El Dentista Moderno Nº 91

Page 1


Siguiendo la evolución de la Odontología para el profesional del sector llamado a construir el futuro

ESPECIAL RESISTENCIA ANTIMICROBIANA

• PRAN

• Consejo de Dentistas

• SECIB

• SEPA

• SESPO

• Universidad Europea

CLÍNICAS MAEX

MULTIDISCIPLINAR

JÓVENES TALENTOS

Dr. Miguel Ángel Blanco

IMPLANTOLOGÍA

D4.0

10 REPORTAJES DE EVENTOS DEL SECTOR DENTAL

Masters en ORTODONCIA INVISIBLE

Máster en

Ortodoncia Invisible

Fechas:

• Módulo I: Online

• Módulo I: 14-15 Febrero 2025

• Módulo III: 7-8 Marzo 2025

• Módulo IV: 4-5 Abril 2025

• Módulo V: Study Club online (julio)

Sede: Málaga

Certificación SPARK

Onboarding:

Fechas: 8 Febrero 2025

Sede: Madrid

Sede: Madrid

Plataformas: Estrecha y 3.0

IMPLANTES CORTOS

REPLANTÉATE LOS TRATAMIENTOS DE LAS ATROFIAS ÓSEAS

• Menor traumatismo: sin reconstrucciones complejas.

• Más éxito sin complicaciones postoperatorias.

• Mayor aceptación por parte del paciente: sin demoras en la rehabilitación y aumentos de costes.

staff

Número 91 - Febrero 2025

Impresión: Gama Color

Depósito Legal: M-33444-2013

ISSN: 2340-9703

ISSN (internet): 2340-9797

Versys Ediciones Técnicas S.L. Invierno, 17 28850 Torrejón de Ardoz (+34) 912 972 000 administracion@versysediciones.com

CEO

José Manuel Marcos Franco de Sarabia

DIRECTORA DE OPERACIONES

Esther Crespo

Siguiendo la evolución de la odontología

DIRECTORA

Emiliana Rodríguez Charmes emi.rodriguez@eldentistamoderno.com

SUBDIRECTORA

Beatriz Suárez de la Vega beatriz.suarez@eldentistamoderno.com

REDACCIÓN Y FOTOGRAFÍA Departamentos propios Versys Ediciones Técnicas

COMITÉ CIENTÍFICO

Javier de la Cruz, José Nart, Jesús Daniel Parejo, Juan López Palafox, Miguel Burgueño, Juan Manuel Vadillo, Guillermo Galván, Rafael Martínez de Fuentes, Anna Ramiro, Carlos Repullo, Leticia Rodríguez, Marta Revilla, José María Malfaz, Eva Mª Martínez y Eva López de Castro

DISEÑO Y MAQUETACIÓN Manuel Beviá

DIRECTORA COMERCIAL ÁREA DE DISTRIBUCIÓN Mercedes Álvarez mercedes.alvarez@versysediciones.com

DIRECTORA DE CUENTAS DM

Emiliana Rodríguez Charmes emi.rodriguez@eldentistamoderno.com

EJECUTIVA DE CUENTAS DM Cristina Esquivel cristina.esquivel@eldentistamoderno.com

DIRECTOR DE EXPANSIÓN Y DESARROLLO

José Manuel Marcos de Juanes

Copyrigth Versys Ediciones Técnicas S.L. La suscripción a esta publicación autoriza el uso exclusivo y personal de la misma por parte del suscriptor. Cualquier otra reproducción, distribución, comunicación pública o transformación de esta publicación sólo puede ser realizada con la autorización de sus titulares. En particular, la Editorial, a los efectos previstos en el art. 32.1 párrafo 2 del vigente TRLPI, se opone expresamente a que cualquier fragmento de esta obra sea utilizado para la realización de resúmenes de prensa, salvo que cuente con la autorización específica. Diríjase a CEDRO (Centro Español de Derechos Reprográficos) si necesita fotocopiar, escanear, distribuir o poner a disposición de otros usuarios algún fragmento de esta obra, o si quiere utilizarla para elaborar resúmenes de prensa (www.conlicencia.com; 917021970/932720447)

Las opiniones y conceptos vertidos en los artículos firmados lo son exclusivamente de sus autores, sin que la revista los comparta necesariamente.

