Revista Dentista y Paciente 174 Febrero 2023

Page 1

ENCICLOPEDIA ODONTOLÓGICA

Angina bullosa

hemorrágica

MICROINVESTIGACIÓN

¿Aporta una matriz de colágeno estabilidad dimensional en la regeneración ósea guiada?

INVESTIGACIÓN CLÍNICA

Camu������ a����������a�������������� con colapso maxilar y mandibular severo

No. 174/Febrero 2023 Latindex 17964 $50.00 MX ISSN: 1455-020X Revista dentistaypaciente.com ������������

La verdadera precisión se alcanza solamente cuando uno se vuelve experto en su oficio... como nosotros desde hace 112 años.

La unión entre estética y mecánica de precisión da comienzo con nosotros hace 112 años gracias a la fabricación de joyas y relojes. Hoy esta experiencia se reconoce con una bella sonrisa en la boca de las personas.

Foto: Luis Seminario / www.marca5sentidos.com

Febrero 2023

Continúa el frío en gran parte del país y los contagios por influenza y COVID-19 van en aumento. Llegó la 6.a ola de COVID-19 causada por la variante BQ 1.1; sin embargo, mucha gente no toma las precauciones básicas, como utilizar cubrebocas.

En muchos lugares ya no es obligatorio el uso del cubrebocas, pero lo más recomendable es seguir utilizándolo, así como la aplicación de gel desinfectante.

En algunas escuelas, debido a la gran cantidad de contagios entre maestros y alumnos, han tenido que cerrar grupos y regresar a un sistema híbrido, es decir, parte presencial y parte en línea.

El presidente ha dicho que todos los enfermos de COVID-19 tuvieron una cama en hospital y que no hubo muertos fuera de los hospitales, sin embargo, la Dra. Laurie Ann Ximénez-Fyvie, Investigadora de la UNAM, asegura que las cifras han sido alteradas. Han muerto 13 922 personas, según la base de datos de la Secretaría de Salud, fuera de los hospitales. En la base de datos de abril de 2022, se registra que del 1 al 3% de los fallecimientos por covid son ambulatorios, es decir, ocurrían fuera de los hospitales cada semana. A partir del 23 de abril, el gobierno se encargó de depurar la base de datos y eliminó todas las defunciones ambulatorias desde el 10 de enero del 2021, en adelante. Reclasificaron las muertes ambulatorias y las convirtieron en muertes de hospital. Esto se puede demostrar, debido a que las bases de datos se compartían y se actualizaban cada día, por lo que se tiene la información real. Según cifras del propio gobierno mexicano, han habido más de 736 000 fallecimientos.

Por otra parte, los eventos odontológicos de educación continua van en aumento en todo el país. La odontología siempre cumpliendo con la misión de divulgar el conocimiento y la actualización en sus diferentes ramas.

¡A seguirse cuidando!

Dentista y Paciente 2 Editorial
Mtro. Carlos Adolfo Espinosa García Especialidad en Odontología Legal y Forense Maestría en Odontología

10 | ENCICLOPEDIA ODONTOLÓGICA

Angina bullosa hemorrágica. Reporte de caso

18 | CALIDAD Y DIRECCION

Corrección de biprotrusión dental y apiñamiento, distalización con microtornillos extraalveolares

6 Contenido Dentista y Paciente

40 | CASO

CLÍNICO

Manejo de paciente clase II con apiñamiento severo, distalización con microtornillos

Editorial Renascence S.A. de C.V.

Publisher

Jaime Francisco Martínez Aceves† jmartinez@dentistaypaciente.com

Directora Editorial

Mariangel Martínez López mmartinez@dentistaypaciente.com

Director de Arte y Diseño

Jesús Salas Pérez jesasez@dentistaypaciente.com

Coordinador Editorial

Marco A. Vergara Salgado marversa@dentistaypaciente.com

Ejecutivos Comerciales y de Negocios

Carlos Martínez García, Gabriela Dolorez Ocadiz, Edson Aarón Hernández

Producción y Circulación

Edson Aarón Hernández

Fotografía e Ilustraciones

Editorial Renascence

Suscripciones

Patricia López Guerra

Preprensa e Impresión

Offset Impresión Creativa S.A de C.V.

Distribución

Comercializadora GBN S.A. de C.V.

Calzada de Tlalpan #572, desp. C-302, col. Moderna

Contabilidad y Administración

Lic. Renato Muñoz

director científico

Dr. Carlos Espinosa García

Especialista en Odontología Legal y Forense consejo editorial

Dr. Francisco Javier Diez de Bonilla Calderón

Catedrático de la F.O de la UNAM

Dr. Francisco Magaña Moheno

Centro de Especialidades Odontológicas

Javier Portilla Robertson

Exdirector de la Facultad de Odontología de la UNAM

Especialista en Patología Bucal

174. Febrero 2023 7
30 | INVESTIGACIÓN CLÍNICA Camuflaje clase III con colapso maxilar y mandibular severo

Dentista y Paciente

C.D.E.O. Arturo Alvarado Rossano† Profesor y Especialista en Ortodoncia y Ortopedia Craneofacial en la Facultad de Odontología. UNAM. Asesor Académico y Coordinador de Difusión de la AMOCOAC.

C.D. Manuel García Luna y González Rubio Dra. Ana Gabriela Carrillo Varguez Coordinadora de la especialidad en endodoncia UABC Tijuana. Coordinadora de Investigación y Posgrado F.O. UABC

M.C. Ernestina Santillana Marín Subdirectora de CISALUD UABC

William James Maloney, D.D.S. Clinical Associate Professor New York University

universidad anáhuac méxico norte

C.D. Carlos Robles Bonilla Coordinador de la Licenciatura de Cirujano Dentista

C.D. Sergio Antonio Ojeda León Profesor Titular de Odontopediatría de la Licenciatura de Cirujano Dentista

C.D. Bernardo Grobeisen Weingersz Profesor Titular de Clínica Integral de la Licenciatura de Cirujano Dentista

C.D. Norma Ibañez Mancera. Profesora Titular de Patología Bucal de la Licenciatura de Cirujano Dentista

Dirección del Derecho de Autor certificado de reserva al uso exclusivo no. 04-2008022718312200-102 con fecha 27 de Marzo del 2008. Gobernación de la H. Comisión Calificadora de Publicaciones y Revistas Ilustradas, certificado de licitud de contenido 5328, certificado de licitud de título 7411, franqueo pagado, publicación mensual permiso no. PP09-02106, SEPOMEX. Las opiniones expresadas en los artículos y en los anuncios publicados no significan de ninguna manera juicios, criterios, ideas o cualquier otro concepto por parte de la editorial; reflejan únicamente las ideas y pensamientos de sus autores. Los artículos, entrevistas, resúmenes, publirreportajes, fotografías y cualquier otro material son exclusivos de la editorial, y no se autoriza la reproducción total o parcial por ningún medio sin previa autorización del editor. Para cualquier asunto relacionado con suscripción, distribución, comercialización, anuncios, contenido u otro propósito, favor de dirigirse a la editorial. Impreso en Offset Impresión Creativa S.A de C.V.

Dentista y Paciente® Publicación mensual correspondiente al mes de FEBRERO DE 2023. editada por Editorial Renascence S.A. de C.V., Rancho Jigüingo 29, Prado Coapa, Ciudad de México, 14350. tel. 56846632, fax 56793656. Distribuida en locales cerrados, depósitos dentales, universidades, congresos y exposiciones. Editora responsable: Mariangel Martínez López. Fotoarte de portada: Editorial Renascence.

distribución certificada por el padrón nacional de medios impresos de la dirección general de medios impresos de la secretaría de gobernación no. 007-136. www.gobernacion.gob.mx

8 Contenido

48 | PUNTO DE VISTA

Corrección de apiñamiento severo y mordida abierta con modificación del plano oclusal

62

|

MICROINVESTIGACIÓN

¿Aporta una matriz de colágeno estabilidad dimensional en la regeneración ósea guiada?

56

|

SONRIENDO

AL

FUTURO

Paciente pediátrico clase III

esquelética manejo ortopédicoortodóntico de mordida abierta anterior

174. Febrero 2023 9

Angina bullosa hemorrágica. Reporte de caso

Dentista y Paciente 10 Enciclopedia odontológica Fotoarte: Editorial Renascence | Fotografía: AdobeStock

Angina bullosa hemorrágica

La angina bullosa hemorrágica (ABH) es un trastorno subepitelial benigno, de poca frecuencia que se caracteriza por ser una lesión ampollosa de contenido hemorrágico, que aparece en tejidos de la cavidad oral y orofaríngea. Esta lesión generalmente se rompe a los pocos días de su aparición con cicatrización rápida y puede ser recurrente. Este reporte presenta el caso de una mujer de 37 años de edad que presenta una lesión ampollosa, sin antecedentes de enfermedad sistémica ni traumatismo, la revisión clínica reveló una lesión solitaria en región posterior a molares del lado derecho. El análisis clínico no revela alteraciones de coagulación, por lo que se diagnosticó como angina bullosa hemorrágica.

Palabras clave: angina bullosa, Hemorrhagic bulla, oral lesions.

174. Febrero 2023 11
Ramírez Olivas Seleste. Maestra en Ciencias de la Salud, Docente de tiempo completo en la Universidad Autónoma de Baja California, Campus Tijuana, México. Acosta Torres Very Leonardo D. Doctor en Ingeniería y Ciencia de Materiales, Docente de tiempo completo en la Universidad Autónoma de Baja California, Campus Tijuana, México. Núñez Serafín Perla. Maestra en Ciencias de la Salud, Docente de tiempo completo en la Universidad Autónoma de Baja California, Campus Tijuana, México. López Yee Lizzett. Doctora en Ciencias de la Salud, Docente de tiempo completo en la Universidad Autónoma de Baja California, Campus Tijuana, México.

La angina bullosa hemorrágica (ABH) fue dada a conocer y descrita en 1967 por Badham, a través del tiempo también se le ha denominado como estomatitis hemorrágica benigna, hemoflitenosis oral recurrente o traumática, púrpura oral localizada, angina ulcerosa benigna.1,2 Es una lesión benigna de aparición repentina, indolora, vesículo-ampollosa de coloración roja o púrpura con contenido sanguíneo que se puede presentar como una lesión única o múltiple en mucosa oral y orofaríngea, aparece principalmente en paladar blando y con menor frecuencia en piso de boca, borde lateral de la lengua, mucosa labial, en pared mucosa esofágica y faríngea, epiglotis, los aritenoides; la lesión puede expandirse y reventarse liberando su contenido dentro de 24 y 48 horas posteriores a su aparición, con poca frecuencia tiene una duración de más de 4 meses. Al romperse puede dejar una superficie ulcerativa o bien presentar una erosión superficial irregular que cicatriza entre 7 a 10 días y puede ser recurrente.1,3,4

La etiología es idiopática, aunque se asocia a traumatismos local del tejido, procedimientos dentales, predisposición hereditaria, diabetes, hipertensión, insuficiencia renal, ingesta de alimentos duros, calientes y crujientes, uso de esteroides inhalados, el salbutamol y el bromuro de ipratropio a largo plazo. Afecta tanto a hombres como a mujeres a partir de los 30 años de edad con mayor prevalencia entre los 50 y 70 años de edad.1,4,2

La angina bullosa hemorrágica es una lesión poco frecuente y con mayor prevalencia en paladar; sin embargo, puede aparecer en cualquier zona de cavidad oral y orofaringe como ha sido reportado en este caso.

El diagnóstico se basa principalmente en la evaluación clínica; sin embargo no se pude dejar de lado los antecedentes dentales, médicos, evaluación de trastornos hematológicos, bullosos, de coagulación, anemia, trombocitopenia, leucemia, hemofilia, ausencia de equimosis, epistaxis o sangrado gingival, para el diagnóstico se debe realizar análisis de sangre completo que incluya prueba de coagulación.4,1,2 El diagnóstico diferencial de ABH se realiza con enfermedades bullosas, erosiones posbullosas, patologías hematológica, inmunológica mucocutánea y quística, como trombocitopenia, enfermedad de von Willebrand, vasculitis, penfigoide de las membranas mucosas, epidermólisis ampollosa adquirida, dermatosis IgA lineal, eritema multiforme, amiloidosis oral, pénfigo, dermatitis herpetiforme y liquen plano ampolloso. Histopatológicamente se encuentra presencia de ampollas subepidérmica de contenido hemático con infiltrado inflamatorio dérmico inespecífico, neutrofílico, linfocítico, epitelio escamoso atrófico que rodea la lesión, infiltrado inflamatorio subepitelial agudo con cierta disposición perivascular.2,5,6,7 Generalmente no requiere tratamiento, pero de ser requerido este va dirigido a aliviar los síntomas y a acelerar la cicatrización.4

Dentista y Paciente 12 Enciclopedia odontológica

ZIRCONIA DE POR VIDA GLIDEWELL LO GARANTIZA

BruxZir Full-Strength es un material de zirconia monolítica sin recubrimiento de porcelana que fue concebido originalmente para proporcionar una alternativa más duradera y estética a otro tipo de restauraciones. Por otro lado, BruxZir Esthetic, nuestro más reciente lanzamiento en 2018, proporciona una combinación óptima de resistencia y estética. Existe la posibilidad de prescribir ambos tipos de restauración en la arcada completa, para que su paciente pueda lucir una sonrisa bella y goce de sus propiedades de vitalidad, armonización y solidez.

