Guia Prático de Acesso Vascular Ecoguiado

Page 1

A editora e os autores deste livro não mediram esforços para assegurar dados corretos e informações precisas. Entretanto, por ser a Medicina uma ciência em permanente evolução, recomendamos aos nossos leitores recorrer à bula dos medicamentos e a outras fontes fidedignas – inclusive documentos oficiais –, bem como avaliar cuidadosamente as recomendações contidas neste livro em relação às condições clínicas de cada paciente.

ORGANIZADORES

Danilo Fernandes da Silva

Gabriela Leopoldino da Silva

Jales Silvestre de Nogueira Braga

Guia Prático de Acesso Vascular Ecoguiado

Copyright © 2023 Editora Rubio Ltda.

ISBN 978-65-88340-48-6

Todos os direitos reservados. É expressamente proibida a reprodução desta obra, no todo ou em parte, sem autorização por escrito da Editora.

Produção

Equipe Rubio

Capa

Bruno Sales

Imagem de capa ©iStock.com/santypan

Diagramação

Estúdio Castellani

CIP‑BRASIL. CATALOGAÇÃO NA PUBLICAÇÃO

SINDICATO NACIONAL DOS EDITORES DE LIVROS, RJ

G971

Guia prático de acesso vascular ecoguiado / organizadores Danilo Fernandes da Silva, Gabriela Leopoldino da Silva, Jales Silvestre de Nogueira Braga. – 1. ed. – Rio de Janeiro: Rubio, 2023.

128 p. : il. ; 24 cm.

Inclui bibliografia e índice

ISBN 978-65-88340-48-6

1. Cirurgia vascular. 2. Vasos sanguíneos – Cirurgia endoscópica. 3. Vasos sanguíneos – Doenças – Diagnóstico. I. Silva, Danilo Fernandes da. II. Silva, Gabriela Leopoldino da. III. Braga, Jales Silvestre de Nogueira.

CDD: 617.4130597

23-82796 CDU: 616.13/.14-089

Meri Gleice Rodrigues de Souza – Bibliotecária – CRB-7/6439

Editora Rubio Ltda.

Av. Franklin Roosevelt, 194 s/l. 204 – Centro

20021-120 – Rio de Janeiro – RJ

Telefone: +55(21) 2262-3779

E-mail: rubio@rubio.com.br

www.rubio.com.br

Impresso no Brasil

Printed in Brazil

Organizadores

Danilo Fernandes da Silva Graduado em Medicina pela Faculdade de Medicina de Catanduva (Fameca), SP.

Residência em Cirurgia Geral pela Faculdade de Medicina de São José do Rio Preto (Famerp), SP.

Residência em Cirurgia Vascular pela Famerp.

Residência em Angiorradiologia e Cirurgia Endovascular pela Famerp.

Título de Especialista em Cirurgia Vascular pela Sociedade Brasileira de Angiologia e Cirurgia Vascular (SBACV).

Título de Especialista em Angiorradiologia e Cirurgia Endovascular pela SBACV.

Professor Adjunto da Disciplina de Cirurgia da Faculdade de Medicina Ceres (Faceres), São José do Rio Preto – SP.

Médico Fundador, Professor e Coordenador do Curso Prático em Acesso Vascular Ecoguiado (CPAVE).

Médico Responsável pelo Ambulatório de Cirurgia Vascular da Faceres.

Coordenador do Pronto Atendimento do Hospital Santa Helena de São José do Rio Preto, SP.

Membro da Equipe de Cirurgia Vascular do Hospital de Base de São José do Rio Preto, SP.

Gabriela Leopoldino da Silva

Graduada em Medicina pela Pontifícia Universidade Católica de Campinas (PUCCAMP).

Professora do Curso Prático de Acesso Vascular Ecoguiado (CPAVE).

Residência em Cirurgia Geral pela Faculdade de Medicina de São José do Rio Preto (Famerp), SP.

Residência em Cirurgia Vascular pela Famerp.

Residência em Ecografia Vascular com Doppler pela Famerp.

Título de Especialista em Cirurgia Vascular pela Sociedade Brasileira de Angiologia e Cirurgia Vascular (SBACV).

Título de Especialista em Ecografia Vascular com Doppler pelo Colégio Brasileiro de Radiologia e Diagnóstico por Imagem (CBR).

Título de Especialista em Angiorradiologia e Cirurgia Endovascular pela SBACV.

Professora Adjunta da Disciplina de Habilidades Cirúrgicas da Faculdade de Medicina da União das Faculdades dos Grandes Lagos (Unilago), SP.

Professora Colaboradora da Disciplina de Cirurgia Vascular da Famerp.

Membro da Equipe de Cirurgia Vascular do Hospital de Base de São José do Rio Preto, SP.

Jales Silvestre de Nogueira Braga

Graduado em Medicina pelo Instituto Presidente Antônio Carlos (ITPAC), TO.

Médico Fundador, Coordenador e Professor do Curso Prático de Acesso Vascular Ecoguiado (CPAVE).

Título de Especialista em Medicina Intensiva pela Associação de Medicina Intensiva Brasileira e pela Associação Médica Brasileira (Amib/AMB).

Título de Especialista em Cardiologia pela Sociedade Brasileira de Cardiologia e pela Associação Médica Brasileira (SBC/AMB).

Especialista em Ecocardiografia Transtorácica, Transesofágica e Ecocardiografia de Estresse pelo Instituto de Moléstias Cardiovasculares (IMC), Habilitado pelo Departamento de Imagem Cardiovascular da Sociedade Brasileira de Cardiologia e pela Associação Médica Brasileira (DIC/SBC/ AMB).

Especialista em Ergometria, Habilitado pelo Departamento de Ergometria, Exercício, Cardiologia Nuclear e Reabilitação Cardiovascular da SBC/AMB. Ex-professor do Departamento de Clínica Médica da Faculdade de Medicina de São José do Rio Preto (Famerp) – SP, Subáreas de Urgências Médicas e Habilidades Terapêuticas III.

Colaboradores

Adelino Parro Júnior

Coordenador do Setor de Ecocardiografia do Instituto de Moléstias Cardiovasculares (IMC), São José do Rio Preto – SP.

Especialista em Cardiologia pela Sociedade Brasileira de Cardiologia (SBC).

Habilitação em Ecocardiografia pelo Departamento de Ecocardiografia da SBC.

Alane Miranda Leite

Residência em Cirurgia Vascular e Endovascular pela Faculdade de Medicina de São José do Rio Preto (Famerp), SP.

Título de Especialista em Cirurgia Vascular pela Sociedade Brasileira de Angiologia e Cirurgia Vascular (SBACV).

Annata Teixeira Della Costa

Residência em Cirurgia Vascular pela Faculdade de Medicina de São José do Rio Preto (Famerp), SP.

Título de Especialista em Cirurgia Vascular pela Sociedade Brasileira de Angiologia e Cirurgia Vascular (SBACV).

Antonio Anderson Fernandes Freire

Residência em Cirurgia Vascular e Endovascular pela Faculdade de Medicina de São José do Rio Preto (Famerp), SP.

Especialista em Cirurgia Vascular pela Sociedade Brasileira de Angiologia e Cirurgia Vascular (SBACV).

Bruno Jabur Ferreira do Amaral Acadêmico do Curso de Medicina do Centro Universitário Tocantinense Presidente Antônio Carlos (Unitpac), Araguaína – TO.

Caio Augusto Ferreira do Amaral

Especialista em Ecocardiografia Transtorácica, Transesofágica, Ecocardiografia de Estresse e Ultrassonografia Vascular pelo Instituto de Moléstias Cardiovasculares (IMC).

Título de Especialista em Cardiologia pela Sociedade Brasileira de Cardiologia/Associação Médica Brasileira (SBC/AMB), com Habilitação em Ecocardiografia (SBC/Departamento de Imagem Cardiovascular [DIC]/AMB) e Ecografia Vascular pelo Colégio Brasileiro de Radiologia e Diagnóstico por Imagem (CBR)/AMB e em Medicina Intensiva pela Associação de Medicina Intensiva Brasileira (AMIB)/AMB.

Cardiologista e Ecocardiografista do Hospital

Dom Orione, Hospital Regional de Araguaína e da RedeCor em Araguaína, TO.

Intensivista do Hospital Dom Orione e Ex-coordenador da Unidade de Terapia Intensiva (UTI) de Adultos.

Ex-coordenador do Serviço de Ultrassonografia

Vascular do Hospital Regional de Araguaína, TO.

Carolina Estefania Pardo Fonseca

Graduada em Medicina pela Universidad del Magdalena, Santa Marta – Colômbia.

Residência Médica em Anestesiologia pelo Hospital

Beneficência Portuguesa de São José do Rio Preto (Serviço de Anestesia Rio Preto – Sarp), SP.

Carolina Hungaro Cunha

Residências em Cirurgia Vascular e Ecografia

Vascular pela Faculdade de Medicina de São

José do Rio Preto (Famerp), SP.

Título de Especialista em Cirurgia Vascular pela Sociedade Brasileira de Angiologia e Cirurgia

Vascular (SBACV).

Título de Especialista em Ecografia Vascular com Doppler pelo Colégio Brasileiro de Radiologia e Diagnóstico por Imagem (CBR).

César Gonçalves Preto

Especialista em Angiologia e Cirurgia Vascular pela Sociedade Brasileira de Angiologia e Cirurgia

Vascular (SBACV), com Área de Atuação em Ecografia Vascular pela SBACV/Colégio Brasileiro de Radiologia e Diagnóstico por Imagem (CBR)/ Associação Médica Brasileira (AMB).

Débora Yuri Sato

Residências em Cirurgia Vascular e Ecografia

Vascular pela Faculdade de Medicina de São

José do Rio Preto (Famerp), SP.

Título de Especialista em Cirurgia Vascular pela Sociedade Brasileira de Angiologia e Cirurgia

Vascular (SBACV).

Título de Especialista em Ecografia Vascular com Doppler pelo Colégio Brasileiro de Radiologia e Diagnóstico por Imagem (CBR).

Desirée Francinni Del Frari Silva

Residências em Cirurgia Vascular e Ecografia

Vascular pela Faculdade de Medicina de São

José do Rio Preto (Famerp), SP.

Título de Especialista em Cirurgia Vascular pela Sociedade Brasileira de Angiologia e Cirurgia Vascular (SBACV).

