Revista Dentista y Paciente 179 Julio 2023

Page 1

CALIDAD Y DIRECCIÓN

Implantes cortos de diámetro y plataforma reducida (3.0 mm). Serie de casos

CASO CLÍNICO

Corrección ortodóncico-quirúrgica, de maloclusión esquelética clase III con hipoplasia del maxilar

dentistaypaciente.com

SONRIENDO AL FUTURO

Prevención y manejo médicoestomatológico de osteonecrosis avascular. Presentación de caso clínico

ENCICLOPEDIA ODONTOLÓGICA

Síndrome de Crouzon manejo con cirugía y microtornillo

No.
2023 Latindex 17964 $50.00 MX ISSN: 1455-020X Revista 179
179/Julio

Julio 2023

Estamos padeciendo una fuerte ola de calor en todo el país. Tenemos que protegernos de estas altas temperaturas y ventilar bien nuestros hogares y nuestros lugares de trabajo, ya que los pacientes esperan llegar a un consultorio limpio y fresco. Hay que hidratarnos bien y tener algunas botellas de agua listas para obsequiárselas a nuestros pacientes, si es que las llegan a necesitar.

Ha surgido un nuevo escándalo en torno a la manera de haber enfrentado la pandemia por COVID-19. El 2 de junio del 2021, se reveló que en algunos centros de vacunación de CDMX extrajeron dosis de más de los viales de la vacuna Pfizer. La persona que hizo la denuncia en Twitter y en SinEmbargoMX fue la escritora María Rivera.

Salvador Cosío Gaona afirma en un reportaje que se debe llevar al subsecretario Hugo López Gatell a prisión por la negligencia e indolencia con que condujo la estrategia contra la pandemia de coronavirus y más aún cuando ha salido a la luz pública un oficio de la Secretaría de Salud con fecha 10 de mayo del 2021, en el que se gira la instrucción explícita a nivel nacional de sobrediluir las vacunas de Pfizer con 1.9 ml en lugar de con 1.8 como instruye el fabricante, para poder extraer 7 dosis de cada vial en lugar de 6 como es debido, según denunció el 30 de mayo la Dra. Laurie Ann Ximénez-Fyvie de la Facultad de Odontología de la UNAM.

Dichos documento, que fue exhibido por la investigadora, está firmado por el Dr. José Luis Díaz Ortega, Director del Programa de Atención a la Salud de la Infancia y la Adolescencia de la CDMX.

En fin, cada día se sabe más sobre el pésimo manejo de la pandemia en México y cada vez se comprueba más, que sí fue criminal la manera en que se actuó para combatirla. Ojalá de veras se haga justicia por las 793 000 personas fallecidas durante la misma.

¡A seguirse cuidando!

Dentista y Paciente 2 Editorial
Mtro. Carlos Adolfo Espinosa García Especialidad en Odontología Legal y Forense Maestría en Odontología

Lo mejor es ahora Excelente !!!

¿Cómo superar el Equipo de Rayos-X

más vendido de los últimos 49 años?

Haciéndolo todavía mejor, más amigable e intuitivo con el usuario, ya que no requiere memorizar instrucciones en su uso normal.

Alta confiabilidad por su avanzada Tecnología SMD.

SENSOR CORIX® DIGITAL, (opcional)

especí camente diseñado para este equipo, el Odontólogo podrá transitar a la Radiografía Digital por computadora en cualquier momento, obteniendo una imagen perfecta, en un instante y al primer disparo!!!

Pregunte a nuestros Distribuidores Autorizados sobre las características y accesorios opcionales del CORIX®70 PLUS-USV.

Equipo de Rayos-X Digital
49 49

10 | CALIDAD Y DIRECCIÓN

Implantes cortos de diámetro y plataforma reducida (3.0 mm). Serie de casos

26 | CASO CLÍNICO

Corrección ortodóncico-quirúrgica, de maloclusión esquelética clase III con hipoplasia del maxilar

6 Contenido Dentista y Paciente

Editorial Renascence S.A. de C.V.

Directora editorial

Patricia López Guerra patricia.lopez@dentistaypaciente.com

Jaime Francisco Martínez Aceves† jmartinez@dentistaypaciente.com

Directora Editorial

Mariangel Martínez López mmartinez@dentistaypaciente.com

Director de Arte y Diseño

Jesús Salas Pérez jesasez@dentistaypaciente.com

Coordinador Editorial

Marco A. Vergara Salgado marversa@dentistaypaciente.com

Ejecutivos Comerciales y de Negocios

Carlos Martínez García, Gabriela Dolorez Ocadiz, Edson Aarón Hernández

Producción y Circulación

Edson Aarón Hernández

Fotografía e Ilustraciones

Editorial Renascence

Suscripciones

Edson Aarón Hernández

Preprensa e Impresión

Offset Impresión Creativa S.A de C.V.

Distribución

Comercializadora GBN S.A. de C.V.

Calzada de Tlalpan #572, desp. C-302, col. Moderna

Contabilidad y Administración

Lic. Renato Muñoz

director científico

Dr. Carlos Espinosa García Especialista en Odontología Legal y Forense consejo editorial

Dr. Francisco Javier Diez de Bonilla Calderón Catedrático de la F.O de la UNAM

Dr. Francisco Magaña Moheno

Centro de Especialidades Odontológicas

Javier Portilla Robertson

Exdirector de la Facultad de Odontología de la UNAM

Especialista en Patología Bucal

179. Julio 2023 Contenido 7
Síndrome
36
| SONRIENDO AL FUTURO Prevención y manejo médicoestomatológico de osteonecrosis avascular. Presentación de caso clínico
48 | ENCICLOPEDIA ODONTOLÓGICA
de Crouzon manejo con cirugía y microtornillo

Dentista y Paciente

C.D.E.O. Arturo Alvarado Rossano† Profesor y Especialista en Ortodoncia y Ortopedia Craneofacial en la Facultad de Odontología. UNAM. Asesor Académico y Coordinador de Difusión de la AMOCOAC.

C.D. Manuel García Luna y González Rubio Dra. Ana Gabriela Carrillo Varguez Coordinadora de la especialidad en endodoncia UABC Tijuana. Coordinadora de Investigación y Posgrado F.O. UABC

M.C. Ernestina Santillana Marín Subdirectora de CISALUD UABC

William James Maloney, D.D.S. Clinical Associate Professor New York University

universidad anáhuac méxico norte

C.D. Carlos Robles Bonilla Coordinador de la Licenciatura de Cirujano Dentista

C.D. Sergio Antonio Ojeda León Profesor Titular de Odontopediatría de la Licenciatura de Cirujano Dentista

C.D. Bernardo Grobeisen Weingersz Profesor Titular de Clínica Integral de la Licenciatura de Cirujano Dentista

C.D. Norma Ibañez Mancera. Profesora Titular de Patología Bucal de la Licenciatura de Cirujano Dentista

Dirección del Derecho de Autor certificado de reserva al uso exclusivo no. 04-2008022718312200-102 con fecha 27 de Marzo del 2008. Gobernación de la H. Comisión Calificadora de Publicaciones y Revistas Ilustradas, certificado de licitud de contenido 5328, certificado de licitud de título 7411, franqueo pagado, publicación mensual permiso no. PP09-02106, SEPOMEX. Las opiniones expresadas en los artículos y en los anuncios publicados no significan de ninguna manera juicios, criterios, ideas o cualquier otro concepto por parte de la editorial; reflejan únicamente las ideas y pensamientos de sus autores. Los artículos, entrevistas, resúmenes, publirreportajes, fotografías y cualquier otro material son exclusivos de la editorial, y no se autoriza la reproducción total o parcial por ningún medio sin previa autorización del editor. Para cualquier asunto relacionado con suscripción, distribución, comercialización, anuncios, contenido u otro propósito, favor de dirigirse a la editorial. Impreso en Offset Impresión Creativa S.A de C.V.

Dentista y Paciente® Publicación mensual correspondiente al mes de JULIO DE 2023. editada por Editorial Renascence S.A. de C.V., Rancho Jigüingo 29, Prado Coapa, Ciudad de México, 14350. tel. 56846632, fax 56793656. Distribuida en locales cerrados, depósitos dentales, universidades, congresos y exposiciones. Editora responsable: Mariangel Martínez López. Fotoarte de portada: Editorial Renascence.

distribución certificada por el padrón nacional de medios impresos de la dirección general de medios impresos de la secretaría de gobernación no. 007-136. www.gobernacion.gob.mx

8 Contenido

Osteorradionecrosis

179. Julio 2023 Contenido 9
62 | ESTUDIO Eficacia de la terapia periodontal en la artritis reumatoide 56 | PUNTO DE VISTA de los maxilares: etiología y prevención. Parte 3

Implantes cortos de diámetro y plataforma reducida (3.0 mm) Serie de casos

Dentista y Paciente 10 Calidad y dirección Fotoarte: Editorial Renascence | Fotografía: AdobeStock

Los implantes cortos y extracortos nacen como alternativa al tratamiento de las atrofias en altura para evitar el uso de técnicas regenerativas que produzcan una mayor morbilidad en el paciente y un mayor número de cirugías.1-3 Estos implantes se han empleado en distintas localizaciones anatómicas (maxilar, mandíbula, zona anterior y zona posterior) con éxito, incluso cuando se han asociado a procedimientos como la elevación de seno transcrestal o el crecimiento vertical que, a priori, son procedimientos de más riesgo y por lo tanto donde se podían haber disminuido sus tasas de éxito.1-3 Aun así, los implantes cortos han demostrado ser alternativas fiables para la resolución de la atrofia vertical en múltiples situaciones. Actualmente, con el incremento de los años de vida de nuestros pacientes y con aquellos que manejan mucha información al respecto de los implantes dentales, cada vez tenemos más pacientes que acuden a la consulta dental demandando un tratamiento basado en implantes dentales y en muchos casos con cuadros complejos de atrofia, no solo en sentido vertical o en sentido horizontal, sino combinadas, lo que hace que el abordaje

Corresponding author: Dr. Eduardo Anitua, Eduardo Anitua Foundation; C/ Jose Maria

mediante implantes dentales sea más complejo.4-6

Para este tipo de situaciones donde nos enfrentamos a las atrofias verticales unidas a atrofias horizontales, los implantes cortos han ido sufriendo modificaciones, generándose implantes de menor diámetro, incluso reduciéndose su plataforma. En un inicio, al utilizar implantes cortos, una creencia que se postuló y estuvo vigente durante mucho tiempo fue que para que estos implantes funcionasen de forma correcta a largo plazo debíamos incrementar su diámetro. Posteriormente, estudios mediante elementos finitos demostraron que podíamos utilizar implantes cortos y estrechos si se realizaban protocolos cuidadosos de inserción, planificación y se utilizaban como pilares de puente o se ferulizaban varios implantes entre sí, generándose distribuciones de tensiones más aceptables cuando se seguían estos consejos que las de los implantes de mayor diámetro.7-9

Nuestro grupo de estudio, constató de modelos de elementos finitos que los implantes cortos de diámetro reducido pueden utilizarse

179. Julio 2023 11
Implantes cortos de diámetro y plataforma reducida

ferulizados a otros implantes similares o de mayor diámetro o longitud, formando rehabilitaciones con un buen comportamiento biomecánico.8-9 Con estos resultados sobre la mesa, buscando intervenciones cada vez menos traumáticas para el lecho receptor y por lo tanto para el paciente, nacen los implantes de plataforma reducida de 3 mm (implante 3.0-biotechnology institute®).10-12 Este implante, además de aportarnos todas las ventajas de uno de diámetro reducido, nos aporta la disminución de compresión en la zona más critica de los defectos horizontales: el cuello del implante.12 Su menor diámetro en la plataforma minimiza la tensión ejercida por el implante a este nivel y por lo tanto mejora la vascularización de la zona al evitar la compresión, lo que es vital en los casos de grandes atrofias como las que vamos a mostrar en esta serie de casos.

En el presente artículo, mostramos una serie de casos de pacientes con atrofias mixtas (en altura y anchura) que han sido rehabilitadas mediante

el uso de implantes de plataforma reducida (3.0) y con longitudes de 6.5 y 5.5 mm.

