Guia Prático de Assistência do Perioperatório de Cirurgia Cardíaca

Page 1

A editora e os autores deste livro não mediram esforços para assegurar dados corretos e informações precisas. Entretanto, por ser a Medicina uma ciência em permanente evolução, recomendamos aos nossos leitores recorrer à bula dos medicamentos e a outras fontes fidedignas – inclusive documentos oficiais –, bem como avaliar cuidadosamente as recomendações contidas neste livro em relação às condições clínicas de cada paciente.

ORGANIZADORES

ANDRÉ FELDMAN

Coordenador dos Serviços de Cardiologia dos Hospitais Rede D’Or, Regional SP. Cardiologista do Instituto Dante Pazzanese de Cardiologia (IDPC).

Doutor em Ciências Médicas pela Universidade de São Paulo (USP)/IDPC.

Professor Pleno da Pós-graduação em Cardiologia pela USP.

Especialista em Cardiologia pela Sociedade Brasileira de Cardiologia (SBC) e em Medicina Intensiva pela Associação de Medicina Intensiva Brasileira (AMIB).

ANTÔNIO CARLOS MUGAYAR BIANCO

Diretor da Divisão Clínica do Instituto Dante Pazzanese de Cardiologia (IDPC).

Coordenador da Unidade de Terapia Intensiva (UTI) – Pós-operatório do IDPC.

Doutor em Ciências Médicas pela Universidade de São Paulo/Instituto do Coração (USP/InCor) –Área de concentração: Cardiologia.

Especialista em Medicina Intensiva pela Associação de Medicina Intensiva Brasileira (AMIB).

GUILHERME D’ANDRÉA SABA ARRUDA

Médico Assistente da Unidade de Terapia Intensiva (UTI) de Pós-operatório de Cirurgia Cardíaca do Instituto Dante Pazzanese de Cardiologia (IDPC).

Médico Coordenador da Cardiologia dos Hospitais Rede D’Or, Regional SP. Médico Coordenador da UTI Cardiológica do Hospital São Luiz – Unidade Anália Franco, SP.

Especialista em Cardiologia pela Sociedade Brasileira de Cardiologia (SBC) e em Medicina Intensiva pela Associação de Medicina Intensiva Brasileira (AMIB).

Guia Prático de Assistência do Perioperatório de Cirurgia Cardíaca

Copyright © 2023 Editora Rubio Ltda. ISBN 978-65-88340-43-1

Todos os direitos reservados. É expressamente proibida a reprodução desta obra, no todo ou em parte, sem autorização por escrito da Editora. Produção Equipe Rubio

Capa Bruno Sales Imagens de capa ©iStock.com/

Editoração Eletrônica

CIP-BRASIL. CATALOGAÇÃO-NA-FONTE SINDICATO NACIONAL DOS EDITORES DE LIVROS, RJ

G971

Guia prático de assistência do perioperatório de cirurgia cardíaca/organizadores Guilherme D’Andréa Saba Arruda, André Feldman, Antônio Carlos Mugayar Bianco. –1. ed. – Rio de Janeiro: Rubio, 2023.

200p.; 24cm. Inclui bibliografia e índice ISBN 978-65-88340-43-1

1. Cardiologia. 2. Coração – Cirurgia. I. Arruda, Guilherme D’Andréa Saba. II. Feldman, André. III. Bianco, Antônio Carlos Mugayar. 22-79892 CDD: 617.412 CDU: 616.12-089

Meri Gleice Rodrigues de Souza – Bibliotecária – CRB-7/6439.

IO Design Editora Rubio Ltda. Av. Franklin Roosevelt, 194 s/l. 204 – Castelo 20021-120 – Rio de Janeiro – RJ Telefax: +55(21) 2262-3779

E-mail: rubio@rubio.com.br www.rubio.com.br

Impresso no Brasil Printed in Brazil

Cardiologista pelo Instituto Dante Pazzanese de Cardiologia (IDPC).

Especialização em Unidade Crítica Coronariana pelo Instituto do Coração (InCor) – Hospital das Clínicas da Faculdade de Medicina da Universidade de São Paulo (HC-FMUSP).

Atuação em Terapia Intensiva no IDPC e em Car diologia de Emergência no Hospital Samaritano, SP.

Aminy Rampinelli Loureiro

Cardiologista e Cardiointensivista pelo Instituto Dante Pazzanese de Cardiologia (IDPC).

Médica Assistente da Unidade de Terapia Intensiva (UTI) Pós-operatória do IDPC.

Diarista da UTI do Hospital Samaritano Paulista, SP. Plantonista da UTI do Hospital do Coração (Hcor).

Barbara Daltro Marques Packer

Médica Especialista em Cardiologia pela Socieda de Brasileira de Cardiologia (SBC).

Médica Especialista em Arritmia Clínica pelo Insti tuto Dante Pazzanese de Cardiologia (IDPC).

Médica Assistente da Unidade de Pós-operatório do IDPC.

Carolina Casadei

Médica do Setor de Insuficiência Cardíaca de Trans plante Cardíaco do Instituto Dante Pazzanese de Cardiologia (IDPC).

Professora Adjunta do Centro Universitário da Fa culdade de Medicina do ABC (FMABC).

Doutora em Ciências Médicas pela Universidade de São Paulo (USP)/IDPC.

Cely Saad Abboud Medeiros

Médica Infectologista do Instituto Dante Pazzane se de Cardiologia (IDPC).

Mestre e Doutora em Ciências pela Universidade Federal de São Paulo (Unifesp).

Chefe da Seção Médica de Infectologia e Presiden te da Comissão de Controle de Infecção Hospitalar do IDPC.

Daniel Chagas Dantas Cirurgião Cardiovascular e do Transplante Cardíaco do Instituto Dante Pazzanese de Cardiologia (IDPC). Membro Especialista da Sociedade Brasileira de Ci rurgia Cardiovascular (SBCCV).

Daniel Magnoni Médico Cardiologista e Nutrólogo do Instituto Dante Pazzanese de Cardiologia (IDPC).

Chefe da Seção de Nutrologia do IDPC. Presidente do Instituto de Metabolismo e Nutrição (IMeN).

Daniela Leite Wetten

Pós-graduada em Fisioterapia Cardiovascular pelo Instituto Dante Pazzanese de Cardiologia (IDPC).

Pós-graduada em Fisiologia do Exercício e Treina mento Resistido na Saúde, na Doença e no Envelhecimento pelo Hospital das Clínicas da Faculdade de Medicina da Universidade de São Paulo (HC-FMUSP).

Fisioterapeuta do Centro de Reabilitação Cardio pulmonar do Hospital Israelita Albert Einstein, SP. Supervisora do Curso de Pós-graduação de Fisiotera pia Cardiorrespiratória: da Internação à Reabilitação Ambulatorial do Hospital Israelita Albert Einstein, SP.

Colaboradores

David de Andrade Nunes

Médico Cardiologista e Hemodinamicista pelo Ins tituto Dante Pazzanese de Cardiologia (IDPC).

Médico Plantonista da Unidade Coronária e Uni dade de Recuperação Operatória do IDPC.

Diego Gamarra Moreira

Cirurgião Cardiovascular pelo Instituto Dante Paz zanese de Cardiologia (IDPC).

Pós-graduado em Cardiologia Clínica pelo Hospi tal Israelita Albert Einstein, SP. Especialista em Oxigenação por Membrana Extra corpórea (ECMO) pela Extracorporeal Life Support Organization (ELSO).

Dorival Júlio Della Togna

Chefe da Seção de Endocardite do Instituto Dante Pazzanese de Cardiologia (IDPC).

Responsável pela Enfermaria de Valvopatias do IDPC. Doutor em Ciências pela Universidade de São Paulo (USP).

Fernanda de Freitas Paganoti

Pós-graduada em Fisioterapia Cardiorrespiratória e Reabilitação Cardiovascular pelo Instituto Dante Pazzanese de Cardiologia (IDPC).

Mestre em Ciências da Saúde pela Faculdade de Ciên cias Médicas da Santa Casa de São Paulo (FCMSCSP).

Master in Business Administration (MBA) em an damento em Gestão da Saúde com ênfase em Administração Hospitalar pela Universidade Anhembi Morumbi.

Analista de Ensino III da Sustentabilidade e Res ponsabilidade Social do Hospital Alemão Oswaldo Cruz (HAOC), SP.

Gabriela Assis Magalhães Figliolino

Mestre em Pneumologia pela Universidade Federal de São Paulo (Unifesp).

Master in Business Administration (MBA) em an damento em Gestão da Saúde com ênfase em Administração Hospitalar pela Universidade Anhembi Morumbi.

Especialista em Terapia Intensiva no Adulto pelo Conselho Federal de Fisioterapia e Terapia Ocupa cional (Coffito).

Especialista em Fisioterapia Cardiorrespiratória e Reabilitação Cardiovascular pelo Instituto Dante Pazzanese de Cardiologia (IDPC).

Supervisora de Fisioterapia do Hospital Japonês Santa Cruz, SP.

Glaydson Teixeira Oliveira

Especialista em Clínica Médica pela Universidade Federal do Ceará (UFC).

Especialista em Cardiologia e Ecocardiografia pelo Instituto Dante Pazzanese de Cardiologia (IDPC). Médico da Unidade Pós-operatória e Coronariana do IDPC.

Médico do Pronto-socorro e da Unidade de Tera pia Intensiva (UTI) Cardiológica do Hospital São Luiz – Anália Franco, SP.

Gustavo Bernardes de Figueiredo Oliveira

Médico Assistente da Unidade Coronariana do Ins tituto Dante Pazzanese de Cardiologia (IDPC).

Doutor em Ciências pelo Programa de Doutorado da Universidade de São Paulo (USP)/IDPC em Me dicina, Tecnologia e Intervenção em Cardiologia. Pesquisador Associado ao Centro Internacional de Pesquisa (CIP) do Hospital Alemão Oswaldo Cruz (HAOC), SP – desde março de 2020.

Gerente Médico do Centro Internacional de Pes quisa (CIP) do HAOC.

Halsted Alarcão Gomes Pereira da Silva Cardiologista e Ecocardiografista pelo Instituto Dante Pazzanese de Cardiologia (IDPC). Médico Plantonista da Unidade Pós-operatória e Unidade Coronariana do IDPC. Instrutor de Advanced Cardiovascular Life Support (ACLS) do IDPC.

Médico Coordenador do Setor de Imagem Cardio vascular do Hospital São Geraldo, MT.

Horácio Eduardo Veronesi Cardiologista pelo Instituto Dante Pazzanese de Cardiologia (IDPC). Ecocardiografista pelo Instituto Nacional de Car diologia (INC).

Igor da Gama Balta Médico Cardiologista pelo Instituto Dante Pazza nese de Cardiologia (IDPC). Fellow em Insuficiência Cardíaca Avançada e Trans plante Cardíaco no IDPC.

Janayna Thainá Rabelato Membro Adjunto do Colégio Brasileiro de Cirur giões (CBC) e da Federação Latino-Americana de Cirurgia (FELAC).

Cirurgiã Cardiovascular pelo Instituto Dante Pazza nese de Cardiologia (IDPC). Cirurgiã Cardíaca Assistente Cardiovascular pelo IDPC.

Jeison de Oliveira Gois Nefrologista do Instituto Dante Pazzanese de Car diologia (IDPC). Título de Especialista em Nefrologia pela Socieda de Brasileira de Nefrologia (SBN).

João Manoel Rossi Neto

Doutor em Ciências pela Universidade de São Paulo (USP).

Responsável pelo Ambulatório de Disfunção Ven tricular e Transplante de Coração do Instituto Dante Pazzanese de Cardiologia (IDPC).

Luís Augusto Souza de Carvalho

Cardiologista pelo Instituto Dante Pazzanese de Cardiologia (IDPC).

Médico Plantonista da Unidade Coronária e Uni dade de Recuperação Operatória do IDPC.

Especialista em Cardiologia pela Sociedade Brasi leira de Cardiologia (SBC).

Luiz Minuzzo

Doutor em Ciências pela Universidade de São Pau lo (USP).

Médico Assistente do Setor de Valvopatias do Ins tituto Dante Pazzanese de Cardiologia (IDPC).

Especialista em Terapia Intensiva pela Associação de Medicina Intensiva Brasileira (AMIB).

Mara Nogueira de Araújo

Mestre em Ciências pela Escola de Enfermagem da Universidade de São Paulo (USP).

Especialista em Enfermagem Cardiovascular Insti tuto Dante Pazzanese de Cardiologia (IDPC).

Enfermeira-Chefe da Unidade de Terapia Inten siva (UTI) de Pós-operatório de Cirurgia Cardíaca do IDPC.

Marcelo Sartori

Médico da Unidade de Pós-operatório do Instituto Dante Pazzanese de Cardiologia (IDPC).

Título de Especialista em Cardiologia, Ecocardio grafia e Terapia Intensiva pela Associação Médica Brasileira (AMB).

Formação em Master in Business Administration (MBA) de Gestão em Saúde pela Fundação Getulio Vargas (FGV).

Marco Aurélio Finger

Médico Assistente da Seção Médica de Transplante do Instituto Dante Pazzanese de Cardiologia (IDPC). Doutor em Ciências pelo Programa de Medicina/ Tecnologia e Intervenção da Universidade de São Paulo (USP)/IDPC.

Maria Teresa Cabrera Castillo

Cardiologista pela Sociedade Brasileira de Cardio logia (SBC).

Paliativista pelo Hospital Sírio-Libanês e pelo Insti tuto Pallium Latinoamérica.

Responsável pela Unidade de Terapia Intensiva (UTI) Clínica do Instituto Dante Pazzanese de Car diologia (IDPC).

Médica Assistente da Unidade Coronária do IDPC. Presidente da Comissão de Cuidados Paliativos do IDPC.

Médica Intensivista do Hospital São Luiz Jabaquara, SP.

Mário Issa

Cirurgião Cardiovascular do Instituto Dante Pazza nese de Cardiologia (IDPC).

Doutor em Cardiologia no Programa do IDPC/Uni versidade de São Paulo (USP).

Diretor da Divisão de Cirurgia do IDPC.

Marjorye Padula Lima Especialista em Fisioterapia Cardiorrespiratória pelo Instituto Dante Pazzanese de Cardiologia (IDPC). Master in Business Administration (MBA) em anda mento em Gestão da Saúde com ênfase em Administração Hospitalar pela Unidade Anhembi Morumbi.

Fisioterapeuta em Unidade de Terapia Intensiva (UTI) e Clínica Médica no Hospital Sancta Maggiore, SP.

Matheus Botossi Meirelles Cirurgião Cardiovascular pelo Instituto Dante Paz zanese de Cardiologia (IDPC).

Mônica Serrano Francischini Especialista em Cardiologia no Instituto Dante Pa zzanese de Cardiologia (IDPC). Fellow em Cardiointensiva no IDPC. Plantonista da Unidade de Terapia Intensiva (UTI) Cardiológica do Hospital São Luiz da Rede D’Or. Plantonista na UTI Pós-operatório do IDPC.

Patrícia Amante de Oliveira Médica Geriatra pela Faculdade de Medicina da Universidade de São Paulo (FMUSP).

Doutora em Ciências Médicas pela FMUSP. Nutróloga do Instituto Dante Pazzanese de Car diologia (IDPC).

Geriatra no Hospital do Coração (Hcor), SP. Preceptora da Residência Multiprofissional em Saúde Cardiovascular do IDPC. Título de Especialista em Nutrologia pela Associação Brasileira de Nutrologia (Abran).

Plínio José Whitaker Wolf Médico Cardiologista pelo Instituto Dante Pazza nese de Cardiologia (IDPC). Fellow em Insuficiência Cardíaca Avançada e Trans plante Cardíaco no IDPC.

Raphael Machado Rossi

Médico Cardiologista pelo Instituto Dante Pazza nese de Cardiologia (IDPC).

Fellow em Insuficiência Cardíaca Avançada e Trans plante Cardíaco no IDPC.

Rayra Pureza Teixeira Barbosa

Residência Médica de Cardiologia no Instituto Dante Pazzanese de Cardiologia (IDPC). Cardiologia Intensivista do IDPC.

Mestre em Cardiologia pelo IDPC/Universidade de São Paulo (USP).

Título de Especialista em Cardiologia pela Socieda de Brasileira de Cardiologia (SBC).

Renato Arnoni

Cirurgião Cardiovascular do Instituto Dante Pazza nese de Cardiologia (IDPC) e do Hospital Edmundo Vasconcelos, SP.

Diretor Técnico do Hospital Edmundo Vasconcelos, SP. Doutor em Ciências pela Universidade de São Paulo (USP).

Sidney Tadashi Sasaki

Nefrologista Chefe e Coordenador do Grupo de Nefrologia e Hemodiálise do Instituto Dante Paz zanese de Cardiologia (IDPC).

Médico Nefrologista do Hospital Edmundo Vas concelos, SP.

Título de Especialista em Nefrologia pela Socieda de Brasileira de Nefrologia (SBN).

Tathiane Aquaroni Davoglio

Cardiopediatra e Ecocardiografista Pediátrica do Setor de Cardiopatia Congênita do Hospital Anália Franco, SP.

Médica Assistente da Unidade de Terapia Intensiva (UTI) Neonatal e Pediátrica do Instituto Dante Paz zanese de Cardiologia (IDPC).

Victor Bemfica de Mello Mattos

Médico Cardiologista pelo Instituto Dante Pazza nese de Cardiologia (IDPC). Fellow em Insuficiência Cardíaca Avançada e Trans plante Cardíaco no IDPC.

