



Graduada em enfermagem pela universidade Federal de Minas Gerais (uFMG). especialização em enfermagem em estomaterapia pela universidade de são paulo (usp).
Mestre em enfermagem pela escola de enfermagem da uFMG.
doutora em enfermagem Fundamental pela escola de enfermagem de ribeirão preto, da usp. professora titular da escola de enfermagem da uFMG. docente permanente da pós-graduação Stricto Sensu da escola de enfermagem da uFMG.
Coordenadora do Curso de especialização em enfermagem em estomaterapia da escola de enfermagem da uFMG.
subcoordenadora do núcleo de estudos e pesquisas em Cuidado e desenvolvimento Humano (nepCdH) da escola de enfermagem uFMG.
Coordenadora do laboratório de tecnologia C-Core/uFMG.
Coordenadora do projeto de extensão “observatório em estomaterapia: Feridas e estomas”, uma parceria da escola de enfermagem da uFMG com o Hospital das Clínicas da uFMG (HC-uFMG).
Membro da Associação Brasileira de estomaterapia (sobest) e do World Council of enterostomal therapists (WCet).
Graduada em enfermagem e obstetrícia pela universidade Federal de Minas Gerais (uFMG). especialização em Assistência de enfermagem em lesão Cutânea pela pontifícia universidade Católica de Minas Gerais (puC-Minas) e enfermagem em estomaterapia pela uFMG.
Membro do projeto de extensão “observatório de estomaterapia: Feridas e estomas”, uma parceria da escola de enfermagem da uFMG com o Hospital das Clínicas da uFMG (HC-uFMG).
Membro da Associação Brasileira de estomaterapia (sobest).
Feridas: Como Tratar, 3a edição
Copyright © 2024 Editora Rubio Ltda.
ISBN 978-65-88340-73-8
Todos os direitos reservados. É expressamente proibida a reprodução desta obra, no todo ou em parte, sem autorização por escrito da Editora.
Produção
Equipe Rubio
Capa
Bruno Sales
Imagem de Capa ©iStock.com/PeopleImages
Editoração Eletrônica
Estúdio Castellani
SINDICATO NACIONAL DOS EDITORES DE LIVROS, RJ
F393
Feridas : como tratar / organizadoras Eline Lima Borges, Vera Lúcia de Araújo Nogueira Lima. – [3. ed.]. – Rio de Janeiro : Rubio, 2024. 400 p. : il. ; 24 cm.
Inclui bibliografia e índice
ISBN 978-65-88340-73-8
1. Ferimentos e lesões – Tratamento. 2. Cicatrização de ferimentos. I. Borges, Eline Lima. II. Lima, Vera Lúcia de Araújo Nogueira.
CDD: 617.106 24-91614
CDU: 616-001-083
Meri Gleice Rodrigues de Souza – Bibliotecária – CRB-7/6439
Editora Rubio Ltda.
Av. Franklin Roosevelt, 194 s/l. 204 – Centro 20021-120 – Rio de Janeiro – RJ
Telefone: 55(21) 2262-3779
E-mail: rubio@rubio.com.br www.rubio.com.br
Impresso no Brasil
Printed in Brazil
Antônio Carlos Martins Guedes
Graduado em Medicina pela Universidade Federal de Minas Gerais (UFMG).
Mestre em Medicina (Dermatologia) pela UFMG.
Doutor em Medicina (Dermatologia) pela Universidade Federal de São Paulo (Unifesp).
Professor Titular do Departamento de Clínica Médica da Faculdade de Medicina da UFMG.
Josimare Aparecida Otoni Spira
Graduada em Enfermagem pela Universidade Federal de Minas Gerais (UFMG).
Mestre em Enfermagem pelo Programa de Pós-graduação da Escola de Enfermagem da UFMG.
Especialista em Enfermagem em Estomaterapia pela UFMG.
Membro da Equipe do Projeto de Extensão “Observatório de Estomaterapia: Feridas e Estomas”, uma Parceria da Escola de Enfermagem da UFMG com o Hospital das Clínicas da UFMG (HC-UFMG).
Bolsista da Coordenação de Aperfeiçoamento de Pessoal de Nível Superior (Capes) no período de 2018 a 2020.
Bolsista pela Fundação de Amparo à Pesquisa do Estado de Minas Gerais (FAPEMIG) do
Programa de Pesquisa para o SUS (PPSUS) no período de 2021 a 2023.
Membro do Núcleo de Estudo e Pesquisa em Cuidado e Desenvolvimento Humano (NEPCDH) da Escola de Enfermagem da UFMG.
Membro da Associação Brasileira de Estomaterapia (Sobest).
Perla Oliveira Soares de Souza Graduada em Enfermagem pela Universidade Federal de Minas Gerais (UFMG).
Mestre em Enfermagem pelo Programa de Pósgraduação da Escola de Enfermagem da UFMG.
Membro da Equipe do Projeto de Extensão “Observatório de Estomaterapia: Feridas e Estomias”, uma Parceria da Escola de Enfermagem da UFMG com o Hospital das Clínicas da UFMG (HC-UFMG).
Bolsista da Coordenação de Aperfeiçoamento de Pessoal de Nível Superior (Capes) no período de 2020 a 2022.
Membro do Núcleo de Estudos e Pesquisas em Cuidado e Desenvolvimento Humano (NEPCDH) da Escola de Enfermagem da UFMG.
Analista de Laboratório de Controle de Qualidade na C-CORE Indústria e Comércio de Artefatos Plásticos Ltda.
Membro do Laboratório de Tecnologia C-CORE/ UFMG.
Gratidão especialmente a Deus, que nos inspirou e dotou a nós, autores, com a energia necessária para dar vida a esta obra. Apesar dos desafios encontrados, conseguimos concluir este trabalho com sucesso.
À diretoria e ao Departamento de Enfermagem Básica da Escola de Enfermagem da Universidade Federal de Minas Gerais (UFMG), por nos incitar a semear o conhecimento e experiências sobre o tema abordado neste livro.
À secretaria do curso de Especialização em Enfermagem em Estomaterapia da Universidade Federal de Minas Gerais (UFMG), por nos apoiar ao longo do processo de elaboração desta obra.
À administração do Hospital das Clínicas da UFMG (HC-UFMG), pelo espaço fornecido para o desenvolvimento das atividades de extensão do projeto “Observatório em Estomaterapia:
Feridas e Estomas”. Essa oportunidade possibilitou um significativo aprimoramento em assistência às pessoas que têm feridas crônicas, refletindo o compromisso do profissional de enfermagem em prestar um cuidado de qualidade.
Aos pacientes do HC-UFMG, sobretudo aqueles do setor de Estomaterapia do anexo de Dermatologia, por autorizarem o uso das imagens. Graças a essa autorização, pudemos ilustrar, de maneira clara, os cuidados essenciais a serem prestados às pessoas que têm feridas e, assim, contribuir para um entendimento mais abrangente.
A todos que, de maneira direta ou indireta, nos auxiliaram para que a terceira edição fosse concluída.
As Organizadoras
É com grande entusiasmo que apresentamos a terceira edição de Feridas: Como Tratar, um livro que mergulha fundo na fascinante jornada de recuperação da pele e na arte da cicatrização de feridas. Com o respaldo de evidências científicas, esta obra se estabelece como um guia indispensável e abrangente para profissionais de saúde, estudantes e entusiastas que buscam compreender e dominar os intrincados processos que regem a regeneração e a cicatrização da pele.