Premio de Comunicación SECIB 2019

Accede a El Dentista Moderno

ODONTOLOGÍA MODERNA: LA IMPORTANCIA DEL ODONTÓLOGO EN LA SALUD INTEGRAL

¡Bienvenidos al primer número del año de Dentista Moderno y D4.0! Con gran entusiasmo iniciamos este 2025, un año que promete estar lleno de innovación, novedades, ciencia y nuevos proyectos que seguirán marcando hitos en el sector dental.

La odontología moderna se posiciona clave en la salud general. Asume un rol que va más allá del cuidado dental, involucrándose en la prevención, diagnóstico y tratamiento de enfermedades sistémicas que se manifiestan a través de la cavidad bucal.

El odontólogo moderno debe estar al día ya que juega un papel fundamental en la educación y prevención, enseñando a los pacientes sobre la importancia de la higiene oral y los efectos negativos de hábitos nocivos.

De este modo es necesario que puedan acceder a toda la información que haga posible la actualización constante. Es por esto que hemos preparado un contenido diverso y cuidado que esperamos sea de gran interés. Comenzamos con un tema de máxima actualidad y gran relevancia como es la Resistencia Antimicrobiana (RAM). La Unidad de Coordinación del Plan Nacional frente a la Resistencia a los Antibióticos (PRAN), el Consejo General de Dentistas, sociedades científicas y expertos en formación han colaborado para ofrecer una sección detallada sobre la RAM y el plan de actuación PRAN (Plan Nacional frente a la Resistencia a los Antibióticos). Esta problemática es de vital importancia para la odontología moderna, y estamos seguros de que esta sección aportará conocimientos valiosos y recomendaciones prácticas.

También queremos destacar cómo la innovación tecnológica ha transformado la práctica odontológica, mejorando los diagnósticos y tratamientos a través de avances en imagen y técnicas mínimamente invasivas. En este sentido, destacamos el trabajo del Dr. Eduardo Anitua, quien nos presenta una solución de mínima intervención con implantes estrechos de plataforma reducida en una paciente afectada por el síndrome SAPHO. Asimismo, el Dr. Jorge Caubet nos muestra cómo la combinación de un abordaje multidisciplinar con las últimas innovaciones tecnológicas es clave para resolver casos complejos.

Además, hablamos en la sección “Jóvenes Talentos” con el Dr. Miguel Ángel Blanco, ortodoncista y profesor colaborador del Máster de Ortodoncia de la Universidad Complutense de Madrid, que nos detalla en esta entrevista su formación en Odontología, destacando el excelente nivel de la educación dental en España.

Del mismo modo, te invitamos a que veas y leas en las páginas de D4.0 los eventos más relevantes del sector odontológico de los últimos meses del año, cuyos resúmenes encontrarás en este número. Encuentros que han aportado una formación de altísimo nivel, contribuyendo al desarrollo continuo de la profesión odontológica.

Esperamos que disfruten de este primer número del año y encuentren en él ideas y conocimientos útiles para seguir avanzando.

Emi Rodríguez
Directora de Dentista Moderno y D4.0

sumario

EDITORIAL

Odontología moderna: la importancia del odontólogo en la salud general

Por Emi Rodríguez Charmes, directora de Dentista Moderno y D4.0

MAEX

Impulsando el crecimiento a través de una filosofía de excelencia, innovación y calidad asistencial

26

12

Prácticas odontológicas y resistencia antimicrobiana: cómo minimizar riesgos y optimizar tratamientos

Unidad de Coordinación del Plan Nacional frente a la Resistencia a los Antibióticos (PRAN)

El papel crucial de la odontología en la lucha contra la resistencia antimicrobiana

