El Dentista Moderno Nº 87

Page 1


www.eldentistamoderno.com

ENTREVISTA

Dr. J. Pedro Peña, médico y odontólogo especializado en Cirugía Oral e Implantología

CIRUGÍA GUIADA APILABLE

IMPLANTOLOGÍA

FOTOGRAMETRÍA Y FLUJO DIGITAL

INVESTIGACIÓN

ANESTESIOLOGÍA

D4.0

ENTREVISTA

Dra. Almudena Rodríguez Fernández, presidenta del Congreso SESPO 2024

COMUNICACIÓN: ODONTOPEDIATRÍA

LEGISLACIÓN: REDES SOCIALES

Siguiendo la evolución de la Odontología para el profesional del sector llamado a construir el futuro

PRETTAU® SKIN®

VENEERS ULTRA FINAS (0,2 mm) REALIZADAS CON LA LÍNEA DE ZIRCONIA PRETTAU®

[1] Solo apto para contador de escala ultrasónico con depósito de refrigerante externo. No apto para dispositivos de pulido por aire.

Menos aerosoles. Más comodidad.

VivaDent®

Aerosol Reduction Gel

– Reducción de aerosoles producidos por scalers ultrasónicos de escala ultrasónicos[1] hasta un 99 %

– Mejor visibilidad del área de tratamientodurante la limpieza ultrasónica

– Mayor comodidad para los pacientes debido a que se rocía menos la cara

BIOBLOCK®

BIOLÓGICAMENTE ADAPTADO BIOMECÁNICAMENTE DISEÑADO

Tratamiento

DECISIÓN

Descubre todas las ventajas

Sellado biológico Hermetismo Ajuste pasivo

staff

eldentistamoderno

Número 87 - Septiembre 2024

ENTREVISTA Dr. J. Pedro Peña, médico y odontólogo especializado en Cirugía Oral e Implantología CIRUGÍA GUIADA APILABLE IMPLANTOLOGÍA FOTOGRAMETRÍA Y FLUJO DIGITAL INVESTIGACIÓN ANESTESIOLOGÍA www.eldentistamoderno.com

D4.0

ENTREVISTA Dra. Almudena Rodríguez Fernández, presidenta del Congreso SESPO 2024 COMUNICACIÓN: ODONTOPEDIATRÍA LEGISLACIÓN: REDES SOCIALES

Impresión: Gama Color

Depósito Legal: M-33444-2013

ISSN: 2340-9703

ISSN (internet): 2340-9797

PRETTAU® SKIN®

Siguiendo la evolución de la odontología

DIRECTORA

Emiliana Rodríguez Charmes emi.rodriguez@eldentistamoderno.com

SUBDIRECTORA

Beatriz Suárez de la Vega beatriz.suarez@eldentistamoderno.com

REDACCIÓN Y FOTOGRAFÍA Departamentos propios Versys Ediciones Técnicas

COMITÉ CIENTÍFICO

Javier de la Cruz, José Nart, Jesús Daniel Parejo, Juan López Palafox, Miguel Burgueño, Juan Manuel Vadillo, Guillermo Galván, Rafael Martínez de Fuentes, Anna Ramiro, Carlos Repullo, Leticia Rodríguez, Marta Revilla, José María Malfaz, Eva Mª Martínez y Eva López de Castro

DISEÑO Y MAQUETACIÓN Manuel Beviá

DIRECTORA COMERCIAL ÁREA DE DISTRIBUCIÓN Mercedes Álvarez mercedes.alvarez@versysediciones.com

DIRECTORA DE CUENTAS DM

Emiliana Rodríguez Charmes emi.rodriguez@eldentistamoderno.com

EJECUTIVA DE CUENTAS DM Cristina Esquivel cristina.esquivel@eldentistamoderno.com

Versys Ediciones Técnicas S.L. Invierno, 17 28850 Torrejón de Ardoz (+34) 912 972 000 administracion@versysediciones.com

CEO

José Manuel Marcos Franco de Sarabia

DIRECTORA DE OPERACIONES

Esther Crespo

DIRECTOR DE EXPANSIÓN Y DESARROLLO

José Manuel Marcos de Juanes

Copyrigth Versys Ediciones Técnicas S.L. La suscripción a esta publicación autoriza el uso exclusivo y personal de la misma por parte del suscriptor. Cualquier otra reproducción, distribución, comunicación pública o transformación de esta publicación sólo puede ser realizada con la autorización de sus titulares. En particular, la Editorial, a los efectos previstos en el art. 32.1 párrafo 2 del vigente TRLPI, se opone expresamente a que cualquier fragmento de esta obra sea utilizado para la realización de resúmenes de prensa, salvo que cuente con la autorización específica. Diríjase a CEDRO (Centro Español de Derechos Reprográficos) si necesita fotocopiar, escanear, distribuir o poner a disposición de otros usuarios algún fragmento de esta obra, o si quiere utilizarla para elaborar resúmenes de prensa (www.conlicencia.com; 917021970/932720447)

Las opiniones y conceptos vertidos en los artículos firmados lo son exclusivamente de sus autores, sin que la revista los comparta necesariamente.

Premio de Comunicación SECIB 2019

Accede a El Dentista Moderno

Una experiencia integral y multidisciplinar que no te dejará indiferente

VEN A SEPES SEVILLA

Programa MULTIDISCIPLINAR

Rehabilitación, PRÓTESIS, perio-prótesis, neurociencia, ESTÉTICA, endo-cirugía, DIGITAL, clínico-técnico, GESTIÓN, comunicaciones orales, póster y vídeos

90 PONENTES

de 15 nacionalidades

en ExpoSEPES +50

EMPRESAS

TODO el programa INCLUIDO en la inscripción al Congreso completo

o Curso 8 horas con PASCAL MAGNE

o Simposio Digital Dentistry Society DDS

o Simposio European Prosthodontic Association EPA

o Jornada multidisciplinar CLÍNICO-TÉCNICO*

o Jornada de DIRECCIÓN DE CLÍNICAS DENTALES*

o Jornada ALUMNI TIK-TOK TIME

NO OLVIDES…

Comprar tu ticket para la CENA DEL CONGRESO en el Casino de la Exposición. Incluye MÚSICA EN DIRECTO con el grupo “HERMANOS DOMÍNGUEZ” y una consumición en la discoteca Terraza del Casino

Reservar tu plaza en los TALLERES que te interesen

Consultar las PROMOS y DESCUENTOS disponibles antes de inscribirte

o Jornada HIGIENISTAS y AUXILIARES*

o Simposio de INDUSTRIA

o TALLERES

o COFFEES los 3 días del congreso

*Admiten inscripción independiente.

sumario

D4.0

EDITORIAL

Un sector comprometido con la excelencia y el futuro de sus profesionales

Por Emi Rodríguez Charmes, directora de Dentista Moderno y D4.0.

ENTREVISTA

“Hoy en día es posible llevar a cabo tratamientos implantológicos totalmente digitales”

Dr. J. Pedro Peña, médico y odontólogo especializado en Cirugía

Oral e Implantología

CIRUGÍA GUIADA APILABLE - BIOHORIZONS CAMLOG

Stackable workflow: herramientas de vanguardia en el abordaje digital de la rehabilitación implantológica facialmente guiada

Autor: Vicente Gimeno Vicent.

IMPLANTOLOGÍA - MESA

Cirugía implantológica y regeneración ósea con implantes Igea Mesa

Autor: Dr. Francesco La Via

FOTOGRAMETRÍA Y FLUJO DIGITAL

Implementación de la fotogrametría en los flujos de trabajo digitales. Desde la planificación hasta la ejecución

Autores: Dres. Erik Regidor y Alberto Ortiz-Vigón.

INVESTIGACIÓN - OSSTEM IMPLANT

Recubrimiento de una superficie de implante arenada, grabada con ácido y con un agente amortiguador de pH después de la fotofuncionalización al vacío-UV

Autores: Marco Tallarico y Hyun-Kyung Park.

ANESTESIOLOGÍA

Toxicidad de los anestésicos de uso dental

Autores: Dres. Ana Boquete Castro y Stevens Salvà Sutherland.

ACTUALIDAD DEL SECTOR DENTAL

Equipamiento, instrumental y material protésico, dental y clínico

50

ENTREVISTA

“El Congreso SESPO 2024 es una oportunidad única para reflexionar sobre el papel crucial de la salud oral en un estilo de vida saludable y avanzar juntos hacia una odontología más integrada y centrada en las personas”

Dra. Almudena Rodríguez Fernández, presidenta del Congreso SESPO 2024 (25 y 26 de octubre de 2024, Santiago de Compostela)

58

64

COMUNICACIÓN

La vuelta al cole, un momento ideal para retomar las visitas al odontopediatra

REDES SOCIALES

Las claves de la nueva ley de influencers en España

Restauraciones JUST ONE SHADE

El composite universal Transcend™, gracias a su tecnología patentada Resin Particle Match™, garantiza una combinación de tonos y colores sin precedentes, con el uso de una sola masa y eliminando la necesidad de usar un opaquer.

Además del tono Universal Body, el composite Transcend™ ofrece cuatro tonos para dentina y dos para esmalte para casos en los que está indicada la estratificación.

Antes Después

Las tinciones por amalgama representan una de las situaciones de restauración más difícil para los dentistas. En este caso, el diente fue restaurado con Universal Body del composite Transcend™. No se utilizó ningún agente bloqueador (opaquer) porque Transcend Universal Body tiene una opacidad suficiente para cubrir las tinciones en el fondo de la cavidad, mezclándose con el color natural del diente.

Dr.ssa Jaleena Fischer Jessop

UN SECTOR COMPROMETIDO CON LA EXCELENCIA Y EL FUTURO DE SUS PROFESIONALES

El mes de septiembre nos trae de vuelta a las actividades rutinarias y la continuación o comienzo de la formación universitaria. Una formación universitaria que centrándonos en la Odontología, en España es rigurosa y extensa, abarcando cinco años de estudios teóricos y prácticos, fomentando la investigación y la innovación; y ofreciendo un programa formativo de alta calidad que prepara a los estudiantes con una sólida base para enfrentarse a los desafíos que se encontrarán en sus carreras profesionales.

En el Ranking de Shanghái 2024 se ha reconocido a varias universidades españolas por su excelencia en Odontología. La Universidad Complutense de Madrid se destaca como la mejor universidad española en este campo, situándose entre las 100 mejores del mundo. Otras universidades como la Universidad de Santiago de Compostela y la Universidad Internacional de Cataluña también han sido reconocidas por su calidad educativa y su contribución a la investigación odontológica. Este reconocimiento internacional subraya el compromiso de las universidades españolas con la excelencia académica y la formación de profesionales altamente capacitados.

No obstante, no debemos olvidar la situación que destaca el Consejo de Dentistas de España, y del que nos hacemos eco. Y es que, a pesar de la alta calidad de la formación, el sector odontológico en España se enfrenta a serios problemas de precariedad laboral y emigración. La plétora profesional, es decir, el exceso de profesionales en relación con la demanda del mercado laboral, ha llevado a una situación de saturación. Muchos odontólogos recién graduados se encuentran con contratos temporales, lo que les obliga a buscar oportunidades en el extranjero. Desde 2018, miles de dentistas han emigrado a países como Francia, Italia y Alemania en busca de mejores condiciones laborales. Esta situación no solo afecta a los profesionales, sino que también plantea un desafío para el sistema de salud bucodental en nuestro país.

Por tanto, debemos observar el panorama complejo al que se enfrenta el sector en este sentido.

La odontología en España basa sus principios en la excelencia académica, una formación de elevada calidad que, sin embargo, contrasta con la precariedad laboral y consecuentemente con la búsqueda de mejores oportunidades laborales que llevan a la emigración de los profesionales de este sector.

Hay que asegurar un futuro prometedor para la odontología en España, beneficiando tanto a los profesionales como a los pacientes, trabajando para que se pongan en marcha políticas que enfrenten de cara los problemas que está generando la plétora profesional y se mejoren las condiciones laborales para retener el talento.

Sigamos trabajando por la evolución de la Odontología y para los profesionales que están construyendo el futuro.

Emi Rodríguez
Directora de Dentista Moderno y D4.0

La prótesis removible exclusiva de Corus

desarrollada en un flujo de trabajo digital.

Gracias a su innovador protocolo, se reduce el número y tiempo de las visitas necesarias para obtener una prótesis removible digital, de alta calidad y con las máximas prestaciones de función y estéticas.

Un producto de

Una solución única y digital
Calidad y satisfacción para tus pacientes
Menos visitas y menor tiempo de sillón
Escanea el QR y pide más información:

“HOY EN DÍA ES POSIBLE LLEVAR A CABO TRATAMIENTOS IMPLANTOLÓGICOS

TOTALMENTE DIGITALES”

Dr. J. Pedro Peña, médico y odontólogo especializado en Cirugía Oral e Implantología

Ante un futuro en el que la implantología se abre a un sinfín de innovaciones, el Dr. J. Pedro Peña, médico y odontólogo especializado en Cirugía Oral e Implantología, nos habla a lo largo de esta entrevista de cómo esta especialidad está inmersa en una transformación constante hacia un enfoque 100% digital y personalizado, destacando el papel de las nuevas tecnologías como la inteligencia artificial, impresión 3D, biomateriales, etc.

 DM.- Teniendo en cuenta su amplia experiencia en implantología, ¿cómo ha evolucionado la especialidad con la digitalización?

Dr. J. Pedro Peña (Dr. J.P.P.).- La implantología ha integrado completamente el flujo de trabajo digital en todas sus etapas, desde el diagnóstico hasta la ejecución, y más recientemente ha incorporado la inteligencia artificial en algunas de sus áreas. Hemos pasado de utilizar ortopantomografías y plantillas de acetato a emplear avanzados programas de renderización 3D. Hoy en día es posible llevar a cabo tratamientos implantológicos totalmente digitales. Este cambio ha sido significativo, beneficiando tanto a los pacientes como a los profesionales. Considero que estamos a las puertas de una transformación en la atención de la salud, donde las nuevas tecnologías tendrán un papel crucial en la manera en que trataremos a nuestros pacientes en el futuro.

 DM.-¿Cómo describiría la implantología moderna?

Dr. J.P.P.- La implantología moderna se distingue por un enfoque cada vez más personalizado, adaptado a las necesidades y expectativas individuales de cada paciente. Hemos perfeccionado la precisión diagnóstica mediante imágenes y simulaciones 3D, optimizado la rapidez y seguridad de las intervenciones con nuevos diseños de implantes y el uso de cirugía guiada y navegada, además de mejorar la estética y durabilidad de los resultados con la integración de impresoras 3D y materiales innovadores en las prótesis. Sin embargo, lo más importante es que la implantología debe ser parte integral del cuidado general de la salud del

paciente, acompañándolo a lo largo de todas las etapas de su vida. La nueva implantología debe apostar por la calidad y la tecnología, basándose exclusivamente en la evidencia científica, lo cual exige un esfuerzo tanto económico como personal que no todos están dispuestos a asumir.

 DM.-¿Qué nuevas tendencias observa en la práctica de esta especialidad?

Dr. J.P.P.- La innovación más destacada actualmente es la integración de la inteligencia artificial, no solo en el diagnóstico y la planificación de tratamientos, sino también en su ejecución, mejorando y estandarizando la cirugía navegada, lo que nos brinda una precisión excepcional y la posibilidad de ajustar el plan de tratamiento en tiempo real. También estamos a la expectativa de la llegada de la cirugía robotizada a la odontología. Además, el uso de impresoras 3D en laboratorios y consultorios está en pleno auge, permitiendo la fabricación inmediata de férulas, prótesis provisionales e incluso prótesis definitivas con nuevas resinas, directamente en el consultorio. Sin duda, surgirán nuevos biomateriales con mejores propiedades que simplificarán las técnicas de regeneración tisular. La ingeniería de tejidos y los factores de crecimiento se combinarán con estas innovaciones, y es probable que veamos la aparición de dispositivos de monitorización y teleasistencia que mejorarán el seguimiento y permitirán anticiparnos a problemas en la salud bucal de nuestros pacientes.

 DM.-¿Qué ventajas ofrece el flujo digital tanto para el profesional como para el paciente en los tratamientos implantológicos?

Dr. J.P.P.- Tras superar el periodo de adaptación a la nueva tecnología, las ventajas se vuelven claras y numerosas. Desde la comodidad tanto para el especialista como para el paciente, la reducción del número de citas y la duración de los tratamientos, hasta la obtención de imágenes, la simulación de tratamientos, la previsualización de resultados y la capacidad de ejecutarlos de manera precisa y mínimamente invasiva. Estamos ansiosos por las mejoras que el uso de impresoras 3D puede traer a nuestros consultorios, que, en combinación con escáneres intraorales cada vez más precisos y que prácticamente eliminan la necesidad de tomar impresiones, abren un nuevo horizonte en el campo de la prótesis y la cirugía, permitiendo una fabricación de guías y prótesis más rápida y personalizada.

 DM.- Como emprendedor y exdirector y asesor médico de Implant Direct hasta 2017, ¿cuáles fueron los aspectos más motivadores de esa experiencia?

Dr. J.P.P.- Fue una de las experiencias más enriquecedoras de mi carrera. Me permitió explorar una faceta, la comercial, que rara vez exploramos como profesionales de la salud. Tuve la oportunidad de participar en todas las fases de la implantología, desde el desarrollo de productos y su fabricación hasta su distribución y venta, incluyendo aspectos legales relacionados con la importación de productos médicos, el cumplimiento de los reglamentos europeos MDR, la participación en eventos como Expodental y Expodentaria, el desarrollo de estrategias de publicidad y marketing, la formación y dirección de equipos comerciales, y la organización de varios congresos nacionales e internacionales.

La implantología ha integrado completamente el flujo de trabajo digital en todas sus etapas, desde el diagnóstico hasta la ejecución, y más recientemente ha incorporado la inteligencia artificial en algunas de sus áreas ”
El Dr. Peña ha participado recientemente en el primer congreso de la recién creada Sociedad de Implantología Oral (OSI), celebrado en Bangalore, en el sur de la India.

Sin embargo, no lo hice solo. Sin la valiosa e inestimable ayuda de Dña. Belén Tapia, quien dirigió la empresa desde su creación hasta su venta, y de un pequeño pero altamente eficiente equipo comercial, no habría podido enfrentar este enorme desafío ni alcanzar el éxito que logramos.

 DM.- El próximo 27 de septiembre, Nobel Biocare organiza Digivolution en Portugal. ¿En qué consistirá este evento? ¿Cuál será el eje temático de su participación?

Dr. J.P.P.- Se trata del congreso ibérico de Nobel Biocare, donde se presentarán las últimas innovaciones en todos los procesos digitales que conforman el tratamiento con implantes dentales, desde el diagnóstico hasta la cirugía guiada y navegada, pasando por la toma de impresiones digitalizadas con los más recientes avances en fotogrametría e impresión digital. En esta ocasión, mi labor será moderar las presentaciones de un grupo de jóvenes ponentes que, sin duda, representan el futuro de la profesión. Siendo nativos digitales, manejan con soltura todas estas técnicas. Estoy seguro de que disfrutaremos y aprenderemos mucho de ellos y de los demás ponentes, tanto nacionales como portugueses.

 DM.- Además, participa como ponente junto al Dr. Alberto Monje en el curso “Un nuevo enfoque en el tratamiento integral de la periimplantitis”. ¿A quién va dirigida esta formación y cuáles son sus objetivos?

Dr. J.P.P.- Colaborar con el Dr. Alberto Monje es un privilegio y una oportunidad excepcional de aprendizaje, que recomiendo a todos. Recientemente, se

ha publicado su libro Unfolding Periimplantitis por la editorial Quintessence, una verdadera joya científica y un compendio de saber. La periimplantitis es una patología multifactorial que afecta o afectará a uno de cada cinco implantes colocados en nuestros pacientes, y es fundamental saber diagnosticarla, prevenirla y, en última instancia, tratarla. Por tanto, el curso está dirigido a todos los profesionales de la odontología, incluso a aquellos que no incluyen la implantología en sus tratamientos, ya que es nuestra responsabilidad conocer en profundidad las causas, evolución, prevención y los protocolos actuales para tratar esta grave enfermedad. La Masterclass es una combinación magistral de contenido científico y una extensa exposición de casos clínicos que proporciona al dentista las herramientas necesarias para enfrentar este reto. Sin duda, es uno de los mejores cursos disponibles actualmente sobre periimplantitis.

 DM.- Desde su experiencia docente en cursos y como conferenciante en congresos, ¿cómo ha cambiado la formación en implantología en los últimos años?

Dr. J.P.P.- Es importante recordar que cuando comencé, no existía una formación reglada; eran las empresas que vendían implantes las que estaban más comprometidas en impartir cursos. Teníamos que buscar oportunidades de formación en diversos lugares, lo que a menudo implicaba viajar al extranjero. Por otro lado, fue un privilegio ser testigo del nacimiento de una nueva disciplina odontológica. Tuve la gran suerte de coincidir con el Dr. Ramón Palomero, jefe de servicio del Hospital Virgen del Camino de Pamplona en 1989, con quien me formé y trabajé hasta su fallecimiento. Él se formó como cirujano en Alemania y tuvo la oportunidad de aprender implantología con los pioneros de las escuelas alemana y suiza. Sin embargo, fue con el Dr. Eduardo Anitua con quien comencé a impartir cursos de formación, gracias a mi buena amiga Nieves Azpitarte, directora de marketing en ese entonces. En aquella época, llenábamos salas con más de 100 personas los fines de semana. Desde entonces, en estos últimos 32 años, he impartido numerosos cursos teóricos y prácticos en nuestro país y en el extranjero, creando mi propia organización para ello (Fórum Implantológico Europeo). El formato de los cursos ha cambiado con la aparición de los másteres en las universidades, que ahora son la principal fuente de formación de posgrado.

El Dr. Peña cuenta con una destacada experiencia docente en cursos teóricos y prácticos en España y en el extranjero, así como conferenciante en congresos.

Continué impartiendo mis cursos hasta 2020, cuando la pandemia lo detuvo todo. Ahora, me dedico a asesorar a compañías de implantes, dar masterclass y realizar colaboraciones puntuales con universidades y organizaciones internacionales.

 DM.-¿Qué importancia tiene la formación continua en este campo?

Dr. J.P.P.- La formación continua es esencial en todos los campos, especialmente dado el rápido avance de la tecnología, lo que hace muy difícil estar al día en todas las técnicas que surgen. Aunque aún no contamos con una legislación específica, la especialización es necesaria para poder abarcar y mantenerse actualizado en las diversas áreas que componen la implantología. Es previsible que estos cambios sean cada vez más profundos y frecuentes, lo que hará más difícil mantenerse al día y más importante la realización de cursos de formación continua. La implantología no es diferente a otras disciplinas odontológicas, y es necesario estudiar mucho para no quedarse atrás. Por otro lado, el acceso a la información es mucho más fácil y rápido. Los cursos ofrecen una formación concentrada que nos ahorra la búsqueda interminable de artículos, lo cual es muy valioso, ya que filtran los datos científicos a través de la experiencia clínica.

 DM.- Recientemente ha estado impartiendo formación en India. ¿Cómo fue la experiencia y cuál es el nivel de la formación en este país asiático?

Dr. J.P.P.- La experiencia fue inolvidable. India, el gigante asiático que recientemente ha superado a China en población, me acogió en el primer congre-

so de la recién creada Sociedad de Implantología Oral (OSI), cuyo presidente es el Dr. Ramesh Chowdary, director del Centro Branemark de Bengaluru. El evento se celebró en Bangalore, en el sur de la India. En general, el nivel científico es sobresaliente, con numerosos clínicos que han completado su formación en países como Alemania, Japón, China, Inglaterra o Estados Unidos. Sin embargo, lo más impresionante es la amabilidad de la gente, el trato excepcional y la manera en que valoran el esfuerzo de enseñar, mostrando un respeto y admiración por los docentes que ya no es tan común. El próximo año, la reunión se llevará a cabo en la ciudad de Jaipur y ya he sido invitado.

 DM.- En su opinión, ¿cuáles son los principales desafíos a los que se enfrenta la implantología? Dr. J.P.P.- Más que desafíos, lo que debería preocuparnos es garantizar que todos esos tratamientos implantológicos realizados en el pasado, y los que se realizarán en el futuro, cuenten con un adecuado mantenimiento y seguimiento en el tiempo, y no queden desatendidos, como estamos viendo actualmente. Creo que la prevención y el tratamiento de la periimplantitis ocuparán un lugar central en las terapias relacionadas con implantes en los próximos años. Surgirán nuevos materiales y técnicas que nos permitirán abordar situaciones que ahora parecen imposibles, y en pocos años, la inteligencia artificial, en alguna de sus formas, estará presente en todos los procesos de nuestras consultas, haciendo nuestro trabajo más sencillo y eficiente, con un impacto directo en la salud de la población. 

Actualmente, el Dr. Peña se dedica a asesorar a compañías de implantes, dar masterclass y realizar colaboraciones puntuales con universidades y organizaciones internacionales.

u Contacto Dr. José Pedro Peña Fórum Implantológico Europeo C/ Caracas, 5 local 28010 Madrid

STACKABLE WORKFLOW: HERRAMIENTAS DE VANGUARDIA EN EL ABORDAJE DIGITAL DE LA REHABILITACIÓN IMPLANTOLÓGICA

FACIALMENTE GUIADA

Las guías apilables son una herramienta que nos proporciona un control de calidad válido y muy exacto para trasladar de la planificación totalmente virtual a la práctica clínica real, siendo una guía para la consecución de los resultados previstos, lo que supone una mejora en lograr el resultado clínico y su predictibilidad. Mediante la exposición de un caso clínico se presenta el diagnóstico facial para una adecuada integración multidisciplinar para la rehabilitación oral.

Introducción

La integración de los diferentes sistemas digitales que disponemos actualmente ha permitido a la odontología contemporánea cambiar y actualizar los protocolos analógicos por herramientas avanzadas mediante hardware y software que han transformado la práctica clínica y la técnica en todo el sector, consiguiendo así democratizar una predictibilidad y calidad en los resultados de una forma más rápida y sencilla.

Desde finales de la década de los 90 donde se empezaron a realizar las primeras cirugías guiadas, no han sido muchas las novedades al respecto en este campo. Es bien conocido el alcance que tuvieron estas técnicas y otras similares como la navegación dinámica, en los albores de lo que actualmente se conoce como implantología digital.

