Dietoterapia nas Doenças Gastrintestinais do Adulto - 2a ed.

Page 1


A editora e os autores deste livro não mediram esforços para assegurar dados corretos e informações precisas.

Entretanto, por ser a medicina uma ciência em permanente evolução, recomendamos aos nossos leitores recorrer à bula dos medicamentos e a outras fontes fidedignas, bem como avaliar, cuidadosamente, as recomendações contidas no livro em relação às condições clínicas de cada paciente.

Organizadoras

Flávia Moraes Silva

Graduada em Nutrição pela Universidade Federal do Rio Grande do Sul (UFRGS).

Professora Adjunta do Departamento de Nutrição e Professora Permanente dos Programas de Pós-graduação em Ciências da Nutrição e Ciências da Saúde, da Universidade Federal de Ciências da Saúde de Porto Alegre (UFCSPA).

Coordenadora do Curso de Nutrição na UFCSPA e do Ambulatório de Nutrição do Serviço de Reabilitação Pulmonar da Irmandade Santa Casa de Misericórdia de Porto Alegre.

Estágio de Pós-doutorado em Epidemiologia Nutricional pela Universidade Federal do Rio de Janeiro (UFRJ) em parceria com a Oxford University, do Reino Unido. Mestre e Doutora em Endocrinologia pela UFRGS.

Especialista em Terapia Nutricional Enteral e Parenteral pela Pontifícia Universidade Católica do Rio Grande do Sul (PUC-RS).

Líder do Grupo de Pesquisa Nutrição Clínica Baseada em Evidências.

Bolsista por Produtividade pelo Conselho Nacional de Desenvolvimento Científico e Tecnológico (CNPq) (PQ2).

Valesca Dall’Alba

Graduada em Nutrição pela Universidade do Vale do Rio dos Sinos (UniSinos), RS.

Professora Associada do Curso de Nutrição da Universidade Federal do Rio Grande do Sul (UFRGS).

Professora Permanente do Programa de Pós-graduação em Ciências em Gastrenterologia e Hepatologia e do Programa de Pós-graduação em Alimentação, Nutrição e Saúde na UFRGS.

Coordenadora do Ambulatório de Nutrição em Gastrenterologia e Hepatologia do Hospital de Clínicas de Porto Alegre (HCPA).

Assessora do Serviço de Nutrição e Dietética do HCPA.

Doutora em Endocrinologia e Mestre em Ciências em Gastrenterologia pela UFRGS.

Dietoterapia nas Doenças Gastrintestinais do Adulto – 2a edição

Copyright © 2025 Editora Rubio Ltda.

ISBN 978-65-88340-81-3

Todos os direitos reservados. É expressamente proibida a reprodução desta obra, no todo ou em parte, sem autorização por escrito da Editora.

Produção

Equipe Rubio

Capa

Bruno Sales

Imagens de Capa ©iStock.com/PeterHermesFurian/Prostock-Studio/baibaz/Zulkarnieiev Zulkarnieiev/eranicle

Editoração Eletrônica IO Design

CIP‑BRASIL. CATALOGAÇÃO NA FONTE

SINDICATO NACIONAL DOS EDITORES DE LIVROS, RJ O45d

Silva, Flávia Moraes.

Dietoterapia nas doenças gastrintestinais do adulto / Flávia Moraes Silva, Valesca Dall'Alba. – 2. ed. – Rio de Janeiro: Rubio, 2025.

328p.; 24cm.

Inclui Bibliografia e índice

ISBN 978-65-88340-81-3

1. Dietoterapia. 2. Nutrição. 3. Sistema gastrintestinal – Doenças. I. Silva, Flávia Moraes. II. Dall’Alba, Valesca. III. Título.

CDD: 615.854 16-33825

Editora Rubio Ltda.

Av. Franklin Roosevelt, 194 s/l. 204 – Centro 20021-120 – Rio de Janeiro – RJ Telefone: 55(21) 2262-3779

E-mail: rubio@rubio.com.br www.rubio.com.br

Impresso no Brasil Printed in Brazil

CDU: 615.874

Colaboradores

Aline Marcadenti de Oliveira

Graduada em Nutrição pela Universidade do Vale do Rio dos Sinos (UniSinos).

Doutora em Ciências Cardiovasculares pelo Programa de Pós-graduação em Cardiologia e Ciências Cardiovasculares da Universidade Federal do Rio Grande do Sul (UFRGS).

Mestre em Ciências Médicas: Cardiologia pela UFRGS. Especialização em Gestão em Nutrição Clínica pela Universidade Iguaçu (Uniguaçu).

Master in Business Administration (MBA) em Auditoria e Saúde pelo Instituto de Administração Hospitalar e Ciências da Saúde (IAHCS).

Especialista em Nutrição Clínica, por Meritocracia pela Associação Brasileira de Nutrição (Asbran) e em Principles and Practice of Clinical Research (PPCR), como course alumnus (Harvard T.H. Chan School of Public Health).

Estágio de Pós-doutorado em Bioquímica Nutricional na Faculdade de Saúde Pública da Universidade de São Paulo (FSP-USP).

Pesquisadora do Instituto de Pesquisa (IP) do Hospital do Coração (HCor).

Professora Permanente do Programa de Pós-graduação em Ciências da Saúde: Cardiologia do Instituto de Cardiologia/Fundação Universitária de Cardiologia (IC/FUC) e do Programa de Pós-graduação em Epidemiologia da FSP-USP.

Amanda Coelho Zilio

Graduada em Medicina pela Universidade do Extremo Sul Catarinense (Unesc).

Residência Médica em Clínica Médica no Hospital Geral de Caxias do Sul e em Gastrenterologia na Santa Casa de Misericórdia de Porto Alegre.

Pós-graduanda em Doenças Funcionais e Manometria do Aparelho Digestivo no Hospital Israelita Albert Einstein, SP.

Andressa Oliveira Kampmann

Graduada em Nutrição pela Universidade Federal de Ciências da Saúde de Porto Alegre- UFCSPA. Mestre em Hepatologia pela UFCSPA. Nutricionista na Santa Casa de Misericórdia de Porto Alegre.

Antônio de Barros Lopes

Graduação em Medicina pela Universidade Federal do Rio Grande do Sul (UFRGS).

Mestre e Doutor em Gastrenterologia pelo Programa de Pós-graduação em Ciências em Gastrenterologia e Hepatologia da UFRGS.

Residência Médica em Clínica Médica e Gastrenterologia no Hospital de Clínicas de Porto Alegre (HCPA).

Professor do Departamento de Medicina Interna da UFRGS.

Professor do Serviço de Gastrenterologia do HCPA e do Programa de Pós-graduação em Ciências em Gastrenterologia e Hepatologia da UFRGS.

Bárbara Chaves Santos

Graduada em Nutrição pela Universidade de Itaúna (UIT), MG.

Mestre e Doutoranda em Ciência de Alimentos pela Universidade Federal de Minas Gerais (UFMG), com Período Sanduíche na University of Alberta, Canadá.

Bianca Alves Mendes

Graduada em Nutrição pela Universidade Federal de Ciências da Saúde de Porto Alegre (UFCSPA).

Mestranda em Alimentação, Nutrição e Saúde pela Universidade Federal do Rio Grande do Sul (UFRGS).

Pós-graduada em Nutrição Clínica e Funcional pela Faculdade de Empreendedorismo e Ciências Humanas. Atuou no Programa Institucional de Cursos de Capacitação e Aperfeiçoamento Profissional (Piccap) do Hospital de Clínicas de Porto Alegre (HCPA), como Nutricionista Cursista, na Unidade de Internação Geral de Adulto.

Bruna Cherubini Alves

Graduada em Nutrição pela Universidade Federal do Rio Grande do Sul (UFRGS).

Mestre e Doutora pelo Programa de Pós-graduação: Ciências em Gastrenterologia e Hepatologia da UFRGS Pesquisadora no Hospital de Clínicas de Porto Alegre. Integrante do Monash FODMAP Dietitians Directory.

Bruna Espíndola de Araújo

Graduada em Nutrição pela Fundação Universidade Federal de Ciências da Saúde de Porto Alegre (UFCSPA).

Mestre em Ciências da Nutrição pela UFCSPA.

Nutricionista Clínica Assistencial da Irmandade da Santa Casa de Misericórdia de Porto Alegre.

Camila Ferri Burgel

Graduada em Nutrição pela Universidade Federal de Ciências da Saúde de Porto Alegre (UFCSPA).

Mestre em Ciências da Nutrição pela UFCSPA.

Especialista em Terapia Nutricional Enteral e Parenteral pelo Instituto de Pesquisas, Ensino e Gestão em Saúde (IPGS).

Doutoranda em Ciências da Saúde pela UFCSPA.

Membro Pesquisadora do Grupo de Pesquisa Nutrição Clínica Baseada em Evidência, vinculado à UFCSPA.

Camila Saueressig

Graduada em Nutrição pela Universidade do Vale do Itajaí (Univali).

Especialização em Nutrição Clínica e Doenças Crônicas pelo Instituto de Educação e Pesquisa (IEP) do Hospital Moinhos de Vento (HMV).

Especialização em Saúde Mental pelo Programa de Residência Integrada Multiprofissional em Saúde do Hospital de Clínicas de Porto Alegre (HCPA).

Mestre e Doutora pelo Programa de Pós-graduação em Gastrenterologia e Hepatologia da Universidade Federal do Rio Grande do Sul (UFRGS).

Carlos Otavio Corso

Graduado em Medicina pela Fundação Faculdade Federal de Ciências Médicas de Porto Alegre (UFCSPA).

Mestre em Neurociências pela Universidade Federal do Rio Grande do Sul (UFRGS).

Doutor e Pós-doutor em Medicina pela Ludwig-Maximilians Universität, Munique.

Professor Associado do Departamento de Cirurgia e do Programa de Pós-graduação em Ciências Cirúrgicas da UFRGS.

Carolina Bortolin Beskow

Graduada em Nutrição pela Universidade Federal de Ciências da Saúde de Porto Alegre (UFCSPA).

Pós-graduada em Fitoterapia Funcional pela Faculdade Valéria Paschoal (VP).

Mestre pelo Programa Ciências em Gastrenterologia e Hepatologia da Universidade Federal do Rio Grande do Sul (UFRGS).

Doutoranda pelo Programa Ciências em Gastrenterologia e Hepatologia da UFRGS.

Claudia Pinto Marques Souza de Oliveira

Graduada em Medicina pela Faculdade de Medicina da Universidade Estadual do Pará (Uepa).

Professora Associada do Departamento de Gastrenterologia da Faculdade de Medicina da Universidade de São Paulo (USP).

Doutorado em Gastrenterologia pela Faculdade de Medicina da Universidade de São Paulo (FMUSP).

Pós-doutorado em Hepatologia pela FMUSP.

Livre-docência em Gastrenterologia pela FMUSP.

Cristiane Matté

Graduada em Farmácia pela Universidade Federal do Rio Grande do Sul (UFRGS).

Mestre e Doutora em Ciências Biológicas (Bioquímica) pela UFRGS.

Professora Associada no Departamento de Bioquímica do Instituto de Ciências Básicas da Saúde da UFRGS.

Daieni Fernandes

Graduada em Nutrição pelo Centro Universitário

Metodista IPA.

Especialização em Gerontologia Clínica e Saúde do Idoso pelo Instituto de Administração Hospitalar e Ciências da Saúde (IAHCS), RS.

Especialista em Nutrição Enteral e Parenteral pela Sociedade Brasileira de Nutrição Parenteral e Enteral (Braspen/SBNPE) e em Nutrição Pediátrica pela Boston University School of Medicine (BUSM).

Mestre em Ciências da Gastrenterologia pela Universidade Federal do Rio Grande do Sul (UFRGS).

Doutoranda pelo Programa Ciências em Gastrenterologia e Hepatologia da UFRGS.

Daniella Miranda da Silva

Graduada em Nutrição pela Universidade Federal de Ciências da Saúde de Porto Alegre (UFCSPA).

Pós-graduada em Oncologia e Hematologia pela Residência Integrada em Saúde do Grupo Hospitalar Conceição, RS.

Mestre em Medicina (Hepatologia) pela UFCSPA.

Pós-graduada em Nutrição Esportiva Funcional pela Faculdade Valéria Paschoal (VP).

Doutoranda pelo Programa de Pós-graduação em Gastrenterologia e Hepatologia pela Universidade Federal do Rio Grande do Sul (UFRGS).

Danielle Silla Jobim Milanez

Graduada em Nutrição pelo Centro Universitário Metodista.

Especialista em Nutrição em Doenças Crônicas e Aterosclerose e Nutrição em Terapia Intensiva e Paciente Crítico pelo Instituto de Ensino e Pesquisa do Hospital Moinhos de Vento.

Mestre em Ciências da Nutrição pela Universidade Federal de Ciências da Saúde de Porto Alegre-UFCSPA. Nutricionista assistencial na Santa Casa de Misericórdia de Porto Alegre.

Dvora Joveleviths

Graduada em Medicina pela Fundação Universidade Federal de Ciências da Saúde de Porto Alegre (UFCSPA).

