments at the centre, which clearly shows its impact in both numbers and outcomes.
Between April 2024 and April 2025, staff carried out:
• 4,000 catheter lab procedures to help diagnose and treat heart conditions
• Over 2,000 cardiac surgeries
• 48,000 echocardiograms
• Treatment for 6,000 critically ill patients
The CVDHub opened in 2022, thanks to our support and the Charles Wolfson Charitable Trust. It facilitates collaborations between academic, health, engineering and industrial fields to research and develop medical devices for the heart that are both effective for patients and commercially viable.
The CVDHub is now an integral delivery arm of the National Institute for Health and Care Research (NIHR) Barts Biomedical Research Centre. The hub produces tangible medical breakthroughs and is deeply embedded within a leading research institution.
Barts Heart Centre is the UK’s top recruiter to cardiovascular research trials, helping shape the next generation of heart care.
The centre’s impact extends across the Barts Health group and beyond. Its network supports cardiac services in other hospitals, helping to make sure patients get expert care, closer to home. Ongoing staff training is building specialist skills across the system and improving outcomes for all.
“We’ve exceeded the targets we set 10 years ago. But the real success is in the lives changed – and the ones still to be saved.”
Professor Charles Knight, Chief Executive and Consultant Cardiologist at St Bartholomew’s Hospital
It’s thanks to our incredible network of donors that the achievements of the Barts Heart Centre have gone from vision to reality. We’d particularly like to thank:
• The Alamouti Family
• The Charles Wolfson Charitable Trust
• Dr Sima Motamen-Samadian, who donated in memory of her husband, Dr Vahab Samadian PhD
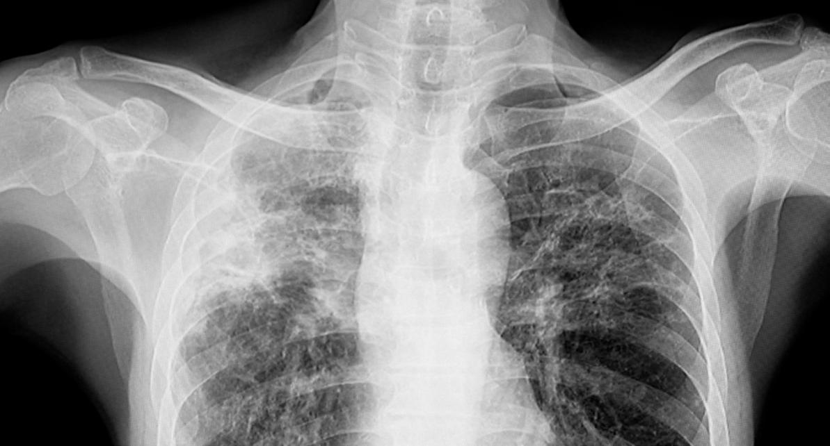
In January 2025, we committed to fund £4.63m to create the Queen Mary & Barts Health Tuberculosis Centre. The centre brings together local tuberculosis (TB) advocates with clinical and scientific specialists from Queen Mary and Barts Health. This will deliver step-changes in how we understand, diagnose, treat and campaign for TB care, helping patients in our local community and around the world.
TB is an infectious disease caused by bacteria, predominantly spread by coughing. The disease most commonly affects the lungs but also infects and has an impact on other parts of the body, including the spine and brain.
Right now, East London has one of the highest numbers of newly diagnosed cases of TB in Western Europe. This rate of diagnosis is often linked to social deprivation. Barts Health manages 5-6% of TB cases nationally. In 2024, that was 294 patients - and by the end of July 2025 they saw a 37% rise in cases.
Professor Adrian Martineau, Clinical Professor of Respiratory Infection and Immunity at Queen Mary.
The centre will be home to leading East London researchers and clinical experts in TB who will accelerate new scientific discoveries in the lab. They will also drive clinical innovation in the services that Barts Health offers to local TB patients so they can get started on treatment quicker and experience fewer long-term complications.
Research will focus on key questions to improve our scientific understanding of TB bacteria and how the immune system responds to it.
