Rotinas da Unidade Coronariana e Emergência Cardiológica da Casa de Saúde São José – 2ª edição

Page 1

OUTROS TÍTULOS DE INTERESSE

Cardiologia D’Or – Protocolos e Condutas

Olga Ferreira de Souza • André Feldman • Fabio Augusto De Luca • Fábio Jatene • Guilherme D’Andrea Saba Arruda • Luiz Alberto Piva e Matos

Cardiologia no Dia a Dia

Erlon Oliveira de Abreu Silva • Alfredo Augusto Eyer Rodrigues

Eletrocardiografia, 5a Ed. José Hallake

Eletrocardiograma Orientado para o Clínico, 3a Ed. Gerson Paulo Goldwasser Eletrocardiograma Pediátrico Waldir Tavares da Silva

Guia Prático de Assistência do Perioperatório de Cirurgia Cardíaca André Feldman • Antônio Carlos Mugayar Bianco • Guilherme D’Andréa Saba Arruda

Hemodinâmica e Cardiologia Intervencionista para o Clínico Esmeralci Ferreira • Denilson Campos de Albuquerque

Saiba mais sobre estes e outros títulos em nosso site: www.rubio.com.br

A editora e os autores deste livro não mediram esforços para assegurar dados corretos e informa ções precisas. Entretanto, por ser a medicina uma ciência em permanente evolução, recomendamos aos nossos leitores recorrer à bula dos medicamentos e a outras fontes fidedignas, bem como avaliar, cuidadosamente, as recomendações contidas no livro em relação às condições clínicas de cada pa ciente.

Organizadores

Gustavo Luiz Gouvêa de Almeida Jr.

Coordenador da Unidade Coronariana da Casa de Saúde São José (CSSJ), RJ.

Título de Especialista em Cardiologia pela Sociedade Brasileira de Cardiologia (SBC)/ Associação Médica Brasileira (AMB).

Título de Especialista em Terapia Intensiva pela Associação de Medicina Intensiva Brasileira (AMIB)/AMB.

Mestre em Cardiologia pela Universidade do Estado do Rio de Janeiro (UERJ).

Doutor em Cardiologia pela Universidade Federal do Rio Grande do Sul (UFRGS).

Fellow do American College of Cardiology (ACC).

Fellow da European Society of Cardiology (ESC).

Nathália Rodrigues da Silva

Especialista em Clínica Médica pelo Hospital Federal da Lagoa, RJ. Especialista em Cardiologia pelo Hospital Pró-Cardíaco, RJ.

Médica de Rotina do Pronto Atendimento da Casa de Saúde São José (CSSJ), RJ.

Médica Cardiologista da Unidade Coronariana da CSSJ e do Hospital Pró-Cardíaco, RJ.

Rotinas da Unidade Coronariana e Emergência Cardiológica da Casa de Saúde São José, 2a edição

Copyright © 2023 Editora Rubio Ltda. ISBN 978-65-88340-018-9

Todos os direitos reservados. É expressamente proibida a reprodução desta obra, no todo ou em parte, sem autorização por escrito da Editora.

Produção

Equipe Rubio Capa Bruno Sales

Imagem de capa iStock.com/Paul Campbell

Editoração Eletrônica Edel

CIP-BRASIL. CATALOGAÇÃO NA PUBLICAÇÃO SINDICATO NACIONAL DOS EDITORES DE LIVROS, RJ

R757

Rotinas da unidade coronariana e emergência cardiológica da Casa de Saúde São José/ organizadores: Gustavo Luiz Gouvêa de Almeida Júnior; Nathália Rodrigues da Silva. –2. ed. – Rio de Janeiro: Rubio, 2023. 336p.; 24cm. Inclui bibliografia e índice ISBN 978-65-88340-018-9

1. Emergências cardíacas – Exames – Guias de estudo. 2. Sistema cardiovascular – Doenças. 3. Ressuscitação cardíaca – Exames – Guias de estudo. I. Almeida Júnior, Gutavo Luiz Gouvêa de. II. da Silva, Nathália Rodrigues. III. Título. 17-40688

Editora Rubio Ltda. Av. Franklin Roosevelt, 194 s/l. 204 – Castelo 20021-120 – Rio de Janeiro – RJ Telefax: +55(21) 2262-3779 E-mail: rubio@rubio.com.br www.rubio.com.br

Impresso no Brasil

Printed in Brazil

CDD: 616.12

CDU: 616.12

Colaboradores

Alex Ribeiro Rangel

Médico de Rotina da Emergência da Casa de Saúde São José (CSSJ), RJ.

Amanda Mendonça da Silva Costa Médica da Unidade Coronariana e da Emergência da Casa de Saúde São José (CSSJ), RJ.

Ana Carolina Lessa Brandão Neno Médica da Unidade Coronariana e da Emergência da Casa de Saúde São José (CSSJ), RJ.

André Luiz da Fonseca Feijó

Médico Coordenador do Serviço de Hemodinâmica da Casa de Saúde São José (CSSJ), RJ.

Andressa de Paiva Colcher

Médica-residente de Cirurgia Cardiovascular do Instituto Nacional de Cardiologia (INC).

Augusto César de Araújo Neno

Diretor Técnico da Casa de Saúde São José (CSSJ), RJ.

Bibiana Almeida da Silva

Especialista em Clínica Médica pela Universidade Federal do Rio de Janeiro (UFRJ).

Médica da Unidade Coronariana da Casa de Saúde São José (CSSJ), RJ.

Bruno Bussade Monteiro de Barros

Especialista em Cardiologia pela Sociedade Brasi leira de Cardiologia (SBC)/Associação Médica Bra sileira (AMB).

Especialista em Terapia Intensiva pela Associação de Medicina Intensiva Brasileira (AMIB)/AMB.

Médico de Rotina da Unidade de Terapia Intensiva (UTI) Adulto da Casa de Saúde São José (CSSJ), RJ. Médico de Rotina da Emergência da CSSJ.

Bruno Hellmuth

Título de Especialista em Cardiologia pela Sociedade Brasileira de Cardiologia (SBC)/Associação Médica Brasileira (AMB).

Fellow da European Society of Cardiology (ESC).

Bruno Presto

Fisioterapeuta especialista em Unidade de Terapia Intensiva (UTI).

Coordenador Técnico da Physiocare-BR – Casa de Saúde São José (CSSJ), RJ.

Daniela Souza de Macedo Enfermeira.

Pós-graduada em Terapia Intensiva pela Universi dade Gama Filho (UGF).

Ex-Supervisora da Unidade Coronariana da Casa de Saúde São José (CSSJ), RJ.

Diogo Thadeu Meira

Médico da Unidade Coronariana e da Emergência da Casa de Saúde São José (CSSJ), RJ.

Eduardo Boetner

Médico do Serviço de Ecocardiografia da Casa de Saúde São José (CSSJ), RJ.

Fabrício Braga

Diretor Médico do Laboratório de Performance Hu mana (LPH).

Mestre em Cardiologia pela Universidade Federal do Rio de Janeiro (UFRJ).

Doutorado em andamento em Cardiologia pela Universidade do Estado do Rio de Janeiro (Uerj).

Chefe Médico da Confederação Brasileira de Tria thlon (CBTri).

Membro do Comitê de Segurança do Ironman.

Fabricio da Costa Hampshire de Araújo

Residência Médica em Neurologia pela Universi dade Federal do Rio de Janeiro (UFRJ).

Mestre em Neurologia pela Universidade Federal do Estado do Rio de Janeiro (UniRio).

Neurologista da Casa de Saude São José (CSSJ), RJ.

Fabrini Batista Soares Carpinete

Médica de Rotina da Emergência da Casa de Saúde São José (CSSJ), RJ.

Especialista em Cardiologia pela Sociedade Brasi leira de Cardiologia (SBC).

Ecocardiografista pelo Instituto Nacional de Cardio logia (INC).

Fernanda Nascimento Dourado

Especialista em Clínica Médica pela Universidade Federal do Rio de Janeiro (UFRJ).

Médica da Unidade Coronariana da Casa de Saúde São José (CSSJ), RJ.

Flávia Guimarães Brasil Médica do Serviço de Ecocardiografia da Casa de Saúde São José (CSSJ), RJ.

Flávia Prado Fialho Santos

Título de Especialista em Cardiologia pela Sociedade Brasileira de Cardiologia (SBC)/Associação Médica Brasileira (AMB).

Rotina Médica da Unidade Coronariana do Hospital Pró-Cardíaco, RJ.

Médica Cardiologista da Unidade Coronariana da Casa de Saúde São José (CSSJ), RJ.

Gilberto Paulozzi Júnior

Cirurgião Cardiovascular da Casa de Saúde São José (CSSJ), RJ.

Gustavo Ferreira de Almeida

Mestre em Cardiologia pela Universidade do Estado do Rio de Janeiro (Uerj).

Título de Especialista em Cardiologia pela Socie dade Brasileira de Cardiologia (SBC).

Título de Especialista em Terapia Intensiva pela Associação de Medicina Intensiva Brasileira (Amib). Médico de Rotina do Centro de Terapia Intensiva (CTI) Adulto da Casa de Saúde São José (CSSJ), RJ.

Ilan Gottlieb

Coordenador da Unidade de Radiologia da Casa de Saúde São José (CSSJ), RJ.

Doutor em Radiologia pela Universidae Federal do Rio de Janeiro (UFRJ).

Mestre em Cardiologia pela UFRJ.

Post Doc Fellow pela Johns Hopkins University, EUA.

Título de Especialista em Cardiologia pela Socie dade Brasileira de Cardiologia (SBC).

João Pedro Cequini Carreira

Acadêmico de Medicina da Faculdade Souza Mar ques, RJ.

Estagiário da Equipe do Cirurgiã Cardíaco Dr. Valdo Carreira – Responsável pela Cirurgia Cardíaca da Casa de Saúde São José (CSSJ).

João Victor Batalha Alcântara Médico da Unidade Coronariana da Casa de Saúde São José (CSSJ), RJ.

Médico do Centro de Tratamento Intensivo do Hos pital Pró-Cardíaco, RJ.

Título de Especialista em Clínica Médica pelo Hos pital Federal da Lagoa (HFL), RJ.

José Hermógenes Rocco Suassuna Especialista em Clínica Médica pelo Hospital Univer sitário Pedro Ernesto da Universidade Estadual do Rio de Janeiro (Hupe/Uerj), Medicina Intensiva pela Associação de Medicina Intensiva Brasileira (Amib) e Nefrologia pela Sociedade Brasileira de Nefrologia (SBN).

Mestre em Nefrologia pela Uerj. Doutor em Imunologia pelo Centro de Ciências da Saúde da Universidade Federal do Rio de Janeiro (CCS/UFRJ).

Professor Titular de Nefrologia da Faculdade de Ciências Médicas da Uerj.

Médico da Kidney Assistance/Serviço de Nefrologia da Casa de Saúde São José (CSSJ), RJ.

José Kezen Camilo Jorge

Médico Coordenador Clínico da Casa de Saúde São José (CSSJ), RJ.

Joyce Pedrosa Nogueira Oliveira

Enfermeira pela Universidade Federal do Rio de Janeiro (UFRJ).

Especialista em Pacientes de Alta Complexidade pela Universidade do Grande Rio (UniGranRio).

Supervisora da Unidade Coronariana da Casa de Saúde São José (CSSJ), RJ.

Julianny Freitas Rafael Magacho

Arritmologista da Casa de Saúde São José (CSSJ), Instituto Nacional de Cardiologia (INC) e Instituto Estadual de Cardiologia Aloysio de Castro (IECAC).

Médica Cardiologista da Unidade Coronariana da CSSJ. Mestre em Ciências Cardiovasculares pelo INC.

Especialista em Estimulação Cardíaca Eletrônica

Implantável pela Sociedade Brasileira de Arritmias Cardíacas (Sobrac)/DECA AMB.

Título de Especialista em Cardiologia pela Sociedade Brasileira de Cardiologia (SBC)/Associação Médi ca Brasileira (AMB).

Leonardo Bandeira Arantes

Especialista em Eletrofisiologia e Estimulação Car díaca pela Sociedade Brasileira de Arritmias Cardía cas (Sobrac)/Associação Médica Brasileira (AMB).

Mestre em Cardiologia pela Universidade do Estado do Rio de Janeiro (Uerj).

Coordenador do Serviço de Arritmia Cardíaca da Casa de Saúde São José (CSSJ), RJ.

Louise Freire

Título de Especialista em Cardiologia pela Sociedade Brasileira de Cardiologia (SBC)/Associação Médica Brasileira (AMB).

Médica de Rotina da Emergência e do Centro de Insuficiência Cardíaca do Hospital Pró-Cardíaco, RJ.

Lucas Vargas Waldeck Amaral Pimenta Médico de Rotina da Unidade Coronariana e Pronto Atendimento da Casa de Saúde São José (CSSJ), RJ. Especialista em Clínica Médica pelo Hospital Fede ral Cardoso Fontes, RJ.

Cardiologista pelo Instituto Nacional de Cardiologia (INC), RJ.

Especialista em Insuficiência Cardíaca, Assistência Ventricular Mecânica e Transplante Cardíaco pelo

Instituto do Coaração (InCor) do Hospital das Clí nicas da Faculdade de Medicina da Universidade de São Paulo (HC-FMUSP).

Luciana Damazio

Especialista em Fisioterapia em Unidade de Terapia Intensiva (UTI) pela Universidade Estácio de Sá (Unesa).

Coordenadora Administrativa da Physiocare-BR –Casa de Saúde São José (CSSJ), RJ.

Luis Eduardo Fonseca Drumond

Especialista em Cardiologia pela Sociedade Brasi leira de Cardiologia (SBC)/Associação Médica Bra sileira (AMB).

Especialista em Terapia Intensiva pela Associação de Medicina Intensiva Brasileira (AMIB).

Médico de Rotina da Unidade Coronariana da Casa de Saúde São José (CSSJ), RJ.

Luiz Henrique dos Santos Araújo

Médico Plantonista da Unidade Coronariana e da Emergência da Casa de Saúde São José (CSSJ), RJ. Especialista em Clínica Médica pelo Hospital Fe deral de Bonsucesso (HFB), RJ.

Marcella Alecrim Pereira

Médica da Unidade Intensiva e da Emergência da Casa de Saúde São José (CSSJ), RJ.

Marcella Furtado de Araújo Goes Médica da Emergência da Casa de Saúde São José (CSSJ), RJ.

Médica de Rotina da Emergência do Hospital São Lucas, Copacabana, RJ. Preceptora de Medicina na Universidade Estácio de Sá (Unesa).

Especialização em Clínica da Família pela Universi dade do Estado do Rio de Janeiro (UERJ).

Marcia de Pontes Saraiva Médica de Rotina da Emergência da Casa de Saúde São José (CSSJ), RJ.

Marco Oliveira Py

Mestre e Doutor em Neurologia pela Universidade Federal do Rio de Janeiro (UFRJ).

Ex-presidente da Associação de Neurologia do Rio de Janeiro (ABN-RJ).

Médico Neurologista da Casa de Saúde São José (CSSJ), RJ.

Maria Eduarda Bello Cosendey Ribeiro

Médica da Emergência da Casa de Saúde São José (CSSJ), RJ.

Cirurgiã Geral pelo Hospital Central da Polícia Militar do Rio de Janeiro (HCPM-RJ).

Miguel Luis Graciano

Professor Adjunto da Disciplina de Nefrologia da Universidade Federal Fluminense (UFF).

Kidney Assistance Ltda.

Milena Rego dos Santos

Título de Especialista em Cardiologia pela Sociedade Brasileira de Cardiologia (SBC)/Associação Médica Brasileira (AMB).

Médica de Rotina da Unidade Coronariana da Casa de Saúde São José (CSSJ), RJ.

Médica Cardiologista e Coordenadora do Ambu latório de Cardio-oncologia do Instituto Nacional de Cardiologia (INC).

Médica Cardiologista do Hospital Universitário Antônio Pedro (Huap) da Universiade Federal Flu minense (UFF).

Nágela Simão Vinhosa Nunes

Mestre em Cardiologia pela Universidade Federal Fluminense (UFF).

Especialista em Cardiologia pela Sociedade Brasi leira de Cardiologia (SBC).

Coordenadora do Serviço de Arritmias e Síncope do Complexo Hospitalar de Niterói, RJ.

Médica Plantonista da Unidade Coronariana do Hospital Universitário Antônio Pedro (Huap), da UFF.

Nathália Rodrigues da Silva

Especialista em Clínica Médica pelo Hospital Federal da Lagoa (HFL), RJ.

Especialista em Cardiologia pelo Hospital Pró-Car díaco, RJ.

Médica de Rotina do Pronto Atendimento da Casa de Saúde São José (CSSJ), RJ.

Médica Plantonista da Unidade Coronariana da CSSJ e do Hospital Pró-Cardíaco, RJ.

Paula de Castro Carvalho Gorgulho

Título de Especialista em Cardiologia pela Sociedade Brasileira de Cardiologia (SBC)/Associação Médica Brasileira (AMB).

Médica de Rotina da Unidade Coronariana da Casa de Saúde São José (CSSJ), RJ.

Médica de Rotina do Centro de Terapia Intensiva (CTI) Pós-operatório do Hospital Barra D’Or, RJ.

Paula de Medeiros Pache de Faria

Título de Especialista em Cardiologia pela Sociedade Brasileira de Cardiologia (SBC)/Associação Médica Brasileira (AMB).

Médica de Rotina da Unidade Coronariana da Casa de Saúde São José (CSSJ), RJ.

Coordenadora Médica do Pronto Atendimento da CSSJ.

Paulo Artur de Araújo Amorim Cirurgião Cardiovascular da Casa de Saúde São José (CSSJ), do Instituto Nacional de Cardiologia (INC) e da Equipe Valdo Carreira.

Membro Titular do Colégio Brasileiro de Cirurgiões (CBC).

Membro Especialista da Sociedade Brasileira de Cirurgia Cardiovascular (SBCCV).

Doutor em Medicina pela Universidade de São Paulo (USP).

Renata Rabha Ferreira

Especialista em Cardiologia pelo Instituto Estadual de Cardiologia Aloysio de Castro (IECAC).

Pós-graduada em Ecocardiografia pelo Instituto Nacional de Cardiologia (INC).

Médica Cardiologista da Rede D’Or e Diagnóstico das Américas (Dasa).

Médica Cardiologista da Emergência da Casa de Saúde São José (CSSJ), RJ.

Roberto Hugo da Costa Lins

Cardiologista Diretor Clínico da Casa de Saúde São José (CSSJ), RJ.

Rodrigo Costa Guerreiro

Cardiologista Intervencionista do Serviço de He modinâmica da Casa de Saúde São José (CSSJ), RJ.

Rodrigo Ferraz Salomão

Médico Coordenador do Serviço de Ecocardiografia da Casa de Saúde São José (CSSJ), RJ.

Rodrigo Magacho Rodrigues Cirurgião Cardiovascular pela Universidade do Es tado do Rio de Janeiro (UERJ).

Cirurgião Cardíaco do Hospital Universitário de Vas souras (HUV), RJ.

Cirurgião Cardíaco do Hospital Universitário An tônio Pedro (Huap), da Universidade Federal Flu minense (UFF), RJ.

Médico da Unidade Coronariana da Casa de Saúde São José (CSSJ), RJ.

Ronaldo de Souza Leão Lima

Professor Associado de Cardiologia da Universidade Federal do Rio de Janeiro (UFRJ).

Presidente da Sociedade de Cardiologia do Estado do Rio de Janeiro (Socerj) – Biênio 2022-2023.

Coordenador da Medicina Nuclear da Fonte Ima gem e do Diagnóstico das Américas (Dasa).

Cardiologista Nuclear da Casa de Saúde São José (CSSJ), RJ.

Sicilia Pacheco e Silva Especialista em Clínica Médica pelo Hospital Mu nicipal Souza Aguiar (HMSA), RJ.

Título de Especialista em Anestesiologia pela Socie dade Brasileira de Anestesiologia (SBA).

Anestesiologista da Casa de Saúde São José (CSSJ), RJ.

Thiago Shinji Kajishima Gomes

Título de Especialista em Anestesiologia pela Sociedade Brasileira de Anestesiologia (SBA).

Anestesiologista da Casa de Saúde São José (CSSJ), RJ.

Valdo José Carreira

Cirurgião Responsável pela Cirurgia Cardíaca da Casa de Saúde São José (CSSJ), RJ.

Vicente de Paulo Fernandes do Nascimento Médico Plantonista da Unidade Coronariana e da Unidade de Terapia Intensiva da Casa de Saúde São José (CSSJ), RJ.

Cardiologista pelo Instituto Nacional de Cardiologia (INC).

Vinícius de Franceschi dos Santos

Mestre em Cardiologia pela Universidade Federal do Rio de Janeiro (UFRJ).

Título de Especialista em Cardiologia pelo Instituto Nacional de Cardiologia – Ministério da Saúde/So ciedade Brasileira de Cardiologia (INC – MS/SBC).

Título de Especialista em Clínica Médica pela UFRJ/ Hospital Universitário Clementino Fraga Filho (HUCFF).

Vitor Amorim Almeida Nefrologista do Hospital Universitário Antônio Pe dro (Huap), da Universidade Federal Fluminense (UFF). Kidney Assistance Ltda.

Vitor Oliveira Alves

Rotina da Unidade Semi-Intensiva da Casa de Saúde São José (CSSJ), RJ.

Médico da Unidade de Terapia Intensiva da CSSJ.