Título de Especialista em Ecografia Vascular com Doppler pelo Colégio Brasileiro de Radiologia e Diagnóstico por Imagem (CBR).

Fabiana Barão

Cirurgia Vascular e Eco Doppler Vascular pela Faculdade de Medicina de São José do Rio Preto (Famerp), SP.

Especialista em Cirurgia Vascular pela Sociedade Brasileira de Angiologia e Cirurgia Vascular (SBACV).

Especialista em Eco Doppler Vascular pela SBACV.

Fernando Reis Neto

Residência em Cirurgia Vascular pela Universidade de São Paulo de Ribeirão Preto (USP-RP).

Residência em Cirurgia Endovascular pela Faculdade de Medicina de São José do Rio Preto (Famerp), SP.

Título de Especialista em Cirurgia Vascular pela Sociedade Brasileira de Angiologia e Cirurgia Vascular (SBACV).

Gabriel Augusto Biassi Geromel

Residência em Cirurgia Vascular e Endovascular pela Faculdade de Medicina de São José do Rio Preto (Famerp), SP.

Especialista em Cirurgia Vascular pela Sociedade Brasileira de Angiologia e Cirurgia Vascular (SBACV).

Título de Especialista em Angiorradiologia e Cirurgia Endovascular pela SBACV.

Germano Giroldo Tazinaffo

Residência em Cirurgia Vascular pela Faculdade de Medicina de São José do Rio Preto (Famerp), SP.

Título de Especialista em Cirurgia Vascular pela Sociedade Brasileira de Angiologia e Cirurgia Vascular (SBACV).

Juliana Jabur Ferreira do Amaral Médica do Serviço de Cuidados Paliativos do Hospital Regional de Araguaína, TO.

Ex-médica do Serviço de Emergência do Hospital Regional de Araguaína, TO.

Médica da Saúde e Comunidade da Prefeitura Municipal de Araguaína, TO. Residência Médica em Medicina da Saúde e Comunidade pela Universidade Federal do Tocantins (UFT).

Ex-professora Adjunta da Disciplina de Integração Ensino Saúde e Comunidade do Curso de Medicina do Centro Universitário Tocatinense Presidente Antônio Carlos (Unitpac), Araguaína – TO.

Mateus de Lima Ribeiro

Título de Especialista em Cardiologia pela Sociedade Brasileira de Cardiologia e pela Associação Médica Brasileira (SBC/AMB).

Certificado de Atuação em Ecocardiografia pela SBC/AMB.

Especialista em Medicina Intensiva pela Associação de Medicina Intensiva Brasileira (AMIB)/Associação Médica Brasileira (AMB).

Professor do Curso de Medicina da Faculdade Ceres (Faceres), São José do Rio Preto – SP.

Maurício Pozenatto Bicudo

Especialista em Cardiologia pelo Instituto de Moléstias Cardiovasculares (IMC), São José do Rio Preto – SP.

Especialista em Ecodopplercardiograma transtorácico pelo IMC, São José do Rio Preto – SP.

Especialista em Doppler de Carótidas e Vertebrais e Ecocardiograma Transesofágico e sob Estresse pelo IMC, São José do Rio Preto – SP.

Título de Especialista em Cardiologia Clínica pela Sociedade Brasileira de Cardiologia e pela Associação Médica Brasileira (SBC/AMB).

Título de Especialista em Ergometria e Ergoespirometria pela SBC/AMB.

Membro do Corpo Clínico do Hospital do Coração de São José do Rio Preto, SP.

Diretor Clínico Hospital do Coração de São José do Rio Preto, SP – Biênio 2022/2023.

Milton Sérgio Bohatch Júnior

Residência em Cirurgia Vascular e Endovascular pela Universidade de São Paulo de Ribeirão Preto (USP-RP).

Murilo Martinez Sampaio

Residência em Cirurgia Vascular e Endovascular pela Faculdade de Medicina de São José do Rio Preto (Famerp), SP.

Título de Especialista em Cirurgia Vascular pela Sociedade Brasileira de Angiologia e Cirurgia Vascular (SBACV).

Paola Galassi Defendi Silva

Residência em Reumatologia pela Faculdade de Medicina de São José do Rio Preto (Famerp), SP.

Título de Especialista em Reumatologia pela Sociedade Brasileira de Reumatologia (SBR). Professora Adjunta da disciplina de Habilidades Médicas da Faculdade de Medicina Ceres (Faceres), São José do Rio Preto – SP.

Paulo Cesar Dalto Filho

Residências em Cardiologia e Ecocardiografia no Instituto Dante Pazzanese de Cardiologia (IDPC), SP.

Título de Especialista em Cardiologia e Ecocardiografia pela Sociedade Brasileira de Cardiologia (SBC).

Professor de Cardiologia do Curso Estratégia MED.

Ricardo Ficht

Especialista em Cardiologia pela Real e Benemérita Associação Portuguesa de Beneficência de São Paulo.

Especialista em Ecocardiografia Transtorácica, Transesofágica e Ecocardiografia de Estresse pela Santa Casa de Misericórdia de São Paulo.

Médico Ecocardiografista do Hospital Municipal de Aparecida de Goiânia.

Pós-graduado em Endocrinologia pela Universidade Gama Filho (UGF), RJ.

Roana Lacerda Tavares Leite

Residência em Cirurgia Vascular e Endovascular pela Faculdade de Medicina de São José do Rio Preto (Famerp), SP.

Título de Especialista em Cirurgia Vascular pela Sociedade Brasileira de Angiologia e Cirurgia Vascular (SBACV).

Título de Especialista em Angiorradiologia e Cirurgia Endovascular pela SBACV.

Stella Maria de Almeida e Silva Médica Pediatra do Hospital Estadual da Criança e do Adolescente (Hecad), GO.

Especialista em Pneumopediatria pela Faculdade de Medicina de São José do Rio Preto (Famerp), SP.

Título de Especialista em Pediatria pela Sociedade Brasileira de Pediatria e pela Associação Médica Brasileira (SBP/AMB).

Médica Preceptora do Internato de Pediatria da Universidade Evangélica de Goiás (Unievangélica).

Ex-preceptora do Internato de Pediatria da Faculdade de Medicina Ceres (Faceres), São José do Rio Preto – SP.

Victor Vieira de Camargo Abib

Graduado em Medicina pela Universidade de Marília Serviço de Anestesia Rio Preto – Sarp, SP.

Residência Médica em Anestesiologia pelo Hospital Beneficência Portuguesa de São José do Rio Preto (Serviço de Anestesia Rio Preto – Sarp), SP.

Professor Titular da Disciplina de Anestesiologia da União das Faculdades dos Grandes Lagos (Unilago), SP.

Dedicatória

Agradecemos sobretudo a Deus, aos nossos familiares e aos amigos colaboradores desta obra, pois somente com o empenho e zelo de todos, ela agora se edifica.

Os Organizadores

Agradecimentos

O Curso Prático em Acesso Vascular Ecoguiado (CPAVE) é um projeto pensado de longa data, desde a época da residência médica, em que observávamos a necessidade, segurança e exigência cada vez maiores de se utilizar o ultrassom para realizar punções vasculares. Já nesse período as evidências científicas a favor do uso do ultrassom eram consensuais.

Em 2021, realizamos a primeira edição do CPAVE e, desde então, tivemos a honra de treinar centenas de colegas médicos.

Em uma das nossas viagens para aplicação do curso, surgiu o projeto de redigirmos um livro que ajudasse e direcionasse o colega médico, estudante de medicina ou até mesmo o profissional da área da enfermagem na realização das punções vasculares ecoguiadas de maneira simples, segura e eficaz.

A partir desse momento, iniciamos este trabalho maravilhoso e cheio de expectativas que é coroado hoje com a primeira edição do Guia Prático de Acesso Vascular Ecoguiado.

Dedicamos a Deus o primeiro e maior agradecimento, nossa força, que nos permitiu finalizar este projeto.

Somos gratos, em especial, às nossas famílias, que compreenderam o tempo dispensado para desenvolvermos esta obra tão sonhada, apoiando-nos incondicionalmente.

Nossa gratidão a todos os colaboradores desta obra, que não mediram esforços para que isso acontecesse.

Não poderíamos também deixar de agradecer aos nossos mestres, que, durante a nossa formação, nos transmitiram o conhecimento inicial para escrevermos este guia prático que será referência na realização dos acessos vasculares ecoguiados.

Por fim, agradecemos à conceituada Editora Rubio, por confiar e viabilizar este projeto, e a todos que de algum modo colaboraram conosco na edição desta obra.

Os Organizadores

Apresentação

Na minha infância, um dos heróis da época era o Super-homem. Ele tinha superpoderes, como voar, uma força descomunal e visão de raios X. É muito antigo e emblemático esse desejo do homem por enxergar através da pele.

Na Medicina, o advento do ultrassom permitiu aos médicos e aos profissionais de saúde a oportunidade de “enxergar” e interpretar imagens para o diagnóstico e, tratando-se especificamente do conteúdo desta obra, o acesso vascular.

Fiquei muito feliz com o convite do colega Danilo Fernandes da Silva para fazer a apresentação deste livro. Como o próprio título diz, é um guia prático que deve estar junto daqueles que realizam o acesso vascular. De conteúdo direcionado, começa com os fundamentos necessários para o entendimento da técnica e, a seguir, disponibiliza um passo a passo indispensável a todos que estão começando e aos que já praticam o procedimento, pois a

sistematização previne erros. Por fim, relembra as indicações e o alerta para as complicações.

Com a leitura atenta deste livro, os mais beneficiados serão nossos pacientes. O aprimoramento da técnica, sua realização impecável, seguir um passo a passo, conhecer bem as indicações e as complicações: tudo isso proporciona ao leitor habilitado mais autoridade para executar o procedimento com excelência.

Parabéns aos autores, por preencherem uma lacuna importante e tão necessária do acesso vascular e segurança ao paciente.

Aos leitores, desejo que esta obra faça diferença na prática, em seu dia a dia e que seja valiosa para você e seus pacientes.

Membro do Conselho Superior da Sociedade Brasileira de Angiologia e Cirurgia Vascular (SBACV). Coordenador da Angiologia e Cirurgia Vascular do Hospital Madre Teresa, MG.