Material y método

Fueron reclutados de forma retrospectiva, pacientes que presentasen atrofia ósea extrema mixta, tanto en maxilar como en mandíbula y en los que se insertasen implantes extracortos (5.5 y 6.5 mm) y de plataforma reducida de 3 mm, durante un periodo comprendido entre junio de 2020 y junio de 2021. Antes de la inserción de los implantes se utilizó una premedicación antibiótica consistente en amoxicilina 2 g vía oral una hora antes de la intervención y paracetamol 1 g vía oral (como analgésico). Posteriormente los pacientes prosiguieron con un tratamiento de amoxicilina 500-750 mg vía oral cada 8 horas (según peso) durante 5 días. Todos los pacientes fueron estudiados antes de la inserción de los implantes mediante modelos diagnósticos, exploración intraoral y realización de un TAC dental (cone-beam) analizado posteriormente mediante un software específico (BTI-Scan III).

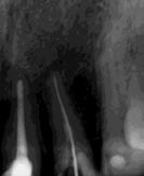
Una vez finalizada la cirugía se realiza una radiografía periapical con paralelizador que será la que se utilice como punto de partida. Los pacientes acuden posteriormente para la realización de radiografías periapicales de control, tomadas con la misma técnica, y sobre estas radiografías se realizan las mediciones necesarias para comprobar la estabilidad y pérdida ósea crestal de los implantes. La medición de la pérdida ósea marginal se realizó en la última radiografía periapical realizada con posicionador de seguimiento. Una vez obtenida la radiografía en formato digital es calibrada mediante un software específico (Digora for Windows,

Dentista y Paciente 12
Calidad y dirección
Las complicaciones biológicas y protésicas se objetivaron mediante la revisión de los registros de la historia clínica de los pacientes.

Implantes cortos de diámetro y plataforma reducida

Comfort H/S™ Bite Splint es una guarda diseñada para aliviar el dolor y los daños causados por el bruxismo o el apretamiento severo de los dientes. Es la guarda más prescrita debido a su comodidad y ajuste. Se compone de dos capas: una capa interior de poliuretano suave de 1 mm y una capa exterior de copoliéster rígido de 3 mm. La superficie interna blanda descansa cómodamente contra el diente y las encías, mientras que la superficie oclusal rígida proporciona durabilidad.

LL AME AL 8 0 0 - 2 12 -9080

O ESCANEE ESTE CÓDIGO QR

179. Julio 2023 13
MK T- 013186 1 m x .glid ewelld ent al.com/promociones/guardas GLMX-1949340 - 051622 ES
¡SU LABORATORIO DENTAL DE CONFIANZA!
Fabricada con materiales Envíos GRATIS a todo México Dra. Yanina Zaragoza

Calidad y dirección

SOREDEX Digital Imaging systems) a través de una longitud conocida en la radiografía como el implante dental. Una vez introducimos la medida de calibración, el programa informático realiza un cálculo basado en esta medida para eliminar la magnificación, pudiendo realizar mediciones lineales exentas de este error. La pérdida ósea crestal fue medida en 2 puntos: mesial y distal de cada implante.

Las complicaciones biológicas y protésicas se objetivaron mediante la revisión de los registros de la historia clínica de los pacientes. Se consideraron como criterios de fracaso de las prótesis la pérdida de retención (atornilladas), fractura de alguno de los componentes de la prótesis, fractura del implante o de la prótesis.

Análisis estadístico

El implante fue la unidad de análisis para la estadística descriptiva en cuanto a la localización, dimensiones del implante y mediciones radiográficas. El paciente fue la unidad de medida para el análisis de la edad, sexo y la historia médica. Fue realizado un test de Shapiro-Wilk sobre los datos obtenidos para constatar la distribución normal de la muestra.

Las variables cualitativas se describieron mediante un análisis de frecuencias y las cuantitativas mediante media y desviación estándar. La supervivencia de los implantes se calculó mediante el método de KaplanMeier. Los datos fueron analizados con SPSS v15.0 para windows (SPSS Inc., Chicago, IL, USA).

Dentista y Paciente 14
Figura 1. Localicación, diámetro y longitud de los implantes incluidos en el estudio.

Resultados

Fueron reclutados 8 pacientes en los que se insertaron 13 implantes que cumplieron con los criterios de inclusión previamente establecidos. De ellos, 3 fueron hombres y 5 mujeres con una edad media de 74.8 años (+/- 13.7). Ningún paciente era fumador y como patologías sistémicas asociadas, 2 pacientes refirieron hipertensión en tratamiento farmacológico. La posición dental más frecuentemente restaurada fue para la zona de 14, 34, 35 y 45 con un 15.4% para cada una de ellas. El resto de posiciones: 15, 24, 25, 44 y 46 tuvieron una frecuencia de 7.7%. La longitud de los implantes estudiados fue de 6.5 mm en el 69.2% de los casos y de 5.5 en el 30.8% restante. El diámetro de los implantes osciló entre 2.5 mm (23.1%), 3 mm (30.8%) y 3.3 mm (46.2%), presentando todos ellos una plataforma de

3 mm. La distribución del diámetro, longitud y posiciones de los implantes estudiados se muestran en la Figura 1

La densitometría media de la zona donde se insertaron los implantes fue de 673 Hu (+/- 274.3), siendo el torque medio de inserción para todos los implantes incluidos en el estudio de 3.9 (+/-14.2). En 3 de los implantes insertados se empleó como técnica accesoria la sobrecorrección vestibular con hueso autólogo obtenido de fresado unido a PRGF-Endoret y en uno de los implantes elevación de seno transalveolar con hueso autólogo obtenido del fresado unido a PRGF-Endoret también como material de relleno. En 8 de los implantes (61.5%) se llevó a cabo carga inmediata, siendo carga diferida para el 38.5% restante. El tiempo medio de seguimiento fue de 15.3 meses (+/- 5.08) no encontrándose

Implantes
cortos de diámetro y plataforma reducida

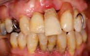
del caso donde podemos observar una enfermedad periodontal agresiva, con gran componente de pérdida

eventos adversos en las prótesis ni en los implantes durante este tiempo siendo la supervivencia de los implantes estudiados del 100%.

Todos los implantes fueron rehabilitados mediante prótesis múltiples, formando parte de puentes de más de un implante, incluso de rehabilitaciones completas en 2 casos. Las prótesis en todos los casos fueron atornilladas sobre transepitelial

múltiple (Multi-im®). La media de la pérdida ósea mesial de todos los implantes fue de 0.24 mm (+/- 0.62) y la media de la pérdida ósea distal de 0.19 mm (+/- 0.59).

En las Figuras 2-27 se muestra uno de los casos incluidos en el estudio donde se situaron 4 de los implantes que forman parte de la muestra, por lo que hemos creído que era uno de los más representativos.

Dentista y Paciente 16
Calidad y dirección
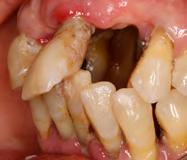
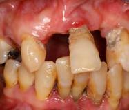
Figura 2. Imagen radiográfica inicial ósea en la mayoría de los dientes, con un defecto horizontal predominante y varios defectos en cuña en dientes aislados. Figura 3-6. Imágenes de la paciente, portadora de una prótesis removible para las ausencias dentarias presentes, que como vemos se encuentra completamente desadaptada además de con una estética poco adecuada.
2 3 5 7 4 6
Figura 7. En una primera fase se llevan a cabo las extracciones de las piezas que no pueden mantenerse debido a la gran movilidad que presentan y se colocan prótesis provisionales sobre los dientes remanentes que se han conservado tras un buen tratamiento periodontal.
179. Julio 2023 17
Implantes cortos de diámetro y plataforma reducida
8 9 10 11
Figura 8-11. Imágenes de la planificación del cone-beam dentral tras el cierre de los tejidos blandos (inserción temprana de los implantes). En ellos observamos la planificación de los implantes de 6.5 mm de longitud y de diámetro reducido y plataforma 3.0 que van a ser empleados.
Dentista y Paciente 18 Calidad y dirección
12 13 14 15 16
Figuras 14-16. Abordaje quirúrgico inicial con la extracción de las piezas remanentes superiores, la inserción de los implantes y la carga inmediata de los mismos. Figuras 12-13. Segundo abordaje quirúrgico superior donde se insertan implantes en zonas donde en la primera fase no fue posible y la colocación de los implantes inferiores. En el corte de control superior observamos la correcta integración de uno de los primeros implantes colocados.

Discusión

Los implantes estrechos de plataforma reducida tienen sus indicaciones cuando existe poco hueso en sentido horizontal, o cuando existe un espacio interdental reducido, donde la colocación de una plataforma de mayor diámetro puede poner en riesgo el hueso adyacente al implante y, por lo tanto, a los dientes que le rodean.12-15 En el caso de problemas horizontales, para conseguir una correcta oseointegración y buen pronóstico es necesario la presencia de al menos 1 mm de anchura de hueso rodeando al implante en la tabla vestibular y lingual o palatina, para poder

garantizarnos un volumen óseo suficiente que nos permita integrar el implante sin pérdidas óseas asociadas derivadas de la compresión excesiva o de dejar un volumen óseo demasiado disminuido, aunque posteriormente se realice una sobrecorrección.15-19

La reducción de plataforma de los implantes de 3 mm nos permite conservar este volumen óseo evitando la realización de técnicas accesorias de regeneración para conseguir un mayor volumen óseo y no preocuparnos de estas medidas biológicas.17 Además, cuando, como en este caso, la reabsorción afecta al hueso en sentido vertical y horizontal,

Figuras 17 y 18. 6 meses después se comienza la preparación de un encerado diagnóstico que nos permita la confección de una nueva prótesis adaptada a la cicatrización actual de los tejidos blandos y logrando corregir todos los parámetros oclusales necesarios. Este encerado se prueba en boca para ver el resultado estético.

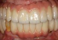
Figura 19 y 20. Imágenes de las prótesis terminadas: podemos observar cómo se ha logrado recuperar la dimensión vertical, la oclusión y la estética deseada por la paciente, sin procedimientos reconstructirvos óseos costosos, con el empleo de los implantes estrechos y cortos unidos a otros implantes cortos de diferente diámetro, formando todos ellos una unidad.

179. Julio 2023 19 Implantes
cortos de diámetro y plataforma reducida
17 19 18 20 21
Figura 21. El caso se mantiene estable a los 2 años de seguimiento.

Figura 22-27. Imágenes comparativas de antes y después del caso donde se hace más evidente aún todo lo logrado a nivel de salud oral y a nivel de estética para la paciente.

necesitamos implantes que nos aporten una menor longitud a la vez que un menor diámetro, para ello, estos implantes que hemos presentado en esta serie de casos son una gran solución.10-11 Nos permiten rehabilitar pacientes con atrofias severas mixtas, sin técnicas regenerativas óseas previas y con una menor complejidad en el procedimiento quirúrgico por lo que pueden ser llevados a cabo por un mayor número de profesionales. La tasa de superviencia de los implantes estrechos a largo plazo ha sido evaluada en algunos estudios, estableciéndose a los 8 años una supervivencia de 96.9% para implantes

estrechos ferulizados a otros implantes.20 Otros estudios que evalúan a largo plazo estos implantes en zonas estéticas de forma unitaria, reportan una supervivencia del 100% con un seguimiento de entre 3 y 14 años.21

A pesar de que existe una mezcla de datos heterogénea, en cuanto al seguimiento, existiendo múltiples datos y múltiples implantes de diámetros diferentes, en líneas generales, se cumple que no presentan una mayor tasa de fracaso siempre y cuando el caso sea estudiado de forma minuciosa y se tengan en cuenta todos los factores que pueden afectar a la pérdida ósea, tanto desde el

Dentista y Paciente 20 Calidad y dirección
22 24 26 23 25 27

punto de vista quirúrgico como protésico.9-11

Conclusiones

En casos de grandes reabsorciones óseas en sentido vertical y horizontal los implantes de plataforma reducida

(3 mm) y diámetro reducido, así como de corta longitud (5.5 y 6.5 mm) pueden ser una alternativa eficaz a los aumentos de hueso y las técnicas regenerativas convencionales, siendo más sencillo su manejo y pudiendo estar al alcance de la mano de un mayor número de profesionales.

tasa de superviencia de los implantes estrechos a largo plazo ha sido evaluada en algunos estudios, estableciéndose a los 8 años una supervivencia de 96.9% para implantes estrechos ferulizados a otros implantes.