Dedicatória

Dedicamos esta obra a um amigo que precoce mente nos deixou: Dr. Ivo José Thadeu Pinheiro. Ivo foi o chefe da anestesia do Serviço de Cardiologia e Hemodinâmica da Casa de Saúde São José (CSSJ) desde a inauguração da unidade, em 1999. Pro fessor universitário e anestesista respeitado e ad mirado por seus pares, quando Dr. Ivo estava por perto todos ficávamos tranquilos, pois sabíamos que os pacientes estariam nas melhores mãos.

Ivo foi um dos médicos mais éticos que conhe cemos. Poderíamos ficar horas listando suas habi lidades e capacidades como colega e médico. Pai

e avô apaixonado, amigo para qualquer momento, tinha o bom humor como sua marca registrada. Observador atento e conselheiro fiel eram apenas algumas de suas qualidades. Ivo estará para sem pre conosco.

Esta obra é também dedicada aos pacientes que perderam a vida durante a pandemia de Covid-19 e aos profissionais de Saúde e de serviços de su porte que atuaram na linha de frente desse difícil período.

Agradecimentos

É indissociável dissertar sobre esta obra e não agra decer a uma grande família composta por exímios profissionais que fazem parte da Casa de Saúde São José (CSSJ). Inicialmente, somos gratos ao nosso diretor-executivo, Marcos Neles Anacleto, e ao nosso diretor técnico, Augusto César de Araújo Neno. Pertencer a CSSJ é uma honra e um privilé gio. Nossa gratidão por nos apoiarem e impulsio narem na busca de novos caminhos e atualizações da Medicina.

Aos nossos colaboradores-escritores, que, com empenho e entusiasmo, delinearam cada página deste livro, com base em revisões da literatura, atualizações dos nossos protocolos e resultados assistenciais, ratificando toda a dedicação diária e

em equipe, de uma equipe multidisciplinar invejá vel – sempre por um propósito maior: o bem-estar do paciente – nossa gratidão. Seremos gratos sem pre a todos os colaboradores da CSSJ, sem exceção.

Ao nosso grande heart team, composto pelas equipes da Emergência Cardiológica, da Unidade Coronariana, da Hemodinâmica, da Cirurgia Car díaca, da Imagem Cardiovascular, da Reabilitação e da Arritmia/Eletrofisiologia: é um grande prazer conviver e aprender com todos vocês diariamente. Nossa admiração e gratidão se estendem a toda a equipe multidisciplinar envolvida no cuidado do paciente cardiológico agudo: Enfermagem, Fisioterapia, Nutrição, Odontologia e Psicologia.

Os Organizadores

Apresentação

É com grande satisfação que apresentamos a 3a edição – a segunda pela Editora Rubio – do nosso livro Rotinas da Unidade Coronariana e Emergência Cardiológica da Casa de Saúde São José. Para esta publicação, todos os capítulos foram atualizados à luz das novas diretrizes e da expansão do conheci mento em cada área. Também incorporamos novos capítulos, como os de Reabilitação Cardiovascular, Cardio-oncologia, Abordagem Percutânea das Valvas Aórtica e Mitral, Métodos de Imagem nas Cardiomiopatias e, é claro, Coração e Covid.

Após o lançamento da edição anterior, em 2017, tínhamos como programação atualizar o livro a cada três anos. E foi exatamente em 2020 que a pandemia de Covid-19 chegou, parou o mundo e definiu desafios globais para as equipes de Saúde. Por um longo período, na imensa maioria dos nossos atendimentos e internações, além de des pender toda a nossa energia pessoal e de trabalho tínhamos um único foco: salvar pacientes portado res de Covid-19.

Desde o início da pandemia, internamos mais de dois mil pacientes em nosso hospital com esse diagnóstico e centenas de outros foram atendidos e liberados da Emergência para serem tratados e acompanhados em casa. A rotina nos trouxe uma enorme expertise no tema, tratada em capítulo es pecífico deste livro. Além disso, nossa equipe publi cou diversos trabalhos na literatura médica sobre a experiência com a doença.

Esta obra pretende, portanto, mostrar de for ma didática, prática e objetiva como conduzimos pacientes em nossa instituição com base nas mais relevantes evidências científicas e na experiência acumulada nos últimos 22 anos – desde a estrutu ração do Serviço de Cardiologia na Casa de Saúde São José (CSSJ).

Nossos protocolos ficam registrados como va liosa contribuição para o corpo clínico do hospital, mas também para outros profissionais de Saúde, inclusive os de outras instituições. Dessa forma, expandimos conhecimento e ajudamos na cons trução de outros protocolos clínicos. Replicar a experiência gerada e adquirida em nossa institui ção e aprender com o feedback que recebemos a cada livro têm sido experiências importantíssimas para nós.

Por fim, vale destacar que, como parte integran te da qualidade dos cuidados de Saúde, a experiên cia do paciente tem sido cada vez mais valorizada em nossa rotina, e incorporada aos nossos cuida dos. Os profissionais de Saúde devem trabalhar para estabelecer novas relações com pacientes e suas famílias e, dessa forma, decidir juntos o que importa e como os cuidados podem ser entregues. Aliar a nossa experiência institucional à ciência e aos cuidados centrados no paciente tem sido o fio condutor do nosso time nessa jornada.

Boa leitura!

Os

Prefácio I

A pandemia enfatizou a importância da ciência e seus benefícios, mostrando notoriamente que nos so futuro e os avanços científicos caminham lado a lado. Afinal, foi – e continua sendo – graças às pes quisas que avançamos continuamente em diversas esferas da sociedade. O conhecimento é a força motriz da humanidade, um reflexo da nossa evolu ção e capacidade de aprendizado.

Na ciência médica, esse anseio pelo saber é capaz de salvar vidas, com renovação e atualização de dire trizes norteadoras do tratamento e do cuidado cen trados no paciente. Por isso, na Casa de Saúde São José (CSSJ) somos entusiastas e incentivadores dos estudos científicos, que aprimoram nossas rotinas.

Neste sentido, a obra Rotinas da Unidade Coronariana e Emergência Cardiológica da Casa de Saúde

São José, 2a edição, representa uma contribuição técnica para o ensino na área, com registros das práticas, vivências, conhecimentos e aprendiza gens da instituição, inclusive do período de pan demia de Covid-19. O livro reforça nosso papel de contribuir para a ciência médica, e constitui um re gistro e guia para as gerações de profissionais.

É com orgulho que compartilhamos esta pu blicação e com votos de que venha a ser uma re ferência para as equipes assistenciais nos setores de Emergência e Unidade Coronariana do Rio de Janeiro e do Brasil.

Diretor-executivo da Casa de Saúde São José (CSSJ).

Prefácio II

Tenho o prazer de apresentar esta segunda edi ção do livro Rotinas da Unidade Coronariana e Emergência Cardiológica da Casa de Saúde São José lembrando do sucesso da nossa publicação de 2017. As doenças cardiovasculares permanecem as que mais crescem em todo o mundo e com elas suas respectivas emergências continuam desafian do as equipes médicas. O que efetivamente preci samos fazer é alcançar a excelência do diagnóstico que, em situações de urgência, demandam rapidez, intervenção e eficiência.

Além disso, o foco da educação médica em todo o mundo está mudando da abordagem clás sica para uma abordagem integrada, muitas vezes baseada em casos, em que as ciências básicas e populacionais são especificamente relacionadas à prática do diagnóstico e do manejo da doença. Muitas das atualizações e mudanças realizadas são feitas com os ambientes clínicos e educacionais, sempre com o objetivo de proporcionar uma cui dadosa atualização das bases clássicas da medicina clínica com métodos inovadores que hoje estão

disponíveis para a avaliação dos sintomas e o ma nejo eficaz de doenças no ambiente de atenção ao paciente.

Os avanços nas ciências médicas são contínuos e doenças emergentes apresentam desafios im portantes para a pesquisa e a prática médica, mas oferecem novas e estimulantes possibilidades para o entendimento e o manejo da saúde e da doença.

Dentro desse ambiente científico e educacio nal, parabenizo os Serviços de Cardiologia e da Emergência pela contínua iniciativa de promover atualizações das suas rotinas médicas, por meio de reuniões de casos clínicos, atualização de diretrizes, publicações e participações em congressos nacio nais e internacionais. Além do presente compro misso na formação de novos profissionais que nos recorrem por intermédio de estágios acadêmicos, residência médica e pós-graduações. Esta publica ção é o grande exemplo desta nossa excelência.

Augusto César de Araújo Neno

Diretor Técnico da Casa de Saúde São José (CSSJ).

1 A Cardiologia e a Emergência Cardiológica na Casa de Saúde São José, 1 Bruno Hellmuth • Roberto Hugo da Costa Lins • Paula de Medeiros Pache de Faria • José Kezen Camilo Jorge

2 Dor Torácica, 5

Bruno Bussade Monteiro de Barros • Marcela Furtado de Araújo Goes

3 Síndrome Coronariana Aguda com Supradesnivelamento do Segmento ST, 17

Alex Ribeiro Rangel • Luiz Henrique dos Santos Araújo • Vinícius de Franceschi dos Santos

4 Síndrome Coronariana Aguda sem Supradesnivelamento do Segmento ST, 27

Alex Ribeiro Rangel • Luiz Henrique dos Santos Araújo • Vinícius de Franceschi dos Santos

5 Infarto Agudo do Miocárdio com Artérias não Obstrutivas (Minoca, Tinoca, Takotsubo), 37 Gustavo Luiz Gouvêa de Almeida Jr. • Nágela Simão Vinhosa Nunes

6 Insuficiência Cardíaca Aguda, 47

Gustavo Luiz Gouvêa de Almeida Jr. • Lucas Vargas Waldeck Amaral Pimenta

7 Síndromes Aórticas Agudas, 61

Valdo José Carreira • Paulo Artur de Araújo Amorim • Gilberto Paulozzi Júnior • Andressa de Paiva Colcher • João Pedro Cequini Carreira

8 Tromboembolismo Pulmonar, 79 Paula de Castro Carvalho Gorgulho • Ana Carolina Lessa Brandão Neno

9 Síndrome Pericárdica Aguda, 91 João Victor Batalha Alcântara • Luis Eduardo Fonseca Drumond

10 Bradiarritmias, 97 Julianny Freitas Rafael Magacho • Fernanda Nascimento Dourado

11 Taquiarritmias, 111 Leonardo Bandeira Arantes • Louise Freire

12 Fibrilação Atrial, 117 Leonardo Bandeira Arantes • Roberto Hugo da Costa Lins • Amanda Mendonça da Silva Costa

13 Protocolo de Cardioversão Elétrica, 129 Julianny Freitas Rafael Magacho • Rodrigo Magacho Rodrigues • Thiago Shinji Kajishima Gomes

14 Síncope, 137 Renata Rabha Ferreira • Fabrini Batista Soares Carpinete

15 Marca-passo Provisório, Definitivo, Ressincronizadores e Desfibriladores, 145 Julianny Freitas Rafael Magacho • Vicente de Paulo Fernandes do Nascimento • Amanda Mendonça da Silva Costa • Nathália Rodrigues da Silva • Gustavo Luiz Gouvêa de Almeida Jr.

16 Crise Hipertensiva, 175 Flávia Prado Fialho Santos • Bibiana Almeida da Silva • Maria Eduarda Bello Consendey Ribeiro

17 Doença Renal e Terapia de Substituição Renal em Cardiopata Agudo, 183 Vitor Amorim Almeida • Miguel Luis Graciano • José Hermógenes Rocco Suassuna

Sumário

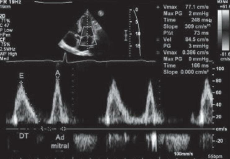
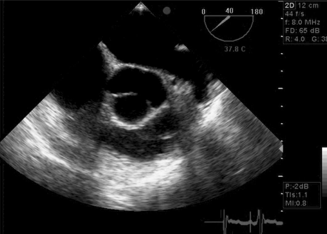
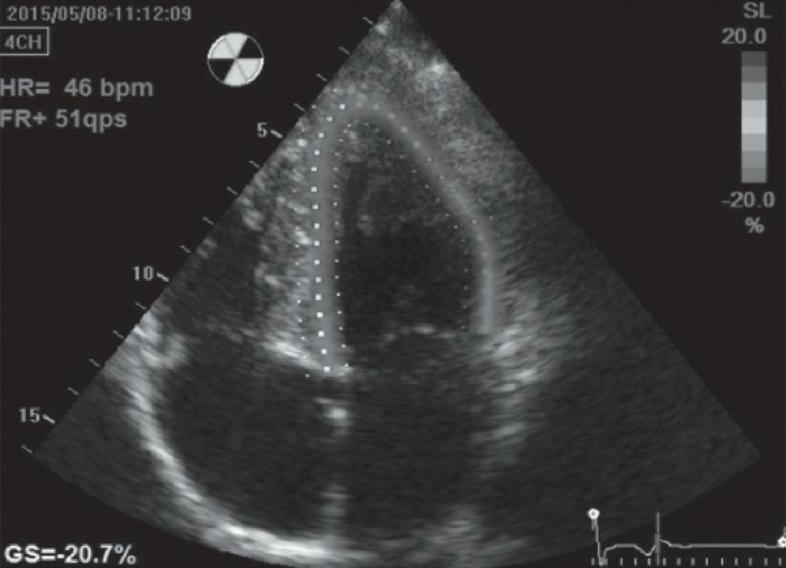
18 O Ecocardiograma no Manejo do Paciente Crítico, 193 Rodrigo Ferraz Salomão • Flávia Guimarães Brasil • Eduardo Boetner

19 Parada Cardiorrespiratória, 201 José Kezen Camilo Jorge • Paula de Medeiros Pache de Faria • Lucas Vargas Waldeck Amaral Pimenta

20 Abordagem do Acidente Vascular Encefálico, 209 Marco Oliveira Py • Fabrício da Costa Hampshire de Araújo • Sicilia Pacheco e Silva • Marcia de Pontes Saraiva

21 Anticoagulantes Orais Diretos, 219 Gustavo Luiz Gouvêa de Almeida Jr. • Nathália Rodrigues da Silva

22 Métodos de Imagem na Investigação de Cardiomiopatias, 235 Ilan Gottlieb • Ronaldo de Souza Leão Lima

23 Abordagem Valvar de Implante Percutâneo de Válvula Aórtica (TAVI) e Mitral (MitraClip®), 241 André Luiz da Fonseca Feijó • Rodrigo Costa Guerreiro

24 Coração e Covid-19, 255 Vitor Oliveira Alves • Gustavo Luiz Gouvêa de Almeida Jr. • Marcella Alecrim Pereira

25 Fisioterapia na Assistência ao Paciente com Desconforto Respiratório, 269 Bruno Presto • Luciana Damazio

26 Cuidados de Enfermagem no Diagnóstico e na Intervenção Coronariana, 277 Daniela Souza de Macedo • Joyce Pedrosa Nogueira Oliveira

27 Princípios da Cardio-oncologia, 283 Milena Rego dos Santos • Bruno Bussade Monteiro de Barros • Augusto César de Araújo Neno

28 Reabilitação Cardíaca após Descompensação de Doença Cardiovascular, 289 Fabrício Braga • Diogo Thadeu Meira

29 Pós-operatório de Cirurgia Cardíaca, 299 Gustavo Ferreira de Almeida Índice, 305

A Cardiologia e a Emergência Cardiológica na Casa de Saúde São José

Paula de Medeiros Pache de Faria José Kezen Camilo Jorge

Aceitamos com grande preocupação a incumbên cia de narrar a história do desenvolvimento desta especialidade médica na Casa de Saúde São José (CSSJ). A responsabilidade é grande, uma vez que o texto, enfim produzido, passa a configurar um documento pioneiro, tendo em vista que não há referência a nenhuma tentativa anterior nesse sen tido. Ao longo de todo o trabalho, tínhamos de li dar com o conflito de não esquecer ou omitir fatos e personagens que exerceram influência decisiva e, ao mesmo tempo, não nos alongarmos demais e tornarmos a leitura enfadonha. Outra dificuldade com que nos deparamos foi o resgate da história da fase que antecedeu o fim dos anos 1970. Esta se ba seia totalmente na tradição oral, porém as pessoas que mais conheciam os pormenores infelizmente morreram, levando consigo muitos detalhes que certamente seriam de grande interesse.

É importante enfatizar que a CSSJ, desde sua fundação em 1923, pelas Irmãs da Congregação de Santa Catarina, sempre se caracterizou como hospital especializado, quase de modo restrito, em Cirurgia Geral e Obstetrícia. Clínica Médica, Pediatria e os setores instalados de Patologia Clínica, Radiologia e Hemoterapia eram considerados su portes necessários para o bom desempenho da quelas especialidades principais. Assim também aconteceu com a Cardiologia, a especialidade que se destacou da Clínica Médica após o aperfeiçoa mento tecnológico da eletrocardiografia.

O eletrocardiograma (ECG), desenvolvido pelo holandês Willem Einthoven nos primeiros anos

do século XX – garantindo lhe o Prêmio Nobel em 1924 –, e que recebeu importantes aperfeiçoamen tos pelo norte americano Frank Norman Wilson, começou a constar na rotina das avaliações dos pacientes antes das cirurgias eletivas, bem como nas eventuais intercorrências nos pós operatórios a partir do fim dos anos 1950. Alerta a essa nova ne cessidade, o Diretor médico da CSSJ, Dr. Leônidas Côrtes, trouxe para o convívio com os cirurgiões um integrante da primeira geração de cardiologistas do país, o Dr. Paulo França e Leite, que logo após o fim da Segunda Guerra estagiara com o Prof. Wilson na Universidade de Michigan, em Ann Arbor. Além de atender à demanda por pareceres cardiológicos no hospital, o Dr. Paulo manteve ali um eletrocar diógrafo portátil da marca Sanborn, cujo manuseio ensinava aos estudantes de medicina internos da CSSJ, que, por sua vez, ficavam responsáveis pe los registros sempre que solicitados. Diariamente, em torno do meio dia, o mestre comparecia ao hospital para realizar a análise e a elaboração dos laudos dos traçados registrados nas 24h anteriores, sem deixar de dar as devidas explicações aos estudantes, que assim se beneficiavam com a aquisição de conhecimentos associados a esse método diag nóstico.

Em 1972, foi a vez de um dos autores deste capí tulo, Bruno Hellmuth (ainda estudante quartanista de medicina e, que naquele ano havia sido admi tido pelo Dr. Côrtes como interno) assumir o car go de técnico de ECG. Em pouco tempo, seduzido

CAPÍTULO 1

pelos princípios físicos do método, pela beleza da fisiologia cardíaca e da fisiopatologia cardiovas cular, decidiu especializar se em Cardiologia. Um acontecimento curioso, e que não pode deixar de ser relatado, foi a insistência do Dr. Côrtes, em 1974, ano da formatura do Dr. Bruno, para que este adquirisse seu próprio eletrocardiógrafo, acompa nhando o pessoalmente na visita à representação da emprea Hewlett Packard, onde foi comprado o aparelho modelo 1504 A, então uma das melhores escolhas em termos de equipamento portátil. Com esse aparelho, foi registrada a maioria dos ECG da CSSJ nos 30 anos seguintes.

Aproximadamente nessa época, a CSSJ, sem pre atenta às inovações tecnológicas, realizou dois investimentos relevantes para a Cardiologia. Um deles contemplou o setor de Radiologia, que re cebeu um novo aparelho de radiografia dotado de intensificador de imagens, viabilizando o implante de marca passos definitivos e temporários sob ra dioscopia. O outro foi um carro para emergência de paradas cardíacas da marca Siemens equipado com monitor de ECG – que durante muito tempo foi o único da CSSJ – e desfibrilador. Este equipa mento, além de ter sido decisivo no salvamento de algumas vidas, atendeu durante anos a uma gran de demanda nos centros cirúrgicos para monitori zações peroperatórias, exigindo sempre a presença de cardiologista, uma vez que os anestesistas da quela época ainda não haviam adquirido a habili dade necessária com o ECG.

Nos anos 1980 a 1990, ocorreram transforma ções significativas. Após a compra das casas vizi nhas que tinham a fachada na Rua Visconde Silva, a demolição destas e a construção do novo prédio de oito andares, contando com centros cirúrgico e obstétrico – conquistas que devem ser creditadas à visão empreendedora do Dr. Leônidas Côrtes e ao empenho da incansável Diretora geral Irmã Benigna –, a capacidade do hospital mais que do brou, ganhando se ainda espaço para futuros in vestimentos em serviços inexistentes até então.

Os rápidos avanços tecnológicos, nesse mesmo período, resultaram em um encarecimento signi ficativo da Medicina, que não foi acompanhado por investimentos correspondentes nos hospitais

públicos. Até esse momento, eram estes que reu niam as condições para os tratamentos mais com plexos, como laboratórios de hemodinâmica, cirur gia cardíaca e terapia intensiva. Paralelamente ao progressivo sucateamento dos serviços médicos públicos, verificou se a proliferação dos seguros e planos de saúde, o que levou uma ampla faixa da classe média, historicamente usuária dos hospitais governamentais, a recorrer à rede privada, que se viu diante da missão de suprir a demanda pelos cuidados médicos de alta complexidade. A CSSJ, como sempre, não mediu esforços para enfrentar os novos desafios. Atendendo às necessidades dos cirurgiões, por iniciativa de um também ex assis tente do Dr. Côrtes, o Dr. Fábio Guimarães Miranda, foram utilizados dois quartos contíguos, situa dos no novo prédio, para a instalação da primeira unidade de terapia intensiva (UTI), que, em pou co tempo e considerando a grande demanda, foi transferida para uma área bem maior do hospital.

