El Dentista Moderno Nº 89

Page 1


www.eldentistamoderno.com

ENTREVISTA

Dra. Marisol Ucha, presidenta del Comité Organizador del 7º Congreso COEM

IMPLANTOLOGÍA

CIRUGÍA BUCAL

JÓVENES TALENTOS

Dra. María Baus Domínguez, coordinadora y profesora del Máster de Cirugía Bucal de la Universidad de Sevilla

TRATAMIENTO PERIO-ORTO CONTEMPORÁNEO

D4.0

ENTREVISTA A LA INDUSTRIA DENTAL

PENSANDO EN EL FUTURO

Siguiendo la evolución de la Odontología para el profesional del sector llamado a construir el futuro

SOLUCIONES MÍNIMAMENTE INVASIVAS

IMPLANTES CORTOS

(HASTA 4,5 MM)

Plataformas: Estrecha y 3.0

DESCÚBRELOS

REPLANTÉATE LOS TRATAMIENTOS DE LAS ATROFIAS ÓSEAS

POR 3 RAZONES:

1. Menor traumatismo: sin reconstrucciones complejas.

2. Más éxito sin complicaciones postoperatorias.

3. Mayor aceptación por parte del paciente: sin demoras en la rehabilitación y aumentos de costes.

Ciencia y experiencia

staff

eldentistamoderno

Número 89 - Noviembre 2024

ENTREVISTA Dra. Marisol Ucha, presidenta del Comité Organizador del 7º Congreso COEM IMPLANTOLOGÍA CIRUGÍA BUCAL

JÓVENES TALENTOS Dra. María Baus Domínguez TRATAMIENTO PERIO-ORTO CONTEMPORÁNEO www.eldentistamoderno.com

D4.0

Siguiendo la evolución de la odontología

DIRECTORA

Emiliana Rodríguez Charmes emi.rodriguez@eldentistamoderno.com

SUBDIRECTORA

Beatriz Suárez de la Vega beatriz.suarez@eldentistamoderno.com

REDACCIÓN Y FOTOGRAFÍA

Departamentos propios Versys Ediciones Técnicas

COMITÉ CIENTÍFICO

Javier de la Cruz, José Nart, Jesús Daniel Parejo, Juan López Palafox, Miguel Burgueño, Juan Manuel Vadillo, Guillermo Galván, Rafael Martínez de Fuentes, Anna Ramiro, Carlos Repullo, Leticia Rodríguez, Marta Revilla, José María Malfaz, Eva Mª Martínez y Eva López de Castro

DISEÑO Y MAQUETACIÓN Manuel Beviá

DIRECTORA COMERCIAL ÁREA DE DISTRIBUCIÓN Mercedes Álvarez mercedes.alvarez@versysediciones.com

DIRECTORA DE CUENTAS DM

Emiliana Rodríguez Charmes emi.rodriguez@eldentistamoderno.com

EJECUTIVA DE CUENTAS DM

Beatriz Montero Fernández de Bobadilla beatriz.montero@eldentistamoderno.com

Impresión: Gama Color

Depósito Legal: M-33444-2013

ISSN: 2340-9703

ISSN (internet): 2340-9797

Versys Ediciones Técnicas S.L. Invierno, 17 28850 Torrejón de Ardoz (+34) 912 972 000 administracion@versysediciones.com

CEO

José Manuel Marcos Franco de Sarabia

DIRECTORA DE OPERACIONES

Esther Crespo

DIRECTOR DE EXPANSIÓN Y DESARROLLO

José Manuel Marcos de Juanes

Copyrigth Versys Ediciones Técnicas S.L. La suscripción a esta publicación autoriza el uso exclusivo y personal de la misma por parte del suscriptor. Cualquier otra reproducción, distribución, comunicación pública o transformación de esta publicación sólo puede ser realizada con la autorización de sus titulares. En particular, la Editorial, a los efectos previstos en el art. 32.1 párrafo 2 del vigente TRLPI, se opone expresamente a que cualquier fragmento de esta obra sea utilizado para la realización de resúmenes de prensa, salvo que cuente con la autorización específica. Diríjase a CEDRO (Centro Español de Derechos Reprográficos) si necesita fotocopiar, escanear, distribuir o poner a disposición de otros usuarios algún fragmento de esta obra, o si quiere utilizarla para elaborar resúmenes de prensa (www.conlicencia.com; 917021970/932720447)

Las opiniones y conceptos vertidos en los artículos firmados lo son exclusivamente de sus autores, sin que la revista los comparta necesariamente.

Premio de Comunicación SECIB 2019

Accede a El Dentista Moderno

sumario

4

EDITORIAL

La integración del flujo digital en la clínica y en el laboratorio dental

Por Emi Rodríguez Charmes, directora de Dentista Moderno y D4.0. 6

ENTREVISTA

“Nuestro objetivo es volver a ofrecer, un año más, un evento multidisciplinar que sirva de lugar de encuentro para todos los profesionales de la Odontología”

Dra. Marisol Ucha, presidenta del Comité Organizador del 7º Congreso COEM 10

IMPLANTOLOGÍA - NOBEL BIOCARE

Pilar Multi-unit, un clásico imprescindible que evoluciona y se adapta a las nuevas necesidades

Autor: Dr. Nacho Ginebreda

CIRUGÍA BUCAL - SECIB

Tratamiento de recesiones múltiples en el maxilar superior

Autor: Dr. Xavi Mir Mari

JÓVENES TALENTOS

“Creo firmemente en el valor de la educación pública superior, que en España ofrece una excelente calidad académica accesible para todos”

Dra. María Baus Domínguez, coordinadora y profesora del Máster de Cirugía Bucal de la Universidad de Sevilla

TRATAMIENTO PERIO-ORTO CONTEMPORÁNEO - SEPA

Opciones terapéuticas en el manejo periodontal y ortodóncico de caninos incluidos maxilares

Autores: Dr. Javier Calatrava, Dra. Laura Avilés, Dr. Ignacio Sanz-Sánchez, Dr. Juan Carlos Palma y Dr. Mariano Sanz 42

REPORTAJE

Nuevas tecnologías, IA y robótica aplicadas a la odontología restauradora y estética, protagonistas en SEPES Sevilla 2024

46

ENTREVISTA

“El IV Congreso Nacional Multidisciplinar de Salud Bucodental de Higienistas Dentales traerá nuevas ideas y metodologías”

Rosa Tarragó-Gil, presidenta del IV Congreso Nacional Multidisciplinar de Salud Bucodental

60

64

50

ACTUALIDAD DEL SECTOR DENTAL

NOVEDADES

Equipamiento, instrumental y material protésico, dental y clínico

54

D4.0

ENTREVISTA A LA INDUSTRIA DENTAL

“W&H Ibérica es un equipo humano dedicado al trato personalizado a la clínica dental en el Servicio Post-Venta”

Ángela Paredes y Lydia Gómez, Directora y Coordinadora del Servicio Técnico de W&H Ibérica

PENSANDO EN EL FUTURO

Digivolution 2024. El flujo de trabajo digital en la implantología, protagonista del Congreso Ibérico de Nobel Biocare

Foto portada: Pixabay (Geralt)

LA INTEGRACIÓN DEL FLUJO DIGITAL EN LA CLÍNICA Y EN EL LABORATORIO DENTAL

El flujo digital es ya una realidad en Odontología. Sus profesionales, conscientes del cambio de paradigma que supone la adopción de las nuevas tecnologías, están “desaprendiendo lo aprendido” transformando su forma de trabajar, adoptando nuevos protocolos en cada fase del proceso (diagnóstico, planificación y tratamiento).

La integración del flujo digital en la clínica y en el laboratorio dental es una verdadera transformación, una conexión digital integral que implica la integración completa y fluida de tecnologías digitales entre ambos protagonistas, clínica y laboratorio; intercambio de datos, imágenes digitales, automatización de procesos, seguimiento y comunicación entre los actores de esta conexión. Además de la adaptación continua de los profesionales a una formación especializada, una curva de formación a veces complicada, con adopción de nuevos protocolos, necesidad de actualización y soporte continuos.… Todos estos aspectos resultan necesarios para estar a la vanguardia en el flujo digital y, sobre todo, con el fin último de ofrecer al paciente el tratamiento más preciso y adecuado.

Desde la publicación Dentista Moderno, tras la gran acogida de las clínicas dentales y de la industria que tuvo la primera Edición Especial Clínicas Dentales 2023-2024, estamos elaborando la segunda Edición Especial en la que, en esta ocasión, nos hemos centrado en analizar el papel de la digitalización en la transformación de las clínicas y laboratorios dentales en España, poniendo el foco en el Flujo Digital Integral entre ambos.

En esta edición anual 2024-2025, una selección destacada de clínicas y laboratorios dentales tendrán la oportunidad de mostrar su visión profesional sobre el trabajo conectado y colaborativo conjunto.

Una edición multiplataforma que servirá para reflexionar sobre la transformación que están protagonizando los actores principales en este cambio disruptivo que supone la llegada del flujo digital y todo lo que ello implica para el trabajo de ambos.

Si ya has integrado la tecnología digital en tu clínica o laboratorio, cuéntanos cómo has implementado el flujo digital integral y cómo es la conexión entre ambos gracias a la conectividad.

Forma parte de esta 2ª Edición Especial 2024-2025 y sigamos trabajando juntos por la evolución de la Odontología para los profesionales que estáis construyendo el futuro.

Emi Rodríguez
Directora de Dentista Moderno y D4.0

“NUESTRO OBJETIVO ES VOLVER A OFRECER, UN AÑO MÁS, UN EVENTO MULTIDISCIPLINAR

QUE SIRVA DE LUGAR DE ENCUENTRO PARA TODOS LOS PROFESIONALES DE LA ODONTOLOGÍA”

Dra. Marisol Ucha, presidenta del Comité Organizador del 7º Congreso COEM (7 y 8 de febrero de 2025, Kinépolis Madrid)

Kinépolis Madrid volverá a acoger los días 7 y 8 de febrero el 7º Congreso del Colegio Oficial de Odontólogos y Estomatólogos de la I Región (COEM). Un encuentro bienal que mantiene su carácter multidisciplinar, incorporando como novedad un programa científico más dinámico con el objetivo de fomentar el debate y la reflexión y ofreciendo, una edición más, “un congreso para todos”, tal y como nos avanza en esta entrevista la Dra. Marisol Ucha, presidenta del Comité Organizador del encuentro, en el que el cine será el marco protagonista.

 DM.- Los días 7 y 8 de febrero de 2025, el COEM celebrará su 7º Congreso bienal en Madrid. ¿Qué objetivos se han planteado para esta edición?

Dra. Marisol Ucha (Dra. M.U.).- Nuestro objetivo es volver a ofrecer, un año más, un evento multidisciplinar que sirva de lugar de encuentro para todos los profesionales de la Odontología. Es el único congreso científico del sector en el que todos los dentistas, sea cual sea su dedicación, así como el resto del equipo de la clínica, encontrarán temas de interés y recibirán una formación continuada de calidad y actualizada.

 DM.- ¿Qué novedades y sorpresas traerá el Congreso COEM 2025 para los asistentes?

Dra. M.U.- La gran novedad para este año es el programa principal compuesto por nueve bloques temáticos en los que profesionales nacionales de prestigio abordarán distintos casos desde su pers-

pectiva. Además de un atractivo e innovador programa lúdico con el cine como protagonista. También estamos preparando una formación específica dirigida a los médicos del SERMAS, dentro de un interesante acuerdo suscrito con la Consejería de Sanidad, así como una formación en colaboración con el Colegio de Farmacéuticos sobre prescripción de antibióticos.

 DM.- En esta edición, el Comité Organizador ha apostado por un formato dinámico y atractivo para los asistentes. ¿En qué consiste esta nueva apuesta?

Dra. M.U.- En las seis ediciones anteriores hemos trabajado sobre un cartel principal de ponentes internacionales que impartían sus clases magistrales. Consideramos que este formato ya está, quizás, un poco más manido y hemos optado por un programa científico más dinámico que fomenta el debate y la reflexión desde un ámbito multidisciplinar. Además del Programa 360º para higienistas, auxiliares de clínica y estudiantes.

 DM.- El cine ha sido el tema elegido para esta séptima edición. ¿Cómo se estructurará el congreso y todas sus actividades, ponencias, etc. en torno a esta temática? ¿De qué manera ofrecerá a los asistentes una experiencia inmersiva?

Dra. M.U.- Nuestro congreso siempre ha sido un congreso de cine. Fuimos los primeros del sector en

Es el único congreso científico del sector en el que todos los dentistas, sea cual sea su dedicación, así como el resto del equipo de la clínica, encontrarán temas de interés y recibirán una formación continuada de calidad y actualizada ”

apostar por Kinépolis como sede y en usar las magníficas salas y pantallas para hablar de Odontología. Este año es el séptimo congreso y como el cine es el séptimo arte, todo venía rodado. Estamos preparando una decoración muy especial, unas actividades espectaculares, que mantendrán la dinámica de todo el congreso y establecerán un hilo conductor que no dejará indiferente a nadie. Además, contaremos con la presentación de un libro que une Odontología y Cine. No puedo desvelar más...

 DM.- Bajo la dirección científica del Dr. Guillermo Pradíes, ¿cómo han enfocado el programa científico del congreso? ¿Cuáles serán los principales bloques de contenido que se tratarán en el programa? Dra. M.U.- El programa científico estará formado por nueve bloques de contenido, repartidos entre las jornadas del viernes 7 y sábado 8. Los bloques

La gran novedad para este año

es el programa principal compuesto por nueve bloques temáticos en los que profesionales nacionales de prestigio abordarán distintos casos desde su perspectiva, además de un atractivo e innovador programa lúdico con el cine como protagonista

son: Diagnóstico radiológico, Implantología, Desgaste dentario, Ortodoncia, Blanqueamientos, Hipomineralización Incisivo Molar (MIH), Tratamiento de la enfermedad periimplantaria, Endodoncia y Materiales restauradores. En cada uno de ellos, los distintos ponentes, moderados por un miembro del comité organizador, debatirán y expondrán los abordajes desde diferentes perspectivas y ramas de la Odontología. Sin duda, un formato dinámico y atractivo para los asistentes que mantiene el espíritu multidisciplinar que caracteriza al Congreso COEM.

Hemos optado por un programa científico más dinámico que fomenta el debate

y

la reflexión desde un ámbito multidisciplinar ”

Respecto al Programa 360º, trataremos cómo preparar la clínica para una inspección, para lo que contaremos con la intervención de la directora general de Inspecciones de la CAM; prescripciones en la farmacia; cómo obtener neuronas a través de los dientes de leche; el microbioma; etc.

 DM.-¿Qué expertos participarán como ponentes para exponer desde su perspectiva su abordaje sobre cada una de estas temáticas?

Dra. M.U.- Tenemos una lista de ponentes nacionales de gran prestigio: Dra. Araceli Martínez Mirabé, Dr. Carmen Benito Vicente, Dr. David Valero, Dr. Ramón LorenzoVignau, Dra. Eva Willaert, Dra. Marina Olea, Dr. José Bahillo, Dr. David Castellanos, Dra. Andreasa Furtado, Dra. Nuria Escribano, Dra. Olga González Castro, Dr. Juanjo Iturralde, Dr. Miguel Hernández, Dra. Mónica Miegimolle, Dra. Carmen Llena, Dr. Ricardo Fernández, Dra. Ruth Pérez Alfayate, Dr. Juan José Pérez-Higueras, Dr. Juan Miraglia, Dr. Álvaro García Sedo, Dra. Lucía Fernández, Ignacio Hernández Medrano, Dr. Bob Rosier, Dr. Bernardo Perea, Dr. Juan López-Quiles, Dr. Rafael Pla, Dra. María Cura Peña, Dr. Salvador Martínez Pérez, Dr. Jonathan Romero Alcalá y muchos más.

 DM.- En este sentido, ¿cómo está trabajando el Comité Científico del 7º Congreso COEM para mantener el espíritu multidisciplinar que caracteriza a este encuentro?

Dra. M.U.- El carácter multidisciplinar se mantiene al abordar los diferentes bloques entre profesionales de distintas dedicaciones dentro del ámbito de la Odontología y, sobre todo, con mucha ilusión y trabajo.

 DM.- En cuanto al papel de la industria, ¿cuál está siendo la respuesta de las empresas del sector de cara a la exposición comercial de esta séptima edición del congreso?

Dra. M.U.- La industria y la exposición comercial del Congreso COEM siempre han sido, y así lo seguirá

siendo, una parte fundamental de nuestro evento. Contaremos con la presencia de las más importantes empresas del sector que ofrecerán a los asistentes las últimas novedades. El pasado mes de octubre, durante la presentación en primicia a la industria dental del 7º Congreso, el proyecto despertó un gran interés y entusiasmo para todos.

 DM.- Háblenos sobre la parte lúdica del evento. ¿Qué actividades sociales se organizarán en torno al Congreso?

Dra. M.U.- En este aspecto no queremos desvelar mucho, ya que será gran parte del gancho de nuestro evento y queremos que sea una sorpresa para el asistente. Solo puedo adelantar que el cine y, en concreto, la estética art decó inundarán todo el Congreso COEM.

 DM.- ¿A qué profesionales invitan desde el COEM a asistir a su 7º Congreso bienal? ¿Por qué no deberían perderse esta cita?

Dra. M.U.- Como siempre decimos, éste es un Congreso para todos. El dentista de cualquier dedicación, así como auxiliares, higienistas, técnicos de laboratorio y estudiantes de Odontología, encontrarán en el programa del 7º Congreso COEM temas de su interés.

Los bloques de contenido del programa científico son: Diagnóstico radiológico, Implantología, Desgaste dentario, Ortodoncia, Blanqueamientos, Hipomineralización Incisivo Molar (MIH), Tratamiento de la enfermedad periimplantaria, Endodoncia y Materiales restauradores

 DM.- ¿Qué expectativas de participación tienen en estos momentos desde la organización?

Dra. M.U.- Las expectativas las tenemos muy altas, ya que este Congreso siempre ha sido una apuesta segura. Confiamos en superar las cifras de ediciones anteriores y para ello, contamos con todos vosotros. Me gustaría recordar que la tarifa reducida se mantendrá solo hasta el 30 de noviembre, por lo que es ahora el mejor momento para apuntarse por solo 75 euros a todo el programa (científico + 360º), y 25 euros solo al programa 360º. 

PILAR MULTI-UNIT, UN CLÁSICO

IMPRESCINDIBLE QUE EVOLUCIONA

Y SE ADAPTA A LAS NUEVAS

NECESIDADES

Imprescindible. Si se tuviese que definir con una palabra lo que significa el pilar Multiunit para la práctica clínica diaria en implantología, sería imprescindible. Un pilar que en su día revolucionó la manera de afrontar la rehabilitación de casos complejos y que abrió una ilimitada posibilidad de configuración de tratamientos para los clínicos y nuevas alternativas para pacientes condenados a dentaduras completas o a grandes reconstrucciones con injertos. Tanto es así que ha sido copiado por la gran mayoría de sistemas hasta convertirse en un pilar universal. Sin embargo, las exigencias estéticas de hoy en día y los conocimientos actuales de la biología en la zona trans-gingival, nos obligan a colocar los pilares en posiciones subcrestales, algo para lo que los diseños clásicos del pilar no están concebidos ni preparados. Es por ello por lo que Nobel Biocare se ha adaptado a estos requisitos y ha introducido nuevos diseños de perfiles que se adaptan mucho mejor a estas necesidades. El objetivo de esta publicación es presentar las características de los nuevos pilares y las finalidades e indicaciones de su utilización.

Introducción

Desde su inicio, los pilares Multi-unit han transformado y han formado una parte importante en la evolución de los protocolos y tratamientos en implantología de prótesis múltiple y de arcada completa. A lo largo de los años, la tecnología de los pilares ha evolucionado para mejorar su diseño, aumentar la precisión del ajuste de las restauraciones, la durabilidad y la biocompatibilidad.

Con el desarrollo de estos pilares no solamente se logra mejorar la distribución de las cargas, sino que ayudan a proporcionar una mejor inserción y ajuste de las estructuras protésicas. Así como también permiten un acceso más fácil para la limpieza y el mantenimiento. El verdadero potencial, es que gracias a los pilares Multi-unit se abre la posibilidad de realizar restauraciones más complejas gracias a su versatilidad y adaptabilidad, ofreciendo distintas alturas gingivales y varias angulaciones (17º y 30º) que ha permitido su uso en una amplia variedad de configuraciones protésicas. Tanto es así que los pilares Multi-unit han sido fundamentales en el desarrollo de tratamientos como el concepto All-on-4®,

que en su día revolucionó la manera de abordar la rehabilitación dental completa optimizando el uso del hueso disponible y reduciendo la necesidad de injertos óseos a expensas de inclinar los implantes. En resumen, los pilares Multi-unit han pasado de ser una innovación técnica para convertirse en un estándar en la implantología moderna, proporcionando soluciones efectivas y eficientes para la rehabilitación de casos complejos y mejorar significativamente la calidad de vida de los pacientes. Sin embargo, hoy en día, el pilar Multi-unit se ha convertido en un pilar exigido. Originalmente fue creado para ser rehabilitado a nivel yuxtagingival en tramos edéntulos donde existía una configuración “plana” de la encía. Para seleccionar la colocación del pilar simplemente se debía medir la altura de la encía y calcular la angulación del implante con respecto a la emergencia de los dientes para determinar la necesidad de utilizar un pilar angulado. Con la evolución de la implantología, los conceptos de planificación protésicamente guiada, las filosofías de “cero pérdida ósea” (zero bone loss concepts, Linkevicius [Ref.1]) y los conocimientos de la estética actual sobre implan-

tes están presentes a la hora de colocar los implantes y rehabilitarlos. El objetivo ya no es buscar una rehabilitación funcional, sino que también es lograr una apariencia estética natural duradera y estable a lo largo del tiempo evitando problemas como la recesión gingival o la pérdida ósea marginal e interproximal. El nivel de conocimiento que existe en implantología unitaria implica tal cantidad de conceptos y detalles a nivel biológico y protésico que dificulta mucho y hace prácticamente imposible la utilización de los pilares Multi-unit clásicos para situarlos en la zona transgingival y lograr emergencias estéticas adecuadas. Como siempre, Nobel Biocare ha comprendido estas necesidades y se ha adaptado a estos requisitos introduciendo nuevos diseños de perfiles que se adaptan mucho mejor a este tipo de situaciones y resultados. El objetivo de esta publicación es presentar las características de los nuevos pilares Multi-unit y sus finalidades, así como también las indicaciones de su utilización.

