Os primeiros anos em suas mãos

Page 1


Os primeiros anos em suas mãos

Este guia de consulta rápida traz informações essenciais sobre essa fase e todo o universo de leis, direitos e desafios relacionados a ela

A Fundação Maria Cecilia

Souto Vidigal trabalha em diferentes frentes, sempre com base em evidências, para fomentar, apoiar e conscientizar a sociedade de que semear o pleno desenvolvimento na fase que vai até os 6 anos de

ILUSTRAÇÃO: Anna Cunha

idade é colher por toda a vida. Uma criança bem cuidada se transforma num adulto autônomo, produtivo e saudável. O impacto dos cuidados que a criança recebe reverbera de forma complexa por diferentes áreas tanto da vida privada do indivíduo quanto no contexto social e econômico de uma nação. Este guia foi montado como uma ferramenta para ter sempre à mão os principais dados, leis e argumentos para defender a primeira infância

Com

quase

60 anos de história,

a Fundação Maria Cecilia Souto Vidigal trabalha desde 2007 para que as crianças na primeira infância tenham o direito de alcançar todo o seu potencial e sejam prioridade no país

Iniciativa

ODS 4.2 da Agenda 2030 da ONU

“Até 2030, assegurar a todas as meninas e meninos o desenvolvimento integral na primeira infância, acesso a cuidados e à educação infantil de qualidade”

Estratégia

Alavancar políticas públicas e ativar a sociedade pela primeira infância

Fundação Maria Cecilia Souto Vidigal

Equipe da Fundação Maria

Cecilia Souto Vidigal

CEO

Mariana Luz

Operações

Leonardo Hoçoya (diretor)

Carine Jesus (gerente)

Políticas Públicas

Marina Fragata Chicaro (diretora)

Beatriz Abuchaim (gerente)

Karina Fasson (gerente)

Sensibilização da Sociedade

Paula Perim (diretora)

Sheila Ana Calgaro (gerente)

André Vieira (analista)

/FundacaoMaria

Ficha técnica (edição 2025)

Coordenação, redação e revisão

André Vieira

Pesquisa e redação

Flávia Yuri Oshima

Designer

MAM.Estúdio Design fundacaomariacecilia.org.br

CeciliaSoutoVidigal @fundacao mariacecilia /company/fmcsv /fmcsv

Retrato da primeira infância no Brasil

Pobreza, fome e violência fazem parte dos desafios a serem enfrentados com urgência

DESIGUALDADE

DESDE O BERÇO

A Fundação Maria Cecilia Souto Vidigal realizou estudo que traçou o perfil da primeira infância no CadÚnico, o cadastro do governo federal que classifica as famílias de baixa renda e dá acesso a benefícios sociais. Os dados evidenciam a vulnerabilização das crianças pequenas no Brasil

De todas as crianças de 0 a 6 anos registradas no país, 10 milhões (55,4%) vivem entre as famílias de baixa renda (com renda mensal per capita de até meio salário-mínimo)

670 mil

crianças de 0 a 6 anos vivem em situação de pobreza ou extrema pobreza (com renda mensal per capita de até R$ 218*)

Sem o auxílio do Programa Bolsa Família, o número seria muito maior: 8,1 milhões estariam na pobreza ou extrema pobreza

60% das crianças de 0 a 6 anos no CadÚnico nunca frequentaram creche ou pré-escola**

73,8% das famílias com crianças na primeira infância são de mãe solo, sendo a maioria negra (74,3%) e jovem, entre 25 e 34 anos (47,9%)**

8 em cada 10

crianças de 0 a 6 anos que vivem entre as famílias de baixa renda no Brasil têm o Bolsa Família como principal fonte de renda**

18,1 milhões

É O NÚMERO DE CRIANÇAS de 0 a 6 anos no Brasil... ... que representam 8,9% de toda a população... ... sendo: 54% negras 44,7 % brancas 1% indígenas 0,2% amarelas 1

FONTE: Perfil Síntese da Primeira Infância e Famílias no Cadastro Único, Fundação Maria Cecilia Souto Vidigal e Ministério do Desenvolvimento, Assistência Social, Família e Combate à Fome, 2024 | * Valor considerado para classificação de famílias em situação de pobreza e extrema pobreza, pelos critérios do CadÚnico, em outubro de 2023 | ** Sem considerar crianças que fazem parte de Grupos Populacionais Tradicionais e Específicos (GPTEs), que incluem crianças em situação de rua, indígenas, quilombolas e outros.

PROTEÇÃO

EM QUEDA

Cobertura vacinal de importantes imunizantes para a primeira infância, como BCG, pentavalente, tríplice e hepatite B (em %)

FONTE: Ministério da Saúde | Levantamento: Todos Pela Educação, 2024

Entre as famílias de baixa renda (com renda mensal per capita de até meio salário-mínimo) com crianças de 0 a 6 anos, 29% DOS RESPONSÁVEIS

NÃO ESTUDAM ou não concluíram o ensino fundamental e 3,5% NÃO SABEM LER NEM ESCREVER 2

1 em cada 3 crianças de 0 a 4 anos vive em situação de INSEGURANÇA ALIMENTAR 3

Quase 400 mil crianças de até 5 anos de idade apresentam algum grau de EXCESSO DE PESO 4

12,3% dos bebês nascidos por ano no Brasil são filhos de uma MÃE ADOLESCENTE (até 19 anos), mas as regiões Norte (19,7%) e Nordeste (14,9%) têm índices acima dessa média 5

9,5% das crianças NASCEM COM BAIXO PESO, menos de 2,5 kg 6

1 Censo, IBGE, 2022 2 Perfil Síntese da Primeira Infância e Famílias no Cadastro Único, Fundação Maria Cecilia Souto Vidigal e Ministério do Desenvolvimento, Assistência Social, Família e Combate à Fome, 2024 3 Pnad Continua Segurança Alimentar, IBGE, 2023 4 , 5 e 6 Ministério da Saúde | Levantamento: Fundação Abrinq, 2022

FONTE: Anuário Brasileiro da Segurança Pública 2024, Fórum Brasileiro de Segurança Pública

11,1% de todas as vítimas de estupro têm MENOS DE 4 ANOS de idade. Em quase 87% dos casos, o agressor é um FAMILIAR OU CONHECIDO O DESAFIO AINDA É GRANDE...

Evolução da taxa de mortalidade infantil (até 1 ano de idade), a cada mil nascidos vivos

24,9

FONTE: Sistema de Informações sobre Mortalidade – SIM/Ministério da Saúde

...E MAIOR ENTRE AS CRIANÇAS INDÍGENAS

A taxa de mortalidade delas é mais do que o dobro da registrada entre as demais crianças Indígenas

FONTE: Desigualdades em saúde de crianças indígenas, Comitê Científico do Núcleo Ciência Pela Infância, 2024

Desenvolvimento infantil

A IMPORTÂNCIA DOS ESTÍMULOS

O desenvolvimento pleno da criança se dá pela maneira como ela se relaciona com o mundo à sua volta

conversar, Brincar, e ler para bebês e crianças cantar,

A influência que os cuidados e o ambiente externo têm sobre as conexões cerebrais torna os primeiros anos de vida um período crucial são os melhores estímulos para a aprendizagem. Crianças que desde o começo da vida recebem mais atenção de seus cuidadores e que interagem em um ambiente seguro são mais saudáveis emocionalmente e cultivam melhor as habilidades motoras, cognitivas e socioemocionais

O VÍNCULO ENTRE O ADULTO E A CRIANÇA, FORTALECIDO NOS CUIDADOS DIÁRIOS, é essencial para o desenvolvimento emocional 1

VIVER EM UMA ATMOSFERA AMEAÇADORA, marcada por violência, pobreza, abuso e negligência, pode produzir alterações que afetam negativamente a criança ao longo da vida 2

O desenvolvimento do cérebro começa antes mesmo do nascimento. Os cuidados durante a gestação, portanto, são fundamentais, já que diversas estruturas estão em fase de formação e maturação 3

NESTES PRIMEIROS

ANOS DE VIDA, as conexões cerebrais se formam a um ritmo de 1 milhão por segundo.

Em nenhuma outra fase da vida esse desenvolvimento será tão rápido e potente 4

das conexões cerebrais ocorrem até os 6 anos de idade 5

O cérebro humano

é plástico o suficiente para possibilitar o aprendizado até o fim da vida. Mas é fato que o ritmo de apreensão de conteúdos diminui após a fase da primeira infância 6

1 e 2 Importância dos vínculos familiares na primeira infância, Núcleo Ciência Pela Infância, 2016 3 De Casper, A. J.; Fifer, W.P., Of human bonding: newborn prefer their mothers’ voices. Science, 1980 4 Center on the Developing Child at Harvard University, In brief: the science of early childhood development, 2007 5 Unicef, Relatório anual do Fundo das Nações Unidas para a Infância, Brasília, 2006 6 Singer W., Development and plasticity of cortical processing architectures science, 1995

TODA CRIANÇA NA PRIMEIRA INFÂNCIA PRECISA DE:

BOA SAÚDE

Acompanhamento físico e emocional, prevenção de doenças, acesso a serviços de saúde e promoção do bem-estar

NUTRIÇÃO ADEQUADA

Alimentação balanceada na gestação, aleitamento materno exclusivo pelo menos até os seis meses e segurança alimentar para a família

CUIDADOS RESPONSIVOS Orientação aos cuidadores para a criação de vínculos e cuidados adequados com as crianças

SEGURANÇA E PROTEÇÃO

Contra pobreza e maustratos, além de apoio aos cuidadores

EDUCAÇÃO INFANTIL

Garantia de acesso aos serviços e atividades, com foco no desenvolvimento

Esses são os elementos do Nurturing Care, conceito que reúne os cinco componentes considerados essenciais para garantir condições a um desenvolvimento integral na primeira infância. O modelo também é um importante guia para políticas públicas voltadas às crianças pequenas

FONTE: Organização Mundial da Saúde (OMS), Unicef e Banco Mundial

Brincar é coisa séria

A primeira infância se constrói na brincadeira e na interação com o mundo. Quando brincam, as crianças se desenvolvem, soltam a imaginação, movimentam o corpo e aprendem a se relacionar com os outros e com o ambiente ao redor

Para começar, brincar é um direito

Assim como a vida, a igualdade e a segurança são direitos fundamentais de todos os cidadãos, o brincar é um direito das crianças garantido pela Constituição de 1988 e pelo Estatuto da Criança e do Adolescente (ECA), de 1990, que reconhece que “brincar, praticar esportes e divertir-se” são aspectos do direito à liberdade.

