
BUILDING A SAFER STEROID TO CHANGE LIVES

BUILDING A SAFER STEROID TO CHANGE LIVES
The School of Pharmacy and Pharmaceutical Sciences is one of the youngest pharmacy schools in the U.S. and poised for its place as one of the top-ranked research-intensive pharmacy schools in the nation in the next several years. We almost have completed recruitment of top-quality faculty and staff members to build our school to the next phase of development and recognition.
As highlighted in this issue of Remedies, a long-standing collaboration among Eric Hoffman, John McCall and myself has resulted in the discovery and development of the dissociated steroid, vamorolone. As budding academic entrepreneurs in 2007, we decided to take a less-traveled path (venture philanthropy instead of venture capital) to develop vamorolone as a treatment for Duchenne muscular dystrophy. Mutual trust, close collaboration, patience, perseverance and burning desire to find treatment for this rare disease are the core of this success. I want our faculty to benefit from the experience and expertise that we have in starting successful academic entrepreneur-led small start-up biotech companies here in Binghamton.
As we prepare our school’s next phase of growth and development, we have worked hard to minimize the faculty and staff turnover and complete most of the faculty and staff hiring as planned in the original proforma. Decreasing enrollment in the PharmD program is a major issue not only for our school, but nationally.
Our admissions team has a plan that we want to execute this year. I sincerely thank all those who volunteered for admission and enrollment activities for the coming year. With everyone’s help, we can increase our matriculation numbers in the PharmD program.
I thank all the faculty and staff for their dedication to our school’s commitment to training high-quality pharmacists and pharmaceutical scientists. Retention of faculty and staff is a work in progress and we need to focus on enhancing our workplace culture, so that our school remains a most enjoyable place for many years to come.
Kanneboyina Nagaraju DeanSCHOOL OF PHARMACY AND PHARMACEUTICAL SCIENCES
DEAN
Kanneboyina Nagaraju, PhD
ASSOCIATE DEAN FOR ACADEMIC AND STUDENT AFFAIRS
Judith DeLuca, PharmD, BCPS
ASSOCIATE DEAN FOR RESEARCH AND RESEARCH DEVELOPMENT
Eric Hoffman, PhD
ASSISTANT DEAN FOR ADMINISTRATION, FINANCE AND OPERATIONS
Laura McDuffee
ASSISTANT DEAN FOR ACADEMIC AFFAIRS
Erin Pauling, PharmD, BCACP
ASSISTANT DEAN OF EXPERIENTIAL EDUCATION
Nicholas Schwier, PharmD, BCPS
CHAIR, DEPARTMENT OF PHARMACEUTICAL SCIENCES
Aaron Beedle, PhD
CO-CHAIR, DEPARTMENT OF PHARMACY PRACTICE
Kenneth McCall, PharmD, FAPhA
CO-CHAIR, DEPARTMENT OF PHARMACY PRACTICE
Sarah Spinler, PharmD, FCCP, FAHA, FASHP, AACC, BCPS
REMEDIES
EDITOR
Scott Sasina
ART DIRECTOR
Katie Honas ’14
PHOTOGRAPHER
Jonathan Cohen
CONTRIBUTING WRITERS
Anthony Borrelli, Ethan Knox ’20, Jennifer Micale, Hadley Robbins ’24, Melissa Tinklepaugh
VICE PRESIDENT FOR COMMUNICATIONS AND MARKETING
Greg Delviscio
SENIOR DIRECTOR OF CREATIVE SERVICES
Gerald Hovancik Jr.
COPY EDITORS
Natalie Blando-George, Anthony Borrelli, Eric Coker, Chris Kocher
ON THE COVER
Dean Kanneboyina Nagaraju and Associate Dean for Research and Research Development Eric Hoffman, developed vamorolone, a new FDA-approved drug for the treatment of patients with Duchenne muscular dystrophy.
Binghamton University School of Pharmacy and Pharmaceutical Sciences holds accreditation from the Accreditation Council for Pharmacy Education (ACPE), 190 South LaSalle Street, Suite 2850, Chicago, IL 60603, 312-664-3575; Fax 866-228-2631, www. acpeaccredit.org
Hope is a powerful thing.
For those living in fear or pain due to a debilitating disease, the hope of a treatment can motivate them to keep fighting. For those living with Duchenne muscular dystrophy (DMD), a common genetic disease that mostly affects young boys, their fight just got a little easier.
In October, a new drug called AGAMREE® (vamorolone), developed by researchers from the School of Pharmacy and Pharmaceutical Sciences, received Food and Drug Administration (FDA), European Medicines Association (EU) and Medicines and Healthcare Products Regulatory Agency (UK) approval for the treatment of patients with DMD. Kanneboyina Nagaraju, professor of pharmaceutical sciences and dean of the School of Pharmacy and Pharmaceutical Sciences; and Associate Dean for Research and Research Development Eric Hoffman have spent over 15 years developing vamorolone.