Specific projects will focus on:
• Developing a new blood test to detect TB infection
• Understanding why some patients have ‘ flare-ups’ of symptoms after starting treatment
• Investigating genetic factors that influence why people from South Asian backgrounds living in East London may be more likely to be infected by TB
Clinical innovation in how TB is diagnosed and treated will be rolled out for TB patients in East London. This will include:
Dr Veronica White, Respiratory Consultant, and Deputy Medical Director of Whipps Cross Hospital.
• Introducing quicker, less invasive ways to collect samples from people with suspected lung TB at Barts Health hospitals. This will reduce delays in starting treatment and use clinic-based stateof-the-art diagnostics
• Setting up one of the world’s first post-TB clinics to help and treat TB survivors experiencing longterm complications from this debilitating disease
A dedicated patient and public involvement group will be at the heart of the centre’s work. This group will advise the research and clinical teams. They will also support patients during treatment for TB and follow-up care. This will bring a diversity of voices to how we understand, treat and advocate for TB.
This group will be led by Amy McConville, a TB survivor and the Co-Founder, Chair and Facilitator of the TB Action Group, a network for people affected by TB, supported by the charity TB Alert.
Amy was diagnosed with TB when she was at university. Unfortunately, as Amy’s symptoms were quite general and, because there was little awareness of TB at the time, she didn’t get a diagnosis until a year later. Amy had to have her left lung removed and she will experience the knock-on effects of the disease for the rest of her life.
Today, Amy is passionate about raising awareness of TB in East London and using her lived experience to advocate for improved TB services, locally and nationally.
“ Talking to someone who’s had TB too can make people feel less lonely and motivates them to keep going with treatment. The fact that the patient and public involvement group will be embedded in the work of the new TB Centre shows just how much the team value input from patients and survivors of TB.”
Amy McConville, a TB survivor and the Co-Founder, Chair and Facilitator of the TB Action Group.
By investing in research, we’re building knowledge around the health issues that affect our East London community. Here are a few of the innovative research projects we’ve funded this year.
£16.4m funding awarded
£59.6m further funding leveraged from other funders to do more research
One in four London school playgrounds now exceed the legal limit of nitrogen dioxide. Levels are 8% higher in the most deprived areas compared to the least deprived. While physical activity benefits children’s health, exposure to air pollution has been shown to stunt lung growth in primary-aged children.
81 research projects funded
545 scientific papers published
56 times our funding influenced policy
7 fellowships awarded for healthcare professionals to train in research
7 PhD students funded to join research groups at Queen Mary
We’ve invested nearly £400,000 in a research project led by Dr Abigail Whitehouse at the Blizard Institute, Queen Mary. She will be exploring how short-term exposure to air pollution affects school children when they play outside.
The study will recruit 330 children from 10 primary schools across London. Researchers will compare lung function and airway inflammation before and after a sports lesson in the playground. Breathing tests and mucus samples will determine each child’s lung health, the amount of air pollution they’ve inhaled and how their bodies have responded to this.
This will be the first study of its kind in the UK and will help to inform local and city-wide policy.
See more about Abigail’s research on page 20
Clinical evidence shows that menopause has an impact on inflammatory autoimmune diseases, such as rheumatoid arthritis. Yet, there has been a lack of research into how menopause affects immunity more broadly.
To address this, we’ve awarded almost £75,000 to a team of researchers, led by Dr Emma Chambers at the Blizard Institute, to improve our understanding of menopause and immunity.
The team will examine how hormone replacement therapy (HRT), which is used to treat menopause symptoms, affects certain white blood cells.
Researchers will collect blood samples from women aged 40 to 60 who are on oestrogen HRT and compare it to women of the same age who aren’t on these hormones. They’ll check their immune cells for signs of ageing and see how many inflammatory proteins they produce.
The results will help to better understand how menopause affects the immune system and if HRT can protect against changes to it.
Dr Emma Chambers, the project lead, and Justyna Sikora, the Research Technician, on the HRT and immunity project.
Each year, figures show that around 40,000 people in the UK have evidence of a traumatic brain injury. While more patients are surviving, a large percentage will be affected by disability because of their injuries. During the recovery process, ketones – a chemical produced when your body burns fat –have proved to be vital in providing energy for brain cells to regenerate.
We’ve awarded nearly £595,000 to Professor Zudin Puthucheary at the William Harvey Research Institute, Queen Mary. He will investigate the impact a ketogenic (high-fat, very low-carbohydrate and moderate-protein) diet can have on the brain’s ability to produce energy and prevent further injury.
