Insight Newsletter | Winter 2025

Page 1


Winter 2025 Research and Scholarship

Welcome to the latest issue of Insight, a newsletter celebrating the accomplishments of our community of scholars. We aim to spotlight insights from people at the Dugoni School working in all areas of scholarship, including clinical or biomedical research, the scholarship of teaching and learning, improvement of the health care system, and professional partnerships that advance the field.

CDA Journal Focuses on Climate Change, Sustainable Dentistry

A special issue of the CDA Journal explores the impact of climate change on dentistry. Edited by Dr. Nader Nadershahi, dean of the dental school, in collaboration with Dr. David Ojcius, it offers ideas on how dental professionals can reduce their carbon footprint while still offering safe and high-quality care.

“All dentists have a unique opportunity to lead by example by reducing their clinic’s carbon footprint through thoughtful decisionmaking for materials, technology and patient education,” said Dr. Nadershahi in his introduction. “By reevaluating procedures, reducing waste and advocating sustainable practices, the dental profession can make a meaningful contribution to the global fight against climate change.”

Explore the full issue at https://is.gd/cufapu.

Research and Scholarship

Research in the Spotlight

Ageism and

What is it?

Ableism Impacts Older Adults with Intellectual and Developmental Disabilities

An overview of the challenges facing people with IDD as they get older, the available research on this area and best practices for serving this population.

What problem does it aim to solve?

People with IDD are a significant share of the population, but they are underserved, despite the fact that they have many health and aging challenges. These challenges are in part due to their health conditions themselves, but also because they experience worse care due to ableism, as well as inadequate resources. For example, dental care for adults is not covered by Medicare and many people with IDD lose dental coverage once they turn 18.

How does it work?

The study uses developmental and morphological characteristics to link these remains to Preneanderthal and Early Neanderthal groups, showing affinities in mandibular features such as mental foramen position and molar crown characteristics.

What are the real-world implications?

“Reasons individuals with IDD see primary care providers less often than the general population: Limited access to knowledgeable and experienced primary care providers; Sensory and/or behavioral issues that impact the person’s ability to cooperate with examinations and evaluations; Physical challenges that may limit access to a health care facility; Decreased ability of individuals with IDD to self-report signs and symptoms of illness; Individuals with IDD and their caregivers overlooking subtle changes in physical health; Confusion between conditions associated with IDD and symptoms of an acquired cognitive impairment; Individuals and/or their caregivers unaware of the need for routine oral health assessments; Difficulty measuring changes in level of functioning over time; Diagnostic overshadowing.”

What are the next steps?

“Seven recommendations for a person-centered approach to planning and aging in place for individuals with IDD, International Expert Panel Recommendations: Earlier consideration of frailty than in the general population; Improvement and maintenance as viable goals; Inter-sectoral collaboration to coordinate comprehensive multi-disciplinary assessments and actions; Safety as a priority; Planning for the future; Recognition of the needs of formal and informal caregivers;

Photo by Cliff Block, Pexels

Research and Scholarship

Acknowledgment the current evidence base is lacking and requires more investigation.

The panel acknowledges that their consensus is the work of experts and that direct input from individuals with IDD themselves and their caregivers is needed.”

Source

“Ageism and Ableism in Individuals Aging with Intellectual and Developmental Disabilities”, Dental Clinics of North America, Volume 69, Issue 1, Pages 103 – 114, January 2025 https://www.sciencedirect.com/science/article/pii/S0011853224000570

Authors

Christine Wieseler PhD

Department of Philosophy, Santa Clara University, 500 EL Camino Real, Santa Clara, CA 95053, USA

Elisa M. Chávez DDS

Diagnostic Sciences, Pacific Center for Equity in Oral Health Care, University of the Pacific, Arthur A. Dugoni School of Dentistry, 155 5th Street, 4th Floor, San Francisco, CA 94103, USA

Janet A. Yellowitz DMD, MPH

Geriatric Dentistry, University of Maryland School of Dentistry, 650 West Baltimore Street #3211, Baltimore, MD 21201, USA

Peri-Implantitis: A Meta-Review

What is it?

Peri-implant disease is an inflammatory condition affecting the tissue around dental implants. Bacteria can build up and over time irritates the gum tissue, leading to irritation and damage. Without intervention, it will cause the bone structure below the implant to deteriorate.

A radiograph two years after implant placement, then seven years later in a heavy smoker, demonstrating progression of bone loss due to peri-implantitis. Source: Wikipedia

Research and Scholarship

What problem does it aim to solve?

Researchers conducted an extensive literature search for studies conducted between 2000 and 2022 in the PubMed, Web of Science, and Science Direct databases and analyzed them. Areas of focus included causes, risk factors and treatments.

