Revista Dentista y Paciente 172 | Diciembre 2022

Page 1

No. 172/Diciembre 2022 Latindex 17964 $50.00 MX ISSN: 1455-020X Revista
172
PUNTO DE VISTA Usando encerado de diagnóstico para lograr una estética óptima BOLETÍN INFORMATIVO Sensodyne Sensibilidad y Encías llega a México como una opción disruptiva para el cuidado de la salud
dentistaypaciente.com

La verdadera precisión se alcanza sola mente cuando uno se vuelve experto en su oficio... como nosotros desde hace 112 años.

La unión entre estética y mecánica de precisión da comienzo con nosotros hace 112 años gracias a la fabricación de joyas y relojes. Hoy esta experiencia se reconoce con una bella sonrisa en la boca de las personas.

Foto: Luis Seminario / www.marca5sentidos.com

Diciembre 2022

Se acerca el invierno y con ello el aumento de las enfermedades respiratorias. Se sigue esperando una nueva ola de COVID-19, que será muy contagiosa, pero no se espera que haya un aumento considerable de muertes por esta causa. Después de casi 3 años que la pandemia empezó a azotar a nuestro país, todavía no se ha vacunado al 100% de la población.

Un año más termina y deseamos que todos nuestros amigos y colaboradores hayan cumplido con las metas que se propusieron para este 2022. Fue un año en el que sufrimos la pérdida de amigos y colaboradores, sin embargo, también fue de logros y de iniciar proyectos para un futuro inmediato, en otras palabras, se trata de seguir avanzando.

También se efectuaron eventos científicos y de difusión, tanto nacionales como internacionales, sobre las distintas ramas de la odontología y grandes exhibicio nes como la más reciente de la AMIC, en el WTC que se llevó a cabo del 16 al 20 de noviembre pasado.

De parte de la familia de la revista Dentista y Paciente, les enviamos un gran abra zo y les deseamos una feliz Navidad, en compañía de sus seres queridos.

2 Editorial
Dentista y Paciente Mtro. Carlos Adolfo Espinosa García Especialidad en Odontología Legal y Forense Maestría en Odontología

10 | PUNTO DE VISTA

Usando encerado de diagnóstico para lograr una estética óptima

Dentista y Paciente

20 | BOLETÍN INFORMATIVO

Sensodyne Sensibilidad y Encías llega a México como una opción disruptiva para el cuidado de la salud

6 Contenido

28 | CALIDAD Y DIRECCIÓN

Diagnóstico temprano y tratamiento interceptivo en la disfunción de la articulación temporomandibular

Manejo de maloclusión de mordida profunda y diastema anterior con alineadores invisibles

Editorial Renascence S.A. de C.V.

Publisher

Jaime Francisco Martínez Aceves† jmartinez@dentistaypaciente.com

Directora Editorial

Mariangel Martínez López mmartinez@dentistaypaciente.com Director de Arte y Diseño Jesús Salas Pérez jesasez@dentistaypaciente.com Coordinador Editorial Marco A. Vergara Salgado marversa@dentistaypaciente.com

Ejecutivos Comerciales y de Negocios Carlos Martínez García, Gabriela Dolorez Ocadiz, Edson Aarón Hernández Producción y Circulación Edson Aarón Hernández Fotografía e Ilustraciones Editorial Renascence Suscripciones Patricia López Guerra Preprensa e Impresión Offset Impresión Creativa S.A de C.V. Distribución Comercializadora GBN S.A. de C.V. Calzada de Tlalpan #572, desp. C-302, col. Moderna Contabilidad y Administración Lic. Renato Muñoz

director científico

Dr. Carlos Espinosa García Especialista en Odontología Legal y Forense consejo editorial

Dr. Francisco Javier Diez de Bonilla Calderón Catedrático de la F.O de la UNAM Dr. Francisco Magaña Moheno Centro de Especialidades Odontológicas Dr. Carlos Alberto Guizar Director de la Facultad de Odontología Tijuana(UABC)

7
172. Diciembre 2022
42 | ENCICLOPEDIA ODONTOLÓGICA

Dentista y Paciente

Dr. Miguel Ángel Cadena Alcantar Jefe de CISALUD Valle de las Palmas

Javier Portilla Robertson

Exdirector de la Facultad de Odontología de la UNAM Especialista en Patología Bucal C.D.E.O. Arturo Alvarado Rossano† Profesor y Especialista en Ortodoncia y Ortopedia Craneofacial en la Facultad de Odontología. UNAM. Asesor Académico y Coordinador de Difusión de la AMOCOAC. C.D. Manuel García Luna y González Rubio Dra. Ana Gabriela Carrillo Varguez Coordinadora de Investigación y Posgrado F.O. UABC M.C. Alicia Percevaul Manzano Coordinadora de Planeación y Seguimiento Académico. Facultad de Odontología UABC M.C. Ernestina Santillana Marín Subdirectora de CISALUD UABC

William James Maloney, D.D.S. Clinical Associate Professor New York University

universidad anáhuac méxico norte

C.D. Carlos Robles Bonilla Coordinador de la Licenciatura de Cirujano Dentista C.D. Sergio Antonio Ojeda León Profesor Titular de Odontopediatría de la Licenciatura de Cirujano Dentista C.D. Bernardo Grobeisen Weingersz Profesor Titular de Clínica Integral de la Licenciatura de Cirujano Dentista C.D. Norma Ibañez Mancera. Profesora Titular de Patología Bucal de la Licenciatura de Cirujano Dentista

Dirección del Derecho de Autor certificado de reserva al uso exclusivo no. 04-2008022718312200-102 con fecha 27 de Marzo del 2008. Gobernación de la H. Comisión Calificadora de Publicaciones y Revistas Ilustradas, certificado de licitud de contenido 5328, certificado de licitud de título 7411, franqueo pagado, publicación mensual permiso no. PP09-02106, SEPOMEX. Las opiniones expresadas en los artículos y en los anuncios publicados no significan de ninguna manera juicios, criterios, ideas o cualquier otro concepto por parte de la editorial; reflejan únicamente las ideas y pensamientos de sus autores. Los artículos, entrevistas, resúmenes, publirreportajes, fotografías y cualquier otro material son exclusivos de la editorial, y no se autoriza la reproducción total o parcial por ningún medio sin previa autorización del editor. Para cualquier asunto relacionado con suscripción, distribución, comercialización, anuncios, contenido u otro propósito, favor de dirigirse a la editorial. Impreso en Offset Impresión Creativa S.A de C.V.

Dentista y Paciente® Publicación mensual correspondiente al mes de DICIEMBRE DE 2022. editada por Editorial Renascence S.A. de C.V., Rancho Jigüingo 29, Prado Coapa, Ciudad de México, 14350. tel. 56846632, fax 56793656. Distribuida en locales cerrados, depósitos dentales, universidades, congresos y exposiciones. Editora responsable: Mariangel Martínez López. Fotoarte de portada: Editorial Renascence.

distribución certificada por el padrón nacional de medios impresos de la dirección general de medios impresos de la secretaría de gobernación no. 007-136. www.gobernacion.gob.mx

8 Contenido

48 | CASO CLÍNICO

Corrección de mordida abierta anterior por deglución atípica

MICROINVESTIGACIÓN

9
172. Diciembre 2022
de
60 |
Colocación
implante con injerto de tejido blando: ¿cuándo y cómo?

Usando encerado de diagnóstico para lograr una estética óptima

Dentista y Paciente 10 Punto de vista Fotoarte: Editorial Renascence | Fotografía: AdobeStock

Algunos de los casos más memorables y gratificantes para mí han sido los de la zona anterior para pacientes que se sienten inseguros de sus sonrisas. Ese momento especial, cuando el paciente se mira en el espejo y observa su nueva sonrisa, me da el impulso necesario para seguir mejorando mi técnica y probar nuevos materiales. ¿Pero cómo podemos estar seguros de que, como profesionales dentales, le estamos entregando a nuestros pacientes lo que quieren con exactitud antes de someterse a un plan de tratamiento, en especial en un área críticamente estética?

Usando el servicio de encerado de diagnóstico de Glidewell en las eta pas de planeación, podemos crear una vista previa de un cambio de sonrisa que muestre cómo el produc to final restaurará la funcionalidad, tendrá apariencia natural, permiti rá la cantidad mínima de reducción dental y le otorgará al paciente una sonrisa que durará por muchos años. El encerado de diagnóstico mitiga las preocupaciones del paciente y le per mite probar su nueva sonrisa antes de que la restauración permanente comience. En este artículo, comenta ré los pasos que sigo para mostrarle al paciente cómo lucirá su restaura ción definitiva, los métodos que uso en la planeación de las etapas del tratamiento y en dónde confío en

172.
11
Diciembre 2022
Usando encerado de diagnóstico para lograr una estética óptima
Por Dr. Justin Chi

El encerado de diagnóstico mitiga las preocupaciones del paciente y le permite probar su nueva sonrisa antes de que la restauración permanente comience.

los servicios y las aptitudes del labo ratorio.

Estudio de caso

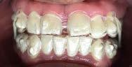
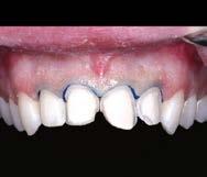
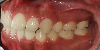
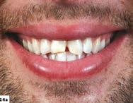
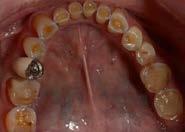
El paciente se presentó después de varios años de sufrir una herida traumática en sus dientes anterio res superiores. Las piezas 11 y 21 tenían varias fracturas, así como el borde incisal de la pieza 12. Por lo que él deseaba mejorar su estética bucal, y yo quería asegurarme de restaurar la funcionalidad y resisten cia también. El paciente necesitaba completar su tratamiento en un cor to periodo de tiempo, por ello debí realizar ajustes en mi flujo de traba jo. (Figura 1).

Cita 1. Impresiones iniciales y planeación del tratamiento

Mi plan era restaurar los dientes 12-22 con carillas BruxZir® Esthe tic, así que tomé un escaneo digital de ambas arcadas completas, ade más del registro de mordida usan do el escáner iTero® Element (Align Technology; San Jose, Calif.). Puede tomar impresiones de vinil polisiloxa no (VPS) si lo prefiere, pero el esca neo digital reduce tiempos al eliminar la necesidad de enviar modelos físicos o impresiones al laboratorio. Envío dicho escaneo junto con instruccio nes específicas para que Glidewell fabrique un encerado de diagnóstico (Figura 2).

Cuando envío una prescripción de encerado, incluyo la longitud y con torno específicos de las carillas deseadas en la Rx para ayudar al técnico del laboratorio a diseñar el encerado de diagnóstico. Si el caso es enviado por medio de un escaneo intraoral o una impresión VPS tradi cional, el caso es digitalizado en Gli dewell, por lo que un encerado de

y Paciente

12
Dentista
Punto de vista
1 2

BruxZir Full-Strength es un material de zirconia monolíti ca sin recubrimiento de porcelana que fue concebido originalmente para proporcionar una alternativa más duradera y estética a otro tipo de restauraciones. Por otro lado, BruxZir Esthetic, nuestro más reciente lanza miento en 2018, proporciona una combinación óptima de resistencia y estética. Existe la posibilidad de prescribir ambos tipos de restauración en la arcada completa, para que su paciente pueda lucir una sonrisa bella y goce de sus propiedades de vitalidad, armonización y solidez.