Limitaciones de los pilares Multi-unit clásicos en la zona transgingival

La importancia en la preservación del hueso crestal alrededor de los implantes y de las distintas estructuras del fenotipo periimplantario es vital para el mantenimiento y éxito funcional y estético a largo plazo (Ref.2). La utilización de conexiones cónicas robustas, mecánicamente estables y con cambio de plataforma como las de NobelActive® y NobelParallel™ pueden ayudar al mantenimiento del hueso crestal (Ref.3). Sin embargo, también es importante asociar este tipo de conexiones con la posición tridimensional del implante (Ref.4). Concretamente en el plano apico-coronal, la colocación de los implantes en posiciones subcrestales va a ayudar no solo a mantener el hueso, sino que va a permitir generar el espacio necesario para establecer una zona de transición biológica y protésicamente necesaria para desarrollar los perfiles de emergencia adecuados hasta llegar a la anatomía del margen gingival de la corona o perfil crítico (Ref. 5). Según las publicaciones, este espacio está establecido 3 ,5-4mm del margen gingival (Ref.6, Ref.7).

Desde el punto de vista restaurador en implantes unitarios, es conocido que estos perfiles de emergencia deben ser diseñados con una transición suave. Partiendo desde un diámetro estrecho que progresivamente se va ensanchando. Siempre que el implante esté bien colocado tridimensionalmente el resultado será un perfil de emergencia cóncavo en

el área subgingival. (Refs.8,9,10). La finalidad del concepto es proporcionar el máximo espacio horizontal para el crecimiento de tejido conectivo supracrestal alrededor de la interfase de titanio o pilar personalizado ofreciendo protección al implante a costa de maximizar el grosor y estabilidad a las estructuras del fenotipo periimplantario (Ref.11). El verdadero reto surge en situaciones en las que es posible crear una prótesis múltiple del tipo FP1 (Ref.12), donde siempre se debe utilizar un pilar Multi-unit. Cuando se utiliza un implante asociado a este tipo de pilar para crear una emergencia natural desde la encía, éste se debe planificar teniendo en cuenta que el volumen del pilar va a ocupar prácticamente toda el área de la altura de tejido supracrestal (“Suprecrestal tissue height” Ref. 11) y debe estar “camuflado” en dicha zona de transición ocupando gran parte del espacio para el tejido conectivo supracrestal y del perfil de emergencia de la restauración (Ref. 13). Ya sea un pilar recto o angulado, debido a sus formas robustas y perfiles anchos, resulta difícil de planificar su colocación en zonas estéticas ya que el complejo implante-pilar se va a comportar como un implante tipo “tissue level” (Ref.14) (Fig.1). Con los diseños clásicos de pilares no se van a poder respetar las concavidades subgingivales deseadas y siempre va a implicar la eliminación de hueso, sobre todo a nivel interproximal y vestibular en la zona del cenit del diente (Ref.15) (Fig.2). Las consecuencias automáticas serán picos de hueso interproximales reducidos, papilas más cortas y dientes con cenits más planos y anchos en el tercio gingival. Incluso en situaciones de implantes adyacentes puede provocar la pérdida o ausencia total de papila interimplantaria (Ref.7) (Fig.3).

Dr. Nacho Ginebreda Licenciado en Odontología por la Universitat Internacional de Catalunya (UIC). Residencia Clínica en Implantología Oral, UIC. Diplomado en Periodoncia en Clínica. Clinica Aparicio & University of Gothenburg. Internship Advanced Education in Implant Dentistry, Loma Linda University, California. Graduate Certificate Advanced Clinical Training Program in Surgical Implant Dentistry, University of California, Los Angeles (UCLA). Ha recibido diversas becas de investigación a lo largo de su carrera y ha presentado sus proyectos científicos en congresos tanto de ámbito nacional como internacional. Dentro de sus éxitos se encuentra el premio a la mejor comunicación oral de la Academia Americana de Implantes Dentales (AAID) en 2013.

caso clínicoIMPLANTOLOGÍA

Innovaciones y características del nuevo pilar

Multi-unit: perfiles para preservar

Debido a esta compleja situación, se ha desarrollado una nueva línea de pilares Multi-unit que rompe con los diseños clásicos y que se presenta a continuación: (Figs. 4,5).

Con respecto al Multi-unit recto, su principal característica es la emergencia desde la plataforma del implante con un perfil completamente cóncavo. Por una parte, va a maximizar el efecto de “cambio de plataforma” en su parte más crestal a nivel de la plataforma del implante y por otra va a facilitar mucho más espacio para la creación de tejido conectivo supracrestal a lo largo de toda la transición hasta la plataforma restauradora. El perfil cóncavo

del pilar también respetará en mayor medida los espacios comprendidos entre el pilar y el hueso interproximal (en el caso de una colocación subcrestal entre 1,5 y 2mm) para poder preservar al máximo las estructuras anatómicas presentes que soportarán las papilas periimplantarias.

Así como el diseño clásico de pilar hacía prácticamente imposible la colocación de implantes inmediatos en zona estética, el nuevo perfil cónca-

vo del pilar Multi-unit hace que se convierta en un pilar ideal para estas situaciones. La altura de pilar de 3 ,5 mm, hace que se pueda colocar la plataforma del implante en la posición corono-apical deseada con respecto al margen gingival sin involucrar el hueso adyacente y permitiendo desarrollar un mínimo perfil de emergencia restaurador más horizontal para soportar cenit y tejido interproximal. (Fig.6-7) Otra característica de diseño importante es la reducción del bisel de la plataforma restauradora tanto en los pilares rectos como en los pilares angulados. Sin cambiar su diámetro clásico de 4,8mm ni su compatibilidad para atornillar y asentar cualquier aditamento restaurador de toda la gama Multi-unit, el nuevo pilar presenta una plataforma mucho más fina y estilizada que facilitará también su inserción incluso sin necesidad de utilizar la fresa “bone mill” o molinillo de hueso. De esta manera no solo se seguirá incrementando la preservación ósea, sino que también se reducirán los tiempos quirúrgicos al evitar tener que atornillar y desatornillar la guía del molinillo o “Bone Mill Guide”. (Figs. 8-12)

caso clínico

Multi-unit angulado: “de tractor a deportivo”

12 nuevo, esta forma comulga mucho más con los conceptos mencionados anteriormente. Además, proporcionará un verdadero impacto en la manera de planificar y en los resultados a largo plazo. Seguidamente se describen algunos ejemplos clínicos para las angulaciones de 30º y 17º respectivamente:

Sin duda, los perfiles mejorados del Multi-unit recto aportan beneficios claros e inmediatos que facilitarán la práctica clínica, pero el pilar que realmente revoluciona e innova es el nuevo pilar angulado. (Fig.13)

En esta ocasión se ha logrado reducir el tamaño del robusto pilar original a la mínima expresión, obteniendo líneas suaves, finas y redondas. De

La colocación del implante inclinado de 30º siempre implica que la zona más mesial de la plataforma se encuentra en posición yuxtaósea y la zona distal en posición subcrestal. Clásicamente se debe utilizar el instrumento “bone mill” de 5,2mm (NP) o 6,2mm (RP) para poder insertar el pilar en la posición deseada. En la figura 14 (Fig.14) se observa una situación clínica comparativa donde se han colocado implantes inclinados con una orientación de 30º aproximadamente en dirección hacia los rebordes piriformes en una premaxila. Claramente se puede observar la cantidad de remodelación ósea provocada por el molinillo versus la preservación que ofrece la colocación el nuevo Multi-unit sin necesidad de acondicionar la cresta ósea. En configuraciones de tipo All-on-4®, en los implantes distales se

produce una situación similar. El inconveniente que se puede producir en estos casos es la posibilidad de la aparición de una recesión de la mucosa periimplantaria alrededor del pilar precisamente por la combinación de quedar la zona sin soporte óseo y por el propio volumen excesivo que ocupa el pilar. Por el contrario, mediante la utilización de los nuevos perfiles no existe necesidad de remodelar el reborde alveolar y conjuntamente al menor volumen que ocupan los pilares, el tejido (si es suficiente) será capaz de mantenerse en mayor medida. En las figuras 15 a 18 (Fig.15-18) se describe una situación común donde se utiliza el pilar Multi-unit de 17º. En pacientes edéntulos o futuramente edéntulos en la zona de la premaxila. Para maximizar el hueso disponible en esta zona y poder lograr un adecuado torque de inserción es recomendable colocar los implantes en la orientación del hueso, que la gran mayoría de veces discurre en la misma dirección de los bordes incisales de los dientes anteriores. Para compensar y llevar la emergencia de los accesos de los tornillos protésicos hacia palatino se utiliza un pilar Multi-unit de 17º. El dilema en esta zona recae en qué altura de pilar utilizar. Si se utiliza un pilar de 3,5mm de altura, existe el riesgo de reducir el espacio protésico y de nuevo que aparezca una recesión gingival si el implante se coloca a nivel crestal o ligeramente subcrestal (1-1,5mm). Independientemente de la altura seleccionada (2,5mm o 3,5mm), de nuevo, esta situación implica la remodelación ósea mediante bone mill para acomodar el pilar. En la Fig.10 se observa cómo queda la remodelación circular en el implante en posición #1.2 versus la no remodelación de un pilar de nuevo perfil de altura 3,5mm en un implante colocado 2mm subcrestal. La limitación de los pilares de 17º clásicos es que emergen muy rápidamente hacia el diámetro de 4,8mm de la plataforma restauradora y de nuevo no existe espacio suficiente para el establecimiento biológico de la altura de tejido supracrestal. Claramente se observa en las radiografías periapicales comparativas a los 3 meses de la colocación como el implante en posición #1.2 tiene signos de remodelación fisiológica. Hecho que no ocurre en los pilares con nuevos perfiles al ofrecer transiciones más suaves que respetan los principios biológicos.

caso clínicoIMPLANTOLOGÍA

Bibliografía

1. Linkevicius T. Zero Bone loss Concepts 1st Edition. Quintessence Publishing. 2019.

2. Atieh MA, Ibrahim HM, Atieh AH. Platform switching for marginal bone preservation around dental implants: a systematic review and meta-analysis. J Periodontol. 2010 Oct;81(10):1350-66.

3. Rodrigues VVM, Faé DS, Rosa CDDRD, Bento VAA, Lacerda MFLS, Pellizzer EP, Lemos CAA. Is the clinical performance of internal conical connection better than internal non-conical connection for implant-supported restorations? A systematic review with meta-analysis of randomized controlled trials. J Prosthodont. 2023 Jun;32(5):382-391.

4. Esquivel J, Meda RG, Blatz MB. The Impact of 3D Implant Position on Emergence Profile Design. Int J Periodontics Restorative Dent. 2021 Jan-Feb;41(1):79-86.

5. Su H, Gonzalez-Martin O, Weisgold A, Lee E. Considerations of implant abutment and crown contour: critical contour and subcritical contour. Int J Periodontics

Restorative Dent. 2010 Aug;30(4):335-43.

Conclusión

Los nuevos diseños de perfiles cóncavos de los pilares Multi-unit han llegado al mercado para quedarse. En esta publicación se han descrito detalladamente las limitaciones de los pilares actuales con respecto a las necesidades modernas en implantología. A pesar de carecer de evidencia científica sólida y experiencia clínica a largo plazo, los conceptos básicos sobre diseño de perfiles de emergencia en implantes unitarios y estética periimplantaria se han aplicado al diseño de los nuevos pilares Multi-unit para respetar y preservar las estructuras anatómicas periimplantarias, aportando los beneficios para los profesionales y provocando un impacto real en el mantenimiento de la salud oral de los pacientes. 

6. Kan JY, Rungcharassaeng K, Umezu K, Kois JC. Dimensions of peri-implant mucosa: an evaluation of maxillary anterior single implants in humans. J Periodontol. 2003 Apr;74(4):557-62. doi: 10.1902/jop.2003.74.4.557. PMID: 12747463.

7. Mesquida J, Kan J, García H, Fien M, Puterman I, Ginebreda I, Bauzá G, Lozada J. Long term evaluation of interproximal papillae around dental implants: A two case report. Perio Clinica 2024.

8. Rompen E, et al. Soft tissue stability at the facial aspect of gingivally converging abutments in the esthetic zone: A pilot clinical study. Journal of Prosthetic Dentistry, 20027. Volume 97, Issue 6, S119 - S125.

9. Chee WW. Provisional restorations in soft tissue management around dental implants. Periodontol 2000. 2001;27:139-47.

10. Rodríguez X, Navajas A, Vela X, Fortuño A, Jimenez J, Nevins M. Arrangement of Peri-implant Connective Tissue Fibers Around Platform-Switching Implants with Conical Abutments and Its Relationship to the Under-

lying Bone: A Human Histologic Study. Int J Periodontics Restorative Dent. 2016 Jul-Aug;36(4):533-40.

11. Avila-Ortiz G, Gonzalez-Martin O, Couso-Queiruga E, Wang HL. The peri-implant phenotype. J Periodontol. 2020 Mar;91(3):283-288. doi: 10.1002/JPER.190566. Epub 2020 Feb 21.

12. Misch C. Contemporary Implant Dentistry 4th Edition. Elsevier. 1993.

13. Gomez-Meda R, Esquivel J, Blatz MB. The esthetic biological contour concept for implant restoration emergence profile design. J Esthet Restor Dent. 2021 Jan;33(1):173-184. doi: 10.1111/jerd.12714. Epub 2021 Jan 20.

14. Chen ST, Buser D, Sculean A, Belser UC. Complications and treatment errors in implant positioning in the aesthetic zone: Diagnosis and possible solutions. Periodontol 2000. 2023 Jun;92(1):220-234.

15. Kan J et al. Inter implant papila preservation in the esthetic zone. Int Journal of Perio and Restorative dent. 2003. Vol 23 (3).

TRATAMIENTO DE RECESIONES MÚLTIPLES EN EL MAXILAR SUPERIOR

La recesión gingival, caracterizada por la exposición de la superficie radicular debido a la retracción del margen gingival, es una condición anatómica muy frecuente en la población adulta en nuestro entorno (se estima que entre el 50% y el 90% de los individuos mayores de 20 años presentan algún grado de recesión gingival, con una prevalencia que aumenta con la edad, alcanzando hasta el 100% en personas mayores de 50 años). Su aparición y progresión puede tener un gran impacto en la calidad de vida de nuestros pacientes, pues no solo compromete la estética de la sonrisa, sino que también puede provocar sensibilidad dental, aumentar el riesgo de caries radiculares y favorecer la aparición de enfermedades periodontales como la gingivitis y la periodontitis, por lo que su tratamiento es muy importante para prevenir dichas complicaciones. A lo largo de este caso clínico se destacan los excelentes resultados de las técnicas de cubrimiento radicular con colgajos de avance coronal sin descargas verticales y aplicación sitio-específica de injertos de tejido conectivo para el tratamiento de recesiones múltiples en el maxilar superior, además de señalar el papel fundamental de la enseñanza de higiene oral y un correcto mantenimiento periodontal para la estabilidad a largo plazo de los resultados obtenidos quirúrgicamente.

u Contacto

Dr. Xavi Mir Mari jmirmari@gmail.com

Introducción

La recesión gingival, caracterizada por la exposición de la superficie radicular debido a la retracción del margen gingival, es una condición anatómica muy frecuente en la población adulta en nuestro entorno. Se estima que entre el 50% y el 90% de los individuos mayores de 20 años presentan algún grado de recesión gingival, con una prevalencia que aumenta con la edad, alcanzando hasta el 100% en personas mayores de 50 años (1). Diversos factores e indicadores de riesgo contribuyen al desarrollo de estas recesiones gingivales. Además de los clásicos factores etiológicos como los problemas asociados al cepillado, ya sea por exceso (trauma directo por cepillado agresivo) o por defecto (destrucción de tejidos por acumulación de placa e inflamación gingival) (1), destacan otros factores predisponentes como el biotipo gingival fino y/o los an -

tecedentes de tratamientos de ortodoncia, especialmente cuando estos dos últimos se combinan (OR de 2,5 a 4,0) (2, 3).

La aparición y progresión de estas recesiones puede tener un gran impacto en la calidad de vida de nuestros pacientes, pues no solo compromete la estética de la sonrisa, sino que también puede provocar sensibilidad dental, aumentar el riesgo de caries radiculares y favorecer la aparición de enfermedades periodontales como la gingivitis y la periodontitis (4). Por lo tanto, y con el objetivo de prevenir dichas complicaciones será importante realizar tratamiento de las recesiones gingivales en aquellos casos en que la recesión muestre una progresión a lo largo del tiempo con la consecuente pérdida de encía queratinizada, que esté causando importantes problemas de sensibilidad y/o que suponga un problema estético para el paciente.

Dr. Xavi Mir Mari

Doctor “Cum laude” en Odontología. Universitat de Barcelona.

Master in Soft Tissue Management Around Teeth and Implants. Università di Bologna (Italia).

ITI Scholarship. Universität Zürich (Suiza).

Máster en Cirugía Bucal e Implantología Bucofacial. Universitat de Barcelona. Práctica privada en exclusiva en Cirugía Bucal y Periodoncia.

Profesor colaborador del Máster de Cirugía Bucal e Implantología Bucofacial. Universitat de Barcelona.

Caso clínico

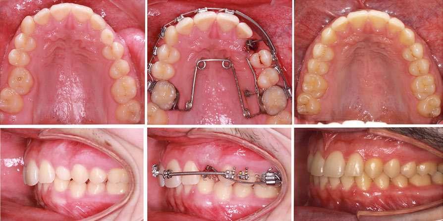
A continuación se presenta el caso clínico de un varón de 30 años de edad sin antecedentes patológicos de interés, con antecedentes de tratamiento ortodóntico en la infancia, que durante una visita de mantenimiento y revisión periodontal expresó su preocupación por molestias al cepillado y recesiones a nivel de caninos superiores.

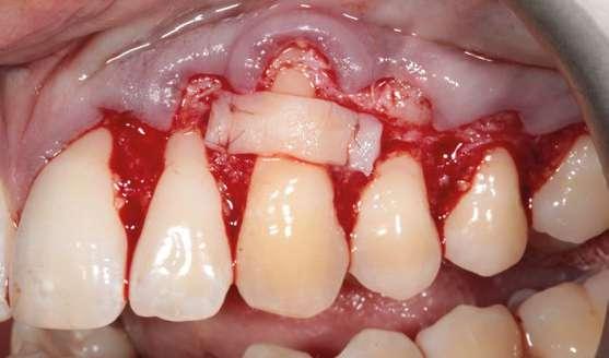
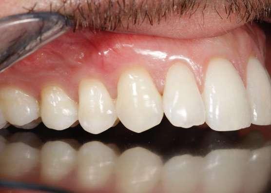
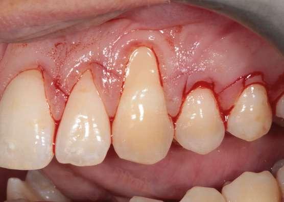
En la exploración clínica observamos recesiones gingivales múltiples en maxilar superior combinado con erosión de la encía y ligero desgaste cervical que borra la línea amelocementaria (Fig. 1). El sondaje periodontal en todos los dientes fue inferior o igual a 3 mm y no se detectaron puntos de sangrado al sondaje. Los dientes 1.3 y 2.3 mostraron ≤ 1 mm de encía queratinizada apical a la recesión. Cabe también destacar la rotación del incisivo lateral superior derecho (1.2). El principal factor etiológico de sospecha en este caso fue el cepillado agresivo.

Secuencia de tratamiento

El tratamiento fue organizado en 3 fases (-1- etiológica, -2- quirúrgica y restauradora y -3- de mantenimiento):

Fase etiológica

El principal objetivo de esta primera fase fue corregir y controlar el factor etiológico de las recesiones, en este caso, el cepillado agresivo. Para ello se instruyó al paciente para realizar una técnica de Bass-modificada mediante el uso de un cepillo eléctrico con control de presión y cabezal suave (5, 6). La mejora en la técnica de cepillado se supervisó y constató en sucesivas visitas de control por la ausencia de zonas de erosión gingival.

Fase quirúrgica y restauradora

Después de un detallado análisis y valoración de las alternativas terapéuticas, se planificaron 2 procedimientos quirúrgicos mediante colgajos de avance coronal con acceso lateral y sin descargas para el tratamiento de las recesiones del maxilar superior (Fig. 2) (7-9).

A continuación procederemos a describir el paso a paso del tratamiento quirúrgico de las recesiones (Figs. 2 a 7). Ambos procedimientos quirúrgicos se realizaron bajo anestesia local y sedación consciente por vía endovenosa y con un tiempo de descanso para el paciente entre procedimientos de 1 mes y medio. En este caso, el eje de rotación fueron los caninos en ambos lados y todas las incisiones para-marginales oblicuas (líneas punteadas en rojo) se realizaron hacia estos dientes (Fig. 2).

