Revista Dentista y Paciente 191 | Julio 2024

Page 1


SONRIENDO AL FUTURO

Trauma en niños y adolescentes: luxaciones extrusivas

BOLETÍN

Por qué la Generación Z debe abrazar la salud de las encías

CASO CLÍNICO

Manejo de clase II esquelética y dentalmediante avance mandibular con biteramps

INVESTIGACIÓN CLÍNICA

Tratamiento de mordida profunda en paciente clase II división 2 con aparatología ortopédica funcional de Simoes Network y de Pedro Planas. Reporte de caso

dentistaypaciente.com

BOLETÍN

120 Aniversario de la facultad de odontología de la UNAM

ENCICLOPEDIA ODONTOLÓGICA

Terapéutica endoquirúrgica

para periodontitis apical crónica: reporte de un caso

ESTUDIO

¿Cómo afecta el uso de antibióticos sistémicos al tratamiento no quirúrgico de la periimplantitis?

Latindex 17964

En TODOS los panorámicos

¡GARANTÍA

*Se requerirán -10,000 disparos al año para poder aplicar la garantía de Si se rebaza el límite de disparos por año, la garantía VATECH YA NO SERÁ APLICABLE. Consulta términos y condiciones.

Ahora

panorámicos y tomógrafos

Ahora cualquier equipo 2D ó 3D puede tener:

AÑOS DE PROTECCIÓN

FULL ó Garantía 5+5

Consulta las bases para aplicarla*

QUE NADIE MÁS TE PUEDE DAR!

$20,000 USD hasta

de DESCUENTO

CAMBIA TU EQUIPO de CUALQUIER

TU EQUIPO de

marca, modelo, antigüedad

modelo, antigüedad

*Aplica restricciones. Consulta términos y condiciones. Válido hasta agotar existencia. Imágenes sólo ilustrativas. Sujeto a cambios sin previo aviso.

*Aplica ilustrativas.

y ADQUIERE un 3D NUEVO*

El DESCUENTO se aplicará de acuerdo a tu equipo actual:

ANÁLOGO: DIRECTO con vatech

EQUIPO 2D: $15,000 USD

EQUIPO 3D: $20,000 USD

*A tu EQUIPO ANTERIOR, vatech se encargará de quitarle tubo y sensor

"PREPÁRATE" ¡NO FALTES!

Julio 2024

La Facultad de Odontología de la UNAM cumple 120 años, por lo que este año se llevarán diversos eventos para festejar dicho acontecimiento. Los festejos comenzaron en febrero pasado, con el Día del Odontólogo y continuarán hasta noviembre, informó el director de la Facultad de Odontología, el Dr. Francisco Marichi Rodríguez. El 23 de abril se llevó a cabo la ceremonia oficial.

Al evento asistió el rector de la UNAM, el Dr. Leonardo Lomelí Vanegas y diversas personalidades de la comunidad universitaria. El rector destacó la labor que realiza la Facultad de Odontología y se recordó que empezó como un consultorio anexo a la Escuela de Medicina hasta ser la institución reconocida nacional e internacionalmente que es hoy en día.

La Facultad de Odontología siempre buscar estar a la vanguardia con equipo de última generación y el desarrollo de la investigación, con lo que se busca preparar a los alumnos con un grado de excelencia.

Muchas felicidades a la Facultad de Odontología que para muchos de nosotros es nuestra alma mater y para los que no, siempre es un referente por considerar.

¡Por favor, cuídense!

Mtro. Carlos Adolfo Espinosa García Especialidad en Odontología Legal y Forense Maestría en Odontología

Da la bienvenida a la nueva Tecnología de Equipos con Pantalla Táctil Inteligente!!!

Disponible en: MONTAJE A PARED

Medical Systems, se adelanta a los tiempos, presentando una nueva generación de Equipos de Radiodiagnóstico Intra-oral con la funcionalidad que le ofrece la última Tecnología en Pantallas Táctiles Inteligentes, que se configuran sin necesidad e memorizar instrucciones, y con opciones que NO se encuentran en otros equipos.

Tiempos de expo sición Pre-programados compensados por variaciones de voltaje de la línea de suministro. Contador de exposiciones. ersonalización de los tiempos de exposición Pre-programados. Monitoreo del voltaje de alimentación del equipo y protección por variaciones de voltaje en la línea de suministro.

CORIX® 70 PLUS-USV-WM-TS

BASE MOVIL

CORIX® 70 PLUS USV-MM-TS

A Division of CORIX MEDICAL SYSTEMS® Lauro Villar No. 94-B, 02440, México, CDMX

Tels:+52 55 5394 1192 +52 55 5394 1199 56 2571 9826 www.corix.us http://www.facebook.com/CORAMEXSA sales@corix.us repre.ventas@corix.us

10 | SONRIENDO AL FUTURO

Trauma en niños y adolescentes: luxaciones extrusivas

24 | BOLETÍN

Por qué la Generación Z debe abrazar la salud de las encías

Editorial Renascence S.A. de C.V.

28 | CASO CLÍNICO

Manejo de clase II esquelética y dental mediante avance mandibular con bite ramps

40 | INVESTIGACIÓN CLÍNICA

Tratamiento de mordida profunda en paciente clase II división 2 con aparatología ortopédica funcional de Simoes Network y de Pedro Planas. Reporte de caso

Directora editorial

Patricia López Guerra patricia.lopez@dentistaypaciente.com

Jaime Francisco Martínez Aceves† jmartinez@dentistaypaciente.com

Directora Editorial

Mariangel Martínez López mmartinez@dentistaypaciente.com

Director de Arte y Diseño

Jesús Salas Pérez jesasez@dentistaypaciente.com

Coordinador Editorial

Marco A. Vergara Salgado marversa@dentistaypaciente.com

Ejecutivos Comerciales y de Negocios

Carlos Martínez García, Gabriela Dolorez Ocadiz, Edson Aarón Hernández

Producción y Circulación

Edson Aarón Hernández

Fotografía e Ilustraciones

Editorial Renascence Suscripciones

Edson Aarón Hernández

Preprensa e Impresión

Offset Impresión Creativa S.A de C.V.

Distribución

Comercializadora GBN S.A. de C.V.

Calzada de Tlalpan #572, desp. C-302, col.

Moderna

Contabilidad y Administración

L. C. y E. F. Renato Muñoz

director científico

Dr. Carlos Espinosa García Especialista en Odontología Legal y Forense consejo editorial

Dr. Francisco Javier Diez de Bonilla Calderón

Catedrático de la F.O de la UNAM

Dr. Francisco Magaña Moheno

Centro de Especialidades Odontológicas

Javier Portilla Robertson

Exdirector de la Facultad de Odontología de la UNAM

Especialista en Patología Bucal

C.D.E.O. Arturo Alvarado Rossano†

Profesor y Especialista en Ortodoncia y Ortopedia Craneofacial en la Facultad de Odontología. UNAM. Asesor Académico y Coordinador de Difusión de la AMOCOAC.

C.D. Manuel García Luna y González Rubio

Dra. Ana Gabriela Carrillo Varguez

Coordinadora de la especialidad en endodoncia UABC Tijuana. Coordinadora de Investigación y Posgrado F.O. UABC

M.C. Ernestina Santillana Marín

Subdirectora de CISALUD UABC

William James Maloney, D.D.S.

Clinical Associate Professor

New York University

universidad anáhuac méxico norte

C.D. Carlos Robles Bonilla

Coordinador de la Licenciatura de Cirujano Dentista

C.D. Sergio Antonio Ojeda León

Profesor Titular de Odontopediatría de la Licenciatura de Cirujano Dentista

C.D. Bernardo Grobeisen Weingersz

Profesor Titular de Clínica

Integral de la Licenciatura de Cirujano Dentista

C.D. Norma Ibañez Mancera. Profesora Titular de Patología

Bucal de la Licenciatura de Cirujano Dentista

Dirección del Derecho de Autor certificado de reserva al uso exclusivo no. 04-2008022718312200-102 con fecha 27 de Marzo del 2008. Gobernación de la H. Comisión Calificadora de Publicaciones y Revistas Ilustradas, certificado de licitud de contenido 5328, certificado de licitud de título 7411, franqueo pagado, publicación mensual permiso no. PP09-02106, SEPOMEX. Las opiniones expresadas en los artículos y en los anuncios publicados no significan de ninguna manera juicios, criterios, ideas o cualquier otro concepto por parte de la editorial; reflejan únicamente las ideas y pensamientos de sus autores. Los artículos, entrevistas, resúmenes, publirreportajes, fotografías y cualquier otro material son exclusivos de la editorial, y no se autoriza la reproducción total o parcial por ningún medio sin previa autorización del editor. Para cualquier asunto relacionado con suscripción, distribución, comercialización, anuncios, contenido u otro propósito, favor de dirigirse a la editorial. Impreso en MV IMPRESIONES, SA DE CV.

Dentista y Paciente® Publicación mensual correspondiente al mes de JULIO DE 2024. editada por Editorial Renascence S.A. de C.V., Rancho Jigüingo 29, Prado Coapa, Ciudad de México, 14350. tel. 56846632, fax 56793656. Distribuida en locales cerrados, depósitos dentales, universidades, congresos y exposiciones. Editora responsable: Mariangel Martínez López. Fotoarte de portada: Editorial Renascence.

distribución certificada por el padrón nacional de medios impresos de la dirección general de medios impresos de la secretaría de gobernación no. 007-136. www.gobernacion.gob.mx

48 | BOLETÍN

120 Aniversario de la facultad de odontología de la UNAM

62 | ESTUDIO

¿Cómo afecta el uso de antibióticos sistémicos al tratamiento no quirúrgico de la periimplantitis?

54 | ENCICLOPEDIA ODONTOLÓGICA

Terapéutica endoquirúrgica para periodontitis apical crónica: reporte de un caso

Trauma en niños y adolescentes:

luxaciones extrusivas

López Villegas Karla Itzel. Contreras de la Riva Melanie Victoria.

Gómez González Diego Rafael. Juárez Vargas Octavio Yael. Rodríguez Valdez Isidro. García Muñoz Alejandro.

Clínica periférica odontológica Aragón, Laboratorio de investigación Odontológica Almaraz, FES Iztacala, UNAM, Estado de México, México.

Las lesiones traumáticas en dientes, tanto permanentes como de primera dentición, son comunes (10.5% - 17.3% de la población), con formas graves como extrusión, luxación e intrusión. Pueden resultar en obliteración o necrosis pulpar, siendo menos común la reabsorción radicular. La obliteración del canal pulpar puede variar del 3% al 24%. La luxación que afecta a la pulpa o al tejido de soporte es seria (18%33% de lesiones en dientes permanentes). La ferulización dental es un método de tratamiento para promover la curación y prevenir daños adicionales. Se recomienda la reposición inmediata del diente para mejorar el pronóstico y evitar complicaciones como la mordida cruzada. La atención de emergencia es esencial para un resultado óptimo y la prevención de problemas posteriores en lesiones dentales traumáticas.

Las lesiones dentales traumáticas (TDI) de los dientes permanentes ocurren con frecuencia en niños y adultos jóvenes y representan un desafío para los médicos de todo el mundo. La mayoría de las TDI causan con frecuencia fracturas de corona y lesiones del periodonto, predominantemente en los dientes anteriores. El tipo de lesión se puede clasificar de la siguiente manera: conmoción cerebral, definida como una lesión de las estructuras de soporte del diente sin aumento de la movilidad o desplazamiento del diente pero con dolor a la percusión; subluxación, definida como una lesión de las estructuras de soporte con aumento de movilidad pero sin desplazamiento del diente; luxación lateral, definida como desplazamiento lateral del diente; luxación intrusiva, definida como el desplazamiento del diente hacia el hueso alveolar; luxación extrusiva, definida como el desplazamiento parcial del diente fuera de su alvéolo; y avulsión, desplazamiento completo del diente fuera de su alvéolo.1

La gran mayoría de las lesiones dentales traumáticas (TDI) ocurren en niños y adolescentes donde la pérdida de un diente tiene consecuencias para toda la vida. Los tratamientos para estos grupos de edad más jóvenes pueden ser diferentes a los de los adultos, principalmente debido a dientes inmaduros y crecimiento facial puberal. El propósito de estas guías es mejorar el manejo de los dientes lesionados y minimizar las complicaciones resultantes del trauma.2

Justificación

La luxación extrusiva es uno de los traumatismos de mayor incidencia en niños y adolescentes, que desencadena necrosis pulpar en el 82% de los casos. También podemos ver los diferentes tipos de tratamientos que se realizan para las diferentes luxaciones. Es importante buscar tratamiento inmediato, ya que en la mayoría de los casos de luxación la causa de la necrosis pulpar es que no se tratan oportunamente y pueden ayudar al

Tabla 1. Artículos citados.

Tejidos blandos

Laceraciones

Contusiones

Abrasiones

Fracturas dentarias

Fracturas del esmalte

Fracturas de la corona: no complicadas

Fracturas de la corona: complicadas

Fracturas de corona y raíz

Fracturas radiculares

profesional a brindar el tratamiento adecuado.

Objetivo

El objetivo de este trabajo es concientizar e informar a la población, para que tenga un plan de tratamiento adecuado junto con su dentista, para que tengan una correcta recuperación donde tengan menos efectos que puedan intervenir en su desarrollo

Materiales y métodos

Se realizó una búsqueda a través de la base de datos de Biblioteca Digital UNAM y se obtuvo acceso a la base de datos de artículos que abarcan los temas de extrusión, Trauma dental, necrosis pulpar, luxación extrusiva, implantación, luxación, ortodoncia y fractura dental. Se realizó la exclusión del tema “luxaciones en adultos” y se incluyeron temas como “luxaciones extrusivas en niños y adolescentes”. Los artículos encontrados se utilizaron para tener más información sobre los tratamientos adecuados para tratar una luxación extrusiva que no afecte en el desarrollo del diente (Ver Tabla 1).

