El Dentista Moderno Nº 88

Page 1


ENTREVISTA

• Prof. Dr. José María MontielCompany, co-creador de Oral Health Data Bank Insights 2ª versión

IMPLANTOLOGÍA

CIRUGÍA REGENERATIVA

FORAMEN RETROMOLAR INVESTIGACIÓN

D4.0

REPORTAJE

Manejo del manejo del paciente con deterioro cognitivo en la consulta dental

PENSANDO EN EL FUTURO

Siguiendo la evolución de la Odontología para el profesional del sector llamado a construir el futuro

RENDIMIENTO Y PRECISIÓN

Pro 2 ofrece una precisión y un rendimiento sin precedentes.

Con la tecnología Optical Panel y luz UV-A de 385 nm, Pro 2 es la impresora 3D más avanzada que hemos fabricado nunca.

PRECISIÓN

3x +15

FLUJOS DE TRABAJO COMPATIBLES RENDIMIENTO

4x

Más info:

IMPLANTE

Descubre toda la gama

EN HUESOS DE BAJA DENSIDAD Y ALVEOLOS POSTEXTRACCIÓN

POR 3 RAZONES:

1. Estabilidad primaria y osteocondensación mejoradas.

2. Mayor osteointegración, mediante la superficie UnicCa ® .

3. Simplicidad protésica. Una sola conexión para toda la gama.

BTIDAY

CELEBRA CON NOSOTROS EL 25 ANIVERSARIO

eldentistamoderno

Número 88 - Octubre 2024

Impresión: Gama Color

Depósito Legal: M-33444-2013

ISSN: 2340-9703

ISSN (internet): 2340-9797

ENTREVISTA

Versys Ediciones Técnicas S.L. Invierno, 17 28850 Torrejón de Ardoz (+34) 912 972 000 administracion@versysediciones.com

CEO

José Manuel Marcos Franco de Sarabia

DIRECTORA DE OPERACIONES

Esther Crespo

Siguiendo la evolución de la odontología

DIRECTORA

Emiliana Rodríguez Charmes emi.rodriguez@eldentistamoderno.com

SUBDIRECTORA

Beatriz Suárez de la Vega beatriz.suarez@eldentistamoderno.com

REDACCIÓN Y FOTOGRAFÍA Departamentos propios Versys Ediciones Técnicas

COMITÉ CIENTÍFICO

Javier de la Cruz, José Nart, Jesús Daniel Parejo, Juan López Palafox, Miguel Burgueño, Juan Manuel Vadillo, Guillermo Galván, Rafael Martínez de Fuentes, Anna Ramiro, Carlos Repullo, Leticia Rodríguez, Marta Revilla, José María Malfaz, Eva Mª Martínez y Eva López de Castro

DISEÑO Y MAQUETACIÓN Manuel Beviá

DIRECTORA COMERCIAL ÁREA DE DISTRIBUCIÓN Mercedes Álvarez mercedes.alvarez@versysediciones.com

DIRECTORA DE CUENTAS DM

Emiliana Rodríguez Charmes emi.rodriguez@eldentistamoderno.com

EJECUTIVA DE CUENTAS DM

Cristina Esquivel cristina.esquivel@eldentistamoderno.com

DIRECTOR DE EXPANSIÓN Y DESARROLLO

José Manuel Marcos de Juanes

Copyrigth Versys Ediciones Técnicas S.L. La suscripción a esta publicación autoriza el uso exclusivo y personal de la misma por parte del suscriptor. Cualquier otra reproducción, distribución, comunicación pública o transformación de esta publicación sólo puede ser realizada con la autorización de sus titulares. En particular, la Editorial, a los efectos previstos en el art. 32.1 párrafo 2 del vigente TRLPI, se opone expresamente a que cualquier fragmento de esta obra sea utilizado para la realización de resúmenes de prensa, salvo que cuente con la autorización específica. Diríjase a CEDRO (Centro Español de Derechos Reprográficos) si necesita fotocopiar, escanear, distribuir o poner a disposición de otros usuarios algún fragmento de esta obra, o si quiere utilizarla para elaborar resúmenes de prensa (www.conlicencia.com; 917021970/932720447)

Las opiniones y conceptos vertidos en los artículos firmados lo son exclusivamente de sus autores, sin que la revista los comparta necesariamente.

Premio de Comunicación SECIB 2019

Accede a El Dentista Moderno

DO NDE LA TRADICIÓN S E EN CU ENTRA CON LA I NN OV ACIÓN

Mesa, una empresa líder italiana que produce y procesa aleaciones metálicas para el sector dental durante más de 50 años, recientemente ha introducido Igea, una línea de implantes confiable, eficaz y fácil de utilizar a un precio realmente barato.

Contacte para solicitar más información o un presupuesto

sumario

EDITORIAL

La revolución de los datos y la nube en la Odontología

Por Emi Rodríguez Charmes, directora de Dentista Moderno y D4.0. 8

ENTREVISTA

“De muchas maneras, el Ohdbi va a contribuir a la mejora de la salud bucodental de los españoles”

Prof. Dr. José María Montiel-Company, profesor titular de Epidemiología Oral y Odontología Preventiva y Comunitaria en el Departamento de Estomatología de la Universitat de València, y co-creador de Oral Health Data Bank Insights 2ª versión 14

OPINIÓN

Odontología digital y nuevas tecnologías, protagonistas de SEPES Sevilla 2024

Autores: Dres. Guillermo Pradíes, presidente SEPES, y Rafael Martínez de Fuentes, vicepresidente de SEPES y presidente de SEPES Sevilla 2024

18

IMPLANTOLOGÍA

Implantes cortos y extracortos (6,5-7,5 mm) rehabilitados de forma unitaria mediante prótesis atornillada y cementada. Estudio retrospectivo con 9 años de seguimiento

Autor: Dr. Eduardo Anitua

24

28

ENTREVISTA

“La cirugía bucal está en una época de cambio acelerado y es necesario estar al día de los avances”

Dres. Eduard Valmaseda y Rui Figueiredo, presidente y vicepresidente del XXI Congreso Nacional SECIB

CIRUGÍA REGENERATIVA - NOBEL BIOCARE

La regeneración maxilar completa: una alternativa a los maxilares atróficos

Autor: Dr. Luís García Marí

38

ENTREVISTA

“El 44º Congreso Nacional de Endodoncia dará visibilidad a los últimos protocolos científicos y clínicos de la mano de los mejores ponentes tanto nacionales como internacionales”

Dra. Jenifer Martín González, presidenta del Comité Organizador del Congreso AEDE 2024

42

46

60

FORAMEN RETROMOLAR

El foramen retromolar: una estructura anatómica de relevancia clínica en odontología

Autoras: Profa. Dra. Cassia Maria Fischer Rubira y Profa. Dra. Elena Martínez Sanz

INVESTIGACIÓN

ACTUALIDAD DEL SECTOR DENTAL

63 NOVEDADES

Equipamiento, instrumental y material protésico, dental y clínico

D4.0

50 REPORTAJE

Claves del manejo del paciente con deterioro cognitivo en la consulta dental

54

PENSANDO EN EL FUTURO

La evolución de la Odontología: digitalización para el dentista tradicional y analógico

Autor: Dr. Fernando Germán, director de Dentinova

S IMPOSIO ALUGRAFT

¡Quiero inscribirme!

23 nov. 2024 COEM, Madrid Evento

sesiones ponentes +25 casos clínicos

No te pierdas el I Simposio Salugraft si quieres aprender de los mejores expertos en regeneración

ALOINJERTOS SALUGRAFT: la mejor opción

OraGRAFT 70/30

Lámina cortical desmineralizada ® 70% 30% Min. Desmin.

Soluciones 4.0

Formación práctica y puntera

Disminuye el tiempo de. reentrada a 3-4 meses.

Gran flexibilidad. Rápida hidratación. Fácil fijación. Osteoinductiva y osteoconductiva. Rapidez, volumen y calidad del hueso.

Presentador
Moderador

LA REVOLUCIÓN DE LOS DATOS Y LA NUBE EN LA ODONTOLOGÍA

La odontología, en su ruta de adopción de tecnologías avanzadas para mejorar la atención al paciente y la investigación clínica, se introduce en la revolución de los datos, en cómo los bancos de datos y el almacenamiento en la nube impactan en el presente y el futuro de la Odontología. Esta disruptiva tecnología está transformando la manera en que los profesionales en todos los aspectos de su profesión –tanto clínico como de gestión– deben acostumbrarse y aprender a gestionar y utilizar la información.

Los bancos de datos de casos clínicos son repositorios digitales donde se almacenan y comparten datos detallados sobre tratamientos y diagnósticos de pacientes. Estos bancos son esenciales para la comunidad odontológica, ya que permiten a los profesionales acceder a una vasta cantidad de información que puede mejorar la calidad de los tratamientos y acelerar la investigación.

Sobre los beneficios clave de esta herramienta, tales como el compartir conocimiento, mejorar tratamientos identificando patrones o acelerar la investigación al poder analizar grandes volúmenes de datos, hemos hablado con el Prof. Dr. José María Montiel-Company, co-creador del Oral Health Data Bank Insights (Ohdbi), que nos explica cómo se creó esta herramienta, su acogida entre los profesionales y cómo su acceso permite, de una manera rápida, proporcionar en términos de salud oral pública los principales indicadores de salud oral de nuestro país y valorar la evolución a lo largo de los años.

Nos encontramos en un momento de cambio dentro del cambio: la nube ofrece posibilidades y ventajas en protección de datos, trabajo remoto y colaborativo, reducción de costes... De todo ello se hablará en el Congreso de SEPES Sevilla de este mes de octubre, donde la odontología digital y las nuevas tecnologías serán las protagonistas. Bajo el lema “Protocolos para la práctica clínica”, el Dr. Rafael Martínez de Fuentes, presidente del Congreso, invita desde estas páginas a participar de las sesiones, como la que se ofrecerá el primer día con el “Simposio de la Digital Dentistry Society”, fruto de un acuerdo con esta sociedad digital.

Se debe seguir avanzando y ofreciendo el mejor cuidado posible al paciente, aprovechando estas herramientas y la formación que se imparte en reuniones científicas y formativas, como es el caso de SEPES Sevilla, contribuyendo así al crecimiento y desarrollo continuo.

Sigamos trabajando por la evolución de la Odontología, para los profesionales que están construyendo el futuro.

Emi Rodríguez
Directora de Dentista Moderno y D4.0

info@eldentistamoderno.com

“DE MUCHAS MANERAS, OHDBI VA A CONTRIBUIR A LA MEJORA DE LA SALUD BUCODENTAL DE LOS ESPAÑOLES”

Prof. Dr. José María Montiel-Company, profesor titular de Epidemiología Oral y Odontología Preventiva y Comunitaria en el Departamento de Estomatología de la Universitat de València, y co-creador de Oral Health Data Bank Insights 2ª versión

Tras más de un año de funcionamiento del Oral Health Data Bank Insights (Ohdbi), el Prof. Dr. José María Montiel-Company, profesor titular de Epidemiología Oral y Odontología Preventiva y Comunitaria en el Departamento de Estomatología de la Universitat de València, y co-creador junto a Aaron William Montiel-Nicholas de la ya segunda versión de esta herramienta, nos explica cómo ha sido su acogida y qué posibilidades ofrece a nivel docente, investigador y en materia de salud pública con el objetivo último de continuar avanzando en la salud periodontal de la población española.

 DM.- ¿Cómo surgió la idea de desarrollar el Oral Health Data Bank Insights?

Prof. Dr. José María Montiel Company (Prof. Dr. J.M.M.C.).- La idea de disponer de una base de datos epidemiológicos orales de nuestro país siempre ha estado ahí, ya que el único referente siempre ha sido la base de la OMS Oral Health Country Profile, la cual ofrece muy pocos datos y tarda bastantes años en actualizarse.

Un día mi hijo Aaron, cuando todavía estaba estudiando su grado de Ciencia de Datos, me enseñó un trabajo que estaba realizando para una asignatura que consistía en crear un visualizador que generaba unas gráficas sobre las características de las canciones más escuchadas en Spotify empleando una base de datos abierta de esa compañía. En ese momento me vino la idea de poder hacer algo similar y que, sin ninguna duda, sería muy novedoso en el campo de la epidemiología oral.

Ha sido un trabajo de muchos fines de semana, en ratos libres en los que, por un lado, me dedicaba a introducir datos procedentes de todos los estudios epidemiológicos realizados en España y sus comunidades autónomas, y proponer ideas que Aaron transformaba en realidad; él es el responsable último y desarrollador del visualizador. Así surgió

Oral Health Data Bank Spain UV, que corresponde a la primera versión. Posteriormente, ambos fuimos adquiriendo conocimientos, yo de ciencia de datos y él de epidemiología oral, y el resultado final ha sido Oral Health Data Bank Insights (Ohdbi) que es la segunda y actual versión. Ambos somos los que dirigimos el proyecto hacia futuras versiones. Colgate-Elmex nos apoyó con una pequeña ayuda económica inicial, que apenas alcanzaría un 5-10% del coste real de mercado del visualizador y por ello está en nuestra cabecera como publicidad hasta 2025, pero todo el trabajo que se ha realizado ya solamente en horas ha sido enorme y de manera altruista.

 DM.- ¿Cuál es el objetivo de esta innovadora herramienta? ¿A quién está dirigida?

Prof. Dr. J.M.M.C.- El objetivo de esta herramienta es proporcionar de manera rápida los principales indicadores de salud oral de nuestro país o comunidad autónoma en un formato atractivo, así como poder valorar la evolución a lo largo de los años. Ohdbi tiene una triple función: docente, investigadora y en materia de salud pública. A nivel docente, la herramienta sirve de apoyo a los estudiantes de Odontología para conocer y entender cómo funcionan los indicadores de salud oral. A nivel investigador, Ohdbi tiene la mayor colección de datos y estudios epidemiológicos que jamás ha tenido nuestro país, y que ningún otro país de nuestro entorno dispone, lo cual le otorga una enorme potencia. Y, finalmente, a la hora de tomar decisiones en materia de salud pública, es una excelente ayuda y apoyo para una correcta planificación sanitaria de los recursos y en la determinación de necesidades en la población.

 DM.- En concreto, ¿qué utilidad tiene esta herramienta para los profesionales de la Odontología en España?

Prof. Dr. J.M.M.C.- Ohdbi nos muestra una fotografía actual de la salud oral de los españoles que nos permite actuar directamente en los problemas orales. Quisiera destacar que la principal utilidad para los profesionales de la Odontología en España de Ohdbi es que les proporciona un acceso rápido a los datos epidemiológicos más importantes y les permite estar actualizados con los últimos estudios realizados. No podemos olvidar que los datos nos ayudan, a los odontólogos, a tomar decisiones más informadas en nuestra práctica clínica diaria, ade-

El

objetivo de esta herramienta es proporcionar de manera rápida los principales indicadores de salud oral de nuestro país o comunidad autónoma en un formato atractivo, así como poder valorar la evolución a lo largo de los años

más de permitir una mejor planificación de los tratamientos en función de las tendencias observadas en la población.

 DM.- Esta herramienta está avalada por la Sociedad Española de Epidemiología y Salud Pública Oral (SESPO). ¿De qué manera contribuye a la mejora de la salud bucodental de los españoles?

Prof. Dr. J.M.M.C.- De muchas maneras, Ohdbi va a contribuir a la mejora de la salud bucodental de los españoles. En el proyecto de Plan de Acción Mundial sobre Salud Bucodental (2023-2030) de la OMS plantea como objetivo estratégico 5, la creación de sistemas de información sobre salud bucodental con la finalidad de mejorar los sistemas de vigilancia y de información sobre salud para que las instancias decisorias reciban observaciones pertinentes de manera oportuna sobre salud bucodental que les sirvan para formular políticas con base empírica.

El Dr. José María Montiel Company junto a otros profesores de la unidad de Odontología Preventiva y Comunitaria del Departamento de Estomatología: los Dres. Cecilia Fabiana Márquez Arrico, Carmelo José Ortolá Siscar y José Enrique Iranzo Cortés.

entrevista

No solo hablamos de monitorear y evaluar políticas de salud, sino también de identificar necesidades no cubiertas y reorientar los recursos hacia área prioritarias. Al proporcionar datos accesibles y comprensibles, contribuye a una mayor concienciación pública sobre la importancia de la salud bucodental.

Ohdbi tiene una triple función: docente, investigadora y en materia de salud pública ”

Una de las principales características de las enfermedades orales es que su impacto es mayor en los estratos sociales más desfavorecidos. En este sentido, Ohdbi ayuda a identificar disparidades en la salud bucodental entre diferentes grupos socioeconómicos y demográficos y facilita el desarrollo de intervenciones específicas para reducir estas desigualdades y mejorar el acceso a cuidados dentales. Sin lugar a duda, fomenta la colaboración entre odontólogos, epidemiólogos, profesionales de salud pública y otros actores relevantes, apoyando un enfoque integral e interdisciplinario para abordar los problemas de salud bucodental en la comunidad.

 DM.- Como co-director de la versión actual del Oral Health Data Bank Insights, ¿cuáles han sido las últimas actualizaciones incluidas?

Prof. Dr. J.M.M.C.- La versión actual supera a la primera versión ya que incorpora datos epidemiológicos de todas las comunidades autónomas, además de varios indicadores propios de Ohdbi. Sin embargo, la novedad estrella es el analizador intercomunitario con su “rankiómetro” y su “trendómetro” que muestra las tendencias de los indicadores desde los años 80. Nunca habíamos dispuesto de unas gráficas que mostraran la evolución de estos indicadores con una potencia similar y unos intervalos de predicción tan estrechos.

 DM.- Tras más de un año de andadura, ¿cómo ha sido la acogida de este visualizador de datos epidemiológicos entre los profesionales?

Prof. Dr. J.M.M.C.- Tras más de un año de funcionamiento del visualizador Oral Health Data Bank Insights, la acogida entre los profesionales de la odontología en España ha sido positiva por varias razones. Los profesionales han apreciado la facilidad de uso y la accesibilidad del visualizador. La interfaz intuitiva y las funcionalidades de

“ Ohdbi nos muestra una fotografía actual de la salud oral de los españoles que nos permite actuar directamente en los problemas orales ”
El Dr. José María Montiel Company y Aaron W. Montiel Nicholas posando de pie delante del photocall del Departamento de Estomatología de la Facultat de Medicina i Odontología de la Universitat de València.

navega ción permiten una consulta ágil y eficiente de los datos epidemiológicos. La capacidad de filtrar y personalizar la visualización de los datos ha sido muy bien recibida, facilitando la obtención de información específica relevante para distintas necesidades clínicas y de investigación. La herramienta está siendo un recurso valioso para la investigación académica y científica. Investigadores y estudiantes han encontrado en el visualizador una fuente confiable de datos para sus estudios y trabajos. La disponibilidad de información detallada ha facilitado la elaboración de artículos científicos, tesis y otros trabajos de investigación.

