Revista Dentista y Paciente 198 | Febrero 2025

Page 1


CASO CLÍNICO

Manejo de paciente con hemofilia tipo A con biprotrusión

ENCICLOPEDIA ODONTOLÓGICA

Trasplante dental autólogo complementario al tratamiento ortodóntico

ESTUDIO

Comparación in vitro de la citotoxicidad de los cementos selladores DiaRoot Bio Sealer en comparación con Dia-ProSeal y Tubli-Seal

INVESTIGACIÓN

CLÍNICA

Cuestionario de bruxismo autoinformado: aplicación en una población de adultos de la tercera edad en México

SONRIENDO AL FUTURO Importancia en recuperar la dimensión vertical oclusal a la rehabilitación de paciente con ausencia de piezas posteriores y atrición en anterior: Reporte de caso

PUNTO DE VISTA

Eficacia de diferentes medios de conservación para el manejo de dientes avulsionados: una revisión sistemática

Corix® 70 Plus Touch Screen*

Le ofrece todo lo que Ud. necesita para un Óptimo Radiodiagnóstico

Intra-Oral, con la Mayor Seguridad Radiológica

Si la Seguridad Radiológica, como Operador de un equipo de Rayos-X, es algo que desconoce o no le preocupa, es mejor que lea en: www.corix.us todos los detalles.

Corix® 70 Digital V3

Corix® 70 Digital V3

Obtener imágenes

Obtener imágenes

Radiográficas Intra-Orales en un corto tiempo y con la menor dosis de radiación

Radiográficas Intra-Orales en un corto tiempo y con la menor dosis de radiación

Ahora es posible!!!

Ahora es posible!!!

Los equipos

Corix® 70 Junior*

Le ofrecen:

Calidad, Economía y Seguridad Radiológica

Febrero 2025

Algo que nos conforta en este sexenio es que, al menos, ya se reconoce el desabasto de medicamentos a nivel nacional, siendo la Ciudad de México la entidad que más lo padece, al ser la de mayor número de habitantes.

Por lo menos no se niega, ni se le echa la culpa a los conservadores, a los enemigos de la nación o, como se llegó a decir de los padres de los niños con cáncer, que era obra de golpistas. Aunque no se corregirá de manera inmediata, se plantea corregirlo en unos cuantos meses. Esperemos que, a diferencia de otras promesas hechas para mantener contento al pueblo, esta vez se traduzca en acciones y no quede solo en palabras.

También parece que regresarán las estancias infantiles, aunque con otro nombre. Está dentro de lo que se ha anunciado, y esperamos que esta medida se concrete.

Este es el mes del amor y la amistad, por lo que queremos enviar un fuerte abrazo a todos nuestros amigos y colaboradores. Gracias a ustedes, hemos alcanzado un nivel de aceptación importante entre el gremio odontológico.

¡A seguir cuidándose!

Mtro. Carlos Adolfo Espinosa García Especialidad en Odontología Legal y Forense Maestría en Odontología

10 | CASO CLÍNICO

Manejo de paciente con hemofilia tipo A con biprotrusión

20 | ENCICLOPEDIA ODONTOLÓGICA

Trasplante dental autólogo complementario al tratamiento ortodóntico. Caso clínico

Editorial Renascence S.A. de C.V.

Directora editorial

Patricia López Guerra patricia.lopez@dentistaypaciente.com

32 | ESTUDIO

Comparación in vitro de la citotoxicidad de los cementos selladores DiaRoot Bio Sealer en comparación con Dia-ProSeal y Tubli-Seal

44 | INVESTIGACIÓN CLÍNICA

Cuestionario de bruxismo autoinformado: aplicación en una población de adultos de la tercera edad en México

Jaime Francisco Martínez Aceves† jmartinez@dentistaypaciente.com

Directora Editorial

Mariangel Martínez López mmartinez@dentistaypaciente.com

Director de Arte y Diseño

Jesús Salas Pérez jesasez@dentistaypaciente.com

Coordinador Editorial

Marco A. Vergara Salgado marversa@dentistaypaciente.com

Ejecutivos Comerciales y de Negocios

Carlos Martínez García, Gabriela Dolorez Ocadiz, Edson Aarón Hernández

Producción y Circulación

Edson Aarón Hernández

Fotografía e Ilustraciones

Editorial Renascence Suscripciones

Edson Aarón Hernández

Preprensa e Impresión

Offset Impresión Creativa S.A de C.V.

Distribución

Comercializadora GBN S.A. de C.V.

Calzada de Tlalpan #572, desp. C-302, col. Moderna

Contabilidad y Administración

L. C. y E. F. Renato Muñoz

director científico

Dr. Carlos Espinosa García

Especialista en Odontología Legal y Forense consejo editorial

Dr. Francisco Javier Diez de Bonilla Calderón

Catedrático de la F.O de la UNAM

Dr. Francisco Magaña Moheno

Centro de Especialidades Odontológicas

Javier Portilla Robertson

Exdirector de la Facultad de Odontología de la UNAM

Especialista en Patología Bucal

C.D.E.O. Arturo Alvarado Rossano†

Profesor y Especialista en Ortodoncia y Ortopedia Craneofacial en la Facultad de Odontología. UNAM. Asesor Académico y Coordinador de Difusión de la AMOCOAC.

C.D. Manuel García Luna y González Rubio Dra. Ana Gabriela Carrillo Varguez Coordinadora de la especialidad en endodoncia UABC Tijuana. Coordinadora de Investigación y Posgrado F.O. UABC

M.C. Ernestina Santillana Marín Subdirectora de CISALUD UABC

William James Maloney, D.D.S. Clinical Associate Professor New York University

universidad anáhuac méxico norte

C.D. Carlos Robles Bonilla Coordinador de la Licenciatura de Cirujano Dentista

C.D. Sergio Antonio Ojeda León Profesor Titular de Odontopediatría de la Licenciatura de Cirujano Dentista

C.D. Bernardo Grobeisen Weingersz Profesor Titular de Clínica Integral de la Licenciatura de Cirujano Dentista

C.D. Norma Ibañez Mancera.

Profesora Titular de Patología Bucal de la Licenciatura de Cirujano Dentista

Dirección del Derecho de Autor certificado de reserva al uso exclusivo no. 04-2008022718312200-102 con fecha 27 de Marzo del 2008. Gobernación de la H. Comisión Calificadora de Publicaciones y Revistas Ilustradas, certificado de licitud de contenido 5328, certificado de licitud de título 7411, franqueo pagado, publicación mensual permiso no. PP09-02106, SEPOMEX. Las opiniones expresadas en los artículos y en los anuncios publicados no significan de ninguna manera juicios, criterios, ideas o cualquier otro concepto por parte de la editorial; reflejan únicamente las ideas y pensamientos de sus autores. Los artículos, entrevistas, resúmenes, publirreportajes, fotografías y cualquier otro material son exclusivos de la editorial, y no se autoriza la reproducción total o parcial por ningún medio sin previa autorización del editor. Para cualquier asunto relacionado con suscripción, distribución, comercialización, anuncios, contenido u otro propósito, favor de dirigirse a la editorial. Impreso en MV IMPRESIONES, SA DE CV.

Dentista y Paciente® Publicación mensual correspondiente al mes de FEBRERO DE 2025. editada por Editorial Renascence S.A. de C.V., Rancho Jigüingo 29, Prado Coapa, Ciudad de México, 14350. tel. 56846632, fax 56793656. Distribuida en locales cerrados, depósitos dentales, universidades, congresos y exposiciones. Editora responsable: Mariangel Martínez López. Fotoarte de portada: Editorial Renascence.

distribución certificada por el padrón nacional de medios impresos de la dirección general de medios impresos de la secretaría de gobernación no. 007-136. www.gobernacion.gob.mx

52 | SONRIENDO AL FUTURO

Importancia en recuperar la dimensión vertical oclusal a la rehabilitación de paciente con ausencia de piezas posteriores y atrición en anterior: Reporte de caso

60 | PUNTO DE VISTA

Eficacia de diferentes medios de conservación para el manejo de dientes avulsionados: una revisión sistemática

Caso clínico

Manejo de paciente con hemofilia tipo A con biprotrusión

Manejo de paciente con hemofilia tipo A con biprotrusión

La hemofilia tipo A es una enfermedad genética recesiva que afecta la coagulación de la sangre. El tratamiento tiene como objetivo corregir el perfil facial dentro de los valores normales dentoesqueléticos, asegurando una correcta función y oclusión. A los pacientes con migrogenias (mentón más corto y mandíbula en tamaño y posición normales) se les realiza un procedimiento quirúrgico llamado genioplastia, que ayuda a aumentar la proyección del mentón. Se presenta el caso de un paciente de 18 años, diagnosticado con hemofilia tipo A, moderada grado V, clase I esquelética, hiperdivergente, clase I molar bilateral, clase I canina bilateral, biprotrusión dentoalveolar y raíces cortas en el sector anterosuperior, con un incremento en el O.D. 22. El paciente presentaba overjet y overbite reducidos,

Julia Tostado Arvayo. Residente de Maestría de Ortodoncia y Cirugía Maxilofacial en Centro de Estudios Superiores de Ortodoncia (CESO).

Beatriz Gurrola Martínez. Profesor del CESO y profesor titular C en la carrera de Cirujano Dentista de la Facultado de Estudios Superiores Zaragoza de la UNAM. Adán Casasa Araujo. Director del CESO.

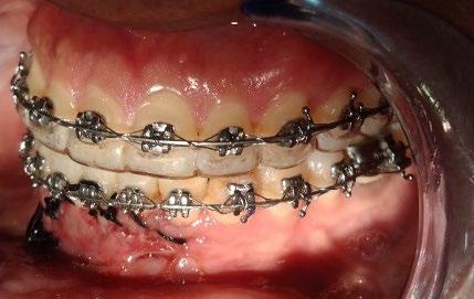
apiñamiento moderado en el sector inferior y desviación de las líneas medias dentales. El tratamiento consistió en 3 fases: Prequirúrgica, donde se realizó la alineación, nivelación, extracción de los O.D. 5’s superiores e inferiores, y el cierre de espacios; Quirúrgica, que incluyó mentoplastia de avance e implantes en la zona malar; y Postquirúrgica, en la que se llevó a cabo el detallado y la retención. La aparatología utilizada incluyó brackets de prescripción Roth .022 x .028, bandas en los O.D. 6’s superiores e inferiores, tubos bondeables en los 7’s, un arco transpalatino y un arco lingual. El tratamiento tuvo una duración de 2 años y 6 meses.

Palabras clave: hemofilia, ortognática, genioplastía, mentoplastia de avance, biprotrusión.

Franchini 1 señala que la hemofilia Tipo A es una enfermedad genética recesiva que impide la correcta coagulación de la sangre. Es un trastorno hemorrágico hereditario causado por una falta del factor de coagulación sanguínea VIII.

Sin suficiente cantidad de este factor, la sangre no se puede coagular apropiadamente para detener el sangrado. Cuando ocurre una hemorragia, se lleva a cabo una serie de reacciones en el cuerpo para formar coágulos de sangre, un proceso llamado cascada de la coagulación. Este involucra hasta 20 proteínas especiales llamadas factores de coagulación. El factor VIII es uno de estos factores. Según Carcao2,3 la hemofilia A es el resultado de la incapacidad del cuerpo para producir suficiente factor VIII. La hemofilia A es causada por un rasgo hereditario recesivo ligado al cromosoma X, donde se localiza el gen variante. Las mujeres tienen 2 copias del cromosoma X, y si uno de los genes no funciona, el otro puede compensar la producción de factor VIII. Los hombres, al tener solo un cromosoma X, desarrollan hemofilia A si el gen del factor VIII está ausente o defectuoso. Por ello, la mayoría de las personas con hemofilia A son hombres.4

Para la atención médica de estas personas, se ordenarán una serie de exámenes conocidos como estudios de coagulación. Una vez identificada la variante específica, otros miembros de la familia también deberán someterse a pruebas para diagnosticar el trastorno.5,6,7 Aproximadamente el 25% de los casos de hemofilia A son leves, y con frecuencia no se diagnostican hasta después de una lesión grave o una cirugía. Los síntomas incluyen hemorragia prolongada tras una lesión grave, trauma o cirugía como la extracción de un O.D., formación fácil de hematomas, o sangrado inusual.6,7

Caso clínico

Se presenta un paciente de 18 años de edad que refiere tener hemofilia tipo A, moderado grado V. En los estudios de inicio extraorales, se observa en la Figura 1 el frente, sonrisa y perfil. En la radiografía lateral de inicio (Figura 2) se evidencian el overjet y overbite reducidos, clase I esquelética, hiperdivergencia y biprotrusión dentoalveolar.