Vitor Latorre de Souza Enfermeiro Especialista em Enfermagem Cardio vascular pelo Instituto Dante Pazzanese de Cardiologia (IDPC).

Vivian De Biase Cardiologista e Especialista em Cardiopatias Congê nitas no Adulto pelo Hospital do Coração (Hcor), SP. Cardiologista do Setor de Cardiopatias Congênitas do Instituto Dante Pazzanese de Cardiologia (IDPC). Coordenadora do Setor de Cardiologia do Hospital São Luiz Jabaquara (Rede D’Or), SP.

Vivian Lerner Amato Doutora em Ciências pela Universidade de São Paulo (USP) – área de concentração: Cardiologia. Médica-Chefe da Enfermaria de Coronariopatias do Instituto Dante Pazzanese de Cardiologia (IDPC). Diretora da Divisão Hospitalar do IDPC.

Wanda Teixeira Moreira do Nascimento Cardiopediatra e Intensivista Coordenadora da Unidade de Terapia Intensiva (UTI) Neonatal e Pe diátrica do Instituto Dante Pazzanese de Cardiologia (IDPC).

Cardiopediatra do Hospital São Luiz Itaim da Rede D’Or, SP. Cardiologista Intervencionista do Hospital Salvalus, SP.

Werley de Almeida Januzzi Residência Médica de Cardiologia e Cardiologia Intensiva no Instituto Dante Pazzanese de Cardio logia (IDPC).

Dedicatória

Dedicamos esta obra aos pacientes que são a razão de todo o trabalho da equipe multiprofissional, voltada a oferecer a melhor assistência dentro de um serviço especializado como o Instituto Dante Pazzanese de Cardiologia (IDPC).

Agradecimentos

Agradecemos a todo o corpo clínico e multiprofissional do Instituto Dante Pazzanese de Cardiologia (IDPC), que trabalha incansavelmente para prestar assistência digna e resolutiva a toda uma população que necessita de serviços cardiológicos dentro do Sistema Único de Saúde (SUS).

Os Organizadores

Apresentação

Apresentamos a obra Guia Prático de Assistência do Perioperatório de Cirurgia Cardíaca, desenvolvida por um corpo clínico especializado e com grande experiência no cuidado de pacientes no pós-operatório de cirurgia cardíaca, a fim de orientar e ajudar no manejo desses pacientes.

O intuito desta obra é apresentar conceitos envolvendo a linha de cuidado desses pacientes cirúrgicos. Os cuidados se iniciam desde o preparo do paciente na fase pré-operatória da cirurgia cardíaca, em todos os seus cenários (coronária, valvares, transplantes e congênitos), seguindo para os cuidados intraopera tórios e, por fim, dando ênfase sobre todas as necessidades desses pacientes no período pós-operatório. As principais complicações da fase do pós-operatório foram abordadas, para obter orientações práticas de como manejá-las.

Os Organizadores

Prefácio

Considerado o pai da Medicina e precursor do pensamento científico, Hipócrates viveu entre 460 e 377 a.C. e deixou um legado ético e moral válido até hoje. Procurava detalhes nas doenças de seus pacientes para chegar a um diagnóstico, mesmo com a limitação do conhecimento da época.

O Instituto Dante Pazzanese de Cardiologia (IDPC) é um hospital público, inserido no Sistema Único de Saúde (SUS) prestando assistência médica de alta qualidade, a ponto de ocupar uma posição de des taque no cenário internacional, sendo um dos quatro hospitais brasileiros entre os cinquenta melhores do mundo.

Suas atribuições ultrapassam os limites da assistência, pois desde sua criação, tem realizado incansável esforço nas áreas de ensino e pesquisa, sendo responsável pela formação de aproximadamente três mil médicos de vários estados da federação e de outros países.

Esta obra, vem auxiliar os vários profissionais envolvidos nos cuidados de pacientes cada vez mais complexos e graves submetidos à cirurgia cardíaca, com o desafio de manter e aprimorar seus resultados. Utilizando conhecimento médico, experiência e tecnologia de ponta, em constante atualização e para to dos aqueles que necessitam de atenção, carinho, alívio e cura, pois, seguindo os preceitos de Hipócrates: “Não existe duas medicinas”.

Diretor-geral da Cirurgia do Instituto Dante Pazzanese de Cardiologia (IDPC).

Mário Issa

Sumário

Capítulo 1 l avaliação pré-operatória para Cirurgia de Revascularização Miocárdica, 1 Vivian Lerner Amato

Capítulo 2 l Cuidados pré-operatórios em Cirurgia de Doenças Valvares, 11 Dorival Júlio Della Togna | Luiz Minuzzo

Capítulo 3 l Cuidados no pré-operatório das Cardiopatias Congênitas, 19 Tathiane Aquaroni Davoglio | Wanda Teixeira Moreira do Nascimento

Capítulo 4 l avaliação pré-transplante Cardíaco, 23 Igor da Gama Balta|Raphael Machado Rossi | João Manoel Rossi Neto

Capítulo 5 l admissão e Rotina no pós-operatório da Cirurgia Cardíaca, 31 Barbara Daltro Marques Packer

Capítulo 6 l Manejo e Cuidados pós-operatórios em Cardiopatias Congênitas, 35 Wanda Teixeira Moreira do Nascimento | Tathiane Aquaroni Davoglio

Capítulo 7 l Manejo e Cuidados pós-operatórios em Cardiopatias Congênitas no adulto, 39 Vivian De Biase

Capítulo 8 l Infarto agudo do Miocárdio no pós-operatório de Cirurgia Cardíaca, 43

Gustavo Bernardes de Figueiredo Oliveira | Aminy Rampinelli Loureiro|Rayra Pureza Teixeira Barbosa| Werley de Almeida Januzzi

Capítulo 9 l Síndrome de Baixo Débito Cardíaco, 51 Maria Teresa Cabrera Castillo | Adriana Fucci

Capítulo 10 l tamponamento Cardíaco no pós-operatório, 57 Renato Arnoni

Capítulo 11 l Choque Vasoplégico e Manejo, 61 Mônica Serrano Francischini

Capítulo 12 l arritmias Cardíacas no pós-operatório de Cirurgia Cardíaca, 65 Barbara Daltro Marques Packer

Capítulo 13 l parada Cardíaca no pós-operatório de Cirurgia Cardíaca, 71 Mônica Serrano Francischini

Capítulo 14 l Suporte Hemoterápico no pós-operatório de Cirurgia Cardíaca, 75 Halsted Alarcão Gomes Pereira da Silva | Horácio Eduardo Veronesi

Capítulo 15 l terapia Nutricional no pós-operatório de Cirurgia Cardíaca, 81 Patrícia Amante de Oliveira | Daniel Magnoni

Capítulo 16 l Controle Glicêmico no pós-operatório de Cirurgia Cardíaca, 85 David de Andrade Nunes

Capítulo 17 l lesão Renal aguda no pós-operatório, 89 Sidney Tadashi Sasaki | Jeison de Oliveira Gois

Capítulo 18 l Complicações Gastrintestinais no pós-operatório de Cirurgia Cardíaca, 93 Janayna Thainá Rabelato | Matheus Botossi Meirelles

Capítulo 19 l acidente Vascular Encefálico no pós-operatório de Cirurgia Cardíaca, 99 Luís Augusto Souza de Carvalho | Guilherme D´Andréa Saba Arruda

Capítulo 20 l Manejo de Complicações Infecciosas em pós-operatório de Cirurgia Cardíaca, 103 Cely Saad Abboud Medeiros

Capítulo 21 l Ecocardiograma e suas aplicações no pós-operatório, 109 Glaydson Teixeira Oliveira | Halsted Alarcão Gomes Pereira da Silva

Capítulo 22 l ultrassom Point of Care e sua aplicabilidade, 115 Marcelo Sartori | Halsted Alarcão Gomes Pereira da Silva

Capítulo 23 l pós-operatório de transplante Cardíaco, 121 Carolina Casadei | Victor Bemfica de Mello Mattos

Capítulo 24 l Imunorregulação no transplante Cardíaco, 127 Marco Aurélio Finger | Plínio José Whitaker Wolf

Capítulo 25 l Monitorização Hemodinâmica no pós-operatório de Cirurgia Cardíaca, 135 Guilherme D’Andréa Saba Arruda | Rayra Pureza Teixeira Barbosa

Capítulo 26 l Dispositivos de assistência Ventricular no pós-operatório de Cirurgia Cardiovascular, 141 Daniel Chagas Dantas | Janayna Thainá Rabelato

Capítulo 27 l oxigenação por Membrana Extracorpórea: Indicações Clínicas e Manejo, 147 Mário Issa | Matheus Botossi Meirelles

Capítulo 28 l oxigenação por Membrana Extracorpórea: Desmame e Complicações, 155 Halsted Alarcão Gomes Pereira da Silva | Diego Gamarra Moreira

Capítulo 29 l assistência de Enfermagem no pós-operatório de Cirurgia Cardíaca, 161 Mara Nogueira de Araújo | Vitor Latorre de Souza

Capítulo 30 l assistência de Fisioterapia no pós-operatório de Cirurgia Cardíaca, 167 Gabriela Assis Magalhães Figliolino | Marjorye Padula Lima

Capítulo 31 l Reabilitação Cardiovascular no pós-operatório de Cirurgia Cardíaca, 173 Daniela Leite Wetten | Fernanda de Freitas Paganoti índice, 179

Cuidados Pré-operatórios em Cirurgia de Doenças Valvares

œ Introdução

Todos os pacientes submetidos à cirurgia valvar (troca, plastia ou procedimentos combinados) de vem ser submetidos a uma completa avaliação clínica de todos os órgãos e sistemas. Essa abordagem inclui uma história clínica detalhada e um exame físico minucioso, em que poderão ser identificadas outras alterações cardíacas e não cardíacas. Todas as comorbidades devem ser relatadas, levando-se em conta o quanto elas afetarão o resultado cirúr gico e a qualidade de vida do paciente.

Além desses fatores, uma avaliação laboratorial pré-operatória que demonstre uma boa perfor mance dos sistemas hematopoéticos, renais, hepáticos, da coagulação sanguínea e dos metabólicos é imprescindível. Com todos esses dados avaliados e registrados em prontuário, uma avaliação préanestésica torna-se de grande importância no pla nejamento do ato operatório. Todos esses fatores relatados têm o objetivo de minimizar a morbidade e a mortalidade no período perioperatório. As duas têm caráter multifatorial, de modo que a compre ensão dos fatores preditivos de risco ajuda a definir os riscos para pacientes individualizados.

É importante relatar que a melhora das técni cas cirúrgicas amplia as indicações e os resultados das intervenções cirúrgicas, mesmo em popula ções previamente consideradas inelegíveis para determinado procedimento.

œ aval I ação geral

X exame físico completo

Uma anamnese e um exame físico completo devem ser realizados, contemplando desde o estado geral,

avaliação da arcada dentária, alterações dermato lógicas, avaliação pulmonar, cardíaca e abdominal, sistema locomotor, alterações vasculares periféricas (arteriais e venosas) e neurológicas e da capacidade cognitiva. Todas as alterações deverão constar em prontuário e servirão para eventuais comparações no período pós-operatório. Possíveis alterações na pele (p. ex., infecções), cáries dentárias (risco de endocardite no pós-operatório) ou infecções em outros sítios deverão ser tratadas previamente à ci rurgia.

X revisão de medicamentos e alergias

Todos os medicamentos utilizados previamente pelos pacientes devem ser revisados. No entan to, a maioria deverá ser continuada até o ato cirúrgico.

Na Tabela 2.1, relacionamos alguns fármacos que deverão ser avaliados para possível suspensão antes da cirurgia.

É importante enfatizar que os medicamentos relatados pelo paciente que já tenham provoca do reações alérgicas prévias deverão ser descritos no prontuário e colocados em evidência para que todos os profissionais envolvidos na assistência te nham ciência.

X decisão sobre o tipo de prótese

O paciente e seus familiares deverão ser esclarecidos sobre a cirurgia e o tipo de prótese recomendada: biológica ou mecânica. Deve-se observar as condições e a viabilidade de uma anticoagulação permanente na eventualidade da indicação de uma prótese mecânica.

2
Capítulo

Tabela 2.1 Orientações sobre a suspensão de fármacos no período pré-operatório Ácido acetilsalicílico (AAS) Não há necessidade de suspensão Clopidogrel, prasugrel Suspender 5 a 7 dias antes Ticagrelor Suspender 1 a 2 dias antes Dabigatrana, rivaroxabana, edoxabana Suspender 2 a 3 dias antes Varfarina* Suspender 3 a 5 dias antes Heparina não fracionada Suspender 4 a 6h antes Enoxaparina Suspender 12 a 18h antes Digoxina Suspender 24h antes

*O valor da razão normalizada internacional (INR). deverá estar abaixo de 1,3 para a realização da cirurgia.

X uso de mupirocina intranasal pré-operatória

O Staphylococcus aureus na mucosa nasal aumenta a taxa de infecções em sítio cirúrgico. Desse modo, todos os pacientes que serão submetidos à cirurgia cardíaca deverão realizar a coleta de swab nasal e a utilização de mupirocina intranasal pelo período de até cinco dias, ou a suspensão do medicamento diante da negativação da cultura do swab.

œ Cond I ções relaCI onadas ao paCI ente

X Idade

A expectativa de vida tem aumentado em todo o mundo, o que traz um novo desafio na indicação cirúrgica para a população de idosos. As comor bidades e a fragilidade comuns nessa faixa etária aumentam o risco de complicações cirúrgicas, que incluem suporte ventilatório prolongado, reopera ções por sangramentos e infecções respiratórias, levando ao prolongamento no tempo de interna ção hospitalar.1

Outro fator que aumenta essa taxa está relacionado com o baixo peso corporal (índice de massa corporal [IMC] <23).2 Mesmo com todos esses fatores associados, a taxa de alta hospitalar e sobrevida em 30 dias nos idosos têm sido elevadas, de modo que a mortalidade em pacientes acima de 75 anos é mais elevada quando comparada à dos mais jovens.3

X gênero

Alguns estudos epidemiológicos têm sugerido que o gênero feminino é um preditor independente de

morbidade e mortalidade pós-operatória.4-6 Algumas explicações para esse fato incluem artérias coronárias de menor calibre, com fluxo reduzido após anastomose e as mulheres sendo encaminhadas para o tratamento cirúrgico mais tardiamente.

X etnia

Não há diferenças significativas entre as etnias quando a cirurgia é realizada por equipes com rígido controle pré-operatório de todas as va riáveis clínicas. No entanto, um estudo norte-americano publicado em 2005 mostra que a raça negra está relacionada com um risco aumentado de complicações pós-operatórias, como suporte ventilatório prolongado, tempo de internação, reoperação por sangramento e insuficiência renal pós-operatória.7

X grau de nutrição

Pacientes com nutrição deficiente no pré-operatório, como níveis de albumina inferiores a 3,5g/dL, têm relação com aumento da resposta pró-infla matória e deficiência da resposta imune ao estresse cirúrgico, que podem aumentar a morbidade e mortalidade após o ato cirúrgico. É um fator modificável no pré-operatório, de modo que IMC abaixo de 20 ou acima de 35 devem ser corrigidos em cirurgias eletivas, se possível.

œ Comorb I dades

X diabetes

Pacientes com diabetes melito apresentam significativamente piores resultados após cirurgias cardíacas,8-10 sendo um fator independente de

12 Guia Prático de Assistência do Perioperatório de Cirurgia Cardíaca

mortalidade após cirurgia de revascularização miocárdica. No entanto, a mortalidade pós-ope ratória está aumentada em pacientes diabéticos com doenças vasculares e/ou renais.11 Os pacientes diabéticos que se utilizam de insulina têm risco aumentado para infecções de feridas operatórias, insuficiência renal e tempo de hospitalização pro longado.12,13 Nesse sentido, um controle rígido da taxa glicêmica no perioperatório é imprescindível para a redução dessas complicações, que têm sido associadas a resultados adversos, como infecções nos mais variados sítios, acidente vascular encefá lico (AVE), falência renal e infarto agudo do miocárdio, além de sobrevida menor pós-revascularização do miocárdio.

X Insuficiência renal

A avaliação da função renal é importante em pacientes com doença valvar, havendo uma relação direta entre a piora da insuficiência renal pré-operatória e o aumento da morbidade e mortalidade, incluindo necessidade de diálise e AVE.

X doenças pulmonares

Pacientes com distúrbios da função pulmonar, principalmente aqueles com doença pulmonar obstrutiva crônica, têm maior mortalidade e aumento de complicações perioperatórias, como arritmias car díacas, intubação orotaqueal prolongada, reintubações, infecções respiratórias e maior tempo de permanência em terapia intensiva e de internação hospitalar, principalmente em cirurgias combina das de revascularização miocárdica e procedimentos valvares.14

Há evidências de que o treinamento muscular inspiratório possa prevenir complicações pulmo nares pós-operatórias em pacientes de alto risco. Nos casos em que os índices de saturação estão abaixo de 92% em ar ambiente e/ou com sinto mas respiratórios, preconiza-se a realização de uma avaliação gasométrica arterial, que poderá servir de parâmetro para o manejo respiratório no pós-operatório imediato (em vigência de intuba ção orotraqueal). Além disso, uma avaliação espirométrica poderá classificar melhor esse paciente e uma tomografia de tórax poderá ser de grande valia na avaliação do parênquima pulmonar. É im portante salientar que a pressão de artéria pulmonar acima de 60mmHg tem impacto prognóstico isolado no desfecho desses pacientes, por implicar performance respiratória e risco de disfunção ven tricular direita nas fases iniciais do pós-operatório.