Essa expansão, como era de se esperar, multi plicou as solicitações de exames diagnósticos car diológicos. Também nos anos 1980, ocorreu um contínuo e rápido avanço do ecocardiograma com Doppler, o que representou uma verdadeira revo lução na Cardiologia e se tornou uma ferramenta indispensável para a moderna terapia intensiva. Como a prestação de serviços médicos tinha evo luído de um puro exercício de profissão liberal para um novo cenário de dependência de acordos com empresas de seguro e planos de saúde, o Dr. Bruno Hellmuth fundou, em 1989, a primeira em presa que firmou contrato com a CSSJ para a ter ceirização dos exames cardiológicos não invasivos citados. Desse modo, adequou se ao sistema que permite os repasses dos valores correspondentes, pagos a empresas conveniadas. Assim que foi fun dada a empresa e assinado o contrato, foi admitida a primeira funcionária, a qual inicialmente exercia dupla função de técnica de ECG e secretária. Trata se da Sra. Marilia da Cruz, fidelíssima amiga, sempre bem humorada, e por isso muito querida por todos no hospital, tendo permanecido em serviço até sua aposentadoria. À medida que as solicitações de exames foram se avolumando, naturalmente mais médicos e funcionários técnicos e administrativos

Rotinas da Unidade Coronariana e Emergência Cardiológica da Casa de Saúde São José2

foram sendo contratados. Quanto aos médicos es pecializados em ecocardiograma, ocorreu um pro cesso seletivo ao longo dos anos até se estabilizar a equipe atual, liderada pelo brilhante Dr. Rodrigo Ferraz Salomão, indiscutivelmente uma autoridade nesta subespecialidade.

A CSSJ, portanto, no início dos anos 1990, con tando já com uma excelente UTI e com os serviços diagnósticos laboratoriais, radiológicos e cardio lógicos, mostrava sua vocação, não mais restrita a Cirurgia Geral e Obstetrícia, para um hospital geral de excelência. Na UTI, além do pós operatório das cirurgias de grande porte, passaram a ser tratados também, com toda a segurança, casos de cardiopa tias graves. Como consequência, vieram os sonhos com um serviço completo de Cardiologia, reforça dos por dados epidemiológicos que resultavam na convicção de que os serviços concorrentes não atendiam à grande demanda por esta especialida de no Rio de Janeiro. Para auxiliá lo nas tratativas com a Direção da CSSJ, o Dr. Bruno convidou para também ser sócio o Dr. Roberto Hugo da Costa Lins, colega de grande prestígio em nível nacio nal, com histórico de Presidente da Sociedade de Cardiologia do Rio de Janeiro e dotado de reconhe cido tino empreendedor.

Foi no ano de 1996, concluído um processo de planejamento estratégico, que a dinâmica Diretora geral Irmã Fátima Caputo, secundada pela jovem e competente administradora Sandra Pizolatto, se reuniu com os Drs. Bruno, Roberto Hugo e Rodrigo para anunciar a decisão da Alta Direção da Congregação de investir em um serviço com pleto de Cardiologia, com a condição de que nós, médicos, assumíssemos a responsabilidade pelo equipamento de hemodinâmica. Apesar do alto risco, aceitamos o desafio sem pestanejar. De pron to, tornou se evidente a necessidade de agregar ao grupo um especialista nos métodos diagnósticos e terapêuticos invasivos em Cardiologia. Nossa es colha se fez pelo Dr. Renato Villela Gomes Soares, um dos mais destacados cardiologistas na área da Hemodinâmica pelo seu especial descortino clínico e pela habilidade no manejo dos cateteres.

Pela complexidade do empreendimento, logo ficou evidente que faltava ainda uma liderança com

competências específicas para a administração, es pecialmente na área da Hemodinâmica. A solução, que não poderia ter sido melhor, veio pelas mãos do Dr. Roberto Hugo. Foi ele que apresentou aos demais sócios à Sra. Tereza Caldas Cunha, profissio nal altamente qualificada, engenheira química com título de PhD e MBA em Administração Hospitalar. Sem dúvida, devemos uma boa parte do sucesso relatado adiante à Sra. Tereza, que, além de seu pre paro técnico, demonstra grande habilidade social principalmente ao lidar com médicos, pacientes e familiares.

Em 6 de novembro de 1999, após vultosa obra civil no andar térreo do hospital e a criteriosa for mação da equipe médica, foi inaugurado o moder no Serviço de Cardiologia da CSSJ, composto de Emergência com cinco leitos, Unidade Coronariana com nove boxes e um laboratório de hemodinâmi ca, dispostos funcionalmente em áreas contíguas. Não se pode deixar de enfatizar suficientemente a coragem da Irmã Fátima na decisão de realizar essa obra considerando seu pioneirismo, pois nenhum dos hospitais da grande rede que a Congregação de Santa Catarina mantinha no Brasil até aquela data tinha investido nessa especialidade.

Ainda em 1999, a equipe cirúrgica do Dr. Valdo Carreira realizou as primeiras cirurgias cardíacas nesta Casa. Aos poucos, diversas outras equipes vieram aqui operar, sempre com resultados equivalentes aos dos melhores centros médicos do mundo.

Podemos afirmar orgulhosamente que, em ape nas 15 anos de existência, o Serviço de Cardiologia da CSSJ havia já consolidado uma posição de alto prestígio na sociedade como um todo e, em par ticular, junto a grande número de cardiologistas e clínicos que vinham nos confiando os seus pacien tes. A segurança e a excelência sempre demonstra das nos atendimentos da Emergência e da Unidade Coronariana, liderada pelo Dr. Gustavo Luiz Gouvêa de Almeida Jr., os resultados tanto da Cardiologia Invasiva quanto da Cirurgia Cardiovascular, e o volume de publicações científicas nos congressos brasileiros e internacionais da especialidade são provas da constante busca de aperfeiçoamentos por parte das lideranças do Serviço.

3A Cardiologia
e a Emergência Cardiológica na Casa de Saúde
São
José

Rotinas

Coronariana e Emergência Cardiológica da Casa de Saúde São José

Em uma década e meia a Cardiologia encontra va se já plenamente incorporada a esse tradicional hospital do Rio de Janeiro, funcionando em total har monia com os demais serviços e setores e engajan do se o máximo possível na constante luta da CSSJ para alcançar níveis de qualidade cada vez mais altos.

Após 15 anos, a Congregação Santa Catarina considerou que o sucesso do relativamente peque no pronto atendimento (PA) deveria ser expandido para atendimentos clínicos e opta pela ampliação da estrutura física do PA.

Sendo assim, em 25 de janeiro de 2018, uma missa com a participação de todo o corpo médi co da CSSJ inaugurou o novo PA que reuniu o PA Cardiológico, Ortopédico e Obstétrico e passou a ser também Clínico. Começava uma nova era no Hospital embasado em preceitos tão nobres. Sob a liderança do Dr. José Kezen foram inaugurados 11 leitos, além de 10 poltronas para medicação, uma sala de procedimentos para pequenas cirurgias

inclusive partos de emergência, um grande leito habilitado para grandes emergências como parada cardíaca, quatro carrinhos de parada cardíaca, uma farmácia satélite e uma sala de coleta de laborató rio.

Os protocolos clínicos foram solidificados e am pliados tendo a Emergência como porta de entrada e fortalecidos na continuidade da linha de Cuidado.

O corpo clinico foi ampliado em 2019 com a inauguração da ambulância que garantiu aos pa cientes a possibilidade de atendimento e remoção com a qualidade assistencial da CSSJ.

Em março de 2020 foi iniciado um grande desa fio: Pandemia Covid 19 e desde então estamos vi vendo estre máscaras, faceshield, setores divididos em Covid e não Covid, mas unidos por um grande sentimento de solidariedade e cuidados em prol da população. Saímos fortalecidos e mais unidos, aprendendo a lidar com a adversidade e priorizan do sempre o bem estar dos nossos pacientes.

da Unidade
4

Dor Torácica

Bruno Bussade Monteiro de Barros Marcela Furtado de Araújo Goes

^ INTRODUÇÃO

O termo dor torácica (DT) é usado para descrever as muitas sensações desagradáveis ou descon fortáveis no tórax anterior, como pressão, aperto, peso, pontada ou ardor. É definida de forma ampla para incluir também a dor referida em ombros, bra ços, mandíbula, pescoço e abdome superior. Em pacientes com DT, deve ser obtido um histórico focalizado que inclua características e duração dos sintomas relativos à apresentação, bem como ca racterísticas associadas, e avaliação dos fatores de risco cardiovasculares.1 A queixa de DT é muito co mum no cenário do pronto atendimento (PA). Nos casos suspeitos de síndrome coronariana aguda (SCA), é o principal sintoma relatado pelo pacien te.2 Embora as causas das dores torácicas sejam numerosas, a avaliação inicial deve se concentrar naquelas que são fatais como SCA, embolia pulmo nar, dissecção aguda da aorta, para facilitar a rápida implementação do tratamento adequado.1

Na emergência da Casa de Saúde São José (CSSJ), a DT encontra-se entre os principais mo tivos de atendimento. Por conta disso, existe um protocolo institucional em constante processo de atualização, que busca:

ƒ Identificar as causas que ameaçam a vida.

ƒ Determinar estabilidade clínica.

ƒ Avaliar a necessidade de hospitalização versus a segurança da avaliação e tratamento ambula torial.

Por meio dele, a liberação (rule out) do paciente com uma condição benigna é mais segura e o aten dimento das condições de maior gravidade, prio rizado, o que resulta em desfechos clínicos mais favoráveis.

^

PERFIL DOS PACIENTES COM DOR TORÁCICA ATENDIDOS NA CASA DE SAÚDE SÃO JOSÉ

De janeiro de 2017 a dezembro de 2020, foram atendidos 2.307 pacientes com DT na emergência da CSSJ. Desse total, 54% eram homens, com pre domínio de idade entre 60 e 74 anos. Nesse mesmo período, 77% dos pacientes admitidos no proto colo de DT pertenciam ao chamado Código Azul, ou seja, não manifestavam DT de alto risco (esco res GRACE [global registry of acute coronary events] acima de 140 ou TIMI RISK [thrombolysis in myocar dial infarction] superior a 2), não apresentavam al teração eletrocardiográfica do segmento ST e não tinham troponina positiva. Do restante, 19% apre sentavam SCA sem supra de ST (Código Amarelo) e 4% SCA com supra de ST (Código Vermelho).

^ ABORDAGEM DIAGNÓSTICA

Os possíveis diagnósticos de um paciente com DT atendido na emergência podem ser classificados de maneiras diferentes conforme apresentados a seguir.

CAPÍTULO 2

Condições cardíacas e não cardíacas

Esta classificação subdivide os diagnósticos em is quêmico e não isquêmico e gastresofágico e não gastresofágico, respectivamente.2 Apesar de didá tica, ela coloca do mesmo lado condições de gra vidade muito distintas, conforme apresentado na Figura 2.1.

Doenças cardiopulmonares e não cardiopulmonares

Esta classificação possibilita uma distinção etioló gica simples e, ao levar em consideração a baixa prevalência de algumas condições na prática clíni ca (p. ex., úlcera péptica perfurada, ruptura de esô fago e mediastinite), coloca de um lado condições muito graves (p. ex., doenças cardiopulmonares, como síndrome coronariana, tromboembolismo pulmonar, síndromes aórticas agudas, pneumonia,

pneumotórax) e, de outro, condições de menor gravidade (p. ex., doenças não cardiopulmonares, como síndrome dispéptica, síndrome do pânico, herpes-zóster, doença musculoesquelética e cos tocondrite).

Classificação geral etiológica

Abrange condições cardíacas, pulmonares, gas tresofágicas, psiquiátricas e musculoesqueléticas, entre outras doenças não cardiopulmonares (p. ex., herpes-zóster). Esta classificação extingue as pos sibilidades etiológicas, porém é menos didática. Uma revisão detalhada de cada uma dessas condi ções foge ao objetivo deste livro.

Em suma, a abordagem do paciente com DT deve basear-se em dois planos. No primeiro, uma análise sindrômica, valorizando achados que su giram maior gravidade na história e no exame fí sico, pois irão guiar a solicitação dos exames com plementares e a instituição de algumas medidas

Rotinas da Unidade Coronariana e Emergência Cardiológica da Casa de Saúde São José6
FIGURA 2.1 Fluxograma para atendimento de paciente com dor torácica na sala de emergência
Dor torácica
Cardíaca Isquêmica Não isquêmica Angina estável Angina instável Infarto agudo do miocárdio Não cardíaca Gastresofágica Não gastresofágica Refluxo gastresofágico Espasmo esofágico Úlcera péptica Pneumotórax Embolia pulmonarMusculoesquelética Psicoemocional Pericardite Dissecção aguda da aorta Valvular

FORMULÁRIO DE ATENDIMENTO AO PACIENTE COM DOR TORÁCICA NO PRONTO ATENDIMENTO

Hora da queixa (fim da triagem):____:____

1º passo: registrar tempo de início dos sintomas (total de horas):____:____ hora do eletrocardiograma (em até 10min):____:____

passo:

Assinatura do enfermeiro:_______________________________________

passo

segmento

( ) Sim seguir protocolo código vermelho (no verso).

( ) Não– seguir para 4º passo.

4º passo:

Altamente suspeita Moderadamente suspeita Baixa suspeita Desvio do segmento

Distúrbio inespecífico da repolarização

anos

a

risco

anos

anos

fatores de risco ou DAC conhecida

ou 2 fatores de risco Sem fator de risco conhecido a

limite da normalidade

a 3x limite da normalidade

normalidade

Fatores de risco: HAS, DM, dislipidemia, IMC >30kg, tabagismo, história familiar para DAC, DAC conhecida (IAM, CRVM ou angioplastia, ALT ou AVE, doença arterial periférica)

Tempos: Se dor <3h– 1 dosagem de troponina US

Se dor <3h– 2 dosagens de troponina US (0 e 1 a 3h).

FIGURA 2.2

Formulário de atendimento do paciente com dor torácica ECG: eletrocardiograma; DAC: doença arterial coronariana; HAS: hipertensão arterial sistêmica; DM: diabetes melito; IMC: índice de mas sa corporal; IAM: infarto agudo do miocárdio; ALT: alanina aminotransferase; AVE: acidente vascular encefálico; CAT: coronariografia; US: ultrassensível; CRVM: cirurgia de revascularização miocárdica. Nota: definir estratificação invasiva (CAT) ou não invasiva (ressonância magnética cardíaca, angiotomografia de coronárias, cintilogra fia miocárdica ou teste ergométrico) em conjunto com o especialista (heart team), principalmente dos pacientes com escore HEART intermediário/baixo (<7 pontos) na presença de troponina negativa ou sem curva (descendente ou ascendente).

9Dor Torácica
Observações:__________________________________________________
efinir escore HEART.d 3º
: supra de
ST? Total:________ História clínica ECG ldade Fatores de
Troponina
ST
Normal 65
45
65
45
3
1
3x
1
limite da
2 1 0 2 1 0 2 1 0 2 1 0 2 1 0 5º passo: definir conduta com escore HEART e troponina Avaliação de dor torácica no pronto atendimento Troponina <14 Troponina 14 a 42 Troponina >42 HEART <4 pontos Investigar diagnósticos diferencias Seguimento ambulatorial Curva de troponina 0 e 3h Definir estratificação Curva de troponina 0 e 3h Definir estratificação HEART 4 a 7 pontos Curva de troponina 0 e 3h Definir estratificação Coronariografia HEART >7 pontos Definir estratégia Coronariografia Coronariografia Curva de troponina 0 e 3h Definir estratificação Coronariografia Curva de troponina 0 e 3h Definir estratificação

Rotinas da Unidade Coronariana e Emergência Cardiológica da Casa de Saúde São José

A Figura 2.2 apresenta o formulário de atendi mento do paciente com dor torácica e a Figura 2.3 mostra a rotina diagnóstica e a abordagem incial nos pacientes com DT.

A utilização da Tn-US, em conjunto com ca racterísticas clínicas e eletrocardiográficas, para avaliação de pacientes com suspeita de SCA, já foi avaliada por diversos estudos. No estudo ADAPT, a estratégia envolvendo a estratificação de risco com dados clínicos, eletrocardiográficos e dosa gem de troponina com 0 e 2h da admissão mos trou valor preditivo negativo de 99% para SCA em pacientes de baixo risco.10 Na CSSJ, utilizamos a estratégia recomendada pela European Society of Cardiology para dosagem de troponina com 0 e 3h,

que também apresenta valor preditivo negativo alto (99,6% a 100%) para população de baixo risco cardiovascular.7

Atualmente, o uso da angiotomografia coro nariana assumiu papel relevante no atendimento do paciente com DT na sala de emergência. Em publicação recente, um painel composto por es pecialistas do American College of Cardiology em conjunto com o American College of Radiology, so bre o uso apropriado de métodos de imagem neste contexto, recomenda o uso da angiotomografia quando o ECG e a dosagem de troponina são não diagnósticos.11 Três grandes ensaios clínicos rando mizados e multicêntricos – coronary computed tom graphic angiography for systematic triage of acute

Manejo de síndrome coronariana

Fluxograma de atendimento ao paciente com suspeita de síndrome coronariana aguda ECG: eletrocardiograma; AAS: ácido acetilsalicílico; SCA:

CAT-abertura

Hora:__/__/__

10
FIGURA 2.3
síndrome coronariana aguda; CAT: coronariografia; IAMSSST: infarto agudo do miocárdio sem supradesnivelamento do segmento ST; PCR: parada cardiorrespiratória; IC: insuficiência cardíaca; SCASSST: síndrome coronariana aguda sem supradesnivelamento do segmento ST; HPBM: heparina de baixo peso molecular; HNF: heparina não fracionada.
do vaso Data:__/__/__
HNF e 2o antiagregante Data:__/__/__ Hora:__/__/__ CAT-abertura do vaso Data:__/__/__ Hora:__/__/__ HNF e 2o antiagregante Data:__/__/__ Hora:__/__/__
aguda ECG Data:__/__/__ Hora:__/__/__ Em até 10min ECG/AAS AAS Data:__/__/__ Hora:__/__/__ AAS 200mg após confirmação de SCA CAT em até 90min Administrar HNF 2o antiagregante na sala de hemodinâmica CAT em até 2h *2o antiagregante na hemodinâmica, preferencialmente Administrar HNF 2o antiagregante na sala de hemodinâmica Não** Sim*** Não Sim Código vermelho Se dor refratária HBPM e Ticagrelor Data:__/__/__ Hora:__/__/__ CAT-abertura do vaso Data:__/__/__ Hora:__/__/__ Data:__/__/__ Hora:__/__/__ CAT em até 24h Ataque Ticagrelor* 180mg + HBPM 1mg/kg 12/12h Supra de segmento ST? SCASSST: muito alto risco? **Alto risco: Diagnóstico IAMSSST estabelecido Alteração dinâmica ou presumivelmente nova do ST PCR sem elevação de segmento ST ou choque cardiogênico GRACE escore >140 pontos ***Muito alto risco: Choque cardiogênico Arritmias malignas IC aguda/complicações mecânicas Dor refratária à terapia medicamentosa Infra de segmento ST >1mm/6 derivações + supra de segmento ST em aVr ou V1

Síndrome Coronariana Aguda com Supradesnivelamento do Segmento ST

^ INTRODUÇÃO

O infarto agudo do miocárdio (IAM) é considerado uma das piores consequências da doença aterosclerótica coronariana. O IAM com supradesnivelamento do segmento ST (IAMCSST) é o reflexo visualizado no eletrocardiograma (ECG) de trombo se aguda oclusiva, ou funcionalmente oclusiva, de uma artéria coronária, que, com o passar dos minu tos, gera necrose dos miócitos em razão de baixa oferta de oxigênio e disfunção contrátil da parede miocárdica irrigada pelo vaso comprometido.

A localização da oclusão proporciona diferentes extensões do IAM. A oclusão do tronco da coroná ria esquerda (TCE) pode cursar com morte súbita, tamanha a extensão do IAM neste caso; por sua vez, a oclusão de um ramo fino distal poderá apre sentar supradesnivelamento no ECG, sem repercus são na função contrátil global.

Outro fator fundamental para minimizar o dé ficit contrátil no miocárdio é o tempo. “Tempo é músculo” é uma expressão famosa e representa exatamente a importância da reperfusão do vaso acometido no menor tempo possível. Tendo em vista a importância desse quadro clínico, a equipe deve estar treinada a ponto de fazer um diagnósti co rápido a fim de minimizar os danos e elaborar a estratégia mais eficaz na condução do caso.

^ EPIDEMIOLOGIA

Em todo o mundo, a doença arterial coronariana (DAC) é a causa isolada mais frequente de morte.

Mais de seis milhões de pessoas a cada ano mor rem por DAC, representando 16% de todos os óbitos.1 Na Europa, as mortes relacionadas a DAC representam 20% de todos os óbitos, ou seja, uma em cada cinco pessoas.²

A incidência de internações por IAMCSST varia en tre os países europeus.² O registro mais abrangente de IAMCSST é provavelmente na Suécia, realizado em 2015, onde a incidência é de 58 a cada 100.000 habitantes/ano.³ Em outros países europeus foram realizados estudos semelhantes encontrando uma incidência de internação que variava entre 43 e 144 a cada 100.000 habitantes/ano.²

A mortalidade intra hospitalar de pacientes não selecionados com IAMCSST nos registros na cionais dos países europeus varia entre 6% e 14%.4 Diversos estudos recentes têm destacado uma queda na mortalidade aguda e a longo prazo após um IAMCSST, em paralelo à maior utilização de terapia de reperfusão (trombolítica e angioplastia primária), terapia antitrombótica moderna e pre venção secundária.3,5 7 Ainda assim, a mortalidade continua a ser substancial com aproximadamente 12% dos pacientes mortos após seis meses,8 porém apresentando taxas de mortalidade mais elevadas em pacientes de alto risco.9

Com base em dados do Datasus, morrem anualmente no Brasil cerca de 66 mil pessoas vítimas de IAM. É considerada a principal causa isolada de morte no país. Visto que a estimativa de casos che ga a 300 a 400 mil casos anuais, a taxa de mortali dade é extremamente alta.