Prefácio

Receber o convite para prefaciar esta obra, de ex-alunos e agora amigos, é motivo de alegria e orgulho para mim. O Dr. Danilo Fernandes da Silva, a Dra. Gabriela Leopoldino da Silva e o Dr. Jales Silvestre de Nogueira Braga estão de parabéns pela ideia e pelo entusiasmo na realização deste livro. Vivemos em uma época na qual a Medicina se baseia em evidências e uma obra desta é de inegável valia à luz de nossa especialidade e outras que lidam com acessos vasculares.

A primeira edição deste guia prático objetiva preencher a lacuna entre os conhecimentos clínicos e as habilidades técnicas necessárias para o profissional dominar a realização de acessos vasculares ecoguiados. Aliás, o aprimoramento e a disponibilidade de equipamentos de ultrassonografia resultaram em significativa diminuição da morbidade e da mortalidade durante a realização desses procedimentos, tornando sua utilização imperativa na grande maioria dos casos.

Organizado de maneira lógica em 10 capítulos, este livro aborda história, conceitos

básicos, bases técnicas, materiais e complicações desses procedimentos em acessos arteriais e venosos. Recomendo enfaticamente essa leitura a todos os profissionais que lidam com acessos ecoguiados, pois, de maneira inquestionável, traz consigo uma riqueza teórica que impactará positivamente nossa prática diária e, por conseguinte, nossa evolução profissional.

Pós-doutor pelo Departamento de Cirurgia do Hospital das Clínicas da Faculdade de Medicina da Universidade de São Paulo (HC-FMUSP). Doutor em Cirurgia Endovascular pelo Departamento de Cirurgia do HC-FMUSP. Diretor do Instituto Belczak de Cirurgia Vascular e Endovascular, SP. Diretor do Instituto de Ultrassonografia Vascular de São Paulo. Coordenador do Curso de Aprimoramento em Angiorradiologia e Cirurgia Endovascular do Instituto de Aprimoramento e Pesquisa em Angiorradiologia e Cirurgia Endovascular (Iapace).

PARTE II

Bases

Sumário PARTE
Conceitos Gerais Capítulo 1 Ultrassonografia e Acesso Vascular . . . . . . . . . . . . . . . . . . . . . . . . . . . 3 Stella Maria de almeida e Silva Ricardo Ficht paola Galassi Defendi Silva Mateus de lima Ribeiro Capítulo 2 Evidências Científicas em Punção Vascular Ecoguiada . . . . . . . . . . 7 Fabiana Barão paulo Cesar Dalto Filho Capítulo 3 Princípios Básicos do Ultrassom . . . . . . . . . . . . . . . . . . . . . . . . . . . . . . . 13 César Gonçalves preto adelino parro Júnior
I
Técnicas
Punção Vascular Ecoguiada
Materiais Capítulo 4 Materiais Gerais Utilizados e Tipos de Cateteres . . . . . . . . . . . . . . . 35 Fernando Reis Neto Gabriela leopoldino da Silva Milton Sérgio Bohatch Júnior alane Miranda leite Capítulo 5 Cuidados Gerais com os Dispositivos de Acesso Vascular . . . . . . . 47 Débora Yuri Sato Carolina Hungaro Cunha Desirée Francinni Del Frari Silva
da
Capítulo 6 Técnica de Punção Vascular Ecoguiada . . . . . . . . . . . . . . . . . . . . . . . . 55 Danilo Fernandes da Silva Jales Silvestre de Nogueira Braga Maurício pozenatto Bicudo Gabriela leopoldino da Silva Capítulo 7 Punção Venosa Central Ecoguiada . . . . . . . . . . . . . . . . . . . . . . . . . . . . 63 antonio anderson Fernandes Freire Murilo Martinez Sampaio Gabriel augusto Biassi Geromel Capítulo 8 Punção Venosa Periférica Ecoguiada . . . . . . . . . . . . . . . . . . . . . . . . . . 71 Victor Vieira de Camargo abib Carolina Estefania pardo Fonseca Capítulo 9 Punção Arterial Ecoguiada 81 Roana lacerda tavares leite annata teixeira Della Costa Germano Giroldo tazinaffo Capítulo 10 Complicações Relacionadas com a Punção Vascular . . . . . . . . . . . . 93 Caio augusto Ferreira do amaral Bruno Jabur Ferreira do amaral Juliana Jabur Ferreira do amaral Índice . . . . . . . . . . . . . . . . . . . . . . . . . . . . . . . . . . . . . . . . . . . . . . . . . . . . . . . 105
PARTE III Bases Técnicas da Punção Vascular Ecoguiada – Técnica

Conceitos Gerais

Parte I
Capítulo 1 Ultrassonografia e acesso Vascular . . . . . . . . . . . . . . . . . . . . . . . . . . . 3 Capítulo 2 evidências Científicas em Punção Vascular ecoguiada . . . . . . . . . . 7 Capítulo 3 Princípios Básicos do Ultrassom . . . . . . . . . . . . . . . . . . . . . . . . . . . . . . . 13

Ultrassonografia e Acesso Vascular

Stella Maria de a l M eida e Silva r i C ardo Fi C ht p aola Gala SS i d e F endi Silva Mateu S de l i M a r ibeiro

Introd U ção

Um dos procedimentos mais antigos em Medicina é a cateterização de vasos, inicialmente realizada apenas para infusão de medicações ou coleta de material levado à análise bioquímica. Atualmente, as punções de vasos, sejam superficiais ou profundos, se fazem necessárias em vários cenários. Abrangem desde pacientes ambulatoriais que delas necessitam para procedimentos simples a doentes críticos nos quais são realizadas para monitorização hemodinâmica, introdução de dispositivos de assistência ventricular e, ainda, com finalidade terapêutica, como em terapias de substituição renal, nas quais cateteres de longa permanência são frequentemente usados.

As punções de vasos, sejam arteriais ou venosos, inicialmente eram guiadas por marcos anatômicos, técnica atualmente considerada por muitos prática antiga e frequentemente associada a menores índices de sucesso e maiores taxas de complicações.1

Uso d A U ltr A ssono G r A f IA p A r A p U nção VA s CU l A r n A prát ICA C lín ICA

O uso da ultrassonografia (USG) na prática clínica iniciou-se no século passado e as publicações acerca do uso desta tecnologia na punção das veias jugulares internas surgiram em meados de 1980.2

Inequivocamente, o uso da USG para acessos vasculares tem inúmeras vantagens quando comparado à técnica tradicional (Tabela 1.1). Esse recurso, facilmente usado à beira do leito, nos permite escolher o melhor vaso a ser puncionado, individualizando o procedimento. O emprego dessa tecnologia propicia, aos profissionais que realizarão a punção vascular, uma série de informações de grande valor, entre elas a possibilidade de verificar a localização exata do vaso, suas variações e relações anatômicas.

Além disso, permite acompanhar seu trajeto dentro de um determinado segmento anatômico, aferir seu calibre e compará-lo ao do

Capítulo 1

tA b E l A 1.1 Vantagens do uso da ultrassonografia para a realização de acessos vasculares

ƒ localização exata do vaso candidato à punção

ƒ avaliação da anatomia dos vasos, suas variações e relações com estruturas vicinais

ƒ análise do calibre do vaso e de seu trajeto em um determinado segmento anatômico

ƒ verificação da patência do vaso

ƒ acompanhamento da cateterização do vaso em tempo real

ƒ localização do dispositivo após sua inserção

ƒ Maior taxa de êxito do procedimento

ƒ Menor número de complicações

ƒ diagnóstico de complicações

ƒ não exposição à radiação iônica

mesmo vaso em posição contralateral e, principalmente, garante que o procedimento de inserção de dispositivos vasculares seja assistido em tempo real. Outras vantagens do método abrangem permitir, tanto de maneira imediata quanto em momentos futuros, a avaliação da localização do dispositivo inserido, além de avaliar a qualquer tempo o surgimento de possíveis complicações do procedimento.2-8

A USG possibilita, ainda, a avaliação da patência do vaso, evitando a punção em vaso com estase sanguínea ou mesmo já trombosado (Figura 1.1). Como essas complicações também podem ocorrer depois do procedimento, o método permite, após a inserção do dispositivo, a avaliação do surgimento delas, constituindo um diagnóstico importante a ser feito (Figura 1.2).9

Por fim, a USG guiando as punções vasculares, inequivocamente, promove tanto aumento nos índices de sucesso do procedimento quanto redução significativa no número de complicações, sobretudo as graves e potencialmente fatais, a exemplo do pneumotórax. 9-11 Mesmo em mãos menos experientes, essa estatística se repete, fazendo com que atualmente, exceto se o aparelho de ultrassom (US) não estiver disponível, nada

fIGU r A

a avaliação ultrassonográfica das veias jugulares bilateralmente permitiu eleger a veia jugular interna direita para punção, já que a veia jugular interna esquerda apresentava contraste espontâneo (estase) de grau importante

vJie: veia jugular interna esquerda; aCCe: artéria carótida comum esquerda .

Fonte: arquivo pessoal dos autores

fIGU r A 1.2 presença de trombo aderido ao cateter de hemodiálise obliterando parcialmente o lúmen da veia jugular interna direita (vJid)

Fonte: arquivo pessoal dos autores

justifique que a técnica ecoguiada não seja a eleita para realização do procedimento. 11

Frequentemente, após a inserção de um cateter venoso central (CVC) é realizada uma radiografia de tórax para verificação da localização do dispositivo e, somente após a

Guia prático de Acesso Vascular Ecoguiado 4
VJIE ACCE 1.1 VJID Trombo Cateter

constatação de que ele está corretamente inserido, seu uso é liberado. Todavia, alternativamente e de forma bastante segura, é possível verificar por meio da USG a localização do dispositivo tanto pela sua visualização quanto por manobras, como o teste de microbolhas (bubble test).

