Bizu Comentado – Perguntas e Respostas Comentadas de Cardiologia Clínica

Page 1


A editora e os autores deste livro não mediram esforços para assegurar dados corretos e informações precisas.

Entretanto, por ser a medicina uma ciência em permanente evolução, recomendamos aos nossos leitores recorrer à bula dos medicamentos e a outras fontes fidedignas, bem como avaliar, cuidadosamente, as recomendações contidas no livro em relação às condições clínicas de cada paciente.

Jonathan Batista Souza

Charles Rios Souza

Halsted Alarcão Gomes Pereira da Silva

Lucas Magalhães dos Reis

Bruno Rezende Passos

Arthur Curtarelli de Oliveira

Igor Rafael Sincos

Bizu Comentado – Perguntas e Respostas Comentadas de Cardiologia Clínica

Copyright © 2025 by Editora Rubio Ltda.

ISBN 978-65-88340-87-5

Todos os direitos reservados. É expressamente proibida a reprodução desta obra, no todo ou em parte, sem autorização por escrito da Editora.

Produção

Equipe Rubio

Capa

Bruno Sales

Imagens de capa ©iStock.com/boggy22/sudok1

Editoração eletrônica IO Design

CIP‑BRASIL. CATALOGAÇÃO NA PUBLICAÇÃO

SINDICATO NACIONAL DOS EDITORES DE LIVROS, RJ

C475p

Perguntas e Respostas Comentadas de Cardiologia Clínica/ [organizadores: Jonathan Batista Souza, Charles Rios Souza, Halsted Alarcão Gomes Pereira da Silva, Lucas Magalhães dos Reis, Bruno Rezende Passos, Arthur Curtarelli de Oliveira, Igor Rafael Sincos]. – Rio de Janeiro: Editora Rubio, 2025. – Bizu Comentado.

Bibliografia

ISBN 978-65-88340-87-5

1. Cardiologia. 2. Perguntas e Respostas. I. Souza, Jonathan Batista. II. Souza, Charles Rios. III. Da Silva, Halsted Alarcão Gomes Pereira. IV. Dos Reis, Lucas Magalhães. V. Passos, Bruno Rezende. IV. De Oliveira, Arthur Curtarelli. VII. Sincos, Igor Rafael. VIII. Título. IX. Série

CDD: 616

CDU: 616.1

Meri Gleice Rodrigues de Souza – Bibliotecária – CRB-7/6439

Editora Rubio Ltda.

Av. Franklin Roosevelt, 194 s/l 204 – Centro 20021-120 – Rio de Janeiro – RJ

Telefax: 55(21) 2262-3779 • 2262-1783

E-mail: rubio@rubio.com.br www.rubio.com.br

Impresso no Brasil

Printed in Brazil

Autores

Jonathan Batista Souza

Doutor em Ciências pela Universidade de São Paulo (USP)/Instituto Dante Pazzanese de Cardiologia (IDPC), SP.

Médico Cardiologista Assistente do Setor de Hipertensão, Tabagismo e Nefrologia do IDPC.

Instrutor de Suporte Avançado de Vida em Cardiologia (Advanced Cardiovascular Life Support [ACLS]) do IDPC.

Cardiologista da Clínica Endovascular São Paulo e Responsável Técnico pela Endovascular Imagens, SP.

Ecocardiografista do IDPC/Sociedade Brasileira de Cardiologia (SBC)/ Departamento de Imagem Cardiovascular (DIC).

Cardiologista do IDPC/SBC.

Charles Rios Souza

Coordenador do Serviço de Marca-passo do Hospital das Clínicas da Universidade Federal de Minas Gerais (UFMG).

Diretor da Clínica Incare de Cardiologia e Arritmias Cardíacas, BH.

Arritmia Clínica e Estimulação Cardíaca Artificial do Instituto Dante Pazzanese de Cardiologia (IDPC), SP.

Cardiologista do IDPC/Sociedade Brasileira de Cardiologia (SBC).

Halsted Alarcão Gomes Pereira da Silva

Cardiologista do Instituto Dante Pazzanese de Cardiologia (IDPC), SP/Sociedade Brasileira de Cardiologia (SBC).

Ecocardiografista do IDPC/SBC/Departamento de Imagem Cardiovascular (DIC).

Fellowship em Ecocardiografia Congênita e Fetal/Vascular do IDPC.

Membro da Sociedade Brasileira de Cardiologia – Departamento de Imagem Cardiovascular/European Society of Cardiology/ European Association of Cardiovascular Imaging/American Society of Echocardiography (SBC-DIC/ESC/EACVI/ASE).

Instrutor de Suporte Avançado de Vida em Cardiologia (Advanced Cardiovascular Life Support [ACLS]) do IDPC.

Plantonista da Unidade de Pós-operatório de Cirurgia Cardíaca do IDPC.

Lucas Magalhães dos Reis

Graduado em Medicina pela Universidade Federal de Juiz de Fora (UFJF).

Professor da Faculdade de Medicina de Itajubá (FMIT) – AFYA.

Médico do Corpo Clínico do Hospital de Clínicas de Itajubá, MG.

Clínica Médica pelo Hospital das Clínicas da Faculdade de Medicina da Universidade de São Paulo (HC-FMUSP) –Campus Ribeirão Preto, SP.

Cardiologista e Ecocardiografista do Instituto Dante Pazzanese de Cardiologia (IDPC)/Sociedade Brasileira de Cardiologia (SBC).

Bruno Rezende Passos

Graduado em Medicina pela Universidade Federal de Juiz de Fora (UFJF).

Médico Cardiologista Assistente no Hospital das Clínicas da Universidade Federal de Minas Gerais (HC-UFMG).

Residência em Clínica Médica no HC-UFMG.

Residência em Cardiologia na Universidade de Brasília (UnB)/Instituto de Cardiologia e Transplantes do Distrito Federal (ICTDF), DF.

Especialista em Cardiologia e Ecocardiografia pela Sociedade Brasileira de Cardiologia (SBC).

Arthur Curtarelli de Oliveira

Cirurgião Geral, Cirurgião Vascular e Ultrassonografia Vascular com Doppler do Hospital de Clínicas da Universidade Estadual Paulista (Unesp).

Mestrado Profissional com Ênfase em Cirurgia pela Faculdade de Medicina de Botucatu (FMB), SP.

Cirurgião Endovascular do Instituto Dante Pazzanese de Cardiologia (IDPC).

Título de Especialista em Cirurgia Vascular, Ecografia Vascular com Doppler e Cirurgia Endovascular pela Sociedade Brasileira de Angiologia e Cirurgia Vascular (SBACV).

Fellowship Internacional em Cirurgia Endovascular nos USA.

Master of Business Administration (MBA) em Gestão Empresarial pela Fundação Getúlio Vargas (FGV).

Igor Rafael Sincos

Diretor da Clínica Endovascular São Paulo e Prime Care Medical Complex, SP.

Diretor e Fundador do ScIENCE Endovascular, SP. Doutor pelo Departamento de Cirurgia do Hospital das Clínicas da Faculdade de Medicina da Universidade de São Paulo (HC-FMUSP).

Master of Business Administration (MBA) pela University of Pittsburgh, Pittsburgh, EUA.

Pós-graduado em Liderança Cirúrgica pela Harvard Medical Scholl, Boston, EUA.

D e D ic Atóri A

Dedicamos a todos nossos alunos que, assim como você, escolheram a Cardiologia para exercer a nobre arte da Medicina.

A todos que investem horas de estudo se dedicando para aprimorar seus conhecimentos e honrar a confiança de quem entrega suas vidas em nossas mãos. Que este livro seja um farol na

sua jornada em busca do Título de Especialista em Cardiologia, iluminando o caminho para o exercício prático dessa nobre especialidade clínica. Que permita exercê-la de maneira ética, humana e eficaz.

Que inspire não apenas o aprendizado contínuo, mas também a multiplicação de boas práticas.

A gr AD ecimentos

A criação deste livro só foi possível graças à contribuição de muitas mãos, mentes e corações que caminharam ao nosso lado.

Agradeço, primeiramente, a toda nossa equipe, cujas expertise e dedicação foram fundamentais para transformar este projeto em uma obra significativa. Suas ideias e revisões incansáveis enriqueceram cada página.

Às nossas famílias, pelo suporte inabalável, pela compreensão e pela paciência nos momentos

em que a escrita exigiu ausências e longas horas de trabalho. Vocês são nossa maior fonte de força e motivação.

Aos nossos professores e mentores, que semearam o amor pela Cardiologia, a busca pela excelência e a vocação pelo ensino. Seus ensinamentos ecoam em cada capítulo e esperamos que ressoem não apenas no coração de cada leitor, mas na inspiração para compartilhar o conhecimento.

A presentA ção

A conquista do Título de Especialista em Cardiologia (TEC) é um marco fundamental na trajetória de todo cardiologista. Mais do que um certificado, ele representa o reconhecimento da excelência, do compromisso com a ciência e da capacidade de oferecer o melhor cuidado aos pacientes. No entanto, alcançar esse objetivo exige preparação estratégica e um estudo direcionado.

Foi com essa missão que criamos o Bizu Comentado – Perguntas e Respostas Comentadas de Cardiologia Clínica, um material pensado especificamente para ajudá-lo a enfrentar essa etapa desafiadora com segurança e eficiência. Reunimos os principais tópicos cobrados na prova, organizados de forma a proporcionar uma visão clara das áreas

mais recorrentes e com a quantidade de questões proporcional à relevância histórica de cada tema. Assim, além de fortalecer seus conhecimentos, você poderá identificar seus pontos de maior vulnerabilidade e aprimorá-los de maneira objetiva. Nosso objetivo é tornar sua preparação mais eficiente, otimizar seu tempo e guiá-lo rumo à aprovação. A cada questão resolvida, você estará um passo mais próximo da realização desse grande sonho. Estamos ao seu lado nessa jornada. Qualquer dúvida, estaremos aqui para ajudar.

Bons estudos e sucesso! Os Autores

prefácio

A Cardiologia tem se consolidado como uma das mais dinâmicas e desafiadoras especialidades médicas, exigindo do profissional não apenas uma base teórica sólida, mas também a capacidade de integrar conhecimentos e aplicá-los criteriosamente na prática clínica. Nesse contexto, a preparação para a prova do Título de Especialista em Cardiologia (TEC), concedido pela Sociedade Brasileira de Cardiologia, representa um marco fundamental na trajetória dos médicos que desejam se destacar na especialidade.

O livro Bizu Comentado – Perguntas e Respostas em Cardiologia Clínica surge como um recurso essencial para aqueles que almejam conquistar o Título de Especialista. Estruturado de maneira didática, apresenta uma seleção criteriosa de questões que refletem o formato e o nível de exigência da prova, permitindo ao leitor se familiarizar com os temas mais recorrentes e os desafios impostos pelo exame. O diferencial deste material reside nos comentários elaborados para cada resposta, que não apenas esclarecem as alternativas corretas, mas também promovem uma revisão abrangente dos conceitos primordiais, consolidando o aprendizado de modo eficaz.

Mais do que um compêndio de questões, configura-se como uma ferramenta estratégica para o

aprimoramento do raciocínio clínico e a fixação do conhecimento cardiológico. A experiência dos autores na área garante um conteúdo atualizado e alinhado às diretrizes mais recentes, proporcionando aos candidatos uma preparação consistente e baseada em evidências.

Recomendo esta obra não apenas aos candidatos ao Título de Especialista, como também a todos os cardiologistas em formação que buscam aprofundar seus conhecimentos e aprimorar sua prática assistencial. Que ela seja uma aliada valiosa nessa jornada de estudo e aperfeiçoamento profissional.

“Tiverdes a grande sorte de encontrar mestres de verdade, amigos autênticos, que te ensinaram sem reservas tudo quanto quiserdes saber; não precisaste de artimanhas para lhes ‘roubar’ a ciência, porque te indicaram o caminho mais fácil, embora a eles lhes tenha custado duro trabalho e sofrimento descobri-lo… agora, toca-te a ti fazer outro tanto, com este, com aquele, com todos!” São José Maria Escrivá. David Sincos Cardiologista Clínico.

s umário

C apítulo 1 Avaliação Clínica do Paciente Cardiopata, 1

Charles Rios Souza Respostas,3

C apítulo 2 Cardiologia Preventiva, 9

Jonathan Batista Souza Respostas,17

C apítulo 3 Síndrome Coronariana Aguda e Crônica, 33

Halsted Alarcão Gomes Pereira da Silva Respostas,51

C apítulo 4 Fibrilação Atrial, 95

Charles Rios Souza Respostas,99

C apítulo 5 Arritmias e Dispositivo Cardíaco Eletrônico Implantável, 107

Charles Rios Souza Respostas,117

C apítulo 6 Valvopatias e Endocardite Infecciosa, 143

Jonathan Batista Souza  Lucas Magalhães dos Reis Respostas,159

C apítulo 7 Miocardiopatias e Pericardiopatias, 177

Lucas Magalhães dos Reis Respostas,187

C apítulo 8 Insuficiência Cardíaca Aguda e Crônica/Transplante, 203

Bruno Rezende Passos Respostas,215

C apítulo 9 Doenças da Aorta e Doença Arterial Periférica, 237

Bruno Rezende Passos

Respostas,239

C apítulo 10 Cardiopatias Congênitas, 245

Halsted Alarcão Gomes Pereira da Silva Respostas,249

C apítulo 11 Temas Diversos, 259

Jonathan Batista Souza  Charles Rios Souza 

Halsted Alarcão Gomes Pereira da Silva Respostas,265

C apítulo 12 Tromboembolismo Venoso, 275

Arthur Curtarelli de Oliveira  Igor Rafael Sincos Respostas,279

c A pítulo 1

AvAliAção clínicA Do pAciente cArDiopAtA

1. (Título de Especialista em Cardiologia)

Paciente do sexo masculino, 82 anos de idade, está sendo examinado no ambulatório de Cardiologia com diagnóstico de estenose aórtica. Durante a ausculta cardíaca, apresenta uma extrassístole. Sobre o sopro no batimento seguinte à extrassístole, é correto afirmar:

A. O sopro se mantém inalterado

B. O sopro reduz

C. Não há sopro

D. O sopro torna-se diastólico

E. O sopro aumenta

2. (Título de Especialista em Cardiologia)

Ao exame físico de pacientes com estenose mitral importante, pode(m) ser encontrado(s), exceto:

A. Estalido de abertura precoce

B. B1 e B2 hipofonéticas

C. Sopro diastólico em ruflar com reforço pré-sistólico em ritmo sinusal

D. Sinais de congestão pulmonar

E. Sinais de insuficiência cardíaca direita

3. (Título de Especialista em Cardiologia)

A insuficiência aórtica pode ser classificada como importante devido à presença dos seguintes sinais, exceto:

A. Piora do sopro com realização da manobra de Handgrip

B. Sopro holodiastólico, aspirativo, decrescente, com B2 hipofonética

C. Sopro mesossistólico, pouco rude, de baixa intensidade

D. Sopro diastólico em ruflar

E. Pulso em martelo d’água

4. (Título de Especialista em Cardiologia) Assinale a alternativa correta a respeito da ausculta cardiovascular:

A. O desdobramento fisiológico de B1 é exacerbado na vigência de bloqueio completo do ramo esquerdo

B. Com o desdobramento normal ou fisiológico, o intervalo A2-P2 aumenta durante a expiração e diminui com a inspiração

C. Os sopros mesossistólicos iniciam-se após a B1 e terminam antes da B2 e, geralmente, têm configuração em crescendo-decrescendo. A estenose mitral é um exemplo de sopro mesossistólico

D. O intervalo A2-P2 alarga-se com bloqueio completo do ramo direito e na vigência de insuficiência mitral grave

E. Os sopros diastólicos geralmente não indicam doença cardíaca

5. (Título de Especialista em Cardiologia) Em relação ao pulso venoso, observe a Figura 1.5: a c x v y

Figura 1.5 Ondas do pulso venoso

Assinale a alternativa correta:

A. Na comunicação interatrial, a amplitude da onda (v) é menor que a da onda (a)

B. O descenso da onda (y) representa o fechamento da válvula tricúspide

Respostas

AvAliAção clínicA Do pAciente cArDiopAtA

1. Resposta E

Nos casos de estenose aórtica, o sopro aumenta de intensidade após uma extrassístole ventricular (EV) e em seguida a um intervalo mais longo entre os batimentos de uma fibrilação atrial (FA). Isso ocorre porque, nesses casos, há um aumento do tempo de enchimento ventricular em relação ao ciclo normal, com consequente maior volume de sangue dentro do ventrículo e maior pré-carga. O maior volume ejetado é responsável por um sopro mais intenso. Existem ainda sopros especiais que devem ser conhecidos, especialmente para o bom desempenho em provas de concursos, como a do título de especialista em Cardiologia:

ƒ Sopro de Carey-Coombs: sopro mesodiastólico da valvulite mitral reumática aguda.

ƒ Sopro de Graham Steel: sopro diastólico devido a regurgitação pulmonar, em razão da dilatação do anel, secundário a hipertensão pulmonar crônica.

ƒ Rumor venoso: ruído sistodiastólico na porção superior do tórax, devido ao turbilhonamento de sangue no ponto em que a jugular interna se encontra com o tronco braquiocefálico.

ƒ Atrito pericárdico: ruído provocado pelo roçar dos folhetos do pericárdio, quando deixam de ser lisos e umedecidos. É ouvido tanto na sístole quanto na diástole – ou seja, não apresenta relação com a fase do ciclo cardíaco – e não apresenta irradiação.

ƒ Ruído do mixoma atrial ou “plop tumoral”: som de baixa frequência devido ao prolapso diastólico do tumor através da valva mitral, que pode gerar um sopro diastólico.

ƒ Batimento pós-extrassístole ventricular (EV) ou FA: o sopro torna-se mais intenso após EV ou no batimento após ciclo longo de FA nos casos de valva aórtica e pulmonar normais ou estenóticas, mas o sopro não se altera nem diminui no caso de insuficiência mitral (IM).

2. Resposta B

As características clássicas de estenose mitral importante são:

ƒ Estalido de abertura.

ƒ Sopro típico em ruflar diastólico com reforço présistólico nos pacientes em ritmo sinusal.