Mestrado em Ciências em Gastrenterologia e Hepatologia pela Universidade Federal do Rio Grande do Sul (UFRGS).

Doutora em Hepatologia pela UFCSPA.

Doutora em Patologia pela UFCSPA.

Professora do Curso de Medicina da UFRGS.

Coordenadora do Programa de Pós-graduação em Gastrenterologia e Hepatologia da UFRGS.

Coordenadora da Residência Médica em Medicina do Trabalho do Hospital de Clínicas de Porto Alegre (HCPA).

Coordenadora do Ambulatório Pós-Covid e do Ambulatório de Hepatotoxicidade Ocupacional do Hospital de Clínicas de Porto Alegre (HCPA).

Elisa Loch Razzera

Graduada em Nutrição pela Universidade Federal de Ciências da Saúde de Porto Alegre (UFCSPA).

Especialista em Cardiologia pelo Instituto de Cardiologia do Rio Grande de Sul – Fundação Universitária de Cardiologia (IC-FUC).

Mestre em Ciências da Nutrição pela UFCSPA. Doutoranda em Ciências da Saúde pela UFCSPA.

Nutricionista Supervisora e Responsável Técnica do Setor de Nutrição e Dietética do IC-FUC.

Coordenadora do Programa de Residência Multiprofissional Integrada em Saúde: Cardiologia/Nutrição e

Coordenadora da Comissão de Residência Multiprofissional em Saúde (Coremu) do IC-FUC.

Érica Salvador Fochezatto

Graduada em Nutrição pela Universidade Federal do Rio Grande do Sul (UFRGS).

Mestre pelo Programa de Pós-graduação em Ciências em Gastrenterologia e Hepatologia da UFRGS.

Estela Iraci Rabito

Graduada em Nutrição pela Universidade Federal do Paraná (UFPR).

Mestre e Doutora em Medicina (Clínica Médica) pela Universidade de São Paulo (USP).

Professora do curso de Nutrição e do Programa de Pósgraduação em Alimentação e Nutrição da UFPR e do Programa de Residência Multiprofissional em Atenção Hospitalar do Hospital de Clínicas da UFPR.

Fernando Gomes Romeiro

Graduado em Medicina pela Universidade Estadual Paulista Júlio de Mesquita Filho (Unesp).

Residência em Clínica Médica e em Gastrenterologia pela Unesp.

Doutor pelo Programa de Fisiopatologia em Clínica Médica da Unesp.

Título de Especialista em Gastrenterologia pela Federação Brasileira de Gastroenterologia (FBG).

Membro Titular da Sociedade Brasileira de Hepatologia (SBH).

Professor Associado da Disciplina de Gastrenterologia do Departamento de Clínica Médica na Faculdade de Medicina da Unesp.

Preceptor da Residência Médica em Gastrenterologia da Faculdade de Medicina de Botucatu (FMB)/Unesp. Professor do Curso de Pós-graduação do Programa de Fisiopatologia em Clínica Médica da FMB/Unesp.

Mestre Profissionalizante em Pesquisa Clínica da Unesp. Livre-docência em Clínica Médica da Unesp.

Gustavo Gonzales Real

Graduado em Medicina pela Universidade Federal do Rio Grande (FURG).

Especialização, por meio de Residência Médica, em Medicina Interna, Gastrenterologia e Endoscopia Digestiva pelo Hospital de Clínicas de Porto Alegre (HCPA).

Mestre pelo Programa de Saúde e Comportamento na Universidade Católica de Pelotas (UCPel).

Membro Titular da Sociedade Brasileira de Endoscopia Digestiva (Sobed) e do Grupo de Estudos da Doença Inflamatória Intestinal do Brasil (Gediib).

Médico Gastrenterologista do Hospital-Escola da Universidade Federal de Pelotas (UFPel).

Jader Gus

Graduado em Medicina pela Universidade Federal de Ciências da Saúde de Porto Alegre (UFCSPA).

Residência em Cirurgia Geral no Hospital Beneficência Portuguesa de Porto Alegre.

Residência em Cirurgia do Trauma no Hospital de Pronto Socorro de Porto Alegre.

Mestre em Diagnóstico Genético e Molecular pela Universidade Luterana do Brasil (Ulbra).

Especialista em Cirurgia Geral pelo Colégio Brasileiro de Cirurgiões (CBC).

Jenifer Faria Krüger

Graduada em Nutrição pela Universidade Federal do Paraná (UFPR).

Nutricionista Clínica no Complexo Hospital de Clínicas da UFPR.

Jerônimo de Conto Oliveira

Médico Gastrenterologista e Especialista em Endoscopia

Digestiva Formado pela Universidade Federal do Rio

Grande do Sul (UFRGS) e pelo Hospital de Clínicas de Porto Alegre (HCPA).

Doutor em Gastrenterologia e Hepatologia pela UFRGS.

Título de Especialista em Endoscopia Digestiva pela Sociedade Brasileira de Endoscopia Digestiva (Sobed)/ Associação Médica Brasileira (AMB).

Médico contratado do Serviço de Gastrenterologia do Hospital de Clínicas de Porto Alegre (HCPA).

Membro do Corpo Clínico dos Hospitais Moinhos de Vento (HMV) e Ernesto Dornelles, RS.

Jéssica Pinto Polet

Graduada em Nutrição pela Universidade Federal do Rio Grande do Sul (UFRGS).

Especialista em Saúde da Família e Comunidade pelo Grupo Hospitalar Conceição, RS.

Mestre em Ciências Médicas: Endocrinologia – Área de Concentração: Nutrição e Metabolismo pela UFRGS.

Nutricionista do Centro de Tratamento da Obesidade da Santa Casa de Misericórdia de Porto Alegre.

Joana Hoch Glasenapp

Graduada em Nutrição pela Universidade Federal do Rio Grande do Sul (UFRGS).

Pós-graduada em Nutrição Hospitalar e Clínica, com Ênfase em Oncologia, pelo Hospital Moinhos de Vento (HMV), RS.

Pós-graduanda em Terapia Nutricional Enteral e Parenteral Ensino a Distância [EAD] pelo Instituto de Pesquisas, Ensino e Gestão em Saúde (IPGS).

Mestre pelo Programa de Pós-graduação em Alimentação, Nutrição e Saúde da UFRGS.

Nutricionista no Hospital Santa Casa de Caridade de Uruguaiana, RS.

João Wilney Franco Filho

Graduado em Medicina pela Universidade Federal de Pelotas (UFPel), RS.

Coordenador Clínico da Equipe Multiprofissional de Terapia Nutricional do Hospital São Lucas da Pontifícia Universidade Católica do Rio Grande do Sul (PUC-RS).

Médico Intensivista do Hospital de Pronto Socorro de Porto Alegre.

Médico Intensivista do Hospital Nossa Senhora da Conceição (HNSC) de Porto Alegre.

Professor da Universidade do Vale do Taquari (Univates), Lajeado, RS.

Juliana Peçanha Antonio

Graduada em Nutrição pela Universidade Federal do Rio Grande do Sul (UFRGS).

Especialista em Nutrição Clínica pela Associação Brasileira de Nutrição (Asbran).

Mestre e Doutora em Endocrinologia e Metabolismo pela UFRGS.

Nutricionista Clínica do Hospital de Clínicas de Porto Alegre (HCPA).

Preceptora do Programa Adulto Crítico, da Residência Integrada Multiprofissional em Saúde do Hospital de Clínicas de Porto Alegre (RIMS/HCPA).

Kelly Pozzer Zucatti

Graduada em Nutrição pela Universidade Federal de Ciências da Saúde de Porto Alegre (UFCSPA).

Nutricionista Estatuária na Rede Pública Municipal de Caxias do Sul, RS.

Especialista em Cardiologia pelo Programa de Residência Multiprofissional do Instituto de Cardiologia do Rio Grande de Sul – Fundação Universitária de Cardiologia (IC-FUC).

Mestre em Ciências Médicas: Endocrinologia pela Universidade Federal do Rio Grande do Sul (UFRGS).

Doutoranda em Ciências da Saúde na UFCSPA.

Lannay Ferreira da Silva

Graduada em Nutrição pela Universidade Federal do Paraná (UFPR).

Especialista em Atenção Hospitalar Cardiovascular pela Residência Multiprofissional do Complexo Hospital de Clínicas da UFPR.

Especialista em Nutrição Clínica e Fitoterapia pela Faculdade Laboro.

Nutricionista Clínica no Complexo Hospital de Clínicas da UFPR.

Laura Randon Chapochnicoff

Acadêmica do curso de Medicina da Pontifícia Universidade Católica do Rio Grande do Sul (PUC-RS). Monitora da Disciplina de Fisiologia Humana II-Medicina da PUC-RS.

Léder Leal Xavier

Licenciado em Biologia pela Universidade Federal do Rio Grande do Sul (UFRGS).

Mestre em Fisiologia e Doutor em Bioquímica pela UFRGS.

Professor Adjunto da Escola de Ciências da Saúde e da Vida da Pontifícia Universidade Católica do Rio Grande do Sul (PUC-RS).

Lisiê Valéria Paz

Graduada em Biologia pela Pontifícia Universidade Católica do Rio Grande do Sul (PUC-RS).

Mestre em Biologia Celular e Molecular pela PUC-RS. Doutoranda em Biologia Celular e Molecular pela PUC-RS.

Lívia Garcia Ferreira

Graduada em Nutrição pela Universidade Federal de Ouro Preto (Ufop), MG.

Doutora em Ciências Aplicadas à Cirurgia pela Universidade Federal de Minas Gerais (UFMG).

Professora Adjunta do Departamento de Nutrição pela Universidade Federal de Lavras (UFLA), MG.

Luana Berwig

Graduada em Fonoaudiologia pela Universidade Federal de Santa Maria (UFSM), RS.

Mestre e Doutora em Distúrbios da Comunicação Humana pela UFSM, na Linha de Pesquisa em Aspectos Clínicos e Funcionais em Voz e Motricidade Orofacial.

Mestre em Ciências da Saúde pela UFSM, com Ênfase em Disfagia Neonatal.

Especialista com Residência em Gestão e Atenção Hospitalar no Sistema Público de Saúde, com Ênfase em Mãe-Bebê.

Contratada da Área de Disfagia do Hospital de Clínicas de Porto Alegre, com Atuação na Unidade de Terapia Intensiva (UTI) de Adulto.

Preceptora do Programa Adulto Crítico da Residência

Integrada Multiprofissional em Saúde do Hospital de Clínicas de Porto Alegre (RIMS/HCPA).

Lucilene Rezende Anastácio

Graduada em Nutrição pela Universidade Federal de Viçosa (UFV), MG.

Mestre em Ciência de Alimentos pela Universidade Federal de Minas Gerais (UFMG).

Doutora em Ciências Aplicadas à Saúde do Adulto, Área de Concentração em Ciências Aplicadas ao Aparelho Digestivo, pela Faculdade de Medicina da UFMG.

Professora Adjunta do Departamento de Alimentos da Faculdade de Farmácia (FAFAR) da UFMG.

Docente Permanente do Programa de Pós-graduação em Ciência de Alimentos da FAFAR/UFMG.

Luísa Martins Trindade

Graduada em Nutrição pela Universidade Federal de Minas Gerais (UFMG).

Doutora e Mestra em Ciência de Alimentos – Nutrição, Homeostase e Saúde pela UFMG.

Professora do Curso de Pós-graduação em Nutrição

Clínica Hospitalar da Faculdade Santa Casa de Belo Horizonte.

Maria Eduarda Freitas Viana

Nutricionista Graduada pela Faculdade Pitágoras.

Especialização em Nutrição Renal pelo Instituto Nacional de Ensino Superior (Inades).

MBA em Gestão da Qualidade pela Universidade Norte do Paraná (Unopar).

Mestranda no Programa de Ciências Aplicadas à Saúde do Adulto na Faculdade de Medicina da Universidade Federal de Minas Gerais (UFMG).

Nutricionista na Clínica de Nefrologia Nefrostar de Belo Horizonte, MG.

Maria Emília Andrade Rabelo

Graduada em Nutrição pela Universidade Federal de Viçosa (UFV), MG.

Mestre e Doutora em Ciências de Alimentos pela Universidade Federal de Minas Gerais (UFMG).

Pós-doutorado em Ciências de Alimentos e em Ciências Farmacêuticas pela UFMG.

Marina Carvalho Berbigier

Graduada em Nutrição pela Universidade Federal do Rio Grande do Sul (UFRGS).

Especialista em Paciente Crítico, por meio da Residência Integrada Multiprofissional em Saúde, do Hospital de Clínicas de Porto Alegre (RIMS/HCPA).

Mestre em Ensino em Saúde, com Ênfase em Currículo, Formação, Docência e Ensino em Saúde pela Universidade Federal de Ciências da Saúde de Porto Alegre (UFCSPA).

Doutoranda pelo Programa de Pós-graduação em Gastrenterologia e Hepatologia da UFRGS.

Marina Siebert

Graduada em Farmácia pela Universidade Federal do Rio Grande do Sul (UFRGS).