La llamada “odontología digital”, en la que actualmente ya todos estamos inmersos irremediablemente, ha cambiado los tiempos (porque ahora pasamos una gran cantidad del tiempo planificando y menos tiempo tratando pacientes), ha cambiado también las rutinas (de trabajo frente al ordenador conectando mediante interconsultas con otros especialistas, técnicos de laboratorio, centros de planificación, etc.). También han cambiado las herramientas y las técnicas (ahora usamos software y guías de tratamiento tanto en restauradora, endodoncia, implantología, prostodoncia, atm, ortodoncia, etc.). Y

es que el poder entrecruzar y combinar la información de un CBCT, con los archivos STL del escaneado intraoral, y la superposición del encerado diagnóstico se ha vuelto un estándar actualmente.

Caso clínico

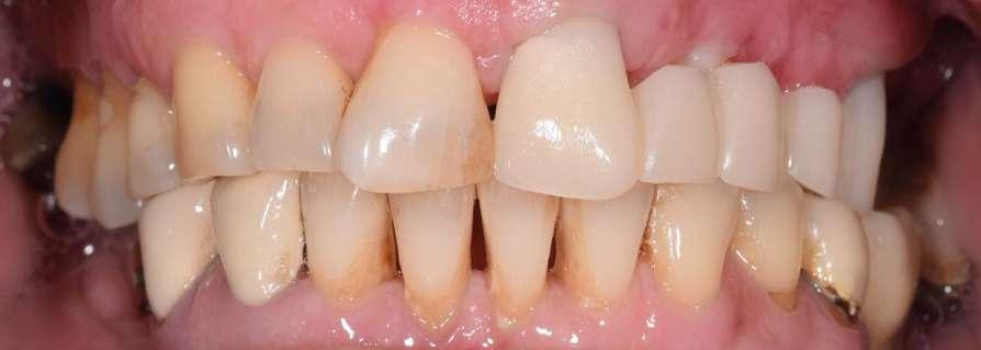
Paciente de 40 años que acude mediante derivación de otro colega a nuestro consultorio. No presenta patología sistémica alguna. Como antecedentes de interés cabe destacar la fobia dental, debido a esta condición o trastorno, manifiesta un miedo severo al contacto con cualquier profesional que le causa ansiedad y ataques de pánico (Fig. 1). Como diagnóstico clínico odontológico presenta desde el punto de vista biológico, múltiples caries (algunas radiculares y otras en canal), además de una enfermedad periodontal crónica moderada generalizada y leve localizada no controlada. Dientes con movilidad tipo 2 y 3 en arcada superior y fremilto localizado. Los senos maxilares están pneumatizados hasta tal punto que presenta un sector posterosuperior atrófico. Estructuralmente observamos un colapso posterior de mordida por la pérdida de dimensión vertical y colapso de oclusal tras las perdidas dentarias y la migración dental que agrava su ya de por si función con la maloclusión de clase II dentaria y esquelética en la que además presenta un crecimiento vertical excesivo del maxilar superior.

Vicente Gimeno Vicent
Ldo. Odontología y Director
Postgrado Nuevas Tecnologías en Rehabilitación Oral en PgO-UCAM.

La paciente no refiere dolor, sensibilidad o molestia alguna con este cuadro clínico oral. Estéticamente podemos ver una falta de armonización en su rostro en el que predomina un patrón dolicofacial y culmina con una exposición de la sonrisa gingival severa de tipo esquelético-alveolar donde el labio superior resulta hipotónico y corto. En el diagnóstico digital y mediante el análisis radiológico mediante CBCT observamos el colapso de los sectores posteriores del maxilar y la posición de las raíces respecto la cresta ósea, mediante los archivos STL del escaneado intraoral pudimos integrar y estudiar en diferentes softwares (RealGuide y Nemo) la situación respecto a un encerado

diagnóstico digital que se ha realizado mediante la aplicación del protocolo de “Digital Smile Design” ideado por C. Coachman y realizado mediante la llamada “inteligencia colectiva” fruto de la colaboración con su equipo del DSD Planning Center en Madrid. (Fig. 2). Una vez realizada la fase diagnóstica donde prevalecen los problemas biológicos, estructurales, funcionales y por último los estéticos; pasaremos a generar un “Plan de tratamiento facialmente generado” según explicó a mediados de los 80 el Dr. F. Spear por el dilema que existe para el tratamiento multidisciplinar, en el que el clínico puede no saber por dónde comenzar sin olvidar la preo -

caso clínico

cupación de qué provocó toda esta patología y la situación actual; porque ello determinará el pronóstico de su tratamiento actual. Por lo que para que la planificación tenga una progresión lógica e incorpore las correcciones de las posiciones de los dientes para una correcta oclusión y función; partiendo desde la posición del borde incisal del incisivo central superior. Así, el diagnóstico “estético” será el que guíe al resto para la integración del plan de tratamiento final. O dicho de otra forma: la posición de los dientes anteriores (superiores) ha de corregirse primero para poder desarrollar la oclusión; en “relativa concordancia” con el Dr. Aníbal Alonso que con su filosofía D.A.T.O. determinaba el comienzo de la rehabilitación con los anteriores pero inferiores en este caso para lograr un correcto plano oclusal.

Llegados a este punto la paciente valida mediante la realización de un mock-up físico o bien un mock-up virtual o simulación virtual, para visualizar cuál es el objetivo estético de su tratamiento. Concretamente la paciente por la imposibilidad de realizar un test en boca por la movilidad dentaria que presentaba y la retirabilidad de éste. Y por la naturaleza y complejidad del mismo al no poder ser aditivo. Se optó por diferentes diseños con anatomías o librerías distintas, así como diferentes diseños de dimensión vertical estética (Fig. 3).

Una vez hemos realizado la validación del diseño estético ideal por y para esta paciente, determinaremos entonces cuál es el plan de tratamiento para llevarlo a cabo, así como los tiempos, medios, materiales, costes, etc.

A continuación determinaremos el software de CAD en base al objetivo estético, el diseño, la dimensión vertical, la oclusión, la armonía facial lograda, las proporciones, relaciones intermaxilares, etc., tratando de compensar en la medida de lo posible los factores limitantes como son el suelo del seno maxilar, ancho de tabla ósea, posición de la fosa nasal respecto el borde del incisivo central superior combinado con el espacio protésico para una prótesis FP1, FP2 y FP3, así como la posición del labio superior y la relación oclusal de ambos maxilares.

En el caso de la paciente se determinan diferentes opciones de tratamiento que van desde la cirugía ortognática combinada con elevaciones del suelo del seno a nivel bimaxilar y una rehabilitación protésica de soporte mixto de arcada completa; hasta la rehabilitación maxilar tipo all-on-six.

Acto quirúrgico

Mediante el uso de guías quirúrgicas apilables podremos tener referencias fijas desde el inicio de la cirugía hasta la colocación de prótesis; a pesar de que perdamos todos los elementos de referencia como son dientes, arbotantes óseos, implantes, etc.

Estas guías se desglosan en diferentes guías en función de su uso u objetivo. Se pueden apilar de forma modular todas ellas sobre la guía base que se coloca la primera y se retira al final. Pueden ir apiladas con o sin elementos de retención como son rótulas, cilindros, “patas de elefante”, sistemas tipo imán, o elásticos de ortodoncia sobre un bracket/bola, atornillados, etc. Con el fin de unir y evitar su separación durante la manipulación. Éstas pueden ser producidas en metal o resina. En metal son sinterizadas con la posibilidad de remecanizar alguna parte o elemento para su apilado con otras férulas. También puedes ser producidas mediante impresoras 3D con resina líquida (en este caso se trata de una impresora DLP de la marca SprintRay) mediante el uso de diferentes resinas biocompatibles. También pueden ser producidas mediante sustracción en una fresadora en discos de metacrilato.

Además estas tecnologías pueden ser combinadas para poder extraer la mejor cualidad en cada tipo de férula o trabajo (Fig. 4).

Procedemos a levantar colgajo a espesor total en previsión de la regeneración ósea y realizamos unas extracciones estratégicas (1.2.-2.2.) para dar lugar a poder colocar posteriormente los anclajes (Fig. 5).

caso clínico

Se inicia con la Guía Base que va unida o apilada a la Guía de Posicionamiento. Esta simbiosis nos permite posicionar la guía base sobre una referencia actual presente (dientes, implantes presentes). Contiene elementos de visualización de posición como ventanas o ranuras que nos permiten chequear el ajuste de la colocación. La Guía Base puede anclarse de forma intraósea con pies horizontales de fijación tipo “anchor pins”. Y posteriormente se retira la Guía de Posicionamiento quedando la Guía Base anclada a su posición determinada según el software y desde la que todas las demás férulas se apilarán o colocarán para poder hacer su función. Realizamos las extracciones, y legramos los alveolos para extraer las lesiones apicales presentes (Fig. 6).

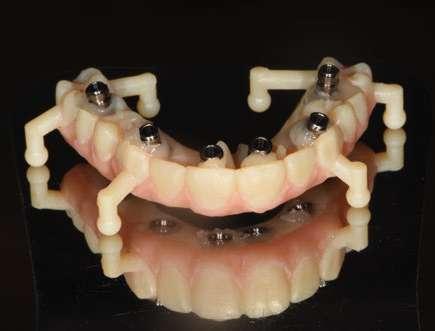
Con la Guía Base estabilizada realizamos con un bisturí piezoeléctrico la osteotomía horizontal del maxilar superior que nos permitirá establecer el inicio de la parte implantológica y alejar la zona de transición de la prótesis en una situación riesgo estético máximo como es el caso. El hueso reseccionado se tritura para su posterior mezcla ósea en la regeneración de las tablas vesiculares. Apilamos la Guía de Implantes para la colocación de 6 fijaciones mediante implantes Camlog Progressive Line intersinusales según la técnica de allon-six descrita por P. Maló (Fig. 7).

Colocamos la Guía Multifuncional que nos permite colocar los aditamentos de atornillado múltiple Comfour rectos y angulados en los implantes distales de forma que la salida de la “chimenea” o tornillo quede en el lugar planificado anteriormente (Fig. 8).

La última es la Guía del Provisional. Ésta puede ser de 2 tipos: por un lado, un provisional impreso que se apile directamente sobre la guía base con los mismos elementos que el resto de guías. O bien, una guía “porta-provisional” que traslade la prótesis provisional a su lugar final y que está preparada para hacer una captura según la describe G. Gallucci al tener perforaciones en las localizaciones de los aditamentos provisionales para su rebase y captura.

Tras la captura del provisional se rebasa y prepara para su colocación inmediata (Fig. 9).

Se retira la Guía Base y se realiza una regeneración ósea guiada en las localizaciones con escaso componente horizontal, y un relleno óseo alveolar o preservación de cresta en el resto de las localizaciones (Fig. 10).

Se suturan los colgajos con material reabsorvible y se coloca el provisional y ajusta la oclusión mediante el uso del sistema de análisis

oclusal computerizado T-Scan para poder determinar localización de contactos iniciales, su intensidad y cronología.

Protocolo prostodóncico

Para la realización de la fase protésica se testaron diferentes métodos en la toma de impresiones para lograr ajuste pasivo con herramientas digitales.

- Fri Digital: mediante el escaneado inicial intraoral sobre los scanbodies se diseña un elemento descrito por el TPD Fernández Arenas como Ferulización Rígida de Implantes (“FRI”) en su técnica original con aros de cobre para impresión con escayola. Pero se feruliza con resina de baja contracción “Con-light” a los scanbodies para su posterior vaciado y creación de modelo “pasivo” o “maestro”.

- Iosfix: se trata de una innovadora técnica que mediante un algoritmo compensatorio determina la desviación de nuestro escaneado intraoral. Lo hace mediante una estructura que se diseña, fabrica y calibra a medida para cada caso (“ringfix”) y que compara esa calibración con la del escaneado intraoral, logrando compensar en gran parte la distorsión de cualquier escáner intraoral.

- Oxo_Core: la fotogrametría en odontología lleva a día de hoy 15 años de uso y es un elemento más que validado para lograr valores muy elevados de precisión y exactitud que rondan hasta las 20 micras en arcada completa para múltiples implantes.

Llegados a este punto decidimos optar por la filosofía “Copy&Paste Dentistry” para situaciones donde queremos copiar el provisional si el proyecto actual es válido. O bien podemos realizar modificaciones y mediante un prototipo rápido podemos realizar la pruebas estéticas necesarias.

Por lo que trasladamos el proyecto inicial para poder realizar una infraestructura de Titanio fresado sobre interfases de atornillado múltiple Comfour y una supraestructura fresada de circonio mediante la técnica boleaba del Software Blender.

Discusión

Actualmente, la planificación digital y el uso de guías apilables nos permite un abordaje muy preciso, mínimamente invasivo (ya que es apilable también a cirugías “flap-less”). Reduciendo tiempos de tratamiento, malestar, sangrado e inflamación a nuestros pacientes. Esto es especialmente interesante en pacientes con patología sistémica o que presenten trastornos que dificulten el tratamiento odontológico, dotándoles de beneficios como son la estabilización de los tejidos blandos desde el primer momento con el provisional inmediato,

caso clínico

Agradecimientos

A Jesús Creagh por introducirme en el mundo de DSD y hacer posible el cambio de vida de esta paciente. Al equipo de DSD (Christian Coachman, Luken de Arbeloa, Francis Coachman) por su trabajo en todos y cada uno de los casos clínicos. A Alejandro Sánchez por su inestimable trabajo como técnico de laboratorio.

Bibliografía

la precisión de la colocación de los implantes gracias a la cirugía guiada y las complicaciones o daños que podemos evitar gracias a ello; y el posicionamiento de la prótesis según lo planificado digitalmente. De este modo podemos realizar un control de calidad inmediato de cada paso durante la cirugía, lo que nos permitirá ser más precisos y predecibles en nuestros tratamientos.

- Coachman C, Calamita MA, Coachman FG, et al. Facially generated and cephalometric guided 3D digital design for complete mouth implant rehabilitation: a clinical report. J Prosthet Dent 2017;117(5):577–586. DOI: 10.1016/j. prosdent.2016.09.005

- Joda T, Gallucci GO. The virtual patient in dental medicine. Clin Oral Implants Res 2015;26(6):725–726. DOI: 10.1111/clr.12379.

- Lo Russo L, Di Gioia C, Salamini A, et al. Integrating intraoral, perioral and facial scans into the design of digital dentures. J Prosthet Dent 2020;123(4):584–588. DOI: 10.1016/j.prosdent.2019.05.030.

- Li J, Sommer C, Wang HL, Lepidi L, Joda T, Mendonca G. Creating a virtual patient for completely edentulous computer-aided implant surgery: A dental technique. J Prosthet Dent. 2021 Apr;125(4):564-568. DOI: 10.1016/j. prosdent.2020.02.026.

Conclusión

La planificación facialmente guiada logró mejorar respecto el flujo habitual analógico, la comunicación técnico-clínico-paciente, el diagnóstico, la planificación y la ejecución (tiempo de tratamiento, nivel de predictibilidad, niveles de precisión y calidad); y, por tanto, fue imprescindible para lograr el resultado final a todos los niveles (estabilidad tisular y satisfacción del paciente por lograr el resultado previsto).

- Gallardo YNR, Silva-Olivio IRT, Mukai E, et al. Accuracy comparison of guided surgery for dental implants according to the tissue of support: a systematic review and meta-analysis. Clin Oral Implants Res 2017;28(5):602–612. DOI: 10.1111/clr.12841.

- Tang J, Wang J, Wang Z, et al. Facial aesthetic evaluation of rehabilitation effects in edentulous patients with varying degrees of residual ridge resorption by 3D stereophotogrammetry. J Oral Rehabil 2020. DOI: 10.1111/ joor.13035.

- Cascón WP, Gopegui JR, Revilla-León M. Facially generated and additively manufactured baseplate and occlusion rim for treatment planning a complete-arch rehabilitation: a dental technique. J Prosthet Dent 2019;121(5):741–745. DOI: 10.1016/j. prosdent.2018.07.009.

- Maló P, Nobre Md, Lopes A. The rehabilitation of completely edentulous maxillae with different

degrees of resorption with four or more immediately loaded implants: a 5-year retrospective study and a new classification. Eur J Oral Implantol. 2011 Autumn;4(3):227-43. PMID: 22043467.

- Gómez-Meda R, Rizo-Gorrita M, Serrera-Figallo MA, Esquivel J, Herraez-Galindo C, Torres-Lagares D. Dimensional Changes in the Alveolus after a Combination of Immediate Postextraction Implant and Connective Grafting and/or Socket Shield Technique. Int J Environ Res Public Health. 2022 Feb 27;19(5):2795. DOI: 10.3390/ijerph19052795.

- Joda T, Zarone F, Ferrari M. The complete digital workflow in fixed prosthodontics; a systematic review. BMC Oral Health 2017;17(1):124. DOI: 10.1186/s12903-017-0415-0.

- Wismeijer D, Joda T, Flügge T, et al. Group 5 ITI consensus report: digital technologies. Clin Oral Implants Res 2018;29(S16):436–442. DOI: 10.1111/clr.13309.

Dr. Luken de Arbeloa 02 de octubre

Dr. Alfonso Gil 06 de noviembre

Dr. Vicente Gimeno 11 de diciembre

Dr. Alberto Ferreiroa 09 de octubre

Dr. Pablo Llinás 13 de noviembre

Dr. Alfonso Ramos 09 de octubre

Dr. Hossam Dawa 20 de noviembre

Dr. Javier Calatrava 16 de octubre

Dr. Roberto Garrido 27 de noviembre

Dr. Jesús Isidro 23 de octubre

Dr. Álvaro Blasi 04 de diciembre

Dr. David de Paz 30 de octubre

Dr. Gonzalo Blasi 04 de diciembre

Todos los miércoles 19:30hrs.

Dirigido por: Dr. Vicente Gimeno.

¡BIENVENIDO

AL UNIVERSO DE LA ODONTOLOGÍA DIGITAL!

Apúntante a los webinars de BioHorizons Camlog, todos los miércoles de octubre a diciembre 2024.

CIRUGÍA IMPLANTOLÓGICA Y REGENERACIÓN ÓSEA

CON IMPLANTES IGEA MESA

La posibilidad de rehabilitar edentulismos completos o parciales con soluciones implantoprotésicas se ha convertido en los últimos años en una solución habitual para muchos pacientes. El éxito de estas rehabilitaciones, especialmente en aquellos casos que afectan a la línea media del paciente, depende de la cuidadosa planificación y programación de cada fase, desde la finalización protésica hasta la cirugía. De este modo, se puede hablar de una planificación de implantes protésicamente guiada, lo que a menudo supone la necesidad de colocar implantes en zonas donde la disponibilidad ósea es insuficiente. Sin embargo, en algunas situaciones clínicas, puede recurrirse a procedimientos quirúrgicos avanzados, como la GBR (Guided Bone Regeneration) u otras técnicas destinadas a reconstruir los tejidos duros.

Dr. Francesco La Via Graduado en 2016 en la Universidad de los estudios de Brescia, trabaja en el estudio dental Martina en Ospitaletto, Brescia, Italia. Se encarga principalmente de prótesis y cirugía de implantes poniendo su enfoque en el método “Computer Guided”. Apasionado desde siempre por las técnicas de reconstrucción ósea, alumno de la escuela del Dr. Mauro Merli, asiste a numerosos cursos al respecto y actualmente realiza rutinariamente en su estudio intervenciones de regeneración ósea.

La posibilidad de rehabilitar edentulismos completos o parciales con soluciones implantoprotésicas se ha convertido en los últimos años en una solución habitual para muchos pacientes. La posibilidad de evitar prótesis fijas mecánicamente desfavorables, como las monorrehabilitaciones de arcos enteros o de puentes largos, así como de mejorar el pronóstico de los elementos residuales, permitió simplificar el tratamiento de nuestros pacientes.

Los casos en los que el protésico encuentra mayores dificultades son, notablemente, los que afectan a la línea media del paciente. El elevado valor estético de esta zona es en sí mismo un reto para la cirugía implantológica, pero la necesidad de crear simetría entre las hemiarcadas hace que los casos relacionados resulten aún más desafiantes. (1)

El éxito de estas rehabilitaciones depende de la cuidadosa planificación y programación de cada fase, desde la finalización protésica hasta la cirugía. De este modo, se puede hablar de una planificación de implantes protésicamente guiada. Esto supone muy a menudo la necesidad de colocar implantes en zonas donde la disponibilidad ósea es insuficiente.

Sin embargo, en algunas situaciones clínicas, puede recurrirse a procedimientos quirúrgicos avanzados,

como la GBR (Guided Bone Regeneration) u otras técnicas destinadas a reconstruir los tejidos duros. También pueden realizarse al mismo tiempo que se colocan las fijaciones de los implantes, lo que reduce en gran medida el estrés para el paciente. (2)

Caso clínico

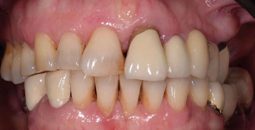
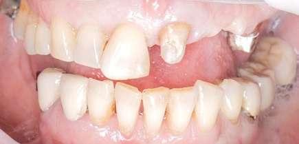
Se presenta la paciente A. G. Mujer de 67 años. El historial clínico no revela patologías destacables ni hábitos perjudiciales dignos de mencionar. Informa del desprendimiento de una rehabilitación protésica incongruente en el sector 2. Se había realizado unos años antes y en el momento del examen se quejaba de un absceso periodontal en el elemento 2.1 y caries en los elementos 2.5 y 2.7. (fig.1-2)

Tras el tratamiento causal y el conservador, se recuperan los elementos 2.1 y 2.5, sacrificándose únicamente el elemento 2.7. (fig. 3)

Planificación

Dado el escaso número de pilares dentales, se propone rehabilitar el sector 2 con una solución implantoprotésica de la siguiente manera: Coronas individuales sobre elementos naturales 2.1 y 2.5 y puentes sobre implantes en 2.2 y 2.4 y corona individual sobre el implante de 2.6.

Se hacen escáneres intraorales y CBCT, que se superponen para planificar la intervención. (fig. 4)

La planificación muestra que la disponibilidad ósea de la paciente es insuficiente para colocar los implantes 2.2 y 2.4 en su sitio: presenta un marcado déficit horizontal, asociado también a un ligero déficit vertical. (fig. 5-6) En cambio, para el implante 2.6, la cantidad es más que suficiente. (fig. 7)

Se decide instalar los implantes del sistema Igea® de MESA. El cuerpo de estos implantes, en parte cilíndrico y en parte cónico, es ideal para lograr la estabilidad primaria. Además, se realizará una técnica de Guided Bone Regeneration (GBR) en los lados bucal y palatino para garantizar un soporte óseo adecuado. La conexión cónica Igea® es muy respetuosa con los tejidos circundantes, gracias a su estabilidad y a su cambio de plataforma (platform-switch). Casos clínicos como éste, en los que las exigencias estéticas de la paciente son muy

elevadas y los tejidos extremadamente susceptibles, ofrecen la posibilidad de lograr resultados predecibles y estables en el tiempo.

Intervención

Tras anestesiar y descontaminar el campo quirúrgico, se abre un colgajo como primer paso para extraer hueso de la rama mandibular izquierda. Con un raspador especial, se extraen virutas de hueso autólogo y se sutura el colgajo con puntos sencillos. (fig. 9-10)

En el arco superior procederemos a dibujar un colgajo teniendo en cuenta el aumento de volumen óseo requerido (fig. 11), pasando a vestibularizar la incisión en la zona de mayor defecto, el colgajo palatino obtendrá un mejor componente vertical, mientras que el colgajo vestibular, que puede extenderse según describen diversos autores, nos permitirá cerrar la herida por primera intención. (3)

Artículo
1 Figura 1. Situación inicial de la paciente.
Figura 2. Ortopantomografía inicial.
Figura 3. Radiografías endorales tras tratamiento causal.

caso clínicoIMPLANTOLOGÍA

Figura 4. Planificación.

Figura 5. Planificación 2.2.

Figura 6. Planificación 2.4.

Figura 7. Planificación 2.6.

Figura 8. Antes de la operación.

Figura 9. Raspador en acción.

Figura 10. Virutas de hueso.

Figura 11. Incisión con desplazamiento vestibular.

Para estas cirugías, el despegamiento es siempre a espesor total y generoso. Con el colgajo abierto, es posible apreciar el defecto en sus componentes. (fig. 12)

A continuación, se preparan los lechos de los implantes con el kit Igea MESA®. Este kit tiene una fresa lanceolada muy afilada que me permite encontrar la posición correcta del implante. (fig. 13)

Las siguientes fresas, en la variante larga, disponen de topes específicos que permiten prepararlas a la profundidad deseada (fig.14): las fresas perfiladas presentan un código de color para facilitar su identificación.

En este punto se procede a colocar las fijaciones. Las medidas elegidas fueron 4,3x8 mm en la ubicación 2.6, 3,8x15 mm en la ubicación 2.4 y 3,5x15 mm en la ubicación 2.2.

En todos los implantes se obtuvieron valores de torque elevados (>40 N/cm) y valores ISQ extremadamente satisfactorios (ISQ>70).

Una vez finalizada la colocación y asegurados los tornillos de cobertura (fig. 15), el siguiente paso consistió en la GBR con el hueso autólogo extraído previamente. El hueso se mezcló con hueso heterólogo (en este caso se utilizó Boss, Medpark) en una proporción de 60/40 y se fijó con una membrana reabsorbible de colágeno nativo. Como se describe en la literatura, la inmovilidad del injerto es de crucial importancia para esta técnica, por lo que la membrana se fijó con clavos y tornillos de osteosíntesis. (3) (fig. 16) La intervención se completa con el alargamiento del colgajo principal, que finaliza con una incisión del periostio en la cara interna del colgajo.

13. Fresa lanceolada Igea® MESA en acción.

Figura 14. Los topes correspondientes son fáciles de poner y quitar.

Figura 15. Fijaciones Igea® insertadas, 2 conexiones Regular en las ubicaciones 2.6 y 2.4 y Narrow en la ubicación 2.2.

Figura 12. Despegamiento finalizado.
Figura

caso clínicoIMPLANTOLOGÍA

Esto permite un yuxtaposición sin tensión de las líneas de incisión, algo esencial en la cirugía regenerativa. (5) (6) (fig. 17-18)

Volvemos a ver a la paciente a las 2 semanas y le entregamos la provisional que la acompañará du-

Figura 16. Guided Bone Regeneration.

Figura 17. Línea de sutura doble.

Figura 18. Ortopantomografía posoperatoria.

Figura 19. Sutura a las 2 semanas.

Figura 20. Provisional 2 semanas después de la cirugía.

rante la cicatrización de los tejidos y del implante. (fig. 19-20)

Tras la apertura prevista a los 6 meses, se realizará un injerto conectivo para mejorar aún más la calidad del tejido blando. 