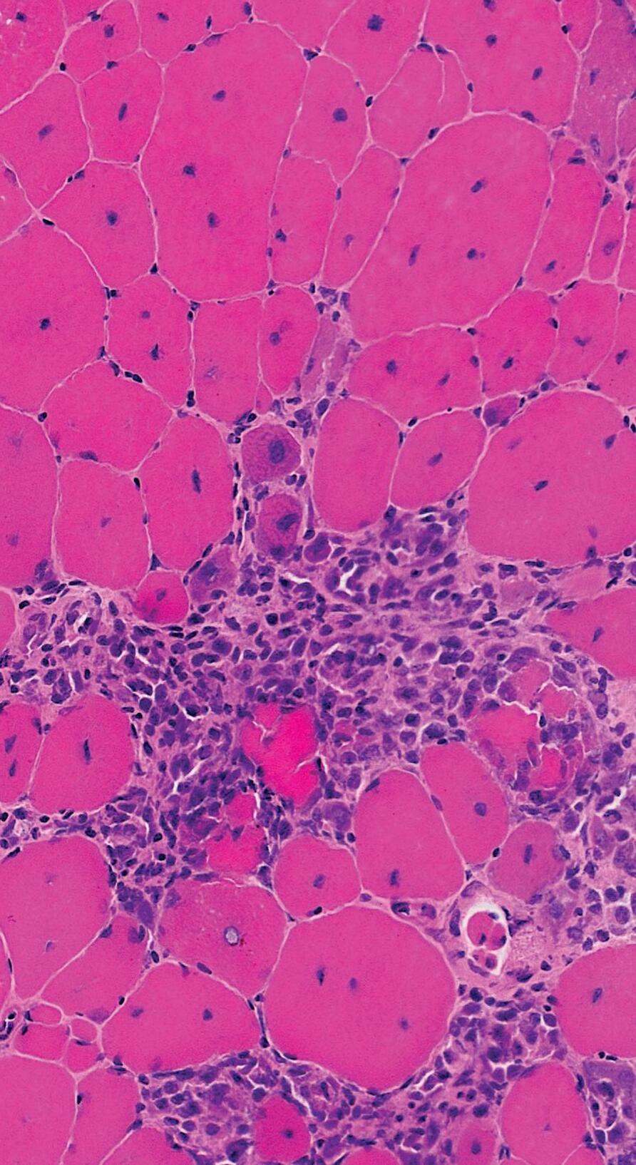
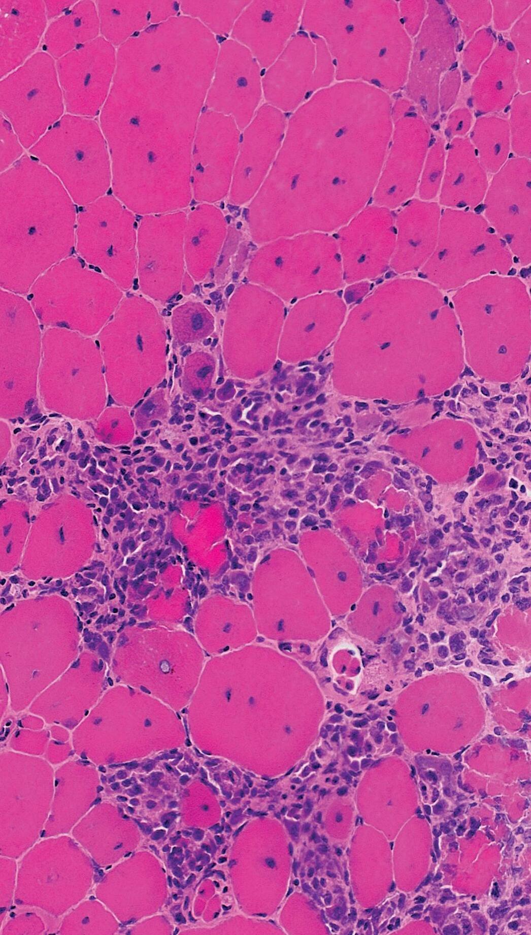
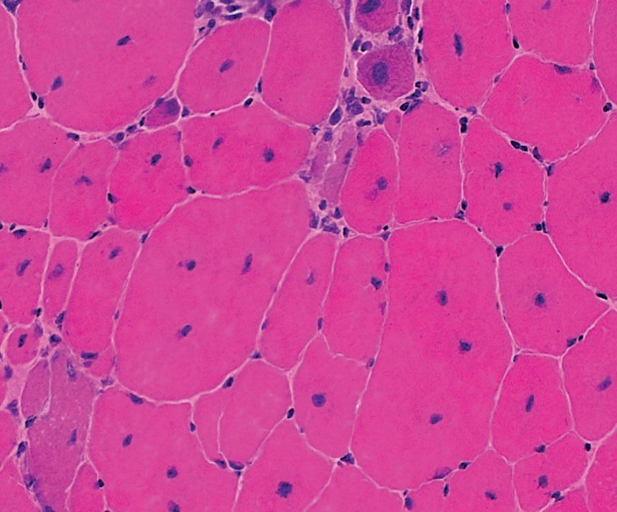
Microscopic view of dystrophin-deficient muscle tissue with inflammatory cells. Duchenne is the most common hereditary neuromuscular disease and does not exhibit a predilection for any race or ethnic group. Mutations in the dystrophin gene lead to progressive muscle fiber degeneration and weakness.
