
8 minute read
Több fog helyreállítása egyetlen többrétegű cirkóniummal
Dr. Marco Valenti, Angelo Canale (Olaszország)
TÖBB FOG HELYREÁLLÍTÁSA EGYETLEN TÖBBRÉTEGŰ CIRKÓNIUMMAL
Advertisement
1 2
3 4 5



1. ábra: A beavatkozás előtti klinikai helyzet elölnézete. 2. ábra: A páciens fogainak front intraorális képe. 3. ábra: A felső és alsó állcsontok jobb kvadránsai oldalnézetben. 4. ábra: A felső és alsó állcsontok bal kvadránsai oldalnézetben. 5. ábra: A felső fogak okkluzális képe.

Amikor a fogászati cirkónium rendkívül esztéti-
kus anyaggá fejlődött alkalmassá válva a monolitikus kialakítású vagy minimális labiális visszavágású pótlások készítésére, a kézzel végzett munka (kerámia rétegezés) mennyisége csökkent. Ugyanakkor minden fogtechnikai laboratóriumnak több elérhető nyersdarabra volt szüksége, és az indikáció-specifikus anyagválasztás igénye bonyolította a tervezési folyamatokat. Egyes fogtechnikusok előszeretettel játszanak a különböző korongokkal és az automatizált és kézi munkafolyamatok kombinációjával, hogy pontosan megfeleljenek a páciens és az indikáció-specifikus igényeknek. Mások azonban egy gyorsabb és szabványosabb utat
6 7

6. ábra: A fogak előkészítése utáni helyzete. Erősen elszíneződött középső metszőfogak. 7. ábra: A fogpreparáció után vett digitális lenyomat.

8 9

8. ábra: Mosolyterv az ideiglenes restauráció elkészítéséhez. 9. ábra: Ideiglenes fogpótlások behelyezve.

választanának a szépség irányába. Az utóbbi csoport számára a Kuraray Noritake Dental most mutatott be egy igazi sokoldalú eszközt: a KATANA Zirconia YML-t. Ez a termék az újonnan kifejlesztett különböző ittrium-tartalmú nyersanyagokon alapul, amelyet a vállalat többrétegű színszerkezetébe integráltak. Ennek eredményeként a KATANA Zirconia YML színt, áttetszőséget és szilárdsági fokozatot kínál a teljes nyersdarabban, ami korlátlan indikációs tartományt eredményez. Ez ígéretesen hangzik, de valóban működik a laboratóriumi és a klinikai környezetben? Vannak-e rejtett kihívások a tervezéssel és a gyártással kapcsolatban? És mennyire szépek a végeredmények? Annak érdekében, hogy felmérjük az anyag tulajdonságait a valóságban és megnézzük, hogy hogyan teljesít a kezünkben, úgy döntöttünk, hogy klinikailag teszteljük egy összetett eset kezelésében. „A KATANA Zirconia YML színt, áttetszőséget és szilárdsági fokozatot kínál a teljes nyersdarabban, ami korlátlan indikációs tartományt eredményez.”
Kiindulási helyzet és kezelési terv
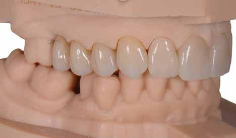
A hölgy pácienst zavarta a felső front fogainak esztétikája (1. és 2. ábra). Számos fém-kerámia koronája volt az elülső (mindkét középső metszőfogon) és a hátsó régióban (három kisőrlőn) csúnya sötét szélekkel és természetellenesen opák maggal. A szomszédos természetes fogak sokkal áttetszőbbnek tűntek, megjelenésüket pedig több, elszíneződött szélű kompozit restauráció rontotta. A jobb első őrlőfog hiánya a második őrlőfog meziális elmozdulását okozta (3. ábra). Ezenkívül a bal szemfog hiányzott, de a rés záródott (4. és 5. ábra). A felső állcsonton minden restaurációt cserélni kellett, és a páciens nagy hangsúlyt fektetett a helyzet hosszú távú esztétikai javítására. Ennek érdekében egy teljes kerámia anyagot kellett választani. A helyreállító kezelést megelőző fogszabályozó korrekció nem volt lehetséges, ezért a pótlásokat a fennálló klinikai helyzethez kellett igazítani. A folyamatos optikai integráció érdekében úgy döntöttünk, hogy a metszőfogaktól a második kisőrlő fogakig minden
10 11

