Revista Dentista y Paciente 194

Page 1


CALIDAD Y DIRECCIÓN

Análisis comparativo mediante Adobe Photoshop en coronas totales del sector anterior confeccionadas con disilicato de litio vs zirconio en una misma rehabilitación

INVESTIGACIÓN CLÍNICA

Diagnóstico y tratamiento ortodóntico interceptivo como prevención en la inclusión del canino

ENTREVISTA

Dra. Zoraida García Castillo

ESTUDIO

¿Qué debemos conocer los dentistas de la viruela símica (mpox)?

CASO CLÍNICO

Osteointegración de implantes en pacientes diabéticos. Reporte de casos

SONRIENDO AL FUTURO

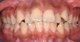
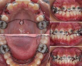
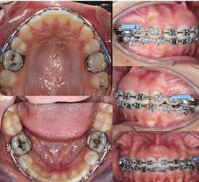
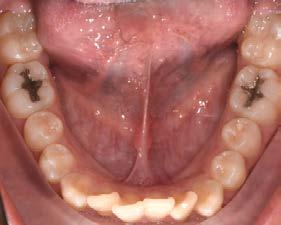
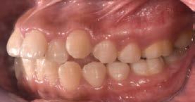
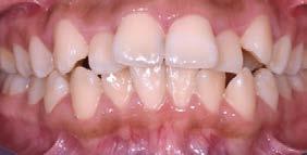
Tratamiento ortodóncico camu aje de una maloclusión clase II esquelética

Más que una radiografía panorámica, un panorama completo con insight

Permite analizar �� capas anteroposterior, reconociendo estructuras con mayor facilidad

Con insight

Raíz vestibular en la capa ��

Raíz palatina en la capa ��

Sin insight

Se visualiza solo en una capa

Dile adiós a las radiografías convencionales y hola a la panorámica que mejorará tu consulta, con nuestros equipos

Facilita y mejora el diagnóstico.

Podrás observar estructuras adyacentes.

Es útil como referencia durante una cirugía bucal.

Obtendrás un estudio específico de alguna lesión, diente o estructura.

Mide, elige marcas incluyendo coloca el

Eficiencia y precisión

Eficiencia y precisión en implantología

Evalúa la densidad ósea e inserta

el implante

el implante en sólo 3 clics.

estructura

Examina la estructura anatómica de acuerdo a la hipo o hiperdesnisas que presente la zona a estudiar.

Mide el volúmen en mm cúbicos.

elige el tipo de implante (tenemos +60 incluyendo las más importantes) y el implante.

¡EN SÓLO 3 CLICS!

Esto y mucho más, sólo con

DISPONIBLE EN TODOS LOS EQUIPOS 3D

Solicita más info

¡SU LABORATORIO DENTAL DE CONFIANZA!

BruxZir Zirconia

• Combinación óptima de resistencia y estética Una alternativa estética para las restauraciones de oro y Metal Porcelana con oclusal metálico

Obsidian® Fusionado con Metal

• Cuatro veces más fuerte y dos veces más resistente al astillamiento que la porcelana Ceramco®3

• Vitalidad natural, diseñada para el área anterior y posterior

• Ideal para coronas y puentes en cualquier parte de la arcada, y restauraciones en la zona estética.

• Estética y alta resistencia

• Aplicaciones versátiles y amplia gama de indicaciones

• Preparación mínimamente invasiva y cementación adhesiva

Fabricada con materiales
Envíos GRATIS a todo México
IPS e.max
Dra. Taylor Manalili
IPS e.max es una marca registrada de Ivoclar Vivadent.
AÑOS
REEMPLA ZO GRATIS
GARANTÍA D E GLIDEWELL

Octubre 2024

La nueva variante MV1 del virus del COVID-19 se ha propagado rápidamente, por lo que ha causado alarma en todo el planeta. Esta variante se descubrió por primera vez en la India a finales del mes de junio. En un mes se reportaron casos en 9 países distribuidos en 4 continentes.

El 11 de septiembre la Secretaría de Salud reportó 13 261 casos en lo que va del 2024. Al ritmo que lleva el virus, los reportes de contagios aumentarán vertiginosamente. Esperemos que los de muertes, no tanto. La cosa es no descuidarnos y usar cubrebocas, ventilar lugares cerrados, lavarse las manos frecuentemente, etc. Yo sigo viendo a la gente sin usar cubrebocas.

En su último informe, el presidente quiso cerrar con broche de oro todas las mentiras que ha dicho en su sexenio y se aventó la puntada de afirmar, que los servicios médicos en México ya son mejor que en Dinamarca. ¿De veras habrá alguien que se lo crea?

Y para muestra un botón, ya que 12 días después, en el servicio de urgencias de una clínica del IMSS le dieron a un paciente a tomar limpiador multiusos en lugar de agua de jamaica. ¡Casos que ni Dinamarca tiene! Supongo, que eso es de lo que presumiría el presidente.

El próximo mes, será la 79 EXPO AMIC en el WTC de la CDMX. Se llevará a cabo del 6 al 10 de noviembre. Allá nos veremos, nos saludaremos y platicaremos.

¡A seguirse cuidando!

Mtro. Carlos Adolfo Espinosa García Especialidad en Odontología Legal y Forense Maestría en Odontología

Da la bienvenida a la nueva Tecnología de Equipos con Pantalla Táctil Inteligente!!!

Disponible en: MONTAJE A PARED

Medical Systems, se adelanta a los tiempos, presentando una nueva generación de Equipos de Radiodiagnóstico Intra-oral con la funcionalidad que le ofrece la última Tecnología en Pantallas Táctiles Inteligentes, que se configuran sin necesidad e memorizar instrucciones, y con opciones que NO se encuentran en otros equipos.

Tiempos de expo sición Pre-programados compensados por variaciones de voltaje de la línea de suministro. Contador de exposiciones. ersonalización de los tiempos de exposición Pre-programados. Monitoreo del voltaje de alimentación del equipo y protección por variaciones de voltaje en la línea de suministro.

CORIX® 70 PLUS-USV-WM-TS

BASE MOVIL

CORIX® 70 PLUS USV-MM-TS

A Division of CORIX MEDICAL SYSTEMS® Lauro Villar No. 94-B, 02440, México, CDMX

Tels:+52 55 5394 1192 +52 55 5394 1199 56 2571 9826 www.corix.us http://www.facebook.com/CORAMEXSA sales@corix.us repre.ventas@corix.us

10 | CALIDAD Y DIRECCIÓN

Análisis comparativo mediante Adobe Photoshop en coronas totales del sector anterior confeccionadas con disilicato de litio vs. zirconio en una misma rehabilitación

24 | INVESTIGACIÓN CLÍNICA

Diagnóstico y tratamiento ortodóntico interceptivo como prevención en la inclusión del canino

Editorial Renascence S.A. de C.V.

38 | ENTREVISTA

Dra. Zoraida García Castillo

44 | ESTUDIO

¿Qué debemos conocer los dentistas de la viruela símica (mpox)?

Directora editorial

Patricia López Guerra patricia.lopez@dentistaypaciente.com

Jaime Francisco Martínez Aceves† jmartinez@dentistaypaciente.com

Directora Editorial

Mariangel Martínez López mmartinez@dentistaypaciente.com

Director de Arte y Diseño

Jesús Salas Pérez

jesasez@dentistaypaciente.com

Coordinador Editorial

Marco A. Vergara Salgado marversa@dentistaypaciente.com

Ejecutivos Comerciales y de Negocios

Carlos Martínez García, Gabriela Dolorez Ocadiz, Edson Aarón Hernández

Producción y Circulación

Edson Aarón Hernández

Fotografía e Ilustraciones

Editorial Renascence

Suscripciones

Edson Aarón Hernández

Preprensa e Impresión

Offset Impresión Creativa S.A de C.V.

Distribución

Comercializadora GBN S.A. de C.V.

Calzada de Tlalpan #572, desp. C-302, col.

Moderna

Contabilidad y Administración

L. C. y E. F. Renato Muñoz

director científico

Dr. Carlos Espinosa García

Especialista en Odontología Legal y Forense consejo editorial

Dr. Francisco Javier Diez de Bonilla Calderón

Catedrático de la F.O de la UNAM

Dr. Francisco Magaña Moheno

Centro de Especialidades Odontológicas

Javier Portilla Robertson

Exdirector de la Facultad de Odontología de la UNAM

Especialista en Patología Bucal

Contenido

C.D.E.O. Arturo Alvarado Rossano†

Profesor y Especialista en Ortodoncia y Ortopedia Craneofacial en la Facultad de Odontología. UNAM. Asesor Académico y Coordinador de Difusión de la AMOCOAC.

C.D. Manuel García Luna y González Rubio

Dra. Ana Gabriela Carrillo Varguez

Coordinadora de la especialidad en endodoncia UABC Tijuana. Coordinadora de Investigación y Posgrado F.O. UABC

M.C. Ernestina Santillana Marín

Subdirectora de CISALUD UABC

William James Maloney, D.D.S. Clinical Associate Professor New York University

universidad anáhuac méxico norte

C.D. Carlos Robles Bonilla Coordinador de la Licenciatura de Cirujano Dentista

C.D. Sergio Antonio Ojeda León Profesor Titular de Odontopediatría de la Licenciatura de Cirujano Dentista

C.D. Bernardo Grobeisen Weingersz Profesor Titular de Clínica Integral de la Licenciatura de Cirujano Dentista

C.D. Norma Ibañez Mancera.

Profesora Titular de Patología Bucal de la Licenciatura de Cirujano Dentista

Dirección del Derecho de Autor certificado de reserva al uso exclusivo no. 04-2008022718312200-102 con fecha 27 de Marzo del 2008. Gobernación de la H. Comisión Calificadora de Publicaciones y Revistas Ilustradas, certificado de licitud de contenido 5328, certificado de licitud de título 7411, franqueo pagado, publicación mensual permiso no. PP09-02106, SEPOMEX. Las opiniones expresadas en los artículos y en los anuncios publicados no significan de ninguna manera juicios, criterios, ideas o cualquier otro concepto por parte de la editorial; reflejan únicamente las ideas y pensamientos de sus autores. Los artículos, entrevistas, resúmenes, publirreportajes, fotografías y cualquier otro material son exclusivos de la editorial, y no se autoriza la reproducción total o parcial por ningún medio sin previa autorización del editor. Para cualquier asunto relacionado con suscripción, distribución, comercialización, anuncios, contenido u otro propósito, favor de dirigirse a la editorial. Impreso en MV IMPRESIONES, SA DE CV.

Dentista y Paciente® Publicación mensual correspondiente al mes de OCTUBRE DE 2024. editada por Editorial Renascence S.A. de C.V., Rancho Jigüingo 29, Prado Coapa, Ciudad de México, 14350. tel. 56846632, fax 56793656. Distribuida en locales cerrados, depósitos dentales, universidades, congresos y exposiciones. Editora responsable: Mariangel Martínez López. Fotoarte de portada: Editorial Renascence.

distribución certificada por el padrón nacional de medios impresos de la dirección general de medios impresos de la secretaría de gobernación no. 007-136. www.gobernacion.gob.mx

52 | CASO CLÍNICO

Osteointegración de implantes en pacientes diabéticos. Reporte de casos

60 | SONRIENDO AL FUTURO Tratamiento ortodóncico camuflaje de una maloclusión clase II esquelética Reporte de caso clínico

Fotoarte:

Análisis comparativo mediante Adobe Photoshop

en coronas totales del sector anterior confeccionadas con disilicato de litio vs. zirconio en una misma rehabilitación

Mayra Arcos Rodríguez. Residente de 2º año de la especialidad de Rehabilitación Oral del Centro Educativo Multidisciplinario en Rehabilitación Oral, CEMRO, Tarímbaro, Michoacán, México.

Francisco Javier Méndez Landa. Doctor en Arte: Producción e investigación, por la Universitat politécnica de Valencia (UPV), Valencia, España.

Benjamín Alberto Lázaro Castillo. Maestría en Ciencias Odontológicas, Profesor e investigador del Centro Educativo Multidisciplinario en Rehabilitación Oral, CEMRO, Tarímbaro, Michoacán, México.

Correspondencia: Mayra Arcos Rodríguez arcosmayra1995@gmail.com

Conflicto de interés: Los autores manifiestan no tener ningún conflicto de interés.

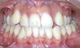
Introducción: el disilicato de litio y el zirconio son de los mejores materiales cerámicos que ofrecen la estética ideal del sector anterior, para la exigencia de los pacientes. Llevar a cabo una correcta toma de color, establecer buena comunicación con el laboratorio y la fase del cementado son factores que buscan lograr un excelente mimetismo con los dientes naturales. Identificar entre estos 2 materiales, cuál ofrece una mejor calidad del color y logrará cumplir los estándares que pide el paciente es crucial. Objetivo: analizar la colorimetría entre 2 materiales cerámicos disilicato de litio y zirconio mediante un reporte de caso clínico. Metodología: experimental comparativo, observacional in vivo en paciente femenino de 56 años, rehabilitado con coronas totales en el sector anterior superior, lado izquierdo con zirconio y lado derecho con disilicato de litio, cementadas con multilink

translucido Ivoclar. Su valoración fue realizada mediante fotografías intraorales con contrastadores negros, en formato RAW, empleando la herramienta de gotero de Adobe Photoshop para la medición del color de ambos cuadrantes superiores. Resultados: las coronas, al ser cementadas, las que fueron confeccionadas con disilicato de litio reportaron tener menos variación del color y el incisivo central reportó menos irregularidad, contra las realizadas de zirconio. Conclusiones: a pesar de usar 2 materiales diferentes, los resultados entre estos son poco significativos. El tener interacción con el paciente sobre el tono deseado final y ser minucioso para el registro del color, serán pasos fundamentales para lograr un buen mimetismo.

Palabras clave: estética dental, cerámicas dentales, traslucidez dental, mimetismo dental.

El aspecto estético y la salud han ido evolucionando de manera notable, convirtiéndose en un reto para la odontología.1

Las restauraciones cerámicas ofrecen excelentes características ópticas al unirse con los dientes. Además, los sistemas cerámicos involucran la combinación entre núcleo y el material de recubrimiento con diferentes grosores y translucidez.2

Estas cerámicas poseen un gran potencial para la simulación del tejido dentario. Ya que una cerámica ideal debe poseer una estética óptima y propiedad translúcida, que es la cantidad de luz que puede atravesar por un cuerpo y que, junto a las propiedades mecánicas, proporcionan un entorno bucal correcto y armónico; así que es importante tomarlas en cuenta para lograr un buen mimetismo dental.3

Por otro lado, las coronas de metal-cerámica poseen excelentes propiedades funcionales, predictibilidad a largo plazo y adecuada estética. Sin embargo, el margen de

metal hace que sea difícil de imitar la apariencia de los dientes naturales, especialmente en los biotipos periodontales delgados, dando un aspecto gris azulado en los tejidos blandos circundantes. Otra deficiencia está relacionada con la translucidez en las situaciones de poco espacio. Estas son algunas de las desventajas de las restauraciones que contienen metal.