O Marco Legal da Primeira Infância, de 2016, também determina que o Estado deve garantir espaços públicos adequados e seguros para o brincar. Mais do que isso: deve ouvir as crianças e levar em conta o que elas pensam ao planejar e cuidar desses espaços.

A Base Nacional Comum Curricular (BNCC), que orienta os conteúdos essenciais para cada etapa da educação básica, também reconhece o brincar como um dos seis direitos de aprendizagem e desenvolvimento que devem ser assegurados na educação infantil.

TODA CRIANÇA PRECISA DE:

Imaginação

Criar histórias e personagens, explorando o faz de conta e a criatividade

Convivência

Interagir com outras crianças e adultos, aprendendo a compartilhar e respeitar

Movimento

Correr, pular, dançar e explorar o espaço ao redor, desenvolvendo a motricidade

Espaços seguros

Ambientes que estimulem a liberdade de brincar, sem riscos ou barreiras

Curiosidade

Brincar com diferentes materiais, descobrir texturas, sons e cores

A falta de tempo e de espaço para brincadeiras pode comprometer o desenvolvimento e o bem-estar socioemocional das crianças

FONTE: Brincar ajuda o desenvolvimento: O que fazer?, Fundação Maria Cecilia Souto Vidigal, 2015

28 de maio

DIA INTERNACIONAL DO BRINCAR

Criada em 1999, a data conta com o reconhecimento do Fundo das Nações Unidas pela Infância (Unicef) e, em diversos países, como o Brasil, marca a Semana do Brincar, iniciativa que busca conscientizar a sociedade sobre a importância do brincar como um direito essencial

O PRINCIPAL OBJETIVO

DO BRINCAR É PROPORCIONAR SATISFAÇÃO E PRAZER — E NÃO, NECESSARIAMENTE, O APRENDIZADO. NO ENTANTO, É POR MEIO DO BRINCAR QUE A CRIANÇA APRENDE MAIS E MELHOR. É BRINCANDO QUE ELA EXPLORA O MUNDO E SE CONECTA CONSIGO MESMA 1

Brincar desde os primeiros meses de vida é essencial. Mesmo sem brinquedos, um bebê pode brincar com o olhar, os sons e o toque dos cuidadores 2

OS ADULTOS

DESEMPENHAM UM PAPEL ESSENCIAL AO BRINCAR COM AS CRIANÇAS, DEMONSTRANDO AFETO E CRIANDO LAÇOS DE SEGURANÇA E AMOR. A PARTICIPAÇÃO DOS ADULTOS É VALIOSA, MAS TAMBÉM É FUNDAMENTAL QUE AS CRIANÇAS TENHAM TEMPO PARA BRINCAR SOZINHAS E ENTRE SI 3

BRINCAR FORTALECE VÍNCULOS E IMPULSIONA O DESENVOLVIMENTO

Um estudo brasileiro analisou os efeitos de um programa de visitação domiciliar que incentivou mães de baixa renda e escolaridade a brincar e conversar mais com seus bebês para fortalecer a atenção e a fala das crianças. Os resultados mostraram que, em comparação com o grupo de controle, as mães que participaram da intervenção interpretaram com mais frequência os sinais comunicativos dos bebês (vocalizações, sorrisos, choro, olhar, gestos) e agiram menos intrusivamente. Como consequência, seus filhos vocalizaram mais durante as interações 4

1 Nota 10 - Primeira Infância: Brincar é coisa séria, Fundação Maria Cecilia Souto Vidigal, 2012

2 Brincar ajuda o desenvolvimento: O que fazer?, Fundação Maria Cecilia Souto Vidigal, 2015

3 Nota 10 - Primeira Infância: Brincar é coisa séria, Fundação Maria Cecilia Souto Vidigal, 2012

4 Alvarenga, Patrícia; Mães que recebem orientações em visitas domiciliares sobre como brincar e se comunicar com seus bebês fortalecem o desenvolvimento dos filhos, Núcleo Ciência Pela Infância (NCPI), 2023

Por que investir na primeira infância

Estudos e pesquisas feitos ao redor do mundo trazem evidências econômicas, sociais e de saúde para a importância do investimento nessa fase da vida

COMPROVADO PELA CIÊNCIA

Se melhorarmos as condições de vida das crianças mais vulnerabilizadas desde o começo da vida, garantindo a elas

saúde, afeto, nutrição, segurança, e educação de qualidade,

aumentamos significativamente as chances de um presente e um futuro melhores

SEGUNDO O ECONOMISTA americano

James Heckman, prêmio Nobel de Economia, cada dólar investido em programas de qualidade na primeira infância traz um retorno de 7 dólares ao ano

FONTE: heckmanequation.org

MAIORES, EM MÉDIA, são os salários, no futuro, de crianças de famílias pobres que frequentaram creches de qualidade em comparação com aquelas que não tiveram a mesma oportunidade

FONTE: Heckman, J.; Gertler, P. et al.,

2014

Labor market returns to an early childhood stimulation intervention in Jamaica,

A EDUCAÇÃO INFANTIL DE QUALIDADE

estimula as habilidades socioemocionais e ajuda a reduzir em: 1

as chances de indivíduos cometerem crimes violentos as chances de irem presos as chances de não terem um trabalho

Crianças na primeira infância que recebem atenção ao seu desenvolvimento integral têm:

saúde física e mental na vida adulta condições de aprendizagem oportunidades profissionais e de salário

propensão ao tabagismo, alcoolismo, criminalidade e violência chances de engravidar na adolescência 2

O BRASIL DESPERDIÇA 40% de todo o talento das crianças brasileiras. O PIB nacional poderia ser até 158% maior se as crianças brasileiras desenvolvessem suas habilidades ao máximo 3

OS INVESTIMENTOS SÃO DURADOUROS

Um estudo que acompanhou crianças desde a primeira infância até a meia-idade comprovou os benefícios do apoio ao desenvolvimento integral. Essas crianças, quando adultas, aos 54 anos, eram mais saudáveis do que 80% das crianças do outro grupo e ganhavam, em média, 10 mil dólares a mais por ano 4

1 Sneha, E.; Hojman, A.; García, J.L. e Heckman, J., Early childhood education, 2016 2 O impacto do desenvolvimento na primeira infância sobre a aprendizagem, Comitê Científico do Núcleo Ciência Pela Infância, 2014 3 Banco Mundial, 2022 4 García, J.L; Heckman, J.; e Ronda, V., The

Effects of Early Childhood Education on Promoting the Skills and Social Mobility of Disadvantaged African Americans, 2021

No longo prazo, crianças expostas a menos oportunidades

de desenvolvimento nessa fase têm maior probabilidade de se tornarem adultos pobres, produzindo o fenômeno conhecido como ciclo intergeracional da pobreza

PARA A CONSTRUÇÃO DE UMA SOCIEDADE com maior igualdade de oportunidades, é imprescindível que as políticas públicas contemplem ações integradas com especial atenção aos primeiros anos de vida

Lasting

Contexto da educação infantil no Brasil

A conscientização das famílias sobre os benefícios da educação infantil, a oferta de vagas e a busca por qualidade são os desafios atuais

ATENDIMENTO DE CRIANÇAS DE 0 A 5 ANOS

O Plano Nacional de Educação (2014-2024) definiu metas: atender 100% das crianças de 4 a 5 anos na pré-escola, até 2016, e 50% das crianças de 0 a 3 anos em creches, até 2024. De lá para cá, avançamos, mas não cumprimos nenhum dos dois objetivos (em %)

O ACESSO À EDUCAÇÃO INFANTIL

é um direito da criança e da família, garantido pela Constituição

FONTE: Constituição Federal de 1988

creche pré-escola

SEM EQUIDADE NO ACESSO

ENTRE OS 20% MAIS POBRES, apenas 30% das crianças estão na creche

JÁ ENTRE OS 20% MAIS RICOS, mais da metade das crianças (55%) estão na creche

FONTE: Síntese

2,2 milhões

DE CRIANÇAS JÁ PODERIAM ESTAR NA CRECHE, mas ainda não estão por conta de problemas de acesso (faltam unidades, faltam vagas ou a matrícula foi rejeitada devido à idade)

410 mil

CRIANÇAS AINDA ESTÃO FORA DA PRÉ-ESCOLA, embora esta seja uma etapa obrigatória da educação básica

FONTE: Pnad Educação, IBGE, 2024

de Indicadores Sociais, IBGE, 2024

INCLUSÃO É UM DESAFIO GENERALIZADO

de todas as turmas de creche e pré-escola do país enfrentam problemas na inclusão e acessibilidade de crianças com deficiência. Falta desde infraestrutura adequada até a formação específica para os educadores

A EDUCAÇÃO INFANTIL SEGUE DIRETRIZES

ESTABELECIDAS EM:

Artigo 208 da Constituição Federal, que define como dever do Estado garantir a educação infantil, em creche e pré-escola, para crianças de até 5 anos de idade

INFRAESTRUTURA: FALTA ISSO E FALTA AQUILO

Recursos disponíveis nas creches e pré-escolas nas redes pública e privada (não conveniada), em 2023 (% de unidades que possuem)

Plano Nacional de Educação, que define 10 diretrizes que devem guiar a educação brasileira entre 2014 e 2024

Lei de Diretrizes e Bases da Educação Nacional (LDB), que regulariza a organização da educação brasileira com base nos princípios presentes na Constituição