En la radiografía panorámica (Figura 3) se observan las raíces cortas de los incisivos centrales y del O.D. 22, además de los terceros molares superiores e inferiores en formación.

Figura 1. Frente, perfil inicio.

Los objetivos del tratamiento fueron corregir el perfil facial dentro de valores normales dentoesqueléticos, para lograr su función y mantener la oclusión. A los pacientes con migrogenias (mentón más corto y mandíbula en tamaño y posición normal) se les indicó realizar un procedimiento quirúrgico, la genioplastia, que ayudó a lograr un aumento en la proyección del mentón.

El paciente menciona padecer hemofilia A leve, y que hace 6 meses presentó un 38% de factor VIII. Previo al tratamiento quirúrgico se solicitó un hemograma completo con examen de coagulación para medir el TTPA. Se realizó una interconsulta con el hematólogo tratante para evaluar su patología

Manejo de paciente con hemofilia tipo A con biprotrusión
Figura 2. Rx lateral de cráneo inicio.

y recibir recomendaciones para efectuar el procedimiento con la menor cantidad de riesgos intraquirúrgicos y postquirúrgicos. El hematólogo sugirió la administración de factor VIII antes y después del acto quirúrgico. Asimismo, se aplicaron medidas de hemostasia locales para un mejor control y se implementó un manejo analgésico adecuado postquirúrgico.

El tratamiento se realizó en las siguientes fases: la fase prequirúrgica incluyó la alineación, nivelación y la

extracción de los segundos premolares superiores e inferiores, con cierre de espacios. En la fase quirúrgica, se realizó una mentoplastia de avance e implantes en la zona malar. La fase postquirúrgica consistió en el detallado-retención. La aparatología utilizada fueron brackets de prescripción Roth .022 × .028; se colocaron bandas en los primeros molares superiores e inferiores, con tubos punteables en los O.D. 16, 26, 36 y 46, y tubos bondeables en el O.D. 27, además de un arco transpalatino y un arco lingual.

El tratamiento se realizó en las siguientes fases: la fase prequirúrgica incluyó la alineación, nivelación y la extracción de los segundos premolares superiores e inferiores, con cierre de espacios.

Figura 3. Radiografía Panorámica inicio.

El tiempo del tratamiento fue de 2 años y 6 meses.

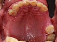
En los estudios intraorales, las fotografías iniciales muestran clase I canina y molar bilateral, mordida anterior abierta, apiñamiento leve superior e inferior, y líneas medias dentales

desviadas. En las Figuras 4, 5 y 6 se observa la forma de las arcadas superior e inferior.

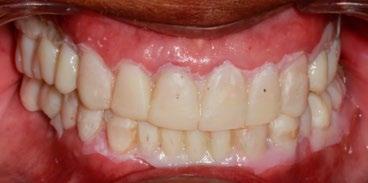
Estudios extraorales finales: En la Figura 7 se muestra la comparación entre las imágenes de inicio y final del tratamiento, evidenciándose un

Manejo de paciente con hemofilia tipo A con biprotrusión
Figura 4. Lateral derecha.
Figura 5. Intraoral de frente e izquierda.
Figura 6. Oclusal superior e inferior de inicio.
Figura 7. Inicio, final frente perfil.
Figura 8. Lateral de cráneo final, panorámica final.

aumento satisfactorio en la proyección del mentón.

Resultados

El tratamiento concluyó en 2 años y 6 meses, logrando el perfil facial deseado, con clase I esquelética, clase I canina y molar bilaterales, corrección del apiñamiento maxilar y mandibular, líneas medias coincidentes, overjet y overbite adecuados, así como la realización de la genioplastia e implantes en la zona malar. En los

estudios radiográficos finales, en la lateral de cráneo, se observa la diferencia tras 2 años de iniciado el tratamiento (Figura 8), además de la radiografía panorámica final. Debido a la forma del perfil, y con el fin de alcanzar la estética deseada, se realizó la cirugía.

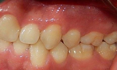
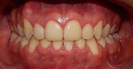
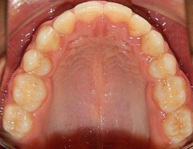
En los estudios finales en las fotografías intraorales (Figura 9) se ve la línea media coincidente, el overjet y el overbite. La alineación y forma de las arcadas superior e inferior, con el

Manejo de paciente con hemofilia tipo A con biprotrusión
Figura 9. Lateral derecha frente, izquierda final.
Figura 10. Oclusal superior inferior final.

La hemofilia es un trastorno que requiere un manejo minucioso tanto pre e intra como postoperatorio por parte del profesional de la salud.

retenedor fijo de premolar a premolar (Figura 10).

Conclusión

La hemofilia es un trastorno que requiere un manejo minucioso tanto pre

e intra como postoperatorio por parte del profesional de la salud. Es fundamental realizar los exámenes complementarios adecuados, mantenerse en contacto con el hematólogo y procurar realizar el procedimiento de manera atraumática, así como asegurar un manejo adecuado de la hemostasia. Las personas con hemofilia A presentan mayor facilidad para sangrar y desarrollar moretones, además de que su sangre tarda mucho en formar coágulos. La hemofilia A es una afección rara y grave que no tiene cura, pero que puede ser tratada. Es importante señalar que el tratamiento de un paciente con hemofilia tipo A dependerá de la gravedad de la afectación, por lo que es recomendable evitar maniobras bruscas durante el tratamiento y tomar en cuenta las medidas hemostáticas locales.

Referencias

1. Franchini M, Rossetti G, Tagliaferri A, Pattacini C, Pozzoli D, Lorenz C, et al. Dental procedures in adult patients with hereditary bleeding disorders: 10 years experience in three Italian Hemophilia Centers. Haemophilia. 2005;11:504–9

Manejo de paciente con hemofilia tipo A con biprotrusión

2. Carcao M, Gomez K, Davide M, Pierce GF. Hemophilia A and B. In: Hoffman R, Benz EJ, Silberstein LE, et al, eds. Hematology: Basic Principles and Practice. 8th ed. Philadelphia, PA: Elsevier; 2023:chap 134.

3. Ragni MV. Coagulation factor deficiencies. In: Goldman L, Cooney KA, eds. Goldman-Cecil Medicine. 27th ed. Philadelphia, PA: Elsevier; 2024:chap 160.

4. Samelson-Jones BJ, Branchford BR, Flood VH. Hereditary clotting factor deficiencies (bleeding disorders). In: Kliegman RM, St. Geme JW, Blum NJ, et al, eds. Nelson Textbook of Pediatrics. 22nd ed. Philadelphia, PA: Elsevier; 2025: chap 525.

5. Israels S, Schwetz N, Boyar R, McNicol A. Bleeding disorders: Characterization, dental considerations and management. J Can Dent Assoc. 2006 ;72:827

6. Zimmerman B., Valentino L. A. Hemophilia: in review. Pediatr Rev. 2013;34(7):289-294.

7. Young G. New challenges in hemophilia: long-term outcomes and complications. Hematology Am Soc Hematol Educ Program.2012:362-368.

8. Vertical Incision Intraoral Silicone Chin Augmentation Be- hrad B. Aynehchi, David H. Burstein, Afshin Parhiscar and Mark A. Erlich Otolaryngology - Head and Neck Surgery 2012 146: 553 originally published online 12 January 2012

9. Melloni L, Martínez M, Elizondo R, Rodríguez R, & Colin M. Labio y paladar hendido: manejo multidisciplinario. Avances [internet] 2006 [Consultado 21 nov de 2023] 3 (9): 11-14. Disponible en: http://biblat.unam.mx/es/revista/avances/articulo/labio-y-paladar-hendido-manejo-multidisciplinario

10. Gutierrez W, Guzmán I. Orthodontics and maxillofacial surgery: an interdisciplinary team. Case Report. Revista Mexicana de Ortodoncia. 2014; 2 (3): 204-210

11. Maldonado F, Gómez A. Sánchez V, Navarro A. Osteotomía Le Fort I oblicua para el tratamiento de la hipoplasia maxilar severa. Rev Esp Méd Quir. 2013; 18:167-17.

12. Chinski L, Alcázar J, Piazza C. Mentoplastía de avance, Revisión de la literatura presentación de nuestra experiencia. Revista Faso [internet] 2013 [Consulta: 06 de octubre de 2023] 2: 23-28. Disponible en: http://www.faso.org.ar/revistas/2013/2/4.pdf

13. Ramírez R, Ruiz R, López J, Sámano I, Ramírez O. Consideraciones especiales en cirugía ortognática para el manejo de la hipoplasia maxilar en pacientes con secuelas de labio y paladar hendido (LPH). Medicina Oral. 2006; 8 (2): 74-77.

Trasplante dental autólogo complementario al tratamiento ortodóntico. Caso clínico

Trasplante dental autólogo complementario al tratamiento ortodóntico. Caso clínico

Cirujano Bucal Guillermo Linas Ledesma. México, Universidad Nacional Autónoma de México Cedula Profesional 7686993

Contacto: linrivguillermo@hotmail.com 52 55 21198757 ORCID 0009-0005-7087-2642

Cirujana Dentista Especialista en Ortodoncia Nancy Vásquez Reyes. México, Universidad Nacional Autónoma de México Cedula Profesional 3813792

Para los especialistas en ortodoncia y ortopedia, los dientes retenidos representan un reto que no siempre permite preservar dichas piezas dentales. Frecuentemente, se opta por su extracción debido a la imposibilidad de trasladarlos a su lugar anatómico mediante movimientos convencionales. Este artículo expone el caso clínico y el manejo interdisciplinario de un trasplante dental autólogo, en el que se cuidaron todos los aspectos clínicos, biológicos e histomorfológicos, proponiéndolo como una alternativa en el tratamiento de dientes retenidos durante un procedimiento de ortodoncia. El caso presenta un paciente de 30 años con aumento de volumen en la zona anterior mandibular, a nivel de los ápices de los dientes anteriores, asociado a un canino retenido.

Clínicamente, se observa la persistencia inusual del diente 73, y el estudio radiológico confirma la presencia de un diente colocado transversalmente en relación a los dientes adyacentes. Se realizó una odontectomía convencional, preparación alveolar como lecho receptor, odontectomía del diente 33 mediante disección, y su posterior trasplante a la zona anatómica correspondiente para restaurar la funcionalidad estomatológica del arco mandibular y la biorreconstrucción alveolar del defecto óseo postextracción. A los 90 días de la cirugía, se observan clínica y radiográficamente características de cicatrización dentoalveolar con tripodismo funcional.

Palabras clave: trasplante dental, canino retenido.

Contrario a lo que se pueda pensar, el trasplante dental ha sido descrito y aplicado por muchas generaciones, siendo los más influyentes, considerando sus alcances, Hipócrates (s. IV a. C.), Pierre Fauchard (1712), John Hunter (1778), y Wadsworth (s. XIX d. C.).1,4

A través de la historia, de una u otra forma, han participado e incidido en el manejo del tema que nos ocupa, utilizando y proponiendo, algunas veces tratamientos empíricos y muchas otras de forma protocolaria, obteniendo resultados no satisfactorios o discretos.

La palabra trasplante implica trasladar o ubicar un elemento desde un lugar a otro.2

Se supone que los trasplantes dentarios fueron practicados por los egipcios y que la técnica varió poco desde que fue dada a conocer por M. L. Hale.2,3

En México, los estudios tomados como referencia son los descritos por el CMF Sergio Soto Góngora, quien plantea la aplicación de replantes y trasplantes dentales para la rehabilitación anatómica y funcional, logrando resultados satisfactorios incluso en situaciones de patologías benignas correctamente diagnosticadas y tratadas. Hoy en día, aún con alta tecnología y las propuestas de diferentes filosofías terapéuticas reconstructivas, consideramos que en nuestro medio siguen teniendo vigencia como tratamiento alternativo.4 De la misma forma, el trasplante autólogo dental constituye una posibilidad

de trasladar con fines fisiológicos órganos dentarios que, en condiciones convencionales, serían desechados y no tendrían posibilidad de ser considerados a futuro.4

Los autotrasplantes dentales se pueden clasificar en 3 grupos.5

• Autotrasplante convencional: movimiento quirúrgico de un diente de un sitio a otro en el mismo paciente.

• Autotrasplante intraalveolar: movimiento quirúrgico de un diente dentro de su mismo alveolo, especialmente útil en malas posiciones importantes.

• Reimplantación intencional: se utiliza para resolver un problema endodóntico que no puede solucionarse por métodos convencionales.

