El Dentista Moderno Nº 86

Page 1


www.eldentistamoderno.com

ENTREVISTAS

• Prof. Moritz Kebschull, presidente de la EFP

• Dr. Luis Carlos Ojeda Perestelo, ortodoncista y doctor en Medicina

• Dr. José Vicente Lafuente Sánchez, presidente del Comité Organizador del XXVI Congreso Nacional y II Internacional de la SEDEM

IMPLANTOLOGÍA

D4.0 OPINIÓN PENSANDO EN EL FUTURO GESTIÓN, COMUNICACIÓN Y MARKETING

Siguiendo la evolución de la Odontología para el profesional del sector llamado a construir el futuro

PRETTAU ® SKIN ® (0,15 mm)

CORONA ZIRCONIO MULTICAPA 49,90 euros …y como siempre con los precios más competitivos del mercado

Escanea el código QR con tu smartphone para acceder al listado de precios o accede a www.expadent.com/precios

DISPONIBLE EXPADENT APP

Hemos mejorado nuestro sistema de gestión, y ahora cualquiera de nuestros clientes podrán realizar los pedidos directamente desde nuestra aplicación, intuitivamente.

También permite hacer un seguimiento total del proceso de fabricación y de envío del pedido realizado.

Sevilla 2024

Congreso Anual

10 - 12 de octubre

EPA-DDS Joint Meeting

Protocolos para la práctica clínica

CURSO 8 HORAS CON PASCAL MAGNE

Actualización en restauraciones anteriores con resinas compuestas directas, CAD/CAM y restauraciones indirectas de cerámica

+ Últimos avances en restauraciones no-crown.

+ Indicaciones de la odontología restauradora biomimética.

+ Restauraciones directas con resina compuesta y utilización de las resinas compuestas CAD/CAM para dientes anteriores.

+ Las claves del éxito de las restauraciones indirectas de cerámica.

Curso incluido en la inscripción general al congreso

Inscríbete al congreso completo hasta el 30 DE SEPTIEMBRE

con TARIFA REDUCIDA

LA INSCRIPCIÓN GENERAL AL CONGRESO INCLUYE TAMBIÉN:

• Simposio Digital Dentistry Society (DDS) del jueves

• Simposio European Prosthodontic Association (EPA) del viernes

• Jornada Multidisciplinar Clínico/Técnico del viernes*

• Jornada de dirección de clínicas dentales del sábado

• Simposio y talleres de industria de jueves, viernes y sábado

• Jornada de higienistas y auxiliares**

Consulta aquí el programa y las tarifas de inscripción

*Los técnicos de laboratorio que quieran asistir únicamente a esta jornada podrán hacer una inscripción independiente.

**Los higienistas y auxiliares que quieran asistir únicamente a esta jornada podrán hacer una inscripción independiente.

staff

eldentistamoderno

Número 86 - Julio/Agosto 2024

ENTREVISTAS

Impresión: Gama Color

Depósito Legal: M-33444-2013

ISSN: 2340-9703

ISSN (internet): 2340-9797

Versys Ediciones Técnicas S.L. Invierno, 17 28850 Torrejón de Ardoz (+34) 912 972 000 administracion@versysediciones.com

CEO

José Manuel Marcos Franco de Sarabia

DIRECTORA DE OPERACIONES

Esther Crespo

Siguiendo la evolución de la odontología

DIRECTORA

Emiliana Rodríguez Charmes emi.rodriguez@eldentistamoderno.com

SUBDIRECTORA

Beatriz Suárez de la Vega beatriz.suarez@eldentistamoderno.com

REDACCIÓN Y FOTOGRAFÍA

Departamentos propios Versys Ediciones Técnicas

COMITÉ CIENTÍFICO

Javier de la Cruz, José Nart, Jesús Daniel Parejo, Juan López Palafox, Miguel Burgueño, Juan Manuel Vadillo, Guillermo Galván, Rafael Martínez de Fuentes, Anna Ramiro, Carlos Repullo, Leticia Rodríguez, Marta Revilla, José María Malfaz, Eva Mª Martínez y Eva López de Castro

DISEÑO Y MAQUETACIÓN

Manuel Beviá

DIRECTORA COMERCIAL ÁREA DE DISTRIBUCIÓN Mercedes Álvarez mercedes.alvarez@versysediciones.com

DIRECTORA DE CUENTAS DM

Emiliana Rodríguez Charmes emi.rodriguez@eldentistamoderno.com

EJECUTIVA DE CUENTAS DM Beatriz Montero Fernández de Bobadilla beatriz.montero@eldentistamoderno.com

DIRECTOR DE EXPANSIÓN Y DESARROLLO

José Manuel Marcos de Juanes

Copyrigth Versys Ediciones Técnicas S.L. La suscripción a esta publicación autoriza el uso exclusivo y personal de la misma por parte del suscriptor. Cualquier otra reproducción, distribución, comunicación pública o transformación de esta publicación sólo puede ser realizada con la autorización de sus titulares. En particular, la Editorial, a los efectos previstos en el art. 32.1 párrafo 2 del vigente TRLPI, se opone expresamente a que cualquier fragmento de esta obra sea utilizado para la realización de resúmenes de prensa, salvo que cuente con la autorización específica. Diríjase a CEDRO (Centro Español de Derechos Reprográficos) si necesita fotocopiar, escanear, distribuir o poner a disposición de otros usuarios algún fragmento de esta obra, o si quiere utilizarla para elaborar resúmenes de prensa (www.conlicencia.com; 917021970/932720447)

Las opiniones y conceptos vertidos en los artículos firmados lo son exclusivamente de sus autores, sin que la revista los comparta necesariamente.

Premio de Comunicación SECIB 2019

Accede a El Dentista Moderno

sumario

EDITORIAL

El camino hacia la sostenibilidad, un esfuerzo común para todo el conjunto del sector

Por Emi Rodríguez Charmes, directora de Dentista Moderno y D4.0.

6

10

ENTREVISTA

“La Periodoncia podría reconocerse y practicarse aún mejor”

Prof. Moritz Kebschull, presidente de la Federación Europea de Periodoncia (EFP)

IMPLANTOLOGÍA - NOBEL BIOCARE

Diseño digital y cirugía pilotada en el paciente edéntulo. Desde la planificación hasta la rehabilitación protésica

Autores: Dra. Lucía Ruiz Rituerto, Santiago Dalmau y Garbiñe Juanarena.

22

26

ENTREVISTA

“La digitalización permite colocar TADs con un diseño más personalizado en cualquier localización y de una manera más sencilla y predecible”

Dr. Luis Carlos Ojeda Perestelo, ortodoncista y doctor en Medicina

ENTREVISTA

“El factor más determinante para el desarrollo futuro será la proliferación de unidades de apoyo a la docencia en cada facultad”

Dr. José Vicente Lafuente Sánchez, presidente del Comité Organizador del XXVI Congreso Nacional y II Internacional de la SEDEM

ACTUALIDAD

NOVEDADES

Equipamiento, instrumental y material protésico, dental y clínico

38

42

D4.0

Alineadores y sostenibilidad

Por: Dra. Victoria Martín

PENSANDO EN EL FUTURO

SEPES vuelve a sorprender con SMARTCLINIC 3.0

GESTIÓN, COMUNICACIÓN Y MARKETING

Asesoría legal: La Ley Beckham y su impacto en el sector dental español

Por: Dimitrichka Nedelcheva Anghelova, Abogada Senior Fiscal en el Departamento Jurídico Fiscal de AGM Abogados.

EL CAMINO HACIA LA SOSTENIBILIDAD, UN ESFUERZO COMÚN PARA TODO

EL CONJUNTO DEL SECTOR

Ya estamos inmersos en el periodo estival y con la llegada del verano, muchos de nosotros comenzamos a planificar nuestras vacaciones, eligiendo entre diferentes destinos y con la decisión de dónde ir a descansar y desconectar se busca en muchas ocasiones el contacto con la naturaleza, ya sea en playa, montaña, etc.

Este momento de elección también puede ser una oportunidad para reflexionar sobre la importancia de la sostenibilidad y el cuidado del medio ambiente en nuestro entorno laboral. Al igual que en otros sectores, en el sector dental hay muchos factores que se pueden optimizar para ser más eficientes con el medio ambiente, alineándose con la Agenda 2030 de las Naciones Unidas para el Desarrollo Sostenible.

Entre las decisiones a tomar, la digitalización de clínicas, laboratorios e industria presenta una oportunidad para reducir las emisiones de gases, disminuir los residuos y minimizar la huella de carbono.

La Dra. Victoria Martín, MSc, especialista en ortodoncia y comprometida con la reducción del impacto medioambiental, nos da su opinión sobre este tema, compartiendo su visión sobre cómo la odontología debe incorporar los objetivos de desarrollo sostenible en la práctica diaria y apoyar el cambio hacia una economía verde en pos del bienestar y una vida saludable para todos.

También dentro del contexto de los cambios a considerar, es importante detenerse en los procesos de normativas políticas y leyes que impactan al sector dental, como pasa con la denominada Ley Beckham, que permite a los profesionales extranjeros altamente cualificados, como los dentistas, beneficiarse de un régimen fiscal especial que reduce su carga impositiva durante los primeros años de residencia en España. Sobre esta Ley y su normativa nos habla la abogada Dimitrichka Nedelcheva Anghelova, especializada en el ámbito de la fiscalidad empresarial.

En resumen, mientras disfrutamos del verano y exploramos nuevos destinos, recordemos la importancia de la sostenibilidad y de cómo nuestras decisiones pueden contribuir a un futuro más verde. Al mismo tiempo, es esencial estar informados sobre las políticas que afectan al sector, como la Ley Beckham, que pueden ofrecen cambios en el ámbito dental.

Sigamos trabajando juntos por la evolución de la Odontología, por un futuro más sostenible y saludable, construyendo el futuro en el sector.

¡Feliz verano!

Emi Rodríguez
Directora de Dentista Moderno y D4.0

PARA SONRISAS QUE DURAN MÁS

Somos de las pocas empresas en el mundo que desarrollan sus propios sistemas a partir de la producción de la materia prima. Por este motivo la calidad de nuestro titanio garantiza una excelente durabilidad.

“LA PERIODONCIA PODRÍA

RECONOCERSE Y PRACTICARSE

AÚN MEJOR”

Prof. Moritz Kebschull, presidente de la Federación Europea de Periodoncia (EFP)

El Prof. Moritz Kebschull, nuevo presidente de la Federación Europea de Periodoncia (EFP) y catedrático de Odontología Restauradora de la Universidad de Birmingham (Reino Unido), comparte en esta entrevista su visión y sus conocimientos sobre la transformación de la periodoncia y explica por qué la salud periodontal es tan relevante.

 DM.- Teniendo en cuenta su vinculación con la Federación Europea de Periodoncia (EFP) durante los últimos tres años como miembro del comité ejecutivo, ¿qué significa para usted asumir la presidencia?

Prof. Moritz Kebschull (Prof. M.K.).- Mis años en la junta directiva de las sociedades nacionales de periodoncia alemana y británica me permitieron presenciar de primera mano cómo la EFP aprovecha con éxito su perspectiva y toda la red internacional en periodoncia. Habiendo contribuido al desarrollo de las últimas directrices por parte del Workshop Committee de EFP, vi el potencial que estos desarrollos podrían tener para el futuro de la Periodoncia. Por lo tanto, estoy encantado de ser presidente de la EFP, ya que significa una oportunidad única para ayudar a generar impacto para nuestra Federación, nuestros miembros y nuestros pacientes en tres aspectos:

 Influencia global a través de guías de práctica clínica actualizadas y estrecha colaboración con otros actores, como los libros blancos de Economist Impact (a principios de este año lanzamos el último de estos libros, sobre la carga de la caries y la periodontitis en el sistema de salud de los países).

 Ampliar la formación periodontal, fortalecer la formación universitaria y especializada siguiendo la orientación adecuada y dirigir la novedosa incorporación del “tercer pilar de la formación”, necesario para mejorar las habilidades del equipo clínico.

 Fortalecer la investigación y los investigadores periodontales mediante el fomento de la colaboración y el intercambio científico. Pienso por ejemplo en programas como los “EFP Scholars” para impulsar las carreras de investigadores jóvenes y dedicados colocándolos en entornos líderes a nivel mundial.

 DM.- Uno de sus principales objetivos es hacer que la Periodoncia esté más presente en la práctica clínica basándose en la evidencia científica. En este sentido, ¿cuáles han sido las acciones más relevantes llevadas a cabo por la EFP y qué visión tiene para los próximos años para lograr este objetivo?

Prof. M.K.- Ésta es una de mis principales prioridades como presidente de la EFP. Durante los últimos años hemos estado elaborando una importante serie de guías de práctica clínica de nivel S3 basadas en evidencia que brindan a los periodoncistas y otros profesionales de la salud bucal mejores protocolos y herramientas para tratar a sus pacientes con más éxito en todo el mundo. A nivel mundial, la EFP es líder en este ámbito en el campo de la odontología.

Sobre la base del nuevo esquema de clasificación global impulsado por la EFP, hemos desarrollado y difundido tres de estas pautas de alto nivel, las cuales ofrecen al equipo dental vías terapéuticas más precisas basadas en diagnósticos individualizados para los pacientes y constituyen un conjunto considerable de recomendaciones sobre intervenciones específicas para ayudar a todos a afrontar las cuatro etapas de la periodontitis y las enfermedades periimplantarias (mucositis periimplantaria y periimplantitis). Estas directrices ya se han filtrado a través de procesos regulatorios en muchos países, marcando una diferencia real “sobre el terreno”.

Pero éste no es el final: ya tenemos un canal establecido para directrices de práctica clínica adicionales para las partes que nos faltan: enfermedades gingivales, así como recesiones y otros problemas mucogingivales alrededor de los dientes y los implantes. Esta última directriz contará con el apoyo de un taller preparatorio dirigido conjuntamente por la EFP y la SEPA, así como por la sociedad periodontal italiana, en enero de 2025, que se centrará en las ahora importantes variables de resultado informadas por los pacientes. Este nuevo enfoque en la participación de los pacientes es otro paso clave en mi programa presidencial. Ahora estamos trabajando en la creación del “Foro de Pacientes EFP” que nos apoyará con comentarios sobre nuestros desarrollos, ¡hoy en día un requisito firme para el impacto gubernamental y regulatorio! En conjunto, estos pasos garantizarán que la EFP mantenga y construya su liderazgo global en el área del desarrollo de recomendaciones clínicas para periodoncia e implantología.

Desde la EFP queremos impulsar la influencia global de la Federación a través de guías de práctica clínica actualizadas y estrecha colaboración con otros actores, ampliar la formación periodontal y fortalecer la formación universitaria y especializada, así como la investigación

 DM.- Actualmente, como catedrático de Odontología Restauradora en la Universidad de Birmingham, lidera una importante cartera de programas de investigación biomédica. Teniendo en cuenta su formación académico-científica, en su opinión, ¿cuál es el valor de los proyectos de investigación que se llevan a cabo desde las universidades europeas? ¿Cómo aborda la EFP la tarea de promover el valor de la investigación en Periodoncia?

Prof. M.K.- Para nosotros en la EFP la promoción de la investigación periodontal es de suma importancia. Nuestro journal es la revista científica mejor clasificada en el campo de la periodoncia en

El Prof. Moritz Kebschull, en el centro, rodeado de los otros expertos que participaron con él en el tercer grupo de trabajo en Perio Workshop 2023.

entrevista

cuanto a investigación original, y allí construimos nuestro razonamiento clínico sobre la mejor investigación que existe, gran parte de la cual proviene de investigadores afiliados a EFP. En esa línea, convocamos cada año el Premio EFP de Investigación de Posgrado, que está dirigido a todos los estudiantes matriculados en nuestros programas de posgrado en Periodoncia acreditados por la EFP en Europa, Asia y Oceanía. Además, nuestro Premio EFP a la Innovación Digital fomenta el progreso tecnológico que puede aplicarse a la investigación periodontal. Y para los investigadores senior organizamos el Premio de Investigación en Periodoncia Jaccard-EFP, que se otorga cada tres años con motivo de nuestro congreso EuroPerio. Y como se mencionó anteriormente, ampliamos nuestro trabajo para permitir que aquellas cosas que están en el centro de los valores de EFP, un fuerte enfoque de investigación y colaboración internacional, se aunan mediante la creación de un programa de becas de EFP.

“ Una de mis principales prioridades como presidente de la EFP es hacer que la Periodoncia esté más presente en la práctica clínica basándose en la evidencia científica

En definitiva, promover la investigación periodontal es el núcleo de lo que hace la EFP todos los días: ¡sin una investigación periodontal sólida, no hay impacto!

 DM.- En este sentido, ¿qué líneas de investigación están trabajando en la EFP sobre la relación entre la enfermedad periodontal y otras enfermedades sistémicas?

Prof. M.K.- Sabemos que la enfermedad periodontal está relacionada con una serie de problemas de salud graves o crónicos, que incluyen diabetes, enfermedades y episodios cardiovasculares, accidentes cerebrovasculares, ataques cardíacos y enfermedades reumatoides y renales crónicas. En Inglaterra decimos, medio en broma, “Perio causes everything”. Pero las fronteras de la investigación están avanzando en todos los frentes, lo que nos permite comprender mejor los desencadenantes, los efectos y los procesos. Por lo tanto, la investigación es muy activa y prometedora en esas áreas, pero también en los vínculos menos conocidos entre la enfermedad periodontal y la enfermedad de Alzheimer y otros trastornos de demencia, así como con la disfunción eréctil, con los efectos adversos del embarazo y con el cáncer. El año pasado lanzamos la campaña Perio & Family Doctors porque consideramos que los médicos de familia y los dentistas necesitan trabajar más estrechamente. Nuestras campañas anteriores Perio & Diabetes, Perio & Caries y Perio & Cardio son testimonio de nuestros esfuerzos por arrojar luz en estas áreas.

Personalmente, la investigación sobre el vínculo periosistémico es un foco importante en Birmingham. Utilizamos lo último en tecnología para identificar y validar marcadores multiómicos que nos permitan detectar y diagnosticar enfermedades sistémicas utilizando fluidos orales no invasivos y, lo que es aún más interesante, utilizamos estos marcadores para predecir el futuro. En efecto, se trata de la capacidad de decirles a los pacientes y a los médicos cuál es el riesgo de complicaciones mayores, incluida la muerte, en el futuro, ¡basándose en un poco de saliva!

 DM.- ¿Cómo valora el nivel de formación de los profesionales odontológicos más jóvenes en Periodoncia y qué iniciativas impulsa la EFP en el ámbito formativo?

Prof. M.K.- Ahora estamos en el proceso de publicar nuevos hallazgos de consenso del Taller Eu-

ropeo sobre Educación Dental que está a punto de dar forma a cómo se enseña la formación en Periodoncia en todas partes. Es importante destacar que, además de las últimas orientaciones sobre formación de pregrado en Periodoncia, que cada vez son mejores y más alineadas en los países de la EFP y en nuestros 24 destacados centros de formación especializada, ahora también hemos formalizado lo que se espera de los cursos de nivel de CPD y “formación y capacitación vocacional” que están regulados a nivel europeo por el proceso Brujas-Copenhague y permiten una mejora y recapacitación de los profesionales; esto tiene el potencial de aumentar masivamente el número de profesionales con niveles mejorados de habilidades para el tratamiento de enfermedades periodontales. Esperamos que esto tenga un fuerte impacto en el panorama clínico.

Además, en los últimos años hemos logrado grandes avances con nuestras sesiones en vivo y podcasts, dirigidos principalmente a jóvenes odontólogos, que también son un objetivo importante para JCP Digest y otras iniciativas. Y, por supuesto, les dedicamos una atención especial a la hora de diseñar nuestros congresos EuroPerio y nuestras conferencias Perio Master Clinic.

Alrededor de 70 destacados expertos internacionales se reunieron en Perio Workshop 2023 para discutir un nuevo consenso sobre la formación de grado, posgrado y formación continua en periodoncia que se impartirá en los próximos años.

Consideramos que los médicos de familia y los dentistas necesitan trabajar más estrechamente ”

 DM.- Finalmente, en su opinión, ¿cuál es la posición de la Periodoncia a nivel internacional, teniendo en cuenta la visión que ofrecen las más de 40 sociedades miembros de la EFP?

Prof. M.K.- Estoy encantado de que cinco sociedades científicas nacionales de periodoncia más se hayan unido a la EFP, por lo que ahora reunimos a 43 sociedades miembros de seis continentes, que representan alrededor de 18.000 profesionales de la salud bucal. La EFP como organización tiene un fuerte corazón europeo, pero ahora también ofrece un alcance global, ¡desde Argentina hasta Australia y desde Noruega hasta Nigeria! Siento que el impacto de la EFP en la sensibilización regulatoria y social, en la formación de los profesionales dentales y en el nivel científico de la periodoncia es realmente fantástico ahora, ¡pero aún podemos hacerlo mejor! Todavía nos queda un largo camino por recorrer, ya que la periodoncia podría reconocerse, investigarse y practicarse aún mejor a todos los niveles. ¡Y mi programa presidencial cumplirá con esto! 

DISEÑO DIGITAL Y CIRUGÍA PILOTADA

EN

EL PACIENTE EDÉNTULO. DESDE LA PLANIFICACIÓN INICIAL HASTA LA REHABILITACIÓN PROTÉSICA

La digitalización ha transformado la rutina diaria de los dentistas. Las herramientas digitales no solo nos ayudan en las fases de diagnóstico y planificación, sino también en las fases de ejecución, donde los procedimientos son más fáciles y rápidos, aumentan la precisión, mejoran la cicatrización y el confort del paciente y mejoran los procesos de comunicación entre dentista y paciente, así como entre dentista y laboratorio. El objetivo de este artículo es desgranar el protocolo de un tratamiento de implantología en un paciente edéntulo mediante el uso de softwares de planificación y herramientas digitales.