Cada um dos 13 capítulos deste livro foi cuidadosamente elaborado e representa um convite para o profissional se aprofundar em anatomia da pele, evolução da cicatrização de feridas e barreiras que podem desafiar esse processo natural. Com abordagem embasada cientificamente, o leitor será conduzido por uma jornada de conhecimento, descobrindo como as nuances se curam, explorando as nuances da infecção e do biofilme no contexto da cicatrização e aprendendo a conduzir um exame clínico direcionado às pessoas que têm feridas.
Não se trata apenas de teoria. A terceira edição de Feridas: Como Tratar é enriquecida com figuras e fotos que trazem vida aos conceitos discutidos. Ao longo do livro, o leitor encontrará ferramentas valiosas para avaliar e acompanhar a evolução das feridas, dicas
para registro fotográfico preciso e orientações detalhadas sobre limpeza, desbridamento e tratamento tópico de feridas crônicas.
Esta obra vai além do básico, explorando terapias adjuvantes inovadoras e oferecendo insights sobre o manejo de situações complexas, como feridas cirúrgicas, lesões por pressão, úlceras da perna e do pé, entre outros. O leitor encontrará informações práticas e atualizadas que certamente vão contribuir para melhorar a qualidade da assistência prestada aos pacientes em diferentes estágios de recuperação.
À medida que a ciência avança e surgem novas técnicas, é essencial manter-se atualizado. A terceira edição de Feridas: Como Tratar é uma fonte confiável e essencial para profissionais de saúde e todos os envolvidos no cuidado de pacientes com feridas.
Convidamos você, leitor, a explorar as páginas deste livro e embarcar em uma jornada emocionante por meio dos processos intricados e apaixonantes da cicatrização. Que este guia, que aborda cada tema de maneira aprofundada, inspire práticas de cuidados ainda mais eficazes e contribua para que o profissional promova melhora da saúde e do bemestar de seus pacientes.
As Organizadoras
Em sua terceira edição, sinto-me honrada com o convite para prefaciar a obra Feridas: Como Tratar, tão relevante na área do cuidar de pessoas com feridas.
Na interface com a Enfermagem Dermatológica, este livro é organizado por duas Estomaterapeutas, a Profa Dra Eline Lima Borges e a Enfermeira Vera Lúcia de Araújo Nogueira Lima, ambas da Universidade Federal de Minas Gerais, respectivamente, da Escola de Enfermagem e do Hospital das Clínicas, em Belo Horizonte. Contando com outros três colaboradores, um médico mestre e doutor – Prof. Dr. Antonio Carlos Martins Guedes, e enfermeiras estomaterapeutas mestres –Josimare Aparecida Otoni Spira e Perla Oliveira Soares de Souza, o livro inclui tanto temas fundamentais estruturantes da saúde baseada em evidências quanto aspectos práticos essenciais também baseados nas melhores evidências disponíveis, tornando-se um material de bolso obrigatório para estudantes e profissionais da área.
Com um levantamento bibliográfico primoroso e atualizado, os capítulos são escritos de maneira fluida, inteligível e motivadora para todos os públicos.
Ilustrado com dezenas de imagens dos arquivos pessoais dos autores, evidentemente com sua divulgação aprovada pelos pacientes e familiares, além de desenhos, gráficos, quadros e algoritmos extraídos e adaptados de
rica literatura nacional e internacional, se torna bastante atraente.
O livro leva a marca de suas autoras. Profa Eline Borges tem uma trajetória como educadora e pesquisadora que transcende as fronteiras nacionais, com produção científica e acadêmica proeminente e impactante na comunidade científica e sociedade em geral. Quanto à enfermeira Vera Nogueira Lima, parceira antiga de todos nós e, principalmente, dos colegas mineiros, agrega toda a sua expertise e liderança clínicas sempre apoiadas na ciência e na tecnologia mais avançadas.
Grata aos autores e às organizadoras pela possibilidade de colaborar na apresentação e na divulgação deste livro que já está entre nós desde o início dos anos 2000 e conta, neste momento, com sua terceira revisão e atualização.
Convido estudantes e profissionais em saúde a devorarem os conteúdos desta obra, aplicando-os em sua prática clínica e, seguramente, aperfeiçoando-a, sempre em direção ao objetivo maior do cuidado, ou seja, melhoria da qualidade da atenção!
Desejo aos autores o sucesso merecido e continuado do livro Feridas: Como Tratar. Muito obrigada por esta terceira edição.
Vera Lucia Conceição de Gouveia Santos Professora Titular da Escola de Enfermagem da Universidade de São Paulo (EE-USP).
1 Anatomia da Pele
Antônio Carlos Martins Guedes
2 Evolução da Cicatrização da Ferida
Eline Lima Borges
3 Barreiras para a Cura da Ferida
Eline Lima Borges Josimare Aparecida Otoni Spira
4 Impacto da Infecção e do Biofilme na Cicatrização da Ferida
Eline Lima Borges Perla Oliveira Soares de Souza
5 Exame Clínico Direcionado à Pessoa com
Perla Oliveira Soares de Souza Vera Lúcia de Araújo Nogueira Lima
Eline Lima Borges Josimare Aparecida Otoni Spira Vera Lúcia de Araújo Nogueira Lima
Registro Fotográfico de Feridas
Perla Oliveira Soares de Souza Josimare Aparecida Otoni Spira Eline Lima Borges
8 Limpeza e Desbridamento da Ferida Crônica
Eline Lima Borges Vera Lúcia de Araújo Nogueira Lima
9
Eline Lima Borges Josimare Aparecida Otoni Spira
10 Terapias Adjuvantes no Tratamento de Feridas
Josimare Aparecida Otoni Spira Perla Oliveira Soares de Souza
Assistência à Pessoa com Ferida Cirúrgica Complexa
Eline Lima Borges Josimare Aparecida Otoni Spira
12 Lesão por Pressão: Prevenção e Manejo .
Eline Lima Borges Josimare Aparecida Otoni Spira
13 Manejo da Pessoa com Úlceras da Perna
Perla Oliveira Soares de Souza Vera Lúcia de Araújo Nogueira Lima
Índice
Intr O duçã O
A pele e seus anexos têm considerável importância para os animais e, em especial, para os seres humanos. Como invólucro de revestimento, a pele constitui a primeira barreira protetora do indivíduo, isolando as estruturas internas do meio externo. A pele é constituída pela epiderme, a derme e o tecido celular subcutâneo, ou hipoderme, que tem como função primordial ser barreira física que impede a entrada de elementos prejudiciais ao organismo e a perda de elementos vitais, principalmente de água (Figura 1.1).
A presença dos anexos cutâneos permite que a pele acumule outras funções. Assim, as glândulas sudoríparas contribuem para o controle da temperatura corporal, as glândulas sebáceas secretam o sebo que impermeabiliza e lubrifica a superfície cutânea, e os pelos protegem a pele contra agressões físicas, como as mecânicas e a radiação solar, e também impedem a perda de calor e umidade pelo microclima criado.
