Revista Dentista y Paciente 187 | Marzo 2024

Page 1

CASO CLÍNICO

Tratamiento ortodóntico-quirúrgico en paciente clase II esquelética

ENCICLOPEDIA

ODONTOLÓGICA

Manejo ortopédico de mordida cruzada anterior con placa de expansión en forma de abanico con pistas, fase 1. Reporte de caso

INVESTIGACIÓN CLÍNICA

Revolución digital en la odontología

dentistaypaciente.com

PUNTO DE VISTA

Influencia de los determinantes sociales en la salud oral de los niños: Revisión sistemática

SONRIENDO AL FUTURO

Tiempos y movimientos. Actividades preventivas realizadas por los alumnos de primer año, Módulo Clínica en Prevención. Parte 1

ESTUDIO

Factores que influyen en los resultados del tratamiento quirúrgico de la periimplantitis

187/Marzo 2024 Latindex 17964 $50.00 MX ISSN: 1455-020X
187
No.
Revista
www.vatechmexico.com CAMBIA EL EQUIPO QUE TIENES

POR EL QUE REALMENTE QUIERES

TIENES

CON $20,000 USD de DESCUENTO

CAMBIA

cualquier equipo, cualquier marca, cualquier antigüedad

*Aplica restricciones. Consulta términos y condiciones. Válido hasta agotar existencia. Imágenes sólo ilustrativas. Sujeto a cambios sin previo aviso.

*Aplica ilustrativas.

equipo, marca, antigüedad

y equipo, antigüedad

ADQUIERE un 3D NUEVO*

ADQUIERE un 3D NUEVO*

El DESCUENTO se aplicará de la siguiente forma

ANÁLOGO: Revisión DIRECTA con vatech

EQUIPO 2D: $15,000 USD de DESCUENTO

EQUIPO 3D: $20,000 USD de DESCUENTO

SÓLO VÁLIDO con

*A tu EQUIPO ANTERIOR, vatech se encargará de quitarle tubo y sensor

"PREPÁRATE" ¡NO FALTES!

Marzo 2024

Siguen aumentando los contagios de COVID-19 y por ende, los casos graves de los mismos. Afortunadamente, no hay una gran cantidad de fallecimientos por este mal, pero sigue habiendo. Las versiones existentes de la vacuna para el covid, son para edades de 6 meses hasta 4 años, de 5 a 11 años y de 12 en adelante. Desgraciadamente en México el grupo que presenta el mayor número de decesos desde que se inició la pandemia, es el de 6 meses a 4 años y es precisamente la vacuna de ese grupo que el gobierno nunca quiso comprar.

Podemos comprar las vacunas en algunas farmacias, hospitales y un centro comercial, aunque no en todas sus sucursales. Estas vacunas están actualizadas, es decir, sí funcionan. Si ya tienen dosis previa, necesitan una única dosis, si no han sido vacunados previamente, necesitan dos. Las vacunas que ofrece el gobierno no están actualizadas.

También me llama la atención el surgimiento del sarampión, no nada más en México, sino en todo el mundo. En muchos países se consideró erradicado y se ha presentado el resurgimiento de esta enfermedad. El problema en México, que antes teníamos un sistema de vacunación que era ejemplo mundial, es que el número de niños con adecuada cobertura en vacunas ha disminuido de manera alarmante. Se pueden presentar brotes, y por lo mismo, muertes debido a esta enfermedad. El sarampión es una enfermedad que afecta principalmente a los niños, causada por un virus y exclusivo del ser humano.

¡A seguirse cuidando!

Dentista y Paciente 2 Editorial
Mtro. Carlos Adolfo Espinosa García Especialidad en Odontología Legal y Forense Maestría en Odontología

Se adelanta a los tiempos presentando una nueva generación de Equipos de Rayos-X Intraoral con la funcionalidad que le ofrece la última Tecnología en pantallas Táctiles Inteligentes, que se configuran d e forma intuitiva al tácto, sin necesidad de memorizar instrucciones , y con opciones que NO se encuentran en otros equipos.

CORAMEX

Lauro

Lauro

Tels:+52 55 5394 1192

Tels:+52 55 5394 1192

+52 55 5394 1199

+52 55 5394 1199

56 2571 9826 www.corix.us

56 2571 9826 www.corix.us

http://www.facebook.com/CORAMEXSA

http://www.facebook.com/CORAMEXSA

Da la bienvenida a la nueva Tecnología de Equipos con Pantalla Táctil Inteligente!!!
®
Corix
S.A. A Division of CORIX MEDICAL SYSTEMS®
Villar No. 94-B, 02440, México, CDMX
repre.ventas@corix.us
S.A. A Division of CORIX MEDICAL SYSTEMS®
sales@corix.us
CORAMEX
Villar No.
México, CDMX
94-B, 02440,
repre.ventas@corix.us
sales@corix.us

10 | CASO CLÍNICO

Tratamiento ortodóntico-quirúrgico en paciente clase II esquelética

22 | ENCICLOPEDIA ODONTOLÓGICA

Manejo ortopédico de mordida cruzada anterior con placa de expansión en forma de abanico con pistas, fase 1. Reporte de caso

6
Contenido
Dentista y Paciente

36 | INVESTIGACIÓN CLÍNICA

Revolución digital en la odontología

44 | PUNTO DE VISTA

Influencia de los determinantes sociales en la salud oral de los niños: Revisión sistemática

Editorial Renascence S.A. de C.V.

Directora editorial

Patricia López Guerra patricia.lopez@dentistaypaciente.com

Jaime Francisco Martínez Aceves† jmartinez@dentistaypaciente.com

Directora Editorial

Mariangel Martínez López mmartinez@dentistaypaciente.com

Director de Arte y Diseño

Jesús Salas Pérez jesasez@dentistaypaciente.com

Coordinador Editorial

Marco A. Vergara Salgado marversa@dentistaypaciente.com

Ejecutivos Comerciales y de Negocios

Carlos Martínez García, Gabriela Dolorez Ocadiz, Edson Aarón Hernández

Producción y Circulación

Edson Aarón Hernández

Fotografía e Ilustraciones

Editorial Renascence

Suscripciones

Edson Aarón Hernández

Preprensa e Impresión

Offset Impresión Creativa S.A de C.V.

Distribución

Comercializadora GBN S.A. de C.V.

Calzada de Tlalpan #572, desp. C-302, col.

Moderna

Contabilidad y Administración

Lic. Renato Muñoz

director científico

Dr. Carlos Espinosa García

Especialista en Odontología Legal y Forense consejo editorial

Dr. Francisco Javier Diez de Bonilla Calderón

Catedrático de la F.O de la UNAM

Dr. Francisco Magaña Moheno

Centro de Especialidades Odontológicas

Javier Portilla Robertson

Exdirector de la Facultad de Odontología de la UNAM

Especialista en Patología Bucal

187. Marzo 2024 Contenido 7

Contenido

Dentista y Paciente

C.D.E.O. Arturo Alvarado Rossano† Profesor y Especialista en Ortodoncia y Ortopedia Craneofacial en la Facultad de Odontología. UNAM. Asesor Académico y Coordinador de Difusión de la AMOCOAC.

C.D. Manuel García Luna y González Rubio Dra. Ana Gabriela Carrillo Varguez Coordinadora de la especialidad en endodoncia UABC Tijuana. Coordinadora de Investigación y Posgrado F.O. UABC

M.C. Ernestina Santillana Marín

Subdirectora de CISALUD UABC

William James Maloney, D.D.S.

Clinical Associate Professor New York University

universidad anáhuac méxico norte

C.D. Carlos Robles Bonilla

Coordinador de la Licenciatura de Cirujano Dentista

C.D. Sergio Antonio Ojeda León

Profesor Titular de Odontopediatría de la Licenciatura de Cirujano Dentista

C.D. Bernardo Grobeisen Weingersz

Profesor Titular de Clínica

Integral de la Licenciatura de Cirujano Dentista

C.D. Norma Ibañez Mancera. Profesora Titular de Patología Bucal de la Licenciatura de Cirujano Dentista

Dirección del Derecho de Autor certificado de reserva al uso exclusivo no. 04-2008022718312200-102 con fecha 27 de Marzo del 2008. Gobernación de la H. Comisión Calificadora de Publicaciones y Revistas Ilustradas, certificado de licitud de contenido 5328, certificado de licitud de título 7411, franqueo pagado, publicación mensual permiso no. PP09-02106, SEPOMEX. Las opiniones expresadas en los artículos y en los anuncios publicados no significan de ninguna manera juicios, criterios, ideas o cualquier otro concepto por parte de la editorial; reflejan únicamente las ideas y pensamientos de sus autores. Los artículos, entrevistas, resúmenes, publirreportajes, fotografías y cualquier otro material son exclusivos de la editorial, y no se autoriza la reproducción total o parcial por ningún medio sin previa autorización del editor. Para cualquier asunto relacionado con suscripción, distribución, comercialización, anuncios, contenido u otro propósito, favor de dirigirse a la editorial. Impreso en MV IMPRESIONES, SA DE CV.

Dentista y Paciente® Publicación mensual correspondiente al mes de MARZO DE 2024. editada por Editorial Renascence S.A. de C.V., Rancho Jigüingo 29, Prado Coapa, Ciudad de México, 14350. tel. 56846632, fax 56793656. Distribuida en locales cerrados, depósitos dentales, universidades, congresos y exposiciones. Editora responsable: Mariangel Martínez López. Fotoarte de portada: Editorial Renascence.

distribución certificada por el padrón nacional de medios impresos de la dirección general de medios impresos de la secretaría de gobernación no. 007-136. www.gobernacion.gob.mx

8

58 | SONRIENDO AL FUTURO

Tiempos y movimientos. Actividades preventivas realizadas por los alumnos de primer año, Módulo Clínica en Prevención. Parte 1

62 | ESTUDIO

Factores que influyen en los resultados del tratamiento quirúrgico de la periimplantitis

187. Marzo 2024 Contenido 9
10
clínico
Dentista y Paciente
Caso
Fotoarte: Editorial Renascence | Fotografía: AdobeStock

Tratamiento ortodónticoquirúrgico en paciente clase II esquelética

Andrea Carolina Ramos Cano. Egresada de la maestría en el Centro de Estudios Superiores en Ortodoncia (CESO).

Dra. Beatriz Gurrola Martínez. Profesora del CESO y profesora titular “C“ definitivo en la carrera de Cirujano Dentista de la Facultad de Estudios Superiores Zaragoza de la UNAM.

Dr. Adán Casasa Araujo. Director del CESO.

Se presenta un paciente de 15 años y 2 meses, cuyo motivo de consulta fue: “Evaluación”. Diagnosticado como: clase II esquelética, hiperdivergente, clase II molar bilateral, con apiñamiento moderado inferior, incompetencia labial, hipertonicidad del músculo mentoniano, exceso vertical del máxilar, espacios en anterosuperior, el overjet y overbite aumentados. Hábitos: respirador oral. El tratamiento consistió en 2 fases: una fase prequirúrgica de alineación, nivelación, descompensación dental, tripodismo; una fase quirúrgica de impactación maxilar avance mandibular, avance de mentón; y una fase postquirúrgica de detallado y retención. La aparatología utilizada fue: brackets Roth .022 × .028, bandas en 6's y 7's superiores e inferiores, vástagos quirúrgicos. La retención estuvo a cargo de un Hawley superior e inferior. Tiempo del tratamiento activo de 1 año y 6 meses.

Palabras claves: quirúrgico, descompensación, vástagos, impactación maxilar.

187. Marzo 2024 11 Tratamiento ortodóntico-quirúrgico en paciente clase II esquelética

Las maloclusiones clase II son muy comunes en México; sin embargo, es un problema que un buen diagnóstico puede determinar por qué se presenta y cómo debe corregirse.1 Las asimetrías faciales pueden tener causas dentales, funcionales o esqueléticas (resultantes de discrepancias en la forma o posición de al menos 1 hueso del complejo craneofacial) o una combinación de factores.2,3

En edad adulta, la compensación ortodóntica en pacientes clase II esquelética generalmente es posible ya que puede conseguirse una considerable retracción de los incisivos superiores, obteniendo una adecuada oclusión y estética facial razonable.4 No obstante, cuando también hay componentes esqueléticos graves asociados a la maloclusión, como

un patrón de crecimiento vertical y una mandíbula retrusiva, un abordaje quirúrgico combinado es a menudo la mejor opción de tratamiento.5,6

El manejo de estos pacientes requiere de cirujanos maxilofaciales bien entrenados, tanto en lo médico como en lo estomatológico, integrados con los ortodoncistas en el diagnóstico y la planificación del tratamiento y, a veces también, con los cirujanos plásticos para la resolución en el mismo acto operatorio de la comorbilidad facial de índole estética y funcional.7,8 Cuando es necesaria la combinación de la cirugía ortognática con el tratamiento ortodóntico se requiere de 3 fases:

1. Ortodoncia prequirúrgica; cuyo objetivo es eliminar las compensaciones dentales y preparar los arcos dentarios para la cirugía9

Dentista y Paciente 12 Caso clínico
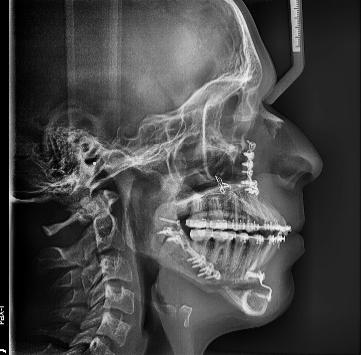
Figura 1. Perfil de inicio. Figura 2. Cefálica lateral.