Mestre pelo Programa de Pós-graduação em Ciências Biológicas: Bioquímica pela UFRGS.

Doutora pelo Programa de Pós-graduação em Biologia Celular e Molecular pela UFRGS.

Estágio de pós-doutorado em Psiquiatria e Medicina Legal pela UFRGS.

Farmacêutica na Unidade de Pesquisa Laboratorial (UPL) do Centro de Pesquisa Experimental (CPE) do Hospital de Clínicas de Porto Alegre (HCPA).

Docente no Programa de Pós-graduação em Gastrenterologia e Hepatologia da UFRGS.

Mário Reis Álvares-da-Silva

Graduado em Medicina pela Fundação Faculdade Federal de Ciências Médicas de Porto Alegre (UFCSPA).

Residência Médica em Gastrenterologia pela UFCSPA. Doutor em Gastrenterologia e Hepatologia pela Universidade Federal do Rio Grande do Sul (UFRGS).

Professor Associado do Departamento de Medicina Interna da UFRGS.

Livre-docente em Gastrenterologia pela Universidade Federal de São Paulo (USP).

Matheus Michalczuk

Graduada em Medicina pela Universidade Federal do Rio Grande do Sul (UFRGS).

Residência Médica em Medicina Interna pelo Hospital Nossa Senhora da Conceição (HNSC), de Porto Alegre, e em Gastrenterologia pelo Hospital de Clínicas de Porto Alegre (HCPA).

Especialista em Endoscopia Digestiva pela Sociedade Brasileira de Endoscopia Digestiva (Sobed).

Mestre e Doutor em Gastrenterologia e Hepatologia no Programa de Pós-graduação de Ciências em Gastrenterologia e Hepatologia pela UFRGS.

Médico Contratado do Serviço de Gastrenterologia do HCPA.

Médico do Corpo Clínico do Hospital Moinhos de Vento (HMV) e do Hospital Mãe de Deus, RS.

Michelle Hoff de Assis

Graduada em Nutrição pela Universidade Federal do Rio Grande do Sul (UFRGS).

Nutricionista Responsável Técnica pela Alimentação Escolar do Município de Barra do Ribeiro, RS.

Pâmela Silva Vitória Salerno

Graduada em Nutrição pela Universidade Federal de Pelotas (UFPel), RS.

Mestre em Nutrição e Alimentos pela UFPel.

Doutora em Saúde e Comportamento pela Universidade Católica de Pelotas (UCPel), RS.

Estágio de pós-doutorado em Educação Física pela UFPel.

Patrícia Sauer

Graduada em Nutrição pela Pontifícia Universidade Católica do Rio Grande do Sul (PUC-RS).

Especialista em Nutrição Clínica, com Ênfase em Doenças Cardiovasculares, Diabetes e Obesidade, pelo Instituto de Cardiologia (IC-FUC) e Saúde Mental pela Residência Integrada Multiprofissional em Saúde/ Hospital de Clínicas de Porto Alegre (RIMS/HCPA).

Mestre pelo Programa de Pós-graduação em Ciências em Gastrenterologia e Hepatologia, da Universidade Federal do Rio Grande do Sul (UFRGS).

Nutricionista Clínica no HCPA.

Rafael da Veiga Chaves Picon

Graduado em Medicina pela Universidade Federal do Rio Grande do Sul (UFRGS).

Doutor em Cardiologia e Ciências Cardiovasculares pela UFRGS, por meio do Programa de Bolsa Especial para Doutorado em Pesquisa Médica (PBE-DPM ou Programa MD-PhD).

Residência Médica em Medicina Interna no Hospital de Clínicas de Porto Alegre (HCPA) e em Gastrenterologia no Hospital Nossa Senhora da Conceição (HNSC), do Grupo Hospitalar Conceição (GHC).

Endoscopista certificado pela Sociedade Brasileira de Endoscopia Digestiva (Sobed).

Professor Adjunto de Gastrenterologia, do Departamento de Medicina Interna, da Faculdade de Medicina da UFRGS.

Supervisor do Programa de Residência Médica em Gastrenterologia do HCPA.

Professor do Ambulatório de Doença Inflamatória Intestinal do HCPA.

Raquel Boff da Costa

Graduada em Farmácia pela Universidade Luterana do Brasil (Ulbra).

Mestre em Gastrenterologia e Hepatologia pela Universidade Federal do Rio Grande do Sul (UFRGS).

Doutoranda pelo Programa de Pós-graduação em Ciências em Gastrenterologia e Hepatologia da UFRGS.

Raquel Susana Matos de Miranda Torrinhas

Graduada em Ciências Biológicas e Experimentais pelo Instituto Presbiteriano Mackenzie.

Mestre em Ciências da Saúde pela Faculdade de Medicina da Universidade de São Paulo (FMUSP).

Doutora em Ciências do Aparelho Digestivo pela FMUSP. Responsável Substituta pelo Laboratório de Nutrição e Cirurgia Metabólica do Aparelho Digestivo da FMUSP.

Régis Gemerasca Mestriner

Graduado em Fisioterapia pela Pontifícia Universidade Católica do Rio Grande do Sul (PUC-RS).

Mestre e Doutor em Fisiologia pela Universidade Federal do Rio Grande do Sul (UFRGS).

Professor Adjunto da Escola de Ciências da Saúde e da Vida da PUC-RS.

Renata Rezende de Menezes

Graduação em Farmácia pela Universidade Federal de Ouro Preto (Ufop), MG.

Habilitação em Farmácia Industrial pela Ufop. Especialização em Controle e Garantia da Qualidade de Produtos Farmacêuticos pelo Centro Universitário Newton Paiva (CNP), MG.

Mestranda do Programa de Pós-graduação em Infectologia e Medicina Tropical, da Faculdade de Medicina da Universidade Federal de Minas Gerais (UFMG).

Preceptora da Residência Multiprofissional em Farmácia no Hospital das Clínicas de Belo Horizonte.

Rodrigo Costa Gonçalves

Graduado em Medicina pela Universidade Federal de Goiás (UFG).

Residências em Clínica Médica e Nefrologia, ambas pela UFG.

Título de Especialista em Nefrologia, Terapia Intensiva, Nutrologia e Nutrição Parenteral e Enteral pela Associação Médica Brasileira (AMB).

Membro do Board Consultivo do Curso de Terapia Nutricional em Unidade de Terapia Intensiva (UTI) da AMB.

Pós-graduação em Gestão em Saúde pelo Hospital Israelita Albert Einstein.

Rosângela Passos de Jesus

Graduada em Nutrição pela Universidade Federal da Bahia (UFBA).

Mestre em Nutrição pela Universidade Federal de São Paulo (Unifesp).

Doutora em Ciências da Saúde pela Faculdade de Medicina da Universidade de São Paulo (FMUSP).

Estágio de Pós-doutorado na Universidade de Worcester, Reino Unido.

Professora Titular da UFBA, atuando na Graduação em Nutrição e no Programa de Pós-graduação em Alimentação, Nutrição e Saúde (PPGANS).

Samanta Catherine Ferreira

Graduada em Nutrição pela Universidade Federal de Minas Gerais (UFMG).

Mestre em Ciência de Alimentos pela UFMG.

Especialista em Nutrição Comportamental pelo Instituto de Pesquisas, Ensino e Gestão em Saúde (IPGS).

Doutora em Ciência de Alimentos pela UFMG.

Bolsista de Pós-doutorado no Programa de Pósgraduação em Alimentação, Nutrição e Saúde (PPGANS) da Universidade Federal do Rio Grande do Sul (UFRGS).

Sílvia Dornelles

Graduada em Fonoaudiologia pela Universidade Federal de Santa Maria (UFSM), RS.

Especialização em Distúrbios da Comunicação Humana pela Universidade Federal de São Paulo (Unifesp).

Mestre em Distúrbios da Comunicação Humana pela UFSM.

Doutora em Saúde da Criança e do Adolescente pela Universidade Federal do Rio Grande do Sul (UFRGS).

Professora do Departamento de Saúde e Comunicação Humana, no curso de Fonoaudiologia da UFRGS.

Professora e Membro do Serviço de Fonoaudiologia do Hospital de Clínicas de Porto Alegre (HCPA).

Tutora do Programa Adulto Crítico da Residência

Integrada Multiprofissional em Saúde do Hospital de Clínicas de Porto Alegre (RIMS/HCPA).

Simone de Vasconcelos Generoso

Graduada em Nutrição pelo Centro Universitário de Belo Horizonte (UniBH).

Doutora na área de Ciências de Alimentos pela Universidade Federal de Minas Gerais (UFMG).

Especialista em Nutrição Clínica pelo Grupo de Apoio de Nutrição Enteral e Parenteral (Ganep).

Professora Associada do Curso de Nutrição da Escola de Enfermagem da UFMG.

Integrante da Rede Mineira de Pesquisa Translacional em Imunobiológicos e Imunofármacos no Câncer (Remitribic).

Líder do Grupo de Pesquisa em Nutrição Clínica e Experimental (Pence).

Tainara Aloy dos Santos

Graduada em Nutrição pela Universidade do Sul de Santa Catarina (UniSul).

Aluna de Doutorado no Programa de Pós-graduação em Ciências Médicas: Endocrinologia, da Universidade Federal do Rio Grande do Sul (UFRGS).

Mestre em Ciências Médicas: Endocrinologia pela UFRGS.

Taísa Ribeiro de Souza Oliveira

Graduada em Fonoaudiologia pela Universidade Federal de Sergipe (UFS).

Especialista em Fonoaudiologia Hospitalar com Ênfase em Neonatologia pela Modalidade Residência no Hospital Geral Roberto Santos (HGRS), Salvador. Pós-graduada em Análise do Comportamento Aplicada (ABA) pelo Instituto de Educação e Pesquisa em Saúde e Inclusão Social (Iepsis).

Contratada da Área de Disfagia do Hospital de Clínicas de Porto Alegre (HCPA).

Preceptora do Programa Adulto Crítico da Residência Integrada Multiprofissional em Saúde do Hospital de Clínicas de Porto Alegre (RIMS/HCPA).

Thais Ortiz Hammes

Graduada em Nutrição pela Universidade Federal do Rio Grande do Sul (UFRGS).

Mestre e Doutora em Ciências em Gastrenterologia e Hepatologia pela UFRGS.

Nutricionista do Serviço de Nutrição e Dietética do Hospital de Clínicas de Porto Alegre.

Themis Reverbel da Silveira

Graduada em Medicina pela Universidade Federal do Rio Grande do Sul (UFRGS).

Residência Médica em Gastrenterologia pela Fundação Faculdade Federal de Ciências Médicas de Porto Alegre (UFCSPA).

Mestrado em Ciências em Gastrenterologia e Hepatologia pela UFRGS.

Doutorado em Genética e Biologia Molecular pela UFRGS.

Professora dos Programas de Pós-graduação de Ciências em Gastrenterologia da Faculdade de Medicina da UFRGS e de Pediatria da Universidade Federal de Ciências da Saúde de Porto Alegre (UFCSPA).

Líder do Grupo de Pesquisa em Hepatologia e Gastrenterologia da UFRGS.

Diretora Médica do Hospital da Criança Santo Antônio, RS.

Vittoria Calvi Sampaio

Graduada em Farmácia pela Universidade Federal do Rio Grande do Sul (UFRGS).

Especialista em Atenção Integral ao Paciente Adulto Cirúrgico pelo Hospital de Clínicas de Porto Alegre (HCPA).

Mestranda do Programa de Pós-graduação em Gastrenterologia e Hepatologia da UFRGS.

Vittoria Zambon Azevedo

Graduada em Nutrição pela Universidade Federal do Rio Grande do Sul (UFRGS).

Mestre em Alimentação, Nutrição e Saúde pelo Programa de Pós-graduação da UFRGS.

Doutora em Fisiologia, Fisiopatologia e Terapêutica na Sorbonne Université (Paris, França).

Dedicatória

A todos os colaboradores desta obra, por compartilharem seus conhecimentos e suas experiências, tanto para a atualização quanto para a criação de novos capítulos da 2a edição deste livro sobre cuidado nutricional nas diferentes doenças e condições clínicas que afetam o trato gastrintestinal. Obrigada pela dedicação e pela confiança em fazer parte desta obra.

A todos os leitores da 1a edição e aos nossos alunos, que nos incentivam diariamente na busca pela atualização constante em prol do cuidado centrado no paciente, sempre pautado nas evidências científicas. Gratidão por partilharem este propósito.

Apresentação

Há praticamente dez anos, movidas pela vontade de criar material qualificado, uma fonte segura e objetiva de consulta, surgiu a ideia de organizarmos um livro em que abordássemos temas relevantes sobre o manejo nutricional voltado para patologias que envolvem o trato gastrintestinal (TGI) e, assim, lançamos a primeira edição de Dietoterapia nas Doenças Gastrintestinais do Adulto

As doenças que acometem o TGI, seu diagnóstico, tratamento farmacológico e especialmente a terapia nutricional são abordados com riqueza de detalhes e de forma totalmente atualizada nesta segunda edição. Como um bom vinho de guarda, esta nova edição está ainda melhor, mais madura, e conta com novos tópicos e colaboradores.

