





Bizu Comentado – Perguntas e Respostas
Comentadas de Cirurgia Endovascular
Sergio Quilici Belczak
Bizu Comentado – Perguntas e Respostas
Comentadas de Cirurgia Vascular, 2a ed.
Sergio Quilici Belczak
Cleusa Ema Quilici Belczak
Igor Rafael Sincos
Bizu Comentado – Perguntas e Respostas
Comentadas de Ecografia Vascular, 2a ed.
Sergio Quilici Belczak
Walter Jr. Boim de Araujo
Felipe Coelho Neto
Casos Comentados de Cirurgia Vascular e Endovascular
Sergio Quilici Belczak
Cirurgia Endovascular e Angiorradiologia, 2a ed.
Sergio Quilici Belczak (Org.)
Ricardo Aun (Coorg.)
Luiz Lanzioti (Coorg.)
Giuliano de Almeida Sandri (Coorg.)
Denis Szejnfeld (Coorg.)
Thiago Ginsante Abud (Coorg.)
Cirurgia Vascular no Dia a Dia
Walter Jr. Boim de Araujo
Luciana Arouca
Fabiano Luiz Erzinger
Afonso César Polimanti
Adenauer Góes Jr.
Embolizações
Sergio Quilici Belczak
Walter Jr. Boim de Araujo
Altino Ono Moraes
Ronald Fidelis
Gustavo Paludetto
Álvaro Razuk Filho
Mateus Picada Corrêa
Leoardo Aguiar Lucas
Flebologia Estética
Felipe Coelho Neto
Fabiano Luiz Erzinger
Walter Jr. Boim de Araujo
Rodrigo Kikuch
Guia Prático de Acesso Vascular Ecoguiado
Danilo Fernandes da Silva
Gabriela Leopoldino da Silva
Jales Silvestre de Nogueira Braga
Procedimentos Ecoguiados em Cirurgia
Vascular
Felipe Coelho Neto
Trauma Vascular – O que Todo Cirurgião
Deve Saber
Rina Porta
Adenauer Góes Jr.
Rossi Murilo
A editora e os autores deste livro não mediram esforços para assegurar dados corretos e informações precisas. Entretanto, por ser a Medicina uma ciência em permanente evolução, recomendamos aos nossos leitores recorrer à bula dos medicamentos e a outras fontes fidedignas – inclusive documentos oficiais –, bem como avaliar cuidadosamente as recomendações contidas neste livro em relação às condições clínicas de cada paciente.
Saiba mais sobre estes e outros títulos em nosso site: www.rubio.com.brOrganizadores
Ricardo C. Rocha Moreira
Sergio Quilici Belczak
Leonardo Cortizo de Almeida
Walter Jr. Boim de Araujo
Thiago Almeida Barroso
Barbara D’Agnoluzzo Moreira
Márcio Gomes Filippo
Altino Ono Moraes
Leonardo de Oliveira Harduin
Julio Cesar Peclat de Oliveira
Acessos Vasculares – Hemodiálise, Quimioterapia e Procedimentos Complexos
Copyright © 2024 Editora Rubio Ltda.
ISBN 978-65-88340-67-7
Todos os direitos reservados. É expressamente proibida a reprodução desta obra, no todo ou em parte, sem autorização por escrito da Editora.
Produção
Equipe Rubio
Capa
Bruno Sales
Imagem de Capa
Bruno Sales
Editoração Eletrônica
Estúdio Castellani
A158
Acessos vasculares : hemodiálise, quimioterapia e procedimentos complexo / organização
Ricardo Cesar Rocha Moreira ... [et al.]. – 1. ed. – Rio de Janeiro : Rubio, 2024. 480 p. : il. ; 24 cm.
Inclui bibliografia e índice
ISBN 978-65-88340-67-7
1. Cirurgia vascular. 2. Vasos sanguíneos. I. Moreira, Ricardo Cesar Rocha.
24-88600
CDD: 617.413
CDU: 616.13/.14-089
Gabriela Faray Ferreira Lopes – Bibliotecária – CRB-7/6643
Editora Rubio Ltda.
Av. Franklin Roosevelt, 194 s/l. 204 – Centro
20021-120 – Rio de Janeiro – RJ
Telefone: 55(21) 2262-3779
E-mail: rubio@rubio.com.br
www.rubio.com.br
Impresso no Brasil
Printed in Brazil
Ricardo C. Rocha Moreira
Mestre e Doutor em Clínica Cirúrgica pela Universidade Federal do Paraná (UFPR).
Diplomado em Cirurgia pelo American Board of Surgery (ABS).
Cirurgião Vascular e Endovascular e Angiologista pela Sociedade Brasileira de Angiologia e de Cirurgia Vascular (SBACV).
Chefe do Serviço de Cirurgia Vascular Prof. Dr. Elias Abrão do Hospital Nossa Senhora das Graças, Curitiba-PR.
Sergio Quilici Belczak
Doutor em Ciências da Saúde e Pós-doutor em Cirurgia Endovascular pelo Hospital das Clínicas da Faculdade de Medicina da Universidade de São Paulo (HC-FMUSP).
Coordenador do Instituto de Aprimoramento e Pesquisa em Angiorradiologia e Cirurgia Endovascular (Iapace), SP.
Título em Cirurgia Vascular e Endovascular pela Sociedade Brasileira de Angiologia e de Cirurgia Vascular (SBACV).
Título em Radiologia Intervencionista pelo Colégio Brasileiro de Radiologia e Diagnóstico por Imagem (CBR).
Leonardo Cortizo de Almeida
Preceptor do Serviço de Residência em Cirurgia Vascular e Endovascular do Hospital Ana Nery, Salvador – BA.
Membro da Vascular Access Society (VAS).
Membro da Sociedade Brasileira de Angiologia e de Cirurgia Vascular (SBACV).
Coordenador do Simpósio de Acesso Vascular e Endovascular em Nefrologia (Save) de Acessos
Vasculares.
Diretor da Clínica Vascular Inteligência Vascular Avançada (IVA), BA.
Walter Jr. Boim de Araujo
Mestre e Doutor em Clínica Cirúrgica pela Universidade Federal do Paraná (UFPR).
Vice-diretor Científico da Sociedade Brasileira de Angiologia e de Cirurgia Vascular (SBACV) –Gestão 2022-2023.
Membro Titular da Sociedade Brasileira de Radiologia Intervencionista e Cirurgia Endovascular (Sobrice).
Supervisor do Programa de Residência Médica em Angiorradiologia e Cirurgia Endovascular do Hospital das Clínicas da UFPR (HC-UFPR).
Preceptor da Residência Médica em Cirurgia Vascular do Hospital Angelina Caron, PR. Cofundador do Fórum Vascular.
Thiago Almeida Barroso
Cirurgia Vascular com Área de Atuação em Angiorradiologia e Cirurgia Endovascular pela Sociedade Brasileira de Angiologia e de Cirurgia Vascular (SBACV)/Associação Médica Brasileira (AMB).
Radiologia Intervencionista e Cirurgia Endovascular pela Sociedade Brasileira de Radiologia Intervencionista e Cirurgia Endovascular (Sobrice)/Colégio
Brasileiro de Radiologia e Diagnóstico por Imagem (CBR)/AMB.
Membro Titular do CRB.
Membro da Vascular Access Society (VAS).
Coordenador e Criador do Simpósio de Acesso Vascular e Endovascular em Nefrologia (Save) de Acessos Vasculares.
Diretor do Centro de Acesso Afya Hospital Dia, Brasília-DF.
Barbara D’Agnoluzzo Moreira
Cirurgia Vascular e Endovascular do Hospital
Nossa Senhora das Graças, Curitiba-PR.
Coordenadora do Serviço de Cirurgia Vascular do Hospital de Clínicas da Universidade Federal do Paraná (HC-UFPR).
Ex-fellow de Cirurgia Vascular na Wayne State University, Detroit-MI, EUA.
Ex-fellow de Cirurgia Endovascular na Cleveland Clinic Foundation, Cleveland-OH, EUA.
Membro Titular da Sociedade Brasileira de Angiologia e de Cirurgia Vascular (SBACV).
Márcio Gomes Filippo
Mestre em Cirurgia pela Universidade Federal do Rio de Janeiro (UFRJ).
Cirurgião Vascular e Endovascular, com Título de Especialista pela Sociedade Brasileira de Angiologia e de Cirurgia Vascular (SBACV).
Coordenador do Simpósio de Acesso Vascular e Endovascular em Nefrologia (Save) de Acessos Vasculares.
Membro da Vascular Access Society (VAS).
Professor Assistente da UFRJ.
Diretor da Clínica Vene.
Altino Ono Moraes
Mestre em Cirurgia pela Escola Paulista de Medicina (EPM)/Universidade Federal de São Paulo (Unifesp).
Especialista em Cirurgia Vascular pela Sociedade Brasileira de Angiologia e de Cirurgia Vascular (SBACV).
Habilitação em Angiorradiologia e Cirurgia Endovascular pela SBACV.
Chefe do Programa de Residência em Cirurgia
Vascular do Hospital Santa Rita de Maringá, PR. Professor da Disciplina de Cirurgia Vascular do Centro Universitário Ingá (Uningá).
Cirurgião Vascular do Hospital Universitário do Maringá da Universidade Estadual de Maringá (UEM), PR.
Diretor Científico da SBACV – Regional do Paraná.
Leonardo de Oliveira Harduin
Mestre pela Universidade Federal do Estado do Rio de Janeiro (Unirio).
Membro Titular da Sociedade Brasileira de Angiologia e de Cirurgia Vascular (SBACV).
Membro da Vascular Access Society (VAS).
Coordenador do Simpósio de Acesso Vascular e Endovascular em Nefrologia (Save) de Acessos Vasculares.
Coordenador do Centro de Acesso Vascular do Hospital Niterói D’Or, RJ.
Diretor do Centro Clínico LivCare, Niterói-RJ.
Julio Cesar Peclat de Oliveira
Doutor em Radiologia pela Universidade Federal do Rio de Janeiro (UFRJ).
Mestre em Cirurgia Minimamente Invasiva pela Universidade Federal do Estado do Rio de Janeiro (Unirio).
Professor Convidado da Pós-graduação de Cirurgia Vascular da Unirio.
Presidente da Sociedade Brasileira de Angiologia e de Cirurgia Vascular (SBACV) – Gestão 2022-2023. Membro Titular da SBACV e do Colégio Brasileiro de Cirurgiões (CBC).
Diretor da Clínica Peclat, RJ.
Adriano de Carvalho Guimarães
Cirurgião Vascular, Endovascular e Ecografista Vascular pela Sociedade Brasileira de Angiologia e de Cirurgia Vascular (SBACV), Colégio Brasileiro de Radiologia e Diagnóstico por Imagem (CBR) e Associação Médica Brasileira (AMB).
Membro Efetivo da SBACV.
Proprietário e Responsável Técnico pela V&P Health Hospital Dia em Santo Antônio da Platina-PR.
Adriano Martins Galhardo
Cirurgião Vascular e Endovascular pela Santa Casa de Misericórdia de São Paulo.
Título de Especialista em Cirurgia Vascular pela Sociedade Brasileira de Angiologia e de Cirurgia Vascular (SBACV).
Membro Efetivo da SBACV.
Membro da Vascular Access Society (VAS).
Coordenador da Cirurgia Endovascular do Hospital Santa Marta, Taguatinga.
Coordenador da Cirurgia Vascular e Endovascular do Hospital Brasília Águas Claras – Diagnósticos da América S.A. (Dasa).
Alice Ferreira da Silva
Graduada em Medicina pela Pontifícia Universidade Católica do Paraná (PUC-PR).
Cirurgiã Geral pelo Hospital Universitário Cajuru, Curitiba-PR.
Cirurgiã do Aparelho Digestivo pelo Hospital de Base de Rio Preto, SP.
Membro da Equipe de Transplante do Hospital Angelina Caron, Campina Grande do Sul-PR.
Antonio Eduardo Zerati
Graduado em Medicina pela Faculdade de Medicina da Universidade de São Paulo (FMUSP).
Cirurgião Vascular e Endovascular pela FMUSP.
Doutor e Professor Livre-docente pela FMUSP.
Coordenador da Equipe de Cirurgia Vascular e Endovascular do Instituto do Câncer do Estado de São Paulo (Icesp), SP.
Armando de Carvalho Lobato
Residência Médica em Cirurgia Vascular pela Faculdade de Medicina da Universidade de São Paulo (FMUSP).
Doutorado em Cirurgia pela FMUSP.
Pós-doutorado em Cirurgia Endovascular pelo Arizona Heart Institute, EUA.
Presidente da Sociedade Brasileira de Angiologia e de Cirurgia Vascular (SBACV).
Membro Titular do Conselho Científico da SBACV. Sócio Titular da SBACV.
Coordenador da Comissão de Cirurgia Endovascular da SBACV.