Tratamiento

2. La cirugía propiamente dicha y

3. Ortodoncia posquirúrgica que involucra el detallado y terminado.10

Poca información está disponible acerca de cuán exitoso es el clínico ortodóntico en el logro de los objetivos ortodónticos.11 La extensión de la descompensación dental durante la fase ortodóntica prequirúrgica determina directamente la extensión de la corrección quirúrgica posible porque la oclusión se utiliza como

plantilla para los movimientos quirúrgicos.12

Quast señala que los movimientos posteriores quirúrgicos detallan la oclusión y compensan un resultado ideal.13 Por otro lado, generalmente estas maloclusiones vienen

187. Marzo 2024 13
ortodóntico-quirúrgico en paciente clase II esquelética
Figura 3. Lateral derecha. Figura 4. Izquierda de inicio. Figura 5. Frente. Figura 6. Overjet, laterales derecha e izquierda.

acompañados de microgenia del mentón, que suele ser corregida alterando la posición del mentón con osteotomías, injertos de hueso, hueso sintético o implantes aloplásticos.14 Generalmente los pacientes quirúrgicos tienen un aumento positivo en la autoestima, valoración personal y cambio de imagen después de la cirugía.15

Reporte del caso

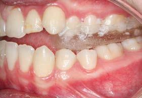
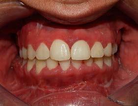
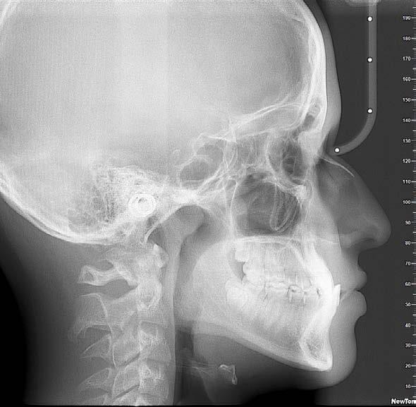
Se presenta un paciente en edad de 15 años y 2 meses. Refiere que acude a consulta por evaluación. En la valoración extraoral presente la hiperdivergencia y sus posiciones dentales (Figura 1), tiene un perfil convexo con hiperactividad del músculo mentoniano e incompetencia labial, y en la radiografía lateral de cráneo inicial (Figura 2) se aprecia el patrón esquelético clase II severo.

Dentista y Paciente 14 Caso clínico
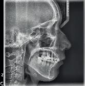
Figura 7. Lefort I. Figura 8. Osteotomía sagital. Figura 9. Mentoplastía. Figura 10. Cefálica de progreso. Figura 11. Panorámica de inicio.

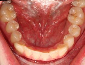
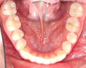
Análisis intraoral de inicio

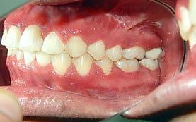
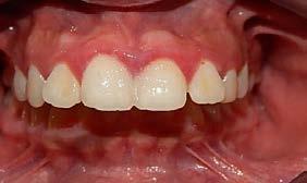
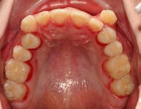
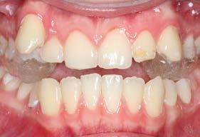
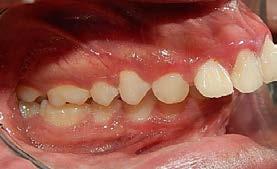
Las fotografías intraorales muestran las relaciones molares clase II y las relaciones caninas clase II bilaterales (Figura 3 y 4), espaciamiento anterosuperior, un overjet y overbite aumentado (Figura 5). La forma de los arcos es cuadrada, superior e inferior, con el apiñamiento moderado inferior y los espacios en superior.

Objetivos generales del tratamiento

Se planteó la corrección del perfil facial, corrección de las relaciones esqueléticas, corrección de overjet, overbite, del apiñamiento mandibular y cierre de espacio anterosuperiores; obtención de la clase I molar y canina bilateral, realizar las exodoncias de los terceros molares 18, 28, 38 y 48. Se realizó en una fase prequirúrgica de alineación, nivelación, (descompensación dental), tripodismo (estabilidad oclusal) utilizando brackets Roth .022 × .028, bandas en 6's y 7's

superiores e inferiores y vástagos quirúrgicos (Figura 6).

Segunda fase quirúrgica de impactación maxilar Lefort I, 4 mm, (Figura 7), se realizó la cirugía mandibular que consistió en la osteotomía sagital de la rama bilateral de avance, 9 mm (Figura 8), se hizo la cirugía del mentón con la mentoplastía de avance 4 mm, (Figura 9) y una fase postquirúrgica de detallado y retención.

Estudios de progreso

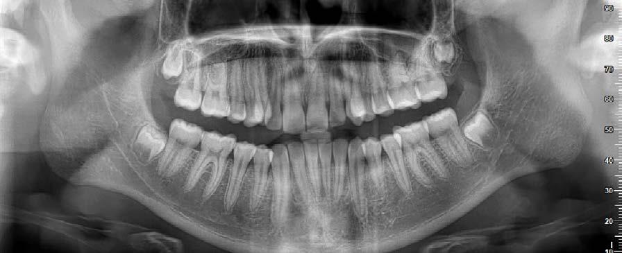
Fueron realizados después de 1 año y 2 meses de haber iniciado el tratamiento y después de la cirugía. En los estudios radiológicos tenemos que en la radiografía lateral de cráneo las placas utilizadas para consolidar la fijación de los maxilares, la corrección de las relaciones esqueléticas en la Figura 10. En la panorámica inicial se señalan los gérmenes de los terceros molares (Figura 11) y en la Figura 12, la realización de las exodoncias de órganos dentarios 18, 28, 38 y 48.

187. Marzo 2024 15 Tratamiento ortodóntico-quirúrgico en paciente clase II esquelética
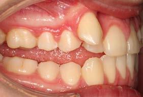
Figura 12. Panorámica de progreso. Figura 13. Frente, derecha e izquierda de progreso

En los estudios intraorales de progreso en la fotografía de frente se observa la mejoría el overjet y overbite (Figura 13), así como la coincidencia de las líneas medias dentarias. Se obtuvo las relaciones clases I caninas y molares para la obtención de la máxima intercuspidación, y para el paralelismo radicular se utilizaron arcos de acero, así como la oclusión funcional, con el detallado rectangular 0.019 × 0.025 superior e inferior, dobleces de primer, segundo y tercer orden y elásticos en W.

Resultados

El tiempo total de tratamiento fue de 1 año y 5 meses, con el logro de los objetivos planteados: corrección del perfil facial, (Figura 14), comparativas inicio final del tratamiento, las

relaciones esqueléticas, obtención de la clase I molar y canina bilateral (Figura 15).

Se logró la corrección del overjet , overbite y la coincidencia (Figura 16) de las líneas medias dentarias, cierre del espacio anterosuperior.

En la sobreimposición del componente craneofacial inicio (color negro) y final (color rojo), se observa un paciente con crecimiento, con cambio a nivel de los labios superior e inferior. Con rotación mandibular hacia adelante y hacia arriba, debido a la Lefort I con impactación de 4 mm. El avance mandibular de 9 mm y la mentoplastía de avance de 4 mm (Figura 17).

Se colocaron retenedores: Hawley para superior e inferior (Figura 18).

Discusión

La descompensación es un paso muy importante en el éxito del tratamiento, depende de las posiciones dentales, los cirujanos podrán realizar los movimientos óseos, según el análisis dinámico más riguroso, la posición de la mandíbula mejora con la cirugía de avance en la mayoría de los casos.16 Mihalik17 comparó el camuflaje ortodóncico con el tratamiento quirúrgico-ortodóntico de las maloclusiones de clase II, en adultos encontró 2 grandes diferencias entre los pacientes quirúrgicos y los pacientes de

Dentista y Paciente 16 Caso clínico
Figura 14. Perfil de inicio y final. Figura 15. Intaorales izquierda de inicio y final. Figura 16. Frente de inicio y final.

camuflaje ortodóncico: los pacientes quirúrgicos tenían relaciones esqueléticas más ideales y la posición de los incisivos terminó en una posición más ideal respecto a sus bases óseas.

Se manejó un protocolo quirúrgico ideal, donde los incisivos fueron descompensados, permitiendo el libre movimiento de los maxilares

durante la cirugía y así lograr una clase I esquelética.

Jang18 comparó pacientes con tratamiento de camuflaje de clase II y cirugía y encontraron que los incisivos en el grupo de la cirugía estaban más cerca de la posición ideal que en el grupo de camuflaje. El grupo quirúrgico logró el mayor cambio

187. Marzo 2024 17
ortodóntico-quirúrgico en paciente clase II esquelética
Tratamiento
Figura 17. Sobreimposición inicio-final. Figura 18. Frente retenedor.

esquelético debido al avance de la mandíbula. Los resultados de este caso apoyan el concepto de que, si mejora la posición mandibular, el cual solo se puede lograr por el avance quirúrgico. Estos resultados coinciden con lo reportado por Burden19

Por otro lado, la motivación principal de los pacientes con maloclusiones clase II de tipo esquelética generalmente es de carácter estético. Sin embargo, al estar comprometida la función se hace imperativa la corrección quirúrgica de dicha maloclusión. Por tal motivo, es evidente que los objetivos del tratamiento en este tipo de pacientes deben contemplar la estética, función y el carácter psicológico. En el paciente del CESO se llevó el protocolo quirúrgico, con la descompensación de los incisivos,

alcanzándose los objetivos planteados, el balance funcional y con un aumento positivo en la autoestima, por el cambio de imagen después de la cirugía.

Conclusión

La osteotomía sagital de ramas mandibular en combinación con la ortodoncia pre y postquirúrgica es un enfoque eficiente en la terapia de las maloclusiones adultas de clase II. Las discrepancias oclusales sagitales al ser corregidas, automáticamente los perfiles de tejidos duros y blandos también lo son. Por lo que determinar la etiología de la discrepancia en las relaciones esqueléticas, permiten seleccionar la adecuada alternativa de tratamiento, logrando los mejores efectos terapéuticos.

Referencias

1. Veltkamp T, Buschang PH, Bates JJ, Schow SR. Predicting lower lip and chin to mandibular advancement and genioplasty. J Orthod Dentofacial Orthop 2002; 122: 627-34.

2. Bishara SE, Burkey PS, Kharouf JG. Dental and facial asymmetries: a review. Angle Orthod 1994;64:89-98.

3. Oondeph DR. Mysteries of asymmetries. Am J Orthod DentofacialmOrthop 2000;117:577-9.

4. Minerva Torres Ugalde,* Mauricio González Balut, Compensación ortodóntica de un paciente clase II división 1 quirúrgico. Caso clínico. Revista Odontológica Mexicana. 2007;11: 91-102

Dentista y Paciente 18
clínico
Caso

5. Janson M, Janson G, Sant’Ana E, Simao TM, de Freitas MR. An orthodontic-surgical approach to Class II subdivision malocclusion treatment. J Appl Oral Sci 2009;17:266-73.

6. Wolford LM, Chemello PD, Hilliard F. Occlusal plane alteration in orthognathic surgery—part I: effects on function and esthetics. Am J Orthod Dentofacial Orthop 1994;106:304-16.

7. Teresa Pinho and Adriano Figueiredo. Orthodontic-orthognathic surgical treatment in a patient with Class II subdivision malocclusion: Occlusal plane alteration. Am J Orthod Dentofacial Orthop 2011;140:703-12

8. Hernán Ramirez S. y col. Cirugía ortognática: giagnóstico, protocolo, tratamiento y complicaciones. Análisis de experiencia clínica. Rev. Otorrinolaringol. Clr. Cabeza Cuello. 2006;66:221-231.

9. Berger JL, Pangrazio-Kulbersh V, Bacchus SN, Kaczynski R. Stability of bilateral sagittal split ramus osteotomy: rigid fixation versus transosseous wiring. J Adult Orthod Orthognath Surg 2000; 118:397-403.

10. Proffit WR, Phillips C, Douvartzidis N. A comparison of outcomes of orthodontic and surgical-orthodontic treatment of Class II malocclusion in adults. Am J Orthod Dentofacial Orthop 1992; 101:556-65.

11. Proffit WR, Fields HW. Contemporary orthodontics. 4th ed. St Louis: Mosby; 2007.

12. Capelozza Filho L, Martins A, Mazzotini R, da Silva Filho. Effects of dental decompensation on the surgical treatment of mandibular prognathism. Int J Adult Orthod Orthognath Surg 1996;11: 165-80.

13. Quast, A., Santander, P., Leding, J. et al. Orthodontic incisor decompensation in orthognathic therapy—success and efficiency in three dimensions. Clin Oral Invest (2021). 25, 4001–4010. Consulta nov 2023. disponible en https://doi.org/10.1007/s00784-020-03730-6

14. Wolford LM, Karras SC, Mehra P. Considerations for orthognathic surgery during groeth, Part 1: Mandibular deformities. Am J Orthod Dentofacial Orthop 2001; 119:95-101.

15. Gazit-Rappaport T, Haisraell-Shallsh M, Gazit E. Psychosocial reward of orthodontic treatment in adult patient. Eur J Orthod. 2010; 32(4):441-6.

16. Kelson DA, Fields HW, Beck FM, Shanker S. Concordance of multiple A-P cephalometric measurement methods in long-, normal-, and short-faced individuals at various treatment stages [abstract 1490]. J Dent Res 2003;82

17. Mihalik CA, Proffit WR, Phillips C. Long-term follow-up of Class II adults treated with orthodontic camouflage: a comparison with orthognathic surgery outcomes. Am J Orthod Dentofacial Orthop 2003;123:266-78.

18. Jang JC, FieldsHW, Vig KWL, Beck FM. Controversies in timing of orthodontic treatment. Semin Orthod 2005;11:112-8.

19. Burden D, Johnston C, Kennedy D, Harradine N, Stevenson M. A cephalometric study of Class II malocclusion treated with mandibular surgery. Am J Orthod Dentofacial Orthop 2007;131:7.e1-8.

20. Minnicino Codevilla Verónica M C . El paciente ortodóntico: un abordaje psicoanalítico. Rev. cuba. ortod; 12(1): 64-9, ene.-jun. 1997. Disponible electrónica consulta noviembre 2023 LILACS | ID: lil-205334

187. Marzo 2024 19 Tratamiento ortodóntico-quirúrgico en paciente clase II esquelética
y Paciente 22 Enciclopedia odontológica
Dentista
Fotoarte: Editorial Renascence | Fotografía: AdobeStock
Manejo ortopédico de mordida cruzada anterior con placa de expansión en forma de abanico con pistas, fase 1. Reporte de caso

Espinosa Pulido Marco Antonio. Cerrillo Lara Daniel.

Vega Coronado Luis Ángel. Ramírez Herrera Miguel Ángel.