172. Diciembre 2022 13 Usando encerado de diagnóstico para lograr una estética óptima MK T 013186 1 m x gli d ewell d e nt a l com / b r u x zir GLMX 1949340 051622 ES ZIRCONIA DE POR VIDA GLIDEWELL LO GARANTIZA Fabricada con materiales Envíos GRATIS a todo México
Directora
de Prostodoncia Clínica de Glidewell
LL AME AL 8 0 0 - 212 -9080 O ESCANEE ESTE CÓDIGO QR
Dra. Taylor Manalili
¡SU LABORATORIO DENTAL DE CONFIANZA!

Durante la segunda cita le mostré al paciente su nuevo diseño de sonrisa en el modelo de encerado fabricado por Glidewell.

diagnóstico de alta precisión puede ser creado usando un software CAD avanzado para lograr resultados con sistentes. El técnico evalúa los dien tes a su alrededor y crea un diseño digital armonioso (Figura 3).

Cita 2. Aprobación del encerado de diagnóstico

Durante la segunda cita le mostré al paciente su nuevo diseño de sonrisa en el modelo de encerado fabricado

Después de revisar el encerado con el paciente, usé una matriz putty pro porcionada por el laboratorio para transferir el diseño a sus dientes y crear un mockup, lo que le permitió experimentar cómo se vería y senti ría la restauración final. Usando un material provisional, por lo general uso Luxatemp Ultra (DMG America;

Dentista
14 Punto de vista
y Paciente
por Glidewell, permitiéndole exami nar el diseño estético de la restaura ción final propuesta (Figura 4).
3 4

Ridgfield Park, N.J.) o TuffTemp™ Plus (PULPDENT; Watertown, Mass.), rellené la matriz putty y cemento sobre las piezas 22-12 sin preparar. Removí el exceso de acrílico mientras el material se asentaba en la boca del paciente para reducir el tiempo que hubiera necesitado para limpiar el acrílico endurecido (Figura 5).

La matriz fue removida después de que el material del mockup se asen tó. Se pueden realizar pequeños ajus tes en este punto de ser necesario. El mockup intraoral nos dio la oportu nidad, tanto a mí como a mi pacien te, de revisar la estética, fonética y el funcionamiento general del diseño (Figura 6).

Después de que el paciente hubie ra aprobado su nueva sonrisa, reali cé un escaneo intraoral del mockup usando un software iTero. Este “pre escaneo”, como se le conoce, es una imagen que se envía al laboratorio para guiar a los técnicos dentales al diseñar las restauraciones finales (Figura 7).

15
172.
Diciembre 2022 Usando encerado de diagnóstico para lograr una estética óptima
5a 6a 7a 5b 6b 7b

8a

Con el mockup de los provisionales aún en los dientes, usé una fresa de diamantes para realizar reducciones incisales en el acrílico, comenzando por los bordes incisales. Ya que nece sito al menos 0.7 mm en el facial para dar espacio al material de Bru xZir Esthetic, el mockup me ayudó a visualizar cuánta estructura nece sitaba ser removida. Con una pre paración de 1 mm en las superficies faciales e incisales, lo cual excede los requerimientos de manufactura, el material es lo suficientemente resis tente para soportar fuerzas significa tivas (Figura 8).

Después de realizar las reduccio nes incisales en el incisal y facial,

Cita 2. Continuación

Después de que el paciente aprobó la nueva longitud del borde incisal, contornos y línea media, verifiqué que no afectara su fonética, ya está bamos listos para preparar los dien tes 22-12 para colocar carillas. Las preparaciones pueden ser realiza das en la misma cita que el mockup, a menos que el paciente tenga sus reservaciones acerca de la estética o funcionalidad y quiera usar el mockup en casa. Muchos pacientes prefieren la opinión de sus parejas, familiares o amigos, pero en este caso, el pacien te estaba confiado, así que ya estába mos listos para comenzar a preparar sus dientes.

homogeneicé los cortes hasta hacer uno solo a fin de crear un diente per fectamente preparado para colocar las carillas. Con el objetivo de ase gurar el ajuste adecuado, es impor tante empacar un hilo para exponer los márgenes gingivales antes de las impresiones finales. Usé un hilo Ultra dent Ultrapak™ #0 (Ultradent; South Jordan, Utah), y tomé mis impresio nes finales usando el escáner iTero Element (Figura 9).

La función de preescaneo en el escáner iTero Element me permite obtener una imagen del “antes” del mockup en su lugar (10a), lo cual es de gran ayuda para el laboratorio cuando se diseñan las restauraciones

Dentista
16
de vista
y Paciente
Punto
9a 8b 9b

finales. Si usa métodos de impresio nes tradicionales, tome una impre sión VPS con el mockup en su lugar. Al empacar el hilo, los márgenes gin givales definidos están claramente visibles para que el escáner los reco nozca cuando se están escaneando las preparaciones (10b). Cuando se

captura una impresión usando mate rial VPS, verifique nuevamente que todos los márgenes se aprecien en la impresión (Figura 10).

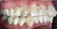
Cita 3. Entrega de las restauraciones finales

Comencé la cita de entrega de las restauraciones finales probando las carillas centrales y después continué trabajando hacia los laterales. Luego de confirmar que el ajuste era preciso, le ofrecí al paciente la oportunidad de mirarse al espejo, los retiré y procedí con la limpieza de la superficie interior de las restauraciones (Figura 11).

10a 10b 11a 12a

Después de haber descontaminado y aplicado Monobond® Plus (Ivo clar Vivadent; Amherst, N.Y.) a las

superficies internas de las restaura ciones, comencé por grabar en áci do el esmalte de las superficies con la ayuda de un gel etchant con un con tenido en ácido fosfórico del 37.5%, durante 15 segundos. Luego enjuago y seco las superficies por completo. En el esmalte seco, froté OptiBond™ Universal, adhesivo universal (Kerr Corporation; Brea, Calif.), luego

11b 12b

17
172. Diciembre 2022 Usando encerado de diagnóstico para lograr una estética óptima

aplico abrasión con aire y luz ultra violeta al líquido (Figura 12).

Comenzando por los centrales segui dos de los laterales, usé el cemento dental adhesivo de resina universal NX3 Nexus™ Tercera Generación (Kerr Corporation) para cementar las restauraciones en las preparaciones, dándome el tiempo suficiente para

posicionar correctamente las restau raciones. Me tomé unos minutos para limpiar cualquier exceso de cemen to antes de sellar las carillas con luz ultravioleta en su lugar (Figura 13).

Usando un encerado de diagnóstico para presentarle al paciente un moc kup intraoral de la sonrisa propues ta, pudimos trabajar en conjunto y

Dentista
18
y Paciente
Punto de vista
13a 13b
Me tomé unos minutos para limpiar cualquier exceso de cemento antes de sellar las carillas con luz ultravioleta en su lugar.

ponernos de acuerdo en el diseño de la restauración final que lucirá y se sen tirá bien para el paciente (Figura 14).

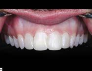
Las carillas BruxZir Esthetic fueron justo lo que el paciente esperaba y la emoción por su nueva sonrisa era evi dente (Figura 15).

Conclusión

Creando un mockup intraoral de un encerado de diagnóstico, usted es capaz de ofrecerle a sus pacien tes una vista anticipada de cómo se verán y sentirán sus restauraciones. Establecer expectativas es crítico, y

usar el encerado de diagnóstico es de gran ayuda para ayudarle a ganar aceptación del diseño de sonrisa pro puesto. El flujo de trabajo que des cribo en este artículo es uno de los 2 que uso en mis casos estéticos de la zona anterior.

19
172. Diciembre 2022 Usando encerado de diagnóstico para lograr una estética óptima
14a 15a
14b 15b

SENSODYNE SENSIBILIDAD y ENCÍAS llega

a México como una opción disruptiva para el cuidado de la salud

Ciudad de México a 3 de octubre de 2022. Ha llegado al mercado mexicano Sensodyne® Sensibilidad y Encías, una crema dental con floruro de estaño, que proporciona un doble alivio a la sensibilidad dental y problemas en las encías en un mismo producto.

El pasado 21 de septiembre fuimos testigos de un magno evento, pues se anunció la llegada de Sensody ne® Sensibilidad y Encías, una cre ma dental formulada con fluoruro de estaño, la cual alivia la sensibilidad dental hasta en un 63%2 y mejora en un 40% la salud de las encías.3

Dentista
20 Boletín informativo
y Paciente
Haleon
21
172. Diciembre 2022 Sensodyne Sensibilidad y Encías llega a México

Boletín informativo

La sensibilidad dental afecta al 50% de los mexicanos4 en algún momento de su vida, y puede tener un impacto en la vida cotidiana. Hasta 70% de las personas que experimentan sensibi lidad dental reportan haber perdido el placer de comer y beber, 36% han tratado de lidiar con la hipersensibi lidad dentinaria cubriendo su boca con prendas de vestir, 33% se sien ten más viejos, y hasta 26% se han sentido obligados a esconder su for ma de comer.5

Adicional a esto, del 50% de los mexicanos que sufren sensibilidad dental,6 la mitad reportan preocupa ciones sobre la salud de sus encías.7

Dentista y Paciente

22
Uno de cada 2 mexicanos padece sensibilidad dental2. La mitad de esta estadística reporta también preocupaciones sobre sus encías1.

Si bien, los problemas de encías pue den conducir a sensibilidad dental –por ejemplo recesión gingival o un tratamiento periodontal–8 la sensi bilidad dental puede provocar cam bios en el cepillado y otros hábitos de higiene bucal, lo cual puede generar la acumulación de placa dentobacte riana y los consecuentes problemas de encías.

El médico odontólogo Diego Pozzi señaló que “para mantener la salud bucal general, es importante tener en cuenta la sensibilidad dental y los problemas de encías de manera simultánea, por ello esta nueva pasta dental Sensodyne® Sensibilidad y Encías es ideal ya que ayuda a los pacientes a aliviar la sensibilidad y a manejar los problemas en las encías sin la necesidad de priorizar una sobre otra”.

172. Diciembre 2022

23
Sensodyne Sensibilidad y Encías llega a México

Con esta innovación, la empresa de GSK Consumer Health, próximamen te constituida en su totalidad como Haleon, da un paso hacia adelante en un camino de innovación constan te, y pone en firme su apuesta por la salud cotidiana brindando soluciones de la mano de productos desarro llados con ciencia confiable y com prensión humana, y que han logrado ganarse la confianza de los consumi dores mexicanos desde hace muchos años.

Sobre Haleon:

Haleon es un líder mundial en salud del consumidor, con marcas en las que confían millones de consumi dores en todo el mundo. El grupo emplea a más de 22 000 personas en 170 mercados, unidas por el propósi to de Haleon: ofrecer una mejor salud cotidiana con humanidad. La carte ra de productos de Haleon abarca 5 grandes categorías: salud bucoden tal, alivio del dolor, salud respiratoria, salud digestiva y otros, y vitaminas, minerales y suplementos (VMS). Sus marcas se basan en la ciencia, la inno vación y el profundo conocimiento humano.

