Revista Dentista y Paciente Junio 2023

Page 1

CALIDAD Y DIRECCIÓN

Extracción de primeros molares permanentes en la corrección de mordidas abiertas severas

BOLETÍN INFORMATIVO

76 AMIC Dental. La exposición dental más grande del mundo de habla hispana

SONRIENDO AL FUTURO

Reabsorción radicular del incisivo lateral por canino impactado

dentistaypaciente.com

BOLETÍN INFORMATIVO Congreso CMN Siglo XXI, Arte y ciencia odontológica

ENCICLOPEDIA ODONTOLÓGICA

Injerto en bloque en “sandwich“con la cortical obtenida del seno maxilar y hueso autólogo particulado embebido en Endoret-PRGF. Estudio retrospectivo con estimación de la ganancia ósea generada y su conservación tras 1 año de carga de los implantes.

Latindex 17964 $50.00 MX ISSN: 1455-020X Revista 178
No. 178/Junio 2023

Junio 2023

Del 3 al 7 de mayo se llevaron a cabo la 76 Expo Amic Dental Internacional y el Congreso Nacional e Internacional de la Facultad de Odontología UNAM-AMIC 2023, Los Angeles Dental Meeting en el WTC de la CDMX.

En estos eventos, siempre nos reencontramos con viejos amigos, ya sean alumnos, profesores, odontólogos de práctica general o especialistas, grandes colaboradores, patrocinadores y aquellos que forman parte del equipo de otras grandes empresas. También nos permite hacer nuevos amigos. Esperemos volvernos a ver en la próxima Expo AMIC que se llevará a cabo en el mes de noviembre.

La OMS declaró el 5 de mayo el final, a nivel mundial, de la pandemia por COVID-19. Ya esperábamos esto con mucha ansiedad; sin embargo, hay que recordar que el virus llegó para quedarse, para formar parte de nuestra vida diaria, así como lo han hecho otros virus anteriormente.

Esto no quiere decir, que ya no debemos tomar medidas de protección como el uso del cubrebocas y el ventilar adecuadamente espacios cerrados. De hecho, el virus, seguirá mutando.

¡A seguirse cuidando!

Dentista y Paciente 2 Editorial
Mtro. Carlos Adolfo Espinosa García Especialidad en Odontología Legal y Forense Maestría en Odontología

CERAMILL DRS CONNECTION KIT

Escáner intraoral, software e intercambio de la información de los casos clínicos AG.Live para Same Day Dentistry.

Conozca más sobre la odontología digital con el sistema Ceramill DRS y sobre cómo conseguir la admiración de los pacientes.

Odontología digital versátil y confortable.

El sistema Ceramill DRS y la plataforma en la nube AG.Live hacen posible que la colaboración integrada sea eficaz y sencilla para los técnicos dentales y los dentistas. Los distintos componentes permiten hacer la planificación y la fabricación en el laboratorio y los flujos de trabajo en la clínica. Así se consiguen restauraciones de alta calidad y perfectamente funcionales para unos equipos de éxito con unos pacientes satisfechos: Connect to the Workflow!

CERAMILL DRS PRODUCTION KIT

Restauraciones unitarias y puentes de hasta 3 piezas directamente en la consulta dental en una única cita.

CERAMILL DRS HIGH-SPEED ZIRCONIA KIT

Sinterización del óxido de circonio en solo 20 minutos con 16 colores VITA perfectamente adaptados.

DENTISTRY UNIFIED Amann Girrbach AG // Austria // Tlfno.: +43 5523 62333-105
CASE SHARING

10 | CALIDAD Y DIRECCIÓN

Extracción de primeros molares permanentes en la corrección de mordidas abiertas severas

22 | BOLETÍN INFORMATIVO

76 AMIC Dental. La exposición dental más grande del mundo de habla hispana

6 Contenido Dentista y Paciente

Editorial Renascence S.A. de C.V.

Publisher

Patricia López Guerra patricia.lopez@dentistaypaciente.com

Jaime Francisco Martínez Aceves† jmartinez@dentistaypaciente.com

Directora Editorial

Mariangel Martínez López mmartinez@dentistaypaciente.com

Director de Arte y Diseño

Jesús Salas Pérez jesasez@dentistaypaciente.com

Coordinador Editorial

Marco A. Vergara Salgado marversa@dentistaypaciente.com

Ejecutivos Comerciales y de Negocios

Carlos Martínez García, Gabriela Dolorez Ocadiz, Edson Aarón Hernández

Producción y Circulación

Edson Aarón Hernández

Fotografía e Ilustraciones

Editorial Renascence

Suscripciones

Edson Aarón Hernández

Preprensa e Impresión

Offset Impresión Creativa S.A de C.V.

Distribución

Comercializadora GBN S.A. de C.V.

Calzada de Tlalpan #572, desp. C-302, col. Moderna

Contabilidad y Administración

Lic. Renato Muñoz

director científico

Dr. Carlos Espinosa García Especialista en Odontología Legal y Forense consejo editorial

Dr. Francisco Javier Diez de Bonilla Calderón

Catedrático de la F.O de la UNAM

Dr. Francisco Magaña Moheno

Centro de Especialidades Odontológicas

Javier Portilla Robertson

Exdirector de la Facultad de Odontología de la UNAM

Especialista en Patología Bucal

178. Junio 2023 Contenido 7
30 | SONRIENDO AL FUTURO Reabsorción radicular del incisivo lateral por canino impactado 42 | BOLETÍN INFORMATIVO Congreso CMN Siglo XXI, Arte y ciencia odontológica

Dentista y Paciente

C.D.E.O. Arturo Alvarado Rossano† Profesor y Especialista en Ortodoncia y Ortopedia Craneofacial en la Facultad de Odontología. UNAM. Asesor Académico y Coordinador de Difusión de la AMOCOAC.

C.D. Manuel García Luna y González Rubio Dra. Ana Gabriela Carrillo Varguez Coordinadora de la especialidad en endodoncia UABC Tijuana. Coordinadora de Investigación y Posgrado F.O. UABC

M.C. Ernestina Santillana Marín Subdirectora de CISALUD UABC

William James Maloney, D.D.S. Clinical Associate Professor New York University

universidad anáhuac méxico norte

C.D. Carlos Robles Bonilla Coordinador de la Licenciatura de Cirujano Dentista

C.D. Sergio Antonio Ojeda León Profesor Titular de Odontopediatría de la Licenciatura de Cirujano Dentista

C.D. Bernardo Grobeisen Weingersz Profesor Titular de Clínica Integral de la Licenciatura de Cirujano Dentista

C.D. Norma Ibañez Mancera. Profesora Titular de Patología Bucal de la Licenciatura de Cirujano Dentista

Dirección del Derecho de Autor certificado de reserva al uso exclusivo no. 04-2008022718312200-102 con fecha 27 de Marzo del 2008. Gobernación de la H. Comisión Calificadora de Publicaciones y Revistas Ilustradas, certificado de licitud de contenido 5328, certificado de licitud de título 7411, franqueo pagado, publicación mensual permiso no. PP09-02106, SEPOMEX. Las opiniones expresadas en los artículos y en los anuncios publicados no significan de ninguna manera juicios, criterios, ideas o cualquier otro concepto por parte de la editorial; reflejan únicamente las ideas y pensamientos de sus autores. Los artículos, entrevistas, resúmenes, publirreportajes, fotografías y cualquier otro material son exclusivos de la editorial, y no se autoriza la reproducción total o parcial por ningún medio sin previa autorización del editor. Para cualquier asunto relacionado con suscripción, distribución, comercialización, anuncios, contenido u otro propósito, favor de dirigirse a la editorial. Impreso en Offset Impresión Creativa S.A de C.V.

Dentista y Paciente® Publicación mensual correspondiente al mes de JUNIO DE 2023. editada por Editorial Renascence S.A. de C.V., Rancho Jigüingo 29, Prado Coapa, Ciudad de México, 14350. tel. 56846632, fax 56793656. Distribuida en locales cerrados, depósitos dentales, universidades, congresos y exposiciones. Editora responsable: Mariangel Martínez López. Fotoarte de portada: Editorial Renascence.

distribución certificada por el padrón nacional de medios impresos de la dirección general de medios impresos de la secretaría de gobernación no. 007-136. www.gobernacion.gob.mx

8 Contenido

46

ENCICLOPEDIA ODONTOLÓGICA

Injerto en bloque en “sandwich“ con la cortical obtenida del seno maxilar y hueso autólogo particulado embebido en Endoret-PRGF. Estudio retrospectivo con estimación de la ganancia ósea generada y su conservación tras 1 año de carga de los implantes.

62

¿Cuántos implantes son necesarios para una sobredentadura maxilar?

Osteorradionecrosis de los maxilares: etiología y prevención.

178. Junio 2023 Contenido 9
| ESTUDIO 56 | PUNTO DE VISTA Parte 2 |

Extracción de primeros molares permanentes en la corrección de mordidas abiertas severas

Dentista y Paciente 10 Calidad y dirección Fotoarte: Editorial Renascence | Fotografía: AdobeStock

Extracción de primeros molares permanentes en la corrección de mordidas abiertas severas

La mordida abierta se define como la falta de contacto evidente entre los dientes superiores e inferiores. Existen diversas estrategias para su corrección, una de estas es la extracción de primeros molares permanentes, alternativa viable para el tratamiento de esta discrepancia en pacientes con mordida abierta; el objetivo terapéutico es corregir la maloclusión, inhibir el hábito de proyección lingual, mejorar la función oclusal y estética del paciente. Se presenta una paciente de 29 años, Diagnosticada como clase II esquelética, crecimiento vertical, clase II molar bilateral, clase II canina derecha, clase III canina izquierda, apiñamiento severo superior y moderado inferior, presencia de mordida abierta anterior y posterior a nivel de premolares, ausencia de OD 46 y presencia de un diente supernumerario, el tratamiento consistió en la extracción de primeros molares permanentes así como el diente deciduo, el cierre de espacios y la corrección del hábito de proyección lingual, el tiempo de tratamiento total fue de 2 años 2 meses.

Palabras clave: mordida abierta, proyección lingual, extracciones, primeros molares.

178. Junio 2023 11
David Cruz Cervantes. Residente de segundo año de la maestría de Ortodoncia y Ortopedia Maxilofacial en el Centro de Estudios Superiores de Ortodoncia (CESO) Ciudad de México. Dra. Beatriz Gurrola Martínez. Profesora del CESO y profesora titular C en la carrera de Cirujano Dentista de la Facultad de Estudios Superiores Zaragoza de la UNAM. Dr. Adán Casasa Araujo. Director del CESO.