 DM.- Teniendo en cuenta los datos que se presentan en cada uno de los indicadores de salud que contiene esta herramienta, ¿en qué momento se encuentra la salud periodontal de la población española?

Prof. Dr. J.M.M.C.- La periodontitis sigue afectando a una proporción significativa de la población adulta y adulta mayor, y la tendencia no muestra ninguna mejoría en los últimos 10 años. Los recientes estudios que muestran la relación entre la periodontitis y numerosas enfermedades sistémicas, unido al papel cada vez más importante de la microbiota periodontopatógena, debe hacernos poner el foco en la prevención y el tratamiento precoz de la misma. La población ha mejorado en la higiene oral mediante campañas de concienciación y educación, pero aún hay margen de mejora, especialmente en ciertos grupos de riesgo. Al igual que con el tabaquismo, cuya prevalencia se ha logrado reducir en los últimos años, sigue siendo un problema importante, junto a la prevalencia de diabetes que está en aumento, y que tiene implicaciones tan negativas para la salud periodontal. Las visitas regulares al dentista han mejorado, pero aún hay barreras económicas y de acceso en algunas regiones y entre ciertos grupos socioeconómicos.

El acceso a tratamientos periodontales varía, siendo mejor en áreas urbanas que en rurales. Como conclusión, podemos decir que las intervenciones dirigidas a mejorar la educación sobre la salud oral, el control de factores de riesgo como el tabaquismo y la diabetes, y la mejora del acceso a tratamientos periodontales son cruciales para seguir avanzando en la salud periodontal de la población española.

Ohdbi proporciona a los profesionales de la Odontología un acceso rápido a los datos epidemiológicos más importantes y les permite estar actualizados con los últimos estudios realizados ”

 DM.- En este sentido, ¿qué medidas considera usted que son necesarias para contribuir a una mejora de la salud bucodental de los españoles?

Prof. Dr. J.M.M.C.- Para contribuir a una mejora significativa de la salud bucodental de los españoles, es esencial implementar una serie de medidas integrales que aborden tanto la prevención como el tratamiento de las enfermedades bucodentales. Estas medidas deben estar respaldadas por políticas públicas, programas educativos y mejoras en el acceso a cuidados dentales. Algunas recomendaciones clave podrían ser:

 Desarrollar campañas educativas a nivel nacional y regional para promover la importancia de la higiene oral, incluyendo técnicas adecuadas de cepillado y el uso de hilo dental.

 Implementar programas de salud bucodental en las escuelas para educar a los niños desde una edad temprana sobre la importancia del cuidado dental, incluyendo visitas regulares de dentistas y talleres interactivos.

 Aprovechar las plataformas digitales y redes sociales para difundir mensajes sobre la salud bucodental, alcanzando así a una audiencia más amplia y diversa.

 Promover políticas que aseguren el acceso universal a cuidados dentales básicos, incluyendo limpiezas, revisiones periódicas y tratamientos preventivos.

 Implementar clínicas dentales móviles y programas comunitarios en áreas rurales y comunidades desfavorecidas para garantizar que todas las personas tengan acceso a cuidados dentales. Desarrollar la teleodontología.

 Ofrecer subvenciones y ayudas económicas a personas de bajos ingresos para cubrir tratamientos dentales esenciales.

Ohdbi ayuda a identificar disparidades en la salud bucodental entre diferentes grupos socioeconómicos y demográficos y facilita el desarrollo de intervenciones específicas para reducir estas desigualdades y mejorar el acceso a cuidados dentales

 Desarrollar e implementar programas específicos para ayudar a las personas a dejar de fumar, dado que el tabaquismo es un factor de riesgo significativo para las enfermedades periodontales.

 Fomentar la colaboración entre dentistas y médicos para gestionar mejor las condiciones sistémicas como la diabetes, que afectan la salud bucodental.

 Promover una alimentación saludable baja en azúcares y rica en nutrientes esenciales para la salud bucodental, a través de campañas de concienciación y la inclusión de este tema en los programas educativos.

 Incentivar a la población a realizar visitas regulares al dentista para chequeos y limpiezas preventivas, identificando problemas en sus etapas iniciales.

 Implementar programas de cribado para la detección temprana de enfermedades bucodentales en centros de salud y hospitales.

 Promover el uso de tecnología avanzada en el diagnóstico y tratamiento de enfermedades bucodentales, mejorando la precisión y eficacia de las intervenciones.

 Fomentar y financiar la investigación en salud bucodental para desarrollar nuevas estrategias de prevención y tratamiento.

 Establecer sistemas de monitoreo continuo de la salud bucodental de la población para identificar tendencias, evaluar la efectividad de las intervenciones y ajustar las políticas según sea necesario

Podemos sintetizar todas estas propuestas entendiendo que una mejora significativa en la salud bucodental de los españoles requiere un enfoque multidimensional que combine educación, acceso a cuidados, control de factores de riesgo, prevención, formación de profesionales e investigación.

La colaboración entre entidades gubernamentales, profesionales de la salud, instituciones educativas y la comunidad es crucial para lograr avances sostenibles en este ámbito.

 DM.- ¿Qué previsiones de crecimiento tienen para la herramienta?

Prof. Dr. J.M.M.C.- Las previsiones de crecimiento para una herramienta como Oral Health Data Bank Insights son bastante prometedoras, basadas en tendencias actuales y futuras en el campo de la salud digital y la odontología.

En la tercera versión, tenemos la intención de implementar tecnologías avanzadas como la inteligencia artificial para el análisis predictivo de diferentes indicadores de salud oral, así como explorar oportunidades para expandir la herramienta a nivel internacional, colaborando con organizaciones de salud bucodental en otros países para compartir conocimientos y datos. Todo esto sin olvidar una adaptación multilingüe.

Queremos además establecer colaboraciones con instituciones académicas, centros de investigación y organizaciones de salud pública para enriquecer el contenido y las funcionalidades de la herramienta y, al mismo tiempo, mejorar la interfaz de usuario y la experiencia general para hacerla más intuitiva y accesible.

Finalmente, para garantizar la sostenibilidad de Ohdbi necesitamos captar subvenciones y financiación de entidades gubernamentales, ONG y organismos internacionales para apoyar el desarrollo y expansión de la herramienta. 

…y como siempre con los precios más competitivos del mercado

Escanea el código QR con tu smartphone para acceder al listado de precios o accede a www.expadent.com/precios

CORONA ZIRCONIO MULTICAPA 49,90 euros

MÁNDANOS TUS ARCHIVOS STL Y NOS PONDREMOS MANOS A LA OBRA

YA DISPONIBLE EXPADENT APP

Hemos mejorado nuestro sistema de gestión, y ahora cualquiera de nuestros clientes podrán realizar los pedidos directamente desde nuestra aplicación, intuitivamente.

También permite hacer un seguimiento total del proceso de fabricación y de envío del pedido realizado.

ODONTOLOGÍA DIGITAL Y NUEVAS TECNOLOGÍAS, PROTAGONISTAS DE SEPES SEVILLA 2024

Los Dres. Guillermo Pradíes, presidente de la Sociedad Española de Prótesis Estomatológica y Estética (SEPES), y Rafael Martínez de Fuentes, vicepresidente de SEPES y presidente del Congreso SEPES Sevilla 2024, nos desvelan algunos aspectos del programa día a día de la 53ª edición del congreso anual de SEPES que tendrá lugar en Sevilla los días 10, 11 y 12 de octubre bajo el lema “Protocolos para la práctica clínica”.

Del 10 al 12 de octubre, la Sociedad Española de Prótesis Estomatológica y Estética (SEPES) celebra la edición número 53 de su congreso anual en Sevilla, bajo el lema “Protocolos para la práctica clínica”. Un encuentro que posicionará a SEPES como la Sociedad de referencia en odontología digital y nuevas tecnologías. Así lo explica el Dr. Guillermo Pradíes, presidente de SEPES, señalando que “ésta será la edición con más carga de digitalización que SEPES haya programado en su reunión anual durante los últimos años. No en

vano, prácticamente en todos los bloques temáticos del programa se abordarán desde uno u otro aspecto las alternativas de la odontología digital en los protocolos clínicos. La puesta al día de estos protocolos, tan necesarios para dotar de eficiencia y predictibilidad al trabajo del dentista y todo su equipo. Éste es uno de los objetivos que la Junta Directiva de SEPES se marcó cuando hace tres años se planteó el programa científico de este congreso. Lo digital ya no es el futuro, tiene un pasado y un presente, pero el futuro está aquí y evolucionando a cada minuto”.

Odontología digital

Durante el primer día del congreso (jueves 10 de octubre), “el componente tecnológico estará presente en la mayor parte de las sesiones”, apunta el Dr. Rafael Martínez de Fuentes, vicepresidente de SEPES y presidente del Congreso SEPES Sevilla 2024. Y añade que “el bloque dedicado a los tratamientos rehabilitadores, tanto en lo que tiene que ver con la selección y toma de color como en lo referente al protocolo estéticamente guiado, será abordado desde una perspectiva de la utilización de las técnicas y protocolos digitales. Las sesiones dedicadas a la estética facial y los tratamientos perio-prostodoncicos también tendrán, en parte, un enfoque digital en lo referente al uso de la terapia guiada en pacientes periodontales en el área estética, o a la utilización de herramientas digitales en el manejo de la sonrisa gingival. La neurociencia se planteará como un eje conductor de las rehabilitaciones orales complementarias a los flujos digitales”. Además, durante este primer día de congreso tendrá lugar “la sesión más especia-

lizada en odontología digital que se puede organizar hoy en día con el desarrollo del Simposio de la Digital Dentistry Society, en virtud del acuerdo alcanzado con esta sociedad digital líder a nivel internacional”, explica el Dr. Pradíes, destacando que “esta sesión aportará con las presentaciones, la excelencia en digitalización, especialmente en el aspecto del flujo digital de procesos clínicos como diagnóstico, planificación y ejecución mediante la digitalización aplicada a los tratamientos rehabilitadores. Sin duda, uno de los platos fuertes de este congreso dado el prestigio y solvencia de los ponentes que participan en ella. Hace un año firmamos un convenio de colaboración con la Digital Dentistry Society (DDS) y estamos seguros que en el futuro compartiremos más proyectos científicos”.

Prótesis y EPA

En la jornada del viernes 11 de octubre del Congreso SEPES Sevilla 2024, la prótesis y la European Prosthodontic Association (EPA) serán protagonistas. Así lo explica el Dr. Martínez de Fuentes, señalando que “los bloques dedicados íntegramente a la prótesis, tanto en la sesión de ponentes nacionales como en el simposio de la EPA, mostrarán la evolución de los conceptos más avanzados en la práctica clínica de esta disciplina”.

Sobre la relación de SEPES con la EPA, el Dr. Martínez de Fuentes apunta que “la EPA, una de las más reconocidas instituciones internacionales dedicadas a la investigación de la prostodoncia, tiene una relación estrecha con SEPES desde no hace mucho tiempo. Fue en 2015 cuando el Prof. Guillermo Pradíes empezó a formar parte del Council (junta directiva de esta sociedad) y posteriormente yo mismo. En 2016 obtuvimos el título de Especialista en Prótesis ante un tribunal en Halle (Alemania), siendo los dos primeros españoles en obtenerlo. En septiembre de 2018, el Prof. Pradíes fue nombrado presidente de EPA y organizó una reunión conjunta SEPES-EPA en Madrid. Al mes siguiente ambos entramos en la junta directiva de SEPES. Desde entonces, Guillermo Pradíes ha trabajado desde dentro de la directiva de EPA y yo le he ayudado desde el Council para que EPA y SEPES firmaran en 2022 un convenio de colaboración por el que todos los socios de SEPES pasan a ser también socios de EPA. Y de ahí han surgido muchos proyectos que continuarán en el futuro dado que el Prof. Pradíes ha sido nombrado presidente del Comité de Especialización de la EPA y yo seguiré en el Council”.

Lo digital ya no es el futuro, tiene un pasado y un presente, pero el futuro está aquí y evolucionando a cada minuto ”

El viernes 11 “los técnicos de laboratorio también dispondrán en este congreso de contenidos de gran interés para la comunicación entre el dentista y el laboratorio. Prestigiosos clínicos y técnicos nacionales e internacionales se harán cargo en esta sesión para mostrar nuevos flujos de trabajo en odontología digital multidisciplinar necesarios tanto para el clínico como para el técnico”, señala el Dr. Pradíes.

Entorno digital para todos los profesionales En el último día del congreso (sábado 12 de octubre), según explica el Dr. Pradíes, “el entorno digital estará presente en las sesiones dedicadas a la gestión de la clínica, al diseño de los protocolos, al reto que suponen los pacientes cada vez más digitales o a la comunicación con el paciente, en-

Dr. Guillermo Pradíes, presidente de SEPES

opinión

El

componente tecnológico estará presente en la mayor parte de las sesiones de SEPES Sevilla 2024

Dr. Rafael Martínez de Fuentes, vicepresidente de SEPES y presidente del Congreso SEPES Sevilla 2024

tre otros temas”. También higienistas y auxiliares tienen en este congreso sesiones de gran interés para su trabajo en la clínica y “uno de los temas que se abordarán en esta sesión y que también está relacionado con la digitalización es el de los protocolos para mejorar la comunicación con los pacientes de la mano de las tecnologías y sus herramientas”, apunta el Dr. Pradíes, añadiendo que “los tratamientos de endo-cirugía en procesos res-

tauradores tendrán su sesión también el sábado 12 en la que se podrán ver, entre otras, algunas de las alternativas en la prótesis inmediata y prótesis sobre cirugía avanzada con regeneración ósea e implantes cigomáticos”.

El colofón del congreso, el sábado 12, será el curso de ocho horas que impartirá el prestigioso clínico helvético afincado en Estados Unidos, Pascal Magne, quien “presentará los últimos avances científicos sobre restauraciones adhesivas en el sector anterior con una gran implementación digital, explicando los valores fundamentales de la odontología restauradora biomimética. Magne revisará los procedimientos más importantes para aumentar la eficiencia de las restauraciones directas con resina compuesta y analizará las posibilidades de los novedosos enfoques semi-indirectos utilizando resinas compuestas anteriores personalizadas mediante CAD/CAM. Los participantes que lo deseen recibirán un certificado del curso firmado por el ponente”, detalla el Dr. Martínez de Fuentes.

Formación focalizada en la digitalización

Respecto a los proyectos en los que están trabajando en SEPES en estos momentos, el presidente de la Sociedad apunta que “como impulsora del estudio, formación y difusión de la odontología digital, SEPES lleva muchos años incorporando las nuevas tecnologías, los mecanismos y herramientas digitales al servicio de la práctica clínica, la comunicación con el técnico y con el paciente y la optimización de los flujos de trabajo con el equipo de la clínica, en sus programas formativos. Esta trayectoria se ha visto reforzada en los últimos años con una formación enfocada solo al proceso de transformación digital de las clínicas dentales. Formación dirigida a un amplio espectro de agentes que de una u otra forma están relacionados con la clínica dental: clínicos, auxiliares, higienistas, ingenieros desarrolladores de productos y servicios, equipo de gestión, técnicos de laboratorio, comunicadores, etc.”. En este sentido, el Dr. Pradíes también destaca “un evento al que le he dedicado mucho trabajo y cariño desde que comenzó y que pensé sería interesante denominarlo dentro del área formativa de nuestra sociedad dedicada a la digitalización, como SEPES SMARTCLINIC 3.0. Este particular evento celebrará en 2025 su tercera edición y, al igual que en las ediciones anteriores, contará con un número reducido de plazas y el apoyo de la industria puntera en digitalización”. 

· Óscar GONZÁLEZ

· August BRUGUERA

· Álvaro FERRANDO

· Raúl FERRANDO

· Javier CASAS

· José Manuel REUSS

· Vicente FAUS

· Nacho FAUS

Coordinadores:

DESGASTE DENTARIO

· Débora RODRÍGUEZ-VILABOA

Guillermo PRADÍES, Lucía FERNÁNDEZ

Pendiente ubicación y fecha

Coordinadores:

· José Luis DE LA HOZ

· Mercedes JORQUERA

· Jesús MANEIRO

· Marta ROMEO

· Vincenzo GIOVANE

· Pablo CASTELO

· Lluís NOGUÉS

· Juan Manuel PRIETO

· Jorge Alonso PÉREZ-BARQUERO

Guillermo PRADÍES, Raúl CALLEJA

WEBINARS

· David RUBIO

· Javier NIETO

25º ANIVERSARIO

· Gonzaga ZABALEGUI

Coordinadores:

AGENDA SEPES FORMACIÓN

Restauraciones parciales indirectas adhesivas. 8, 9 NOVIEMBRE 2024 ALMERÍA

Marta VALLÉS, Anaïs RAMÍREZ

· Carla VIDAL

Gabriel GARCÍA, Ion ZABALEGUI, José ARANGUREN

SEPES TRAINING ON TOUR

· Andrés MOTA

· Lucas QUEIROZ

Rejuvenecimiento dental con composites. 22, 23 NOVIEMBRE 2024 ALMERÍA

Vincenzo GIOVANE, Alessandro SALLORENZO

IMPLANTES CORTOS Y EXTRACORTOS (6,5 – 7,5 MM) REHABILITADOS DE FORMA

UNITARIA MEDIANTE PRÓTESIS ATORNILLADA

Y CEMENTADA.

ESTUDIO RETROSPECTIVO CON 9 AÑOS DE SEGUIMIENTO

Los implantes cortos y extracortos son ya una más de las técnicas de rehabilitación del maxilar atrófico que podemos considerar habituales en la práctica diaria, siendo una opción poco invasiva y con cifras de supervivencia en torno al 99%. En el siguiente trabajo mostramos una serie de casos analizados de forma retrospectiva donde se colocaron implantes cortos y extra-cortos rehabilitados de forma unitaria mediante prótesis atornillada y cementada, realizándose un seguimiento a largo plazo de los implantes para objetivar su tasa de éxito y su pérdida ósea crestal, comprobando que las coronas unitarias sobre implantes cortos y extracortos son una excelente opción de tratamiento siempre que se sigan protocolos tanto quirúrgicos como protésicos que garanticen una correcta distribución de las tensiones frente a la carga y eviten la microfiltración bacteriana, bien sean prótesis atornilladas o cementadas.