Dra. Lucía Ruiz Rituerto

2005-2010: Licenciatura en Odontología. Universidad Alfonso X el Sabio. Premio extraordinario fin de carrera al mejor expediente académico. 12 MH; 16 SB. Nueva York, Diciembre 2010. Junio 2011: “Current concepts in American Dentistry: Advances in Implantology and Oral Rehabilitation”. New York University College of Dentistry.

2010-2012: Máster oficial de Implantología Oral Avanzada. Universidad Europea de Madrid.

2019: Título de Experto en Implantología Oral, Cirugía Reconstructiva y Estética Dentofacial. Universidad de Navarra

Laboratorios. Santiago

Dalmau (Digital Made) y Garbiñe Juanarena (Prótesis y Estética Dental)

Introducción

Vivimos en el periodo de la consolidación de la Odontología digital. Sin duda, los tiempos han cambiado drásticamente en el campo de la odontología y la cirugía dental. Antes, gran parte del trabajo lo realizábamos directamente en el gabinete, el dentista pasaba la mayor parte de su tiempo interactuando con el paciente y la planificación se basaba en la experiencia clínica e intuición del cirujano. Sin embargo, hoy los tiempos se han invertido y destinamos muchas más horas planificando delante del ordenador, manipulando softwares especializados e imágenes digitales. La digitalización ha transformado nuestra rutina diaria.

Somos capaces de diagnosticar, programar y efectuar los tratamientos de una forma más precisa. Una de las herramientas que nos facilita los tratamientos de implantes a día de hoy y que nos hace ganar eficacia y eficiencia en la práctica clínica es la cirugía pilotada, a través de la cual somos capaces de obtener una posición inicial e ideal de nuestro implante. El fresado guiado nos ayuda a conseguir la angulación, dirección y profundidad correctas de la fresa. El desarrollo de softwares de diseño específicos para la implantología oral ha impulsado el refinamiento de las técnicas de cirugía guiada. La combinación de la información de un escaneado de superficie en formato STL y

un encerado con la información volumétrica obtenida en el CBCT es el punto de partida para planificar el tratamiento.

El objetivo de este artículo es desgranar el protocolo de un tratamiento de implantología en un paciente edéntulo mediante el uso de softwares de planificación y herramientas digitales.

Material y métodos

Presentación del caso

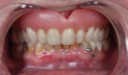
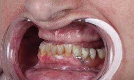
Se trata de una paciente de mediana edad, que es desdentada total en el maxilar superior, donde porta una prótesis completa desde hace varios años, y desdentada parcial en sectores posteroinferiores, por lo que lleva una prótesis removible en el maxilar inferior. Paciente con prótesis deterioradas con pérdida de funcionalidad.

Paciente no fumadora, pero con patología sistémica de EPOC tratada con broncodilatadores.

La paciente mostraba una gran incomodidad con el estado de su boca puesto que la prótesis le generaba sensación de ahogo, dificultad fonética y masticatoria. Además, presentaba una reacción severa a las náuseas agravada por la prótesis y dicho fenómeno iba acompañado de un aumento de la salivación, respiración, tos, etc.

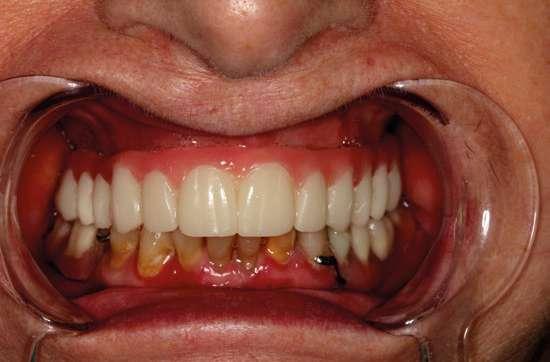
En su motivo de consulta demanda una “solución fija y menos voluminosa“ para rehabilitar su boca. (Fig. 1 y 2).

Estudio del caso, diagnóstico, pronóstico y plan de tratamiento

Los dientes inferiores remanentes a pesar de presentar lesiones cervicales y reconstrucciones previas presentan un buen estado periodontal y un pronóstico favorable.

Se propuso un plan de tratamiento consistente en la colocación de seis implantes y una prótesis fija implantosoportada en el maxilar superior, así como un cambio de los dientes de acrílico de la prótesis inferior y restauraciones de resina inyectada en los dientes anteroinferiores para restablecer los parámetros de dimensión vertical y orientación de planos oclusales.

El primer paso en la planificación consiste en un estudio completo con fotografías intra y extraorales, vídeo, CBCT y escáner intraoral con y sin las prótesis colocadas.

En aquellos pacientes en los que la prótesis se encuentre perfectamente adaptada y con una buena dimensión vertical y estética, se podrá utilizar como patrón para realizar el doble escáner necesario para el diagnóstico mediante el software de planificación de implantes. Sin embargo, como no cumplía estos requisitos procedimos a realizar un nuevo encerado digital, basándonos en el diseño ideal. Realizamos un montaje de dientes con Exocad que nos guiará el plan de tratamiento adjuntando los archivos 2D y 3D que hemos obtenido.

Teniendo en cuenta la clasificación de los pacientes edéntulos para prótesis fija implantosoportada de Avinash S. Bidra, se trata de una Clase II donde la paciente presenta una atrofia moderada, con una línea de sonrisa media-baja, en la que los dientes anterosuperiores deben estar colocados en una posición más inferior que la cresta ósea y donde no se requiere una mejora del soporte labial. Por ello, desde el inicio se le explicó a la paciente que la prótesis final iba a requerir la colocación de un perfil protésico rosa para sustituir, no sólo los dientes sino también parte del reborde alveolar y encía perdida.

En el análisis inicial determinamos que se requería de un aumento de la dimensión vertical para lograr una armonización de la estética dentofacial, una mejora de las relaciones oclusales e incisales y proporcionar un espacio adecuado para el material restaurador.

En máxima sonrisa no mostraba exposición del reborde alveolar.

Además, era necesario mejorar el canteo del plano y colocar todos los dientes en una posición más apical para lograr una curva de sonrisa adecuada y paralela a la convexidad del labio inferior. Al examinar el soporte labial y la discrepancia anteroposterior, se determinó que la discrepancia entre la cresta ósea edéntula y la localización óptima de los dientes anteriores era menor de 10 mm por lo que decidimos que era posible hacer una restauración fija sin tener una transición entre la restauración y el implante demasiado escalonada.

Todos estos parámetros fueron corregidos en el diseño de sonrisa inicial y encerado digital. (Figura 3, 4 y 5).

caso clínico

Guía radiográfica para maxilares edéntulos y planificación virtual de la colocación de los implantes

Para poder planificar la cirugía guiada para la colocación de implantes en pacientes completamente edéntulos, realizamos un duplicado de la prótesis completa modificada rebasada en acrílico transparente, a la que se le añaden entre seis y ocho marcadores de gutapercha esféricos distribuidos uniformemente como elementos fiduciarios para la realización del doble escáner y permitir el ajuste preciso de los dos escaneados en el software DTX Studio™ Implant.

Realizamos un primer escáner radiográfico a la paciente con la guía radiográfica sujeta en la posición correcta en oclusión y un segundo escaneado posicionando la guía radiográfica en una esponja colocándola aproximadamente en la misma orientación

en la que estaba posicionada para el escaneado del paciente.

Posteriormente, exportamos los datos como archivos DICOM.

Mediante el software DTX, superponemos estos archivos junto con el STL del encerado ideal.

La paciente presentaba una Clase III de Cawood y Howell con una cresta alveolar con adecuada anchura y altura por lo que planificamos la colocación de seis implantes. No consideramos necesario añadir más implantes a nuestra planificación puesto que se trataba de una arcada cuadrada con un mínimo cantilever anterior. Además, se planificaron tres tornillos de anclaje para proporcionar una seguridad adicional. Diseñamos una férula quirúrgica para un procedimiento de fresado piloto guiado que guía la fresa espiral de 1,5 y 2,0 mm.

Antes de llevar a cabo la cirugía, es importante verificar que la apertura bucal de la paciente es de 40 mm como mínimo para acomodar el instrumental de la cirugía guiada.

Seleccionamos implantes NobelActive® con cambio de plataforma integrado que desplaza el micro gap hacia dentro en sentido horizontal, alejando las filtraciones bacterianas del hueso y una conexión cónica que proporciona estabilidad a la unión de implante pilar. Además, gracias a las herramientas de planificación del software podemos predecir de antemano qué pilares intermedios vamos a necesitar. (Fig. 6, 7 y 8).

Acto quirúrgico

En primer lugar, se llevó a cabo una primera fase higiénica y desinflamatoria mediante profilaxis y RAR inferior.

A la hora de la cirugía, una vez verificada que la plantilla está en la posición correcta, fresamos a través del tubo del tornillo de anclaje mediante la fresa espiral guiada de 1,5 mm x 20 mm hasta el tope de la fresa e introducimos los tornillos de anclaje guiados completamente dentro del tubo. En este caso, hicimos un abordaje con colgajo, realizamos el fresado piloto guiado utilizando las fresas guiadas seleccionadas según el informe del plan de tratamiento, seguidamente retiramos la plantilla quirúrgica y continuamos con la preparación de los lechos y la colocación de los implantes. Se utilizó la secuencia recomendada por el fabricante en hueso tipo III para colocar los implantes. Los torques de inserción finales fueron entre 32 y 50 Nw.

Los implantes fueron colocados en una posición subcrestal. Siguiendo las recomendaciones de Tomas Linkevičius, si los tejidos son finos, simplemente enterrando los implantes a una mayor profundidad en el hueso va a servir para compensar la falta de espesor de tejido blando. Al enterrar 1,5 mm los implantes por debajo de la cresta ósea y si tenemos un espesor vertical de tejido blando de 2 mm, habrá en total 3,5 mm de espacio biológico. Esto es suficiente para la formación de un sello periimplantario con lo que se evita la reabsorción ósea. (Fig. 9, 10 y 11)

caso clínico

Se monitorizó la evolución de la cicatrización durante las semanas siguientes y se fue adaptando la prótesis provisional a los cambios gingivales mediante silicona de rebase blando. (Ufi Gel SC Voco). Pasados cuatro meses, procedimos a realizar la exposición de los implantes y la conexión de los pilares Multi-unit Xeal™ rotatorios mediante un protocolo One abutment- One time. Durante la segunda cirugía, nos aseguramos de dejar un tejido blando de suficiente grosor y altura de encía queratinizada que nos garantice un mantenimiento del hueso crestal. Se seleccionaron las alturas y angulaciones de estos y se colocaron a 35 Nw de torque. La topografía y las propiedades químicas de estos pilares han sido diseñadas para facilitar la adhesión del tejido blando al pilar y así tener una mejor barrera que proteja el hueso subyacente. Al colocar estos pilares logramos igualar las alturas de las plataformas de los implantes, siendo más cómoda la realización de la prótesis definitiva y también mejorando la higienización de la futura prótesis. (Fig. 12 y 13).

Confección de la prótesis definitiva

Realizamos un primer escaneado con scan bodys atornillados a los pilares intermedios. Dichos componentes escaneables presentan una geometría retentiva en su cuerpo que nos permite ferulizarlos entre sí, consiguiendo un flujo de escaneado continuo que mejora la repetibilidad y disminuye la deformación de los escaneados, facilitando alcanzar la pasividad en las rehabilitaciones múltiples.

Se atornillan los scan transfer en boca, verificando el ajuste y se realiza un primer escaneado sin ferulizar. A continuación, se recomienda ferulizarlos entre sí en boca con resina auto y se realiza un segundo escaneado.

No obstante, para asegurarnos de un ajuste pasivo óptimo que evite complicaciones mecánicas y biológicas hicimos una segunda comprobación para lo que usamos una ferulización mediante una estructura de acero inoxidable fresada y diseñada de forma digital con un software CAD. Esta técnica expuesta por Revilla-Leon et al. integra los procedi-

mientos analógicos y digitales y nos permite tener un mayor control al calcular y diseñar exactamente los agujeros para desatornillar los aditamentos de los implantes, así como el espacio para el material de impresión; además la cubeta tiene una única posición lo que simplifica enormemente el procedimiento. (Fig. 14, 15 y 16).

Para poder evaluar la oclusión, estética, dimensión vertical, sellado gingival, etc., usamos pruebas plásticas impresas en 3D diseñadas en Exocad. Sobre éstas hacemos todos los retoques necesarios y una vez controlados, se retornan o se re-escanean para que el laboratorio copie la prueba en resina en la prótesis final. Esto nos permite eliminar el ajuste final en boca del paciente, evitando tener que hacer retoques que provoquen la pérdida de anatomía, así como la generación de superficies abrasivas en las prótesis una vez fabricadas y también evitamos los procedimientos de repulido, que a menudo resultan insatisfactorios. (Fig 17 y 18).

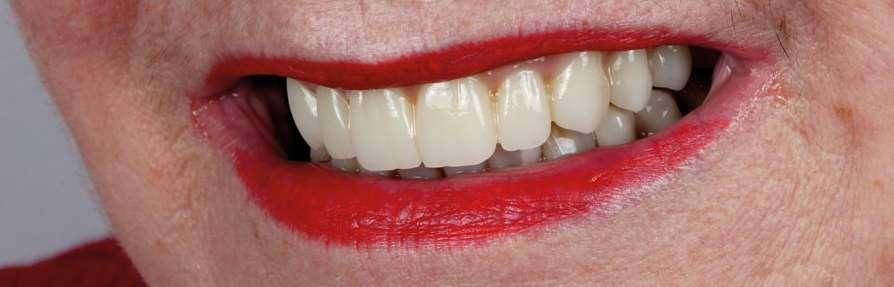
A nivel prostodóntico, decidimos abordar el caso de una manera totalmente digital con materiales monolíticos. La prótesis final es una restauración de zirconio monolítico con barra de titanio. La fusión de zirconio monolítico con barras de titanio representa una sinergia perfecta entre estética y funcionalidad. Esta combinación aprovecha lo mejor de ambos materiales, resultando en restauraciones dentales que son al mismo tiempo resistentes, ligeras y visualmente atractivas. Siendo los materiales que nos aportan una mayor biocompatibilidad con los tejidos.

Mientras que el zirconio proporciona una superficie resistente y estética, ideal para el enfrentamiento con las exigencias de la masticación diaria, el titanio ofrece un soporte subyacente que reduce significativamente el peso total de la prótesis. Estas barras de titanio son diseñadas a medida para cada paciente, asegurando un ajuste y soporte óptimos para las restauraciones de zirconio monolítico. La barra de titanio brinda una base sólida y fiable. Esto, no solo incrementa la durabilidad de la restauración, sino que también mejora la distribución de la carga masticatoria y reduce las complicaciones de fractura.

El conjunto obtiene una mayor resistencia mecánica y fiabilidad frente al empleo de interfases. Al tener un apoyo continuo en toda su superficie, se eliminan las secciones críticas que podrían causar roturas en pónticos o secciones de soporte demasiado cortas.

caso clínico

El diseño de las estructuras se realizó en el software Blender. La barra de titanio es sintero-mecanizada y la superestructura está realizada en un zirconio monolítico, multicapa y translúcido. Una vez fresado y sinterizado, se comprueba el ajuste de ambas estructuras y posteriormente se realiza un tratamiento de maquillaje con microestratificación con cerámica líquida de última generación. La parte rosa está estratificada con cerámica feldespática.

En la postproducción, se lleva a cabo un proceso de anodización del titanio, que es un mecanismo de oxidación que nos permite darle otro color. Elegimos el color dorado ya que es el más parecido a un sustrato dental y con el que menos se transparenta el metal a través del zirconio. El último paso es el cementado de ambas estructuras que se llevó a cabo con cemento de resina autopolimerizable Panavia V5. (Fig. 19, 20 y 21).

caso clínicoIMPLANTOLOGÍA

El diseño basal de la prótesis se realizó con una interfase plana, ligeramente semiconvexa con un contacto íntimo con los tejidos blandos para evitar el escape de aire, pero suficiente para poder pasar un Superfloss (Oral B) que permita la higienización por parte del paciente. El titanio y el zirconio representan los materiales ideales para estar en contacto con los tejidos gingivales pues generan una menor atracción de bacterias y se incrementa la zona de adherencia tisular por parte de los hemidesmosomas. Incluso

puede influir en la remineralización del hueso y en la mejora del tejido blando periimplantario. Se ajustó la oclusión minuciosamente para conseguir contactos homogéneos bilaterales y se comprobó que hubiera desoclusión posterior, sin interferencias en los movimientos excursivos de lateralidad y protrusiva. Por último, se instaló una férula de descarga final. Una vez finalizado el tratamiento, establecimos un programa de revisiones periódicas y mantenimiento periimplantario semestral. (Fig. 22, 23, 24 y 25).

Discusión

A lo largo de este caso clínico, se describe el paso a paso de una rehabilitación de una arcada maxilar desde el diagnóstico, planificación del caso, descripción del acto quirúrgico y fabricación de la prótesis definitiva. La cirugía pilotada y la planificación por medio de softwares de implantología nos aporta numerosas ventajas como una mayor precisión, al aseguramos que los implantes se coloquen en la posición exacta necesaria para lograr un resultado guiado no por la disponibilidad ósea sino por las necesidades restauradoras. Además, los tiempos clínicos se reducen y somos menos invasivos aportando al paciente beneficios al disminuir los niveles de estrés y ansiedad asociados al procedimiento.

Las restauraciones con supraestructuras de zirconio monolítico fresadas y cementadas pasivamente a infraestructuras de barras de titanio ofrecen altas tasas de éxito y revelan grandes resultados en cuanto a función, estética, fonética, higiene y satisfacción del paciente.

Hoy en día, son una alternativa ideal a las restauraciones de zirconio-porcelana cuya principal complicación es el chipping de ésta por la falta de adhesión química entre estos dos materiales y no nos permitían llevar a cabo un flujo 100% digital. También superan a las prótesis de zirconio monolítico que presentan un mayor índice de fractura por diversas causas como la rigidez del material y la ausencia de flexión de este, el mal diseño de los conectores o por las microfracturas debido a las fuerzas de calentamiento y enfriamiento.

Por supuesto, constituyen una mucho mejor opción terapéutica que las prótesis híbridas tradicionales con estructura metálica y dientes de resina, las cuales, es bien sabido que sufren un desgaste precoz de los dientes de resina o fractura de estos además de tener una mayor prevalencia de mucositis. La impresión 3D, la fabricación aditiva, ya sea con impresoras láser, DLP o LCD ha mejorado la exactitud, detalle y minuciosidad al crear objetos 3D personalizados de manera automatizada, eliminando el error humano en la fabricación. Entre las ventajas que presenta su uso destaca el poco residuo que se genera, la capacidad de fabricar geometrías complejas, el menor costo, la mayor rapidez y el gran abanico de materiales que nos ofrece. Como limitaciones destacaría la menor resistencia de los materiales impresos o que generalmente sólo nos permite imprimir en monocromáticos. En este caso clínico en particular, la hemos usado para la creación de guías quirúrgicas, para la elaboración de las pruebas de pasividad y prototipos de prótesis. El futuro en esta área es muy prometedor. Es importante resaltar la importancia del prototipo inicial. Es la base y el punto de partida sobre la cual se va a construir todo el tratamiento y una vez que tenemos la validación clínica de éste lo vamos a replicar en la guía quirúrgica y en la restauración final por medio de las herramientas de “corta y pega” que nos ofrecen los softwares actuales. La superposición de fotografías y escáneres faciales en las planificaciones CAD nos permiten la reducción de pruebas y errores durante el procedimiento.

caso clínicoIMPLANTOLOGÍA

A pesar de sus numerosas ventajas, los enfoques digitales presentan ciertas limitaciones. La precisión de los escáneres intraorales para restauraciones implantosoportadas de arcada completa es controvertida. Es importante verificar la exactitud de los modelos digitales obtenidos. No se ha establecido un consenso sobre cuál es el mejor enfoque digital para capturar la información intraoral y transferirlo al laboratorio dental. Sin embargo, los estudios en los que basamos este protocolo indican una desviación en las impresiones intraorales dentro de los límites clínicamente aceptables (<200 um). Especialmente en casos de rehabilitaciones completas, protocolos como la fotogrametría (Pic Dental) se postulan como alternativas a los escáneres intraorales. Sin embargo, son necesarios ensayos clínicos aleatorizados que comparen la utilización de la fotogrametría frente a escáneres intraorales en términos de precisión, ajuste pasivo, tiempos trabajo, coste-beneficio y satisfacción de los pacientes.

Aunque la tecnología ha revolucionado la forma en la que trabajamos, esta transición presenta varios desafíos como la necesidad de formación y

Bibliografía

1. Three-Dimensional Esthetic Analysis in Treatment Planning for Implant-Supported Fixed Prosthesis in the Edentulous Maxilla: Review of the Esthetics Literature. AVINASH S. BIDRA. Journal of Esthetic and Restorative Dentistry. Vol 23, No 4: 219–236. 2011.

2. Prosthetic gingival reconstruction in a fixed partial restoration. Part 1: Introduction to artificial gingiva as an alternative therapy. Christian Coachman, Maurice Salama, David Garber. IJPRD 2009; 29:471-477.

3. Dimensión vertical de la oclusión: decisiones en la planificación del tratamiento y consideraciones terapéuticas. Marcelo Calamita, Christian Coachman, Newton Sesma, John Kois. The International Journal of Esthetic Dentistry. Volumen 12, Número 2, Año 2019.

4. Clinical considerations for increasing occlusal vertical dimension: a review. J Abduo, K. Lyons. Australian Dental Journal 2012.

5. Analysis of influence of lip line and lip support in esthetics and selection of maxillary implant-supported prosthesis design. Flávio Domingues Neves, Gustavo Mendonça, Alfredo Julio Fernandes Neto. J Prosthet Dent. 2004 Mar;91(3):286-8.

6. Virtual implant planning in the edentulous maxilla: criteria for decision making of prosthesis design. Avrampou M, et al. Clin Oral Implants Res. 2013.

