Revista Dentista y Paciente 192, agosto de 2024

Page 1


La mejor calidad de imágen con la mejor garantía del mercado.

FULL PARTS

El único con Monitor LG de grado médico

MODO ENDO

Volumen 4 x 4 cm con vóxel de 49.5 micras para optimizar el tratamiento.

MULTI FOV

Ofrece diferentes campos de visión, abarcando toda la región del arco, seno y ATM (izquierda / derecha).

TECNOLOGÍA GREEN

Minimiza el tiempo de escaneo así como la radiación y ofrece imágenes de alta resolución.

por uno de nuestros o algún otro 3D

Ceph CBCT
Pano
¿Sabías que las radiografías digitales superan por mucho a las tradicionales?

RX Digital

• Menor radiación.

• Se usan sensores digitales.

• Mayor resolución.

• Resultados instantáneos.

• Más ecológicos.

Elige y eleva tu diagnóstico

• Licencia de software PERMANENTE para � usuarios.

• SIN costo por anualidad, actualización, etc.

• Interfaz intuitiva y amigable.

• Diseño SLIM, espesor de �.� mm.

• Cómodo, esquinas delgadas y redondeadas.

• Durabilidad, protección contra tirones de cable.

"PREPÁRATE" ¡NO FALTES!

Agosto 2024

Mucha gente, después de la pandemia, regresó a sus actividades cotidianas y a llevar su vida normalmente. A muchos se les olvidó que el COVID-19, llegó para quedarse.

La Organización Mundial de la Salud (OMS) declaró en mayo del pasado año el fin de la emergencia internacional por la enfermedad, que causó la pandemia más grave en más de un siglo, con más de 775 millones de casos y siete millones de muertes, aunque se ha reconocido que la cifra ha llegado a 13 millones de decesos.

La OMS advierte que ha habido un descenso en la vacunación contra el COVID-19, incluso en los grupos de riesgo, a pesar de que anunció que el virus sigue matando en el mundo a 1700 personas por semana.

Tedros Adhanom Ghebreyesus, Director General de la OMS, advirtió: “Recomendamos que las personas de estos grupos de riesgo sigan recibiendo vacunas contra la COVID-19 12 meses después de su última dosis”

La última edición de las Estadísticas Sanitarias Mundiales publicada el 24 de mayo del 2024, por la Organización Mundial de la Salud revela que esta pandemia revirtió la tendencia de aumento constante de la esperanza de vida al nacer y de la esperanza de vida saludable al nacer (EVSA). La pandemia echó por tierra en apenas 2 años, casi una década de progreso en la mejora de la esperanza de vida.

Aunque no se ha afirmado oficialmente, en México, han aumentado los casos de esta enfermedad ante una nueva variante.

¡A seguirse cuidando!

Mtro. Carlos Adolfo Espinosa García Especialidad en Odontología Legal y Forense Maestría en Odontología

Da la bienvenida a la nueva Tecnología de Equipos con Pantalla Táctil Inteligente!!!

Disponible en: MONTAJE A PARED

Medical Systems, se adelanta a los tiempos, presentando una nueva generación de Equipos de Radiodiagnóstico Intra-oral con la funcionalidad que le ofrece la última Tecnología en Pantallas Táctiles Inteligentes, que se configuran sin necesidad e memorizar instrucciones, y con opciones que NO se encuentran en otros equipos.

Tiempos de expo sición Pre-programados compensados por variaciones de voltaje de la línea de suministro. Contador de exposiciones. ersonalización de los tiempos de exposición Pre-programados. Monitoreo del voltaje de alimentación del equipo y protección por variaciones de voltaje en la línea de suministro.

CORIX® 70 PLUS-USV-WM-TS

BASE MOVIL

CORIX® 70 PLUS USV-MM-TS

A Division of CORIX MEDICAL SYSTEMS® Lauro Villar No. 94-B, 02440, México, CDMX

Tels:+52 55 5394 1192 +52 55 5394 1199 56 2571 9826 www.corix.us http://www.facebook.com/CORAMEXSA sales@corix.us repre.ventas@corix.us

10 | CALIDAD Y DIRECCIÓN

Colocación de implante postelevación de seno con técnica transcrestal Reporte de caso

22 | CASO CLÍNICO

Corrección de mordida de Brodie con ortopedia funcional en paciente adulto. Reporte de caso

Editorial Renascence S.A. de C.V.

32 | ENCICLOPEDIA ODONTOLÓGICA

Preparación de carillas laminadas mediante el uso de guías de reducción con flujo digital

46 | ESTUDIO

La Odontología, la profesión médica con mayor tasa de mala praxis en México

Directora editorial

Patricia López Guerra patricia.lopez@dentistaypaciente.com

Jaime Francisco Martínez Aceves† jmartinez@dentistaypaciente.com

Directora Editorial

Mariangel Martínez López mmartinez@dentistaypaciente.com

Director de Arte y Diseño

Jesús Salas Pérez jesasez@dentistaypaciente.com

Coordinador Editorial

Marco A. Vergara Salgado marversa@dentistaypaciente.com

Ejecutivos Comerciales y de Negocios

Carlos Martínez García, Gabriela Dolorez Ocadiz, Edson Aarón Hernández

Producción y Circulación

Edson Aarón Hernández

Fotografía e Ilustraciones

Editorial Renascence

Suscripciones

Edson Aarón Hernández

Preprensa e Impresión

Offset Impresión Creativa S.A de C.V.

Distribución

Comercializadora GBN S.A. de C.V.

Calzada de Tlalpan #572, desp. C-302, col. Moderna

Contabilidad y Administración

L. C. y E. F. Renato Muñoz

director científico

Dr. Carlos Espinosa García Especialista en Odontología Legal y Forense consejo editorial

Dr. Francisco Javier Diez de Bonilla Calderón

Catedrático de la F.O de la UNAM

Dr. Francisco Magaña Moheno

Centro de Especialidades Odontológicas

Javier Portilla Robertson

Exdirector de la Facultad de Odontología de la UNAM

Especialista en Patología Bucal

Contenido

C.D.E.O. Arturo Alvarado Rossano†

Profesor y Especialista en Ortodoncia y Ortopedia Craneofacial en la Facultad de Odontología. UNAM. Asesor Académico y Coordinador de Difusión de la AMOCOAC.

C.D. Manuel García Luna y González Rubio

Dra. Ana Gabriela Carrillo Varguez

Coordinadora de la especialidad en endodoncia UABC Tijuana. Coordinadora de Investigación y Posgrado F.O. UABC

M.C. Ernestina Santillana Marín

Subdirectora de CISALUD UABC

William James Maloney, D.D.S. Clinical Associate Professor New York University

universidad anáhuac méxico norte

C.D. Carlos Robles Bonilla Coordinador de la Licenciatura de Cirujano Dentista

C.D. Sergio Antonio Ojeda León Profesor Titular de Odontopediatría de la Licenciatura de Cirujano Dentista

C.D. Bernardo Grobeisen Weingersz Profesor Titular de Clínica Integral de la Licenciatura de Cirujano Dentista

C.D. Norma Ibañez Mancera.

Profesora Titular de Patología Bucal de la Licenciatura de Cirujano Dentista

Dirección del Derecho de Autor certificado de reserva al uso exclusivo no. 04-2008022718312200-102 con fecha 27 de Marzo del 2008. Gobernación de la H. Comisión Calificadora de Publicaciones y Revistas Ilustradas, certificado de licitud de contenido 5328, certificado de licitud de título 7411, franqueo pagado, publicación mensual permiso no. PP09-02106, SEPOMEX. Las opiniones expresadas en los artículos y en los anuncios publicados no significan de ninguna manera juicios, criterios, ideas o cualquier otro concepto por parte de la editorial; reflejan únicamente las ideas y pensamientos de sus autores. Los artículos, entrevistas, resúmenes, publirreportajes, fotografías y cualquier otro material son exclusivos de la editorial, y no se autoriza la reproducción total o parcial por ningún medio sin previa autorización del editor. Para cualquier asunto relacionado con suscripción, distribución, comercialización, anuncios, contenido u otro propósito, favor de dirigirse a la editorial. Impreso en MV IMPRESIONES, SA DE CV.

Dentista y Paciente® Publicación mensual correspondiente al mes de AGOSTO DE 2024. editada por Editorial Renascence S.A. de C.V., Rancho Jigüingo 29, Prado Coapa, Ciudad de México, 14350. tel. 56846632, fax 56793656. Distribuida en locales cerrados, depósitos dentales, universidades, congresos y exposiciones. Editora responsable: Mariangel Martínez López. Fotoarte de portada: Editorial Renascence.

distribución certificada por el padrón nacional de medios impresos de la dirección general de medios impresos de la secretaría de gobernación no. 007-136. www.gobernacion.gob.mx

52 | INVESTIGACIÓN CLÍNICA

Cartillas Nacionales de Salud: historia y evaluación de su uso en la Zona Metropolitana de la Ciudad de México, 2023.

64 | SONRIENDO AL FUTURO

Sobremordida vertical excesiva en paciente pediátrico. Caso clínico

Calidad y dirección

Colocación de implante postelevación de seno con técnica transcrestal

Reporte de caso

Introducción: La implantología actualmente cuenta con muchas herramientas para obtener mejores resultados, entre ellas encontramos la técnica de elevación de seno, usada en pacientes cuyos maxilares superiores no cuentan con el grosor óseo suficiente para obtener una adecuada osteointegración de un implante en zona de molares. Objetivo: Garantizar la estabilidad primaria del implante al realizar una elevación de seno en un reporte de caso clínico. Metodología: Reporte de caso clínico, paciente masculino de 50 años, para colocar implante en zona 26, con elevación de seno maxilar, realizada en 3 fases: prequirúrgica, quirúrgica y postquirúrgica. Cada fase es sumamente

Janette Martínez-Rangel. Residente de 2º año de la especialidad de Rehabilitación Oral del Centro Educativo Multidisciplinario en Rehabilitación Oral, CEMRO, Tarímbaro, Michoacán, México

Benjamín Alberto Lázaro Castillo. Maestría en Ciencias Odontológicas. Profesor e investigador del Centro Educativo Multidisciplinario en Rehabilitación Oral, CEMRO, Tarímbaro, Michoacán, México.

Correspondencia:

Janette Martínez Rangel drajanetrangel@hotmail.com

Conflicto de interés: Los autores manifiestan no tener conflicto de interés

importante y debe ser desarrollada, si es preciso, por un grupo multidisciplinario de especialistas. Resultados: Se consiguió estabilidad primaria del implante, tras haber obtenido una buena elevación de seno de 6mm, sin complicación alguna. Conclusión: La mayoría de los implantes tienen un periodo de osteointegración, mínimo de 4 meses, estos son cruciales para no perder implante o injertos, el paciente está obligado a seguir al pie de la letra todas las recomendaciones que el clínico indique, así como acudir a sus citas de valoración.

Palabras claves: elevación de seno, osteointegración, implante dental.