24 Boletín informativo
Dentista y Paciente
Haleon, de la mano de Sensodyne® Sensibilidad y Encías presenta al mercado mexicano dos alternativas disruptivas para el alivio de la sensibilidad dental y problemas de encías

Referencias

1. European Commission. Health in the European Union. September 2008

2. Zheltoukhova K, O’Dea L, Bevan S. Taking the strain: The impact of musculoskeletal disorders on work and home life. Available at: http://nhshealthatwork.co.uk/images/library/files/Bulletins/ MSDs_Work_Foundation_Report.pdf (December, 2012)

3. Ipsos, 2014. GSK data on file Zheltoukhova K, O’Dea L, Bevan S. Taking the strain: The impact of musculoskeletal disorders on work and home life. Available at: http://nhshealthatwork.co.uk/ images/library/files/Bulletins/MSDs_Work_Foundation_Report.pdf (December, 2012)

4.

European Commission. Health in the European Union. September 2008

5. Parkinson CR et al. Am J Dent. 2015; 28:181-244.

6. GSK data on file 204930. April 2017

7. Oral Health Penetration Study 2016.

8. DHEQ: Cuestionario de la experiencia de la sensibilidad dental Referencia: Baker S et al. Lon gitudinal validation of the DHEQ. Póster presentado en: IADR/AADR/CADR General Session& Exhibition; 20-03 de marzo de 2013, Seattle, Washington

9. Oral Health Penetration Study 2016.

10. Ipsos, 2014. GSK data on file vonTroilB et al.JClin Periodontol2002; 29: 3:173-177; Axelsson, P & Lindhe, J. J ClinPeriodonto

11. Axelsson, P & Lindhe, J. J ClinPeriodontol1981; 8:239-248; 48; Laudenbach, J.M. & Simon, Z. Med Clin N Am 2014; 98: 1239

172.
2022 25 Sensodyne Sensibilidad y
llega a México
Diciembre
Encías
@curaproxmexico Tienda en línea: www.curaprox.mx

Con: Carbón activado

- Hidroxiapatita

- Sistema Enzimático (Amiloglucoxidasa, Glucosa oxidasa, Lactoperoxidasa)

- Libre de SLS

- No contiene Triclosán - 950 ppm Flúor

La pasta Black Is White contiene más de 40 ingredientes

¿ Cuál es la nalidad de integrar carbón activado en la pasta Black Is White?

Remover las manchas extrínsecas (pigmentaciones que se encuentran en la superficie del diente: esmalte, sin ningún agente blanqueador químico) provocadas por bebidas y alimentos (que producen color: Cromógenos) que se adhieren al esmalte dental, afectando así el color de los dientes.

Otro factor que encontramos en los alimentos y bebidas es la acidez. Los que tienen un alto nivel de acidez pueden dañar el esmalte de los dientes dando lugar a que los cromógenos se adhieran. Lo mismo sucede con otro compuesto que ayuda a los cromógenos, los llamados taninos.

¿Cuánto tiene de Hidroxiapatita (HAP) la pasta Black Is White? Contiene 15,000 partes por millón La pasta Black Is White tiene un RDA de 76, eso significa que la pasta tiene una abrasión lo suficientemente baja como para que sea segura en el uso diario a largo plazo y no causará ningún daño al esmalte, a la dentina, ni a las restauraciones, siempre y cuando, tanto la pasta como el cepillo se utilicen adecuadamente.

¿ Sabías qué ?

1. El carbón es útil por sus poros. Tiene tantos poros que una diminuta mota de carbón tiene una superficie de varios centímetros cuadrados, es decir, mucho.

2. Gracias a estos poros, el carbón tiene una buena adsorción, por lo que adsorbe pequeñas partículas, como las manchas de comida en los dientes.

3. El carbón activado como polvo puro puede ser extremadamente abrasivo para tus dientes, adelgazando el esmalte y haciendo los dientes más vulnerables y sensibles. *Para mantener los dientes blancos y seguros, comprueba el nivel de abrasividad de tu pasta de dientes.

¿Puedo utilizar la pasta Black Is White con enjuagues blanqueadores para obtener más blancos los dientes?

La mayoría de los enjuagues bucales contienen Peróxido de Hidrógeno (agente blanqueador) tienden a la desmineralización del diente, por lo que NO se recomienda utilizar junto con la pasta Black Is White.

Nuestro consejo: Obtén todos los beneficios del blanqueamiento dental con carbón con el dentífrico profesionalmente diseñado de baja abrasividad "Black is White".

Dentista y Paciente 28 Calidad y dirección Fotoarte: Editorial Renascence | Fotografía: AdobeStock Diagnóstico Temprano y Tratamiento Interceptivo en la Disfunción de la Articulación Temporomandibular

La disfunción de la articulación tem poromandibular, es el resultado de la evolución combinada de factores que, durante el crecimiento y desa rrollo craneodentofacial, genera inestabilidad en la relación, posición y dinámicas funcionales de los ele mentos anatómicos que conforman el universo estomatognático; es por tanto necesario que un diagnóstico temprano y el adecuado tratamiento interceptivo, armonicen y estabilicen las relaciones de posición y función del bloque óseo dental, junto con las biomecánicas adecuadas del comple jo neuromuscular. La relación cén trica ideal requiere de una oclusión céntrica óptima en cada caso, tanto en el paciente en desarrollo como en el adulto. Los factores ambientales, sociales, psicológicos, sumados a las alteraciones del desarrollo por enfer medades o aspectos congénitos, así como los ocasionados por la acción de una odontología deficiente, son detonantes que a corto, mediano y largo plazo se reflejan en la salud arti cular y oclusal del paciente. Lo que confiere la importancia de realizar acciones preventivas y correctivas durante el crecimiento y desarrollo y de tratamientos de rehabilitación adecuados para el adulto centrado en la estabilidad de posición, dinámi ca y función en la articulación tem poromandibular y en una máxima

intercuspidación acorde a las bases apicales y a la correcta estabilidad de las cargas en la oclusión.

Discusión

Una detección temprana de altera ciones en el universo estomatogná tico, con la aplicación de maniobras adecuadas en base a un diagnóstico integral, evitará complicaciones en el desarrollo y funcionamiento adecuado a nivel articular y oclusal (Figura 1).

En la práctica odontológica cotidia na, se objetivisa resolver el motivo de consulta de nuestros pacientes de una manera rápida, en la que el factor estético sobresalga de todos los otros componentes que integran una reha bilitación por sencilla que esta sea. El panorama general del resto de los órganos dentales y su relación con la articulación, se desestiman, aislando exclusivamente la resolución por la que el paciente asiste a consulta. Es una constante identificar restaura ciones rodeadas de un sinnúmero de signos que están señalando proble mas que requieren de un tratamiento integral (Figura 2 y 3).

Sumado a esto, la escasa utiliza ción del articulador semiajusta ble y la opción de la bisagra simple como herramienta de trabajo en la

172. Diciembre 2022

29
Diagnóstico temprano y tratamiento interceptivo
Dr. Guillermo Martínez Nasser.

articulación de casos clínicos en pro ceso de tratamiento, complica aún más los resultados a mediano y largo plazo en la salud articular así como en las dinámicas de oclusión de los pacientes (Figura 4 y 5).

La importancia de identificar los fac tores y elementos que generan una disfunción en la articulación tem poromandibular incluyen desde una detección temprana, la cual, no sólo se refiere a casos clínicos de pacien tes con dentición decidua o mixta, también incluye a la dentición del adulto, aunque, en la mayoría de los casos, una disfunción en la ATM, se origina en el periodo del intercam bio en la dentición, en combinación con el proceso del crecimiento y desarrollo craneodentofacial, suma do en ocasiones a malos hábitos y

deficiencias en el contexto gnatoló gico circundante (Figura 6-11).

Entre los factores que influyen como detonantes de una disfunción de la articulación temporomandibular está el factor genético hereditario, que se hace presente en las etapas de creci miento y desarrollo.

También participan otros facto res, como el ambiental, social, psi cológico, sumado a las alteraciones en el desarrollo por enfermedades y los ocasionados por la acción de una odontología deficiente, que en su conjunto, ya sea un solo factor, o la combinación de dos o más, que enmarcan un panorama complejo que se debe analizar y evaluar en el objetivo de diagnosticar adecuada mente al paciente y de ese modo enfatizar el tratamiento más adecua do (Figura 12-15).

Al mencionar factores genéticos y hereditarios, están algunos síndro mes que, aunque no sean parte cons tante de la práctica odontológica diaria, no resta importancia el cono cer las características clínicas a nivel

30
y dirección
Dentista y Paciente
Calidad
1a 2 3 5 7 8 6 4 1b

oral. Entre los síndromes que podría mos mencionar está:

Síndrome de Down. El cual entre sus características a nivel bucal, presenta un subdesarrollo de los maxilares, mal posición dentaria, disfunción lingual, retraso en la erupción dentaria, ano malía de tamaño y forma dentaria, cambio en las características cuspí deas, dientes cónicos o concavidades en la superficie labial (Figura 16-18).

También el síndrome de Treacher Collins, donde los pómulos, mandíbula y mentón son muy pequeños en pro porción a las demás estructuras facia les, además, las orejas con disarmonía en el contexto facial y la presencia de un orificio en el paladar (Figura 19).

Otro síndrome es el de Pierre Robin, el cual presenta algunas característi cas relevantes, que de igual manera influyen en un desarrollo complejo de la articulación, como la retrognacia y glosoptosis con o sin fisura palatina y obstrucción respiratoria (Figura 20).

Es entonces que podemos observar que el labio y paladar hendido (Hen didura orofacial) es una manifesta ción orofacial presente en más de 40 síndromes, no siendo un síndrome independiente como tal (Figura 21).

Por otro lado, entre los factores here ditarios está la agenesia parcial. (Aso ciada en algunos casos al Síndrome de Van Der Woude), en la que ciertos

31
172. Diciembre 2022 Diagnóstico temprano y tratamiento interceptivo
9 10 11 12

órganos dentales tienen mayor inci dencia de no formarse, entre los que están los laterales superiores y pre molares inferiores principalmente (Figura 22).

Otro de los factores hereditarios autosómicos dominantes, es el prog natismo, que requiere de una inter vención interceptiva oportuna desde edades tempranas (Figura 23 y 24).

Ahora bien, al referirnos a las enfer medades que se pueden presentar a

lo largo del desarrollo craneodento facial, tenemos la obstrucción de las vías aéreas superiores, que afectan y modifican su pleno crecimiento ade cuado. Entre estas afecciones están principalmente la sinusitis, hipertro fia de cornetes y amigdalitis crónica (Figura 25-27).

Por otro lado, los hábitos deletéreos como el hábito de dedo, hábito de lengua, el hábito de labio, síndrome de biberón y uso de distractores ora les, los cuales generan alteraciones en la dinámica de deglución, sella do labial, oclusión, respiración, una posición excéntrica mandibular y por consiguiente un desarrollo disarmo nico intermaxilar y de la orientación mandibular respecto a la base del crá neo (Figura 28).