Sin embargo, las coronas libres de metal logran mejores resultados estéticos, además de resolver otros problemas como galvanismo y toxicidad. Hay 2 materiales que han demostrado éxito clínico a corto y mediano plazo para la confección de coronas unitarias libres de metal en el sector anterior y posterior: el zirconio y el disilicato de litio.4

La tecnología moderna del zirconio contribuye a la fabricación de nuevas restauraciones totalmente cerámicas biocompatibles con propiedades físicas mejoradas para una amplia gama de prometedoras aplicaciones clínicas especialmente con el desarrollo de los sistemas de CAD/CAM. El zirconio monolítico es una cerámica dental popular que satisface las demandas de los pacientes que

La tecnología moderna del zirconio contribuye a la fabricación de nuevas restauraciones totalmente cerámicas biocompatibles con propiedades físicas mejoradas para una amplia gama de prometedoras aplicaciones clínicas.

buscan restauraciones estéticas sin metal; este material combina una alta resistencia con una estética mejorada debido a su mayor translucidez.2

Por otro lado, también tenemos el disilicato de litio que se presenta como una excelente opción de tratamiento para las restauraciones de dientes anteriores y posteriores. Esta cerámica presenta alta resistencia mecánica y estética, debido a sus cristales más pequeños y homogéneos y sus preparaciones son más conservadoras, favoreciendo su éxito a largo plazo.5

Existen distintos métodos de medición de color, así como del paso de luz en las cerámicas dentales. Hablando de la medición de color, clínicamente la elección de color puede ser realizada mediante los métodos visual o instrumental. El primero se realiza comparando un color estándar aceptado y conocido como referencia. El muestrario de color más utilizado y más sencillo para la realización de este método es el Vitapan 3D Master, que se caracteriza por estar sistemáticamente más ordenado que otros muestrarios.6

Actualmente, el avance de la tecnología ha permitido aumentar la objetividad en la selección de color a través de instrumentos, uno de ellos es el espectrofotómetro, que ha sido usado en diversos estudios debido a su exactitud, sensibilidad y reproducibilidad en la selección del color, o bien utilizando otras alternativas como

Adobe Photoshop para obtener valores puntuales del color.7

Objetivo

El objetivo de este artículo es analizar detalladamente el resultado estético de 2 materiales cerámicos, realizando la medición de la colorimetría con la herramienta gotero de Adobe Photoshop a través de un reporte de caso clínico de coronas del sector anterior con coronas de disilicato de litio y zirconio, realizando su comparación,

El objetivo de este artículo es analizar detalladamente el resultado estético de 2 materiales cerámicos, realizando la medición de la colorimetría con la herramienta gotero de Adobe Photoshop.

Calidad y dirección

y comprobando si se logró un buen mimetismo de ambos materiales.

Metodología

Estudio comparativo, observacional y experimental in vivo. Se empleó en una paciente femenina de 56 años de edad; valorada en la clínica de rehabilitación oral del Centro de Estudios Multidisciplinario de Rehabilitación Oral, (CEMRO), en Tarímbaro, Michoacán; quién decidió hacer un cambio en su sonrisa debido a que esta le generaba insatisfacción, cambiando sus restauraciones antiguas, deficientes en el sector anterior; para lo cual se planeó el retiro de 5 coronas de metal-porcelana de los OD 11,12, 13, 21 y 22 vitales, las cuales serán confeccionadas mediante técnica CAD/CAM realizando su historia clínica y autorizando su consentimiento informado.

Se planteó la utilización de cerámica feldespática e-max de la casa comercial Ivoclar Vivadent, en la presentación de bloques para la realización de las coronas totales en los OD

11, 12 y 13 mediante técnica CAD/ CAM, en su versión HT, color A2. Por otro lado, las otras 2 coronas de los OD 21 y 22 fueron confeccionadas con disco de zirconia Zahndent en tono A2. Estas fueron puestas a prueba mediante la aplicación Adobe Photoshop, con ayuda de una fotografía de las coronas tomada antes de su cementación definitiva, y una segunda medición con las coronas ya cementadas, únicamente se realizó el análisis en los OD 11 Y 21, los cuales fueron cementados con cemento translucido Multilink Speed de Ivoclar Vivadent, se tomaron fotografías con cámara profesional Cannon T8 y lente macro 100mm. Es importante mencionar que decidí utilizar cemento dual translucido para evitar alteración en el color de las coronas ya cementadas, con el fin de obtener mediciones puntuales de color y determinar las cantidades de pigmento que hay en cada corona mediante un fondo negro y así poder corroborar que se logró un buen mimetismo. El tiempo estimado para el procedimiento fue de 5 citas.

La medición se llevó a cabo por medio de la aplicación Adobe Photoshop, señalando 3 puntos en cada corona del tercio medio hacia incisal. Por cada punto, Adobe Photoshop trabaja con base en un sistema aditivo de color (RGB), que trabaja en una gradación de color desde el 0 hasta el 255, por lo que hay 256 gradaciones de color por canal. Una vez obtenidos los colores, fue necesario trasladar los resultados a un

Figura 1. Coronas antes de su cementación (Francisco Javier Méndez Landa 2024).

Análisis comparativo mediante Adobe Photoshop

porcentaje de 0 a 100, obteniendo el porcentaje exacto de cada uno de esos colores, que una vez mezclados obtenemos el tono real de las coronas (Figura 1).

Se realizó la medición del color de las coronas mediante una fotografía en formato RAW en fondo negro (Figura 2).

Se muestra un análisis del proceso de medición de color de las coronas antes de su cementación y cómo se obtuvieron los resultados, mediante la aplicación Adobe Photoshop (Figura 3).

Se muestra una fotografía del análisis de los incisivos centrales, los cuales fueron confeccionados: el órgano

Figura 2. Proceso del análisis del color en Adobe Photoshop (Francisco Javier Méndez Landa 2024).

Calidad y dirección

dentario 11 con disilicato de litio y el órgano dentario 21 con zirconio.

Resultados

Los resultados obtenidos fueron que, en promedio, sí existe variación de los pigmentos en cuanto a la medición de la mezcla de los 3 colores antes de ser cementadas las coronas del canino, incisivo central y lateral superior derechos; las cuales fueron confeccionadas con e-max, en una escala de 0 a 255 que arroja la aplicación Adobe Photoshop obteniendo los siguientes valores: en cuanto al canino superior derecho, se obtuvieron valores del color rojo: 195, del color verde: 179 y del color azul: 157. Del incisivo lateral izquierdo superior se obtuvo del color rojo: 197, del color verde: 181 y del color azul 161. Del incisivo central superior izquierdo se obtuvo del color rojo: 195, del color verde: 180 y del color azul: 158. En

cuanto las otras 2 coronas restantes, las cuales fueron confeccionadas con zirconio del incisivo central superior derecho obtuvimos del color rojo: en promedio 196, del color verde: 181 y del color azul: 161. Del incisivo lateral superior derecho del color rojo obtuvimos: 187, del color verde: 174 y del color azul: 156.

Se realizó un segundo análisis con las coronas ya cementadas en boca, únicamente de los incisivos centrales superiores, ya que uno fue confeccionado con disilicato de litio y el otro con zirconio. En este caso obtuvimos como resultado en la corona de disilicato de litio: del color rojo: 172, del color verde: 148 y en cuanto al color azul: 123. En la corona de zirconio obtuvimos del color rojo: 171, del color verde: 143, y del color azul: 119; en la escala de 0 a 255 que arroja la aplicación de Adobe Photoshop.

Podemos afirmar que también hubo variación y a pesar de utilizar 2 tipos de cerámicas diferentes, se logró obtener un buen mimetismo, dando como resultado un resultado satisfactorio para la paciente.

A continuación, una tabla de los resultados obtenidos en el análisis de las coronas no cementadas (Tabla 1) y ya cementadas (Tabla 2).

Se muestra un análisis comparativo de las coronas de los incisivos centrales, las cuales fueron confeccionadas, una con disilicato de litio, y la otra con zirconio.

Figura 3. Coronas ya cementadas.

1. Coronas no cementadas. Se muestra un análisis comparativo de la colorimetría de las coronas antes de ser cementadas.

Tabla

Calidad y dirección

Tabla 2. Análisis de las coronas ya cementadas. Se muestra un análisis comparativo de las coronas de los incisivos centrales, las cuales fueron confeccionadas, una con disilicato de litio y con zirconio.

Como ya se mencionó anteriormente se realizó la conversión de los resultados a porcentaje de 0 a 100, en el cual, la sumatoria de los 3 colores no suma 1, si no que manifiesta la cantidad de rojo, verde y azul proveniente de la lectura que hizo Adobe Photoshop con un pixel determinado, para obtener con exactitud las variaciones finales de los pigmentos y de las coronas antes de su cementación, obteniendo los siguientes resultados.

En el canino superior derecho se obtuvo del color rojo un porcentaje de 76.47%, del color verde obtuvimos un 70.20%, y del color azul 61.57%. Del incisivo lateral derecho se obtuvo un 77.25% del color rojo, del color verde un 70.98% y del color azul se obtuvo un 76.47%. Del incisivo central derecho del rojo se obtuvo un 76.47%, del color verde un 70.59%, y del azul un 61.96%. Del incisivo central izquierdo se obtuvo del color rojo un 76.86%, del color verde un 70.98%, y del azul un 63.14%. En cuanto al incisivo lateral izquierdo, obtuvimos del rojo un 77.33%, del verde un 68.24%, y del azul un 61.18%.

Podemos afirmar que la diferencia en porcentaje de las coronas antes de ser cementadas fue de menos de 1% (Tabla 3).

Se realizó el mismo análisis mediante porcentajes de los incisivos centrales, recordando que el incisivo izquierdo fue confeccionado con disilicato de litio y el incisivo derecho con zirconio con las coronas ya cementadas. Obteniendo del incisivo izquierdo un 76.47% del color rojo, del color verde un 70.20% y del azul un 61.57%. En cuanto al incisivo derecho, se obtuvo del color rojo un 73.33%, del verde un 68.24% y del azul un 61.18%.

Realizando finalmente un comparativo de los resultados de ambos materiales (Tabla 4 y 5).

La diferencia entre ambas coronas ya cementadas fue la siguiente.

En cuanto al color rojo se obtuvo un 3.14% de variación, mientras que del color verde la diferencia fue de 1.96% y del color azul fue de 0.39%. por lo que se puede afirmar que se logró obtener un buen mimetismo a pesar de utilizar dos materiales cerámicos diferentes.

PIEZA MUESTRA ROJO
VERDE AZUL VALOR COLOR

Discusión

La evolución del desarrollo de los materiales totalmente cerámicos está en proceso, y la comunidad odontológica busca constantemente el material ideal que pueda ser utilizado en las diferentes aplicaciones clínicas para satisfacción de sus pacientes.8 Las coronas de metal-cerámica convencionales muestran una falta de intercambio de la luz con los tejidos blandos que lo rodean, debido al reflejo de sus estructuras metálicas y de sus capas opacas. Como resultado, comprometen la apariencia estética

en comparación con los dientes naturales.9 En cambio, las restauraciones totalmente cerámicas admiten la transmisión de la luz y su difusión y, en consecuencia, se pueden lograr mejores resultados estéticos. Además de proporcionar una biocompatibilidad beneficiosa.10 El conseguir el mimetismo al rehabilitar el sector anterior eligiendo materiales libres de metal es una excelente alternativa, por lo que el operador debe ser cuidadoso al seleccionar el tono adecuado y no alterarlo al ser cementado en boca por no elegir un material traslucido.

Tabla 3. Porcentaje del análisis final antes de la cementación.

Calidad y dirección

Los sistemas totalmente cerámicos pueden ser categorizados dentro de 2 grupos: las cerámicas a base de sílice, que ofrecen una alta translucidez y excelentes resultados estéticos asociados con una menor resistencia a la tracción; y las cerámicas a base de óxido, que constan de un núcleo opaco de alta resistencia, en donde la estética se logra aplicando capas de cerámica para lograr una apariencia más natural.4 Es por eso que, para combinar la durabilidad con una excelente estética, se reformuló la vitrocerámica de disilicato de litio y se lo llamó IPS e-max Press (Ivoclar Vivadent), el cual fue desarrollado y presentado al mercado en el 2001. Según sus fabricantes, este material proporciona una mejor translucidez.11 Así como el zirconio, el cual contribuye a

la fabricación de nuevas restauraciones totalmente cerámicas biocompatibles con propiedades físicas mejoradas para una amplia gama de prometedoras aplicaciones clínicas. Especialmente con el desarrollo de los sistemas de CAD/CAM, ya que es una cerámica dental popular que satisface las demandas de los pacientes que buscan restauraciones estéticas sin metal; además, también combina una alta resistencia con una estética mejorada, debido a su mayor translucidez.12

Conclusiones

El odontólogo debe ser muy analítico a la hora de realizar una rehabilitación, sobre todo si se trata del sector anterior; debe analizar varios factores y principalmente entender las expectativas del paciente, así como la selección del material restaurador y el color. En este caso optamos por realizar la comparación de 2 materiales cerámicos, los cuales son los más utilizados por sus resultados estéticos altamente satisfactorios. Con base en este caso, podemos confirmar que, al realizar un buen plan de tratamiento y manteniendo, siempre comunicación con el laboratorio dental, se puede llegar a crear un buen mimetismo, utilizando materiales de restauración diferentes en una misma rehabilitación, buscando siempre la satisfacción de los pacientes.

Tabla 4. Porcentaje final de incisivos centrales.
Tabla 5. Comparación de los incisivos centrales.

Referencias

1. Chavez, C. (2019). estetica dental . Revistsa Odontologica Moderna, 75- 82.

2. Cherrez, H. (2019). Zirconio monolitico su aplicacion en estetica dental. Tesla revista cientifica, 173-195.

3. Valdivieso, O. O. (2014). Consideraciones actuales en la utilizacion de coronas unitarias libres de metal en el sector posterior. Estomatol Herediana, 278-286.

4. Morales, C. O. (2014). Consideraciones actuales en la utilizacion de coronas unitarias libres de metal en el sector posterior. Estomatol Herediana, 278-286.

5. Lopez, C. S. (2016). Rehabilitacion estetica funcional, combinado con coronas de Disilicato de Litioen el sector anterior. Estomatol Herediana , 102-109.

6. Ovalle, F. P. (2016). Seleccion de color dentario: comparacion de los metodos visuales y espectrofotometrico. Revista clinica de periodoncia, implantologia y rehabilitacion oral., 717-725.

7. Muñoz, J. C. (2016). seleccion de color dentario. Revista clinica de periodoncia,implantologia y rehabilitacion oral, 726-732.

8. Tomas, M. A. (2018). Materiales Ceramicos avanzados: procesado y aplicaciones. En M. A. Tomas, Ingenieria y materiales ceramicos (págs. 210-222). España: Universitat politecnica de Valencia.