Base Nacional Curricular Comum (BNCC), referência obrigatória para elaboração dos currículos escolares e propostas pedagógicas para a educação infantil, ensino fundamental e ensino médio

Parâmetros Nacionais de Qualidade para a Educação Infantil, que orientam os sistemas de ensino com padrões de referência de organização, gestão e funcionamento das unidades de educação infantil

FONTE: Censo Escolar,
FONTE: Estudo Nacional sobre Qualidade da Educação Infantil, Fundação Maria Cecilia Souto Vidigal, 2023

A importância da educação infantil

A educação infantil é um direito da criança e fundamental para o desenvolvimento físico, cognitivo e socioemocional, com impactos que vão até a vida adulta. Essa etapa, que inclui creche (0 a 3 anos) e pré-escola (4 a 5 anos), é uma das estratégias mais eficazes para combater desigualdades e interromper ciclos de pobreza que passam de geração a geração

BENEFÍCIOS DURADOUROS

Um dos estudos mais longos já realizados sobre educação infantil, o Perry Preschool, conduzido em Michigan, nos Estados Unidos, pelo economista James Heckman, acompanhou 123 crianças de famílias de baixa renda que ingressaram na educação infantil aos 3 e 4 anos de idade até a vida adulta. Elas foram comparadas com um grupo controle, com crianças que não tiveram a mesma oportunidade. Os resultados mostraram ganhos significativos até os 55 anos, com benefícios para os filhos dos participantes do estudo 1

Primeira geração

Segunda geração

Completaram o ensino médio sem suspensão

Nunca foram suspensos, presos ou desenvolveram vícios

Ganhava mais de US$ 20 mil por ano aos 40 anos

Estava empregado ou trabalhando autônomo

(*) Medida que considera desempenho e entrega de lição de casa, entre outros dados

ESTÍMULO DIÁRIO

O Projeto Abecedarian, outro estudo norte-americano de longo prazo, promoveu intervenções diárias com 111 crianças de famílias pobres nascidas entre 1972 e 1977. Dividido nas etapas pré-escolar e escolar, o projeto levou às famílias informações sobre nutrição, aleitamento, cuidados de saúde e atividades para o desenvolvimento infantil. O foco era desenvolver habilidades sociais, emocionais e de linguagem. Cada participante foi acompanhado até os 35 anos. Os resultados, em comparação com o grupo controle, com crianças que não receberam as mesmas interações, mostram que: 2

• Aos 21 anos, aqueles que fizeram parte do projeto apresentavam menos sintomas de DEPRESSÃO e vida mais ATIVA

• Perto dos 35 anos, essas pessoas tinham menos chances de desenvolver DOENÇAS CARDIOVASCULARES E METABÓLICAS

• 47% dos alunos do projeto conseguiram EMPREGOS MELHORES, contra 27% dos que não participaram do programa

• 26% dos alunos do projeto tiveram GRAVIDEZ NA ADOLESCÊNCIA, enquanto essa taxa foi de 45% do grupo controle

Aumento do aprendizado

Frequentar a pré-escola traz uma diferença de cerca de UM ANO DE RESULTADOS no ensino fundamental II, fase que vai do 6º ao 9º ano 3

MOTOR PARA A ALFABETIZAÇÃO

Crianças matriculadas na pré-escola têm cinco vezes mais chances de saber ler do que as não matriculadas 4

1 Heckman, J.J. & Karapakula, G., Intergenerational and intragenerational externalities of the Perry Preschool Project, 2019 2 Campbell, Ramey, Pungello, Sparling, & Miller-Johnson., Adult Outcomes as a Function of an Early Childhood Educational Program: An Abecedarian Project Follow-Up, 2008 3 Santos, D, et al, Educação Infantil e o Desenvolvimento Individual, Journal of Development Studies, N° 53, 2016 4 Natal, J. F.; Santos, D, Análise Sobre a Relação Entre Saber Ler ou Não e Estar Matriculado ou Não no Ensino Infantil, Fapesp, 2013 5 Bartholo, T. L., Koslinski, M. C., Um Estudo Longitudinal Sobre a Trajetória de Aprendizagem de Crianças, UFRJ, 2019 6 Bartholo, T. L.; Koslinski, M. C.; Tymms, P.; Castro, D. L., Learning loss and learning inequality during the Covid-19 pandemic, 2022and learning inequality during the Covid-19 pandemic, 2022

CORPO E MENTE JUNTOS

A aprendizagem está associada ao desenvolvimento motor na pré-escola. Crianças com alta aptidão física apresentam melhores resultados em matemática, o que evidencia a importância de um desenvolvimento integral na educação infantil 5

Não pode faltar

Crianças que estavam no segundo ano da pré-escola em 2021 e participaram de apenas seis meses de atividades presenciais, por causa da pandemia, tiveram uma perda de 10 a 11 meses de aprendizado em linguagem e matemática. Os resultados mostram a importância da frequência à pré-escola para a construção de proficiência nessas áreas 6

O que é qualidade em educação infantil?

A qualidade no atendimento de creche e pré-escola é um direito das crianças, além de ser uma estratégia efetiva de combate às desigualdades. Evidências comprovam que uma boa educação infantil produz resultados tanto na infância quanto na vida adulta, principalmente entre as crianças em situação de maior vulnerabilidade. Na educação infantil, a qualidade é marcada por múltiplas dimensões que incluem projeto pedagógico; profissionais capacitados; materiais e infraestrutura adequados e práticas lúdicas e enriquecedoras, que colocam o interesse da criança no centro do processo de aprendizagem

QUALIDADE DA EDUCAÇÃO INFANTIL 1

A criança e a escola

Criança no centro das ações educativas

Geral

Formação inicial e continuada para professores e demais profissionais

Estímulo e interação adulto-criança e criança-criança

Brincar com intencionalidade pedagógica e respeito às individualidades

Infraestrutura adequada, como parquinhos; espaços para o movimento e o contato com a natureza; banheiros, bebedouros e outros mobiliários que deem autonomia à criança

Materiais formulados para esta etapa, como livros e brinquedos

Gestão democrática, incluindo relacionamento entre escola e família

Avaliação da qualidade da educação infantil

A QUALIDADE FAZ DIFERENÇA

Um estudo com 762 estudantes de escolas públicas brasileiras mostrou que a frequência à pré-escola de boa qualidade influi positivamente no desempenho da Provinha Brasil, que avalia o nível de alfabetização. As análises indicam que a escolaridade da mãe, a renda familiar e o Ideb (Índice de Desenvolvimento da Educação Básica) da escola de ensino fundamental também exercem impactos positivos nos resultados das crianças 2

NOS

DOIS POLOS

A educação infantil pode, potencialmente, influenciar a motivação dos alunos a estudar, contribuindo para reduzir o atraso escolar e/ ou o abandono. Um estudo da Universidade Federal de Pelotas (RS) revelou que estudantes que passaram pela pré-escola têm 88% mais chances de terminar o ensino fundamental e 73% mais chances de concluir a educação básica 5

Mais impacto nas famílias com menor escolaridade

A educação infantil de qualidade produz maiores impactos positivos em crianças criadas por mulheres com poucos anos de escolaridade. As chances de essas crianças terem boas notas no ensino médio são 20% superior em comparação a crianças de mesmo perfil social que não frequentaram a pré-escola. Essa diferença, no entanto, é estatisticamente insignificante entre as crianças criadas por adultos com mais anos de educação formal 3

Frequentar a pré-escola está associado a um aumento de 16% na renda na vida adulta 4

1 Núcleo Ciência pela Infância, 28/04/2022, vídeo. Disponível em: https:// biblioteca.fmcsv.org.br/biblioteca/qualidade-educacao-infantil/ 2 A contribuição da educação infantil de qualidade e seus impactos no início do ensino fundamental, Fundação Carlos Chagas, 2010 3 Sylva, K. Melhuish1, E. Sammons, P. Siraj, I. Taggart, B., Effective Pre-school, Primary and Secondary Education (EPPSE 3-16), 2014 4 Menezes-filho, N. e Curi, N.Z., A Relação entre Educação Pré-Primária, Salários, Escolaridade e Proficiência Escolar no Brasil. Insper Instituto de Ensino e Pesquisa e FEA/USP, 2009 5 Santos, D., Impactos do Ensino Infantil Sobre o Aprendizado: Benefícios Positivos, mas Desiguais, 2015 6 Sylva, K., Melhuish, E., Sammons, P., Siraj, I., Taggart, B., Effective Preschool, Primary and Secondary Education (EPPSE 3-16), 2014

Mas o contrário também é verdadeiro.

Estudos indicam que o atendimento de creche e pré-escola de baixa qualidade não produz efeito positivo na escolaridade futura e podem até ter um impacto negativo no processo de aprendizagem da criança em relação ao que ocorreria se ela não frequentasse a educação infantil 6

Educação inclusiva

A ciência comprova que a educação inclusiva produz efeitos positivos no desenvolvimento mental, intelectual, afetivo e físico de crianças com diferentes tipos de deficiência. Há também evidências de benefícios para crianças sem deficiência e para o ambiente escolar, incluindo as relações com professores e a gestão. O acesso à educação é um direito de todas as crianças, mas ainda existem obstáculos que impedem a frequência e a qualidade escolar de crianças com deficiência

CINCO PRINCÍPIOS DA EDUCAÇÃO INCLUSIVA

Toda pessoa tem o direito de acesso à educação

Toda pessoa aprende 1. 2. 3. 4. 5.

