Revista 196 | Diciembre 2024

Page 1


CALIDAD Y DIRECCIÓN

IETO Instrumento de Evaluación del Tratamiento Ortodóntico Exitoso en Paciente clase I esqueletal

ENCICLOPEDIA

ODONTOLÓGICA

Implantes cortos vs. elevación de seno. Valoración de ambas técnicas a boca partida en un paciente con enfermedad periodontal agresiva

CASO CLÍNICO

Odontoma. Reporte de dos casos clínicos

INVESTIGACIÓN CLÍNICA

Cambios de color en módulos de ortodoncia expuestos a bebidas pigmentantes.

Estudio in vitro

ESTUDIO

Riesgo de pérdida de dientes con cuidado periodontal de apoyo

Tipo de cambio

preferencial

Fijo durante todo el mes

¿Quieres elevar tu Digitaliza tu clínica

Financiamiento directo ��,��, ��, �� y �� meses sin intereses

Garantía hasta

Única mercado

tu práctica dental? clínica

con

Garantía de �� años

nica en el mercado

Te damos obsequios

En compras de equipos �D y �D

N° � en Innovación digital Cobertura internacional México y LATAM (menos brasil)

No importa la marca, modelo o antigüedad*

Para que adquieras Equipo �D totalmente nuevo

Conoce la línea de

•Diseño ultra delgado, sólo �.�MM

•Más comodo, esquinas redondas

•Alta Resolución:

Classic �� lp y HD ��.��lp

•Ligero (��� gr.)

•Rápido (�� seg. para una arcada completa)

•Puntas rotables y esterilizables

•Lente asférica para menos distorsión

•Mayor estabilidad y definición

•Tecnología CNT (Carbon Nano Technology)

•Ligero y ergonomico

•Con posicionamiento SMART

¿Tienes un equipo �D análogo o digital y quieres elevar tu práctica dental?

Ligero

Posicionamiento Smart Imagen Precisa

•�er bloque de zirconio totalmente sinterizado

•Discos de zirconia con excelente translucidez

•Alta resistencia

No importa la marca, modelo o antigüedad*

de equipos

Equipos 3D

Equipos 2D

Tu socio en el éxito digital

Tu socio en el éxito digital

•Pano + Ceph

•Escaneo rápido y de alta calidad

•Software intuitivo

Tomógrafo digital

Incorpora Pano, Ceph y CBCT

•Reduce las dosis de radiación

•Garantía de �� años

•Equpos multi FOV

¡SU LABORATORIO DENTAL DE CONFIANZA!

50% descuento en su primer caso

• Combinación óptima de resistencia y estética.

Una alternativa estética para las restauraciones de oro y Metal

Porcelana con oclusal metálico. Vitalidad natural, diseñada para el área anterior y posterior.

• Cuatro veces más fuerte y dos veces más resistente al astillamiento que la porcelana Ceramco®3

Ideal para coronas y puentes en cualquier parte de la arcada, y restauraciones en la zona estética.

Fabricada con materiales

• Estética y alta resistencia Aplicaciones versátiles y amplia gama de indicaciones Preparación mínimamente invasiva y cementación adhesiva

Envíos GRATIS a todo México
Obsidian® Fusionado con Metal
IPS e.max
BruxZir Zirconia
IPS e.max es una marca registrada de Ivoclar Vivadent.
AÑOS REEMPLA ZO GRATIS GARANTÍA D E GLIDEWELL
Dra. Nadia Rodriguez

Da la bienvenida a la nueva Tecnología de Equipos con Pantalla Táctil Inteligente!!!

Disponible en: MONTAJE A PARED

Medical Systems, se adelanta a los tiempos, presentando una nueva generación de Equipos de Radiodiagnóstico Intra-oral con la funcionalidad que le ofrece la última Tecnología en Pantallas Táctiles Inteligentes, que se configuran sin necesidad e memorizar instrucciones, y con opciones que NO se encuentran en otros equipos.

Tiempos de expo sición Pre-programados compensados por variaciones de voltaje de la línea de suministro. Contador de exposiciones. ersonalización de los tiempos de exposición Pre-programados. Monitoreo del voltaje de alimentación del equipo y protección por variaciones de voltaje en la línea de suministro.

CORIX® 70 PLUS-USV-WM-TS

BASE MOVIL

CORIX® 70 PLUS USV-MM-TS

A Division of CORIX MEDICAL SYSTEMS® Lauro Villar No. 94-B, 02440, México, CDMX

Tels:+52 55 5394 1192 +52 55 5394 1199 56 2571 9826 www.corix.us http://www.facebook.com/CORAMEXSA sales@corix.us repre.ventas@corix.us

Diciembre 2024

Del 6 al 10 de noviembre, se llevó a cabo la 79 EXPO AMIC en el WTC de la CDMX. Como siempre, acudieron miles de profesionistas de la odontología y personas relacionadas con nuestra profesión para enterarse de las novedades técnicas y científicas, escuchar pláticas, así como el adquirir equipo o material nuevo para sus consultorios. Lo novedoso de este año fue que se expandió la EXPO AMIC y ahora hubo mayor número de stands de fabricantes y distribuidores de equipos y material odontológico.

Termina un año más, y deseamos que todos nuestros amigos y colaboradores hayan cumplido con las metas que se propusieron para este 2024. Esperamos sobre todo, que terminen este año con mucha salud, para que tengan toda la energía necesaria y tener un buen inicio de año.

De parte de la familia de la revista Dentista y Paciente, les enviamos un gran abrazo y les deseamos una feliz Navidad, en compañía de sus seres queridos.

¡A seguirse cuidando!

Mtro. Carlos Adolfo Espinosa García Especialidad en Odontología Legal y Forense Maestría en Odontología

Te desea

10 | CALIDAD Y DIRECCIÓN

IETO Instrumento de Evaluación del Tratamiento Ortodóntico Exitoso en Paciente clase I esqueletal

24 | ENCICLOPEDIA ODONTOLÓGICA

Implantes cortos vs. elevación de seno Valoración de ambas técnicas a boca partida en un paciente con enfermedad periodontal agresiva

42 | CASO CLÍNICO

Odontoma. Reporte de dos casos clínicos

Editorial Renascence S.A. de C.V.

Directora editorial

Patricia López Guerra patricia.lopez@dentistaypaciente.com

Jaime Francisco Martínez Aceves† jmartinez@dentistaypaciente.com

Directora Editorial

Mariangel Martínez López mmartinez@dentistaypaciente.com

Director de Arte y Diseño

Jesús Salas Pérez jesasez@dentistaypaciente.com

Coordinador Editorial

Marco A. Vergara Salgado marversa@dentistaypaciente.com

Ejecutivos Comerciales y de Negocios

Carlos Martínez García, Gabriela Dolorez Ocadiz, Edson Aarón Hernández

Producción y Circulación

Edson Aarón Hernández

Fotografía e Ilustraciones

Editorial Renascence Suscripciones

Edson Aarón Hernández

Preprensa e Impresión

Offset Impresión Creativa S.A de C.V.

Distribución

Comercializadora GBN S.A. de C.V.

Calzada de Tlalpan #572, desp. C-302, col. Moderna

Contabilidad y Administración

L. C. y E. F. Renato Muñoz

director científico

Dr. Carlos Espinosa García Especialista en Odontología Legal y Forense consejo editorial

Dr. Francisco Javier Diez de Bonilla Calderón

Catedrático de la F.O de la UNAM

Dr. Francisco Magaña Moheno

Centro de Especialidades Odontológicas

Javier Portilla Robertson

Exdirector de la Facultad de Odontología de la UNAM

Especialista en Patología Bucal

Contenido

C.D.E.O. Arturo Alvarado Rossano†

Profesor y Especialista en Ortodoncia y Ortopedia Craneofacial en la Facultad de Odontología. UNAM. Asesor Académico y Coordinador de Difusión de la AMOCOAC.

C.D. Manuel García Luna y González Rubio

Dra. Ana Gabriela Carrillo Varguez

Coordinadora de la especialidad en endodoncia UABC Tijuana. Coordinadora de Investigación y Posgrado F.O. UABC

M.C. Ernestina Santillana Marín

Subdirectora de CISALUD UABC

William James Maloney, D.D.S. Clinical Associate Professor New York University

universidad anáhuac méxico norte

C.D. Carlos Robles Bonilla Coordinador de la Licenciatura de Cirujano Dentista

C.D. Sergio Antonio Ojeda León Profesor Titular de Odontopediatría de la Licenciatura de Cirujano Dentista

C.D. Bernardo Grobeisen Weingersz Profesor Titular de Clínica Integral de la Licenciatura de Cirujano Dentista

C.D. Norma Ibañez Mancera.

Profesora Titular de Patología Bucal de la Licenciatura de Cirujano Dentista

Dirección del Derecho de Autor certificado de reserva al uso exclusivo no. 04-2008022718312200-102 con fecha 27 de Marzo del 2008. Gobernación de la H. Comisión Calificadora de Publicaciones y Revistas Ilustradas, certificado de licitud de contenido 5328, certificado de licitud de título 7411, franqueo pagado, publicación mensual permiso no. PP09-02106, SEPOMEX. Las opiniones expresadas en los artículos y en los anuncios publicados no significan de ninguna manera juicios, criterios, ideas o cualquier otro concepto por parte de la editorial; reflejan únicamente las ideas y pensamientos de sus autores. Los artículos, entrevistas, resúmenes, publirreportajes, fotografías y cualquier otro material son exclusivos de la editorial, y no se autoriza la reproducción total o parcial por ningún medio sin previa autorización del editor. Para cualquier asunto relacionado con suscripción, distribución, comercialización, anuncios, contenido u otro propósito, favor de dirigirse a la editorial. Impreso en MV IMPRESIONES, SA DE CV.

Dentista y Paciente® Publicación mensual correspondiente al mes de DICIEMBRE DE 2024. editada por Editorial Renascence S.A. de C.V., Rancho Jigüingo 29, Prado Coapa, Ciudad de México, 14350. tel. 56846632, fax 56793656. Distribuida en locales cerrados, depósitos dentales, universidades, congresos y exposiciones. Editora responsable: Mariangel Martínez López. Fotoarte de portada: Editorial Renascence.

distribución certificada por el padrón nacional de medios impresos de la dirección general de medios impresos de la secretaría de gobernación no. 007-136. www.gobernacion.gob.mx

54 | INVESTIGACIÓN CLÍNICA

Cambios de color en módulos de ortodoncia expuestos a bebidas pigmentantes. Estudio in vitro

62 | ESTUDIO

Riesgo de pérdida de dientes con cuidado periodontal de apoyo

IETO

Instrumento de Evaluación del Tratamiento

Ortodóntico Exitoso en paciente clase I esqueletal

Zamora Alvarado Arturo Cesáreo Mc 1

Peña Rodríguez Néstor Rafael Esp.2

Ramírez López Rubén Aarón Esp.3

Castañeda Santos Ricardo Aurelio Esp.4

Saucedo Perales Carlos Gabriel Mc.5 1,5Facultad De Odontología Unidad Saltillo. Universidad Autónoma De Coahuila. Avenida Cuquita Cepeda Dávila S/N Col. Adolfo López

Mateos Cp. 25125 Saltillo, Coahuila. México. 2,3,4Instituto Profesional Odontológico

Contemporáneo (IPOC) Boulevard Antonio Cárdenas 2505, Miravalle 25060 Saltillo, Coahuila. México. Arturozamora1@hotmail.com

Caso clínico de paciente femenina de 15 años de edad quien presentó perfil recto, clase I esqueletal, crecimiento neutro, clase I molar y apiñamiento severo. Los objetivos fueron mantener el control vertical para seguir siendo crecimiento neutro, mejorar la asimetría y estética facial, eliminar el apiñamiento, corregir ejes axiales de los dientes y conseguir clase I canina. El tratamiento consistió en extracciones de los 4 primeros premolares superiores e inferiores y aparatología ortodóntica fija MBT 22x28. La retención utilizada fue fija en la arcada inferior y removible en la superior. El caso terminado fue evaluado bajo el criterio del primer cuerpo de certificación The American Board of Orthodontics (ABO), por medio del Índice de Discrepancia para conocer los errores que afectaron el resultado final y así poder mejorar el terminado de los casos a futuro.

