Revista Dentista y Paciente 175 Marzo 2023

Page 1

PUNTO DE VISTA

MICROINVESTIGACIÓN

Equipos de rayos X intraorales portátiles

LA ENTREVISTA Dr. Manuel Plata Mora

ENCICLOPEDIA ODONTOLÓGICA Tumores odontogénicos mixtos

CASO CLÍNICO Tratamiento ortodóntico en paciente adulto con canino retenido

No. 175/Marzo 2023 Latindex 17964 $50.00 MX ISSN: 1455-020X Revista dentistaypaciente.com 175
Aplicación de la radiofrecuencia para la toma de impresión en prótesis fija

La verdadera precisión se alcanza solamente cuando uno se vuelve experto en su oficio... como nosotros desde hace 112 años.

La unión entre estética y mecánica de precisión da comienzo con nosotros hace 112 años gracias a la fabricación de joyas y relojes. Hoy esta experiencia se reconoce con una bella sonrisa en la boca de las personas.

Foto: Luis Seminario / www.marca5sentidos.com

Marzo 2023

El frío empieza a disminuir y por lo tanto las enfermedades respiratorias también. En cuanto al COVID-19, disminuyen los contagios sin que esto quiera decir que la pandemia haya terminado, recordemos que este virus llegó para quedarse. Hay que seguir tomando medidas de protección y cuidarnos a nosotros mismos, a nuestras familias y a nuestros pacientes.

La Organización Mundial de la Salud considera que aún no existen las condiciones para levantar la emergencia sanitaria mundial. Mientras tanto, aquí en México se vuelven a normalizar las clases en algunas escuelas debido a la gran cantidad de contagios que se presentaron en diciembre entre sus alumnos y profesores, pues tuvieron que recurrir al sistema híbrido para impartir clases, es decir, tanto en línea como presencial.

Conversando con la Dra. Laurie Ann Ximénez-Fyvie, nos comentaba que para nosotros los odontólogos, estas medidas las hemos aplicado cotidianamente desde hace mucho tiempo, ya que desde nuestra preparación profesional nos fueron inculcadas, sobre todo a partir de la aparición del VIH, un hito que cambió radicalmente nuestra práctica profesional. Esto y algunos temas más se tocaron en una entrevista que le hicimos y que se publicará próximamente.

Aumentan los eventos de educación continua, ya sean en línea o presencial. Hay que aprovecharlos y mantenernos actualizados.

¡A seguirse cuidando!

Dentista y Paciente 2 Editorial
Mtro. Carlos Adolfo Espinosa García Especialidad en Odontología Legal y Forense Maestría en Odontología
6 Contenido Dentista y Paciente
10 | PUNTO DE VISTA Aplicación de la radiofrecuencia para la toma de impresión en prótesis fija. Reporte de un caso clínico. 20 | MICROINVESTIGACIÓN Equipos de rayos X intraorales portátiles

Editorial Renascence S.A. de C.V.

Publisher

Jaime Francisco Martínez Aceves† jmartinez@dentistaypaciente.com

Directora Editorial

Mariangel Martínez López mmartinez@dentistaypaciente.com

Director de Arte y Diseño

Jesús Salas Pérez jesasez@dentistaypaciente.com

Coordinador Editorial

Marco A. Vergara Salgado marversa@dentistaypaciente.com

Ejecutivos Comerciales y de Negocios

Carlos Martínez García, Gabriela Dolorez Ocadiz, Edson Aarón Hernández

Producción y Circulación

Edson Aarón Hernández

Fotografía e Ilustraciones

Editorial Renascence

Suscripciones

Patricia López Guerra

Preprensa e Impresión

Offset Impresión Creativa S.A de C.V.

Distribución

Comercializadora GBN S.A. de C.V.

Calzada de Tlalpan #572, desp. C-302, col.

Moderna

Contabilidad y Administración

Lic. Renato Muñoz

director científico

Dr. Carlos Espinosa García

Especialista en Odontología Legal y Forense consejo editorial

Dr. Francisco Javier Diez de Bonilla Calderón

Catedrático de la F.O de la UNAM

Dr. Francisco Magaña Moheno

Centro de Especialidades Odontológicas

Javier Portilla Robertson

Exdirector de la Facultad de Odontología de la UNAM

Especialista en Patología Bucal

175. Marzo 2023 7 22 | LA ENTREVISTA
30 | ENCICLOPEDIA ODONTOLÓGICA Tumores odontogénicos mixtos. Caso clínico
Dr. Manuel Plata Mora

Dentista y Paciente

C.D.E.O. Arturo Alvarado Rossano† Profesor y Especialista en Ortodoncia y Ortopedia Craneofacial en la Facultad de Odontología. UNAM. Asesor Académico y Coordinador de Difusión de la AMOCOAC.

C.D. Manuel García Luna y González Rubio Dra. Ana Gabriela Carrillo Varguez Coordinadora de la especialidad en endodoncia UABC Tijuana. Coordinadora de Investigación y Posgrado F.O. UABC

M.C. Ernestina Santillana Marín Subdirectora de CISALUD UABC

William James Maloney, D.D.S. Clinical Associate Professor New York University

universidad anáhuac méxico norte

C.D. Carlos Robles Bonilla Coordinador de la Licenciatura de Cirujano Dentista

C.D. Sergio Antonio Ojeda León Profesor Titular de Odontopediatría de la Licenciatura de Cirujano Dentista

C.D. Bernardo Grobeisen Weingersz Profesor Titular de Clínica Integral de la Licenciatura de Cirujano Dentista

C.D. Norma Ibañez Mancera. Profesora Titular de Patología Bucal de la Licenciatura de Cirujano Dentista

Dirección del Derecho de Autor certificado de reserva al uso exclusivo no. 04-2008022718312200-102 con fecha 27 de Marzo del 2008. Gobernación de la H. Comisión Calificadora de Publicaciones y Revistas Ilustradas, certificado de licitud de contenido 5328, certificado de licitud de título 7411, franqueo pagado, publicación mensual permiso no. PP09-02106, SEPOMEX. Las opiniones expresadas en los artículos y en los anuncios publicados no significan de ninguna manera juicios, criterios, ideas o cualquier otro concepto por parte de la editorial; reflejan únicamente las ideas y pensamientos de sus autores. Los artículos, entrevistas, resúmenes, publirreportajes, fotografías y cualquier otro material son exclusivos de la editorial, y no se autoriza la reproducción total o parcial por ningún medio sin previa autorización del editor. Para cualquier asunto relacionado con suscripción, distribución, comercialización, anuncios, contenido u otro propósito, favor de dirigirse a la editorial. Impreso en Offset Impresión Creativa S.A de C.V.

Dentista y Paciente® Publicación mensual correspondiente al mes de MARZO DE 2023. editada por Editorial Renascence S.A. de C.V., Rancho Jigüingo 29, Prado Coapa, Ciudad de México, 14350. tel. 56846632, fax 56793656. Distribuida en locales cerrados, depósitos dentales, universidades, congresos y exposiciones. Editora responsable: Mariangel Martínez López. Fotoarte de portada: Editorial Renascence.

distribución certificada por el padrón nacional de medios impresos de la dirección general de medios impresos de la secretaría de gobernación no. 007-136. www.gobernacion.gob.mx

8 Contenido

Tratamiento ortodóntico en paciente adulto con canino retenido

62

Efectividad del recubrimiento radicular quirúrgico ante la hipersensibilidad dentinaria

54

Combinación de elevación de seno lateral y utilización de la ventana de acceso para la regeneración de un defecto de alveolo postextracción extenso con fibrina como material de relleno. Caso clínico con 10 años de seguimiento

175. Marzo 2023 9
44 | CASO CLÍNICO | MICROINVESTIGACIÓN | INVESTIGACIÓN CLÍNICA

Aplicación de la radiofrecuencia para la toma de impresión en prótesis fija. Reporte

de un caso clínico.

La radiofrecuencia (RF) es un método que corta y coagula los tejidos blandos utilizando una alta frecuencia de ondas de radio que pasan por las células tisulares. Las señales de radio transmitidas por un electrodo activo provocan la deshidratación de las células y como consecuencia, una incisión, una coagulación o ambas, dependiendo de la onda utilizada. Los estudios muestran que la frecuencia óptima como fuente de energía para uso quirúrgico es de 3.8 a 4 MHz. La radiofrecuencia es una excelente técnica para los procedimientos quirúrgicos; además, elimina las secuelas postoperatorias como dolor, tumefacción, infección y shocks postoperatorios producidos por la excesiva pérdida de sangre que se experimenta con instrumentos tradicionales. Los equipos de radiocirugía proveen mínimo calor lateral y mínima presión en las formas operativas; son ideales para cirugía ambulatoria en dermatología, oftalmología, cirugía plástica, estética, odontología y cirugía general. En el presente caso se realizó la toma de impresiones para prótesis fija, con el apoyo de radiofrecuencia en una rehabilitación con dicha prótesis. Propósito: obtener una impresión de prótesis fija de manera práctica, corto tiempo operatorio y buena hemostasia, con el apoyo del aparato

Dentista y Paciente 10 Punto de vista Fotoarte: Editorial Renascence | Fotografía: AdobeStock

Aplicación de la radiofrecuencia para la toma de impresión en prótesis fija

Sánchez Cruz Reyna. Discente de la Escuela Militar de Graduados de Sanidad, Especialidad de Prótesis Bucal. De la Sota Riva Uribe Jose Luis. Director de la Unidad de Especialidades Odontológicas. Juárez Avendaño Francisco Manuel. Perteneciente a la planta de la Unidad de Especialidades Odontológicas. Escuela Militar de Graduados de Sanidad. Unidad de Especialidades Odontológicas. Correspondencia. Sánchez Cruz Reyna. Escuela Militar de Graduados de Sanidad. Universidad del Ejército y Fuerza Aérea, cerrada de Palomas s/n esq. Periférico, col. Lomas de San Isidro, C. P. 11200, Ciudad de México. reynacd@hotmail.com

de radiofrecuencia aplicado a la rehabilitación con prótesis fija en un paciente. Caso: rehabilitación con prótesis fija a un paciente masculino de 49 años de edad, militar activo, originario de Tampico, Tamaulipas, que reside en la Ciudad de México. Se presenta a la Unidad de Especialidades Odontólgicas (UEO) referido por su escalón dental para recibir atención en la Especialidad de Prótesis Bucal por pérdida de estructura dental en caras palatinas y oclusales de todos los órganos dentales. Para el desplazamiento gingival en la toma de impresiones se utilizó el equipo de radiofrecuencia (aparato de radiofrecuencia Ellman SURGITRON FFPF EMC, EE. UU.)

Conclusiones: El uso de radiofrecuencia para la toma de impresiones en prótesis fija resultó ser un método efectivo para descubrir la terminación de la preparación de pilares, ahorrando tiempo para el operador y brindando comodidad al paciente; asimismo, la impresión resultó muy clara para unos modelos de trabajo bien delimitados. El paciente fue rehabilitado de forma satisfactoria; no presentó retracción gingival, inflamación, sangrado ni dolor.

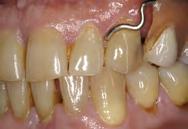
Para una rehabilitación con prótesis fija es de suma importancia la toma de impresiones; en este proceso es imprescindible que se realice un desplazamiento gingival, para así dejar visible la línea de terminación de la preparación del pilar; comúnmente se realiza colocando hilo retractor. Es sabido que este procedimiento es tedioso y tardado, requiere destreza y provoca cansancio y estrés tanto para el paciente como para el operador, además del dolor postoperatorio. En el presente caso se llevó a cabo la toma de impresiones para prótesis fija con el apoyo del aparato de radiofrecuencia Ellman modelo Surgitron FFPF EMC (Figura 1), el cual es útil en diversos tratamientos odontológicos. Esta técnica tiene como ventajas el buen control de hemorragia, hemostasia total, fácil manipulación, incisión precisa con mínima destrucción de tejido en el caso de la cirugía puesto que los electrodos son flexibles y pueden moldearse para trabajar con mayor comodidad, campo y área de trabajo

estéril gracias a la fácil esterilización de las puntas de trabajo (Figura 2), mayor visibilidad debido al alto control de sangrado, buena cicatrización, mínimos síntomas o molestias postoperatorias y optimización de la calidad de las restauraciones en prótesis fija.1

La radiofrecuencia es un tipo de radiación eletromagnética (REM) no ionizante.2 Es un método que corta o coagula los tejidos blandos utilizando ondas de radio de alta frecuencia que pasan por las células tisulares. Las señales de radio transmitidas por un electrodo activo provocan la deshidratación de las células y como consecuencia, una incisión, una coagulación o ambas, dependiendo de la onda utilizada. Es una oscilación electromagnética que provoca agitación molecular en los tejidos que, por su constitución natural, poseen gran cantidad de agua y sales, siendo capaces de conducir corrientes eléctricas.