O estalido é mais precoce quanto mais grave for a estenose, uma vez que a pressão do átrio esquerdo (AE) está mais elevada em estágios mais avançados da estenose mitral (EM). O “reforço” pré-sistólico nada mais é que a representação na ausculta da contração atrial, gerando um fluxo adicional de sangue do AE para o VE com turbilhonamento causado pela estenose. Nos pacientes com fibrilação atrial, não ocorre esse reforço, pois não há contração atrial. A Figura 1.2 ilustra cada um desses eventos dentro do ciclo cardíaco.

Estalido de abertura

Reforço pré-sistólico

Figura 1.2 Esquema representativo do sopro em ruflar diastólico de estenose mitral, destacando o estalido de abertura e o reforço pré-sistólico e suas relações com as bulhas cardíacas

B1: primeira bulha; B2: segunda bulha.

Ruflar diastólico

ƒ Onda “c”: reflete a contração ventricular, que interrompe o descenso “x”, ao empurrar a valva tricúspide em direção ao átrio direito. Ao ECG, é encontrada entre o QRS e a onda T.

ƒ Onda “v”: reflete o enchimento passivo atrial e encontra-se aumentada em todas as patologias que levam a enchimento mais rápido do átrio, tanto pela veia cava quanto pela valva tricúspide incompetente (p. ex., insuficiência tricúspide [IT] e comunicação interatrial [CIA]). Ao ECG, localiza-se imediatamente após a onda T.

ƒ Descenso “y”: consiste em saída passiva de sangue do átrio para o VT. Encontra-se atenuado em patologias que dificultam essa saída, como tamponamento cardíaco e estenose tricúspide. Encontra-se acentuado quando o enchimento diastólico ventricular é rápido e precoce como na pericardite constritiva, em que observamos o sinal da raiz quadrada, que apresenta início íngreme e término abrupto.

Analisando separadamente cada alternativa, podemos constatar que:

ƒ Na CIA, assim como nas situações que levam ao enchimento mais rápido do átrio, a onda V está aumentada.

ƒ A onda Y é a saída passiva de sangue do átrio para o VT.

ƒ A onda “a” está ausente na FA; no BAVT, encontramos a onda “a” em canhão.

ƒ O descenso x diminui na insuficiência tricúspide.

ƒ A resposta mencionada na alternativa E está correta e é autoexplicativa.

6.

Resposta C

A questão descreve um paciente sintomático (dor torácica, síncope e dispneia). Os achados ao exame físico mostram um sopro sistólico em diamante em foco aórtico que se reduz à realização da manobra de Handgrip, associado a pulso parvus et tardus e desdobramento paradoxal de B2. Esses sinais e sintomas sugerem fortemente o diagnóstico de estenose aórtica (EAo) importante (Figura 1.6).

Vamos aproveitar a questão e rever a semiologia dos pulsos arteriais:

ƒ Pulso parvus et tardus: elevação lenta e pulso fraco, mais bem avaliado na carótida (p. ex., EAo).

Sopro sistólico

Figura 1.6 Esquema representativo de sopro sistólico em diamante da estenose aórtica e suas relações com as bulhas cardíacas

B1: primeira bulha; B2: segunda bulha.

ƒ Pulso em martelo d’água, Corrigan ou célere: elevação abrupta e queda rápida (p. ex., insuficiência aórtica [IAo], fístulas arteriovenosas).

ƒ Pulso bisferiens: percebem-se duas ondas no ápice da onda de pulso (p. ex., IAo crônica e nunca na IAo aguda).

ƒ Pulso filiforme : pequena amplitude (p. ex., colapso circulatório).

ƒ Pulso alternante: variação na amplitude do pulso batimento a batimento; observa-se uma onda ampla e, em seguida, uma mais fraca (p. ex., insuficiência cardíaca [IC] avançada).

ƒ Pulso dicrótico: percebe-se um segundo pulso na diástole (p. ex., choque hipovolêmico e balão intra-aórtico).

ƒ Pulso paradoxal: exagero de um achado normal, queda acentuada na amplitude do pulso durante a inspiração. O diagnóstico definitivo é dado quando há queda maior que 10mmHg na pressão arterial sistólica à inspiração (p. ex., obesidade extrema, choque hipovolêmico, pericardite constritiva, embolia pulmonar maciça, tamponamento cardíaco, doença pulmonar obstrutiva crônica [DPOC]/asma, gravidez).

O fenômeno de Gallavardin está relacionado à proximidade anatômica do anel mitral com a valva aórtica e a propagação do sopro pela vibração das estruturas cardíacas. Esse sopro sistólico é auscultado no foco mitral, do tipo “piante” (sempre que se deparar com essa palavra, você irá associar imediatamente a esse fenômeno), e nos auxilia no diagnóstico diferencial com insuficiência mitral. A manobra de Handgrip diminui a intensidade do sopro, depondo contra a insuficiência mitral (IM). O que diferencia esse fenômeno do sopro da IM é que o sopro não irradia para a axila e tem

Estenose aórtica

1. (Título de Especialista em Cardiologia) Em relação à aferição da pressão arterial (PA), assinale a alternativa correta:

A. Deve-se registrar a pressão sistólica quando o som reaparece, depois do primeiro som de Korotkoff

B. Os sons de Korotkoff podem ser auscultados em toda a extensão até 0mmHg, com a braçadeira totalmente desinflada, em pacientes com estenose aórtica grave

C. Considera-se hipotensão ortostática quando houver queda na pressão arterial superior a 50mmHg de PA sistólica ou maior que 30mmHg de PA diastólica em resposta a mudança de decúbito dorsal para a posição ortostática em 5min

D. Os sons de Korotkoff podem desaparecer logo após o primeiro som e retornar apenas mais tarde, antes de desaparecerem, na fase 5

E. Hipotensão ortostática acompanhada de taquicardia compensatória sugere disautonomia

2. (Título de Especialista em Cardiologia)

A respeito da avaliação, do diagnóstico e da classificação de hipertensão, é correto afirmar que:

A. A pandemia de Covid-19 fez com que a automedida da pressão arterial (AMPA) fosse adotada como substituta da monitorização ambulatorial da pressão arterial (MAPA) e da monitorização residencial da pressão arterial no domicílio (MRPA), já que as técnicas são equivalentes

B. O efeito do avental branco é a diferença da pressão arterial entre as aferições obtidas no consultório e fora dele, iguais ou superiores a 15mmHg na pressão arterial sistólica e/ou 9mmHg na pressão arterial diastólica, pela avaliação da MAPA

C. A hipertensão do avental branco tem prevalência variada nos diferentes estudos, sendo mais comum entre indivíduos pré-hipertensos

cArDiologiA preventivA

D. A confirmação do diagnóstico de hipertensão deve ser feita em duas ou mais consultas médicas, com intervalo de dias ou semanas; ou pela realização de aferições fora do consultório ([MAPA ou MRPA). No caso da MRPA, consideram-se como indicativos de hipertensão valores ≥130 × 80mmHg

E. A hipertensão mascarada está associada a hipertensão em estágio II, maior atividade adrenérgica e do sistema renina-angiotensina-aldosterona e maior risco de morte súbita

3. (Título de Especialista em Cardiologia)

São considerados fatores que podem modificar o risco do paciente hipertenso:

A. Apneia do sono, sedentarismo, distúrbios inflamatórios crônicos

B. História de pré-eclâmpsia, apneia do sono, dosagem de ácido úrico menor que 5,5mg/dL em mulheres

C. Nível muito elevado de um fator de risco individual, etilismo, frequência cardíaca (FC) maior que 80bpm

D. Pressão de pulso menor que 60mmHg em pacientes idosos, eclâmpsia, hipertensão em estágio 3

E. Proteína C-reativa (PC-R) ultrassensível maior que 2mg/L, síndrome metabólica, diabetes melito gestacional

4. (Título de Especialista em Cardiologia)

Quais são as metas ideais de controle da pressão arterial sistólica (PAS) e diastólica (PAD) indicadas de acordo com a Diretriz Brasileira de Hipertensão (2020) para o tratamento de um paciente com diabetes melito tipo 2 (DM2) e hipertensão arterial?

A. PAS ≤130mmHg; PAD ≤70mmHg

B. PAS <135mmHg; PAD <85mmHg

C. PAS ≤139mmHg; PAD <85mmHg

D. PAS <130mmHg; PAD <80mmHg

E. PAS ≤139mmHg; PAD <90mmHg

B. Emergência hipertensiva. Piora da função renal, sendo necessário iniciar imediatamente diurético de alça venoso associado a captopril sublingual

C. Urgência hipertensiva. Uso de medicação oral para redução da PA, visando à normalização da PA em 6h

D. Emergência hipertensiva. Internação em unidade de terapia intensiva e início de terapia com nitroprussiato venoso, visando à normalização lenta e gradual da PA

E. Emergência hipertensiva. A cefaleia indica lesão cerebrovascular isquêmica em evolução, sendo indicada a normalização rápida da PA para a realização de trombólise

19. (Título de Especialista em Cardiologia)

Observe o caso clínico a seguir: Homem de 76 anos de idade, hipertenso e dislipidêmico LDL-c = 102mg/dL), em uso regular de valsartana 160mg, anlodipino 10mg e atorvastatina 10mg, vem apresentando descontrole pressórico nos últimos meses, e recebeu diagnóstico de estenose de artéria renal esquerda grave e doença renal crônica em estágio 3A. Qual o tratamento de escolha?

A. Angioplastia com implante imediato de Stent, pela presença de doença renal

B. Correção cirúrgica da estenose de artéria renal, por se tratar de origem aterosclerótica

C. Intensificar tratamento anti-hipertensivo e otimizar o tratamento hipolipemiante

D. Suspender o uso do bloqueador de receptores da angiotensina (BRA) e iniciar diurético de alça, para evitar a piora da função renal

E. Acompanhamento anual com angiorressonância, para se avaliar a progressão da estenose e da função renal

20. (Título de Especialista em Cardiologia)

Observe o caso clínico a seguir: Mulher, 52 anos de idade, com história de internações em unidade de emergência com quadro de cefaleia, com diagnóstico de “pico hipertensivo”.

 Ao exame:

• Sobrepeso (índice de massa corporal [IMC]: 29,2kg/m2).

• Pressão arterial (PA): 132 × 84mmHg.

• Frequência cardíaca (FC): 94bpm.

• Presença de quarta bulha.

 Eletrocardiograma:

• Ritmo sinusal.

• Sobrecarga no ventrículo esquerdo (VE).

 Monitorização ambulatorial da pressão arterial (MAPA 24h):

• PA média em 24h: 148 × 92mmHg.

• PA média em vigília: 152 × 94mmHg.

• PA média durante o sono: 139 × 88mmHg. Quais são o diagnóstico e a conduta terapêutica?

A. Hipertensão mascarada. Reavaliar em 2 meses para a definição diagnóstica e terapêutica

B. Hipertensão do avental branco. Reavaliar em 2 meses para a definição diagnóstica e terapêutica

C. Hipertensão mascarada. Promover mudanças no estilo de vida e iniciar terapia combinada, incluindo inibidor do sistema renina-angiotensinaaldosterona (SRAA)

D. Hipertensão mascarada. Promover mudanças no estilo de vida e iniciar betabloqueador cardiosseletivo (nebivolol) ou alfa-agonista central, para reduzir a hiperatividade simpática responsável pelo fenômeno do jaleco branco

E. Hipertensão do avental branco. Promover mudanças no estilo de vida e acompanhar com medidas domiciliares e clonidina de resgate

21. (Título de Especialista em Cardiologia)

Observe o seguinte caso clínico:

Homem de 68 anos de idade, hipertenso de longa data, em uso de clortalidona 25mg, enalapril 40mg; anlodipino 10mg; e espironolactona 50mg, apresenta-se assintomático.

 Pressão arterial (PA): 142 × 90mmHg.

 Doença renal crônica (DRC) em estágio 3B, com proteinúria (creatinina: 780mg/g)

 Monitorização ambulatorial da pressão arterial (MAPA 24h):

• PA média em 24h: 152 × 94mmHg.

• PA média em vigília: 158 × 96mmHg.

• PA média durante o sono: 138 × 88mmHg. Quais são o diagnóstico e a conduta terapêutica?

A. Hipertensão refratária. Iniciar betabloqueador ou alfa-agonista central

B. Hipertensão resistente. Otimizar a dose de espironolactona

C. Hipertensão refratária. Iniciar diurético de alça associado a vasodilatador direto

Respostas

c A r D iologi A p reventiv A

1. Resposta D

A medida da pressão arterial (PA) é um processo muito importante para o estabelecimento do diagnóstico e a classificação, uma vez que variações causadas por vieses podem comprometer a acurácia das medidas e, consequentemente, interferir na conduta clínica.

A Tabela 2.1 resume as orientações para medida da PA no consultório, conforme a Diretriz Brasileira de Hipertensão de 2020.

TABELA 2.1 Etapas para a realização de medida da pressão arterial

 Determinar a circunferência do braço (ponto médio entre acrômio e olécrano)

 Selecionar um manguito de tamanho adequado ao braço

 Colocar o manguito, sem deixar folgas, a 2 a 3cm da fossa cubital

 Centralizar o meio da parte compressiva do manguito sobre a artéria braquial

 Estimar o nível de PAS por palpação do pulso radial (técnica auscultatória)

 Palpar a artéria braquial na fossa cubital e posicionar a campânula ou o diafragma do estetoscópio sem compressão excessiva

 Inflar rapidamente até ultrapassar 20 a 30mmHg o nível estimado da PAS por palpação

 Proceder à deflação lentamente (2mmHg/s)

 Determinar a PAS por ausculta do primeiro som (fase I de Korotkoff) e, depois, aumentar ligeiramente a velocidade de deflação

 Determinar a PAD no desaparecimento dos sons (fase V de Korotkoff)

 Auscultar cerca de 20 a 30mmHg abaixo do último som para confirmar seu desaparecimento e, depois, proceder a uma deflação rápida e completa

 Se os batimentos persistirem até o nível zero, determinar a PAD no abafamento dos sons (fase IV de Korotkoff) e anotar valores PAS/PAD/zero

PAS: pressão arterial sistólica; PAD: pressão arterial diastólica.

Em cada consulta, devem ser registradas três medidas da PA, com 1 a 2min de intervalo, e medidas adicionais devem ser realizadas se as duas primeiras leituras diferirem em >10mmHg. A PA do paciente é

a média das duas últimas leituras da PA (Grau de recomendação I. Nível de evidência C). Feita essa revisão inicial, vamos analisar cada um dos itens dessa questão:

Alternativa A: a pressão arterial sistólica (PAS) é determinada pelo aparecimento do primeiro som após o início da deflação do manguito (fase I de Korotkoff), e não após o surgimento dele.

Alternativa B: os sons de Korotkoff podem ser auscultados até 0mmHg, com a braçadeira totalmente desinflada, mas em pacientes com insuficiência aórtica.

Alternativa C: a hipotensão ortostática é definida quando há uma redução na PAS ≥20mmHg ou na pressão arterial diastólica (PAD) ≥10mmHg dentro do terceiro minuto em pé, quando comparada preferencialmente aos valores aferidos com o paciente em posição supina após repouso por 5min.

Alternativa D: os sons de Korotkoff podem desaparecer após o primeiro som. Nesse caso, o intervalo entre o primeiro som e o retorno é chamado hiato auscultatório.

Alternativa E: a hipotensão ortostática por disautonomia geralmente ocorre quando a PAS é <90mmHg, mas sem desencadear vasoconstrição e taquicardia.

2. Resposta D

Alternativa A: a Covid-19 não determinou mudança nos métodos de diagnóstico de hipertensão arterial sistêmica (HAS). Portanto, para afirmarmos que o paciente apresenta HAS, somente a pressão arterial (PA) de consultório, a monitorização residencial da pressão arterial (MRPA) e a monitorização ambulatorial da pressão arterial (MAPA) são métodos de medida da pressão arterial capazes de confirmar o diagnóstico. Entretanto, é inegável o benefício que a automedida da pressão arterial (AMPA) apresentou durante a pandemia no intuito de acompanhamento dos pacientes hipertensos.

Alternativa B: o efeito do avental branco é realmente considerado “significativo” quando atinge valores

Alternativa B: a indapamida apresenta potência semelhante à da clortalidona e tem meia-vida intermediária entre a clortalidona e a hidroclorotiazida.

Alternativa C: os tiazídicos têm um efeito mais suave e com maior tempo de ação que os diuréticos de alça e, por isso, são preferenciais no tratamento da hipertensão arterial sistêmica (HAS).

Alternativa D: a hipocalemia, ou seja, baixos níveis de potássio, pode levar à redução da liberação de insulina e aumentar a intolerância à glicose e o risco de desenvolver diabetes melito tipo 2 (DM2) (perceba que o examinador tentou fazer um jogo de palavras para confundir e usou a palavra hipocalcemia – baixos níveis de cálcio). Esse mecanismo justifica a piora do perfil metabólico induzido pelos tiazídicos, em especial a hidroclorotiazida.

Alternativa E: um dos efeitos colaterais dos diuréticos é a disfunção erétil, o que pode ocorrer com boa parte dos anti-hipertensivos e ser uma das causas de baixa adesão aos medicamentos.

13. Resposta A

A hipertensão apresenta diferentes fenótipos clínicos. Entre eles, podemos identificar pacientes de acordo com a resposta ao tratamento medicamentoso. A Figura 2.13 resume esses fenótipos em conformidade com esse critério.

O paciente apresenta níveis pressóricos elevados (fora da meta) em uso de três classes de anti-hipertensivos, sendo eles um bloqueador do sistema renina-angiotensina-aldosterona, um diurético tiazídico e um bloqueador de canal de cálcio. Essas condições contemplam os critérios para a definição de hipertensão arterial resistente, exceto por não estar em dose otimizada. Perceba que o anlodipino está em apenas 5mg/dia. Para considerarmos o paciente como resistente, os níveis pressóricos deveriam estar elevados, preferencialmente com confirmação de medidas fora do consultório (monitorização ambulatorial da pressão arterial [MAPA] ou monitorização residencial da pressão arterial [MRPA]) e com as medicações em doses máximas.