Palabras clave: IETO como diagnóstico

Calidad y dirección

El propósito de este artículo es presentar el caso de paciente femenina de 15 años de edad que presentó un perfil recto, una clase I esqueletal, crecimiento neutro, protrusión labial inferior, inclinación dental adecuada, apiñamiento severo y los caninos superiores en infraoclusión, y acudió a la clínica del Instituto Profesional Odontológico Contemporáneo (IPOC) en Saltillo, Coahuila, México.

Los objetivos que se plantearon fueron: control vertical para no permitir la autorrotación de la mandíbula a favor de las manecillas del reloj; dentalmente corregir la maloclusión, conservarla clase I molar, conseguir clase I canina, eliminar el apiñamiento y estéticamente y mejorar su perfil eliminando la incompetencia labial. En el tratamiento se indican extracciones de primeros premolares superiores y primeros premolares inferiores de los 4 cuadrantes, se utilizó la técnica de deslizamiento MBT pasando por las 4 fases de ortodoncia: alineación, nivelación y eliminación de rotaciones, cierre de espacios, detallado del caso y retención.

IETO (instrumento de evaluación del tratamiento ortodóntico)

El IETO es el instrumento que nos ayuda a evaluar el tratamiento ortodóntico tomando en cuenta las estructuras y medidas cefalométricas,

enfocándose a tejidos duros y tejidos blandos. Asimismo el IETO nos facilita poder llegar a un diagnóstico y un plan de tratamiento más exacto y certero de cada uno de nuestros pacientes, ya que por medio de él podemos identificar de una manera más clara y más concreta si nuestro caso es extraccionista o no y, de ser así, cuáles extracciones necesita el paciente de acuerdo a una predicción que nos proporciona dicho instrumento.

Presentación del caso

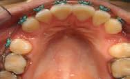
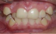
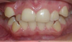
Paciente femenina de 15 años de edad que acudió a la Clínica de Ortodoncia Instituto Profesional Odontológico Contemporáneo (IPOC) en Saltillo, Coahuila, México. El motivo de su consulta fue que “quiero brackets porque sus colmillos están encimados”. Los estudios de rutina le fueron solicitados en la historia clínica SDCP. A la inspección clínica se observó paciente mesofacial, forma facial ovalada, con lado de compresión del lado derecho y lado de distracción del lado izquierdo, perfil recto, línea media facial y dental inferior no coincidían, tercio inferior aumentado, labios medianos e incompetencia labial (Figura 1).

El examen clínico intraoral reveló una clase I molar bilateral, caninos superiores en infraoclusión, por ende la clase canina no se puede clasificar, presencia de apiñamiento severo, rotaciones en premolares superiores e inferiores, línea media inferior desviada hacia el lado derecho 3.5 mm,

Figura 1. Paciente femenina 15 años de edad.

falta de coordinación de las arcadas, el arco inferior con forma cuadrada y el superior forma ovoide, el overjet de 2 mm y el overbite de 2 mm (Figura 2).

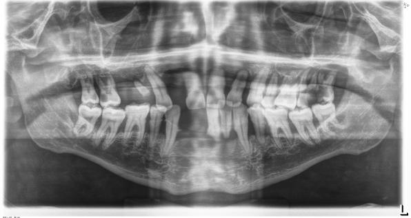
En la radiografía panorámica se observaron 28 dientes permanentes erupcionados y los gérmenes de los terceros molares, la longitud radicular es de 2:1; los senos, cóndilos y ramas mandibulares son simétricas, no presenta patologías (Figura 3).

Diagnóstico

El análisis cefalométrico reveló un perfil recto, con labios superior en norma, labio inferior protruido, clase I esqueletal, incisivos en norma y crecimiento neutro (Figura 4).

Lista de problemas

I. Tejidos blandos

• Labio inferior protruido.

Figura 2. Fotografías intraorales iniciales.
Figura 3. Radiografía panorámica inicial.

Calidad y dirección

• Lado de compresión: lado izquierdo del paciente.

• Lado de distracción: derecho del paciente.

II. Dental

• Caninos superiores en infraoclusión.

• Apiñamiento severo.

• Rotaciones en premolares superiores e inferiores.

• Línea media inferior desviada hacia el lado derecho.

• Falta de coordinación de arcadas.

III. Estético

• Incompetencia labial.

Figura 4. Lateral de cráneo inicial.
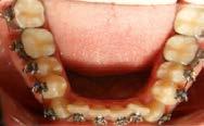
Figura 5. Alineación con arcos NiTi 0.012.

• Tercio inferior aumentado.

Objetivos

I. Esqueletal

• Mantener la clase I esqueletal.

• Mantener el crecimiento neutro.

II. Dental

• Conservar clase I molar.

• Conseguir clase I canina.

• Corregir ejes axiales de los dientes.

• Eliminar el apiñamiento.

• Eliminar rotaciones.

• Corregir líneas medias.

• Coordinar arcadas.

III. Estético

• Eliminar incompetencia labial.

• No aumentar tercio inferior.

• Corregir la asimetría facial.

• Asimetría de comisuras y cejas.

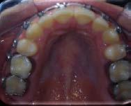
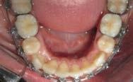
Figura 6. Postextracción y colocación de brackets MBT slot .022 × 28.
Figura 7. Ajuste 16 preposteados U/L en C.

Calidad y dirección

Tratamiento

La alineación y nivelación fue iniciada con arcos NiTi .012 (Figura 5).

Tomando en cuenta un adecuado diagnóstico por las características estéticas, edad y tipo de maloclusión se realizaron extracciones de los 4 primeros premolares; y se comenzó con el uso de brackets MBT slot 0.022x28 en abril 2014.

En diciembre de 2014, en la cita 16 para continuar con la mecánica de cierre de espacios, fueron colocados arcos de cierre 19 x 25 de acero preposteados U/L, los cuales se decide cerrar en retracción (C) (Figura 7).

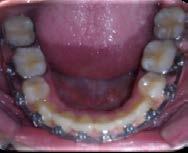
En mayo de 2016 se realizó el ajuste 33 y se colocó en la arcada inferior 19X25L para tener mayor control de tipping y torque, y en la arcada superior se colocó una cadena de 6-6 para

Figura 8. Formación del segmento superior.
Figura 9. Reubicación realizada.

El IETO es el instrumento que nos ayuda a evaluar el tratamiento ortodóntico tomando en cuenta las estructuras y medidas cefalométricas.

Figura 10. Retiro de aparatos en diciembre de 2016.

Calidad y dirección

cerrar los diastemas y tremas pequeños y así conformar y consolidar las arcadas superiores (Figura 8).

En junio de 2016 se realiza ajuste 34 Rep UR2 14X25U, entorchado 6-6 L, resinas en UL3, UR3, LL3, LR3 (Figura 9).

La paciente concluyó su tratamiento en diciembre de 2016, el tratamiento activo duró 3 años. La retención elegida fue un circunferencial en superior e inferior un fijo de premolar a premolar.

Resultados

Analizar un caso clínico implica hacer un estudio comparativo entre las condiciones que presenta la paciente con los parámetros considerados

normales. Un apoyo para la evaluación del caso fue The American Board of Orthodontics ABO reconocida por la ADA como el cuerpo de certificación oficial de especialistas en ortodoncia. Fue fundada en 1929, iniciada por el Dr. Albert Ketcham y varios colegas. La misión es establecer y mantener altos estándares de la excelencia clínica en ortodoncia. El ABO centra la evaluación en los modelos de yeso por medio del índice de discrepancia y sigue los siguientes criterios:

• Alineación y rotaciones.

• Crestas marginales.

• Inclinación bucolingual.

• Overjet.

• Contactos oclusales.

• Relaciones intermaxilares.

• Contactos interproximales.

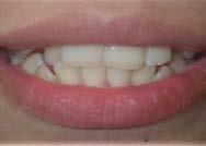
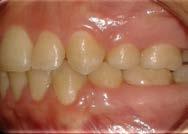
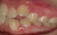
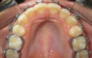
Figura 11. Fotografías intraorales finales.

Diciembre 2024

Figura 12. Antes vs. después.

Calidad y dirección

• Angulaciones radiculares.

Discusión

Han sido utilizados diferentes métodos de acción y plan de tratamiento para pacientes con estas características, pero no cabe duda que la mejor manera de atención de este tipo de pacientes que presentan perfil recto, clase I esqueletal, crecimiento neutro y proinclinaciones adecuadas pero con apiñamiento excesivo es hacer extracciones de primeros premolares superiores y primeros premolares inferiores, ya que cualquiera podría pensar que como casi todos los valores están en norma y buena relación el caso sería sin extracciones.

Pero si no se hubieran realizado las extracciones no habría espacio en las arcadas para acomodar los dientes y se terminaría proinclinando y de

La evaluación del caso por medio de radiografías y los requisitos del ABO después de retirar los aparatos son útiles para evaluar el éxito o fracaso del tratamiento y mejorar los casos a futuro

esta misma manera los labios se protruirían. He aquí la importancia del IETO que nos ayuda a poder elegir el mejor plan de tratamiento para todos nuestros pacientes.

En el trabajo titulado “Seis llaves para la oclusión normal”, Andrews8 describe los 6 factores que consideró como una oclusión normal, la segunda menciona que la inclinación coronaria adecuada requiere un espacio mesiodistal mayor que cuando está inclinado, y la cuarta dice que no deben existir rotaciones dentarias, los molares y premolares rotados ocupan más espacio de lo normal en la arcada. Esta es la razón que no permitió que los caninos ocluyeran en clase I, porque los premolares superiores presentaron rotaciones y la corona del canino por falta de ese espacio quedó inclinada. En el análisis del ABO donde encontramos más puntos en contra, fue en los segundos molares, cuyo error consistió en no bandearlos, ya que esto pudo haber mejorado la alineación de las arcadas.

Conclusiones

Al realizar las extracciones adecuadas el apiñamiento se libera hacia el espacio de extracción y de esta manera

Figura 12. Antes vs. después. (Continuación)

los caninos que se encontraban en infraoclusión terminan bajando a su posición y nos permiten engranar la clase I canina molar de ambos lados conservando la clase I molar bilateral, conservando también el perfil recto, la clase I esqueletal, el crecimiento neutro y manteniendo en norma la proyección incisal y la correcta posición de los labios.