Referencias

1. Ravidà A, Wang IC, Barootchi S, Askar H, Tavelli L, Gargallo-Albiol J, Wang HL. Meta-analysis of randomized clinical trials comparing clinical and patient-reported outcomes between extra-short (≤6 mm) and longer (≥10 mm) implants. J Clin Periodontol. 2019 Jan;46(1):118-142.

2. Moraschini V, Mourão CFAB, Montemezzi P, Kischinhevsky ICC, de Almeida DCF, Javid K, Shibli JA, Granjeiro JM, Calasans-Maia MD. Clinical Comparation of Extra-Short (4 mm) and Long (>8 mm) Dental Implants Placed in Mandibular Bone: A Systematic Review and Metanalysis. Healthcare (Basel). 2021 Mar 12;9(3):315.

3. Gonçalves TM, Bortolini S, Martinolli M, Alfenas BF, Peruzzo DC, Natali A, Berzaghi A, Garcia RC. Long-term Short Implants Performance: Systematic Review and Meta-Analysis of the Essential Assessment Parameters. Braz Dent J. 2015 Jul-Aug;26(4):325-36.

4. Elani HW, Starr JR, Da Silva JD, Gallucci GO. Trends in Dental Implant Use in the U.S., 1999-2016, and Projections to 2026. J Dent Res. 2018 Dec;97(13):1424-1430.

5. O' Dwyer S, Riordain RN. The patient experience of dental implant surgery: a literature review of pertinent qualitative studies. Ir J Med Sci. 2021 May;190(2):835-842.

6. Yao J, Tang H, Gao XL, McGrath C, Mattheos N. Patients' expectations to dental implant: a systematic review of the literature. Health Qual Life Outcomes. 2014 Oct 29;12:153.

7. Song HY, Huh YH, Park CJ, Cho LR. A two-short-implant-supported molar restoration in atrophic posterior maxilla: A finite element analysis. J Adv Prosthodont. 2016 Aug;8(4):304-12.

179. Julio 2023 21 Implantes cortos de diámetro y plataforma reducida
La

Referencias

8. Anitua E, Larrazabal Saez de Ibarra N, Morales Martín I, Saracho Rotaeche L. Influence of Dental Implant Diameter and Bone Quality on the Biomechanics of Single-Crown Restoration. A Finite Element Analysis. Dent J (Basel). 2021 Sep 6;9(9):103.

9. Anitua E, Larrazabal Saez de Ibarra N, Saracho Rotaeche L. Implant-Supported Prostheses in the Edentulous Mandible: Biomechanical Analysis of Different Implant Configurations via Finite Element Analysis. Dent J (Basel). 2022 Dec 23;11(1):4.

10. Antiua E, Escuer V, Alkhraisat MH. Short Narrow Dental Implants versus Long Narrow Dental Implants in Fixed Prostheses: A Prospective Clinical Study. Dent J (Basel). 2022 Mar 4;10(3):39.

11. Anitua E, Saracho J, Begoña L, Alkhraisat MH. Long-Term Follow-Up of 2.5-mm Narrow-Diameter Implants Supporting a Fixed Prostheses. Clin Implant Dent Relat Res. 2016 Aug;18(4):769-77.

12. Anitua E, Fernandez-de-Retana S, Anitua B, Alkhraisat MH. Long-Term Retrospective Study of 3.0-mm-Diameter Implants Supporting Fixed Multiple Prostheses: Immediate Versus Delayed Implant Loading. Int J Oral Maxillofac Implants. 2020 Nov/Dec;35(6):1229-1238.

13. Schiegnitz E, Al-Nawas B. Narrow-diameter implants: A systematic review and meta-analysis. Clin Oral Implants Res. 2018 Oct;29 Suppl 16:21-40.

14. Mangano F, Shibli JA, Sammons RL, Veronesi G, Piattelli A, Mangano C. Clinical outcome of narrow-diameter (3.3-mm) locking-taper implants: a prospective study with 1 to 10 years of follow-up. Int J Oral Maxillofac Implants. 2014 Mar-Apr;29(2):448-55.

15. Grandi T, Svezia L, Grandi G. Narrow implants (2.75 and 3.25 mm diameter) supporting a fixed splinted prostheses in posterior regions of mandible: one-year results from a prospective cohort study. Int J Implant Dent. 2017 Sep 8;3(1):43.

16. Chiapasco M, Ferrini F, Casentini P, Accardi S, Zaniboni M. Dental implants placed in expanded narrow edentulous ridges with the Extension Crests device. A 1-3 year multicenter follow-up study. Clin Oral Impl Res 2006;17:265-72.

17. Nedir R., Bischof M, Briaux JM, Beyer S, Szmukler-Moncler S, Bernard JP. A 7-year life table analysis from a prospective study on ITI implants with special emphasis on the use of short implants. Results from a prívate practice. Clinical Oral Implants Research 15:150-7.

18. Storgard S, Terheyden H. Bone Augmentation Procedures in Localized Defects in the Alveolar Ridge: Clinical Results with Different Bone Grafts and Bone-Substitute Materials. JOMI 2009;24:21836.

19. Blus C, Szmukler-Moncler S. Split-crest and immediate implant placement with ultra-sonic bone surgery: a 3-year life-table analysis with 230 treated sites. Clin Oral Impl Res 2006;17:700-7.

20. Shi JY, Xu FY, Zhuang LF, Gu YX, Qiao SC, Lai HC. Long-term outcomes of narrow diameter implants in posterior jaws: A retrospective study with at least 8-year follow-up. Clin Oral Implants Res. 2018 Jan; 29 :76-81.

21. Froum SJ, Shi Y, Fisselier F, Cho SC. Long-Term Retrospective Evaluation of Success of Narrow-Diameter Implants in Esthetic Areas: A Consecutive Case Series with 3 to 14 Years Follow-up. Int J Periodontics Restorative Dent. 2017 Sep/Oct;37(5):629-637.

Dentista y Paciente 22
Calidad y dirección

CURAPROX KIDS MANTEN LAS CARIES FUERA

Compacto, suave y e ciente.

Te presentamos: el increíblemente suave cepillo de dientes para una limpieza a fondo.

Preparados para la placa con una buena salud oral.

• Ca b ezal extra compac to y ligeramente inclinado

lamentos nos

•5,500 Curen® cada uno de 0.09 mm de diámetro.

•Para niños de 4 – 12 años

•Desarrollado y fabricado en Suiza

@curaprox mexico
NUEVO

NUEVO

Las enzimas fortalecen sus defensas naturales contra las caries.

• Contiene 1450 ppm de úor.

• Para los niños a partir del primer diente.

• Anticaries.

• Control de placa.

• Antisarro

• Remineralizante

• Previene a as y úlceras.

• Previene boca seca/ xerostomía.

• No es abrasiva (RDA-40).

• Sin Lauril sulfato de sodio (SLS), ni detergentes dañinos.

• Sin parabenos.

• Sin microplásticos

• Sin triclosán.

¿Sabías que tu cajita se convierte en un tipodonto?

@curaproxmexico
Dentista y Paciente 26 Caso clínico Fotoarte: Editorial Renascence | Fotografía: AdobeStock
Corrección ortodóncico-

quirúrgica, de maloclusión esquelética clase III con hipoplasia del maxilar

Se describe un caso de un paciente de 51 años y 5 meses, diagnosticado con hipoplasia maxilar, clase III esquelética, hiperdivergente, clase III molar derecha y III izquierda, clase III canina derecha y III izquierda, apiñamiento severo superior y severo inferior, mordida abierta anterior, overjet y overbite negativos. Objetivos: obtener la corrección del perfil facial, del apiñamiento superior e inferior, la clase I molar y canina bilateral, del overjet y overbite de las líneas medias dentales, mejorar el estado periodontal, correcta intercuspidación, guía canina e incisiva, rehabilitación exodoncias de los órganos dentarios OD 14, 24, 35, 45. Tratamiento: brackets prescripción Roth 0.022×0.028, colocación de bandas en primeros y segundos molares, vástagos quirúrgicos interbrackets. Tratamiento en 3 fases: prequirúrgica, quirúrgica y postquirúrgica. Se descompenso y se logró tripodismo para la cirugía, se realizó una osteotomía Lefort I maxilar de avance y una mentoplastía de avance. Se realizó el detallado. El tiempo activo de tratamiento fue de 4 años 11 meses, la retención se llevó a cabo con un retenedor circunferencial con cinturón vestibular superior e inferior.

Palabras clave: Lefort I, clase III, mentoplastía, descompensación dental.

179. Julio 2023 27 Corrección ortodóncico-quirúrgica,
Eduardo López Alvarado. Residente de segundo año de la Maestría en Ortodoncia y Ortopedia Maxilofacial en el Centro de Estudios Superiores de Ortodoncia (CESO) Ciudad de México. Dra. Beatriz Gurrola Martínez. Profesora del CESO y profesora titular C en la carrera de Cirujano Dentista de la Facultad de Estudios Superiores Zaragoza de la UNAM. Dr. Adán Casasa Araujo. Director del CESO.

Los problemas más frecuentes en la interconsulta entre ortodocia y cirugía maxilofacial son los pacientes con problemas esqueléticos y dentales, esto ocasiona un impacto negativo en la salud psicologica, así como en lo estético y problemas funcionales.1

Angle menciona que las maloclusiones dentales se caracterizan por presentar órganos dentales que ocluyen los del maxilar con los de la mandíbula junto con sus bases óseas.2 Esto está determinado por la discrepancia de tamaño y posición que existe entre la base del cráneo y el maxilar, entre la base del cráneo y la mandíbula en los que se encuentran las maloclusiones clase I, clase II, clase III, mordidas abiertas, asimetrías faciales.3,4

Se han desarrollado distintas formas para tratar todos estos problemas dentales y esqueletales entre ellos aparatología ortopédica cuando los pacientes aún se encuentran en crecimiento u ortodoncia correctiva como camuflajes clase II o clase III según sea la maloclusión del paciente o en su defecto cirugía ortognática en pacientes clasificados como quirúrgicos.5,6,7 Las maloclusiones son determinadas por factores múltiples como el medioambiente, hábitos orales, factores genético, factores socioeconómicos entre otros que pueden generar la necesidad de someter a los pacientes a cirugía ortognática.8,9

La cirugía ortognática comprende una serie de procedimientos quirúrgicos con el fin de establecer una relación ideal entre la mandíbula y los huesos del maxilar o estructuras adyacentes, para realizar una corrección estética y funcional en pacientes con maloclusiones clase I, II y III y asimetrías faciales. Álvarez determinó que en los pacientes quirúrgicos la frecuencia oscila entre un 64% para la retrusión mandibular, el 19% para la protrusión maxilar y un 17% para la mixta. Además de observar que la edad no es un factor predisponente para este tipo de maloclusión al igual que el sexo.11 Ubilla coincide en que los problemas esqueletales y dentales son problemas con necesidad de un complejo y difícil manejo, por lo que es importante el diagnóstico interdiciplinario completo, con información precisa y detallada, los pacientes sometidos a cirugía ortognática experimentan mejoras psicosociales, en su confianza, perfil facial y mejor convivencia social.12-14

Reporte de un caso

Paciente de 51 años y 5 meses de edad, cuyo motivo de consulta es “por valoración”, es originario de Zacatecas, por lo cual presenta hipoplasia del maxilar con fluorosis en algunas superficies vestibulares leve, y a nivel del canino izquierdo severa, diagnosticado con clase III esquelética, hiperdivergente, clase III molar derecha e izquierda, clase III canina derecha y clase III izquierda, líneas medias coincidentes, overjet y overbite negativos, mordida abierta anterior, apiñamiento severo superior e inferior.