What are the real-world implications?

There is currently no one treatment that yields consistently successful results, but stem-cell and other regenerative techniques look promising. There is a consistent emphasis on the importance of preventing the condition in the first place and/or keeping it from getting worse. Medication changes and regular dental appointments are crucial.

What are the next steps?

More research is clearly needed on more patients and with increased follow-up time.

Source

“Peri-implantitis after 40 years: Evidence, mechanisms, and implications: A mapping review”, Journal of Prosthetic Dentistry, Volume 132, Issue 6, December 2024, Pages 1215-1225, https://www.sciencedirect.com/science/ article/pii/S0022391323001142

Author Steven J. Sadowsky DDS Professor, Preventive and Restorative Department, University of the Pacific Arthur A. Dugoni School of Dentistry

Uncommon Presentation of a Residual Cyst

What is it?

This is a case study of an 82-year-old male patient with jaw pain, which turns out to be a rare case where an X-ray shows a residual cyst with unusual calcium deposits inside. Cysts are abnormal hollow spaces within the bone, often lined by a thin layer of cells. These cells can come from tooth-related tissues (odontogenic) or other sources (non-odontogenic). Residual cysts are a type of inflammatory cyst that forms when parts of an earlier cyst are left behind after treatment. These often originate from untreated radicular cysts and occur in areas where teeth are missing. They are usually painless and found accidentally during dental X-rays. The lead author on the case study was a DDS student at the Dugoni School.

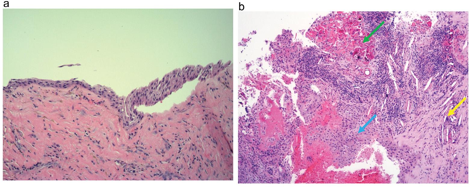
(a) The histologic examination at 100× magnification reveals an odontogenic cystic lining and with collagenized cyst wall harboring chronic inflammatory cells and golden lipofuscin deposits. (b) The histologic examination shows an inflamed and distorted cyst at 40× magnification.The green arrow indicates the presence of Rushton bodies, the yellow arrow points to cholesterol clefts with multinucleated giant cells, and the blue arrow highlights an inflamed cystic lining with neutrophil exocytosis.

Research and Scholarship

What problem does it aim to solve?

Cysts can be symptomless or cause mouth pain; treating them successfully requires accurate diagnosis not just of the cyst’s existence, but of its type. It’s important to develop, document and share best practices.

How does it work?

“A multidisciplinary approach involving oral surgery, oral and maxillofacial radiology, and oral pathology specialists was essential in managing this case. This collaborative effort ensured a holistic view of the patient’s dental condition and thus, a more personalized differential diagnosis.”

What are the real-world implications?

“This case underscores the importance of considering a cyst with dystrophic calcifications in the differential diagnosis of unilocular radiolucent lesions with radiopaque internal entities. Comprehensive patient assessment and a multidisciplinary treatment approach are critical for effective management and prevention of recurrence in such complex cases.”

What are the next steps?

This report emphasizes that when diagnosing unusual bone lesions with both dark and light areas on X-rays, dentists should consider residual cysts with calcifications as a possibility. It also highlights the importance of evaluating the overall dental condition to make an accurate diagnosis.

Source

Zamanian, N., Karimi, A., Bukhari, J., Davies, A. J., Mashkoor, F., & Daly, L. B. (2024). Uncommon Presentation of a Residual Cyst. Journal of the California Dental Association, 52(1). https://doi.org/10.1080/19424396.2024.24 13577

Authors

Nazgol Zamanian

International Dental Studies program Class of 2025, University of the Pacific Arthur A. Dugoni, School of Dentistry

A. Karimi

International Dental Studies program Class of 2026, University of the Pacific, Arthur A. Dugoni School of Dentistry

J. Bukhari

BeamReaders, New York, USA

A. J. Davies

Department of Oral and Maxillofacial Surgery, University of the Pacific, Arthur A. Dugoni School of Dentistry

F. Mashkoor

Department of Oral and Maxillofacial Surgery, University of the Pacific, Arthur A. Dugoni School of Dentistry

L. B. Daly

Department of Diagnostic Sciences, University of the Pacific, Arthur A. Dugoni School of Dentistry

Research and Scholarship

Aerosol Dispersion and Efficacy of Protective Strategies During Dental Procedures

What is it?

Research conducted by simulating dental treatment on a dental mannequin in the Dugoni School’s SimLab under various conditions and measuring the emission of aerosols in the air.

What problem does it aim to solve?