Calidad y dirección

La baja calidad y disminución de la cantidad ósea puede detonarse al sufrir ausencia prematura de la dentición permanente.1, 2 Además, con frecuencia el piso del seno del maxilar superior ofrece un grosor vertical óseo insuficiente, necesario para la integración implantológica, esto debido al uso continuo de prótesis removibles, a la neumatización del seno maxilar y a la atrofia progresiva que se presenta de forma natural.3, 4 Para un diagnóstico individualizado, antes de realizar cualquier procedimiento implantológico, existen muchos aspectos relevantes por los cuales el maxilar superior debe ser profundamente estudiado, entre ellos, la histología y anatomía propia de cada individuo. Todo paciente que pretenda ser sometido a cirugía de implantes debe realizar una serie de estudios clínicos y de gabinete, entre ellos se encuentra la

tomografía axial computarizada, que, es una herramienta eficaz para obtener datos sobre la calidad y cantidad de hueso presente.5

El éxito de un implante, es su permanencia dentro de hueso.6, 7 La estabilidad se define como la tolerancia de un implante para recibir cargas en sentido axial, lateral y rotacional.8, 9 Se divide en primaria y secundaria, las cuales tiene diferentes componentes que las determinan, a grandes rasgos la estabilidad primaria tendrá éxito considerando el material del que está hecho el implante y la calidad y cantidad de hueso presente, mientras que la estabilidad secundaria está determinada por la respuesta del organismo después de la cirugía.9, 10

La osteointegración es la formación del hueso alrededor del implante

garantizando su estabilidad,10, 11 se rige por condiciones biológicas propias del individuo por lo que es de suma importancia conocer el tipo de hueso, irrigación sanguínea de la zona, la presencia de inflamación postquirúrgica; que, en muchos casos es desfavorable si no es tratada adecuadamente.12 Todos estos factores determinarán la presencia o pérdida en boca del implante.12, 13

En 1965, Boyne fue pionero en describir la técnica de elevación de seno, posteriormente en 1980, apoyado por James, publicaron un caso donde se describió esta técnica usando un abordaje lateral con fin de colocar implantes; asimismo se usaron rellenos de hueso autógeno que se tomaron de la cresta iliaca. 14 Esta técnica salva zonas que se encuentran neumatizadas o atrofiadas y les da la posibilidad de ser rehabilitadas.15

Hay varios reportes de casos que demuestran el alto porcentaje de éxito en la colocación de los implantes postelevación de seno. 16 Existen diferentes estudios que se han implementado para la planificación de un tratamiento implantológico; sin embargo, el que da una mayor precisión en cuanto a mediciones de

Colocación de implante postelevación de seno con técnica transcrestal

La estabilidad se define como la tolerancia de un implante para recibir cargas en sentido axial, lateral y rotacional.

calidad del hueso es la tomografía axial computarizada, también denominada haz cónico o cone beam ya que utiliza imágenes tridimensionales, facilitando la obtención de información.17 El objetivo de la aportación de todos estos conceptos es fundamental para nuestro reporte de caso clínico y garantizar la estabilidad primaria del implante al realizar una elevación de seno.

Figura 1. Análisis inicial. A) fotografía del paciente; B) y C) imágenes tomográficas maxilar superior derecho, enfocada a zonas de las piezas 14 donde se colocará implante y pieza 16 donde se hará elevación de seno y colocación de implante; D) imagen tomográfica en corte sagital de zona de pieza 16 con medidas de longitud, anchura y densidad ósea; E) y F) fotografías intraorales de lado derecho y vista oclusal superior respectivamente; G) imagen tomográfica en corte coronal de la hemiarcada a trabajar, señalando medida vestíbulo-distal en pieza 16.

Calidad y dirección

Reporte de caso cínico

Level Tapared (BLT) NC – 3.3 mm de ancho x 10 mm de largo.

Paciente masculino de 50 años. Sin antecedentes cardiacos de relevancia, ni presencia de hipertensión arterial, hemofilia, diabetes mellitus, osteoporosis u otra enfermedad que pudiera interferir con la reparación ósea o de tejidos blandos. Al analizar su biometría hemática no se encuentran hallazgos de infección o deficiencias en componentes sanguíneos.

Planeación

Para todo proceso implantológico lo primordial es valorar 4 fases de estudio:

1. Exploración clínica. En este primer contacto vimos que el paciente presenta espacios edéntulos que pueden ser rehabilitados con

prótesis removible, prótesis fija o cirugía de implante.

2. Análisis fotográfico intraoral y extraoral.

3. Análisis de modelos de estudio y montaje.

4. Análisis tomográfico.

Estos 3 puntos anteriores se pueden apreciar en la Figura 1

Mediante estas herramientas podemos obtener:

1. Detección del área afectada.

2. Posibles riesgos con piezas vecinas.

3. Estructuras anatómicas de riesgo.

4. Diámetro y radio de hueso para propuesta de tamaño del implante.

5. Calidad de hueso.

6. Necesidades de injertos óseos, membranosos y/o

Figura 2. Implantes empleados. Casa Straumann MR: Bone Level Tapared (BLT) RC – 4.8 mm de ancho x 10 mm de largo. Bone

procedimientos extras a la colocación del implante.

7. Espacios para rehabilitación protésica.

8. Técnicas necesarias para realizar procedimiento.

9. Consideraciones oclusales.

Análisis tomográfico

• Ancho mesio-distal: 12.16 mm

• Ancho palatino-vestibular: 8.29 mm

• HU subcrestal: 804 HU

• HU apical: 735 HU

• Espacio de cresta a seno maxilar: 3.59 mm

Planeación y diagnóstico

Tratamiento aceptado mediante consentimiento informado firmado previamente.

• Elevación de seno y colocación de implante.

• Calidad de hueso en la zona a trabajar:

Tenemos hueso tipo 2, es decir, que el hueso compacto y ancho que rodea el hueso esponjoso y denso. Esto favorece mucho a la estabilidad primaria del implante

Progreso del tratamiento

Fase prequirúrgica

De acuerdo con el tipo de hueso se eligió el implante que tiene el círculo amarillo, el del círculo verde es para la zona premolar (Figura 2).

Colocación de implante postelevación de seno con técnica transcrestal

Con estos datos podemos hacer una selección de implante, en este caso se eligieron los siguientes:

• Estudios de laboratorio

• Biometría hemática.

• Tiempo de protrombina.

• Tiempo de tromboplastina.

• Toma de signos vitales e historial clínico.

• Receta para medicación previa (antiinflamatorios, analgésicos, colutorio antiséptico y antibiótico).

Descripción de técnica

Tras haber colocado anestesia local, se realizó una liberatriz mesial y distal para obtener una mejor visión del campo operatorio y así poder elevar un colgajo. Para realizar la elevación de seno se usó la técnica descrita por Summers en 1994, donde describió el abordaje del seno maxilar por vía transrectal usando un osteotomo con diámetro progresivo que incrementaba la densidad del hueso maxilar por compactación. Se han obtenido resultados menos traumáticos o invasivos en comparación con la técnica lateral o directa del seno maxilar.

Una vez realizada la elevación de seno se colocó injerto óseo en 2 fases, la primera antes de colocar el implante para así poder tener mayor retención y el resto después de situar los implantes en su posición final. Al finalizar se colocó el colgajo en su posición original, suturando con puntos simples de vicryl 4-0.

Calidad y dirección

Figura 3. Intervención quirúrgica. A) kit de osteoromos Straumann; B) hueso usado en cirugía Bone CeramicMR; C) imagen radiográfica de la zona a trabajar; D) imagen radiográfica zona 16 con implante y elevación de seno; E) fotografía de hueso descubierto, previo a la cirugía; F) fotografía de hueso descubierto de zona de con la colocación del implante. La corona de la pieza 15 fue eliminada por filtración, se colocó provisional de acrílico una vez terminada la cirugía; G) y H) técnica de cribación ósea para mayor adhesión de injerto óseo.

Algunos detalles de la cirugía se pueden observar en la Figura 3.

Fase posquirúrgica

Es de suma importancia que el paciente siga los cuidados específicos:

• Higiene:

• Uso de enjuague con clorhexidina al 0.12% después del cepillado, durante 8 días.

• Cepillado suave en la zona de abordaje quirúrgico.

• Alimentación:

• Evitar irritantes.

• Alimentos suaves que no lesionen los tejidos blandos.

• Exposición a temperaturas altas:

• Evitarlas por 8 días.

• Exposición a ejercicios forzados:

• Evitarlo por 8 días.

• Medicación:

• Esquema antibiótico de protección: amoxicilina de 500 mg, 1 pastilla cada 8 horas durante 7 días. Se debe comenzar 3 días antes de la cirugía, el día de la cirugía y 3 días después.

• Analgésico y antiinflamatorio: ibuprofeno de 600 mg y paracetamol de 500 mg, 1 pastilla cada 8 horas durante 3 días.

Resultados

Se obtuvo una cirugía satisfactoria, con el menor trauma posible. A su valoración a la exploración clínica mostró ausencia de pus o desprendimiento de injerto óseo, ausencia de movilidad en el implante, la apariencia y aroma de encía en buenas condiciones. Sus valoraciones fueron a los 8, 30 días y 4 meses, encontrado en las imágenes radiográficas integración ósea del implante.

Los implantes resultan óptimos por su facilidad de higiene, masticación natural y un periodo más prolongado de vida.

Conclusiones

El restaurar o devolver factores importantes como la masticación, fonética y estética; puede ser bajo diferentes alternativas como prótesis fijas o removibles, cada una con sus pros y contras; mientras que los implantes el único factor que podría influir el no ser elegido es su alto costo. Sin embargo, los implantes resultan óptimos por su facilidad de higiene, masticación natural y un periodo más prolongado de vida. Los

biomateriales han avanzado tanto que pueden recrear hueso perdido, en caso de requerirlo para colocación de implantes en la elevación de seno. La mayoría de los implantes tienen un periodo de osteointegración mínimo de 4 meses, estos son cruciales para no perder implante o injertos, el paciente está obligado a seguir al pie de la letra todas las recomendaciones que el clínico indique, así como acudir a sus citas de valoración para garantizar una rehabilitación exitosa.

Referencias

1. Lorrio, J., Sierra, L., Lorrio, C., García, I., Monlsave, L., & Gómez, R. (2017). Cirugía compleja en el tratamiento con implantes del maxilar superior. Avances en Odontoestomatología, 33(5), 213-220. Obtenido de https://scielo.isciii.es/ scielo.php?script=sci_arttext&pid=S0213-12852017000500005#ref1

2. Pérez, O., Velasco, E., Gonzalez, L., García, A., & Rodríguez, O. (2006). Técnicas quirúrgicas complejas en el tratamiento con implantes osteointegrados del maxilar superior. Un seguimiento clínico de dos años. Avances en Periodoncia e Implantología, 18(1), 10 - 19. Obtenido de https://scielo.isciii.es/scielo. php?script=sci_arttext&pid=S1699-65852006000100002

Calidad y dirección

3. Moya, M., & Sánchez, A. (2017). Valor pronóstico de la densidad ósea y de la movilidad en el éxito implantológico. Revista Española de cirugía oral y maxilofacial, 39(3), 125 - 131. Obtenido de https://scielo.isciii.es/scielo.php?script=sci_arttext&pid=S1130-05582017000300125

4. García, M., Yassin, S., & Bascones, A. (2016). Técnicas de preservación de alveolo y de aumento del reborde alveolar: revisión de la literatura. Avances en periodoncia e implantología, 28(2), 71 - 81. Obtenido de https://scielo.isciii. es/scielo.php?script=sci_arttext&pid=S1699-65852016000200003

5. Carrasco, A., Quintanilla, M., & Hidalgo, A. (2018). Guías sobre el uso de tomografía computarizada de haz conico en la evaluación pre quirurgica en implantología. Avances en odontología, 34(4), 183 - 192. Obtenido de https://scielo. isciii.es/scielo.php?script=sci_arttext&pid=S0213-12852018000400003

6. Balderas, J., Neri, F., Fandiño, L., & Guizar, J. (2017). Factores relacionados con el éxito o el fracaso de los implantes dentales colocados en la especialidad de Prostodoncia e Implantología en la Universidad de La Salle Bajío. Revista Española de Cirugía Oral y Maxilofacial, 39(2). Obtenido de https://scielo.isciii.es/ scielo.php?script=sci_arttext&pid=S1130-05582017000200063

7. Guerra, O., Hernández, L., & Moran, E. (2015). Evaluación de la estabilidad de implantes dentales mediante análisis de frecuencia de resonancia. Revista Habanera de Ciencias Médicas, 14(4), 460-469. Obtenido de http://scielo.sld. cu/scielo.php?script=sci_arttext&pid=S1729-519X2015000400009

8. Chávarri Prado, D., & Brizuela Velasco, A. (2020). Estabilidad Primaria en Implantes Inmediatos Versus Implantes Colocados en Hueso Maduro: Un Estudio Clínico Retrospectivo. International Journal of Odontostomatology, 230-235.