Universidad Autónoma de Baja California

La ortopedia dentofacial implica la orientación del crecimiento y el desarrollo facial, los cuales suceden principalmente durante la niñez y la adolescencia. Para el tratamiento de ortopedia dentofacial se utilizan aparatos especialmente diseñados para guiar el crecimiento facial según las anomalías que presente el paciente. Comenzar el tratamiento en el momento óptimo garantiza los mejores resultados en el menor tiempo. Por lo general, este momento es en la última etapa de la dentición mixta o al inicio de la dentición permanente y antes de finalizar el crecimiento.

Palabras claves: ortopedia funcional, expansor, mordida cruzada anterior.

187. Marzo 2024 23 Manejo ortopédico

Los dientes juegan un papel fundamental en la masticación de los alimentos y en la comunicación, al permitir la pronunciación correcta; su buena implantación constituye uno de los factores estéticos determinantes por la armonía que pueden proporcionar al rostro.1

Según la Organización Mundial de la Salud (OMS), las maloclusiones ocupan el tercer lugar de

prevalencia de patologías en salud bucodental, después de la caries dental y de la enfermedad periodontal; Latinoamérica no es la excepción, ya que la región presenta altos niveles de incidencia y prevalencia de maloclusiones que superan el 85% de la población; la mayoría de los pacientes afectados muestran evidencias de esta patología desde la infancia y se asocia mayormente a la prevalencia de hábitos.2

Dentista y Paciente 24 Enciclopedia odontológica
Figura 1. Fotos iniciales. Figura 2. Fotografías intraorales de inicio.

tipo dentoalveolar, está favorecida

ción lingual y/o erupción retardada de incisivos superiores, inclinación

sencia de dientes supernumerarios u odontomas y longitud inadecuada

Es importante tener en cuenta el factor etiológico para establecer

Normalmente, los incisivos están en contacto, los superiores por delante de los inferiores solo por el grosor de los bordes superiores (es decir, la relación normal es un resalte de 2-3 mm). Si los incisivos inferiores están por delante de los incisivos

zo. La etiología es multifactorial: hereditaria y ambiental (hábitos, superiores, el trastorno se denomina resalte inferior, resalte inverso o mordida cruzada anterior.3

La maloclusión clase III puede tener un componente dentoalveolar, funcional o esquelético; cuando es de

187. Marzo 2024 25 Manejo ortopédico
Figura 3. Radiografías iniciales.

agrandamiento de las amígdalas y postura mandibular). Existen varias opciones de tratamiento dependiendo de la edad, como ortopedia maxilar, ortodoncia y cirugía ortognática.5

El uso de ortopedia dentofacial, nos brinda alternativas en las diferentes etapas de crecimiento y desarrollo, pero lo más importante es el tratamiento de esta maloclusión en sus fases tempranas.6

Dentista y Paciente 26 Enciclopedia odontológica
Figura 4. Colocación de expansor en forma de abanico. Figura 5. Fotografías y radiografías posplaca de expansión en forma de abanico.
187. Marzo 2024 27
ortopédico
Manejo

Las diferentes consecuencias que se derivan de una mordida cruzada dental anterior se pueden clasificar en locales, estructurales, funcionales y posturales; sin olvidar las repercusiones estéticas y, en ocasiones, psicológicas.8

Caso clínico

Paciente del sexo masculino de 14 años de edad acude a consulta a la clínica de ortodoncia de la Facultad de Odontología en la Universidad Autónoma de Baja California,

Dentista y Paciente 28 Enciclopedia odontológica
Figura 6. Comparación facial y radiografía pre y posplaca de expansión

Campus Tijuana, no refiere datos patológicos ni alérgicos. Perfil facial cóncavo, sonrisa falsa (Figura 1).

Se observa dentición permanente, 28 dientes erupcionados, el canino

superior derecho y el canino superior izquierdo se encuentran en una posición ectópica, líneas medias dentales no se pueden determinar por mordida cruzada, forma de arco superior e inferior elipsoidal, clase I

187. Marzo 2024 29 Manejo ortopédico
Figura 7. Fotografías intraorales después del retiro de la placa.

molar bilateral y clase canina no se puede determinar por la posición de los mismos. Presenta crecimiento horizontal con retroinclinación de incisivos superiores (Figura 2).

A nivel radiográfico podemos observar densidad ósea uniforme, la presencia de 4 gérmenes dentarios correspondientes a los terceros molares y una relación corona-raíz 2:1. Se puede observar el patrón de crecimiento horizontal (Figura 3).

En la radiografía lateral de cráneo mediante la cefalometría de Steiner podemos observar que es un paciente con crecimiento horizontal ya que presenta un ángulo Go-Gn / SN de 28°, un ANB de -4°, podemos observar que el SNA está reducido, lo que nos da el efecto de un maxilar retraído (Figura 4).

Para lograr la corrección de la mordida cruzada mediante el uso de un aparato ortopédico, se colocó una placa de expansión en forma de abanico con apoyo oclusal, el cual fue cementado con ionómero de vidrio (Multi-Cure Glass Ionomer Band Cement. Ionómero Unitek™), para así obtener un aumento de la dimensión vertical y darnos espacio para deslizar hacia vestibular el sector anterior. Se indicó activar el aparato 1/4 de vuelta al día, 2 veces por semana (miércoles y domingos) por un periodo de 2 meses y medio (Figura 5). Obteniendo como resultado cambios craneofaciales debido a una rotación horaria de la mandíbula (Figura 9).

Discusión

La mordida cruzada anterior debe ser corregida tan pronto sea posible. En su corrección no existe un

Dentista y Paciente 30 Enciclopedia odontológica

tratamiento único, sino un rango de opciones de diversa complejidad; y los aparatos de plano inclinado constituyen una opción viable en la corrección de esta anomalía.9

El tratamiento de estas anomalías puede ser sencillo si se realiza tempranamente, por las distrofias de las bases óseas que puede ocasionar y que serían irreversibles. Su éxito radica fundamentalmente en identificar tempranamente la etapa de crecimiento en el que se encuentra para abordarlo de manera ortopédica.

Una forma de tratamiento para la corrección de la mordida cruzada anterior es mediante la utilización

de aparatología fija interceptiva, basada en técnica 2 × 4. Aunque esta opción de tratamiento se recomienda por su rápida acción, se debe evaluar la formación apical, ya que está contraindicada en ápices en desarrollo debido a que las fuerzas aplicadas pueden generar un cierre prematuro radicular.5

Asimismo Rodríguez, corrigió la mordida cruzada anterior al 100%, mediante el uso del plano inclinado por 8.5 semanas, sin recidivas y mejorando las dimensiones de los arcos dentales, en especial la de la arcada superior.10

Lo mismo ocurrió en México en el 2018, con Carrasco B, quien logró

187. Marzo 2024 31 Manejo ortopédico
Figura 8. Cefalometría de Steiner

invertir la mordida cruzada anterior en un periodo de 2 meses, 8 demostrándose la efectividad del tratamiento con plano inclinado, al igual que en el presente reporte de caso donde se corrigió en su totalidad la mordida cruzada anterior en un periodo corto de tiempo de 2 meses. Por su parte la fuerza aplicada por el expansor en tipo de abanico genera una fuerza de inclinación intermitente, a diferencia de la aparatología fija, siendo seguro en casos de ápices abiertos en formación; es por ello que se considera su

aplicación como alternativa para el descruce producto de inclinaciones dentales.

Conclusión

Se obtuvo la corrección de la mordida cruzada anterior y se demostró la efectividad de la placa de expansión en forma de abanico en la corrección de la mordida cruzada anterior durante las denticiones temporal y mixta, por lo que resulta una opción rápida y efectiva.1

Dentista y Paciente 32 Enciclopedia odontológica
Figura 9. Cambios creanofaciales.

El objetivo del tratamiento temprano es el poder lograr un crecimiento y desarrollo normal del paciente, evitando tratamientos más complejos, costosos, extensos y con menor porcentaje de éxito, como cirugías ortognáticas. Para prevenir la instauración de una maloclusión clase III esquelética, es importante establecer el diagnóstico y tratamiento temprano de la mordida cruzada anterior.

Para este caso, se continuará con una segunda fase de tratamiento, donde se pretende colocar aparatología de ortodoncia para alinear y nivelar las arcadas para posteriormente incluir los caninos en los procesos alveolares, continuando con la expansión del maxilar y evaluando periódicamente el crecimiento y desarrollo craneofacial.

El objetivo del tratamiento temprano es el poder lograr un crecimiento y desarrollo normal del paciente, evitando tratamientos más complejos, costosos, extensos y con menor porcentaje de éxito, como cirugías

ortognáticas.

1. Amarilis Mato González, Mordida cruzada anterior y tratamiento en la atención primaria, Rev Ciencias Médicas vol.20 no.4 Pinar del Río jul.-ago. 2016.

2. Kiep P, Duerksen G, Cantero L, López A, Núñez Mendieta H, Ortiz R, Keim L. Grado de maloclusiones según el índice de estética dental en pacientes que acudieron a la Universidad del Pacífico. Rev. cient. cienc. salud. 2021; 3(1):56-62.

187. Marzo 2024 33 Manejo ortopédico
Referencias

3. Proffit W. Ortodoncia contemporánea. Madrid, Hancourt Brace de España, S.A. 2001, p. 742.

4. Jesús HERNÁNDEZ, Margarita PADILLA, Tratamiento temprano de la mordida cruzada anterior. Revisión de la literatura,REVISTA ESTOMATOLOGÍA, Agosto 26 de 2011.

5. Ariza JA, Flórez AP, Hurtado ME. Tratamiento de mordida cruzada anterior con aparato de tracción extraoral Máscara Delaire en paciente con estrabismo: Reporte de caso. Rev Estomatol. 2019;27(2):18-24. DOI:10.25100/re.v28i.1.8704.

6. Carmen Ruiz López, C. del, & Sáez Espínola, G. (2015). Corrección de mordida cruzada anterior con ortopedia. Revista Mexicana de Ortodoncia, 3(4), 239–248.doi:10.1016/ j.rmo.2016.03.063

7. Yumi Jazmín Medina Duarte, Alicia Gallegos Ramírez, Tratamiento ortopédico de primera y segunda fase en un paciente clase II. Secretaria de la salud Quintana Roo. 2021

8. Antonio BEDOYA, Mónica GALLEGO Mordida cruzada anterior: tratamiento con ortopedia maxilar funcional Bimler C. Reporte de caso, Rev. Estomat. 2011; 19(2):24-28.

9. Gabriela González Pérez, Laura Marrero Fuenmayor, Mordida Cruzada Anterior. Revisión Bibliográfica, 2012.

10. Rodríguez C, Hernández J. Tratamiento de la mordida cruzada anterior con plano inclinado anterior. Efecto sobre los arcos dentales. Rev Odotopediatr Latinoam [Internet]. 2017 [Citado el 21 de septiembre del 2020]; 7(1): 44-53. Disponible en: https:// www.revistaodontopediatria.org/ ediciones/2017/1/art-6/.

11. Graber T, Vanarsdall R, Vig K. Ortodoncia: principios y técnicas actuales. 4ta edición. Madrid. Elsevier: 2006; 543.

12. Carrasco B. Corrección de mordida cruzada anterior mediante el uso de plano inclinado realizado en Universidad de Monterrey: Reporte de caso. Revista Mexicana de Estomatología[Internet]. 2018 [Citado el 20 de septiembre del 2020]; 5(1): 14-15. Disponible en: https://www.remexesto. com/index.php/remexesto/article/view/184/326.

13. Kim JH, Viana MA, Graber TM, Omerza FF, BeGole EA. The effectiveness of protraction face mask therapy: a meta-analysis. Am J Orthod Dentofacial Orthop. 1999; 115(6):675-85.

14. Saadia M, Torres E. Sagittal changes after maxillary protraction with expansion in class III patients in the primary, mixed, and late mixed dentitions: a longitudinal retrospective study. Am J Orthod Dentofacial Orthop. 2000; 117(6):669-80.

15. Merwin D, Ngan P, Hagg U, Yiu C, Wei SH. Timing for effective application of anteriorly directed orthopedic force to the maxilla. Am J Orthod Dentofacial Orthop. 1997; 112(3):292-9.

16. Sung SJ, Baik HS. Assessment of skeletal and dental changes by maxillary protraction. Am J Orthod Dentofacial Orthop. 1998; 114(5):492-502.

17. Ngan PW, Hagg U, Yiu C, Wei SH. Treatment response and long-term dentofacial adaptations to maxillary expansion and protraction. Semin Orthod 1997; 3(4):255-64.

Dentista y Paciente 34 Enciclopedia odontológica
Paciente 36
clínica
Dentista y
Investigación
Fotoarte: Editorial Renascence | Fotografía: AdobeStock

E. Enrique Aburto Benitez. Residente de 2º año de la especialidad en Rehabilitación Oral del Centro Educativo Multidisciplinario en Rehabilitación Oral (CEMRO), en Tarímbaro, Michoacán, México, kikedentista@gmail.com, 436 112 18 69. Dr. Benjamín Lázaro Castillo. Profesor e investigador del centro Educativo Multidisciplinario en Rehabilitación Oral (CEMRO), Tarímbaro, Michoacán,

Revolución digital en la odontología

187. Marzo 2024 37 Revolución digital en la odontología

El mundo de la odontología se ha revolucionado con la introducción de sistemas digitales, entre ellos, los escáneres intraorales utilizados para la toma de impresiones dentales. La digitalización ha tenido un impacto significativo en la odontología, mejorando los procesos y el nivel de atención para los pacientes.

En la actualidad, comienzan a utilizarse impresiones digitales que permiten obtener duplicados instantáneos, de alta calidad y de gran detalle de la estructura dental de los pacientes. Estas imágenes se pueden visualizar en la computadora, almacenar electrónicamente y compartir fácilmente para generar un diagnóstico y tratamiento. Esta herramienta digital ha permitido a los odontólogos obtener una representación detallada y precisa de la estructura dental del paciente, lo que es especialmente útil en el diseño y fabricación de prótesis dentales, como coronas y puentes; así mismo, representan un gran beneficio para los pacientes que se ve reflejado en mayor comodidad.

Palabras clave: escáneres intraorales, impresiones digitales, sistemas CAD/CAM.