7. Treatment of maxillary jaws with dental implants: guidelines for treatment. Drago C, et al. J Prosthodont. 2011. PMID: 21585590 Review.

adaptación constantes, la inversión significativa en tecnología o la gestión de los datos digitales mediante medidas de seguridad sólidas.

Conclusiones

Las herramientas digitales no solo nos ayudan en las fases de diagnóstico y planificación, sino también en las fases de ejecución, donde los procedimientos son más fáciles y rápidos, aumentan la precisión, mejoran la cicatrización y el confort del paciente y mejoran los procesos de comunicación entre dentista y paciente, así como entre dentista y laboratorio. La reproducibilidad de nuestros tratamientos está mejorando gracias al desarrollo o mejora de nuevos recursos digitales. La cirugía guiada o pilotada, los materiales odontológicos más nuevos, la impresión 3D y los medios digitales de diseño y producción en clínica y laboratorio han cambiado la forma en que se abordan los casos en la práctica clínica.

Este protocolo integra las últimas técnicas y tecnologías para aportar resultados estables y longevos reduciendo el tiempo clínico, la morbilidad y el coste para nuestros pacientes. 

8. Influence of Implant Placement Depth and Soft Tissue Thickness on Crestal Bone Stability Around Implants With and Without Platform Switching: A Comparative Clinical Trial.

Zukauskas S, Puisys A, Andrijauskas P, Zaleckas L, Vindasiute-Narbute E, Linkevicius T. Int J Periodontics Restorative Dent. 2021 MayJun;41(3):347-355.

9. Early crestal bone loss: Is it really loss? Puisys A, Auzbikaviciute V, Minkauskaite A, Simkunaite-Rizgeliene R, Razukevicius D, Linkevicius R, Linkevicius T. Clin Case Rep. 2019 Aug 27;7(10):1913-1915.

10. Digital impression, DVT, and 3D printing - implantology in the digital workflow. Frahsek G. Int J Comput Dent. 2023 Feb 24;26(1):89-99.

11. Epithelial attachment and downgrowth on dental implant abutments--a comprehensive review. Iglhaut G, Schwarz F, Winter RR, Mihatovic I, Stimmelmayr M, Schliephake H. J Esthet Restor Dent. 2014 Sep-Oct;26(5):324-31.

12. Accuracy of Digital Impressions in Fixed Prosthodontics: A Systematic Review of Clinical Studies. Giachetti L, Sarti C, Cinelli F, Russo DS. Int J Prosthodont. 2020 Mar/ Apr;33(2):192-201.

13. Digital workflow for the design and additively manufacture of a splinted framework and custom tray for the impression of multiple implants: A dental technique. Piedra Cascón W, Revilla-León M. J Prosthet Dent. 2018 Dec;120(6):805-811.

14. Digital implantology—a review of virtual planning software for guided implant surgery. Part II: Prosthetic set-up and virtual implant planning. Flügge, T., Kramer, J., Nelson, K. et al. BMC Oral Health 22, 23 (2022).

15. Guided Dental Implant Surgery: Systematic Review. Dioguardi M, Spirito F, Quarta C, Sovereto D, Basile E, Ballini A, Caloro GA, Troiano G, Lo Muzio L, Mastrangelo F. J Clin Med. 2023 Feb 13;12(4):1490.

16. Tian Y, Chen C, Xu X, Wang J, Hou X, Li K, Lu X, Shi H, Lee ES, Jiang HB. A Review of 3D Printing in Dentistry: Technologies, Affecting Factors, and Applications. Scanning. 2021 Jul 17;2021:9950131.

17. Mijiritsky E, Elad A, Krausz R, Ivanova V, Zlatev S. Clinical performance of full-arch implant-supported fixed restorations made of monolithic zirconia luted to a titanium bar: A retrospective study with a mean follow-up of 16 months. J Dent. 2023 Oct;137:104675.

18. Clinical Advantages and Limitations of Monolithic Zirconia Restorations Full Arch Implant Supported Reconstruction: Case Series. Carames J, Tovar Suinaga L, Yu YC, Pérez A, Kang M. Int J Dent. 2015;2015:392496.

19. Delucchi F, De Giovanni E, Pesce P, Bagnasco F, Pera F, Baldi D, Menini M. Framework Materials for Full-Arch Implant-Supported Rehabilitations: A Systematic Review of Clinical Studies. Materials (Basel). 2021 Jun 12;14(12):3251.

MIN*

Del a la restauración provisional

ESCANEADO

Nuestro �lujo de trabajo digital del escaneado al provisional en 60* minutos combina de manera única excelente hardware y software de diferentes fabricantes para crear un e�iciente �lujo de trabajo sin �isuras. Escanea el código QR para obtener más información.

nobelbiocare.com

GMT90257 ES 2405 © Nobel Biocare, 2024. Reservados todos los derechos. Nobel Biocare, el logotipo de Nobel Biocare y todas las demás mar cas comerciales son, a menos que se especi�ique lo contrario o se deduzca claramente del contexto en algún caso, marcas comerciales de Nobel Biocare. Las imágenes de los productos no están necesariamente reproducidas a escala. DEXIS™ IS está fabricado por Dental Imaging Technologies Corporation (450 Commercial Drive, Quakertown, PA USA 18951) y distribuido por Nobel Biocare. Las impresoras SprintRay 3D están fabricadas por SprintRay Inc., 2705 Media Center Drive, Suite 100A, Los Angeles, CA y distribuido por Nobel Biocare. X-Guide® está fabricado X-Nav Technologies, LLC 1555 Bustard Road Suite 75, Lansdale PA 19446, USA y distribuido por Nobel Biocare. * Los tiempos indicados para el �lujo de trabajo digital del escaneado al provisioonal, se basan en un escenario optimizado que no incluye pasos adicionales como radiografías, anestesia del paciente e incluye plani�icación previa de los implantes. Los 60 minutos mencionados se re�ieren a una situación con una buena posición inicial del hueso y sólo deben servir a modo orientativo.

“LA DIGITALIZACIÓN PERMITE COLOCAR TADS CON UN DISEÑO MÁS PERSONALIZADO EN CUALQUIER LOCALIZACIÓN Y DE UNA MANERA MÁS SENCILLA Y PREDECIBLE”

Dr. Luis Carlos Ojeda Perestelo, ortodoncista y doctor en Medicina

El Dr. Luis Carlos Ojeda Perestelo, ortodoncista y doctor en Medicina, además de presidente del 70 Congreso de la Sociedad Española de Ortodoncia y Ortopedia Dentofacial (SEdO) –celebrado recientemente en Gran Canaria–, nos desvela en esta entrevista los últimos avances en ortodoncia y ortopedia dentofacial, destacando las ventajas del uso del anclaje esquelético, técnica de la que fue pionero en Canarias y también uno de los primeros especialistas en apostar por este avance en nuestro país.

 DM.- Pionero en el uso del anclaje esquelético en Canarias y uno de los primeros ortodoncistas en apostar por este avance en España, tratando hasta la fecha a más de 1.000 pacientes. ¿Cuáles son los últimos avances que se han producido en esta técnica?

Dr. Luis Carlos Ojeda Perestelo (Dr. L.C.O.P.).- La digitalización nos está permitiendo colocar TADS con un diseño más personalizado en cualquier localización y de una manera más sencilla y predecible. También destacaría toda la nueva ola de ortopedia esquelética para adolescentes de clases III y clase II.

 DM.- ¿Qué posibilidades ofrecen los dispositivos de anclaje esquelético a la hora de llevar a cabo movimientos ortodóncicos? ¿Y a nivel ortopédico?

Dr. L.C.O.P.- En relación a los movimientos ortodóncicos, destacaría la mayor predictibilidad de los mismos en los tres ejes del espacio y poder llegar a límites que antes eran insospechados (aspecto cuantitativo del movimiento).

A nivel esquelético destacaría los avances en la ortopedia de clase III y clase II.

La ortopedia de clase III en adolescentes nos permite armonizar la posición espacial de los maxilares como nunca antes habíamos podido.

La nueva ortopedia de clase II está consiguiendo cambiar de manera estable la posición espacial de la mandíbula en adolescentes mostrando un impacto facial similar a la cirugía ortognática de avance mandibular.

 DM.- ¿En qué tipo de casos tiene más ventajas la colocación de los microtornillos?

Dr. L.C.O.P.- Yo destacaría cuatro categorías de casos:

1. Ortopedia maxilar/Armonización ortofacial.

2. Movimientos ortodóncicos sagitales/transversales/verticales donde con los procedimientos clásicos es insuficiente tanto desde el punto de vista cualitativo como cuantitativo del movimiento.

3. Movimientos ortodóncicos de un diente o un grupo espacialmente en sistemas hibridados donde combinamos brackets con ortodoncia plástica.

4. Todos aquellos pacientes con ausencia de piezas que puedan requerir de pónticos de transición. Esto nos permite darle una continuidad a la arcada mientras realizamos los movimientos de las piezas presentes. Destacar también la colocación de TADs coronados en niños con agenesias de laterales durante toda la etapa de crecimiento.

 DM.- Su trabajo ha sido reconocido por diversas sociedades científicas con varios galardones como el Premio Nacional de la Sociedad Española de Periodoncia y Osteointegración (SEPA) en 2004 o el Premio Nacional concedido por la Sociedad Española de Ortodoncia y Ortopedia Dentofacial (SEdO) en 2011. ¿Qué suponen para usted este tipo de reconocimientos?

Dr. L.C.O.P.- Los reconocimientos suponen en mi caso un pequeño estímulo para continuar remando en los diferentes campos que nos ofrece la Ortodoncia en general y el anclaje esquelético, en particular.

 DM.- Usted también es experto en Medicina Dental del Sueño por la Federación Española de Sociedades de Medicina del Sueño (FESMES).

¿Cómo están revolucionando las nuevas técnicas en ortodoncia el tratamiento de patologías como los ronquidos y las apneas del sueño, especialmente en pacientes infantiles?

Dr. L.C.O.P.- Éste es uno de los campos a los que hacía referencia anteriormente. La posibilidad de poder separar las hemimaxilas de manera similar a nivel anterior y posterior (en paralelo) y desarticular la sutura pterigomaxilar nos va a permitir traccionar todo el complejo nasomaxilar hacia ade-

lante. Toda esta ola de ortopedia maxilar, conjuntamente con la ortopedia mandibular para las clases II, está suponiendo a nivel clínico un antes y un después en el tratamiento de los ronquidos y las apneas en niños.

Durante los próximos años tendremos estudios aleatorizados comprobados con poligrafías que confirmen estos resultados clínicos preliminares.

 DM.- ¿Cómo puede ayudar el anclaje esquelético a mejorar la calidad de vida de este tipo de pacientes?

Dr. L.C.O.P.- El anclaje esquelético insertado en zonas estratégicas de los maxilares nos va a permitir aumentar la vía aérea de los niños y adolescentes. Nosotros como ortodoncistas tenemos la obligación de dejarle la vía aérea lo más permeabilizada posible a los niños, previniéndoles así de futuros trastornos del sueño durante la vida adulta.

 DM.- El campo de los alineadores ha evolucionado mucho en los últimos años. En su opinión, ¿cuáles han sido los avances que más han contribuido al desarrollo de esta especialidad?

Dr. L.C.O.P.- La Ortodoncia está viviendo un momento de cambios destacando especialmente todo el desarrollo alcanzado en el ámbito de la ortodoncia plástica y el anclaje esquelético. La odontología digital y la radiología en 3D han sido contribuidores determinantes durante los últimos años. Además, creo que durante los próximos años la IA nos facilitará nuestro día a día como clínicos.

“ El anclaje esquelético insertado en zonas estratégicas de los maxilares nos va a permitir aumentar la vía aérea de los niños y adolescentes ”
La Ortodoncia está viviendo un momento de cambios destacando especialmente todo el desarrollo alcanzado en el ámbito de la ortodoncia plástica y el anclaje esquelético

 DM.- Por otro lado, la profesión se enfrenta a una problemática que pone en riesgo la salud bucodental de los pacientes: la adquisición de tratamientos ortodóncicos por internet sin supervisión profesional. Como experto en Ortodoncia, ¿qué peligros puede acarrear esta práctica y por qué es tan importante que sea un ortodoncista cualificado el que realice y supervise el tratamiento?

Dr. L.C.O.P.- Los tratamientos de ortodoncia deben ser realizados por un ortodoncista cualificado. Cuando adquirimos este tipo de tratamientos nos estamos olvidando de realizar un diagnóstico detallado del caso y todo ello nos llevará a una incorrecta planificación y a un nulo seguimiento. Además este tipo de prácticas le acarreará a nuestros pacientes unos riesgos a muchos niveles (articulares, masticatorios, periodontales, funcionales...) que en la mayoría de los casos tienen difícil solución o a expensas de un alto coste biológico y psicológico. Cualquier tratamiento de ortodoncia ha de ser personalizado y requerirá de un seguimiento individualizado, ya que solo así podemos obtener unos resultados óptimos y adecuados. Como sociedad hemos de ponerle ciertos límites a toda esta ola de virtualidad y globalidad.

 DM.- Asimismo y con el fin de avanzar en la dignificación de la profesión, tanto desde el Consejo General de Dentistas de España como desde las diversas Sociedades científicas se está trabajando para impulsar el reconocimiento oficial de las especialidades odontológicas. En el caso de la Or-

todoncia, ¿qué beneficios reportaría este reconocimiento para los profesionales y para los pacientes?

Dr. L.C.O.P.- He podido participar en varias reuniones de EFOSA y las diferentes asociaciones de especialistas europeos de Ortodoncia no dan crédito con la injusta situación que vivimos en España en relación al no reconocimiento de la especialidad de la Ortodoncia (somos el único país de los 27 en la actualidad). El reconocimiento tendrá sus fases hasta que esté plenamente consolidado y reconocida la especialidad en nuestra sociedad. A medio-largo plazo supondrá la dignificación de todos los ortodoncistas.

Los pacientes tendrán un profesional de garantías en quien poder confiar el tratamiento de las maloclusiones dentarias suyas y de las generaciones venideras.

 DM.- Como presidente del 70 Congreso de la SedO, ¿cuál ha sido el feedback por parte de los asistentes, expertos ponentes e industria tras su celebración entre los días 5 y 8 de junio en Gran Canaria?

Dr. L.C.O.P.- No he dejado de recibir durante los días posteriores al Congreso múltiples mensajes de agradecimiento de los asistentes y expertos. La industria nos ha comentado que les ha compensado durante estos días todo el networking y el desplazamiento realizado a Gran Canaria. La sala principal estuvo varios días con lleno absoluto, señal del excelente nivel del programa científico.

Y, en palabras de un conocido y veterano ortodoncista: “Luis Carlos has conseguido que la SEDO me vuelva a reilusionar”. 

“EL FACTOR MÁS DETERMINANTE PARA EL DESARROLLO FUTURO SERÁ LA PROLIFERACIÓN DE UNIDADES DE APOYO A LA DOCENCIA EN CADA FACULTAD”

Dr. José Vicente Lafuente Sánchez, presidente del Comité Organizador del XXVI Congreso Nacional y II Internacional de la SEDEM (28-30 noviembre 2024, Bilbao)

Bajo el lema “Formar profesionales ahora para el futuro”, la Sociedad Española de Educación Médica (SEDEM) celebrará la vigésimo sexta edición de su Congreso Nacional (y la segunda edición de su Congreso Internacional) entre los días 28 y 30 de noviembre en Bilbao. El presidente del Comité Organizador de este encuentro, el Dr. José Vicente Lafuente Sánchez –vicedecano de Grados e Innovación de la Facultad de Medicina y Enfermería de la Universidad del País Vasco– nos explica a lo largo de esta entrevista la aplicación de la Inteligencia Artificial en la educación médica en la actualidad y otros temas que serán protagonistas de un evento destinado a promover el avance y la innovación en el campo de la educación médica.

 DM.- La Sociedad Española de Educación Médica (SEDEM) celebrará su XXVI Congreso Nacional (y la segunda edición de su Congreso Internacional) entre los días 28 y 30 de noviembre en Bilbao. ¿Qué novedades presentará el encuentro en su programa?

Dr. José Vicente Lafuente Sánchez (Dr. J.V.L.S.).- En estos momentos es mandatorio hablar de la Inteligencia Artificial (IA) y de su irrupción en nuestro campo, sus consecuencias, aplicaciones, etc. En este sentido, SEDEM fue quizá la primera sociedad científica que en enero hizo público un decálogo del uso ético de la IA generativa. Incorporamos una sesión plenaria y un taller, y además, algo aún más interesante, su utilización

en la organización misma del congreso; este aspecto lo podrán descubrir los que participen en el congreso.

Además de ello, hay temas fundamentales como son los diseños curriculares afectados por los cambios legislativos de este mismo año, el desarrollo didáctico de la simulación clínica y lo que ello implica para la seguridad del paciente, o cómo trabajar el interprofesionalismo desde el principio en unas profesiones tan imbricadas como las nuestras.

 DM.- ¿Cuáles son actualmente las principales preocupaciones de los profesionales de la salud en cuanto a su formación y cómo se reflejarán éstas en el programa del Congreso?

Dr. J.V.L.S.- La adaptación de nuestros planes de estudio a una realidad social rápidamente cambiante, la adaptación de nuestras técnicas didácticas al perfil igualmente rápidamente cambiante de nuestro alumnado y la falta de profesorado profesional para afrontar estos retos.

 DM.- En este sentido, ¿qué temáticas serán las que vertebren el programa del XXVI Congreso de la SEDEM?

Dr. J.V.L.S.- Acorde con el lema del congreso, “Formar profesionales ahora para el futuro”, además de las temáticas expuestas anteriormente (diseño curricular, irrupción de la IA en nuestro día a día, simulación e interprofesionalismos), ocupan un lugar relevante en el programa (puede consultarse en la web) la actualización de las competencias del profesor, la enseñanza en entornos clínicos e intentando promover una herramienta que ayude a todas ellas, se ha lanzado una iniciativa para generar una red de unidades de apoyo a la educación que den soporte técnico y experto a estas necesidades cada vez mas perentorias. Además de las sesiones plenarias, hay 3 conferencias invitadas enfocadas cada una de ellas en una inquietud singular: por un lado, analizar qué planteamientos del pasado nos pueden ayudar a proyectarnos eficazmente al futuro (“La importancia del legado para afrontar el futuro de la educación médica”); qué debilidades del presente pueden convertirse en oportunidades de mejora (“La formación médica en tiempos complejos: Una oportunidad”); y la primera que aborda el componente ético imprescindible a tener en cuenta en cualquier desarrollo curricular (“La Red Iberófona para la Responsabilidad Social en Salud”).

La

adaptación de nuestros planes de estudio a una realidad social rápidamente cambiante y la adaptación de nuestras técnicas

didácticas al perfil igualmente rápidamente cambiante de nuestro alumnado son algunos de los retos de la educación médica

 DM.- Una de las sesiones del Congreso estará dedicada a los nuevos planes de estudio de Medicina. ¿Cuáles han sido los principales cambios introducidos?

Dr. J.V.L.S.- En Medicina la introducción generalizada de la ECOE ha sido lo que más ha influido en el desarrollo de los currículos. La evaluación de las habilidades, del razonamiento clínico, de la comunicación, etc. hizo que se abordaran explícitamente estos aspectos en las prácticas. Si lo que no se evalúa, se devalúa, lo que se evalúa se revaloriza; es un principio que se cumple en todos los campos y éste no es una excepción. En Medicina se generaliza en los cambios curriculares derivados del proceso de Bolonia. En Odontología y Enfermería se hace en algunos centros, algunas materias la introducen en su evaluación. Es seguro que esta práctica irá avanzando por la demanda social de aseguramiento de la calidad de la formación recibida. Por supuesto, no es que sea el único método de alcanzar el referido aseguramiento de la calidad, pero sí que es un método mucho más eficaz.

 DM.- En este sentido, ¿qué mejoras se proponen desde SEDEM en el sistema de formación de médicos actual, tanto a nivel universitario como MIR y de formación continuada?

Dr. J.V.L.S.- Autogestión de su formación. En este momento todo universitario debe aprender a reconocer y gestionar sus necesidades de aprendizaje para mantener su nivel de competencia profesional. Mucho más si lo que pretende es progresar. Esto afecta a todos, pero en lo que concierne al alumnado de nuestros grados es singularmente significativo por la excelencia de sus expedientes académicos. La universidad recibe “aprendedores profesionales”, jóvenes que llevan años demostrando, de una forma exitosa, que tienen una cier-

La evaluación de las habilidades, del razonamiento clínico, de la comunicación, etc. hizo que se abordaran explícitamente estos aspectos en las prácticas ”

ta habilidad para aprender. Cuando abandonan la universidad sería deseable que fueran conscientes de estas habilidades y de su utilidad para afrontar la formación a lo largo de la vida profesional. En cada etapa de formación es importante aprender lo que corresponde y tanto como ello es avanzar en el “aprender a aprender” para afrontar el global del recorrido profesional.

 DM.- La aplicación de la Inteligencia Artificial en la educación médica también será protagonista del Congreso. ¿Qué avances tecnológicos están mejorando la capacitación de los profesionales de la salud en la actualidad? ¿Hacia dónde se dirige el futuro en este sentido?

Dr. J.V.L.S.- Por supuesto en cualquier proceso formativo tenemos un docente, un discente y unos recursos que median la relación entre ellos. Entre esos recursos se encuentran los planes de estudios, los programas de las materias a tratar, así como los recursos tecnológicos que ayudan al desarrollo de ellos. Ya se ha hablado de uno de los aspectos más tecnológicos en el adiestramiento del alumnado y en el mantenimiento de las habilidades técnicas necesarias a lo largo de todo la vida: la simulación. La simulación ha tomado carta de naturaleza y hoy es inasumible realizar un procedimiento cruento en un ser humano sin haber demostrado cierto dominio de los aspectos técnicos previamente en un dispositivo de simulación. En ese sentido se promueve el primer día de congreso una “expo-simulación”, un showroom donde se presentarán diferentes tecnologías de simulación física y virtual disponibles o en desarrollo en el mercado que pueden ayudar al desarrollo de las habilidades técnicas y competencias profesionales necesarias.