¡SU LABORATORIO DENTAL DE CONFIANZA! MK T- 013186 1 m x gli d ewell d e nt a l com / b r u x zir GLMX-1949340 - 051622 ES
Fabricada con materiales Envíos GRATIS a todo México Doctora Glidewell Dra. Nadia Rodriguez

Enciclopedia odontológica

Caso clínico

Paciente femenina de 37 años acudió a consulta por la aparición repentina de una ampolla en cavidad oral. La historia clínica no reveló antecedentes médicos de enfermedades sistémicas relevantes ni traumatismo reciente en cavidad oral. En la revisión clínica se observó una lesión ampollosa asintomática de coloración roja brillosa de consistencia blanda, de 5 mm de tamaño en espacio de zona retromolar del cuadrante cuatro (Figura 1).

La evolución de la lesión al segundo día se observó con cambio de coloración a rojo oscuro casi negro (Figura 2). La lesión se reventó al tercer día de su aparición expulsando todo el contenido hemático dejando bordes irregulares de color rojizo correspondientes a la ampolla (Figura 3). Al cuarto día la zona se observaba con tejido irregular y de coloración blanquecina (Figura 4). La lesión sanó por completo al octavo día, el área se observaba con coloración normal.

Para establecer el diagnóstico se realizaron análisis clínicos completos

de sangre que incluyeron glucosa, coagulación (tiempo de protrombina (TP) y tiempo de tromboplastina parcial activada (PTT)). Los resultados arrojaron cifras bajas en niveles de hierro, lo referente a coagulación y demás datos se ubicaron dentro de los rangos normales. Con base en las características de la lesión y los resultados de los análisis clínicos se diagnosticó como ampolla bullosa hemorrágica.

Discusión

Beguerie y González reportaron la ABH como un trastorno poco común, como una lesión ampollosa de contenido hemorrágico de repentina aparición que suele ser asintomática. Yadav et al. señalan que puede presentarse dolor o sensación de asfixia. Por otro lado, Rani et al. mencionan que cuando la lesión se encuentra más profunda y con posibilidad de obstruir vías respiratorias podría ser necesaria la intubación o traqueotomía.8,6,9 Cuando se rompe la ampolla, como medida de prevención se recomienda el uso de enjuague bucal con gluconato de clorhexidina al 0.12% o al 0.35%.9 El tamaño de la lesión puede variar entre 0.4 y 3 cm, con un tamaño promedio de 0.7 a 1 cm de acuerdo a lo reportado por Silva-Cunha et al. en su estudio.5

Dentista y Paciente 14
Figura 1. Se observa lesión bulbosa solitaria de 5 mm de longitud con coloración roja con contenido hemático de consistencia blanda en el área retromolar derecha. Figura 2. Ruptura de la lesión al tercer día de su aparición.

En el caso aquí reportado, la localización de la ABH fue en el área posterior a los molares, lo que resulta poco común, ya que de acuerdo a la literatura la localización más frecuente de la ABH es en el paladar blando, seguido del borde lateral de la lengua y la mucosa oral.1,2,3 Esto concuerda con lo reportado por Beguerie en su informe de 11 casos, donde el paladar fue la zona de mayor frecuencia, pero también reportaron lesiones en mucosa yugal y encía, estas 2 últimas, a su vez, concuerdan con lo reportado por Molano-Valencia et al. en el caso de un paciente que presentó lesión en encía. Por otro lado Yadav et al. reportaron el otro caso donde la zona afectada fue la mucosa yugal.8,4,6

Silva-Cunha et al. realizaron un estudio retrospectivo de 14 años en el que mencionan que el paladar blando fue la zona de mayor frecuencia, seguido del borde lateral de la lengua y en menor frecuencia el piso de boca y úvula.5 Estos mismos autores señalan que la lesión se presenta con mayor prevalencia en hombres que en mujeres, contrario a lo mencionado por Hernández-Aragüés et al. quienes indican que la prevalencia es más predominante en mujeres. Sin embargo, en el estudio de Iftikhar et al. se indica que las diferencias entre géneros es independiente, lo que concuerda con Alberdi-Navarro et al., que observaron mayor prevalencia en mujeres, otros autores mencionan que no es significativa la diferencia de género.5,7,2 La ABH tiene una recidiva del 30% según lo reportado por Hernández-Aregüés et al. y por Beguerie et al. en sus respectivos estudios.8,7

Es importante conocer las diversas patologías de carácter ampolloso para realizar un diagnóstico

diferencial, diversos autores concuerdan con las enfermedades que deben incluirse, como enfermedades hematológicas, enfermedades mucocutáneas de base inmunológica como penfigoide de las membranas mucosas, enfermedad IgA lineal; ya que presentan lesión ampollosa-vesicular subepitelial, o aquellas enfermedades donde existe una lesión ampollosa subepitelial como son la epidermólisis ampollosa adquirida, la amiloidosis ampollosa, o el pénfigo vulgar que presentan lesión ampollosa-vesicular intraepitelial. Recientemente, Molano-Valencia et al. agregaron a la lista, las enfermedades hemorrágicas como la trombocitopenia.2,8,4

Conclusión

La angina bullosa hemorrágica es una lesión poco frecuente y con mayor prevalencia en paladar; sin embargo, puede aparecer en cualquier zona de cavidad oral y orofaringe como ha sido reportado en este caso. Aun cuando el diagnóstico se basa principalmente en la observación clínica de la lesión, resulta de gran importancia que el odontólogo posea los conocimientos indispensables para diferenciar y descartar enfermedades de gravedad, así como el poder establecer un diagnóstico acertado sin causar alarma en el paciente.

174. Febrero 2023 15 Angina
bullosa hemorrágica
Figura 3. Al cuarto día se observa área con tejido irregular e indolora de coloración blanquecina. Figura 4. Octavo día, la zona ha sanado completamente.

Referencias

1. Iftikhar S, Chaudhry S, Ghafoor S. Angina bullous haemorrhagica: Case report and review of literature. J Pak Med Assoc. 2018 Oct;68(10):1527-1530. PMID: 30317356.

2. Alberdi-Navarro J, Gainza-Cirauqui ML, Prieto-Elías M, Aguirre-Urizar JM. Angina bullosa hemorrhagica an enigmatic oral disease. World J Stomatol 2015; 4(1): 1-7

3. Supekar BB, Sawatkar G, Wankhade VH. Angina Bullosa Hemorrhagica. Indian Dermatol Online J. 2019 Jan-Feb;10(1):89. doi: 10.4103/idoj.IDOJ_108_18. PMID: 30775312; PMCID: PMC6362741.

4. Molano PE, Luna S, Vásquez MA. Angina bullosa hemorrhagica: a case report [Angina bullosa hemorrágica: reporte de un caso].Rev Fac Odontol Univ Antioq 2017; 28(2): 422-432

5. Silva-Cunha JL, Cavalcante IL, Barros CC, Felix FA, Venturi LB, Rolim LS, Silva-Júnior CL, Sousa EM, da Silveira ÉJ, Agostini M, Romañach J, Almeida OP, de Sousa SF, de Andrade BA. Angina bullosa haemorrhagica: A 14-year multi-institutional retrospective study from Brazil and literature review. Med Oral Patol Oral Cir Bucal. 2021 Sep 25:24870. doi: 10.4317/medoral.24870. Epub ahead of print. PMID: 34564682.

6. Yadav P, Yadav A, Chander R, Sharma AK. Giant Angina Bullosa Haemorrhagica. Indian Dermatol Online J. 2020;11(6):1036-1037

7. Hernández Aragüés I, Vilas Boas P, Sánchez Herrero A, Suárez Fernández R. Ampolla de contenido hemático a nivel lingual. Medicina de Familia. SEMERGEN. 2018;44(1):74-75

8. Beguerie JR, Gonzalez S. Angina bullosa hemorrhagica: report of 11 cases. Dermatol Reports. 2014;6(1):5282. Published 2014 May 12. doi:10.4081/dr.2014.5282

9. Rani R, Sharma RK, Gupta M, Kumar A. Angina Bullosa Haemorrhagica Simulating Hemangioma. JMSCR 2021;9(5): 98-100.

Dentista y Paciente 16
odontológica
Enciclopedia

Corrección de biprotrusión dental y apiñamiento, distalización con microtornillos extraalveolares

Dentista y Paciente 18 Calidad y direccion
Fotoarte: Editorial Renascence | Fotografía: AdobeStock

Corrección de biprotrusión dental y apiñamiento, distalización con microtornillos extraalveolares

Se presenta una paciente de 16 años 1 mes, clase I esquelética, con crecimiento normodivergente, clase I molar bilateral, clase I canina bilateral, apiñamiento severo superior e inferior, caninos inferiores fuera del arco, biprotrusión dental e incompetencia labial. Objetivos del tratamiento: corrección del perfil labial, mantener clase I molar bilateral, mantener clase I caninas bilateral, corrección de overjet y overbite, corrección del apiñamiento maxilar y mandibular, mantener relaciones esqueléticas, corrección de incompetencia labial, mejorar estado periodontal, lograr correcta intercuspidación, guía de desoclusión

canina y guía incisiva, y exodoncia de OD 18,28,38 y 48. Aparatología

utilizada: brackets prescripción Roth 0.022 × 0.028, tubos bondeables en 6's y 7's, microtornillos en IZC derecha e izquierda 2 × 14 mm, microtornillos en shelf mandibular derecho e izquierdo 2 × 12 mm. El tratamiento, alineación, nivelación, distalización bilateral superior e inferior, detallado y retención a través de retenedores fijos 2-2 superior y 3-3 inferior y circunferenciales superior e inferior. Tratamiento activo: 1 año y 7meses.

Palabras clave: apiñamiento, biprotrusión dental, distalización, microtornillos, incompetencia labial.

174. Febrero 2023 19
Roberto Antonio Calderón Trujillo. Residente de segundo año de la Maestría en Ortodoncia y Ortopedia Maxilofacial en el Centro de Estudios Superiores de Ortodoncia (CESO) Ciudad de México. Dra. Beatriz Gurrola Martínez. Profesora del CESO y profesora titular C en la carrera de Cirujano Dentista de la Facultad de Estudios Superiores Zaragoza de la UNAM. Dr. Adán Casasa Araujo. Director del CESO.

Los microtornillos ortodóncicos se utilizan como método de anclaje disminuyendo así la necesidad de colaboración de nuestros pacientes y obteniendo resultados más predecibles en nuestros tratamientos.

En el inicio del uso de estos aditamentos (TAD) se utilizaban con frecuencia los microtornillos intraalveolares que se colocan entre las raíces de los dientes entre otras localizaciones. Hoy en día se siguen utilizando, pero con la aparición de los microtornillos extraalveolares se reducen sus indicaciones, es decir, cada vez se emplean más porque presentan más ventajas en comparación con los interradiculares.1,2 Los microtornillos extraalveolares no solo resuelven el problema de anclaje sino que también consiguen tratar casos de extracciones sin tener que realizarlas gracias a la biomecánica que permiten.1,3 Se requieren microtornillos de mayor diámetro y longitud que los microtornillos interradiculares, entre 1.5 y 2 mm de diámetro y de 10 a 17 mm de longitud, en cambio los microtornillos interradiculares presentan un diámetro menor de 1 y 1.5 mm y longitud de 6 a 8 mm. Los

microtornillos extraalveolares están indicados para corregir una amplia variedad de maloclusiones complejas, en cambio los microtornillos interradiculares están indicados para corregir problemas concretos como: mesialización molar unilateral o bilateral, intrusión de incisivos y corrección de un plano oclusal asimétrico.2

Los microtornillos extraalveolares presentan una serie de ventajas frente a los interradiculares: menor riesgo de lesión de las raíces y ligamento periodontal, anclaje adecuado debido a una mayor cantidad de hueso cortical, tasa de fracaso mucho menor, inflamación de las encías en zonas no visibles, posibilidad de tratar casos complejos y con menor número de microtornillos, aplicación de fuerzas con vectores múltiples, modificación del plano oclusal e incisal, posición bucal de la cabeza del microtornillo que permite una correcta biomecánica, además de presentar mayor diámetro y longitud lo que favorece la estabilidad primaria.1,4,5,6

La mayoría de los minimplantes utilizados en ortodoncia son de acero inoxidable y titanio. El titanio utilizado en los microimplantes presenta

Dentista y Paciente 20 Calidad y direccion
Figura 1. Extraoral frente. Figura 2. Extraoral perfil.