Un elemento ajeno a los factores biológicos y que llega a afectar, es el educativo y económico, es decir, la falta de conocimiento de los padres, en la importancia de preservar los dientes deciduos y, la costumbre, de que un tratamiento definitivo odontológico u ortodóntico, se debe

Dentista y Paciente 32 Calidad y dirección
13 16 17 18 20 21 23 22 19 24 14 15

iniciar hasta que termine la muda de dientes, en el que en ocasiones, la falta de recursos para una atención oportuna en operatoria, en ortodon cia preventiva e interceptiva y otras especialidades odontológicas, es una constante de los padres al pensar que invertir en la rehabilitación de dien tes deciduos es mal gastar el dine ro, optando por la extracción de los mismos al presentar el paciente dolor por caries y otras afecciones bucales (Figura 29).

Habiendo retomado los factores detonantes como posibles genera dores de la disfunción articular en el complejo bucal durante el desarrollo, vamos a adentrar en el tema de oclu sión desde una perspectiva dinámi ca, con el objeto de poder tener una visión más completa en las alternati vas de un tratamiento temprano ante una disfunción de la ATM.

La oclusión y articulación temporo mandibular son 2 entes inseparables, una disarmonia en cualquiera de las 2, genera disfunciones en la otra.

La oclusión, no es un término fijo. Su universo no se limita solamente al contacto interdental. No es está tica. Es evolutiva. Se adapta y acom paña a los procesos de conservación de la vida; adaptable a las condiciones genéticas, sistémicas, del desarrollo, a las condiciones sociales, psicológi cas de la persona, compensando sus funciones ante enfermedades.

¿Existe una oclusión ideal sin intervención alguna?

Requiere analizarse y entender qué factores anatómicos, procesos bio mecánicos y fisiológicos de adaptabi lidad se desarrollaron en el organismo de la persona para obtener una esta bilidad y lograr una homeostasis adaptativa, ideal o no, además de

dejar entendido que, las caracterís ticas de una oclusión, son el principal factor etiopatológico de las enferme dades temporomandibulares.

Ahora bien, existen 3 determinantes en el desarrollo de la oclusión.

1. Crecimiento óseo.

2. Desarrollo de la dentición.

3. Madurez neuromuscular.

Por otro lado, la articulación tempo romandibular, está conformada por:

• Un eje.

• Una posición espacial.

• Características anatómicas indivi duales.

172. Diciembre 2022

33
Diagnóstico temprano y tratamiento interceptivo
25
26 27 28 29

• Centro de rotación y de traslación.

• Límites biofuncionales.

• Centros de comando neuronal.

• Potencial de acción y reacción así como la capacidad de movimiento y retorno. Todo contenido en una capsula articular, amortiguada por un menisco, trabajando en armonía con su contraeje en los movimien tos mandibulares.

Entonces, al diagnosticar una mal oclusión y un determinado trastorno temporomandibular, (TTM), como resultado del análisis de las distin tas posiciones condilares en la cavi dad glenoidea y de la posición de los dientes en oclusión en esa relación, es premisa de aplicar las acciones adecuadas en el tratamiento inter ceptivo (Figura 30-34).

Se podría hablar de una Unidad diente-cóndilo, ya que el aparato

estomatognático posee un singular bloque óseo, como es la mandíbula, que alberga en su misma estructura a dientes y cóndilo, lo que implicaría que las distintas variantes de la oclu sión se trasladen de manera dinámica y directa a la articulación (Figura 35).

Para poder integrar todos los ele mentos que están generando una disfunción en la ATM, es necesario conocer, identificar y analizar todos los elementos anatómicos compro metidos y su relación dinámica, como las curvas, guías, planos, sobremordi da y dirección de fuerzas.

En el plano sagital es de vital impor tancia conocer las características de la curva de Spee , ya que como sabemos va íntimamente ligada a las características anatómicas de los dientes, es decir, que a una menor altura cuspídea, menor será profun didad de la fosa y viceversa, a una menor curva de Spee mayor podrá ser la altura cuspídea y mayor la pro fundidad de la fosa.

Por otro lado, en el plano transver sal, la curva de Wilson, es un refle jo de la posición que guardan los dientes en su inclinación vestíbu lo-lingual y de las características anatómicas de la capsula, así como de la pared interna y eminencia arti cular (Figura 36).

Dentista
34
y dirección
y Paciente
Calidad
30 33 31 34 35 32

Respecto a las relaciones dinámicas en la zona anterior, la guía y sobre mordidas, marcan el balance y traba jo de los movimientos mandibulares.

Por último, la dirección de las fuer zas oclusales, durante los contactos y su orientación, permite que los vec tores de fuerza estén estables entre las fuerzas masticatorias y el soporte articular adecuado.

Esto es sinónimo de una estabilidad en la oclusión. Uno de los objetivos principales en el tratamiento oportu no para evitar disfunción en la ATM, así como una rehabilitación ideal.

Habiendo analizado toda esta infor mación, podemos aplicarla al análisis de las 3 incidencias en la disfunción de la ATM durante el periodo de cre cimiento y desarrollo craneodento facial.

1. Maloclusiones

a. Clase II/1 y clase II/2. b. Clase III.

c. Mordida abierta anterior.

d. Mordida cruzada anterior o poste rior. Bilateral o unilateral.

2. Interferencias

a. Interferencia en protrusiva. b. Interferencia en trabajo c. Interferencia en balance. d. Interferencia en céntrica.

e. Discrepancias entre oclusión cén trica y relación céntrica. Esto genera un estiramiento de los liga mentos y músculos así como un desplazamiento condilar anóma lo en la articulación ya que puede rotar sobre el eje del lado afectado.

3. Asimetría en altura de cóndilo y longitud de rama (Figura 37-39)

En algunos casos pasa desapercibida por la compensación muscular y liga mentosa.

Al haber identificado y analizado lo anterior con el apoyo de los estu dios de gabinete y del montaje en articulador, la auscultación directa de la ATM y la condición anatómica de los dientes, corroboraremos, o se descartará, la presencia de una dis función de la articulación temporo mandibular (Figura 40).

Esta auscultación consiste en revisar si hay dolor, desviación o dislocamiento en alguno de los movi mientos mandibulares, ya sea en la apertura, cierre y/o movimientos

172. Diciembre 2022

35
Diagnóstico temprano y tratamiento interceptivo
36 37 38 39 40 41 42 43

y Paciente

laterales y de protrusiva ( Figura 41-43).

Ya realizada la auscultación, toda rehabilitación integral en un paciente, requerirá de la indispensable obten ción de un diagnóstico, aplicando las herramientas tecnológicas para entender y planificar el tratamien to, integrando todos los elemen tos anatómicos y fisiológicos que acompañan a la compleja y dinámi ca intercuspidación de las arcadas y su correlación con la ATM (Figura 44-53).

Para lograr una posición articu lar funcional relajada, óptima y/o de homeostasia articular, en la que valoraremos no solo las superficies articulares sino también su función y la de los tejidos adyacentes, debe mos identificar la posible discrepan cia entre oclusión céntrica y relación céntrica, ya que una persona puede aparentar una oclusión perfecta, en clase I y sin alteraciones aparentes pero, una vez montados los modelos de estudio en relación céntrica, se puede apreciar una gran discrepan cia con la máxima intercuspidación. En esta posición de relación céntrica puede aparecer una mordida abierta anterior o unos contactos molares cúspide-cúspide.

Por consecuencia, la aparición de una patología o disfunción, dependerá fundamentalmente de 2 elementos: la cohabitación con otros factores coadyuvantes y la medida de la dis crepancia entre las 2 posiciones, por lo que los elementos que marcan la gravedad y repercusión clínica de una inestabilidad ortopédica, son enton ces:

1. El grado de inestabilidad. A partir de discrepancias entre 2 a 3 mm entre RC y OC y en la altura ramal mandibular el riesgo de alteracio nes intracapsulares aumenta.

2. La magnitud de la carga. Si el paciente asocia la inestabilidad con episodios de bruxismo o cualquier parafunción que aumente la carga, el riesgo aumentará también.

Es por lo anterior que el tratamien to oclusal y el restablecimiento de la homeostasia oclusal como trata miento interceptivo en la disfunción de la ATM, implica conocer la biome cánica particular de cada paciente y su correlación con sus parámetros oclusales y biológicos, a través de la desprogramación de la dinámica en la ATM y así reevaluar el binomio cóndilo-diente, en donde la oclusión céntrica y la relación céntrica estén estables y sin alteraciones en su diná mica funcional.

Conclusión

El diagnóstico inclusivo con todos los elementos generadores y detonantes

36
Dentista
Calidad y dirección
44 45 46 47 48 49 50

de una disfunción en la articulación temporomandibular, es medular para la planificación adecuada del tratamiento temprano y oportuno. Emplear como un apoyo dinámico herramientas que permitan, como primera acción, desprogramar los movimientos y posición de la ATM, obteniendo una posición espacial optima del eje intercondilar y de los cóndilos, obteniendo, si es el caso, la identificación de puntos prematuros de contacto, ya sea en los propios órganos dentarios, o en tratamientos rehabilitadores anteriores, y de igual

forma, tener los parámetros anató micos y el universo funcional indivi dual del paciente, con el propósito de mantener, corregir y lograr una estabilidad entre la relación céntrica, oclusión céntrica, dinámica mastica toria, deglución, respiración y fona ción entre las múltiples funciones esenciales del sistema estomatog natico y su relación con el resto del organismo.

Diagnóstico temprano y tratamiento interceptivo
51
52 54 53

El diagnóstico inclusivo con todos los elementos generadores y detonantes de una disfunción en la articulación temporomandibular, es medular para la planificación adecuada del tratamiento temprano y oportuno.

Referencias

Oclusión básica

Rey Bosch. Rogelio • Trillas ISBN: 9786071740090

Tratamiento de oclusión y afecciones temporomandibulares Okeson P. Jeffrey • ELSEVIER ISBN: 9788491135197

Trastornos de la Articulación Temporomandibular. Terapia manual, ejercicio y técnicas invasivas. Fernández de las Peñas. César • Panamericana ISBN: 9788491105442

La artrosis de la articulación temporo-mandibular. Artículo monográfico. 19 diciembre 2021

https://revistasanitariadeinvestigacion.com/la-artrosis-de-la-articulacion-temporo-mandibular-articu lo-monografico/

Dentista
38 Calidad y dirección
y Paciente

Gary D. Klasser

, DMD, Louisiana State University School of Dentistry

https://www.msdmanuals.com/es-mx/professional/trastornos-odontol%C3%B3gicos/trastornos-tem poromandibulares/generalidades-sobre-los-trastornos-temporomandibulares

¿Por qué tengo dolor en la articulación temporomandibular?

https://www.adfisioterapiavalencia.com/blog/disfuncion-de-la-articulacion-temporomandibular

Trastornos de la articulación temporo-mandibular M. C. Aragón1, F. Aragón1 y L. M. Torres1

https://scielo.isciii.es/scielo.php?script=sci_arttext&pid=S1134-80462005000700006

De Coster PJ, Marks LA, Martens LC, Huysseune A. Dental agenesis: genetic and clinical perspective. J Oral Pathol Med 2009; 38(1):1-17

Etiología de las agenesias dentales publicado el 16 de Junio del 2015. Marchena Rodríguez Leticia. Fer nández ortega Carlos Ma. De la universidad de Sevilla.