Luego de analizar el contenido de la información encontrada, desarrollaremos los siguientes temas: luxación y clasificación, diagnóstico, opciones de tratamiento, evolución y secuelas

Lesiones por luxación

Concusión dentaria

Subluxación

Luxación con extrusión

Luxación lateral

Luxación con intrusión

Avulsión

Luxaciones y clasificación

Las lesiones por luxación son frecuentes en la dentición primaria. Existen varias opciones para el tratamiento de dientes con lesiones extrusivas o por luxación lateral. Si el diente desplazado está causando interferencia oclusal, el dentista debe decidir si extraer o, en algunos casos, crear una oclusión normal rectificando el diente desplazado. Las complicaciones a largo plazo después de un traumatismo, como la necrosis pulpar (NP) y la infección con inflamación periapical, pueden afectar la formación del diente permanente).3

El tipo de traumatismo por luxación puede afectar las mediciones del flujo sanguíneo pulpar (PSF) (Ver Tabla 2) y si las mediciones relacionadas con el tipo de luxación pueden mostrar cambios a corto y largo plazo en los valores del PBF. En 41 pacientes traumatizados, LDF investigó 69 incisivos superiores tratados mediante reposicionamiento y ferulización, y el respectivo diente homólogo contralateral para evaluar los valores locales de PBF. Las unidades de perfusión se registraron en 4 sesiones el día de la retirada de la férula.4

En traumatismos dentales, la luxación dentaria merece especial atención, porque se asocia con daños al ligamento periodontal y al cemento, y puede provocar reabsorción

Lesiones de los huesos de la cara

Apófisis alveolar: maxilar o mandíbula

Cuerpo del hueso maxilar o mandibular

Articulación temporomandibular

Tabla 2. Clasificación de traumatismos dentales según Andreasen.

Trauma

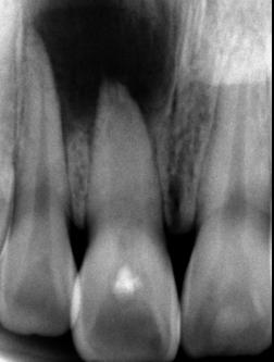
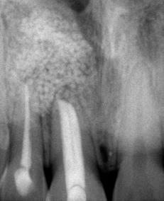
Figura 1. Se muestra una lesión extrusiva en los órganos dentales 21 y 22. Tomado de Aline Satie Takamiya y colaboradores en Iranian Endodontic Journal, Vol:4, Número:17, Año: 2022

radicular. Se considera una técnica que puede utilizarse en situaciones clínicas donde otras formas convencionales de tratamiento no han sido efectivas.5

Las lesiones traumáticas de los dientes permanentes son comunes y afectan entre el 10.5% y el 17.3%. La extrusión, la luxación lateral y la intrusión se encuentran entre los tipos más graves de traumatismo dental que pueden alterar el suministro vascular a la pulpa. Radiográficamente, las partes apical y lateral del alvéolo parecen vacías y, en general, el espacio del ligamento periodontal está agrandado. La obliteración del canal pulpar (OCP) y la necrosis pulpar (NP) son las consecuencias más frecuentes de la luxación extrusiva, mientras que la reabsorción radicular (RR) es menos frecuente. Las complicaciones dependen de factores como la gravedad de la lesión, el estadio de desarrollo radicular y la presencia de una alta carga bacteriana bucal. Las complicaciones pulpares y periodontales son más frecuentes en dientes con raíces completamente formadas que en ápice abierto. La prevalencia de obliteración del canal pulpar (OCP) como consecuencia de lesiones por avulsión y luxación está entre el 3 y el 24%. Por el contrario, es muy poco probable que los dientes con ápice cerrado presenten revascularización y a menudo desarrollan

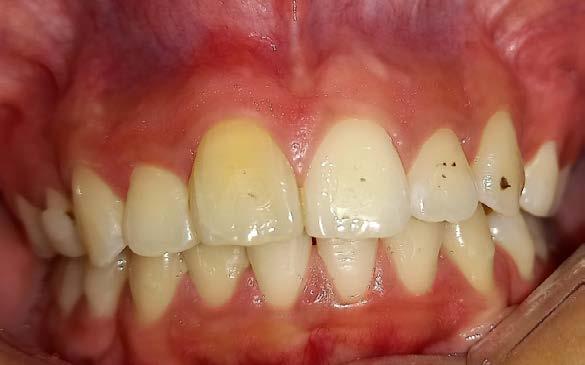
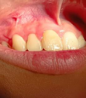
Figura 2. Imagen representativa de una luxación extrusiva en el órgano dental 11 que presenta un cambio de coloración en la encía.

necrosis pulpar. Las lesiones por luxación extrusiva requieren un tratamiento inmediato, consistente en reposicionamiento y estabilización. El tratamiento comienza con un correcto diagnóstico clínico y radiográfico, seguido del reposicionamiento manual del diente en el alvéolo y la colocación de una férula flexible, para permanecer in situ durante aproximadamente 2 semanas.6

Diagnóstico

El traumatismo de los tejidos de soporte (luxación extrusiva, luxación lateral, luxación intrusiva y avulsión dentaria) comprende del 15 al 61% de los episodios traumáticos y se consideran como las lesiones más graves. Las complicaciones relacionadas con este tipo de traumatismos pueden ocurrir semanas, meses e incluso años después del accidente traumático. La obliteración del canal pulpar, la necrosis pulpar y la reabsorción radicular se refieren a las secuelas más comunes, el peor pronóstico está relacionado con la reabsorción radicular. Estas complicaciones han mostrado valores de prevalencia que dependen de la gravedad de la lesión y del estadio de desarrollo radicular. La obliteración del canal pulpar después de una luxación y avulsión dental muestra una prevalencia de entre

el 3 y el 24%. Por otro lado, la necrosis pulpar puede ocurrir en el 64% y el 77% de las luxaciones extrusivas y laterales, respectivamente, y para las luxaciones intrusivas y avulsiones dentarias este valor puede llegar al 100%. También se ha demostrado que la prevalencia de la reabsorción radicular después de luxaciones y avulsiones varía mucho. En las reimplantaciones dentales, el periodo extraalveolar y el medio de almacenamiento son aspectos cruciales en el desarrollo de este tipo de secuela. Algunos estudios han revelado que la reabsorción inflamatoria ocurre entre el 5 y el 70% de las luxaciones y entre el 20 y el 50% de las avulsiones. De igual forma, la reabsorción de reposición se ha demostrado que es más frecuente en la luxación intrusiva, con una prevalencia del 20 al 40%, y en la reimplantación dentaria esta secuela ocurre en el 50 al 70% de los casos.7

Entre todas las lesiones orofaciales, las lesiones dentales traumáticas (TDI) son una de las más prevalentes. Representa el 18% de todas las lesiones en niños de 0 a 6 años (Figura 2) y Las lesiones por luxación se pueden clasificar en varios tipos según el grado de desplazamiento: conmoción cerebral, subluxación, luxación lateral, extrusión y avulsión. La raíz del germen del diente temporal y del permanente se encuentran muy cerca, por lo que las complicaciones a largo plazo de las TDL, como la infección de los dientes temporales, también pueden dañar los dientes sucesores en desarrollo. La prevalencia de lesiones por luxación es alta entre los niños pequeños debido a la naturaleza resistente de su hueso alveolar y sus estructuras de soporte (Figura 3). Se ha informado que las lesiones por intrusión causan más alteraciones de la mineralización en

los dientes sucesores en comparación con otros subtipos de lesiones por luxación.8

Después de lesiones traumáticas graves, como luxación extrusiva y avulsión, el diente no solo queda sujeto a un daño tisular extenso, como la ruptura completa del suministro neurovascular, sino que también puede quedar expuesto a contaminación externa y bacterias a través de diferentes vías.9

Estas lesiones pueden afectar directa o indirectamente la vida de las personas, cambiando su apariencia, habla y posición de los dientes. Las TDI en niños y adolescentes se consideran problemas de salud graves en todo el mundo. Para los niños de 0 a 6 años, las lesiones bucales representan el 18% de todas las lesiones físicas, y la boca es la segunda área del cuerpo afectada más común. Un metaanálisis reciente realizado por Petti et al. sobre lesiones dentales traumáticas informaron una tasa del 7% que afectan a los dientes temporales en todo el mundo, con frecuente recurrencia del trauma.10

Debido a la lesión del ligamento periodontal, el diente luxado debe reposicionarse con cuidado lo antes posible. Según las guías actuales, un

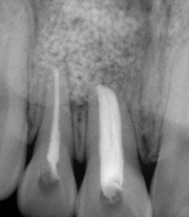
3. Radiografía periapical de una luxación extrusiva en el órgano dental 11

Trauma en niños y adolescentes: luxaciones
Figura

TIPO DE TRATAMIENTO

RESULTADOS

Normalmente no se necesita tratamiento

Se puede usar una férula pasiva y flexible para estabilizar el diente por hasta 2 semanas, pero solo si hay movilidad excesiva. Monitorear el estado de la pulpa durante al menos un año.

Vuelva a colocar el diente empujándolo suavemente hacia la cavidad dental bajo anestesia local. Estabilice el diente durante 2 semanas utilizando una férula pasiva y flexible. Si hay rotura/ fractura del hueso marginal, entablille durante 4 semanas más. Monitorear el estado de la pulpa con pruebas de sensibilidad pulpar.

Si la pulpa se necrosa e infecta, está indicado un tratamiento de endodoncia.

Vuelva a colocar el diente digitalmente desenganchando de su posición bloqueada y posicionándolo suavemente en su ubicación original bajo anestesia local. Palpar la encía para sentir el ápice del diente. Use un dedo para empujar hacia abajo sobre el extremo apical del diente, luego use otro dedo o pulgar para empujar el diente hacia su alvéolo.

Estabilice el diente durante 4 semanas utilizando una férula pasiva y flexible. Si la pulpa se necrotiza y hay signos de reabsorción externa inflamatoria (relacionada con una infección), se debe iniciar el tratamiento con ducto lo antes posible.

Permitir la preerupción sin intervención para todos los dientes intruidos independientemente del grado de intrusión. Si no hay preerupción dentro de las 4 semanas, iniciar el reposicionamiento ortodóncico. En dientes con formación radicular incompleta puede ocurrir una revascularización pulpar espontánea. Sin embargo, si se nota que la pulpa se necrotiza e infecta o que hay signos de reabsorción externa inflamatoria en las citas de seguimiento, el tratamiento de conducto está indicado y debe iniciarse lo antes posible.

Respuesta positiva a las pruebas de sensibilidad pulpar.

Signos clínicos y radiográficos de periodonto normal o cicatrizado. Respuesta positiva a las pruebas de sensibilidad pulpar; sin embargo, es posible que haya una respuesta falsa negativa durante varios meses.

Asintomático: signos clínicos y radiográficos de periodonto normal o curado. Respuesta positiva a las pruebas de sensibilidad pulpar; sin embargo, es posible que haya una respuesta falsa negativa durante varios meses

diente luxado debe reposicionarse a su posición original mediante presión digital y estabilización durante un período mínimo de 2 semanas para favorecer la reparación del ligamento periodontal.11

Los dientes con lesiones menores por luxación, como subluxación, tienen un riesgo muy bajo de complicaciones de curación periodontal. Sin embargo, la exposición de la superficie de la raíz cervical en dientes con luxación extrusiva y zonas de compresión en las superficies de la raíz de dientes con luxación lateral puede implicar un mayor riesgo de complicaciones de curación periodontal.12

Opciones de tratamiento

La luxación que afecta a la pulpa y/o al tejido de soporte constituye un traumatismo dental grave y representa entre el 18 y el 33% de las lesiones de los dientes permanentes.

Sintomático: diente en su lugar. Respuesta positiva a las pruebas de sensibilidad pulpar; sin embargo, es posible que haya una respuesta falsa negativa durante varios meses

En odontología, una luxación es un “desplazamiento de un diente de su posición original en el alvéolo, sin avulsión total, resultante de un traumatismo agudo” y puede ser intrusiva extrusiva o lateral. Una lesión por luxación extrusiva, o avulsión parcial, produce una rotura casi total de la inserción del ligamento periodontal y la rotura del haz neurovascular apical, lo que provoca la movilidad del diente. Clínicamente, el diente aparece alargado y a menudo desplazado palatino con presencia de interferencia oclusal.13

Existe consenso en que la reparación dental después de una luxación puede resultar en el mantenimiento de la pulpa con nueva formación vascular o en el desarrollo de necrosis pulpar. El desarrollo de raíces inmaduras ha mostrado niveles más altos de curación en comparación con los dientes con raíces completamente formadas.14

TIPO DE LUXACIÓN
Subluxación Luxación extrusiva
Luxación lateral Luxación intrusiva
Tabla 3. Opciones de tratamiento.

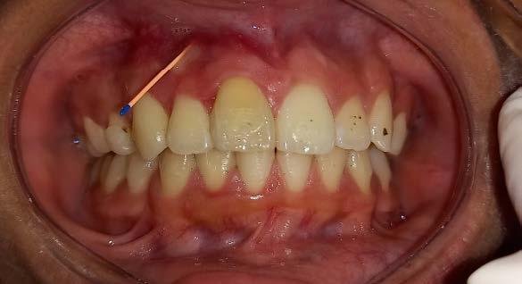
Figura 4. Imagen representativa de una férula flexible en la superficie labial del órgano dental afectado y en los dientes adyacentes. Tomada por el esp. Isidro Valdez Ramírez.

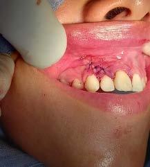
Figura 5. Imagen representativa del resultado del tratamiento. Tomada por el esp. Isidro Valdez Ramírez.