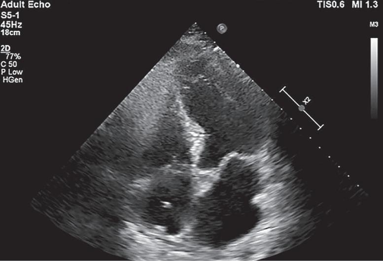
Em um cateter venoso, promove-se a infusão de 10mL de uma solução de glicose agitada com monitorização ultrassonográfica simultânea das cavidades cardíacas direitas: átrio e ventrículo. Estando o cateter localizado no sistema venoso, haverá a chegada dessa solução, que forma um “contraste” (microbolhas agitadas), primeiramente nessas câmaras, confirmando a localização do cateter no sistema de vasos venosos (Figuras 1.3 e 1.4).7

Cons I d E r A çõ E s f I n AI s

O uso da ultrassonografia para a realização de acesso vascular, seja ele arterial ou venoso, vem

se edificando cada vez mais. Diante dos enormes benefícios que ela proporciona, passam a ser cada vez mais deveres do profissional que a executa o conhecimento e o aprimoramento da técnica ecoguiada.

fIGU r A 1.4 Cateter venoso central (CvC) no interior do átrio direito (seta)

ad: átrio direito; vd: ventrículo direito; ae: átrio esquerdo; ve: ventrículo esquerdo .

Fonte: arquivo pessoal dos autores

fIGU r A 1.3 (A e b) teste de microbolhas (bubble test) Chegada do “contraste” em cavidades direitas (A) Cavidades cardíacas direitas inundadas pelo “contraste”, enquanto as cavidades esquerdas estão “livres”, confirmando que o cateter está localizado no sistema venoso (b) ad: átrio direito; vd: ventrículo direito; ae: átrio esquerdo; ve: ventrículo esquerdo

Fonte: arquivo pessoal dos autores

5 C A pít U lo 1 Ultrassonografia e Acesso Vascular
VE AE VD AD A VE AE VD AD B
VE VD AD AE CVC

rE f E rên CIA s

1. Denys BG, Uretsky BF, Reddy PS. Canulação assistida por ultrassom da veia jugular interna, uma comparação prospectiva com a técnica guiada por pontos de referência externos. Circulação. 1993; 87:1557-62.

2. Weiner MM, Gerald P, Mittnacht AJ. Ultrasoundguided vascular access: a comprehensive review. J Cardiothorac Vasc Anesth. 2013; 27(2):345-60.

3. Metz S, Horrow JC, Balcar I. A controlled comparison of techniques for locating the internal jugular vein using ultrasonography. Anesth Analg. 1984; 63(7):673-9.

4. Bazaral M, Harlan S. Ultrasonographic anatomy of the internal jugular vein relevant to percutaneous cannulation. Crit Care Med. 1981; 9(4):307-10.

5. Stone MB, Nagdev A, Murphy MC et al. Ultrasound detection of guidewire position during central venous catheterization. Am J Emerg Med. 2010; 28(1):82-4.

6. Oliveira L, Pilz L, Tognolo CM et al. Comparison between ultrasonography and X-ray as evaluation methods of central venous catheter positioning and

their complications in pediatrics. Pediatr Surg Int. 2020; 36(5):563-8.

7. Denys BG, Uretsky BE. Variações anatômicas da localização da veia jugular interna: impacto no acesso venoso central. Crit Care Med. 1991; 19(12): 1516-9.

8. Gordon AC, Saliken JC, Johns D et al. US-guided puncture of the internal jugular vein: complications and anatomic considerations. J Vasc Interv Radiol. 1998; 9(2):333-8.

9. Gamulin Z, Bruckner JC, Forster A et al. Múltiplas complicações após cateterismo de veia jugular interna. Anestesia. 1986; 41:408-12.

10. Sulek CA, Gravestein N, Blackshear RH et al. Rotação da cabeça durante a canulação da veia jugular interna e o risco de punção da artéria carótida. Anesth Analg. 1996; 82:125-8.

11. Leibowitz A, Oren-Guinberg A, Matyal R. Ultrasound guidance for central venous access: current evidence and clinical recommendations. J. Intensive Care Med. 2020; 35(3):303-21.

Guia prático de Acesso Vascular Ecoguiado 6

Princípios Básicos do ultrassom

César Gonçalves Preto

Introdução

A ultrassonografia (USG) foi difundida como método de imagem médica principalmente a partir da década de 1950 e vem evoluindo continuamente, em especial no que se refere aos transdutores, responsáveis pela geração e detecção do feixe sonoro. A USG é útil para o estudo de tecidos moles, os quais são radiologicamente similares. Os principais benefícios dessa modalidade de imagem são a ausência dos efeitos colaterais da radiação ionizante, a capacidade de obter e analisar imagens das estruturas e do fluxo em tempo real.1,2

Pr I ncí PI os fís I cos

Uma onda é uma perturbação mecânica causada por uma fonte e que se propaga em um

meio com massa. O princípio ultrassonográfico se baseia na propagação de ondas sonoras, e o som é a qualidade perceptiva dessa perturbação mecânica do meio. As ondas sonoras são produzidas pelo movimento oscilatório coerente de partículas, criando regiões de compressão e rarefação (Figura 3.1).

Esse movimento contínuo e ordenado de partículas que se chocam é o resultado de colisões entre as partículas que compõem esse meio. Cada vez que o feixe sonoro encontra no seu caminho interfaces acústicas, ou seja, alterações na densidade ou elasticidade do meio, uma fração (em geral pequena) da energia sonora é refletida ou espalhada. Isso pode acontecer nas paredes de um órgão ou mesmo ao longo de um tecido com estrutura heterogênea. A onda retroespalhada (ou “eco”) é detectada e processada pelo sistema eletrônico do ultrassom (US).1,3,4

Capítulo 3
a delino Parro Júnior
Rarefação Compressão fI gura 3.1 ondas de rarefação e
Sentido da onda sonora
compressão

Na USG, os dois tipos principais de ondas são:

1. Ondas longitudinais ou ondas de compressão: as partículas movimentam-se em sentido paralelo ao de propagação da onda, propagando-se em meios sólido, líquido e gasoso. Têm maior velocidade de propagação (Figura 3.2).

2. Ondas transversais: de corte ou cisalhamento; as partículas movimentam-se em sentido perpendicular ao de propagação da onda, propagando-se somente nos sólidos. Têm velocidade menor, 50% da onda longitudinal (Figura 3.3).

Nos tecidos, as ondas sonoras são, em geral, longitudinais e propagam-se de maneira circuncêntrica (em todas as direções) em meios

com massa e elasticidade – sólidos, líquidos ou gasosos – e não transportam energia.

Na USG, a vibração de uma fonte sonora promove a movimentação das moléculas mais próximas da fonte; a oscilação dessas moléculas que se chocam com as moléculas seguintes promove a formação de uma frente de onda, direcionando-se em feixe e propagando-se em uma direção programada. À medida que um pulso (onda) sonoro percorre os tecidos, são geradas zonas de alta e baixa pressões, de modo que na alta pressão as moléculas são espremidas e na baixa pressão elas estão afastadas.

Assim, as ondas sonoras podem ser exemplificadas com ondas senoidais (Figura 3.4) e, portanto, caracterizadas pelos princípios básicos das ondas com comprimento de onda, amplitude, período, frequência e velocidade (Figura 3.5).

fI gura 3.2 ondas longitudinais

fI gura 3.3 ondas transversais

guia Prático de acesso Vascular Ecoguiado 14
Onda
Vibração
partículas
Comprimento de onda (γ)
longitudinal Velocidade (VL)
das
Onda transversal Sentid da vibração da partículas o Propagação

Velocidade do som

A velocidade do som nos diversos tecidos do corpo humano varia de 330 a 3.500m/s (Tabela 3.1). O som viaja através de diferentes meios em velocidades distintas (p. ex., o som viaja mais rápido pela água do que pelo ar). A velocidade de uma onda sonora, “c”, é dada pela distância percorrida pela perturbação durante um determinado tempo e é constante em qualquer material específico. A velocidade pode ser encontrada multiplicando a frequência(ƒ) pelo comprimento(λ) de onda e, geralmente, é medida em metros por segundo (m/s): c = λ × f.

A velocidade do som através de um material depende tanto da densidade quanto da compressibilidade (elasticidade) dele.

Velocidade de propagação = √ elasticidade/densidade

A velocidade de propagação é maior em sólidos > líquidos > gases.

O comprimento de onda é a distância mais curta entre duas partículas em estados idênticos de movimento. A velocidade média do som no tecido humano é de cerca de 1.540 m/s.5

fI gura 3.4 ondas de compressão e rarefação exemplificadas com ondas senoidais

fI gura 3.5 onda senoidal e suas características

15 c a P ítulo 3 Princípios
Básicos do ultrassom
Crista Ventre
Compressão (partículas
Expansão (partículas
Crista Crista Ventre Ventre
próximas)
afastadas)
Pressã o Amplitude Ciclo Comprimento
de onda

fI gura 3.19 Aliasing de espectral

Fonte: arquivo pessoal dos autores.

fI gura 3.20 (a e B) o aumento da escala do espectral promove aumento da frequência de repetição de pulos (setas) e a colocação da curva espectral dentro do mesmo lado da faixa visível, com correção do aliasing

Fonte: arquivo pessoal dos autores.

guia Prático de acesso Vascular Ecoguiado 28
A B

Bases Técnicas da Punção

Parte II
Vascular Ecoguiada – Materiais Capítulo 4 Materiais Gerais Utilizados e tipos de Cateteres . . . . . . . . . . . . . . . 35 Capítulo 5 Cuidados Gerais com os Dispositivos de acesso Vascular . . . . . . . 47

Capítulo

Materiais Gerais Utilizados e Tipos de Cateteres

Fernando r eis n eto

Gabriela l eopoldino da s ilva

Milton s ér G io b ohat C h Júnior a lane Miranda l eite

In T rod U ção

O implante de cateter venoso central (CVC) foi primeiramente relatado em 1929, de modo que, apenas em 1953, a técnica de Seldinger foi descrita. Esta técnica revolucionou a Medicina, tornando a prática de acessos mais segura e confiável.1 O implante de CVC é realizado em mais de 5 milhões de pacientes nos EUA anualmente; cerca de 8% dos pacientes internados requerem um acesso venoso central.2

O uso do ultrassom (US) para guiar o acesso vascular reduziu a taxa de complicações. Além das diversas variações anatômicas, a presença de trombose vascular, especialmente frequente em pacientes oncológicos ou em condições críticas, torna o acesso central perigoso e impossível em alguns casos.3 Por meio do acesso ecoguiado, consegue-se realizar um implante mais seguro, reconhecendo as variações anatômicas, avaliando a presença ou não de trombose do sítio vascular e analisando a posição do feixe arteriovenoso com precisão.4

O implante de cateteres pode ser feito com realização prévia do US para identificar as estruturas anatômicas, avaliar a perviedade do vaso e profundidade: implante estático ou indireto. Em contrapartida, pode ser realizado em tempo real, em que se procede o implante totalmente guiado pelo US. Nesta técnica, podem ser utilizados os eixos axial e longitudinal. A primeira técnica permite ao profissional diferenciar facilmente a veia e a artéria. Consiste em uma técnica mais simples e útil para profissionais menos experientes. Por sua vez, a técnica no eixo longitudinal permite visualizar melhor a agulha em relação à estrutura e diminuir o risco de transfixação do vaso. Ainda para profissionais mais experientes, pode-se utilizar uma técnica oblíqua que possibilita visão mais ampla da agulha e de sua inserção.5

De maneira geral, dividem-se os cateteres venosos de acordo com seu local de inserção, tempo de permanência, presença ou não de tunelização e tipo de implante (parcial ou totalmente implantável). O resumo dos principais cateteres e suas características são apresentados na Tabela 4.1 e na Figura 4.1.