Corrección de biprotrusión dental y apiñamiento, distalización con microtornillos extraalveolares

mayor resistencia mecánica y menor potencial de osteointegración, ya que la técnica requiere estabilidad primaria.2,11 El diseño de los microtornillos, ya sean de acero o de titano pueden ser7 autoperforante y autorroscante. Las localizaciones anatómicas que se utilizan para los microtornillos extraalveolares son cresta infracigomática (IZM), pilar de hueso cortical localizado en la parte inferior del proceso cigomático del maxilar,3,9,10 y en meseta vestibular mandibular (BS) región posterior vestibular de la mandíbula en el área molar. Sus límites son el frenillo bucal anterior y la unión con el músculo masetero y temporal posteriormente.3 Los microtornillos extraalveolares se colocan en la región posterior del maxilar y pueden conseguir retracción en bloque de la dentición superior ya que permite una amplitud de movimientos al estar insertados en una posición distante a las raíces.

La línea de fuerza se encuentra en oclusal, es decir, inferior al centro de resistencia del arco generándose un momento de intrusión de los molares y extrusión de los incisivos causando rotación horaria del plano oclusal.2,4,5

También se colocan en la región posterior mandibular consiguiendo una retracción de toda la dentición mandibular al estar colocados fuera de las raíces, ya que de esta manera permite una gran amplitud de

El titanio utilizado en los microimplantes presenta mayor resistencia mecánica y menor potencial de osteointegración, ya que la técnica requiere estabilidad primaria.

movimientos. Previamente a la distalización de la dentición mandibular es importante valorar el espacio retromolar para ver si tenemos disponibilidad de hueso. Esta mecánica puede durar 4 meses y podemos corregir sagital y verticalmente, Además de mejorar la dentición, mejoramos la estética, porque al retruir la arcada y cambiar la angulación de los incisivos, modificamos el perfil, siendo beneficioso en pacientes protrusivos.1,4,11,12

Caso clínico

Paciente de 16 años y un mes, el motivo de consulta que los padres refieren es “Quiero que le arreglen los dientes a mi hija”.

Estudios extraorales de inicio

Fotografías en la de frente en sonrisa ( Figura 1 ), quintos faciales

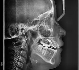
aparentemente simétricos y línea media dental superior e inferior centradas en relación con la línea media facial, presenta un perfil convexo, tercio inferior aumentado en comparación con el tercio medio y superior de la cara. El labio superior se encuentra a -2 mm y el labio inferior a +3 mm por detrás de la línea estética de Ricketts, datos tomados de la radiografía lateral de cráneo (Figura 2).

Estudios de inicio intraorales

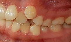
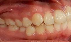
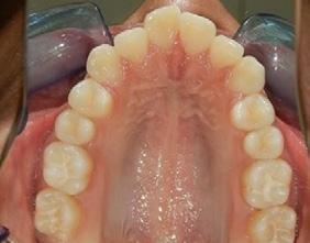
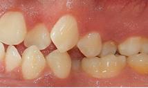
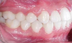
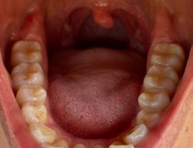
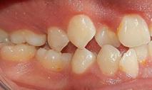
Fotografías en la lateral derecha tenemos: relación molar clase I bilateral y relación canina clase I bilateral, líneas medias dentales coincidentes (Figura 3), -5 mm de overjet, 10% de underbite, las arcadas superior e inferior son ovaladas, apiñamiento severo superior e inferior (Figura 4).

Estudios radiográficos de inicio

En la radiografía lateral de cráneo, al análisis cefalométrico el paciente es clase I esquelética, normodivergente, incisivo superior e inferior proclinados (Figura 5).

La radiografía panorámica inicial nos muestra 32 dientes con presencia de terceros molares en formación (Figura 6).

Para la corrección del apiñamiento maxilar y mandibular, así como de la biprotrusión labial y dental se realizó alineación y nivelación mediante un bondeo seccional inf OD 7 a 3 bilateral, secuencia de arcos NiTi 0.014, 0.016, 0.018, 0.017 × 0.025 superior

Dentista y Paciente 22 Calidad y direccion
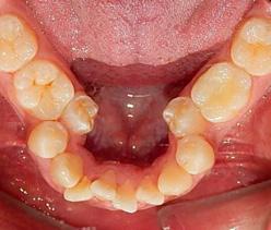
Figura 3. Intraorales frente, lateral derecha e izquierda. Figura 4. Intraoral oclusal superior e inferior.
Existen 2 métodos principales de exodoncia y están determinados por el diagnóstico, si el tratamiento va a ser quirúrgico o no.

Corrección de biprotrusión dental y apiñamiento, distalización con microtornillos extraalveolares

e inferior. Se mantuvieron las clases I molares y caninas bilaterales por medio de la distalización bilateral superior e inferior con la utilización de arcos de acero 0.017 × 0.025 TAD´s en IZC (2 × 14 mm) y shelf mandibular (2 × 12 mm), cadenas elastoméricas del microtornillo extraalveolar a los vástagos crimpados entre 3's y 4's superior e inferior bilateral. La corrección de overbite, overjet por medio de mecánica de elásticos intermaxilares clase II bilateral 3/16 6.5 onz y cadena de 6 a 6 superior e inferior (Figura 7).

Resultados

En los estudios finales extraorales en la de frente se observa cómo se mantuvieron centradas la línea media dental superior e inferior respecto a

174. Febrero 2023 23
Figura 5. Radiografía cefálica lateral. Figura 6. Radiografía panorámica. Figura 7. Intraorales con microtornillos extraalvolares y elásticos intermaxilares.

la línea media facial (Figura 8), mejoría del perfil labial, por la distalización superior e inferior, la línea estética de Rickets (Figura 9).

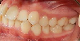
Los estudios finales intraorales muestran la correcta línea media superior e inferior en relación con la línea media facial. El overjet de 2 mm y overbite de 20% (Figura 10).

Se mantuvo la clase I molar bilateral y la clase I canina bilateral (Figura 11).

La corrección de biprotrusión dental y el apiñamiento severo por medio de distalización con microtornillos

extraalveolares. Vistas oclusales la corrección del apiñamiento maxilar y mandibular (Figura 12).

El tiempo total de tratamiento fue de 1 año y 7 meses, y para la retención y estabilidad se recomendó utilizar retenedor fijo de 2 a 2 en superior y de 3 a 3 en inferior y retenedores circunferenciales en el arco superior e inferior (Figura 13).

Discusión

La clase I esquelética biprotrusiva es aquella condición en la que el maxilar y la mandíbula se encuentran en una

Dentista y Paciente 24 Calidad y direccion
Figura 8. Final de frente. Figura 9. Perfil. Figura 10. Intraoral final de frente. Figura 11. Intraorales finales lateral derecho e izquierdo.

adecuada relación intermaxilar pero ambos se encontraron por delante de la base del cráneo.

La protrusión bimaxilar está caracterizada por una proclinación de los dientes anteriores y una convexidad en el perfil del paciente.13 La etiología de la protrusión bimaxilar es multifactorial y puede estar asociada a factores genéticos, ambientales y a hábitos (respiración bucal, hábito de lengua y labio, así como tamaño de la lengua).14

El tratamiento ortodóncico incluye la extracción de primeros premolares (superiores e inferiores), teniendo como objetivo la disminución de la protrusión dentoalveolar.15,16 Desafortunadamente hay pacientes que no quieren realizarse extracciones de premolares por lo cual la disminución de la protrusión y la mejoría del cambio estético facial que nos llevarán al éxito del tratamiento se verán comprometidos.

En la literatura se mencionan 4 distalizaciones dentoalveolares de maxilar en pacientes clase II y de mandíbula en pacientes clase III, utilizando dispositivos de anclaje temporal (TADS por sus siglas en inglés) los cuales dentro de sus ventajas nos ofrecen un anclaje máximo, la poca cooperación del paciente y la no pérdida de anclaje. Kuroda reportó el uso de dispositivos de anclaje esquelética temporal para el tratamiento de

pacientes clase III adultos, además sugirió que dichos dispositivos pueden ser colocados en la zona retromolar o intrarradicular para una distalización en masa de forma directa o indirecta en la arcada inferior.17 Ishida y colaboradores reportaron el caso de un paciente con maloclusión clase II la cual fue corregida con una distalización asimétrica de los molares superiores utilizando miniimplantes colocados en el arco cigomático distalizando así la dentición completa.18

Conclusiones

Para lograr con éxito una distalización bimaxilar se deberán tener en cuenta tres factores:

1. La colocación de los mini implantes; la cual deberá ser en el hueso cortical y a una distancia adecuada de las raíces. La cresta infracigomática en el maxilar 18, el shelf mandibular y/o zona retromolar en la mandíbula,19,20 parecen ser las zonas adecuadas para la colocación de los miniimplantes.

2. La ausencia de terceros molares para aprovechar el espacio en

174. Febrero 2023 25 Corrección
de biprotrusión dental y apiñamiento, distalización con microtornillos extraalveolares
Figura 12. Intraorales finales oclusales superior e inferior.

zonas posteriores para la distalización.

3. La dirección de crecimiento del paciente, todo esto se tomo en

cuenta para la corrección de la protrusión maxilar y mandibular en nuestro paciente para poder realizar con éxito el plan de tratamiento.

Referencias

1. Chang CH, Lin SY, Yeh HY. Extra-alveolar bone screws for conservative correction of severe malocclusion without extractions or orthognathic surgery. Curr Osteoporos Rep. 2018;16:387-394.

2. Almeida MR. Mini-implantes extra-alveolares en Ortodonciia. 1 ed. 2018 p. 108 -287incompleta

3. Pathak S, Patil T, Mahamuni A, Jaju K, Rai R. Mandibular buccal shelf and Infrazygomatic crest – A safe zone for miniscrew insertion. Indian J Orthod Dentofacial Res 2019;5(2):60-62.

4. Lee SA, Chang CH, Roberts WE. Severe unilateral scissors bite with a constricted mandibular ach: Bite turbos and extra-alveolar bone screws in the Infrazygomatic crests and mandibular buccal shelf. Am J Orthod Dentofacial Orthop. 2018;154:554- 569.

5. Almeida MR. Biomechanics of extra-alveolar mini-implants. Dental Press J Orthod. 2019;24(4):93109.

6. Hsu E, Lin JS, Yeh H, Chang CH, Roberts WE. Comparison of the failure rate for infrazygomatic bone screws placed in movable mucosa or attached gingiva. Int J Orthod Implantol. 2017;47:96-106.

Dentista y Paciente 26 Calidad y direccion
Figura 13. Retenedores fijos y circunferenciales.

7. Chang CH, Huang C, Roberts WE. 3D cortical bone anatomy of the mandibular buccal shelf: A CBCT study to define sites for extra alveolar bone screws to treat class III malocclusion. Int J Orthod Implantol 2016;41:74-82.

8. Chen CM, Lu PC, Wu JH, Wang HC. Horizontal pull-out strength of orthodontic Infrazygomatic mini-implant: An in vitro study. Implant dentistry. 2011;20(2):139- 145.

9. Nucera R, Lo Giudice A, Bellocchio AM, Spinuzza P, Caprioglio A, Perillo L, Matarese G, Cordasco G. Bone and cortical bone thickness of mandibular buccal shelf for miniscrew insertion in adults. Angle Orthod. 2017;87(5):745-751.

10. Liou EJ, Chen PH, Wang YC, Lin JC. A computed tomographic image study on the thickness of the Infrazygomatic crest of the maxilla and its clinical implications for miniscrew insertion. Am J Orthod Dentofac Orthop. 2007;131(3):352–6.

11. Roberts WE, Viecilli RF, Chang C, katona TR, Paydar NH. Biology of biomechanics: finite element analysis of a statically determinate system to rotate the occlusal plane for correction of a skeletal class open-bite malocclusion. Am J Orthod Dentofacial Orthop.2015;148(6):943-955.

12. Shih IY, Lin JJ, Roberts WE. Conservative correction of severe skeletal class III open bite: 3 force vectors to reverse the dysplasia by retracting and rotating the entire lower arch. Int J Orthod Implantol.2015;38:4-18.

13. Chen G, Teng F, Xu TM, Distalization of the maxillary and mandibuar dentitions with miniscrew anchorage in a patient with moderate Class I bimaxillary dentoalveolar protrusión. Am J Orthod Dentofacial Orthop 2016;149:401-410.

14. Lamberton CM, Reichart PA, Triratananimit P. Bimaxillary protrusion as a pathologic problem in the Thai. Am J Orthod Dentofacial Orthop. 1980;77:320– 329.

15. Solem RC, Marasco R, GuiterrezPulido L, Nielsen I, Kim SH, Nelson G. Three-dimensional soft-tissue and hard-tissue changes in the treatment of bimaxillary protrusion. Am J Orthod Dentofa- cial Orthop 2013;144:218-28

16. Aljhani A, Zawawi KH. The use of mini-implants in en masse retraction for the treatment of bimaxillary dentoalveolar protrusion. Saudi Dent J 2010;22:35-9.

17. Kuroda S, Sugawara Y, Yamashita K, Mano T, TakanoYamamoto T. Skeletal Class III oligodontia patient treated with titanium screw anchorage and orthognathic surgery. Am J Orthod Dentofacial Orthop 2005;127:730-8.