œ aval I ação laborator I al

„

Hemograma completo: na avaliação préoperatória, a taxa de hemoglobina aceitável, definida em consenso, deverá ser ≥10g/dL. As taxas de leucócitos e plaquetas deverão estar dentro dos limites da normalidade.

„ Eletrólitos: os eletrólitos sódio (Na+) e potássio (K+) são importantes para o metabolismo celular. Taxas reduzidas ou elevadas de sódio estão associadas ao balanço hídrico do pacien te, bem como ao status cognitivo (delirium e agitação psicomotora), principalmente em pa cientes idosos. Alterações nos níveis de potássio podem ter relação com arritmias cardíacas em todo o perioperatório.

„ Ureia e creatinina: a avaliação da função renal é importante em pacientes com doença valvar, havendo uma relação direta entre a pio ra da insuficiência renal pré-operatória e o aumento da morbidade e mortalidade, incluindo necessidade de diálise e AVE. Pode-se estimar a taxa de filtração glomerular por meio das fór mulas de Cockroft & Gault e ritmo de filtração glomerular (MDRD GFR; do inglês, modification of diet in renal disease), entre outras. A neces sidade de circulação extracorpórea na correção das valvopatias, o uso de fármacos para contro le da dinâmica cardiovascular (vasodilatadores e vasoconstritores), o uso de antibióticos profi láticos, entre outros, dependem de boa função renal. Os valores de creatinina acima de 1,5mg/ dL ou clearance de creatinina inferior a 60mL/ min têm implicação prognóstica em desfechos.

„ Glicemia de jejum e hemoglobina glicada (HbA1c): controle rigoroso dos níveis glicêmi cos em pacientes diabéticos e não diabéticos.

„ Função hepática: alanina aminotransferase, aspartato aminotransferase, bilirrubinas totais e frações, fosfatase alcalina, amilase e albumina sérica estabelecem uma avaliação hepática que será importante no metabolismo de todos os fármacos utilizados no período perioperatório.

„ Função tireoidiana – hormônio tireoestimulante (TSH) e tiroxina (T4) livre: y Nas cirurgias cardíacas eletivas, são importantes a avaliação e normalização da função tireoidiana antes da realização do ato ope ratório. No hipertireoidismo, os efeitos adrenérgicos aumentam o risco para complicações perioperatórias, sobretudo as arritmias cardíacas, como a fibrilação atrial.

Cuidados Pré-operatórios em Cirurgia de Doenças Valvares 13

y Pacientes em uso de amiodarona poderão ter os níveis de hormônios tireoidianos alte rados devido ao metabolismo do iodo utilizado por esse fármaco (hipo- ou hipertireoidismo), o que implicará controle hemodinâmico do período pós-operatório.

„ Peptídio natriurético cerebral (BNP)/NTpró-BNP: é um peptídio secretado pelos ven trículos em resposta a expansão volêmica e sobrecarga de pressão. Em pacientes com disfunção sistólica ou diastólica, estarão geralmente elevados. Níveis elevados no pré-operatório estão relacionados com maior mortalidade no pós-operatório em pacientes revascularizados e piora em curto e longo prazos em pacientes submetidos à troca de valvas aórticas por este nose aórtica.

„ Proteína C-reativa (PCR): encontra-se elevada em pacientes com processos inflamatórios ou infecciosos. Quando em níveis superiores a 10mg/L, está associada a aumento da mortali dade pós-operatória.

„ Análise de urina: tem sua importância na avaliação de eventuais infecções, sangue ou proteínas que deverão ser analisadas e tratadas antes da cirurgia.

endocardite infecciosa e avaliação da possibilidade de procedimentos de reparação do aparato valvar (plastias).

X radiografia de tórax (pa e perfil esquerdo)

É um exame importante na avaliação pré-operatória das dimensões cardíacas e da congestão pulmonar, além de possibilitar um estudo comparativo no período pós-operatório.

X doppler de carótidas

Deverá ser realizado rotineiramente em todos os pacientes com idade superior a 65 anos, apresen tando ou não sopros à ausculta na região carotídea, ou naqueles com história de ataque isquêmico transitório ou AVE prévios. Sabe-se que cerca de 10% a 15% dos pacientes que necessitam de re vascularização miocárdica têm estenose importante associada. Além disso, estenose carotídea significa tiva com indicação cirúrgica eleva o tempo cirúrgico e os riscos de embolização com quadros neurológi cos (AVE) ou alterações cognitivas perioperatórias.

X doppler venoso de membros inferiores

X eletrocardiograma

Deverá ser realizado em todos os pacientes previamente ao ato cirúrgico para confirmação de ritmo cardíaco, sobrecargas de câmaras cardíacas, hipertrofias ventriculares, distúrbios de condução ou quaisquer outras alterações que deverão ser comparadas ao eletrocardiograma (ECG) do perío do pós-operatório.

X ecocardiograma

É um exame pré-operatório considerado padrãoouro, permitindo uma adequada avaliação das doenças valvares, pela identificação de etiologia, mecanismos envolvidos, dimensões das cavidades cardíacas, função biventricular, repercussão hemo dinâmica e informações prognósticas.

O ecocardiograma transesofágico poderá ser considerado quando o ecocardiograma transto rácico for inconclusivo ou na suspeita diagnóstica de tromboses valvares, disfunção de próteses,

Tem seu papel em pacientes que realizarão revascularização miocárdica cirúrgica, aliada ou não às correções das valvas cardíacas.

X tomografia computadorizada de tórax

Atualmente, o exame tomográfico vem destacando-se na avaliação da doença valvar, particularmente na estenose aórtica e no estudo da aorta torácica (dilatação, calcificação), além da extensão da calcificação do anel mitral.

O estudo angiotomográfico das artérias coro nárias em casos selecionados poderá substituir a cineangiocoronariografia, principalmente em pa cientes mais jovens.

Também será útil para melhor avaliação do pa rênquima pulmonar em pacientes portadores de pneumopatias.

No cenário de reoperações, será útil para ava liar a relação anatômica entre a aorta ascendente, o ventrículo direito e a região posterior do esterno, que será determinante na abertura do tórax du rante o ato cirúrgico.

œ aval I ação de I magens em paCI entes no pré-operatór I o
14 Guia Prático de Assistência do Perioperatório de Cirurgia Cardíaca

Manejo e Cuidados Pós-operatórios em Cardiopatias Congênitas

œ Introdução

O manejo pós-operatório de crianças e adultos com cardiopatia congênita (CC) apresentou con siderável evolução nas últimas décadas, associada à melhora e ao aperfeiçoamento das unidades de terapia intensiva (UTI) cardiológicas e da equipe multiprofissional envolvida no cuidado dos pa cientes.1 Durante a admissão na UTI, deve-se considerar principalmente:

„ Tipo da CC e sua correção cirúrgica, tempo anestésico e suas considerações, tempo cirúrgi co (com ou sem circulação extracorpórea (CEC), anóxia, tipo de cardioplegia ou parada circu latória total), intercorrências e lesões residuais.

„ Monitorização: é realizada de maneira não invasiva (temperatura central ou periférica, eletrocardiograma [ECG], oximetria perifé rica, capnografia, oximetria, especteroscopia infravermelho proximal [NIRS]) e invasiva (pressão arterial invasiva, pressão venosa central, pressão da artéria pulmonar, pressão de átrio esquerdo). 2

„ Estabilização hemodinâmica/ventilatória; coleta de exames laboratoriais; realização de ECG e radiografia de tórax; e ecocardiograma (se necessário).

œ C I r C ulação extraCorpórea

Um dos fatores de maior impacto no pós-operatório das cirurgias cardíacas de CC é a utilização da CEC com ou sem pinçamento aórtico ou para da circulatória total. A CEC resulta em síndrome da resposta inflamatória sistêmica (SIRS) desenca deada pela ativação da cascata de coagulação e

ativação direta do complemento, levando a vasoconstrição, aumento da permeabilidade vascular e inflamação tecidual.3

As principais alterações sistêmicas relacionadas com esse tipo de suporte são:4

„ Febre.

„ Taquicardia.

„ Leucocitose.

„ Alterações hematológicas (consumo dos fatores de coagulação e disfunção plaquetária).

„ Alterações renais e pulmonares.

X sedoanalgesia

O estresse metabólico e hormonal em resposta a dor e agitação no pós-operatório é deletério por estar associado a instabilidade hemodinâmica e crises de hipertensão arterial pulmonar, espe cialmente pós-CEC. É mandatório o controle da dor de maneira individualizada, com a utiliza ção de opioides, benzodiazepínicos intravenosos contínuos ou intermitentes (morfina, fentanil, cetamina e midazolam). Em alguns casos, faz-se necessária a utilização de bloqueadores neuromusculares.

X suporte circulatório

A síndrome do baixo débito cardíaco (SBDC) é a manifestação clínica do desequilíbrio entre a oferta e o consumo de oxigênio, levando à incapacidade

œ Cu I dados gera I s no pós-operatór I o
6
Capítulo

de manutenção das funções vitais do organismo (Figura 6.1).5

O adequado manejo da SBDC5 envolve ajustes de volemia (alíquotas de expansão de 5 a 10mL/kg), resistência vascular pulmonar e periférica, suporte cronotrópico e inotrópico, controle das arritmias, cor reção dos distúrbios hidreletrolítico e acidobásico, adequação dos níveis de hemoglobina, redução do consumo de oxigênio e sedoanalgesia. O uso de substâncias vasoativas, como milrinone, adrenalina ou noradrenalina, é rotineiro, tornando-se muitas vezes obrigatório na vigência de instabilidade he modinâmica e disfunção ventricular. Nos pacientes hipertensos, deve-se considerar vasodilatador sistê mico como nitroprussiato de sódio.

A substância vasoativa de maior impacto no pósoperatório das CC é milrinone, que mostrou ser a única a atuar de maneira preventiva na SBDC após cerca de 6 a 18h pós-CEC, conforme demonstrado em estudo multicêntrico.6 Pode-se ainda utilizar os3 betabloqueadores cardiosseletivos para controle de frequência cardíaca e ajuste de volume diastólico final e consumo miocárdico de oxigênio.

O controle da frequência cardíaca e a identi ficação de possíveis arritmias são fundamentais para a manutenção do débito cardíaco (DC). Algu mas medidas, como hipotermia, correção da acidose, sedoanalgesia e ajuste de volemia, são cruciais para a estabilização do ritmo. Dependendo da arritmia, a amiodarona deve ser administrada. Em bradicardia ou bradiarritmias com reperfusão, o marca-passo deve ser utilizado.1

Ajustes na resistência vascular pulmonar podem ser realizados por meio do manejo ventilatório para adequação de pH e PCO2 ideias. Essas ações são de suma importância nas crises agudas de hipertensão arterial pulmonar e equilíbrio do fluxo pulmonar e sistêmico (Qp/Qs) nos corações com fisiologia univentricular (Figura 6.2).

O uso de vasodilatador pulmonar local, como o óxido nítrico (NO), é essencial em pacientes com aumento da pressão arterial pulmonar e hiperreatividade vascular para prevenção e controle do baixo débito. Outro artifício bastante utilizado é a manutenção de shunts residuais, especialmente em nível atrial, para manutenção do DC.

Circulação extracorpórea

Pós-operatório

SIRS pulmonar

Hipovolemia (sangramento, ultrafiltração e débito

Cardiopatia de base Isquemia miocárdica Disfunção pré-operatória

Disfunção miocárdica Disfunção diastólica

Isquemia e reperfusão Ventriculotomia Cardioplegia inadequada Edema tecidual

Intraoperatório

Figura

36 Guia Prático de Assistência do Perioperatório de Cirurgia Cardíaca
6.1 Representação da síndrome do baixo débito cardíaco SIRS: síndrome da resposta inflamatória sistêmica; JET: taquicardia juncional; BAVT: bloqueio atrio-ventricular total.
Disfunçãoendotelial Disfunção miocárdica Vasoconstrição
sistêmica
extravasamento) Baixo
cardíaco Fatores pré-operatórios
Lesãoresidual Lesõesnão diagnosticadas previamente Arritmias(JET,BAVT) Disfunçãodiastólica

Manejo pós-operatório

Fluxo pulmonar Fluxo sistêmico Resistência pulmonar Fração inspirada de oxigênio Frequência respiratória

Fluxo sistêmico adequado Contratilidade RVS

Em casos de manutenção da SBDC apesar da terapêutica instituída, faz-se necessário suporte hemodinâmico avançado por meio de assistência circulatória com membrana extracorpórea de oxigênio (ECMO).

X suporte ventilatório

A CEC interfere na capacidade funcional pulmonar por inativação do surfactante, com aumento da re sistência da via aérea e síndrome do desconforto respiratório agudo secundário ao aumento da permeabilidade vascular. A manutenção do suporte ventilatório no pós-operatório das CC relaciona-se com:

„ Função pulmonar pós-CEC.

„ Redução da entrega tecidual de oxigênio.

„ Status hemodinâmico.

„ Benefícios da interação cardiopulmonar no pósoperatório.

„ Status neurológico e risco de hipertensão arterial pulmonar.

Nas cirurgias de baixa complexidade, com tem po de CEC relativamente curto, a extubação precoce é preferível.

De acordo com cada instituição e o tipo de CC operada, devem ser seguidos protocolos de ventila ção e desmame. Para o desmame ventilatório adequado, utilizam-se dados como frequência cardíaca de acordo com a faixa etária, ritmo cardíaco normal e estável, DC adequado com baixas doses de subs tâncias vasoativas, respiração espontânea e bom drive respiratório e hemostasia adequada.2

X Manejo hidreletrolítico e acidobásico

Em função do aumento da água corporal total e do sódio no pós-operatório das cirurgias com CEC, pre coniza-se a oferta de 40% a 50% da necessidade hídrica diária e, nas cirurgias sem CEC, a oferta situase em torno de 60%.3 São mandatórias restrição da

oferta de sódio e adequação dos níveis plasmáticos de potássio, magnésio e cálcio em razão da sua importância na contratilidade do músculo cardíaco. A acidose deve ser sempre corrigida.

X Manejo renal

As alterações renais são secundárias à ativação do sistema renina-angiotensina e do hormônio antidiurético, promovendo aumento da retenção hídrica e do sódio corporal, extravasamento de fluidos para o espaço intersticial e depleção do vo lume intravascular. O uso de diuréticos de alça (furosemida) é recomendado principalmente depois das primeiras 24h de pós-operatório. Em casos de hipervolemia e baixa resposta aos diuréticos, aci dose metabólica refratária, uremia ou hipercalemia, é indicado um método de substituição renal, sendo a diálise peritoneal a escolha, especialmente em crianças pequenas.6

X Manejo do trato gastrintestinal/ nutrição

Recomenda-se profilaxia da úlcera de estresse e do sangramento gástrico secundário a distúrbios de coagulação. O íleo paralítico é evento frequente e, na maioria das vezes, transitório, ocorrendo pelo uso de anestésicos e baixa perfusão mesentérica na CEC.4 A dieta deve ter início precoce, após o restabelecimento do trânsito, desde que haja esta bilidade hemodinâmica. Em caso de incapacidade de ingesta via oral, preconiza-se o uso de dieta via sonda nasoentérica ou nasogástrica. Caso não haja estabilidade hemodinâmica ou restabeleci mento do trânsito, indica-se nutrição parenteral.

X Manejo de infecção

Uso de antibiótico profilático, a depender da orientação de cada serviço, por, no mínimo, 48h após o

Figura 6.2 Fluxo pulmonar versus fluxo sistêmico RVS: resistência vascular sistêmica.
Manejo e Cuidados Pós-operatórios em Cardiopatias Congênitas 37

procedimento, para redução dos riscos de infecção no sítio cirúrgico.1 Casos de infecções devem ser identificados de modo precoce, tratados individual mente com antibióticos de amplo espectro, baseados em culturas e avaliação clínico-laboratorial.

Os sangramentos são complicações frequentes e estão relacionados com distúrbios de coagula ção secundários a CEC e estresse cirúrgico, assim como hemostasia cirúrgica inadequada. Conside rar débito dos drenos acima de 5 a 10mL/kg/h nas primeiras horas como ponto de corte para maior taxa de reintervenção para revisão de he mostasia.5 Os fatores de coagulação devem ser prontamente repostos. œ r eferên CI as

1. Nichols DG, Undergerleider RM, Spevak WJ et al. Critical heart disease in infants and children. 2. ed. Filadélfia: Elsevier; 2006.

X Manejo dos distúrbios hemorrágicos

2. Wernovsky G, Chang CA. In: Allen HD, Shaddy RE, Feltes TF et al. Moss and Adams’ heart disease in infants, children, and adolescentes: including fetus and young adult. 7. ed. Filadélfia: Lippincott Willliams & Wilkins; 2008.

3. Chandler HK, Kirsch R. Management of low cardiac output syndrome following surgery for congenital heart disease. Curr Cardiol Rev. 2016; 12(2):107-11.

4. Epting CL, McBride ME, Wald EL et al Pathophysiology of post-operative low cardiac output syndrome. Curr Vasc Pharmacol. 2016; 14(1):14-23.

5. Bronicki RA, Hall M. Cardiopulmonary bypass-induced inflammatory response: pathophysiology and treatment. Pediatr Crit Care Med. 2016; 17(8 Suppl 1):S272-8.

6. Tsang R, Checchia P, Bronicki RA. Hemodynamic monitoring in the acute management of pediatric heart failure. Curr Cardiol Rev. 2016; 12(2):112-6.