Em uma compilação de 29 capítulos, conta com duas organizadoras e mais de 60 renomados profissionais com expertise nos temas abordados nos capítulos de que são autores. A obra inclui aspectos relacionados

à digestão, à absorção e ao metabolismo de nutrientes, perpassando o manejo dietoterápico das principais doenças que afetam o TGI, até temas, como modulação de microbiota, permeabilidade e incretinas. Além disso, são abordados temas polêmicos, como o risco à saúde relacionado ao uso indiscriminado de suplementos, ervas e chás.

Estamos muito felizes em poder lançar esta edição totalmente renovada e atualizada. Esperamos que o leitor tenha uma leitura agradável e que este livro possa contribuir para a formação de acadêmicos, residentes, alunos de pós-graduação e profissionais formados nas diferentes áreas de saúde. Que este livro seja um porto seguro para a elucidação de dúvidas ou para quem tem vontade de conhecer um pouco mais sobre o maravilhoso mundo da Nutrição aplicada à Gastro-hepatologia.

As Organizadoras

Prefácio

Nos últimos anos, o entendimento acerca das doenças gastrintestinais e seu impacto na saúde e na qualidade de vida dos indivíduos avançou significativamente. Sabese que a alimentação tem influência direta na função gastrintestinal, e que abordagens dietéticas bem estruturadas podem aliviar sintomas, melhorar a saúde do intestino e promover o bem-estar geral dos pacientes. Assim, a dieta desempenha um papel crucial na prevenção e no manejo dessas condições, tornando a dietoterapia uma ferramenta poderosa na prática clínica. No entanto, a disseminação de desinformação por meio das mídias sociais torna ainda mais importante a divulgação de evidências científicas a respeito.

É com grande satisfação que recebo a honrosa missão de escrever o prefácio desta 2a edição da obra Dietoterapia nas Doenças Gastrintestinais do Adulto, organizada pelas estimadas colegas Flávia Moraes Silva e Valesca Dall’Alba. Nesta edição, houve uma atualização do conteúdo apresentado na 1a edição, além da inclusão de tópicos atuais e polêmicos, como alterações gastrintestinais em pacientes em condição crítica, modulação da microbiota intestinal e liberação de incretinas por meio da dieta, entre outros, todos apresentados com base na evidência atual.

Os capítulos foram organizados de modo a consolidar informações atualizadas e práticas sobre o uso da nutrição como intervenção terapêutica, abrangendo desde a epidemiologia das diversas doenças gastrintestinais que afetam os adultos até estratégias dietéticas específicas baseadas em evidências e diretrizes atualizadas. Também é analisada a relevância da individualização na abordagem nutricional. A apresentação

dos principais tópicos em quadros resumidos facilita a consulta diária por profissionais e estudantes. Além disso, houve a inclusão de casos clínicos comentados, o que proporciona a oportunidade de aplicação dos conhecimentos adquiridos e esclarecimento de dúvidas que possam surgir na prática clínica.

Esta obra destina-se aos profissionais de saúde, incluindo nutricionistas, médicos, enfermeiros e estudantes, que buscam aprimorar suas práticas e conhecimentos na área de dietoterapia nas doenças gastrintestinais. Ademais, este livro representa um recurso valioso para qualquer pessoa interessada em entender melhor como a nutrição pode ter impacto na saúde gastrintestinal.

Com certeza, esta obra inspirará uma reflexão mais profunda sobre a importância da nutrição na saúde gastrintestinal, além de incentivar práticas dietéticas mais integrativas e centradas no paciente. Convido os leitores a embarcar nesta jornada de descoberta e aprendizado sobre a dietoterapia nas doenças gastrintestinais do adulto. Estou certa de que terão uma excelente leitura.

Maria Cristina Gonzalez Médica.

Doutora em Ciências pela Universidade Federal de Pelotas (UFPel), RS. Instrutora adjunta do Pennington Biomedical Research Center da Universidade da Louisiana, EUA. Professora Visitante do Programa de Pós-graduação em Nutrição e Alimentos da UFPel, RS. Coordenadora do Grupo de Estudos em Composição Corporal e Nutrição (Coconut).

Léder Leal Xavier  Laura Randon Chapochnicoff  Lisiê Valéria Paz  Régis Gemerasca Mestriner

Joana Hoch Glasenapp  Jerônimo de Conto Oliveira  Antônio de Barros Lopes 8 Doenças do Estômago

de Conto Oliveira

Valesca Dall’Alba  Lucilene Rezende Anastácio 

Samanta Catherine Ferreira  Patrícia Sauer  Fernando Gomes Romeiro

Vittoria Zambon Azevedo  Matheus Michalczuk 

Claudia Pinto Marques Souza de Oliveira  Valesca Dall’Alba 11 Transplante Hepático

Lívia Garcia Ferreira  Mário Reis Álvares-da-Silva  Valesca Dall’Alba

Intolerância à Lactose

Patrícia Sauer  Thais Ortiz Hammes  Themis Reverbel da Silveira

Doença Celíaca

Gustavo Gonzales Real  Pâmela Silva Vitória Salerno

Síndrome do Intestino Irritável

Marina Carvalho Berbigier  Rodrigo Costa Gonçalves

Doenças Inflamatórias Intestinais

Valesca Dall’Alba  Bianca Alves Mendes  Daniella Miranda da Silva 

Rafael da Veiga Chaves Picon

Pancreatite Aguda e Crônica

Flávia Moraes Silva  Gustavo Gonzales Real

Cirurgias Gastrintestinais

Flávia Moraes Silva  Daieni Fernandes  Jader Gus  Carlos Otavio Corso

18 Fístulas Intestinais

João Wilney Franco Filho

19 Síndrome do Intestino Curto

Estela Iraci Rabito  Jenifer Faria Krüger  Lannay Ferreira da Silva

Jéssica Pinto Polet  Tainara Aloy dos Santos

Diarreia

Amanda Coelho Zilio  Elisa Loch Razzera

22 Constipação, Diverticulite e Hemorroidas

Bruna Espíndola de Araújo  Kelly Pozzer Zucatti

23 Alterações Gastrintestinais no Paciente Crítico

Andressa Oliveira Kampmann  Danielle Silla Jobim Milanez

24 Probióticos, Prebióticos, Simbióticos e Pós-bióticos nas Doenças do Trato Gastrintestinal – Síntese da Evidência Científica

Thais Ortiz Hammes  Rosângela Passos de Jesus  Raquel Susana Matos de Miranda Torrinhas

25 Como Modular a Liberação de Incretinas por meio da Dieta? –Síntese da Evidência

Aline Marcadenti de Oliveira

26 Como Modular a Microbiota Intestinal? – Síntese da Evidência

Luísa Martins Trindade  Maria Emília Andrade Rabelo  Simone de Vasconcelos Generoso

27 Qual a Certeza da Evidência e Como Aplicar na Prática a Restrição de FODMAP?

Marina Carvalho Berbigier

28 Particularidades da Avaliação Nutricional nos Pacientes com Doença Hepática Avançada

Bárbara Chaves Santos  Camila Saueressig  Lucilene Rezende Anastácio  Rosângela Passos de Jesus  Valesca Dall’Alba

29 Ervas, Chás e Suplementos: Fator de Risco para Hepatotoxicidade? .

Índice .

1 Fisiologia do Sistema Digestório

Léder Leal Xavier  Laura Randon Chapochnicoff

Lisiê Valéria Paz  Régis Gemerasca Mestriner

INTRODUÇÃO

Este capítulo visa apresentar aspectos relacionados à fisiologia do sistema digestório. Assim, aborda suas características anatômicas e histológicas que contribuem para o entendimento das funções fundamentais que o sistema digestório desempenha.

CONSIDERAÇÕES ANATÔMICAS E HISTOLÓGICAS

O sistema digestório desempenha funções essenciais no corpo, como o armazenamento e a digestão dos alimentos, além da absorção de aminoácidos, carboidratos, gorduras, íons, vitaminas e água. Anatomicamente, o sistema digestório é composto por uma sequência de estruturas dispostas no sentido oral-caudal, iniciando na cavidade oral, seguindo por esôfago, estômago, intestino delgado e intestino grosso e culminando no ânus (Figura 1.1).1 Ao longo do sistema digestório, encontram-se diversas glândulas exócrinas e reservatórios – como as glândulas salivares, pâncreas e o complexo fígado-vesícula biliar –, que têm a função crucial de produzir e secretar enzimas digestivas, água, bicarbonato e bile. Esses componentes são essenciais para a digestão e a absorção eficientes dos nutrientes.1-4

No que diz respeito ao controle da passagem de conteúdo pelo sistema digestório, destacam-se os esfíncteres:

ƒ Esofágico superior.

ƒ Esofágico inferior.

ƒ Pilórico.

ƒ Ileocecal.

ƒ Anais interno e externo.

Estes esfíncteres atuam como reguladores, garantindo a progressão apropriada do bolo alimentar e prevenindo o refluxo.1-3

A movimentação no trato gastrintestinal (TGI) é categorizada em movimentos propulsivos e de mistura. Embora a maioria ocorra no sentido oral-caudal, existem exceções, como os movimentos pendulares no cólon transverso, o refluxo gastresofágico (RGE) – muitas vezes resultante de uma deficiência no esfíncter esofágico inferior (EEI) –e o vômito, que geralmente é desencadeado por irritantes na mucosa gástrica e ativa os centros eméticos no tronco encefálico através do décimo nervo craniano.1-5

Histofisiologicamente, o sistema digestório apresenta uma estrutura consistente desde o segundo terço do esôfago até o ânus, composta pelas seguintes camadas, de fora para dentro, em direção ao lúmen (Figura 1.2):

ƒ Serosa.

ƒ Musculatura longitudinal.

ƒ Plexo mioentérico (de Auerbach).

ƒ Musculatura circular.

ƒ Submucosa.

ƒ Plexo submucoso (de Meissner).

ƒ Muscular da mucosa.

ƒ Mucosa.

Ao longo do sistema digestório, encontramos diversos tipos celulares que são responsáveis pela produção de hormônios. Estes hormônios desempenham papéis vitais na regulação da atividade do sistema digestório e interagem com o funcionamento de outros sistemas fisiológicos. 1,6,7

Serosa

Plexo mioentérico

Glândula na camada submucosa

Mucosa

Glândula na camada própria

Plexo submucoso

Muscular da mucosa Mesotélio

Túnica submucosa

Túnica mucosa

Túnica muscular

Figura 1.2 Camadas do tubo digestório e componentes . O plexo mioentérico está localizado entre as camadas muscular longitudinal externa e muscular circular interna e não está indicado nesta figura Fonte: elaborada pelos autores

Inervação Parassimpática

VII par craniano (facial)

Tronco encefálico

Medula espinhal (intermédio-lateral)

Ponte Bulbo

IX par craniano (glossofaríngeo)

X par craniano (vago)

Medula espinhal (S2-S4)

Gânglios

Glândula salivar

TGI

Inervação Simpática

Gânglios paravertebrais

Medula suprarrenal (fibrasNoradrenalinanervosas)

Adrenalina (90%) Noradrenalina; dopamina (10%) (vasos sanguíneos)

Figura 1.3 Inervação do sistema nervoso autônomo no sistema digestório

TGI: trato gastrintestinal . Fonte: elaborada pelos autores .

TGI

2 Digestão, Absorção e Metabolismo de Nutrientes

INTRODUÇÃO

Neste capítulo, mostramos o trajeto metabólico dos macronutrientes desde a ingestão até a síntese de trifosfato de adenosina (ATP; do inglês, adenosine triphosphate) uma moeda energética essencial para as células. O metabolismo celular está ligado à nutrição, com os macronutrientes fornecendo elétrons para coenzimas, gerando um gradiente de prótons utilizado na síntese de ATP na mitocôndria. Enquanto isso, os micronutrientes agem como cofatores e coenzimas.