Es una alternativa de tratamiento en dientes retenidos durante el tratamiento de ortodoncia, donde otras opciones quirúrgicas no están indicadas. En este sentido, los autotrasplantes de dientes con ápices inmaduros son más favorables que aquellos realizados con ápices cerrados, debido a una revascularización pulpar y a un continuo desarrollo radicular, con una tasa de éxito del 95%.9

Por otro lado, el autotrasplante de dientes con ápices cerrados puede ser exitoso si se realiza el tratamiento de conductos tras el procedimiento, ya que es menos probable la revascularización y, además, se previene tanto la aparición de lesiones periapicales o infecciones como las reabsorciones radiculares.11 Solo consiguen

Trasplante dental autólogo complementario al tratamiento ortodóntico. Caso clínico

una revascularización tras el trasplante un 15% de los dientes con ápice cerrado, en comparación con el 96% de los dientes con ápice abierto.6

Los trasplantes dentales tuvieron su auge a finales de los años ochenta y principios de los noventa, teniendo como referencia la información que en esos momentos existía, como pilar documental de esto los estudios expuestos por Andreassen.7

Este tipo de tratamiento representa un tema bastante controversial debido a su manejo y a los altos estándares tecnológicos de alternativas que hoy en día se utilizan.

Actualmente, debido a la gran variedad de biomateriales, así como técnicas

para la conducción hística de células reparadoras del organismo, los resultados se han visto más favorecidos, mejorando el pronóstico de estos tratamientos y sus resultados.8

Este trabajo expone una perspectiva en el manejo y el pronóstico dentro de parámetros de funcionalidad estomatológica.

Criterios de inclusión

Órganos dentarios retenidos, con posibilidad de ser extraídos sin odontosección, sin riesgo de lesión de estructuras adyacentes significativas, zona receptora preconformada, enfatizando el tiempo final ortodóntico para evitar movimientos dentoparodontales que pudieran comprometer su correcta cicatrización.

Figura 1.

Criterios de exclusión

Pacientes con enfermedades sistémicas no controladas, pacientes con enfermedades mentales, embarazo, tabaquismo, atrición, imposibilidad de restaurar funcionalmente el órgano dentario, retención que impida extraer el órgano dentario completo, espacio insuficiente en la zona receptora.

Figura 2.
Figura 3.

Protocolo

Se basa en cubrir los siguientes apartados:

• Historia clínica, consulta privada. Paciente femenina de 30 años de edad que acude a cita odontológica a consecuencia de un tratamiento

Trasplante dental autólogo complementario al tratamiento ortodóntico. Caso clínico

ortodóntico llevado a cabo de manera incorrecta, según sus palabras, en otra institución. Por lo tanto, acude a la consulta privada para continuar con su tratamiento y recibir otra opinión.

A la anamnesis no se refirieron antecedentes patológicos personales ni heredofamiliares.

Figura 4. Figura 5.
Figura 6. Figura 7.

A la exploración clínica se observa aumento de volumen en la zona anterior mentoniana a nivel apical anterior (Figura 1).

• Estudios de laboratorio prequirúrgicos:

Biometría hemática dentro de los valores normales.

Química sanguínea de 5 elementos dentro de los valores normales. INR dentro de valores normales. TC, TS, TTP, TPT dentro de los valores normales.

• Estudios radiográficos (ortopantomografía):

Se observa el órgano dentario 33 retenido de manera transversal con un botón de ortodoncia colocado como alternativa durante el anterior tratamiento (Figura 2).

• Interconsultas médicas para asegurar el estado de salud integral óptimo del paciente, así como premedicación basada en antibioticoterapia para disminuir el riesgo de un probable proceso infeccioso.

• Autorización del consentimiento informado.

• Una vez realizada una minuciosa exploración y análisis, se propone tratamiento quirúrgico de trasplante dental, a lo cual acepta e inicia el protocolo prequirúrgico.

Figura 8.
Figura 9.
Figura 10.
Figura 11.

Trasplante dental autólogo complementario al tratamiento ortodóntico. Caso clínico

Febrero 2025

Figura 12.
Figura 13.
Figura 14.

• Se toman modelos de estudio para una futura proyección y modelos de trabajo para la elaboración de guarda y así evitar el inmediato contacto oclusal.

Presentación del Caso Clínico

Técnica quirúrgica

Paciente femenina de 30 años de edad que acude a consulta privada para segunda valoración ortodóntica debido a un mal tratamiento llevado a cabo en otro sector privado (Figura 1). Tras una correcta anamnesis y valoración, se realizó la propuesta de tratamiento de un trasplante dental, considerando que la paciente cumple con las características clínicas y biológicas requeridas para dicho procedimiento (Figura 2).

Previa asepsia y antisepsia, más colocación de campos en forma habitual, mediante infiltración troncular y de forma local, se realiza incisión

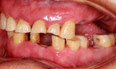
marginal con descarga lineal para levantar un colgajo seminewman (Figura 3). Se realiza ostectomía y osteotomía para liberar el órgano dentario retenido y facilitar su extracción (Figura 4). Una vez fuera de la cavidad bucal, se realiza tratamiento de conductos y obturación. De forma simultánea, se lleva a cabo la extracción atraumática del órgano dentario 73 (Figura 5) y la preparación alveolar del lecho receptor para recibir el órgano dentario a trasplantar bajo parámetros quirúrgicos (Figura 6).

Se enfatiza la mínima manipulación de los tercios radiculares del órgano dentario a trasplantar, intentando preservar, en lo posible, las fibras del ligamento periodontal. Se mantienen condiciones de hidratación a base de agua bidestilada durante su preparación, así como la sustitución neurovascular en su forma extrabucal. A nivel de los lechos receptores, se sigue un protocolo bacteriostático y bactericida no quelante.

En la zona postextracción del canino retenido (Figura 7), se realiza la conformación con materiales biocompatibles a base de xenoinjerto bovino y membrana de colágeno, para favorecer la correcta reparación de los tejidos blandos y duros, dadas las dimensiones del probable defecto, finalizando con sutura absorbible Vicryl 3-0 (Figuras 8 y 9).

Se realiza el trasplante del órgano dentario una vez obturado, sobre el lecho receptor preconformado. El diente

Figura 15.

se coloca en la correcta posición infraerupcional, verificando la ausencia de puntos altos de contacto y considerando la armonización dentooclusal (Figura 10).

Se coloca una férula a base de resina epóxica, estabilizándola al arco utilizado en el tratamiento de ortodoncia que conforma la arcada mandibular. Asimismo, se coloca una guarda a base de acetato rígido no. 35, liberando al órgano trasplantado de un posible trauma oclusal (Figura 11).

Medidas postoperatorias

El manejo inmediato se basa en control hemostático e inflamatorio, la prescripción del antibiótico calculado a dosis terapéuticas, más analgesia y fisiotermoterapia, así como medidas generales de soporte, higiénico-alimenticias y controles postoperatorios (Figura 12).

Resultados

Los controles inmediatos, mediatos y tardíos muestran resultados biológicamente satisfactorios (Figura 13). A los 3 meses de realizado el trasplante, se retiró el tratamiento de ortodoncia, observando una cicatrización adecuada del órgano dentario trasplantado.

Los últimos controles, a los 12 meses, no revelan ningún dato de alarma. Se considera un resultado más que satisfactorio.

Las posibilidades como alternativa mejoran el panorama resolutivo de

Trasplante dental autólogo complementario al tratamiento ortodóntico. Caso clínico

problemáticas similares, de ahí la importancia de esta línea de manejo alternativo (Figuras 14, 15 y 16).

Conclusión

El trasplante dental autólogo se considera una posibilidad altamente efectiva y recomendable para tratamientos de ortodoncia, ya que, de forma natural, se preserva un órgano dentario fundamental en la estética y funcionalidad del aparato estomatológico. Además, otorga al ortodoncista la confianza para manejar de manera precisa los movimientos a realizar con órganos dentarios que, bajo otras condiciones, requerirían un tratamiento mutilatorio.

Figura 16.

Referencias

1. Jens O A Reimplantación y trasplante en odontología Atlas Tercera edición Buenos Aires Argentina: Ed Medica Panamericana 1992:11-27,34•92.

2. Delfin A.S Trasplante de órganos. Segunda Edición. México: JGH Editores: 1992:25-29.

3. Heer J Trasplante dentario -Br Dent J 2007 oct 13:203(7):403)

4. Soto G y cols, Alternativas en el manejo contemporáneo del replante dental, visión dental Vol. 1 NO 2 2004.

5. Ilan Vinitzky Brener, Erica Patricia Weihmann Sánchez, Ana Martha Aguilar Rojas, Edith Peña Anaya, Autotrasplante dental. Revisión de la literatura y presentación de dos casos, Revista ADM, 2016; 73 (4): 212-217.

6. Sánchez-Labrador Martínez de Morentin L, Domínguez Marsal B, Cortés-Bretón Brinkmann J, Barona-Dorado C, Martínez-González J M.Autotrasplante de un tercer molar superior para reposición de un primer molar superior: a propósito de un caso clínico. Cient. Dent. 2022; 19; 1; 7-1

7. Andreasen JO, Borum MK, Jacobsen HL, Andreasen FM.Endod Dent Traumatol. Abril 1995; 11(2):59-68. Reimplantación de 400 incisivos permanentes avulsionados. Factores relacionados con la cicatrización del ligamento periodontal. Reimplantación de 400 incisivos permanentes avulsionados. Factores relacionados con la cicatrización pulpar. doi: 10.1111/j.1600-9657.1995. tb00462.x. Número de identificación personal: 7641620 Lesiones de los dientes permanentes. Lesiones periodontales.

8. Hasanuddin S, Reddy JS.J Indian Soc Pedod Prev Dent. 2018 Oct-Dec;36 (4):410-416. doi: 10.4103/JISPPD.JISPPD_187_18.Número de identificación personal: 30324935. Secuelas de la reimplantación tardía de incisivos permanentes maxilares después de una avulsión: una serie de casos con seguimiento de 24 meses y revisión clínica.1998.

Comparación in vitro de la citotoxicidad de los cementos selladores

DiaRoot Bio Sealer en comparación con Dia-ProSeal y Tubli-Seal

Comparación in vitro de la citotoxicidad de los cementos selladores

Dra. Dulce Yicel Magaña Mancillas C.D.E.E. Karla Deyanira Ramírez Montes, MC. Luis Hernán Carrillo Várguez, MC. José Román Chávez Méndez, Dra. Ana Gabriela Carrillo Várguez

Universidad Autónoma de Baja California, Facultad de Odontología, Campus Tijuana. Correo correspondencia: dulce.magana@ uabc.edu.mx

El éxito del tratamiento endodóntico se basa en la triada endodóntica que se compone de 3 aspectos fundamentales: el desbridamiento, la desinfección y la obturación. El objetivo primordial de la obturación es asegurar un sellado hermético y tridimensional del conducto radicular. Los materiales de obturación han evolucionado a lo largo del tiempo para garantizar la obturación del conducto radicular, evitando así la comunicación con el periodonto y el medio bucal. Este objetivo se alcanza mediante la utilización de materiales inertes, antisépticos o bioactivos. La gutapercha, en combinación con un cemento sellador endodóntico, se emplea para lograr una obturación tridimensional del conducto radicular. Es crucial evitar la extrusión del material más allá del ápice radiográfico, ya que la sobreobturación puede comprometer negativamente el pronóstico del tratamiento endodóntico.1-4

Cementos selladores en endodoncia

Todos los materiales endodónticos deben ser biocompatibles y tener propiedades fisicoquímicas adecuadas. La elección de un sellador endodóntico es crucial para el éxito a largo plazo del tratamiento, ya que sus características influyen en la obturación. Estos selladores se evalúan según normas como la ISO 6876:2012, que incluyen aspectos como tiempo de trabajo, fraguado, flujo, espesor, solubilidad, cambio dimensional y radiopacidad. Un sellador con buena fluidez ayuda a rellenar espacios y conductos, pero un flujo excesivo puede causar extrusión apical y daños en el tejido periapical.5-8

En la actualidad, se emplean diversos materiales para la obturación en tratamientos de conductos. La extrusión de estos materiales puede provocar retrasos en la cicatrización o inflamación, dependiendo de su citotoxicidad. Por esta razón, se llevan a cabo estudios para evaluar la toxicidad de estos materiales, particularmente en relación con las células sanguíneas. Existen diversos tipos de selladores, incluyendo aquellos basados en óxido de zinc

y eugenol, resina epoxi, ionómero de vidrio, hidróxido de calcio y trióxido mineral. Un sellador ideal debe ser no tóxico, insoluble, estable dimensionalmente y antibacteriano.