14. Resposta D

Paciente jovem com hipertensão e hipocalemia sintomática. Por ser um caso de paciente em estágio I e de baixo risco, pode-se iniciar monoterapia medicamentosa. De preferência, com uma medicação que interfira pouco na investigação de hipertensão secundária, que é necessária nesse caso. Devido à hipocalemia espontânea exuberante, deve-se cogitar diagnóstico de hiperaldosteronismo primário. Por isso, devem ser solicitadas as dosagens de aldosterona e renina séricas, preferencialmente após a correção dos níveis de potássio. A Figura 2.14 apresenta o algoritmo de investigação de hiperaldosteronismo primário.

Hipertensão resistente (controlada)

Hipertensão controlada

Hipertensão controlada

Hipertensão refratária

Hipertensão resistente (não controlada) Espironolactona

Hipertensão não controlada

≥140/90mmHg

Hipertensão não controlada

Figura 2.13 Classificação da hipertensão, conforme o número de medicações utilizadas no tratamento

iECA: inibidor da enzima de conversão da angiotensina; BRA: bloqueador do receptor da angiotensina; BCC: bloqueador de canal de cálcio; DIU: diurético tiazídico; mmHg: milímetro de mercúrio.

Fonte: adaptada de Barroso et al., 2021.

sínDrome coronAriAnA AguDA e crônicA

1. (Título de Especialista em Cardiologia)

Observe o caso clínico a seguir:

Paciente do sexo masculino, 77 anos de idade, internado com infarto agudo do miocárdio (IAM) com supradesnivelamento do segmento ST de parede anterior, com 10h de evolução. No momento da admissão, apresentava saturação de oxigênio de 89%, pressão arterial (PA) = 85 × 60mmHg e frequência cardíaca (FC) = 108 batimentos por minuto (bpm). Entre as medidas que devem ser tomadas na admissão, qual não é recomendada para este paciente?

A. Oxigenoterapia

B. Administração de metoprolol por via intravenosa

C. Administração de fibrinolíticos

D. Enoxaparina 0,75mg/kg de peso corporal a cada 12h

E. Ácido acetilsalicílico (AAS) + clopidogrel

2. (Título de Especialista em Cardiologia)

Em relação ao atendimento pré-hospitalar de infarto agudo do miocárdio com supradesnivelamento do segmento ST (IAMcSST), assinale a alternativa incorreta:

A. Ácido acetilsalicílico (AAS) na dose de 160mg a 325mg/dia, a ser utilizado em forma mastigável quando do primeiro atendimento

B. Clopidogrel associado ao AAS, o mais precocemente possível, na dose de ataque (300mg)

C. A enoxaparina sempre deve ser administrada quando do diagnóstico de IAMcSST nas seguintes doses, principalmente para pacientes com idade superior a 75 anos: 30mg por via intravenosa (IV), em bólus seguida de 1mg/kg por via subcutânea (SC), a cada 12h, até a alta hospitalar.

D. Deve ser realizada a administração de fibrinolíticos em caso de impossibilidade de intervenção coronariana percutânea (ICP) ou de expectativa

de transporte ou transferência (tempo entre “primeiro contato médico e balão”) >120min para hospital com ICP

E. Não existem, até o momento, dados sobre a utilização sistemática do emprego de betabloqueadores na fase pré-hospitalar

3. (Título de Especialista em Cardiologia)

Observe o caso clínico a seguir:

Paciente do sexo feminino, 45 anos de idade, tabagista, internada na unidade coronariana com diagnóstico de infarto agudo do miocárdio (IAM) de parede anterior, submetida a trombólise há 3 dias. Após boa evolução inicial, começou a apresentar dor dependente de ventilação, contínua, que melhorava com flexão anterior do tórax. Ao exame físico: bom estado geral, eupneica (frequência respiratória [FR] = 14irpm), normocárdica (frequência cardíaca [FC] = 80bpm), bulhas rítmicas em dois tempos com atrito pericárdico, pressão arterial (PA) = 120 × 80mmHg. Ausculta respiratória com som pulmonar claro, sem crepitações.

Considerando a suspeita clínica, assinale a alternativa correta:

A. A indometacina aumenta o fluxo sanguíneo coronariano e apresenta menor incidência de efeitos adversos

B. Colchicina e corticosteroides orais são indicados para sintomas refratários e recorrentes

C. O ibuprofeno está relacionado à redução do processo cicatricial da área infartada

D. A pericardite epistenocárdica tem apresentação “precoce”, também chamada de pericardite periinfarto, está associada a grandes infartos e indica pior prognóstico

E. A presença de hemopericárdio e pericardite constritiva é uma complicação comum

D. Nos pacientes com alto risco de sangramento e menor risco isquêmico, o uso de clopidogrel associado a anticoagulante oral direto (DOAC) pode ser considerado desde o início do tratamento

E. O uso de tripla terapia antitrombótica (dupla antiagregação de plaquetas + anticoagulação oral) é seguro e deve ser mantido por um ano após a intervenção coronariana percutânea em pacientes com risco isquêmico baixo

22. (Título de Especialista em Cardiologia)

Observe o caso clínico a seguir: Paciente do sexo feminino, de 65 anos de idade, apresenta dor precordial em aperto de início em repouso há 3 horas. Tem antecedente de hipertensão arterial controlada com enalapril. Exame físico: pressão arterial (PA) = 132 × 78 mmHg, frequência cardíaca (FC) = 75bpm e ausência de outras alterações. Eletrocardiograma (ECG) com ritmo sinusal com ondas T achatadas em V4 e V6 e troponina com valor maior que 3 vezes o limite da normalidade. Com relação a esse caso, assinale a alternativa correta:

A. Não deve ser feita a classificação de risco dessa paciente devido ao dispêndio desnecessário de tempo

B. Escore TIMI de 6 indica baixo risco de eventos cardiovasculares maiores em 14 dias

C. Escore HEART de 7 classifica essa paciente como portadora de síndrome coronariana aguda sem supradesnivelamento do segmento ST de alto risco

D. Escore GRACE de 110 permite a liberação da paciente com segurança para reavaliação ambulatorial.

E. Escore CRUSADE baixo indica baixo risco de eventos isquêmicos em 30 dias

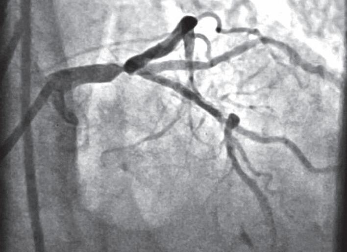
23. (Título de Especialista em Cardiologia) Observe o caso clínico a seguir: Paciente do sexo masculino, de 58 anos de idade, obeso, sedentário, apresenta quadro de dor precordial típica que surgiu em repouso, associada a sudorese e mal-estar. Ao exame físico: paciente dispneico, boa perfusão periférica, estertores crepitantes nas bases pulmonares, ausculta cardíaca normal, pressão arterial (PA) = 100 × 60mmHg, frequência cardíaca (FC) = 120bpm. O eletrocardiograma (ECG) e a angiografia de coronária estão apresentados na Figura 3.23. Com base nesses dados, assinale a alternativa que apresenta os achados encontrados:

A. Infradesnivelamento do segmento ST em parede inferior – lesão proximal na coronária direita

B. Supradesnivelamento de aVR – lesão em tronco da artéria coronária esquerda

C. Infradesnivelamento do ST em parede inferior –lesão proximal em artéria descendente anterior esquerda

D. Supradesnivelamento de aVR – lesão proximal na artéria descendente anterior esquerda próxima da bifurcação

E. Infradesnivelamento do segmento ST em parede inferior – lesão proximal em artéria circunflexa dominante

Respostas

s ín D rome c oron A ri A n A A gu DA e c rônic A

1. Resposta B

Alternativa A: nesse caso, sabemos que, após os estudos AVOID (2012) e DETO2X AMI (2017), que demonstraram uma possível correlação de maior área de infarto e vasoconstrição coronariana nos pacientes que receberam oxigênio de maneira indiscriminada (6L/min por 6 a 12h), a orientação de oxigenoterapia em pacientes com síndrome coronariana aguda (SCA) ficou reservada aos pacientes com nível de saturação <90% (pressão parcial de O2 [PO2] <60mmHg) ou desconforto respiratório na admissão hospitalar.

Alternativa B: o uso de betabloqueador nos casos de SCA com supradesnivelamento do segmento ST deve ser prescrito em sua formulação oral nas primeiras 24h e está associado a redução da extensão da área isquêmica e risco de arritmias. Em sua formulação venosa, o estudo que avaliou a prescrição de betabloqueador foi o clássico estudo COMMIT CCS-2, de 2005, com mais de 40 mil pacientes. Nesse estudo, os pacientes que receberam a dose inicial de metoprolol endovenoso com posterior transição para a formulação oral foram associados a maiores eventos adversos nos pacientes que apresentavam condições presentes na Tabela 3.1A.

Considerando-se o caso clínico em questão, em que temos um paciente com >70 anos, longo tempo de evolução dos sintomas e hipotenso, o uso de betabloqueador venoso não deve ser indicado.

Alternativa C: o uso de fibrinolítico nos pacientes que não podem ser encaminhados para angioplastia primária em até 120min está indicado como classe de recomendação I nas primeiras 12h após o evento isquêmico (sabendo-se que seu maior benefício ocorre principalmente nas primeiras 3h). As Tabelas 3.1B e C apresentam uma breve revisão sobre os fibrinolíticos.

Alternativa D: a utilização de anticoagulantes nos pacientes com SCA é indicação obrigatória. No caso da enoxaparina, existe a correção da dose relacionada à idade do paciente.

 Uso de fibrinolítico:

• Idade <75 anos: heparina de baixo peso molecular (HBPM) (enoxaparina) 30mg, endovascular (EV) em bólus, seguido de 1mg/ kg, subcutâneo (SC), de 12 em 12h durante 8 dias ou até a alta hospitalar.

• Idade ≥75 anos: não administrar o bólus e manter 0,75mg/kg SC de 12 em 12h.

• Clearance de creatinina (ClCr) <30mL/min, manter 1mg/kg SC 1×/dia.

Fatores associados a maior risco de choque cardiogênico:

 Idade >70 anos

 IC NYHA ≥II

 Pressão arterial sistólica <120mmHg

 Taquicardia sinusal com frequência cardíaca >110bpm

 Frequência cardíaca <60bpm

 Supradesnivelamento do segmento ST com longo tempo de evolução a partir do início dos sintomas

 Intervalo PR >240ms

 Bloqueio atrioventricular de 2o e 3o graus

 Asma em atividade ou reatividade das vias respiratórias

IC NYHA: insuficiência cardíaca classificação da New York Heart Association.

Fonte: adaptada de Zipes et al., 2022.

TABELA 3.1A Conduta na síndrome coronariana aguda com supradesnivelamento do segmento ST

TABELA 3.33 Porcentagem anual de infarto do miocárdio ou morte

Exame Risco baixo <1%

Teste ergométrico

TE escore Duke

Ecocardiograma

Ecoestresse (ecocardiograma sob estresse)

Angiotomografia de coronária (angio-TC)

Normal, sem alteração do segmento ST ou dor torácica durante esforço máximo

ED: >5

FEVE ≥50%

Normal

Lesões <50%

Escore de cálcio  <100UA ou percentil 75  <10UA em diabéticos

Risco moderado (1% a 3%) Risco alto >3%

Infradesnivelamento do segmento ST >1mm durante o pico do esforço

ED: 4 a 10

FEVE 35% a 49%

Defeito de perfusão limitado a 2 segmentos ou com dose elevada de dobutamina

Uma lesão anatômica de 70% ou duas entre 50% e 69%

 Infradesnivelamento do segmento ST ≥2mm

 Supradesnivelamento do segmento ST

 Arritmias graves/TV/FV

ED: <11

FEVE <35%

Grandes defeitos de perfusão, associados a FC <120 e/ou baixa dose de dobutamina <10µg/kg/min

 Várias lesões anatômicas ≥70%

 TCE >50%

100 a 400 >400UA

Cintilografia Normal ou defeitos de perfusão: <5% 5% a 9% Sem marcadores de mau prognóstico

 >10%

 Mau prognóstico:

• Captação pulmonar

• TID >1,22

• Captação VD

• Queda FEVE >5%

TV: taquicardia ventricular; FV: fibrilação ventricular; TE: teste ergométrico; ED: escore de Duke; FEVE: fração de ejeção do ventrículo esquerdo; FC: frequência cardíaca; TCE: tronco de coronária esquerda.

Fonte: adaptada de Zipes, 2022.

34. Resposta A

Alternativa A: os medicamentos que previnem eventos cardiovasculares na doença arterial coronariana (DAC) são os betabloqueadores (em pacientes com FEVE <40% ou infarto agudo do miocárdio [IAM] prévio), estatinas, inibidor da enzima conversora de angiotensina (iECA) e aspirina (acrônimo BEIA). Logo, a resposta correta é a alternativa A.

Alternativa B: os nitratos não diminuem eventos cardiovasculares e são indicados para redução de sintomas.

Alternativa C: os betabloqueadores de canais de cálcio não diminuem eventos cardiovasculares e são indicados para a redução de sintomas.

Alternativa D: os nitratos não diminuem eventos cardiovasculares e são indicados para redução de sintomas.

Alternativa E: os nitratos não diminuem eventos cardiovasculares e são indicados para redução de sintomas.

Na Tabela 3.34, são apresentados os principais fármacos utilizados para sintomas e desfechos cardiovasculares orientados pela diretriz de síndrome coronária crônica da Sociedade Brasileira de Cardiologia (SBC).

3.34 Fármacos que reduzem eventos cardiovasculares e sintomas na síndrome coronariana crônica (SCC)

Diminuição de eventos cardiovasculares – BEIA

Betabloqueador (IAM prévio ou FEVE <40%)

Estatinas

IECA

Sintomáticos

Betabloqueador

Bloqueador de canal de cálcio

Ivabradina/trimetazidina/ranolazina/alopurinol/nicorandil

AAS Nitrato de ação prolongada ou ação rápida (agudo)

IAM: infarto agudo do miocárdio; FEVE: fração de ejeção do ventrículo esquerdo; IECA: inibidor da enzima conversora de angiotensina; AAS: ácido acetilsalicílico (aspirina).

TABELA

1. (Título de Especialista em Cardiologia)

Observe o caso clínico a seguir:

Paciente do sexo masculino, de 58 anos de idade, com queixa de palpitações recorrentes e piora nos últimos 6 meses, com duração de até 40min, apresentando mal-estar e dispneia concomitante ao quadro. Em consulta cardiológica ambulatorial, foram realizados eletrocardiograma (ECG), Holter e ecocardiograma, que não apresentaram alterações significativas, e o paciente foi medicado com 25mg de succinato de metoprolol ao dia. Após 3 meses, retornou com os mesmos sintomas, trazendo ECG de atendimento à Emergência que mostrava fibrilação atrial com frequência cardíaca (FC) = 120bpm. A situação foi revertida na Emergência com amiodarona endovenosa e o paciente recebeu alta com succinato de metoprolol, do qual já fazia uso.

Assinale a conduta mais apropriada para a terapia de controle do ritmo do paciente neste momento:

A. Iniciar tratamento com propafenona

B. Aumentar a dose de succinato de metoprolol

C. Indicar ablação por cateter para fibrilação atrial

D. Iniciar tratamento com amiodarona

E. Indicar estudo eletrofisiológico para melhor conhecimento da arritmia

2. (Título de Especialista em Cardiologia) Na última década, surgiram diversos novos anticoagulantes, inibidores diretos da trombina ou antifator Xa. No entanto, o uso desse tipo de medicamento pelo paciente portador de valvopatia deve ser indicado com cuidado. Diante do exposto, assinale a alternativa correta:

A. O uso dos novos anticoagulantes orais está autorizado em caso de estenose mitral reumática importante

B. O uso dos novos anticoagulantes em caso de estenose aórtica e na presença de fibrilação atrial é contraindicado

fibrilAção AtriAl

C. O uso dos novos anticoagulantes orais por portadores de próteses mecânicas pode ser considerado em caso de dificuldade de controle da razão normatizada internacional (RNI) com varfarina

D. A faixa de resultado em que se deve manter a INR de paciente portador de prótese mecânica em posição mitral é de 2 a 3

E. Não se deve usar o escore CHA2DS2-VASc em portadores de doença valvar importante, pois há subestimação do risco em pacientes com escore <1

3. (Título de Especialista em Cardiologia)

Em relação à ocorrência de fibrilação atrial (FA) após cirurgia de revascularização do miocárdio, é correto afirmar que:

A. A cardioversão elétrica imediata é a conduta inicial de escolha para redução do risco de complicações em pacientes hemodinamicamente estáveis

B. O maior risco de ocorrência de FA situa-se no segundo dia de pós-operatório, e a FA ocorre em 25% a 40% dos pacientes

C. O tratamento para manutenção do ritmo com amiodarona deve ser mantido durante 3 a 6 meses após a alta hospitalar, em vista do alto risco de recorrência da FA

D. Pacientes submetidos a cirurgia com o auxílio de circulação extracorpórea (CEC) têm menor risco de desenvolver FA do que aqueles operados sem CEC

E. Por ser geralmente de resolução espontânea, a FA no pós-operatório não aumenta o risco de complicações tromboembólicas

4. (Título de Especialista em Cardiologia)

Considerando as indicações de tratamento invasivo da fibrilação atrial (FA), assinale a alternativa correta:

A. A ablação por cateter é recomendada para reversão da disfunção ventricular em pacientes com

Respostas f ibril A ção A tri A l

1. Resposta A

Paciente com histórico de fibrilação atrial (FA) revertida para ritmo sinusal com indicação de controle do ritmo: no Brasil, dispomos de apenas três fármacos com esse objetivo:

1. Amiodarona.

2. Propafenona.

3. Sotalol.

De acordo com a literatura nacional em paciente com cardiopatia estrutural e sem descompensação de IC, podemos utilizar sotalol, em casos de descompensação apenas amiodarona. Nos pacientes sem doença cardíaca estrutural, como relatado na questão, podemos utilizar propafenona ou sotalol. Como não temos sotalol entre as alternativas, então a resposta é propafenona.

Na Tabela 4.1, está resumida a recomendação do uso de fármacos para controle do ritmo de acordo com a Diretriz Americana de Fibrilação atrial.

