Revista Dentista y Paciente 181 | Septiembre 2023

Page 1

dentistaypaciente.com

CALIDAD Y DIRECCIÓN

Estudio comparativo de la filtración marginal con los cementos selladores: MTA Fillapex®, Sealapex® y Apexit plus®

CASO CLÍNICO

Manejo de canino retenido e incisivos laterales microdónticos

SONRIENDO AL FUTURO Nuevas técnicas de impresión en la era de la odontología digital

ENCICLOPEDIA ODONTOLÓGICA

Rehabilitaciones completas implantosoportadas únicamente sobre implantes extracortos de 5.5 mm

ESTUDIO

¿Los antibióticos sistémicos brindan beneficios extra en presencia de Aa?

No.
Latindex 17964 $50.00 MX ISSN: 1455-020X Revista 181
181/Septiembre 2023
Evento sin costo Inscripciones: www.expoaricdental.com

Septiembre 2023

La UNAM vuelve a hacer un llamado para seguir tomando las medidas generales de prevención contra COVID-19, ya que ha habido un repunte de contagios. No es para alarmarnos, pero nos dice que, aunque la situación está en relativa calma debemos seguir usando cubrebocas en lugares públicos, ventilar lo mejor posible los lugares cerrados y continuar usando gel antibacterial. Para evitar contagios se recomienda el aislamiento de los enfermos.

Esto ha motivado críticas, sobre todo, de orden político. Tal es el caso de Fernando Gerardo Noroña, del partido de Morena, que llamó cretinos a los responsables sanitarios de la Universidad. A este tipo de personas, no les importa que en México se contabilicen más de 800 000 defunciones relacionadas con el covid, a pesar de que el Subsecretario de Salud admitió que el número de contagios ha aumentado.

Por cierto, en E.U., se acabó la gratuidad de las vacunas. Esto será a partir de la distribución de las nuevas vacunas de 3.a generación que se llevará a cabo a mediados de septiembre.

¡A seguirse cuidando!

Dentista y Paciente 2 Editorial
Mtro. Carlos Adolfo Espinosa García Especialidad en Odontología Legal y Forense Maestría en Odontología
LA EXPOSICIÓN DENTAL MÁS GRANDE DEL MUNDO DE HABLA HISPANA /amicdentalmx www.amicdental.mx Solo podrás ingresar a la expo con tu PRE-REGISTRO y gafete impreso. No contaremos con registro en sitio. Escanea el QR y regístrate. de Expo AMIC Dental. Descárgalo en e DESCARGAR EN 77 EXPO Conferencias Magistrales

Lo mejor es ahora Excelente !!!

Equipo de Rayos-X Digital

¿Cómo superar el

Equipo de Rayos-X más vendido de los últimos 49 años?

Haciéndolo todavía mejor, más amigable e intuitivo con el usuario, ya que no requiere memorizar instrucciones en su uso normal.

Alta confiabilidad por su avanzada Tecnología SMD.

SENSOR CORIX® DIGITAL, (opcional) especí camente diseñado para este equipo, el Odontólogo podrá transitar a la Radiografía Digital por computadora en cualquier momento, obteniendo una imagen perfecta, en un instante y al primer disparo!!!

Pregunte a nuestros Distribuidores Autorizados sobre las características y accesorios opcionales del CORIX®70 PLUS-USV.

49
49

10 | CALIDAD Y DIRECCIÓN

Estudio comparativo de la filtración marginal con los cementos selladores: MTA Fillapex®, Sealapex® y Apexit plus®

24

|

CASO CLÍNICO

Manejo de canino retenido e incisivos laterales microdónticos

6 Contenido Dentista
y Paciente

Editorial Renascence S.A. de C.V.

Directora editorial

Patricia López Guerra patricia.lopez@dentistaypaciente.com

Jaime Francisco Martínez Aceves† jmartinez@dentistaypaciente.com

Directora Editorial

Mariangel Martínez López mmartinez@dentistaypaciente.com

Director de Arte y Diseño

Jesús Salas Pérez jesasez@dentistaypaciente.com

Coordinador Editorial

Marco A. Vergara Salgado marversa@dentistaypaciente.com

Ejecutivos Comerciales y de Negocios

Carlos Martínez García, Gabriela Dolorez Ocadiz, Edson Aarón Hernández

Producción y Circulación

Edson Aarón Hernández

Fotografía e Ilustraciones

Editorial Renascence

Suscripciones

Edson Aarón Hernández

Preprensa e Impresión

Offset Impresión Creativa S.A de C.V. Distribución

Comercializadora GBN S.A. de C.V.

Calzada de Tlalpan #572, desp. C-302, col. Moderna

Contabilidad y Administración

Lic. Renato Muñoz

director científico

Dr. Carlos Espinosa García Especialista en Odontología Legal y Forense consejo editorial

Dr. Francisco Javier Diez de Bonilla Calderón

Catedrático de la F.O de la UNAM

Dr. Francisco Magaña Moheno

Centro de Especialidades Odontológicas

Javier Portilla Robertson

Exdirector de la Facultad de Odontología de la UNAM

Especialista en Patología Bucal

181. Septiembre 2023 Contenido 7
34
| SONRIENDO AL FUTURO
Nuevas
técnicas de impresión en la era de la odontología digital

Dentista y Paciente

C.D.E.O. Arturo Alvarado Rossano† Profesor y Especialista en Ortodoncia y Ortopedia Craneofacial en la Facultad de Odontología. UNAM. Asesor Académico y Coordinador de Difusión de la AMOCOAC.

C.D. Manuel García Luna y González Rubio Dra. Ana Gabriela Carrillo Varguez Coordinadora de la especialidad en endodoncia UABC Tijuana. Coordinadora de Investigación y Posgrado F.O. UABC

M.C. Ernestina Santillana Marín Subdirectora de CISALUD UABC

William James Maloney, D.D.S. Clinical Associate Professor New York University

universidad anáhuac méxico norte

C.D. Carlos Robles Bonilla Coordinador de la Licenciatura de Cirujano Dentista

C.D. Sergio Antonio Ojeda León Profesor Titular de Odontopediatría de la Licenciatura de Cirujano Dentista

C.D. Bernardo Grobeisen Weingersz Profesor Titular de Clínica Integral de la Licenciatura de Cirujano Dentista

C.D. Norma Ibañez Mancera. Profesora Titular de Patología Bucal de la Licenciatura de Cirujano Dentista

Dirección del Derecho de Autor certificado de reserva al uso exclusivo no. 04-2008022718312200-102 con fecha 27 de Marzo del 2008. Gobernación de la H. Comisión Calificadora de Publicaciones y Revistas Ilustradas, certificado de licitud de contenido 5328, certificado de licitud de título 7411, franqueo pagado, publicación mensual permiso no. PP09-02106, SEPOMEX. Las opiniones expresadas en los artículos y en los anuncios publicados no significan de ninguna manera juicios, criterios, ideas o cualquier otro concepto por parte de la editorial; reflejan únicamente las ideas y pensamientos de sus autores. Los artículos, entrevistas, resúmenes, publirreportajes, fotografías y cualquier otro material son exclusivos de la editorial, y no se autoriza la reproducción total o parcial por ningún medio sin previa autorización del editor. Para cualquier asunto relacionado con suscripción, distribución, comercialización, anuncios, contenido u otro propósito, favor de dirigirse a la editorial. Impreso en Offset Impresión Creativa S.A de C.V.

Dentista y Paciente® Publicación mensual correspondiente al mes de SEPTIEMBRE DE 2023. editada por Editorial Renascence S.A. de C.V., Rancho Jigüingo 29, Prado Coapa, Ciudad de México, 14350. tel. 56846632, fax 56793656. Distribuida en locales cerrados, depósitos dentales, universidades, congresos y exposiciones. Editora responsable: Mariangel Martínez López. Fotoarte de portada: Editorial Renascence.

distribución certificada por el padrón nacional de medios impresos de la dirección general de medios impresos de la secretaría de gobernación no. 007-136. www.gobernacion.gob.mx

8 Contenido

46 | ENCICLOPEDIA ODONTOLÓGICA

Rehabilitaciones completas implantosoportadas únicamente sobre implantes extracortos de 5.5 mm

60 | ESTUDIO

¿Los antibióticos sistémicos brindan beneficios extra en presencia de Aa?

181. Septiembre 2023 Contenido 9
Dentista y Paciente 10 Calidad y dirección Fotoarte: Editorial Renascence | Fotografía: AdobeStock
comparativo de la filtración marginal
cementos selladores: MTA Fillapex®, Sealapex® y Apexit plus®
Estudio
con los

Introducción: El objetivo del tratamiento de conductos radiculares, es la obturación total y tridimensional del conducto radicular. Esta necesidad biológica requiere la eliminación de los productos de degradación, bacterias y toxinas bacterianas que emanan del tejido necrótico y gangrenoso de los conductos radiculares. Estos se eliminan mediante la limpieza, conformación, desinfección y obturación total del sistema de conductos radiculares, por lo cual para mantener un buen sellado con los cementos endodónticos debemos elegir el mejor para asegurar el éxito del tratamiento de conductos. Objetivo: Comparar la filtración marginal con los cementos MTA Fillapex®, Apexit plus® y Sealapex®, en la obturación de conductos radiculares. Material y metodos: Se utilizaron 70 dientes uniradiculares de reciente extracción, a los cuales se les realizó instrumentación de conductos con técnica Crown Down, con limas tipo

Cap. 1/O. C.D. Edna Alvarado Hernández. Discente de la Especialidad en Endodoncia de la Escuela Militar de Graduados de Sanidad, México, CDMX.

Capitan 1/O C.D. Aurora Alvarez Delucio. Especialista en Endodoncia Profesor del Curso de Especialización en Endodoncia de la Escuela Militar de Graduados de Sanidad, México, CDMX.

Cap. 1/O. C.D. José Octavio Pérez Ceballos. Especialista en Endodoncia Adscrito a la Unidad de Especialidades Odontologicas, Naucalpan Estado de Mexico.

Institución:

Escuela Militar De Graduados De Sanidad. Unidad De Especialidades Odontológicas.

Nombre y dirección del Autor

Cap. 1/O. C.D. Edna Alvarado Hernández.

Correspondencia

Escuela Militar de Graduados de Sanidad, Universidad de Ejercito y Fuerza Aerea, Cerrada de Palomas sin número esq. Periférico, Col Lomas De San Isidro, Cp 11200,CDMX. residentesendo@Hotmail.com.

K; se dividieron en 3 grupos de 20 dientes cada uno y 2 grupos de 5 dientes para control positivo y negativo. Obturados, con los 3 distintos cementos, mediante técnica lateral. Se realizó tinción con tinta china. Y las muestras fueron diafanizadas y observadas al microscopio para realizar la valoración lineal de la filtración. Resultados: Se compararon los valores resultantes de los 3 selladores MTA Fillapex®, Sealapex® y Apexit plus ®. Y se observó que el promedio de menor microfiltración correspondió MTA Fillapex®. El valor mínimo para Sealapex fue de 100µ y el máximo fue de 1000µ. Para Apexit Plus® el valor mínimo de microfiltración fue de 50µ con un máximo de 1600µ y para el MTA Fillapex® el mínimo fue de 50µ con un máximo de 600µ.

181. Septiembre 2023 11 Estudio comparativo
Palabras clave: Filtración, MTA Fillapex®, Sealapex®, Apexit Plus®.

El objetivo del tratamiento de conductos, es la obturación total y tridimensional del conducto radicular. Esta necesidad biológica requiere la eliminación de los productos de degradación, bacterias y toxinas bacterianas que emanan del tejido necrótico y gangrenoso de los conductos radiculares. Estos se eliminan mediante la limpieza, conformación, desinfección y obturación total del sistema de conductos radiculares.1

La ejecución incorrecta de una de esas etapas, infaliblemente llevaría a dificultades en la etapa subsecuente, lo que podría tener como consecuencia el fracaso del tratamiento.