O processo de aprendizagem de cada pessoa é singular

O convívio no ambiente escolar comum beneficia a todos

O ensino inclusivo diz respeito a todos

FONTE:

A educação inclusiva deve começar na primeira infância, desde a creche e a pré-escola, pois beneficia significativamente as crianças com e sem deficiência, estimulando o desenvolvimento cognitivo e socioemocional e promovendo um ambiente educacional mais diverso e equitativo. No entanto, a sua implementação ainda é um enorme desafio

No Brasil, 98% das turmas de creche e pré-escola enfrentam dificuldades para garantir inclusão e acessibilidade. Falta desde infraestrutura adequada até formação específica para os educadores

Instituto Rodrigo Mendes e Diversa
FONTE: Estudo Nacional sobre Qualidade da Educação
Infantil, Fundação Maria Cecilia Souto Vidigal, 2023

MATRÍCULAS NA EDUCAÇÃO INFANTIL

O número de crianças com deficiência que frequenta classes comuns de educação infantil cresceu expressivamente na última década. Mas ainda há espaço para melhoria 1

Em classes e escolas especiais

Em classes comuns (alunos incluídos)

INCLUSÃO

FAZ BEM

PARA TODO MUNDO 4

Estudos têm demonstrado que a inclusão de estudantes com deficiência em escolas regulares traz benefícios acadêmicos e sociais para os alunos sem deficiência, como:

� Redução do preconceito e do medo das diferenças humanas

� Crescimento da cognição social, com maior receptividade às diferenças

BENEFÍCIOS DA EDUCAÇÃO INCLUSIVA PARA CRIANÇAS COM DEFICIÊNCIA 2

Desenvolvimento de habilidades mais fortes em leitura e matemática

Maiores taxas de presença

Menor propensão a ter problemas comportamentais

Maiores chances de completar o ensino médio

FREQUÊNCIA ESTIMULA DESENVOLVIMENTO 3

Uma pesquisa comparou crianças com deficiência que frequentaram entre 25% e 50% dos dias letivos e aquelas que tiveram frequência entre 75% e 100%. As crianças do segundo grupo apresentaram:

� Menor propensão a sofrer medidas disciplinares -7,5%

� Maior propensão a pertencer a um grupo de amigos +3,6%

� Maior competitividade na busca de emprego +11,2%

� Maior propensão a ter uma vida independente +10%

Instituto Alana e Datafolha, 2019

� Melhorias no autoconceito (autoestima e pertencimento)

� Desenvolvimento de princípios morais e éticos pessoais

A POPULAÇÃO

TAMBÉM CONCORDA 5 86%

Acreditam que as escolas se tornam melhores ao incluir crianças com deficiência

76%

Acreditam que crianças com deficiência aprendem mais estudando com crianças sem deficiência

A importância de fortalecer quem cuida

Diferentes iniciativas comprovam a eficácia dos programas de apoio à família. Estratégias como visitação domiciliar e reuniões em grupo fortalecem as famílias para prover ambientes mais ricos, estimulantes, seguros e amorosos para a criança, com impactos positivos no desenvolvimento infantil e ao longo da vida adulta

A ANÁLISE DE PROGRAMAS DE APOIO ÀS FAMÍLIAS MOSTROU IMPACTOS POSITIVOS TANTO NAS CRIANÇAS QUANTO NOS CUIDADORES 1

Para a criança, houve melhora:

Nas habilidades físicas

No aprendizado

Na fala

No autocontrole

Na regulação das emoções

O PROGRAMA DE VISITAÇÃO DOMICILIAR

REACH UP, acompanhou desde o nascimento, crianças das famílias mais pobres da capital, Kingston. Os primeiros resultados positivos começaram a aparecer apenas oito meses depois de seu início e se prolongaram por toda a vida: 2

Maiores notas em matemática e linguagem

Níveis mais baixos de depressão

Para o adulto, os benefícios incluem:

Maior sensibilidade às necessidades da criança

Mais envolvimento com a criança

Diminuição da violência contra a criança

Melhora na qualidade da interação verbal

Salários 25% mais altos na idade adulta

Aumento da escolaridade

Menor participação em atividades ilegais

Iniciativas brasileiras de parentalidade

• NO ÂMBITO FEDERAL, o país conta com o Primeira Infância no Suas/ Programa Criança Feliz, que oferece atenção às famílias e crianças com foco no fortalecimento de vínculos, parentalidade e desenvolvimento. Há ainda o Serviço de Convivência e Fortalecimento de Vínculos (SCFV), que atende crianças de até 6 anos em grupos por meio do Centro de Referência de Assistência Social (Cras)

• INICIATIVAS estaduais e municipais

• Primeira Infância Melhor (PIM), Rio Grande do Sul

• Programa de Apoio ao Desenvolvimento Infantil (Padin), Ceará

• Mãe Coruja, Pernambuco

• Cresça com seu Filho, Fortaleza (CE)

• São Paulo Carinhosa, São Paulo (SP)

• Família que Acolhe, Boa Vista (RR)

OS PROGRAMAS DE VISITAÇÃO

DOMICILIAR RECONHECIDOS COM AVALIAÇÕES RIGOROSAS

EVIDENCIARAM

PONTOS-CHAVE PARA O SUCESSO: 5

• CURRÍCULO estruturado com base em evidências científicas

• EQUIPE qualificada, treinada e supervisionada

• ATMOSFERA positiva e envolvente para os pais interagirem entre si e com os bebês

• Brinquedo e material para COMPARTILHAR

• SUPERVISÃO construtiva

A AVALIAÇÃO DO PRIMEIRA

INFÂNCIA MELHOR, MOSTROU

O AUMENTO NA INTERAÇÃO

DAS FAMÍLIAS COM AS CRIANÇAS E A DIMINUIÇÃO

DAS PRÁTICAS DE DISCIPLINA

NEGATIVA: 3

• Redução de 62,4% na probabilidade do uso de punições físicas

• Aumento de 34,6% nas chances de ter livros infantis à disposição da criança

• Aumento médio de mais de 4 horas por dia na quantidade de tempo que os cuidadores passam com as crianças

A MEDIÇÃO DO PRIMEIRA

INFÂNCIA NO SUAS/CRIANÇA

FELIZ REVELA IMPACTOS

POSITIVOS PARA AS CRIANÇAS

QUE RECEBERAM AS VISITAS: 4

• Ampliação da cobertura vacinal

• Escore médio de desenvolvimento

5,3 pontos mais alto do que o das crianças do grupo não visitado

• Menor uso de palmadas pelos cuidadores: 27,4% entre os que participaram do programa e 44,6% entre os que não participaram

1 Visita domiciliar como estratégia de promoção do desenvolvimento infantil e da parentalidade na primeira infância, Núcleo Ciência Pela Infância, 2018 2 Walker, S. et al, Effects of early childhood psychosocial stimulation and nutritional supplementation on cognition and education in growth-stunted Jamaican children, Lancet, 2005; Walker, S. et al, Early childhood stimulation benefits adult competence and reduces violent behavior, Pediatrics, 2011; Gertler, P. et al, Labor Market returns to an early childhood stimulation intervention in Jamaica, Science, 2014 3 Pesquisa de avaliação de impacto do programa PIM, Secretaria Estadual de Saúde do Rio Grande do Sul, 2018 e 2021 4 Avaliação Primeira Infância no Suas/Criança Feliz, Ministério do Desenvolvimento e Assistência Social, Família e Combate à Fome e Universidade Federal de Pelotas, 2022 Fundação Bernard Van Leer e Bernal R, 2016

FONTE: Secretaria Estadual de Saúde do Rio Grande do Sul. Pesquisa de avaliação de impacto do programa PIM - análise LATE 2018 e 2021

Epigenética

Experiências de vida podem alterar o comportamento do DNA. Nosso código genético não é um destino imutável, mas sim um guia que vai se transformando com o tempo, desde a gestação. Crescer em um ambiente seguro e acolhedor favorece o desenvolvimento da criança, enquanto viver em meio à pobreza e negligência pode aumentar o risco de doenças e problemas comportamentais ao longo da vida

1. EPIGENÉTICA É A ÁREA DA CIÊNCIA que estuda como as experiências afetam o comportamento dos genes, sem mudar a sequência do DNA

3. A CARGA GENÉTICA QUE O FILHO HERDA de seus pais biológicos contém informações que guiarão seu desenvolvimento e definirão diversas características, como altura e cor dos olhos

2. DURANTE O DESENVOLVIMENTO DA CRIANÇA, O DNA RECEBE MARCAS QUÍMICAS que determinam o modo como os genes serão expressos. Diferentes experiências rearranjam essas marcas. Isso explica por que gêmeos com códigos genéticos idênticos podem ter comportamentos, gostos e habilidades diferentes

4. AS EXPERIÊNCIAS VIVIDAS NO DIA

A DIA podem reconfigurar as marcas que controlam esse gene (chamadas de epigenoma), influenciando como a informação genética será expressa 1

5. O EPIGENOMA PODE SER ALTERADO por experiências positivas, como relações afetivas e oportunidades de aprendizagem, e também por negativas, como poluição, violência e outras situações de vulnerabilidade

Estressores no início da vida e no período adulto podem ser passados para as gerações futuras por meio da epigenética 2

Estudos comprovam a relação de MUDANÇAS EPIGENÉTICAS em crianças à expostas a:

Violências praticadas contra a criança por alguém de sua confiança

O NÍVEL SOCIOECONÔMICO tem influência muito maior no genoma da criança do que no do adulto. A pobreza é ainda mais nociva para os que estão na primeira infância 5

Estresse entre meninos e meninas

Cuidadores ou responsáveis com algum tipo de transtorno mental

Abuso sexual na infância

APOIO PSICOSSOCIAL PROTEGE MÃE E BEBÊ

Uma pesquisa sobre epigenética e estresse na gestação mostrou que intervenções ainda na fase gestacional podem proteger o desenvolvimento do bebê. Mães expostas a condições de estresse e vulnerabilidade social que receberam tratamento psicossocial durante a gestação tiveram bebês com melhores resultados de desenvolvimento cognitivo em relação às mães expostas às mesmas condições adversas, mas que não tiveram esse apoio 4

3 6

1 Esquema inspirado no infográfico Epigenetics and Child Development: How Children’s Experiences Affect Their Genes, Center On the Developing Child, Harvard 2 Early Experiences Can Alter Gene Expression and Affect Long-Term Development, working paper 10, Center On Developing Child, Harvard 3 e 5 CJ Mulligan, Annual Review of Anthropology, 2016 4 Gestational age acceleration is associated with epigenetic biomarkers of prenatal physiologic stress exposure, 2022 6 Maternal distress, DNA methylation, and fetal programing of stress physiology in brazilian mother-infant pairs, 2023