Figura 1: Situación inicial. Obsérvese la recesión gingival profunda en 1.3 y 2.3, así como la erosión gingival y el borrado de la línea amelocementaria debido al cepillado agresivo.

caso clínicoCIRUGÍA BUCAL

los dientes 1.5, 2.4 y 2.5 para garantizar una correcta adaptación del

Figura 2. Planificación quirúrgica.
Figura 4. Diseño de las incisiones y del colgajo. Nótese la creación de una “falsa recesión” en
colgajo al finalizar el avance coronal.
Figura 3. Situación clínica el día de la intervención quirúrgica.
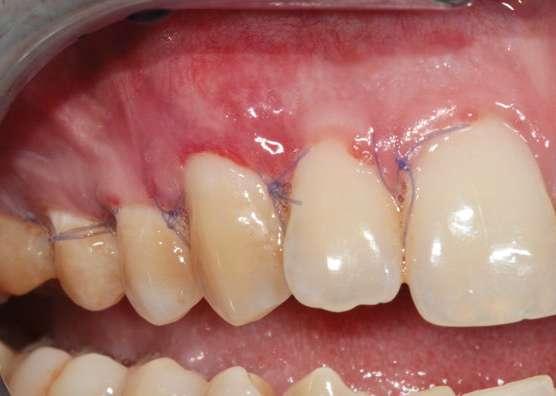
Figura 5. Colgajo elevado “Split-Full-Split” y fijación de los injertos de tejido conectivo con suturas 7/0 reabsorbibles (PGA).
Figura 7. Post-operatorio y excelente curación 7 días después de la cirugía.
Figura 6. Avance coronal sin tensión y sutura del colgajo mediante puntos “sling” con sutura 6/0 reabsorbible (PGA).

caso clínicoCIRUGÍA BUCAL

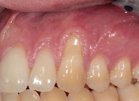
los 6 meses post-operatorio, antes del

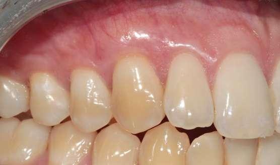
10. Seguimiento a 5 años post-operatorio. Obsérvese el buen color, textura y forma gingival, así como la estabilidad de los tejidos blandos aumentados gracias a la excelente higiene oral del paciente y el correcto mantenimiento periodontal.

Figura 8. Seguimiento a
blanqueamiento dental.
Figura
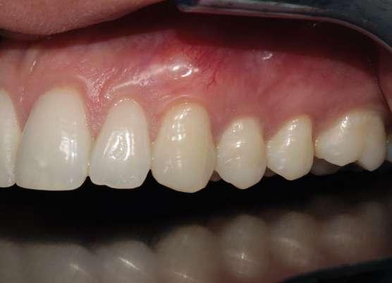
Figura 9. Seguimiento a 12 meses post-operatorio, una vez realizado el blanqueamiento dental domiciliario.

Cada incisión oblicua debía permitir el correcto movimiento lateral y coronal de la punta de la papila quirúrgica hacia su papila anatómica correspondiente. Las incisiones para-marginales oblicuas debían conectar la parte más apical de la recesión con un punto final ubicado en la base de la papila de los dientes vecinos. La altura de este punto final se midió desde la punta de la papila y corresponde a la altura de la recesión + 1 mm. Adicionalmente, para permitir llevar a cabo un colgajo sin descargas, conseguir el suficiente avance coronal a nivel de 2.3, así como una buena adaptación del colgajo en premolares, se realizaron “falsas recesiones” (10) a nivel de 2.4 y 2.5 (Fig. 4). Finalmente, y de acuerdo con los estudios de Stefanini y colaboradores (9), se planificó aplicar el injerto de tejido conectivo (ITC) de manera sitio-específica en los dientes 1.3 y 2.3 debido a la presencia de una banda de encía queratinizada apical a la recesión ≤ 1 mm (Fig. 2 y 5).

La elevación y preparación del colgajo incluyó un abordaje “split-full-split”. En primer lugar, se elevaron las papilas quirúrgicas a espesor parcial utilizando hojas de bisturí 15C. Luego, se realizó la elevación a espesor total en el tejido queratinizado apical a la recesión para exponer aproximadamente 3 mm de hueso apical a la dehiscencia ósea (se puede ver el área de exposición ósea apical a las recesiones) (Fig. 5).

Finalmente, se realizaron incisiones profundas y superficiales para disecar la porción apical del colgajo. La incisión profunda se hizo paralela al hueso en dirección apical para desprender las inserciones musculares del periostio, mientras que la incisión superficial se realizó paralela a la mucosa de revestimiento para liberar el epitelio del tejido conectivo y de las inserciones musculares.

Una vez que el colgajo bucal estuvo completamente elevado, se realizó la preparación radicular. Ésta incluyó:

 Raspado y alisado radicular: en este caso, solamente se raspó la superficie radicular con pérdida de inserción clínica.

 Acondicionamiento de la superficie radicular con EDTA al 24% durante 2 minutos.

 Y la aplicación de amelogeninas (Emdogain ® ).

Aunque se puede discutir la indicación de las amelogeninas en este caso concreto (recesiones amplias, alta convexidad radicular y/o raíces

prominentes), su uso tuvo como objetivo principal mejorar la cobertura radicular y facilitar la formación de una nueva inserción de tejido conectivo (8,11).

De acuerdo con la planificación quirúrgica, se tomaron injertos libres de epitelio y tejido conectivo del paladar (12). Colocando el injerto sobre un depresor lingual de madera y con la adecuada magnificación e iluminación, se des-epitelizó el injerto. Para obtener un grosor final homogéneo, de aproximadamente 0.8 - 1 mm de tejido conectivo, no solo se eliminó el epitelio, sino también el tejido graso del lado interno del injerto. Finalmente, se remodelaron los bordes del ITC para eliminar cualquier resto de epitelio y lograr una forma lo más regular posible. El injerto palatino se obtuvo del área entre el aspecto mesial del segundo premolar y la cara mesial del segundo molar. Inmediatamente después de obtener el injerto, la herida palatina se protegió con un agente hemostático (Surgicel ® ) y se suturó con suturas compresivas de PTFE 3/0 (Cytoplast ® ).

El uso de injertos de tejido conectivo des-epitelizados nos ofrece varias ventajas a nivel clínico (12), entre las cuales podemos destacar: una técnica de obtención del injerto más fácil, un tejido conectivo más denso, firme y estable, un menor riesgo de sangrado al no profundizar tanto como en otras técnicas y un mejor control del grosor del tejido conectivo.

Los ITCs se posicionaron y estabilizaron con suturas reabsorbibles simples de 7/0 (PGA - stoma®) (Fig. 5). Estas suturas iban desde aproximadamente 1 - 1.5 mm del borde del ITC hasta el periostio en la base de la papila anatómica. Los nudos se dejaron sobre el injerto para evitar un exceso de desplazamiento coronal. Por último, los colgajos se avanzaron coronalmente y se suturaron con suturas tipo “sling” de 6/0 para cubrir completamente los ITCs (Fig. 6).

La curación fue excelente y los puntos de sutura se retiraron a las 3 semanas post-operatorias (Fig. 7).

Finalmente, 6 meses después de la cirugía y una vez confirmada la estabilidad de los tejidos blandos, se realizó blanqueamiento domiciliario.

Fase de mantenimiento

Se programó mantenimiento periodontal cada 3 meses durante el primer año post-quirúrgico y cada 6 meses después del primer año.

caso clínicoCIRUGÍA

Seguimiento y evolución del caso

Se presentan fotografías clínicas de la evolución y seguimiento a 6 meses, 12 meses y a 5 años (Figs. 8-10). A pesar de una mínima recidiva de menos de 1 mm en la recesión del diente 2.1, es interesante y reconfortante observar la gran estabilidad clínica de los tejidos blandos, así como un color, textura y forma muy armónicos de toda la encía tratada. En gran parte también gracias a un excelente cepillado y mantenimiento periodontal.

Discusión

Acabamos de ver cómo un adecuado manejo de los factores e indicadores de riesgo, una correcta planificación y ejecución quirúrgica, seguido de un buen mantenimiento periodontal e implicación por parte del paciente, pueden darnos resultados excelentes, fiables y duraderos en términos de mejora de la estética y la salud gingival de nuestros pacientes. En el presente caso clínico se llevó a cabo una técnica de colgajo de avance coronal sin descargas verticales y la aplicación sitio-específica de injertos de tejido conectivo. Sabemos por un estudio randomizado y controlado a 5 años (8), en el que se realizó tratamiento de recesiones múltiples en el maxilar superior con y sin injertos de tejido conectivo, que cuando no se utilizan injertos, el riesgo de recidiva de la recesión es más elevado. Así pues, y con el objetivo de reducir la morbilidad de dichos procedimientos, Stefanini y cols. (9), en un interesante trabajo clínico,

Bibliografía

1. Kassab MM, Cohen RE. The etiology and prevalence of gingival recession. J Am Dent Assoc. 2003; 134(2): 220-5.

2. Arnabat J, Espaillat A, Berini L. Factors associated with orthodontic treatment and gingival recession: A review. Orthod Fr. 2009; 80(4): 379-86.

3. Renker R, Allen EP, Carranza FA. The influence of thin gingival biotype and orthodontic treatment on gingival recession: A systematic review. Int J Periodontics Restorative Dent. 2016; 36(6): 803-10.

4. Cairo F, Nieri M, Pagliaro U. Efficacy of periodontal plastic surgery procedures in the treatment of localized facial gingival recessions. A systematic review. J Clin Periodontol. 2014;41 Suppl 15: S44-62.

5. Litonjua LA, Andreana S, Bush PJ, Cohen RE. Toothbrushing and gingival recession. Int Dent J. 2003; 53(2): 67-72.

aportaron una serie de directrices para evitar el uso extensivo de injertos de conectivo y hacerlo de manera selectiva sin incurrir en el riesgo de recidiva a largo plazo. De hecho, analizando el seguimiento a 5 años de nuestro caso clínico, podemos observar cómo, a pesar de haber realizado tratamiento de las recesiones de 1.5 hasta 2.5 y sólo haber aplicado los injertos de tejido conectivo a nivel de 1.3 y 2.3, todos los dientes se mantuvieron estables con el paso del tiempo, a excepción de una mínima recesión de 1 mm en el diente 2.1.

Por último, es importantísimo destacar el papel de un adecuado mantenimiento periodontal y cepillado diario por parte del paciente. Existe cierta evidencia científica que demuestra que la mejora de la técnica de cepillado no solo tiene impacto en la prevención de la aparición y la progresión de las recesiones, sino que incluso tiene potencial para reducir el tamaño de las recesiones cuando los tejidos se cuidan adecuadamente (6).

Conclusión

Las técnicas de cubrimiento radicular con colgajos de avance coronal sin descargas verticales y aplicación sitio-específica de injertos de tejido conectivo para el tratamiento de recesiones múltiples en el maxilar superior ofrece unos resultados excelentes 5 años después de su ejecución. Por último, la enseñanza de higiene oral y un correcto mantenimiento periodontal son fundamentales para la estabilidad a largo plazo de los resultados obtenidos quirúrgicamente. 

6. Dörfer CE, Staehle HJ, Wolff D. Three-year randomized study of manual and power toothbrush effects on pre-existing gingival recession. J Clin Periodontol. 2016; 43(6): 512-9.

7. Zucchelli G, De Sanctis M. Treatment of multiple recession-type defects in patients with esthetic demands. J Periodontol. 2000; 71(9):1506-14.

8. Zucchelli G, Mounssif I, Mazzotti C, Shedden K, Stefanini M. Coronally advanced flap with and without connective tissue graft for the treatment of multiple gingival recessions: A comparative short- and long-term controlled randomized clinical trial. J Clin Periodontol. 2010 Apr;37(4):364-73

9. Stefanini M, Zucchelli G, Marzadori M, de Sanctis M. Coronally Advanced Flap with Site-Specific Application of

Connective Tissue Graft for the Treatment of Multiple Adjacent Gingival Recessions: A 3-Year Follow-Up Case Series. I nt J Periodontics Restorative Dent 2018; 38: 25-33.

10. Zucchelli. Mucogingival Esthetic Surgery. Rho (Italy): Quintessenza Edizioni; 2013. 553-4 p.

11. Chambrone L, Pannuti CM, Tu YK, Chambrone LA. Evidence-based periodontal plastic surgery. II. An individual data meta-analysis for evaluating factors in achieving complete root coverage. J Periodontol. 2015; 86(4): 477-90.

12. Zucchelli G, Mele M, Stefanini M, Mazzotti C, Marzadori M, Montebugnoli L, de Sanctis M. Patient morbidity and root coverage outcome after subepithelial connective tissue and de-epithelialized grafts: a comparative randomized-controlled clinical trial. J Clin Periodontol 2010; 37: 728–38.

SOCIEDADES INVITADAS

D. ABAD
S. CARRERAS
D. CORTÉS
H. ELAFIFI
R. GUIJARRO
M. MERCADÉ
M. PÉREZ
V. GAUR
M.J. MARTÍN
O. ORTIZ
O. CHERON
L. DE STAVOLA
S. GARCÍA B. A. JORBA X. MIR
J. PÉREZ A.
D. GONZÁLEZ
N. MATTHEOS
D. PALOMBO
X. RODRÍGUEZ
F. BOUILLARD
L. COMUZZI
M. DEL CANTO
H.A. GARCÍA G.
L. LAINO
A. INSUA
R. RECENA
R. GONZÁLEZ T.
I. MAYO
M. PASQUÍN
L. SILVA
SIRVENT F. ZASTROW F. SCHWARZ

jóvenes talentos

“CREO FIRMEMENTE EN EL VALOR DE LA EDUCACIÓN PÚBLICA SUPERIOR, QUE EN ESPAÑA OFRECE UNA

EXCELENTE CALIDAD ACADÉMICA ACCESIBLE PARA TODOS”

Dra. María Baus Domínguez, coordinadora y profesora del Máster de Cirugía Bucal de la Universidad de Sevilla

Actualmente, la Dra. María Baus Domínguez, coordinadora y profesora del Máster de Cirugía Bucal de la Universidad de Sevilla, además de profesora de Cirugía Bucal y Cirugía Bucal Avanzada del Grado de Odontología de esta misma universidad, combina la práctica clínica con la docencia y la investigación. A lo largo de esta entrevista, nos comparte su visión de la profesión desde su experiencia y destaca la calidad académica y el valor de la educación pública superior en nuestro país, así como la importancia de la formación continuada en la profesión odontológica, en un mercado cada vez más competitivo.

 DM.- ¿De dónde le viene la vocación por la Odontología?

Dra. María Baus Domínguez (Dra. M.B.D.).- Podría parecer un tópico decir que mi vocación viene de familia, pero la realidad es que nadie en mi entorno se dedica a la Odontología ni a nada relacionado con la salud. De pequeña, tenía una amiga cuyos padres eran dentistas, y fue entonces cuando comencé a sentir curiosidad por esta profesión. Siempre tuve claro que quería trabajar en el ámbito de la salud y en bachillerato me fijé el objetivo de obtener la nota necesaria para ingresar en la carrera. Aunque casi todo el tiempo tuve ese plan en mente, hacia el segundo año, unas jornadas de orientación despertaron mi interés por la Biotecnología. Sin embargo, tras realizar la Selectividad, finalmente opté por la Odontología, y la vida me ha llevado hasta donde estoy hoy, combinando la práctica clínica con la investigación.

 DM.- ¿Qué fue lo que impulsó a estudiar el Grado de Odontología?

Dra. M.B.D.- De todas las carreras relacionadas con la salud, sin lugar a dudas, la Odontología era mi primera opción. Lo que me impulsó a estudiarla fue mi interés por este campo y el deseo de mejorar

Es importante reconocer que el Grado por sí solo no puede abarcar todo el conocimiento necesario para la práctica profesional ”

la calidad de vida de las personas. Desde joven, tuve claro que quería ejercer una profesión donde pudiera tener un impacto directo en el bienestar de los demás. A medida que avanzaba en mi formación, comprendí que esta carrera ofrecía una combinación ideal entre el trato directo con el paciente, el trabajo manual preciso y la posibilidad de investigar y seguir evolucionando en el ámbito de la salud oral. Esta mezcla de aspectos técnicos y humanos hizo que me decidiera por completo por este camino.

 DM.- Usted ha cursado la mayor parte de sus estudios en España, principalmente en la Universidad de Sevilla. ¿Por qué eligió esta universidad?

Dra. M.B.D.- Elegí la Universidad de Sevilla principalmente porque tengo la suerte de contar con una universidad pública de gran prestigio en mi propia ciudad. Creo firmemente en el valor de la educación pública superior, que en España ofrece una excelente calidad académica accesible para todos, independientemente de su situación económica. La Universidad de Sevilla, como muchas otras instituciones públicas, no solo brinda una formación de alto nivel, sino que también promueve la igualdad de oportunidades y fomenta un entorno diverso y enriquecedor. Además, su fuerte compromiso con la investigación y el desarrollo profesional en distintas áreas, la convierte en una opción excepcional para quienes buscan excelencia y un marco de colaboración y responsabilidad social. Para mí, aprovechar estos recursos tan cercanos fue una oportunidad que no podía dejar pasar.

 DM.- Según su experiencia, ¿cómo catalogaría usted la formación en Odontología en España?

Dra. M.B.D.- Esta es una pregunta compleja y quizás algo controvertida, pero intentaré responder con sinceridad. En mi experiencia, uno de los principales desafíos de la formación en Odontología en

Dra. María Baus

Graduada en Odontología por la Universidad de Sevilla – 2018.

Premio Fundación Real Academia de Medicina y Cirugía de Sevilla – 2018.

Beca de Iniciación a la Investigación – Instituto de Biomedicina de Sevilla, Universidad de Sevilla - 2018.

Máster Oficial en Odontología Médico-Quirúrgica e Integral de la Universidad de Sevilla – 2019.

Premio Extraordinario Fin de Estudios de Máster - 2019.

Beca de Colaboración – Departamento de Estomatología de la Universidad de Sevilla - 2019.

Premio Real Academia de Medicina y Cirugía de Cádiz – 2019.

Máster en Cirugía Bucal de la Universidad de Sevilla – 2022.

Máster en Cirugía Bucal Avanzada de la Universidad de Sevilla – 2023.

Premio Mejor Artículo Científico en Cirugía Bucal en Revistas de Impacto Extranjeras de la Sociedad Española de Cirugía Bucal – 2024.

Doctora por la Escuela Internacional de Doctorado de la Universidad de Sevilla. Calificación Sobresaliente Cum Laude – 2024.

Profesora de Cirugía Bucal y Cirugía Bucal Avanzada del Grado de Odontología de la Universidad de Sevilla – Actualmente.

Profesora del Máster de Cirugía Bucal Avanzada de la Universidad de Sevilla – Actualmente.

Coordinadora del Máster de Cirugía Bucal Avanzada de la Universidad de Sevilla – Actualmente.

La Dra. María Baus, tras su ceremonia de graduación del Máster en Cirguía Bucal Avanzada de la Universidad de Sevilla.

jóvenes talentos

España es la falta de vocación docente en algunos profesores, lo cual puede impactar directamente en la calidad de los conocimientos que los estudiantes adquieren a lo largo del Grado. A veces, las lecciones impartidas están desactualizadas o no reflejan los avances más recientes en el campo. Como resultado, al entrar en la práctica clínica, muchos nos encontramos con una realidad muy distinta, lo que nos obliga a invertir en múltiples formaciones de posgrado para ponernos al día y combatir esa sensación de estar insuficientemente preparados, lo que puede alimentar el famoso “Síndrome del Impostor”.

Dicho esto, no pretendo generalizar, ya que también existen docentes excepcionales y la enseñanza está evolucionando positivamente en muchos aspectos. Además, estas carencias del sistema formativo tienden a corregirse en los programas de máster y especialización, donde la calidad y actualización del contenido son notables. Es importante reconocer que el Grado por sí solo no puede abarcar todo el conocimiento necesario para la práctica profesional. Por eso, considero esencial que se implementen y reconozcan oficialmente las especialidades en nuestra profesión, permitiendo a los recién graduados seguir formaciones regladas y especializadas en las diferentes disciplinas odontológicas. Esto ayudaría a cerrar la brecha entre la formación de base y la práctica profesional avanzada.

 DM.- No obstante, también ha cursado estudios en Santa Mónica Formación. ¿Qué le ha aportado, tanto a nivel profesional como personal, esta formación? Dra. M.B.D.- Es cierto que Santa Mónica Formación nació en California, durante una formación en Cirugía Bucal impartida por quienes hoy son los CEO de la empresa. Aunque la mayoría de sus cursos se imparten en España, tienen la ventaja de contar con ponentes internacionales de gran prestigio, como el Dr. Sascha Jovanovic, con quien comenzaron sus primeros cursos en Estados Unidos. De hecho, tuve la oportunidad de asistir a una de sus formaciones en Málaga, en el Curso de Cirugía Avanzada en Implantología. En cuanto a la formación en el extranjero, aunque valiosa, no la considero indispensable para recibir una buena educación en Odontología. En España contamos con muy buen “Producto Español”, tanto en el ámbito clínico como científico y humano. Si bien la exposición internacional puede aportar una perspectiva diferente y acceso a técnicas avanzadas, creo que nuestro país también ofrece una formación de calidad con expertos locales que no tienen nada que envidiar a los de fuera.

 DM.- En cuanto a la formación especializada, ¿considera que es imprescindible para alcanzar el éxito profesional y con los pacientes?

Dra. M.B.D.- Considero que la formación especializada, y sobre todo actualizada, es absolutamente im-

La Dra. María Baus tras la defensa de su Tesis Doctoral sobre “Genética en el fracaso de implantes dentales en pacientes Síndrome de Down”.

prescindible para alcanzar el éxito profesional y brindar una atención de calidad a los pacientes. En una profesión como la Odontología, que está en constante evolución, es esencial estar al tanto de los últimos avances tanto en técnicas como en materiales. La formación continua no solo es clave para ofrecer los mejores tratamientos a los pacientes, sino también para poder formar a las futuras generaciones de odontólogos con los conocimientos más recientes. ¿Se pondría usted en manos de un especialista que se graduó hace 30 años y que no ha vuelto a recibir ninguna formación?

 DM.- Actualmente es usted coordinadora y profesora del Máster de Cirugía Bucal de la Universidad de Sevilla. ¿Qué supone para usted impartir esta formación en la misma universidad donde se ha formado?