La mordida abierta es una maloclusión común en la dentición decidua y mixta.1 Esta corresponde a una falta de contacto evidente entre las piezas dentales superiores e inferiores que se manifiesta bien a nivel del grupo incisivo o de los segmentos posteriores de las arcadas.2,3

Existen muchas clasificaciones para las mordidas abiertas, estas se pueden clasificar como: de origen esquelético, de origen dentoalveolar y mordida abierta combinada, en esta última se presenta con un compromiso en los componentes óseos y dentoalveolares.3 Existen características faciales presentes en los pacientes con mordida abierta como alargamiento vertical de la cara, incompetencia labial, tensión de la musculatura perioral, aplanamiento del labio superior, disminución del

surco labiomental, falta de proyección anterior del mentón. Asimismo, es frecuente encontrar disfunciones de ATM, con sintomatología dolorosa ocasional y presencia de ruidos articulares.3,4

La etiología de esta maloclusión se desarrolla por la interacción de varios factores, entre ellos se encuentran: variaciones en la erupción dental y en el crecimiento alveolar, desproporción en el crecimiento muscular o incluso una función neuromuscular aberrante relacionada con disfunciones linguales, hábitos orales o ambas.5,14 Dentro de los factores ambientales están los hábitos como succión digital e interposición lingual. Cabe mencionar que la función, la postura y el tamaño de la lengua pueden afectar también la posición dental, el arco dental y el desarrollo de los dientes maxilares.6 El diagnóstico

Dentista y Paciente 12 Calidad y dirección
Figura 1. Lateral cráneo.

Extracción de primeros molares permanentes en la corrección de mordidas abiertas severas

Comfort H/S™ Bite Splint es una guarda diseñada para aliviar el dolor y los daños causados por el bruxismo o el apretamiento severo de los dientes. Es la guarda más prescrita debido a su comodidad y ajuste. Se compone de dos capas: una capa interior de poliuretano suave de 1 mm y una capa exterior de copoliéster rígido de 3 mm. La superficie interna blanda descansa cómodamente contra el diente y las encías, mientras que la superficie oclusal

178. Junio 2023 13
¡SU
MK T- 013186 1 welld ent al.com/promociones/guardas GLMX-1949340 - 051622 ES
LABORATORIO DENTAL DE CONFIANZA!
Fabricada con materiales Envíos GRATIS a todo México Dra. Nadia Rodriguez

y tratamiento de las mordidas abiertas ha sido y es uno de los temas más controvertidos en ortodoncia ya que la mordida abierta es una de las maloclusiones más difíciles de tratar, se debe abordar a través de un manejo multidisciplinario y de manera temprana.7

Los tratamientos para la mordida abierta son determinados con base en su etiología y diagnóstico, balances esqueletales pueden se corregidos a través de cirugía ortognatica, las desarmonías dentales y alveolares pueden ser corregidas mediante movimiento dentoalveolar.3,4,7 Los tratamientos de ortodoncia, donde se han planteado extracciones de primeros molares permanentes, han hecho pensar que son de difícil manejo, sin embargo en varios reportes de caso, se ha planteado que la eliminación de los puntos de contactos más posteriores y la mesialización del segmento posterior, provocará una rotación anterior mandibular, y con esto el cierre de la mordida anterior.8

Caso clínico

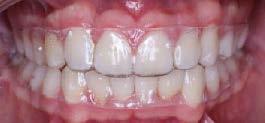
Se presenta una paciente de 29 años con el motivo de consulta “quiero arreglarme los dientes” en los

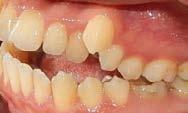
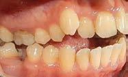
estudios de inicio se observa en la radiografía lateral de cráneo (Figura 1) clase II esquelética y crecimiento vertical. En los estudios de inicio extraorales en las fotografías de frente y perfil (Figura 2) no muestra exposición dental al momento de sonreír, un perfil convexo y el tercio inferior aumentado respecto al tercio superior y medio de la cara.

Estudios intraorales iniciales

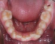
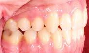
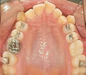
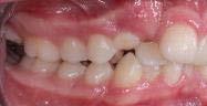
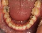
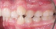
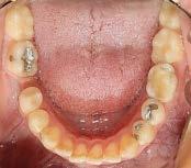
En las fotografías intraorales (Figura 3) observamos una clase II molar bilateral, clase II canina derecha, clase III canina izquierda, apiñamiento severo superior y moderado inferior, presencia de mordida abierta anterior y posterior a nivel de premolares (Figura 4), forma de arco triangular en la arcada superior y forma de arco oval en inferior, ausencia del OD 46 y presencia de un diente supernumerario.

Tratamiento

El tratamiento consistió en las extracciones de OD 16, 26, 36 y el órgano dental supernumerario, alineación, nivelación a través de la secuencia de arcos NiTi 0.016, 0.018 y 0.017 × 0.025, también se utilizó un posicionamiento estratégico de

Dentista y Paciente 14 Calidad y dirección
Figura 2. Fotografías extraorales frente y perfil. Figura 3. Fotografías de frente, lateral derecha, lateral izquierda.

Extracción de primeros molares permanentes en la corrección de mordidas abiertas severas

brackets a través de un bondeo hacia gingival en la zona de los incisivos y premolares y hacia oclusal en la zona de molares, se realizó la corrección del hábito a través de recordatorios linguales y terapia miofuncional con

myobrace T4B. Para el cierre de espacios se utilizaron botones linguales y cadenas intramaxilares así como elásticos de clase I y II 3/16 4.5 oz, también se realizó un cambio de postura mandibular, esto con la ayuda de un

Figura 4. Vista oclusal superior e inferior. Figura 5. Frente, perfil.

jig de Lucía y topes funcionales clase II y extrusión posterior a través de elásticos verticales, para el detallado se utilizaron arcos NiTi 0.019 x 0.025 superior e inferior y arcos de acero 0.017 × 0.025, finalmente en la retención y postratamiento se logró a través de retenedores fijos de canino derecho a canino izquierdo superior e inferior y retenedores circunferenciales superiores e inferiores.

Resultados

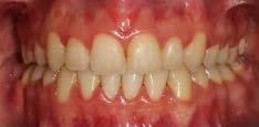
El tratamiento se terminó a los 2 años y 3 meses, en los estudios extraorales finales se ve la coincidencia de la línea media dental superior, con la línea media dental, la exposición dental que muestra la sonrisa (Figura 5), el cambio que se obtuvo en el perfil debido a la retracción del sector anterior.

Estudios intraorales finales

Se observa el cierre de la mordida, la línea media inferior desviada 1 mm hacia la derecha respecto a la línea

media superior, el overjet de 2 mm y un overbite del 20%, (Figura 6).

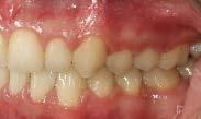
Se obtuvo clase I molar bilateral y clase I canina bilateral (Figura 7).

En las fotografías oclusales observamos la forma de arco oval, la solución del apiñamiento y el cierre de la mordida abierta. (Figura 8)

En la sobreimposición sobre componente craneofacial (Figura 9) de inicio final, se ve el cambio de perfil en tejido blando, observamos la retroinclinación de los incisivos superiores e inferiores y la mesialización de los segundos molares.

Discusión

La maloclusión de mordida abierta anterior se encuentra catalogada como una desarmonía oclusal de gran interés para los ortodoncistas, ya que su diagnóstico y tratamiento es uno de los temas más controvertidos en la rama de la ortodoncia,9,12 la extracción de primeros molares como

Dentista y Paciente 16 Calidad y dirección
Figura 6. Intraoral de frente. Figura 7. Intraoral derecha e izquierda.

alternativa para el cierre de mordidas abiertas parece ser una alternativa viable, tomando en cuenta que estos se escogerán antes que los premolares debido a lesiones cariosas, restauraciones previos, tratamientos endodónticos o hipoplasia.10,11

El tratamiento de la mordida abierta con extracciones de primeros molares tiene resultados funcionales con mayor estabilidad, a diferencia de aquellos en los que se decide no extraer.11,12 El paciente en el CESO fue atendido bajo el tratamiento con extracciones de primeros molares debido a que estos presentaban indicaciones para su extracción dando

como resultado un tratamiento satisfactorio para el cierre de la mordida abierta.

Conclusión

El tratamiento en pacientes con mordida abierta anterior y posterior, es un reto para el ortodoncista ya que se debe tomar en cuenta la etiología de esta, manejarlo de manera adecuada puede evitar la aparición de recidiva, el caso presentado muestra que la extracción de los primeros molares es una alternativa favorable para el cierre de mordidas abiertas tomando en cuenta ciertas consideraciones previas.

178. Junio 2023 17
Extracción de primeros molares permanentes en la corrección de mordidas abiertas severas Figura 8. Oclusal superior e inferior. Figura 9. Sobreimposición.

Referencias

1. Valarelli, F. P., Silva, M. F. A., Imai, L., Janson, G., & Freitas, K. M. S. (2021). Strategies for compensatory orthodontic treatment of adult skeletal open bite. Journal of Clinical Orthodontics: JCO, 55(7), 419-428.

2. Proffit W, Fields H, Sarver D. Ortodoncia contemporánea. 4ª ed. España: Elsevier, 2008

3. Canut Brusola, Jose Antonio. Ortodoncia Clinica. primera edicion ed., barcelona, españa, salvat editores, 1988, pp. 369–388.

4. de Menezes, L. M., Ritter, D. E., & Locks, A. (2013). Combining traditional techniques to correct anterior open bite and posterior crossbite. American Journal of Orthodontics and Dentofacial Orthopedics, 143(3), 412-420.

5. García J, Djurisic A, Quirós O, Molero L, Alcedo C, Tedaldi J. Hábitos susceptibles de ser corregidos mediante terapias miofuncionales. Revista Latinoamericana de Ortodoncia y Odontopediatría [internet], 2010. Disponible en: https://www.ortodoncia.ws/publicaciones/2010/art-21/ [consulta: 26 de septiembre de 2022]

6. Fonseca Y, Fernández E, Cruañas M. Mordida Abierta anterior. Revisión Bibliográfica. Rev haban cienc méd [Internet]. 2014 Ago [citado 2022 Sep 26] ; 13( 4 ): 509-515. Disponible en: http:// scielo.sld.cu/scielo.php?script=sci_arttext&pid=S1729-519X2014000400003&lng=es.

7. Lin L-H, Huang G-W, Chen C-S. Etiology and Treatment Modalities of Anterior Open Bite Malocclusion. Journal of Experimental & Clinical Medicine. 2013;5(1):1-4.

8. Rossato PH, Fernandes TMF, Urnau FDA, de Castro AC, Conti F, de Almeida RR, et al. Dentoalveolar effects produced by different appliances on early treatment of anterior open bite: A randomized clinical trial. The Angle Orthodontist. 2018;88(6):684-91

9. Pérez G, Soto T-A, Gallardo N-I, Isais I-S. Tratamiento de mordida abierta con extracciones de primeros molares. Reporte de caso. Rev haban cienc méd. 2015;3(4):266–73.