Alguna vez en la vida hemos acudido al odontólogo por alguna molestia; sin embargo, la falta de atención oportuna agrava severamente las complicaciones dentales y se debe recurrir a tratamientos que implican la restauración o el reemplazo de algún diente para garantizar su importantísima función. En estos casos y como parte del proceso, nos hemos sometido a las molestas toma de impresiones tradicionales. Estas consisten en introducir a la boca una cucharilla con un material pegajoso que al secarse cambia de color y graba la forma de tus dientes ¿lo recuerdas? Pues bien, este molesto pero indispensable paso para la restauración dental viene a ser reemplazado por los escáneres intraorales, también conocidos como Sistemas CAD/CAM (ComputerAided Design/Computer Aided Manufacturing) en español “Diseño Dirigido por Ordenador/Fabricación Dirigida por Computadora”.

Entre los antecedentes de la odontología digital restaurativa, se puede señalar el primero como la creación de computadoras. Esto supuso el replanteamiento de la tecnología en la odontología restaurativa. En el año de 1971, el Dr. François Duret

(Francia) describió el funcionamiento del primer sistema CAD/CAM de uso odontológico. Posteriormente con el paso de los años, se comenzaron a desarrollar más estudios y con ello nuevos prototipos de sistemas digitales como el CEREC, el cual es un sistema que continúa vigente hasta la fecha.

Los sistemas digitales están conformados esencialmente por tres partes: 1) escáner intraoral manual, utilizado para la toma de impresión en la boca de los pacientes, 2) computadora para el procesamiento de los datos y 3) equipo de fabricación o fresadora, que permite la realización automatizada de las restauraciones dentales.

Tipos y características de los escáneres intraorales

Se han desarrollado diversos escáneres intraorales que se diferencian fundamentalmente por la forma de captación de datos, por la posibilidad o no de confeccionar restauraciones en el consultorio, de transferir datos al laboratorio dental, la forma de adquisición de la imagen, la fuente de luz, el tipo de imagen, el tamaño, peso, la velocidad y la disponibilidad.

Dentista y Paciente 38 Investigación clínica

En el mercado, existen diversas compañías como Syrona Dental, 3M Espe, Cadent LTD, Carestream Dental, entre otras, que han desarrollado escáneres intraorales diversos, diferenciados entre sí por las características anteriormente señaladas. Cabe destacar que cada uno de los sistemas presentan características propias

y de acuerdo con las diversas investigaciones, cada uno puede utilizarse con base en las necesidades propias del odontólogo.

Uso de escáneres intraorales

Son escasos los estudios que se han realizado de manera experimental

187. Marzo 2024 39 Revolución digital en la odontología
Figura 1. Fotografía propia, toma de impresión digital con escáner CS 3600, C.D.E. Enrique Aburto Benitez.

para conocer todo aquello relacionado con los escáneres digitales en torno a su precisión, los costos y la accesibilidad del odontólogo para su adquisición. Las indagaciones que se venían realizando en torno al uso de estos sistemas CAD/CAM, se vieron detenidas debido a la pandemia por COVID-19, por lo que es importante continuar realizando estudios que permitan comparar la técnica tradicional vs. la digital, utilizando distintos modelos, materiales y métodos de digitalización.

Indudablemente, quienes hemos comenzado a adoptar esta técnica innovadora en los consultorios,

hemos podido identificar los beneficios que generan para el paciente, el odontólogo y el técnico de laboratorio, ofreciendo menor tiempo clínico, comodidad, ahorro de costos, espacios y la reproductibilidad es comparable o mejor que las técnicas convencionales.

La era digital requiere de mayor estudio y representa una línea de investigación interesante para quienes buscan mejorar los servicios odontológicos. Analizar y comparar la técnica tradicional contra la digital, amplía los conocimientos y la información existente respecto del tema de estudio. Asimismo, traerá consigo mejor eficiencia hora consultorio, menor contaminación, confort clínico para el paciente, disminución del tiempo operativo y mejora en el tiempo de vida de la restauración.

Ventajas y desventajas de las impresiones tradicionales frente a las digitales

Los estudios actuales, se han centrado en comparar las ventajas y desventajas que presentan las impresiones digitales frente a las tradicionales, llegando a resultados en torno a la eficiencia, la comodidad del paciente y la mejora de la comunicación entre el odontólogo, paciente y el técnico de laboratorio que finalmente fabrica las piezas dentales a restaurar. En la Tabla 1, se muestra un resumen de las principales ventajas y desventajas.

Precisión de los escáneres intraorales

Diversos estudios han buscado identificar el sistema de impresión digital intraoral con mayor exactitud, así como los factores que le afectan a la precisión de esta en odontología

Dentista y Paciente 40 Investigación clínica
Figura 2. Fotografía propia, toma de impresión digital con escáner CS 3600, C.D.E. Enrique Aburto Benítez.

Impresiones tradicionales

Estructurada, conocida y aceptada

Después de conocerla, fácil

Material accesible

Requiere esperar el secado y la solidificación de los materiales

Para corregir errores y hacer cambios es necesario una nueva impresión

Necesidad de stock de material

Incomodidad del paciente

Inexacta

Almacenamiento material de impresión

Transporte al laboratorio delicado. Riesgo de extravíos o fracturas

Todos los laboratorios dominan y pueden trabajar con esta técnica

Cada profesional decide la técnica de impresión

Hay mayor posibilidad de generar contaminación cruzada al existir mayor contacto con el tejido

Impresiones digitales

Menos estudiada, menos conocida

Requiere de capacitación y aprendizaje

Equipamiento complejo y costoso

Se envía por internet directo al laboratorio

Se pueden corregir errores y hacer cambios escaneando nuevamente la zona a rectificar

Mantenimiento del equipo

Comodidad del paciente

Mejor precisión

Almacenamiento USB

Envío inmediato

Laboratorios especializados

Técnica más estandarizada

Se realiza desinfección rápida y directa, sin tocar tejidos

187. Marzo 2024 41
Revolución digital en la odontología
Tabla 1.

restauradora. De manera general, se ha concluido que dentro de los elementos que afectan la precisión de la impresión intraoral digital se encuentran principalmente la experiencia del dentista y la convergencia en la preparación dental. Asimismo, se ha determinado que la exactitud será variable tomando en cuenta factores intraorales como el número de piezas a rehabilitar o la distancia entre los dientes.

Dentro de la diversidad de escáneres intraorales, se puede señalar que es importante conocer el funcionamiento y las características de los diversos

escáneres que se encuentran disponibles en el mercado, esto ayudará a la elección más precisa del tipo requerido de acuerdo con la restauración a realizar, recordando que dentro de los factores importantes para obtener un modelo confiable se encuentran las estrategias de escaneo y la experiencia del operador.

El escaneo intraoral es una alternativa actual que se puede implementar en la práctica clínica diaria ya que ha presentado resultados satisfactorios en las restauraciones realizadas; sin embargo, una de sus principales limitantes es el costo de inversión y mantenimiento del equipo, la cual genera un coste importante en el consultorio.

En conclusión, los escáneres intraorales se han establecido como herramientas esenciales en la odontología moderna. Su destacada precisión y comodidad para el paciente, combinadas con una eficiencia sin precedentes, han revolucionado tanto

Dentista y Paciente 42 Investigación clínica
Figura 3. Fotografías propias, partes del escáner intraoral CS 3600, C.D.E. Enrique Aburto Benítez.

el diagnóstico como el tratamiento dental. Estos dispositivos facilitan una comunicación más fluida y detallada entre el dentista, el paciente y los laboratorios, mejorando significativamente la colaboración y el entendimiento.

Un avance notable es su capacidad de almacenamiento de datos en formato digital. Esta innovación permite un acceso remoto a la información del paciente desde cualquier lugar con conexión a internet, ya sea almacenada en la nube o en discos duros externos. Esta flexibilidad no solo ahorra espacio físico, sino que también abre nuevas posibilidades en el diseño y la restauración dental, con técnicas avanzadas como el 'Skin Concept' o 'Bioemulation DSD'.

La adopción de los escáneres intraorales es un claro indicativo del progreso tecnológico en la odontología. Aunque ya son una herramienta en constante evolución y crecimiento, su potencial para seguir moldeando el presente y futuro de esta disciplina

es inmenso. Estos avances no solo mejoran las prácticas actuales, sino que también prometen nuevas fronteras en la atención dental personalizada y de alta precisión.

Referencias

1. González, P. (2014). Estudio experimental in vitro de la fiabilidad de seis escáneres extraorales utilizados en tecnología Cad/Cam. Universidad Complutense de Madrid, 13 - 17, 36 - 41 y 65 pp.

2. González, S. (2019). Evaluación in vitro de la precisión de diferentes sistemas ópticos de medición con respecto al tiempo de trabajo. Universidad Complutense de Madrid, 26 - 34 pp.

3. Medina-Sotomayor, P., Ordoñez, P., & Ortega, G. (2020). Precisión de los sistemas de impresión digital intraoral en odontología restauradora: Una revisión de la literatura. ODOVTOS, 64 - 75.

187. Marzo 2024 43 Revolución digital en la odontología

Influencia de los determinantes sociales en la

salud oral de los niños: Revisión sistemática

Dentista y Paciente 44 Punto de vista
Fotoarte: Editorial Renascence | Fotografía: AdobeStock / Andrii Yalanskyi

Martínez-Villalobos Denisse. Moreno-Tolentino Jocelyn. Moreno-López Lidia. L.E. Luna-Santiago Esbeyde. Universidad Nacional Autónoma de México, Licenciatura en Odontología, Escuela Nacional de Estudios Superiores Unidad León, León Guanajuato, México

Autor responsable: Esbeyde Lizbeth Luna Santiago. esbe_ydelun@hotmail.com.

Autor de solicitudes: Martínez Villalobos Denisse. martinez13denisse@gmail.com

Actualmente los determinantes sociales (DS) se han caracterizado por tener una influencia directa en la salud bucal de los niños en el mundo, considerándose la población más vulnerable con una prevalencia del 83% en la población infantil a nivel mundial, reportando que al menos 8 de cada 10 niños tienen alguna enfermedad bucal, múltiples autores han reportado que los DS más frecuentes en diferentes ciudades son el nivel socioeconómico y educativo, así como la falta de acceso a un servicio de salud, afectando a los niños con los problemas bucales más frecuentes como caries dental y mala higiene bucal. Por lo tanto, el objetivo del estudio es identificar los DS reportados en la literatura y su influencia en la salud bucal infantil para poder comparar las diversas condiciones bucales y así conocer cómo se comportan estos diferentes factores en cada lugar donde se encuentran; además de evaluar las similitudes y diferencias en cada hallazgo reportado.

Palabras clave: caries dental, determinantes sociales, niños.

187. Marzo 2024 45
de los determinantes sociales
Influencia

La Organización Mundial de la Salud (OMS) define la caries como la destrucción del diente provocada por el biofilm (placa dentobacteriana) formado en la superficie dental cuando convierte los azúcares de los alimentos y bebidas en ácidos, que con el tiempo disuelven el esmalte dental y la dentina;3 pero actualmente la caries se considera un problema de salud pública a nivel mundial donde se ha comprobado que los determinantes sociales influyen y afectan la salud bucal en niños convirtiéndolos en la población más vulnerables, haciendo de esto un problema de salud pública. Algunos de estos determinantes incluyen el nivel socioeconómico, donde las familias de bajos ingresos pueden tener dificultades para acceder a servicios dentales adecuados.

Registros encontrados en base de datos: (n=64)

Registros posteriores a la eliminación de duplicación: (n=51)

La educación también desempeña un papel importante, ya que la falta de conocimientos sobre la importancia del cuidado bucal puede llevar a prácticas inadecuadas. El entorno físico, como la disponibilidad de agua potable y la presencia de fluoruro, también afecta la salud dental. Los factores culturales y sociales, como las prácticas alimentarias y las normas sociales, pueden contribuir al riesgo de enfermedades bucales. Por último, el acceso a servicios de salud bucal especializados puede ser limitado en algunas áreas. Abordar estos determinantes sociales implica garantizar igualdad de acceso a servicios dentales, programas educativos y políticas de salud pública que promuevan la salud bucal en los niños. Tienen un impacto directo en la predisposición al padecimiento de caries dental, son estos los factores que condicionan el riego a esta afección dental. Tomando en cuenta que la prevalencia de caries en niños de 5 a 16 años es de 63 por ciento,4 se han realizado estudios donde se han comprobado cuáles son los determinantes sociales que perjudican directamente a los niños,

Registros excluidos: (n= 25)

Registros cribados: (n=10)

Artículos de texto completo excluidos con razones: (n=22)

Documentos evaluados para elegibilidad: (n=33)

Total, de artículos incluidos en la revisión: (n=17)

Dentista y Paciente 46 Punto de vista
Figura 1. Diagrama PRISMA.

dando como resultado el desarrollo de múltiples enfermedades orales como la caries dental.

El objetivo de la investigación es identificar los determinantes sociales reportados en la literatura y su influencia en la salud oral de los niños para comparar esta diversidad de enfermedades más prevalentes de acuerdo con la zona, tipo de población y DS con mayor disponibilidad en el mundo. Con base en esto, encontrar los factores en los cuales se han desarrollado este tipo de estudios.

Material y métodos

Tipo de estudio: revisión sistemática de la literatura (RS), sobre los determinantes sociales con mayor influencia en la salud oral de los niños (de 3 a 15 años) como la caries e higiene bucal, siendo un estudio observacional, retrospectivo. La variable

CDMX

La educación también desempeña un papel importante, ya que la falta de conocimientos sobre la importancia del cuidado bucal puede llevar a prácticas inadecuadas.

Influencia de los determinantes sociales
STORE luxor cf Descubre EN LA UNIDAD PERFECTA EN LA UNIDAD PERFECTA Mueble Mod MK-63
CAPITAL

dependiente del estudio es la salud oral y la variable independiente los determinantes sociales, la revisión se ha realizado siguiendo los criterios actualizados de PRISMA 2009 Preferred Reporting Items for Systematic Reviews and Meta-Analyses,2 el periodo de estudio de los artículos fue de los últimos 10 años con fecha de búsqueda de 2013.

Pregunta de investigación: ¿cuáles son los determinantes sociales con mayor influencia en la salud oral de los niños?

Criterios de elegibilidad:

1. Criterios de selección inclusión

• Artículos que evalúen los determinantes sociales en la salud oral de los niños.

• Artículos que manejen la edad de 3 a 15 años en niños.

• Artículo en el que las enfermedades bucal más prevalentes y primordiales de afección sea caries e higiene y poder reportar de manera general alguna otra condición oral de manera general.