 DM.- Durante el encuentro también se hablará sobre los modelos de enseñanza en el entorno clínico. ¿Qué tendencias se aprecian en este ámbito y cuáles son las ventajas de este tipo de formación?

Dr. J.V.L.S.- Todos los grados biomédicos tienen la característica de que trabajan con personas, atienden a personas en situación de debilidad, minusvalía o sufrimiento de un tipo u otro. Estos profesionales no pueden desentenderse de los avances tecnológicos en su área de especialización, pero tampoco pueden desentenderse de los perfiles cambiantes de los pacientes con los que se encuentran. ¿Qué significa ser un paciente o estar enfermo hoy? ¿Y dentro de unos años? ¿Cómo espera ser atendido un paciente hoy? Y ¿cómo lo será dentro de unos pocos años?... Hace tan solo unas décadas uno iba resignado al dentista sabiendo que iba a “sufrir”, no necesariamente a sentir dolor, pero sí que era una situación incómoda por la que había que pasar para solucionar un problema mayor, ya fuera un dolor o una incapacidad funcional. Hoy se va al dentista a recostarse en un cómodo sillón y a lo sumo experimentar un leve pinchazo...Y no se está dispuesto a mucho más. Nos encontramos con realidades cambiantes, también en lo que significa ser paciente hoy. ¿Qué expectativas y demandas de confort, calidad y eficiencia tienen? Por ello, en cualquiera de nuestros encuentros no podemos

dejar dedicar un tiempo a hablar de lo que significa ser paciente hoy.

 DM.- ¿A qué profesionales invitan ustedes a asistir al encuentro? Y, en concreto, ¿cómo animarían a aquellos profesionales implicados en la educación odontológica para que asistan al XXVI Congreso de la SEDEM?

Dr. J.V.L.S.- El encuentro va dirigido a todos aquellos profesionales activamente implicados en “Educación Médica”, es decir, en la planificación y desarrollo de programas de formación en áreas biomédicas, por ejemplo, grados de Medicina, Odontología, Enfermería, Fisioterapia, Podología, Logopedia, Optometría, etc. y en cualquiera de sus niveles formativos (grados, postgrados o formación continua). Esto es, profesorado, profesionales de cualquier rama sanitaria, alumnado o personal técnico implicado en la generación de materiales didácticos.

Desde este foro se quiere poner de manifiesto algunos de los retos que han aparecido recientemente en Odontología y por los cuales sería de interés compartir este foro. Está en ciernes el cambio de los planes de estudio del grado de Odontología en todo el país, a las adecuaciones obligadas a la nueva legislación se superpone que la Odontología ha experimentado en los últimos 10-15 años cambios importantes que hacen que los planes derivados de Bolonia se queden obsoletos; han durado 14 años aproximadamente. El tiempo medio de desarrollo y tramitación de un plan de estudios en la universidad pública es de 2 años, en el mejor de los casos. Teniendo en cuenta la evolución exponencial de los cambios tecnológicos y sociológicos sería razonable pensar que el próximo plan de estudios tenga una vigencia de unos 5-8 años. Esta desproporción debe hacernos considerar la necesidad de cambiar la estructura, el paradigma sobre el que diseñamos los planes de estudio para contemplar esta tarea desde otra perspectiva que tendremos que debatir ampliamente para consensuar y acordar las posibilidades más pertinentes. Los equipos directivos de varias facultades y la CRADO (Conferencia de Responsables Académicos De Odontología) llevan un tiempo trabajando activamente en el estudio y análisis de las necesidades del grado, así como de los marcos regulatorios comunitarios y estatales que desembocaran seguramente en la redacción de una nueva regulación.

Todo universitario debe aprender a reconocer y gestionar sus necesidades de aprendizaje para mantener su nivel de competencia profesional. Mucho más si lo que pretende es progresar ”

DM.- Y, para finalizar, ¿cómo será el futuro de la educación médica en nuestro país?

Dr. J.V.L.S.- El factor más determinante para el desarrollo futuro será la proliferación de unidades de apoyo a la docencia en cada facultad y, si es posible, sacar adelante la red propuesta en la que se apoyen mutuamente, complementando las fortalezas de unas y otras.

En el Congreso contaremos con un showroom donde se presentarán diferentes tecnologías de simulación física y virtual disponibles o en desarrollo en el mercado que pueden ayudar al desarrollo de las habilidades técnicas y competencias profesionales necesarias ”

Por otro lado, las profesiones sanitarias tienen un denominador común, son profesiones reguladas por directivas de la UE. Todas ellas tienen un importante componente práctico curricular en su formación, es decir, nadie puede graduarse sin haber realizado un número determinado de prácticas. Y aún más sin haber demostrado una suficiente habilidad en el desempeño de las competencias que en ellas se adquieren y desarrollan. Esto no ocurre en otros grados y es uno de los aspectos en los que se pone de manifiesto que la regulación general universitaria no da una respuesta eficiente a los estudios biomédicos. El análisis de este punto daría para otra entrevista. En el campo profesional debemos considerar dos riesgos: el sobretratamiento y el subempleo. En

cuanto al sobretratamiento, hay que poner en valor el diagnóstico, ya que regalar la primera visita puede llevar al sobretratamiento. Y en lo que se refiere al subempleo, en estos momentos hay más de 40.000 odontólogos/as colegiados en España (1/1.100 habitantes aprox.), con una edad media baja, aún lejana a la jubilación, es decir, que la tasa de jubilación en este colectivo es baja al tratarse de una población que ha accedido a la profesión en los últimos 20-30 años, coincidiendo con la eclosión de las facultades de Odontología. Esta eclosión coincidió con políticas sanitarias que incluían medidas preventivas colectivas (fluoración de las aguas) e individuales [lavado periódico de los dientes, planes de cuidado infantil de la dentadura (PADI)…], de forma que la odontología reparativa ocupa un menor porcentaje de la actividad del profesional y su lugar es ocupado por otras necesidades o actividades como la estética. Pensando sobre esta sofisticación y especialización de las profesiones sanitarias será de interés volver la mirada al odontólogo para contemplarlo como el primer profesional de la salud para abordar la patología de la boca y más cuando se extingan las últimas generaciones de estomatólogos.

Y, por último, el reconocimiento oficial de las especialidades está cercano y esto incide en el mundo profesional y también en el académico. La configuración de los nuevos planes de estudio no será igual dependiendo de lo avanzado que esté el reconocimiento referido. 

TPD. ALFREDO SALVI
TPD.

Siguiendo la evolución de la Odontología para el profesional del sector llamado a construir el futuro

OPINIÓN

Alineadores y sostenibilidad

Dra. Victoria Martín

PENSANDO EN EL FUTURO

SEPES vuelve a sorprender con SMARTCLINIC 3.0

GESTIÓN, COMUNICACIÓN Y MARKETING

Asesoría legal: La Ley Beckham y su impacto en el sector dental español Dimitrichka Nedelcheva Anghelova

ssespo espo

25-26 oct 2024

https://congresosan tiago2024.sespo.es/

‘‘Salud oral como parte de un estilo de vida saludable’’

SANTIAGO DE COMPOSTELA

Envío de comunicaciones hasta el 19/09 Inscripción reducida hasta el 30/09

ALINEADORES Y SOSTENIBILIDAD

En línea con la Agenda 2030 de las Naciones Unidas para el Desarrollo Sostenible, la odontología como profesión debe incorporar los objetivos de desarrollo sostenible en la práctica diaria, así como apoyar el cambio hacia una economía verde en pos del bienestar y una vida saludable para todos. Teniendo en cuenta el creciente incremento de casos tratados con alineadores en nuestro país, la Dra. Victoria Martín nos habla en este artículo sobre la sobreproducción de este tipo de ortodoncia y la responsabilidad de la industria -y también de los propios ortodoncistas-, para priorizar soluciones más efectivas y definir el futuro de este sector con el objetivo de superar la crisis climática actual.

La industria de los alineadores ha crecido a una velocidad asombrosa desde que comenzó hace 24 años y más de 17 millones de pacientes (1) en el mundo han sido tratados con este sistema. Los alineadores son una alternativa muy atractiva a los tratamientos con brackets. Sin embargo, es un sistema que necesita muchos recursos y genera demasiados residuos.

Las empresas líderes utilizan el mismo sistema de producción y envío. El procedimiento comienza cuando el ortodoncista toma fotos, radiografías y modelos de su paciente. Luego los envía al proveedor de alineadores, junto con una prescripción de los objetivos del tratamiento.

La empresa de alineadores crea una simulación del plan de tratamiento, conocida coloquialmente

siguiendo la evolución de la Odontología

como ClinCheck, donde se muestra el número de alineadores que supuestamente serán necesarios para conseguir la corrección completa de la maloclusión. Cada alineador realiza un movimiento de 0,25 mm, por lo que cuanto más complejo sea el caso, más alineadores serán necesarios.

Una vez que el ortodoncista ha modificado y aprobado el plan de tratamiento virtual, el fabricante producirá y enviará desde distintas partes del mundo todos los alineadores a la vez, con un máximo de 99 alineadores por envío.

Los ortodoncistas no pagan por el número de alineadores, sino por cada paciente; cuanto más complejo es el caso, mayor es el precio que pagan al fabricante.

Esta política es justa para el paciente y el dentista, ya que de esta forma los ortodoncistas pueden garantizar el éxito del tratamiento, independientemente del número de alineadores fabricados.

El desperdicio de los alineadores

Si, por ejemplo, para un caso complejo se encargan 80 alineadores, pero después de 30, se comprueba que los alineadores no se adaptan bien y que la estrategia de tratamiento no está funcionando, se suele pausar el tratamiento y pedir nuevos alineadores.

No es fácil predecir estas situaciones donde los alineadores no se adaptan bien, ya que en ellas intervienen muchos factores. (2) Quizás el desajuste del alineador se deba a que el alineador no transmite suficiente fuerza o tal vez las coronas clínicas son demasiado cortas, o bien sea porque el hueso está demasiado mineralizado. También puede producirse porque existen microcolisiones entre los dientes o que el paciente haya perdido la motivación y no use los alineadores durante suficientes horas. Sea cual sea el motivo, si la estrategia no funciona no tiene sentido continuar.

Por lo tanto, será necesario un cambio de estrategia y establecer nuevos objetivos con el paciente, encargando nuevos alineadores y desechando un gran número de alineadores sin usar. En algunos casos, se desperdician incluso más alineadores que los alineadores que realmente reciben los pacientes.

¿Tiene realmente sentido producir tantos alineadores a la vez? El paciente ni siquiera ha llegado a ver todos esos alineadores restantes producidos, transportados y almacenados exclusivamente para él. Esta política de producir todos los alineadores a la vez, independientemente del número, tiene como consecuencia una sobreproducción de alineadores y, por tanto, un mal uso de recursos y energía. Producir más alineadores de los necesarios no sólo está “desalineado” con la crisis medioambiental y los objetivos de frenar el cambio climático, sino que también dificulta la práctica del ortodoncista en su día a día.

Desde el 2013 me dedico en exclusiva a la ortodoncia con alineadores y durante estos 11 años de experiencia me he enfrentado a esta situación muchas veces. Y no soy la única, todos los ortodoncistas que tratan casos complejos con alineadores tiran un gran número de alineadores sin usar, pero la mayoría no se han dado cuenta, porque no le prestan atención. Ése fue mi caso durante mis dos primeros años tratando maloclusiones con alineadores transparentes, hasta que ocurrió algo: una de mis pacientes me dijo lo mucho que le gustaban sus alineadores, pero que también se había dado cuenta de la cantidad de basura que el sistema generaba. No supe qué contestarle. Antes de esa conversación, nunca me había parado a pensar en ello. Soy una persona que se preocupa por la naturaleza, por no derrochar agua ni comida, llevo siempre que puedo una botella de agua rellenable y una bolsa reutilizable; y de repente me di cuenta de la cantidad de alineadores que estábamos tirando en la clínica. De eso hace ya casi 10 años.

Una simple solución: “divide y vencerás”

Después de aquella conversación en el 2015, empecé a prestar atención a los casos en los que desperdiciaba alineadores y empecé a utilizar una estrategia a la que llamé “divide y vencerás”. Una vez que he terminado de diseñar el caso, solicito al técnico recibir los primeros 20-30 alineadores, antes de aprobar el plan de tratamiento. De esta forma encargo el número de alineadores que necesito para los diez primeros meses o el núme-

Dra. Victoria Martín MSc especialista en ortodoncia por la Universidad Donau-Krems. Comprometida con la reducción del impacto medioambiental en la industria de los alineadores, es ponente en congresos y eventos de alineadores internacionales y publica activamente en redes sociales bajo el hashtag #dontwastealigners.

ro que necesito para comprobar mi estrategia o el grado de colaboración de mis pacientes. Además de reducir el impacto medioambiental relacionado con mi trabajo, esta estrategia tiene varios beneficios.

Pedir los alineadores en dos fases me permite adaptar fácilmente la estrategia de tratamiento sin tener una larga conversación con mi paciente en la que tengo que justificarme sobre por qué el plan de tratamiento no está funcionando, por qué no se adaptan los alineadores y, por tanto, por qué tengo que tirar todos esos valiosos alineadores que fueron producidos para él, a medida. Además, esta estrategia me permite ahorrar espacio de almacenamiento en la clínica. ¿Realmente quiero almacenar los alineadores que mi paciente necesitará en un año o más? ¿O almacenar alineadores que quizás acaben directamente en la basura?

Desde el 2015 me esfuerzo en reducir el número de alineadores que desperdicio y en concienciar a mis colegas y a la industria de los alineadores sobre este problema. He publicado 4 artículos, participado en dos podcast y he sido ponente en más de 20 eventos educativos del sector en 13 países, siempre con la esperanza de que algún día las principales compañías de alineadores se involucrarán y animarán a los dentistas a no pedir todos los alineadores a la vez y, con ello, ahorrar en costes de producción.

Las limitaciones del reciclaje

No se trata de evitar desperdiciar “un poco de plástico”, sino también de evitar todos los residuos que su producción genera, ya que para la producción de cada alineador, es necesario primero imprimir un modelo de resina. (2,3,4)

También hay que considerar todo el impacto ambiental del packaging y el transporte que el sistema requiere, tanto para transportar los alineadores a la clínica como para destruirlos después. (5) De forma sistemática, tras cada publicación o presentación que doy sobre este tema, un gran número de los ortodoncistas con los que hablo después me cuenta cómo ellos también se sienten mal generando tanta basura y su deseo de sistemas de reciclaje para los alineadores. Sin embargo, el reciclaje no es el enfoque más apropiado ya que los modelos de reciclaje de alineadores son más programas de tipo “greenwashing” que iniciativas reales con un impacto positivo ecológico. El reciclaje de plástico a nivel global tiene muchas limitaciones.

Los alineadores están formados por varias capas de plásticos diferentes, imposibles de separar y por lo tanto considerados plásticos con potencial de reciclaje muy limitado. Además, los alineadores y las bolsitas de plástico en las que vienen empaquetados de forma individual, son normalmente descartados en las plantas de reciclaje, debido a su pequeño tamaño y terminan siendo incinerados. Dado que existe un excedente mundial de residuos plásticos, el plástico de los alineadores y su packaging no tienen valor para otras industrias. Es importante saber que el plástico no es como el vidrio o aluminio, pues una botella de vidrio puede ser reciclada y convertida en una botella igual. El reciclaje de plástico es muy controvertido, de todo el plástico que llega a las plantas de tratamiento de residuos del mundo, solo un 9% de plástico se recicla realmente, convirtiéndose en plástico diferente, un plástico de peor calidad, lo cual se conoce como downcycling. (6)

No es posible producir alineadores a partir de alineadores reciclados, tampoco los modelos de resina necesarios para su producción, por lo tanto, los programas de reciclaje no deberían ser la primera medida para reducir el impacto medioambiental que esta industria genera.

Una industria poco alineada con los objetivos climáticos

El derroche de recursos ya no es algo que pueda pasarse por alto en 2024.

¿Si usted tuviese su propio laboratorio, produciría 50 alineadores de golpe?

Las bolsitas de los alineadores son prácticamente el doble del tamaño que los alineadores realmente ocupan, ¿por qué no empezar reduciendo el packaging?

siguiendo la evolución de la Odontología

El escáner líder de ortodoncia tiene un cabezal desechable, mientras que la competencia los ofrece esterilizables.

Las empresas líderes tecnológicas son comúnmente relacionadas con el adjetivo innovación.

¿Cómo puede un escáner innovador ofrecer únicamente un cabezal de usar y tirar? ¿Es esto innovación o es un ejemplo más de cómo ganar dinero a través de productos diseñados intencionadamente para su obsolescencia?

¿Qué podemos hacer los ortondoncistas?

1. Pida a su paciente que guarde todos los alineadores usados, para que, en caso de mala colaboración, pueda volver atrás y comenzar de nuevo. Deje que su paciente cambie los alineadores cada siete días solamente si ha demostrado que los usa 20 horas al día (si no, es más recomendable que cambie cada 10-14 días).(7)

2. Sea realista con los movimientos que planea, utilice auxiliares para obtener movimientos más predecibles, haga pre-tratamientos y reduzca el tiempo de tratamiento con alineadores. Nadie quiere llevar 100 alineadores.

3. Cuidado con las sobrecorrecciones. Se recomienda cierta sobrecorrección, pero no piense que cuanta más sobrecorrección mejor será el resultado. Planee las sobrecorrecciones en refinamiento, una vez que haya confirmado que la estrategia funciona y el paciente sigue suficientemente motivado.

4. Priorice sus objetivos, divida los tratamientos largos y pida un número razonable de alineadores, por ejemplo 25.(2,3,4)

5. No empiece el caso con caninos o premolares en erupción. Parece obvio, pero a veces nos impacientamos por empezar.

6. Dedique tiempo a analizar sus antiguos casos y sus simulaciones para evitar repetir los mismos errores.

7. Tome acción y contacte con el representante de su casa comercial de alineadores. Comparta su preocupación o decepción sobre los pocos esfuerzos que esta industria está haciendo en intentar ser más responsable con la forma en la que produce.

Una industria tan innovadora como concienciada El reciclaje no es una medida con impacto, sino una medida para prevenir la sobreproducción, así como para concienciar y educar a los ortodoncistas en cómo tratar casos complejos con alineadores usando elementos auxiliares como elásticos, botones y microtornillos que aumentan la predictibilidad de los movimientos, a la vez que reducen tanto el número de alineadores como el tiempo de tratamiento. No se trata de criticar a la industria, sino de inspirarles a seguir diseñando productos innovadores, pero de forma más responsable, intentando neutralizar y minimizar los recursos necesarios. Se trata de quitarnos las gafas de color de rosa y ponernos las de la responsabilidad verde, priorizar las soluciones más efectivas y definir así el futuro de la industria, para ser un ejemplo para otras industrias y “alinearnos” con los objetivos propuestos para superar la crisis climática actual. 

Bibliografía

1. https://investor.aligntech.com/static-files/0725a88b-61dd-4377-b242-55c294416d97

2. https://epaper.dental-tribune.com/dti/633d91b5494b5/#42

3. https://pubmed.ncbi.nlm.nih.gov/31651082/

4. https://pubmed.ncbi.nlm.nih.gov/37002790/

5. https://www.orthodontic-update.co.uk/content/orthodontics/the-ecological-impact-of-resin-printed-models-in-clear-aligner-treatment

6. https://www.oecd.org/environment/monitoring-trade-in-plastic-waste-and-scrap-013bcfdd-en.htm

7. https://pubmed.ncbi.nlm.nih.gov/36642743/

pensando en el futuro

SEPES VUELVE A SORPRENDER CON SMARTCLINIC 3.0

La Sociedad Española de Prótesis Estomatológica y Estética (SEPES) vuelve a sorprender con SMARTCLINIC 3.0 Sitges, un formato innovador, audaz y disruptivo en el ámbito de la formación para profesionales de la salud oral. El curso sobre transformación digital de SEPES se posiciona como uno de los eventos anuales del sector dental con un carácter más particular y participativo.

Sitges acogió los días 20, 21 y 22 de junio la segunda edición de SMARTCLINIC 3.0, el curso de SEPES enfocado en la puesta al día de las innovaciones tecnológicas aplicadas a la gestión de la clínica, la comunicación con el paciente, el marketing digital, los recursos humanos, etc. Todo ello enmarcado en el proceso de transformación digital de la clínica dental. Bajo la coordinación del experto en procesos de transformación digital, Raúl Calleja, temas como la gestión clínica en base al análisis y tratamiento

de los datos, la influencia del concepto comunidad conectada en el proceso de captación y fidelización de pacientes, la ciberseguridad de la clínica, la aplicación práctica de la Inteligencia Artificial y de la IA Generativa en los procesos clínicos y de gerencia, o la implantología dental potenciada por IA, se vieron en este evento diferenciador dirigido por el Dr. Guillermo Pradíes.

A lo largo de tres días y bajo el lema “Transformación Digital e Innovación Tecnológica en Odontología”, un grupo de más de 20 asistentes, integrado

Los Dres. Miguel Roig, Rafael Martínez de Fuentes, Iria López, Guillermo Pradíes y Sandra Fernández.
Fotos: SEPES

siguiendo la evolución de la Odontología

por clínicos, ingenieros, representantes de la industria, comunicadores, etc., tuvieron la oportunidad de disfrutar de una nueva experiencia con la Inteligencia Artificial (IA) como protagonista.