Lactose

Lactose

Oligossacarídeos

Sacarose

Triacilglicerol

DIGESTÃO E ABSORÇÃO DE CARBOIDRATOS, LIPÍDIOS E PROTEÍNAS

O sistema digestório processa os macronutrientes da dieta, como carboidratos, lipídios e proteínas, e absorve os produtos da digestão enzimática, que ocorre na boca, no estômago e no intestino delgado (Figura 2.1). Os carboidratos constituem a principal fonte de energia celular e são fundamentais na dieta, a qual

Éster de colesterol

Lactose

Oligossacarídeos

Sacarose

Triacilglicerol

Éster de colesterol

Proteína

Boca

Proteína

Oligopeptídios

Éster de oligopeptídios colesterol

GalactoseGlicose Glicose Frutose 2-Monoacilglicerol Ácidos graxosColesterol Aminoácidos Dipeptídios Tripeptídios

Estômago

Lúmen do intestino delgado

GalactoseGlicose Frutose

GalactoseGlicose Frutose

Triacilglicerol

Triacilglicerol QuilomícronsAminoácidos Aminoácidos Dipeptídios Tripeptídios

Figura 2.1 Digestão e absorção de carboidratos, lipídios e proteínas

Fonte: elaborada pela autora

Aminoácidos

Sistema porta

Glicose

Gliocogênio

Glico-6-P Ribose-5-P

Piruvato Lactato Aminoácidos Amônia

Piruvato

Acetil-CoA

Nucleotídios

Ácidos graxos Citrato Corpos cetônicos

Citrato

GTP GDP Ciclo de Krebs Oxaloacetato Citrato

Isocitrato

Succinato Succinil CoA -cetoglutarato NADH.H+ FADH2 A Ciclo de Krebs

Acetil-CoA

Lipídios

Figura 2.3 Visão geral do metabolismo

ATP: trifosfato de adenosina; NAD+: oxidorredução nicotinamida-adenina dinucleotídio; FAD: flavina-adenina dinucleotídio; Cit c: citocromo c; ADP: adenosina-difosfato; G6P: glicose-6-fosfato; F6P: frutose-6-fosfato; F1,6BP: frutose-1,6-bisfosfato; DHAP: diidroxiacetona-fosfato; G3P: gliceraldeído-3-fosfato; Acetil-CoA = acetil-coenzima A; GTP: guanosina-trifosfato; GDP: guanosina-difosfato; FADH2: flavina-adenina dinucleotídeo reduzido

Fonte: elaborada pela autora .

formando coenzimas reduzidas energeticamente ricas: NADH.H+, NADPH.H+ e FADH2. As vias oxidativas convergem na síntese de acetil-CoA, que é oxidado na mitocôndria pelas reações do ciclo de Krebs, liberando CO2, e conservando energia em coenzimas reduzidas (reação 1). O sistema de transporte de elétrons mitocondrial reoxida NADH.H+ e FADH2, transferindo os elétrons entre os complexos até o aceptor final de elétrons do nosso metabolismo, o O2, resultando em H2O. A energia da transferência de elétrons é conservada formando um gradiente de prótons entre a matriz mitocondrial e o espaço intermembranas. O NADH. H+ é reoxidado pelo complexo I do sistema de transferência de elétrons mitocondrial, onde os elétrons são transferidos para a ubiquinona, a qual é reduzida ao ubiquinol, que transfere os elétrons para o complexo III, desse para o citocromo c, que transfere os elétrons

de forma individual ao complexo IV, o responsável pela redução do O2 em H2O. Nesse trajeto, a energia de transferência de dois elétrons é responsável pela mobilização de 10 prótons para o espaço intermembranas. Por outro lado, a reoxidação do FADH2 é realizada pelo complexo II, seguida pela transferência dos elétrons para a ubiquinona, o complexo III, o citocromo c e o complexo IV, mobilizando 6 prótons da matriz mitocondrial para o espaço intermembranas. Por fim, a fosforilação oxidativa, por meio da enzima ATP sintase, utiliza esse gradiente para a síntese de ATP, retornando 4 prótons para a síntese de uma molécula de ATP. O ATP é liberado na matriz mitocondrial, mas sua utilização se mostra predominantemente citosólica, necessitando de um sistema de transporte mitocondrial, que leva ao citosol o ATP em troca de substratos para sua síntese, o ADP e o Pi.1,2,12-14

Interações Fármaco 3

Nutriente nas Doenças do Trato Gastrintestinal

INTRODUÇÃO

As interações fármaco × nutriente podem ser definidas como interações físicas, químicas, fisiológicas e/ou fisiopatológicas envolvendo um fármaco e o nutriente. Uma definição mais ampla do termo envolveria também a interação dos fármacos com alimentos e componentes alimentares, além dos nutrientes, e até mesmo a interação dos fármacos com a terapia nutricional enteral (TNE) e/ou parenteral (TNP), para além das interações com a via oral (VO). A maior parte das causas de interações clinicamente relevantes é multifatorial, e falhas na identificação e manejo podem ter um impacto negativo nos resultados esperados do tratamento e no estado nutricional dos pacientes.1

CONCEITOS E DEFINIÇÕES GERAIS RELATIVAS ÀS INTERAÇÕES FÁRMACO × NUTRIENTE

As interações físico-químicas, também chamadas de farmacêuticas, envolvem reações entre fármacos e alimentos ou nutrientes ou compostos bioativos antes de serem absorvidos, tornando tanto fármacos quanto nutrientes indisponíveis para a absorção. Um exemplo clássico deste tipo de interação é a formação de quelatos com cátions di- e trivalentes com os antibióticos tetraciclina e ciprofloxacino. Dessa maneira, a administração destes medicamentos por VO não pode ser próxima (sugere-se espaçamento de, pelo menos, 2h) à ingestão de suplementos à base de magnésio, ferro e cálcio ou refeições ricas em algum destes minerais, como as que contêm leite e derivados.2 A maior parte das interações que ocorrem com fármacos e nutrição enteral (NE) geralmente

também é farmacêutica. É o caso de fenitoína, hidralazina, levotiroxina e varfarina com componentes da NE e que têm como consequência a menor absorção dos fármacos e/ou obstrução de sondas nasoentéricas (SNE). 3

O termo cinética refere-se à descrição de disposição de um fármaco (farmacocinética) ou de um nutriente no corpo humano. Os processos que compreendem a farmacocinética são absorção, distribuição, metabolismo e excreção dos fármacos. Há muitas interações entre alimentos/nutrientes/componentes alimentares que interferem na cinética de fármacos e vice-versa. Alguns fármacos têm sua absorção aumentada ou diminuída na presença de alimentos (é o caso dos fármacos lipofílicos com refeições hiper- ou hipolipídicas, respectivamente) ou podem competir com nutrientes na absorção (é o caso da levodopacarbidopa4 com os aminoácidos). Alguns compostos alimentares podem prejudicar a biotransformação de fármacos de forma aguda, causando inibição enzimática por competição e reduzindo o efeito de primeira passagem e levando ao aumento considerável da dose biodisponível e ao potencial risco de toxicidade (é o que ocorre com a ingestão de grapefruit e vários medicamentos5). A suplementação de alguns nutrientes pode levar também ao aumento da biotransformação de fármacos, reduzindo seu tempo de meia-vida (é o caso da suplementação de vitamina B6 para pacientes em uso de levodopa-carbidopa6). Do mesmo modo, a utilização de determinados fármacos pode reduzir a biodisponibilidade de determinados nutrientes, inteferindo negativamente em sua digestão/absorção, em seu transporte e em sua clearance Por exemplo, inibidores da bomba de prótons (IBP), medicamentos anti-hiperglicêmicos (metformina), anticoncepcionais e anticonvulsivantes prejudicam

Tabela 5.2 Classificação das interações por nível de gravidade – Micromedex ®

Contraindicada Os itens selecionados são contraindicados para uso concomitante

Moderada

S Alto A interação pode ser perigosa e/ou necessitar de intervenção médica para reduzir ou evitar efeitos adversos graves !

A interação pode resultar em exacerbação da condição do paciente e/ou requerer alteração na terapia

M Baixo A interação pode limitar efeitos clínicos As manifestações podem envolver aumento na frequência ou gravidade dos efeitos adversos, mas geralmente não requerem alteração maior na terapia

Fonte: adaptada de Micromedex Drug Interactions, 2023 15

interação refere-se ao medicamento específico ou à sua classe farmacológica.

A ferramenta também possibilita a busca de todas as interações de um item individualmente. Nesta modalidade, é possível selecionar um único fármaco para ser visualizada todas as interações (fármaco × fármaco e fármaco × nutriente) descritas para o medicamento pesquisado.

O nível de evidência da documentação referente à interação pesquisada pode ser classificado conforme descrito a seguir:

ƒ Excelente: estudos controlados estabeleceram claramente a existência da interação.

ƒ Bom: a documentação sugere fortemente que a interação existe, mas faltam estudos bem controlados.

ƒ Fraco: a documentação é pobre, mas considerações farmacológicas ocasionam suspeita de que a interação existe ou a documentação é boa para medicamentos da mesma classe farmacológica.

ƒ Desconhecido: não são descritos estudos.

Essas ferramentas de consultas às interações, por meio de aplicativos para celular, já são amplamente utilizadas na prática clínica. Nos próximos anos, o uso de sistemas de inteligências artificiais, com base em algoritmos que detectam potenciais interações e sinalizam riscos de eventos adversos, será cada vez mais crescente e já são realidade em algumas instituições, auxiliando profissionais na tomada de decisão, como é o caso da NoHarm.ai.

Ressalta-se que, independentemente da base de dados utilizada como referência, cada interação entre fármaco e alimento/nutriente/composto alimentar deve ser avaliada diante do contexto clínico específico do paciente.

INTERAÇÕES FÁRMACO × NUTRIENTES

NAS DOENÇAS DO TRATO GASTRINTESTINAL

Há muitas interações fármaco × nutrientes envolvendo medicamentos empregados em morbidades do trato gastrintestinal (TGI). Certos fármacos destinados a aliviar sintomas ou tratar condições gastrintestinais podem influenciar a absorção, o metabolismo ou a excreção de nutrientes. Agentes, como os IBP, utilizados para reduzir a secreção ácida no estômago, podem reduzir a absorção de vitamina B12, cálcio, magnésio e ferro, o que pode levar a diversas implicações clínicas se empregados de forma crônica, como fraturas ósseas.14 Por outro lado, os medicamentos procinéticos, frequentemente prescritos para melhorar o trânsito intestinal, podem acelerar a passagem de alimentos pelo TGI e, consequentemente, reduzir o tempo disponível para a absorção de nutrientes. Já o uso de óleo mineral pode formar complexos com as vitaminas lipossolúveis, impedindo a absorção eficiente das vitaminas A, D, E e K. Além disso, o uso concomitante de alguns medicamentos e alimentos pode afetar a biodisponibilidade e a eficácia terapêutica do fármaco. Agentes, como os bloqueadores de cálcio, administrados como abordagem terapêutica para a acalasia visando relaxar o esfíncter esofágico inferior, em uso simultâneo com a toranja (grapefruit), pode aumentar a biodisponibilidade da medicação, elevando os riscos de efeitos adversos.

Na Tabela 5.3, estão descritos os medicamentos utilizados nos tratamentos das diversas morbidades que afetam o TGI além das interações já relatadas para estes fármacos. A busca foi realizada no período de setembro a dezembro de 2023 nas bases de dados Drug Interactions – Micromedex e PubMed.

7 Doenças do Esôfago

INTRODUÇÃO

As doenças têm grande importância clínica, pois são causa frequente de agravo à saúde, gerando alterações na qualidade de vida e grande número de consultas médicas e de nutrição. Este capítulo abordará as doenças benignas do esôfago mais frequentes, com enfoque em fisiopatologia, diagnóstico e tratamento.

DOENÇA DO REFLUXO GASTRESOFÁGICO

Definição

A definição mais utilizada de doença do refluxo gastroesofágico (DRGE) vem do consenso de Montreal de 2006 e baseia-se na presença de sintomas e/ou complicações gerados pelo refluxo de conteúdo gástrico para o esôfago.1 Este mesmo consenso organizou os sintomas de DRGE chamando de síndrome do refluxo típico quando há pirose e regurgitação e apresentações atípicas de DRGE quando há dor torácica não cardíaca, asma, erosões dentárias, laringite de refluxo e tosse crônica.