Se le ha dado mucho énfasis a la fase de la obturación de los conductos radiculares, pues el éxito del tratamiento está condicionado a este paso, ya que de nada servirían los cuidados de asepsia, la ejecución de una técnica atraumática, la preparación biomecánica cuidadosa si la obturación es defectuosa.2

Obturar un conducto radicular, es llenarlo en toda su extensión con un material inerte o antiséptico, sellándolo herméticamente, sin interferir y preferiblemente con el proceso de reparación apical y periapical, que debe ocurrir, después del tratamiento de conductos.2

El papel de la obturación es impedir la colonización y la invasión de microorganismos en los tejidos adyacentes y controlar su potencial virulencia. Un material inerte debe ocupar todo el espacio preparado para impedir la presencia de fluido tisular y de microorganismos. Este fluido en contacto con el cemento endodóntico, puede solubilizarlo y permitir la filtración.3

Se han recomendado diversos materiales endodónticos para la obturación del espacio radicular, entre ellos encontramos a la gutapercha, que no puede ser usada como único material de obturación, puesto que carece de la adherencia necesaria para sellar el espacio del conducto radicular. Se han descrito varias técnicas para usar calor o los solventes, con el fin de conseguir una mejor adaptación de la gutapercha al conducto, pero siempre necesita cementos para obtener el sellado final.4

El cemento sellador es el material que tiene como finalidad llenar el espacio entre la pared dentinaria y el material obturador. También llena las irregularidades del conducto radicular, los conductos laterales, accesorios y los espacios que quedan entre las puntas de la gutapercha accesoria que se usan durante la obturación.4

Dentista y Paciente 12 Calidad y dirección
Se han recomendado diversos materiales endodónticos para la obturación del espacio radicular, entre ellos encontramos a la gutapercha, que no puede ser usada como único material de obturación, puesto que carece de la adherencia necesaria para sellar el espacio del conducto radicular.

IPS e.max es una cerámica monolítica de disilicato de litio que ofrece una estética excepcional y un ajuste preciso. Es una alternativa accesible a las restauraciones de Metal Porcelana y zirconia. Su fórmula única proporciona una resistencia a la flexión de 500 MPa, lo que la convierte en la solución ideal de alta resistencia.

Fabricada con materiales Envíos GRATIS a todo México

mx.glidewelldental.com

181. Septiembre 2023 13 Estudio comparativo ¡SU LABORATORIO DENTAL DE CONFIANZA!
GRATIS GARANTÍA
GLIDEWELL
Dra. Yanina Zaragoza
AÑOS REEMPLA Z O
D E
IPS e.max es una marca registrada de Ivoclar Vivadent.

Calidad y dirección

La mayoría de las técnicas emplean un núcleo central y un cemento sellador. El uso de un cemento sellador es esencial en todas las técnicas para lograr la impermeabilidad a los fluidos. Un buen sellador debe adherirse con fuerza a la dentina y al material central, que suele ser gutapercha.4

Los cementos selladores más utilizados en endodoncia, están hechos a base de: Óxido de Zinc-Eugenol, Hidróxido de calcio, ionómeros de vidrio, resinas y MTA.4

El hidróxido de calcio fue introducido en endodoncia por Herman en 1920 por su capacidad de reparación de la pulpa. Se utiliza principalmente para los métodos de revestimiento, como medicamento intraconducto, en algunas técnicas de apicoformación y como un componente de varios cementos selladores de conductos.5

La capacidad de estimular la mineralización asociada a la eficacia antimicrobiana, le confiere el éxito actual como medicamento endodóntico. Las investigaciones realizadas sobre las propiedades de hidróxido de calcio, tales como histocompatibilidad, potencial antimicrobiano, aspectos físico-químico, le da credibilidad para la elección de este medicamento en varias situaciones clínicas.6

Las razones más importantes para que el hidróxido de calcio ) sea utilizado

como material sellador de conductos radiculares, es porque estimula los tejidos periapicales con el fin de mantener la salud o promover su reparación, así como por sus efectos antimicrobianos dependiendo de la disponibilidad de los iones hidroxilo libres y del pH alto (grupo hidroxilo) que estimula la reparación y la calcificación activa.5,6

Sealapex® (Sybron Endo, Orange, CA, USA.) fue el primer cemento sellador a base de hidróxido de calcio introducido en el mercado comercial con buenas propiedades biológicas desde principios de los años 80 para la obturación de conductos radiculares; se ha modificado recientemente su fórmula, mediante la adición de trióxido de bismuto para mejorar sus propiedades de radiopacidad y aumentar su vida útil.7

La composición química es una mezcla de Etil-tolueno-sulfonamida, mutilen-metil-sali-cilato, isobutil-salicilato, 20% de óxido de calcio (CaO) que en contacto con los fluidos tisulares, forma 25% de hidróxido de calcio (Ca(OH)2).7

Apexit ®Plus (Ivoclar VivadenAG. Schaan Liechtenstein.) Contiene como sustancia activa el hidróxido de calcio que promueve el balance natural en el tejido periapical. Este sellador se reabsorbe mínimamente, es fluido y se expande ligeramente durante el fraguado.2 Su composición química según el fabricante: Base; hidróxido de calcio/óxido de calcio 36.9 %, colofonia hidratada 54.0%, rellenos y otras materias auxiliares (dióxido de silicio altamente disperso, éster alquil de ácido fosfórico) 9.1%.

Activador; disalicilato 47.6%, chidróxido de bismuto/carbonato de

Dentista y Paciente 14
Figura 1. Muestra de control positivo, presentado un elevado nivel de filtración. Fuente: Directa.

bismuto 36.4 %, rellenos y otras materias auxiliares (dióxido de silicio altamente disperso, éster alquil de ácido fosfórico) 16.0%.8

Trióxido Mineral Agregado ( MTA). Surgió a inicios de los años 90, como un material experimental, desarrollado por el Profesor Mahmoud Torabinejad, en la universidad de Loma linda – California, Estados Unidos, con el objetivo de sellar perforaciones de furca y obturaciones retrogradas. Sin embargo, el MTA también se ha investigado y utilizado en otras condiciones diferentes como recubrimiento pulpar, reabsorciones internas y externas, pulpotomías, barrera intracoronaria en blanqueamientos dentales, plug apical, y material de relleno de los conductos radiculares.9,10

MTA Fillapex® (Ángelus, Londrina, Parana, Brasil) Es un cemento sellador pasta-pasta, que se ha introducido recientemente en el mercado, cuya composición química se basa en MTA y es un secreto comercial; con sustancias adicionales para obtener una consistencia adecuada y ser usado como sellador en el tratamiento de conductos radiculares.11

Composición: MTA, Salicilato de resina, Resina natural, óxido de bismuto, sílice.12

Sus componentes le otorgan al MTA Fillapex una excelente radiopacidad, fácil manipulación y buen tiempo de trabajo, biocompatibilidad y estimula la mineralización de los tejidos.13

Metodo

Se utilizaron 70 dientes humanos unirradiculares con 3 meses de extracción como máximo y conservados en humedad al 100% hasta el momento

de su uso; estos dientes fue ron obtenidos del servicio de Cirugía Bucal de la Unidad de Especia lidades Odonto lógicas. En una selección aleatoria los dientes fueron distribuidos en 3 grupos experimentales de 20 muestras cada uno y 2 grupos control, positivo y negativo con 5 muestras cada grupo.

Los órganos dentarios fueron colocados en solución de hipoclorito de sodio al 5.25% por 5 h, para disolver los remanentes de tejido orgánico, enseguida se removió el cálculo dental con ultrasonido y luego fueron colocados en solución salina hasta el momento de su uso. Se realizaron las cavidades de acceso con fresa de carburo No. 4 y 5. Se determinó la longitud del conducto radicular colocando una lima No. 15 tipo K, dentro del conducto hasta que fue clínicamente visible en el foramen apical. A esta medida se le restó un milímetro para obtener la longitud de trabajo, realizando instrumentación Crown-Down mediante el uso de limas tipo K del No. 15-35 y fresas Gates Glidden No. 2-4. La conformación de los conductos se estandarizó en un calibre No 35, irrigando a cada cambio de instrumentos con solución de hipoclorito de sodio al 5.25% e irrigación final con EDTA (Ácido Etilen diaminotetraacético.5 Finalizada la instrumentación, una lima tipo K No.15 fue extruida nuevamente a través del foramen apical, para patentizar la permeabilidad del conducto; posteriormente cada diente instrumentado

181. Septiembre 2023 15 Estudio comparativo
Figura 2. Muestra de control negativo donde no presento filtración. Fuente: Directa.

Calidad y dirección

fue colocado en su respectivo recipiente con solución salina. La obturación de conductos se realizó por medio de la técnica de condensación lateral con gutapercha calibrada No. 35 empleando el cemento sellador endodóntico correspondiente a cada grupo experimental.

Los cementos selladores fueron mezclados de acuerdo a las instrucciones del fabricante. Los grupos controles positivo y negativo fueron obturados con gutapercha sin cemento endodóntico. Fueron decoronados con un disco de diamante con baja velocidad. Las cavidades fueron selladas coronalmente con cemento de Ionomero de vidrio tipo II. Se midieron las muestras del grupo 1, 2, 3 y 5 hasta 3 mm antes del ápice; con un vernier digital. Los grupos 1, 2 Y 3 (obturados con cemento sellador) y el grupo 5 (control positivo) fueron barnizados con 3 capas de barniz para uñas en toda la superficie radicular hasta 3 milímetros antes del ápice, que previamente fueron medidos con un vernier digital y marcados.

El grupo 4 (control negativo) las muestras fueron barnizadas en su totalidad. Una vez que el barniz seco, los dientes se incluyeron en una base de silicón de cuerpo pesado dentro de un recipiente de plástico. Las muestras se colocaron verticalmente, hacia el fondo del recipiente de tal forma que toda la superficie de la

muestra quedara dentro del silicón excepto los tres últimos milímetros del ápice. En ese momento se vació la tinta china en el recipiente hasta cubrir completamente los ápices radiculares y se colocó la tapa. Se introdujo inmediatamente en una incubadora, que mantuvo las muestras a una temperatura constante de 37ºC durante 7días. Transcurrido el periodo establecido, las muestras fueron lavadas en agua corriente por 15 minutos, se retiró el barniz de uñas con acetona y las muestras fueron colocadas en sus recipientes para poder realizar su diafanización de acuerdo a la técnica de Robertson.14 Las muestras fueron colocadas en solución de ácido nítrico al 5% por un período de 72 horas.

El ácido nítrico fue reemplazado por una cantidad igual a las 48 horas. Descalcificadas las muestras, se procedió a la deshidratación de las mismas colocándolas en alcohol etílico a concentraciones ascendentes: 80º por 12 horas, 90º por 3 horas, y 96º durante 2 horas. Finalmente fueron secadas al medio ambiente por 4 horas y almacenadas en salicilato de metilo hasta que se mostraron transparentes. La medición de las muestras se realizó en el laboratorio de materiales dentales de la facultad de posgrado de la UNAM con un microscópico estereoscópico con 20X de aumento, al cual se le colocó un ocular con rejilla de medición10X (Carl Zeiss). Con el objeto de precisar la medición de la filtración de las muestras. Se observaron las 70 muestras y fueron medidas con la rejilla previamente calibrada por el técnico. Cada línea de la rejilla equivale a .05 micras. Durante la observación se ubicó el punto de mayor filtración para realizar su medición. Los datos recabados fueron de acuerdo al número de líneas de la rejilla, y posteriormente

Dentista y Paciente 16
Figura 3. Muestra obturada con gutapercha y Sealapex®. Fuente: Directa.

estos datos fueron convertidos a Las 5 muestras de control positivo presentaron filtración de tinta china de manera significativa (Figura 1), lo cual demuestra que es necesario el cemento sellador para obtener una obturación de conductos exitosa. Las muestras del control negativo no presentaron filtración de tinta china (Figura 2), demostrando que el barniz nos da confiabilidad con respecto al sellado radicular externo, evitando con esto la filtración de tinta por otras áreas que no fueran el ápice.

Se compararon los valores resultantes de las mediciones de los cementos selladores MTA Fillapex®, Sealapex® y Apexit plus ® (Tabla 1).

Comparación de los valores máximos y mínimos de la medición de la microfiltración.

Las desviaciones estándar más elevadas correspondieron al Sealapex® con DE=416.8 (Figura 3). el segundo lugar correspondió a Apexit Plus® con DE=505. (Figura 4).

Esto demuestra que existe amplia variación entre los valores de microfiltración del Sealapex y Apexit plus no así para el MTA Fillapex® mostró más homogeneidad entre sus muestras ya que la desviación fue DE=158.1 (Figura 5).

Las diferencias observadas descriptivamente se sometieron a dos pruebas estadísticas: la primera fue Anova para determinar si entre los 3 grupos las diferencias observadas son estadísticamente significativas y no debidas al azar y posteriormente se cruzó con la prueba de Tukey para determinar cuál de los grupos son diferentes entre sí, los resultados demostraron lo siguiente (Tabla 2).