Bibliografía

1. Evaluation of dentolabial parameters as part of a comprehensive esthetic analysis. Fradeani, Mauro. 2006, Eur J Esthet Dent., p. 1(1):62-9. PMID: 19655476.

2. A multicenter randomized controlled trial using a novel collagen membrane for guided bone regeneration at dehisced single implant sites: Outcome at prosthetic delivery and at 1-year follow-up. IA, Urban, et al. 6, s.l. : Clin Oral Implants Res, 2019, p. 487-497.

3. L, De Stavola, et al. The Vestibular Shifted Flap Design for Vertical Bone Augmentation in the Maxilla: Case Report and Technical Notes. Int J Periodontics Restorative Dent. 2021, p. 367-373.

4. Comparing membranes and bone substitutes in a one-stage procedure for horizontal bone augmentation. A double-blind randomised controlled trial. M, Merli, et al. 8, s.l. : Eur J Oral Implantol., 2015, p. 271-81.

5. M, Ronda e C, Stacchi. A Novel Approach for the Coronal Advancement of the Buccal Flap. Int J Periodontics Restorative Dent. 2015, p. 795-801.

6. G, Zucchelli, et al. The coronally advanced flap technique revisited: Treatment of peri-implant soft tissue dehiscences. Int J Oral Implantol. 2021, p. 351-365.

PARA SONRISAS QUE DURAN MÁS

Somos de las pocas empresas en el mundo que desarrollan sus propios sistemas a partir de la producción de la materia prima. Por este motivo la calidad de nuestro titanio garantiza una excelente durabilidad.

IMPLEMENTACIÓN DE LA FOTOGRAMETRÍA

EN LOS FLUJOS DE TRABAJO DIGITALES.

DESDE LA PLANIFICACIÓN HASTA LA EJECUCIÓN

Si bien es cierto que los escáneres intraorales y las tomas de impresiones digitales, hace ya unos años, supusieron un cambio significativo con respecto a la toma de impresiones convencionales o analógica, a día de hoy es la fotogrametría la que gana enteros en la toma de impresiones sobre implantes, especialmente en arcadas completas. El objetivo de este trabajo es describir la sistemática de trabajo que se utiliza en la captación mediante fotogrametría y su implementación en los flujos digitales actuales para la colocación guiada de implantes y carga inmediata de los mismos.

u Contacto

Erik Regidor Correa erik@ortizvigon.com

Introducción

La irrupción de las nuevas tecnologías en el sector odontológico en los últimos años, ha tenido como consecuencia una serie de mejoras significativas tanto para los profesionales como para los pacientes que se someten a tratamientos con implantes dentales. Por un lado, la posibilidad de virtualizar a los pacientes mediante sistemas de captación digital y softwares de planificación (quirúrgica y prostodóntica) ha dotado a los odontólogos de la posibilidad de incrementar la precisión, reducir los tiempos de trabajo e incluso aumentar la aceptación de presupuestos (Regidor y cols 2020). Por otro lado, a nivel del paciente, la reducción de la morbilidad o el dolor post-operatorio, las complicaciones, el número y la duración de las citas ha llevado a una mejor satisfacción y percepción (Regidor y cols 2021).

A nivel quirúrgico, ya sea para la colocación de un implante unitario o para arcadas completas bimaxilares, cada vez existe más literatura científica que defiende el diseño y fabricación de guías quirúrgicas que permiten colocar los implantes en la posición tridimensional planificada sin la necesidad de elevar un colgajo muco-perióstico. Este tipo de procedimientos quirúrgicos guiados permite reducir significativamente los tiempos de ejecución y la morbilidad post-operatoria (Ortiz-Vigón y cols 2022; Regidor y cols 2022a; Regidor y cols 2022b).

A nivel prostodóntico, la implementación de los escáneres intraorales trajo consigo la digitalización de la toma de impresiones sobre implantes. Mediante los escáneres intraorales se solventaron problemas de

la toma de impresiones analógica, permitiendo incrementar la precisión y ajuste de las estructuras implanto-soportadas. No obstante, los escáneres intraorales son herramientas de captación influenciadas por múltiples factores como la experiencia del operador, la luz ambiental, restauraciones que reflecten, la capacidad de apertura de la boca del paciente y la localización anatómica concreta para la toma de impresiones (Manicone y cols 2021; Orejas-Perez y cols 2022). Adicionalmente, la presencia de saliva o incluso sangre durante un procedimiento quirúrgico puede incrementar el riesgo de error. Como consecuencia, históricamente, se ha puesto en entredicho la precisión de este tipo de sistemas de captación para los registros de arcadas completas. En este sentido, los sistemas de captación mediante fotogrametrías se postulan como alternativas a los escáneres intraorales (Bergin y cols 2013; Örthop y cols 2005; Peñarrocha-Oltra y cols 2014; Peñarrocha-Oltra y cols 2017; Pradíes y cols 2014; Pozzi y cols 2023a; Pozzi y cols 2023b; Tohme y cols 2021, Revilla-León y cols 2024). La fotogrametría consiste en la medición de coordenadas tridimensionales mediante el uso de fotogramas bidimensionales y un sistema externo de puntos de referencia topográficos, para la obtención de propiedades geométricas y situaciones espaciales de los objetos en los ejes X, Y, Z de coordenadas. En el año 2010 se empezó a desarrollar un sistema nuevo basado en fotogrametría denominado PIC dental® (Iditec North West SL). Este sistema se basa en la utilización de una cámara dual (PIC Camera®) que registra la posición relativa de los PIC Transfers® (aditamentos

tridimensionalmente codificados) que van atornillados sobre los implantes. De esta manera, proporcionan los vectores de posición y dirección de cada uno de ellos a la vez que los relaciona entre sí, obteniéndose una medida precisa de los ángulos y distancias entre cada uno de los implantes colocados en una misma arcada. La cámara se utiliza extra-oralmente, a una distancia de 15 a 30 cm de la boca del paciente y una angulación no mayor de 45 grados. Para entender la magnitud de la optimización de estos sistemas de precisión, es necesario destacar que se estiman alrededor de unos 20 segundos de captación por cada implante. Adicionalmente, permite la movilidad del paciente durante el registro y la presencia de burbujas o cierto sangrado no interfiere en la toma de registros. La última gran ventaja que se les atribuye a estos sistemas de captación mediante fotogrametrías es la posibilidad de bloquear el registro, es decir, si existen 2 implantes muy próximos o que la emergencia converge entre ellos, estos sistemas permiten hacer la captura en diferentes fases, desatornillando y atornillando los PIC transfer® en función de la conveniencia.

Una vez finalizada la captación, obtendríamos el llamado PIC file o archivo STL que contiene información sobre la posición exacta de los implantes en el software de diseño y planificación (PIC Pro®). No obstante, siempre será necesario otro archivo STL para registrar el resto de estructuras, es decir, los tejidos blandos e incluso dientes remanentes en casos de implantes múltiples que no sean arcadas completas (Regidor y cols 2023).

Por último, todos estos archivos se envían al laboratorio y se realiza la superposición u overlaping mediante softwares de planificación (Exocad®) gracias a un procedimiento llamado <<Best-fit>>. Posteriormente, se diseñará la estructura implanto-soportada y se realizará el fresado de la misma.

El objetivo de este artículo es ilustrar la implementación del sistema de fotogrametría PIC Dental® en los flujos completamente digitales de colocación guiada de implantes y carga inmediata de los mismos a través de un caso clínico.

Caso clínico

Necesidades del paciente:

Se trata de una paciente de 72 años que acude con la fractura de un diente de su prótesis completa superior, con la idea de buscar una alternativa para poder disponer de dientes fijos en su parte inferior. En su arcada inferior es portadora de 6 implantes sobre los cuales lleva una prótesis fija de arcada completa.

Plan y secuencia de tratamiento:

Se propone la colocación de 6 implantes superiores para poder colocar una prótesis fija implanto-soportada de arcada completa en la arcada superior.

Virtualización del paciente:

Se realiza una radiografía tridimensional y un escaneado intraoral, además de fotografías 2D intra y extra-orales. En el registro de la radiografía tridimensional, además de la radiografía propia de la paciente, se realiza un CBCT de una réplica de la prótesis completa con puntas de gutapercha para poder identificar adecuadamente las estructuras. En el registro del escaneado intraoral, se escanea la arcada superior edéntula y la arcada inferior. Adicionalmente se escanea por separado la prótesis completa para poder disponer digitalmente de todos los archivos de manera individualizada.

Planificación y ejecución:

Se superposicionan los archivos en el software de planificación implantológica Implant Studio® y se procede a la realización de un mock up virtual. Tras su validación se procede a la planificación de la ubicación de los implantes en la arcada superior. Se planifica la colocación de 6 implantes y para ello se diseña una guía quirúrgica muco-soportada óseo-anclada. Se realiza una primera guía quirúrgica que es una réplica de la prótesis completa superior que simplemente servirá para el fresado y colocación de los pines de fijación de la segunda guía quirúrgica. Para ello, durante el fresado y colocación, la paciente tiene que estar en oclusión.

Posteriormente se retira esa primera guía quirúrgica y se coloca la segunda mediante los mismos pines de fijación que servirá para el fresado y colocación de implantes. Se colocan los implantes a través de la guía quirúrgica sin elevar un colgajo.

Tras el procedimiento quirúrgico se colocan los PIC Transfers® sobre los pilares prostodónticos y se procede a la captura mediante fotogrametrias o cámara PIC.

Tras esta captura se obtiene un archivo PIC File® que exclusivamente registra la posición vectorial de cada implante y la relación entre ellos, tanto en distancia entre ellos como angulación. Adicionalmente se realiza un escaneado (STL) para registrar la información en relación a los tejidos blandos. De esta manera, mediante el software de planificación, se pueden superponer los archivos STL del encerado, de la posición de los implantes (PIC File®) y de los tejidos blandos (STL) y proceder al diseño de la restauración implanto-soportada.

Master oficial en ciencias

Especialista en Periodoncia e Implantes UPV.

Odontólogo UPV.

Investigador en ThinkingPerio Research & Arrow Development.

Dr. Alberto Ortiz-Vigón

Doctor Cum Laude por la Universidad Complutense de Madrid UCM.

MBA por la Universidad de Deusto.

Master Oficial en Ciencias UCM.

Especialista en Periodoncia e Implantes UCM.

Odontólogo por la Universidad del País Vasco UPV. Investigador en ThinkingPerio Research & Arrow Development.

Dr. Erik Regidor
Doctor Cum Laude por la Universidad del País Vasco (UPV/EHU).
UPV.

caso clínicoFOTOGRAMETRÍA Y

Figura 1. Instrumental de PIC Dental® para la toma de registros: a) Cámara PIC Dental®; b) PIC Transfer® para atornillar sobre implantes o pilares protésicos.

2. Colocación de PIC Transfers® sobre modelo impreso.

Figura 3. Situación basal de la paciente: a) Sonrisa inicial de la paciente; b) Paciente edéntula superior; c) Paciente con prótesis completa superior; d) Escaneado (STL) de la arcada superior.

Figura

Figura 4. Obtención de archivos: a) Escaneado (STL) de la prótesis completa superior; b) Escaneado de la arcada inferior; c) Réplica de la prótesis completa; d) Réplica de la prótesis completa con puntas de gutapercha.

Figura 5. Planificación implantológica en el software de planificación.

Figura 6. Planificación implantológica en el software de planificación: a) Visualización de los implantes planificados a través del archivo de la prótesis completa; b) Planificación de los pines de fijación; c) Visualización de los implantes planificados a través del archivo de la prótesis completa; d) Diseño de primera guía quirúrgica para la colocación de los pines de fijación; e) Diseño de segunda guía quirúrgica para la colocación de los implantes; f) Visualización de los implantes desde apical.

caso clínicoFOTOGRAMETRÍA Y

7. Planificación implantológica en el software de planificación.

Figura 8. Ejecución del procedimiento quirúrgico y restaurador: a) Primera guía quirúrgica; b) Segunda guía quirúrgica; c) Colocación de la primera guía quirúrgica mediante los pines de fijación. Vista vestibular; d) Colocación de la primera guía quirúrgica mediante los pines de fijación. Vista oclusal.

Figura 9. Ejecución del procedimiento quirúrgico y restaurador: a) Colocación de segunda guía quirúrgica mediante los pines de fijación; b) Colocación de implantes y pilares prostodónticos; c) Escaneado de superficies mediante escaner intraoral; d) Colocación de los PIC Transfers®

Figura

Figura 10. Ejecución del procedimiento quirúrgico y restaurador: a) Colocación de los PIC Transfers® en la arcada superior; b) Colocación de los PIC Transfers® en la arcada inferior; c) Diseño de prótesis implanto-soportada superior. Vista vestibular; d) Diseño de prótesis implanto-soportada superior. Vista desde palatino.

Figura 11. Ejecución del procedimiento restaurador: a) Prótesis implanto-soportada superior; b) Colocación de prótesis implanto-soportada superior e inferior; c) Sonrisa de la paciente. Vista lateral; d) Sonrisa de la paciente. Vista frontal.

Figura 12. Secuencia de captación de fotogrametría: a) Captura mediante la cámara PIC; b) Diseño en el software de planificación.

caso clínicoFOTOGRAMETRÍA

13. Equipo

rador Clínica Ortiz-Vigón con la cámara PIC. Fila superior, de izquierda a derecha: Aux. Ainhoa Ramos, Dra. Angela Redondo, Aux. Judit Diaz, Dra. Nieves Albizu, Sr. Jon Santiago, Sr. Jokin Ayllón, Dr. Jorge Sánchez y Dra. Izaskun Ruiz. Fila inferior: Dra. Belén Larruscain.

14.

RealCAD Innovation Design. De izquierda a derecha: Sr. Jon Santiago, Srta Naroa Ezkurra, Srta. Maria Basterra, Srta. June Bernardo y Sr. Borja Riapalda.

Discusión

El presente caso clínico sugiere que la utilización de las fotogrametrías para el registro de posición y distribución de los implantes es una herramienta digital óptima que reduce los tiempos de tratamiento e incrementa el ajuste pasivo especialmente en rehabilitaciones de arcada completa. De hecho, una de sus implementaciones es inclu-

so en la captación a nivel quirúrgico inmediatamente después de la colocación de los implantes. No obstante, por el momento no existen estudios que soporten estos resultados y se necesita seguimiento a largo plazo para comprender ventajas e inconvenientes de este sistema. Adicionalmente, sería útil analizar la satisfacción de los pacientes.

Figura
restau
Figura
Equipo laboratorio

A pesar de que las fotogrametrías en los registros sobre implantes muestran resultados prometedores son numerosos los factores que pueden influenciar este tipo de protocolos. Sin duda, el más importante es la curva de aprendizaje, no solo del prostodoncista sino también del implantólogo, equipo de auxiliares, higienistas e incluso administración, para entender los flujos y tiempos de trabajo necesarios en este tipo de actuaciones. Cabe destacar en este punto, la importancia crítica de una correcta comunicación clínica-laboratorio para poder lograr un resultado óptimo.

Resumen

Conclusiones

 El caso clínico presentado defiende la tesis de que la fotogrametría tras la colocación de implantes mediante cirugía guiada se postula como una alternativa que incrementa la precisión de los escáneres intraorales.

 Sin embargo, se necesitan estudios aleatorizados para analizar la precisión, el ajuste pasivo, los tiempos de trabajo, el coste-beneficio y la satisfacción de los pacientes con la fotogamtría en comparación a los escáneres intraorales. 

Las nuevas tecnologías en la odontología han supuesto un cambio disruptivo y un cambio de paradigma tanto en las planificaciones como en las ejecuciones de las rehabilitaciones implanto-soportadas. La implementación de softwares de planificación que permiten diseñar encerados diagnósticos virtuales y en base a ellos planificar la disposición de los implantes ha supuesto un cambio en la metodología de trabajo. Este tipo de avances tecnológicos no solo suponen un incremento de la precisión y una reducción drástica de las complicaciones, sino que además tiene un impacto directo en la reducción de los tiempos de tratamiento y por consiguiente un incremento de la satisfacción de los pacientes. Si bien es cierto que los escáneres intraorales y las tomas de impresiones digitales, hace ya unos años, supusieron un cambio significativo con respecto a la toma de impresiones convencionales o analógica, a día de hoy es la fotogrametría la que gana enteros en la toma de impresiones sobre implantes, especialmente en arcadas completas. Por eso el objetivo de este trabajo, es describir la sistemática de trabajo que se utiliza en la captación mediante fotogrametría y su implementación en los flujos digitales actuales para la colocación guiada de implantes y carga inmediata de los mismos.

Bibliografía

1. Bergin JM, Rubenstein JE, Mancl LI, Brudvik JS, Raigrodski AJ. An in vitro comparison of photogrammetic and conventional complete-arch implant impression techniques. J Prosthet Dent 2013; 110: 243-251.

2. Manicone PF, De Angelis P, Rella E, Damis G, D’addona A. (2021) Patient preference and clinical working time between digital scanning and conventional impression making for implant-supported prostheses: A systematic review and meta-analysis. Journal of Prosthetic Dentistry (in press).

3. Orejas-Perez, J.; Gimenez- Gonzalez, B.; Ortiz-Collado, I.; Thuissard, I.J.; Santamaria-Laorden, A. (2022). In Vivo Complete-Arch Implant Digital Impressions: Comparison of the Precision of Three Optical Impression Systems. Int. J. Environ. Res. Public Health 2022, 19, 4300. https://doi. org/10.3390/ijerph19074300.

4. Örthop A, Jemt T, Bäck T. Photogrammetry and convenctional impressions for recording implant positions: a comparative laboratory study. Clin Implant Dent Relat Res 2005; 7: 43-50.

5. Ortiz-Vigón A, Regidor E, Barba P, Gonzalez A, Gonzalez M, Ortiz-Vigón A (2022). Seguridad y eficacia de la técnica de piezocisión guiada por ordenador para el tratamiento ortodóntico. A propósito de un caso. Gaceta Dental. Septiembre 2022.

6. Peñarrocha-Oltra D, Agustín-Panadero R, Pradíes G, Gomar-Ver- cher S, Peñarrocha-Diago M. Maxillary full-arch immediately loaded implant-supported fixed prosthesis designed and produced by photogrammetry and digital printing: a clinical report. J prosthodont. 2017; 26: 75-81.

7. Peñarrocha- Oltra D, Agustín-Panadero R, Bagán L, Giménez B, Pe- ñarocha M. Impression of multiple implants using photogrammetry: description of technique and case presentation. Med Oral Pathol Oral Cir Bucal 2014; 19: E 366-71.

8. Pradíes G, Ferreiroa A, Özcan M, Giménez B, Martínez-Rus F. Using stereophotogrammetric technology for obtaining intraoral digital im- pressions of implants. J Am Dent Assoc, 2014; 145 (4): 338-344.

9. Pozzi A., Agliardi E., Lio, Nagy K.,, Nardi A., & Arcuri L. (2023a) Accuracy of intraoral optical scan versus stereophotogrammetry for complete-arch digital implant impression: An in vitro study. Journal of Prosthodontic Research. https://doi.org/10.2186/jpr.JPR_D_22_00251.

10. Pozzi, A., Carosi, P., Gallucci, G. O., Nagy, K., Nardi, A., & Arcuri, L. (2023b) Accuracy of complete- arch digital implant impression with intraoral optical scanning and stereophotogrammetry: An in vivo prospective comparative study Clinical Oral Implants Research, 00, 1–12 .https:// doi.org/10.1111/clr.14141.

11. Regidor E, Albizu N, Zarzuela L, Serrano I, Gross E, Ortiz-Vigón A (2020). Revolución digital en pro de la cirugía implantológica mínimamente invasiva. Dentista Moderno. Noviembre-Diciembre. 40-47.

12. Regidor E, Albizu N, Azkue A, Gonzalez M, Gross E, Ortiz-Vigón A (2021). Flujo digital integral para la restauración implanto-soportada inmediata. Denista Moderno. Mayo-Junio. 40-48.

Agradecimientos

Quisiéramos agradecer el inestimable trabajo realizado por los técnicos de laboratorio de Real CAD Innovation Design SL la Srta. Maria Basterra, la Srta. June Bernardo, la Srta. Naroa Ezkurra, el Sr. Jon Santiago y el Sr. Borja Ripalda por la colaboración en la planificación, diseño y fabricación de las guías quirúrgicas y de las restauraciones implanto-soportadas en los casos clínicos presentados a lo largo de este trabajo. Quisiéramos agradecer además el trabajo de Jokin Ayllón de PIC Dental® por su participación en la planificación, diseño y fabricación de las restauraciones implanto-soportadas.

13. Regidor E, Albizu N, Gross E, Ortiz-Vigón A (2022a). Precisión y estabilidad de las férulas quirúrgicas como clave del éxito en la cirugía guiada de implantes. Dentista Moderno Enero-Febrero 12-19.

14. Regidor E, Zarzuela L, Diaz J, Ramos A, Ortiz-Vigón A (2022b). Utilización del sistema de cirugía guiada Easy Guide como parte del flujo digital completo para rehabilitaciones implanto-soportadas. Maxillaris. Junio 2022.

15. Regidor E, Albizu N, Ruiz I, Zarzuela L, Ortiz-Vigón A. (2023). Fotogrametría. Solución digital en rehabilitaciones completas implanto-soportadas. A propósito de un caso clínico. Gaceta Dental. Febrero 2023.

16. Flujo digital integral para la colocación de implantes asistida mediante cirugía guiada. Regidor E, Meaños A, Argibay O. Experiencias clínicas Neodent-SEPA. 2023.

17. Flujo digital en odontología. Desde la captación hasta la fabricación. Gonzalez I, Iborra I, Albizu N. Experiencias clínicas Neodent - SEPA. 2023.

18. Revilla-León M, Gomez-Polo M, Drone M. Et al (2024). Impact of scanning distance on the accuracy of photogrammetry system. Journal of dentistry 142 (2024) 104854.

19. Tohme, H., Lawand, G., Chmielewska, M., & Makhzoume, J. (2021). Comparison between stereophotogrammetric, digital, and conventional impression techniques in implant-supported fixed complete arch prostheses: An in vitro study. The Journal of Prosthetic Dentistry. https://doi. org/10.1016/j.prosdent.2021.05.006.

RECUBRIMIENTO DE UNA

SUPERFICIE DE

IMPLANTE ARENADA,

GRABADA CON ÁCIDO Y CON UN AGENTE AMORTIGUADOR DE PH DESPUÉS DE LA FOTOFUNCIONALIZACIÓN

AL VACÍO-UV

La fotofuncionalización ultravioleta (UV) puede resetear el envejecimiento biológico del titanio después de la preparación y el almacenamiento de los implantes dentales al transformar las superficies de titanio hidrófobas en superficies superhidrofílicas. La formación de coágulos de sangre alrededor del implante puede inicializar y promover el proceso de curación en la interfaz hueso-implante. El objetivo de este estudio es evaluar y comparar las capacidades de humectabilidad superficial y coagulación sanguínea de los implantes con una superficie convencional arenada y grabada con ácido (SA), una superficie arenada y grabada con ácido con tratamiento UV al vacío (SA + VUV) y una superficie arenada y grabada con ácido recubierta con un agente amortiguador del pH después del tratamiento UV al vacío (SA + VUV + BS). Se realizaron pruebas estáticas y dinámicas de humectabilidad superficial y coagulación sanguínea in vitro para SA + VUV y SA + VUV + BS (n = 5), mientras que la hemostasia resultante de la coagulación sanguínea se evaluó in vivo para SA, SA +VUV y SA + VUV + BS (n = 4). La prueba de Kruskal-Wallis mostró diferencias estadísticamente significativas (p < 0,05) en todas las pruebas, con la excepción de la prueba in vitro de coagulación sanguínea estática. Por lo tanto, el tratamiento VUV es eficaz para hacer que una superficie SA sea superhidrófila como alternativa a la radiación UV-C de rutina. La adición de un agente amortiguador de pH a SA + VUV también mejoró la humectabilidad de la superficie y la coagulación de la sangre, que son cruciales para una osteointegración exitosa.

Marco Tallarico

https://orcid.org/00000001-9206-0454

Hyun-Kyung Park

https://orcid.org/00000001-5956-9208

1. Introducción

El titanio ha sido ampliamente utilizado para la restauración y reconstrucción dental y ortopédica debido a su biocompatibilidad, resistencia a la corrosión y propiedades mecánicas. El titanio se oxida fácilmente, formando una capa delgada (1-5 nm), estable y pasiva que es autolimitada y protege la superficie del metal de una mayor oxidación [1].

Se considera que esta capa superficial de dióxido de titanio (TiO2) es responsable de su rendimiento biológico efectivo debido a la transferencia de io-

nes de calcio y fósforo de la matriz ósea dentro de la capa de TiO2 [2]. Sin embargo, con el tiempo se producen reducciones significativas en la osteointegración y otras capacidades biológicas del titanio a medida que aumenta el carbono en la superficie debido a una deposición inevitable de carbono de la atmósfera en la capa de TiO2 en forma de hidrocarburo [3]. Este fenómeno se define como el envejecimiento biológico del titanio, y la capacidad de las superficies de titanio para atraer proteínas y células osteogénicas disminuye de manera de-

pendiente del tiempo [4]. Otro cambio notable en las superficies de titanio con el tiempo es la desaparición de la hidrofilicidad. Inmediatamente después del procesamiento, las superficies de titanio exhiben un ángulo de contacto con el agua de 0 o menos de 5 grados, y dichas superficies se denominan superhidrofílicas [4-7]. Esta característica se atenúa gradualmente y se vuelve hidrofóbica en 2 y 4 semanas, con un ángulo de contacto superior a 40 y 60 grados, respectivamente. El tratamiento de superficie se utiliza para modificar la topografía y la energía superficial de los implantes dentales, lo que resulta en una mejor humectabilidad, una mayor proliferación y crecimiento celular y una osteointegración acelerada [1,8,9]. El tratamiento de la superficie se puede lograr mediante una técnica aditiva o sustractiva [9]. La técnica sustractiva elimina o hace rugosa una capa de material central, como se caracteriza por una superficie arenada y grabada con ácido (SA). En la técnica adictiva, otros materiales o agentes químicos se agregan superficialmente a la superficie del titanio a través del recubrimiento, como la pulverización de plasma de titanio, el recubrimiento de hidroxiapatita, el recubrimiento de fosfato de calcio y otros recubrimientos biomiméticos. La perforación antes de la colocación del implante hace que el tejido óseo sufra un traumatismo similar a una fractura. El sitio se vuelve relativamente hipóxico y el pH extracelular se vuelve ácido. En tales condiciones, las células estromales de la médula ósea exhiben una actividad reducida de fosfatasa alcalina (ALP) y síntesis de colágeno, las cuales son importantes en la formación ósea y la osteointegración [10]. También se ha descubierto que la glucólisis y la síntesis de ADN de los osteoblastos se ven afectadas por las condiciones ácidas [11]. La agregación plaquetaria, que es un paso crítico en la formación de coágulos sanguíneos o trombogénesis, también se reduce por la acidosis extracelular, mediada por la vía de entrada de iones de calcio [12]. La formación de un coágulo de sangre suficiente ofrece un enlace directo y estable en la interfaz hueso-implante y desempeña un papel importante en las respuestas trombogénicas y la osteointegración [13]. Además, se encontró una relación entre varias superficies del implante y la extensión del coágulo de fibrina [14]. En nuestro estudio anterior, se introdujo una nueva superficie SA recubierta con un agente amortiguador del pH después del tratamiento con vacío-UV (VUV) [15,16]. Esta superficie

se asoció estrechamente con una mayor afinidad por las proteínas, las células y las plaquetas, lo que promovió una coagulación sanguínea rápida y estable, trombogénesis y osteointegración. El propósito del presente estudio fue evaluar y comparar la humectabilidad de la superficie y la capacidad de coagulación de la sangre de varias superficies de implantes, incluida una superficie SA convencional (SA), una superficie SA con tratamiento VUV (SA + VUV) y una superficie SA recubierta con un agente amortiguador de pH después del tratamiento VUV (SA + VUV + BS), mediante análisis in vitro e in vivo.