9. Sanchez, A. (2010). ¿Qué es el cociente de estabilidad del implante? Revista internacional de prótesis estomatológica, 12(3), 257 - 264. Obtenido de https://www.elsevier.es/es-revista-revista-internacional-protesis-estomatologica-315-articulo-que-es-el-cociente-estabilidad-X1139979110558481

10. Gahona, O., Granic, X., Antúnes, M., Argadoña, J. D., Domancic, S., & Víctor., D. (2016). Evaluación y Comparación de la Estabilidad de Implantes Dentales en el Maxilar y la Mandíbula en Tres Tiempos Distintos, Mediante Análisis de Frecuencia de Resonancia. International Journal Of Odontostomatology, 10(3), 475 - 781. Obtenido de https://www.scielo.cl/scielo.php?script=sci_arttext&pid=S0718-381X2016000300015

Colocación de implante postelevación de seno con técnica transcrestal

11. Cervantes, N., M.J., E., Calderín, S., & Aragones, J. (2014). Factores que influyen en el coeficiente de estabilidad: Diámetro y longitud. Avances en Periodoncia e Implantología Oral, 26(1).

12. Venegas, J. C., & Landinez, N. (2009). Generalidades de la interfase hueso-implante dental. Revista Cubana de investigaciónes biomédicas, 28(3), 130-146. Obtenido de http://scielo.sld.cu/scielo.php?script=sci_arttext&pid=S0864-03002009000300011

13. Blanco, P., Monsalve, L., Matos, N., Moreno, J., Nuñez, E., & Velasco, E. (2018). La osteointegración de implantes de titanio con diferentes superficies rugosas. Avances en odotnología, 34(3), 141 - 149. Obtenido de https://scielo.isciii.es/ scielo.php?script=sci_arttext&pid=S0213-12852018000300005

14. Blanco, P., Monsalve, L., Matos, N., Moreno, J., Nuñez, E., & Velasco, E. (2018). La osteointegración de implantes de titanio con diferentes superficies rugosas. Avances en odotnología, 34(3), 141 - 149. Obtenido de https://scielo.isciii.es/ scielo.php?script=sci_arttext&pid=S0213-12852018000300005

15. Barrichina-Mataix, M., Cabello-Domínguez, G., Olmos-Sanz, G., & González-Fernández, D. (2002). Tratamiento implantológico de la zona posterior del maxilar superior. Elevación del seno maxilar. Revista del Ilustre Consejo General de Colegio de Odontólogos y Estomatólogos de España, 7(1), 91-100. Obtenido de https://scielo.isciii.es/scielo.php?script=sci_arttext&pid=S1138-123X2002000100007#:~:text=Posteriormente%2C%20Boyne%20 y%20James%20en,procedente%20de%20la%20cresta%20il%C3%ADaca

16. Bustillos, D., & Zuloaga, M. (2017). Elevación de piso de seno maxilar con técnica de ventana lateral y colocación simultánea de implantes: reporete de un caso. Revista Clínica Periodoncia, Implantología y Rehabilitación Oral, 10(3), 159 - 162. Obtenido de https://scielo.conicyt.cl/pdf/piro/v10n3/0719-0107piro-10-03-00159.pdf

17. Jiménez, F. A., & Rios, N. (2022). Elevación de seno maxilar sin injerto y colocación simultánea de implante dental. Revista Cubana de Estomatología, 59(2), 1-6. Obtenido de http://scielo.sld.cu/scielo.php?script=sci_arttext&pid=S0034-75072022000200013

18. Neugebauer, J., Ritter, L., Mischkowski, R., & Zöller, J. (2007). Quintressenz Team-Journal. Higienistas y auxiliares: Implantes, 22(3), 163-170. Obtenido de https://www.elsevier.es/es-revista-quintessence-9-articulo-diagnostico-planificacion-tridimensionales-aplicacion-implantologia-13151800

Corrección de mordida de Brodie con ortopedia funcional en paciente adulto. Reporte de caso

Introducción: la patología de Brodie es una alteración que puede ser genética o adquirida, se agrava si no es tratada precozmente, incluso puede llegar a ser quirúrgica. Esta patología altera la oclusión, articulación temporo mandibular, músculos faciales, masticación y deglusión, de ahí la importancia de un diagnóstico a tiempo. La Ortopedia Funcional de los Maxilares es una especialidad que nos ayuda a corregir dicha alteración de manera conservadora y menos invasiva para el paciente. Objetivo: corregir la mordida de Brodie mejorando así la oclusión, la masticación y la limitación de apertura. Metodología: paciente

Corrección de mordida de Brodie con ortopedia funcional en paciente adulto

Eliza Fuentes Rivas. Residente del segundo año de la Especialidad en Ortopedia Maxilar en el Centro de Estudios Odontológicos y Clínica Especializada GNATHOS, Morelia, Michoacán, México.

Xochitl Quintino Muñoz. Residente del segundo año de la Especialidad en Ortopedia Maxilar en el Centro de Estudios Odontológicos y Clínica Especializada GNATHOS, Morelia, Michoacán, México.

Soledad B. Torres Castillo. Especialista en Ortopedia Funcional de los Maxilares, especialidad en Ortodoncia y Catedrática en la Especialidad de Ortopedia Maxilar del Centro de Estudios Odontológicos y Clínica Especializada GNATHOS, Morelia, Michoacán, México.

Benjamín Alberto Lázaro Castillo. Maestría en Ciencias Odontológicas, Ortodoncista y Profesor del área de investigación del Centro de Estudios Odontológicos y Clínica Especializada GNATHOS, Morelia, Michoacán, México.

Conflicto de interés: Los autores reportan no tener ningún conflicto de interés.

Datos de Referencia: Eliza Fuentes Rivas.

masculino de 23 años, con previa atención ortodóntica sin lograr resultados satisfactorios. Con clase II división 2, mordida de Brodie bilateral y overbite de 12 mm. Se realiza cambio de terapéutica ortodóntica por tratamiento ortopédico miofuncional, empleando principalmente encapsulados con ganchos tipo ansa, bite plane y SN11. Resultados: con el primer aparato se eliminó el 50% de la mordida de Brodie, el OD 37 se descruzó con ayuda del bite plan, ligas intermaxilares y botones. Con el SN11 se estabilizó la posición de la mandíbula. Conclusiones: con la ayuda de los aparatos ortopédicos miofuncionales logramos

cambios importantes que no fueron posibles con el tratamiento de ortodoncia. La ortopedia trata las discrepancias óseas maxilomandibulares, musculares y orofaciales, logrando nuevos patrones musculares y oclusales, ademas de remodelación de la articulación temporomandibular, favoreciendo por consecuencia la armonia en las estructuras oseas, en la estética facial del paciente, ademas de anular hábitos nocivos.

Palabras clave: mordida de Brodie, mordida profunda, mordida telescópica, tratamiento precoz, ortopedia miofuncional.

La mordida cruzada excedida espacial vestibular total superior o mordida extendida enteramente vestibular superior, también llamada exooclusión o telescópica, dicha patología es conocida como el síndrome de Brodie.1 Esta maloclusión puede ser unilateral, bilateral o total, en dentición primaria la mayoría de la mordida excedida se observa unilateralmente.2 Descrita en 1943 por el Dr. Allan Brodie, quien presento únicamente 2 casos ya que antes no se abordaban este tipo de padecimientos.3

Clínicamente se observa el crecimiento excesivo transversal del maxilar provocando el colapso de la mandíbula, y la mordida de tijera ocurre cuando las cúspides palatinas de los premolares y molares superiores están por fuera de las caras vestibulares de los dientes inferiores.4 Podemos determinar encontrarla en la población tanto en dentición

primaria como mixta y permanente en un rango del 7 al 22 % a nivel mundial.5

Etiológicamente puede ser genética, sistémica o traumática. Esta condición puede estar asociada a un compromiso esquelético, o puede presentarse con inclinaciones dentoalveolares inadecuadas.6

Es importante corregir precozmente ya que además de las deficiencias masticatorias llega a provocar asimetrías faciales, dolor muscular y temporomandibular.7 Estas alteraciones deben tratarse a edad temprana para evitar patologías, favoreciendo un crecimiento normal maxilomandíbular evitando asimetrías óseas.8

La primera clasificación en ortodoncia fue descrita por Angle en 1899, no clasificaba planos verticales ni transversales. En 1960, Ackerman y Proffit, incorporaron el diagrama de

Figura 1. Fotografías extraorales. A)
Frente. B) Frente con sonrisa. C) Perfil.

Venn, complementando la clasificación de Angle, incluyendo simetría de los arcos dentales, los planos en el espacio anteroposterior, vertical y transversal, así como las proporciones esqueletales en cada plano.9

Luciano Soldevilla en Perú reportó un caso de paciente masculino de 7 años, utilizando un Hyrax de 9 mm. encapsulado con el tornillo abierto y fue cerrando un cuarto de vuelta 2 veces por semana para lograr una acción de reversa. Para la mandíbula se colocó un bihelix previamente activado. Logrando la corrección de la mordida cruzada posterior

bilateral.10 Chacón en la universidad Peruana de Estomatología reportó un caso de paciente masculino de 4 años 7 meses utilizando un levantamiento de mordida inferior izquierdo, botón adherido a la cara lingual de la pieza 75. Maxilar superior uso un arco transpalatino con brazos adaptados a las caras palatinas de primeras molares y caninos, también uso un botón soldado a la pieza 65. Se colocaron incrementos de resina en la superficie oclusal de la pieza 85 como levantamiento progresivo de la mordida. Se usaron elásticos de 1/8” de 2.5 oz. cruzados entre las piezas 65 y 75. A los 6 meses se corrigió la mordida.11

2. Fotografías intraorales iniciales y con ortodoncia.

La mordida de Brodie es un crecimiento excesivo del hueso basal y alveolar del maxilar superior, dejando atrapada y con atresia a la mandíbula sin posibilidad de desarrollarse.