18. Ishida T, Yoon HS, Ono T. Asymmetrical distalization of maxillary molars with zygomatic anchorage, improved superelastic nickel- titanium alloy wires, and open-coil springs. Am J Orthod Dentofa- cial Orthop 2013;144:583-93.

19. Anhoury PS. Retromolar miniscrew implants for Class III camou- flage treatment. J Clin Orthod 2013;47:706-15.

20. Poletti L, Silvera AA, Ghislanzoni LT. Dentoalveolar class III treatment using retromolar miniscrew anchorage. Prog Orthod 2013; 14:7.

174. Febrero 2023 27
Corrección de biprotrusión dental y apiñamiento, distalización con microtornillos extraalveolares

TODO El PODER DE HYDROSONIC EASY

Con 22000, 32000 y 42000 vibraciones por minuto.

PROMOCIÓN 1 Hydrosonic Easy +5 Cepillos Smart

$2,029.49

*Puedes comprar tus repuestos de cabezal (power y sensitive) por separado.

*Complementa tu cepillado con una pasta Curaprox.

*Solo con tu distribuidor autorizado Curaprox

www.curaprox.mx Curaprox Mx @curaproxmexico

¿Necesito un cepillo de dientes eléctrico?

Básicamente, se puede mantener una buena salud bucal con un cepillo manual suave, una técnica de cepillado adecuada y un cepillo interdental.

Los expertos en tecnología y las personas más preocupadas por su salud podrían considerar que el cepillo eléctrico es el camino a seguir; la combinación de un adecuado cepillo eléctrico bien diseñado y el cepillado interdental diario pueden ser la combinación perfecta para muchas personas.

Recientes estudios han demostrado que los cepillos dentales sónicos limpian hasta un 10% mejor que los cepillos manuales. Una adecuada colocación del cepillo (ligeramente angulado) garantiza un mejor alcance y una limpieza óptima.

Esta eficacia es especialmente útil para las personas, que por cualquier motivo están limitadas para ejecutar movimientos de cepillado finos.

“Salud oral, pulsando solo un botón”
Se necesitan menos movimientos físicos durante el cepillado y los resultados seguirán siendo excepcionales.
Dr.
Dentista y Paciente 30 Investigación clínica Fotoarte: Editorial Renascence | Fotografía: AdobeStock
Camuflaje clase III con colapso maxilar y mandibular severo

Camuflaje clase III con colapso maxilar y mandibular severo

Se presenta un paciente de 19 años 10 meses diagnosticado con clase III esquelética hiperdivergente con desviación mandibular, colapso maxilar y mandibular severo, mordida cruzada posterior bilateral, clase III molar derecha e izquierda y clase III canina bilateral. Con los órganos dentarios OD 12, 15, 22 y 25 palatinizados, 35 y 45 lingualizados, apiñamiento superior e inferior, línea media inferior desviada 2 mm a la derecha respecto a la línea media facial. Tratamiento: expansión dentoalveolar, extracciones del premolar 15, alineación, nivelación, distalización, Stripping, detallado y retención. Aparatología utilizada: expansor en abanico, brackets prescripción Roth 0.022 × 0.028", bandas, tubos en primeros y segundos molares superiores, tubos bondeables en molares inferiores, botones linguales en 16,

14, 24, 33, 44, 46, microtornillo en Shelf mandibular 2 × 12 mm de acero Bioray. Objetivos: mejorar perfil labial, desarrollo transversal del maxilar y mandíbula, corrección de apiñamiento maxilar y mandibular, incorporar los órganos dentarios OD 12 y 22 al arco, obtener clase I molar derecha, mantener clase III molar izquierda, obtener clase I canina bilateral, corrección del overjet y overbite y de las líneas medias dentales, mantener relaciones esqueléticas, mejorar estado periodontal, lograr correcta intercuspidación, guía de desoclusión canina y guía incisiva, gingivoplastia generalizada, exodoncias OD 15, 35 Y 45. Tiempo de tratamiento: 3 años y 10 meses.

Palabras claves: colapso, mordida cruzada, distalización, expansor en abanico.

174. Febrero 2023 31
Paulina del Carmen Martínez Martínez. residente de segundo año de la Maestria de Ortodoncia y Ortopedia Maxilofacial en el Centro de Estudios Superiores de Ortodoncia (CESO) Ciudad de México. Dra. Beatriz Gurrola Martínez. Profesora del CESO y profesora titular C en la carrera de Cirujano Dentista de la Facultad de Estudios Superiores Zaragoza de la UNAM. Dr. Adán Casasa Araujo. Director del CESO.

Desde el punto de vista ortodóncico y maxilofacial, una maloclusión con desarmonía esqueletal compleja, puede ser abordada con un enfoque ortopédico, ortodóncico y/o ortoquirúrgico.1

Sin embargo, en pacientes adultos que rechazan la opción quirúrgica, la ortodoncia de camuflaje es la única opción disponible. La clases III esqueléticas han sido siempre reconocidas como difíciles de tratar mediante tratamiento ortodóncico solamente. En adultos con poco o ningún potencial de crecimiento la pregunta clave en el plan de tratamiento es si el camuflaje es o no una opción realista.2

El colapso maxilar, definido como una anomalia del desarrollo que produce comprensión del maxilar por un aumento del desarrollo vertical del hueso alveolar con la morfología ojival del paladar.3

Espasa señala que la consecuencia de las dimensiones transversas reducidas de la arcada superior se traduce en una mordida cruzada posterior.5 Observándose un porcentaje en el desarrollo de los estadios tempranos

oclusal del 5 al 7%, hasta el 22 y 23%, al corregir la mordida cruzada posterior se logra un mayor número de relaciones transversas normales, esto con la presencia de los molares definitivos.6 La expansion rápida maxilar es una modalidad de tratamiento comun en pacientes con colapso o deficiente desarrollo transversal del maxilar.7

Incrementando las dimensiones transversales del arco superior principalmente por la separacion de los fragmentos maxilares (efecto ortopedico), seguido del movimiento bucal de los dientes posteriores y de los procesos alveolares (efecto ortodoncico).8

Caso clínico

Se presenta un paciente de 19 años 10 meses de edad al motivo de consulta refiere “quiero empezar ortodoncia“. En los estudios de inicio en las fotografías extraorales en la Figura 1 de frente se observa biotipo dolicofacial, con los quintos proporcionales entre sí, en la Figura 2 la línea media coincidente, en el perfil Figura 3 se puede apreciar el tercio inferior aumentado.

Dentista y Paciente 32 Investigación clínica
Figura 1. Quintos. Figura 2. Frente sonrisa. Figura 3. Perfil.

Estudios radiográficos de inicio

En la lateral de cráneo (Figura 4) se ve la clase III esquelética, con patrón de crecimiento hiperdivergente, los incisivos superiores proinclinados e inferiores retroinclinados y las vías aéreas permeables.

En la radiografía panorámica (Figura 5) se observan 28 dientes permanentes presentes, con tratamiento de conductos en el OD 36.

En los cortes tomográficos en la Figura 6 se muestra el colapso maxilar severo en la Figura 7 y mandibular severo con el tratamiento de conducto en el OD 36.

Estudios introrales de inicio

En las fotografías de inicio se nos muestran en la de frente ( Figura 8) la línea media dental superior se encuentra coincidente con la línea media facial, la línea media inferior

174. Febrero 2023 33 Camuflaje
clase III con colapso maxilar y mandibular severo
Figura 4. Rx Lateral de cráneo. Figura 5. Rx panorámica.

desviada 2 milimetros a la derecha, OD 12 y 22 palatinizados, en la Figura 9 vemos la clase III molar izquierda y derecha y la clase III canina bilateral, en la Figura 10 apreciamos las arcadas de forma triangular.

En distal de OD 43, se colocó un microtornillo de acero 2 × 12 mm Bioray en shelf mandibular unilateral derecho, activado con cadena intramaxilar de 150 gramos. Para lograr la máxima intercuspidación, paralelismo radicular y oclusión funcional durante la fase de detallado se emplearon arcos de acero rectangular 0.017 × 0.025" y 0.019 × 0.025",

dobleces de primer y segundo orden, elásticos en caja clase III bilateral y en delta 3/16" de 6.5 oz. Para mantener la estabilidad postratamiento se indicaron retenedores fijos de OD 12 a 22 y de OD 33 a 43 y circunferencial superior e inferior con tornillo de expansión.

Resultados

Se lograron los objetivos planteados, durante el tiempo de tratamiento de 3 años y 10 meses, en la Figura 11 se puede observar que del lado derecho se obtuvo la clase I molar y se mantuvo la clase III molar izquierda, clase I canina bilateral, la línea media superior coincidente e inferior desviada 0.5 milímetros a la derecha al final del tratamiento, adecuada intercuspidación, en la Figura 12 la forma oval de la arcada superior e inferior.

Discusión

Pérez señala que la maloclusión clase III es definida como una discrepancia de

Dentista y Paciente 34 Investigación clínica
Figura 6. Corte axial maxilar. Figura 7. Corte axial mandibula. Figura 8. Frente. Figura 9. Clase III molar bilateral.

tamaño y posición anteroposterior de las estructuras que la generan, su etiología multifactorial se asocia con factores hereditarios e influencias ambientales, dando lugar a maloclusiones de tipo dental, esqueletal o funcional, haciendo su diagnóstico y abordaje muy complejo. 9 El camuflaje representa una alternativa con la que se beneficia al paciente con anomalías dentofaciales leves. El decidir si en este paciente el camuflaje es una opcion debe basarse en los movimientos ortodóncicos que se requieren y si el resultado estético va a sar aceptable para las espectativas del paciente.10 En comparacion con algunos articulos, el uso de tornillos expansores, utilizados para corregir la compresion maxilar o colapsos maxilares, mordidas cruzadas posteriores y apiñamientos dentarios por falta de espacio. 11 Autores como: Kennedy DB, Osepchook M señalan que la expansión rápida palatina, es muy usada en la corrección de las mordidas cruzadas posteriores.11 Sin embargo, cabe señalar que existe controversia entre varios autores sobre cuando es o no posible realizar un camuflaje en pacientes con maloclusiones clase III. Por ejemplo Jaramillo recomienda dejar que

se desarrolle y al término del crecimiento para entonces intervenir. En el CESO se indicó el camuflaje como una alternativa de tratamiento por ser adulto y las características idóneas para este tratamiento.

Conclusiones

Los pacientes con clase III, colapso maxilar y mandibular presentan afecciones dentales y esqueléticas, es por ello necesario un preciso un diagnostico, para determinar el plan de tratamiento y elegir lo más indicado, en este caso el camuflaje fue la primera opción, ya que con el uso de los expansores y las extracciones dentales se evita la cirugía ortognática.

174. Febrero 2023 35 Camuflaje clase III con colapso
y
maxilar
mandibular severo
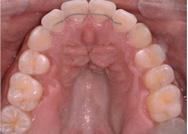
Figura 10. Vista oclusal superior e inferior. Figura 11. Intraorales finales. Figura 12. Oclusales superior e inferior.
Los pacientes con clase III, colapso maxilar y mandibular presentan afecciones dentales y esqueléticas, es por ello necesario un preciso un diagnóstico, para determinar el plan de tratamiento y elegir lo más indicado.

Referencias

1. Ypanaque R LL, Luque L HJ. Tratamiento ortodóncico de camuflaje de una maloclusión de Clase III. Reporte de caso. Odontol Sanmarquina 2022;22(1):33-4. 28 de febrero de 2019 [citado 13 de septiembre] de Disponible [Internet]. https://revistasinvestigacion.unmsm.edu.pe/index.php/ odont/article/view/15841

2. Perez .A Feliu J. Mendez C . Camuflaje en Clases III esqueleticas .Revista española de ortodoncia 2001 31: 29-36.

3. Hernández, L. Y., Mendoza , M. , & Jimenez, S. I. (2021). Colapso Maxilar, Etiología y Manejo Clínico. Revista De Odontopediatría Latinoamericana, 11. Consulta septiembre 2022 Disponible en https://revistaodontopediatria.org/index.php/alop/article/view/414

4. Zambonino P. Gurrola MB. Casasa AA. Expansion maxilar en la correccion de mordida cruzada posterior derecha. Revista OACTOVA UC cuenca vol. 3 Pp: 37-44 Consulta septiembre 2022 disponible en https://oactiva.ucacue.edu.ec/index.php/oactiva/article/view/279

5. Espasa SD, J. E., Quesada Boj, J. R.,& Ustrell i Torrent, J.M. La mordida cruzada posterior. Razones y medios para sutratamiento precoz. Anales de Odontoestomatología, 1994,núm. 4, p. 115-122

6. Angell Ec. Treatment of irregularieties of the teeth and their treatment. Dental Cosmos 1860:1:181-5

7. McNamara JA Jr, Baccetti T, Franchi L, Herberger TA. Rapid maxillary expansion followed by fixed appliances: a long term evaluation of changes in arch dimensions. Angle Orhod 2003; 73:344-53.

8. Quintero Y. Relación esquelética clase III con factor genético pre- dominante. Reporte de caso clínico. Revista CES Odontología. 2007; 20 (2).