10. Cozza P, Baccetti T, Franchi L, Toffol L, McNamara Jr. Mandibular Changes produced by Functional appliances in Class II Malocclusion: A sistematic Review. AJODO [Internet] 2006 [Consultado 29 septiembre de 2022] 129 (6): 599e1-599e12. Disponible en: http://www.ajodo.org/article/ S0889-5406(05)01208-4/fulltext

11. Seddon, J. L. “Extraction of Four First Molars: A Case for a General Practitioner?”Journal of Orthodontics, vol. 31, no. 2, June 2004, pp. 80–85, 10.1179/146531204225020355. Accessed 26 June 2021.

12. de Figueiredo, Márcio A., et al. “Early Tooth Extraction in the Treatment of Anterior Open Bite in Hyperdivergent Patients.” World Journal of Orthodontics, vol. 8, no. 3, 2007, pp. 249–260, pubmed.ncbi.nlm.nih.gov/17902330/. Accessed 30 Sept. 2022.

13. Huang, G, Justus, R, Kennedy D, Kokich V. Stability of anterior openbite treated with crib therapy. The Angle Orthodontist [internet], 1990;60(1):17-24. Disponible en: http://www.angle. org/doi/abs/10.1043/0003-3219(1990)060%3C0017:SOAOTW%3E2.0.CO;2 [consulta: 28 de septiembre de 2022].

14. Tirado L, Gurrola B, Casasa A. Manejo de mordida abierta anterior con apiñamiento severo y hábito de interposición lingual [Internet]. revistadentistaypaciente. [citado 29 de septiembre de 2022]. Disponible en: https://dentistaypaciente.com/calidad-y-direccion-137.html

Dentista y Paciente 18
Calidad y dirección

CURAPROX KIDS MANTEN LAS CARIES FUERA

Compacto, suave y e ciente.

Te presentamos: el increíblemente suave cepillo de dientes para una limpieza a fondo.

Preparados para la placa con una buena salud oral.

• Ca b ezal extra compac to y ligeramente inclinado

lamentos nos

•5,500 Curen® cada uno de 0.09 mm de diámetro.

•Para niños de 4 – 12 años

•Desarrollado y fabricado en Suiza

@curaprox mexico
NUEVO

NUEVO

Las enzimas fortalecen sus defensas naturales contra las caries.

• Contiene 1450 ppm de úor.

• Para los niños a partir del primer diente.

• Anticaries.

• Control de placa.

• Antisarro

• Remineralizante

• Previene a as y úlceras.

• Previene boca seca/ xerostomía.

• No es abrasiva (RDA-40).

• Sin Lauril sulfato de sodio (SLS), ni detergentes dañinos.

• Sin parabenos.

• Sin microplásticos

• Sin triclosán.

¿Sabías que tu cajita se convierte en un tipodonto?

@curaproxmexico

Se llevó a cabo, del 3 al 7 de mayo del 2023, la 76 Expo Amic Dental Internacional y el Congreso Nacional e Internacional de la Facultad de Odontología UNAM-AMIC 2023, Los Angeles Dental Meeting en el WTC de la CDMX.

Dentista y Paciente 22 Boletín informativo
Mtro. Carlos Adolfo Espinosa García. Especialidad en Odontología Legal y Forense Maestría en Odontología
178. Junio 2023 23 76 AMIC Dental

La Expo Amic es la Exposición Dental más grande del mundo de habla hispana. El Congreso se llevó a cabo del 4 al 6, mientras que el 7 fue la exposición de carteles. Participaron conferencistas nacionales e internacionales, se expusieron conferencias magistrales, se presentó tecnología de vanguardia, se utilizaron auditorios simultáneos e interactivos multidisciplinarios, donde se dieron a conocer los últimos avances en odontología Clínica.

Dentista y Paciente 24 Boletín informativo
178. Junio 2023 25 76 AMIC Dental
Dentista y Paciente 26 Boletín informativo

En la Expo se presentaron las diversas casas comerciales, donde dieron a conocer lo último en materiales dentales así como instrumental, equipos y tecnología de punta. También se llevaron a cabo conferencias y cursos cortos.

178. Junio 2023 27 76 AMIC Dental
Dentista y Paciente 28 Boletín informativo

Vimos y platicamos con muchos estudiantes de Odontología de diversas universidades, algunas del interior de la república. Nos dio mucho gusto que más de un estudiante, nos comentaran que conocían nuestra revista, ya que consultaban artículos para realizar trabajos que tienen que presentar en su facultad o escuela. También se llevó a cabo el sorteo de 5 automóviles. ¡Muchas Felicidades a los ganadores de dichos sorteos!

178. Junio 2023 29 76 AMIC Dental

Reabsorción radicular del incisivo lateral por canino impactado

Dentista y Paciente 30 Sonriendo al futuro Fotoarte: Editorial Renascence | Fotografía: AdobeStock

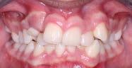
Se presenta una paciente de 13 años y 3 meses diagnosticado con clase II esquelética, normodivergente, apiñamiento severo superior y moderado en inferior, clase II molar y canina bilateral, órgano dentario (OD) 53 presente en boca, OD 13 impactado, línea media superior desviada a la derecha, OD 37 y 47 en proceso de erupción, terceros molares en formación. Los objetivos del tratamiento fueron corrección del perfil labial, corrección del apiñamiento maxilar y mandibular, obtener clase II molar funcional bilateral, obtener clase I canina bilateral con el OD 14, corrección de overjet y overbite, corrección de líneas medias dentales, caracterización del OD 13 como OD 12, mantener las relaciones esqueléticas, mejorar estado periodontal,

lograr correcta intercuspidación, guía de desoclusión canina y guía incisiva; cirugía de OD 38 y 48, gingivoplastia. La aparatología utilizada: brackets prescripción Roth .022” x .028”, tubos convertibles en 6’s y sencillos en 7’s. El tratamiento se llevó a cabo mediante exodoncia de OD 53,12 y 24, alineación, nivelación, incorporación del OD 13 al arco, rehabilitación con trasplante adamantino, cierre de espacios, detallado y retención a través de termoformados y fijo de 3 a 3 superior e inferior. Tiempo de tratamiento activo: dos años tres meses.

Palabras clave: apiñamiento, reabsorción radicular, exodoncia, canino impactado, trasplante adamantino.

178. Junio 2023 31 Reabsorción radicular del incisivo lateral por canino impactado
Katherine Elizabeth Tarco Rojas. Residente de segundo año de la maestría de Ortodoncia y Ortopedia Maxilofacial en el Centro de Estudios Superiores de Ortodoncia (CESO) Ciudad de México. Dra. Beatriz Gurrola Martínez. Profesora del CESO y profesora titular C en la carrera de Cirujano Dentista de la Facultad de Estudios Superiores Zaragoza de la UNAM. Dr. Adán Casasa Araujo. Director del CESO.

La impactación dental puede definirse como la posición infraósea del diente después del tiempo esperado de erupción. 1 Los caninos maxilares permanentes impactados ocupan el segundo lugar en frecuencia de dientes impactados, superados solo por los terceros molares superiores e inferiores, la mayoría de las veces, el desplazamiento palatino del canino superior da como resultado la impactación.1,2

Su etiología es multifactorial, rara vez ocurre de forma aislada ya que es común observarla acompañada de agenesia o anomalías en forma de incisivos laterales, retención prolongada o pérdida prematura del canino primario, dientes supernumerarios, deficiencia esquelética premaxilar, posición anormal del germen dental, patología localizada como quistes, neoplasias, malformaciones, odontomas, presencia de fisura alveolar, anquilosis, trauma, aberración en la formación de la lámina dental, problemas nasales y respiratorios, variación en el tamaño de la raíz del diente, variación en el tiempo de formación radicular, secuencia de erupción anormal y herencia.3

Hay que destacar que los caninos superiores están predispuestos a quedarse incluidos por presentar el periodo más largo de desarrollo. 4 Mucho tiempo se especuló que los caninos maxilares tenían un trayecto

más tortuoso que cualquier otro diente para su erupción y que esta situación estaba relacionada con factores como: el tiempo requerido para su desarrollo y la posición cambiante durante su desarrollo.5 La incidencia de impactación de caninos superiores oscila entre el 1% y el 3%.2 La falta de monitorización y el retraso en el tratamiento de los caninos impactados pueden causar diferentes complicaciones, como: malposición lingual o labial del diente retenido, desplazamiento de los dientes contiguos, acortamiento del arco dental, quistes foliculares, anquilosis canina, infecciones recurrentes, dolor referido, reabsorción radicular externa de los dientes adyacentes.6

La reabsorción apical externa, es un proceso fisiológico o patológico que ocasiona la pérdida de cemento o dentina, con un acortamiento del ápice radicular causando movilidad del diente e incluso afecta su viabilidad.7 La prevalencia de la reabsorción radicular de los incisivos superiores permanentes causada por la erupción ectópica de los caninos superiores es de aproximadamente el 12%.2 Se considera que los incisivos son los más afectados y que un folículo dental agrandado o activo, la presión física o el contacto del canino maxilar impactado pueden ser responsables de la reabsorción radicular de los incisivos maxilares ya que elimina la zona hialina, lo que podría reabsorber la superficie externa de la raíz, después

Dentista y Paciente 32 Sonriendo al futuro
Figura 1. Extraoral de frente. Figura 2. Perfil de inicio.

de lo cual, la dentina expuesta sería más vulnerable a la reabsorción por las scavenger cells o células carroñeras.7

Es imperativo tener en cuenta que la reabsorción relacionada con los caninos de las raíces de los incisivos generalmente no acorta las raíces

de manera horizontal sino que, más bien, causa una reabsorción oblicua, que generalmente se encuentra en la cara palatina o labial, dependiendo de la ubicación del canino impactado.8 La tomografía computarizada cone beam, en los últimos años ha demostrado ser un método fiable y preciso para evaluar este tipo de complicaciones, siendo el examen de elección para abordar el diagnóstico y elegir el tratamiento de forma más precisa. La medición de las reabsorciones radiculares asociadas a la impactación, nos permite predecir el pronóstico de la pieza y actuar en consecuencia.9,10

En la actualidad, las reabsorciones radiculares de incisivos por impactación de caninos son mucho más comunes de lo que nos imaginamos y por desgracia, son asintomáticas, una vez que se diagnostica es posible que el proceso ya se encuentre en una etapa avanzada que no es tratable, llevando a la extracción de la pieza dentaria afectada.11 Nadie duda que la demanda en los tratamientos odontológicos estéticos ha aumentado notablemente, la adhesión de una carilla sirve para restaurar uno o múltiples dientes que se encuentren pobremente formados por esmalte hipoplásico, en forma de clavija, fracturados, con caries extensa o en la caracterización dental por lo que es importante devolver al paciente la función y estabilidad, donde el trasplante adamantino como tratamiento odontológico estético es una opción cada vez más segura y efectiva, la adhesión directa de una carilla de esmalte obtenida del mismo paciente es una excelente alternativa.12,13

Reporte de un caso

Paciente de 13 Años y 3 Meses, al motivo de consulta la madre refiere: “Me gustaría que le arreglaran

Dentista y Paciente 34 Sonriendo al futuro
Figura 3. Radiografía cefálica lateral. Figura 4. Radiografía panorámica.

los dientes a mi hijo”. En los estudios de inicio en las fotografías extraorales de frente en el análisis de reposo (Figura 1) se aprecia desviación de 2 mm a la derecha de la línea media dental superior y 2 mm de la línea media dental inferior a la izquierda en relación con la línea media facial. En la de perfil (Figura 2) retroquelia superior e inferior respecto a la línea estética de Ricketts.