2. Resposta E

As alternativas A e C estão incorretas: anticoagulantes orais diretos (DOAC) estão contraindicados na vigência de estenose mitral moderada a grave, além de valva mecânica (Não fale “metálica” perto de um cirurgião cardíaco). A alternativa B também é incorreta, pois o uso de DOAC está liberado nessas situações. A alternativa D é errada porque a faixa da razão normatizada internacional (RNI) correta é

entre 2,5 e 3,5 (Figura 4.2). Na vigência de estenose mitral moderada a importante, miocardiopatia hipertrófica e amiloidose, o escore CHA2DS2VASc não deve ser utilizado, por subestimar o risco de eventos tromboembólicos; por esta razão, a alternativa E está correta e é autoexplicativa (Tabela 4.2).

Obs: o Consenso Europeu em sua publicação “2024 ESC Guidelines for the management of atrial fibrillation”² sugere uma nova classificação de risco de tromboembolismo em que se retira o sexo feminino do escore CHA2DS2VASc, transformando o escore em CHA2DS2VA.

A indicação de anticoagulação ficaria da seguinte forma: “Uma pontuação CHA2DS2VA de 2 ou mais é recomendada como um indicador de risco de tromboembólico elevado para decisões sobre o início da anticoagulação oral”. Classe I NE: C.

Devido à racionalidade e à simplificação do novo escore, este deve ser adotado nos próximos anos por todas as sociedades, incluindo a Brasileira, que é nosso maior interesse.

3. Resposta B

Para se falar de fibrilação atrial (FA) no pós-operatório de cirurgia cardíaca, é preciso saber que ela tem alto grau de paroxismo e reversão espontânea, tendo pico de incidência entre o 2o e o 3o dias, 90% até o 6o dia.

São fatores de risco:

 Pacientes com FA e FE ≤40%: recomenda-se amiodarona para manutenção do ritmo. (Indicação: IIaA)

 Pacientes com FA e sem doença cardíaca estrutural: recomenda-se propafenona para manutenção do ritmo. (Indicação: IIaA)

 Para pacientes com FA e FE normal: recomenda-se o uso de baixas doses de amiodarona (100 a 200mg/dL) para manutenção do ritmo, mas observando-se sempre o perfil de efeitos colaterais. Esta opção é reservada para pacientes em que outras estratégias foram ineficazes ou contraindicadas ou pacientes que a desejem. (Indicação: IIaA)

FA: fibrilação atrial; FE: fração de ejeção.

Fonte: adaptada de Joglar et al., 2024.1

TABELA 4.1 Recomendações de fármacos para controle do ritmo

Alternativa C: considerada errada. Dabigatrana é o único inibidor direto da trombina. Os outros anticoagulantes orais diretos (DOAC), que apresentam “XA” no nome, são inibidores diretos do fator XA (rivaroxabana, apixabana e edoxabana) (Figura 4.9).

Alternativa D: considerada errada. Aborda um tema recorrente em provas, que é o ajuste da dose de acordo com critérios específicos de cada fármaco (Tabela 4.9B); para correção da dose de apixabana, são necessários pelo menos 2 de 3 fatores:

1. Idade ≥80 anos.

2. Cr ≥1,5mg/dL.

3. Peso ≤60kg.

Alternativa E: correta. Apesar de uma recomendação leve nas Diretrizes Norte-americanas do uso de apixabana, não temos dados suficientes para indicar o fármaco nessas condições, e a Diretriz Brasileira indica uso de varfarina.

•NOACS

• Inibidores diretosdo fator Xa

Rivaroxabana

Apibana xa

Edobana xa

• Inibidor direto do fator Ila

Dabigatrana

10. Resposta B

Após evento neurológico, é sempre um momento de reflexão sobre reiniciar anticoagulação em pacientes com fibrilação atrial (FA) e escore CHAD2S2VASC ≥2 para homens e 3 para mulheres. Não há dúvida de que, do ponto de vista cardiológico, quanto antes reiniciarmos melhor; porém, sempre devemos levar em consideração o tamanho e a gravidade do acidente vascular encefálico (AVE).

A prevenção secundária de AVE isquêmico (AVEi) e embolia sistêmica após AVEi ou ataque isquêmico transitório (AIT) não complicado deve ser feita nas 2 semanas após o evento.

Nos casos de isquemia complicados ou de hemorragia intracraniana (traumática ou espontânea), a melhor escolha parece ser uma abordagem multidisciplinar envolvendo neurologista, e o reinício vai ser feito quando a equipe estiver em comum acordo.

Via intrínseca

Ativação por contato

Via extrínseca

Fator tecidual

Varfarina

Rivaroxabana

Apixabana

Dabigatrana

Edoxabana Fibrinogênio Fibrina

4.9 Mecanismo de ação dos novos anticoagulantes orais

TABELA 4.9B Critérios de redução da dose

Aprovação UE Rivaroxabana Apixabana Debigatrana Edoxabana

Critérios de uso de dose reduzida

ClCr: 30 a 49mL/min

Pelo menos 2 dos seguintes fatores:

 Idade ≥80 anos

 Peso ≤60kg

 Cr ≥1,5mg/dL

Pelo menos 1 dos seguintes fatores:

 Idade ≥80 anos

 Uso concomitante de verapamil

 ClCr de 30 a 50mL/min

 ClCr ≤50mL/min

 Peso ≤60kg

 Uso concomitante de inibidores da glicoproteína P (basicamente verapamil)

ClCr: clearance de creatinina; Cr: creatinina; AINE: anti-inflamatório não esteroide; IMC: índice de massa corporal.

Figura

ArritmiAs e Dispositivo cArDíAco eletrônico implAntável

1. (Título de Especialista em Cardiologia)

O eletrocardiograma (ECG) mostrado na Figura 5.1 foi registrado durante emergência, em atendimento de paciente com síncope, apresentando-se com sinais de baixo débito e precordialgia. O que sugere o ECG e qual será a conduta?

A. ECG sugestivo de fibrilação ventricular; o paciente deve passar imediatamente por desfibrilação e ser submetido a implante de cardioversor desfibrilador implantável (CDI)

B. ECG de taquicardia ventricular polimórfica catecolaminérgica. A administração de betabloqueador intravenoso está indicada para controle de arritmias

C. ECG de taquicardia ventricular polimórfica relacionada a síndrome coronariana aguda. O paciente deve ser submetido a cardioversão e encaminhado o quanto antes para a sala de hemodinâmica para tratamento percutâneo

D. ECG de fibrilação atrial, em paciente com via acessória atrioventricular (AV) apresentando alto risco

de morte súbita. Devem ser feitos cardioversão e encaminhamento do paciente para ablação por cateter da via acessória

E. ECG de fibrilação atrial de alta resposta e bloqueio de ramo esquerdo. O paciente deve passar por cardioversão e ser encaminhado para ablação de fibrilação atrial (FA), para isolamento das veias pulmonares

2. (Título de Especialista em Cardiologia)

Entre as alternativas a seguir, qual apresenta arritmias que podem ser interrompidas com adenosina?

A. Taquicardia por reentrada nodal e flutter atrial

B. Taquicardia por reentrada atrioventricular (AV) e taquicardia por reentrada nodal

C. Taquicardia atrial e taquicardia ventricular fascicular

D. Taquicardia ventricular e fibrilação atrial

E. Taquicardia por reentrada AV e flutter atrial

Figura

16. (Título de Especialista em Cardiologia) Em relação à síncope, assinale a alternativa incorreta:

A. Quando causada por arritmia cardíaca, o início da síncope é rápido e a duração é breve

B. Morder a língua e incontinência são comuns na síncope cardíaca

C. Sintomas premonitórios podem ou não estar presentes, e tipicamente a síncope não é seguida de estado de confusão pós-ictal

D. Palpitações que precedem a síncope quase sempre estão ausentes se a perda de consciência for rápida

E. A convulsão é rara e ocorre principalmente após assistolia prolongada ou arritmia ventricular rápida

17. (Título de Especialista em Cardiologia)

Assinale a alternativa correta referente à síndrome postural ortostática taquicardizante (SPOT):

A. Caracteriza-se por excelente capacidade de tolerar a postura ereta, associada a aumento discreto na frequência cardíaca 10min após o paciente assumir postura ereta

B. SPOT é facilmente reconhecível e não há como confundi-la com ansiedade ou taquicardia sinusal inapropriada

C. O tilt-test não é útil no diagnóstico de SPOT

D. A SPOT é uma variante da intolerância neurocardiogênica

E. Programas de treinamento de resistência e força não são úteis no tratamento de SPOT

18. (Título de Especialista em Cardiologia)

Sobre a síndrome de Brugada (SBr), assinale a alternativa incorreta:

A. A SBr caracteriza-se por eletrocardiograma com elevação em cúpula do segmento ST (* 2mm), seguida de onda T negativa nas derivações precordiais direitas V1 a V3

B. A SBr associa-se a aumento do risco de morte súbita cardíaca secundária a episódios de taquicardia ventricular polimórfica

C. A SBr não é uma síndrome arrítmica hereditária

D. A penetrância e a expressividade desse distúrbio são altamente variáveis, desde indivíduos de idade mais avançada assintomáticos até casos de morte súbita cardíaca no 1o ano de vida

E. Vários são os genes implicados na patogenicidade da SBr, mas somente o SCNSA demonstra contribuição significativa para a doença

19. (Título de Especialista em Cardiologia) Assinale a alternativa correta sobre a taquicardiomiopatia:

A. A forma mais tradicional de taquicardiomiopatia é causada por taquicardia sinusal inapropriada detectada ao Holter de 24h

B. A taquicardia por períodos prolongados pode induzir disfunção ventricular mesmo na ausência de doença estrutural

C. Contrações ventriculares prematuras persistentes e frequentes não levam à taquicardiomiopatia

D. Apenas as arritmias supraventriculares com resposta ventricular elevada podem causar taquicardiomiopatia

E. Na maioria dos casos, independentemente da correção da arritmia, a disfunção ventricular é irreversível

20. (Título de Especialista em Cardiologia) Observe o caso clínico a seguir:

Paciente do sexo masculino, de 60 anos de idade, portador de cardiopatia isquêmica crônica, está sob tratamento farmacológico otimizado, sem isquemia miocárdica passível de tratamento por revascularização cirúrgica ou percutânea e com expectativa de vida de pelo menos 1 ano. Para o caso em questão, assinale a alternativa considerada recomendação de classe 1, nível de evidência A, para implante de cardiodesfibrilador implantável para prevenção primária de morte súbita cardíaca (considerar CF-NYHA = classe funcional da New York Heart Association):

A. Fração de ejeção do ventrículo esquerdo s 35% e CF-NYHA 11-111

B. Fração de ejeção do ventrículo esquerdo s 30% e CF-NYHA 1-IV

C. Fração de ejeção do ventrículo esquerdo s 35%, taquicardia ventricular não sustentada espontânea e taquicardia ventricular sustentada indutível ao estudo eletrofisiológico

D. Fração de ejeção do ventrículo esquerdo s 30%, CF-NYHA lI-IV, QRS 120ms, para os quais tenha sido indicada terapia de ressincronização cardíaca

E. Pacientes com cardiopatia isquêmica e fração de ejeção do ventrículo esquerdo de 50%

c A pítulo 5

Respostas

A rritmi A s e D ispositivo c A r D í A co e letrônico i mpl A ntável

1. Resposta D

A condição descrita refere-se à síndrome de WolffParkinson-White (WPW) associada a fibrilação atrial (FA), conhecida como FA pré-excitada. Neste caso, a condução elétrica é realizada pela via acessória, o que causa uma rápida condução atrioventricular, resultando em frequência cardíaca extremamente alta e alto risco de morte (Figura 5.1).

Um eletrocardiograma (ECG) típico revelará QRS alargado e irregularidades nos intervalos RR, refletindo a irregularidade nos batimentos atriais. Para pacientes instáveis, a abordagem inicial consiste em cardioversão elétrica imediata para restaurar o ritmo cardíaco normal. Após isso, o tratamento medicamentoso pode incluir propafenona, sotalol ou, em casos selecionados, amiodarona para prevenir recorrências da FA.

A ablação por cateter da via acessória é fundamental para eliminar a via anômala e prevenir episódios futuros.

hiperpolarização das células nos nós atrioventricular (AV) e sinoatrial (SA). Como resultado, ocorre diminuição na automaticidade e na condução elétrica nessas regiões, além de depressão na contratilidade atrial. Portanto, a adenosina pode interromper arritmias em que o circuito envolva os nós AV e SA, especialmente aquelas relacionadas a reentradas nodais (como a taquicardia supraventricular paroxística), e a interrupção do circuito de reentrada através desses nós pode restaurar o ritmo cardíaco normal.

3. Resposta A

As informações fornecidas sugerem taquicardia de QRS largo monomórfica estável em uma paciente jovem com um coração estruturalmente normal. A exclusão de torsades de pointes (Figura 5.3A) e taquicardia bidirecional (Figura 5.3B) é sugerida pela apresentação regular e monomórfica da taquicardia. Os critérios de Brugada, que ajudam no diagnóstico diferencial de taquicardia monomórfica de QRS largo, parecem apontar para uma taquicardia supraventricular com aberrância. No entanto, a distinção entre taquicardia por reentrada atrioventricular (TRAV) e taquicardia por reentrada nodal (TRN) pode ser desafiadora.

Figura 5.1 Taquicardia por reentrada antidrômica

2. Resposta B

A adenosina exerce seu efeito principalmente através da ligação aos receptores A1 presentes na membrana extracelular das células cardíacas. Essa interação resulta em ativação dos canais de potássio, levando a

As características eletrocardiográficas de TRAV, como depressão do segmento ST, QRS com alternância de amplitude e intervalo RP maior que 100ms, não são observadas (Figura 5.3C).

No entanto, analisando cuidadosamente o eletrocardiograma (ECG) identificamos um pseudo-“S” em parede inferior, associado ao sinal de frog (batimento na fúrcula), que sugere TRN.

Ausência de complexo RS em precordiais SimTV

B

RS>100ms em qualquer precordial SimTV

Não

Dissociação atrioventricular SimTV

Não

Critérios morfológicos de TV presentes em V1 e V6 SimTV

Não

TSV

Critérios morfológicos sugestivos de TV Não

• Padrão concordante positivo ou negativo dos complexos QRS de V1 a V6

•Morfologia de BRD com duração do QRS >140ms

•Morfologia de BRE com duração do QRS >160ms

•Eixo no quadrante superior direito

•Morfologia de BRD e eixo desviado além de –30°

•Morfologia de BRE e eixo desviado além de+90°

Na derivação V1, quando o R é maior que o R indica atraso inicialTV

Via elétrica anômala

Via elétrica anômala Ortodrômicas Antidrômicas C

Figura 5.8C Circuito das taquicardias por reentrada atrioventricular

Aprenda a fazer a manobra de Valsalva modificada, uma vez que esta aumentou de 17% (manobra convencional) para 43% o sucesso na reversão de taquicardia supraventricular (TSV).

Coloque o paciente monitorado em uma maca, sentado ou recostado com inclinação de 45º; oriente que ele sopre uma seringa de 10mL pelo lado contrário ao do êmbolo, tentando empurrá-lo

por 15s; em seguida, coloque-o em decúbito dorsal e eleve rapidamente seus membros inferiores (Figura 5.9).

10. Resposta A

Mais uma vez, temos o conceito de taquicardia de QRS estreito com instabilidade hemodinâmica; lembre-se dos critérios de instabilidade:

Figura 5.8B Algoritmo de Brugada

vAlvopAtiAs e enDocArDite infecciosA

Jonathan Batista Souza Lucas Magalhães dos Reis

1. (Título de Especialista em Cardiologia)

Paciente do sexo feminino, de 53 anos de idade, em classe funcional II da New York Heart Association (CF-II NYHA), sem outras queixas no momento, apresenta: exame físico: pressão arterial (PA) = 126 × 70mmHg; frequência cardíaca (FC) = 64bpm; ausculta pulmonar sem alterações; ausculta cardíaca com ritmo cardíaco regular, B1 hiperfonética,

sopro regurgitativo mitral 2+/6+, ruflar diastólico 2+/6+, com estalido de abertura e reforço présistólico (Figura 6.1).

 Ecocardiograma transtorácico:

• Seio aórtico: 29mm.

• Átrio esquerdo: 58mm.

• Septo interventricular: 9mm.

Figura 6.1 (A e B) Eletrocardiograma (A) e radiografia de tórax (B) do paciente

I. Pacientes com IAo importante assintomáticos e função sistólica do ventrículo esquerdo preservada têm indicação de usar vasodilatadores.

II. Pode ocorrer angina que, em geral, é noturna, decorrente de redução da pressão arterial, com consequente piora da perfusão na circulação coronariana.

III. Os sinais periféricos na IAo aguda são mais comuns do que na IAo crônica.

IV. A cirurgia está indicada para pacientes assintomáticos que cursam com disfunção sistólica do ventrículo esquerdo (FE <50%).

Assinale a alternativa correta:

A. Somente as afirmativas II e IV estão corretas

B. Somente as afirmativas I e IV estão corretas

C. Somente as afirmativas II, III e IV estão corretas

D. Somente as afirmativas III e IV estão corretas

E. Todas as afirmativas estão corretas.

29. (Título de Especialista em Cardiologia)

Com relação ao uso de anticoagulantes e valvopatia, considere as seguintes afirmativas:

I. Em pacientes portadores de prótese mitral mecânica associada a fibrilação atrial, a razão normatizada internacional (RNI) deve ser mantida na faixa de 2,5 a 3,5.

II. Nos portadores de próteses mecânicas, o uso de anticoagulantes orais diretos (inibidores diretos da trombina e fator anti-Xa) pode ser tão seguro e eficaz quanto a varfarina.