4

TABELA 4.1 tipos de cateteres quanto ao objetivo terapêutico dispositivos periféricos Finalidade Evitar

Cateter venoso periférico Curta duração (até 96h) necessidade de acessos por períodos maiores que poucos dias

Cateter de média duração Cateter de 20cm periféricos raramente utilizamos em razão do surgimento do piCC

Quando acesso necessário por mais de 30 dias, em caso de medicações vesicantes (quimioterápicos) dispositivos centrais

piCC em geral até 6 meses especialmente para antibióticos, nutrição parenteral total, quimioterapia e transfusão

Cateter central não

“tunelizado” (duplo ou triplo lúmen)

Curta duração e sem possibilidade de veia periférica especialmente para reanimação, uso de substâncias vasoativas e monitorização venosa central

Cateter central “tunelizado” acesso de longa permanência . especialmente para transfusão, transplantes de medula óssea, nutrição parenteral total ou hemodiálise (p . ex ., permcath® e hickmann®)

Cateter total implantável (tipo port) para acesso em longo prazo ou quando as preocupações com o estilo de vida são relevantes Muito utilizado para quimioterapia

MATE r IAIS GE r AIS UTILIZA do S

A boa execução da passagem de um acesso venoso central depende do planejamento e da organização dos materiais previamente ao procedimento. Separar antecipadamente os materiais a serem utilizados ajuda a reduzir a duração do procedimento e eventuais chances de contaminação dos materiais.

Os cateteres utilizados serão discutidos mais adiante, ao passo que materiais como agulha de punção, seringa e fio-guia geralmente estão inclusos no kit do cateter. Em geral, a agulha utilizada é a 18G, que permite a passagem do fio-guia 0,032 polegada. O uso da seringa com o êmbolo vazado permite a passagem interna do fio-guia sem a desconexão da agulha.

Quando necessidade de acesso de longa permanência ou permanente não recomendado em pacientes pré-dialíticos ou dialíticos

Quando acesso necessário por um período mais prolongado

Quando o acesso de menor duração é suficiente

Quando o acesso de menor duração é suficiente

Descrevemos, a seguir, os demais materiais que são necessários para a aquisição de um acesso venoso central guiado por US:

ƒ Transdutor linear de alta frequência (5 a 15MHz): permite a aquisição de imagens de estruturas superficiais com alta resolução. O modo B do US é o indicado para a identificação das estruturas anatômicas e da agulha de punção durante o procedimento.4,6

ƒ Guia de agulha : dispositivo dispensável para o procedimento, porém, quando instalado no transdutor do US, ajuda a ampliar o sucesso da canulação do vaso. Permite o alinhamento do ângulo entre o transdutor e a agulha, de modo que os dois eixos se cruzem na profundidade do vaso a ser canulado.7

Guia Prático de Acesso Vascular Ecoguiado 36
piCC: cateter venoso central de inserção periférica

Longo

Hemodiálise

Transplante de medula óssea e transfusões

Cateter semi-implantável (p. ex., Permcath®) Cateter semi-implantável (p. ex., Hickmann®)

Medicamentos, transfusão, nutrição parenteral e quimioterapia

Presença de veia periférica adequada?

Tipo Port

Curto

Medicamento, antibióticos e transfusão

Cateter venoso periférico Cateter venoso central (CVC) Uso de drogas vasoativas, monitorização central

Hemodiálise

Presença de veia periférica adequada?

F IGU r A 4.1 tipos de cateteres quanto ao tempo previsto de tratamento piCC: cateter venoso central de inserção periférica

ƒ Capa estéril do US: dispositivo de plástico estéril (Figura 4.2) utilizado para recobrir o transdutor e seu fio, permitindo uma técnica asséptica para o implante de cateter venoso guiado por US.4,6

ƒ Gel estéril do US: após recobrir o transdutor (sobre o qual já está aplicado o gel) com a capa estéril, aplica-se o gel estéril sobre a capa para que se possibilite a formação da imagem pelo transdutor. Um exemplo de gel estéril é o anestésico local lidocaína em forma de geleia.4,6

hemodiálise não tunelizado (p. ex., Shilley)

ƒ Anestésico local: o anestésico mais utilizado é a lidocaína a 1% ou 2%, que pode ser injetada em forma de botão anestésico no local da punção a ser realizada. 8 Recomenda-se que seja feita a anestesia guiada por US para evitar a punção inadvertida da veia ou da artéria durante a injeção do anestésico.

ƒ Solução salina: utilizada para a lavagem do lúmen do cateter logo após sua inserção, reduzindo a formação de trombos em seu interior.

37 C AP í TUL o 4 Materiais Gerais Utilizados e
de
Previsão do te m po de perm anênci a o cateter d
Tipos
Cateteres
Sim Não
PICC
(p. ex., Port-o-Cath®)
Sim
Não
Cateter

ƒ Materiais para paramentação e antissepsia: avental e luvas estéreis, assim como touca e máscara cirúrgicas, devem ser utilizados pelo operador para a execução do procedimento com técnica asséptica.4,6 Deve-se usar um antisséptico tópico sobre a pele do paciente, como a clorexidina, para a posterior colocação dos campos estéreis.9

ƒ Instrumentais cirúrgicos e fio de sutura: uma pinça Cheron, um porta-agulha, uma pinça anatômica e uma tesoura Mayo são instrumentos suficientes para a antissepsia e fixação do cateter na pele do paciente, utilizando um fio de sutura com agulha cortante do tipo mononylon 3-0 ou 4-0.

C ATETE r VE no S o PE r IF ér IC o

O acesso venoso periférico (AVP) se dá pela introdução de um cateter de tamanho curto (menor que 7,62cm) na circulação venosa periférica, sendo uma via capaz de prover a infusão de grandes volumes ao paciente diretamente na corrente sanguínea, além da infusão de agentes de efeitos diversos com a obtenção de rápida resposta.

É o cateter mais utilizado; estima-se que 70% dos pacientes em âmbitos hospitalares sejam submetidos a uma venóclise e que até 38% desses pacientes não precisariam dessa punção. Além disso, reforçando a importância desse tipo de cateter, em uma avaliação no setor de compras hospitalares, para cada acesso venoso central são utilizados cerca de 60 cateteres periféricos.10

Na maioria das vezes, o AVP é obtido para fornecer terapias que não podem ser administradas, ou são menos eficazes, se administradas por vias alternativas. Como exemplos, hidratação intravenosa e suporte nutricional podem ser dados a um paciente com vômitos intensos ou dor abdominal devido a uma condição cirúrgica.11

As contraindicações para o uso de uma extremidade específica incluem a presença de uma fístula arteriovenosa (o cateter pode alterar o fluxo sanguíneo venoso ou danificar a fístula) e a história de mastectomia ou dissecção de linfonodo (o cateter pode exacerbar a drenagem linfática já prejudicada).

As complicações mais frequentes são a flebite, o extravasamento de fluidos e a formação de hematomas. O risco de bacteremias e infecção é menor quando se usa um AVP comparado a um acesso venoso central, porém, em razão do maior uso dos dispositivos periféricos, os números absolutos são bem semelhantes.11

A tromboflebite pode ocorrer em 15% dos acessos, sendo este risco reduzido quando se evitam os membros inferiores, o que minimiza o movimento do cateter, quando se coloca o menor tamanho de cateter adequado para a veia e quando se remove o cateter o mais rápido possível. Recomenda-se a troca de cateter a cada 48 a 72h, o que leva a aumento de custo por volta de 26%, e as trocas repetitivas consomem o leito venoso saudável do paciente em longo prazo.10

O cateter venoso central de inserção periférica (PICC; do inglês, peripherally inserted central catheter) é um dispositivo intravenoso inserido através de uma veia superficial ou profunda (geralmente veia cefálica ou basílica) da extremidade e que progride até o terço distal da veia cava superior ou proximal da veia cava inferior.12 É um cateter longo e fino, flexível,

Guia Prático de Acesso Vascular Ecoguiado 38
d E I n SE r çã o PE r IFé r ICA
C
ATETE r VE no S o CE n T r AL F IGU r A 4.2 Capa estéril sobre o transdutor linear do ultrassom

Bases Técnicas da Punção Vascular Ecoguiada – Técnica

Parte III
Capítulo 6 técnica de Punção Vascular ecoguiada . . . . . . . . . . . . . . . . . . . . . . . . 55 Capítulo 7 Punção Venosa Central ecoguiada . . . . . . . . . . . . . . . . . . . . . . . . . . . . 63 Capítulo 8 Punção Venosa Periférica ecoguiada . . . . . . . . . . . . . . . . . . . . . . . . . . 71 Capítulo 9 Punção arterial ecoguiada 81 Capítulo 10 Complicações relacionadas com a Punção Vascular . . . . . . . . . . . . 93

Técnica de Punção Vascular Ecoguiada

Danilo Fernan D es D a s ilva

Jales s ilvestre D e n ogueira Braga

Maurí C io p ozenatto Bi C u D o g a B riela l eopol D ino D a s ilva

In T rodução

A utilização do ultrassom (US) para obtenção dos acessos vasculares (venoso central, veno so periférico e arteriais) está em prática clíni ca há mais de 30 anos e tem sido cada vez mais difundida.1,2 Na última década, a apli cabilidade desta modalidade não se restringiu apenas ao ambiente de terapia intensiva, mas também ao sistema de emergência pré‑hospi talar, intraoperatório e durante uma situação de parada cardiorrespiratória (PCR).