Estudios radiográficos de inicio

Al análisis radiográfico (Figura 3) se observa la clase II esquelética, patrón de crecimiento normodivergente, incisivo superior con adecuada inclinación respecto a su base ósea, incisivo inferior ligeramente proinclinado y vías aéreas permeables. En la radiografía panorámica (Figura 4) se ven 33 órganos dentarios OD, el infantil 53 presente en boca, el OD 13 impactado, los 37 y 47 en proceso de erupción y los terceros molares en formación.

En los cortes tomográficos, en el corte coronal (Figura 5) se muestra el OD 13 impactado y su proximidad con el incisivo lateral, en el corte sagital (Figura 6) grado de reabsorción radicular del OD 12.

Estudios de inicio intraorales

De frente (Figura 7) presenta líneas medias dentales no coincidentes, 6 mm overjet, 10% overbite, relación molar y canina clase II bilateral. Las oclusales (Figura 8) la arcada superior de forma triangular, presencia de OD 53 y apiñamiento severo, la arcada inferior de forma cuadrada con segundos molares en erupción y apiñamiento moderado.

Tratamiento

Se indicó la extracción del OD 53, 12 y 24, el OD 14 ocupa el lugar del OD 13. Para la corrección del apiñamiento maxilar y mandibular con la alineación y nivelación dental iniciando con

178. Junio 2023 35 Reabsorción radicular del incisivo
por canino impactado
lateral
Figura 5. Corte coronal. Figura 6. Corte sagital. Figura 7. Intraorales de frente, lateral derecha e izquierda. Figura 8. Vista oclusal superior e inferior.

un bondeo seccional superior del OD 17 al 14, del 27 al 23, bondeo de 6 a 6 en inferior, secuencia de arcos: Niquel Titanio 0.014", 0.016", 0.018", 0.017 × 0.025", 0.019 × 0.025" superior e inferior. Para obtener la clase I canina bilateral mediante cierre de espacio y distalización del OD 23 acompañada de mecánica de elásticos vector clase II bilateral 3/16 4.5 oz. Para conseguir la clase II molar funcional a través de elásticos intermaxilares vector clase II 3/16 4.5 oz. Se esperó la erupción pasiva del OD 13 en la posición del incisivo lateral derecho.

Finalmente, en la etapa de detallado para lograr la máxima intercuspidación, paralelismo radicular y oclusión funcional se usaron arcos de acero rectangular 0.017 × 0.025" y 0.019 × 0.025" con dobleces de primer, segundo y tercer orden. Ameloplastia del OD 13 (Figura 9) para rehabilitación con trasplante adamantino cementando de corona de OD 12 en el OD 13 y gingivoplastia (Figura 10). Para la estabilidad, posttratamiento y retención retenedores

fijos de 3 a 3 y termoformados superior e inferior.

Resultados

Estudios finales extraorales

En la fotografía de frente (Figura 11) se ve la sonrisa armónica, la corrección de la línea media dental superior e inferior respecto a la línea media facial, en la de perfil final (Figura 12) se mantuvo el perfil labial. El tiempo de tratamiento activo fue de 2 años y 3 meses.

Estudios intraorales finales

En la Figura 13 se muestra líneas medias dentales superior e inferior coincidentes, se obtuvo clase II molar funcional bilateral y clase I canina izquierda y derecha con el OD 14, la correcta adhesión del trasplante conformado como carilla en la cara vestibular del OD 13, oclusión funcional, overjet y overbite adecuados.

Se observa la liberación del apiñamiento superior e inferior, ( Figura 14) se incluyó el OD 13 al arco y se consiguió la forma oval de ambas arcadas.

En la radiografía panorámica (Figura 15) se ve el paralelismo radicular, 26 OD presentes, OD 18 y 28 en formación. En la retención del tratamiento se le colocaron al paciente (Figura 16) fijos de 3 a 3 y además utilizar termoformados superior e inferior.

Discusión

La impactación del canino superior permanente es un problema clínico que puede provocar una serie de secuelas que van desde la pérdida de espacio en el arco para su correcta erupción, hasta la reabsorción

Dentista y Paciente 36 Sonriendo al futuro
Figura 9. Canino (O.D 13) en posición del incisivo lateral. Figura 10. Trasplante adamantino y gingivoplastia. Figura 11. Extraoral sonrisa final. Figura 12. Perfil.

radicular de dientes vecinos.4 Aylwing indica que un 27% hasta un 69% producirían algún grado de reabsorción radicular en incisivos laterales maxilares y de un 9% a 23% en incisivos centrales maxilares.14 Autores como: Chaushu, Ericson y Kurol señalan que los incisivos laterales maxilares se ven más afectados que los incisivos centrales, en un 38% y 9% respectivamente esto debido a la intimidad más

cercana del canino al incisivo lateral que al incisivo central. A este respecto en el CESO la reabsorción radicular fue del OD 12. El pronóstico de sobrevida a largo plazo de dientes con reabsorción radicular es bueno, pero cuando se indica extracciones, se ha sugerido que los incisivos laterales con reabsorción radicular severa deben ser extraídos en preferencia de premolares sanos.

Por otro lado, Hitoshi y Marks mencionan que la presión física de los dientes permanentes en erupción ha sido considerada como uno de los factores más importantes en la reabsorción radicular. Hitoshi, reporta a 11 pacientes con reabsorción radicular de 12 incisivos centrales y 11 incisivos laterales, encontró que la reabsorción radicular fue más frecuente en mujeres que en hombres en una relación de 10 a 1, siendo la edad promedio de esta reabsorción radicular a los 13.5 años con un rango de los 11 a los 23 años de edad.16,17 Por otro lado, la clasificación de Ericson y Kurol divide los sectores de impactación del canino en 5.

178. Junio 2023 37 Reabsorción radicular del incisivo
por canino impactado
lateral
Figura 13. Intraorales finales de frente, lateral derecha e izquierda. Figura 14. Oclusales finales superior e inferior. Figura 15. Radiografía panorámica final.

En el CESO fue el sector 2 que se describe como la punta de la cúspide del canino se encuentra entre la cara distal y eje largo del incisivo lateral , de acuerdo con Aylwin14 tiene un grado de reabsorción 2: que involucra pulpa y ruptura de la línea cementodentinaria. En algunos casos los dientes deben ser extraídos debido a la extensa perdida radicular y reemplazados con los caninos impactados los cuales deben ser incluidos ortodónticamente al arco dental y restaurados protésicamente como fue el paciente del CESO junto a la rehabilitadora oral se realizó un trasplante adamantino con lo que se obtuvo una excelente estética con las características propias.

Conclusiones

En pacientes con impactación y erupción ectópica de los caninos, es importante un diagnóstico clínico y radiográfico incluido una tomografía cone beam para un tratamiento ortodóntico adecuado, la decisión de extraer o mantener un incisivo lateral con reabsorción radicular debe tomarse después de considerar el grado de reabsorción, discrepancia de espacio y estabilidad postratamiento del diente afectado. Preferiblemente se indica la extracción del incisivos afectado posicionando el canino en su lugar junto con su rehabilitación para devolver la estética al paciente.

Dentista y Paciente 38 Sonriendo al futuro
La impactación del canino superior permanente es un problema clínico que puede provocar una serie de secuelas que van desde la pérdida de espacio en el arco para su correcta erupción, hasta la reabsorción radicular de dientes vecinos
Figura 16. Termoformados superior e inferior.

Referencias

1. Manne R, Gandikota C, Juvvadi SR, Medapati Rama H, Anche S. Impacted canines: Etiology, diagnosis, and orthodontic management. J Pharm Bioall Sci 2012;4, Suppl S2:234-8

2. Strbac G, Foltín A, Gahleitner A, Bantleon H, Watzek J, Bernhart T. The prevalence of root resorption of maxillary incisors caused by impacted maxillary canines. Clin Oral Invest. 2013; 17(2):55364. DOI 10.1007/s00784-012-0738-9

3. Lai CS, Bornstein MM, Mock L, Heuberger BM, Katsaros C. Impacted maxillary canines and root resorptions of neighbouring teeth: a radiographic analysis using cone-beam computed tomography. Eur J Orthod. 2013;35(4):529-38. doi: 10.1093/ejo/cjs037

4. Rodríguez RF, Rodríguez SM, Rodríguez RB.Reabsorción radicular de incisivos laterales superiores en relación con la erupción ectópica de caninos: Presentación de dos casos. Av Odontoestomatología. 2008; 24( 2 ): 147-156. Disponible en internet: http://scielo.isciii.es/scielo.php?script=sci_arttext&pid=S0213-12852008000200002&lng=es.

5. Mercado MS, Ríos VK. Tratamiento ortodóntico quirúrgico de canino maxilar impactado con reabsorción radicular bilateral: Reporte de caso. Revista Estomatológica Herediana. 2013 AbrJun;23(2):83-88.

6. Guarnieri R, Cavallini C, Vernucci R, Vichi M, Leonardi R, Barbato E. Caninos maxilares impactados y reabsorción radicular del diente adyacente: estudio observacional retrospectivo. Dialnet. 2017, Vol. 22, Nº. 3, págs. 188-194.

7. Falcón GB. Manejo quirúrgico de la reabsorción radicular externa de incisivos ocasionada por un canino retenido. AMC. 2021; 25(3).

8. Chaushu S, Kaczor K, Zadurska M, Becker A. Predisposing factors for severe incisor root resorption associated with impacted maxillary canines. AJODO.2015; Vol 147 (1).

9. Arakaki CN, De la Quintana M, Gaitán R, Loza JC, Marchena R, Lavado A. Evaluación tomográfica del grado de reabsorción radicular causado por caninos impactados. KIRU. 2016;13(2):165-168.