III. Os anticoagulantes orais diretos (DOAC) podem ser usados como alternativa por pacientes portadores de estenose mitral grave e fibrilação atrial. Assinale a alternativa correta:

A. Somente as afirmativas I e II estão corretas

B. Somente a afirmativa I está correta

C. Somente as afirmativas II e III está correta

D. Somente a afirmativa III está correta

E. Todas as afirmativas estão corretas

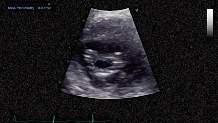
30. (Título de Especialista em Cardiologia) Jovem com queixa de fadiga e dispneia. Ao exame, apresenta bom estado geral e pulsos normais. À ausculta: primeira bulha hiperfonética, sopro diastólico em ruflar com reforço pré-sistólico. Ao eletrocardiograma: ritmo cardíaco regular, sinusal, eixo desviado para a direita e sobrecarga atrial esquerda (Figura 6.30A). Foi feito ecocardiograma (Figura 6.30B):

A. Segundo os estágios de classificação das valvopatias, trata-se de um estágio C

B. Com base no ecocardiograma, a valvopatia tem critérios de valvopatia moderada, com área valvar acima de 1,5cm2 e gradiente médio baixo

C. A terapia com novos anticoagulantes orais é de escolha para essa valvopatia, principalmente em pacientes com fibrilação atrial e átrio esquerdo aumentado

D. Nessa valvopatia, é contraindicado o uso de betabloqueador e bloqueador dos canais de cálcio

E. Recomenda-se a valvoplastia por balão para esse paciente se houver escore ecocardiográfico favorável e ausência de trombo

31. (Título de Especialista em Cardiologia) Em relação à insuficiência mitral (IM), assinale a alternativa incorreta:

A. O desenvolvimento de fibrilação atrial é comum em pacientes com IM primária e não é considerado indicação para intervenção cirúrgica

B. São considerados fatores agravantes na IM primária: fração de ejeção ≤60%, diâmetro sistólico do ventrículo esquerdo ≥40mm, pressão sistólica

Figura 6.30 (A e B) Imagens do ecocardiograma

Respostas

v A lvop Ati A s e e n D oc A r D ite i nfeccios A

1. Resposta A

Essa questão é excelente para se exercitar a abordagem ao paciente que tem estenose mitral. Para tanto, vamos seguindo o passo a passo proposto pela Diretriz Brasileira de Valvopatias e complementando com conhecimentos que são essenciais para todo cardiologista que lida com pacientes valvopatas, especificamente os portadores de estenose mitral reumática. Primeiramente, vamos observar a Figura 6.1; em seguida, aplicaremos os conceitos.

 Passo 1: a questão descreve um paciente com quadro clínico compatível com estenose mitral importante, o que foi confirmado pelo ecocardiograma (área valvar [AV]: 1,1cm2).

 Passo 2: a presença de fusão comissural é um achado típico de sequela reumática, o que nos direciona para essa etiologia.

 Passo 3: o paciente apresenta dispneia, fato que determina pior prognóstico nesses casos.

 Passo 4: reservado para pacientes com estenose mitral (EM) assintomática e, portanto, não precisa ser realizado.

 Passo 5: para pacientes com EM importante, sintomática, de etiologia reumática, a indicação é intervenção (percutânea ou cirúrgica).

O principal determinante para escolha do tipo de abordagem é a anatomia da valva, que pode ser avaliada pelo escore de Wilkins-Block. Valores ≤8 indicam bom prognóstico para a intervenção percutânea, que é a principal indicação nesses casos.

A questão apresenta exatamente uma situação como essa e, assim, a valvoplastia mitral por cateter com balão é a terapia de eleição.

2. Resposta D

Alternativa A: diferentemente das valvopatias em câmaras esquerdas, a valvopatia tricúspide tem como principal etiologia fatores relacionados ao remodelamento ventricular (secundário ou funcional). Uma das justificativas anatômicas para essa maior propensão da valva tricúspide à dilatação está relacionada ao fato de que cada cúspide dessa valva recebe cordoalhas do seu músculo papilar correspondente (anterior,

A presença de taquicardia supraventricular paroxística não configura um fator complicador que justifique que o paciente seja submetido a qualquer tipo de intervenção.

12. Resposta B

Caso clínico de paciente jovem com fator de risco para endocardite infecciosa (febre reumática prévia), apresentando critério maior para endocardite infecciosa (EI) (hemocultura positiva – acreditamos ser critério maior apesar de não ter especificado o agente etiológico, que deve ser microrganismo típico) e critérios menores (febre, hemorragia conjuntival, predisposição para EI). Entretanto, a questão aborda ao tratamento deste paciente. Nesse contexto, o tratamento empírico consiste em: penicilina G, 18 a 24 milhões UI/dia (de 4 em 4h) por 4 a 6 semanas, associada a oxacilina, 12g/dia (de 4 em4h) por 4 a 6 semanas, associada a gentamicina, 3mg/kg/dia (de 8 em 8h) por 2 semanas.

Analisemos as alternativas:

Alternativa A: a paciente não tem indicação de vancomicina (medicamento para Staphylococcus aureus resistente à meticilina) como empírico, visto não haver indicação de tal microrganismo como causador.

Alternativa B: a daptomicina é um antibiótico que pode ser utilizado para S. aureus resistente à meticilina (assim como vancomicina, teicoplanina e tigeciclina). Apesar de não sabermos se é esta a bactéria

causadora neste caso, em casos de resistência podemos usar daptomicina.

Alternativa C: Streptococcus viridans não é sensível à penicilina e, portanto, não devemos utilizar a associação de ceftriaxona + vancomicina.

Alternativa D: as opções para S. aureus resistente à meticilina são: vancomicina, daptomicina, tigeciclina ou teicoplanina.

Alternativa E: o tratamento para enterococos consiste em ampicilina associada a gentamicina por 4 a 6 semanas; pode-se manter por 2 semanas de associação, seguidas de 2 a 4 semanas de apenas ampicilina (a alternativa relata o oposto).

13. Resposta A

Ao nos depararmos, na prova de título de especialista em cardiologia (TEC), com uma questão que envolve um caso clínico, é fundamental termos em mente o fluxograma de tratamento das valvopatias proposto pela última diretriz. No caso da insuficiência mitral (IM) primária, temos o passo a passo apresentado na Figura 6.13.

Assim, como podemos notar pelo ecocardiograma, trata-se de uma IM importante (passo 1). A etiologia primária é primária devido a um prolapso, conforme também já está na descrição do laudo ecocardiográfico (passo 2). A paciente apresenta-se sintomática devido à dispneia (passo 3). Portanto,

Passo 1 Avaliação da gravidade anatômica da insuficiência mitral primária

Importante

Passo 2

Passo 3

Passo 4

Etiologia: Reumática, degenerativa, causas raras

Discreta/moderada

Passo 5

Sintomas: dispneia

Complicadores: FEVE <60%, DsVE ≥40mm, PSAP 50mmHg, FA de início recente ≥

Intervenção: Cirurgia (plástica ou troca valvar) transcateter

Segmento individualizado conforme etiologia

Figura 6.13 Fluxograma de abordagem ao paciente com insuficiência mitral

FEVE: fração de ejeção do ventrículo esquerdo; DSVE: diâmetro sistólico do ventrículo esquerdo; PSAP: pressão sistólica em artéria pulmonar; FA: fibrilação atrial.

Fonte: adaptada de Tarasoutchi et al., 2020.

miocArDiopAtiAs e pericArDiopAtiAs

1. (Título de Especialista em Cardiologia) Em relação à abordagem diagnóstica da miocardite, é correto afirmar que:

A. O peptídeo natriurético cerebral (NT-pro-BNP) encontra-se elevado nos casos de miocardiopatia dilatada secundária a miocardite e permanece elevado mesmo após recuperação da função ventricular esquerda

B. Níveis elevados de troponinas cardíacas I e T (cTnI e cTnT) estão associados à gravidade da miocardite e ao prognóstico

C. Os títulos de anticorpos virais circulantes correlacionam aos genomas virais de tecidos e podem ser usados para diagnóstico na prática clínica

D. Aumento da duração do QRS >120 milissegundos e presença de ondas Q são achados inespecíficos ao eletrocardiograma, sem valor prognóstico

E. Nos casos de suspeita de miocardite, a sensibilidade e a especificidade da ressonância cardíaca para detectar realce tardio são maiores duas semanas após o início dos sintomas

2. (Título de Especialista em Cardiologia) Mulher de 25 anos de idade, sem antecedentes cardiovasculares, apresenta-se com quadro de dispneia há 10 dias, com piora rapidamente progressiva, evoluindo com choque cardiogênico e necessidade de suporte inotrópico e hemodinâmico com balão intra-aórtico. O ecocardiograma revelou fração de ejeção do ventrículo esquerdo de 20%. Sobre as hipóteses diagnósticas e manejo da paciente, é correto afirmar que:

A. Miocardite de células gigantes e miocardite eosinofílica são potenciais causas de miocardite fulminante, e o fator causal da miocardite pode ser definido por meio de ressonância magnética (RM)

B. A biópsia de endomiocárdio em geral não está indicada em caso de miocardite fulminante

C. O suporte mecânico circulatório deve ser considerado para pacientes com miocardite fulminante como ponte para transplante ou para recuperação

D. A sobrevida após transplante cardíaco para pacientes com miocardite é pior do que para outras etiologias

E. O tratamento com imunossupressores não está indicado para pacientes com miocardite de células gigantes

3. (Título de Especialista em Cardiologia) Com relação à miocardite fulminante, é correto afirmar:

A. A miocardite eosinofílica e doenças autoimunes não são fatores causais

B. Biópsia de endomiocárdio geralmente não é recomendada

C. Há sintomas graves de insuficiência cardíaca, choque cardiogênico, arritmias graves e necessidade de suporte hemodinâmico, com menos de 30 dias de evolução

D. O tratamento de suporte inclui inotrópicos, mas não assistência circulatória

E. Aumento da espessura do septo não está presente

4. (Título de Especialista em Cardiologia) Sobre o seguimento e o tratamento das miocardites, é correto afirmar que:

A. A terapêutica imunossupressora mais comumente utilizada nos pacientes com diagnóstico de miocardite envolve corticosteroide, isoladamente ou em associação a azatioprina, desde que haja o diagnóstico, feito por biópsia de endomiocárdio, de inflamação com ausência de infecção viral como determinantes para a realização de imunossupressão

B. Em pacientes com suspeita diagnóstica, com presença ou não de disfunção ventricular e melhora

C. A dengue é a arbovirose com maior percentual de manifestações cardiovasculares descritas, e estudos prospectivos relatam que cerca de 50% dos pacientes que têm a forma grave desenvolvem miocardite

D. Pelo quadro clínico apresentado, é improvável que a etiologia esteja relacionada ao zikavírus, uma vez que o acometimento cardiovascular é exclusivamente congênito

E. A associação entre doenças tropicais e miocardite é baseada em séries de casos e pouca evidência científica. Portanto, não se justifica a investigação diagnóstica mesmo em áreas de endemia

26. (Título de Especialista em Cardiologia)

Qual das alternativas a seguir não é característica da dor no quadro clínico da pericardite?

A. Dor aguda no peito de início rápido, sendo este o principal sintoma da pericardite aguda

B. Dor suave ou latejante, em muitos casos com melhora quando o paciente se senta e se inclina para a frente

C. Dor aguda no peito, que irradia para a mandíbula, simulando angina

D. A dor tem relação clara com a inspiração

E. A dor pode irradiar para a crista do trapézio

27. (Título de Especialista em Cardiologia) Em relação às pericardites, assinale a alternativa incorreta:

A. Quadros abdominais, como colecistite aguda e pancreatite, não são considerados diagnósticos diferenciais de pericardite

B. As principais síndromes pericárdicas encontradas na prática clínica são pericardite, derrame pericárdico e tamponamento cardíaco

C Alguns dos diagnósticos diferenciais são insuficiência coronariana, tromboembolia pulmonar e síndrome de Takotsubo

D. A pericardite crônica tem duração maior que 3 meses

E. Um episódio agudo de pericardite é frequentemente precedido de uma síndrome gastrintestinal ou de um quadro semelhante ao da gripe

28. (Título de Especialista em Cardiologia) Em relação às doenças do pericárdio, é correto afirmar:

A. A corticoterapia é recomendada como terapia de primeira linha para pericardite aguda, bem como para pericardite recorrente, como adjuvante à terapia com ácido acetilsalicílico (AAS) e anti-inflamatório não esteroide (AINE)

B. A sorologia viral de rotina é recomendada na vigência de pericardite aguda

C. Mesmo em áreas em que não há endemia, podese considerar o tratamento antituberculose empírico quando a investigação sistemática não fornece um diagnóstico de pericardite tuberculosa e o derrame pericárdico é exsudativo

D. Não é necessária a análise citológica do líquido pericárdico para confirmação de doença pericárdica neoplásica; o diagnóstico é realizado por meio da história clínica

E. A internação hospitalar é recomendada para pacientes de alto risco com pericardite aguda, de maior risco de complicações, como aqueles com diagnóstico de miopericardite

29. (Título de Especialista em Cardiologia) Mulher de 40 anos de idade, portadora de lúpus eritematoso, há dois dias com queixa de dor torácica contínua e dispneia, é admitida na Emergência com frequência cardíaca (FC) = 130bpm, pressão arterial = 70 × 60mmHg, estase jugular 3+/4+ e bulhas cardíacas abafadas. Assinale a alternativa incorreta em relação à suspeita de tamponamento cardíaco:

A. Ao Doppler, podemos observar redução do fluxo tricúspide e aumento do fluxo mitral à inspiração e, à expiração, redução de até 25% do fluxo mitral e aumento do fluxo tricuspídeo

B. Ao ecocardiograma, o colapso do átrio direito é um sinal mais sensível de tamponamento, ao passo que o colapso do ventrículo direito, quando dura mais de um terço da diástole, é mais específico

C. O tamponamento de baixa pressão (oculto) ocorre em pacientes que estão hipovolêmicos, com consequente redução da pressão intracardíaca, favorecendo a compressão extrínseca do derrame pericárdico

D. A alternância na morfologia ou na amplitude do QRS está associada a pericardite com derrame pericárdico volumoso e sinais de tamponamento cardíaco

E. O aumento progressivo do derrame pericárdico, que ocorre, por exemplo, no tamponamento cardíaco, resulta em formato globular da silhueta cardíaca à radiografia de tórax

Respostas

m ioc A r D iop Ati A s e p eric A r D iop Ati A s

1. Resposta B

Essa questão refere-se aos exames complementares em caso de suspeita clínica de miocardite. Vamos relembrar alguns dados sobre os exames complementares na miocardite:

 Biomarcadores:

• Proteína C-reativa (PC-R) e velocidade de hemossedimentação (VHS) elevados na miocardite aguda (sem valor prognóstico).

• Troponina: elevados sem formarem curva (padrão de platô).

 Prognóstico.

 Ausência de elevação não exclui o diagnóstico

 Peptídeos natriuréticos: elevados nos casos agudos.

• Prognóstico.

• Retornam à normalidade com a resolução do quadro.

 Eletrocardiograma:

• Fase aguda: arritmias supraventriculares e ventriculares, distúrbios de repolarização ventricular, bloqueios atrioventriculares e padrão de isquemia típica (supradesnivelamento ou infradesnivelamento do segmento ST e presença de onda Q – pior prognóstico).

• Fase crônica: sobrecarga de câmaras e bloqueios de ramos.

 Ecocardiograma:

• Fase aguda: disfunção contrátil de ambos os ventrículos, de caráter difuso ou com alteração segmentar e derrame pericárdico.

• Evolução fulminante (choque cardiogênico), disfunção sistólica aguda com hipocinesia difusa, diâmetros cavitários normais e aumento da espessura das paredes (edema miocárdico).

• Fase crônica: achados ecocardiográficos semelhantes à da cardiomiopatia dilatada.

• Disfunção ventricular direita é incomum (marcador prognóstico).

 Medicina nuclear: cintilografia com gálio-67.

• Sensibilidade de 50%.

• Melhor acurácia nos 3 primeiros meses da apresentação clínica.

 Ressonância magnética (RM):

• Sequências ponderadas em T2 (avalia o edema miocárdico secundário ao processo inflamatório).

• Realce global precoce do miocárdio (representa a inflamação do miocárdio – hiperemia).

• Técnica do realce tardio (avalia necrose e fibrose).

• A acurácia do diagnóstico de miocardite na fase aguda (edema miocárdico e realce global precoce) é maior do que em fases subaguda ou crônica (realce tardio).

Retornando às alternativas:

Alternativa A: o peptídeo natriurético cerebral (BNP) encontra-se elevado nos casos de suspeita de miocardite, mas retorna à normalidade com a recuperação da função ventricular. Vale lembrar que se relaciona com prognóstico.

Alternativa B: troponina se relaciona tanto com gravidade quanto, obviamente, com o prognóstico.

A troponina se eleva sem formar “curva” (padrão de platô) e, quando os resultados são negativos, não excluem miocardite.

Alternativa C: os anticorpos virais não são utilizados para diagnóstico, visto serem pouco específicos.

O único meio para se estabelecer diagnóstico etiológico viral é biópsia de endomiocárdio.

Alternativa D: o achado de onda Q tem o pior prognóstico.

Alternativa E: quanto mais precoce for a realização da ressonância, maior será a acurácia do método.

– prevenção secundária: alto risco de novos eventos recorrentes.

• Síncopes inexplicadas: – pelo menos um episódio de perda transitória da consciência, descartando-se ser pela obstrução do TSVE ou vasovagal. Maior importância se tiver ocorrido nos últimos 6 meses.

 História familiar (morte súbita na família):

• MS provável ou certa atribuível a CMPH em ≥1 parente de 1o ou 2o graus com ≤50 anos de idade. Se de 3o grau: quando múltiplos.

 ECO/RNM:

• HVE ≥28mm:

– espessura de parede ≥28mm* em qualquer segmento de parede ventricular, por ECO/ RNM (*considerando dados da Diretriz Brasileira de Cardiomiopatia Hipertrófica publicada pela Sociedade Brasileira de Cardiologia em 2024).

 Disfunção sistólica:

• FE ≤50% (ECO ou RM).

História familiar de MS

Aneurisma apical

Fração de ejeção <50%

 Aneurisma apical do VE:

• A presença está associada a maior risco de morte súbita.

 RM com contraste:

• Realce tardio ≥15%.

 Holter:

• TVNS: valorizar se episódios de TVNS são frequentes (≥3), mais longos (≥10 batimentos) e mais rápidos (≥200 batimentos por minuto [bpm]).