12


10. ábra: Digitális lenyomat a behelyezett ideiglenes restaurációkról. 11. ábra: A végleges fogpótlások CAD-ja. 12. ábra: A virtuális tervezés esztétikai értékelése. 13. ábra: A virtuális tervezés funkcionális értékelése. 13


Az éppen aktuális lízing és pályázati lehetőségekről naprakész információval állunk rendelkezésre. Az ügyintézést vállaljuk és nagy raktárkészletünkről gyorsan szállítunk.
CS 9600
3D CBCT szkenner
Páratlanul vékony – 75 µm - 150 µm* – szeletvastagságok, kisebb sugárterheléssel FOV térfogatok: 4x4/5x5/6x6 cm, 5x8 cm, 8x5/10x5/12x5 cm, 8x8/10x10 cm, 12x10 cm, 16x6 cm, 16x10 cm, 16x12 cm, 16x17 cm

• 5 az 1-ben:
• Fogászati, arc-, és szájsebészeti, orthodontiai, fül-orr-gégészeti vizsgálatokhoz • Ultra éles panoráma felvételek
• CS MAR – mesterséges intelligenciával támogatott fém műtermék szűrés • 120 kV a jobb képminőségért, kisebb sugárterheléssel • CAD/CAM kompatibilis, teljesen nyitott, stl, Pal formátum • Dicom kompatibilis


CS 8200 Neo

Új
3D CBCT szkenner
• 4 az 1-ben:
• Fogorvosok, szájsebészek, implantológusok részére
• Teljes digitális panoráma program, tűéles képekkel • FOV térfogatok: 4x4 / 5x5 / 8x5 / 8x9 / 12x5 / 12x10 cm • A létező legvékonyabb szeletvastagság: 75 µm - 150 µm • CS MAR • CAD/CAM kompatibilis

A Carestream 8000-es családja – 8100, 8100SC, 8100SC 3D, a CS 8200 3D valamint a CS 9600 gépek teleröntgen kiegészítéssel szállíthatók.
A leggyorsabb telefelvételek, rövid exponálási idők segítik a hatékony munkát. Képméretek: 26x24 cm, 18x24 cm, 18x18 cm Telepprogram: koponya, standard, oldalirányú felvétel, frontális AP és PA, kézfej Autotracing fogszabályozási segédeszközként használható pontfelismerő rendszer Két szenzor jobb, mint egy! Második beépített szenzorral készülnek a telefelvételek.
www.dent-east.com

CS 2200
Intraorális falikar, szuperszép képminőséggel a 300 kHz-nak köszönhetően Automatikus expozíciós timer
RVG 6200 S-1 RVG 5200 S-1
Direkt digitalizáló szenzor. Valós felbontása: 24 vp/mm Direkt digitalizáló szenzor. Valós felbontása: 16 vp/mm
Azonnali képmegjelenítés. Minden intraorális röntgengéppel kompatibilis. CS 2100
Intraorális falikar, szuperszép képminőséggel a 300 kHz-nak köszönhetően Félautomata expozíciós timer.
CS 3700
orálszkenner
Gyors szkennelési idő Kisméretű fej Nagyfokú precizitás Full HD képek Vezetéknélküli kivitel Ultrakönnyű Még precízebb, még gyorsabb. Megnövelt mélységélesség
CS 3800
orálszkenner

14 15

14. ábra: A szinterezett pótlások elölnézetben a műgyanta modelleken. 15. ábra: A pótlások okkluzális képe.