This proof-of-concept study will recruit 48 patients with a traumatic brain injury to compare the differences between a ketogenic and standard diet on brain activity and the production of ketones.
If successful, this research could form the basis of a larger trial to show how a ketogenic diet could protect the brains of patients with a traumatic brain injury.
Our Clinical Research Training Fellows are healthcare professionals in East London who we fund to undertake research training that answers patient-focused questions to make a difference to our community.
Dr Abigail Whitehouse is a Paediatric Respiratory Consultant and researcher. Thanks to our support, she has dedicated much of her career to understanding and improving the respiratory health of children in East London. In 2016, we awarded Abigail a one-year fellowship to complete her PhD training. She examined how air pollution affects the cells of the immune system in local school children aged eight to 13 years old.
Completing her PhD marked the beginning of a new career path in research. Abigail, in collaboration with leading paediatrician Professor Jonathan Grigg, has set up the UK’s first Air Pollution Clinic, at The Royal London Hospital. The clinic supports children who have, or are at risk of developing, asthma. It offers tailored exposure reports which shows where a child is likely to be at risk of the negative effects of air pollution in their daily life. This means action can be taken to lower exposure. See more about Abigail’s research on page 18
Dr Ashwin Kalra is a Clinical Research Fellow in Gynaecological Oncology and a member of the Women’s Precision Prevention team at the Wolfson Institute of Population Health, Queen Mary. Ashwin recently completed his Clinical Research Training Fellowship, creating a digital app for cancer patients considering genetic testing. The app gives patients consistent, accurate and accessible information to help them decide whether genetic testing is right for them. It includes animations in the five most spoken languages in the UK, and Bengali – the second most spoken language in Tower Hamlets.
Ashwin said: “Thanks to the fellowship, I’ll now look at patient care and their access to treatment in a completely different way. Supporting people like me to bring the benefits of research back into clinical care has an immeasurable benefit for patients.”
Dr Julia Hurry is an Academic Clinical Fellow in Paediatric Dentistry at the Institute of Dentistry, Queen Mary. She was awarded a fellowship in 2025 to explore how educating and engaging the whole family can prevent tooth decay in children.
In North-East London boroughs, such as Tower Hamlets, research shows that a family-based approach to reducing tooth decay could be more effective than focusing on one child. Julia’s fellowship will co-create accessible and useful advice to support good dental health in children by targeting the whole family.
She will work alongside families, psychologists and dentists to create easy to follow guidance for a diverse range of East London families.
Artificial intelligence (AI) has the potential to transform care across the NHS. But to do so, access to large-scale and high-quality datasets is essential. Historically, this has been challenging as health data exists in many different forms, across multiple systems. We’re addressing this by creating an environment in East London which is preparing data for research.
Our investment has enabled Barts Health to secure further funding for a prestigious initiative, PharosAI, to accelerate AI-driven cancer care. It’s a collaboration between leading London research institutes and NHS trusts. The platform will bring together data, such as patient records, tissue samples, imaging and genomics, and make it accessible for AI analysis.
Co-led by Professors Louise Jones and Claude Chelala at Barts Health, the project will unlock the potential of decades of NHS cancer data, leading to faster diagnosis, more targeted treatments and, ultimately, saving lives.
In recognition of the project’s potential, the UK Government has committed £18.9m to its development, as part of a drive to invest in cutting-edge innovations.
Laying the foundations for this digital transformation started back in 2020, when we awarded £5.7m to recruit essential health data research expertise at Queen Mary. This was followed by over £5m to establish the Barts Health Data Platform, bringing together health information into one secure system that researchers can apply to use. Launched in April 2025, the platform provides researchers with health data at scale while ensuring strong data protection.
Professor Claude Chelala said: “Barts Charity’s early investment into building foundational data architecture has been instrumental in paving the way for initiatives such as PharosAI.”
As part of our 2020 investment, Claude and Louise investigated genetic and clinical records from women with breast cancer from African, South Asian and European backgrounds. Their work identified ways to advance health equity in research.
The diversity of population data in East London, combined with initiatives such as PharosAI, can shift healthcare towards personalised and more equitable models, ensuring the best medical outcomes for everyone.