2. Materiales y métodos

2.1. Preparación de los implantes

Se prepararon implantes de titanio comercialmente puro (grado IV) como SA, SA + VUV (TS III SA, Osstem, Seúl, Corea) y SA + VUV + BS (TS III SOI, Osstem) para su uso en este estudio. Como se muestra en la Figura 1a,b, se midió que la rugosidad de la superficie de los accesorios del implante era de 2,5 ± 0,5 μm del valor de Ra [15], y el tratamiento VUV para la fotofuncionalización se logró exponiendo un accesorio del implante a lámparas de arco de mercurio de baja presión que emiten UVC y VUV en el limpiador de ozono UV durante 1 h. El recubrimiento de la superficie del implante con un agente amortiguador de pH, compuesto por grupos iónicos cargados positiva y negativamente, con un valor de pKa de 7,31 a 37 ºC [15,16], se complementó para una mejor superhidrofilia (Figura 1c).

2.2. Ensayos in vitro

2.2.1. Humectabilidad estática de la superficie

La sangre de oveja heparinizada llenó un plato de 3,5 cm de diámetro a una profundidad de 2 a 3 cm.

Figura 1. Observación morfológica de una superficie arenada y grabada al ácido (SA) mediante microscopio electrónico de barrido (SEM) a ×500 (a) y ×4000 aumentos (b); c) Comparación de los ángulos de contacto de la sangre de oveja desfibrinada en discos de titanio e implantes, respectivamente. SA, una superficie SA convencional; SA + VUV + BS, una superficie SA recubierta con un agente amortiguador del pH después del tratamiento UV-vacío.

investigación

Los accesorios de implante de SA + VUV y SA + VUV + BS (n = 5, respectivamente) se sumergieron en sangre hasta la interrupción superior de las roscas apicales, y se registró el tiempo hasta llegar a la parte superior del implante para calcular la velocidad de humectación. El tiempo no se contabilizó desde el ápice del implante, ya que la presencia de discontinuidad de las roscas apicales hizo que la absorción de sangre se detuviera bruscamente.

2.2.2. Humectabilidad dinámica de la superficie

Para simular las situaciones clínicas de la instalación de la fijación del implante, se realizaron orificios en una placa acrílica transparente para asegurar la visibilidad, de acuerdo con el protocolo de fresado del fabricante para la densidad ósea dura utilizando el 122 Taper Kit (Osstem). Se colocó una muestra de 130 μM de sangre de oveja desfibrinada en cada orificio de la placa acrílica, y los accesorios de implante de SA + VUV y SA + VUV + BS (n = 5, respectivamente) se sumergieron en el orificio mediante un dispositivo de empuje y tracción (MX-500N, Imada Co., Tokio, Japón) a una velocidad de 50 mm/min (MX-500N, Imada Co., Tokio, Japón), y se registraron los tiempos en que la sangre alcanzó hasta los puntos de 2 mm y 4 mm del eje central del implante por encima de la placa horizontal (Figura 2).

2 Figura 2. Ensayo in vitro de humectabilidad dinámica de la superficie: a) una placa acrílica transparente con orificios para los implantes en un dispositivo de empuje y tracción; (b) línea de base, contacto del implante con la sangre e inserción completa del implante en el orificio.

2.2.3. Coagulación sanguínea estática

Los implantes de SA + VUV y SA + VUV + BS, de 11,5 mm de largo y 4,5 mm de diámetro (n = 5, respectivamente), se sumergieron hasta sus extremos en una placa de 3,5 cm de diámetro llena de 3 mL de sangre de oveja no heparinizada. El peso (g) del coágulo de sangre alrededor del implante se midió a los 5 min, 7,5 min, 10 min y 12,5 min, respectivamente.

2.2.4. Coagulación dinámica de la sangre

Este modelo de coagulación activa de la sangre se diseñó para simular el suministro continuo de sangre por los capilares. Los accesorios de implante SA + VUV y SA + VUV + BS, que tenían 10 mm de largo y un diámetro de 4,0 mm (n = 5), se insertaron con 5 N cm de par de inserción preestablecido en un tubo Eppendorf modificado, que se conectó a una bomba de jeringa que infundía la sangre de oveja, mezclada con 1 UI/mL de heparina, en la parte inferior a 37 ºC. Después de 30 min de suministro de sangre a una velocidad de infusión de 0,05 mL/min, se midió el tiempo (min) hasta que la sangre dejó de caer por la formación de coágulos de sangre alrededor del accesorio del implante y el volumen (mL) de sangre, que se recogió en el tubo subyacente de 15 mL debajo del tubo de Eppendorf.

2.3. Ensayo in vivo

Se utilizó un modelo de mandíbula de perro beagle. Todos los procedimientos se realizaron con la aprobación del Comité de Ética de Experimentación Animal del Comité Institucional de Cuidado y Uso de Animales (CRONEX-IACUC 20191002; Cronex, Hwasung, Corea) de acuerdo con las directrices de Animal Research: Reporting in Vivo Experiments (ARRIVE). Cuatro hembras de beagle de 18 meses de edad fueron sometidas a extracción bilateral de sus premolares mandibulares y el primer molar bajo anestesia general. El protocolo anestésico para todos los procedimientos quirúrgicos incluyó una inyección intramuscular de 1 mL con una dosis de 15 mg/kg de tiletamina/zolazepam (Zoletil 50, Virbac, Seúl, Corea) y 5 mg/kg de xilacina (Rompun, Bayer Corea, Seúl, Corea). Después de la anestesia local, se elevó un colgajo mucoperióstico de espesor completo adyacente a los premolares y molares mandibulares (Figura 3). Los dientes se hemiseccionaron bajo abundante irrigación con una pequeña fresa de fisura. Las extracciones se realizaron con elevadores y fórceps. Los colgajos se cerraron con suturas interrumpidas simples. El protocolo de cuidados postoperatorios incluyó antibióticos y control del dolor. Durante este intervalo, todos los perros se mantuvieron con una dieta blanda y agua ad libitum.

3

Tres meses después de las extracciones, se realizó la colocación quirúrgica de implantes dentales en los sitios de extracción cicatrizados en condiciones estériles. Después de la anestesia local, se elevó un colgajo de espesor completo para exponer la cresta alveolar y se aplanó la cresta alveolar irregular. Se realizaron fresados secuenciales para sitios de implantes consecutivos, que eran más grandes que el accesorio del implante, utilizando una fresa guía, una helicoidal de 2,2 mm, una cónica de 3,0 mm, una fresa cónica de 4,0 mm y una fresa cónica de 6,0 mm. Se colocaron bilateralmente un total de 12 implantes de SA, SA + VUV y SA + VUV + BS, de 8,5 mm de largo con un diámetro de 3,5 mm, con 35 N cm de torque de inserción preestablecido. El sangrado completo del espacio entre el orificio y el accesorio del implante se colocó en una bolita de algodón hasta 10 minutos después de la colocación del implante, y el peso (g) de la bolita de algodón se midió cada minuto para evaluar el potencial de coagulación de la sangre de las fijaciones del implante. Todos los animales de experimentación fueron sacrificados después de la cirugía por una sobredosis intravenosa de cloruro de potasio.

Figura 3. Prueba in vivo de la coagulación de la sangre: a) incisión y apertura del colgajo; b) aplanamiento de la cresta alveolar; c) preparación de orificios de implantes; d) colocación de la fijación del implante; e) aplicación de pellets de algodón para la absorción de hemorragias; f) Patrón de pellets de algodón según el tiempo. SA, una superficie SA convencional; SA + VUV, una superficie SA con tratamiento UV-vacío; SA + VUV + BS, una superficie SA recubierta con un agente amortiguador del pH después del tratamiento al vacío-UV.

investigación

2.4. Análisis estadístico

Debido al pequeño tamaño de la muestra, se realizó la prueba de Kruskal-Wallis, que es una comparación no paramétrica de la diferencia de las medias sin supuesto de normalidad, para examinar las diferencias entre SA + VUV y S + VUV + BS in vitro y entre SA, SA + VUV y SA + VUV + BS in vivo, con una significación estadística de p < 0,05 a α = 0,05. Todos los análisis estadísticos se realizaron con el programa SAS, versión 9.4 (SAS Inc., Cary, NC, USA).

3. Resultados

3.1. Preparación de los implantes

3.1.1. Humectabilidad estática de la superficie Los tiempos transcurridos antes de que la sangre llegara a la parte superior del implante fueron de 43,3 ± 8,3 min y de 3,8 ± 0,3 min en SA + VUV y SA + VUV + BS, respectivamente, y se evidenció una diferencia estadísticamente significativa (p < 0,05) entre ambos (Figura 4a).

3.1.2. Humectabilidad dinámica de la superficie Los períodos de tiempo antes de que la sangre alcanzara los 2 mm por encima de la placa horizontal fueron de 6,4 ± 0,1 min y de 6,3 ± 0,2 min, y para 4 mm

por encima de la placa horizontal, fueron de 8,5 ± 0,2 min y 9,3 ± 0,3 min en SA + VUV y SA + VUV + BS, respectivamente. Solo se encontró una diferencia estadísticamente significativa (p < 0,05) entre SA + VUV y SA + VUV + BS durante el tiempo anterior a que la sangre alcanzara 4 mm por encima de la placa horizontal (Figura 4b).

3.1.3. Coagulación sanguínea estática

En SA + VUV, los pesos del coágulo sanguíneo formado alrededor de la fijación del implante, que se midieron a los 5 min, 7,5 min, 10 min y 12,5 min después de sumergir la fijación del implante en la sangre, fueron de 0,04 ± 0,01 g, 0,09 ± 0,03 g, 0,23 ± 0,06 g y 0,39 ± 0,16 g, respectivamente. En SA + VUV + BS, los pesos fueron de 0,07 ± 0,03 g, 0,12 ± 0,02 g, 0,39 ± 0,20 g y 0,61 ± 0,18 g, respectivamente, y no se midieron diferencias estadísticamente significativas entre SA + VUV y SA + VUV + SB en ningún momento (p > 0,05).

3.1.4. Coagulación dinámica de la sangre

Los tiempos de hemostasia completa fueron de 19,0 ± 0,4 min y de 8,1 ± 1,2 min en SA + VUV y SA + VUV + BS, respectivamente, y hubo diferencia estadísti-

Figura 4. Ensayo in vitro de humectabilidad estática y dinámica de la superficie: a) tiempo (min) para llegar a la parte superior del implante; b) tiempo (min) para alcanzar 2 mm y 4 mm por encima de la placa horizontal, respectivamente. SA + VUV, una superficie SA con tratamiento UV-vacío; SA + VUV + BS, una superficie SA recubierta con un agente amortiguador del pH después del tratamiento UVvacío. Media ± DE, * p < 0,05 por la prueba de Kruskal-Wallis.

Figura 5. Prueba in vitro de coagulación sanguínea dinámica: a) tiempo (min) hasta la hemostasia completa; b) volumen (mL) de la sangre recolectada en el tubo subyacente. SA + VUV, una superficie SA con tratamiento UV-vacío; SA + VUV + BS, una superficie SA recubierta con un agente amortiguador del pH después del tratamiento UV-vacío. Media ± DE, **p < 0,01 por la prueba de Kruskal-Wallis. 5 4

DF: grados de libertad, N: número de muestras, SA: una superficie SA convencional; SA + VUV: una superficie SA con tratamiento UV-vacío; SA + VUV + BS: una superficie SA recubierta con un agente amortiguador de pH después del tratamiento UV-vacío. * p < 0,05 y ** p < 0,01 por la prueba de Kruskal-Wallis.

camente significativa entre SA + VUV y SA + VUV + BS (p < 0,01, Figura 5a). Además, los volúmenes de sangre recolectados en el tubo subyacente fueron de 8,27 ± 0,36 mL y de 3,64 ± 0,99 mL en SA + VUV y SA + VUV + BS, respectivamente, con una diferencia estadísticamente significativa (p < 0,01, Figura 5b) evidente entre SA + VUV y SA + VUV + BS.

3.2. Ensayo in vivo

Entre SA, SA + VUV y SA + VUV + BS, hubo diferencias estadísticamente significativas en los pesos de la sangre total absorbida en el pellet de algodón medido a los 5 min, 6 min y 7 min (p < 0,01, Figura 6). En la Tabla 1 se muestran los estadísticos resumidos de este estudio.

Figura 6. Prueba in vivo de coagulación de la sangre. Peso (g) de la sangre total absorbida en el pellet de algodón medido desde cada sitio del implante según el tiempo. SA, una superficie SA convencional; SA + VUV, una superficie SA con tratamiento UV-vacío; SA + VUV + BS, una superficie SA recubierta con un agente amortiguador del pH después del tratamiento UV-vacío. Media ± DE, ** p < 0,01 por la prueba de Kruskal-Wallis.

investigación

4. Discusión

Se ha propuesto la fotofuncionalización UV, un método para modificar las superficies de titanio después del tratamiento UV que incluye la alteración de las propiedades fisicoquímicas y la mejora de las biocompatibilidades, para restablecer el envejecimiento biológico del titanio [7]. Después del tratamiento con radiación UV, la capa de TiO2 de una superficie de titanio incorporada con hidrocarburos se volvió notablemente hidrófila o superhidrófila.

Se sabe que la cantidad de carbono de la superficie varía dependiendo de la edad de la superficie y, según se informa, puede aumentar a aproximadamente el 60% al 70% de los componentes atómicos de la superficie. El tratamiento UV limpia dichas superficies de titanio contaminadas con carbono, reduciendo el porcentaje de carbono a menos del 20% y, al mismo tiempo, aumentando el nivel de osteointegración [7]. En el espectro UV, tanto la UV-A como la UV-C convierten las superficies de titanio biológicamente envejecidas de hidrofóbicas a superhidrofílicas, pero solo se sabe que la UV-C (200-280 nm) reduce eficazmente el carbono de la superficie a un nivel equivalente a una nueva superficie y mejora la bioactividad [17]. La UV-C es capaz de eliminar el hidrocarburo de una capa de TiO2 de titanio mediante fotodescomposición directa, que es más eficaz que la fotocatálisis por UV-A [18]. En nuestro estudio, todos los accesorios del implante fueron fotofuncionalizados por UV-C y VUV (100-200 nm), y la eliminación radical del hidrocarburo de la capa de TiO2 del titanio podría proporcionar más superhidrofilicidad [15,19]. El VUV es absorbido rápidamente por el agua en la atmósfera y, por lo tanto, es capaz de generar varias especies reactivas de oxígeno al romper los enlaces de hidrógeno en las moléculas de agua a través de la hidrólisis [19]. La hidrólisis iniciada por VUV es un método eficiente para obtener grupos hidróxido o hidroxilo en una capa de TiO2 que proporciona una superhidrofilicidad persistente [20,21]. Dado que el tratamiento VUV tiende a generar más ozono en la atmósfera y radicales hidroxilo en el agua [19], debe limitarse estrictamente solo en entornos de laboratorio o fábrica, no clínicos. Para acelerar la cicatrización ósea y mejorar el anclaje óseo a un implante, la interfaz hueso/implante puede mejorarse topográfica y bioquímicamente incorporando fases inorgánicas, como el fosfato de calcio, y moléculas orgánicas, como proteínas, enzimas o péptidos, en o dentro de una capa de TiO2 [22-25]. Las superficies de implantes nanoestructuradas, que tienen una amplia superficie, alta energía superficial libre y humectabilidad, parecen capaces de modificar la respuesta

del tejido huésped [9]. Las superficies de implante SA han demostrado resultados clínicos predecibles y se consideran como superficies de implante estándar [10,26-29]. La superhidrofilicidad de SA + VUV + BS, que se encontró previamente en la superficie plana de los discos [15], se confirmó en nuestra prueba de humectabilidad de la superficie estática. Dado que la capacidad de atraer sangre cerca de la parte superior del accesorio del implante (aproximadamente 4 mm por encima de la placa horizontal en nuestro estudio) es lo que la mayoría de los odontólogos prefieren verificar en un entorno clínico, agregamos una nueva prueba dinámica de humectabilidad de la superficie para comparar las velocidades de humectación de SA + VUV y SA + VUV + BS con más detalle. Dado que el SA es una superficie seca que no ha estado en contacto con ningún líquido, la humectabilidad de la superficie de SA + VUV + BS podría ser significativamente superior a la del SA únicamente por el efecto del agente amortiguador del pH de SA + VUV + BS en sí. Sin embargo, dado que los implantes se colocan con superficies secas o sin ninguna hidratación adicional en situaciones clínicas reales, elegimos un SA puro/seco, en lugar de un SA hidratado en solución, como control [30]. Previamente se encontró que una superficie más hidrofílica estaba estrechamente relacionada con una osteointegración superior y más rápida [30,31].

Además, se sabe que la humectabilidad de la superficie altera las respuestas biológicas de las superficies de los implantes con respecto a la adhesión de proteínas y otras moléculas, así como las interacciones celulares [32]. Dado que la formación de coágulos sanguíneos señala el comienzo del proceso de curación, la interacción entre un implante y la sangre se considera importante para el éxito de la osteointegración de los implantes de titanio después de la implantación [33]. La formación de coágulos sanguíneos en superficies rugosas de titanio puede inducir el reclutamiento celular y estimular la cicatrización de heridas [34], y se ha revelado que tanto los preosteoblastos como los osteoblastos pueden adherirse a una superficie del implante cubierta por plaquetas y fibrina, donde se diferencian bajo la estimulación de factores osteogénicos y citocinas liberadas del coágulo sanguíneo periimplantario [35,36].

Se cree que la formación de coágulos de sangre en el implante con varias superficies de implante es un factor crucial en la retención efectiva de fibrina y puede afectar críticamente la cicatrización ósea y la osteointegración al influir en el transporte de macromoléculas, el comportamiento celular y la osteogénesis de contacto/distancia [34]. En una prueba de coagulación

sanguínea estática, el SA + VUV + BS mostró una absorción de sangre superior alrededor de los accesorios del implante en comparación con SA + VUV, pero no en un grado estadísticamente significativo. Esto indica que una superficie SA fotofuncionalizada con VUV tiene al menos la misma capacidad en la coagulación de la sangre. Diseñamos nuevos experimentos para confirmar la coagulación sanguínea por hemostasia de hemorragias capilares continuas para simular situaciones clínicas reales con la mayor precisión posible. En una prueba de coagulación sanguínea dinámica in vitro, los coágulos se formaron significativamente más rápido, y el volumen total de sangre recolectada a través del espacio entre los orificios y el implante a la hemostasia fue significativamente menor en SA + VUV + BS que en SA + VUV. Una prueba in vivo también mostró una diferencia significativa en el peso total del sangrado entre el lecho sobrepreparado y un implante entre SA, SA + VUV y SA + VUV + BS. Esto sugiere que SA + VUV + BS puede inducir una formación más rápida de coágulos sanguíneos alrededor de la superficie del implante, lo que conduce a una interacción más efectiva de la interfaz hueso-implante para la osteointegración. Desde el punto de vista clínico, estas características de SA + VUV + BS son importantes para visualizar el sitio quirúrgico y la regeneración ósea guiada simultánea, que con frecuencia está indicada por la cantidad y calidad adecuadas de tejidos periimplantarios para obtener resultados más estéticos y funcionales [37], ya que la coagulación

Contribuciones del autor: conceptualización, C.J.P. and H.-K.P.; metodología I.-S.J. and J.-D.S.; software, A.M.K. and H.-K.P.; validación, C.-J.P., K.-G.H., and H.-K.P.; análisis formal, J.H.L., M.T., K.-G.H., and A.M.K.; investigación, I.-S.J. and J.-D.S.; recursos M.T., K.-G.H., and J.H.L.; procesado de datos, H.C., G.-J.C., and C.K.; escritura: preparación del borrador original, C.-J.P. and J.H.L.; redacción: revisión y edición, M.T., H.C., and S.H.J.; visualización G.-J.C., C.K., and S.H.J.; supervisión H.-K.P. Todos los autores han leído y están de acuerdo con la versión publicada del manuscrito.

Financiación: esta investigación fue apoyada por el fondo de investigación del Centro Global de Trastornos del Desarrollo de Medicine-Engineering-Bio (MEB) de la Universidad de Hanyang (HY-2020-0000000-2809).

Conflictos de intereses: los autores declaran no tener ningún conflicto de intereses.

rápida de la sangre está estrechamente asociada con la estabilización del material de injerto y la membrana de barrera. Por último, SA + VUV podría ser una alternativa a SA + VUV + BS a SA con respecto al potencial de formación de coágulos sanguíneos en las superficies de los implantes.

Durante la perforación del hueso, que produce una condición débilmente ácida, un tampón de pH puede ayudar a mantener el pH constante [38]. Como material de recubrimiento, el agente amortiguador del pH parece controlar la liberación de los mediadores inflamatorios [9] y mejorar las condiciones para la actividad de los osteoblastos [15] al mantener el pH constante o al menos prevenir cambios significativos. La actividad de las plaquetas en la coagulación de la sangre y tanto la actividad de los osteoblastos como el nivel de ALP para la formación de hueso también se ven inhibidos por la acidosis extracelular [11]. SA + VUV + BS podría maximizar la actividad de las plaquetas, la trombogénesis, la actividad de los osteoblastos y el nivel de ALP en una interfaz hueso-implante a través de un efecto amortiguador del pH. Serán necesarios más estudios para investigar SA + VUV + BS con respecto a su seguridad y eficacia en entornos clínicos. También se debe realizar un seguimiento de ensayos controlados aleatorios para confirmar su viabilidad en diversas condiciones clínicas, como la colocación de implantes inmediatamente después de la extracción dental o con aumento óseo simultáneo 

Chang-Joo Park 1,† , Jae Hyung Lim 2,† , Marco Tallarico 3 , Kyung-Gyun Hwang 1, Hyook Choi 1 , Gyu-Jang Cho 1 , Chang Kim 1 , Il-Seok Jang 4 , Ju-Dong Song 4 , Amy M. Kwon 5 , Sang Ho Jeon 6 and Hyun-Kyung Park 7.*

1. División de Cirugía Oral y Maxilofacial, Departamento de Odontología, Facultad de Medicina, Hanyang University, Seúl 04763, Corea; fastchang@hanyang.ac.kr (C.-J.P.); hkg@hanyang.ac.kr (K.-G.H.); chlgur3@nate.com (H.C.); chogu@hanmail. net (G.-J.C.); himychang0@naver.com (C.K.)

2. División de Cirugía Oral y Maxilofacial, Departamento de Odontología, Hospital Ansan de la Universidad de Corea, Ansan 15355, Corea; surgidenta@gmail.com

3. Departamento de Periodoncia e Implantología, Universidad de Sassari, 7100 Sassari, Italia; me@studiomarcotallarico.it

4. Osstem R&D Center, Seoul 07789, Korea; microart@osstem.com (I.-S.J.); jud@osstem.com (J.-D.S.)

5. Biostatistic Core, Medicina-Ingeniería-Bio (MEB) Centro Mundial de Investigaciones para el Desarrollo, Hanyang University, Seúl 04763, Corea; amykwon@hanyang.ac.kr

6. Departamento de Cirugía Oral y Maxilofacial, Hospital Anam de la Universidad de Corea, Seúl 02841, Corea; junsang@korea.ac.kr

7. División de Neonatología, Departamento de Pediatría, Facultad de Medicina, Universidad de Hanyang, Seúl 04763, Corea

* Correspondencia: neopark@hanyang.ac.kr; Tel.: +82-2-2290-8391

† Estos dos autores contribuyeron por igual a este trabajo.

investigación IMPLANTOLOGÍA

Bibliografía

1. Özcan, M.; Hämmerle, C. Titanium as a reconstruction and implant material in dentistry: Advantages and pitfalls. Materials 2012, 5, 1528–1545. [CrossRef]

2. Ehrenfest, D.M.D.; Coelho, P.G.; Kang, B.S.; Sul, Y.T.; Albrektsson, T. Classification of osseointegrated implant surfaces: Materials, chemistry and topography. Trends Biotechnol. 2010, 28, 198–206. [CrossRef]

3. Milošev, I.; Metikoš-Hukovi´c, M.; Strehblow, H.H. Passive film on orthopedic TiAlV alloy formed in physiological solution investigated by X-ray photoelectron spectroscopy. Biomaterials 2000, 21, 2103–2113. [CrossRef]

4. Lee, J.H.; Ogawa, T. The biological aging of titanium implants. Implant Dent. 2012, 21, 415–421. [CrossRef]

5. Hori, N.; Att, W.; Ueno, T.; Sato, N.; Yamada, M.; Saruwatari, L.; Suzuki, T.; Ogawa, T. Age-dependent degradation of the protein adsorption capacity of titanium. J. Dent. Res. 2009, 88, 663–667. [CrossRef]

6. Hori, N.; Ueno, T.; Suzuki, T.; Iwasa, F.; Yamada, M.; Att, W.; Okada, S.; Ohno, A.; Aita, H.; Kimoto, K. Ultraviolet light treatment for the restoration of age-related degradation of titanium bioactivity. Int. J. Oral Maxillofac. Implant. 2010, 25, 49–62.