A fim de alcançar o melhor nível de ha bilidade para a colocação de cateter venoso central (CVC), o conhecimento das técnicas, de marcos anatômicos e o uso guiado por US precisam ser combinados e integrados.1,2 Contudo, há evidências claras de que a ul trassonografia (USG) oferece ganhos em se gurança e qualidade durante a colocação do CVC na veia jugular interna (VJI).1

Neste capítulo, será descrito um proce dimento‑padrão e sequenciado utilizando o ultrassom em tempo real (USTR). A técnica com USTR revela a localização do vaso, o me lhor vaso‑alvo, otimização do local da punção, além de identificar facilmente as variações

anatômicas que ocorrem em uma porção ra zoável de veias, bem como diagnosticar ou ex cluir trombose venosa.3

Técn I ca

Antes da descrição da técnica propriamen te dita, é de fundamental importância que se conheça o tipo ideal de transdutor a ser uti lizado, bem como a maneira de posicioná‑lo e visualizar os vasos a serem puncionados.

As sondas do US mais adequadas para o implante de CVC são os transdutores lineares de alta frequência (5 a 15MHz).2

Essas sondas geralmente têm uma super fície de varredura de cerca de 20 a 50mm e permitem imagens de alta resolução de estru turas anatômicas superficiais. Imagens 2D são atualmente a técnica‑padrão usada para aces so venoso central guiado por US.2

Para visualizar a anatomia, a relação entre os vasos, a patência da veia‑alvo e a punção propriamente dita, dispõe‑se da técnica trans versal/eixo curto, da técnica longitudinal/eixo longo e da técnica oblíqua.

Na técnica transversal, o transdutor é co locado transversalmente ao vaso e à agulha.

Capítulo 6

A punção da pele deve ser realizada exata mente no meio da sonda com um ângulo de aproximadamente 45° com a pele. Inclinando a sonda durante a inserção, a ponta da agulha é seguida (Figura 6.1A).4

Na técnica longitudinal, o transdutor é posi cionado paralelo ao vaso e à agulha. A punção da pele deve ser próxima a uma extremidade do transdutor sob um ângulo de aproximada mente 45° da superfície da pele, dependendo da distância pele‑vaso (Figura 6.1B).5

A técnica oblíqua, acerca da qual não dis correremos neste capítulo, combina as van tagens das abordagens de eixo curto e longo, com melhor visualização das estruturas ana tômicas fornecida pela visão de eixo curto e melhor visualização da ponta da agulha for necida pela visão de eixo longo.6

Em resumo, na técnica longitudinal, o va so‑alvo é delineado em uma visão de eixo longo (referindo‑se à agulha: abordagem no plano). Com a técnica transversal, o vaso‑alvo é abor dado em uma visão de eixo curto (transver sal) (referindo‑se à agulha: abordagem fora do plano).7

A técnica para acessos vasculares guiados por US não se modifica, independentemen te do vaso a ser puncionado. De modo geral,

o posicionamento do transdutor, o posiciona mento e angulação da agulha e o plano de visualização do vaso são os mesmos. É des crita neste capítulo, como exemplo, a técnica de acesso venoso central em VJI.

Para a prática clínica, recomenda‑se a rea lização desse procedimento em seis passos de maneira sistemática, que incluem avaliação da veia‑alvo (anatomia, localização e patência do vaso), utilizando US em tempo real para pun ção da veia e visualização da agulha, fio‑guia e cateter dentro da veia.1

Passo 1: identificar a anatomia do local de inserção e localização da veia

Este primeiro passo envolve a verificação de variações anatômicas dos vasos (veia e artéria) e a localização da veia em relação à artéria. Para isso, é importante que se tenha a com binação de um conhecimento profundo sobre estruturas anatômicas e pontos de referência associado às competências necessárias para a colocação do CVC guiado pelo US.8

A localização da veia e sua relação anatô mica com a artéria são identificadas quando se usa tanto o eixo curto (transversal) quan to o eixo longo (longitudinal) (Figura 6.2). Isso também permite a identificação de veias

Guia Prático de acesso Vascular Ecoguiado 56
A B
F IG ura 6.1 (a e B) posicionamento do transdutor linear em relação à agulha na punção transversal/eixo curto/fora de plano (a) posicionamento do transdutor linear em relação à agulha na punção longitudi nal/eixo longo/em plano (B)

hipoplásicas ou enchimento insuficiente das veias devido a quadros de hipovolemia intra vascular.

Para diferenciar exatamente entre vasos ve nosos e arteriais, pode‑se realizar adicional mente imagem com Doppler colorido e aplicar medições de fluxo (Figura 6.3), além de obser var a pulsabilidade e a complacência venosa característica mesmo no modo B.

Passo 2: confirmar a patência da veia

Ao aplicar pressão na veia e, assim, testar sua compressibilidade com a sonda US, pode‑se

confirmar a perviedade da veia e, portanto, excluir trombose venosa.

Contudo, em pacientes com pressão ar terial muito baixa (pressão arterial sistólica <60mmHg), a artéria pode também ser com pressível.3

Para confirmar ainda mais a patência da veia e quantificar o fluxo sanguíneo venoso e arterial, assim como descrito no passo ante rior, o Doppler colorido e medições de fluxo com Doppler podem ser realizados.

Passo 3: usar orientação de ultrassom em tempo real para punção da veia

O implante do CVC deve ser realizado mediante a orientação do US. Isso requer abordagem as séptica para evitar problemas relacionados com o cateter, como infecções da corrente sanguí nea. Uma técnica asséptica inclui: preparar e cobrir o local da punção com campos estéreis; usar gorro, máscara, luvas esterilizadas, óculos protetor e capote; cobrir a sonda de US e o cabo com uma capa estéril usando um meio condu tor estéril (gel US).3,9 Deve‑se prestar atenção para eliminar quaisquer bolhas de ar possivel mente interpostas entre a superfície de varre dura do transdutor e a

O posicionamento do operador ao executar a punção guiada pelo US deve ser adequada

57 c a P í T ulo 6 Técnica de Punção Vascular Ecoguiada
capa estéril.7
A VJI ACC VJI ACC B
F IG ura 6.2 (a e B) eixo longo (horizontal) (a) eixo curto (transversal) (B)
VJI
vJi: veia jugular interna; aCC: artéria carótida comum . ACC F IG ura 6.3 Demonstração com método Doppler colorido para diferenciar a veia da artéria vJi: veia jugular interna; aCC: artéria carótida comum

para que ele tenha em sua linha de visão, du rante a inserção da agulha, o local de inser ção, a agulha e a tela do US (Figura 6.4).3 Normalmente, o operador deve segurar a sonda de US com a mão não dominante, enquanto avança a agulha com a mão dominante. Esta abordagem é conhecida como “técnica de ope rador único” e permite que o operador otimize e alinhe o plano do US e a direção da agulha.

A técnica pode ser realizada com um auxiliar que segure o transdutor enquanto a punção é feita pelo outro indivíduo.

A distância da agulha ao transdutor no mo mento da punção deve ser igual à profundi dade do transdutor ao vaso a ser puncionado, com ângulo de 45° (Figura 6.5).

Ao avançar a agulha, sua ponta deve ser constantemente identificada com US até o mo mento em que ocorre a punção do vaso. Isto pode ser feito usando uma visão de eixo cur to/fora do plano ou uma visão de eixo longo/ no plano (Figura 6.6).

Passo 4: confirmar a posição da agulha na veia

O uso de USTR permite a confirmação de que a ponta da agulha é colocada central mente na veia antes de se passar e progre dir o fio‑guia.

F IG ura 6.4 posição do operador (segurando o transdutor do ultrassom com a mão não dominante enquanto avança a agulha com a mão dominante) permite alinhar o local de inserção, a agulha e a tela de ultrassom na linha de visão durante a inserção da agulha (setas vermelhas)

Passo 5: confirmar a posição do fio dentro da veia

Depois de ser realizada a punção do vaso e ser observado o refluxo venoso característico, deve ser introduzido pela extremidade posterior

F IG ura 6.5 angulação e posicionamento adequado da agulha em relação ao transdutor

Fonte: ilustração original dos autores

Guia Prático de acesso Vascular Ecoguiado 58
1,5cm 1,5cm 45°

Punção Arterial Ecoguiada

Roana Lace R da Tava R es Lei T e a nna T a Teixei R a d e LL a c os T a Ge R mano Gi R o L do Tazinaffo

Introdução

As intervenções endovasculares nos membros inferiores revolucionaram o cuidado de pacientes com doença arterial periférica.1 O acesso vascular arterial tem o objetivo de oferecer uma via para os procedimentos diagnósticos e terapêuticos percutâneos, além de permitir a monitorização hemodinâmica de pacientes críticos.2 Historicamente, o uso de palpação, marcos anatômicos, orientação fluoroscópica e combinações dessas manobras destinaram-se principalmente à obtenção do acesso arterial. Complicações no local de acesso, incluindo hematoma, pseudoaneurisma, fístula arteriovenosa, trombose e infecção, são uma importante fonte de morbidade e mortalidade pós-procedimento entre pacientes submetidos

a intervenções vasculares percutâneas. Com incidência relatada entre 1% e 11%, séries contemporâneas demonstraram que as complicações do local de acesso estão associadas a internações hospitalares prolongadas, aumento das taxas de alta para instalações de reabilitação, aumento da mortalidade em 30 dias e até mortalidade elevada em um ano. 2

Portanto, os acessos vasculares requerem habilidades, plano de ação cuidadoso e estratégias que previnam complicações.3 Dessa maneira, a orientação por ultrassom (US) surgiu como um complemento valioso para auxiliar no acesso arterial.4 As vantagens e desvantagens estão definidas na Tabela 9.1.