Basal-like breast cancer is an aggressive type of the disease. It often affects younger people and is more common among those from African or South Asian backgrounds – a core part of East London’s population. This type of cancer grows quickly and is hard to treat with traditional methods like chemotherapy.
With the support of Barts Charity funding, Professor Cleo Bishop, based at the Blizard Institute, has been leading a research project along with the Drug Discovery Unit at the University of Dundee, that is developing a new treatment. Called the “one-two punch”, it aims to halt tumour cell growth and can potentially make cancer cells visible to the immune system and easier to attack. This method could be a more targeted and effective treatment with fewer side effects, offering a better prognosis for patients.
“One-two punch” therapy
1. First punch: Stop the growth
Using chemical compounds, tumour cells are forced into a “pro-senescence” state –similar to a sleep-like state in which they can no longer divide or grow. This makes the cancer cells sensitive to the next stage.
2. Second punch: Kill the cancer cells
Once the cancer cells have stopped growing, the second step is to use drugs to kill them. It’s like delivering a knockout punch to the cancer cells after they’ve been immobilised.
The team is now working with the Drug Discovery Unit at the University of Dundee and ValiRx, a drug development company, to advance the new treatment and license it. This could have enormous benefits for patients soon.
“It’s
a novel way of treating breast cancer. For some funders, it’s a bit too bold – and therefore a bit risky. So Barts Charity funding has enabled us to turbo-speed what we set out to do. We wouldn’t be where we are now without that funding.”
Professor Cleo Bishop (pictured right)
Vaccination is one of the most effective tools to protect children from serious illness. However, in North East London, uptake of the pre-school measles, mumps and rubella (MMR) vaccination is among the lowest in England. Nearly 20% of children in London aren’t protected against MMR by their second birthday. This means coverage in the capital is well below the 95% recommended by the World Health Organization to prevent measles outbreaks.
Measles is a highly contagious infection that can lead to serious complications, including pneumonia and inflammation of the brain. In some cases, it can be fatal. To prevent outbreaks, children are routinely vaccinated before they attend school. However, too many of London’s children are not fully protected.
This is why researchers at Queen Mary have developed a vaccination improvement programme to help GP practices protect more children on time.
In 2018, we awarded £2.2m to establish the Research Enabled Learning (REAL) Health Programme. It uses data to address clinical and public health issues in child, respiratory and cardiovascular health. As part of the programme, Carol Dezateux, Professor of Clinical Epidemiology and Health Data Science, and her team from the Clinical Effectiveness Group at Queen Mary, lead the REAL Child Health group, looking at:
• Understanding childhood obesity and its consequences
• Improving coverage of childhood immunisation
• Exploring wider determinants of health in people’s homes, such as levels of overcrowding
• Children living in the most deprived areas of North East London are three times more likely to have severe tooth decay that requires dental extraction in hospital
• Girls with obesity are 1.7 times more likely to visit the GP for musculoskeletal problems than those with a healthy weight
• Half of families with children in North East London are living in overcrowded households. The team will look at how this has an impact on children’s health, education and social activities
In 2022, the team published findings on the timelines and equity of MMR vaccination uptake across North East London. They found children living in the most deprived areas and those from Black and mixed ethnic backgrounds were less likely to be immunised by 18 months of age. They also identified concentrated hotspots of low vaccination rates, increasing the risk of outbreaks in these areas.
To address these issues, the team developed a programme for primary care practitioners in North East London. The aim is to help practitioners improve vaccination rates by supporting GPs to navigate the complex pre-school immunisation schedule of five appointments and 14 doses before the age of four.
The team developed novel software that lists all pre-school children registered with a GP practice and displays relevant data from their health record. It helps GPs and nurses identify and prioritise children who are due or overdue vaccinations. The software, which is freely available to all North East London practices, also makes it easier to notify parents or carers and plan appointments. The programme team offer hands-on support to help staff embed the software into their processes.
An evaluation of the programme, published in 2025, showed the number of children receiving their first dose of MMR on time increased by 4.1%. This is equivalent to an additional 1,100 children per year being protected.
The evaluation highlights the effectiveness of this model in improving health outcomes and reducing preventable illness. Staff feedback shows the programme’s positive impact on managing and simplifying the vaccination process.
A staff member from a GP practice in City and Hackney said: “The tool makes managing what can be a complex area easy to understand. I use it weekly to call those that are due that week. This was not happening prior to the tool, and it has proven to be successful in ensuring that children get the right vaccines at the right time.”