• Artículos en idioma inglés y español.

2. Criterios de exclusión:

• Artículos de revisiones sistemáticas o metaanálisis.

• Tesis.

• Resúmenes.

Estrategia de búsqueda

Para la revisión sistemática se utilizaron y se realizaron búsquedas de artículos en las bases de datos como,

Paciente/Problema/ Población Intervención Comparación Resultados Tipo de estudio

Salud oral de los niños de entre 3 a 15 años.

Investigar acerca de los determinantes sociales que más se repiten e influyen en la salud oral de los niños.

Durante esta investigación se hará una comparación acerca de los determinantes sociales con más repetición y el que más impacto tiene en la salud bucal de los niños.

Averiguar cómo cada determinante social afecta la salud bucal con respecto a caries en los niños.

Observacional

Bajo riesgo

Riesgo de sesgo incierto Alto riesgo de sesgo

Suposiciones de la prueba estadística

Concordancia con el método de medición

Seguimiento

Dentista y Paciente 48
Punto de vista
Tabla 1. Acrónimos PICOS.
Tamaño de muestra 0% 20% 40% 60% 80% 100%
Figura 2. Gráfico de riesgo de sesgo.

Resultados

Suposiciones de la prueba estadística Concordancia con el método de medición de las variables

Seguimiento

Tamaño de la muestra

Santhosh Kumar, Jeroen Kron et al. , 2016

Nelly Molina-Frechero et al. , 2015

Denise Duijster et al. , 2013

Milene Torres MARTINS et al. , 2015

Thiago Machado Ardenghi et al. , 2019

Madays Pausa Carmenates et al. , 2019

Mildres

Daniela Bobadilla-Godoy et al. , 2020

web of science, scopus, Pubmed, utilizando término booleano conectando con OR y enlazando con AND, para determinantes sociales: Social determinant of health OR Social gradient OR Socioeconomical factors OR Social class, AND (para salud oral): Oral health OR Dental caries OR oral care, AND (para niños): Child OR children.

Selección de los estudios

De cada uno de los artículos recopilados se realizó un resumen extrayendo los datos más importantes como el año, autor, país, determinantes sociales evaluados y edad de los niños, donde la variable principal del estudio es el estado de la salud oral de los niños.

Resultados

Nanayakkara (2013)

Juan Manuel Guizar Mendoza et al. , 2019 Vajira

Renata Saraiva Guedes (2014) Camila S. Sfreddo (2019)

Jessica Klöckner Knorst (2019)

Fernando Ortega Pérez (2018) Orachad Gururatana (2014)

Shyrley Díaz Cardenas, 2018

Luis Fernando Restrepo-Pérez, 2018. Ali Golkari, 2016.

Se obtuvieron 16 artículos publicados del 2013 hasta el 2022.

En América Latina se encontró que el determinante social más prevalente es el nivel de educación de los padres, en un estudio publicado en el año 2015 por los autores Nelly Molina-Frechero, Denisse Durán-Merino, Enrique Castañeda-Castaneira y María Lilia Adriana Juárez-López, el cual se realizó en México, se encontró que las madres de los niños que presentaban menos lesiones por caries tenían una mayor educación en comparación a las madres de hijos con mayor prevalencia de caries, que tenían un menor nivel educativo.

187. Marzo 2024 49 Influencia de los determinantes sociales
Figura 3. Resumen de riesgo de sesgo.

Punto de vista

Autor, año

Santhosh Kumar et al. 2016.5

Población Intervención Comparación Hallazgos

1 284 niños (11 a 14 años de edad)

630

años de edad)

Determinar la asociación del índice de masa corporal (IMC) con la caries dental en escolares indios y analizar la influencia del estatus socioeconómico.

Influencia de la masa corporal, así como DS del nivel socioeconómico con caries dental.

1 204 niños y niñas

a 10 años

El objetivo del presente trabajo fue determinar la prevalencia de caries en preescolares de una zona marginada del Estado de México y su relación con la higiene bucal.

El objetivo de este estudio fue probar la validez de este modelo teórico en una muestra de niños de 6 años de los Países Bajos, utilizando modelos de ecuaciones estructurales utilizando la influencia que tienen los determinantes sociales con la caries dental.

Se evaluó la presencia de caries en los preescolares y se asoció a una mala higiene oral, afectando a su dentición temporal, que generalmente se asocia a la presencia de caries durante la dentición permanente relacionada con derivación social como llegan a ser los determinantes sociales.

En el modelo revisado, un menor nivel educativo materno se relacionó con una peor organización familiar, menores niveles de apoyo social, menor autoeficacia dental, y un locus de control de salud dental externo. Estos, a su vez, se asociaron con comportamientos de higiene bucal más deficientes, que se vincularon con niveles más altos de caries dental infantil.

El objetivo de este estudio era evaluar el impacto de la caries dental y los determinantes sociales en la calidad de vida en la calidad de vida relacionada con la salud bucal de los niños de Belo Horizonte, Brasil.

Este estudio demostró que la caries dental y los bajos ingresos familiares tienen un impacto negativo en la calidad de vida relacionada con la salud bucal.

No hubo diferencias significativas en la prevalencia y experiencia de caries entre las categorías de índice de masa corporal (IMC). Sin embargo, la prevalencia de caries y la experiencia en niños con sobrepeso fueron del 24.8% y 0.69 1.51, respectivamente, mientras que los valores correspondientes en niños con peso normal fueron del 35% y 0.69 1.51. Entre los niños de familias con un nivel socioeconómico alto, los niños con sobrepeso tenían aproximadamente un 71% menos de caries que los que tenían un peso normal.

Según los datos recogidos en el cuestionario, el 92% de los niños sin caries presentaron una higiene bucal buena y tenían madres o tutores con mayor nivel de escolaridad; las madres de los preescolares con una higiene bucal mala presentaron menor escolaridad (p < 0.05). El nivel socioeconómico de la zona de estudio era bajo, por lo que los niños no tenían acceso a los servicios de atención odontológica, y solo una mínima proporción presentó atención bucal, el 7.32%, que correspondió a hijos de madres con mayor escolaridad (p < 0.001).

En este modelo, un menor nivel de educación materna se relacionó con una peor organización familiar, menores niveles de apoyo social, menor autoeficacia dental y de salud dental más externa. Estos, a su vez, se asociaron con comportamientos de higiene bucal más deficientes, que se relacionaron con niveles más altos de caries dental infantil. Además, el menor nivel educativo de la madre y la peor calidad del vecindario se asociaron directamente con mayores niveles de caries en los niños.

Se examinaron 1 204 niños (44.7% niños y 55.3% niñas) La mayoría de los niños vivían en hogares hasta cuatro personas (60.9%), sus padres o cuidadores tenían o cuidadores tenían ocho años o más de escolarización (70%) y unos ingresos familiares iguales o superiores a 2 salario mínimo brasileño (50.8%). Del total de la muestra (1 204), el 76.5% estaba asistían a escuelas públicas y el 63.0% vivían en zonas de baja vulnerabilidad social. Un total de 278 niños (23.1%) tenían al menos una lesión cariosa cavitada; 388 (32.2%) tenían maloclusión y 566 (47.0%) presentaban un alto impacto en la calidad de vida relacionada a la salud bucal.

El objetivo del presente estudio fue investigar la relación entre el sentido de coherencia (SOC) y la caries dental en una población de niños socialmente vulnerables del sur de Brasil. Se planteó la hipótesis de que los niños con niveles más altos de SOC tienen menos experiencia de caries dental que aquellos con niveles más bajos de SOC.

El SOC de los niños parece ser un factor psicosocial protector relevante para la experiencia de caries dental en niños socialmente vulnerables.

Entre los 356 niños evaluados, 187 (53.3%) eran niños y 250 (70.22%) tenían entre 8 y 10 años. Los niños eran predominantemente de familias con< 1 salario mínimo brasileño o 1-1.5 salario mínimo brasileño mensual ingresos del hogar, y el 59.30% de las madres tenían al menos 8 años de escolaridad. La prevalencia de niños que visitaron al dentista en los últimos 6 meses y placa dental fue de 35.26% y 74.71%, respectivamente. Sin ajustar demostraron que la educación de la madre, el ingreso familiar, el sentido de coherencia, haber visitado al dentista y la presencia de placa dental se asociaron significativamente con la caries dental dentición temporal como permanente (CPO) total del niño-T no se asoció con las variables demográficas, así como con la frecuencia de cepillado dental.

Tabla 2. Características de los estudios.

Dentista y Paciente 50
Nelly Molina-Frechero et al. 2015.6 82 niños (4 y 5 años de edad) Denise Duijster et a.l, 2013.7 niños (6 Milene Torres MARTINS et al. 2015.8 (8 de edad) Thiago Machado Ardenghi et al., 2019.9 356 escolares (8 a 14 años)

Influencia de los determinantes sociales

Autor, año Población Intervención Comparación Hallazgos

Mildres Madays Pausa Carmenates et al., 2019.10

130 escolares (12 años de edad)

Daniela Bobadilla- Godoy et al., 2020.11 124 niños (11-12 años)

Saber que tan asociados están los DSS con la caries dental.

El objetivo de este estudio fue determinar la asociación entre caries dental (CD) y determinantes sociales de la salud (DSS) en niños de establecimientos educativos de los distritos de Canchaque y San Miguel de El Faique, provincia de Huancabamba, región de Piura, Perú, año 2019.

El porcentaje de niños afectados por caries dental fue elevado y estuvo asociado a condiciones económicas y de vivienda regulares y a saneamiento ambiental escolar y acceso a los servicios de salud malos.

La caries dental estuvo presente en el 68.4 % de los niños, de ellos, en el 59.5%, la situación económica fue evaluada de regular, el 50.7% habitaban en viviendas evaluadas de regular, la situación higiénico–sanitaria del entorno escolar de los encuestados fue clasificada como mala en un 35.3% y, el 47.6 % presentó una mala accesibilidad a los servicios de salud.

La caries dental tuvo asociación con los determinantes sociales de la salud de condición de vivienda, género, nivel educativo, servicio higiénico y seguro de salud.

Se encontró asociación entre prevalencia de caries dental y condición de vivienda (p<0.05), el índice de CPOD con género, nivel educativo, servicio higiénico y seguro de salud (p<0.05), y el índice no presentó ninguna asociación con las variables (p>0.05).

Juan Manuel Guizar Mendoza et al., 201912 292 preescolares (3 y 6 años de edad)

Identificar los determinantes del responsable en el cuidado del niño y su relación con la salud oral y dental del preescolar.

Los modelos de prevención adecuados para la caries de la infancia temprana deben considerar en el responsable además de la transmisión de conocimientos, incrementar la actitud y generar autoeficacia en las acciones para el cuidado de la salud en etapas tempranas del niño.

En 87% de los binomios, el responsable fue la madre, con edad promedio de 31 años y nivel de escolaridad más frecuente educación media en 33%. En los preescolares el índice ceo mostró la mediana de 14 [Rango Inter cuartil (RIC) 8 y 20]. El índice ICDAS mostró una mediana de 3 (RIC 2 y 4). El promedio de biofilm general fue 89% ± 19, principalmente por placa madura mediana en 29% de los casos. En 146 (50%) se identificó el consumo de dieta cariogénica. Los factores relacionados con la frecuencia de las caries en los preescolares fueron de forma negativa la edad del responsable, su actitud, los conocimientos, la autoeficacia y el consumo de una dieta cariogénica (R2= 0.13; p<0.0001 para el modelo). Para la intensidad de la caries los factores relacionados de forma negativa fueron la escolaridad del responsable, la autoeficacia y el otorgar una dieta cariogénica, así como la mayor edad del preescolar (R2=0.075; p=0.0005 para el modelo).

784 niños

4 y 6 años)

478 niños (1 a 5 años)

1 134 niños de 12 años

El objetivo de este estudio es examinar las influencias socioeconómicas y étnicas sobre la salud bucal entre los preescolares de Kegalle, Sri Lanka.

Evaluar la relación entre el lugar donde viven, los medios que tiene y calidad de vida relacionada con la salud bucodental.

Examinar la salud bucodental y calidad de vida de los adolescentes durante un periodo de 2 años.

Evaluar la influencia del lugar donde viven y los ingresos en la calidad de vida relacionada con la salud oral de los niños.

Prevalencia de caries y la relación de la salud bucal con la calidad de vida.

Prevalencia de caries dental, trauma dental y oclusión. Presencia de centros comunitarios o centros de salud.

Caries dental, sangrado gingival y maloclusión. Los padres respondieron un cuestionario socioeconómico, el capital social y cuantas veces acuden al dentista.

Capital social, clases sociales, variables socioeconómicas y medidas de salud bucal (caries dental y overjet).

Aquellos cuyos padres no estudiaron más allá del 5o grado tenían un porcentaje más elevado en el índice CPO. En comparación con el grupo étnico cingalés los tamiles tenían más sangrado gingival.

La gente con bajos ingresos presentaba mayor índice en mordida abierta anterior, traumatismo dental y caries fueron identificados como determinantes individuales de impacto negativo en la calidad de vida de un niño.

Adolescentes con ingreso medio (p<0.05), el ingreso del hogar y la escolaridad materna tuvieron puntajes generales más altos. El sexo femenino acude al dentista por dolor de muelas, caries dental y maloclusión por lo que también es asociado a puntajes generales más altos.

En cuanto a las variables individuales, nivel socioeconómico bajo, malas condiciones clínicas también se asociaron con puntuaciones generales más altas.

187. Marzo 2024 51
Vajira Nanayakkara (2013).13 (entre Renata Saraiva Guedes (2014)14 Camila S. Sfredo (2019).15 Jessica Klöckner knorst (2019)16 639 niños (1 a 6 años)

Punto de vista

Autor, año

Población Intervención Comparación Hallazgos

Fernando Ortega Pérez (2018) 17 518 niños (3 a 15 años)

Orachad

18 510 niños (de 10 a 14 años)

Díaz Cárdenas (2018) 19 630 niños (de 2 a 5 años)

Luis Fernando Restrepo Pérez (2018) 20

120 niños menores de 6 años

Ali Golkari (2016) 21 335 (8 a 11 años)

Explorar la asociación entre determinantes sociales y prevalencia de caries dental en población escolar rural y urbana en Ecuador.