Contacto:

Dr. Eduardo Anitua eduardo@fundacioneduardoanitua.org

Introducción

La literatura actual considera implantes cortos a aquellos con una longitud por debajo de los 8,5 mm, existiendo en algunos casos una subdivisión de extracortos para aquellos implantes con longitudes por debajo de los 5,5 mm. Los implantes cortos y extracortos son ya una más de las técnicas de rehabilitación del maxilar atrófico que podemos considerar habituales en la práctica diaria, siendo una opción poco invasiva y con cifras de supervivencia en torno al 99%1,6 La llegada de estos implantes de menor longitud, supone una menor morbilidad para los pacientes al mismo tiempo que posibilita la rehabilitación de pacientes que en ocasiones pueden negarse a la realización de técnicas accesorias como la elevación de seno o incluso en aquellos en los que técnicas más complejas puedan estar contraindicadas por diferentes

motivos médicos7-11. Inicialmente, estos implantes se conciben como punto de apoyo en rehabilitaciones parciales o totales formando parte de puentes y encontrándose en la mayoría de las ocasiones ferulizados a otros implantes, debido a que su escasa longitud en la mayoría de los casos obliga a coronas clínicas de gran tamaño y a priori se les considera un riesgo elevado rehabilitarlos de forma unitaria1. Posteriormente, se comienzan a rehabilitar de forma individual, en determinadas situaciones que se consideran más favorables (menor ratio corona-implante, mayor densidad ósea o menor carga oclusal)12. En algunos estudios que observan la evolución de los implantes cortos rehabilitados de forma individual comparado con implantes ferulizados obtienen mejores datos de pérdida ósea para los implantes ferulizados, aunque no existen diferencias estadísticamente significativas en las

cifras de fracaso entre ambos grupos14-16. En todos estos artículos existe el gran problema de la diversidad de diámetros, longitudes, tipologías de implantes y protocolo de fresado e inserción de los mismos, así como diferentes técnicas restauradoras, por ello, en algunas situaciones se puede obtener el éxito del tratamiento cuando en otras este no ha sido posible. Cuando se instaura un cuidadoso protocolo de fresado, conservador con el lecho como el fresado biológico adaptado a la densidad ósea preconizado por nuestro grupo de estudio, y se emplean técnicas restauradoras para los implantes cortos unitarios estandarizadas, que utilicen elementos intermedios como los transepiteliales unitarios o mecanismos para generar un mejor ajuste con menor posibilidad de contracción por calor, como el diseño en flujo digital, mecanizado o inyección de la corona y cementado en frío de la corona a la interfase puede marcar la diferencia entre unos casos y otros13,17-20 En el siguiente trabajo mostramos una serie de casos analizados de forma retrospectiva donde se colocaron implantes cortos y extra-cortos de forma unitaria y se rehabilitaron todos siguiendo esta filosofía anteriormente descrita de conservación de hermetismo y ajuste perfecto prótesis-implante con dos tipos de restauraciones (atornilladas y cementadas) realizándose un seguimiento a largo plazo de los implantes para objetivar su tasa de éxito y su pérdida ósea crestal.

Material y métodos

Fueron seleccionados de forma retrospectiva pacientes en los que fueran insertados implantes cortos y extra-cortos y rehabilitados de forma unitaria, según la técnica empleada y descrita por nuestro grupo de estudio17-20 cuya cirugía se llevase a cabo en el año 2014 y 2015 para tener un período de seguimiento con carga de al menos 9 años.

Todos los pacientes fueron estudiados antes de la inserción de los implantes mediante modelos diagnósticos, exploración intraoral y realización de un TAC dental (Cone-beam) analizado posteriormente mediante un software específico (BTI-Scan II). Antes de la inserción de los implantes se utilizó una pre-medicación antibiótica consistente en amoxicilina 2gr vía oral una hora antes de la intervención y paracetamol 1 gramo vía oral (como analgésico).

Posteriormente los pacientes prosiguieron con un tratamiento de amoxicilina 500-750 mg vía oral cada 8 horas (según peso) durante 5 días. El fresa-

do se realiza a bajas revoluciones (fresado biológico)21 y una vez se ha confeccionado un neoalveolo adaptado a la morfología del implante a colocar, se inserta con el motor quirúrgico fijado a 25 Ncm y 25 rpm finalizándose con la llave dinamométrica para conocer de forma exacta el par de colocación (torque en Ncm). Finalmente se realiza un cierre primario mediante un monofilamento no reabsorbible de 5/0 y se retira la sutura a los 15 días. El período de integración de los implantes es de 3 meses y transcurrido este se realiza la segunda fase quirúrgica y colocación del pilar protésico con la posterior rehabilitación transcurridos 15 días desde la segunda fase quirúrgica. Para la estimación de la pérdida ósea marginal se tomó como referencia una longitud conocida en las radiografías (longitud del implante) para calibrar de ese modo las mediciones realizadas en estas radiografías. A partir de la calibración el software utilizado calcula las mediciones reales (Sidexis XG; Sirona Dental Systems, Bensheim, Germany). La pérdida ósea crestal marginal se calculó midiendo desde el hombro del implante hasta el primer sitio donde el contacto hueso implante fuese evidente.

Análisis estadístico

La recolección de los datos estadísticos y su análisis fue realizada por dos investigadores diferentes. Fue realizado un test de shapiro-Wilk sobre los datos obtenidos para constatar la distribución normal de la muestra. La principal variable evaluada fue la supervivencia del implante seguida de la pérdida ósea crestal. Las variables cualitativas se describieron mediante un análisis de frecuencias. Las variables cuantitativas se describieron mediante la media y la desviación estándar. La supervivencia de los implantes se calculó mediante el método de KaplanMeier. Los datos fueron analizados con SPSS v15.0 para windows (SPSS Inc., Chicago, IL, USA).

Resultados

Fueron reclutados 130 pacientes en los que se insertaron 128 implantes que cumplieron con los criterios de inclusión previamente establecidos. 51 de los implantes fueron rehabilitados mediante prótesis cementada y 77 mediante prótesis atornillada. El 67,5% de los pacientes fueron de sexo femenino y la media de edad fue de 59 años. El 75% de los implantes fueron de 7,5 mm mientras que el 25% restante fue de 6,5 mm. De todos los implantes estudiados, se colocaron en la mandíbu-

Dr. Eduardo Anitua DDS, MD, PhD1,2,3

1Private practice in oral implantology, Eduardo Anitua Institute, Vitoria, Spain.

2Clinical researcher, Eduardo Anitua Foundation, Vitoria, Spain. 3 University Institute for Regenerative Medicine and Oral Implantology

- UIRMI (UPV/EHUFundación Eduardo Anitua), Vitoria, Spain.

caso clínico

TIPO ÓSEO FRECUENCIA

la 55 implantes y el resto en el maxilar superior. La posición más frecuentemente rehabilitada fue para la pieza 26 (30 implantes), seguida de la posición 16 y 36 (23 implantes respectivamente). El resto de las posiciones de los implantes incluidos en el estudio se muestran en la figura 1.

El tipo óseo de la zona de colocación de los implantes varió entre el tipo III el más común (45% de los casos) hasta el tipo IV y V los menos comunes 1,6 y 1,9% respectivamente. Todos los tipos óseos y su frecuencia se describen en la tabla 1.

Las prótesis realizadas en los implantes estudiados fueron cementadas en 51 de los casos y atornilladas en los 77 restantes. Las cementadas se llevaron a cabo mediante un biopilar personalizado fresado y las atornilladas mediante elemento intermedio o transepitelial unitario (Unit®). Todos los implantes se rehabilitaron en dos fases quirúrgicas esperando tres meses en la mandíbula y 5 meses en el maxilar superior desde la inserción del implante a la colocación de la corona definitiva. El antagonista de los implantes estudiados se clasificó en varios grupos: diente natural, diente natural con corona, implante o prótesis removible. En 89 de los implantes el antagonista fue diente natural, representando la mayoría de los casos. El resto de antagonistas de los implantes estudiados se muestran en la figura 2.

El tiempo de seguimiento fue de 112 meses +/14,85, no observándose ningún fracaso de los implantes estudiados durante este periodo. La media de la pérdida ósea mesial de los implantes estudiados fue de 0,15 mm +/- 0,71 , mientras que la distal fue de 0,31 mm +/- 0,69. Si estudiamos la pérdida ósea crestal separada entre los implantes atornillados y cementados obtenemos que para los implantes cementados la pérdida ósea distal fue de 0,47 mm +/- 0,80 y para los atornillados de 0,15 +/- 0,59 mm siendo las diferencias entre ambos grupos para la pérdida ósea distal estadísticamente significativas (p=0,03). En cambio, para la pérdida ósea mesial, no existieron diferencias estadísticamente significativas para los implantes atornillados y cementados, siendo la media de la pérdida ósea para los cementados de 0,27 +/- 0,83 y para los atornillados de 0,10 +/- 0,60. En la pérdida ósea de conjunto (media de la mesial y distal) para los grupos atornillado y cementado no existieron tampoco diferencias óseas significativas. En las figuras 3-10 se muestran imágenes de dos de los casos incluidos en el estudio.

Figura 1. Posiciones de los implantes incluidos en el estudio.
Figura 2. Tipo de antagonista de los implantes estudiados.
Tabla 1: Tipos óseos de los implantes estudiados.

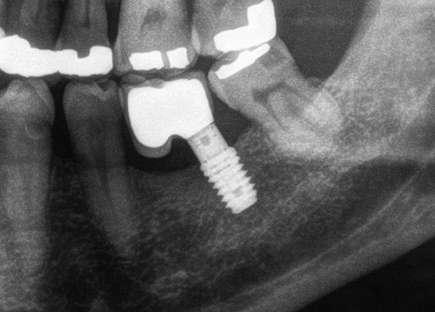
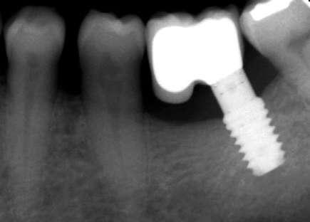
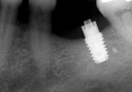
Figuras 3-6. Imágenes de un caso de prótesis atornillada en molar unitario inferior. Vemos el estado de los tejidos blandos gingivales tras la segunda fase y colocación del transepitelial unitario y la radiografía. En las imágenes inferiores (5 y 6) observamos el caso a los 4 años y 10 años de seguimiento, con estabilidad completa de los tejidos óseos peri-implantarios.

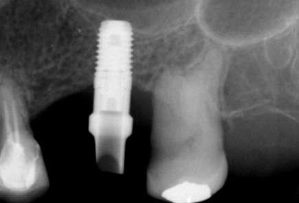
Figuras 7-10. En las dos imágenes superiores (7 y 8) observamos la realización de la prótesis cementada mediante un bioplilar fresado a la altura gingival con la radiografía antes del cementado de la corona. En las imágenes inferiores (9 y 10) vemos la prótesis a los 7 años de seguimiento y a los 9 años transformada en una prótesis atornillada al perderse la pieza anterior al implante y realizarse un puente con el nuevo implante. En este caso, el nivel óseo permanece estable con el paso del tiempo.

caso clínicoIMPLANTOLOGÍA

Discusión

Los implantes cortos y extracortos rehabilitados de forma unitaria en este estudio han sido una opción terapéutica para evitar cirugías más invasivas en pacientes y por lo tanto disminuir la morbilidad de la técnica1-2. En el caso de los implantes unitarios cortos, lograr una correcta estabilidad inicial que produzca una oseointegración sin problemas es uno de los retos más importantes, sobre todo cuando nos enfrentamos a zonas de baja densidad y con un volumen óseo reducido, que suelen ser los supuestos donde se opta por esta opción terapéutica22-23. En la cirugía de inserción del implante, podemos modificar todos los parámetros menos la densidad ósea para jugar a nuestro favor y lograr una mayor estabilidad primaria en casos donde el hueso no nos ofrece una correcta estabilidad por sí mismo. Podemos variar el implante a utilizar, su diámetro y en muchas ocasiones su longitud así como adaptar la secuencia de fresado para lograr compresión7,10-11,22-23. Una vez colocados los implantes, el protocolo de construcción de la prótesis es algo tan importante como la colocación del implante en sí mismo, ya que si no logramos una prótesis con hermetismo y que transmita las cargas de forma eficiente al conjunto implante-lecho óseo podemos generar pérdidas óseas y el fracaso del implante a largo plazo24-25. En implantología existe una controversia constante en cuanto a la elección de la prótesis atornillada o cementada. En una revisión publicada al respecto en 2017 por Wittneben y cols26. sobre el uso de la prótesis atornillada y cementada y las indicaciones de cada una de ellas en función del caso a tratar se recomienda el uso de la prótesis cementada en la zona anterior y posterior en los casos en los que el implante se encuentre mal posicionado y no permita que la prótesis sea atornillada debido a la inclinación o en situaciones donde la superficie oclusal deba encontrarse intacta a nivel posterior, como el caso de los implantes estrechos donde la corona presentaría una menor resistencia con el orificio para ser atornillada. En la literatura existen diferentes tipos de estudios que comparan las rehabilitaciones cementadas y atornilladas sobre implantes con el fin de conocer que opción presenta mayores complicaciones biológicas y protésicas así como el éxito de ambos tratamientos. En los estudios consultados a este respecto se encuentra una mayor tasa de

complicaciones protésicas en las prótesis atornilladas unitarias que las prótesis cementadas unitarias.26-31 Según estos datos, las prótesis unitarias atornilladas serían una peor opción, pero la realidad es que en la mayoría de estos trabajos se utilizan prótesis atornilladas directas a implante que no garantizan hermetismo ni evitan la filtración bacteriana. Cuando metemos en la ecuación un elemento intermedio (transepitelial) el comportamiento cambia, reduciéndose las complicaciones de un 6% comparado con el 20% que se les atribuye cuando no existe el transepitelial. Debemos tener en cuenta también que las complicaciones con el uso de transepitelial si aparecen son más fáciles de resolver, al poderse retirar el elemento intermedio si hay fractura de los tornillos de fijación con mayor sencillez que del interior de un implante.32-33 Además, la incorporación del CAD-CAM a la fabricación de las prótesis tanto atornilladas como cementadas sobre implantes ha generado una disminución en los fracasos protésicos en ambos grupos, sobre todo en el grupo de las prótesis atornilladas34-36. En esta serie de casos, donde tanto el protocolo quirúrgico como protésico ha sido estandarizado y se han utilizado los elementos protésicos de unión con mejor comportamiento en cuanto a hermetismo y estanqueidad, los resultados de supervivencia y pérdida ósea se sitúan por encima de la media, sobre todo para las coronas atornilladas.

Conclusiones

Las coronas unitarias sobre implantes cortos y extracortos son una excelente opción de tratamiento siempre que se sigan protocolos tanto quirúrgicos como protésicos que garanticen una correcta distribución de las tensiones frente a la carga y eviten la microfiltración bacteriana. Por ello, para las prótesis atornilladas recomendamos el uso de transepiteliales unitarios y el empleo de interfases que reducen el margen de error al eliminar ciclos de sobrecalentamiento de los materiales. Quizás el punto más crítico de estas rehabilitaciones son los puntos de contacto con los dientes naturales, que con el tiempo pueden ceder debido a la elasticidad del ligamento periodontal, por lo que puede generarse impactación de comida. Esto puede resolverse más fácilmente en las prótesis atornilladas, donde la reversibilidad nos permite retirarlas y añadir cerámica en los casos en los que sea necesario. 

Resumen

Los implantes cortos y extra-cortos habitualmente forman parte de nuestras rehabilitaciones, por lo general ferulizados a otros implantes de longitudes similar, mayor o menor. Rehabilitarlos de forma unitaria es menos frecuente, pero con la mejora biomecánica de los implantes y los diseños de elementos intermedios adecuados nos facilitan poder colocar implantes cortos y extracortos de forma unitaria y rehabilitarlos con un buen pronóstico a largo plazo. La eterna pregunta entre los casos atornillados o cementados es otro punto de discusión, más intenso quizás en las rehabilitaciones unitarias donde pueden aparecer mayor número de complicaciones.

Material y método: se ha realizado un estudio retrospectivo con implantes cortos y extra-cortos colocados y rehabilitados de forma unitaria. La principal variable evaluada fue la supervivencia del implante seguida de la pérdida ósea crestal que fue medida en dos puntos: mesial y distal de cada implante comparándose todo el conjunto de implantes y las prótesis cementadas y atornilladas por separado. Las variables cualitativas se describieron mediante un análisis de frecuencias. Y las variables cuantitativas se describieron mediante la media y la desviación estándar. La supervivencia de los implantes se calculó mediante el método de Kaplan-Meier.

Resultados: fueron reclutados 130 pacientes en los que se insertaron 128 implantes que cumplieron con los criterios de inclusión previamente establecidos. 51 de los implantes fueron rehabilitados mediante prótesis cementada y 77 mediante prótesis atornillada. El 75% de los implantes fueron de 7,5 mm mientras que el 25% restante fue de 6,5 mm. El tiempo de seguimiento fue de 112 meses +/- 14,85, no observándose ningún fracaso de los implantes estudiados durante este periodo. La media de la pérdida ósea mesial de los implantes estudiados fue de 0,15 mm +/- 0,71 , mientras que la distal fue de 0,31 mm +/- 0,69. Si estudiamos la pérdida ósea crestal separada entre los implantes atornillados y cementados obtenemos que para los implantes cementados la pérdida ósea distal fue de 0,47 mm +/- 0,80 y para los atornillados de 0,15 +/- 0,59 mm siendo las diferencias entre ambos grupos para la pérdida ósea distal estadísticamente significativas (p=0,03). Conclusiones: las coronas unitarias sobre implantes cortos y extracortos son una excelente opción de tratamiento siempre que se sigan protocolos tanto quirúrgicos como protésicos que garanticen una correcta distribución de las tensiones frente a la carga y eviten la microfiltración bacteriana, bien sean prótesis atornilladas o cementadas.

Bibliografía

1. Tutak M, Smektala T, Schneider K, Golebiewska E, Sporniak-Tutak K. Short dental implants in reduced alveolar bone height: a review of the literature. Med Sci Monit. 2013;19:1037–1042.

2. Queiroz TP, Aguiar SC, Margonar R, de Souza Faloni AP, Gruber R, Luvizuto ER. Clinical study on survival rate of short implants placed in the posterior mandibular region: resonance frequency analysis. Clin Oral Implants Res. 2015;26:1036–1042.

3. Feldman S, Boitel N, Weng D, Kohles SS, Stach RM. Five-year survival distributions of short-length (10 mm or less) machined-surfaced and osseotite implants. Clin Implant Dent Relat Res. 2004;6:16–23.

4. Gastaldi G, Felice P, Pistilli R, Barausse C, Trullenque-Eriksson A, Esposito M. Short implants as an alternative to crestal sinus lift: a 3-year multicenter randomised controlled trial. Eur J Oral Implantol. 2017;10(4):391-400.

5. Anitua E, Orive G. Short implants in maxillae and mandibles: a retrospective study with 1 to 8 years of follow-up. J Periodontol 2010;81:819-826.

6. Atieh MA, Zadeh H, Stanford CM, Cooper LF. Survival of short dental implants for treatment of posterior partial edentulism: a systematic review. Int J Oral Maxillofac Implants 2012; 27: 1323-1331.

7. Anitua E, Alkhraisat MH. 15-year follow-up of short dental implants placed in the partially edentulous patient: Mandible Vs maxilla. Ann Anat. 2019;222:88-93.