Discusión

Aquellos estudios, en los que se realizan cortes longitudinales de las raíces para exponer los conductos y su obturación, tienen como inconveniente el que en el punto donde se realice el corte no sea el de mayor filtración o perderlo al momento del corte, esto se intentó evitar haciendo una muesca con el disco sobre la raíz

Dentista y Paciente 18 Calidad y dirección
Material Mínimo Máximo Sealapex® 100µ 1000µ Apexit plus® 50µ 1600µ MTA Fillapex® 50µ 600µ
Valores mínimos y máximos de microfiltración en 3 materiales de obturación. (Micras) Tabla 1. Comparación de los valores máximos y mínimos de la medición de la microfiltración. Figura 4. Muestra obturada con gutapercha y Apexit Plus®. Fuente: Directa.

y con una espátula lograr la fractura pero aun así quedaba en duda el punto de mayor filtración.15

De acuerdo a Lee y cols., la técnica de diafanización permite observar la totalidad del conducto radicular y las interfaces entre obturación/ sellador/dentina: de esta manera, se pudo determinar en el presente estudio el punto de mayor filtración y medirlo sin alteración alguna.16

Lim y cols. 17 Al evaluar la capacidad del sellado de Sealapex® encontraron que no hay diferencia estadísticamente significativa, pero recomendaron el uso de este cemento sellador ya que durante las primeras 12 semanas tubo mejor comportamiento. De acuerdo a lo encontrado en este estudio los resultados mostraron que el Sealapex® presento buen sellado apical a la filtración de la tinta china, pero que no es el que menor filtración muestra comparado con MTA Fillapex®.

Wu y De Gee.18 al comparar la filtración de 4 diferentes selladores de conductos demuestran que Sealapex® mostro más filtración a un año, al igual que Vasconcelos y Bernades.40 En su estudio demuestran que Sealapex® tuvo un incremento progresivo en la microfiltración. En este estudio el comportamiento de Sealapex® fue mejor comparado con Apexit® Plus; sin embargo, en este estudio solo se realizó una medición a una semana por lo cual los resultados no son equiparables, ya que estos autores las mediciones las hicieron a tiempos mucho más prolongados.

Miletic y cols.,18 al utilizar un sistema de transporte de fluidos, observaron que Apexit Plus® filtró significativamente más que los otros cementos comparados, esta evolución fue

realizada a un año posterior a las obturaciones. A pesar de que en este estudio la medición se realizó a una semana de exposición de la tinta, se observaron resultados similares, pues también Apexit Plus® fue el que mayor filtración mostró.

Gomes- Filho y Moreira.11 Evaluaron la capacidad de sellado apical de Endo-CPM-sellador®, MTA Fillapex®, y Sealapex® demostraron que los 2 últimos tuvieron menor filtración al colorante, por lo tanto concluyen que, Sealapex® y MTA Fillapex, fueron capaces de prevenir de manera significativa la filtración apical. Concordamos con los resultados encontrados en la presente investigación, donde encontramos que MTA Fillapex® es el que presenta menor filtración apical, seguido de Sealapex®. Mientras que Apexit Plus® presentó los más alto niveles de filtración apical. Encontrándose que no hay diferencia estadísticamente significativa entre Apexit Plus® y Sealapex®. Al comparar MTA Fillapex con Apexit Plus, sí hay una diferencia estadísticamen te significati va.

181. Septiembre 2023 19 Estudio comparativo
Figura 5. Muestra obturada con gutapercha y MTA Fillapex®. Fuente: Directa.

Sealapex® es un material desarrollado específicamente para ser utilizado como un sellador. Contiene hidróxido de calcio que sólo será biológicamente activo si se liberan iones de calcio e hidroxilo por más tiempo. Un aumento de pH se ha demostrado que es bactericida e interfiere con la actividad osteoclástica y la promoción de una alcalinización en los tejidos adyacentes. Los iones de calcio también son importantes en la activación de la reacción con gas carbónico para formar cristales de carbonato de calcio, que sirven como un núcleo para la calcificación y estimular la mineralización.

Estas actividades biológicas pueden explicar buenos resultados clínicos observados con el uso de algunos selladores que contienen hidróxido de calcio, el cual estimula el cierre del foramen apical por deposición de tejido mineralizado. Además de las características biológicas, el uso hidróxido de calcio como sellador Sealapex® ha puesto en duda en cuanto a su predisposición a la solubilidad y efecto posterior sobre el sellado del conducto radicular y la curación perirradicular.11

Los resultados obtenidos con MTA Fillapex® fueron los mejores a los obtenidos con Sealapex®. MTAFillapex ® es un cemento a base de MTA con sustancias adicionales para obtener una consistencia adecuada para ser utilizada en la obturación de conductos radiculares. MTA puede formar iones de calcio e iones hidróxilo; importantes para la estimulación de la deposición de

tejido duro. La presencia de MTA también sugiere la posibilidad de una expansión de fraguado, que se podría haber favorecido la capacidad de sellado.11 Además de que MTA Fillapex muestra actividad antibacterial contra Enterococo faecalis antes del fraguado. Lo que favorece a que no haya persistencia de la periodontitis apical crónica causada por este microorganismo.11

Conclusiones

En respuesta a la interrogante planteada podemos concluir que el MTA Fillapex® logra un mejor sellado apical que los cementos Sealapex® y Apexit plus®. Confirmando con ello la hipótesis de trabajo.

De acuerdo a los resultados obtenidos en el presente estudio, MTA Fillapex® presentó la menor filtración apical de acuerdo a las mediciones realizadas.

Sealapex® presentó un nivel de filtración mayor a MTA Fillapex® pero menor a Apexit plus® mientras que el Apexit plus®, demostró ser el que presenta la mayor filtración comparado con Sealapex® y MTA Fillapex®, existiendo diferencia estadísticamente significativa. Lo que se ha observado durante la preparación del cementos MTA Fillapex® muestra buena fluidez y por lo tanto una penetración adecuada, demostrada en las muestras del presente estudio, ya que en estas se observó el sellado de conductos laterales, accesorios y delta apicales.

Las buenas propiedades biológicas que presenta el MTA Fillapex, favorece la estimulación de regeneración de tejidos apicales, para mantener la salud de estos después de un tratamiento de conductos.

Dentista y Paciente 20 Calidad y dirección
Sealapex® vs Apexit® Plus No hay diferencias sustanciales estadísticamente hablando p=0. 561. MTA Fillapex® vs Apexit® Plus Sí hay diferencias sustanciales estadísticamente hablando P= 0.032 Tabla 2.

Referencias

1. Shilder. H. Filling Root canals in three dimensions.J of end. 2006 ;32 (4) 281-290.

2. Leonardo M. Endodoncia, Tratamiento de conductos radiculares, principios técnicos y biológicos Ed. Artes Médicas Latinoamérica. Brasil;2005. 941,943, 945.

3. Estrela C. Ciencia Endodóntica Ed. Artes Médicas Latinoamérica. Brasil 1/a edición; 2005. 540.

4. Cohen S. Vías de la pulpa Edit. Elsevier Mosby España 9/a Edic. 2010. 375.

5. Desai S, Chandler N. Calcium Hydroxide–Based Root Canal Sealers: A Review. J Endod.2009;35(4): 475-480.

6. Estrela C, Holland R. Calcium Hydroxide: Study based on Scientific Evidences. J Appl Oral Sci.2003;11(4): 269-282.

7. Tonamaru J, Húngaro M, Goncalvez M, Radiopacity evaluation of root canal sealers containing calcium hydroxide and MTA. Braz Oral Res 2009; 23(2): 119-23.

8. Yilmal Z, Dogan L., Ozdemir O, Evaluation of the cytotoxity of different root canal sealer on L929 cell line by MTT assay. Dental Materials Journal 2012; 31(6) 1028-1032.

9. Alves C. De lima M.Cirugia Endodontia, Periodontia, Patologia, Estomatologia. Edit. Artes Medicas. Cap. 11, 225-264.

10. Parirokh M. Totabinejad M. Mineral Trioxide Aggregate: A Comprehensive Literatura Review –Part I. Chemical, Physical, and Antibacterial Properties. J Endod 2010; 36; 16-27.

11. Gomes-Filho JE, Moreira JV, Watanabe S, Lodi CS, Cintra LT, Dezan Junior E, Bernabé PF, Nery MJ, Otoboni Filho JA. Sealability of Mta and calcium hydroxide-containing Sealers. J Appl Oral Sci.2012;20(3): 347-351.

12. Pino V R.Prati C. Nogueira L E J. Physical Properties of MTA Fillapex Sealer. J Endod 2013;1-4 (articulo en prensa)

13. Abdul W S, Reban S S, El. Samman M. The effect of Prior Calcium Hydroxide Intracanal Placement On The Band Strength of to two Calcium Silicate-based and an Epoxy Resin-based Endodontic sealer. J Endod 2012; 38: 696-699.

14. Robertson D. Leeb J. McKee M. Brewer E. A clearin technique for the study of root canal systems. J Endod. 1980;6(1):421-4.

15. Vascocelos BC. Bernardes R A, Duarte MAH. Bramante CM. Moraes IG. Apical sealing of root canal fillings performed with fivedifferent endodontic sealers: analysis by fluid filtration. Iappl. Oral Sci.2011;19 (4) ;324 -8.

16. Kwang-Won Lee, Michael C. Williams, Jean J. Camps, and David H. Pashley. Adhesion of endodontic Sealers to Dentin and Gutta-Percha. J Endod.2002;28(10): 684-88

17. Lim CK. Tidmarsh BG. The sealing Ability of Sealapex Campared with AH26. J Endod.1986;12(12) 564-566.

18. Miletic I. Ribaric S. Karlovic Z. Apical Leakage or five root canal sealers After One Year of Storage. J Endod.2002;28(6):431-32.

181. Septiembre 2023 21 Estudio comparativo

EXPERIMENTA EL PODER DE LA NATURALEZA COMBINACIÓN PODEROSA

Contiene: CHX y CITROX, combinados son una poderosa fórmula con propiedades antimicrobianas, antifúngicas y anti-inflamatorias. Se ha demostrado que la formulación única, es más efectiva que sólo CHX.

Ayuda a los pacientes a manejar problemas orales agudos. Como resultado minimiza el riesgo de efectos secundarios adversos típicamente asociados con los enjuagues bucales tradicionales. Combinación de CITROX/ Clorhexidina en una fórmula sin alcohol. Tiene una acción antiséptica reforzada. Ofrece resultados mejorados a través de una solución de sabor agradable que NO altera la sensación del gusto. No contiene SLS.

Indicado para enfermedades periodontales y Gingivitis.

PVP-VA

Polilisina

Presentación 200 ml

CHX 0.12%

Citrox

Xilitol

*Adquiérelo con tu distribuidor autorizado Curaprox www.curaprox.mx
CuraproxMx @curaproxmexico

POLILISINA

Sustancia natural mucoadhesiva que forma el complejo CITROX/ Polilisina. Aumenta la sustantividad de CITROX.

PVP-VA COPOLÍMERO

CITROX/ Polilisina. CITROX.

Forma una película protectora en los dientes y mucosa oral. Previene inflamación o lesiones dentro de la cavidad bucal.

XILITOL

Sustancia natural extraída de la corteza del abedul. Retrasa la formación de biofilm. Inhibe el crecimiento de bacterias y mejora la salivación.

ÁCIDO HIALURÓNICO

Agente cicatrizante,regenerador y protector.

¿SABÍAS QUÉ?

Entra y conoce más sobre los efectos de Perioplus+ contra la carga viral de COVID-19 gently.curaden.com

La enfermedad periodontal es un problema que afecta a un sector importante de la población en México y el resto del mundo. Por esto mismo el odontólogo general y especialmente el periodoncista, deben estar preparados y capacitados para su correcto tratamiento, además de contar con los materiales adecuados y efectivos en su terapéutica. En el área de periodoncia, el uso de la clorhexidina es un gran aliado para el tratamiento de las diversas enfermedades periodontales y sus distintos grados, así como también su uso coadyuvante posterior a las cirugía periodontales y otras en odontología: haciendo énfasis en aliado y coadyuvante (la clorhexidina).

Los beneficios de Perioplus en sus versiones Regenerate y Protect que funcionan como antiséptico, antifúngico y antimicrobiano; nos ofrece un componente único, el Citrox, que como antiviral nos da aún mayores beneficios. En estos tiempos de pandemia, el efecto que ha demostrado contra la carga viral de COVID-19 lo hace el enjuague de primera elección en Periodoncia.

CHX 0.09%

Citrox

Xilitol

Ácido Hialurónico

PVP-VA

Polilisina

Presentación 200 ml

Indicado para lesiones de la cavidad bucal: Laceraciones, aftas, procedimientos post quirúrgicos, peridodontitis, estomatitis.

Posología: 15 ml/ 1 a 2 veces por día.