7. Ogawa, T. Ultraviolet photofunctionalization of titanium implants. Int. J. Oral Maxillofac. Implant. 2014, 29, e95–e102. [CrossRef] [PubMed]

8. Rosales-Leal, J.; Rodríguez-Valverde, M.; Mazzaglia, G.; Ramón-Torregrosa, P.; Díaz-Rodríguez, L.; García-Martínez, O.; Vallecillo-Capilla, M.; Ruiz, C.; Cabrerizo-Vílchez, M. Effect of roughness, wettability and morphology of engineered titanium surfaces on osteoblast-like cell adhesion. Colloids Surf. Physicochem. Eng. Aspects 2010, 365, 222–229. [CrossRef]

9. Cicciù, M.; Fiorillo, L.; Herford, A.S.; Crimi, S.; Bianchi, A.; D’Amico, C.; Laino, L.; Cervino, G. Bioactive titanium surfaces: Interactions of eukaryotic and prokaryotic cells of nano devices applied to dental practice. Biomedicines 2019, 7, 12. [CrossRef]

10. Li, D.; Ferguson, S.J.; Beutler, T.; Cochran, D.L.; Sittig, C.; Hirt, H.P.; Buser, D. Biomechanical comparison of the sandblasted and acid-etched and the machined and acid-etched titanium surface for dental implants. J. Biomed. Mater. Res. 2002, 60, 325–332. [CrossRef]

11. Kaysinger, K.K.; Ramp, W.K. Extracellular pH modulates the activity of cultured human osteoblasts. J. Cell. Biochem. 1998, 68, 83–89. [CrossRef]

12. Marumo, M.; Suehiro, A.; Kakishita, E.; Groschner, K.; Wakabayashi, I. Extracellular pH affects platelet aggregation associated with modulation of store-operated Ca2+ entry. Thromb. Res. 2001, 104, 353–360. [CrossRef]

13. Hong, J.; Kurt, S.; Thor, A. A hydrophilic dental implant surface exhibit thrombogenic properties in vitro. Clin. Implant Dent. Relat. Res. 2013, 15, 105–112. [CrossRef]

14. Di Iorio, D.; Traini, T.; Degidi, M.; Caputi, S.; Neugebauer, J.; Piattelli, A. Quantitative evaluation of the fibrin clot extension on different implant surfaces:

An in vitro study. J. Biomed. Mater. Res. 2005, 74, 636–642. [CrossRef]

15. Pae, H.C.; Kim, S.K.; Park, J.Y.; Song, Y.W.; Cha, J.K.; Paik, J.W.; Choi, S.H. Bioactive characteristics of an implant surface coated with a pH buffering agent: An in vitro study. J. Periodontal Implant. Sci. 2019, 49, 366–381. [CrossRef]

16. Cho, Y.S.; Hwang, K.G.; Jun, S.H.; Tallarico, M.; Kwon, A.M.; Park, C.J. Radiologic comparative analysis between saline and platelet-rich fibrin filling after hydraulic transcrestal sinus lifting without adjunctive bone graft: A randomized controlled trial. Clin. Oral Implant. Res. 2020.[CrossRef] [PubMed]

17. Att, W.; Hori, N.; Iwasa, F.; Yamada, M.; Ueno, T.; Ogawa, T. The effect of UVphotofunctionalization on the time-related bioactivity of titanium and chromium–cobalt alloys. Biomaterials 2009, 30, 4268–4276. [CrossRef]

18. Shie, J.L.; Lee, C.H.; Chiou, C.S.; Chang, C.T.; Chang, C.C.; Chang, C.Y. Photodegradation kinetics of formaldehyde using light sources of UVA, UVC and UVLED in the presence of composed silver titanium oxide photocatalyst. J. Hazard. Mater. 2008, 155, 164–172. [CrossRef]

19. McGivney, E.; Carlsson, M.; Gustafsson, J.P.; Gorokhova, E. Effects of UV-C and Vacuum-UV TiO2 advanced oxidation processes on the acute mortality of microalgae. Photochem. Photobiol. 2015, 91, 1142–1149. [CrossRef]

20. Westall, J.; Hohl, H. A comparison of electrostatic models for the oxide solution interface. Adv. Colloid Interface Sci. 1980, 12, 265–294. [CrossRef]

21. Tang, L.; Thevenot, P.; Hu, W. Surface chemistry influences implant biocompatibility. Curr. Top. Med. Chem. 2008, 8, 270–280. [CrossRef]

22. Coelho, P.G.; Granjeiro, J.M.; Romanos, G.E.; Suzuki, M.; Silva, N.R.; Cardaropoli, G.; Thompson, V.P.; Lemons, J.E. Basic research methods and current trends of dental implant surfaces. J. Biomed. Mater. Res. 2009, 88, 579–596. [CrossRef]

23. Puleo, D.; Nanci, A. Understanding and controlling the bone–implant interface. Biomaterials 1999, 20, 2311–2321. [CrossRef]

24. Morra, M.; Cassinelli, C.; Cascardo, G.; Mazzucco, L.; Borzini, P.; Fini, M.; Giavaresi, G.; Giardino, R. Collagen I-coated titanium surfaces: Mesenchymal cell adhesion and in vivo evaluation in trabecular bone implants. J. Biomed. Mater. Res. 2006, 78, 449–458. [CrossRef] [PubMed]

25. Morra, M. Biochemical modification of titanium surfaces: Peptides and ECM proteins. Eur. Cell. Mater. 2006, 12, 15. [CrossRef]

26. Makowiecki, A.; Hadzik, J.; Błaszczyszyn, A.; Gedrange, T.; Dominiak, M. An evaluation of superhydrophilic surfaces of dental implants-a systematic review and meta-analysis. BMC Oral Health 2019, 19, 79. [CrossRef]

27. Khandelwal, N.; Oates, T.W.; Vargas, A.; Alexander, P.P.; Schoolfield, J.D.; Alex McMahan, C. Conventional SLA and chemically modified SLA implants

in patients with poorly controlled type 2 diabetes mellitus—A randomized controlled trial. Clin. Oral Implant. Res. 2013, 24, 13–19. [CrossRef]

28. Kokovic, V.; Jung, R.; Feloutzis, A.; Todorovic, V.S.; Jurisic, M.; Hämmerle, C.H. Immediate vs. early loading of SLA implants in the posterior mandible: 5-year results of randomized controlled clinical trial. Clin. Oral Implant. Res. 2014, 25, e114–e119. [CrossRef]

29. Cesaretti, G.; Botticelli, D.; Renzi, A.; Rossi, M.; Rossi, R.; Lang, N.P. Radiographic evaluation of immediately loaded implants supporting 2–3 units fixed bridges in the posterior maxilla: A 3-year follow-up prospective randomized controlled multicenter clinical study. Clin. Oral Implant. Res. 2016, 27, 399–405. [CrossRef]

30. Buser, D.; Broggini, N.; Wieland, M.; Schenk, R.; Denzer, A.; Cochran, D.; Hoffmann, B.; Lussi, A.; Steinemann, S. Enhanced bone apposition to a chemically modified SLA titanium surface. J. Dent. Res. 2004, 83, 529–533. [CrossRef]

31. Lang, N.P.; Salvi, G.E.; Huynh-Ba, G.; Ivanovski, S.; Donos, N.; Bosshardt, D.D. Early osseointegration to hydrophilic and hydrophobic implant surfaces in humans. Clin. Oral Implant. Res. 2011, 22, 349–356. [CrossRef] [PubMed]

32. Gittens, R.A.; Scheideler, L.; Rupp, F.; Hyzy, S.L.; Geis-Gerstorfer, J.; Schwartz, Z.; Boyan, B.D. A review on the wettability of dental implant surfaces II: Biological and clinical aspects. Acta Biomater. 2014, 10, 2907–2918. [CrossRef]

33. Shiu, H.T.; Goss, B.; Lutton, C.; Crawford, R.; Xiao, Y. Formation of blood clot on biomaterial implants influences bone healing. Tissue Eng. Part B Rev. 2014, 20, 697–712. [CrossRef]

34. Yang, J.; Zhou, Y.; Wei, F.; Xiao, Y. Blood clot formed on rough titanium surface induces early cell recruitment. Clin. Oral Implant. Res. 2016, 27, 1031–1038. [CrossRef]

35. Gassling, V.; Hedderich, J.; Açil, Y.; Purcz, N.; Wiltfang, J.; Douglas, T. Comparison of platelet rich fibrin and collagen as osteoblast-seeded scaffolds for bone tissue engineering applications. Clin. Oral Implant. Res. 2013, 24, 320–328. [CrossRef]

36. Naik, B.; Karunakar, P.; Jayadev, M.; Marshal, V.R. Role of platelet rich fibrin in wound healing: A critical review. J. Conserv. Dent. 2013, 16, 284. [CrossRef]

37. Beretta, M.; Poli, P.P.; Pieriboni, S.; Tansella, S.; Manfredini, M.; Cicciù, M.; Maiorana, C. Periimplant soft tissue conditioning by means of customized healing abutment: A randomized controlled clinical trial. Materials 2019, 12, 3041. [CrossRef]

38. Kohn, D.H.; Sarmadi, M.; Helman, J.I.; Krebsbach, P.H. Effects of pH on human bone marrow stromal cells in vitro: Implications for tissue engineering of bone. J. Biomed. Mater. Res. 2002, 60, 292–299. [CrossRef]

Nota del editor: MDPI se mantiene neutral con respecto a las reclamaciones jurisdiccionales en los mapas publicados y las afiliaciones institucionales.

Acorta tu tratamiento con la superficie más novedosa.

Tiempo record de oseointegración

TOXICIDAD DE LOS ANESTÉSICOS DE USO DENTAL

Los anestésicos locales (AL), utilizados continuamente por los odontólogos en su práctica clínica, en general son fármacos seguros, sin embargo, pueden producirse complicaciones derivadas de su uso, aunque muy poco frecuentes pueden ser muy graves, por lo que es fundamental minimizar el riesgo de toxicidad con el uso de AL. El objetivo de este artículo es sintetizar los problemas más comunes que pueden ocurrir con los anestésicos de uso odontológico y establecer unas directrices básicas para minimizarlos.

Antecedentes

Los odontólogos usamos anestésicos locales (AL) continuamente en nuestra práctica clínica. Nos encontramos familiarizados con los tipos de AL disponibles, si tienen o no epinefrina, y las concentraciones de sus principios activos. Si bien, a la hora de utilizarlos, a menudo no tenemos en cuenta el peso del paciente, su estado de salud y otros factores que pueden dar lugar a una reacción por toxicidad a los AL.

Las complicaciones por el uso de AL son raras, pero es importante conocerlas. La toxicidad asociada a AL es dosis-dependiente (1). Igualmente, a mayor concentración del AL, mayor es el riesgo de que su uso cause toxicidad (1).

El objetivo de este artículo es sintetizar los problemas más comunes que pueden ocurrir con los anestésicos de uso odontológico y establecer unas directrices básicas para minimizarlos.

Anestésicos más usados en odontología

Los AL más empleados en odontología son (2): Ésteres: contienen ácido paraaminobenzoico entre sus componentes, lo que les confiere alto poder de hipersensibilización, motivo por el cual cayeron en desuso.

Amidas:

 Lidocaína: es el AL más comúnmente usado. Inicia su actividad entre 1-3 minutos. Tiene una vida media de 90 minutos.

 Articaína: su potencia es 1,5 veces mayor que la de la lidocaína.

 Mepivacaína: tiene menor duración que las anteriores. Se indica en pacientes médicamente comprometidos.

 Bupivacaína: tiene mayor potencial de toxicidad cardíaca (1). Su vida media es de 200 minutos.

Habitualmente, los AL empleados en odontología, incluyen un vasoconstrictor que, si bien aporta numerosas ventajas (mayor duración del efecto anestésico, control de sangrado, etc.), puede generar complicaciones si se usan dosis elevadas o si se produce una inyección intravascular (3). La inyección intravascular de AL con vasoconstrictor puede generar toxicidad incluso con pequeñas cantidades de AL, por lo que es importante realizar maniobras de aspiración con la jeringa antes de proceder a la inyección; así podremos cerciorarnos de que no se ha producido la introducción de la aguja en un vaso y podremos proceder de manera segura a la inyección del AL. (4)

Asimismo, un exceso de administración de AL puede producir toxicidad sistémica, lo que implicaría afectación del sistema nervioso central (SNC) y del sistema cardiovascular (5). Esta toxicidad sistémica es muy poco frecuente (0,03%), sin embargo, puede ser letal, por lo que es clave reconocerla de manera temprana. Para ello, es clave analizar los factores de riesgo del paciente y saber calcular qué dosis máxima de AL podemos administrar a cada paciente. (5)

Es importante conocer el vasoconstrictor que contiene el AL y cuáles pueden ser sus efectos. Así, la presencia de epinefrina en el AL ve intensificado su efecto simpaticomimético cuando se administra a personas en tratamiento con antidepresivos tricíclicos, dando lugar a un incremento de presión arterial. (6) Sin embargo, la mayoría de los odontólogos no son capaces de calcular la dosis máxima a aplicar en cada uno de sus pacientes (7). Más aún, gran cantidad de odontólogos confiesan no sentirse capacitados para gestionar las complicaciones que puedan derivarse del uso de AL (7). A continuación, se muestra una tabla resumen con los datos a tener en cuenta a la hora de proceder a la administración de AL:

Ana Boquete Castro, DDS, PhD Odontóloga.
Stevens Salvà Sutherland, MD, MsC Médico anestesiólogo.

Antes de utilizar AL en el paciente, siempre es importante analizar diversos factores para minimizar el riesgo de complicaciones (8):

Factores derivados del paciente:

 Edad : es especialmente importante tener en cuenta las posibles complicaciones en edades extremas de la vida. En pacientes adultos mayores, la depuración del AL puede verse reducida, debido al deterioro de la función renal y perfusión hepática. Por esta razón, se recomienda disminuir las dosis de AL entre un 10-20% por encima de los 70 años.

 Peso del paciente: a menor peso más riesgo de toxicidad.

 Estado de salud general: valorar si el paciente tiene afección renal o hepática, alteraciones cardiovasculares como alteraciones de la conducción cardiaca, isquemia o disfunción cardiaca.

Factores derivados del anestésico:

 Presencia de vasoconstrictor.

 Vía de administración.

 Técnica de administración.

En este sentido, existe mayor toxicidad a mayor potencia del AL, a mayor velocidad de administración del AL, a mayor velocidad de absorción y difusión del AL, y a mayor toxicidad intrínseca del anestésico local (2).

Signos y síntomas de toxicidad por AL y cómo abordarlos

Como habíamos comentado anteriormente la toxicidad y efectos deletéreos tienen relación directa con la concentración plasmática del AL. También hay que tomar en cuenta que la clínica que va a manifestar es muy variada y que no siempre aparece de forma inmediata ya que puede tardar hasta una hora.

de https://doi.org/10.25237/revchilanestv49n01.08)

Tabla I: Características y dosis máxima recomendada (Tomado de 5).
Gráfico 1: Concentración plasmática y síntomas clínicos por toxicidad a AL. (Tomada

revisión de la literatura

Afectación SNC y cardiovascular

El SNC y el sistema cardiovascular son muy sensibles, siendo el SNC por regla general el primero en dar manifestaciones clínicas. Una toxicidad leve-moderada puede cursar con sabor metálico, adormecimiento peri oral, tinnitus, visión borrosa, desorientación del paciente, cambios en el habla, incremento de la presión arterial (P.A.), aceleración del pulso y la frecuencia respiratoria e incluso pérdida de consciencia. (8) Una sobredosis moderada-severa por uso de AL puede cursar con convulsiones tónico-clónicas, seguidas de depresión del SNC, así como depresión del sistema cardiovascular, cursando con caída de la P.A. y descenso del pulso y la frecuencia respiratoria (8). Entre los signos y síntomas cardiovasculares más importantes estarán la aparición de bradiarritmias o taquiarritmias, reducción del tono vascular y depresión miocárdica. En este caso también se producirá el efecto excitación-depresión, comenzando generalmente por taquicardia, arritmias ventriculares e hipertensión, hasta llegar al modo de depresión en el que los signos y síntomas que nos encontraremos serán bradicardias, y bloqueos aurículo-ventriculares. Si no se revierte esta situación, se llegará a la asistolia y parada cardiorrespiratoria.

Estas reacciones suelen ser transitorias en caso de que sean leve-moderadas y requieren tratamiento de soporte. Es importante que el clínico reconozca rápidamente el cuadro clínico y proceda con el siguiente protocolo (8):

Protocolo a seguir en caso de sobredosificación por AL (P):

 Leve-moderada: pedir ayuda, oxigenoterapia (buscar maletín de primeros auxilios de la clínica). Puede ser necesario administrar benzodiacepinas para controlar las convulsiones (diazepam 0,1 mg/Kg i.v. diluido en 10 ml de suero salino). Prepararse para iniciar maniobras de RCP de ser necesario, ya que la aparición de convulsiones puede presagiar parada cardíaca.

 Grave: llamar al 112 lo antes posible, administrar oxígeno y soporte ventilatorio con bolsa autohinchable (ambú). Al llegar el 112, intubar si hay apnea, uso de benzodiacepinas por vía endovenosa, administrar perfusiones lipídicas (en clínica dental no están disponibles), fluidoterapia i.v., tratamiento de arritmias según protocolos de soporte vital avanzado, traslado urgente a UCI.

Reacciones alérgicas

Son poco frecuentes con las amidas. En caso de darse, lo más común es que cursen con picor, urticaria, eritema, náuseas, vómitos, dolor, diarrea, tos o disnea.

Cuando la reacción alérgica es grave, puede llegar a cursar con edema de glotis, broncoespasmo, hipotensión y/o shock (2).

Protocolo a seguir ante una reacción alérgica por AL:

 Leve (no afectación respiratoria o hemodinámica): uso de Maleato de dexclorfeniramina y/o corticoides vía oral.

 Grave (afectación respiratoria o hemodinámica de importancia):

- Pedir ayuda de inmediato: llamar al 112.

- Secuencia ABC:

A: "Airway". Abrir vía aérea y control de cervicales.

Bibliografía

1. Becker DE, Reed KL. Local anesthetics: review of pharmacological considerations. Anesth Prog. 2012 Summer;59(2):90-101; quiz 102-3. doi: 10.2344/00033006-59.2.90.

2. Local and loco-regional anesthesia in minor surgery. JM. Arribas Blanco, N. Rodríguez Pata, B. Esteve Arrola, M. Beltrán Martín. SEMERGEN: 2001; 27: 471-481.

3. Cassidy JP, Phero JC, Grau WH. Epinephrine: systemic effects and varying concentrations in local anesthesia. Anesth Prog. 1986 Nov-Dec;33(6):289-97.

B: "Breath". Buscar respiración.

C: "Circulation". Comprobar pulso, color de la piel y control de hemorragias.

- Aporte de 02.

- Adrenalina 0,5 mg I.M cada 5-10 min.

- Traslado al hospital.

Conclusiones

Los AL en general son fármacos seguros, sin embargo, pueden producirse complicaciones derivadas de su uso, aunque muy poco frecuentes pueden ser muy graves. Es fundamental minimizar el riesgo de toxicidad con el uso de AL. Es indispensable ajustar las dosis al peso y características de cada paciente, teniendo en cuenta comorbilidades. Es aconsejable inyectar lentamente y en dosis fraccionadas el AL, aspirando periódicamente en búsqueda de retorno sanguíneo. 

4. Kuzin AV, Sogacheva VV, Izmaylova ZM, Syomkin VA, Potapova AI. Aspiratsionnyi test kak kriterii bezopasnosti obezbolivaniya v stomatologii [Aspiration test as dental anesthesia safety criterion]. Stomatologiia (Mosk). 2022;101(6):69-72. Russian. doi: 10.17116/stomat202210106169.

5. Rhee SH, Park SH, Ryoo SH, Karm MH. Lipid emulsion therapy of local anesthetic systemic toxicity due to dental anesthesia. J Dent Anesth Pain Med. 2019 Aug;19(4):181-189. doi: 10.17245/jdapm.2019.19.4.181. Epub 2019 Aug 30.

6. Gómez-Moreno G, Guardia J, Cutando A, Calvo-Guirado JL. Pharmacological interactions of vasoconstrictors. Med Oral Patol Oral Cir Bucal. 2009 Jan 1;14(1):E20-7.

7. Tadin A, Aleric K, Jerkovic D, Gavic L. Knowledge, Practice and Self-Reported Confidence Level of Croatian Dentists in the Use of Local Anesthesia: A Cross-Sectional Study. Healthcare (Basel). 2023 Jul 12;11(14):2006. doi: 10.3390/healthcare11142006.

8. Mehra P, Caiazzo A, Maloney P. Lidocaine toxicity. Anesth Prog. 1998 Winter;45(1):38-41.

revisión de la literatura

Siguiendo la evolución de la Odontología para el profesional del sector llamado a construir el futuro

ENTREVISTA

Dra. Almudena Rodríguez Fernández, presidenta del Congreso SESPO 2024

COMUNICACIÓN

La vuelta al cole, un momento ideal para retomar las visitas al odontopediatra

REDES SOCIALES

Las claves de la nueva ley de influencers en España

revisión de la literatura

info@eldentistamoderno.com

“EL

CONGRESO SESPO 2024 ES UNA OPORTUNIDAD ÚNICA PARA REFLEXIONAR SOBRE EL PAPEL

CRUCIAL DE LA SALUD ORAL EN UN ESTILO DE VIDA SALUDABLE Y AVANZAR JUNTOS HACIA UNA ODONTOLOGÍA MÁS INTEGRADA Y CENTRADA EN LAS PERSONAS”

Santiago de Compostela se convertirá los días 25 y 26 de octubre en un escenario único para reflexionar sobre la importancia de la salud oral en el contexto de un estilo de vida saludable con la celebración del Congreso SESPO 2024, bajo el lema “Salud Oral como parte de un estilo de vida saludable”. Así lo explica en esta entrevista la Dra. Almudena Rodríguez Fernández, presidenta del Congreso SESPO 2024, un encuentro cuyo objetivo es inspirar tanto a odontólogos como a higienistas bucodentales a adoptar un enfoque más integral hacia la atención dental.

Dra. Almudena Rodríguez Fernández, presidenta del Congreso SESPO 2024 (25 y 26 de octubre de 2024, Santiago de Compostela)

 DM.- Como especialista en resistencias bacterianas en odontología, ¿qué desafíos y oportunidades enfrenta actualmente la profesión odontológica en este campo?

Dra. Almudena Rodríguez Fernández (Dra. A.R.F.).La OMS señala que las resistencias bacterianas son un problema de salud pública. En 2019, se produjeron 4,95 millones de muertes asociadas a este problema. Los odontólogos somos responsables de un 10% de las prescripciones de antibióticos y según los estudios hasta el 80% serían inadecuadas. Es muy importante que seamos conscientes del papel que desempeñamos los dentistas en el avance de las resistencias, no solo mejorando la calidad de nuestras prescripciones de antibióticos, sino también como educadores de la población. Además de hacer un uso responsable de los antibióticos, el diagnóstico adecuado, establecer un plan de tratamiento desde un enfoque preventivo, el seguimiento de nuestros pacientes y las medidas de control de la infección ayudan a evitar infecciones y reducen la necesidad de antibióticos.

 DM.- ¿Qué aspectos destacados o novedosos podemos esperar en el próximo Congreso SESPO en relación con la investigación y el tratamiento de las resistencias bacterianas en odontología?

Dra. A.R.F.- En el próximo congreso se debatirán los determinantes de la prescripción inadecuada de antibióticos en odontología y se presentarán intervenciones y estrategias destinadas a modificar estos factores. También se discutirán enfoques interdisciplinarios para abordar este importante problema de salud pública.

 DM.- ¿Cómo ha evolucionado la comprensión y gestión de las resistencias bacterianas en odontología en los últimos años y cuáles son los avances más prometedores?

Dra. A.R.F.- Hemos visto avances significativos en la comprensión de las resistencias bacterianas y en el desarrollo de nuevas herramientas de diagnóstico y tratamiento. Los avances más prometedores incluyen terapias personalizadas y enfoques basados en la biología molecular para combatir las infecciones bacterianas.

 DM.- ¿Qué papel juega la colaboración interdisciplinaria en la lucha contra las resistencias bacterianas en odontología y cómo se fomentará en el marco del Congreso SESPO?

Dra. A.R.F.- La colaboración interdisciplinaria es fundamental para abordar las resistencias bacterianas, ya que este problema afecta a múltiples áreas de la salud, incluyendo la odontología, la medicina y la salud pública. En el Congreso SESPO fomentamos la colaboración entre diferentes especialidades para desarrollar enfoques integrales para la prevención y el tratamiento de infecciones bacterianas.

 DM.- ¿Qué consejos daría a los profesionales odontológicos para abordar eficazmente las resistencias bacterianas en su práctica diaria?

Dra. A.R.F.- El uso inadecuado de antibióticos se ha identificado como una de las causas que está acelerando el avance de las resistencias bacterianas. El miedo, la falta de tiempo o de confianza, la complacencia o la necesidad de retrasar los procedimientos odontológicos son algunos de los factores

“ Es muy importante que seamos conscientes del papel que desempeñamos los dentistas en el avance de las resistencias, no solo mejorando la calidad de nuestras prescripciones de antibióticos, sino también como educadores de la población ”

asociados a la prescripción inadecuada de antibióticos en odontología. Por ello, seguir las recomendaciones de las guías de práctica clínica de calidad, la prescripción diferida o implementar campañas de educación para nuestros pacientes, podría ayudarnos en la toma de decisiones y disminuir el mal uso de los antibióticos en nuestro campo.

 DM.- ¿Cómo ha influido su formación en psicología en su enfoque hacia la odontología y la investigación en salud bucodental?

Dra. A.R.F.- Mi formación en psicología me ha permitido comprender mejor las necesidades emocionales y psicológicas de mis pacientes, lo que mejora la comunicación y la relación terapéutica. Además, me ha brindado una perspectiva más amplia sobre los factores psicosociales que influyen en la salud bucodental, en la adherencia al tratamiento y en el abordaje de factores modificables.

 DM.- ¿Podría compartir con nosotros alguna experiencia destacada de su trabajo como odontóloga en clínicas dentales privadas y como sustituta en centros de atención primaria del SERGAS?

Dra. A.R.F.- Durante mi carrera como odontóloga, he tenido la oportunidad de trabajar en diversos entornos clínicos, lo que me ha proporcionado una amplia experiencia en el manejo de casos clínicos complejos y en la coordinación de equipos interdisciplinarios. Mi trabajo en las clínicas privadas y en atención primaria estaba basado en la prevención, ya que la mayoría de las enfermedades bucodentales se pueden prevenir con medidas eficaces y

sencillas. Creo que ésa es la principal meta que se debe perseguir en odontología, lograr que nuestros pacientes estén sanos.