CAPÍTULO 3

^ FISIOPATOLOGIA

O IAMCSST caracteriza se por interrupção do fluxo na artéria coronária e necrose das células miocár dicas irrigadas. A parede torna se acinética (sem contração sistólica) e a necrose, que ocupa toda a espessura do miocárdio, o chamado infarto trans mural, revela alterações eletrocardiográficas persis tentes características: inicialmente, o supradesnível do segmento ST ou o bloqueio agudo do ramo es querdo além de posteriormente, o surgimento da onda Q e a inversão da onda T. Desde 2017, pas sou se a considerar também que o infarto transmu ral pode se apresentar eletrocardiograficamente como bloqueio agudo de ramo direito.

Os principais mecanismos etiopatogênicos da trombose oclusiva do vaso são:

ƒ Ruptura da capa fibrótica da placa de ateroma.

ƒ Trombose de Stent.

ƒ Oclusão de enxerto de revascularização miocárdica.

ƒ Tromboembolismo arterial para a artéria coronária.

ƒ Dissecção coronariana espontânea ou após traumatismo fechado de tórax.

^ ANAMNESE

Quadro clínico súbito de dor precordial, de forte intensidade, ou mesmo desconforto, com duração maior que 20min, que pode irradiar para o braço esquerdo, braço direito, pescoço, mandíbula ou o dorso, sem melhora com medicação vasodilata dora coronariana (nitrato). Associa se a sudorese, náuseas e vômitos e, tipicamente, uma sensação de “iminência de morte”. A dor precordial pode ser leve, sobretudo em idosos ou diabéticos (por defi ciência nos neurotransmissores).

Além disso, o paciente pode apresentar se com queixa de fadiga, dispneia, lipotimia/síncope, mes mo que sem dor ou com dor leve, configurando o que podemos chamar de “equivalente anginoso”.

É importante ainda abordar durante a anamne se de forma rápida, outros fatores que nos direcio nem ao diagnóstico clínico, como comorbidades prévias, histórico familiar, hábitos, uso de substân cias exógenas.

Os sintomas desencadeados após situações de estresse emocional ou traumático (pós operatório imediato) podem sugerir miocardiopatia adrenér gica (síndrome de Takotsubo). Muitas vezes, não é possível diferenciar de IAMCSST, antes que a coro nariografia constate ausência de lesões obstrutivas.

^ EXAME FÍSICO

À ectoscopia, o paciente pode apresentar se com palidez, sudorese fria, dispneia, turgência jugular, além de muitas vezes no momento inicial apresentar se com ambas as mãos sobre o peito, além do tronco levemente fletido com fácies de dor, cha mado sinal de Levine.

Dando sequência ao exame é possível a ob servação de alguns sinais clínicos, como arritmias (taqui ou bradicardia), hipotensão, crepitações na ausculta pulmonar.

Essas manifestações estarão presentes confor me o perfil hemodinâmico do paciente: normal, hi perdinâmico, hipotenso ou com “falha de bomba”. A Tabela 3.1 descreve diferentes perfis hemodinâ micos na apresentação do IAM, sinais e tratamento específico.

Outras alterações podem ser notadas ao exame físico nos pacientes que apresentarem complica ções mecânicas do infarto transmural, como:

ƒ Disfunção ou ruptura de um dos músculos papilares com insuficiência mitral aguda: so pro holossistólico irradiando para borda paraesternal esquerda ou axila, sem abafar a primeira bulha.

ƒ Ruptura do septo interventricular (SIV): so pro sistólico “ejetivo” em bordo esternal.

ƒ Ruptura de parede livre: acompanhada ou não de tamponamento cardíaco (hipotensão ou choque, hipofonese de bulhas, turgência jugular e pulso paradoxal).

^ DIAGNÓSTICO

A anamnese e o exame físico aventam a possibilida de de IAM transmural, mas a confirmação do diag nóstico é feita pelo ECG evidenciando supradesni velamento do segmento ST ou bloqueio completo

Rotinas da Unidade Coronariana e Emergência Cardiológica da Casa de Saúde São José18

3.1 Perfis hemodinâmicos na apresentação do infarto agudo do miocárdio, sinais e tratamento

hemodinâmico Sinais Tratamento

Hiperdinâmico

Taquicardia, hiperfonese de bulhas e boa perfusão periférica

Hipotenso Hipovolemia Pressão venosa jugular baixa e má perfusão periférica

Bradicardia Pressão venosa jugular normal e perfusão periférica pouco diminuída, secundária a tônus vagal aumentado

IAM de VD Turgência jugular, hipoperfusão ou choque, bradicardia e hipotensão Constatar com ECG V3R e V4R

Analgesia

Controle da ansiedade

Reposição volêmica

Atropina ou MP provisório

Considerar reverter efeito opiáceo, caso utilizado

Reposição volêmica

Evitar nitrato

Falha de bomba

Dispneia, estertores crepitantes, B3, EAP, choque cardiogênico

Variado: diuréticos, ventilação mecânica, aminas

MP: marca passo; IAM: infarto agudo do miocárdio; VD: ventrículo direito; ECG: eletrocardiograma; EAP: edema agudo de pulmão. Fonte: adaptada da V Diretriz da SBC sobre Tratamento do IAM com Supradesnível do Segmento ST, 2015.10

de BRE presumidamente novo, ou bloqueio com persistente, após administração de nitrato.

O supradesnivelamento do segmento ST deverá ser maior que 1mm (0,1mV), em pelo menos duas derivações contíguas (tal valor é válido para todas as derivações, à exceção de V2 e V3). Nas derivações V2 e V3, o supradesnivelamento do segmento ST só é considerado compatível com IAMCSST nas se guintes situações:11

ƒ ≥1,5mm (0,15mV) em mulheres.

ƒ ≥2 mm (0,2mV) em homens com 40 anos de ida de ou mais.

ƒ ≥2,5mm (0,25mV) em homens com menos de 40 anos de idade.

Na Casa de Saúde São José (CSSJ), o ECG é realiza do na emergência em até 10min da chegada do pa ciente. Um ECG normal exclui diagnóstico de IAM com supradesnivelamento do segmento ST (IAMCSST). Na suspeita de IAM, devem ser realizadas, além das 12 derivações habituais, V7, V8 e V9 para diagnóstico de IAM transmural de parede posterior e V3R e V4R para diagnóstico de IAM de ventrículo direito (VD).

A dosagem sérica dos marcadores de necrose miocárdica, como troponina ultrassensível (Tn US) e CK MB massa, é recomendada na fase aguda, mas não constitui critério diagnóstico nesse contexto. Portanto, não deve atrasar o início da estratégia de reperfusão miocárdica.12

^ ESTRATIFICAÇÃO DE RISCO

O emprego da classificação de Killip Kimball, descri ta na Tabela 3.2, permite avaliar a condição clínica na admissão e o prognóstico do paciente, sendo uma ferramenta clínica com grande aplicação prática. Isso porque distingue as faixas de risco para morta lidade de modo objetivo e sem necessidade de uso de exames complementares ou mais sofisticados.10

Alguns preditores são variáveis independentes de mau prognóstico:12

ƒ Idade avançada.

ƒ Classe Killip Kimball elevada.

TABELA 3.2 Classificação de Killip-Kimball

Parâmetros

Sem sinais de congestão pulmonar

IC discreta (estertores nas bases e presença de terceira bulha)

Classe Mortalidade intra-hospitalar

I 2% a 3%

II 8% a 10%

Edema agudo de pulmão

IC: insuficiência cardíaca.

IV 45% a 70%

III 20% a 25% Choque cardiogênico

Fonte: adaptada da V Diretriz da SBC sobre Tratamento do IAM com Supradesnível do Segmento ST, 2015.10

19Síndrome Coronariana Aguda com Supradesnivelamento do Segmento ST TABELA
Perfil
ƒ
ƒ
ƒ
ƒ
ƒ
ƒ
ƒ
ƒ

ƒ Frequência cardíaca alta.

ƒ Pressão arterial sistólica baixa.

ƒ IAM de parede anterior.

^ ESCOLHA DA TERAPIA DE REPERFUSÃO MIOCÁRDICA

A escolha da melhor terapia de reperfusão miocár dica para cada caso (angioplastia primária versus fibrinólise) é um dos temas mais estudados e co mentados da Cardiologia na última década.

A recomendação atual é, de modo geral, favorá vel à angioplastia primária. Este método é capaz de restabelecer o fluxo coronário epicárdico normal em mais de 90% dos pacientes, em associação a reduzidas taxas de isquemia recorrente e reinfarto, sem o risco da ocorrência de complicações hemor rágicas graves, como acidente vascular encefálico (AVE).1

Desse modo, em nosso serviço, a angioplastia primária é a estratégia de escolha em pacientes com delta t <12h, tendo em vista que há uma equi pe de sobreaviso que visa garantir que o paciente consiga estar na sala de hemodinâmica em menos de 90min após a entrada no hospital.

Nos raros casos em que a avaliação hemodinâmi ca não estiver disponível no momento do diagnósti co, com expectativa de tempo >90min e delta t <6h, nosso protocolo indica a estratégia fibrinolítica.

Ressalta se que a escolha da terapia de reper fusão alterará alguns aspectos do tratamento clínico, como a dupla antiagregação plaquetária e a estratégia anticoagulante. Enquanto aguar damos a transferência do paciente para a sala de Hemodinâmica, devemos nos certificar de oferecer o tratamento clínico completo, conforme nosso protocolo (ver “Tratamento Clínico”, a seguir).

O fármaco de escolha para fibrinólise na CSSJ é o alteplase administrado, por via endovenosa (EV), da seguinte forma:

ƒ 15mg em bólus.

ƒ 0,75mg/kg em 30min (não excedendo o máximo de 50mg).

ƒ 0,50mg/kg nos 60min seguintes (não exceden do o máximo de 35mg).

ƒ Dependendo da disponibilidade, há possibi lidade de usar o tenecteplase (TNK tPA) ou a

estreptoquinase, como fibrinolítico. A dose da estreptoquinase é de 1.500.000UI que deve ser diluída em 250mL de 5% e infundir em 1h. Já a TNK tPA tem a dose ajustada de acordo com o peso do paciente, sendo usadas as seguintes do ses apresentadas na Tabela 3.3.

As contraindicações absolutas e relativas ao uso de fibrinolíticos no IAMCSST encontram se descri tas na Tabela 3.4.

^ “DELTA T”

O delta t é definido como o tempo transcorrido desde o início dos sintomas de IAM até o momento da chegada ao hospital, sendo fundamental para guiar o tratamento do IAMCSST, pois determina se ainda há benefício em adotar uma estratégia para tentar reperfundir o miocárdio.

As recomendações atuais são:

ƒ Todos os pacientes com delta t <12h e supra de segmento ST ou BRE persistentes ao ECG devem ser submetidos à terapia de reperfusão miocárdica (Classe I, nível de evidência A).

ƒ A terapia de reperfusão miocárdica (preferencial mente angioplastia primária) está indicada nos pacientes com delta t entre 12 e 48h, porém com evidência clínica e/ou eletrocardiográfica de is quemia persistente (Classe I, nível de evidência C).

ƒ Nos pacientes com delta t entre 12 e 48h, está veis, sem sinais de isquemia, a terapia de reper fusão é provavelmente desfavorável (Classe IIa, nível de evidência B).

ƒ Nos pacientes com delta t >24h, estáveis, sem sinais de isquemia, a terapia de reperfusão é contraindicada (Classe III, nível de evidência A).

TABELA 3.3 Dose de TNK-tPA para trombólise no infarto agudo do miocárdio com supradesnivelamento do segmento

Peso

TNK

Rotinas da Unidade Coronariana e Emergência Cardiológica da Casa de Saúde São José20
ST
Dose de TNK-tPA (bólus único EV) <60kg 30mg <70kg 35mg <80kg 40mg <90kg 45mg >90kg 50mg
tPA: tenecteplase; EV: endovenosa.

Síndromes Aórticas Agudas

^ INTRODUÇÃO

Durante as últimas duas décadas, as taxas globais de mortalidade por doenças aórticas aumentaram, principalmente em países em desenvolvimento, com uma taxa média de mortalidade de 0,71 (in tervalo de confiança [IC95%] 0,28-1,40), em com paração a 0,22 (IC95% 0,10-0,33) em países de senvolvidos. Acredita-se que essa tendência pode estar relacionada ao aumento da idade média da população global.1,2

No grande espectro das doenças da aorta, des tacam-se as síndromes aórticas agudas (SAA), que compreendem:3,4

ƒ Dissecção aórtica aguda (DAA).

ƒ Hematoma intramural (HIM).

ƒ Úlcera aórtica penetrante (UAP).

As SAA são condições cujo diagnóstico requer um alto índice de suspeita clínica, e muitas vezes requerem tratamento cirúrgico imediato a fim de que se evitem complicações que podem ser letais ou irreversíveis.3 Apesar de apresentarem caracte rísticas clínicas semelhantes, têm prognósticos dis tintos e estratégias de abordagem específicas.3,4 Para definição do tipo de tratamento e da técnica cirúrgica utilizada, devem-se levar em considera ção diversos fatores, como o local da aorta acome tido, o tempo de apresentação e o nível de gravi dade da doença, além fatores individuais como sexo, idade, comorbidades, variações anatômicas, entre outros.

O tempo para a intervenção cirúrgica está dire tamente relacionado à taxa de mortalidade quan do o segmento torácico da aorta é acometido. Ademais, as estratégias cirúrgicas para abordagem do arco aórtico são consideradas complexas, não só pela necessidade de realização em tempo hábil, mas também pelo envolvimento dos principais va sos de irrigação do sistema nervoso central (SNC) e elevado risco de dano cerebral.

O objetivo deste capítulo é fornecer uma breve atualização sobre as SAA, abordando sua definição, classificação, fatores de risco, diagnóstico e, princi palmente, as técnicas cirúrgicas utilizadas na abor dagem da aorta torácica, além de levantamento do perfil dos pacientes submetidos a essa modalidade terapêutica pela nossa equipe na Casa de Saúde São José (CSSJ).

^ CONCEITOS E CLASSIFICAÇÃO DAS SÍNDROMES AÓRTICAS

AGUDAS

As SAA são condições de emergência que implicam risco à vida e se manifestam, na maioria das vezes, com quadro de dor torácica aguda no setor de Pronto Atendimento, com incidência de cerca de 3 por 100.000 pessoas.4

Por não serem, muitas vezes, consideradas na avaliação médica inicial, em aproximadamente 25% dos pacientes com SAA esta condição não é diagnosticada nas primeiras 24h após o primeiro

CAPÍTULO 7

Na técnica de remodelamento de Yacoub (Fi gura 7.4), a aorta ascendente e os seios são subs tituídos por uma prótese tubular de interposição de dácron, que é fendido (“escalopado”) para incor porar os pilares comissurais da válvula aórtica.35 Os óstios coronários são então reimplantados. Como

o anel valvar aórtico não está estabilizado, essa técnica não é adequada para pacientes com distúr bios do tecido conjuntivo ou em quem o anel val var aórtico esteja dilatado >30mm.

Em se tratando de raiz aórtica dilatada e válvula aórtica danificada, uma opção é o procedimento

Rotinas da Unidade Coronariana e Emergência Cardiológica da Casa de Saúde São José70 B C
FIGURA 7.2 (A a C) Esquema cirúrgico para o tratamento de aorta ascendente com preservação da válvula aórtica (A). Preservação da válvula aórtica e preparo do coto proximal (B). Interposição de tubo reto no segmento da aorta ascendente acima da junção sinotu bular até o início do tronco braquiocefálico (C) B C FIGURA 7.3 (A e B) Imagens demonstrativas da aplicação da técnica de David A B

em geral são utilizados dois métodos principais como adjuvantes: a perfusão cerebral retrógrada e a perfusão cerebral anterógrada (PCA).11,14,38

Pela técnica de PCHP, o paciente é resfriado a uma temperatura entre 18ºC a 20ºC e a circulação para todo o corpo é interrompida durante a recons trução aórtica distal. Essa técnica é segura e eficaz, mas consome muito tempo e, em algumas séries, é associada ao maior uso de hemoderivados. Em um relatório recente, a taxa de AVE de 490 pacientes submetidos a cirurgia do arco aórtico foi de 1,6% (8/490); no entanto, aqueles com tempos de PCHP por mais de 50min apresentaram uma taxa de AVE mais alta.35

A perfusão cerebral retrógrada envolve hipoter mia profunda, perfundindo a circulação cerebral de maneira retrógrada através da circulação veno sa (veia cava superior à veia jugular interna). Essa técnica caiu em desuso na maioria dos centros, por implicar maior índice de lesão cerebral.11

A PCA tornou-se o método de proteção cerebral de escolha. Essa técnica envolve hipotermia mo derada (até 28ºC) com canulação da artéria axilar, subclávia ou do TBC, o que permite que o fluxo

seja mantido no cérebro durante a reconstrução da aorta distal (Figura 7.9).11 A superioridade da PCA em relação aos resultados neurológicos é es pecialmente clara entre os pacientes submetidos à substituição do arco com reconstrução separada dos vasos, usando-se enxertos ramificados. A taxa de disfunção neurológica transitória geralmente é mais baixa se a PCA for aplicada nesses casos.34

FIGURA 7.9

Tubo anastomosado em tronco braquiocefálico

73Síndromes Aórticas Agudas
AFIGURA 7.8 (A e B) Esquema cirúrgico (A). Preparo do enxerto (B) B

Rotinas da Unidade Coronariana e Emergência Cardiológica da Casa de Saúde São José

16,9% em pacientes com dissecção de tipo A, che gando a 38% em pacientes com idade avançada.39 Já o IRAD reporta mortalidade intra-hospitalar de 27%, podendo chegar a 58% em pacientes idosos e com comorbidades.23 Em análises recentes do registro, o IRAD reporta uma mortalidade variando de 17% a 31%, a depender do perfil de risco préoperatório.40 Bavaria et al. (2002)41 relatam que pacientes que se apresentaram no pré-operatório com eventos cerebrovasculares tinham taxa de mortalidade precoce de 55%. Em nossa população de pacientes tivemos incidência de AVE prévio em 18,1% dos casos com média de idade de 65 ± 13 anos (dados não publicados).

Quando a DAAA acomete também a aorta des cendente, é possível lançar mão de procedimentos híbridos como a técnica de frozen elephant trunk (“tromba de elefante congelado”). Por essa técnica, a implantação de próteses híbridas reforçadas com Stent autoexpansível é realizada na aorta descen dente por via anterógrada durante a substituição do arco (Figura 7.16), acarretando altas taxas de oclusão do falso lúmen.14,32 O objetivo dessa cirur gia é corrigir a maior extensão possível da aorta torácica em um procedimento de etapa única e, eventualmente, proporcionar maior facilidade para o reparo secundário da aorta (endovascular ou cirurgia aberta), caso seja necessário A angioto mografia com reconstrução em 3D é um excelente exame para acompanhamento no pós-operatório tardio (Figura 7.17).

Por fim, a doença aórtica torácica extensa com envolvimento simultâneo de diferentes segmentos

FIGURA 7.17

Angiotomografia com reconstrução em 3D de pós-opera tório tardio

aórticos requer uma avaliação pré-operatória mi nuciosa para um melhor planejamento cirúrgico e escolha da técnica operatória mais adequada para cada caso.

No levantamento dos nossos casos operados na Casa de Saúde São José (CSSJ), foram identificados 60 pacientes submetidos ao tratamento cirúrgi co de SAA. Os dados obtidos mostram incidência maior em homens (67%), com média de idade de 66 ± 13 anos. Hipertensão arterial é um dos maio res fatores de risco para o desenvolvimento de SAA. Coerentemente, há uma alta prevalência nessa po pulação (92%).

^ CONSIDERAÇÕES FINAIS

Dos casos operados pela nossa equipe na CSSJ, 89% dos pacientes apresentavam aneurisma da aorta ascendente e 94% tinham algum acometi mento valvar aórtico no momento da avaliação. A complexidade do procedimento variou bastante com casos de:

ƒ Correção da aorta ascendente (8%).

ƒ

Aorta ascendente com arco (2%).

ƒ Aorta ascendente com arco e valva aórtica (12%).

76
FIGURA 7.16 Visualização de prótese autoexpansível na aorta descendente

Fibrilação Atrial

^ INTRODUÇÃO

A fibrilação atrial (FA) é a arritmia sustentada mais comum na prática clínica. Acomete 3% da popula ção acima de 20 anos de idade e até 37% acima de 55 anos (Framingham Heart Study). Está frequen temente associada a fatores de risco que incluem:

ƒ Idade.

ƒ Doença arterial coronária.

ƒ Sexo masculino.

ƒ Doença valvar.

ƒ Descendência europeia.

ƒ Hipertensão.

ƒ Obesidade.

ƒ Tabagismo.

ƒ Etilismo.

ƒ Diabetes.

ƒ Apneia do sono.

ƒ História familiar em parentes de 1o grau.