Corrección de mordida de Brodie con ortopedia funcional en
Figura

Figura 3. A) Aparatos bondeados con ganchos ansa superior e inferior. B) Aparatos montados oclusalmente. C) Aumento de la dimensión vertical. D) y E) Fotografías intraorales con aparatos cementados y ligas intermaxilares.

Figura 4. Fotografías intraorales A) Bite plane. B) Cuadrante intraoral derecho. C) Cuadrante intraoral izquierdo. D) Aumento de la dimensión vertical.

La revisión de estos conceptos surge como necesidad de poder sustentar un reporte de caso clínico en un paciente masculino de 23 años cuyo objetivo fue corregir la mordida de Brodie mejorando consecuentemente

la oclusión, la masticación y la limitación a la apertura causada por falta de relajación muscular. La técnica utilizada fue con ortopedia de los maxilares consiguiendo una remodelación dentoalveolar.

Metodología

Reporte de caso

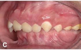
Se presenta paciente de 16 años de edad en la clínica de ortodoncia fue diagnosticado con mordida de Brodie, para ser atendido se obtiene consentimiento informado y autorizado por la mamá. Fotografías iniciales extraorales (Figura 1).

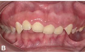
En la fase ortodóntica se diagnosticó como clase II división 2 con mordida de Brodie bilateral; del lado izquierdo, se involucran las piezas dentales 24, 25, 26 y 27 y del lado derecho se involucra la pieza dental 14, overjet 6 mm overbite 12 mm (2A). Se observa la pieza dentaria 14 en tijera (2B). Ilustra la sobrebremordida exagerada bloqueando totalmente a los incisivos inferiores (2C). Muestra claramente la mordida telescópica o de Brodie de las piezas 24, 25, 26 y 27. 2D, 2E y 2F con aparatología de

ortodoncia como se observa en la (Figura 2).

Finalmente, el paciente fue remitido de la clínica de ortodoncia a la clínica de Ortopedia Gnathos Morelia Michoacán ya que la corrección de la mordida de Brodie no reportaba avances.

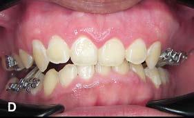
Reporte del tratamiento ortopédico

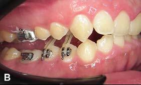
En diciembre del 2022 se retiran brackets para tratarlo exclusivamente con aparatología ortopédica, colocando 2 levantamientos de mordida fijos izquierdos. Como se muestra en la Figura 3 (A, B). En la Figura 3 (C) podemos observar el aumento de la dimensión vertical que resulta por la colocación de los encapsulados para permitirnos corregir la mordida de Brodie. El superior encapsulando las piezas 24 al 27 con banda en 26 el cual incluye ganchos tipo ansa en

Figura 5. A) Aparato SN11 parte inferior y superior. B) Fotografía lateral derecha con el aparto. C) Fotografía frontal con el aparto. D) Fotografía lateral izquierda con el aparto.

Corrección de mordida de Brodie con ortopedia funcional en paciente adulto

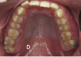
6. Fotografías intraorales A. Lateral derecha. B. Frente. C. Lateral izquierda. D. Oclusal superior. E. Oclusal inferior.

vestibular. El inferior encapsulando piezas 34 al 37 con banda en 36 el cual incluye ganchos tipo ansa por lingual, se emplearon ligas intermaxilares de 3/16” 4.5 oz que van de cara vestibular superior del encapsulado a cara lingual inferior del encapsulado. Como se muestra en la Figura 3 (D, E). Se inició con 135 gramos de fuerza y aumentamos hasta llegar a 270 gramos de fuerza, las medidas se tomaron con el dinamómetro dental. Los elásticos fueron retirados únicamente para comer y se realizaron revisiones mensuales por 6 meses.

Los encapsulados fueron diseñados por la Dra. Soledad Torres Castillo, como se muestra la Figura 3

En junio del 2023, se continuó con un bite plane cementado a las bandas en 16 y 26 con tubos. Como se muestra en la Figura 4A. En el cuadrante superior derecho se colocaron botones por palatino 14 y 15 y en cuadrante inferior derecho por vestibular se cementaron brackets en piezas 44, 45 y tubo en 46. Como lo vemos en la Figura 4B. En el cuadrante superior izquierdo por cara vestibular se cementaron brackets en piezas 24, 25 y con tubo en 27. En el cuadrante inferior izquierdo se cementaron botones linguales en 34, 35, 36 y 37. Para utilizar ligas intermaxilares 3/16” 41/2 oz. como lo vemos en la Figura 4C. Podemos observar el aumento de la dimensión vertical resultado del bite plane como se muestra en la Figura 4D

Para marzo del 2024 se ve la corrección de la mordida de Brodie quedando únicamente el 27 y el 37 por descruzar. En abril del 2024 se le colocó aparato ortopédico SN11, compuesto con aleta interna del lado izquierdo. Como lo vemos en la Figura 5A. Este aparato ayuda a centrar la mandíbula evitando el deslizamiento hacia el lado derecho, aumentando la dimensión vertical y mejora la postura mandibular. Como se muestra en las Figura 5 (B, C y D). En este periodo el paciente refiere una mejoría en la tensión muscular aminorando el dolor a la apertura y cierre. Este aparato se indicó un uso nocturno de 6

Figura

meses, bajo citas de control mensuales durante medio año y posteriormente valoraciones cada 4 meses, para garantizar la estabilidad oclusal.

Resultados

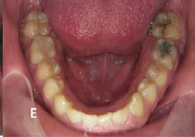
Se anuló la mordida de Brodie, tras remodelar el hueso dentoalveolar maxilo-mandibular, con ayuda de ambos encapsulados con ganchos tipo ansa, descruzando el 50% de la maloclusión, en un periodo de 6 meses. Se continuó tratando la oclusión con botones, brackets, ligas intermaxilares y bite plane en un periodo de 9 meses, obteniendo una mejoría del 90% de la maloclusión, aumento de la dimensión vertical, controlando overbite y overjet. Figura 6 (A, B y C). Las arcadas

oclusales superior e inferior presentan un tamaño armónico entre ellas, la pieza dental 37 presenta ligera lingualización que es controlada con una liga intermaxilar de 3/16” 41/2 oz. que corresponde a la Figura 6 (D y E)

Discusión

La mordida de Brodie es un crecimiento excesivo del hueso basal y alveolar del maxilar superior, dejando atrapada y con atresia a la mandíbula sin posibilidad de desarrollarse. Este tipo de maloclusión no es tan común, pero si difícil de corregir, es trascendental un diagnóstico lo antes posible. Realizar un plan de tratamiento y elegir los mejores procedimientos para obtener resultados favorables. Se pueden

Corrección de mordida de Brodie con ortopedia funcional en paciente adulto

emplear diferentes tipos de tratamientos, tanto ortopédicos, ortodónticos, quirúrgicos o una combinación de ellos.12 La ortopedia es el plan de tratamiento adecuado ya que mejora la discrepancia ósea maxilo mandibular y crea mejores condiciones para alcanzar el objetivo final.13

En el reporte de nuestro paciente, los procedimientos realizados fueron bajo un tratamiento mínimamente invasivo y un aparato de sencilla elaboración, para resolver la mordida de Brodie, ortodónticamente es común el uso de elásticos intermaxilares, y por lo general dan excelentes resultados. En 2020, en la UNAM refieren tratamiento de paciente masculino de 13 años, con mordida de Brodie, mordida profunda y línea media desviada. Requirió ortodoncia, realizando colapso transversal de la hemiarcada maxilar izquierda conjuntamente con el torque negativo de las coronas dentales de dicho sector, a través del uso de un microtornillo y aditamentos de brackets y botones con uso de ligas intermaxilares. Además, se utilizó un biteblock unilateral en la hemiarcada derecha y así permitir la desoclusión del sector opuesto, el tiempo del tratamiento fue de 5 años y 3 meses.14

Con las fuerzas de las ligas intermaxilares y los aparatos encapsulados propuestos por la Dra. Soledad Torres, esta anomalía se trató de una manera ortopédica miofuncional,

redireccionando dentoalveolarmente los maxilares satisfactoriamente en un 90% en un periodo de 15 meses. Finalizando con un SN11, para asentar la oclusión.

Conclusiones

La mordida de Brodie es una patología extremadamente rara y difícil de tratar, por esta razón es imperativo abordar estas alteraciones lo más procazmente, para evitar mayores alteraciones óseas, neuromusculares y asimétricas.

Por esta razón la ortopedia funcional de los maxilares ha llegado a tener mucho auge, teniendo esta alternativa que nos ayuda a lograr tratamientos con mayor éxito evitándole al paciente pasar por terapias largas tediosas e incluso dolorosas y traumáticas como es la cirugía ortognática, para lograr el éxito es importante la cooperación del paciente, así como un correcto diagnóstico a edad temprana.

Con el encapsulado logramos aumentar la dimensión vertical para corregir la expansión exagerada del maxilar y el colapso de la mandíbula obteniendo una adecuada oclusión y el uso del SN11 continúo aliviando alteraciones articulares, evita desviación mandibular, logrando a los pocos meses una mejora importante obteniendo una remodelación de los maxilares favorable.

Corrección

Referencias

1. Simoes, W (20024) Ortopedia funcional de los maxilares. Brasil S. P. : Milton Hecht.

2. Mata, J. Medina, C. & Prieto, M. D. (2016). Correción de mordida cruzada posterior vestibular en dentición primaria. Reporte de dos casos clínicos. Revista de Odontopediatria Latinoamericana ALOP, 126-133.

3. Azeveido, S., Quiroga, B., & Lucas, I. (2012) Relato de un caso mordida de Brodie. Ortho Science, 532-538.

4. Escobar, R., Pesce, M., & Vega, V. (2023). Alternativas de tratamiento de la mordida de tijera. Revisión de la literatura. Odontología Pediátrica, 22-31.

5. Flores, H., Gurrola, B., & Casasa, A. (2023). Mordida Brodie unilateral, colapso del arco mandibular, manejo con mini implantes extra alveolares. Latinoamericana de Ortodoncia y Odontopediatria, 1-6.

6. Aguilar, C., & Oropeza, G. (2016). Cierre de mordida cruzada telescópica posterior bilateral con el uso de barra palatina y topes posteriores. Mexicana de Ortodoncia, 113-120.

7. Castañer, A. (2006). Ortodoncia Interceptiva: Necesidad de diagnóstico y tratamiento temprano en las mordidas cruzadas transversales. Med Oral Patol Oral Cir Bucal, 210-214.

8. Mora, N., Hernández, J., & Rodríguez, C. (2019). Tratamiento de la mordida cruzada posterior unilateral en dentición primaria y mixta temprana. Revista Estomatología, 43 - 55.

9. Ugalde, J. (2007). Clasificación de la maloclusión en los planos anteroposterior, vertical y Transversal. Revista de la Asociación Dental Mexicana, 97 - 109.

10. Soldevilla, L., & Ramos, V. (2008). Síndrome de Brodie en dentición mixta temprana tratado con aparatología removible adhesiva. Reporte de un caso. Revista de Investigación UNMSM, 88 - 91.

11. Chacón, P., & Esteves, S. (2015) Tratamiento temprano de mordida de tijera unilateral. Odontología Pediátrica, 164-170.