Membro Titular da Câmara Técnica de Cirurgia Vascular pela SBACV no Conselho Federal de Medicina (CFM).
Coordenador da Comissão de Avaliação para Credenciamento de Programas de Residência e Estágio da SBACV.
Membro da Comissão para os Exames de Suficiência para Obtenção de Título de Especialista em Cirurgia Vascular (Cate) da SBACV.
Membro da Comissão de Pré-elaboração de Propostas de Alteração de Estatuto, Regimentos e Regulamentos da SBACV.
Delegado Superintendente da Delegacia Metropolitana da Zona Oeste do Conselho Regional de Medicina do Estado do São Paulo (Cremesp).
Membro da Comissão Especial do Ato Médico do Cremesp.
Membro Titular da Câmara Técnica de Cirurgia no Cremesp.
Especialista em Angiologia e Cirurgia Vascular pela SBACV.
Especialista em Cirurgia Endovascular pela SBACV. Diretor Médico/Fundador do Instituto de Cirurgia Vascular e Endovascular de São Paulo (ICVE-SP).
Coordenador do Estágio em Cirurgia Vascular e em Cirurgia Endovascular no ICVE-SP.
Diretor Médico/Fundador do Instituto Lobato de Cirurgia Vascular, SP.
Coordenador do Curso de Especialização em Cirurgia Endovascular (Cece), SP.
Ayrton Alves Aranha Júnior
Cirurgião Pediátrico do Hospital Infantil Pequeno Príncipe e Hospital Nossa Senhora das Graças, Curitiba-PR.
Bruna Freitas Saenger
Residente de Cirurgia Vascular do Serviço de Cirurgia Vascular do Hospital Nossa Senhora das Graças, Curitiba-PR.
Bruno Moraes Ribas
Membro do Serviço de Cirurgia Vascular Prof. Dr. Elias Abrão e Preceptor do Programa de Residência em Cirurgia Vascular do Hospital Nossa Senhora das Graças, Curitiba-PR
Carla Menini Stahlschmidt
Graduada em Medicina pela Pontifícia Universidade Católica do Paraná (PUC-PR).
Mestre em Cirurgia pela PUC-PR.
Cirurgiã Geral, Trauma e Videolaparoscopia pelo Hospital Universitário Cajuru, Curitiba-PR.
Carlos Eduardo Cunha
Mestre em Ciências da Saúde pela Universidade de Pernambuco (UPE).
Membro Titular e Presidente da Sociedade Brasileira de Angiologia e de Cirurgia Vascular (SBACV), PE. Especialista em Angiorradiologia e Cirurgia Endovascula pela SBACV.
Carlos Eduardo Del Valle
Mestre em Cirurgia pela Universidade Federal do Paraná (UFPR).
Cirurgião Vascular, Endovascular e Ecografista Vascular pela Sociedade Brasileira de Angiologia e de Cirurgia Vascular (SBACV).
Médico do Serviço de Ecografia Vascular do Hospital de Clínicas da UFPR (HC-UFPR).
Carlos Eduardo Virgini-Magalhães
Mestrado pela Universidade Federal do Rio de Janeiro (UFRJ) e Doutorado pela Universidade do Estado do Rio de Janeiro (UERJ).
Professor Associado da Faculdade de Ciências Médicas da Universidade do Estado do Rio de Janeiro (FCM-UERJ).
Coordenador da Disciplina de Cirurgia Vascular e Endovascular da FCM-UERJ.
Diretor-geral do Hospital Universitário Pedro Ernesto – UERJ no Quadriênio 2016-2019.
Presidente da Sociedade Brasileira de Angiologia e de Cirurgia Vascular (SBACV) – Regional Rio de Janeiro no Biênio 2012-2013.
Secretário Geral do Capítulo Brasileiro da Society for Vascular Surgery (SVS) no Quadriênio 2012-2015. Coordenador do CT Vascular e do Projeto Espuma. Coordenador do Serviço de Cirurgia Vascular do Hospital Universitário Pedro Ernesto (Hupe).
Christian Bark Liu
Coordenador da Área de Radiologia Intervencionista do Hospital Nossa Senhora das Graças, Curitiba-PR.
Denise Helia de Lima
Enfermeira Especialista em Transplante de Medula Óssea do Hospital Nossa Senhora das Graças, Curitiba-PR.
Edson Gonçalves Ferreira Júnior
Graduado em Medicina pela Universidade Federal do Vale do São Francisco (Univasf).
Residência Médica em Cirurgia Geral e Cirurgia Vascular e Angiorradiologia e Cirurgia Endovascular concluídas pela Univasf.
Eduardo Oliva Campos
Graduado em Medicina pela Faculdade de Medicina de Presidente Prudente (Famepp), SP. Residente em Cirurgia Vascular pelo Hospital Santa Rita, Maringá-PR.
Edwaldo Joviliano
Professor Associado Livre-docente do Departamento de Cirurgia e Anatomia da Faculdade de Medicina de Ribeirão Preto da Universidade de São Paulo (FMRP-USP).
Chefe do Serviço de Cirurgia Vascular e Endovascular do Hospital das Clínicas da FMRP-USP (HC-FMRP-USP).
Membro Titular da Sociedade Brasileira de Angiologia e de Cirurgia Vascular (SBACV).
Diretor Científico da SBACV Nacional – Gestão 2022/2023.
Eliana Kuchpil Branco
Pediatra do Hospital Nossa Senhora das Graças, Curitiba-PR.
Eraldo Arraes de Lavor
Membro Titular da Sociedade Brasileira de Angiologia e de Cirurgia Vascular (SBACV).
Coordenador da Cirurgia Vascular do Hospital Otávio de Freitas (HOF).
Diretor de Defesa Profissional da SBACV – Gestão 2020-21 e 2022-23.
Estevão Araújo Epifânio
Cirurgião Geral pelo Hospital Universitário Regional de Maringá – Universidade Estadual de Maringá (UEM).
Instrutor da Advanced Trauma Life Support (ATLS) – American College of Surgeons.
Fabiano Erzinger
Mestre em Medicina pela Universidade Federal do Paraná (UFPR).
Membro Titular da Sociedade Brasileira de Angiologia e de Cirurgia Vascular (SBACV).
Diretor de Publicações da SBACV-PR.
Filipe Caron
Mestre em Cirurgia pela Universidade Federal do Paraná (UFPR).
Especialista em Cirurgia Vascular pela Sociedade Brasileira de Angiologia e de Cirurgia Vascular (SBACV)/Associação Médica Brasileira (AMB).
Preceptor do Programa de Residência Médica em Cirurgia Vascular do Hospital Angelina Caron, PR.
Flávia Rocha Nerone
Graduada em Medicina pela Universidade Estadual de Maringá (UEM).
Residência em Área Cirúrgica Básica pelo Hospital do Servidor Público Estadual de São Paulo –Instituto de Assistência Médica ao Servidor Público Estadual (Iamspe).
Cirurgiã Vascular pelo Hospital Santa Rita, Maringá-PR
Francesco Evangelista Botelho
Doutor em Saúde Baseada em Evidências pela Universidade Federal de São Paulo (Unifesp). Professor Adjunto do Departamento de Cirurgia da Universidade Federal de Minas Gerais (UFMG). Vice-diretor de Defesa Profissional da Sociedade Brasileira de Angiologia e de Cirurgia Vascular (SBACV).
Gabriel Ramos Jabur
Graduado em Medicina pela Fundação Técnico Educacional Souza Marques.
Cirurgião Geral pelo Hospital Universitário Cajuru. Complementação Especializada em Transplante de Órgãos do Aparelho Digestivo no Hospital das Clínicas da Faculdade de Medicina da Universidade de São Pulo (HC-FMUSP).
Gabriela Caetano Lopes Martins
Acadêmica de Medicina da Universidade Federal do Paraná (UFPR), Curitiba-PR.
Giana Caroline Strack Neves
Médica Cirurgiã Vascular e Endovascular do Serviço de Cirurgia Vascular do Hospital Nossa Senhora das Graças, Curitiba-PR.
Graciliano José França
Mestre e Doutor em Cirurgia pela Universidade Federal do Paraná (UFPR).
Angiologista, Cirurgião Vascular e Ecografista Vascular pela Sociedade Brasileira de Angiologia e de Cirurgia Vascular (SBACV).
Chefe do Serviço de Ecografia Vascular do Hospital das Clínicas da UFPR (HC-UFPR).
Professor Assistente da Pontifícia Universidade Católica do Paraná (PUC-PR) e da Universidade Positivo, Curitiba-PR.
Guilherme de Castro Santos
Sócio Efetivo da Sociedade Brasileira de Angiologia e de Cirurgia Vascular (SBACV)-MG.
Professor Adjunto do Departamento de Cirurgia da Faculdade de Medicina da Universidade Federal de Minas Gerais (UFMG).
Hugo Genki Kagawa Akahane
Residente de Angiorradiologia e Cirurgia Endovascular do Hospital de Clínicas da Universidade Federal do Paraná (HC-UFPR).
Humberto Balbi Reale Neto
Bacharel em Medicina pela Universidade do Estado do Pará (UEPA).
Residência em Cirurgia Geral na Fundação Hospital de Clínicas Gaspar Vianna.
Residência em Cirurgia Vascular no Hospital
Beneficência Portuguesa de São Paulo.
Título de Especialista em Cirurgia Vascular pela
Sociedade Brasileira de Angiologia e de Cirurgia
Vascular (SBACV)/Associação Médica Brasileira (AMB).
Título de Especialista em Ultrassonografia
Vascular com Doppler pelo Colégio Brasileiro de Radiologia (CBR) e AMB.
Izara Castro de Souza
Membro do Serviço de Cirurgia Vascular Prof. Dr. Elias Abrão e Preceptora do Programa de Residência em Cirurgia Vascular do Hospital
Nossa Senhora das Graças, Curitiba-PR.
Jair Francisco Pestana Biatto
Graduado em Medicina pela Universidade do Estado do Pará (Uepa).
Título de Especialista em Cirurgia Vascular pela
Sociedade Brasileira de Angiologia e de Cirurgia
Vascular (SBACV)/Associação Médica Brasileira (AMB).
Título de Especialista em Ultrassonografia
Vascular com Doppler pelo Colégio Brasileiro de Radiologia (CBR) e AMB.
João Eduardo Nicoluzzi
Graduado em Medicina pela Pontifícia Universidade Católica do Paraná (PUC-PR).
Mestre em Cirurgia pela Universidade de Paris XI.
Doutor em Cirurgia pela Universidade Federal do Paraná (UFPR).
Especialista em Cirurgia Hepatobiliar pela Universidade Paris XI e Hospital Paul Brousse, Paris, França.
Professor Adjunto da PUC-PR.
Cirurgião Chefe do Transplante de Fígado/Rim/ Pâncreas do Hospital Angelina Caron, Campina Grande do Sul-PR.
João Pedro Zuin do Amaral
Graduada em Medicina pela Universidade Estadual de Maringá (UEM).
Médico Residente de Cirurgia Vascular do Hospital Santa Rita de Maringá, PR.
João Rafael Bora Ruggeri
Médico do Serviço da Cirurgia do Aparelho Digestivo e Transplante Hepático do Hospital Nossa Senhora das Graças, Curitiba-PR.
José Maciel Calda dos Reis
Mestre em Cirurgia e Pesquisa Experimental da Cirurgia e Pesquisa Experimental (CIPE) –Universidade do Estado do Pará (UEPA).
Membro Titular da Sociedade Brasileira de Angiologia e de Cirurgia Vascular (SBACV).
Título de Especialista em Cirurgia Vascular pela SBACV.
Supervisor do Programa de Residência Médica em Cirurgia Vascular do Hospital de Clínicas Gaspar Viana, PA.
Professor de Habilidades Cirúrgicas do Centro Universitário Metropolitano da Amazônia (Unifamaz).
Julia Bandeira Guerra
Graduada em Medicina pela Universidade Federal do Estado do Rio de Janeiro (Unirio).
Residência Médica de Cirurgia Geral no Hospital Municipal Salgado Filho, RJ.
Residência Médica em Cirurgia Vascular no Hospital Universitário Pedro Ernesto da Universidade do Estado do Rio de Janeiro (Hupe-Uerj).
Pós-graduada em Cirurgia Endovascular na Santa Casa da Misericórdia de São Paulo.
Título de Especialista em Cirurgia Vascular pela Associação Médica Brasileira (AMB).
Juliana Thomaz Menck
Anestesiologista do Hospital Nossa Senhora das Graças, Curitiba-PR.
Júlio Cezar Uili Coelho
Professor Titular e Chefe da Cirurgia do Aparelho Digestivo e Transplante Hepático da Universidade Federal do Paraná (UFPR) e do Hospital Nossa Senhora das Graças, Curitiba-PR.
Lauro Toshiharu Araki
PhD em Cirurgia pela Universidade de Gunma, Japão.