Estudios extraorales de inicio

En la Figura 1 se observan los quintos proporcionales, en la Figura 2 de sonrisa se aprecia la mordida abierta

Dentista y Paciente 28 Caso clínico
Figura 1. Extraoral frente. Figura 2. Sonrisa.

anterior y la línea media facial coincidente con la línea media dental superior.

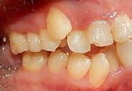
Estudios de inicio fotografías intraorales

En la Figura 3 se muesta clase III molar y canina, el overjet y overbite negativos, en la Figura 4 las líneas medias coincidentes, la mordida abierta anterior, en la Figura 5 la clase III molar y canina, overjet y overbite negativos, en la figura 6 se ven formas de los arcos ovales, el apiñamiento severo superior e inferior.

Estudios radiográficos de inicio

En la radiografía lateral de cráneo tenemos (Figura 7) la clase III esquelética con un ANB de -1, hiperdivergencia, aumento de la altura facial inferior, proclinación de los incisivos superiores con 1 a plano palatino de 133°, línea roja sobre la longitud del incisivo superior.

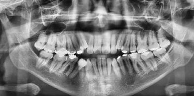
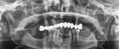
En la radiografía panorámica (Figura 8) se observan 32 dientes presentes

en boca, con la rehabilitación de los órganos dentarios por oclusal, con obturaciones de amalgamas, e incrustaciones, y divergencias radiculares inadecuadas.

Tratamiento

Constó de 3 fases: una fase prequirúrgica, una fase quirúrgica y una fase postquirúrgica. En la fase 1, prequirúrgica, para la corrección del apiñamiento maxilar y mandibular; se realizó la alineación y nivelación con una secuencia de arcos NiTi 0.012, 0.016, 0.018 superior e inferior. NiTi 0.017×25 superior e inferior, acero 0.018,0.020 superior e inferior, se llevó a cabo la descompensación dental y cierre de mordida abierta anterior con la indicación de exodoncias de los órganos dentarios OD 14, 24, 35 y 45, manejo de espacio con cadenas elastoméricas de superior e inferior, ferulizado posterior, se logró el tripodismo con SS 0.017×0.025, dobleces de segundo orden: intrusión de OD 16, 17, 26, 27, dobleces de tercer orden: torque continuo distal de

179. Julio 2023 29 Corrección ortodóncico-quirúrgica,
Figura 3. Lateral derecha. Figura 4. Frente intraoral. Figura 5. Lateral izquierda. Figura 6. Intraorales oclusales.

OD 33 y 43 bilateral, ameloplastía en cúspides palatinas de molares superiores derechos en un alambre SS 0.019×0.×25, con vástagos cortos y 2 largos para guía de línea media, ferulización con ligadura metálica 0.010.

En la fase 2, quirúrgica, realizada por el equipo multidisciplinario a cargo del cirujano maxilofacial donde se corrigió las relaciones esqueléticas,

el perfil facial, y se obtuvieron las clases I caninas y molares y a la vez la corrección de la línea media con la cirugía Lefort 1 de avance (5 mm) y con una mentoplastía de avance (7 mm). En la fase 3 se obtuvo una máxima intercuspidación, paralelismo radicular y oclusión funcional en el detallado, se utilizan arcos SS 0.021×0.025 superior e inferior,

Dentista y Paciente 30 Caso clínico
Figura 7. Radiografía lateral de cráneo. Figura 8. Radiografía panorámica.

dobleces de segundo orden: extrusión de OD 12 a 22, elásticos clase I en delta bilateral 3/16 4.5 oz, finalmente como retención se indicaron un retenedor circunferencial superior con cinturón vestibular y un retenedor circunferencial inferior con cinturón vestibular.

Resultados

El tiempo activo del tratamiento fue de 4 años y 11 meses, en los estudios extraorales finales en la Figura 9 se ve la comparación de inicio y final en la relación de la proporción del tercio medio e inferior de la cara, así como el perfil convexo.

Estudios intraorales, fotografías finales

En la Figura 10 tenemos las líneas medias dentales coincidentes, la corrección de overbite, en la lateral izquierda clase I molar y canina bilateral, una correcta intercuspidación.

Estudios radiográficos finales

La radiografía lateral de cráneo en la Figura 11, se observa un ANB de 2° líneas rojas debido al avance del maxilar, una retroclinación del incisivo inferior a 76° líneas amarillas y mejoría de 1-maxilar a 122° líneas azules.

En la radiografía panorámica se ven 24 órganos dentales (Figura 12) después de realizada la cirugía osteotomía Lefort I maxilar de avance y una mentoplastía; las cuatro placas de fijación con sus respectivos microtornillos en el maxilar líneas de color rojo, la fijación con alambre quirúrgico de acero inoxidable señalados azules.

Retención

Para la estabilidad se indicó un retenedor circunferencial superior e inferior con cinturón vestibular (Figura 13).

179. Julio 2023 31 Corrección ortodóncico-quirúrgica,
Figura 9. Extraoral de frente y final de inicio y final. Figura 10. Intraorales.

Discusión

Cuando se realizan tratamientos quirúrgico-ortodónticos es importante darle un alto valor a la función, así como también a la armonía facial y estética, ya que en la sociedad tiene relevancia para la interacción, de la misma manera para mejorar la

autoestima de las personas, es necesario llevar en conjunto tratamientos psicológicos para minimizar el impacto mental que estos cambios pueden ocasionar. Por otro lado, algunos autores señalan la necesidad de realizar extracciones de premolares, incluso mencionan que el patrón típico de extracciones en clase III es 14, 24, 35 y 45; sin embargo, esto no siempre se cumple porque va a depender de las inclinaciones dentales. Normalmente se extraen únicamente primeros premolares superiores; sin embargo, en el caso del CESO, sí se realizó el patrón de extracciones más común.10 Respecto a la variedad de técnicas quirúrgicas Reyneke menciona que estas dependerán de los objetivos de cada caso.16 en el caso del CESO fue necesario realizar un avance maxilar de 5 mm a través de una osteotomía Le Fort I y un avance del mentón de 7 mm mediante una mentoplastía de avance. Ya que, en adultos, la única opción de mejorar este conjunto de alteraciones es el tratamiento ortodóncico-quirúrgico, siendo el procedimiento básico la cirugía maxilar, pudiendo ser acompañada de cirugía mandibular y a veces con una mentoplastía. Aunque el abordaje ortopédico temprano es una opción cuando el problema es en los planos anteroposterior y transversal, los resultados del tratamiento para displasias

Dentista y Paciente 32 Caso clínico
Figura 11. Radiografía lateral de cráneo. Figura 12. Radiografía panorámica.

esqueléticas verticales continua siendo controversial.17 Al tomar en cuenta los estudios para el tratamiento en este paciente del CESO, fue determinante la edad y por la maloclusion clase III esquelética, considerándose que el tratamiento quirúrgico era el

indicado para la corrección dental y facial. Y por la hipoplasia maxilar con la severa fluorosis en el canino superior, se le remitió al odontólogo de practica general para que le realizara las obturaciones.

Conclusiones

La correcta planeación del tratamiento es indispensable para lograr los objetivos planteados de la mejor manera, es importante realizarlo con enfoque multidisciplinario en conjunto con el cirujano maxilofacial, el componente psicológico. Además, se debe prestar especial atención en el impacto en la calidad de vida que infiere en los pacientes ante cambios faciales radicales, en función y estética en el buen funcionamiento del sistema estomatológico y la autoestima.

Referencias

1. Crespo T A, López A F. Clase III esqueletal con laterognasia y asimetría del tercio inferior, tratamiento ortodóncico-quirúrgico, México, Revista Mexicana de Ortodoncia, 2017, 5(3): 125131. Disponible en http://revistas.unam.mx/index.php/rmo/article/view/60508. Consultado: octubre 2021

2. Ramírez M J, Muñoz M C, Gallegos R A, Rueda V M. Maloclusión clase III. Salud en Tabasco. 2010;16(2-3):944-950. Disponible en https://www.redalyc.org/articulo.oa?id=48720965007 consultado: octubre 2021

3. Mora H R, Ruiz D R, Lucio L E. Corrección de asimetría facial con tratamiento ortodóncico quirúrgico. Presentación de caso clínico. Rev Mex Ortodon. 2016;4(2):127-135. Disponible en: https:// www.medigraphic.com/cgi-bin/new/resumen.cgi?Idarticulo=65302. Consultado: octubre 2021

4. Huízar G I, García L E, Orozco P J, et al. Orthodontic surgical management of a skeletal class III patient with laterognathia. Rev Mex Ortodon. 2017;5(2):100-106. Disponible en: https://www. medigraphic.com/cgi-bin/new/resumenI.cgi?Idarticulo=71880. Consultado: octubre 2021

Dentista y Paciente 34 Caso clínico
Figura 13. Vista oclusal superior e inferior.
Cuando se realizan tratamientos quirúrgicosortodónticos es importante darle un alto valor a la función, así como también a la armonía facial y estética.

Referencias

5. Ubilla M W, Sánchez L M, Mazzini T F, et al. Tratamiento con cirugía ortognática en paciente clase III esqueletal con latero desviación mandibular izquierda. Reporte de caso. Ecuador. Odovtos-Int J Dent Sc. 2017;19(2):15-24. Disponible en: https://www.medigraphic.com/pdfs/odovtos/ijd2017/ijd172b.pdf. Consultado: octubre 2021

6. Llamas C J, Martínez P, Paredes G V. Clase III esquelética en adultos. Compensación versus descompensación. Revista española de ortodoncia, 2014;44:9-17 http://www.revistadeortodoncia. com/files/2014_44_1_009-017.pdf. Consultado: octubre 2021

7. Bohórquez J Y, Mariscal G K, Ángeles V A. Tratamiento ortodóncico-quirúrgico en paciente clase III esquelética. Presentación de caso clínico . Rev Mex Ortodon. 2018;6(3):196-203. Disponible en: https://www.medigraphic.com/cgi-bin/new/resumen.cgi?IDARTICULO=84682. Consultado: octubre 2021.

8. Martínez H E, Vásquez E H, Hernández C J. Tratamiento ortodóncico-quirúrgico de una maloclusión clase III esquelética combinada con laterognasia. Rev Mex Ortodon. 2018;6(3):162-167. Disponible en: https://www.medigraphic.com/cgi-bin/new/resumen.cgi?IDARTICULO=84677 Consultado: octubre 2021

9. Pabón A M, et al. Tratamiento de la Maloclusión Clase III en el paciente pediátrico. Reporte de caso. Revista De Odontopediatría Latinoamericana, 1(2). Disponible en https://doi.org/10.47990/ alop.v1i2.96. Consultado: octubre 2021

10. Aziz S R, Simon P. Hullihen and the origin of orthognathic surgery. J Oral Maxillofac Surg. 2004 Oct;62(10):1303-7. Disponible en: https://www.joms.org/article/S0278-2391(04)00872-9/ fulltext#articleInformation. Consultado: octubre 2021

11. Álvarez N C, Servín H S, Parés V F. Frecuencia de los componentes de la maloclusión clase II esquelética en dentición mixta. Rev ADM. 2006;63(6):210-214.

12. Chaqués A J. Asimetrías (parte IV): asimetrías esqueléticas: protocolo ortodoncico-quirúrgico. Revista española de Ortodoncia 2009,39:283-304. Disponible en: http://www.revistadeortodoncia.com/files/2009_39_4_283-304.pdf. Consultado: octubre 2021

13. Hodge T M, Boyd P T, Munyombwe T, Littlewood S J. Orthodontists’ perceptions of the need for orthognathic surgery in patients with Class II Division 1 malocclusion based on extraoral examinations. Am J Orthod Dentofacial Orthop. 2012; 142 (1): 52-59.

14. Bolio C, Guzmán VI. Tratamiento ortodóncico-quirúrgico de paciente clase II división 1. Presentación de un caso clínico. Rev Mex Ortodon. 2017;5(4):245-253.

15. Proft W R, Sarver D M. Treatment planning: optimizing benet to the patient. In: Proffit W.R., White R.P. Jr, Sarver D.M. Ortodoncia contemporánea. Ed. 4. Ed. Elsevier Mosby. España 2008. Pag. 686 – 718.