10. Tomas A, Poletto A. Estudio de las reabsorciones radiculares asociadas a caninos retenidos maxilares en tomografía cone beam.REFO. 2020, VOL. XIII, N° 1.

11. Martínez BE. Reabsorción radicular de incisivos por impactación de caninos. [Tesis doctoral]. Toluca.2017.

12. Cuello SJL. Carillas directas con resinas compuestas: una alternativa en Operatoria Dental %J RCOE. 2003. 8: Pp. 415-421

13. Valencia R, Espinosa R, Delgado J, Arbeláez A, Rodríguez E. F, García C. Adhesión directa de carillas de esmalte obtenidas del mismo paciente. RODYB 2013. Volumen 2 (2) Pp. 19.

14. Aylwin RJ, Saavedra MA, Hidalgo RA, Palma DE. Prognosis in orthodontic treatment of root resorption of teeth caused by impacted canines: A literature review. Avances en Odontoestomatología, 2018 34(1), 11-17.

15. Ericson S, Kurol J. Reabsorción de los incisivos después de la erupción ectópica de los caninos maxilares: un estudio de TC. Ortodoncia del ángulo 2000; 70:415-23.

16. Hitoshi S. Root resorption of upper permanent incisor, caused by impacted canine. Am J Orthod 1984;299-306.

17. Marks SC, Schroeder HE, Andreasen JO. Teorías y mecanismo de la erupción dental. En: Andreasen JO.1997. pág. 20-65

178. Junio 2023 39 Reabsorción radicular del incisivo lateral por canino impactado
Dentista y Paciente 42 Boletín informativo

Congreso CMN Siglo XXI, Arte y ciencia odontológica

Nuestros amigos de la página web Arte y Ciencia Odontológica, realizaron el primer congreso dental UP, Arte y Ciencia Odontológica, que se llevó a cabo el día 22 de abril en el auditorio 2 del Centro Médico Nacional Siglo XXI, en la Ciudad de México.

El congreso lució por la calidad de los ponentes y la variedad de los temas que se trataron. También se colocaron stands, donde algunas casas comerciales, ofrecieron sus productos.

178. Junio 2023 43 Congreso CMN Siglo XXI, Arte y ciencia odontológica
Mtro. Carlos Adolfo Espinosa García. Especialidad en Odontología Legal y Forense Maestría en Odontología

Queremos felicitar ampliamente a los integrantes del equipo de Arte y Ciencia Odontológica, en especial a los doctores Alejandro Segura y José San Román, fundadores, por ese entusiasmo y dedicación para difundir el conocimiento en las diferentes áreas de la odontología.

Ojalá continúen con en esta labor ya que aparte de su página, organizan cursos tanto presenciales como en línea. Cada día tienen más seguidores, por lo que se espera que sigan creciendo.

Dentista y Paciente 44 Boletín informativo

Queremos felicitar ampliamente a los integrantes del equipo de Arte y Ciencia Odontológica, en especial a los doctores Alejandro Segura y José San Román, fundadores, por ese entusiasmo y dedicación para difundir el conocimiento en las diferentes áreas de la odontología.

178. Junio 2023 45 Congreso CMN Siglo XXI, Arte y ciencia odontológica

Injerto en bloque en “sandwich“

con la cortical obtenida del seno maxilar y hueso autólogo particulado embebido en Endoret-PRGF. Estudio retrospectivo con estimación de la ganancia ósea generada y su conservación tras 1 año de carga de los implantes.

Dentista y Paciente 46 Enciclopedia odontológica

Private practice in oral implantology, Eduardo Anitua Institute, Vitoria, Spain. Clinical researcher, Eduardo Anitua Foundation, Vitoria, Spain. University Institute for Regenerative Medicine and Oral Implantology - UIRMI (UPV/EHU-Fundación Eduardo Anitua), Vitoria, Spain.

Corresponding author: Dr. Eduardo Anitua, Eduardo Anitua Foundation; C/ Jose Maria Cagigal 19, 01007 Vitoria, Spain; Phone: +34 945160653, e-mail: eduardo@ fundacioneduardoanitua.org.

En la literatura internacional existen multitud de técnicas y procedimientos que nos permiten regenerar el volumen crestal óseo perdido, tanto en caso atrofias en altura como en anchura.1-3

Los injertos en bloque, utilizados como una única pieza para la regeneración o divididos y unidos al hueso particulado (técnica descrita por Khoury) son una técnica de rutina para recuperar tanto altura como anchura ósea perdida en el maxilar y mandíbula, utilizándose incluso en caso de atrofias combinadas.4-5 El mayor inconveniente que podemos atribuir a este procedimiento es que se necesita una zona donante, que será tanto mayor como lo sea el defecto a regenerar. Aunque en ocasiones podamos realizar divisiones del fragmento obtenido de la zona donante para minimizar la extensión del injerto a recolectar, se sigue necesitando un volumen importante de hueso para llegar a la situación necesaria donde podamos insertar los implantes con seguridad y hueso residual suficiente.6 En muchas de las atrofias subsidiarias de la regeneración, se necesitan otras técnicas

178. Junio 2023 47
Injerto en bloque en “sandwich“

accesorias como la elevación de seno.7-8

Poder aprovechar el hueso cortical desprendido de la elevación de seno mediante abordaje lateral como parte de un injerto mixto que hemos denominado en “sándwich” conformado por la cortical del seno y hueso autólogo obtenido de otras áreas (mediante fresado para inserción de implantes o mediante un rascador óseo) unido todo ello a Endoret-PRGF puede ayudarnos a lograr regeneraciones con un menor trauma quirúrgico para el paciente, lográndose un aprovechamiento de cada fase de las técnicas quirúrgicas empleadas en la reconstrucción ósea.9 El uso de PRGF-Endoret unido

al injerto particulado proporciona una mayor viabilidad del hueso utilizado y aumenta la oseointegración del mismo.10 Nuestro grupo de estudio ha mostrado buenos resultados con este tipo de abordaje, para las atrofias mixtas (anchura y altura) del maxilar superior donde es necesario un abordaje del seno maxilar (convencinal-ventana lateral) y una reconstrucción en anchura de otras zonas.9

En el presente estudio mostramos una serie de casos en los que se ha empleado esta técnica midiéndose el volumen total regenerado en anchura con el injerto en “sándwich” así como el mantenimiento de esta anchura tras la inserción y carga de los implantes.

Material y método

Fueron reclutados pacientes que presentasen atrofia maxilar combinada, en la que fuese necesario un abordaje convencional del seno maxilar y la regeneración en anchura de otro área del maxilar superior. Los pacientes se seleccionaron de forma consecutiva desde enero de 2011 a enero de 2013, cuando se cumplían los criterios de inclusión. Una vez englobados en el estudio, se realizó un seguimiento mínimo de 5 años donde se constató mediante cone beam la ganancia en anchura obtenida en la zona regenerada mediante injerto en “sándwich” con medición tras la consolidación del injerto y al año de carga. Todos estos datos fueron constatados mediante la realización de TAC dental tipo cone beam y el uso de un software específico para implantología oral (BTI-Scan III).

Protocolo quirúrgico

Los procedimientos se llevan a cabo mediante anestesia local (articaina

Dentista y Paciente 48 Enciclopedia odontológica
1 2
Figura 1-2. Realización de la venta de acceso lateral al seno maxilar y su recolección.

100,000 UI + adernalina), elevándose un colgajo de espesor total tanto para la zona de la elevación de seno como para el área a regenerar. Se comienza con la elevación de seno lateral obteniéndose de este modo la tapa de la pared del seno que se conserva en Endoret-PRGF fracción 2 (sin activar) hasta ser utilizada. Cuando se van a insertar implantes en la misma fase quirúrgica se conserva también el hueso obtenido del fresado biológico a bajas revoluciones 11 en Endoret-PRGF fracción 2 (sin activar) para mantener la viabilidad celular del injerto particulado hasta su utilización como parte del injerto en “sándwich”. En los casos donde no se llevará a cabo la inserción de implantes en la misma fase de la regeneración se obtiene el hueso particulado mediante un rascador óseo y se conserva de la misma forma anteriormente descrita hasta su uso.

Una vez obtenido el injerto particulado y la tapa de seno se confecciona el injerto colocándose el hueso particulado vehiculizado con Endoret-PRGF sobre el lecho óseo primario y sobre esta primera capa se coloca la tapa de seno adaptándose al contorno a regenerar lo mejor posible. Si es necesario, puede fragmentarse o darle la forma deseada (ángulos

Injerto en bloque en “sandwich“ solar equident Solar Equipos Dentales
Figura 3. Conservación de la ventana en PRGF-Endoret hasta su utilización posterior.

redondeados, acortar, modelar) para que genere el menor relieve posible en los tejidos blandos y cubra del mejor modo la zona a regenerar. Una vez adaptada se fija mediante tornillos de osteosíntesis (generalmente uno es suficiente) de entre 1 a 1.2 mm de grosor y longitud variable según la anchura a regenerar. Una vez fijado se procede a cubrir con membranas de fibrina autóloga toda la zona intervenida (fracción 1 de Endoret-PRGF, activada y retraída) y se sutura mediante monofilamento de 5/0 no reabsorbible para lograr un cierre primario (Figura 1 a 4).

Los pacientes acuden a visitas de seguimiento a los 7 y 15 días para vigilar la cicatrización de tejido blando y retirar las suturas. Posteriormente se lleva a cabo el primer CBCT a los 6 meses del injerto para la inserción de los implantes y tras este otro al año de la carga. Los pacientes continúan un mínimo de seguimiento de 5 años para constatar posibles incidencias tanto en los implantes como en las prótesis.

Análisis estadístico

El implante fue la unidad de análisis para la estadística descriptiva en cuanto a la localización, dimensiones

del implante, y mediciones radiográficas. El paciente fue la unidad de medida para el análisis de la edad, sexo y la historia médica. La principal variable del estudio fue la ganancia en anchura lograda con la técnica y su mantenimiento un año tras la carga, que fue analizada con el test t-student. Se consideró que existían diferencias estadísticamente significativas cuando p<0.05. Fue realizado un test de Shapiro-Wilk sobre los datos obtenidos para constatar la distribución normal de la muestra. La supervivencia de los implantes se calculó mediante el método de KaplanMeier. Los datos fueron analizados con SPSS v15.0 para windows (SPSS Inc., Chicago, IL, USA).