Estudos epigenéticos confirmam dados epidemiológicos, indicando diferenças nos desfechos ao nascimento entre meninas e meninos devido ao estresse materno na gestação. Marcadores de estresse, como cortisol e citocinas, afetam a aceleração da idade epigenética ao nascimento, que corresponde a um envelhecimento biológico mais rápido do que o cronológico. A exposição a fatores inflamatórios na gestação acelera igualmente a idade epigenética de meninas e meninos, mas o cortisol tem maior impacto nas meninas, sugerindo um mecanismo adaptativo que as torna mais resilientes

Os impactos da crise climática

A crise climática tem transformado profundamente nosso modo de vida. As crianças na primeira infância são as mais vulneráveis a esses efeitos, que comprometem a sua saúde e educação, elevam o risco de exposição à violência e dificultam seu desenvolvimento pleno

40 milhões de crianças e adolescentes com menos de 18 anos de idade estão expostas a mais de um risco climático ou ambiental no Brasil. Os principais são: 1

Falta d’água

Enchentes fluviais e costeiras

Ondas de calor

Poluição do ar

Poluição por pesticida

1,5 milhão de crianças podem ser forçadas a se deslocar pelos próximos 30 anos no Brasil por conta de inundações, tempestades e outros fenômenos climáticos extremos

O DESLOCAMENTO FORÇADO AFETA PESSOAS EM TODAS AS IDADES. Em crianças de 0 a 6 anos, a ruptura dos vínculos familiares, a falta de abrigo, o acesso limitado a serviços básicos e a exposição à violência comprometem o desenvolvimento físico, cognitivo e socioemocional 2

633 crianças

MENORES DE 5 ANOS MORREM TODOS OS ANOS NO BRASIL POR COMPLICAÇÕES LIGADAS À POLUIÇÃO. Em todo o mundo, são 543 mil óbitos nesta faixa etária 3

1 Crianças, Adolescentes e Mudanças Climáticas no Brasil, Unicef, 2022 2 Children displaced in a changing climate, Unicef, 2023

3 Poluição atmosférica e saúde infantil: Prescrevendo ar limpo, Organização Mundial da Saúde, 2018

Um recente estudo mostrou que a exposição de gestantes e de crianças na primeira infância ao calor excessivo PODE CAUSAR PARTOS PREMATUROS, NASCIMENTO DE CRIANÇAS COM BAIXO PESO, PREJUDICAR O DESENVOLVIMENTO INFANTIL (motor e cognitivo) e AFETAR O SISTEMA IMUNOLÓGICO 4

A crise climática também tem influência direta na insegurança alimentar na primeira infância, elevando a desnutrição e a obesidade infantil devido à falta de alimentos de qualidade e ao consumo de ultraprocessados. A união entre crise climática e insegurança alimentar já é caracterizada como uma sindemia global – ou seja, quando problemas diferentes passam a agir de forma combinada, criando um desafio ainda maior 5

A emergência climática afeta o tempo que as crianças passam na escola. Eventos extremos danificam as unidades, dificultam o acesso e aumentam a evasão, agravando riscos como trabalho infantil, exploração, violência e criminalidade. Muitas escolas são transformadas em abrigos, atrasando o retorno às aulas. Meninas refugiadas são ainda mais vulneráveis a casamentos forçados e violência sexual

Menos 1 ano e meio

Uma criança que enfrenta temperaturas com desvio padrão acima da média tende a ter até um ano e meio a menos de escolaridade em comparação com crianças expostas a temperaturas médias 6

4 O calor extremo afeta o desenvolvimento e a saúde na primeira infância – working paper n°1, Early Childhood Scientific Council on Equity and the Environment, 2024 5 Bortoletto, Ana Paula; Campello, Tereza; Jaime, Patrícia. Sindemia Global na Perspectiva Brasileira, Nexo Políticas Públicas, 2022 6 Randell, Heather; Gray, Clark. Climate change and educational attainment in the global tropics, 2019 7 Primeira Infância no Município – Promoção do antirracismo, Fundação Maria Cecilia Souto Vidigal, 2025

A exposição a eventos climáticos extremos pode CAUSAR ANGÚSTIA E PREOCUPAÇÃO

EXCESSIVA, a chamada ansiedade climática ou ecoansiedade. Em crianças pequenas, a insegurança, o isolamento e a dependência dos cuidadores podem agravar o quadro, causando medo, pesadelos, tristeza e perda de apetite

das crianças sofrem de depressão após desastre climático extremo, segundo a Associação Americana de Psicologia

RACISMO AMBIENTAL

A crise climática não é igual para todos e aprofunda desigualdades. CRIANÇAS NEGRAS E INDÍGENAS, enfrentam barreiras socioeconômicas que dificultam a adaptação, limitam o acesso a direitos básicos e as expõem ainda mais a eventos climáticos extremos 7

Estresse tóxico

Situações extremas de estresse na primeira infância podem prejudicar o desenvolvimento cerebral e corporal, além de aumentar o risco de doenças físicas e mentais ao longo da vida. Suporte de um adulto acolhedor é fundamental para neutralizar impactos negativos

NÃO É TUDO IGUAL

Há três tipos de estresse e é importante diferenciá-los: 1

CONSEQUÊNCIA

Positivo

É normal e essencial para o desenvolvimento saudável

Tolerável

Trata-se de um estresse mais prolongado, mas com tempo delimitado, e suporte de um adulto

Tóxico

Pode ocorrer quando a criança vivencia uma forte, frequente e/ou prolongada exposição a adversidades, sem o suporte de um adulto

Um leve aumento da frequência cardíaca e dos níveis de hormônios do estresse

CONSEQUÊNCIA

Ativa intensamente os alertas do corpo, com o aumento dos batimentos cardíacos e a produção acelerada de hormônios

CONSEQUÊNCIAS

Estado frequente de alerta. Pode interromper o desenvolvimento saudável do cérebro e de outros órgãos, o que aumenta o risco de doenças físicas e cognitivas na vida adulta, como diabetes e problemas cardíacos

SITUAÇÕES

Tomar uma vacina, o primeiro dia de aula ou com um cuidador diferente

SITUAÇÕES

Perder alguém próximo e querido, vivenciar um desastre natural ou se machucar de forma mais severa

SITUAÇÕES

Pobreza, racismo, abuso físico e emocional, negligência crônica, abuso de substâncias químicas ou doença mental do cuidador, exposição à violência e o ônus acumulado pelas dificuldades econômicas da família

• A EXPOSIÇÃO DO ADULTO AO ESTRESSE TÓXICO TAMBÉM AFETA A CRIANÇA, UMA VEZ QUE O IMPEDE DE EXERCER A PARENTALIDADE DE FORMA SAUDÁVEL 2

PESQUISA COM CRIANÇAS

DE 12 ANOS evidenciou que a exposição contínua a abuso e negligência desde a primeira infância causaram diferenças estruturais no cérebro, com diminuição da amígdala e do hipocampo, áreas responsáveis pelo aprendizado, memória e processamento de emoções 3

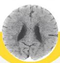
POR DENTRO DO CÉREBRO

Estas são imagens dos cérebros de duas crianças de 3 anos. O menor tamanho e os espaços escuros indicam lacunas no desenvolvimento, causadas pela negligência e pela falta de afeto

Desenvolvimento regular

Extrema negligência

1 e 2 Excessive stress disrupts the architecture of the developing brain, National Scientific Council on the Developing Child, 2005/2014 3 JL Hanson et al., Behavioral Problems After Early Life Stress: Contributions of the Hippocampus and Amygdala, Biol Psychiatry, 2014

INDIVÍDUOS EXPOSTOS AO ESTRESSE TÓXICO

NA PRIMEIRA INFÂNCIA TÊM MAIOR PROBABILIDADE DE DESENVOLVER, NA VIDA ADULTA: hipertensão arterial diabetes doenças pulmonares cardiopatias isquêmicas acidentes vasculares encefálicos doenças autoimunes

O ESTRESSE TÓXICO TAMBÉM AUMENTA A INCIDÊNCIA DE DISTÚRBIOS NEUROPSIQUIÁTRICOS, COMPORTAMENTAIS E DE DESENVOLVIMENTO, COMO: depressão transtorno de ansiedade transtorno obsessivo compulsivo dependência química transtorno do espectro autista transtorno de hiperatividade déficit de atenção

FONTE: O papel do pediatra na prevenção do estresse tóxico na infância, Sociedade Brasileira de Pediatria, 2017

FONTE: Bruce D. Perry, M.D., Child Trauma Academy, 1997

A pobreza infantil e suas múltiplas ameaças

A pobreza viola os direitos das crianças e ameaça o seu desenvolvimento. Trata-se de uma condição que afeta o acesso a saneamento, alimentação, moradia, informação e proteção contra o trabalho infantil. Em países com baixa e média renda per capita, as crianças de famílias mais pobres enfrentam maior risco de mortalidade infantil, desnutrição, atraso no desenvolvimento e baixa escolaridade, além de serem vítimas mais frequentes da violência e negligência. O investimento na primeira infância é a forma mais efetiva e sustentável de quebrar o ciclo de pobreza que atravessa gerações e proteger as infâncias de hoje e do futuro

A PRIMEIRA INFÂNCIA NA POBREZA

1

Mais da metade das crianças de 0 a 6 anos no Brasil está entre as famílias de baixa renda. Dentre as 18,1 milhões de crianças nessa faixa etária, 10 milhões (55,4%) vivem em famílias com renda mensal per capita de até meio salário-mínimo

SEM RENDA, SEM O BÁSICO

A primeira infância representa 8,9% da população brasileira, mas quando consideramos apenas a população de baixa renda, essa proporção sobe para 15,9%