12. Álvarez, E., Paschotto, C., & Kawauchi, M. (2012). Mordida cruzada posterior invertida. Tratamiento en paciente adulto. Orthodontic Science and practice, 444-449.

13. Crespi, J., & Lorenzetti, A. (2022). ¿Cuáles son los objetivos de los tratamientos tempranos?. Ortodoncia, 120-121.

14. Tápia, J., & Gurrola, B. (2020). Corrección de mordida de tijera unilateral con el uso de microtornillos, aparatología fija y removible. Dentista y Paciente, 56 - 65

Preparación de carillas laminadas mediante el uso de guías de reducción con flujo digital

Preparación de carillas laminadas mediante el uso de guías de reducción con flujo digital

guías de silicón (Heavy Body, Virtual Ivoclar). Para poder hacer una comparación del tiempo y la precisión de las preparaciones dentales de

Francisco Javier Baca González. Residente de 2o año de Rehabilitación Oral del Centro Educativo Multidisciplinario en Rehabilitación Oral, CEMRO, Tarímbaro, Michoacán. Berenice Bartolo Calderón. Especialista en Rehabilitación Oral y docente del Centro Educativo Multidisciplinario en Rehabilitación Oral, CEMRO, Tarímbaro, Michoacán. Benjamín Alberto Lázaro Castillo. Ortodoncista con Maestría en Ciencia Odontológicas. Profesor e investigador del Centro Educativo Multidisciplinario en Rehabilitación Oral, CEMRO, Tarímbaro, Michoacán.

Correspondencia: Francisco Javier Baca González. Dr.franciscoBG@outlook.com

Conflicto de interés: Los autores reportan no tener algún conflicto de interés

carillas sobre el tipodonto de dientes de acrílico tipo NISSIN. Resultados: fueron óptimos y satisfactorios. Conclusiones: con la creación de técnicas de fabricación de modelos 3D creando aparatos que faciliten una preparación dental más precisa y conservadora bajo esta innovación permite al clínico mayor precisión y control sobre la preparación del diente a tratar, minimizando el riesgo de una preparación excesiva y logrando al mismo tiempo resultados estéticos óptimos.

Palabras clave: guía, carillas laminadas, guías de reducción, tipodonto, preparación dental.

Durante los últimos años se ha visto que los pacientes acuden para mejorar su apariencia estética, razón por la cual, la Odontología Estética ha desarrollado y mejorado técnicas mínimamente invasivas para mejorar resultados estéticos y funcionales.

La rehabilitación de dientes anteriores busca la armonía entre el tejido blando y el tejido duro. El tamaño de los dientes es el primer paso para considerar en el logro de la restauración balanceada.

Dentro de los materiales para carillas, las cerámicas son muy buena opción, conocidas como laminados cerámicos o carillas de porcelana, especialmente en dientes no cariados existe la carilla laminada de cerámica1 y la corona convencional,

la restauración de carillas se considera como la primera elección para una restauración estética duradera bajo un método que preserve una cantidad considerable de tejido dental en comparación a la corona, cuya su profundidad no sobrepase los 1.2 mm en cervical y de 2 a 2.5 mm en borde incisal.2

Las carillas laminadas están indicadas en casos de dientes decolorados, erosionados, malformados y fracturados. El color del órgano dental viene determinado desde el nacimiento3 las decoloraciones dentales son un cambio en el tono, valor o en la translucidez del diente, puesto que el tejido es permeable, poco a poco se va tiñendo a causa de diferentes factores externos como pueden ser pigmentos contenidos en alimentos o bebidas mediante la unión química a sus grupos hidroxilo y amino.

Figura 1. Diseño en EXOCAD para preparación de guías y encerado digital.

Preparación de carillas laminadas mediante el uso de guías de reducción con flujo digital

Las carillas de cerámica poseen extraordinarias ventajas estéticas combinadas con un grado aceptable de biocompatibilidad, resistencia a la abrasión, translucidez y estabilidad cromática y mecánica.4

Por lo demás, en comparación con los dientes naturales se ha demostrado que la acumulación de placa en carillas laminadas cerámicas se reduce, lo cual se traduce en un menor riesgo de inflamaciones de la encía.5 Sin embargo, la conservación de esmalte sano para la adhesión no sólo incrementa la resistencia de la

unión, sino que además garantiza una larga supervivencia clínica. El principio de la adhesión en el esmalte se logra por medio del grabado ácido superficial mediante un componente ácido del sistema adhesivo utilizado.6

La preparación en estas condiciones preestablecidas tenía como consecuencia la pérdida considerable de tejido con dentina expuesta, especialmente en las zonas cervical y proximal.7 Se debe de controlar estrictamente para maximizar la conservación del sustrato del esmalte y

2. A) diseño del encerado digital. B) férula de descarga para la realización de las guías. C) Guía de reducción para el desgaste vestibular con cilindros para introducir la fresa.

Figura

Figura 3. A) guía fabricada por medio de la férula de descarga con 6 cilindros. B) guía montada sobre el tipodonto para el desgaste vestibular. C) guía para el desgaste cervical con 6 cilindros.

obtener el grosor adecuado de porcelana en la restauración a largo plazo.8

Cuando se aplica esta técnica para guías, la profundidad de la preparación y la técnica de guiado de fresas, se preparan ranuras de referencia para medir la profundidad y

la longitud de desgaste de las fresas, se ha informado que las discrepancias entre las distancias esmalte-guía depende de la profundidad y la técnica con la que se va a preparar el esmalte, la técnica intraesmalte es de 0.3 mm a 0.5 mm la reducción incisal de hasta 1 mm o la técnica overlop

Preparación de carillas laminadas mediante el uso de guías de reducción con flujo digital

que varía hasta 2 mm,9 logrando así el desgaste adecuado por medio de topes en las guías que se van a fabricar.10

El desarrollar preparaciones de carillas asistidas por guías de reducción impresas en 3D, permitirá medir la profundidad de la preparación y analizando los mecanismos, tiempo y precisión a diferencia del método a mano alzada con la odontología mínimamente invasiva que actúa

de manera subjetiva y/o precisa del operador.11

Objetivo general

El objetivo de este artículo es determinar y comprobar la técnica adecuada para la preparación de carillas laminadas, por medio de guías de reducción, con ayuda de flujo digital para poder disminuir la cantidad de desgaste en la preparación.

Figura 4. A) Desgaste de 0.5 mm en la zona cervical. B) Desgaste de 0.5 mm en la zona vestibular.

Metodología

La investigación se realizó en un consultorio particular en la ciudad de Morelia, Michoacán, México.

Se aplicó por medio de la fabricación de guías de resina (Ivory) y guías de silicón (Heavy Body, Virtual Ivoclar). Para poder hacer una comparación del tiempo y la precisión de las preparaciones dentales de carillas sobre el tipodonto de dientes de acrílico tipo NISSIN.

El tiempo calculable de la investigación fue de 1 mes y medio, contando desde el día en que se empezó a diseñar todo el protocolo de la guía en digital.

Se utilizaron 2 tipodontos NISSIN, un scanner de mesa (Shinning 3) una impresora 3D (Anicubic) y el programa EXOCAD para diseñar. Pieza de Alta velocidad y Kit de fresas (All Ceramic Prep Adavnced JOTA) del Dr. Milko Villarroel. Utilizando las fresas 801 para determinar la profundidad, la numero 850 tronco cónica para desgaste, la fresa 852 para acabado y pulido y la fresa 890 para definición.

Se van a hacer pruebas en 1 tipodonto con la guía de reducción digital y en 1 tipodonto con guías de reducción de silicón.

Figura 5. A) colocación en forma vertical de la pieza sobre el cilindro para la preparación vertical en cervical B) Método de desgaste vertical.

La colocación para el tipodonto es en 45 grados para medir bien la angulación de la preparación.

Técnica

Esta técnica que se realizó por medio de los tipodontos NISSIN (PRO2002 FEM 28 dientes) se diseñan las preparaciones en el tipodonto por medio de guías digitales, llevándolo a cabo por medio del flujo digital para su fabricación:

1. Escanear el maxilar superior y maxilar inferior con un escáner de laboratorio (Shinning 3), guardar los datos en formato de teselación estándar (STL).

2. Diseñar el encerado digital de acuerdo con la relación oclusal por medio del programa (exocad).

3. Diseñar las guías en el programa (exocad), bajo los parámetros “guía calcográfica”.

4. Generar la guía calcográfica blanda por medio de una férula de descagra y seleccionar la superficie exterior de la guía.

5. Diseñar un cilindro de 3 mm sobre la zona vestibular de canino a canino superior.

La colocación para el tipodonto es en 45 grados para medir bien la angulación de la preparación.
Cara Cervical Vestibular Mesial Distal Borde I. Pieza
Tabla 1.

Figura 6. (A) Preparación horizontal sobre el tallado del tipodonto de 0.7mm con fresa de diamante tronco cónica 801 grano fino (B) Medición con sonda para verificar el desgaste.

6. Colocar los agujeros de ensamblaje de las guías anteriores 2 mm.

7. Construir las guías para desgaste cervical colocando ataches de 0.5 mm de desgaste para la zona cervical.

8. Imprimir las guías utilizando la impresora 3D (Anicubic).

Técnica de preparación

1. Reducción estándar

La reducción estándar inicial varía de 0.5 a 0.7 mm de profundidad, con un mínimo de 0.3 mm, para la zona axial del diente, llegando a 1.5 mm en el borde incisal.

1.1. Reducción o tallado vestibular

El desgaste de la cara vestibular para lograr una profundidad entre 0.5 y 0.8 mm con un mínimo de 0.3 mm con fresa de bola numero 801 para el contorno y fresa diamante grano fino tronco cónica color azul dependiendo de la zona del diente o de la necesidad de un mayor grosor de la carilla o incremento del diente a expensas de la porcelana de la carilla, se realiza de preferencia con una fresa diamantada troncocónica de extremos redondeados, de grano grueso, de longitud y calibre adecuados.

Preparación de carillas laminadas mediante el uso de guías de reducción con flujo digital

Se tallan 3 o 4 surcos de orientación verticales, sensiblemente paralelos al eje mayor del diente, de la profundidad deseada con fresa diamantada paralela al plano en cuestión.

1.2. Reducción proximal

El tallado de las caras proximales mesial y distal se realiza con fresa adiamantada de punta de lápiz número 1 y solo hay que tener en cuenta que esta reducción proximal debe extenderse hacia palatino/lingual hasta las zonas no visibles del diente.

1.3. Reducción o terminación incisal

La finalización en el borde incisal puede a su vez abarcar 2 modalidades; en una termina en la mitad vestibular de

dicho borde cuando este tiene suficiente anchura y grosor o bien no es necesario reducirlo. La podemos realizar con fresa troncocónica número 850 de color roja para definir márgenes y quitar la superficie rugosa de la preparación.

1.4. Reducción gingival

El margen gingival se sitúa en el esmalte y no en el cemento siempre que sea posible. La excepción a esta regla es la presencia de recesión gingival con exposición radicular, en cuyo caso será necesario ubicarlo en el cemento; esto requerirá una adaptación muy precisa de la carilla a dicho margen para minimizar los problemas derivados de una interfase poco resistente.