Dra. M.B.D.- Ser coordinadora y profesora del Máster de Cirugía Bucal en la Universidad de Sevilla es un verdadero privilegio para mí. Estoy eternamente agradecida a esta institución y al Dr. Daniel Torres, que ha sido fundamental en mi desarrollo como estudiante, investigadora y docente. Desde que recibí mi primera beca de investigación hasta hoy día, la Universidad de Sevilla ha sido un pilar en mi formación profesional. Pertenecer a esta Universidad, donde he crecido y me he formado, es un gran orgullo y una responsabilidad que valoro profundamente.

 DM.- En la actualidad compagina su faceta docente con la práctica clínica. ¿Qué le aporta cada uno de estos ámbitos?

Dra. M.B.D.- Para mí, compaginar la faceta docente con la práctica clínica es una simbiosis ideal. Un docente en Odontología debe estar conectado,

Considero esencial que se implementen y reconozcan oficialmente las especialidades en nuestra profesión, permitiendo a los recién graduados seguir formaciones regladas y especializadas en las diferentes disciplinas odontológicas. Esto ayudaría a cerrar la brecha entre la formación de base y la práctica profesional avanzada

de alguna manera, con la práctica clínica, ya que esta disciplina es, en esencia, un oficio manual que requiere de la práctica constante para poder enseñarlo adecuadamente. Me encanta la clínica, pero me apasiona mi trabajo en la universidad. Ambas actividades se complementan y enriquecen mutuamente. Aunque el trabajo con pacientes puede ser agotador en ocasiones, la enseñanza me ofrece un espacio para despejar la mente y revitalizarme. Este equilibrio entre la clínica y la universidad es fundamental para mi bienestar mental y me permite disfrutar al máximo de ambas facetas de mi profesión.

 DM.- Háblenos de su labor como investigadora. ¿En qué proyectos se encuentra inmersa en estos momentos?

Dra. M.B.D.- El pasado 20 de septiembre realicé la defensa de mi Tesis Doctoral sobre Genética en el Fracaso de Implantes Dentales en Pacientes Síndrome de Down, la que ha sido mi línea de investigación

En la imagen, la Dra. Baus impartiendo una comunicación en el XX Congreso Nacional de SECIB.

jóvenes talentos

Si bien la exposición internacional puede aportar una perspectiva diferente y acceso a técnicas avanzadas, creo que nuestro país también ofrece una formación de calidad con expertos locales que no tienen nada que envidiar a los de fuera ”

principal desde 2018, aunque trabajando junto con el Dr. Daniel Torres, siempre tengo nuevos retos a los que enfrentarme. Gracias a esta línea de investigación, he adquirido mucho conocimiento sobre genética y biología molecular, y me esfuerzo por aplicar estos aprendizajes en nuestros proyectos. Sin embargo, nuestro equipo es muy versátil y nuestras últimas investigaciones son muy diferentes entre sí, desde la creación de una ecuación de regresión para la estimación del tiempo de extracción de cordales hasta la propuesta de una nueva clasificación terapéutica de sonrisa gingival. Esta diversidad en nuestros enfoques nos permite abordar distintos aspectos de la Odontología y contribuir a la mejora continua de nuestras prácticas clínicas.

 DM.- Como odontóloga con formación en Cirugía Bucal, ¿qué momento atraviesa esta especialidad en nuestro país?

Dra. M.B.D.- Considero que estamos viviendo un momento clave en esta especialidad en nuestro país. Aunque la demanda de tratamientos quirúrgicos dentro de la Odontología sigue creciendo,

el principal reto que enfrentamos es la falta de reconocimiento oficial de las especialidades odontológicas en España. Esto crea una situación complicada para el desarrollo de nuestra profesión, ya que, a pesar de que muchos profesionales están altamente comprometidos con su formación y especialización, no contamos con el respaldo formal que existe en otros países.

Sin embargo, también es un momento de grandes oportunidades. Veo un interés cada vez mayor por parte de los odontólogos en avanzar hacia la especialización, y eso está impulsando la calidad y complejidad de los tratamientos que ofrecemos. Aunque el camino puede ser más difícil sin una regulación clara, confío en que estamos avanzando en la dirección correcta y que, con el tiempo, se logrará un reconocimiento más formal que beneficiará tanto a los profesionales como a los pacientes.

 DM.- En este sentido, ¿cómo afecta a los jóvenes odontólogos españoles el hecho de que en España no estén reconocidas las especialidades odontológicas de manera oficial, a diferencia del resto de países europeos?

Dra. M.B.D.- La falta de reconocimiento oficial de las especialidades odontológicas en España impacta significativamente en los jóvenes odontólogos. Sin un marco regulador que respalde las especialidades, muchos se ven obligados a buscar formación adicional de manera independiente, lo que puede resultar en una falta de dirección y recursos claros. Esto limita sus oportunidades de especialización y desarrollo profesional en comparación con los graduados en otros países europeos, donde existen programas de especialización bien definidos que permiten un aprendizaje más estructurado y un mayor recono-

“ La formación especializada, y sobre todo actualizada, es absolutamente imprescindible para alcanzar el éxito profesional y brindar una atención de calidad a los pacientes ”
En la imagen, la Dra. Baus durante una cirugía en la Universidad de Ciencias Médicas de Cienfuegos, Cuba.

cimiento profesional. Como resultado, los jóvenes odontólogos en España pueden encontrar dificultades para destacar en un mercado laboral cada vez más competitivo y, en consecuencia, esto puede afectar la calidad de atención que ofrecen a sus pacientes. Es fundamental avanzar hacia un sistema que reconozca y regule adecuadamente las especialidades para beneficiar tanto a los profesionales como a la salud dental de la población en general.

 DM.- Si tuviera ahora mismo la oportunidad de orientar a un odontólogo recién licenciado, ¿qué consejos le daría?

Dra. M.B.D.- Le diría lo mismo que le digo a muchos de mis alumnos. Todos cometemos errores, lo importante es aprender de ellos y no desanimarse; esforzarse por dar siempre lo mejor de nosotros mismos. La dedicación y el compromiso son la clave para el crecimiento profesional. Indiscutiblemente, que se mantenga en formación continuada, ya que como he dicho anteriormente, la Odontología está en constante evolución y es crucial estar al tanto en los últimos avances y técnicas. Que no sienta vergüenza por pedir consejo u opinión a sus colegas, porque la colaboración y el apoyo entre compañeros son esenciales en esta profesión, y si en algún momento no se siente capacitado para realizar un tratamiento, es importante que no dude en derivar al paciente, priorizando siempre su bienestar. Además, lo animaría a luchar por la especialización, por la educación en la universidad pública y por una odontología de calidad. “La excelencia es una meta, un desiderátum difícilmente alcanzable, que debemos perseguir cada día pero que seguramente nunca conseguiremos totalmente”.

 DM.- Teniendo en cuenta su experiencia, ¿qué opina sobre el futuro que les depara a los jóvenes odontólogos de nuestro país?

Dra. M.B.D.- Desde mi experiencia, creo que el futuro de los jóvenes odontólogos en nuestro país está lleno de retos, pero también de oportunidades. El crecimiento en el número de universidades privadas ha generado un aumento considerable en la cantidad de graduados, lo que puede llevar a una mayor competencia y dificultades para encontrar empleo. Sin embargo, lejos de verlo solo como una desventaja, creo que este escenario impulsa a quienes realmente desean destacar a comprometerse más con su formación y a diferenciarse a través de la especialización.

La falta de reconocimiento oficial de las especialidades odontológicas en España impacta significativamente en los jóvenes odontólogos, pudiendo encontrar dificultades para destacar en un mercado laboral cada vez más competitivo y, en consecuencia, esto puede afectar la calidad de atención que ofrecen a sus pacientes

En un mercado cada vez más competitivo, la clave está en la actualización constante. La odontología es un campo en constante evolución, y quienes se mantengan al día con los últimos avances tecnológicos y técnicas innovadoras podrán ofrecer un servicio de mayor calidad, lo que no solo beneficiará a sus pacientes, sino que también les permitirá posicionarse mejor profesionalmente. Aunque el camino puede parecer desafiante, quiero animar a los nuevos odontólogos a mantener una actitud positiva, proactiva y resiliente. Ésta es una profesión profundamente gratificante que tiene un impacto real en la vida de las personas. Con dedicación, pasión y un compromiso con la excelencia, estoy convencida de que podrán encontrar su espacio en este campo y contribuir a mejorar la atención dental en nuestro país. Cada obstáculo es también una oportunidad para crecer, y si bien el futuro puede ser incierto, también puede ser muy prometedor para quienes lo encaren con determinación. 

La Dra. Baus, con acompañantes, durante la fiesta del décimo aniversario de Medical10.

artículo de revisión

OPCIONES TERAPÉUTICAS

EN EL MANEJO PERIODONTAL Y ORTODÓNCICO DE CANINOS INCLUIDOS MAXILARES

Este artículo de revisión evalúa el manejo de la impactación de los caninos permanentes maxilares. Esta alteración presenta una etiología multifactorial y es la impactación más frecuente después de la de los terceros molares. Para llevar a cabo un correcto tratamiento es necesario un exhaustivo estudio clínico y radiográfico. El tratamiento de los caninos incluidos es ortodóncico-quirúrgico y se realiza en tres fases: ortodoncia prequirúrgica, cirugía de acceso al canino y ortodoncia posquirúrgica.

Introducción

Artículo cedido por

Agradecimientos

Los autores quieren agradecer a Jessica Latimer su colaboración en el diseño de las ilustraciones correspondientes a la Figura 2.

La impactación de los caninos permanentes superiores es la segunda forma más común de impactación de dientes después de los terceros molares, siendo dos veces más común en mujeres que en hombres (Becker y cols. 2015). La erupción del canino permanente suele ocurrir alrededor de los 11 años, por lo que la sospecha de su inclusión suele comenzar a los 14-15 años. La impactación palatina es más frecuente que la impactación vestibular (3 veces) y la unilateral más común que la bilateral (Chung y cols. 2011). La etiología es multifactorial y podría estar relacionada, entre otras causas, con discrepancias en el tamaño del diente y la longitud de arcada, genética, erupción tardía, deficiencia transversal del maxilar, migración dentaria, traumatismo en el maxilar o agenesia/anomalía de posición en incisivo lateral (Martínez Madero y cols. 2022; McConnell y cols. 1996).

Clínicamente, los caninos incluidos se caracterizan por la erupción retardada del canino permanente, la erupción asimétrica de ambos caninos, la ausencia de protuberancia canina en el fondo de vestíbulo o presencia de protuberancia palatina en la región canina, el retraso en la erupción o migración distal de incisivos laterales permanentes, la retención prolongada de canino temporal sin movilidad y pérdida de vitalidad o el aumento de movilidad de incisivos permanentes (Mason y cols. 2001).

El diagnóstico radiográfico en dos dimensiones de un canino incluido se lleva a cabo mediante la radiografía periapical con la técnica de Clark y la radio-

grafía panorámica. En esta última, se han estudiado diferentes variables radiográficas para la evaluación del pronóstico de los caninos incluidos. En 1988, Ericsol y Kurol establecieron cinco sectores según los ejes longitudinales del incisivo central y lateral y líneas paralelas que pasan por los puntos de contacto desde el incisivo central al primer premolar. Así, describieron métodos para conocer la posición mesio-distal de la corona del canino, la inclinación del mismo respecto a la línea media y al incisivo lateral y el grado de predictibilidad de la erupción del canino, siendo un peor pronóstico cuando más a mesial se encuentre su cúspide. Se determinó también el ángulo alfa definido por el eje longitudinal del canino con la línea media y se consideró un valor normal, con buena predictibilidad de erupción, un ángulo de 25º (Ericson y Kurol 1986, 1988) (Figura 1). McSherry (1996) describió “la regla vertical de los tercios”. Con ello, se puede esperar un buen pronóstico si la punta de la cúspide canina está al nivel de la unión amelocementaria del incisivo adyacente, mientras que un canino con mal pronóstico para la alineación sería aquel en el que la punta de la cúspide estuviera contra el tercio apical del incisivo adyacente (McSherry, 1998). Pitt, en el año 2005, evaluó con una puntuación de 1 a 4 el grado de dificultad de alineación del canino incluido en la arcada dentaria teniendo en cuenta su altura vertical, posición horizontal respecto al incisivo lateral, posición vestíbulo-palatina y la edad del paciente (Pitt y cols. 2006).

Javier Calatrava

DDS, MSc, EFP, PhD (candidato). Research Fellow en Universidad de Michigan. Máster de Periodoncia y profesor colaborador en práctica clínica en Periodoncia, Universidad Complutense de Madrid.

Laura Avilés DDS. Máster de Ortodoncia, Universidad Complutense de Madrid.

SEPA-DM

Ignacio Sanz-Sánchez DDS, MSc, EFP, PhD. Profesor asociado de Periodoncia en Universidad Complutense de Madrid. Miembro del Grupo de Investigación ETEP (Etiología y Terapéutica de las Enfermedades Periodontales y Periimplantarias), Universidad Complutense de Madrid.

Juan Carlos Palma MD, DDS, PhD. Profesor titular de Ortodoncia en Universidad Complutense de Madrid. Director del Máster de Ortodoncia de la Universidad Complutense de Madrid.

MD, DDS, PhD, DrHC. Catedrático de Periodoncia en Universidad Complutense de Madrid y director del Grupo de Investigación ETEP (Etiología y Terapéutica de las Enfermedades Periodontales y Periimplantarias), Universidad Complutense de Madrid.

de tracción favorable del 1.3 y desfavorable del

Ericson y Kurol en relación a: ángulo alfa, posición mesio-distal, altura del canino respecto al LAC del lateral y grado de erupción del canino.

Actualmente, la tomografía computarizada de haz cónico (CBCT por sus siglas en inglés: Cone Beam Computed Tomography) y la reconstrucción 3D nos permiten ver con más claridad la posición del canino y su relación con estructuras adyacentes (Alqerban y cols. 2009). En el año 2000 se desarrolló un nuevo método para evaluar, a partir del CBCT, la dificultad prevista para posicionar un canino incluido, el índice KPG. Este índice clasifica la posición del canino en función de su distancia de la norma, dando un número en una escala de 0 a 5 tanto para la

Mariano Sanz
Figura 1. Diagnóstico clínico y radiográfico de un caso de inclusión de caninos. a) Cementado de brackets; b) Corte coronal del CBCT: inclusión por palatino de 1.3 y 2.3; c) Arcada con espacio preparado para caninos mediante coils abiertos; d) Radiografía panorámica: pronóstico
2.3 según

artículo de revisión

cúspide como para la punta de la raíz. La suma de las seis puntuaciones obtenidas evalúa la dificultad prevista del canino (Dalessandri y cols. 2013).

En relación con el tratamiento de este tipo de inclusiones dentarias, la literatura refiere que la extracción del canino temporal como tratamiento interceptivo es beneficiosa para la erupción espontánea del canino incluido, siempre y cuando tenga una posición y distancia favorables respecto al plano oclusal (Ahlam y cols. 2023; Almasoud 2017; Benson y cols. 2021). Debido a la etiología mencionada, es necesario conseguir espacio suficiente para favorecer la erupción del canino retenido en aquellos casos que no lo tenga, con aparatología fija multibrackets o alineadores. En otros casos, la expansión rápida del maxilar y la posterior colocación de una barra transpalatina, seguidas de la extracción del canino deciduo, son opciones de tratamiento interceptivo eficaces para pacientes de 9 a 13 años que presentan caninos palatalmente desplazados (Baccetti y cols. 2011).

El objetivo de este artículo de revisión es presentar las fases para el tratamiento ortodóncico-quirúrgico de los caninos incluidos, que consisten en 1) ortodoncia prequirúrgica, 2) cirugía para acceder al canino, y 3) ortodoncia posquirúrgica. Se desarrollará de manera más exhaustiva la parte quirúrgica del tratamiento de los caninos incluidos.

Ortodoncia prequirúrgica

La ortodoncia prequirúrgica consiste en la obtención del espacio para el correcto alineamiento del canino incluido una vez se realice su exposición, así como la preparación del anclaje adecuado para evitar deformaciones en la forma de arcada en el momento de comenzar la tracción. Para ello podemos utilizar aparatología removible, aparatología fija o alineadores.

Técnicas quirúrgicas

Para poder traccionar los caninos incluidos es frecuente tener que hacer una exposición quirúrgica. La técnica quirúrgica utilizada debe ser elegida y planificada con cautela, ya que nos asegurará tener no solo un buen acceso al canino, sino un buen campo quirúrgico para la adhesión del botón y una buena vía de tracción hasta su posición final (Vanarsdall 2010). Además,

este procedimiento debe ser planificado con cuidado para optimizar los resultados estéticos y funcionales ya que, si no, puede llevar a complicaciones estéticas como la presencia de asimetrías en la longitud de la corona, problemas en el contorno o altura del margen gingival, recidiva de la exposición de la corona, daño a los dientes adyacentes o problemas periodontales a largo plazo (Vermette y cols. 1995). Para ello, es necesario elegir una técnica adecuada basada en el diagnóstico clínico y radiográfico. Esta técnica quirúrgica se elegirá en función de una serie de criterios como son la posición vestíbulo-palatina de la corona, la posición vertical con respecto a la línea mucogingival (LMG), la presencia o ausencia de encía queratinizada, la posición mesio-distal de la corona, la relación con los dientes adyacentes, la cantidad de hueso encima de la corona, y la longitud y estado de formación de la raíz. A continuación, clasificaremos las técnicas quirúrgicas dividiéndolas en función de la posición vestíbulo-palatina de la corona y de si son técnicas abiertas o cerradas.

1. Impactación vestibular

En los casos en los que radiográfica o clínicamente podemos detectar la corona del canino en una posición vestibular, uno de los factores más importantes es el manejo de los tejidos blandos, de manera que durante el abordaje quirúrgico aseguremos que, una vez el canino llegue a su sitio, la posición del margen gingival sea correcta con una adecuada banda de encía queratinizada (Kokich 2004). Algunas de las ventajas de los caninos incluidos con una posición hacia vestibular son: un acceso más sencillo, suelen estar cubiertos por poco hueso, y son fácilmente identificables clínicamente y durante la cirugía.

Con el objetivo de crear una adecuada banda de encía queratinizada alrededor del canino permanente, la encía que se encuentra entre el diente incluido y el diente temporal (o la cresta edéntula en su ausencia) se suele utilizar como tejido donante (Agudio y cols. 1985).

La técnica quirúrgica dependerá principalmente de la posición apico-coronal del canino y de la relación de la corona con la línea mucogingival (Agudio y cols. 1985; Pini Prato y cols. 2000) (Figura 2).

1.1. Colgajo de reposición apical

Se trata de la técnica de elección cuando la corona del canino incluido, además de hacia vestibular, está erupcionando al nivel o ligeramente apical de la línea mucogingival. El objetivo será exponer la corona del canino incluido con un colgajo y desplazar la encía queratinizada que hay por debajo para dejarla en una posición apical a la corona del canino incluido. Para ello, se realizan dos incisiones liberadoras verticales con la dimensión mesiodistal de la banda de encía que se quiera movilizar, extendiéndolas apicalmente más allá de la línea mucogingival para obtener un buen desplazamiento apical del colgajo. Las descargas se conectan con una incisión intrasurcular en el diente temporal y se eleva un colgajo a espesor parcial que se extiende más allá de la corona del diente incluido. En

el caso de que la corona esté total o parcialmente cubierta por hueso, habrá que hacer osteoplastia para exponer la corona y permitir la adhesión del botón. A continuación, el colgajo se sutura a una altura apical a la corona del canino permanente. En estos casos, la adhesión del botón se puede realizar en otra visita posterior a la cirugía para evitar el sangrado y facilitar la adhesión. Aunque con esta técnica se consigue obtener una banda adecuada de encía queratinizada que acompañará al diente hacia su posición final a medida que se vaya traccionando, una de las principales desventajas son las posibles complicaciones estéticas que puedan generar las incisiones verticales. Por eso, se recomienda un buen manejo de tejidos blandos, intentando hacer estas incisiones biseladas para minimizar la presencia de cicatrices (Figuras 3, 4 y 5).

Figura 2. Ilustraciones representativas de las diferentes técnicas de exposición de un canino incluido en posición vestibular.

artículo de revisión

Figura 3. Exposición de 2.1 mediante un colgajo de reposición apical, siguiendo los mismos principios que si se tratase de un canino incluido por vestibular. a) Situación inicial, en la que se puede apreciar clínicamente la prominencia por vestibular del diente incluido; b) Diseño del colgajo mediante un colgajo trapezoidal, manteniendo suficiente encía queratinizada coronal a la incisión horizontal para desplazar apicalmente; c) Elevación del colgajo a espesor total y ligera osteotomía para exponer la corona del diente incluido; d) Sutura del colgajo apicalmente mediante puntos simples; e) Adhesión del botón a la cara vestibular y colocación de la cadeneta de tracción; f) Seguimiento a las dos semanas con cicatrización correcta, preservación de la encía queratinizada y tracción ortodóncica en marcha.

Figura 4. Exposición de 2.3 mediante un colgajo de reposición apical. a y b) Situación inicial, en la que se aprecia clínicamente la prominencia vestibular del canino incluido por encima del 2.2; c) Elevación del colgajo a espesor total desplazando toda la encía queratinizada hacia apical; d y e) Sutura del colgajo en su nueva posición apical, una vez adherido el botón de tracción; f) Seguimiento a las dos semanas con tracción en marcha hacia distal.

Figura 5. Secuencia ortodóncica del caso clínico con inclusión por vestibular de 2.1 y 2.3. a) Situación inicial; b) Situación poscirugía de exposición del 2.1 y comienzo de tracción del mismo con técnica de doble arco; c) Final de tracción del 2.1 y arco continuo redondo de nitinol; d) Situación posexposición del 2.3 con el espacio mantenido; e) Tracción del 2.3 con hilo elástico a un cantiléver en arco de acero; f) Cierre de espacios con asas en T en arco de acero.