Innovación y nuevos modelos de negocio relacionados con servicios de salud

Con este primer bloque dio comienzo la segunda edición de SMARTCLINIC 3.0 en Sitges y de la mano del maestro de ceremonias y coordinador del curso, Raúl Calleja, comenzó la inmersión en la transformación digital con “La nueva comunidad conectada. Aplicaciones y utilidades en el sector dental” y cuál es su influencia en el sector dental actual. Una visión de cómo esta “generación conectada”  es una nueva comunidad que interactúa en todos los niveles. Además, se analizó cómo la relación con la tecnología cambia todos los eslabones de la relación social, tanto en educación, in-

La segunda edición de SMARTCLINIC 3.0 estuvo enfocada en la puesta al día de las innovaciones tecnológicas aplicadas a la gestión de la clínica, con la IA como protagonista ”

dustria y salud como en el uso de las aplicaciones y utilidades en el sector dental. También se abordó cómo la relación entre clínica y paciente cambia cualitativamente con la aparición de esta nueva generación que busca interacción e inmediatez. A continuación, PPerales, CEO de MedicalFit, habló de la transformación tecnológica 4.0 y la gestión clínica en base al dato y su aplicación en aspectos de la logística como el control de stock. Desde su experiencia, Perales habló sobre la importancia de tener toda la información conectada con un flujo de trabajo (workflow) que permita eficiencia y ahorro. Y destacó la necesidad de automatizar procesos y conectar softwares para tener información de calidad y el control sobre ésta. Además de señalar que estandarizar protocolos es clave para el éxito.

Tras la pausa de la tarde fue el turno del Prof. Guillermo Pradíes, presidente de SEPES, ideólogo y director de SMARTCLINIC 3.0, que presentó varias aplicaciones prácticas de Inteligencia Artificial en Odontología, ofreciendo una visión de la revolución que supone la IA en Odontología, mejoran-

Prof. Guillermo Pradíes. Raúl Calleja.
Comunidad SMARTCLINIC 3.0 Sitges.

pensando en el futuro

do la precisión en diagnósticos y personalizando tratamientos, como ocurre con el Deep Learning aplicado a la visión por computadora. El Prof. Guillermo Pradíes señaló que la IA permite analizar grandes volúmenes de datos de pacientes para identificar patrones y predecir problemas de salud bucal antes de que se manifiesten. Desde su visión como docente universitario en la Universidad Complutense de Madrid (UCM), Pradíes integra la IA y las nuevas tecnologías en los programas de formación, lo que supone para las futuras promociones recibir un aprendizaje avanzado en este campo.

Nuevas tecnologías disruptivas al servicio de la gerencia

La segunda jornada se centró en las nuevas tecnologías disruptivas al servicio de la gerencia. Marc Cortés, profesor de ESADE y experto en IA y Digital MK, mostró en la parte teórica de su exposición el panorama actual y de futuro próximo de tecnologías exponenciales al servicio de la competitividad en el sector odontológico, hablando sobre cómo la IA Generativa avanza con las mejoras en algoritmos, mayor capacidad de procesamiento y disponibilidad de grandes volúmenes de datos, lo cual permite que los modelos sean cada vez más sofisticados y capaces de generar contenido de alta calidad. También quiso destacar sus aplicacio-

nes y sus diversas funcionalidades para la creación y generación en diferentes utilidades en la clínica dental, con la posibilidad de un impacto económico para mejorar la eficiencia y la innovación en nuevas líneas de negocio, siempre teniendo en cuenta consideraciones éticas, morales y legales. Posteriormente, Cortés dirigió un workshop en el que se presentaron casos prácticos para uso gerencial de IA, AR y Metaverso.

El Prof. Hossam Dawa, clínico portugués experto en odontología digital y en aplicación de la IA, presentó desde un enfoque clínico ejemplos de cómo la IA aplicada en implantología redunda en precisión, eficiencia y una atención centrada en el paciente. Combinando la IA y la implantología dental, demostró cómo mejora la precisión y la eficiencia en los tratamientos, ofreciendo una experiencia más segura y cómoda para el paciente con el concepto de procedimientos dentales guiados digitalmente. Exponiendo, además, el futuro de la robótica en la clínica dental, al igual que aseguró el Prof. Guillermo Pradíes.

Toda esta tecnología debe verse también bajo el prisma de la seguridad y de esto hablaron los ingenieros y expertos en ciberseguridad Javier y Antonio de la Chica, CEOs de la empresa ITDent, que concienciaron a los asistentes sobre el peligro real

Pedro Perales.
Marc Cortés.
Prof. Hossam Dawa
Javier de la Chica. Antonio de la Chica.

siguiendo la evolución de la Odontología

de los ciberataques a los que están expuestas las clínicas y el consiguiente riesgo al que se exponen desde el punto de vista de la LOPD y la seguridad financiera. En este sentido, Javier y Antonio de la Chica señalaron que “hay que estar preparados para recibir ciberataques y tener las herramientas precisas preparadas para implementar y estar expuestos lo menos posible a las amenazas cibernéticas a las que se enfrenta la clínica dental”.

El día finalizó con una experiencia de ocio en el centro de Sitges que dejó patente el ambiente de compañerismo y de networking, señas de identidad de este curso anual de SEPES.

Inteligencia Artificial y marketing tecnológico

La tercera y última jornada de SMARTCLINIC 3.0 se centró en la Inteligencia Artificial y el marketing tecnológico. El ingeniero y consultor en innovación y tecnología y CEO de INSPIRIA, Luis Mallo, en su charla sobre el reto que supone para el sector dental la evolución imparable de la tecnología y el uso de la IA destacó la sinergia entre medicina e ingeniería, relación que, según indicó, es la que lidera ya la innovación en el sector de la salud, incluida la odontología. Asimismo, esbozó las seis áreas principales en las que la IA está ya aplicándose en las clínicas que han emprendido ya su

proceso de transformación digital: diagnóstico y detección, planificación de tratamientos, asistencia en procedimientos, gestión de pacientes, prevención y educación, y marketing y comunicación. Según apuntó Mallo en su intervención, “la innovación en el sector salud es básicamente cuestión de costes de aprendizaje y recursos humanos y técnicos pero, fundamentalmente, es cuestión de voluntad en invertir en capital intelectual, en conocimiento”.

Por último, Rafael Areses, responsable del área de desarrollo internacional de INSPIRIA y experto en estrategias disruptivas en el sector de la salud y en particular en el dental –además de autor del libro “Inteligencia Artificial: Guía Para La Persona Ocupada”–, cerró el programa de ponencias de SMARTCLINIC 3.0 2024 compartiendo una revisión de las novedades más recientes en las distintas áreas de Inteligencia Artificial Generativa. Una vez más, SEPES ha concitado el interés, apoyo y confianza de la industria y en particular de tres sponsors como son CORUS, 3SHAPE y MedicalFit. Asimismo INSPIRIA DENTAL e ITDent, empresas del ámbito de la educación y la gestión, han colaborado con SEPES en la celebración de esta segunda edición de SMARTCLINIC 3.0 que ya está preparando su tercera edición para la primavera de 2025. 

Grupo de trabajo.
Luis Mallo.
Rafael Areses.

LA LEY BECKHAM Y SU IMPACTO EN EL SECTOR DENTAL ESPAÑOL

En este artículo te mostramos cuál es el impacto de la Ley Beckham en el sector dental español. Además de poder conocer todos los detalles de esta normativa, que presenta tanto oportunidades como desafíos para los profesionales de la odontología, desde AGM Abogados destacan la importancia de alcanzar un equilibrio que “permita aprovechar las ventajas de la movilidad internacional sin perjudicar a los profesionales locales”, en busca del beneficio de los pacientes y de elevar la calidad de la atención dental en nuestro país.

Contacto:

Dimitrichka Nedelcheva AnghelovaAGM Abogados Danghelova@agmabogados.com

La Ley Beckham ha sido un tema de amplio debate en varios sectores profesionales en España. Esta normativa, que inicialmente fue diseñada para atraer a jugadores de fútbol de élite, se ha extendido para incluir a otros profesionales extranjeros, incluidos dentistas. Mientras que algunos ven en ella una oportunidad para elevar el nivel del sector dental, otros critican sus efectos potencialmente desiguales sobre los dentistas locales.

¿Qué es la Ley Beckham? Conocida oficialmente como el Régimen Fiscal aplicable a los trabajadores desplazados a territorio español (artículo 93 Ley IRPF), la Ley Beckham ofrece un tratamiento fiscal favorable a los profesionales extranjeros que se trasladan a España para trabajar. Esta ley permite tributar a una tarifa fija del 24% sobre las rentas obtenidas en España, en lugar de las tasas progresivas que se aplican a los residentes españoles.

siguiendo la evolución de la Odontología

Beneficios

para los dentistas extranjeros

La Ley Beckham se ha convertido en un imán para dentistas extranjeros, especialmente aquellos con especializaciones y técnicas avanzadas. Los beneficios fiscales significativos permiten que estos profesionales mantengan una mayor parte de sus ingresos, lo cual puede ser un incentivo poderoso para trasladarse a España. Esto no solo beneficia a los dentistas en términos de reducción de carga fiscal, sino que también enriquece la oferta de servicios dentales en el país, permitiendo a las clínicas incorporar tratamientos de vanguardia y tecnologías innovadoras.

Además, España, conocida por su alta calidad de vida y excelente sistema de salud, se convierte en un destino aún más atractivo para dentistas recién graduados de universidades prestigiosas alrededor del mundo. Este flujo de nuevos talentos puede fomentar el intercambio de conocimientos y mejores prácticas, elevando el estándar de atención dental en España.

Desafíos para los dentistas locales Sin embargo, la Ley Beckham también ha generado preocupación entre los dentistas españoles. La diferencia en el tratamiento fiscal entre profesionales extranjeros y locales puede percibirse como una injusticia. Mientras los dentistas extranjeros disfrutan de una tasa fija del 24%, los dentistas locales están sujetos a tasas impositivas más altas debido a la progresividad del IRPF. Esta desigualdad puede generar un ambiente competitivo desfavorable para los profesionales locales, quienes deben luchar no solo por atraer pacientes, sino también por gestionar una carga fiscal más pesada. La llegada de dentistas extranjeros también puede saturar un mercado ya competitivo, especialmente en grandes ciudades como Madrid y Barcelona, donde la oferta de servicios dentales es abundante. Esto podría llevar a una presión adicional sobre los precios y la viabilidad económica de las clínicas locales, potencialmente afectando su sostenibilidad a largo plazo.

Oportunidades de colaboración y crecimiento

Pese a las preocupaciones, la Ley Beckham puede verse como una oportunidad para fomentar la colaboración entre dentistas locales y extranjeros. Las clínicas pueden aprovechar la llegada de profesionales internacionales para diversificar y ampliar

La

Ley

Beckham se

ha convertido en un imán para dentistas extranjeros, especialmente aquellos con especializaciones y técnicas avanzadas

su oferta de servicios. La incorporación de técnicas y tratamientos avanzados puede no solo mejorar la calidad de la atención, sino también posicionar a las clínicas como líderes en innovación dentro del sector dental.

Además, el intercambio de conocimientos y experiencias puede ser beneficioso para todos. Los dentistas locales pueden aprender nuevas metodologías y enfoques de sus colegas extranjeros, mientras que estos últimos pueden beneficiarse del conocimiento profundo de los dentistas españoles sobre el mercado y la cultura local.

Anghelova

Abogada especializada en el ámbito de fiscalidad inmobiliaria, fiscalidad de las operaciones de reestructuración empresarial, empresa familiar y planificación sucesoria.

Desde 2017 ha formado parte del Departamento Fiscal en diversas compañías, asesorando a todo tipo de clientes. Desde 2023 es Abogada Senior Fiscal en el Departamento Jurídico Fiscal de AGM Abogados. En el ámbito académico, estudió en la Universitat Oberta de Catalunya (UOC), tanto el Grado en Derecho como el Máster de Acceso a la Abogacía.

Asimismo, ha complementado su formación con diversos cursos, entre los que destacan:

• Curso de Reestructuraciones empresariales (CEF).

• Curso Sobre Fiscalidad de las Operaciones Inmobiliarias (CEF).

• Máster en Tributación/ Asesoría Fiscal (CEF).

• Curso de Contabilidad Financiera (CEF).

Dimitrichka Nedelcheva
Pexels

asesoría legal

Consideraciones fiscales y normativa

Para los dentistas extranjeros interesados en beneficiarse de la Ley Beckham, es crucial entender las condiciones y requisitos específicos. No haber sido residentes en España durante los 5 años anteriores al desplazamiento y que el traslado sea consecuencia de un contrato de trabajo o actividades de alta cualificación, son algunos de los criterios esenciales. Además, deben solicitar el régimen especial dentro de los 6 meses posteriores a su llegada a España, mediante la presentación del formulario 149.

La reciente Orden Ministerial HFP/1338/2023 ha clarificado algunos aspectos del régimen, permitiendo que los profesionales desplazados en 2022 y 2023 puedan optar por este régimen fiscal con carácter retroactivo. Esta actualización normativa proporciona una mayor certeza y seguridad a los dentistas extranjeros que han decidido trasladarse a España, asegurando que puedan beneficiarse de las ventajas fiscales de la Ley Beckham.

Es crucial que el sector dental español encuentre un equilibrio entre la atracción de talento extranjero y el apoyo a los dentistas locales ”

Un futuro para el sector dental español Mirando hacia el futuro, es crucial que el sector dental español encuentre un equilibrio entre la atracción de talento extranjero y el apoyo a los dentistas locales. Las asociaciones profesionales y los organismos reguladores deben trabajar juntos para asegurar que las políticas fiscales no creen una brecha insalvable entre los profesionales nacionales y extranjeros.

Un enfoque equilibrado podría incluir incentivos fiscales y programas de apoyo específicos para dentistas locales, promoviendo la igualdad de oportunidades y fomentando la innovación dentro del país. Además, fomentar programas de formación continua y especialización para dentistas españoles puede ayudar a nivelar el campo de juego, asegurando que puedan competir de manera justa con sus homólogos internacionales.

Conclusión

La Ley Beckham, con sus beneficios fiscales para dentistas extranjeros, presenta tanto oportunidades como desafíos para el sector dental español. Si bien atrae talento internacional y fomenta la innovación, también plantea cuestiones sobre la equidad fiscal y la competitividad para los profesionales locales. Es esencial que el sector dental y los responsables políticos trabajen juntos para crear un entorno en el que tanto dentistas locales como extranjeros puedan prosperar, beneficiando a los pacientes y elevando la calidad de la atención dental en España. La clave está en encontrar un equilibrio que permita aprovechar las ventajas de la movilidad internacional sin perjudicar a los profesionales locales. Solo así, el sector dental español podrá continuar creciendo y ofreciendo servicios de alta calidad a todos los ciudadanos. 

Pexels

EL CONSEJO GENERAL DE DENTISTAS FALLA SUS PREMIOS ANUALES

La Asamblea General de la Organización Colegial de Dentistas de España ha fallado sus premios anuales, de los que se hará entrega en diciembre.

En esta ocasión, ha sido el Dr. Borja Zabalegui Andonegui, quien ha sido elegido Premio Santa Apolonia 2023, la máxima distinción que concede el Consejo General de Dentistas a título individual. Este premio reconoce a los dentistas que más han destacado por sus trabajos, su dedicación, y su contribución al prestigio y desarrollo de la Odontología a lo largo de toda su trayectoria profesional.

Doctor en Medicina y Cirugía por la Universidad del País Vasco, especialista en Estomatología por la Universidad Complutense y posgrado de Endodoncia por la University Southern de California, el Dr. Zabalegui ha centrado su carrera en la Endodoncia y en la Cirugía Endodóntica. Entre sus hitos destacan la incorporación del microscopio operatorio en su práctica clínica diaria y la creación del Centro de Formación en Endodoncia Clínica y Microscópica, en Leioa, donde se han formado más de 300 expertos. Además, hay que destacar su vocación docente, de hecho, ha impartido cursos de formación sobre Endodoncia en prácticamente todos los Colegios de Dentistas de España. Asimismo, ha colaborado con universidades de todo el mundo, ha sido ponente en congresos nacionales e internacionales y ha publicado infinidad de artículos.

El Dr. Borja Zabalegui Andonegui (izq.) y el Dr. Daniel Torres Lagares (dcha.) recibirán el Premio Santa Apolonia y Dentista del Año, respectivamente.

esta materia tan compleja, dándole un gran impulso para que sean una realidad lo antes posible. Del mismo modo, también ha destacado por sus estudios y trabajos de investigación en Odontología, publicaciones y actividades formativas.

Al Comité Olímpico Español (COE) se le ha otorgado el Premio Juan José Suárez Gimeno al Fomento de la Salud Oral 2023. Este reconocimiento está dirigido a personas, instituciones o empresas que hayan destacado por su labor de mecenazgo o divulgación en cualquiera de los ámbitos de la salud oral.

El Premio Dentista del Año 2023 ha sido para el Dr. Daniel Torres Lagares, presidente de la Sociedad Española de Cirugía Bucal (SECIB). Doctor en Odontología por la Universidad de Sevilla, donde actualmente es catedrático de Cirugía Bucal, ha sobresalido a lo largo del último año por su extraordinaria labor en la Comisión de Especialidades del Consejo General de Dentistas. Aunque conseguir el reconocimiento de las especialidades odontológicas es una tarea ardua y costosa, el Dr. Torres ha sabido aunar las diferentes sensibilidades existentes en

Eva Sáinz Corada, redactora del suplemento “A tu salud” (La Razón), ha sido galardonada con el Premio José Navarro Cáceres de Información Sanitaria Odontoestomatológica 2023. Este premio distingue a aquellos periodistas o medios de comunicación que contribuyen a difundir información objetiva y de interés general sobre temas sanitario odontoestomatológicos o que ayuden a promover el cuidado de la salud dental. Como periodista especializada en Salud, Eva S. Corada ha realizado un trabajo encomiable a lo largo de 2023, publicando reportajes y artículos sobre salud bucodental, de carácter divulgativo y también de índole institucional, lo que la convierte en gran merecedora de este reconocimiento. 

EL GOBIERNO APRUEBA LA DISTRIBUCIÓN DE 68 MILLONES DE EUROS A LAS CCAA PARA LA CARTERA DE SERVICIOS DE SALUD BUCODENTAL

Manuel Álvarez

Moncloa / José

Pool

El Consejo de Ministros ha abordado varias normas e iniciativas “imprescindibles para reforzar y ampliar” el Sistema Nacional de Salud (SNS), según ha remarcado la ministra de Sanidad, Mónica García. Entre ellas, ha dado luz verde a la distribución de 68 millones de euros entre las comunidades autónomas para la ampliación de la cartera de servicios de salud bucodental. El reparto tendrá que aprobarse en el Consejo Interterritorial del Sistema Nacional de Salud.

“Ésta es también una demanda histórica porque no se puede entender nuestro Sistema Nacional de Salud sin entender que tiene que incluir la salud bucodental”, ha asegurado Mónica García.

Los colectivos prioritarios en este ámbito son la población hasta los 14 años, las mujeres embarazadas, las personas con discapacidad y los pacientes con cáncer cervicofacial.

Refuerzo de la equidad y la cohesión del SNS

El Gobierno ha aprobado el Proyecto de Ley por el que se modifican diversas normas para consolidar la equidad y cohesión del SNS, que busca garantizar la igualdad en el acceso a la salud y reforzar la cooperación entre las distintas estructuras sanitarias. Entre las novedades que incluye el proyecto, la ministra ha destacado la obligatoriedad de evaluar el impacto que tiene en la salud la norma-

tiva relacionada con los “determinantes sociales de la salud”, como son la vivienda, la educación, el transporte o la salud laboral.

Mónica García ha señalado que la futura ley recoge también una “demanda histórica de los pacientes”, su participación en el SNS de manera estable y permanente. Para canalizar su voz se crea el Foro Abierto de Salud, un órgano de asesoramiento que formulará propuestas sobre el funcionamiento del SNS.

El proyecto iguala, además, las exenciones de aportación de los usuarios en la prestación farmacéutica y ortoprotésica.

Vigilancia de la salud pública

Por otra parte, el Ejecutivo ha aprobado la creación y regulación de la Red Estatal de Vigilancia de Salud Pública, que incluye el Sistema de Alerta Precoz y Respuesta Rápida.

La responsable del Ministerio de Sanidad ha agradecido el “trabajo concienzudo y profesional de Fernando Simón, que es el que ha estado detrás de este real decreto que tenemos pendiente desde el año 2011”, de acuerdo a las previsiones de Ley General de Salud Pública.

La Red Estatal facilitará recoger y analizar los datos y contar con procedimientos y protocolos que permitan “tener un sistema de alerta precoz en el cual podamos identificar en menos de 24 horas todas aquellas alarmas y situaciones que ponen en peligro nuestra salud pública”, según ha detallado la ministra.

Más plazas de Medicina

Por último, el Consejo de Ministros ha reforzado la subvención de plazas de Grado en Medicina en universidades públicas con el objetivo de paliar la falta de profesionales.

La ministra de Sanidad ha explicado que éste es el segundo año que el Gobierno destina fondos de los Presupuestos Generales del Estado para que las facultades de Medicina incrementen sus plazas. El primer año el aumento fue de 626 plazas, y con la nueva subvención las plazas adicionales ya alcanzan las 900.

“Ésta es una de las medidas multilaterales que se llevan a cabo por parte del Gobierno de España para ampliar el número de estudiantes de Medicina”, ha dicho la ministra, quien ha destacado que en los últimos años también se han ampliado las plazas de formación de los médicos. 

La ministra de Sanidad, Mónica García, en la rueda de prensa posterior al Consejo de Ministros.

EL DR. JOSÉ NART TOMA POSESIÓN DE LA PLAZA DE CATEDRÁTICO DEL ÁREA DE PERIODONCIA DE LA FACULTAD DE ODONTOLOGÍA DE UIC-BARCELONA

El

7 de junio en el Auditorio de la Facultad de Odontología de UIC-Barcelona en Sant Cugat del Vallès, el Dr. José Nart Molina realizó su discurso de toma de posesión de la Cátedra del Área de Periodoncia en dicha facultad.

Tras contar con la acreditación favorable de la agencia evaluadora y cumplir con los requisitos de docencia, gestión e investigación solicitados por la universidad, la Facultad de Odontología convocó la defensa de la plaza ante un tribunal, compuesto por el decano de la facultad, el Prof. Lluis Giner, y los catedráticos Mariano Sanz, Javier Gil, Conrado Aparicio y Jaime Gil, de las universidades Complutense de Madrid, UIC-Barcelona, UPC y UPV/EHU.