Un método de tratamiento para dientes traumatizados es la ferulización dental (Figura 4), que permite la curación del tejido periodontal y al mismo tiempo protege el diente de lesiones adicionales. La fijación flexible o semirrígida es suficiente para la curación pulpar y periodontal en la mayoría de las TDI, y la fijación rígida solo se recomienda para las fracturas de la raíz cervical. Si la anquilosis no supone un riesgo significativo, se recomienda entre 1 y 2 semanas durante el periodo de fijación. Sin embargo, si las lesiones traumáticas incluyen destrucción del hueso, pueden ser necesarias de 1 a 2 semanas adicionales, y en caso de fracturas de raíz, pueden ser necesarios hasta 4 meses de inmovilización.15

En comparación con la intrusión y la avulsión, la luxación extrusiva se caracteriza por un menor daño al periodonto. El aspecto clínico es un diente alargado y con excesiva movilidad. Radiográficamente se puede observar un aumento en el espacio del ligamento periodontal apical. El tratamiento recomendado es reposición del diente lo antes posible, uso de férulas, tratamiento de endodoncia y control clínico y radiográfico (Ver Tabla 3).16

Evolución y secuelas

En la mayoría de los casos, se necesita atención de emergencia después de la TDI para mejorar el pronóstico de los dientes y prevenir complicaciones. La avulsión dental, por ejemplo, es una de las pocas situaciones de emergencia en odontología en las que se necesita ayuda urgente para salvar el diente. Incluso si un diente avulsionado se reimplanta inmediatamente (dentro de los 5 minutos posteriores a la TDI), es posible que la tasa de éxito no sea del 100%. Por lo tanto, los primeros auxilios deberían ser proporcionados in situ, idealmente por personal médico, pero también por padres profesores, entrenadores o personas disponibles y capacitadas. Sin embargo, los estudios indican que los profesores y entrenadores carecen de conocimientos adecuados sobre el comportamiento apropiado en situaciones de emergencia que involucran traumatismos dentales. Los niños con traumatismos dentales son una preocupación importante hoy en día, no solo por sus posibles resultados negativos y su frecuente aparición, sino también porque pueden reducir su calidad de vida. Además, las personas con traumatismos dentales no tratados suelen experimentar con mayor frecuencia

Trauma

problemas al masticar y dificultades con la interacción social, como preocupación excesiva por lo que piensan los demás, evitar sonreír y reír, y no hablar con otros niños.17

Muchos tratamientos de ortodoncia se realizan en preadolescentes; sin embargo, las lesiones dentales traumáticas son comunes durante los años de la preadolescencia. Los dientes con luxación extrusiva también suelen luxarse lateralmente hacia el lado lingual/palatino, lo que puede provocar una mordida cruzada anterior, lo que provoca una alteración de la oclusión. La Asociación Internacional de Traumatología Dental (IADT) recomienda la reposición de dientes permanentes luxados lateralmente y extruidos, ya sea manualmente o con fórceps, poco después del traumatismo y la estabilización con una férula flexible (Figura 5). Sin embargo, las deformaciones del hueso alveolar en ocasiones forman una barrera para este reposicionamiento dentario. Cuando se retrasa el tratamiento, los coágulos de sangre también pueden bloquear el reposicionamiento de los dientes luxados.18

Uso de antibióticos. Hay pruebas limitadas sobre el uso de antibióticos sistémicos en el tratamiento de las lesiones por luxación y no hay pruebas de que la cobertura con antibióticos mejore los resultados de los dientes con fracturas radiculares. El uso de antibióticos queda a criterio del médico, ya que las tdi suelen ir acompañadas de intervenciones quirúrgicas en tejidos blandos y otras intervenciones. Además, el estado médico del paciente puede justificar la cobertura de antibióticos. Pruebas de sensibilidad. Las pruebas de sensibilidad se refieren a pruebas (prueba en frío y/o prueba de pulpa eléctrica) que intentan

determinar el estado de la pulpa. En el momento de la lesión, las pruebas de sensibilidad frecuentemente no dan respuesta, lo que indica una falta transitoria de respuesta pulpar. Por tanto, al menos son necesarios 2 signos y síntomas para realizar el diagnóstico de pulpa necrótica. Se requieren controles de seguimiento periódicos para realizar un diagnóstico pulpar. 19

Discusión

En el texto podemos analizar los diferentes tratamientos para los diversos traumatismos dentales, como la luxación extrusiva, tanto en dentición primaria como en dentición permanente o mixta, esto basándose en la experiencia clínica como en los datos científicos. Se realizó una búsqueda en la literatura y en los casos reportados para poder clasificar de manera específica los diferentes traumas dentales y así poder llegar a un diagnóstico más acertado. Un ejemplo es el trabajo realizado por Strobol donde en 41 pacientes traumatizado, por medio de flujometría láser Doppler investigó 69 incisivos superiores tratados mediante reposicionamiento y ferulización, y el respectivo diente homólogo contralateral para evaluar los valores locales de flujo sanguíneo pulpar. Las unidades de perfusión se registraron en cuatro sesiones, el día de la retirada de la férula.4 La población estuvo constituida principalmente por pacientes masculinos (65.71%), con edades entre 7 y 14 años (59,04%), siendo los incisivos centrales superiores el grupo de dientes afectados con mayor frecuencia por traumatismos (64.4%). En cuanto a los factores etiológicos, los accidentes de bicicleta (33.7%) seguidos de las caídas (24%) fueron los principales factores relacionados con los episodios

traumáticos. Se analiza la reacción palpar debido a estos y diversos eventos traumáticos. Las pautas de la Asociación Internacional de Traumatología Dental recomiendan la ferulización de fracturas de huesos y raíces en la dentición primaria para minimizar el daño a los sucesores permanentes.26 Encontramos que, en estos casos, la ferulización es el tratamiento más conveniente y que da mejores resultados al momento de tratar la luxación extrusiva, también con el conocimiento de que ciertos antibióticos tales como la amoxicilina o tetraciclina tienen efectos positivos en los casos que pueden ser complementos dentro del tratamiento de la ferulizacion.9 Se arrojó una tasa de éxito alto en el desarrollo de pacientes jóvenes, esto en casos en los que se llegue a tratar de manera oportuna.

Conclusión

La tasa de éxito de la extrusión de dientes intruídos generada ortodóncicamente es alta. Entre los dientes con ápices incompletos, aquellos que habían sufrido una intrusión severa perdieron su vitalidad, mientras que casi la mitad de los dientes moderadamente intruidos permanecen vitales. Todos los dientes con ápices completos pierden su vitalidad. Todos los dientes que permanecen vitales muestran signos de obliteración pulpar. El especialista en ortodoncia, el profesional más capacitado capaz de aplicar fuerzas direccionales apropiadas para resolver dientes intruidos y otros dientes desplazados, tiene un papel importante que desempeñar como miembro del equipo de traumatismo dental en las primeras etapas del tratamiento de emergencia por lesión traumática.

Referencias

1. de Souza, Beatriz Dulcineia Mendes et al. 2020. “Incidence of Root Resorption after Concussion, Subluxation, Lateral Luxation, Intrusion, and Extrusion: A Systematic Review.” Clinical Oral Investigations 24(3): 1101–11.

2. Bourguignon, Cecilia et al. 2020. “International Association of Dental Traumatology Guidelines for the Management of Traumatic Dental Injuries: 1. Fractures and Luxations.” Dental Traumatology 36(4): 314–30.

3. Lauridsen, Eva, Paul Blanche, Nadia Yousaf, and Jens O. Andreasen. 2017. “The Risk of Healing Complications in Primary Teeth with Extrusive or Lateral Luxation—A Retrospective Cohort Study.” Dental Traumatology 33(4): 307–16.

4. H. Strobl, I. Moschen, I. Emshoff, and R. Emshoff, “Effect of luxation type on pulpal blood flow measurements: A long-term follow-up of luxated permanent maxillary incisors,” J. Oral Rehabil., vol. 32, no. 4, pp. 260–265, 2005, doi: 10.1111/j.1365- 2842.2005.01497.x.

Trauma

Sonriendo al futuro

5. Takamiya, Aline Satie et al. 2022. “Intentional Replantation as Treatment of Extrusive Luxation: A Case Report.” Iranian Endodontic Journal 17(4): 205–8.

6. Spinas, Enrico, Laura Pipi, and Claudia Dettori. 2020. “Extrusive Luxation Injuries in Young Patients: A Retrospective Study with 5-Year Follow-Up.” Dentistry Journal 8(4): 1–19.

7. Lima, Thiago Farias Rocha, Juliana Yuri Nagata, Francisco José de Souza-Filho, and Adriana de Jesus Soares. 2015. “Post-Traumatic Complications of Severe Luxations and Replanted Teeth.” Journal of Contemporary Dental Practice 16(1): 13–19.

8. Goswami, Mousumi, Bushra Rahman, and Sanjay Singh. 2020. “Outcomes of Luxation Injuries to Primary Teeth-a Systematic Review.” Journal of Oral Biology and Craniofacial Research 10(2): 227–32. https://doi.org/10.1016/j. jobcr.2019.12.001

9. A.F. Queiroz et al., “Effect of systemic antibiotic therapy on pulp repair following extrusive luxation and avulsion in a murine model: A histomorphological study,” Dent. Traumatol., vol. 38, no. 5, pp. 397–409, 2022, doi: 10.1111/edt.12771

10. Di Giorgio, Gianni et al. 2021. “Root Fracture and Extrusive Luxation in Primary Teeth and Their Management: A Case Report.” Dentistry Journal 9(9): 1–9.

11. Mokhtari, Saeedeh, Sepideh Hosseini, and Maryam Khosrozadeh. 2021. “Management of an Extrusive Luxation Concomitant with Subluxation: A Case Report with Ten-Year Follow-Up.” Case Reports in Dentistry 2021: 1–4.

12. Hermann, Nuno Vibe et al. 2012. “Periodontal Healing Complications Following Extrusive and Lateral Luxation in the Permanent Dentition: A Longitudinal Cohort Study.” Dental Traumatology 28(5): 394–402.

13. Spinas, Enrico, Laura Pipi, Silvia Mezzena, and Luca Giannetti. 2021. “Use of Orthodontic Methods in the Treatment of Dental Luxations: A Scoping Review.” Dentistry Journal 9(2).

14. Queiroz, Alfredo Franco et al. 2019. “Calcific Metamorphosis of Pulp after Extrusive Luxation.” Dental Traumatology 35(2): 87–94.

15. W. C. Cho, O. H. Nam, M. S. Kim, H. S. Lee, and S. C. Choi, “A retrospective study of traumatic dental injuries in primary dentition: treatment outcomes of splinting,” Acta Odontol. Scand., vol. 76, no. 4, pp. 253–256, 2018, doi: 10.1080/00016357.2017.1414956.

16. E. F. Hamanaka, L. M. Nogueira, W. R. Pires, S. R. Panzarini, W. R. Poi, and C. K. Sonoda, “Replantation as treatment for extrusive luxation,” Braz. Dent. J., vol. 26, no. 3, pp. 308–311, 2015, doi: 10.1590/0103-6440201300283

17. Antipovien, J. Narbutait, and J. I. Virtanen, “Traumatic Dental Injuries, Treatment, and Complications in Children and Adolescents: A Register-Based Study,” Eur. J. Dent., vol. 15, no. 3, pp. 557–562, 2021, doi: 10.1055/s-0041-1723066.

18. M. Aarts and C. M. Suttorp, “Incisal Interference Correction after Severe Extrusive Luxation Trauma during Orthodontic Treatment,” Case Rep. Dent., vol. 2022, 2022, doi: 10.1155/2022/7181481.

19. A.J. DiAngelis et al., “International Association of Dental Traumatology guidelines for the management of traumatic dental injuries: 1. Fractures and luxations of permanent teeth,” Dent. Traumatol., vol. 28, no. 1, pp. 2–12, 2012, doi: 10.1111/j.1600- 9657.2011.01103.x.

20. S. Chaushu, J. Shapira, I. Heling, and A. Becker, “Emergency orthodontic treatment after the traumatic intrusive luxation of maxillary incisors,” Am. J. Orthod. Dentofac. Orthop., vol. 126, no. 2, pp. 162–172, 2004, doi: 10.1016/j.ajodo.2003.06.019.

21. M. L. Munoz Sanchez, N. Decerle, L. Devoize, E. Nicolas, P. Y. Cousson, and J. L. Veyrune, “Dental trauma management in a young teenager through endodontics and implantology: A case report,” Healthc., vol. 9, no. 5, pp. 1–12, 2021, doi: 10.3390/healthcare9050542.

22. Lima, Thiago Farias Rocha, Juliana Yuri Nagata, Francisco José de Souza-Filho, and Adriana de Jesus Soares. 2015. “Post-Traumatic Complications of Severe Luxations and Replanted Teeth.” Journal of Contemporary Dental Practice 16(1): 13–19.

23. A.F. Queiroz et al., “Effect of systemic antibiotic therapy on pulp repair following extrusive luxation and avulsion in a murine model: A histomorphological study,” Dent. Traumatol., vol. 38, no. 5, pp. 397–409, 2022, doi: 10.1111/edt.12771.

24. H. Strobl, I. Moschen, I. Emshoff, and R. Emshoff, “Effect of luxation type on pulpal blood flow measurements: A long-term follow-up of luxated permanent maxillary incisors,” J. Oral Rehabil., vol. 32, no. 4, pp. 260–265, 2005, doi: 10.1111/j.1365- 2842.2005.01497.x.

25. Z. C. Cehreli, S. Sara, and B. Aksoy, “Revascularization of immature permanent incisors after severe extrusive luxation injury.,” Tex. Dent. J., vol. 129, no. 7, pp. 675–681, 2012.

26. W. C. Cho, O. H. Nam, M. S. Kim, H. S. Lee, and S. C. Choi, “A retrospective study of traumatic dental injuries in primary dentition: treatment outcomes of splinting,” Acta Odontol. Scand., vol. 76, no. 4, pp. 253–256, 2018, doi: 10.1080/00016357.2017.1414956

27. S. J. Lee and J. H. Kim, “A retrospective comparative study of maxillofacial injury patterns caused by electric scooters and bicycles,” Dent. Traumatol., no. July, pp. 1–8, 2023, doi: 10.1111/edt.12878

28. Bourguignon, Cecilia et al. 2020. “International Association of Dental Traumatology Guidelines for the Management of Traumatic Dental Injuries: 1. Fractures and Luxations.” Dental Traumatology 36(4): 314–30.

29. Lauridsen, Eva, Paul Blanche, Nadia Yousaf, and Jens O. Andreasen. 2017. “The Risk of Healing Complications in Primary Teeth with Extrusive or Lateral Luxation— A Retrospective Cohort Study.” Dental Traumatology 33(4): 307–16.

30. Goswami, Mousumi, Bushra Rahman, and Sanjay Singh. 2020. “Outcomes of Luxation Injuries to Primary Teeth-a Systematic Review.” Journal of Oral Biology and Craniofacial Research 10(2): 227–32. https://doi.org/10.1016/j. jobcr.2019.12.001

Por qué la Generación Z debe abrazar la salud de las encías

Bruselas, 22 de abril de 2024. A medida que la Generación Z comienza su viaje hacia la adultez, hay un aspecto crucial de la salud que a veces pueden pasarse por alto: sus encías. Con el aumento de las dietas azucaradas y los niveles crecientes de estrés y ansiedad, los adolescentes y adultos jóvenes son cada vez más susceptibles a enfermedades de las encías y otros problemas bucales. Este es el tema del Día de la Salud de las Encías 2024, una campaña anual de salud pública global liderada por la EFP (Federación Europea de Periodoncia).