Posteriormente, seguimos o fluxograma proposto pela mais recente diretriz de Cardiomiopatia Hipertrófica da SBC para indicar o CDI (Figura 7.14):

Alternativa C: cerca de 15% dos pacientes com CMP hipertrófica apresentam FA e devemos lembrar que está indicada anticoagulação oral para todos (salvo se houver contraindicação específica do anticoagulante).

Alternativa D: os melhores resultados cirúrgicos são vistos na miectomia septal

Figura 7.14 Algoritmo de estratificação de risco de morte súbita e indicação de cardiodesfibrilador implantável (CDI) nos pacientes com CMH

* Múltiplos episódios (≥3), FC >200 e ≥10 batimentos.

** Tomada de conduta guiada por Heart Team

TV: taquicardia ventricular; FV: fibrilação ventricular; HVE: hipertrofia ventricular esquerda; MS: morte súbita; TVNS: taquicardia ventricular não sustentada; FC: frequência cardíaca.

Fonte: adaptada de Fernandes et al., 2024.

fator de risco

insuficiênciA cArDíAcA AguDA e crônicA/trAnsplAnte

1. (Título de Especialista em Cardiologia)

Assinale a alternativa correta quanto à fisiopatologia da insuficiência cardíaca:

A. A angiotensina II atua nos vasos ativando o receptor AT1, o que resulta em vasoconstrição, hipertrofia e hiperplasia

B. Os peptídeos natriuréticos aumentam os efeitos vasoconstritores e pró-fibróticos do sistema renina-angiotensina

C. A liberação de arginina vasopressina pela pituitária posterior fica inibida em resposta à estimulação simpática renal nos pacientes com insuficiência cardíaca

D. A ativação prolongada do sistema nervoso simpático resulta em diminuição dos níveis circulatórios de noradrenalina devido a um fenômeno de exaustão dos nervos adrenérgicos

E. O estresse oxidativo está substancialmente diminuído em decorrência da disfunção contrátil na presença de insuficiência cardíaca

2. (Título de Especialista em Cardiologia)

Qual alternativa contempla uma característica de alto risco clínico para o programa de reabilitação cardiopulmonar?

A. Insuficiência cardíaca em classe funcional II da New York Heart Association

B. Sinais e sintomas de isquemia miocárdica com VO2 <15mL.kg-1.min-1 no teste cardiopulmonar

C. Internação por descompensação de insuficiência cardíaca há 6 meses

D. Capacidade funcional de 7MET documentada no teste ergométrico

E. Taquicardia supraventricular não sustentada no teste de esforço

3. (Título de Especialista em Cardiologia) De acordo com a 3a Diretriz Brasileira de Transplante Cardíaco (2018), em relação a transplante cardíaco (TxC) e a doença primária do enxerto (DPE) como potencial complicação pós-operatória, é correto afirmar:

A. É definida por fração de ejeção ≤45% detectada nas primeiras 24h após o TxC. Excluem o diagnóstico: (1) uso de doses progressivas de fármacos vasoativos; (2) necessidade de dispositivos de assistência ventricular mecânica para suporte circulatório; e (3) presença de sepse e de disfunção ventricular direita (DVD) associada a hipertensão pulmonar e sangramento

B. A maior mortalidade nos primeiros 30 dias pós-TxC é causada por infecção associada aos dispositivos implantados e por pneumonia intrahospitalar

C. Define-se a gravidade da DPE apenas de acordo com a evolução clínica do paciente

D. A idade do doador e o tempo de isquemia não são fatores de risco importantes para a redução da sobrevida do enxerto cardíaco

E. Apesar de ainda não completamente elucidada, a patogenia da DPE é multifatorial e envolve fatores relacionados ao enxerto, ao procedimento e ao receptor. O tratamento padrão é composto de doses escalonadas de inotrópicos, vasodilatadores, vasopressores e óxido nítrico

4. (Título de Especialista em Cardiologia) Assinale a alternativa que corresponde a um dos sinais de alerta de insuficiência cardíaca avançada:

A. Inotrópico dependente e intolerante à terapia médica otimizada

B. Pressão arterial sistólica acima de 140mmHg apesar do uso de medicação

Bruno Rezende Passos

C. A reposição de ferro por via oral mostrou benefício na capacidade funcional, na qualidade de vida e na redução das hospitalizações

D. Não é necessária a pesquisa de possíveis focos de sangramento, visando excluir a deficiência de ferro por sangramento

E. É definida como ferritina sérica menor que 100µg/L ou ferritina sérica entre 100 e 299µg/L com saturação da transferrina <20%

35. (Título de Especialista em Cardiologia)

Homem de 48 anos de idade, que chegou ao atendimento com dor torácica de tipo A e eletrocardiograma evidenciando infarto agudo do miocárdio (IAM) com supradesnivelamento do segmento ST (IAMcSST) em região anterior extensa. Foi transferido para um centro de hemodinâmica, com angioplastia primária na artéria descendente anterior com sucesso, evoluindo para insuficiência cardíaca (IC) aguda e choque cardiogênico, sem lesões residuais. Recebeu terapia medicamentosa para síndrome coronariana aguda e permaneceu em uso de fármacos vasoativos; ainda na sala de hemodinâmica, optouse pelo implante de um dispositivo de assistência circulatória temporário. Em relação à indicação deste dispositivo, assinale a alternativa correta:

A. Não deve ser considerada no cenário de choque cardiogênico de etiologia isquêmica após revascularização completa percutânea

B. Pacientes com insuficiência aórtica importante associada são os que têm maior benefício com os dispositivos

C. Deve ser cogitada em situação na qual exista a perspectiva de melhora da função ventricular após lesão aguda

D. Não traz benefício no suporte em pacientes de alto risco cardiopulmonar por anatomia coronariana desfavorável submetidos a angioplastia primária

E. É usado na rotina para tratamento de insuficiência cardíaca aguda, mas não como ponte para transplante

36. (Título de Especialista em Cardiologia)

Sobre o tratamento não farmacológico da insuficiência cardíaca (IC), escolha a alternativa correta:

A. A recomendação de imunização ativa anual contra influenza aplica-se a todos os pacientes com

IC; entretanto, não há recomendação formal de imunização ativa contra pneumococo

B. O emprego de reabilitação cardiovascular (exercício aeróbico regular) para pacientes com IC com fração de ejeção reduzida (ICFEr) em classes funcionais II a IV (New York Heart Association [NYHA]) tem evidência consistente para melhorar a qualidade de vida e a capacidade funcional e reduzir a taxa de hospitalização e mortalidade por IC, com efeito a longo prazo já estabelecido

C. A quantidade de sódio a ser usada por dia por pacientes com IC crônica segue controversa, pois os dados disponíveis não se baseiam em estudos prospectivos, randomizados, com número de pacientes significativo e com avaliação de desfechos relevantes. Portanto, não há recomendação clara sobre manejo do consumo de sódio e de líquidos para pacientes com IC crônica sintomática

D. No fenômeno do “paradoxo da obesidade” na IC, observam-se inversamente menor mortalidade e menores taxas de hospitalização na população portadora de obesidade em grau I comparada a pacientes eutróficos

E. O uso de ácidos graxos poli-insaturados ômega 3 (n-3) em pacientes com ICFEr e em classe funcional IV mostrou impacto significativo e expressivo em termos de redução de mortalidade

37. (Título de Especialista em Cardiologia) Assinale a alternativa correta para a indicação de classe de recomendação I para transplante cardíaco segundo a III Diretriz Brasileira de Transplante Cardíaco da Sociedade Brasileira de Cardiologia (SBC):

A. Insuficiência cardíaca (IC) avançada sem dependência de fármacos inotrópicos e/ou suporte circulatório mecânico

B. Insuficiência cardíaca refratária e equivalente ventilatório de gás carbônico (relação VE/VCO2) <35, particularmente se VO2 de pico ≤14mL/ kg/min e/ou teste cardiopulmonar submáximo (RER <1,05)

C. IC avançada e VO2 de pico ≤12mL/kg/min em pacientes em uso de betabloqueadores (BB)

D. IC avançada com prognóstico adverso estimado apenas por escores prognósticos

E. IC avançada e VO2 de pico >14mL/kg/min em pacientes intolerantes a BB

c A pítulo 8

Respostas i nsuficiênci A c A r D í A c A

A gu DA e c rônic A / t r A nspl A nte

1. Resposta A

Vamos comentar detalhadamente cada uma das alternativas sobre essa questão que aborda os aspectos fisiopatológicos da insuficiência cardíaca (IC).

Alternativa A: devido ao baixo débito cardíaco ocasionado pela IC (levando a uma baixa perfusão renal), ocorre a ativação do sistema renina-angiotensina-aldosterona (SRAA), que se dá pela liberação de renina, que hidrolisa o angiotensinogênio em angiotensina I e que, por sua vez, através da enzima conversora de angiotensina (ECA), transforma-se em angiotensina II. A angiotensina II exerce seu papel através da ativação de seus principais receptores: o AT1 (que promove vasoconstrição, proliferação da musculatura lisa, crescimento de células, secreção e síntese de aldosterona, secreção de vasopressina e liberação de catecolaminas) e o AT2 (que leva a vasodilatação, natriurese, liberação de bradicininas e inibição do crescimento e diferenciação de células).

Alternativa B: os peptídeos natriuréticos exercem ação contrária aos efeitos do SRAA e da ativação do sistema nervoso simpático, diminuindo a vasoconstrição e a retenção de sódio e, portanto, reduzindo o remodelamento cardíaco e vascular. Tais peptídeos promovem vasodilatação e aumento da filtração glomerular, da natriurese e da diurese, além dos efeitos anti-hipertrófico e antifibrótico.

Alternativa C: a arginina vasopressina é um hormônio hipofisário que desempenha papel central na regulação da depuração de água livre e da osmolaridade do plasma. Em circunstâncias normais, a vasopressina é liberada em resposta a um aumento na osmolaridade do plasma, levando a aumento da retenção de água pelo ducto coletor. Os níveis de arginina vasopressina circulantes mostram-se elevados em muitos pacientes com IC e podem contribuir para a hiponatremia que ocorre nesses pacientes.

Os efeitos celulares da arginina vasopressina são mediados principalmente por interações com três tipos de receptores, denominados V1, V2 e V3. Os receptores V1 promovem vasoconstrição, agregação de plaquetas e estimulação de fatores de crescimento do miocárdio, enquanto a estimulação do receptor V3 modula a secreção do hormônio adrenocorticotrófico (ACTH) pela hipófise anterior. O receptor V2 exerce efeitos antidiuréticos, estimulando a adenilciclase para aumentar a taxa de inserção de vesículas contendo canais de água na membrana apical dos ductos coletores. Como as vesículas contêm canais de água funcionais pré-formados (denominados aquaporinas), sua localização nas membranas apicais dos ductos coletores em resposta à estimulação dos receptores V2 aumenta a permeabilidade à água, levando à retenção deste líquido.

Alternativa D: a diminuição do débito cardíaco na vigência de IC ativa uma série de mecanismos compensatórios que visam manter a homeostase cardiovascular. Uma das adaptações mais importantes é a ativação do sistema nervoso simpático (SNS), que se dá no início do curso da IC. Como resultado do aumento do tônus simpático, ocorre um aumento nos níveis circulantes de noradrenalina, um potente neurotransmissor adrenérgico. Os níveis elevados de noradrenalina circulante resultam de uma combinação de aumento de sua liberação e redução de sua captação pelas terminações nervosas adrenérgicas. Além disso, a ativação do SNS no cenário de IC é acompanhada de uma redução concomitante do tônus parassimpático.

Em pacientes com IC avançada, a concentração circulante de noradrenalina em repouso é 2 a 3 vezes maior que aquela encontrada em pessoas normais. Os níveis de noradrenalina no plasma predizem a mortalidade em pacientes com IC. No entanto, à medida que a IC avança, ocorre uma diminuição significativa

Sintomas persistentes e graves (classe III ou IV da NYHA)

Disfunção ventricular grave definida por:

FEVE 5 30% ≤ ou

IC direita isolada ou

Alterações valvares graves não operáveis ou

Anormalidades congênitas

BNP ou NT-proBNP persistentemente elevados + disfunção diastólica grave ou anormalidades estruturais do VE (critérios de definição de ICFEP ou ICFELR)

Episódios de congestão pulmonar ou sistêmica que necessitem de doses de diurético EV (ou combinação de diuréticos) ou episódios de baixo débito que requerem use de inotrópicos ou fármacos vasoativos ou arritmias malignas que causem mais que uma visita não planejada à Emergência ou hospitalização nos últimos 12 meses

Capacidade para o exercício gravemente reduzida, com inabilidade ao exercício ou baixa capacidade no teste de caminhada de 6min (TC 6min <300m) ou V0 pico 2 (<12 a 14mL/kg/min), estimado de origem cardíaca

Figura 8.12 Critérios para definição de insuficiência cardíaca avançada

FEVE: fração de ejeção do ventrículo esquerdo; IC: insuficiência cardíaca; BNP: peptídeo natriurético de tipo B; ICFEP: insuficiência cardíaca com fração de ejeção preservada; ICFELR: insuficiência cardíaca com fração de ejeção levemente reduzida; EV: endovenosa.

13. Resposta A

A definição de síndrome cardiorrenal (SCR) ainda não está totalmente clara. Em 2004, o National Heart, Lung, and Blood Institute definiu que tal patologia é uma condição na qual a terapia para aliviar os sintomas congestivos da IC é limitada por um declínio da função renal, manifestado através de redução da taxa de filtração glomerular (TFG). Assim, a denominação síndrome cardiorrenal tem sido aplicada às complexas interações entre as doenças cardíaca e renal, já que a disfunção aguda ou crônica de um órgão pode induzir alterações agudas ou crônicas no outro órgão.

Inicialmente, acreditava-se que a queda da TFG era secundária apenas a redução da perfusão renal, mas vários estudos subsequentes demonstraram que outros mecanismos estão envolvidos na patogênese da SCR, e incluem:

 Adaptações neuro-humorais (ativação do sistema nervoso simpático, ativação do sistema renina-angiotensina-aldosterona, liberação de vasopressina e endotelina-1), que promovem retenção de sal e água e vasoconstrição sistêmica. Esse aumento da resistência vascular eleva a pós-carga cardíaca, reduz o débito cardíaco e pode gerar uma redução ainda mais pronunciada da perfusão renal.

 Aumento da pressão venosa renal (a queda da TFG nesse contexto tem mecanismos ainda não plenamente esclarecidos).

 Disfunção ventricular direita (seja pelo mecanismo de congestão venosa renal ou pela redução do débito cardíaco devido à interdependência entre o ventrículo direito [VD] e o ventrículo esquerdo [VE]).

 Fatores inflamatórios.

A SCR pode ser classificada em 5 tipos:

 Tipo 1 (aguda): a insuficiência cardíaca (IC) aguda resulta em lesão renal aguda;

 Tipo 2: disfunção cardíaca crônica (p. ex., IC crônica), que causa DRC progressiva;

 Tipo 3: piora súbita e primária da função renal (p. ex., devido a isquemia renal ou glomerulonefrite), que causa disfunção cardíaca aguda;

 Tipo 4: a DRC primária contribui para a disfunção cardíaca, que pode manifestar-se como doença coronariana, IC ou arritmia;

 Tipo 5 (secundário) : distúrbios sistêmicos agudos ou crônicos (p. ex., sepse ou diabetes melito [DM]), que causam disfunção cardíaca e renal.

A SCR ocorre em até 40% dos pacientes com IC aguda, e novos biomarcadores, como a lipocaína associada a gelatinase neutrofílica (NGAL) e a cistatina-C, têm capacidade maior na detecção precoce de lesão renal no contexto da IC aguda do que a creatinina e a ureia, além de apresentarem correlação prognóstica. Geralmente, nesse cenário, quando há congestão refratária aos diuréticos, são necessários outros

DoençAs DA AortA e DoençA ArteriAl periféricA

1. (Título de Especialista em Cardiologia)

Observe o caso clínico a seguir: Paciente do sexo masculino, de 25 anos de idade, com diagnóstico de síndrome de Marfan, está em tratamento de hipertensão arterial sistêmica (HAS). Realizou a angiotomografia de tórax apresentada na Figura 9.1, pela qual se detectou a presença de aneurisma no segmento ascendente da aorta torácica.

Assinale a alternativa que contenha indicação de intervenção em casos de aneurismas da aorta torácica:

A. A cirurgia é recomendada para pacientes com síndrome de Marfan com aneurisma da aorta ascendente com diâmetro ≥50mm

B. Para pacientes submetidos a reparo ou troca de valva, convém considerar reparo concomitante da raiz aórtica ou substituição da aorta ascendente quando o diâmetro máximo da aorta for ≥50mm

C. A cirurgia é indicada para pacientes com síndrome de Marfan com diâmetro da aorta ascendente ≥55mm na presença de fatores de risco adicionais

D. Em pacientes com síndrome de Marfan, é indicada a intervenção se diâmetro da aorta ascendente for >37mm na presença de coarctação da aorta

E. Quando a intervenção está indicada na síndrome de Marfan, o reparo endovascular da aorta torácica (TEVAR) deve ser a técnica preferida

2. (Título de Especialista em Cardiologia)

Na presença de úlcera penetrante da aorta, é considerada critério para intervenção:

A. Presença de úlcera aórtica penetrante com profundidade menor que 10mm

B. Presença de úlcera aórtica penetrante associada a ectasia da aorta

C. Presença de úlcera aórtica penetrante assintomática em porção proximal da aorta descendente

D. Presença de úlcera aórtica penetrante com diâmetro menor que 20mm

E. Presença de úlcera aórtica penetrante associada a dor recorrente e refratária

3. (Título de Especialista em Cardiologia)

Observe o caso clínico a seguir: Paciente do sexo masculino, de 66 anos de idade, tabagista, hipertenso e diabético, com antecedentes de infarto agudo do miocárdio (IAM) e realização de angioplastia coronariana e implante de Stent há 14 meses, queixa-se de cansaço progressivo a esforços. Há 6 meses apresenta limitação por dor no membro inferior direito (MID) ao caminhar 100m, que o obriga a parar aos 400m.

 Em uso de : hidroclorotiazida, enalapril, carvedilol, anlodipino, espironolactona, metformina, dapagliflozina, atorvastatina e ácido acetilsalicílico (AAS).