A FA é associada ao aumento do risco de acidente vascular encefálico (AVE) quatro vezes em homens e 5,7 vezes em mulheres, de insuficiência cardíaca (IC) três vezes em homes e 11 vezes em mulheres, e de demência 1,4 vezes na população geral. Além disso, existe aumento do risco de morte de 2,4 ve zes em homens e 3,5 vezes em mulheres.1-3

Os mecanismos de sua origem são complexos e multifatoriais. Alterações focais do tecido atrial (p. ex., focos em veias pulmonares)4 e estruturais difu sas influenciam na apresentação da arritmia e são afetadas por ela.5

Cerca de 10% a 40% de pacientes com FA são internados por ano. Na Emergência Cardiológica da Casa de Saúde São José (CSSJ), a FA é a segunda causa de atendimento e a quarta causa de inter nação.

^ APRESENTAÇÃO CLÍNICA E CLASSIFICAÇÃO

Arritmia supraventricular em que a rapidez e irre gularidade tornam a contração atrial inefetiva. A perda do kick atrial, em associação a uma respos ta ventricular variável, permite apresentações que variam de assintomáticas a quadros de grave insta bilidade clínica e hemodinâmica. Os sintomas mais comuns abrangem fadiga, palpitação, dispneia, hi potensão e síncope.

A FA é dividida em quatro formas de apresen tação:

1. Novo diagnóstico: FA diagnosticada pela pri meira vez independentemente de duração ou sintomas.

2. Paroxística: revertida espontaneamente ou com intervenção médica até sete dias após seu início.

3. Persistente: quando tem duração maior que uma semana incluindo episódios terminados por intervenção >7 dias. Quando ultrapassa um ano, pode ser classificada como persistente de longa duração.

4. Permanente: quando se opta por não mais ten tar a reversão do ritmo sinusal.

CAPÍTULO 12

Rotinas da Unidade Coronariana e Emergência Cardiológica da Casa de Saúde São José

A forma permanente é responsável por 40% das apresentações.6

^ PROGNÓSTICO

Pode-se afirmar que a grande importância clínica da FA decorre do fato comprovado de que esta ar ritmia é a principal causa direta conhecida de AVE isquêmico. A falta de atividade mecânica atrial pro voca a formação de trombos no apêndice atrial es querdo, que se fragmentam frequentemente cau sando embolia cerebral e, algumas vezes, quadros graves de embolias arteriais sistêmicas. Estima-se que, pelo menos, 70% dos AVE em portadores de FA são do tipo cardioembólico.

Cerca de 20% a 30% dos infartos cerebrais isquê micos são atribuídos à FA. A real incidência de AVE na FA é difícil de determinar, sendo provavelmente subestimada, pois muitos pacientes com FA persis tente ou permanente são assintomáticos. Muitos pacientes idosos com FA persistente e frequên cia ventricular baixa não percebem a presença da

arritmia durante vários anos. Nestes assintomáti cos, cerca de 50% dos pacientes sem história prévia de déficit neurológico apresentam múltiplas áreas de infartos cerebrais silenciosos evidenciados pela tomografia computadorizada (TC). Quanto maior a duração da FA, tanto na modalidade persisten te quanto intermitente, maior a probabilidade de ocorrer AVE embólico.

^ ABORDAGEM DO PACIENTE

Quando diagnosticamos um novo episódio de FA, a European Society of Cardiology (ESC) propõe cinco objetivos iniciais (Figura 12.1):7

1. Avaliação de instabilidade hemodinâmica e sin tomas graves e limitantes. Controle agudo da frequência cardíaca (FC) e do ritmo.

2. Presença de fatores precipitantes, mudança de estilo de vida e tratamento de doenças conco mitantes.

3. Risco de tromboembolismo e necessidade de anticoagulação.

Redução

Melhora

Melhora

Melhorar

118
FIGURA 12.1 Abordagem de um novo episódio de fibrilação atrial FC: frequência cardíaca; AVE: acidente vascular encefálico; VE: ventrículo esquerdo. Fonte: adaptada de ESC Guidelines for the management of atrial fibrillation, 2016.7 Controle agudo de FC e ritmo Fator precipitante Risco de AVE Controle de FC Sintomas e ritmo Tratamento Objetivo Benefício Estabilidade hemodinâmica
do risco cardiovascular Prevenção do AVE
sintomas e função de VE Melhorar sintomas
expectativa de vida
qualidade de vida

4. Necessidade de controle da FC.

5. Sintomatologia e decisão sobre opções de con trole do ritmo.

^ CONDUTA EM UM NOVO EPISÓDIO DE FIBRILAÇÃO

ATRIAL

Nos pacientes com FA paroxística e repercussão hemodinâmica (hipotensão, precordialgia, conges tão, queda do nível de consciência), a cardioversão elétrica (CVE) deve ser realizada prontamente na chegada do paciente à emergência. Nessas situa ções, geralmente o ecocardiograma transesofágico (ECOTE) não será realizado, e a anticoagulação ple na nem sempre é possível.

Algumas vezes, a FA não é a causa da instabi lidade, mas uma consequência ou uma doença concomitante. Os casos mais marcantes ocor rem em pacientes com inflamação (sepse, pós-

operatório etc.). Nesses casos, as tentativas de re versão da FA costumam ser infrutíferas e, se possí vel, deve-se apenas tentar controlar a FC e tratar a doença de base.

A diferenciação entre essas duas apresentações pode ser extremamente difícil em alguns casos.

Nos pacientes com FA paroxística admitidos na emergência cardiológica da CSSJ, adotamos a se guinte conduta (Figura 12.2):

ƒ É instalada anticoagulação plena com heparina não fracionada (HNF) ou heparina de baixo peso molecular (HBPM).

ƒ O paciente é colocado em jejum.

ƒ Após 12 a 24h, o paciente é submetido, em um mesmo procedimento, à realização de ECOTE e à CVE sob anestesia geral ministrada por anestesista. Em geral, utiliza-se um dos seguin tes anestésicos: propofol, midazolam ou eto midato.

CHADS-VASc, n episódios22 o

doença vascular, BNP, PCR-t, troponina, TAP/PTT, TSH, hemograma, G, U, C, TGO, TGP, CICr estimado)

119Fibrilação Atrial
FIGURA 12.2 Protocolo da emergência cardiológica da Casa de Saúde São José na conduta de um novo episódio de fibrilação atrial CVE: cardioversão elétrica; BNP: peptídio natriurético tipo B; PCR-t: proteína C-reativa titulada; TAP: tempo e atividade da protrom bina; PTT: tempo de protrombina; TSH: hormônio tireoestimulante; TGO: transaminase glutâmico-oxalacética; TGP: transaminase glutâmico-pirúvica; FC: frequência cardíaca; ICC: insuficiência cardíaca congestiva; ClCr: clearance de creatinina; G: glicon, U: ureia; C: creatinina. Sim Não Fibrilação atrial T=? Instabilidade CVE FC>110bpm Sim Não Controle: Metoprolol EV Diltiazem EV Esmolol EV ICC: Amiodarona EV Digital Anticoagulação: Enoxiparina Heparina não fracionada (Cl Cr <30) Revisão farmacológica: Cardiopatia: Amiodarona venosa Sem cardiopatia: Propafenona 600mg/VO Amiodarona venosa Reversão elétrica: Bifásica: 200J Monofásica: 360J (admissão:
prévios,

TABELA 12.4 Complicações da ablação da fibrilação atrial

Tratamento Tamponamento cardíaco

Estenose de veia pulmonar

Fístula atrioesofágica

Lesão do nervo frênico

Prevalência Causa Prevenção

1,2% a 6% Lesão transmural, manipulação do cateter, anticoagulação excessiva

0% a 5% Ablação proximal, alta energia

0,25%

Relação da parede posterior do átrio esquerdo com o esôfago e alta energia

0,48% Lesão térmica mais comum no nervo frênico direito

Limitar energia, manipulação cuidadosa, experiência do operador, anticoagulação adequada

Drenagem percutânea, cirúrgica, reversão da anticoagulação

Limitar energia, ablação distal à veia Angioplastia/Stent

Limitar energia, evitar regiões de contato íntimo ao esôfago Sonda esofágica de temperatura, cateter irrigado

Estimulação de alta voltagem pré-ablação nos sítios perigosos, monitorizar movimentos respiratórios, crioenergia

Reparo cirúrgico de urgência

Para aplicação assim que se notar comprometimento, reversível na maior parte dos casos

Tromboembolismo 0% a 1% Trombo intracavitário, bainha vascular, carbonização na ponta do cateter

Fonte

Anticoagulação adequada, irrigação da bainha, cateter irrigado de ablação

Cirurgia vascular, trombólise

Seguimento

No seguimento inicial pós-procedimento, devem ser mantidos os fármacos antiarrítimicos prévios e a anticoagulação oral. Na forma paroxística, a anti coagulação oral deve ser mantida por três meses e na forma persistente e de longa duração por, pelo menos, seis meses. A manutenção da anticoagu lação após esse período deve ser ponderada ava liando-se o risco de tromboembolismo (escore de CHA2DS2-VASc ≥2). A monitorização de episódios assintomáticos de FA deve ser realizada por Holter de 24h seriado (um, dois, três, seis meses e um ano). A necessidade de tomografia computadorizada (TC) ou ressonância magnética será avaliada em pacientes com sintomas que possam sugerir este nose de veias pulmonares.

^ ABLAÇÃO DO NODO

ATRIOVENTRICULAR

Há situações extremas em que, na FA adrenérgica persistente ou permanente, observa-se frequência

Rotinas da Unidade Coronariana e Emergência Cardiológica da Casa de Saúde São José126
: adaptada de Arantes et al., 2007.17 FIGURA 12.4 Linha de evolução da ablação da fibrilação atrial (tempo do procedimento versus sucesso versus complicações) Fonte: adaptada de Arantes et al., 2007.17 25 20 15 10 5 0 100 90 80 70 60 50 40 30 20 10 0 Tempo (ano)/complicações % Suces s o % 1994 2000 2005 2007 Tempo (ano) Complicações (%) Sucesso (%) (eixo do valor secundário)

Marca-passo Provisório, Definitivo, Ressincronizadores e Desfibriladores

Julianny Freitas Rafael Magacho

Vicente de Paulo Fernandes do Nascimento Amanda Mendonça da Silva Costa Nathália Rodrigues da Silva Gustavo Luiz Gouvêa de Almeida Jr.

^ INTRODUÇÃO

Este capítulo aborda a utilização de marca-passo cardíaco na Unidade de Emergência Cardiológica e na Unidade Coronariana da Casa de Saúde São José (CSSJ), no Rio de Janeiro.

O capítulo foi dividido em duas partes principais:

1. Marca-passo provisório: abordam-se suas in dicações, os diversos modos e a localização da estimulação, o manejo da unidade geradora e as complicações inerentes à estimulação tem porária com o marca-passo cardíaco.

2. Marca-passo definitivo: é abordado seu uso no tratamento de bradiarritmias, na ressincroniza ção cardíaca como tratamento coadjuvante de insuficiência cardíaca (IC) e como desfibrilador implantável, no tratamento das taquiarritmias, relacionando suas indicações e seus respectivos níveis de recomendação e evidência.

^ CLASSIFICAÇÃO DO MARCA-PASSO QUANTO À CÂMARA UTILIZADA NA ESTIMULAÇÃO CARDÍACA

A grande diversidade dos modernos marca-pas sos cardíacos tornou necessária a criação de um código para definir o modo de estimulação em pregado. O código atualmente utilizado foi es tabelecido pela North American Society of Pa cing Electrophysiology (NASPE) e pelo British Pacing and Electrophysiology Group (BPEG).

ƒ Câmara estimulada:

• A: átrio.

• V: ventrículo.

• D: átrio e ventrículo.

• O: nenhuma.

ƒ Câmara sentida:

• A: átrio.

• V: ventrículo.

• D: átrio e ventrículo.

• O: nenhuma.

ƒ Resposta do marca-passo à detecção de um sinal natural:

• T: deflagrado.

• I: inibido.

• D: deflagrado e inibido

• O: sem resposta

ƒ Capacidade de programação, telemetria ou resposta de frequência:

• P: programável.

• M: multiprogramável.

• R: com resposta de frequência.

• C: telemetria.

• O: nenhuma.

^ MARCA-PASSO PROVISÓRIO

Tipos de estimulação cardíaca provisória

Marca-passo provisório cutâneo torácico

A estimulação é aplicada diretamente na pare de do tórax, em contato com a pele, e por isso

CAPÍTULO 15

Localização da ponta do cabo de marca-passo

Veia cava superior Negativa, semelhante à aVR Semelhante à aVR Ausente

Átrio direito alto Negativa, grande Semelhante à aVR Ausente

Átrio direito médio Isodifásica, grande Semelhante à aVR Ausente

Átrio direito baixo Positiva, grande Semelhante à V1 Ausente

Veia cava inferior Positiva, pequena Semelhante à aVF ou D3 Ausente

Ventrículo direito de entrada Positiva, pequena Muito grande, semelhante a V1

Ventrículo direito de ponta Positiva, pequena Muito grande, semelhante a V3

Presente, se impactado

Presente, se impactado

Ventrículo direito de saída Pequena, semelhante à aVL Polifásico tipo RSR’S’ Presente, se impactado aVR: avaliação do potencial absoluto no braço direito; aVF: avaliação do potencial absoluto na perna esquerda; aVL: avaliação do potencial absoluto no braço esquerdo.

Programação da unidade geradora

Inicialmente, conecta-se o polo distal do cabo de marca-passo ao terminal negativo (preto) da unida de geradora, e o proximal (vermelho) ao terminal positivo da unidade geradora do marca-passo.

Limiar de comando

É a menor quantidade de energia aplicada capaz de despolarizar o músculo cardíaco. Programa-se o marca-passo desligado no modo assincrônico e liga-se a unidade geradora, inicialmente com uma frequência 20% maior que a do paciente e com am plitude mínima.

Aumenta-se gradativamente a amplitude até que se obtenha o comando dos batimentos cardía cos, o qual deve estar abaixo de 2 miliampères (mA).

Programa-se o marca-passo para 5mA acima do limiar encontrado, evitando-se a competição com o ritmo cardíaco e o risco de fibrilação ventricular.

Limiar de sensibilidade

É o poder de captação pelo marca-passo dos sinais cardíacos. Regula-se a unidade geradora para a sensibilidade máxima (p. ex., 1mV) e com frequên cia menor que a do paciente. Diminui-se gradati vamente a sensibilidade até que haja competição

com o ritmo do paciente (p. ex., 5mV). O marcapasso deverá ser mantido com metade do valor encontrado (p. ex., 2,5mV). Quando o paciente não apresenta ritmo próprio, será impossível determi nar o limiar de sensibilidade.

Complicações do marca-passo provisório

Devem-se avaliar, pelo menos duas a três vezes por dia, os limiares de comando e a sensibilidade do marca-passo (Tabela 15.2).

Cuidados com o marca-passo provisório

ƒ O curativo local deve ser diário, para evitar trom bose ou infecção.

ƒ Repouso relativo do paciente, com fixação da unidade geradora próximo ao cabo-eletrodo.

ƒ Monitorização cardíaca contínua, para diagnós tico precoce de distúrbios do ritmo.

ƒ Evitar contato dos cabos-eletrodos com as mãos, além de líquidos ou materiais condutores.

ƒ Se os cabos estiverem implantados, mas não conectados à unidade geradora, deverão estar isolados com borracha de silicone (dedo de luva, dreno de Penrose ou pedaço de equipo de soro).

Rotinas da Unidade Coronariana e Emergência Cardiológica da Casa de Saúde São José148
TABELA 15.1 Padrão eletrocardiográfico segundo a posição do marca-passo provisório Onda P QRS ST de lesão
149Marca-passo Provisório, Definitivo, Ressincronizadores e Desfibriladores FIGURA 15.1 Eletrocardiograma endocavitário durante passagem do cabo de marca-passo transvenoso temporário P: onda P; R: complexo QRS; T: onda T. P R P P P RR R Átrio direito alto Átrio direito médio (último complexo: átrio direito baixo) P R RR PP Ventrículo direito P R PP P RR Ventrículo direito parcialmente impactado P R T RR TT PP Ventrículo direito impactado
Rotinas da Unidade Coronariana e Emergência Cardiológica da Casa de Saúde São José164 FIGURA 15.7 (A e B) Posição do eletrodo ventricular na estimulação do feixe de His FIGURA 15.8 (A e B) Estimulação fisiológica, com captura do sistema de condução, His ou ramo esquerdo, mantendo ativação fisiológica do mio cárdio versus estimulação convencional, com captura focal e despolarização dissincrônica do miocárdio, gerando bloqueio de ramo esquerdo (BRE) e dissincronia na contração ventricular BA His Ramo esquerdo Ramo direito Nó atrioventricular 80ms x 160ms

Doença Renal e Terapia de Substituição Renal em Cardiopata Agudo

^ DOENÇA RENAL CRÔNICA

A expressão doença renal crônica (DRC) engloba todas as expressões de lesão renal crônica (pre sentes por mais de três meses), abrangendo al terações estruturais sem perda de função e, de forma contínua, graus crescentes de comprometi mento funcional, desde leve a muito grave. A DRC frequentemente escapa de detecção, pelo fato de o diagnóstico ser obscurecido pela coexistên cia de outras condições crônicas, principalmente hipertensão e diabetes. A definição de DRC se gue a proposta do grupo KDIGO,1 que classifica a função renal em seis estádios, conforme a taxa de filtração glomerular (TFG). Cada estádio é subclas sificado em três faixas de proteinúria, o que nos permite estruturar o risco de eventos adversos fu turos (Tabela 17.1). A cada estádio de disfunção, uma maior faixa de proteinúria implica risco de agravamento de função, mesmo diante pequenos insultos como hipoperfusão ou exposição a nefro toxina, assim como maior risco de mortalidade. Pacientes com DRC apresentam alto risco cardio vascular, e morte cardiovascular é a principal cau sa de óbito, suplantando o próprio risco de morte conferido pela DRC.

Em pacientes com função renal estável, reco menda-se que a TFG seja estimada por fórmulas, como a de Cockcroft-Gault ou a CKD-EPI. A fórmula de Cockcroft-Gault estima a clearance de creatini na (ClCr) a partir da creatinina sérica (em mg/dL),

idade (anos) e peso (kg), fornecendo o resultado em milímetros por minuto (mL/min). No sexo fe minino, o resultado deve ser multiplicado por 0,85. Essa fórmula é considerada padrão para ajuste de doses de medicamentos em pacientes com doen ça renal.

ClCr = ([140 – idade] × Peso) (72 × Cr) × 085 (se do sexo feminino)

A fórmula CKD-EPI é a mais moderna, calcu lada a partir da creatinina sérica e incorporando as variáveis sexo e idade. Na revisão de 2021, a variável raça foi excluída.2 A equação é comple xa para cálculo manual, mas está acessível online (<www.kidney.org/professionals/KDOQI/gfr_cal culator>)3 e disponível em aplicativos para celula res e tablets.

^ INJÚRIA RENAL AGUDA

Diagnóstico e estadiamento

O diagnóstico e a classificação da injúria renal agu da (IRA) seguem o critério KDIGO (Tabela 17.2). O estadiamento faz uso de uma matriz baseada na creatinina sérica e no débito urinário, pontuando a variável com maior desvio da normalidade.4 O foco dessa discussão é a disfunção renal avançada, com potencial de necessitar de suporte renal artificial (SRA), que corresponde ao estádio 3 – ou seja, a situação em que realmente se configura uma insu ficiência renal aguda.

CAPÍTULO 17

1

em 48h ou

a 1,9 vez sobre valor

em até 7 dias

a 2,9 vezes sobre valor basal

por 6 a 12h

TABELA 17.3 Fatores de risco para injúria renal aguda

Exposições

Doença crítica

Sepse

Choque circulatório

Queimaduras

por ≥12h

3

vezes sobre valor

ou

ou início de suporte renal artificial

<0,3mg/kg/h por ≥24h ou anúria ≥12h

*Atribuir pontuação à variável com maior desvio (creatinina sé rica ou diurese).