Lanzado hace 10 años, el Día de la Salud de las Encías tiene como objetivo informar al público en general sobre los efectos perjudiciales de las enfermedades de las encías (gingivitis, periodontitis, mucositis periimplantaria y periimplantitis) tanto en la salud bucal como en la salud en general; así como las ventajas de mantener sus encías saludables desde una edad temprana.

"Sentimos que necesitábamos dirigir el Día de la Salud de las Encías 2024 a los jóvenes, ya que no siempre son conscientes del papel que desempeña la salud de sus encías en su estado de salud general, por lo que pueden sentirse menos preocupados por ellas",

explica la Dra. Mia Rakic, coordinadora del Día de la Salud de las Encías 2024.

Las enfermedades de las encías están asociadas con importantes problemas de salud sistémica, incluyendo diabetes, infarto de miocardio, insuficiencia cardíaca, accidente cerebrovascular, enfermedad renal crónica, resultados adversos en el embarazo, artritis reumatoide, enfermedad de Alzheimer, disfunción eréctil, ciertas formas de cáncer y otras enfermedades sistémicas. Al cuidar nuestras encías, todos podemos empezar a prevenir esos problemas de inmediato, ya que una sonrisa sana puede allanar el camino hacia un estilo de vida más saludable, e incluso ahorrar dinero en el futuro.

Según un reciente informe publicado por Economist Impact titulado “Time to put your money where your mouth is: addressing inequalities in oral health” ("Es hora de poner el dinero donde está tu boca: abordar las desigualdades en la salud oral"), las enfermedades bucales afectan a casi la mitad de la población mundial, superando la carga de la mayoría de las enfermedades no transmisibles más comunes (ENT), como los trastornos mentales, el cáncer, la diabetes y las enfermedades cardiovasculares y respiratorias crónicas.

"Así es como podemos ayudar a la Generación Z a reconocer el papel fundamental que desempeñan sus encías en la autoestima y el bienestar general. Nuestra campaña tiene como objetivo inspirar a los jóvenes a liderar un cambio positivo en la forma en que la sociedad percibe la salud de las encías, enfatizando su importancia más allá de la higiene oral, y arrojar luz sobre el trabajo de los periodoncistas", destaca la Dra. Rakic.

La EFP, punto de referencia global en periodoncia.

La EFP (Federación Europea de Periodoncia, www.efp.org) es una organización sin fines de lucro dedicada a promover la conciencia sobre la ciencia periodontal y la importancia de la salud de las encías para los profesionales de la salud bucal y el público en general. Su visión orientadora es "Salud periodontal para una vida mejor".

Fundada en 1991, la FEP es una federación de 43 sociedades periodontales nacionales que representan a más de 17 000 periodoncistas, dentistas, investigadores y profesionales de la salud bucal en Europa y en todo el mundo. Organiza talleres, eventos y campañas basadas en la ciencia basada en evidencia en periodoncia y salud bucal, incluyendo EuroPerio (el congreso líder mundial en periodoncia y odontología de implantes), Perio Master Clinic, Día de la Salud de las Encías y Taller Periodontal.

El trabajo de la FEP en educación también es altamente significativo, especialmente sus programas universitarios acreditados para la educación de posgrado en periodoncia y odontología de implantes.

La FEP no tiene agenda profesional o comercial.

Caso clínico

Andrea Ezbeidi Guarneros Palestino. Residente del 2º año de la maestría Ortdoncia y Ortopedia Maxilofacial en el Centro de Estudios Superiores de Ortdoncia CESO. Beatriz Gurrola Martínez. Profesora de la maestría del CESO y profesora de tiempo completo Titular “C” de la carrera de Cirujano Dentista en la Facultad de Estudios Superiores Zaragoza de la UNAM. Dr. Adán Casasa Araujo. Director del CESO

Manejo de clase II esquelética y dental mediante avance mandibular con bite ramps

Se describe un caso de un paciente masculino de 18 años de edad, con diagnóstico de clase II esquelética, normodivergente, clase II canina y molar bilateral, overjet aumentado, laterales microdónticos, apiñamiento leve superior e inferior, asimetría facial, canteamiento oclusal y con hábito de deglución atípica. Objetivos: mejorar el perfil facial, corrección del apiñamiento maxilar y mandibular, del overjet y overbite y de las líneas medias dentales, así como la obtención de clase I molar y canina bilateral. Generar remodelación condilar a largo plazo, corrección de hábito, lograr correcta intercuspidación, lograr guía de desoclusión canina, lograr guía incisiva, gingivectomía, exodoncias de terceros molares 18, 28, 38 y 48 y restauración de incisivos superiores 11, 12, 21 y 22. Tratamiento: alineación, nivelación, avance mandibular, stripping, detallado y retención. A través de brackets prescripción Roth 0.022 x 0.028”, tubos bondeables en primeros y segundos molares y bite ramps angulados en incisivos centrales superiores 11 y 21. El tiempo activo de tratamiento fue de 1 año y 4 meses, la retención se llevó a cabo mediante retenedores circunferenciales con cinturón vestibular en ambas arcadas y un Frankel unilateral izquierdo de uso nocturno.

Palabras clave: clase II, avance mandibular, bite ramps, asimetría facial, canteamiento oclusal.

En el campo odontológico se entiende por oclusión a las relaciones entre los dientes del mismo arco, de ambas arcadas, y de ellos con el resto de las estructuras y tejidos blandos bucofaciales y peridentales, en el caso del contacto entre ellos y durante todos los movimientos funcionales de la mandíbula. Proffit refiere que la maloclusión “no es más que toda aquella situación en la cual la oclusión no cumple ciertos parámetros considerados normales”. La maloclusión ósea procede de una relación anormal de la base maxilar superior e inferior.1 La maloclusión clase II esquelética y dental es multifactorial, ocasionada por factores generales y locales1 o por deficiencia en el crecimiento condilar mandibular, fracturas condilares, adaptación de la articulación temporomandibular, herencia, malformaciones genéticas, anquilosis y algunos hábitos, entre otros.2,3 La prevalencia de pacientes clase II esquelética en la población mexicana es de 37.1%4 y clase II dental división 1 en hombres mexicanos es de 11.8%.3 Se ha reportado que con avance mandibular se estimula la regeneración no solo de la fosa glenoidea sino también de la cabeza condilar.4 Como retención es importante mencionarle al paciente el uso de aparatología miofuncional para seguir promoviendo la regeneración a nivel de la articulación temporomandibular (ATM).

Caso clínico

Paciente masculino de 18 años de edad con motivo de consulta: “Quiero arreglar toda mi dentadura”, diagnosticado con clase II esquelética, biotipo facial mesofacial, perfil convexo, clase II canina y molar bilateral, línea media superior coincidente con la facial, línea media inferior desviada a la izquierda 2 mm, overjet aumentadado con 9 mm y overbite disminuido a 17%.

Estudios extraorales y fotografías de inicio

En la Figura 1 se observa el biotipo mesofacial del paciente con quintos proporcionales. En la Figura 2 el tercio medio aumentado respecto al tercio inferior y superior. La Figura 3 la sonrisa la línea media facial coincidente con la dental superior y ligera asimetría facial hacia la izquierda.

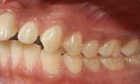
Estudios intraorales de inicio

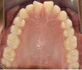
En la fotografía lateral derecha (Figura 4), de frente e izquierda se ve la clase II canina y molar bilateral, curva de Spee acentuada y laterales microdónticos. La línea media dental inferior está desviada a la izquierda 2 mm. En las oclusales superior e inferior, el apiñamiento leve superior e infierior, laterales superiores

Figura 1. Frente.
Figura 2. Perfil.
Figura 3. Sonrisa.

microdónticos y formas de arco cuadradas (Figura 5).

Estudios iniciales radiográficos de inicio

En la radiografía lateral de cráneo ( Figura 6 ) se ve la línea estética de Rickets, que el labio superior se encuentra a +0.5 mm y el inferior a -2 mm. En las mediciones cefalométricas más importantes en la figura 11 un ANB de 5º, GoGn-SN de 33º y FMA de 21º crecimiento normodivergente y Witts de -1 mm. A los criterios dentales encontramos

1-PLT de 129º e IMPA 99º proinclinación de incisivos tanto superiores como inferiores. En la radiografía panorámica (Figura 7), la presencia de 32 órganos dentarios, con terceros molares inferiores aún sin erupcionar y terceros molares superiores

Manejo de clase II esquelética y dental
Figura 4. Intraoral derecha, frente, izquierda.
Figura 5. Oclusal superior e inferior.

Caso clínico

Figura 6. Rx. cráneo lateral inicio progreso con trazos.

7. Radiografía panorámica.

Figura 8. Cortes sagital, inclinaciones dentales superior e inferior, axial tomográfico de las arcadas.

Figura

de clase II esquelética y dental

ya erupcionados, falta de paralelismo radicular, asimetría condilar, articulación temporomandibular (ATM) izquierda afectada.

Estudios tomográficos

En el corte sagital ( Figura 8 ) se muestran las inclinaciones dentales alteradas hacia vestibular de ambos incisivos. Finalmente en una vista

axial la forma de arcos cuadrada y la malposición dental clasificada como apiñamiento leve.

Tratamiento

El tratamiento consistio en alineación, nivelación, avance mandibular, stripping, detallado y retención. La corrección del apiñamiento maxilar y mandibular se resolvió a través de

9. Bondeo indirecto con silicona.

a) Marcaje de línea media asentada.

b) Retiro de guía de silicona

Figura 10. Intraorales de bondeo superior realizado por técnica indirecta.

Figura 11. Uso de elásticos clase II bilaterales dobles y “Storino Leash” en sector anteroinferior.

12. Intraorales uso de elásticos en W y bite ramps largos en sector anterosuperior.

13. Extraorales de sonrisa.

Julio 2024

Manejo
Figura
Figura
Figura

alineación y nivelación haciendo uso de la técnica de bondeado indirecto (Figura 9 y 16) con secuencia de arcos CuNiTi 0.016” superior, NiTi 0.016, 0.016” x 0.022”, 0.017” x 0. 025” y acero inoxidable 0.018”.

La obtención de clase I canina y molar bilateral se obtuvo mediante el avance mandibular y uso de elásticos intermaxilares con el uso de bite ramps en 11 y 21 angulados largos, elásticos clase II cortos y largos de 3/16” 4.5 oz sencillos y dobles figura 10 y elásticos clase II continuos en W de uso nocturno de 5/16” 2.5 oz (Figura 1). La corrección del overjet y overbite se alcanzó con anclaje mínimo, elásticos intramaxilares, IPR, rebondeo y arcos seccionales mediante ferulizado con ligadura metálica de segundo molar superior derecho 17 a canino superior derecho 13 y de lado contrario de 27 a 23, tie back inferior, stripping de 33 a 43, cadena de canino a canino superior de 13 a 23 y de primer molar a primer molar inferior de 36 a 46, “Storino Leash" anteroinferior de 33 a 43, rebondeo con alturas Pitts en anterosuperior y arcos seccionales de NiTi 0.016”. Máxima intercuspidación, paralelismo radicular y

oclusión funcional tratatada bajo el detallado del caso con arcos de acero inoxidable 0.017” x 0.025”, 0.019” x 0.025”. Dobleces de segundo orden: Tip mesial de caninos superiores 13 y 23, intrusión de segundos premolares superiores 15 y 25 y de anteroinferiores de 32 a 42, extrusión de primeros premolares 14 y 44 incisivios 22, 42 y 21 al igual que segundos premolares inferiores 35 y 45, por último en el detallada se ocuparon elásticos en W para asentamiento.

Resultados

Se logró una sonrisa más armoniosa respetando la línea media facial de inicio a final (Figura 13). En la Figura 14 la mejoría en el perfil, con mejor protracción del mentón debido al avance mandibular y como el tercio medio permaneció aumentado de inicio a fin.

Secuencia de radiografías laterales de cráneo (Figura 15) vemos que el ANB disminuyo 1º de inicio a fin clase I con tendencia a clase II esquelética a final. Reducción de Witts 0.5 mm final, crecimiento normodivergente. Mandíbula más pequeña que el maxilar, cambio por el avance mandibular.

Figura 14. Extraorales de perfil.
Figura 15. a) Rx lateral de cráneo de inicio. b) De progreso. c) Lateral de cráneo final.

Manejo de clase II esquelética y dental

Referente a los criteriso dentales, el incisivo maxilar respecto a su base ósea tuvo una importante retroinclinación, inció en 129º y finalizó en 111º, en cuanto al incisivo inferior, este se proinclinó 1º, de 99º a 100º.

Panorámicas de inicio a fin (Figura 16) el paralelismo radicular, genera estabilidad a largo plazo en el tratamiento. Se extrajeron los terceros molares para eliminar discrepancia posterior y lograr adecuada

Figura 16. Radiografías panorámicas. a) Inicio. b) Progreso. c) Final.

distalización. Se alineo la curva de Spee acetuada y se libero correctamente el apiñamiento dental que presentaba el paciente al inicio del tratamiento.

En los estudios intarorales finales (Figura 17), se observa la coincidencia de las líneas medias, la resolución del apiñamiento leve, adecuado overjet y overbite y restauración de los laterales microdónticos.

La estabilidad a largo plazo con retenedor removible superior e inferior circunferencial en ambas arcadas (Figura 22) de uso nocturno de Frankel (Figura 16), unilateral

izquierdo para promover la regeneración condilar del lado afectado.

Sobreimposiciones incio-final sobre componente craneofacial figura 20 paciente adulto sin crecimiento, con descenso y avance mandibular con bite ramps, modificación en el perfil facial a nivel de labio inferior y proyección del mentón. Sobre maxilar (Figura 21) extrusión y ligera distalización del primer molar superior y retroinclinación y ligera extrusión del incisivo superior pasa de 1-PLT de 129º a 111º. Sobre sínfisis figura 22 ligera extrusión y verticalización del molar inferior y proinclinación y extrusión del incisivo inferior,

Figura 17. Fotografías intraorales de frente. a) Inicio. b) Progreso. c) Final.
Figura 18. Vista oclusal y frente de los retenedores circunferenciales.

determinada por el uso de la mecánica de adelantamiento mandibular.