García ballesta. C. López Nicolás M. Alteraciones del desarrollo dentario en Odontopediatria, segunda edición, Barcelona, editorial Masson 2004. 89-106.

William R. Proffitt. Ortodoncia Contemporánea edit. Mosby Mauricio Ballesteros. Manual de Cefalometría Integrada Edit. Trillas.

Pérez Córdoba Cesar Augusto. Tratado de Cefalometría. Edit. Amolca Marie- José Boileau. Ortodoncia para el Niño y el Adolescente. Edit. Amolca.

Ulrike Grohmann. Aparatología en Ortopedia Funcional. Edit. Amolca

Da Silva Filho. Omar Gabriel. Ortodoncia Interceptiva. Panamericana. 2014.

Proffit, William. Ortodoncia Contemporánea. Edit. Elsevier 2019.

Silva, Chedid. Ortopedia y Ortodoncia para dentición decidua.Edit. Amolca. 2018

Dean A. Jeffrey. Odontología pediátrica y del adolescente. Edit. Elsevier 2018.

Garcia B. Javier. Patología y terapéutica dental.Edit. Elsevier. 2014.

Goran Coch, Odontopediatría Abordaje clínico. Edit. Elsevier. 2011.

Katagiri, Mario. Ortodoncia interceptiva. Edit. Trillas.2018.

Quirós Álvarez, Oscar. Ortopedia funcional de los maxilares y ortodoncia interceptiva. Edit. Amolca 2019.

Ravindra, Nanda. Biomecánicas y estética. Edit. Amolca. 2018.

Franco Fonseca Balcázar. Biomecánica fácil y efectiva en ortodoncia. Edit. Amolca. 2017.

https://scielo.isciii.es/scielo.php?script=sci_nlinks&ref=4270616&pi d=S1138-123X200700010000300009&lng=es

https://scielo.isciii.es/scielo.php?script=sci_nlinks&ref=4270622&pi d=S1138-123X200700010000300015&lng=es

https://scielo.isciii.es/scielo.php?script=sci_nlinks&ref=4270624&pi d=S1138-123X200700010000300017&lng=es

https://brittenperio.com/2019/07/12/lack-of-posterior-back-teeth-and-splaying-of-the-front-teeth/ https://scielo.isciii.es/scielo.php?script=sci_arttext&pid=S1138-123X2007000100003

172. Diciembre 2022

39
Diagnóstico temprano y tratamiento interceptivo

Manejo de maloclusión de mordida profunda y diastema anterior con alineadores invisibles

Dentista y Paciente 42 Enciclopedia odontológica

Una maloclusión de mordida pro fundas son un componente relativa mente común que se encuentra en las maloclusiones de adolescentes y adultos, y las sobremordidas mayo rees o iguales a 5mm ocurren en el 15% al 20% de la población de EE. UU.1,2 Dependiendo de su etiología puede ser dental o esqueletal, las técnicas que involucran la intrusión de los incisivos maxilares y mandibu lares,3,4 la proclinación, la extrusión posterior y el aumento de la altu ra facial anterior inferior a través de medios quirúrgicos han demostrado ser efectivas para corregir las malo clusiones de mordida profunda.5

Los alineadores trasparentes han ganado popularidad debido a sus ventajas estéticas en comparación con los aparatos fijos convenciona les,1 el tratamiento de mordidas pro fundas con alineadores trasparentes se ha percibido como difícil debido a la fuerza de mordida natural del paciente que ayuda a la intrusión posterior, sin embargo este proble ma puede corregirse con Invisaling que es un sistema construido alre dedor de los alineadores,6 pero que involucra muchas más herramien tas para alcanzar las metas de trata miento del ortodoncista.7 Constituye una opción cada vez más dominante de tratamiento ortodóntico. es una alternativa de tratamiento removible trasparente para alinear la dentición.8 En función del plan de tratamiento del odontólogo, se usa un software de modelación (ClinChenck) para crear una serie de alineadores tras parentes fabricados a la medida que mueven eficazmente los dientes has ta la posición final deseada.9,10 Com bina la experiencia de diagnóstico y plan de tratamiento del ortodoncista con la tecnología de gráficos. Una vez aprobado el plan de tratamiento por el ortodoncista, Align Technology

fabrica los alineadores específicos exclusivos para ese paciente.11

Los alineadores se usan 24 horas al día por 2 semanas, excepto para comer, beber, cepillarse y usar hilo dental. La base del sistema invisalign la constituye el software ClinCheck y los alineadores.12 Invisalign full tiene una amplia aplicabilidad debido que en 2014 introdujo Invisalign G5 inno vation para la corrección de mordida profunda. esta innovación incluyo el control de la intrusión anterior a tra vés de las áreas de presión Smart For ce (para dirigir la intrusión a través del eje largo del diente), adaptadores optimizados en los premolares que servirían como anclaje para intruir los premolares y rampas de mordida de precisión de hasta 3mm permitiendo desoclusión del sector posterior ade más de agregar fuerzas intrusivas a los incisivos mandibulares, al disociar los segmentos bucales, es más fácil lograr con éxito la extrusión del dien te posterior, la posición de la rampa de mordida se ajusta automática mente para mantener el contacto anterior durante todas las etapas del tratamiento,13,14 esta opción es via ble para tratar todo tipo de maloclu sión sin restricciones en la cantidad de alineadores y tiene la posibilidad de adicionar alineadores pasivos para permitir la finalización del tratamien to de ambas arcadas al mismo tiempo junto con terapia de elásticos y cortes de precisión.15

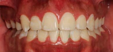
Caso clínico

Se presenta una paciente clase ll esquelética en los estudios extrao rales en la fotografía de frente se ve hiperdivergente con una mordi da profunda de 5mm, un diastema, y refiere como motivo de consulta "no me gusta el espacio entre mis dien tes" (Figura 1).

Ismael Agustín Vélez Quinteros. Residente del 2.º año de la maestría Ortodoncia y Ortopedia Maxilofacial en el Centro de Estudios Superiores en Ortodoncia CESO. Beatriz Gurrola Martínez. Profesora de la maestría del CESO y profesora de tiempo completo definitivo Titular "C" de la carrera de Cirujano Dentista de la Facultad de Estudios Superiores Zaragoza. UNAM. Dr. Adán Casasa Araujo. Director del CESO.

En los estudios intraorales de inicio en las fotografías se muestra en la de frente el diastema anterior, con la línea media dental superior e inferior no coincidentes, la mordida profun da anterior (Figura 2), en la lateral derecha clase l molar y canina bila teral (Figura 3), el apiñamiento leve superior e inferior y la forma de las arcadas.

Estudios radiográficos iniciales

En la radiografía lateral de cráneo se ve el diagnósitico: clase II esqueléti ca, con crecimiento hiperdivergente, mordida profunda anterior (Figura 4).

En la radiografía panorámica se observa 28 piezas dentales, con un diastema en los incisivos centrales (Figura 5).

Tratamiento

Una vez aprobado el ClinChenck con la prescripción adecuada el tra tamiento constó de una fase de ali neación y nivelación mediante la tecnología de invisalign SmartTrack, Smartstage y SmartForce, colocan do attachments optimizados en los

172. Diciembre 2022

43
Manejo de maloclusión de mordida profunda y diastema anterior

Órganos Dentarios (OD) 11-16-37, de rotación en los caninos 13-23-33, de extrusión en el premolar 45 y de control radicular en los OD 14-1524-25-34-35-43-44. Se corrigió la mordida profunda con bite ramps en alineadores del 6 al 15, se realizaron cortes de precisión en alineadores para el uso de elásticos intermaxila res en vector clase ll largos 3/16 4½ oz. (Figura 6).

En el refinamiento se planificó el detallado, se llevó a cabo con el uso de 22 alineadores superiores e infe riores previa una preparación dental, se colocaron attachments optimi zados, multiplano en OD 22- 27, de rotación en el OD 33, 35, 43, 44 de control radicular OD 23 de extrusio nes en los 34, 45, 11, 12, Power Rid ges en el 12 y 22 (Figura 7).

La estabilidad postratamiento a car go de retenedores termoformado Vivera retainers (Figura 8).

Resultados

La duración del tratamiento fue de 1 año 9 meses, manteniendo el perfil facial estético y funcional (Figura 9).

Estudios intraorales finales

En las fotografías intraorales finales se ve la corrección del apiñamiento maxilar y mandibular, la forma de las arcadas es ovalada, se consiguió guía de desoclusión canina derecha e izquierda, la mordida profunda

anterior (Figura 10), la estabilidad oclusal, la máxima intercuspidación, el paralelismo radicular y oclusión funcional, el cierre de diastema ante rior, las líneas medias superior-infe rior coincidieron ambas con la facial.

Discusión

Align Technology es una empre sa global de dispositivos médicos que ha sido pionera en el mercado de aparatos de ortodoncia invisible con la traducción del sistema invi salign,6,7 una opción de tratamiento trasparente y removible para alinear la dentición,2,11 actualmente invisa lign constituye una opción totalmen te válida de tratamiento ortodóntico, en función al plan de tratamiento se usa un software de modelación para

Dentista
44 Enciclopedia odontológica
y Paciente
Figura 1. Extraoral de inicio de frente. Figura 2. Intraoral de frente derecha, izquierda. Figura 3. Oclusal superior e inferior arcadas cuadrada. Figura 4. Radiografía lateral de cráneo. Figura 5. Rx Panorámica.

crear una serie de alineadores,1,14 el utilizar el protocolo Invisalign G5 para la corrección de mordidas pro fundas permitiendo más extrusión bucal debido a la efectividad de las rampas las cuales disocian los dien tes posteriores,13 que de otro modo solo hubiese sido posible en adul tos mediante una rotación mandi bular.5,8 También fue posible que se lograra más intrusión incisiva (intru sión verdadera) con el protocolo G5 a diferencia de un tratamiento conven cional.6,14 Por otro lado Houle demos tró que los efectos de tener rampas de mordidas de canino superior a canino versus incisivo lateral, no fue ron significativamente diferentes,

no existe un protocolo recomenda do por Invisalign con respecto a la ubicación de las rampas de mordi da,8 sin embargo, una regla general es que las rampas solo se extiendan hasta los caninos en situaciones de resalte extremo donde las rampas de otra manera no hubieran llegado a hacer contacto con los dientes man dibulares. Es fundamental tener en cuenta que incluso con la introduc ción del protocolo G5.13,14 El éxito de cualquier tratamiento de Invisalign depende en última instancia de la formulación adecuada del plan de tra tamiento, con corrección de la curva inversa mandibular de la mecánica de Spee en la configuración virtual

Manejo de maloclusión de mordida profunda y diastema anterior Figura 6. Intraoral de frente, derecha, izquierda. Figura 7. Intraoral de frente, derecha, izquierda.

mediante extrusión de los dientes posteriores y la intrusión de los dien tes anteriores.3,13-15 Siguiendo el pro tocolo G5 de Invisalign en el paciente del CESO se corrigió la mordida pro funda, con el cierre del diastema anterior se llevó a la coincidencia de las líneas medias maxilar y man dibular. Terminando con una línea de sonrisa armónica, manteniéndose la simetría facial.