9. Londoño, S. M. (2015). Rehabilltacion con coronas de metal porcelana en arcada superior . Odontologia actual, 16-22.

10. Aguilar, E. G. (2014). Consideraciones actuales en la utilizacion de coronas unitarias libres de metal en el sector posterior . Estomatol/Herediana , 278-286.

11. Lozano, K. A. (2010). Ventajas y desventajas del Disilicato de litio en la odontologia estetica. Revista Odontologia actual, 85-102.

12. Panchez, K. G. (2022). Zirconio monolitico su aplicacion en estetica dental. Revista Cientifica, 173-195.

Hace quince años publicaron en la revista de Odontología de mayor circulación un boletín informativo, titulado: ¿QUÉ TIENE CORIX QUE LO HACE TAN ESPECIAL?, pregunta que nos podemos volver a hacer hoy, cuando CORIX va a cumplir 50 AÑOS de existencia, porque siguen vigentes los comentarios que nos han hecho los Cirujanos Dentistas al visitarnos en Expo AMIC, y otros eventos nacionales y extranjeros: “En el mercado hay equipos “CORIX”y otros también...más no son lo mismo”.

En el año de 1972 se llevó a cabo en México el primer Congreso de la Federación Dental Internacional, y en esa ocasión una Compañía Italiana nos propuso importar un Equipo de Rayos-X periapical con calidad comparable a los equipos de tres multinacionales presentes en ese entonces en nuestro país que dominaban el mercado, más con una diferencia fundamental: los de Compañía Italiana costaban la mitad. Y para un mercado como el de México, en pleno desarrollo y crecimiento, este fue un factor determinante para importar los primeros equipos.

Logramos superar los primeros obstáculos que la competencia nos puso en el camino y se tomó la decisión de fabricar irectamente el producto en México, evitando gastos de envío.

Con mucha satisfacción podemos asegurar al día de hoy que: ¡CORIX en México ha fabricado más equipos para Radiodiagnóstico intra-oral que las tres empresas italianas más importantes del sector, juntas!

Nuestra filosofía ha sido siempre la de diseñar y producir equipos con materiales y componentes de calidad, para que el producto dure en el tiempo y no se convierta en un consumible, así como contar con soporte técnico y refacciones disponibles para nuestros clientes.

Hemos sido también innovadores. Llegaron al mercado nuevas películas radiográficas más rápidas, y después los sensores digitales de más alta sensibilidad para reducir la dosis de radiación requerida para el radiodiagnóstico. CORIX se ajustó a las necesidades, desarrollando equipos con relojes-timers de alta precisión para tiempos cortos de exposición.

La presencia en el mercado de teléfonos celulares con Pantalla Táctil dio la pauta para desarrollar equipos que se configuran intuitivamente al tacto del operador, sin botones superfluos y a prueba de errores, que representan ahora a nuestra nueva línea de “TOUCH SCREEN”

Para CORIX no es suficiente poder contar con el prestigio ganado en sus 50 años de actividad si no hay ética y confiabilidad que nos respalden. Fabricamos con apego a las más estrictas Normas de Seguridad Radiológica y conforme a los protocolos para el debiso uso de fuentes de radiación ionizante. Tomando siempre en cuenta que quien está expuesto a un mayor riesgo de daños biológicos no es el paciente, sino el operador del equipo por su carga de trabajo y por desconocer, en su mayoría, los protocolos de seguridad. Hay equipos en el mercado, de los llamados “Portátiles”, que no cumplen con ninguna de las Normas de Seguridad establecidas por organismos internacionales y constituyen un riesgo sanitario que muchos Odontólogos ignoran.

En los 50 años de vida de CORIX hemos visto llegar, para luego desaparecer a una larga lista de marcas y modelos de equipos de la competencia, dejando sin servicio post-venta a muchos Odontólogos...por lo que a la pregunta. ¿QUÉ TIENE CORIX QUE LO HACE TAN ESPECIAL?, es más fácil ahora poder contestar.

El diagnóstico radiológico tuvo su inicio en el año de 1895 cuando el Físico Wilhem Conrad Roentgen, al observar la luminiscencia producida por un tubo de rayos catódicos, obtuvo la primera imagen radiográfica, que lo llevó al invento del Tubo de Rayos-X.

La radiología, como medio de diagnóstico, ha tenido desde entonces unos avances sorprendentes, que van al paso de los avances que ha tenido la electrónica, por lo que no nos debe de sorprender que los equipos de radiodiagnóstico fabricados en la actualidad por Corix cuenten con los últimos avances tecnológicos y la capacidad de producir dosis muy reducidas de radiación, con una normatividad que garantiza un alto nivel de seguridad para el operador y el paciente.

El lema de Corix ha sido siempre desde un principio el de fabricar productos con la tecnología y confiabilidad que nos han convertido en una de las principales empresas del sector a nivel mundial.

Fotoarte:

Diagnóstico y tratamiento ortodóntico interceptivo como prevención en la inclusión del canino.

Parte 2

Objetivos

1. Obtener el diagnóstico para planificar el tratamiento interceptivo, a través de las siguientes acciones:

Realizar análisis en estudios de gabinete como:

a) Análisis de modelos de estudio propios de la etapa de dentición mixta, entre los que podemos mencionar:

• Análisis de dentición mixta de Moyers.

C.D.E.O. Guillermo Martínez Nasser Especialidad en Ortodoncia, Director del C.E.S.I.A.N. (Centro de Especialidades e Investigación Avanzada Nasser S.C.), Coordinador del Grupo de Investigación en Ortodoncia (G.A.O.I.), Profesor del Diplomado en Ortodoncia Interceptiva FES IZTACALA UNAM, y Responsable del Grupo Académico y Científico del Colegio Nacional de Cirujanos Dentistas Sección Baja California A.C.

• Análisis de Howe, Sabin Sabara, entre otros.34

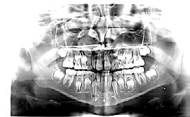
b) Análisis radiográficos, periapicales, ortopantomográficos, oclusales, lateral de cráneo, anteroposterior de cráneo.

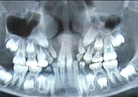
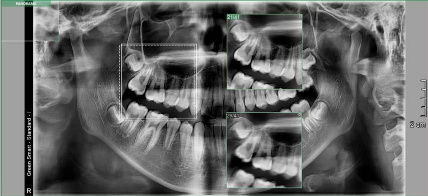
c) Estudio y análisis tomográfico en tercera dimensión del cráneo a nivel maxilar y mandibular (Figura 24).

d) Fotografías intra y extraorales.

• Revisión del análisis clínico.

2. Con base en el tratamiento indicado, realizar la colocación oportuna

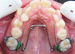
de las aparatologías adecuadas para preservar o en su caso, recuperar el espacio, considerando la edad del paciente y la complejidad del caso a tratar37,38 (Figura 25).

3. Seleccionar la técnica quirúrgica adecuada, si el tratamiento lo requiere como complemento, integrando acciones preventivas de protección al periodonto, tanto a nivel óseo-alveolar, en el ligamento circundante y en la conservación del sellado gingival a nivel de la encía libre o marginal.32,33

24.

Figura

Investigación clínica

4. Consolidar la erupción correcta del canino en el arco dental y su oclusión correcta con el antagonista.

Consideraciones

Detonantes biológicos

En el universo anatomofisiológico durante el crecimiento y desarrollo craneodentofacial, se orquestan una serie de actividades coordinadas a nivel maxilo-mandibular que, en su conjunto, permite el correcto acomodo de los dientes en el arco dental. La más mínima alteración durante este ritmo genético preprogramado, induce al organismo a generar acciones correctivas y amortiguadoras para estabilizar al propio organismo en pro de responder a las necesidades fisiológicas básicas y, por consiguiente, la conservación de la vida.31

Los detonantes biológicos que están interrelacionados durante el crecimiento y desarrollo craneodentofacial en la cronología del intercambio dentario son:

1. La existencia y presencia de todos los elementos anatómicos craneodentofaciales (Figura 26).

2. La realización correcta de movimientos musculares tanto masticatorios, faciales y de la lengua.

3. Los desplazamientos óseos, como consecuencia de su crecimiento endocondral o intramembranoso en las diferentes zonas o áreas de remodelación, aposición y reabsorción (Figura 27).

4. La utilización adecuada de las vías aéreas durante la respiración.

5. La reabsorción en tiempo y forma de los caninos deciduos.

Todos los cambios dimensionales de los huesos faciales y su consecuente movimiento y remodelación, están íntimamente relacionados con los estímulos fisiológicos que activan las matrices funcionales de crecimiento, por la presencia de todos los elementos anatómicos (como los caninos), de manera adecuada, en coordinación con los demás elementos que conforman el sistema estomatognático y el sistema respiratorio35,36 (Figura 28).

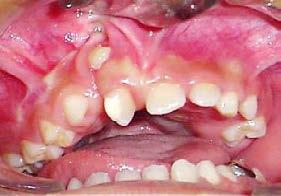
Agenesia dental como factor de la inclusión canina

Otra consideración no menos importante y con una influencia directa en los eslabones de estímulo en el crecimiento y desarrollo es la carga genética hereditaria, donde uno de los factores que pueden generar la inclusión canina es la agenesia parcial en ambas denticiones.16

Al estar ausente algún germen dental (como los laterales superiores permanentes y/o premolares de ambas arcadas, “los de mayor incidencia”),10 se inhibe la estimulación adecuada en el desarrollo óseo de esa zona específica, ya que al no existir el germen dental, la matriz ósea inhibe su crecimiento en esas zonas en específico11 (Figura 29).

Todo esto genera disarmonías en las proporciones dimensionales

Figura 25.
Figura 26.
Figura 27.
Figura 28.

Diagnóstico y tratamiento ortodóntico interceptivo como prevención en la inclusión del canino

maxilomandibulares, 17 las cuales propician alteraciones en el proceso del intercambio dentario; en la que una reducción de los espacios necesarios para el acomodo de los caninos y de otros órganos dentales en las arcadas, retrasa e impide que el impulso natural propio de la formación radicular como empuje fisiológico, impidiendo el desplazamiento y la erupción del canino en tiempo y una posición ideal dentro del arco dental (Figura 30).

Sumado a lo anterior, la retención generada dentro del macizo óseo basal altera su posición en angulación y dirección correcta de erupción. Situación que en ocasiones daña las raíces de los dientes adyacentes al canino y que finalmente podrá quedar incluido, en el peor de los casos, cuando no encuentra una salida de emergencia hacia el paladar o el vestíbulo12 (Figura 31).

Caries y pérdida dental

La formación de caries en la dentición decidua y la consecuente pérdida prematura de órganos dentales deciduos, en algunas ocasiones, son

consideraciones a tomar muy en cuenta como factor etiológico en la inclusión del canino (Figura 32).

Por un lado, la presencia de caries interproximales en dientes deciduos, ya sea de manera independiente o como consecuencia de caries rampantes en uno o varios dientes, propicia la disminución de la longitud y/o perímetro del arco dental, donde ya no habrá, en consecuencia, el espacio necesario para el acomodo definitivo de los caninos y premolares permanentes.14

Por otro lado, al haber una pérdida prematura de un diente deciduo, además de generar una disminución de la longitud del arco dental, la biomecánica fisiológica propia de nuestro organismo, tiende a cerrar los espacios o brechas generadas por la pérdida de algún órgano dental, mesializando los dientes distales al diente faltante y generando extrusión del antagonista inmediato (Figura 33).

En consecuencia, los dientes que están en formación en cualquier periodo de Nolla quedaran atrapados dentro del hueso basal, con

La formación de caries en la dentición decidua y la consecuente pérdida prematura de órganos dentales deciduos, en algunas ocasiones, son consideraciones a tomar muy en cuenta como factor etiológico en la inclusión del canino.

Figura 29.
Figura 30.
Figura 31.
Figura 32.

Investigación clínica

posibilidades limitadas o nulas de acceder al hueso alveolar y erupcionar en la posición correcta, donde los caninos por todo lo mencionado anteriormente, son los más afectados.13

Alteraciones faciales

Todos los dientes intervienen en la conformación de una oclusión ideal, así como del volumen facial en el tercio medio e inferior de la cara. Es el caso, que la presencia del canino superior permanente en la arcada en el tiempo cronológico adecuado, es muy importante para el desarrollo óseo del tercio medio facial, ya que estimula el crecimiento del maxilar tanto en el área lateral del ala de la nariz bilateralmente, como en la pared anterior del macizo óseo, lo cual, evita el hundimiento facial de la parte inferior del pómulo y la rectificación facial de los músculos en esta área15 (Figura 34).

Respecto al desarrollo del tercio inferior de la cara, la presencia de los caninos inferiores en el arco dental es el complemento correcto e ideal para el desarrollo mandibular y facial del

tercio inferior, al coordinarse con los caninos superiores en todos los movimientos fisiológicos, como la masticación18 (Figura 35).

El desarrollo y crecimiento mandibular a nivel de la rama, cuerpo y parte anterior en la zona del mentón, depende en parte de la presencia del canino, para efectuar correctamente los movimientos esenciales de lateralidad, protrusión, cierre adecuado de la mordida, además de armonizar el desarrollo correcto de la curva en la arcada dental en el plano transversal o de Wilson, así como de la curva sagital anteroposterior o de Spee19,20 (Figura 36).

La dinámica muscular

Las consideraciones anteriores no son acciones fisiológicas aisladas, por el contrario, la dinámica muscular masticatoria, facial y de la lengua, realizan un concierto dinámico que establece las bases definitivas en la armonía de la oclusión, y complemento al estímulo y crecimiento del maxilar y la mandíbula, en la que la ausencia de uno o varios caninos definitivos, genera un desbalance y alteración en la coordinación de toda la dinámica muscular21 (Figura 37).

Limitantes en la terapéutica interceptiva

Los tiempos para realizar acciones interceptivas y evitar una inclusión canina son muy cortos, van acorde a los siguientes factores:

Figura 33.
Figura 34.
Figura 35.
Figura 36.

Diagnóstico y tratamiento ortodóntico interceptivo como prevención en la inclusión del canino

1. El intercambio dental individual de cada persona.

2. Los estadios de Nolla de los dientes en formación y del proceso de erupción.

3. Los dientes a redirigir o catapultar con el retiro de tejidos fibrosos que están bloqueando su erupción, así como lazamientos a través de procedimientos quirúrgicos.

4. Los tiempos biológicos en el cierre de crecimiento óseo39 (Figura 38).

Malos hábitos

Otra consideración a valorar, son los malos hábitos, entre los que se encuentran con más frecuencia los deletereos y que recaen en la mayoría de las complicaciones para la erupción de los caninos. El tiempo, perseverancia, permanencia e intensidad de estos malos hábitos será proporcional a las alteraciones óseas que se generen, parafunciones musculares y respiratorias, desplazamientos dentales y la consecuente maloclusión presente al momento de realizar el diagnóstico definitivo previo al plan de tratamiento22 (Figura 39).