La evaluación del caso por medio de radiografías y los requisitos del ABO después de retirar los aparatos son útiles para evaluar el éxito o fracaso

del tratamiento y mejorar los casos a futuro; pero resulta útil comprobar la evaluación en los modelos de progreso tomados en las fases finales y antes de retirar los aparatos, ya que si son detectados algunos defectos se está a tiempo de corregirlos. El Ortodoncista capacitado y la cooperación del paciente son factores que determinan el éxito de un tratamiento; aun así, no siempre se pueden lograr los objetivos, ya que existen procesos biológicos ajenos al control del ortodoncista, por ejemplo el crecimiento que pueden perjudicar los resultados.

Referencias

1. McLaughlin, Benett y trevisi Mecanica sistematizada del tratamiento ortodontico MBT

2. Arnett, McLaughlin Planificacion facial y dental para ortodoncistas y cirujanos orales.

3. Jorge Gregoret. Tratamiento de Arco Recto

4. Moyers. Manual de ortodoncia para el estudiante y odontólogo general 3a ed. Argentina: Mundi; 1976.

5. Proffit WR. Ortodoncia contemporánea. Teoría y práctica. 3ed. España: Harcourt; 2001: 347

6. Nanda. temporary anchorage devices orthodontics

7. Leopoldino Capeloz Diagnostico en ortodoncia

Implantes cortos vs. elevación de seno

Valoración de ambas técnicas a boca partida en un paciente con enfermedad periodontal agresiva

Implantes cortos vs. elevación de seno

Eduardo Anitua DDS, MD, PhDr Private practice in oral implantology, Eduardo Anitua Institute, Vitoria, Spain. Clinical researcher, Eduardo Anitua Foundation, Vitoria, Spain. University Institute for Regenerative Medicine and Oral Implantology - UIRMI (UPV/EHU-Fundación Eduardo Anitua), Vitoria, Spain.

Corresponding author: Dr. Eduardo Anitua, Eduardo Anitua Foundation; C/ Jose Maria Cagigal 19, 01007 Vitoria, Spain; Phone: +34 945160653, e-mail: eduardo@ fundacioneduardoanitua.org

1 y

del

En las imágenes tomadas en la primera visita podemos ver la gran pérdida de

La enfermedad periodontal agresiva fue descrita en el consenso de periodontología de 1999 como una afección que afecta a personas jóvenes sin otras patologías subyacentes con un historial familiar de periodontitis. Se caracteriza por una pérdida rápida y significativa de la inserción dental y el hueso en un periodo de tiempo relativamente corto.1-3

Dado que impacta a pacientes jóvenes, provoca una destrucción ósea severa a edades tempranas, lo que complica el tratamiento, tanto en términos de estética como de funcionalidad. A pesar de los avances recientes en muchos campos de la odontología, este tipo de patología sigue sin tener un tratamiento curativo, existiendo únicamente tratamientos enfocados a frenar el progreso de la enfermedad, al tratamiento paliativo de sus síntomas o a la extracción de las piezas afectadas

con gran pérdida de soporte.4-5 Por lo tanto, los pacientes que padecen esta enfermedad suelen ser candidatos a tratamientos de rehabilitación para reemplazar las piezas dentales perdidas. Tradicionalmente, estas reposiciones se realizaban mediante prótesis removibles o prótesis fijas apoyadas en dientes naturales. Sin embargo, en la actualidad, los implantes dentales se han convertido en la opción de tratamiento más solicitada por este grupo de pacientes. 5-6 En cuanto al plan de tratamiento integral para los pacientes con periodontitis, sobre todo las agresivas, que se dan en pacientes de menor edad, existen diferentes enfoques sobre la rehabilitación con implantes. Algunos estudios abogan por mantener los dientes que puedan ser salvados, siempre que no comprometan la rehabilitación con implantes, mientras que otros recomiendan extraerlos para evitar efectos adversos sobre los implantes.7-11 En pacientes con periodontitis agresiva, la

Figuras
2. Situación inicial
paciente.

Implantes cortos vs. elevación de seno

conservación de ciertos dientes puede resultar beneficiosa, sobre todo considerando que las rehabilitaciones con implantes deben permanecer viables durante muchos años y pueden verse afectadas por factores que causen pérdida ósea o alteraciones en los tejidos blandos periimplantarios. Se ha demostrado en el metaanálisis publicado por Sgolastra y cols.,6 que

los pacientes con periodontitis tienen un riesgo mayor (estadísticamente significativo) de fracaso de implantes que en los pacientes que no presentan EP previa a la inserción de los mismos (RR: 1.69 para el grupo de EP con IC 95%, p<0,0001). De este modo, mantener dientes clave puede representar una ventaja en estos casos.11-16 Ademas, debemos tener en

inserción de los dientes, el mal control de la placa bacteriana por parte del paciente y la prótesis inferior desadaptada.

Figura 3. Radiografía panorámica del paciente donde observamos la pérdida ósea ocasionada por la periodontitis agresiva y los dientes que se encuentran con el único sostén de los tejidos gingivales como los del frente anterior. Además, vemos cómo los molares de ambos cuadrantes superiores deben ser extraídos por presentar un mal pronóstico desde el punto de vista periodontal y restaurador.

4. Radiografía tras las exodoncias y regeneración de los alveolos con PRGFEndoret y la colocación de las prótesis provisionales sobre diente con el tallado de los caninos utilizándose como pilares.

consideración que cuando la patología periodontal avanza, se genera una pérdida ósea que produce una atrofia ósea marcada, lo que a su vez produce que la rehabilitación posterior con implantes sea más compleja, por lo que para estas situaciones, poder disponer de diferentes técnicas quirúrgicas e implantes de distintos

diámetros y longitudes que nos permitan un abordaje más conservador de la zona a tratar son diferenciales, así como el tratamiento concomitante de las zonas edéntulas y las zonas con EP activa para lograr un buen resultado final que satisfaga al paciente y al profesional.17-18 Para el abordaje de la pérdida de altura ósea

Figura

Implantes cortos vs. elevación de seno

en el sector posterior, clásicamente se han empleado 2 técnicas: la elevación de seno tradicional o convencional (mediante ventana lateral) y modificaciones llevadas a cabo a través de la cresta (transcrestales), más

conservadoras y más extendidas en la actualidad en rebordes óseos que presenten al menos 3-4 mm de altura residual.19,20 Aunque cada uno de estos procedimientos tiene indicaciones clínicas bien definidas según

Figuras 5 y 6. Imágenes intraorales de las prótesis provisionales cementadas sobre diente natural.

de 5.5 mm de altura anclado tridimensionalmente en la cresta.

Figura 8. Altura del reborde óseo en el segundo cuadrante donde tenemos menos de 1 mm de hueso residual, con una zona incluso donde se pierde la integridad de la cortical ósea, existiendo únicamente mucosa que separa el seno de la cavidad oral.

la altura ósea residual, la comparación de ambas técnicas en pacientes con casos más complejos, como aquellos que padecen periodontitis agresiva, puede resultar especialmente relevante.20-21 En este caso clínico, mostramos la evolución a lo largo del tiempo de 2 técnicas diferentes (elevación de seno convencional y transcrestal) aplicadas en un mismo

paciente con periodontitis agresiva.

Se ha realizado un seguimiento de los implantes colocados mediante ambos procedimientos, bajo las mismas condiciones clínicas, lo que permite comparar su comportamiento en el mismo paciente con el paso del tiempo y extraer conclusiones sobre el comportamiento de los 2 protocolos de tratamiento.

Figura 7 Cone-beam de control de la zona más distal del primer cuadrante donde se planifica un implante extracorto

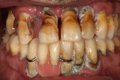
Presentamos el caso de un paciente de 35 años, fumador, con enfermedad periodontal agresiva en fase avanzada y un deficiente control de la higiene oral. El paciente acude a nuestro centro solicitando un tratamiento restaurador con implantes dentales, tras haber experimentado varios fracasos con prótesis removibles previas. Durante la exploración intraoral, se observa periodontitis avanzada, con una significativa pérdida de inserción en la mayoría de los dientes, un control inadecuado de la placa bacteriana, y una prótesis removible mal ajustada anclada a dientes con movilidad (Figura 1 y 2). En la radiografía panorámica inicial podemos constatar la gran pérdida ósea horizontal, en todas las piezas dentales, con algunas de ellas ancladas únicamente en el tejido gingival. Además vemos también en la imagen

cómo existen varias piezas dentales con pronóstico dudoso con grandes caries con afectación radicular que deben ser extraídas, como los molares de los sectores posteriores maxilares, tanto derecho como izquierdo (Figura 3).

En la primera fase de tratamiento, se procede a la extracción de las piezas dentales con un pronóstico irrecuperable, regenerando los alveolos con PRGF-Endoret. Además, se decide conservar dientes clave en ambos arcos, que servirán para la colocación de prótesis provisionales apoyadas en ellos durante la fase inicial de cicatrización tras las extracciones, permitiendo también el mantenimiento de la propiocepción. En este proceso, se preservan los caninos superiores e inferiores, que son preparados para soportar la prótesis provisional, junto con 2 molares inferiores (37 y 46) que presentan buen pronóstico.

Figura 9. Planificación en el conebeam postintegración del injerto óseo de la elevación de seno lateral.

Caso clínico

Para elaborar la planificación de los implantes a colocar se realiza en primera instancia un TAC, observándose en el mismo que existe un déficit de altura en todo el maxilar superior.

Todos los dientes conservados reciben un mantenimiento periodontal riguroso (Figura 4-6). Transcurridos 2 meses, comenzamos con la rehabilitación del maxilar superior mediante implantes. Durante este tiempo se lleva a cabo la inserción y rehabilitación provisional mediante prótesis de carga inmediata de la mandíbula. Para elaborar la planificación de los implantes a colocar se realiza en primera instancia un TAC, observándose en el mismo que existe un déficit de altura en todo el maxilar superior, siendo más acusada la atrofia en altura en la zona de los molares. En el primer cuadrante, tenemos una altura ósea de 5.5 mm por lo que podemos planificar la colocación de un implante extracorto (5.5 mm de longitud y 5.5 mm de diámetro) con elevación de seno transcrestal (Figura 7). En el segundo cuadrante, existe una atrofia ósea en altura mucho mayor con menos de 1 mm de altura, existiendo áreas donde se produce una ruptura

Figura 10. Prótesis de carga progresiva superior elaborada mediante las barras articuladas atornillada a los implantes a través de los transepiteliales.

Implantes cortos vs. elevación de seno

en la continuidad de este reborde óseo, por lo que la mejor alternativa terapéutica es la realización de una elevación de seno mediante abordaje lateral (convencional) (Figura 8).

Transcurridos 6 meses desde la elevación de seno convencional, ya podemos llevar a cabo la colocación de los implantes, una vez madurado el injerto óseo. En el cone-beam de control realizado en este momento,

observamos cómo tenemos altura ósea suficiente para su inserción y optamos por la colocación de un implante de 7.5 mm de longitud y 5.5 mm de diámetro (Figura 9). El uso de este diámetro nos asegura una estabilización tridimensional óptima en el lecho receptor, minimizando la aparición de micromovimientos durante la fase de integración. En cuanto a la longitud del implante, aunque sería viable utilizar uno más

Figuras 11 y 12. Prueba del encerado en el paciente y diseño para el fresado por CAD-CAM de la estructura de la prótesis.