9. Pérez JC, Feliu J, Méndez C. Camuflaje en clase III esqueléti- cas. Rev Esp Ortod. 2001; 31: 29-36.

10. Gonzalez L, H-M.J .Expansion rapidad de paladar Revista del Ilustre Consejo General de Odontologos y Estomatologos de España 2002;7(6):617-625. Consulta septiembre 2022. Disponible en https://dialnet.unirioja.es/servlet/revista?codigo=6700

11. Kennedy DB, Osepchook M. Unilateral posterior crossbite with mandibular shift: a review. J Can Dent Assoc 2005; 71(8):569-73.

12. Jaramillo P , Da Silva F OG, Ferrari J FM, Aiello CA, Zopone N. Correction of posterior crossbite in the primary dentition. J Clin Pediatr Dent 2000; 24(3):165-80.

13. Staples J. Palatal expansion with a new twist.J Clin Orth 1994: XXXVIII: 164-166.

14. Geran RG, McNamara JA Jr, Baccetti T, Franchi L, Shapiro LM. Long-term effects of rapid maxillary expansion: a posteroanterior cephalometric evaluation. Am J Orthod Dentofacial Orthop. 2002 Feb;121(2):129-135.

15. Lida, Y, Deguchi, Sr. Kageyama, T. Chin cup tratment outcomes in skeletal Class III dolicho- versus nondolichofacial patients. Angle Orthod 2005; 75: 576-583 Ortodoncia de ángulo Consulta sep 2022 10.1043/0003-3219(2005)75[576:CCTOIS]2.0.CO;2. Disponible en https://pubmed.ncbi. nlm.nih.gov/16097226/

Dentista y Paciente 36
clínica
Investigación

La Perio Master Clinic es una conferencia práctica trienal que tiene como objetivo mejorar y actualizar la técnica y el dominio práctico de los odontólogos, para que puedan cuidar y mejor la salud bucal de sus pacientes, y también para que puedan tratar las secuelas de la periodontitis de una manera más eficiente y estética. Este año se llevará a cabo el 3 y 4 de marzo en Bélgica bajo el tema “Sinergia perio-orto”, esta edición de la conferencia arrojará luz sobre un enfoque combinado de tratamiento periodontal y de ortodoncia, y sobre el manejo con el uso adicional de la implantología dental.

Dirigido por el presidente de la conferencia Peter Garmyn de Bélgica y la presidenta científica Virginie Monnet-Corti de Francia, la Perio Master Clinic 2023 presenta un formato innovador, dinámico y variado. Cada sesión se centra en un tema definido, en el que un orador presentará el tema y destacará sus aspectos clave. A esto le seguirá una presentación “dúo” de un periodoncista y un ortodoncista con sus perspectivas complementarias, para finalmente presentar brevemente un caso clínico que se ajuste al tema de la sesión.

Manejo de paciente clase II con apiñamiento severo, distalización con microtornillos

Fotoarte: Editorial Renascence | Fotografía: AdobeStock Dentista y Paciente 40 Caso clínico

Manejo de paciente clase II con apiñamiento severo, distalización con microtornillos

Se presenta una paciente de 16 años y 3 meses, diagnosticada con clase II esquelética, relación molar clase II bilateral, relación canina clase II bilateral, apiñamiento superior severo e inferior moderado, con el órgano dentario 23 ectópico, la línea media superior desviada a 1 mm a la izquierda, la inferior 2 mm a la derecha. Tratamiento: alineación, nivelación, distalización maxilar posterior, detallado, retención. Aparatología: brackets prescripción Roth 0.022 × 0.028, tubos bondeables en primeros y segundos molares 16, 26, 36, 46 y los 17, 27, 37, 47, 2 microtornillos de acero 2 × 14 mm. Objetivo: mejorar el perfil labial, corrección del apiñamiento maxilar y mandibular, obtención de espacio e incorporación para OD 23, obtener clase I molar bilateral, clase I canina bilateral, overjet y overbite, líneas medias coincidentes, mantener las relaciones esqueléticas, mejorar el estado periodontal, lograr correcta intercuspidación, guía canina, guía incisiva, exodoncias OD 18, 28, 38, 48; Tiempo del tratamiento: 1 año y 9 meses.

Palabras clave: paciente clase II, apiñamiento severo, microtornillos, cresta infracigomática, distalización.

174. Febrero 2023 41
Doménica Mishelly Rodríguez Robalino. Residente de segundo año de la Maestria de Ortodoncia y Ortopedia Maxilofacial en el Centro de Estudios Superiores de Ortodoncia (CESO) Ciudad de México. Dra. Beatriz Gurrola Martínez. Profesora del CESO y profesora titular C en la carrera de Cirujano Dentista de la Facultad de Estudios Superiores Zaragoza de la UNAM. Dr. Adán Casasa Araujo. Director del CESO.

El apiñamiento a lo largo del tiempo se ha considerado como un tipo de maloclusión con mayor prevalencia, considerándose como la tercera enfermedad bucal.1

Entre las alternativas de tratamiento que se pueden realizar en maloclusiones de clase II esqueléticas y dentales se encuentran contemplados 2 tipos de tratamiento: las extracciones de dientes permanentes y la distalización de los molares maxilares con aparatos extraorales o intraorales.2,3 Al elegir el uso de los microtornillos se ha podido corregir en gran medida los efectos adversos producidos por las extracciones como la mesialización de los dientes adyacentes al espacio de la extracción o la vestibularización de los incisivos.4,5

La distalización pretende convertir una relación de distoclusión en una neutroclusión y resolver el apiñamiento anterosuperior mediante el

desplazamiento de los molares hacia distal en las etapas iniciales del tratamiento.6,7 Los microtornillos han sido diseñados para anclaje esqueletal como también para distalizar, protraer, intruir molares e incisivos.8 Recientes estudios señalan que la cresta infracigomática es un sitio propicio para la colocación de microtornillos, sin embargo, es de fundamental importancia conocer sus dimensiones anatómicas para colocarlos en una posición segura para lograr buena estabilidad.9

Investigaciones señalan que la región de colocación entre U6-U7 es la zona segura ideal para colocar minitornillos en el hueso alveolar bucal en la región de la cresta infracigomática para la distalización de la dentición maxilar.10

Caso clínico

Paciente de 16 años 3 meses diagnosticada con clase II esquelética, clase II molar bilateral, clase II canina bilateral, apiñamiento superior severo e inferior moderado, el canino 23 ectópico, la línea media superior desviada 1 mm izquierda, línea media inferior 2 mm derecha.

Estudios de inicio extraorales fotografía de frente sonrisa (Figura 1) el perfil convexo.

Estudios de inicio intraorales en la fotografía de frente, tenemos la línea media dental superior se encuentra desviada a 1 mm a la izquierda y la línea media dental inferior se encuentra desviada 2 mm a la derecha (Figura 2). En la oclusal superior la forma de arco cuadrada (Figura 3). En la lateral derecha una relación molar clase II y relación canina clase II (Figura 4), izquierda una relación

Dentista y Paciente 42 Caso clínico
Figura 1. Extraoral frente sonrisa y perfil de inicio. Figura 2. Intraoral de frente.

molar clase II y relación canina clase II.

Estudios radiográficos de inicio

En la radiografía lateral de cráneo ( Figura 5 ) se observa la clase II esquelética con un ANB de 5°, hiperdivergencia, con la retroinclinación del incisivo superior con 1 a plano palatino de 111° y proinclinado el incisivo inferior de 1 a plano mandibular de 101°.

En la radiografía panorámica (Figura 6) se ven 32 dientes, con los terceros molares en formación.

Tratamiento

Para la corrección del apiñamiento severo maxilar y mandibular se realizó alineación, nivelación mediante secuencia de arcos superior NiTi 0.014, 0.016, 0.018, SS 0.018, NiTi 0.016 × 0.022, 0.017 × 0.025 superior e inferior.

En la obtención de espacio del órgano dentario 23 se realizó distalización posterior maxilar, las exodoncias de los terceros molares y la utilización

174. Febrero 2023 43
de
microtornillos
Manejo
paciente clase II con apiñamiento severo, distalización con
Figura 3. Oclusal superior. Figura 4. Derecha, izquierda. Figura 5. Izquierda inicio. Figura 6. Radiografía lateral de cráneo y radiografía panorámica.

de microtornillos en la cresta Infracigomática (IZC) 2 × 14 mm con cadena hacia los OD 13 y 24; se utilizó doble arco con bypass para incorporar el OD 13 el arco principal era de SS 0.018 y el accesorio NiTi 0.012, para obtener clase I molar bilateral se usaron elásticos intermaxilares clase II; mientras que se realizó distalización superior con anclaje máximo y cadena intramaxilar 3/16 4.5 oz para la clase I canina bilateral; para la corrección del overjet y overbite se hizo distalización mandibular y posterior maxilar con control de torque superior e inferior con cadena de torque.

En la coincidencia de las líneas medias con la distalización al microtornillo en IZC, manejo de espacio con stripping, alineación y nivelación; la máxima intercuspidación, paralelismo radicular y oclusión funcional se llevó a cabo con el detallado con arco SS 0.017 × 0.025 y 0.019 × 0.025 superior e inferior, dobleces de primer orden (offset de OD 13,43), segundo orden (extrusión de OD 26, Tip distal de OD 13, 23 y 33) y elásticos clase II en caja bilateral 3/16 6.5 oz; (Figura 7). Para la estabilidad y postratamiento se recomendó un retenedor circunferencial superior e inferior con fijo de 12 a 22 y de 33 a 43.

Resultados

En los estudios finales en las fotografías extraorales se observa en la Figura 8 de sonrisa con la simetría facial, el perfil convexo, con mejoría de los tejidos blandos y armonía facial.

En las fotografías intraorales finales vemos la máxima intercuspidación, corrección del apiñamiento severo maxilar y mandibular, mejoría en el estado periodontal, guía incisiva y desoclusión canina (Figura 9), líneas

Dentista y Paciente 44 Caso clínico
Figura 7. Progreso lateral derecho e izquierdo. Figura 8. Extraoral frente sonrisa perfil final. Figura 9. Intraoral frente inicio, final y lado izquierdo.

Manejo de paciente clase II con apiñamiento severo, distalización con microtornillos

medias coincidentes, relación molar y canina clase l bilateral.

Estudios radiográficos finales

En la radiografía lateral de cráneo (Figura 10) se ve un ángulo ANB de 6°, con la proinclinación de los incisivos

superiores e inferiores en norma. En la radiografía panorámica se observan los 28 dientes permanentes presentes.

Para la retención y estabilidad del tratamiento se recomendó utilizar circunferencial superior e inferior, (Figura 11).

Figura 10. Radiografía lateral de cráneo y panorámica final.

Discusión

En el momento de decidir el procedimiento indicado para pacientes con clase II y apiñamiento severo entre los cuales puede ser unilateral o bilateral surgen varios planes

de tratamiento uno de ellos es que la persona prefiera que no le sean realizadas las extracciones. A estas se les puede manejar con microtornillos, según Kissinger en 2004 quién considera importante para la distalización la posición de los segundos molares maxilares ya que deben estar erupcionados o cercanos al plano oclusal para que dicha distalización suceda en cuerpo.11,12 La literatura nos menciona que si no dependemos de la colaboración del paciente, el tratamiento tiene una tasa de éxito muy alta, las ventajas son la colocación de aparatología sencilla, lo que reduce el tiempo de trabajo, son de bajo costo y con fácil remoción.13 En estudios de Wu JH, López quienes señalan que la cresta infracigomática tiene un grosor de 2.67 mm y para lograr estabilidad debe ser bicortical para lograr la distalización al igual que su técnica debe alcanzar una angulación de 55-75° respecto al plano oclusal; unos autores mencionan que la mejor zona está a nivel del segundo molar y otros optan por la colocación entre el primero y segundo molar.14,15 En el caso del CESO se manejó al paciente con microtornillos en cresta infracigomática (IZC), colocado en la posición sugerida por la literatura para efectuar una distalización bilateral y lograr una correcta relación molar y canina.

Conclusiones

El uso de microtornillos en IZC es una gran opción al momento de tratar apiñamiento severo en pacientes con clase II esquelética. Nos permite un mayor control al no depender de la colaboración del paciente y a este le garantiza mantener sus piezas dentales en su lugar; además de ser un tratamiento mínimamente invasivo que ofrece resultados satisfactorios.

Dentista y Paciente 46 Caso clínico
El uso de microtornillos en IZC es una gran opción al momento de tratar apiñamiento severo en pacientes con clase II esquelética.
Figura 11. Intraoral de frente con retenedores y la vista oclusal.

Manejo de paciente clase II con apiñamiento severo, distalización con microtornillos

Referencias

1. Santiesteban P. & cols. Severidad de apiñamiento relacionado con la masa dentaria. Rev Mex Ortodon. 2016;4(3):165-168.

2. Ciro P, Sandoval P, Rey D, Uribe G, Sierra A, Oberti G Distalización de Molares Maxilares con Aparatos Intraorales de Nueva Generación que no Necesitan Colaboración del Paciente. Int. J. Odontostomat. 5(1):39-47.