38 Guia Prático de Assistência do Perioperatório de Cirurgia Cardíaca

Tamponamento Cardíaco no Pós-operatório

œ Introdução

O tamponamento cardíaco é caracterizado pela progressiva redução do débito cardíaco, podendo ser consequente a pequenos acúmulos de líquido no pericárdio (150mL), quando súbito, ou de até 1L quando secundário a acúmulo lento.1

O tamponamento determina redução de entrada de sangue no coração por compressão das câmaras cardíacas, com progressiva redução do volume diastólico e equalização da pressão dias tólica média em todas as cavidades (Figura 10.1).2

A primeira descrição de tamponamento cardíaco foi realizada em 1935, quando Beck relatou a tríade diagnóstica:

„ Hipotensão.

„ Aumento da pressão venosa (estase jugular).

„ Abafamento das bulhas cardíacas.

Esse quadro, no entanto, nem sempre pode ser observado nos casos de tamponamento pós-cirur gia cardíaca.1 Por isso, seu nível de suspeição deve ser elevado, para que o diagnóstico não seja feito de maneira tardia.

œ tI pos de tamponamento

O tamponamento no pós-operatório pode ser dividido em agudo (minutos, horas, primeiros dias) e subagudo (cinco a sete dias); este último é sub diagnosticado, porque os sintomas são semelhantes aos da insuficiência cardíaca e do tromboembolismo pulmonar. Este capítulo tratará apenas do tamponamento cardíaco agudo.

A incidência dessa afecção no pós-operatório imediato varia de 0,5% a 5,8% e caracteriza-se pela drenagem aumentada nas primeiras horas de pós-operatório (200mL/h), com ou sem sinais

hemodinâmicos de alteração no débito cardíaco, seguido de redução significativa do débito nos drenos, que podem ser obstruídos por coágu los, os quais impedem a drenagem mediastinal, principalmente nas primeiras 24h. Deve-se pensar no quadro de tamponamento sempre que hou ver deterioração hemodinâmica, particularmente com redução do débito cardíaco e/ou hipotensão sem resposta ao manejo convencional com medi camentos vasoativos. Inicialmente, pode-se obter resposta à infusão de volume.3

œ dI agnóst ICo

Na realidade, pode haver dificuldade no diagnóstico, requerendo alto grau de suspeita clínica. O quadro clínico, nesses casos, tem por características:

„ Elevação da pressão venosa central ou equalização das pressões atriais direita e esquerda.

„ Redução do volume urinário e do débito cardíaco.

„ Elevado volume de drenagem nas primeiras horas seguido de diminuição posterior, com alargamento do mediastino na radiografia de tórax.

Alguns exames podem trazer outros subsídios para o diagnóstico correto dessa afecção. O eletro cardiograma apresenta alterações inespecíficas de repolarização ventricular, baixa voltagem do com plexo QRS, podendo mostrar sinais de isquemia ou pericardite. As radiografias de tórax são caracteri zadas por aumento da área cardíaca com ou sem apagamento dos vasos pulmonares, podendo apre sentar o coração em formato de moringa. O ecocardiograma transtorácico pode não ser um bom exame no pós-operatório imediato, pela dificuldade de obtenção de uma boa janela, em virtude de dre nos, dor na incisão, posicionamento impróprio do paciente e até mesmo ar na cavidade mediastinal.

10
Capítulo

Débito cardíaco

Pressão do enchimento do VE

Pressão do enchimento do VD

Pressão intrapericárdica

A Pressão mmHg Volume

Aumento do volume do líquido pericárdico

Acúmulo rápido Acúmulo lento

Reserva de volume do pericárdio Período de distensão do pericárdio

Figura 10.1 (A e B) Alterações hemodinâmicas no tamponamento. Aumento da quantidade de líquido pericárdico; as pressões do ventrículo esquerdo e do ventrículo direito se equalizam com a pressão pericárdica (A). Quando o líquido se acumula rapidamente (linha preta), a capacidade de distensão do pericárdio é menor; tamponamento mais rápido no acúmulo lento (crônico) (linha cinza), o pericárdio tem maior capacidade de distensão (B)

VE: ventrículo esquerdo; VD: ventrículo direito.

Fonte: adaptada de Madhivathanan et al., 2020.2

58 Guia Prático de Assistência do Perioperatório de Cirurgia Cardíaca
18 15 12 9 6 3 Pressão mmHg
B

Contudo, pela sua praticidade, é muito utilizado e contribui para o estabelecimento de seu diagnóstico. O ecocardiograma transesofágico é um exame mais sensível e específico, podendo mostrar a compressão das cavidades cardíacas decorrente de líquido ou coágulo no mediastino, característico da afecção em questão (Figura 10.2).3

O mais importante para o diagnóstico do tamponamento no pós-operatório é, portanto, a suspeita clínica; na maioria das vezes, ela é suficiente tanto para a definição do diagnóstico quanto para a instituição de uma terapêutica específica ao quadro.

œ tratamento

A terapêutica consiste na reabordagem cirúrgica, que possibilita a identificação e a correção de possíveis focos de sangramento; ou, ainda, a simples limpeza dos coágulos na cavidade pericárdica, evitando a compressão das câmaras cardíacas.4 Essa limpeza evita que ocorra maior consumo de fatores de coagulação e deterioração clínica, com consequente alteração no sistema de coagulação do paciente.

A ordenha dos drenos mediastinais e o controle rigoroso da quantidade drenada são importantes na prevenção do tamponamento cardíaco, evitando a formação de coágulos e tratando possíveis coagulopatias que estejam interferindo no processo.

œ reFerÊnCIas

1. Kirklin JW. Cardiac surgery. 2. ed. Filadélfia: Churchill Livingstone; 1993.

2. Madhivathanan PR, Corredor C, Smith A. Perioperative implications of pericardial effusions and cardiac tamponade. BJA Educ. 2020; 20(7):226-34.

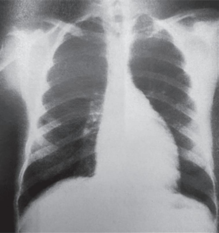
Figura 10.2 (A e B) Radiografia de tórax (A) e eletrocardiograma (B) de paciente com tamponamento no pósoperatório imediato

3. Price S, Prout J, Jaggar SI et al. “Tamponade” following cardiac surgery: terminology and echocardiography may both mislead. Eur J Cardiothorac Surg. 2004; 26(6):1156-60.

4. Wallen M, Morrisson A, Gilles D et al. Mediastinal clearance for cardiac surgery. Cochrane Database Syst Rev. 2004; 18(4):CD003042.

Aumento do volume do líquido pericárdico Débito cardíaco Pressão do enchimento do VE Pressão do enchimento do VD Pressão intrapericárdica
Tamponamento Cardíaco no Pós-operatório 59
B 18 15 12 9 6 3 Pressão mmHg
A

Parada Cardíaca no Pós-operatório de Cirurgia Cardíaca

œ Introdução

A maioria das paradas cardiorrespiratórias (PCR) acontece nas primeiras 24h de pós-operatório, pre dominantemente nas primeiras 3h. A incidência encontra-se entre 0,7% e 8% dos casos.1 Aproximadamente 50% dos pacientes sobrevivem, proporção maior quando comparada à de paradas cardíacas em outros cenários, que apresentam maior incidência de causas irreversíveis.

œ Ep I d E m I olog I a

A fibrilação ventricular (FV) é o ritmo mais comum, encontrada em até 70% dos casos,2 sendo

rapidamente reconhecida devido à monitorização eletrocardiográfica contínua, além da pressão ar terial invasiva. Infarto perioperatório é responsável por metade das paradas cardíacas, e problemas cirúrgicos (tamponamento e hemorragia) afetam 25% dos pacientes,2 podendo ser rapidamente resolvidos por reanimação e reesternotomia de emergência (Figura 13.1).

œ t ratam E nto

Em 2017, a Society of Thoracic Surgeons (STS) publicou um consenso derivado do consenso publicado pelo Society of Thoracic Surgeons (STS)/European Association for Cardio-Thoracic Surgery (EACTS) de

13
Capítulo
BAVT 5%Desconhecida 12% Hipocalemia 6% Tamponamento/ hemorragia 24% IAM 53% Causas de PCR após cirurgia cardíaca Figura 13.1 Causas de paradas cardíacas no pós-operatório de cirurgia cardíaca BAVT: Bloqueio atrioventricular total; IAM: infarto agudo do miocárdio. Fonte: adaptada de Ngaage & Cowen, 2009.2

2016 e baseado na opinião de especialistas sobre PCR no pós-operatório de cirurgia cardíaca. Esse protocolo apresenta peculiaridades como tempo para reesternotomia, número de tentativas de des fibrilação antes da reesternotomia, administração de adrenalina, uso de marca-passo e balão intra-aórtico (Figura 13.2). Assim, os principais destaques são:

„ Fibrilação ventricular (FV) ou taquicardia ventricular (TV): três tentativas de desfibrila ção ventricular antes das manobras de reanimação cardiopulmonar (RCP), caso o primeiro choque esteja disponível no primeiro minuto da parada. Se houver falha, deve-se iniciar as ma nobras de PCR, bólus de 300mg de amiodarona pelo cateter central e reesternotomia nos 5min seguintes.1 Em nossa realidade, nem sempre há disponibilidade de choque no primeiro minuto; portanto, as manobras de PCR devem ser inicia das, e o choque, instituído assim que o desfibrilador estiver disponível. Em estudo observacional realizado por Chan et al. em 2008, com 6.789 pacientes em FV/TV, com a desfribrilação feita nos primeiros 2min, 66,7% recuperaram a circulação espontânea; dentre estes, 39,3% ti veram alta hospitalar.3 Em 2007, Richardson et al. demonstraram taxa de sucesso de 78% no primeiro choque, 66% no segundo e 35% no terceiro, em pacientes com FV/TV. A taxa de su cesso de desfibrilação combinada foi de 88%. Não houve benefício no quarto choque.4

„ Assistolia ou bradicardia intensa: deve ser instalado marca-passo antes das manobras de PCR, se ele estiver disponível no primeiro mi nuto. Se não houver sucesso, devem ser iniciadas as manobras de RCP e reesternotomia nos 5min seguintes. Atropina não é indicada, pois não apresenta melhora no desfecho, além de atrasar a reesternotomia (Tabela 13.1).

„ Atividade elétrica sem pulso (AESP): manobras de RCP devem ser iniciadas, enquanto a reesternotomia é realizada, nos primeiros 5min. Caso o marca-passo esteja ligado, con siderar desligar brevemente para excluir FV, já que as espículas do marca-passo podem mi metizar complexos ventriculares estreitos no eletrocardiograma. Causas reversíveis, como pneumotórax, tamponamento e hemorra gia, devem ser consideradas, uma vez que a rápida descompressão do pneumotórax e a rápida reesternotomia para tratar tampona mento e hemorragia relacionam-se com excelentes desfechos. Causas menos comuns, como hipóxia, acidose, hipercalemia, hipoca lemia e hipotermia, também precisam ser consideradas (Tabela 13.2).

Caso as condutas sejam refratárias, o balão de contrapulsação intra-aórtico pode ser considerado.

Parada cardiorrespiratória

Avaliação do ritmo

FV/TV Choque (3 tentativas)

Assistolia ou bradicardia grave Marca-passo

Atividade elétrica sem pulso

Via respiratória e ventilação

Se em ventilação mecânica: FiO100% e PEEP de 02

Transicione para Ambu com 100% de O, verifique a posição do tubo2 orotraqueal e a insuflação do cuff

Se suspeita de pneumotórax, insira jelco de grande calibre no 2espaço o intercostal na linha medioclavicular

Figura 13.2 Protocolo STS/EACTS no atendimento da parada cardiorrespiratória no pós-operatório de cirurgia cardíaca (2017)

FV: fibrilação ventricular; TV: taquicardia ventricular; FiO2: fração inspirada de oxigênio; PEEP: pressão expiratória final positiva.

72 Guia Prático de Assistência do Perioperatório de Cirurgia Cardíaca

Tabela 13.1 Uso de marca-passo na parada cardiorrespiratória no pós-operatório de cirurgia cardíaca

Definições do marca-passo na parada cardiorrespiratória Marca-passo epicárdico no primeiro minuto

ƒ

Modo dupla-câmara, com detecção e estimulação atrioventricular, capaz tanto de deflagrar como de inibir estímulos quando sente o batimento ventricular (DDD)

ƒ Output máximo atrial e ventricular

ƒ 80/min a 100/min

Marca-passo transcutâneo no primeiro minuto

ƒ Captura 1:1

ƒ 80/min a 100/min

Fonte: adaptada de Society of Thoracic Surgeons Task Force on Resuscitation After Cardiac Surgery, 2017.1

Tabela 13.2 Causas e tratamentos de parada cardíaca no pós-operatório

Acidose metabólica

Hipercalemia

Bicarbonato de sódio

Gluconato de cálcio 10% 10mL + SG 5% 100mL bólus Bicarbonato de sódio (em acidose) – 1 a 2mEq/kg

Hipocalemia

Reposição de cloreto de potássio (KCl) – veia periférica: 5 a 20mEq/h, veia central: 20 a 30mEq/h

Hipotermia Aquecimento externo

Pericardiocentese

Tamponamento

Pneumotórax

Infarto perioperatório

Embolia pulmonar

Esternotomia de emergência

Punção descompressiva

Drenagem pleural

Balão intra-aórtico

Cineangiocoronariografia de emergência

Anticoagulação

Embolectomia

Digital: suspender, corrigir hipocalemia

Quando a parada cardíaca ocorre precocemente, a desfibrilação, o marca-passo ou a reesternotomia podem restaurar a circulação espontânea. Nessas situações, adrenalina pode ser considerada perigosa pelos cirurgiões devido à possibilidade de sangramento e rompimento de suturas ocasionada por hipertensão acentuada. Após analisarem 889 estudos, Tsagkataki et al. (2008) não recomendaram o uso de adrenalina no pro tocolo de PCR no pós-operatório em razão da falta de evidências.6 O estudo randomizado, prospectivo, duplo-cego e controlado PARAMEDICS2 apresentou como resultado maior taxa de pacientes com sequelas neurológicas graves; porém, a amostra gem era de pacientes com PCR extra-hospitalar.7

De acordo com o consenso da STS/EACTS, não é recomendado utilizar adrenalina, e seu uso deve ser indicado exclusivamente pelo médico mais ex periente presente. A metanálise realizada por Morales-Cané et al., em 2016, encontrou benefícios na administração de adrenalina no retorno da cir culação espontânea durante as manobras de reanimação; contudo, não demonstrou benefícios no índice de sobrevivência na alta ou em longo prazo e, igualmente, não detectou esse benefício no es tado neurológico dos pacientes.8

Intoxicação medicamentosa

BCC: gluconato de cálcio, inotrópico e marca-passo

Betabloqueador: inotrópico, marca-passo

SG: solução glicosada; BCC: bloqueadores do canal de cálcio.

Fonte: adaptada de Bojar, 2021.5

Em caso de PCR após o 10o dia de pós-operatório, o benefício da reesternotomia deve ser pesado, em razão da dificuldade na realização de compressões cardíacas internas atribuída ao de senvolvimento de aderências pericárdicas, além de as causas se aproximarem das paradas cardíacas não relacionadas com o pós-operatório.

Parada Cardíaca no Pós-operatório de Cirurgia Cardíaca 73

œ S I tuaçõ ES ES p ECI a IS

Algumas situações em que há possibilidade do uso de dispositivos de assistência circulatória na PCR:

„ ECMO (membrana de oxigenação extracorpórea): estudos recentes identificaram o uso de ECMO-veno-arterial como alternativa razoável à PCR tradicional.9 É indicada quando não foi possivel restabelecer a circulação espontânea, com potencial melhora de desfecho neurológico em 20% dos pacientes com menos de 65 anos, sem comorbidades e instalação na primeira hora de PCR.10 Entretanto, esse dispositivo está disponível em poucos centros devido à necessidade de equipe especializada e treinada e de estrutura complexa na terapia intensiva.

„ BIA (balão intra-aórtico): dispositivo posicionado no interior da aorta, por meio de punção arterial, alocado na aorta ascendente, favore cendo a perfusão coronariana, reduzindo a póscarga e o trabalho miocárdico. O trigger do BIA deve ser alterado para modo pressão, frequên cia 1:1, de modo que a massagem cardíaca não interfira na ciclagem do balão. Caso a massa gem seja interrompida, será necessário alterar o modo para interno até reiniciá-la.1

œ Con SI d E raçõ ES f I na IS

Em nossa prática clínica, utilizamos de maneira rotineira a adrenalina na dose preconizada pelo ACLS (Advenced Cardiovascular Life Support), já

que, até o momento, não há estudos robustos no cenário de pós-operatório que determinem a não utilização do medicamento.

œ rE f E rên CI a S

1. Society of Thoracic Surgeons Task Force on Resuscitation After Cardiac Surgery. The Society of Thoracic Surgeons expert consensus for the resuscitation of patients who arrest after cardiac surgery. Ann Thorac Surg. 2017; 103(3):1005-20.

2. Ngaage DL, Cowen ME. Survival of cardiorespiratory arrest after coronary artery bypass grafting or aortic valve surgery. Ann Thorac Surg. 2009; 88(1):64-8.

3. Chen YS, Chao A, Yu HY et al. Analysis and results of prolonged resuscitation in cardiac arrest patients rescued by extracorporeal membrane oxygenation. J Am Coll Cardiol. 2003; 41(2):197-203.