Discusión

Es necesario saber cómo abordar este tipo de maloclusiones donde además de discrepancia esquelética y dental, hay discrepancia en tamaño, señalando el término microdoncia aplicado a los dientes que son más pequeños de los límites de variación considerados normales.1 Se distinguen 2 tipos de microdoncia: generalizada y localizada, esta última es más frecuente, y suele afectar a los incisivos laterales superiores y a los terceros molares.2,3,4 Gómez encontró que el 40.5% de la población mexicana padece de microdoncia de los incisivos laterales, refleja un alto porcentaje de este padecimiento de acuerdo a los criterios de Binder y Cohen lo cual debe considerarse en la planeación del tratamiento ortodóncico.5 Castilla evaluó la precisión de cinco tipos de técnicas de transferencia de brackets, siendo la de silicona la más precisa en comparación con las que se realizaban al vacío donde la elongación del material causaría rotación o desplazamiento de los brackets 6 En el CESO se hizo el avance mandibular a nivel ortodóntico, porque la discrepancia no era tan severa en el lado derecho para ser tratado quirúrgicamente: la astimetría facial por el desgaste que presentaba a nivel del cóndilo izquierdo. Uribe señala que es fundamental comprender la etiología de la asimetría facial para la planificación del tratamiento y la estabilidad a largo

plazo.7 Una asimetría adquirida puede ser originada por trauma facial, fracturas, infección a nivel temporomandibular, artritis articular, anquilosis de la ATM, patologías faciales, tumores, síndrome de Parry-Romberg y hiperplasia o hipoplasia de uno o ambos cóndilos, entre otros. 8,9 La prevalencia de la discrepancia mandibular es más común en el lado izquierdo (82%), Además, las asimetrías condilares se encuentran entre las causas más comunes de asimetrías faciales y mandibulares. Algunos estudios han demostrado que si no se tratan las asimetrías en pacientes en crecimiento, pueden causar problemas severos a nivel mandibular y de la ATM.10,11,12 El avance mandibular se llevó a cabo mediante turbos de resina funcionales a nivel de los incisivos centrales para promover el desplazamiento hacia delante y hacia debajo de la mandíbula favoreciendo la relación dental y la proyección del mentón.8 Este tipo de tratamiento genera un reposicionamiento anterior e inferior del cóndilo mandibular, desplazamiento vertical de la fosa glenoidea, y aumento del crecimiento condilar.9 Ding reporta que los adolescentes masculinos suelen tener mejor respuesta a la remodelación a nivel de la ATM que los adultos y género femenino, también resaltaron que los síntomas al colocar un aparato de avance mandibular suelen desaparecer al poco tiempo.10 Al paciente del CESO, se le indicó retención nocturna, un aparato Frankel II de lado izquierdo por lo que menciona Schiavoni que se han utilizado aparatos

Manejo de clase II esquelética y dental
Figura 19. Frankel uso nocturno.
Figura 20. Sobreimposición componente craneofacial.

funcionales removibles durante muchos años para tratar maloclusiones clase II de origen mandibular modificando la relación cóndilo-fosa y la actividad de las estructuras neuromusculares.13,14,15 El uso del Frankel II como aparato miofuncional ayudará a nivelar fuerzas neuromusculares y promover la regeneración condilar de lado izquierdo. Por último mencionar que el uso de elásticos intermaxilares en este caso clínico fue imprescindible, ya que ayudo a la corrección de la maloclusión clase II, promovió la rotación mandibular en sentido horario,

optimizó la intercuspidación y mejoró a su vez el asentamiento oclusal.

Conclusión

Para obtener resultados esperados y el cumplimiento de los objetivos planteados es de suma importancia realizar un diagnóstico correcto, tomando en cuenta clasificación tanto dental como esquelética del paciente e indagar en la etiología de la maloclusión para poder resolver los problemas presentados y lograr estabilidad a largo plazo.

Referencias

1. Gurrola Martínez DB, Leticia CD, Cuanalo O. Maloclusiones. Unam.mx. Disponible en[Internet] 2017[consultado el 10 de octubre de 2022]. Disponible en: https://www.zaragoza.unam.mx/wp-content/Portal2015/publicaciones/ libros/cbiologicas/libros/Maloclusiones17.

Figura 21. Sobre maxilar. Figura 22. Sobreimposición ABO sobre sínfisis.

2. Shaughnessy T, Shire L. Etiology of Class II malocclusions. Pediatric Dentistry. 1988 Dic; 10 (4)

3. Ruíz J. Frecuencia de maloclusiones en el Hospital General de México en el periodo 2014-2017. Tesis Universidad Autónoma Metropolitana. Unidad Xochimilco. 2021.

4. Tokunaga S, Katagiri M, Elorza H. Prevalencia de las maloclusiones en el Departamento de Ortodoncia de la División de Estudios de Postgrado e Investigación de la Facultad de Odontología de la Universidad Nacional Autónoma de México. Revista Odontológica Mexicana 2014;18 (3): 175-179

5. Gómez D, Rivas R, Gutiérrez J. Prevalencia de microdoncia de incisivos laterales superiores en una población mexicana. Rev CES Odont. 2013;26(2):67–73.

6. Castilla, Caro MF. Protocolo de cementación indirecta de aparatología ortodócica fija utilizando materiales de uso común. ADM. 2019 Nov 10;76(6):315–21.

7. Uribe G. Ortodoncia: teoría y clínica. 2a ed. Colombia: corporación para investigaciones biológicas. 2010.

8. Kravitz N, Jorgensen G, Frey S, Cope J. Resin Bite Turbos. JCO. 2018 Sep; LII(9):456–61.

9. Kyburz K, Eliades T, Papageorgiou S. What effect does functional appliance treatment have on the temporomandibular joint? A systematic review with metaanalysis. Progress in Orthodontics. 2019; 20 (32)

10. Ding L, Chen R, Liu J, Wang Y, Chang Q, Ren L. The efect of functional mandibular advancement for adolescent patients with skeletal class II malocclusion on the TMJ: a systematic review and meta-analysis. BMC Oral Health. 2022; 22 (51)

11. Srivastava D, Singhb H, Mishraa S, Sharmab P, Kapoorb P, Chandra L. Facial asymmetry revisited: Part I- diagnosis and treatment planning. Journal of Oral Biology and Craniofacial Research. 2018; 8 7–14

12. Alqhtani N, Alshammery D, AlOtaibi N, AlZamil F, Allaboon A, AlTuwaijri D, Abdul M. Correlations Between Mandibular Asymmetries and Temporomandibular Disorders: A Systematic Review. Journal of International Society of Preventive and Community Dentistry. 2021; Sept-Oct; 11(5)

13. Ozdiler O, Orhan K, Cesur E, Köklü A, Algın O. Evaluation of temporomandibular joint, masticatory muscle, and brain cortex activity in patients treated by removable functional appliances: a prospective fMRI study. Dentomaxillofac Radiol [Internet]. 2019;48(7):20190216. 2017 [consultado el 20 de octubre de 2022] Disponible en: http://dx.doi.org/10.1259/dmfr.20190216

14. Schiavoni R, Contrafatto R, Grenga C, Pacella B. Condylar reshaping in a TMD patient after ortho-prosthetic treatment: A 20-year follow-up case report. J Clin Exp Dent. 2022;14(2):e211-6

15. Janson G, Sathler R, Freire T , Castello N, De Freitas R. Correction of Class II malocclusion with Class II elastics: A systematic review. AJODO. 2013; 143 (3)

Andrea Macías Torres. Residente del segundo año de la Especialidad en Ortopedia Maxilar en el Centro de Estudios Odontológicos y Clínica Especializada GNATHOS, Morelia, Michoacán, México. Ericka Zayra Hernández González. Residente del segundo año de la Especialidad en Ortopedia Maxilar en el Centro de Estudios Odontológicos y Clínica Especializada GNATHOS, Morelia, Michoacán, México. Soledad B. Torres Castillo. Maestría en Ciencias Odontológicas, Ortodoncista y Profesor del área de investigación del Centro de Estudios Odontológicos y Clínica Especializada GNATHOS, Morelia, Michoacán, México. Benjamín Alberto Lázaro Castillo.

Especialista en Ortopedia Funcional de los Maxilares, especialidad en Ortodoncia y Catedrática en la Especialidad de Ortopedia Maxilar del Centro de Estudios Odontológicos y Clínica Especializada GNATHOS, Morelia, Michoacán, México.

Conflicto de interés: los autores manifiestan no tener ningún conflicto de interés. Datos de referencia: Andrea Macías Torres gandremt@gmail.com

Introducción: La ortopedia funcional de los maxilares, a través de estímulos del crecimiento en la dirección correcta, nos beneficia para corregir maloclusiones en un estadio temprano con tratamientos sencillos, previniendo alternativas ortodóncicas y quirúrgicas futuras. Objetivo: reportar tratamiento ortopédico clase II división 2, con mordida profunda, paciente en crecimiento. Metodología: Niño de 10 años empleando aparatología ortopédica de Simoes Network SN1 y recambio de Pistas Planas PIPS. Resultados: con el uso del SN1 con equiplan corregimos la mordida profunda en un periodo de 12 meses con su uso continuo y con el PIPS, durante 7 meses dando la estabilidad oclusal. Conclusión: la ortopedia funcional de los maxilares, debe de ser el tratamiento de elección en dentición primaria y mixta. Aunque nuestro paciente presentó una dentición mixta tardía obtuvimos una remodelación y redirección en el crecimiento óseo. Ayudando al paciente en su desarrollo físico y psicosocial. Dependemos al 100% de la cooperación del paciente por lo cual es indispensable el poder estimularlos y alentarlos en el uso correcto de los aparatos.

Palabras claves: clase II división 2, Equiplan, Simoes Network, SN1, Pistas Planas

Según la OMS las maloclusiones ocupan el 3er lugar en problemas de salud bucodental, estadísticamente más del 60% de la población mexicana presenta algún tipo de anomalía oclusal.1 En el 2014 el postgrado de Ortodoncia de la Universidad Nacional Autónoma de México, nos habla que la prevalencia de la clase II es del 37.1%,2 por lo cual es de suma importancia su diagnóstico y tratamiento precoz.3 Desde 1899, Edward H. Angle, estableció que el primer molar superior de la dentición permanente es fundamental en la oclusión;4 las desarmonías eran consecuencia de cambios anteroposteriores de la arcada inferior en relación al primer molar.5

La clase II molar se divide en 2 clase II división 1 (incisivos superiores con inclinación a vestibular); clase II división 2 (incisivos centrales superiores palatinizados y los laterales vestibularizados).6 Ambas se caracterizan por una desproporción en posición y tamaño de los maxilares, siendo generalmente un maxilar superior adelantado o prognatismo, con una mandíbula hacia atrás o retrognatismo; con respecto al tamaño podemos encontrar macrognatismo maxilar con micrognatismo mandibular.7 Estas características se pueden presentar de forma aislada o una combinación de estos.8

Si tenemos una mordida profunda se cuantifica haciendo la relación de que tanto el incisivo superior cubre la cara palatina del inferior. Y si por el contrario tenemos una mordida abierta el valor se da en milímetros.9

Generalmente el perfil presente en el paciente es convexo, y en la mayoría de los casos la etiología está relacionada con alteraciones de tipo funcional y asociada a hábitos nocivos como la succión digital, problemas respiratorios y alteraciones de deglución.10 El arco maxilar toma una forma triangular, por lo cual puede presentar apiñamiento dental y en algunos casos mordida cruzada posterior o mordida en tijera.11

Es fundamental identificar las regiones anatómicas afectadas para sugerir así un adecuado plan de tratamiento, teniendo en cuenta el factor etiológico.12 La clase II división 2, engloba las maloclusiones que presentan los incisivos centrales superiores que están retroinclinados y los laterales superiores proclinados.13 Estos pacientes suelen presentar mordida profunda, como resultado a que el contacto oclusal de los incisivos está alterado por el resalte,

estos suelen extruirse, profundizando la mordida. 14 En pacientes que acudieron a la clínica de la UNAM, en el rango de edad de 6 a 13 años se encontró retrusión mandibular del 64%, mientras que para la protrusión maxilar resultó ser del 19%; cuando se encontraron ambas variables en un mismo paciente (mixta) la frecuencia fue del 17%.15

Los aparatos de ortopedia funcional (AOF), manifiestan cambios de postura maxilomandibulares, por lo tanto, una redirección del crecimiento, lo que va a resultar en tratamientos más estables.16 Las maloclusiones podrían estar asociadas a la severidad de la caries temprana de la infancia por lo cual es de gran relevancia la prevención.17

El tratamiento ortopédico debe iniciarse en la dentición primaria o mixta temprana, y evitar que la maloclusión avance, produciendo deformaciones faciales, mejorando la autoestima del paciente y reduciendo el riesgo de traumatismos

Figura 1. Fotografías intraorales y lateral de cráneo. A. Vista lateral (VL) derecha en oclusión. B. Vista frontal (VF) en oclusión. C. VL izquierda en oclusión. D. Radiografía lateral de cráneo.