Outra função da pele consiste em atuar como componente do sistema imunitário, tendo os ceratinócitos como produtores de citocinas e as células de Langerhans como apresentadoras de antígenos, participando da imunidade via sistema SALT (skin associated lymphoid tissue).1,2 Apesar de suas complexidade e diferenciação, a pele responde de maneira limitada aos diversos agentes agressores. Além
das afecções próprias, a pele é sede de manifestações de doenças que, muitas vezes, fornecem, via acometimento cutâneo, pista para o diagnóstico de lesão primária extracutânea.
A pele, que é considerada o cartão de visitas do organismo, cumpre ainda um papel social: se saudável, atua como atrativo para outros indivíduos; se afetada por algumas doenças, motiva repulsa e segregação. Entretanto, a pele, quando falha, mostra sua estrutura e sua função, ou seja, é a doença que revela a função e nos apresenta a estrutura.
A função primordial da pele consiste em manter um ambiente interno adequado ao organismo, para proteger o seu ácido desoxirribonucleico (DNA), permitindo a sua reprodução.3
A epiderme é a estrutura superficial que funciona como barreira, prevenindo a perda de
Epiderme
Derme papilar
Derme reticular
Figura 1.1 (A e B) Pele: esquema das camadas cutâneas (A) e da pele normal (hematoxilina e eosina [HE]) (B)
A epiderme, camada externa da pele, consiste em fina matriz de células que, nos seres humanos, contêm três populações celulares residentes: ceratinócitos, melanócitos e células de Langerhans.4 Os ceratinócitos, que constituem a população celular predominante, originam-se de um pool de células-tronco mais profundo, e, libertando-se desse pool, sofrem um processo de maturação em direção ao estrato córneo. A epiderme humana tem espessura média de 0,05mm e densidade celular de 50.000 células nucleadas por milímetro.2,5 Em condições fisiológicas basais, os ceratinócitos levam duas semanas para deixarem o compartimento nucleado e mais duas semanas no movimento em direção ao estrato córneo. Esse trânsito em direção à superfície cutânea pode ser alterado por elevação das taxas de proliferação e maturação dos ceratinócitos decorrente de lesões ou inflamações cutâneas.6 Os melanócitos produzem o pigmento melânico que, em vista de sua capacidade de absorção de luz, exerce o papel predominante de proteger a pele contra radiação ultravioleta (UV). Os melanossomos, repletos de melanina produzida pelos melanócitos, são transferidos, via excreção e fagocitose, aos ceratinócitos circunvizinhos, assumindo posição preferencial sobre o núcleo das células. As células de Langerhans residentes na epiderme têm a capacidade de metabolizar material antigênico complexo transformando-o em peptídios que podem ser imunogênicos. Essas células ativadas migram da epiderme em direção aos linfonodos regionais, desempenhando o papel fundamental de apresentação de antígenos na fase de indução da imunidade com ativação dos linfócitos T.7,8 Na camada basal da epiderme podem ser encontradas as chamadas células de Merkel, que contêm peptídios neuroendócrinos no interior de seus grânulos intracitoplasmáticos. Essas células são envolvidas na mecanorrecepção por serem altamente inervadas, e atualmente aceita-se que sejam derivadas de uma linhagem epidérmica nos mamíferos.
A epiderme mostra suas camadas definitivas, no feto, na metade da gestação, quando adquire o aspecto estratificado pavimentoso
e ceratinizado, como se observa no período pós-natal, com seus estratos, ou camadas, característicos:
Basal.
Espinhoso.
Granuloso.
Córneo.
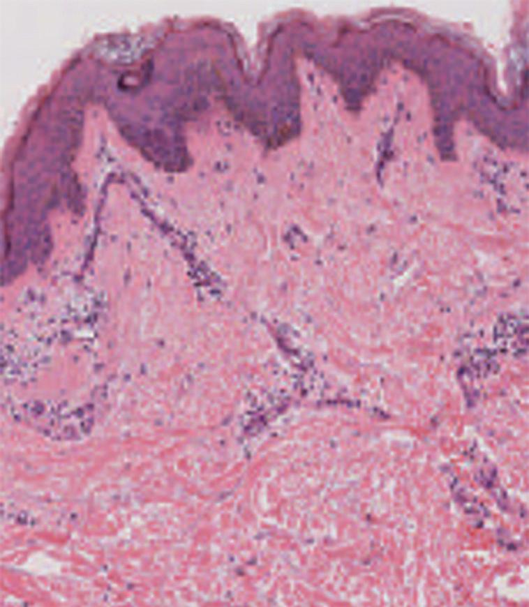
A transformação do ectoderma superficial em epiderme de várias camadas resulta das contínuas interações de indução com a derme. No primeiro e no segundo trimestres, o desenvolvimento da epiderme ocorre em estágios que resultam em aumento de sua espessura. A interface da epiderme com a derme mostra-se ondulada, entrelaçando papilas dérmicas com invaginações da epiderme, que são as cristas epidérmicas (Figura 1.6).
Essa interface mostra um contorno irregular em decorrência de brotamentos de estruturas derivadas da epiderme:
Folículos pilosos.
Glândulas sudoríparas e sebáceas.
O estrato basal ou germinativo produz, continuamente, novos ceratinócitos. Consiste em camada única de ceratinócitos que se assentam sobre a lâmina basal que conecta a epiderme
Figura 1.6 Pele apresentando cones epiteliais e papilas dérmicas (hematoxilina e eosina [HE])
Intr O duçã O
eline liMA BorGes JosiMAre ApAreCidA otoni spirAA imensa carga imposta por feridas crônicas a pacientes e serviços de saúde é reconhecida,1 e representa um pesado e crescente fardo econômico e de saúde para a sociedade.2 As feridas crônicas criam grandes problemas para os pacientes, uma vez que são dolorosas, geralmente drenam exsudato, liberam odores e demandam tratamento tópico com a utilização de coberturas que costumam ser visíveis e causam impacto na autoimagem das pessoas. Quando o cuidado desconsidera o uso de cobertura sobre ela, deixando-a exposta, há o risco de que ela sofra trauma recorrente e aumente de tamanho. No decorrer da evolução, especialmente em pessoas com comprometimento do sistema imunológico, pode desenvolver-se infecção, ocasionando sepse e perda do membro.3
Pode-se definir ferida como qualquer ruptura na integridade estrutural e funcional da pele. Feridas crônicas são aquelas cuja progressão não segue uma sequência normal, ordenada e oportuna de reparo (hemostasia, inflamação, proliferação e remodelação). Ocorre uma falha na progressão ordenada de eventos para completar o fechamento.3 Diante dessa evolução arrastada, essas feridas têm sido consideradas de difícil cicatrização, mas este é um conceito geral, que desafia os pesquisadores na proposição de um conceito preciso.4
A expressão “ferida complexa” surgiu na literatura para agrupar as feridas conhecidas
como difíceis, sejam crônicas ou agudas, que desafiam equipes médicas e de enfermagem. Ainda não há uma definição clara sobre o que seja ferida complexa ou critérios específicos para separá-la daquelas consideradas simples. Os profissionais que recomendam a utilização da denominação “ferida complexa” argumentam que a expressão “feridas crônicas” apenas denota que foi necessário mais tempo para a cura, mas não é um conceito suficientemente bom para caracterizar a complexidade do problema.5 Contudo, “ferida crônica” ainda é a expressão predominantemente utilizada na literatura nacional e internacional.