Fonte: adaptada de KDIGO, 2012.4

Grupos de risco

Mesmo no estádio 3, a IRA é uma entidade comum, acometendo cerca de 6% dos pacientes internados em unidades de terapia intensiva, 2/3 dos quais ne cessitarão de SRA.5 A Tabela 17.3 relaciona os prin cipais fatores de risco e de suscetibilidade para o desenvolvimento de IRA.6

Traumatismo

Cirurgia cardíaca (principalmente com circulação extracorpórea)

Cirurgia não cardíaca de grande porte

Fármacos nefrotóxicas

Radiocontraste iodado

Plantas e animais peçonhentos

Fatores de suscetibilidade

Depleção do volume (hipovolemia)

Sexo feminino

Etnia negra

Doença renal crônica

Outras doenças crônicas (coração, pulmão, fígado)

Diabetes melito

Câncer

Anemia

Rotinas da Unidade Coronariana e Emergência Cardiológica da Casa de Saúde São José184 TABELA 17.1 Classificação e estadiamento da doença renal crônica Classificação e estadiamento da doença renal crônica*,** (1) Risco baixo (RB) Risco moderado (RM) Risco elevado (RE) Risco muito elevado (RME) Categorias de albuminúria persistente: ƒ Relação albumina:creatinina (mg/g) ƒ Descrição e faixa A1 A2 A3 Normal ou leve aumento <30 Aumento moderado de 30 a 300 Aumento severo >300 Estágio de função renal (TFG em mL/min/1,73m 2 ) Descrição e faixa G1 Normal ou elevada** ≥90 RB RM RE G2 Perda leve 60 a 89 RB RM RE G3a Perda leve/moderada 45 a 59 RM RE RME G3b Perda moderada/grave 30 a 44 RE RME RME G4 Grave perda 15 a 29 RME RME RME G5 Falência renal <15 RME RME RME *Doença renal crônica definida como lesão estrutural renal ou redução da TFG (<60mL/min/1,73m2) por 3 meses ou mais. **Lesões estruturais renais definidas pela presença de alterações patológicas ou de marcadores de lesão renal, identificados nos exames laboratoriais ou de imagem (cicatrizes corticais, hematúria glomerular etc.). TABELA 17.2 Classificação KDIGO de injúria renal aguda Estádio Creatinina sérica ou* Diurese horária
↑ ≥0,3mg/dL
↑ 1,5
basal
<0,5mL/kg/h
2 ↑ 2,0
<0,5mL/kg/h
↑ ≥3,0
basal
↑ ≥4,0mg/dL
ƒ
ƒ
ƒ
ƒ
ƒ
ƒ
ƒ
ƒ
ƒ
ƒ
ƒ
ƒ Idade ƒ
ƒ
ƒ
ƒ
ƒ
ƒ
ƒ

Investigação

A necessidade de exames laboratoriais e de imagem varia conforme o cenário clínico. Avaliações renais adicionais não costumam ser necessárias em pa cientes que desenvolvem IRA no contexto de cho que séptico ou cardiogênico, já que a síndrome se encontra integralmente relacionada à doença de base. Situações em que a etiologia é menos evi dente, em que há suspeita de doença sistêmica ou em que existe a possibilidade de doença vascular ou urológica, podem exigir a realização de exames de urina (elementos anormais do sedimento [EAS], proteinúria quantitativa), testes sorológicos para autoimunidade ou exames de imagem (ultrassono grafia, tomografia) para esclarecimento diagnóstico.

Em busca de melhorar o desempenho dos mar cadores tradicionais (creatinina e débito urinário), que são considerados tardios, vêm sendo estuda das diversas proteínas urinárias e séricas, como biomarcadores para detecção precoce de IRA, ou seja, a “troponina” renal. O biomarcador ideal teria o potencial de diagnosticar IRA antes dos critérios KDIGO (IRA subclínica), indicar a realização de me didas diagnósticas e preventivas precoces, deter minar a conduta mais apropriada e apontar riscos e desfechos prováveis. Até aqui, um único biomar cador (teste Nefrocheck) recebeu aprovação para uso clínico geral. O exame é realizado na urina e congrega duas proteínas envolvidas no ciclo celu lar das células tubulares renais, TIMP2 e IGFBP7. Os estudos indicam excelente desempenho em ter mos de sensibilidade e especificidade, e seus níveis se correlacionam a desfechos clínicos relevantes (necessidade de diálise e mortalidade).

Prevenção de IRA

Diversos fármacos foram testados para prevenção de IRA (dopamina, estatinas, acetilcisteína, corti costeroides, análogos de peptídios natriuréticos, entre outros), sem impacto sobre os desfechos. Por isso, a base da prevenção consiste em identificação e correção das situações de risco.

O paciente sob risco de IRA tolera mal a hipo volemia. A reposição volêmica deve ser feita de preferência com soluções cristaloides balanceadas (Plasmalyte ou solução de Ringer com lactato).

Embora o benefício sobre a função renal seja in certo, uma metanálise recente aponta provável benefício em termos de mortalidade.7 Na tentativa de diminuir a positivação excessiva do balanço hí drico, é aceitável associar albumina quando a rea nimação aguda com cristaloides supera 3.000mL.

Deve-se complementar a busca pela estabilida de hemodinâmica, quando necessário, com uso de aminas vasoativas, para manter a pressão arterial média >65mmHg (>75mmHg em caso de hiper tensão arterial sistêmica [HAS] prévia).8 Além de adequação da reposição de volume e da estabilida de hemodinâmica, é imprescindível que o paciente esteja bem oxigenado e bem perfundido.

Um aspecto primordial na profilaxia de IRA é evitar ou minimizar o uso de medicamentos nefro tóxicos e, em caso de uso inevitável, ajustar suas doses. Isso ocorre porque características intrínse cas (p. ex., elevado consumo e energia, extensa su perfície endotelial, desacoplamento de substâncias tóxicas de suas proteínas carreadoras e altas con centrações de metabólitos na urina) tornam os rins particularmente suscetíveis à agressão por toxinas e medicações. Exemplos de nefrotoxinas usadas com frequência no contexto da cardiologia intensi va incluem radiocontrastes, anti-inflamatórios não esteroides, aminoglicosídeos, vancomicina, polimi xinas, anfotericina B e aciclovir e derivados.

Tratamento

O tratamento de IRA envolve o emprego de medi camentos (tratamento conservador) e de SRA, que compreende as técnicas extracorpóreas (intermi tentes e contínuas) e diálise peritoneal.

Tratamento conservador

Visa à correção dos distúrbios hidreletrolíticos e ácido-básicos, em pacientes sob manejo conserva dor, ou como estratégia complementar ao SRA.

Hipercalemia

O acúmulo de potássio (K+) no sangue é temido nas unidades de cuidados intensivos, devido ao potencial de interferência na condução do impulso cardíaco e muscular, podendo causar arritmias, pa resia muscular proximal e insuficiência respiratória

185
Doença Renal e Terapia de Substituição Renal em Cardiopata Agudo

Doenças sistêmicas causando injúria ou disfunção renal e cardíaca simultâneas

Doenças sistêmicas (sepse, diabetes, amiloidose, etc.)

Insuficiência cardíaca aguda, injúria renal aguda, doença cardíaca crônica, doença renal crônica

Doença renal crônica resultando em disfunção cardíaca

Doença renal crônica

Insuficiência cardíaca crônica (disfunção sistólica e/ou diastólica do VE), insuficiência cardíaca aguda, síndrome coronariana aguda, arritmias

Tratamento específico de acordo com a etiologia, correção de anormalidades subjacentes (p. ex., hipoe hipervolemia, exposição a nefrotoxinas), tratamento das disfunções cardíaca e renal de acordo com diretrizes

Corrigir hipovolemia e suspender nefrotoxinas, tratar DRC e ICC conforme diretrizes, SRA em casos refratários

aguda resultando em disfunção cardíaca

Disfunção

Disfunção cardíaca crônica resultando em disfunção renal

Piora aguda da função

causando disfunção

Injúria renal aguda

Doença cardíaca crônica (disfunção sistólica e/ou diastólica do VE)

Insuficiência cardíaca aguda, choque cardiogênico, arritmia com baixo débito

Disfunção cardíaca aguda, síndrome coronariana aguda, arritmias, choque, insuficiência cardíaca congestiva

Diuréticos e SRA em casos refratários, tratamento específico da causa subjacente, corrigir eventos cardíacos reversíveis (síndrome coronariana aguda, arritmias, edema agudo pulmonar)

Doença renal crônica

Tratar ICC conforme diretrizes, excluir hipovolemia, corrigir hipotensão, considerar suporte mecânico artificial e/ou transplante cardíaco, evitar nefrotoxinas, monitorar função renal e eletrólitos, considerar SRA ou UF isolada em casos refratários

Definição

Evento primário

Injúria renal aguda

Evento secundário

Voltado para o evento desencadeante (correção do baixo débito, congestão, arritmias, considerar suporte mecânico artificial e/ou transplante cardíaco), evitar nefrotoxinas, monitorar função renal, considerar SRA ou UF isolada em casos refratários

Tratamento

UF: ultrafiltração; ICC: insuficiência cardíaca congestiva; DRC: doença renal crônica; VE: ventrículo esquerdo; SRA: suporte renal artificial.

Fonte : adaptada de Ronco et al., 2010. 19

Rotinas da Unidade Coronariana e Emergência Cardiológica da Casa de Saúde São José190 TABELA 17.4 Classificação da síndrome cardiorrenal Síndromes Tipo 1 – Cardiorrenal aguda Tipo 2 – Cardiorrenal crônica Tipo 3 – Reno-cardíaca aguda Tipo 4 – Reno-cardíaca crônica Tipo 5 – Cardiorrenal secundária
cardíaca
renal aguda
renal

O Ecocardiograma no Manejo do Paciente Crítico

^ INTRODUÇÃO

O grande objetivo de um serviço de ecocardiogra fia e Doppler vascular dentro de uma instituição hospitalar é fornecer informações que possam auxiliar nas tomadas de decisão frente a um caso clínico, ou seja, participar efetivamente da conso lidação diagnóstica. O primeiro passo para que se possa alcançar este objetivo consiste na formação de uma equipe médica bem preparada do ponto de vista técnico e comprometida com os protoco los do serviço. O segundo passo consiste em de terminar quais são os exames prioritários e discu tir com a equipe de médicos realizadores qual é a melhor maneira de fazer com que todos os exames sejam obtidos por meio de métodos semelhantes e previamente estabelecidos.

^ O SETOR DE ECOCARDIOGRAFIA DA CASA DE SAÚDE SÃO JOSÉ

Na Casa de Saúde São José (CSSJ), dispomos de uma equipe presencial de ecocardiografistas todos os dias da semana, incluindo sábados, domingos e feriados, das 7:00 às 19:00 e em escala de so breaviso após as 19:00; essa disponibilidade nos possibilita a realização do exame completo, com obtenção de imagens mais adequadas, por ope radores experientes, e maior reconhecimento de limitações do método e de artefatos, permitindo

uma interpretação mais acurada dos achados que o exame revela. Em nossa prática diária, realizamos o ecocardiograma em 2D com a tecnologia tridimen sional (em 3D) disponível apenas para os exames de ecocardiograma transesofágico.

Classificamos os pedidos recebidos de acordo com sua prioridade: aqueles sinalizados como pertinentes ao código vermelho (exames de prioridade absoluta) devem ser realizados em até 30min após a solicitação. Os pertinentes ao código amarelo (alta prioridade) devem ser fei tos em até 50min após a solicitação. Exames de pacientes em estado crítico que não se encai xem em nenhum dos códigos seguem a ordem de solicitação. A Tabela 18.1 lista os diagnósticos

TABELA 18.1 Critérios de prioridade para o exame de ecocardiograma – protocolo da Casa de Saúde São José

Código vermelho

Oclusão arterial aguda

Tamponamento cardíaco

Choque de etiologia não evidente

Traumatismo de tórax

TEP com instabilidade hemodinâmica ou ventilatória

Código amarelo

ƒ Dissecção de aorta

Complicação mecânica de IAM

Trombose de prótese

IC aguda

IAM: infarto agudo do miocárdio; IC: insuficiência cardíaca; TEP: tromboembolia pulmonar.

CAPÍTULO 18
ƒ
ƒ
ƒ
ƒ
ƒ
ƒ
ƒ
ƒ

ou suspeitas diagnósticas que se enquadram em cada código de prioridades.

Através da utilização das ferramentas disponi bilizadas pela Acreditação Hospitalar, procuramos tornar nosso setor um ambiente seguro e confiável para médicos e pacientes, com educação perma nente dos médicos do serviço, obtenção de indica dores de qualidade e gestão dos riscos do setor. O tempo entre a solicitação e a realização do exame é nosso indicador de processo, mas utilizamos ainda três indicadores clínicos que geram transformação, ou seja, cujos dados auxiliam na melhora dos cui dados. São eles:

1. Mensuração de volume do átrio esquerdo para pacientes admitidos com flutter ou fibrilação atriais.

2. Cálculo da fração de ejeção pelo método de Simpson em pacientes com insuficiência cardía ca (Figura 18.1).

3. Estimativa da pressão atrial esquerda para todos os exames realizados.

Embora tenhamos a equipe disponível no hospital, muito se tem falado sobre a realização de ecocardiograma direcionado nas unidades de emergência ou unidades de cuidados intensivos, onde especialistas não ecocardiografistas, como cardiologistas, anestesistas e intensivistas, são treinados para o reconhecimento dos principais achados do ecocardiograma, tais como avalia ção da função ventricular, volemia e avaliação do

espaço pericárdico, utilizando-os na tomada de decisão clínica. Neste capítulo, abordaremos am bos os aspectos.

^ INDICAÇÕES DE ECOCARDIOGRAMA EM PACIENTES EM CONDIÇÃO CRÍTICA Tipos de exame Ecocardiograma Transtorácico

De modo geral, o exame inicial à beira do leito é o ecocardiograma transtorácico, cujas principais indicações estão listadas na Tabela 18.2. Muitos fa tores presentes nas unidades que recebem pacien tes críticos podem influir nos achados e na inter pretação do exame. Entre eles podemos destacar o posicionamento do paciente (decúbito assumi do), ventilação mecânica, presença de curativos e cateteres e de patologias pulmonares. Estes fatores podem impedir uma avaliação completa pelo método, mas ainda assim o ecocardiograma

TABELA 18.2 Indicações de ecocardiograma em pacientes críticos

ƒ Hipotensão ou instabilidade hemodinâmica de etiologia não determinada ou com etiologia cardíaca suspeita

ƒ

Suspeita de complicações do IAM

ƒ Dor torácica aguda com suspeita de IAM ou ECG inconclusivo durante a vigência de dor

ƒ Insuficiência respiratória ou hipoxemia de etiologia não definida

ƒ

Traumatismo de tórax grave

ƒ Suspeita ou avaliação de derrame pericárdico e sinais de restrição

ƒ Para guiar a terapia de pacientes com embolia pulmonar diagnosticada

ƒ Síndromes aórticas agudas

ƒ Reavaliação da função do VD e PAP em pacientes com embolia pulmonar

ƒ Avaliação da função ventricular e de lesões valvares agudas

FIGURA 18.1

Avaliação da função sistólica do ventrículo esquerdo pelo método de Simpson modificado

IAM: infarto agudo do miocárdio; ECG: eletrocardiograma; VD: ventrículo direito; PAP: pressão arterial pulmonar. Fonte: adaptada de Lakshmanadoss, 2016.1

Rotinas da Unidade Coronariana e Emergência Cardiológica da Casa de Saúde São José
194

é uma excelente ferramenta para avaliação da função cardíaca mesmo em pacientes com janelas subótimas.

Ecocardiograma transesofágico

O ecocardiograma transesofágico (ETE) fornece melhor visualização das estruturas cardíacas pos teriores e do coração de maneira geral (Figura 18.2). Em pacientes críticos, geralmente se soli cita ETE quando o ecocardiograma transtorácico (ETT) é inconclusivo, para pesquisa de trombos ou vegetações intracavitários, ou quando esta mos diante de suspeita diagnóstica de síndrome aórtica aguda ou embolia pulmonar em pacientes hemodinamicamente instáveis, sem possibilidade de transporte para a realização de um exame com plementar de melhor sensibilidade, como a tomo grafia computadorizada.

O exame requer alguns cuidados, tais como proteção de vias aéreas, e deve ser feito sob anes tesia, para uma adequada monitoração do pacien te e para que o ecocardiografista possa analisar detalhadamente as estruturas. Como contraindi cações absolutas ao exame temos patologias eso fágicas como neoplasias, estenoses, divertículos e sangramento ativo do trato gastrintestinal (TGI). História de radioterapia em pescoço e mediasti no, cirurgias no TGI, sangramento recente do TGI, esofagite ou úlcera péptica ativa, trombocitopenia, coagulopatias e restrições à mobilidade do pescoço são as contraindicações relativas.2

^ AVALIAÇÃO HEMODINÂMICA

A avaliação hemodinâmica do paciente em con dição crítica passará pela verificação da função sistólica biventricular e da função diastólica, aferi ções das pressões de enchimento ventricular e da pressão sistólica da artéria pulmonar (PSAP), esti mativa da volemia e do débito cardíaco, avaliação de lesões valvares e do espaço pericárdico. Neste capítulo, não pretendemos detalhar os índices eco cardiográficos utilizados nessas avaliações, mas sim indicar quando e como esses parâmetros serão ob tidos e utilizados para modificar a conduta clínica com os pacientes.

Função sistólica do ventrículo esquerdo Análise subjetiva combinada a métodos unidi mensionais e bidimensionais que levem em conta diâmetros e volumes cavitários, além de avaliação através do Doppler e Doppler tecidual, nos per mite identificar disfunção sistólica, que é bastante frequente nos pacientes criticamente doentes, como nos quadros de cardiopatia relacionada a sepse e de cardiopatia adrenérgica (síndrome de Takotsubo). As novas tecnologias, como a ecocar diografia tridimensional (eco3D), e o desenvolvi mento da técnica de speckle tracking (strain) para mensuração de deformação do miocárdio (Figura 18.3), modificaram significativamente esta avalia ção, trazendo resultados muito mais precisos, e de vem ser utilizadas sempre que disponíveis.3

FIGURA 18.2

FIGURA 18.3

195O Ecocardiograma no Manejo do Paciente Crítico
Ecocardiograma transesofágico na altura do esôfago eviden ciando a auriculeta esquerda, valva aórtica e septo interatrial
Strain longitudinal do ventrículo esquerdo em corte apical em 4 câmaras

Função diastólica do ventrículo esquerdo

Os parâmetros clássicos para avaliação da função diastólica do ventrículo esquerdo (VE) incluem, além das velocidades E e A do Doppler mitral, as ve locidades do Doppler tecidual do anel mitral (E/e’), pressão arterial pulmonar (PAP), estimada através da velocidade do fluxo de regurgitação tricúspide), e volume do átrio esquerdo (AE), exemplificado na Figura 18.4. Combinados, esses parâmetros têm sensibilidade de 75%, especificidade de 74%, valor preditivo positivo de 39% e valor preditivo negati vo de 93% na identificação de pacientes com pres são diastólica final do ventrículo esquerdo (PDFVE) elevada (>15mmHg).4,5

Função sistólica do ventrículo direito

O diagnóstico de disfunção do ventrículo direito (VD) em pacientes criticamente doentes, especial mente aqueles com embolia pulmonar maciça e síndromes respiratórias agudas, poderá guiar a terapêutica com o uso de agentes trombolíticos, vasopressores, ou de reanimação volêmica, e ainda será de grande importância no acompanhamento da evolução dos pacientes em relação à terapêu tica adotada. Na prática clínica diária, os principais índices utilizados na avaliação em 2D incluem:

ƒ TAPSE (tricuspid annular plane systolic excursion: excursão sistólica do plano anular tricuspídeo).

ƒ Velocidade da onda S’ do anel tricúspide obtida por Doppler tecidual no anel tricúspide.

ƒ Strain longitudinal lateral.

ƒ Mudança da área fracionária (FAC; do inglês, fractional area change): variação de áreas sistóli ca e diastólica do VD obtidas em corte apical em 4 câmaras com foco nas cavidades direitas.6

O VD, no entanto, é uma câmara com morfo logia complexa e de difícil análise apenas com a modalidade bidimensional, devido à sua geome tria irregular. Assim como na avaliação da função do VE, as tecnologias em 3D devem, sempre que possível, ser incorporadas à avaliação, para que o resultado seja mais fidedigno.7

Pressão da artéria pulmonar

A estimativa da pressão sistólica na artéria pulmo nar (PSAP) requer a presença de regurgitação tri cúspide, e a das pressões média e diastólica (PmAP e PdAP) requer a presença de regurgitação pulmo nar. Achados indiretos como o tempo de acelera ção de fluxo da artéria pulmonar e a avaliação das cavidades direitas em relação a dimensões (Figura 18.5) e contratilidade fornecem as informações ne cessárias para nos auxiliar nessa avaliação.

Estimativa da volemia

A estimativa da volemia de um paciente deve le var em conta não apenas o diâmetro e o grau de colapsibilidade da veia cava inferior, mas também o tamanho do VE em sístole e diástole, espessuras parietais, avaliação do hiperdinamismo das cavi dades e das pressões de enchimento através de

Rotinas
da Unidade Coronariana e Emergência Cardiológica da Casa de Saúde São José196
FIGURA 18.4 (A e B) Determinação da relação E/e’ através de Doppler pulsado transmitral e de Doppler tecidual do anel mitral para determinação da pressão atrial esquerda
A
ABB

^ INTRODUÇÃO

A Covid-19 é uma doença infecciosa causada por um betacoronavírus chamado SARS-CoV-2. Os primeiros registros dessa doença foram feitos em 2019 na cidade de Wuhan, província de Hubei, na China. Nos meses subsequentes, houve propaga ção por todo o mundo, tendo sido declarado es tado de pandemia pela Organização Mundial da Saúde (OMS) em 11 de março de 2020.

Estima-se que 20% dos pacientes sintomáti cos com Covid-19 desenvolvam a forma grave da doença, necessitando de hospitalização. Entre os internados, aproximadamente um quarto requer internação em unidade de terapia intensiva, re presentando 5% a 8% do total de infectados. No mundo, o número de pacientes com diagnóstico confirmado já passava de 200 milhões em outubro de 2021; em vista disso, é possível estimar a magni tude da crise no sistema de saúde ocasionada pela doença.

^ APRESENTAÇÃO CLÍNICA

HABITUAL DA COVID-19

A apresentação clínica varia de um quadro assinto mático até uma doença fatal. A maioria dos pacien tes sintomáticos é considerada de casos leves, e se queixa de:

ƒ Febre (59,1% a 78,8%).

ƒ Tosse (53,9% a 65,1%).

ƒ Mal-estar (37,9%).

Coração e Covid-19

ƒ Mialgia (21,3% a 26,9%).

ƒ Cefaleia (9,7% a 19,8%).

ƒ Rinorreia (7,5% a 13,5%).

ƒ Dor de garganta (10,6%).

ƒ Diarreia (9,5% a 13,5%).