 DM.- ¿Qué la motivó a combinar su actividad clínica con la docencia universitaria en el área de medicina preventiva y salud pública?

Dra. A.R.F.- Mi pasión por la enseñanza y la investigación me llevó a combinar mi actividad clínica con la docencia universitaria, en la que me centro actualmente. Creo firmemente en la importancia de formar a las futuras generaciones de odontólogos, no sólo en aspectos técnicos, sino también en principios de medicina preventiva y de salud pública. La OMS en su Plan de Acción Mundial sobre la salud bucodental establece como meta el liderazgo nacional para la salud bucodental y en mi opinión, los odontólogos con formación en salud pública son los profesionales que deberían integrar estos equipos.

 DM.- ¿Qué factores cree que influyen en la prescripción de antibióticos por parte de los dentistas y cuáles podrían ser las estrategias para mejorar el uso racional de antibióticos en odontología?

Dra. A.R.F.- Los odontólogos prescribimos aproximadamente un 10% de los antibióticos que se consumen a nivel mundial y según los estudios, una parte importante de estas prescripciones no se corresponden con las indicaciones de las guías clínicas. Nuestros resultados muestran que los odontólogos somos conscientes del problema de las resistencias a los antibióticos y del papel que tenemos en su desarrollo.

 DM.- ¿Podría compartir con nosotros algunos resultados destacados de su investigación sobre la prescripción de antibióticos por dentistas y su participación en el Plan Nacional de Resistencia a los Antibióticos (PRAN)?

Dra. A.R.F.- Los trabajos de nuestro grupo de investigación han demostrado la necesidad de mejorar la prescripción de antibióticos en odontología para reducir el riesgo de resistencias bacterianas. A través de diferentes investigaciones, hemos identificado factores modificables que influyen en la calidad de prescripción de antibióticos, como el miedo, la complacencia o el beneficio económico. Como parte del Plan Nacional de Resistencia a los Antibióticos (PRAN), he trabajado en la implementación de estrategias para promover el uso prudente de antibióticos y mejorar la conciencia sobre este problema de salud pública. Además, también he colaborado en la actualización del capítulo de enfermedades bucodentales, que se acaba de publicar y que presenta, de forma sencilla y clara, recomendaciones sobre prescripción de antibióticos para los procesos de la cavidad oral, dirigida a todos los profesionales sanitarios que prescriben antibióticos.

 DM.- ¿Qué papel juega la odontología en la lucha contra la resistencia a los antibióticos y cómo pueden los profesionales de la odontología contribuir a esta causa?

Dra. A.R.F.- La odontología desempeña un papel clave en la lucha contra la resistencia a los antibióticos, no solo como prescriptores sino también como educadores. Debemos ser conscientes de que fomentar hábitos de higiene oral y revisiones odontológicas evitará muchas infecciones y el uso innecesario de antibióticos.

 DM.- ¿Cuál es su visión sobre el futuro de la odontología preventiva y la salud pública en España, y cuál cree que debería ser el papel de los odontólogos en la promoción de la salud bucodental en la sociedad?

Dra. A.R.F.- Creo que el futuro de la odontología en España se centrará cada vez más en la prevención y la promoción de la salud bucodental en la sociedad. La odontología debe cambiar de paradigma hacia un enfoque más preventivo y menos intervencionista. Los odontólogos jugarán un papel fundamental en la educación de la población sobre la importancia de la prevención, la detección temprana de enfermedades bucodentales y la adopción de hábitos saludables.

 DM.- ¿Qué papel juega la microbiota oral en la resistencia bacteriana y cómo se puede modular para prevenir la aparición de cepas resistentes?

Dra. A.R.F.- La microbiota oral juega un papel importante en la resistencia bacteriana, ya que ciertas bacterias pueden actuar como reservorios de genes de resistencia y transmitirlos a otras especies. La modulación de la microbiota oral a través de medidas como la promoción de una higiene bucal adecuada y el uso de probióticos puede ayudar a prevenir la aparición de cepas resistentes y mantener un equilibrio microbiano saludable en la cavidad oral.

 DM.- ¿Cuáles son las principales temáticas que se abordarán en el Congreso SESPO 2024 y por qué son relevantes para la odontología?

Dra. A.R.F.- El Congreso SESPO 2024 abordará temas cruciales para la odontología actual, centrados en la atención integral de los pacientes y en un enfoque centrado en las personas. Estas temáticas son relevantes porque reflejan uno de los pilares fundamentales recogidos en el documento “Visión 2030: Proporcionar una salud bucodental óptima para todos”, publicado por la Federación Dental Internacional (FDI). Dicho documento establece que la odontología del futuro debería basarse en la optimización de la salud a través de una buena salud bucodental.

 DM.- ¿Cuál es el significado del lema “Salud Oral como parte de un estilo de vida saludable” para el Congreso SESPO 2024 y cómo se reflejará en el programa del evento?

Dra. A.R.F.- El lema destaca la importancia de integrar la salud bucodental en un estilo de vida saludable. En el programa se abordarán los determinantes y factores de riesgo que comparten las enfermedades bucodentales y las enfermedades no transmisibles.

 DM.- ¿Qué iniciativas se llevarán a cabo durante el Congreso SESPO 2024 para promover la integración de la salud oral en la promoción de un estilo de vida saludable?

Dra. A.R.F.- Durante el congreso se organizarán conferencias, mesas redondas y talleres enfocados en la relación entre la salud oral y hábitos saludables como la nutrición, la actividad física y el bienestar emocional. También se hablará de hábitos nocivos como el consumo de tabaco, alcohol, otras drogas y el sedentarismo, así como sobre el uso responsable de medicamentos.

 DM.- ¿Cuál es el papel de Santiago de Compostela como sede del Congreso SESPO 2024 y cómo se espera que contribuya al tema central del evento?

Dra. A.R.F.- Santiago de Compostela es la meta del “Camino de Santiago”, la ruta de peregrinación europea más importante. Además, como ciudad histórica, cultural y ligada a la Universidad de Santiago de Compostela, ofrece un escenario único para reflexionar sobre la importancia de la salud oral en el contexto de un estilo de vida saludable. Las pequeñas dimensiones de la ciudad, la localización de la sede del Congreso en el Hotel Monumento San Francisco situado en el centro histórico y su seguridad, permitirán a los asistentes descubrir su riqueza patrimonial y gastronómica.

 DM.- ¿Cuáles son las expectativas de asistencia para el Congreso SESPO 2024 y qué impacto se espera en la comunidad odontológica?

Dra. A.R.F.- Se espera una gran asistencia de profesionales de la odontología y disciplinas relacionadas, así como de investigadores y estudiantes interesados en explorar la interrelación entre la salud oral y el bienestar general.

 DM.- ¿Qué perfiles profesionales cree que pueden tener los asistentes al Congreso SESPO 2024?

Dra. A.R.F.- Esperamos la participación de profesionales de todas las áreas de la odontología, incluyendo odontólogos generales, especialistas, investigadores, higienistas bucodentales, estudiantes de odontología e higiene bucodental y, en general, cualquier profesional interesado en la salud pública oral o que quiera ampliar sus conocimientos sobre la necesidad de integrar la salud oral en un estilo de vida saludable. La diversidad de perfiles en los Congresos de SESPO siempre enriquece las discusiones y contribuye a un intercambio de ideas más completo.

 DM.- ¿Cómo facilitará el Congreso SESPO 2024 la colaboración entre odontólogos e higienistas bucodentales para mejorar la atención integral al paciente y promover la salud oral como parte de un estilo de vida saludable?

Dra. A.R.F.- El Congreso SESPO 2024 proporcionará un espacio común para que odontólogos e higienistas bucodentales compartan conocimientos, experiencias y mejores prácticas en el cuidado dental. A través de sesiones conjuntas, talleres y

oportunidades de networking, se fomentará la colaboración interdisciplinar, permitiendo a ambos grupos entender mejor sus roles complementarios en la promoción de la salud oral. Esta colaboración conducirá a una atención más integral y personalizada para los pacientes, centrándose no solo en tratamientos específicos, sino también en la educación y la prevención.

 DM.- ¿Por qué cree que es importante para cualquier profesional ser miembro/socio de la SESPO?

Dra. A.R.F.- Ser miembro de la SESPO ofrece numerosos beneficios, tales como acceso a tarifas reducidas en las cuotas de inscripción a congresos como el Congreso SESPO 2024, así como a recursos educativos y oportunidades de networking con numerosos colegas y representantes de la industria. Además, brinda la posibilidad de participar en otros eventos educativos y científicos de alto nivel. Ser parte de una comunidad profesional sólida permite colaborar en proyectos de investigación, promover estándares de excelencia en la práctica clínica y defender los intereses de la salud pública odontológica en España. Ser miembro de la SESPO fortalece nuestra conexión con la comunidad odontológica y nos ayuda a mantenernos actualizados con los últimos avances y tendencias en nuestra profesión.

 DM.- ¿Qué oportunidades de networking y colaboración se ofrecerán durante el Congreso SESPO 2024 para fomentar el intercambio de conocimientos y experiencias entre los participantes?

Dra. A.R.F.- El Hotel Monumento San Francisco, sede principal del Congreso, dispone de espacios para establecer contactos con colegas, compartir investigaciones y experiencias clínicas, y colaborar en proyectos que promuevan la salud oral y un estilo de vida saludable.

 DM.- ¿Cuáles son los principales desafíos que enfrenta la odontología en la promoción de la salud oral como parte de un estilo de vida saludable y cómo se abordarán en el Congreso SESPO 2024?

Dra. A.R.F.- Uno de los desafíos es concienciar a la población general y a todos los profesionales sanitarios sobre la importancia de la salud oral en la salud general. En el congreso se discutirán estrategias para mejorar la educación y la prevención en este sentido, siguiendo las directrices del Proyecto de Plan de Acción Mundial sobre Salud Bucodental (2023-2030) de la Organización Mundial de la Salud

(OMS) y el documento “Visión 2030: Proporcionar una salud bucodental óptima para todos” de la Federación Dental Internacional (FDI).

 DM.- ¿Cómo se espera que el lema del Congreso SESPO 2024 influya en la práctica clínica de los odontólogos y de los higienistas bucodentales, y en la promoción de la salud oral en sus pacientes?

Dra. A.R.F.- El lema del Congreso SESPO 2024, “Salud Oral como parte de un estilo de vida saludable”, inspirará tanto a odontólogos como a higienistas bucodentales a adoptar un enfoque más integral hacia la atención dental. Esto implica no solo tratar problemas específicos, sino también educar a los pacientes sobre la importancia de la salud oral en el contexto de un estilo de vida saludable. Tanto los odontólogos como los higienistas bucodentales somos los profesionales encargados de la promoción de hábitos saludables y la orientación personalizada que contribuya al bienestar general de los pacientes.

 DM.- ¿Cuál es la importancia de la microbiota oral en el contexto de un estilo de vida saludable y cómo se abordará este tema en el Congreso SESPO 2024?

Dra. A.R.F.- La microbiota oral juega un papel fundamental en la salud bucodental y, por ende, en la salud general. Se abordará este tema en varias sesiones del Congreso SESPO 2024, destacando la importancia de mantener un equilibrio saludable de la microbiota para prevenir enfermedades y promover el bienestar general. Se discutirán las últimas investigaciones sobre cómo la microbiota oral puede influir en diversas condiciones sistémicas y la manera en que los profesionales de la odontología pueden educar a sus pacientes sobre prácticas que favorezcan una microbiota oral saludable.

 DM.- ¿Qué papel juega la prevención en la promoción de la salud oral como parte de un estilo de vida saludable y cómo se enfatizará en el Congreso SESPO 2024?

Dra. A.R.F.- En el documento de la FDI “Visión 2030: Proporcionar una salud bucodental óptima para todos” se establece la necesidad de integrar la salud bucodental en la agenda de salud general y desarrollo, mediante una atención sanitaria centrada en las personas. La mayoría de las enfermedades orales se pueden prevenir con medidas de salud pública efectivas y además comparten factores de

El uso inadecuado de antibióticos se ha identificado como una de las causas que está acelerando el avance de las resistencias bacterianas ”

riesgo y determinantes sociales con las principales enfermedades no transmisibles. Por ello, la promoción de la salud oral como parte de un estilo de vida saludable permitirá establecer estrategias de prevención más eficaces y destacará el papel de los profesionales de la odontología en la atención sanitaria y en la promoción de la salud general.

 DM.- ¿Cuáles son las expectativas y metas que se han fijado para el Congreso SESPO 2024 y cómo espera que impacten en la comunidad odontológica?

Dra. A.R.F.- Nuestra meta principal es fomentar el intercambio de conocimientos y experiencias entre profesionales de la odontología y de otras profesiones sanitarias, así como promover la colaboración interdisciplinaria. Esperamos que este congreso inspire nuevas ideas, fortalezca nuestra comunidad y nos motive a seguir mejorando la calidad de atención que ofrecemos a nuestros pacientes.

En el próximo congreso de SESPO se debatirán los determinantes de la prescripción inadecuada de antibióticos en odontología y se presentarán intervenciones y estrategias destinadas a modificar estos factores, y también se discutirán enfoques interdisciplinarios para abordar este importante problema de salud pública

 DM.- ¿Qué aspectos o actividades destacaría del programa del Congreso SESPO 2024?

Dra. A.R.F.- El programa del Congreso SESPO 2024 incluye una amplia variedad de conferencias, talleres y sesiones interactivas que abordan temas de vanguardia en odontología. Destacaría especialmente las sesiones dedicadas a la investigación, a la promoción de estilos de vida saludables como la actividad física o los hábitos saludables relacionados con la alimentación y el buen uso de medicamentos, así como los paneles de discusión sobre odontología preventiva y salud pública.

 DM.- ¿Cómo animaría a los profesionales odontológicos a participar en el Congreso SESPO 2024 y qué beneficios considera que pueden obtener de esta experiencia?

Dra. A.R.F.- Los animaría a participar en el Congreso SESPO 2024 para aprovechar la oportunidad de aprender de expertos en el campo, compartir sus propias experiencias y establecer conexiones profesionales valiosas. Los beneficios incluyen que los asistentes consigan tener una visión más integral de la salud bucodental y de su interacción con estilos de vida saludables.

 DM.- ¿Qué novedades se presentarán en el Congreso SESPO 2024 en cuanto a investigación y avances tecnológicos en odontología?

Dra. A.R.F.- En el Congreso SESPO 2024 se presentarán investigaciones innovadoras y avances tecnológicos que están revolucionando el campo de la odontología. Entre las novedades, destacan los nuevos enfoques en el diagnóstico y tratamiento de enfermedades bucodentales, así como tecnologías emergentes que mejoran la precisión y la eficacia de los procedimientos odontológicos.

 DM.- ¿Cuál es la importancia de eventos como el Congreso SESPO 2024 en la promoción del intercambio de conocimientos y la actualización profesional en odontología?

Dra. A.R.F.- Eventos como el Congreso SESPO son fundamentales para mantenernos actualizados sobre los últimos avances en nuestra disciplina y para establecer conexiones con colegas de diversos ámbitos. El intercambio de conocimientos que se produce en estos eventos es incalculable, ayudándonos a mejorar nuestra práctica clínica y nuestra contribución a la salud bucodental de la comunidad.

 DM.- ¿Hay algún mensaje final que le gustaría compartir con los lectores de DM acerca del Congreso SESPO 2024 y su importancia para la odontología?

Dra. A.R.F.- El Congreso SESPO 2024 es una oportunidad única para reflexionar sobre el papel crucial de la salud oral en un estilo de vida saludable y avanzar juntos hacia una odontología más integrada y centrada en las personas. Los animo a todos a unirse a nosotros en Santiago de Compostela para compartir conocimientos, experiencias y, juntos, seguir mejorando la salud bucodental de nuestra sociedad. 

espo

25-26 oct 2024

https://congresosan tiago2024.sespo.es/

‘‘Salud oral como parte de un estilo de vida saludable’’

Envío de comunicaciones hasta el 19/09 Inscripción reducida hasta el 30/09

LA VUELTA AL COLE, UN MOMENTO IDEAL PARA RETOMAR LAS VISITAS AL ODONTOPEDIATRA

Tras las vacaciones veraniegas, toca volver a retomar rutinas, incluidas, por supuesto, todas las relacionadas con la salud bucodental. Para cuidar la sonrisa de los más pequeños, la vuelta al cole es un momento idóneo para visitar al odontopediatra y poder así prevenir y tratar cualquier afección, además de reforzar todas las rutinas de cuidado bucal para el nuevo curso.

Durante las vacaciones de verano es común que los hábitos de higiene bucodental y alimentación de los más pequeños de la casa se relajen. Por este motivo, el mes de septiembre, con la “vuelta al cole”, es un momento ideal para retomar las rutinas, incluidas las visitas al odontopediatra. Y es que, para los niños, una revisión en septiembre permite detectar y corregir cualquier problema bucodental que haya surgido durante las vacaciones, ayuda a prevenir y tratar afecciones como caries o gingivitis y permite reforzar las rutinas de cuidado bucal para el nuevo curso.

Según indica el Dr. Javier Girón de Velasco, director general de Moonz, la marca dental especializada en ortodoncia infantil y odontopediatría perteneciente a Donte Group, “en septiembre, los tratamientos más solicitados en las consultas suelen ser los relacionados con la ortodoncia, ya que muchos padres aprovechan el inicio del curso escolar para comenzar estos tratamientos. Además, es común tratar caries y gingivitis, que pueden haberse desarrollado por una higiene descuidada durante el verano y existe también un aumento en la atención a traumatismos dentales”.

siguiendo la evolución de la Odontología

En efecto, septiembre, con la vuelta al cole, suele ser el mes donde más tratamientos de ortodoncia infantil se inician, pero el verano también es un buen momento para iniciar un tratamiento de este tipo porque los niños tienen más tiempo libre y pueden adaptarse mejor a los nuevos aparatos en el entorno familiar sin la presión del entorno escolar. “Además, en verano, el crecimiento suele acelerarse, lo que puede ser beneficioso para ciertos tratamientos”, detalla el director general de Moonz, que añade que el proceso comienza con una evaluación en un centro especializado, donde se valora si es el momento adecuado para iniciar el tratamiento. “En caso afirmativo, se realizaría un estudio completo con fotografías y radiografías para tomar medidas. Con esos registros se puede identificar la alteración o maloclusión y se planificaría un plan de tratamiento personalizado”, argumenta el ortodoncista. Los especialistas recomiendan que los niños visiten al odontopediatra por primera vez a los 3 años de edad si no existen motivos anteriores, como un traumatismo, o un bebé que haya nacido dentado y no se le pudiera amamantar. “En cuanto al ortodoncista, es aconsejable realizar la primera visita antes de los 6 años, con el fin de que podamos identificar y corregir con soluciones más sencillas cuanto antes cualquier alteración esquelética o de espacio”, señala el Dr. Javier Girón de Velasco.

Vuelta al cole: atención al estrés y los traumatismos dentales

Algunos niños experimentan estrés o nerviosismo por el regreso a la actividad escolar. Esto puede tener consecuencias en la salud bucodental de los pequeños, dado que en el caso de que exista alguna patología previa, como el bruxismo (apretar los dientes o hacerlos rechinar o crujir), cualquier factor de estrés puede activarla o acelerarla. “El rechinar o apretar los dientes puede causar desgaste dental y otros problemas. Además, el estrés puede llevar a descuidar la higiene bucal, aumentando el riesgo de caries. Es importante que los odontólogos asesoremos a los padres sobre cómo gestionar estos problemas, ya sea tanto con la recomendación de especialistas que ayuden a tratar la causa como con tratamiento bucodental”, reconoce el Dr. Javier Girón de Velasco.

Por otro lado, la vuelta al cole supone también un mayor riesgo para los pequeños de sufrir traumatismos dentales. Si esto ocurre, es fundamental

mantener la calma, ya que estas situaciones pueden ser muy alarmantes y, como recomienda el especialista de clínicas Moonz, si un diente o parte de él se desprende, debe recogerse y colocarse en un frasco con agua, leche o saliva, y acudir al odontopediatra lo antes posible. La rapidez en la intervención es clave para un buen pronóstico, por lo que es recomendable tener a mano el contacto del dentista de confianza. Aparte de los traumatismos dentales accidentales que pueden ocurrir en el patio del colegio o durante el juego, muchos niños practican actividades deportivas y corren también el riesgo de sufrir traumatismos dentales. “La prevención de traumatismos dentales se basa en corregir maloclusiones.

Con la vuelta al cole es fundamental prestar atención a problemas como el bruxismo, que puede incrementarse por episodios de estrés y ansiedad, y a los traumatismos dentales por práctica deportiva, prevenibles con protectores bucales

Pexels

Está demostrado que la mayoría de los dientes rotos son los incisivos superiores (los “paletos”) en niños de entre 6 y 12 años con los dientes de arriba hacia afuera. Por eso, el uso de protectores bucales es fundamental durante la práctica de deportes”, apunta el Dr. Girón de Velasco, quien agrega que los diseños actuales de protectores bucales permiten no solo que sean cómodos, sino que puedan personalizarse estéticamente al gusto de los niños.

“En cualquier caso, estos protectores deben estar controlados por el ortodoncista para asegurar que permiten el crecimiento adecuado de las estructuras dentomaxilares”, puntualiza el experto.

La clave es crear y mantener rutinas que los niños acepten de manera positiva ”
Dr. Javier Girón de Velasco, director general de Moonz

Sencillos hábitos para que los niños mantengan una buena salud bucodental

Con el fin de las vacaciones y la vuelta al cole es crucial que los pequeños reestablezcan hábitos saludables, promoviendo una dieta equilibrada rica en frutas, verduras, grasas saludables y proteínas, y moderando el consumo de azúcares refinados. También es importante retomar una rutina regular de higiene dental, especialmente el cepillado después de las comidas principales y antes de acostarse. Por último, un estilo de vida activo y la educación en valores saludables también contribuyen a mantener una buena salud bucodental.

“La clave es crear y mantener rutinas que los niños acepten de manera positiva. El cepillado debe hacerse al menos dos veces al día, preferiblemente después del desayuno y antes de acostarse y para ello se recomienda utilizar un temporizador o hacer que los niños se cepillen durante el tiempo que dura su canción favorita, lo que hace el hábito más divertido. Además, es esencial el uso de seda dental para asegurar una limpieza completa”, comenta el director general de las clínicas Moonz. En suma, preparar un kit dental es altamente recomendable. Este kit debe incluir un cepillo de dientes adecuado para la edad del niño, una pasta dental con la cantidad de flúor adecuada (1.450 ppm para mayores de 6 años) y seda dental. Otros elementos útiles pueden ser un pequeño temporizador, un colutorio y un calendario de cepillado.

“Es importante cambiar el cepillo de dientes cada tres meses y una buena idea es hacerlo coincidir con los cambios de estación o de trimestre escolar. Podemos hacerles partícipes en la adquisición de estos productos para que sean de su gusto y les resulte más divertido”, finaliza el Dr. Javier Girón de Velasco. 

Pexels
Pexels

Haz brillar su supersonrisa

NUEVO SABOR JUNIOR menta suave &

Hasta 6 años A partir de 6 años

Cuida la salud bucodental de tu familia con Fluocaril

VUELTA AL COLE CON BUEN SABOR DE BOCA

Las gamas de Fluocaril Junior y Fluocaril Kids ayudan a prevenir la caries con su fórmula bifluorada y ofrecen un cepillado agradable para los más jóvenes.

Con el final de las vacaciones y la vuelta al colegio, las niñas y los niños afrontan un nuevo cambio de rutina. Ya no pasan tanto tiempo en compañía de sus familias y, especialmente, los estudiantes que almuerzan en comedores escolares deben ser más responsables con sus buenos hábitos de higiene bucal. Además, en ocasiones, pueden experimentar estrés o ansiedad por la vuelta a la actividad escolar, lo que puede generar patologías como el bruxismo, el rechinar excesivo de los dientes, generalmente durante el sueño nocturno.

El regreso del verano es también el momento de las revisiones odontológicas y de las recomendaciones que ayuden a niñas, niños y jóvenes a mantener una buena salud bucal durante el periodo escolar. Una de las preocupaciones habituales de las madres y padres es que sus hijas e hijos sean conscientes de la importancia de contar con unos hábitos adecuados de higiene bucal. Por lo tanto, es conveniente reforzar la educación aprovechando el final del desayuno o la noche para cepillarnos los dientes con ellos.

Una manera de ayudar a los progenitores en esta tarea es motivar a niñas y niños a través de juegos, cepillos de dientes con colores llamativos y pastas de dientes con sabores agradables a su paladar. En estas edades se suele ser más receptivo a la higiene bucal si el dentífrico presenta un sabor agradable y divertido.

Relanzamiento de Fluocaril Junior con nuevos sabores Con este fin, Fluocaril presenta un relanzamiento de su gama Junior para niñas y niños de 6 a 13 años. Junto a los sabores ya existentes de frutos rojos y chicle, se incorpora un nuevo sabor a menta suave. La elección no es casual, ya que, según una encuesta de Symrise*, son los tres sabores que cuentan con más aceptación por parte tanto de las niñas y niños como de sus madres y padres. La gama responde a las demandas principales de los padres respecto a los dentífricos que van a utilizar sus hijos: eficacia, seguridad y un sabor agradable para motivarles a lavarse los dientes. Las tres variedades cuentan con una fórmula mejorada siempre bifluorada con 1.450 ppm de flúor. Esta fórmula contiene dos tipos de flúor: el fluoruro de sodio, de acción inmediata que fortalece el esmalte dental y ayuda a prevenir las caries, y el monofluorofosfato de sodio, que protege a largo plazo gracias a la formación de un escudo que protege el esmalte dental de los ataques ácidos.

Se trata de una gama especialmente indicada para ayudar a fortalecer los dientes definitivos, con un 97% de ingredientes naturales y sin colorantes. Su fórmula bifluorada contiene un nivel de flúor adecuado para la edad, 145 mg, para fortalecer los primeros dientes definitivos ayudando a proteger los contra los ataques ácidos, para una protección duradera con un cepillado dos veces al día. Además, con este relanzamiento, se refuerza el compromiso con el medio ambiente con un nue vo tubo con un 20% de plástico reciclado para los dentífricos de los tres sabores. Para los más pequeños, entre 0 y 6 años se ha diseñado un producto específico, Fluocaril Kids Gel Sabor Fresa, con la proporción ideal de flúor para sus primeros dientes (1.000 ppm F) y con un sabor afrutado y dulce a fresa. Con una fórmula basada también en dos tipos de flúor, se recomienda utilizar una cantidad del tamaño de un grano de arroz para los niños de 2 años o menores, y el tamaño de un guisante para los niños mayores, siempre bajo la supervisión de un adulto con el objetivo de minimizar el riesgo de ingestión.