Conclusiones

Unos de los objetivos principales del ortodoncista, es la planeación del tra tamiento para lograr un perfil armó nico y una estabilidad oclusal a largo plazo. Con el sistema Invisaling se pueden corregir mordidas profundas, la curva de Spee, realizar expansión y desgaste interproximal mediante el protocolo G5.

46 Enciclopedia odontológica
Dentista y Paciente
Figura 8. Vista oclusal forma de las arcadas oval con termo formador superior e inferior. Figura 9. Extraoral de frente, final. Figura 10. Comparación frente inicio, vista oclusal superior e inferior, en oclusión lado derecho izquierdo final.

Referencias

1. Azaripour A, Weusmann J, Mahmoodi B, Peppas D, Gerhold-Ay A, Van Noorden CJF, et al. Braces versus Invisalign®: gingival parameters and patients’ satisfaction during treatment: a cross-sec tional study. BMC Oral Health. 24 de junio de 2015;15:69.

2. Gay G, Ravera S, Castroflorio T, Garino F, Rossini G, Parrini S, et al. Root resorption during ortho dontic treatment with Invisalign®: a radiometric study. Prog Orthod. 15 de mayo de 2017;18:12.

3. Lu H, Tang H, Zhou T, Kang N. Assessment of the periodontal health status in patients undergoing orthodontic treatment with fixed appliances and Invisalign system. Medicine (Baltimore). 30 de marzo de 2018;97(13):e0248.

4. Morales BI, Gandía F J-L, Cobo J, Vela HA, Bellot -A C. Arch expansion with the Invisalign system: Efficacy and predictability. PLoS One. 10 de diciembre de 2020;15(12):e0242979.

5. Ke Y, Zhu Y, Zhu M. A comparison of treatment effectiveness between clear aligner and fixed appliance therapies. BMC Oral Health. 23 de enero de 2019;19:24.

6. Papadimitriou A, Mousoulea S, Gkantidis N, Kloukos D. Clinical effectiveness of Invisalign® ortho dontic treatment: a systematic review. Prog Orthod. 28 de septiembre de 2018;19:37.

7. Weir T. Clear aligners in orthodontic treatment. Australian Dental Journal. 2017;62(S1):58-62.

8. Houle J-P, Piedade L, Todescan R, Pinheiro FHSL. The predictability of transverse changes with Invisalign. Angle Orthod. enero de 2017;87(1):19-24.

9. Li Y, Deng S, Mei L, Li Z, Zhang X, Yang C, et al. Prevalence and severity of apical root resorption during orthodontic treatment with clear aligners and fixed appliances: a cone beam computed tomography study. Prog Orthod. 6 de enero de 2020;21:1.

10. Fraundorf EC, Araújo E, Ueno H, Schneider PP, Kim KB. Speech performance in adult patients undergoing Invisalign treatment. Angle Orthod. IF2.079), Pub Date : 2021-08-20, DOI: 10.2319/122820-1037.1

11. Hellak A, Schmidt N, Schauseil M, Stein S, Drechsler T, Korbmacher-Steiner HM. Influence on interradicular bone volume of Invisalign treatment for adult crowding with interproximal enamel reduction: a retrospective three-dimensional cone-beam computed tomography study. BMC Oral Health. 8 de junio de 2018;18:103.

12. Sifakakis I, Papaioannou W, Papadimitriou A, Kloukos D, Papageorgiou SN, Eliades T. Salivary levels of cariogenic bacterial species during orthodontic treatment with thermoplastic aligners or fixed appliances: a prospective cohort study. Prog Orthod. 1 de agosto de 2018;19:25.

13. Henick D, Dayan W, Dunford R, Warunek S, Al-Jewair T. Effects of Invisalign (G5) with virtual bite ramps for skeletal deep overbite malocclusion correction in adults. Angle Orthod. marzo de 2021;91(2):164-70.

14. Al Nazeh AA, Alshahrani I, Badran SA, Almoammar S, Alshahrani A, Almomani BA, et al. Relations hip between oral health impacts and personality profiles among orthodontic patients treated with Invisalign clear aligners. Sci Rep. 24 de noviembre de 2020;10:20459.

15. Liu Y, Hu W. Force changes associated with different intrusion strategies for deep-bite correction by clear aligners. Angle Orthod. noviembre de 2018;88(6):771-8.

172. Diciembre 2022

47
Manejo de maloclusión de mordida profunda y diastema anterior

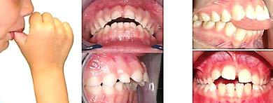
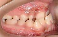
CORRECCIÓN de mordida abierta anterior por deglución atípica

Dentista y Paciente 48 Caso clínico Fotoarte: Editorial Renascence | Fotografía: AdobeStock

Se describe un caso clínico de un paciente de 14 años y 8 meses, diagnosticado con clase II esquelética, hiperdivergente, clase II molar dere cha, clase I molar izquierda, la relación canina no determinable, el overbite disminuido, el overjet aumentado, con apiñamiento moderado. Con los dientes 12 y 22 palatinizados, el 13 ectópico, con mordida abierta anterior, las líneas medias desviadas, con habito de empuje lingual. Obje tivos: mejorar el perfil facial, corrección del api ñamiento maxilar y mandibular, incorporar al arco los dientes 12,13, 22 y 23, mantener clase I molar izquierda, obtener clase I molar derecha, y canina bilateral, corrección de overjet y over bite, de las líneas medias dentales. Mejorar las relaciones esqueléticas, lograr correcta intercus pidación, la guía de desoclusión canina, la guía incisiva. Mejorar la salud periodontal. La apa ratología utilizada una rejilla lingual de Justus, brackets prescripción Roth 0.022x0.028, tubos bondeables 6´s y 7´s superiores e inferiores. Adicionalmente se realizó ameloplastía en los incisivos anteriores, extracciones de los prime ros premolares superiores, segundos premolares inferiores, terceros molares superiores e inferio res. La retención se llevó a cabo por medio de retenedores circunferencial superior con perla de Tucat y termoformado inferior. El tiempo de tratamiento fue de 2 años y 2 meses.

Palabras clave: mordida abierta anterior, empu je lingual, rejilla lingual, interposición lingual.

172. Diciembre 2022

49
Corrección de mordida abierta anterior por deglución atípica Adriana Marisol Gil Navas. Residente de segundo año de la Maestría Ortodoncia y Ortopedia maxilofacial en el Centro de Estudios Superiores de Ortodoncia (CESO). Beatriz Gurrola Martínez. profesora del CESO y profesora de carrera de tiempo completo Titular "C" definitivo en la Carrera de Cirujano Dentista de la Facultad de Estudios Superiores Zaragoza UNAM. Adán Casasa Araujo. Director del CESO.

La mordida abierta anterior es una maloclusión causada por la falta de contacto anterior, esta puede ser de origen dental o esquelético.1-3

La mordida abierta de tipo dental, es aquella en la que el patrón esquelético vertical no contribuye y generalmente se presenta de canino a canino, los incisivos maxilares se encuentran protruidos y proinclinados, generalmente se produce por un hábito, por el contrario la mordida abierta de tipo esquelética, es aquella donde el patrón esquelético sí influye, se caracteriza por una elongación del tercio inferior de la cara, rotación de la mandíbula en sentido de las manecillas del reloj, un patrón de crecimiento hiperdivergente y contactos sólo en molares.3-6

Su etiología es multifactorial rela cionada con la herencia y el medio ambiente. Los factores etiológicos ambientales se observan común mente durante el desarrollo infantil y generalmente se asocian con hiper trofia amigdalar, respiración bucal y hábitos bucales nocivos que incluyen chuparse el pulgar, el chupón y la deglución atípica,5-8 esta se caracte riza por la interposición de la lengua colocándose entre las arcadas den tarias cuando se realiza la acción de deglutir, lo que se podría denominar como lengua protráctil.8

El tratamiento es controversial; pero la mayoría concuerda, en que se tra ta de una alteración multifactorial

de tratamiento complejo. 9,10 Se plantea sobre todo el abordaje de tratamiento temprano, algunas maloclusiones pueden ser preveni das o interceptadas, adicionalmente presenta un pronóstico de bueno a pésimo dependiendo de su etiología y severidad, además de que la recidi va puede alcanzar 25% de los casos tratados.10 Publicaciones expresan los retos que plantean las mordidas abiertas, se debe especial atención en determinar si los clínicos son o no capaces de tratarlas con cierta garan tía de éxito y que la corrección sea estable, ya sea que la corrección se haya logrado con un tratamiento de ortodoncia convencional o con un tratamiento de ortodoncia combina do con cirugía.4,10

Reporte del caso

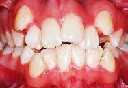
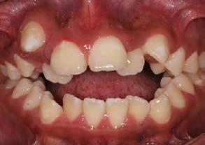
Paciente de 14 años y 8 meses, moti vo de consulta: “mi mordida no me gusta” el patrón esquelético es cla se II, hiperdivergente, clase II molar derecha y clase I molar izquierda, los caninos superiores en infraoclusión overbite disminuido, apiñamiento severo superior, moderado inferior, con los dientes 12 y 22 palatinizados, el 13 ectópico, con mordida abierta anterior, y las líneas medias desvia das.

Estudios de inicio extraorales

En las fotografías en la Figura 1 se observa el ligero dextrognatismo inferior, la línea facial se encuen tra desviada con respecto a la línea media dental superior e incompe tencia labial. El perfil es convexo, el tercio facial inferior se encuentra aumentada (Figura 2).

Estudios de inicio fotografías intrao rales en la de frente se ven la línea media dental superior esta desviada

Dentista y Paciente 50 Caso clínico
Figura 1. Extraoral frente sonrisa inicio. Figura 2. Extraoral de perfil inicio.

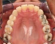
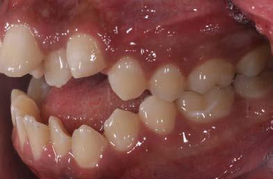
hacia la derecha y la línea media dental inferior a la izquierda, con mordida abierta anterior, el canino superior derecho se encuentra fuera del arco ( Figura 3 ), en la oclusal superior los inci sivos laterales palatini zados y paladar ojival profundo, en la lateral derecha una relación molar clase II y relación canina no determinable (Figura 4), en la izquier da una relación molar clase I y relación canina no deter minada.

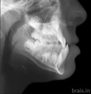
Estudios radiográficos de inicio en la radiografía lateral de cráneo (Figu ra 5) tenemos la clase II esquelética con un ANB de 7°, hiperdivergencia, aumento de la altura facial anterior, disminución de la altura facial poste rior y proclinación del incisivo supe rior con 1 a plano palatino de 121° e incisivo inferior de 1 a plano mandi bular de 99°.

En la radiografía panorámica (Figu ra 6) se observan 32 dientes, con los terceros molares en formación, adicionalmente la molar 46 con una

En todos los grupos, se levantó un colgajo a espesor parcial en vestibular de los implantes, para colocar o bien un injerto de tejido conectivo o un sustituto de tejido blando VCMX

zona radiopaca compatible con tra tamiento endodóntico.