4. Richardson L, Dissanayake A, Dunning J. What cardioversion protocolfor ventricular fi brillation should be followed for patients who arrest shortly postcardiac surgery? Interact Cardiovasc Thorac Surg. 2007; 6(6):799-805.

5. Bojar RM. Manual of perioperative care in adult cardiac surgery. 6. ed. Philadelphia: Wiley-Blackwell; 2021.

6. Tsagkataki M, Levine A, Strang T et al. Should adrenaline be routinelyused by the resuscitation team if a patient suffers a cardiac arrestshortly after cardiac surgery? Interact Cardiovasc Thorac Surg. 2008; 7(3):457-62.

7. Perkins GD, Ji C, Deakin CD et al. A randomized trial of epinephrine in out-of-hospital cardiac arrest. N Engl J Med. 2018; 379(8):711-21.

8. Morales-Cané I, Valverde-León MD, Rodríguez-Borrego MA. Epinephrine in cardiac arrest: systematic review and meta-analysis. Rev Lat Am Enfermagem. 2016; 24:e2821.

9. Pappalardo F, Montisci A. What is extracorporeal cardiopulmonary resuscitation? J Thorac Dis. 2017; 9(6):1415-9.

10. Lunz D, Calabro L, Belliato M et al. Extracorporeal membrane oxygenation for refractory cardiac arrest: a retrospective multicenter study. Intensive Care Med. 2020; 46(5):973-82.

74 Guia Prático de Assistência do Perioperatório de Cirurgia Cardíaca

Complicações Gastrintestinais no Pós-operatório de Cirurgia Cardíaca

œ Introdução

As complicações gastrintestinais incidem em 3% a 5,5% dos pacientes em pós-operatório de cirurgia cardíaca por meio de amplo espectro de manifes tações, desde a hemorragia digestiva alta ou baixa sem repercussão hemodinâmica até a hepatite fulminante. As principais encontradas na literatu ra são: sangramentos, isquemia mesentérica, pancreatite, colecistite e íleo metabólico.1,2

O diagnóstico oferece grande dificuldade, porque a maioria dos pacientes encontra-se sedada e em ventilação mecânica, alguns, em uso de blo queador neuromuscular. A identificação rápida de qualquer complicação abdominal agiliza a institui ção de uma linha terapêutica adequada e melhora o prognóstico, visto que estudos contemporâneos demonstram uma elevada taxa de mortalidade, de até 32%. Portanto, qualquer sangramento, fe bre persistente, icterícia ou distensão abdominal devem ser levados em conta e investigados com radiografia (Rx), ultrassonografia (USG) ou tomo grafia computadorizada (TC) de abdome.1

œ patogen I a

A circulação esplâncnica corresponde a 20% do débito cardíaco. As artérias celíacas, mesentérica superior e inferior garantem a irrigação dos órgãos abdominais e atuam, também, como um reserva tório sanguíneo de aproximadamente 800mL, que pode ser utilizado como resposta a hipovolemia, baixo débito cardíaco e estímulo de catecolaminas. O suplemento mesentérico é regulado pelas resis tências das arteríolas que dilatam em resposta ao aumento da pressão arterial média. Esse mecanis mo compensatório não ocorre nos casos de tempo prolongado em circulação extracorpórea (CEC), pro longada, arritmias, choques hipovolêmicos graves

persistentes ou choque vasoplégico, causando ou agravando a isquemia esplâncnica.1,2

O dano ao trato gastrintestinal (TGI) é multifatorial e, além do mecanismo citado anteriormente, tem como causas centrais a hipoperfusão da CEC e a vasoconstrição pela síndrome de resposta infla matória sistêmica (SIRS). Na Figura 18.1, são identificadas as principais vias que levam à isquemia.1-3

A hipoperfusão pode ser causada por baixo débito cardíaco, baixo fluxo para a região intes tinal, controle inadequado da pressão arterial média ou tempo de CEC prolongado, visto que, durante a perfusão, o fluxo é linear e, contínuo e não pulsátil. Tal característica ativa o sistema renina-angiotensina-aldosterona, que libera an giotensina II, um potente vasoconstritor. Outro ponto importante na CEC é a ativação da cas cata de inflamação por meio de tromboxano A2 e B2, complemento 5a (C5a) e leucotrienos, que também promovem a vasoconstrição. Todos es ses mecanismos causam má distribuição do suprimento sanguíneo abdominal.1-3

A isquemia intestinal prolongada provocada pela CEC, com o posterior retorno do fluxo pulsátil e reperfusão, pode resultar em aumento da per meabilidade dos capilares, permitindo a translocação bacteriana ou de toxinas para a circulação portal. Além disso, a inadequada perfusão hepática faz com que haja diminuição da depuração das bacté rias e seus produtos. Isso pode gerar um quadro de bacteremia, sendo, portanto, um fator determinan te no desenvolvimento de disfunção de múltiplos órgãos e óbito em pacientes graves.

Além de todos esses processos, fatores mecâ nicos também contribuem para a isquemia mesentérica por meio de fenômenos micro- e macroembólicos originados de ar, resíduos de placas de ateroma, trombos, debris e congestão hepática.

A causa mais comum de complicações é o sangramento intestinal (32% dos casos), que

18
Capítulo

Tranlocação bacteriana

Hipoperfusão (ativação SNAS) Vasoconstrição esplâncnica Ativação SRAA SIRS Vasocontrição

TX A2

TX B2

C5a Leucotrienos

Figura 18.1 Fluxograma das causas primárias de lesão no trato gastrintestinal no pós-operatório de cirurgia cardíaca

POI: pós-operatório imediato; CEC: circulação extracorpórea; VM: ventilação mecânica; MVA: medicação vasoativa; SRAA: sistema renina-angiotensina-aldosterona; SIRS: síndrome de resposta inflamatória sistêmica; SNAS: sistema nervoso autônomo simpático; TX: tromboxano; C5a: complemento 5a.

ocorre pela heparinização plena, seguida da isquemia mesentérica (14%) pela redução da circulação esplâncnica tanto na forma não obstrutiva quanto na oclusiva, ambas causadas por embolia arterial ou trombose.1-3

œ Fatores de r I s Co

Pacientes submetidos à cirurgia cardíaca geralmente apresentam fatores de risco que podem contribuir para complicações abdominais no pósoperatório. Elas podem ser divididas em:1

„ Pré-operatórios:1 y Idade acima de 70 anos. y Reoperação. y Insuficiência renal crônica. y Doença vascular periférica. y Diabetes melito. y Doença pulmonar obstrutiva crônica. y Doença do TGI preexistente. y NYHA III ou IV. y Baixo débito cardíaco. y Uso de suporte inotrópico ou balão intra-aórtico.

„ Intraoperatórios:1,2 y Duração do tempo de anóxia. y Cirurgia valvular. y Cirurgia de emergência.

y Grande volume de transfusão. y Uso de balão intra-aórtico. y Arritmias.

„ Pós-operatórios:1,3 y Tempo de ventilação mecânica prolongado. y Insuficiência renal aguda. y infecção esternal profunda ou osteomielite. y Choque cardiogênico prolongado.

Muitos estudos sugerem que não há diferença entre o uso com e sem CEC como fator de risco para complicações abdominais. Esses resultados se baseiam na titulação da resposta inflamatória em contato com os tubos da CEC, que parece menor quando comparada à de ventilação me cânica prolongada, farmacoterapia, anestesia e hipotermia.

œ p revenção

Conhecer os fatores de risco e identificá-los no paciente que será submetido à cirurgia cardíaca faz com que o médico possa traçar medidas para evitar algumas vias de isquemia ou hipoperfusão, entre elas:

„ Otimização pré-operatória de hipovolemia, anemia e débito cardíaco.

„ Monitoração intraoperatória e manutenção adequada de débito cardíaco e oxigenação.

Paciente no POI de cirurgia cardíaca MVA VM Fatoresmecânicos CEC (fluxo)
94 Guia Prático de Assistência do Perioperatório de Cirurgia Cardíaca

„ Uso racional de substâncias vasoativas e conhecimento de seus efeitos colaterais, como: a noradrenalina, que diminui a circulação es plâncnica; a dobutamina, que não altera o fluxo gastrintestinal; e a vasopressina, que, além de reduzir a perfusão, garante maior tempo de vasoconstrição esplâncnica em estudos com animais. O recente estudo VANCS, contudo, demonstrou que não houve diferença entre o uso de vasopressina e o de noradrenalina em pacientes com choque vasoplégico nos resulta dos de isquemia mesentérica.

„ Modificação da CEC: uso de circuitos menores, evitando a hemodiluição ou grandes transfusões com meta de hematócrito em tor no de 25% no intraoperatório e menor tempo de anóxia.

„ Minimização dos riscos de embolia: seleção dos sítios de canulação sem placas de ateroma, re tirada de ar meticulosa e uso de filtros para evitar microembolias.

„ Uso de inibidores de bomba de prótons para prevenção de úlcera gástrica ou duodenal como rotina no pós-operatório.

œ dI agnóst ICo

Apesar do desafio para o diagnóstico correto nesses pacientes, a investigação inicial inclui análise laboratorial com hemograma, coagulograma, provas inflamatórias, dosagem de lactato e prova de fun ção hepática. Além disso, Rx, USG e TC de abdome,

Tabela 18.1

Hemorragia (30% a 35% dos casos)

HDA: hematêmese

HDB: melena ou hematoquezia

Choque

Dor abdominal

Isquemia mesentérica (14% a 20% dos casos)

Choque

Dor abdominal importante com distensão Intolerância à dieta

se possível com contraste intravenoso e oral, são imprescindíveis para o diagnóstico. Nos casos de hemorragias digestivas, deve-se avaliar o uso de en doscopia ou colonoscopia.1,2

As hemorragias digestivas são as principais complicações no pós-operatório e têm como causa a associação entre angiodisplasias e pólipos com a heparinização plena necessária para a CEC. Em estudo recente, as principais causas de sangramento até o segundo dia de pós-operatório foram úlceras duo denais e gastrites erosivas, alertando para o correto tratamento no pré-operatório desses pacientes.1-3

Outro ponto importante para ressaltar é a vigência de sangramentos digestivos após a implantação de dispositivos de assistência ventriculares, como o ECMO e o HeartMate II ou III, que, pelo uso contínuo de heparina, aspirina ou varfarina, podem evoluir com discrasias sanguíneas e, por isso, requerem um controle rígido e adequado da coagulação.4,5

A incidência, a apresentação clínica e os exames a ser solicitados estão resumidos na Tabela 18.1.4,5

œ t ratamento

Conhecer a complicação abdominal no pós-operatório e ter uma equipe de cirurgia geral ou do aparelho digestivo de retaguarda certamente muda o prognóstico dos pacientes.

O diagnóstico da isquemia intestinal é espe cialmente difícil, sugerido por aumento dos níveis de lactato, acidose metabólica persistente, disten são abdominal, leucocitose e íleo metabólico. Na

Diagnóstico

Controle de Hb/Ht DHL Dosagem de ureia Endoscopia

Colonoscopia (evitar nos casos de diverticulite aguda pelo risco de perfuração)

Leucocitose Aumento da amilase Aumento do lactato Acidose metabólica

TC de abdome com contraste IV e/ou VO Angiografia com papaverina Laparoscopia ou laparotomia

Complicações Gastrintestinais no Pós-operatório de Cirurgia Cardíaca 95
Complicações abdominais, apresentação clínica e diagnóstico ComplicaçãoApresentação clínica
ƒ
ƒ
ƒ
ƒ
ƒ
ƒ
ƒ
ƒ
ƒ
ƒ
ƒ
ƒ
ƒ
ƒ
ƒ
ƒ
ƒ
ƒ
ƒ
(continua)

Tabela

ComplicaçãoApresentação clínica Diagnóstico

Úlcera péptica perfurada (6% a 8% dos casos)

Pancreatite (5% a 10% dos casos)

Choque Dor abdominal importante com distensão Descompressão brusca presente

ƒ Dor “em faixa” epigástrica e dorso Náuseas e vômitos Distensão abdominal Icterícia Choque

Colecistite (6% a 11% dos casos). Geralmente após 10o PO SIRS

ƒ Rx de abdome TC de abdome com contraste IV e/ou VO Laparoscopia ou laparotomia

Provas de função hepática TC de abdome com contraste IV

ƒ Dor em região de hipocôndrio direito Febre Náuseas e vômitos Sinal de Murphy presente Provas de função hepática USG de abdome total TC de abdome com contraste IV Laparoscopia

Disfunção hepática (3% dos casos) SIRS Náuseas e vômitos Icterícia Provas de função hepática USG de abdome total Sorologias para hepatite

HDA: hemorragia digestiva alta; HDB: hemorragia digestiva baixa; Hb: hemoglobina; Ht: hematócrito; DHL: desidrogenase lática; IV: intravenoso; VO: via oral; PO: pós-operatório; Rx: radiografia; TC: tomografia computadorizada; USG: ultrassonografia; SIRS: síndrome de resposta inflamatória sistêmica.

suspeita clínica, o estudo angiográfico precoce com dilatação ou infusão de papaverina ou intervenção cirúrgica garante a sobrevida desses pacientes.1,2

É importante enfatizar que o diagnóstico rápido em doentes com múltiplas comorbidades garante

melhor sobrevida, considerando que elas são res ponsáveis por aproximadamente 30% do total de óbitos dos pacientes de cirurgia cardíaca.

A rotina do tratamento das principais compli cações abdominais está resumida na Tabela 18.2.

Tabela 18.2 do trato gastrintestinal no pós-operatório de cirurgia cardíaca de coagulopatia de inibidor de bomba de prótons sangramentos incoercíveis de inotrópicos

96 Guia Prático de Assistência do Perioperatório de Cirurgia Cardíaca
ƒ
ƒ
ƒ
ƒ
ƒ
ƒ
ƒ
ƒ
ƒ
ƒ
ƒ
ƒ
ƒ
ƒ
ƒ
ƒ
ƒ
ƒ
ƒ
ƒ
ƒ
ƒ
ƒ
ƒ
ƒ
18.1 Complicações abdominais, apresentação clínica e diagnóstico das doenças (continuação)
Manejo das principais complicações
Complicação Tratamento Hemorragia „ Administração de fluidos „ Correção
„ Introdução
„ Endoscopia „ Colonoscopia „ Angiografia intervencionista „ Laparotomia nos
Isquemia mesentérica „ Administração de fluidos „ Antibioticoterapia „ Uso
„ Laparotomia (continua)

Ultrassom Point of Care e sua Aplicabilidade

œ Introdução

O ultrassom point of care (POCUS) no pós-operatório de cirurgia cardíaca (CC) é uma forma de utilização do ultrassom (US), complementar ao exame físico, indicado para médicos não radiolo gistas.1 Nesse contexto, a incorporação do POCUS resulta em melhor qualidade de atendimento e maior segurança para a equipe e o paciente, sen do um método diagnóstico não invasivo em tempo real. Os principais transdutores de US utilizados nesse cenário são ilustrados na Figura 22.1.

O exame ultrassonográfico realizado à beira do leito obedece a diferentes protocolos, a depender da necessidade do paciente e da cirurgia realizada. Entre os principais temos:

„ BLUE (ultrassom pulmonar à beira do leito em emergências): avaliação da etiologia da dispneia.

„ RUSH (ultrassom rápido no choque e na hipotensão): avaliação do choque.

„ TRUE (exame de ultrassom traqueal rápido): avaliação da intubação.

Transdutor linear L5-12 (megaHertz)

Avaliação vascular

Menor penetração

Maior qualidade de imagem Uso principal: Vascular Pleura Nervo óptico Acessos venosos

Transdutor setorial S1-5 (megaHertz)

Avaliação cardíaca

Menor penetração

Menor qualidade de imagem Uso principal: Cardíaco BLUE (pulmão+pleura)

FAST e e-FAST

RUSH CASA

Transdutor convexo C2-5 (megaHertz)

Avaliação abdominal Maior penetração

Menor qualidade de imagem Uso principal: Abdômen BLUE (pulmão+pleura) FAST e e-FAST RUSH

Figura 22.1 Transdutores utilizados na avaliação point of care e suas principais utilidades. Imagem ilustrativa, podendo a frequência do transdutor apresentar variabilidade entre os fabricantes

22
Capítulo

„ FAST* e e-FAST (avaliação focada do ultrassom no trauma – padrão e estendida): avaliação do paciente politraumatizado.

„ CASA (avaliação ultrassonográfica na parada cardiorrespiratória [PCR]): avaliação durante a PCR.

Os protocolos mencionados obedecem a uma linha de raciocínio diretamente ligada ao quadro clínico do paciente em atendimento.

X protocolo BluE

O protocolo BLUE (BLUE Protocol) – (bedside lung ultrasound in emergency) foi descrito em 2008 e demonstra uma sequência de análise para identifi car a etiologia da dispneia em 3min. A Figura 22.2 mostra a sequência do protocolo.

y Nomina – ultrassom pulmonar

„ Lung sliding: deslizamento respiratório entre a pleura parietal e a visceral. Modo bidimensio nal (2D). Campos pulmonares anteriores.

*Não será descrita neste capítulo.

„ Linhas A: artefatos de reverberação formados na pleura na topografia da borda pleura-pul mão, em um pulmão preenchido por ar. Modo bidimensional (2D). Campos pulmonares ante riores (Figura 22.3).

„ Linhas B: linhas evidenciadas ao modo bidimensional ou modo M, denominadas como “cauda de cometa”, sendo definidas com pelo menos 3 imagens em pelo menos 2 campos pulmonares bilateralmente. A depender da quantidade e do formato, pode-se correlacio nar a edema intersticial ou alveolar. Campos pulmonares anteriores (Figura 22.3).