Oncologista, Cirurgião de Cabeça e Pescoço e Nutrólogo do Hospital Nossa Senhora das Graças, Curitiba-PR.
Lissa Tiemi Araki
Acadêmica Interna do Curso de Medicina da Pontifícia Universidade Católica do Paraná (PUC-PR).
Lorena Gargaro
Graduada em Medicina pela Universidade Estadual de Maringá (UEM).
Residência em Área Cirúrgica Básica pelo Hospital
Universitário Regional de Maringá (HURM). Cirurgiã Vascular pelo Hospital Santa Rita, Maringá-PR.
Lucas Maia Peclat de Oliveira
Acadêmico do 9 o período de Medicina da Universidade Federal do Estado do Rio de Janeiro (Unirio).
Lucas Marcelo Dias Freire
Mestrado em Cirurgia pela Universidade Estadual de Campinas (Unicamp), SP.
Título de Especialista em Cirurgia Vascular, Radiologia Intervencionista, Cirurgia Endovascular e Doppler Vascular pela Sociedade Brasileira de Angiologia e de Cirurgia Vascular (SBACV). Sócio Titular da SBACV.
Luiz Fernando Tosi Ferreira
Cirurgião Vascular e Endovascular pelo Hospital de Clínicas da Universidade Federal do Paraná (HC-UFPR).
Marcelo Mazza do Nascimento
Graduado em Medicina pela Universidade Federal do Paraná (UFPR).
Mestre em Medicina Interna pela UFPR.
Doutor em Medicina (Nefrologia) pela Universidade Federal do Rio Grande do Sul (UFRGS).
Pós-doutorado em Nefrologia pelo Karolinska Institutet, Suécia.
Marcelo Soeiro Santos
Título de Especialista em Cirurgia Vascular e Cirurgia Endovascular pela Sociedade Brasileira de Angiologia e de Cirurgia Vascular (SBACV).
Maria Alice Zarate Nissel
Residente de Cirurgia Vascular do Serviço de Cirurgia Vascular, Cirurgia Endovascular e Angiorradiologia e Ecografia Vascular com Doppler do Hospital de Clínicas da Universidade Federal do Paraná (HC-UFPR).
Mário Eduardo Gutierrez Branco Co-chefe da Unidaee de Terapia Intensiva (UTI)
Neonatal do Hospital Nossa Senhora das Graças, Curitiba-PR.
Mario Martins
Membro Titular da Sociedade Brasileira de Angiologia e de Cirurgia Vascular (SBACV).
Membro Titular do Colégio Brasileiro de Cirurgiões (CBC).
Professor Adjunto do Departamento de Cirurgia da Universidade Federal o Paraná (UFPR).
Matheus Eduardo Soares Pinhati
Acadêmico do Curso de Medicina da Universidade Federal de Minas Gerais (UFMG).
Matheus Martin Macri
Graduado em Medicina pela Universidade de Alfenas (Unifal), MG.
Mestre em Clínica Cirúrgica pela Universidade Federal do Paraná (UFPR).
Cirurgião Geral pelo Hospital Angelina Caron, Campina Grande do Sul-PR.
Cirurgião do Aparelho Digestivo pelo Hospital das Clínicas da Universidade Federal do Paraná (HC-UFPR).
Matheus Takahashi Garcia
Graduado em Medicina pela Pontífícia Universidade Católica do Paraná (PUC-PR).
Cirurgião Geral pelo Hospital Regional João de Freitas, Arapongas-PR.
Cirurgião do Aparelho Digestivo pelo Hospital de Base de Rio Preto, SP.
Transplante Hepático pelo Hospital de Base de Rio Preto, SP.
Paulo Tadeu Rodrigues de Almeida
Responsável pelo Banco de Sangue do Hospital Nossa Senhora das Graças e do Hemocentro, Curitiba-PR.
Pedro Juan Furtado Neves
Graduado em Medicina pela Universidade Federal do Paraná (UFPR).
Postdoctoral Research Fellow da Divisão de Cirurgia Vascular e Terapia Endovascular da Universidade do Colorado, EUA.
Pedro Santini
Preceptor das Residências Médicas de Angiorradiologia e Cirurgia Endovascular e de Radiologia e Diagnóstico por Imagem do Hospital das Clínicas da Universidade Federal do Paraná (HC-UFPR).
Membro Titular da Sociedade Brasileira de Angiologia e de Cirurgia Vascular (SBACV), da Sociedade Brasileira de Radiologia Intervencionista e Cirurgia Endovascular (Sobrice) e da Sociedade de Radiologia Intervencionista Pediátrica.
Ricardo Pasquini
Professor Emérito da Universidade Federal do Paraná (UFPR).
Ricardo Portiolli Franco
Mestre em Medicina Interna pela Universidade Federal do Paraná (UFPR).
Residência em Nefrologia pelo Hospital Universitário Evangélico de Curitiba, PR.
Título em Ultrassonografia pelo Colégio Brasileiro de Radiologia e Diagnóstico por Imagem (CBR).
Rohnelt Machado de Oliveira
Chefe do Serviço de Cirurgia de Anestesiologia do Hospital Nossa Senhora das Graças.
Professor Associado de Anestesiologia da Universidade Federal do Paraná (UFPR).
Sidnei José Galego
Mestre em Técnica Operatória pela Universidade Federal de São Paulo (Unifesp).
Professor Livre-docente de Cirurgia Vascular da Faculdade de Medicina do ABC (FMABC).
Sidney Rodrigues Proença
Cirurgião Vascular pelo Hospital Santa Rita de Maringá, PR.
Título de Especialista em Cirurgia Vascular e Angiorradiologia e Cirurgia Endovascular pela Sociedade Brasileira de Angiologia e Cirurgia Vascular (SBACV)/Colégio Brasileiro de Radiologia e Diagnóstico por Imagem (CBR)/Associação Médica Brasileira (AMB).
Stefan de Oliveira Simões
Título de Especialista em Angiologia, Cirurgia Vascular e Ecografia Vascular pela Sociedade Brasileira de Angiologia e de Cirurgia Vascular (SBACV).
Ziliane Caetano Lopes Martins
Chefe do Serviço de Cirurgia Vascular do Hospital Infantil Pequeno Príncipe, Curitiba-PR.
Dedicamos este livro aos nossos pacientes. Que todo o aprendizado contido nestas páginas sirva para melhor assisti-los.
Os Organizadores
Agradecemos inicialmente à Editora Rubio, que recebeu a proposta deste projeto inédito, e, a nosso ver, necessário nessa especialidade. A Rubio deu todo apoio e confiança para que esta obra se tornasse realidade.
Agradecemos às nossas famílias, não somente no período de elaboração deste livro, mas também em todos os momentos em que estivemos ausentes de nossos lares em busca de aprimoramento ou compartilhando os conhecimentos adquiridos ao longo de nossas carreiras.
Um agradecimento especial a todos os nossos mestres, que ofereceram seus conhecimentos para que evoluíssemos tecnicamente dentro da especialidade, mas também servindo de exemplos de caráter e conduta.
Aos colegas especialistas que se prontificaram a colaborar com a produção dos capítulos, tenham sempre a nossa gratidão e contem conosco. Obrigado a todos pelo apoio no decorrer de nossas carreiras.
Os Organizadores
Um dos grandes avanços da medicina contemporânea tem sido o tratamento ambulatorial de doenças, como insuficiência renal crônica (IRC) e certos tipos de câncer. Esses tratamentos se baseiam no acesso ao sistema venoso para introduzir ou remover substâncias químicas ou biológicas. Atualmente, acessos vasculares para uso prolongado e repetido são imprescindíveis nas unidades de terapia intensiva (UTI), em terapias, como hemodiálise (HD), quimioterapia, nutrição parenteral (NP) e em alguns tipos de transplantes, como o de medula óssea.
No Brasil, estão em funcionamento mais de 800 clínicas de HD que tratam cerca de 150 mil pacientes com insuficiência renal crônica (IRC) e aproximadamente de 300 clínicas de Oncologia que atendem os pacientes submetidos à quimioterapia ambulatorial. Toda essa população necessita de acessos vasculares confiáveis, sem os quais seria praticamente impossível realizar esses tratamentos.
Este livro surgiu da constatação que existem, no Brasil, dezenas de Serviços com cirurgiões dedicados às técnicas de confecção e manutenção de acessos vasculares e que a experiência
acumulada deve ser publicada, criando uma fonte de referência para os profissionais que se interessam por essa atividade cirúrgica.
O projeto deste livro começou a se concretizar quando membros da Diretoria da Sociedade Brasileira de Angiologia e de Cirurgia Vascular (SBACV) Nacional foram abordados por um grupo de cirurgiões que se dedicam aos acessos vasculares para hemodiálise (AVH) com a ideia de publicar uma obra de referência sobre o assunto. Paralelamente, os membros do Serviço de Cirurgia Vascular do Hospital Nossa Senhora das Graças em Curitiba, um centro de referência em Hematologia e Oncologia, já estavam escrevendo um livro sobre acessos vasculares. O resultado foi a união dos grupos em torno do projeto, mediada pelo ex-presidente da Diretoria da SBACV Nacional, Dr. Julio Cesar Peclat de Oliveira.
O projeto durou dois anos e agora, vem à luz Acessos Vasculares – Hemodiálise, Quimioterapia e Procedimentos Complexos, que deve se tornar a obra de referência na literatura médica brasileira sobre o assunto.
Ricardo C. Rocha MoreiraEm 1975, foi internado no Hospital Nossa Senhora das Graças, em Curitiba, um paciente com 53 anos de idade em recaída do linfoma de Hodgkin, do qual padecia nos últimos 12 anos, tendo sido tratado com vários agentes quimioterápicos com o controle parcial dessa doença. Naquela época, surgiram na literatura experiências no uso simultâneo de vários agentes quimioterápicos (MOPP), com resultados surpreendentes. Posteriormente, ficou demonstrado que essa estratégia era capaz de determinar a cura definitiva em um número significativo de pacientes portadores dessa doença. A viabilidade de submetê-lo ao novo regime de quimioterapia esbarrava na inexistência de acesso venoso periférico, determinado pelos tratamentos anteriores. Naquele momento, foi registrada pela primeira vez em nosso país a implantação de um cateter venoso central (atrial), originalmente desenhado para alimentação parenteral doméstica prolongada, no tratamento quimioterápico de uma neoplasia.1 Esse cateter permaneceu implantado por 12 meses, utilizando heparina semanal e permitindo o tratamento, com sucesso, do linfoma de Hodgkin.
O exemplo descrito contribuiu para que novas propostas terapêuticas se desenvolvessem nas áreas de Hematologia e Oncologia, especialmente relacionadas com segurança, precisão e conforto no momento da utilização dos cateteres vasculares em todas as suas variedades nos procedimentos que exigem um acesso venoso seguro.
A potencial disponibilidade e segurança de um acesso venoso de longa permanência, despertou, induziu e mesmo viabilizou que em várias áreas
da medicina surgissem novas modalidades terapêuticas. Assim, foram desenvolvidos cateteres com características específicas para atender as necessidades inerentes a esses procedimentos.2
Particularmente nas áreas de Hematologia, Oncologia, Hemodiálise, Nutrição Parenteral e nas Unidades de Cuidado Intensivo houve grande expansão no uso do acesso venoso através de cateteres, onde se descortinaram inúmeros contextos que dependeriam de sua disponibilidade, da duração de seu uso, do grau de fluxo exigido, do acesso central ou periférico, da simultaneidade de ações no seu uso e dos profissionais de enfermagem habilitados para administrar a manipulação correta no seu uso e na sua manutenção.
A área de transplante de medula óssea (TMO) se presta particularmente para demonstrar a amplitude de estratégias de uma situação clínica complexa para compatibilizar as múltiplas exigências do uso do acesso venoso. O TMO consiste na infusão de células-tronco hematopoiéticas (CTH), originadas de um doador para o paciente que necessita recuperar a hematopoiese normal. Essas células poderão originar-se de um doador aparentado ou não aparentado (alogênico) ou do próprio paciente (autólogo) e podem ser obtidas da medula óssea ou sangue periférico (SP). Nos transplantes autólogos, as CTH são coletadas do sangue periférico e nessas circunstâncias um acesso venoso com o fluxo suficiente é aquele exigido pela máquina de aférese. Nos alogênicos, os doadores podem ser aparentados e não aparentados; estes últimos originários de um grande registro internacional de aproximadamente
30 milhões de doadores, dos quais seis milhões são brasileiros. As células são colhidas da medula óssea ou do SP, sempre respeitando a escolha dos doadores e tentando harmonizar com a melhor opção para o controle da doença. Nos TMO tanto autólogos quanto nos alogênicos, a necessidade do implante de um cateter central é indispensável e habitualmente de longa permanência e com dupla via nos alogênicos. Nas primeiras semanas, as manipulações do cateter são múltiplas e por isso a enfermagem exerce uma atividade fundamental na preservação do cateter estabelecendo as rotinas pertinentes e supervisionando o cumprimento delas.