8. Hernández-Marcos G, Hernández-Herrera M, Anitua E. Marginal Bone Loss Around Short Dental Implants Restored at Implant Level and with Transmucosal Abutment: A Retrospective Study. Int J Oral Maxillofac Implants. 2018;33:1362-1367.

9. Anitua E, Piñas L, Escuer-Artero V, Fernández RS, Alkhraisat MH. Short dental implants in patients with oral lichen planus: a long-term follow-up. Br J Oral Maxillofac Surg. 2018;56:216-220.

10. Anitua E. Immediate Loading of Short Implants in Posterior Maxillae: Case Series. Acta Stomatol Croat. 2017;51:157-162.

11. Anitua E, Flores J, Flores C, Alkhraisat MH. Long-term Outcomes of Immediate Loading of Short Implants: A Controlled Retrospective Cohort Study. Int J Oral Maxillofac Implants. 2016;31:1360-1366.

12. Schwartz SR. Short implants: are they a viable option in implant dentistry? Dent Clin North Am. 2015 Apr;59(2):317-28.

13. Anitua E, Larrazabal Saez de Ibarra N, Morales Martín I, Saracho Rotaeche L. Influence of Dental Implant Diameter and Bone Quality on the Biomechanics of Single-Crown Restoration. A Finite Element Analysis. Dent J (Basel). 2021 Sep 6;9(9):103.

14. Afrashtehfar KI, Katsoulis J, Koka S, Igarashi K. Single versus splinted short implants at sinus augmented sites: A systematic review and meta-analysis. J Stomatol Oral Maxillofac Surg. 2021 Jun;122(3):303-310.

15. de Souza Batista VE, Verri FR, Lemos CAA, Cruz RS, Oliveira HFF, Gomes JML, Pellizzer EP. Should the restoration of adjacent implants be splinted or nonsplinted? A systematic review and meta-analysis. J Prosthet Dent. 2019 Jan;121(1):41-51.

16. Clelland N, Chaudhry J, Rashid RG, McGlumphy E. Split-Mouth Comparison of Splinted and Nonsplinted Prostheses on Short Implants: 3-Year Results. Int J Oral Maxillofac Implants. 2016 Sep-Oct;31(5):1135-41.

17. Anitua E, Murias-Freijo A, Flores J, Alkhraisat MH. Replacement of missing posterior tooth with off-center placed single implant: Long-term follow-up outcomes. J Prosthet Dent. 2015 Jul;114(1):27-33.

18. Anitua E, Larrazabal Saez de Ibarra N, Morales Martín I, Saracho Rotaeche L. Influence of Dental Implant Diameter and Bone Quality on the Biomechanics of Single-Crown Restoration. A Finite Element Analysis. Dent J (Basel). 2021 Sep 6;9(9):103.

19. Anitua E, Alkhraisat MH. Single-unit short dental implants. Would they survive a long period of service? Br J Oral Maxillofac Surg. 2019 May;57(4):387-388.

20. Anitua E, Alkhraisat MH, Piñas L, Orive G. Efficacy of biologically guided implant site preparation to obtain adequate primary implant stability. Ann Anat. 2015 May;199:9-15.

21. Anitua E, Carda C, Andia I. A novel drilling procedure and subsequent bone autograft preparation: a technical note. Int J Oral Maxillofac Implants. 2007 Jan-Feb;22(1):138-45. Erratum in: Int J Oral Maxillofac Implants. 2007 Mar-Apr;22(2):309.

22. Alonso FR, Triches DF, Mezzomo LAM, Teixeira ER, Shinkai RSA. Primary and Secondary Stability of Single Short Implants. J Craniofac Surg. 2018 Sep;29(6):e548-e551.

23. González-Serrano J, Molinero-Mourelle P, Pardal-Peláez B, Sáez-Alcaide LM, Ortega R, López-Quiles J. Influence of short implants geometry on primary stability. Med Oral Patol Oral Cir Bucal. 2018 Sep 1;23(5):e602-e607.

24. Kim Y, Oh TJ, Misch CE, Wang HL. Occlusal considerations in implant therapy: clinical guidelines with biomechanical rationale. Clin Oral Implants Res. 2005 Feb;16(1):26-35.

25. Anitua E, Piñas L, Murias-Freijo A, Alkhraisat MH. Rehabilitation of Atrophied Low-Density Posterior Maxilla by Implant-Supported Prosthesis. J Craniofac Surg. 2016 Jan;27(1):e1-2.

26. Wittneben JG, Joda T, Weber HP, Bräger U. Screw retained vs. Cement retained implant-supported fixed dental prosthesis. Periodontology 2000, Vol. 73, 2017, 141–151.

27. Levine RA, Clem D, Beagle J, Ganeles J, Johnson P, Solnit G, Keller GW. Multicenter retrospective analysis of the solid-screw ITI implant for posterior single-tooth replacements. Int J Oral Maxillofac Implants. 2002;17:550-6.

28. Duncan JP, Nazarova E, Vogiatzi T, Taylor TD. Prosthodontic complications in a prospective clinical trial of single-stage implants at 36 months. Int J Oral Maxillofac Implants. 2003;18:561-565.

29. Brägger U, Karoussis I, Persson R, Pjetursson B, Salvi G, Lang NP. Technical and biological complications/failures with single crowns and fixed partial dentures on implants: a 10-year prospective cohort study. Clin Oral Impl Res. 2005;16:326-334.

30. De Boever AL, Keersmaekers K, Vanmaele G, Kerschbaum T, Theuniers G, De Boever JA. Prosthetic complications in fixed endosseous implant-borne reconstructions after an observations period of at least 40 months. J Oral Rehabil. 2006;33:833-9.

31. Nissan J, Narobai D, Gross O, Ghelfan O, Chaushu G. Long-term outcome of cemented versus screw-retained implant-supported partial restorations. Int J Oral Maxillofac Implants. 2011;26:1102-1107.

32. Hernández-Marcos G, Hernández-Herrera M, Anitua E. Marginal Bone Loss Around Short Dental Implants Restored at Implant Level and with Transmucosal Abutment: A Retrospective Study. Int J Oral Maxillofac Implants. 2018 Nov/Dec;33(6):1362-1367.

33. Anitua E, Alkhraisat MH, Eguia A. Single-crown restorations in premolar-molar regions: short (≤ 6.5) vs longer implants: retrospective cohort study. Int J Implant Dent. 2022 Oct 4;8(1):40.

34. Kapos T, Evans C. CAD/CAM technology for implant abutments, crowns, and superstructures. Int J Oral Maxillofac Implants. 2014;29 Suppl:117-36.

35. Lops D, Bressan E, Parpaiola A, Sbricoli L, Cecchinato D, Romeo E. Soft tissues stability of cad-cam and stock abutments in anterior regions: 2-year prospective multicentric cohort study. Clin Oral Implants Res. 2015;26:1436-42.

36. Harder S, Kern M. Survival and complications of computer aided-designing and computer-aided manufacturing vs. conventionally fabricated implant-supported reconstructions: a systematic review. Clin Oral Implants Res. 2009;20 Supplm4:48-54.

“LA CIRUGÍA BUCAL ESTÁ EN UNA ÉPOCA DE CAMBIO ACELERADO Y ES NECESARIO ESTAR AL DÍA DE LOS AVANCES”

Dres. Eduard Valmaseda y Rui Figueiredo, presidente y vicepresidente del XXI Congreso Nacional SECIB (14 y 15 noviembre de 2024, Girona)

Conscientes de los avances constantes que se producen en la Cirugía Bucal, los Dres. Eduard Valmaseda y Rui Figueiredo, presidente y vicepresidente -respectivamente- del XXI Congreso Nacional SECIB –que tendrá lugar en Girona los días 14 y 15 de noviembre de 2024–, nos avanzan en esta entrevista los detalles del enfoque clínico de este encuentro “organizado por odontólogos para odontólogos”, con el objetivo de que los profesionales actualicen sus conocimientos en este campo de la mano de ponentes expertos de primer nivel y puedan aplicarlos para resolver incluso los casos más complejos.

Dr. Eduard Valmaseda.
Dr. Rui Figueiredo.

 DM.- Como responsables del Comité Organizador y del XXI Congreso Nacional de la Sociedad Española de Cirugía Bucal (SECIB), ¿qué objetivos se han marcado de cara a la celebración de este encuentro?

Dres. Eduard Valmaseda y Rui Figueiredo (Dres. E.V. y R.F.).- Nuestro principal objetivo es la satisfacción del congresista. Hemos diseñado un programa científico agrupado por temáticas, con algunos de los mejores ponentes del momento en cada área. En una ciudad bella, acogedora y bien comunicada. Con un horario compacto, para aprovechar cada minuto. En un palacio de congresos bien equipado, accesible y acogedor. Con una exposición comercial cómoda y agradable. Y con una proximidad entre los ponentes y los asistentes. Estamos seguros de que la experiencia será muy positiva y el asistente se llevará en su maleta buenos recuerdos, conocimiento, habilidades y buenos contactos.

 DM.- ¿Cuáles serán las principales temáticas sobre las que se vertebrará el programa de SECIB Girona 2024?

Dres. E.V. y R.F.- Uno de los temas estrellas del congreso será el de la cirugía guiada. Los sistemas de cirugía guiada estática y dinámica han aumentado la precisión y la seguridad de los tratamientos, y se están transformando en una poderosa herramienta de formación. Una consecuencia de los avances en la cirugía guiada dinámica es el desarrollo de la cirugía robótica, que ya es una realidad en el campo de los implantes. Tendremos entre nosotros a algunos de los principales expertos en este campo: Luca Comuzzi, Nikos Mattheos, Luigi Laino, etc. También trataremos la regeneración de tejidos, con ponentes de primera línea. Para hablar de los avances en regeneración de tejidos duros, contaremos con Frank Schwarz, Liliana Silva, David González y Luca de Stavola. Y para los tejidos blandos, contaremos con excelentes clínicos: Gonzalo Blasi, Santiago Carreras, Xavi Mir y David Palombo. Otro punto fuerte será la sesión dedicada a las alternativas a la regeneración para tratar el maxilar atrófico, como los implantes subperiósticos, córtico-basales, subperiósticos o zigomáticos, con Mariano del Canto, Vivek Gaur, César Muelas e Ignacio Mayo. Uno de los objetivos del congreso es ofrecer el abanico de técnicas disponibles para tratar los casos atróficos y discutir sus indicaciones. Es especialmente importante que el clínico se lleve a casa un conocimiento que pueda aplicar para resolver casos complejos.

Uno de los temas estrellas del congreso será el de la cirugía guiada ”

 DM.- ¿Qué otros especialistas en estas materias participarán también como ponentes en el congreso?

Dres. E.V. y R.F.- Ya hemos mencionado a algunos de ellos, y con ello aceptamos el riesgo de dejarnos a alguien. Pero también contaremos con un gran número de ponentes en sesiones paralelas de la Sociedad Española de Odontología Implantológica (SCOI) y la Sociedad Española de Láser en Odontología (SELO).

 DM.- ¿Cuál será el papel de SCOI y SELO durante el encuentro?

Dres. E.V. y R.F.- Contaremos con un gran número de ponentes en sesiones paralelas de la Sociedad Española de Odontología Implantológica (SCOI) y la Sociedad Española de Láser en Odontología (SELO). Cada sociedad tendrá reservado un espacio durante el viernes 15 de noviembre. La sesión de SCOI está programada por la mañana y tendrá por temática “Casos clínicos en

Uno de los objetivos del congreso es ofrecer el abanico de técnicas disponibles para tratar los casos atróficos y discutir sus indicaciones. Es especialmente importante que el clínico se lleve a casa un conocimiento que pueda aplicar para resolver casos complejos

implantología”: se tratará un amplio abanico de temas, desde protocolos de tratamiento con cirugía guiada, carga inmediata, manejo de tejidos blandos y duros hasta tratamiento de complicaciones. SELO organizará por la tarde una sesión sobre “Fotomodulación en implantología y cirugía bucal”, un área en auge en nuestro campo.

 DM.- ¿Cuáles serán los contenidos científicos más destacados e innovadores en cuanto a cirugía bucal, implantología y técnicas regenerativas de tejidos duros y blandos que se presentarán durante el encuentro?

Dres. E.V. y R.F.- Ya he mencionado algunos de ellos: la cirugía guiada, la cirugía robótica, el tratamiento de las atrofias de maxilares, la fotobiomodulación, el manejo de los tejidos blandos y duros... La Cirugía Bucal está en una época de cambio acelerado y es necesario estar al día de los avances. Más que nunca.

 DM.- ¿Cómo han enfocado el programa de SECIB Girona 2024 teniendo en cuenta la importancia del enfoque multidisciplinar?

Dres. E.V. y R.F.- El viernes 15 de noviembre hemos organizado sesiones sobre el tratamiento multidisciplinar. La colaboración con otros clínicos permite resolver casos complejos con una mayor seguridad. Tendremos expertos en endodoncia y trasplantes dentales y en tratamientos estéticos y

El congreso tiene un enfoque eminentemente clínico: organizado por odontólogos para odontólogos ”

perfiloplastias, como Raquel Guijarro, Montserrat Mercadé o Xavier Rodríguez. Siempre es atractivo invitar a expertos de otras áreas, que nos ayudan a expandir nuestra visión de la Odontología y abrirnos a otras posibilidades. Hemos abierto el programa científico a clínicos que no acuden habitualmente a nuestros congresos, para poder aprender también de ellos.

 DM.- Y, por otro lado, ¿cómo se combinará la ciencia y la práctica para que los profesionales asistentes puedan aplicar los conocimientos e innovaciones aprendidas a su día a día?

Dres. E.V. y R.F.- Hemos organizado 4 talleres sobre distintos aspectos quirúrgicos (implantes subperiósticos, implantes zigomáticos y uso de fillers alrededor de la boca). No obstante, las sesiones plenarias también están planteadas para transmitir conocimiento que puede aplicarse en el ámbito clínico. En este aspecto, el congreso tiene un enfoque eminentemente clínico: organizado por odontólogos para odontólogos.

 DM.- Háblenos sobre el Simposium Universidades que tendrá lugar en el marco de SECIB Girona 2024. ¿Qué temas se tratarán durante la tercera edición de este encuentro?

Dres. E.V. y R.F.- Se tratarán 3 grandes áreas: la cirugía bucal, los implantes dentales y la regeneración de tejidos blandos y duros. Creemos que es una excelente iniciativa que reunirá a ponentes de programas de postgrado de cirugía bucal e implantes de los principales programas de las universidades españolas. Será una excelente ocasión para ver ponentes excelentes y para tener una visión global de los distintos programas formativos que ofrecen las universidades de nuestro país. En definitiva, un escaparate único de la investigación y la docencia universitarias en nuestro área.

 DM.- ¿A qué perfil de profesionales está dirigido el Congreso?

Dres. E.V. y R.F.- Muchos congresistas serán socios de SECIB y clínicos que se dedican preferentemente a la cirugía bucal. No obstante, está abierto a cualquier odontólogo que tenga interés en la cirugía bucal, la regeneración ósea o los implantes dentales. Es una oportunidad única para oír a ponentes de primera talla mundial en nuestro país, juntos en un mismo lugar. Os esperamos en Girona. 

SOCIEDADES INVITADAS

D. ABAD
S. CARRERAS
D. CORTÉS
H. ELAFIFI
R. GUIJARRO
M. MERCADÉ
M. PÉREZ
L. SILVA
V. GAUR
M.J. MARTÍN
O. ORTIZ
G. BLASI
O. CHERON L. DE STAVOLA
S. GARCÍA B. A. JORBA
X. MIR
J. PÉREZ A.
J. SIRVENT
D. GONZÁLEZ
N. MATTHEOS
D. PALOMBO
X. RODRÍGUEZ
F. BOUILLARD
L. COMUZZI
M. DEL CANTO
H.A. GARCÍA G.
L. LAINO
C. MUELAS
R. RECENA
F. ZASTROW
R. GONZÁLEZ T. I. MAYO
M. PASQUÍN
F. SCHWARZ

LA REGENERACIÓN MAXILAR

COMPLETA: UNA ALTERNATIVA

A LOS MAXILARES ATRÓFICOS

El edentulismo total es una situación frecuente en la práctica clínica. La demanda de estos tratamientos a su vez ha aumentado una media del 8% anual en los últimos 20 años. Al ser pacientes con edad avanzada y evolución del edentulismo, muchos de estos casos se asocian a atrofias severas maxilares con la imposibilidad de poner implantes de manera convencional. En este caso clínico realizaremos un abordaje regenerativo del mismo.

Dr. Luís García Marí Licenciado en Odontología. Universidad de Murcia, 2002.

Master en Periodoncia. Universidad París, 2005.

Especialista en Periodoncia. Universidad Maimónides de Buenos Aires, 2006.

Continuing Dental Education program in Implantology, cosmetic and Oral rehabilitation. New York University, 2007.

Especialista en Cirugía y Rehabilitación Implantológica. Universidad de Sevilla, 2014.

Experto en Implantes Zigomáticos. Universidad de Lérida, 2015.

Advanced Surgical Master Curriculum in Regenerative Implant Dentistry Istvan Urban Institute. University of Szeged (Hungary), 2018.

Dictante de numerosos cursos nacionales e internacionales de regeneración, uso de biomateriales y técnicas de elevación de seno.

Introducción

En los países occidentales, aproximadamente el 7,5% de los mayores de 65 años son edéntulos totales. Por características de edad (enfermedades sistémicas concomitantes, degeneración muscular y ósea, artrosis...) y evolución del edentulismo a largo plazo, suele tratarse de casos con atrofias severas que requieren de técnicas no convencionales para ser llevados a cabo.

De esta forma, existen diferentes alternativas para su resolución como pueden ser los implantes cigomáticos, customizados o la regeneración ósea. Elegir uno u otro dependerá de varios factores para tener en cuenta. Así deberemos considerar los siguientes aspectos para decantarnos entre uno y otro tratamiento:

1) Historia clínica del paciente: en los que valoraremos las enfermedades sistémicas, edad, hábitos, historial dental (¿cómo perdió los dientes?) y expectativas del paciente.

2) Exploración clínica intra y extraoral: Síndrome de Kelly presente, reabsorción anterior de los planos del espacio, anchura del paladar, presencia de dientes inferiores y perfil facial.

3) Exploración radiográfica: neumatización de los senos, grosor cortical, fosas nasales, lesiones infecciosas, ostium cerrado y anchura del conducto nasopalatino.

Diagnóstico y planificación

En casos de regeneración maxilar completa debemos destacar dos factores fundamentales en la historia clínica del paciente. Por un lado, las enfermedades sistémicas del paciente y, por otro, los

hábitos. Así por ejemplo tenemos que catalogar como contraindicación absoluta el tabaco o radioterapia de cabeza y cuello en los últimos 5 años. Una contraindicación relativa sería la diabetes, sinusitis o enfermedades del colágeno. Las contraindicaciones relativas nos obligan a usar unas técnicas o materiales distintos para cada caso.