El discurso de toma de posesión incluyó la Laudatio del Prof. Mariano Sanz, donde destacó los méritos docentes investigadores, de gestión

de equipos y liderazgo, así como el papel fundamental del doctor Nart al frente de la Sociedad Española de Periodoncia y Osteointegración (SEPA). A continuación el Profesor Nart presentó su currículum vitae, seguido de su contribución y la de su equipo, al ámbito de la periodoncia e implantes dentales a lo largo de los últimos más de 15 años. Seguidamente el candidato explicó su proyecto futuro para seguir desarrollando la periodoncia en el ámbito nacional e internacional y concluyó agradeciendo a todos aquellos que han participado en su carrera académica y profesional, incluyendo a los que fueron sus profesores, mentores, junta de gobierno y, en especial, a todo el equipo del área de periodoncia de UIC-Barcelona, y al de Nart Clínica Dental Barcelona, muchos de ellos presentes en el acto. 

LOS DRES. ANTON SCULEAN, NIKOLAOS DONOS, MOSHE GOLDSTEIN Y MARK BARTOLD, GANADORES DE LOS PREMIOS EFP 2024

Teniendo en cuenta la base de logros excepcionales y compromiso con la periodoncia y la ciencia periodontal, la Federación Europea de Periodoncia (EFP) ha entregado sus prestigiosos premios 2024 a cuatro distinguidos periodoncistas.

Así, el Premio Eminencia en Periodoncia EFP 2024 fue otorgado a la expresidente de la EFP, Dr. Anton Sculean, profesor de Periodoncia de la Universidad de Berna (Suiza) y presidente del Comité de Proyecto de la EFP, así como presidente del congreso EuroPerio11, que tendrá lugar en 2025 en Viena.

El Premio Científico Distinguido EFP 2024 ha sido otorgado al Dr. Nikolaos Donos, profesor de Periodoncia e Implantología de Universidad Queen Mary de Londres y presidente del Comité de Educación de la EFP.

El Premio al Servicio Distinguido EFP 2024 ha sido para el expresidente de EFP y expresidente del Comité de Educación de posgrado de la EFP, el Dr. Moshe Goldstein, catedrático de Periodoncia y director de postgrado de periodoncia en el Centro Médico de la Universidad Hebrea Hadassah en Jerusalén.

El Premio Eminencia Internacional en Periodoncia 2024 fue para el Dr. Mark Bartold, profesor emérito de Periodoncia de la Universidad de Adelaida (Australia).

Estas distinciones fueron anunciadas en la asamblea general de la EFP celebrada en abril en Zagreb (Croacia).

Durante el mismo evento también se dieron a conocer los ganadores del Premio de Investigación de Posgrado 2023. Este galardón anual busca promover la investigación original de posgrado entre los estudiantes de los 25 programas de posgrado en periodoncia acreditados por la EFP en todo el mundo. “Este año, la evaluación fue bastante difícil debido a la calidad excepcional de los trabajos presentados”, indicó Andreas Stavropoulos, presidente del comité científico de la EFP y coordinador del jurado, añadiendo que “la EFP se enorgullece de respaldar el trabajo de nuestros estudiantes de posgrado y las investigaciones producidas en el marco de los programas de posgrado acreditados por EFP”. 

El Dr. José Nart Molina durante su discurso de toma de posesión de la Cátedra del Área de Periodoncia en la Facultad de Odontología de UIC-Barcelona.
En la imagen (de izq. a dcha.), los Dres. Anton Sculean, Nikolaos Donos, Moshe Goldstein y Mark Bartold, ganadores de los Premios EFP 2024.

LA OMS PREMIA A FRANCISCO RODRÍGUEZ LOZANO, EXPRESIDENTE

DEL COLEGIO DE DENTISTAS

DE

SANTA CRUZ DE TENERIFE

El doctor Francisco Rodríguez Lozano, que fue presidente del Colegio de Dentistas de Santa Cruz de Tenerife desde 1995 a 2009, ha recibido el premio World No Tobacco Day (WNTD) 2024, un galardón que otorga la Organización Mundial de la Salud (OMS) a personas y organizaciones que lideran la lucha contra este hábito tan perjudicial. La OMS ha otorgado seis galardones este año, dentro de su campaña por el Día Mundial Sin Tabaco, con el lema Proteger a la infancia de la interferencia de la industria tabacalera. Según datos de la OMS, unos 37 millones de personas jóvenes en el mundo, entre los 13 y 15 años, están consumiendo algún tipo de tabaco en estos momentos.

Los premiados han sido: la profesora universitaria Charlotta Pisinger (Dinamarca); Mervi Hara, director de la organización Action on Smoking and Health (Finlandia); Helen Stjerna, secretaria general de la organización no gubernamental A Non Smoking Generation (Suecia); el Ministerio de Salud y el Lviv Oblast Center para el control de enfermedades y la prevención (Ucrania); el doctor Raouf Alebshehy,

editor jefe de Tobacco Tactics (Reino Unido); y el doctor Rodríguez Lozano.

Más de dos décadas a la lucha contra el tabaco

La propia Organización Mundial de la Salud ha destacado, en su resolución de los premios WNTD 2024, que Francisco Rodríguez Lozano ha dedicado más de dos décadas de su carrera profesional a la prevención del tabaquismo, con un “foco especial en la protección de la población joven de los peligros de la manipulación de la industria. Rodríguez Lozano fue presidente del Comité Nacional de Prevención del Tabaquismo en España, así como de la red europea. Ha liderado campañas exitosas contra las campañas publicitarias engañosas en Canarias”. La OMS también ha destacado la dedicación a proteger la salud pública del doctor Rodríguez Lozano, que fue presidente del Colegio de Dentistas de Santa Cruz de Tenerife desde 1995 a 2009 y que fue nombrado, en 2014, por unanimidad, Colegiado de Honor de esta entidad profesional. 

EL DR. PEDRO GUITIÁN, ADMITIDO EN EL COLEGIO INTERNACIONAL DE DENTISTAS

El 21 de junio el Dr. Pedro Guitián fue oficialmente admitido en el renombrado Colegio Internacional de Dentistas (ICD), la Sociedad dental global más destacada. “Este reconocimiento es un testimonio del arduo trabajo y dedicación del Dr. Guitián y es motivo de orgullo para todo el Grupo Knotgroup”, aseguran fuentes del Grupo. Actualmente, el ICD cuenta con más de 12.000 miembros en más de 140 países. La membresía en el ICD se otorga únicamente por invitación, en reconocimiento a los logros profesionales excepcionales, el servicio meritorio y la dedicación al progreso continuo de la Odontología en beneficio de la humanidad. Antes de ser reconocido como Fellow del ICD, la calificación y logros de cada candidato son evaluados rigurosamente por una serie de comités de acreditación. Este proceso asegura que los profesionales merezcan este honor y estén a la altura del lema del ICD: “Reconocer el Servicio, así como la Oportunidad de Servir”. Este año sólo dos españoles han sido seleccionados para ingresar al ICD, siendo uno de ellos el Dr. Guitián. 

En la imagen, dos miembros de Knotgroup: el Dr. Pedro Guitián y el Dr. Santiago Jané, Regente para España del Colegio Internacional de Dentistas.
Knotgroup

EL PRAN Y EL CONSEJO GENERAL DE DENTISTAS, UNIDOS CONTRA LA RESISTENCIA ANTIMICROBIANA

Presentación de la campaña “Uso adecuado de los antibióticos”, durante la celebración de la Asamblea General del Consejo General de Dentistas.

El Plan Nacional frente a la Resistencia a los Antibióticos (PRAN) y el Consejo General de Dentistas han presentado la campaña “Uso adecuado de los antibióticos” durante la celebración de la Asamblea General de la Organización Colegial, que ha reunido a los presidentes de todos los colegios y juntas provinciales de dentistas del país.

La finalidad principal de esta iniciativa es informar a los dentistas sobre los peligros de la resistencia antimicrobiana y la importancia de su prevención en la práctica odontológica. Para ello se han creado varios materiales que servirán de apoyo a los dentistas en su desarrollo profesional diario:

 La “Guía del uso de antimicrobianos en Odontología”, elaborada junto a seis sociedades científicas (AEDE, SECIB, SECOM y CyC, SEMO, SEOENE y SEPA) y supervisada por los expertos del PRAN, que aporta información clave sobre la utilización de estos medicamentos en las distintas áreas de la Odontología. Este documento está diseñado como una herramienta práctica y accesible para los dentistas, facilitando la implementación de buenas prácticas en el uso de antibióticos.

 “Guía ilustrada para dentistas”, que recoge, a modo de resumen, las principales pautas de uso de antibióticos en las diferentes patologías bucodentales más comunes.

 App para IOS y Android, dirigida a dentistas, que estará disponible próximamente, en la que podrán encontrar información sobre infecciones bucodentales, antimicrobianos de uso común en Odontología y

un decálogo sobre el empleo de estos fármacos en la profesión odontológica. Se podrá encontrar con el nombre Guía Antimicrobiano en la App Store y en Google Play Store.

 Folletos e infografías, tanto para dentistas como para público general.

El Dr. Óscar Castro Reino, presidente del Consejo General de Dentistas, ha declarado que esta campaña y los materiales que se han elaborado son una muestra del “compromiso continuo con la salud pública y la seguridad de los pacientes”, promoviendo un uso responsable y prudente de los antibióticos en el ámbito odontológico. “Somos plenamente conscientes de que la resistencia antimicrobiana es un problema sanitario de primer orden no solo en España, sino en todo el mundo, y que exige la colaboración y concienciación tanto de los profesionales prescriptores como de la población general”, ha afirmado el Dr. Castro. Asimismo, el Dr. Castro ha agradecido a las seis sociedades científicas que han colaborado en la redacción de la “Guía del uso de antimicrobianos en Odontología”, y al PRAN “por su revisión científica, asesoramiento y experiencia, que garantizan su rigor y relevancia clínica”. Por su parte, el coordinador del PRAN en el área de salud humana, Antonio López, ha recordado que “esta guía es un ejemplo de cómo se debe abordar el problema de la resistencia, donde los profesionales sanitarios, la administración, los colegios profesionales y el PRAN colaboran y establecen de manera conjunta una guía con pautas de tratamiento basada en la evidencia”. Además, ha añadido que “esta colaboración ha permitido garantizar la armonización entre las recomendaciones de la Guía del Consejo de Dentistas y la actualización del capítulo homólogo de la Guía Terapéutica Antimicrobiana del SNS”.

Próximas acciones

Dada la relevancia que la resistencia antimicrobiana tiene en la salud de la población, el Consejo General de Dentistas presentará el proyecto a la Federación Dental Internacional, dentro de los contenidos de su congreso mundial que se celebrará en Turquía en septiembre de 2024. Además, ofrecerá todo el material a las asociaciones dentales iberoamericanas y en 2025 se realizará una encuesta entre los profesionales de la Odontología en España, previa a la elaboración de un Libro Blanco sobre el uso de antibióticos en el primer semestre de 2025. 

Consejo General de Dentistas

EL CONSEJO GENERAL DE DENTISTAS ANUNCIA SU PRÓXIMA CAMPAÑA DE CÁNCER ORAL PARA OTOÑO

Uno de cada tres españoles no ha oído hablar del cáncer oral, sin embargo, cada día se diagnostican alrededor de 21 casos de esta enfermedad en nuestro país. Así, la Sociedad Española de Oncología Médica (SEOM) estima que en 2024 se detectarán 7.603 casos de cáncer de cavidad oral y faringe.

Las causas principales del cáncer oral son el tabaco (en cualquiera de sus formas) y el alcohol, pero desde hace unos años la infección por papilomavirus humano (VPH) y el uso de vapeadores y cigarros electrónicos se están convirtiendo en factores de riesgo emergentes.

En sus primeras etapas, los signos del cáncer oral pueden pasar inadvertidos, por eso desde el Consejo General de Dentistas se insiste en la importancia de asistir a revisiones odontológicas periódicas, para que cualquier lesión maligna o potencialmente maligna pueda ser detectada a tiempo. El Dr. Óscar Castro, presidente de la Organización Colegial, explica que “anualmente, en España mueren alrededor de 1.500 personas por cáncer oral, algo que se podría evitar con un diagnóstico precoz, puesto que se elevaría la tasa de supervivencia al 90%. Por ello, el papel del dentista es fundamental”.

6ª Campaña de Cáncer Oral

El 12 de junio se celebró el Día Europeo del Cáncer Oral y, por este motivo, el Consejo General de Dentistas anuncia que en noviembre pondrá en marcha la sexta edición de la Campaña Cáncer Oral, de la que se prevé que tenga el mismo éxito que las anteriores, en las que participaron más de 1.500 clínicas de nuestro país. Como siempre, desde el Consejo se informará del inicio de las inscripciones y se darán todos los detalles para que las clínicas dentales que lo deseen puedan participar. Una vez se tenga el listado definitivo de las clínicas participan-

Campaña Salud Oral y Deporte

El Consejo General de Dentistas y la Fundación Dental Española (FDE) también han presentado la Campaña Salud Oral y Deporte, una iniciativa en la que también ha participado la Sociedad Española de Odontología del Deporte (SEOD) y en la que se han inscrito más 922 clínicas de toda España. En la web https://saludoralydeporte. es/ se puede encontrar información, vídeos y material específico dirigido tanto a dentistas como a ciudadanos que practiquen deporte de forma habitual o profesional. El acto de presentación ha tenido lugar en el Espacio KOI, en Madrid, donde se ha celebrado un coloquio en el que han intervenido los Dres. Óscar Castro y Manuel Máiquez, presidente del Consejo General de Dentistas y de la SEOD, respectivamente; también han asistido la taekwondista Ariana Cerezo y el tenista Feliciano López.

tes, las personas mayores de 45 años que estén interesadas podrán pedir cita para una revisión dental gratuita.

En estas visitas, el dentista realizará una evaluación minuciosa de toda la cavidad oral (mejillas, labios, lengua, paladar y encías). Si detecta anomalías, por ejemplo, úlceras, bultos, manchas rojas o blancas, puede recomendar pruebas adicionales, como una biopsia, para obtener un diagnóstico definitivo. “Más del 70% de los cánceres orales están precedidos de lesiones orales potencialmente malignas”, señala el Dr. Castro.

Asimismo, el dentista informará al paciente sobre los factores de riesgo del cáncer oral y cómo realizarse una autoexploración de la cavidad oral periódicamente para detectar posibles signos de la enfermedad, aunque nunca sustituirá al diagnóstico de un facultativo. En este sentido, existen unos signos de alarma que no se deben ignorar: manchas de color blanco o rojo en la boca; una pequeña úlcera dura que se parece a un afta común y que no se cura en unas dos semanas; dolor o dificultad para tragar, hablar o masticar. El Dr. Castro declara que “estos signos no siempre son sinónimos de cáncer oral, pero deben ser consultados al dentista para descartar cualquier posibilidad, y si efectivamente se confirma, poder tratarlo lo antes posible para incrementar las posibilidades de curación”. Asimismo, a partir de los 40 años se recomienda realizarse una autoexploración de la cavidad oral cada seis meses. 

LA OMS PUBLICA SU “ESTRATEGIA Y PLAN DE ACCIÓN MUNDIALES SOBRE SALUD BUCODENTAL 2023–2030”

La Organización Mundial de la Salud (OMS) ha publicado “Estrategia y plan de acción mundiales sobre salud bucodental 2023–2030”, un documento que incorpora todos los principales documentos de políticas que orientan y definen la renovada agenda mundial sobre salud bucodental para 2030: la resolución sobre salud bucodental de la Asamblea Mundial de la Salud [WHA74.5 (2021)], la Estrategia Mundial sobre Salud Bucodental [WHA75(11) (2022)] y el Plan de Acción Mundial sobre Salud Bucodental (2023-2030) [WHA76(9) (2023)].

En palabras del Dr. Tedros Adhanom Ghebreyesus, director general de la OMS, “la Estrategia y Plan de Acción Mundiales sobre Salud Bucodental 20232030 contiene el conjunto completo de documentos de políticas que definen la agenda mundial de la OMS sobre salud bucodental. En conjunto, estos documentos de políticas muestran el camino para abordar los desafíos a los que se enfrentan comunidades de todo el mundo, y aportan argumentos para integrar la salud bucodental en los paquetes de prestaciones relacionados con las ENT y la CSU. El plan de acción es un instrumento práctico para apoyar a los Estados Miembros en la tarea de adaptar las políticas mundiales de salud bucodental a los contextos nacionales. En él se esboza un conjunto de medidas prioritarias para que los Estados Miembros, la Secretaría de la OMS, los asociados internacionales, las organizaciones de la sociedad civil y el sector privado adopten medidas que los acerquen al compromiso común de lograr un acceso equitativo a la salud bucodental para todos”.  Por otro lado, el Dr. Tedros Adhanom Ghebreyesus añade que “la OMS apoya a los Estados Miembros en la aplicación de estas políticas en sus respectivos contextos nacionales. Juntos, podemos revertir el patrón de desatención que existe en la esfera de la salud bucodental y mejorar la cobertura y el acceso en todo el mundo, y asegurarnos de que todo el mundo reciba la atención que necesita para hacer frente a las enfermedades bucodentales prevenibles y tratables. No hay salud sin salud bucodental”. 

“No hay salud sin salud bucodental” Dr. Tedros Adhanom Ghebreyesus, director general de la OMS

BTI CELEBRA SU 25 ANIVERSARIO LIDERANDO UN AÑO MÁS LA PRODUCCIÓN CIENTÍFICA DE LAS BIOEMPRESAS ESPAÑOLAS

LaAsociación Española de Bioempresas (AseBio) ha hecho público el pasado 12 de junio el Informe Anual AseBio 2023, que recoge la situación y tendencias del sector de la biotecnología en España, en un acto de presentación que ha tenido lugar en la Fundación Rafael del Pino, en Madrid.

En el apartado referente a la producción de conocimiento científico de las empresas españolas, se destaca a BTI Biotechnology Institute como la empresa española con mayor número de publicaciones en revistas científicas de impacto, 27 en total; seguida por la compañía Almirall, con 26 publicaciones; Sanofi, con 19; y Grifols, con 16. El dato recogido en el Informe 2023 continúa mostrando a BTI Biotechnology Institute como una de las empresas españolas con una mayor dedicación e implicación con la I+D, ya que se trata del noveno año consecutivo en el que la biotecnológica con sede en Vitoria se sitúa como la empresa número uno en producción científica de España.

2024 es un año es muy especial tanto para BTI como para AseBio, ya que ambas organizaciones celebran su 25º aniversario. Un cuarto de siglo en los que han sido protagonistas de la transformación y crecimiento de la biotecnología española.

Para el doctor Eduardo Anitua, director científico de BTI, “en los últimos 25 años, la biotecnología española ha experimentado un notable crecimiento, reflejado en el aumento de la inversión en I+D. Ejemplo de este avance es BTI Biotechnology Institute, fundada en 1999 como un instrumento de investigación en biomedicina y regeneración tisular, respaldado hoy por más de 300 publicaciones indexadas, 64 patentes y la comercialización de más de 2.000 productos en 35 mercados. Un año más, el Informe AseBio certifica que el compromiso de BTI con la generación de conocimiento científico y el desarrollo de soluciones terapéuticas para mejorar la calidad de vida de las personas sigue siendo sólido”. 

BIOHORIZONS

CAMLOG CELEBRA 55 AÑOS JUNTOS CREANDO CONEXIONES

Elgrupo de empresas BioHorizons y Camlog (BioHorizons Camlog), pionero en implantología, celebra su 30º y 25º aniversario respectivamente con la campaña de cumpleaños 30|25. Desde sus humildes comienzos en 1994, BioHorizons Camlog ha ampliado constantemente los límites de la innovación, transformando el panorama de la implantología.

Bianka Wilson y Steve Boggan, co-CEO’s de BioHorizons Camlog, coincidieron en que la trayectoria de la empresa, que “ha pasado de ser dos startups en Estados Unidos y Alemania respectivamente, a convertirse en líder mundial del sector, ha sido sencillamente extraordinaria”. Bianka Wilson declaró que “este logro es testimonio

de nuestro inquebrantable compromiso con la excelencia, así como un tributo a la dedicación de nuestro equipo y a la lealtad de nuestros clientes, que han contribuido decisivamente a nuestro éxito”. Mientras que Steve Boggan añadió que “el lema Making Connections hace referencia a conexiones inmejorables y a esta notable comunidad de clientes y miembros del equipo”.

La trayectoria de BioHorizons Camlog ha estado marcada por logros importantes que han perfilado su identidad e impulsado su crecimiento. Durante estos 30 años, BioHorizons Camlog se ha expandido geográficamente y ha abierto o adquirido empresas de ventas o sucursales en Austria, Canadá, Chile, China, Francia, Italia, Japón, México, Singapur, España, Países Bajos y Reino Unido. La empresa también distribuye sus productos en más de 80 países adicionalmente. Como bien dijo la profesora Katja Nelson, Friburgo (Alemania): “Las oportunidades no se presentan. Tú las creas. BioHorizons Camlog lleva 55 años juntos creando oportunidades en implantología. Mejorando constantemente y cambiando para mejor la vida de los pacientes”. “Es con gratitud por la confianza y el apoyo de nuestros clientes, socios y empleados que BioHorizons Camlog celebra este importante logro. Mantenemos nuestro compromiso de superar los límites de la innovación y ofrecer un valor excepcional a nuestros clientes en implantología”, añadió Steve Boggan. 

SEPA BILBAO RECIBE A 4.500 PROFESIONALES EN EL CONGRESO DE LA PERIODONCIA Y LA SALUD BUCAL

La última edición del Congreso de la Periodoncia y la Salud Bucal, organizado por la Sociedad Española de Periodoncia y Osteointegración (Sepa), reunió a 4.500 profesionales interesados en conocer todos los conceptos y técnicas más innovadoras en Periodoncia y Terapia de Implantes de manera práctica y bajo la premisa de la excelencia clínica basada en la evidencia científica. Una cita de referencia para la Periodoncia internacional y la Odontología española en la que también se habló sobre tratamientos interdisciplinares, digitalización e innovación, y de gestión de la clínica dental.