Dr. Óscar Castro Reino, Presidente del Consejo General de Dentistas de España

14

16

18

Resistencia antimicrobiana en Cirugía Bucal

Dr. Rui Figueiredo, profesor agregado de Cirugía Bucal en la Universitat de Barcelona y vicepresidente de la Sociedad Española de Cirugía Bucal (SECIB)

Las resistencias a los antimicrobianos: un desafío global para la salud pública y la odontología

Dra. Almudena Rodríguez, Profesora Ayudante Doctora en el Área de Medicina Preventiva y Salud Pública de la Universidad Santiago de Compostela. Sociedad Española de Epidemiología y Salud Pública Oral-SESPO

El problema de las resistencias bacterianas en la Periodoncia

Dra. Paula Matesanz, vicepresidenta de la Sociedad Española de Periodoncia y Osteointegración (SEPA)

20

El impacto de los antibióticos en la microbiota

Dra. Elisabeth Casañas, especialista en Periodoncia de la Universidad Europea, y Dr. Carlos Lagares, coordinador Clínico Clínica Universitaria Odontológica de la Universidad Europea y experto en Microbiota

MULTIDISCIPLINAR

Rehabilitación de maxilar extremadamente atrófico: combinación de técnicas al servicio del paciente

Autor: Dr. Jorge Caubet Biayna

32 JÓVENES TALENTOS

“Es fundamental desarrollar una visión multidisciplinar, independientemente del área de la odontología en la que te especialices”

Dr. Miguel Ángel Blanco, ortodoncista y profesor colaborador del Máster de Ortodoncia de la UCM

36 IMPLANTOLOGÍA

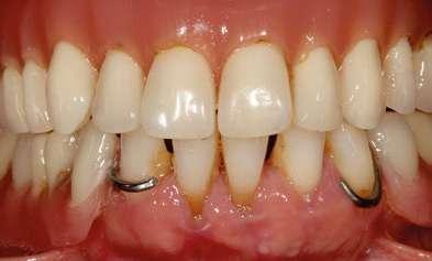
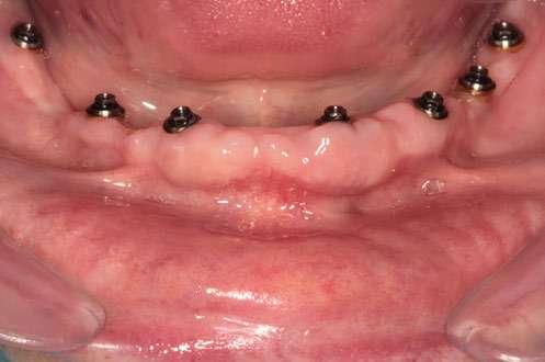
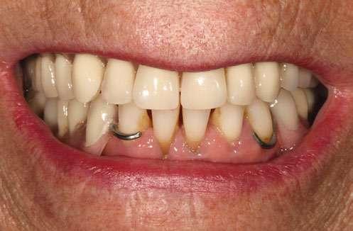
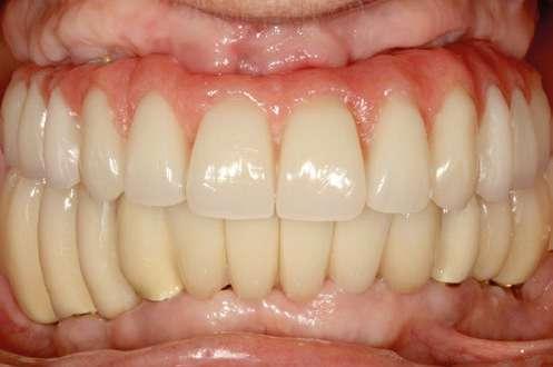
Implantes estrechos de plataforma reducida como solución de mínima intervención en una paciente afectada por el síndrome SAPHO.