3a

1.2. Injerto gingival libre

Si el diente permanente está erupcionando en la zona de la mucosa alveolar en una posición muy apical a la línea mucogingival, se recomienda rea-

lizar un injerto gingival libre. En este caso, primero habrá que exponer la corona del canino incluido, y preparar un lecho receptor a espesor parcial en la zona vestibular o apical a la corona. A continua-

ción, toda o parte de la encía queratinizada que se encuentra entre el diente temporal (o cresta edéntula en su ausencia) y la línea mucogingival se despega a espesor parcial como si se tratase de un injerto gingival libre, trasladándola a su nueva posición, y suturándola al lecho receptor encima de la corona del canino incluido. Es fundamental realizar una correcta sutura para asegurar una adaptación cercana del injerto al lecho vascular y asegurar una revascularización completa durante los primeros días de cicatrización (Nobuto 1987; Oliver y cols. 1968).

1.3. Técnica excisional/gingivectomía

Es poco frecuente utilizarla en caninos con impactación vestibular, ya que requeriría que la corona estuviese totalmente rodeada de encía queratinizada para poder realizar una ventana que permita acceder a la corona y desechar ese tejido. Sin embargo, en algunos casos en los que existe abundancia de encía queratinizada y en la radiografía se ve que la corona no está cubierta por hueso, se puede realizar una pequeña gingivectomía con el objetivo de exponer la superficie de esmalte necesaria para una correcta adhesión del botón.

1.4. Técnica a colgajo o cerrada

Esta técnica se suele realizar cuando la corona del canino incluido está muy apical. En estos casos, realizar una técnica abierta y traccionar el canino desde el exterior puede ser complicado y llevar a problemas mucogingivales alrededor de la futura corona, por lo que es preferible traccionar del diente desde el interior del colgajo. Para ello, se levanta un colgajo a espesor total, se expone el canino y se pega el botón intraquirúrgicamente, para posteriormente suturar el colgajo por encima y dejar la cadeneta de tracción en su interior. La parte más complicada de esta técnica es conseguir un campo limpio y seco sobre la superficie del canino para conseguir una adhesión adecuada del botón.

Otra opción en aquellos casos en que esté presente el canino temporal, y el canino permanente esté en contacto cercano con la raíz del temporal y en una posición muy profunda, es realizar la técnica del túnel intraóseo propuesta por Crescini y cols. (1994). Esta técnica consiste en realizar la extracción del canino temporal, levantar un colgajo vestibular (o palatino en función de la posición) para exponer la corona del

canino definitivo, y generar un túnel intraóseo desde el alvéolo del diente temporal hasta la corona del diente definitivo, con cuidado de no dañar el esmalte. Posteriormente, se adhiere el botón y se inserta la cadeneta a través del túnel intraóseo para traccionar el diente hacia su posición natural (Crescini y cols. 1994). En el caso en que haya un contacto directo entre esmalte y hueso en la dirección del movimiento dentario, será necesario realizar una resección ósea para liberar esta resistencia y permitir el movimiento adecuado del diente.

2. Impactación palatina

Cuando los caninos están impactados con la corona hacia la región palatina las condiciones de la exposición cambian considerablemente. Uno de los principales problemas es que suelen ser más complejos de encontrar, ya que suelen estar rodeados por más hueso, teniendo que realizar una mayor osteotomía. Además, tienen un peor acceso y es más complicado levantar un colgajo palatino por la ausencia de movilidad y grosor del paladar. A nivel de manejo de los tejidos blandos la técnica resulta más sencilla, ya que todo el paladar está compuesto de mucosa masticatoria y con cualquier técnica de tracción o exposición que hagamos la corona del canino estará rodeada de encía queratinizada en su aspecto palatino. En las impactaciones palatinas destacan la técnica abierta (o técnica de fenestración o ventana) o la técnica cerrada.

2.1. Técnica de la fenestración o ventana

Como el nombre indica, consiste en realizar una ventana a través de la cual acceder y traccionar al canino. En función de la posición y la profundidad del canino, esta técnica puede ser más o menos invasiva. Si disponemos de radiografía 3D y conocemos la posición exacta del canino, podemos crear una ventana en la fibromucosa palatina para acceder directamente a la superficie de la corona del canino y poder adherir el botón, siempre que no haya un gran volumen óseo cubriendo la corona. En aquellos casos en los que el canino esté más profundo y haya que realizar osteotomía para acceder a la superficie de esmalte de la corona, habrá que levantar un colgajo a espesor total más amplio para obtener buena visibilidad, bien a través de incisiones liberadoras o de una mayor extensión mesio-distal.

artículo de revisión

En ambos casos, uno de los elementos más complicados de esta técnica es conseguir un buen campo de aislamiento intraquirúrgico para realizar una correcta adhesión, debido al sangrado y la profundidad de la posición del canino. Para favorecer la adhesión en condiciones de humedad se recomienda el uso de un adhesivo convencional como Transbond XT (3M), en comparación con un adhesivo autograbante (Sfondrini y cols. 2004). Una vez pegado el botón, se puede generar la fenestración en el colgajo en la posición exacta para traccionar a través de ella mediante la cadeneta o alambre. Algunos autores como Kokich proponen esta opción para caninos que están superficiales y en los que existe suficiente espacio, pero sin adherir ninguna cadeneta ni botón para dejar erupcionar al canino a su posición de manera natural. Sin embargo, esto puede ser arriesgado ya que existen altas probabilidades de que la ventana se pueda volver a cerrar (Kokich 2004) (Figura 6). Antes de realizar la sutura del colgajo se recomienda testar la correcta adhesión del botón traccionando manualmente de la cadeneta, para asegurar su resistencia a la tracción y evitar posteriores descementados.

2.2. Técnica cerrada

Para realizar esta técnica se debe abrir un colgajo, exponer el canino y adherir un botón, aunque la tracción se realizará con la cadeneta por dentro del colgajo. Nuevamente, en esta situación y en casos en los que esté presente el diente temporal, también se puede realizar la técnica del túnel intraóseo (Crescini y cols. 1994) (Figura 7).

3. Autotrasplante con reimplantación inmediata El autotrasplante dental consiste en trasplantar un diente desde su posición original a un alvéolo posextracción o una zona receptora dentro de la cavidad oral del mismo individuo (Akhlef y cols. 2018). Es un procedimiento documentado desde el año 1950 (Apfel 1950) y apoyado por la evidencia científica, con tasas de supervivencia entre el 93-100 % y con un seguimiento de más de 20 años (Akhlef y cols. 2018; Barendregt y cols. 2023; Tsukiboshi 2002). La justificación biológica de este tratamiento se basa principalmente en el potencial regenerativo que presenta el ligamento periodontal residual y vital del diente donante, que es capaz de fomentar la regeneración de nuevos tejidos periodontales y mantener la

altura del hueso marginal alrededor del diente donado en la zona receptora (Tsukiboshi 2002). Dentro de las distintas indicaciones de estos tratamientos, se ha propuesto el autotrasplante de caninos incluidos desde su posición ectópica hasta su posición final (Gómez Meda y cols. 2022). Esta indicación hay que tomarla con cautela, ya que la extracción atraumática del canino incluido es compleja, dañando con facilidad el ligamento periodontal del diente donante y teniendo que hacer importantes ostectomías para facilitar su extracción en bloque. Además, al cortar el paquete vasculonervioso del canino se comprometerá su vitalidad, siendo necesario el posterior tratamiento de conductos. Otro requerimiento sería tener espacio suficiente para reposicionar el canino incluido en su posición final, bien mantenido por el diente temporal o generado previamente por ortodoncia. Además, es necesario disponer de una cresta ósea suficientemente ancha en sentido vestíbulo-palatino para poder recibir la raíz de un canino definitivo, que suele ser prominente en esta dirección.

Debido a esto, esta indicación se debe dejar para casos en los que la tracción ortodóncica no es favorable, pero se pueda realizar una extracción en bloque del canino, o aquellos casos en los que se encuentre presente el canino temporal y el paciente no quiera someterse a ortodoncia. En el caso de realizarse, no disponemos de evidencia para determinar cuándo se podría comenzar el tratamiento ortodóncico y la movilización de estos caninos, aunque existe evidencia de que dientes autotrasplantados con éxito y que mantienen su ligamento periodontal se pueden mover ortodóncicamente de manera satisfactoria (Barendregt y cols. 2023). Este tratamiento ha demostrado tener mayores tasas de supervivencia y éxito a largo plazo en dientes donantes en desarrollo con ápice abierto (Kvint y cols. 2010), y de realizarse en dientes con ápice cerrado es necesario realizar el posterior tratamiento de conductos debido a la interrupción del paquete vasculonervioso (Lucas-Taule y cols. 2022).

Ortodoncia posquirúrgica

El objetivo de la ortodoncia posquirúrgica es traccionar el diente a su posición correcta (Figura 8). Hay que tener en cuenta que el vector de tracción varía en función de la posición del canino incluido. Los caninos situados en vestibular son menos frecuentes

Figura 6. Secuencia completa del tratamiento de ortodoncia con la exposición quirúrgica y tracción del 2.3 incluido. a) Situación inicial de la arcada superior con ligero apiñamiento y presencia del 6.3 en boca; b) Vista lateral derecha con clase II molar y canina; c y d) Exposición del 2.3 y tracción mediante un resorte de TMA (titanio molibdeno) en ballesta desde el tubo auxiliar del 2.6 y aumento de anclaje con microtornillo; e y f) Fin del tratamiento de ortodoncia obteniendo clase I molar y canina, un correcto tejido blando y una correcta adaptación de tejido blando a nivel del 2.3.

Figura 7. a) Situación prequirúrgica del caso expuesto en la Figura 2, en la que se aprecia la presencia de los caninos deciduos; b) Elevación de colgajo palatino a espesor total y extracción de caninos deciduos; c) Cirugía ósea hasta acceder a la corona, ambos caninos incluidos; d) Adhesión de los botones de tracción a las coronas y colocación de cadeneta de tracción a través del túnel intraóseo generado por el alvéolo del diente temporal; e) Seguimiento de 6 meses, con los caninos definitivos en su posición dentro del arco.

8. Secuencia completa del tratamiento de ortodoncia. a y b) Vista frontal y oclusal de la situación inicial con inclusión del 1.3; c y d) Vista frontal y oclusal de la situación posextracción del 5.3, cirugía de exposición del 2.3 y tracción a través del brazo palatino de TMA de la barra transpalatina; e y f) Vista frontal y oclusal de la situación final posalineamiento y nivelación con arco de NiTi ya con el 1.3 en su correcta posición.

Figura

artículo de revisión

que los que están en lingual y su tracción presenta menos dificultades, ya que el acceso es más directo, la visión es mejor y presentan menor probabilidad de accidentes o complicaciones. Podemos realizarla de diferentes maneras (Kokich 2004):

 Mediante un arco rectangular de acero: podemos traccionar desde el botón/bracket del canino incluido al arco con una cadeneta, un hilo elástico, o con un doble arco que consiste en superponer al arco de acero un arco de NiTi que pase por el bracket del canino (Ferreira y cols. 2017; Heravi y cols. 2016).

 Resorte en ballesta: resorte confeccionado en titanio molibdeno con hélix en el extremo mesial. Una vez introducido en el tubo de la banda del molar se realiza una doblez de 90º a la altura del canino incluido y en la dirección adecuada según su posición y, al unirlo al hook del canino, se genera una fuerza por torsión del resorte que nos permite una erupción rápida en una correcta dirección (Ferreira y cols. 2017).

 Dispositivos de anclaje temporal con microtornillos (Aras y cols. 2011; Heravi y cols. 2016).

 Barra transpalatina + brazo auxiliar + hilo elástico/ligadura metálica desde el hélix del brazo auxiliar (Kokich 2004).

 Arco lingual con un brazo auxiliar para poder traccionar (Ferreira y cols. 2017).

 Placa superior o inferior de acrílico con aditamentos para realizar la tracción.

En esta fase de tratamiento pueden aparecer complicaciones, como son el despegamiento del botón (tendríamos que volver a realizar la cirugía si no tenemos acceso directo a la corona del diente), la rotura de la ligadura de tracción con la que vamos a traccionar o la anquilosis del diente que impide su movilidad.

Discusión

En el momento de planificar la exposición y tracción de un canino incluido, hay que tener en cuenta una serie de criterios a la hora de elegir la técnica quirúrgica, como son la posición vestíbulo-palatina, la posición apico-coronal, la cantidad de encía queratinizada (en impactaciones vestibulares) y la posición mesio-distal con respecto al incisivo lateral (Kokich 2004; Kokich y Mathews 1993).

En los caninos impactados por vestibular, utilizar una técnica correcta puede ser más relevante para obtener unas condiciones periodontales adecuadas. En este sentido, una revisión sistemática ha

demostrado que la exposición de caninos impactados en vestibular mediante técnica excisional se asociaba a una situación periodontal más desfavorable con respecto al grupo control de dientes naturales, mientras que los dientes expuestos mediante un colgajo de reposición apical mostraban un estado periodontal comparable a los dientes no tratados (Incerti-Parenti y cols. 2016). Por el contrario, en caninos incluidos en palatino las diferentes técnicas utilizadas han demostrado no tener un impacto significativo en las condiciones periodontales del diente traccionado (Smailiene y cols. 2013).

Además de las condiciones periodontales del diente traccionado, se debe tener en cuenta la condición y posible daño de los dientes adyacentes al canino durante la tracción. Schmidt y Kokich (2007) encontraron, al hacer una evaluación clínica de 16 pacientes que habían recibido exposición mediante técnica de ventana y erupción espontánea o tracción ortodóncica de los caninos, que la profundidad de sondaje distolingual del incisivo lateral, mesiovestibular del primer premolar y sus niveles de hueso crestal eran menores que el diente contralateral natural. Además, el 78,9 % de los evaluadores pudo determinar cuál era el canino que se había traccionado (Schmidt y Kokich 2007).

Recientemente se ha propuesto la utilización de corticotomías asociadas a la movilización de caninos incluidos de manejo complicado, demostrándose en revisiones sistemáticas una reducción del tiempo de tratamiento sin empeoramiento de la situación periodontal del diente traccionado (Mousa y cols. 2022; Mousa y cols. 2023).

Conclusiones

Ante un paciente con presencia de uno o varios caninos maxilares incluidos, es necesario realizar un enfoque combinado ortodóncico y periodontal, personalizando el tratamiento en base a un diagnóstico correcto y completo de la situación individual del paciente, siendo fundamental un buen manejo de tejidos blandos en el momento de la exposición quirúrgica. No existe evidencia suficiente para determinar qué técnica es superior en cada caso, por lo que es necesario realizar un buen diagnóstico combinado clínico y radiográfico y, a la vez, una buena planificación ortodóncica pre y posquirúrgica para asegurar, en caso de indicación de la tracción, el mejor estado periodontal y funcional del canino en su posición definitiva a largo plazo. 

RELEVANCIA CLÍNICA

Este artículo propone una revisión sobre las distintas alternativas terapéuticas en el manejo periodontal y ortodóncico de caninos incluidos maxilares, enfatizando la importancia de un enfoque personalizado a la situación individual de cada paciente. Se abordan desde las alternativas diagnósticas para valorar la posición de los caninos incluidos y su relación con estructuras anatómicas adyacentes, y las consideraciones clínicas que se deben tener en cuenta para seleccionar las distintas opciones terapéuticas quirúrgicas disponibles, enfatizando la importancia del manejo de tejidos blandos, con el objetivo de obtener unos resultados satisfactorios estéticos, periodontales y funcionales a largo plazo.

Resumen

Este artículo de revisión evalúa el manejo de la impactación de los caninos permanentes maxilares. Esta alteración presenta una etiología multifactorial y es la impactación más frecuente después de la de los terceros molares. Para llevar a cabo un correcto tratamiento es necesario un exhaustivo estudio clínico y radiográfico. El tratamiento de los caninos incluidos es ortodóncico-quirúrgico y se realiza en tres fases: ortodoncia prequirúrgica, cirugía de acceso al canino y ortodoncia posquirúrgica. En la ortodoncia prequirúrgica se busca crear espacio para el diente incluido. Respecto a la cirugía, es importante una cuidadosa elección y planificación de la técnica quirúrgica. Es necesario garantizar un buen acceso al canino, un campo quirúrgico adecuado para la adhesión del botón y una vía efectiva de tracción. La planificación meticulosa es esencial para optimizar los resultados estéticos, oclusales y funcionales, evitando complicaciones como asimetrías, problemas de contorno o altura del margen gingival, recidiva de la exposición de la corona y afectación a los dientes adyacentes. Se detallan técnicas quirúrgicas basadas en criterios como la posición de la corona, la relación con dientes adyacentes y la cantidad de hueso sobre la corona. Para impactaciones vestibulares se mencionan diferentes técnicas, como son el colgajo de reposición apical, el injerto gingival libre, la técnica excisional/gingivectomía y la técnica a colgajo o cerrada. En impactaciones palatinas se describen la técnica de fenestración/ventana y la técnica cerrada. En último lugar, se presenta el autotrasplante dental como un nuevo enfoque a tener en cuenta. Respecto a la ortodoncia posquirúrgica el objetivo es traccionar el canino a su posición correcta. En esta revisión se presentan diferentes maneras de llevarlo a cabo, dependiendo la técnica de la ubicación del canino. Se debe tener en cuenta las posibles complicaciones, que incluyen despegamiento del botón, rotura de la ligadura de tracción y/o anquilosis del diente.

Bibliografía

- Agudio G, Pini Prato G, de Paoli S, Nevins M. (1985) Mucogingival interceptive therapy. The International Journal of Periodontics & Restorative Dentistry 5, 48-59.

- Akhlef Y, Schwartz O, Andreasen JO, Jensen SS. (2018) Autotransplantation of teeth to the anterior maxilla: A systematic review of survival and success, aesthetic presentation and patient-reported outcome. Dental Traumatology 34, 20-27.

- Alqerban A, Jacobs R, Lambrechts P, Loozen G, Willems G. (2009) Root resorption of the maxillary lateral incisor caused by impacted canine: A literature review. Clinical Oral Investigations 13, 247-255.

- Apfel H. (1950) Autoplasty of enucleated prefunctional third molars. Journal of Oral Surgery 8, 289-296.

- Aras MH, Halicioglu K, Yavuz MS, Caglaroglu M. (2011) Evaluation of surgical-orthodontic treatments on impacted mandibular canines. Medicina Oral, Patología Oral y Cirugía Bucal 16, 925-928.

- Baccetti T, Sigler LM, Mcnamara JA JR. (2011) An RCT on treatment of palatally displaced canines with RME and/or a transpalatal arch. European Journal of Orthodontics 33, 601-607.

- Barendregt D, Andreasen JO, Leunisse M, Eggink E, Linssen M, Van Der Weijden F, Louropoulou A. (2023) An evaluation of 1654 premolars transplanted in the posterior region: A retrospective analysis of survival, success and complications. Dental Traumatology 39 Suppl 1, 50-62.

- Crescini A, Clauser C, Giorgetti R, Cortellini P, Pini Prato GP. (1994) Tunnel traction of infraosseous impacted maxillary canines. A three-year periodontal follow-up. American Journal of Orthodontics and Dentofacial Orthopedics 105, 61-72.

- Dalessandri D, Migliorati M, Rubiano R, Visconti L, Contardo L, di Lenarda R, Martin C. (2013) Reliability of a novel CBCT-based 3D classification system for maxillary canine impactions in orthodontics: The KPG index. Scientific World Journal 9, artículo 921234.

- Ericson S, Kurol J. (1986) Radiographic assessment of maxillary canine eruption in children with clinical signs of eruption disturbance. European Journal of Orthodontics 8, 133-140.

- Ericson S, Kurol J. (1988) Early treatment of palatally erupting maxillary canines by extraction of the primary canines. European Journal of Orthodontics 10, 283-295.

- Ferreira JTL, Romano FL, Sasso Stuani MB, Assed Carneiro FC, Nakane Matsumoto MA. (2017) Traction of impacted canines in a skeletal Class III malocclusion: A challenging orthodontic treatment. American Journal of Orthodontics and Dentofacial Orthopedics 151, 1159-1168.

- Gomez Meda R, Abella Sans F, Esquivel J, Zufia J. (2022) Impacted Maxillary canine with curved apex: Three-dimensional guided protocol for autotransplantation. Journal of Endodontics 48, 379-387.

- Heravi F, Shafaee H, Forouzanfar A, Zarch SH, Merati M. (2016) The effect of canine disimpaction performed with temporary anchorage devices (TADs) before comprehensive orthodontic treatment to avoid root resorption of adjacent teeth. Dental Press Journal of Orthodontics 21, 65-72.

Incerti-Parenti S, Checchi V, Ippolito DR, Gracco A, Alessandri-Bonetti G. (2016) Periodontal status after surgical-orthodontic treatment of labially impacted canines with different surgical techniques: A systematic review. American Journal of Orthodontics and Dentofacial Orthopedics 149, 463-472.

- Kokich VG. (2004) Surgical and orthodontic management of impacted maxillary canines. American Journal of Orthodontics and Dentofacial Orthopedics 126, 278-283.

- Kokich VG, Mathews DP. 1993. Surgical and orthodontic management of impacted teeth. Dental Clinics of North America 37, 181-204.

- Kvint S, Lindsten R, Magnusson A, Nilsson P, Bjerklin K. (2010) Autotransplantation of teeth in 215 patients. A follow-up study. Angle Orthodontist 80, 446-451.

- ucas-Taule E, Bofarull-Ballus A, Llaquet M, Mercade M, Hernández-Alfaro F, Gargallo-Albiol J. (2022) Does root development status affect the outcome of tooth autotransplantation? A systematic review and meta-analysis. Materials 15, artículo 3379.

- Martínez Madero E, García Montarelo J, Aguayo GS, Martin C. (2022) Comparison between digital casts and cone beam computed tomography for measuring maxillary transverse dimensions in patients with impacted canines. Children 9, artículo 278.

- Mason C, Papadakou P, Roberts GJ. (2001) The radiographic localization of impacted maxillary canines: A comparison of methods. European Journal of Orthodontics 23, 25-34.