Entre los días 29 de mayo y 1 de junio se celebró en Euskalduna Bilbao el Congreso de la Periodoncia y la Salud Bucal, organizado por la Sociedad Española de Periodoncia y Osteointegración (Sepa). Una cita de referencia para la Periodoncia internacional y la Odontología española, en la que se abordaron todos los conceptos y técnicas en Periodoncia y Terapia de Implantes, tanto clínicos como científicos, de una manera muy práctica y bajo la premisa de la excelencia clínica basada en la evidencia científica. Pero, además, se habló de tratamientos interdisciplinares, digitalización e innovación, y de gestión de la clínica dental.

“Se ha completado todo el aforo, con la participación de unos 4.500 congresistas de medio centenar de países (48), lo que le convierte en uno de los encuentros científicos más numerosos organizados en el Palacio Euskalduna de Bilbao hasta la fecha y, sin duda, el congreso de Odontología más importante a nivel internacional de este año”, resalta la Dra. Paula Matesanz, vicepresidenta de Sepa. Como otros datos significativos del evento, destaca la aportación de 215 ponentes, con unas 70 empresas participantes y, en momentos puntuales, hubo hasta 28 salas simultáneas con actividad.

Principales contenidos

Actualizar conocimientos y habilidades en la prevención y manejo de las enfermedades periodontales o poner al día los recursos técnicos que existen para abordar con éxito una terapia de implantes han sido sólo algunas de las oportunidades formativas del Congreso. Un programa científico que gozó del rigor, la calidad, variedad temática y excelencia de la que hacen gala los encuentros que organiza Sepa. Resaltó en esta ocasión el carácter aún más práctico, dinámico e interactivo que se le concedieron a muchas de las mesas, donde predominaron la presentación y discusión de casos clínicos.

El Dr. José Nart, presidente de Sepa, destaca la calidad y variedad del programa científico, poniendo el foco en “la sobresaliente participación de expertos mundiales, la aplicabilidad en la práctica clínica de los contenidos expuestos y, sobre todo, el interés y oportunidad que ofrece este evento para los profesionales de la Odontología más jóvenes y en pleno proceso formativo”.

La reunión se celebró bajo la premisa de la excelencia clínica basada en la evidencia científica y se estructuró en tres itinerarios científicos, incluyendo bloques temáticos de Dentistas (Interdisciplinar, Digital y Periodoncia), Higiene (que este año, como novedad, se inició un día antes) y Gestión, sin olvidar la oferta formativa y expositora que se alojó en ExpoPerio.

En SEPA Perio se puso el foco en la implantología avanzada, las bases de la Periodoncia y la relación de la misma con la salud general. En SEPA Higiene el paciente fue el eje de todo el programa: su percepción del tratamiento o el manejo de pacientes especiales y con compromiso mé dico fueron algunos de los temas a abordar, asumiendo que el higienista es el primer punto de contacto en la atención dental preventiva, de forma que su enfoque en la educación del paciente le coloca en una posición decisiva para fomentar el empoderamiento. Y en SEPA Gestión se dio especial cabida a la búsqueda de la excelencia en la gestión empresarial; para ello, se contó con las aportaciones y experiencias de profesionales de referencia en nuestro país, que ofrecieron consejos prácticos y dieron a conocer

Paciencia, empatía y atención individualizada, pilares del manejo odontológico de los pacientes con déficits cognitivos “La salud bucal de pacientes con déficits cognitivos necesita un impulso por parte de las Administraciones e implicar más a los profesionales de la salud bucal”, según reclama el Prof. Gerardo Gómez Moreno, catedrático de Odontología en Pacientes Médicamente Comprometidos de la Facultad de Odontología de la Universidad de Granada, que ha participado en una sesión científica del Congreso de la Periodoncia y la Salud Bucal y que ha puesto de relieve que “el cuidado y mejoría del estado oral de pacientes con déficits cognitivos también contribuye a mejorar su salud general”. Son cada vez más los pacientes con déficits cognitivos que demandan atención odontológica, en los cuales es crucial la instauración de medidas preventivas personalizadas de la forma más precoz posible, y en muchas ocasiones es necesario realizar intervenciones terapéuticas que entrañan dificultad para los profesionales de la salud bucodental. En un simposio monográfico sobre pacientes especiales y con compromiso médico, se ha destacado que, para asegurar el éxito en este propósito, como resume el Prof. Gómez Moreno, hay que apoyarse en tres principios fundamentales: “la paciencia, la empatía y la atención individualizada son los pilares del manejo odontológico (centrado en la prevención) de los pacientes con déficits cognitivos (como demencia, enfermedad de Parkinson, ictus, esclerosis múltiple, ELA)”.

Por otro lado, “los profesionales de la salud bucodental tenemos la responsabilidad de formar, motivar, instruir y educar en higiene oral a pacientes con déficits cognitivos, pero también a sus familiares, cuidadores y personal sanitario”, aconseja el catedrático de la Universidad de Granada, quien indica que “los tratamientos odontológicos en pacientes con déficits cognitivos deben ser realistas y siempre encaminados a mejorar su calidad de vida”.

herramientas esenciales para alcanzar los objetivos empresariales y clínicos. Según destaca el Dr. Alberto Monje, vocal de Encuentros de SEPA, “este Congreso aborda conceptos clínicos y científicos de una manera muy práctica, y recurriendo a ponentes con una alta carga clínica, que han ayudado a responder los dilemas que nos encontramos en el día a día”.

La Periodoncia y sus bases han tenido un protagonismo crucial en este Congreso, desarrollando de manera extensa el concepto de microbioma y periodontitis. Además se actualizaron y revisaron conceptos asociados a las nuevas tecnologías, la inteligencia artificial apli-

Los microorganismos orales aumentan el riesgo de sufrir enferemedades neurológicas

Las bacterias periodontales y sus productos tóxicos, junto con los mediadores proinflamatorios que se producen a nivel local en los tejidos periodontales inflamados, pueden alcanzar al torrente sanguíneo y cruzar la barrera hematoencefálica. “Esto produce inflamación a nivel cerebral, dando lugar a un estado de depresión o al proceso neurodegenerativo característico de la enfermedad de Alzheimer”, según ha destacado el periodoncista Yago Leira en el marco de Sepa Bilbao’24. En un simposio de Periodoncia y Hábitos Saludables se han expuesto una serie de indicaciones para mejorar la salud general de los pacientes que acuden a la consulta dental, donde se han mostrado datos sugerentes sobre el impacto de la microbiota oral en el riesgo de desarrollo de depresión o de enfermedad de Alzheimer.

La depresión y la enfermedad de Alzheimer son dos condiciones altamente prevalentes en el mundo, al igual que sucede con las enfermedades de las encías. “Comparten mecanismos fisiopatológicos comunes que hacen que la periodontitis, sobre todo por su relación con un estado neuroinflamatorio crónico, pueda contribuir de manera significativa a la aparición o progresión de las mismas”, aclara este experto, que recientemente ha liderado un informe científico del Grupo de Trabajo de la Sociedad Española de Periodoncia (Sepa) y la Sociedad Española de Neurología (SEN), que evalúa la asociación entre periodontitis, enfermedad cerebrovascular y demencia. Entre otras evidencias, este informe pone de relieve que la periodontitis no solo aumenta el riesgo de padecer ictus isquémico y demencia de tipo Alzheimer, sino que también se sugiere que diferentes intervenciones de salud oral pueden reducir el riesgo de sufrir estos desórdenes neurológicos; igualmente, se señala que marcadores de riesgo como la periodontitis son de gran ayuda para tratar de evitar, reducir o minimizar el impacto de estos desórdenes neurológicos.

cada al diagnóstico de la periodontitis o el uso de las herramientas digitales en tratamientos interdisciplinares. Y se incorporaton en el programa temáticas relacionadas con los retos y avances en la terapia de implantes, colocación de implantes en situaciones de alto compromiso o sobre cómo abordar casos tras la explantación de implantes. “Hemos intentado que todas las sesiones, en sus distintos formatos, tengan una aplicación clínica”, subraya el Dr. Francisco Vijande, secretario general de SEPA. 

LA CONSULTA DENTAL PUEDE AYUDAR A DETECTAR HASTA UN 30-50% DE LOS CASOS DE HIPERTENSIÓN

ARTERIAL Y PREDIABETES/DIABETES OCULTA

Nacional de Área Médica de Dentaid; Ana Marcos, periodoncista; Sonia Gutiérrez, paciente con enfermedad periodontal; y Ion Zabalegui, periodoncista.

El Congreso de la Periodoncia y la Salud Bucal acogió el 29 de mayo la presentación de los primeros resultados derivados del programa Promosalud, que pretende facilitar la detección precoz en la consulta dental de enfermedades como la diabetes mellitus o la hipertensión arterial (HTA), con la consiguiente derivación a los médicos de referencia de los casos sospechosos. Las primeras evidencias indican que las consultas dentales podrían identificar más de un tercio de los casos de hipertensión arterial oculta y hasta la mitad de las prediabetes/diabetes sin diagnosticar.

Este proyecto, diseñado por la Fundación SEPA de Periodoncia e Implantes Dentales, cuenta con el apoyo estratégico de la compañía experta en salud bucal Dentaid y está avalado por diferentes sociedades científicas en el ámbito de la Odontología y la Medicina, así como por el Consejo General de Dentistas de España y diversos colegios profesionales.

Un año desde su puesta en marcha, la labor principal se ha centrado en la difusión entre las clínicas dentales del país y la realización de acciones formativas para los profesionales de los centros adheridos. “Tras esos pasos necesarios y preliminares, ahora es cuando realmente estamos empezando a documentar tanto la buena acogida que está teniendo el proyecto entre las clínicas dentales de nuestro país como vislumbrando las enormes posibilidades que se nos abren en la detección de enfermedades tan importantes y frecuentes como la diabetes o la hipertensión arterial, así como de promoción de la salud bucal y general desde la consulta dental”, resalta el Dr. Miguel Carasol, coordinador de PromoSalud.

Primeros resultados

En este momento, como informa el Dr. Eduardo Montero, profesor de la Universidad Complutense de Madrid (UCM) y coordinador del aná-

lisis de los datos de Promosalud, “son cerca de 1.500 clínicas las que se han adscrito a la iniciativa, pudiendo proceder en estos momentos al análisis de los datos de más de 700 pacientes”. Los resultados, según indica, “vienen a poner de manifiesto el rol tan relevante que pueden tener la clínica dental para cribar pacientes con hipertensión arterial o prediabetes/diabetes no diagnosticada anteriormente”.

Aunque aún son estimaciones, los datos preliminares permiten vaticinar que se pueden identificar entre el 30% y el 50% de los casos de ambas patologías sin diagnosticar. “El impacto en términos de salud pública de estos hallazgos es inmenso”, asegura el Dr. Eduardo Montero, puesto que “la identificación precoz de estos pacientes permite instaurar medidas preventivas y terapéuticas que eviten las complicaciones y efectos adversos de estas enfermedades, incluyendo en último término la mortalidad asociada a ambas patologías”. Además, según declara este experto, “el impacto en términos económicos sería tremendo, tal y como se ha observado en otros países tanto en sistemas públicos de salud como a partir de datos de aseguradoras médicas privadas”. El análisis detallado de las primeras observaciones realizadas en 733 pacientes revela que en un 37,2% de los casos se han registrado valores propios de HTA no diagnosticada (tensión arterial sistólica ≥140 mmHg y/o tensión arterial diastólica≥90 mmHg). De manera análoga, el porcentaje de pacientes potencialmente con prediabetes o diabetes fue del 4% y el 3%, respectivamente, en base al cuestionario FindRisc y a determinaciones ambulatorias de hemoglobina glicosilada (HbA1c). Estos datos, según los interpreta el Dr. Montero, “resultan especialmente llamativos y trascendentales, porque el porcentaje de diabetes sin diagnosticar en la población española (según el estudio Di@bet.es) se estima en aproximadamente el 6%, es decir, que la mitad de estos casos se podrían cribar en la clínica dental”.   Actualmente en España, el 40% de las personas que padecen hipertensión desconocen su afección, y se calcula que hay 15 millones de adultos con la presión arterial elevada. También hay más de 5 millones de personas con diabetes, de las cuales el 45% desconoce padecerla, es decir, dos millones trescientas mil personas. El 50% de las personas pasan al año 1 vez por la consulta dental y, sin embargo, muchos de ellos no acuden a su médico.

La recogida y el análisis detallado de información derivada de los cientos de pacientes que se esperan registrar en los próximos meses puede tener, en opinión de los impulsores de esta iniciativa, una gran relevancia clínica y sociosanitaria.

Por eso, el presidente de Sepa, el Dr. José Nart, considera que “es el momento de que las clínicas dentales y todo el equipo de salud bucodental (dentistas e higienistas) comiencen a actuar como centros y profesionales de la salud en el más amplio sentido del término”. 

Mónica Muñoz, de la Junta Directiva del Colegio de Dentistas de Álava y participante en el Proyecto Promosalud; Francisco Vijande, secretario general de Sepa; Miguel Carasol, coordinador de PromoSalud; Itziar Abarrategui, vicepresidenta del Colegio de Dentistas de Bizkaia; Patricia Antón, responsable

EL 53º CONGRESO ANUAL DE SEPES LLEVARÁ A SEVILLA LO ÚLTIMO EN NEUROCIENCIA, NEUROBIOLOGÍA E IA APLICADAS A LA ODONTOLOGÍA

La Sociedad Española de Prótesis Estomatológica y Estética (SEPES) celebrará del 10 al 12 de octubre la 53ª edición de su Congreso Clínico-Científico anual en el Palacio de Congresos y Exposiciones FIBES, en Sevilla.  Se trata de uno de los congresos odontológicos más multitudinarios de cuantos se celebran en España que congregará a más de 3.000 asistentes, 55 empresas de las más importantes del sector dental nacional e internacional y 85 ponentes de más de 15 nacionalidades diferentes con el lema “Protocolos para la práctica clínica”.

El presidente de SEPES, el Dr. Guillermo Pradíes, y su vicepresidente, el Dr. Rafael Martínez de Fuentes, que es además el presidente del Congreso, han explicado en rueda de prensa celebrada en el Salón Comedor del Ayuntamiento de Sevilla acompañados por el primer teniente de Alcalde y Delegado municipal de Área de Barrios de Atención Preferente y Derechos Sociales del Ayuntamiento de Sevilla José Luis García Martín, los detalles de este importante cónclave internacional

que dejará un impacto económico en la ciudad de 3 millones de euros.

El Congreso, que ya se celebró en Sevilla en 2015 bajo la presidencia del Profesor Martínez de Fuentes batiendo récords de participantes, reunirá durante 3 jornadas consecutivas a empresas, ponentes e instituciones para tratar sobre los últimos avances de la industria dental en tecnología, materiales, instrumental y servicios, además de los temas más relevantes para la comunidad odontológica como las aplicaciones de la neurociencia, las tendencias en estética facial, la digitalización aplicada al diagnóstico y planificación de los tratamientos, la psicología aplicada a la relación con el paciente, la dirección de clínicas dentales o la importancia del trabajo de las higienistas dentales y de los técnicos de laboratorio, entre otros. En este sentido, el presidente de SEPES ha destacado que Sevilla es “la mejor sede que podía tener este Congreso que tiene el objetivo principal de ofrecer a los asociados la oportunidad de formarse en la excelencia, para ofrecer la mejor salud bucodental a sus pacientes”. 

CÓRDOBA ACOGERÁ EL III CONGRESO DE ALINEADORES Y NUEVAS TECNOLOGÍAS DE LA SEDO

La histórica ciudad andaluza de Córdoba ha sido el escenario elegido por la Sociedad Española de Ortodoncia (SEdO) como sede de su III Congreso de Alineadores y Nuevas Tecnologías. Este destacado evento tendrá lugar en el Centro de Exposiciones, Ferias y Convenciones de Córdoba los días 20 y 21 de septiembre de 2024, reuniendo a expertos nacionales e internacionales en el campo de la ortodoncia. Este congreso, que celebra su tercera edición tras cosechar un enorme éxito con cientos de asistentes en las dos anteriores celebradas en Valencia y Santiago de Compostela, se ha consolidado como una cita imprescindible para los profesionales de la ortodoncia interesados en las últimas innovaciones y avances tecnológicos aplicados a este campo en constante crecimiento y evolución. Los participantes tendrán la oportunidad de asistir a conferencias y talleres que abarcan desde el uso de alineadores en diferentes tipologías de casos hasta la integración de nuevas tecnologías en los tratamientos ortodóncicos, pasando por los últimos avances y descubrimientos en la materia.

Entre los ponentes confirmados, contamos con figuras de renombre como el Dr. Juan Carlos Pérez Varela, presidente de la SEdO, y los doctores Manuel Román, Ramón Mompell, Esmeralda Herrero, Susana Palma, Arturo Vela, Johnny León, Manuel Poveda y Sonia Presencia, entre muchos otros, quienes hablarán sobre las tendencias actuales en alineadores y compartirán sus conocimientos y experiencias en el uso de tecnologías emergentes que están transformando la práctica ortodóncica.

“El III Congreso de Alineadores y Nuevas Tecnologías no solo es un espacio para el aprendizaje y la actualización profesional, sino también una excelente oportunidad para la creación y el fortalecimiento de redes y sinergias entre los profesionales del sector”, asevera el presidente de la SEdO, el Dr. Pérez Varela.

Y desde el Comité Organizador de la cita, el Dr. Manuel Román recuerda que “además, los asistentes podrán disfrutar de un atractivo programa social”. 

LA UNIVERSIDAD DE ALICANTE INICIARÁ EL PRÓXIMO CURSO EL MÁSTER INTERNACIONAL EN IMPLANTOLOGÍA, REGENERACIÓN Y PERIOPRÓTESIS

AVANZADO CON ENFOQUE DIGITAL

LaUniversidad de Alicante iniciará el próximo curso 2024-2025 el Máster Internacional en Implantología, Regeneración y Perioprótesis Avanzado con Enfoque Digital, un novedoso máster semipresencial enfocado a doctores que ya empezaron en implantología y requieran formación complementaria en todos los aspectos involucrados en la colocación de implantes dentales para ayudar al implantólogo a desarrollar su labor con éxito y de manera predecible hecho a la carta.

La teoría será online abarcando las siguientes temáticas: anatomía, aspectos legales, diagnóstico 3D fotografía intraoral, diseño de sonrisa, flujo digital, preparación periodontal, cirugía mucogingival, periimplantitis, laser y plasma, regeneración ósea, elevación de seno, atrofia ósea, All on Four, uso de implantes pterigoideos, zigomáticos y subperiósticos, implantología digital, cirugía guiada, softwares, cirugía navegada, doble factor, diseño de férulas e impresoras 3D, carga inme-

GIRONA ACOGERÁ EL XXI CONGRESO NACIONAL DE LA SOCIEDAD ESPAÑOLA DE CIRUGÍA BUCAL LOS DÍAS 14 Y 15 DE NOVIEMBRE

El XXI Congreso Nacional de la Sociedad Española de Cirugía Bucal (SECIB) 2024 tendrá lugar los días 14 y 15 de noviembre en el Palacio de Congresos de Girona, presidido por el Dr. Eduard Valmaseda Castellón.

Este evento abordará cinco áreas temáticas clave en cirugía bucal: regeneración ósea, tejidos blandos, cirugía guiada, rehabilitación de maxilares atróficos y tratamientos multidisciplinarios.

Para ello, contarán con la participación de destacados expertos nacionales e internacionales, como Frank Schwarz, Luca de Stavola, Liliana Silva, David González, Frank Zastrow, Santiago Carreras, Nikos Mattheos, Xavier Rodríguez o Montserrat Mercadé, entre otros muchos. “El congreso ofrecerá conferencias de primer nivel, debate cara a cara con los ponentes y talleres teórico-prácticos para aprender practicando. Será una oportunidad única para intercambiar conocimientos y experiencias”, aseguran desde SECIB.

Otra novedad será el Simposio Universidades, en el que tendrán su propio espacio ponentes de los distintos postgrados de universidades españolas. 

diata, escaneado intraoral, confección de prótesis implantológica, manejo del bruxismo y fillers, nuevas tecnologías y fotogrametría, inteligencia artificial, realidad aumentada, marketing experience, comunicación y gestión. Con masterclass de ponentes líder, prácticas presenciales de disección en aula de anatomía de la UA e intensivas en el centro formativo IDIT de Clínica Perio&Implant de la Dra. Pomares, con talleres específicos en flujo digital, fotografía y diseño de sonrisa, mucogingival, regenerativa y elevación de seno, cirugías en directo, impresión 3D, IA, realidad virtual, comunicación-difusión y mucho más. Además, este Máster cuenta con un cuadro docente con profesionales expertos y servicio de mentoría de apoyo. Abiertas inscripciones (16 plazas). Más información en formacion@perioimplant.es y por whatsapp con el International Digital Implantology Trainning (IDIT): 674358818. 

EL 35º

CONGRESO NACIONAL DE HIGIENISTAS BUCODENTALES HIDES 2024 SE CELEBRARÁ

LOS DÍAS 4 Y 5 DE OCTUBRE EN OVIEDO

El Palacio de Congresos de Calatrava en Oviedo (Asturias) acogerá los días 4 y 5 de octubre el 35º Congreso Nacional de Higienistas Bucodentales HIDES 2024.

En palabras de Mar González Montes, presidenta del Congreso y de HIDES Asturias, “este evento representa una oportunidad invaluable para reunir a todas/os las/los profesionales de la higiene bucodental de toda España, compartir conocimientos y fortalecer la colaboración en pro de la mejora de la salud de nuestra sociedad”.