Bruno Rezende Passos
Figura

c A pítulo 9

Respostas

D oenç

A

s DA A ortA e D oenç A A rteri A l p eriféric A

1. Resposta A

A questão traz a imagem de uma angiotomografia de aorta com contraste que revela um aneurisma de aorta torácica ascendente (assinalado na imagem pela letra A) em um paciente com diagnóstico de síndrome de Marfan.

Em todas as questões que abordem doenças da aorta, é primordial sabermos, em primeiro lugar, a divisão anatômica dessa artéria, porque existem critérios de intervenção diferentes para cada segmento aórtico. Vejamos os segmentos anatômicos da aorta torácica na Figura 9.1.

Algumas síndromes genéticas (Marfan, Loeys-Dietz e Ehlers-Danlos) estão relacionadas a doenças da aorta (aneurismas, dissecções e rupturas) e têm limiares de intervenção mais baixos quanto aos diâmetros para intervenção em relação aos aneurismas de etiologia degenerativa, conforme descrito na Tabela 9.1.

O reparo cirúrgico profilático de dilatação da aorta ascendente em pacientes com síndrome de Marfan é indicado quando a aorta tem diâmetro ≥50mm.

aórtico Aorta ascendente

aórtica

Arco

De Bakey

Stanford

I Origem na porção ascendente com comprometimento pelo menos do arco

II Confinada à porção ascendente

III Origem na porção descendente (após a emergência da subclávia E)

A Envolvimento da porção ascendente

B Envolvimento da porção descendente

Figura 9.5 (A e B) Diferentes classificações da dissecção de aorta torácica

Quando, em um paciente com dissecção de aorta, temos ausência do pulso braquial, podemos inferir que há comprometimento do tronco braquiocefálico ou da artéria subclávia esquerda. Ou seja: a dissecção encontra-se em sua porção ascendente (De Bakey de tipo 1 ou 2 ou Stanford A). Trata-se, portanto, de um quadro de alto risco e o tratamento é emergencial através de correção cirúrgica.

6. Resposta D

Vamos comentar detalhadamente cada uma das alternativas a seguir:

Na alternativa A, tanto os exercícios de caminhada quanto o treinamento de resistência contribuem para uma melhora significativa da distância de claudicação em pacientes com doença arterial periférica (DAP).

B A
Tipo A
Tipo B
Tipo I Tipo II Tipo IIIA Tipo IIIB

1. (Título de Especialista em Cardiologia) Em relação ao fechamento percutâneo da comunicação interatrial (CIA), observe as afirmativas a seguir:

I. Está indicado nos casos de CIA do tipo ostium secundum com shunt significativo, em que a relação entre fluxo pulmonar (Qp) e fluxo sistêmico (Qs) seja >1,5 ou associada a sobrecarga de volume do ventrículo direito.

II. Após a oclusão percutânea, é necessário o uso de antiagregante, habitualmente ácido acetilsalicílico (AAS), durante 1 semana após o procedimento.

III. Está indicado para os portadores de CIA do tipo seio venoso e ostium primum, mesmo pequenos, devido ao maior risco de evoluir com hipertensão pulmonar.

Assinale a alternativa correta:

A. Somente as afirmativas I e II estão corretas

B. Somente as afirmativas I e III estão corretas

C. Somente as afirmativas II e III estão corretas

D. Todas as afirmativas estão corretas

E. Somente a afirmativa I está correta

2. (Título de Especialista em Cardiologia)

Observe o caso clínico a seguir: Paciente do sexo masculino, de 30 anos de idade, portador de trissomia do 21 e comunicação interventricular (CIV) não operada, apresenta hemoptise e procura o Serviço de Emergência. Um familiar relata que o paciente vem apresentando piora da intolerância a esforços nos últimos 2 anos. Nega eventos embólicos prévios e relata que não faz uso de anticoagulante. Ao exame físico, apresenta: frequência cardíaca (FC) = 110bpm; pressão arterial (PA) = 100 × 60mmHg; saturação periférica de oxigênio de 70% (em ar ambiente). Estado geral regular, pálido, taquicárdico e cianótico (baqueteamento digital). Ausculta cardíaca: segunda bulha (P2) hiperfonética e sopro de regurgitação em foco tricúspide. Ausculta

cArDiopAtiAs congênitAs

respiratória: sem alterações. Semiologia do abdome: hepatomegalia.

Assinale a alternativa correta acerca do caso clínico:

A. A anticoagulação está indicada para todos os pacientes com hipertensão arterial pulmonar, pelo risco de tromboembolia pulmonar

B. A varfarina não é o anticoagulante mais recomendado para pacientes com hipertensão arterial pulmonar

C. A anticoagulação não é medida consensual para pacientes com Eisenmenger, principalmente naqueles sem eventos embólicos prévios, pelo risco de sangramento

D. Deve-se manter os valores de razão normalizada internacional (RNI) acima de 3,5 vezes o controle, para profilaxia de tromboembolia, no caso de pacientes com hipertensão arterial pulmonar em uso de varfarina

E. Nos pacientes com Eisenmenger, além da anticoagulação, sempre se associam oxigênio suplementar e tratamento da insuficiência cardíaca (digital e diuréticos)

3. (Título de Especialista em Cardiologia) Em relação à comunicação interatrial (CIA), observe as afirmativas a seguir:

I. Nos portadores de CIA, as arritmias como fibrilação e flutter atrial tornam-se mais prevalentes com o aumento da idade, e o fechamento tardio do defeito, principalmente após os 40 anos, não impede o aparecimento de arritmias.

II. Fechamento percutâneo é o tratamento de escolha para o fechamento de CIA ostium secundum. Os critérios para indicação são similares aos do fechamento cirúrgico e requerem bordas suficientes para ancorar a prótese.

III. A CIA ostium primum apresenta a valva atrioventricular esquerda com três folhetos, e o

Respostas

c A r D iop Ati A s c ongênitA s

1. Resposta E

A afirmativa I está correta. O fechamento da comunicação interatrial ostium secundum está indicado quando há presença de alterações clínicas e estruturais relevantes como sobrecarga das câmaras direitas e presença de shunt significativo (relação fluxo pulmonar (Qp)/ fluxo sistêmico (Qs) >1,5).

A afirmativa II está errada. Considerando o fechamento do forame oval patente como causa de acidente vascular cerebral criptogênico, devemos manter a dupla terapia antiplaquetária por tempo superior a 30 dias (30 dias a 6 meses), mantendo posteriormente monoterapia antiagregante por tempo mais prolongado. Lembremos que, a despeito da presença de forame oval patente (FOP), é mandatória a pesquisa de outras causas de embolia paradoxal (átrio direito para átrio esquerdo), como fibrilação atrial paroxística, neoplasia, doença da valva mitral e ateromatose aórtica.

A afirmativa III está errada. Os 5 tipos de comunicação interatrial são:

1. Forame oval.

2. Ostium secundum

3. Ostium primum.

4. Seio coronário.

5. Seio venoso (veia cava inferior e superior).

As comunicações de tipo ostium secundum fecham espontaneamente na maioria dos casos quando o diâmetro é de até 8 a 10mm, excluindo-se as comunicações seio venoso, seio coronário e ostium primum, que não fecham espontaneamente.

2. Resposta C

A alternativa A está incorreta, pois a anticoagulação de rotina não demonstra qualquer benefício em doentes cianóticos em termos de prevenção de complicações tromboembólicas, condição em que se deve considerar o risco de sangramento associado a terapia anticoagulante. Para prevenção secundária, a anticoagulação é recomendada em pacientes com

evento tromboembólico ou trombo intracardíaco ou intravascular incidental.

A alternativa B não é a correta, uma vez que a varfarina ainda é o anticoagulante mais recomendado para pacientes com hipertensão arterial pulmonar.

A alternativa C é a verdadeira, visto que para pacientes com síndrome de Eisenmenger não é recomendado o uso rotineiro de anticoagulação. A anticoagulação oral deve ser considerada para pacientes com arritmias atriais, na presença de trombose venosa ou tromboembolia pulmonar associada a baixo risco de sangramento. Como o risco de sangramento aumenta em pacientes cianóticos, o uso de anticoagulantes orais e agentes antiplaquetários deve ser considerado cuidadosamente, caso a caso. A síndrome de Eisenmenger ocorre quando pacientes com shunt da esquerda para a direita desenvolvem lesão vascular pulmonar irreversível e hipertensão arterial pulmonar grave em resposta a hipercirculação pulmonar. Quando a pressão pulmonar supera a pressão arterial sistólica sistêmica, a direção do shunt inverte-se, levando a cianose. A síndrome de Eisenmenger é mais comum em pacientes com grandes shunts pós-tricúspides não reparados, como shunts atrioventriculares, comunicação interventricular e persistência do canal arterial; nestes casos, a síndrome de Eisenmenger desenvolve-se durante os primeiros anos de vida.

A alternativa D é incorreta, porque a anticoagulação de rotina não demonstra qualquer benefício em doentes cianóticos em termos de prevenção de complicações tromboembólicas, condição em que se deve considerar o risco de sangramento associado a terapia anticoagulante.

A alternativa E não está correta, pois nos pacientes com Eisenmenger a anticoagulação deve ser considerada individualmente, podendo ser necessária a terapia de oxigênio suplementar (com o objetivo de melhorar os sintomas, mas sem modificação na sobrevida) associada a tratamento com prostaciclinas e inibidores do receptor de endotelina.

• 2º Espaço intercostal direito – Foco aórtico

• 4º Espaço intercostal direito – Foco Tricúspide

2º Espaço intercostal esquerdo – Foco pulmonar

• 3º Espaço intercostal esquerdo – Foco aórtico acessório

• Ápice – Foco mitral • A

10.6A Localização dos principais focos de ausculta cardíaca

Pelo eletrocardiograma (ECG), é comum achar sobrecarga do átrio direito (SAD), como neste caso.

Na presença desta cardiopatia, é comum também encontrarmos:

 Bloqueio de ramo direito (BRD).

 Bloqueio de 1o de grau (42% devido a alargamento do átrio direito e anormalidade na condução atrioventricular).

 Fenômeno de pré-excitação ou síndrome de Wolff-Parkinson-White (WPW) (15% a 20%).

Patologia

Anomalia de Ebstein

Os sintomas característicos desses pacientes são dispneia, fadiga e palpitações a esforços, assim como queda de saturação.

Pela radiografia, é comum observar um aumento significativo da área cardíaca, chamado de sinal da caixa, ou box shape (ao final dos comentários dessa questão, apresenta-se a Tabela 10.6A, que traz as imagens radiológicas mais características das cardiopatias congênitas). Com isso, a resposta correta é a letra A.

Descrição ecocardiográfica

Deslocamento da cúspide septal da tricúspide superior a 8mm/m²

Defeito do septo atrioventricular (DSAV) Via de saída alongada (pescoço de ganso ou goose neck)

Transposição de grandes artérias (TGA)

Concordância atrioventricular e discordância ventriculoarterial

Dupla via de saída do ventrículo direito Cavalgamento da aorta superior a 50%

Miocárdio não compactado

Relação entre miocárdio não compactado e miocárdio compactado >2 no eixo curto, no fim da sístole

Figura
TABELA 10.6A Descrição das principais características anatômicas das cardiopatias mencionadas

1. (Título de Especialista em Cardiologia) Em relação ao manejo pré-operatório de pacientes em uso de varfarina, assinale a alternativa correta:

A. Em procedimentos de alto risco de sangramento, portadores de fibrilação atrial com CHADS2 = 2, sem passado de acidente vascular encefálico, devem ser submetidos à terapia de “ponte” com heparina

B. Para realizar uma jejunostomia percutânea endoscópica, deve-se suspender o uso de varfarina e avaliar se há necessidade de terapia de “ponte” com heparina

C. Para a extração de um dente em pacientes com elevado risco de tromboembolia, deve-se indicar a terapia de “ponte” com heparina

D. A terapia de “ponte” com heparina deve ser realizada rotineiramente em portadores de fibrilação atrial com CHADS2 = 3

E. Na terapia de “ponte” com a heparina, a cirurgia pode ser realizada quando a razão normalizada internacional (INR) estiver <2

2. (Título de Especialista em Cardiologia)

Observe o caso clínico a seguir: Paciente do sexo feminino, de 60 anos de idade, desenvolve uma colecistite complicada e necessita ser submetida a uma colecistectomia o mais breve possível. A paciente é portadora de diabetes melito tipo 2 (DM2) e dislipidemia, tendo sofrido um infarto agudo do miocárdico (IAM) há 60 dias, quando recebeu um implante de Stent farmacológico na artéria descendente anterior. Atualmente faz uso de clopidogrel, 75mg/dia; ácido acetilsalicílico (AAS), 100mg/dia; atorvastatina, 40mg/dia; e metformina, 850mg/dia. Em relação ao manejo pré-operatório deste caso, assinale a alternativa correta:

temAs Diversos

A. Se inadiável, a cirurgia poderá ser realizada. O uso de clopidogrel deve ser suspenso 5 dias antes do procedimento, e o de AAS, mantido

B. O uso dos dois antiagregantes de plaquetas deve ser suspenso por 5 dias e deve ser instituída terapia de “ponte” com heparina para prevenção de trombose de Stent

C. A paciente poderá ser submetida ao procedimento cirúrgico, não sendo necessária a suspensão do uso de antiagregantes de plaquetas

D. A paciente deve ser encaminhada para cirurgia, sendo indicada a realização de transfusão profilática de hemocomponentes

E. Se o risco de trombose do Stent for elevado e a manutenção do uso de AAS impossível, deve-se instituir a terapia de “ponte” com heparina

3. (Título de Especialista em Cardiologia) Em relação às propriedades farmacocinéticas dos antagonistas mineralocorticoides, assinale a alternativa correta:

A. A eplerenona tem meia-vida mais longa que a da espironolactona e tem metabólitos ativos

B. A espironolactona tem efeitos antiandrogênicos similares aos da progesterona, o que pode levar a ginecomastia ou impotência sexual no homem e a irregularidades menstruais na mulher

C. Espironolactona e eplerenona têm grande potência diurética

D. Finerenona e eplerenona são consideradas antagonistas não esteroides dos receptores mineralocorticoides

E. A finerenona é o metabólito ativo da espironolactona, e ambas inibem competitivamente a ligação da aldosterona aos receptores mineralocorticoides em diversos tecidos

Jonathan Batista Souza
Charles Rios Souza
Halsted Alarcão Gomes Pereira da Silva

D. Pacientes com fração de ejeção do ventrículo esquerdo ≤40% não devem receber terapia com antraciclina, a menos que não haja outra opção de tratamento

E. Em pacientes sob tratamento oncológico, o fármaco de escolha para o tratamento da hipertensão arterial é o anlodipino

12. (Título de Especialista em Cardiologia)

Observe o caso clínico a seguir:

Paciente do sexo feminino, de 70 anos de idade, portadora de câncer de mama, em avaliação cardiológica para início de tratamento com antraciclina, encontra-se assintomática. Faz uso de losartana, 100mg/dia, e metformina, 850mg/dia, para tratamento de hipertensão arterial e diabetes. Apresenta exames físico e laboratorial normais. Foi realizada recentemente uma cintilografia do miocárdio que resultou negativa para isquemia miocárdica e um ecocardiograma que mostra fração de ejeção do ventrículo esquerdo = 50%. Assinale a alternativa que apresenta orientações corretas em relação ao manejo desta paciente:

A. O NT-pró-BNP deve ser avaliado 24h antes de cada sessão de antraciclina; se estiver elevado, deve-se adiar a medicação por 7 dias

B. A terapia com antraciclina pode ser iniciada, e um novo ecocardiograma deve ser realizado após 3 meses de tratamento

C. O tratamento pode ser iniciado; há indicação de troca da metformina por um inibidor do cotransportador de sódio-glicose-2 (SGLT2)

D. Não há riscos com o uso da medicação, uma vez que a paciente não apresenta fator de risco para cardiotoxicidade por antraciclina

E. Está indicado tratamento preventivo de insuficiência cardíaca com betabloqueador, bloqueador da aldosterona, sacubitril/valsartana e um inibidor do SGLT2

13. (Título de Especialista em Cardiologia) Em relação à cardiotoxicidade das antraciclinas, assinale a alternativa correta:

A. A cardiotoxicidade nunca é aguda, e, quando ocorre, é sempre irreversível

B. O estresse oxidativo causado pela produção de espécies reativas de oxigênio protege contra a cardiotoxicidade das antraciclinas

C. A propensão para cardiotoxicidade é a mesma para os diferentes regimes de tratamento

D. A cardiotoxicidade não depende da dose, e não é necessária a redução da dose cumulativa

E. A disfunção ventricular decorre, entre outras causas, de lesão do retículo sarcoplasmático e das mitocôndrias; modificação estrutural e funcional de miofibrilas; e perda da capacidade de regeneração do músculo cardíaco e de células endoteliais coronarianas

14. (Título de Especialista em Cardiologia) Observe o caso clínico a seguir: Paciente do sexo masculino, de 52 anos de idade, está internado com queixa de dispneia progressiva, ortopneia e edema dos membros inferiores. Relata também astenia, febre baixa e artralgia há 2 meses. Ao exame, apresenta: pressão arterial (PA): 128 × 68mmHg; frequência cardíaca (FC): 52bpm. Estertores em bases, ritmo cardíaco irregular em 2 tempos sem sopros. Fígado a 4cm do rebordo costal direito e edema ++/4+ nos membros inferiores (MMII) com sinais flogísticos nos tornozelos e alguns nódulos eritematosos, dolorosos, com 2 a 3cm de diâmetro em ambas as pernas. Hemograma sem alterações. Ao ecocardiograma: acinesia e afilamento basal da parede septal, fração de ejeção do ventrículo esquerdo (VE): 38%. Cateterismo cardíaco: coronárias sem obstruções. O eletrocardiograma (ECG) do paciente é apresentado na Figura 11.14. Quais são a hipótese diagnóstica mais provável e o próximo passo na investigação do caso clínico?