A propósito de un caso

Autor: Dr. Eduardo Anitua

74

ACTUALIDAD DEL SECTOR DENTAL

78 NOVEDADES

Equipamiento, instrumental y material protésico, dental y clínico

PRÁCTICAS ODONTOLÓGICAS Y

RESISTENCIA

ANTIMICROBIANA: CÓMO MINIMIZAR RIESGOS

Y OPTIMIZAR TRATAMIENTOS

La resistencia a los antimicrobianos (RAM) se ha convertido en uno de los mayores desafíos para la salud global de las últimas décadas. El odontólogo juega un papel muy importante en el ámbito de la RAM como prescriptor de antibióticos y a la hora de realizar procedimientos quirúrgicos que pueden estar relacionados con infecciones orales. Desde el Plan Nacional frente a la Resistencia a los Antibióticos (PRAN), un plan de acción nacional multidisciplinar coordinado por la Agencia Española de Medicamentos y Productos Sanitarios (AEMPS), se facilitan herramientas que ayudan a los profesionales sanitarios a desempeñar las mejores prácticas en el uso prudente de los antibióticos, entre ellas, las Guías Terapéuticas Antimicrobianas, el sistema de calidad CertificaPROA o los programas Reduce.

La resistencia antimicrobiana, un problema de todos La resistencia a los antimicrobianos (RAM) se ha convertido en uno de los mayores desafíos para la salud global de las últimas décadas. Este fenómeno, que ocurre cuando los microorganismos como bacterias, virus, hongos y parásitos desarrollan la capacidad de resistir los medicamentos diseñados para eliminarlos, pone en peligro los avances médicos logrados hasta el momento.

La lucha contra la RAM se trata de un problema global, que afecta tanto a la salud humana como a la sanidad animal, el medio ambiente, la agricultura, el comercio y, por tanto, la economía mundial. Esta circunstancia es la que hace necesario tomar acciones urgentes y colaborativas entre gobiernos, científicos, profesionales de la salud y la sociedad en general para frenar su expansión y salvaguardar el bienestar colectivo.

“Campaña PRAN 2022: Antibióticos, tómalos en serio”.
Unidad de Coordinación del Plan Nacional frente a la Resistencia a los Antibióticos (PRAN)

En España llevamos una década abordando este problema mediante el Plan Nacional frente a la Resistencia a los Antibióticos (PRAN). Este plan, coordinado por la Agencia Española de Medicamentos y Productos Sanitarios (AEMPS), está alineado con las estrategias internacionales, tanto con el Plan de Acción Mundial sobre la resistencia a los antibióticos, liderado por el cuatripartito (OMS, FAO, OMSA y PNUMA), como con el Plan de Acción Europeo. Tenemos la suerte de contar con un plan de acción nacional multidisciplinar muy activo, que ha conseguido reducir el consumo de antibióticos en un 13,5% en salud humana y en un 69,5% en sanidad animal desde que comenzase en 2014. Durante estos 10 primeros años de PRAN se ha conseguido avanzar mucho. Para ello, ha sido necesario poner en marcha una estrategia One Health basada en 6 líneas de acción: vigilancia, control, prevención, investigación, formación y comunicación. Esta estrategia se nutre de una red de colaboradores que implica tanto a ministerios como a comunidades autónomas, sociedades científicas y al entorno académico, entre otros, y está en continuo crecimiento con el fin de incorporar profesionales de todos los ámbitos.

El papel

del odontólogo es crucial en el ámbito de la RAM dada su posición como prescriptor de antibióticos y de realizar procedimientos quirúrgicos

que pueden estar relacionados con infecciones orales ”

En la actualidad, este esfuerzo conjunto está dando su fruto. Sin embargo, aún queda mucho por hacer. Es por ello que las organizaciones e instituciones implicadas trabajan de manera ininterrumpida para frenar el problema de la resistencia antimicrobiana que, según estudios recientes, se estima que se haya cobrado la vida de 4,71 millones de personas en 2021 y auguran que, sin medidas adicionales, podría convertirse en la primera causa de mortalidad global para 2050, por encima del cáncer, la malaria o el sida. En 2022, la Comisión Europea (CE) y los distintos Estados Miembros identificaron la resistencia a los antimicrobianos como una de las tres principales prioridades en salud y, en 2023, la Unión Europea