- Mcconnell TL, Hoffman DL, Forbes DP, Janzen EK, Weintraub NH. (1996) Maxillary canine impaction in patients with transverse maxillary deficiency. Journal of Dentistry for Children 63, 190-195.

- Mcsherry PF. (1998) The ectopic maxillary canine: A review. British Journal of Orthodontics 25, 209-216.

- Mousa MR, Hajeer MY, Burhan AS, Heshmeh O. (2022) The effectiveness of conventional and accelerated methods of orthodontic traction and alignment of palatally impacted canines in terms of treatment

time, velocity of tooth movement, periodontal, and patient-reported outcomes: A systematic review. Cureus 14, artículo e24888.

- Mousa MR, Hajeer MY, Burhan AS, Heshmeh O. (2023) Adult periodontal comparison after treatment of palatally impacted canines aligned by conventional or accelerated minimally-invasive corticotomy-assisted orthodontic traction: A randomized controlled trial. International Orthodontics 21, artículo 100785.

- Nobuto T. (1987) [Experimental study on microvascularization following free gingival autograft--process of the recirculation to grafts]. Nihon Shishubyo Gakkai Kaishi 29, 352-364.

- Oliver RC, Loe H, Karring T. (1968) Microscopic evaluation of the healing and revascularization of free gingival grafts. Journal of Periodontal Research 3, 84-95.

- Pini Prato G, Baccetti T, Magnani C, Agudio G, Cortellini P. (2000) Mucogingival interceptive surgery of buccally-erupted premolars in patients scheduled for orthodontic treatment. I. A 7-year longitudinal study. Journal of Periodontology 71, 172-181.

- Pitt S, Hamdan A, Rock P. (2006) A treatment difficulty index for unerupted maxillary canines. European Journal of Orthodontics 28, 141-144.

- Schmidt AD, Kokich VG. (2007) Periodontal response to early uncovering, autonomous eruption, and orthodontic alignment of palatally impacted maxillary canines. American Journal of Orthodontics and Dentofacial Orthopedics 131, 449-455.

- Sfondrini M, Cacciafesta V, Scribante A, De Angelis M, Klersy C. (2004) Effect of blood contamination on shear bond strength of brackets bonded with conventional and self-etching primers. American Journal of Orthodontics and Dentofacial Orthopedics 125, 357-360.

- Smailiene D, Kavaliauskiene A, Pacauskiene I, Zasciurinskiene E, Bjerklin K. (2013) Palatally impacted maxillary canines: Choice of surgical-orthodontic treatment method does not influence post-treatment periodontal status. A controlled prospective study. European Journal of Orthodontics 35, 803-810.

- Tsukiboshi M. (2002) Autotransplantation of teeth: Requirements for predictable success. Dental Traumatology 18, 157-180.

- Vanarsdall RL. (2010) Efficient management of unerupted teeth: A Time-tested treatment modality. Seminars in Orthodontics 16, 212-221.

- Vermette ME, Kokich VG, Kennedy DB. (1995) Uncovering labially impacted teeth: Apically positioned flap and closed-eruption techniques. Angle Orthodontist 65, 23-32; discussion 33.

NUEVAS TECNOLOGÍAS, IA Y ROBÓTICA APLICADAS A LA ODONTOLOGÍA RESTAURADORA Y ESTÉTICA, PROTAGONISTAS EN SEPES SEVILLA 2024

El congreso anual de SEPES reunió en Sevilla, en su 53ª edición, a más de 3.000 profesionales del sector dental alrededor de las nuevas tecnologías, la inteligencia artificial y la robótica aplicadas a la odontología restauradora y estética, convirtiéndose en un punto de referencia de la innovación y la formación de los profesionales de la odontología.

La 53ª edición del congreso anual de la Sociedad Española de Prótesis Estomatológica y Estética (SEPES) reunió del 10 al 12 de octubre en Sevilla a más de 3.000 profesionales del sector dental alrededor de las nuevas tecnologías, la inteligencia artificial (IA) y la robótica aplicadas a la odontología restauradora y estética. Este encuentro, que regresaba a Sevilla casi una década después desde que en 2015 el Dr. Rafael Martínez de Fuentes presidiera aquel año, al igual que éste, la Reunión Anual de SEPES, en la que también hubo más de 3.000 participantes, es quizás la edición

con más carga sobre digitalización que SEPES haya programado en su congreso de los últimos años. Prácticamente en todos los bloques temáticos del programa se abordó desde uno u otro aspecto la aplicación de las nuevas tecnologías en los protocolos clínicos. La puesta al día de estos protocolos, tan necesarios para dotar de eficiencia y predictibilidad al trabajo del clínico y todo su equipo, fue el objetivo que los doctores Guillermo Pradíes Ramiro y Rafael Martínez de Fuentes se marcaron cuando diseñaron el programa científico de este congreso y que, sin lugar a dudas, han conseguido. Fotos: Manuel Olmedo-SEPES

La digitalización, más presente que nunca El componente tecnológico estuvo presente en la mayor parte de las sesiones. El bloque dedicado a los tratamientos rehabilitadores del primer día, tanto en lo que tiene que ver con el código de color como en lo referente al protocolo estéticamente guiado, fue abordado desde la perspectiva de la utilización de las técnicas y protocolos digitales. Las sesiones dedicadas a la estética facial y los tratamientos perio-prostodóncicos, también en la primera jornada del congreso, tuvieron asimismo, en parte, un enfoque digital en lo referente al uso de la terapia guiada en pacientes periodontales en el área estética y en la utilización de herramientas digitales en el manejo de la sonrisa gingival. En esta línea, el simposio de la Digital Dentistry Society (DDS) trató temas como las impresiones digitales de implantes en arcada completa, el uso de avatares y su papel en la odontología del futuro próximo, o el rediseño de la sonrisa usando un flujo 100% digital en el proceso. Sobre la participación de la DDS en SEPES Sevilla 2024, desde SEPES destacan que “la sociedad digital más importante a nivel europeo participó por primera vez en España en un evento”. En los bloques dedicados íntegramente a la prótesis, el segundo día del congreso, tanto en la sesión de ponentes nacionales como en el simposio de la European Prosthodontic Association (EPA) -una de las más reconocidas instituciones internacionales dedicadas a la investigación en prostodoncia-, el entorno digital fue también el hilo conductor. La oclusión digital, el diseño guiado del perfil de emergencia, los protocolos protésicos en implantología inmediata, las nuevas soluciones digitales para superar limitaciones en las restauraciones implantoprotésicas, el uso de soluciones digitales en las restauraciones cerámicas, la aplicación de la IA en la transformación de implantes en favor de una mayor precisión o las prótesis completas mucosoportadas CAD-CAM, son algunos de los temas que se vieron en las ponencias sobre prótesis. Desde SEPES señalan que esta segunda jornada del congreso dedicada principalmente a la prótesis fue “un escaparate del presente digital en el que está inmersa la especialidad de la prótesis y del futuro transformador que está ya llamando a la puerta de los expertos en esta área de la odontología”. Por su parte, el reconocido clínico germano Markus Blatz, director del departamento de ciencias restauradoras de la universidad de Pensilvania en Filadelfia, presentó en el congreso las nuevas tecnologías y materiales que se están incorporando al mercado en la terapia de implantes estéticos.

SEPES SEVILLA 2024 EN CIFRAS

 + de 3.000 profesionales

 90 ponentes de 17 nacionalidades

 84 sesiones

 307 expositores en 77 espacios comerciales

 232 comunicaciones

SEPES reunió a más de 3.000 profesionales del sector dental en su 53º congreso anual

El sábado, último día del congreso, el entorno digital estuvo presente también en las jornadas de higienistas, con más de 200 asistentes y en las Jornadas de Dirección de Clínicas Dentales SEPES & SEDAD.

La última jornada del congreso, estuvo protagonizada por el prestigioso odontólogo suizo-estadounidense Pascal Magne, director del Centro de Educación e Investigación en Odontología Restauradora Biomimética en Beverly Hills, USA, que durante ocho horas en el auditorio principal de FIBES, lleno hasta la bandera, abordó desde un enfoque interdisciplinar el tema de las restauraciones estéticas digitales.

Importante apoyo de la industria

El apoyo de la industria del sector cumplió las expectativas de la organización. Un total de 77 empresas, entre ellas todos los sponsors de SEPES, estuvieron presentes en la zona comercial mos-

SEPES Sevilla 2024 fue el escenario de la presentación en Europa de YakeBot, el primer robot dentista capacitado para realizar cirugías de implantes.

trando los últimos avances en tecnología diagnostica y de diseño y planificación digital, materiales reconstructivos de última generación, implantes, instrumental, formación, libros y publicaciones, etc. Una de las grandes novedades que se pudo ver en este congreso fue el primer robot dentista que se presentaba en Europa en este congreso. YakeBot, como así se llama este robot dentista, está capacitado para realizar cirugías de implantes. Su presencia en SEPES Sevilla ha sido posible gracias al acuerdo con el Máster Universitario de Odontología Restauradora basada en las Nuevas Tecnologías de

la Universidad Complutense de Madrid, que dirige el propio presidente de SEPES, el Dr. Guillermo Pradíes. Este novedoso equipo de fabricación china se quedará de forma permanente en España, en este prestigioso Máster y se estima que la comercialización en España será a partir del primer trimestre de 2025.

Sus socios, el gran valor de SEPES

Por segundo año, la Junta Directiva quiso dedicar un tiempo y espacio para reconocer y agradecer la fidelidad de los socios que este año cumplen 25 años como miembros de SEPES. El acto de Homenaje a los Socios Plata resultó un evento emotivo y ameno en el que toda la Junta Directiva de SEPES hizo entrega de una insignia y un certificado acreditativo a los socios Plata que acudieron al acto. El programa social tampoco defraudó. El espectacular edificio novecentista del Casino de la Exposición resultó el marco perfecto para la celebración de la Cena del Congreso, amenizada por la música en directo del grupo local “Hermanos Domínguez” y la Tuna de Derecho de la Universidad de Sevilla, que hicieron bailar a los 470 congresistas que asistieron.

Entre los momentos más emotivos de la velada destaca la entrega de medallas y reconocimientos anuales de SEPES. La Medalla de Oro de SEPES fue entregada al Dr. Alfonso Arellano, vicepresidente de SEPES en el periodo 2019-2021, por su constan-

Inauguración, con el Dr. Rafael Flores Ruiz, presidente del Colegio de Dentistas de Sevilla; Dr. Francisco José García Lorente, vicepresidente del Consejo General de Dentistas de España; Dr. Guillermo Pradíes Ramiro, presidente de SEPES; Dr. Rafael Martínez de Fuentes, vicepresidente SEPES y presidente del Congreso; y Dr. Javier Fernández Parra, vicepresidente del Consejo Andaluz de Colegios de Dentistas.

te implicación en diversas áreas de la sociedad. La Medalla del Congreso fue concedida al Prof. Emilio Jiménez-Castellanos, catedrático de Prótesis Estomatológica de la Universidad de Sevilla y presidente del Comité Científico del congreso, por su labor docente e implicación con SEPES desde 1990; y al Dr. Rafael Martínez de Fuentes, presidente de SEPES Sevilla, que recogió de manos del Dr. Guillermo Pradíes el reconocimiento que la Junta Directiva de SEPES le hacía por el gran éxito del congreso, reconocimiento que el Dr. Martínez de Fuentes quiso hacer extensivo a todos los miembros del comité organizador y del científico y que dedicó a su familia y especialmente a su esposa, Elena Montoya, que ya no está con nosotros. Otro de los momentos entrañables de la noche fue el reconocimiento que la Junta Directiva hizo a la gerente de SEPES, Ana García Martín, por sus 25 años de trabajo en la sociedad llenos de esfuerzo, excelente trabajo e implicación.

Premios Anuales SEPES

El último día del congreso tuvo lugar la ceremonia de entrega de premios y becas que convoca y concede anualmente la Fundación SEPES que distinguen a los mejores artículos clínicos, trabajos de investigación, comunicaciones y proyectos solidarios de salud oral. Los premios y becas que se otorgaron fueron el Premio SEPES Gascón al mejor artículo clínico sobre prótesis y estética publicado en 2023 publicado en revista indexada, las Becas SEPES de Investigación en Prótesis Estomatológica y Estética, el premio SEPES Junior a la mejor comunicación oral clínica y científica presentada en el congreso por un socio menor de 30 años, los premios a las mejores comunicaciones clínicas y científicas orales, poster y vídeo presentadas en el congreso, y la beca SEPES Solidaria a proyectos de salud oral llevados a cabo en sectores desfavorecidos de población. 

Foto de familia de los premiados en el congreso SEPES Sevilla 2024.

El jueves 10 de octubre en el marco de su Asamblea General, la Sociedad Española de Prótesis Estomatológica y Estética (SEPES) renovó su Junta Directiva para el periodo 2024-2027.

La Junta, elegida por unanimidad, está integrada por los doctores Guillermo Pradíes Ramiro como presidente, Rafael Martínez de Fuentes y Jaime Jiménez García como vicepresidentes, Sandra Fernández Villar como secretaria-tesorera e Iria López Fernández y Ernest Mallat Callís como vocales. Todos ellos, excepto el Dr. Mallat, formaban parte ya del equipo que ha liderado la sociedad en el periodo 2021-2024. Por su parte, el Dr. Alfonso Gil López-Areal, anterior vocal de la Junta Directiva, se centrará en la dirección del congreso que SEPES celebrará en Bilbao en 2025 y en la colaboración en el área de formación online internacional.

En palabras del presidente de la Junta de SEPES, Guillermo Pradíes, “la decisión de renovar para otros tres años la labor de la Junta está avalada por el compromiso de culminar los proyectos diseñados y emprendidos durante el período anterior integrados en el Plan Estratégico a cuatro años que SEPES está llevando a cabo desde 2023 y que obedecen al análisis del presente de la sociedad y al futuro hacia el que se dirige”. El propósito de este plan es establecer un marco de referencia en el que se integre la investigación, formación, divulgación y acción social de SEPES y que trascienda a las sucesivas juntas directivas garantizando así la estabilidad de los proyectos que estén en óptimo funcionamiento.

La decisión del presidente Pradíes de renovar por otros tres años su labor al frente de la sociedad está respaldada por la motivación y el compromiso de todos los miembros de la Junta por la consecución de estos objetivos marcados para estos próximos años en el Plan Estratégico.

NUEVA JUNTA DIRECTIVA DE SEPES PARA 2024-2027

“EL IV CONGRESO NACIONAL MULTIDISCIPLINAR DE SALUD BUCODENTAL DE HIGIENISTAS DENTALES TRAERÁ NUEVAS IDEAS Y METODOLOGÍAS”

Rosa Tarragó-Gil, presidenta del IV Congreso Nacional Multidisciplinar de Salud Bucodental (15 y 16 noviembre de 2024, Zaragoza)

La presidenta Colegio Profesional de Higienistas Dentales de Aragón y vicepresidenta de la Unión de Colegios Profesionales de Higienistas Dentales de España, Rosa Tarragó-Gil, es también la presidenta del IV Congreso Nacional Multidisciplinar de Salud Bucodental, que tendrá lugar en Zaragoza los días 15 y 16 de noviembre y que, según nos adelanta su presidenta, será “un encuentro único para el aprendizaje y el intercambio de experiencias en el sector de la salud bucodental”.

 DM.- ¿Qué les ha llevado a elegir Zaragoza como sede del IV Congreso Nacional Multidisciplinar de Salud Bucodental?

Rosa Tarragó-Gil (R. T-G.).- La Unión de Colegios Profesionales, que representa a más de 10.000, ha elegido Aragón para celebrar el Congreso Nacional. El histórico edificio de la Universidad del Paraninfo de Zaragoza, donde el Dr. Ramón y Cajal daba clases

y Albert Einstein dio una conferencia, congregará a profesionales de la salud bucal. Este icónico lugar no solo ofrece un ambiente idóneo para los asistentes, sino que también permite una conexión sin precedentes entre higienistas, odontólogos, líderes de opinión e industria, donde se contará con 15 stands.

 DM.- ¿Cuáles serán los principales bloques del programa del congreso?

R. T-G.- El programa del Congreso se estructura en varios bloques que aseguran una experiencia enriquecedora:

 Talleres prácticos: se han organizado dos talleres de actualización en periodoncia y odontología de mínima intervención.

 Mesas de networking: innovadora actividad en España que permitirá el intercambio de protocolos, guías de práctica clínica y experiencias, con la participación de 8 mesas de trabajo.

 Ponencias de líderes de opinión en distintas especialidades odontológicas: se contará con 11 expertos nacionales e internacionales compartiendo las últimas tendencias en odontología.

 Premios científicos: oportunidad para que los higienistas y estudiantes presenten sus trabajos de investigación en formato póster, con premios para las mejores comunicaciones.

 Gran Higiene Fiesta: un evento social que culminará el congreso, permitiendo a los participantes disfrutar de la vida nocturna de Zaragoza. Este congreso no solo fortalecerá el crecimiento profesional y el intercambio de conocimiento, sino que también celebrará el continuo desarrollo de la profesión de higienista dental en un entorno universitario con espíritu de trabajar en equipo higienistas dentales, dentistas, protésicos dentales y otras especialidades como enfermería, matronas, médicos y fisioterapeutas para mejorar la salud bucal y general de las personas.

 DM.- ¿Qué expectativas tiene para este IV Congreso Nacional Multidisciplinar de Salud Bucodental respecto a la participación y contribución al desarrollo profesional de los asistentes?

R. T-G.- Confío en que la variedad de ponencias y talleres programados estimulará a aplicar protocolos de prevención, promoción, educación de la salud oral y técnicas de odontología de mínima intervención que los asistentes podrán aplicar en su práctica profesional diaria, potenciando la profesión de higienista dental. Además, el congreso ofrecerá nuevas ideas y metodologías que cambiarán la forma en la que se percibe la higiene bucal, una oportunidad única para establecer redes de contacto y colaboración interdisciplinaria, lo que sin duda contribuirá al crecimiento profesional de cada participante. Por otro lado, creo que este evento incentiva a los higienistas dentales a seguir actualizándose y formándose continuamente, recordando la importancia de su papel en la prevención y promoción de la salud bucal y general. Estoy convencida de que las contribuciones de nuestros asistentes enriquecerán la calidad asistencial a los pacientes y fortalecerán el desarrollo del sector. En definitiva, la culminación de esfuerzos y un reconocimiento a los logros de los higienistas dentales en España.

 DM.- ¿Cuáles considera que serán los principales retos y oportunidades que enfrentará el sector de la higiene bucal en los próximos años, y cómo espera que este congreso contribuya a abordarlos?

R. T-G.- Considero que el sector de la higiene bucal se enfrenta a importantes desafíos y grandes oportunidades en los próximos años.

Uno de los principales retos está siendo la ampliación de la cartera de servicios de salud bucal para grupos específicos como embarazadas, bebés

y niños hasta 5 años, personas con discapacidad y pacientes diagnosticados con cáncer de cabeza y cuello. Estos nuevos programas son esenciales para asegurar un cuidado integral a poblaciones que requieren atención especializada. El congreso pretende promover nuevos protocolos y guías de práctica clínica para estas ampliaciones, facilitando el intercambio de mejores prácticas y experiencias entre los profesionales del sector. Un desafío que estamos viviendo es el avance tecnológico, especialmente en la adopción de aplicaciones móviles (Apps) para mejorar la higiene bucal y la implementación de inteligencia artificial en el diagnóstico y tratamiento dental. Estas tecnologías no solo están cambiando la manera en que interactuamos con los pacientes, sino que también optimizarán la eficiencia de los tratamientos. En el congreso se verán estas innovaciones y su potencial para transformar la práctica dental. Además, el desarrollo de nuevos materiales en periodoncia y para la remineralización en odontología de mínima intervención abre un abanico de posibilidades para tratamientos menos invasivos y más efectivos. Este avance contribuirá a mejorar la calidad de vida de los pacientes, un objetivo primordial para nuestro sector. En cuanto a la estructura profesional, la creación de plazas nuevas durante este último año para higienistas dentales en áreas como cirugía maxilofacial, servicios de oncología y servicios de salud bucal del Ministerio de Defensa, refleja el reconocimiento creciente a la importancia de nuestra labor en la salud bucal y general. Asimismo, la figura del coordinador de higienistas dentales en Atención Primaria y las nuevas plazas creadas en varias comunidades autónomas reafirman nuestro papel clave en el sistema de salud. Finalmente, la revisión de las competencias del higienista dental y la creación del grado universitario en las que está trabajando la Unión de Colegios Profesionales de Higienistas Dentales de España representan pasos cruciales para profesionalizar aún más nuestro campo; en este sentido, en el congreso hay una ponencia sobre las competencias de los higienistas en Europa. Este congreso será una plataforma para abordar estos temas, promoviendo la colaboración entre profesionales y la exploración de estrategias que respondan a estos desafíos y aprovechen las oportunidades para avanzar en el cuidado de la salud bucal en España, siguiendo la Estrategia y Plan de Acción Mundiales sobre Salud Bucodental 2023-2030 de la Organización Mundial de la Salud (OMS). 

entrevista

Siguiendo la evolución de la Odontología para el profesional del sector llamado a construir el futuro

ENTREVISTA A LA INDUSTRIA DENTAL

Ángela Paredes y Lydia Gómez, Directora y Coordinadora del Servicio Técnico de W&H Ibérica

PENSANDO EN EL FUTURO

Digivolution 2024

Congreso Ibérico de Nobel Biocare

entrevista

info@eldentistamoderno.com

“W&H IBÉRICA ES UN EQUIPO HUMANO DEDICADO AL TRATO PERSONALIZADO A LA CLÍNICA DENTAL

EN EL SERVICIO POST-VENTA”

Ángela Paredes y Lydia Gómez, Directora y Coordinadora del Servicio Técnico de W&H Ibérica

Desde W&H Ibérica, la delegación de W&H para España y Portugal, trabajan para ofrecer a las clínicas el mejor servicio postventa de sus productos. Así nos lo explican Ángela Paredes y Lydia Gómez, Directora y Coordinadora del Servicio Técnico de W&H Ibérica, respectivamente, destacando su atención personalizada 360º y su plataforma técnica para agilizar el flujo de trabajo de la clínica.