*Adquiérelo con tu distribuidor autorizado Curaprox
Dentista y Paciente 24 Caso clínico
Fotoarte: Editorial Renascence | Fotografía: AdobeStock

Manejo de canino retenido e incisivos laterales microdónticos

Manejo de canino retenido e incisivos laterales microdónticos

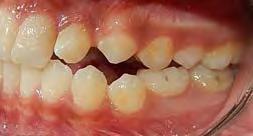
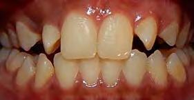
Se presenta una paciente de 17 años y 5 meses diagnosticada con clase I esquelética, hipodivergente, clase I molar y canina izquierda, clase II molar derecha y la clase canina derecha sin identificar debido al canino 13 retenido, mordida abierta en sector de laterales, overjet y overbite disminuidos, línea media dental superior desviada a la derecha y la inferior desviada a la izquierda, microdoncia de los incisivos 12 y 22. Objetivo: mantener el perfil facial, y las relaciones esqueléticas maxilomandibulares, realizar cirugía del 13, corrección de rotaciones dentales en el maxilar, mantener la clase I molar izquierda y obtener la clase I molar derecha, mantener la clase I canina izquierda, obtener clase I canina derecha, cerrar mordida abierta de sector de laterales, corrección del overjet y overbite, corrección de líneas medias dentales, manejo de Bolton, mejorar estado periodontal, lograr correcta intercuspidación, guía de desoclusión canina e incisiva y restauración de los dientes 12 y 22. Tratamiento: alineación, nivelación, tracción canina del 13, detallado y retención. Tiempo de tratamiento: 2 años y 9 meses.

Palabras clave: tracción canina, microdoncia, canino retenido.

181. Septiembre 2023 25
Aritza María Díaz Tavárez. Residente de segundo año de la maestría de Ortodoncia y Ortepedia Maxilofacial del Centro de Estudios Superiores Superiores de Ortodoncia (CESO). Beatriz Gurrola Martínez. Profesora del CESO y profesora Titular C definitivo de la carrera de Cirujano Dentista en la Facultad Estudios Superiores Zaragoza UNAM. Adan Casasa Araujo. Director CESO.

La erupción es un proceso fisiológico que se realiza desde la formación del germen dentario hasta el momento en que se encuentra en oclusión en el cual influyen varios factores.1 Este proceso atraviesa 3 fases, la primera denominada preeruptiva es la erupción que se da hasta el desarrollo completo de la corona, la eruptiva prefuncioanal, esta se lleva a cabo desde el inicio de formación radicular hasta que dicho órgano dental llega a ocluir con el antagonista y por último la fase eruptiva funcional que es cuando ya la pieza realiza la función masticatoria.2

La erupción dental lleva un orden o secuencia tanto para la dentición primaria como para la permanente. En esta ocasión se citará la secuencia de los dientes permanentes. En el maxilar superior, se inicia con el primer molar, luego los incisivos centrales, laterales, primer premolar, segundo premolar, posteriormente el canino y por último el segundo molar. En la mandibula se sigue la misma secuencia excepto que el canino erupciona despues de los incisivos y antes de los premolares y segundos molares.3

La erupción de los dientes permanentes es más susceptible a interferencias por causas sistémicas y/o locales debido al tiempo que se toman en erupcionar todas las piezas dentales.4 Un diente incluído es aquel cuya corona se encuentra sumergida en hueso pero aun no termina su formación radicular ni se encuentra en el

periodo de erupción; un diente retenido es aquel que aún se encuentra sumergido en hueso en un tiempo en el que ya debió haber erupcionado y un diente impactado es aquel cuya erupción se encuentra detenida debido a un obstaculo ya sea óseo o dental.5

En este caso que se presenta a continuación el canino se encuentra retenido y es imprescindible intervenirlo para llevarlo a su lugar ya que según Jhonston el canino superior es el diente más importante y si no está en posición adecuada la estética de la cara se verá afectada.6 Hablando de estética, esta paciente presentó microdoncia de los incisivos laterales superiores que es la anomalía que afecta el tamaño, particularmente de estas piezas,7 siendo una de las anomalias dentales que más se presentan.8 Las anomalías dentales son una variante de lo que se considera normal generadas por factores sistémicos, ambientales, locales, hereditarios y trauma.9

Caso clínico

Se presenta una paciente de 13 años 5 meses con el motivo de consulta “es que no me baja el colmillo”. En los estudios extraorales se ve el perfil concavo y labios en contacto durante el reposo (Figura 1). En los estudios intraorales tenemos , clase I esquelética, con crecimiento hipodivergente (Figura 2), clase II molar derecha y clase I molar y canina izquierda, la clase canina derecha no determinada

Dentista y Paciente 26 Caso clínico
Figura 1. Perfil, frente en reposo, sonrisa.

(ND), órgano dental (OD) 13 retenido, mordida abierta en sectores laterales, overjet de 3 mm y overbite de 10%, líneas medias dentales desviadas y microdoncia de OD 12 y 22.

Radiografía panorámica. Se ven 34 dientes (Figura 3), con el canino 13 retenido y los órganos denatrios 75 y 85 están próximos a ser exfoliados. Los segundos molares aún están terminando su formación y aparece el germen dentario de los terceros molares.

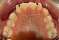
En la oclusal superior vemos la forma de la arcada que es oval con apiñamiento leve (Figura 4) y la inferior es cuadrada.

Tratamiento

Se realizó la corrección de rotaciones en el maxilar mediante la alineación y nivelación con la secuencia de arcos NiTi 0.014, 0.016, 0.018, 0.017 × 0.025, 0.019 × 0.025 superior e inferior y acero 0.016, 0.018 y 0.020, 0.019 × 0 .025 superior e

inferior. Luego se realizó la apertura del espacio para el canino 13 para su posterior tracción colocando un bracket en la cara vestibular luego de la exposición del canino con un rosario, con vector vertical a un loop en el arco principal de acero 0.020 y se termina de hacer la incorporación del canino 13 con un bypass en NiTi 0.012.

Para obtener la clase I molar y canina derecha y para mantener la clase I molar y canina izquierda se usaron elásticos clase II derechos y clase I izquierdo de 3/16" 4.5 oz. Para el cierre de mordida en sector lateral se usó elásticos en caja con vector clase II derecha y clase I izquierda 3/16" 4.5 oz y curva inversa inferior. Para corregir el overjet, overbite y líneas medias se usaron cadenas de molar a molar y resorte abierto entre 12 y 14, con elástico de LM de 3/16" de 4.5 oz sostenido de Kobayashi en los dientes 12 y 32. Para la corrección de las piezas con microdoncia y la compensación de Bolton de la arcada maxilar, se realizaron restauraciones con

Dentista y Paciente 28 Caso clínico
Figura 2. Intraorales frente lateral derecha e izquierda. Figura 3. Radiografía panorámica inicial.

carillas estéticas en resina de los incisivos 12 y 22. Para lograr la máxima intercuspidación, el paralelismo radicular y la oclusión funcional se realizó mediante el detallado con arcos de acero rectangular 0.019x0.025 y dobleces de primer, segundo y tercer orden con elásticos en delta.

Resultados

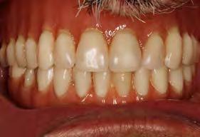
El tiempo de tratamiento fue de 2 años y 9 meses se lograron los objetivos del tratamiento manteniendo el perfil facial, y las relaciones esqueléticas maxilomandibulares. Se realizó la tracción del 13, la corrección de rotaciones dentales en el maxilar, se mantuvo la clase I molar izquierda y se obtuvo la clase I molar derecha. La clase I canina izquierda, y se logró la clase I canina derecha, cerrar mordida abierta de sectores laterales, corrección del overjet y overbite, corrección de líneas medias dentales, manejo de Bolton de arcada superior, mejorar estado periodontal, lograr correcta intercuspidación, guía de desoclusión canina y guía incisiva y la restauración de los dientes 12 y 22

(Figura 5). Una vez terminado el tratamiento, la estabilidad a largo plazo mediante la retención con un circunferencial con finger en los incisivos 12 y 22 para la arcada superior y retenedor termoformado para la arcada inferior.

Radiografía panorámica final el canino 13 es incorporado al arco (Figura 5) y los terceros molares en etapa de formación.

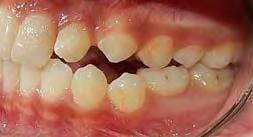
Estudios intraorales finales en las fotografías oclusales, se ven los laterales 12 y 22, así como la incorporación del canino al arco con torque adecuado (Figura 6). En la lateral derecha e izquierda la restauración estética de los laterales superiores,

181. Septiembre 2023 29 Manejo de canino
incisivos laterales microdónticos
retenido e
Figura 4. Vista oclusal superior e inferior.

sin rotaciones ni discrepancia de Bolton.

Discusión

Es importante la revisión de los pacientes periódicamente para poder detectar alguna alteración de la erupción a tiempo y proporcionar mas éxito en la tracción.10 Para la exposición del canino una de las técnicas sugerida es la cerrada, que

proporciona estética y está indicada para aquellos caninos cuya corona está en el alveolo por encima de la línea mucoginginval.11 El pronóstico para este tipo de tratamiento es bueno y predecible en la mayoría de los casos.12 Es necesario tomar en cuenta las discrepancias de los tamaños de los órganos dentarios superiores e inferiores.13 La microdoncia es una condición a valorarse para el plan de tratamiento en ortodoncia.14

Dentista y Paciente 30 Caso clínico
Figura 5. Radiografía Panorámica. Figura 6. Comparación inicio-final en oclusión.

En esta paciente del CESO al analizarla, se planteo dejar los espacios, para realizar restauraciones de los incisivos laterales, porque existía un espacio próximo a estas piezas, al igual que el reportado por García15 el cual con el órgano dentario retenido y los

laterales microdónticos se procedió a abrir el espacio para la tracción del canino y para la rehabilitación de los laterales.

Conclusión

Para todos los tratamientos de ortodoncia es imprescindible realizar un buen diagnóstico y conocer las alteraciones de la cronología y secuencia de la erupción de dentición permanente. Es muy importante que el paciente asista frecuentemente al odontólogo y que él esté preparado para realizar la evaluación para diagnosticar a tiempo este tipo de anomalía y ofrecer al paciente la solución a su problema.

Referencias

1. Ayala P Y, Carralero Z L, Leyva AB. La erupción dentaria y sus factores influyentes [Internet]. Scielo.sld.cu. 2018 [cited 7 November 2021]. Available from: http://scielo.sld.cu/scielo.php?script=sci_arttext&pid=S1560-43812018000400013

2. Morgado SD, García HA. Cronología y variabilidad de la erupción dentaria [Internet]. Medigraphic.com. 2011 [cited 7 November 2021]. Available from: https://www.medigraphic.com/pdfs/ mediciego/mdc-2011/mdcs112p.pdf

3. Alzate G F, Serrano V L, Cortes L, Torres E, Rodríguez M. Cronología y secuencia de erupción en el primer periodo transicional [Internet]. Scielo.org.co. 2016 [cited 7 November 2021]. Available from: http://www.scielo.org.co/scielo.php?script=sci_arttext&pid=S0120-971X2016000100007

4. Sáenz M L, Sánchez PL, Luengas AI. Proceso de erupción de los primeros molares permanentes [Internet]. Scielo.sld.cu. 2017 [cited 7 November 2021]. Available from: http://scielo.sld.cu/scielo. php?script=sci_arttext&pid=S0034-75072017000100002

5. Castañeda P D, Briceño AC, Sánchez P Á, Rodríguez C A, Castro H D, Barrientos SS. Prevalencia de dientes incluidos, retenidos e impactados en radiografías panorámicas de población de Bogotá, Colombia / Prevalence of Included, Retained and Impacted Teeth, in Panoramic Radiographs of Population from Bogotá, Colombia. Universitas Odontologica. 2015;34(73).

Dentista y Paciente 32 Caso clínico
Es importante la revisión de los pacientes periódicamente para poder detectar alguna alteración de la erupción a tiempo y proporcionar mas éxito en la tracción.