“Guía terapéutica antimicrobiana del Sistema Nacional de Salud”.

especial resistencia antimicrobiana

(UE) adoptó una Recomendación del Consejo sobre la intensificación de las acciones de la UE para combatir la resistencia a los antimicrobianos con un enfoque One Health . Este documento ha puesto sobre la mesa objetivos de reducción específicos para cada Estado Miembro que, en el caso de la salud humana en España, son los siguientes:

 Reducción del consumo de antibióticos J01 en comunidad y hospital del 27% en DHD (Dosis Diaria Definida por 1.000 habitantes/día) entre los años 2019 y 2030.

 Aumento del porcentaje de consumo de antibióticos del grupo de acceso de la clasificación AWaRe de la Organización Mundial de la Salud hasta un 65%.

 Reducción de la incidencia por cada 100.000 habitantes de septicemias por Staphylococcus aureus resistente a meticilina (SARM) y por Escherichia coli resistente a cefalosporinas de tercera generación en un 10%; y por Klebsiella pneumoniae resistente a carbapenemes en un 4% desde 2019 hasta 2030.

La RAM, el PRAN y la práctica odontológica

El papel del odontólogo es crucial en el ámbito de la RAM dada su posición como prescriptor de antibióticos y de realizar procedimientos quirúrgicos que pueden estar relacionados con infecciones orales. Por

otra parte, la RAM tiene un impacto significativo en la práctica odontológica, ya que complica el tratamiento de infecciones orales comunes y afecta a la efectividad de los antibióticos utilizados por los dentistas. El odontólogo, por tanto, juega un papel esencial en la lucha contra la RAM, promoviendo prácticas de prescripción responsable, educación al paciente y la adopción de medidas preventivas que ayuden a controlar la propagación de infecciones orales sin recurrir innecesariamente a los antibióticos. Por este motivo, la práctica odontológica se incluye en los objetivos del PRAN desde sus inicios y así queda reflejado mediante la creación del Grupo de Trabajo y la colaboración con el Consejo General de Dentistas. Fruto de este trabajo conjunto es la presentación de la campaña “Uso adecuado de los antibióticos” en junio de 2024, durante la celebración de la Asamblea General de la Organización Colegial, que reunió a los presidentes de todos los colegios y juntas provinciales de dentistas del país. Desde el PRAN se facilitan herramientas que ayudan a los profesionales sanitarios a desempeñar las mejores prácticas en el uso prudente de los antibióticos, entre ellas, las Guías Terapéuticas Antimicrobianas, el sistema de calidad CertificaPROA o los programas Reduce

La guía terapéutica antimicrobiana del SNS incluye una sección con capítulos actualizados de odontología.

El caso de la guía terapéutica del Sistema Nacional de Salud (SNS) es de especial relevancia en el sector de la odontología, ya que puede ser utilizada como elemento de apoyo a la prescripción. El fin de esta guía, que se presenta tanto en formato de aplicación móvil como en versión web, es aportar recomendaciones para el abordaje de las enfermedades infecciosas más prevalentes en la comunidad, basándose en las últimas evidencias disponibles y en los datos de resistencias de los principales patógenos. De esta forma, se contribuye a la optimización y homogeneización de la prescripción de los tratamientos antibióticos y, con ello, a la reducción del riesgo de desarrollo de resistencia. La guía es un proyecto vivo, sujeto a una revisión permanente y las infecciones odontológicas han sido una de las prioridades del PRAN a la hora de actualizarla. Desde 2024, incluye una actualización de los capítulos de odontología sobre el abordaje de los procesos de la cavidad bucal, que ha sido