O desemprego dos cuidadores afeta diretamente as crianças pequenas, pois dificulta o acesso à alimentação, educação e saúde, comprometendo o seu desenvolvimento físico, mental e emocional

43% das crianças na primeira infância fazem parte de famílias sem fonte de renda, sem considerar os benefícios sociais

Quando os benefícios sociais são considerados, o Bolsa Família passa a ser a renda principal de 82,6% das famílias com crianças de 0 a 6 anos

SEM ÁGUA, ESGOTO E COLETA DE LIXO

Além de ser um indicador do contexto de pobreza, a falta de infraestrutura básica afeta a saúde e o desenvolvimento das crianças. Entre aquelas na primeira infância: 2

7,2 milhões (35%) não têm acesso à rede de esgoto

1,9 milhão (9%) não têm acesso ao serviço de coleta de lixo

618 mil (3%) moram em casas sem acesso à água encanada

A fome entre as crianças 3

A insegurança alimentar afeta as crianças pequenas mais do que outras faixas etárias. No Brasil, 5,4 milhões de crianças de 0 a 4 anos, ou 1 em cada 3, convivem com algum grau de insegurança alimentar:

LEVE: 3,9 milhões de crianças de 0 a 4 anos quando há no domicílio preocupação se haverá alimento no futuro

MODERADA: 918 mil crianças de 0 a 4 anos quando há no domicílio redução da quantidade de alimento entre os adultos

GRAVE: 653 mil crianças de 0 a 4 anos quando há redução da quantidade também entre as crianças, podendo fazer com que as famílias passem fome

Os estados do Norte e Nordeste são os que mais sofrem com a fome. Enquanto a segurança alimentar está presente em 72,4% dos domicílios brasileiros, nestas regiões, esse índice cai para 60,3% e 61,2%, respectivamente

1 Perfil Síntese da Primeira Infância e Famílias no Cadastro Único, Fundação Maria Cecilia Souto Vidigal e Ministério do Desenvolvimento, Assistência Social, Família e Combate à Fome, 2024 2 Pnad Contínua, IBGE, 2022 | Levantamento: Fundação Maria Cecilia Souto Vidigal, 2024 3 Pnad Continua Segurança Alimentar, IBGE, 2023 4 Rede Brasileira de Pesquisa em Soberania e Segurança Alimentar e Nutricional 5 Crianças, Alimentação e Nutrição – Crescendo Saudável em um Mundo em Transformação, Unicef, 2019

O PERIGO DOS ULTRAPROCESSADOS 4

O crescimento da insegurança alimentar está relacionado ao aumento do consumo de alimentos ultraprocessados, que são mais baratos, menos perecíveis e produzem saciedade imediata (devido ao alto teor de sódio e gordura trans), mas têm baixo valor nutricional. O consumo excessivo contribui para a obesidade infantil, desnutrição e aumento do risco de morte

O IMPACTO ECONÔMICO DA NUTRIÇÃO

INFANTIL 5

A nutrição de boa qualidade é essencial ao crescimento, ao desenvolvimento cognitivo, ao desempenho escolar e à produtividade futura das crianças. Investir na alimentação é fundamental para a formação de capital humano. Cada dólar investido na redução do déficit de crescimento infantil gera um retorno econômico de aproximadamente 18 dólares nos países mais afetados pela fome

Os impactos da violência nas infâncias

A exposição à violência, seja como vítima ou testemunha, coloca a criança em situações de risco que afetam sua saúde, seu desenvolvimento e, em casos extremos, sua própria vida. A maioria das agressões ocorre dentro de casa. A exposição constante à violência pode gerar estresse tóxico, uma resposta do organismo a situações adversas que interfere no funcionamento fisiológico e psicológico da criança

FORMAS DE MAUS TRATOS

VIOLÊNCIA

SEXUAL

VIOLÊNCIA

FÍSICA

VIOLÊNCIA

PSICOLÓGICA

Abuso sexual; exploração sexual comercial; tráfico de crianças com essa finalidade

Uso de força contra a criança; agressão física e ataque que produzam ferimentos, como machucados, queimaduras e hematomas

Discriminação, depreciação, desrespeito por meio de ameaça, constrangimento, humilhação, manipulação, isolamento, agressão verbal e xingamento, ridicularização, indiferença, exploração ou intimidação

NEGLIGÊNCIA

FONTE: Recomendações

Física, emocional, educacional

VIOLÊNCIA

ESCALADA PREOCUPANTE

Os principais tipos de violência não letal contra crianças de 0 a 4 anos tiveram aumento o período de 2012 e 2022 1

VIOLÊNCIA PSICOLÓGICA

2012 – 171 2022 – 793

VIOLÊNCIA FÍSICA

2012 – 1.335 2022 – 3.132

VIOLÊNCIA SEXUAL

2012 – 1.498

2022 – 5.182

NEGLIGÊNCIA

2012 – 4.986

2022 – 19.573

REDUÇÃO DE ASSASSINATOS

A subnotificação da violência sexual é um grande obstáculo no acolhimento das vítimas.

Estima-se que apenas 8,5% dos estupros são notificados à polícia, e que apenas 4,2% dos casos são identificados pelo sistema de saúde 3

O número de homicídios foi um dos poucos indicadores de violência que registrou queda entre as crianças de 0 a 4 anos

2012 – 199 2022 – 147

DE TODAS AS VÍTIMAS de estupro são bebês e crianças com idade entre 0 e 4 anos 2 11,1%

135 246 292 26,1

ENTRE AS CRIANÇAS DE 0 A 4 ANOS 4

67,5% 79,2%

dos casos de violência não letal ocorrem dentro de casa

das violações não letais são cometidas por familiares

A ESCOLA COMO PROTEÇÃO

Ambiente que a criança frequenta todos os dias, a escola e um espaço eficiente para denunciar qualquer tipo de violação. É lá que a criança desenvolve vínculos de confiança com colegas, professores e funcionários, encontrando acolhimento e segurança para pedir ajuda

Os profissionais da escola, por conviverem diariamente com as crianças, podem identificar mudanças de comportamento, marcas visíveis e outros indícios de abuso, que podem se manifestar em desenhos e relatos espontâneos

1 e 4 Atlas da violência 2024, Instituto de Pesquisa Econômica Aplicada e Fórum Brasileiro de Segurança Pública 2 Anuário Brasileiro de Segurança Pública 2024, Fórum Brasileiro de Segurança Pública 3 Elucidando a prevalência de estupro no Brasil a partir de diferentes bases de dados, Instituto de Pesquisa Econômica Aplicada e Fórum Brasileiro de Segurança Pública, 2023

O racismo na raiz das desigualdades

O racismo estrutural, que permeia todo o nosso tecido social, cultural e econômico, é uma grave violação de direitos, especialmente prejudicial para as crianças pequenas, que são as primeiras a sentir seus impactos. Essa violência pode expor as crianças a altos níveis de estresse tóxico, comprometendo seu desenvolvimento. Além disso, prejudica o acesso a políticas públicas e, consequentemente, perpetua ciclos de desigualdades e pobreza. Priorizar estratégias de combate à discriminação racial é essencial para proteger e assegurar os direitos de todas as crianças

Os dados a seguir mostram uma maior proporção de crianças e famílias negras em índices como falta de acesso à alimentação adequada, propensão à pobreza e risco de violência 54%

RETRATO DAS

INFÂNCIAS NEGRAS

Das 18,1 milhões de crianças de 0 a 6 anos, 9,8 milhões (54%) são negras (pretas e pardas) 1

71%

Em famílias de baixa renda (renda mensal per capita menor que R$ 200), essa proporção aumenta para 71% 2

EFEITOS POSSÍVEIS DO RACISMO NO DESENVOLVIMENTO INFANTIL 3

Rejeição da própria imagem e impacto na autoestima

Restrições para realizar sua capacidade intelectual

Construção de uma identidade racial desvalorizada

Propensão ao desenvolvimento de doenças crônicas na vida adulta

Problemas de socialização e inibição comportamental

Estresse tóxico

Ansiedade, fobia, depressão

Dificuldade de confiar em si mesmo

SEM ACESSO AO BÁSICO

Um retrato da desigualdade racial é dado pela falta de infraestrutura básica 4

Entre as crianças sem acesso à água encanada, 81% são negras

Entre as crianças sem acesso à rede de esgoto, 64% são negras

Entre as crianças sem acesso ao serviço da coleta de lixo, 72% são negras

A COR DA FOME

74,6% das famílias que sofrem com insegurança alimentar grave são chefiadas por pessoas negras. Nos lares chefiados por pessoas brancas, esse índice é de 23,4% 5

GRAVIDEZ NA ADOLESCÊNCIA

73 ,8% das famílias inscritas no CadÚnico são de mães solo – a maior parte delas composta por mulheres pretas, pardas e jovens (entre 25 e 34 anos)

FONTE: Perfil Síntese da Primeira Infância e Famílias no Cadastro Único, Fundação Maria Cecilia Souto Vidigal e Ministério do Desenvolvimento, Assistência Social, Família e Combate à Fome, 2024

Crianças negras têm 39 % mais risco de morrer antes de completar 5 anos

FONTE: Ethnoracial inequalities and child mortality in Brazil: a nationwide longitudinal study of 19 million newborn babies, Centro de Integração de Dados e Conhecimentos para a Saúde (Cidacs/ Fiocruz Bahia), 2022

O fenômeno, preditor de abandono escolar e, consequentemente, de perpetuação da pobreza e da falta de oportunidades, ocorre predominantemente entre jovens negras 6

2,4% indígenas

22% brancas

73,3% negras

1 Censo 2022 2 e Pnad Contínua, IBGE, 2022 | Levantamento: Fundação Maria Cecilia Souto Vidigal, 2024 3 Racismo, educação infantil e desenvolvimento na primeira infância, Comitê Científico do Núcleo Ciência Pela Infância, 2021 5 Pnad Continua Segurança Alimentar, IBGE, 2023 6 Datasus, Ministério da Saúde, 2022