Tratamiento

Investigación clínica

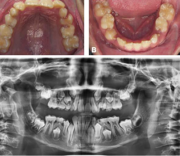
Figura 2. Fotografías oclusales y ortopantomografía. A. Vista de la arcada superior. B. Vista de la arcada inferior. C. Ortopantomografía.

dentales en casos de incisivos muy protruidos.18 Los resultados en cierta parte dependerán de la colaboración en el uso del AOF, y del diseño y confección adecuados del mismo.19 El tratamiento en una fase temprana podrá prevenir disgnacias esqueléticas y dentarias.20 Al estimular el desarrollo o actuar sobre las suturas cuando son permeables a estímulos biomecánicos y funcionales buscando reducir la posibilidad de una cirugía ortognática; reducir el tiempo y la complejidad de tratamientos correctivos ortodóncicos de segunda fase.21

En 2004, Simoes propone el uso de aparatos funcionales, los Simoes Network (SN), diseñados para el tratamiento de diferentes maloclusiones en sintonía con los picos de crecimiento.22 Dentro de la ortopedia funcional de los maxilares, existen principios fundamentales como los cambios de postura terapéuticos y la excitación neural, los cuales se cumplen en los aparatos funcionales

como Bimler, Bionator, Frankel, Planas y los SN.23 El SN1 se caracteriza por llevar dentro de su estructura, arco vestibular, resortes frontales, tubo telescópico inferior, arcos de conducción inferior mandibular, tornillos de expansión.24

Los músculos, como si fueran cordones, controlan las posiciones solicitadas cuando la boca se cierra con AOF. El sistema sensorial y el sistema motor alteran la posición de la lengua y los dientes. Por lo tanto, se educan o reeducan y el sistema neural desarrolla reflejos posturales y de movimiento para mantener la armonía entre ATM y arcos dentarios.25 El esqueleto de acero, protege y apoya las arcadas dentarias por dentro y por fuera y trasmite directamente las fuerzas inducidas por reflejo en los músculos circundantes hasta las superficies de los dientes, conduciéndolas hasta los lugares de mayor equilibrio individual.26

Pedro Planas realizó aparatos para la liberación total o parcial de los movimientos mandibulares. Estos aparatos impiden recidivas porque nos dan libertad de movimientos y eliminan interferencias para llegar a los ángulos funcionales masticatorios iguales, los cuales fueron equilibrados por pistas artificiales (pistas planas), con el nombre de pistas indirectas planas simples (PIPS).27 Las almohadillas vestibulares se utilizan como auxiliar en el tratamiento sin extracciones, este es un aparato con acción ortopédica para aumentar el perímetro del arco tanto mandibular como del maxilar, aliviando también la presión de los labios y carrillos.28 El equiplan funciona como un equilibrador del plano oclusal, este actúa a base de estímulos que inducen modificaciones dentarias y óseas, mediante una

nueva información al sistema sensorial.29

El objetivo de analizar estos conceptos es presentar un caso clínico de paciente masculino de 10 años, clase II división 2, con mordida profunda empleando aparatología ortopédica de Simoes Network y de Pistas Planas.

Reporte de caso clínico

Paciente masculino de 10 años, se presenta a la consulta en la clínica Gnathos, la mamá reporta desagrado en la estética dental y facial del paciente. En la exploración clínica se observa mordida profunda, amplio número de piezas dentales con caries, fracturas dentales, mala higiene y encías inflamadas. presenta clase II división 2, se le indicaron estudios complementarios para diagnóstico asertivo, modelos de estudio,

Tratamiento de mordida profunda

radiografía panorámica y lateral de cráneo, fotografía intraoral y extraoral, historia clínica y consentimiento informado.

Metodología

Después de haber realizado el diagnóstico y plan de tratamiento, se remitió a extracción de restos

Figura 3. Primer aparto SN1 con almohadillas vestibulares. A. VF con aparato, B. VL derecha C. VL izquierda. D. SN1, vista oclusal (VO). Después de 7 meses del tratamiento se observa los avances obtenidos por el aparato y los ajustes del mismo los cuales observamos en las figuras: E. VO del SN1 7mm de crecimiento transversal, F. VF con aparato, 3G. VL derecha, H. VL izquierda.

Investigación clínica

Figura 4. Segundo Aparato SN1. A. VF con aparato, B. VL derecha, C. VL izquierda, 3D. SN1, VO. Después de 5 meses del tratamiento se observa los avances obtenidos por el aparato y los ajustes del mismo los cuales observamos en la imagen, E. VO del SN1 5 mm de crecimiento transversal, F. VF con aparato, G. VL derecha, H. VL izquierda.

Figura 5. Tercer aparato PIPS A. VF con aparato, B. VL derecha, C. VL izquierda, D. PIPS VO. Después de 7 meses del tratamiento se observa los avances obtenidos por el aparato y los ajustes del mismo los cuales observamos en la imagen, E. VO del PIPS sin los mantenedores de espacio, 5. VF con aparato, 5G. VL derecha, 5H. VL izquierda.

radiculares de O.D. 73 y 83 y rehabilitación oral completa de O.D. 54, 63,65 y 75. Se procedió a colocar aparatos ortopédicos para corrección de la maloclusión en enero del 2022.

El tratamiento inicio con AOF, SN1 con Equiplan adicionando almohadillas vestibulares en el maxilar para despresurizar la acción de la musculatura labial. La indicación de uso fue utilizarlo de forma continua solo retirándose para comer e higienizar, activar del tornillo tanto superior como inferior una vez a la semana, y se realizaron revisiones mensuales en la clínica para valorar avances, llevar

a cabo activaciones, ajustes del aparato e indicaciones. Como se observa en la Figura 3.

Al haber obtenido los avances programados en la corrección de la sobremordida vertical con esté AOF, se decide cambiar a un nuevo SN1, con equiplan sin almohadillas y con arco vestibular esto para continuar regularizando el plano de oclusión en el paciente, y fue utilizado por 5 meses de forma continua. Se mantuvieron las mismas indicaciones de uso, que en el aparato anterior. Como podemos observar en la Figura 4

El AOF Sn1 logró el avance mandibular, expansión programada, armonización de arcadas y regularización de la curva de Spee, entonces se determina cambiar dicho aparato por unas PIPS, clase I para mantener el espacio que corresponde a los O.D. 35 y 45, ya que fueron indicadas para extracción los O.D. 75 y 85, esperando la erupción de premolares para terminar el anclaje. Las indicaciones para el paciente fueron uso continuo de las PIPS por 3 meses, solo retirándose para comer e higienizar, revisiones mensuales en la clínica para activación y desgastes de los mantenedores de espacio, vigilando la erupción de los premolares. Posteriormente se indicó su uso nocturno por 4 meses más para mantener estabilidad de los resultados obtenidos.

Después de 18 meses de tratamiento con ortopedia funcional de los maxilares, podemos hacer una comparativa de los resultados obtenidos.

Discusión

Es fundamental identificar las regiones anatómicas afectadas para sugerir así un adecuado plan de

tratamiento teniendo en cuenta el factor etiológico. 12 Nos facilitó el tratamiento el haber elegido las primeras zonas anatómicas en las cuales queremos ver un cambio de esta manera se llegó a la aparatología de SN1, para lograr una propulsión mandibular, y una rotación craneal del maxilar, al elegir el Equiplan en el aparato lo cual contribuyó a tratar la mordida profunda.

El tratamiento ortopédico debe iniciarse en la dentición primaria o mixta temprana, para evitar que la maloclusión avance, produciendo deformaciones faciales, mejorando la autoestima del paciente y reduciendo el riesgo de traumatismos dentales en casos de incisivos muy protruidos.18 En el caso que reportamos se inició el tratamiento en dentición mixta tardía, corregimos la maloclusión y se comenzó a reducir el problema conforme avanzaba satisfactoriamente el tratamiento con los AOF.

Los resultados en cierta parte dependerán de la colaboración en el uso del AOF, del diseño y confección adecuada del mismo.19

El paciente al utilizarlo se observaron cambios rápidos y continuos, ya que su tratamiento duro 18 meses. Se utilizaron 3 AOF cada uno con diferente diseño para lograr los objetivos fijados en cada etapa.

Una fase temprana podrá prevenir disgnacias esqueléticas y dentarias.20

Al observar las imágenes en el antes y el después podemos concluir que se previenen y se bloquea el avance de la maloclusión dental y esquelética clase II división 2 en el paciente, de esta manera se previenen tratamientos más invasivos y complejos

en un futuro, al hacer uso constante del AOF.

Conclusión

Las maloclusiones se presentan en dentición primaria y mixta, por lo cual es importante empezar su tratamiento temprano durante un periodo de crecimiento del paciente, para estimular el desarrollo esquelético y dental adecuado, corregir e interceptar las maloclusiones, logrando una mayor estabilidad en los tratamientos concluidos y reducir tratamientos quirúrgicos, o proporcionar una base ósea adecuada para que los tratamientos ortodóncicos futuros sean más rápidos. También ayuda en la estética facial del paciente, mejorando su desarrollo psicosocial.

De acuerdo a los autores que reportan la función de los AOF y a los resultados obtenidos con nuestro paciente, llegamos a la conclusión, de que es indispensable un diagnóstico correcto para proyectar un plan

Figura 6. Fotos intraorales antes y después del tratamiento. A. VF B. VL derecha, C. VL izquierda, después de 18 meses de tratamiento D. VF, E. VL derecha, F. VL izquierda.

Tratamiento

Investigación clínica

de tratamiento precoz con ortopedia funcional de los maxilares, implementando los procedimientos terapéuticos adecuados con la elaboración correcta de los aparatos, con los cuales podemos obtener resultados satisfactorios.

Cabe aclarar que para obtener resultados en ortopedia funcional de los maxilares dependemos al 100% de la cooperación del paciente y su tutor por lo cual es indispensable el poder estimularlos y alentarlos en el uso correcto de los aparatos.

Referencias

1. mixta de la clínica de la Especialidad en Odontopediatría de la Universidad Autónoma de Sinaloa. Revista Tamé, Pág. 482-484.

2. Araiza, D. J., & Mondragón, T. D. (2017). Tratamiento ortopédico SN6 en adolescente con maloclusión clase II. Reporte de caso. Revista ADM, Pág. 152-158.

3. Padilla, M., Tello, L., & Hernández, J. (2009). Enfoque tempran para las maloclusiones transversales, diagnostico y tratamiento, Revisión de la literatura. REVISTA ESTOMATOLOGIA, Pág. 30-37.

4. Talley, M., Katagiri, M., & Pérez, H. E. (2007). Casuística de maloclusiones Clase I, Clase II y Clase III según Angle en el Departamento de Ortodoncia de la UNAM. Revista odontológica Mexicana, Pág. 175-180.

5. Monte de Oca, K. I., Mendoza, L., & Cuevas, D. A. (2020). Prevalencia de maloclusiones en pacientes del Programa de Beigadas de Salud Bucodental de la Facultad de Odontología, UNAM, 2019. Revista Mexicana de Ortodoncia, Pág. 263-270.

6. Ferreira, F. V. (2002). ORTODONCIA DIAGNÓSTICO Y PLANIFICACIÓN CLÍNICA. Sao Paulo, Brasil: Editora Artes Médicas Ltda. Pág. 99 - 110

7. Mora, C., Alvarez, I., Liburd, R., & Armas, A. (2019). Cambios cefalométricos producidos por Pistas Planas y Bionator en la clase II división 1. Revista Nac. Odontol., Pág. 1 - 19.

8. Caamones, T., & Guzmán, I. (2018). Tratamiento ortodóncico de maloclusión clase II división 2 en paciente adulto: reporte de un caso. Revista Mexicana de Ortodoncia, 6(3), Pág. 178 - 186.

9. Torres, E. (2021). CONCEPTOS BÁSICOS EN CRECIMIENTO Y DESARROLLO CRANEOFACIAL. Colombia: USTA. Pág. 33 - 39

10. Muller, R., & Piñeiro, S. (2014). Malos hábitos orales: rehabilitación neuromuscular y crecimiento facial. Revista Médica Clínica Las Cndes, Pág. 380 - 388.

11. Saldarriaga, J. A., Alvarez, E., & Botero, P. M. (2013). Tretments for skeletal Class II maloclusion combined. Revista CES Odontología, Pág. 145 -159.

12. Khursheed, M., Qamruddin, I., & Purmal, K. (2018). Maloclusion Causes, conplications and treatment. New York: NOVA. Pág. 31 - 56

13. Martínez, R., Mendoza, L., Fernández, A., & Pérez, H. E. (2008). Características cefalométricas en la maloclusión Clase II. Revista Odontológica Mexicana, Pág. 7 - 12.

14. Salles, A., & Cotrim-Ferreira, F. A. (2002). Clasificación de las maloclusiones. En V. Flavio, Ortodoncia DIAGNOSTICO Y PLANIFICACION CLÍNICA. (pág. 98-114). Sao Paulo, Brasil: Artes medicas Latda.

15. Alvarez, C. A., Servín, S., & Parés, F. (2006). Frecuencia de los componentes de la maloclusión Clase II en dentición mixta. Revista ADM, Pag. 210-214.

16. Cuéllar, Y., Cruz, Y., Llanes, M., Suárez, F., & Perdomo, M. (2015). Modificaciónes labiales en pacientes Clase II división 1 tratados con modelador elástico de Bimler. Revista Habanera de Ciencias Médicas, Pág. 33-42.

17. Ramírez, F., Norambuena, O., Serrano, R., Vergara, C., & Henriquez, E. (2022). Asociación entre maloclusiones y caies temprana de la infancia en una muestra de niños preescolares. Odontología Pediátrica, Pág. 59-67.

18. Bahreman, A. (2013). EARLY-AGE ORTHODONTIC TREATMENT. USA: Quintessence Publishing. Pág. 16 - 40

19. Herrera, I., & Torres, A. (2017). Ortopedia funcional de los maxilares en el tratamiento temprano de maloclusiones clase II por retrusión mandibular: reporte de caso clínico. Revista Mexicana de Ortodoncia, Pág. 165 - 169.

20. Espinal, G., Méndez, O., Pérez, A., Agudelo, H., & García, C. (2015). Cambios condilares por Pistas Indirectas Planas Compuestas en maloclusión clase II evaluados con Cone Beam. Revista CES Odontología, Pág 47 - 57.

21. Velosa, A., & Polonía, Á. (2008). Relación esquelética en la Clase II de Angle con crecimiento vertical por rotación posterior de la mandíbula. Tratamiento con casquete extraoral de tracción alta y placa acrílica maxilar. Observaciones Clínicas y Reporte de un caso. Revista Estomatología, Pág. 25 - 30.

22. García, M. C., Puentes, P. A., & Reyes, M. C. (2014). Cambio en la inclinación del plano palatino con el uso de gomas cortas en el aparato funcional SN1en pacientes con sobre mordida vertical disminuida . universitas odontológicas , 95-106.

23. Espinosa, M., & Pentón, V. (2003). Pistas planas. Presentación de un caso. Revista Electrónica de las Ciencias Médicas en Cienfuegos, 35-38.