6. Johnston W. Treatment o f palatally impacted canine teeth. American Journal of Orthodontics [Internet]. 1969 [cited 7 November 2021];56(6):589-596. Available from: https://www.ajodo. org/article/0002-9416(69)90194-8/fulltext

7. Altug-Atac A, Erdem D. Prevalence and distribution of dental anomalies in orthodontic patients. American Journal of Orthodontics and Dentofacial Orthopedics [Internet]. 2007 [cited 7 November 2021];131(4):510-514. Available from: https://www.ajodo.org/article/S08895406(06)01458-2/fulltext

8. Bedoya RA, Collo QL, Gordillo ML, Yusti S A, Tamayo CJ, Pérez Jaramillo A et al. Dental anomalies in orthodontic patients in Cali, Colombia. Revista CES Odontología ISSN 0120-971X [Internet]. 2014 [cited 7 November 2014];(27):45-54. Available from: http://www.scielo.org.co/pdf/ceso/ v27n1/v27n1a05.pdf

9. Espinal BG, Alexánder Manco GH, Méndez GA, Pino LC, Esteban J, Giraldo R, et al. Estudio retrospectivo de anomalías dentales y alteraciones óseas de maxilares en niños de cinco a catorce años de las clínicas de la facultad de odontología de la universidad de antioquia retrospective study of dental anomalies and bone alterations of the maxilla and mandible in children 5 to 14 years of age from the clinics of the college of dentistry, university of antioquia [Internet]. Org.co. [citado el 07 de Noviembre de 2021]. Disponible en: http://www.scielo.org.co/pdf/rfoua/v21n1/v21n1a06.pdf

10. Porras M, Ortiz F. Tracción de canino retenido superior con aparatología ortodóntica fija Edgewise: Reporte de un caso. Revista Mexicana de Ortodoncia [Internet]. 2013 [cited 23 Enero 2022];1(1):62-72. Available from: https://www.elsevier.es/es-revista-revista-mexicana-ortodoncia-126-articulo-traccion-canino-retenido-superior-con-S2395921516300095

11. Egido MS, Arnau M C, Juárez EI, Jané-Salas E, Marí RA, López LJ. Caninos incluidos, tratamiento odontológico: Revisión de la literatura [Internet]. Scielo.isciii.es. 2013 [cited 23 January 2022]. Available from: https://scielo.isciii.es/scielo.php?script=sci_arttext&pid=S0213-12852013000500002

12. Beltrán V VJ, Flores B P, García A N, Cantín M, Fuentes F R. [Internet]. SciELO. 2011 [citado 24 enero 2022]. Disponible en: https://www.scielo.cl/scielo.php?script=sci_arttext&pid=S0718-381X2011000300003

13. Dos Santos RL, Pithon MM. Discrepancia Dentaria de Bolton y Finalización de Ortodoncia: Consideraciones Clínicas. Int j odontostomatol [Internet]. 2010;4(1):93–100. Disponible en: http:// dx.doi.org/10.4067/s0718-381x2010000100014

14. Torre OC, Gurrola MB, Casasa AA. Manejo multidisciplinario en paciente con laterales superiores microdónticos. Caso clínico. Revista Mexicana de Ortodoncia [Internet]. 2016 [cited 23 January 2022];4(2):136-141. Available from: https://www.elsevier.es/es-revista-revista-mexicana-ortodoncia-126-articulo-manejo-multidisciplinario-paciente-con-laterales-S2395921516301672

15. García Co M, Fernández S. Enfoque multidisciplinario para el manejo de espacios en presencia de microdoncia y retención de un incisivo superior: reporte de un caso. Revista Mexicana de Ortodoncia [Internet]. 2016 [cited 23 January 2022];4(1):56-61. Available from: https://www. sciencedirect.com/science/article/pii/S2395921516300708

181. Septiembre 2023 33 Manejo de canino retenido e incisivos laterales microdónticos

Nuevas técnicas de impresión en la era de la odontología digital

Dentista y Paciente 34 Sonriendo al futuro
Fotoarte: Editorial Renascence | Fotografía: AdobeStock

En los últimos 10 años, el mundo de la odontología se ha revolucionado con la introducción de sistemas digitales, entre ellos, los escáneres intraorales utilizados para la toma de impresiones. La digitalización ha tenido un impacto significativo en la odontología, mejorando los procesos y el nivel de atención para los pacientes.

En la actualidad, se utilizan impresiones digitales que permiten obtener imágenes instantáneas, de alta calidad y de gran detalle de la estructura dental de los pacientes. Estas fotografías se pueden visualizar en computadoras, almacenar electrónicamente y compartir fácilmente para lograr la restauración dental. Las impresiones digitales, han permitido a los odontólogos obtener una representación detallada y precisa de la estructura dental del paciente, lo que es especialmente útil en el diseño y fabricación de prótesis dentales, como coronas y puentes; asimismo, representan un gran beneficio para los pacientes, la comodidad.

Palabras clave: escáneres intraorales, impresiones digitales, restauración dental.

titular, alumno de Odontología de la especialidad en Rehabilitación oral del Centro Educativo Multidisciplinario en Rehabilitación Oral (CEMRO), en Tarímbaro, Michoacán, México, kikedentista@gmail.com, 436 112 18

Antecedentes

En la última década, se han desarrollado diversos escáneres intraorales utilizados al momento de realizar los procesos restaurativos; hay diferentes sistemas que se diferencian fundamentalmente por la forma de captación de datos, por la posibilidad o no de confeccionar restauraciones en el consultorio, de transferir datos al laboratorio dental, la forma de adquisición de la imagen, la fuente de luz, el tipo de imagen, el tamaño, peso, la velocidad y la disponibilidad. En el mercado, existen diversas compañías como Syrona Dental, 3M Espe, Cadent LTD, Carestream Dental, entre otras, que han desarrollado escáneres intraorales diversos, diferenciados entre sí por las características anteriormente señaladas. Cabe destacar que cada uno de los sistemas presentan características propias y de acuerdo con las diversas investigaciones, cada uno puede utilizarse con base en las necesidades propias del odontólogo.

Objetivo general

Realizar un estudio experimental para identificar y comparar la precisión dimensional del escáner intraoral Carestream CS3600™ frente a la impresión tradicional con silicona de adición Elite P&P Putty Soft Normal.

Objetivos específicos

Contrastar la expansión de la impresión digital en comparación de las impresiones analógicas. Medir los tamaños de los dientes de la impresión digital y de la impresión analógica. Cuantificar el costo de una impresión digital en comparación con una impresión analógica. Determinar la accesibilidad para el odontólogo de

Dentista y Paciente 36 Sonriendo al futuro
Fotografía propia, toma de impresión digital con escáner CS 3600, C.D.E. Enrique Aburto Benítez

tomar una impresión digital en relación con la analógica.

Metodología

La investigación realizada fue de tipo experimental, transversal, comparativa e in vivo. Se consideró experimental porque se ejecutaron 2 técnicas de impresiones para identificar la precisión dimensional del escáner intraoral Carestream CS3600™ frente a la obtenida a través de la técnica de impresión convencional con silicona de adición Elite P&P Putty Soft Normal. Se considera que es transversal porque la recolección de datos fue en un tiempo determinado, en el periodo que abarca del 07 de enero de 2023 al 07 de abril de la misma anualidad. La investigación fue in vivo ya que involucró la toma de muestras

181. Septiembre 2023 37 Nuevas técnicas de impresión en la era de la odontología digital
En el mercado, existen diversas compañías como Syrona Dental, 3M Espe, Cadent LTD, Carestream Dental, entre otras, que han desarrollado escáneres intraorales diversos, diferenciados entre sí por las características anteriormente señaladas.

Fotografía propia, toma de impresión digital con escáner CS 3600,

Diversos estudios han buscado identificar el sistema de impresión digital intraoral más preciso, así como los factores que afectan a la precisión de esta en odontología restauradora.

Dentista y Paciente 38 Sonriendo al futuro
C.D.E. Enrique Aburto Benitez

directas a pacientes; y finalmente es un estudio de tipo comparativo porque se comparó una técnica de impresión convencional frente a una técnica de impresión digital respecto de la precisión del sellado marginal de las coronas de zirconia una vez colocadas en las piezas a restaurar.

Muestreo

El muestreo realizado para la obtención de datos fue no probabilístico por conveniencia, el cual consistió en la revisión de historias clínicas de los pacientes que se atienden en la clínica BITDENT. Previo a la toma de impresión, se efectuó una evaluación con la finalidad establecer las condiciones requeridas para participar en el estudio, considerando como variables la realización de tratamiento

Impresiones tradicionales

Estructurada, conocida y aceptada

de endodoncia en las piezas 16, 26 o ambas, como se muestra en la tabla 1; una temporalidad de 6 meses posterior al tratamiento, un rango de edad entre los 23 y 33 años, el sexo y la presencia de dientes adyacentes. De acuerdo con los criterios de inclusión para la conformación de la muestra, se eligieron a 40 pacientes, 20 hombres y 20 mujeres, quienes cumplieron con las características antes señaladas; asimismo, todos ellos fueron informados de las ventajas e inconvenientes de participar en el estudio y firmaron un consentimiento informado por escrito.

Procedimiento clínico

Se realizó la toma de 40 impresiones, 20 a través de la técnica convencional con silicona de adición Elite P&P

Impresiones digitales

Menos estudiada, menos conocida

Después de conocerla, fácil Requiere de capacitación y aprendizaje

Material asequible

Precisa esperar el fraguado de materiales

Para corregir errores y hacer cambios es necesario una nueva impresión

Necesidad de stock de material

Incomodidad del paciente

Inexacta

Almacenamiento material de impresión

Transporte al laboratorio delicado. Riesgo de extravíos y roturas

Todos los laboratorios dominan y pueden trabajar conecta técnica

Cada profesional decide la técnica de impresión

Equipamiento complejo y costoso

Se envía vía internet al momento al laboratorio

Se pueden corregir errores y hacer cambios

Mantenimiento del equipo

Comodidad del paciente

Mejor precisión

Almacenamiento USB

Envío inmediato

Laboratorios especializados

Técnica más estandarizada

Tabla 1

181. Septiembre 2023 39 Nuevas técnicas de impresión en la era de la odontología digital

Putty Soft Normal y 20 con el escáner intraoral Carestream CS3600™, para posteriormente realizar el tallado de 40 piezas dentales 12 piezas 16, 18 piezas 26 y 10 ambas piezas, lo anterior con la finalidad de efectuar una restauración unitaria. A partir de cada uno de los tallados se fabricaron, mediante tecnología CAD/CAM, 2 coronas de óxido de zirconio para cada paciente, obteniendo así un total de 80 coronas, que se dividieron en 3 grupos:

• Grupo A: 40 coronas realizadas a partir del archivo digital obtenido mediante una impresión convencional con silicona de adición y su vaciado y digitalización posterior.

• Grupo B: 40 coronas realizadas a partir del archivo digital obtenido mediante una impresión digital intraoral con el escáner intraoral Carestream CS3600™

• Grupo C: 40 coronas destinadas a ser utilizadas como coronas definitivas a cementar en el paciente.

Resultados

Con base en el análisis experimental se obtuvo que las coronas fabricadas

con las impresiones tomadas a través del escáner intraoral, tuvieron mayor precisión de ajuste marginal respecto de las tomadas mediante técnica convencional. De manera general, los evaluadores externos eligieron la corona elaborada con el sistema CAD/CAM para su cimentación. El escaneo intraoral es una alternativa actual que se puede implementar en la práctica clínica diaria ya que presentó resultados satisfactorios en las restauraciones realizadas; sin embargo, una de sus principales limitantes es el costo de inversión y mantenimiento del equipo, la cual genera un gasto importante en el consultorio.

Discusión

Los estudios actuales, se han centrado en comparar las ventajas y desventajas que presentan las impresiones digitales frente a las tradicionales, llegando a resultados en torno a la eficiencia de las impresiones digitales, la comodidad del paciente y la mejora de la comunicación entre el odontólogo, paciente y el técnico de laboratorio que finalmente fabrica las piezas dentales a restaurar. En

Dentista y Paciente 40 Sonriendo al futuro

la siguiente Tabla 1, se muestra un resumen de las principales.

Diversos estudios han buscado identificar el sistema de impresión digital intraoral más preciso, así como los factores que afectan a la precisión de esta en odontología restauradora. De manera general, se ha concluido que dentro de los elementos que afectan la precisión de la impresión intraoral digital se encuentran principalmente la experiencia del dentista y la convergencia en la preparación dental. Asimismo, se ha determinado que la exactitud será variable tomando en cuenta factores intraorales como el número de piezas a rehabilitar o la distancia entre los dientes.

Dentro de la diversidad de escáneres intraorales, se puede señalar que es importante conocer su funcionamiento y características de los que se encuentran disponibles en el mercado, esto ayudará a la elección más precisa del tipo requerido de acuerdo con la restauración a realizar, recordando que dentro de los factores importantes para obtener un modelo confiable se encuentran las estrategias de escaneo y la experiencia del operador.