Cemento sellador a base de óxido de zinc y eugenol

El Tubli-Seal es un cemento de la casa comercial Kerr (Kerr, Corporation, CA, USA); sus componentes principales son óxido de zinc, trióxido de bismuto, oleorresinas, yoduro de timol, aceites y modificadores. Dentro de sus características encontramos que viene en una presentación de 2 tubos: una base y un catalizador, el cual va a facilitar la mezcla al momento de colocar las proporciones adecuadas. Su radiopacidad es media y su fluidez es elevada, lo cual facilita la adherencia a las paredes dentinarias.6,12-16

Cemento sellador a base de resina epoxi

Estos cementos fueron creados en Europa con la finalidad de conseguir un preparado estable en el interior de los conductos radiculares. Estos cementos tienen la ventaja de que son más

Los biocerámicos, que son cerámicos creados con fines biológicos, están ganando popularidad en odontología debido a su versatilidad. Algunos componentes de estos cementos incluyen alúmina, zirconio, vidrio bioactivo, vidrio cerámico y aquellos basados en silicato de calcio o fosfato de calcio.

adheribles a la estructura dentaria, poseen un largo tiempo de trabajo, fácil manipulación y proporcionan un buen sellado, además de tener propiedades físicas y biológicas aceptables. El tiempo de fraguado de estos selladores depende de los productos, y por lo general, demoran horas o días para endurecer por completo. Entre los selladores a base de resina se encuentra el Dia-ProSeal™ (DiaDent, Cheongju-si, Corea), que ofrece una excelente capacidad de sellado, adherencia a la gutapercha y a la dentina, actividad antimicrobiana, preparación sencilla (1:1), baja solubilidad, alta biocompatibilidad, buena radiopacidad y consistencia, así como un excelente tiempo de trabajo (3-4 horas). Su composición es: base – bisfenol A-co-epiclorhidrina, resina epoxi bisfenol-F, óxido de zirconio, siliconas, siloxanos, óxido de hierro e hidróxido de calcio; catalizador – hexametilentetramina, óxido de zirconio, siliconas, siloxanos, hidróxido de calcio y tungstato de calcio.9,17

Cementos biocerámicos

Los biocerámicos, que son cerámicos creados con fines biológicos, están ganando popularidad en odontología debido a su versatilidad. Algunos componentes de estos cementos incluyen alúmina, zirconio, vidrio bioactivo, vidrio cerámico y aquellos basados en silicato de calcio o fosfato de calcio.18

Estos materiales han sido objeto de estudios constantes en los últimos años, ya que cuentan con la capacidad de estimular la reparación de los tejidos a

través de la deposición de tejido mineralizado y su biocompatibilidad. No son tóxicos, no se reabsorben y no se ven afectados por la contaminación de la sangre.19

Dado que estos materiales están en contacto frecuente con el tejido periapical, su compatibilidad biológica es de gran importancia. Los materiales citotóxicos pueden causar la muerte celular en el periápice. El cemento biocerámico DiaRoot Bio Sealer ™ (DiaDent, Cheongju-si, Corea), de la casa comercial DiaDent, es un sellador a base de agregado de trióxido mineral, que viene en una presentación premezclada. Su característica de no contraerse y su fuerte unión lo hacen una opción para la obturación permanente, siendo adecuado para todas las técnicas de obturación. Es altamente biocompatible, presenta una rápida recuperación y cicatrización de los tejidos sin provocar inflamación, libera iones de calcio: hidróxido de calcio e hidrato de silicato de calcio. También presenta un pH alto para la acción antibacteriana (pH 12), induce la regeneración del tejido duro en sitios con alguna lesión ósea, proporciona un sellado perfecto, tiene baja solubilidad (0.95%) y es resistente al lavado, evitando así microfiltraciones. El tiempo de trabajo es de 6 horas y es radiopaco.20-22

Biocompatibilidad de los cementos selladores

La biocompatibilidad se refiere a la capacidad de un biomaterial para desempeñar de manera óptima su función

las muestras de sangre mezclada con EDTA ya que impide la coagulación. Este tratamiento es fundamental para preservar la viabilidad celular y la integridad de las muestras durante su análisis.

en un tratamiento médico, sin provocar efectos locales o sistémicos indeseables en el receptor, y al mismo tiempo, generar una respuesta tisular adecuada. Además, puede contribuir a mejorar los resultados clínicos del tratamiento.23

La biocompatibilidad se evalúa siguiendo normas ISO (Organización Internacional de Estandarización), especialmente en el contexto de materiales que entran en contacto con la sangre, como en endodoncia. Se requieren pruebas para identificar efectos nocivos y asegurar que los materiales sean seguros para los tejidos bucales. La biocompatibilidad implica que un material debe ser compatible e inocuo para los tejidos vitales, mostrando respuestas estables y evitando reacciones inmunológicas o tóxicas. La toxicidad de los materiales se puede analizar a través de pruebas in vitro, observando alteraciones morfológicas y el número de

eritrocitos, obteniendo información sobre el porcentaje de viabilidad celular en cultivos celulares bajo microscopía óptica, además de medir el porcentaje de hemólisis a través de la medición de absorbancia por medio de espectrofotómetro, como se hizo en el presente estudio.23

Metodología

Obtención de muestra sanguínea

Para la extracción de sangre, se seleccionó a un paciente mayor de edad que no presentaba enfermedades infecciosas o contagiosas recientes, ni antecedentes de tabaquismo o consumo de sustancias tóxicas. La venopunción se llevó a cabo tras obtener el consentimiento informado del paciente. La muestra de sangre fue analizada para garantizar que las células de defensa no presentaran alteraciones. Se recolectaron 10 ml de sangre periférica, que se depositaron en tubos con EDTA para prevenir la coagulación, mezclando suavemente para evitar la hemólisis (Figura 1).

Separación Celular

Todos los procedimientos se llevaron a cabo en condiciones estériles utilizando una cabina de flujo laminar. La muestra de sangre se distribuyó en 3 tubos de vidrio y se centrifugó a 2 000 rpm durante 5 minutos para separar los eritrocitos. Posteriormente, se extrajo el plasma con una micropipeta y los eritrocitos se transfirieron a un tubo de centrífuga para ser lavados.

Figura 1. Tubos de vidrio BD Vacutainer. Se presentan

El lavado se realizó con solución salina estéril en 5 ciclos, utilizando 7 ml de solución por ciclo. Cada lavado se centrifugó a 1 500 rpm durante 6 minutos para eliminar las proteínas adheridas a los eritrocitos.

Una vez obtenidos los eritrocitos limpios, se homogeneizaron y se continuó con la separación en tubos de vidrio, donde se añadieron 5.5 ml de solución salina a cada tubo (Figura 2).

Adición de cementos selladores

Los cementos estudiados se colocaron en frascos estériles previamente pesados y se mezclaron con 5.6 ml de solución salina (NaCl). La mezcla se dejó reposar durante un minuto. Posteriormente, se extrajo la solución utilizando una pipeta y se transfirió a tubos de vidrio estériles, a los que se añadieron 700 microlitros de eritrocitos. Cada tubo fue etiquetado adecuadamente de la siguiente manera:

• Grupo A: Control negativo (6.3 ml de NaCl) + 700 µL de pellet eritrocitario.

• Grupo B: Control positivo (5.9 ml de NaCl + 400 microlitros de SDS al 10%) + 700 µL de pellet eritrocitario.

• Grupo C: 0.7 gr de DiaRoot Bio Sealer + 5.6 ml NaCl (cloruro de sodio) + 700 µL de pellet eritrocitario.

• Grupo D: 0.7 gr de Tubli-Seal® + 5.6 ml NaCl (cloruro de sodio) + 700 µL de pellet eritrocitario.

• Grupo E: 0.7 gr Dia-ProSeal + 5.6 ml NaCl (cloruro de sodio) + 700 µL de pellet eritrocitario.

Las muestras se colocaron en una incubadora de convección a 37 °C durante 30 minutos. Posteriormente, se tomaron muestras y se centrifugaron durante 3 minutos a 2 000 rpm. Luego, se transfirieron 200 microlitros de cada muestra a una placa de 96 pocillos para su evaluación mediante espectrofotometría. Después de mezclar las muestras, se dejaron en reposo durante 1 hora, repitiendo este procedimiento. Finalmente, se mantuvieron en la incubadora durante 2.5 horas, siguiendo el proceso previamente descrito. Todos los procedimientos se realizaron bajo condiciones estériles.

Figura 2. Lavado de eritrocitos. Proceso de lavado de eritrocitos: A) la colocación inicial de los eritrocitos con NaCl para iniciar el lavado; B) durante los lavados, se observa que la solución se vuelve más clara; y C) en el lavado final de los eritrocitos, se aprecia un tono transparente, lo que indica que están listos para continuar con la experimentación.

Figura 3. Exposición de eritrocitos a cementos selladores. Se presenta la disposición de los materiales y los eritrocitos en diferentes condiciones experimentales: A) grupo control negativo, que contiene únicamente eritrocitos en solución salina; B) grupo control positivo, con eritrocitos expuestos a SDS; C) eritrocitos mezclados con el cemento sellador DiaRoot

Bio Sealer ; D) eritrocitos en contacto con el cemento Tubli-Seal; y E) eritrocitos en contacto con el cemento Dia-ProSeal.

Observación de eritrocitos expuestos a cementos selladores bajo microscopía óptica

Para evaluar la citotoxicidad de los cementos selladores y observar posibles cambios en la morfología o en la cantidad de eritrocitos, se colocaron muestras en portaobjetos en intervalos de 30, 60 y 150 minutos. Estos cultivos fueron examinados bajo un microscopio con aumento de 40x (Petunia MCX50). Se analizó el porcentaje de hemólisis de los eritrocitos por medio de un análisis estadístico descriptivo

de las imágenes observadas, donde se calculó el porcentaje de células sin lisis, empleando el programa de análisis de imagen ImageJ Viewer.

Análisis de absorbancia para medir la presencia de hemólisis en las muestras

Se utilizó un espectrofotómetro para la evaluación de la absorbancia de las muestras de cada grupo de estudio, empleando una placa de 96 pocillos en el lector de placas PerkinElmer Multimode Plate Reader, de la marca EnSpire®. El equipo procesó la placa en la computadora y realizó la lectura de la absorbancia de las muestras, las cuales fueron observadas a los 30, 60 y 150 minutos.

El análisis estadístico de los registros celulares se realizó mediante un análisis de varianza (ANOVA) de una vía, complementado con la prueba de comparación múltiple de Tukey, para evaluar el porcentaje de hemólisis en función de la medición de absorbancia obtenida a través del espectrofotómetro.

Figura 4. Muestras eritrocitarias observadas en microscopio óptico a 40X a los 30 minutos. A) Control Negativo: Sin cambios celulares, lo que indica ausencia de toxicidad.

B) Control Positivo: Se observa una lisis celular casi completa, evidenciando alta citotoxicidad. C) Cemento sellador DiaRoot

Bio Sealer: se detectan algunas células, lo que sugiere una citotoxicidad moderada.

D) Cemento sellador Tubli-Seal: muestra una reducción en el número de células en comparación con el control negativo. E) Cemento selladorDia-ProSeal: presenta alteraciones en la morfología celular.

Resultados

Los resultados obtenidos al evaluar el efecto citotóxico de los cementos selladores y su impacto en la viabilidad celular de los eritrocitos, observados mediante microscopía óptica a los 30, 60 y 150 minutos, mostraron lo siguiente:

En el grupo control, se detectó una mínima muerte celular. En el grupo control positivo, se observó una afectación considerable desde los 30 minutos, alcanzando la muerte celular total al analizar la muestra a los 150 minutos.

En el grupo C, donde se utilizó DiaRoot Bio Sealer, se observó una leve disminución celular a los 30 minutos, la cual fue reduciéndose progresivamente hasta los 150 minutos. El grupo D mostró cambios celulares leves a partir de los 30 minutos, con una afectación severa a los 60 minutos que continuó hasta los 150 minutos, momento en el cual se observó lisis celular. En el grupo E, se presentaron alteraciones leves a moderadas que se mantuvieron hasta el minuto 150 (Gráfica 1).

Las mediciones de absorbancia se utilizaron para cuantificar la citotoxicidad

Figura 5. Toma de muestras observadas en microscopio a los 40X a los 60 minutos. A)

Control Negativo: sin cambios celulares, indicando ausencia de toxicidad. B) Grupo

Control Positivo: lisis casi completa de células, señalando alta citotoxicidad. C) Cemento sellador DiaRoot Bio Sealer: se observan algunas células, sugiriendo citotoxicidad moderada. D) Cemento sellador TubliSeal: disminución de células en comparación con la primera toma, indicando efectos citotóxicos. E) Cemento sellador Dia-ProSeal: cambios en la morfología de los eritrocitos, lo que sugiere alteraciones celulares.