1.5. Maniobras finales

Una vez completado el tallado, se utiliza la fresa troncocónica color amarillo sobre la superficie, las maniobras finales consisten en el redondeamiento de todos los ángulos y aristas con una fresa diamantada de bala o redonda, junto con el alisado de la preparación con diamantados de grano fino y superfino. Este alisamiento superficial permite una mayor adaptación de la carilla a la superficie dentaria, lo que minimizará la probabilidad de fractura por sobreesfuerzo tensional. Por otra parte, se facilitará la humectación del diente por el medio cementante.

Resultados

Los resultados de la guía dental Impresa en 3D fueron óptimos, ya que la guía permitió una preparación dental uniforme y controlada. El innovador diseño permitió al clínico realizar fácilmente surcos de reducción verticales y horizontales. Además, el material de resina con el que se fabricó permitió la evaluación y visualización continua de la estructura dental.

Este diseño con múltiples canales y cilindros es una alternativa factible a las guías de masilla de silicona pesada tradicionales.

Figura 7. A) Medición con sonda para verificar en mm el desgaste B) Método de preparación vestibular fue de 0.5mm.

Preparación de carillas laminadas mediante el uso de guías de reducción con flujo digital

La profundidad de preparación vertical sobre el tallado del tipodonto fue de 0.7mm sobre la preparación vertical que se llevó a cabo en cervical, como se muestra en la Figura 1

Hubo una discrepancia de 0.2 mm en comparación de la preparación vertical que fue de 0.7 mm (cervical) y la preparación horizontal que fue de

0.5 mm (cara vestibular). En la zona de los centrales.

Con respecto a los caninos hubo un pequeño aumento de 1 mm en la zona cervical y 0.8 mm en la zona vestibular. Esto respecto a la angulación y la convexidad que tiene anatómicamente el canino (Tabla 1).

Figura 8. A) En la parte final del desgaste ya detallando cada diente en el tipodonto (canino a canino) se logró conformar el desgaste adecuado para llevar a cabo la mínima invasión requerida en esta prueba.

La preparación de los dientes para carillas de cerámica utilizando las guías digitales puede mejorar el control de la preparación del diente para obtener el espesor mínimo para el material restaurador deseado.

Discusión

La preparación de los dientes para carillas de cerámica utilizando las guías digitales puede mejorar el control de la preparación del diente para obtener el espesor mínimo para el material restaurador deseado. La fabricación de las guías permite una visualización optima del área a preparar y las ventanas de acceso al instrumento rotatorio limitan el movimiento excesivo del instrumento sobre el esmalte.12

Aunque las guías aumentan el costo, en comparación con las preparaciones convencionales, nos beneficia al obtener una preparación dental más predecible y menos invasiva. Sin embargo, el diseño no restringe por completo la reducción del diente durante la preparación, se requiere una mejora del diseño de esta guía mediante la creación de una ventana con una funda de acceso al instrumento rotatorio. Podría mejorar también solicitando otro color ya sea transparente o un tono menos opaco, así podría proporcionar mejor visibilidad al operador al momento de realizar los desgastes planeados con las guías.

Además, el paso final del protocolo debe de optimizarse reduciendo el pulido a mano alzada y la finalización con puntas y discos soflex sobre la preparación. A diferencia de otros instrumentos guiados de preparación dental que requieren la

adquisición de instrumentos rotatorios patentados y con contra ángulos específicos, esta guía digital solo necesita obtener el grosor de la pieza de alta velocidad que será empleada para el tratamiento, por cuestiones ergonómicas del cabezal de la pieza de mano, para que por medio de ella se haga los ajustes necesarios para que se pueda adaptar al tope de la guía. Recomendable una pieza de cabezal recto para su mejor adaptación.

Conclusiones

Las alternativas para tratar pigmentaciones mínimas y restaurar bordes incisales bajo un mínimo desgaste son las carillas veneer. Sin embargo, con la creación de técnicas de fabricación de modelos 3D creando aparatos que faciliten una preparación dental más precisa y conservadora, bajo esta innovación permite al clínico mayor precisión y control sobre la preparación del diente a tratar, minimizando el riesgo de una preparación excesiva y logrando al mismo tiempo unos resultados estéticos óptimos. Sin embargo, se necesitan seguir en constante capacitación para seguir mejorando este tipo de técnica en el ámbito clínico.

Como es un desgaste mínimamente invasivo, no es recomendable en pacientes con manchas intrínsecas o pigmentadas ya que pudiera repercutir en la calidad del tono de la carilla.

Preparación de carillas laminadas mediante el uso de guías de reducción con flujo digital

Referencias

1. Scopin, O., Borges, G. A., Stefani, A., Fujjy, F., & Battistella, P. (2011). Carillas Laminadas. Quintessence técnica (ed. esp.). Volumen 22, Núm. 3., 151-169.

2. Santos Pantaleon, D., & De León, C. (2005). Nueva técnica simplificada de preparacion dental para coronas completas en dientes anteriores. revista odontologica dominicana, 39-41.

3. Moradas Estradas, M., & Alvarez López, B. (2018). Manchas dentales extrínsecas y sus posibles relaciones con los materiales blanqueantes Manchas dentales extrínsecas y sus posibles relaciones con los materiales blanqueantes. Avances en odontoestomatología Vol. 34 - Núm. 2 , 59-69.

4. Eslava, R. A., Sanjuan, M. E., & Valdez, D. J. (2019). Resistencia compresiva de carillas en disilicato de litios con direrentes espesores. Journal Odontológico Colegial, 43-45.

5. Serrano Cuenca, V., & Nogueriol Rodriguez, B. (2004). Prevención mantenimiento en la patología periodontal periimplantaria. Avances en Periodoncia Vol 16., 65-79.

6. Flury, S. (2011). Principios de la adhesion y la tecnica adhesiva. Quintessenz Team -Journal., 604-609.

7. Peña, J. M., Fernández, J. P., Álvarez, M. Á., & González, P. (2003). Técnica y sistemática de la preparación Construcción de carillas. RCOE, Vol. 8, 647-668.

8. Villarroel, M., Jorquera, C., Stainford, K., De Sousa, A. M., & Batista de Oliveira Junior, O. (2006). Integración natural de carillas cerámicas con la estructura dentaria: relato clínico. Revista de operatoria dental y biomateriales vol 1., 29-35.

9. Calderon, G. I., & Stella, L. (2016). Aspectos relevantes para la preparacion de carillas anteriores de porcelana : Una revisión. Revista estomacal Herediana, 110-116.

10. Höhne, C., Rammler, T., & Schmitter, M. (2020). Dientes impreoss en 3D con guias de preparación de carillas. Revista de prostodoncia 30, 1-6.

11. Gao, L. (2023). Presición de la profundidad de la preparacion en carillas de tipo espacio de restauración mixtas de diferentes guias: un estudio in vitro. Revista de investigacion prostodontica, 555-557.

12. Marquez, S., Ribeiro, P., Gama, C., & Herrero-Climent, M. (2022). Preparación de carillas guiada digitalmente: Una técnica dental. The Jornal of Prosthetic Dentistry, revista de odontoliogia protesica, 1-9.

La Odontología, la profesión médica con mayor tasa de mala praxis en México

M. en I.S.S. Roberto Gómez García. Seguros Centauro Salud Especializada UNAM Iztacala

C. D. J. Jesús Merlos Bautista Hospital Pediátrico Peralvillo, IMSS Bienestar

Como en ejercicios anteriores , los autores revisaron los Anuarios Estadísticos elaborados por la Comisión Nacional de Arbitraje Médico para analizar la situación de la Odontología en México, correspondiente en este trabajo al quinquenio 2019 a 2023.

El Modelo Mexicano de Arbitraje Médico

La Comisión Nacional de Arbitraje Médico (CONAMED) fue creada por decreto Presidencial el 3 de junio de 1996, con el propósito fundamental de contribuir a resolver los conflictos suscitados entre los usuarios de los servicios médicos y los prestadores de dichos servicios, como una estrategia para evitar que la sociedad mexicana transitara hacia esquemas de prácticas defensivas como ocurre en los Estados Unidos.

Sus intervenciones se caracterizan por su objetividad, imparcialidad, flexibilidad, pronta resolución y gratuidad

La atención de las inconformidades se realiza de manera lineal y

Estudio

Figura 1. Asuntos atendidos por año y tipo

progresiva de lo simple a lo complejo, iniciando con la orientación y en caso necesario con la asesoría a los pacientes o familiares inconformes con la atención médica recibida, niveles en donde se resolvieron el 86.1% de las 81 838 de las solicitudes atendidas entre enero de 2019 y diciembre de 2023 (Figura 1).

Cuando existen elementos para la intervención de la CONAMED y esta debe ser lo más expedita posible se realiza la gestión inmediata, que fue suficiente para resolver el 7.5% de las consultas recibidas.

En cuarto nivel corresponde a la admisión de la queja, que incluye de

manera sobresaliente la narración por escrito de los hechos motivo de la inconformidad del paciente y sus pretensiones, esto último para evitar falsas expectativas o incremento de las exigencias conforme avance el proceso suponiendo que éste le favorece.

Es importante observar que solo el 5.6% de las inconformidades de los pacientes llegaron a esta fase, que puede derivar en un acuerdo de conciliación o, en caso de que no se logre reconciliar al usuario y al prestador de servicios, acordar el arbitraje de la CONAMED, quien, apoyada en expertos en la especialidad médica y peritos legales, emiten un laudo que es

de aceptación obligatoria para ambas partes y solo sujeto de amparo legal, con las implicaciones y complicaciones que ello conlleva.

Quejas Atendidas

Durante el periodo de análisis se atendieron 4 830 quejas (Tabla 1) correspondientes, en orden decreciente de frecuencia a traumatología y ortopedia (15.4% del total), cirugía y todas sus subespecialidades (12.9%) y odontología y sus especialidades (11.9%) como ortodoncia, prótesis, odontología infantil, cirugía oral y maxilofacial, periodoncia y endodoncia.

Como sería de esperar, los asuntos atendidos y las quejas aceptadas en 2020 fueron significativamente menores al año previo y a los posteriores, debido a las restricciones en la movilidad ciudadana impuestas ante la pandemia de Covid-19 que tuvo su mayor incidencia durante ese año.

Como se señaló anteriormente el personal de la CONAMED genera las

mejores condiciones e interviene de manera imparcial para favorecer el diálogo entre las partes para lograr la conciliación lo más satisfactoria posible y siempre acorde a las leyes, en cuyo caso se firma el “Convenio de Transacción” en el que se detallan los acuerdos y compromisos voluntarios de ambas partes, así como los tiempos en que se deberán cumplir.

En caso de no lograrse el acuerdo entre las partes, se propone al paciente y/o sus familiares y al prestador del servicio que se sometan al arbitraje de la CONAMED, procedimiento que se caracteriza por su apego a las leyes y el análisis objetivo de las pruebas presentadas por ambas partes.

Mala praxis

Se considera que existe mala praxis o mala práctica cuando se demuestra objetivamente alguna infracción por parte del prestador de un servicio al deber propio de su profesión, y en el caso de la medicina y sus especialidades a la atención sin las condiciones razonablemente exigibles conforme

Tabla 1. Quejas Atendidas por Especialidad.

al acto médico que se ejecuta, según las circunstancias de las personas, del tiempo y del lugar.