Adulto Adulto Infantil

largo, no lo consideramos necesario. Con una longitud de 7.5 mm es suficiente para garantizar un comportamiento biomecánico estable a largo plazo, además de que esta opción nos permite ser más conservadores con el lecho óseo neoformado receptor. En esta misma fase quirúrgica se realiza la segunda cirugía de los implantes del primer cuadrante colocados mediante la elevación transcrestal en

la fase quirúrgica previa y se cofecciona una prótesis de carga progresiva, aún sin englobar el implante colocado en la elevación de seno del segundo cuadrante. La prótesis se confecciona sobre transepiteliales, atornillada y se elabora con barras preformadas, por lo que puede generarse pocas horas después de la segunda fase y la toma de medidas. En este momento se decide la exodoncia de los caninos

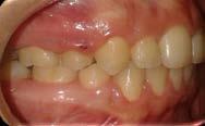
14 y 15. Imágenes inicial y tras el seguimiento de 4 años del paciente. Vemos

Figura 13. Radiografía tras la colocación de las prótesis definitivas en el paciente.
Figuras

superiores e inferiores, ya que han empeorado periodontalmente. (Figura 10).

La prótesis de carga progresiva superior, se mantiene durante 5 meses. Posteriormente, con el patrón oclusal estable se procede a la carga del último implante del segundo cuadrante (el insertado en la elevación de seno convencional) y se realiza la prótesis definitiva. Para la realización de esta prótesis, se confecciona un encerado que puede ser probado en boca y una vez ajustado puede ser escaneado para la confección digital de la prótesis. La estructura se diseña y se

y 12).

Las prótesis tanto para los implantes colocados en el primer cuadrante (elevación transcrestal) como para el segundo cuadrante (elevación convencional), son confeccionads con una estructura metálica fresad por CAD-CAM con la adición final de la cerámica de forma tradicional y se dividen en 3 sectores (posterior derecho, central y posterior izquierdo). Finalmente, solo pueden ser conservados los molares inferiores, pero son suficientes para que aporten al paciente una propiocepción

cómo ha cambiado completamente la oclusión, la estética y la salud de los tejidos gingivales.

Los tratamientos con implantes son una de las opciones terapéuticas más empleadas en la odontología para la sustitución de dientes perdidos, aunque en casos como la enfermedad periodontal sobre todo la agresiva, se ha puesto en duda que sean la mejor opción de tratamiento, al poder tener un mayor riesgo de fracaso derivado de la patología infecciosa.

fresa a través de CAD-CAM (Figura 11

16. Radiografía a los 4 años de seguimiento con el mantenimiento de la estabilidad del tratamiento.

correcta en los movimientos masticatorios. Mantener piezas dentales nos posibilita la consecución de una propiocepción efectiva y aumenta del valor que tiene para un paciente desde un punto de vista psicológico la conservación de parte de su dentición natural.15-16,22 Una vez finalizada la rehabilitación protésica, el paciente continúa en seguimiento activo, con mantenimiento periodontal y periimplantario, inicialmente cada 3 meses y posteriormente al año de seguimiento espaciando las visitas de control cada 6 meses. Durante todo el seguimiento (4 años) la estabilidad ósea entorno a los implantes dentales, se mantiene estable, así como en los molares remanentes (Figura 13-16). Ambas técnicas por lo tanto (elevación transcrestal y elevación de seno convencional) han obtenido un resultado muy similar por lo tanto en el paciente reportado, con EP

agresiva, siendo buenas opciones de tratamiento, aunque cada una con sus indicaciones en función del volumen óseo residual como hemos comentado en el inicio del artículo.

Discusión

Los tratamientos con implantes son una de las opciones terapéuticas más empleadas en la odontología para la sustitución de dientes perdidos, aunque en casos como la enfermedad periodontal sobre todo la agresiva, se ha puesto en duda que sean la mejor opción de tratamiento, al poder tener un mayor riesgo de fracaso derivado de la patología infecciosa.23-25 El abordaje de casos con enfermedad periodontal agresiva con implantes es un reto, sobre todo por la edad de los pacientes y las posibles exigencias estéticas, encontrándonos en muchos casos con pérdidas óseas

Figura

generalizadas de partida y la necesidad de exodoncias múltiples como el caso reportado en este artículo. El uso de PRGF-Endoret® en la regeneración del alveolo postextracción nos aporta ventajas como la reducción de la inflamación postoperatoria, una mejor epitelización (más rápida y con un mayor grosor gingival), una mayor regeneración ósea en la zona tratada y un hueso regenerado de mayor calidad y densidad. Por lo tanto, es una técnica autóloga, predecible y sin complicaciones derivadas de su uso por lo que podemos considerar que es una técnica segura.26-30

Cuando tenemos un sector maxilar posterior atrófico, las 2 técnicas más empleadas para su rehabilitación con implantes dentales en la actualidad son la elevación crestal y la elevación de seno convencional. Ambos procedimientos tienen elevadas tasas de éxito, cifradas en el 98% para la elevación convencional y cifras entre el 89 y el 100% para la elevación crestal.31-33 Realizar estos procedimientos en pacientes afectados por EP agresiva podría hacernos pensar en una mayor tasa de fracaso en los implantes, pero la literatura internacional

nos dice que cuando se insertan bajo cuidadosos protocolos diagnósticos y posteriormente se lleva una estricto mantenimiento periodontal y periimplantario pueden ser una alternativa de tratamiento con la misma predictibilidad que en pacientes sin patología periodontal previa.2,5-7,10,15 En este caso, se han colocado implantes dentales en 2 situaciones complejas, como son los sectores posteriores maxilares con reabsorción ósea moderada-severa. Tanto los implantes colocados mediante la elevación transcrestal como los insertados tras la elevación de seno convencional han obtenido buenos resultados en el seguimiento llevado a cabo en el paciente. Además, intentamos mantener la tendencia actual para este tipo de pacientes de mantener el máximo tiempo posible el máximo número de dientes, por ello, que nuestros tratamientos con implantes sean reversibles en este tipo de situaciones tan dinámicas tienen un punto de mayor importancia, pero llegados al punto de movilidad elevada de los caninos tuvieron que ser extraídos.17 Por último, en el paciente con EP, el control, la adhesión al tratamiento y los hábitos de conducta son clave

Los pacientes con EP agresiva, como el presentado en este caso clínico, pueden beneficiarse de técnicas de implantes y de rehabilitación del maxilar atrófico en sentido vertical como la elevación de seno tradicional y la inserción de implantes transcrestales.

para que los tratamientos realizados tanto en diente natural como sobre implante tengan un buen resultado a lo largo del tiempo.17-22

Conclusiones

Los pacientes con EP agresiva, como el presentado en este caso clínico, pueden beneficiarse de técnicas de

implantes y de rehabilitación del maxilar atrófico en sentido vertical como la elevación de seno tradicional y la inserción de implantes transcrestales. Ambas técnicas en esta situación han resultado igual de favorables para este paciente, siguiéndose los protocolos y secuencias de tratamiento descritas en el artículo.

Implantes cortos vs. elevación de seno

Referencias

1. Bäumer A, Weber D, Staufer S, Pretzl B, Körner G, Wang Y. Tooth loss in aggressive periodontitis: Results 25 years after active periodontal therapy in a private practice. J Clin Periodontol. 2020 Feb;47(2):223-232.

2. Armitage, G. C. (1999). Development of a classification system for peri- odontal diseases and conditions. Annals of Periodontology, 4, 1–6.

3. Lang, N., Bartold, P. M., Cullinan, M., Jeffcoat, M., Mombelli, A., Murakami, S., ... Van Dyke, T. (1999). Consensus report: Aggressive periodontitis. Annals of Periodontology, 4, 53–53.

4. Bussac G. Periodontal disease: Part II--Treatment strategies. Pract Periodontics Aesthet Dent. 1999 Mar;11(2):216-8, 220, 222 passim.

5. Cortellini P, Stalpers G, Mollo A, Tonetti MS. Periodontal regeneration versus extraction and dental implant or prosthetic replacement of teeth severely compromised by attachment loss to the apex: A randomized controlled clinical trial reporting 10-year outcomes, survival analysis and mean cumulative cost of recurrence. J Clin Periodontol. 2020 Jun;47(6):768-776.

6. Sgolastra F, Petrucci A, Severino M, Gatto R, Monaco A. Periodontitis, implant loss and peri-implantitis. A meta-analysis. Clin Oral Implants Res. 2015 Apr;26(4):e8-e16.

7. Chrcanovic BR, Albrektsson T, Wennerberg A. Periodontally compromised vs. periodontally healthy patients and dental implants: a systematic review and meta-analysis. J Dent. 2014 Dec;42(12):1509-27.

8. Ivanovski S, Lee R. Comparison of peri-implant and periodontal marginal soft tissues in health and disease. Periodontol 2000. 2018 Feb;76(1):116-130.

9. Slots J. Periodontitis: facts, fallacies and the future. Periodontol 2000. 2017 Oct;75(1):7-23.

10. Amerio E, Mainas G, Petrova D, Giner Tarrida L, Nart J, Monje A. Compliance with supportive periodontal/peri-implant therapy: A systematic review. J Clin Periodontol. 2020 Jan;47(1):81-100.

11. Clark D, Levin L. In the dental implant era, why do we still bother saving teeth? Dental Traumatology. 2019;35:368–375.

12. Greenstein G, Cavallaro J Jr, Tarnow D. Dental implants in the periodontal patient. Dent Clin North Am. 2010 Jan;54(1):113-28.

13. Curtis DA, Sharma A, Finzen FC, Kao RT. Occlusal considerations for implant restorations in the partially edentulous patient. J Calif Dent Assoc. 2000 Oct;28(10):771-9.

14. Taylor TD, Wiens J, Carr A. Evidence-based considerations for removable prosthodontic and dental implant occlusion: a literature review. J Prosthet Dent. 2005 Dec;94(6):555-60.

15. Meyer G, Fanghänel J, Proff P. Morphofunctional aspects of dental implants. Ann Anat. 2012 Mar 20;194(2):190-4.

16. Hsieh WW, Luke A, Alster J, Weiner S. Sensory discrimination of teeth and implant-supported restorations. Int J Oral Maxillofac Implants. 2010 Jan-Feb;25(1):146-52.

17. Livingstone D, Murthy V, Reddy VK, Pillai A. Prosthodontic rehabilitation of a patient with aggressive periodontitis. BMJ Case Rep. 2015 Mar 5;2015:bcr2014204588.

18. Boardman N, Darby I, Chen S. A retrospective evaluation of aesthetic outcomes for single-tooth implants in the anterior maxilla. Clin Oral Implants Res. 2016 Apr;27(4):443-51.

19. Stern A, Green J. Sinus lift procedures: an overview of current techniques. Dent Clin North Am. 2012 Jan;56(1):219-33, x.

20. Danesh-Sani SA, Loomer PM, Wallace SS. A comprehensive clinical review of maxillary sinus floor elevation: anatomy, techniques, biomaterials and complications. Br J Oral Maxillofac Surg. 2016 Sep;54(7):724-30.

21. Cruz RS, Lemos CAA, Batista VES, Oliveira HFFE, Gomes JML, Pellizzer EP, Verri FR. Short implants versus longer implants with maxillary sinus lift. A systematic review and meta-analysis. Braz Oral Res. 2018;32:e86.