O tipo da doença entre as malignas e não malignas, o estágio da doença, os tratamentos prévios, o condicionamento pré-transplante, os graus de compatibilidade HLA entre receptor e doador, as origens da CTH do doador geram inúmeros contextos que exigem diferentes estratégias clínicas nas quais os acessos venosos centrais são obrigatórios, bem como os cuidados na sua manutenção especificamente recomendados para os vários momentos no sentido de prevenir contaminações e obstruções.
O tempo de permanência é bastante variável, pois nos transplantes alogênicos quando desenvolvem a doença do enxerto contra o hospedeiro (DECH) nas formas aguda e crônica, a permanência do cateter venoso é mais prolongada e obrigatória para assegurar o efeito desejado dos medicamentos necessários para seu controle e seu uso eventualmente para alimentação parenteral.
O tempo de permanência do acesso venoso implica o maior risco de ocorrer infecções, bem como de obstrução e embolismo que podem ser reduzidos quando o pessoal que o manipula segue rigorosamente as recomendações da enfermagem responsável.
Surgindo a necessidade de implantação de um cateter, nas doenças complexas, principalmente naquelas mais graves, a instituição em que esse procedimento se realiza deve estar preparada para desencadeá-la com a maior segurança. Para tanto, profissionais familiarizados com os múltiplos contextos desse procedimento, habitualmente o cirurgião vascular, devem estar facilmente disponíveis, bem como dispor da variedade de cateteres potencialmente utilizáveis nas circunstâncias que os exijam para que se inicie com a brevidade
e a segurança necessárias para que os benefícios desejados sejam alcançados.
Os transplantes alogênicos são progressivamente mais utilizados em virtude das suas indicações se ampliarem em seu espectro e também da maior disponibilidade de doadores à custa da ampla disponibilidade de doadores haploidênticos e dos 30 milhões de doadores não aparentados registrados mundialmente e disponíveis no Brasil por meio do REDOME/MS. Acrescente-se também que novos recursos terapêuticos, os quais reduzem ou combatem com maior eficiência as complicações dos transplantes de CTH, ampliam ainda mais o número de candidatos passíveis de se submeter a esse procedimento, cujos resultados são progressivamente melhores.
O TMO trouxe grande contribuição para a medicina identificando fenômenos biológicos até então desconhecidos nas áreas da hematopoiese normal e da patológica, criando ferramentas para desvendar áreas anteriormente desconhecidas e desenvolverem recursos para gerar estratégias diagnósticas e terapêuticas pontuais.
Estamos entrando na era da “Terapia Celular” (CAR-T Cell), utilizada para pacientes com hemopatias malignas refratárias a outros tratamentos. Consiste na reprogramação de células linfoides normais do paciente para que elas possam destruir especificamente as células neoplásicas que se tornaram resistentes aos métodos habituais de tratamento. Leucemias agudas e crônicas, linfomas e mieloma refratários são as principais indicações. Nesse grupo de doenças refratárias, 30% a 40% apresentam complicações graves e necessitam da terapia intensiva os quais exigem acesso venoso central para a aplicação da correta assistência.
O cateter venoso central (CVC) tunelizado, em uso há mais de 50 anos, é considerado um dos maiores avanços da medicina dos nossos tempos.3
1. Riella MC, Pasquini R. Atrial catheter for prolonged chemotherapy. Lancet. 1977; 1(8012):658.
2. Zerati AE, Wolosker N, Luccia N et al. Totally implantable venous catheters: history, implantation techniques and complications. J Vasc Bras. 2017; 16(2):128-39.
3. Gow KW, Tapper D, Hickman RO. Between the lines: The 50th anniversary of long-term central venous catheters. Am J Surg. 2017; 203(5):837-48.
Pacientes renais crônicos tem uma dura jornada desde o diagnóstico até o tratamento. Muitas vezes, estão à margem do serviço público e a maioria padece nas hemodiálises enquanto aguardam, com resignação, pelo transplante renal.
Mais do que pacientes, são famílias inteiras a espera de um alento.
As hemodiálises frequentes requerem bons acessos, que resistam junto com os pacientes nessa jornada de luta silenciosa.
Por isso, esta obra é ímpar: pela primeira vez temos um trabalho com essa dimensão na literatura médica exclusivamente dedicado ao tema e escrito por cirurgiões vasculares que se dedicam a estudar e confeccionar esses acessos.
A ideia, por si só, engrandece a cirurgia vascular brasileira e aumenta ainda mais a nossa responsabilidade. O volume de conhecimentos e de tecnologias que hoje temos disponíveis nos coloca em uma posição mais efetiva de cuidado e atenção a esses pacientes.
Se estas palavras compusessem uma dedicatória, certamente ela seria direcionada a esses pacientes, tão espoliados. Entretanto, ouso
dizer que você, leitor, tem diante de seus olhos um trabalho fundamental, para que os jovens cirurgiões se ambientem com a temática e ampliem seu olhar sobre a dimensão social do trabalho que realizamos. É fundamental também para que colegas de outras especialidades conheçam mais sobre nossa atuação.
Finalizando, agradeço aos colegas Ricardo Cesar Rocha Moreira, Sergio Quilici Belczak, Leonardo Cortizo de Almeida, Walter Jr. Boim de Araujo, Thiago Almeida Barroso, Barbara D’Agnoluzzo Moreira, Márcio Gomes Filippo, Altino Ono Moraes e Leonardo de Oliveira Harduin pelo empenho e parceira.
Que este livro seja o primeiro de muitos e que nos estimule a exercer nosso papel de forma cada vez mais consciente e empática.
Boa leitura!
Julio Cesar Peclat de Oliveira Ex-presidente da Sociedade Brasileira de Angiologia e de Cirurgia Vascular (SBACV) – Gestão 2022-2023.
17
23
24
25
Julia Bandeira Guerra Stefan de Oliveira Simões Guilherme de Castro Santos Leonardo de Oliveira Harduin
Carlos Eduardo Virgini‑Magalhães Leonardo de Oliveira Harduin Julia Bandeira Guerra
26 Maturação Assistida por Balão de Angioplastia . . . . . . . . . . . . . . . . . . .
236
Leonardo de Oliveira Harduin Julia Bandeira Guerra Leonardo Cortizo de Almeida
Guilherme de Castro Santos José Maciel Calda dos Reis Márcio Gomes Filippo
Thiago Almeida Barroso
27 Síndromes Clínicas do Acesso de Diálise: Síndrome de Influxo . . . . 254
Thiago Almeida Barroso Leonardo de Oliveira Harduin Adriano Martins Galhardo
Edson Gonçalves Ferreira Júnior Leonardo Cortizo de Almeida Márcio Gomes Filippo
Guilherme de Castro Santos
28 Síndrome de Outflow nos Acessos Vasculares para Hemodiálise
Guilherme de Castro Santos Leonardo de Oliveira Harduin Julia Bandeira Guerra
Leonardo Cortizo de Almeida Matheus Eduardo Soares Pinhati Thiago Almeida Barroso
Márcio Gomes Filippo
29 Isquemia de Membro, Hiperfluxo, Insuficiência Cardíaca e Aneurismas nos Acessos Vasculares . . . . . . . . . . . . . . . . . . . . . . . . . . . . .
Márcio Gomes Filippo Leonardo Cortizo de Almeida Guilherme de Castro Santos José Maciel Calda dos Reis Leonardo de Oliveira Harduin Thiago Almeida Barroso
273
30
31
32
Estágio
.
Adriano Martins Galhardo Edson
. . . . . . . . .
Leonardo Cortizo de Almeida Leonardo de Oliveira Harduin Márcio Gomes Filippo
Thiago Almeida Barroso Guilherme de Castro Santos José Maciel Calda dos Reis
José Maciel Calda dos Reis Humberto Balbi Reale Neto Leonardo de Oliveira Harduin
Leonardo Cortizo de Almeida Guilherme de Castro Santos Márcio Gomes Filippo
Thiago Almeida Barroso
33 Uso de Balões Farmacológicos nos Resgates das Fístulas
Arteriovenosas . . . . . . . . . . . . . . . . . . . . . . . . . . . . . . . . . . . . . . . . . . .
Leonardo de Oliveira Harduin Julia Bandeira Guerra Leonardo Cortizo de Almeida Guilherme de Castro Santos José Maciel Calda dos Reis Márcio Gomes Filippo
276
Thiago
Alice
Eduardo
Julio
Sergio
Acessos vasculares são métodos de introduzir ou retirar substâncias químicas ou biológicas da corrente sanguínea com finalidades diagnósticas ou terapêuticas. Os acessos vasculares usados no dia a dia são feitos por punção de veia periférica, geralmente no membro superior, com as seguintes finalidades:
Obter amostras de sangue para exames de laboratório.
Realizar sedação ou anestesia em procedimentos diagnósticos e cirúrgicos.
Esses acessos venosos são usados de imediato e retirados depois de cumprida sua finalidade. Outros tipos de acesso vascular bastante comuns são os acessos arteriais para implante de dispositivos (Stents, endopróteses) ou para embolização de tumores e malformações vasculares. Os acessos venosos e arteriais para utilização imediata e única fogem do escopo deste livro, que é dedicado aos acessos vasculares de uso prolongado e repetido.
Estes acessos vasculares de uso prolongado e repetido são imprescindíveis nas unidades de terapia intensiva (UTI), em terapias, como hemodiálise e quimioterapia, e em alguns tipos de transplantes, como o de medula óssea. Tais acessos vasculares são utilizados em:
Administração de medicamentos (p. ex., quimioterápicos, antibióticos).
Administração de soluções parenterais, sangue e derivados.
RicaRdo c. Rocha MoREiRa
Procedimentos de diálise e aférese.
Obtenção de amostras de sangue.
Monitoramento de funções vitais.
Para os acessos vasculares são usados diferentes tipos de cateteres plásticos, que são implantados por meio de incisões cirúrgicas ou percutâneas, com kits de introdução apropriados. Nos pacientes com insuficiência renal crônica, também é realizada outra forma de acesso vascular: a fístula arteriovenosa cirúrgica para hemodiálise (ver Capítulo 18, Fístulas Arteriovenosas com Veias Autólogas – Sítios e Técnicas Alternativos, e Capítulo 21, Cateteres para Hemodiálise ).
Procedimentos de alta complexidade exigem acessos vasculares confiáveis para uso intensivo e/ou prolongado. As indicações podem ser divididas em três grupos, resumidos na Tabela 2.1.
Atualmente, existe grande variedade de cateteres disponíveis comercialmente para atender a todas as indicações para acesso vascular. Nesta seção, são apresentadas diversas classificações dos cateteres, de acordo com suas características e finalidades.
Intracath® (aqui descrito apenas pela importância histórica)
O primeiro cateter venoso central (CVC) de polietileno introduzido por punção através do lúmen de uma agulha (Figura 2.1) – o Intracath® – foi comercializado a partir de 1945 e amplamente utilizado até o início dos anos 2000.
Sua principal característica é ser o único cateter que não é implantado pela técnica de Seldinger (com fio-guia).
Veias de implante: jugular interna e subclávia.
Kit de introdução
Cateter de polietileno ou Vialon 16G (para adultos) e 19G (para crianças) com conexão Luerlock .
Agulha de punção de grande calibre 14G.
Bainha de suporte e fixação para a agulha.
A punção venosa é feita por meio de agulha de grande calibre.
O cateter é introduzido por dentro da agulha até a ponta chegar ao átrio direito.
O mandril do cateter é retirado para checar patência por meio de aspiração.
A agulha é retirada para o exterior e fixada ao redor do cateter por meio da bainha de suporte.
O cateter é fixado à pele no ponto de introdução com um ponto cirúrgico.
O curativo é feito no local da entrada do cateter na pele.
Duplo e triplo lúmen
São os CVC mais usados nos hospitais (Figuras 2.2 e 2.3). As principais indicações são:
Cirurgias de médio a grande porte.
Monitoramento e suporte para pacientes críticos nas UTI.
Nutrição parenteral.
Administração de antibióticos por curto prazo.
Veias de implante: jugular interna, subclávia, femoral (excepcionalmente).
Kit de introdução (técnica de Seldinger)
Cateter de silicone ou poliuretano.
Seringa de 5mL.
Agulha de punção.
Fio-guia flexível.
Dilatador plástico.