La capacidad de conducir corriente eléctrica en un conductor es

175. Marzo 2023 11
Palabras clave: radiofrecuencia, toma de impresión.

proporcional a los electrones libres que posee. En un tejido, la conducción es proporcional a la cantidad de agua y sales que lo constituyen; en otras palabras, la presencia de agua y sales disueltas configuran un electrolito o líquido con átomos disociados que permite el desplazamiento de los electrones con cierta libertad.

Las células están formadas por aniones (−) y cationes (+). Al aplicar una corriente de alta frecuencia sobre las células, los aniones y cationes oscilan rápidamente en el interior del citoplasma y elevan la temperatura en el interior de la célula. El agua de los tejidos y sustancias en contacto se evapora con tanta violencia que literalmente las células explotan. Además, la temperatura de contacto y el vapor sobrecalentado producido aseguran la esterilización del corte, lo que en radiocirugía se llama corte

puro. Para obtener técnicamente estas condiciones se utilizan electrodos de contacto lo más cortantes y delgados posible. En los equipos modernos a esta onda se le sigue llamando onda totalmente filtrada.3

En el mercado dirigido a la odontología podemos encontrar 2 tipos de instrumentos que se diferencian en la frecuencia portadora de su generador: electrobisturís, con frecuencias hasta 300 KHz a 1.6 MHz, y radiobisturís (radiofrecuencia), con frecuencias por encima de 3.5 Mhz a 4 Mhz. En cuanto a las funciones que realizan, existen pocas diferencias; todos realizan electrosección pura y combinada, así como electrocoagulación; todos garantizan potencias eficaces entre 50 y 100 W e incluyen entre sus accesorios todo lo necesario para funcionar inmediatamente, a excepción de un juego de pinzas bipolares, que es opcional.4

La radiofrecuencia ofrece la posibilidad de utilizar un instrumento monopolar o bipolar; sin embargo, para la odontología es más recomendable usar el sistema monopolar debido a su precisión, control, facilidad de uso y resultados predecibles.5

En 1976, el Dr. Irving Ellman, ingeniero eléctrico, inventor y doctor en odontología y cirugía, patentó un aparato de radio de alta frecuencia generador de onda con 3.8 MHz y una corriente totalmente rectificada.

Dentista y Paciente 12 Punto de vista
Figura 1. Aparato de radiofrecuencia Ellman Surgitron FFPF EMC, EE. UU. Figura 2. Diferentes puntas para radiofreciencia. Puntas de tungsteno. Figura 3. Punta de trabajo en contacto con el tejido.

Este cupón se puede canjear por un 50% de descuento en su primer caso de Obsidian® Fusionado con Metal (límite 3 unidades).

Máximo un cupón por doctor. Válido hasta el 31 de Diciembre del 2023. No se aceptan copias.

VENCE EL 31 DE DICIEMBRE DE 2023

¡SU LABORATORIO DENTAL DE CONFIANZA!
Directora de Prostodoncia Clínica de Glidewell
Ciudad de México 800-212-9080 Tijuana 800-800-7075 Guadalajara 800-298-2702 Escanee este código QR para conocer los bene cios de OBSIDIAN GLMX-3563905-010623_ES
Dra. Taylor Manalili
*LLMU26*

En el 2001, Jeffrey A. Sherman recomendó en un artículo el uso de la radiocirugía monopolar para el desplazamiento gingival, evitando el uso de hilo retractor, con excelentes resultados.6

En el 2003, Keith D. Rossein, cirujano dentista, publicó un artículo de los principios y aplicaciones de la radiocirugía oral, incluyendo la aplicación de ésta en la toma de impresiones para prótesis fija.7

En el 2006, Rodrigo Escalante Vázquez reportó un caso clínico referente a la toma de impresiones para prótesis fija con el apoyo de radiofrecuencia y las ventajas del uso de radiofrecuencia en cirugía de oral de tejidos blandos.8

En el 2007, Arthur Goldstein publicó un caso clínico de la toma de impresiones con el apoyo de radiocirugía, llevando un seguimiento del paciente por 5 años con buenos resultados.

En el 2009, Robin Gootman publicó acerca de cirugía bucal y los procedimientos que se pueden realizar con una unidad de radiocirugía Hellman, así como las ventajas que tiene.9

Caso clínico

Selección del paciente

Para realizar el presente trabajo se seleccionó un paciente masculino

de 49 años de edad, el cual no refiere antecedentes patológicos y niega toxicomanías. Presenta falta de armonía oclusal y estética por pérdida de estructura dental por lesiones no cariosas en caras palatinas de órganos dentales anteriores superiores; asintomático. La línea de la sonrisa no es paralela a la línea interpupilar. Se le explicó ampliamente el motivo y el plan del estudio y firmó hoja de consentimiento válidamente informado.

Plan de tratamiento

Consistió en plastia gingival, ajuste de guarda, implantes, preparación de pilares, ajuste de provisionales y toma de impresiones para prótesis fija con el apoyo de radiofrecuencia.

Procedimiento de la toma de impresiones

Previo bloqueo regional con lidocaína y epinefrina Zeyco (recomendado para aumentar el grado de electrolito en el tejido), se retiraron restauraciones provisionales, se seleccionó la punta de trabajo (electrodo) para la radiofrecuencia y se colocó en el aparato; una vez conectada la placa (antena), punta de trabajo y pedal, se conectó el aparato a la fuente de energía, se colocó la placa en contacto con la piel del paciente y se encendió el aparato de radiofrecuencia.

Dentista y Paciente 14 Punto de vista
Figura 4. Aspecto de los pilares después de la aplicación de la radiofrecuencia. Arco dentario superior e inferior.

Aplicación de la radiofrecuencia para la toma de impresión en prótesis fija

Para realizar el desplazamiento gingival se seleccionó en onda parcialmente rectificada (coagulación), potencia baja (2), y se conectó la punta de trabajo en fulguración. El pedal se activó solo cuando la punta de trabajo estuvo muy cerca del contacto con el tejido.

Se pasó la punta seleccionada, únicamente en contacto con el tejido blando cerca del surco gingival en cada pilar preparado (Figura 3). Cuando la punta se encontró en contacto con el tejido, se mantuvo en movimiento constante para evitar el calor excesivo; el movimiento fue en una sola dirección. En el caso del desplazamiento gingival, el diente se tomó como guía para el electrodo.

Después del desplazamiento gingival, se retiraron los tornillos de cicatrización de los implantes y se colocaron las cofias de impresión y cilindros posicionadores para tomar la impresión de los implantes a cucharilla cerrada; para la rehabilitación de implantes con sistema SynOcta,

se usó pilar atornillado Straumann (Figura 4).

Se llevó a cabo la toma de impresiones con polivinilsiloxano regular (Virtual Putty de Ivoclar, Vivadent) y posteriormente con el material ligero (Virtual Putty Light) (Figura 5).

Se corrieron las impresiones con yeso Velmix tipo IV (Zhermack Elite Master) para obtener los modelos de trabajo y elaborar los troqueles utilizando ACCU-TRAC de la casa comercial Coltène Whaledent, el cual es un sistema de precisión para muñones desmontables, para ser utilizado en el encerado de cofias en cada uno de los muñones y la fabricación posterior de las coronas.

Una vez elaborados los modelos de trabajo, se tomó el arco facial al paciente y se montaron los modelos en el articulador con una relación de mordida (con polivinilsiloxano pesado de Ivoclar) para mantener las relaciones intermaxilares. Se enviaron los modelos de trabajo al laboratorio

175. Marzo 2023 15
Figura 5. Impresiones para prótesis fija. Se observa perfectamente la terminación de los pilares PPF.

dental para la elaboración de la prótesis fija.

Discusión

Durante la elaboración de esta rehabilitación protésica utilizando el apoyo de la radiofrecuencia en la toma de impresiones, se observó que muchos clínicos no confían en el empleo de este sistema por tener poco conocimiento acerca del tema (Ing. Elect. Juan Chicón, 2001).

Es fácil confundir radiocirugía con electrocirugía (electrocauterio); aunque se han tenido malas experiencias con esta última, cabe mencionar que hay una diferencia importante entre ambas. La electrocirugía utiliza una punta caliente (al rojo vivo) para cortar; en cambio, en radiocirugía la punta de trabajo permanece fría al momento de aplicarla, lo que nos da una cicatrización diferente en

cada caso (Dr. Manuel Cervera Taulet, 2010).

Las aplicaciones de la radiofrecuencia en el campo de la odontología dependerán directamente de la habilidad del operador, de los conocimientos tanto de los principios de la técnica como de la estructura y funcionamiento de los tejidos en donde se usa y, lo más importante, de la aplicación de un criterio adecuado para saber cuándo se puede recurrir o no a su uso (C.D. Vieyra Buitrón Nancy Leticia, 2001).

La radiofrecuencia es un valioso auxiliar en odontología restauradora para la toma de impresiones, así como en cualquier procedimiento donde haya necesidad de remoción de pequeñas porciones de tejidos blandos y de proveer coagulación. Las ventajas más importantes de la radiofrecuencia son su capacidad de proporcionar un campo libre de sangrado, rapidez y seguridad, así como mayor facilidad de acceso a zonas consideradas difíciles (Arthur Golstein, 2007).

Conclusiones

Sabemos que el desplazamiento gingival es un procedimiento que debe llevarse a cabo antes de tomar las impresiones para realizar rehabilitación con prótesis fija.

En este procedimiento lo más importante es no dañar el grosor biológico para evitar retracción gingival, que traerá como consecuencia una restauración antiestética y con mal pronóstico.

En la bibliografía consultada se encontró que todas las técnicas de separación gingival dañan el epitelio del surco; sin embargo, este daño es reversible gracias a que estas células

Dentista y Paciente 16 Punto de vista
Figura 6. Aspecto de la sonrisa.
A
Figura 7. Fotografías a) inicial y b) final. B

Aplicación de la radiofrecuencia para la toma de impresión en prótesis fija

se regeneran constantemente, siempre y cuando se tengan los cuidados necesarios, excelente higiene y se confeccionen restauraciones provisionales y definitivas bien ajustadas.

La condición más importante de la cual depende el éxito de la prótesis es una encía completamente sana.

La radiofrecuencia es un método poco conocido en la UEO; en nuestro país es poco utilizada para desplazamiento gingival; sin embargo, en otros países es conocida y utilizada desde hace tiempo.

La toma de impresiones con el apoyo del aparato de radiofrecuencia Ellman SURGITRON FFPF EMC redujo el tiempo de trabajo, ofreció un campo libre de sangre, fue fácil de usar y proporcionó comodidad tanto al operador como al paciente; además, este aparato se puede usar en todas

las cirugías de tejidos blandos de la cavidad oral.

Después de la aplicación de radiofrecuencia en la toma de impresiones, se observó buena salud en tejidos blandos en cada cita del procedimiento (prueba de cofias, prueba de cerámica y colocación de restauraciones definitivas), sin molestia ni sangrado y con ausencia de retracción gingival; el tejido gingival se observó completamente recuperado para una rehabilitación.

El paciente manifestó adaptación a la nueva forma de sus dientes y felicidad por el nuevo aspecto de su sonrisa (Figura 6). No hubo molestia al hablar, comer o durante los movimientos mandibulares.

Se realizó la toma de fotografías finales intraorales y extraorales para el registro final del caso (Figura 7).

Referencias

1. Manual de uso del Aparato de radiocirugía: Ellman hecho en U.S.A : Dentosurg 90 F.F.P. 2011.

2. Instituto de Salud Carlos III, Guía de valoración de riesgos laborales durante el embarazo y lactancia en trabajadoras del ámbito sanitario, Edit, Ministerio de Ciencia e Innovación, 2008.

3. Patrick Breysse, and Peter S. J. Lees. The Johns Hopkins University,Bloomberg scholl of public health, 2006. http://ocw.jhsph.edu/courses/PrinciplesIndustrialHygiene/ PDFs/Lecture7.pdf

4. Gijón, David Pérez Garcia, bioelectronica, nuevos avances de la electrónica en medicina, el electrobisturí Universidad de Oviedo Escuela de Ingeniería Técnica Industrial de Especialidad de Electrónica Industrial 28/1/2009.

5. Dr. Tom Orent, A Free Service of 1000 Gems Seminars ™, and Gems Publishing, USA,Inc., Publisher Spring 2001.

6. Jeffrey A. Sherman, Dentrisry today, the nation’s clinical news magazine for dentistperiodontics, vol. 20 No. 12 December 2001.