22. Checchi L, Montevecchi M, Gatto MR, Trombelli L. Retrospective study of tooth loss in 92 treated periodontal patients. J Clin Periodontol. 2002 Jul;29(7):651-6.

23. Mengel R, Schröder T, Flores-de-Jacoby L. Osseointegrated implants in patients treated for generalized chronic periodontitis and generalized aggressive periodontitis: 3- and 5-year results of a prospective long-term study. J Periodontol. 2001 Aug;72(8):977-89.

24. De Boever AL, Quirynen M, Coucke W, Theuniers G, De Boever JA. Clinical and radiographic study of implant treatment outcome in periodontally susceptible and non-susceptible patients: a prospective long-term study. Clin Oral Implants Res. 2009 Dec;20(12):1341-50.

25. Yalcin S, Yalcin F, Gunay Y, Bellaz B, Onal S, Firatli E. Treatment of aggressive periodontitis by osseointegrated dental implants. A case report. J Periodontol. 2001;72:411–416.

26. Anitua E, Andia I, Ardanza B, Nurden P, Nudern AT. Autologous platelets as a source of proteins for healing and tissue regeneration. Thromb Haemost 2004;91:4-15.

27. Anitua E. Plasma rich in growth factors: preliminary results of the use in the preparation of future sites for implants. In J Oral Maxillofacial Implants 1999;14:57-63.

28. Anitua E, Orive G. Trattamento dei difetti post-estrattivi mediante la tecnología PRGF: casi clinici. Italian Oral Surgery 2010;9:115-129.

29. Anitua E, Murias-Freijo A, Alkhraisat MH, Orive G. Clinical, radiographical, and histological outcomes of plasma rich in growth factors in extraction socket: a randomized controlled clinical trial. Clin Oral Investig. 2015 Apr;19(3):589-600.

30. Anitua E, Pino A. The Management of Postsurgical Wound Complications with Plasma Rich in Growth Factors: A Preliminary Series. Adv Skin Wound Care. 2020 Apr;33(4):202-208.

31. Anitua E, Orive G, Aguirre JJ, Andía I. Five-year clinical evaluation of short dental implants placed in posterior areas: a retrospective study. J Periodontol. 2008 Jan;79(1):42-8.

32. Anitua E, Flores J, Alkhraisat MH. Transcrestal Sinus Lift Using Platelet Concentrates in Association to Short Implant Placement: A Retrospective Study of Augmented Bone Height Remodeling. Clin Implant Dent Relat Res. 2016 Oct;18(5):993-1002.

33. Huang JQ, Hu CQ, Xia X, Guo SG, Gong JM, Wei HW.(2020) [Retrospective study on transcrestal sinus floor elevation with simultaneous implantation of short implants]. Hua Xi Kou Qiang Yi Xue Za Zhi. Dec 1;38(6):667-671.

Odontoma. Reporte de dos casos clínicos

Caso clínico

Claudia Yadira de la Tejera Hernández.1

Ana Sofía Álvarez Ocampo.2

Michelle Duarte Guzmán.3

Jocelyne López Valenzuela.4

Jennifer Kassandra Aispuro Simental.5

Universidad Autónoma de Baja California. Facultad de Ciencias de la Salud. PE

Odontología. Tijuana, B.C. Sofia.alvarez@ uabc.edu.mx

1,2,3Docentes de FACISALUD. 4,5Cirujanas Dentistas FACISALUD

Los tumores odontogénicos, clasificados en benignos y malignos, derivan de tejidos dentales o sus remanentes. Los odontomas, frecuentes en niños y adolescentes son los benignos más comunes con origen mixto. La etiología incluye traumatismos, infecciones y factores genéticos. Se clasifican en compuestos y complejos, con diferencias en su radiopacidad y estructura histológica. A menudo son asintomáticos y se diagnostican por imágenes radiográficas. El tratamiento principal es la enucleación quirúrgica, a menudo complementada con ortodoncia. La precisión diagnóstica, gracias a la imagenología, es fundamental para el manejo interdisciplinario de estos casos.

Los tumores odontogénicos son patologías que se originan de tejidos dentales o sus remanentes, los cuales se pueden clasificar en benignos y malignos. Los tumores odontogénicos benignos o hemartomas según la última clasificación de la Organización Mundial de la Salud (OMS) de Lesiones Odontogénicas de la quinta edición emitida en el 2022 se dividen en; origen epitelial, mixto y mesenquimal.3-14

Un odontoma es un hemartoma mixto, es decir, constituido por células epiteliales y mesenquimatosas de los diferentes tejidos dentales. El término odontoma fue introducido en 1867 por Broca para describir un tumor de origen odontogénico de

Un odontoma es un hemartoma mixto, es decir, constituido por células epiteliales y mesenquimatosas de los diferentes tejidos dentales.

carácter benigno y crecimiento lento, formado por esmalte, dentina, cemento y algunas veces por tejido pulpar.13-19

Son los tumores con mayor frecuencia de aparición representando el 70% de todos los tumores odontogénicos benignos. Representa de 22 a 67 % de todas las neoplasias de los maxilares y constituye el 22 % de las odontogénicas, habitualmente son asintomáticos, y se diagnostican de forma casual mediante exámenes radiográficos de rutina, o bien a partir de algún signo, se pueden encontrar en cualquier edad, pero son frecuentes en niños y adolescente, como retraso de la erupción dentaria.8-9-10-11-13

La etiología de los odontomas no está del todo confirmada, sino que se pueden desarrollar a causa de traumatismos dentoalveolares en dentición temporal, procesos infecciosos, síndromes hereditarios, hiperactividad odontoblástica, mutaciones genéticas y la evolución de algún resto de Malassez.12-13

Existen diferentes formas de clasificar los odontomas, según OMS los odontomas se clasifican en compuestos y complejos. El odontoma compuesto está formado por múltiples estructuras dentarias bien diferenciadas y se localizan con mayor frecuencia en la zona anterior del maxilar sobre las coronas de los dientes no erupcionados. Los odontomas complejos son acúmulos desproporcionados de

tejido odontogénico se localizan en la zona posterior de la mandíbula.2-8

Dependiendo del grado de calcificación del odontoma, se pueden distinguir 3 estadios de desarrollo, en el primero la lesión es radiolúcida (debido a la falta de calcificación de los tejidos dentales), en el intervalo se caracteriza por una calcificación parcial y en el final el odontoma aparece radiopaco, rodeado por un halo radiolúcido. Los odontomas compuestos son lesiones uniloculares y se observan como masas radiopacas de márgenes irregulares que adoptan una configuración similar a dientes, con un borde periférico radiolúcido, puede contener pocas o muchas estructuras semejantes a los dientes en miniatura llamados dentículos, mientras los complejos muestran una radiopacidad única, sólidas, rodeadas por una delgada zona radiolúcida.4-5-7-8

Histológicamente en un odontoma encontramos tejido ectodérmico, principalmente células mesenquimatosas y epiteliales en diferentes grados de maduración.15-18

Los odontomas compuestos se distinguen por la presencia de tejidos dentales, esmalte desmineralizado, dentina, cemento y pulpa, dispuestos en forma organizada de estructuras dentales y rodeados parcialmente por una cápsula de tejido conectivo, en contraste, los odontomas complejos se observa una masa desorganizada de tejidos dentales duros. En

la periferia pueden encontrarse cordones del epitelio odontogénico y en algunas ocasiones se identifica la presencia de células fantasma, cementículos y epitelio ameloblástico.6-16

Clínicamente los odontomas pueden generar una alteración en la erupción, aunque habitualmente son asintomáticos por ello pueden pasar desapercibidos durante años, diagnosticados de forma casual mediante exámenes radiográficos de rutina, o bien a partir de algún signo, como retraso de la erupción dentaria. 1-8-17

Para el diagnóstico de un odontoma es necesario estudios de imagenología, en odontología contamos la radiografía panorámica y la tomografía computarizada, lo cual es muy necesario para determinar el tratamiento, permitiendo analizar la relación de las estructuras adyacentes.1-17

El tratamiento de elección es la enucleación quirúrgica con eliminación del tejido conjuntivo que lo rodea seguido del estudio histológico, que proporcionará el diagnóstico de certeza por la presencia de un saco fibroso de tejido conjuntivo que rodea los dentículos, constituidos en su interior por una capa central de tejido similar a la pulpa, circundada de dentina primaria y cubierta de esmalte parcialmente desmineralizado y de cemento primario. Además, en algunos casos con retención dentaria es necesario un tratamiento ortodóntico y por estos motivos es necesario un tratamiento interdisciplinario.2-3-5-20

Reporte del caso 1

Paciente de sexo femenino de edad cronológica de 4 años, sin

antecedentes patológicos aparentes, se presenta a la clínica por primera vez a revisión general; se le realizó una radiografía panorámica y se pudo observar múltiples elementos dentarios permanentes en proceso de erupción, así como un área radiopaca de densidad mixta contigua al elemento dentario 63 ubicada en el cuadrante superior izquierdo.

Interpretación radiológica

En la Figura 1.1 se observa la presencia en el sector anterosuperior derecho una imagen mixta con múltiples radiopacidades, la persistencia del canino temporal retenido

Posteriormente se le realizó a la paciente la tomografía cone-beam, y se observa un área radiopaca de densidad homogénea circunscrita de límites definidos rodeada por un borde radiopaco.

Figura 1.1.
Figura 1.2.

Se observa en la Figura 1.2 en el sector anterosuperior derecho una imagen radiográfica mixta (corte axial), con múltiples radiopacidades que adoptan una forma similar a dientes (dentículos), rodeados por un halo radiolúcido.

En el corte coronal podemos diferenciar el odontoma de los dientes permanentes. Imagen mixta hipodensa-hiperdensa irregular, circunscrita y órgano dental 23 incluido (Figura 1.3).

En el corte axial a nivel de sector anterosuperior derecho se observa una imagen radiolúcida mixta con múltiples radiopacidades en forma de dentículos rodeada de halo radiolúcido (Figura 1.4).

En el corte sagital se observa una masa radiolúcida mixta con múltiples radiopacidades en forma de dentículos bien definidos (Figura 1.5).

Figura 1.3.
Figura 1.4.

Reporte del caso 2

Paciente de sexo masculino de edad cronológica de 22 años, sin antecedentes patológicos aparentes, se presenta a la clínica. A la exploración intraoral se percata la ausencia del canino inferior derecho, se solicitó una radiografía panorámica en la que observó la lesión radiopaca compatible con un odontoma.

En la Figura 2.1 se observa el área radiopaca de densidad mixta contigua a las raíces de los órganos dentales 42 y 44, y el canino inferior izquierdo retenido en el cuerpo de la mandíbula.

En la Figura 2.2 se ve el corte coronal donde se observa la pieza dental 43 incluida en el cuerpo de la mandíbula.

En la Figura 2.3 y Figura 2.4 se observan cortes coronales de la tomografía donde se logra diferenciar el odontoma como una imagen mixta

hipodensa-hiperdensa e irregular, que asemeja a dentículos.

En la Figura 2.5 tenemos la pieza dental 43 incluida en la región anteroinferior derecha.

En la Figura 2.6 vemos el corte sagital donde se observan los dentículos del odontoma.