Conclusiones

Indudablemente, quienes hemos comenzado a adoptar esta técnica innovadora en los consultorios, identificamos los beneficios que generan

las impresiones digitales para el paciente, el odontólogo y el técnico de laboratorio, ofreciendo menor tiempo clínico, comodidad, ahorro de costos, espacios y la reproductibilidad es comparable o mejor que las técnicas convencionales. La era digital requiere de mayor estudio y representa una línea de investigación interesante para quienes buscan mejorar los servicios odontológicos. Analizar y comparar la técnica tradicional vs. la digital, amplía los conocimientos y la información existente respecto del tema de estudio. Asimismo, traerá consigo mejor eficiencia hora consultorio, menor contaminación, confort clínico para el paciente, disminución del tiempo operativo y mejora en el tiempo de vida de la restauración. El escaneo intraoral es una alternativa actual que se puede implementar en la práctica clínica diaria ya que presentó resultados satisfactorios en las restauraciones realizadas; sin embargo, una de sus principales limitantes es el costo de inversión y mantenimiento del equipo, la cual genera un gasto importante en el consultorio. En conclusión, los escáneres intraorales son herramientas relevantes e importantes en odontología debido a su precisión, comodidad para el paciente, eficiencia, mejora de la comunicación con el paciente y su contribución al avance tecnológico en el campo dental. Su uso está en constante crecimiento y se espera que siga desempeñando un papel clave en el futuro de la odontología.

Dentista y Paciente 42 Sonriendo al futuro
Dentro de la diversidad de escáneres intraorales, se puede señalar que es importante conocer su funcionamiento y características de los que se encuentran disponibles en el mercado.

Referencias

1. González, P. (2014). Estudio experimental in vitro de la fiabilidad de seis escáneres extraorales utilizados en tecnología Cad/Cam. Universidad Complutense de Madrid, 202p.

2. González, S. (2019). Evaluación in vitro de la precisión de diferentes sistemas ópticos de medición con respecto al tiempo de trabajo. Universidad Complutense de Madrid, 168p. Medina-Sotomayor, P., Ordoñez, P., & Ortega, G. (2020). Precisión de los sistemas de impresión digital intraoral en odontología restauradora: Una revisión de la literatura. ODOVTOS, 64 - 75.

Mueble Mod. MK-63

Nuevas técnicas de impresión en la era de la odontología digital
CDMX CAPITAL STORE luxor cf Descubre EN LA UNIDAD PERFECTA EN LA UNIDAD PERFECTA

Rehabilitaciones

completas implantosoportadas únicamente sobre implantes extracortos de 5.5 mm Serie de casos

Dentista y Paciente 46 Enciclopedia odontológica Fotoarte: Editorial Renascence | Fotografía: AdobeStock / Andrii Yalanskyi

Eduardo Anitua DDS, MD, PhD. Private practice in oral implantology, Eduardo Anitua Institute, Vitoria, Spain. Clinical researcher, Eduardo Anitua Foundation, Vitoria, Spain. University Institute for Regenerative Medicine and Oral Implantology - UIRMI (UPV/EHU-Fundación Eduardo Anitua), Vitoria, Spain.

Corresponding author: Dr. Eduardo Anitua, Eduardo Anitua Foundation; C/ Jose Maria Cagigal 19, 01007 Vitoria, Spain; Phone: +34 945160653, eduardo@fundacioneduardoanitua.org

181. Septiembre 2023 47
Rehabilitaciones completas implantosoportadas

Los implantes cortos y extracortos son una alternativa cada vez más frecuente para la rehabilitación implantosoportada en pacientes edéntulos con atrofias verticales desde leves a severas, evitándose el empleo de técnicas regenerativas accesorias previas, y por lo tanto la morbilidad del procedimiento así como el número de cirugías necesarias.1-2

Son por ello una de las opciones mejor valoradas por los pacientes, y cada día más también por los clínicos, que prefieren simplificar sus protocolos de tratamiento eligiendo aquellas técnicas que sin disminuir la predictibilidad del tratamiento les permitan una realización de las mismas de forma más eficiente, con menos horas de clínica y cirugía y, por lo tanto, pudiendo tratar a un mayor número de pacientes.3-7

Cuando nos enfrentamos a la rehabilitación de un arco completo con una marcada atrofia ósea en sentido vertical, utilizar únicamente implantes cortos y extracortos para su rehabilitación, sin el empleo de técnicas accesorias puede ser una alternativa de tratamiento válida y predecible. El ensayo clínico realizado por Guida y cols.8 en este año 2023, pone de manifiesto, que cuando se compara la rehabilitación mandibular con implantes de forma completa con implantes cortos o con implantes de longitud mayor situados interforaminalmente, no existe mayor número de complicaciones biológicas ni técnicas ni un aumento de la pérdida ósea crestal entre ambos grupos de pacientes, por lo que el comportamiento biomecánico de los implantes cortos y largos en arco completo sería similar. De Oliveira y cols.,9 estableciendo modelos por elementos finitos en mandíbula edéntula atrófica, rehabilitada únicamente con implantes llega también a la conclusión de que la distribución de las tensiones entre diferentes longitudes es similar para implantes de 4, 6, 8 y 10 mm de longitud, aunque el comportamiento biomecánico fue mejor para los implatnes de 6 y 8 mm que los de 4 mm. Nuestro grupo de estudio, también ha realizado diferentes trabajos al respecto mediante elementos finitos, llegando a la conclusión de que es mejor la utilización de implantes cortos y extracortos para la rehabilitación de mandíbulas edéntulas con extrema reabsorción situándose los implantes de forma que la carga se distribuya sobre ellos mediante su eje axial (posición recta del implante), evitándose angulaciones para colocar implantes de mayor longitud en aquellas aréas donde existe mayor volumen óseo para salvar otras que están más atróficas.10-11

Dentista y Paciente 48 Enciclopedia odontológica
Cuando nos enfrentamos a la rehabilitación de un arco completo con una marcada atrofia ósea en sentido vertical, utilizar únicamente implantes cortos y extracortos para su rehabilitación, sin el empleo de técnicas accesorias puede ser una alternativa de tratamiento válida y predecible.

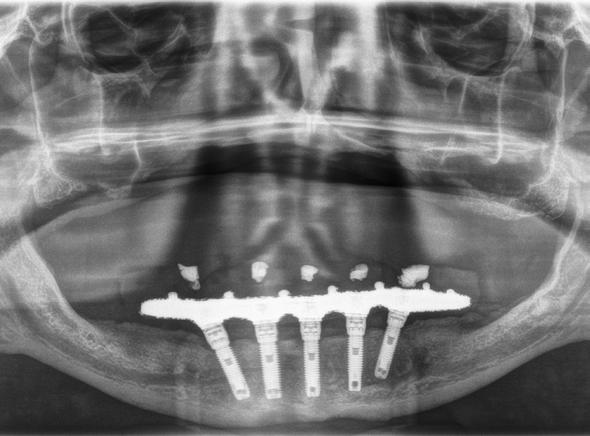
En el maxilar superior, existen trabajos de revisión donde se pone de manifiesto que los implantes cortos y extracortos tienen también un correcto comportamiento biomecánico y pérdidas óseas similares a los implantes de mayor longitud, por lo que para esta área anatómica también son una opción de tratamiento predecible.1,12 En la siguiente serie de casos clínicos, presentamos 5 pacientes en los que se han realizado rehabilitaciones sobre implantes extracortos 5.5 mm para generar prótesis de arco completo, en maxilar y mandíbula y su seguimiento a lo largo del tiempo observándose la supervivencia de los implantes, la pérdida ósea crestal con la función y las posibles complicaciones protésicas acontecidas durante el tiempo de seguimiento.

Material y métodos

Fueron reclutados pacientes en los que se insertaron implantes de 5.5 mm de longitud p ara realizar rehabilitaciones de arco completo, desde enero a noviembre de 2020 en un único centro clínico (Clínica Dental Eduardo Anitua, Vitoria, Álava). Todos los pacientes fueron estudiados antes de la inserción de los

implantes mediante modelos diagnósticos, exploración intraoral y realización de un TAC dental (cone beam) analizado posteriormente mediante un software específico (BTI-Scan III). Antes de la inserción de los implantes se utilizó una premedicación antibiótica consistente en amoxicilina 2 gramos vía oral 1 hora antes de la intervención y paracetamol 1 gramo vía oral (como analgésico). Posteriormente los pacientes prosiguieron con un tratamiento de amoxicilina 500750 mg vía oral cada 8 horas (según peso) durante 5 días.

La inserción de los implantes fue realizada por un mismo cirujano, mediante la técnica de fresado biológico, a bajas revoluciones, sin irrigación,13,15 adaptándose la morfología del mismo y a la morfología específica del implante de 5.5 mm de longitud y las rehabilitaciones protésicas posteriores se llevaron a cabo también por un mismo prostodoncista.

Para la estimación de la pérdida ósea marginal se tomó como referencia una longitud conocida en las radiografías (longitud del implante) para calibrar de ese modo las mediciones realizadas en estas radiografías. A partir de la calibración el software

181. Septiembre 2023 49 Rehabilitaciones completas implantosoportadas
Figura 1. Diámetros y longitudes incluidos en el estudio según su posición.

utilizado calcula las mediciones reales (Digora for Windows, SOREDEX Digital Imaging systems). La pérdida ósea crestal marginal se calculó midiendo desde el hombro del implante hasta el primer sitio donde el contacto hueso implante fuese evidente. La referencia para comparar los registros radiográficos y de este modo estimar la pérdida ósea producida en cada uno de los pacientes fue la radiografía realizada en el momento de inserción de la prótesis. Esta radiografía se utilizó por

lo tanto como punto de partida para todas las medidas posteriores.

El implante fue la unidad de análisis para la estadística descriptiva en cuanto a la localización, dimensiones del implante, y mediciones radiográficas. El paciente fue la unidad de medida para el análisis de la edad, sexo y la historia médica. La variable principal fue la supervivencia del implante y como variables secundarias se registraron la pérdida ósea mesial y distal y la aparición de complicaciones protésicas posteriores a la carga.

Las variables cualitativas se describieron mediante un análisis de frecuencias. Las variables cuantitativas se describieron mediante la media y la desviación estándar. La supervivencia de los implantes se calculó mediante el método de Kaplan-Meier. Los datos fueron analizados con SPSS v15.0 para windows (SPSS Inc., Chicago, IL, USA) Se estableció una comparación de medias entre la pérdida ósea crestal mesial y distal en función de la localización anatómica (maxilar-mandibular) mediante la prueba de T-Student.

Dentista y Paciente 50 Enciclopedia odontológica
Figura 2 y 3. Figuras intraorales del paciente de 67 años que acude a la consulta para rehabilitación sobre implantes superior, portador de una prótesis completa removible con una atrofia ósea evidente al ser la prótesis retirada. Figura 4. La radiografía inicial muestra una atrofia marcada en sentido vertical, que debe ser constatada posteriormente mediante un TAC así como para la planificación de la colocación de los implantes. Figura 5 y 6. Encerado diagnóstico para comenzar la planificación de la colocación de los implantes superiores guiados por la posición ideal que deben tener los dientes en la prótesis. De este encerado se realiza una guía radiológica que nos permita trasladar estas posiciones al TAC de planificación.

Resultados

Fueron reclutados 6 pacientes en los que se colocaron 30 implantes para realizar rehabilitaciones completas. La edad media de los pacientes incluidos en el estudio fue de 66.75 años (+/- 5,16) y un 86.7% fueron mujeres. El 63.3% de los implantes se insertaron en el maxilar superior y el 36.7% restante en la mandíbula, formando parte de 4 rehabilitaciones

completas superiores y 3 inferiores. Todos los implantes presentaron una longitud de 5.5 m m, con diámetros comprendidos entre los 2.5 y los 5.5 mm. Las posiciones de los implantes corresponden a distribuciones biomecánicas para la realización de prótesis completas tanto en el maxilar como mandíbula (incisivos, premolares y molares). Los diámetros y longitudes de los implantes incluidos en el estudio en función de

181. Septiembre 2023 51 Rehabilitaciones completas implantosoportadas

su posición se muestran en la Figura 1.

