
9 minute read
Implantátumokon rögzített ideiglenes híd-pótlás készítése navigált sebészeti eljárással és teljes digitális munkavégzéssel
Dr. Anthony Mak (Ausztrália) IMPLANTÁTUMOKON RÖGZÍTETT IDEIGLENES HÍDPÓTLÁS KÉSZÍTÉSE NAVIGÁLT SEBÉSZETI ELJÁRÁSSAL ÉS TELJES DIGITÁLIS MUNKAVÉGZÉSSEL
A megoldáshoz alkalmaztuk:
Advertisement
3shape TRIOS 3shape Implant Studio 3shape Dental System
A háttér
A teljes digitális munkafolyamat alkalmazása kiküszöböli a hagyományos analóg munkavégzés hátrányait és nehézségeit. Az ilyen problémakörhöz tartozik a páciensnél fellépő diszkomfort érzés a lenyomatvételi eljárás közben, a lenyomatanyag torzulásának lehetősége és a gyártási folyamat következő lépéseinek pontatlansága, az öntéstechnikából fakadó lehetséges problémák, illetve a munkák szállításának logisztikája a rendelő és a laboratórium között, mely késéseket okozhat. Ezek a problémák nem jelentkeznek a teljes digitális munkafolyamat esetében, ahol a lenyomatvétel intraorális szkennerrel, a fogpótlás tervezése pedig CAD szoftverrel történik. A digitális lenyomat adatait szintén egyszerűen, az interneten keresztül küldve – jelentősen lerövidül a digitális „wax-up”, illetve a fogpótlás elkészítése.
Az alábbi esetleírás egy teljesen digitális munkafolyamatot mutat be: a kezelés tervezésétől a navigált műtéti fázison keresztül az azonnali, ideiglenes, implantátumokon rögzített híd elkészítéséig.
A rögzített ideiglenes pótlásoknak számos előnye van a kivehető ideiglenesekkel szemben: • a fogpótlás és a kapcsolódó implantátumok stabilitása; • esztétika; • a beszédminták kisebb interferenciája; • könnyebb rágás, jobb komfortérzet a beteg számára; • legfontosabbként minimalizálja a lágyszöveti szövődményeket a beültetés körüli területen.
Esetinformációk
Egy 80-as éveinek elején járó páciens legfőbb panaszai a visszatérő fájdalom, diszkomfort érzés és a duzzadt, alsó szájképletek voltak. A vizsgálat mérsékelttől előrehaladottig terjedő csontvesztést mutatott ki a mandibula fogazatának esetében. Krónikus foggyökércsúcs gyulladásához társuló periapikális radiolucenciákat is diagnosztizáltak az alsó elülső szegmensben. Az alsó fogazatát a 3.7 és 4.7 fogak területein elhelyezett implantátumokon rögzített korona és hídpótlásokkal helyreállították 20 évvel ezelőtt. A rögzített hidak az implantátum felépítményeket és a természetes fogcsonkokon lévő koronákat kötötték össze (1. kép). A beteg egészségügyi kórtörténete nem volt lényeges.
A páciens, a korábbi kezelési tapasztalataiból adódóan – a hosszú élettartamra vonatkozó igénye miatt – kérte alsó fogsorának rehabilitációját fogászati implantátumok alkalmazásával. A beteg kérése az volt, hogy az eljárás egyszerű legyen, és több tényező miatt ne legyen időigényes. Ezek a tényezők a következők voltak: 1. Küzdelmes számára, hogy hosszú ideig nyitva kell tartania a száját a kezelés során. 2. Nehezére esik elviselni a hagyományos lenyomatvételi technikákat. 3. A kora és egészségi állapota.
A kezelés megtervezésekor a következő kritériumokat határoztuk meg azzal a céllal, hogy rögzített, implantátumokon megtámasztott ideiglenes hidat készítsünk. 1. A teljes kezelési folyamat lebonyolítása 3 időpontban, a következő időpontokkal: • Az intraorális szkennerrel végzett konzultációs és kezeléstervezési szakasz a 3Shape TRIOS intraorális szkennerrel, BioHorizons digitális könyvtárral, 3shape
Implant Studio szoftverrel és CBCT felvételekkel az
Instrumentarium Maxio OP rendszerből. • Az összes meglévő alsó természetes fog eltávolítása, és azonnali implantátum beültetés teljesen navigált műtéti eljárással. Ezután intraorális szkennelés következik szkennelő fejek használatával, elősegítve a provizórikus pótlás elkészítését.
1. kép: Sikertelen alsó fogpótlás és nagyon régi Steri-Oss implantátumok.