“Vamorolone is the first dissociative steroidal drug able to separate the benefit of the glucocorticoid class of drugs from some of the key side effects, such as bone and growth disturbances associated with these drugs,” Nagaraju says. “My laboratory tested vamorolone in mouse models of DMD over 10 years ago, and this provided the pre-clinical data to advance the drug to human trials.”
Vamorolone is the first dissociative steroidal drug able to separate the benefit of the glucocorticoid class of drugs from some of the key side effects, such as bone and growth disturbances associated with these drugs.”
KANNEBOYINA NAGARAJU
DMD is a genetic disease affecting about one in 3,500-5,000 male newborns worldwide. Because it decreases dystrophin protein in muscle tissues, it creates progressive weakness and challenges in everyday life. The DMD gene is the largest in the human genome, spanning 2.3 million base pairs (letters of DNA code) on the X chromosome. Most young boys are affected because the gene is on the X chromosome.
“DMD is the most common genetic muscle disease worldwide, and I have been working on translational research on DMD since 1985,” Hoffman says. “To enable robust clinical trials in DMD, I established the Cooperative International Neuromuscular Research Group (CINRG), and vamorolone became one of the first drugs tested by the CINRG international clinical trial network.”
In a double-blind, placebo-controlled trial in 121 boys with DMD, ages 4 to less than 7 years, vamorolone increased strength and mobility relative to a placebo, and reduced side effects relative to prednisone.
Nagaraju and Hoffman have collaborated in this venture since joining forces 18 years ago at Children’s National Hospital in Washington, D.C. Together with medicinal chemist John McCall, they launched the spin-off company ReveraGen BioPharma to take vamorolone through the drug development pathway.
“I originally proposed vamorolone as a membrane stabilizer to counteract dystrophin deficiency in DMD patient muscle,” says McCall, president for chemistry at ReveraGen. “As Raju, Eric and I learned more and more about vamorolone, we found it to be a dissociative steroid with multiple new structure/activity relationships compared to traditional glucocorticoid anti-inflammatories and a strong candidate for moving into DMD clinical trials.”
While the collaboration between Nagaraju, Hoffman and McCall sparked the scientific breakthrough we’re talking about today, it wouldn’t have been possible if not for a simple cassette tape almost 30 years ago.
“Eric is the kindest human I’ve ever met,” Nagaraju says. “When I came to the United States in 1995, I worked at the National Institutes of Health, and one of my lab mates gave me this cassette. He said ‘You might want to listen to this,’ and it was a keynote lecture of this guy named Eric Hoffman.” That was the first time Nagaraju heard Hoffman.
“Then in 1999, Eric was giving a presentation on gene expression profiling. I made sure to go see him and introduce myself. He was genuinely interested in talking to me and learning more about the work I was doing at the time. I ended up giving him a ride home and we started
talking a lot about our work and getting to know each other more.”
In 2005, the pair ended up working together when Hoffman asked Nagaraju to join him at Children’s National Medical Center he recalls. “I am an immunologist. I had never worked on Duchenne muscular dystrophy. I knew quite a lot about it, but I had never actually done any research on it, but Eric trusted me and knew what I was capable of. That meant the world to me.”
Since then, the two have formed a close bond. Their families spend time together, they have in-depth conversations on just about every topic, and, of course, they find time to make scientific discoveries.
“I feel very honored and privileged to have Raju as a long-term research collaborator and friend,” Hoffman says. “His deep scientific knowledge and his rigorous approach to experimental design and interpretation has brought great strength and international impact to our collaborative work over the decades. To work so closely with
someone you have such complete trust and respect for, while together effectively working to get so many things accomplished for those living with DMD (vamorolone included) and their families, is just a wonderful thing.”
The researchers also had another key partner cheering them on: the young patients with DMD and their parents.
“They had hope that we were developing something that would do what we said it would,” Hoffman says. “Families with DMD were involved in the design and management of the vamorolone program from day one. It wouldn’t have been possible without them because they had hope that spurred us on. As scientists, we want to make sure we’re not creating false hope for patients. So it is the issue of hope versus false hope sometimes. And I believe, at the end of the day, we have worked with the families and international medical research community to deliver a new therapy for all those living with DMD.”
Nagaraju and Hoffman look at the molecular picture of vamorolone while at the Binghamton University School of Pharmacy and Pharmaceutical Sciences.
Pharmacy is a personal calling for student tackling double internship
BY ANTHONY BORRELLIDURING THE DAY, Xinyu (Reah) Jia helps pharmacists by making infusion bags for elderly patients recovering at home. Later, she performs clinical assessments for long-term care facility and specialty pharmacy patients.
In between, she pitches in with a team preparing to publish research linked to diabetes prevention.