Pacientes com insuficiência renal aguda ou insuficiência renal crônica não diagnosticada necessitam de acesso que permita iniciar hemodiálise
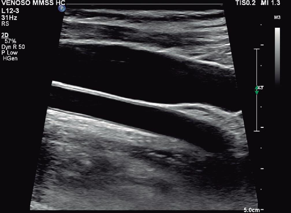
Para o estudo das veias centrais, o método de escolha é a ultrassonografia (USG) vascular, por ser não invasiva, não ter radiação ionizante e não utilizar contraste.1
Na avaliação das veias centrais pré-implante de cateter, deve-se estudar toda a extensão possível da veia jugular interna (VJI) (Figuras 5.1 a 5.3) e da veia subclávia (VSC) (Figuras 5.4 a 5.6), locais mais comuns de implante de cateter venoso central (CVC). Esse estudo é fundamental, já que a prevalência de estenose central pode variar de 9% a 51% nos pacientes em hemodiálise.2 Além disso, o aumento do número de procedimentos nessas veias, por exemplo, para a colocação de cateter central de inserção periférica (PICC; do inglês, peripherally inserted
central catheter) e implante de marcapasso, torna o estudo por USG vascular imprescindível para o médico que atua nessa área.
A USG vascular deve buscar identificar trombose venosa recente ou, principalmente, trombose venosa antiga decorrente de procedimentos prévios, o que seria uma contraindicação para nova intervenção naquele segmento.
Além da VJI e da VSC, já citadas, o estudo por USG vascular das veias centrais deve incluir, sempre que possível, a identificação das veias braquiocefálicas direita e esquerda (Figuras 5.7 e 5.8). Para isso, o paciente é colocado em posição supina com os braços levemente abduzidos e a região cervical exposta.1 O estudo deve ser realizado sempre bilateralmente, considerando-se que pode haver até 24% de estenose central contralateral ao implante do cateter.2
A VJI e a VSC são insonadas diretamente utilizando -se a escala de cinza (modo B) e o Doppler colorido. O transdutor usado é do tipo linear de frequência entre 3 e 12MHz.3 O modo B, ou escala de cinza, é a etapa inicial do exame e deve mostrar um lúmen anecoico. A compressão
da veia com o transdutor indica a ausência de trombos. As medidas de velocidade devem ser obtidas com a veia no plano longitudinal e o ângulo de insonação sempre menor ou igual a 60° e paralelo ao fluxo do lúmen venoso. O volume de amostra deve ser pequeno e colocado na área
RicaRdo c. Rocha MoREiRa
Até o início dos anos 1990, os cateteres venosos centrais (CVC) de longa permanência eram implantados por meio de técnicas cirúrgicas abertas (flebotomia ou, em inglês, venous cut‑down). O aparecimento dos kits de introdução percutânea que usam a técnica de Seldinger mudou esse cenário. Atualmente, a quase totalidade dos cateteres para acesso vascular são implantados por técnicas percutâneas (ver Capítulo 6, Técnicas de Punção pa ra Acessos Vasculares Percutâneos).
Em algumas situações clínicas, porém, as técnicas cirúrgicas abertas ainda têm lugar no implante de CVC para acesso vascular (Tabela 7.1).1
ABERTO
Distúrbios graves de hemostasia: aplasia de medula óssea, coagulação intravascular disseminada e hemofilia. Nesses casos, é preferível dissecar uma veia superficial visível a puncionar às cegas uma veia de grande calibre ou arriscar-se a puncionar uma artéria em sítio não compressível (p. ex., a subclávia).
Alterações anatômicas: que tornam uma punção arriscada, como deformidades da parede torácica e da coluna dorsal e cervical.
Emergências em que não há CVC disponível: em hospitais e pronto -socorros, muitas vezes não estão disponíveis CVC com os respectivos kits de punção.
Falhas nas tentativas de acesso percutâneo: em casos em que não se consiga puncionar uma veia ou avançar um fio-guia em uma veia central, é
mais seguro colocar o CVC por uma veia superficial periférica. Insistir em uma punção difícil pode acarretar complicações graves ou até fatais.2
A técnica de flebotomia cirúrgica (Tabela 7.2 e Figuras 7.1 a 7.3) é a mesma para qualquer veia, exceto para a veia jugular interna (VJI).3,4
Materiais necessários
CVC de uma ou duas vias (se não houver CVC disponível, uma sonda nasogástrica no 10 a 14 estéril poderá ser usada).
Kit de cirurgia de pequeno porte.
Anestésico local: lidocaína 1% ou 2% sem vasoconstritor.
Fios de sutura: algodão 2-0 ou 3-0 e/ou fio absorvível (Vicryl® ou Monocryl®).
Observação : um dispositivo muito útil é o introdutor de cateter, uma peça de plástico em formato de pá que é introduzida na incisão da veia, permitindo sua canulação com o cateter. O acesso cirúrgico aberto à VJI tem algumas peculiaridades técnicas, que são apresentadas na Tabela 7.3.
Tabela 7.1
Veias acessíveis ao acesso cirúrgico
Veia jugular interna
Veia jugular externa
Veia cefálica (no sulco deltopeitoral)
Veia mediana/basílica (no cotovelo)
Veia safena magna (no tornozelo ou na croça)
Veia jugular exerna
Músculo esternocleidomastóideo
Veia jugular exerna
Veia facial
Figura 7.2 (A e B) Flebotomia na veia jugular externa Diagrama do lado direito do pescoço mostrando o trajeto da veia jugular externa e o sítio da incisão (A) . O cateter é colocado por contraincisão e introduzi do pela veia jugular externa até uma veia central (B) A
Carótida comum Veia jugular interna
Músculo esternocleidomastóideo
Veia jugular interna
Cateter
Figura 7.3 (A e B) Flebotomia na veia jugular interna Dissecção da veia jugular interna direita no terço médio do pescoço, com sutura em bolsa ao redor do local da flebotomia na face anterolateral da veia jugular inter na (A) . O cateter é colocado por contraincisão e introduzido pela veia jugular interna até uma veia central (B)
Tabela 7.3
Peculiaridades da flebotomia cirúrgica da veia jugular interna (VJI)
Implante de cateter venoso central (CVC) na VJI: deve ser feito sob sedação e monitoramento pelo anestesiologista
Incisão transversal da pele e do tecido subcutâneo no pescoço
Dissecção longitudinal do platisma e do músculo esternocleidomastóideo até exposição da VJI; dissecção circunferencial da veia por uma extensão de 2 a 3cm de comprimento
Controle proximal e distal da VJI com alças de silástico ou fios de sutura, que devem ser removidos ao fim do procedimento
Confecção de sutura em bolsa na parede anterior da VJI com fio vascular de Prolene® 5‑0
Oclusão da VJI por tração proximal e distal das alças de silástico (ou fios) e venotomia com bisturi no centro da bolsa
Introdução do cateter pela venotomia no lúmen da veia, preferencialmente por meio de contraincisão no pescoço, e avanço da ponta do cateter até o átrio direito
Fechamento da sutura em bolsa ao redor do cateter
Revisão da hemostasia e fechamento da incisão por planos
Fonte: adaptada de Fan, 1988 5
O uso de cateteres venosos centrais (CVC) vem aumentando significativamente nas últimas décadas, a fim de monitorar e tratar as mais diversas condições clínicas. Eles oferecem conforto ao paciente, poupam veias periféricas e reduzem custos ao longo do tratamento, quando a seleção do cateter mais adequado é precoce.1
São várias as indicações para os acessos vasculares nos pacientes hematológicos:2-6
Quimioterapia.
Infusão de fluidos e fármacos vesicantes.
Transfusão de hemocomponentes.
Transplante de medula óssea (TMO).
Aféreses (coleta de células-tronco, plasmaférese e outras).
Nutrição parenteral total (NPT).
Coleta de exames de sangue (em casos de dificuldade de acesso periférico).
Para isso, são utilizados tipos diferentes de CVC, que podem ser classificados conforme a Tabela 11.1.4,5
Tabela 11.1
Podem ter lúmen único (mono) ou múltiplos lúmens (duplo ou triplo)5,7 e ponta aberta ou valvulada (Figura 11.1).5
Neste capítulo, serão abordados, mais detalhadamente, os cateteres semi-implantáveis e os totalmente implantáveis, que são de média e longa permanências (ver Tabela 11.1) e estão entre os mais empregados em doenças hematopoiéticas e linfomas. Porém, as outras modalidades de acesso também são úteis na hematologia. Na última década, tem-se ampliado o uso de cateter central de inserção periférica (PICC; do inglês, peripherally inserted central catheter) de média duração. Há também indicação para cateteres de curta duração (não tunelizados), como acesso central simples (p. ex., para uso apenas na internação hospitalar) ou cateteres de hemodiálise (HD) aguda (p. ex., cateter de Quinton para aféreses, como coleta de células-tronco).
A decisão sobre o tipo de cateter e o momento mais adequado para o implante cabe a um
Duração de uso Modelo
Curta duração (até 3 semanas)
Média duração (meses)
Longa duração (meses a anos)
Não tunelizados
Tunelizados com cuff ou sem (semi‑implantáveis)
PICC
Ports implantáveis (totalmente implantáveis)
PICC: cateter central de inserção periférica (do inglês, peripherally inserted central catheter)
Ter atenção redobrada à técnica cirúrgica ótima, evitando complicações.
Utilizar preferencialmente punção ecoguiada. Considerar como primeira opção a VJI direita, sobretudo nos pacientes plaquetopênicos.
Tomar decisão conjunta (hematologia e cirurgia vascular) sobre a troca de cateteres ao longo
das diferentes fases do tratamento, lembrando que o de Hickman é um dos mais utilizados nessa especialidade médica.
Ter cuidados frequentes com o cateter no pós-operatório, de preferência por equipe de enfermagem experiente em tal atividade.
Observando atentamente as recomendações e cuidando dos pacientes de maneira individualizada, oferecemos auxílio multidisciplinar de ponta no tratamento das doenças hematológicas.
1. Nelson N, Austin A, Ames S et al. Assessment and device selection for vascular access guideline supplement. Nursing Best Practice Guideline. Review, 2008.
2. Zhang Z, Brusasco C, Anile A et al. Clinical practice guidelines for the management of central venous catheter for critically ill patients. J Emerg Crit Care Med. 2018; 2(53):1-24.
3. Dietrich CF, Horn R, Morf S et al. Ultrasound-guided central vascular interventions, comments on the European Federation of Societies for Ultrasound in Medicine and Biology guidelines on interventional ultrasound. J Thorac Dis. 2016; 8(9):E851-68.
4. Zerati AE, Wolosker N, de Luccia N et al. Cateteres venosos totalmente implantáveis: histórico, técnica de implante e complicações. J Vasc Bras. 2017; 16(2):128-39.
5. Bishop L, Dougherty L, Bodenham A et al. Guidelines on the insertion and management of central venous
As fístulas arteriovenosas (FAV) podem ser confeccionadas com a interposição de um enxerto entre uma artéria e uma veia. Esse enxerto, que será repetidamente puncionado nas sessões de diálise, nada mais é do que uma prótese de material sintético ou de origem biológica. As principais vantagens das fístulas com prótese são a fácil disponibilidade e a ausência da necessidade de maturação.1 Em geral, o uso de próteses deve ser individualizado, considerando as opções de veia nativa, idade, comorbidades, disponibilidade de outro tipo de terapia substitutiva renal e expectativa de vida do paciente.2
Os princípios básicos dos acessos vasculares permanentes também devem ser seguidos quando se utiliza prótese em FAV. Sendo assim, o enxerto deve ser colocado em local de fácil punção logo abaixo da pele, com um segmento reto de, no mínimo, 8cm de extensão e um fluxo mínimo de 600mL/min. Além disso, o material deve manter-se íntegro e resistente às infecções, não podendo degenerar com as punções repetidas.3
Tradicionalmente, as próteses têm sido indicadas para falência de veias autólogas. Hoje, com o conceito de se construir uma sequência individualizada de acessos para cada paciente, podem ser indicadas como primeira escolha.3 Na população jovem, podemos implantar primariamente uma prótese no antebraço, que poderá funcionar por alguns anos. Assim, há possibilidade de desenvolvimento das veias mais proximais do braço, levando em consideração que esse paciente
talvez precise de várias cirurgias para manter um acesso pérvio ao longo de sua vida. No outro extremo, idosos com baixa expectativa de vida também podem se beneficiar do uso de próteses. Pela necessidade de curto período de maturação, as FAV com próteses podem evitar a morbimortalidade relacionada com colocação de cateteres centrais, sobretudo na população com idade mais avançada.3,4 Com o avanço no desenvolvimento tecnológico, podem estar disponíveis, inclusive, próteses de punção rápida, que podem ser utilizadas 24h após a inserção.5
Existem vários tipos de prótese disponíveis. As mais comuns são as de material sintético, que são relativamente baratas, acessíveis e de fácil manuseio.