La guía terapéutica del Sistema Nacional de Salud aporta recomendaciones para el abordaje de las enfermedades infecciosas más prevalentes en la comunidad, basándose en las últimas evidencias disponibles y en los datos de resistencias de los principales patógenos. De esta forma, se contribuye a la optimización y homogeneización de la prescripción de los tratamientos antibióticos y, con ello, a la reducción del riesgo de desarrollo de resistencia ”

Reunión de Alto Nivel sobre Resistencia Antimicrobiana organizado por el PRAN en el marco de la Presidencia Española del Consejo de la Unión Europea.

especial resistencia antimicrobiana

llevada a cabo con la colaboración de diferentes sociedades científicas:

 Metodología actualización Guía Terapéutica Antimicrobiana del SNS.

 Capítulo 1: Uso adecuado de antimicrobianos en patología oral.

 Capítulo 2: Caries y patología pulpar en adultos y población pediátrica.

 Capítulo 3: Patología periodontal y tejidos de soporte en adultos y población pediátrica.

 Capítulo 4: Profilaxis antibiótica en procedimientos dentales.

 Capítulo 5: Infecciones de la mucosa oral y de las glándulas salivares.

Desde

el PRAN se fomenta la formación de los futuros profesionales sanitarios con herramientas como la PRANteca, una biblioteca con recursos formativos sobre prevención de infecciones y uso prudente de antibióticos destinada a docentes y a estudiantes de facultades biosanitarias

Además, desde el PRAN se fomenta la formación de los futuros profesionales sanitarios con herramientas como la PRANteca , una biblioteca con recursos formativos sobre prevención de infecciones y uso prudente de antibióticos destinada a docentes y a estudiantes de facultades biosanitarias. Cualquier facultad biosanitaria y hospital universitario adherido al PRAN puede acceder a este repositorio, que tiene como objetivo la promoción de la docencia y la formación sobre el uso prudente de los antibióticos y el conocimiento de la resistencia antimicrobiana. La PRANteca incluye artículos, documentos legislativos, recursos multimedia y otros materiales formativos como casos clínicos para diferentes grados, entre ellos Odontología.

Pero no todo el foco está puesto en los profesionales. El PRAN también trabaja para concienciar a la población general mediante campañas informativas que promueven el uso responsable de los antimicrobianos, la prevención de infecciones y la importancia de seguir las pautas de prescripción. La página web, las redes sociales, los medios de comunicación y eventos como la Jornada PRAN anual o la carrera “¡Corre sin resistencias!”, son utilizados para alcanzar una amplia audiencia, fomentando un cambio cultural hacia un uso más prudente de los antibióticos y mejorando la conciencia sobre los efectos a largo plazo de la resistencia antimicrobiana. 

La carrera PRAN ¡Corre sin Resistencias! involucra a las universidades como colectivo clave en la mejora del uso de los antibióticos.

EL PAPEL CRUCIAL DE LA ODONTOLOGÍA EN LA LUCHA CONTRA LA RESISTENCIA ANTIMICROBIANA

La resistencia antimicrobiana (RAM) representa una de las mayores amenazas para la salud pública a nivel global. Según la Organización Mundial de la Salud, este fenómeno, que ocurre cuando las bacterias se vuelven resistentes a los antibióticos, compromete nuestra capacidad de tratar infecciones comunes y realizar procedimientos médicos seguros. En Odontología, donde los antibióticos son herramientas clave para el tratamiento de infecciones orales, la responsabilidad de los profesionales es crucial. No en vano, se estima que el 10% de las prescripciones antibióticas son realizadas por dentistas.

La concienciación como base para el cambio

El primer paso para abordar la RAM en nuestra disciplina es la concienciación. Cada prescripción debe basarse en un diagnóstico clínico claro y seguir las recomendaciones de guías y protocolos actualizados. En este contexto, el Consejo General de Dentistas, en colaboración con el Plan Nacional frente a la Resistencia a los Antibióticos (PRAN), ha desarrollado herramientas como la Guía del uso de

antimicrobianos en Odontología. Este documento, elaborado con el apoyo de seis sociedades científicas y validado por expertos del PRAN, proporciona pautas prácticas y basadas en evidencia para el tratamiento de patologías orales.