This is just a snapshot of Jia’s two 2023 summer internships, one a virtual research exchange with the American Association of Colleges of Pharmacy (AACP) and the other involving seven weeks at Hackensack Meridian Health in New Jersey, which showed her new facets of the complex work surrounding pharmaceuticals. It’s a profession she views as a personal calling.
“Growing up, I always felt such a strong empathy for people and helping people in general, especially when they’re hurt,” says Jia, a P3 (third-year) pharmacy student who initially set her sights on becoming a pathologist. “Before entering pharmacy school, I thought I was just going to learn about medicines, certainly not different disease states and how to treat them and manage them. This is such a large field, and I quickly became excited by all the career possibilities that came with it.”
Jia’s family is entrenched in the healthcare field, and while her parents now live in Florida, much of her extended family still lives in China, where she was born. They have inspired her since childhood to carry on that tradition.
Finding her own niche within the field is something Jia remains proud of. When she secured both internships for the summer, she eagerly embraced the challenge.
“There was definitely a worry that I was going to exhaust myself by taking on these competitive internships at once, but they were also willing to help me strike a balance in my schedule,” she says.
“That made me even more determined to meet the challenge.”
Throughout her internship with AACP, Jia helped a team write the abstract for a research study to assess effective behavioral interventions for diabetes prevention and management among young adults. Their task was to review the data researchers had collected, write a discussion and outline the results while also creating tables and graphs to go along with it.
“This was such a great opportunity for me to learn how to be a better researcher and enhance my critical-thinking skills.”
REAH JIA
If Jia had ever doubted her ability to juggle a wide variety of complex areas within her field, the seven weeks at Hackensack put it to rest.
She also gained her first experience in an HIV clinic by shadowing medical professionals there and consulting with patients about their medicationrelated questions. One of her most valuable experiences involved working with Project Heal, where she helped patients suffering from domestic violence.
Looking back, Jia says the internships taught her so many new skills that she “absorbed them all like a sponge” and helped narrow her interests toward a career in managed care after completing a residency program. None of it would have been possible if she hadn’t been willing to step outside her comfort zone.
She encourages fellow and future pharmacy students to do the same.
Clinical Associate
Professor Wesley Kufel examines microbiologic cell cultures to help determine appropriate antibiotic selection for a patient with an infection.
FOR WESLEY KUFEL, treating patients with infectious diseases is like solving a puzzle. He examines the relationship between the patient, the pathogen and the drug to find, as he explains it, clues that “help come up with the best potential antimicrobial regimen for that particular patient.”
Kufel, a clinical associate professor in the Department of Pharmacy Practice at the School of Pharmacy and Pharmaceutical Sciences, is driven by a desire to optimize patient care and pursues this goal through clinical pharmacy practice, teaching and research. As a result of his accomplishments, the American College of Clinical Pharmacy (ACCP) selected Kufel as the 2023 recipient of its New Clinical Practitioner Award.
Each year, ACCP recognizes one early-career practitioner for contributions to the health of patients and the practice of clinical pharmacy. Award candidates must have completed their terminal training or degree within the last six years and be nominated by another ACCP member.
Kufel embodies the award’s criteria, says his nominator, Sarah Spinler, professor and co-chair of the Department of Pharmacy Practice: “He has a great model for integrating practice and student teaching with research.”
Kufel came to SOPPS in 2017 as a clinical assistant professor and was promoted to clinical associate professor in 2022. He also holds a faculty appointment as a clinical
BILL MUELLER
associate professor of medicine, division of infectious diseases at SUNY Upstate Medical University. There, he provides infectious disease education to students, residents and fellows, and practices as a clinical pharmacy specialist in infectious disease, with the infectious diseases consult team.
“He has a great model for integrating practice and student teaching with research.”
SARAH SPINLER
After earning his Doctor of Pharmacy degree from the University at Buffalo in 2015, Kufel completed his PGY-1 residency at SUNY Upstate University Hospital and his PGY-2 residency, specializing in infectious diseases, at the University of North Carolina Medical Center. He is a board-certified pharmacotherapy specialist (BCPS), board-certified infectious diseases pharmacist (BCIDP) and an HIV certified pharmacist (AAHIVP) by the American Academy of HIV Medicine.
“I always wanted to have more involvement in treatment decisions and be involved in direct patient care responsibilities,” Kufel says. “That really drove me to go through residency training and the additional education to become a clinical infectious disease pharmacist.”
As a clinical pharmacist at Upstate University Hospital, Kufel has implemented a new practice model. He is the first pharmacist to practice in the hospital’s infectious disease consult service, where he collaborates with physicians on antimicrobial treatment decisions and management.
He also serves as a preceptor for pharmacy students on their advanced pharmacy practice experiences, as well as PGY-2 infectious diseases and PGY-1 pharmacy residents.
“I precept them on their infectious diseases rotation so that they can be involved in the direct patient care and learn more about what an infectious disease pharmacist does, but also have a lot of input in the patient care decision making,” he says.
Among his contributions at Upstate University Hospital, Kufel has helped develop several pharmacist-led services, including a Staphylococcus aureus bacteremia bundle, empiric antibiotic order sets, an antimicrobial stewardship discharge antibiotic prescription review program and penicillin allergy management initiative.