“Se refiere a la responsabilidad profesional por los actos realizados sin seguimiento a la diligencia o el beneficio del paciente y se identifica frecuentemente a partir de uno o más errores injustificados, por lo que implica culpa y por tanto, responsabilidad de parte del médico”

Conforme a estos parámetros, la Comisión Nacional de Arbitraje Médico dictamina en los casos que lleguen al arbitraje como última instancia para la resolución de los conflictos, si existió mala práctica por parte del profesionista prestador del servicio, si no existió o si no hay elementos suficientes para determinar la responsabilidad del médico o dentista,

información que se presenta en la Tabla 2

Resalta en la tabla anterior el año 2021 por no presentar la información por Especialidad Médica como se hacía antes y se hizo después.

Es también preocupante la categoría “Sin elementos para dictaminar” en los cuatro primeros años y que fue totalmente eliminada en 2023, debido —presumiblemente— a un mejor trabajo de análisis que evitó la cualificación incierta de los tratamientos analizados.

Pero es más relevante y motivo del presente estudio, la extraordinariamente alta tasa de laudos dictaminados “Con Evidencia de Mala Práctica” por tratamientos odontológicos, que ascendió al 45.3% el total, muy superior a cualquier otra disciplina de la salud reportada en estos Anuarios Estadísticos de carácter oficial.

Tabla 2. Laudos emitidos y Dictamen del apego a la praxis profesional.

La Odontología, la profesión médica con mayor tasa de mala praxis en México

Referencias

1. Gómez-García R, Hernández Vizuet O. Odontología, la profesión con mayor crecimiento en el número de quejas ante la CONAMED, revista Dentista y Paciente 2017 (7), disponible en: https:// dentistaypaciente.com/calidad_107_julio2017.html

2. Comisión Nacional de Arbitraje Médico, Anuario Estadístico 2019, disponible en: https://www. gob.mx/conamed/documentos/anuario-estadistico-2019

3. Comisión Nacional de Arbitraje Médico, Anuario Estadístico 2020, disponible en: https://www. gob.mx/conamed/documentos/anuario-estadistico-2020

4. Comisión Nacional de Arbitraje Médico, Anuario Estadístico 2021, disponible en: https://www. gob.mx/conamed/documentos/anuario-estadistico-2021

5. Comisión Nacional de Arbitraje Médico, Anuario Estadístico 2022, disponible en: https://www. gob.mx/conamed/documentos/anuario-estadistico-2022

6. Comisión Nacional de Arbitraje Médico, Anuario Estadístico 2023, disponible en: https://www. gob.mx/conamed/documentos/anuario-estadistico-2023

7. Decreto por el que se crea la Comisión Nacional de Arbitraje Médico, Diario Oficial de la Federación, 3/06/1996. Disponible en: http://www.conamed.gob.mx/transparencia/pdf/decreto_comision. pdf

8. Comisión Nacional de Arbitraje Médico, Modelo Mexicano de Arbitraje Médico, Edición 2023, Disponible en: http://www.conamed.gob.mx/gobmx/modelo/modeloall.php

9. Asistencia Médico Legal, Tipos de mala praxis médica según la Conamed, disponible en: https:// www.asistenciamedicolegal.com/single-post/tipos-de-mala-praxis-m%C3%A9dica-seg%C3%BAn-la-conamed#:~:text=La%20Comisi%C3%B3n%20Nacional%20de%20Arbitraje,seg%C3%BAn%20las%20circunstancias%20de%20las

Cartillas Nacionales de Salud:

historia y evaluación de su uso en la Zona

Metropolitana de la Ciudad de México, 2023

Mtra. Raquel Martínez Aquino. Seguros Centauro Salud Especializada. Mtro. Roberto Gómez García. Hospital Pediátrico Peralvillo, IMSS Bienestar. Dr. Álvaro González-Aragón Pineda. UNAM Iztacala

Las Cartillas de Salud son una estrategia que aplican los gobiernos y los particulares con varios fines simultáneos, entre los que destacan:

• Promover la participación de las personas en el cuidado de su salud.

• Establecer las intervenciones básicas de promoción de la salud por grupo de edad y sexo.

• Documentar la atención proporcionada a las personas.

• Servir como herramienta para la planeación, organización, operación y evaluación de los servicios de salud.

La historia de las Cartillas de Salud en México inició en 1978 con la implementación de la Cartilla de Vacunación “destinada a controlar y comprobar, individualmente, la administración de vacunas como parte esencial de la protección a la salud de la niñez” (SSa, 1978).

El decreto de creación establecía la obligatoriedad del uso de la cartilla

Investigación clínica

por parte de la población y las autoridades del Registro Civil, de Salud y Educativas como se transcribe a continuación:

Artículo Primero. - Se establece con carácter obligatorio la Cartilla Nacional de Vacunación, destinada a controlar y comprobar, individualmente, la administración de vacunas como parte esencial de la protección a la salud de la niñez.

Artículo Cuarto. - Al ser presentado un menor de seis años al Registro Civil, el Juez u oficial encargado asentará los datos en la Cartilla (…), la cual deberá ser enviada en un lapso no mayor a un mes a la Secretaría de Salubridad y Asistencia. Esta dependencia procesará la información en un banco de datos, quedando así registrado el menor y prevista la futura demanda de biológicos. Será obligatorio avisar a la Secretaría de Salubridad y Asistencia de las defunciones ocurridas en los menores nacidos a partir del enero, de enero de 1979.

Artículo Quinto. - (…) Al efectuarse la vacunación, se hará la anotación de los datos (…) y se devolverá la Cartilla a los padres o responsables del menor, además de que el vacunador llenará la matriz y el talón respectivo, los cuales deberán ser enviados mensualmente a la Secretaría de Salubridad y Asistencia.

Artículo Sexto. - “La Cartilla Nacional de Vacunación tendrá plena validez en las escuelas oficiales y privadas y en las dependencias en las que deba comprobarse la vacunación”

Así, el decreto establece el carácter obligatorio de la vacunación como una estrategia social para prevenir los daños en la salud de esta población al tiempo que posiciona a la Cartilla Nacional de Salud como el elemento fundamental para la planeación, organización, seguimiento y evaluación de los programas de vacunación

Cartillas Nacionales de Salud: historia y evaluación de su uso en la Zona Metropolitana de la Ciudad de México, 2023

contra poliomielitis, sarampión, difteria, tos ferina y tétanos.

La segunda Cartilla de Salud se creó, también por decreto Presidencial, el 6 de marzo de 1998, para “contar con un instrumento que facilite a las mujeres llevar el seguimiento adecuado de su estado de salud, a fin de exigir, en su caso, la atención respectiva de conformidad con la normatividad aplicable” (SSa, 1998).

Similar a la Cartilla de Vacunación se definieron los servicios básicos que deberían proporcionarse, es este caso, a las mujeres:

Artículo 2o. La Secretaría de Salud establecerá el formato de la Cartilla Nacional de Salud de la Mujer, así como los rubros de información que deberán asentar los prestadores de servicios de salud que serán, cuando menos, los siguientes: Salud perinatal, Planificación familiar, Prevención y control de los cánceres cérvico-uterino y mamario, Climaterio y menopausia, Vacunas que se apliquen a partir del inicio de la edad reproductiva y antecedentes ginecobstétricos.

Se modificó el procedimiento para la entrega:

Artículo 3o. La Cartilla Nacional de Salud de la Mujer será entregada en forma gratuita a todas las mujeres desde el inicio de la edad reproductiva, en cualquiera de los establecimientos integrantes del Sistema Nacional de Salud.

También se definieron los procedimientos para su reposición y para su operación:

“Artículo 4o. Cuando se preste atención médica a una mujer que no cuente con la Cartilla Nacional de Salud de la Mujer, el prestador de servicios de salud se la entregará y asentará en ella los datos generales de la mujer y le deberá indicar la necesidad de presentarla cada vez que sea atendida, independientemente del lugar en donde reciba el servicio.”

El carácter obligatorio se redujo a nivel de conveniencia:

La historia de las Cartillas de Salud en México inició en 1978 con la implementación de la Cartilla de Vacunación.

Investigación clínica

“Artículo 5o. Los prestadores de servicios de salud deberán solicitar a las usuarias la Cartilla Nacional de Salud de la Mujer y hacer la anotación correspondiente al servicio que ellas reciban.

En ningún caso se podrá negar la prestación de los servicios médicos por la falta de presentación de la Cartilla Nacional de Salud de la Mujer”.

Se mantuvo la participación de los prestadores de servicio en el sistema de información; con periodicidad anual:

Artículo 6o. Los prestadores de servicios de salud llevarán las estadísticas correspondientes a la información más relevante que hubieren asentado en la Cartilla Nacional de Salud de la Mujer, las cuales harán anualmente del conocimiento de la Secretaría de Salud y de los gobiernos de las entidades federativas, en sus respectivos ámbitos de competencia.

El tercer momento clave en la evolución de las Cartillas de Salud en México se presentó el 24 de diciembre de 2002 con la promulgación en el Diario Oficial del Decreto por el

que se establece el Sistema de Cartillas Nacionales de Salud. (SSa, 2002), reconociendo “que no obstante la utilidad de las cartillas antes mencionadas, existen grupos de edad que no quedan comprendidos dentro de las mismas, por lo que es necesario que se establezca un esquema más completo que permita a los individuos llevar un seguimiento personalizado y continuo de las acciones de prevención en la salud acorde a todas y cada una de las etapas de la vida“.

Se establecen 4 Cartillas:

Artículo 2.- El Sistema a que se refiere el artículo 1 del presente Decreto estará constituido por las siguientes Cartillas Nacionales de Salud:

I. De Vacunación, que registrará las acciones de prevención en la salud de los individuos desde su nacimiento hasta los 19 años de edad;

II. De Salud de la Mujer, que registrará las acciones de prevención en la salud de las mujeres de los 20 a los 59 años de edad;

III. De Salud del Hombre, que registrará las acciones de prevención en la

El Sistema Nacional de Cartillas de Salud son una estrategia de apoyo y seguimiento de la salud integral de la población mexicana que dista mucho de la consolidación.

Cartillas Nacionales de Salud: historia y evaluación de su uso en la Zona Metropolitana de la Ciudad de México, 2023

salud de los hombres de los 20 a los 59 años de edad, y

IV. De Salud del Adulto Mayor, que registrará las acciones de prevención en la salud de las mujeres y los hombres a partir de los 60 años de edad”.

En cada una de ellas se detallan las acciones básicas de promoción de la salud, por grupo de edad y sexo, que incluyen vacunación, control de peso, planificación familiar, antecedentes patológicos personales y familiares, prevención, detección y control de diabetes mellitus, atención gineco-obstétrica, prevención y control de cáncer cérvico uterino y mamario y prevención y atención del climaterio; además se incorporan los registros de la evaluación de la agudeza visual y de la atención bucal.

Se refrenada el carácter no obligatorio de su uso por parte de la población:

Artículo 7. (…) Los padres, tutores o responsables del menor serán exhortados a presentarlo en las unidades aplicativas para su vacunación.

Pero son de uso obligatorio para los prestadores de servicio:

“Artículo 10. Cuando se presten servicios de salud a un individuo que no cuente con la Cartilla Nacional de Salud correspondiente a su grupo de edad, el prestador estará obligado a entregársela y asentar en ella los datos generales del usuario.