Por su parte, una exploración clínica exhaustiva nos permite elegir la técnica más adecuada para cada caso. Un síndrome de Kelly con reabsorción de la zona anterior nos llevará a usar membranas o sistemas con refuerzo de titanio para contrarrestar las fuerzas nocivas en la zona anterior. En el caso a tratar se observa una correcta altura anterior sin reabsorción de la premaxila suficiente para poner implantes en altura. (Figuras 1 y 2).

Por lo tanto, podremos usar membranas sin refuerzo de titanio tipo nativa (creos™ xenoprotect).

Con respecto al perfil facial, se debe ver el grado de reabsorción del paciente. Un perfil con mucha reabsorción precisa de algún tipo de regeneración para ganar volumen si queremos una prótesis estable en el tiempo y fija. En este caso hay una gran pérdida de volumen maxilar con inclinación de la nariz hacia abajo y cambio del plano oclusal (Figura 18). Esto nos decanta por una cirugía regenerativa en anchura anterior para mejorar la emergencia de la prótesis y la estética final. Podremos optar por ganar tejido blando con materiales sustitutivos (creos™ mucogain) o con regeneración ósea guiada con mezcla de hueso autólogo y xenoinjerto (creos™ xenogain).

La exploración radiográfica es fundamental no sólo para el diagnóstico del caso, sino para la planificación

del mismo. Lo primero que deberemos valorar es si los senos maxilares están neumatizados y hasta qué punto lo están. En caso de elevación de seno deberemos descartar que el ostium esté obliterado o no, pues es causa de complicaciones postoperatorias o incluso una contraindicación absoluta si se acompaña de un engrosamiento anómalo de la membrana sinusal.

Se ha demostrado de la misma forma, que la anatomía del seno, grosor y calidad del hueso rema-

nente influye en el tiempo y calidad de la formación ósea1. Así un seno sin altura ósea, ancho y de paredes sin hueso esponjoso, tendrá peores resultados y mayores tiempos de maduración. Deberemos tenerlo en cuenta para el abordaje que realicemos del caso como explicaremos posteriormente. En el caso que exponemos, se observó un seno con escaso hueso esponjoso, nula altura ósea y ancho en sentido vestíbulo palatino. La peor situación posible (Figura 3).

caso clínico

Si bien la altura en la zona anterior premaxila es suficiente, la anchura previa era de menos de 2 mm con un hueso bastante cortical (Figura 4). Por lo que deberemos valorar una mezcla con gran componente de hueso autólogo.

La medición del CBCT con modelos mediante el software DTX nos permite saber el tamaño de las membranas previamente a la cirugía (3 membranas 30*40).

Cirugía regenerativa

Realizaremos una incisión a espesor total hasta distal de lo que serían los segundos molares con descargas largas. Es importante resaltar la necesidad del despegamiento meticuloso del colgajo para evitar desgarros que influyen en el sangrado intraoperatorio y en la inflamación y molestias postoperatorias. Debemos hacer especial mención al manejo del nasopalatino. El mantenimiento de

éste ha dado mejores resultados en regeneraciones anteriores y en sensaciones posteriores de los pacientes2. La lateralización del paquete vasculo-nervioso nasopalatino es, por tanto, aconsejable (Figura 5).

Una vez expuesto todo el tejido observamos zonas con grosores de 2 mm o incluso menos (Figura 6). La primera maniobra que realizaremos es la elevación de seno maxilar. La mayor modificación que aplicamos en esta técnica es la posición de la ventana y cómo acceder al seno. Accederemos al seno con rascadores óseos situándonos más en la zona anterior del mismo con un abordaje por la zona canina (posible en casos de neumatización extrema) (Figura 7).

El motivo de este protocolo es doble: por un lado, obtenemos hueso autólogo que usaremos en la regeneración en anchura anterior (necesario por la gran corticalización de esa zona) y por otro evitamos el gran problema anatómico anteriormente mencionado (seno ancho, con paredes finas, sin altura ósea). De esta forma podremos rellenar el seno con material 100% xenoinjerto creos™ xenogain y reservar el hueso autólogo para zonas con más demandas. Así el biomaterial estará completamente rodeado por paredes óseas (la membrana sinusal tiene esta característica) con lo que reduciremos el tiempo de regeneración y las complicaciones posibles. Se sabe que un seno relleno en su totalidad con biomaterial es totalmente viable3,4. Dentro del seno y en la zona unida a la membrana optamos por poner una membrana creos™ xenoprotect para evitar posibles roturas por la gran compresión que realizamos (Figura 8).

El siguiente paso por realizar es la regeneración en anchura del maxilar completo de lado a lado. Para ello usaremos membranas tipo nativo (creos™ xenoprotect) para técnica compresiva5,6. Usaremos para la sujeción de la misma chincheta por palatino. Posteriormente rellenaremos el defecto con mezcla autólogo con xenoinjerto. Cerraremos por vestibular con tornillos para evitar la perforación de la membrana con el martillazo de la chincheta (complicación muy frecuente) (Figura 9) y así uniremos todas las membranas quedando una estructura completa comprimida (Figura 10).

caso clínico

El cierre del colgajo se realizará una vez hagamos una preparación en el periostio para obtener un colgajo libre de tensión. Los puntos serán PTFE de 4o, colchoneros y simples. Un control radiográfico temprano será necesario para comprobar que el material no se ha desplazado (Figura 11).

Planificación de implantes y prótesis

La maduración de los tejidos óseos será en un caso como éste de 8 meses mínimo para la colocación de implantes. En ese momento volveremos a rea-

lizar un CBCT para planificar la altura. En este caso se observa que hay hueso suficiente para una correcta rehabilitación protésica fija (Figuras 12 y 13).

Mediante el software DTX planificaremos los implantes adecuados para el caso. (Figuras 14 y 15).

También nos permitirá ver una distribución en el espacio de estos. (Figura 16).

Es recomendable en estos casos el sobre fresado para reducir el estrés en el hueso neoformado y las posibles reabsorciones o pérdidas óseas en el cuello del implante. También es aconsejable usar implantes

caso clínicoCIRUGÍA

con cuello pulido y colocarlos infra óseos7. Por esto decidimos colocar implantes NobelReplace® con cuello pulido y conexión cónica. Una vez expuesto el hueso los implantes se colocan en lechos óseos con anchuras de más de 7mm. (Figura 16). El fresado es a baja velocidad (500rpm) y torques de inserción de 30Ncm o menores. El número de implantes a colocar en este caso es de 8, nunca menor en longitud a 10mm (Figura 17). El tiempo de espera para la colocación de los pilares Multi-unit y tomas de impresión es de 3 meses desde la cirugía de implantes. En este momento será necesario realizar una vestibuloplastia con el propósito de ganar movilidad del labio, reducida en el momento de la cirugía regenerativa.

Rehabilitación protésica. Resultados

La rehabilitación elegida fue una prótesis híbrida fija sobre 8 implantes con Multi-unit. El material elegido fue metal cerámico fresado. Tanto el perfil facial como la estética se ven mejorados (Figuras 18, 19, 20 y 21). El soporte labial es correcto y no hay problemas de fonación ni masticatorios.

El control a los 5 años muestra ausencia de inflamación en los tejidos circundantes en el mantenimiento y limpieza sólo habiendo de cambiar un Multi-unit por desgaste (Figuras 22 y 23). Radiográficamente se observa un hueso sin pérdida ósea alrededor de los implantes (Figura 24).

caso clínico

Conclusiones

La regeneración ósea en maxilares atróficos severos es una alternativa válida. No sólo a corto plazo sino mantenido en el tiempo. Los resultados, no obstante, dependerán de aplicar los protocolos adecuados, usar los materiales y técnicas correctos, así como tener claros los conceptos fisiológicos y clínicos que suceden en los tejidos involucrados.

Bibliografía

1. Does new Bone formation vary in different sites within the same maxillary sinus after lateral augmentation? A prospective histomorphometric study. Claudio Stacchi. Clinical Oral Implants Res 2022.

2. Aberrations Causing Neurovascular Damage in the Anterior Maxilla during Dental Implant Placement Shane J.J. McCrea 2017.

3. Maxillary Sinus Augmentation for Dental

Su mayor hándicap es el tiempo que necesita comparado con otras soluciones. No obstante, un menor número de complicaciones en el tiempo, una mejor adaptación protésica y una mejora de la estética, fonación y masticación son sus mayores ventajas. Es por eso por lo que se debe tener en cuenta esta opción siempre que se den las condiciones necesarias para realizarla. 

Implant Rehabilitation of the Edentulous Ridge: A Comprehensive Overview of Systematic Reviews Miriam Ting Implant Dent 2017.

4. Long-Term Outcomes of Implants Placed in Maxillary Sinus Floor Augmentation with Porous Fluorohydroxyapatite (Algipore® FRIOS®) in Comparison with Anorganic Bovine Bone (Bio-Oss®) and Platelet Rich Plasma (PRP): A Retrospective Study Biagio Rapone J Clinc Med 2022.

5. Urban I, et al. Int J Periodontics Restorative Dent. 2013;33(3):299-307.

6. Techniques on vertical ridge augmentation: Indications and effectiveness January 2023. Periodontology 2000 93(225):n/a-n/a 93(225):n/a-n/a.

7. Implant survival and risk factor analysis in regenerated bone: results from a 5-year retrospective study Ji Youn Ho. J Periodontal Implant Sci.

La unión desearásquesiempre

“EL 44º CONGRESO NACIONAL DE ENDODONCIA DARÁ VISIBILIDAD A LOS ÚLTIMOS PROTOCOLOS CIENTÍFICOS Y CLÍNICOS DE LA MANO DE LOS MEJORES PONENTES TANTO NACIONALES COMO

INTERNACIONALES”

Dra. Jenifer Martín González, presidenta del Comité Organizador del Congreso AEDE 2024 (31 octubre-2 noviembre de 2024, Sevilla)

Actualidad, ciencia y aplicabilidad clínica son los conceptos que marcarán el programa del 44º Congreso Nacional de la Asociación Española de Endodoncia (AEDE), que se celebrará del 31 octubre al 2 noviembre en Sevilla. Así lo explica la Dra. Jenifer Martín González, presidenta del Comité Organizador de este encuentro, dirigido no solo a endodoncistas, sino también a odontólogos generales interesados en formarse en esta disciplina, ofreciendo a los asistentes un congreso clínico basado en la última evidencia científica.

 DM.- ¿Cuáles han sido los principales objetivos que se han marcado desde el Comité Organizador para el próximo Congreso Nacional de la Asociación Española de Endodoncia (AEDE)?

Dra. Jenifer Martín González (Dra. J.M.G.).- Crear un foro de encuentro entre compañeros para compartir ciencia y amistad con los mejores ponentes de la Endodoncia, además de difundir la última evidencia científica con la máxima aplicabilidad clínica; dar visibilidad a ponentes que nunca antes habían hablado en AEDE y que tienen mucho que aportarnos; estrechar y apoyar a la industria, para la mejor simbiosis con una sociedad científica; y llegar a todos los compañeros y no solo a endodoncistas, sino también a odontólogos generales que se puedan formar continuamente en esta disciplina, para lo cual habrá contenido para todos los niveles.

 DM.- ¿Cuál será el principal atractivo del Congreso AEDE 2024 y qué novedades incorpora en su 44ª edición?

Dra. J.M.G.- En los últimos años, el cambio de paradigma en diagnóstico pulpo-periapical para una

correcta planificación es tan evidente como necesario. Asimismo, es imprescindible para un éxito predecible la relación interdisciplinar con otras áreas de la Odontología. Por ello, el principal atractivo del Congreso AEDE 2024 será dar visibilidad a los últimos protocolos científicos y clínicos de la mano de los mejores ponentes tanto nacionales como internacionales, destacando que más del 60% del cartel de ponentes nunca antes han hablado en un congreso de AEDE con lo que se pretende acercar nuevos y actuales conocimientos a todos los compañeros que asistan al encuentro. Como novedades se presentan muchísimas, entre ellas, el congreso contará con dos salas plenarias llenas de interesantísimas conferencias, más de 10 talleres impartidos por las casas comerciales presentes en el evento, un curso gratuito el jueves 31 de octubre sobre traumatología dental impartido por la Dra. Montse Mercadé abierto para todo el mundo -aún no estando inscrito en el congreso-, así como dos cursos precongreso impartidos por la Dra. Silvia del. Cid y el Dr. Javier Nieto con la última tecnología en reconstrucción y abordaje de casos complejos, respectivamente. Además, habrá por primera vez sesiones de talleres no endodónticos para aprender a bailar flamenco o cata de vinos y muchas sorpresas más en la parte social de esta actividad científica.

 DM.- En cuanto al programa, ¿cómo han vertebrado su contenido y qué temáticas se tratarán durante el encuentro?

Dra. J.M.G.- Se van a abordar todas las temáticas referentes a cada unas de las fases del tratamiento de conductos, desde el diagnóstico hasta la reconstrucción del diente endodonciado o traumatizado. Se va a dar mucha importancia a las últimas guías clínicas publicadas por las diferentes sociedades científicas internacionales y su difusión y se

Queremos crear un foro de encuentro entre compañeros para compartir ciencia y amistad con los mejores ponentes de la Endodoncia, además de difundir la última evidencia científica con la máxima aplicabilidad clínica

va a insistir mucho en la relación interdisciplinar de la Endodoncia con otras áreas de la Odontología, sin olvidarnos de las técnicas más vanguardistas.

 DM.- En este sentido, ¿cuáles serán los expertos más destacados que participarán como ponentes en el congreso?

Dra. J.M.G.- Todos los ponentes son expertos muy destacados en el área de Endodoncia y no nos podemos perder a ninguno. Destacamos, entre otros, al Dr. Hal Duncan, editor de la revista International Endodontic Journal y que hablará sobre terapia pulpar vital; al Dr. Salvador Gallardo, no endodoncista con gran trayectoria clínica y científica que nos hará más fácil el diagnóstico periapical en relación con el trauma oclusal; a los profesores Adrián Lozano y Antonio Montero, que expondrán los últimos protocolos en cirugía periapical; a las doctoras científicas internacionales Áurea Simón y Raquel Osorio, no endodoncistas y que nos brindarán la

El Congreso pretende llegar no solo a endodoncistas, sino también a odontólogos generales que se puedan formar continuamente en esta disciplina ”

oportunidad de adentrarnos en la microbiología aplicada a la Endodoncia y en la investigación básica en materiales regeneradores; a la profesora Beatriz Tejedor, que nos actualizará en las lesiones endo-perio; a los ponentes internacionales Carlos Bóveda, Shanon Paten, Rafael Michiels, Fillipo Santancargelo, Manjeet Ahlowalia y una lista enorme del gran elenco de ponentes que intervendrán.

 DM.- Teniendo en cuenta que la formación es una de las prioridades para AEDE, ¿en qué aspectos han incidido a la hora de elaborar el programa de su 44º Congreso Nacional para actualizar a los profesionales que asistan al encuentro?

Dra. J.M.G.- Actualidad, ciencia y aplicabilidad clínica. Es un congreso eminentemente clínico basado en la última evidencia científica.

 DM.- ¿Y qué actividades (cursos, talleres, etc.) incluirá el congreso?

Dra. J.M.G.- Formación gratuita para toda la población, sectores sanitarios no odontológicos, protección civil, profesores de colegios e institutos, etc.,

en traumatología dental; formación gratuita para todos los inscritos en las últimas técnicas restauradoras; y una larga lista de talleres con prácticas preclínicas sobre sistemas de instrumentación vanguardistas, materiales biocerámicos, técnicas radiológicas tridimensionales, magnificación, manejo de casos complejos, etc.

 DM.- ¿A qué profesionales invitan desde AEDE a asistir al 44º Congreso Nacional de Endodoncia?

Dra. J.M.G.- Las expectativas que tenemos es llegar a todos los compañeros y no solo a endodoncistas, sino también a odontólogos generales que se puedan formar continuamente en esta disciplina. El nivel de conocimientos y profundidad que se impartirá se va a adaptar a todos los asistentes.

 DM.- El encuentro se cerrará el día 2 de noviembre con la celebración de la Endofiesta. ¿Qué ofrecerá esta fiesta a los asistentes?

Dra. J.M.G.- Un divertido cóctel y una deliciosa cena con vistas al río Guadalquivir con muchas sorpresas. 

EL FORAMEN RETROMOLAR: UNA ESTRUCTURA ANATÓMICA DE RELEVANCIA CLÍNICA EN ODONTOLOGÍA

El foramen retromolar es una variación anatómica que ha ganado atención en el campo de la odontología en los últimos años. Este pequeño orificio, ubicado en la región retromolar de la mandíbula, es de gran interés para la profesión debido a sus implicaciones clínicas y quirúrgicas. En este artículo revisaremos brevemente la información disponible sobre el agujero retromolar, su anatomía, prevalencia, importancia clínica y métodos de detección, con un enfoque especial en los hallazgos de un estudio reciente realizado en una colección de cráneos del siglo XIX: la “Colección Olóriz” del Museo de Anatomía “Javier Puerta” de la Universidad Complutense de Madrid (UCM).

Anatomía y variaciones

El foramen retromolar es una apertura ósea que se encuentra en la región retromolar de la mandíbula, específicamente en el área posterior al tercer molar inferior. Esta estructura está asociada con el conducto retromolar, una variación del conducto mandibular principal.

Anatómicamente, el foramen retromolar puede presentar diversas variaciones en términos de:

a) Ubicación: generalmente se encuentra en el trígono retromolar, aunque puede aparecer en otras áreas adyacentes. Su posición exacta puede variar en relación con el tercer molar y la línea milohioidea de la mandíbula.

b) Número: puede presentarse como un foramen único o múltiple (foramina) en cada lado de la mandíbula. En algunos casos, se han reportado hasta tres forámenes en un solo lado.

c) Diámetro: el tamaño del foramen puede variar considerablemente entre individuos. Generalmente se clasifica en dos categorías: menor o igual a 0,5 mm de diámetro, o mayor de 0,5 mm. Sin embargo, algunos estudios han reportado diámetros de hasta 2-3 mm.

d) Lateralidad: puede presentarse unilateralmente (en un solo lado de la mandíbula) o bilateralmente (en ambos lados).

e) Forma: aunque generalmente es circular u oval, la forma del foramen puede variar, siendo a veces irregular o elongada.

Es importante destacar que el foramen retromolar sirve como punto de entrada y salida para estructuras neurovasculares, incluyendo ramas del nervio dentario inferior, así como las arterias y venas correspondientes. Estas estructuras proporcionan inervación e irrigación adicionales a la región retromolar y, en algunos casos, a los terceros molares inferiores.

Prevalencia

En el estudio realizado por Carneiro et al. (2023), los investigadores examinaron 600 mandíbulas humanas secas (1200 lados), recopiladas en España, hallando los siguientes resultados:

 Prevalencia general: el foramen retromolar se observó en 184 mandíbulas, lo que representa una prevalencia del 31%.