„ Linhas C: relacionadas com a consolidação alveolar. Mais comumente em campos pulmo nares posteriores e muitas vezes associadas a derrame pleural.

„ Lung point: ponto pulmonar em que se observa a transição entre um segmento pleural que desliza (lung sliding) e um segmento sem a mesma evidência (pneumotórax).

Os diagnósticos diferenciais principais serão re alizados entre asma, doença pulmonar obstrutiva crônica (DPOC), pneumotórax, tromboembolismo pulmonar (TEP) e trombose venosa profunda (TVP).

Figura 22.2 Árvore de decisão utilizando o POCUS para guiar o diagnóstico de dispneia. Deve-se interpretar o perfil A’ = A sem lung sliding e o perfil B’ = B sem lung sliding TVP: trombose venosa profunda; TEP: tromboembolismo pulmonar; PLAPS: síndrome pleural (derrame pleural) e alveolar (linhas C) posterolateral (em inglês, posterolateral alveolar and pleural syndrome); DPOC: doença pulmonar obstrutiva crônica. Fonte: adaptada de Lichtenstein & Mezière, 2008.2

116 Guia Prático de Assistência do Perioperatório de Cirurgia Cardíaca
Necessário exame complementar Protocolo BLUE Lung sliding Presente Ausente Edema pulmonar Análise venosa Perfil APerfil B Perfil B’Perfil A/B ou perfil C Pneumonia Pneumonia TVP s/ TVP Presente Ausente Ponto pulmonar Perfil A’ TEP PLAPS s/ PLAPS DPOC/AsmaPneumonia Pneumotórax

Apenas três achados ultrassonográficos precisam ser pesquisados para realização do protocolo:

1. Definição de padrão pulmonar A (linhas A), padrão B (linhas B) ou padrão A/B ou C (linhas A em um pulmão e B no contralateral).

2. Presença ou ausência de lung sliding

3. Derrame pleural ou consolidações (posterola teral alveolar e síndrome pleural [PLAPS; do inglês, pleural syndrome]).

A premissa do protocolo é que o exame clínico com estetoscópio e radiografia simples – apesar de seu uso onipresente – tem sensibilidade bas tante baixa para detectar patologias cardiopulmonares no pós-operatório imediato (POI). A ultrassonografia pulmonar, em contrapartida, demonstrou ter alta sensibilidade e especificidade quando usada para diagnosticar patologias torácicas co muns (Tabela 22.1).

Figura 22.3 Avaliação ultrassonográfica dos padrões pulmonares normal e patológicos
Ultrassom Point of Care e sua Aplicabilidade 117
Tabela 22.1 Desempenhos diagnósticos comparativos (em percentuais) entre ausculta, radiografia de tórax e ultrassonografia pulmonar* Ausculta Radiografia de tóraxUltrassonografia pulmonar Derrame pleural (%) Sensibilidade 42 39 92 Especificidade 90 85 93 Precisão do diagnóstico 61 47 93 Consolidação alveolar (%) Sensibilidade 8 68 93 Especificidade 100 95 100 Precisão do diagnóstico 36 75 97 Síndrome alveolar-intersticial (%) Sensibilidade 34 60 98 Especificidade 90 100 88 Precisão do diagnóstico 55 72 95 *A síndrome alveolar-intersticial costuma ser equivalente ao edema pulmonar. Fonte: adaptada de Lichtenstein & Mezière, 2008.2 Broncograma aéreo Artefato reverberação “Cauda de cometa” Consolidação pulmonar (”hepatização”) Linhas A (ar) Linhas B–confluentes (alveolar) Linhas B (intersticial) Pleura

X protocolo ruSH

O protocolo RUSH (rapid ultrasound for shock and hypotension) destina-se ao reconhecimento pre coce e ao tratamento adequado do choque. A incorporação de POCUS em pacientes com choque indiferenciado permite a avaliação rápida de cau sas reversíveis de choque e melhora o diagnóstico preciso em hipotensão indiferenciada. O RUSH tem seu exame dividido em três partes de uma avaliação fisiológica simplificada como “bomba” (coração), “tanque” e “vasos ” (artéria aorta e veia cava)3 (Figura 22.4).

O primeiro passo do protocolo RUSH, e mais importante, é avaliar a “bomba” cardíaca em três pontos principais, na seguinte ordem:

1. Visualizar o saco pericárdico e determinar se há derrame pericárdico com colabamento ou com pressão cardíaca (tamponamento cardíaco).

2. Avaliar, de maneira qualitativa, a contratilidade do ventrículo esquerdo (VE) (disfunção ventri cular, por exemplo, secundária a infarto agudo do miocárdio [IAM]).

3. Avaliar o tamanho relativo entre o ventrículo direito (VD) e ventrículo esquerdo (VE), pois, quando o VD está aumentado em relação ao VE, pode ser indicação de IAM extenso ou TEP maciço.

O segundo passo do protocolo RUSH consis te em determinar o volume intravascular, referido como “tanque”. Para isso, é necessário avaliar o diâmetro da VCI e sua correlação com o ciclo res piratório, de modo que um diâmetro menor ou igual a 2,1cm – associado a um colapso da VCI maior que 50% durante a inspiração, em contex to adequado – pode sugerir depleção de fluidos compatível com quadro de choque hipovolêmico ou distributivo. Por outro lado, um diâmetro maior que 2,1cm e um colabamento da VCI inferior a 50% podem sugerir choque cardiogênico ou obs trutivo.

Além disso, é necessário avaliar o pulmão e as linhas B, que, se presentes, podem colaborar para sobrecarga volêmica ou edema pulmonar. Deve-se analisar também a cavidade pleural, tentando identificar derrames pleurais volumo sas ou pneumotórax hipertensivo. Por último, é realizado um Fast para identificar líquido livre intraperitoneal, sugerindo a perda de fluido do tanque.

O terceiro passo do protocolo RUSH é a ava liação dos “vasos”, ou seja, dos grandes vasos (artérias e veias) do corpo, devendo uma simples

pergunta ser respondida: os vasos estão rotos ou obstruídos? Nessa etapa, devem ser identi ficados aneurismas e dissecções de aorta, assim como avaliadas as veias femorais e poplíteas na busca de TVP (Tabela 22.2).

X protocolo truE

O procedimento de intubação é seguido, em geral, da ausculta epigástrica, para excluir uma intubação esofágica, e da ausculta pulmonar bilateral, para excluir a canulação seletiva (em geral, do brônquio-fonte direito), apesar de se considerar a capnografia como o método padrão-ouro para diferenciar uma intubação esofágica de uma oro gástrica. A precisão desse exame (US) é de 99% de sensibilidade e de 94% de especificidade.4-6 O paciente estará em decúbito dorsal após a intubação. O passo a passo do exame está descri to a seguir:

1. Deve ser usada a sonda linear por se tratar de estruturas superficiais (paciente estará com a face lateralizada para a direita, com a finalidade de expor melhor a região anatômica a ser es tudada).

2. Inicia-se com a sonda linear, perpendicular à região da fúrcula do esterno, realizando uma varredura em direção ao lóbulo esquerdo da tireoide (usando o mesmo como janela acústica), para com isso tentar visualizar o esôfago; se a intubação for esôfágica, haverá o sinal da du pla sombra e, se houver uma única sombra, a intubação estará correta (Figura 22.5).

X protocolo CaSa

O protocolo CASA ( cardiac arrest sonographic assessment) tem o objetivo de identificar a causa da PCR e inclui a sistematização do exame para que não prejudique seu tratamento. Nada pode atrasar as compressões cardíacas, devido ao des fecho desfavorável relacionado com essas pausas. Para isso, cada etapa não pode durar mais que 10s. A equipe médica deve lembrar-se também de sempre avaliar outras possíveis causas não visuali záveis pelo US.

As observações focadas analisam por ordem os seguintes parâmetros:

„ Tamponamento cardíaco (1a pausa).

„ Embolia pulmonar (2a pausa).

„ Atividade cardíaca (3a pausa).

118 Guia Prático de Assistência do Perioperatório de Cirurgia Cardíaca

Oxigenação por Membrana Extracorpórea: Desmame e Complicações

œ Introdução

O desmame do suporte mecânico fornecido pela oxigenação por membrana extracorpórea (ECMO) deve ser considerado tão logo o pacien te apresente uma evolução clínica favorável. Dependendo do tipo de suporte recebido, devem ser realizados testes e exames específicos com o objetivo de obter sucesso na tentativa de decanu lação (Figura 28.1).

Assim como na ventilação mecânica (VM), nos pacientes em ECMO venovenosa (VV) o principal foco é fornecer uma oxigenação otimizada, acom panhada de favorável extração de CO2 e do suporte de oxigênio necessário.

A B sangue oxigenando femoral

Veia jugular interna desoxigenando

œ d esmame da ox I genação por membrana extraCorpórea venovenosa
ECMO VA ECMO VV sangue oxigenando desoxigenando Figura 28.1 (A e B) Imagem ilustrativa da oxigenação por membrana extracorpórea (ECMO) venovenosa (VV) e venoarterial (VA) Fonte: adaptada de Pillai et al., 2018.1
28
Capítulo
Retorno
Artéria
Sangue
Retorno
Sangue

O paciente deverá ser acompanhado durante o período de recuperação pulmonar em que a VM ficará em modo “protetor”, mantendo os parâme tros mínimos.2

Enquanto não houver sinais de melhora pulmonar, não haverá condições de desmame. No período durante a assistência, deve-se observar melhora nas relações de trocas gasosas, o que será produto de melhora na complacência pulmonar.3 Nesse sentido, o estado do paciente deve ser ava liado diariamente para a segurança do exato momento do desmame.

Após instalação da ECMO VV, deve-se realizar o teste de oxigênio todos os dias, idealmente a partir das 72h iniciais, tempo razoável para que os pulmões comecem a apresentar melhora ou se obtenha a estabilização do suporte fornecido pela ECMO. Esse protocolo, no entanto, pode variar dependendo da equipe.4

Os testes servem basicamente para avaliar se os pulmões nativos estão recuperando sua funciona lidade, mesmo que parcial, e otimizando as trocas gasosas.

X teste de oxigênio

O teste consiste em:

„ Coleta gasometria arterial do paciente antes do teste.

„ Otimizar parâmetros ventilatórios no ventilador mecânico, mantendo o fluxo do Blender constante, assim como as rotações da ECMO.

O ideal é fração inspiratória de oxigênio (FiO2) da VM em 100% e volume corrente de 6mL/kg.

„ Após 60min, coletar uma nova gasometria.

Ao obter-se um aumento da PO2 maior ou igual a 100mmHg na gasometria pós-teste, po de-se pensar em um possível desmame da ECMO.

Observação: deve-se interpretar o teste como a melhora da capacidade funcional pulmonar de oxigenação.

X teste de autonomia

O teste consiste em:

„ Aumentar os parâmetros do ventilador mecânico com volume corrente em 6mL/kg/min, FiO2 60%.

„ Diminuir o fluxo do Blender e, se necessário, pinçar a linha do fluxo de oxigênio para a membrana.

„ Coletar gasometria arterial do paciente.

„ Na gasometria arterial, deve-se obter PCO2 menor que 50mmHg, relação PaO2/FiO2 maior que 100mmHg, PO2 maior que 80mmHg e pH maior que 7,2.

Se o paciente mantiver gasometria estável du rante um período de, no mínimo, 4h, será possível pensar no desmame da ECMO.

Observação: deve-se interpretar o teste como a capacidade do pulmão em manter autonomia na troca de gases e remoção de CO2.

Dependendo da equipe responsável pela ECMO, o paciente pode apresentar testes favorá veis durante 12h ou até mesmo 3 dias e, ainda assim, continuar em ECMO para prevenir falha no desmame.2-4

Caso os testes realizados não sejam favoráveis, o paciente deverá continuar em assistência total, otimizando a terapia até recuperação completa.

œ d esmame da ox I genação por membrana extraCorpórea venoarter I al

Ao avaliar a possibilidade de desmame da ECMO venoarterial (VA), deve-se sempre considerar as alterações na fisiologia do sistema cardiovascu lar que levaram o paciente ao choque circulatório com necessidade de suporte mecânico.

Durante o período da assistência ao paciente na ECMO VA, a terapia ventilatória invasiva deve ser programada nos mínimos parâmetros para evi tar um possível dano pulmonar.5

Após todo o protocolo instalado, as informações alinhadas e o paciente estabilizado, deve-se buscar o momento exato para iniciar o desmame da ECMO com auxílio de alguns exames.

X avaliação ecocardiográfica

Realizar um ecocardiograma diário com a intenção de avaliar a possibilidade de desmame da ECMO é fundamental no correto manejo evolutivo desses pacientes. Deve-se direcionar essa avaliação em relação a função sistólica biventricular, integral de velocidade-tempo do fluxo aórtico (VTI), exclu são de lesões residuais, trombos cavitários e complicações pleuropericárdicas.

156 Guia Prático de Assistência do Perioperatório de Cirurgia Cardíaca

A diminuição gradativa da assistência da ECMO tem como alvo final alcançar um fluxo de 1 a 1,5L/min. É fundamental respeitar os limites míni mos de fluxo do circuito (considerando o peso) e o risco de trombose com o auxílio do perfusionista ou especialista habilitado.

O paciente terá critérios ecocardiográficos fa voráveis para desmame da ECMO quando a fração de ejeção do ventrículo esquerdo (FEVE) for maior que 25% e o VTI aórtico, maior ou igual a 10cm, parâmetros que devem ser mantidos com o mínimo suporte mecânico (Figura 28.2). A fun ção ventricular direita (VD) deve ser analisada em conjunto considerando a significativa interde pendência entre as câmaras cardíacas.

X parâmetros clínicos

Os parâmetros clínicos devem são acompanhados continuamente para se cogitar um desmame cir culatório efetivo, já que demonstraria de maneira indireta melhora na função cardíaca.

Um dos parâmetros é o surgimento de uma onda de pulso no monitor da pressão arterial invasiva (PAI). Esse é um indicador de que o pa ciente está apresentando abertura da valva aórtica, contratilidade miocárdica parcialmente eficaz e fluxo anterógrado com melhora do débito cardíaco. 3,5

Considerando a estabilidade hemodinâmica, uma pressão arterial média ≥60mmHg na ausência ou em vigência de baixas doses de catecolaminas indica melhora progressiva de perfusão sistêmica.3,5

A ausência de arritmias cardíacas sustentadas ou frequentes deve ser considerada um parâmetro adicional da recuperação funcional.

X parâmetros laboratoriais

No momento da avaliação para um possível desmame, deve-se coletar gasometria arterial a cada 15 ou 30min em assistência mínima (1 a 1,5L/ min). Essa gasometria deverá manter o pH en tre 7,35 e 7,45, adequada PO2 e SatO2, níveis de

Recuperaçao da função orgânica cardíaca

Decremento do suporte 0,5 a 1L/min por vez atéfluxo1,5L/min ≤

Parâmetros hemodinâmicos Parâmetros ecocardiográficos

PVC≤15mmHg FEVE≥25%

PAMP/PVC≥1,5

Ausência de distenção do VE/VD

PAM≥60 a 65mmHg

Pressão do pulso≥30mmHg

Sucesso: Desmamefinal SVO>60% 2 IC≥2,2L/mon/m2

Sem estase cardíaca VTI aórtico >10cm Não Sim Decanulação

Falha: Considerar terapia mecânica de longa duração

Figura 28.2 Avaliação padronizada do desmame da oxigenação por membrana extracorpórea considerando os parâmetros hemodinâmicos e ecocardiográficos

PVC: pressão venosa central; PAMP: pressão média da artéria pulmonar; PAM: pressão arterial média; FEVE: fração de ejeção do ventrículo esquerdo; VE: ventrículo esquerdo; VD: ventrículo direiro; VTI: integral de velocidade-tempo do fluxo aórtico; SVO2: saturação venosa central de oxigênio; IC: índice cardíaco.

Fonte: adaptada de Keebler et al., 2018.6

Oxigenação por Membrana Extracorpórea: Desmame e Complicações 157

bicarbonato e lactato compensados e eletrólitos dentro de valores normais.3-5

Uma vez alcançados esses parâmetros, o processo de desmame deverá ser realizado de maneira gradativa e sempre avaliando a estabilidade clínica.

A retirada da ECMO será efetivada com pinça mento das linhas arterial e venosa. Uma vez pinçadas as linhas, o paciente será avaliado constantemente e, caso se mantenha estável, o próximo passo será a retirada definitiva da ECMO com a decanulação. É possível reconectar o circuito com conector e manter o sangue recirculando para pos sível necessidade de retorno. Em caso de instabilidade hemodinâmica do paciente, deve-se retomar a assistência; além disso, o estado do paciente e as condições de desmame deverão ser reavaliados e rediscutidos com os membros da equipe.3,4

A disfunção plaquetária também está pre sente, em razão de alterações já descritas relacionadas com a ECMO, alterações endoteliais associadas ao processo inflamatório sistêmico e hipocalcemia. Os níveis plaquetários idealmen te devem ser superiores a 100 mil, devendo-se avaliar a necessidade de transfusão em caso de queda significativa (abaixo de 50 mil) ou san gramento ativo.

Os sítios principais dessa complicação envol vem a topografia dos acessos vasculares de canulação, pericárdio, tratos gastrintestinal (TGI) e geniturinário, vias aéreas e sistema nervoso central, com incidência variando de 10% a 40%.7

X tromboembolismo

Apesar da crescente importância clínica como terapia de suporte em curto prazo, a ECMO leva a um incremento significativo de complicações du rante a sua utilização. Entre as principais descritas na literatura, incluem-se:

„ Sangramento.