He played a major role in the hospital receiving designation in 2019 as an Antimicrobial Stewardship Center of Excellence from the Infectious Diseases Society of America. And he co-founded the Pharmacy Clinical Research Microcredential at the hospital in 2018 to help pharmacy residents develop the skills needed to engage in research.
Kevin
KEVIN MILLER, PHARMD ’22, had his emergency rescue skills put to the test on a seemingly normal weekday afternoon in May 2023. While he was finishing up his shift at a community pharmacy in Port Chester, N.Y., a man collapsed.
“I got a page from the system asking for a doctor or a nurse, but there wasn’t anyone else around,” he says. “I sped on over to see what was going on, and there was a man lying flat on his back. He wasn’t breathing.”
After informing bystanders to call 911, Miller checked for a pulse. Once he determined that the man’s heartbeat had stopped, he quickly started chest compressions.
As he helped the man breathe manually, he instructed a nearby pharmacy staff member to bring the automated external defibrillator. Thankfully, Miller had been well trained in cardiopulmonary resuscitation (CPR) during his time at Binghamton University and knew a shock might be necessary.
Miller performed CPR until paramedics arrived and took over care for the man, who had suffered a cardiac arrest. He understood that every minute is precious when a life is on the line.
“As I told them, if he’s suffering from a heart attack, his heart won’t be pumping blood and he won’t be able to actually breathe,” Miller says. “Even after they arrived, I continued with compressions to keep his heart working manually.”
Thanks to Miller’s quick response, the patient lived. His family reached out to Miller
Medical emergencies can happen anytime, anywhere. That’s why the School of Pharmacy and Pharmaceutical Sciences strives to make sure our students are prepared for the unexpected. Through the school’s in-depth CPR training classes, students can respond quickly and effectively when they’re needed.
1) Before approaching someone, look around to make sure the scene is safe.
2) Tap the person and shout “Are you OK?”
3) If they don’t respond, tell someone (or yourself) to call 911 and get an AED.* What follows is a step-by-step guide to administering CPR, so you, too, will know how to help someone in need.
*An AED is an automated external defibrillator. It is a device that will provide an electric shock to a person in cardiac arrest and help restore normal heart function.
to thank him. A few weeks later, the man passed away, but his family found comfort knowing his last moments were peaceful.
“The family told me that because of me, they were able to say goodbye,” Miller says. “I’m just happy I was able to give them that.”
Later that evening, Assistant Professor William Eggleston, Miller’s CPR instructor, was attending a Binghamton University alumni reception when his former student arrived and relayed his story.
“It was surreal — he came up to me at the event and immediately started telling me what happened at the pharmacy that very same day,” Eggleston says. “As an educator, it was a great experience to hear that your student felt prepared and was able to successfully perform those skills.”
Eggleston has worked with multiple groups of Binghamton pharmacy students over the years and remembers that Miller was always asking questions and wanted to know every possible application of every technique. So, it came as no surprise when Eggleston learned that Miller had successfully performed an emergency rescue.
The rescue has inspired Miller to further advocate for widespread CPR training. He firmly believes in the importance of comprehensive emergency rescue programs.
“It could be anybody, anywhere,” Miller says. “I’m thankful the CPR courses I took were so thorough, and if more people were exposed to programs like the one at Binghamton, I really think it would make a difference.”
STEP 2: IF THEY HAVE NO PULSE AND ARE NOT BREATHING, BEGIN CHEST COMPRESSIONS BY PUSHING HARD AND FAST IN THE CENTER OF THE CHEST.
STEP 3: ALTERNATE BETWEEN 30 CHEST COMPRESSIONS AND 2 RESCUE BREATHS.**
**If you are not sure how to provide rescue breathing, just continue with chest compressions. Compressiononly CPR is effective and the preferred option for people without CPR training.
STEP 4: WHEN AN AED ARRIVES, TURN THE DEVICE ON, PLACE THE PADS ON THE PERSON’S CHEST AND FOLLOW THE AED PROMPTS UNTIL HELP ARRIVES.
The simulation spaces within the School of Pharmacy and Pharmaceutical Sciences’ skills lab include the latest technology like high-fidelity manikins that help to immerse students in realistic clinical situations a pharmacist encounter.
A typical simulation tasks small groups of pharmacy students with evaluating their “patient” and recommending a pharmacologic course of treatment to manage a disease state. The goal is to increase student mastery of clinical concepts and strengthen the skills necessary for safe and effective patient care.
Eyes can open, close and be programmed to blink at different rates.
Students can check for, and feel, a pulse on the patient’s neck.
Students can listen to heart and lung sounds and observe the chest rising and falling.
Students can practice giving deltoid injections and blood pressure measurements.
There are visible veins where students observe the placement of IVs while preparing medication.
THE SCHOOL OF PHARMACY and Pharmaceutical Sciences launched master’s and doctoral programs in pharmaceutical sciences in fall 2022, and those programs are off to a strong start. Professor Yetrib Hathout, graduate director for the school, says the success of the programs has been wonderful to see.