Figura 6. Toma de muestra a las 150 minutos observadas en microscopio óptico a 40X.

A) Control Negativo: se nota un cambio en el tamaño celular tras 150 minutos en la incubadora a 37 °C. B) Grupo Control

Positivo: muestra una lisis celular completa.

C) Cemento sellador DiaRoot Bio Sealer: presenta ligeros cambios en la morfología y en el número de células. D) Cemento sellador

Tubli-Seal: causó una severa alteración en los eritrocitos, con lisis celular casi total en la muestra. E) Cemento sellador Dia-ProSeal: continúa provocando cambios tanto en la morfología como en la cantidad de células.

Gráfica 1. Porcentaje de viabilidad celular. En la gráfica se puede observar el porcentaje de viabilidad celular observada en microscopio

óptico a 40X a los 30 min., 60 min. y 150 min.

Gráfica 2. Comparación de los valores de absorbancia de los cementos selladores. Se realizó una comparación de la absorbancia entre los cementos selladores DiaRoot Bio Sealer™, Tubli-Seal® y Dia-ProSeal™.

Se observó que solo al comparar el grupo

control negativo con el positivo, se obtuvo un valor de p menor que 0.05.

de los diferentes grupos en intervalos de 30, 60 y 150 minutos. Se estableció que un aumento en los valores de absorbancia se correlaciona con un incremento en la hemólisis de las muestras. Para evaluar la citotoxicidad de los cementos selladores en presencia de eritrocitos, se empleó el software GraphPad Prism para el análisis estadístico.

Los resultados indicaron que no existieron diferencias estadísticamente significativas en la citotoxicidad entre los cementos selladores y el control

negativo. Sin embargo, al comparar la citotoxicidad del control negativo con los demás grupos experimentales, se determinó que todos los cementos mostraron cierto nivel de efectos citotóxicos.

Según los datos obtenidos, el cemento sellador Tubli-Seal presentó el mayor nivel de citotoxicidad en comparación con los otros cementos selladores (Gráficas 2 y 3).

Discusión

Este estudio llevó a cabo una evaluación in vitro de la citotoxicidad de diversos cementos selladores endodónticos, utilizando células sanguíneas para simular el entorno de los tejidos perirradiculares, estableciendo un fundamento sólido para la valoración de su biocompatibilidad. Según las directrices de la norma ISO, las pruebas de hemólisis son esenciales para determinar la toxicidad de los materiales empleados en aplicaciones clínicas. Una biocompatibilidad deficiente en un cemento sellador puede comprometer la cicatrización de los tejidos adyacentes, subrayando así la relevancia de estas evaluaciones.24

Khan et al. realizaron una evaluación exhaustiva de varios selladores endodónticos, incluyendo AH Plus, Dia-Proseal, Guttaflow 2 y Pulpdent, y reportaron que los niveles de citotoxicidad variaban de moderados a leves, siendo Guttaflow 2 el que presentó la menor reacción citotóxica.2

Control + DiaRoot
Tubli-Seal
Dia-ProSeal
Control + DiaRoot
Tubli-Seal
Dia-ProSeal

En el presente estudio, se implementaron 2 grupos de control (positivo y negativo). Se observó que el control positivo indujo una lisis celular completa de manera rápida al ser expuesto al SDS, lo que valida su eficacia como referencia en la evaluación de la citotoxicidad de los selladores.

Los cementos endodónticos analizados exhibieron distintos niveles de citotoxicidad. DiaRoot Bio Sealer provocó una lisis rápida de eritrocitos, mientras que Dia-ProSeal mostró una respuesta citotóxica heterogénea, acompañada de cambios en la coloración de las muestras. Tubli-Seal, por su parte, resultó en una lisis casi total de las células tras un periodo de incubación de 150 minutos, lo que sugiere un alto grado de toxicidad celular.

Un estudio realizado por Gutiérrez y cols. revelaron que el cemento Sealapex presentaba el nivel más elevado de citotoxicidad, mientras que AH Plus fue clasificado como el menos citotóxico. Estos hallazgos llevaron a excluir Sealapex de la presente investigación. En comparación con los otros cementos analizados, AH Plus se reafirmó como el menos citotóxico.25

Conclusiones

La biocompatibilidad de los cementos selladores endodónticos es un factor crítico en la práctica odontológica, ya que la extrusión inadvertida de estos materiales puede comprometer la cicatrización de los tejidos perirradiculares,

una interacción que varía según el tipo de cemento utilizado.

La metodología implementada en este estudio proporciona una evaluación rigurosa de la citotoxicidad de los cementos selladores en relación con la fisiología humana, brindando información crucial sobre su potencial toxicidad.

Aunque no se observaron diferencias estadísticamente significativas en la citotoxicidad entre los selladores DiaRoot Bio Sealer, Tubli-Seal y Dia-ProSeal en presencia de eritrocitos, las comparaciones con el grupo control negativo mostraron diferencias significativas. Estos hallazgos subrayan la importancia de considerar cuidadosamente la biocompatibilidad de los materiales endodónticos al seleccionar el cemento adecuado, garantizando así un proceso de recuperación óptimo de los tejidos perirradiculares.

Gráfica 3. Porcentaje de hemólisis con base a los resultados de absorbancia de los cementos DiaRoot Bio Sealer, Tubli-Seal y DiaProSeal a los 30 min., 60 min. y 150 min.

Control -
Control + DiaRoot
Tubli-Seal Dia-ProSeal

Referencias

1. Kenneth M. Hargreaves, Louis H.Berman. Cohen's Pathways of the Pulp 11. 11th ed. Vol. 11 edición. ELSEVIER; 2016.

2. Khan MT, Moeen F, Safi SZ, Said F, Mansoor A, Khan AS. The structural, physical, and in Vitro biological performance of freshly mixed and set endodontic sealers. Eur Endod J. 2021;6(1):98–109.

3. Alberdi JC, Martín G. SELLADORES BIOCERÁMICOS Y TÉCNICAS DE OBTURACIÓN EN ENDODONCIA. Rev Fac Odontol Univ Nac (Córdoba). 2021 Jun 11;14(1):17. \

4. Ricucci D, Rôças IN, Alves FRF, Loghin S, Siqueira JF. Apically Extruded Sealers: Fate and Influence on Treatment Outcome. J Endod. 2016 Feb 1;42(2):243–9.

5. De R, Leonardo T, Consolaro A, Carlos Z, Leonardo MR. Evaluation of Cell Culture Cytotoxicity of Five Root Canal Sealers. Vol. 26. 2000.

6. Komabayashi T, Colmenar D, Cvach N, Bhat A, Primus C, Imai Y. Comprehensive review of current endodontic sealers. Vol. 39, Dental Materials Journal. Japanese Society for Dental Materials and Devices; 2020. p. 703–20.

7. Zhou HM, Shen Y, Zheng W, Li L, Zheng YF, Haapasalo M. Physical properties of 5 root canal sealers. J Endod. 2013 Oct;39(10):1281–6.

8. Zordan-Bronzel CL, Esteves Torres FF, Tanomaru-Filho M, Chávez-Andrade GM, Bosso-Martelo R, Guerreiro-Tanomaru JM. Evaluation of Physicochemical Properties of a New Calcium Silicate–based Sealer, Bio-C Sealer. J Endod. 2019 Oct 1;45(10):1248–52.

9. Kim M, Hayashi M, Yu B, Lee TK, Kim RH, Jo DW. Cytotoxicity and Genotoxicity of Epoxy Resin-Based Root Canal Sealers before and after Setting Procedures. Life. 2022 Jun 1;12(6).

10. Wang Z. Bioceramic materials in endodontics. Endodontic Topic. 2015;

11. Canalda Carlos, Brau Esteban. Endodoncia Técnicas clínicas y bases científicas. 3rd ed. ELSEVIER; 2014.

12. Gómez PA. CEMENTOS SELLADORES EN ENDODONCIA. 2004.

Comparación in vitro de la citotoxicidad de los cementos selladores

13. Alvarado A, Melany C, Melara L, Enrique M, Escobar N, Reynaldo F, et al. EVALUACIÓN DE LAS PROPIEDADES DE LOS CONOS DE GUTAPERCHA Y CEMENTOS SELLADORES UTILIZADOS EN LA OBTURACIÓN DE CONDUCTOS RADICULARES. El Salvador; 2004.

14. Chang SW, Lee SY, Kang SK, Kum KY, Kim EC. In vitro biocompatibility, inflammatory response, and osteogenic potential of 4 root canal sealers: Sealapex, sankin apatite root sealer, MTA Fillapex, and iroot SP root canal sealer. J Endod. 2014 Oct 1;40(10):1642–8.

15. Nia S, De T, Mendes O, Nio Paulino A, Sobrinho R. In Vitro Evaluation of the Cytotoxicity of Two Root Canal Sealers on Macrophage Activity. 2003.

16. Kerr corporation. Tubli Seal [Internet]. 2023 [cited 2022 Jun 2]. p. 1. Available from: https:// www.kerrdental.com/kerr-endodontics/tubli-seal-zinc-oxide-eugenol-root-canal-sealer

17. DiaDent Dental Group. DiaDent [Internet]. Dia-Proseal. 2023 [cited 2022 Jun 2]. p. 1. Available from: https://diadent.com/products/dia-proseal-16g

18. Benetti F, de Azevedo Queiroz ÍO, de Oliveira PHC, Conti LC, Azuma MM, de Oliveira SHP, et al. Cytotoxicity and biocompatibility of a new bioceramic endodontic sealer containing calcium hydroxide. Braz Oral Res. 2019;33.

19. Wongwatanasanti N, Jantarat J, Sritanaudomchai H, Hargreaves KM. Effect of Bioceramic Materials on Proliferation and Odontoblast Differentiation of Human Stem Cells from the Apical Papilla. J Endod. 2018 Aug 1;44(8):1270–5.

20. Baraba A, Želježić D, Kopjar N, Mladinić M, Anić I, Miletić I. Evaluation of cytotoxic and genotoxic effects of two resin-based root-canal sealers and their components on human leukocytes in vitro. Int Endod J. 2011 Jul;44(7):652–61.

21. Zhou HM, Du TF, Shen Y, Wang ZJ, Zheng YF, Haapasalo M. In Vitro Cytotoxicity of Calcium Silicate-containing Endodontic Sealers. J Endod. 2015 Jan 1;41(1):56–61.

22. DiaDent Group International. Dia Root BIO Sealer [Internet]. 2023 [cited 2022 Jun 2]. p. 1. Available from: https://diadent.com/collections/frontpage/products/dia-root-bio-seale

23. INTERNACIONAL ESTÁNDAR Evaluación biológica de equipos médicos. ISO [Internet]. 2002; Available from: www.onlinedoctranslator.com

24. Hosseinpour S, Gaudin A, Peters OA. A critical analysis of research methods and experimental models to study biocompatibility of endodontic materials. Vol. 55, International Endodontic Journal. John Wiley and Sons Inc; 2022. p. 346–69.

25. Gutierrez N., Magaña D., Chávez J., Acosta L., Sarmiento E. COMPARACIÓN IN VITRO DE LA CITOTOXICIDAD DE LOS CEMENTOS SELLADORES ENDODÓNTICOS SEALAPEX, AH PLUS, Y CERASEAL TRABAJO TERMINAL QUE PARA OBTENER EL DIPLOMA DE ESPECIALIDAD EN ENDODONCIA SINODAL SINODAL [Investigación]. Universidad Autónoma de Baja California; 2022.

Cuestionario de bruxismo autoinformado: aplicación en una población de adultos de

la tercera edad en México

Cuestionario de bruxismo autoinformado: aplicación en una población de adultos de la tercera edad en México

En el ámbito de la odontología, el bruxismo constituye un desafío clínico considerable debido a su alta prevalencia y sus potenciales implicaciones para la salud bucal y la calidad de vida de los pacientes.

El bruxismo se considera una de las parafunciones más perjudiciales para el sistema estomatognático, causando la mayor parte de las alteraciones temporomandibulares y dolor de tipo miofascial. Además, es la causa más común de desgaste dental, que a su vez es el motivo de consulta más común.1

Dentro de la odontología, el bruxismo es considerado una patología estomatológica cuya etiología aún está en discusión. Se sabe que existen una serie de factores internos, externos e incluso psíquicos, que deben darse de manera continua para causar una inestabilidad en el organismo, aunque no expliquen la actividad del bruxismo como tal.2

Claudia Yunué Corro Mendoza. Jorge Alejandro Chávez Martínez. Pasantes de la Carrera de Cirujano Dentista, UNAM Iztacala. Clínica Ecatepec.