Próteses de politetrafluoretileno expandido
São as mais usadas no mundo. Consistem em um tubo reto de próteses de politetrafluoretileno expandido (ePTFE), com diâmetro e comprimento fixos. O ePTFE é fluoropolímero semicristalino com diversas características exclusivas: atóxico, dificilmente reage com outras moléculas, antiaderente, não combustível, não solúvel em água e com bom isolamento elétrico. Esse material é empregado em vários segmentos, inclusive na área médica, para confecção de próteses, introdutores e fios cirúrgicos.6 Apesar de amplamente utilizado, sua perviedade permanece muito baixa: mais
BaRBaRa d’aGnoluZZo MoREiRacom sangramento
Próteses antigas trombosadas que não estão mais sendo puncionadas podem ser fonte de infecção “silenciosa” nessa população de pacientes.31
Trombose
A trombose da fístula com prótese é a complicação mais frequente. A trombose imediata, logo após a confecção do acesso, decorre de problemas técnicos, como anastomoses em veias de pequeno calibre ou artérias muito calcificadas. A taxa chega a quase 6% em MMSS e 13% nos MMII.3 Infelizmente, o prognóstico desse tipo de trombose é péssimo, com a perda imediata desse local de acesso.
As tromboses mais tardias são secundárias ao desenvolvimento de hiperplasia neointimal que
causa lesão estenótica significativa. Mais de 90% das tromboses de acessos com próteses apresentam lesão estenótica subjacente.32 O principal local de estenose é na anastomose venosa, seguido de estenose nas veias de drenagem.
A manifestação mais comum é perda do frêmito ou pulsatilidade da fístula. Nas tentativas de punção são aspirados trombos frescos locais. A maioria dos pacientes relata sinais recentes de mal funcionamento da FAV, como pressão venosa alta e sangramento excessivo após as punções.27 Relatos de hipotensão grave durante ou após a diálise também são frequentes. Esses pacientes devem ser encaminhados imediatamente para a tentativa de salvamento da fístula. Na maioria
lEonaRdo dE olivEiRa haRduin Julia BandEiRa GuERRa lEonaRdo coRtiZo dE alMEida
GuilhERME dE castRo santos José MaciEl calda dos REis MáRcio GoMEs FiliPPo thiaGo alMEida BaRRoso
As fístulas arteriovenosas (FAV) nativas funcionais são consideradas os acessos vasculares de escolha para a realização de hemodiálise (HD) em decorrência de menores custos, melhores taxas de perviedade, menor morbidade e menores taxas de mortalidade quando comparadas com outras modalidades de acesso vascular.1-5 Entretanto, após a confecção de uma FAV, é necessário um período de algumas semanas para que o acesso possa ser utilizado. Esse tempo é conhecido como período de maturação do acesso. Apesar dos resultados superiores das FAV, 23% a 46% desses acessos apresentam problemas para atingir um diâmetro e fluxo adequado para sustentar diálise efetiva.5-8 Esses problemas são descritos na literatura médica como falha de maturação do acesso.9 Recentemente, alguns autores têm recomendado o salvamento de uma FAV não maturada por meio de intervenções endovasculares. Essas intervenções são conhecidas como maturação assistida por balão (BAM).10-12 O objetivo deste capítulo é descrever as técnicas e os resultados dos procedimentos endovasculares para promover a maturação das FAV em falência.
Existe uma falta de uniformização dos critérios de maturação de uma FAV, havendo diversas definições de acordo com a literatura avaliada. A diretriz da National Kidney Foundation – Kidney Disease
Outcomes Quality Initiative (KDOQI) publicada em 2006 indica que uma FAV pode ser considerada maturada se apresentar todos os critérios denominados “regra dos 6”.5 De acordo com essa regra, uma FAV está apta para a canulação se tiver um diâmetro mínimo de 6mm, volume de fluxo de 600mL/min, segmento de canulação de 6cm e profundidade menor que 6mm. Segundo o consenso de acesso vascular chinês, uma fístula deve ser considerada maturada quando apresentar diâmetro venoso superior a 5mm, volume de fluxo de no mínimo 500mL/min e profundidade interior a 6mm.13 Os critérios publicados por Robbin et al. (2002)14 ficaram conhecidos como os critérios de Alabama. Conforme esses critérios, uma FAV deve ser considerada adequada para o uso quando apresentar diâmetro ≥4mm e volume de fluxo ≥500mL/min. Mais recentemente, as diretrizes da Sociedade Europeia de Cirurgia Vascular publicado em 2018 e a atualização da diretriz KDOQI publicada em 2019 passaram a considerar uma nova definição para a maturação de um acesso vascular.9,15 Segundo tais diretrizes, um acesso deve ser considerado maturado com base no julgamento clínico do examinador, podendo um profissional experiente definir, com acurácia, o sucesso da canulação do acesso. Em nossa prática clínica, consideramos uma fístula maturada quando existe uma alta probabilidade de punção bem-sucedida dela de acordo com a avaliação clínica. Nos casos em que houver dúvida sobre o sucesso da canulação, recomendamos a realização de um Doppler vascular para a análise do diâmetro, da profundidade
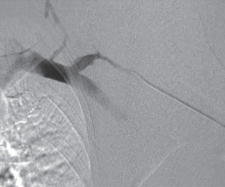
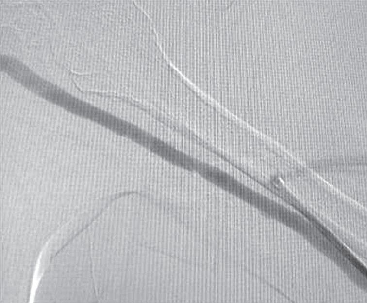
Figura 26.13 (A a F) Aspecto pré‑ e pós‑maturação assistida por balão superdimensionado (oBAM; do in glês, oversized balloon assisted maturation) Fístulas arteriovenosas braquiocefálica com múltiplas esteno ses (setas vermelhas), estenose justa‑anastomose (seta amarela) e importante circulação colateral (setas pretas) (A e B) Arco venoso cefálico (C) Aspecto pós‑oBAM com balões de alta pressão 6 e 8mm (D a F)
Fonte: arquivo pessoal dos autores
pacientes foram submetidos à eco-Doppler colorido pós-operatório para a análise do diâmetro do vaso, a mensuração do volume de fluxo e a posterior canulação da FAV nos casos em que a intervenção foi bem-sucedida. Percebemos sucesso
técnico e clínico em 91% dos pacientes (Tabela 26.1). As taxas de perviedade primária em 3, 6 e 12 meses foram de 87,3%, 66,2% e 50,7%, respectivamente, enquanto as taxas de patência secundária se mostraram de 100% em três
Tabela 26.1
Taxas de salvamento e perviedade publicadas previamente
Patência primária assistida (12 meses)
Tabela 26.2
Taxas de complicações menores e maiores da maturação assistida por balão superdimensionado
Tabela 26.3
Tempo de utilização de fístula após a intervenção e número de procedimentos necessários para alcançar a maturação
Maturação assistida por Stent
Apesar de a diretriz KDOQI 2019 recomendar a não utilização de Stents convencionais no salvamento das FAV e não haver suporte dos fabricantes para a punção e a utilização desses dispositivos durante as sessões de HD, existem publicações recentes apontando o uso dessa técnica em situações específicas.53,54 Os autores
que preconizam essa técnica acreditam que o implante de um Stent no segmento de punção facilita a palpação da fístula previamente não desenvolvida, o que possibilita a utilização imediata do acesso e diminui o tempo de permanência do cateter. Em 2020, Aslam et al.54 descreveram uma série de casos com 49 pacientes submetidos à maturação de fístula com o emprego
PTA anterior
Múltiplas estenoses
Estenose de segmento longo
FAV inutilizável
Dúplex USG
Fistulografia
Nenhuma PTA anterior
Sem sucesso
BAM
Bem-sucedido
Usar FAV
Enxerto de Stent
Figura 26.16 Algoritmo para salvamento de fístulas arteriovenosas (FAV) não maturadas e conversão para stentula
USG: ultrassonografia; PTA: angioplastia transluminal; BAM: maturação assistida por balão
Fonte: adaptada de Bavare et al 54
incomum e estar capacitado para identificar logo as fístulas que não apresentarão o desenvolvimento adequado. Os procedimentos endovasculares atualmente são considerados a primeira opção de tratamento para a indução da maturação das fístulas com falência primária. As técnicas descritas na literatura são seguras, eficazes, baratas e com potencial de serem reproduzidas na maioria dos centros, diminuindo a dependência do cateter e suas complicações que impactam diretamente na sobrevida desse grupo de pacientes.
1. Dhingra RK, Young EW, Hulbert-Shearon TE et al. Type of vascular access and mortality in U.S. hemodialysis patients. Kidney Int 2001; 60(4):1443-51.
2. Murphy GJ, White SA, Nicholson ML. Vascular access for haemodialysis. Br J Surg. 2000; 87(10):1300-15.
3. Ascher E, Gade P, Hingorani A et al. Changes in the practice of angioaccess surgery: impact of dialysis outcome and quality initiative recommendations. J Vasc Surg. 2000; 31 (1 Pt 1):84-92.
4. Kherlakian GM, Roedersheimer LR, Arbaugh JJ et al. Comparison of autogenous fistula versus expanded polytetrafluoroethylene graft fistula for angioaccess in hemodialysis. Am J Surg. 1986; 152(2): 238-43.
5. National Kidney Foundation Initiative. KDOQI Clinical practice guidelines and clinical practice recommendations for 2006 updates: hemodialysis adequacy,
peritoneal dialysis adequacy and vascular access. Am J Kidney Dis. 2006; 48:S1-322.
6. Allon M, Robbin ML. Increasing arteriovenous fistulas in hemodialysis patients: problems and solutions. Kidney Int. 2002; 62(4):1109-24.
7. Dixon BS, Novak L, Fangman J. Hemodialysis vascular access survival: upper-arm native arteriovenous fistula. Am J Kidney Dis. 2002; 39(1):92-101.
8. Silva Jr MB, Hobson II RW, Pappas PJ et al. A strategy for increasing use of autogenous hemodialysis access procedures: impact of preoperative noninvasive evaluation. J Vasc Surg 1998; 27(2):302-7; discussion 307-8.
9. Lok CE, Huber TS, Lee T et al. KDOQI clinical practice guideline for vascular access: 2019 update. Am J Kidney Dis. 2020; 75(4 Suppl 2): S1-164.
10. Nassar GM, Nguyen B, Rhee E et al. Endovascular treatment of the “failing to mature” arteriovenous fistula. Clin J Am Soc Nephrol. 2006; 1(2):275-80.
11. Beathard GA, Arnold P, Jackson J et al. Aggressive treatment of early fistula failure. Kidney Int. 2003; 64(4):1487-94.
12. Miller GA, Goel N, Khariton A et al. Aggressive approach to salvage non-maturing arteriovenous fistulae: a retrospective study with follow-up. J Vasc Access. 2009; 10(3):183-91.
13. Zhang H, Li W. Establishment and maintenance of autogenous arteriovenous fistula in hemodialysis patients: a new beacon. Chronic Dis Transl Med. 2021; 7(4):217-9.
14. Robbin ML, Chamberlain NE, Lockhart ME et al. Hemodialysis arteriovenous fistula maturity: US evaluation. Radiology. 2002; 225(1):59-64.
15. Schmidli J, Widmer MK, Basile C et al. ESVS Guidelines Reviewers. Mohaupt M, Ricco JB, Roca-Tey R. Editor’s Choice – Vascular Access: 2018 Clinical Practice Guidelines of the European Society for Vascular
altino ono MoRaEs Flávia Rocha nERonE loREna GaRGaRo EduaRdo oliva caMPos
João PEdRo Zuin do aMaRal EstEvão aRaúJo EPiFânio lucas MaRcElo dias FREiRE
A confecção de fístulas arteriovenosas (FAV) pelo cirurgião vascular é um procedimento recorrente, realizada principalmente no intuito de criar um acesso vascular permanente para hemodiálises (HD) a longo prazo. A FAV é uma ligação entre uma artéria e uma veia geralmente feita no membro superior (MS) não dominante do paciente, conforme a acessibilidade anatômica dos vasos sanguíneos. Há diversos requisitos para o uso da fístula, entre eles a localização e o fluxo sanguíneo local. Por esse motivo, evidencia-se a necessidade de uma avaliação minuciosa para criação da fístula, que dependerá de uma avaliação física para adequação anatômica, geralmente acompanhada por ultrassom com Doppler (USD). Após essas condições serem estabelecidas, determina-se qual abordagem será utilizada, a cirúrgica/convencional ou a técnica endovascular.
O procedimento cirúrgico para a criação da FAV é simples, com anestesia local e profilaxia antimicrobiana, podendo ser confeccionada na técnica direta simples, transposição venosa ou translocação venosa. A FAV apresenta várias complicações, sendo as mais frequentes:
Aneurismas.
Falha na maturação.
Trombose.
Além de outras de menor frequência, como:
Sangramento.
Hipertensão venosa.
Infecção.
Neuropatias.
Síndrome de roubo isquêmico.