3. Janson G, Goizueta OE, Garib DG, Janson M. Relationship between maxillary and mandibular base lengths and dental crowding in patients with complete class II malocclusions. Angle Orthod. 2011; 81 (2): 217-221.

4. Favero, L.; Winkler, A. & Stellini, E. Innovative Class II implant-supported therapy: the Favero TTA (Total Treatment System). Inf. Orthod. Kieferorthop., 35(2):141-6, 2003.

5. Gianelly, A. A.; Vaitas, A. S.; Thomas, W. M. & Berger, D. G. Distalization of molars with repelling magnets. J. Clin. Orthod., 22(1):40-4, 1988.

6. González, M. & Fernández, R. Actualización en técnicas ortodónticas distalizadoras. Rev. Cubana. Estomatol., 40(3):0-0, 2003.

7. Escobar, S. A.; Tellez, P. A.; Moncada, C. A.; Villegas, C. A.; Latorre, C. M. & Oberti, G. Distalization of maxillary molars with the bone-supported pendulum: a clinical study. Am. J. Orthod. Dentofacial Orthop., 131(4):545-9, 2007.

8. Benavides, S., Cruz, P., Chang, M. (2016) Microimplantes, una nueva opción en el tratamiento de Ortodoncia.Odontología Vital 25:63-75.

9. Flores CCL, Rivas GR, Aguilar OS. Determinación del área en diferentes sitios utilizados para colocación de mini implantes en la cresta infracigomática. Rev Méd Electrón. 2018;40(6):1750-1764.

10. Haibo L, Xiaoxue Wu, Lei Yang, Yin Ding, Safe zones for miniscrews in maxillary dentition distalization assessed with cone-beam computed tomography, American Journal of Orthodontics and Dentofacial Orthopedics, Volume 151, Issue 3, 2017, Pages 500-506, https://doi.org/10.1016/j. ajodo.2016.07.021.

11. Kinzinger, G. S.; Diedrich, P. R. & Bowman, S. J. Upper molar distalization with a miniscrew-supported Distal Jet. J. Clin. Orthod., 40(11):672-8, 2006.

12. Oberti, G.; Villegas, C.; Ealo, M.; Palacio, J. C. & Baccetti, T. Maxillary molar distalization with the dual-force distalizer supported by mini-implants: A clinical study. Am. J. Orthod. Dentofac. Orthop., 135(3):282.e1-5; discussion 282-3, 2009.

13. Park, Hyo-sang. Simultaneous incisor retraction and distal molar movement with microimplant anchorage. Wodd J. Orthod, 5(2)164-71, 2004.

14. Wu JH, Lu PC, Lee KT, Du JK, Wan HC. Horizontal and vertical resistance strength of infrazygomatic mini-implants. Int. J. Oral Maxillofac. Surg. 2011; 40(5): 521-525.

15. López D, Herrera S,. Corrección de maloclusión dental clase II unilateral con dispositivo de anclaje temporal infracigomático. CES odontol; 28( 2 ): 142-155.

174. Febrero 2023 47

Corrección de apiñamiento severo y mordida abierta con modificación del plano oclusal

Dentista y Paciente 48 Punto de vista Fotoarte: Editorial Renascence | Fotografía: AdobeStock

Se presenta un paciente de 19 años diagnosticado con clase III esquelética, hiperdivergente, relación molar clase III bilateral, relación canina clase I bilateral, apiñamiento severo superior, mordida cruzada anterior y posterior y abierta anterior, los incisivos 12 y 22 palatinizados, incompetencia labial, ausencia de los premolares 34 y 44. Tratamiento: alineación, nivelación, extracciones de 16 y 26 y manejo del plano oclusal, cierre de espacios, detallado y retención. Objetivo: mejorar el perfil labial, corregir el apiñamiento maxilar, incorporar incisivos laterales al arco, corregir mordida cruzada anterior, posterior y abierta anterior, corregir línea media dental, cierre de

espacios, lograr correcta intercuspidación, guía de desoclusión canina e incisiva. Tiempo de tratamiento: 4 años.

Palabras clave: plano oclusal, mordida abierta, mordida cruzada, apiñamiento, clase III.

174. Febrero 2023 49
Corrección de apiñamiento severo y mordida abierta con modificación del plano oclusal
Carolina Monserrath Sánchez Urbina. Residente de segundo año de la Maestría Ortodoncia y Ortopedia maxilofacial en el Centro de Estudios Superiores de ortodoncia (CESO) Beatriz Gurrola Martínez. Profesora del CESO y profesora de carrera de tiempo completo titular en la carrera de Cirujano Dentista de la Facultad de Estudios Superiores Zaragoza UNAM. Adán Casasa Araujo. Director del CESO.

La mordida abierta anterior es una maloclusión que se caracteriza porque los dientes anteriores maxilares no entran en contacto con los mandibulares no alcanzando el plano oclusal, mientras que los dientes posteriores están ocluidos, puede deberse a factores etiológicos como hábito de succión, protrusión lingual, adenoides hipertróficos, respiración oral, desequilibrio postural mandibular.1,2,3

La ausencia de sobremordida puede ser dental o esquelética, o una combinación de ambas.4,5 Una mordida abierta de naturaleza dental se limita a la región anterior, el paciente presenta adecuadas proporciones faciales con incisivos infraerupcionados y se le atribuye a un hábito, mientras que la esquelética está dada por un desequilibrio óseo, se observa una dimensión facial vertical alargada, puede ser completa o incompleta y a menudo es multifactorial.6,7,8 Esta maloclusión puede ocasionar ausencia de guía incisiva y canina, dificultad para alimentarse, problemas de lenguaje y de la articulación temporomandibular.9

Existen varias alternativas para el tratamiento de mordidas abiertas dependiendo de la causa y la severidad la cual depende del grado de

erupción de los dientes.10 Las alternativas no quirúrgicas se enfocan en la extrusión de los dientes anteriores o la intrusión de los posteriores, produciendo una disminución del plano mandibular y de la altura facial.6

Caso clínico

Paciente de 19 años diagnosticado con clase III esquelética, hiperdivergente, relación molar clase III bilateral, relación canina clase I bilateral, apiñamiento severo superior y leve inferior, mordida cruzada anterior y posterior, mordida abierta anterior, incisivos laterales palatinizados, incompetencia labial, ausencia de los premolares 34 y 44.

Estudios de inicio fotografías extraorales

En la Figura 1 se observa incompetencia labial, en la Figura 2 la línea media dental superior coincidente con la línea media facial, perfil convexo (Figura 2) y el tercio facial inferior aumentado.

Estudios intraorales de inicio

En la Figura 3 vemos la línea media dental superior coincidente y la línea media dental inferior desviada 1.5 mm a la izquierda, mordida

Dentista y Paciente 50 Punto de vista
Figura 1. Frente reposo. Figura 2. Frente sonrisa, perfil.

abierta anterior y mordida cruzada anterior y posterior. En la lateral derecha e izquierda una relación molar clase III y una relación canina clase I (Figura 4 y 5).

En la fotografía oclusal superior se ve la forma de arco cuadrada (Figura 6) y en la inferior oval (Figura 7).

Estudios radiográficos de inicio

En la fotografía lateral de cráneo (Figura 8) observamos la clase III esquelética con un Witts de -7 mm, crecimiento hiperdivergente, proinclinación del incisivo superior con 1 a plano palatino de 123° e incisivo inferior en norma de 1 a plano mandibular de 90°.

En la radiografía panorámica de inicio se observan 30 dientes presentes (Figura 9).

Tratamiento

Para la corrección del apiñamiento superior y la incorporación de los incisivos laterales al arco, se colocó aparatología fija prescripción Roth 0.022 × 0.028", en la alineación, nivelación y regane de espacio mediante extracciones de 16 y 26, cierre de espacios recíproco, secuencia de arcos, resorte abierto entre 21-23, 11-13 y bondeo de 12 y 22 en 180º. En la corrección de la mordida cruzada anterior y posterior se utilizó mecánica de elásticos cruzados de 5/16 4.5 oz, con dobleces de primer orden (offset mesial de canino 13, al 23, 27, inset mesial de 46 y 36). Para corregir la mordida abierta anterior se modificó el plano oclusal mediante bondeo diferenciado, dobleces escalonados de intrusión en molares. Para corregir la línea media dental se utilizaron cadenas

174. Febrero 2023 51 Corrección
de apiñamiento severo y mordida abierta con modificación del plano oclusal
Figura 3. Frente. Figura 4. Lateral derecha. Figura 5. Lateral izquierda. Figura 6. Oclusal superior. Figura 7. Oclusal inferior. Figura 8. Radiografía lateral de cráneo de inicio.

intramaxilares, stripping selectivo y mecánica de elásticos línea media. Para lograr máxima intercuspidación, y el paralelismo radicular con la oclusión funcional se realizaron dobleces de primer y segundo orden, elásticos clase III cortos doble bilateral 3/16 6.5 oz, de asentamiento en caja clase III y en espagueti. Para la estabilidad postratamiento se utilizó un retenedor superior e inferior fijo de 3 a 3 y termoformados.

Resultados

En las fotografías extraorales finales se muestra una simetría facial, el cierre completo de la mordida (Figura 10) y armonía facial.

Estudios intraorales finales el tiempo de tratamiento fue de 4 años, se observa una adecuada intercuspidación, la corrección del apiñamiento severo superior, mejoría del estado periodontal y líneas medias coincidentes (Figura 11), en las fotografías laterales se muestra una relación canina clase I bilateral

En la vista oclusal ( Figura 12 ) se aprecian la forma oval de la arcada superior e inferior

Estudios radiográficos finales

En la radiografía lateral de cráneo (Figura 13) vemos un Witts de -7mm, los incisivos superiores en norma y los incisivos inferiores retroinclinados. En la radiografía panorámica 28 dientes permanentes presentes (Figura 14).

Para la estabilidad postratamiento se utilizó un retenedor superior e inferior fijo de 3 a 3 y termoformados (Figura 15).

Discusión

La etiología de la mordida abierta es el factor clave a tomar en cuenta para establecer el plan de tratamiento y mantener una estabilidad a largo plazo para evitar la recidiva. Sato considera que el principal factor etiológico para el desarrollo de las mordidas abiertas y clases III esqueléticas es la discrepancia posterior, producida por el apiñamiento posterior por presencia de los terceros molares causando

Dentista y Paciente 52 Punto de vista
Figura 9. Radiografía panorámica. Figura 10. Sonrisa final, perfil. Figura 11. Oclusión de frente lateral final derecha e izquierda.

una erupción excesiva los molares, produciéndose un cambio en el plano oclusal y una clase III con mordida abierta.11-13 Los pacientes clase III con mordida abierta pueden presentar un pobre crecimiento anteroposterior del maxilar y un crecimiento excesivo de la mandíbula, dimensión vertical excesiva, plano oclusal plano y curva de Spee inversa, por lo que el plan de tratamiento tiene como objetivo eliminar la discrepancia posterior, inclinar el plano oclusal y disminuir la dimensión vertical.13

Una alternativa para el cierre de mordida abierta con apiñamiento anterior son las extracciones.14 Aras señala las extracciones de los

primeros molares proporcionan resultados funcionales y estables.15 Al paciente atendido en el CESO se le realizaron los cambios necesarios en el plano oclusal con las extracciones de los primeros molares y el bondeo diferenciado para el cierre de la mordida abierta.

Conclusión

La extracción de primeros molares permanentes es una alternativa en el tratamiento en pacientes con mordida abierta logrando una rotación mandibular y un cambio en el plano oclusal lo cual proporciona resultados oclusales funcionales y estéticos favorables.

174. Febrero 2023 53 Corrección
de apiñamiento severo y mordida abierta con modificación del plano oclusal
Figura 12. Oclusal final superior, inferior. Figura 13. Lateral de cráneo final. Figura 14. Panorámica final. Figura 15. Retenedores fijos superior e inferior y termoformados.

Referencias

1. Bastos R, Pistelli G, Ferreira F, Bastos J, Janson G, Ferreira R. Contextual and Individual Determinants of Anterior Open Bite in Adolescents. International Dental Journal. 2022; 72(5): 1-8.

2. García C. Mordida abierta anterior. Revista estomatología. 2004;12(2).

3. Matsumoto MAN, Romano FL, Ferreira JTL, Valério RA. Open bite: diagnosis, treatment and stability. Brazilian dental journal. 2012;23:768-78.

4. Karacay S, Akin E, Ortakoglu K, Bengi AO. Dynamic MRI evaluation of tongue posture and deglutitive movements in a surgically corrected open bite. The Angle Orthodontist. 2006; 76(6):1057-1065

5. Gross AM, Frech DK. Treatment of open-bite tendency with a miniscrew-supported transpalatal arch and myofunctional exercises. Journal of Clinical Orthodontics: JCO. 2021; 55(4):51514.

6. Falahi B, Hafez AM, Fouda M. Intrusion of Maxillary Posterior Teeth to Correct a Severe Anterior Open Bite. Journal of Clinical Orthodontics: JCO. 2017; 51(6):326-34.