2. kép: A műtét előtti állapot – rágófelszíni nézet.
4. kép: A műtét előtti állapot – OPG.
6. kép: A műtét előtti állapot intraorális felvételének nézete – labiális nézet.
8. kép: Virtuális fogeltávolítás a digitális implantátum tervezéshez – rágófelszíni nézet. 3. kép: A műtét előtti állapot – labiális nézet.
5. kép: A műtét előtti állapot felvétele – rágófelszíni nézet.
7. kép: Virtuális foghúzások a digitális implantátum tervezéshez – labiális nézet.



• Az implantátumokon elhorgonyzott rögzített ideiglenes híd szállítása.
2. A tervezett kezelés teljes digitális protokollal történő kivitelezése hagyományos lenyomattechnikák alkalmazása nélkül. 3. Az implantációs műtét teljes mértékben navigált legyen, a műtéti eljárás pontos legyen minimális traumával és kellemetlenséggel.



1. időpont
Konzultáció és a kezelés tervezése
A műtétet megelőző bemutató. Rosszul sikerült alsó fogpótlás nehézkesen előállított fémkerámia hidakkal az anterior és implantátumokat természetes fogcsonkokkal összekötő hidakkal a posterior régióban (2-4. kép).
3shape TRIOS segítségével vett digitális intraorális lenyomat a teljes állcsontról. Virtuális fogeltávolítások, és BioHorizons implantátumok tervezése 3shape Implant Studio szoftverrel, BioHorizons implantátum könyvtárral (5-6. kép).
A fogakat virtuálisan eltávolítottuk a 3shape Implant Studio szoftver segítségével, a 3.7 és 4.7 korona-pótlásokat meghagytuk. Ezek a koronák referencia területekként, stabilizáló támasztékként fognak funkcionálni a sebészeti fúrósablonhoz. A hátsó koronák megtartásával megtartottuk az okklúziót és az okklúzió vertikális dimenzióját (VDO), (7-8. kép).

9. kép: Virtuális implantáció tervezés a 3shape Implant Studió szoftverével.
10–13. kép: 3D fúrósablon tervezés 3shape Implant Studio szoftverrel. Implantátum tervezés a 3shape Implant Studio szoftverrel – Négy BioHorizons implantátum vezetőcsappal a 3D nyomtatott sebészeti fúrósablon stabilitásának megőrzéséhez (9. kép). Ezután történt a fúrósablon tervezése a 3shape Implant Studio szoftverrel. Felhasználtuk a megtartott hátsó koronákat, továbbá az anterior területre pozicionált vezető csapot a sablon trapéz alakú stabilitásának kialakításához, mely szükséges a műtét alatt a szájban. Ez a stabilitás elengedhetetlen a húzást követő azonnali eljárás során, teljes állcsontok esetén (10-13. kép).




A vezetőcsap elhelyezése azonnali extrakciós esetekben néha kevésbé pontos, mivel a vezetőcsap elmozdulhat azon a lágyrész-területen, ahol a húzás éppen megtörtént. Ennek elkerülése érdekében először egy egyszerű 3D sablont terveztünk a vezetőcsap elhelyezésére, amikor a fogak még megvannak. Így a fogak eltávolítása után a fúrósablon könnyedén felhelyezhető, illeszthető volt pontosságvesztés nélkül, úgy, hogy a hátsó megtartott koronákat és a vezetőcsap pozicionálásához tervezett első sablont felhasználtuk. Ezt könnyen megtehetjük a 3shape Implant Studio szoftverrel. A foghúzást követő azonnali navigált sebészeti eljárás problémája az, hogy nincsenek referenciapontok a fúrósablon számára a pontos illeszkedéshez a fogeltávolításokat követően. A lágy szövetek, az ellentétes okklúzió használata nem ideális, és nem lesz olyan pontos, mint lehetne. A vezetőcsap fúrósablon készítésének szépsége, hogy a foghúzásokat megelőzően már el tudjuk helyezni a vezetőcsapot. Ennélfogva ez a sablon a meglévő fogak kemény szövetét használta a fogeltávolítások előtt. A vezetőlyuk birtokában pontosan el tudjuk helyezni a második sebészeti sablont, miután az összes húzást és a teljes tisztázást elvégeztük.
2. időpont
A sebészet időpontja
A nagy fesztávú híd szétvágása a megmaradt fogak eltávolítása előtt (14. kép). Implantációs sebészeti fúrósablon a teljes tisztázás és a csontmaradványok redukálását követően.
Rögtön a sebészeti eljárást követően a BioHorizons szkennelő fejeket felpattintottuk, és a lágy szövetek zárását követően megtörtént a 3shape digitális intraorális lenyomatvétel. Pontosabbnak tartom ezt a változatot, mint a fogpótlás és az implantátumok egyidejű tervezését. Vannak olyan tűréshatárok, amelyek befolyásolhatják a paszszív illeszkedést több implantátum használatának esetében (17. kép).
Az okklúzió és a szkennelő fejek háromdimenziós térbeli környezetben történő beszkennelésének képessége lehetővé teszi, hogy ez a munkafolyamat sokkal pontosabb és időtakarékosabb legyen az analóg munkavégzésnél (18-20. kép).