Resultados

Fueron reclutados 11 pacientes en los que se cumplieron los criterios de inclusión. En todos ellos se llevó a cabo una elevación de seno por abordaje lateral y se utilizó la tapa de seno para regenerar en anchura mediante injerto de tipo “sándwich” otra zona del maxilar con atrofia en anchura. El 63.6% de los pacientes fueron de sexo femenino con una media de edad de 63.7 años (+/- 8.29). Solo uno de los pacientes era fumador (10 cigarrillos día), presentando el 72.7% de los pacientes patología periodontal previa en diferente grado. La cresta a regenerar en anchura fue medida en varios puntos, tomándose como referencia para la anchura inicial y final el área de menor anchura midiéndose en el punto medio de la cresta alveolar (considerándose esta desde el hueso basal maxilar hasta la porción más distal del hueso alveolar). La media de todos los casos de la anchura inicial de la cresta según las indicaciones anteriormente aportadas fue de 3.56 mm (+/1.53). La media de la anchura en las

Dentista y Paciente 50 Enciclopedia odontológica
Figura 4. Fijación de la ventana del seno como parte del injerto óseo y cubrimiento posterior con membranas de PRGFEndoret antes de la sutura del colgajo.

inicial Anchura tras regeneración Anchura al año de carga

zonas regeneradas una vez integrado el injerto a los 6 meses fue de 8.90 mm (+/- 1.67). Las mediciones para cada uno de los pacientes (inicial –tras regeneración) se muestran en la Figura 5

La diferencia media entre la anchura inicial y la lograda tras la regeneración fue de 5.34 mm de ganancia (+/- 1.58), existiendo entre ambas mediciones diferencias estadísticamente significativas (T-Student muestras emparejadas p<0.05). Las

medidas reportadas al año de carga muestran un ligero aumento de anchura en 6 de los casos, (Figura 7). Cuando comparamos la anchura lograda tras la regeneración y al año de la carga, observamos una diferencia media de +0.1 mm (+/- 0.21), esta vez sin diferencias significativas (p=0.22). El tiempo de seguimiento medio de los implantes estudiados fue de 80.5 meses (+/- 19.1) y durante todo el tiempo que fueron seguidos, ninguno de los implantes fracasó, ni se registraron eventos

178. Junio 2023 51 Injerto en bloque en
“sandwich“
3.1 mm 8.8 mm 8.8 mm 2.7 mm 8.9 mm 8.9 mm 5.1 mm 10.4 mm 10.6 mm 4 mm 7.5 mm 8 mm 1.9 mm 7.2 mm 7.2 mm 2.4 mm 9.6 mm 10 mm 3.5 mm 11.6 mm 11.6 mm 2.1 mm 8.2 mm 8.7 mm 6.0 mm 8.5 mm 8.8 mm 6.0 mm 11 mm 11 mm 2 mm 6 mm 6 mm
Anchura
Figura 5. Medidas iniciales y finales en el punto de máxima atrofia en cada uno de los casos. Tabla 1. Medidas iniciales, tras la regeneración y al año de carga de las zonas con mayor atrofia ósea, en el punto máximo de la misma. Podemos observar como al año de carga incluso se ha incrementado ligeramente la anchura de la cresta.
Dentista y Paciente 52 Enciclopedia odontológica
Figura 6 y 7. Realización de la ventana de seno y colocación de la misma en zona a regenerar en anchura con el hueso particulado obtenido del fresado embebido en EndoretPRGF en uno de los casos del estudio.
6 7 8 9
Figura 8 y 9. Retirada del material de ostesíntesis con el injerto consolidado y anchura de la cresta lograda que permite la colocación de un implante sin problemas de anchura.

adversos relacionados con las prótesis.

En la Figura 6 y 7 se muestran algunos de los casos incluidos en el estudio.

Discusión

La regeneración de defectos con la utilización de injertos en bloque es una práctica consolidada en nuestros días, muy presente en la odontología, permitiéndonos lograr recuperar el volumen óseo perdido tanto en altura como en anchura, para convertir casos con extremas atrofias óseas en casos en los que poder colocar nuestros implantes dentales con predictibilidad.12-14 Existen diferentes variaciones de esta técnica inicial, en las que se genera una mayor división del volumen óseo disponible (para necesitar una menor zona donante), abordajes mínimamente invasivos con tunelizaciones o utilización de biomateriales en lugar de bloques autólogos, todas ellas contrastadas en la literatura internacional con diferentes tasas de éxito.14-17 En nuestro caso, nuestro grupo de estudio presentó esta variación de la técnica de injerto en bloque aprovechando la tapa del seno, para aquellas situaciones en que fuese necesario la realización de una elevación de seno al mismo tiempo que una regeneración en anchura y de este modo, utilizar todo el material autólogo disponible, uniéndolo al uso del Endoret-PRGF,

para lograr unos mejores resultados.9 En esta serie de casos hemos querido analizar la ganancia en anchura lograda, medida en el punto más crítico (zona de menor anchura ósea) y la estabilidad de la ganancia ósea lograda en el tiempo (tras la integración del injerto y un año tras la carga). La media lograda de ganancia en anchura para los pacientes estudiados ha sido de 5.34 mm de ganancia (+/- 1.58), similar a la que se obtiene con los injertos en bloque convencionales , que se sitúa en 5.5 para

178. Junio 2023 53 Injerto en bloque en “sandwich“
Figura 10 y 11. Figuras 10 y 11. Abordaje de un segundo caso con mayor atrofia y la utilización de las vetanas laterales de ambos senos, en este caso con la colocación de implantes transicionales y expansión de cresta al mismo tiempo.
10 11
Figura 12. Reentrada quirúrgica con la consolidación del injerto colocado prácticamente al 100%.

los bloques de material alogénico y en 5.6 para los bloques autólogos,18 con la mejora significativa de no precisar una gran zona donante y minimizar los riesgos de daño nervioso que pueden generarse en la extracción del bloque en la técnica convencional. En los casos reportados en el presente trabajo se ha logrado además el mantenimiento de la anchura

generada incluso incrementándose ligeramente con la carga del implante, por lo que podemos afirmar que es una técnica predecible a largo plazo, con resultados estables para los implantes insertados en el hueso regenerado mediante este procedimiento.

Conclusiones

La técnica de injerto en bloque tipo “sándwich” con el uso de la tapa de seno es un procedimiento sencillo, con poca morbilidad y que nos permite regenerar en anchura maxilares atróficos sin el empleo de zonas donantes accesorias en aquellos casos en los que se va a llevar a cabo una elevación de seno mediante abordaje lateral y por ello para este tipo de situaciones debe ser una técnica tenida en consideración en nuestro plan de tratamiento.

Referencias

1. Elgali I, Omar O, Dahlin C, Thomsen P. Guided bone regeneration: materials and biological mechanisms revisited. Eur J Oral Sci. 2017 Oct;125(5):315-337.

2. Urban IA, Monje A. Guided Bone Regeneration in Alveolar Bone Reconstruction. Oral Maxillofac Surg Clin North Am. 2019 May;31(2):331-338.

3. Jepsen S, Schwarz F, Cordaro L, Derks J, Hämmerle CHF, Heitz-Mayfield LJ, Hernández-Alfaro F, Meijer HJA, Naenni N, Ortiz-Vigón A, Pjetursson B, Raghoebar GM, Renvert S, Rocchietta I, Roccuzzo M, Sanz-Sánchez I, Simion M, Tomasi C, Trombelli L, Urban I. Regeneration of alveolar ridge defects. Consensus report of group 4 of the 15th European Workshop on Periodontology on Bone Regeneration. J Clin Periodontol. 2019 Jun;46 Suppl 21:277-286.

Dentista y Paciente 54 Enciclopedia odontológica
En los casos reportados en el presente trabajo se ha logrado además el mantenimiento de la anchura generada incluso incrementándose ligeramente con la carga del implante.

4. Khoury F, Hanser T. Three-Dimensional Vertical Alveolar Ridge Augmentation in the Posterior Maxilla: A 10-year Clinical Study. Int J Oral Maxillofac Implants. 2019 Mar/Apr;34(2):471-480.

5. Khoury F, Hanser T. Mandibular bone block harvesting from the retromolar region: a 10-year prospective clinical study. Int J Oral Maxillofac Implants. 2015 May-Jun;30(3):688-97.

6. Sánchez-Sánchez J, Pickert FN, Sánchez-Labrador L, Gf Tresguerres F, Martínez-González JM, Meniz-García C. Horizontal Ridge Augmentation: A Comparison between Khoury and Urban Technique. Biology (Basel). 2021 Aug 5;10(8):749.

7. Urban IA, Monje A, Lozada JL, Wang HL. Long-term Evaluation of Peri-implant Bone Level after Reconstruction of Severely Atrophic Edentulous Maxilla via Vertical and Horizontal Guided Bone Regeneration in Combination with Sinus Augmentation: A Case Series with 1 to 15 Years of Loading. Clin Implant Dent Relat Res. 2017 Feb;19(1):46-55.

8. Misch CM. Maxillary autogenous bone grafting. Oral Maxillofac Surg Clin North Am. 2011 May;23(2):229-38.

9. Anitua E, Alkhraisat MH, Miguel-Sánchez A, Orive G. Surgical correction of horizontal bone defect using the lateral maxillary wall: outcomes of a retrospective study. J Oral Maxillofac Surg. 2014 Apr;72(4):683-93.

10. Anitua E, Andia I, Ardanza B, Nurden P, Nudern AT. Autologous platelets as a source of proteins for healing and tissue regeneration. Thromb Haemost 2004;91:4-15.

11. Anitua E, Carda C, Andia I. A novel drilling procedure and subsequent bone autograft preparation: a technical note. Int J Oral Maxillofac Implants. 2007 Jan-Feb;22(1):138-45.

12. Goyal S, Masood M, Le C, Rajendran Y, Nanjapa S, Vaderhobli R. Comparative Bone Graft Evaluation for Dental Implant Success: An Evidence-Based Review. J Long Term Eff Med Implants. 2021;31(3):33-44.

13. McAllister BS, Haghighat K. Bone augmentation techniques. J Periodontol. 2007 Mar;78(3):377-96.

14. Drăgan E, Nemţoi A. Review of the Long-Term Outcomes of Guided Bone Regeneration and Autologous Bone Block Augmentation for Vertical Dental Restoration of Dental Implants. Med Sci Monit. 2022 Oct 18;28:e937433.

15. Fretwurst T, Gad LM, Nelson K, Schmelzeisen R. Dentoalveolar reconstruction: modern approaches. Curr Opin Otolaryngol Head Neck Surg. 2015 Aug;23(4):316-22.

16. Restoy-Lozano A, Dominguez-Mompell JL, Infante-Cossio P, Lara-Chao J, Espin-Galvez F, Lopez-Pizarro V. Reconstruction of mandibular vertical defects for dental implants with autogenous bone block grafts using a tunnel approach: clinical study of 50 cases. Int J Oral Maxillofac Surg. 2015 Nov;44(11):1416-22.

17. Draenert FG, Huetzen D, Neff A, Mueller WE. Vertical bone augmentation procedures: basics and techniques in dental implantology. J Biomed Mater Res A. 2014 May;102(5):1605-13.