24. Fregoso, C. A. (2009). Reporte de un aparato Network modificado. Revista Odontologia Mexicana, Pág. 244 - 249.

25. Simöes, W. A. (2004). Ortopedia funcional de los maxilares a través de la rehabilitación neuro-oclusal volumen 2 (Vol. 2). Sao paulo: Artes Médicas Ltda. Pág. 682-709

26. Bimler, H. P. (1993). Bimler Los modeladores elásticos y análisis cefalométirco compacto. (S. C. Gabiel, Ed.) Caracas, Venezuela: ACTUALIDADES MEDICO ODONTOLOGICAS LATINOAMERICA, C.A. Pág. 7-16

27. Planas, P. (2007). Rehabilitación Neuro-Oclusa (RNO) (Segunda ed.). Colombia: AMOLCA. Pág. 163- 180

28. Di Santi de Modano, J. (2005). Fuerzas producidas por el Lip Bumper. acta odontológica Venezolana , Pág. 61-68.

29. Rodrigues, C. B., Dias, V. M., Carvalho, F. d., & Machado, A. B. (2022). Correção Da Má Oclusão Classe Ii Com Mordida Profunda E Protrusão Maxilar Utilizando Bimler Com Equiplan: Relato De Caso Parcial. Facit.To, Pág. 107- 115.

120 Aniversario de la facultad de odontología de la UNAM

La Facultad de Odontología está de fiesta, ya que cumple 120 años, por lo que este año se llevarán diversos eventos para festejar dicho acontecimiento. El 23 de abril se realizó la ceremonia oficial y contó con la participación del rector de la UNAM, Leonardo Lomelí Vanegas, el Director de la Facultad de Odontología, el Dr. Francisco Marichi Rodríguez y otras personalidades de la comunidad universitaria.

La primera escuela de Odontología, se llamó Consultorio Nacional de Enseñanza Dental, inaugurada el 19 de abril de 1904 por el ministro de Justicia e Instrucción Pública, Justino Fernández, era un anexo a la Escuela Nacional de Medicina y fue el Dr. Ricardo Crombé, su primer Director.

Las clases iniciaron con una población de 13 alumnos, entre ellos Miguel Pavía Espinosa, quien el 6 de diciembre de 1907 fue el primer egresado. La segunda generación (1905) contó con presencia femenina: Margarita Chorné y Salazar (1864-1962), primera odontóloga mexicana y primera mujer en obtener un título profesional en América Latina. En 1906 el gobierno de Francia, a través del Institut du Midi, de Tolosa, la condecoró con la Cruz al Mérito. Fue la primera dentista en dedicarse a la cirugía y aplicar el éter como anestesia general. Actualmente existe el “Premio Doctora Margarita Chorné y Salazar”, que otorga la Facultad de Odontología de la UNAM, y hay un centro de salud en la Ciudad de México que lleva su nombre.

El consultorio cambió de ubicación dentro del Centro Histórico en diversas ocasiones, hasta su sede definitiva en Ciudad Universitaria. También cambió de nombre al paso de los

años. En 1910 fue la Escuela Nacional de Enseñanza Dental; en 1917, Facultad Odontológica (cuando inició el servicio social y los primeros cursos de especialidades); y en 1945, Escuela Nacional de Odontología (ENO). El 11 de junio de 1975 adquirió su rango actual de Facultad de Odontología, por aprobación del Consejo Universitario.

Además, en 1973, para resolver el aumento de la demanda estudiantil y ofrecer atención dental a los habitantes de escasos recursos de zonas

marginadas, se crearon cuatro clínicas periféricas de la todavía ENO en: Azcapotzalco, Oriente, Naucalpan y Vallejo, todas en terrenos aledaños a los colegios de Ciencias y Humanidades. De 1975 a 1976 se inauguraron cuatro más, entre ellas la de Xochimilco, que contó con una clínica de cirugía maxilofacial, única en su tipo. Hoy existen nueve.

En 1981 se inició el envío de brigadas a distintas poblaciones de la República mexicana para ofrecer tratamientos de labio leporino y paladar

hendido, así como asesorías, pláticas y actualización a las instancias que lo solicitaron, y en mayo de 1984 se inauguraron las nuevas instalaciones de la Unidad de Investigación y de la División de Estudios de Posgrado, independientes del edificio central.

El director de la Facultad, el Dr. Francisco Marichi Rodríguez, declaró que se cuenta con espacios inaugurados recientemente, como la Clínica de Imagenología; además, se trabaja en la evaluación de los planes de estudio de licenciatura y de posgrado,

con el propósito de consolidar la calidad educativa de los estudiantes y la capacitación de los profesores, a fin de posicionar a la entidad dentro de las mejores del orbe.

Comentó que los planes de estudio de la Facultad están certificados por el Consejo Nacional de Educación Odontológica; además, forma parte de la Organización de Facultades, Escuelas y Departamentos de Odontología de la Unión de Universidades de América Latina y el Caribe, y recientemente se constituyó en la primera institución educativa de México en formar parte de la Asociación para la Educación Dental en Europa, como lo habíamos informado en una publicación reciente.

Resaltó que la actualización de los planes de estudio se dirige a tener una armonización con la comunidad europea, lo cual eventualmente permitirá mayor intercambio de estudiantes y profesores, así como incrementar el número de proyectos de investigación en conjunto con instituciones del viejo continente.

La labor de ayuda comunitaria, reiteró el Dr. Marichi Rodríguez, es quizá “una de las que más nos identifican y ennoblecen a nuestra Facultad. En las

Los festejos comenzaron en febrero pasado, con el Día del Odontólogo y continuarán hasta noviembre, informó el director. El 23 de abril se llevó a cabo la ceremonia oficial.

brigadas que llevan atención odontológica a las comunidades que carecen de este servicio de manera regular y que, en la mayoría de los casos, se realizan en coordinación con Fundación UNAM, se dispone de 20 sillones dentales. Estamos en proceso de incrementar nuestra capacidad y duplicar el número”.

Los festejos comenzaron en febrero pasado, con el Día del Odontólogo y continuarán hasta noviembre, informó el director. El 23 de abril se llevó a cabo la ceremonia oficial.

De manera adicional se diseñó un logotipo referente a la historia, dedicación y valores que han guiado a la entidad: nuevas generaciones, unidad, diversidad, comunidad, colaboración, espíritu universitario, dedicación, profesionalismo y responsabilidad social.

En el auditorio José J. Rojo de la Facultad de Odontología se dió a conocer

el billete del Sorteo Zodiaco núm. 1654, que se puso a la venta con motivo de la celebración de los 120 años. El sorteo se realizó en el Edificio Édison el domingo 21 de abril.

La Facultad de Odontología (FO) —nacida en 1904— es un referente de la enseñanza e investigación odontológica a nivel nacional, regional e internacional.

El Rector de la UNAM, el Dr. Leonardo Lomelí Vanegas, durante la ceremonia conmemorativa por los 120 años de la FO, afirmó que

Desde su concepción original, como Consultorio Nacional de Enseñanza Dental, hasta llegar a constituirse en la robusta Institución que conocemos hoy, esta Facultad ha sido un crisol donde convergen la innovación, el compromiso social y el rigor académico. Es un ejercicio que nos permite honrar una herencia ejemplar construida sobre la base de la

excelencia académica y humana por decenas de generaciones de docentes, estudiantes y trabajadores. Desde los modestos inicios con 6 profesores y 13 estudiantes, hasta atender hoy en día a más de 3 000 estudiantes y albergar un amplio y destacado cuerpo docente.

La Facultad de Odontología ha extendido sus brazos hacia las comunidades más vulnerables, mediante brigadas de salud bucodental y tratamientos que marcan diferencia en la calidad de vida de las personas. Muestra de su compromiso inquebrantable con la Universidad de la nación y con la sociedad mexicana, es la capacidad que tiene para atender a más de 18 mil pacientes al año.

Por otra parte sus programas educativos y proyectos de investigación han evolucionado y se han mantenido a la altura de los estándares internacionales más exigentes, también reflexionamos sobre el futuro acompañado del vertiginoso avance tecnológico y digital, la innovación

en técnicas y materiales, así como la incorporación de la inclusión e igualdad de género. Es nuestro deber no solo mantenernos al día con estas tendencias, sino ser nosotros quienes lideremos estos cambios.

El Dr. Francisco Marichi, Director de la Facultad de Odontología, también dijo:

El avance tecnológico, ha sido uno de los mayores propulsores de cambio en la Odontología moderna y la Facultad de Odontología de la UNAM, se ha preocupado y ocupado en la incorporación de estas innovaciones, en su currículum. Esta Facultad consciente de estos retos futuros, está comprometida a mantenerse a la vanguardia preparando a sus estudiantes no solo para enfrentar los desafíos actuales, sino también para ser innovadores y líderes en la solución de problemas de salud oral que se visualiza, se presentarán en el futuro.

Terapéutica endoquirúrgica para periodontitis apical crónica: reporte

de un caso. Parte 2.

La periodontitis apical crónica, también conocida como absceso periapical crónico, es una patología que tiene su etiología en la infección bacteriana de la pulpa dental que degenera en la necrosis de este tejido. Los metabolitos de los microorganismos actúan como antígenos en el hueso alveolar que producen reacciones inflamatorias e inmunológicas en los tejidos perirradiculares que da como resultado una lesión periapical, que aparece como un área radiolúcida radiográfica en los ápices radiculares.

C.D. César Gallardo González. Cirujano Dentista especialista en Endodoncia. Médico Adscrito y Coordinador de educación del servicio de estomatología del Hospital General de México Dr. Eduardo Liceaga.

C.d. María Isabel Aguilar Espino. Cirujano Dentista especialista en Endoperiodoncia. Médico Adscrito al servicio de Estomatología del Hospital General de México Dr. Eduardo Liceaga.

C.D. Gabriel Fernando Paredes Farrera. Cirujano Maxilofacial Adscrito Al Servicio de Estomatología Del Hospital General de México Dr. Eduardo Liceaga.

C.D. Alejandro Victoriano Anaya Residente De Segundo Grado de la Especialidad de Cirugía Oral y Maxilofacial del Hospital General de México Dr. Eduardo Liceaga.

C.d. Araceli Huerta Guzmán. Cirujano Dentista Especialista en Endodoncia. Práctica privada.

PSS. Sharon Yoselin Santos Trujillo. Pasante de servicio social del servicio de Estomatología del Hospital General de México Dr. Eduardo Liceaga.

El tratamiento consiste en la eliminación del agente causal, que es la pulpa dental infectada, mediante terapéutica endodóntica y en algunos casos con cirugía periapical complementaria. El presente artículo describe un caso clínico de lesión periapical extensa y su tratamiento exitoso.

Palabras clave: pulpa dental, vitalidad pulpar, necrosis pulpar, periodontitis apical, cirugía endodóntica, granuloma, quiste.

Paciente femenino de 15 años de edad que acude al servicio de Estomatología del Hospital General de México Dr. Eduardo Liceaga por presentar aumento de volumen en el área gingival vestibular adyacente a los dientes incisivo central y lateral superiores derechos de 2 meses de evolución. La paciente refiere que al presionar con el dedo la tumefacción se produce salida de material purulento. No hay datos de antecedentes patológicos personales ni hereditarios

familiares de importancia para el caso.

A la exploración clínica, el diente incisivo central superior derecho presenta cambio de color de la corona (Figura 1). Existe cavidad con apósito temporal en la superficie palatina. No hay respuesta a la prueba de sensibilidad pulpar con frío. Dolor a la percusión vertical y a la masticación, así como tumefacción y fístula activa en el tejido gingival vestibular adyacente al diente afectado. El diente incisivo lateral superior derecho no presenta signos ni síntomas de patología pulpar o periapical.

Radiográficamente se observa el diente incisivo central superior derecho con cavidad de acceso endodóntico y apósito temporal. El conducto radicular se aprecia muy amplio, con ápice inmaduro y una extensa área radiolúcida periapical que abarca la porción mesial de la raíz del diente incisivo lateral superior derecho (Figura 2). En la Figura 3 se hace una comparación del diámetro de los conductos radiculares de ambos dientes incisivos centrales superiores.

Se establece el diagnóstico de periodontitis periapical crónica, con probable granuloma o quiste apical radicular, como consecuencia de necrosis pulpar y ápice inmaduro del diente incisivo central superior izquierdo. El incisivo lateral superior izquierdo se encuentra clínicamente sano.

El plan de tratamiento consiste en terapia endodóntica del diente incisivo central superior izquierdo, cirugía periapical con apicectomía, curetaje de la lesión ósea, obturación del conducto radicular a cielo abierto, a fin de facilitar el sellado del ápice

Caso clínico
Figura 1. Fotografía intraoral inicial. Vista vestibular.
Figura 2. Radiografía dentoalveolar inicial.
Figura 3. Comparación diámetro de los conductos radiculares.

inmaduro y colocación de sulfato de calcio como material osteoinductivo.

Se realiza el tratamiento endodóntico, instrumentando el conducto hasta la lima calibre 140, dada su amplitud original (Figura 4). Se irriga y desinfecta, neutralizando con pasta de hidróxido de calcio con clorhexidina, como apósito intraconducto. La obturación del conducto se realizará en el transoperatorio.

En la siguiente cita se realiza la cirugía periapical. El colgajo es de amplitud suficiente para el adecuado acceso a la lesión ósea, que es descubierta de inmediato (Figura 5). La osteotomía permitió llevar a cabo el legrado y la apicectomía con angulación de 45 grados con bisel hacia vestibular, optimizando la visualización del conducto radicular. Se deben eliminar los últimos 3mm de la raíz, ya que ahí se localizan más del 90% de la parte más compleja del sistema de conductos radiculares, como son las curvas, deltas apicales, bifurcaciones, etc. (Figura 6). La cavidad resultante es extensa (Figura 7).

Figura 4. Lima 140 dentro del conducto radicular.
Figura 5. Lesión periapical.

Se procede a la obturación del conducto radicular a cielo abierto, irrigando el conducto con agua inyectable para eliminar el hidróxido de calcio del apósito temporal. Se seca el conducto con punta de papel calibre 140, que sobresale del ápice (Figura 8), y se obtura con punta maestra de gutapercha calibre 140, igualmente sobresaliendo (Figura 9), puntas accesorias y cemento a base de hidróxido de calcio (Figura 10).

Una vez terminada la condensación del material de obturación, se recorta el excedente de puntas con calor, sellando el ápice radicular (Figura 11). La cavidad se irriga con agua

inyectable, se coloca el sulfato de calcio como relleno (Figura 12) y se sutura (Figura 13).