pótláshoz egyetlen anyagot használunk. Ez egy nagyszerű lehetőség volt az új KATANA Zirconia YML tesztelésére. Az anyag monolitikus használatát nulla visszavágással, ultravékony folyékony kerámiaréteg (CERABIEN ZR FC Paste Stain; Kuraray Noritake Dental) festéssel tervezték.
Klinikai eljárás
A régi pótlásokat eltávolították és a fogakat előkészítették (6. ábra). A foganyag minimálisan invazív eltávolítását támogatta az a tény, hogy a KATANA Zirconia YML minimális falvastagsága mindössze 0,4 mm a front területen, és 0,5 mm a hátsó régióban. Ezután digitális lenyomatot vettek TRIOS 3-mal (3Shape; 7. ábra). A kapott adatokat a páciens arcáról készült fényképekkel párosítva virtuális felviaszolást (wax-up) terveztek (8. ábra) és a fogtechnikai laboratóriumban ideiglenes pótlást faragtak ki. Az ideiglenes fogpótlás behelyezése lehetővé tette az esztétikai és funkcionális értékelést, valamint a tervezett végleges pótlások klinikai tesztelését (9. ábra). Ebben az összeállításban a bal első kisőrlő vette át a hiányzó szemfog funkcióját és alakját. Az a tény, hogy a jobb oldali ínyszél a bal középső metszőfoghoz képest valamivel magasabban volt, nem zavarta a pácienst, így igazításra (gingivectomia) nem volt szükség.
16
A végleges fogpótlások elkészítése
A tesztelés sikeres befejezése után digitális lenyomat készült a behelyezett ideiglenes fogpótlásokról (10. ábra). Ezen lenyomat és a tesztelés során szerzett információk alapján négy teljes kontúr koronát, két részleges koronát és egy hidat terveztek (11-13. kép). A jobb első kisőrlő és az első őrlőfog közötti hídnak kis konzol szabadvége volt, hogy kitöltse a hiányzó első őrlőfog beszűkült rését. A
17

18 19


16. ábra: A végleges restaurációk elölnézetben. 17. ábra: A híd és a front koronák oldalnézetben az első kvadránsban. 18. ábra: A híd és a front koronák oldalnézetben a második kvadránsban. 19. ábra: Az élethű restaurációk okkluzális képe

restaurációk KATANA Zirconia YML-ből készültek. A nyersdarabon belüli hajlítószilárdság különböző szintjei ellenére a pótlások virtuális elhelyezése a korongban rendkívül egyszerű. Ebben az esetben az elkészített restaurációknál csak a gyártó által javasolt minimális falvastagságot és konnektor keresztmetszetet kellett betartani. Ha hosszú fesztávú helyreállításokat terveznek (több mint három taggal), a konnektor keresztmetszeti területének felét a nyersdarab alsó felébe kell helyezni. Ez az eset fennáll, ha a restaurációt a korong közepére helyezik el, annak méretétől függetlenül.
Befejezés
A szinterezés előtt a restaurációkhoz kézi eszközökkel egyedi textúra jellemzőket adtak (14. és 15. ábra). Egy egyenletes többrétegű szerkezetet értek el átmeneti vonalak nélkül, meleg testfelülettel. A még természetesebb megjelenés érdekében a CERABIEN ZR FC Paste Stain készlettel néhány egyedi hatást és fényt adtak hozzá (16-19. ábra).
A kezelés végeredménye
A pótlásokat PANAVIA V5 adhezív ragasztó rendszerrel (Kuraray Noritake Dental) helyezték be. Az anyag jól elfedte az alatta lévő fogszerkezet elszíneződését, és szép áttetszőséget biztosított az incizális területen (20. ábra).

20. ábra: A kezelés végeredménye.
Az igazán sokoldalú
A tesztprojektünk megerősítette, hogy a KATANA Zirconia YML kiváló minőségű anyag, amely nagy esztétikai potenciállal rendelkezik, és az indikációs területe határtalan. Meglepően egyszerű a restaurációk tervezése és pozicionálása a virtuális nyersdarabban, marás után pedig a felületek simák, a szélek élesek és határozottak, az illeszkedés pedig pontos. A paszta festéses mikro-rétegezés gyakran elegendő az élénk eredményhez. Ezáltal az új KATANA Zirconia YML lesz a választott anyag mindenki számára, aki nagyra értékeli a magas szintű automatizálást, a laboratóriumi munkafolyamatok szabványosítását, valamint a hatékony és egyszerű eljárásokat.
Forrás: Digital 2022/1

...és ami mögötte van