Equipo de W&H Ibérica.

siguiendo la evolución de la Odontología

 DM.- ¿Qué es W&H Ibérica?

Ángela Paredes (Á.P.).- W&H Ibérica es la delegación de W&H para España y Portugal, fundada en 1998 en Valencia.

Cuenta con un equipo humano, profesional y motivado que, junto al apoyo de la central W&H Dentalwerk, son el secreto ante un sector dental en continua evolución hacia la asistencia integral del paciente en su salud bucodental.

En mi caso, además de directora de W&H Ibérica, también formo parte de la Junta del Sector Dental de la Federación Española de Empresas de Tecnología Sanitaria (Fenin), así como de la Fundación Tecnología y Salud, como miembro activo del sector en contacto con Sociedades Científicas, Universidades y la Administración del Estado.

El equipo de W&H Ibérica gestiona la venta de toda la gama de productos W&H y es, además, el Servicio Técnico Oficial ProService, del cual su Coordinadora Técnica es Lydia Gómez.

 DM.- ¿En que áreas destaca W&H?

Á.P.- Históricamente hablando, el instrumental rotatorio abrió la compañía al mundo con sus turbinas, contra ángulos y piezas de mano, creando una variedad profesional para llegar a cada aplicación dentro de la odontología.

La aparición del implante dental y el lanzamiento de nuestro motor de cirugía Implantmed supusieron la eclosión de la marca en España y Portugal por la fiabilidad de sus productos, así como por la postventa que tenía que estar siempre garantizada en un área de trabajo tan crítica. Ahora, junto con el Módulo Piezomed, forman el único sistema TODO EN UNO: Cirugía Oral, Implantología y Piezocirugía. Además, W&H dispone de una amplísima gama de esterilizadores Clase B, Lisa, Lara y Lina, que permiten a la clínica elegir el que mejor se adapte a sus necesidades, convirtiéndonos en la marca de autoclaves más vendida de España en 2023 (Fuente: Estudio Keystone).

 DM.- ¿Por qué recomendarías comprar productos W&H?

Á.P.- W&H ha basado su éxito en nuestro Servicio Postventa y nuestra atención personalizada 360º, esto significa que puedes ponerte en contacto con nosotros por teléfono, WhatsApp, email a través de nuestra web wh.com, en persona en nuestras instalaciones de W&H en Valencia o solicitando que te visitemos en tu clínica.

W&H ha basado su éxito en nuestro Servicio Postventa y nuestra

atención personalizada 360o ”

Ángela Paredes, Directora de W&H Ibérica

Esta atención personalizada 360º a la clínica dental en el mantenimiento de sus equipos, permite alargar considerablemente la vida útil de los productos. Además, este año, por ejemplo, hemos estado presentes en Expodental y estaremos con nuestros distribuidores este mes de noviembre en la OMD de Portugal, para poder ofrecer información “hands on” a nuestros clientes. Próximamente, os esperamos en la IDS de Colonia en marzo de 2025.

 DM.- ¿Y cómo es el contacto con la clínica dental? Lydia Gómez (L.G.).- Contamos con una red comercial que nos permite estar en el día a día de la clínica para ofrecer el mejor servicio postventa. Además, disponemos de especialistas de producto que podrán darle el mejor asesoramiento dependiendo de sus necesidades de aplicación. Estamos a su disposición para poder programar cursos con nuestro especialista para despejar dudas, tanto online como presencial, y que pueda darle el mayor rendimiento a su equipo.

En la imagen, Ángela Paredes, Directora de W&H Ibérica, acompañada del equipo comercial de la empresa.

 DM.- ¿Qué diferencia a su Servicio Técnico ProService?

L.G.- Disponemos de una Plataforma Técnica, www.whiberica.es, que permite a la clínica dental el registro del producto, la gestión de recogida de reparaciones con transporte gratuito, la documentación y el status de la reparación, para agilizar su flujo de trabajo en la clínica.

Además, como fabricantes, podemos proporcionar un asesoramiento técnico telefónico que nos permite resolver incidencias, sin la necesidad de enviar el producto al Servicio Técnico.

Por otro lado, usamos solo repuestos originales y reparamos al detalle, es decir, nuestros productos han sido diseñados para cambiar solo los repuestos necesarios para un óptimo rendimiento del equipo. Eso nos permite ofrecer el mejor precio para la clínica dental.

“ Llevamos años ya trabajando en una solución personalizada donde tiene cabida el flujo de la reparación, garantizando un asesoramiento preventivo ”
Lydia Gómez, Coordinadora del Servicio Técnico de W&H Ibérica

De este modo, nos aseguramos de que el equipo de trabajo sea lo más eficiente y productivo posible, pero siempre con la garantía del fabricante que ha diseñado por y para la odontología.

 DM.- ¿Cómo se prepara W&H para el futuro?

L.G.- Llevamos años ya trabajando en una solución personalizada donde tiene cabida el flujo de la reparación, garantizando un asesoramiento preventivo con el fin de sostener los productos W&H en un entorno de producto sanitario donde, como fabricantes, garantizamos el trabajo de los profesionales junto con los repuestos originales de la marca. Además, nuestros productos cuentan ya con IT de las cosas gracias a nuestra plataforma IoDent, que nos permite hacer un seguimiento de su equipo para garantizar un perfecto funcionamiento, ya que detecta incidencias y se adelanta a situaciones de mantenimiento. Con W&H crecemos todos incorporando actualizaciones continuas en nuestros productos, que permiten que se adapten al futuro sin necesidad de cambiar de equipo.

Desde hace décadas, el respeto por el pasado y la responsabilidad por el futuro han influido en las acciones de W&H. En el afán por ofrecer a nuestros clientes la mejor gama de productos y soluciones, siempre hemos dado una gran importancia a los aspectos de calidad, seguridad y protección medioambiental. 

Lydia Gómez, Coordinadora del Servicio Técnico de W&H Ibérica, junto al Equipo ProService de W&H Ibérica.
Sede de W&H Ibérica.

La solución integral para su clínica con la máxima seguridad y 3 años de garantía.

Sistema modular Implantmed Plus, Módulo Piezomed y Osstell Beacon Cirugía ósea mínimamente invasiva, preparación del lecho, mecanizado de roscas, inserción del implante, medición de la osteointegración y documentación.

* Consulte

Gama de esterilizadores W&H con ciclos clase B

La gama cuenta con esterilizadores desde los 3 hasta los 28 litros que, gracias a su reducido consumo de agua, de energía y costes de servicio, pueden considerarse de los más rentables del mercado.

W&H Ibérica C/Canónigo Tárrega, 33 46014 Valencia, España wh.com

+34 96 353 20 20 +34 609 33 33 78 oficinas.es@wh.com

Nuevo

pensando en el futuro

EL FLUJO DE TRABAJO DIGITAL EN LA IMPLANTOLOGÍA, PROTAGONISTA DEL CONGRESO IBÉRICO DIGIVOLUTION 2024 DE NOBEL BIOCARE

El Congreso Ibérico Digivolution de Nobel Biocare, celebrado el 27 de septiembre en Porto (Portugal), abre un nuevo capítulo en la implantología digital. Poniendo el foco en el flujo de trabajo digital, el evento recibió a más de 400 profesionales interesados en la integración del flujo de trabajo digital en sus consultas para mejorar la eficiencia, la seguridad y precisión de los tratamientos.

Con el nombre de Digivolution y la invitación:

“Sé más audaz, más eficiente, hazte digital. Prueba algo nuevo en 2024”, Nobel Biocare celebró su Congreso Ibérico Digivolution 2024 el 27 de septiembre en Porto (Portugal), donde la firma presentó un programa con un claro foco en la constante evolución en el flujo de trabajo digital, desde el escaneado hasta la prótesis definitiva, para ofrecer tratamientos de implantes más eficientes, rápidos, cómodos y seguros para los pacientes.

Más de 400 profesionales participaron en este evento que, en palabras de Vasco Afonso, director Ibérico de Nobel Biocare, “transformará la manera de enfocar vuestra práctica diaria y el tratamiento de vuestros pacientes. Una manera más rápida, más segura y más precisa, superando las expectativas de los pacientes”, porque “en Nobel Biocare estamos por vosotros y para vuestros pacientes y esto es lo que nos empuja a evolucionar”, añadió Afonso.

Los Dres. Ángel Fernández Bustillo y Joao Carlos Ramos, moderadores del Congreso Ibérico Digivolution 2024.
Fotos: Nobel Biocare

siguiendo la evolución de la Odontología

Nuevos pasos hacia la transformación digital El evento, que colgó el cartel de sold out dos meses antes de su celebración, fue moderado por los doctores Ángel Fernández Bustillo y Joao Carlos Ramos. “Soy un firme convencido de la gran utilidad de la tecnología para su integración en el trabajo clínico. De hecho, en nuestro centro la aplicamos desde hace años prácticamente en el 100% de los casos para el proceso de diagnóstico, planificación e intervención quirúrgica”, apunta el Dr. Fernández Bustillo, médico

En Nobel Biocare estamos por vosotros y para vuestros pacientes y esto es lo que nos empuja a evolucionar ”

especialista en Cirugía Oral y Maxilofacial, destacando como principales ventajas “la predictibilidad, la seguridad, la menor duración de los tratamientos y una mejor respuesta a las expectativas del paciente, que es el gran beneficiado de la odontología y la cirugía digital”. En cuanto al camino que tomará la odontología digital en lo que se refiere a predictibilidad y planificación, asegura que “hay que dar nuevos pasos para mejorar la integración entre herramientas y lograr una colaboración más ágil entre especialistas, laboratorios y protésicos dentales. En la medida en que dicha integración sea más sólida con respecto a las herramientas, la gestión de los procesos y los tiempos y la capacitación profesional, lograremos que la planificación sea mucho más eficiente y nos permita asegurar resultados más predecibles. La tecnología digital nos debe permitir, como ya está ocurriendo en muchos casos, que el paciente conozca de antemano y con total precisión cuál será el resultado final del tratamiento y que responda a lo que espera de él”.

Vasco Afonso, director Ibérico de Nobel Biocare.

pensando en el futuro

Explorando nuevas fronteras en implantología dental

Por su parte, los doctores Rui Figueiredo y Octavi Camps participaron en el Congreso Ibérico Digivolution 2024 de Nobel Biocare para presentar las primeras y prometedoras conclusiones de un estudio en curso de cirugía navegada con X-Guide® en la Fundació Josep Finestres. “Las primeras conclusiones del estudio —el primer ensayo clínico que ha evaluado el impacto de la cirugía navegada en cirujanos bucales inexpertos— han arrojado resultados muy alentadores en cuanto a la precisión y eficacia en la colocación de implantes dentales”, asegura el Dr. Octavi Camps. Sobre las ventajas de la cirugía guiada dinámica con X-Guide® frente a la colocación a mano alzada de implantes, el Dr. Rui Figueiredo remarca que “en primer lugar, la precisión es considerablemente superior. Al reducir las desviaciones durante el procedimiento, se asegura una colocación más exacta del implante, lo que permite minimizar los riesgos y complicaciones para los pacientes, incrementando así la seguridad del procedimiento”. En esta misma línea, el Dr. Octavi Camps añade que “en comparación con técnicas tradicionales como la cirugía de mano alzada, el uso del sistema X-Guide® ha logrado reducir las desviaciones angulares y lineales entre un 100% y un 200%, sin aumentar el tiempo quirúrgico. Esta mejora significativa se traduce en una colocación de implantes mucho más precisa,

un factor clave para garantizar el éxito a largo plazo de los tratamientos implantológicos. Además de su precisión, el sistema X-Guide® ha sido altamente valorado por los pacientes y ha demostrado ser considerablemente más seguro, al minimizar los riesgos de complicaciones asociadas con la proximidad a estructuras anatómicas críticas, como el nervio dentario inferior y los senos maxilares. Esta mayor seguridad no solo mejora la experiencia del paciente, sino que también refuerza la confianza en el procedimiento, reduciendo la posibilidad de errores y complicaciones postoperatorias”.

Otra ventaja significativa de la cirugía guiada dinámica con X-Guide® está relacionada con la curva de aprendizaje. Tal y como explica el Dr. Rui Figueiredo, “la cirugía guiada dinámica ayuda a los cirujanos con menos experiencia clínica a lograr niveles de precisión consistentes que antes solo se conseguían tras años de práctica, acortando la brecha entre cirujanos noveles y experimentados. Esto permite que la calidad asistencial no esté tan dependiente de la experiencia del profesional”. Por su parte, el Dr. Octavi Camps opina al respecto que “más allá del impacto clínico, esta tecnología está revolucionando la formación de los futuros profesionales, transformando la manera en que los estudiantes aprenden y perfeccionan sus habilidades quirúrgicas. X-Guide® obliga a los alumnos a planificar cada caso con precisión y les ofrece una ex-

Los Dres. Rui Figueiredo y Octavi Camps.

siguiendo la evolución de la Odontología

periencia inmersiva y didáctica que facilita la comprensión de conceptos tridimensionales complejos, algo difícil de lograr con métodos tradicionales. Gracias a esta herramienta, hemos logrado acortar la curva de aprendizaje, permitiendo que los estudiantes adquieran confianza y competencia de forma más rápida y eficiente, lo que se traduce en mejores resultados tanto en su formación como en su futura práctica clínica”.

El presente de la próxima generación

El Dr. Pedro Peña fue el encargado de moderar el último bloque del congreso, titulado “Anticipando el futuro: explorando el presente de la próxima generación”, en el que participaron cuatro jóvenes clínicos: Íñigo Aguirre, Lucía Ruiz Rituerto, Pepe Rábago y Fernando Magro.

Íñigo Aguirre y Lucía Ruiz Rituerto realizaron una extensa descripción de todo lo que se había visto durante toda la jornada respecto a los escáneres intraorales, su utilización y sus limitaciones, así como sobre cirugía guiada basada en la prótesis y en el escáner intraoral y su integración en el flujo digital; y finalmente presentaron un caso clínico en el que combinaban ambas cosas: cirugía basada en el diseño digital con la cirugía guiada digital con férulas de guía estáticas y, posteriormente, la fabricación de una prótesis con las limitaciones que tiene el escáner intraoral para arcadas completas y

los diferentes tipos de posibilidades de estructuras y prótesis que se pueden realizar sobre implantes con resultados estéticos (zirconio, zirconio con bases de metal, estructuras de titanio revestidas de zirconio...). A continuación, Pepe Rábago hizo referencia a la UCM y al Máster de Odontología Digital que ha hecho junto con el Dr. Pradíes, y presentó un caso clínico con provisionalización inmediata basada en el diseño digital y una prótesis definitiva también basada en diseño digital. Por su parte, Fernando Magro ofreció una parte más quirúrgica, hablando de situaciones con falta de hueso e hizo referencia también a los implantes nasales, una técnica avanzada desarrollada en Brasil. Magro también explicó cómo trabaja con cirugía navegada en comparación con la cirugía tradicional y sus resultados, haciendo hincapié en las posibles complicaciones que se le podían presentar y cómo evitarlas con el uso de la cirugía navegada. En resumen, el Dr. Pedro Peña destaca que “estos jóvenes clínicos hablaron sobre algunas de las novedades de la odontología digital que se habían visto durante todo el congreso, tales como el Reverse Scan Abutment, un pilar de escaneado que se coloca en la prótesis y no en la boca y que sirve para comprobar que la posición de los implantes es correcta; la fotogrametría, técnica utilizada para la elaboración de mapas tridimensionales del terreno usando fotos realizadas simultáneamente por varias cámaras con distintos ángulos y que se aplica a la boca usando Scan Abutments Específicos, dando información de la posición de los implantes pero no del tejido blando; y Cirugía Navegada (como X-Guide®), una tecnología que permite visualizar la fresa en relación a una imagen 3D del hueso del

El Dr. Pedro Peña.

pensando en el futuro

El encuentro contó con ocho conferencias con casos clínicos y una cirugía en vivo de la mano de 24 expertos de España y Portugal, que abordaron la función inmediata y la odontología digital como una realidad que avanza rápidamente con innovadoras soluciones como la fotogrametría Fastmap, las impresoras 3D o el nuevo y mejorado pilar Multi-unit

paciente en tiempo real, informando de posición y profundidad en comparación con un plan preestablecido”. Asimismo, durante este bloque también se habló de las posibles complicaciones y del futuro de todas estas técnicas.

Espíritu de transformación digital

Todo este espíritu innovador y de transformación digital de la Odontología se ha visto reflejado en el Congreso Ibérico Digivolution 2024 de Nobel Biocare que “como pionera en muchos aspectos de la implantología y la odontología especializada, está haciendo un gran esfuerzo por situar la tecnología digital en el centro del quehacer profesional. Además de la I+D+i y el trabajo diario con los odontólogos, encuentros como Digivolution ayudan a que muchos profesionales descubran de forma llamativa la necesidad imperiosa que tienen de sumarse a la transformación digital. Y no solo porque su forma de trabajar puede estar quedándose atrás, algo que es evidente, sino porque el compromiso ético con los pacientes nos obliga a proporcionarle el mejor tratamiento posible para su salud y bienestar. La tecnología nos ha abierto un horizonte que no podemos desdeñar”, ha señalado el Dr. Fernández Bustillo.

Para el Dr. Rui Figueiredo, el Congreso Ibérico Digivolution 2024 de Nobel Biocare ha sido “un claro reflejo del proceso de transformación digital que estamos viviendo en la Odontología. Hemos visto cómo las tecnologías digitales están revolucionando nuestra práctica diaria, desde la planificación hasta la ejecución de los tratamientos”. Asimismo, pone de manifiesto “la necesidad de realizar estudios clínicos con las múltiples herramientas digitales que están disponibles en el mercado”, destacando “la impor-

tancia que pueden tener las universidades en este campo. Es nuestra obligación realizar estudios bien diseñados e independientes que permitan evaluar la eficacia y seguridad de estas nuevas tecnologías y presentarlos en este tipo de eventos”.

Por su parte, el Dr. Octavi Camps destaca “las presentaciones de vanguardia ofrecidas por un grupo de ponentes de renombre, quienes profundizaron en los rápidos avances tecnológicos que están revolucionando los flujos de trabajo digitales, desde el escaneado intraoral y la planificación virtual hasta la impresión 3D, la cirugía guiada y las restauraciones completas. Estos avances no solo optimizan la precisión y la calidad de los tratamientos, sino que también permiten a los profesionales simplificar procesos complejos y mejorar la experiencia del paciente”, además de resaltar las discusiones sobre las diferencias clave entre la cirugía navegada y la guiada, y la exploración de las nuevas fronteras en implantología, como el uso de tecnologías de planificación virtual avanzada para procedimientos quirúrgicos complejos. “Estos debates no solo reflejan el impacto de las herramientas digitales en la práctica clínica, sino también cómo estas tecnologías están marcando el camino hacia un futuro más eficiente y seguro en el campo dental”, añade el Dr. Octavi Camps, resumiendo que “el evento me brindó una visión clara y práctica de cómo los profesionales de la odontología pueden integrar estas innovaciones tecnológicas en sus consultas, mejorando la eficiencia operativa, la seguridad en los tratamientos y, por supuesto, la rentabilidad de sus prácticas”.

En total fueron ocho las interesantes conferencias con casos clínicos y una cirugía en vivo de la mano de 24 expertos de España y Portugal, que abordaron la función inmediata y la odontología digital como una realidad que avanza rápidamente con innovadoras soluciones como la fotogrametría Fastmap, las impresoras 3D o el nuevo y mejorado pilar Multi-unit. Una apuesta clara de Nobel Biocare por “seguir liderando la evolución de los flujos de trabajo digital de los tratamientos de implantes para todas las indicaciones, incluyendo los casos de arcada completa”, aseguran desde la compañía. Al final de la intensa jornada, el Dr. Istvan Urban invitó a los allí reunidos a asistir a su cirugía en directo en el próximo Congreso Ibérico de Nobel Biocare, que se celebrará los días 26 y 27 de septiembre de 2025 en Sevilla. 

MIN*

ESCANEADO

GMT90257 ES 2405 © Nobel Biocare, 2024. Reservados todos los derechos. Nobel Biocare, el logotipo de Nobel Biocare y todas las demás mar cas comerciales son, a menos que se especi�ique lo contrario o se deduzca claramente del contexto en algún caso, marcas comerciales de Nobel Biocare. Las imágenes de los productos no están necesariamente reproducidas a escala. DEXIS™ IS está fabricado por Dental Imaging Technologies Corporation (450 Commercial Drive, Quakertown, PA USA 18951) y distribuido por Nobel Biocare. Las impresoras SprintRay 3D están fabricadas por SprintRay Inc., 2705 Media Center Drive, Suite 100A, Los Angeles, CA y distribuido por Nobel Biocare. X-Guide® está fabricado X-Nav Technologies, LLC 1555 Bustard Road Suite 75, Lansdale PA 19446, USA y distribuido por Nobel Biocare. * Los tiempos indicados para el �lujo de trabajo digital del escaneado al provisioonal, se basan en un escenario optimizado que no incluye pasos adicionales como radiografías, anestesia del paciente e incluye plani�icación previa de los implantes. Los 60 minutos mencionados se re�ieren a una situación con una buena posición inicial del hueso y sólo deben servir a modo orientativo. nobelbiocare.com Nuestro �lujo de trabajo digital del escaneado al provisional en 60* minutos combina de manera única excelente hardware y software de diferentes fabricantes para crear un e�iciente �lujo de trabajo sin �isuras. Escanea el código QR para obtener más información.

LA ODONTOLOGÍA ESPAÑOLA FORTALECE SU PRESENCIA EN LA ÚLTIMA EDICIÓN

DEL RANKING DE EXCELENCIA CIENTÍFICA DE STANFORD

La Odontología española vuelve a destacar internacionalmente por su excelencia científica con la inclusión de 17 investigadores en la lista de los científicos más relevantes del mundo, en la nueva edición del ranking de la Universidad de Stanford (Ranking of the World Scientists: World´s Top 2% Scientists).