Ademais, as FAV podem trombosar agudamente em 20% dos casos. A média de maturação é de quatro a seis meses, com falha na maturação de 20% a 60% das vezes. Mais de três a quatro intervenções por ano são requeridas para manter a patência funcional, e oclusões trombóticas são acima de 25%.1
Confecciona-se a FAV via endovascular por procedimento percutâneo, menos invasivo quando comparado com o método convencional. Nos últimos anos, desenvolveu-se a técnica endovascular para realizar a FAV por meio de dois dispositivos disponíveis no mercado.
O primeiro deles é o WavelinQ System®, que utiliza uma técnica baseada em procedimento angiográfico, bem como a energia de radiofrequência para criar uma fístula entre uma veia superficial e uma artéria profunda. O segundo deles é o Ellipsys Vascular Access System®, que realiza o mesmo procedimento, mas com uma técnica com base em um procedimento ultrassonográfico associado à energia térmica.
Para a escolha de qual técnica usar, deve-se fazer, assim como na FAV convencional, uma avaliação pré-operatória minuciosa, com mapeamento vascular, a fim de determinar a viabilidade, além de Doppler arterial. No que concerne
Acesso Vascular Ellipsys®: acesso para hemodiálise mais rápido e menos invasivo
O novo procedimento Ellipsys® oferece uma maneira mais fácil e menos invasiva para criar um acesso de hemodiálise. Sem incisões, cicatrizes ou recuperação demorada, promovendo um início breve de hemodiálise
A veia é detectada pelo US e é inserida uma agulha transfixando-a e acessando uma artéria adjacente. Então é passado um fio-guia para introdução do sistema Ellipsys®
Uma vez introduzido o sistema no interior da artéria, o cateter é fechado e ativado. Isso cria uma cone permanente entre a artéria e a veia
O cateter é removido e o sangue começa a fluir por meio da fístula criada Não é necessário nenhuma sutura ou implante de dispositivos permanentes
4 O paciente recebe alta somente com um curativo local e pode retornar às suas atividades laborais no dia seguinte
A Acesso
- à(s) veia(s)
- - femoral, 35
- - jugular interna, 32
- - subclávia, 34
- arterial, 405, 407, 426
- - radial, 407
- - umbilical, 405
- cirúrgico aberto, 37
- da artéria pulmonar, 426
- de diálise, 254
- femoral, 121
- habituais, 402
- intra-arteriais para quimioterapia, 113
- para a derivação venovenosa, 426
- para hemodiálise, 127
- para oxigenação por membrana extracorpórea, 432
- percutâneo às veias centrais, 32
- radial, 116, 121
- recente, 296
- trans-hepático, 168
- transcaval, 170
- transcolateral, 172
- translombar de veia cava inferior, 170
- vascular(es)
- - após perda do enxerto, 430
- - classificações dos, 4
- - contraindicações, 12
- - de curta permanência, 5
- - de diálise em transplantados, 430
- - de hemodiálise, 53, 219
- - de longa permanência, 5
- - de urgência para hemodiálise, 130 - - e honorários médicos, 442
- - Ellipsys, 348
- - em cirurgias de grande porte, 372
- - em crianças, 410
- - em pacientes politraumatizados, 371
- - em situações de urgência e emergência, 369 - - em unidades de terapia intensiva, 369
- - implicações legais dos, 438
- - indicações, 4, 12
- - no estágio terminal, 289 - - no período neonatal, 404
- - no recém-nascido, 395-397
- - - indicações, 394, 398
- - no transplante
- - - de fígado, 424
- - - de medula óssea, 107
- - - de rim e pâncreas-rim, 428
- - - hepático, 425
- - oncológico, 59
- - para hemodiálise, 124, 128 - - para nutrição parenteral, 363
- - para o tratamento de doenças hematopoiéticas e linfomas, 72
- - para plasmaférese e coleta de células, 419
- - para quimioterapia de tumores sólidos, 62
- - percutâneos em sítios e técnicas de exceção, 168
- - por cateter, 10
- - quanto à duração do uso, 5
- - quanto à implantação anatômica, 5
- - quanto ao número de vias, 5
- - quanto aos materiais, 5
- - semi-implantáveis, 5
- - tipos de, 5
- - totalmente implantáveis, 5
- venoso
- - central, 374, 398, 402
- - - cirúrgico, 405
- - - por inserção periférica, 402
- - para aférese, 422
- - para o átrio direito, 352
- - periférico, 397, 398, 428
- - - por dissecção, 399
- - umbilical, 399
Acidentes
- de percurso, navegação dos materiais, 93 - de punção, 91
Ácido acetilsalicílico, 15
Acoplador SuperHero, 354
Acotovelamento do cateter, 184
Acreditação hospitalar, 442 Aférese, 419, 420, 422
- não terapêuticas, 419, 422
- terapêuticas, 419, 420, 422
Agência Nacional de Saúde Suplementar, 444, 445
Agulha de punção, 33
Alimentação com acesso venoso umbilical, 399
Aloenxertos, 158
Alterações anatômicas, 37
Analgesia para procedimentos específicos em neonatologia, 395
Anamnese, 13, 255
Anastomose
- arterial, 354
- protética venosa, 336
Anatomia vascular pediátrica, 411
Anestesia
- local, 383
- para acessos vasculares, 18
- para fístula arteriovenosa no membro superior, 134
Aneurismas, 284, 340
- nos acessos vasculares, 276
- venosos, 196
Aneurismectomia, 286
Aneurismorrafias, 286
Angiografia por subtração digital, 216
Angioplastia
- da estenose responsável pela falha da maturação, 243
- - associada à embolização dos ramos colaterais, 244
- de todo o segmento venoso associada aos balões superdimensionados, 246
Anomalias anatômicas, 443
Antiagregação plaquetária, 233
Antiagregantes, 14
Antibioticoprofilaxia, 336
Antibióticos profiláticos, 134
Anticoagulação, 98, 233, 388, 434
Anticoagulantes, 15
Antissépticos em neonatologia, 396
Apixabana, 15
Arco da veia cefálica, 274
Arritmias, 93, 183
Artéria femoral comum, 115
Assimetria de informação, 445
Ato cirúrgico, 75
Aumento de custos na saúde suplementar, 445
Ausculta, 213
Avaliação
- anestésica do paciente candidato ao acesso vascular, 18
- do paciente que necessita de acesso vascular, 12
- pré-anestésica, 17
B
Bainha
- com dilatador, 33
- destacável, 354
- dilatadora acoplada ao sistema peel‑away, 384 Baixa reserva cardiopulmonar, 296 Balões farmacológicos
- custo -efetividade, 329
- mortalidade, 329
- no território venoso central, 325
- nos acessos vasculares, 322
- nos resgates das fístulas arteriovenosas, 318
- outros dispositivos, 327 Bomba de propulsão, 432
C
Cânula
- arterial, 433
- venosa, 433 Cateter(es), 124
- agulhado ou com, 397
- central de inserção periférica, 74, 367, 374, 375, 379, 391, 429
- - anatomia e fisiologia da seleção do local do, 377
- - contraindicações para a utilização, 376 - - descrição do método de inserção por zona, 378
- - escolha do local, 377
- - indicações para a utilização, 376
- - veia para punção, 377
- de BroviacTM, 9
- de curta permanência para hemodiálise, 175
- de GroshongTM, 9
- de hemodiálise, 53
- de HickmanTM, 9
- de inserção periférica, 374
- de LeonardTM, 9
- de longa permanência para hemodiálise, 175
- disfuncional, 189
- Midline, 10
- não tunelizados, 73
- para hemodiálise, 8, 128, 130, 175, 177, 179, 182, 187, 359
- - complicações, 179, 182, 187
- - - de uso do cateter, 187
- - - relacionadas com o implante do cateter, 182
- - de urgência, 130
- - EquistreamTM, 8
- - HickmanTM, 8 - - indicações, 179
- - medidas de controle de infecção, 179
- - Perm-CathTM, 8
- - técnicas de inserção, 177
- semi-implantáveis, 75
- sobre agulha, 397
- totalmente implantáveis, 74, 429
- tunelizados, 74
- umbilical venoso
- - diâmetro e lúmen, 401
- venoso central, 5, 410, 429
- - com reservatório, 62-64
- - - complicações, 63
- - - definição, 62
- - - escolha do local de punção ou de dissecção, 64
- - - indicações, 62
- - - uso do cateter, 64
- - contraindicações ao, 405
- - de curta permanência
- - - para hemodiálise, 6
- - - para suporte, 6
- - de longa permanência, 7
- - em pacientes pediátricos, 410
- - no transplante de medula óssea, 107
- - semi-implantável tunelizado, 7
- - - para hemodiálise, 7
- - - para quimioterapia e suporte, 9
- - temporários, 429
- - totalmente implantável com reservatório, 10
- - tunelizados, 429
Cateterização umbilical arterial e venosa, 400 Central com reservatório, 70 Cirurgia
- convencional no resgate do acesso, 233
- de grande porte, 372
- de reconstrução de outflow, 292
- prévias, 15
Classificação brasileira hierarquizada de procedimentos médicos, 444
Clopidogrel, 14
Codificação no Sistema Único de Saúde para acessos, 444
Códigos acessórios para implante seguro do cateter venoso central, 442
Coleta de células, 419
Comissão Nacional de Incorporação de Tecnologias, 444
Complicações
- anestésicas, 21
- da trombose relacionada com cateter, 99
- das fístulas arteriovenosas para diálise, 194
- dos acessos e risco de litígio, 440
- dos cateteres
- - de longa permanência para quimioterapia e suporte, 44
- - para hemodiálise, 182
- específicas do transplante de medula óssea, 108
- frequentes dos acessos vasculares em pacientes hematológicos, 82
- no local de acesso, 121
- no resgate do acesso, 233
Comprimento do cateter, 399, 403, 405
Conduta no litígio, 441
Conexão dos cateteres, 49
- de hemodiálise, 50
Confecção de fístulas por técnicas endovasculares, 345
Contrato, 444
- entre operadoras e prestadores, 446
Convênio, 444
Correção da causa da trombose do acesso, 230
Critérios de maturação, 236
Cuidados
- com os cateteres
- - de acesso vascular para hemodiálise, 48
- - de longa permanência
- - - com reservatório, 42
- - - semi-implantáveis, 41
- pós-implantação de cateteres para acesso vascular, 41
Curativo
- e cuidados com o local de saída, 49
- oclusivo, 384
- para o cateter
- - semi-implantável, 42
- - totalmente implantável, 43
D
Dabigatrana, 15
Dacron, 333
Derivação venovenosa, 426
Desconexão dos cateteres de hemodiálise, 50
Deslocamento do cateter, 190
Detecção
- da direção do fluxo no enxerto, 212
- de recirculação, 212
Diagnóstico
- clínico e de imagem das fístulas arteriovenosas em falência, 206
- da oclusão aguda do acesso, 225
- por imagem, 214
Diálise com cateter venoso central, 360
Dificuldade de acesso venoso periférico, 21
Dilatador, 33
Dimetilarginina assimétrica, 208
Disfunção
- do acesso para hemodiálise, 206
- dos cateteres venosos centrais, 50
- e danos estruturais ao cateter, 100
- endotelial, 207
Dispositivo
- à beira do leito, 380 - na prevenção de infecções e disfunção, 51
- SuperHero, 353
Distúrbios
- graves de hemostasia, 37 - hidreletrolíticos, 21 Doença
- do enxerto contra o hospedeiro, 111
- hematopoiéticas, 72 - renal crônica, 206
- venosa oclusiva central, 312
- - diagnóstico da, 314
E
Edoxabana, 15
Embolia
- aérea, 94
- da ponta do cateter, 392
- gasosa, 184, 392
Emergência, 369
Enxerto, 352, 353
- Hero, 352
Estase venosa, 94
Estenose, 216, 270, 357
- da anastomose venosa de prótese, 274
- da transição
- - basilicobraquial, 273
- - cefalicoaxilar, 274
- de arco cefálico, 336
- do swing point, 273
- - da veia basílica, 340
- venosa
- - central, 94, 191
- - grave justa-anastomótica em fístula radiocefálica no punho, 270
Exame(s)
- clínico, 254
- complementares, 17, 19, 414
- físico, 15, 209, 212, 257, 414
- - da fístula com enxerto, 212
- - da lesão
justa-anastomótica, 212
Externalidades, 445
F
Falha
- mecânica, 390
- na dilatação
- - arterial, 238
- - venosa, 238
- primária, 201
Fatores
- extraluminais, 100
- intraluminais, 102
Febre/sepse no paciente leucopênico, 109