2,1% raça/cor ignorada

0,4% amarela

As telas e a primeira infância

O uso excessivo de tecnologia pode prejudicar o desenvolvimento infantil, especialmente nos primeiros anos de vida. A exposição prolongada às telas pode afetar a linguagem, a criatividade e as habilidades socioemocionais e motoras

USO SEMPRE

LIMITADO E

SUPERVISIONADO 1

Nos primeiros anos de vida, a criança aprende por meio de experiências significativas e concretas, mediadas por interações, estímulos e cuidados que não podem ser substituídos por televisores, computadores, tablets, smartphones e outros dispositivos eletrônicos. Por isso, quanto ao uso de telas, a Sociedade Brasileira de Pediatria recomenda:

MENORES DE 2 ANOS DE IDADE

EVITAR ao máximo a exposição

ENTRE 2 E 5 ANOS

Limitar a UMA hora por dia, sempre com supervisão

ENTRE 6 E 10 ANOS

Limitar a DUAS horas por dia, sempre com supervisão

CONEXÃO PRECOCE 2

Na contramão dessa orientação, as crianças brasileiras acessam a internet e ganham seu primeiro aparelho celular cada vez mais cedo:

Crianças que fazem uso da INTERNET (em %) 0 a 2 anos 3 a 5 anos

Crianças que têm APARELHO CELULAR (em %)

FONTE: 1 Manual de Orientação #MenosTelas #MaisSaúde, Sociedade Brasileira de Pediatria, 2019 2 Estatísticas TIC para Crianças de 0 a 8 anos de idade, Centro Regional de Estudos para o Desenvolvimento da Sociedade da Informação (Cetic.br), 2025

Um estudo com crianças

de 3 a 6 anos constatou que o aumento do tempo total de tela está consistentemente associado a problemas de saúde mental, independentemente do conteúdo. São duas as principais razões para isso:

IMPACTO NO DESENVOLVIMENTO:

O excesso de tela pode prejudicar o processamento cognitivo, a regulação emocional e gerar um estado de excitação nas crianças

HIPÓTESE DO DESLOCAMENTO:

O tempo diante das telas substitui atividades essenciais e que são fundamentais para a saúde mental e o desenvolvimento, como brincar e dormir 3

MAIS TELA = MENOS CONVERSA

Uma pesquisa internacional avaliou o impacto das telas na interação entre pais e filhos. Entre as crianças com 3 anos de idade, CADA MINUTO a mais nos dispositivos digitais significou menos 6,6 palavras ditas pelos pais e menos 4,9 vocalizações dos filhos 4

O uso excessivo de telas na primeira infância tem sido associado à redução da atividade física e ao comprometimento das habilidades motoras. Um estudo brasileiro com crianças na préescola revelou que o TEMPO EXCESSIVO DIANTE DAS TELAS AUMENTOU EM 72% O RISCO DE UM BAIXO QUOCIENTE MOTOR GERAL (que compara a idade motora de uma criança com a sua idade cronológica).

A inatividade elevou esse risco em 90% 5

PRIVACIDADE E SEGURANÇA DIGITAL

A falta de supervisão no uso de telas pode expor as crianças a diversos riscos, como:

Acesso a conteúdos inapropriados

Exposição à publicidade, despertando desejos de consumo

Divulgação de informações pessoais

Prática comum entre cuidadores e familiares, o COMPARTILHAMENTO EXCESSIVO DE FOTOS E VÍDEOS DE CRIANÇAS NAS REDES SOCIAIS (prática conhecida como sharenting) também representa perigos adicionais, incluindo:

Violação da privacidade

Uso indevido de imagens

Manipulações de fotos e vídeos por ferramentas de inteligência artificial

Cyberbullying e assédio virtual

O papel das empresas

Pesquisas mostram que ao investir em políticas para família, as companhias criam ambientes de mais confiança, maior produtividade e menos rotatividade

COMO FAZER?

Os requisitos mínimos para uma empresa ser considerada comprometida com a primeira infância 1

3

LACTÁRIO no ambiente de trabalho

Licença-maternidade estendida: mínimo de 180 DIAS

Licença-paternidade estendida: mínimo de 20 DIAS

AUXÍLIO-CRECHE além do mínimo acordado pelos sindicatos

AUXÍLIO-CRECHE também para funcionários homens 5

Todos os benefícios devem ser considerados também para casos de adoção e casais homoafetivos

TODA EMPRESA TEM POTENCIAL PARA SER ALIADA DA PRIMEIRA INFÂNCIA. O primeiro passo é reduzir a informalidade e oferecer condições dignas de trabalho para pais e mães, que permitam acesso à seguridade social e a salários adequados que garantam o bemestar da criança e da família

As empresas preocupadas em incluir as crianças nas suas diretrizes de ESG (relacionadas aos impactos ambientais, sociais e de governança) devem considerar, entre outros compromissos:

� Criar condições que permitam aos colaboradores conciliar a vida profissional com o cuidado de bebês e crianças

� Prevenir, enfrentar e eliminar o trabalho infantil, a exploração sexual e todas as formas de violência contra bebês e crianças em suas operações e áreas de influência

� Garantir que seus produtos e serviços sejam seguros, inclusivos e positivos para o desenvolvimento de bebês e crianças

� Apoiar ações comunitárias, da sociedade civil e governamentais que protejam e façam cumprir os direitos de crianças na primeira infância

A legislação brasileira prevê 120 dias de licençamaternidade e 5 dias de licença-paternidade

O programa

Empresa Cidadã, do governo federal, oferece benefícios para que as empresas estendam a licença das mães em 60 dias, totalizando 180 dias, e a dos pais em 15 dias, totalizando 20 dias

Porém, das 160 mil empresas que estão aptas a participar, apenas 24,1 mil aderiram 2

11,1 milhões de mulheres brasileiras ficaram fora da força de trabalho em 2022 para cuidar dos filhos e da casa, apesar de desejarem estar no mercado 4

A OFERTA DE CRECHES É FUNDAMENTAL PARA QUE AS MULHERES POSSAM CONCILIAR MATERNIDADE E TRABALHO, REDUZINDO DESIGUALDADES DE GÊNERO 5

DURAÇÃO MÉDIA

DAS LICENÇAS EM TODO MUNDO 3

Maternidade

126 dias

Paternidade

9 dias

Entre os homens com filhos na primeira infância, 9 em cada 10 estão empregados

Entre as mulheres, esse índice cai para 5 em cada 10

Segundo pesquisa realizada em 15 países, entre eles o Brasil, investir na saúde e no bem-estar do colaborador pode aumentar a produtividade em até 50% 6

1 Prêmio Melhores Empresas na Atenção à Primeira Infância - Great Place to Work Brasil, Fundação Maria Cecília Souto Vidigal e United Way Brasil 2 Pesquisa Licença Maternidade e Paternidade nas Empresas, 2021/2022 3 Organização Internacional do Trabalho, 2022 4 Custo da maternidade no Brasil: as múltiplas consequências do trabalho de cuidado não remunerado realizado por mulheres, Centro de Pesquisa em Macroeconomia das Desigualdades (Made/USP), 2024 5 Ser mãe é padecer no paraíso? Penalidades do trabalho de cuidados nas trajetórias laborais de mulheres com filhos na primeira infância, Ministério do Desenvolvimento e Assistência Social, Família e Combate à Fome, 2024 6 Right Management, 2022

O que diz a lei sobre a primeira infância

Constituição Federal, Estatuto da Criança e do Adolescente (ECA) e Marco Legal da Primeira Infância estabelecem como o Brasil deve reconhecer os direitos das crianças, proteger sua saúde e segurança e apoiar seu desenvolvimento integral

CONSTITUIÇÃO

FEDERAL (1988) 1

A lei fundamental do país, que assegura o exercício dos direitos sociais e individuais de todos os brasileiros, determina, em seu artigo 227, que:

A criança é um “dever da família, da sociedade e do Estado”.

Ou seja, garantir que tenham direito à vida, à educação, ao lazer, à cultura, à liberdade e à convivência é uma responsabilidade de todos

Além disso, a criança deve ser tratada “com absoluta prioridade”. Isso quer dizer que, em qualquer situação em que a criança esteja envolvida, o seu direito e o seu interesse devem ser sempre priorizados

ESTATUTO DA CRIANÇA E DO ADOLESCENTE (1990) 2

Antes do ECA, o que vigorava era o Código de Menores. O documento, criado em 1979, no contexto da ditadura militar, dava pouca autonomia às crianças e conferia ao Estado e aos adultos o poder de decidir o que é melhor para elas

Após a Convenção dos Direitos da Criança, da Organização das Nações Unidas (ONU), em 1989, o Brasil revogou o Código de Menores e promulgou o ECA em seu lugar

Foi só a partir do novo texto, que regulamentou os princípios constitucionais, que o país passou a olhar a criança dentro da doutrina da proteção integral, reconhecendo-a como um sujeito de direitos e com garantias específicas

MARCO LEGAL DA PRIMEIRA INFÂNCIA (2016) 3

Com os avanços da Constituição e do ECA, foi aberto o caminho para a criação desta lei, que foca nas especificidades da primeira infância, período que vai até os 6 anos de idade

O documento estabelece as diretrizes para a criação de políticas públicas que apoiem o desenvolvimento das crianças pequenas, sob a ótica também da ciência, reconhecendo que é nesta fase que formamos as bases da nossa saúde física, cognitiva e socioemocional

Marco Legal prevê que os governos devem: 4

1. GARANTIR DIREITO DE BRINCAR, estimulando a criação de espaços lúdicos em locais públicos e privados

2.

Instituir direitos e RESPONSABILIDADES IGUAIS ENTRE MÃES, PAIS E RESPONSÁVEIS no cuidado e educação das crianças

3.

AMPLIAR AS VAGAS na educação infantil com qualidade

4.

REDUZIR DESIGUALDADES NO ACESSO a bens e serviços que atendam a primeira infância

5.

APOIAR OS CUIDADORES PARA FORTALECER OS VÍNCULOS da criança com a família e a comunidade

6.