Más de 85 años

Entre 81 y 85 años

Entre 76 y 80 años

Entre 71 y 75 años

Entre 66 y 70 años

Entre 60 y 65 años

La Academia Americana de Prostodoncia (The Academy of Prosthodontics) lo define de 2 maneras: primero, como el apretamiento parafuncional de los órganos dentarios; y segundo, como un hábito oral involuntario, rítmico o espasmódico, que consiste en el apretamiento o rechinamiento dental sin función masticatoria, siendo un movimiento no funcional que puede generar trauma oclusal.3

En México, se considera adulto mayor a una persona que tiene más de 60 años, etapa que engloba todas las experiencias de la vida y en la que se alcanzan la mayoría de las metas familiares, profesionales y sociales.4

De acuerdo con Fernández (2023), el término “bruxismo” ha evolucionado drásticamente en los últimos años, habiéndose asociado al acto de apretar

Gráfica 1. Población por grupo de edad y sexo.
Tabla 1. Ocupación por sexo

Cuestionario de bruxismo autoinformado: aplicación en una población de adultos de la tercera edad en México

¿Ha notado que rechina los dientes durante el día?

¿Se ha dado cuenta de que presenta desgaste considerable en sus dientes?

¿Ha notado que aprieta los dientes en actividades que requieren esfuerzo?

¿Ha sentido su mandíbula fatigada o con dolor al despertar por la mañana?

¿Presenta dificultad para abrir bien la boca al despertar?

¿Se ha dado cuenta que rechina o aprieta los dientes con frecuencia durante el sueño?

¿Ha escuchado que su mandíbula hace un sonido de “click” por la mañana al despertar?

¿Alguien lo ha escuchado rechinar los dientes por la noche?

¿Alguna vez siente dolor momentáneo de cabeza al despertar por la mañana? Intenso Moderado Regular Poco Nada

los dientes, e incluyéndose entre las parasomnias como un factor predisponente o incluso protector frente a determinadas afecciones.

Más recientemente, la atención se ha centrado en los eventos de contracción muscular.9 Sin embargo, otros autores lo definen como un hábito espasmódico e involuntario de rechinar o apretar los dientes, que no tiene una función y que puede provocar traumatismo dental.

El bruxismo del sueño se define como una actividad muscular masticatoria que ocurre durante el sueño, caracterizada por la Actividad Muscular Masticatoria Rítmica o no rítmica (AMMR), la cual puede tener consecuencias negativas en los dientes, tales como desgaste, fracturas, fisuras, ruptura o pérdida de restauraciones o implantes, y el aumento de la sensibilidad dental.10 Según Sanz (2023),

Cruz Fierro y colaboradores (Referencia) proponen incluir en la anamnesis de los pacientes con sospecha de esta afección un cuestionario estructurado, a través del cual se recopile la autopercepción de los pacientes en torno a los signos y síntomas de esta condición. Este cuestionario se considera totalmente pertinente, razón por la cual se llevó a cabo este estudio, orientado a la validación del instrumento en una población del Municipio de Ecatepec, en el Estado de México.

Palabras Clave: bruxismo, adultos mayores, Cuestionario de bruxismo autoinformado.

Metodología

Se aplicó el "Cuestionario de Bruxismo Autoinformado" en su versión original a una muestra propositiva de 100 adultos mayores de 59 años que acudieron a la Clínica Odontológica Ecatepec, de

Gráfica 2. Síntomas y signos presuntivos de bruxismo.

¿Ha notado que aprieta los dientes en actividades que requieran esfuerzo?

¿Se ha dado cuenta de que presenta desgaste cosiderable en sus dientes?

¿Ha notado que rechina los dientes durante el día?

¿Ha sentido su mandíbula fatigada o con dolor al despertar por la mañana?

¿Presenta dificultad para abrir bien la boca al despertar por la mañana?

¿Se ha dado cuenta que rechina o aprieta los dientes con frecuencia?

¿Ha escuchado que su mandíbula hace un sonido de “click” por la mañana?

¿Alguna vez siente dolor momentáneo de cabeza al despertar por la mañana?

¿Alguien lo ha escuchado rechinar los dientes por la noche?

Gráfica 3. Puntuación global.

la Facultad de Estudios Superiores Iztacala de la UNAM, entre el 1 y el 30 de abril de 2024.

Se graficaron las respuestas y se determinó la correlación estadística entre ellas. Para ello, se convirtieron las categorías cualitativas en cuantitativas mediante el uso del programa Stata.

Resultados

La muestra de estudio estuvo conformada por 54 mujeres y 46 hombres, predominando el grupo quinquenal de 71 a 75 años, seguidos por aquellos de entre 66 y 70 años (Figura 1).

En la Figura 2 se muestran las ocupaciones de los participantes, destacando a 37 hombres jubilados o pensionados, 30 amas de casa, 19 mujeres jubiladas o pensionadas, y 5 cirujanos(as) dentistas.

En la Figura 3 se muestran las respuestas a las 9 preguntas que constituyen el cuestionario, ordenadas en frecuencia decreciente de la suma de las categorías “intenso” y “moderado” en cualquiera de los ítems, por considerar que sería una condición prospectiva de la presencia de bruxismo.

Como complemento al análisis categórico de las respuestas, se convirtieron los valores tipo Likert a escala numérica, asignando el valor máximo (4) a la mayor severidad ("intenso") y el mínimo (0) a la menor ("nada"), con lo que se calculó la puntuación global de la población para cada ítem.

Para evaluar la validez interna del instrumento, se calcularon los índices de correlación entre todas las variables, con los resultados que se muestran en

9

8

7

6

5

4

3

Cuestionario de bruxismo autoinformado: aplicación en una población de adultos de la tercera edad en México

la Figura 5, observándose que todas ellas fueron significativas, lo que permite asegurar que existe consistencia en los resultados y, por lo tanto, en el Cuestionario de Bruxismo Autoinformado.

Conclusiones

El Cuestionario de Bruxismo Autoinformado permite identificar síntomas y signos presumiblemente relacionados con el bruxismo, sobre todo si se correlacionan entre sí, como en el presente ejercicio.

El análisis estadístico por grupo de edad, sexo u ocupación no muestra tendencias definidas, por lo que podemos afirmar que, en este estudio, los síntomas y signos de bruxismo se presentaron de manera similar en toda la muestra.

El análisis estadístico arrojó valores significativos entre todas las preguntas, por lo que se puede afirmar que es un instrumento confiable para la investigación. No obstante, debe reconocerse que se requiere confirmación clínica por parte de personal capacitado y estandarizado para vincular los hallazgos del cuestionario con los signos clínicos de bruxismo, caracterizado por la atrición excesiva de los dientes como signo principal y patognomónico.

Agradecimientos

A la Dra. Mariana Vázquez de la Cruz y al Dr. Rogelio Reyes Sánchez por su orientación y apoyo.

Al Dr. José Cuauhtémoc Jiménez Núñez por su apoyo en el análisis estadístico.

Tabla 2. Correlación entre las variables.

Investigación clínica

Referencias

1. Segura Cueva KA, Sierra Zambrano JM, Endara Abbott ML, Samaniego Vera LK. Bruxismo: síntomas, causas y tratamiento. RECIAMUC. el 13 de abril de 2023;7(2):91–100.

2. Mercado Morales CMC, Quispe Chipana MM. Bruxismo y el estrés emocional. Recio UNITEPC. el 30 de junio de 2023;2(1):15–23.

3. Mendiburu-Zavala CE del PS, Naal-Canto AA, Peñaloza-Cuevas R, Carrillo-Mendiburu J, Mendiburu-Zavala CE del PS, Naal-Canto AA, et al. Probable bruxismo y calidad de vida relacionada con la salud oral. Odovtos International Journal of Dental Sciences. agosto de 2022;24(2):164–75.

4. Instituto de Información Estadística y Geográfica IIEG. gob.mx. [citado el 6 de marzo de 2024]. Día del Adulto Mayor 2023. Disponible en: https://iieg.gob.mx/ns/ wp-content/uploads/2023/08/D%C3%ADadelAdultoMayor2023.pdf

5. Arias Leyva D, Suárez González M de la C, Lora Martínez RY. Factores de riesgo de bruxismo en pacientes adultos. Didasc@lia: Didáctica y Educación. 2023;14(1):365–77.

6. Bismar HR. Predicción del riesgo de bruxismo posible en pacientes adultos. En: Jorcienciapdcl 2023 [Internet]. 2023 [citado el 6 de marzo de 2024]. Disponible en: https://jorcienciapdcl.sld.cu/index.php/jorcienciapdcl23/2023/paper/view/431

7. Hernández López MA. “Tratamiento integral a pacientes con bruxismo, Realizado al personal militar activo de 18 a 50 Años de edad, que asistieron a su atención Odontológica en el hospital militar regional de Tuxtla gutiérrez, chiapas. Durante el periodo Agosto 2019 - julio 2020”. marzo de 2021 [citado el 15 de marzo de 2024]; Disponible en: https://repositorio.unicach.mx/handle/20.500.12753/4382

8. Osorno González P. Factores por considerar en el tratamiento del bruxismo. Caso clínico. el 15 de noviembre de 2021 [citado el 15 de marzo de 2024]; Disponible en: http://ri.uaemex.mx/handle/20.500.11799/113236

Importancia en recuperar la dimensión vertical oclusal

a la rehabilitación de paciente con ausencia de piezas posteriores y atrición en anterior: Reporte de caso

Importancia en recuperar la dimensión vertical oclusal

Introducción: la rehabilitación integral busca devolver la función masticatoria, la estética facial, la fonación y la calidad de vida de los pacientes con dimensión vertical oclusal (DVO) alterada, mediante la restauración de al menos una arcada.

La DVO de un paciente está determinada por las piezas dentarias presentes en boca; cuando hay ausencia de los O.D. posteriores o un desgaste severo de los dientes, la DVO se ve alterada. Objetivo: restablecer la DVO alterada para mejorar la oclusión, obtener espacio protésico para los materiales de restauración y mejorar la función y estética facial del paciente. Metodología: este informe de caso clínico presenta la rehabilitación integral

María Consuelo Martínez Álvarez. Especialista en Rehabilitación Oral del Centro Educativo Multidisciplinario en Rehabilitación

Oral CEMRO, Tapan, municipio de los Reyes, Michoacán.

Benjamín Alberto Lázaro Castillo. Profesor e Investigador del Centro Educativo Multidisciplinario en Rehabilitación Oral CEMRO, Tarímbaro, Michoacán.

Contacto:

María Consuelo Martínez Álvarez mary87139@gmail.com

de un paciente de 74 años con atrición severa de las piezas anterosuperiores e inferiores, ausencia de piezas posteriores, oclusión borde a borde, extrusión de piezas, gingivitis localizada, caries, retracción gingival, DVO alterada y alteración de la función masticatoria. Conclusión: una adecuada valoración, diagnóstico y planificación son fundamentales para una rehabilitación integral en la recuperación de la DVO. Este tipo de tratamientos debe realizarse en equipos interdisciplinarios para lograr resultados exitosos.

Palabras clave: rehabilitación integral, DVO, DV, desgaste dental.

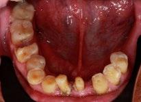
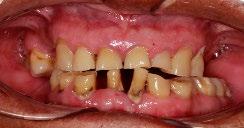
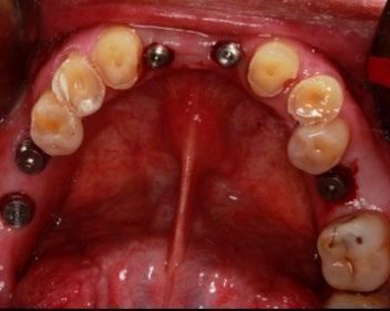
Figura 1. Fotografías clínicas intraorales oclusales, perfil derecho, frontales iniciales y radiografía panorámica en las que se observa caries, extrusión de piezas y ensanchamiento del ligamento periodontal.