Determinar o tempo de cicatrização da ferida aguda, que varia de semanas a meses, para que seja considerada crônica tem sido assunto de debate.4 Considerar apenas o tempo não é uma abordagem totalmente precisa. Um dos principais argumentos consiste em que as feridas crônicas são bastante heterogêneas em termos de:
Etiologia.
Patogênese.
Tamanho.
Localização nas diversas regiões do corpo.
Morbidade.
Risco de perda do membro afetado.
Fatores do hospedeiro e diversas outras variáveis.
Infelizmente, ainda não está disponível uma definição melhor e cientificamente aceitável,
na feridas em si. Por isso, é fundamental identificar as barreiras que extrapolam a ferida e que impedem a sua cura. Existem várias razões pelas quais uma ferida não progride para o fechamento, e os profissionais devem investigar a causa subjacente da cronicidade. Essa informação orienta o tratamento dos pacientes e das feridas.1 Pode-se simplificar a abordagem em busca das barreiras que interferem na cura da ferida considerando-se, primeiro, a perspectiva sistêmica, passando-se depois às prováveis causas regionais e, por último, às causas locais.3 Outros aspectos a serem considerados são aqueles relacionados à rede
Figura 3.1 (continuação) (A e G) Úlcera venosa circular com tecido necrótico de tipo esfacelo imbricado no tecido de granulação vermelho, localizada na parte inferior da perna (região da polaina) (e). Úlcera arterial na região do dorso do pé e tornozelo após desbridamento cirúrgico em paciente com diabetes melito (F). Úlcera arterial na região posterior do tornozelo com exposição de tendão necrosado (G)
ofertada pelos serviços de saúde e o apoio dos cuidadores, além da adesão dos pacientes (Figura 3.3).
B IOMA r CA d O re S PA r A
S e P revere M F er I d AS de d IF í CI l C ur A
Feridas crônicas às vezes são descritas de maneira simplista como feridas complexas, mas essa expressão é enganosa, porque mesmo feridas traumáticas e agudas são bastante complexas. Todavia, uma ferida crônica geralmente
Intr O duçã O
Feridas estão entre as principais causas de morbidade nos pacientes, resultando em altos custos que aumentam a sobrecarga nos sistemas de saúde em todo o mundo. As feridas crônicas, em particular, são consideradas epidemia silenciosa, pois representam uma indústria multibilionária de internações hospitalares, uso de antibióticos e tratamento local. Para combater esse problema, é essencial acompanhar a evolução da ferida de maneira sistematizada, por meio da utilização de ferramentas específicas. O resultado dessa avaliação deve trazer clareza sobre o processo de cicatrização da ferida e permitir a identificação de possíveis barreiras à cura, além de ajudar o profissional a adotar intervenções apropriadas. O cuidado deve priorizar a qualidade clínica e garantir a segurança do paciente.1
Feridas afetam milhões de pessoas nos EUA, com destaque para um percentual significativo de pessoas de 65 anos ou mais. Foi relatada taxa de 0,3% a 0,4% para o diagnóstico de feridas na população europeia em geral.2
Diante da ocorrência considerável de feridas na população, é imprescindível minimizar as complicações nos cenários de atendimento dessas pessoas.
Em geral, os enfermeiros são os responsáveis pelo cuidado dos pacientes que têm feridas crônicas. Considerando-se a complexidade das necessidades de saúde dos pacientes e da
ferida, pode ser tarefa desafiadora, complicada e desconcertante para esses profissionais, especialmente aqueles da Atenção Primária que estão envolvidos e inseridos em inúmeros programas do Ministério da Saúde. Para tornar o acompanhamento sistematizado e adequado, faz-se necessário o uso de ferramentas específicas para avaliação de feridas. Tais ferramentas podem ajudar os enfermeiros a avaliar e documentar a ferida, identificar barreiras locais à cicatrização e planejar as intervenções apropriadas. Além disso, podem auxiliar na monitoração do progresso da cicatrização e na avaliação da eficácia do tratamento. Dessa forma, as ferramentas de avaliação de feridas são importantes para que os enfermeiros forneçam cuidados seguros e eficazes às pessoas que têm feridas crônicas.
Avaliação da ferida pode ser definida como o conjunto de informações obtidas por meio de observação, questionamento, exame físico e investigações clínicas, a fim de formular um plano de tratamento. Também pode fornecer uma linha de base para monitoração da ferida, da eficácia das estratégias terapêuticas ao longo do tempo e do impacto no bem-estar do paciente. Portanto, a escolha da ferramenta é fundamental para a avaliação e a tomada de decisão.
Pre PA r A çã O d O le I t O d A F er I d A
Em uma ferida crônica, os processos celulares são interrompidos e podem ocorrer funções
Traumas consecutivos
Isquemia local do tecido
Tecido necrótico
Alta colonização bacteriana
Quebra do tecido
Inflamação prolongada
Estimulação de macrófagos e neutrófilos para a ferida
Liberação das citoquinas pró-inflamatórias
TNF-alfa e IL-1 beta
Produção MMP e TIMP
Degrada MEC
Migração celular prejudicada
Deposição de tecido conectivo prejudicada
Degrada fatores de crescimento
Figura 6.3 Ciclo da ferida crônica
TNF-alfa: fator de necrose tumoral alfa – refere-se a um grupo de citocinas capaz de provocar a morte de células (apoptose); IL-1 beta: interleucina-1 beta – mediador endógeno leucocitário; MMP: metaloproteinases de matriz – são uma família de endopeptidases que promovem a degradação da matriz extracelular; TIMP: inibidores teciduais de metaloproteinases; MEC: matriz extracelular.
clínica e pode ser utilizada em diferentes contextos de cuidado.11
A ferramenta TIME demonstra as observações clínicas de intervenções para cada fisiopatologia envolvida e os resultados esperados para cada um dos quatro componentes (Tabela 6.3),4 ofertando ao profissional uma abordagem sistemática para pessoas com feridas crônicas, o que pode garantir que tratamentos lógicos sejam implementados e avaliados.12
Ampliação da ferramenta de avaliação tIMe para tIMerS
A Ferramenta TIME é limitada, por concentrarse apenas na avaliação da ferida, sem levar em conta o paciente como um todo. Em 2018, um painel de especialistas em tratamento de feridas reviu o conceito de TIME e os avanços na prática de tratamento de feridas, tecnologia e atendimento ao paciente. Como resultado, a Ferramenta TIME foi atualizada para TIMERS, que considera uma avaliação holística do paciente e investigações diagnósticas
para identificação de todos os fatores de risco associados à ferida e ao paciente.11
TIMERS é uma ferramenta de avaliação de feridas que leva em conta não apenas os aspectos tradicionais do TIME, mas também inclui o reparo ou regeneração (R) do tecido e fatores sociais frequentemente negligenciados (S). Essa abordagem holística possibilita uma avaliação mais completa do paciente e melhor compreensão dos fatores subjacentes que podem afetar a cicatrização da ferida.11 Foram levantadas sugestões para prevenção e manejo de biofilme, juntamente com sua correlação com feridas crônicas que não cicatrizam, bem como a importância do tratamento do biofilme para alcance de um estado ideal de cicatrização da ferida.13
A etapa de reparo e regeneração (R) requer a abordagem de feridas difíceis de cicatrizar. O objetivo é estimular o fechamento da ferida, fornecendo uma matriz para favorecer a infiltração das células, estimulando a atividade celular usando moléculas sinalizadoras ou
Intr O duçã O
O tratamento de feridas é uma questão clínica significativa e um fardo econômico crescente em todo o mundo.1 O último relatório Global Wound Care Market, de 2016, mostrou um valor de18,22 bilhões de dólares para o tratamento de feridas. Prevê-se que esse valor atinja US$ 26,24 bilhões até o final de 2023.2 O tratamento ideal de feridas requer que os profissionais entendam a etiologia, o mecanismo e a biologia da cicatrização, bem como a cronicidade e as barreiras que afetam a cicatrização de feridas.3 É importante considerar o diagnóstico preciso da etiologia e o tratamento sistêmico adequado, para se eleger corretamente o tratamento tópico.