18. Starch-Jensen T, Becktor JP. Maxillary Alveolar Ridge Expansion with Split-Crest Technique Compared with Lateral Ridge Augmentation with Autogenous Bone Block Graft: a Systematic Review. J Oral Maxillofac Res. 2019 Dec 30;10(4):e2.

178. Junio 2023 55 Injerto en bloque en “sandwich“
Dentista y Paciente 56 Punto de vista Fotoarte: Editorial Renascence | Fotografía: AdobeStock

Osteorradionecrosis de los maxilares: etiología y prevención

Osteorradionecrosis de los maxilares: etiología y prevención.

Parte 2

NOTA DE LOS AUTORES

El presente artículo es la actualización del artículo publicado en el Número 107 del mes de julio del año 2017 de la Revista

Dentista y Paciente. Se refuerzan los conceptos principales, dando un nuevo enfoque a la terapeútica empleada para la osteorradionecrosis. Desde luego los casos clínicos son recientemente tratados.

Tratamiento

Una vez establecida la osteorradionecrosis de los maxilares, resulta muy difícil su manejo y control. Existen 2 tipos de terapias:

1. Terapia conservadora: antibioticoterapia, curetajes y eliminación de secuestros óseos y tejidos necróticos. Aplicación de terapia con oxígeno hiperbárico, que induce angiogénesis y celularidad fibroblástica en el tejido irradiado, aumentando los niveles de oxígeno hasta en un 85%, incrementando la probabilidad de cicatrización.7

2. Terapia radical: cuando se han agotado todas las alternativas de la terapia conservadora, lo cual ocurre en un alto porcentaje de los casos, se recurre a procedimientos quirúrgicos para realizar maxilectomías y hemimandebulectomía, a fin de eliminar todo el tejido afectado.

178. Junio 2023 57
C.D. César Gallardo González. Especialista en Endodoncia. Coordinador de Enseñanza del Servicio de Estomatología del Hospital General de México “Dr. Eduardo Liceaga”. C.D. María Isabel Aguilar Espino. Especialista en Endoperiodoncia. Médico Adscrito al Servicio de Estomatología del Hospital General de México “Dr. Eduardo Liceaga”. C.D. Araceli Huerta Guzmán. Especialista en Endodoncia. Práctica privada. 20 años de experiencia en la atención de pacientes con cáncer de cabeza y cuello.

3. Se han realizado algunos estudios que emplean medicamentos como la pentoxifilina combinada con el tocoferol, que han mostrado resultados prometedores en el tratamiento de esta patología. La pentoxifilina es un derivado de la metilxantina que incrementa la flexibilidad de los eritrocitos, produce vasodilatación, inhibe reacciones inflamatorias. In vitro reduce la proliferación de fibroblastos y la actividad de la colagenasa. El tocoferol es conocido como vitamina E, es un antioxidante y posee propiedades antagonistas de la vitamina K, por lo que puede inducir cambios en la coagulación.

El tratamiento con estos fármacos en pacientes con osteorradionecrosis

mandibular en dosis de 2 comprimidos de 400mg c/u de pentoxifilina y 2 comprimidos de 400UI y un comprimido de 200UI de tocoferol, vía oral de manera simulánea cada 24 hrs . Si el área de exposición ósea intraoral es menor a 3cm. de longitud y sin proceso infeccioso óseo asociado, reduce de manera estadísticamente significativa la exposición ósea y aumenta el grado de máxima apertura oral forzada a partir del tercer mes de tratamiento. Mejora la microestructura trabecular mandibular. Ha mostrado ser una terapia fácil de administrar, efectiva y exenta de efectos adversos.

El pronóstico de la osteorradionecrosis es malo, pues resulta prácticamente imposible la regeneración del tejido necrosado, siendo la cirugía la única opción viable, esta situación nos conduce a considerar a la prevención como el arma más efectiva para evitar que se presente esta patología.

Prevención de la osteorradionecrosis de los maxilares.

El paciente que es candidato a recibir radioterapia de cabeza y cuello debe ser sometido a una exploración minuciosa de la cavidad oral, a fin de tener un diagnóstico preciso de cada parte de su boca y tratar cualquier patología que se descubra.

Dentista y Paciente 58 Punto de vista
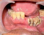
Imagen 8. Osteorradionecrosis de los maxilares Imagen 7. Osteorradionecrosis de los maxilares.

La etapa previa a la radioterapia es el momento ideal para poder determinar qué dientes pueden ser restaurados y cuáles no, con la finalidad de realizar las exodoncias necesarias así como cirugía oral, con al menos 3 semanas de anticipación para lograr una adecuada cicatrización. Se deben realizar los tratamientos odontológicos que requiera el paciente, tales como, eliminación de caries, eliminación de sarro dental y posibles bolsas periodontales, eliminar cualquier prótesis, dentadura o borde filoso que pueda ocasionar irritaciones o lesiones en la mucosa. Es muy importante enfatizarle al paciente que debe cumplir con una higiene oral escrupulosa, así como acudir a revisiones frecuentes para aplicación tópica de flúor.

La situación cambia radicalmente en las etapas de irradiación y postradiación. Como ya se ha mencionado, el tejido óseo irradiado es “3 H”, hipocelular, hipovascular e hipóxico, por lo que al no tener capacidad de regeneración, las exodoncias y cualquier otro procedimiento que implique trauma a estos tejidos, deben evitarse hasta por un periodo de 10 años posteriores a la radioterapia (Imagen 7 y 8).

Terapia endodóntica

Como se ha visto, la prevención es la forma más efectiva de evitar la aparición y las secuelas de la osteorradionecrosis. La etapa previa a la radioterapia es la ideal; sin embargo, la realidad demuestra que la mayoría de los pacientes acuden en las etapas de irradiación y postradiación, cuando la permanencia de los dientes en cavidad oral es crucial.

Es en este escenario, en el que las lesiones al tejido óseo de cavidad

bucal están completamente restringidas, donde la terapia endodóntica es la única alternativa para controlar las infecciones de origen dental. Sin embargo, la técnica para realizar el tratamiento endodóntico en pacientes radiados presenta diferencias en relación con la técnica convencional.

En primer lugar, la indicación más importante para realizar un tratamiento endodóntico convencional es que el diente tenga un pronóstico favorable tanto para su restauración como para la función dentro de boca. En cambio, en los pacientes radiados no aplica esta indicación, pues el objetivo más importante es evitar a toda costa la exodoncia, por lo que es común realizar los tratamientos endodónticos en restos radiculares.

Uno de los preceptos establecidos y aceptados universalmente para garantizar la asepsia y el éxito de la terapia endodóntica es el aislamiento absoluto del campo operatorio. Sin embargo, esto no aplica en este tipo de pacientes, pues resulta técnicamente imposible colocar la grapa por 2 razones: 1) La escasa o nula estructura coronaria dental remanente y 2) La grapa puede provocar lesión en tejidos blandos, periodonto y hueso alveolar. Por lo que el tratamiento se realizará con aislamiento relativo (Imagen 9).

178. Junio 2023 59 Osteorradionecrosis
de los maxilares: etiología y prevención
Imagen 9. Restos radiculares que requieren terapia endodóntica.

Es de suma importancia lograr una longitud de trabajo ideal mediante una adecuada conductometría, para evitar perforaciones y proyección de restos pulpares necróticos al periápice, por lo que se sugiere el uso de localizadores apicales electrónicos que, utilizados en combinación de radiovisiógrafo, reducen el número de radiografías empleadas durante el tratamiento en un área excesivamente radiada (Imagen 10).

El trabajo biomecánico debe realizarse con absoluto control de los instrumentos, particularmente en el caso de sistemas rotatorios para evitar accidentes que involucren perforaciones hacia el periodonto. Se recomienda cubrir al paciente con esquemas antibióticos que se adecuen a cada caso en particular. Las soluciones irrigantes cáusticas deben emplearse con cuidado, formando un tope apical en el conducto radicular, para evitar que se proyecten al periápice. De igual forma, la técnica empleada para la obturación de los conductos

Referencias

radicuares, debe prevenir la sobreobturación de material a la zona periapical.

Es muy útil el uso de apósitos intraconductos con hidróxido de calcio puro y agua bidestilada, entre cita y cita, durante la terapia endodóntica, a fin de lograr la neutralización de los conductos radiculares, gracias a la acción bactericida del compuesto, por su pH alcalino. Esta simple acción reduce en forma considerable las agudizaciones infecciosas, frecuentes en este tipo de pacientes.

Dentista y Paciente 60 Punto de vista
1. Bensadoun RJ, Riesenveck D, Lockhart PB, et al. A systematic review of trismus induced by cáncer therapies in head and neck cáncer patients. Support Care Cancer. 2010;18(8): 1033-8. 2. Blanchaert DDSMD, RH etal. Osteoradionecrosis of the Mandibule Treatment and Management. August 2017. Update June 2019. Found at: https://emedicine.medscape.com/ article/851539-treatment#d11. Imagen 10. Localizador electrónico de ápices

3. Cheriex KC, Nijhuis TH, Mureau MA. Osteoradionecrosis of the jaw: a review of conservative and surgical y treatment options. J Reconstr Microsurg. 2013;29(2):69-75.

4. Dijkstra PV, Kalk WW, Roodenburg JL: Trismus in head and neck oncology, a systematic review. Oral Oncol. 4D(9): 879-89, 2004.

5. Endodontic treatment in patients irradiated on the head and neck region. Rev. Asocc. Paul. Cir. Dent 57(1): 43-46.

6. Epstein JB, Wong FL, Stevenson-Moore P: Osteorradionecrosis : clinical experience and a proposal for classification. J O Maxillofac Surg 45(2): 104-10, 1987.

7. Fan H etal. New approach for the treatment of the osteoradionecrosis with pentoxyfyline and tocopherol. Biomaterials Resherch. 2015; 18:13. Found at: https://www.nobi.nlm.nih. gov/pmc/articles/PMC4552457.

8. Hong CH, Napeñas JJ, Hodgson BD, et al: A systematic review of dental disease in patient undergoing cancer therapy. Support Care Cancer 18(8): 1007-21, 2010.

9. Jensen SB, Pedersen AM, Vissink A, et al: A systematic review of salivary gland hypofunction and xerostomia induced by cancer therapies: prevalence, severity and impact on quality of life. Support Care Center 18(8): 1039-60, 2010.

10. Lalla RV, Brennan MT, Schubert MM: Oral complications of cáncer therapy.In: Yagiela JA, Down FJ, JohnsonBS, et al. eds: Pharmacology and Therapeutics for Dentistry. 6th ed. St Louis, Mo: Mosby Elsevier 2011, pp 782-98.

11. Myers RA, Marx RE: Use of hyperbaric oxygen in postradiation head and neck surgery. NCI Monogr (9): 151-7,1990.

12. Nabil S, Samman N. Risk factors for osteoradionecrosis after head and neck radiation: a systematic review. Oral Surg Oral Mes Oral Pathol Oral Radiol. 2012;113(1):54-69.