La rehabilitación oral integral busca restaurar el sistema estomatognático mediante prótesis parciales fijas o removibles, con o sin implantes dentales, en pacientes con pérdida o desgaste severo de los O.D., lo que altera la dimensión vertical (DV), afectando la estética facial, la fonación y la función masticatoria. La DV es la distancia medida en el tercio inferior de la cara entre 2 puntos anatómicos: la punta de la nariz y el mentón.¹

Existen 2 tipos de DV: la dimensión vertical oclusal (DVO), que corresponde a la distancia medida entre dichos puntos cuando el paciente está

en máxima intercuspidación, y la dimensión vertical postural (DVP), que se mide cuando el paciente se encuentra en una posición de relajación.²

La DVO del paciente está determinada por las piezas dentarias presentes en boca.³ Cuando hay ausencia de piezas posteriores o desgastes severos de los dientes, la DVO se ve alterada.⁴ Es necesario recuperar el espacio interoclusal para poder restaurar los O.D. desgastados, lo que requiere la rehabilitación de al menos una arcada completa.⁵ La rehabilitación de piezas con desgaste puede realizarse mediante diferentes métodos, técnicas y materiales disponibles en la actualidad, y el pronóstico

favorable de la rehabilitación depende de la correcta identificación de la etiología del desgaste.⁶

El objetivo de este caso es restablecer la DVO alterada para mejorar la oclusión, obtener espacio protésico para los materiales de restauración y mejorar la función, la calidad de vida y la estética facial del paciente.

Caso clínico

Se reporta el caso de un paciente masculino de 74 años, con antecedentes de extracciones por caries, que acude a consulta por incomodidad al comer. Fue remitido al Centro Educativo Multidisciplinario de Rehabilitación Oral, Tarímbaro, Michoacán, en octubre de 2022. Al examen clínico se encontró cálculo dental generalizado, gingivitis localizada, movilidad dental, atrición en el sector anterosuperior e inferior, ausencia de piezas posteroinferiores y superiores, y alteración de la DVO. El análisis de fotografías clínicas intraorales mostró extrusión de raíces de piezas antagonistas en las zonas edéntulas,

oclusión borde a borde y retracción gingival (Figura 1). En los estudios imagenológicos se observó ensanchamiento del ligamento periodontal y caries (Figura 2).

Se estableció un plan de tratamiento, el cual fue autorizado mediante consentimiento informado. La DV se registró utilizando la técnica del espacio interoclusal, obteniendo 6.7 cm de DVO y 7.1 cm de DVR. Para determinar el espacio libre de oclusión, se realizó una sustracción de DVRDVO, obteniéndose 0.4 mm de espacio protésico.

Figura 2. Registro de la dimensión vertical en oclusión y en reposo con un vernier.

Figura 3. Fotografías laterales después de un mes de realizar la profilaxis. Se observan los tejidos blandos en mejores condiciones.

Figura 4. Prueba de mock-up con resina bisacrílica con aumento de dimensión vertical de 4 mm.

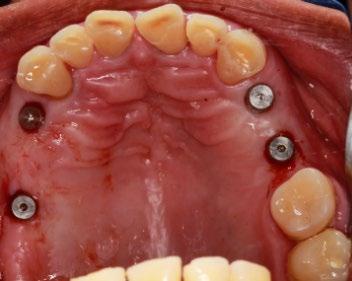
Figura 5. Primera fase quirúrgica de implantes dentales y segunda fase quirúrgica de colocación de tornillos de cicatrización en la zona de los O.D. 16, 15, 24, 26, 36, 32, 42, 46 y 47.

Se montaron los modelos de estudio en un articulador semiajustable Axiomath, aumentando 0.4 mm de DV. Con base en esto, se realizó el encerado diagnóstico (Figura 3). En la fase preventiva, se llevó a cabo una profilaxis con ultrasonido. Posteriormente, se realizaron extracciones de piezas dentarias con mal pronóstico. Se elaboró una guía de silicona basada en el encerado diagnóstico para el mock-up,

valorando la fonética, la función masticatoria, la estética facial y las posibles alteraciones que pudiera provocar. El mock-up se dejó en boca durante un mes (Figura 4).

En la primera fase quirúrgica se colocaron los implantes dentales en las zonas de las piezas 16, 15, 24, 26, 36, 32, 42, 46 y 47. A los 6 meses se evaluó la osteointegración hueso-implante, y

Figura 6. Desgaste de los O.D. 17, 13, 12, 11, 21, 22, 23, 37, 35, 34, 33, 43, 44 y 45 para prótesis fijas estéticas.

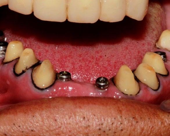
posteriormente se procedió a la segunda fase quirúrgica con la colocación de tornillos de cicatrización (Figura 5). En la fase protésica, se procedió al desgaste de las piezas para las prótesis fijas (Figura 6), se tomaron impresiones a 2 pasos con doble hilo retractor, y se enviaron al laboratorio dental para la elaboración de coronas de E-max. Mientras tanto, se colocaron restauraciones provisionales. Posteriormente, tras el cementado de las restauraciones definitivas (Figura 7), se procedió a la rehabilitación sobre implantes. Se tomaron impresiones a cucharilla abierta, que se enviaron al laboratorio para la elaboración de coronas sobre implante. Se realizó la prueba de biscocho, analizando la oclusión, y luego se reenviaron al laboratorio.

Finalmente, al recibir las coronas sobre implantes, se fijaron las restauraciones con un torque de 25 newtons, dejando las piezas sobre implantes en desoclusión (Figura 8).

Discusión

El diagnóstico es un procedimiento clínico fundamental previo a cualquier tratamiento y se complementa con exámenes auxiliares para determinar el plan de tratamiento, asegurando mayor éxito en los procedimientos. Manejar la DV con provisionales, a los que se denominan testigos de la DV, permite al paciente familiarizarse con una nueva DV durante un lapso de 1 mes o más, facilitando la transferencia de esa posición al tratamiento final.⁷

Figura 7. Fotografías intraorales oclusal y frontal de las prótesis parcial fijas de E-max cementadas.

La pérdida de dientes causa disminución de la fuerza masticatoria, pérdida de la sensación propioceptiva, efectos estéticos faciales desfavorables y afecta el bienestar psicosocial y la calidad de vida de los pacientes.⁸ El aumento de la DVO debe determinarse de acuerdo con las necesidades de la restauración y demandas estéticas. Los pacientes pueden adaptarse a un aumento de 5 mm en DVO, lo que puede ser justificado para proporcionar espacio oclusal adecuado para el material restaurador y mejorar la dentición anterior estéticamente.⁹

Conclusión

El diagnóstico es un procedimiento clínico fundamental previo a cualquier tipo de tratamiento y se complementa con todos los exámenes auxiliares necesarios para determinar el plan de tratamiento, obteniendo resultados favorables en la rehabilitación integral con la recuperación de la dimensión vertical, función, fonación, estética y calidad de vida de cada paciente.

Conflicto de interés: Los autores manifiestan no tener ningún conflicto de interés.

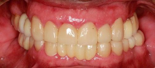
Figura 8. Fotografías iniciales y finales de la rehabilitación integral extraoral e intraoral frontales.

Importancia en recuperar la dimensión vertical oclusal

Referencias

1. Driscoll, C., Freilich, M., Guckes, A., Knoernschild, K., & Megarry, T. (2017). The Glossary of Prosthodontic Terms. The Journal Of Prosthodontic Dentistry, 117(5):C1-e105.

2. Alatorre, O., Velasco, J., Manteca, V., Llamas, D., & Valdivia, A. (2021). Métodos de registro de dimensión vertical oclusal en pacientes dentados: Revisión sistemática. Int.J.Odontostomat., 397-402.

3. Barragán-Paredes, M. A., Viveros-Rebolledo, C. A., & Garzón-Rayo, H. (2019). Alteración de la dimensión vertical: Revisión de literatura. Rev Estomatología., 27-37.

4. Turner, K. A., & Missirrlian, D. M. (1984). Restoration of the extremely worn dentition. J Prosthet Dent, 467-474.

5. Domínguez, D., & López, A. (2019). Rehabilitación bioactiva con resinas compuestas en desgaste severo: Reporte de caso . Rev Cient Odontol (Lima), 134-140.

6. Huamani-Cantoral, J. E., Huamani-Echaccaya, J. L., & Alvarado-Menacho, S. (2018). Rehabilitación oral en pacientes con alteración de la dimensión vertical oclusal aplicado un enfoque multidiciplinario. Rev Estomatol Herediana, 44-55.

7. Colombo, R., & Delgado, V. (2006). Manejo clínico de la dimensión vertical. Gaceta Dental, 94-102.

8. Koyano, K., Tsukiyama, Y., & Kuwatsuru, R. (2012). Rehabilitación de la oclusión: ¿ciencia o arte? J Rehabilitación Oral, 513-521.

9. Abduo, J., & Lyons, K. (2012). Clinical considerations for increasing occlusal vertical dimension: a review. Australian Dental Journal, 2-10.

Eficacia de diferentes medios de conservación para el manejo de dientes avulsionados: una revisión sistemática.

Parte 1

La avulsión dental se define como la exarticulación total de un diente fuera de su alvéolo debido a un traumatismo. El reimplante inmediato del diente avulsionado es el tratamiento de elección para preservar la función y la estética dental. Sin embargo, a veces no es posible reimplantar el diente inmediatamente, por lo que debe conservarse adecuadamente hasta que pueda realizarse la reimplantación.

El medio de conservación desempeña un papel crucial en la viabilidad de las células del ligamento periodontal y, por lo tanto, del diente avulsionado. El medio ideal es la solución salina, ya que mantiene las células del ligamento periodontal en un entorno similar al del cuerpo humano, lo que favorece la supervivencia de las mismas y, por tanto, la probabilidad de éxito del reimplante.

Otros medios de conservación aceptables son la leche, por su osmolaridad de 230 a 400 y su pH neutro de 7.2 a 7.4, que además es compatible

con la supervivencia de las células del ligamento periodontal. La propia saliva del paciente, aunque en menor medida, no es la más recomendable por las bacterias. En nuestros estudios, el mejor medio es la solución balanceada de Hanks; sin embargo, es difícil de conseguir. Otro remedio casero como medio de conservación es el huevo, ya que mantiene la viabilidad celular durante 6 hasta 10 horas, con una osmolaridad compatible para estas células periodontales. Se considera un medio excelente y de fácil disponibilidad, lo que asegura aumentar las posibilidades de éxito en el reimplante.

En resumen, uno de los mejores medios de conservación mencionados es el huevo para mantener la viabilidad de las células del ligamento periodontal y, por lo tanto, del diente avulsionado.

Palabras clave: avulsión, trauma, Hanks' balanced salt solution, storage media, egg and milk.

Eficacia de diferentes medios de conservación para el manejo de dientes avulsionados: una revisión sistemática

Ma. Elia Noemi Venegas Navarro. Odontología, Escuela Nacional de Estudios Superiores, Unidad León, UNAM, México ORCID:

https://orcid.org/0009-0007-5465-0294 nvenegasn@enes.unam.mx

Acosta Godinez Óscar Daniel. Odontología, Escuela Nacional de Estudios Superiores, Unidad León, UNAM, México ORCID:

https://orcid.org/0009-0003-9919-0018 osdago_@comunidad.unam.mx

Aguayo Zepeda Eduarda Maria. Odontología, Escuela Nacional de Estudios Superiores, Unidad León, UNAM, México ORCID:

https://orcid.org/0009-0007-0554-0881 edumari2305@gmail.com

Corresponding Author: Ma. Elia Noemi Venegas Navarro nvenegasn@enes.unam.mx

La avulsión dental es una de las lesiones dentales más graves y requiere atención de urgencia inmediata. Ocurre cuando el diente es completamente desplazado fuera de su alvéolo, y en la mayoría de los casos, incluso fuera de la boca, debido a un traumatismo, ya sea por un accidente o un golpe directo.¹,⁶ Los incisivos centrales superiores son los dientes avulsionados con mayor prevalencia, representando alrededor del 90 % de los casos.¹ En su mayoría, los incidentes están relacionados con actividades deportivas, ocio y accidentes de tráfico. La avulsión dental ocurre con más frecuencia en niños de entre 7 y 10 años, siendo más común en varones que en niñas.⁵

La reimplantación inmediata del diente avulsionado es el tratamiento de elección para aumentar las posibilidades de éxito.³-⁹ Es importante entender que salvar el diente no siempre es posible, incluso si se toman medidas inmediatas. Los tratamientos de urgencia para un diente avulsionado requieren atención dentro de los primeros 60 minutos y un manejo adecuado para mantener la viabilidad celular. De lo contrario, las probabilidades de curación del tejido y supervivencia del diente disminuyen considerablemente.⁴

Por lo general, los pacientes con traumatismos acuden inicialmente a un consultorio médico con dolor y lesiones faciales asociadas, lo que resulta en una pérdida de tiempo valioso y una menor vitalidad del órgano dental.² El

tratamiento de elección para estos casos es la reimplantación del diente, con el fin de restaurar la función y la estética bucal. El éxito del tratamiento depende de diversos factores, como el tiempo extraoral, la salud general del paciente, el estado de la raíz, el tipo de medio de almacenamiento utilizado y la duración que el diente permanezca avulsionado.⁷

Las células del ligamento periodontal (LPO) cuentan con un suministro de sangre, un pH de 7.2 y una osmolaridad de 280 a 300 mOsm. Cuando el diente está fuera de su alvéolo, las células del LPO comienzan a morir en menos de 15 minutos, y tras un período de 1 a 2 horas, la cantidad de células muertas es lo suficientemente significativa como para reducir drásticamente el éxito de su reimplantación.¹⁰ Por lo tanto, se han desarrollado diversas estrategias para mantener viables las células del LPO y mejorar el pronóstico del tratamiento.⁹

Una de las estrategias mencionadas en la literatura para evitar dañar el diente avulsionado es sostenerlo por la corona y enjuagarlo bajo un chorro de agua durante 10 segundos, ya que en la mayoría de los casos el diente es expulsado en áreas contaminadas (suelo, tierra, césped, arena, etc.). Después, debe colocarse inmediatamente en un medio de conservación. El medio de transporte más eficaz para un diente avulsionado es la solución balanceada de Hanks; sin embargo, otro medio aceptable es la leche de vaca descremada.⁶

Eficacia de diferentes medios de conservación para el manejo de dientes avulsionados: una revisión sistemática

Paciente/Problema/Población

Dientes avulsionados Vitalidad celular de los dientes avulsionados.