 Lateralidad: la presentación unilateral fue predominante, observándose en el 60,8% de los casos.

 Número de orificios: la mayoría de las mandíbulas (54,9%) presentaban un solo foramen.

 Localización: la región del trígono retromolar fue la ubicación más común, representando el 84% de los casos.

Es importante comparar estos hallazgos con estudios realizados en otras poblaciones. Por ejemplo, investigaciones previas han reportado prevalencias que varían desde el 7,7% hasta el 66%, dependiendo de la población estudiada y el método de detección utilizado. Esta variabili -

u Contacto
Elena Martínez Sanz elenamar@ucm.es

dad subraya la importancia de considerar las diferencias poblacionales y geográficas al evaluar la prevalencia del foramen retromolar.

Importancia clínica

La presencia del foramen retromolar tiene varias implicaciones clínicas significativas para la práctica odontológica:

a) Anestesia: la existencia de este foramen puede explicar casos de fracaso anestésico en procedimientos que involucran la región retromolar o terceros molares inferiores.

b) Cirugía oral: durante procedimientos como la extracción de terceros molares o la colocación de implantes en la región posterior de la mandíbula, el conocimiento de la presencia y ubicación del foramen retromolar es crucial para evitar daños a las estructuras neurovasculares asociadas.

c) Propagación de infecciones: el foramen retromolar puede actuar como una vía para la propa -

gación de infecciones desde la cavidad oral hacia espacios anatómicos profundos, o viceversa.

d) Interpretación radiográfica: la identificación del foramen retromolar en radiografías o tomografías computarizadas es importante para una planificación quirúrgica precisa y para evitar complicaciones durante los procedimientos.

e) Dolor atípico: en algunos casos, la presencia de un foramen retromolar no diagnosticado puede estar relacionada con dolor facial atípico o neuropatías en la región mandibular.

Métodos de detección

La detección del foramen retromolar puede realizarse mediante diversos métodos:

a) Examen visual directo: durante procedimientos quirúrgicos abiertos o en mandíbulas desecadas, como en el estudio de Carneiro et al. (2023).

b) Radiografía panorámica: aunque no es el método más preciso, puede proporcionar indicios de la presencia del foramen.

Profesora de Estomatología y Radiología de la Facultad de Odontología de Bauru (Universidade de São Paulo, Brasil). Investigadora Visitante en la Universidad Complutense de Madrid y miembro externo del grupo RECLEFT - INVESTIGACIÓN EN MORFOLOGÍA Y DESARROLLO. APLICACIONES CLÍNICAS.

Profesora de Anatomía y Embriología Humana en la Facultad de Odontología (Universidad Complutense de Madrid) y directora del grupo de investigación RECLEFTINVESTIGACIÓN EN MORFOLOGÍA Y DESARROLLO. APLICACIONES CLÍNICAS.

Profa. Dra. Cassia Maria Fischer Rubira
Profa. Dra. Elena Martínez Sanz
Mandíbula humana que muestra la presencia de un foramen retromandibular de pequeño tamaño (inferior o igual a 0,5 mm) en el lado izquierdo.

caso clínico

c) Tomografía Computarizada de Haz Cónico (CBCT): este es el método más preciso y recomendado para la detección y evaluación del foramen

retromolar. Permite una visualización tridimensional detallada de la estructura y su relación con estructuras anatómicas adyacentes.

Representaciones esquemáticas de los patrones más habituales de presentación del foramen retromolar en la mandíbula. A) Foramen de pequeño diámetro, inferior o igual a 0,5 mm; B) Foramen de diámetro superior a 0,5 mm; C | Agujeros múltiples en la región retromolar (foramina); D) Foramen retromolar próximo a la rama mandibular. (Fuente: Carneiro, M. C., Rubira, C. M. F., Martínez-Sanz, E., Arráez-Aybar, L. A., & Murillo-González, J. (2023). Prevalence of retromolar foramen in nineteenth century Spanish population. Odontology, 111(3), 734–741. https://doi.org/10.1007/ s10266-022-00779-5)

Bibliografía

- Carneiro, M. C., Rubira, C. M. F., Martínez-Sanz, E., Arráez-Aybar, L. A., & Murillo-González, J. (2023). Prevalence of retromolar foramen in nineteenth century Spanish population. Odontology, 111(3), 734–741. https://doi. org/10.1007/s10266-022-00779-5

- Tassoker, Melek, & Sener, Sevgi. (2017). Investigation of the Prevalence of Retromolar Conductos: A Cone Beam CT Study. International Journal of Morphology, 35(4), 1298-1302. https://dx.doi.org/10.4067/S071795022017000401298

- Moreno Rabie, C., Vranckx, M., Rusque, M. I., Deambrosi, C., Ockerman, A., Politis, C., & Jacobs, R. (2019). Anatomical relation of third molars and the retromolar conducto. The British journal of oral & maxillofacial surgery, 57(8), 765–770. https://doi.org/10.1016/j.bjoms.2019.07.006

- Iwanaga, J., Takeshita, Y., Matsushita, Y., Hur, M. S., Ibaragi, S., & Tubbs, R. S. (2022). What are the retromolar and bifid/trifid mandibular conductos as seen on cone-beam

d) Palpación clínica: en algunos casos, un profesional experimentado puede detectar la presencia del foramen mediante una cuidadosa palpación de la región retromolar.

Conclusiones

El foramen retromolar es una variante anatómica con una prevalencia significativa. Su presencia tiene implicaciones importantes para diversos procedimientos odontológicos, desde la administración de anestesia hasta la planificación de cirugías. Los profesionales de la odontología deben ser conscientes de la posible presencia de esta estructura anatómica y considerar su evaluación, especialmente al planificar procedimientos en la región retromolar. La utilización de técnicas de imagen avanzadas, como el CBCT, puede ser crucial para una detección precisa y una planificación quirúrgica adecuada. La variabilidad en la prevalencia entre diferentes estudios subraya la importancia de considerar factores poblacionales y geográficos en la práctica clínica. En resumen, el conocimiento detallado del foramen retromolar y sus implicaciones clínicas es esencial para garantizar procedimientos odontológicos seguros y efectivos, minimizando el riesgo de complicaciones y mejorando los resultados para los pacientes. 

computed tomography? Revisiting classic gross anatomy of the inferior alveolar nerve and correcting terminology. Surgical and radiologic anatomy: SRA, 44(1), 147–156. https://doi.org/10.1007/s00276-021-02862-y

- Ngeow, W. C., & Chai, W. L. (2021). The clinical significance of the retromolar conducto and foramen in dentistry. Clinical anatomy (New York, N.Y.), 34(4), 512–521. https:// doi.org/10.1002/ca.23577

- von Arx, T., Hänni, A., Sendi, P., Buser, D., & Bornstein, M. M. (2011). Radiographic study of the mandibular retromolar conducto: an anatomic structure with clinical importance. Journal of endodontics, 37(12), 1630–1635. https://doi. org/10.1016/j.joen.2011.09.007

- Bilecenoglu, B., & Tuncer, N. (2006). Clinical and anatomical study of retromolar foramen and conducto. Journal of oral and maxillofacial surgery : official journal of the American Association of Oral and Maxillofacial Surgeons, 64(10), 1493–1497. https://doi.org/10.1016/j.joms.2006.05.043

- Varvara, G., Feragalli, B., Turkyilmaz, I., D’Alonzo, A., Rinaldi, F., Bianchi, S., Piattelli, M., Macchiarelli, G., & Bernardi, S. (2022). Prevalence and Characteristics of Accessory Mandibular Conductos: A Cone-Beam Computed Tomography Study in a European Adult Population. Diagnostics (Basel, Switzerland), 12(8), 1885. https://doi.org/10.3390/ diagnostics12081885

- Zhang, Y. Q., Zhao, Y. N., Liu, D. G., Meng, Y., & Ma, X. C. (2018). Bifid variations of the mandibular conducto: cone beam computed tomography evaluation of 1000 Northern Chinese patients. Oral surgery, oral medicine, oral pathology and oral radiology, 126(5), e271–e278. https://doi. org/10.1016/j.oooo.2018.06.008

- Shah, N. P., Murtadha, L., & Brown, J. (2018). Bifurcation of the inferior dental nerve conducto: an anatomical study. The British journal of oral & maxillofacial surgery, 56(4), 267–271. https://doi.org/10.1016/j.bjoms.2018.01.016

espo

25-26 oct 2024

https://congresosan tiago2024.sespo.es/

‘‘Salud oral como parte de un estilo de vida saludable’’

Envío de comunicaciones hasta el 19/09 Inscripción reducida hasta el 30/09

AVANCES EN EL DESARROLLO DE SOLUCIONES BIOTECNOLÓGICAS INNOVADORAS PARA EL TRATAMIENTO Y PREVENCIÓN DE LA CARIES

El proyecto HEALTHYTOOTH II, liderado por AINIA y financiado por el Instituto Valenciano de Competitividad Empresarial (IVACE) y fondos FEDER, ha logrado importantes avances en el desarrollo de soluciones biotecnológicas para la prevención y tratamiento de la caries. En colaboración con las empresas Industrias Grau y Laboratorios Cosmoral, AINIA ha diseñado estrategias antimicrobianas dirigidas a los microorganismos responsables de esta patología dental, logrando avances que impulsan el futuro de la salud bucodental. Uno de los principales logros ha sido la optimización del proceso de bioproducción de una endolisina dirigida frente al principal patógeno causante de las caries. Gracias a esta investigación, se han establecido las condiciones óptimas para su producción a escala industrial, garantizando

una mayor eficiencia y mejorando la calidad del ingrediente mediante técnicas avanzadas de purificación, como la cromatografía de afinidad. Este ingrediente de alta pureza es apto para ser incorporado en productos de salud oral, lo que representa un gran avance en el tratamiento específico de las caries.

Además, se ha desarrollado una innovadora estrategia de microencapsulación que permite proteger este principio activo, asegurando su estabilidad y eficacia cuando se integra en productos bucodentales, como pastas de dientes y colutorios. Esta tecnología garantiza que el ingrediente conserve su efectividad terapéutica a lo largo del tiempo, sin comprometer su actividad antimicrobiana.

Por otro lado, se ha trabajado en la creación de un modelo celular 3D que simula la cavidad bucal, permitiendo verificar el efecto terapéutico de los prototipos obtenidos durante el proyecto. Este modelo permite evaluar la eficacia del ingrediente activo frente a infecciones bacterianas, confirmando su potencial en el tratamiento y prevención de caries.

Finalmente, se han formulado y evaluado productos cosméticos bucodentales, como colutorios, en los que el principio activo encapsulado debe mantener su estabilidad y efectividad, para poder llevar a cabo su actividad antimicrobiana en las matrices diseñadas para el cuidado dental. Este proceso ha permitido validar la integración del ingrediente en productos comerciales, ofreciendo una solución innovadora y eficaz para la salud oral.

Con estos avances, HEALTHYTOOTH II se consolida como un paso decisivo hacia el desarrollo de nuevas soluciones para el tratamiento de la caries, permitiendo su abordaje de manera más precisa y segura, y preservando el equilibrio natural de la cavidad bucal. 

AINIA
En colaboración con las empresas Industrias Grau y Laboratorios Cosmoral, AINIA ha diseñado estrategias antimicrobianas dirigidas a los microorganismos responsables de esta patología dental, logrando avances que impulsan el futuro de la salud bucodental.

LA FUNDACIÓN FEDICOM PRESENTA

LAS PRIMERAS CONCLUSIONES DEL

PROYECTO HOMO

Marusa y Eulogio son los restos humanos mejor conservados en Extremadura hasta la fecha y esto ha permitido que un equipo de investigadores de la Fundación FEDICOM, liderado por su presidente, el Dr. Florencio Monje, puedan ponerles cara. Estas piezas se hallaron en las Cuevas de Fuentes de León y tienen una antigüedad de alrededor de 5.000 años.

Durante el acto de presentación, que tuvo lugar el 5 de septiembre, ante las autoridades, el Dr. Monje agradeció la colaboración de la Junta de Extremadura y de la Fundación IBERCAJA -que patrocina el vídeo- y destacó que todo esto es posible gracias a que el cráneo generalmente “es una de las partes que mejor aguantan el paso de los años”, lo que aporta “información fundamental sobre cómo era la vida en esta época”.

También destacó que el proceso de reconstrucción de los extremeños ha sido muy complejo, para lo que fue “clave la colaboración y el trabajo del Servicio de Arqueología de la Junta de Extremadura, con Hipólito Collado y Celia Chaves, y el equipo de las Cuevas de Fuentes de León, con Celia Domínguez al frente”.

Además, agradeció al personal de la Fundación FEDICOM, la Clínica CICOM MONJE y a la directora de la Clínica San Miguel, que se encargaron de hacer las pruebas diagnósticas con maquinaria de última generación, posibilitando así el descubrimiento de las patologías que sufrían estos individuos. Gracias a los análisis médicos realizados por el Dr. Monje y la Dra. Rocío Gil, y la odontológicos, con el Dr. Alberto Monje Correa y el Dr. Juan Alfonso García Torres, permitieron descubrir datos muy interesantes, como la enfermedad de Paget, que padecía Eulogio, o que los dientes se conservan sin restos de enfermedad periodontal debido al poco consumo de azúcar.

Durante el acto se expuso la recreación tridimensional de Marusa y Eulogio, llamados así por parte de los arqueólogos y el equipo de la Fundación, para honrar a las personas que cuidaron las cuevas.

El diseño tridimensional lo hizo Víctor M. de Luis, un experto de reconocimiento internacional que trabaja desde Badajoz para multinacionales como Lego, Vans, Netflix y Geox, entre otras. El Dr. Monje señaló que “es un orgullo tener una persona que, desde su despacho en Badajoz, trabaja para empresas de todo el mundo y que debería ser reconocido públicamente en la ciudad”. Estas reconstrucciones se enmarcan dentro del Proyecto HOMO, un trabajo de la colaboración entre la Junta de Extremadura y la Fundación FEDICOM y que recorre la evolución de la cara con más de 13 especies hasta el Homo Sapiens, resumiendo así años de intenso trabajo del cirujano oral y maxilofacial Florencio Monje. Hay que resaltar que en ningún sitio se ha hecho algo que de forma tan orquestada permita seguir el progreso del cuerpo humano. La Fundación FEDICOM se creó en 2009 como entidad social intrínsecamente unida al Centro Clínico CICOM MONJE en Badajoz. Su labor social está basada en el apoyo a los estudiantes mediante sus programas de doctorandos, los proyectos de carácter divulgativo que permitan unir medicina y humanismo, la investigación de carácter sanitario -desarrollando la primera aplicación en el mundo para la práctica médica sin necesidad de cadáver- y los proyectos de solidaridad internacional. La preside el Dr. Florencio Monje y en su patronato cuenta con personalidades del mundo de la política, la medicina, la odontología o la empresa. 

Fundación
FEDICOM
El Proyecto Homo, liderado por el Dr. Florencio Monje, busca datar la evolución de la cara con diseño tridimensional y filtros en 3D.

Siguiendo la evolución de la Odontología para el profesional del sector llamado a construir el futuro

REPORTAJE

Manejo del manejo del paciente con deterioro cognitivo en la consulta dental

PENSANDO EN EL FUTURO

La evolución de la Odontología: digitalización para el dentista tradicional y analógico

corusdental.com

La solución de Corus para las restauraciones estéticas adhesivas

desarrollada en un flujo de trabajo 100% digital.

Una solución brillante para rejuvenecer sonrisas. Estética de alta calidad y accesible. Gracias al protocolo Bright y un flujo de trabajo 100% digital, las restauraciones se realizan de forma precisa, obteniendo resultados altamente estéticos.

Excelencia accesible Precisión y predictibilidad

Tratamiento dinámico

Un producto de

información:

Escanea el QR y pide más

CLAVES DEL MANEJO DEL PACIENTE CON DETERIORO COGNITIVO EN LA CONSULTA DENTAL

Cada vez son más los pacientes con deterioro cognitivo que acuden a la consulta dental. El correcto abordaje de estos pacientes conlleva una serie de dificultades para los profesionales odontológicos. A lo largo del siguiente reportaje podrás conocer algunos consejos prácticos para mejorar el manejo de los pacientes con deterioro cognitivo en tu consulta.

La enfermedad de Alzheimer afecta en España a más de 800.000 personas y es la causa más común de demencia – es la responsable de entre el 50% y el 70% de los casos totales de demencia- y junto a otros tipos como la demencia vascular, la frontotemporal o la de cuerpos de Lewy, afectan ya -al menos- a 1 de cada 10 personas mayores de 65 años y a un 33% de las mayores de 85 años, según datos de la Sociedad Española de Neurología (SEN). Además, cada año se diagnostican en España unos 40.000 nuevos casos de Alzheimer.

“Las demencias en general, y la enfermedad de Alzheimer en particular, tienen consecuencias devastadoras. No solo en cuanto a mortalidad, sino también en morbilidad y pérdida de calidad de vida, tanto para las personas que la padecen como para sus cuidadores”, explica la Dra. Raquel Sánchez

del Valle, coordinadora del Grupo de Estudio de Conducta y Demencias de la SEN. De ahí la importancia de una atención integral a estos pacientes que incluya la salud bucodental. A través de un enfoque preventivo que comience tan pronto como se diagnostique este tipo de enfermedades, es posible evitar complicaciones graves y mejorar la calidad de vida de los pacientes.

En el marco de la sesión de formación online “Manejo del paciente con deterioro cognitivo en la consulta dental”, la Prof. Ana Frank y el Prof Pedro Diz –moderados por el Dr. Yago Leira, coordinador del Grupo de Trabajo que la Sociedad Española de Periodoncia y Osteointegración (SEPA) tiene junto con la SEN, se explicaron una serie de consejos prácticos sobre el manejo del paciente con deterioro cognitivo en la consulta dental, un aspecto de especial interés y utilidad práctica en la actualidad debido al aumento del número de pacientes con estas características que se atienden a diario en la clínica y por las dificultades que suele plantear su correcto abordaje.