Findings from across the REAL Health programme show the power of using data to identify and address areas of health inequity, and improve the health of people in our community.
“We’re now sharing our findings with local and national NHS decision-makers. We’re advocating for achievable targets with financial support for GP practices, so that primary care teams can continue to drive improvement and protect all children and the adults they will become.”
We’re committed to improving the health of our East London community by bringing new and innovative ideas to life. Here are just a few of the projects we have funded this year to make this happen.
healthcare funding awarded
20 improved spaces for patients and loved ones
61 grants awarded 12 new pieces of vital medical equipment
Managing diabetes in children can be difficult, especially when families speak different languages and struggle to get access to clear and comprehensive information. To help address this issue, we awarded over £41,000 to The Royal London Children’s Hospital to create leaflets, videos and a guidebook about the role of carbohydrates in managing diabetes.
The leaflet will be available in 12 of the most spoken languages by families coming to Barts Health. The resources will provide information about insulin pumps, blood sugar monitoring and lifestyle changes to help manage diabetes. The videos will offer a visual and accessible way to learn.
These resources will empower families, help to streamline appointments, improve diabetes outcomes and support clinical teams to deliver equitable care.
Diagnosing breast cancer for people under 40 can be more challenging. Subtle differences between cancerous and non-cancerous growths mean that some women undergo biopsies when they don’t have cancer.
With nearly £115,000 of our funding, radiologists at St Bartholomew’s Hospital will explore the use of an AI tool to help them make decisions when they carry out breast ultrasounds. The tool will be tested alongside traditional methods to assess its performance and potential for improving diagnosis.
If it’s successful, the AI tool will support and improve the assessment of abnormal breast tissue and reduce the number of biopsies carried out on non-cancerous growths.
Oral healthcare is a vital part of someone’s ability to eat, drink and talk. But older adults often face several barriers in accessing dental care, such as mobility issues or memory loss. This often increases the chances of tooth loss, oral pain and poorly fitted dentures. We know that poor oral health in hospital patients is often associated with higher frailty and mortality.
This is why we awarded over £62,000 to Whipps Cross Hospital to establish a dental treatment service for adults on wards for older people.
An expert clinician will run twice-weekly sessions to assess and treat adults with oral care issues. These sessions will also provide an opportunity to educate patients and nursing staff on good oral care. This expertise on the wards is expected to benefit over 500 patients per year.
The team at Whipps Cross who will be providing dental treatment for adults on elderly care wards.
According to public health data, alcohol misuse is linked to more than 60 medical conditions. The data shows it’s the leading risk factor for early mortality, ill health and disability among 15 to 49 year olds in the UK.
At Newham Hospital’s Emergency Department, alcohol-related issues are a significant cause of admissions, accounting for up to 1,500 each year.
We awarded £650,000 to Newham Hospital so they can establish a seven-day specialist alcohol liaison service for adult patients with, or at risk of, alcohol addiction. The service will also support vulnerable 10 to 17 year olds accessing hospital services, helping them to build skills to avoid early alcohol and drug misuse.
Three specialist nurses will deliver treatment pathways and work with local community services to prevent relapses and reduce hospital readmissions. A youth resilience worker will also support children and young people identified in hospital as being at risk. They will help them to develop decision-making and coping skills to reduce the likelihood of early substance use.
This new service seeks to tackle health inequalities in Newham through prevention at all levels –addressing early risk and patient needs, and ensuring a sustainable recovery.
According to the University of East Anglia, 28% of people aged 60 and over in the UK have valvular heart disease. This is a condition where one or more of the valves in the heart don’t work as they should.
At Barts Heart Centre, demand for valve health services has increased and is set to grow as the number of over 65s grows in East London. Tackling this demand for services is essential to making sure patients continue to receive the highest quality care.
With £49,000 of our funding, Barts Heart Centre established a nurse-led clinic in 2023, running alongside physician and physiologist-led clinics. This included the appointment of Munira Patel, a Clinical Nurse Specialist in valvular heart disease.
The clinic has significantly increased capacity, with 22.5% more patients being seen face-to-face in the first three months.
These changes have led to a dramatic improvement in waiting times. Before Munira was recruited, the average waiting time for an appointment was up to five months. Now, it’s between four and eight weeks, depending on the severity of the case.