Discusión

En la discusión de este estudio comparativo entre odontomas compuestos y complejos, se destaca la importancia del diagnóstico imagenológico en la práctica odontológica. Las imágenes radiográficas proporcionan información crucial sobre la morfología y características internas de estos tumores odontogénicos, lo que permite una diferenciación precisa entre ambos tipos.

Además, la precisión del diagnóstico imagenológico contribuye

Figura 1.5.

significativamente a la planificación quirúrgica y al pronóstico del paciente. Al identificar la extensión y ubicación exactas del tumor, se pueden evitar complicaciones intraoperatorias y garantizar una extracción completa del odontoma, minimizando así

el riesgo de recurrencia y mejorando los resultados a largo plazo.

Es importante destacar que, aunque el diagnóstico imagenológico es una herramienta valiosa, su interpretación debe realizarse en conjunto con otros

Figura 2.1.
Figura 2.2.

hallazgos clínicos y paraclínicos con el fin de obtener un enfoque integral del caso. Además, la educación continua y la actualización en técnicas de imagenología son fundamentales para mejorar la precisión diagnóstica y el manejo óptimo de los pacientes con odontomas. En resumen, la combinación de habilidades clínicas y tecnológicas es esencial para brindar atención odontológica de calidad y mejorar los resultados del tratamiento en casos de odontomas compuestos y complejos.

Conclusión

En conclusión, el diagnóstico imagenológico desempeña un papel crucial en la distinción entre odontomas compuestos y complejos. A través de técnicas como la radiografía panorámica, la tomografía computarizada y la resonancia magnética, los especialistas pueden evaluar la morfología, el tamaño y la ubicación de estos tumores odontogénicos. En el caso del odontoma compuesto, se observa

Figura 2.3.
Figura 2.4.

una estructura más organizada y definida, compuesta por múltiples estructuras dentales rudimentarias. Por otro lado, el odontoma complejo se caracteriza por una masa amorfa con disposición caótica de tejido dental y no dental. Esta distinción es fundamental para planificar un tratamiento preciso y personalizado, que garantice la eliminación completa

del tumor y la preservación de la función y estética oral del paciente. Además, el conocimiento profundo de las características imagenológicas de cada tipo de odontoma permite a los profesionales de la odontología anticipar posibles complicaciones y brindar un pronóstico más preciso, mejorando así la calidad de vida de los pacientes.

El diagnóstico imagenológico desempeña un papel crucial en la distinción entre odontomas compuestos y complejos.

Figura 2.5.
Figura 2.6.

Referencias

1. Alves, A. D. S., Alves, J. C., Dias, M. W. G., Viana, P. A. A., Viera, E. P. A., & de Oliveira Rocha, M. (2022). REMOÇÃO DE ODONTOMA COMPOSTO: RELATO DE CASO CLÍNICO. Scientia Generalis, 3(1), 393-401.

2. Brusca, M. I., Bellossi, M. E., Ramon, A. L., Pesantez, A., Parreira, M., & Puia, S. (2022). Odontomas. Un Reto Para el Tratamiento Interdisciplinario del Paciente de Ortodoncia. Revista de la Facultad de Odontologia de la Universidad de Buenos Aires, 37(86).

3. Burgos, J. B. A., Ortiz, F. D. A., & León, G. A. L. (2022). Inclusión dentaria por un odontoma compuesto. Revista de Investigación e Información en Salud, 17(43), 107-115.

4. Centeno, M. O., Quintero, J. S. G., Torres, L. J. G., Calvillo, J. F. N., Centeno, J. E. O., Palomares, M. P., & Macías, J. F. R. (2013). Odontoma compuesto: Presentación de un caso. Revista ADM, 70(5), 258-262.

5. Cuellar-Ochoa, S. G., Meza-Rangel, B., & González-Olacio, A. (2022). Odontoma compuesto como factor de retención dentaria. Reporte de un caso. Rev Invest Clin, 2(1), 32-35.

6. de Albuquerque Hayasida, B. Odontoma composto extenso em paciente pediátrico: relato de caso.

7. Epodes Isasi, R. P., Tomé Martínez, M. J., Arrascaeta Martínez, M., & Hernández López, J. (2019). Odontoma compuesto como causa de retención dentaria. Presentación de dos casos clínicos. Multimed, 23(2), 355-363.

8. Gómez, C., & Aileén, R. (2022). Frecuencia de odontomas en radiografías panorámicas en pacientes de 15 a 35 años en un centro radiológico del distrito de Tacna en el año 2019.

9. Harris Ricardo, J., Rebolledo Cobos, M., Díaz Caballero, A., & Carbonell Muñoz, Z. (2011). Odontoma serie de casos: Revisión de literatura. Avances en Odontoestomatología, 27(1), 25-32.

10. Mayorga, C. E. N., Navas, J. M. V., & Briones, F. M. A. (2022). Método neutrosófico para la estimación de la factibilidad en el tratamiento de Odontoma Compuesto. Revista Asociación Latinoamericana de Ciencias Neutrosóficas. ISSN 2574-1101, 24, 71-78.

11. Núñez Castañeda, L., Zamorano Young, G., Moreno Seguel, M., Landaeta Mendoza, M., María de los Ángeles, F. T., & Donoso Hofer, F. (2016). Odontoma complejo erupcionado: reporte de un caso. Revista clínica de periodoncia, implantología y rehabilitación oral, 9(1), 8-12.

12. Peñafiel, D. F. C., Paz, M. B. P., & Loayza, S. A. L. (2020). Odontoma compuesto asociado a canino superior primario retenido. Reporte de caso. REVISTA ODONTOLOGÍA PEDIÁTRICA, 19(2), 67-73.

13. PERALES SANCHEZ, B. L. A. N. C. A. (2012). Odontoma compuesto en paciente pediátrico.

14. Ponce de León Pérez, M. A. (2014). Prevalencia de hallazgos en radiografías panorámicas de los pacientes de la clínica docente UPC durante el periodo febrero 2011–abril 2014.

15. Rivera, G. J. G., & Suárez, M. L. E. (2022). ODONTOMA COMPUESTO EN LÍNEA MEDIA DEL MAXILAR: Gerardo Guillen, Michele L. Espina. Reporte Imagenológico Dentomaxilofacial, 1(2).

16. Sanjurjo, C. L., Manso, G. L., & Manso, C. L. (2021). Odontoma compuesto: presentación de un caso. Odontología pediátrica, 29(2), 86-94.

17. Saura Cuesta, L. M., Tirado Saura, S., & Medina Estrada, I. (2022). Diagnóstico por imágenes de un odontoma complejo. Presentación de un caso. Medicentro Electrónica, 26(1), 213-224.

18. Silveira, F. M., Pereira-Prado, V., & Bologna-Molina, R. (2022). Bases moleculares de los tumores odontogénicos benignos: revisión de la literatura en el contexto de la última clasificación de la Organización Mundial de la Salud. Odontoestomatología, 24(39).

19. Thistle Barba, L., Muela Campos, D., Nevárez Rascón, M. M., Ríos Barrera, V. A., & Nevárez Rascón, A. (2016). Aspectos descriptivos del odontoma: revisión de la literatura. Revista odontológica mexicana, 20(4), 272-276.

20. Valeriano, H. L. M., Duarte, N. D., Paludetto, L. V., Oliveira, M. E. D. F. S., Santos, A. F. P., Tavares, P. M. H., ... & Souza, F. Á. (2023). ABORDAGEM CIRÚRGICA NO TRATAMENTO DE ODONTOMA COMPLEXO EM PACIENTE PEDIÁTRICO: RELATO DE CASO CLÍNICO. Revista Ibero-Americana de Humanidades, Ciências e Educação, 9(1), 1313-1321.

21. Vázquez Diego, J., Gandini Pablo, C., & Carbajal Eduardo, E. (2008). Odontoma compuesto: diagnóstico radiográfico y tratamiento quirúrgico de un caso clínico. Avances en Odontoestomatología, 24(5), 307-312.

Cambios de color en módulos de ortodoncia expuestos a bebidas pimentantes.

Estudio in vitro

Cambios de color en módulos de ortodoncia expuestos a bebidas pimentantes

LObjetivo: medir los cambios de color en módulos de ortodoncia expuestos a diversas soluciones por medio de un estudio in vitro. Materiales y Métodos: se seleccionaron 70 módulos transparentes de la marca American Orthodontics® divididos en 7 grupos (n=10) inmersos en 7 soluciones pigmentantes: saliva artificial como grupo control (Viarden Lab), té verde (Fuze tea), té negro (Fuze tea), Coca-Cola, vino tinto (Valle Redondo California), café (NESCAFÉ® Clásico®) y kétchup (Heinz). Se midió el color inicial, a las 72 horas y a los 7 días conservándolos a una temperatura constante dentro de una incubadora (FE-291D-Felisa®) a 37±1°C.

Se calculó el cambio de color con la fórmula de ΔE. Resultados: en la medición inicial a 72 horas se observó que el material que produjo un mayor cambio de color fue el café con ΔE 34.99 (3.65).

En la medición inicial a 7 días también se pudo notar que el material con un mayor cambio de color fue el café con ΔE 42.98 (3.43) y en la medición 72 horas a 7 días, el mayor cambio de color fue en el té negro con ΔE15.01 y los que menos tuvieron ΔE fue la Coca-Cola y saliva. Conclusión: el café es la sustancia con mayor capacidad de alterar el color durante el tiempo, mientras que Coca-Cola y saliva tienen efectos mínimos. El té negro y el vino presentan cambios relevantes a largo plazo, mientras que el té verde y el kétchup tienen efectos moderados, pero también significativos.

Palabras clave: módulos transparentes American Orthodontics®, soluciones pigmentantes, estabilidad del color.

a estética en la ortodoncia es cada vez más importante para los pacientes, es por ello que se han utilizado varias opciones tales como los brackets cerámicos y los módulos transparentes para mantener el arco en su lugar, en un sistema bracketmódulo.1 Sin embargo, la pigmentación de los módulos transparentes puede generar cierta inquietud por parte de los pacientes.2,3

La dificultad para prevenir la decoloración en los módulos de ortodoncia ha aumentado, ya que la cavidad bucal está continuamente expuesta a diversos colorantes presentes en los alimentos. Muchos de estos colorantes afectan la superficie del módulo, provocando una degradación en su apariencia estética.4

El potencial de decoloración de estos módulos elastoméricos está relacionado con la degradación química y la tinción mecánica. En un principio, la decoloración ocurre por la degradación química, seguida de una tinción mecánica a medida que aumenta el tiempo de exposición al medio colorante.5

Por lo que es importante reconocer que estos módulos no mostrarán una buena estética después de ser expuestos a ciertos medios dietéticos. Esto puede generar un problema considerable, ya que a medida que el módulo se tiñe, el sistema bracket-módulo pierde su atractivo estético. En este contexto, la

Yesica Romo Terán.1

Jacqueline Adelina Rodríguez Chávez.2

Abigailt Flores Ledesma.3

Hugo Marcelo Flores Ruiz.4 Luis Pablo Cruz Hervert.5 Silvia Paulina Martínez Contreras.6

1Alumno de la Especialidad en Ortodoncia y Ortopedia Maxilar. Universidad Cuauhtémoc, campus San Luis Potosí.

2Especialidad en Ortodoncia. Departamento de Clínicas Odontológicas Integrales. Centro Universitario de Ciencias de la Salud. Universidad de Guadalajara.