16. López A, Marin Y, Hiromoto J, da Cruz O T, & Ponce H V (2005). Tratamiento ortodóncicoquirúrgico de un paciente con síndrome de cara larga. Revista Estomatológica Herediana, 15(1), 67-72.

17. Sankey W L, Buschang P H, English J, Owen A H. Early treatment of ver- tical skeletal dysplasia: the hyperdivergent phenotype. Am J Orthod Dentofac Orthop 2000; 118: 317-27.

179. Julio 2023 35 Corrección ortodóncico-quirúrgica,
Dentista y Paciente 36 Sonriendo al futuro

La osteonecrosis avascular por bifosfonatos es una de las complicaciones que mayormente se presenta en pacientes con algún antecedente patológico como pueden ser: Cáncer de mama, Cáncer de próstata, Osteoporosis, Osteopenia o que estén pasando por algún tratamiento ginecológico; después de realizar tratamientos invasivos en Odontología como son las Extracciones dentales, Colocación de implantes, Cirugías Periodontales, etc. Esto se debe a que los bifosfonatos tienen agentes antiangiogénicos, qué se encargan de inhibir la regeneración ósea, evitando la cicatrización y generando osteonecrosis. En el presente artículo demostraremos la importancia de las interconsultas entre médicos generales, internistas, ginecólogos, oncólogos, ortopedistas, maxilofaciales y estomatólogos, mediante un caso clínico que se presentó en el Hospital Español durante el presente año.

Prevención y manejo médico-estomatológico de osteonecrosis avascular.

Presentación de caso clínico

179. Julio 2023 37 Prevención
y manejo médico-estomatológico
Gómez Flores Azulli G. Jiménez Carreón Kimberly M. Ruíz García Andrea G

Los bisfosfonatos son un grupo de medicamentos que se usan principalmente para tratar afecciones asociadas a huesos delgados o frágiles que tienen un mayor riesgo de fractura. Estos medicamentos se administran a pacientes con baja densidad ósea o a pacientes con antecedentes de fracturas óseas por fragilidad, ya que ayudan a fortalecer los huesos y previenen futuras fracturas. Además de tratar la osteopenia y la osteoporosis, este grupo de medicamentos pueden usarse para tratar la enfermedad de Paget o algún tipo de cáncer que se ha diseminado.

La familia de bisfosfonatos incluye los siguientes medicamentos:

• Orales: Alendronato, risedronato e ibandronato.

• Intravenosos: pamidronato, ibandronato y ácido zoledrónico.

Las células óseas de nuestro cuerpo se eliminan constantemente y se reemplazan con nuevas células óseas. Esto sucede a lo largo de toda nuestra vida. Los osteoclastos son células en nuestro cuerpo que eliminan el tejido óseo viejo y los osteoblastos son células que lo reemplazan con tejido óseo nuevo. Los bisfosfonatos funcionan reduciendo la actividad de los osteoclastos y por lo tanto, disminuyendo el recambio de tejido óseo o la eliminación del tejido óseo viejo. A medida que envejecemos y en ciertas enfermedades, el tejido óseo, en realidad, se elimina o daña más rápido de lo que el cuerpo puede reemplazarlo. Esto deja a los huesos delgados debilitados y es mucho más probable que se fracturen. Los medicamentos con bisfosfonatos ayudan a preservar la densidad y la fortaleza ósea.

Osteonecrosis medicamentosa

• Exposición de hueso necrosado.

• Se desarrolla en pacientes con antecedentes de:

- Osteoporosis

- Osteopenia

- Osteomielitis

- Malignidad como cáncer de próstata o cáncer de mama, etc.

• Antecedentes de tratamiento actual o previo con agentes antirresortivos o antiangiogénicos

Salvatore L., Rugguero. Diagnosis and stagig of medication-related osteonecrosis of the jaw. Oralmaxsugery.theclinics.com. 2015 departamento of oreal and maxilofacial

Bifosfonatos

• Inhiben la resorción ósea por supresión de la actividad osteoclástica.

• Se depositan entre los cristales de hidroxiapatita, siendo absorbidos por el osteoclasto.

• Ya adentro, el bifosfonato provoca la apoptosis del mismo.

• Además tiene un efecto antiangiogénico que reduce y condiciona al factor de crecimiento endotelial.

Dentista y Paciente 38 Sonriendo al futuro
Establecer el diagnóstico correcto y estratificar adecuadamente a estos pacientes es crucial para proporcionar la atención necesaria en el momento oportuno

Estadios de la patología

Estadio 0: No hay evidencia clínica de hueso necrótico, pero presenta síntomas o hallazgos radiográficos inespecíficos.

Estadio 1: Exposición ósea, hueso necrótico, asintomático, sin proceso infeccioso.

Estadio 2: Exposición ósea, hueso necrótico, acompañada de un proceso infeccioso y dolor:

a. sin progresar

b. progresa sin llegar al estadio 3

Estadio 3: Exposición ósea, hueso necrótico, infección, dolor y uno o más de los siguientes signos: fractura patológica o fístula extrabucal.

Historia de la enfermedad

• Osteítis alveolar postextracción

• Osteomielitis en la zona afectada

• Ausencia de cicatrización

• Dificultad para hablar o deglutir

• Sangrado, movilidad y/o pérdida dentaria

• Dolor orofacial, trismus, parestesia

• Fístulas oroantrales

Estrategias de tratamiento

Las estrategias de tratamiento se llevan a cabo conforme al diagnóstico por estadios que se presenta en el paciente.

Estadio 1: Se hará una medición en milímetros del tamaño de la exposición; se sugiere la suspensión de los bifosfonatos; enjuagues de clorhexidina al 0.12% 3 veces al día durante 15 días. Control evolutivo a los 15 días y al mes

Estadio 2: Se realizará protocolo del estadio 1 pero se sumará antibioticoterapia junto con AINE

Estadio 3: Eliminación del secuestro óseo y, si se requiriera, la odontectomía de los dientes involucrados, con irrigación del lecho con clorhexidina al 0.12% y cierre con material reabsorbible.

Tratamientos alternativos:

• Complementación con cámara hiperbárica

• Interconsulta con el médico tratante para la suspensión del medicamento o como recomendación el cambio de medicamento. Una de las opciones es el DENOSUMAB, ya que es un anticuerpo monoclonal humanizado y tiene los mismos resultados abordando el tema de la osteoporosis creando efectos mínimos en la resorción ósea, así evitando complicaciones como la osteonecrosis medicamentosa.

• Del 1 al 5% de pacientes en tratamiento crónico con denosumab presentan osteonecrosis en los maxilares

• Mientras que en pacientes tratados con bifosfonatos se presenta en un porcentaje entre el 1 al 12% la osteonecrosis en los maxilares.

Causas

Según el consenso de la Asociación Americana de Cirujanos Orales y Maxilofaciales hay que considerar las siguientes:

1. Relacionadas con la medicación

• Potencia del bifosfonato: cuanto más potente, más riesgo de ocasionar una osteonecrosis de los maxilares.

• Duración del tratamiento: cuanto más largo es el tratamiento más posibilidades hay de que ocasione una osteonecrosis.

• La asociación con corticosteroides.

179. Julio 2023 39 Prevención y manejo médico-estomatológico

2. Factores locales

• Cirugía alveolodentaria:

- Extracciones dentales

- Colocación de implantes

- Cirugía periapical

- Cirugía periodontal que afecte el hueso

• Anatomía local:

- Mandíbula: torus linguales y línea milohioidea

- Maxilar: torus palatinos

• Enfermedades orales concomitantes: historial de patología inflamatoria sobre todo periodontal.

3. Factores genéticos

Algunas alteraciones genéticas parecen asociarse a un mayor riesgo de osteonecrosis de los maxilares en pacientes con mieloma múltiple tratados con bisfosfonatos.

Dentista y Paciente 40 Sonriendo al futuro
1
2a 2b 2d 2c 2e

Prevención

Todos los pacientes que vayan a recibir tratamiento con bisfosfonatos deben de ser advertidos de la existencia de este efecto secundario y deben realizar una revisión bucodental para eliminar focos infecciosos e irritativos antes de comenzar el tratamiento con bisfosfonatos (sobre todo en los que van a recibir bisfosfonatos intravenosos en casos oncológicos).

Todos los pacientes que vayan a recibir tratamiento con bisfosfonatos deben recibir los oportunos consejos para mantener una adecuada salud bucodental y acudir periódicamente a revisiones de control.

Antes de prescribir la terapia con bisfosfonatos el médico debe remitir el paciente al odontólogo para una evaluación integral inmediata. El examen dental debe incluir una evaluación clínica completa, además de radiografías panorámicas y periapicales. El tratamiento odontológico ayuda a eliminar las infecciones y a prevenir la necesidad de procedimientos dentales invasivos en el futuro inmediato. Las intervenciones pueden abarcar exodoncias, cirugía periodontal, terapia endodóntica, control de caries, restauraciones y prótesis; una vez realizado alguno de estos procedimientos, se debe esperar un mes de cicatrización antes de iniciar la prescripción de BF. Algunos autores indican que estos pacientes no deben ser candidatos para restaurar con implantes ya que presentan predisposición a exposición ósea.

Caso clínico

Paciente. Sexo: Femenino. Edad: 65. Paciente sana, sin antecedentes heredofamiliares. Paciente fumadora por 40 años (Figura 1).

Salvatore L., Rugguero. Diagnosis and stagig of medication-related osteonecrosis of the jaw. Oralmaxsugery.theclinics.com. 2015. departamento of oreal and maxilofacial

En 2019 acude a tratamiento dental sin complicaciones, siempre presentó buena higiene oral y no había antecedentes de enfermedad periodontal.

En 2020 inicia con dolor y supuración en segundo molar inferior izquierdo, por lo que se remite con el periodoncista, quien después de 3 curetajes abiertos fallidos, con regeneración tisular guiada y antibioticoterapia decide extraer primer y segundo molar inferior y nuevamente colocar hueso y membrana.

Durante todo el año 2021 la paciente cursa con dolor sin una remodelación ósea adecuada y con la mucosa sin cicatrizar, por lo que en varias ocasiones se manda antibiótico y terapia láser, a finales de este mismo año la paciente ingresa al hospital ABC con una Angina de Ludwig y es dada de alta sin un diagnóstico preciso.

A los pocos meses de su alta la paciente presenta fístula extraoral,

179. Julio 2023 41 Prevención y
manejo médico-estomatológico
Los pacientes a menudo desconocen el tipo específico de medicación que están recibiendo, especialmente los pacientes con cáncer que suelen recibir múltiples medicamentos

en 2022 que la paciente acude a infectología en el hospital español, donde se realiza una historia clínica integral, en la que la paciente refiere por primera vez que se encuentra desde hace varios años bajo tratamiento con ácido alendrónico por vía oral.

En conjunto con el departamento de odontología y de maxilofacial se solicita tomografía computarizada y gammagrafía con tecnecio 99, donde se confirma el diagnóstico de osteomielitis mandibular con osteonecrosis asociada a bifosfonatos.

Dentista y Paciente 42 Sonriendo al futuro
3
4a
5
4b 4c

Estudios imagenológicos de inicio

En la tomografía computarizada se puede ver una resorción del hueso y una región de secuestro óseo, así como una zona lítica del mismo hueso causada ya sea por una osteonecrosis o por una osteomielitis esto lo encontramos un corte axial a nivel de C2 (Figura 2).

En la gammagrafía se puede observar una zona con una gran cantidad de

células en mandíbula de lado izquierdo (Figura 3).

Tratamiento

Fase quirúrgica

Se realiza una mandibulectomía parcial, con una incisión lineal donde se desperiostiza tratando de mantener nervio mentoniano íntegro, se procede a la extracción quirúrgica del cuerpo mandibular con osteonecrosis y osteomielitis, en el mismo acto

Prevención
y manejo médico-estomatológico
6a 6b 6c

quirúrgico se fija una prótesis hecha a medida de titanio con perforaciones para reconstrucción dental, se lava con una solución hiperóxidativa para microorganismos anaerobios, se coloca en Tissel para crear una barrera de fibrina, se colocó un drenaje tipo drenovac para evitar que haya edema, se sutura con vicryl 4-0.