7. Keith D. Rossein, D.D.S, Oral Health welcomes this original article 2003

8. Escalante Vazquez Rodrigo, “combining Radiosurgery and captek restorations: case reports” Dentristy today 2006.

9. Robin Gootman, dental tribune the world`s newspaper, 23-12-2009, Odontología general.

Dentista y Paciente 18 Punto de vista

CERAMILL DRS CONNECTION KIT

Escáner intraoral, software e intercambio de la información de los casos clínicos AG.Live para Same Day Dentistry.

Conozca más sobre la odontología digital con el sistema Ceramill DRS y sobre cómo conseguir la admiración de los pacientes.

Odontología digital versátil y confortable.

El sistema Ceramill DRS y la plataforma en la nube AG.Live hacen posible que la colaboración integrada sea eficaz y sencilla para los técnicos dentales y los dentistas. Los distintos componentes permiten hacer la planificación y la fabricación en el laboratorio y los flujos de trabajo en la clínica. Así se consiguen restauraciones de alta calidad y perfectamente funcionales para unos equipos de éxito con unos pacientes satisfechos: Connect to the Workflow!

CERAMILL DRS PRODUCTION KIT

Restauraciones unitarias y puentes de hasta 3 piezas directamente en la consulta dental en una única cita.

CERAMILL DRS HIGH-SPEED ZIRCONIA KIT

Sinterización del óxido de circonio en solo 20 minutos con 16 colores VITA perfectamente adaptados.

DENTISTRY UNIFIED Amann Girrbach AG // Austria // Tlfno.: +43 5523 62333-105
CASE SHARING
20 Microinvestigación
Fotoarte: Editorial Renascence | Fotografía: AdobeStock

Equipos de rayos X intraorales portátiles

Como fabricantes de equipos de rayos X intraorales, desde hace 49 años, nos ha llamado la atención observar en los últimos años un aumento significativo en la venta de equipos de rayos X del tipo clasificado como "portatil".

Los equipos de radiodiagnóstico para consultorios dentales se han instalado de manera fija en una pared, o en una base sobre ruedas.

Los equipos portátiles están diseñados para llevar a cabo una exposición con el operador sujetando el equipo con ambas manos.

El operador de un equipo portátil tiene un riesgo más grande por una mayor exposición a la radiación, debido a la cercanía con el equipo. Esta distancia, entre equipo y paciente, establecida por directrices internacionales, no debe ser menor a 1.8 m, para disminuir la exposición a una radiación ionizante y por lo tanto a efectos estocásticos.

Debido a la imposibilidad de alejarse del equipo a la distancia reglamentaria, el operador se encontrará expuesto a una dosis de radiación nueve veces mayor, siendo este el mejor de los casos.

Nuestra experiencia nos indica que los odontólogos en su gran mayoría ignoran los riesgos que implica el uso seguro de fuentes de radiación y optan por “equipos portátiles” considerando su practicidad, cuando en realidad dichos equipos fueron diseñados originalmente para otras aplicaciones, tales como la investigación forense.

Hay una amplia literatura que documenta los riesgos asociados al uso de equipos portátiles, de la que mencionamos y damos una muestra.

Como fabricantes y exportadores de equipos de rayos X intraorales, manifestamos nuestra inquietud por la situación que se está generando en este sector en México, tratándose en la mayoría de los casos de productos

importados ilegalmente, es decir, sin registro sanitario.

Referencia:

Web-page: Update on Hand-Held

X-Ray Devices in Dentistry: a Literature Review. (Actualización en equipos de rayos X portátiles en odontología: revisión de literatura).

Autor: Equipo de Corix Medical Systems ®

https://www.medigraphic.com/ pdfs/odovtos/ijd-2022/ijd222d.pdf

175. Marzo 2023 21 Equipos de rayos X intraorales portátiles

La entrevista Dr. Manuel Plata Mora

Dentista y Paciente 22 La entrevista
Fotoarte: Editorial Renascence | Fotografía: AdobeStock

Revista Dentista y Paciente: Nos encontramos con el Dr. Manuel Plata Mora, fundador de Kirei cell y O3 Ozone. Manuel, ¿cómo surgió la idea de fundar la clínica?

Dr. Manuel Plata Mora: La idea nace porque a mí me da covid antes de que hubieran vacunas, y me da de una manera muy violenta. En el postcovid, en lugar de mejorar iba empeorando, me sacaron adelante con ozonoterapia y en algún momento tuve acceso a la máquina que produce el ozono y cuando me la estaban colocando me di cuenta que estaba falleciendo muchísima gente en el país y decidí que si a mí me hacía bien el ozono, tenía que ayudar a la gente y así nace el proyecto de la clínica.

Nosotros empezamos como una clínica de ozonoterapia y complementamos nuestro tratamientos con células madre, entonces creamos la División de Kirei Cell y de ahí empezamos a trabajar con sueros vitaminados, células madre junto con la ozonotertapia, y la verdad es que nunca nos hemos quedado quietos. Nos metimos a estudiar un poco más, a hacer una maestría en Medicina Estética y creamos la parte de Kirei Institute, que es una escuela en la cual nosotros vemos

la armonización orofacial. Nosotros ya llevamos 2 generaciones, hemos creado un diplomado de 120 horas. La armonización orofacial, es el tratamiento estético que tiene poca invasión y hoy se divide en 3 grandes grupos: la toxina botulínica, el ácido hialurónico y los mal llamados hilos de PDO, porque son suturas pediátricas cardiacas que van a desaparecer en algún momento.

¿A qué retos te enfrentaste como cirujano dentista, para abrir esta clínica?

Primero que nada, a tener todos los permisos, eso es un trabajo laborioso, porque tuvimos que tener todo en orden. La máquina es de grado médico, la máquina de ozono, tuvimos que tomar cursos, tuvimos que actualizarnos, tuvimos que hablar y hacer la unión junto con el laboratorio de las células madre. Aunque hay unas oficinas en el país, las células madre no se obtienen aquí en México, por la cantidad de contaminación que tenemos. Principalmente el laboratorio las obtiene de Guadalajara y Querétaro. Las obtiene de cuatro tejidos: la placenta, el cordón umbilical, a veces, sangre de la médula ósea del bebé y del endometrio.

175. Marzo 2023 23 Dr. Manuel Plata Mora
Por el Mtro. Carlos Adolfo Espinosa García

De ahí tenemos muchos derivados de las células madre, les llevan unos factores de crecimiento que son tratamientos para la piel, para sacar pelo, tienen unas pectonas humanas para aumentar la masa muscular y cuando nosotros vemos la diversidad de tratamientos que hay, la verdad, es que la gente de aquí, se puso a estudiar diferentes áreas como la cosmetología, la cosmetría. Tenemos

enfermeras, entonces la clínica fue creciendo de una manera extraordinaria.

Te hago una pregunta ¿Que pasa si te pongo 21 millones de células madre? No van a aumentar, es decir no va a generar más células madre, pero a los 2 o 3 días te ozonifico, ¿qué quiere decir esto? que voy a oxigenar todo tu cuerpo. Qué les pasa a esas células madre? Pues vamos a decir que se ponen poderosas y los resultados se ven de inmediato. A las células madre, las dividimos en 2 tipos: las que son de regeneración y rejuvenecimiento y las que son médicas.

Tratamos 15 enfermedades como las que pueden ser diabetes, demencia senil, Eilzhammer, lupus, algún tipo de artritis, cáncer en los primeros estadios, por mencionar algunas. ¿Cómo trabajamos esto? Se le pide al paciente análisis de laboratorio y nosotros se lo mandamos a un genetista, él nos regresa el diagnóstico de nuestro paciente y nos dice qué

cantidad, en millones de células madre, necesita nuestro paciente y en qué cantidad las vamos ir colocando. Las podemos poner por colocación, 21 millones como máximo, podemos poner 7, 14 y 21 millones. Hemos tenido pacientes de hasta 50 millones, los vamos poniendo de 14, 21, cómo nos vaya indicando el genetista, para que tenga un cambio.

Dentista y Paciente 24 La entrevista
A las células madre, las dividimos en 2 tipos: las que son de regeneración y rejuvenecimiento y las que son médicas.

También tenemos células madre para deficiencia renal, te podría contar de un paciente diabético, él ingresa al hospital con 500 de azúcar, él refiere que no se la podían bajar y nosotros lo empezamos a controlar con nuestras células madre con formina, Le pusimos 42 millones el año pasado, le toca en estos días ponerse sus 42 millones, y le pusimos 7 millones de nuestras células madre de regeneración renal, ya que iba mucho al baño. Yo te puedo enseñar las mediciones, porque las manda diario, y desde hace un año que empezó con las células madre, no tiene más de 111 de glucosa diario. Obviamente, es un cambio radical en su vida, pero a veces en su alimentación, no se cuida mucho.

DyP: Tú sabes que también se obtienen células madre de la pulpa dentaria.

Así es. Considero que por la cantidad de células madre que se necesitan, debe ser de tejidos más grandes. Si me dices, pones el implante de células madre, nosotros no lo colocamos, porque creemos que no tiene el efecto que tienen las células madre vía intravenosa. Ponemos muchas células madre de regeneración, actúan sobre la piel y la gama de tratamientos que empezamos a realizar, tenemos lipoenzimas para bajar de manera localizada la grasa de algún paciente, con excelentes resultados.

¿En qué otros casos utilizan el ozono?

El ozono, lo primero que va a hacer es regular nuestro metabolismo, de ahí va a regular primero que nada, la frecuencia cardiaca, en segundo lugar como está hiperoxigenado, lo hace pensar mejor y ataca la depresión. El ozono es el antioxidante

más poderoso que hay en el planeta. Metiéndonos un poquito en la historia, en la antigua Grecia, comentan que había una cascada que pegaba en cierto tipos de rocas y producía ozono, la gente se bañaba ahí y a lo largo de los años era la gente que menos envejecía. Ellos dicen que de ahí nace el término de la fuente de la juventud.

También sabemos que es un antiinflamatorio muy poderoso y vamos a hiperoxigenar todo nuestro sistema. Se puede aplicar de manera local en inflamaciones, en articulaciones, no se obtienen los resultados cuando

175. Marzo 2023 25
Dr. Manuel Plata Mora

se coloca por vía intravenosa o vía rectal, que son las 2 formas idóneas para colocarse. Yo te puedo decir que tengo un paciente con esclerosis múltiple, tiene 30 años, podía caminar solo 10 pasos, él decía que era de su cama al baño. Viene con nosotros, él se hace 60 sesiones, a la sesión 8 o 9, ya no venía en silla de ruedas, venía con bastón, en la sesión 15 nos dice que ya camina 100 mts, en la sesión 20 camina 500 mts. Y hoy maneja, refiere que camina 3 Km, hace una vida normal. Él refiere que para las 6 o 7 termina muy cansado y ya acabó sus 60 sesiones con nosotros y se queda con un plan de tratamiento, vamos a decir, de “mantenimiento”, viene una vez a la semana, porque dice que la energía que le genera el ozono es lo que le hace falta. El faltó con nosotros, porque en diciembre se fue de vacaciones, y le dio covid, por ello faltó 3 semanas y refiere un cansancio crónico, pero vino ayer y me manda un mensaje donde me dice que se siente excelente.

Te podría contar de una cantidad de pacientes que hemos tenido aquí, y yo les digo, yo no curo nada, pero doy una calidad de vida excelente.

Tengo un paciente con problemas de próstata que me refiere que se para al baño 7 veces en la noche. En ese momento, cuando me lo dice a mí, porque no me lo reportó en la historia clínica, no lo piensa uno, pero si yo me despertara 7 veces en la noche, no duermo. Él en su décima sesión se asusta y va con su proctólogo, porque ya sólo se para una vez en la noche. El proctólogo le aplica una inyección, que no me supo decir qué era, y el Dr. le dice, “no me deje la ozonoterapia”. Lleva año y medio viniendo todos los miércoles. De problemas de artritis, tengo un paciente que dice que ya no podía agarrar la raqueta y hoy ha vuelto a jugar tenis.

A mí me sacaron con ozonoterapia, yo ni siquiera sabía qué era y uno es incrédulo. Te puedo decir que de no podía ni hablar, pero comencé a mejorar. Cada sesión, me pasaba algo nuevo. Dormía casi todo el día, a partir de la primera sesión, podía estar despierto hasta las 6 de la tarde, cuando antes a la una ya estaba dormido. Pacientes con secuelas de covid hemos visto y seguimos viendo muchos hoy en día, así como a pacientes con alergias. Funciona para casi todo. ¿Por qué? Porque es oxígeno en nuestro cuerpo.

¿Cuáles son tus metas a corto y largo plazo para ésta clínica?

El crecimiento, en ambos sentidos. La última generación, todos eran dentistas. En la parte de la medicina estética, el dentista está buscando nuevos cambios. La armonización orofacial yo creo que es una parte que nos corresponde porque conocemos la anatomía de cabeza y cuello. Queremos crecer tanto en la parte de la ozonoterapia, como la de bioenergía. Tenemos el Kirei Cell,

Dentista y Paciente 26 La entrevista

de las células madre y los tratamientos, tanto faciales, lipoenzimas y los quema grasas, así como en la parte académica.