El colapso bilateral en el maxilar es una de las consecuencias más frecuentes de estos malos hábitos y por consiguiente, propicia una reducción en las dimensiones perimetrales del paladar y del arco dental, aumentando la profundización de la bóveda palatina, generando complicaciones a nivel respiratorio entre otras complicaciones, dando resultados no favorables como la respiración bucal,

acomodo no fisiológico lingual, etc.; lo cual, refleja un acompañamiento del subdesarrollo en el cuerpo y rama mandibular, el cual es un factor crítico para el acomodo de los caninos en la etapa del intercambio dental23 (Figura 40).

Acciones terapéuticas

Al haber determinado las causas que están generando el proceso de una posible inclusión canina, tomando en cuenta las consideraciones y haber obtenido un diagnóstico con la ubicación espacial del canino dentro del maxilar o mandíbula, incluyendo un posible pronóstico y sus limitantes, podemos planificar la aplicación del plan de tratamiento interceptivo, el cual se puede dividir de la siguiente manera:

Etapa ortopédica

Tiene como objetivo, la corrección de las disarmonías maxilomandibulares en su dimensión, proporción e interrelación durante la oclusión; en la que la colocación de aparatos dependerá de los planos craneofaciales a corregir (transversales o sagitales), para estimular su crecimiento o redirección de los mismos; lo que a la vez, influirá directamente a la estimulación de la osteogénesis a nivel de las suturas óseas no consolidadas y en las áreas cartilaginosas ya sea en macizos óseos de desarrollo intramembranoso o endocondral, logrando generar espacio suficiente para el trayecto y erupción canina.24

Figura 37.
Figura 38.
Figura 39.
Figura 40.

Investigación clínica

En el colapso maxilar, por ejemplo, el primer paso es corregir el plano transversal. No podremos generar el espacio necesario para el acomodo del canino y posiblemente de los dientes adyacentes en el hueso alveolar, si no existe la zona ósea basal específica que lo soporte. Los diferentes tipos de aparatos usados para este objetivo dependerán de la edad del paciente o el grado de colapso y/o profundidad de la bóveda palatina, ya que el diseño de estos estará sujeto a las condiciones anatómicas y clínicas presentes.25

Por consiguiente, la aparatología usada en la intercepción correctiva del plano transversal tiene variantes como las siguientes:

Disyuntores palatinos: tipo Hass, Hyrax, Quad Hélix, Hillgers, abanico y placa Schwarz, entre otros.26,27

Al modificar y aumentar el contorno perimetral del arco alveolar superior, se genera el espacio para permitir el acceso del canino al arco dental, además, una acción conlleva a la otra, ya que la mandíbula se estimula al mismo tiempo compensando la oclusión y estimulando el crecimiento del cuerpo, rama, orientación condílea y arco dental mandibular, generando la posibilidad de realizar movimientos de lateralidad y protrusiva en forma gnatológica y así realizar una oclusión armonizada, propiciando de esta manera la generación de espacio necesario para los caninos inferiores.28

Por otro lado, al no haber una alteración en la dimensión y plano transversal, más existe la necesidad de redirigir la dirección de crecimiento maxilomandibular, además de generar espacio para el canino, la dinámica ortopédica deberá enfocarse hacia el plano sagital.

Las diferentes aparatologías con objetivo ortopédico u ortodóntico, que en este último sería lograr distalar los dientes posteriores para recuperar u obtener espacio en el arco dental, respetando el patrón de crecimiento craneodentofacial, si está dentro de los valores estándares cefalométricos y estéticos del paciente. En caso contrario, el tratamiento ortopédico, debe considerar un enfoque doble: de intercepción con la redirección ósea bimaxilar requerida y, al mismo tiempo, obtener el espacio suficiente para el acomodo del canino. Entre las aparatologías con efecto ortopédico en el plano sagital tenemos las siguientes:

1. Arco extraoral, el cual pude ser utilizado con tracción alta, media o cervical.40,41 Péndulo o aparato de Hillgers modificado (Figura 41).

2. Mascara facial (Figura 42).

3. Bionator simple o combinado con lip bumper, entre otros (Figura 43).

Etapa quirúrgica

Algunos autores como Jacoby (1983), menciona la importancia de generar espacio suficiente para el libre acceso del canino, cuando la corona está

Figura 41.
Figura 42.

Diagnóstico y tratamiento ortodóntico interceptivo como prevención en la inclusión del canino

posicionada en dirección vestibular, ya que solamente el 17% de caninos impactados vestibularmente tienen un espacio suficiente, a comparación de los impactados donde la corona tomó la dirección hacia el paladar, ya que por lo regular en estos casos, el canino deciduo siguió estando presente sin reabsorción alguna, el cual desempeña un papel importante como mantenedor de espacio biológico; sin embargo, genera la necesidad de que el canino busque una salida emergente, que en estos casos es hacia la bóveda palatina44 (Figura 44).

La planeación quirúrgica es esencial, debiendo considerar 3 aspectos principales:

1. Posición espacial en la que está la corona, ya sea en el antro vestibular o el paladar.

2. Cantidad de tejido óseo y/o tejido queratinizado presente entre el acceso quirúrgico y la corona.

3. Lugar en el que se colocará el aditamento en caso de ser necesaria la tracción del canino.

Ahora bien, la técnica quirúrgica seleccionada para la localización, liberación o lazamiento del canino, dependerá si solo se requiere exponer la corona o se necesita colocar algún aditamento para realizar la tracción.

Además, cual fuera la técnica quirúrgica seleccionada, no solamente se basa en liberar o poder traicionar al canino, por el contrario, es también el proteger los tejidos periodontales

tanto del canino involucrado como de los dientes adyacentes.

Por otro lado también se debe valorar lo siguiente:

• Anatomía descriptiva de la zona edéntula que dará acceso al canino en el arco dental.

• A que profundidad dentro del hueso alveolar se encuentra el canino.

• En la fase ortodóntica, qué aditamento se colocará y que fuerza está planeada ejercer para su tracción.

Técnica abierta y cerrada

En cualquier técnica empleada, debe estar previamente asegurado el espacio donde emergerá el canino después de su tracción49 (Bedoya & Park, 2014; Camarena-Fonseca et al., 2017).

Técnica abierta

Está indicada cuando el canino está en una posición infraósea, muy apical al plano oclusal y por arriba de la línea mucogingival. Se remueve el tejido óseo palatino que cubre la corona, colocando un apósito quirúrgico, evitando la formación de tejido mucoso, logrando que el diente erupcione por sí mismo46 (Figura 45).

Técnica cerrada

Esta técnica es la más sugerida cuando el canino se encuentre submucoso y alejado del plano oclusal y los resultados a nivel periodontal y estético tengan un mejor pronóstico.47,48

Figura 43.
Figura 44.

A partir de la realización de un colgajo, se retira en caso de ser necesario, el hueso que cubre la corona del canino, colocando un aditamento que permita traccionar al diente incluido, cuando el periodo de cicatrización haya concluido. Paso seguido se colocarán los aditamentos de

anclaje para movilizar de forma controlada en fuerza y dirección correcta al canino incluido hacia el arco dental.

Etapa ortopédico/ ortodóntica

Campos de acción, limitantes y posibles complicaciones de la biomecánica durante la terapéutica. En las etapas que corresponda para obtener resultados satisfactorios, así como las limitantes presentes y posibles complicaciones durante y después del tratamiento interceptivo.

Referencias

1. (Lezcano 2009). https://dialnet.unirioja.es/servlet/articulo?codigo=3022319

2. (Donado 2019). ELSEVIER, 5ª. EDICIÓN. BARCELONA.

3. Ugalde MFJ. Clasificación de caninos impactados y su aplicación clínica.

4. Revista ADM Órgano Oficial de la Asociación Dental Mexicana (2001) Universidad de Guayaquil, Facultad de Odontología, Ecuador [Internet]. 2018 [Citado 19 de febrero de 2020]; Disponible en: http://repositorio.ug.edu.ec/bitstream/ redug/33808/1/2691

5. Ricketts RM. Un método de cuatro pasos para distinguir entre cambios ortodóncicos y crecimiento natural. JCO 1975.

6. Owen A. Modified Function Regulator For Vertical maxillary exscess. JCO 1985.

7. Gutiérrez A. Gonzalo/Ayala P. Revista Chilena de ortodoncia Vol.16 enero-junio 1999.

Figura 45.

Diagnóstico y tratamiento ortodóntico interceptivo como prevención en la inclusión del canino

8. Nolla C. The development of the permanent teeth. Jour of Dent for Child. 1960:25466.https://www.dentalage.co.uk/wp-content/uploads/2014/09/nolla_cm_1960_ development_perm_teeth.pdf

9. Vellini Ferreira Flavio. Ortodoncia y planeamiento clínico. Editorial ARTES MEDICAS - GRUPO A; 3er edición (1 Enero 2008). ISBN 10:8574040037 ISBN 13: 9788574040035

10. Revista de Salud Pública Print version ISSN 0124-0064Rev. salud pública vol.11 no.6 Bogotá Nov./Dec. 2009. Agenesia en dentición permanente. Raúl Díaz-Pérez y Rubén A. Echaverry-Navarrete. Facultad de Odontología, Universidad Nacional Autónoma de México. drraul@prodigy.net.mx, drraul_mx@yahoo.com.mx, raen_28@hotmail.com

11. MOSS, MELVIN. ANALISIS CRITICO DE LA TEORIS FUNCIONAL DE MOSS file:///C:/Users/depos/Downloads/Dialnet-AnalisisCriticoDeLaTeoriaFuncionalDeMoss-4779796%20(1).pdf

12. International journal of interdisciplinary dentistry. Versión impresa ISSN 2452-5596versión On-line ISSN 2452-5588 Int. j interdiscip. dent. vol.17 no.1 Santiago abr. 2024 http://dx.doi.org/10.4067/s2452-55882024000100048 REVISIÓN NARRATIVA Impacto de la agenesia de incisivos laterales maxilares en la oclusión: revisión bibliográfica.

13. Gaceta Sanitaria. Versión impresa ISSN 0213-9111 Gac Sanit vol.21 no.3 Barcelona may. /jun. 2007ORIGINALES. Defectos del esmalte, caries en dentición primaria, fuentes de fluoruro y su relación con caries en dientes permanentes https://scielo. isciii.es/scielo.php?script=sci_arttext&pid=S0213-91112007000300009

14. versión On-line ISSN 2395-8235versión impresa ISSN 0186-2391 Acta pediatr. Méx vol.35 no.4 México jul./ago. 2014 Artículo original Prevalencia de caries de la infancia temprana y factores de riesgo asociados Fernando Javier Aguilar-Ayala1, Claudia Gabriela Duarte-Escobedo2, Marina Eduviges Rejón-Peraza1, Rodrigo Serrano-Piña1, Alicia Leonor Pinzón-Te1 https://www.scielo.org.mx/scielo.php?script=sci_arttext&pid=S0186-23912014000400002

15. https://dentistaypaciente.com/calidad-y-direccion-131.html El diagnóstico oportuno y el tratamiento temprano en los casos de agenesia de dientes laterales del maxilar Julio 1, 2019. Martínez, Guillermo.

16. Tratamiento ortodóntico en molares deciduos en paciente con agenesia de permanentes. Caso clínico. Serratos Lira, Arcelia Andrea1; Galicia García2, Citlalli Elizabeth3; Gasca, Ivonne4 https://www.ortodoncia.ws/publicaciones/2019/art-7/

Investigación clínica

17. Asociación entre maloclusiones y caries temprana de la infancia en una muestra de niños preescolares FERNANDA RAMÍREZ, ÓSCAR NORAMBUENA , ROCÍO SERRANO2, CRISTIAN VERGARA , EUGENIA HENRÍQUEZ https://www.odontologiapediatrica.com/wp-content/uploads/2022/06/02_FERNANDA-RAMIREZ.pdf

18. Versión impresa ISSN 0001-6365 Acta odontol. Venez v.46 n.3 Caracas dic. 2008 El sistema masticatorio y las alteraciones funcionales consecuentes a la pérdida dentaria. Amílcar Chagas Freitas Júnior, Rosse Mary Falcón Antenucci, Erika Oliveira de Almeida, Eduardo Passos Rocha, Eulália Maria Martins da Silva https://ve.scielo. org/scielo.php?script=sci_arttext&pid=S0001-63652008000300025

19. Revista Latinoamericana de Ortodoncia y Odontopediatría Depósito Legal Nº: pp200102CS997 - ISSN: 1317-5823 – www.ortodoncia.ws P á g i n a | 1 FUENTE: http://www.ortodoncia.ws/publicaciones/2011/art23.asp Revista Latinoamericana de Ortodoncia y Odontopediatría Depósito Legal Nº: pp200102CS997 - ISSN: 1317-5823 - RIF: J-31033493-5 - Caracas – Venezuela. Expansión mandibular y tracción de caninos inferiores, reporte de caso clínico Autores: Alberto Alvarado Cordero Dra. Beatriz Gurrola Martínez, Dr. Adán Casasa Araujo. https://ceso.edu. mx/pdf/EXPANSION_MANDIBULAR_ALBERTO_ALVARADO.pdf

20. Función de la curva de Spee en la oclusión dentaria: Marín Dhanna,* García Eliezer,** Covarrubias Mónica.** Un enfoque Ortodóncico https://www.uan.edu.mx/d/a/ publicaciones/revista_tame/numero_9/Tame39-9.pdf

21. Versión On-line ISSN 0717-9502 Int. J. Morphol. vol.41 no.2 Temuco abr. 2023 http://dx.doi.org/10.4067/S0717-95022023000200374. Actualización del análisis de los Movimientos Mandibulares a través de Articulografía Electromagnética

22. ¿Cómo influyen los malos hábitos en la fisiología bucal? POR DR FERNANDO DE LA IGLESIAEL 7 NOVIEMBRE, 2016 HTTPS://ORTODONCIABARCELONA.COM/ BLOG/COMO-INFLUYEN-LOS-MALOS-HABITOS-EN-LA-FISIOLOGIA-BUCAL/

23. Caso clínico. Tratamiento ortodóncico-ortopédico del colapso del maxilar, mordida cruzada anterior y posterior mediante expansor Hyrax. Reporte de caso Fabian Andrés Campo Franco Beatriz, Gurrola Martínez Adán, Casasa Araujo HTTPS:// WWW.ORTODONCIA.WS/PUBLICACIONES/2019/ART-10/

24. Odontol. Sanmarquina 2018; 21(2): 131-140 http://dx.doi.org/10.15381/os. v21i2.14779 Crecimiento del cartílago condilar. Una revisión de la literatura. Claudia Margarita Romero Peláez 1,a, Ethman Ariel Torres Murillo 1,b, Yuliana Andrea Pinto Parada 1,a FILE:///C:/USERS/DEPOS/DOWNLOADS/ADMOJS,+ODONTOV21N2_011A_ROMERO.PDF

25. Versión On-line ISSN 0717-9502. Int. J. Morphol. v.26 n.4 Temuco dic. 2008 Int. J. Morphol., 26(4):853-859, 2008. Recuperación de la Morfología y Fisiología Maxilo

Diagnóstico y tratamiento ortodóntico interceptivo como prevención en la inclusión del canino