La media de la altura del reborde óseo residual fue de 7.32 mm (+/2.10). El tipo óseo predominante en todas las zonas donde se han insertado implantes ha sido tipo III en el 53.3% de los casos, siendo el 46.7% restante tipo I. En la mandíbula la mayoría de los casos fueron de tipo óseo I (90.9%) y en el maxilar la gran

parte de los casos fueron de tipo óseo III (93.8%). El torque de inserción de los implantes varió entre 5 y 60 Ncm, siendo la media para los implantes incluidos en el estudio 34.17 Ncm (+/-18,71). Todas las prótesis se realizaron atornilladas mediante transepitelial múltiple (Multi-im®), ferulizándose los implantes entre ellos para lograr una rehabilitación completa. Como primer abordaje se llevó a cabo una prótesis de

Dentista y Paciente 52 Enciclopedia odontológica
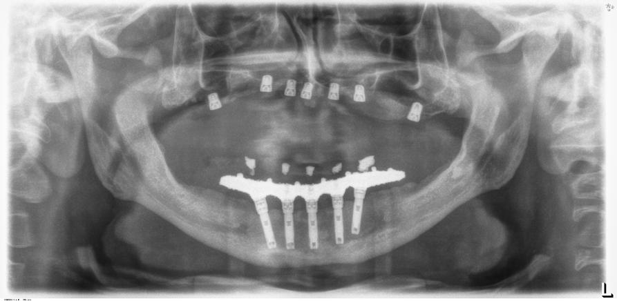
Figura 7­9. Cortes de planificación del cone beam donde observamos la extrema atrofia vertical y la posición en la que deberían situarse los dientes con una gran discrepancia entre esta posición y la base ósea. Vemos también como se planifican implantes extracortos de 5.5 mm de longitud en todas las localizaciones. Figura 10. Radiografía panorámica tras la colocación de los implantes.

carga progresiva terapéutica, elaborada en resina con barras articuladas como estructura metálica. El tiempo medio de seguimiento fue de 31.9 meses (+/- 17.73). Durante todo el tiempo de seguimiento, no se registraron complicaciones en las prótesis (no hubo aflojamiento de tornillos, fractura de cerámica o resina o fractura de las prótesis provisionales). No existieron tampoco fracasos en los implantes incluidos en el estudio, por lo que se puede cifrar la supervivencia en el 100%. La media de la pérdida ósea mesial de todos los implantes estudiados fue de 0.21 mm (+/- 0,40) y la media de la pérdida ósea distal fue de 0.18 mm (+/0,42). Cuando se realiza la medición de la media de la pérdida ósea mesial en función de la localización anatómica (maxilar-mandíbula), obtenemos una media de 0.33 mm (+/- 0,40) de pérdida ósea mesial para los implantes insertados en el maxilar superior

y de 0.22 mm (+/- 0,31) para la mandíbula. En cuanto a la media de la pérdida ósea distal para los implantes insertados en el maxilar superior, fue de 0.31 mm (+/- 0.41) y para la zona distal de 0.55 mm (+/- 0.34). Entre la media de la pérdida ósea mesial de los implantes insertados en el maxilar y la mandíbula no existieron diferencias estadísticamente significativas (p=0.38), ni tampoco entre la media de la pérdida ósea distal (p=0.56).

En las Figuras 2­17 se puede observar uno de los casos incluidos en el estudio.

Discusión

La predictibilidad de los implantes extracortos hoy en día es un hecho, encontrándonos estudios que comparan la pérdida ósea crestal de estos implantes a la que se reporta en los implantes de mayor longitud

Rehabilitaciones completas implantosoportadas @laserdillerdiller @laserdiller 55 52 08 79 37 / 800 823 0919 contacto@laserdiller.com Láser Diller @laserdiller WhatsApp Web
ODONTOLÓGICO
Blanqueador dental Odontológicos y Regenerador de tejidos Analgésico Cirugías dentales
Kansas #71 Col. Ampliación Nápoles, Del. Benito Juárez, C.P. 03840, CDMX TENEMOS PLANES DE FINANCIAMIENTO
24
LÁSER
EQUIPO LDK 100
ACEPTAMOS:
TRATAMIENTOS

en hueso con técnicas de aumento previa, obteniéndose cifras menores para el grupo de los implantes extracortos (0.18 mm al año, 0.37 mm a los 3 años y 0.53 mm a los 5 años, con diferencias estadísticamente significativas (p<0,01 en los tres casos).1 En nuestra serie de casos, la pérdida ósea reportada para los pacientes tratados únicamente con

implantes de 5.5 mm de longitud fue de 0.21 mm en mesial (+/- 0.40) y de de 0.18 mm (+/- 0.42) en distal, por lo que son cifras similares, teniendo en cuenta que el seguimiento del estudio es de 31.9 meses. El metaánalisis que compara la pérdida ósea crestal en implantes cortos y en implantes de longitud mayor insertados en zonas de regeneración ósea1 también observa una mayor pérdida ósea crestal para los implantes del maxilar comparados con la mandíbula, pero no pudieron identificarse diferencias estadísticamente significativas, siendo concordante también con los datos arrojados por nuestro estudio.

La evidencia de que los implantes cortos ferulizados pueden presentar una predictibilidad similar a la de los implantes de mayor longitud, con un comportamiento biomecánico

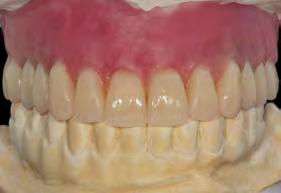
Dentista y Paciente 54 Enciclopedia odontológica
Figura 11­12. Prueba del encerado para la realización de la prótesis provisional tras 6 meses desde la colocación de los implantes. Figura 13. Radiografía panorámica tras la colocación de prótesis provisional de carga progresiva. Figura 14 y 15. Planificación por CAD/CAM de la estructura de la prótesis definitiva y finalización de la misma con el cementado de coronas de disilicato sobre la estructura.

adecuado, cambia el paradigma de rehabilitación de las atrofias verticales extremas, pasando de utilizar diferentes técnicas regenerativas para recuperar el volumen óseo perdido a la colocación directa de implantes con un menor número de cirugías.13-16 Otras opciones como colocar un menor número de implantes con voladizo en las prótesis o inclinar los implantes más distales no ofrecen una mejor predictibilidad, sobre todo cuando se trata del maxilar superior, donde existe una mayor tasa de fracaso al emplear este tipo de técnicas. 10-11,16,17 Asimismo, el empleo de miniimplantes de una sola pieza, con prótesis removibles incrementa el número de fracasos, por lo que la rehabilitación mediante el uso de implantes extracortos con

transepiteliales y una prótesis híbrida atornillada está más indicado que la utilización de otros implantes monobloque.16-18

Los implantes extracortos pueden ser utilizados para la rehabilitación de maxilar y mandíbula con extrema reabsorción vertical de forma única, sin la regeneración previa del volumen óseo perdido según los datos reportados en la literatura internacional, corroborados en esta serie de casos, incluso para la rehabilitación íntegra con implantes de 5.5 mm de longitud. Este tipo de técnicas abren un nuevo abanico de posibilidades para la rehabilitación de maxilar y mandíbula atrófica, teniendo en cuenta, al igual que para otras técnicas de mayor complejidad que se

181. Septiembre 2023 55 Rehabilitaciones completas implantosoportadas
Figura 16. Imagen radiográfica en el momento de colocación de la prótesis definitiva en ambos maxilares. Figura 17. Radiografía de seguimiento 5 años después, sin signos de pérdida ósea con éxito en el tratamiento.

debe individualizar el tratamiento en función del paciente y sus características particulares.14,19-21

Conclusiones

Los implantes extracortos de 5.5 mm de longitud pueden ser utilizados como única técnica de rehabilitación

Referencias

en casos de extrema atrofia ósea de forma exclusiva, tal como mostramos en esta serie de casos, independientemente de que se trate de maxilar o mandíbula. No obstante, se necesita un mayor número de trabajos que analicen este tópico al igual que el presente, para constatar los datos obtenidos.

1. Yu X, Xu R, Zhang Z, Yang Y, Deng F. A meta-analysis indicating extra-short implants (≤ 6 mm) as an alternative to longer implants (≥ 8 mm) with bone augmentation. Sci Rep. 2021 Apr 14;11(1):8152. doi: 10.1038/s41598-021-87507-1. Erratum in: Sci Rep. 2021 Sep 15;11(1):18730.

2. Pommer B, Mailath-Pokorny G, Haas R, Buseniechner D, Millesi W, Fürhauser R. Extra-short (< 7 mm) and extra-narrow diameter (< 3.5 mm) implants: a meta-analytic literature review. Eur J Oral Implantol. 2018;11 Suppl 1:S137-S146.

3. Tavelli L, Barootchi S, Rasperini G, Giannobile WV. Clinical and patient-reported outcomes of tissue engineering strategies for periodontal and peri-implant reconstruction. Periodontol 2000. 2023 Feb;91(1):217-269.

4. Thillaigovindan R, Eswaran MA, Kesavan R, Ashi H, Raj AT, Patil S. Awareness and Attitude toward the Replacement of Missing Teeth among Patients at a Dental Institute: A Cross-sectional Study. J Contemp Dent Pract. 2022 Jan 1;23(1):95-99.

5. AlSarhan MA, Alaqeely RS, AlJasser R, Otaibi DH, AlOraini S, Alshiddi IF. Evaluation of complacency about dental implants with shared decision making and satisfaction scores: A cross-sectional study. Saudi Dent J. 2021 Dec;33(8):929-936.

6. Agarwal S, Ashok V, Maiti S, Agarwal V. Dentists' Preference toward Fixed Versus Removable Implant Prosthesis on Edentulous Jaws to Improve Quality of Life. J Long Term Eff Med Implants. 2022;33(1):83-89.

7. Sáenz-Ravello G, Ossandón-Zúñiga B, Muñoz-Meza V, Mora-Ferraro D, Baeza M, Fan S, Sagheb K, Schiegnitz E, Díaz L. Short implants compared to regular dental implants after bone augmentation in the atrophic posterior mandible: umbrella review and meta-analysis of success outcomes. Int J Implant Dent. 2023 Jul 4;9(1):18.

Dentista y Paciente 56 Enciclopedia odontológica

8. Guida L, Esposito U, Sirignano M, Torrisi P, Annunziata M, Cecchinato D. 6 mm short versus 11 mm long inter-foraminal implants in the full-arch rehabilitation of edentulous non-atrophic mandibles: 5-year results from a multicenter randomized controlled trial. Clin Oral Implants Res. 2023 Feb;34(2):127-136.

9. de Oliveira Melo JMF, Willmersdorf RB, de Siqueira Lages A, Fernandes AV, de Amorim FBV, de Carvalho Farias Vajgel B. Evaluation of Stress and Fatigue on Different Implant Lengths in the Rehabilitation of Atrophic Mandibles with Full-Arch Fixed Prosthesis Using Finite Element Method. Int J Oral Maxillofac Implants. 2022 Sep-Oct;37(5):971-981.

10. Anitua E, Larrazabal Saez de Ibarra N, Saracho Rotaeche L. Implant-Supported Prostheses in the Edentulous Mandible: Biomechanical Analysis of Different Implant Configurations via Finite Element Analysis. Dent J (Basel). 2022 Dec 23;11(1):4.

11. Anitua E, Tapia R, Luzuriaga F, Orive G. Influence of implant length, diameter, and geometry on stress distribution: a finite element analysis. Int J Periodontics Restorative Dent. 2010 Feb;30(1):89-95.

12. Radi IA, Hytham A. EXTRA-SHORT IMPLANTS MAY BE A VIABLE ALTERNATIVE TO LONGER IMPLANTS WITH BONE AUGMENTATION IN ATROPHIC MAXILLARY AND MANDIBULAR RIDGES. J Evid Based Dent Pract. 2023 Mar;23(1):101800.

13. Anitua E, Alkhraisat MH, Pinas L, Orive G. Efficacy of biologically guided implant site preparation to obtain adequate primary implant stability. Ann Anat 2015; 199: 9-15.

14. Anitua E, Flores J, Flores C, Alkhraisat MH. Long-term Outcomes of Immediate Loading of Short Implants: A Controlled Retrospective Cohort Study. Int J Oral Maxillofac Implants. 2016;31:1360-1366.

15. Anitua E, Carda C, Andia I. A novel drilling procedure and subsequent bone autograft preparation: a technical note. Int J Oral Maxillofac Implants. 2007;22:138-45. Erratum in: Int J Oral Maxillofac Implants. 2007;22:309.

16. Messias A, Nicolau P, Guerra F. Different Interventions for Rehabilitation of the Edentulous Maxilla with Implant-Supported Prostheses: An Overview of Systematic Reviews. Int J Prosthodont. 2021 Suppl;34:s63-s84.

17. Apaza Alccayhuaman KA, Soto-Peñaloza D, Nakajima Y, Papageorgiou SN, Botticelli D, Lang NP. Biological and technical complications of tilted implants in comparison with straight implants supporting fixed dental prostheses. A systematic review and meta-anaysis. Clin Oral Implants Res 2018;29(suppl 18):s295-s308.

18. Lemos CA, Verri FR, Batista VE, Júnior JF, Mello CC, Pellizzer EP. Complete overdentures retained by mini implants: A systematic review. J Dent 2017;57:4-13.

19. Carosi P, Lorenzi C, Laureti M, Ferrigno N, Arcuri C. Short Dental Implants (≤ 6 mm) to Rehabilitate Severe Mandibular Atrophy: A Systematic Review. Int J Oral Maxillofac Implants. 2021 Jan-Feb;36(1):30-37.