7. Fonseca Y, Fernández E, Cruañas AM. Mordida abierta anterior. Revisión bibliográfica. Revista Habanera de Ciencias Médicas. 2014; 13(4):509-515.

8. Banks P. An analysis of complete and incomplete overbite in class II division 1 malocclusions (an analysis of overbite incompleteness). British Journal of Orthodontics.; 13(1):23-31

9. Sánchez DER, Hernández JR, Cotter GP, Chávez JAR, Varela CO. Corrección de una mordida abierta anterior en paciente clase II esqueletal: reporte de un caso. Revista Mexicana de Ortodoncia. 2016; 4(2):96-102.

10. Santander AM. Tratamiento de maloclusión clase III por hipoplasia maxilar, con mordida cruzada posterior, mordida abierta anterior y crecimiento vertical. Ces Odontología. 2003; 16(1):57-64.

11. Zuazola RV, Basili C, Castillo G, Cortez D. El desafío de las mordidas abiertas: Filosofía MEAW-Multiloop Edgewise. Revista Española de Ortodoncia. 2013; 43(4):239-247.

12. Fernández MÁG. Estabilidad del tratamiento de la maloclusión de mordida abierta anterior. Revista Española de Ortodoncia. 2013;43(1):13-21.

13. Sato S, Akimoto S, Matsumoto A, Shirasu A, Yoshida J. Manual for the clinical application of MEAW technique: MEAW; 2001., Orthodontic Therapy Using Multiloop Edgewise Arch-wire. 26-42

14. Cortez GP, Castro TAS, Alfaro NIG, Peña ISI. Tratamiento de mordida abierta con extracciones de primeros molares. Reporte de caso. Revista Mexicana de Ortodoncia. 2015; 3(4):266-73.

15. Aras A. Vertical changes following orthodontic extraction treatment in skeletal open bite subjects. The European Journal of Orthodontics. 2002;24(4):407-16.

Dentista y Paciente 54 Punto de vista

Paciente pediátrico clase III esquelética manejo ortopédico-ortodóntico de mordida abierta anterior

El manejo ortopédico oportuno de la maloclusión esquelética clase III tiene como objetivo redirigir el crecimiento maxilar y mandibular a una dirección más favorable, permitiendo una mejora temprana de la función oclusal y orofacial. El siguiente artículo describe el tratamiento de una paciente de 10 años de edad con un diagnóstico de clase III esquelética, con hipoplasia maxilar, crecimiento mandibular hiperdivergente, mordida abierta y cruzada anterior, clase II molar bilateral, órganos dentarios OD 21 giroversionado, OD 12 palatinizado, apiñamiento severo superior y moderado inferior. Los objetivos son mejorar las relaciones esqueléticas y corregir el perfil labial, la mordida abierta y cruzada anterior, obtener clase I molar derecha

y clase II funcional molar izquierda, obtener clase I canina bilateral, corregir el overjet y overbite, corregir las líneas medias dentales y mejorar el estado periodontal. El tratamiento se realizó en 2 fases, fase ortopédica de expansión y protracción maxilar, y una segunda fase ortodóntica de alineación, nivelación, detallado y retención. La aparatología utilizada fue un expansor tipo Hass, máscara facial, brackets prescripción Roth 0.022 × 0.028, con tubos bondeables en 6's y 7's superior e inferior. El tiempo de tratamiento activo fue de 3 años y 8 meses.

Palabras clave: maloclusión clase III esquelética, paciente pediátrico, hipoplasia maxilar, máscara facial, expansor Hass.

La importancia de iniciar de manera temprana un tratamiento ortopédico/ ortodóntico es corregir o reducir la gravedad de la maloclusión y la discrepancia esquelética, permitiendo un adecuado crecimiento y desarrollo maxilofacial.1,2

Similar a la mayoría de las maloclusiones y deformidades dentofaciales, la etiología de la maloclusión clase III es multifactorial, resultado de la interacción entre factores innatos, o genéticos hereditarios con factores ambientales.3,4 Esta deformidad puede caracterizarse por retrusión esquelética maxilar, protrusión esquelética mandibular o una combinación de ambas, sin embargo, la causa más común generalmente se

Dentista y Paciente 56 Sonriendo al futuro
Fotoarte: Editorial Renascence | Fotografía: AdobeStock

asocia a una falta de crecimiento maxilar.5

El manejo temprano no únicamente inducirá cambios esqueletales si no también cambios en los tejidos blandos faciales de los cuales dependerá el éxito de los resultados funcionales.6

El compromiso de un abordaje correcto se vuelve aun mayor cuando a la clase III esquelética le acompaña un crecimiento mandibular hiperdivergente,7 la necesidad en cuanto a la selección de la aparatología ortopédica adecuada al igual que el vector de aplicación de fuerza de la misma son factores críticos en la predicción de los resultados del tratamiento.8

Caso clínico

Una paciente de diez años de edad acude al Centro de Estudios Superiores de Ortodoncia CESO acompañada de su padre quien manifiesta como motivo de consulta “No me gusta la mordida de mi hija”. En los estudios clínicos extraorales en las fotografías tenemos en la de frente ( Figura 1 ), sonrisa y perfil; la paciente se observa simétrica con un biotipo dolicofacial, sonrisa media, mordida abierta anterior, línea media dental superior e inferior desviada 4 mm hacia la derecha con respecto a la línea media facial, perfil recto a cóncavo, tercio inferior aumentado con respecto al tercio medio facial.

Estudios intraorales de inicio

Tenemos en la fotografía de frente (Figura 2) una dentición mixta con un overjet de -4 mm, overbite de -5 mm, las relaciones molares clase II bilateral, clases caninas no determinadas, mordida abierta y cruzada anterior, mordida cruzada posterior de lado derecho entre los órganos dentarios OD 16 y 46, y entre el 53 y 44, la forma de las arcadas es triangular en superior, cuadrada en inferior, OD 21 giroversionado, OD 12 palatinizado, apiñamiento severo en la arcada superior y moderado en la arcada inferior.

Estudios radiográficos de inicio

En el análisis de la radiografía lateral de cráneo (Figura 3), el paciente es clase III esquelética, según el ANB de Witts, crecimiento hiperdivergente, la mandíbula más grande que el maxilar en el análisis de Harvold, tercio inferior aumentado, incisivo superior e inferior retroinclinados.

En la radiografía panorámica (Figura 3) observamos 35 dientes presentes, con 29 OD permanentes, 6 dientes deciduos, OD 25 posicionado apical a OD 24, segundos molares superiores e inferiores en formación, terceros molares superiores en formación.

Objetivos del tratamiento

Se planteó mejorar las relaciones esqueléticas y corregir el perfil

174. Febrero 2023 57
Paciente pediátrico clase III esquelética manejo ortopédico-ortodóntico de mordida abierta anterior
Jhannela Pesántez Pando. Residente de segundo año de la Maestría Ortodoncia y Ortopedia maxilofacial en el Centro de Estudios Superiores de ortodoncia (CESO) Beatriz Gurrola Martínez. Profesora del CESO y profesora de carrera de tiempo completo titular en la carrera de Cirujano Dentista de la Facultad de Estudios Superiores Zaragoza UNAM. Adán Casasa Araujo. Director del CESO. Figura 1. Frente reposo, sonrisa, perfil. Figura 2. Intraoral de frente, lateral derecha, izquierda, vista oclusal superior e inferior.

labial, corregir el apiñamiento maxilar y mandibular, corregir la mordida abierta y cruzada anterior, obtener clase I molar derecha y clase II molar izquierda (esto fue debido que el proceso eruptivo del OD 25 generó la reabsorción del OD 24 por lo que se le indico la extracción del mismo), obtener clase I canina bilateral, corregir el overjet y overbite, corregir las líneas medias dentales, lograr correcta intercuspidación, lograr guía de desoclusión canina e incisiva y mejorar el estado periodontal.

Plan de tratamiento

El tratamiento se realizó en 2 fases,

1. Fase ortopédica de expansión rápida y protracción maxilar mediante un expansor tipo Hass (activaciones de 1/4 de vuelta 2 veces al día) con ganchos modificados para máscara facial (uso nocturno de 12 horas);

2. Fase ortodóntica de alineación, nivelación mediante secuencia de arcos de NiTi y mecánica de elásticos; detallado a través de arcos rectangulares de acero con dobleces de primer, segundo y tercer orden; y retención mediante retenedores circunferenciales en la arcada superior e inferior.

Los estudios de progreso realizados 11 meses después de iniciado el tratamiento en la extraoral de frente (Figura 4), el reposo, sonrisa, y perfil, la paciente se mantiene simétrica, con una línea de sonrisa media, mayor proyección del maxilar, y perfil ligeramente convexo.

Estudios intraorales de progreso

Nos muestran en la fotografía de frente (Figura 5), el overjet aumentó a -2mm y el overbite a -3mm, se

obtuvo la relación molar derecha clase I e izquierda clase II funcional, bondeo seccional para permitir la incorporación de cada órgano dental, ligera mordida cruzada anterior, el OD 12 permanece palatinizado, el OD 53 aun presente en la arcada al cual se le indicó la extracción, OD 13 ectópico, las formas de las arcadas ovoideas figura 6 superior e inferior.

Estudios radiográficos de progreso

En el análisis de la radiografía lateral de cráneo (Figura 7), se ve un aumento del ángulo SNA de 76º a 79º, el crecimiento se mantiene hiperdivergente, la mandíbula más grande que el maxilar según el análisis de Harvold.

En la radiografía panorámica (Figura 8) observamos 32 dientes presentes, con terceros molares están en formación, y el OD deciduo 53 presente.

Estudios finales

Comparación de las fotografías extraorales inicio frente, reposo, sonrisa y perfil final (Figura 9), se ve una mejora de las relaciones esqueléticas, mayor proyección maxilar, perfil y sonrisa armónicos.

Estudios intraorales finales

Demostraron un correcto overjet de 2mm y overbite del 20%, (Figura 10) alineación y nivelación, adecuadas formas de la arcada ovoideas, coincidencia de líneas medias dentales, en relación a la línea media facial, corrección de la mordida cruzada anterior y abierta anterior. De igual manera se obtuvieron clases I molar derecha y clase II molar izquierda funcional, clases I canina bilateral, adecuada intercuspidación y guías funcionales (Figura 11).

Dentista y Paciente 58 Sonriendo al futuro
Figura 3. Lateral de cráneo y panorámica. Figura 4. Extraorales de progreso frente reposo, sonrisa, perfil.

Estudios radiográficos finales

En la radiografía lateral de cráneo (Figura 12), se aprecia la adecuada relación esquelética. El crecimiento se mantiene hiperdivergente, vías aéreas permeables, correcta inclinacion de los incisivos superiores e inferiores en relación a sus bases óseas.

En la radiografía panorámica (Figura 13), se observan 27 dientes presentes, terceros molares ausentes, y un adecuado paralelismo radicular.

Para la retención y estabilidad del tratamiento se indicaron retenedores circunferenciales para la arcada superior e inferior (Figura 14).

Discusión

El abordaje ortopédico en el paciente pediátrico con maloclusión clase III esquelética suele generar resultados efectivos a corto plazo, al igual que eludir futuros procedimientos quirúrgicos.9,10 Los principales objetivos de la intervención temprana son proporcionar un entorno más favorable

para el crecimiento, mejorar la relación oclusal, proporcionar estética y función.11 Debido a que alrededor del 40% de pacientes con maloclusión clase III esquelética la retrognatia maxilar es la causa principal, los tratamientos a los que son sometidos generalmente incluyen algún tipo de protracción maxilar.12,13 La fuerza ortopédica de tracción extraoral para la protracción maxilar en pacientes con deficiencia sagital comenzó en la década de 1970 por Delaire mediante la creación de la máscara facial (MF).12

La indicación de uso de la MF generalmente se asocia con la expansión rápida maxilar, que además de corregir la deficiencia transversal, produce una respuesta celular de las suturas circunmaxilares favoreciendo el efecto de protracción.9,14,15 El protocolo de uso de la MF se vuelve más estricto cuando la deformidad de clase III esquelética se acompaña con un patrón de crecimiento mandibular hiperdivergente, en este sentido el punto de aplicación de la fuerza de protracción deberá ser paralelo al plano oclusal para evitar una mayor

174. Febrero 2023 59 Paciente pediátrico clase III esquelética
manejo ortopédico-ortodóntico de mordida abierta anterior
Figura 5. Frente intraoral, derecha e izquierda. Figura 6. Vista oclusal superior inferior. Figura 7. Lateral de cráneo. Figura 8. Panorámica.

rotación mandibular. 8 En el CESO la edad de la paciente fue un factor considerable en la mejoría del perfil facial. Se controló el patrón de crecimiento mandibular mediante la intervención ortopédica temprana y el uso de la biomecánica adecuada.