13. Nabil S, Samman N. Incidence and prevention of osteoradionecrosis after dental extraction in irradiated patients: a systematic review. Int J Oral Maxillofac Surg. 2011;40(3):229-43.

14. Patel V, Gadiwalla Y, Sassoon I, Sproat C, Kwok J, McGurk M. Use of pentoxifylline and tocopherol in the management of osteoradionecrosis. Br J Oral Maxillofac Surg. 2016;54(3):342-5.

15. Peterson DE, Doerr W, Hovan A, et al: Osteorradionecrosis in cancer patients: the evidence base for treatment –dependent frequency, current management, strategies and future studies. Support Care Cancer 18(8): 1089-98,2010.

16. Sonis ST, Woods PD, White BA: Oral complications of cancer therapies. Pretreatment oral assessment. NCI Monogr(9): 29-32,1990.

17. Sonis St, Peterson DE, Mc Guire DB, eds: Mucosal injury in cancer patients: new strategies for research and treatment. J Natl Center Inst Monogr (29): 1-50,2001.

18. Teguh DN, Levendag PC, Voet P, et al: Trismus in patients with oropharyngeal cancer: relationships with dose in structures of mastication apparatus. Head Neck 30(5): 622- 30,2008.

178. Junio 2023 61
Osteorradionecrosis de los maxilares: etiología y prevención
Dentista y Paciente 62 Estudio
Fotoarte: Editorial Renascence | Fotografía: AdobeStock

¿Cuántos implantes son necesarios para una sobredentadura maxilar?

Influencia del tiempo de cicatrización en la preservación alveolar

Autores:

Relatores:

Traductora:

Afiliación:

Antecedentes

La atrofia de la cresta alveolar se presenta inevitablemente tras la extracción de un diente como una de las situaciones clínicas

más difíciles de superar. Recientemente, se ha dado relevancia a la preservación de la cresta alveolar (ARP) para el modelado del alveolo postextracción.

Para minimizar la atrofia de la cresta alveolar en el alveolo de extracción, el uso quirúrgico de matriz ósea bovina desproteinizada con colágeno (DBBM-C) se ha convertido en un procedimiento prometedor.

Existen muchos estudios preclínicos y clínicos en la literatura sobre el uso de DBBM-C y matriz de colágeno (CM) para la terapia ARP. Sin embargo; hasta la fecha, el aspecto histológico ha permanecido poco investigado.

Además, se carece de información sobre los resultados del procedimiento en diferentes intervalos de tiempo postoperatorios.

Objetivo

La evaluación histomorfométrica de las biopsias de núcleos óseos obtenidas de las zonas postextracción no molares tratadas con DBBM-C y CM

en diferentes momentos de la cicatrización (a los 3, 6 y 9 meses), así como la evaluación de la eficacia de la ARP basada en resultados clínicos, digitales, relacionados con el implante y comunicados por el paciente.

Materiales y métodos

Este estudio consta de 3 grupos aleatorizados para diferentes tiempos de cicatrización: grupo A, 3 meses; grupo B, 6 meses; y grupo C, 9 meses.

Todos los pacientes presentaban una indicación de extracción de un diente no molar y fueron tratados con el método ARP utilizando DBBM-C (Bio-Oss Collagen, Geislich Pharma

178. Junio 2023 63
Wim Slot, Gerry Raghoebar, Marco Cune. Arjan Vissink, Henny Meijer. Lucienne Weigel y Raffael Budmiger, con el Prof. Giovanni Salvi. Mafalda Brinco. Alumna del máster propio en Periodoncia, Universidad de Santiago de Compostela (A Coruña). Programa de posgrado en Periodoncia, Universidad de Berna, Suiza.

Figura 1: Secuencia de tratamiento en un caso modelo que formaba parte de este estudio: (a) extracción del diente, (b) alveolo rellenado con DBBM-C, (c) alveolo sellado con CM tras hidratación, (d) CM asegurado con 4 suturas simples independientes, (e) aspecto postoperatorio a las 8 semanas, (f) colgajo mucoperióstico espesor total, (g, h) muestra de la biopsia de hueso obtenida antes de la colocación del implante (CM, matriz de colágeno; DBBM-C, matriz ósea bovina desproteinizada con colágeno).

AG, Wolhusen, Suiza) y CM (Mucograft Seal, Geistlich Pharma AG).

Un total de 42 pacientes fueron divididos y asignados de manera aleatoria a los 3 grupos.

En todos los pacientes se realizó el procedimiento quirúrgico ARP, con extracción sin colgajo.

Se tomaron biopsias de la zona con una trefina durante la fase de colocación del implante. La decisión sobre el aumento de tejido blando y/o óseo se tomó en cada caso en función de las características fenotípicas de la zona.

La eficacia de la ARP se evaluó obteniendo resultados histomorfométricos, clínicos, digitales, relacionados con los implantes y comunicados por los pacientes.

Los resultados histomorfométricos de los materiales de la biopsia cónica de hueso se tomaron como variable primaria y se evaluaron según los porcentajes de xenoinjerto residual dentro del hueso, así como los tejidos mineralizados y no mineralizados.

Las variables secundarias fueron:

• Resultados clínicos, incluidos los relativos a la incidencia y el tipo de complicaciones, la evaluación visual de las dimensiones de la cicatrización de la herida, y la exposición de la CM en milímetros.

• Resultados relacionados con el implante, incluida la evaluación de la necesidad de aumento de tejido duro o blando, el torque de inserción del implante y la estabilidad primaria.

• Resultados dimensionales de la imagen digital incluyendo: los cambios del tejido blando en el grosor horizontal facial y lingual, y la altura vertical media facial y lingual (en milímetros); cambios en la anchura horizontal del hueso y la altura del hueso crestal (mm); y los cambios en el contorno de la cresta alveolar y el volumen del hueso alveolar (mm3) mediante cálculos volumétricos y lineales.

• Mediciones de los resultados comunicados por los pacientes, incluyendo las molestias postoperatorias y la satisfacción general del paciente.

Resultados

No hubo diferencias significativas en la distribución del tipo de diente entre los grupos.

Las biopsias de núcleo óseo mostraron una diminución en los porcentajes de partículas residuales de xenoinjerto, lo que indica una baja degradación del material de injerto, mientras que se observó un incremento continuo del tejido mineralizado con el paso del tiempo.

No se observaron efectos adversos graves ni problemas de cicatrización. La exposición de la CM fue del 50% en la primera semana y disminuyó al 28.2% en la segunda semana. No se

Dentista y Paciente 64 Estudio
a c e g b d f h

observaron restos de CM en las visitas postoperatorias posteriores.

La colocación de implante se obtuvo con similar torque de inserción y estabilidad primaria en todos los sitios. La regeneración ósea para defectos de dehiscencia bucales solo fue requerida en sitios con un grosor de tabla ósea facial ≤1 mm al inicio del estudio. No hubo necesidad de incremento del tejido blando en ninguno de los grupos.

Respecto a los resultados digitales, no se observaron reducciones significativamente diferentes en los parámetros de anchura y altura ósea entre los grupos. En general, los resultados revelaron una reabsorción ósea progresiva en el tiempo y una relación inversa entre el grosor de la tabla ósea facial y la reducción de la anchura del hueso crestal, indicando menos reabsorción del hueso alveolar en presencia de tabla ósea facial gruesa tras la extracción.

El grosor de los tejidos blandos casi no se modificó con el tiempo y no se hallaron diferencias estadísticamente significativas entre los grupos en términos de reducción de la altura de los tejidos blandos faciales y linguales.

El análisis volumétrico mostró que la reabsorción de la cresta alveolar progresó con el tiempo en los aspectos facial y lingual, con diferencias significativas en los volúmenes alveolares totales y faciales entre los grupos. Los resultados volumétricos globales indicaron menores reducciones del volumen óseo total y facial y también del contorno de la cresta alveolar en presencia de tabla ósea facial gruesa tras la extracción.

En la evaluación a los 3 meses, la reducción ósea vertical permaneció

inalterada, pero la pérdida ósea horizontal sí aumentó con el paso del tiempo.

No se observaron diferencias significativas entre los grupos en cuanto a la satisfacción total y las molestias postoperatorias de los pacientes.

Limitaciones

• En este estudio solo se evaluaron los sitios no molares. Aunque la selección de dientes no molares homogeneiza el estudio, también limita la decisión clínica para los dientes posteriores y anteriores mandibulares, así como para los sitios con lesiones óseas extensas.

• No hubo grupo control para la comparación.

• No se dispone de información tras la colocación del implante acerca de

178. Junio 2023 65
¿Cuántos implantes son necesarios para una sobredentadura maxilar?
a b c
Figura 2: Fotomicrografías de muestras de biopsia de núcleo óseo (tinción de hematoxilina y eosina). (a) Grupo A, (b) grupo B, y (c) grupo C.

la salud periimplantaria ni del comportamiento de las prótesis implantosoportadas.

Conclusiones e impacto

Los tiempos de cicatrización más largos se asociaron a una mayor proporción de tejido mineralizado en el alveolo de extracción.

Las zonas con grosor de tabla ósea facial ≤1 mm en el momento de la extracción presentan una mayor atrofia de la cresta alveolar facial que

las zonas con una tabla ósea facial más gruesa, a pesar de la ARP.

Las zonas con un grosor de tabla ósea facial ≤1 mm en el momento de la extracción requieren regeneración ósea durante la colocación del implante con mayor frecuencia que las zonas que presentan una tabla ósea facial más gruesa.

Existen diferencias mínimas en cuanto a los resultados clínicos, dimensionales e histológicos entre los 6 y los 9 meses de cicatrización.

Notas

JCP Digest 109 es un resumen del artículo “Influence of healing time on the outcomes of alveolar ridge preservation using a collagenated bovine bone xenograft: A randomized clinical trial”. J Clin Periodontol. 50 (2):132-146. DOI: 10.1111/ jcpe13744.

https://www.onlinelibrary.wiley.com/doi/10.1111/jcpe.13744

Acceso a través de la página web para miembros de la EFP http://efp.org/members/jcp.php

Con el amable permiso de Wiley Online Library. Copyright © 1999-2023 John Wiley & Sons, Inc. Todos los derechos reservados. JCP Digest es una publicación de la Federación Europea de Periodoncia (EFP). Oficina EFP: Cink Coworking, oficina 17, calle Henri Dunant 15-17, 28036 Madrid, España · www.efp.org

Dentista y Paciente 66 Estudio
Evento sin costo Inscripciones: www.expoaricdental.com

Turn static files into dynamic content formats.

Create a flipbook
Issuu converts static files into: digital portfolios, online yearbooks, online catalogs, digital photo albums and more. Sign up and create your flipbook.