Esta actividad formativa (gratuita), que se incluye dentro de la Comunidad de la Alianza por la Salud Bucal y General, comenzó de la mano de la Prof. Ana Frank que, tal y como explica el Dr. Leira, “nos aclaró términos que a veces confundimos como son el deterioro cognitivo, demencia y enfermedad de Alzheimer” para, a continuación, hablar sobre la diferencia entre enfermedad de Alzheimer y otros tipos de demencia desde un punto de vista fisiopatológico. Posteriormente, la Dra. Ana Frank se centró en los principales factores de riesgo de esta enfermedad “haciendo mucho énfasis en los modificables, entre los que se encuentra la periodontitis”. Finalmente, según apunta el Dr. Leira, “se

Pexels

discutió sobre el tratamiento no farmacológico y farmacológico del Alzheimer, así como las últimas novedades en el mismo como son los anticuerpos monoclonales contra el beta amiloide”. A continuación, el Prof. Diz explicó “de manera muy didáctica, las patologías orales más frecuentes que nos podemos encontrar en el paciente con demencia, entre las que destacó la caries y la periodontitis, así como los principales efectos adversos que tienen los medicamentos que toman estos pacientes sobre la cavidad oral”, señala el Dr. Leira. “De seguido, se discutió cuál es la mejor manera de implementar medidas de higiene oral en el paciente con demencia incluyendo técnicas de cepillado, uso de pastas dentífricas específicas, así como el uso coadyuvante de colutorios orales embebidos en gasas para su mejor aplicación. También se habló sobre cómo planificar el tratamiento odontológico en estos pacientes, así como las principales consideraciones para su manejo en la consulta dental”, añade.

Por último, ambos ponentes dieron su punto de vista sobre lo que puede hacer tanto el odontólogo como el neurólogo en sus respectivos lugares de trabajo para poder prevenir la aparición o progresión de deterioro cognitivo.

Cuidado bucodental en pacientes con enfermedad de Alzheimer

Como hemos visto, aunque la enfermedad de Alzheimer es conocida por su impacto en la memoria y las capacidades cognitivas, “el deterioro cognitivo causado por el Alzheimer puede llevar a que los pacientes descuiden su salud oral, lo que a largo plazo puede desencadenar problemas graves como caries, enfermedad periodontal y pérdida de dientes”, explican desde Sermade. Para evitar complicaciones, los expertos recomiendan un enfoque proactivo que incluya revisiones dentales cada tres meses y un seguimiento constante por parte de un equipo especializado, ya que “prevenir problemas bucales en fases tempranas del Alzheimer evita dolor y molestias y mejora la calidad de vida de los pacientes y facilita su cuidado a largo plazo”.

Asimismo, recuerdan que la higiene bucodental, aunque esencial, es una de las áreas más desatendidas en pacientes con Alzheimer. El descuido en este aspecto puede provocar problemas como: caries dentales, enfermedad periodontal (afectando a las encías y los huesos de soporte de los dientes),

ASOCIACIÓN ENTRE LA PERIODONTITIS Y LA DEMENCIA

 Los sujetos con periodontitis tienen 1,7 veces más riesgo de padecer demencia de tipo Alzheimer que los periodontalmente sanos. La evidencia disponible con respecto a la relación entre periodontitis y demencia vascular es más limitada.

 Los individuos con periodontitis alcanzan peores resultados que los individuos periodontalmente sanos en diferentes pruebas neuropsicológicas para la evaluación de la función cognitiva.

 En la periodontitis se producen episodios recurrentes de bacteremias y endotoxemias, generando un estado de inflamación crónica de bajo grado que contribuye de manera significativa al desarrollo de procesos neurodegenerativos involucrados en la disfunción cognitiva.

 No existen estudios de intervención sobre el efecto del tratamiento periodontal en la prevención primaria de la demencia. A nivel de prevención secundaria, la evidencia es muy limitada.

 En estudios observacionales, se ha confirmado una reducción significativa del riesgo de demencia en relación con diferentes intervenciones de salud oral, incluyendo las visitas regulares al dentista, así como un efecto beneficioso del tratamiento periodontal sobre la atrofia cerebral.

infecciones bucales, dificultades para masticar que empeoran la nutrición del paciente y/o heridas que se acaban convirtiendo en precancerosas, debido al mal estado de las piezas dentales. El deterioro cognitivo también puede afectar la capacidad de los pacientes para comunicar molestias o dolores en la boca, lo que agrava aún más la situación. Como resultado, muchos pacientes con Alzheimer presentan complicaciones dentales severas que podrían haberse evitado con un plan preventivo desde el inicio del diagnóstico. 

Fuente: SEPA

LOS PREMIOS SANITAS DENTAL

STAR, REFLEJO

DEL ELEVADO NIVEL DE LA ODONTOLOGÍA ESPAÑOLA

Sanitas Dental ha lanzado este año la séptima edición de los Premios Sanitas Dental Star, unos galardones únicos en el sector en los que se reconoce la excelencia en la práctica clínica. Compuestos por tres categorías: Experta, Daily Clinic y Academic, estos premios baten año tras año cifras récord de participación.

Con el incremento de casos presentados, crece también la presión sobre el Comité Asesor y jurado de estos premios, que señalan edición tras edición la complejidad de seleccionar al ganador. Y es que los Premios Sanitas Dental Star se han convertido en el reflejo más fidedigno del elevadísimo nivel de la odontología en España. Estos galardones no han dejado de crecer desde su nacimiento, donde contaban únicamente con un premiado. Ahora, cada una de las tres categorías cuenta con un primer premio y un accésit.

En la edición pasada, el caso ganador en la categoría Experta recogía un abordaje multidisciplinar entre Cirugía Maxilofacial y Odontología, en el que se combinaban técnicas de cirugía reconstructiva de cabeza y cuello con restauración dental customizada para el tratamiento de un fibroma osificante agresivo. El caso fue presentado por los docto-

res Íñigo Aragón, José Luis Cebrián Carretero, Pablo Garrido Martínez y José Luis Del Castillo, poniendo de manifiesto la necesidad de la colaboración multidisciplinar en el abordaje de pacientes complejos. Los Premios Sanitas Dental Star reconocen también casos del día a día del gabinete dental en los que haya primado la excelencia clínica, así como los que hayan desarrollado alumnos de posgrado. En este sentido, la representación de las diferentes facultades de Odontología de España es cada vez mayor. De la misma manera, estos galardones son una excelente muestra de las tendencias en odontología. Las técnicas más innovadoras, como la planificación digital de las cirugías, la introducción de softwares de diseño digital de la sonrisa, las impresiones 3D, etc. no solo están a la orden del día durante las defensas frente al jurado, sino que se han convertido en normalidad. Un aspecto que desde Sanitas Dental valoran muy positivamente, debido a la enorme apuesta de la compañía por la digitalización dentro y fuera del gabinete.

También es cada vez más común observar cómo se aprovechan técnicas y tecnologías de otras disciplinas médicas, como la neuronavegación guiada digitalmente, para abordar retos asociados a la cavidad oral.

La convocatoria de este año terminó el pasado 30 de septiembre y ya solo queda conocer a los seis odontólogos ganadores de una séptima edición que consolida a los premios como los más importantes del sector. En total, se repartirán más de 41.000 euros en reconocimiento a los ganadores. 

VII Edición

Premios Sanitas Dental Star

Tu cita anual con la excelencia clínica en odontología. Abierto a todos los odontólogos y cirujanos maxilofaciales.

Categoría Experta

Primer Premio: 10.000 euros

Accésit: 7.000 euros

Consulta los casos premiados en ediciones anteriores:

Categoría Academic

Primer Premio: 7.000 euros

Accésit: 5.000 euros

Categoría Daily Clinic

Primer Premio: 7.000 euros

Accésit: 5.000 euros

pensando en el futuro

LA EVOLUCIÓN DE LA ODONTOLOGÍA: DIGITALIZACIÓN PARA EL DENTISTA TRADICIONAL Y ANALÓGICO

Con la llegada de la revolución digital en odontología, son muchos los dentistas tradicionales y analógicos a quienes les cuesta adoptar esta tecnología en su práctica profesional. El Dr. Fernando Germán, director de Dentinova, nos presenta en este artículo las claves para conocer todas las ventajas que aporta el digital a los profesionales.

La tecnología de flujo digital dental ha transformado la práctica odontológica, proporcionando nuevas oportunidades para mejorar la precisión, eficiencia y experiencia del paciente. Para los dentistas analógicos y los profesionales de más de 40 ó 50 años que desean modernizar sus prácticas, la transición puede parecer desafiante al principio. Sin embargo, con herramientas como el protocolo de SprintRay y sus aplicaciones intuitivas y lógicas, esta digitalización se vuelve accesible y beneficiosa con una curva de aprendizaje rápida e intuitiva.

Simplemente es realizar el flujo tal como se indica en el esquema diagramado una y otra vez. Pasos repetidos y protocolarizados.

Con la digitalización de la toma de registros y aplicaciones que Medit nos proporciona, obtendremos un resultado óptimo para la entrega y obtención de resultados en la propia clínica.

A continuación, se presentan diez puntos clave a considerar al adoptar esta tecnología digital para todos aquellos profesionales que aún están en el proceso de decisión.

siguiendo la evolución de la Odontología

Diferencias entre el proceso analógico y digital

Las diferencias entre los procesos analógicos y digitales son evidentes tanto en forma como en la cantidad de pasos para cualquier planificación y confección de prótesis.

1. Facilidad de uso del protocolo de SprintRay

El protocolo de SprintRay está diseñado con una interfaz intuitiva y protocolarizada que facilita su uso incluso para aquellos que no tienen experiencia previa con tecnología avanzada.

La plataforma proporciona tutoriales detallados y soporte técnico continuo, permitiendo una transición suave y sin complicaciones sin necesidad de conocimientos profundos en informática.

2. Integración completa del flujo de trabajo

SprintRay permite la integración de todas las etapas del proceso dental, desde el escaneo inicial hasta la impresión 3D de prótesis. Esta unificación del flujo de trabajo elimina la necesidad de procesos manuales y reduce los envíos al laboratorio, mejorando significativamente la eficiencia operativa. Desde el propio programa del escáner, en este caso el Medit, se puede integrar directamente el envío del escaneado a la impresora sin pasos previos. Todo preparado para cualquier dentista sin experiencia en el mundo digital.

3. Precisión y detalle en los escaneos

El sistema ofrece una precisión impresionante en los escaneos obtenidos, capturando detalles minuciosos que aseguran un ajuste perfecto de las restauraciones. Esta exactitud reduce la necesidad de ajustes posteriores, mejorando la satisfacción del paciente y optimizando el tiempo del dentista. Con la ayuda de la inteligencia artificial es posible obtener el diseño de una corona en menos de 5 minutos y preparada para imprimirla en 15 minutos.

Post

Sprintray Speaker & Medit instructor.

Especialista en fobia dental.

Perito Asociación Peritos Barcelona.

Director Dentinova Academy.

Dr. Fernando Germán Director Dentinova.
Grado en Implantes New York University.

pensando en el futuro

4. Aplicaciones intuitivas

Las aplicaciones de SprintRay, por un lado, y de Medit, por el otro, como escáner, son altamente intuitivas, con interfaces de fácil navegación. Esto permite a los dentistas analógicos aprender y adaptarse rápidamente, sin enfrentar las barreras típicas asociadas con la adopción de una nueva tecnología.

5. Reducción de errores humanos

La digitalización del flujo de trabajo minimiza los errores humanos comunes en los procesos manuales. Los escaneos digitales eliminan la posibilidad de distorsiones, proporcionando una base precisa para el diseño y fabricación de la prótesis.

6. Mejora en la comunicación con el paciente

Las imágenes y modelos digitales generados por SprintRay en 3D facilitan la comunicación con el paciente, permitiéndoles visualizar el plan de tratamiento y comprender mejor los procedimientos propuestos.

Esto mejora la confianza y colaboración del paciente en el tratamiento. El escaneo inicial en cualquiera de las versiones de Medit y la posibilidad de tener en la pantalla una oclusión dinámica y controlar los niveles de mordida, así como la proyección del diseño de la prótesis provisional, provoca en el dentista recién llegado un amplio abanico de posibilidades intuitivas y fáciles de usar que mejoran la comunicación y el marketing de la clínica.

7. Ahorro de tiempo y costos

Implementar la tecnología digital reduce significativamente el tiempo necesario para completar tratamientos complejos. Además, al disminuir la dependencia de laboratorios externos, se reducen también los costos asociados, haciendo que la práctica sea más rentable. Obtener un resultado en la misma visita del paciente hace que se obtenga una respuesta inmediata al ofrecimiento diferenciándonos de la tecnología analógica y de otras clínicas.

Con estas aplicaciones como Medit ClinicCad y directo a la impresora podemos elaborar un puente provisional de larga duración en la misma visita.

siguiendo la evolución de la Odontología

8. Capacitación y soporte continuo SprintRay ofrece programas de capacitación y soporte continuo a través de SprintRay University, asegurando que los dentistas analógicos puedan resolver dudas y optimizar el uso de la tecnología. Este respaldo es crucial para una transición exitosa y sin problemas. En el caso de Medit se podrá acceder a los diferentes cursos o consejos, lo que permite una curva de aprendizaje muy rápido y de evolución muy agradecida para comenzar sin experiencia. Incluso el personal auxiliar aprende rápidamente las técnicas de escaneo, lo que ayuda muchísimo al dentista ahorrando tiempo y dinero mientras puede hacer otras tareas.

pensando en el futuro

9. Sostenibilidad y eficiencia energética. Base de datos en la nube

La digitalización del flujo de trabajo dental contribuye a la sostenibilidad ambiental al reducir el uso de materiales y la generación de desechos.

Las impresoras 3D de SprintRay utilizan materiales biocompatibles y minimizan el desperdicio, promoviendo prácticas más ecológicas.

La tecnología digital con el escáner permite guardar los archivos legalmente en la nube sin tener modelos de mantenimiento archivados en lugares físicos como son los antiguos modelos de yeso. En estos casos, tanto en la nube de SprintRay como en Medit, se puede acceder y recuperar archivos para volver a usarlos o imprimir nuevamente.

10. Ventaja competitiva

Adoptar la tecnología de flujo digital dental brinda una ventaja competitiva significativa.

Los pacientes buscan prácticas que utilicen tecnología punta para ofrecer tratamientos más rápidos, precisos y cómodos.

Modernizar la práctica dental puede atraer a una clientela más amplia y exigente pero también dispuesta a pagar por un servicio más completo, rápido y eficiente sin largas esperas para la resolución.

Conclusión

La transición de una práctica analógica a una digital puede parecer abrumadora al principio.

Sin embargo, con herramientas diseñadas para facilitar esta adopción, como SprintRay, los beneficios superan con creces los desafíos iniciales.

La precisión mejorada, la eficiencia operativa y la capacidad de ofrecer una mejor experiencia al paciente son razones poderosas para considerar esta transición.

En mi opinión, los dentistas analógicos que adoptan esta tecnología no solo modernizan sus prácticas, sino que también se posicionan para ofrecer un nivel de cuidado superior. La clave está en aprovechar las capacidades intuitivas de SprintRay y buscar el apoyo y la capacitación continua disponibles.

Con la actitud adecuada y las herramientas correctas, la digitalización puede ser una experiencia transformadora y gratificante para cualquier profesional dental. 

Primer Grupo de Prensa

Profesional Especializado

NUESTROS CANALES DE DIFUSIÓN: 3 Revista en Papel 3 Revista Digital 3 Web 3 Newsletters 3 Redes Sociales

PUBLICACIONES MULTIPLATAFORMA CON CINCO PILARES QUE GARANTIZAN UNA VISIBILIDAD DEL 100%

NUESTRAS PUBLICACIONES:

AUTOMATIZACIÓN Y TECNOLOGÍA

Automática e Instrumentación www.automaticaeinstrumentacion.com

CONSTRUCCIÓN

CIC Arquitectura y Sostenibilidad - www.cicconstruccion.com

ClimaNoticias - www.climanoticias.com

ElectroNoticias - www.electronoticias.com

POSVENTA DE AUTOMOCIÓN

Talleres en Comunicación - www.posventa.info

Posventa de Automoción.com - Chapa y Pintura, Neumáticos y Mecánica Rápida, Nuestros Talleres, Recambios y Accesorios www.posventa.com

HOSTELERÍA Y RESTAURACIÓN

Hostelería, Diseño, Equipamiento, Food Service & Beverage www.revistahosteleria.com

DISTRIBUCIÓN

Aral - www.revistaaral.com

BeautyProf - www.revistabeautyprof.com

Nueva Ferretería - www.nuevaferreteria.com

INDUSTRIA

AutoRevista - www.auto-revista.com

Metales & Metalurgia-Máquinas - www.metalesymaquinas.com

Óleo - www.oleorevista.com

Revista PQ - www.revistapq.com

LOGÍSTICA Y TRANSPORTE

Autobuses & Autocares - www.autobusesyautocares.com

Logística Profesional - www.logisticaprofesional.com

Todotransporte - www.todotransporte.com

SANITARIO

DM Dentista Moderno - www.eldentistamoderno.com

EL CONSEJO GENERAL DE DENTISTAS Y LA FDE LANZAN UNA CAMPAÑA EDUCATIVA EN REDES SOBRE LOS TRATAMIENTOS DE

ORTODONCIA CON ALINEADORES

Hoy en día, la población general usa las redes sociales como medio de búsqueda de información, por lo que entrar en ellas supone recibir anuncios publicitarios entre los que abundan los de empresas de venta online de alineadores invisibles que incluso utilizan influencers para promocionar estos servicios, sin hacer visible que para que estos tratamientos se desarrollen adecuadamente, siempre deben ser realizados por un dentista colegiado. Desde hace años, el Consejo General de Dentistas viene denunciando el modus operandi de estas compañías que ofrecen tratamientos de ortodoncia con alineadores transparentes sin control por parte del dentista y captan la atención de los pacientes ofreciendo resultados en tiempos “milagrosos” y con costes reducidos. De hecho, en ciertos casos, el paciente solo asiste una vez al establecimiento para que le realicen una impresión digital, tras lo cual recibe todos los alineadores supuestamente necesarios para su tratamiento. Incluso hay ocasiones en las que el propio paciente se encarga de hacerse las fotos y los moldes en su domicilio, los envía a la empresa a través de una App y luego recibe los alineadores, que se irá cambiando conforme a las instrucciones de la compañía. Queda claro que en ninguna de las ocasiones se realizará un correcto diagnóstico ni habrá seguimiento del tratamiento por parte de un dentista, con el peligro que ello supone.

Precisamente por ello, el Consejo General de Dentistas y la Fundación Dental Española han lanzado una campaña en sus redes sociales en la que se muestra qué es lo que realmente debe hacer un paciente que quiera o necesite realizarse un tratamiento de ortodoncia invisible. Para ello, se ha grabado un spot que está disponible en sus redes sociales y que se puede descargar en este enlace: https://consejodentistas. es/alineadorescontudentista/

El objetivo de esta acción es educar y concienciar a la población del procedimiento correcto que debe seguir un tratamiento de ortodoncia con alineadores y los riesgos que supone someterse a uno sin seguir el proceso adecuado de la mano de un dentista colegiado. 