3Laboratorio de Materiales y Biomateriales Dentales, Facultad de Estomatología, Benemérita Universidad Autónoma de Puebla.

4Departamento de Ciencias Naturales y Exactas. Centro Universitario de los Valles. Universidad de Guadalajara.

5División de Estudios de Posgrado e Investigación. Facultad de Odontología. Universidad Nacional Autónoma de México.

6Especialidad en Ortodoncia y Ortopedia Maxilar. Universidad Cuauhtémoc Campus San Luis Potosí.

preocupación estética podría convertirse en el factor principal para determinar la frecuencia de las citas clínicas, en lugar de centrarse en la activación del aparato ortodóntico.6-8

En la actualidad existen espectrofotómetros que nos permiten cuantificar el color y calcular el cambio de color, estos instrumentos nos ofrecen una comprensión de cómo los humanos perciben la decoloración y las características estéticas visuales de estos módulos elastoméricos.5,7

Investigación clínica

A) Saliva Artificial. B) Té Verde (Fuze tea). C) Té Negro (Fuze tea). D) CocaCola. E) Vino tinto (Valle Redondo California). F) Café Nescafé®Clásico® Soluble y G) Kétchup (Heinz).

La escala CIELab, también denominada CIEL*a*b* o Lab, es un modelo de color creado por la Comisión Internacional de la Iluminación (CIE) en 1976. Una de las principales ventajas de la escala CIELab es que es perceptualmente uniforme, lo que significa que las diferencias en color medidas en esta escala se corresponden de manera más precisa con las diferencias percibidas por el ojo humano. La escala CIELab se basa en 3 ejes que describen el color, L*: representa la luminosidad o claridad del color, donde 0 es completamente negro y 100 es completamente blanco; a*: indica la posición del color en el eje verde-rojo, los valores negativos de a* indican tonos más verdosos, mientras que los valores positivos indican tonos rojizos; finalmente b*: que describe la posición en el eje azul-amarillo, los valores negativos indican azul, mientras que los positivos indican amarillo.3 Se puede utilizar un espectrofotómetro digital (VITA Easyshade® Advance 4.0, Vita Zahnfabrik, Bad Säckingen, Alemania) para medir

las lecturas de color, que incluyen la escala de color L*, a* y b* (LAB).9,10

Diferentes autores, siguiendo la metodología de exponer en diferentes tiempos ante múltiples sustancias pigmentantes, obtuvieron que el café era la sustancia más pigmentante.1,2,6,9,11,12

En este estudio in vitro, se evaluó la estabilidad del color en módulos transparentes de la marca American Orthodontics® inmersos en saliva artificial como grupo control (Viarden Lab), té verde (Fuze tea), té negro (Fuze tea), Coca-Cola, vino tinto (Valle Redondo California), café (NESCAFÉ® Clásico®) y kétchup (Heinz) evaluados inicialmente a las 72 horas y a los 7 días.

Materiales y Métodos

Se realizó un estudio in vitro seleccionando 70 tiras de módulos transparentes de la marca American Orthodontics® (Lote P0039483, REF 854-279) divididas en grupos de 10 c/u tiras de módulos elásticos trasparentes en las cuales se tomaron 7 mediciones (Figura 1) y después fueron inmersas en 7 soluciones pigmentantes diferentes, las cuales fueron: saliva artificial (Viarden Lab) como grupo control, té verde (Fuze tea), té negro (Fuze tea), Coca-Cola, vino tinto (Valle Redondo California), café (NESCAFÉ® Clásico®) y kétchup (Heinz) (Figura 2).

Para la medición de color se utilizó el espectrofotómetro (VITA®Easyshade

Figura 1. Colocación de folio de las muestras para medición inicial.
Figura 2. Soluciones de inmersión.

V). Se realizó una medición inicial de los módulos transparentes, con una base estandarizada en cuanto a color (Figura 3), donde por cada tira se tomaron 7 mediciones. Después las muestras se fueron inmersas en las soluciones pigmentantes por 72 horas (Figura 4) y 7 días (Figura 5), a una temperatura constante de 37±1°C dentro de una incubadora (FE-291D-Felisa®).

Resultados

En la medición inicial a las 72 horas, el café mostró el mayor cambio de color, con un valor de ΔE=34.99(3.65), significativamente mayor en comparación con todas las otras sustancias. El vino tuvo un cambio de color considerable, ΔE=20.58(6.06), significativamente diferente de las demás sustancias. El té verde y kétchup mostraron cambios de color más bajos, ΔE=13.76(6.97) y ΔE=12.96(6.69), respectivamente, y no difieren estadísticamente entre sí. El Té negro mostró un cambio de ΔE=17.85(4.82), que es significativamente diferente de algunas sustancias, pero similar al vino. La saliva fue

Figura 3. Espectrofotómetro

VITA®Easyshade V y Medición con espectrofotómetro VITA®Easyshade V.

una de las sustancias con el menor cambio de color, con un valor de ΔE=8.15(5.71), y compartió grupo con la Coca-Cola (Tabla 1).

En la medición inicial a los 7 días, el café nuevamente mostró mayor cambio de color con ΔE=42.98(3.43). La Coca-Cola y saliva exhibieron los cambios de color más bajos, con valores de ΔE=7.15(4.46) y ΔE=7.91, respectivamente, sin diferencias significativas entre ellos. El vino presentó un cambio considerable en el color, ΔE=28.04 mostrando una

Figura 4. Medición a las 72 horas. De derecha a izquierda: café, Coca-Cola, vino, té verde, kétchup, té negro y saliva artificial.

Figura 5. Medición a los 7 días. De derecha a izquierda: café, Coca-Cola, vino, té verde, kétchup, té negro y saliva artificial.

Cambios

Investigación clínica

(3.65) a

Tabla 1. Cambio de color (ΔE) de tiempo inicial a las 72 horas. ANOVA p<0.05, se realizaron comparaciones múltiples con la prueba Tukey p<0.05. Las letras minúsculas iguales indican los grupos en los que no hay diferencias estadísticas.

(4.82) c

(5.71) b

diferencia estadística respecto al té verde y al kétchup, pero con alguna similitud en comparación con el té negro. El té verde y kétchup mostraron cambios de ΔE=19.06(7.08) y ΔE=20.65(4.63), respectivamente. Ambos son estadísticamente similares entre ellos, pero distintos de otras sustancias como el vino. El té negro presentó un cambio en el color de ΔE=26.42(4.34), con diferencias significativas (Tabla 2).

De 72 horas a 7 días el té negro tuvo el mayor cambio de color, con un valor de ΔE=15.01(5.59), mostrando diferencias significativas con varias sustancias, excepto kétchup. El café tuvo un cambio de color moderado con un valor de ΔE=11.85(4.90), no presenta diferencias significativas con vino, té verde o kétchup. La Coca-Cola mostró uno de los cambios más bajos

de color, con un ΔE=6.57(4.12) y junto con saliva, que presentó un ΔE=6.73(3.99). El vino tuvo un cambio de ΔE=11.55(9.14) similar al café, té verde y kétchup, perteneciendo al grupo a. El té verde mostró un cambio de color de ΔE = 10.12 (6.50) sin diferencias estadísticas respecto a café, vino y kétchup. El kétchup presentó un cambio de ΔE=12.78(3.78), lo que sugiere que comparte similitudes con varias otras sustancias, pero también diferencias con otras, como Coca-Cola y saliva (Tabla 3).

Discusión

En este estudio in vitro se evalúo la pigmentación de los módulos transparentes, se pudo observar que el café fue el que mayor pigmentación generó a las 24 y 72 horas.

Todas las sustancias pigmentantes alteraron el color de los módulos transparentes.

En el caso del vino, la pigmentación fue incrementando con el tiempo, teniendo un comportamiento similar a lo ya mencionado por Chung y cols.7 Diversos autores reportan que INICIAL-7 DÍAS

Tabla 2. Cambio de color (ΔE) de tiempo inicial a los 7 días. ANOVA p<0.05, se realizaron comparaciones múltiples con la prueba Tukey p<0.05. Las letras minúsculas iguales indican los grupos en los que no hay diferencias estadísticas.

72 HORAS-7 DÍAS CAFÉ

el café y el vino fueron las sustancias que mayor pigmentación presentaron.4,7-8 11,13 Reportes en la literatura coincidieron con nuestros resultados, y mencionan también haber encontrado una pigmentación leve en la Coca-cola.3,6,9,11-13

En orden descendente de pigmentación en el presente estudio se enlistan: café, vino, te negro, té verde, kétchup saliva y Coca-Cola. Ardeshna y Vaidyanathan3 también encontraron resultados similares; el grupo de café experimentó mayores cambios, mientras que el grupo sumergido en la solución de Coca-Cola experimentó una variación de color menor.

Cavalcante y cols.11 menciona que las interacciones entre los grupos químicos activos afectan la estructura de las cadenas de elastómeros y su habilidad para resistir la decoloración. Asimismo, las propiedades de la superficie, en particular la rugosidad y la macroporosidad, también pueden influir en el grado de decoloración.

La retención de agua y la hinchazón resultante del polímero pueden estar relacionadas con la absorción de pigmentos. El tamaño de la superficie y

el volumen de las muestras pueden tener un impacto significativo en la absorción de agua.1,4

Existen discordancias entre el uso de espectrofotómetros y fotografías, sin embargo, los espectrofotómetros son herramientas ampliamente empleadas para obtener mediciones de color precisas y confiables. Este dispositivo cuantifica la luz reflejada en cada longitud de onda cuando una muestra es expuesta a luz difusa y policromática. El uso del eje Amarillo (YI) ha sido aplicado para evaluar la decoloración, de acuerdo con estudios previos enfocados en este fenómeno,12 con lo que coincidimos ya que en este estudio utilizamos el (VITA®Easyshade V).

Tabla 3. Cambio de color (ΔE) de las 72 horas a los 7 días. ANOVA p<0.05, se realizaron comparaciones múltiples con la prueba Tukey p<0.05. Las letras minúsculas iguales indican los grupos en los que no hay diferencias estadísticas.

En este estudio in vitro se evalúo la pigmentación de los módulos transparentes, se pudo observar que el café fue el que mayor pigmentación generó a las 24 y 72 horas.

Investigación clínica

Estudios previos1,2,4,9,11-12 indican que el eje amarillo (coordenada b*) es el más influenciado por los colorantes y pigmentos presentes en los alimentos, especialmente en materiales transparentes con lo que coincidimos en el presente estudio. Esto podría decepcionar a un paciente que no fue informado previamente sobre la posibilidad de que los módulos trasparentes se pigmenten.13-15

Conclusión

El café es la sustancia con mayor capacidad de alterar el color de los

módulos trasparentes durante el tiempo, mientras que Coca-Cola y saliva tienen efectos mínimos. El té negro y el vino presentan cambios relevantes a largo plazo, mientras que el té verde y el kétchup tienen efectos moderados, pero también significativos.

Es crucial que el profesional esté familiarizado con el comportamiento de los módulos trasparente antes de emplearlos, ya que factores como el color, la dieta y el tiempo que los módulos transparentes permanece en la boca afectarán la apariencia final.