Tratamiento

Para lograr la corrección del apiña miento maxilar y mandibular, se rea lizó la extracción de los OD 14, 24, 35 y 45, para la alineación y nivela ción, se realizó un bondeo seccional superior y secuencia de arcos nitinol 0.014, 0.016, 0.018, 0.017 × 0.025, superior e inferior y acero 0.018,

51
172. Diciembre 2022 Corrección de mordida abierta anterior por deglución atípica Figura 3. Intraoral inicial de frente, la oclusal superior forma de arco triangular.

Caso clínico

0.020 superior e inferior. Se incor poraron los OD 13, 23 12 y 22, para obtener clase I canina bilateral se utilizaron elásticos intermaxilares vector clase I 3/16 2.5 oz. para incor porar dientes 12 y 22 se realizó una mecánica de doble arco, para obte ner clase I molar derecha y mante ner clase I molar izquierda se utilizó anclaje mínimo con ligadura de acero 0.012 sector anteroinferior y cadena intramaxilar 43-47 y 33-37 por vesti bular y lingual, para la corrección del overbite el control vertical y manejo del hábito se utilizó una trampa de

Justus (Figura 7) e incorporación de aparatología fija diferenciada 1 mm más gingival en anterior y 1 mm más oclusal en posterior y dobleces esca lonados en nitinol 0.017 × 0.025, en la corrección del overjet se realiza ron topes funcionales en los órganos dentales 16, 26, 36 y 46 ayudando a un posicionamiento anterior man dibular.

Para la corrección de las líneas medias se utilizó una cadena intra maxilar en los dientes 12 al 23 y open coil del 13 al 12 ferulizado ligadura acero 0.012 sector posteroinferior derecho y cadena intramaxilar 32 al

Dentista
52
y Paciente
Figura 4. Intraoral lateral derecho e izquierda con la mordida abierta.
El tiempo del tratamiento fue de 2 años y 2 meses, finalmente para la retención y estabilidad se recomendó utilizar retenedores circunferenciales para el superior con perla de Tucat, y un termoformado en el inferior.

43 y open coil entre 32 y 33 adicio nalmente para obtener una máxima intercuspidación paralelismo radicu lar y oclusión funcional se realizaron dobleces de primer, segundo y ter cer orden en alambre de acero rec tangular 0.016 × 0.022, 0.017 × 0.025

en superior e inferior acompañados del uso de elásticos en delta 1/8 6½ oz. y por último para la estabilidad y postratamiento se utilizó un retene dor circunferencial superior con per la de Tucat, termoformado inferior y fijo de 13 a 23 y de 33 a 43.

Figura 6. Radiografía panorámica inicio.

172. Diciembre 2022

53
Corrección de mordida abierta anterior por deglución atípica Figura 5. Radiografía lateral de cráneo inicio.

Figura

Figura

Resultados

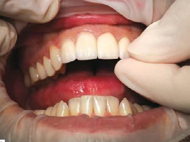
En los estudios finales se observa en las fotografías extraorales: de sonrisa, (Figura 8) que persiste ligera asime tría facial, la línea facial coincidente con la línea media dental superior y

cierre total de la mordida con el perfil convexo, los tercios faciales propor cionados, mejoría de los tejidos blan dos y armonía facial.

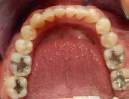
En las fotografías intraorales fina les se muestra una relación molar y canina clase l, bilateral (Figura 9) las líneas medias coincidentes, la máxi ma intercuspidacion, la corrección del apiñamiento maxilar y mandibu lar, se mejoró el estado periodontal, una correcta intercuspidacion, guía incisiva y desoclusion canina.

En la radiografía lateral de cráneo (Figura 10) se ve una disminución del ángulo ANB a 5° y la retroclina ción de los incisivos superiores e infe riores.

El tiempo del tratamiento fue de 2 años y 2 meses, finalmente para la retención y estabilidad se recomendó utilizar retenedores circunferenciales

54
Dentista y Paciente
Caso clínico
7. Intraoral oclusal progreso con la trampa de Justus. 8. Frente sonrisa y perfil final. Figura 9. Intraoral frente y lateral izquierda final.

para el superior con perla de Tucat, (Figura 11) y un termoformado en el inferior.

Discusión

En la literatura se presentan varias opciones de tratamiento para solu cionar la mordida abierta anterior, con el objetivo de inhibir los factores mecánicos que la generan.

Garret11y Bennet,12 coinciden que el adecuado control de hábitos a eda des tempranas es de gran ayuda. Sin embargo, resaltan que cuando un paciente llega a la edad adulta sin nin gún tratamiento preventivo o inter ceptivo previo, se debe enfocar el manejo de tratamiento desde el área de ortodoncia o cirugía ortognática según sea el requerimiento.11,12

Los diferentes tipos de tratamiento para propósito de corregir esta malo clusion: extracciones de premolares

o molares, aparatos miofuncionales, aparatología fija, espolones linguales, elásticos, intrusión molar, extrusión de los dientes anteriores superio res, alineadores con elásticos, cirugía ortognática y glosectomía parcial.13,14

Sin embargo, diversos investigadores concluyen que la posición y actividad de la lengua son las razones por las cuales es difícil lograr estabilidad a largo plazo, encontrando que la tera pia orofacial miofuncional combinada con ortodoncia reduce significativa mente la posibilidad de recidiva.10,15

Debido a esto, Justus propone modi ficar la postura de la lengua con espuelas o picos debido a que los pacientes que presentan mordida abierta, la mayoría del tiempo des cansan la lengua sobre los incisivos. En su investigación él encontró que las espuelas son una excelente opción tanto para cerrar la mordida como para mantenerla estable.10 En el caso

Dentista
56
clínico
y Paciente
Caso
Figura 10. Radiografía lateral de cráneo final.

del paciente del CESO la ortodon cia interceptiva eliminó el hábito de empuje de lengua y la mordida abier ta además de que cabe señalar que fue muy cooperador durante todo el tratamiento.

Conclusiones

Es evidente la importancia de rea lizar un diagnóstico correcto que permita al clínico tomar decisiones

trascendentales como es la realiza ción de extracción de órganos denta les para corregir y obtener resultados estéticos y funcionales que satisfagan las expectativas de nuestros pacien tes. La extracción de los órganos dentales sigue siendo uno de los pro cedimientos más eficaces para crear espacio, sin embargo existen otras biomecánicas tendientes a corregir las mordidas abiertas.

Referencias

1. Salguero A, Valverde AS. Corrección de una mordida abierta anterior esquelética mediante miniimplantes y un bite block modificado. Revista Mexicana de Ortodoncia. [Internet] 2017 [citado 12 septiembre de 2021]; 5(2), 107–115. Disponible en: https://doi.org/10.1016/j. rmo.2017.06.007

2. Cruz E MA, Aliaga-Del C A, Soldevilla L, Janson G, Yatabe M, Zuazola RV. Extreme skeletal open bite correction with vertical elastics. The Angle orthodontist. [Internet]. 2017. [citado 12 septiembre de 2021]; 87(6), 911–923. Disponible en: https://doi.org/10.2319/042817287.1

3. Carbo O D, López D, Quiros C J. Corrección de mordida abierta esquelética sin extraccio nes y sin cirugía: caso clínico. Revista Latinoamericana de Ortodoncia y Odontopediatría. [Internet] 2020 [citado 12 septiembre de 2021]; Disponible en: .https://www.ortodoncia. ws/publicaciones/2020/art-16/

4. Al-Thomali Y, Basha S, Mohamed RN. The factors affecting longterm stability in anterior openbite correction a systematic review. Turkish journal of orthodontics, [Internet] 2017 [citado 12 septiembre de 2021]; 30(1), 21–27. Disponible en: https://doi.org/10.5152/ TurkJOrthod.2017.010

Figura 11. Intraoral de frente y oclusal con retenedores.

5. Vanegas A MM, Gurrola M B, Rivero D, Casasa A. Corrección de mordida abierta anterior causada por habito de interposición lingual. [Internet] 2018 [citado 12 septiembre de 2021]. Disponible en: https://intranetceso.com/academico/misarticulos/agregarpdf/uploads/ th5a5OwHdtoYTQY.pdf

6. Pantoja PEN, Gurrola MB, Rivero D, Casasa AA. Corrección de Mordida abierta anterior, reabsorción radicular anterosuperior, ausencia de órganos dentales 13 y 22. 2021 [Internet] 2021 [citado 12 septiembre de 2021]. Disponible en:https://intranetceso.com/academico/ misarticulos/agregarpdf/uploads/jIkjmiqDlKwVFnb.pdf

7. Rossato PH, Fernández T, Urnau F, De Castro AC, Conti F, De Almeida RR, Oltramari Navarro P. Dentoalveolar effects produced by different appliances on early treatment of anterior open bite: A randomized clinical trial. The Angle orthodontist. [Internet] 2018 [citado 12 septiembre de 2021]; 88(6), 684–691. Disponible en: https://doi.org/10.2319/101317-691.1

8. Mesa R NY, Medrano M J. Hábitos bucales deformantes y maloclusiones en niños del Policlínico Máximo Gómez. ccm [Internet]. 2017 [citado 12 septiembre de 2021]; 21(2): 458-467. Disponible en: http://scielo.sld.cu/scielo.php?script=sci_arttext&pi d=S156043812017000200011&lng=es.

9. González P R, Sánchez E C, Ortiz S JD. Manejo de paciente adulto con mordida abierta ante rior por deglución atípica. Reporte de caso. RO [Internet]. 2020 [citado 12 de septiembre de 2021];22(1):82-9. Disponible en: https://revistadigital.uce.edu.ec/index.php/odontologia/ article/view/2122

10. Justus R. Correction of anterior open bite with spurs: long-term stability. World J Orthod. [Internet]. 2001 [citado 12 de septiembre de 2021]; 2:219–231. Disponible en: https:// www.aaoinfo.org/system/files/media/documents/Justus%20--%20Correction%20of%20 Anterior%20Open%20Bite%20Using%20Intraoral%20Spurs%20to%20Modify%20Ton gue%20Posture.pdf

11. Garrett J, Araujo E, Baker C. Open-bite treatment with vertical control and tongue reeduca tion. Am J Orthod Dentofacial Orthop. [Internet]. 2016 [citado 12 de septiembre de 2021] 149(2):269-76. Disponible en: https://pubmed.ncbi.nlm.nih.gov/26827984/

12. Bennett GR, Weinstein M, Borislow AJ. Efficacy of open-bite treatment with the Thera-spoon. J Clin Orthod [Internet]. 1999 [citado 12 de septiembre de 2021] 33(5):283-5. Disponible en: https://pubmed.ncbi.nlm.nih.gov/10535002/

13. Smithpeter J, Covell D Jr. Relapse of anterior open bites treated with orthodontic appliances with and without orofacial myofunctional therapy. Am J Orthod Dentofacial Orthop. [Inter net]. 2010. [citado 12 de septiembre de 2021] 137(5):605-614. Disponible en: doi:10.1016/j. ajodo.2008.07.016

14. García F MA. Estabilidad del tratamiento de la maloclusión de mordida abierta anterior. Rev Esp Ortod [Internet]. 2013 [citado 12 de septiembre de 2021] Disponible en: http://www. revistadeortodoncia.com/files/2013_43_1_013-021.pdf

15. Rodríguez S DE, Hernández GJR, Pomar C G, Rodríguez C JA, Orozco V C. Corrección de una mordida abierta anterior en paciente clase II esqueletal: reporte de un caso. Revista Mexicana de Ortodoncia. [Internet]. 2016 [citado 12 de septiembre de 2021] 4(2) 96-102 Disponible en: https://www.elsevier.es/es-revista-revista-mexicana-ortodoncia-126-articulo-correc cion-una-mordida-abierta-anterior-S2395921516301623.