“I
think the clinic is absolutely brilliant and Munira is fantastic. If I email her, she’s on the phone within a couple of hours.”
Patient feedback has been overwhelmingly positive. A dedicated clinic hotline means patients get immediate advice from the valve nurse, who can assess them over the phone. Previously, this would have required an appointment in clinic.
There has been a 46% reduction in the number of patients who do not attend appointments and a 54% reduction in non-attendance of follow-up appointments.
Barts Health will continue funding the nurse specialist role, ensuring patients keep getting the timely care and support they need.
For some people with cancer of the appendix, colon or rectum, the tumour can spread to the lining of the abdomen, called the peritoneum. These patients face poorer chances of survival.
To improve patient outcomes, we awarded over £250,000 to establish cytoreductive surgery (CRS) and hyperthermic intraperitoneal chemotherapy (HIPEC) treatment at The Royal London Hospital in 2020. Evidence shows that, compared to standard chemotherapy treatment, CRS-HIPEC increases five-year survival rates from 19% to 58%.
This two-part treatment works by, firstly, surgically removing all visible cancer, followed by adding a heated chemotherapy drug into the abdomen to eliminate any remaining cancer cells.
The Royal London Hospital is one of only a few NHS centres in the UK offering this treatment.
Before, patients were referred to sites outside of London, causing delays and missed windows of opportunity for treatment. By introducing CRSHIPEC to East London, people can now access specialised care closer to home.
For many, this treatment has led to a better quality of life and, for some, a transformational prognosis. Early data shows that 64% of those treated were cancer-free at median follow-up time of 20 months.
The establishment of a CRS and hypothermic intrathoracic chemotherapy (HITHOC) programme at St Bartholomew’s Hospital is a key part of expanding the HIPEC project. This is a similar treatment to HIPEC but in the chest cavity. This will be the first dedicated HITHOC centre in the UK, with procedures expected to begin by the end of 2025.
In March 2025, we awarded £48,000 to establish a new HIPEC service for ovarian cancer at The Royal London Hospital.
The expansion of this innovative treatment gives patients in East London the best chance of survival and supports Barts Heath to provide leading cancer care.
Dr Annamaria Minicozzi, a Colorectal Surgeon who leads on this project, said: “With Barts Charity funding, we’ve been able to establish this highly specialised surgery to support the people of East London, who previously had to travel miles to have this life changing treatment. Now, we’re working to expand the service to provide the best care for more of our patients with cancer.”
We’re investing in several projects that aim to improve heart health in East London. Learning from these prevention initiatives has helped the East London Cardiovascular Disease Prevention (ELoPe) group at Barts Health to develop a project which focuses specifically on staff at the five Trust hospitals.
In 2022, we awarded nearly £48,000 to ELoPe, which established on-site cardiovascular disease (CVD) prevention checks for staff across all Barts Health hospital sites. Thanks to our funding, the group has appointed a specialist cardiology nurse to lead staff checks and provide follow up sessions.
So far, 1,600 members of staff have benefitted from the service, with the majority from ethnically diverse and underserved communities. Regular clinics across Barts Health have empowered staff to take control of their health.
These prevention checks have revealed that many staff are living with CVD risk factors. For example, 150 people were found to have undiagnosed hypertension, while 107 others had uncontrolled hypertension. Over two-thirds of staff who attended sessions had a high body-mass index, putting them at risk of developing CVD.
Identifying these key risk factors has helped staff feel supported to make important changes in their lifestyle. As a result, 146 staff with hypertension were given home blood pressure monitors and 64 were referred to their GP for further support. Many who had a follow-up appointment made positive changes to their diet and exercise routine, with over half doing more brisk walking.
The service has had an incredible impact on staff wellbeing and morale. Staff said they feel more valued and motivated to make positive changes.
A staff member who used the service said: “It was excellent that this service was offered at work as my hours makes it hard to have appointments via my GP practice.”
Our Everyday Impact scheme empowers Barts Health staff to make changes that have a big impact on the health and wellbeing of staff and patients. Since 2022, we’ve awarded £3.4m to support these projects which include the ones below.