Identificar predictores clínicos y psicosociales de la calidad de vida relacionada con la salud en niños tailandeses a lo largo del tiempo.

Describir prevalencia de caries dental en niños de primera infancia (≤ 5 años) de la ciudad de Cartagena y su asociación con factores sociodemográficos y familiares.

Hábitos higiénicos/alimentario, acceso a servicios de salud y condiciones sociales mediante una encuesta sociodemográfica.

Nivel socioeconómico, nivel educativo materno y paterno, rendimiento de ingresos, caries, salud gingival, maloclusión, opacidades dentales.

Influencia de diversos factores familiares y sociodemográficos en la prevalencia de caries dental en niños.

La presencia de caries en dientes definitivos se asocia significativamente con: caries en dientes primarios p<.000, ausencia de cepillo dental en la escuela p<.003, falta de acceso a una unidad de salud oral p<.006. acceso a una unidad de salud es el DS

CPOD medio fue de 1.97. La mayoría de los estudiantes tenían encía sana. La maloclusión y opacidades dentales no estuvieron relacionadas con el nivel socioeconómico y la calidad de vida relacionada con la salud bucal. DATOS

La prevalencia de caries en los niños fue de 30.79 %. En el análisis multivariada, las variables que mejor explican presencia de caries dental en primera infancia son: edad preescolar del niño (OR: 3.65; IC 95 %: 2.23-5.97; p=<0.001) y Pertenecer a hogares infantiles de carácter público (OR: 2.77: IC 95 %: 1.923.99; p=<0.001). Pertenecer a edad preescolar (3 a 5 años de edad) y estudiar en hogar infantil de carácter público podrían comportarse como factores de riesgo para desarrollar lesiones de caries dental en la primera infancia.

Identificar los determinantes sociales de la salud en familias de preescolares de Anapoima, Cundinamarca, y su relación con la prevalencia de experiencia de caries.

Comparar las condiciones de salud bucal y general de los niños de primaria de tres áreas socioeconómicas diferentes en la ciudad de Shiraz, Irán.

Influencia de la disponibilidad, visitas al servicio de salud y parentesco de los cuidadores con la presencia de caries dental en niños.

La influencia del estatus socioeconómico en el estado de salud.

Otro de los determinantes sociales que se encontraron en las investigaciones fueron la situación económica, su situación higiénico-sanitaria y la limitada posibilidad de obtener acceso a los servicio de salud, estos fueron resaltados en el estudio realizado en Cuba entre los años 2015 y 2017, donde recolectamos como hallazgos “La caries dental estuvo presente en el 68.4 % de los niños, de ellos, en el 59.5%, la situación económica fue evaluada de regular, el 50.7% habitaban en viviendas evaluadas de regular, la situación higiénico-sanitaria del entorno escolar de los encuestados fue clasificada como mala en

La prevalencia de experiencia de caries (cpo) fue de 33.3% (promedio: 1.3 ± 2.5); cuando se incluyeron las lesiones iniciales, la prevalencia alcanzó el 46.7% (4.3 ± 7.0). Hubo relación entre la presencia de caries y el tipo de problemas de salud bucal referidos por los padres, relación de parentesco con el cuidador, visitas al servicio de salud bucal y disponibilidad de espacio para el cepillo de dientes (p < 0.05).

La altura (P<0.001), el peso (P<0.001) y el IMC (P=0.001) aumentaron significativamente a medida que aumentaba el estatus socioeconómico del área. La puntuación GI (P<0.001), la puntuación DI-S (P<0.001), el número de dientes permanentes con DDE (P=0.008) y el número de lesiones DDE en los dientes permanentes (P=0.008) disminuyeron significativamente a medida que aumentaba el nivel socioeconómico.

un 35.3% y, el 47.6 % presentó una mala accesibilidad a los servicios de salud.”10

En investigaciones realizadas fuera del continente americano como lo fue Shiraz, Irán, se encontró que es el nivel socioeconómico el factor con mayor impacto en la salud oral de los niños, pues se observó una relación directa de dicho determinante y caries dental, al igual que se encontró relación con una higiene bucal deficiente. En esta investigación se menciona que encontraron una coincidencia con otros estudios que se hacen en el mundo.

Dentista y Paciente 52
Gururatana (2014) Shyrley

Autor año

Tamaño de muestra 1 = no especifico 2 = Presente

Observacional 0 = No presente 1 = No está claro 2 = Presente

seguimiento 0 = incomplete, 1 = intention to treat/other methods of analysis, 2 = full

Concordancia con el método de medición de las variables 0 = Not present, 1 = Not clear, 2 = present/ testing laboratory

Supuestos del análisis estadístico 0 = Not present, 1 = Not clear/ categorical data, 2 = present and described Santhosh Kumar, Jeroen Kron et al., 2016 2 0 2 2 2 1 1 10 Nelly Molina-Frechero et al., 2015 2 0 2 2 2 1 1 10 Denise Duijster et al., 2013 2 0 2 2 2 1 1 10 Milene Torres MARTINS et al., 2015 2 0 2 2 2 1 1 10 Thiago Machado Ardenghi et al., 2019 2 0 2 2 0 1 1 8 Mildres Madays Pausa Carmenates et al., 2019 2 0 2 1 1 0 1 7 Daniela Bobadilla-Godoy et al., 2020 2 0 2 2 2 1 1 9 Juan Manuel Guizar Mendoza et al., 2019 2 0 2 1 1 0 1 7 Vajira Nanayakkara (2013) 2 0 2 2 1 2 1 10 Renata Saraiva Guedes (2014) 2 0 2 2 2 2 1 11 Camila S. Sfreddo (2019) 2 0 2 2 1 2 1 10 Jessica Klöckner Knorst (2019) 2 0 1 2 2 2 1 11 Fernando Ortega Pérez (2018) 2 0 1 2 1 2 1 9 Orachad Gururatana (2014) 2 0 1 2 2 2 1 10 Shyrley Díaz Cardenas, 2018 2 0 0 0 2 1 1 6 Luis Fernando Restrepo-Pérez, 2018 2 0 0 0 1 2 1 6 Ali Golkari, 2016 2 0 1 0 2 2 1 8

Tabla 3. Evaluación metodológica de los estudios con el sistema GRADE

Resultados 0 = incomplete, 1 = complete total

187. Marzo 2024 53
Influencia de los determinantes sociales
Estudio cegado 0 = Not described, 1 = Not clear/ inappropriate, 2 = present and described
se destaca la necesidad de incorporar estrategias en salud oral como parte integral del currículo escolar. Para lograr esto, es esencial establecer alianzas entre la academia, los profesionales de la salud y las instituciones educativas, involucrando activamente a la comunidad escolar.

Encontrando la coincidencia de estos determinantes sociales como el nivel socioeconómico, nivel de educación de los padres, la situación higiénico-sanitaria, acceso a los servicios de salud, por lo que entendemos que los determinantes sociales son un patrón y un factor que influye en la salud bucal de las personas, en donde la mayor parte de la población que se ve afectada son los niños respecto a la caries dental.

Discusión

Fisher Owens y colaboradores elaboraron un modelo. Este modelo conceptual incluye un apartado para los determinantes de la salud oral en la niñez abarca múltiples niveles de influencia, como el individual, familiar y comunitario. Este modelo se basa en los 5 dominios clave de los determinantes de la salud identificados

en la literatura científica como los factores genéticos y biológicos, entorno social, entorno físico, comportamientos de salud y atención dental y médica, además el entorno físico, como la disponibilidad de agua fluorada o acceso a alimentos saludables, también desempeña un papel importante.20 Por eso el propósito de esta revisión es analizar los determinantes sociales que actúan como factores de riesgo en la cavidad oral de los niños. Se ha seguido un enfoque estructurado para seleccionar la literatura relevante y evitar cualquier sesgo en la selección de los estudios incluidos. La salud oral es fundamental para el desarrollo normal de un niño y los problemas bucales, como la caries dental, pueden afectar negativamente la calidad de vida de un niño. Por lo tanto, es importante identificar las posibles influencias directas, tanto en el ámbito familiar, individual y comunitario, en la aparición de caries en los dientes primarios de niños de 3 a 15 años.

Esta revisión sistemática identificó 16 estudios que cumplían con los criterios de inclusión establecidos con un total de 9 250 niños de 3-15 años de ambos sexos. Al evaluar las diferencias en las medias de las puntuaciones entre los grupos, estas diferencias no fueron significativas. Sin embargo, la caries dental parece impactar directamente en los determinantes sociales de los niños siendo esta el resultado principal ante la situación económica y nivel de escolaridad bajo de los cuidadores.

Sin embargo, Thiago Machado Ardenghi et al. , 2019 9 y Mildres Madays Pausa Carmenates et al., 201910 coinciden en que su

Dentista y Paciente 54
de vista
Punto

determinante social principal es la condición económica, comparando la diferencia con Juan Manuel Guizar Mendoza et al., 201912 que es un único estudio donde evalúa la calidad de vida, pero la variable más significativa fue el nivel educativo bajo del cuidador.

Shyrley Díaz Cárdenas en (2018)19 realiza una investigación evaluando riesgo diciendo tener un valor de OR: 2.77 en niños que pertenecen a hogares infantiles de carácter público esto queriéndonos decir que pertenecer a este tipo de hogares publicos no da 2 veces más la probabilidad de padecer caries dental que los que pertenecen a una privado.

En la totalidad de los articulos revisados la enfermedad frecuente fue caries dental, pero en el 2015 Milene Torres et al.8 tambien reportaron maloclusiones como afección bucal de esa población de estudio teniendo al ingreso economico como principal determinante e impactando ambos en la calidad de vida del niño.

Conclusión

En conclusión, con el estudio y análisis de la revisión sistemática elaborada se considera de manera importante la divulgación de la promoción a la salud oral y sus implicaciones en los programas educativos nos permiten extraer importantes conclusiones. Desde la perspectiva de los determinantes sociales de la salud, se destaca la necesidad de considerar la educación para la salud oral como base fundamental en cualquier programa de salud, ya sea público, institucional o privado. Es esencial abordar de manera interdisciplinaria las intervenciones de promoción de la salud oral, respondiendo a las necesidades de la población.

Además, se resalta la importancia de orientar las acciones en salud oral hacia los factores socioeconómicos sin descuidar los cambios de comportamiento y estilos de vida saludables.

El ámbito escolar emerge como un espacio dinámico y relevante, donde se encuentran diversos factores educativos inmersos en un contexto macroeconómico que repercute en la salud oral. Por tanto, siempre es importante realizar un análisis profundo del entorno social, económico, político, cultural e incluso ambiental de la comunidad escolar, con el fin de diseñar, desarrollar e implementar programas de promoción de la salud oral.

Asimismo, se destaca la necesidad de incorporar estrategias en salud oral como parte integral del currículo escolar. Para lograr esto, es esencial establecer alianzas entre la academia, los profesionales de la salud y las instituciones educativas, involucrando activamente a la comunidad escolar.

En resumen, la promoción de la salud oral debe considerar de manera prioritaria la perspectiva de los determinantes sociales de la salud. Ignorar los factores que influyen en los estilos y comportamientos de los grupos sociales puede resultar en un fracaso de los programas y un deterioro en la salud oral de los escolares. Por tanto, es fundamental abordar de manera integral y colaborativa la promoción de la salud oral en el ámbito educativo.

Declaración de conflictos de intereses

Los autores declaran no tener conflictos de intereses.

187. Marzo 2024 55 Influencia de los determinantes sociales
En resumen, la promoción de la salud oral debe considerar de manera prioritaria la perspectiva de los determinantes sociales de la salud.

Referencias

1. Organizacion Mundial de la Salud, (OMS). Determinantes Sociales. Availableat:http://www.who. int/social_determinants/es/. Fecha de acceso 22 de Abril de, 2016.

2. Moher D, Liberati A, Tetzlaff J, Altman DG, The PRISMA Group. Preferred Reporting Items for Systematic Reviews and Meta-Analyses: The PRISMA Statement. PLoS Med 2009; 6(7) (buscar el art. De elsevier)

3. Poner fin a la caries dental en la infancia: manual de aplicación de la OMS [Ending childhood dental caries: WHO implementation manual]. Ginebra: Organización Mundial de la Salud; 2021.

4. Uribe SE, Innes N, Maldupa I. The global prevalence of early childhood caries: A systematic review with meta-analysis using the WHO diagnostic criteria.Rev Int J Paediatr Dent. 2021;31(6):817-830.

5. Kumar S, Kroon J, Lalloo R, Kulkarni S, Johnson NW. Relationship between body mass index and dental caries in children, and the influence of socio economic status.Rev Int Dent J 2017;67(2):9197.

Dentista y Paciente 56 Punto de vista

6. Molina-Frechero N, Durán-Merino D, Castañeda-Castaneira E, Juárez-López ML. La caries y su relación con la higiene oral en preescolares mexicanos [Dental caries experience and its relation to oral hygiene in Mexican children].RevGac Med Mex 2015;151(4):485-490.

7. Duijster D, van Loveren C, Dusseldorp E, Verrips GH. Modelling community, family, and individual determinants of childhood dental caries. Rev Eur J Oral Sci 2014;122(2):125-133.

8. Martins MT, Sardenberg F, Vale MP, Paiva SM, Pordeus IA. Dental caries and social factors: impact on quality of life in Brazilian children.Rev Braz Oral Res 2015;29(1):S1806-S8.32420150001003E16. Tomazoni F, Vettore MV, Mendes FM, Ardenghi TM. The Association between Sense of Coherence and Dental Caries in Low Social Status Schoolchildren.Rev Caries Res 2019;53(3):314-321.

9. Pausa CMM, Suarez HM, Lima AL. Caries dental en escolares asociadas a las determinantes sociales de salud. Rev Invest Medicoquir 2019;11(3).

10. Bobadilla-Godoy D, Castillo-Pino G, Ramírez-Palma S, Araya-Vallespir C, León-Manco R, Del Castillo- López C. Dental caries and social determinants of health in children of educational establishments of Canchaque and San Miguel de El Faique districts, Huancabamba province, Piura region, Perú, 2019. Rev Fac Odontol Univ Antioq [Internet]. 2021;33(1):56-68.

11. Guizar Mendoza JM, López Ayuso CA, Amador Licona N, Lozano Palomino O, García Gutiérrez CA. Determinants of oral health care related to the frequency and severity of dental caries in preschool children.Rev NS 2019;11(22):85-101.