A nivel oral se realiza sutura al nivel del reborde alveolar inferior izquierdo con vicryl 2-0 (Figura 4).

Se envía fragmento óseo a patología para un estudio histopatológico. (Figura 5).

Estudios imagenológicos finales

En los estudios imagenologicos se observó una adecuada consolidación de las placas con el hueso (Figura 6).

Seguimiento: A principios de junio del 2023 se realizó un retiro de placas por exposición continua de las

Dentista y Paciente 44 Sonriendo al futuro
7a 7b

mismas, con un cierre adecuado de tejidos blandos (Figura 7).

Conclusión

La mejor prevención es enviar a odontología para una valoración y dejar limpia la boca para iniciar cualquier proceso que necesite el uso de bifosfonatos.

Es muy importante tener el conocimiento para el cirujano maxilofacial, del cirujano facial, del dentista de las estructuras óseas, de su comportamiento y tener una estrecha relación con el infectólogo para que nos pueda dar un tratamiento a largo plazo.

Referencias

1. Hellstein, J. W. (2014). Osteochemonecrosis: An Overview. Head and Neck Pathology. https:// doi.org/10.1007/s12105-014-0583-z

2. Fernández CM, Pérez M, Pérez E, Martín LS, Castaño A. Osteonecrosis de los maxilares relacionados con bifosfonatos. Gaceta Dental. 2013; 248: 140-149.

3. Barrientos, F. J. (2007, 5 septiembre). Osteonecrosis de los maxilares inducida por bifosfonatos: prevención y actitud terapéutica. Recuperado 3 de diciembre de 2020, de http://scielo.isciii.es/ pdf/maxi/v29n5/caso1.pdf

4. Othero, J. (2011, 1 enero). Osteonecrosis de los maxilares asociada al uso de bifosfonatos: revisón de ocho casos. Recuperado 10 de noviembre de 2020, de https://www.sciencedirect.com/ science/article/pii/S113005581170003X

5. Magaña, F. (2020, 1 septiembre). Tratamiento de la osteonecrosis de los maxilares. Casos clínicos y revisión bibliográfica. Recuperado 10 de noviembre de 2020, de https://www.medigraphic. com/pdfs/cirugiabucal/cb-2015/cb153e.pdf

6. Reyna, J. H., & Pérez, J. R. A. (2015). Papel de los bisfosfonatos en la osteonecrosis mandibular. Perinatologia y reproduccion humana, 29(1), 26–29. https://doi.org/10.1016/j.rprh.2014.12.002

7. María, C., Fernández-Grisales, R., Candidato, E., & En, M. (s/f). Osteonecrosis de los maxilares: fisiopatología, diagnóstico y tratamiento. Org.co. Recuperado el 13 de febrero de 2023, de http:// www.scielo.org.co/pdf/ceso/v29n2/v29n2a08.pdf

8. Salvatore L., Rugguero.Diagnosis and stagig of medication-related osteonecrosis of the jaw. Oralmaxsugery.theclinics.com.2015.departamento of oreal and maxilofacial

179. Julio 2023 45 Prevención y manejo médico-estomatológico

Síndrome de Crouzon manejo con cirugía y microtornillo

Dentista y Paciente 48 Enciclopedia odontológica Fotoarte: Editorial Renascence | Fotografía: AdobeStock / Andrii Yalanskyi

Síndrome de Crouzon manejo con cirugía y microtornillo

Se presenta una paciente de 45 años diagnosticada con síndrome de Crouzon, es clase III esquelética, hiperdivergente, clase III molar derecha y clase no determinada molar izquierda, clase canina derecha III, clase II canina izquierda, ausencia de los órganos dentarios 17, 15, 16, 36, 37, 47, el 23 retenido en palatino, el overjet y overbite disminuidos, línea media inferior desviada. Con una cirugia Lefort IV previa. Objetivo: corrección del perfil facial, a nivel dental corrección del apiñamiento dental maxilar y mandibular, a nivel esqueletal corregir las relaciones esquelética, a nivel quirúrgico impactación, corrección del torque del 27 con microtornillos, corrección de línea media mediante stripping El tratamiento constó de 3 fases: 1. fase prequirúrgica: exodoncia de premolares inferiores, alineación, nivelación, mecánica de elásticos, microtornillo. 2. fase quirúrgica: genioplastia, rinoplastia, impactación maxilar, rotación mandibular. 3. fase posquirúrgica: mecánica de elásticos, stripping, mecánica de elásticos, detallado, retención. Tiempo del tratamiento 3 años y 5 meses.

Palabras clave: síndrome de crouzon, genioplastia, impactación maxilar, rinoplastia, rotación mandibular.

179. Julio 2023 49
Bethy Azucena Cumba de la Cruz. Residente de segundo año de la Maestría en Ortodoncia y Ortopedia Maxilofacial en el Centro de Estudios Superiores de Ortodoncia (CESO) Ciudad de México. Dra. Beatriz Gurrola Martínez. Profesora del CESO y profesora titular C en la carrera de Cirujano Dentista de la Facultad de Estudios Superiores Zaragoza de la UNAM. Dr. Adán Casasa Araujo. Director del CESO.

El síndrome de Crouzon es una sinostosis craneofacial congénita caracterizada por el cierre prematuro intrauterino de las suturas coronal, sagital y lambdoidea, lo que produce un crecimiento anormal del cráneo, hipoplasia maxilar y asimetría facial. Octave lo describió como un trastorno genético, caracterizado por la fusión prematura de las suturas coronal, fronto esfenoidal y de la sincondrosis esfenoetmoidal.1,2

Es un defecto de origen congénito que se caracteriza por malformaciones en el desarrollo, ligado al cierre prematuro de las suturas craneales con consecuencias severas en la conformación de la cara y el cráneo. Se la considera entre las enfermedades hereditarias autosómicas dominantes con penetrancia completa y de expresividad variable.3-5 El tratamiento del síndrome de Crouzon depende de las malformaciones específicas, del patrón de crecimiento craneofacial y de las necesidades psicosociales de cada paciente.6,7

El tratamiento debe comenzar desde lo más temprano, desde el nacimiento, y es fundamental un equipo multidisciplinario para el diagnóstico temprano de la odontopediatra para el manejo y estimulación del complejo craneofacial del menor. Así también todos los profesionales que sean útiles en el mejoramiento de la calidad de vida.8-10 Cabe señalar que

este síndrome, si no es atendido, tiene el riesgo de desarrollar trastornos de visión, audición o dificultad para el aprendizaje.4 Los hallazgos odontológicos más relevantes son la mordida cruzada anterior y posterior, un paladar estrecho, una maloclusión clase III y el apiñamiento son habituales, mientras que el labio y el paladar fisurado son infrecuentes. El momento de la intervención quirúrgica dependerá del tipo y número de suturas afectadas; si son múltiples suturas comprometidas, la cirugía se suele realizar en el primer año de vida, para su apertura.7

La maniobra quirúrgica mejora el crecimiento adecuado del cráneo y la descomprensión del nervio óptico, con la separación de las suturas se reduce la presión en el cerebro, permitiendo su desarrollo y mejorando al mismo tiempo la apariencia estética del niño. Al permitir que las suturas se superpongan, la cabeza del bebe pueda pasar a través del canal vaginal sin presionar ni dañar su cerebro. Sin suturas y fontanelas flexibles, el cerebro del bebé estaría constreñido dentro de los huesos craneales, podría no crecer lo suficiente y se produciría daño cerebral.1,5

Respecto al tratamiento de ortodoncia, el control del anclaje es uno de los elementos más importantes. Por lo que a veces se requiere de un anclaje máximo o absoluto, es decir, una alta resistencia al desplazamiento.11

Caso clínico

Paciente femenino de 45 años acude al CESO y se le realiza una valoración para recibir tratamiento de ortodoncia. Es diagnosticada con síndrome de Crouzon. En los estudios de inicio extraorales observamos (Figura 1):

Dentista y Paciente 50 Enciclopedia odontológica
Figura 1. Frente reposo y sonrisa.

Estudios intraorales de inicio

En las fotografías ( Figura 2 ) se observa clase III esquelética, hiperdivergente, la clase III molar derecha y clase que no está determinada, la molar izquierda, clase canina derecha III, clase II canina izquierda, (Figura 3) con la ausencia de los OD 17, 15, 16, 36, 37, 47, el 23 está retenido en palatino, el overjet y overbite están disminuidos, con la línea media inferior desviada, la paciente refiere que ya le habían realizado una cirugía de Lefort IV antes de llegar al CESO.

Vista oclusal las formas de arco oval superior es indeterminada al igual que la superior e inferior (Figura 4)

179. Julio 2023 51
Síndrome de Crouzon manejo con cirugía y microtornillo
La maniobra quirúrgica mejora el crecimiento adecuado del cráneo y la descomprensión del nervio óptico, con la separación de las suturas se reduce la presión en el cerebro, permitiendo su desarrollo y mejorando al mismo tiempo la apariencia estética del niño.
Figura 2. Frente inicio. Figura 3. Izquierda y derecha intraoral de inicio.

se ve la malposición, apiñamiento con la ausencia de órganos dentarios.

Estudios radiográficos iniciales

En la radiografía panorámica (Figura 5) nos muestra los 22 organos dentarios presentes, así como múltiples restauraciones dentales. Se aprecia la pérdida de hueso alveolar, las mallas quirúrgicas a nivel de órbitas y el 23 retenido en paladar.

Se observa con el procedimiento monoblock que se realizo a través de un enfoque craneofacial combinado. Es un implante completo articulado de una sola pieza que se puede colocar en tan solo un paso quirúrgico (Figura 6). Estos implantes se

pueden insertar en el hueso sin abrir las encías, sin incisiones ni suturas, y con poco dolor o inflamación, porque el segmento frontoorbitario se avanzó con su contraparte del tercio medio facial como una sola pieza, de ahí el término monobloque. Puede o no puede estar asociado con la remodelación de la bóveda craneal.

Tratamiento con 3 fases: fase prequirúrgica: exodoncia de premolares inferiores, alineación, nivelación, mecánica de elásticos, microtornillo. Fase quirúrgica; genioplastia, rinoplastia, impactación maxilar, rotación mandibular, fase posquirúrgica; mecánica de elásticos, stripping, detallado, retención. Tiempo del tratamiento 3 años y 5 meses.

Dentista y Paciente 52
odontológica
Enciclopedia
Figura 4. Vista arcadas superior e inferior. Figura 5. Rx Panorámica.

Progreso, final, circunferencial superior con cinturón vestibular y premolares de stock, circunferencial inferior con molar de stock (Figura 6-8).

Resultados

El tiempo total de tratamiento fue de 3 años y 5 meses. Se cumplieron los objetivos: corrección del perfil facial, del apiñamiento maxilar y mandibular, se mantuvo la clase molar derecha, llevándose a la clase I canina bilateral con la corrección del overjet y overbite, la impactación maxilar y la rotación mandibular, con la genioplastia, rinoplastia, gingivoplastia.

Discusión

Se estima una prevalencia de la población general de 2/100 000 con del síndrome de Crouzon la proporción de padres que tenían más de 34 años es del 28.57%, aunque solo el 19.04% eran padres de casos esporádicos, sobre el género la mayoría se reporta en alguno de los sexos. Si bien numerosos autores manifiestan

daño en el nervio óptico, pérdida del oído y retraso mental, en nuestro caso no presento tales signos.8-11 Varios autores sostienen que entre un 30 a 60% de los pacientes no tienen historia familiar de este síndrome, coincidiendo este caso con la bibliografía consultada.12-14 Los rasgos faciales característicos de síndrome de Crouzon, se ve la morfología craneal mesocefálica, el perfil marcadamente cóncavo e índice facial mesoprosopo y exoftalmos, plano bipupilar asimétrico y el borde inferior de la oreja derecha es más alta que la izquierda, presenta hipertonicidad de maseteros, nariz estrecha asimétrica y desviada a la derecha con la punta descendida en gancho; es notoria la incompetencia labial y el labio inferior esta evertido.8-10,15-17

Conclusiones

Se reconoce al síndrome de Crouzon como una malformación craneofacial que se asocia al cierre prematuro de las suturas craneanas. Caracterizada por una tríada con deformidades

179. Julio 2023 53 Síndrome
de Crouzon manejo con cirugía y microtornillo
Figura 6.

de cráneo, cara y ojos. Presencia de la mordida cruzada anterior y posterior, con un paladar estrecho, maloclusión clase III y severo apiñamiento son las características orales propias. Además el exoftalmos y la nariz de forma pico de loro. Con

el equipo multidisciplinario se inició el tratamiento con expansión controlada maxilar. La telerradiografía y la radiografía panorámica brindaron imágenes craneofaciales de suma importancia para planear e iniciar adecuadamente el procedimiento.