O processo de tratamento das feridas, em especial as crônicas, envolve o cuidado tópico, com ações que visam reduzir a carga bacteriana e preparo do leito com eliminação do tecido necrótico e redução do processo inflamatório, para propiciar um ambiente adequado para o reparo do tecido. Louis Pasteur e Joseph Lister realizaram um trabalho pioneiro ao identificarem as razões da infecção e as maneiras de preveni-la. Pasteur, inclusive, constatou que as bactérias são introduzidas na ferida por uma fonte externa.4 A eliminação de bactérias patogênicas por meio de técnicas assépticas é uma etapa vital no processo de cicatrização de feridas. Para alcançar esse objetivo, o processo de redução das bactérias se inicia com
o processo de limpeza e culmina na escolha do tratamento tópico.
As feridas agudas resultam de acidentes inesperados ou de procedimentos cirúrgicos, e cicatrizam em um tempo previsível, geralmente entre 8 e 12 semanas. O período de cicatrização depende da extensão da ferida e do comprometimento e perda de tecido de diferentes camadas da pele.5 Por outro lado, as feridas crônicas, decorrentes de fatores que culminam no surgimento, principalmente, de lesão por pressão, úlceras da perna e pé de etiologia venosa, arterial, neuroisquêmica e neuropática, não cicatrizam em um tempo predefinido e demandam intervenções específicas para favorecer o reparo do tecido e a cura dessas feridas.
O conhecimento sobre os curativos e suas propriedades (Figura 9.1), bem como a habilidade de seleção são dois componentes importantes na tomada de decisão clínica para o tratamento integral de feridas.6 A experiência clínica é necessária para garantir o tratamento de feridas com base em evidências, 7 mas frequentemente o cuidado baseado em evidências é subutilizado.1
Nas abordagens convencionais são utilizadas gaze e bandagens de algodão (curativos passivos) para cobrir a ferida. No mercado mundial, existe uma ampla gama de materiais à base de polímeros (p. ex., géis, espumas e películas) que podem garantir um tratamento mais rápido e facilitar o processo fisiológico de
tabela 9.2 Produtos farmacêuticos que contêm alginato disponíveis comercialmente para uso na cicatrização de feridas (continuação)
nome Composição/alvo
Guardix-SG ALG Na-poloxâmero – CaCl2; pós-operatório (implante de silicone, blefaroplastia)
Curativo Hyalogran Éster de ácido hialurônico – ALG Na Úlceras da perna e lesão por pressão, feridas por diabéticos e isquêmicas (com esfacelo ou necrose)
Kaltostat 80% ALG Ca e 20% ALG Na; feridas agudas e crônicas com exsudato moderado a intenso
Luofucon curativo de alginato antibacteriano
Luofucon curativo de alginato de prata extra
Medihoney (gel, hidrogel ou pasta)
ALG Ca – Ag; pequenos cortes, escoriações e queimaduras
ALG Ca – Ag; feridas moderadamente a altamente exsudativas, úlceras, feridas infligidas por trauma ou pós-operatórias, feridas infectadas, enxertos
ALG Ca – mel de Manuka (Leptospermum scoparium); úlceras: hemorrágicas, altamente exsudativas, pé diabético, úlceras de perna (arteriais ou venosas), lesão por pressão. Queimaduras de espessura parcial. Feridas cirúrgicas e traumáticas
Purilon Gel Na CMC ALG Ca; usado com outro curativo para queimaduras de primeiro e segundo graus ou feridas esfaceladas e necróticas
Saf-gel Carbômero propilenoglicol sódico – ALG Ca; abrasões, cortes, feridas esfaceladas e necróticas, queimaduras de segundo grau, úlcera no pé relacionado ao diabetes não infectadas e úlceras venosas e lesão por pressão
Camada de espuma fina SeaSorb ALG Na / ALG Ca – rede de polietileno; feridas altamente exsudativas: feridas cavitárias, queimaduras de segundo grau, por diabetes, úlceras de perna, lesão por pressão, espinha bífida
Silvercel
Curativo Tromboguard de duas camadas
36% ALG Ca – 6% CMC – 28% Ag (111mg Ag/100 cm2) – 30% EasyLift Precision Film (Acelity/ Systagenix)
Esponja de poliuretano – quitosana + ALG Na + ALG Ca + Ag+; feridas traumáticas e pós-cirúrgicas
tipo de estudo/efeitos
Estudos pós-operatórios in vivo em coelhos: gel termossensível, formação de barreira mecânica, supressão da contratura capsular, redução de inflamação e fibrose
Absorção de exsudato, transformação em gel, remoção de tecido necrótico
Cicatrização de feridas
Trocado diariamente, tem efeito antibacteriano e promove a cicatrização de feridas
Efeito antibacteriano por 7 dias e promove a cicatrização de feridas
Efeito antibacteriano
Hidratante da superfície da ferida
Cicatrizante de feridas e hidratante de superfície
Ensaios clínicos em humanos: transformação de fibra em gel, tolerância, taxa de cicatrização com exsudato reduzido, maceração e intensidade da dor
Testes em porcos e humanos, cicatrização de feridas
Efeito antibacteriano e forte hemostático
A: prata; ALG: alginato; CMC: carboximetilcelulose; Ca: cálcio; Na: sódio; CaCl2: cloreto de cálcio, H2O2: peróxido de hidrogênio; SCN: eletro-oxidação do íon tiocianato.
perlA oliveirA soAres de souzA verA lúCiA de ArAúJo noGueirA liMA
Intr O duçã O
As úlceras são responsáveis pela grande maioria das feridas cutâneas. São definidas como uma ulceração abaixo do joelho em qualquer parte da perna ou pé. Essas feridas não apresentam tendência a cicatrizar sem tratamento adequado.1 Algumas doenças podem favorecer o desenvolvimento dessas úlceras como:2
Diabetes melito.
Hipertensão arterial sistêmica (HAS).
Doença arterial obstrutiva periférica (DAOP).
Doenças autoimune.
Dislipidemia.
Anemia falciforme
Hanseníase
Insuficiência venosa crônica
Este capítulo abordará as principais úlceras que ocorre nas regiões da perna e pé.