12. 12. Nanayakkara V, Renzaho A, Oldenburg B, Ekanayake L. Ethnic and socio economic disparities in oral health outcomes and quality of life among Sri Lankan preschoolers: a cross-sectional study. Rev Int J Equity Health. 2013;12:89. Guedes RS, Piovesan C, Antunes JL, Mendes FM, Ardenghi TM.

13. Sfreddo CS, Moreira CHC, Nicolau B, Ortiz FR, Ardenghi TM. Socioeconomic inequalities in oral health- related quality of life in adolescents: a cohort study. Qual Life Res 2019;28(9):2491-2500. Knorst JK, Menegazzo GR, Emmanuelli B, Mendes FM, Ardenghi TM. Effect of neighborhood and individual social capital in early childhood on oral health-related quality of life: a 7-year cohort study.Rev Qual Life Res. 2019;28(7):1773-1782.

14. Ortega Pérez F, Guerrero A, Aliaga P. Determinantes sociales y prevalencia de la caries dental en población escolar de zonas rurales y urbanas de Ecuador. OI 19;4(2).

15. Gururatana O, Baker SR, Robinson PG. Determinants of children's oral health-related quality of life over time.Rev Community Dent Oral Epidemiol. 2014;42(3):206-215.

16. Diaz Cardenas, S., Pérez Puello, S., Simancas-Pallares, M. Caries dental en niños de la primera infancia de la ciudad de Cartagena.Rev Ciencia y Salud Virtual. 2018; 10(2), 51-62.

17. Restrepo-Pérez, Luis & Usuga, Margarita & Cortes, Andrea & Gómez, Julián & Mora, Juan & López, Catherine & Mendoza, Jeibar & Martignon, Stefania. RELACIÓN ENTRE DETERMINANTES SOCIALES DEL ÁMBITO FAMILIAR Y CARIES DENTAL EN NIÑOS PREESCOLARES DE ANAPOIMA, CUNDINAMARCA. Revi Facultad de Odontología 2018;30. 10.17533/

18. Golkari A, Sabokseir A, Sheiham A, Watt RG. Socioeconomic gradients in general and oral health of primary school children in Shiraz, Iran. Rev F1000Res 2016;5:767.

19. Fisher-Owens SA, Gansky SA, Platt LJ, Weintraub JA, Soobader MJ, Bramlett MD, Newacheck PW. Influences on children's oral health: a conceptual model.Rev Pediatrics 2007 ;120(3):e510-20.

187. Marzo 2024 57 Influencia de los determinantes sociales

Tiempos y movimientos.

Actividades preventivas realizadas por los alumnos de primer año, Módulo Clínica en

Prevención

Parte 1

La gestión del tiempo y la distribución de este en actividades clínicas, son claves para el logro de resultados de calidad. Tener más o menos tiempo, y un buen uso pedagógico, hace la diferencia en cuanto a la calidad de las oportunidades, en la motivación de los estudiantes y en los resultados de aprendizaje, el tiempo asignado en la jornada escolar genera mejores aprendizajes, siempre y cuando sea acompañado de tiempo efectivo dedicado a la tarea. Objetivo: identificar el tiempo que utilizan los alumnos del primer año en su función de higienista dental durante la atención odontológica en el Módulo Clínica en Prevención, con el registro cronometrado de los procedimientos (profilaxis, aplicaciones de flúor y colocación de selladores de fosetas y fisuras), para reducir los movimientos ineficientes y acelerar los eficientes, contribuyendo a la productividad, y retroalimentar el programa académico. Material y métodos: estudio observacional, descriptivo, transversal. Muestra grupos de primer año

3101, 3103, n= 68 alumnos. Procedimiento: se registraron los tiempos durante los procedimientos con un cronómetro, concentrados en una planilla. Se hizo el análisis de tiempos y movimientos según Salvendy de 6 pasos: (1) preparación para ejecutar el estudio, (2) ejecución del estudio, (3) valoración del ritmo de trabajo, (4) suplementos del estudio de tiempos, (5) cálculo del tiempo tipo o estándar, y (6) asignación de trabajo compartiendo tareas. Resultados: referente al total de profilaxis realizadas por los alumnos del grupo 3101, fueron 445=100% de las cuales 226 (50.8%) fueron ejecutadas en más de 60 minutos, solo 68 fueron hechas en 30 minutos, lo cual corresponde al 15.3%. Conclusiones: dentro de las causas del tiempo improductivo, es que existe un marcado desinterés del profesor en el tiempo que debe revisar al alumno.

Palabras clave: tiempo, movimientos, higienista dental, profilaxis.

La importancia de un estudio de tiempos y movimientos (TYM) es obtener un mayor conocimiento que aporte a diversas áreas donde se realice algún proceso que pueda ser mejorado desde el punto de vista del esfuerzo humano y uso de recursos para eliminar o mejorar elementos innecesarios que podrían afectar la productividad, seguridad, y calidad del servicio.1

Un estudio de tiempos consiste en la determinación del tiempo que requiere completar un proceso, actividad, tarea o paso específico (Salvendy).1,2 Es fundamental cumplir con la exigencia de planificar la atención y preparar adecuadamente la sesión de trabajo en pos de favorecer una atención más efectiva, que

Dentista y Paciente 58 Sonriendo al futuro Fotoarte: Editorial Renascence | Fotografía: AdobeStock

conlleve a un tratamiento exitoso. Todo esto permite al estudiante de odontología alcanzar un adecuado desempeño clínico, un mejor servicio y atención a la comunidad.

Por otro lado, es necesario mencionar que el número de horas señaladas en el Plan de Estudios vigente para la atención del paciente en el Módulo Clínica en Prevención es de 6 horas en su función higienista y de asistente dental con los alumnos de cuarto año de la carrera. Actualmente los grupos del primer año tienen una matrícula de 38 estudiantes, por lo cual son divididos en dos secciones. “A”, “B” las cuales trabajan respectivamente cada una en la planta alta y baja de la Clínica Zaragoza. Considerando que el desempeño del alumno es permanente y continuo, y que indica la actividad en el servicio odontológico otorgado. En los grupos 3101 y 3103 tenemos la experiencia de haber trabajado bajo las condiciones igualitarias a los demás grupos del primer año. Cabe señalar que la pandemia implicó asignar el trabajo en solo la actividad de higienista durante la sesión de 6 horas con la sección “A” y la “B” de 6 horas como asistente dental. Sin embargo, se observó en ese momento que al desempeñar la función profesional de higienista los alumnos solo llegaban a terminar, cuando mucho, a 2 pacientes, por lo que nos preguntamos: ¿para toda la sesión de 2 pacientes se tardan 6 horas? Pensamos que esta atención implicaba una gran pérdida de tiempo, ya que cada tratamiento nos lleva un máximo de 30 a 40 minutos. En este contexto Chiavenato señala que Taylor estudió los tiempos y movimientos como herramienta para la medición del trabajo con éxito desde finales del Siglo XIX.1 A través de los años dichos estudios han ayudado a solucionar multitud de

problemas de producción, así como a reducir costos. Definamos al estudio de tiempos, como la actividad que implica la técnica de establecer un estándar de tiempo permisible para realizar una tarea determinada, con base en la medición del contenido del trabajo del método prescrito, con la debida consideración de la fatiga y las demoras personales y los retrasos inevitables.3,4

Por otra parte, Caso 2 señala los siguientes elementos: Cuadro 1 , tiempo básico, suplementario 1, improductivo 2, complementario que permitieron un mejor análisis de la observación de las actividades, dentro de las cuales una de ellas es que no se debía ejercer presión sobre el alumno del primer año. Observó y midió el tiempo para una de las actividades. Recomienda 2 métodos básicos para realizar el estudio de tiempos y movimientos, el continuo y el de regreso a cero. En el método continuo se deja correr el cronómetro mientras dura el estudio, en esta técnica se utiliza el cronómetro, se lee en el punto terminal de cada elemento. El continuo se deja correr el cronómetro mientras dura el estudio. En esta técnica, el cronómetro se lee en el punto terminal de cada elemento, mientras las manecillas están en movimiento.

Se puede utilizar un cronómetro electrónico, que proporciona un valor numérico inmóvil.2-5 En este método se hace referencia a los movimientos eficientes o efectivos: de naturaleza física o muscular: alcanzar, mover, soltar y precolocar en posición. De naturaleza objetiva o concreta: usar, ensamblar y desensamblar.5,6 Movimientos ineficientes o inefectivos mentales o semimentales: buscar, seleccionar, colocar en posición, inspeccionar y planear. Retardos o

Beatriz Gurrola Martinez. Profesora de tiempo completo definitivo Titular “C” en la carrera de Cirujano Dentista en la Facultad de Estudios Superiores Zaragoza, UNAM. Ángel Francisco Álvarez Herrera. Profesor de tiempo completo Titular “A” definitivo, profesor Asignatura en la Facultad de Estudios Superiores Zaragoza, UNAM. Lizeth Paloma Revuelta Bustamante. Titular “A” definitivo, profesor Asignatura en la Facultad de Estudios Superiores Zaragoza, UNAM.

dilaciones: retraso evitable, retraso inevitable, descansar y sostener.6,7

Por otro lado, en relación con el operador, las actividades y los elementos se clasificaran en tiempo de inicio, tiempo medio, final, permitido (Cuadro 2) las actividades que desarrollan los alumnos en cada sesión, asimismo los movimientos en a) elementos manuales: son los que realiza el operador. b) elementos de mecánicos. Referente al tiempo, se clasificaron en a) constantes los aquellos cuyo tiempo de ejecución es siempre igual. 2) elementos variables: son elementos cuyo tiempo depende de una o diversas variables, en los diferentes tratamientos de los pacientes adultos e infantiles, cabe señalar que a estos se les agregó además 2 actividades oportunas: el índice ceo, y la aplicación de selladores de fosetas y fisuras .2,6

Relativo a la disposición y condiciones en el sitio de trabajo la ergonomía, habla de la optimización integral que significa la obtención de una estructura sistémica para cada conjunto interactuante de hombres y máquinas satisfaciendo simultánea y convenientemente a los siguientes 3 criterios fundamentales:

187. Marzo 2024 59 Tiempos y movimientos

Tiempo básico Tiempo suplementario 1 Tiempo suplementario 2

Tiempo teórico necesario para realizar el tratamiento:

Profilaxis 25 minutos

Cepillado 10 minutos

Aplicación de fluor 25 minutos

Selladores de fosetas y fisuras 25 minutos

Tiempo que se añade al teórico y que es imputable a las características del operador

Tiempo añadido al suplementario 1 debido a la tardanza por el operador en el tratamiento poco eficaz

Se corrige con el estudio de métodos

Se corrige con el estudio de métodos de análisis de valor

Tiempo improductivo 1 Tiempo improductivo 1

Tiempo en el que el operador permanece inactivo por deficiente planeación, coordinación y dirección

Tiempo en el que el operador se mantiene parado por cancelación de paciente, descompostura de unidad o causas que pueden ser remediadas

Se corrige mediante la localización del tiempo improductivo

Fuente: Alfredo Caso Neira. Técnicas de medición del trabajo fundación CONFEMETAL. Madrid 2a edición FC Editorial

Tiempo cronometrado

T representativo

T normal básico

T tipo

Escrutinio

Apreciación de la actividad

Suplementos

Cuadro 1.

participación, protección y producción.8,10 Los principios de la economía de los movimientos: 3 principios básicos, los relativos al uso del cuerpo humano, a la disposición y condiciones en el sitio de trabajo y al diseño del equipo e instrumental que nos plantea la técnica 4 manos en el trabajo de equipo odontológico, principios básicos de instrumentación.7,8 Tocante al uso del cuerpo humano ambas manos deben comenzar y terminar simultáneamente los elementos o divisiones básicas de trabajo y no deben estar inactivas al mismo tiempo, excepto durante los periodos de descanso. Los movimientos de las manos deben ser simétricos y efectuarse simultáneamente al alejarse del cuerpo y acercándose a este.7-10 Siempre que sea posible deben aprovecharse el impulso o ímpetu físico como ayuda al trabajador y reducirse a un mínimo cuando haya que ser contrarrestado mediante un esfuerzo muscular. Son preferibles los movimientos continuos en

línea recta en vez de los rectilíneos que impliquen cambios de dirección repentinos y bruscos. Deben emplearse el menor número de elementos y estos se deben limitar de más bajo orden o clasificación posible.7,8 Estas clasificaciones, enlistadas en orden ascendente del tiempo y el esfuerzo requeridos para llevarlas a cabo, son 1 Movimientos de dedos. 2 Movimientos de dedos y muñeca. 3 Movimientos de dedos, muñeca y antebrazo. 4 De dedos, muñeca, antebrazo y brazo. 5 Dedos, muñeca, antebrazo, brazo y todo el cuerpo. Los dedos pulgar, índice y medio son los más fuertes para el trabajo. Mismos con los que se deben asir los instrumentos. El anular y el meñique no pueden soportar o manejar cargas considerables por largo tiempo.7-11 Se destina según la carátula del reloj el área de trabajo del equipo odontológico: del asistente, del operador, zona estática y zona de transferencia, para tener todo el material, a fin de permitir la mejor secuencia

Dentista y Paciente 60 Sonriendo al futuro

de operaciones y eliminar o reducir los movimientos. Debe hacerse énfasis en evitar el entrecruzamiento de actividades o parte de equipo por fuera de su propia zona a fin de que no perturben las actividades primarias de una zona en particular. 7-11 Uno de los aspectos en los que la ergonomía ha aportado más a la odontología es en lo referente a la economía de movimientos. Los tratamientos a 4 manos como «sistema básico de atención dental con el fin de disminuir la fatiga física (movimientos corporales y acomodación visual) y psicológica», supusieron una revolución en la práctica odontológica.8-10 Sin embargo, aún hoy en día son numerosos los profesionales que desconocen estos principios y que, por tanto, no los aplican en su quehacer diario. Asimismo, conviene disponer siempre que sea posible, para retirar los instrumentos y equipo odontológico. Todos los materiales y las herramientas deben ubicarse dentro del perímetro normal de trabajo, tanto en el plano horizontal como en el vertical.11-13 Proporcionar

los banquillos del operador y del asistente, en la altura apropiada para que el trabajo pueda llevarse a cabo eficientemente, alternando las posiciones sentado y de pie.11 Para este estudio en la FES Zaragoza se tomó el concepto de tarea y el estudio de los tiempos que proponía Taylor a la administración, lo cual debía encargarse a la planeación del trabajo de cada uno de los empleados. Y que cada trabajo debía tener un estándar de tiempo basado en el trabajo de un operario muy bien calificado.3,4 Por otra parte, los Gilbreth citados por Chiavenato ampliarían el estudio de movimientos, dividiendo el trabajo en 17 movimientos fundamentales llamados Therbligs (colores), que considera básicamente que para obtener un estándar es necesario que el operario domine a la perfección la técnica de la labor que se va a estudiar.2,3,4,5 El método a estudiar debe haberse estandarizado, Caso (Cuadro 1). En esta situación el alumno de primer año debe saber que está siendo evaluado, así como el operador y los profesores.