Se toma radiografía dentoalveolar del posquirúrgico inmediato. Se da cita en 15 días para retiro de puntos de sutura y es durante esta sesión cuando la paciente refiere persistencia de la tumoración y de la fístula en el área intervenida. Se procede a realizar una fistulografía (Figura 14 y 15) en la que se observa que la lesión periapical se ha extendido hasta la zona distal del ápice radicular del incisivo lateral superior izquierdo y se ha reabsorbido parte del sulfato de calcio. El granuloma radicular es

Figura 6. Exposición del ápice radicular. Figura 7. Exposición del defecto óseo. Figura 8. Punta de papel 140.
Figura 9. Punta maestra 140.
Figura 10. Puntas accesorias.
Figura 11. Sellado apical. Figura 12. Colocación de sulfato de calcio.

el diagnóstico histopatológico. Las pruebas de sensibilidad pulpar en el diente continúan siendo positivas.

Se establece un plan de tratamiento complementario, que consiste en terapia endodóntica en el incisivo lateral superior izquierdo, nueva intervención quirúrgica de apicectomía, curetaje periapical, obturación del conducto radicular a cielo abierto y colocación de fosfato tricálcico que es un material altamente biocompatible, reabsorbible, osteoinductor y osteoconductor.

Se programa la cirugía con 30 días de diferencia del primer procedimiento

quirúrgico. Se inicia la terapia endodóntica del diente, solo el trabajo biomecánico, ya que la obturación del conducto radicular se llevará a cabo en el momento de la apicectomía.

La nueva incisión y colgajo son más amplios para abarcar toda la extensión de la lesión. Se realiza el curetaje, la apicectomía, la obturación a cielo abierto del conducto radicular y la colocación del fosfato tricálcico como relleno de la cavidad.

Se toma radiografía dentoalveolar inmediata (Figura 16) y se da cita para retiro de puntos en 15 días.

En la cita de control de 15 días se observa cicatrización adecuada, ausencia de edema de tejidos blandos y la fístula ha desaparecido (Figura 17). En la radiografía de control hay cambios importantes en la disminución de la extensión del área radiolúcida asociada a la lesión periapical (Figura 18).

La cita de control de 6 meses, muestra excelente cicatrización de los tejidos blandos, no hay evidencia de fístula (Figura 19). La radiografía de control muestra inicio de osteointegración del fosfato tricálcico y disminución evidente del área radiolúcida remanente (Figura 20).

Figura 13. Sutura.
Figura 14. Fístula en incisivo lateral.
Figura 15. Fistulografía.
Figura 16. Radiografía postquirúrgica inmediata.

Por último, se realizó un control radiográfico a los 12 meses. El fosfato tricálcico continúa osteointegrándose (Figura 21). Las cavidades de acceso endodóntico fueron restauradas con composite fotopolimerizable.

Conclusiones

Como se ha descrito en el presente artículo, la etiología de la periodontitis apical crónica, que forma áreas radiolúcidas alrededor del ápice radicular de los dientes, es la infección bacteriana y posterior necrosis de la pulpa dental. El diagnóstico correcto y oportuno es muy importante para

establecer la terapéutica idónea en cada caso en particular. Esta puede consistir únicamente en el tratamiento endodóntico o bien incluir la cirugía periapical complementaria.

El caso clínico documentado aquí es un ejemplo de lo fundamental que es no pasar por alto ningún dato que modifique el plan de tratamiento original. Inicialmente se identificó al incisivo central superior izquierdo como la causa de la lesión periapical, pues, las pruebas de vitalidad pulpar indicaron la necrosis de este tejido y la ausencia de patología en la pulpa del incisivo lateral superior del mismo

Figura 17. Retiro de puntos. Figura 18. Radiografía control 15 días.
Figura 19. Cicatrización 6 meses. Figura 20. Radiografía control 6 meses. Figura 21. Radiografía control 12 meses.

lado. Sin embargo, la radiografía dentoalveolar mostró que el área radiolúcida se extendía hasta la superficie mesial de la raíz de este diente y era cuestión de tiempo para que abarcara el periápice también.

El pronóstico de éxito de la cirugía periapical está en relación directa a la completa enucleación del granuloma o quiste radicular, así como el sellado completo del conducto de la raíz.

Referencias

1. Abbott PV. Classification, diagnosis and clinical manifestations of apical periodontitis. Endod Top. 2004; 8:36-54.

2. Abella F, Pattel S, Duran- Sindreu F, Mercadé M, Bueno R, Roig M. Evaluating the periapical status of teeth with irreversible pulpitis by using cone-beam computed tomography scanning and periapical radiographs. J Endod. 2012; 38:1588-91.

3. Becconsall- Ryan K, Tong D, Love RM. Radiolucent inflammatory jaw lesions: a twenty-year analysis. Int endod J. 2010;43:859-65.

4. Caliskan MK. Prognosis of large cyst-like periapical lesions following nonsurgical root canal treatment: a clinical review. Int Endod J. 2004;37(6):408- 16.

5. Cotti E. Advanced Techniques for detecting lesions in bone. Dent Clin North Am. 2010; 54:215-35.

6. Figdor D. Apical periodontitis: a very prevalent problem. Oral Surg Oral Pathol Oral Radiol Endod. 2002;94(6):651-2.

7. Friedman S. Prognosis of initial endodontic therapy. Endod Topics. 2002;2(1):59-88.

8. Karamifar K, Tondari A, Saghiri MA. Endodontic Periapical Lesion: An Overview on the Etiology, Diagnosis and Current Treatment Modalities. Eur Endod J. 2020; 2:54-67.

9. Marroquin TY, García CC. Guidelines for clinical diagnosis of pulp and periapical pathologies. Adapted and update from the “Consensus conference recommended diagnostic terminology”. Published by the American Association of Endodontists (2009). Rev Fac Odontol Univ Antioq 2015; 26(2): 398-424.

10. Mortensen H, Winther J, Birn H. Periapical granulomas and cysts: An investigation of 1600 cases. Eur J Oral Sci. 1970;78(1-4):241-50.

11. Ng YL, Mann V, Gulabivala K. A prospective study of the factors affecting outcomes of nonsurgical root canal treatment: pat2: tooth survival. Int Endod J. 2011 Jul;44(7):610-25.

12. Ricucci D, Mannocci F, Ford TR. A study of periapical lesions correlating the presence of a radiopaque lamina with histological findings. Oral Surg Oral Med Oral Pathol Oral Radiol Endod 2006 Mar;101(3):389-94.

13. Ricucci D, Pascon EA, Ford TR, Langeland K. Epithelium and bacteria in periapical lesions. Oral Surg Oral Med Oral Pathol Oral Radiol Endod 2006 Feb;101(2):239-49.

14. Sjogren U, Figdor D, Persson S, Sundqvist G. Influence of infection at the time of root filling on the outcome of endodontic treatment of teeth with apical periodontitis. Int Endod J. 1997; 30(5): 297-306.

15. Torres-Lagares D, Segura-Egea JJ, Rodríguez-Caballero A, Llamas-Carreras JM, Gutiérrez-Pérez JL. Treatment of a large maxillary cyst with marsupialization, decompression, surgical enddontic therapy and enucleation. J Can Dent Assoc. 2011;77: b87.

Estudio

¿Cómo afecta el uso de antibióticos sistémicos

¿Cómo afecta el uso de antibióticos sistémicos al tratamiento no quirúrgico de la periimplantitis?

Autores:

Yvonne C.M. De Waal, Tine E. Vangsted, Arie Jan van Winkelhoff.

Relatores:

Lory Abrahamian, María Bonnín, Camilo Torres, Amr Khorshed, Ada Lapedra, Cristina Vallés, Andrés Pascual y José Nart.

Traducción:

Andrea Alonso, Ana Araoz, David Herrera.

Máster propio en Periodoncia, Facultad de Odontología, Universidad Complutense de Madrid

Afiliación: Posgrado en Periodoncia, Universitat Internacional de Catalunya (UIC), Barcelona.

Antecedentes

La periimplantitis es una enfermedad inflamatoria, causada fundamentalmente por bacterias, que afecta a los tejidos periimplantarios. Aunque se han propuesto hasta ahora diferentes enfoques para su tratamiento (tanto quirúrgico como no quirúrgico), el éxito final del tratamiento sigue constituyendo un reto.

Como norma general, el tratamiento no quirúrgico siempre debe preceder a la opción de la cirugía. Diferentes autores sugieren que el uso coadyuvante

de antibióticos sistémicos produce un beneficio adicional, aunque la evidencia que sustenta esta estrategia terapéutica es confusa.

Objetivo

Evaluar el efecto del uso sistémico de amoxicilina (AMX) más metronidazol (MTZ) en el tratamiento no quirúrgico de la periimplantitis.

Materiales y métodos

• En este ensayo clínico aleatorizado se incluyeron 62 sujetos, diagnosticados de periimplantitis, que fueron tratados mediante tratamiento no quirúrgico.

• Cada paciente recibió de una a cinco sesiones de instrumentación mecánica, en implantes y dientes, impartidas por una higienista dental experimentada. Se instrumentó la parte supra y submucosa de los implantes mediante un sistema de aire pulido con puntas subgingivales e instrumentos ultrasónicos. Los dientes se instrumentaron supra y sublingualmente, utilizando instrumentos ultrasónicos y manuales. Se proporcionaron

n = 57 Profundidad de sondaje basal

Profundidades de sondaje

*Diferencia significativa entre los grupos test y control (prueba t de Student de muestras independientes); [..] = número promedio de profundidades de sondaje periodontales; n = número de pacientes.

instrucciones de higiene oral personalizadas.

• Los pacientes fueron asignados al azar a uno de estos 2 grupos:

- Grupo test: tratamiento no quirúrgico de periimplantitis mediante el uso de un colutorio con 0.12% de clorhexidina (CHX) y 0.05% de cloruro de cetilpiridinio (CPC), realizando un enjuague de 30 segundos, 2 veces al día, durante 2 semanas, junto con el uso sistémico de AMX y MTZ (ambos en dosis de 500 mg, 3 veces al día, durante 7 días).

- Grupo de control: tratamiento no quirúrgico de periimplantitis mediante el uso de un colutorio de 0.12% de CHX y 0.05% de CPC, realizando un enjuague de 30 segundos, 2 veces al día, durante 2 semanas.

• La variable respuesta primaria del estudio fue el cambio en el índice de sangrado al sondaje en los implantes.

• Las variables secundarias fueron los cambios, tanto en dientes como en implantes, del índice de placa, índice de supuración, media de profundidad de sondaje, media

Tabla : cambio promedio entre el nivel basal y a los 3 meses de seguimiento en las profundidades de sondaje periodontales y periimplantarias inicialmente superficiales (≤3 mm), moderadas (4-6 mm) y profundas (≥6 mm).

(relativa) del nivel de inserción clínica, y media del nivel óseo periimplantario.

• Se realizó un seguimiento de 3 meses, en el que se evaluaron los cambios en las variables respuesta primarias y secundarias.

Resultados

• En el estudio se incluyeron un total de 62 pacientes con 143 implantes con periimplantitis: 32 pacientes en el grupo de control (68 implantes) y 30 en el grupo test (75 implantes). Un total de 57 pacientes con 122 implantes completaron el seguimiento durante los 3 meses.

• En cuanto a los parámetros clínicos, periimplantarios y periodontales, en el examen inicial no se observaron diferencias entre los 2 grupos.

• A los 3 meses de seguimiento, y con respecto a los parámetros clínicos, no se encontraron diferencias estadísticamente significativas entre los grupos.

• Sin embargo, se observó una tendencia hacia un ligero beneficio

• de los antimicrobianos sistémicos en las profundidades de sondaje periimplantarias inicialmente profundas.

• En cuanto al análisis microbiológico, aunque se observó una reducción de los recuentos promedio de bacterias desde el inicio hasta los 3 meses de seguimiento, no se encontraron diferencias estadísticamente significativas, ni a nivel periodontal ni periimplantario.

• Tampoco se encontraron diferencias entre los grupos en cuanto a efectos adversos/resultados relacionados con los pacientes.

• Con respecto a la necesidad de cirugía periimplantaria después del último examen, se planificó

¿Cómo afecta el uso de antibióticos sistémicos

Mantener un alto nivel de cumplimiento del paciente era esencial para evitar la pérdida de dientes, aunque no era eficiente en relación con su coste para todos los pacientes.

la cirugía de 20 pacientes (11 del grupo de control y nueve del grupo test), incluida la explantación de un implante en el caso de 2 pacientes.

• A 8 pacientes se les planificó un retratamiento mediante un enfoque no quirúrgico para mejorar el cumplimiento con las normas de higiene oral.

Limitaciones

• El periodo de seguimiento resultó excesivamente corto: uno más largo podría dar resultados considerablemente diferentes entre los grupos.

• No se pudo identificar ninguna otra limitación que afectara a la validez de las conclusiones.

Conclusiones e impacto

• En términos de parámetros clínicos y microbiológicos, el empleo

Estudio

coadyuvante de antibióticos sistémicos no presentó un efecto adicional al tratamiento no quirúrgico de la periimplantitis tras 3 meses de seguimiento.

• No se recomienda la prescripción rutinaria de tratamiento

antibiótico para el tratamiento de la periimplantitis.

• Un exhaustivo tratamiento no quirúrgico y la motivación del paciente deben preceder a cualquier intervención quirúrgica para el tratamiento de la periimplantitis.

Notas

JCP Digest 91 es un resumen del artículo ‘Systemic antibiotic therapy as an adjunct to non-surgical peri-implantitis treatment: A single-blind RCT.’ J Clin Periodontol. 2021; 48 (7): 996-1006. DOI: 10.1111/jcpe13464.

https://www.onlinelibrary.wiley.com/doi/10.1111/jcpe.13464

Acceso a través de la página web para miembros de la EFP http://efp.org/members/jcp.php

Con el amable permiso de Wiley Online Library. Copyright © 1999-2021 John Wiley & Sons, Inc. Todos los derechos reservados. JCP Digest es una publicación de la Federación Europea de Periodoncia (EFP). Oficina EFP: Cink Coworking, oficina 17, calle Henri Dunant 15-17, 28036 Madrid, España · www.efp.org

Turn static files into dynamic content formats.

Create a flipbook
Issuu converts static files into: digital portfolios, online yearbooks, online catalogs, digital photo albums and more. Sign up and create your flipbook.