Podem estar presentes sintomas neurológicos (anosmia, ageusia, vertigem etc.), cardiológicos, dermatológicos, além de tromboembolia venosa ou arterial e uma miríade de sintomas menos fre quentes.

A transmissão da doença ocorre a partir de ina lação ou contato direto com gotículas advindas das vias respiratórias de indivíduos contaminados. A mediana do período de incubação é de 5,3 dias (2 a 14 dias).

Pneumonia viral é a manifestação grave mais frequente, sendo relatada em cerca de 20% dos ca sos sintomáticos. Em geral se apresenta com disp neia e hipoxemia associada a infiltrado pulmonar bilateral observado pelos métodos radiológicos de imagem. Estima-se, com base em dados obtidos em 2020, que as mortalidades intra-hospitalar e em unidade de terapia intensiva no Brasil sejam de 22% e 47,6%, respectivamente.

^ DIAGNÓSTICO DE COVID-19

Existem atualmente diversos métodos diagnósti cos para Covid-19. Esses métodos são divididos em pesquisa de ácidos nucleicos (RNA viral) ou pes quisa de proteínas (imunoglobulinas ou antígenos

CAPÍTULO 24

virais). Na prática, os testes mais utilizados para o diagnóstico de doença aguda pelo SARS-CoV-2 são: testes de reação da transcriptase reversa segui da por reação em cadeia da polimerase (RT-PCR) e testes de antígenos virais.

A RT-PCR é um bom método diagnóstico para SARS-CoV-2 dada a sua alta especificidade. Entretanto, deve-se tomar cuidado com resultados falso-negativos, tendo em vista que a sensibilidade do exame não é igualmente elevada. Dependendo do tipo e da qualidade da amostra coletada, da du ração da doença, da carga viral e da apresentação clínica do paciente, estima-se uma taxa de resulta dos falso-negativos de cerca de 30% (10% a 40%).

Em nossa rotina, coletamos RT-PCR a partir de raspado de material do trato respiratório superior. Caso o resultado seja negativo diante de alta sus peição diagnóstica, sugerimos nova testagem 48h após o primeiro exame, se possível com material

obtido de secreção traqueal ou lavado broncoal veolar (Figura 24.1).

Testes de antígenos virais são utilizados para pesquisa de proteínas do nucleocapsídio (N) ou a proteína spike (S). O material é frequentemente ob tido a partir de amostra das vias respiratórias, com a vantagem de se obter o resultado em menos de 1h. Entretanto, deve-se ter em mente que sua sen sibilidade é menor que a da RT-PCR.7

^ ACOMETIMENTO CARDÍACO

NA COVID-19

A fisiopatologia do envolvimento cardíaco na vi gência de infecção por SARS-CoV-2 é multifatorial: descompensação de patologias preexistentes, au mento da incidência de eventos tromboembólicos, distúrbios da microcirculação, inflamação sistêmica exacerbada e injúria miocárdica aguda.

Alta probabilidade?

RT-PCR negativo para Covid-19

Não Sim

Repetir RT-PCR se coletado com menos de 3 dias de sintomas

Repetir RT-PCR após 48h Resultado positivo?

Preferencialmente de secreção traqueal ou BAL

Não Sim

Realizar sorologia

Seguir o fluxo de RT-PCR+

Sim

Não

Resultado positivo?

Manter isolamento até completar 10 dias do início dos sintomas

Retirar do isolamento

RT-PCR positivo para Covid-19

Pacientes assintomáticos não gravemente imunossuprimidos

Pacientes assintomáticose e gravemente imunossuprimidos

Pacientes com quadro leve a moderado, não gravemente imunossuprimidos

Pacientes com quadro grave/crítico ou gravemente imunossuprimidos

FIGURA 24.1

Retirar do isolamento 10 dias após a data do primeiro teste RT-PCR em tempo real positivo

Retirar do isolamento 20 dias após a data do primeiro teste RT-PCR em tempo real positivo

Aguardar pelo menos 10 dias desde o início dos sintomas e pelo menos 24h sem febre (sem uso de antitérmicos) e melhora dos sintomas

Aguardar pelo menos 20 dias desde o inicio dos sintomas e pelo menos 24h sem febre (sem uso de antitérmicos) e melhora dos sintomas

Rotina de diagnóstico de Covid-19 em pacientes que se internam na Casa de Saúde São José. Pacientes de alta probabilida de são definidos como aqueles com sintomas respiratórios associados a tomografia de tórax com imagem típica ou história epidemiológica de contato com portador de Covid-19 confirmado BAL: lavado bronco-alveolar; RT-PCR: protein chain reaction real time.

Rotinas da Unidade Coronariana e Emergência Cardiológica da Casa de Saúde São José
256
Suspeita diagnóstica de Covid-1 9

Causas cardíacas

de Takotsubo

Tinoca

Causas extracardíacas Embolia pulmonar Sepse AVE

Minoca Ruptura de placa

coronariano

microvascular Embolia coronária

FIGURA 24.3

Tinoca (troponin increase with non-obstructive coronary arteries)

Minoca: myocardial infarction with non-obstructive coronary arteries; AVE: acidente vascular encefálico.

Fonte: adaptada de Arq Bras Cardiol. 2021; [online]. ahead print, PP.0-0.

FIGURA 24.4

Diferenças de desfecho combinado por quartil de troponina

VM: ventilação mecânica; TnT: troponina T.

Fonte: adaptada de Almeida Jr. et al., 2020.

ƒ Quadro moderado a grave e progressivo: ocorre elevação progressiva da troponina, mui tas vezes associada a evolução para insuficiência respiratória e elevação de outros biomarcadores (dímero D, interleucina-6, ferritina, lactato desi drogenase), principalmente no decorrer da se gunda semana de doença. Esse tipo de evolução

caracteriza-se por uma síndrome de resposta inflamatória sistêmica exacerbada.

Nos casos de grandes elevações da troponina

etiologia definida, podemos considerar a reali zação de RMC com o objetivo de pesquisar miocar dite e orientar sobre abstenção de atividade física

futuro.

259Coração e Covid-19
sem
no
<0,001p Morte ou VM (% ) 6,4% 15,2% 25,0% 57,1% Quartil 1 (0,006ng/dL) Quartil 2 (0,007 a 0,1ng/dL) Quartil 3 ( 0,011 a 0,029ng/dL) Quartil 4 0,03ng/dL) Quartil de TnT na admissão 60,0% 50,0% 40,0% 30,0% 20,0% 10,0% 0,0% (
Miocardite Cardiomiopatia
Outras cardiomiopatias
Espasmo
Disfunção

Endotelite

Covid-19 aguda

Inflamação miocárdica concomitante com edema

Injúria direta

Inflamação persistente aumenta a permeabilidade vascular

Recuperação

Síndrome pós-Covid

Edema miocárdico Fibrose intersticial/ICFEP

FIGURA 24.5

Injúria miocárdica pós-Covid

ICFEP: insuficiência cardíaca com fração de ejeção preservada. Fonte: adaptada de Friedrich & Cooper, 2021.

Insuficiência cardíaca e choque

A insuficiência cardíaca no contexto da Covid-19 pode ser relacionada a doença cardíaca prévia descompensada ou decorrente de algum insulto agudo relacionado ao SARS-CoV-2 (infarto agudo do miocárdio, cor pulmonale agudo, cardiopatia induzida por estresse, miocardite ou síndrome de resposta inflamatória sistêmica [SIRS]).

Dispneia é um sintoma comum nos pacien tes hospitalizados por Covid-19. Nesse contexto, devemos buscar dados para diferenciação entre dispneia de etiologia pulmonar e dispneia car díaca (Tabela 24.2). A dosagem sérica do peptí dio natriurético cerebral de tipo B (BNP) ou do N-terminal-pró-peptídio natriurético cerebral de tipo B (NT-Pro-BNP) é boa ferramenta para tal dife renciação. Em relação ao valor prognóstico, o BNP não demonstrou maior risco de mortalidade em nossa casuística, mas alguns estudos obtiveram re sultados diferentes.

Pacientes com sintomas de insuficiência cardía ca devem ser submetidos a exames cardiológicos de imagem. Os dois métodos de imagem mais utili zados na prática são ecocardiograma transtorácico (ECOTT) e RMC. Tais exames ajudam tanto no diag nóstico quanto na pesquisa etiológica.

Cor pulmonale agudo

Disfunção ventricular direita secundária a cor pul monale agudo tem sido descrita em pacientes com Covid-19, e dois diagnósticos se apresentam com maior frequência nas séries de caso:

ƒ Tromboembolia pulmonar (TEP).

ƒ Síndrome de angústia respiratória do adulto (SARA).

O diagnóstico de cor pulmonale agudo é habi tualmente realizado através do ECOTT, enquanto a angiotomografia de artéria pulmonar é o método de escolha para o diagnóstico de TEP. Na ausência

Rotinas da Unidade Coronariana e Emergência Cardiológica da Casa de Saúde São José260
Infarto Perimiocardite Cicatriz (fibrose) Sem cicatriz Derrame pericárdico Perimiocardite

^ INTRODUÇÃO

O pós-operatório de cirurgia cardíaca (POCC) é di ferente dos outros pós-operatórios de cirurgias de grande porte, porque, além das respostas endócri na e metabólica ao trauma cirúrgico, ocorre uma série de eventos pró-inflamatórios relacionados à exposição a membranas não inteiramente compa tíveis, do ponto de vista biológico, usadas na circu lação extracorpórea (CEC).

^ ESPECIFICIDADES DO PÓS-OPERATÓRIO DE CIRURGIA CARDÍACA

Como ocorre em todo pós-operatório de cirurgia de grande porte e complexo, deve ser feito em ambien te de terapia intensiva, com uso de monitor mul tiparamétrico (cardioscópio, oximetria digital, fre quência respiratória, temperatura, pressão arterial média e pressão venosa central), com uma linha ar terial, acesso venoso profundo, sonda vesical e dre nos torácicos. Dependendo da gravidade do caso, podemos lançar mão de algum método de monito ração invasiva (cateter de Swan-Ganz) ou minima mente invasiva (Flo-Trac, EV1000, PreSep). Cabe salientar a importância de checar com a equipe anestésico-cirúrgica as informações do peroperató rio, como balanço hídrico, uso de aminas e inotrópi cos, uso de hemocomponentes, controle glicêmico, curva dos parâmetros perfusionais, tempo de CEC e

Pós-operatório de Cirurgia Cardíaca

clampeamento da aorta, além dos dados do ecocar diograma transoperatório.

O paciente em POCC tem pelo menos um dreno mediastinal, cuja finalidade é evitar que seja cole tado líquido nessa cavidade e consequente tampo namento cardíaco. Devemos ficar atentos ao débito dos drenos, checando de hora em hora, sobretudo nas primeiras 6 a 12h. Além de deixar os drenos em aspiração contínua, é necessário realizar frequente mente a ordenha desses drenos, fazendo pressão negativa no circuito, evitando assim obstrução por coágulos. Caso o débito seja excessivo (>500mL na primeira hora, >400mL/h por 2h, >300mL/h por 3h, 200mL/h por 6h), devemos recomendar reexplora ção cirúrgica. A quantificação dos drenos deve ser horária nas primeiras 24h e, em seguida, de 6 em 6h. Antes da retirada dos drenos, também se deve observar a presença de escapamento de ar ou osci lação do débito com a respiração.

Outro fator diferencial é a presença de fio de marca-passo epicárdico, que pode ser no átrio e no ventrículo ou apenas no ventrículo. Isso porque po dem surgir distúrbios de condução temporários em consequência da manipulação cirúrgica (geralmen te quando se aborda a valva aórtica e se promove revascularização de coronária direita ou circunfle xa) ou como efeito colateral de fármacos cronotró picos negativos (para controle da frequência car díaca e de taquiarritmia). Esse fio de marca-passo, caso não seja utilizado, deve ser retirado nas pri meiras 72 a 96h de pós-operatório.

CAPÍTULO 29

Rotinas da Unidade Coronariana e Emergência Cardiológica da Casa de Saúde São José300

Os dois escores mais utilizados para se prever ris co de complicações antes de cirurgias cardíacas são o Euroscore e o STS (criado pela Society of Thoracic Surgeons [EUA]). Basicamente, o Euroscore calcula o rico de morte pós-cirurgia; já o STS indica o risco de várias outras complicações, tais como tempo de ventilação mecânica prolongado e insuficiência renal aguda. Para o pós-operatório de cirurgia de revascularização do miocárdio (RVM), o STS tem melhor poder discriminatório em relação à mor talidade intra-hospitalar. Tais escores, no entanto, apresentam limitações, e sempre se deve consi derar a percepção clínica do serviço de que um paciente terá um risco elevado, em detrimento de baixos valores desses escores.

^ PÓS-OPERATÓRIO IMEDIATO

Exames complementares

Durante a admissão em ambiente de terapia inten siva, devemos solicitar alguns exames complemen tares:

ƒ Laboratoriais: eletrólitos (sódio, potássio, mag nésio, cálcio iônico), gasometria arterial, lactato, gasometria venosa mista, coagulação (tempo de ativação de protrombina [TAP], tempo de ati vação de tromboplastina [PTT], contagem de plaquetas e fibrinogênio) e série vermelha. Esses exames devem ser repetidos com 6h de intervalo e diariamente, acrescentando-se escórias nitroge nadas nos primeiros dias de POCC. A solicitação de provas de função hepática deve ser feita em caso de náuseas ou vômitos, distensão abdomi nal, hiperlactatemia sem justificativa evidente. Não se recomenda a coleta de troponina de forma rotineira, restringindo-se essa providência a casos selecionados de suspeita de isquemia ou infarto do miocárdio, e instabilidade hemodinâmica ou elétrica sem outra explicação da etiologia.

ƒ Eletrocardiograma (ECG): avaliação, feita dia riamente nos primeiros dias, do ritmo, da fre quência cardíaca (FC), de alterações do segmen to ST-T e da presença de novas ondas Q.

ƒ Radiografia de tórax: para se checar a posição do tubo orotraqueal, dos drenos, dos cateteres, e identificar complicações pulmonares, como pneumotórax, derrame pleural, atelectasia ou

congestão pulmonar. Deve ser feita diariamen te, enquanto o paciente permanecer em terapia intensiva.

ƒ Ecocardiograma transtorácico: no 1o ou no 2o dia de pós-operatório, para avaliação da vo lemia, das funções sistólicas e diastólicas, do pericárdio e das valvas e próteses. Em caso de novos cenários clínicos, deve-se solicitar repeti ção desse exame.

Prescrição básica

Analgesia

Além de trazer conforto ao paciente, a analgesia diminui o estímulo adrenérgico, reduzindo o des controle pressórico e a arritmia cardíaca, e aumen tando o consumo de O2, além de promover melhor expansibilidade dos pulmões. Recomendamos o uso de dipirona, em dose de 1 a 2g, de 4 em 4h, com opção de resgate com opioides, por via pa renteral (tramadol, 50 a 100mg; ou nalbufina, 5 a 10mg). Em pacientes alérgicos à dipirona, quando a via oral está liberada, usamos paracetamol, muitas vezes associado à codeína. Não recomendamos o uso de anti-inflamatórios não hormonais, em vista de seus efeitos colaterais indesejáveis.

Antibioticoprofilaxia

A finalidade é evitar infecção das feridas operató rias e de próteses implantadas. O esquema mais indicado seria cefazolina 1g ou cefuroxima 750mg, via IV, de 6 em 6h, completando 4 doses. Para alér gicos a betalactâmicos, indicamos vancomicina 1g (iniciar 2h antes da cirurgia e fazer mais uma dose 12h após) ou clindamicina 600mg, IV, de 6 em 6h (4 doses). Em caso de suspeita de colonização por Staphylococcus aureus resistente à meticilina (MRSA) ou Staphylococcus coagulase negativo, ou de permanência no hospital por tempo superior a 21 dias antes da cirurgia, devemos optar pelo es quema de vancomicina.

^ PREVENÇÃO DE TROMBOEMBOLIA VENOSA

Nas primeiras 12 a 24h de POCC, o paciente se en contra em estado de fribrinólise em consequência

da CEC, e por isso não é necessária a aplicação de um método de TEV nesse período. Depois disso, recomendamos o uso de enoxiparina 40mg, por via SC, 1 vez ao dia, exceto se houver sangramen to, trombocitopenia ou alto débito pelos drenos. Nesses casos, recomendamos a instalação de com pressor pneumático de membros inferiores. A dose de enoxiparina também deve ser revista em pa cientes com peso extremo, idosos e com insuficiên cia renal. Recomendamos o uso de anticoagulação plena em casos de fibrilação atrial e de uso de pró teses mecânicas.

Prevenção de lesão aguda de mucosa

A incidência de úlcera de estresse em paciente em situação crítica varia de 1,5% a 8,5%. Diante disso, recomendamos o uso de pantoprazol, 40mg/dia.

Controle da temperatura

A CEC pode levar à hipotermia, e esse estado au menta a incidência de arritmia e piora da coagula ção e da performance cardíaca. Devemos manter normotermia, muitas vezes com uso de manta tér mica e infusão de líquidos aquecidos, sobretudo até atingir a temperatura axilar >36ºC.

Controle hidreletrolítico

A reposição volêmica deve ser norteada pela ne cessidade de atingir as metas hemodinâmicas de sejadas, que são:

ƒ Pressão arterial sistêmica (PAS) de 100 a 130mmHg e pressão arterial média (PAM) de 60mmHg.

ƒ Diurese >0,5 a 1mL/kg/h.

ƒ Saturação venosa central >70% (ou mista >65%).

ƒ Insuficiência cardíaca (IC) >2,5L/min/m2

ƒ Variação de volume sistólico (VVS) <13%.

ƒ Sinais clínicos de adequada perfusão (evitar ta quicardia, hipotensão, acidose metabólica e hi perlactatemia).

Podem ser administrados líquidos cristaloides (solução fisiológica, Ringer com lactato, Plasma Lyte) e/ou coloides (albumina). É importante evi tar um balanço hídrico excessivamente positivo, para não causar efeito deletério na troca gasosa nem aumentar a incidência de arritmias. Devemos

manter os eletrólitos em nível sérico adequado (po tássio >4mEq/L, magnésio >2mEq/L e cálcio iônico >1,13mmol/L).

Controle glicêmico

O alvo deve consistir em manter a glicemia entre 14 e 180mg/dL, para evitar os danos da hiperglicemia na morbidade e na mortalidade pós-operatórias, as sim como minimizar a ocorrência de hipoglicemia.

Ácido acetilsalicílico

O uso de AAS deve ser iniciado dentro das primei ras 6 a 12h de POCC em pacientes submetidos a RVM, sobretudo quando se usa enxerto venoso de safena. O objetivo é reduzir o risco de trombose do enxerto. A dose recomendada é de 100 a 200mg/ dia. Em pacientes alérgicos, recomenda-se clopido grel, 75mg/dia.

Betabloqueadores

Não havendo contraindicação clássica e diante de estabilidade hemodinâmica, devemos iniciar o uso de betabloqueador assim que possível, para preve nir a ocorrência de fibrilação atrial e reduzir o risco de isquemia. Recomendamos iniciar com atenolol 25mg, no caso de função ventricular preservada, ou bisoprolol 2,5mg, em caso de disfunção cardíaca.

Estatina

Todos os pacientes submetidos a RVM devem re ceber estatina assim que possível. Deve-se usar em altas doses (atorvastatina, 40 a 80mg/dia; ou rosu vastatina, 20 a 40mg/dia).

Desmame ventilatório

O desmame de ventilação mecânica em POCC normalmente é feito por um intensivista, pois o paciente chega ao centro de terapia intensiva (CTI) ainda em plano anestésico e intubado. Devemos fazê-lo o mais breve possível (preferencialmente, em menos de 8h), utilizando os mesmos critérios adotados em outras situações clínicas (analisar ní vel de consciência, estabilidade hemodinâmica, oxigenação, débito dos drenos e radiografia de

301Pós-operatório de Cirurgia Cardíaca

tórax). Essa decisão deve ser tomada em conjunto com a equipe de fisioterapia, sendo indicada pres são positiva contínua nas vias aéreas (CPAP) após extubação em todos os casos em que não exista contraindicação clássica.

mortalidade de 25% se o paciente for resistente a catecolaminas e durar mais de 48h. Sua definição consiste em PAM <50mmHg, resistência vascu lar sistêmica (RVS) <800 e IC >2,5L/min/m2, PVC <8mmHg durante infusão de vasoconstritores. O tratamento indicado é uso de aminas vasoativas (noradrenalina e/ou vasopressina); devemos con siderar o uso de azul de metileno como agente de resgate para vasoplegia refratária (1 a 2mg/kg, IV).

Complicações hemorrágicas

No caso de sangramento no POCC, devemos che car coagulação (TAP, PTT, plaquetas, fibrinogênio) ou tromboelastograma, para usar o hemocompo nente mais apropriado. Também devemos corrigir hipotermia, hipocalcemia e acidose metabólica, porque estes fatores interferem na coagulação.

Diante da evidência de efeito residual da hepa rina, deve-se reverter com uso de protamina (0,5 a 1mg/kg, IV). Caso a trombocitopenia seja <50.000/ mcl, transfundir 1 unidade de plaquetas/10kg de peso. Com TAP ou PTT elevados e fibrinogênio menor que 100mg/L, recomendamos administrar Haemocomplettan, nas doses recomendadas, ou repor crioprecipitado na dosagem de 1 unidade para 10kg de peso. Se TAP e PTT estiverem alarga dos, com fibrinogênio normal, recomenda-se re por plasma fresco na dosagem 15 a 20mL/kg. Em indivíduos em uso de antiplaquetários e com dis função renal prévia, devemos usar DDAVP (0,3µg/ kg em 30min). Já nos pacientes em quem a fibrinó lise excessiva seja um fator considerável, podemos usar ácido tranexâmico (10 a 20mg/kg). Sempre se deve considerar a revisão cirúrgica quando o dé bito pelos drenos for excessivo, a lembrar >500mL na 1a hora, >400mL/h por 2h, >300mL/h por 3h, 200mL/h por 6h.