Cuadro 2. Observación

Actividades que desarrollan por sesión Tiempo inicio Tiempo medio Tiempo final Tiempo permitido Cavitron Grupo alumno

Pasar al paciente

Sentar / acomodar paciente

Colocar barrera de protección

Acomodo de charolas

Levantar índice IHOS

Levantar índice CPOD

Levantar índice ceo infantil

Desmanchar

Cepillado

Profilaxis superficial

Detartraje

Aplicación de fluoruro

Aplicación selladores infantiles

Técnica de cepillado

Despedir paciente

187. Marzo 2024 61 Tiempos y movimientos
62
Dentista
y Paciente
Estudio
Fotoarte: Editorial Renascence | Fotografía: AdobeStock

Autores:

Factores que influyen en los resultados del tratamiento quirúrgico de la periimplantitis

Antecedentes

Como se ha demostrado en el tratamiento quirúrgico de los defectos óseos angulares en la periodontitis, es necesaria una evaluación meticulosa de las variables relacionadas con el paciente, el clínico y la ubicación

para facilitar una técnica terapéutica predecible. Sin embargo, no hay evidencia sobre los defectos óseos asociados a la periimplantitis.

Las guías de práctica clínica publicadas por la Federación Europea de Periodoncia (EFP) destacan la

Yuki Ichioka, Adrián Guerrero, Dennis Schaller, Ingemar Abrahamsson, Carlotta Dionigi, Erik Regidor, Tord Berglundh, Jan Derks, Anna Trullenque-Eriksson, Alberto Ortiz-Vigón, Mauro Donati, Eriberto Bressan, Cristiano Tomasi, Karolina Karlsson, Paolo Ghensi.

Relatores:

Germán Pardo, Ismail Zaatar y Neus Carrió con Prof. José Nart y Dr. Cristina Vallés.

Traducción: Marina Porras. Alumna del máster de Periodoncia de la Universidad de Granada.

Afiliación:

Programa de postgrado en periodoncia, Universitat Internacional de Catalunya, Barcelona.

profundidad de sondaje (PPD) y el sangrado al sondaje (BoP) como los signos clínicos principales. A pesar de la eficacia del tratamiento quirúrgico en el manejo de los defectos periimplantarios para reducir la profundidad de sondaje y los signos clínicos de inflamación, los resultados

187. Marzo 2024 63
Factores que influyen en los resultados del tratamiento quirúrgico de la periimplantitis

no han demostrado diferencias relevantes entre los distintos enfoques quirúrgicos tras el primer año de tratamiento

No obstante, existe una gran variación en los resultados en diferentes ensayos clínicos que no estaban relacionadas con el tratamiento asignado. Por ello, los esfuerzos deben dirigirse a establecer posibles factores predisponentes que influyan en los resultados del tratamiento para optimizar la técnica y la selección de pacientes.

Objetivo

El objetivo de esta investigación es establecer los factores predisponentes que influyen en los resultados del tratamiento tras la intervención quirúrgica de los defectos periimplantarios, con o sin injerto de sustitución ósea.

Materiales y métodos

• Reevaluación de un ensayo clínico multicéntrico, controlado aleatorizado con grupos paralelos. El

El objetivo de esta investigación es establecer los factores predisponentes que influyen en los resultados del tratamiento tras la intervención quirúrgica de los defectos periimplantarios, con o sin injerto de sustitución ósea.

ensayo clínico se realizó en 6 centros.

• Un total de 138 pacientes diagnosticados de periimplantitis avanzada, caracterizada con PPD ≥7 mm, sangrado o supuración al sondaje (SoP) y pérdida ósea radiográfica superior a 3 mm en uno o más implantes tras 1 año de función.

• Se llevó a cabo un tratamiento no quirúrgico antes de la intervención quirúrgica y se realizó una profilaxis antibiótica 3 días antes de la cirugía durante 10 días.

• Descontaminación de las superficies de los implantes mediante curetas de titanio y cepillos de titanio bajo irrigación salina.

• Al grupo control se le realizó una cirugía de colgajo, mientras que al grupo test se le realizó una cirugía de colgajo con injerto combinado de sustitución ósea (colágeno BioOss).

• Se registraron las siguientes variables:

- Niveles de placa, PPD y BoP/SoP en 4 puntos por implante al inicio, a los 6 y a los 12 meses (también se evaluaron los niveles de placa en la sexta semana).

- Nivel de tejido blando y anchura de la mucosa queratinizada (MC) al inicio, a los 6 y a los 12 meses.

- Nivel óseo marginal radiográfico (MBL) al inicio y a los 12 meses.

- Características intraquirúrgicas del defecto (profundidad, anchura y configuración) en la zona más afectada.

• Se realizó un modelo de regresión lineal y multinivel a 2 niveles y se ajustó al tratamiento asignado (test o control) para estimar:

- PPD final.

- Reducción de la bolsa (≤5 mm).

- BoP en ≥2 sitios.

- Recesión.

- MBL.

Dentista y Paciente 64
Estudio

:

Figura: Profundidad de sondaje (PPD) prevista y probabilidad de la reducción de bolsa prevista a los 12 meses según la PPD inicial

Fumador, placa en ≥2 sitios

No fumador, placa en ≥2 sitios

Fumador, placa en ≤1 sitio

No fumador, placa en ≤1 sitio

No fumador, placa en ≤1 sitio

Fumador, placa en ≤1 sitio

No fumador, placa en ≥2 sitios

Fumador, placa en ≥2 sitios

Nota: los modelos también incluyeron el tabaquismo y la placa a las seis semanas (sólo significativo para la PPD), así como la mucosa queratinizada inicial y el grupo de tratamiento (ninguno de ellos estadísticamente significativo).

la reducción de bolsa

a los 12 meses según la PPD inicial. Nota: los modelos también incluyeron el tabaquismo y la placa a las 6 semanas (solo significativo para la PPD), así como la mucosa queratinizada inicial y el grupo de tratamiento (ninguno de ellos estadísticamente significativo).

Resultados

• No se encontró ningún cambio significativo en el uso o no del injerto de sustitución ósea.

Resultados

• PPD: la profundidad de sondaje inicial, el hábito de fumar y los niveles de placa a las seis semanas fueron factores predisponentes significativos en la profundidad de sondaje final, mientras que el tipo de tratamiento y la mucosa queratinizada no fueron significativos.

• No se encontró ningún cambio significativo en el uso o no del injerto de sustitución ósea.

• PPD: la profundidad de sondaje inicial, el hábito de fumar y los niveles de placa a las 6 semanas fueron factores predisponentes significativos en la profundidad de sondaje final, mientras que el tipo de tratamiento y la mucosa queratinizada no fueron significativos.

• Reducción de la bolsa: se observó en el 70,6% de los casos. La PPD inicial fue el único factor significativo asociado a la tasa de probabilidad de reducción de la bolsa.

• Recesión de tejidos blandos: el tratamiento sin sustituto óseo, la PPD inicial y la ubicación maxilar se consideraron factores predisponentes relevantes del resultado a los 12 meses.

• BoP: la ausencia de mucosa queratinizada al inicio del estudio, los niveles de placa a las seis semanas y las prótesis atornilladas

Limitaciones

• No se tuvo en cuenta ni el número de cigarrillos ni a los exfumadores.

• Reducción de la bolsa: se observó en el 70.6% de los casos. La PPD inicial fue el único factor significativo asociado a la tasa de probabilidad de reducción de la bolsa.

tuvieron un impacto significativo en la BoP a los 12 meses, mientras que el tipo de tratamiento no lo tuvo. La BoP a los 12 meses estaba altamente asociada con profundidades de sondaje ≥6 mm y niveles de placa en ≥2 sitios.

• Recesión de tejidos blandos: el tratamiento sin sustituto óseo, la PPD inicial y la ubicación maxilar se consideraron factores predisponentes relevantes del resultado a los 12 meses.

• Ganancia de MBL: la PPD inicial y la prótesis atornillada se asociaron significativamente con la ganancia de MBL a los 12 meses. El tipo de tratamiento no mostró ninguna asociación relevante.

• Ganancia de MBL: la PPD inicial y la prótesis atornillada se asociaron significativamente con la ganancia de MBL a los 12 meses. El tipo de tratamiento no mostró ninguna asociación relevante.

• El estudio se diseñó inicialmente para responder a una pregunta de investigación diferente de la evaluada en este estudio. No se realizó un diseño específico del colgajo quirúrgico, lo que puede explicar la diferencia de resultados entre los operadores.

• BoP: la ausencia de mucosa queratinizada al inicio del estudio, los niveles de placa a las 6 semanas y las prótesis atornilladas tuvieron un impacto significativo en la BoP a los 12 meses, mientras que el tipo de tratamiento no lo tuvo. La BoP a los 12 meses estaba altamente asociada con profundidades de sondaje ≥6 mm y niveles de placa en ≥2 sitios.

Conclusiones e impacto

• La PPD inicial es un factor predisponente importante en el resultado del tratamiento quirúrgico, independientemente de la modalidad quirúrgica, ya que los sitios con PPD inicialmente profunda tienen una menor probabilidad de reducción de la bolsa (≤5 mm).

Limitaciones

• Los sustitutos óseos pueden reducir la recesión de los tejidos blandos alrededor de los implantes, lo que favorece su uso en zonas estéticas.

• No se tuvo en cuenta ni el número de cigarrillos ni a los exfumadores.

• Algunas variables se midieron con un nivel de detalle que resultaría difícil de evaluar clínicamente (0,5 mm).

• El nivel de control de la placa por parte del paciente es fundamental para conseguir resultados deseados, ya que la evidencia de un control inadecuado de la placa en la sexta semana se asoció con peores resultados en términos de PPD residual y BoP.

• El estudio se diseñó inicialmente para responder a una pregunta de investigación diferente de la evaluada en este estudio.

• También debe fomentarse el abandono del hábito tabáquico para mejorar los resultados, ya que los fumadores presentaron una mayor PPD residual en comparación con los no fumadores.

JCP Digest 118 es un resumen del artículo “Factores que influyen en los resultados del tratamiento quirúrgico de la periimplantitis: un análisis secundario de los resultados de un estudio clínico aleatorizado a 1 año”. J Clin Periodontol. 50 (10):1282-1304. DOI: 10.1111/jcpe13848.

https://www.onlinelibrary.wiley.com/doi/10.1111/jcpe.13848

• No se realizó un diseño específico del colgajo quirúrgico, lo que puede explicar la diferencia de resultados entre los operadores.

Acceso a través de la página web para miembros de la EFP http://efp.org/members/jcp.php

• Algunas variables se midieron con un nivel de detalle que resultaría difícil de evaluar clínicamente (0.5 mm).

Con el amable permiso de Wiley Online Library. Copyright © 1999-2024 John Wiley & Sons, Inc. Todos los derechos reservados. JCP Digest es una publicación de la Federación Europea de Periodoncia (EFP). Oficina EFP: Cink Coworking, oficina 17, calle Henri Dunant 15-17, 28036 Madrid, España · www.efp.org

187. Marzo 2024 65
Factores que influyen en los resultados del tratamiento quirúrgico de la periimplantitis
Figura Profundidad de sondaje (PPD) prevista y probabilidad de prevista
PPD a los 12 meses (mm) PPD inicial (mm) 3 789 10 11 12 4 5 6 7 8 Probabilidad de cierre de la bolsa a los 12 mese s PPD inicial (mm) 0 Reducción de bolsa: PPD ≤5 mm 78 9101112 20 40 60 80 100 !!"#$#%&'#()#*+'+'#,**- # !!"#$%$&$'(#)**+#

Conclusiones e impacto

• La PPD inicial es un factor predisponente importante en el resultado del tratamiento quirúrgico, independientemente de la modalidad quirúrgica, ya que los sitios con PPD inicialmente profunda tienen una menor probabilidad de reducción de la bolsa (≤5 mm).

• Los sustitutos óseos pueden reducir la recesión de los tejidos blandos alrededor de los implantes, lo que favorece su uso en zonas estéticas.

• El nivel de control de la placa por parte del paciente es fundamental para conseguir resultados deseados, ya que la evidencia de un control inadecuado de la placa en la sexta semana se asoció con peores resultados en términos de PPD residual y BoP.

• También debe fomentarse el abandono del hábito tabáquico para mejorar los resultados, ya que los fumadores presentaron una mayor PPD residual en comparación con los no fumadores.

Notas

JCP Digest 118 es un resumen delartículo “Factores que influyen en los resultados del tratamiento quirúrgico de la periimplantitis: un análisis secundario de los resultados de un estudio clínico aleatorizado a 1 año”. J Clin Periodontol. 50 (10):1282-1304. DOI: 10.1111/jcpe13848.

https://www.onlinelibrary.wiley.com/doi/10.1111/jcpe.13848

Acceso a través de la página web para miembros de la EFP http://efp.org/members/jcp.php

Con el amable permiso de Wiley Online Library. Copyright © 1999-2024 John Wiley & Sons, Inc. Todos los derechos reservados. JCP Digest es una publicación de la Federación Europea de Periodoncia (EFP). Oficina EFP: Cink Coworking, oficina 17, calle Henri Dunant 15-17, 28036 Madrid, España · www.efp.org

Dentista y Paciente 66 Estudio

Turn static files into dynamic content formats.

Create a flipbook
Issuu converts static files into: digital portfolios, online yearbooks, online catalogs, digital photo albums and more. Sign up and create your flipbook.