Conclusiones

Un correcto diagnóstico, plan de tratamiento y aplicación de la biomecánica dependiendo a cada caso se convierten en requisitos indispensables para la obtención de resultados

Dentista y Paciente 60 Sonriendo al futuro
Figura 9. Frente reposo, sonrisa, perfil. Figura 10. Frente intraoral, derecha, izquierda. Figura 11. Vista oclusal. Figura 12. Lateral de cráneo. Figura 13. Panorámica. Figura 14. Retenedores superior e inferior.

favorables. El tratamiento anticipado de la maloclusión esquelética clase III en el paciente pediátrico puede producir modificaciones favorables en el crecimiento tanto en la estructura

maxilar como mandibular, simplificar el tratamiento en la dentición permanente, evitar un mayor deterioro de su estética facial, y favorecer una adecuada función orofacial.

Referencias

1. Lin H, Jun Y. Managing Skeletal Problems in Pediatric Malocclusion. Decisions In Dentistry. 2020 January; 6(5).

2. Manzo P, De Felice M, Caruso S, Gatto R, Caruso S. Intercepting of Class III Malocclusion with a Novel Mechanism Built on the Orthopaedic Appliance: A Case Report. Children. 2022 May; 9(784).

3. Begum M, Karra A. Early Treatment of Class III Malocclusion: A Boon or a Burden? International Journal of Clinical Pediatric Dentistry. 2014 May-August; 7(2).

4. Zere E, Kumar P, Sharan J, Dhingra K, Tiwari N. Developing Class III malocclusions: challenges and solutions. Clinical, Cosmetic and Investigational Dentistry. 2018; 10.

5. Ellis E, McNamara J. Components of adult Class III open-bite malocclusion. American Journal of Orthodontics. 1984; 86(4).

6. Kmeta B, Zhurov A, Richmond S, Ovsenik M. Diagnosis of Class III malocclusion in 7- to 8-yearold children—a 3D evaluation. European Journal of Orthodontics. 2015 September; 37(4).

7. Klempner L. Early Treatment of Skeletal Class III Open Bite with the Tandem Appliance. Journal of Clinical Orthodontics. 2011 June; XLV(6).

8. Jain S. Clinical Tip for Adjusting Reverse Pull Facemask/Headgear Assembly. Journal of Clinical and Diagnostic Research. 2016 January; 10(1).

9. Azamian Z, Shirban F. Treatment Options for Class III Malocclusion in Growing Patients with Emphasis on Maxillary Protraction. Scientifica. 2016 March.

10. DiBiase A, Seehra J, Papageorgiou S, Cobourne M. Do we get better outcomes from early treatment of Class III discrepancies? BRITISH DENTAL JOURNAL. 2022 August; 233(3).

11. Woon S, Thiruvenkatachari B. Early orthodontic treatment for Class III malocclusion: A systematic review and meta-analysis. American Journal of Orthodontics and Dentofacial Orthopedics. 2017 January; 151(1).

12. Fakharian M, Bardideh E, Abtahi M. Skeletal Class III malocclusion treatment using mandibular and maxillary skeletal anchorage and intermaxillary elastics: a case report. Dental Press Journal of Orthodontics. 2019 Sep-Oct; 24(5).

13. Benhaioun H, Sahim S, El Aouame A, El Quars F. Interception of Class III malocclusion with facemask: cases' report. World Dental Congresss. 2021.

14. Ramos A. Class III treatment using facial mask: Stability after 10 years. Dental Press Journal of Orthodontics. 2014 Sep-Oct; 19(5).

15. Almeida M, Almeida R, Oltramari P, Conti A, Navarro R, Camacho J. Early treatment of Class III malocclusion: 10-year clinical follow-up. Journal of Applied Oral Science. 2011 Jul-Aug; 19(4).

174. Febrero 2023 61 Paciente pediátrico clase III esquelética manejo ortopédico-ortodóntico de mordida abierta anterior
Dentista y Paciente 62 Microinvestigación Fotoarte: Editorial Renascence | Fotografía: AdobeStock

¿Aporta una matriz de colágeno estabilidad dimensional en la regeneración ósea guiada?

¿Aporta una matriz de colágeno estabilidad dimensional en la regeneración ósea guiada?

Autores:

Goran Benic, Stefan Bienz, Young Woo Song, Jae-Kook Cha, Christoph Hämmerle, Ui-Won Jung, Ronald Jung.

Relatores: Javier Calatrava y Antonio Nobili con Prof. Mariano Sanz y Prof. David Herrera.

Traductora: Marta Jordán. Alumna del Máster de Periodoncia y Osteointegración, Universitat de València.

Afiliación: Programa de periodoncia acreditado por la EFP de la Universidad Complutense de Madrid, España

Antecedentes

En los casos donde no hay suficiente disponibilidad ósea para colocar implantes es muy frecuente realizar una regeneración ósea guiada (GBR) simultánea a la colocación de los implantes. Se suele realizar con materiales de injerto particulado y con membranas reabsorbibles, como se explica en la revisión sistemática publicada en 2019 por Thoma et al.

Sin embargo, tanto esta revisión como otros estudios han mostrado

que la combinación de estos materiales para una regeneración exitosa no es predecible en algunas ocasiones ni adecuada en caso de lidiar con defectos óseos no contenidos, principalmente por su falta de estabilidad dimensional.

Como resultado, se han desarrollado diferentes materiales para aumentar la estabilidad dimensional, como el injerto en bloque tipo blando, que consiste en una mezcla de partículas de sustitutos óseos con una matriz de colágeno.

Esta combinación fue desarrollada para la preservación de la cresta alveolar (ARP) debido a su mayor capacidad de mantener el espacio aumentado y los contornos de la cresta, como se mostró en los resultados de 2 estudios in vitro (Mir-Mari et al., 2016, 2017).

Sin embargo, todavía no hay suficiente evidencia de estudios preclínicos y clínicos in vivo, especialmente con respecto a los resultados a largo plazo cuando se utilizan estos materiales.

174. Febrero 2023 63

Objetivo

El objetivo era comparar las dimensiones del tejido duro y la estabilidad dimensional después de la regeneración ósea guiada de defectos periimplantarios, utilizando un sustituto óseo en bloque tipo blando, en el que el sustituto óseo se incorporó a una matriz de colágeno, o utilizando un sustituto óseo particulado.

Materiales y métodos

Este ensayo clínico aleatorizado prospectivo incluyó 40 pacientes con necesidad de al menos un implante dental y aumento óseo simultáneo de defectos periimplantarios, con un seguimiento de 6 meses. Se aplicaron los criterios de inclusión y exclusión convencionales para la terapia de implantes, y se excluyeron los grandes fumadores.

40 pacientes fueron aleatorizados en 2 grupos de tratamiento paralelos. Los pacientes del grupo de control recibieron un particulado sintético de fosfato de calcio bifásico (BCP), compuesto por un 60% de hidroxiapatita y un 40% de fosfato tricálcico beta (HA/TCP), mientras que los del grupo test recibieron un bloque óseo tipo blando en el que el mismo BCP se embebió en una matriz de colágeno (CM) para mejorar su estabilidad dimensional.

Los implantes se colocaron al menos 2 meses después de la extracción dental, dejando defectos óseos periimplantarios que fueron rellenados y aumentados con el material durante la cirugía. Las dehiscencias óseas se clasificaron en defectos contenidos y no contenidos, y su dimensión

apicocoronal fue medida en la superficie vestibular del implante. Se prescribieron antisépticos y antibióticos sistémicos durante el periodo de cicatrización.

Se realizaron cirugías de reentrada 6 meses después de la colocación de los implantes, y se midieron las dehiscencias óseas residuales presentes, entre otros parámetros clínicos.

Se realizaron tomografías computarizadas de haz cónico (CBCT) al inicio del estudio, inmediatamente después de la colocación del implante y a los 6 meses, y las evaluó un investigador cegado. La dimensión horizontal del hueso aumentado en el hombro del implante se evaluó y se consideró como la variable de resultado primaria para el cálculo de la muestra.

También se evaluaron otras variables radiográficas, como la dimensión vertical y diagonal del hueso aumentado.

Resultados

Finalmente se incluyeron 35 sujetos en el análisis de 6 meses (17 en el grupo test y 18 en el grupo control).

Con respecto a las dehiscencias de tejidos blandos, solo se encontró 1 en cada grupo.

Los cambios dimensionales horizontales del tejido duro, medidos en el CBCT, mostraron valores de aumento medios de 1.15 mm (test) y 0.93 mm (control), sin diferencias estadísticamente significativas.

Al realizar las mediciones clínicas de los cambios apicocoronales del tejido duro en la cirugía de reentrada, el 58.8% de los sitios del grupo test y el 55.6% de los sitios del grupo control mostraron un relleno completo

Dentista y Paciente 64 Microinvestigación
En todos los grupos, se levantó un colgajo a espesor parcial en vestibular de los implantes, para colocar o bien un injerto de tejido conectivo o un sustituto de tejido blando VCMX

del defecto vertical. Cuando se evaluó mediante el CBCT, se observaron porcentajes más altos del relleno completo del defecto vertical (82.4% en el grupo test y 88.9% en el grupo control).

Combinando ambos grupos, se incluyeron 14 defectos contenidos y 21 defectos no contenidos. A los 6 meses, solo 2 de los 14 defectos contenidos (7.1%) no lograron el relleno óseo vertical completo (ambos del grupo control); mientras que en el caso de los defectos no contenidos no lo lograron 13 defectos de 21 (61.9%), con resultados similares en los 2 grupos: 58.3% (test) y 66.7% (control).

En ambos tipos de defectos, hubo una reducción de la dimensión horizontal del tejido duro aumentado, comparando las mediciones postoperatorias y a los 6 meses.

El tiempo medio tras la extracción dental fue mayor para los defectos no contenidos (7.5 meses) en comparación con los defectos contenidos (3.0 meses).

Limitaciones

Muestra: ausencia de información sobre el hábito tabáquico de los pacientes (solo fueron excluidos los

grandes fumadores); uso del término “enfermedad periodontal activa” que no sigue la clasificación actual.

Procedimiento quirúrgico: amplio rango de tiempo tras la extracción dental, la estabilización de la membrana podría haber sido mejorada, y alta tasa de exposición de esta a los 2 y 4 meses en ambos grupos.

La variable principal radiográfica podría no resultar adecuada, ya que las mediciones clínicas muestran menos resolución y no son ideales porque se necesitaron 3 CBCT diferentes en 6 meses.

No está claro si la falta de diferencias significativas estadísticamente en los resultados se debió al cálculo del tamaño muestral, que fue meramente empírico, basado en un diseño de ensayo de superioridad.

Solamente 35 pacientes asistieron al seguimiento a corto plazo.

Conclusiones e impacto

Inmediatamente después del cierre de la herida, la GBR con un bloque tipo blando de BCP y colágeno combinado con una membrana reabsorbible fijada con chinchetas conduce a un aumento mayor de las dimensiones del tejido duro en comparación

Situación inicial tras la colocación del implante (a), regeneración ósea guiada con el injerto óseo seleccionado (b), membrana de colágeno estabilizada (c), resolución completa del defecto en la cirugía de reentrada (d), y CBCT 6 meses después de la colocación del implante (e).

Secuencia clínica completa de cada modalidad de tratamiento con resolución del defecto

174. Febrero 2023 65 ¿Aporta
una matriz de colágeno estabilidad dimensional en la regeneración ósea guiada?
TEST CONTROL

con un injerto particulado y una membrana.

Sin embargo, en la reentrada, 6 meses después, no se observó esta misma estabilidad dimensional que favorecía al grupo test, y no se encontraron diferencias con respecto a las dimensiones aumentadas de tejido duro.

El uso de un bloque blando que contiene colágeno o de injertos óseos particulados en combinación con

una membrana de colágeno fijada en vestibular no es una alternativa predecible para conseguir la resolución completa de los defectos óseos periimplantarios no contenidos.

Ni la GBR con un injerto óseo de BCP en partículas ni soportado con una matriz de colágeno creando un bloque tipo blando parecen ser la opción de tratamiento ideal para tratar defectos óseos no contenidos simultáneamente a la colocación del implante.

Notas

JCP Digest 101 es un resumen del artículo “Ensayo clínico controlado aleatorizado que compara la regeneración ósea guiada de defectos periimplantarios con un bloque tipo blando frente los sustitutos óseos particulados: resultados de los cambios en el tejido duro a los seis meses”. J Clin Periodontol. 49 (5):480-495.

DOI: 10.1111/jcpe13606.

https://www.onlinelibrary.wiley.com/doi/10.1111/jcpe.13552

Acceso a través de la página web para miembros de la EFP http://efp.org/members/jcp.php

Con el amable permiso de Wiley Online Library. Copyright © 1999-2022 John Wiley & Sons, Inc. Todos los derechos reservados. JCP Digest es una publicación de la Federación Europea de Periodoncia (EFP). Oficina EFP: Cink Coworking, oficina 17, calle Henri Dunant 15-17, 28036 Madrid, España · www.efp.org

Dentista y Paciente 66 Microinvestigación

Escanea el código QR para conocer más acerca de una forma diferente de ver el marketing odontológico.

Evoluciona del Like al Love

¡No basta ser excelente odontólogo para tener más pacientes!

Turn static files into dynamic content formats.

Create a flipbook
Issuu converts static files into: digital portfolios, online yearbooks, online catalogs, digital photo albums and more. Sign up and create your flipbook.