“We’ve already graduated eight master’s students this year — three of them have secured jobs in the pharmaceutical industry and have sent me emails saying how happy they are,” he says. “They were more competitive thanks to the courses and the curriculum we offer. It’s a unique program compared to other schools; we have more handson classes where students learn new techniques and develop the skills for pharmaceutical industry research.”
Hathout says graduates of the MS program will be particularly well suited for the life-sciences sector and technology services organizations. Caleb Manheim, MS ’23, says the training he received at the school has set him up for success at his new job.
“In this major, there is a large emphasis on presenting scientific topics, lab work and research,” he says. “The presentations that I completed in class helped me explain complex problems to my coworkers. The lab techniques I practiced helped me in my training and learning in a faster-paced environment. The research section of the major is great for resume building and making a first impression with the companies you are applying for.”
Manheim is just one of several success stories to come out of the school recently. According to Hathout, since the MS program started in 2022, they’ve had almost a 100% placement rate. Eight students enrolled in the MS program when it first started and all of them successfully graduated. three have jobs in the pharmaceutical industry,
three transitioned into the PhD program at the school, and one is currently working in the school’s department as a research technician. Hathout credits this success to the individualized attention afforded by the low faculty-student ratio.
“We have extremely talented faculty in different fields of research, and because of the small class size, we have a lot of one-on-one time between faculty and students,” he says. “Students feel comfortable coming to us anytime they have questions because they know we can help navigate them through the program and be successful.”
When it comes to the PhD program, Hathout says graduates will be prepared for academic, government and industrial research positions.
Michael Ogundele, PhD ’22, is a Scientist I at Tectonic Therapeutics in Watertown, Mass. His responsibilities include discovering proteomics on lysates from different cell lines to ID proteins of interest and method development and optimization for small molecule applications.
“My doctoral degree was awarded in the Department of Biomedical Engineering,” he says. “However, the research for my thesis was done primarily in the Department of Pharmaceutical Science. My focus was on the use of bloodaccessible biomarkers in Duchenne muscular dystrophy (DMD). I chose this field of study because it focuses on a rare disease, and also for the opportunity to work with a mass spectrometry and biomarker world-recognized expert, in the person of Yetrib Hathout.”
Like Manheim, Ogundele says Binghamton gave him the knowledge and skills to successfully launch his career.
“The skills that I gathered in the area of protein analytics were a huge leverage in securing my first job in the pharmaceutical industry,” Ogundele explains. “My hiring manager was particularly impressed with my past work and how much I’ve learned over time at Binghamton.”
AS A CLINICAL pharmacist, Oluwafemi Popoola, PharmD ’21, approaches science with an artistic mindset, wrapping his head around complex ideas and finding creative solutions.
And as a singer, songwriter and producer, he uses science to craft melodies designed to catch the listener’s ear. Under the name Frank Pierce, his song “Vibe” went gold in Norway and has drawn nearly 30 million views on Spotify.
“One of my favorite phrases to say is that I like approaching science as an art and art as a science,” says Popoola, who was a top student in the first class at the School of Pharmacy and Pharmaceutical Sciences.
Both music and pharmacy run in the family. A native of Nigeria, Popoola moved to the United States when he was 6, and was largely raised in Rockland County, N.Y. Both music and helping others are integral parts of Nigerian culture; he grew up in a “house full of drummers,” he says, and his mother works as a community pharmacist.
“Watching her work made an indelible mark on me as a kid, and it was something I could see myself doing as well,” he recounts.
After earning his bachelor’s in biological sciences from the University at Buffalo, he decided to follow her footsteps into the
profession and enrolled in SOPPS’ inaugural pharmacy class. The SOPPS building wasn’t quite finished at the time; Popoola remembers the squeaky chairs that first semester in a lecture hall without electrical outlets, shared with undergraduates studying for their finals. Experiences like this forged close ties among classmates.
“For the first class, the pharmacy school was an idea that we all had,” he says. “It was a culmination of the people, the professors, the infrastructure and the belief that after four years we were going to get a degree.”
Popoola recently accepted a job as a clinical pharmacy specialist at Rochester General Hospital, moving from his previous post at Niagara Falls Memorial Medical Center, where he worked in acute care. At Niagara Falls, he was also a residency preceptor, which means he taught licensed pharmacists undergoing a year of postgraduate training to develop the specialized skills needed to work in a hospital. He completed a residency himself at Niagara Falls after graduating from Binghamton.
As a preceptor, Popoola found himself explaining concepts in the same way that his professors did during lectures — a demonstration of how impactful those professors were.
“The professors at Binghamton are, in my humble opinion, some of the best. They went above and beyond for us, and were always so approachable and willing to teach; their offices were always open,” he says.
For the past several years, pharmacy has been in the forefront as he establishes himself in the field. He still makes time for music, however, and his UK-based record label accommodates his work schedule.
Popoola began playing piano when he was 9, picking up the saxophone, guitar and bass in the years since. He began writing pop songs and put out his first EP with a record label in 2014, signing with Sony in 2017. In addition to his work as Frank Pierce, he has a new recording project as Femi.