Fluocaril Junior y Fluocaril Kids mantienen las garantías de eficacia y de ayuda a la prevención de la caries para los más jóvenes gracias a la fórmula bifluorada en sus productos, les proporcionan una experiencia agradable en el cepillado de dientes gracias a sus sabores, y responden a las exigencias de las madres y los padres.

*Symrise (2020): question: Which of the following taste directions would your child like to have in his/her toothpaste?”; close-ended, multiple responde (%); base n=250 respondents (n3-5 y.o.)=100).

LAS CLAVES DE LA NUEVA LEY DE INFLUENCERS EN ESPAÑA

Teniendo en cuenta el impacto de las redes sociales en nuestra vida diaria, en este artículo te facilitamos todas las claves para conocer al detalle la nueva ley de influencers en España, además de hacer hincapié en los riesgos de la venta a través de plataformas online de productos sanitarios como alineadores dentales, blanqueamientos o férulas de descarga, cuya prescripción está reservada exclusivamente a un dentista, y alertar de los peligros de las modas estéticas –promovidas en muchas ocasiones por algunos influencers– para la salud bucodental.

En los últimos años, la difusión de contenidos y publicidad de tipo audiovisual a través de las redes sociales ha crecido exponencialmente, especialmente en el caso de vídeos generados por los propios usuarios y subidos a las plataformas por ellos mismos o mediante terceros. Destacan los co-

múnmente denominados «vloggers», «influencers» o «creadores de contenido», que gozan de una gran relevancia en el mercado audiovisual desde el punto de vista del consumo y la inversión publicitaria. Y muy particularmente entre el público más joven, sobre el que ejercen una notable influencia social.

siguiendo la evolución de la Odontología

Por este motivo, el Gobierno ha aprobado un reglamento con el objetivo de regular su actividad en dos ámbitos esenciales: la protección al menor y la difusión de contenidos publicitarios en coherencia con las normas europeas dictadas en los últimos años. Dicha norma define a estos usuarios de especial relevancia y regula su actividad, obligándoles, entre otros aspectos, a identificar de forma expresa la publicidad y a etiquetar el contenido por edades. De esta manera, se garantiza la observancia de la Ley General de Comunicación Audiovisual de 2022 para este tipo de contenidos, y se refuerza la protección a los consumidores en general. La norma fue aprobada por el Consejo de Ministros el 30 de abril a propuesta del Ministerio para la Transformación Digital y de la Función Pública. El ministro, José Luis Escrivá, ha destacado que “cada vez son más importantes los creadores de contenidos audiovisuales en las redes sociales, por lo que es necesario homologarlos en algunos aspectos con otros actores del ámbito audiovisual”.

¿Qué es un ‘influencer’?

Según la Real Academia Española (RAE) la palabra ‘influencer’ es un anglicismo usado en referencia a una persona con capacidad para influir sobre otras, principalmente a través de las redes sociales. Como alternativa en español, se recomienda el uso de 'influyente': Cómo ser un influyente en redes sociales. También serían alternativas válidas influidor e influenciador Un ‘influencer’ es alguien capaz de concitar atención y afectar a las decisiones de otros debido a su autoridad, conocimiento, posición o relación con su audiencia. Tiene seguidores en un nicho determinado, con quienes interactúa activamente. Esto los convierte, además, en activos importantes en el desarrollo de campañas de comunicación, publicidad o marketing. Los ‘influencers’ desarrollan su actividad en competencia con otros agentes del mercado audiovisual y publicitario, y reúnen ciertas características que los asimilan a prestadores de servicios de comunicación audiovisual. Por tanto, el nuevo reglamento busca extender sobre este colectivo ciertas obligaciones vigentes para el resto del sector, y garantizar así el equilibrio en el ecosistema audiovisual.

¿Cómo sé si soy un influencer?

La nueva norma aprobada por el Gobierno es de aplicación para quienes empleen servicios de intercambio de vídeo a través de plataforma y tengan la condición de «usuario de especial relevancia». Para ser considerado como tal, se deben cumplir los siguientes requisitos:

 El primero de ellos hace referencia a los ingresos. Éstos tendrán que ser iguales o superiores a 300.000 euros, y derivar exclusivamente de la actividad de los usuarios en el conjunto de servicios de intercambio de vídeos a través de plataforma que empleen. Para ello se tendrán en cuenta los ingresos publicitarios, los pagos realizados por las propias plataformas, las cuotas y pagos directos abonados por su audiencia, las aportaciones de entidades públicas y cualquier otro ingreso derivado de su actividad como creadores de contenido.

 El segundo tiene que ver con la audiencia, que ha de ser significativa. Concretamente, será considerado como usuario de especial relevancia aquel que tenga un número de seguidores igual o superior a 1.000.000 en un único servicio de intercambio de vídeos a través de plataforma; o un número de seguidores igual o superior a 2.000.000 de forma agregada en el conjunto de plataformas en las que desarrolle su actividad.

Pexels

EL IMPACTO DE LAS REDES SOCIALES EN LA SALUD BUCODENTAL

El Consejo General de Dentistas lleva años alertando a la población sobre los riesgos que conlleva comprar ciertos productos sanitarios en plataformas online, como blanqueamientos dentales, férulas de descarga para el bruxismo o alineadores dentales. “Es realmente preocupante cómo han proliferado estas empresas que se anuncian, sobre todo, en redes sociales, y que contratan a influencers sin ningún conocimiento sanitario para que promocionen estos artículos entre sus miles de seguidores”, expresa el Dr. Óscar Castro Reino, presidente del Consejo General de Dentistas. En este sentido, las clínicas están empezando a recibir pacientes con problemas graves en su boca por haberse aplicado tratamientos en casa sin la supervisión de un profesional. Esta es una tendencia promovida por algunas marcas que aprovechan para lanzar campañas de publicidad, con la complicidad en muchos casos de influencers, en las que venden tratamientos a un precio más reducido que en una clínica dental. Algunas de estas marcas, que operan sin autorización sanitaria, han sido denunciadas por el Consejo General de Dentistas de España por dispensar directamente al público productos (alineadores dentales, blanqueamientos dentales, férulas de descarga…) cuya prescripción está reservada exclusivamente a un dentista. Asimismo, en los últimos años estamos asistiendo a la proliferación de determinadas modas dentales y retos de algunos influencers, que pueden poner en peligro la salud de la población que sigue estas tendencias promovidas por personas que consideran “sus modelos”. Estas modas y retos virales –piercings, uso de dentífricos caseros, limarse los dientes, el “borrador mágico”, ejercitadores de mandíbula, etc.–que surgen en las redes sociales calan rápidamente en los sectores más jóvenes de la sociedad, incluso cuando suponen un riesgo para su salud.

 Por último, se deberá haber publicado o compartido un número de vídeos igual o superior a 24 en el año natural anterior, con independencia de su duración.

¿Cuáles son las obligaciones de estos usuarios? Cumpliendo con lo dispuesto en la Ley General de Comunicación Audiovisual, los creadores de contenido que cumplan los requisitos del apartado anterior quedan sujetos a las siguientes obligaciones:

 La prohibición de publicidad sobre tabaco. No se podrá realizar publicidad de cigarrillos electrónicos, cigarros, tabaco, hierbas para fumar, ni de las empresas que producen los productos referidos.

 La prohibición de publicidad sobre medicamentos, productos sanitarios o métodos con pretendida finalidad sanitaria, cuando no respete la normativa sobre publicidad y promoción comercial aplicable a este sector.

 La regulación de la publicidad de alcohol. Queda prohibido publicitar cualquier producto que sobrepase los 20 grados de alcohol en cualquier horario fuera de la franja entre la 01:00 y las 05:00 de la madrugada. Sí podrá hacerse publicidad de bebidas alcohólicas de una graduación menor a los 20º entre las 20:30 y las 05:00. Además, se contemplan otras limitaciones sobre el contenido de esta publicidad, que no podrá dirigirse a menores, asociar el consumo de alcohol la éxito social o personal, o fomentar un consumo sin moderación.

 La regulación de los juegos de azar. Se prohíbe la publicidad de las apuestas y los juegos de azar en toda programación dirigida a una audiencia potencialmente infantil. En el resto de los casos, solo podrá emitirse, por norma general, entre la 1:00 y las 5:00 de la madrugada.

 La protección a las personas menores de edad. Será necesario etiquetar el contenido por edades.

 Finalmente, el Real Decreto obliga a los usuarios de especial relevancia a inscribirse en el «Registro estatal de prestadores del servicio de comunicación audiovisual, de prestadores del servicio de intercambio de vídeos a través de plataforma y de prestadores del servicio de agregación de servicios de comunicación audiovisual», previsto en el artículo 39 de la Ley General de Comunicación Audiovisual. Para ello se dispone un plazo de dos meses a partir del 2 de mayo de 2024. 

Pexels

SANIDAD ACTUALIZA LOS SERVICIOS COMUNES DE ATENCIÓN

BUCODENTAL DEL SNS

El Boletín Oficial del Estado (BOE) ha publicado la Orden SND/606/2024, de 13 de junio, por la que el Ministerio de Sanidad modifica diferentes anexos del Real Decreto 1030/2006, de 15 de septiembre, que actualiza la cartera de servicios comunes del Sistema Nacional de Salud (SNS), entre los que se incluyen los correspondientes al área de salud bucodental.

La Orden SND/606/2024, de 13 de junio, establece que la salud bucodental “comprende el conjunto de actividades diagnósticas, terapéuticas y de prevención de la enfermedad, así como aquellas de promoción y de educación para la salud, dirigidas a la mejora de la salud bucodental de la población. Los equipos o unidades de salud bucodental estarán formados por odontólogos, estomatólogos, técnicos superiores en higiene bucodental y/o técnicos auxiliares en cuidados de enfermería que desarrollarán sus actuaciones de acuerdo a con las competencias profesionales reguladas en la normativa vigente”.

Estos equipos actuarán de manera coordinada y protocolizada con el resto de profesionales del Sistema Nacional de Salud de acuerdo con la organización de cada servicio de salud, y además desarrollarán, junto con otros recursos y apoyos, acciones comunitarias para la salud.

La atención a la salud bucodental en atención primaria ofrecerá a toda la población: información y difusión, con perspectiva de curso de vida, sobre las medidas básicas higiénicas y dietéticas necesarias para alcanzar y mantener la salud bucodental, junto con instrucciones y recomendaciones sanitarias individualizadas; consejo odontológico; tratamiento de procesos agudos odontológicos; tratamiento farmacológico de la patología bucodental que lo requiera; exodoncias, exodoncias quirúrgicas y cirugía menor de la cavidad oral; detección precoz de lesiones premalignas y, en su caso, biopsia de lesiones mucosas; educación sanitaria para la autoexploración de la cavidad oral en la búsqueda de lesiones de sospecha de malignidad. Adicionalmente, a la población infantil y juvenil desde el nacimiento hasta los 14 años, inclusive, se le facilitarán, cuando estén indicadas, determinadas actuaciones. También se incluyen las actuaciones ofrecidas a las mujeres embarazadas, a las personas mayores de 14 años con discapacidad intelectual o con una discapacidad limitante de la movilidad de los miembros superiores. 

EL CONSEJO DE MINISTROS AUTORIZA LA DISTRIBUCIÓN DE 172 MILLONES DE EUROS PARA ATENCIÓN PRIMARIA

El Consejo de Ministros ha aprobado la propuesta de distribución de los créditos correspondientes al ejercicio económico 2024, por importe total de 172.425.000 euros, en materia de Atención Primaria. La intención es dar continuidad al Marco Estratégico para la Atención Primaria y Comunitaria, financiando aquellas actuaciones destinadas al fortalecimiento de la Atención Primaria y encuadrables en alguna de las siguientes temáticas:

 Formación de profesionales sanitarios y no sanitarios relacionada con la mejora de la capacidad de resolución del ámbito de la Atención Primaria y Comunitaria.

 Implementación de las recomendaciones recogidas en las Estrategias en Salud del SNS en este ámbito asistencial.

 Implementación de las recomendaciones «No hacer» en este ámbito asistencial.

 Promoción de estrategias de intervención específicas destinadas a personas con condiciones de salud y limitaciones en la actividad de carácter crónico, situaciones de especial complejidad y/o pluripatología con especial atención a la gestión de casos y la atención domiciliaria.

 Actuaciones para implantar modelos de gestión integral de la demanda, optimización de procesos y mejora de la coordinación entre niveles asistenciales, atención sociosanitaria y atención social.

 Desarrollo de las estrategias autonómicas de Salud Comunitaria.

 Desarrollo de acciones que fomenten la participación y el empoderamiento del paciente en su proceso asistencial.

 Adquisición de equipamiento diagnóstico, terapéutico y no clínico.

 Desarrollo de herramientas digitales y de informatización.

 Adecuación de las infraestructuras de los centros de salud/consultorios/puntos de atención continuada/salas de radiología/fisioterapia/urgencias.

 Adquisición de herramientas digitales y licencias de programas relacionados con la mejora de la capacidad de resolución de la Atención Primaria, optimización de los procedimientos administrativos, coordinación con otros niveles asistenciales, mejora de la gestión o implantación de modelos de gestión integral de la demanda. 

Pexels

LA UNIVERSIDAD COMPLUTENSE, LA UNIVERSIDAD DE SANTIAGO Y LA UNIVERSIDAD INTERNACIONAL DE CATALUÑA,

LAS ESPAÑOLAS MEJOR POSICIONADAS EN ODONTOLOGÍA EN EL RANKING DE SHANGHÁI 2024

Según los datos recientemente publicados del Ranking Académico de Universidades del Mundo 2024, también conocido como “Ranking de Shanghái”, son tres universidades estadounidenses (Universidad de Michigan-Ann Arbor, Universidad de Harvard y Universidad de California, San Francisco) las que lideran este ranking en el ámbito de la Odontología.

Estados Unidos también es el país que lidera esta clasificación en todo su conjunto, aunque China avanza posiciones año tras año. Por lo que se refiere a las universidades es -

pañolas presentes en este ranking, las mejor posicionadas en el ámbito de la Odontología son: la Universidad Complutense de Madrid (UCM), que ocupa el puesto 76 de la clasificación; la Universidad de Santiago de Compostela, en el puesto 142; y la Universidad Internacional de Cataluña (UIC), en el puesto 163. No obstante, también están presentes en la clasificación otras universidades españolas como la Universidad de Granada, la Universidad Rey Juan Carlos, la Universidad de Barcelona, la Universidad de Sevilla y la Universidad de Valencia. 

LA FUNDACIÓN CYD PONE EN VALOR EL COMPROMISO SOCIAL DE LAS UNIVERSIDADES ESPAÑOLAS

La Fundación CYD ha publicado “Universidades socialmente comprometidas: ¿cuál es su papel ante los retos sociales?”, un análisis, realizado a partir de una encuesta dirigida a las universidades españolas, que tiene como objetivo poner en valor el compromiso de la universidad con la igualdad, la inclusión, la promoción de la salud y frente a la discriminación y el acoso.

Las 74 universidades españolas que han participado en el estudio, 46 públicas y 28 privadas, han respondido a preguntas acerca de las medidas dirigidas a promover la igualdad de género, las acciones y protocolos frente a las denuncias por discriminación y acoso, la inclusión de las personas con discapacidad y disposición de becas, y la promoción de la salud física y mental. Destacan las iniciativas de las universidades Autónoma de Madrid, Sevilla, Lleida, Málaga y Zaragoza, seleccionadas por su desempeño en estos ámbitos.

Según este estudio, el 97,30% de las universidades incorpora políticas de igualdad de género y dispone de comités, oficinas o responsables de diversidad e igualdad. Y cerca del 95% de las universidades implementa políticas contra la discriminación y el acoso. 

Pexels

PRECARIEDAD LABORAL Y EMIGRACIÓN, CONSECUENCIAS DE LA PLÉTORA PROFESIONAL EN ODONTOLOGÍA

La Odontología en España se enfrenta a una situación crítica que afecta tanto a los profesionales en ejercicio como a los recién graduados que quieren ingresar en el mercado laboral. El aumento en la oferta educativa, sumado a la baja calidad del empleo y el incremento del desempleo en el sector, ha generado un entorno laboral difícil, empujando a muchos profesionales a buscar oportunidades en el extranjero.

Según datos del Ministerio de Ciencia, Innovación y Universidades, para el curso académico 2024/25, las universidades españolas ofertarán un total de 2.742 plazas para el Grado de Odontología, un 2,2% más que el curso pasado. Este aumento, aunque leve, se concentra mayoritariamente en las 14 universidades privadas que disponen de esta titulación, que ofrecen 55 plazas adicionales, alcanzando un total de 1.862 plazas, en comparación con las 880 plazas de las 13 universidades públicas.

“Este crecimiento continuo en la oferta educativa no se corresponde con una demanda similar en el mercado laboral, lo que está llevando a una saturación del sector”, ha explicado el Dr. Óscar Castro, presidente del Consejo General de Dentistas, quien pone el foco en cómo la falta de oportunidades laborales y la precariedad en las condiciones de trabajo para los recién graduados han aumentado el desempleo y la insatisfacción profesional.

“Muchos jóvenes odontólogos se encuentran sin opciones claras dentro del país, con contratos temporales, salarios bajos y una competencia feroz por los pocos puestos de trabajo disponibles, casi todos además en el ámbito privado porque casi no se ofertan plazas en la sanidad pública pese al Plan de Salud Bucodental del Gobierno”, ha argumentado.

Ante este panorama, cada vez más odontólogos deciden emigrar en busca de mejores oportunidades. Desde 2018 hasta diciembre de 2022, el Consejo General de Dentistas ha emitido aproximadamente 3.800 certificados de buena conducta, un requisito indispensable para poder ejercer en el extranjero. Estos certificados han sido solicitados en su mayoría para trabajar en países como Francia, Italia, Alemania y los Países Bajos.

El número de certificados emitidos ha ido en aumento constante: 774 en 2020, 895 en 2021 y 939 en 2022, lo que demuestra una clara tendencia hacia la emigración como solución a la falta de oportunidades en España. Sin embargo, el número de dentistas colegiados no para de crecer. Según los últimos datos disponibles del Instituto Nacional de Estadística, pertenecientes al año 2023, en España hay 42.075 dentistas colegiados. Para poner esta cifra en perspectiva, basta con echar la vista atrás: son 9.630 profesionales más que hace diez años (2013), un incremento del 29,7%, y 24.537 más que en el año 2000 (un incremento del 139,9%), donde se registraron 17.538 profesionales.

El Dr. Castro considera que el aumento en la oferta de plazas universitarias debe ir acompañado de una estrategia que garantice la inserción laboral de los egresados, evitando la saturación del mercado y asegurando unas condiciones laborales dignas. “De lo contrario, seguiremos perdiendo talento cualificado, que optará por desarrollar su carrera profesional en otros países, y seremos vulnerables a cuestiones tan críticas como la publicidad engañosa o la guerra de precios con algo tan serio como la salud”, concluye. 

EL TRIBUNAL SUPREMO FRENA DE MANERA CAUTELAR EL TRASPASO DE COMPETENCIAS EN MATERIA DE HOMOLOGACIÓN AL PAÍS VASCO

Hacemás de tres meses el Consejo General de Dentistas presentó un recurso contencioso-administrativo contra el Real Decreto (RD) 366/2024, mediante el cual se cedían al País Vasco las competencias de homologación de títulos universitarios, entre los que se encuentra el de odontólogo. En el recurso, admitido a trámite por la Sala Tercera del Tribunal Supremo (TS), la Organización Colegial solicitó la adopción de medidas cautelares, consistentes en la suspensión inmediata del RD impugnado. Ahora, el TS considera procedente adoptar la medida cautelar instada por el Consejo General de Dentistas -y por varios Consejos Sanitarios que también habían recurrido-, por lo que dicho RD queda

suspendido hasta que se resuelvan los recursos presentados. Así, la efectividad de la transferencia de competencias de homologación de títulos universitarios, que entró en vigor el 1 de julio, queda suspendida de forma cautelar.

La homologación de títulos, tal y como se establece en la Constitución y en el RD 889/2022, de 18 de octubre, son del Estado, con la receptiva participación de los Consejos Generales, a través de la emisión de informes a las solicitudes de homologación de títulos extranjeros. Por tanto, además de la posible falta de competencia autonómica, el traspaso al País Vasco de estas competencias supondría un incumplimiento de este reconocimiento expreso a los Consejos Generales. 

MEDIDAS PARA LA PROTECCIÓN DEL PERSONAL SANITARIO POR

EL BROTE DE MPOX

La OMS ha vuelto a declarar la emergencia de salud pública de importancia internacional por el brote de Mpox en África y su potencial difusión dentro y fuera de continente africano. Desde la Consejería de Sanidad de la Comunidad de Madrid han publicado un documento de “Medidas para la Protección del Personal Sanitario”, en el que se incluyen las siguientes recomendaciones:

1. Todos los centros sanitarios han sido informados de la necesidad de recordar a los profesionales que atienden a pacientes en investigación o confirmados de Mpox que deben utilizar medidas de precaución de transmisión por contacto y en caso de tener clínica respiratoria, por gotas.

2. Todos los profesionales que realizan su actividad en un centro sanitario deben conocer y aplicar las precauciones estándar.

EL

CONSEJO

DE

3. El centro sanitario dispone de material de protección necesario para el personal.

Vacunas de Mpox a África

La Emergencia de Salud Pública de Interés Internacional de Mpox tiene su epicentro en varios países del centro de África y el Ministerio de Sanidad considera fundamental actuar en esa región para poder contener la situación actual de una manera sólida y firme, de modo que no se repita la situación de 2022-2023 en la que la emergencia internacional se cerró en falso.

Por esa razón, España ha comunicado a la Comisión Europea que va a aportar para su donación un 20% de su ‘stock’ de vacunas, esto es, 100.000 viales que darían para vacunar con 500.000 dosis.

La Comisión Europea ha anunciado que donará 215.000 vacunas. Se cree que hacen falta unos 2 millones de viales para poder vacunar, con unos 10 millones de dosis para contener la situación actual. El Gobierno de España insta a la Comisión Europea a hacer extensivo a todos los Estados miembros la propuesta de donar el 20% de su ‘stock’ de vacunas para hacer frente a la situación actual. 

MINISTROS APRUEBA

LA MODIFICACIÓN DEL REAL DECRETO PARA LA PREVENCIÓN Y EL CONTROL DE LA LEGIONELOSIS

El Consejo de Ministros aprobó el 2 de julio una modificación del Real Decreto que establece los requisitos sanitarios para la prevención y control de la legionelosis. La actualización tiene como objetivo principal mejorar la seguridad y claridad en la gestión de las instalaciones que utilizan agua y pueden producir aerosoles, reduciendo así el riesgo de legionelosis para la población.

La norma introduce cambios en varios artículos clave del Real Decreto original. Uno de ellos es la redefinición del concepto de “titular de la instalación”, ampliando su alcance para incluir no solo a los propietarios, sino también a los explotadores de las instalaciones, garantizando así una mayor seguridad en la responsabilidad del cumplimiento normativo.

Además, el artículo 5 ha sido revisado para especificar que, en caso de que la instalación sea operada por una entidad distinta al propietario, la responsabilidad del cumplimiento de las obligaciones recaerá en la persona explotadora, a menos que se pueda demostrar lo contrario documentalmente.

Otro cambio relevante es la actualización del artículo 11, que ahora exige que la toma de muestras para la determinación de Legionella se realice exclusivamente por entidades o empresas acreditadas según la Norma UNE-EN-ISO/IEC 17025:2017. Esta medida asegura que los procedimientos de muestreo se lleven a cabo con la máxima calidad y precisión, permitiendo un control más eficaz de la legionelosis. Se concede un periodo transitorio hasta el 1 de enero de 2030 para que las empresas obtengan dicha acreditación. Además, se flexibiliza la gestión del agua en ciertas instalaciones, permitiendo la recirculación sin vaciado total en determinados casos, siempre que no se comprometa la salud pública, facilitando así una gestión más eficiente en términos económicos y energéticos. El proceso de elaboración de esta norma ha incluido los trámites de audiencia e información pública y se han recabado los informes pertinentes, asegurando la participación de los sectores potencialmente afectados y las comunidades autónomas. 

Pexels

LA FDI PUBLICA UN INFORME SOBRE LAS NECESIDADES DE SALUD BUCODENTAL DE LOS REFUGIADOS

La Federación Dental Internacional (FDI) ha publicado un informe de políticas sobre las necesidades de salud bucodental de los refugiados, desarrollado en colaboración con el Alto Comisionado de las Naciones

Unidas para los Refugiados (ACNUR). Este documento integral describe los desafíos críticos y ofrece recomendaciones estratégicas para garantizar servicios esenciales de salud bucodental para los refugiados.

Bajo el título “Abordar las necesidades de salud bucal de los refugiados: políticas y estrategias de colaboración”, el documento destaca la necesidad urgente de realizar esfuerzos concertados para abordar los desafíos de salud bucal que enfrentan los refugiados.

A mediados de 2023, la población mundial de refugiados alcanzó los 36,4 millones, duplicándose en siete años. Los refugiados, a menudo alojados en países de ingresos bajos y medios, enfrentan barreras importantes para acceder a la atención médica, incluidos los servicios de salud bucal. Estas barreras incluyen recursos limitados, desplazamientos, diferencias culturales y de idioma y escasez de profesionales de la salud capacitados.

Desafíos críticos y recomendaciones estratégicas

El informe de políticas de la FDI identifica varias cuestiones críticas que afectan la salud bucal de los refugiados:

 Alta carga de enfermedades bucales: los refugiados experimentan altas tasas de caries dental, enfermedades periodontales, infecciones bucales y traumatismos no tratados.

 Impacto en la calidad de vida: la mala salud bucodental afecta la capacidad de los refugiados para comer, hablar y socializar, lo que plantea obstáculos para la integración y el reasentamiento.

 Tensión económica: los problemas de salud bucal no tratados aumentan la demanda de intervenciones dentales de emergencia y mayores costos de atención médica para los países anfitriones.

Para abordar estos desafíos, el informe de políticas de la FDI propone integrar la salud bucal en los sistemas de atención primaria de salud y los marcos de cobertura sanitaria universal (CSU). “Esta integración garantizaría que los refugiados reciban atención médica bucal integral, reduciendo los costos de atención médica a largo plazo y mejorando los resultados de salud generales”, apuntan desde la FDI.