Referencias

1. Hoyos SM. Síndrome de Crouzon. Rev Actual Clin. 2014; 46:2457

2. Ponce de León FC. Craneoestenosis. II. Análisis de las craneoestenosis sindromáticas y diferentes tipos de tratamiento. Bol Med Hosp Infant Mex. 2011; 68(6):409-18.

3. Tahiri Y, Paliga JT, Vossough A, Bartlett SP, Taylor JA. The spheno-occipital synchondrosis fuses prematurely in patients with Crouzon syndrome and midface hypoplasia compared with ageand gender-matched controls. J Oral Maxillofac Surg. 2014; 72(6):1173-9.

4. Murdoch-Kinch CA., Bixler D, Ward RE. Cephalometric analysis of families with inherited Crouzon syndrome. Am J Med Genet.1998: 77:405-11.

Dentista y Paciente 54 Enciclopedia odontológica
Se reconoce al síndrome de Crouzon como una malformación craneofacial que se asocia al cierre prematuro de las suturas craneanas.
Figura 7.

Síndrome de Crouzon manejo con cirugía y microtornillo

5. Sharma A, Dang N, Gupta S. Crouzon disease, a case report. J. Indian Soc Pedod Prev Dent, 1998:16:134-7.

6. Aguilar VA B; García C D L Quizhpe Q A A ,Siso PS S Quirós C J J Anclaje con microimplantes en tratamientos ortodonticos: Artículo de revisión bibliográfica Revista Latinoamericana de Ortodoncia y Odontopediatria 2020, disponible https://www.ortodoncia.ws/publicaciones/2020/art-70/

7. Pagnoni M, Fadda MT, Spalice A, Amodeo G, Ursitti F, Mitro V, et al. Surgical timing of craniosynostosis: what to do and when. J Craniomaxillofac Surg. 2014; 42(5): 513-9.

8. Nurko C, Quinones R. Dental and orthodontic management of patients with Apert and Crouzon syndromes. Oral Maxillofac Surg Clin North Am. 2004; 16(4):541-53.

9. Martínez FM.L, P, Aparicio, I. A , A. Ayala, M, Blanco et all. C .Aspectos clínicos y epidemiológicos de los síndromes de Apert y Crouzon en España boletín del ECEMC: Revista de Dismorfología y Epidemiología. 06/11/2003 Serie V. nº 2, Disponible en https://repisalud. isciii.es/bitstream/handle/20.500.12105/13659/AspectosCl%C3%ADnicosEpidemiol%C3%B3gicosS%C3%ADndromes_2003.pdf?sequence=1

10. Katsianou MA, Adamopoulos C, Vastardis H, Basdra EK. Signaling mechanisms implicated in cranial sutures pathophysiology: Craniosynostosis. BBA Clin 2016; 6:165-176. Hoyos SM. Sindrome de Crouzon. Rev Actual Clin. 2014; 46:2457.

11. Hernández CP. Terapia miofuncional en los síndromes craneofaciales. Bol AELFA. 2012; 12(2):54-60.

12. Vargervik K, Rubin MS, Grayson BH, Figueroa AA, Kreiborg S, Shirley JC, et al. Parameters of care for craniosynostosis: dental and orthodontic perspectives. Am J Orthod Dentofacial Orthop. 2012;141(4 Suppl):S68-73.

13. Oberti. Distalizador óseo-soportado sin minitornillos.Revista CES Odontología, 2009;22;2:4348. disponible en: https://dialnet.unirioja.es/ejemplar/386672

14. Castro. Efectos cefalométricos producidos por el uso del distalizador carriere. Universidad de Sao Paulo. Tesis para obtener el grado de maestría en ortodoncia. 2011; 55. Consulta disponible en: http://www.teses.usp.br/teses/ disponiveis/25/25134/tde-14072011-110114/ en.php

15. Galarza. Fuerza resultante de resortes de niti y tma en férula para distalización considerando la fricción. Universidad Autónoma de Nuevo León. Tesis para optar para obtener el grado de maestría en ortodoncia. 2015;2-14 consulta octubre 2020 disponible http://eprints. uanl.mx/9614/

16. Rodríguez. Nonextraction Treatment of a Class II Open Bite in an Adult Patient. Journal of Clinical Orthodontics. 2012 junio 46; (6)367-371. Disponible en https://pubmed.ncbi.nlm. nih.gov/22785074/

17. Abu-Sittah GS, Jeelani O, Dunaway D, Hayward R. Raised intracranial pressure in Crouzon syndrome: incidence, causes, and management. J Neurosurg Pediatr. 2016; 17(4):469-75.

179. Julio 2023 55
Dentista y Paciente 56 Punto de vista Fotoarte: Editorial Renascence | Fotografía: AdobeStock

Osteorradionecrosis de los maxilares: etiología y prevención

C.D.

Adscrito al Servicio de Estomatología del Hospital General de México “Dr. Eduardo Liceaga”. C.D. Araceli Huerta Guzmán. Especialista en Endodoncia. Práctica privada. 20 años de experiencia en la atención de pacientes con cáncer de cabeza y cuello.

NOTA DE LOS AUTORES

El presente artículo es la actualización del artículo publicado en el Número 107 del mes de julio del año 2017 en la Revista Dentista y Paciente. Se refuerzan los conceptos principales, dando un nuevo enfoque a la terapeútica empleada para la osteorradionecrosis. Desde luego los casos clínicos son recientemente tratados.

Casos clínicos de terapeútica endodóntica en pacientes sometidos a radioterapia de cabeza y cuello para prevenir la osteorradionecrosis

Caso clínico 1

Paciente femenino de 56 años, con diagnóstico de cáncer de tiroides, sometida a radioterapia de cabeza y cuello, que, entre los efectos secundarios en cavidad bucal, provocó necrosis pulpares en múltiples dientes, los cuales fueron sometidos a terapeútica endodóntica.

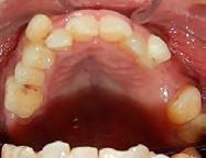
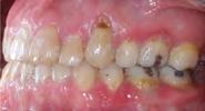
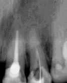
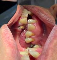
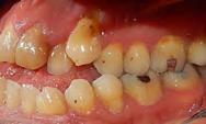
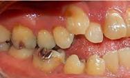
Las Figuras 1-3 muestran las imágenes de la cavidad bucal de la paciente. Se puede observar el deterioro generalizado de la salud bucodental, destacando la higiene dental deficiente, gingivitis, restauraciones dentales desajustadas, exposiciones radiculares, anodoncias parciales y caries radiogénica.

179. Julio 2023 57
C.D. César Gallardo González. Especialista en Endodoncia. Coordinador de Enseñanza del Servicio de Estomatología del Hospital General de México “Dr. Eduardo Liceaga”. María Isabel Aguilar Espino. Especialista en Endoperiodoncia. Médico
Osteorradionecrosis de los maxilares: etiología y prevención. Parte 3

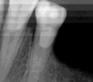
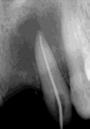
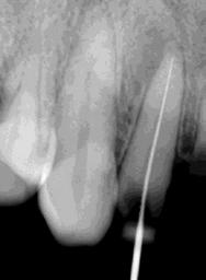
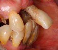
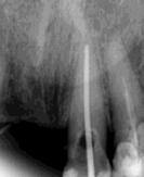
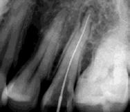
Las Figuras 4-13 son imágenes radiográficas de los dientes de la paciente que presen tan múltiples lesiones periapicales como consecuencia de las necrosis pulpares originadas por la radioterapia. Se realizaron los

tratamientos y retratamientos endodónticos necesarios para preservar los dientes en boca, evitando las exodoncias y por lo tanto minimizando el riesgo de generar osteorradionecrosis.

Dentista y Paciente 58 Punto de vista
1 4 7 10 11 12 13 2 5 8 3 6 9

Caso clinico 2

Paciente femenino de 35 años que presenta carcinoma epidermoide de mucosa yugal derecha, sometida a radioterapia que provocó necrosis pulpares en dientes anteriores superiores que requirieron terapia endodóntica.

La Figura 14 muestra la imagen del carcinoma epidermoide de la mucosa yugal antes de la radioterapia. La Figura 15 muestra la radiografía dentoalveolar del incisivo central

Osteorradionecrosis de los maxilares: etiología y prevención

superior izquierdo con diagnóstico de necrosis pulpar y un área radiolúcida periapical extensa.

Las Figuras 16 y 17 muestran el tratamiento endodóntico del incisivo central superior izquierdo. Las Figuras 18 y 19 muestran el tratamiento endodóntico del incisivo central superior derecho. Se puede observar que también se realizó la endodoncia del resto radicular del incisivo central superior derecho pues no se debe realizar la exodoncia del mismo.

Caso clínico 3

Paciente masculino de 57 años, con diagnóstico de carcinoma epidermoide de lengua, sometido a radioterapia, que provocó alteraciones en la pulpa de los dientes

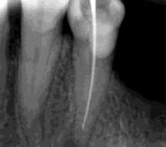
La Figura 20 muestra la imagen del carcinoma epidermoide de lengua antes de la radioterapia. Las Figuras 21,22 y 23 muestran las radiografías dentoalveolares del segundo premolar superior derecho con diagnóstico

de necrosis pulpar por radiación ionizante y el tratamiento endodóntico correspondiente.

Las Figuras 24 y 25 son las imágenes de las radiografías dentoalveolares del diente incisivo lateral inferior derecho y las Figuras 26 y 27 del incisivo lateral inferior izquierdo. Ambos dientes afectados de necrosis pulpar con lesiones periapicales por efecto de la radioterapia y los tratamientos endodónticos.

179. Julio 2023 59
14 15 16 17 18 19 20 21 22

Conclusión

Es indudable que el cáncer de cabeza y cuello sea una enfermedad que implica un gran desafío, tanto en su diagnóstico, pronóstico, tratamiento quirúrgico, quimioterapia, radioterapia y sus múltiples secuelas, siendo la más grave la osteorradionecrosis de los maxilares. La experiencia ha demostrado que una vez establecida esta patología, resulta muy difícil su manejo, haciendo de la prevención, la clave para evitar su aparición. A la luz de lo expuesto hasta ahora, quedó claro que el papel que juega el odontólogo es muy importante, como parte del equipo multidisciplinario que interviene en la atención de este tipo de pacientes, especialmente

los que practican la especialidad de Endodoncia, que permite la permanencia de los dientes en boca, sobre todo cuando la exodoncia no es factible.

En estas circunstancias, el tratamiento endodóntico es complejo, por lo que requiere de especialistas capaces y comprometidos. Es lamentable que la mayoría de los profesionistas rechacen brindar atención a estos enfermos, pues utilizan como excusa, el no poseer la preparación adecuada para ello. Los autores deseamos que el presente artículo sirva como motivación para profundizar en el conocimiento de este grupo de pacientes y eliminar el temor que provoca su tratamiento.

Dentista y Paciente 60 Punto de vista
23 25 24 26 27

Osteorradionecrosis de los maxilares: etiología y prevención

Referencias

1. Bensadoun RJ, Riesenveck D, Lockhart PB, et al. A systematic review of trismus induced by cáncer therapies in head and neck cáncer patients. Support Care Cancer. 2010;18(8): 1033-8.