ú l C er A ven OSA
No grupo das úlceras da perna, a úlcera venosa é a mais frequente;3 afeta muitos indivíduos em todo o mundo e pode representar um fardo socioeconômico significativo para o sistema de saúde.4 Dados da Austrália estimam em mais de 3 bilhões de dólares australianos (AUD$) os custos anuais de saúde para o tratamento de úlcera venosa; no Reino Unido, em 941 milhões de libras (£),5 variando de £ 400 a 600 milhões em custos de saúde. Nos
EUA, cerca de 500.000 a 600.000 pessoas têm úlcera venosa, resultando em custo de quase US$ 1 bilhão para os cuidados de saúde.6 Outro inconveniente da úlcera venosa é o fato de causar impacto psicológico e físico no indivíduo afetado, resultando em mobilidade reduzida, baixa qualidade de vida e carga financeira notável para o paciente.5
A prevalência geral dessa condição é de 0,12% a 1,69%, e de incidências de 0,3% a 1,33%,5 chegando a 3% no grupo de pessoas com mais de 65 anos de idade.7 No Reino Unido, 1 em cada 500 residentes tem úlcera venosa.6 A variabilidade nas taxas de ocorrência observada pode ser decorrente, em parte, da falta de um registro clínico para úlcera –falta que também se observa no Brasil – e das diferentes metodologias usadas nas pesquisas para coletar dados de prevalência e incidência.
A expectativa é de que, no futuro, o número de pessoas com úlcera venosa aumente em todo o mundo em consequência do envelhecimento da população e do número cada vez maior de pessoas obesas.5 Por isso, o governo dos EUA espera que até o ano de 2060 a população idosa será superior a 77 milhões, sugerindo que as feridas crônicas continuarão a ser um problema cada vez mais persistente nessa população.6
Fisiologia do sistema venoso da perna O sistema venoso das pernas se forma a partir do pé, diferente do sistema arterial que se
Figura 13.13 (A a d) Sistema de bandagens de multicamadas e multicomponentes. Aplicação da primeira camada; o calcanhar fica exposto (A e B). Aplicação da segunda camada. A união das duas camadas forma o componente inelástico (C e d)
Figura 13.14 (A e B) Sistema de bandagens de multicamadas. Primeira bandagem (camada) (A). Segunda camada. Ambas as camadas apresentam marcadores que direcionam a aplicação (B)
Figura 13.15 (A e B) Meia de compressão. Calçadeira que facilita calçar a meia (A). Meia calçada na perna (B)
A
Abordagem do paciente, 89 - ativa, 89 - mista, 89 - passiva, 89
Água, 40
Alginatos, 213-215, 217
Alginogel, 82
Almofada de monofilamento, 197
Alteração(ões)
- na pele, 5, 91 - - do idoso, 5
- relacionadas à idade na cicatrização de feridas, 43
Ampliação da ferramenta de avaliação timer para timers, 115
Amputação, 369
Anamnese, 89 - principais dados da, 90
Anatomia da pele, 1
Anexos cutâneos, 4
Angiogênese, 17
Angioneogênese, 236
Anormalidades no processo de cicatrização, 26
Antibióticos, 74, 75 - de amplo espectro, 75 - de curto espectro, 75
Anti-inflamatórios não esteroides, 47
Antimicrobianos, 73, 74
Antissépticos, 74, 81-83, 170, 171 - indicações dos, 171 - tópicos, 81
- utilizados na limpeza de feridas crônicas, 171
Apligraf, 227, 228
Área da superfície da ferida, 112
Aspectos éticos e legais da fotografia, 146
Aspereza da pele, 91
Assistência à pessoa com ferida cirúrgica complexa, 249
Atrito, 268
Atrofia branca, 325
Avaliação
- clínica de infecção da ferida, 67
- da área da ferida, 101
- da borda, 102
- da dor, 103
- da ferida, 96, 136, 206
- - cirúrgica, 258
- - para escolha da cobertura, 206
- da pele
- - e de tecidos moles, 294
- - em torno da ferida, 103
- da perna ou da marcha, 136
- da profundidade, 102
- da sensibilidade nos pés, 91
- de edema, 94
- do deslocamento, 102
- do paciente que apresenta ferida cirúrgica complexa, 257
- dos pulsos, 96
- sensorial como preditora de úlceras neuropáticas na hanseníase, 358
BBalanço de branco, 154
Bandagens
- de baixa elasticidade e curto estiramento (short stretch), 331
- de longo estiramento (long stretch), 331
Barreira(s)
- da rede de atenção à saúde e adesão do paciente, 56 - locais, 52
- para a cura da ferida, 31 - regionais, 51 - sistêmicas, 37
Biofilme, 75-78, 80, 85, 168
- e cicatrização da ferida, 75 - manejo, 80, 85, 168
Biomarcadores para se preverem feridas de difícil cura, 34
Bioterapia larval, 190
Borda da ferida, 121
C
Carboidratos, 39
Carga bacteriana e infecção da ferida, 54, 63
Cartilagem, 195
Células do tecido de granulação, 236
Ceratinócitos, 4, 22
Cicatrização, 271
- da ferida, 9, 61
- - impacto da infecção e do biofilme na, 61 - interrompida, 252 - prejudicada, 33
Cicatrizes hipertróficas, 26
Ciclo da ferida crônica, 115
Cisalhamento, 267
Citocinas, 35
Classificação
- do odor da ferida, 100 - do volume de exsudato, 99
Claudicação intermitente progressiva, 337
Cloreto de dialquil carbamoil, 82
Clorexidina, 172, 173
Coagulação, 13
Cobertura(s), 206
- à base de ervas, 212
- bioativas, 224
- de alginato, 213, 215, 217
- de espuma semipermeável, 222, 223
- de hidrocoloide, 220
- de hidrofibra, 218, 219
- de hidrogel, 219
- de origem
- - animal, 212
- - sintética, 213
- de película semipermeável, 221
- escolha para o tratamento da ferida, 210
- hidroativa (semelhante à espuma), 223
- ideal, 211
- não medicamentosas, 213
- oclusivas, 210
- tipos de, 212
Cobre, 82
Colonização, 61
Complicações
- da ferida cirúrgica, 250
- decorrentes do diabetes, 362
Compressão pneumática, 334
Comprometimento
- arterial, 51
- da ferida na obesidade, 44
- venoso, 51
Confirmação do diagnóstico de infecção da ferida, 68
Consistência das cores, 155
Consumo de bebida alcoólica, 48
Contaminação, 61
Continuum de infecção de feridas, 65
Contração da ferida, 20, 21
Controle
- do edema, 259
- do microclima, 301
Cor da ferida, 207
Coroa flebectásica, 325
Corticosteroides glicocorticoides, 47
Cuidados para prevenção de complicações na ferida cirúrgica, 255
Curativo(s), 205
- tradicional, 209
Deiscência da ferida cirúrgica, 252, 254
Deposição de matriz extracelular, 19
Dermagraft, 227
Dermatite
- de estase, 325 - ocre, 325
Derme, 4, 6, 42
- da pele envelhecida, 42
- no idoso, 6
Desbridamento, 184, 186, 187
- autolítico, 187, 188