Me habías comentado sobre ciertas normas que como dentista tenías que cumplir, para poder aplicar estas cosas.

Así es, debemos tener los permisos de la Cofepris, viene la revisión, viene la Secretaría de Salud, te dicen el tipo de mobiliario que debes tener. también cuando trabajamos junto con la Cofepris, antes de empezar teníamos el local, hicimos la distribución y les presentamos un plano y nos fueron diciendo de los diferentes tipos de mobiliario, y cómo podíamos estar en regla. Fuimos obteniendo los permisos de las diferentes cosas. Cuando hacemos la unión junto con el laboratorio de las células madre, nos sumamos y ampliaron ellos el permiso de la Cofepris y la parte escolar, se necesitan los permisos de la SEP, hicimos una alianza con la Universidad ILEPEO que se encuentra en Mexicali, que cuenta con 6 especialidades y licenciatura en Odontología, para empezar a trabajar esta parte académica que se tiene hoy en día.

Pues te agradezco mucho tu tiempo y te felicito por el crecimiento que ha

tenido esta Clínica. Espero que sigas con mucho éxito.

Muchas gracias.

175. Marzo 2023 27
Manuel Plata Mora
Dr.

Tumores odontogénicos mixtos. Caso clínico

Dentista y Paciente 30 Enciclopedia odontológica Fotoarte: Editorial Renascence | Fotografía: AdobeStock

El fibrodentinoma ameloblástico (FDA) fue considerado un tumor odontogénico mixto, benigno y poco común, compuesto por epitelio odontogénico, tejido conectivo inmaduro, dentina displásica. Con una incidencia del 0.1%. En la clasificación de tumores odontogénicos de la OMS del 2017 desapareció como entidad patológica y se considera como un odontoma en desarrollo, lo cual ha causado controversia.

Los odontomas compuestos son tumores benignos, constituidos por tejido odontogénico que tiene un patrón ordenado, están formados por un conglomerado unilocular de múltiples estructuras calcificadas, algunas parecidas a minidientes.

El objetivo de este artículo es presentar un paciente masculino pediátrico de 2 años 11 meses de edad que muestra la ocurrencia clínica de odontoma compuesto con características histológicas de fibrodentinoma ameloblástico, en la región anterior del maxilar entre los órganos dentarios del canino superior izquierdo al segundo molar superior del mismo lado (6365), sitio de presencia informado poco común. El paciente fue atendido de forma interdisciplinaria, a los 6 meses de postoperado el paciente no presentó recidiva o algún síntoma.

Palabras clave: fibrodentinoma ameloblástico, dentinoma, tumor mixto, tumor odontogénico

Los tumores odontogénicos agrupan un número determinado de lesiones que se caracterizan por presentar en común, un origen a partir de estructuras embrionarias en distintos estadios del desarrollo, son lesiones relativamente raras y poco frecuentes que pueden desarrollar un comportamiento agresivo, destructivo, mutilante, y comprometen la vida del paciente. El creciente interés de investigar el origen y desarrollo de los tumores odontogénicos, dada su gran variedad, lleva a que la Organización Mundial de la Salud (OMS) publique en el 2005 una clasificación que

organiza y ha permitido el uso de una nomenclatura para uso general.1,2 La edición de la Clasificación de tumores de cabeza y cuello de la OMS, publicada en 2017, contiene una serie de cambios significativos en la organización y clasificación. En particular, simplifica las clasificaciones y emplea criterios de definición que puedan utilizarse en todas las situaciones, evitando siempre que sea posible el uso de técnicas moleculares complejas que pueden no estar disponibles.3

El fibrodentinoma ameloblástico (FDA) y el fibroodontoma ameloblástico (FOA) se han eliminado de la mencionada clasificación de tumores odontogénicos como entidades distintas. La verdadera naturaleza de estas lesiones se ha debatido durante mucho tiempo, y ahora se considera que representan parte del espectro de cambios histológicos observados en un odontoma en desarrollo aún cuando la descripción del fibroma ameloblástico se mantiene esencialmente sin cambios.

El primer caso de fibrodentinoma ameloblástico fue reportado por Straith en 1936. A partir de ello fue encontrado en pacientes jóvenes, entre la primera y segunda década de la vida, con un comportamiento asintomático y de crecimiento lento. Radiográficamente, fue descrito como una lesión radiolúcida uni o multilocular, con bordes bien definidos, en ocasiones con presencia de material radioopaco amorfo. Este tumor fue reportado predominantemente en la mandíbula en comparación con el maxilar y la región molar como sitio más comúnmente afectado.4-7

Entre los tumores odontogénicos mixtos benignos encontramos al odontoma compuesto, (hamartoma) con capacidad de formar esmalte,

Mtra. López-Flores CC. Maestría en Ciencias Odontológicas. Estomatología Pediátrica. Profesor titular definitivo en Clínica Odontológica Ecatepec UNAM, FESI. Docente de la Unidad de Especialidades Odontológicas SEDENA.

Correspondencia: Mtra. Carmen Cecilia

López Flores. Facultad de Estudios Superiores Iztacala. UNAM Sabino # 21 Jardines de Ecatepec Ecatepec Edo. Méx. CP.55040, Edo. Méx. Correo electrónico: cacelof@gmail.com

Cel. 5554162293

175. Marzo 2023 31 Tumores odontogénicos mixtos

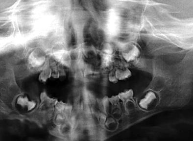
Figura 2. A. Radiografía periapical donde se observa la lesión del odontoma compuesto a nivel del maxilar superior izquierdo. B. Ortopantomografía que revela una lesión radiolúcida unilocular bien definida, con manchas de focos radiopacos, asociada con el canino superior izquierdo temporal impactado de la maxila.

dentina y cemento; su aparición en la dentición temporal es una condición extremadamente rara; sin embargo, cuando se asocian con dientes temporales, los odontomas pueden provocar alteraciones en la erupción de los dientes, lo que requiere un enfoque de tratamiento multidisciplinario. Las lesiones se clasifican como odontomas compuestos si los tejidos dentales se depositan en forma de pequeños dientes similares a

estructuras dentarias o dentículos. Cuando los tejidos dentales duros y blandos se distribuyen irregularmente, las lesiones se denominan odontomas complejos. Aunque se desconoce la etiología del odontoma, se ha sugerido que factores locales, como traumatismos e infecciones, así como, hiperactividad odontoblástica, pueden facilitar las condiciones para su aparición, Estos odontomas complejos, se observan como lesiones

Dentista y Paciente 32
odontológica
Enciclopedia
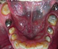
Figura 1. Fotografía de la zona de la lesión en la exploración clínica inicial. Se observa ausencia del canino superior izquierdo, ensanchamiento de la cortical vestibular y aumento de volumen.
A B

hamartomatosas, localizadas frecuentemente en el área de incisivos y caninos superiores, seguida por las zonas anteroinferior y posteroinferior. Con una mayor incidencia en el maxilar (67.4%) y en la mandíbula (32.6%), hay una ligera mayor incidencia en los hombres (59 %). Se diagnostican antes de la segunda década de vida (75%) debido a un retraso en la erupción dental permanente, ya que son asintomáticos. El tratamiento es la enucleación tratando de conservar el diente permanente, siendo las recidivas poco frecuentes.8-12

Caso clínico

Paciente masculino de 2 años 11 meses de edad., que se presentó a la consulta privada, la tía lo lleva a la consulta por falta de erupción del

canino superior izquierdo, a la exploración clínica se observó un aumento de volumen de campos profundos, blando y depresible, a nivel del canino superior izquierdo que se extendía hasta el fondo de saco y mucosa interna labial, así como, ausencia de la pieza dental sin antecedentes de extracción, No había dolor, sangrado ni secreción, asociados con el aumento de volumen.

El examen clínico reveló un aumento de volumen en la zona de órganos dentarios 63-65 que se extendía al seno maxilar, con desplazamiento de cortical vestibular, sin perforación ni cambio de color en la mucosa, de estructura uniforme bien delimitada. (Figura 1). En el examen radiográfico se observó la expansión de la cortical, con la presencia de múltiples dentículos. Desplazamiento del órgano

175. Marzo 2023 33 Tumores odontogénicos mixtos
Figura 3. Lesión macroscópica

dentario 63 hacia el seno maxilar (Figura 2).

Bajo anestesia general, se realizó la escisión quirúrgica de la lesión, junto con la extracción del canino superior izquierdo de la primera dentición impactado. El tumor era de color marrón y medía aproximadamente 50 × 13 mm.

Se llevó a cabo la intervención quirúrgica bajo anestesia general con una intubación nasotraqueal (protocolo completo que se maneja en la Unidad de Especialidades Odontológicas. SEDENA).

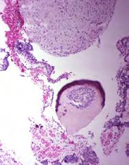
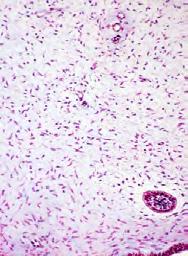
La muestra se envió para análisis histopatológico (Figura 3).

Se llevó a cabo la intervención quirúrgica bajo anestesia general con una intubación nasotraqueal (protocolo completo que se maneja en la Unidad de Especialidades Odontológicas. SEDENA), se procedió al acto quirúrgico siguiendo los protocolos, antisepsia del campo y colocación de compresas según técnicas, se inició, previa anestesia local con lidocaína al 2% con epinefrina 1:100,000 diseñando un colgajo de Newman parcial para levantar un colgajo mucoperiostico de espesor total de tipo axial mucoperiostico (Figura 4A)

Se realizó la osteotomía, después de exponer la masa tumoral con instrumental de rotación de alta velocidad con fresa 702 con abundante irrigación, se seccionó la masa tumoral y con el objetivo de no lesionar estructuras anatómicas vecinas y en relación con la lesión, se levantó la cortical ósea con legra y se accede a la lesión, de forma controlada y progresiva (Figura 4B).

Dentista y Paciente 34 Enciclopedia odontológica
A C B D E
Figura 4. A-E. Secuencia técnica quirúrgica.
175. Marzo 2023 35 Tumores odontogénicos mixtos
A D G B E H C F I
Figura 5. A-I. Microfotografía histopatológica.

Se realizó la escisión completa de la masa tumoral, mediante curetaje; se extrajo el órgano dentario 63, y se enucleo el tumor, el cual fue enviado a estudio histopatológico, los múltiples dentículos fueron extraídos hasta limpiar el lecho quir ú rgico por completo, se alisaron aristas de hueso con pieza de mano de alta velocidad y lima para hueso, se lavó con suero fisiológico y se procedió a suturar (Figura 4C-4E).

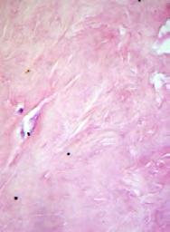
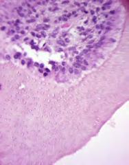
En el análisis microscópico se identificó una lesión compuesta por nidos y cordones de células de epitelio odontogénico con diferenciación ameloblástica inmersas en un tejido fibroso moderadamente celular con zonas de esclerosis junto a focos de depósito cementario, dentinarios y trabéculas óseas adyacentes. Diagnóstico histopatológico: fibrodentinoma ameloblástico (Figura 5).

Discusión

El análisis del caso clínico muestra que, los FOA, son tumores odontogénicos mixtos que se caracterizan por tener el mismo componente epitelial y ectomesenquimal, en algunos casos, puede haber evidencia de cambio inductivo y puede contener tejido dental duro. La nueva clasificación de tumores odontogénicos sugiere que, anteriormente, si se veía dentina, las lesiones se denominaban FDA, y si se encontraba dentina y esmalte, la lesión se denominaba FOA. Sin embargo, estas características son indistinguibles de un odontoma en desarrollo, y se considera si se dejaran las lesiones, continuarían madurando hasta convertirse en lesiones completamente calcificadas. Por lo tanto, el grupo de consenso acordó eliminar FDA y FOA de la clasificación, ya que es muy

Dentista y Paciente 36 Enciclopedia odontológica

probable que desarrollen odontomas, no obstante, esto sigue siendo controvertido por los especialistas y se reconoce que algunas de estas lesiones pueden alcanzar tamaños y surgir en grupos de edad que no siempre son compatibles con un hamartoma. Una revisión reciente sugiere que las características clínico-patológicas de estas lesiones no siempre apoyan la idea de una maduración progresiva en odontomas y que al menos algunas FOA y FDA pueden ser neoplasias verdaderas.5,2

Radiográficamente estas lesiones presentan un área radiolúcida bien definida que contiene cantidades variables de material radiopaco de irregular tamaño y forma. La extensión de las áreas radiopacas y radiolúcidas difieren de una lesión a otra, dificultando muchas veces su diagnóstico radiológico en ocasiones la

cantidad de material mineralizado predomina semejando un odontoma complejo. El tumor puede producir una expansión variable de las corticales y encontrarse asociado a una pieza retenida, a la cual puede desplazar o interferir en su erupción.13

En una revisión sistemática de casos reportados en la literatura indica que los FDA y FOA presentaron varias similitudes: mayor prevalencia en hombres y mandíbulas, similar edad media de los pacientes, tasa de perforación cortical ósea y de asociación de las lesiones con dientes desplazados o no erupcionados y reabsorción radicular, tamaño medio de la lesión, tasa de recurrencia y localización en mandíbulas. Las lesiones diferían en presencia de radioopacidades y locularidad. En conjunto, estos datos no apoyan el concepto de maduración progresiva de estas afecciones tumorales.9,15

175. Marzo 2023 37 Tumores odontogénicos mixtos
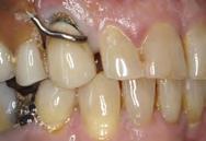
Figura 6. Paciente rehabilitado estomatológicamente.