O uso de concentrado de hemácias deve ser in dividualizado de acordo com instabilidade hemo dinâmica, associado à avaliação da função cardíaca, perfusão periférica e parâmetros de oxigenação, além da presença de outras comorbidades.

Choque vasoplégico

Em POCC, a incidência de choque vasoplégico é de cerca de 10% dos casos, podendo chegar a uma

Infarto do miocárdio peroperatório

O aumento de 5 vezes na troponina com novas on das Q, necrose ou novo bloqueio de ramo sugere diagnóstico de infarto do miocárdio peroperatório. Mas devemos pensar nessa hipótese sempre que houver instabilidade hemodinâmica sem outra justificativa. No caso de refratariedade do quadro hemodinâmico, temos que considerar o retorno ao centro cirúrgico e revisão dos enxertos, visto que angioplastia em enxertos recentes implica maior risco de perfuração e o uso de dupla antiagregação de plaquetas nessa condição pode aumentar o ris co de sangramento.

Choque cardiogênico pós-cardiotomia

Essa condição pode ser secundária a efeito dele tério da CEC; proteção inadequada do miocárdio; dificuldade técnica do peroperatório; ou disfunção valvar. Após descartar condição cirúrgica, o trata mento consistiria em otimização volêmica e uso de inotrópico (dobutamina, milrinona). Devemos tra tar as arritmias – e, em algumas situações, otimizar o débito cardíaco –, com aumento da frequência cardíaca por meio de estimulação via marca-passo. Nos casos refratários, pode-se utilizar dispositivo de assistência circulatória, como balão intra-aórtico, oxigenação extracorpórea por membrana (ECMO) ou dispositivo de assistência ventricular.

Tamponamento pericárdico

Devemos cogitar tamponamento pericárdico quan do encontramos redução abrupta do débito do dreno mediastinal, sobretudo com aumento da necessidade de aminas vasoativas. Ao observar

Rotinas da Unidade Coronariana e Emergência Cardiológica da Casa de Saúde São José302
^ COMPLICAÇÕES NO PÓS-OPERATÓRIO DE CIRURGIA CARDÍACA

AAAS, 227, 301

Ablação

- cirúrgica da fibrilação atrial, 122 - do nodo atrioventricular, 126 - na fibrilação atrial, 125 - por cateter da fibrilação atrial, 123

Abordagem - das vias aéreas e ventilação, 203 - percutânea da valva mitral (Mitraclip®), 248 Acessos venosos, 147

Acidente vascular encefálico, 209, 215 Ácido acetilsalicílico, 227, 301

Acidose, 187

Ações de enfermagem antes da alta hospitalar, 279

Acometimento cardíaco na Covid-19, 256

Acompanhamento dos efeitos quimioterápicos, 287 Adenosina, 112 Agonistas β2-adrenérgicos, 186 Algoritmo de abordagem da síndrome coronariana aguda sem supradesnivelamento do segmento ST, 34

Alterações ao eletrocardiograma, 92, 263

Amiodarona, 114, 120, 121 Analgesia, 300 Andexanet alfa, 229 Angio-TC de tórax, 83 Angiografia pulmonar, 83

Angioplastia coronariana, 280 Angiotomografia, 245 - helicoidal de tórax, 83 Ansiolíticos, 22 Antiagregação plaquetária, 22, 31 Antiagregantes, 227 Antibioticoprofilaxia, 300 Anticoagulação, 22, 32, 85, 88 Anticoagulantes, 85, 264 - orais diretos, 219, 221, 225 - - uso de acordo com a função hepática, 226 - - uso de acordo com a função renal, 226 Anticorpos monoclonais anti-Sars-Cov-2, 264 Antídotos, 229 Antracíclicos, 288 Aorta, anatomia e histologia da, 62 Apixabana, 220, 224

Aripazina, 229 Arritmia, 150 - associadas a Covid-19, 263 - sinusal, 99

Aspiração - das vias aéreas, 274 - - superiores, 275 - traqueal, 275

Ataque isquêmico transitório, 214, 215 Atrito pericárdico, 92 Aumento do limiar - de sensibilidade, 150 - ou do comando, 150

Índice

Rotinas da Unidade Coronariana e Emergência Cardiológica da Casa de Saúde São José306

Avaliação

- do espaço pericárdico, 198

- hemodinâmica, 195

- neurológica da síncope, 141

B

Betabloqueadores, 22, 33, 113, 121, 301

Bicarbonato de sódio, 186 Biomarcadores, 286 Bloqueador(es)

- de mediadores inflamatórios, 265

- do receptor de angiotensina II, 23, 34

- dos canais de cálcio, 113, 121

- H1 ou de bomba de prótons, 227

Bloqueio(s)

- atrioventricular, 100, 146, 153 - - 2:1, 102

- - de primeiro grau (BAV1), 101

- - de segundo grau (BAV2), 101

- - - Mobitz I, 101 - - - Mobitz II, 102 - - total (BAVT), 105

- da divisão anterossuperior, 146 - de ramo

- - alternante, 146, 154 - - direito, 146 Bradiarritmias, 97 Bradicardia, 146 Bradicardia sinusal, 97 Broncoaspiração, 214

C

Câncer versus tromboembolismo pulmonar, 86 Capacidade funcional, 292 Captopril, 179

Cardio-oncologia, 283

Cardiodesfibrilador - implantável, 159 - subcutâneo, 167 Cardiologia, 1

Cardiomiopatia(s)

- dilatadas, 235

- - isquêmicas, 235 - - não isquêmicas, 236

- hipertrófica, 238 - induzida por estresse, 262 - infiltrativas, 236 Cardiotoxicidade, 284

Cardioversão química da fibrilação atrial, 120 Cateterismo cardíaco, 280 Cetamina, 131 Choque - cardiogênico pós-cardiotomia, 302 - vasoplégico, 302

Ciclossilicato de zircônio, 187 Cintilografia de ventilação/perfusão pulmonar, 83 Cirurgia de revascularização miocárdica, 24 Classificação de Killip-Kimball, 19 Clonidina, 179, 180

Complexidade do procedimento ablativo, 124 Complicações

- hemorrágicas, 302 - no pós-operatório de cirurgia cardíaca, 302 - relativas à punção ou à dissecção, 150 Condições psiquiátricas, 14

Contraste venoso em paciente com doença renal, 189

Controle - da frequência cardíaca, 121 - da hipertensão intracraniana, 214 - da temperatura, 301 - de dor, 21

- glicêmico, 23, 301 - hidreletrolítico, 301 - postural, 274

Cor pulmonale agudo, 260 Coração e Covid-19, 255 Corcova de Hampton, 82 Coronariografia, 244 Corticosteroides, 264 Covid-19

- acometimento cardíaco na, 256

- apresentação clínica habitual da, 255

- arritmias associadas a, 263

- coração e, 255

- diagnóstico de, 255

- embolia pulmonar e a, 88

- formas de apresentação da, 275

- manejo fisioterapêutico na, 275

- manejo ventilatório na, 275 - parada cardiorrespiratória na, 266

Crise

- epiléptica, 214 - hipertensiva, 175 - - fisiopatogenia, 177 - - manifestações clínicas, 177 - - prevalência, 176 - - tratamento, 178

Cuidados - com o marca-passo provisório, 148 - de enfermagem no diagnóstico e na intervenção coronariana, 277 - pós-PCR, 202

D

D-dímero plasmático, 81 Dabigatrana, 223 Débito cardíaco, 197 Delirium, 303 “Delta T”, 20 Derrame pericárdico, 93 Desconforto respiratório, 269 Desfibriladores, 145, 151 Deslocamento do eletrodo, 150

Desmame - de corticoide, 95 - ventilatório, 301

Disfunção

- do nó sinusal, 151 - microvascular, 39 - ou ruptura de um dos músculos papilares com insuficiência mitral aguda, 18 - ventricular direita, 303

Displasia arritmogênica do ventrículo direito, 160, 238

Dissecção

- aórtica aguda, 64 - coronariana espontânea, 38

Distúrbios - coronarianos, 38 - da condução sem bloqueio atrioventricular, 154 - miocárdicos, 41

- não cardíacos, 43

Doença(s)

- arterial coronariana, 257 - cardiopulmonares, 7 - da aorta classificação das, 63 - do nó sinusal, 97 - gastrintestinais, 13 - osteomusculares, 14 - renal, 183 - - crônica, 183 Dor torácica, 5, 92 - abordagem diagnóstica, 5 - classificação geral etiológica, 6 - condições cardíacas e não cardíacas, 6 - doenças cardiopulmonares e não cardiopulmonares, 6

E

Ecocardiografia, 193 Ecocardiograma, 24, 50, 140, 147, 193, 285

- em parada cardiorrespiratória, 198 - hemodinâmico, 55 - transesofágico, 195, 251 - transtorácico, 29, 83, 93, 194, 300 Ecocolor doppler venoso de membros inferiores, 82 Edoxabana, 221, 224 Eletroanatômica, 124 Eletrocardiógrafo, 147 Eletrocardiograma, 28, 49, 82, 93, 140, 286, 300

Eliminação - intestinal de K+, 186 - renal de K+, 187

Embolia pulmonar e a Covid-19, 88 Embolização coronariana, 41

Emergência - cardiológica, 1 - hipertensiva, tratamento da, 178 Enfermagem no setor de hemodinâmica, 277 Escala de fragilidade de Rockwood, 293 Escore

- de Genebra modificado, 82 - de risco Grace, 29 - de risco Timi para SCASST, 29 - de Wells, 81

307Índice

Rotinas da Unidade Coronariana e Emergência Cardiológica da Casa de Saúde São José308

Esmolol, 113, 180

Espasmo coronariano, 39

Estatinas, 34, 301

Estenose aórtica, 243, 244

Estimativa da volemia, 196

Estimulação

- cardíaca provisória, 145

- fisiológica, 163, 166

- - efeitos agudos da, 165

- - efeitos crônicos da, 165

- - indicação de, 165

- frênica, 150

Estratégia invasiva precoce, 34

Estudo

- ecocardiográfico direcionado, 198

- eletrofisiológico, 141

Etomidato, 131

Exames

- de sangue, 139 - laboratoriais, 300 Exercício no bipap, 274

F

Fentanil, 131

Fibrilação atrial, 117, 303

- abordagem do paciente, 118

- apresentação clínica e classificação, 117

- conduta em um novo episódio de, 119

- e flutter, 113

- prognóstico, 118

- tipos de, 124 Fibrinolíticos, 21

Filtro de veia cava inferior, 87 Fisioterapia

- na assistência ao paciente com desconforto respiratório, 269

- respiratória, 274 Flumazenil, 131

Focos extra-VP, 124

Função

- diastólica do ventrículo esquerdo, 196

- sistólica do ventrículo

- - direito, 196

- - esquerdo, 195

G

Gasometria arterial, 83 Glicemia, 213 Glicoinsulinoterapia, 186 Glicosídios cardíacos, 121 Gravidez versus tromboembolismo pulmonar, 86

H

Heart score, 30

Hematoma intramural, 64 Hemodiálise - intermitente, 188 - prolongada, 188

Hemorragia intraparenquimatosa, 215 Herpes-zóster, 13 Hidralazina, 179 Hidratação venosa, 24 Hipercalemia, 185 Hipertensão - grave, 175 - maligna, 175 Hipervolemia e hiper-hidratação, 187 Hipolipemiantes, 23 Hipoxemia, 270 Holter e monitores de eventos, 140

I

Idarucizumabe, 229 Implante

- de cardiodesfibrilador implantável, 157

- - para prevenção primária de massagem do seio carotídeo em pacientes com cardiopatia estrutural, 157

- - para prevenção secundária de massagem do seio carotídeo em pacientes com cardiopatia estrutural, 158

- de marca-passo cardíaco definitivo, 151

- - em pacientes com síndromes neuromediadas ou vasovagais, 155

- percutâneo de valva aórtica, 241

- - avaliação preparatória para TAVI, 244 - - diagnóstico, 243 - - etiologia, 244

- - indicação e contraindicação ao, 245 - - sintomas e fisiopatologia, 242

Indução anestésica, 131

Infarto agudo do miocárdio, 17 - com artérias não obstrutivas, 37 - com artérias não obstrutivas definição, 37 - peroperatório, 302 Infecção, 150

Inibidor(es)

- da enzima conversora de angiotensina, 23, 34 - direto da trombina, 219 - do fator Xa, 219 - P2Y12, 227

Injúria - miocárdica aguda, 258 - renal aguda, 183 - - após cirurgia cardíaca, 189 - - oligúrica em paciente com - - - estabilidade cardiovascular, 188 - - - instabilidade cardiovascular, 188

Inserção de marca-passo epimiocárdico, 147

Insuficiência - cardíaca - - aguda, 47 - - - classificação, 50 - - - definição e classificação, 48 - - - diagnóstico clínico, 48 - - - prognóstico, 52 - - - tratamento, 52 - - avançada, 57 - - e choque, 260 - da valvamitral, 248 - renal, 303 - respiratória - - classificação da, 269 - - conduta na, 271

Isolamento das veias pulmonares, 123 Isquemia miocárdica residual, 292

L Lesão(ões)

- aguda de mucosa gástrica, profilaxia de, 23 - de órgãos-alvo, 178 - lineares, 124

Lidocaína, 114

Limiar - de comando, 148 - de sensibilidade, 148 Lokelma, 187

M

Manobra(s)

- de desobstrução, 274 - de expansão, 274 - vagal, 112 Marca-passo - definitivo, 145, 151 - em pacientes submetidos à troca percutânea de valva aórtica, 156 - provisório, 145, 146 - - bicameral, 150 - - complicações do, 148 - - cutâneo torácico, 145 - - endocárdico, 146 - - epicárdico, 146 - quanto à câmara utilizada na estimulação cardíaca, 145

Marcadores bioquímicos e citológicos, 93 Medidas gerais de suporte, 212 Membrana de oxigenação extracorpórea, 265 Métodos de imagem na investigação de cardiomiopatias, 235 Metoprolol, 113, 180 Midazolam, 131 Minoca, 37 - causas de, 38 Miocardiopatia hipertrófica obstrutiva, 154 Miocardite, 43, 261

Monitores de eventos implantáveis, 141 Morfina, 31

Morte súbita em portadores de síndromes genéticas e canalopatias,159

N

Nefropatia induzida por contraste, 191 Neuromodulação, 124 Nitratos, 23, 31

Nitroglicerina, 180 Nitroprussiato de sódio, 180

309Índice

OOxigenioterapia, 21, 31, 271 Oximetria, 212

P

Parada cardiorrespiratória, 201

- com ritmo de assistolia ou atividade elétrica sem pulso, 204

- com ritmo de fibrilação ventricular ou taquicardia ventricular sem pulso, 204 - na Covid-19, 266 Patiromer, 186 Pausa sinusal, 99

Peptídios natriuréticos, 49

- do tipo B (BNP), 83 Perfil dos pacientes com dor torácica, 5

Perfuração, 150

Pericardite, tratamento medicamentoso para, 95 Pneumonia, 12 Pneumotórax, 12

Poliestirenossulfonato de cálcio, 186 Pós-operatório de cirurgia cardíaca, 299 - imediato, 300

Posicionamento dos eletrodos, 129

Potenciais fragmentados, 124 Prescrição básica, 300 Prescrição de exercício, 295 Pressão

- arterial, 213

- da artéria pulmonar, 196 - positiva contínua nas vias respiratórias, 272

Prevenção

- de lesão aguda de mucosa, 301

- de tromboembolia venosa, 300

Procedimento de implante percutâneo, 245

Programação da unidade geradora, 148

Propafenona, 120 Propofol, 131

Protocolo da cardioversão elétrica, 120, 129

R

Radiografia de tórax, 48, 82, 93, 300

Reabilitação cardíaca após descompensação de doença cardiovascular, 289

Reanimação cardiopulmonar, 201 - de alta qualidade, 202

Recuperação de função renal, 189 Regra PERC, 82 Relação PaO2/FiO2, 270 Remdesivir, 264

Responsividade a líquidos, 197 Resposta

- cardioinibitória, 152 - vasodepressora, 153

Ressincronizadores, 145, 151 Ressonância magnética, 83, 286 Retorno da circulação espontânea e cuidados pósparada cardiorrespiratória, 205 Rivaroxabana, 219, 221 Rotores, 124

Ruptura - de parede livre, 18 - de placa e erosão de placa, 39 - do septo interventricular, 18

S

Salbutamol, 186 Sinal - de Palla, 82 - de Westermark, 82 Síncope, 137 - avaliação inicial, 138 - fisiopatologia, 137 - neurocardiogênica, 155 - neuromediada, 143 - testes diagnósticos, 139 - tratamento, 142 Síndrome(s) - aórtica aguda, 11, 61 - - conceitos e classificação, 61 - - diagnóstico, 66 - - estratégias cirúrgicas, 68 - - tratamento, 68 - bradi-taqui, 100 - cardiorrenal, 189 - coronariana aguda, 7 - - com supradesnivelamento do segmento ST, 17 - - - anamnese, 18 - - - diagnóstico, 18

Rotinas da Unidade Coronariana e Emergência Cardiológica da Casa de Saúde São José310

- - - epidemiologia, 17 - - - estratificação de risco, 19 - - - exame físico, 18 - - - fisiopatologia, 18 - - - tratamento - - - - clínico, 21 - - - - farmacológico, 21 - coronariana sem supradesnivelamento do segmento ST, 27 - - anamnese e exame físico, 28 - - cateterismo de urgência, 34 - - definição, 28 - - epidemiologia, 27 - - estratificação de risco, 29 - - exames - - - complementares, 28 - - - laboratoriais, 28 - - fisiopatologia, 27 - - tratamento farmacológico, 31 - de Brugada, 160 - de Takotsubo, 37, 41, 262 - do QT curto, 160 - do QT longo, 159 - do seio carotídeo, 152 - neuromediadas ou vasovagais, 155 - pericárdica aguda, 12, 91 - - apresentação clínica, 91 - - diagnóstico, 93 - - epidemiologia, 91 - - prognóstico, 94 - - tratamento, 94 Sintomas urêmicos, 188

Suporte

- avançado de vida, 202 - renal artificial, 188

T

Tamponamento pericárdico, 302

Taquiarritmias, 111, 147 - definição e diagnóstico, 111 - tratamento direcionado, 111 Taquicardia(s)

- catecolaminérgica, 160 - irregulares, 113

- regulares com QRS

- - estreito, 112 - - largo, 113

- ventricular polimórfica, 113 Técnicas de inserção de marca-passo provisório, 147 Temperatura, 213

Tempo de anticoagulação, 88 Terapia

- antiplaquetária dupla, 22 - de reperfusão miocárdica, 20

- de ressincronização cardíaca, 160 - - na fibrilação atrial, 161 - de substituição renal, 183 - trombolítica, 87

Testes de esforço e cateterismo cardíaco, 140 Tilt-test, 139 Tinoca, 37 - características clínicas e avaliação de, 38

Transvenoso endocárdico, 147 Trastuzumabe, 288 Tratamento - do câncer e risco de cardiotoxicidade, 285 - percutâneo da valva mitral com sistema Mitraclip®, 248

Traumatismo cardíaco, 198 Treinamento - aeróbico, 295 - de força, 295

Trombectomia mecânica, 212 Tromboembolismo - cerebral, prevenção do, 121 - pulmonar, 11, 79, 214 - - abordagem inicial, 83 - - classificação do, 81 - - diagnóstico, 81 - - diagnósticos diferenciais, 81 - - fatores de risco, 79 - - maciço, 81 - - manifestações clínicas, 80 - - não maciço, 81 - - tratamento, 84 - - versus câncer, 86 - - versus gravidez, 86 Trombólise venosa, 210, 212

311Índice

Rotinas da Unidade Coronariana e Emergência Cardiológica da Casa de Saúde São José312

Trombolíticos, 87, 211 Trombose, 41, 150 - venosa profunda, 214 Troponina, 83

U Úlcera

- aórtica penetrante, 65 - de pressão, 214

Urgência hipertensiva, 175 - tratamento da, 179

V

Veltassa, 186 Ventilação não invasiva, 271, 272 - em pacientes sob risco de insuficiência respiratória aguda, 273 Volemia, 213

Rotinas da Unidade Coronariana e Emergência Cardiológica da Casa de Saúde São José, 2a edição é fruto da experiência dos mais de 20 anos dos serviços na Casa de Saúde São José (CSSJ). Mais de 70 profissionais, entre eles médicos, enfermeiros e fisioterapeutas estiveram envolvidos na elaboração desta publicação, reafirmando a característica multidisciplinar do hospital. Para esta nova edição, todos os capítulos foram atualizados a partir das novas diretrizes e da expansão do conhecimento de cada área. Além disso, foram acrescidos novos capítulos como Reabilitação Cardiovascular, Princípios da Cardio-oncologia, Abordagem Percutânea das Válvulas Aórtica e Mitral, Métodos de Imagem na Investigação de Cardiomiopatias e, é claro, Coração e Covid-19.

Área de interesse Cardiologia 9 786588 34018 9

Turn static files into dynamic content formats.

Create a flipbook
Issuu converts static files into: digital portfolios, online yearbooks, online catalogs, digital photo albums and more. Sign up and create your flipbook.