20. Aiuto R, Barbieri C, Garcovich D, Dioguardi M, Redaelli M, De Micheli L. Rehabilitation of Edentulous Jaws with Full-Arch Fixed Implant-Supported Prostheses: An Approach with Short and Ultrashort Implants and Metal-Free Materials. Case Rep Dent. 2020 Jul 23;2020:8890833.

21. Spitznagel FA, Horvath SD, Gierthmuehlen PC. Prosthetic protocols in implant-based oral rehabilitations: A systematic review on the clinical outcome of monolithic all-ceramic singleand multi-unit prostheses. Eur J Oral Implantol. 2017;10 Suppl 1:89-99.

181. Septiembre 2023 57
Rehabilitaciones completas implantosoportadas
Dentista y Paciente 60 Estudio Fotoarte: Editorial Renascence | Fotografía: AdobeStock

¿Los antibióticos sistémicos brindan beneficios extra en presencia de Aa?

¿Los antibióticos sistémicos brindan beneficios extra en presencia de Aa?

Dannewitz,

Bruno

D’Aiuto

Antecedentes

El nivel S-3 de la guía para el tratamiento de la periodontitis en estadios I-III de la Federación Europea de Periodoncia (Sanz y cols. 2020) no recomienda el uso rutinario de antibióticos sistémicos como ayudante

a la instrumentación subgingival (SI) debido a la preocupación por el bienestar del paciente (efectos secundarios) y la resistencia a los antimicrobianos. En situaciones específicas (p.e., periodontitis generalizada, estadio III en adultos jóvenes) la guía admite que puede considerarse

Almudena

Autores:

Relatores:

Traducción:

Afiliación:

Programa de postgrado en Periodoncia, UCL Eastman Dental Institute, Londres.

como opción la pauta de antibióticos sistémicos.

Los investigadores han justificado previamente el uso de antibióticos sistémicos para mejorar los resultados clínicos en casos en los que patógenos bacterianos como

181. Septiembre 2023 61
Leander Benz, Patrizia Winkler, Bettina Katrin Nickles, Hari Petsos, Talal Aldiri, Peter Eickholz. Delaunay, Sachet Engineer, Fay Khoja, y Gajen Raveendran con Prof. Francesco y Natalie Leow. Lozano. Alumna del Máster en Periodoncia e Implantes, Universidad de Granada.

Estudio

Aggregatibacter Actinomycetemcomitans (Aa) están presentes a nivel subgingival.

Pero no ha habido evidencia suficiente del beneficio potencial del uso de antibióticos sistémicos en casos diagnosticados como periodontitis

estadio III y IV, grado B y C cuando se combina con SI en comparación con el efecto de SI sola.

La combinación de metronidazol y amoxicilina ha sido reportado como eficaz a la hora de reducir los niveles de Aa a niveles indetectables.

Dentista y Paciente 62
Parámetros Antibióticos sistémicos Valor p No (nAB) (n = 281) Sí (AB) (n = 144) Criterio de valoración “tratar el objetivo” ≤4 sitios con profundidad de sondaje ≥5 mm: (n)/frecuencia (%) 76 (27%) 53 (37%) 0.038 5-8 sitios con profundidad de sondaje ≥5 mm: (n)/ frecuencia (%) 48 (17%) 20 (14%) 0.395 Dientes remanentes T0 (n) media (cuartil inferior/ superior) 22 (17/27) 25.5 (20/28) <0,001 Dientes remanentes T1 (n) media (cuartil inferior/ superior) 22 (17/26) 24.5 (20/28) 0.002 Dientes perdidos T0-T1 (n) media (cuartil inferior/ superior) 0 (0/0) 0 (0/1) 0.078 Estimación SE Valor p Constante 2.212 1.166 0.058 Grado B 0.640 0.307 0.037 Antibióticos sistémicos ayudantes 0.543 0.235 0.021 Edad (T0) -0.035 0.011 0.001 Número de dientes remanentes (T0) -0.093 0.020 <0.001 Fumadores actuales -0.618 0.268 0.021 Grado 0.191 0.232 0.410 Diabetes mellitus -0.097 0.375 0.797 Sexo masculino -0.050 0.224 0.824
Tabla 1. Efecto del tratamiento según el criterio de valoración “tratar el objetivo” y pérdida de dientes después de la instrumentación subgingival sola comparada con la instrumentación subgingival y antibióticos sistémicos. Tabla 2. Análisis de regresión logística paso a paso del criterio de valoración “tratar el objetivo” (sí/no) después de instrumentación subgingival sola o instrumentación subgingival y antibióticos sistémicos. Nota: n = 425; x2 =38.013; p < 0.001

Hasta hace poco (2018), La Sociedad Alemana de Periodoncia recomendaba análisis microbiológicos y el uso de antibióticos sistémicos junto con SI.

Siguiendo con esta recomendación, el departamento de periodoncia de la Universidad Johann Wolfgang Goethe de Fráncfort (Alemania) realizó análisis microbiológicos en pacientes con periodontitis agresiva o crónica severa generalizada de 2005 a 2018. A los pacientes de les prescribieron antibióticos como complemento de SI cada vez que se detectó Aa

Objetivo

Este estudio investigó los resultados del tratamiento de pacientes diagnosticados con periodontitis agresiva o crónica generalizada (clasificados retrospectivamente, bajo la nueva clasificación, como periodontitis estadios III y IV, grados B y C) con SI con o sin el uso de antibióticos cuando Aa se detectó subgingivalmente.

Materiales y métodos

• Un estudio retrospectivo de cohortes formado por 425 pacientes adultos diagnosticados inicialmente con periodontitis agresiva o crónica severa generalizada, divididos en 2 grupos según la presencia o ausencia de Aa. Al grupo test (AB), con Aa presente, se le prescribió antibióticos como complemento de SI, mientras que el grupo control (nAB) solo recibió SI.

• Todos los pacientes fueron tratados en el departamento de periodoncia de la Universidad Johann Wolfgang Goethe de Fráncfort y fueron reclutados retrospectivamente después de examinar las historias clínicas de todos los pacientes que habían recibido un tratamiento periodontal completo. El resultado primario fue el criterio de valoración “tratar el objetivo”: ≤4 sitios con profundidad de sondaje (PPD) ≥5 mm, medida por el número absoluto de sitios con PPD ≤3-4-5 mm y ≥6 mm.

181. Septiembre 2023 63 ¿Los
antibióticos sistémicos brindan beneficios extra en presencia de Aa?
La combinación de metronidazol y amoxicilina ha sido reportado como eficaz a la hora de reducir los niveles de Aa a niveles indetectables.

• El resultado secundario fue la frecuencia de sitios con PPD ≤3-45 mm y ≥ 6 mm en dif erentes momentos después del tratamiento (T1 y T2).

• Los resultados fueron evaluados al incio (T0), en T1 (después de SI; media de 12.4 semanas, rango de 9.4-15.1 semanas) y en T2 (última visita mantenimiento periodontal; media de 3.1 años, rango de 1.4 a 5.5 años).

• Ambos grupos recibieron SI (instrumentos sónicos e instrumentación manual).

• El grupo con Aa también recibió amoxicilina 500 mg y metronidazol 400 mg 3 veces al día durante 7 días.

• Todos los pacientes se enjuagaron 2 veces al día durante 1 minuto con 10 ml de 0.12% de clorhexidina (CHX), tras cepillado de dientes y del dorso de la lengua con un gel de CHX al 1%. Además, todos los paciente recibieron instrucciones de higiene oral y profilaxis profesional entre 6 semanas y 3 meses.

• En T1 se consideró la cirugía periodontal, y 111 pacientes recibieron este tratamiento: 32 del grupo AB y 79 del grupo nAB.

Resultados

Se resaltaron las razones para excluir a 232 participantes de los 657 originales.

El tiempo medio entre T0 y T1 fue de 12.3 semanas en el grupo AB y de 12.6 en el grupo nAB.

De T0 a T1:

• La proporción de PPD ≤3 mm aumentó en ambos grupos (AB, 81.3%; nAB 79.8%) en comparación con T0(AB, 54%; nAB 53.6%).

• La proporción PPD 4-5 mm se redujo en ambos grupos (AB, 14.9%;

nAB 16.7% en comparación con T0 (AB 29.7%; nAB 30.8%).

• Hubo una reducción de PPD ≥6 mm en ambos grupos (AB, 1.4%; nAB 3.1%) en comparación con T0 (AB, 13%; 12.5% nAB).

De T1 a T2:

• El número de pacientes revisados se redujo en ambos grupos (AB, en 23 pacientes; nAB en 70 pacientes).

- Hubo un aumento adicional en la proporción de PPD ≤3 mm en ambos grupos (AB, 89.8%; nAB, 85.2%).

• La proporción de PPD 4-5 mm se redujo en ambos grupos (AB, 8.3%; nAB, 13.5%).

• La proporción de PPD ≥6 mm también descendió en ambos grupos (AB, 0,6%; nAB, 1%).

Resultados totales:

• Todos los resultados clínicos (basados en valores/umbrales de PPD) mejoraron en ambos grupos de T0 a T1 y de T0 a T2. Resultó que todas las diferencias eran estadísticamente significativas en comparación con las obtenidas en T0.

Limitaciones

El estudio fue un análisis retrospectivo de datos clínicos de un único centro universitario.

No se proporcionó ni se discutió ningún cálculo del tamaño de la muestra.

Se notificaron desequilibrios en los factores de confusión comunes entre los grupos de estudio:

• Mayor número de fumadores actuales en el grupo nAB que en el grupo AB (p=0.041).

• La edad media del grupo AB fue inferior a la del grupo nAB (p=0.02).

Dentista y Paciente 64 Estudio

La ingesta de AB fue autoadministrada, no monitoreada y, por lo tanto, no se pudo estandarizar ni confirmar.

Diagnóstico retrospectivo de periodontitis en estadios III y IV basado en registros antiguos podría haber introducido un sesgo sistemático en la categorización de los grupos de estudio.

La detección inicial de Aa determinaba si se prescribía antibiótico a los participantes o no. Por lo tanto, los 2 grupos no pueden ser directamente comparados entre sí. Por ejemplo, los participantes sin la detección de Aa pueden haber funcionado mejor con antibióticos. Por lo tanto, no se puede sacar ninguna conclusión con respecto al beneficio de prescribir antibióticos sistémicos, se detecte o no Aa

Conclusiones e impacto

• En casos de periodontitis severa (estadios III/IV, grados B y C), el

criterio de valoración de ≤4 sitios con PPD ≥5 mm se logró en el 37% de los casos con Aa subgingival cuando se combinó instrumentación subgingival con antibióticos sistémicos, mientras que también se logró en el 37% de los casos donde no se detectó Aa, con instrumentación subgingival sola.

• Los análisis de regresión logística sugirieron que los casos de periodontitis grado B se asociaron con mejores resultados clínicos del tratamiento en comparación a otros subgrupos, especialmente al evaluar pacientes con estadio III, estadio IV y grado C.

• Este estudio proporciona evidencia limitada sobre los beneficios clínicos del uso adyuvante de antibióticos sistémicos en el tratamiento de la periodontitis en casos específicos donde la presencia de Aa ha sido detectado. Los médicos deben seguir las recomendación R2.16 de la actual guía de la EFP sobre no recomendar el uso rutinario de antibióticos como complemento de SI.

181. Septiembre 2023 65
¿Los antibióticos sistémicos brindan beneficios extra en presencia de Aa?

La detección inicial de Aa determinaba si se prescribía antibiótico a los participantes o no. Por lo tanto, los 2 grupos no pueden ser directamente comparados entre sí.

Notas

JCP Digest 113 es un resumen del artículo “Additional benefit of systemic antibiotics in subgingival instrumentation of stage III and IV periodontitis with Aggregatibacter actinomycetemcomitans: A retrospective analysis.” J Clin Periodontol. 50 (5):684-693. DOI: 10.1111/jcpe13777.

https://www.onlinelibrary.wiley.com/doi/10.1111/jcpe.13777

Acceso a través de la página web para miembros de la EFP http://efp.org/members/jcp.php

Con el amable permiso de Wiley Online Library. Copyright © 1999-2023 John Wiley & Sons, Inc. Todos los derechos reservados. JCP Digest es una publicació de la Federación Europea de Periodoncia (EFP). Oficina EFP: Cink Coworking, oficina 17, calle Henri Dunant 15-17, 28036 Madrid, España · www.efp.org

Dentista y Paciente 66 Estudio

Turn static files into dynamic content formats.

Create a flipbook
Issuu converts static files into: digital portfolios, online yearbooks, online catalogs, digital photo albums and more. Sign up and create your flipbook.