Por lo anterior es muy importante el diagnóstico diferencial histológico, en los FDA podremos observar principalmente, que está compuesto por un ectomesénquima odontogénico que se asemeja a la papila dental, hebras epiteliales y nidos que se asemejan a la lámina dental y órgano del esmalte con presencia de formación de dentina, En ocasiones, este tumor odontogénico puede estar asociado con un diente sin erupcionar, que se presenta como un crecimiento lento. La edad en el diagnóstico generalmente se encuentra dentro de las 2 primeras décadas de vida, 5 características que coinciden con nuestro caso clínico.

Otro punto importante que considerar es el hecho que los FDA son lesiones que se presenta con frecuencia en la mandíbula y más raramente en maxila, como en el caso de nuestro paciente, considerando como forma de expresión rara.16

El odontoma compuesto (hamartoma) suele presentarse con mayor incidencia en la región anterior incisivo-canina del maxilar,17 coincidiendo con el presente caso, se puede establecer que la radiografía panorámica es una herramienta muy útil, para contribuir en el diagnóstico

presuntivo de odontoma compuesto, ya que son típicos sus hallazgos radiológicos característicos. Si bien, se muestra la necesidad de hacer un diagnóstico adecuado ante este tipo de afección, siendo importante el establecimiento del diagnóstico histopatológico que en este caso ha funcionado como diagnóstico diferencial, finalmente, el tratamiento como en el caso presentado será la enucleación quirúrgica.17 Los odontomas compuestos y complejos continúan sin cambios en la clasificación de la OMS del 2017, con la excepción de reconocer a los FDA y FOA dentro del espectro histológico de odontomas en desarrollo.1 Pero cabe la interrogante, si todos los FDA y FOA tendrán una evolución a odontoma o de acuerdo al contexto clínico e histológico, en el que se presentan habrá que reconsiderarlas como neoplasias odontogénicas diferentes al odontoma.

Conclusiones

Todas las lesiones de la cavidad oral, deben ser estudiadas con detalles, sin confiar en la aparente benignidad de las mismas u obviedad en el diagnóstico, integrando los datos clínicos, radiológicos para adecuar el protocolo terapéutico y clínico, así como la

Dentista y Paciente 38 Enciclopedia odontológica
Otro punto importante que considerar es el hecho que los FDA son lesiones que se presenta con frecuencia en la mandíbula y más raramente en maxila, como en el caso de nuestro paciente, considerando como forma de expresión rara.

importancia de realizar un diagnóstico histopatológico adecuado, para poder instaurar el mejor plan de tratamiento y lograr un buen resultado.

El tratamiento quirúrgico conservador con extirpación seguida de curetaje parece ser la opción terapéutica más adecuada, y teniendo presente que el porcentaje de recidiva es del 18.3% principalmente debido a escisión incompleta de la lesión, se deben realizar controles radiográficos postoperatorios 6 meses después y cada año por los siguientes 5 años.

Es fundamental realizar la cirugía de estas lesiones lo más pronto posible después de haberlas localizado en el paciente, donde el odontopediatra participa en un papel crucial ya que es el primero que podría detectar la lesión a tempranas edades minimizando el daño que se pudiera causar posteriormente, del mismo modo, de

forma multidisciplinaria donde juegan un papel muy importante cirugía maxilofacial y patología bucal, con el propósito de realizar un diagnóstico certero y oportuno, lo que resulta en un tratamiento correcto y mejor pronóstico.

Su tratamiento es invasivo, en el que se alteran diferentes funciones básicas del organismo como son la función masticatoria y la función estética de la cavidad oral, por esta razón es conveniente rehabilitar al paciente con aparatos ortopédicos como mantenedores de espacio estéticos una vez que se ha pasado el tiempo de recuperación y cicatrización de la cirugía, con ellos se evitarán problemas de oclusión, así como, se podrá guiar la erupción de la segunda dentición, proporcionando una mejor calidad de vida al paciente, teniendo un seguimiento para control igual en cuanto a los tiempos al recomendado para la poscirugía (Figura 6).

Tumores odontogénicos mixtos

Referencias

1. Hernández-Feria O, Sánchez-AcuñaI JG. Neoplasias odontogénicas benignas. Revisión de la literatura. Invest. Medicoquir 2019; 11:1-18.

2. Pereira-Prado V. Clasificación de los tumores odontogénicos: evolución y cambios. Salud Militar 2017; 36:41-46.

3. Speight PM, Takashi Takata. New tumour entities in the 4th edition of the World Health Organization Classification of Head and Neck tumours: odontogenic and maxillofacial bone tumours. Virchows Arch 2018;472:331–339.

4. Aneeta MS, et al. Ameloblastic Fibrodentinoma: A Rarity in Odontogenic Tumors.J. Maxillofac. Oral Surg 2018; 17:444–448.

5. López-Fernández R, Téllez-Rodríguez J, Bologna-Molina R. Fibrodentinoma ameloblástico en un paciente pediátrico. Presentación de un caso. Revista Odontológica Mexicana 2009;13: 43-46.

6. Umashankara KV, Nagaveni NB, Manjunath S. Ameloblastic fibro-dentinoma: Report of a rare tumor with literature review. Journal of Cranio-Maxillary Diseases 2012; 1:141-144.

7. Martínez-Martínez A. et al. Enucleación de odontoma compuesto maxilar con regeneración ósea guiada. Av. Odontoestomatol 2013;29: 287-290.

8. Mehmet Ali Altay, Beste Ozgur, Zafer C. Cehreli. Management of a Compound Odontoma in the Primary Dentition. J Dent Child 2016;83: 98-101.

9. Proteasa CT, Proteasa E. Compound odontoma – morphology, clinical findings and treatment. Case report. Rom J Morphol Embryol 2018; 59:997–1000.

10. Palacios-Vivar DE, Guzmán-Monroy B, Miranda-Villasana JE, Ramos-Montoya CA. Odontoma compuesto: revisión de la literatura y reporte de un caso con 40 dentículos. Revista ADM 2016; 73: 206-211.

11. Ricardo-Chacon OA, Cantillo-Balart Y, Simons-Preval SJ. Odontoma compuesto. Presentación de un caso. Revista información científica 2018;97: 486-495.

12. Thistle Barba L, Muela-Campos D, Nevárez-Rascón MM, et al. Aspectos descriptivos del odontoma: revisión de la literatura. Revista Odontológica Mexicana 2016;20: 272-276.

13. Reyes-Olave P, Álvarez-Novoa C, Muñoz-Torres C. Fibro-odontoma ameloblástico: a propósito de un caso. Rev Esp Cir Oral Maxilofac 2009; 31:337-342.

14. Ramos-Chrcanovic B, Santiago-Gomez R. Ameloblastic Fibrodentinoma and Ameloblastic Fibro-Odontoma: An Updated Systematic Review of Cases Reported in the Literature.J. Oral Maxillofac Surg 2017 ;75:1425-1437.

15. Shwetha V, et al. Ameloblastic fibrodentinoma: A rare occurrence. International Journal of Medical and Dental Case Reports (2016), Article ID 010315, 4 Pages.

16. Bologna-Molina R, et al. A histopathological and immunohistochemical analysis of ameloblastic fibrodentinoma. Case reports in pathology, 2013, 604560. https://doi.org/10.1155/2013/604560.

17. Guerra-Treviño AL, et al. Odontoma compuesto: Diagnóstico radiológicoy tratamiento quirúrgico de un caso. REVISTA ADM 2012;69: 139-141.

Dentista y Paciente 40
Enciclopedia odontológica

Tratamiento ortodóntico en paciente adulto con canino retenido

Dentista y Paciente 44 Caso clínico

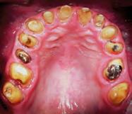
Se presenta una paciente de 52 años de edad, con tratamiento previo inconcluso. Es diagnosticada en el CESO con clase II esquelética, de crecimiento hiperdivergente, biotipo dolicofacial, con clase III canina y molar izquierda, clase III molar derecha, canino 13 retenido, mordida abierta anterior, ausencia de molares 26 y 46.

Tratamiento: extracción del canino 13, alineación, nivelación, cierre y manejo de espacios, detallado y retención. Aparatología: brackets prescripción Roth 0.022 × 0.028", tubos bondeables en 6's y 7's, micrototnillo extralveolar de 2 × 14 mm. Objetivos: corrección del perfil labial, obtención clase I molar izquierda, clase I canina bilateral, corrección del apiñamiento mandibular, del overjet y overbite, de líneas medias dentales, caracterización del primer premolar 14 por canino 13, mantener espacio entre 45 y 46. Tiempo de tratamiento, 2 años 11 meses.

Palabras clave: clase II, canino retenido, ausencia dental, microtornillos.

175. Marzo 2023 45
Tratamiento ortodóntico en paciente adulto con canino retenido
Luis Alberto Bautista Galicia. Residente de segundo año de la Maestria de Ortodoncia y Ortopedia Maxilofacial en el Centro de Estudios Superiores de Ortodoncia (CESO) Ciudad de México. Dra. Beatriz Gurrola Martínez. Profesora del CESO y profesora titular C en la carrera de Cirujano Dentista de la Facultad de Estudios Superiores Zaragoza de la UNAM. Dr. Adán Casasa Araujo. Director del CESO.

El número de adultos que buscan tratamiento de ortodoncia aumentó constantemente en las últimas décadas, esto puede atribuirse a la mejora en la promoción de la salud dental y al avance social para aceptar la terapia ortodóntica.1 El énfasis de la estética en nuestra sociedad actual o la insatisfacción con un tratamiento de ortodoncia previo.2,3 En general, el tratamiento de ortodoncia para personas adultas se considera más complejo y limitado de lo que se puede lograr en el tratamiento para adolescentes, esto se debe en parte al hecho de que los adultos mayores tienen mayor riesgo de desarrollar enfermedad periodontal crónica y responden de manera diferente debido a los cambios de envejecimiento en el tejido periodontal.4

Por otro lado en la práctica ortodóncica, la impactación del canino maxilar permanente es un problema clínico frecuente.5 Así encontramos diferentes términos que han sido dados para definirla, como la posición intraósea del diente después del tiempo estimado de erupción.6,7,8 El canino maxilar es el segundo diente más comúnmente impactado, y

las estadísticas muestran que ocurre con 2 veces más frecuencia en mujeres que en hombres.6,9,10

Cuando se piensa en traccionar un canino retenido se deben tomar en cuenta factores como edad, la densidad ósea, el grosor y contorno gingival ya que con esta intervención pueden surgir efectos secundarios como lo son fenestración y dehiscencia además de la necesidad de aditamentos y anclaje moderado.7 En todo tratamiento de ortodoncia exitoso se debe considerar el anclaje como elemento sumamente importante.11,12,13

Una alternativa es la utilización de dispositivos de anclaje temporal por sus bondades, son mínimamente invasivos, pueden ser colocados en muchas posiciones, de fácil remoción, eliminan la necesidad de cooperación del paciente14 y están indicados en muchas mecánicas, dentro de ellas la corrección de la desviación de la línea media.15

Caso clínico

Se presenta una paciente de 52 años la cual menciona que ya había recibido un tratamiento previo de ortodoncia que quedó inconcluso, actualmente todavía tiene los braquetes de ese tratamiento. Pero ahora ella quiere iniciar un nuevo tratamiento en el CESO con el fin de mejorar su mordida. Es diagnostica con clase II esquelética, de crecimiento hiperdivergente, biotipo dolicofacial, clase III canina y molar izquierda,

Dentista y Paciente 46 Caso clínico
Figura 1. Frente y perfil. Figura 2. Lateral derecha, frente, izquierda de inicio.

clase III molar derecha, canino 13 retenido, mordida abierta, ausencia de los molares 26 y 46.