Mandibular: Biomateriales en Regeneración Ósea https://www.scielo.cl/scielo. php?script=sci_arttext&pid=S0717-95022008000400013

26. Disyunción Palatina y sus efectos en las vías aéreas superiores. Donají Orozco Martínez. Residente del Instituto mexicano de Ortodoncia. León. Guanajuato Daniel López. Ortodoncista. Profesor de post grado del Instituto mexicano de ortodoncia. www.imo.edu.mx https://www.ortodoncia.ws/publicaciones/2016/art-46/

27. Manejo de la dimensión transversal (expansión) por medio de microtornillos (TADS). Lorenzo Puebla Ramos1. https://www.elsevier.es/es-revista-revista-mexicana-ortodoncia-126-articulo-manejo-dimension-transversal-expansion-por-S2395921516000106

28. 28.- Versión impresa ISSN 1138-123X RCOE vol.10 no.1 ene./feb. 200 Evolución de las características de las arcadas dentarias en dos grupos de edad. Paulino, Vera Susana https://scielo.isciii.es/scielo.php?script=sci_arttext&pid=S1138-123X2005000100004

29. AGUANA, KARINA COHEN, LUCIA D. PADRÓN, LUCIA B.Revista Latinoamericana de Ortodoncia y Odontopediatría "Ortodoncia.ws edición electrónica junio 2011https://www.ortodoncia.ws/publicaciones/2011/art-11/

30. Cefalometría lateral de Ricketts en adolescentes de 12 a 14 años con oclusión normal, 2001-2003. Dra. Zoila Rosa Podadera Valdés,1 Dr. Francisco Luis Rodríguez Díaz,1 Dr. Teddy Osmín Tamargo Barbeito2 y Lic. Santa González Corrales3 http:// scielo.sld.cu/scielo.php?script=sci_arttext&pid=S0034-75072004000200005

31. Cronología y secuencia de erupción de la dentición permanente. Actualización en la población infantil española. Muñoz Cano L, Diéguez Pérez M, Paz Cortés M M. Cronología y secuencia de erupción de la dentición permanente. Actualización en la población infantil española Cient. Dent. 2022; 19; 1; 23-32 https://coem.org.es/ pdf/publicaciones/cientifica/Vol19Num1/03CronologiaVol19num1.pdf

32. DOI: 10.1016/S2395-9215(16)30009-5. Tracción de canino retenido superior con aparatología ortodóntica fija Edgewise: Reporte de un caso. María de los Ángeles Montenegro Porras. Francisca Hara Ortiz https://www.elsevier.es/es-revista-revista-mexicana-ortodoncia-126-articulo-traccion-canino-retenido-superior-con-S2395921516300095

33. Cruz RM. Orthodontic traction of impacted canines: Concepts and clinical application. Dental Press J Orthod. 2019;24(1):74–87.

34. Howe RP, McNamara JAM, O’Connor KA. An examination of dental crowding and its relationship to tooth size and arch dimension. Am J Orthod 1983; 83(5): 36367.

35. Moss ML. The functional matrix hypothesis revisited. 2. The role of an osseous connected cellular network. Am J Orthd Dent Orthop 1997; 112:221-226. 1197b.

Investigación clínica

36. Moss ML. The functional matrix hypothesis revisited. 3. The genomic thesis. Am J Orthd Dent Orthop 1997; 112: 338-342. 1197c.

37. Universidad Autónoma del Estado de México Facultad de Odontología Centro de Investigación y Estudios Avanzados en Odontología “Dr. Keisaburo Miyata” Proyecto Terminal de Investigación “Aparato ortopédico recuperador de espacio” http:// ri.uaemex.mx/bitstream/handle/20.500.11799/113232/Aparato%20ortopedico%20recuperador%20de%20espacio.pdf?sequence=1&isAllowed=y

38. Onçag, G.; Seçkin, O.; Dinçer, B. & Arikan, F. Osseointegrated implants with pendulum springs for maxillary molar distalization: a cephalometric study. Am. J. Orthod. Dentofacial Orthop., 131(1):16-26, 2007

39. Akimoto S, Kubota M, Sato S. Increase in vertical dimension and maxillo-mandibular growth in a longitudinal growth sample. J Stomat Occ Med 2010; 3:15

40. Altug H, Bengi O, Akin E, Karacay S. Dentofacial effects of asymmetric headgear and cervical. Headgear with removable plate on unilateral molar distalization. Angle Orthod. 2005; 75 (4): 584- 92

41. Andrés Sánchez, Arco extraoral https://www.academia.edu/40754031/Arco_ extraoral

42. Distalización de molares con péndulo en paciente clase II y apiñamiento severo. Reporte de un caso Rosas-Fregoso KA, Cerrillo Lara D, Ocampo-Acosta F, Manriquez-Quintana FI, Zúñiga-Herrera ID. Revista Odontológica latinoamericana. (2022) Vol. 14| Núm. 2 | pp 57-61

43. Suárez D, Borja M, Suárez P. Protocolo para el pronóstico de los caninos superiores retenidos. 2023. Dental Tribune. https://la.dental-tribune.com/news/protocolo-para-el-pronostico-de-los-caninos-superiores-retenidos/

44. Jacoby, H. The etiology of maxillary canine impactions. Am. J. Orthod., 84(2):12532, 1983.

45. GA. R. Cirugía bucal con patología clínica y terapéutica. 8va edición. Ateneo E, editor. 1980

46. Crescini A, Baccetti T, Rotundo R, Evelyn M. Tunnel Technique for the Treatment of Impacted Mandibular Canines. Int J Periodontics Restorative Dent. 2009.

47. Kokich VG, DP Mathews. Surgical and orthodontic management of impacted teeth. Dent Clin North Am. 1993.

48. Cruz RM. Orthodontic traction of impacted canines: Concepts and clinical application. Dental Press J Orthod. 2019;24: 74-87.

49. Bedoya, M. M. & Park, J. H. A review of the diagnosis and management of impacted maxillary canines. J. Am. Dent. Assoc., 140:1485-93, 2009.

Dra. Zoraida García Castillo

Por el Mtro. Carlos Adolfo Espinosa García

Nos encontramos con la doctora Zoraida García Castillo, directora de la Escuela Nacional de Ciencias Forenses.

¿Cómo fue la transición de Licenciatura en Ciencia Forense a la Escuela Nacional de Ciencias Forenses?

La licenciatura se fundó en el año 2013, como un programa de la Facultad de Medicina de la UNAM y habíamos estado funcionando como eso, como una licenciatura más que se impartía en la Facultad de Medicina. El propio director de la Facultad vio que estuvo muy bien que el perfil del científico forense naciera en ese lugar, porque esa facultad tuvo la visión para impulsarla, para financiarla, para hacer que naciera y creciera lo más pronto posible y le dio el impulso para que se convirtiera en escuela, nos independizáramos, nos escindiéramos de esa Facultad y ahora estemos trabajando aparte.

También tuvimos el apoyo del rector, el Dr. Enrique Graue, incluso él la vio nacer. Nos dio su aval para que nos transformáramos en escuela. ¿Qué significa el aval? Es un apoyo, no solo académico sino económico, porque una escuela significa que tendrá su propio presupuesto de nivel central, crearle algunas plazas, no muchas, porque la UNAM no es boyante en recursos económicos, pero sí algunas indispensables, por ejemplo, tener a

su dirección, a su secretaría general, a su área de servicios escolares, su área jurídica y el área administrativa. Tener ya una secretaría administrativa y moverse en ese nivel, preparar su propio proyecto de presupuesto de egresos, dar cuenta a las autoridades centrales, pero también nos conminó a que nosotros mismos fuésemos trayendo ingresos extraordinarios.

Nosotros como los hijos, siempre vivimos con el papá que nos daba ingresos extraordinarios y además esa facultad ingresa bastante dinero en servicios, salimos y nos quedamos sin nada. Entonces, a trabajar más para generar ingresos extraordinarios. ¿Cómo lo hemos estado haciendo? Un poco el año pasado, pero sobre todo este, ya estamos ofreciendo educación continua para poder ofrecer cursos a la población. Administrativamente, eso implicó que propusiéramos que significaba la creación de una nueva escuela en esta universidad.

El campo de conocimiento de la ciencia forense no se había reconocido como una entidad aparte. De hecho, estábamos trabajando en forma multidisciplinaria con la participación de varias entidades académicas, pero el posicionar ya como un lugar de trabajo a las ciencias forenses, le da un lugar como el que tienen la Facultad de Derecho, Medicina, Odontología, Química y Ciencias, por ejemplo.

Hay entidades, como la Facultad de Ciencias Políticas, en donde hay

Dra. Zoraida García Castillo

varias carreras, diferentes perfiles y todo se conjuntan en una misma entidad. Nosotros, lo que pretendemos es un día crecer, ofrecer otras carreras que tengan que ver con el mundo forense, no nada más al científico forense, por ejemplo, en un futuro, crear la carrera de Identificación Humana, puede ser muy factible y se necesita en un país como el nuestro. Podemos ofrecer otras carreras, ya hay universidades que también la ofrecen carreras como Seguridad Ciudadana, Política Criminal o Auditoría Forense, que es otra de las metas que nos propusimos.

No van a ser inmediatas, tuvimos el encargo de nuestras autoridades de dedicarnos a consolidar esta licenciatura, ofrecer educación continua y en algún momento, ofrecer posgrado. Ese es el caso, tener ya un lugar en la UNAM, que se dedique a las ciencias forenses y no a otras cosas, y además la de ciencias forenses. Yo creo que esta escuela va a ir creciendo, se va

Hay muchos forenses en diversas áreas de conocimiento, no solo en medicina, sino también en la química, genética, odontología, antropología, criminalistas, muchas áreas donde están buscando profesionalización.

fortaleciendo para poder tender más sus alcances en interacción con otras universidades, para poder recibir más alumnos, para ofrecer más posibilidades de especialización.

Hay muchos forenses en diversas áreas de conocimiento, no solo en medicina, sino también en la química, genética, odontología, antropología, criminalistas, muchas áreas donde están buscando profesionalización. Creo que eso lo puede y lo debe hacer la UNAM, nosotros andamos en eso. Esa fue la razón y el paso que hizo que nos transformáramos en escuela ya hace año y medio.

Yo espero que en los planes a futuro ya no sea una escuela, sino una facultad. ¿Cómo se ve eso?

Sí, seguro que lo va a ser. No sé cuándo, porque acaba también de transformarse la Escuela de Enfermería y Obstetricia, en facultad. Lo hizo casi al mismo tiempo que nosotros cuando nos cambiamos a escuela, pero tenían 50 años siendo escuela. No sé cuánto tiempo le va a tomar a esta escuela transformarse en facultad, pero yo creo que no va a ser mucho, puesto que ya estamos pensando que los siguientes pasos tienen que ser crear posgrado y creo que lo podemos lograr, no en tantas décadas, sino en un futuro mediato.

¿Cuáles son los planes para la escuela a corto plazo y a largo plazo?

En primer lugar, en el muy corto plazo, vamos a duplicar la matrícula. Habíamos estado recibiendo todos estos años a un solo grupo de 36 alumnos y el año pasado ya recibimos a un grupo de 40. En este año queremos recibir 2 grupos de 40 alumnos cada uno. Eso va a significar que vamos a compactar los horarios y a hacer que podamos tener a un grupo en la mañana y un grupo en la tarde. Me parece que estuvo muy bien que en un principio hubiésemos sido tan poquitos egresados, que haya habido tan pocos egresados porque ha costado trabajo su inserción laboral. Es un perfil nuevo así que no es tan fácil que empleadores de instituciones públicas digan: "¡ah! este perfil está totalmente ad hoc con lo que estábamos buscando". No, tuvieron que salir y picar piedra, darse a conocer y que los empleadores se dieran cuenta de que es un perfil muy necesario.

Otra cosa inmediata es fortalecer nuestras relaciones con instituciones para que tengan una mejor inserción laboral, tenemos hoy día muchas satisfacciones porque alrededor del 50% de nuestros egresados, que es un buen número en el estándar universitario, encuentren empleo en su área de conocimiento. Están trabajando en el Poder Judicial de la Federación, por ejemplo, que ha tenido la visión de abrir espacios para el empleo del científico forense en la Defensoría de Oficio Federal, para coadyuvar con los defensores. Hay un área de peritos que se abrió para el auxilio de los órganos de justicia en

materia laboral, que los jueces tienen la obligación de procurar la prueba en materia pericial. Por otra parte, la Comisión Nacional de Búsqueda ha decaído mucho en su conformación, pero en su momento de más empuje tuvo a bastantes científicos forenses trabajando con ellos, esperemos que esto se retome, porque el perfil puede ser muy útil y no solo a ellos, sino que cada estado tiene su Comisión, seguramente pueden emplear perfiles como los nuestros. En los servicios periciales haciendo análisis de contexto, haciendo asesoría privada, se pueden insertar en los organismos de defensa de los derechos humanos, etc. Entonces, mercado laboral pueden tener y sí que se les requiere. Vamos a seguir procurando que se abran esos espacios.

Otra meta a corto plazo es crear más programas de educación continua, en estos momentos estamos ofreciendo 2 diplomados. Uno de búsqueda de personas, otro del Protocolo de Estambul y han tenido una gran recepción. El de búsqueda, de hecho, se creó como una forma más de titulación. En estos momentos tenemos puros alumnos egresados de la escuela que no se han titulado. Es un buen programa para poder titular a los que se nos habían quedado atrás, que en realidad son pocos, pero no hay que tener ninguno. Además, les va a dar una especie de profesionalización terminal para que puedan emplearse en esta tarea. También en forma inmediata, seguir fortaleciendo nuestras líneas de investigación,

Dra. Zoraida García Castillo

Nuestros egresados tienen un pensamiento crítico que es muy importante para investigar hechos: hay que pensar en forma crítica, en forma científica. Eso es algo que hay que procurar, porque no se trata de aplicar protocolos sin pensar, sino tener una visión integral de las cosas.

que empiezan a estar de moda y hemos visto que la oferta en otras instituciones también ha aumentado.

publicando, procurar que publiquen nuestros profesores.

A mediano plazo, iremos pensando en crear posgrados empezando por maestría, ver qué clase de maestría. Ya lo habíamos platicado largo tiempo en esta escuela, sí tendría que ser una maestría en ciencia forense, con un grado de estudio más profundo en las ciencias forenses o una maestría profesionalizante en algún tema forense, que eso puede ser muy útil, porque eso es lo que está buscando la gente, profesionalización. En el campo laboral lo que ocupan es al especialista, pues necesitamos crear ambas figuras, el que tiene un alcance integral de las ciencias forenses, pero también alguien que se haya especializado en cierta área. Ambas cosas son muy necesarias y en ello tenemos cartas en el asunto.