Between the ongoing Covid-19 pandemic, a severe flu season, the rise in RSV infections, outbreaks of vaccine-preventable diseases, the looming concern over H5N1 (bird flu), and other pathogens such as fungi and bacteria, there are many reasons for infection control in dental settings, as prior research has demonstrated that pathogens can be spread via aerosols.

Mean particle concentrations over time at 1.8 meters and no evacuation.

How does it work?

Researchers used a mannequin head with an artificial tooth, or typodont, to simulate clinical settings to examine how dental unit waterlines and mechanical factors contribute to aerosol production. The team used a spectrometer to take measurements of the air at various distances from the handpiece.

What were the findings?

The dental procedure produced many aerosols in the air, and while at three feet from the handpiece’s activity there was a lower concentration, the levels didn’t drop as much as assumed at six feet from it. In addition, particulate levels remained higher than baseline for some time. The use of evacuation technology, however, decreased significantly aerosol dispersion and kept them from lingering in the air. “Isolite provided the largest mean drop from the control, with high-volume evacuation with a rubber dam at a close second place.”

What are the real-world implications?

Particles, and presumably aerosols containing pathogens, spread further and linger longer in the air than one might expect. What are the next steps?

It would be good to do research on both dispersion of particles and on evacuation methods, as well as on the effects of pathogens themselves being dispersed, as well as to revisit and revamp “safe distance” guidelines and specifically recommend use of high-volume evacuators, especially Isolite. And as always, masks, or masks combined with face shields, add an additional layer of protection.

Research and Scholarship

Source

“Aerosol Dispersion and Efficacy of Protective Strategies During Dental Procedures”, International Dental Journal, 2025, https://www.sciencedirect.com/science/article/pii/S0020653925000371

Authors

Mustafa Radif, Andrew Young, Eric Salmon, David M. Ojcius, Shika Gupta

Arthur Dugoni School of Dentistry, University of the Pacific, San Francisco, CA, USA

Recent Publications

Congratulations to Dugoni School faculty, staff, student and resident researchers involved in the following research publications in 2025 as sourced by Scopus, the abstract and citation database of peer-reviewed literature. Visit the abstract links to learn more about the publications, and see all from the last several years at https://dental.pacific.edu/pubs

Ohnuma S.; Takizawa K.; Ozasa K.; Young A.; Noma N.

Tooth pain accompanying cluster headache in a middle-aged female: A case report (2025), Journal of Clinical and Experimental Dentistry (17), pp. e229–e232

DOI: 10.4317/jced.62454 | View ›

Saghiri M.A.; Shekarian M.; Samadi F.; Briss D.S.; Napoli S.; Conte M.

The Impact of pH on the Piezoelectric Properties of Dentin in Root Canal Treated Teeth: Implications for Dental Materials and Oral Health (2025), Journal of Endodontics (51), pp. 195–199

DOI: 10.1016/j.joen.2024.11.001 | View ›

Bedrossian E.; Bedrossian E.A.

Full Mouth Reconstruction with Dental Implants: Planning, Surgical, and Prosthetic Phase (2025), Dental Clinics of North America

DOI: 10.1016/j.cden.2024.11.007 | View ›

Zhang C.; Young A.; Rodriguez S.; Schulze K.A.; Surti B.; Najem F.; Hu J.

Impacts of hazardous noise levels on hearing loss and tinnitus in dental professionals (2025), Journal of Occupational Medicine and Toxicology (20)

DOI: 10.1186/s12995-024-00447-0 | View ›

Richards G.D.; Jabbour R.S.; Guipert G.; Defleur A.

Early Neanderthal mandibular remains from Baume Moula-Guercy (Soyons, Ardèche) (2025), Anatomical Record (308), pp. 892–929

DOI: 10.1002/ar.25550 | View ›

Barone S.; Cevidanes L.; Bianchi J.; Goncalves J.R.; Giudice A.

Deep Learning-Based Three-Dimensional Analysis Reveals Distinct Patterns of Condylar Remodelling After Orthognathic Surgery in Skeletal Class III Patients (2025), Orthodontics and Craniofacial Research

DOI: 10.1111/ocr.12895 | View ›

Wieseler C.; Chávez E.M.; Yellowitz J.A.

Ageism and Ableism in Individuals Aging with Intellectual and Developmental Disabilities (2025), Dental Clinics of North America (69), pp. 103–114

DOI: 10.1016/j.cden.2024.08.005 | View ›

Turn static files into dynamic content formats.

Create a flipbook
Issuu converts static files into: digital portfolios, online yearbooks, online catalogs, digital photo albums and more. Sign up and create your flipbook.