Estudios de inicio extraorales

En las fotografías de inicio en la de frente (Figura 1) se observa la presencia de los brackets que todavía no han sido retirados y que son del tratamiento anterior, el perfil convexo.

Estudios de inicio intraorales

Las fotografías nos muestran en la Figura 2, la aparatología que se utilizó en el tratamiento que ella no terminó. La mordida abierta anterior de 1.5 mm, en la de frente las líneas medias no coincidentes, la clase III canina y molar izquierda, ausencia del canino 13 y del molar 46; en la Figura 3 el botón de Nance, algunos espacios en las arcadas.

Estudios radiográficos de inicio

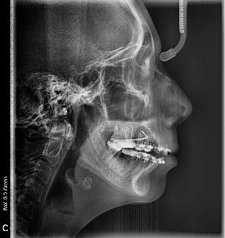
En la radiografía lateral de cráneo (Figura 4) se ve la aparatología con la que llegó la paciente, el perfil es convexo, hiperdivergente y las vías aéreas permeables.

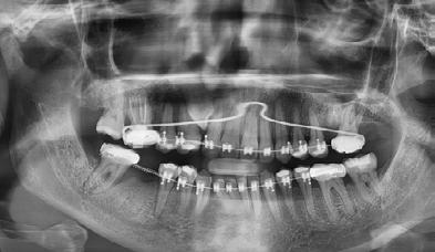
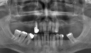
En la radiografía panorámica (Figura 5) se observan en 20 dientes los brakets viejos, en los molares 16, 27 las bandas, el canino 13 retenido en el paladar, el botón de Nance, la

ausencia de molares 26, 46. Elmolar 16 tiene un tratamiento endodóntico

Tratamiento

Se realizó la extracción del canino 13; para alineación y nivelación se utilizó la secuencia de arcos NiTi, 0.016, 0.018, 0.020 0.017 × 0.015 y acero 0.016 superiores e inferiores, cadena intramaxilar en el cierre de espacios. Ameloplastia secuencial de premolar

175. Marzo 2023 47 Tratamiento
ortodóntico en paciente adulto con canino retenido
Figura 3. Oclusal superior e inferior. Figura 4. Radiografía lateral de cráneo de inicio.

14 para la caracterización del canino 13, (Figura 6) IPR y elásticos clase III para corrección de overjet, elásticos asimétricos y uso de microtornillos de 2 × 14 mm en cresta infracigomática izquierda para corrección de línea media, arcos de acero 0.017 × 0.025 y 0.019 × 0.025 con dobleces de primer, segundo y tercer orden para detallado, retención a cargo de retenedor fijo inferior de 3 a 3, retenedor circunferencial superior y termoformado inferior.

Resultados

El tiempo del tratamiento fue de 2 años 11 meses, en la Figura 7 en los

estudios extraorales finales se ve la mejoría en la sonrisa y de los tejidos blandos en cuanto al perfil facial.

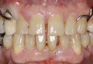
Estudios intraorales finales: se observa en la Figura 8 y 9 la mordida del paciente en oclusión las lineas medias coincidentes, formas de las arcadas oval, la obturacion del molar 26, la clase I canina y molar izquierda, clase I canina derecha, caracterización de premolar 14 por canino 13, clase I molar derecha y espacio en el cuandrante 4 el cual se utilizará para rehabilitación protésica.

Estudios radiográficos finales: se observa en la Figura 10 en la

Dentista y Paciente 48 Caso clínico
Figura 5. Radiografía panorámica de inicio. Figura 6. Progreso cierre de frente, derecha e izquierda. Figura 7. Frente sonrisa, perfil inicio y final.
Dentista y Paciente 50 Caso clínico
Figura 8. Lateral derecha frente izquierda final. Figura 10. Comparación inicio final. Figura 9. Vista oclusal superior e inferior finales.

radiografía lateral de cráneo la mejoría en la inclinación del incisivo inferior.

En las radiografías panorámicas (Figura 11), en la comparación inicio el botón de Nance, en la final se ve sin el canino retenido, el paralelismo radicular, con la ligera perdida ósea con la que llegó la paciente en la zona antero inferior y cuadrante 4, al final continúa sin cambios.

Discusión

Autores como Raghav y Jain señalan que los dientes caninos se encuentran entre los más importantes ya que

contribuyen a la función y estética.5,8 Existen opciones en el tratamiento de este, las extracciones del diente impactado, del diente adyacente o tratamiento de no extracción, lo que implica la apertura del espacio y la exposición quirúrgica

175. Marzo 2023 51
Tratamiento ortodóntico en paciente adulto con canino retenido
En pacientes adultos pretratados, el factor tiempo es muy importante, sobre todo cuando han tenido problemas durante el tratamiento y este quedo inconcluso.

del canino retenido, y finalmente la incorporación al arco.6 Lo que puede implicar efectos secundarios, como las dehiscencias7 además de alargar el tiempo de tratamiento. En pacientes adultos, existen cambios en los tejidos debido a la actividad celular disminuida por la edad, se deben usar fuerzas ligeras para evitar pérdida ósea y reabsorción radicular; Un plan de tratamiento personalizado de acuerdo a la necesidad y condición es esencial para un resultado adecuado, lo cual deberá formularse tomando en cuenta los factores biológicos y psicosociales.3 En el CESO la paciente quien presentaba consecuencias del resultado inconcluso del tratamiento previo, la pérdida ósea, por lo cual se le indicó tener mucho cuidado en

mantener la higiene bucal adecuada. La extracción del canino retenido debido a la posición que guardaba fue elemental en la prevención para no extender el tiempo. El uso de los microtornillos fue una excelente alternativa.

Conclusión

En pacientes adultos pretratados, el factor tiempo es muy importante, sobre todo cuando han tenido problemas durante el tratamiento y este quedó inconcluso. El ortodoncista debe concientizar a las personas sobre la edad en que se está reiniciando y comprometerlas a maximizar la cooperación durante el nuevo procedimiento para alcanzar las metas.

Dentista y Paciente 52 Caso clínico
Figura 11. Comparativa Rx Panorámica inicio final.

Referencias

1. McMorrow SM, Millett DT. Adult orthodontics in the Republic of Ireland: specialist orthodontists’ opinions. J Orthod . 2017; 44(4):277–86.

2. Yuvaraj S, Kumar N. Adult orthodontics -a literature review: Ijramr.com. 2020; 07, (02):56075610.

3. Subhiksha KC. Limitations of adult orthodontics-a review: European Journal of Molecular & Clinical Medicine. 2020; 7(4): 1737-1741

4. Han J, Hwang S, Nguyen T, Proffit WR, Soma K, Choi YJ, Kim KH, Chung CJ. Periodontal and root changes after orthodontic treatment in middle-aged adults are similar to those in young adults. Am J Orthod Dentofacial Orthop. 2019;155(5):650-655.

5. Raghav P, Singh K, Reddy C, Joshi D, Jain S, Treatment of Maxillary Impacted Canine using Ballista Spring and Orthodontic Wire Traction: International Journal of Clinical Pediatric Dentistry. 2017;10(3):313-317

6. El Haddad E, Calcaterra R , El Haddad G. , Candotto V , Lauritano D. Treatment Of Maxillary Retained Canine With Implants: New Perspectives: Oral&Implantology. 2017; X(3): 343-348

7. Vivares M, Vergara P, Muñoz N, Ramírez M, Vásquez J, Barbosa D. Multidisciplinary Management of Buccally Retained Maxillary Canine with VISTA Technique and Orthodontic Alternatives. Case-Supported Scoping Review: Univ Odontol. 2021; https://doi.org/10.11144/ Javeriana.uo40.mmbr

8. Jain S. Debbarma S. Patterns and prevalence of canine anomalies in orthodontic patients: Medicine and pharmacy reports. 2019; 92(1) 72-78

9. Ucar F , Celebi A , Tan E , Topcuog T, Sekerci A. Effects of impacted maxillary canines on root resorption of lateral incisors. J Orofac Orthop. 2017; 78:233–240

10. Belén M, Arancibia T, Poletto A. Estudio de las reabsorciones radiculares asociadas a caninos retenidos maxilares en tomografía cone beam: Revista de la Facultad de Odontología. 2020; 13(1)

11. Gurdán Z, Szalma J. Evaluation of the Success and Complication Rates of Self-Drilling Orthodontic Mini-Implants. Nigerian Journal of Clinical Practice.2018; 21:546-552

12. Troung V, Kim S, Kim J, Lee J, Park Y. Revisiting the Complications of Orthodontic Miniscrew. BioMed Research International. 2022:1-11

13. Jung M. Treatment of facial asymmetry and severe midline deviation with orthodontic mini-implants. AJO-DO.2021;160(2) 312-324

14. Watanabe T, Miyazawa K, Fujiwara T, Kawaguchi M, Tubichi M, Goto S. Insertion torque and Periotest values are important factors predicting outcome after orthodontic miniscrew placement. AJO-DO. 2017;152(4) 483-488

15. Almeida M. Biomechanics of extra-alveolar mini-implants. Dental Press J Orthod. 2019;24(4):93-109.

175. Marzo 2023 53 Tratamiento ortodóntico en paciente adulto con canino retenido

Combinación de elevación de seno lateral y utilización de la ventana de acceso para la regeneración de un defecto de alveolo postextracción extenso con fibrina como material de relleno

Caso clínico con 10 años de seguimiento

Eduardo Anitua DDS, MD, PhD. Private practice in oral implantology, Eduardo Anitua Institute, Vitoria, Spain. Clinical researcher, Eduardo Anitua Foundation, Vitoria, Spain. University Institute for Regenerative Medicine and Oral Implantology - UIRMI (UPV/EHU-Fundación Eduardo Anitua), Vitoria, Spain.

Corresponding author: Dr. Eduardo Anitua, Eduardo Anitua Foundation; C/ Jose Maria Cagigal 19, 01007 Vitoria, Spain; Phone: +34 945160653, e-mail: eduardo@ fundacioneduardoanitua.org

Dentista y Paciente 54 Investigación clínica

Combinación de elevación de seno lateral y utilización de la ventana de acceso

Cuando se genera una extracción dental, la cicatrización del alveolo va a generar un nuevo hueso a ese nivel donde en el momento de la exodoncia solo existe el vacío que deja la silueta de la raíz. La regeneración que se logre a este nivel va a determinar la anchura de la cresta en la que posteriormente podremos realizar nuestra rehabilitación con implantes dentales.1-2 Por ello, los eventos que se dan tras la extracción dental para lograr rellenar de nuevo con hueso el alveolo han sido estudiados durante muchos años en modelos animales, para poder entender la fisiología de la misma y poder actuar para lograr el mayor volumen óseo posible.

En estos estudios se ha llegado a la conclusión de que se genera una reabsorción del hueso en íntimo contacto con el diente Bundle bone que supone aproximadamente un grosor de entre 0.2 y 0.4 mm.3,4 Esta reabsorción es inevitable, siendo mayor en la zona vestibular que en la zona lingual y puede ser modificada, aunque no frenada con diferentes procesos que se han denominado “técnicas de preservación alveolar”. 5-8 En la literatura científica se han descrito diferentes métodos para estimular la regeneración del alveolo postextracción como el uso de sustitutos óseos, regeneración ósea guiada, bioestimulación con laser y el uso de Endoret-PRGF.9-10 El plasma rico en plaquetas representa una técnica biológica para la liberación localizada de proteínas y factores de crecimiento autólogos, presentes en el plasma y las plaquetas del mismo paciente, para estimular la hemostasia y la regeneración tisular del alveolo postextracción.

Todos estos efectos beneficiosos se traducen clínicamente según los diferentes ensayos en una menor inflamación de la zona, con un mejor postoperatorio y una mejora generalizada en la cicatrización del hueso y tejido blando. Además, este producto reporta también mejora en la contención de la hemorragia en pacientes anticoagulados o antiagregados y un menor riesgo de infección incluso en pacientes médicamente comprometidos.11-16 Determinadas situaciones como la periodontitis avanzada y las fracturas dentarias producen defectos óseos circunferenciales entorno al alveolo que hacen más compleja la regeneración del alveolo al generarse un defecto crítico mayor.17

Cuanto mayor es la distancia entre las paredes del defecto a regenerar, más compleja es su regeneración, así como cuando se pierde la tabla vestibular o lingual/palatina, lo que transforma un defecto contenido en uno abierto.17 El éxito en el tratamiento de regeneración de un defecto óseo depende de la función de un complejo sistema de comunicación entre distintos tipos de células que median funciones inflamatorias, así como la formación de tejido nuevo y sano.18,19 En esta última fase intervienen 2 tipos de células que son fundamentales: los fibroblastos gingivales y los osteoblastos. Se ha analizado el potencial del plasma rico en factores de crecimiento (PRGF-Endoret) para estimular las funciones celulares de proliferación, migración y la producción de proteínas necesarias para la regeneración tisular. Los resultados indican que el PRGF-Endoret mejora significativamente estas funciones celulares confirmando que el PRGF-Endoret podría estimular de forma importante la regeneración ósea.18,19

175. Marzo 2023 55
Figura 1-4. Imágenes iniciales del paciente donde observamos el ajuste del esquelético superior, que es bastante deficiente, así como el estado de la pieza 13, donde existe una recesión que expone claramente la raíz.