Fazer com que creches e pré-escolas tenham INSTALAÇÕES ADAPTADAS às crianças, profissionais qualificados e proposta pedagógica adequada

7.

REFORÇAR SERVIÇOS DE ATENDIMENTO DOMICILIAR , especialmente para famílias vulnerabilizadas

8.

AMPLIAR A LICENÇA-PATERNIDADE de 5 para 20 dias nas empresas que aderirem ao programa Empresa Cidadã

1 Constituição Federal 2 Estatuto da Criança e do Adolescente 3 e 4 Marco Legal da Primeira Infância

9.

CRIAR COMITÊS INTERSETORIAIS para articular das ações voltadas à primeira infância

10.

ENVOLVER AS CRIANÇAS de até 6 anos na formulação de políticas públicas

11.

QUALIFICAR OS PROFISSIONAIS sobre as necessidades da primeira infância

12.

MONITORAR E AVALIAR periodicamente os serviços oferecidos a crianças e divulgar os resultados

Normativas internacionais para a primeira infância

A garantia dos direitos fundamentais, a busca pela qualidade da educação infantil e a importância do desenvolvimento integral das crianças pequenas estão estabelecidas em documentos de abrangência global

CONVENÇÃO DOS DIREITOS DA CRIANÇA

E DO ADOLESCENTE

Em vigor desde 1990, a Convenção dos Direitos da Criança e do Adolescente, da ONU, é o instrumento internacional de direitos humanos mais amplamente ratificado da história. O tratado, adotado como um compromisso por 196 países, entre eles o Brasil, determina que:

ARTIGO 2

Toda a criança deve ter os seus direitos respeitados sem nenhum tipo de discriminação, independentemente de raça, cor, sexo, idioma, religião, opinião política ou de outra natureza, origem nacional, étnica ou social, posição econômica, deficiência física, nascimento ou qualquer outra condição da criança, de seus pais ou de seus representantes legais

ARTIGO 3

Todas as ações relativas à criança tomadas por instituições públicas ou privadas de assistência social, tribunais, autoridades administrativas ou órgãos legislativos, devem considerar primordialmente o melhor interesse da criança

ARTIGOS 28 E 29

O Estado deve assegurar que a educação básica seja acessível e gratuita para todos, com o objetivo de apoiar o pleno desenvolvimento da personalidade, das habilidades e do potencial mental e físico das crianças

FONTE: Unicef

QUESTÕES CONTEMPORÂNEAS

A ONU publica periodicamente Comentários Gerais, que são recomendações para os países signatários da Convenção. Dois dos mais recentes abordam problemas emergentes da primeira infância

TECNOLOGIA E INTERNET

O Comentário Geral 25 destaca a proteção dos direitos da criança no ambiente digital, enfatizando a necessidade de prevenir, monitorar, investigar e punir abusos. O texto alerta para riscos como exploração do trabalho infantil, exposição à violência e consumismo

MEIO AMBIENTE

O Comentário Geral 26 determina que os Estados adotem medidas urgentes contra os impactos da degradação ambiental e das mudanças climáticas nos direitos das crianças, garantindo um meio ambiente limpo, saudável e sustentável

OBJETIVOS DE DESENVOLVIMENTO SUSTENTÁVEL

Criados pela Organização das Nações Unidas (ONU) em 2016, os Objetivos de Desenvolvimento Sustentável (ODSs) contam com 17 metas que devem ser atingidas até 2030. A primeira infância está diretamente conectada a 11 desses objetivos. Entre os principais estão:

META

1

META

2

Erradicar a pobreza

Logo no começo da vida, quando o cérebro possui sua máxima capacidade de desenvolvimento, as crianças aprendem habilidades que as ajudarão a florescer com todo o seu potencial. Cuidar da primeira infância é a estratégia de maior custo-efetivo no combate à pobreza

Acabar com a fome e melhorar a nutrição

Estudos mostram que a combinação de estímulos e nutrientes aumenta o impacto da nutrição, promovendo um desenvolvimento mais saudável e completo das crianças

3

Saúde de qualidade

Uma primeira infância bem cuidada garante uma trajetória de vida mais saudável até a velhice. Crianças que recebem cuidados adequados têm menos chances de sofrer de doenças cardiovasculares e uma variedade de outras enfermidades ao longo da vida

5

4

Educação de qualidade

O aprendizado começa ao nascer. Está provado que as experiências e estímulos recebidos na primeira infância são fundamentais para o futuro aprendizado, sucesso acadêmico e produtividade

Igualdade de gênero

O investimento em educação infantil de alta qualidade e acessível está relacionado a melhores oportunidades para as mulheres avançarem economicamente

10

Reduzir a desigualdade

Os cuidados com a primeira infância são um poderoso equalizador de desigualdades entre crianças que nasceram em contextos diversos

11

Cidades e comunidades sustentáveis

Uma cidade acolhedora para crianças na primeira infância é uma cidade acolhedora para todos. Crianças com oportunidades de viver em espaços mais verdes, seguros e sustentáveis têm uma base sólida para um desenvolvimento mais saudável e integral

13

Ação contra a mudança global do clima

A emergência climática afeta principalmente gestantes e crianças na primeira infância, especialmente aquelas em situação de vulnerabilidade. Mitigar os efeitos dessa crise é fundamental para criar melhores condições de sobrevivência para as infâncias de hoje e de amanhã

META
META
META
META
META

Glossário

APRENDIZAGEM

Processo de construção, aquisição e apropriação de conhecimento.

de novas habilidades de forma contínua, dinâmica e progressiva para a realização de funções cada vez mais complexas. O conceito é amplo e engloba o crescimento e a maturação em diversos contextos.

integral da criança e do adolescente. É o marco legal e regulatório dos direitos humanos de crianças e adolescentes.

EDUCAÇÃO INFANTIL

Educação ministrada a crianças de até 6 anos.

EPIGENÉTICA

CÉREBRO

O cérebro faz parte do sistema nervoso e controla todos os processos do corpo. Protegido pelo crânio, ele comanda o nosso crescimento e desenvolvimento.

DESENVOLVIMENTO COGNITIVO

Relaciona-se às funções ditas mentais superiores, como a memória, a associação, o raciocínio dedutivo, a capacidade de planejamento, dentre outras.

Área da biologia que estuda mudanças num gene que não são causadas por alterações na sequência de DNA. Essa área analisa como experiências, nutrição e outros fatores externos alteram a expressão do gene.

CRECHE

Equipamento educacional que atende crianças de até 3 anos de idade.

DESENVOLVIMENTO PLENO

Ao falar de desenvolvimento pleno, considera-se o desenvolvimento de aspectos físicos, emocionais, sociais e cognitivos.

CRIANÇAS

Pessoa de até 12 anos de idade incompletos, de acordo com o Estatuto da Criança e do Adolescente (ECA).

DESENVOLVIMENTO

Construção e aquisição

ECA - ESTATUTO DA CRIANÇA E DO ADOLESCENTE

Lei nº 8.069, sancionada em 13 de julho de 1990. É o conjunto de normas que tem como objetivo a proteção

ESTRESSE TÓXICO

Ocorre quando a criança vivencia adversidades por um período prolongado sem o suporte de um adulto. O estresse tóxico pode interromper o desenvolvimento saudável do cérebro e de outros sistemas do corpo, aumentando o risco de uma série de doenças. Entre essas adversidades estão: abuso físico e emocional, negligência, exposição à violência ou à pobreza extrema.

GLOSSÁRIO

F

FUNÇÃO EXECUTIVA

E HABILIDADES DE AUTORREGULAÇÃO

trata-se do processo mental que permite o planejamento, o foco, a memorização e o equilíbrio de múltiplas funções.

JJANELA DE OPORTUNIDADE

Período sensível em que a aprendizagem de habilidades ou o desenvolvimento de aptidões e competências se faz de modo mais facilitado.

PPARENTALIDADE

O conceito é usado para descrever o conjunto de atividades desempenhadas pelo adulto de referência em seu papel de assegurar a sobrevivência e o desenvolvimento pleno da criança, de modo a promover a sua integração social e torná-la progressivamente autônoma.

PLASTICIDADE CEREBRAL

Capacidade de constante remodelação não só da

função, como também da estrutura do cérebro, influenciada pela experiência e que se estende ao longo da vida.

PRÉ-ESCOLA

Equipamento educacional que atende crianças de 4 a 5 anos de idade.

PRIMEIRA INFÂNCIA

Período que abrange os primeiros seis anos completos, os primeiros 72 meses de vida da criança, conforme define o Marco Legal da Primeira Infância (Lei n. 13.257/2016).

PRIMEIRÍSSIMA

INFÂNCIA

Fase que vai até os 3 anos de idade.

RRACISMO

ESTRUTURAL

Sistema de discriminação racial presente na sociedade e nas instituições, perpetuando desigualdades e desvantagens para grupos marginalizados. Manifesta-se em leis, políticas, normas sociais e práticas cotidianas que privilegiam uma raça em detrimento das outras.

REDE DE APOIO

É o conjunto de relações interpessoais. Dessa rede, a pessoa e/ou a família recebe apoio emocional, ajuda material, serviços e informações.

SSINAPSE

É o processo que ocorre sempre que neurônios recebem um estímulo. É o ponto de contato entre eles. As sinapses constroem caminhos que permitem conexões entre as diferentes áreas do cérebro.

SUJEITO DE DIREITOS

A Constituição Federal de 1988 é o marco de um novo olhar para a criança: ela passa a ser considerada cidadã e sujeito de direitos, e a família, a sociedade e o Estado são declarados responsáveis por garantir, com absoluta prioridade, os seus direitos. O termo “menor” é substituído pela expressão “criança e adolescente”.

VVÍNCULO

É a conexão, ligação nata entre indivíduos interdependentes.

Turn static files into dynamic content formats.

Create a flipbook
Issuu converts static files into: digital portfolios, online yearbooks, online catalogs, digital photo albums and more. Sign up and create your flipbook.