A definição de DRGE baseada exclusivamente em sintomas tem sido questionada, pois existem doenças que podem simular a DRGE e não respondem às medidas anti-DRGE.2 Isso é especialmente importante quando tratamos de sintomas atípicos.3 Na presença de sintomas típicos, sem sintomas/sinais de alarme (emagrecimento não intencional, disfagia, odinofagia, hematêmese, melena ou anemia ferropriva), presumimos que há uma alta probabilidade de DRGE e podem ser realizados teste terapêutico com inibidores das bombas de prótons (IBP) e orientações comportamentais

sem avaliação complementar.4 No entanto, quando há sintomas apenas atípicos, sintomas refratários ao teste terapêutico com IBP ou sinais/sintomas de alarme, devem ser realizados exames complementares para o diagnóstico de DRGE.3,4 Os exames complementares mais utilizados são a endoscopia digestiva alta (EDA) e a pHmetria de 24h com ou sem impedanciometria associada. A EDA tem a capacidade de diagnosticar DRGE em um pouco menos de 50% dos pacientes com esta doença e ainda observar se há sinais da DRGE, como esofagite erosiva (graduada pela classificação de Los Angeles de A a D, com esofagites C e D sendo consideradas acentuadas) ou complicações, como estenose péptica, esôfago de Barrett e adenocarcinoma de esôfago (estas duas últimas complicações são mais frequentes em indivíduos com DRGE de longa data, obesos, de idade mais avançada). Nos casos em que a EDA esteja normal, podemos considerar a complementação diagnóstica com a pHmetria de 24h. Este exame é feito com a introdução de um cateter no esôfago por via nasal que contém sensor(es) posicionado(s) no esôfago distal (um cateter com 2 sensores é utilizado para investigar sintomas respiratórios e contém um sensor no esôfago proximal) e detecta a presença de refluxo ácido no esôfago (pH <4), sendo mais sensível e específico que a EDA, porém de mais longa duração, sem sedação e mais desconfortável. Em casos selecionados, o acréscimo de impedanciometria à pHmetria no mesmo catéter (impedanciopHmetria de 24h) traz a possibilidade de leitura de refluxo fracamente ácido (pH 4 a 7) ou alcalino (pH>7), aumentando um pouco a sensibilidade do método. Este exame é menos disponível em nosso meio e tem leitura mais complexa, ficando reservado

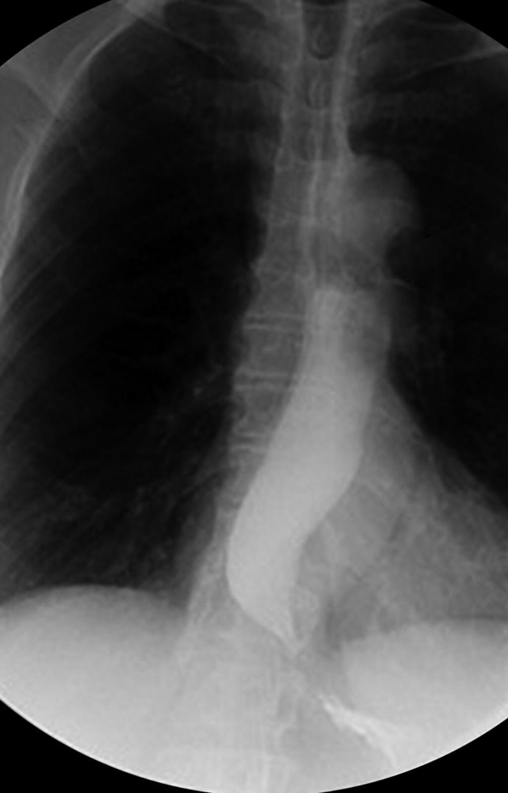
Joana Hoch Glasenapp  Jerônimo de Conto Oliveira Antônio de Barros Lopes

Figura 7.1 (A a C) Radiografia contrastada de esôfago demonstrando . Junção esofagogástrica sem relaxamento e afilada com aspecto de bico de pássaro (seta) (A) Esôfago dilatado com estase do contraste formando nível hidroaéreo (seta) (B) . Esôfago “sigmoidizado” (dilatado e tortuoso) com resíduos alimentares (seta demonstrando áreas escuras compatíveis com resíduos alimentares em meio ao contraste branco) (C)

Fonte: imagens dos autores

TARDIA

10 Doença Hepática

Esteatótica Associada à Disfunção Metabólica

INTRODUÇÃO

A doença hepática esteatótica associada à disfunção metabólica (MASLD; do inglês, metabolic dysfunctionassociated steatotic liver disease) é uma das principais doenças hepáticas da atualidade e atinge uma elevada parcela da população. A MASLD, quando não tratada, mostra-se uma doença que pode progredir com inflamação, cirrose e hepatocarcinoma, estando, hoje, entre os principais motivos de indicação de transplante hepático. Ela tem uma relação íntima com a obesidade e a resistência à insulina e também é conhecida como a manifestação hepática da síndrome metabólica. Neste capítulo, serão abordados tópicos referentes a sua etiologia, a seu diagnóstico e a seu tratamento, com enfoque no tratamento dietético.

NOVA NOMENCLATURA DOENÇA

HEPÁTICA ESTEATÓTICA ASSOCIADA À DISFUNÇÃO METABÓLICA

Em 1980, Ludwig et al.1 relataram a ocorrência de uma doença hepática com padrão similar à hepatite alcoólica em pessoas que não consumiam quantidade significativa de álcool, inclusive com potencial de evolução para cirrose. Os pacientes tinham sobrepeso ou eram obesos, e muitos apresentavam doenças relacionadas, como diabetes melito tipo 2 (DM2). Então, o termo esteato-hepatite não alcoólica foi criado para designar essa condição. Em 2007, Farrell et al.2 propuseram a definição operacional de doença hepática gordurosa não alcoólica (NAFLD; do inglês, nonalcoholic fatty liver disease), que poderia ser diagnosticada com base em achados ultrassonográficos, após a exclusão da ingestão significativa de álcool, medicamentos com potencial esteatogênico e outras causas de doença hepática crônica. Este termo

é usado até hoje, embora novas definições tenham sido propostas.

Em 2020, Eslam et al.3 propuseram o termo doença hepática gordurosa associada à disfunção metabólica (MAFLD; do inglês, metabolic dysfunction-associated fatty liver disease). O diagnóstico poderia ser feito em adultos com esteatose hepática detectada por técnicas de imagem, biomarcadores sanguíneos ou histologia hepática, associados ao excesso de peso ou obesidade, ou presença de DM2, ou pelo menos 2 fatores de risco associados à síndrome metabólica.

Em junho de 2023, foi publicado um consenso sobre a nova nomenclatura para doença hepática gordurosa,4 introduzindo o termo MASLD. A nova nomenclatura e os critérios de diagnóstico são amplamente apoiados e não estigmatizantes, o que pode melhorar a conscientização da população e facilitar a identificação dos pacientes. Além disso, um estudo recente demonstrou que 99,5% dos pacientes apresentando NAFLD atendem aos critérios para a nova nomenclatura MASLD.5

EPIDEMIOLOGIA E CONTEXTUALIZAÇÃO DO PROBLEMA

A MASLD é a doença hepática crônica mais frequente no mundo, com taxas de prevalência de 32,4%,6 as quais são diretamente associadas à epidemia de obesidade. Observa-se esteatose metabólica do fígado em 65% dos indivíduos com sobrepeso e em até 90% nos casos de obesidade. Estima-se que, em indivíduos com peso normal e sem a presença de fatores de risco metabólicos, a prevalência da MASLD seja de aproximadamente 16%, aumentando para 43% a 60% em pacientes com DM2 e 91% em indivíduos obesos submetidos à cirurgia bariátrica.7

A MASLD compreende um espectro de alterações hepáticas, variando de esteatose isolada a

esteato-hepatite metabólica (MASH; do inglês, metabolic dysfunction-associated steatohepatitis), caracterizada histologicamente por inflamação, necrose e balonização hepatocelular, que apresenta risco de progressão para fibrose, cirrose, insuficiência hepática e carcinoma hepatocelular (CHC).7 A detecção precoce da doença metabólica hepática é essencial para um manejo adequado para esta população. Entretanto, seu diagnóstico costuma ser tardio, o que retarda intervenções e aumenta o risco de desenvolvimento de complicações da doença.

Pacientes com MASLD comumente consomem grandes quantidades de alimentos processados com altos níveis de frutose e/ou alto teor de gordura, além de adotar um estilo de vida sedentário. No entanto, além desses fatores ambientais ou exógenos, muitos outros determinam a progressão da doença e o desenvolvimento do processo de carcinogênese associado à MASLD. Por exemplo, 42% dos pacientes com MASLD desenvolvem estágios avançados de esteato-hepatite, porém apenas 2,4% a 12,4% dos indivíduos com cirrose por MASH evoluem para

CHC.8 A presença de DM2 é um fator associado à progressão da doença. Há previsão de que a MASLD se torne a principal causa de CHC em muitos países, com aumento projetado de 137% em sua incidência entre 2015 e 2030.9 Do ponto de vista clínico, é importante entender quais pacientes apresentam maior risco de progressão e evolução com maior morbidade e mortalidade.

DIAGNÓSTICO E MONITORAMENTO

Realiza-se o diagnóstico de MASLD via exame de imagem com esteatose associada ao menos a 1 dos 5 clássicos fatores de risco metabólicos. Em caso de alto consumo de álcool associado, deve-se fazer o diagnóstico da doença hepática esteatótica (SLD; do inglês, steatotic liver disease) associada ao consumo de álcool (MetALD) (Figura 10.1).

A MASLD costuma ser assintomática até ocorrer a descompensação. Por esse motivo, muitas pessoas já apresentam cirrose, por vezes descompensada, no momento do diagnóstico. Portanto, convém atenção aos

Doença hepática esteatótica (esteatose hepática identificada por exame de imagem ou biópsia)

O paciente satisfaz ao menos um dos abaixo? critérios cardiometabólicos

IMC25kg/m2 ou CC>92cm (H) >86cm (M ) ≥

Glicemia de jejum alterada ≥100mg/dL ou HbA1c≥5,7 ou DM 2 ou tratamento antiglicêmico

Pressão arterial ≥130/85mmHg ou tratamento anti-hipertensivo

Triglicerídios séricos≥150mg/dL ou tratamento hiperlipidêmico

HDL sérico-c ≤40mg/dL (H)≤50mg/dL (M) ou tratamento antilipidêmico

Sim

Existem outras causas de esteatose?

Doença hepática esteatótica associada à disfunção metabólica (MASLD) Sim Não

SLD associada ao elevado consumo de álcool (MetALD)

Não

Existem outras causas de esteatose? Sim

Doença hepática esteatótica criptogênica Não

Outras etiologias de doença hepática esteatótica (p. ex., ALD, DILI,...)

Figura 10.1 Critérios diagnósticos para a doença hepática esteatótica associada à disfunção metabólica IMC: índice de massa corporal; CC: circunferência da cintura; H: homem; M: mulher; DM2: diabetes melito tipo 2; HDL-c: colesterol da lipoproteína de alta densidade; HbA1c: hemoglobina glicada; DILI: injúria hepática induzida por drogas/medicamentos (do inglês, drug-induced injury); ALD: doença hepática associada ao álcool (do inglês, alcohol-associated/related liver disease)

19 Síndrome do Intestino Curto

INTRODUÇÃO

A síndrome do intestino curto (SIC) é uma das condições da insuficiência intestinal e um grande desafio para a equipe de saúde, em especial para a nutrição. Isso porque a insuficiência intestinal é definida como “função intestinal abaixo do mínimo necessário para a absorção de macronutrientes e/ou água e eletrólitos, de modo que a suplementação endovenosa (SEV) é necessária para manter a saúde e/ou o crescimento”.1

A insuficiência intestinal pode ser classificada de acordo com suas características funcionais, fisiopatológicas e clínicas:2

ƒ Classificação funcional: tipo I, quando a condição é aguda e de curto prazo; tipo II, quando a condição é aguda e prolongada; e tipo III, quando a condição é crônica.

ƒ Classificação fisiopatológica: intestino curto, fístula intestinal, dismotilidade intestinal, obstrução mecânica e extensa, doenças da mucosa do intestino delgado.

ƒ Classificação clínica: utiliza a quantidade de energia e volume necessários de SEV para classificar.

Quando se remove uma extensa área do intestino delgado, restando menos de 200cm de intestino delgado desde o ângulo de Treitz, ocorre uma condição clínica definida como SIC. Podemos classificar a SIC de acordo com a anatomia do intestino remanescente:

ƒ Tipo 1: jejunostomia/ileostomia final.

ƒ Tipo 2: anastomose jejunocólica (o jejuno remanescente está em continuidade com parte do cólon, sendo o cólon esquerdo o mais utilizado).

ƒ Tipo 3: anastomose jejunoileal com ambas as partes ileocecal, válvula e todo o cólon em sua continuidade.

Ainda sobre a classificação da SIC, convém ponderar se o tipo de ressecção realizada manteve o cólon em sua continuidade (tipos 2 e 3) ou se o cólon não foi mantido (tipo 1). Essa diferença causa impacto sobre a absorção de água e sódio, a secreção de hormônios gastrintestinais e a produção de ácidos graxos de cadeia curta (AGCC) pelo cólon e sua microbiota (Figura 19.1).

A dependência de nutrição parenteral (NP) e SEV também está relacionada à porção de intestino remanescente. O risco de tal dependência é maior em pacientes com:3

ƒ <30cm de intestino delgado e cólon íntegro.

ƒ <60cm de jejuno e cólon parcial.

ƒ <115cm de intestino delgado e sem cólon.

Em adultos, suas principais causas são:4

ƒ Isquemia mesentérica.

ƒ Doença de Crohn.

ƒ Aderências intra-abdominais.

ƒ Complicações pós-operatórias.

ƒ Enterite por radiação.

Já em crianças as principais causas são:5

ƒ Enterocolite necrosante.

ƒ Volvo intestinal.

ƒ Malformação intestinal.