Políticas recomendadas

El documento ofrece recomendaciones específicas para diferentes fases de emergencia:

 Mitigación y preparación: incluir la salud bucodental en los sistemas de atención primaria de salud, aumentar el apoyo y la financiación y desarrollar programas de atención de salud bucal culturalmente apropiados.

 Respuesta de emergencia: garantizar que la salud bucodental esencial sea parte de la respuesta de emergencia inicial, priorizar el manejo y la prevención de enfermedades e integrar la atención de salud bucodental en los programas de salud pública establecidos.

 Post-Emergencia: establecer mecanismos de recopilación de datos y empoderar a las comunidades de refugiados para que participen en la planificación y promoción de la atención médica. 

FENIN TRANSMITE A LA MINISTRA DE SANIDAD SU COLABORACIÓN PARA INCORPORAR AL SNS TECNOLOGÍAS SANITARIAS INNOVADORAS

La Federación Española de Empresas de Tecnología Sanitaria (Fenin) ofrece su colaboración a la ministra de Sanidad, Mónica García, para favorecer la incorporación de tecnologías sanitarias innovadoras al Sistema Nacional de Salud de forma sostenible. Así se lo han trasladado recientemente miembros de la Junta Directiva de Fenin en una reunión institucional que han mantenido en la sede del ministerio. Durante el encuentro, Fenin ha subrayado el compromiso permanente de este sector para desarrollar soluciones tecnológicas innovadoras que mejoren la salud y calidad de vida de los pacientes, contribuyendo en la eficacia y la sostenibilidad del Sistema Nacional de Salud (SNS). “La industria de tecnología sanitaria es aliada de la Administración y motor económico del país. Las

innovaciones tecnológicas están presentes en todo el proceso asistencial y son determinantes para alcanzar los mejores resultados en salud, y lo serán todavía más en la construcción de un sistema sanitario de futuro más eficiente, sostenible y digital”, ha manifestado Lourdes López, vicepresidenta de la Federación. Por su parte, la ministra de Sanidad, Mónica García, ha indicado que “la colaboración entre la industria que representa Fenin y el Ministerio debe poner la mirada en la apuesta por los productos de alto valor añadido y la tecnología más avanzada. Además, coincidimos en nuestro compromiso por la sostenibilidad del sistema y modelos orientados a los pacientes. Para este Ministerio esta colaboración tiene especial relevancia de cara a los planes INVEAT y AMAT-I”. 

LA EFP LANZA LA CAMPAÑA “EL VIAJE HACIA UNA SONRISA SALUDABLE”

La EFP lanza su campaña “El viaje hacia una sonrisa saludable”, una iniciativa dirigida a pacientes y dentistas sobre la importancia de la salud de las encías y estrategias de motivación efectivas esenciales para involucrarlos activamente y ayudarlos a lograr y mantener una sonrisa saludable, ya que adoptar un estilo de vida saludable puede conducir a una mejor salud bucal y general.

Las elecciones de estilo de vida afectan significativamente la salud bucal y una vida saludable. La sonrisa es más que un simple activo estético: es un indicador clave de la salud general. Condiciones como la gingivitis y la periodontitis pueden tener impactos de gran alcance, afectando sólo la boca, sino a todo el cuerpo, por lo que una buena higiene bucal es esencial.

El Profesor William Papaioannou, experto del comité de proyectos de la EFP, afirma que “como Federación y como profesionales de la salud bucal, tenemos el poder de transformar vidas guiando a nuestros pacientes hacia sonrisas más saludables y mejor salud general. Juntos, podemos lograr un impacto significativo en su viaje hacia una sonrisa saludable y aumentar considerablemente su calidad de vida”. Chequeos médicos periódicos, incluido el control de los niveles de glucosa y la presión arterial, junto con las visitas dentales de rutina, desempeñan un papel crucial en el mantenimiento de la salud tanto bucal como general. Estas prácticas ayudan a detectar problemas potenciales de manera temprana y garantizar que las personas permanezcan en realizar un seguimiento de sus objetivos de salud.

Las principales enfermedades bucales (caries y periodontitis) afectan a casi la mitad de los habitantes del mundo.población, más de 3.600 millones de personas, superando la carga de las enfermedades no transmisibles más comunes.Enfermedades no transmisibles (ENT) como diabetes, trastornos mentales, cáncer,enfermedades cardiovasculares y enfermedades respiratorias crónicas, que en conjunto alcanzan el 2,5mil millones de personas. De hecho, un hecho importante es que la periodontitis grave (la principalmotivo de la pérdida de dientes en adultos) es la sexta enfermedad más común en general.

Con el apoyo de Meridol, la EFP lanza la campaña “El viaje hacia una sonrisa saludable”, con el objetivo de promover la concienciación sobre la salud bucal y mejores prácticas para ayudar a la sociedad a comprender la gingivitis y la periodontitis, explicar factores de riesgo e implicaciones generales para la salud de las encías, y brindar consejos prácticos para incluir comportamientos saludables en las rutinas diarias. Las estrategias de motivación efectivas son esenciales para involucrar y ayudar activamente a los pacientes a lograr y mantener una sonrisa saludable, aseguran desde la EFP. 

SEDAO COLABORA CON EL CONSEJO EN LA ELABORACIÓN

DE UNA GUÍA SOBRE EL USO DE LA RADIOLOGÍA EN ODONTOLOGÍA

La Sociedad Española de Armonización Orofacial (SEDAO) anuncia su colaboración con el Consejo General de Colegios de Odontólogos y Estomatólogos de España (CGCOO) en la elaboración de “Compilación del uso de la radiología en odontología”. Esta completa obra, que será publicada próximamente, tiene como objetivo convertirse en una referencia esencial para los profesionales de la odontología en materia de radiología dental.

Radiografía, ultrasonido, ecografía y TAC: un conjunto de herramientas para la armonización orofacial

Cada una de las técnicas de imagenología (radiografía, ultrasonido, ecografía y TAC) ofrece ventajas específicas para la armonización orofacial, entre las que la SEDAO destaca:

 Radiografía: permite visualizar los huesos del rostro, incluyendo el maxilar, la mandíbula y los senos paranasales.

 Ultrasonido: es útil para evaluar los tejidos blandos, como músculos, grasa y glándulas.

 Ecografía: brinda imágenes en tiempo real del rostro, lo que permite observar el movimiento de los músculos y la dinámica facial.

 TAC: ofrece imágenes tridimensionales detalladas de todas las estructuras del rostro, lo que la convierte en una herramienta invaluable para procedimientos complejos. 

NUEVA JUNTA DIRECTIVA DE LA UNIÓN DE COLEGIOS PROFESIONALES

DE HIGIENISTAS DENTALES DE

ESPAÑA

El 4 de julio se celebraron elecciones a la Junta Directiva de la Unión de Colegios Profesionales de Higienistas Dentales de España. Por unanimidad el Colegio Profesional de Higienistas Dentales de Madrid, representado por D. César Calvo Rocha, asumió la presidencia de la Unión, y el Colegio Profesional de Higienistas Dentales de la

Comunidad de Aragón, representado por su presidenta, Dª. Rosa Mª Tarragó Gil, la vicepresidencia.

Se mantienen en los cargos de tesorería el Colegio Profesional de Higienistas Dentales de la Comunidad Valenciana, representado por Dª. Amparo Carrascosa Bengoechea, y en el cargo de secretaría el Colegio Profesional de Higienistas Dentales de Extremadura, representado por Dª Maria Jose Campos Expósito.

Finalmente, como vocales, fueron elegidos los Colegios Profesionales de Higienistas Dentales de Castilla la Mancha, Galicia y Cataluña, representados por Dª. Merián Fernández Román, D. Francisco Javier Pardo Otero y Dª. Montserrat Conil Codina respectivamente.

La Unión de Colegios Profesionales de Higienistas Dentales de España nació con la finalidad de ser la voz del colectivo de higienistas dentales, promocionar la función sanitaria de la profesión, y coordinar actuaciones colegiales con otras entidades e instituciones. La nueva Junta Directiva se compromete a dar continuidad a estos objetivos y establecer líneas de trabajo de comunicación, colaboración y coordinación con organizaciones y administraciones, para seguir defendiendo los intereses del colectivo y poner en valor la figura del higienista dental. 

MÁS DE 1.600 MAYORES DE 80 AÑOS SE BENEFICIAN

DEL PLAN DE SALUD BUCODENTAL DE LA COMUNIDAD DE MADRID

La Comunidad de Madrid ha cubierto gratuitamente tratamientos a 1.628 mayores de 80 años desde el estreno del Plan de Salud Bucodental el pasado 27 de febrero, que cuenta con una inversión del Ejecutivo autonómico de 16 millones de euros anuales. Cada beneficiario de esta prestación pública se ha ahorrado de media 290 euros en este primer trimestre en vigor, habiéndose subvencionado 2.982 procesos odontológicos, 1.270 de ellos de prótesis, y el resto han sido grandes reconstrucciones u obturaciones. El Gobierno regional despliega esta iniciativa en colaboración con el Colegio de Odontólogos y Estomatólogos de la Primera Región (COEM). Para ello, el interesado debe pedir cita en su centro de salud y acudir a una de las 86 Unidades de Salud Bucodental ubicadas en los complejos del primer nivel asistencial. Tras una exploración, el profesional indica el tratamiento que precisa el paciente: falta de piezas (edentulismo) o lesiones provocadas por caries. A continuación, se le deriva a la clínica que elija libremente entre las que participan en el convenio.

La Comunidad de Madrid también cuenta, desde hace ocho años, con un programa específico, con 2 millones de euros de inversión, para sufragar estas mismas necesidades de niños con edades entre 7 a 16 años, como por ejemplo endodoncias. En todo este tiempo, los dentistas han pasado consulta a 70.196. De media, ha supuesto a cada familia un ahorro de 212 euros. Y los menores con diversidad funcional física o psíquica reconocida oficialmente que necesitan sedación, son atendidos en el Hospital público Infantil Universitario Niño Jesús de la capital.

La Comunidad de Madrid ofrece asistencia bucodental a toda la población a través de las Unidades especializadas de los centros de salud, mediante cita directa con el dentista que tiene asignado. En ellas trabajan 322 profesionales, entre dentistas, higienistas dentales y enfermeros de apoyo, que durante el pasado año pasaron más de 900.000 consultas.

Desde estos dispositivos se llevan a cabo tratamientos a la población infantojuvenil, así como servicios de cirugía menor de la cavidad bucal. También realizan actividades preventivas y participan de forma activa con los centros educativos. 

CONGRESO NACIONAL DE HIGIENISTAS BUCODENTALES

2 O

EUROPEAN MEETING

Oviedo 2024

Palacio de Congresos Calatrava 4 y 5 de octubre

DESCARGA TODA LA INFORMACIÓN DE ESTE EVENTO EN TU MÓVIL

Patrocina

LA INTELIGENCIA ARTIFICIAL REVOLUCIONA LA ODONTOLOGÍA DESDE SEVILLA

Sevilla se convertirá el próximo mes de octubre en el epicentro de los avances en inteligencia artificial aplicada a la Odontología gracias al Congreso Clínico-Científico que celebrará la Sociedad Española de Prótesis Estomatológica y Estética (SEPES), del 10 al 12 de octubre de 2024 en el Palacio de Congresos y Exposiciones, Fibes. Este evento, que fue presentado por el presidente de SEPES, el Doctor Guillermo Pradíes, y su vicepresidente, el Doctor Rafael Martínez de Fuentes -que es además el presidente del Congreso-, el pasado 25 de junio junto al Alcalde de Sevilla, José Luis Sanz, es uno de los más destacados y multitudinarios del sector odontológico en España, congregará a más de 3.000 profesionales, incluyendo a 85 ponentes de más de 15 nacionalidades diferentes, y más de medio centenar de las empresas más importantes del ámbito dental tanto a nivel nacional como internacional.

Bajo el lema “Protocolos para la práctica clínica”, el congreso abordará una amplia variedad de temas relevantes para la comunidad odontológica. Entre ellos, destaca el papel revolucionario que la inteligencia artificial (IA) está comenzando a desempeñar en el campo de la odontología, un tema que se abordará en varias de las ponencias programadas.

Así lo señala, el presidente del Congreso, que apunta que “la inteligencia artificial está revolucionando el campo de la adontología y será un tema central en varias de las ponencias de SEPES Sevilla. En el congreso se presentarán los nuevos escáneres digitales que incorporan inteligencia artificial, lo que facilita la detección de caries sin hacer radiografías. También temas como el uso de algoritmos para el diagnóstico precoz de enfermedades bucodentales, la planificación de tratamientos mediante software de inteligencia artificial, los avatares y la robótica serán objeto de análisis y debate durante tres días en nuestra ciudad”.

Sevilla se convierte una vez más en un punto neurálgico de innovación y conocimiento, acogiendo este evento que no solo impulsa el intercambio de ideas y experiencias entre profesionales, sino que también contribuye significativamente a la economía local, con un impacto económico estimado de 3 millones de euros. El congreso servirá de plataforma para presentar los últimos avances en inteligencia artificial aplicados a la odontología, desde diagnósticos más precisos hasta tratamientos personalizados, optimizando así la atención al paciente y mejorando los resultados clínicos.

A pesar de que los orígenes de la IA se remiten a los años 1950 con Turing y Mc Carthy es durante estos últimos 10 años cuanto la inteligencia artificial se está posicionando como una herramienta clave en la transformación digital en el mundo y por supuesto en la medicina y la odontología moderna. Durante el congreso, expertos de renombre internacional compartirán sus conocimientos sobre cómo esta tecnología está cambiando la forma en que los profesionales de la odontología abordan su práctica diaria. Temas como el uso de algoritmos para el diagnóstico precoz de enfermedades bucodentales, la planificación de tratamientos mediante software de inteligencia artificial y la robótica serán objeto de análisis y debate.

SEPES Sevilla congregará a más de 3.000 profesionales, incluyendo a 85 ponentes de más de 15 nacionalidades diferentes, y más de medio centenar de las empresas más importantes del ámbito dental tanto a nivel nacional como internacional

Entre los conferencistas invitados se encuentran representantes de dos de las sociedades más influyentes de Europa: la Digital Dentistry Society (DDS) y la European Prosthodontic Association (EPA). Estas organizaciones liderarán dos importantes simposios centrados en la “Digitalización y prostodoncia”, donde intervendrán renombrados expertos internacionales especializados en estos temas.

En este sentido, el programa del congreso recoge además las ponencias Odontología de precisión: “Cómo transformar implantes dentales con tecnología digital y la IA”, impartida por la doctora Phophi Kamposiora; “Avatares en odontología: cómo la tecnología redefinirá el futuro de nuestra profesión”, por parte del doctor Miguel Stanley; o “Rediseño de la sonrisa usando un flujo de trabajo digital moderno”, impartida por el doctor Nazariy Mykhaylyuk. El Congreso Clínico-Científico de SEPES es una cita ineludible para los profesionales que buscan estar a la vanguardia de la práctica odontológica. La relevancia de los temas tratados, junto con la calidad y la diversidad de los ponentes, garantizan que esta edición sea un referente en el sector. Con Sevilla como escenario, este evento reúne los últimos avances científicos en odontología, mostrando cómo la inteligencia artificial, la robótica y el trabajo en la nube están redefiniendo los estándares de calidad y eficiencia en los tratamientos dentales. 

AESOR CELEBRARÁ SU 29ª REUNIÓN ANUAL LOS DÍAS 4 Y 5

DE OCTUBRE EN MADRID

La 29ª Reunión Anual de AESOR (Asociación Española de Ortodoncistas) es un evento anual clave para el sector que, en esta ocasión, se celebrará los días 4 y 5 de octubre, en el Hotel Puerta de América de Madrid.

Este evento reúne a expertos, profesionales, estudiantes y líderes de la industria en un espacio de colaboración y aprendizaje, marcando un hito en la búsqueda de innovación y excelencia en la ortodoncia. En esta edición, serán los expertos en ortodoncia, los doctores Susana Palma y Francisco Llerena, quienes compartirán su expertise y conocimientos en los ámbitos en los que son especialistas.

Programa de eventos

El viernes 4 de octubre, a partir de las 15h, la Dra. Susana Palma abrirá el evento con una ponencia en la que promete arrojar luz sobre la utilización de alineadores en niños pequeños para la corrección de maloclusiones y la rehabilitación de la función masticatoria. Esta charla continuará a las 18.30h, justo después de la Asamblea General de AESOR, que se celebrará a las 17.30h. La primera jornada, cerrará con el Ortobeer Fest, espacio que servirá como encuentro entre todos los miembros y compañeros de AESOR para disfrutar de una agradable charla amenizada con un aperitivo, tras una jornada tan interesante de Ciencia.

En la jornada del sábado 5 de octubre por la mañana, será el turno del doctor Francisco Llerena, que protagonizará una ponencia en la que se abordará la dirección y gestión de una clínica. En esta charla, que finalizará a las 13.30h, expondrá la manera de convertir una clínica dental en una máquina perfectamente engrasada, y realizará un análisis de la situación y definición de objetivos.

El plazo de inscripción a la 29ª Reunión Anual de AESOR finaliza el próximo el 19 de septiembre y puede realizarse a través de su página web en el siguiente enlace: https://aesor.org/inscripcion 

NUEVO CURSO

LEARNINGSALUGRAFT SOBRE EL “MANEJO DE TEJIDOS DUROS Y BLANDOS ALREDEDOR DE DIENTES

E IMPLANTES”

Desde LearningSalugraft presentan el nuevo curso “Manejo de tejidos duros y blandos alrededor de dientes e implantes”, con los doctores Alberto Ortiz-Vigón y Erik Regidor como ponentes. El curso se celebrará el próximo 25 de octubre en el centro de formación de Periocentrum Academy Bilbao.

En el curso teórico-práctico se revisarán técnicas avanzadas de manejo de tejidos blandos y duros que permitirán a todos los participantes enfrentarse con confianza a casos clínicos en campos como cirugía mucogingival, regeneración periodontal, cirugía plástica periimplantaria y cirugía reconstructiva ósea.

En el taller, se realizarán prácticas que incluirán el uso de membranas no reabsorbibles, láminas de aloinjerto para técnica Khoury, matriz dérmica acelular, diferentes aplicaciones del ácido hialurónico, entre otras. 

KaVo presenta su nuevo contra-ángulo de alta velocidad MASTERmatic LUX M45 L

KaVo lanza el primer contraángulo de alta velocidad MASTERmatic LUX M45 L con una combinación única de ángulos de cabeza/mango que permite obtener una visibilidad óptima en la zona de los molares. La tecnología

CoolHead y el agua de pulverización optimizada de este nuevo contraángulo garantizan una seguridad aún mayor para los pacientes durante todos los tratamientos, tal y como aseguran desde la firma.

“Las innovadoras funciones del KaVo MASTERmatic LUX M45 L permiten obtener los mejores resultados posibles, incluso en áreas de difícil acceso de la boca del paciente. El KaVo MASTERmatic LUX M45 L ofrece de manera simultánea una visibilidad mejorada, un acceso óptimo, una precisión máxima y una fiabilidad excepcional”, añaden desde KaVo.

Ventajas

El nuevo contraángulo de alta velocidad MASTERmatic LUX M45 L de KaVo destaca, según indican desde la firma, por “su recubrimiento Plasmatec, para un agarre perfecto y una higiene excelente; acceso óptimo, gracias a las combinaciones ergonómicas del ángulo cabeza/mango; rodamientos de bolas cerámicos, para un funcionamiento excelente, silencioso y con pocas vibraciones; y tamaño pequeño de cabeza, para un acceso fácil y eficiente al área de preparación”.

Además, añaden que el KaVo MASTERmatic LUX M45 L cuenta con un conductor de luz de varilla de vidrio, con hasta 25.000 lux para una detección fiable de los márgenes de la preparación; microfiltro de pulverización reemplazable, para una refrigeración de pulverización eficaz y sin problemas; es dermodesinfectable y esterilizable hasta 135 °C; portafresas FG de alta tecnología con casquillo guía de carburo para una vida útil óptima; pulverizador de 3 puertos con humectación por rociado ultrafino para un enfriamiento óptimo; tecnología de triple engranaje, para un funcionamiento ultrasuave con una vibración mínima; y ofrece flexibilidad gracias a cabezas intercambiables para una versatilidad completa y una rentabilidad óptima, y baja sonoridad para eliminar los ruidos desagradables para los pacientes y el personal asistente. Por otro lado, también destacan que el sistema de acoplamiento KaVo INTRAmatic se puede utilizar con cualquier unidad de tratamiento.

KaVo www.kavo.com

Nuevo set Fidelis de cirugía guiada de Ticare

Entre los lanzamientos de Ticare para este 2024 destaca el nuevo set Fidelis de cirugía guiada, un nuevo set quirúrgico Compact, nuevo set de prostodoncia y nuevo set de explantación y extracción de tornillos rotos.

El nuevo set Fidelis de cirugía guiada presenta varias mejoras entre las que destaca una instrumentación simplificada para mayor sencillez y su precisión de guiado.

Este set se presenta sin cucharillas y con perfiladoras incorporadas en las fresas. Es completamente desmontable para su limpieza.

Ticare Implants www.ticareimplants.com

Información para decidir

Solo aquella información basada en la responsabilidad y la calidad nos hace libres para tomar las mejores decisiones profesionales. En ConeQtia, entidad colaboradora de CEDRO, garantizamos contenido riguroso y de calidad, elaborado por autores especializados en más de 30 sectores profesionales, con el aval de nuestros editores asociados y respaldando el uso legal de contenidos. Todo ello con la nalidad de que el lector pueda adquirir criterio propio, facilitar la inspiración en su labor profesional y tomar decisiones basadas en el rigor. Por este motivo, todos los editores asociados cuentan con el sello de calidad ConeQtia, que garantiza su profesionalidad, veracidad, responsabilidad y abilidad.

Con la colaboración de:

Universal Screwdriver Set, el nuevo set de destornilladores y herramientas de Zirkonzahn para su uso tanto en la boca del paciente como en el modelo

El Universal Screwdriver Set de Zirkonzahn se ha adaptado de forma óptima al flujo de trabajo de las clínicas y laboratorios dentales y, según el caso, se dispone de varias herramientas que pueden combinarse perfectamente entre sí.

El set está compuesto por la llave dinamométrica Torque Ratchet Wrench, el destornillador Zirkonzahn MUA para la fijación y la extracción de los Multi Unit Abutments NON HEX (pilares multiusos) de Zirkonzahn, el Adapter Ratchet Wrench y el Screwdriver Handpiece. El Adapter Ratchet Wrench garantiza un ajuste estable y seguro entre las distintas herramientas.

Todos los instrumentos pueden guardarse de forma segura y ordenada en el Instrument Case Universal Screwdriver Set, que también puede personalizarse con un máximo de 25 destornilladores o extractores con conexión en ángulo recto de Zirkonzahn. La biblioteca de sistemas de implantes para los destornilladores y extractores se amplía continuamente y pueden utilizarse en combinación con el Adapter Ratchet Wrench y el Screwdriver Handpiece.

implante y el correspondiente soporte Screwdriver Holder MagPrism para un almacenamiento seguro y ordenado.

También está disponible el set Screwdriver Lab, que consiste en destornilladores para modelos codificados en colores según el sistema de

Zirkonzahn www.zirkonzahn.com

DVD Dental presenta su nueva página web

DVD Dental lanza su nueva página web, diseñada para ofrecer una experiencia de usuario superior, con más funcionalidades esenciales a sus usuarios.

La nueva web de DVD Dental (www.dvd-dental.com) se ha renovado completamente para cumplir con las expectativas de los profesionales del sector dental, facilitando la navegación y mejorando el acceso a la información y compra de productos. Entre las mejoras más destacadas se encuentran:

 Diseño moderno e intuitivo: con una interfaz limpia y fácil de usar, los visitantes pueden encontrar rápidamente lo que buscan gracias a una estructura de navegación clara y eficiente.

 Catálogo de productos ampliado: un acceso mejorado al catálogo completo de productos, fichas de productos mejoradas y más simplificadas con descripciones detalladas y especificaciones técnicas.

 Funcionalidad de búsqueda avanzada: herramientas de búsqueda y filtrado más potentes e inteligentes que cambian según las necesidades y preferencias de cada usuario.

 Área de clientes personalizada: podrán acceder a su historial de compras, a sus facturas y también da la opción de repetir un pedido que hecho anteriormente de manera fácil. Podrán montar sus propias listas de compras personalizadas y una nueva sección de “productos vistos recientemente” para que no pierdan tiempo. Han habilitado una nueva sección para solicitar presupuestos y, por último, algo que les permitirá gestionar y optimizar sus compras a través de un apartado de gestión de usuarios dónde podrán asignar distintos roles a diferentes empleados y gestionar diferentes cuentas de e-mails corporativos.

 Optimización para dispositivos móviles: la nueva web está completamente optimizada para dispositivos móviles, garantizando una experiencia de navegación fluida desde cualquier dispositivo.

El lanzamiento de la nueva web de DVD Dental es un paso más en el compromiso de la empresa con la innovación y la mejora continua de sus servicios, buscando siempre satisfacer y superar las expectativas de sus clientes.

DVD Dental www.dvd-dental.com

Ofertas Especiales

DESDE EL 1 DE SEPTIEMBRE HASTA EL 31 DE DICIEMBRE DE 2024

Nuevo

VarioSurg 4

SISTEMA ULTRASÓNICO DE CIRUGÍA ÓSEA

REF. Y1500706

5.959€*

9.490€*

Incluye:

• Unidad de control

• Pieza de mano LED con cable de 2m

• Pedal de control FC-86

• Cassette de esterilización

• Soporte para pieza de mano

• Tubo de irrigación (3 uds.) y otros accesorios

• Kit básico H-S (H-SG1, SG3, SG5, SG6D, SG7D, SG11 y soporte de puntas)

Características:

• Gran aumento de potencia

• 3 modos (CIRUGIA, ENDO, PERIO)

• Modo ráfaga seleccionable (3 frecuencias)

• 9 programas (CIRUGIA x 5, ENDO x 2, PERIO x 2)

• Intensidad de luz LED regulable

• Modo de limpieza automático

• Función de retroalimentación

• Función de sintonización automática

• Función de enlace dinámico

CON DOBLE LUZ

Aplicaciones: Cirugía oral

• Cirugía ósea

• Raspado

• Elevación de seno

• Extracción

• Membrana sinusal

• Preparación de implantes Perio

• Raspado

• Perio (alisado radicular)

• Mantenimiento

• Endo Retrogrado

* Los precios no incluyen IVA • Ofertas limitadas hasta el 31 de diciembre de 2024

Turn static files into dynamic content formats.

Create a flipbook
Issuu converts static files into: digital portfolios, online yearbooks, online catalogs, digital photo albums and more. Sign up and create your flipbook.