A. Sarcoidose, ressonância magnética cardíaca ou PET com 18F-FDG

B. Miocardite viral, ressonância magnética cardíaca e biópsia endomiocárdica com pesquisa viral

C. Miocardite fulminante, ressonância magnética cardíaca

D. Miocardite necrotizante eosinofílica, biópsia endomiocárdica com análise imuno-histoquímica

E. Endocardite infecciosa, ecocardiograma transesofágico e hemoculturas

15. (Título de Especialista em Cardiologia) Considerando-se as doenças sistêmicas e sua relação com o coração, assinale a alternativa correta:

A. No cenário de esclerose sistêmica, ocorre fibrose pulmonar, o que leva a aumento da resistência vascular pulmonar e hipertensão arterial pulmonar apenas na fase tardia da doença

Respostas t em A s D iversos

1. Resposta B

Vamos trazer aqui os conceitos e recomendações mais recentes relativos ao manejo da varfarina em pacientes com fibrilação atrial (FA) no cenário pré-procedimento, explicando cada uma das alternativas. Alternativa A: pacientes com FA em uso de anticoagulação com varfarina, que serão submetidos a cirurgias ou procedimentos cirúrgicos (exceto em pacientes com próteses mecânicas, acidente vascular encefálico [AVE] ou acidente isquêmico transitório [AIT] recentes e CHADS2 ≥5), devem realizar suspensão temporária de varfarina sem a realização de “ponte” com heparina de baixo peso molecular. Tal recomendação consta nas diretrizes internacionais mais recentes, baseadas em estudos observacionais que mostraram risco aumentado de sangramento sem diferença no risco de tromboembolia quando se adota a estratégia de “ponte” com heparina. O estudo BRIDGE (Perioperative Bridging Anticoagulation in Patients with Atrial Fibrillation) incluiu pacientes com uma pontuação média de CHADS2 de 2,3, sendo que 61,7% dos pacientes tiveram pontuação CHADS2 <3. Trata-se de um ensaio randomizado, duplo-cego, controlado com placebo, no qual, após interrupção perioperatória da terapia com varfarina, 1.884 pacientes com FA ou flutter foram encaminhados aleatoriamente para receber terapia de anticoagulação (“ponte”) com heparina de baixo peso molecular (100UI de dalteparina por quilo) ou placebo, administrados por via subcutânea 2 vezes ao dia, 3 dias antes do procedimento até 24h antes do procedimento e por 5 a 10 dias após o procedimento. O tratamento com varfarina foi interrompido 5 dias antes do procedimento e retomado dentro de 24h após o procedimento. Não houve diferença entre os grupos em relação à incidência de eventos tromboembólicos arteriais (0,4% no grupo sem “ponte” e 0,3% no grupo com “ponte”), porém a incidência de sangramento maior foi maior no grupo com ponte (3,2% versus 1,3% no grupo sem ponte).

Alternativa B: a jejunostomia percutânea endoscópica é um procedimento de alto risco de sangramento –assim, o uso da varfarina deve ser suspensa antes do procedimento. A realização ou não de “ponte” com heparina deve levar em consideração o risco de tromboembolia no paciente.

Alternativa C: se a razão normalizada internacional (RNI) for <3,0, não é necessário suspender o uso de varfarina para realização de procedimentos cirúrgicos simples (extração de três dentes ou menos, cirurgia gengival e raspagem periodontal). Caso a RNI esteja ≥3,0 e os procedimentos planejados tenham maior extensão e/ou ocorram sangramentos pós-operatórios, o médico responsável e o odontologista devem considerar, juntos, a possível suspensão do uso do medicamento em tempo hábil, para reversão total ou parcial do efeito anticoagulante (classe I).

Alternativa D: conforme está explicado na resposta da alternativa A, a utilização rotineira de “ponte” com heparina em pacientes com FA (exceto naqueles com próteses mecânicas, AVE/AIT recentes e CHADS2 ≥5) não deve ser adotada.

Alternativa E: sugere-se aferir a RNI no dia anterior ao da cirurgia, para se certificar de que o valor esteja <1,5; e, caso contrário (se <1,5), pode ser administrada, por via oral, uma dose baixa de vitamina K (1 a 2mg) e a RNI deve ser reavaliada no dia seguinte.

2. Resposta A

Mais uma questão que envolve o risco cardiológico pré-operatório, desta vez com ênfase no manejo dos antiagregantes de plaquetas. Trata-se de uma paciente de 60 anos de idade, com coronariopatia conhecida e implante de Stent farmacológico há 60 dias (em contexto de síndrome coronariana aguda) e que será submetida a colecistectomia de urgência. Vamos recordar o que diz a diretriz brasileira de 2017 sobre Avaliação Cardiovascular Perioperatória, e sua atualização de 2022, de acordo com a Tabela 11.2.

1. (Título de Especialista em Cardiologia)

Considerando-se os critérios diagnósticos para tromboembolia pulmonar (TEP) detalhados na “Diretriz Conjunta sobre Tromboembolismo Venoso – 2022”, qual dos seguintes achados ecocardiográficos não é típico de uma TEP de alto risco?

A. Presença de dilatação ventricular direita

B. Hipocinesia de segmentos apicais do ventrículo direito

C. Sinal de McConnell

D. Sobreposição pressórica pulmonar evidenciada por alterações no fluxo de ejeção pulmonar

E. Trombo móvel em câmaras direitas ou artérias pulmonares

2. (Título de Especialista em Cardiologia)

No contexto do diagnóstico de tromboembolia pulmonar (TEP), qual dos seguintes achados ecocardiográficos não é considerado um marcador de alta gravidade em pacientes com instabilidade hemodinâmica?

A. Dilatação do ventrículo direito (VD) com relação entre VD e ventrículo esquerdo (VE) >1

B. Presença de trombo móvel em cavidades direitas ou no tronco da artéria pulmonar

C. Sinal de McConnell – hipocinesia dos segmentos basal e médio da parede livre do VD com preservação do segmento apical

D. Elevação significativa do biomarcador dímero-D acima do limiar de decisão ajustado pela idade

E. Redução do tempo de aceleração do fluxo pulmonar <60ms combinada com um gradiente de pico sistólico tricúspide <60mmHg

tromboembolismo venoso

3. (Título de Especialista em Cardiologia)

Conforme a “Diretriz Conjunta sobre Tromboembolismo Venoso – 2022”, qual das seguintes opções não é recomendada como tratamento inicial para pacientes com tromboembolia pulmonar (TEP) aguda e instabilidade hemodinâmica?

A. Terapia anticoagulante com heparina de baixo peso molecular

B. Uso de trombolíticos sistêmicos

C. Inserção de filtro de veia cava inferior em pacientes com contraindicação à anticoagulação

D. Embolectomia pulmonar cirúrgica

E. Administração de antagonistas da vitamina K

4. (Título de Especialista em Cardiologia)

O que deve ser feito logo após um resultado de dímero-D positivo em um paciente com alta probabilidade clínica de trombose venosa profunda (TVP)?

A. Iniciar anticoagulação sem necessidade de confirmação diagnóstica por imagem

B. Agendar ultrassonografia vascular (USV) para 2 semanas

C. Repetir o teste de dímero-D em 7 dias para confirmação do achado

D. Realizar USV imediatamente

E. Encaminhar para avaliação cirúrgica de possível embolectomia

5. (Título de Especialista em Cardiologia) Considerando-se os achados ultrassonográficos da trombose venosa profunda (TVP), qual das seguintes características não é típica de uma TVP aguda?

A. Aspecto hipoecoico dentro do lúmen venoso

B. Compressibilidade total da veia afetada ao ultrassom (US)

fármacos, diferentemente do que se faz quanto à warfarina e às heparinas

14. (Título de Especialista em Cardiologia)

Considerando-se as diretrizes de tratamento de trombose venosa profunda (TVP) e as informações contidas na bula de enoxaparina e de fondaparinux, qual dos seguintes regimes de tratamento está corretamente associado ao seu respectivo anticoagulante?

A. A fenoxaparina deve ser administrada em dose única diária de 40mg, por via subcutânea (SC), para tratamento de TVP em pacientes com insuficiência renal moderada a grave (clearance de creatinina <30mL/min)

B. O fondaparinux é uma heparina indicada para a prevenção de coagulação do circuito extracorpóreo durante a hemodiálise; utiliza-se uma dose de 2,5mg por via endovenosa no início da sessão

C. Para o tratamento de TVP, o fondaparinux deve ser administrado em uma dose inicial de 7,5mg por via SC, ajustada de acordo com o peso do paciente

D. A enoxaparina, no tratamento de TVP, requer ajuste da dose para 1mg/kg 2 vezes ao dia em pacientes com insuficiência renal moderada

E. A posologia recomendada de enoxaparina para o tratamento da TVP é de 1,5mg/kg 1 vez ao dia ou 1mg/kg 2 vezes ao dia por via SC, sem necessidade de ajuste para insuficiência renal leve a moderada

15. (Título de Especialista em Cardiologia) Em relação ao uso de filtros de veia cava inferior (FVC) no contexto do tratamento de tromboembolia venosa (TEV), qual das seguintes alternativas está correta?

A. São recomendados para todos os pacientes com trombose venosa profunda (TVP) aguda proximal (tromboses que incluam a veia poplítea ou acima dela), pois são estas que representam o maior risco de embolização e transformação da TVP em embolia pulmonar (EP)

B. São indicações primárias o implante de um FVC em pacientes que não podem receber anticoagulação, pacientes que tiveram falha na anticoagulação em uso adequado ou pacientes que apresentaram complicações da anticoagulação

C. Devem ser utilizados como terapia de primeira linha em pacientes com TEV recorrente, mesmo sob terapia anticoagulante adequada com anticoagulantes orais diretos (DOAC)

D. São indicados apenas em casos de presença de trombo no interior da veia cava ou de baixa reserva cardiopulmonar e devem ser retirados precocemente

E. Tem-se mostrado que o uso de filtros de veia cava inferior promove a redução significativa na mortalidade em pacientes com TEV, independentemente de outras terapias

Respostas t romboembolismo v enoso

1. Resposta B

A hipocinesia apical não é típica de tromboembolismo pulmonar (TEP) de alto risco, e o sinal de McConnell caracteriza-se por preservação da movimentação apical com hipocinesia dos segmentos basal e médio da parede livre do ventrículo direito, um indicativo diagnóstico de TEP. Este achado contraintuitivo é específico de TEP e ajuda a distingui-la de outras causas de sobrecarga do ventrículo direito.

2. Resposta D

Enquanto os achados ecocardiográficos listados nas opções A, B, C e E são indicadores diretos de tromboembolismo pulmonar (TEP) com repercussão hemodinâmica e, portanto, de alta gravidade, a opção D foca em um biomarcador laboratorial (dímero-D) que, apesar de importante no processo diagnóstico do TEP, não é um achado ecocardiográfico e, por si só, não marca a gravidade hemodinâmica da TEP, especialmente sem a correlação com achados clínicos e de imagem. Este biomarcador tem alta sensibilidade, porém baixa especificidade para TEV, e não faz o diagnóstico nem definição de gravidade em nenhum dos subtipos de TEV.

Sinais de sobrecarga pressórica de ventrículo direito (VD) ajudam a diferenciar hipocinesia ou acinesia de parede livre decorrente de TEP daquela causada por infarto agudo de ventrículo direito (que pode simular o sinal de McConnell). Ao ecocardiograma, o sinal 60/60 est á presente em apenas 12% dos casos; e o sinal de McConnell, em 20% dos pacientes. Outros sinais de aumento da p ó s-carga do VD, sugerindo sobrecarga – e, portanto, gravidade –, são a redução do tempo de aceleração pulmonar e a presença de desaceleração mesossistólica.

3. Resposta E

A administração de antagonistas da vitamina K não é recomendada como tratamento inicial para pacientes

com tromboembolismo pulmonar (TEP) agudo e instabilidade hemodinâmica, devido à necessidade de uma resposta terapêutica rápida. São consideradas opções, conforme o quadro clínico do paciente e a gravidade da TEP:

 Heparina de baixo peso molecular.

 Uso de trombolíticos.

 Embolectomia pulmonar.

 Em casos específicos, a inserção de filtro de veia cava inferior.

Os antagonistas da vitamina K têm início de ação mais lento e são mais adequados para a fase de manutenção do tratamento, quando o paciente já apresenta estabilidade.

4. Resposta D

De acordo com o fluxograma diagnóstico para a pesquisa de trombose venosa profunda (TVP), após um resultado de dímero-D positivo, especialmente em pacientes com alta probabilidade clínica, a recomendação é proceder a uma avaliação diagnóstica por imagem, como a ultrassonografia vascular, para confirmar ou descartar a presença de TVP. Esta etapa é crucial para o diagnóstico correto e o início imediato do tratamento adequado (Figura 12.4).

O teste laboratorial de dímero-D tem alta sensibilidade, porém baixa especificidade neste diagnóstico e serve como avaliação inicial em conjunto com o escore de Wells (instrumento de estratificação de risco)

5. Resposta B

Uma característica-chave da trombose venosa profunda (TVP) aguda é a incompressibilidade da veia afetada à ultrassonografia (USG). O trombo preenche o lúmen do vaso e impede sua compressibilidade e a veia em seu aspecto normal e saudável tem parede delgada, camada média muscular fina e, desta forma, aceita compressão, ocluindo por completo quando pressionada pela sonda do aparelho de USG.

semiológico de sinal de Homans, quando o examinador realiza dorsiflexão passiva da panturrilha e o paciente sente dor.

Alternativa B: correta. Aumento da temperatura da pele e hiperemia na área afetada são sinais comuns de TVP, indicando inflamação local e possível aumento do fluxo sanguíneo superficial como compensação.

Alternativa C: correta. Veias superficiais dilatadas podem tornar-se visíveis como uma tentativa do sistema venoso de desviar o sangue do sistema venoso profundo obstruído para o sistema venoso superficial patente, sendo um sinal frequente na TVP; chama-se este sinal semiológico de sinal de Pratt.

Alternativa D: correta. Embora menos comuns, febre baixa e mal-estar geral podem acompanhar o quadro clínico da TVP, refletindo a resposta inflamatória sistêmica ao trombo.

Alternativa E: incorreta. O edema indolor com sinal de cacifo (ou sinal de Godet) negativo remete a achados clínicos de linfedema em estágio avançado. Outras diferenças entre as patologias são:

 Linfedema habitualmente acomete ambos os membros (à exceção de causas secundárias).

 Promove em fases avançadas alteração do tegumento.

 Tem características de acometer o pé e pododáctilos com edema (sinal de Stemmer).

 As queixas não são agudas.

10. Resposta E

Alternativa A: incorreta. Anticoagulantes orais não são a escolha inicial para o tratamento de todas as tromboses venosas profundas (TVP) agudas, especialmente em casos de tromboses proximais ou de pacientes com complicações secundárias.

Alternativa B: incorreta em parte. Embora a heparina de baixo peso molecular (HBPM) seja uma escolha comum para o início do tratamento da TVP, a necessidade de internação ou o alto custo de uso domiciliar limitam o uso amplo do fármaco. Outros pontos de dificuldade são a posologia e o modo de aplicação subcutânea (SC), que, mesmo sendo simples, exige treinamento adequado.

Alternativa C: correta em parte, pois a heparina não fracionada exige monitoramento contínuo do tempo de tromboplastina parcial ativada (TTPa), mas a decisão de internar depende da avaliação do risco individual e da localização da trombose; nem todos os pacientes precisam necessariamente ser internados.

Alternativa D: incorreta. Anticoagulantes orais diretos (DOAC) não são recomendados para início do tratamento de TVP em pacientes com instabilidade hemodinâmica. Atualmente, no Brasil dispomos de 2 DOAC que não exigem ponte com anticoagulantes parenterais: rivaroxabana e apixabana e de outros dois que exigem ponte: dabigatrana e edoxabana. Alternativa E: correta. Reflete as diretrizes de tratamento para TVP, indicando a terapia inicial com anticoagulantes parenterais e a importância da avaliação do risco do paciente para se determinar a necessidade de internação, especialmente em casos de TVP proximal e potencial instabilidade hemodinâmica.

11. Resposta A

Alternativa A: correta. De acordo com a bula da edoxabana, a dose recomendada para tratamento de trombose venosa profunda (TVP) e EP é de 60mg 1×/dia, após 5 dias de tratamento inicial com um anticoagulante parentérico para a maioria dos pacientes; porém, é necessário um ajuste da dose, com redução de 50%, 30mg 1×/dia, para pacientes com baixo peso (<60kg) ou clearance de creatinina baixo (<50mL/min).

Alternativa B: incorreta. A rivaroxabana é indicada com uma dose inicial de 15mg 2×/dia, durante as 3 primeiras semanas, para tratamento de TVP, seguida de uma dose de manutenção de 20mg 1×/dia.

Alternativa C: incorreta. A dabigatrana em sua posologia para TVP envolve tratamento inicial com um anticoagulante parentérico antes de se iniciar o uso oral. A edoxabana também exige ponte com anticoagulante parenteral.

Alternativa D: incorreta. A apixabana tem uma posologia inicial específica para o tratamento de TVP que difere da descrita. É administrada 2×/dia inicialmente com 10mg por 7 dias, e posteriormente modificada para 5mg 2×/dia, sem ajuste subsequente baseado no paciente; a posologia é fixa.

Alternativa E: incorreta. A dabigatrana, para o tratamento de TVP, segue um regime de 2 tomadas diárias de 150mg sempre após o uso inicial de anticoagulantes parentéricos.

12. Resposta B

Alternativa A: incorreta. A dabigatrana tem recomendações específicas para ajuste da dose com base nas características clínicas do paciente e está contraindicada a pacientes com clearance de creatinina inferior a 30mL/min.

♦ Avaliação Clínica do Paciente Cardiopata

♦ Cardiologia Preventiva

♦ Síndrome Coronariana Aguda e Crônica

♦ Fibrilação Atrial

♦ Arritmias e Dispositivo Cardíaco Eletrônico Implantável

♦ Valvopatias e Endocardite Infecciosa

♦ Miocardiopatias e Pericardiopatias

♦ Insuficiência Cardíaca Aguda e Crônica/Transplante

♦ Doenças da Aorta e Doença Arterial Periférica

♦ Cardiopatias Congênitas

♦ Temas Diversos

♦ Tromboembolismo Venoso

Área de interesse Cardiologia

Turn static files into dynamic content formats.

Create a flipbook
Issuu converts static files into: digital portfolios, online yearbooks, online catalogs, digital photo albums and more. Sign up and create your flipbook.