Esperemos que esto se consolide porque ahora son carreras

La escuela tiene un año y medio de haber sido creada, es la escuela más joven que actualmente tiene la UNAM, mucho me preguntan que si se va a impartir esta carrera en otros campus universitarios. Yo creo que tiene mucho potencial de crecimiento y así lo han visto nuestras autoridades, eso lo celebro. En este momento, no tenemos la capacidad. todavía no hemos pensado en que este programa se replique en otros campus, pero creo que eso podría suceder en un futuro. Muchos se preguntan que si esta es una universidad nacional, entonces debería estar presente en toda la República; sin embargo, en este momento y por la inercia hace que por ahora solo estemos presentes en la Ciudad de México, en el centro del país.

Hay otros programas en otras universidades públicas, que son hermanos. Por ejemplo, se abrió una carrera muy parecida a la nuestra en la U. de G., en Guadalajara, otra muy parecida, prácticamente idéntica a la nuestra en la BUAP, en Puebla. Ya se habían creado otras carreras con antelación, como por ejemplo, de Criminología o Ciencias Forenses con alguna perspectiva distinta a la nuestra. Nuestra distinción es que le damos mucho enfoque al tema científico. Además nuestros alumnos tienen conocimientos del área social y

de derecho, porque es obligado que sepan de nuestro sistema de justicia, también conocen y de forma muy importante, de ciencias. Que tiene que ver lo físico matemático, lo químico, lo biológico y cómo eso se cruza con la metodología de la investigación científica.

Nuestros egresados tienen un pensamiento crítico que es muy importante para investigar hechos: hay que pensar en forma crítica, en forma científica. Eso es algo que hay que procurar, porque no se trata de aplicar protocolos sin pensar, sino tener una visión integral de las cosas.

Muchas felicidades por ser la directora de la nueva Escuela

Nacional de Ciencias Forenses.

Estoy muy contenta de que la Junta de Gobierno de la Universidad me haya designado como directora, ya tengo un año de ser designada. Es todo un reto, porque no es lo mismo ser la Coordinadora de una Licenciatura y ser una carrera que está adscrita a una entidad tan poderosa, tan fuerte, tan consolidada como es la Facultad de Medicina, a estar aparte. Claro que, a todas las entidades el sector central nos apoya, pero es ya a darle, a crecer, a posicionarse.

Muchas gracias por tu tiempo.

Encantada.

Dra. Zoraida García Castillo
¿Qué

debemos conocer los dentistas de la viruela símica

(mpox)?

¿Qué debemos conocer los dentistas de la viruela símica (mpox)?

Gómez Clavel José Francisco, García Muñoz

Alejandro y Cynthia Georgina Trejo Iriarte.

Laboratorio de Investigación en Educación y Odontología.

Carrera de Cirujano Dentista. Facultad de Estudios superiores Iztacala. UNAM.

Este artículo tiene como objetivo dar a conocer las características del virus, las vías de transmisión, las medidas de prevención y las características de la viruela símica, también conocida como mpox.

El pasado 14 de agosto de 2024 el Secretario General de la OMS, el doctor Tedros Adhanom Ghebreyesus emitió una alerta sanitaria de importancia internacional ante el aumento de casos en la República Democrática del Congo y en un número cada vez mayor de países de África.1 Esta alerta ha originado una serie de comunicados tanto en medios tradicionales como en las redes sociales, y para aclarar algunas de las interrogantes que puede generar esta irrupción de información nos hemos dado a la tarea de buscar información en fuentes de información confiables, como las que nombramos enseguida.

La Organización Panamericana de la Salud,2 el Manual Merck,3 los Centros para el Control de Enfermedades (CDC),4 la Organización Mundial de

Estudio

la Salud (OMS) y algunas referencias extraídas de la base de datos Pub Med.

¿Qué es y qué características tiene mpox?

Primero aclaremos que la viruela se traduce en inglés como pox, y que la OMS a partir de noviembre de 2022 recomendó nombrar a la enfermedad mpox (También en español).5

El virus pertenece a la familia de los ortopoxivirus (grupo del virus de la viruela), su material genético es ADN que contiene mucha semejanza con el virus de la viruela (96.3%), por lo que, los que fuimos vacunados contra la viruela tenemos cierta protección. Mpox es un virus envuelto, posee una cubierta de lipídica, por lo que es inactivado por el jabón.

Esta es una enfermedad infecciosa zoonótica poco frecuente que está

resurgiendo. Los huéspedes naturales de este virus son vertebrados y artrópodos. Esta enfermedad se identificó por primera vez en 1958, cuando se produjo un brote en 2 monos de investigación en Suecia que empezaron a presentar síntomas de una enfermedad similar a la viruela. En 1970, la enfermedad se confirmó por primera vez en humanos, por un niño sospechoso de tener viruela en la República Democrática del Congo.6

¿Cómo se transmite?

El número básico de reproducción (R0) es una forma de definir el grado de transmisibilidad de la enfermedad. Según un estudio de modelado epidemiológico, y otros datos, el valor R0 del virus de mpox es de 0.58 -2.44, recordemos que el R0 de SarsCov-2 es de 6-8.7,8,9

El primer brote de mpox en América se documentó en 2003 en Estados Unidos, debido a la importación de roedores africanos, los cuales introdujeron el virus desde África occidental y contagiaron a perros de la pradera que a su vez contagiaron a humanos.10

El mecanismo exacto de transmisión no se ha establecido. Se supone que el virus entra en el cuerpo a través de heridas en la piel, el tracto respiratorio o las membranas mucosas (ojos, nariz o boca). La transmisión secundaria de persona a persona se considera común, presumiblemente a través de grandes

Figura 1. Ilustración esquemática de la transmisión y las características clínicas de la mpox.

gotitas respiratorias o contacto directo o indirecto con fluidos corporales, material de lesión y superficies u otros materiales contaminados, como ropa o sábanas.11 Anteriormente no se reconocía que la transmisión pudiera ocurrir durante el período de incubación,12 por lo que el contacto prolongado con pacientes hace que el personal del consultorio dental corra un mayor riesgo de infección. Los centros para el control y la prevención de enfermedades también reconocen el riesgo teórico de transmisión aérea y recomiendan implementar protocolos de control de infecciones transmitidas por el aire siempre que sea posible. Estos protocolos incluyen el uso de respiradores N95 al brindar atención médica o entrar en contacto cercano con una persona infectada13 (Figura 1).

¿Cuáles son las características de la infección por mpox?

Después del contagio, el virus tiene un período de incubación que dura 7 días en promedio.14 El período prodrómico tiene una duración de uno a 4 días y se caracteriza por síntomas inespecíficos como malestar general, escalofríos, fiebre, dolor muscular, dolor de espalda, dolor de cabeza y síntomas respiratorios. La progresión de la infección también incluye linfadenopatía, que dura aproximadamente de 0 a 2 días.15 Por lo general, pocos días después de la fiebre y la linfadenopatía, aparece una erupción cutánea. La erupción comienza en la

¿Qué debemos conocer los dentistas de la viruela símica (mpox)?

cara y luego aparece en todo el cuerpo, y se caracteriza por unas pocas o decenas de lesiones. A medida que la erupción progresa, durante unas 2 a 4 semanas, la placa es reemplazada por pápulas, ampollas, pústulas y costras, seguidas de descamación. Las complicaciones de la viruela símica incluyen encefalitis, queratitis, neumonitis e infecciones bacterianas secundarias.16 Durante la etapa inicial de la erupción, que dura alrededor de una semana, se considera que el individuo infectado es altamente contagioso15 (Figura 2).

Situación epidemiológica en México

Desde el 2022 y con corte al 5 de agosto de 2024, se han reportado 7 385 casos, de los cuales se han confirmado 4 130. En lo que va de 2024 se han registrado 212 casos notificados, de los cuales se han confirmado 49. La entidad con más casos es la CDMX con 29, después Quintana Roo con 7 y Jalisco con 317 (Figura 3).

Recomendaciones para prevenir contagios de la mpox

Los síntomas de esta enfermedad incluyen erupciones cutáneas que provocan dolor, fiebre, jaquecas, malestar muscular e hinchazón de los ganglios linfáticos. La Secretaría de Salud pide a la población que en caso de presentar alguna de estas dolencias se dirija a las unidades médicas

Figura 2. Características clínicas de la mpox. Se observan vesículas y vesículas rotas con la periferia elevada y costras. Sujeto infectado con mpox en República Democrática del Congo.

Estudio

correspondientes para recibir la atención pertinente. Los ciudadanos pueden comunicarse al número 55-1946-9772 o escribir al correo electrónico censida@salud.gob.mx para recibir orientación al respecto. Como personal de salud podemos recibir orientación en la Unidad de Inteligencia Epidemiológica y Sanitaria, cuyo teléfono es el 55-53371845.

El virus se transmite a través de fluidos corporales, llagas o el uso de prendas contaminadas. La dependencia ha publicado una serie de recomendaciones generales para evitar la propagación del patógeno:

• Lavar las manos de forma frecuente con agua y jabón.

• Utilizar geles desinfectantes a base de alcohol.

• Cubrir nariz y boca con la parte interna del codo al estornudar o toser.

• Evitar compartir alimentos, bebidas, cubiertos, vasos y platos.

• Usar mascarilla médica en lugares concurridos.

• No compartir toallas, ropa de cama o prendas de vestir.

• Limpiar y desinfectar espacios en los que se haya encontrado una persona enferma.

• Evitar la manipulación de lesiones cutáneas. Si se deben tocar, es preciso utilizar guantes.

Precauciones en la práctica clínica dental

Los dentistas y auxiliares deben estar alerta ante erupciones que se parezcan a las de mpox y distinguirlas de lesiones vesiculoso-ampollosas herpéticas y similares para el diagnóstico diferencial. El contacto directo con lesiones de mpox o con las pertenencias del paciente que hayan estado en contacto con las lesiones es el modo principal de transmisión.

Por lo tanto, en los entornos de atención dental, la transmisión se puede prevenir tomando precauciones estándar de control de infecciones por contacto y gotitas al tratar a pacientes con síntomas de la enfermedad. Además, debido al riesgo potencial de transmisión aérea de mpox, se deben tomar precauciones de transmisión aérea de acuerdo con la evaluación de riesgos y todo el personal dental que asista debe usar respiradores N95. El paciente debe ser tratado de forma aislada y se deben tomar precauciones para minimizar la exposición a las personas circundantes.

Figura 3. Distribución mundial de los casos de mpox 18

Las principales medidas preventivas contra la infección por mpox se detallan a continuación:13

• El tratamiento odontológico electivo en pacientes con mpox probable o confirmado debe posponerse hasta que el paciente ya no sea contagioso.

• Si el tratamiento es esencial en casos agudos, los pacientes deben ser tratados en una habitación aislada en lugar de en un área de tratamiento compartida.

• Las mujeres embarazadas y las personas con un sistema inmunitario gravemente comprometido no deben brindar atención a pacientes con mpox o a aquellos que se sospecha que tienen una infección por mpox.

• En odontología, se deben respetar estrictamente las precauciones estándar de control de infecciones por contacto y por gotitas, incluido el uso de respiradores N95 o FFP3, vestimenta resistente a líquidos y protección ocular.

• Realice una higiene de manos adecuada después del contacto con personas infectadas. Por ejemplo, las manos deben lavarse con agua y jabón o limpiarse con un desinfectante para manos que contenga alcohol.

• Evite tocar cualquier material que haya estado en contacto con un paciente infectado.

• La limpieza y la desinfección deben realizarse estrictamente en las áreas "sucias" del centro odontológico, donde el equipo de atención

¿Qué debemos conocer los dentistas de la viruela símica (mpox)?

al paciente se limpia previamente antes de la esterilización.

• Aísle a los pacientes infectados, en particular de aquellos que pueden ser susceptibles a la infección.

• Se requiere una manipulación y recolección cuidadosas de todo material en contacto con el paciente.

Tratamiento

Dado que la mpox es una infección autolimitante, el tratamiento es esencialmente sintomático. En el caso de pacientes con comorbilidades se han utilizados diferentes terapias como la vacuna antivariólica y los agentes antivirales cidofovir, brincidofovir y tecovirimat.19

Figura 4. TPOXX.

¿Qué hacer si traté a un paciente que después es diagnosticado con mpox?

Todo el personal sanitario que atiende a pacientes con esta enfermedad debe ser monitoreado al menos 2 veces al día durante 21 días desde su último encuentro. Si resultara diagnosticado con la enfermedad se puede iniciar el tratamiento con tecovirumat. En México se realizó en 2023 un ensayo clínico con tecovirumat (20. INCMNSZ. 2023). Sin embargo los resultados no han sido publicados. Actualmente, el uso de

Referencias

este medicamento está aprobado por la Administración de Alimentos y Medicamentos de Estados Unidos para el tratamiento de la viruela en adultos y niños21 (Figura 4).

Conclusión

La rápida transmisión del virus mpox y su detección generalizada en varios países del mundo debe mantener en alerta a la comunidad odontológica y seguir manteniendo estrictos protocolos de control de infecciones en la consulta dental.

1. OMS. 2024. https://www.who.int/es/news/item/14-08-2024-who-director-general-declares-mpox-outbreak-a-public-health-emergency-of-international-concern

2. OPS. 2024. https://www.paho.org/es/mpox

3. El Manual Merck. https://www.msdmanuals.com/es-mx/professional/enfermedades-infecciosas/ poxvirus/viruela

4. Los Centros para el Control de Enfermedades (CDC). https://www.cdc.gov/poxvirus/mpox/es/ symptoms/index.html

5. OPS. 2022. https://www.paho.org/es/noticias/28-11-2022-oms-recomienda-nuevo-nombre-para-viruela-simica

6. Ghazy RM, Hammad EM, Hall MA, Mahboob A, Zeina S, Elbanna EH, Fadl N, Abdelmoneim SA, ElMakhzangy R, Hammad HM, Suliman AH, Atia HHA, Rao N, Abosheaishaa H, Elrewany E, Hassaan MA, Hammouda EA, Hussein M. How can imported monkeypox break the borders? A rapid systematic review. Comp Immunol Microbiol Infect Dis. 2023 Jan;92:101923.

7. Grant R, Nguyen LL, Breban R. Modelling human-to-human transmission of monkeypox. Bull World Health Organ. 2020 Sep 1;98(9):638-640.

¿Qué

8. Ghate SD, Suravajhala P, Patil P, Vangala RK, Shetty P, Rao RSP. Molecular detection of monkeypox and related viruses: challenges and opportunities. Virus Genes. 2023 Jun;59(3):343-350. doi: 10.1007/s11262-023-01975-3. Epub 2023 Feb 6. PMID: 36746846; PMCID: PMC9901828.

9. Branda F, Pierini M, Mazzoli S. Monkeypox: Early estimation of basic reproduction number R0 in Europe. J Med Virol. 2023 Jan;95(1):e28270. doi: 10.1002/jmv.28270. Epub 2022 Nov 9. PMID: 36319946.

10. Reynolds MG, Yorita KL, Kuehnert MJ, Davidson WB, Huhn GD, Holman RC, Damon IK. Clinical manifestations of human monkeypox influenced by route of infection. J Infect Dis. 2006 Sep 15;194(6):773-80.