“La higiene oral y la prevención son pilares fundamentales en la promoción de la salud y en la prevención de enfermedades. En estos tiempos desafiantes, se ha vuelto más evidente que nunca la importancia de nuestras disciplinas. Por tanto, es crucial que podamos unir fuerzas, compartir las últimas investigaciones y avances en nuestra área, y discutir estrategias efectivas para enfrentar los retos que se nos presentan”, añade la presidenta del Congreso y de HIDES Asturias, asegurando que “el 35 Congreso Nacional de Higienistas HIDES 2024 es una oportunidad única para lograr todo esto y más”.

El encuentro reunirá a 18 ponentes nacionales e internacionales, además de contar con 10 talleres con las novedades y actualizaciones tanto en formación y productos dentales como aparatología del sector odontológico. 

CONGRESO NACIONAL DE HIGIENISTAS BUCODENTALES

EUROPEAN MEETING 2 O

Oviedo 2024

Palacio de Congresos Calatrava

4 y 5 de octubre

DESCARGA TODA LA INFORMACIÓN DE ESTE EVENTO EN TU MÓVIL

Patrocina

Paquete completo para ampliar el flujo de trabajo digital de Zirkonzahn

Con el nuevo escáner intraoral Detection Eye de Zirkonzahn, la arcada del paciente puede digitalizarse fácilmente en menos de 60 segundos. El escáner es fácil de usar y la posibilidad de elegir entre dos tipos diferentes de puntas (estándar y pequeña) hace que el tratamiento sea más cómodo y adaptado al paciente. El escáner ha sido desarrollado para ser ligero, compacto y ergonómico, y el escaneado sin polvo facilita aún más el proceso. Los datos escaneados pueden cargarse rápida y fácilmente en el módulo Model Maker del software de diseño. A continuación, el modelo realizado se transfiere al nuevo software Zirkonzahn.Slicer para su posicionamiento en la plataforma de impresión y la posible creación de soportes. El software está diseñado específicamente para el uso dental y sus ajustes preconfigurados garantizan un flujo de trabajo fluido y uniforme. En seguida, los archivos para la impresión en 3D, pueden enviarse a través de una memoria USB, LAN o WiFi a la Impresora P4000. Gracias al gran volumen de impresión (L x P x A: 20 x 12,5 x 20 cm), se pueden producir simultáneamente hasta 21 modelos Geller o 15 modelos de arcadas completas, dependiendo de la estructura y el tamaño. El sistema P4000 para la impresión 3D, es especialmente adecuado para su uso las resinas

Safescraper Volumizer, el nuevo rascador curvo de gran volumen de Salugraft

El nuevo Safescraper® Volumizer es un innovador rascador curvo de gran volumen que recolecta en una sola pasada mayor cantidad de hueso cortical (en volumen, que no en peso). Su cuchilla contiene cortes verticales que dividen el hueso en un mayor número de bandas estrechas, que entrechocan entre sí, generando un mayor volumen, disminuyendo el tiempo de extracción. La capacidad máxima de la cámara transparente también es de 2,5 cc. Se trata de un instrumento mínimamente invasivo, con el que la técnica de extracción no resulta traumática para el paciente por el hecho de ser manual, según indican desde Salugraft. Además, aseguran que es muy fácil de usar, ya que el cuerpo del instrumento es curvo y ergonómico, con un rango de corte de la cuchilla de 160º. Safescraper® Volumizer se presenta listo para usar en paquetes de 3 unidades estériles, envasadas individualmente.

Salugraft Dental www.salugraftdental.com

Printer Resin y Printer Resin Waterbased de Zirkonzahn en varios colores y para diferentes usos. Después de realizar la limpieza con agua, en un baño de ultrasonido y de la polimerización del modelo, los movimientos mandibulares del paciente pueden controlarse en el articulador PS1 o en el Mini-Arti ZS1, utilizando el nuevo sistema JawAligner PS1 o ZS1 (espaciadores magnéticos) sin necesidad de yeso.

Zirkonzahn www.zirkonzahn.com

Dentaid presenta su nuevo cepillo de dientes So-Eco

En su continua misión de mejorar la salud bucal, Dentaid presenta el cepillo de dientes So-Eco como parte de la nueva marca PHB ‘Time to Care’. Este innovador producto marca un hito en el ámbito del cuidado personal, destacando por su eficacia en la higiene bucal y su diseño responsable con el medio ambiente.

“Este nuevo modelo asegura una limpieza eficaz gracias a sus filamentos de origen vegetal, diseñados para proporcionar una eliminación precisa de la placa bacteriana”, explican desde Dentaid. El cepillo de dientes So-Eco incorpora más de 1.400 filamentos con extremos redondeados y texturizados, optimizados para alcanzar incluso las zonas de difícil acceso. Su cabezal redondeado facilita una higiene completa y delicada, protegiendo tanto el esmalte como las encías.

Además, el diseño ergonómico del mango asegura un control óptimo durante el cepillado, permitiendo una presión adecuada para maximizar la eficacia sin dañar las encías. Disponible en dos texturas, suave y medio.

Dentaid www.dentaid.es

Henry Schein amplía su soporte para profesionales de la odontología con el servicio de asesoramiento y venta online Fast Track

Henry Schein España presenta Fast Track, un servicio de asesoramiento online y demostraciones en vivo tanto de equipamiento dental como de software. El servicio está especialmente enfocado en las soluciones de flujo de trabajo digital y ha sido diseñado para ofrecer a clínicas y laboratorios dentales una experiencia de compra ágil y eficiente, desde cualquier lugar. El servicio Fast Track ha sido creado asimismo con el objetivo de responder a las necesidades individuales de los profesionales dentales y contribuir a optimizar la eficacia operativa y reducir el tiempo de inactividad de sus servicios mediante un acceso rápido a equipos esenciales para la clínica y el laboratorio. Entre las demostraciones en línea de equipamiento dental que pueden solicitarse a través de Fast Track se encuentran las de escáneres intraorales (IOS), impresoras 3D, fresadoras y unidades de radiología 3D y de software CAD/CAM, entre otros. Fast Track es una alternativa al asesoramiento en persona por parte de un especialista en equipos en el showroom de Henry Schein. El servicio es gratuito y tanto la consulta de asesoramiento como las demostraciones están exentas de compromiso de compra. Al concluir la demostración, los usuarios interesados en adquirir un producto recibirán un presupuesto y el equipo será entregado en su clínica dental o laboratorio a la mayor brevedad.

Ticare presenta el Set de Explantación atraumática y extracción de tornillos rotos

Entre los lanzamientos que Ticare presenta para este 2024 se encuentra el Set de Explantación atraumática y extracción de tornillos rotos.

Este set permite la extracción de tornillos fracturados o con cabeza hexagonal redondeada, retirar prótesis fracturadas o gripadas y explantación. Es un set universal que dispone de plantillas esterilizables compatibles con otras marcas, aportando mayor flexibilidad en procedimientos quirúrgicos.

Este set ya se puede adquirir en Genetic, la tienda online de Ticare: www.genetic.ticareimplants.com/tienda/

Ticare Implants www.ticareimplants.com

Henry Schein www.henryschein.com

DentalMonitoring

recibe la aprobación De Novo de la FDA

DentalMonitoring ha recibido la aprobación De Novo por parte de la Administración de Alimentos y Medicamentos de Estados Unidos (FDA) para que esta solución se utilice por ortodoncistas para la atención clínica. DentalMonitoring es un dispositivo médico que utiliza algoritmos de procesamiento para analizar imágenes bucodentales. Este dispositivo está diseñado para ayudar a los profesionales sanitarios a supervisar a distancia los tratamientos dentales, de ortodoncia, el progreso del tratamiento y la salud bucodental. Con esta aprobación, DentalMonitoring también presentará la innovadora función SmartSTL™ a los ortodoncistas norteamericanos. Esta nueva funcionalidad permite a los médicos solicitar archivos STL actualizados a través del panel de control de DentalMonitoring sin necesidad de que el paciente vuelva a la consulta.

DentalMonitoring www.dentalmonitoring.com

Instrucciones para publicar en “El Dentista Moderno”

OBJETIVOS

El Dentista Moderno es una publicación dirigida al odontólogo profesional. Sus objetivos son la difusión y el intercambio de los conocimientos más avanzados en el campo dental, buscando alcanzar una actualización permanente sobre todas las cuestiones que atañen a su profesión con especial importancia en la actividad clínica.

TIPOLOGÍA DE LOS ARTÍCULOS

El Dentista Moderno, se rige por las normas de calidad para la indexación de revistas científicas españolas, buscando principalmente los siguientes tipos de artículos:

n Artículo de investigación científica y tecnológica. Documento que presenta, de manera detallada, los resultados originales de proyectos terminados de investigación.

n Artículos sobre descripciones de nuevas metodologías o técnicas y/o materiales.

n Artículos sobre casos clínicos. En los que se espera que se presenten situaciones clínicas particulares tanto por sus hallazgos como por su tratamiento.

n Artículos de revisión sobre literatura ya publicada.

POLÍTICAS EDITORIALES

n Originalidad.

Todos los artículos o reseñas que se sometan al proceso de arbitraje de El Dentista Moderno deben ser inéditos. Solicitamos a los autores abstenerse de remitir trabajos que ya han sido publicados parcial o completamente por otros medios -salvo publicaciones en línea de documentos de trabajo (working papers)- o en traducciones a otros idiomas. Si se detectan evidencias de documentos similares o idénticos ya publicados, el trabajo será rechazado automáticamente.

n Sistema de arbitraje.

Todos los artículos que se presenten a la revista para sus ediciones serán sometidos a un proceso de arbitraje “doble ciego” que se realizará con ayuda de pares expertos en cada temática. La participación de los pares será ad honórem y se espera que sea asumido como un pacto de reciprocidad académica, en el que se intenta aportar de manera constructiva a fortalecer (y validar) la investigación y los aportes de otros colegas dentro de la disciplina. En el caso de las reseñas, que son documentos de difusión, podrán ser revisadas por el editor mismo o por otros miembros del equipo editorial de la revista. Su publicación se decidirá de acuerdo con su coherencia temática y textual, su relevancia para el área o según el interés o vigencia de la discusión que proponga. n Exclusividad.

Los artículos que se sometan a arbitraje en El Dentista Moderno no pueden estar siendo evaluados por otras revistas, ni deben presentarse de manera simultánea a otros procesos de arbitraje. n Confidencialidad.

Como el arbitraje se realizará a través de un sistema “doble ciego”, con el fin de garantizar una mayor independencia de la partes (ni los autores ni los evaluadores tendrán entre sí datos de su identidad, perfil académico o procedencia), esa información solo será tratada por los responsables de la revista y no se revelará a terceras partes. Los soportes del proceso de cada artículo se conservarán para efectos de indexación o verificación del arbitraje.

PAUTAS DE PRESENTACIÓN

La solicitud de publicación de cualquier trabajo debe ir acompañada de una carta, firmada por los autores, donde se exponga y declare que el artículo es original y que no está sujeto a una posible publicación en otras revistas. Al mismo tiempo, se debe ceder la propiedad literaria a la editorial, que podrá disponer del trabajo para su publicación en su totalidad o en parte, en España y en el extranjero, sin previa comunicación a los autores.

Si el artículo aparece encabezado por una Institución, la carta debe contener la aprobación del director o de otro posible responsable de la misma.

Los artículos deberá atenerse al siguiente estructura:

n Título y eventual subtítulo:

En una página aparte, con nombres y apellidos de los autores y sus diferentes datos de contacto: teléfono, fax y eventual dirección de e-mail. El título podrá sufrir, por necesidades de espacio, pequeñas variaciones de redacción.

n Resumen:

Deben ser de 250 palabras y comprender, en forma discursiva, los siguientes subcapíulos: objetivos, metodología, resultados y conclusiones para las investigaciones originales; En el caso de las actualizaciones de la literatura ya publicada, deben comprender: objetivos, datos, fuentes, selecciónde los artículos analizados y conclusiones.

n Palabras clave:

En la página del título deberán incluirse también las palabras clave, hasta un máximo de diez.

n Introducción:

Repasará de manera concisa las problemáticas en cuestión mediante una sucinta revisión de la bibliografía reciente y pertinente, el estado actual de los conocimientos y los fines y los objetivos de la investigación propuesta.

n Materiales y metodología:

Se realizará una descripción detallada de los materiales y las metodologías utilizadas. Si las metodologías son ya utilizadas por otros autores es necesario mencionar el trabajo de las que se extraen.

n Resultados:

Exponer de manera clara y concisa los resultados del trabajo, si fuera posible con un análisis estadístico detallado y con la ayuda de oportunas tablas y gráficos.

n Debate:

Recogerá los comentarios de los resultados obtenidos y las comparaciones con otros presentes en literatura. En el debate deberán estar presentes las virtudes y los límites de la metodología utilizada, la importancia de los resultados y sus cotejos clínicos, las hipótesis y las implicaciones futuras.

n Conclusiones:

Significación de los resultados y su aplicabilidad clínica.

n Idiomas:

Serán aceptados los artículos escritos en español y en inglés.

n Extensión:

Los artículos podrán tener una extensión mínima de cuatro mil palabras (4000) y máxima de ocho mil (8000). Las reseñas críticas no deben superar las mil quinientas palabras (1500).

n Formato del texto:

El texto ha de enviarse en Word o rtf, con las tablas y gráficos elaborados con Office pegados en ellos. Además de pegarlas en el Word (rtf, odt...), las fotos y otros materiales gráficos deben enviarse aparte [siempre en la versión

n ORIGINAL

De la aplicación utilizada: Photoshop, PowerPoint, Acrobat, Excel...].

Las fotos y capturas deben ir en ficheros jpg, con una resolución de unos 300 ppp (para tener una idea, cada foto, ilustración o pantallazo en jpg debe tener unos 200 KB como mínimo). También se admiten ilustraciones en pdf (siempre con el fichero original pdf separado, y además pegadas en el Word).

Nota muy importante: Una vez pegadas en el Word (o rtf, odt...) las imágenes ya no pueden publicarse impresas en papel. Por ello no puede cumplirse el requisito anterior de enviar ficheros sueltos jpg a base de volver a copiar una imagen ya pegada.

n Vídeo:

Se aceptan películas con los siguientes requisitos: Formato: Flash vídeo; resolución: 640X480 pixel -24 frame/segundo; video mínimo: 750 kbit/sec; audio mínimo: 64 kbit/sec. Duración máxima 5 minutos. Los vídeos serán incluidos en la versión digital de la publicación.

n Envío:

Junto con el artículo, cada uno de los autores incluirá un breve curriculum con sus datos de contacto. El archivo original y sus adjuntos deben ser remitidos a la atención del editor de la revista y al correo electrónico: silvia.decastro@tecnipublicaciones.com.

ESTILO DE CITACIÓN: BMJ-NORMAS VANCOUVER

n Cuerpo del texto:

Aunque no es necesario en las Normas Vancouver mencionar al autor (es) cuando se hace una referencia en el cuerpo del texto, El Dentista Moderno, para evitar confusiones gramaticales o de redacción, prefiere que en la mayoría de los casos se mencionen los apellidos de los autores de los cuales se están tomando ideas, y después se inserte entre corchetes el número de la referencia completa que debe aparecer en el listado final del artículo. Por ejemplo: “Ortiz [1] presenta una metodología para el análisis de este tipo de problemas”. A propósito, todas las referencias que se incorporen en el cuerpo del texto deben relacionarse en la lista de referencias del final del artículo. Igualmente, en el listado de referencias no debe aparecer bibliografía que no se haya usado y citado en el texto (es decir, la correspondencia entre ambas partes debe ser exacta). Las referencias que se vayan incorporando en el texto se deben numerar por orden de aparición entre corchetes “Ortiz [1], Grothendieck [2], Gómez [3] “, y deben organizarse de esa forma en el listado final, no por orden alfabético. Por último, si una misma referencia se usa varias veces en el cuerpo del texto pero es necesario incorporar nueva información sobre el apartado del texto al que se refiere o alguna otra particularidad, se debe indicar luego del número de la referencia, así: “Ortiz [1, p. 84] o Ortiz [1, Fig. 16]”. n Listado de referencias: El listado de referencias debe organizarse por orden numérico que se determina de acuerdo con la aparición de cada referencia en el texto (el primer autor o texto que se cita es el número [1], el segundo el [2] y así sucesivamente). A diferencia de otros estilos, como no hay una organización alfabética de las referencias por apellido, los nombres de los autores deben registrarse comenzando por el apellido y las iniciales de su nombre: “[2] Grotendieck A.”. A continuación, mostraremos el esquema de cómo se debe citar

un libro, un capítulo de libro y un artículo de revista, con algunos ejemplos para cada caso:

n Libro:

Apellidos AA. Título. # ed. Ciudad: Editorial; año.

[1] Gardner E, Simmons MJ, Snutad DP. Principies of genetics. 8th edition. New York: John Willey & sons; 1995.

n Capítulo libro:

Apellidos AA, Apellidos BB. Título del capítulo o la entrada. En: Apellidos AA, Apellidos BB, editores. Título del libro. Ciudad: Editorial; año. p. xx-xx.

[1] Prins R, Clarke RT. Microbial ecology or the rumen. En: Ruckebusch P, Thivend B, editors. Digestive physiology and metabolism in ruminants. 2a ed. Wesport,Connecticut: AVI Publishing company; 1980. p. 179-204.

n Artículo revista:

Apellidos AA, Apellidos BB, Apellidos CC. Título del artículo.

Título. Rev. Año; volumen(número): xx-xx.

[1] Corona M, Díaz G, Paez J, Ferré Z, Ramones E. Extracción y caracterización de pectinas de la corteza de parchita. Rev. Odont. 1996; 13(6): 785-791.

Las Normas Vancouver sugieren que las revistas que se citen en la lista de referencias aparezcan en su forma abreviada, por lo tanto

El Dentista Moderno sugiere que se revisen los siguientes enlaces: http://www.erevistas.csic.es/especial_revistas/revistas54.htm http://www.metodo.uab.cat/docs/Requisitos_de_Uniformidad.pdf http://www.metodo.uab.cat/docs/Requisitos_de_Uniformidad_ Ejemplos_de_referencias.pdf

NOTA LEGAL

Las perspectivas o puntos de vista expresados en los artículos y textos que publica El Dentista Moderno son responsabilidad de sus autores y no comprometen en ninguna medida a la revista, a la Grupo TecniPublicaciones. Asimismo, el propósito fundamental de la revista es prestar un servicio a la comunidad académica y al avance del conocimiento en odontología, por lo que el proceso de selección del material que publica contempla aspectos académicos, editoriales y legales que son evaluados en cada caso para decidir sobre los manuscritos que se reciben. Supeditada a estos factores, la revista no está obligada a la publicación de ningún texto y podrá declinar su publicación en cualquier fase del proceso, si estima que no corresponde a su línea editorial o si contradice alguna de sus políticas editoriales. De igual forma, cualquier reclamación por parte de terceros en relación al uso de obras o extractos de ellas en un artículo o texto, será responsabilidad de los autores exonerando así al Grupo TecniPublicaciones.

REPRODUCCIÓN Y TRADUCCIONES

Si usted desea reproducir o traducir un artículo o texto publicado en El Dentista Moderno,o si desea solicitar autorización para que sea difundido por alguna página web o repositorio institucional,por favor escriba al correo electrónico de la revista (documentacion@tecnipublicaciones.com), a la atención de la directora de Documentación. Los textos publicados en la revista, no obstante, no requieren una autorización especial para que sean reproducidos parcialmente en textos académicos, siempre y cuando se citen adecuadamente, relacionando sus autores, año de publicación, volumen y número en el que fueron publicados originalmente. Cualquier otro tipo de utilización requerirá de la autorización previa y expresa de la Editorial.

APUNTA EN TU AGENDA LAS FECHAS

CLAVE

21/06/24

Último día de cuota reducida

10/09/24

Último día para enviar tu comunicación libre

Ponentes

Regeneración ósea

David González Frank Schwarz

Liliana Silva

Luca de Stavola

Frank Zastrow

Tejidos blandos

Gonzalo Blasi

Santiago Carreras

Xavier Mir

David Palombo

Cirugía guiada

Luca Comuzzi

Luigi Laino

Nikos Mattheos

Rehabilitación de maxilares atróficos

Mariano del Canto

Vivek Gaur

César Muelas

Ignacio Mayo

Tratamientos multidisciplinarios

Henry García

Raquel Guijarro

Montserrat Mercadé

Xavier Rodríguez

SIMPOSIO UNIVERSIDADES TALLERES

Ofertas Especiales

HASTA EL 31 DE AGOSTO DE 2024

MODELO M25 REF. C1027

• Sin Luz

• Velocidad Directa 1:1

• Spray Simple

• Velocidad Máxima: 40.000 min -1

• Para fresas CA (ø2,35)

• Clean Head System (Anti-Retorno) • Portafresas Push Button • Rodamientos de Cerámica • Clean Head System (Anti-Retorno) • Portafresas Push Button • Rodamientos de Cerámica

MODELO M95 REF. C1026

• Sin Luz

• Multiplicador 1:5

• Spray Quattro

• Velocidad Máxima: 200.000 min -1

• Para fresas FG (ø1,6)

MODELO M25L REF. C1024

• Con Luz

• Velocidad Directa 1:1

• Spray Simple

• Velocidad Máxima: 40.000 min -1

• Para fresas CA (ø2,35)

MODELO M95L REF. C1023

• Con Luz

• Multiplicador 1:5

• Spray Quattro

• Velocidad Máxima: 200.000 min -1

• Para fresas FG (ø1,6)

POTENCIA 26W

• Clean Head System (Anti-Retorno) • Torque: 26W • Tamaño del Cabezal: ø12,1 x Al 13,3 mm • Velocidad: 325.000~430.000 min -1 • Cuerpo de Acero Inoxidable • Spray de Agua Quattro • Porta-fresas Push Botton • Rodamientos de cerámica • Fácil cambio del cartucho por el propio usuario

NSK

M900L REF. P1254

Turn static files into dynamic content formats.

Create a flipbook
Issuu converts static files into: digital portfolios, online yearbooks, online catalogs, digital photo albums and more. Sign up and create your flipbook.