Neste capítulo, descreveremos as principais indicações, contraindicações e complicações

tA b E l A 9.1 Vantagens e desvantagens da punção arterial ecoguiada

Vantagens desvantagens

ƒ visualização em tempo real dos pontos de referência

ƒ melhor planejamento pré-procedimento

ƒ Redução de complicações

ƒ maiores taxas de sucesso

ƒ Redução do tempo gasto na colocação do cateter

ƒ custo do equipamento

ƒ disponibilidade do equipamento

ƒ disponibilidade limitada de especialistas para treinar os profissionais

ƒ custo dos profissionais de treinamento

ƒ falta de equipes treinadas para executar o procedimento

Capítulo 9

l A 9.3 Anatomia dos principais sítios

Artéria femoral comum

Bifurcação em artérias femorais profunda e superficial

Artéria ulnar

Artéria radial

Artéria braquial

c aracterísticas anatômicas/ estruturas arteriais

Trígono de s carpa

n ervo femoral (lateral) v eia femoral (medial)

a rtéria epigástrica superficial a rtéria ilíaca circunflexa superficial a rtérias pudendas externas superficial e profunda a rtérias femorais profunda e superficial

f ossa cubital

Palma da mão

m edial no compartimento anterior do antebraço

n ervo ulnar

a rtérias recorrentes ulnares anterior e posterior a rtérias interósseas comum, anterior e posterior Ramos musculares Ramo palmar do carpo

f ossa cubital

Borda inferior do músculo redondo maior

m ão

Lateral no compartimento anterior do antebraço

n o terço médio, corre medialmente ao ramo superior do nervo radial

a rtéria recorrente radial Ramos musculares Ramo palmar do carpo

1cm abaixo do cotovelo

c ompartimento anterior do braço profundamente ao músculo bíceps braquial

n ervo mediano

a rtéria braquial profunda n utriente do úmero m uscular

c olateral ulnar superior c olateral ulnar inferior a rtéria radial a rtéria ulnar

Início

Ligamento inguinal t érmino

l ocalização

Estruturas adjacentes

Principais ramos

Guia Prático de Acesso Vascular Ecoguiado 84
tA b E

acesso mais seguro que a dissecção cirúrgica da umeral ou a punção da artéria axilar.6,7

ƒ Vantagens:

y Artéria mais acessível que a artéria femoral.

y Artéria facilmente compressível e não apresenta nenhuma estrutura vizinha para possível dano maior.

y A lesão arterial (dissecção ou trombose) tem menor impacto clínico ao paciente.

y Pós-procedimento com deambulação precoce, trazendo mais conforto e satisfação ao paciente.

ƒ Limitações:

y Impossibilidade do uso de cateter de maior perfil.

y Potencial ocorrência de vasospasmo.

y Aumento da exposição à radiação.

y Risco de conversão para acesso à artéria femoral.

y Menor diâmetro do vaso com taxa de falha de canulação de até 5%, valor significativamente mais elevado em relação ao acesso femoral.

ƒ Contraindicações:

y Absolutas: teste de Barbeau com curva tipo D.

y Relativas: artéria radial fina (<2mm), nefropata com fístula de diálise na artéria radial e uso de introdutores maiores ou iguais a 7Fr.

Avaliação pré-operatória

A seleção e a escolha do paciente a ser submetido ao procedimento são de suma importância. Estima-se que cerca de 90% a 95% dos pacientes possam ser submetidos a esta via de acesso como primeira opção, especialmente pacientes obesos e com coagulopatias. Todo paciente candidato a este acesso deve

85 cAP ítulo 9 Punção Arterial Ecoguiada
Artéria ilíaca externa Artéria femoral comum Artéria femoral profunda Ligamento inguinal Artéria femoral superficial F IG ur A 9.2 anatomia arterial dos membros inferiores (visão anterior)

vascular, podendo parte dele estar na parede posterior do vaso. Quando é feita a introdução do fio-guia, pode ocorrer o descolamento de uma placa de ateroma.

Para evitar esse tipo de complicação, deve-se visualizar no US a agulha perfurando a parede anterior da artéria e garantir um fluxo sanguíneo satisfatório antes de introduzir o fioguia e visualizar na ultrassonografia (USG).11

A AFC é o sítio mais utilizado para acesso de procedimentos endovasculares. Sua preferência deve-se principalmente ao diâmetro da artéria e à fácil compressão contra estrutura óssea (cabeça do fêmur).8 As vantagens e desvantagens dessa punção estão listadas na Tabela 9.4.

A punção da AFC pode ser feita mesmo quando o pulso arterial estiver ausente, utilizando-se a técnica guiada por imagem (Figura 9.4), podendo ser o US ou, quando disponível, a fluoroscopia.12

A punção pode ser feita de maneira anterógrada, ou seja, no sentido do fluxo sanguíneo, ou retrógrada, no sentido contrário, dependendo da área que se deseja atingir. Quando o objetivo é chegar até o coração para a realização de cateterização ou angioplastia de coronárias, deve-se realizar a punção retrógrada, assim como quando for necessário tratar o território aorto-ilíaco. Quando o objetivo é atingir o território femoropoplíteo do membro ipsilateral, a punção deve ser anterógrada em algumas situações.

As principais vantagens e desvantagens de cada técnica encontram-se descritas na Tabela 9.5.

De modo geral, não existe consenso sobre a maior taxa de complicações ligada à punção anterógrada ou retrógrada. Algumas referências igualam as taxas de complicações e outras relatam mais complicações relacionadas com a via anterógrada.

A escolha da via de abordagem deve basearse na estratégia terapêutica, no sítio a ser tratado, na experiência do profissional e nos materiais disponíveis.8

Por meio do método de punção guiado por US, é possível identificar o local exato da

tA b E l A 9.4 Vantagens e desvantagens da punção da artéria femoral Vantagens desvantagens

ƒ Grande diâmetro

ƒ estrutura óssea posterior que auxilia na compressão

ƒ Possibilidade de repetir o sítio de punção quando necessário

ƒ Posição confortável para paciente e cirurgião

ƒ maior experiência de uso

ƒ Pode estar distante do sítio a ser tratado

ƒ necessidade de repouso e uso de curativo compressivo

ƒ É vaso proximal do membro inferior (pode causar complicações distais)

Guia Prático de Acesso Vascular Ecoguiado 88
F IG ur A 9.4 o ponto correto para punção da artéria femoral

Complicações relacionadas com a Punção Vascular

Caio a ugusto Ferreira do

maral Bruno Ja B ur Ferreira do a maral

Juliana Ja B ur Ferreira do a maral

Introdução

A punção vascular é um procedimento corriqueiro no ambiente hospitalar, sendo fundamental sua realização com segurança e rapidez, principalmente nos ambientes de emergência e terapia intensiva. Trata-se de acessos venosos periféricos e centrais e cateteres arteriais. Em relação aos cateteres centrais, desde o início das inserções por dissecção cirúrgica no final da década de 1920, houve muitos avanços sob diversos aspectos. Atualmente, com as técnicas de punção percutânea e o aprimoramento dos materiais utilizados, estes procedimentos podem ser realizados com poucas complicações e de maneira globalizada. Recentemente passamos das técnicas de acesso guiadas por parâmetros anatômicos

para a ultrassonografia (USG) em tempo real guiando as punções (Figura 10.1).1 Além disso, a USG foi recomendada também para a monitorização e o diagnóstico de complicações do acesso venoso central, tornando-se uma ferramenta mais ágil e, sob alguns aspectos mais acurada, que a realização da radiografia de tórax à beira do leito.2

Atualmente, procedimentos de punção venosa central apresentam baixa incidência de complicações mecânicas graves, como pneumotórax e hemotórax. Contudo, quando complicações ocorrem, podem ter efeito catastrófico em paciente por vezes graves e fragilizados, não podendo ser desprezadas. Adversidades menores, como punções arteriais, sangramento e hematoma, não são incomuns (Tabela 10.1).3

tabela 10.1 Frequência de complicações mecânicas, de acordo com a rota de cateterização

Capítulo 10
a
Complicação Frequência Jugular interna Subclávia Femoral Percentual Punção arterial 6,3 a 9,4 3,1 a 4,9 9,0 a 15,0 Hematoma <0,1 a 2,2 1,2 a 2,1 3,8 a 4,4 Hemotórax na 0,4 a 0,6 na Pneumotórax <0,1 a 0,2 1,5 a 3,1 na total 6,3 a 11,8 6,2 a 10,7 12,8 a 19,4 na: não aplicável. Fonte: adaptada de mcgee & gould, 2003.3

2017 : Amir et al. recomenda m o uso do ultrassom para confirmar simultaneamente o posiciomamento do CVC e descartar pneumotórax para economizar tempo e garantindo a precisã o

2001 : uma Agência de Pesquisa s em Saúde e Relatório de Evidências de Qualidade listou o acesso venoso central guiado por ultrasso m como 1 de 11 práticas com “força de evidência para apoiar um a implementação mais ampla”

1982 : Peters relatou o primeiro uso de ultrassom para guiar um acesso venoso central

1956 : Forssmann, Counard e Richards recebem o Prêmio Nobel em Medicina por suas

1970 : o conceito de cateter tunelizado foi introduzid o

1987 : o primeiro relato de us o de ultrassom para detectar pneumotórax em humanos por Wernecke et al .

2008 : o Colégio Americano de Emergência lista a utilização do ultrassom para acesso venoso central como um a “aplicação essencial e primária na emergência” em suas diretrizes de ultrassom de emergência

197 8 : o uso do ultrasso m para acesso venoso centra l foi descrito pela primeira ve z

conquistas em acesso venoso central

1952 : Aubaniac desenvolveu uma nova técnica de punção venosa utilizando a veia subclávia que Wilson mais tarde refinou para introduzir cateteres venosos centrais através desta mesma veia

1929 : o cirurgião alemão Werner Forssman passou um cateter ureteral através de sua própria veia antecubital e confirmou sua posição em seu átrio direito usando raios x

1953 : Sven-Ivar Seldinger propôs o uso de um fio-guia metálico em vez de uma agulha para a introdução de um cateter durante o acesso periférico

1968 : Ingleses relataram o primeiro acesso jugular interno para monitorização da pressão venosa central

1950 : cateteres venosos centrais foram produzidos em massa

F IG ura 10.1 l inha do tempo representando os notáveis avanços desde o século X i X, até a recente introdução da ultrassonografia como guia dos acessos venosos centrais e sua utilização para exclusão de pneumotórax

CVC: cateter venoso central.

Fonte : adaptada de l eibowitz et al., 2020. 1

Guia Prático de acesso Vascular ecoguiado 94

A B

chamado sinal da praia (Figura 10.5). Este sinal consiste em um padrão de imagem de linhas horizontais na região externamente à linha pleural (linha hiperecogênica) e um padrão granular homogêneo internamente à linha pleural, os quais correspondem, respectivamente, à região da parede torácica (sem movimento) sobre a região de artefatos criados pelo deslizamento pleural. Quando não há deslizamento pleural, o modo M evidenciará internamente a linha pleural, uma continuidade do padrão sem movimentação que costuma ser visualizado externamente a ela. É o chamado sinal da estratosfera (Figura 10.6). Ou seja, ocorre a substituição do padrão granular subpleural por um padrão linear.