11. Petersen E, Kantele A, Koopmans M, Asogun D, Yinka-Ogunleye A, Ihekweazu C, Zumla A. Human Monkeypox: Epidemiologic and Clinical Characteristics, Diagnosis, and Prevention. Infect Dis Clin North Am. 2019 Dec;33(4):1027-1043.

12. Sukhdeo, S.; Mishra, S.; Walmsley, S. Human Monkeypox: A Comparison of the Characteristics of the New Epidemic to the Endemic Disease. BMC Infect. Dis. 2022, 22, 928.

13. Samaranayake L, Anil S. The Monkeypox Outbreak and Implications for Dental Practice. Int Dent J. 2022 Oct;72(5):589-596.

14. Madewell ZJ, Charniga K, Masters NB, Asher J, Fahrenwald L, Still W, Chen J, Kipperman N, Bui D, Shea M, Saunders K, Saathoff-Huber L, Johnson S, Harbi K, Berns AL, Perez T, Gateley E, Spicknall IH, Nakazawa Y, Gift TL; 2022 Mpox Outbreak Response Team. Serial Interval and Incubation Period Estimates of Monkeypox Virus Infection in 12 Jurisdictions, United States, May-August 2022. Emerg Infect Dis. 2023 Apr;29(4):818-821.

15. Martínez-Fernández DE, Fernández-Quezada D, Casillas-Muñoz FAG, Carrillo-Ballesteros FJ, Ortega-Prieto AM, Jimenez-Guardeño JM, Regla-Nava JA. Human Monkeypox: A Comprehensive Overview of Epidemiology, Pathogenesis, Diagnosis, Treatment, and Prevention Strategies. Pathogens. 2023 Jul 18;12(7):947.

16. Huang Y, Mu L, Wang W. Monkeypox: epidemiology, pathogenesis, treatment and prevention. Signal Transduct Target Ther. 2022 Nov 2;7(1):373.

17. CONAVE. 2024. https://www.gob.mx/cms/uploads/attachment/file/938021/AE_ MPOX_20240814.pdf

18. https://worldhealthorg.shinyapps.io/mpx_global/

19. Russo AT, Berhanu A, Bigger CB, Prigge J, Silvera PM, Grosenbach DW, Hruby D. Co-administration of tecovirimat and ACAM2000™ in non-human primates: Effect of tecovirimat treatment on ACAM2000 immunogenicity and efficacy versus lethal monkeypox virus challenge. Vaccine. 2020 Jan 16;38(3):644-654.

20. INCMNSZ. 2023 https://www.incmnsz.mx/Noticias/2023/Sintesis18Mayo2023.pdf

21. CDC 2024. https://www.cdc.gov/poxvirus/mpox/clinicians/monitoring.html

Osteointegración de implantes en pacientes diabéticos. Reporte de casos

Parte 2

Osteointegración de implantes en pacientes diabéticos. Reporte de casos

Diana Laura Juárez-Flores. Residente 2° año de la especialidad de Rehabilitación Oral del Centro Educativo Multidisciplinario en Rehabilitación Oral, CEMRO, Tarímbaro, Michoacán, México. Mónica Celina Cisneros Martínez. Maestría en administración de instituciones de salud, Especialidad en Periodoncia, Universidad Quetzalcóatl en Urapuato UQI, docente en área de Cirugía del Centro Educativo Multidisciplinario en Rehabilitación Oral, Tarímbaro Michoacán. Benjamín Alberto Lázaro Castillo Ortodoncista con Maestría en Ciencias Odontológicas, Profesor e Investigador de Centro Educativo Multidisciplinario en Rehabilitación Oral, CEMRO, Tarímbaro, Michoacán, México

Presentación de casos

Caso 1

Paciente femenina de 38 años, acudió a la clínica de CEMRO para la colocación de un implante dental unitario en la zona edéntula del OD 16, la paciente no reportó datos de alteración de su glucosa por lo que se manejó como paciente no diabética, pero, en el proceso de la colocación de implantes se afirmó que tenía diabetes, mas no aceptó un tratamiento para control de glucosa y da a reportar en un monitoreo 308.2mg/100 ml al momento de ser rehabilitada, en su expediente clínico afirma no presentar ningún tipo de alergia.

En marzo 2023 se colocó implante unitario marca MSDIMR, de 4.5x 6.0 mm, refirió seguir las indicaciones posquirúrgicas de forma adecuada: no exponerse al sol los primeros días, no enjuagar la boca de manera vigorosa, evitar tocar la zona, evitar tallados bruscos con el cepillo dental, no hacer ejercicio ni esfuerzos por lo menos una semana, no fumar, no consumir alimentos grasosos ni irritantes, dormir en posición semisentada para evitar hemorragias nocturnas, no consumir bebidas alcohólicas e ingerir su medicamento señalado (amoxicilina con ácido clavulánico de 875/125 mg 1 píldora cada 8 horas por 7 días, paracetamol de 500 mg, 1 cada 8 horas en caso de dolor por 3 días e ibuprofeno de

Figura 2. Fotografía paciente femenina. En la imagen a encontramos una fotografía intraoral lateral derecha que nos muestra el antes de la paciente. En la imagen b podemos observar una fotografía intraoral lateral derecha después de terminar la rehabilitación de la paciente.

400 mg, 1 cada 8 horas por 3 días); a los 7 días se indicó cita de control. Cita subsecuente de monitoreo para junio del 2023, se indicó radiografía periapical, con su evolución favorable se realizó colocación de Healing, en julio del 2023 se procedió a la toma de impresión para elaborar su corona de metal porcelana y en agosto del 2023 acudió a la institución para cementoatornillar la corona. En su cita de control de mayo del 2024, no refirió dolor, sangrado, mal olor, movilidad, ni enrojecimientos y ausencia de movilidad (Figura 2).

Caso 2

Figura 3. Intraoral paciente masculino. En la imagen a podemos observar los tejidos periodontales sanos antes de la colocación del implante en la imagen b y c podemos observar tejidos periodontales sanos después de la colocación del implante y la rehabilitación.

Paciente masculino de 56 años, se presentó en abril del 2023 a la clínica de CEMRO para colocación de 2 implantes ADINMR de 2.75 x 10 mm en la zona edéntula de los OD 42 y 43, afirmando ser diabético

controlado bajo tratamiento de metformina/glibenclamida 500/2.5 mg. Refirió seguir las indicaciones posquirúrgicas de forma adecuada: no exponerse al sol los primeros días, no enjuagar la boca de manera vigorosa, evitar tocar la zona, evitar tallados bruscos con el cepillo dental, no hacer ejercicio ni esfuerzos por lo menos una semana, no fumar, no consumir alimentos grasosos ni irritantes, dormir semisentado para evitar hemorragias nocturnas, no consumir bebidas alcohólicas e ingerir su medicamento como estaba señalado en la receta (amoxicilina con ácido clavulánico de 875/125 mg 1 píldora cada 8 horas por 7 días, paracetamol de 500 mg, 1 cada 8 horas en caso de dolor por 3 días e ibuprofeno de 400 mg, 1 cada 8 horas por 3 días). Hubo monitoreo a los 15 días para retiro de suturas. Se citó en julio del 2023, presentó una evolución favorable y procedimos a la colocación de Healings y toma de radiografías de control, en agosto del 2023, se presentó para la toma de impresión y en septiembre del 2023 proceder a rehabilitar con coronas fusionadas de zirconio. En junio del 2024 se presentó a cita de monitoreo sin tener dolor, enrojecimiento, sangrados o supuraciones, no

presentó movilidad de los implantes (Figura 3).

Resultados

En la Tabla 1 se muestra una comparación de las medidas obtenidas de ambos casos al sondeo, usando sonda Hu-fready colorvue Williams, podemos observar cómo hubo mayor pérdida de hueso en el caso 1 de la paciente diabética no controlada que en el caso 2.

Radiográficamente, podemos observar la zona radiolúcida alrededor de los implantes, que nos muestra la cantidad de hueso perdido desde que se colocaron hasta su última cita de valoración, mostrando de igual manera, mayor presencia de radiolucidés en el caso 1 que en el caso 2 (Figura 4 y 5).

Discusión

Balderas y cols. nos mencionan que la terapia odontológica con implantes es un tratamiento que debe tener

Osteointegración de implantes en pacientes diabéticos. Reporte de casos

Profundidad al sondeo
Tabla 1. Resultados al sondeo

periapicales de

femenina. Implante colocado en OD 16. En la imagen a se observa después de su colocación y en la imagen b se encuentra ya rehabilitado en su última cita de control, Podemos observar la zona radiolúcida que nos indica la pérdida de hueso.

planeación quirúrgica y protésica adecuada para evitar fracasos. Entre los factores que influyen en el éxito de los implantes se encuentran la condición del paciente, las características del sitio receptor y de la técnica, y el tipo de rehabilitación protésica.13

En los datos obtenidos del estudio, podemos observar la diferencia de diámetro y longitud en los implantes de ambos pacientes, siendo una característica importante para determinar su éxito o fracaso; sin embargo, Ortega y cols., en el 2012, nos mencionan que tanto el largo como el diámetro de los implantes dentales no influyen en el fracaso del mismo. 14

En el 2021 Guevara-Callire y col. nos dicen que la diabetes mellitus se considera como un factor de riesgo importante para el desarrollo de las enfermedades periodontales y periimplantarias tales como la mucositis periimplantaria y la periimplantitis; la mucositis, se define como la presencia de inflamación en la mucosa sin signos de pérdida del hueso de soporte y la periimplantitis es asociada con

inflamación de la mucosa y pérdida del hueso de soporte. La hiperglucemia es un factor importante en el desarrollo de complicaciones biológicas de los implantes dentales, especialmente en casos de mayor gravedad, como se observa en la diabetes mal controlada.15

Wiltfang y cols. refieren que los pacientes con diabetes mal controlada sufren de una osteointegración deteriorada, un riesgo elevado de periimplantitis y un mayor nivel de fracaso del implante, mientras que, en condiciones controladas, las tasas de éxito son similares a pacientes sanos, con tasas de fracaso que oscilaron entre el 0% y el 2.9%.16

Morales y cols. mencionaron que la tasa de supervivencia de los implantes dentales en pacientes con diabetes oscila entre el 88.8 al 97.3% un año después de la inserción del implante y del 85.6 al 94.6% un año después de la carga funcional con prótesis.17

El 41.7% de los pacientes diabéticos y el 83.3% de los pacientes sin diabetes presentaban otras patologías sistémicas, lo que confirma la importancia de la valoración sistémica y farmacológica de los pacientes que van a ser tratados con implantes. En este sentido, los hallazgos clínicos del estudio demuestran que los antecedentes médicos no influyeron en el tratamiento con implantes clínicos cuando estas enfermedades están bien controladas por el médico general o el geriatra.6

Figura 4. Radiografías
paciente

Ambos pacientes participantes en el estudio presentaron brechas cortas edéntulas, en el 2014, Becerras-Santos y col. nos dicen que se prefiere la posibilidad de restaurar las zonas edéntulas con segmentos cortos más que con segmentos protésicos extensos, ya que la rehabilitación es menos complicada, proveemos de un ajuste pasivo, hay mayor facilidad en higiene y es menos compleja la reintervención si se requiere a futuro.18

Un correcto diagnóstico de la etiología, así como, la adecuada elección de la terapéutica, pueden detener el avance de la enfermedad periimplantaria. Tras el tratamiento realizado, será muy importante el control periódico y el mantenimiento de una correcta higiene oral.9

Conclusión

Comparando los valores de ambos pacientes de este pequeño reporte nos podemos dar cuenta que la mejor manera para que a un paciente

Osteointegración de implantes en pacientes diabéticos. Reporte de casos

diabético el tratamiento de implantes sea el adecuado, asegurandoce su éxito, deberá estar controlado de sus valores glucemicos. Cabe mencionar que es de suma importancia mantener un monitoreo constante, de esta manera debemos respetar los tiempos para la correcta osteintegración del implante y rehabilitación del mismo; en este estudio observamos una pérdida mayor de hueso en la paciente diabética no controlada que en el paciente diabético controlado.

Es de importancia obtener los valores del sondeo después de la osteintegración, dichos valores no se encontraron en el expedinete, se recomiendan más estudios donde se tengan valores después de la osteintegración y sea posibles compararlos con los valores obtenidos a un año para obtener resultados más precisos.

Conflicto de interés

Los autores comentan que no hay conflicto de interés.

Figura 5. Radiografías periapicales de paciente masculino. Implantes dentales colocados en zona del 41 y 42, en la imagen a los podemos observar después de su colocación y en la imagen b en su última cita de control, se muestran zonas radiolúcidas muy mínimas alrededor de los implantes rehabilitados.

Referencias

1. Marathe, Payal, H. Hellen, L. Kelly, (2017). Diabetes americana Normas de la Asociación Atención médica en la diabetes 2017. Journal of Diabetes , 320- 324.

2. Velazco-Guzmán, B. J., & Brena-Ramos, V. M. (2014). Diabetes Mellitus Tipo 2: Epidemiología y emergencía de salud . Salud y administración volumen 1, 11-16 .

3. Correa-Rivas, K. Y., Juárez-Santa Cruz, L. G., Vela-Carillo, M. F., & García-Muñoz, A. (2021). osteointegracion de implantes en pacientes diabeticos . revista de especialidades medico-quirurgicas, 64-70.

4. Navarro, g. (05 de Septiembre de 2022). Dental Navarro. Obtenido de https:// www.dentalnavarro.com/blog/diabeticos-implantes-dentales/

5. Peñarrocha, D. (05 de Septiembre de 2019). Complicaciones de implantes dentales en pacientes diabeticos . Obtenido de https://idim.es/complicaciones-de-implantes-dentales-en-diabeticos/

6. Rondo, J. L., Ortiz, I., Jiménez, A., Matos, N., España, A., Monsalve, L., & Velasco, E. (2022). El tratamiento con implantes en pacientes con diabetes. Un estudio comparativo a 7 años . Avances en Odontoestomatología , 1-10.

7. Velasco, E., Monsalve, L., A., J., J., S. J., Matos, N., & Moreno, J. (2015). El tratamiento con implantes dentales en pacientes adultos mayores. Avances en odontología , 1-12.

8. García-Calderón, M., Cabezas, J., & Gallego, D. y. (2004). Diagnostico y Tratamiento de la periimplantitis. Actualizacion en el diagnóstico clinico y en el tratamiento de periimplantitis. Avances en periodoncia e Implantología Oral, 1-8.

Osteointegración de implantes en pacientes diabéticos. Reporte de casos

9. Ándres, S., Pulido, G., Gonzáles, V., Navarro, F., & López, F. y. (2015). Periimplantitis y mucositis periimplantaria. Factores de riesgo, diagnóstico y tratamiento . Avances en Periodoncia e Implantología Oral, 1-11.

10. Montero, E., Luis, H. J., Rodriguez, H. J., & David, H. (2016). Implantes dentales en personas con diabetes. ¿Son seguros? Diabetes, 42-45.