„ Embolias e tromboses.

„ Dano neurológico periférico.

„ Dano neurológico central.

„ Complicações vasculares.

„ Isquemia periférica.

„ Pneumotórax.

„ Infecção.

„ Hemólise.

X sangramento

Pacientes em ECMO estão mais propensos a complicações hemorrágicas, que ocorrem, em grande parte, devido à necessidade de anticoagulação contínua da assistência circulatória.

Evidenciam-se ainda variados graus de coagu lação intravascular disseminada (CIVD) e redução do fator de von Willebrand devido à coagulopatia de consumo que se estabelece após a exposição com a superfície do sistema.

As taxas de tromboembolismo venoso não são desprezíveis nesse perfil de pacientes, principal mente devido a imobilidade e alterações na coagulação. Deve-se ter um alto grau de suspeição diagnóstica quando há piora hemodinâmica e nas trocas gasosas, episódios de taquicardias sem cau sa aparente e edema assimétrico de membros. Na suspeita clínica, a avaliação pontual por meio de ultrassonografia deve ser direcionada para:

„ Sistema venoso dos membros inferiores (MMII).

„ Ecocardiograma transtorácico (VD o e sinais de hipertensão pulmonar).

„ Visualização direta do trombo (raro).

X trombose da membrana

Fato cada vez mais raro em virtude da progressiva utilização de materiais mais biocompatíveis, alguns relatos são descritos como microtrombo ses ou embolias gasosas na região da membrana de troca da ECMO. Para reduzir esse risco, de ve-se manter o nível de anticoagulação apropriado e um gradiente transmembrana estável (<50mmHg) com níveis adequados de incremen to de PaO2 e redução na PCO2, quando se comparam as gasometrias pré- e pós-membrana.

Desse modo, em caso de normalidade do fun cionamento da membrana de troca, deve haver um incremento gradativo dos valores de PaO2 (idealmente para acima de 250mmHg) e redução do PCO2 para normalidade (35 a 45mmHg) quando avaliada a gasometria pós-membrana. A falha em se conseguir essa otimização deve sinalizar uma possível alteração no funcionamento dessa membrana.7

œ Compl ICações da ox I genação por membrana extraCorpórea
158 Guia Prático de Assistência do Perioperatório de Cirurgia Cardíaca

Reabilitação Cardiovascular no Pós-operatório de Cirurgia Cardíaca

œ Introdução

A fase II tem seu início logo após a alta hospitalar, com o objetivo de dar continuidade à reabilitação cardiovascular (RCV). Além disso, visa à progressão dos ganhos obtidos na fase I, intrahospitalar.1 O exercício regular promove um conjunto de adaptações morfológicas e funcionais, como aumento do limiar de angina, redução do remodelamento ventricular, aumento da capaci dade funcional, redução da disfunção endotelial e melhora da capacidade cardiorrespiratória, en tre outros benefícios.2

Tem duração média de aproximadamente três meses, porém é importante destacar que a ava liação clínica com estratificação de risco (Tabelas 31.1 e 31.2) é imprescindível para a melhor ade quação do paciente nas fases da RCV. Aqueles

considerados de alto risco clínico podem permanecer por um tempo prolongado ou indeterminado na mesma fase.1

Após avaliação clínica e estratificação de risco, o paciente é submetido a testes funcionais máxi mos e submáximos, testes de força muscular e testes respiratórios. Além disso, também é aplicado um questionário de qualidade de vida.

œ aval I ação pré-reab I l I tação

X avaliação clínica

É preenchida uma ficha de avaliação para coleta de dados, como antecedentes pessoais, índices an tropométricos, história da doença atual e queixas, diagnóstico e medicações em uso.2

Tabela 31.1 Características gerais dos pacientes em reabilitação cardiovascular ambulatorial, de acordo com a

Risco
31
Capítulo
estratificação de risco clínico
clínico Alto Intermediário Baixo Capacidade física (MET, VO2) Menor Maior Sintomatologia Maior Menor Necessidade de supervisão dos exercícios Maior Menor MET: equivalente metabólico; VO2: consumo de oxigênio. Fonte: adaptada de Carvalho et al., 2020.1

Evento cardiovascular, intervenção cardiovascular ou descompensação clínica

Capacidade funcional

Sinais e sintomas de isquemia miocárdica (limiar isquêmico)

Sintomatologia

Outras características clínicas

Inferior a 8 a 12 semanasSuperior a 12 semanasSuperior a 6 meses

TE: <5 MET; TCPE: Weber C/D ou VO2 pico <60% do predito

Em baixas cargas; TE: abaixo 6 MET; TCPE: abaixo de 15kg-1.min-1

IC: CF III e IV; angina: CF III e IV

IRC dialítica; queda de saturação de oxigênio em esforço; arritmia ventricular complexa

TE: 5 a 7 MET; TCPE: Weber 8 ou VO2 pico de 60 a 85% do predito

TE: >7 MET; TCPE: Weber A ou VO2 pico >85% do predito

TE: acima de 6 MET; TCPE: acima de 15mL. kg-1.min-1 Ausente

IC: CF I a III; angina: CF I e II Ausente

De acordo com julgamento clínico na avaliação médica pré-participação

De acordo com julgamento clínico na avaliação médica pré-participação

CF: classe funcional; IC: insuficiência cardíaca; IRC: insuficiência renal crônica; MET: equivalente metabólico; TCPE: teste cardiopulmonar de exercício; TE: teste ergométrico; VO2: consumo de oxigênio.

Fonte: adaptada de Carvalho et al., 2020.1

X testes funcionais máximos

y Teste cardiopulmonar

O teste cardiopulmonar de exercício (TCEP), ou teste ergoespirométrico, é considerado um teste de esforço máximo, padrão-ouro para a medição do consumo de oxigênio durante o esforço, a fim de determinar a capacidade funcional basal, a inten sidade de treinamento e os riscos cardiovasculares. Portanto, a realização da prescrição de exercício de treinamento aeróbico é feita pelo TCPE. A prescrição inicial da intensidade corresponde ao limiar anaeróbico (LA) ou entre o LA e o ponto de compensação respiratória.3

y Teste ergométrico

Caso o TCPE não esteja disponível, a prescrição pode ser feita pelo teste ergométrico (TE) con vencional, obedecendo à intensidade inicial entre 40% e 80% da frequência cardíaca (FC) de reserva por meio da fórmula de Karvonen: FCT = % (FC máx – FCrepouso) + FCrepouso.1

É ideal que o TCPE ou o TE sejam utilizados para prescrição de exercícios, executados na vigência das medicações habituais, principalmente as que

inibem a resposta cronotrópica, a fim de mimetizar a condição que estará presente durante as sessões de treinamento físico. Assim, utiliza-se a FC pico do TE ou os limiares ventilatórios do TCPE para a determinação da zona-alvo de treinamento com base na FC.1,4

Os pacientes devem ter reavaliações periódicas com TCPE ou TE, cuja periodicidade não deve exceder 12 meses. Os objetivos das reavaliações são os ajustes da prescrição do treinamento para a possível progressão de fase da RCV e a identifi cação de eventual piora da doença ou de sinais de risco para a situações instáveis ou eventos cardio vasculares. Isso possibilita eventuais reajustes do tratamento farmacológico e/ou intervenções cirúr gicas ou percutânea, se necessário.1

X testes funcionais submáximos

y Teste de caminhada de 6 minutos

O teste de caminhada de 6min (TC6) é frequentemente recomendado para estimar a capacidade funcional de exercício em pacientes submetidos à RCV, medida de desfechos para ganhos funcio nais, sendo considerado um preditor de morbimortalidade.5

Tabela 31.2 Estratificação de risco clínico dos pacientes em reabilitação cardiovascular ambulatorial Risco Alto Intermediário Baixo Característica
174 Guia Prático de Assistência do Perioperatório de Cirurgia Cardíaca

As informações fornecidas pelo TC6 devem ser consideradas complementares às do teste de es forço máximo.6

y Teste de senta e levanta

O teste de senta e levanta (TSL) é recomendado como alternativa prática para mensurar indireta mente a força dos membros inferiores (MMII), sendo considerado um preditor de gravidade. Correlaciona-se a maior risco de sarcopenia. É um teste simples, de fácil condução e não requer es paço físico grande.7

y Teste do degrau

O teste do degrau (TD) é considerado um teste de esforço submáximo, embora com gasto ener gético maior que o dos demais. É um preditor de funcionalidade e aptidão cardiorrespiratória. Assim como o TSL, o TD é simples e não requer equipamentos sofisticados nem grandes espaços.8 Os protocolos são diversificados, com ajustes na altura do degrau, no ritmo e na duração.9

Os testes funcionais devem ser realizados em uso das medicações prescritas para mimetizar a condição que estará presente durante o treina mento. 1

X testes de força muscular

y Teste de 1 repetição máxima

O teste de 1 repetição máxima (1RM) expressa a força máxima exercida em função de uma carga considerada máxima para realizar determinada repetição de movimento, sem sinais de compen sação muscular. Assim, a carga de treinamento resistido é prescrita de maneira segura, em pro gressão gradual conforme a tolerância e as compensações físicas. É um modo prático e de repetição variável.1,10

y Força de preensão manual

A força de preensão manual (FPM), verificada pela dinamometria, tem sido relatada como bom indicador da força muscular global e preditor da mortalidade em idosos. Nota-se que pacientes com cardiopatia apresentam diminuição da FPM com o envelhecimento, declínio em seus valores após 45 anos de idade, além de ser um forte indicador da capacidade funcional.11 É uma ferramenta útil e

de baixo custo na aferição da força muscular em pacientes com insuficiência cardíaca, uma vez que caracteriza o status funcional muscular geral.12

X testes respiratórios

y Manovacuometria

Por meio da manovacuometria, pode-se obter o valor de pressão inspiratória máxima (PiMáx) e de pressão expiratória máxima (PeMáx). O teste é rea lizado seguindo as normas da American Thoracic Society.13 Para cálculo dos valores preditos, é utilizada a equação de Neder.14

y Espirometria

Por meio da espirometria, os pacientes são avaliados quanto a capacidade vital forçada (CVF), volume expiratório forçado no primeiro segundo (VEF1), razão VEF1/CVF, fluxo expiratório forçado 25% e 75% e pico de fluxo expiratório. O teste é realizado de acordo com as Diretrizes para Testes de Função Pulmonar,15 e seus valores preditos são obtidos pela equação de Pereira et al. (1992).16

X Questionário da qualidade de vida

Todos os pacientes candidatos ao programa de RCV são orientados a responder ao questionário EuroQol Five-Dimensional Questionnaire, com tradução e validação para o Brasil.17 Ele inclui domínios relacionados com mobilidade, autocui dado, atividades habituais, dor/desconforto e ansiedade/depressão. Para cada dimensão, há três opções de resposta (sem problemas, alguns pro blemas e muitos problemas). Esse questionário inclui também uma escala visual analógica para que o paciente avalie seu estado de saúde atual de 0 a 100.18

œ p rotoColo de tre I namento

Após avaliação e prescrição do treinamento de maneira adequada e segura, é iniciada a RCV fase II.

X programa de exercício físico

O programa consiste em um período de aquecimento entre 5 e 10min, com alongamentos de fácil execução. Terminado o aquecimento, inicia-se o treinamento resistido com duração de 20min, realizado com uso de pesos, halteres, bolas, faixas

Reabilitação Cardiovascular no Pós-operatório de Cirurgia Cardíaca 175

elásticas e exercícios localizados. A carga deverá ser prescrita entre 30% e 40% do teste de 1RM para membros superiores (MMSS) e 40% a 60% para MMII.2

Enfatiza-se o aumento de força para os gran des grupos musculares, de 8 a 10 exercícios diferentes por sessão, em três séries de 10 a 15 repetições para cada grupo muscular. O treinamento aeróbio tem duração de 25min e é realizado na esteira ou bicicleta ergométrica, de acordo com a intensidade prescrita no teste de esforço máximo. O exercício poderá ser feito de maneira contínua ou intervalada. Para finalizar, é de extrema impor tância o desaquecimento com duração de 5min, realizado na esteira ou bicicleta ergométrica com intensidade inferior à de treinamento, além do alongamento dos principais grupos musculares.1,2

Durante todas as sessões, são monitoradas a FC, com monitor eletrocardiográfico ou frequencíme tro, a pressão arterial (PA), a saturação de oxigênio (SatO2) e a escala de percepção subjetiva de esforço de Borg. O fisioterapeuta deve atentar-se e orien tar o paciente a evitar manobras de Valsalva, sendo imprescindível respeitar o limite até atingir a FC de treinamento prescrita.1,2

Os exercícios são incrementados de acordo com a capacidade física individual e as respostas cardiovasculares, sendo observados atentamente possíveis sinais e sintomas de baixo débito cardía co ou intolerância ao esforço.19

X treinamento muscular inspiratório

Caso o paciente apresente, na avaliação inspiratória, PiMáx menor do que 70% do predito, é associado o treinamento muscular inspiratório (TMI) com cargas de 30% a 50% da PiMáx, com duração de 20 a 30min, observando tolerância, sinais e sin tomas do paciente.20

œ p rograma edu CaCI onal

A RCV engloba não somente a terapia por meio do exercício, mas também um programa educacional e multiprofissional, que inclui: controle de peso, PA, colesterol e diabetes melito; cessação do taba gismo; controle psicossocial; aconselhamento de atividades físicas; e controle nutricional. Orientase também quanto à importância da adesão ao programa de RCV, ao tratamento medicamentoso e à adoção de estilo de vida mais saudável.21

œ Cont I nu I dade das fases da reab I l I tação Card I ovas C ular

Com evolução favorável na fase II, o paciente é submetido a nova avaliação e estratificação de ris co. Estando apto, poderá evoluir para a fase III, com duração de aproximadamente três a seis me ses. A progressão das fases depende do nível de supervisão de que o paciente necessita, podendo permanecer mais tempo em determinada fase, caso apresente evolução desfavorável.1

A fase IV tem duração prolongada e indeterminada. Ocorre de maneira não supervisionada ou com supervisão a distância.1

œ r eferên CI as

1. Carvalho T, Milani M, Ferraz AS et al. Diretriz brasileira de reabilitação cardiovascular. Arq Bras Cardiol. 2020; 114(5):943-87.

2. Umeda IIK. Manual de fisioterapia na reabilitação cardiovascular. 2. ed. Barueri: Manole; 2013.

3. Malachias MVB, Souza WKSB, Plavnik FL et al. 7ª diretriz brasileira de hipertensão arterial. Arq Bras Cardiol. 2016; 107(3 Suppl 3):1-83.

4. Negrão CE, Barretto ACP, Rondon MUPB. Cardiologia do exercício, do atleta ao cardiopata. 4. ed. Barueri: Manole; 2019.

5. Bellet RN, Adams R, Morris NR. The 6-minute walk test in outpatient cardiac rehabilitation: validity, reliability and responsiveness — a systematic review. Physiotherapy. 2012; 98(4):277-86.

6. Morales-Blanhir JE, Palafox VCD, Rosas RMJ et al. Teste de caminhada de 6 minutos: uma ferramenta valiosa na avaliação do comprometimento pulmonar. J Bras Pneumol. 2011; 37(1):110-7.

7. Yee XS, Ng YS, Allen JC et al. Performance on sit-to-stand tests in relation to measures of functional fitness and sarcopenia diagnosis in community-dwelling older adults. Eur Rev Aging Phys Act. 2021; 18(1):1.

8. Ritt LEF, Darzé EF, Feitosa GF et al. O teste do degrau de seis minutos como preditor de capacidade funcional de acordo com o consumo de oxigênio de pico em pacientes cardíacos. Arq Bras Cardiol. 2021; 116(5):889-95.

9. Andrade CHS, Cianci RG, Malaguti C et al. O uso de testes do degrau para avaliação da capacidade de exercício em pacientes com doenças pulmonares crônicas. J Bras Pneumol. 2012; 38(1):116-24.

10. Alves VLS, Guizilini S, Umeda IIK et al. Fisioterapia em cardiologia: aspectos práticos. 2. ed. Rio de Janeiro: Atheneu; 2014.

11. Chung CJ, Wu C, Jones M et al. Reduced handgrip strength as a marker of frailty predicts clinical outcomes in patients with heart failure undergoing ventricular assist device placement. J Card Fail. 2014; 20(5):310-5.

12. Kaminsky LA, Tuttle MS. Functional assessment of heart failure patients. Heart Failure Clinics. 2015; 11(1):29-36.

13. American Thoracic Society. ATS statement: guidelines for the six-minute Walk test. J Respir Crit Care Med. 2002; 166(1):111-7.

14. Neder JA, Andreoni S, Lerario MC et al. Reference values for lung function tests. II. Maximal respiratory pressures and voluntary ventilation. Braz J Med Biol Res. 1999; 32(6):719-27.