Fio
- Amplatz, 353, 354
- de sutura para
- - fechamento da pele, 33
- - fixação do cateter, 33
Fio -guia metálico, 33
Fisiopatologia
- da hiperplasia intimal, 318
- da não maturação, 237
- da oclusão, 224
- na disfunção do acesso para hemodiálise, 206
Fístula(S)
- arterioarteriais, 293
- arteriovenosa(s), 26, 48, 124, 415
- - alternativas
- - - com utilização da veia basílica, 150
- - - com utilização da veia cefálica, 148
- - - no membro inferior, 153
- - - no membro superior, 148
- - autóloga, 194, 195
- - - complicações cirúrgicas, 194
- - - complicações vasculares, 195
- - baseadas na artéria
- - - braquial, 137
- - - radial, 135
- - braquial com transposição da veia basílica, 141
- - braquiobasílica, 141, 145, 152
- - - em antebraço em alça, 152
- - - no cotovelo, 141
- - braquiobraquial, 152
- - braquiocefálica
- - - com transposição ou superficialização da veia, 149
- - - no cotovelo, 140
- - braquiomediana no cotovelo, 139
- - braquioperfurante do cotovelo, 140, 142
- - cirúrgicas, 127
- - - ideal para hemodiálise, 127
- - com interposição de próteses, 359
- - com próteses, 157
- - com transposição da veia basílica
- - - em dois estágios, 143
- - - em um estágio, 143
- - com veias autólogas, 133, 148, 359
- - em alça, 154
- - em cotovelo, braço e axila, 134
- - em falência, 206
- - em trajeto reto, 154
- - endovascular, 345
- - femoral-safena na coxa, 153
- - femorofemoral, com superficialização da veia femoral, 155
- - no punho ou no antebraço, 134
- - para hemodiálise em crianças, 413
- - radiobasílica
- - - com transposição, 151
- - - no antebraço, 150
- - radiocefálica
- - - na tabaqueira anatômica, 135
- - - no antebraço, 137, 148
- - - no punho, 135, 136
- - ulnar-basílica no antebraço, 150
- complicações das, 417
Fixação do cateter, 384 Flebite, 389, 390
- infecciosa, 390
- mecânica, 389 - química, 390
Flebografia, 443 Flebotomia, 399 - cirúrgica, 38
- - da veia jugular interna, 39 Forame oval patente, 296
G
Garroteamento proximal, 383
H
Habilitação para a execução de procedimentos de acesso vascular, 440
Hematomas, 182, 199
Hemodiálise, 130
Hemodialysis reliable outflow (HeRo), 158, 291, 350
Hemorragia(s), 199
- intracraniana, 435 Hemostasia, 119
Hemotórax, 183
HeRo, 353
Hero graft, 345
Hierarquia dos acessos para hemodiálise, 359
Hipercoagulabilidade, 94
Hiperfluxo, 276, 283
Hiperplasia intimal, 239, 318
Hipertensão
- pulmonar, 296 - venosa, 202, 313
Hipoventilação, 21
Histórico dos acessos vasculares, 1
- de longa duração e para quimioterapia, 2
Honorários médicos, 442, 443
IImplante de cateter
- para hemodiálise de urgência, 130
- venoso central com reservatório por punção percutânea, 66
Implicações legais dos acessos vasculares, 438
Infecção(ões), 45, 160, 186, 194, 357, 389
- da corrente sanguínea relacionada com o cateter, 54, 59, 187
- de acesso, 298
- de fístula arteriovenosa, 55 - do óstio do cateter, 54
- do sítio
- - de acesso, 186
- - de saída, 186
- do túnel, 54, 59, 187
- - do cateter, 54, 59
- local e de corrente sanguínea, 87
- localizada do óstio de entrada ou de saída do cateter, 59
Inibidores da vitamina K, 15
Inspeção do acesso, 210
Instabilidade hemodinâmica, 21 Instituições não lucrativas, 445
Insucesso, 184
Insuficiência
- cardíaca, 276
- - no acesso vascular, 283
- renal crônica, 18
Intervenção endovascular, 226
Intracath, 6
Isquemia
- de extremidade, 164
- do membro no acesso vascular, 276
L
Lesão
- endotelial, 94
- justa-anastomótica, 212
- venosa, 314
Ligadura cirúrgica com ressecção associada dos aneurismas, 286
Linfomas, 72
Litígio, 441
Localização da extremidade distal do cateter, 399, 404
Lutonix
- AV Trial, 322
- registro global, 325
M
Manejo
- dos acessos vasculares para hemodiálise, 359
- intraoperatório do paciente renal crônico e do oncológico, 20
Manipulação do cateter
- totalmente implantável, 43
- venoso central, 42
Manobras de reposicionamento, 103
Manutenção
- do acesso vascular, 194
- do cateter arterial, 406
Maturação
- assistida
- - por balão de angioplastia, 236
- - por Stent, 250
- estagiada assistida por balão de angioplastia associada à embolização dos vasos colaterais, 244
Mau posicionamento, 390
Medida do comprimento do cateter, 77
Megafístula, 196, 298, 299
- braquiobasílica, 299
- braquiocefálica, 299
Misturador de gases, 432
Modelo
- consolidado de procedimentos de cirurgia vascular e endovascular, 446
- de remuneração, 446 Modo B ou Doppler, 443 Monitoramento, 223
N
Neuropatia monomélica isquêmica, 199
Nutrição parenteral total, 363, 364, 367
- cuidados com o cateter e complicações, 367
- indicações da, 364
- técnicas de implante, 364
- tipos de cateteres, 364
O
Obstrução, 44, 390, 391
- do cateter, 390
- mecânica, 391
- não trombótica, 391 - trombótica, 391
Oclusão, 216
Opções de acessos para diálise, 359
Outflow venoso, 336
Oxigenação por membrana extracorpórea
- aspectos técnicos, 432
- contraindicações, 434
- ECMO-VV, 433
- histórico, 432
- materiais para acesso, 433
- técnicas de acesso, 433
- venoarterial, 432
- venovenosa, 432
Oxigenador, 433
P
Paciente
- com insuficiência renal crônica, 18
- hematológicos, 82 - oncológico, 19 - politraumatizados, 371
Paclitaxel, 321
Palpação do acesso, 211
Patência
- primária, 201
- - funcional, 201 - secundária, 201
- - funcional, 201
Perfuração
- de grandes vasos, 93
- de ventrículo, 183 - miocárdica, 93
Permanência
- do cateter
- - arterial, 407
- - na veia umbilical, 400
Planejamento do sítio da fístula arteriovenosa, 133
Plasmaférese, 419
Pneumotórax, 183
Politetrafluoretileno expandido, 333
Posição
- de Trendelenburg reversa, 353
- do recém-nascido na radiografia, 404
Prasugrel, 15
Pré-uso clínico, 1
Prematuros, 394
Prevenção
- de infecção no acesso vascular oncológico, 60
- e manejo de infecção nos acessos vasculares, 53
- no acesso vascular de hemodiálise, 57
Procedimentos complexos, 41 Próteses
- aneladas, 158
- com revestimento interno de heparina, 158
- com Stents de nitinol, 158
- cônicas, 158
- de politetrafluoretileno expandido, 157
- de rápida punção, 158
- T Tissue‑engineered, 158
Pseudoaneurisma, 165, 196, 340
Punção
- arterial, 182, 217
- central em pacientes pediátricos, 411
- de veia(s)
- - centrais, 31, 32
- - jugular interna, 366
- - subclávia, 77
- ecoguiada da veia, 383
- femoral, 68
- infraclavicular da veia subclávia, 366
- jugular, 66
- subclávia, 67
- venosa, 217
Q
Quimioterapia, 41 R
Radiografia de tórax, 103 Radioscopia, 443
Recém-nascidos a termo, 394
Reestenoses, 336
Remoção do cateter, 98
Remuneração na saúde suplementar, 444
Reparo de roturas provocadas por angioplastias, 343
Ressonância magnética, 218
Risco moral, 445
Rivaroxabana, 15
Rotura do circuito, 435
Roubo arterial relacionado com o acesso vascular, 203
S
Salvamento
- de fístulas arteriovenosas para hemodiálise, 222
- do acesso trombosado, 226
- - precoce, 227
- - tardia, 228
Sangramentos, 83, 84, 182
Seguimento pós- operatório, 27
Seleção
- adversa, 445
- de risco, 445
Sepse, 94, 367
Seringa, 33
Shunt direita-esquerda, 296
Síndrome(s)
- clínicas do acesso de diálise, 254
- de canulação, 257
- de disfunção mecânica, 257
- de efluxo, 257
- de hipertensão venosa, 258
- - central, 262
- - segmentar, 260, 261
- de influxo, 254, 257, 270
- de lise tumoral, 19
- de outflow nos acessos vasculares para hemodiálise, 273
- de roubo, 355
- - arterial relacionada com o acesso de diálise, 202
- - de fluxo, 263, 264
- - de mamária, 270
- hemorrágica, 56, 269
- hipertensiva venosa central, 289
- infecciosa, 55, 265
- pseudotumoral, 265
- trombótica, 56, 265
Sirolimo, 321 Sistema
- profundo, 16
- venoso do pescoço, 16
Sítios habituais de fístula arteriovenosa no membro superior, 135
Sociedade Brasileira de Angiologia e de Cirurgia Vascular, 446
Soluções selantes, 51
Staphylococcus aureus, 57, 160 epidermidis, 57, 160
Stents revestidos em fístulas para hemodiálise, 333
Superficialização da veia basílica, 143
T
Tamponamento cardíaco, 183
Técnica(s)
- cirúrgicas abertas
- - de implante de cateter venoso, 70
- - para acessos vasculares, 37
- de acesso à veia
- - femoral, 35
- - jugular interna, 33
- - subclávia, 34
- de cateterização venosa central, 366
- de confecção das fístulas arteriovenosas, 415
- de inserção do Intracath, 29
- de introdução de cateter umbilical, 402
- de lyse and wait, 300
- de punção
- - do cateter totalmente implantável, 43
- - para acesso(s)
- - - vasculares percutâneos, 29
- - - venoarterial, 436
- - - venovenoso, 433
- de Scalibur, 380, 381
- de Seldinger, 6, 7, 30
- - modificada por ultrassom, 382
- de trombectomia
- - aberta ou percutânea, 307
- - de fístulas arteriovenosas, 295
- - percutânea, 300
- - por cateter, 301
- Ellipsys, 347
- percutânea, 299
- Wavelinq, 346
Terapia(s)
- intra-arteriais, 118
- substitutiva renal, 360
Terceiro pagador, 445
Terminologia unificada da saúde suplementar, 446
Termo de consentimento
- livre e esclarecido, 438
- na medicina assistencial, 440
- na pesquisa clínica, 438
Teste(s)
- de Allen, 407
- de aumento do pulso, 211
- de elevação do membro, 211
- de fluxo e refluxo, 384
- de oclusão sequencial, 212
Ticagrelor, 15
Tomografia computadorizada, 218 Toxicidade
- cardíaca, 19
- gastrintestinal, 19
- hematológica, 19
- hepática, 19
- neurológica, 19
- pulmonar, 19
- renal, 19
Tracionamento, 44
Transplante
- de fígado, 424
- de medula óssea, 107, 108
- de rim e pâncreas-rim, 428
Transposição de veia femoral superficial para membro superior, 293
Tratamentos oncológicos, 113
Trauma mecânico, 90
Trombectomia cirúrgica, 226
Trombocitopenia extrema, 109
Tromboembolismo venoso, 94
Trombólise, 98, 388
- por pulse spray, 300
Trombose, 162, 184, 201, 222
- da fístula arteriovenosa, 201
- do acesso vascular, 222, 295
- do vaso, 95
- ou obstrução do cateter, 189
- precoce do acesso, 224
- tardia do acesso, 225
- venosa
- - associada ao cateter, 184
- - profunda, 21
- - relacionada com o cateter, 387
Tunelização do enxerto, 353
Tunelizador, 33
U
Ultrassom com Doppler, 215, 433
Ultrassonografia
- Doppler nas fístulas arteriovenosas, 26
- nos acessos vasculares, 22
- para punção das veias centrais, 36
Unidades de terapia intensiva, 369
Urgência, 369
Veia(s)
- basílica, 70
- cefálica, 70
- centrais, 312
- femoral e safena magna, 70
- jugular
- - externa, 70
- - interna, 70
- periféricas, 312
- subclávia, 16
Vigilância, 27, 223
X
Xenoenxertos, 158
Acessos Vasculares – Hemodiálise, Quimioterapia e Procedimentos Complexos surgiu da constatação que existem, no Brasil, dezenas de Serviços com cirurgiões comprometidos com as técnicas de confecção e manutenção de acessos vasculares e que a experiência acumulada deveria ser publicada, criando uma fonte de referência para os profissionais que se interessam por essa atividade cirúrgica.
Com 47 capítulos muito bem ilustrados, com fotografias e desenhos esquemáticos, esta obra é de grande dimensão na literatura médica exclusivamente direcionada aos acessos vasculares, escrita por cirurgiões vasculares que se dedicam a estudar e confeccionar esses acessos, criando um manual prático que auxiliará todos os profissionais que atuam nessa área.
Área de interesse