Up to 70% of patients in intensive care experience some type of delirium. This can cause sudden disturbances in mental function, such as changes in attention, awareness and understanding. We awarded £11,000 to St Bartholomew’s Hospital for an interactive 360-degree light projector. Patients can use the projector to complete fun and stimulating activities and it’s become a vital part of their rehabilitation.
With £50,000 of our funding, the children’s centre at Mile End Hospital has been revamped to become a more welcoming space for children with learning difficulties and complex needs. The space now features rubber flooring, raised flower beds and additional seating, creating a comfortable and supportive space for children and families while they wait for appointments.
Thanks to £60,000 of our funding, patients at The Royal London Hospital are benefitting from a dedicated point-of-care ultrasound machine for inflammatory bowel disease. It is improving the speed of diagnosis and minimising additional radiology and endoscopy visits.
For people visiting their loved ones in end-of-life care, a small comfort, like a comfortable place to sleep, can mean the world. This is why we awarded over £9,000 for sleeper chairs at Newham Hospital which allow visitors to stay overnight.
For stroke survivors, regaining the ability to move around safely and independently can be a long process. We awarded nearly £9,000 to Whipps Cross Hospital for specialist training equipment which allows patients to exercise from a seated position. It has been instrumental in their rehabilitation.
We’re grateful to City Bridge Foundation for their generous support of £100,000 to improve the health and wellbeing of children and young people seeking asylum and refugees in North East London. The foundation invests in projects that connect communities and build partnerships in London, and this project closely aligns with that vision.
Thanks to their support, Barts Health will improve local authority care plans for unaccompanied children seeking asylum to provide better, more connected physical and mental health services.
The project builds on a successful model piloted in Newham that we funded. The funding will extend that project to four East London boroughs, improving care for over 300 young people and enhancing the experience of over 200 professionals delivering that care.
Hannan Ali, City Bridge Foundation’s funding manager, said: “We’re proud to support the lifechanging work of Barts Charity in helping young people who have often experienced unimaginable trauma and upheaval in their life to boost their physical and mental health.”
City Bridge Foundation will support healthcare professionals to work directly with these young people, foster carers and care providers. By collecting data and information about people’s lived experiences, the team hope this model could be introduced across the country. This will mean that young people who are unaccompanied and seeking asylum receive the care they need and deserve, when and where they need it most.
Bank of Montreal donated £48,000 to help create a brand-new allergy awareness animation video for schools. Thanks to fundraising from staff at the bank, the animation is helping schools to create safer, inclusive environments for children living with asthma and allergies.
The animation provides comprehensive, standardised training for school staff so that they have the knowledge and confidence to respond to allergic reactions, including lifethreatening anaphylaxis.
Bill Smith, Managing Director at Bank of Montreal, said: “At Bank of Montreal, we believe that strong communities, and the organisations that support them, are essential for building a thriving economy, ensuring a sustainable future, and fostering an inclusive society. We are proud to be partnering with Barts Charity on this important initiative.”
The Bank of Montreal’s support for this video is helping schools across North East London get closer to accreditation with the Asthma and Allergy Friendly Schools Initiative.
This funding builds on our long-standing partnership with Bank of Montreal, which has supported numerous Barts Charity projects for over 13 years and given over £800,000.
Thanks to the generosity of Starr International Foundation, the adult Automated Red Cell Exchange Transfusion (ARCET) service at The Royal London Hospital has been expanded. This vital treatment supports people with sickle cell disease, helping to improve their quality of life.
Recommended by the National Institute for Health and Care Excellence, ARCET is the safest and most effective treatment for managing sickle cell disease. It reduces how often patients are in pain, lowers the risk of stroke and helps prevent longterm organ damage.
As a result of Starr International Foundation’s support, this life-changing treatment will now be available to 40 people who have been on the waiting list for the service. The number includes young people transitioning from paediatric to adult care. The funding will also increase capacity of the service by 43%.
The foundation’s support is delivering faster, more efficient care with fewer hospital visits and complications and improved outcomes for patients. Most importantly, more patients are receiving the consistent, high-quality treatment they need.
“I am very
grateful for the impact made by having an extra apheresis machine.
This means a great deal
for our patients,
as
this has positively impacted our waiting list and improved the frequency of their red cell exchange transfusion.
Thank you so much.”