A sintomatologia está relacionada à área intestinal que foi ressecada, que, como consequência, produz a deficiência na absorção de determinados nutrientes (p. ex., ferro, magnésio, zinco) e na produção de hormônios intestinais (p. ex., peptídio semelhante ao glucagon 1 [GLP-1; do inglês, glucagon-like peptide 1], peptídio YY).6 O planejamento do cuidado em nutrição deverá considerar as características fisiológicas e anatômicas da SIC, bem como os momentos clínicos do indivíduo,

Estela Iraci Rabito  Jenifer Faria Krüger Lannay Ferreira da Silva

19.2 Sugestões de diagnósticos em nutrição, intervenção e monitoramento da intervenção segundo padronização do processo de cuidado e m nutrição

Tabela

Indicador de monitoramento

ƒ Prescrição de nutrição enteral (FH-2 1 . 1 3)

ƒ Fórmula/solução de nutrição enteral (FH1 3 . 1 1)

ƒ Perfil de eletrólitos e renal (1 . 2)

ƒ Perfil mineral (1 9)

ƒ Perfil vitamínico (1 13)

ƒ Ingestão total de energia (FH-1 1 . 1 1)

ƒ Ingestão total de proteína (FH-1 . 5 3 1)

ƒ Ingestão de mineral/elemento (1 6 2)

ƒ Sódio (FH-1 6 2 7)

ƒ Líquidos orais (FH-1 . 2 1 1)

ƒ Líquidos derivados de alimento (FH-1 2 1 2)

ƒ Ingestão de micronutriente (1 . 6)

ƒ Ingestão total de energia (FH-1 1 . 1 1)

ƒ Ingestão de macronutrientes (1 5)

ƒ Líquidos orais (FH-1 . 2 1 1)*

ƒ Líquidos derivados de alimento (FH-1 2 1 2)*

ƒ Líquidos orais (FH-1 . 2 1 1)

ƒ Líquidos derivados de alimento (FH-1 2 1 2)

ƒ Ingestão total de fibra (FH-1 5 6 1)

ƒ Ingestão de fibra solúvel (FH-1 5 6 2)

ƒ Ingestão de fibra insolúvel (FH-1 5 6 3)

ƒ Ingestão total de fibra (FH-1 5 6 1)

ƒ Ingestão de fibra solúvel (FH-1 5 6 2)

ƒ Ingestão de fibra insolúvel (FH-1 5 6 3) (

Intervenção

ƒ Mudança na composição da nutrição enteral (ND-2 . 1 1)

ƒ Mudança na concentração da nutrição enteral (ND-2 . 1 2)

ƒ Mudança na taxa de infusão da nutrição enteral (ND-2 1 . 3)

ƒ Mudança no volume da nutrição enteral (ND-2 1 4)

ƒ Terapia com suplemento de multivitaminas/ minerais (ND-3 2 1)

ƒ Dieta com aumento de vitamina B 12 (ND-1 2 . 10 11 1)

ƒ Dieta com aumento de sódio (ND-1 2 . 11 7 1)

ƒ Bebida comercial (ND-3 . 1 1)

ƒ Dieta com aumento de energia (ND-1 2 2 . 1)

ƒ Dieta com aumento de proteína (ND-1 2 . 3 2)

ƒ Dieta com aumento de sódio (ND-1 2 . 11 7 1)

ƒ Proteína de soja (ND-3 . 3 3)

ƒ Dieta com aumento de proteína (ND-1 2 . 3 2)

ƒ Dieta restrita em líquido (ND-1 2 . 8 2)

ƒ Dieta com aumento de cálcio (ND-1 2 11 1 1*)

ƒ Dieta com redução de gordura (ND-1 2 5 . 2*)

ƒ Dieta com aumento de líquido (ND-1 2 8 1*)

ƒ Dieta com aumento de líquido (ND-1 2 8 1 e ND-1 . 2 7)*

ƒ Dieta com aumento de fibra solúvel (ND-1 2 7 3 . 1)

ƒ Psyllium (ND-3 3 4)

ƒ Dieta com redução de fibra (ND-1 . 2 7 2)

Diagnóstico

ƒ Composição de nutrição enteral em desacordo com as necessidades (NI-2 5)

ƒ Valores laboratoriais relacionados à nutrição alterados (especificar)*: p . ex , sódio, B 12 ƒ (NC-2 . 2)

ƒ Gasto energético aumentado (NI-1 1)

ƒ Necessidades de nutriente aumentadas (especificar)*: p . ex , proteínas, sódio

ƒ (NI-5 1)

ƒ Desequilíbrio de nutrientes (NI-5 4)

ƒ Ingestão de líquido subótima

ƒ (NI-3 1)

ƒ Ingestão de fibra subótima

ƒ (NI-5 8 5)

ƒ Ingestão de fibra excessiva

ƒ (NI-5 8 6)

Fase da SIC

Fase pré-operatória, fase instável

Fase pós-operatória

inicial/instável e tardia/ estável

Fase pós-operatória tardia/estável

Particularidades da Avaliação Nutricional nos Pacientes com Doença Hepática Avançada

INTRODUÇÃO

A avaliação nutricional de pacientes com doença hepática avançada é desafiadora quando há retenção hídrica. Grande parte das ferramentas de triagem e de avaliação nutricional necessita de medidas objetivas como peso corporal; no caso de pacientes com ascite e/ou edema, esta variável precisa ser interpretada com muita cautela. Ainda que o peso corporal “encharcado” aferido de pacientes com cirrose descompensada possa ser corrigido por meio de descontos relativos,1 a utilização desta variável, tanto para o diagnóstico do estado nutricional quanto para o acompanhamento, apresenta acurácia limitada.

As Sociedades de Nutrição Clínica reconhecem a ausência de uma ferramenta considerada padrão-ouro para o diagnóstico do estado nutricional de maneira geral.2 Embora haja um movimento para uniformizar o diagnóstico do estado nutricional, a utilização de parâmetros isolados, na maioria das vezes, sempre será insuficiente para o diagnóstico global do estado nutricional. Dessa maneira, a avaliação nutricional de pacientes com cirrose, especialmente descompensada, deve incluir avaliação clínica, dietética e funcional, além da antropometria/composição corporal. Neste capítulo, abordaremos as particularidades que envolvem a avaliação do estado nutricional de pacientes com cirrose.

CONCEITOS IMPORTANTES

Diferentes conceitos são utilizados na literatura sobre as alterações no estado e na composição corporal,3,4 o que também se observa nos estudos com pacientes

com cirrose.5 Desnutrição, sarcopenia, caquexia, obesidade sarcopênica e fragilidade física (Tabela 28.1) são termos amplamente utilizados e apresentam definições distintas. Entretanto, destaca-se que essas definições devem ser compreendidas como condições que ocorrem simultânea ou sequencialmente em alguns pacientes.4,5

TRIAGEM DO RISCO NUTRICIONAL

De acordo com a Sociedade Americana de Nutrição Enteral e Parenteral (Aspen), a identificação de risco nutricional é um processo que visa reconhecer indivíduos suscetíveis à desnutrição, com o objetivo de determinar se uma avaliação nutricional mais detalhada se mostra necessária.6 As ferramentas de triagem devem ser de fácil uso, rápidas, econômicas, padronizadas e validadas, possibilitando sua aplicação por profissionais de saúde não especializados ou mesmo pelos próprios pacientes. Além disso, essas ferramentas devem fazer parte de um protocolo clínico bem definido, resultando em um plano de ação em caso de identificação de risco de desnutrição positivo.7

Considerando as especificidades e as alterações de composição corporal que pacientes com doença hepática avançada apresentam, desenvolveram-se ferramentas específicas para a identificação de risco nutricional nesta população. Em 2012, foi desenvolvida a Royal Free Hospital – Nutritional Prioritizing Tool (RFH-NPT), destinada à avaliação do risco nutricional em pacientes com cirrose. Essa ferramenta é de rápida aplicação, levando menos de 3min para ser concluído, e pode ser usada por profissionais não

Triagem Nutricional - Royal Free Hospital (TriN-RFH)

Royal Free Hospital - Nutritional Prioritizing Tool (RFH-NPT)

3 passos para detectar o risco nutricional em paciente com doença hepática

PASSO 1

PASSO 2

O paciente apresenta hepatite alcoólica aguda ou está em uso de nutrição enteral?

Não (0 ponto)

O paciente apresenta sobrecarga hídrica? ou seja, edema periférico/ascite

Não (0 ponto)

IMC (kg/m) 2 00

Perda de peso não intencional nos últimos 3 a 6 meses:

>5% 5% a 10% >10% Pontos =0 =1 =2

Se o paciente está gravemente doente ereduziu drasticamentea ingestão alimentar ou se prevê não conseguir alimentar-se durante >5 dias

2 pontos

PASSO

3

A sobrecarga hídrica(edema periférico/ascite)interfere na capacidade do pacientedesealimentar?

Não

Ocasionalmente

Sim Pontos =0 =1 =2

O paciente estáingerindo ametade ou menos da metade da dietaoferecida nos últimos5 dias?

Não Sim Pontos =0 =2

O paciente perdeu peso nos últimos 3 a 6 meses?

Não

Difícildeavaliar,poiso paciente está usando diuréticos Sim Pontos =0 =1 =2

Some todos os ponos para obter o risco geral de desnutrição

De acordo com a sua pontuação, verifique as

Pontuação 0

Baixo risco

Cuidados clínicos de rotina

Repita a triagem semanalmente

Diretrizes de Conduta

Pontuação 1

Moderado risco

Cuidados clínicos de rotina

Monitore a ingestão alimentar

Estimule a alimentação e ofereça lanches

Repita a triagem semanalmente

Pontuação 2 a 7

Alto risco

Realize a avaliação nutricional detalhada

Monitore a ingestão alimentar

Institua medidas de suporte nutricional a fim de recuperar o estado nutricional

Monitore cuidadosamente pelo menos 2 vezes por semana

Figura 28.1 Versão em português da ferramenta Royal Free Hospital – Nutritional Prioritizing Tool (RFH-NPT)

Fonte: adaptada de Glasenapp et al , 2023 15

Sim (6 pontos)
Sim (6 pontos)

Índice

AAbreviação de jejum, 194

Acalasia, 80, 82, 84, 190

- conduta dietoterápica, 84

- epidemiologia, 82

- fisiopatologia, 82 - tratamento, 82

Acetil-CoA, 24

Ácido(s)

- biliares, 12

- graxos, 18, 24, 123

- - de cadeia curta, 18, 32

- - poli-insaturados, 123

Agente

- precipitante, 54

- alvo, 54

Agente-alvo, 54

Agonista(s)

- do receptor 5HT4, 160

- gamaopioide, 159

Álcool, 32

Alergia à proteína do leite, 136

Alimentação por via - enteral, 130

- oral, 129

- parenteral, 130

Alimentos funcionais e síndrome do intestino irritável, 159

Aloe vera, 298

Alterações gastrintestinais no paciente crítico, 237

Amilopectina ramificada, 18

Amilose linear, 18

Aminoácidos, 24, 106

- de cadeia ramificada, 106

Anabolizantes, 298

Antibióticos, 32, 160

Antidepressivos, 159

Antiespasmódicos, 159

Antigliadina deaminada (anti-DGP)

IgA e IgG, 147, 148

Anti-inflamatórios, 32

Antitransglutaminase tecidual (TG2) e endomísio, 148

Área sob a curva tempo-concentração (AUC), 54

Ascite, 107

Avaliação

- antropométrica, 287

- bioquímica, 167

- clínica e instrumental da deglutição, 71

- de composição corporal, 167

- do consumo alimentar, 168, 290

- do peso corporal, 287

- funcional, 290

- nutricional

- - da doença hepática descompensada, 285

- - do paciente com doenças inflamatórias intestinais, 167

- - nos pacientes com doença hepática avançada, 283

B

Banda gástrica ajustável, 219

Beta-hidroxibetametilbutirato, 105

Biodisponibilidade, 54

Biomarcadores para avaliação da permeabilidade intestinal, 33

Biópsias endoscópicas, 148

Biossíntese de incretinas, 255

Biotina, 20

Butirato, 32

Bypass gástrico, 219

C

Café, 122

Cálculo da nutrição enteral e parenteral, 46

Câncer

- de pâncreas, 192

- gástrico, 191

Caquexia, 284

Carboidratos, 17, 22, 258

Carga de carboidratos, 128

Carnes vermelhas e processadas, 122

Carnitina, 106

Cavidade oral, 5, 7

Chá verde (Camellia sinensis), 297

Cinética, 53

Cirrose descompensada, 103

Cirurgia(s)

- abdominais, 249

- bariátrica, 217

- - acompanhamento da perda de peso e reganho de peso, 222

- - complicações no pós-operatório relacionadas à nutrição, 221

- - indicações, 218

- - recomendações nutricionais, 218

- - tratamento da obesidade, 217

- de urgência, 189

- eletivas, 189

- gastrintestinais, 189

Citocromo P450 (CYP), 54

Classificação de Child-Pugh, 102

Cobalamina, 20

Colecistocinina (CCK), 13

Colostomia, 196, 197

Concentração

- de butirato fecal, 34

- plasmática máxima, 54

Constipação, 15, 231, 237

Controle da ingestão alimentar, 11

D

Defecação, 16

Deficiência

- congênita de lactase, 135

- de ácidos graxos essenciais, 46

- de imunoglobulina A, 148

- de lactase, 135

- - do desenvolvimento, 136

- - secundária, 135

- - tipo adulto, 135

Deglutição, 7

Derivação biliopancreática com switch duodenal, 219

Desnutrição, 166, 284

- e sarcopenia na doença hepática, 103

Diagnóstico nutricional, 291

Diarreia, 159, 238, 247

- aguda, 228

- associada à intolerância à lactose, 229

- associada aos antibióticos, 247

- decorrente do uso de laxativos, 229

- definição, 225

- diagnóstico, 226

- fisiopatologia, 226

- osmótica, 15

- recomendações nutricionais, 228

- secretora, 15

- terapia nutricional, 227

- tratamento, 227

Dieta(s)