La clasificación que elabora la prestigiosa universidad californiana y que publica Elsevier, identifica a los investigadores cuyos trabajos han sido más citados durante su carrera científica evaluada entre los años 1996-2023 y también durante el último año 2024. Este ranking se basa en varios parámetros que incluyen el número de publicaciones indexadas, citas recibidas, índice h, coautoría y un indicador compuesto (score c) que determina el ranking. Como resultado, se ha creado una base de datos de más de 200.000 científicos de primer nivel en varios campos, que representan el 2% de los investigadores más importantes de todo el mundo. Concretamente, en el área de Odontología identifica a 2.695 investigadores en el mundo, y en esa lista incluye a 17 investigadores españoles (ver Tabla 1), dos más que en la edición previa del ranking. Al igual que el año anterior, el primero de esa lista sigue siendo el Dr. Eduardo Anitua, director del University Institute for Regenerative Medicine and Oral Implantology (UIRMI), que además ocupa un lugar muy destacado en el ranking global de Odontología, en la posición número 49 a nivel mundial. Le sigue el Dr. Mariano Sanz, de la Universidad Complutense de Madrid, situado en el ranking mundial en la posición 96.

Aguirre Urizar (Universidad del País Vasco),  Raúl González García (Hospital Universitario de Badajoz), Pedro Diz Dios (Universidad de Santiago de Compostela), Raquel Osorio (Universidad de Granada), Alberto Monje (Universidad Internacional de Catalunya), Manuel Bravo (Universidad de Granada), Juan Carlos de Vicente (Universidad de Oviedo) y Federico Hernández Alfaro (Universidad Internacional de Catalunya). Asimismo, en los datos de Stanford también se identifica a los investigadores más influyentes en el último año, atendiendo al impacto científico de sus trabajos publicados en 2023. En este sentido, en el área de Odontología, además de los científicos anteriormente mencionados, también aparecen otros investigadores españoles influyentes como Elena Figuero (Universidad Complutense), Ignacio Sanz Sanchez (Universidad Complutense de Madrid), Pablo Galindo (Universidad de Granada), Juan Jose Segura Egea (Universidad de Sevilla), Pablo Ramos García (Universidad de Granada), Pedro Bullón (Universidad de Sevilla) y Javier Montero (Universidad de Salamanca), entre otros (ver Tabla 2).

En el listado también encontramos a los doctores David Herrera (Universidad Complutense), Miguel Ángel González-Moles (Universidad de Granada), Cosme Gay-Escoda (Universitat de Barcelona), Pía López-Jornet (Universidad de Murcia), José Bagán (Universidad de Valencia), Manuel Toledano (Universidad de Granada), Abel García-García (Universidad de Santiago de Compostela), Juan J. Segura-Egea (Universidad de Sevilla), José Manuel

Tabla 2. Lista de Científicos Top Españoles en Odontología según el impacto científico de sus trabajos publicados en 2023.

Esta lista de influencia más reciente vuelve a estar encabezada por los Dres. Sanz y Anitua, ocupando las posiciones mundiales 18 y 43, respectivamente. 

Tabla 1. Lista de Científicos Top Españoles en Odontología (septiembre 2023).

AEDE ADVIERTE DE QUE

LA

ENDODONCIA REDUCE LA MORTALIDAD POR ENFERMEDADES CARDIOVASCULARES

Cada vez más estudios sugieren que la salud bucal tiene un impacto directo en la salud general, y especialmente en el riesgo de enfermedades cardiovasculares. El reciente estudio ‘Tooth Loss is a Risk Factor for Cardiovascular Disease Mortality: A Systematic Review with Meta-analyses’, de los doctores Anita Aminoshariae, Ali Nosrat, Aleksandar Jakovljevic, Jelena Jaćimović, Srinivasan Narasimhan y Venkateshbabu Nagendrababu, publicado en la revista Journal of Endodontics, ha explorado la relación entre la pérdida dental y la mortalidad por enfermedades cardiovasculares (ECV), mostrando que no tener dientes (edentulismo) o tener menos de 10 puede aumentar significativamente el riesgo de morir por ECV.

El análisis reveló que las personas que han perdido todos sus dientes o que tienen menos de 10 dientes presentan un riesgo 66% mayor de mortalidad por enfermedades cardiovasculares en comparación con aquellas con una dentadura más completa. La Asociación Española de Endodoncia (AEDE) destaca la necesidad de la prevención y la endodoncia como el tratamiento más efectivo para preservar la salud bucal y, con ello, la salud general. La pérdida dental no es solo un problema estético o funcional, sino que está estrechamente relacionada con la salud sistémica. Mantener los dientes naturales, a través de buenos hábitos de higiene bucal y visitas regulares al dentista, es clave para reducir el riesgo de desarrollar problemas de salud graves como las enfermedades del corazón, recuerdan desde AEDE. 

UNO DE CADA CUATRO ESPAÑOLES NO MANTIENE UNOS HÁBITOS ADECUADOS DE HIGIENE BUCODENTAL

En la actualidad, 1 de cada 4 españoles no mantiene unos hábitos adecuados de higiene oral, lo que constituye un problema serio de salud pública, ya que aumenta el riesgo de enfermedades bucodentales como la caries, la gingivitis y la periodontitis, que a su vez pueden afectar de manera significativa a la salud general. Con el objetivo de concienciar a la población sobre la relevancia que tiene la higiene bucodental para la salud, el Consejo General de Dentistas y la Fundación Dental Española (FDE) han organizado, con la colaboración de Oral B, un evento divulgativo en el que, sobre la maqueta de una boca de grandes dimensiones, se ha explicado cómo deben emplearse correctamente los cepillos manuales y eléctricos, irrigadores, cepillos interdentales, seda dental, colutorios, etc. En la presentación del evento, el Dr. Óscar Castro Reino, presidente del Consejo de Dentistas y de la FDE, ha explicado que esta iniciativa tiene un doble enfoque. “Por un lado, está dirigida al público general, al que se ha proporcionado información accesible, reforzando el papel del dentista como prescriptor y profesional capacitado para realizar cualquier tratamiento bucodental. Y, por otro, también está orientada a profesionales del sector dental, ofreciendo actualizaciones sobre las últimas técnicas y herramientas de higiene bucodental, siempre basadas en la evidencia científica ”, ha indicado el Dr. Castro. El acto, en el que se ha utilizado la maqueta de una boca de grandes dimensiones para mostrar cómo debe emplearse cada herramienta en la práctica diaria, ha contado con la participación, como experta, de

la presidenta del Colegio de Dentistas de Melilla y patrona de la FDE, la Dra. Carolina Escudero, quien ha sido la encargada de detallar pormenorizadamente cómo debe emplearse cada uno de estos utensilios. Así, durante el evento se indicaron los elementos y claves indispensables para una buena higiene bucodental, destacando las ventajas y beneficios del uso del cepillo eléctrico, el cepillo manual, la pasta fluorada, el cepillo interdental, la seda dental, los colutorios, los irrigadores bucales, el limpiador o raspador lingual y productos para la limpieza de prótesis. “Es fundamental utilizar estas herramientas correctamente para mantener una adecuada salud bucodental, pues una buena rutina de higiene no solo previene enfermedades dentales, sino que también contribuye al bienestar general. Ante cualquier duda, el dentista indicará los métodos de higiene oral más adecuados y las técnicas recomendables para cada paciente”, concluyó el Dr. Castro. 

TENDENCIAS CLÍNICAS QUE MARCARÁN EL FUTURO DE LA TERAPÉUTICA DE IMPLANTES Y LA SALUD PERIIMPLANTARIA

Para hacer frente con éxito a los retos que se plantean en la prevención y abordaje de las enfermedades periimplantarias es necesario y urgente responder a las crecientes incógnitas que subsisten o que emergen constantemente en este ámbito. Disponer de un conocimiento adecuado y de la valoración conjunta de expertos relevantes sobre estos temas aporta unas bases indispensables para el progreso y el avance. Estas son las premisas fundamentales que fundamentan un ambicioso proyecto de carácter científico y clínico. Los doctores Alberto Monje y Ana Molina son los coordinadores científicos de esta iniciativa, que es fruto del acuerdo entre dos instituciones que lideran la investigación y divulgación de conocimientos en el ámbito de la salud periimplantaria. SEPA y Ticare refuerzan su colaboración estratégica con un proyecto de gran alcance, enmarcado dentro de la Comunidad de Conocimiento de Implantes y Salud Periimplantaria de SEPA. Bajo el título “Tendencias clínicas orientadas al éxito a largo plazo de la terapéutica de implantes y la salud periimplantaria”, se pone en marcha una iniciativa pionera e innovadora, acorde a los valores de rigor y excelencia que caracterizan a SEPA, fruto del compromiso con la investigación y la divulgación científica de Ticare, empresa española especializada en la fabricación de implantes y la promoción de la salud periimplantaria.

“El proyecto surge ante la necesidad de conocer factores aún no explorados o que no cuentan con evidencia científica suficiente pero que, sin embargo, resultan de especial interés”, explica el Dr. Alberto Monje. “Se trata de un intento innovador y sobresaliente para entender mucho mejor cuál es el estado actual de muchas tendencias clínicas significativas, en base al conocimiento y experiencia de profesionales clínicos muy cualificados y de referencia. El propósito es avanzar clínicamente e incentivar la investigación sobre aspectos aún no resueltos o que disponen de una evidencia muy limitada, pero que son claves en el abordaje para la prevención y tratamiento de patologías periimplantarias”, añade el Dr. Monje.

El proyecto ‘Tendencias Clínicas’ se articula a través de un estudio prospectivo basado en la metodología Delphi, técnica cualitativa de investigación enfocada en la identificación de consensos predictivos entre un grupo de expertos. Como punto de partida se recabará la evidencia científica existente y la percepción clínica por parte del grupo de expertos. Este estudio pretende servir como reflexión conjunta y consensuada sobre cuestiones candentes, controvertidas y de enorme interés clínico presente y futuro, todo ello con el propósito último de optimizar la terapia de implantes. 

INVESTIGADORES DE LA UCM PRESENTAN LOS RESULTADOS DE UN ESTUDIO EUROPEO SOBRE

LA “HIPERSENSIBILIDAD DENTINARIA”

I nvestigadores y expertos de la Universidad Complutense de Madrid (UCM) han participado en el evento científico “Hipersensibilidad dentinaria: por qué ocurre, qué importancia tiene y cómo tratarla”, celebrado el 26 de octubre en la Facultad de Odontología de la UCM y donde se han explicado y analizado los datos más relevantes del reciente estudio europeo Meribel, llevado a cabo en siete países, que aborda esta patología. El evento se ha realizado gracias al convenio entre la UCM y Haleon, especialista mundial en Consumer Healthcare gracias a marcas de referencia como Sensodyne, Parodontax o Corega.

El estudio Meribel realizado en siete países europeos, incluido España (con centro de referencia en la UCM) y cuyos resultados se han publicado en la revista científica Journal of Dentistry, evaluó a 3.551 participantes para analizar la prevalencia de la hipersensibilidad dentinaria, el desgaste de los dientes por erosión, la recesión de las encías o la inflamación de las mismas, así como los factores asociados con todas ellas.

El profesor David Herrera, investigador principal en el centro UCM, destaca los resultados: “Un 75,9% de las personas del estudio pre-

sentaban hipersensibilidad dentinaria, con una medición objetiva; la erosión dental se evidenciaba en el 97.6%, la recesión gingival en el 87.9%, y el 65.7% presentaba sangrado en más del 10% de localizaciones medidas. Y todas estas patologías aumentaban su prevalencia a lo largo de la vida adulta, aunque la hipersensibilidad empieza a descender a partir de los 38-47 años”.

Si se analizan los datos de las 379 personas evaluadas en España, la prevalencia global de hipersensibilidad dentinaria fue del 54.1%, más baja que la evaluada en el estudio europeo, mientras que la presencia de erosión era del 100%, superior a la valoración conjunta de los siete países. La recesión se detectó en 78.6% (inferior al nivel europeo) y 77.5% de los individuos tenían sangrado en más de 10% de localizaciones, superando los niveles europeos. Los investigadores concluyeron, como resalta la profesora Bettina Alonso, coordinadora de la investigación en la UCM, que “la prevalencia de las patologías evaluadas es más alta de lo que previamente se estimaba y que depende de numerosos factores, especialmente de la edad y del país”. 

UIC BARCELONA REÚNE MÁS DE 1.000 PROFESIONALES EN LA XVII JORNADA DE ACTUALIZACIÓN EN ODONTOLOGÍA

Un año más, el Campus Sant Cugat de la UIC Barcelona se convirtió en el punto de encuentro de los más de 1.000 profesionales del sector odontológico que participaron en la XVII Jornada de Actualización en Odontología, celebrada el sábado 5 de octubre. Organizada por la Facultad de Odontología, la jornada se reafirma como el encuentro de referencia donde profesionales de diferentes áreas de la odontología e higienistas pueden poner al día sus conocimientos y mejorar sus competencias clínicas.

El Dr. Lluís Giner, decano de la Facultad de Odontología de la UIC Barcelona, fue el encargado de inaugurar la XVII Jornada de Actualización en Odontología.

De la mano de profesores y alumnos de posgrado referentes en las distintas áreas profesionales, los asistentes pudieron participar en ponencias y talleres centrados en las especialidades clave del sector y en los tratamientos y técnicas más actuales en cirugía, clínica integrada, endodoncia, estética dental, gestión dental, odontopediatría, ortodoncia, pacientes especiales y gerodontología, periodoncia, preventiva, y prótesis. El

Dr. Lluís Giner, decano de la Facultad, inauguró la jornada destacando que “para toda la familia que formamos la Facultad de Odontología es un orgullo celebrar la decimoséptima edición de esta jornada, que nos permite reencontrarnos con alumni y compañeros de profesión con los que compartimos nuestra pasión por la odontología. Nos recuerda que, no solo formamos grandes profesionales que no dejan de aprender, sino que también hemos creado un vínculo personal y cercano entre todos los que han formado y formamos parte de la Facultad”.

En el marco del encuentro tuvo lugar la entrega de los tradicionales Premios Dr. Miquel Cortada. La Dra. Sandra Fernández y el Dr. Akram Ali, vicedecanos de la Facultad, fueron los encargados de dar a conocer el nombre de los ganadores: Lise Brahic, en la categoría de mejor Trabajo de Final de Grado y Maria Chiara Cappiello, en la categoría de mejor Trabajo de Final de Master. 

FUNDACIÓN ANAR Y MOONZ RENUEVAN SU ACUERDO PARA GARANTIZAR

LA ASISTENCIA BUCODENTAL DE MENORES DE EDAD EN HOGARES DE ACOGIDA

Moonz, la marca dental especializada en ortodoncia infantil y odontopediatría perteneciente a Donte Group, y Fundación ANAR, organización sin ánimo de lucro que se dedica a la promoción y defensa de los derechos de la infancia y adolescencia, han renovado su acuerdo de colaboración con el objetivo de continuar garantizando la asistencia bucodental a menores de edad que residen en hogares de acogida ANAR. Al evento han asistido Ana Milans, responsable de Alianzas con Empresas y Organización de Eventos de la Fundación ANAR; el Dr. Javier Girón de Velasco, director general de Moonz; Myriam Sada, cofundadora de Moonz; Ana Martínez, responsable de Sostenibilidad de Donte Group; y por parte de los hogares de acogida, Pepi Martín, coordinadora de los Hogares ANAR; Patricia Molina, educadora social, y Juana Martín, pedagoga.

La marca especializada en ortodoncia infantil y odontopediatría, a través de su red de clínicas dentales, realizará revisiones gratuitas a los niños que actualmente están acogidos en los dos hogares de Fundación ANAR en Madrid, así como la asunción del 100% de coste y realización de los tratamientos ortodónticos que derivasen de estas revisiones. Como parte de este acuerdo de colaboración, Donte Group aportará una dotación económica equivalente a la financiación de, aproximadamente, 60 peticiones de ayuda al Teléfono/Chat ANAR atendidas por profesionales de la Psicología, Derecho y Trabajo Social especializados en Infancia y Adolescencia, que ofrecen asistencia y protección a niños, niñas y adolescentes ante problemáticas como ciberbullying, agresión sexual, maltrato o salud mental, entre otras. 

UIC Barcelona

Detection Eye, el escáner intraoral para el flujo de trabajo digital de Zirkonzahn

El escáner intraoral Detection Eye se distingue por su extrema precisión en la toma de impresiones y su alta velocidad de escaneado, lo cual permite digitalizar la arcada del paciente en menos de 60 segundos. El escáner realiza escaneos en color y en tiempo real con límites de preparación bien definidos, garantizando un proceso más sencillo gracias a la digitalización sin la presencia de polvo.

Gracias al intuitivo software, el usuario puede escanear con un solo botón o utilizar la función de “Motion Sensing” para emitir órdenes con sólo mover el escáner. Esta tecnología simplifica la manipulación y garantiza una impresión sin riesgo de contaminación cruzada por contacto con el PC. El software de inteligencia artificial identifica y elimina automáticamente los datos superfluos de los tejidos blandos, para lograr un proceso de exploración rápido y optimizado.

Por último, la opción del uso de dos tipos de puntas diferentes (estándar y pequeña), hace posible que el procedimiento sea más cómodo para el paciente.

Zirkonzahn www.zirkonzahn.com

Align Technology lanza iTero™ Design Suite

Align Technology, Inc. presenta iTero™ Design Suite, una herramienta digital con la que los doctores podrán diseñar en 3D modelos, férulas de descarga y restauraciones directamente desde la clínica. Esta última innovación del software permitirá que los doctores trabajen en sus diseños de forma intuitiva para luego imprimirlos en 3D desde la clínica; de esta forma podrán trabajar con más eficiencia y empezar el tratamiento antes, lo que repercutirá de manera positiva en la experiencia de paciente.

Además, esta innovación pone en valor la plataforma Align™ Digital Platform, que incluye un portfolio innovador de tecnologías centradas en el cliente que agilizan de principio a fin los flujos de trabajo de los profesionales del sector dental. iTero Design Suite ya está disponible en España y Portugal.

Align Technology www.aligntech.com

Ticare presenta su Set de Explantación atraumática y extracción de tornillos rotos

Entre los lanzamientos que Ticare presenta para 2024 se encuentra el Set de Explantación atraumática y extracción de tornillos rotos. El set permite la extracción de tornillos fracturados o con cabeza hexagonal redondeada, retirar prótesis fracturadas o gripadas y explantación. Es un set universal que dispone de plantillas esterilizables compatibles con otras marcas, aportando mayor flexibilidad en procedimientos quirúrgicos.

Este set ya se puede adquirir en Genetic, la tienda online de Ticare: www.genetic.ticareimplants.com/tienda/ Ticare www.ticareimplants.com

Primer Grupo de Prensa Profesional Especializado

NUESTROS CANALES DE DIFUSIÓN: 3 Revista en Papel 3 Revista Digital 3 Web 3 Newsletters 3 Redes Sociales

PUBLICACIONES MULTIPLATAFORMA CON CINCO PILARES QUE GARANTIZAN UNA VISIBILIDAD DEL 100%

NUESTRAS PUBLICACIONES:

AUTOMATIZACIÓN Y TECNOLOGÍA

Automática e Instrumentación www.automaticaeinstrumentacion.com

CONSTRUCCIÓN

CIC Arquitectura y Sostenibilidad - www.cicconstruccion.com

ClimaNoticias - www.climanoticias.com

ElectroNoticias - www.electronoticias.com

POSVENTA DE AUTOMOCIÓN

Talleres en Comunicación - www.posventa.info

Posventa de Automoción.com - Chapa y Pintura, Neumáticos y Mecánica Rápida, Nuestros Talleres, Recambios y Accesorios www.posventa.com

HOSTELERÍA Y RESTAURACIÓN

Hostelería, Diseño, Equipamiento, Food Service & Beverage www.revistahosteleria.com

DISTRIBUCIÓN

Aral - www.revistaaral.com

BeautyProf - www.revistabeautyprof.com

Nueva Ferretería - www.nuevaferreteria.com

INDUSTRIA

AutoRevista - www.auto-revista.com

Metales & Metalurgia-Máquinas - www.metalesymaquinas.com

Óleo - www.oleorevista.com

Revista PQ - www.revistapq.com

LOGÍSTICA Y TRANSPORTE

Autobuses & Autocares - www.autobusesyautocares.com

Logística Profesional - www.logisticaprofesional.com

Todotransporte - www.todotransporte.com

SANITARIO

DM Dentista Moderno - www.eldentistamoderno.com

Conexión NSK

Z990L

REF. PA2373

Conexión KaVo® MULTIflex®

Z990KL REF. PA2375

• Cabezal en ángulo de 100° • Cuerpo de Titanio con DURAGRIP Resistente a arañazos • Rodamientos de Cerámica • Óptica de Vidrio Celular

Portafresas Push Botton

Spray Quattro • Sistema de Cabezal Limpio

Parada rápida

Fácil cambio de cartucho • Velocidad: 280.000-360.000 min-1 • Tamaño del Cabezal: ø12,1 x

Z95L Con Luz 1:5

REF. C1034

• Clean Head System (Anti-Retorno) • Spray Switch (2 tipos de Spray: bruma y chorro) • Velocidad Máxima: 200.000 min-1

• Portafresas Push Button • Rodamientos de Cerámica • Microfiltro

• Clean Head System (Anti-Retorno) • Spray Switch (2 tipos de Spray: bruma y chorro) • Velocidad Máx: 40.000 min-1 • Óptica de Vidrio Celular • Portafresas Push Button • Microfiltro • Para fresas CA (ø2,35)*

Turn static files into dynamic content formats.

Create a flipbook
Issuu converts static files into: digital portfolios, online yearbooks, online catalogs, digital photo albums and more. Sign up and create your flipbook.
El Dentista Moderno Nº 89 by Versys Ediciones Técnicas, S.L. - Issuu