“It’s such an honor, being able to write songs with my friends and share it with a lot of people,” he says. “It goes right back to the way I was raised to do things in service for and with other people.”
Drawing on his science background, Popoola takes a methodical approach to songwriting, analyzing the factors that contribute to a tune’s success, from instrumentation and drum work to vocal melodies and chord progression. For example, he might discover a particular drum pattern prominent in Top 10 songs between 2004 and 2014. Then, he chooses the most successful elements to assemble his tune.
“I’m a bit of a nerd when it comes to studying both music and science,” he jokes. “I love medicine and I love music, and I’m going to keep doing them forever. I just figure out a way to make it fit.”
JONATHAN COHENSTARTING THIS SUMMER, the School of Pharmacy and Pharmaceutical Sciences is pioneering a pharmacy technician program. The goal? To give Southern Tier healthcare facilities a shot in the arm by increasing the number of local pharmacy technicians.
Sarah Spinler, Elizabeth Hageman and Kenneth McCall worked collaboratively and designed the Pharmacy Technician Training program. Kenneth McCall, clinical professor and co-chair, of the Department of Pharmacy Practice, will direct the program. He sat down with Remedies to talk about the new initiative.
Q: WHY IS THE SOPPS STARTING THE PHARMACY TECHNICIAN PROGRAM?
A: In recent years, we have seen declining numbers of healthcare professionals in our Southern Tier workforce, and a particular need among our community and hospital partners is pharmacy technicians. This program is designed to take recent high school graduates and train them to be registered pharmacy technicians in the state of New York. But anyone with a GED can apply to be in the program!
Q: WHAT ARE PHARMACY TECHNICIANS, AND WHY ARE THEY SO IMPORTANT?
A: Pharmacy technicians are essential healthcare professionals who ensure the safety of our medication-use system. In addition to dispensing new prescriptions and refill prescription orders, packing and labeling prescriptions, preparing sterile and nonsterile compounded medications, tracking medication inventory and processing insurance claims, the role of the pharmacy technician under the supervision of a pharmacist has been expanded in recent years to include medication reconciliation and screening for medication allergies.
Q: WHAT CAN SOMEONE WHO ENROLLS IN THIS PROGRAM EXPECT?
A: The pharmacy technician program runs from July to November. It’s a hybrid program with both online and in-person learning experiences, along with in-person field placements or rotations within a practice setting for four full weeks, 40 hours per week. Two weeks are completed in a community setting, and two weeks are completed in a hospital setting.
We will launch the program the second week of July, when we will welcome students to our School of Pharmacy and Pharmaceutical Sciences for their orientation. We’ll have weekly sessions for the online learning component to check in with the students as they advance through that material. In August, the students will return to the pharmacy school for hands-on training in our state-of-the-art laboratory facilities. There, they will practice skills such as compounding sterile product preparation, working with hazardous materials, performing calculations and preparing medications.
Q: WHAT CAN STUDENTS EXPECT WHEN THEY COMPLETE THE PROGRAM?
A: When our first class completes the program in November, the students will earn a Binghamton University microcredential and be prepared to take the Pharmacy Technician Certification Exam. For this first cohort, all tuition will be paid by the Mother Cabrini Foundation. The students will also be given a voucher at the end of the program to take the certification exam for free, so that cost will also be covered.
POTHECARIES, precursors to modern-day pharmacists, can be dated back to ancient Babylon. They were known to provide “potions” on demand. In Shakespeare’s Romeo and Juliet, it’s an apothecary who provides the fatal dose.
These days, though, measuring out medicines and mixing them together — also known as compounding — is a specific science aimed at improving the patient’s quality of life.
“We know the compound and the actual active pharmaceutical ingredient, which in theory is a pure molecule that has been created at a manufacturing plant and has the FDA seal of approval,” says Elizabeth Hageman ’95, assistant director of skills education and a clinical assistant professor of pharmacy practice at the School of Pharmacy and Pharmaceutical Sciences. “We are very specific with what the active ingredient is; we know the dosing, and we can deliver consistency with products.”
Compounding, in its broadest sense, is the preparation of medicines that fit the unique needs of individual patients. A number of
common and high-demand drugs are massproduced, but it isn’t economical to produce and stock every kind of medicine that patients need.
“I always tell the students that I’m here to teach you ‘boots on the ground.’ I need you to get a drug safely and correctly out the door,” Hageman says. “Pharmacy curricula cover many other pathways and topics, and there’s a lot of opportunities in the field — but this is one of those ‘Pharmacy 101’ topics. We need to make a drug for a patient and get it out the door, make sure it’s labeled correctly and make sure it’s safe.”
Hageman holds a doctor of pharmacy degree; she grew up in the Binghamton area and is a Binghamton alumna, earning an undergraduate degree in environmental studies and sociology. Although she began her career teaching science in secondary school, she later moved into acute care with veterans and cancer patients. Hageman has headed the program that focuses on compounding since February 2022.
There are many reasons why a medicine might need to be compounded, including making the medication easier to ingest or apply, avoiding allergic reactions, adjusting dosing and even preference, via flavor or texture.