- biológico, 187, 188, 190
- cirúrgico, 187, 189, 196
- enzimático, 187, 188, 191
- instrumental cortante (agudo), 188, 194
- mecânico, 187, 189, 197
- - conservador, 189
- por hidrocirurgia, 189, 198
- por ultrassom, 199
- - de baixa frequência, 189
Descamação da pele, 91
Desnutrição, 37
Diabetes melito, 45, 361
Dicloridrato de octenidina, 83
Dieta, 261
Dispositivos
- externos para controle da incontinência urinária, 297
- médicos para controle da incontinência fecal, 299
Disseminação da infecção, 62
Documentação fotográfica de feridas, 145
Doença(s)
- arterial obstrutiva periférica, 336, 337
- do tecido conjuntivo, 46
- venosa crônica, 323
Eczema venoso, 325
Edema pós-operatório, 259
Educação
- e treinamento, 293
- pré-operatória, 256
Elasticidade da pele, 91
Elevação do membro, 261
Enquadramento, 156
Envelopamento, 300
Epiderme, 3, 6
- - no idoso, 6
Epitelização, 145
Eritema, 66
Escala(s)
- de avaliação de risco de desenvolvimento de lesões decorrentes do posicionamento cirúrgico, 289
- de Braden, 288
- - Q, 288
- de Cubbin-Jackson, 288
- de Norton, 286
- de risco, 286
- de valoración actual del riesgo de desarrollar úlceras por presión en cuidados intensivos, 289
- de Waterlow, 287
- faces de classificação da dor, 105
- para cicatrização de úlcera por pressão, 123
- RESVECH, 127
- visual analógica (EVA), 104, 105
Espumas, 213
Estrato
- basal ou germinativo, 3
- córneo, 4
- espinhoso, 4
- granuloso, 4
- lúcido, 4
Estresse, 49
Estrutura e função da pele, 2
Etapas para o cuidado de feridas, 168
Evolução
- do registro fotográfico, 143
- histórica do tratamento de feridas, 207
Exame
- clínico, 89
- físico, 91
Exercícios leves, 261
Exsudato, 99, 100, 132, 207
- escapamento de, 132
- fibrinoso, 99, 100
- hemopurulento, 100
- hemorrágico, 100
- molhado, 132
- purulento, 99, 100
- sanguinolento, 99, 100
- saturado, 132
- seco, 132
- seropurulento, 100
- seroso, 99, 100
- serossanguinolento, 100
- úmido, 132 F
Falha na cicatrização, 33
Fáscia, 194
Fase(s)
- da cicatrização, 10
- de maturação, 11, 23, 24
- de maturação/remodelagem, 11
- inflamatória, 11-14, 16
- inflamatória/hemostasia, 11
- proliferativa, 11, 17
Fator(es)
- associados ao risco de infecção da ferida, 63
- de crescimento, 36, 225
- - de fibroblastos, 225
- - derivado de plaquetas, 225
- - do endotélio vascular, 225
- - epidérmico, 225
Fechamento da ferida, 10
- por primeira intenção, 249
- primário, 249, 250
- secundário, 250
- terciário, 250
Fenótipo anti-inflamatório macrófago, 18
Ferida(s)
- cirúrgica complexa, 249
- complexa, 31
- crônica, 31, 32
- de espessura
- - parcial, 10
- - total, 10
- difíceis de curar, 32
- etapas para o cuidado de, 168
- fechada, 125, 132
- fechada/cicatrização, 132
Ferramenta(s)
- Bates-Jensen de avaliação de feridas, 126, 128, 129, 136
- BWAT, 133
- de avaliação
- - de infecção de feridas, 68
- - e acompanhamento da evolução da ferida, 109
- - TIME, 114
- escala para cicatrização de úlcera por pressão, 123
- PUSH, 123-25, 133
- Resultados Esperados da Avaliação da Cicatrização de Feridas Crônicas (RESVECH), 127, 131, 139
- RESVECH 2.0, 133
- TIME, 118, 133, 140
- TIME CDST/Ferramenta de Apoio à Decisão Clínica TIME (CDST), 133
- TIMERS, 118, 140
- Triângulo de Avaliação de Ferida, 120-122, 133 Ferro, 40
Fibras colágenas, 25, 26
Fibrina, 17
Fibroblastos, 20
Fibroplasia, 19, 21
Fisiologia do sistema venoso da perna, 319
Fluxo sanguíneo, 294
Força
- de atrito, 268
- de cisalhamento, 267
Fundo, 156
G Gangrena, 369
Gaze(s)
- de algodão, 208
- úmidas a secas, 197
Géis concentrados surfactantes, 82 Gestão de qualidade, 294 Gluconato de clorexidina, 172, 173
Graftjacket, 228
Granulação, 145
H
Hanseníase, 356 Hematoma, 251
Hemossiderose, 325 Hemostasia, 10, 13
Hidratação da pele, 91, 261
Hidrocoloide, 220 Hidrofibra, 218 Hidrogel, 219
Hiperglicemia, 45 Hiperpigmentação, 325
Hipoclorito de sódio, 180 Hipoderme, 5 - no idoso, 7
IIdade, 41
Identificação do paciente, 157
Iluminação, 152
Imersão, 300 Imobilização da ferida, 236 Incontinência
- fecal, 299
- urinária, 297 Índice de pressão tornozelo-braquial, 106, 107, 337
Infecção, 132, 271
- da ferida, 238
- em ferida(s), 63, 70
- - agudas em indivíduos saudáveis, 70
- em incisão cirúrgica fechada, 251
- local, 62, 65, 66
- - oculta (sutil) da ferida, 65
- sistêmica, 62
Infiltração celular, 42
Inflamação, 10, 12, 14, 132, 271
Integra, 228
Interface da derme com a epiderme, 5 Iodóforos, 82, 83
Iodopovidona, 174
Irrigação de feridas, 166, 167
Isquemia, 269, 271
L
Laser, 233
Leito da ferida, 121
Lesão por pressão, 263, 309
- apresentação de um caso fictício
contemplando aspectos jurídicos e éticos da ocorrência de, 285
- aspectos jurídicos da, 283
- classificação da, 271
- conceito de, 263
- custo do tratamento de uma, 278
- dados epidemiológicos da, 280
- em estágio
- - 1, 272
- - 2, 272
- - 3, 272
- - 4, 273
- em membranas mucosas, 273
- evitáveis e inevitáveis, 276
- medidas de prevenção de, 289
- mnemônicas para apoiar a prevenção de, 309
- mortalidade e morbidade relacionadas à, 283
- não classificável, 273
- patogênese da, 265
- relacionada ao dispositivo médico, 273
Leucócitos, 15, 16
- polimorfonucleares, 16
Ligamentos, 195
Light amplification of stimulated emissions of radiation (LASER), 233
Limpeza
- da ferida e da pele em torno da lesão, 169
- e desbridamento da ferida crônica, 163
Lipodermatoesclerose, 326
Lúpus eritematoso sistêmico, 350
M
Maciez da pele, 91
Macrófagos, 16, 23
Magnitude e duração da pressão, 265
Manejo
- da dor perioperatória, 256
- da pessoa com úlceras da perna, 319
- da pressão, 293, 299
- da umidade, 293, 297
- do paciente com ferida cirúrgica complexa, 258
Matriz peptídea arginina-glicina-aspartato, 224
Medicamentos, 46, 261
Medição da ferida, 130
Medidas
- de prevenção
- - no pós-operatório, 256
- - no pré-operatório, 255 - educativas, 308
Meias de compressão, 332
Metaloproteinases de matriz (MMP), 36
Microclima, 270
Migração dos ceratinócitos, 22
Miofibroblastos, 20, 21
Monofilamentos de náilon Semmes-Weinstein (estesiômetro), 358
Mudança(s)
- de posição, 305 - epidérmicas relacionadas à idade, 42 Músculo, 194