Artículo 11. Los prestadores de servicios de salud deberán solicitar a los usuarios la Cartilla Nacional de Salud que corresponda y hacer, en su caso, la anotación correspondiente a los servicios considerados en el formato de la Cartilla respectiva.

Finalmente, en 2019 la Cartilla de Vacunación para menores de 0 a 19 años se dividió en dos: “Niñas y Niños de 0 a 9 años de edad. Vacunación” y “Adolescentes de 10 a 19

Investigación clínica

Entre 1 y 2 años

Más de dos años

años”, por lo que el Sistema de Cartillas Nacionales de Salud en el año 2023 está conformado por cinco cartillas:

• Cartilla Nacional de Salud de niñas y niños de 0 a 9 años.

• Cartilla Nacional de Salud del Adolescente de 10 a 19 años.

• Cartilla Nacional de Salud de la Mujer de 20 a 59 años.

• Cartilla Nacional de Salud del Hombre de 20 a 59 años.

• Cartilla Nacional de Salud del Adulto Mayor de 60 años y más.

Objetivo

A través de este estudio se cuantificó la demanda de atención médica y odontológica por parte de la población; así como el uso de las Cartillas Nacionales de Salud por parte de los prestadores de servicio.

Las Cartillas se personalizan con los datos de identificación de la persona y de la unidad de salud que le corresponde, contiene recomendaciones para la promoción de la salud, y tablas específicas para el registro de las consultas médicas recibidas, vacunación, control de peso, prevención de adicciones, detección de enfermedades, nutrición, salud visual y salud bucal, por lo que son un documento de gran utilidad que articula la participación de las personas en el autocuidado de su salud y las intervenciones del personal que le proporciona servicio a lo largo de toda la vida.

Figura 1. Utilización por servicio y género.

Médico u hospital privado Médico adjunto a farmacia

Material y Métodos

Se aplicó una encuesta en una muestra propositiva de 120 personas en cada uno de los grupos de edad y sexo en que se divide el Sistema de Cartillas de Salud, las unidades muestrales se constituyeron los alumnos del primer año de la Carrera de Cirujano Dentistas de la UNAM, FES Iztacala y sus familiares y/o amistades correspondientes a cada subgrupo, lo que permitió la homogeneidad numérica. El levantamiento se efectuó durante el mes de noviembre de 2023 y se tabularon a través de la aplicación Googleforms.

Resultados

Se tuvo una tasa de respuesta de 81.3%, por lo que los resultados

IMSS Centro de Salud

corresponden a 488 personas, 303 mujeres (62.1%) y 185 hombres (37.9%).

Como se observa en la Figura 1 , durante el año previo a la encuesta, 80.9% de las mujeres (F) y 72.4% de los hombres (M) habían asistido al médico (M), en contraparte, 54.5% de las mujeres y 56.8% de los hombres tuvieron consulta odontológica (D).

66.0% de las mujeres habían asistido a consulta médica en un servicio particular, principalmente en consultorios u hospitales (42.2%) o en consultorios adjuntos a farmacias (23.8%). La consulta médica privada entre los hombres correspondió al 56.2%, 33.5% en consultorios u

Otro Hospital público

No está segura (o)

2. Consulta médica, por tipo de género.

Figura
FEM MASC.

Investigación clínica

Consutorio o clínica privado

No está seguro IMSS Otro Centro de salud ISSSTE

Figura 3. Consulta odontológica, por tipo y género.
Figura 4. Solicitud de la cartilla de salud.
FEM MASC. Sí No
Médico
Dentista

hospitales privados y 22.7% en anexos de farmacias (Figura 2).

En contraste, 82.5% de las mujeres y 76.2% de los hombres asistieron a servicios odontológicos privados, y en mínimas proporciones a otro tipo, información que se presenta en la Figura 3

73.8% de las personas encuestadas manifestaron tener Cartilla de Salud, 76.9% de las mujeres y 68.6% de los hombres.

No obstante, solo en 27.0% de las consultas médicas y 9.2% de las odontológicas fueron solicitadas a las(los) Pacientes sus Cartillas de Salud, como se muestra en la Figura 4.

El personal médico o de enfermería que otorgó el servicio la registró en el

24.0% de total de las atenciones, con importantes diferencias según la institución o servicio, destacando en primer lugar el IMSS y en último los médicos adjuntos a farmacias (Figura 5).

Las atenciones odontológicas sólo se registraron en 9.6% del total, también con diferencias importantes conforme a la institución o servicio que la otorgó (Figura 6).

Conclusiones

Conforme a los resultados anteriormente descritos, se puede concluir puntualmente:

1. En México desde hace más de 20 años se cuenta con un Sistema Nacional de Cartillas de Salud estructurado para dar seguimiento a las atenciones preventivas,

5. Registro de la atención médica en cartillas. Médico u hospital privado

Figura

Investigación clínica

curativas y de rehabilitación de cada persona en particular conforme transita a lo largo de su vida.

2. En general, las personas encuestadas asisten con mayor frecuencia a los servicios médicos (77.7% durante el año más reciente) que a los odontológicos (55.3%).

3. La atención médica recibida por esta población se realizó con mayor frecuencia en hospitales o consultorios privados (38.9%, seguidos de consultorios adjuntos a farmacias (23.4%) y en tercer lugar en el IMSS (19.7%) que en conjunto acumulan el 82.0%, con ligeras variaciones conforme al género.

4. 81.0% de la atención odontológica se realizó en servicios privados, sin diferencias significativas entre mujeres y hombres.

5. Solo 27% de los médicos y 9.2% de los dentistas solicitaron a los pacientes su Cartilla Nacional de Salud.

6. Solo el 24% de las atenciones médicas y 9.6% de las odontológicas se registraron en la Cartilla Nacional de Salud de los usuarios, situación que no pudo comprobarse por no haberla requerido a los encuestados.

Por todo lo anterior, debe concluirse que el Sistema Nacional de Cartillas de Salud son una estrategia de apoyo y seguimiento de la salud integral de la población mexicana que dista mucho de la consolidación y por ello, de utilidad alguna a pesar de todos los esfuerzos institucionales, toda vez que depende del conocimiento (o desconocimiento) de los prestadores de servicio y de la voluntad de los usuarios.

Figura 6. Registro de la atención odontológica en cartillas.

Referencias

1. Secretaría de Salud, 1978. Decreto por el que se establece con carácter obligatorio la Cartilla Nacional de Vacunación, destinada a controlar y comprobar, individualmente, la administración de vacunas como parte esencial de la protección a la salud de la niñez. Diario Oficial de la Federación, 20/10/1978

2. Secretaría de Salud, 1998. Decreto por el que se establece la Cartilla Nacional de Salud de la Mujer, Diario Oficial de la Federación, 06/06/1998

3. Secretaría de Salud, 2002. Decreto por el que se establece el Sistema de Cartillas Nacionales de Salud, Diario Oficial de la Federación, 24/12/2002

4. Secretaría de Salud, 2023. Nueva Cartilla Nacional de Salud 2023, 14/07/2023

5. Gobierno de México, Cartilla Nacional de Salud. Niñas y Niños de 0 a 9 años de edad. Cartilla de Vacunación, www.salud.gob.mx, acceso: 13 de abril de 2024

6. Gobierno de México, Cartilla Nacional de Salud. Adolescentes de 10 a 19 años de edad, www.salud.gob.mx, acceso: 13 de abril de 2024

7. Gobierno de México, Cartilla Nacional de Salud. Mujeres de 20 a 59 años de edad, www.salud.gob.mx, acceso: 13 de abril de 2024

8. Gobierno de México, Cartilla Nacional de Salud, Hombres de 20 a 59 años de edad, www.salud.gob.mx, acceso: 13 de abril de 2024

9. Gobierno de México, Cartilla Nacional de Salud del Adulto Mayor, (Personas de 60 años y más), www.salud.gob.mx, acceso: 13 de abril de 2024

Sobremordida

Ana Izeth Martínez Clavijo. Pasante de Servicio Social de la Licenciatura Médico

Estomatólogo de la Universidad Autónoma de Aguascalientes

Sobremordida vertical excesiva en paciente pediátrico.

Caso clínico. Parte 1

La mordida profunda es una maloclusión vertical que presenta una etiología multifactorial, la cual se define como una condición clínica donde los incisivos superiores recubren de manera exagerada a los incisivos inferiores. Se presenta un caso de una paciente de 10 años, perfil recto, sobremordida vertical aumentada, proinclinación de los incisivos inferiores.

Palabras clave: maloclusiones, sobremordida, ortodoncia interceptiva, odontopediatría.

La Organización Mundial de la Salud (OMS) señala que las maloclusiones ocupan el tercer lugar de prevalencia dentro de las patologías en Salud bucodental, mientras que la caries dental y la enfermedad periodontal ocupan el primer y segundo lugar respectivamente. En Latinoamérica los niveles de incidencia y prevalencia de maloclusiones superan el 85% de la población.1

La sobremordida profunda más que una enfermedad es más bien una manifestación clínica de discrepancias subyacentes. El diagnóstico ortodóntico es de vital importancia

La mordida profunda es una maloclusión vertical que presenta una etiología multifactorial, la cual se define como una condición clínica donde los incisivos superiores recubren de manera exagerada a los incisivos inferiores.

porque sintetiza los factores en una lista de problemas en la que se sugiere una solución. Las anomalías de posición de los dientes son aspectos para tener en cuenta, dado que al ser muy visibles, es frecuente que el paciente exprese su necesidad de corregirlo.2 Es importante la prevención y tratamiento de esta alteración, puesto que, puede provocar un impacto social de manera negativa que interfiere con la calidad de vida de los pacientes, dañando su interacción social y bienestar.3

Los elementos diagnósticos en ortodoncia son fundamentales para la elaboración de una correcta planificación de tratamiento, desarrollada a través de una atenta realización de la historia clínica, toma y análisis de fotografías, radiografía lateral,

ortopantomografía, toma de impresiones y modelos de estudio.4

La mordida profunda es una maloclusión vertical que presenta una etiología multifactorial, la cual se define como una condición clínica donde los incisivos superiores recubren de manera exagerada a los incisivos inferiores.5

En 1977, Graber define a la mordida profunda como “un estado de sobremordida vertical aumentada, en la que la dimensión entre los márgenes incisales dentales superiores e inferiores es excesiva.6

La sobremordida vertical se considera normal cuando se aproxima a 3 mm o 30%, al exceder dichos valores se considera como mordida profunda.7 También es conocida como sobremordida vertical profunda, sobremordida vertical excesiva, sobre cierre vertical o sobrepase.

Moyers menciona que la sobremordida excesiva es una combinación de rasgos esqueléticos, dentales y neuromusculares que producen una cantidad indebida de superposición vertical en la región incisiva.8

Strang en 1950 definió la mordida profunda como la superposición de los dientes anterosuperiores sobre los anteroinferiores en el plano vertical. Nanda y Proffit, redefinieron a la mordida profunda como la cantidad y el porcentaje de superposición de los incisivos inferiores por los incisivos superiores.9

Turn static files into dynamic content formats.

Create a flipbook
Issuu converts static files into: digital portfolios, online yearbooks, online catalogs, digital photo albums and more. Sign up and create your flipbook.