14. kép: Szétvágott híd foghúzás előtt.

16. kép: Elkészült irányított implantátum-rögzítő osteotómia.

Laboratóriumi rész – Brad Grobler, Oral Dynamics
Az ideiglenes híd elkészítéséhez szükséges műtét előtti szkennelés rendkívüli módon lehetővé teszi a páciens foghúzás előtti állapotának pontos másolatát. A húzás előtti felvétel készítésének lehetősége, ahol az okklúziót be tudtuk szkennelni, a digitális munkavégzés könnyed protetikai munkát biztosít a teljes kezelési folyamat részeként (2122. kép).
Ezután egy azonnali ideiglenes hidat készítettünk elfordulásgátló-mentes, ideiglenes bázisokra (23-24. kép). A kezelési terv az volt, hogy PMMA-ból készítjük a hídvázat rózsaszín kompozittal és festéssel kiegészítve.
Megkezdődött a CAD dizájn kialakítása Bradley Grobler fogtechnikai kerámiás szakember által. Látható a képen, hogy az összes információt/adatot egy képernyőre vetítve, a fogpótlás tervezése szintén nagyon egyszerű (25. kép).

15. kép: Digitálisan tervezett implantációs sebészeti fúrósablon pozícióban.

17. kép: Intraorális szkenneléshez pozicionált szkennelőfejek az implantátumokon.


18-20. kép: 3shape intraorális szken felvételek a sebészetet követően.
A virtuális artikulátor használata a 3shape tervező szoftverben biztosítja a laterális és egyéb zavarok kiküszöbölését (26. kép).
Az okklúzió ellenőrzése a virtuális artikulátorban (27. kép). A digitális implantációs fogászat csodája! Jó tervezéssel és a technológia használatával tudtuk megvalósítani a direkt csavarozású fogpótlást. Nem volt szükség multi-unit felépítményekre a csavarlyukak tökéletes eléréséhez (28-29. kép).


21-22. kép: A preoperatív felvétel szuperpozíciója az implantátumokról készült felvételen.

23-24. kép: Az ideiglenes híd tervezése.


25. kép: A fogpótlás digitális terve. 26. kép: Virtuális artikulátor használata a 3shape tervezőszoftverben.


27. kép: Az okklúzió virtuális terve.
BioHorizons implantátum könyvtár – digitális fém analógok, vagy 3D nyomtatott analógok. A BioHorizons teljes digitális könyvtárral rendelkezik, amely lehetővé teszi a digitális munkafolyamat egyszerűségét, hogy egymást erősítve működjön együtt az implantációs rendszerükkel. Az implantátumos modell-gyártás mindkét lehetőségének megléte egyszerű logisztikát tesz lehetővé a legtöbb forgatókönyv lefedése érdekében (30-31. kép). Mart ideiglenes híd elfordulásgátló-mentes ideiglenes bázisokon. Rózsaszín kompozit, illetve GC Optiglaze alkalmazásával készült a fogpótlás (32-35. kép). Az illeszkedő felületek mutatják az elfordulásgátló-mentes bázisokat.
3D nyomtatott modellek. A bal oldali modellen az implantátum platform a 3D modellben nyomtatással került kialakításra. A jobb oldali modellen fém analógok vannak elhelyezve a 3D modellben. Mindkét technika elérhető a BioHorizons digitális könyvtárában (36-37. kép).
3. időpont
Az ideiglenes fogpótlás illesztése
Egy héttel a műtét után. A navigált sebészeti eljárás sokkal minimál-invazívabb megközelítést tesz lehetővé, mely jobb gyógyulási eredményeket és morbiditást biztosít a páciens számára (38. kép).

28-29. kép: Direkt csavarozású híd tervezése és kialakítása.
30-31. kép: Implantátumos modell tervezés BioHorizons könyvtár használatával.
32-35. kép: Az elkészült mart ideiglenes híd elfordulásgátló-mentes ideiglenes bázisokon.











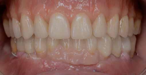
38. kép: Egy héttel a műtét után.

39-41. kép: Kimart, szájba helyezett ideiglenes híd. 39.

42. 43.



Egy héttel a műtét után – az ideiglenes híd behelyezve, pozícióban (39-41. kép). A digitális röntgenfelvétel mutatja az implantátumok szögeit és az elhelyezésüket (42. kép). Periapikális felvétel az ideiglenes híd illeszkedésének ellenőrzésére (43. kép). Végső kép az alsó implantátumos hídról a páciens szájában. Elejétől a végéig 3 ülésben.