2. Blanchaert DDSMD, RH etal. Osteoradionecrosis of the Mandibule Treatment and Management. August 2017. Update June 2019. Found at: https://emedicine.medscape.com/ article/851539-treatment#d11

3. Cheriex KC, Nijhuis TH, Mureau MA. Osteoradionecrosis of the jaw: a review of conservative and surgical y treatment options. J Reconstr Microsurg. 2013;29(2):69-75.

4. Dijkstra PV, Kalk WW, Roodenburg JL: Trismus in head and neck oncology, a systematic review. Oral Oncol. 4D(9): 879-89, 2004.

5. Endodontic treatment in patients irradiated on the head and neck region. Rev. Asocc. Paul. Cir. Dent 57(1): 43-46.

6. Epstein JB, Wong FL, Stevenson-Moore P: Osteorradionecrosis : clinical experience and a proposal for classification. J O Maxillofac Surg 45(2): 104-10, 1987.

7. Fan H etal. New approach for the treatment of the osteoradionecrosis with pentoxyfyline and tocopherol. Biomaterials Resherch. 2015; 18:13. Found at: https://www.nobi.nlm.nih. gov/pmc/articles/PMC4552457

8. Hong CH, Napeñas JJ, Hodgson BD, et al: A systematic review of dental disease in patient undergoing cancer therapy. Support Care Cancer 18(8): 1007-21, 2010.

9. Jensen SB, Pedersen AM, Vissink A, et al: A systematic review of salivary gland hypofunction and xerostomia induced by cancer therapies: prevalence, severity and impact on quality of life. Support Care Center 18(8): 1039-60, 2010.

10. Lalla RV, Brennan MT, Schubert MM: Oral complications of cáncer therapy.In: Yagiela JA, Down FJ, JohnsonBS, et al. eds: Pharmacology and Therapeutics for Dentistry. 6th ed. St Louis, Mo: Mosby Elsevier 2011, pp 782-98.

11. Myers RA, Marx RE: Use of hyperbaric oxygen in postradiation head and neck surgery. NCI Monogr (9): 151-7,1990.

12. Nabil S, Samman N. Risk factors for osteoradionecrosis after head and neck radiation: a systematic review. Oral Surg Oral Mes Oral Pathol Oral Radiol. 2012;113(1):54-69.

13. Nabil S, Samman N. Incidence and prevention of osteoradionecrosis after dental extraction in irradiated patients: a systematic review. Int J Oral Maxillofac Surg. 2011;40(3):229-43.

14. Patel V, Gadiwalla Y, Sassoon I, Sproat C, Kwok J, McGurk M. Use of pentoxifylline and tocopherol in the management of osteoradionecrosis. Br J Oral Maxillofac Surg. 2016;54(3):342-5.

15. Peterson DE, Doerr W, Hovan A, et al: Osteorradionecrosis in cancer patients: the evidence base for treatment –dependent frequency, current management, strategies and future studies. Support Care Cancer 18(8): 1089-98,2010.

16. Sonis ST, Woods PD, White BA: Oral complications of cancer therapies. Pretreatment oral assessment. NCI Monogr(9): 29-32,1990.

17. Sonis St, Peterson DE, Mc Guire DB, eds: Mucosal injury in cancer patients: new strategies for research and treatment. J Natl Center Inst Monogr (29): 1-50,2001.

18. Teguh DN, Levendag PC, Voet P, et al: Trismus in patients with oropharyngeal cancer: relationships with dose in structures of mastication apparatus. Head Neck 30(5): 622- 30,2008.

179. Julio 2023 61
Dentista y Paciente 62 Estudio Fotoarte: Editorial Renascence | Fotografía: AdobeStock

Eficacia de la terapia periodontal en la artritis reumatoide

Autores:

Paola de Pablo, Stefan Serban, Isabel LopezOliva, Joanna Rooney, Kirsty Hill, Karim Raza, Andrew Filer, Iain Chapple, Thomas Dietrich.

Relatores: Evangelia Zampa, Katianna Petsiou, Maria Sykara, Dimitra Trikka, Soteria Tsantila, Myrto Daponte, Markella Gounari, Haris Kaddas, Eirini Papmanoli, y Konstantinos Samanides, con Spyridon Vassilopoulos y Phoebus Madianos.

Traductora: Cristina Bermúdez. Alumna del máster de periodoncia de la Universitat Internacional de Catalunya (UIC), Barcelona.

Afiliación: Programa de posgrado en periodoncia en la Universidad Nacional y Capodistriana de Atenas, Grecia

Antecedentes

La artritis reumatoide (AR) es una enfermedad crónica e inflamatoria que conduce a la destrucción articular, la limitación funcional, y la discapacidad. Los pacientes con AR tienen un riesgo adicional de enfermedades cardiovasculares.

La periodontitis también es una enfermedad inflamatoria crónica y se considera que no solo empeora, sino que también posiblemente inicia la inflamación en la AR.

Algunos estudios clínicos han demostrado que la terapia periodontal, al reducir la inflamación periodontal y

la carga microbiana asociada, también reduce la inflamación sistémica en pacientes con AR.

Sin embargo, no hay datos disponibles de ensayos clínicos aleatorizados (ECA) sobre si el tratamiento periodontal constituiría una terapia no farmacológica adecuada para pacientes con AR, que se pueda agregar a la terapia existente con fármacos antirreumáticos modificadores de la enfermedad (FAME), o si mejora la actividad general de la AR.

Objetivo

Evaluar la viabilidad de llevar a cabo un ensayo aleatorizado para

determinar el impacto de la terapia periodontal intensiva sobre la reducción de la actividad de la AR en pacientes con periodontitis y AR, la disposición de los pacientes a participar, y el grado de cumplimiento de las visitas de seguimiento. Además, se realizó una evaluación preliminar del efecto de la terapia periodontal sobre la actividad de la AR.

Materiales y métodos

• Este estudio consistió en 2 grupos aleatorios que recibieron diferentes formas de terapia periodontal: tratamiento intensivo inmediato (grupo de intervención) y tratamiento retrasado (grupo de control).

179. Julio 2023 63
Eficacia de la terapia periodontal en la artritis reumatoide

• Los pacientes fueron adultos con AR que habían estado tomando DMARD de manera constante durante al menos 3 meses y con un índice de actividad de la enfermedad (DAS28) ≥3.2 —o >5.1, si no querían tomar biológicos— y que cumplían los criterios de periodontitis generalizada, etapas II-IV.

• Los criterios de exclusión fueron: padecer otras enfermedades reumáticas inflamatorias, haber recibido tratamiento periodontal durante los 12 meses previos al inicio o cualquier procedimiento quirúrgico dentro de los 3 meses previos al inicio, haber tomado glucocorticoides durante las 4 semanas previas al inicio, o tener cualquier otra enfermedad concomitante significativa.

• Los participantes en el estudio fueron asignados al azar al grupo de intervención, que consistía en terapia periodontal no quirúrgica inmediata, o al grupo de control, en el que se realizó la terapia periodontal después de la finalización del estudio.

• Se recopilaron indicadores clínicos de actividad de la enfermedad en la AR, incluyendo índices por ecografía a escala de grises y Doppler poder, en el inicio y a los 3 y 6 meses de seguimiento. Además, se midieron muestras de sangre no en ayunas en cada visita del estudio,

junto con los niveles de biomarcadores de inflamación como la velocidad de sedimentación globular (VSG) y la proteína C reactiva (PCR). También se recopilaron muestras orales.

• El área de superficie de inflamación periodontal se calculó usando el nivel de inserción clínica (NIC), la profundidad de sondaje, el sangrado al sondaje, y la profundidad de sondaje acumulativa.

• El propósito principal fue la evaluación de la viabilidad del protocolo descrito, mientras que el secundario fue recopilar datos sobre la eficacia y seguridad de la terapia periodontal para reducir los parámetros periodontales y la actividad de la enfermedad.

Resultados

De los 649 pacientes con RA abordados inicialmente, el 31% asistió a la visita de selección y el 9.2% cumplió con los criterios de elegibilidad.

Se observó un cumplimiento errático de las visitas de seguimiento a lo largo del tiempo. La tasa final de abandono fue del 18% y hubo más pérdidas en el grupo de intervención (23%) que en el grupo de control (13%) en la visita de 6 meses.

Dentista y Paciente 64 Estudio
100 90 80 70 60 50 40 30 20 0
Tratamiento
Mediana de CPD (mm)
Figura 1. Diferencias en la profundidad de sondaje acumulada entre grupos. 3 6 Meses
Control

Los participantes en el estudio cancelaron o reprogramaron con frecuencia las citas a lo largo del ensayo, lo que dificultó de forma notable la adhesión a una estricta línea de tiempo en cuanto a las visitas de seguimiento.

No hubo diferencias importantes en el estado periodontal inicial y la actividad de la enfermedad RA entre los grupos.

Se observó en el gruo de intervención una tendencia a una mayor mejora en los parámetros clínicos periodontales, aparte del nivel de inserción clínica, y en las medidas de actividad de la enfermedad RA, en comparación con el grupo de tratamiento diferido, aunque no se realizó una evaluación estadística.

Limitaciones

• Los criterios de inclusión tanto para el estado periodontal como para la actividad de la RA deben ser más precisos y más representativos de la actividad de la enfermedad.

• Falta un análisis estadístico del significado de las diferencias entre los 2 grupos (control e intervención) al inicio del estudio.

• No fue posible realizar un enmascaramiento de los examinadores en el grupo de intervención.

• Se podría haber considerado un nivel mínimo de intervención para el grupo de control.

• Se podrían haber considerado parámetros inmunológicos y microbiológicos.

• El diseño de un ensayo prospectivo aleatorizado con una duración sustancial (entre 6 y 12 meses) es muy difícil, principalmente debido a una tasa significativa de abandono durante el seguimiento (18%).

• Se registraron más pérdidas durante las visitas de seguimiento con el grupo de intervención.

Conclusiones e impacto

• El cumplimiento de los pacientes que sufren de AR y periodontitis es difícil de lograr dentro del contexto de un ensayo clínico.

• Los estudios futuros deberían centrarse en encontrar soluciones para mantener la motivación del paciente.

• Una instalación común para el monitoreo periodontal y de AR podría reducir potencialmente el número de citas médicas y, como consecuencia, las tasas de abandono.

179. Julio 2023 65
Eficacia de la terapia periodontal en la artritis reumatoide
5.6 5.4 5.2 5 4.8 4.6 4.4 4.2 0 3 6 Meses Tratamiento Control PromedioDAS28
Figura 2. Comparación DAS28-CRP entre grupos.

• La eliminación de la inflamación es exigente en los pacientes que sufren ambas enfermedades.

• Los objetivos del tratamiento periodontal son, en algunos casos, difíciles de lograr.

Notas

• La mejora en los resultados de la AR subraya el valor de llevar a cabo un ensayo de este tipo pronto.

• El tratamiento periodontal puede mejorar las medidas de actividad de la enfermedad de AR.

JCP Digest 111 es un resumen del artículo “Outcomes of periodontal therapy in rheumatoid arthritis: The OPERA feasibility randomized trial”. J Clin Periodontol. 50 (3):295-306. DOI: 10.1111/jcpe13756..

https://www.onlinelibrary.wiley.com/doi/10.1111/jcpe.13756

Acceso a través de la página web para miembros de la EFP http://efp.org/members/jcp.php

Con el amable permiso de Wiley Online Library. Copyright © 1999-2023 John Wiley & Sons, Inc. Todos los derechos reservados. JCP Digest es una publicación de la Federación Europea de Periodoncia (EFP). Oficina EFP: Cink Coworking, oficina 17, calle Henri Dunant 15-17, 28036 Madrid, España · www.efp.org

Dentista y Paciente 66 Estudio
Los estudios futuros deberían centrarse en encontrar soluciones para mantener la motivación del paciente.
Evento sin costo Inscripciones: www.expoaricdental.com

Turn static files into dynamic content formats.

Create a flipbook
Issuu converts static files into: digital portfolios, online yearbooks, online catalogs, digital photo albums and more. Sign up and create your flipbook.