11. Manzur, I., Puerta, M. A., Blanco, S., & Machuca, G. y. (2017). Implante dental inmediato en paciente diabetico . Revista clínica de periodoncia, implantología y rehabilitación oral , 1-6 .

12. Sacoto, M., Oviedo, D., Inga, J., Medina, P., & Ordoñez, P. (2023). Supervivencia de implantes dentales en pacientes diabéticos: Revisión sistémica . Revista facultad de ododntologia , 23-30.

13. Balderas, J. E., Zilli, F. N., & Fandiño, L. A. (2017). Factores relacionados con el éxito o fracaso de los implantes dentales colocados en la especialidad de Prostodoncia e Implantología en la Universidad de La Salle Bajío. Revista Española de Cirugía Oral y Maxilofacial , 1-13.

14. Ortega, R., Olate, S., Claudio, F., Duque de Miranda, H., de Moraes, M., & Mazontteto, R. (2012). Influencia de diámetro y longuitud de implantes en la perdida tardia de implantes dentales. Revista Internacional de Estomatología, 1-5

15. Becerra-Santos, G. y.-M. (2014). Consideraciones clínicas de los implantes en áreas posteriores. CES Odontología, 1-13.

16. Guevara-Callire, L., Falcón-Guerrero, B. E., Flores-Chipana, N., Mamani-Mamani, L., Mamani-Alejos, R., Mamani-Perea, H., Taya-Venegas, D. y.-L. (2021). Diabetes mellitus como factor de riesgo de la periimplantitis. Revista Odontologíca Basadrina , 59-65.

17. Wiltfang, J., Naujokat, H., & Kunzendorf, B. (2016). Revisión sistemica sobre diabetes mellitus e Implantes dentales. Una actualización. Revista Internacional de Implantología, 1-25.

18. Morales, D., Contreras, L., & M. Humberto, (2016). Tratamiento implantologico en pacientes con periodontitis agresiva asociada a diabetes mellitus. Reporte de caso clinico. Fase quirurgica. Revista Odontologíca Mexicana, 1-12.

Tratamiento ortodóncico camuflaje de una maloclusión clase II esquelética.

Reporte de caso clínico

Tratamiento ortodóncico camuflaje de una maloclusión clase II esquelética

El artículo se centra en la complejidad de las maloclusiones clase II y su impacto en la estética facial. Se presenta un caso clínico específico de maloclusión clase II esquelética "borderline", destacando la importancia de estrategias terapéuticas y un diagnóstico preciso para lograr resultados óptimos. Se describe el caso de una paciente de 12 años con maloclusión clase II esquelética, detallando su perfil facial, análisis fotográfico intraoral y cefalométrico. Se presentan los resultados de radiografías y el diagnóstico, incluyendo objetivos como mejorar el perfil, lograr una clase I molar y canina, y corregir la sobremordida y el apiñamiento. Objetivo: principal es proporcionar una corrección funcional y estética, abordando la maloclusión clase II esquelética "borderline" a través de estrategias terapéuticas cuidadosamente seleccionadas. Se discuten las opciones de tratamiento,

Residente 2.° año de la especialidad en Ortodoncia. Universidad Autónoma de Baja California. Campus Tijuana

optando la paciente por la ortodoncia camuflaje. Se detalla el proceso de extracciones, colocación de aparatología ortodóncica, fases de tratamiento, y la fase de retención con placas circunferenciales. Se presentan los resultados finales, destacando la mejora en la maloclusión, la corrección de la clase I molar y canina, así como la estabilidad oclusal funcional y estética. Se comparan datos cefalométricos iniciales y finales, resolviendo la queja principal de la paciente. El artículo concluye resaltando la obtención de resultados favorables, cumpliendo con los objetivos propuestos y destacando la importancia de la individualización del tratamiento y la colaboración estrecha entre el ortodoncista y el paciente.

PALABRAS CLAVES: maloclusión clase II, tratamiento con camuflaje,

Andrea Sevilla Frutos.

Las maloclusiones clase II no solo afectan la disposición de las piezas dentales, sino que también ejercen un impacto directo en la fisiología facial y la estética. Abordar estas complejidades requiere una comprensión profunda de los principios estéticos contemporáneos y de la dinámica de la sonrisa, especialmente cuando se considera la extracción dentaria para compensar discrepancias hueso-diente y satisfacer las necesidades estéticas de los pacientes.1,2,3

Este artículo se sumergirá en un caso clínico específico que ilustra el abordaje de camuflaje en un paciente con maloclusión clase II esquelética "borderline". A través de un análisis detallado, exploraremos cómo la selección cuidadosa de estrategias terapéuticas, respaldada por un diagnóstico preciso, puede conducir a resultados óptimos. El objetivo es proporcionar no solo una corrección funcional, sino también una mejora estética que cumpla con las expectativas únicas del paciente. Así, examinaremos la intersección entre la ciencia ortodóntica y la búsqueda de la armonía facial, utilizando un caso clínico concreto como lente para comprender cómo estas prácticas se traducen en transformaciones notables y satisfactorias para el paciente.4,5,6

Reporte del caso clínico

Solicitando atención en la clínica de ortodoncia de la Facultad de

Odontología, en la Universidad Autonóma de Baja California, campus Tijuana, ingresa una paciente femenina de 12 años de edad, su motivo de consulta "tengo los dientes chuecos". Se llevó a cabo la anamnesis, toma de modelos de estudio y radiografías extraorales (ortopantomografía, lateral de cráneo). El diagnóstico clínico reveló una paciente europrosopo, con línea superciliar y bipupilar simétricas, nariz y boca proporcionadas; el tercio medio ligeramente aumentado con respecto al inferior y superior (Figura 1).

En la fotografía de perfil, observamos un perfil convexo, ángulo nasolabial de 90º, labio inferior a 3 mm por delante de la línea estética de Ricketts, surco mentolabial obtuso. En la fotografía de sonrisa se puede apreciar que la línea media dental coincide con la facial, no muestra encía al sonreír. En el análisis fotográfico intraoral, podemos observar una arcada superior e inferior de forma ovoide, dentición permanente y un apiñamiento leve. En la fotografía intraoral de frente, las líneas medias coinciden; en la lateral derecha, presencia de clase II molar y canina; en la lateral izquierda, presencia de clase I molar y canina indefinida (Figura 1-2).

Patrón esquelético clase II (ANB 5), mandíbula en norma (SNB 80°) y un maxilar protruido (SNA 85°); incisivos superiores proclinados, (Ang 1s/SN 107°) e inferiores proclinados (1i/Go-Gn 97°). Patrón

Figura 1. Fotografías frontal y de perfil.

de crecimiento vertical (Go.Gn/S.N 37°). Presenta cuerpo mandibular largo en relación a la base craneal anterior, longitud de base craneal anterior corta.

En la pantomografía podemos observar 28 dientes permanentes presentes en boca, presencia de los gérmenes de 4 terceros molares, altura de las ramas simétrica, cóndilos simétricos, densidad ósea uniforme, relación corona raíz 1:2, raíz corta del órgano dentario 44 y zona radiopaca en apical del órgano dentario 36 (Figura 3).

Objetivos del tratamiento

Mejorar perfil, lograr CI molar y canina, corregir sobremordidas y apiñamiento.

Plan de tratamiento

Se ofrecieron a la paciente 2 opciones de tratamiento: 1) ortodóncico-quirúrgico, para la corrección de la asimetría y la maloclusión. 2) ortodoncia camulaje, eliminando la maloclusión clase II. La paciente se decidió

Tratamiento ortodóncico camuflaje de una maloclusión clase II esquelética

por la segunda opción. Se realizaron extracciones de los primeros premolares superiores e inferiores. Se colocó aparatología ortodóncica con prescripción de Roth sloth 0.018 (Brackets Metálicos Gemelos en Miniatura 3M™ Unitek™) y se inició el tratamiento como se describe a continuación (Figura 4).

Anclaje: barra transpalatina (TPA) activa, la cual se retiró 38 meses después y arco lingual el cual se retiró 43

Figura 2. Fotografías de intraorales.
Figura 3. Panoramica inicial y trazos cefalométricos.

meses después. Fase de alineación, nivelación y corrección de rotaciones. Arcos 0.014”NiTi y 0.016”NiTi. Esta fase duró 5 meses, realizándose el cierre de espacios con cademas elastoméricas (Figura 4).

Fase de cierre de espacios y corrección de líneas medias. Arcos de retracción superior 0.016” x 0.022” acero. Se utilizó la mecánica de retroligaduras en arcada superior en ambos lados. Se retiraron bandas en primero molares maxilares y mandibulares, se colocaron de tubos y cadenas continuas (Figura 5-6).

Fase de detallado y finalización. 0.016” x 0.022”NiTi, 0.016” x 0.022” SS, 0.017” x 0.025”NiTi, 0.017” x 0.025” SS. Antes del retiro de la aparatología, se tomó una nueva ortopantomografía para confirmar el paralelismo radicular y se remitió la paciente a la especialidad de periodoncia para llevar a cabo gingivectomías para alargamiento de coronas clínicas. Se retiró la aparatología tras 43 meses de tratamiento (Figuras 7-10).

Retención. Se colocaron placas circunferenciales. Se recomendó su uso por 6 meses las 24 horas del día, para eventualmente usarlo solo por las noches. Se recomendó a la paciente visitas semestrales para control de retención.

Resultados

La paciente finalizó con clase II esquelética con ligera disminución

de la discrepancia maxilomandibular inicial. Se finalizó con clase I canina derecha e izquierda y clase I molar derecha e izquierda. La línea media se mejoró. Se lograron sobremordidas vertical y horizontal adecuadas. Los datos cefalométricos iniciales y finales donde se apreciaron cambios significativos. La queja principal de la paciente fue resuelta. Clínicamente, el resultado estético fue favorable. Radiográficamente se pueden apreciar los cambios en la inclinación dentoalveolar de los incisivos y el adecuado paralelismo radicular de todos los órganos dentarios al final del tratamiento.

Discusión

El caso clínico presentado destaca la importancia de una evaluación minuciosa en pacientes con defectos esqueléticos que provocan asimetrías dentofaciales. La decisión de optar por la ortodoncia camuflaje o la cirugía ortognática es un punto crítico, y diversos factores deben ser considerados para garantizar el éxito del tratamiento y la satisfacción del paciente.5,6

Según Mihalik y Proffit (2003), la elección entre camuflaje y cirugía debe basarse en la ponderación del mejoramiento estético dentofacial logrado con la cirugía, en comparación con el incremento de los costos y los riesgos asociados. Es esencial considerar los riesgos de la cirugía, como la disminución o pérdida de la sensibilidad de los labios, en

Figura 4. Colocación de aparatología superior Roth slot 0.018, con arco transpalatino.
Figura 5. Cierre de espacios con cadenas elásticas.
Figura 6. Continuación de espacios con lace back.

contraste con los riesgos asociados con la ortodoncia camuflaje, donde la resorción de las raíces de los incisivos maxilares puede ser un riesgo significativo.4

El presente caso clínico, al no presentar una asimetría dentofacial severa, permitió sugerir a la paciente la opción de la ortodoncia camuflaje. La decisión se basó no solo en la corrección del problema estético y funcional, sino también en la consideración del aspecto psicológico de la paciente. La falta de impacto significativo en su calidad de vida facilitó la elección del plan de tratamiento.7

Los resultados de Mihalik y Proffit (2003), que indican cambios esqueléticos mínimos en pacientes tratados con ortodoncia camuflaje, respaldan la elección realizada en este caso clínico. Los cambios no mayores a 2 mm en la posición de los puntos A, B o pogonión sugieren que, en casos seleccionados, la ortodoncia camuflaje puede ser una alternativa eficaz, especialmente cuando se consideran los riesgos asociados con la cirugía ortognática.4,5

Aunque el enfoque camuflaje puede no reflejar cambios esqueléticos significativos, es crucial resaltar que la retracción del labio superior e inferior, como lo informado por Luecke y Johnson (1992), puede contribuir significativamente a la mejora estética y funcional en casos específicos, como extracciones de premolares superiores.7-9

En resumen, la elección entre ortodoncia camuflaje y cirugía ortognática debe ser individualizada, considerando factores estéticos, funcionales y psicológicos. La colaboración estrecha entre el ortodoncista y el paciente es esencial para garantizar un plan de tratamiento que cumpla con las expectativas del paciente y maximice los resultados clínicos.

Conclusión

Obtuvimos resultados favorables, cumpliendo con los objetivos tratadados, mejorando el perfil, logrando clase I molar y canina, corrección de sobremordida y apiñamiento, obteniendo una estabilidad oclusal tanto funcional como estética.

Figura 7. Panorámica de retiro.
Figura 8. Lateral de cráneo de retiro.
Figura 9. Fotografías intraorales finales.
Figura 10. Fotografías comparativas.

Sonriendo al futuro

Referencias

1. Suárez Gómez L, Castillo Hernández R, Déborah R, Reyes B, Santana Méndez AT, Monteagudo YV. Oclusion Dentaria En Pacientes Con Maloclusioines Generales: Asociación Con El Estado Funcional Del Sistema Estomatognático. 2018;22(1):53–63. Available from: http://scielo.sld.cu/scielo. php?script=sci_arttext&pid=S1029-30432018000100007

2. Alhammadi MS, Halboub E, Fayed MS, Labib A, El-Saaidi C. Global distribution of malocclusion traits: A systematic review. Dental Press J Orthod. 2018;23(6):e1–10.

3. Zhang M, McGrath C, Hägg U. The impact of malocclusion and its treatment on quality of life: A literature review. Int J Paediatr Dent. 2006;16(6):381–7.

4. Proffit WR. Forty-year review of extraction frequencies at a university orthodontic clinic. Angle Orthodontics. 1994;407–14.

5. Dayanis Marín Herrera D, Dailín Castiñeira López D, Lizandro Michel Pérez García D, Reytor Saavedra E. Extracciones dentarias terapéuticas en Ortodoncia y variables del envejecimiento facial. 2019;

6. Colomé G, Pérez L, Gómez A. Extracción atípica en Ortodoncia, reporte de un caso clínico. Rev Odontol Latinoam. 2009;1(2):57–62.

7. Serna CM, Silva R. Características de la oclusión en niños con dentición primaria de la Ciudad de México. Revista de la Asociación Dental Mexicana [Internet]. 2012;62:8. Available from: https:// www.medigraphic.com/pdfs/adm/od-2005/od052b.pdf

8. Harrison D. Investigations in Sex Estimation, An Analysis of Methods Used for Assessment. Vol. 1st Editio, Elsevier. Elsevier; 2018. 448 p.

9. ANDREWS LF. Six keys normal occlusion Andrews. 1972.

10. Harris JE, Kowalski CJ. All in the family: Use of familial information in orthodontic diagnosis, case assessment, and treatment planning. Am J Orthod. 1976;69(5):493–510.

Turn static files into dynamic content formats.

Create a flipbook
Issuu converts static files into: digital portfolios, online yearbooks, online catalogs, digital photo albums and more. Sign up and create your flipbook.