Patricia Okoro, Ward Manager, Haemotology Day Unit at The Royal London Hospital
We’re so grateful to everyone who has contributed to our mission over the last year and beyond. It’s thanks to their support and generosity that we’ve been able to create the impact you’ve read about in this report.
The Abed Family
Alamouti Family
Anand & Sethi Family Trust
Andy Bruce
The Arcobaleno Cancer Trust
Bank of America
Bank of Montreal
The Barbers’ Company
Bedford Road Charitable Trust
The Blyth Watson Charitable Trust
The Boparas
The Brewers’ Company
The Broderers’ Company
The Builders’ Merchants Company
Bukhman Philanthropies
The Cadogan Charity
Capula Investment Management
Carter Lemon Camerons LLP
Charles Hoare Nairne
Charles Perrin CBE and Gillian Perrin
Charles S French Charitable Trust
Charles Wolfson Charitable Trust
City Bridge Foundation
CME Group
Dalgleish Trust
The Dyers’ Company
EBM Charitable Trust
The Environmental Cleaners’ Company (In Memory of Wendy Broadley)
Fidelity
Financial Goal Attainment
Garfield Weston Foundation
Gavin Williams
The Gold and Silver Wyre Drawers’ Company
Goldman Sachs Gives
The Goldsmiths’ Company
Gowling WLG (UK)
Charitable Trust
Hospital Saturday Fund
In memory of Mary Reynolds
In memory of Dr Vahab Samadian (PhD Physics)
The International Bankers’ Company
JP Morgan Chase
JP Moulton Charitable Foundation
The John R Murray Charitable Trust
Kusuma Trust UK
Landesbank BadenWürttemberg
The Leathersellers’ Company
Michael Jacobson and Jonathon Ball
Monday Charitable Trust
NHS Charities Together
Nedbank
Ocorian Trustees
PF Charitable Trust
The Parish Clerks’ Company
Paul Rawlinson and Joanne Martin
Peter Sowerby Foundation
Qube Research & Technologies
Richard Buxton
Rockford Associates
The Rosetrees Trust
Rothermere Foundation
The Salters’ Company
Spectacle Makers’ Charity
Squarepoint Capital
Starr International Foundation
Sylvia Waddilove Foundation UK
The Tin Plate Workers Alias
Wireworkers’ Company
Toronto-Dominion Bank
The Turners’ Company
The Tylers & Bricklayers’ Company
The Wolfson Foundation
The World Traders’ Company
ZVM Rangoonwala Foundation
We couldn’t have achieved all this impact without the guidance of our experienced and engaged trustees and advisers. We thank them for volunteering their time and energy.
Andy Bruce, Chair (to 31 March 2025)
Steve Bonnard, Chair (from 1 April 2025; trustee from 30 September 2024)
Sally Flanagan (to 31 May 2025)
Professor Catherine Godson
Ian Hart, Deputy Chair
Dr Richard Lewis
Jean Murphy
Nimesh Patel
Professor Sarah Purdy (from 1 January 2025)
Dr Thomas Round (to 31 March 2025)
Dr Lorna Williamson OBE
Rt Hon Jacqui Smith (ex officio Trustee, Chair of Barts Health NHS Trust to 4 July 2024)
Professor Ian Jacobs (ex officio Trustee, Chair of Barts Health NHS Trust from 1 March 2025)
Andy Bruce, Chair (to 31 March 2025)
Steve Bonnard, Chair (from 1 April 2025)
Sally Flanagan (to 31 May 2025)
Ian Hart
Nimesh Patel
Finance and Audit Committee
Nimesh Patel, Chair
Ian Hart
Dr Richard Lewis
Mohammad Memon
Grants Committee
Dr Lorna Williamson (Chair)
Professor Mirela Delibegovic
Professor Catherine Godson
Professor Sarah Purdy OBE
Professor Kanchan Rege Thrasher
Dr Thomas Round (to 31 March 2025)
Dr Ultan McDermott
Sally Flanagan, Chair (to 31 May 2025)
Steve Bonnard (from 30 September 2024)
Andy Bruce (to 31 March 2025)
Philip Glaze
Ian Hart (Chair from 1 June 2025)
Jean Murphy
“We would like to close by saying an enormous thank you to our donors and supporters. It’s thanks to you that we can fund life-changing improvements to healthcare in East London.”
Fiona Miller Smith, Chief Executive Officer