176 Guia Prático de Assistência do Perioperatório de Cirurgia Cardíaca

Índice

AAcessos venosos, 149

Acidente vascular encefálico, 99 Ácido acetilsalicílico, 6 Admissão, 31 - do paciente, 163

- e rotina no pós-operatório da cirurgia cardíaca, 31 Adrenalina, 54

Análise

- da variação de velocidade ou de integral da velocidade após infusão de fluidos, 110

- da variação de velocidade ou de VTI após leg-raising, 111

- de urina, 14

- do índice de colapsabilidade da veia cava inferior, 111

- segmentar objetiva, 109 Anamnese, 2 Anemia, 77 Ângulo α e máxima firmeza do coágulo, 75 Anomalia de Ebstein, 40 Antagonistas

- da vitamina K, 6 - dos receptores de interleucina (IL)-2, 127 Anticoagulação, 151 Anticoagulantes orais, 6

Anticorpos monoclonais imunoglobulina G (IGG) humanizados, 127

Antimicrobial stewardship, 106 Antimicrobianos, 125

Antiproliferativos, 130

Aparelho

- gastrintestinal, 4 - respiratório, 4 Apixaban, 6 Área de superfície corpórea, 8

Arritmias - atriais, 41 - cardíacas no pós-operatório de cirurgia cardíaca, 65 - no pós-operatório prevenção de, 4 - ventriculares, 39

Aspectos nutricionais, 125

Assistência - de enfermagem, 164 - - no pós-operatório de cirurgia cardíaca, 161 - de fisioterapia no pós-operatório de cirurgia cardíaca, 167

Assistolia ou bradicardia intensa, 72 Atividade elétrica sem pulso, 72 Avaliação - cardíaca, 2 - cardiovascular inicial, 23 - clínica, 173

- - prevenção de complicações, 2 - da função do órgão, 26 - de imagens em pacientes no pré-operatório, 14 - do candidato a doador, 29 - dos fatores de risco do transplante, 26 - ecocardiográfica, 112, 156 - geral, 11 - gráfica da coagulação, 76 - hematológica, 4 - hemodinâmica por ecocardiograma, 109 - laboratorial, 13 - musculoesquelética no pós-operatório, 169 - odontológica, 4 - pré-operatória para cirurgia de revascularização miocárdica, 1 - pré-reabilitação, 173 - pré-transplante cardíaco, 23 Azatioprina, 128

B

Balão intra-aórtico, 54, 74, 142 Basiliximabe, 127 Berlin Heart Excor®, 144 Betabloqueadores, 6 BIA (balão intra-aórtico), 54, 74, 142 Bloqueio atrioventricular, 39, 65 BLUE (ultrassom pulmonar à beira do leito em emergências), 115 Bradicardia sinusal, 65

Ccanulação, 149 cardiopatias

- com hiperfluxo pulmonar, 21 - com hipofluxo pulmonar, 21 - com lesões obstrutivas à esquerda, 21 - congênitas

- - acianogênicas, 19 - - cianogênicas, 19 - - cuidados no pré-operatório das, 19 - de hiperfluxo pulmonar, 42 cASA (avaliação ultrassonográfica na parada cardiorrespiratória [Pcr]), 116 cateter

- de artéria pulmonar, 137 - de átrio esquerdo, 138 - de Swan-Ganz, 33 - nasal de alto fluxo, 168 centrimag®, 144 chegada do paciente à unidade de terapia intensiva, 31 choque - cardiogênico, 112 - distributivo, 113 - hipovolêmico, 113 - obstrutivo, 113 - vasoplégico, 61 cianose, 41 ciclofosfamida, 131 ciclosporina, 128 cineangiocoronariografia, 15 circuito, 147 circulação extracorpórea, 35 cirurgia

- cardíaca prévia, 8 - de doenças valvares, 11 - de Jatene, 42 clearsight®, 136 clopidogrel, 6 comorbidades, 12 complexidade cirúrgica (técnica envolvida), 15 complicações

- associadas ao sítio de punção, 159 - da oxigenação por membrana extracorpórea, 158 - dos dispositivos de curta duração, 145 - gastrintestinais no pós-operatório de cirurgia cardíaca, 93 comunicação interventricular, 42 continuidade das fases da reabilitação cardiovascular, 176 controle glicêmico, 85 corações univentriculares, 21, 40, 41 corticosteroides, 129 creatinina, 13 cuidados - gerais no pós-operatório, 35

- imediatos especiais, 121 - no pré-operatório das cardiopatias congênitas, 19 - pré-operatórios, 11 - - em cirurgia de doenças valvares, 11 - - no período neonatal, 20

D Dabigatran, 6 Débito cardíaco, 33 Defeito do septo atrioventricular, 39, 40 Desmame da oxigenação por membrana extracorpórea - venoarterial, 156 - venovenosa, 155 Diabetes melito, 9, 12, 27 Dimensionamento dos profissionais de enfermagem, 163 Dinamometria de preensão manual (do inglês, handgrip dynamometry), 170 Disfunção - diastólica com relaxamento prejudicado e altas pressões de enchimento, 52 - hepática, 27 - renal, 26 - ventricular, 41 - - direita, 39, 41 Dispositivos de assistência - circulatória, 55 - - mecânica de curta duração ou temporários, 142 - de curta duração - - complicações dos, 145 - - para ventrículo direito, 145 - ventricular, 55 - - no pós-operatório de cirurgia cardiovascular, 141 Disseminação de bactérias multirresistentes prevenção de, 106 Distúrbios hemorrágicos manejo dos, 38 Dobutamina, 54 Doença(s) - cerebrovascular, 2, 8 - de chagas no transplante cardíaco, 125 - pulmonares, 13 - renal crônica, 26 - vascular - - do enxerto, 133 - - periférica, 8 Dopamina, 54 Doppler - colorido de carótidas e vertebrais, 1 - de carótidas, 14 - venoso de membros inferiores, 14

E Eadyn, 136 Ecocardiograma, 14, 33 - aplicações no pós-operatório, 109

180 Guia Prático de Assistência do Perioperatório de Cirurgia Cardíaca

- Doppler colorido transtorácico, 1

- no pós-operatório de cirurgia cardíaca, 46 Edoxaban, 6

Eletrocardiograma, 1, 14 Eletrólitos, 13 Endocardite infecciosa, 104 Escala(s)

- de funcionalidade, 169

- Medical research council, 170 Escores de risco - cirúrgico, 6

- pré-operatórios, 15 - prognósticos, 25 Espirometria, 175 Estabilização

- clínica pré-operatória das principais cardiopatias congênitas no período neonatal, 20

- hemodinâmica e principais complicações no pósoperatório, 122

Estresse metabólico e hormonal, 35 Etnia, 12 Evento(s) - embólico, 145 - neurológicos, 159 Everolimus, 129 Exame(s)

- ecocardiográfico, 109 - físico

- - completo, 11 - - geral, 2 - laboratoriais, 1 - pré-operatórios, 1 Explante de dispositivos de assistência circulatória mecânica de curta duração, 145 Extrassístole atrial, 67

F

FAST* e e-FAST (avaliação focada do ultrassom no trauma – padrão e estendida), 116

Fatores relacionados com a mortalidade e morbidade hospitalares, 7 Fibrilação - atrial, 67 - ventricular, 68, 71, 72

Fibrinogênio baixo, 77

Fibrinólise em 30’ (LI30) e máxima fibrinólise (ML), 75 Flutter atrial, 67 Fluxo

- da oxigenação por membrana extracorpórea, 151 - pulmonar, 37 - sistêmico, 37 - urinário, 33 Fondaparinux, 6 Força - de preensão manual, 175

- muscular, 170 Fração de ejeção, 7 Fragilidade, 16

Função - hepática, 13 - tireoidiana, 13 Futilidade, 16 G Gasometria arterial, 32 Gênero, 12

Gestão de antimicrobianos, 106 Glicemia de jejum e hemoglobina glicada, 13 Grau de nutrição, 12

H Heart Team, 17 Hemocomponentes, 77 Hemoderivados, 77 Hemograma completo, 13 Hemólise, 145, 159 Heparina

- de baixo peso molecular, 6 - não fracionada, 6, 151 Hipertensão pulmonar, 26 Hipoglicemia, 85 Hipoglicemiantes orais, 6 Hipotensão arterial, 135 Hormônio tireoestimulante, 13

I Idade, 12 Impella®, 144 Imunoglobulina(s), 131 - antitimócitos policlonais (ATS), 127 Imunorregulação no transplante cardíaco, 127 Imunossupressão no pós-operatório, 125 Imunossupressores de manutenção, 128 Índice de predição de hipotensão derivado da análise de curva arterial, 136 Infarto - agudo do miocárdio, 43 - perioperatório, manejo de, 47 Infecção, 159 - de sítio cirúrgico, 103 - - prevenção de, 105 - manejo de, 37 - relacionadas com assistência à saúde, 104 Inibidores

- da enzima de conversão da angiotensina, 6 - de calcineurina, 26, 129 - do sinal de proliferação, 130 - IIb/IIIa, 6

Índice 181

Injúria miocárdica, manejo de, 47 Insuficiência

- arterial periférica, 2 - cardíaca aguda do ventrículo direito, 122 - renal, 9, 13 - venosa, 4 - ventricular esquerda, 54 Isquemia de membro, 159

L

Lactato, 33, 136

Lesão

- renal aguda, 89 - residual - - de via de saída, 39 - - valvar, 41 - vascular, 145

Líquidos e função renal manejo de, 152

M Manejo - de complicações infecciosas, 103 - de infecção, 37 - de injúria miocárdica e infarto perioperatório, 47 - de líquidos e função renal, 152 - do trato gastrintestinal/nutrição, 37 - dos distúrbios hemorrágicos, 38 - e cuidados pós-operatórios em cardiopatias congênitas, 35, 39 - hemodinâmico, 29 - hidreletrolítico e acidobásico, 37 - renal, 37 - volêmico, 124 Manovacuometria, 175

Manutenção do paciente em fila de transplante, 27 Marca-passo, 33 Mediastinite, prevenção de, 5 Medicações, 6 - vasoativas, 54 Megacólon, 27 Megaesôfago, 27

Membrana de oxigenação extracorpórea, 74 Metilprednisolona, 128, 131

Métodos de monitorização hemodinâmica, 136 Metotrexato, 131

Métricas de controle glicêmico, 85 Micofenolato de mofetila e micofenolato sódico, 128 Milrinone, 54 Monitorização, 32 - do débito cardíaco, 137

- hemodinâmica, 135

- pós-operatória de pacientes transplantados, 121 Montagem do leito, 161

Morbidade e mortalidade hospitalares, 6 Mupirocina intranasal pré-operatória, 12

N

Noradrenalina, 54 Nutrição - enteral e parenteral, 82 - por via oral, 82 O obesidade e tamanho do doador/receptor, 26 oxigenação por membrana extracorpórea (EcMo), 55, 144, 147 - complicações da, 158 - indicações - - clínicas e manejo, 147 - - e contraindicações, 150 - manejo e ajustes iniciais, 151 - VA - - central, 159 - - periférica, 159 oxigenação por membrana extracorpórea: desmame e complicações, 155 oxímetro de pulso, 33

P

Parada cardíaca, 71 Parâmetros - clínicos, 157 - laboratoriais, 157 Passive leg raising (PLr), 33 Pele, 4 Peptídio natriurético cerebral (BNP)/NT pró-BNP, 14 Perfil hemodinâmico, 53 - do choque, 112 Período neonatal cuidados pré-operatórios no, 20 Plaquetas baixas, 77 Plasmaférese, 131 Pneumotórax, 159 Ponte - para decisão, 142 - para recuperação, 142 - para transplante, 142 Pós-carga aumentada, 52 Pós-operatório - de cirurgia cardíaca - - complicações gastrintestinais no, 93 - - controle glicêmico no, 85 - - cuidados gerais no, 35 - - ecocardiograma no, 46 - - infarto agudo do miocárdio no, 43

182 Guia Prático de Assistência do Perioperatório de Cirurgia Cardíaca

- - infecções relacionadas com assistência à saúde em, 104

- - manejo de complicações infecciosas em, 103 - - medicações vasoativas usadas no, 54 - - monitorização hemodinâmica no, 135 - - parada cardíaca no, 71 - - prevenção de infecções relacionadas com a assistência à saúde em, 104 - - reabilitação cardiovascular no, 173 - - terapia nutricional no, 81 - de transplante cardíaco, 121 - em cardiopatias congênitas, manejo e cuidados, 35, 39

- lesão renal aguda no, 89 Prasugrel, 6 Pré-carga VE diminuída, 51 Prednisona, 128, 131

Pressão

- de acesso venoso ou de sucção, 148 - de artéria pulmonar, 33 - de átrio esquerdo, 33 - pós-membrana, 148 - pré-membrana, 148 - pulmonar, 41 - venosa central, 32

Prevenção

- de arritmias no pós-operatório, 4 - de disseminação de bactérias multirresistentes, 106 - de infecção

- - em sítio cirúrgico, 105 - - relacionadas com a assistência à saúde em pósoperatório de cirurgia cardíaca, 104 - de mediastinite, 5

Programa

- de exercício físico, 175 - educacional, 176 Proteína c -reativa, 14 Protocolo - BLUE, 116 - cASA, 118 - de treinamento, 175 - rUSH, 118 - TrUE, 118

Q

Questionário da qualidade de vida, 175

R

radiação, 15 radiografia de tórax, 1, 14 reabilitação - cardiovascular, 173 - fase I (intra-hospitalar), 170 rejeição

- aguda mediada por anticorpos, 132 - celular aguda, 132 - crônica, 133 - hiperaguda, 122, 132 reoperação, 15 ressonância magnética, 15 revisão de medicamentos e alergias, 11 rins e vias urinárias, 4 rituximabe, 131 rivaroxaban, 6 rotinas, 31 rUSH (ultrassom rápido no choque e na hipotensão), 115

S Sangramento, 145, 158

- aumentado no pós-operatório, 75 Saturação venosa central de oxigênio, 33, 137 - mista, 137 Sedação, 151 Sedoanalgesia, 35 Senning, 41 Sensibilização, 27 Síndrome(s) - associadas a instabilidade cardiovascular e hipotensão, 52 - de Arlequim, 159 - de baixo débito cardíaco, 35, 36, 51, 53 - - avaliação, 52 - - conceito, 51 - - contratilidade diminuída, 51 - - etiologia, 51 - - fatores de risco, 51 - de hipoplasia de coração esquerdo, 22 Sirolimus, 129 Sítio de punção complicações associadas ao, 159 Suplementos orais, 82 Suporte - circulatório, 35 - hemoterápico, 75 - psicossocial, 27 - ventilatório, 37

T

Tacrolimus, 128 Tamponamento cardíaco no pós-operatório, 57 Tandemheart™, 144 Taquiarritmias e bradiarritmias, 52 Taquicardia(s) - sinusal, 67 - supraventriculares, 68 - ventricular, 68, 72 - - não sustentada, 69 - - sem pulso, 68 - - sustentada, 68

Índice 183

Temperatura, 33

Tempo

- de coagulação, 75 - - ativado, 76 - de protrombina, 77 - de tromboplastia parcial ativado, 76

Terapia

- de indução, 127 - de manutenção, 127 - de reposição hormonal, 29 - de resgate, 130 - guiada por metas, 136 - nutricional no pós-operatório de cirurgia cardíaca, 81

Teste(s)

- cardiopulmonar, 174 - de 1 repetição máxima, 175 - de autonomia, 156 - de caminhada de 6 minutos, 174 - de força muscular, 175 - de oxigênio, 156 - de senta e levanta, 175 - do degrau, 175 - ergométrico, 174 - funcionais - - máximos, 174 - - submáximos, 174 - respiratórios, 175 Tetralogia de Fallot, 39 Ticagrelor, 6 Timoglobulina, 127, 131 Tipo de prótese, 11 Tiroxina (T4) livre, 13 Tomografia computadorizada - de abdome, 15 - de crânio, 15

- de tórax, 14 - - sem contraste, 1 Transplante cardíaco, 23 Transposição das grandes artérias, 20, 41 Trato gastrintestinal/nutrição manejo do, 37 Treinamento muscular inspiratório, 176 Tromboelastograma, 76 Tromboembolismo, 158 Trombose - da membrana, 158 - do tubo, 41 - dos túneis, 41 TrUE (exame de ultrassom traqueal rápido), 115

U

Ultrassom point of care, 115 Ultrassonografia cinesiológica apendicular, 170 Ureia, 13 Urgência da cirurgia, 8

V Variação

- de volume sistólico (VVS), 33 - pressão de pulso, 33 Vasoplegia, 61, 125 Vasopressina, 54 Ventilação mecânica, 152 - invasiva, 167 - - em oxigenação por membrana extracorpórea, 168 - não invasiva, 168 Vigileo/Flotrac®, 137 Volemia, 41

184 Guia Prático de Assistência do Perioperatório de Cirurgia Cardíaca

Guia Prático de Assistência do Perioperatório de Cirurgia Cardíaca foi desenvolvido por um corpo clínico especializado e com grande experiência no cuidado de pacientes no pós-operatório de cirurgia cardíaca, a fim de orientar e ajudar no manejo desses pacientes. Seu objetivo é apresentar os conceitos envolvendo a linha de cuidado que se iniciam desde o preparo na fase pré-operatória da cirurgia cardíaca, em todos os seus cenários (coronária, valvares, transplantes e congênitos), seguindo para os cuidados intraoperatórios e, por fim, dando ênfase sobre todas as necessidades no período pós-operatório. Este livro vem auxiliar os vários profissionais envolvidos nos cuidados de pacientes cada vez mais complexos e graves submetidos à cirurgia cardíaca, com o desafio de manter e aprimorar seus resultados. Utilizando conhecimento médico, experiência e tecnologia de ponta, em constante atualização e para todos aqueles que necessitam de atenção, carinho, alívio e cura.

Áreas de interesse Cardiologia Medicina Intensiva
9 786588 34043 1

Turn static files into dynamic content formats.

Create a flipbook
Issuu converts static files into: digital portfolios, online yearbooks, online catalogs, digital photo albums and more. Sign up and create your flipbook.