La investigación sobre nuevos medios de almacenamiento, como el agua de coco, el extracto de sábila, la leche de soya, el propóleo, el té verde, las alcaparras, el zumo de granada y la mora roja, ha mostrado resultados prometedores in vitro, indicando buenos tiempos de almacenamiento. No obstante, aún se requieren más estudios para recomendar su uso en la práctica clínica. Por esta razón, la leche sigue siendo el mejor medio de conservación accesible debido a su osmolaridad fisiológica, pH balanceado, características estériles, y su capacidad de nutrir los fibroblastos del ligamento periodontal, además de ser fácilmente disponible y un medio de transporte adecuado para dientes avulsionados.¹⁰

La presente revisión sistemática tiene como objetivo identificar cuáles son los medios de conservación más adecuados para mantener la viabilidad celular del ligamento periodontal en el manejo de dientes avulsionados, así como analizar las características de cada uno, ya que estos son factores clave para lograr un pronóstico más favorable.¹¹

Objetivo: describir las características de los diferentes medios de conservación

Leche entera, solución de Hanks. leche de almendras, solucion isotonica, saliva, propóleo, placenta, DMEM, agua huevo y juego de granada.

Identificar las características (pH, osmolaridad fisiológica) de los diferentes medios de conservación para mantener la viabilidad de las células del ligamento periodontal de los dientes avulsionados, y cómo influyen en el pronóstico del tratamiento Experimental in vitro

que se utilizan en el manejo de dientes avulsionados con el fin de preservar la viabilidad celular y mejorar el pronóstico del tratamiento. Para esta revisión se emplearon las metodologías PRISMA y PICOS para definir el alcance de la investigación.

Materiales y métodos

Pregunta de investigación: ¿Cuál es el medio de conservación más efectivo para el manejo de dientes avulsionados? (Tabla 1).

Estrategia de búsqueda: Esta revisión sistemática se llevó a cabo siguiendo los principios establecidos por las directrices PRISMA (Elementos para Informes Preferidos de Revisiones Sistemáticas y Metaanálisis). La búsqueda se realizó en enero de 2024, utilizando artículos encontrados en PubMed, SciELO, Science Direct y la National Library. Nuestro motor de búsqueda principal fue "Web of Science", empleando las siguientes palabras clave: “Avulsion AND tooth”, “Means of conservation AND tooth”, “Tooth AND conservation”, y “Avulsion AND storage media”. En el Journal of Taibah University Medical Sciences (2023), se utilizaron las palabras clave: “avulsioned AND tooth”.

Tabla 1. Acrónimos PICOS.

Identificación

Screening Incluido

Los criterios de inclusión fueron: artículos originales, artículos traducidos al inglés o español, artículos en texto completo publicados en los últimos 5 años, artículos relacionados con el manejo de dientes avulsionados, ensayos clínicos aleatorizados, libros sobre dientes avulsionados y sus medios de conservación, y términos booleanos basados en la metodología PICOS. Se excluyeron revisiones, informes de casos, cartas al editor y estudios publicados en idiomas distintos al inglés.

Selección de los estudios: De cada uno de los artículos recopilados se elaboró un resumen, extrayendo los datos más relevantes como el año de publicación, autor, país y medios de conservación utilizados.

Evaluación de la calidad metodológica: La evaluación de la calidad metodológica

Registros identitificados mediante búsqueda en base de datos

PubMed=21

Web of science=64

Redaly=6

Science direct=43

Duplicados y con rango de fecha no mayor a 5 años N=6

Artículos sin lectura previa N=3

Artículos de texto completo evaluados para determinar su elegibilidad N=6

Estudios incluidos N=6

Artículos con falta de relación al tema de estudio

Artículos de otras fuentes

de un estudio es fundamental para determinar la validez y fiabilidad de sus resultados. Otro sistema ampliamente utilizado para este fin es el sistema GRADE (Grading of Recommendations Assessment, Development and Evaluation). Este sistema se emplea principalmente para evaluar la calidad de la evidencia y la fuerza de las recomendaciones en las guías clínicas. GRADE considera varios aspectos, como el diseño del estudio, la calidad de los datos, la consistencia de los resultados, la precisión de las estimaciones y la posibilidad de sesgo. Posteriormente, clasifica la calidad de la evidencia en cuatro niveles: alta, moderada, baja y muy baja.

Resultados: Las búsquedas realizadas arrojaron un total de 21 artículos en PubMed, de los cuales se incluyó 1: Sinpreechanon, P., et al., 2019. Otra base de datos utilizada fue Web of Science, la cual resultó en 64 artículos, de los cuales se incluyeron 2: Nam, O. H., et al., 2019 y Thoyalil, M., et al., 2023. La tercera base fue Science Direct, que arrojó un total de 43 artículos, y se incluyeron 2: Williams, A. I. O., et al., 2023 y Gül, A., Lauridsen, et al., 2023. Finalmente, en DOAJ se encontraron 8 artículos, de los cuales se incluyó 1: Adam, S., et al., 2024. También se consultó la base de datos Redalyc, que resultó en 6 artículos, pero ninguno cumplió con los criterios de inclusión.

Artículos de texto completamente excluidos

En total, los artículos que cumplieron con los criterios de elegibilidad fueron 6. (Figura 1)

Figura 1. Diagrama PRISMA.

Eficacia de diferentes medios de conservación para el manejo de dientes avulsionados: una revisión sistemática

Referencias

1. Bourgeois, J., Carvalho, J. C., De Bruyne, M., Declerck, D., Eloot, A., & Leroy, R. (2022). Antibiotics at replantation of avulsed permanent teeth? A systematic review. MThe Journal Of Evidence-based Dental Practice/Journal Of Evidence-based Dental Practice, 22(2), 101706. https://doi. org/10.1016/j.jebdp.2022.101706

2. Palma, J. H., & Espinoza, E. V. (n.d.). Tratamiento del diente avulsionado: Caso clínico, seguimiento a 5 años Treatment of an avulsed teeth: case report, 5 years follow-up Maria Isaura Cortés Garcia.

3. Najeeb, S., Al-Quraini, A. A. A., Almusallam, H. A. A., Zafar, M. S., &n Khurshid, Z. (2020). Effect of laser treatment on outcomes of tooth replantation – A systematic review. Journal Of Taibah University Medical Sciences, 15(3), 169-176. https://doi.org/10.1016/j.jtumed.2020.03.008

4. Guo, H., Li, B., Wu, M., Zhao, W., He, X., Sui, B., Dong, Z., Wang, L., Shi, ., Huang, X., Liu, X., Li, Z., Guo, X., Xuan, K., & Jin, Y. (2021). Odontogenesis-related developmental microenvironment facilitates deciduous dental pulp stem cell aggregates to revitalize an avulsed tooth. Biomaterials, 279, 121223. https://doi.org/10.1016/j.biomaterials.2021.121223

5. Cherian, J. M., Samuel, S., Sabu, A. M., Thomas, A. M., & Injety, R. J. (2023). Dental implants in growing patients: A quality assessment of systematic reviews. Journal Of Oral Biology And Craniofacial Research, 13(5), 610-615. https://doi.org/10.1016/j.jobcr.2023.07.004

6. Avulsión dental Dental avulsion De la Teja-Ángeles E’, Villegas-García L’, Rodríguez-Ramírez F3, Durán- Gutiérrez LA3. (n.d.).

7. Al-Hijazi, A. Y., Al-Khafaji, L. K., Shaalan, A. H., & Jabaz, M. F. (2023b). Success of replantation of avulsed teeth using human colostrum as an interim storage medium. Journal Of Taibah University Medical Sciences, 18(6), 1189-1194. https://doi.org/10.1016/j.jtumed.2023.02.003

8. Berman , L. (2008). Manual clínico de traumatología dental . Madrid, España : Diorki Servicios Integrales

9. Cruz-Durán, G., Ortiz-Daza, R., Díaz-Acevedo, J. A., Sánchez-Trocino, B., Arenas-Arrocena, M. C., & García- Contreras, R. (2018). Citotoxicidad de soluciones recomendadas para el almacenamiento de dientes avulsionados en cultivo con células del ligamento periodontal. Gaceta MéDica de MéXico, 154(2). https://doi.org/10.24875/gmm

10. Salud Uninorte, Vol. 33, núm. 3, septiembre-diciembre, 2017, pp. 517-531 Universidad del Norte Barranquilla, Colombia.

11. García, M. I. C., Palma, J. H., & Espinoza, E. V. (2010). Tratamiento del diente avulsionado: Caso clínico, seguimiento a 5 años. Revista Odontológica Mexicana, 14(4). https://doi.org/10.22201/ fo.1870199xp.2010.14.4.23968

12. Guo, H., Li, B., Wu, M., Zhao, W., He, X., Sui, B., Dong, Z., Wang, L., Shi, S., Huang, X., Liu, X., Li, Z., Guo, X., Xuan, K., & Jin, Y. (2021c). Odontogenesis-related developmental microenvironment facilitates deciduous dental pulp stem cell aggregates to revitalize an avulsed tooth. Biomaterials, 279, 121223. https://doi.org/10.1016/j.biomaterials.2021.121223

13. Williams, A. I. O., Oo, D., Popoola, B. O., Adeniji, J. A., Adewumi, M. O., Akinleye, T. E., & Akinyamoju, C. (2023). Viability of periodontal ligament cells in selected transport media for avulsed teeth. Brazilian Journal Of Oral Sciences/Brazilian Journal Of Oral Sciences, 22, e231499.

14. Gül, A., Lauridsen, E., Gerds, T. A., & Andersson, L. (2023). Risk of ankylosis of avulsed teeth immediately replanted or stored under favorable storage conditions before replantation: A long-term clinical study. Dental Traumatology, 40(2), 137-143.

15. Sinpreechanon, P., Boonzong, U., & Sricholpech, M. (2019). Comparative evaluation of periodontal ligament fibroblasts stored in different types of milk: effects on viability and biosynthesis of collagen. European Journal Of Oral Sciences, 127(4), 323-332.

16. Thoyalil, M., Belchada, D. K., Devi, K. B., Ravi, R. V., Uchummal, M. M., & Parikkal, R. (2023). The Comparative Analysis of the Effectiveness of Four Different Storage Media (Placentrex, Propolis 10%, Pomegranate Juice 5%, and Hank’s Balanced Salt Solution) in Preserving the Viability of Periodontal Ligament Cells: An In Vitro Study. Curius.

17. Guo, H., Li, B., Wu, M., Zhao, W., He, X., Sui, B., Dong, Z., Wang, L., Shi, S., Huang, X., Liu, X., Li, Z., Guo, X., Xuan, K., & Jin, Y. (2021). Odontogenesis-related developmental microenvironment facilitates deciduous dental pulp stem cell aggregates to revitalize an avulsed tooth. Biomaterials, 279(121223), 121223.

18. Mejia Fernández, Pedro P; De la Hoz Fonseca, Keyla Medios de almacenamiento para dientes avulsionados. Una revisión

19. Hiremath, G., & Kidiyoor, K. H. (2011). Avulsion and storage media. Journal Of Investigative And Clinical Dentistry, 2(2), 89-94. https://doi.org/10.1111/j.2041-1626.2010.00043.x

Turn static files into dynamic content formats.

Create a flipbook
Issuu converts static files into: digital portfolios, online yearbooks, online catalogs, digital photo albums and more. Sign up and create your flipbook.