EL CONSEJO GENERAL DE DENTISTAS RECLAMA LA RESTITUCIÓN SALARIAL DE LOS DENTISTAS DE LA SANIDAD PÚBLICA

El Consejo General de Dentistas de España, que preside el Dr. Óscar Castro Reino, exige el reconocimiento y la restitución de las pagas extraordinarias adeudadas a los dentistas (médicos estomatólogos y odontólogos) que ejercen en la sanidad pública. La Organización Colegial de Dentistas eleva así su queja públicamente ante las autoridades, pidiendo la intercesión de la Confederación Estatal de Sindicatos Médicos (CESM), que ha reclamado recientemente, junto al sindicato de enfermería (SATSE), la devolución de las pagas extra recortadas desde 2010 para los profesionales sanitarios perjudicados. De hecho, el presidente del Consejo General solicitó por carta al Dr. Miguel Lázaro Ferreruela, presidente de la CESM, que incluyera a los dentistas en sus reivindicaciones, puesto que estos profesionales se encuentran afectados por idéntica situación de reducción en el cobro de sus pagas extraordinarias.

Actualmente, unos 1.200 dentistas trabajan en el sistema público de salud, asumiendo una elevada presión asistencial que no ha hecho más que aumentar en los últimos años debido al incremento de competencias y servicios en diversas comunidades autónomas. Sin embargo, estos profesionales continúan sin recibir las cantidades que les corresponden de las pagas extra, un recorte que afecta gravemente a su situación económica desde hace 14 años. “Es inadmisible que, a día de hoy, los dentistas de la sanidad pública sigan padeciendo esta discriminación salarial”, denuncia el Dr. Castro. “Son profesionales que soportan una enorme presión asistencial y que están desempeñando una labor esencial en nuestro sistema de salud. Resulta injusto que continúen privados de una parte importante de su salario, correspondiente a las pagas extraordinarias que se les recortaron hace más de una década”. 

Consejo General de Dentistas

EL CONSEJO GENERAL DE DENTISTAS PRESENTA LA GUÍA DE USO DE

ANTIMICROBIANOS EN EL CONGRESO MUNDIAL DE LA FDI

La delegación española del Consejo General de Dentistas, encabezada por el presidente, el Dr. Óscar Castro Reino, ha participado activamente en una nueva edición del Congreso Mundial de la Federación Dental Internacional (FDI), celebrado recientemente en Estambul. Durante este evento, el Consejo General de Dentistas presentó ante la Asamblea General de la FDI la Guía del Uso de los Antimicrobianos en Odontología, que ha tenido una excepcional acogida entre los asistentes.

La guía, supervisada por el Plan Nacional frente a la Resistencia a los Antibióticos (PRAN) del Ministerio de Sanidad, fue fruto de la colaboración de seis sociedades científicas españolas: AEDE, SECIB, SECOM y CyC, SEMO, SEOENE y SEPA. Durante el congreso, el Dr. Óscar Castro se reunió con representantes de asociaciones dentales de varios países la-

EL

tinoamericanos interesados en el material, que será cedido por el Consejo General de Dentistas con el objetivo de fomentar el uso adecuado de antimicrobianos a nivel internacional.

“El balance del Congreso Mundial de la FDI es muy positivo. Hemos analizado y debatido cuestiones de plena actualidad en Odontología, como el uso de la inteligencia artificial, la salud oral en pacientes con necesidades especiales o la ética en el ejercicio profesional”, afirmó el Dr. Castro. “El papel de la delegación española ha sido muy relevante, fundamentalmente por nuestra campaña de uso adecuado de antibióticos, que ha sido acogida con entusiasmo y que cederemos encantados a las asociaciones dentales latinoamericanas que nos lo han solicitado. Esta campaña va a ser fundamental para mejorar los tratamientos antimicrobianos prescritos en consulta, evitando resistencias”, añadió el Dr. Castro. 

DR. EDUARDO ANITUA, NOMBRADO ACADÉMICO DE NÚMERO POR LA REAL ACADEMIA DE MEDICINA DEL PAÍS VASCO

La Real Academia de Medicina del País Vasco – Euskal Herriko Medikuntzaren Errege Akademia (RAMPV-EHMEA) ha nombrado Académico de Número al Dr. Eduardo Anitua Aldecoa, fundador y director científico de BTI Biotechnology, en una ceremonia de ingreso que tuvo lugar el 18 de septiembre en el Museo de Bellas Artes de Vitoria-Gasteiz.

En su discurso de ingreso, titulado “Desarrollo y aplicación terapéutica del plasma rico en factores de crecimiento (PRGF) en medicina regenerativa”, el Dr. Anitua destacó los avances en el uso del PRGF en la medicina.

El evento, organizado en colaboración con el Colegio de Médicos de Álava, incluyó una laudatio a cargo del profesor Félix M. Goñi, así como la imposición de la medalla y la entrega del diploma acreditativo, realizados por el Dr. Javier Aranceta, presidente de la RAMPV. Entre los asistentes al acto se encontraban la alcaldesa de Vitoria-Gasteiz, Maider Etxebarria, el Diputado General de Álava, Ramiro González, así como diversas autoridades institucionales, académicas y sanitarias, familiares y amigos del homenajeado.

El Dr. Eduardo Anitua expresó su agradecimiento con las siguientes palabras: “Agradezco enormemente a esta distinguida institución por su confianza y reconocimiento, así como a mis colegas y men-

El Dr. Eduardo Anitua Aldecoa (en el centro) ha sido nombrado nombrado Académico de Número por la Real Academia de Medicina del País Vasco – Euskal Herriko Medikuntzaren Errege Akademia (RAMPV-EHMEA), en un acto celebrado en el Museo de Bellas Artes de Vitoria-Gasteiz.

tores, quienes han sido una constante fuente de inspiración a lo largo de mi carrera. Este reconocimiento refuerza mi compromiso con la investigación en medicina regenerativa, con el objetivo de seguir desarrollando tecnologías biomédicas que mejoren la calidad de vida de los pacientes”. 

Consejo General de Dentistas
De izq. a dcha.: Greg Chadwick, presidente de la FDI; Óscar Castro, presidente del Consejo General de Dentistas; y Nikolai Sharkov, presidente electo de la FDI.
BTI Biotechnology

SEPES Y LA PRÓTESIS ESPAÑOLA REFUERZAN SU PESO

EN LA EUROPEAN PROSTHODONTIC ASSOCIATION

Lareunión de la junta directiva de la European Prosthodontic Association (EPA) (council), celebrada en Bilystok (Polonia) el 18 de septiembre en el marco del 47 Congreso de esta sociedad con la presencia de los doctores Pradíes y Martínez de Fuentes, dejó patente la relevancia y prestigio del que goza en Europa la prostodoncia clínica y docente que se realiza en España.

El Dr. Pradíes tomó posesión, además, en esta reunión directiva, del cargo de presidente del Comité de Especialistas y el Dr. Martínez de Fuentes revalidó su cargo como miembro del Council de la EPA. El congreso, en el cual El Dr. Pradíes realizó una ponencia y el Prof. Rafael Martínez de Fuentes formó parte de su comité científico, contó también con la presencia de la Dra. Sandra Fernández Villar, miembro de la Junta Directiva de SEPES. Se refuerza así la estrecha relación que mantienen ambas sociedades desde 2015 y en particular desde 2022, año en que gracias a la implicación del doctor Pradíes se suscribiera el convenio

En la imagen, el Prof. Guillermo Pradíes, presidente de SEPES y del Comité de Especialistas de la EPA; la Dra. Sandra Fernández Villar, miembro de la Junta Directiva de SEPES; y el Prof. Rafael Martínez de Fuentes, vicepresidente de SEPES, presidente del 53º Congreso Anual de SEPES y miembro del Council de la EPA.

SEPES

de cooperación científica y formativa por el que todos los socios de SEPES son considerados asimismo miembros de la EPA pudiendo así realizar el examen acreditativo del Título de Especialista en Prótesis, título otorgado por la EPA y que tan solo poseen cinco odontólogos españoles, entre ellos los doctores Guillermo Pradíes y Rafael Martínez de Fuentes, los dos primeros. La prótesis española afianza así su peso dentro de esta prestigiosa asociación a la que están adheridas las sociedades de Prótesis de más de 50 países.

Esta pertenencia en bloque a la EPA de todos los miembros de SEPES conlleva, además, otros beneficios para los socios como son el acceso gratuito a los webinars, al material académico y publicaciones especializadas en prótesis editado por la EPA como es el caso de la “European Journal of Prosthodontics and Restorative Dentistry” y la asistencia con precio reducido al congreso que la EPA celebra anualmente en una ciudad europea y que el próximo año tendrá lugar en Turquía en septiembre. 

Información para decidir

Solo aquella información basada en la responsabilidad y la calidad nos hace libres para tomar las mejores decisiones profesionales. En ConeQtia, entidad colaboradora de CEDRO, garantizamos contenido riguroso y de calidad, elaborado por autores especializados en más de 30 sectores profesionales, con el aval de nuestros editores asociados y respaldando el uso legal de contenidos. Todo ello con la nalidad de que el lector pueda adquirir criterio propio, facilitar la inspiración en su labor profesional y tomar decisiones basadas en el rigor.

Por este motivo, todos los editores asociados cuentan con el sello de calidad ConeQtia, que garantiza su profesionalidad, veracidad, responsabilidad y abilidad.

Pro 2, la nueva impresora 3D dental de SprintRay

La Pro 2 es una impresora 3D dental de última generación que ofrece una precisión y un rendimiento sin precedentes. Con la tecnología optical panel, pendiente de patente, y luz UV-A de 385 nm, la Pro 2 es la impresora 3D más avanzada de SprintRay.

La tecnología de optical panel de 35 µm combinada con el motor de luz de 385 nm sitúa a Pro 2 a la vanguardia de la precisión en impresión 3D.

La impresora Pro 2 puede imprimir en 3D más de 6 modelos de arcada completa en un solo trabajo o utilizar el Arch Kit para imprimir hasta 2 veces más rápido. Ofrece al profesional el control del flujo de trabajo de producción. Otra de sus características es que el sistema de la impresora Pro 2 admite flujos de trabajo en una gran variedad de especialidades, desde la producción de férulas de descarga hasta prótesis híbridas de alta precisión. Para diseñar la Pro 2, SprintRay ha dado un giro al proceso de impresión, colocando el panel óptico lo más cerca posible del tanque de resina y ofreciendo una resolución de 35 µm y cero distorsión, todo ello conservando una gran superficie de impresión. Si quieres conocer todas sus características y ventajas puedes solicitar una demostración con SprintRay a través de su web.

SprintRay www.sprintray.com/es-es

Zirkonzahn amplía su gama de componentes para prótesis sobre implantes

Cuando se elaboran restauraciones sobre implantes es sumamente importante la óptima precisión de los componentes entre sí. La línea de elementos protésicos de Zirkonzahn para implantes que incluye Scanmarkers, White Scanmarkers, análogos de laboratorio, ScanAnalogs (que combinan la función del análogo de laboratorio con la función del Scanmarker), pilares de impresión, Multi Unit Abutments, RawAbutments® y casquillos de cicatrización, se ha ampliado recientemente con nuevos productos:

 Zirkonzahn LOC-Connector (1): un sistema de fijación a presión para implantes y barras con el fin de sujetar prótesis dentales removibles sobre los implantes.

 Multi Unit Abutment 17° y 30° (2): caracterizado por un ángulo de 17° ó 30° y disponible con dos tipos diferentes de conexión con bloqueo de rotación, que permiten posiciones intermedias.

 Bases de titanio K85 (3): se pueden cortar individualmente y, por lo tanto, se pueden adaptar de manera ideal a la longitud específica del diente. Además, están disponibles en diferentes alturas de la encía.

 Bases de titanio K80 Angled Screw Channel (4): se pueden cortar individualmente y, por lo tanto, a la longitud del diente; además, están disponibles en diferentes alturas de la encía. Disponen de un canal de tornillo ajustable (0°-30°).

 White Metal Scanmarkers (5): scanmarkers reutilizables para registrar digitalmente la posición y la alineación del implante durante el escaneo intraoral o del modelo.

Todos los componentes de Zirkonzahn están disponibles para más de 140 sistemas de implantes y están completamente integrados en el Zirkonzahn.Software. Los pilares de implantes Zirkonzahn tienen una garantía de hasta 30 años, incluyendo los implantes de otros fabricantes utilizados con los abutments de implantes Zirkonzahn. Con el Zirkonzahn Library Download Center también los usuarios de 3shape y exocad® pueden implementar las bibliotecas en su software de diseño.

Zirkonzahn www.zirkonzahn.com

novedades

Dentaid propone un cuidado bucal consciente con la línea PHB Time To Care

Dentaid presenta una formulación pionera en las rutinas de cuidado bucal con la innovadora gama de PHB: Time to Care. “Una línea que revoluciona el cuidado bucal, ofreciendo, por primera vez, soluciones basadas en el bienestar integral, siguiendo la tendencia de autocuidado que ha transformado la manera en que las personas cuidan su piel y su cabello”, según indican desde la compañía.

Cuatro formulaciones para cuatro momentos y estados vitales

La innovación en esta nueva gama refuerza el propósito de Dentaid, que es promover y mejorar la salud bucal de las personas a lo largo de toda su vida. Patricia Antón, responsable de visita Médica de Dentaid, destaca que “finalmente se puede dar respuesta a una necesidad que es la del cuidado bucal consciente. Con esta gama centrada en momentos vitales podemos disfrutar de rutinas de autocuidado bucal que nos aportan bienestar y que cuentan con el aval científico del Dentaid Research Center”.

La gama PHB Time to Care consta de las siguientes soluciones:

 So Confident: con triple sistema de fosfatos y Perlita. Cuida el esmalte dental, recupera el blanco natural de los dientes y mantiene un aliento fresco y duradero. Responde a la necesidad de confianza social y autoestima donde la autoimagen, clave para ganar seguridad, cobra más importancia que el autocuidado en esta etapa.

 So Calm: con lavanda y camomila. Satisface la necesidad de probar nuevas rutinas que mejoren el bienestar, incorporar ingredientes de origen natural que ayudarán a sentirse más relajado.

Pack Magnum de Ticare,

un nuevo concepto de almacenamiento

El Pack Magnum de Ticare es un nuevo concepto de almacenamiento para los implantes de mayor rotación. Permite crear una zona de implantes en clínica, además de ser una forma premium de probar el #gapZero de Ticare.

Cada pack está compuesto con por 10 implantes inHEX de la medida que se elija, los únicos implantes libres de filtración bacteriana que disminuyen el riesgo de periimplantitis.

Para probar este pack premium puedes contactar con tu Asesor Comercial Ticare.

Ticare Implants www.ticareimplants.com

 So Balance: con regulador de PH y aloe vera, protege la microbiota bucal, cuidando dientes y encías e hidratando la boca. El estrés influye en procesos inflamatorios y en la alteración de la microbiota oral, favoreciendo la mucositis oral. So Balance da respuesta a la necesidad de conseguir el equilibrio de la microbiota de manera natural.

 So Young Forever: combate el envejecimiento bucal con una fórmula antioxidante de vitamina C, E, alantoína y betaína. El objetivo de So Young es prolongar la salud bucodental al máximo y mitigar los efectos del envejecimiento fisiológico y la oxidación.

Dentaid www.dentaid.es

Fluocaril refuerza el cuidado de la salud bucodental con su nueva gama Protección Completa

Fluocaril lanza su nueva gama Protección Completa, con la que ofrece una solución experta con una nueva tecnología que aúna los beneficios de dos minerales esenciales para la salud oral, como son el zinc y el flúor, con dos variedades distintas: Protección Completa y Protección Completa Blanqueante.

8 beneficios más allá de la protección contra las caries Esta solución aporta hasta 8 beneficios para nuestra boca que van más allá de la protección contra las caries y la acción antibacteriana, garantizando también un aliento fresco, el fortalecimiento dental y del esmalte, el cuidado de las encías, y ayudando a la eliminación del sarro y la placa. De esta forma, la nueva gama de U-Labs (Unilever) ayuda a conseguir unos dientes sanos, encías, mejillas y lenguas sanas gracias a la suma de zinc y a sus 145 mg de flúor, ofreciendo una protección de 18 horas contra la placa. Además, la nueva gama de Fluocaril está diseñada con un enfoque sostenible, presentándose en un tubo reciclable que contiene un 25% de plástico reciclado.

Fluocaril www.fluocaril.es

SEPES FORMACIÓN

Clínica

CURSO DESGASTE DENTARIO VALENCIA 17 y 18 ENERO 2025

VIERNES 17 DE ENERO

Débora R. VILABOA & José Manuel REUSS

Érase una vez el “desgaste dentario”

Vicente FAUS & Nacho FAUS

Generación de espacio restaurador mediante ayuda ortodonciarestauradora en el paciente con desgaste.

Mercedes JORQUERA

Relación entre la odontología y la salud mental: Trastornos de conducta alimentaria.

Marta ROMEO

Del paciente virtual analógico al paciente virtual digital en el paciente con desgastes.

Javier CASAS

Factores estáticos y dinámicos en el diagnóstico del paciente con desgaste dental.

José Luis DE LA HOZ

Toxina Botulínica: cómo puede ayudarnos en el tratamiento restaurador de pacientes con desgaste dentario.

Pablo CASTELO

Incrustación vs. corona en el paciente con desgaste.

Jesús MANEIRO & Jorge ALONSO

Composites inyectados paso a paso para provisionalizar al paciente con desgaste.

Vincenzo GIOVANE

Composites estratificados en el sector anterior: mitos y realidades en el paciente con desgastes.

COORDINADORES:

Dr. Guillermo Pradíes

Dra. Lucía Fernández de Estevan

Ofertas Especiales

DESDE EL 1 DE SEPTIEMBRE HASTA EL 31 DE DICIEMBRE DE 2024

Nuevo

VarioSurg 4

SISTEMA ULTRASÓNICO DE CIRUGÍA ÓSEA

VarioSurg 4

REF. Y1500706

5.959€*

9.490€*

Incluye:

• Unidad de control

• Pieza de mano LED con cable de 2m

• Pedal de control FC-86

• Cassette de esterilización

• Soporte para pieza de mano

• Tubo de irrigación (3 uds.) y otros accesorios

• Kit básico H-S (H-SG1, SG3, SG5, SG6D, SG7D, SG11 y soporte de puntas)

Características:

• Gran aumento de potencia

• 3 modos (CIRUGIA, ENDO, PERIO)

• Modo ráfaga seleccionable (3 frecuencias)

• 9 programas (CIRUGIA x 5, ENDO x 2, PERIO x 2)

• Intensidad de luz LED regulable

• Modo de limpieza automático

• Función de retroalimentación

• Función de sintonización automática

• Función de enlace dinámico

CON DOBLE LUZ

Aplicaciones: Cirugía oral

• Cirugía ósea

• Raspado

• Elevación de seno

• Extracción

• Membrana sinusal

• Preparación de implantes

Perio

• Raspado

• Perio (alisado radicular)

• Mantenimiento

• Endo Retrogrado

* Los precios no incluyen IVA • Ofertas limitadas hasta el 31 de diciembre de 2024

Turn static files into dynamic content formats.

Create a flipbook
Issuu converts static files into: digital portfolios, online yearbooks, online catalogs, digital photo albums and more. Sign up and create your flipbook.