N
Necrose, 186, 271
- coagulativa ou por coagulação, 186 - liquefativa ou de liquefação, 186
Neovascularização, 17 NERDS, mnemônico, 70 Neuropatia
- de Charcot, 366 - motora, 366 - periférica, 366 - por diabetes melito, 365
Neutrófilos, 16
Nutrição, 293, 307
O
Obesidade, 44
Objetivo da limpeza de feridas, 164
Obstrução linfática, 52
Oclusão, 210
Octenidina, 176
Osso, 195
Oxigenação, 53
Oxigenoterapia hiperbárica, 239
Ozonoterapia, 241
P
Padronização do registro das fotografias, 148
Pele em torno da ferida, 121
Pioderma gangrenoso, 347, 348
Plaquetas, 15
Poli-hexametileno biguanida, 83
Poli-hexanida, 177
Posição - da câmera, 157 - do paciente, 157 Prata, 83, 84
Preparação do leito da ferida, 109-111
Pressão, 265, 266, 271, 337, 338 - do hálux, 337 - transcutânea de oxigênio, 338
Problemas técnicos com o fechamento da incisão, 252
Produtos utilizados na limpeza da ferida, 183
Proeminências ósseas, 296
Profundidade da ferida, 207
Proliferação
- capilar, 19
- de fibroblastos, 19
Proteases, 36
Proteínas, 38, 307
Protetores da pele, 299
Prova
- de hiperemia reativa, 338
- de palidez do membro à elevação, 338
Pulso, 96
- pedioso, 96
- poplíteo, 96
- tibial, 96
Q
Queloides, 26, 27
Queratinócitos, 22
Quimioterápicos, 47
R
Recorrência, 271
Redução
- da carga bacteriana, 236
- do edema, 236
Reepitelização, 21
Regeneração nervosa, 22
Registro
- das atividades, 261
- fotográfico da ferida, 143
- - utilização nos diversos contextos, 159
Régua, 158
Reinervação colateral, 22
Reparo
- da ferida, 10
- do nervo periférico, 22
Resposta
- celular, 14
- inflamatória, 12
- vascular, 13
Retirada de tecido necrótico, 185
Risco
- de isquemia, 238
- de sangramento, 238
S
Segurança e armazenamento de imagem, 158
Selênio, 40
Senescência celular, 52
Sensibilidade, 294
Seroma, 250
Síndromes de dor crônica, 346
Sistema(s)
- autoajustáveis, 334
- complemento, 12
- das cininas, 13
- de bandagens de multicomponentes e multicamadas, 331
- de classificação para deiscência da ferida cirúrgica, 255
- de coagulação, 12
Soluções
- superoxidadas, 84
- superóxido, 84
Sono, 50
SSKIN, mnemônico, 309, 311
STONES, mnemônico, 70
Substitutos de pele, 226
Superfície(s)
- de água reativas, 302
- de ar
- - de pressão alternada, 302
- - reativas, 302
- de espuma viscoelástica, 302
- de fibra reativa, 302
- de gel
- - estático, 302
- - reativas, 302
- de polietileno reticular tridimensional reativa, 302
- de suporte, 300
- não reativas, 302
- reativas, 302
Suscetibilidade e tolerância tecidual do indivíduo, 269
TTabagismo, 48
Tecido(s)
- de epitelização, 99
- de granulação, 96, 125, 132
- em esfacelo, 125, 145
- epitelial, 125, 132
- necrótico, 98, 125, 132, 145
- - do tipo escara, 132
- - em esfacelo, 132
- subcutâneo, 194
Técnica(s)
- de Cover, 195
- de fricção, 168
- de irrigação, 165
- de Levine, 72, 73
- de limpeza de ferida, 164
- de Square, 195
- para fotografar feridas, 159
Telangiectasias
- azuis, 325
- vermelhas, 325
Temperatura da pele, 91
Tendões, 195
Tensão mecânica, 252, 254
Terapia(s)
- adjuvantes no tratamento de feridas, 233
- com ozônio, 242
- de compressão, 261
- de desbridamento com larvas, 190
- hiperbárica, 240
- larval, 190
- por pressão negativa, 236, 238
Teste de Semmes-Weinstein, 359
Tipos de reparo do tecido da ferida, 9
Tolerância tecidual, 265
Tratamento
- de feridas, 205
- de infecção da ferida, 73
- tópico da ferida crônica, 205
Triângulo de Avaliação de Ferida, 120-122, 133
u
Úlcera(s)
- arterial, 334-339
- - avaliação da pessoa com, 337
- - características da úlcera, 338
- - classificação, 336
- - epidemiologia, 335
- - fisiopatologia, 335
- - tratamento da, 339
- da perna, 319
- de Marjolin, 352
- de Martorell, 351
- de perna decorrente de doença falciforme, 343
- decorrente de pioderma gangrenoso, 347
- hipertensiva isquêmica, 351
- neuropática, 360
- neurotrófica, 356, 360
- - decorrente de hanseníase, 356
- nos pés relacionada ao diabetes, 361, 372
- por lúpus eritematoso sistêmico, 350
- por pressão, 123
- por vasculite cutânea, 339-342
- - características da úlcera, 341
- - classificação, 340
- - diagnóstico, 342
- - etiologia, 339
- - patogênese, 340
- - tratamento das, 342
- venosa, 319, 321, 324, 326, 327
- - patogênese da, 321, 324
- - tratamento, 327
Ulceração, 271
Umidade, 294 V
Vasculite
- associada
- - a anticorpos anticitoplasma de neutrófilos (ANCA), 341
- - à doença sistêmica, 341
- - à etiologia provável, 341
- cutânea, 339-341
- - de órgão único, 341
- - de um único órgão sem equivalentes sistêmicos, 340
- de lúpus, 350
- - limitada à pele, 350
- de vasos
- - médios, 341
- - pequenos, 341
- - variáveis, 341
- mediadas por deposição de imunocomplexos, 341
Vasoconstrição, 13, 14
Vasodilatação local, 236
Vasos sanguíneos, 195
Vitamina
- A, 39, 307
- B, 39
- C, 39, 307
- K, 39
Volume de exsudato, 99
X
Xeroform, 208
Z
Zinco, 40, 307
Feridas: Como Tratar se estabelece como um guia indispensável e abrangente para profissionais de saúde, estudantes e entusiastas que buscam compreender e dominar os intrincados processos que regem a regeneração e a cicatrização da pele.
Cada um dos 13 capítulos deste livro foi cuidadosamente elaborado e representa um convite para o profissional se aprofundar em anatomia da pele, evolução da cicatrização de feridas e barreiras que podem desafiar esse processo natural. Esta terceira edição é enriquecida com figuras e fotos que trazem vida aos conceitos discutidos. Ao longo do livro, o leitor encontrará ferramentas valiosas para avaliar e acompanhar a evolução das feridas, dicas para registro fotográfico preciso e orientações detalhadas sobre limpeza, desbridamento e tratamento tópico de feridas crônicas.
Esta obra vai além do básico, explorando terapias adjuvantes inovadoras e oferecendo insights sobre o manejo de situações complexas, como feridas cirúrgicas, lesões por pressão, úlceras da perna e do pé, entre outros. O leitor encontrará informações práticas e atualizadas que certamente vão contribuir para melhorar a qualidade da assistência prestada aos pacientes em diferentes estágios de recuperação.