Dentista
58
clínico
y Paciente
Caso

Colocación de implante con injerto de tejido blando: ¿cuándo y cómo?

Dentista y Paciente 60 Microinvestigación Fotoarte: Editorial Renascence | Fotografía: AdobeStock
Estudio

Colocación de implante con injerto de tejido blando: ¿cuándo y cómo?

Autores: Kwang-Seok Lee, Seung-Yun Shin, Christoph Hämmerle, Ui-Won Jung, Hyun-Chang Lim, Daniel Thoma.

Relatores: Chin Hoi Man Bonnie, Kwok Chee Yin, Lam Pok Man, y Tsang Nichol Chun Wai con George Pelekos.

Traductor: Camilo Torres. Master en periodoncia y profesor colaborador del Master en Periodoncia, Universitat Internacional de Catalunya, Barcelona.

Afiliación: Programa de periodoncia acreditado por la EFP, Universidad de Hong Kong.

Antecedentes

Los procedimientos de injerto de tejido blando suelen realizarse para mejorar los resultados estéticos o para compensar situaciones en las que existen deficiencias de volumen. Los datos clínicos han demostrado que las cirugías de tejido blando con tribuyen a mas del 40% del volumen final tanto a nivel horizontal como bucal.

El estándar de referencia para dichos procedimientos es el uso de injer to de tejido conectivo subepitelial

(CTG). Sin embargo, las técnicas de obtención provocan un incremento en la morbilidad para el paciente, por la presencia de un área donante.

Por esta razón se han desarrolla do substitutos de tejido blando. En estudios preclínicos en modelo cani no, los sustitutos de tejido blando han mostrado resultados similares a los del CTG, en cuanto al incremento de volumen alrededor de implantes. Un estudio clínico reciente (Thoma et al., 2016) indicó que los sustitu tos de tejido blando no eran inferio res al CTG alrededor de implantes.

61
172. Diciembre 2022

y Paciente

No obstante, los estudios prelimi nares sobre dichos sustitutos están limitados a ciertos protocolos de colocación de implantes, y más concretamente a la colocación tardía.

Teniendo en cuenta que en la actualidad existen varios protocolos de colocación de implantes; como la colocación inmediata (IP), colocación temprana (EP), y la colocación de implan te tras preservación alveo lar (ARP), debería evaluarse la efectividad de los sustitu tos de tejido blando para el aumento de volumen apli cados a diferentes pro tocolos de colocación y compararlo con el CTG.

Objetivo

El objetivo de este estudio es determinar el efecto que ejercen el momento de la colocación del implante y el tipo de injerto de teji do blando en cuanto a cambios en el volumen.

Materiales y métodos

La muestra se llevó a cabo con perros: los terceros y cuartos pre molares mandibulares fueron hemi seccionados y las raíces mesiales extraídas. Los implantes usados en el estudio eran de 4x10 mm o 12 mm, Luna Shinhung, Seúl, Corea del Sur, y los pilares de cicatrización de 4x4 mm.

En el grupo de preservación alveo lar, la prueba se realizó con hueso bovino desproteinizado (DPBM) con 10% de colágeno (Bio-Oss Collagen, Geistlich, Wolhusen, Suiza) y una matriz de colágeno biocompatible

(Mucograft Seal, Geistlich). Trans curridos 3 meses de cicatrización se colocaron los implantes.

En el grupo de implantes inmediatos se rellenó el hueco entre el implante y la pared vestibular utilizando hueso bovino mineral desproteinizado (BioOss Geistlich).

Finalmente, los grupos de colocación temprana y tardía se llevaron a cabo 1 y 2 meses después de la extrac ción, respectivamente; en ambos grupos se realizó una regeneración ósea guiada (GBR) en vestibular del implante usando hueso bovino mine ral desproteinizado (Bio-Oss, Geist lich) y una membrana de colágeno (BioGide, Geistlich). En ambos gru pos los implantes fueron expuestos tras 1 mes de cicatrización.

En todos los grupos, se levantó un colgajo a espesor parcial en vestibu lar de los implantes, para colocar o bien un injerto de tejido conectivo o un sustituto de tejido blando VCMX (Fibrogide, Geistlich).

Todos los animales fueron sacrifi cados tras la cirugía de aumento de tejido blando. En distintos momen tos a lo largo del estudio se tomaron tomografías y escaneados intraora les. Las medidas lineales se realizaron para observar los cambios del contor no en diferentes momentos. Por últi mo, se analizaron los cambios en el ancho de la cresta en general, y más específicamente el cambio resultante del aumento óseo y el cambio causa do por el aumento de tejido.

La medición perfilométrica se obtuvo a partir de 2 mm apical del margen gingival y se extendió 2 mm apical mente y 4 mm de ancho. Se obser varon los cambios en diferentes momentos del estudio.

Dentista
62
Microinvestigación
En todos los grupos, se levantó un colgajo a espesor parcial en vestibular de los implantes, para colocar o bien un injerto de tejido conectivo o un sustituto de tejido blando VCMX

Resultados

No se detectaron eventos adversos. Los escáneres Micro-CT revelaron un remodelado óseo alrededor de los implantes y dehiscencias óseas en la superficie vestibular. El grupo IP mos tró los resultados mas favorables.

Mediciones lineales: Cambios generales

• A nivel de 2 mm: todos excepto ARP/CTG (0,07 mm) demostraron una contracción horizontal, desde -0,09 mm en DP/VCMX hasta -1,87 mm en EP/CTG.

• A nivel de 3 mm: se encontró un ancho de cresta similar en DP/CTG (0 mm) y ARP/CTG (0,03 mm), por otro lado hubo contracción, desde -0,13 mm in EP/VCMX hasta -1,59 mm in EP/CTG.

Dentista
64 Microinvestigación
Preservación
Inicio 1 mes 1 mes 1 mes 3 meses Cirugía Cirugía Cirugía Cirugía Sacrificio
Colocación
y Paciente
Diagrama de flujo y fotos clínicas de cirugías. ARP: preservación alveolar. DP: implante tardío. EP: implante temprano. IP: implante inmediato Extracción (grupo DP)
alveolar (grupo ARP)
Extracción (grupo DP)
de implante con regeneración ósea guiada (grupos EP y DP) Extracción implante inmediato, relleno del hueco (grupo IP) Colocación de implante (grupo ARP) Aumento de tejido blando (todos los grupos)

Tejido duro

• A nivel de 2 mm: ganancia en EP (0.87 mm) y DP (0.93 mm).

• A nivel de 3 mm - ganancia en EP (0.95 mm) y DP (0.92 mm).

Tejido blando

• A nivel de 2 mm: todos excepto EP/ VCMX (-0.20 mm) obtuvieron una ganancia desde 0.13 mm en EP/ CTG hasta 1.25 mm en DP/CTG.

• A nivel de 3 mm: se detectó ganan cia en todos los grupos desde 0.16 mm en EP/VCMX a 0.97 mm en EP/CTG.

• No se encontraron diferencias sig nificativas dentro de ninguno de los 2 grupos (ni en cuanto a cambios generales ni en lo referente a tejido duro ni blando).

Medidas perfilométricas: Cambio general

• Ganancias encontradas en ARP/ CTG (0.17 mm) y DP/CTG (0.05 mm), pero se observaron pérdidas en otros grupos, que van desde -0.02 mm en ARP/VCMX a -1.19 mm en EP/CTG.

Tejido duro

• Mayor aumento medio en DP (0.82 mm) en comparación con EP (0.52 mm).

Tejido blando

• Ganancia en todos los grupos de 0.14 mm en DP/VCMX hasta 0.79 mm en DP/CTG.

• No se encontraron diferencias esta dísticamente significativas dentro de cada grupo (Tanto en cambios

generales como en tejido duro y tejido blando).

Limitaciones

El estudio puede no ser capaz de refle jar la totalidad del proceso de remode lación de tejidos blandos por tratarse de un estudio animal, por lo cual es necesario realizar ensayos clínicos.

No hubo detalles en la discusión sobre los materiales y métodos utili zados para el análisis volumétrico en el estudio.

Conclusiones e impacto

Teniendo en cuenta las limitaciones de este estudio, ARP y DP con CTG resultaron en un menor cambio tisu lar entre la extracción previa y el pun to final del estudio, comparado con otros tratamientos (sin diferencia estadísticamente significativa). CTG y VCMX mejoraron el contorno gene ral del tejido alrededor de los implan tes cuando se aplicaron EP, DP y ARP.

A pesar de que se realizaron procedi mientos de aumento de tejido blando y relleno del hueco, el grupo IP obtu vo una reducción del contorno.

Los cambios en las dimensiones de la cresta variaron entre los protoco los de tratamiento. El grupo ARP con CTG obtuvo la menor diferencia en el contorno tisular. Tanto el CTG como el VCMX fueron capaces de mejorar el contorno. Partiendo de los resultados de este estudio piloto preclínico, se requieren más ensayos clínicos para determinar el momento más favora ble para la colocación del implante y la elección del injerto de tejido blando para obtener un perfil tisular óptimo.

172. Diciembre 2022

65
Colocación de implante con injerto de tejido blando: ¿cuándo y cómo?

A pesar de que se realizaron procedimientos de aumento de tejido blando y relleno del hueco, el grupo IP obtuvo una reducción del contorno.

Notas

JCP Digest 100 es un resumen de ‘Cambios de cresta dimensional junto con cuatro protocolos de sincronización de implantes y dos tipos de injerto de teji do blando injertos de tejido: un estudio preclínico piloto. ‘J Clin Periodontol. 49(4):401-411. DOI: 10.1111/jcpe13594

https://www.onlinelibrary.wiley.com/doi/10.1111/jcpe.13594

Acceso a través de la página web para miembros de la EFP http://efp.org/mem bers/jcp.php

Con el amable permiso de Wiley Online Library. Copyright © 1999-2022 John Wiley & Sons, Inc. Todos los derechos reservados. JCP Digest es una publicaciónde la Federa ción Europea de Periodoncia (EFP). Oficina EFP: Cink Coworking, oficina 17, calle Henri Dunant 15-17, 28036 Madrid, España · www.efp.org

Dentista y Paciente 66 Microinvestigación

¡No basta ser excelente odontólogo para tener más pacientes!

Escanea el código QR para conocer más acerca de una forma diferente de ver el marketing odontológico.

Evoluciona del Like al Love

Turn static files into dynamic content formats.

Create a flipbook
Issuu converts static files into: digital portfolios, online yearbooks, online catalogs, digital photo albums and more. Sign up and create your flipbook.