O ponto exato em que as pleuras visceral e parietal se separaram, pela presença de ar na pleura, é chamado de ponto pulmonar, o qual é o achado patognomônico do pneumotórax, como já mencionado. No modo M, o ponto pulmonar apresenta-se como uma região em que, de maneira alternada, sem movimentar o transdutor, ciclicamente na movimentação respiratória alterna-se o sinal da praia

ça de deslizamento pulmonar normal) para o

97 Ca P ítulo 10 Complicações relacionadas com a Punção Vascular
(presen- F IG ura 10.3 (a e b) Posição do transdutor na análise do tórax Fonte: arquivo pessoal dos autores. F IG ura 10.4 sinal do morcego. sombra dos arcos costais (setas brancas) e linha pleural (seta preta) Fonte: arquivo pessoal dos autores. F IG ura 10.5 linha pleural no modo m, com sinal da praia (seta) Fonte: arquivo pessoal dos autores.

F IG ura 10.6 sinal da estratosfera ou do código de barras no modo m, pela ausência do deslizamento pleural

Fonte: arquivo pessoal dos autores.

sinal da estratosfera (ausência de deslizamento pulmonar) (Figura 10.7). No exame bidimensional, será observada uma região de linha pleural sem movimentação durante a expiração. Ao longo da inspiração irá ocorrer o aparecimento gradual da movimentação da linha pleural, observando-se, assim, a movimentação do ponto de transição da região com mobilidade e sem mobilidade.11

No exame bidimensional normal do pulmão, observam-se linhas horizontais, hiperecogênicas e paralelas às linhas pleurais, que são reverberações da linha pleural, chamadas de linhas A (a distância entre elas é a mesma da linha pleural para a primeira linha A). Elas estarão presentes na região sem deslizamento pleural, quando houver pneumotórax. Porém, para o diagnóstico de pneumotórax, não podem haver, pulsações da linha pleural (chamadas de pulso pulmonar, que são reflexos da pulsação cardíaca), onde o deslizamento

F IG ura 10.7 demonstração do ponto pulmonar ao modo m em uma mesma região, ocorre alternância entre sinal da praia (seta branca) e sinal da estratosfera (seta preta), ao longo do ciclo respiratório Fonte: arquivo pessoal dos autores.

pleural estiver ausente e nem ocorrência de linhas verticais, denominadas linhas B. Estas últimas apresentam-se como linhas verticais hiperecoicas, que se iniciam na linha pleural e se estendem para a profundidade máxima da imagem, movendo-se em conjunto com o deslizamento pleural e apagando as linhas A. A presença de linhas B é indicativa de comprometimento do parênquima pulmonar (edema pulmonar, contusão pulmonar, síndromes intersticiais e até fibrose pulmonar), mas nunca estará presente no pneumotórax.11

Ressalta-se que a ausência completa de deslizamento pleural, sem identificação do ponto pulmonar, tem menor significância para o diagnóstico de pneumotórax. No pneumotórax, a ausência de deslizamento pulmonar anterior, linhas A anteriores e presença do ponto de pulmonar têm 100% de especificidade e 88% de sensibilidade.10

Hemotórax

Hemotórax é uma coleção de sangue que se acumula entre a parede torácica e os pulmões,

Guia Prático de acesso Vascular ecoguiado 98

Índice A

Absorção, 17

Acesso

- à artéria

- - braquial, 87

- - femoral, 87

- - radial, 83

- vascular, 3

- venoso

- - centrais de curta e longa permanência, 39

- - periférico, 38

Aliasing, 27

- de espectral, 28

- no colorido, 29

Amplitude, 16

Análise espectral, 29

Anatomia venosa periférica dos membros superiores, 72

Anestésico local, 37

Ângulo de incidência, 18

Antibiótico

- local, 50

- profilático sistêmico, 49

- tópico, 50

Antibioticoprofilaxia, 49

Antissepsia, 38

Artefatos, 31

Artéria(s)

- do antebraço, 82

- do braço, 82

- dos membros inferiores, 83

- femoral, 11

- radial, 11

Atenuação, 17

Avaliação

- da posição

- - intracardíaca da ponta do cateter, 102

- - intravenosa da ponta do cateter, 101

- indireta da ponta do cateter, 102

- pré-operatória, 85

Capa estéril do US, 37

Cateter(es)

- central

- - não tunelizado, 36

- - tunelizado, 36

- cuidados com a manipulação dos, 48

- curativos de fixação dos, 47

- de hemodiálise não tunelizados, 40

- de média duração, 36

- heparinização/salinização do, 48

- higiene do, 48

- materiais gerais utilizados e tipos de, 35

- mau posicionamento do, 101

- quanto ao objetivo terapêutico, 36

- total implantável (tipo port), 36, 42

- tunelizados com cuff de ancoragem (semi-implantáveis), 41

- venoso(s)

- - central(is)

- - - de curta permanência, 40

- - - de inserção periférica, 38

- - - de longa permanência, 41

- - periférico, 36, 38

Compensação de ganho no tempo, 25

Complicações relacionadas com a punção vascular, 93

Comprimento de onda, 16

Cuidados com a manipulação dos cateteres, 48

Curativos de fixação dos cateteres, 47

Curva de aprendizado, 78

Dispersão, 17, 20

Dispositivos de acesso vascular, 47

Doppler, 25

- de onda contínua, 26

- de ondas pulsadas, 26

C
D

Efeito piezoelétrico, 21

Erro de velocidade de propagação, 31 Escolha

- do local e dispositivos para punção, 73

- do sítio de punção, 65

F

Falha na obtenção do acesso venoso periférico, 73

Focalização, 24

Formação da imagem, 21 Frequência, 16

G

Gel estéril do US, 37

Guia de agulha, 36

H Harmônica, 24

Hematomas, 100 Hemotórax, 98

Heparinização/salinização do cateter, 48

Higiene do cateter, 48

I Imagem

- colorida, 25

- em espelho, 31

- em modo de energia, 26

Impedância, 16

Incidência perpendicular, 18

Instrumentais cirúrgicos e fio de sutura, 38 Interação do meio com os tecidos, 17 M

Materiais gerais utilizados e tipos de cateteres, 35

Matriz

- curva (escâner curvilíneo), 22

- em fase (escâner de fase), 22

- sequencial linear (escâner linear), 21

Mau posicionamento do cateter, 101 O

Onda(s)

- de compressão, 14, 15

- de rarefação, 15

- longitudinais, 14

- senoidal, 15

- transversais, 14

Paramentação, 38

Parâmetros acústicos, 17

PICC, 36

Pneumotórax, 95

Posição

- intracardíaca da ponta do cateter, 102

- intravenosa da ponta do cateter, 101

Potência, 16

Power Doppler®, 26

Preditores de dificuldade na punção venosa periférica, 74

Princípios

- básicos do ultrassom, 13

- físicos do ultrassom, 13

Processo de formação da imagem, 23

Proficiência, 78

Propagação, 20

Pseudoaneurismas, 100

Punção

- anterógrada da artéria femoral, 90

- arterial ecoguiada, 81

- - contraindicações, 82

- - indicações, 82

- - indicações e contraindicações da, 82

- - técnica, 83

- - vantagens e desvantagens da, 81

- da artéria femoral vantagens e desvantagens da, 88

- ecoguiada para acesso vascular em crianças, 77

- escolha

- - do local e dispositivos para, 73

- - do sítio de, 65

- retrógrada da artéria femoral, 89

- vascular

-

- complicações relacionadas com a, 93

- - ecoguiada, 7, 53

-

- - bases técnicas da, 33

- venosa

- - central ecoguiada, 63

- - - técnica, 66

- - periférica ecoguiada, 71

- - - preditores de dificuldade na, 74

R

Reflexão, 17

- difusa, 17

- especular, 17

Refração, 18, 31

Guia Prático de Acesso Vascular Ecoguiado 106 E
P

Resolução, 24

- axial, 24

- lateral, 24

Reverberação, 31

S

Sangramento, 100

Solução salina, 37

T

Técnica

- da punção

- - guiada por ultrassom, 90

- - vascular ecoguiada, 55

- de Seldinger, 63

Teste de Barbeau, 86

Transdutores, 21

- linear de alta frequência, 36

- tipos de, 21

Treinamento, 78

Tromboflebite, 38

U

Ultrassom

- princípios básicos do, 13

- princípios físicos do, 13

Ultrassonografia, 3

- como ferramenta auxiliar na punção venosa periférica, 75

- para a realização de acessos vasculares vantagens do uso da, 4

- para punção vascular, 3

V

Veia

- axilar, 10

- femoral, 10, 65

- jugular externa, 65

- jugular interna, 8, 65

- subclávia, 9, 65

Velocidade

- do som, 15

- Doppler, 25

107 Índice

Guia Prático de Acesso Vascular Ecoguiado é uma obra moderna e completa que conduzirá o leitor a uma “viagem através dos acessos vasculares”, sempre guiados pela ecografia. Em sua primeira edição, proporcionará uma prazerosa leitura ao longo de 10 capítulos, elaborados por renomados especialistas, abordando de maneira prática os temas necessários para que se realize o aprofundamento neste método. Certamente será levada a “tiracolo”, facilitando a consulta a inúmeros temas relacionados com acessos vasculares.

Edificado sob o alicerce do conhecimento científico mais atual, este livro tem como objetivo fornecer aos estudantes e médicos das mais diversas especialidades informações precisas e oportunas ao aprendizado das técnicas de punção vascular guiadas por ultrassonografia.

Com maior proficiência, garante-se que essas técnicas sejam realizadas de modo mais ágil e seguro, apresentando menores taxas de complicações e, principalmente, maiores índices de sucesso, o que propicia um cenário ideal de benefícios tanto ao profissional quanto ao paciente.

9 786588 34048 6
Área de interesse Cirurgia Vascular

Turn static files into dynamic content formats.

Create a flipbook
Issuu converts static files into: digital portfolios, online yearbooks, online catalogs, digital photo albums and more. Sign up and create your flipbook.