En el siguiente caso clínico, mostramos una regeneración de un defecto en forma de cráter en un alveolo con pérdida completa de la tabla vestibular utilizando Endoret-PRGF como único material de relleno empleando como barrera la tapa del seno maxilar que se retira para la realización de una elevación de seno convencional que precisa el paciente para rehabilitar los sectores posteriores del maxilar superior.

Caso clínico

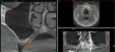
Presentamos el caso de un paciente varón de 57 años que acude a la consulta demandando tratamiento dental para sustituir sus prótesis removibles superiores por una rehabilitación implantosoportada. Presenta un esquelético superior que se sustenta sobre los caninos (13 y 23), existiendo movilidad en la pieza 13 y dolor. En las imágenes iniciales podemos observar el estado de desajuste en el que se encuentra el esquelético y la afectación de la pieza 13 donde se objetiva una recesión que deja al descubierto parte de la raíz dental (Figura 1-4). En la radiografía panorámica inicial se observa un defecto circunferencial grave en el canino superior derecho y una neumatización excesiva de ambos senos

maxilares, lo que apunta a la existencia de una atrofia vertical ósea excesiva en esta área que pretende ser rehabilitada con implantes dentales (Figura 5). A mayor aumento vemos la fractura radicular de la pieza 13 que ha generado el defecto circunferencial (Figura 6) y en el cone beam de planificación se constata y además se pone de manifiesto la dimensión del defecto óseo y el volumen óseo residual a nivel palatino de 2 mm (Figura 7).

En el estudio pormenorizado del cone beam superior se constata la extrema atrofia ósea vertical en ambos sectores posteriores del maxilar que hace necesaria la elevación de seno bilateral, por abordaje convencional (Figura 8 y 9). En el seno izquierdo, el abordaje debe ser mayor al necesitar un injerto de mayor volumen (desde la zona de premolares hasta molares) por lo que la ventana de acceso de mayor longitud se conserva en Endoret-PRGF durante la cirugía para ser utilizada posteriormente como membrana ósea. En el seno del primer cuadrante, la elevación se lleva a cabo para el área molar en exclusiva. La ventana de acceso al seno maxilar izquierdo se coloca en vestibular del defecto generado tras la exodoncia de la pieza dental 13,

Dentista y Paciente 56 Investigación clínica
Figura 5. Radiografía inicial del paciente. En ella observamos el defecto crateriforme del diente 13 y una neumatización excesiva de ambos senos maxilares en el maxilar posterior donde se pretenden realizar implantes dentales. Figura 6. Imagen en detalle de la pieza 13. En esta imagen cercana podemos observar una fractura vertical evidente en el área del ápice ya en este tipo de prueba radiológica. Figura 7. En el cone-beam de planificación se objetiva la fractura y el defecto crateriforme con pérdida de la tabla vestibular completa y un remanente óseo a nivel palatino de 2 mm para la posterior inserción de un nuevo implante.

Combinación de elevación de seno lateral y utilización de la ventana de acceso

como membrana ósea y se rellena todo el defecto con un coágulo de Endoret-PRGF y sellado coronal con una membrana de fibrina autóloga activada y retraída, tal como hemos descrito en el protocolo del alveolo postextracción.14,20 Se insertan además 2 implantes en posición 14 y 24, ya que existe volumen óseo residual para ello (Figura 9-11).

6 meses después de la primera cirugía, se realiza un nuevo cone beam dental para comprobar la regeneración del defecto y la ganancia ósea en altura lograda tras la elevación de seno bilateral. En la zona correspondiente a la pieza 13 se observa una regeneración completa de la cresta con el procedimiento empleado, con una anchura total de 10 mm y la recuperación completa de la tabla vestibular que se encontraba ausente (Figura 12). En ambos senos maxilares también se logra un volumen óseo residual suficiente para la colocación de los implantes, tal como podemos ver en los cortes de planificación (Figura 13 y 14). En la reentrada quirúrgica, en el área del canino vemos cómo se ha logrado la regeneración buscada y objetivada en la prueba de imagen (Figura 15).

Una vez retirado el material de osteosíntesis se inserta el implante en la zona del canino (13) y se colocan todos los implantes del sector posterior, tanto del primer como del segundo cuadrante (Figura 16 y 17).

6 meses después de la inserción de

los implantes se lleva a cabo la fase quirúrgica colocándose la prótesis definitiva atornillada a los implantes mediante transepiteliales. Esta prótesis se confecciona con una estructura metálica y se recubre finalmente en cerámica. El paciente continua en seguimiento posteriormente, no objetivándose cambios en el hueso crestal tras 12 años como mostramos en la radiografía final (Figura 18- 20).

Discusión

La regeneración del alveolo postextracción es un tema sobre el que se realizan avances constantes

Figuras

del

se puede observar tanto en el seno maxilar derecho como izquierdo una atrofia ósea vertical extrema con una altura de 2 mm, por lo que se planifica una elevación de seno convencional bilateral.

175. Marzo 2023 57
8 y 9. Imágenes de los cortes TAC de planificación donde Figuras 10 y 11. Regeneración del defecto de la pieza 13 con la ventana del seno izquierdo fijada con un tornillo de osteosíntesis y la colocación de EndoretPRGF como material del injerto.

aportándose diferentes técnicas para lograr recuperar un mayor volumen de hueso teniendo de este modo una cresta ósea en mejores condiciones para la inserción posterior de implantes dentales.21-23 Cuando al alveolo en sí se suman defectos que afectan una extensión mayor que la que se debería a la exodoncia del diente implicado, se crean situaciones donde lograr una regeneración amplia de la zona es mas compleja, sobre todo, cuando se afectan paredes como la vestibular o la lingual, haciendo que el defecto tenga peor anatomía tridimensional para ser regenerado.24 Aún la regeneración de defectos intraóseos que conservan al menos 2 de sus paredes se considera predecible, siempre y cuando se pueda colocar un material en el interior del defecto que pueda estimular el crecimiento de nuevo hueso desde las pareces que

Dentista y Paciente 58 Investigación clínica
Figura 12. Cortes del cone beam de comparación entre el defecto inicial correspondiente a la pieza 13 y tras la regeneración llevada a cabo con la tapa de seno y la colocación de Endoret-PRGF, lográndose, como podemos observar, recuperar 10 mm de anchura desde un reborde de 2 mm sin tabla ósea vestibular. Figuras 13 y 14. Volumen óseo generado con las elevaciones de seno, donde se pueden colocar ahora los implantes dentales sin problema. Figura 15. Imagen tras la regeneración ósea de la zona del alveolo en la posición 13, con el uso de Endoret-PRGF. Figura 16. Zona de inserción del implante tras la regeneración del defecto correspondiente a la pieza 13 y colocación del implante de la elevación de seno.

contienen el defecto y que se pueda generar una barrera que impida que el tejido blando colonice la zona a regenerar.25,26 En este caso, el empleo de la tapa de acceso al seno maxilar, que debía ser obtenida de todas formas para llevar a cabo la regeneración ósea de los sectores posteriores maxilares y la futura colocación de implantes, ha hecho que de forma sencilla y con un material totalmente autólogo se pudiera contener un defecto pasando de desfavorable a favorable bajo el punto de vista de la regeneración. El último paso para lograr un 100% de éxito fue la selección del material, que en este caso se seleccionó únicamente Endoret-PRGF. Existen numerosas referencias en la literatura internacional en los que se ha puesto a prueba el potencial del PRGF-Endoret como regenerador del alveolo postextracción y se ha evidenciado su buen comportamiento obteniendo resultados de regeneración de tejido óseo y tejido blando superiores a muchos materiales empleados habitualmente o frente a la regeneración a través de coágulo sanguíneo (técnica convencional).14-16,20. Debemos considerar por lo tanto todas las herramientas y procedimientos quirúrgicos que tenemos a nuestro alcance para lograr tratar cada caso de forma correcta, como en esta situación, donde una técnica quirúrgica necesaria nos ha aportado una parte valiosa para lograr

regenerar un defecto circunferencial sin materiales accesorios, únicamente la ventana del seno y el uso de Endoret-PRGF.

Conclusiones

La regeneración de defectos amplios en alveolos afectados por diferentes procesos puede realizarse empleando únicamente Endoret-PRGF si logramos contener el defecto, creando las paredes que se encuentran ausentes. Para este fin se pueden utilizar diferentes materiales de barrera, incluido un fragmento de cortical ósea como la de la pared lateral del seno, que en ocasiones se puede encontrar disponible en la cirugía sin necesitar otros biomateriales o técnicas accesorias para conseguir un injerto de otra localización.

175. Marzo 2023 59 Combinación de
elevación de seno lateral y utilización de la ventana de acceso
Figura 17. Radiografía postquirúrgica tras la colocación de los implantes. Figura 18. Prótesis de carga progresiva colocada tras la segunda fase quirúrgica. Figura 19. Radiografía panorámica final una vez finalizada la prótesis definitiva. Figura 20. Radiografía de control tras 12 años después del tratamiento. Podemos observar la estabilidad del tratamiento pasado este período de seguimiento. La pieza 46 tuvo que ser extraída y repuesta con implantes tras sufrir una fractura vertical durante el tiempo de seguimiento.

Referencias

1. Chappuis V, Araújo MG, Buser D. Clinical relevance of dimensional bone and soft tissue alterations post-extraction in esthetic sites. Periodontol 2000. 2017 Feb;73(1):73-83.

2. Berglundh T, Giannobile WV. Investigational clinical research in implant dentistry: beyond observational and descriptive studies. J Dent Res. 2013 Dec;92(12 Suppl):107S-8S.

3. Araujo MG, Lindhe J. Dimensional ridge alterations following tooth extraction: an experimental study in the dog. J Clin Periodontol 2005: 32: 212– 218.

4. Araujo MG, Lindhe J. Ridge alterations following tooth extraction with and without flap elevation: an experimental study in the dog. Clin Oral Implants Res 2009: 20: 545– 549.

5. Araujo MG, Silva CO, Misawa M, Sukekava F. Alveolar socket healing: what can we learn? Periodontol 2000 2015: 68: 122– 134.

6. Araujo MG, da Silva JC, de Mendonca AF, Lindhe J. Ridge alterations following grafting of fresh extraction sockets in man. A randomized clinical trial. Clin Oral Implants Res 2015: 26: 407– 412.

7. Scheyer ET, Heard R, Janakievski J, Mandelaris G, Nevins ML, Pickering SR, Richardson CR, Pope B, Toback G, Velásquez D, Nagursky H. A randomized, controlled, multicentre clinical trial of post-extraction alveolar ridge preservation. J Clin Periodontol. 2016 Dec;43(12):11881199.

8. Verdugo F, Laksmana T, D'Addona A, Uribarri A. Facial cortical bone regeneration post-extraction in non-grafted sockets allows for early implant placement and long-term functional stability. Arch Oral Biol. 2020 Apr;112:104678.

9. Horváth A, Mardas N, Mezzomo LA, Needleman IG, Donos N. Alveolar ridge preservation. A systematic review. Clin Oral Investig. 2013 Mar;17(2):341-63.

10. Del Fabbro M, Corbella S, Taschieri S, Francetti L, Weinstein R. Autologous platelet concentrate for post-extraction socket healing: a systematic review. Eur J Oral Implantol. 2014 Winter;7(4):333-44.

11. Rutkowski JL, Fennell JW, Kern JC, Madison DE, Johnson DA. Inhibition of Alveolar Osteitis In Mandibular Tooth Extraction Sites Using Platelet-Rich Plasma. The Journal of Oral Implantology 2007;33:116-121.

12. Anitua E, Andia I, Ardanza B, Nurden P, Nudern AT. Autologous platelets as a source of proteins for healing and tissue regeneration. Thromb Haemost 2004;91:4-15.

13. Anitua E. Plasma rich in growth factors: preliminary results of the use in the preparation of future sites for implants. In J Oral Maxillofacial Implants 1999;14:57-63.

Dentista y Paciente 60 Investigación clínica

14. Anitua E, Orive G. Trattamento dei difetti post-estrattivi mediante la tecnología PRGF: casi clinici. Italian Oral Surgery 2010;9:115-129.