Referencias

1. Dias da Silva V, de Lima EM, Dias C, Osório LB. Analysis of the Influence of Food Colorings in Esthetic Orthodontic Elastomeric Ligatures. Open Dent J. 2016;10:516-521. DOI: 10.2174/1874210601610010516

2. Soldati DC, Silva RC, Oliveira AS, Kaizer MR, Moraes RR. Color stability of five orthodontic clear elastic ligatures. Orthodontics (Chic.). 2013;14(1):e60-e65. DOI: 10.11607/ortho.892

3. Ardeshna AP, Vaidyanathan TK. Colour changes of orthodontic elastomeric module materials exposed to in vitro dietary media. J Orthod. 2009;36(3):177-185. DOI:10.1179/14653120723166

Cambios de color en módulos de ortodoncia expuestos a bebidas pimentantes

4. Fernandes AB, Ribeiro AA, Araujo MV, Ruellas AC. Influence of exogenous pigmentation on the optical properties of orthodontic elastic ligatures. J Appl Oral Sci. 2012;20(4):462-466. DOI:10.1590/ s1678-77572012000400012

5. Kim SH, Lee YK. Measurement of discolouration of orthodontic elastomeric modules with a digital camera. Eur J Orthod. 2009;31(5):556-562. DOI:10.1093/ejo/cjp030

6. Talic NF, Almudhi AA. The effect of dietary pigmentation on the esthetic appearance of clear orthodontic elastomeric modules. J Orthod Sci. 2016;5(2):70-73. DOI:10.4103/2278-0203.179418

7. Chung HJ, Lim SA, Lim HK, Jung SK. Perceptual and quantitative analysis of discoloration of orthodontic elastomeric chains by food. BMC Oral Health. 2023;23(1):124. DOI: 10.1186/s12903023-02825-2

8. Decusar ă M, Cornea D, Iord ăchiță G-V, Ștef ănescu A. In vitro study of discoloration of orthodontic clear elastic ligature. Romanian Journal of Oral Rehabilitation. 2022;2(14):47-56.

9. Blagec T, Šimunović L, Pili Gjumlić S, Šutej I, Meštrovi ć S. Influence of pH levels and beverage exposure on force decay and color stability of orthodontic elastomeric chains: An experimental study. Saudi Dent J. 2024;36(2):308-314. DOI: 10.1016/j.sdentj.2023.11.008

10. Abass AA, Alyessary AS. Discoloration of stretched colored elastomeric modules : An in vivo study. Verfärbung von gedehnten farbigen Elastomermodulen : Eine In-vivo-Studie. J Orofac Orthop. 2024;85(Suppl 1):1-6. DOI: 10.1007/s00056-022-00444-0

11. Cavalcante JS, de Castellucci e Barbosa M, Sobral MC. Evaluation of the susceptibility to pigmentation of orthodontic esthetic elastomeric ligatures. Dental Press J Orthod. 2013;18(2):20.e1-20. e208. DOI: 10.1590/s2176-94512013000200008

12. Closs, LQ, Paczko S, Zardo P, Ojeda T, Dias C. In vitro assessment of color changes of clear orthodontic elastomeric module materials after exposure to high-pigment beverages. Journal of the World Federation of Orthodontists. 2014;3(4):174-179. DOI: 10.1016/j.ejwf.2014.08.004

13. Silva LK, Guignone BC, Marinho KDC, Goiato MC, Pithon MM, Soares RV, et al. In vitro evaluation of color changes of aesthetic orthodontic elastic ligatures. Int. J. Odontostomat. 2014;8 (3):399403. DOI: 10.4067/S0718-381X2014000300013.

14. Ferraz C, Castellucci M, Sobral M. Influence of in vitro pigmenting of esthetic orthodontic ligatures on smile attractiveness. Dental Press J Orthod. 2012;17(5):123–30. DOI: 10.1590/S217694512012000500017

15. Miranda AGF, Godoi APT, Menezes CC, Vedovello Filho M, Venezian GC. The influence of elastomeric ligatures pigmentation on smile aesthetics during orthodontic treatment. Dental Press J Orthod. 2021;26(2):e2119199. DOI: 10.1590/2177-6709.26.2.e2119199.oar

Riesgo de pérdida de dientes con cuidado periodontal de apoyo

Riesgo de pérdida de dientes con cuidado periodontal de apoyo

Antecedentes

El riesgo de pérdida dental durante el cuidado periodontal de soporte ha sido examinado en solo unos pocos estudios. Estos estudios —predominantemente retrospectivos— demostraron una correlación entre la pérdida dental y factores de fondo como el tabaquismo, la diabetes y los altos índices de placa.

Los factores locales relevantes fueron el tipo de diente, la implicación de la

furcación, la profundidad del sondaje (PPD), el nivel de inserción clínica (CAL), la movilidad dental, el sangrado al sondaje, los defectos óseos angulares y la patología endodóntica.

El pronóstico preciso diente por diente es importante en la toma de decisiones clínicas y en la comunicación con el paciente. Los factores pronósticos y de riesgo se evalúan idealmente en estudios con un diseño prospectivo, lo que reduce el riesgo de sesgo. Los resultados y exposiciones se registran

de manera sistemática y consistente, mientras que se pueden tener en cuenta los factores de confusión y las pérdidas durante el seguimiento.

Objetivo

El objetivo de este estudio fue evaluar la correlación entre variables relacionadas con el paciente y el diente, y la pérdida dental durante el cuidado periodontal de soporte a lo largo de un periodo de 5 años en pacientes con periodontitis.

Autores:
Fatemah Hasan, Antonio Magan-Fernandez, Aliye Akcalı, Chuanming Sun, Nikos Donos, Luigi Nibali.

Estudio

p=0.073

p=0.0005

PRA de bajo riesgo PRA de riesgo moderado PRA de alto riesgo

Figura 1 Número de pacientes con seguimiento de 5 años (n = 143) que perdieron dientes y tuvieron progresión de la enfermedad, clasificados por el perfil de evaluación de riesgo periodontal (PRA) basal. Nota: De los 143 pacientes, 40 habían perdido dientes durante el seguimiento.

El 15.6% de ellos fueron clasificados como de bajo riesgo, el 30.8% como de riesgo moderado y el 35.7% como de alto riesgo, según el sistema PRA. 55 de los 143 pacientes experimentaron progresión de la enfermedad (Tonetti & Claffey, 2005). En comparación con las diferentes puntuaciones PRA, los pacientes que experimentaron progresión de la enfermedad tenían perfiles de riesgo más elevados (28.2%, 40.5% y 70%).

Materiales y métodos

• El estudio fue observacional prospectivo.

• Tras la terapia periodontal inicial en uno de los 3 centros clínicos privados, la muestra del estudio (n=143) fue seguida durante 5 años en cuidado periodontal de soporte (intervalo: 3-12 meses).

• El perfil de riesgo de los pacientes se evaluó con base en una puntuación de evaluación de riesgo periodontal (PRA) basal: “alto”, “moderado” o “bajo”.

• El pronóstico dental se categorizó como “bueno”, “justo”, “cuestionable” o “desfavorable” al inicio.

• Las tasas de pérdida dental se registraron durante 5 años (resultado primario).

• La progresión de la periodontitis se definió como ≥2 dientes que presentaran pérdida de inserción proximal de ≥3 mm.

• La pérdida dental durante el cuidado periodontal de soporte se

(%)

analizó mediante análisis de regresión de Poisson.

• Se realizaron análisis de regresión logística y de supervivencia para evaluar el impacto de la profundidad de sondaje (PPD), el nivel de inserción clínica (CAL), la implicación de la furcación, la movilidad dental, el estado restaurador, la pérdida ósea, los defectos intraóseo y el estado endodóntico.

• Se realizó un puntaje de pronóstico dental (TPS) sobre la pérdida dental.

Resultados

• De los 200 pacientes iniciales, 143 completaron el periodo de seguimiento de 5 años (media: 52 meses).

• Los pacientes presentaron periodontitis en etapa III (87%) o etapa IV (13%).

• La pérdida dental anual fue de 0.02 dientes/paciente/año (dientes extraídos: 55).

Pacientes que perdieron dientes(%)
Progresión de la enfermedad

• La categorización del paciente en “moderado” o “alto” en PRA no conllevó un mayor riesgo de pérdida dental.

• La categorización del diente como “justo”, “cuestionable” o “desfavorable” implicó un riesgo significativamente mayor de pérdida dental.

• Tanto el PRA (82.4%) como el TPS (99.5%) mostraron altos valores predictivos negativos para la pérdida dental, mientras que los valores predictivos positivos fueron bajos: PRA, 30.0%; TPS, 2.6%.

• Los factores de riesgo relacionados con el paciente para la pérdida dental fueron el tabaquismo, la edad y la etapa y el grado de la periodontitis. No se encontró impacto del IMC, el género, la etnicidad o el historial médico.

• Los factores de riesgo relacionados con el diente para la pérdida dental fueron la profundidad de sondaje (PPD), el nivel de inserción clínica (CAL), el estado restaurador

Riesgo de pérdida de dientes con cuidado periodontal de apoyo

y endodóntico, los defectos intraóseos, la movilidad dental y la implicación de la furcación.

Limitaciones

• Varios participantes ya estaban en cuidado periodontal de soporte al inicio del estudio.

• Algunos participantes habían estado involucrados en el desarrollo del sistema TPS (sin verdadera validación externa).

• Frecuencia consistente de cuidado periodontal de soporte, independientemente de la clasificación inicial de riesgo.

• Impacto negativo de la pandemia de COVID-19 en la retención de pacientes.

• Tamaño de muestra limitado.

Conclusiones e impacto

• En pacientes con periodontitis que recibieron cuidado periodontal de

p=0.062

Figura 2 Dientes perdidos y tasas de pérdida dental de pacientes con seguimiento de 5 años (n=143)

p=0.001

PRA de bajo riesgo

PRA de riesgo moderado PRA de alto riesgo

(por razones periodontales)]

Promedio de dientes perdidos en 5 años

soporte en un entorno de práctica privada, la tasa general de pérdida dental fue baja.

• Los sistemas de pronóstico basados en dientes y en pacientes mostraron altos valores predictivos negativos pero bajos valores predictivos positivos para la pérdida dental durante el cuidado periodontal de soporte.

• El estudio subrayó la necesidad de mejorar los valores predictivos positivos de los sistemas de pronóstico para identificar a los pacientes/dientes en riesgo de pérdida dental. Los bajos valores predictivos positivos implican un riesgo de tratamiento excesivo.

Notas

JCP Digest 125 es un resumen del artículo “Tooth lossduring supportive periodontal care: A prospective study” J Clin Periodontol. 2024: 51(05):583-595. DOI: 10.1111/jcpe13943.

https://www.onlinelibrary.wiley.com/doi/10.1111/jcpe.13943

Acceso a través de la página web para miembros de la EFP http://efp.org/members/jcp.php

Con el amable permiso de Wiley Online Library. Copyright © 1999-2024 John Wiley & Sons, Inc. Todos los derechos reservados. JCP Digest es una publicación de la Federación Europea de Periodoncia (EFP). Oficina EFP: Cink Coworking, oficina 17, calle Henri Dunant 15-17, 28036 Madrid, España · www.efp.org

Turn static files into dynamic content formats.

Create a flipbook
Issuu converts static files into: digital portfolios, online yearbooks, online catalogs, digital photo albums and more. Sign up and create your flipbook.