Another common form of compounding is the mixing of intravenous solutions in hospitals. Due to the risks of contamination, it’s known
as “sterile compounding.” It is regulated and requires very strict procedures. Medication doses can change depending on a patient’s height, weight and lab work. A number of overarching individual parameters need to be considered, and each dose is unique.
“Creating sterile compounds is the backbone of treatments for a good percentage of hospital patients,” Hageman says. “In order for us to treat, especially in acute care settings like a hospital, patients are required many times to receive IV drugs. And our responsibility is to be able to produce those medications for patients within hospital systems.”
Compounding in pharmacies and hospitals isn’t the end of the story.
“There are opportunities within the pharmacy world to actually specialize in veterinary compounding,” Hageman explains. “And not just for cats and dogs! They help large animals — they cover everything.”
Nathan Potchinsky, office assistant in the Admissions Department at SOPPS, has firsthand experience with how compounding can impact lives. But it’s not because Potchinsky is a student or a patient working in the lab — it’s their feline friend who needs specialty medication.
Potchinsky joined the pharmacy school in July 2023. A few months before that, Potchinsky’s cat, Socks, was struggling. Although it is rare for animals to suffer from such ailments, Socks is extremely sensitive and often has skin reactions. He also had issues with anxiety and stress.
Socks had been prescribed medicine to help, but the bitter medicine had to be ingested and Socks wasn’t tricked by treats.
“It was the difference between either trying to get him to take a pill wrapped in a treat, which he would refuse to do, or forcing it down his throat, and even then he would still try to find ways to spit it out,” Potchinsky says. “That’s just a lot of stress for him and for us. It’s not good for your relationship with your pet to be doing that.”
After talking to the prescribing veterinarian, Potchinsky discovered that the medicine could be compounded.
Potchinsky was initially cautious and concerned about the cost, effect and possible issues with a new medication. They learned the cost increase was relatively small and that compounding meant
the medicine is tailored specifically to the patient — human or not. In this case, the medication was formulated into a topical gel that is applied inside Socks’ ear, where there is no fur to interfere with the application.
Potchinsky decided it was worth a try and ordered the medicine through a specialty compounding pharmacy. The medicine was made and shipped to Potchinsky’s door.
Now in gel form, taking the medicine was far less stressful and easier, for Socks and Potchinsky: “It worked pretty well for us in the end.”
Socks’ health has improved, and after about eight months, he no longer needs the medication.
When Potchinsky joined the pharmacy school team, they were amazed to learn they would be working where students were learning the same skills that had helped their pet.
“That’s so cool that [the compounding lab is] here and that people are learning to do that because it’s not something that is ever going to fully be obsolete,” Potchinsky says. “It’s good to know that the pharmacy school is a place that’s teaching it — to feel like you’re at an institution that goes above and beyond.”
JONATHAN COHEN Nathan Potchinsky holds his cat, Socks.Binghamton Fund donors are building an exceptional team of industry-leading professionals in the School of Pharmacy and Pharmaceutical Sciences. In the past year, donors have provided critical support to educate the next generation of pharmacists and researchers, and strengthen these leaders in health sciences.
“The Binghamton Fund is an excellent source of support to the School of Pharmacy and Pharmaceutical Sciences,” says Kanneboyina Nagaraju, dean. “The funds are flexible, allowing us to be creative and nimble so we can pursue initiatives that come our way and meet important needs. When a student or faculty member describes an exciting opportunity that we haven’t planned for financially, it’s fantastic we have Binghamton Fund resources to say ‘yes.’”
Binghamton Fund gifts are distinctive because they’re used immediately to nurture bright minds and pioneering work, alleviate students’ unforeseen and unmet financial needs, and shape an exceptional University experience. And, as part of the EXCELERATE campaign for Binghamton, Binghamton Fund donors open doors to opportunities across campus.
Here are just some examples of what Binghamton Fund donors made possible:
• SOPPS faculty and staff attended a two-day, teambuilding workshop to leverage teamwork and leadership practices that will help them achieve nextlevel growth and success. Participants identified their top individual and organizational goals and are poised to implement their findings.
• Empathy is an important trait for healthcare providers. As part of their training, third-year students worked on their bedside manner at a workshop with David Gonzalez, a storyteller, poet and keynote speaker who helped the students visualize the world from the perspectives of others with the goal of opening up their hearts to increase trust between clients and their healthcare providers and enhance client interactions.
• SOPPS, which opened its doors to students for the first time in 2017, is building connections in the community, spreading the word about its growing achievements and the tremendous impact of Binghamton research, innovation and education.
With just months left to raise a total of $250 million to EXCELERATE Binghamton, we’re announcing a Binghamton Fund EXCELERATOR challenge will take place April 17-18. Join in with alumni, students, faculty, staff and friends to propel the School of Pharmacy and Pharmaceutical Sciences!
Learn more at excelerate.binghamton.edu.
The newly completed Pharmaceutical Research and Development Center is attached on the east end of the pharmacy school. The ultramodern building will allow further advancements in research being conducted by students and faculty.