15. Mozzati M, Gallesio G, di Romana S, Bergamasco L, Pol R. Efficacy of plasma-rich growth factor in the healing of postextraction sockets in patients affected by insulin-dependent diabetes mellitus. J Oral Maxillofac Surg. 2014 Mar;72(3):456-62.

16. Anitua E, Murias-Freijo A, Alkhraisat MH, Orive G. Clinical, radiographical, and histological outcomes of plasma rich in growth factors in extraction socket: a randomized controlled clinical trial. Clin Oral Investig. 2015 Apr;19(3):589-600.

17. Tinti C, Parma-Benfenati S. Clinical classification of bone defects concerning the placement of dental implants. Int J Periodontics Restorative Dent. 2003 Apr;23(2):147-55.

18. Larjava H, Yang Y, Putnins E, Heino J, Häkkinen L. Biological agents and cell therapies in periodontal regeneration. In: Larjava H. Oral wound healing: cell biology and clinical management. Chichester: Wiley-Blackwell; 2012.p. 261-275.

19. Werner S, Grose R. Regulation of wound healing by growth factors and cytokines. Physiological reviews 2003;83(3):835-870.

20. Anitua E, Zalduendo M, Troya M, Orive G. PRGF exerts a cytoprotective role in zoledronic acid-treated oral cells. Clin Oral Investig. 2016 Apr;20(3):513-21.

21. Jung RE, Ioannidis A, Hämmerle CHF, Thoma DS. Alveolar ridge preservation in the esthetic zone. Periodontol 2000. 2018 Jun;77(1):165-175.

22. Porrini R, Rocchetti V, Vercellino V, Cannas M, Sabbatini M. Alveolar bone regeneration in post-extraction socket: a review of materials to postpone dental implant. Biomed Mater Eng. 2011;21(2):63-74.

23. Cheng AW, Berridge JP, McGary RT, Erley KJ, Johnson TM. The Extraction Socket Management Continuum: A Hierarchical Approach to Dental Implant Site Development. Clin Adv Periodontics. 2019 Jun;9(2):91-104.

24. Cortellini P, Tonetii MS. Regenerative periodontal therapy. In: Lindhe J, Lang NP, Karring T (Eds). Clinical peridontology and implant dentistry. 5th edition. Oxford: Blackwell Munksgaard 901-906.

25. Elgali I, Omar O, Dahlin C, Thomsen P. Guided bone regeneration: materials and biological mechanisms revisited. Eur J Oral Sci. 2017 Oct;125(5):315-337.

26. Wessing B, Lettner S, Zechner W. Guided Bone Regeneration with Collagen Membranes and Particulate Graft Materials: A Systematic Review and Meta-Analysis. Int J Oral Maxillofac Implants. 2018 January/February;33(1):87–100.

175. Marzo 2023 61
Combinación de elevación de seno lateral y utilización de la ventana de acceso
Dentista y Paciente 62 Microinvestigación Fotoarte: Editorial Renascence | Fotografía: AdobeStock

Efectividad del recubrimiento radicular quirúrgico ante la hipersensibilidad dentinaria

Efectividad del recubrimiento radicular quirúrgico ante la hipersensibilidad dentinaria

Autores:

Angéline Antezack, Romain Ohanessian, Camille Sadowski, Mathias Faure-Brac, Arthur Brincat, Damien Etchecopar-Etchart, Virginie Monnet-Corti.

Relatores:

Marianna Gavriiloglou, Elizabeth Ibrahim, Alexia Larderet, Amélie Sarbacherand y Lina Tahour con Dr Pierre-Yves Gegout y Prof. Olivie.

Traductor: Javier Estévez. Alumno de posgrado de periodoncia de la Universidad de Oviedo (Asturias).

Afiliación: Programa de postgrado en periodoncia, Universidad de Estrasburgo, Francia.

Antecedentes

La hipersensibilidad dentinaria suele describirse como un dolor agudo breve o transitorio ocasionado cuando la dentina expuesta recibe un estímulo mecánico, térmico, químico u osmótico. Se manifiesta en una media del 11.5% de pacientes, aunque hay una considerable heterogeneidad entre los estudios.

La etiología de la sensibilidad dentinaria es multifactorial y las recesiones gingivales son consideradas como un

factor predisponente importante, puesto que da lugar a la exposición dentinaria cervical y radicular.

Los enfoques del tratamiento, incluyendo agentes desensibilizantes (nitrato potásico, arginina) y tratamiento con láser, tienen como objetivo reducir la transmisión neural y sellar los túbulos dentinarios. Las técnicas de recubrimiento radicular quirúrgicas también se han propuesto para reducir la hipersensibilidad dentinaria, en particular el colgajo de avance coronal (CAF) o la técnica

de túnel con o sin injerto de tejido conectivo (ITC), matriz de colágeno xenogénica (MCX), o matriz dérmica acelular (MDA).

Sin embargo, hay falta de evidencia sobre la existencia de un valor umbral entre exposición radicular e hipersensibilidad dentinaria, la efectividad de los procedimientos quirúrgicos de recubrimiento radicular a la hora de suprimir la hipersensibilidad, y la asociación entre resultados quirúrgicos y reducción de hipersensibilidad.

175. Marzo 2023 63

Objetivo

El objetivo de esta revisión sistemática y de este metaanálisis era evaluar el efecto del recubrimiento radicular quirúrgico sobre la hipersensibilidad dentinaria asociada a recesión gingival.

Materiales y métodos

Se realizaron una revisión sistemática y un metaanálisis de ensayos controlados randomizados desde enero de 2000 hasta marzo de 2022, evaluando:

• La proporción de pacientes que presentaban ausencia de hipersensibilidad dentinaria tras cirugía.

• La asociación entre la supresión de la hipersensibilidad dentinaria y diferentes variables de recubrimiento radicular: reducción de recesión, porcentaje de recubrimiento radicular, ganancia en anchura de tejido queratinizado y ganancia en espesor de tejido queratinizado.

En total se incluyeron 701 pacientes mayores de 18 años con hipersensibilidad dental en uno o más dientes asociados con recesión gingival (1 086 recesiones) de clases I, II (Miller) o RT1 y RT2.

La presencia o ausencia de hipersensibilidad dentinaria por sujeto (evaluada mediante estímulo al frío con aire a presión) fue evaluada antes y después del procedimiento de recubrimiento radicular quirúrgico dentro del mismo grupo.

El modelo de efectos aleatorios y el método ponderado por la inversa de la varianza fueron usados para realizar el metaanálisis.

Además, los autores realizaron un análisis cualitativo para evaluar el riesgo de sesgo con un diagrama de embudo y test de Peter. Emplearon la metarregresión de distintas variables (reducción de recesión, porcentaje de recubrimiento radicular, ganancia de anchura de tejido queratinizado y ganancia del espesor de tejido queratinizado) y subgrupo de análisis en diferentes técnicas para explicar la heterogeneidad.

Resultados

Se incluyeron 13 ensayos clínicos en el estudio.

Se evaluaron varias técnicas de recubrimiento radicular quirúrgico para suprimir la hipersensibilidad dentinaria, incluyendo técnica de colgajo de reposición coronal –con o sin injerto de tejido conectivo (ITC) u otro adyuvante (ACM, Emdogain, etc…)–y técnicas de túnel con ITC.

El 70.8% de los pacientes estaban libres de hipersensibilidad dentinaria

Dentista y Paciente 64 Microinvestigación
El modelo de efectos aleatorios y el método ponderado por la inversa de la varianza fueron usados para realizar el metaanálisis.

WOS (n = 17)

DOSS (n = 13)

Science Direct (n = 120)

Clinical Trial.gov (n = 53)

Registros cribados (n = 282)

Informes buscados para su recuperación (n = 27)

Informes evaluados para elegibilidad (n = 27)

Registros excluido antes del cribado: Registros duplicados excluídos (n = 54)

Informes excluidos

(n = 255)

Informes no recuperados (n = 0)

Faltan datos de HD al inicio (n = 7)

Falta método de medición de HD (n = 5)

Medición de HD con la opinión del paciente (n = 4)

Misma muestras de pacientes (más resultados) (n = 3)

Búsqueda manual en sitios web (n = 14)

Búsqueda de citas (n = 26)

Informes buscados para su recuperación (n = 40)

Informes evaluados para eligibilidad (n = 40)

Informes no recuperados (n = 0)

Informes excluidos:

Faltan datos de HD al inicio (n = 32)

Medición de HD con la opinión del paciente (n = 3)

Estudios incluidos en la revisión (n = 13)

tras la cirugía de recubrimiento radicular.

En metarregresiones univariadas con respecto a la reducción de la hipersensibilidad dentinaria se encontró una asociación significativa para reducción de recesión (estimada = 0.66 [0.10-1.23], p= 0.022, R2= 14.15%) y porcentaje de recubrimiento radicular (estimada = 0.04 [0.01- 0.08], p= 0.012, R2= 29.54%), mientras que no se observó ninguna entre ganancia de anchura de tejido queratinizado y espesor de tejido queratinizado.

En el subgrupo metaanálisis CAF+ITC (73.3% [65.6-79.8]) se indujo estadísticamente mejores resultados en términos de la reducción de hipersensibilidad que CAF+MCX (61.4% [51.7-70.3]) (p=0.048), mientras que no se hallaron diferencias significativas entre los subgrupos de CAF+ITC y CAF solo (p=0.718),

y entre CAF+MCX y CAF solo (p=0.226).

Limitaciones

La hipersensibilidad dentinaria fue evaluada como un resultado secundario en todos los ensayos controlados randomizados (ECR). Además las características prequirúrgicas y posquirúrgicas de la hipersensibilidad (intensidad, duración) no estaban disponibles.

Solo el tipo de recesión fue evaluado, lo que excluía la presencia de lesiones no cariosas y el tratamiento concomitante. Además, no se mencionó ningún valor umbral entre el recubrimiento radicular y la reducción en hipersensibilidad dentinaria y la estabilidad de los resultados a largo plazo.

No hay consenso sobre ningún protocolo consensuado para evaluar la hipersensibilidad, por lo que hubo

HD: hipersensibilidad dentinaria

Figura: diagrama de flujo del proceso de búsqueda (Page y et al. 2021).

HD: hipersensibilidad dentinaria

175. Marzo 2023 65 Efectividad
del recubrimiento radicular quirúrgico ante la hipersensibilidad dentinaria
Incluido Cribado Incluido
Pub Med database Repor tes excluidos: (n = 47) Embase (n = 24) Cochrane (n = 62)

una inconsistencia entre los protocolos de diferentes estudios.

Conclusiones e impacto

Más de 2 tercios de los pacientes inicialmente afectados por hipersensibilidad dentinaria quedaron libres de ella después del procedimiento de recubrimiento radicular.

Tras la cirugía de recubrimiento radicular, la superficie de la raíz expuesta remanente era inversamente proporcional a la frecuencia esperada de la

supresión de la hipersensibilidad dentinaria.

La cirugía de recubrimiento radicular parece ser un tratamiento efectivo para la hipersensibilidad dentinaria, tras la eliminación de los factores etiológicos.

Se necesita más investigación para considerar potenciales diferencias en términos de reducción de hipersensibilidad dentinaria en las recesiones, ya estén o no asociadas con lesiones cervicales no cariosas.

Notas

JCP Digest 104 es un resumen del artículo “Effectiveness of surgical root coverage on dentin hypersensitivity: a systematic review and meta-analysis”. J Clin Periodontol. 49 (8):840-851. DOI: 10.1111/jcpe13664.

https://www.onlinelibrary.wiley.com/doi/10.1111/jcpe.13664

Acceso a través de la página web para miembros de la EFP http://efp.org/members/jcp.php

Con el amable permiso de Wiley Online Library. Copyright © 1999-2022 John Wiley & Sons, Inc. Todos los derechos reservados. JCP Digest es una publicación de la Federación Europea de Periodoncia (EFP). Oficina EFP: Cink Coworking, oficina 17, calle Henri Dunant 15-17, 28036 Madrid, España · www.efp.org

La unión entre estética y mecánica de precisión da comienzo con nosotros hace 112 años gracias a la fabricación de joyas y relojes. Hoy esta experiencia se reconoce con una bella sonrisa en la boca de las personas.

La verdadera precisión se alcanza solamente cuando uno se vuelve experto en su oficio... como nosotros desde hace 112 años.
/ www.marca5sentidos.com
Foto: Luis Seminario
Evento sin costo Inscripciones: www.expoaricdental.com

Escanea el código QR para conocer más acerca de una forma diferente de ver el marketing odontológico.

Evoluciona del Like al Love

¡No basta ser excelente odontólogo para tener más pacientes!

Turn static files into dynamic content formats.

Create a flipbook
Issuu converts static files into: digital portfolios, online yearbooks, online catalogs, digital photo albums and more. Sign up and create your flipbook.