- baixa em FODMAP, 273

- cetogênica, 121

- e modulação da microbiota intestinal, 264

- e refeições com baixo teor de carboidratos, 259

- hipocalóricas, 260

- mediterrânea, 32, 119

- no pós-operatório, 221

- ocidental, 32, 116

Dietary approach to stop hypertension, 120

Digestão e absorção

- de carboidratos, lipídios e proteínas, 17

- de vitaminas, 19

Disbiose, 27, 34

Disfagia, 71, 80

Dispepsia, 91, 276

- funcional, 276

Dissolução, 54

Distúrbios

- da deglutição, 71

- - condutas fonoaudiológicas nos, 72

- - manejo dietético, 74

- - monitoramento da ingestão alimentar, 74

- de motilidade esofágica, 190

Diverticulite, 233

Doença(s)

- celíaca, 145, 278

- - acompanhamento nutricional, 149

- - diagnóstico, 147

- - - sorológico, 147

- - fisiopatologia da, 145

- - manifestações clínicas, 146

- - terapia nutricional, 148

- - tratamento, 148

- do esôfago, 77

- do estômago, 91

- do refluxo gastresofágico, 77, 277

- - e sobrepeso, 79

- do trato gastrintestinal, 53, 245, 246

- hepática(s)

- - avançada, 283

- - compensada e descompensada, 101

- - - classificações, 102

- - - definições, 101

- - - epidemiologia, 101

- - crônicas, 249

- - descompensada, 285

- - esteatótica associada à disfunção metabólica (MASLD), 113

- - - avaliação nutricional, 116

- - - contextualização do problema, 113

- - - diagnóstico, 114

- - - epidemiologia, 113

- - - intervenções no estilo de vida e manejo dietético para, 119

- - - monitoramento, 114

- - - nova nomenclatura, 113

- - - padrões alimentares para o manejo, 119

- - - tratamento farmacológico, 115

- inflamatórias intestinais, 248, 277

- - avaliação nutricional, 167

- - definição, 165

- - diagnóstico, 165

- - e comprometimento do estado nutricional, 166

- - epidemiologia, 163

- - fatores de risco

- - - modificáveis, 163

- - - não modificáveis, 164

- - fisiopatologia, 164

- - prevalência e incidência, 163

- - terapia nutricional, 168-171

- - - na fase ativa, 169

- - - na fase de remissão, 171

- - - quando há indicação de cirurgia, 170

- - tratamento farmacológico, 165

Dor, 159

E

Edulcorantes, 259

Emulsificantes, 32

Encefalopatia hepática, 105

Endometriose, 278

Erradicação do Helicobacter pylori, 248

Ervas, 297

Escala

- de Bristol, 154, 232

- visual de ingestão alimentar, 292

Escore de disfunção gastrintestinal, 240

Esofagectomia, 191

Esofagite eosinofílica, 85

Esôfago, 5, 8

Estômago, 5, 8

Exame molecular de hipolactasia primária, 139

Excreção urinária, 33

Exercícios físicos, 159

F Faringe, 5

Farmacodinâmica, 54

Fármacos inibidores do receptor 5ht, 159

Fibras, 32, 158

Fibromialgia, 278

Fígado, 5, 11

Fisiologia do sistema digestório, 1, 16

- e prática clínica, 16

Fístulas intestinais, 201

- classificação, 201

- definição, 201

- etiologia, 201

- investigação, 201

- micronutrientes, 204

- necessidades

- - calóricas, 203

- - proteicas, 203

- prognóstico, 201

- terapia nutricional, 202

- vias de alimentação, 202

Fitoquímicos, 260

Folato, 20

Fórmulas enterais, 40, 41 - artesanais, 40 - industrializadas, 40 - moduladas, 40

Fragilidade física, 284

Frutose, 121

G

Gastrectomia vertical (sleeve), 219

Gastrite, 93

Gastroparesia, 96

Glândulas

- anexas, 5 - de Brunner, 13

- salivares, 5

Glicogênio, 18

Glicólise, 22

Gliconeogênese, 23

Glutamina, 32

H

Helicobacter pylori, 248

Hemorroidas, 234

Hepatotoxicidade, 295

Herbalife, 298

Hidratação, 214

Hipercalemia, 132

Hipercapnia, 46

Hiperglicemia, 46

Hipertrigliceridemia, 46

Hipoglicemia, 46

Hipolactasia primária do tipo adulto, 136

Hipomagnesemia, 132

Hormônios do intestino delgado, 13

Hortelã-pimenta, 159

Hydroxycut, 299

I

Ileostomia, 196, 197

Impactação alimentar, 80

Impedância bioelétrica, 289

Incretinas, 255, 256, 258

- biossíntese de, 255

- mecanismos de secreção/ liberação, 256

- modulação de, 258

- propriedades das, 256

Indicadores de qualidade em terapia nutricional, 47

Índice de massa corporal, 218

Inervação do sistema digestório, 2

Ingestão de moléculas via oral, 33

Inibição competitiva, 54

Insulina, 23

Interações fármaco 3 nutrientes, 53, 55, 56

Intervenção nutricional precoce, 129

Intestino

- delgado, 5, 12, 13

- grosso, 5, 14

Intolerância(s)

- à lactose, 135, 248

- - avaliação nutricional, 139

- - classificação, 135

- - conduta dietoterápica, 140

- - diagnóstico, 138

- - epidemiologia, 136

- - fisiopatologia, 136

- - primária, 135

- à nutrição enteral, 239

- alimentares atípicas, 278

J

Jejum

- intermitente, 121

- perioperatório, 128

L

Lactase, 136, 137

- não persistente, 136

Laxantes osmóticos, 160

Leptina, 14

Liberação de incretinas, 255

Lipase lingual, 7

Lipídios, 23, 259

Lipopolissacarídeo, 33

Lipoproteína(s)

- de baixa densidade, 24

- de muito baixa densidade, 24

Líquidos

- hipertônicos, 215

- hipotônicos, 215

- isotônicos, 215

M

Má digestão de lactose, 136

Manejo nutricional no pós-transplante

- agudo, 129

- tardio, 130

Mastigação, 6

Medicina alternativa, 159

Medidas antropométricas, 288

Meia-vida, 54

Metabolismo

- celular, 17

- de aminoácidos, 24

- de carboidratos, 22

- de lipídios, 23

- dos nutrientes, 20

Métodos

- de avaliação da permeabilidade intestinal, 33

- de imagem para avaliação da composição corporal, 288

Microbiota intestinal, 27, 263

- e uso de probióticos, 142

Micronutrientes, 260

Modulação intestinal, 264

- no contexto da dieta baixa em FODMAP, 279

Moléculas efetoras, 4

Monitoramento da terapia nutricional enteral e parenteral, 47

Mucinas, 7

Mudanças

- cinéticas, 54

- dinâmicas, 54

N

Niacina, 20

Nutrição, 39, 207

- e cirurgia

- - das doenças do esôfago, 189

- - do estômago, 191

- - do pâncreas, 192

- enteral

- - complicações da, 42

- - vias de acesso e administração da, 39

- parenteral

- - complicações da, 45

- - soluções para, 45

- - total, 43

- - vias de acesso e administração da, 44

Nutrientes

- dietéticos, 269

- especiais, 204

O

Obesidade, 104, 131, 217

- sarcopênica, 117, 118, 284

Obstipação, 160

Ômega-3, 123, 269

P

Pâncreas, 5

- exócrino, 11

Pancreatite

- aguda, 178, 180, 250

- - abordagem nutricional, 177

- - definição e epidemiologia, 175

- - diagnóstico e classificação, 176

- - fisiopatologia, 175

- - terapia nutricional na, 178, 180

- calcificante crônica, 182

- crônica, 250

- - abordagem nutricional, 183

- - definição e epidemiologia, 181

- - diagnóstico e classificação, 182

- - fisiopatologia, 181

- - terapia nutricional, 184

- inflamatória crônica, 182

- obstrutiva crônica, 182

Peptídio inibitório gástrico (GIP), 13

Peptídio semelhante ao glucagon 1 (GLP-1), 13

Perda de peso, 119

Permeabilidade

- celular, 27

- intestinal, 30, 31

- - fatores que alteram a, 31

Persistência da lactase, 136

Pioglitazona, 115

Piruvato, 22

Polifenóis, 270

Pós-bióticos, 245

Potencial(is)

- inflamatório da dieta, 123

- substâncias hepatotóxicas, 297

Prebióticos, 123, 245

Probióticos, 106, 123, 142, 158, 245

Procedimentos cirúrgicos para tratamento da obesidade, 219

Produção e secreção de ácido clorídrico, 9

Proteína(s), 18, 260

- de ligação ao lipopolissacarídeo, 33

Protocolo de restrição de fodmap, 273

Psicoterapia, 159

R

Restrição

- calórica, 121

- de FODMAP, 273

- de glúten, 158

- de gorduras, 158

- de grupos alimentares específicos, 158

Riboflavina, 20

S

Salivação, 6

Sarcopenia, 130, 166, 284

Secreção

- de fator intrínseco, 10

- de muco e bicarbonato, 10

Secretagogos intestinais, 160

Secretina, 13

Sensibilidade

- à lactose/“intolerância funcional”, 136

- ao glúten não celíaca, 150, 278

Sequestrantes de sais biliares, 159

Simbióticos, 123, 245

Síndrome

- da realimentação, 46

- do intestino curto, 205

- - avaliação

- - - e monitoramento em, 207

- - - em nutrição para, 208

- - diagnóstico em nutrição, 207

- - intervenção em nutrição, 207

- - pós-operatório

- - - inicial, 212

- - - tardio, 212

- - pré-operatório, 208

- do intestino irritável, 34, 249, 274

- - abordagem prática, 155

- - diagnóstico, 153

- - - diferencial, 153

- - tratamento medicamentoso, 159

- hepatorrenal, 108

- metabólica, 131

Sistema

- digestório considerações anatômicas e histológicas, 1

- nervoso entérico, 2

Sucção, 5

Suplementação enzimática, 141

Suplementos, 38, 269, 297

- alimentares, 269

- nutricionais orais completos, 38

T

Técnicas para análise da microbiota, 29

Tempo para alcançar a concentração plasmática máxima, 54

Terapia nutricional

- enteral, 38

- - domiciliar, 43

- na pancreatite aguda

- - grave, 180

- - leve ou moderada, 178

- nas colostomias, 197

- nas ileostomias, 197

- oral, 37

- para o paciente com pancreatite crônica, 184

- parenteral, 43

- perioperatória, 193

Teste

- da lactulose e manitol, 33

- de atividade de lactase intestinal, 139

- de hidrogênio expirado, 139

- de tolerância à lactose, 139

- “multiaçúcar”, 33

Tiamina, 20

Transplante(s)

- de microbiota fecal, 107

- hepático, 127, 128

- - indicações para, 127

- - manejo nutricional

- - - no perioperatório, 128

- - - no pós-transplante, 128

Traqueostomia, 73

Trato gastrintestinal, 1

Triacilgliceróis, 18

Triagem

- da obesidade sarcopênica, 116

- do risco nutricional, 283

Trifosfato de adenosina (ATP), 17

Tumores

- benignos do esôfago, 189

- malignos de esôfago, 190

U

Úlcera péptica, 94

V

Vesícula biliar, 5, 11

Via

- enteral, 97

- oral, 97

- parenteral, 97

Vitamina(s), 19, 269

- A, 19, 31

- B6, 20

- C, 20

- D, 19, 31

- D3, 19

- E, 19, 115

- hidrossolúveis, 20

- K, 55

- lipossolúveis, 19

X

Xerostomia, 7

Z

Zinco, 107

Dietoterapia nas Doenças Gastrintestinais do Adulto – 2a edição , destina-se aos profissionais de saúde, incluindo nutricionistas, médicos, enfermeiros e estudantes, que buscam aprimorar suas práticas e seus conhecimentos na área de Dietoterapia nas Doenças Gastrintestinais.

Nesta nova edição, houve uma atualização do conteúdo e a inclusão de tópicos novos e polêmicos, como alterações gastrintestinais em pacientes em condição crítica, modulação da microbiota intestinal e liberação de incretinas por meio da dieta, entre outros, todos apresentados com base na evidência atual. Os capítulos foram organizados de modo a consolidar informações atualizadas e práticas sobre o uso da Nutrição como intervenção terapêutica, abrangendo desde a epidemiologia das diversas doenças gastrintestinais que afetam os adultos até estratégias dietéticas específicas baseadas em evidências e diretrizes atualizadas.

Também é analisada a relevância da individualização na abordagem nutricional. A apresentação dos principais tópicos em quadros resumidos facilita a consulta diária por profissionais e estudantes.

Com certeza, esta obra inspirará uma reflexão mais profunda sobre a importância da Nutrição na saúde gastrintestinal, além de incentivar práticas dietéticas mais integrativas e centradas no paciente.

Áreas de interesse Nutrição Gastrenterologia

Turn static files into dynamic content formats.

Create a flipbook
Issuu converts static files into: digital portfolios, online yearbooks, online catalogs, digital photo albums and more. Sign up and create your flipbook.