Además, hemos lanzado materiales complementarios, como la Guía ilustrada para dentistas y una innovadora aplicación móvil, diseñada para facilitar el acceso rápido a información sobre infecciones bucodentales y el uso adecuado de antibióticos. Estas herramientas permiten a los profesionales mantenerse informados y aplicar las mejores prácticas en su día a día.

Colaboración multidisciplinar para un impacto real La lucha contra la RAM requiere una acción conjunta. En el Consejo General de Dentistas trabajamos codo a codo con instituciones como el PRAN, universidades y otras entidades sanitarias. Estas alianzas nos han permitido armonizar nuestras recomendaciones con las guías del Sistema Nacional de Salud (SNS) y garantizar la máxima coherencia en la formación de los profesionales.

También hemos dado un paso más allá, promoviendo la sensibilización de los pacientes desde las clínicas dentales. Infografías, folletos y campañas educativas son herramientas clave para transmitir el mensaje: los antibióticos solo deben usarse bajo prescripción médica y siguiendo las indicaciones del profesional.

Compromiso con el futuro

La resistencia antimicrobiana es un problema que nos afecta a todos, pero en nuestras manos está la posibilidad de cambiar el rumbo. Desde el Consejo General de Dentistas, reafirmamos nuestro compromiso con la salud pública, animando a los dentistas a adoptar prácticas responsables y a liderar esta lucha desde sus consultas. Juntos podemos preservar la eficacia de los antibióticos y proteger a las generaciones futuras. 

Dr. Óscar Castro Reino, Presidente del Consejo General de Dentistas de España
Dr. Óscar Castro Reino.

Concienciación sobre la prescripción responsable de antibióticos

RESISTENCIA ANTIMICROBIANA EN CIRUGÍA BUCAL

Introducción a la resistencia antimicrobiana (RAM) en la Cirugía Oral

La resistencia antimicrobiana (RAM) es actualmente un problema serio de salud pública a nivel mundial. La OMS ha advertido que si no se implementan medidas efectivas para enfrentar este problema, podrían producirse hasta 10 millones de muertes anuales causadas por microorganismos multirresistentes para el año 2050.

En gran medida, la RAM está asociada al uso excesivo e inapropiado de antibióticos, un problema especialmente relevante en el campo de la Odontología y de la Cirugía Bucal. Es probable que la prescripción rutinaria de antibacterianos en procedimientos quirúrgicos bucales esté contribuyendo significativamente al desarrollo de microorganismos multirresistentes. En este sentido, es fundamental que los odontólogos comprendamos la gravedad del problema y adoptemos prácticas adecuadas para mitigarlo.

Impacto de la RAM en los procedimientos quirúrgicos (pre y postoperatorio)

En el contexto de la Cirugía Bucal, las infecciones postoperatorias son relativamente poco frecuentes. En concreto, la incidencia media de estas complicaciones suele oscilar entre el 2% (extracciones dentales sin necesidad de ostectomía) y el 6% (extracciones quirúrgicas de dientes incluidos).

Una revisión Cochrane publicada en el año 2021 concluyó que sería necesario administrar antibióticos a 21 pacientes sometidos a exodoncias para que uno se beneficie y quede exento de una infección postoperatoria (Number Needed to Treat o NNT). Por este motivo, la mayoría de los autores no recomiendan el uso rutinario de antibacterianos en procedimientos quirúrgicos dentoalveolares.

Así, es fundamental que el odontólogo evalúe la necesidad de prescripción profiláctica de antibióticos de forma individualizada para cada caso, teniendo en cuenta la condición sistémica del paciente y los factores de riesgo locales (episodios infecciosos previos, necesidad de realizar ostectomía y odontosección, higiene bucal inadecuada, etc.) que puedan aumentar el riesgo de presentar complicaciones infecciosas.

Por otro lado, el profesional sanitario también debe ser consciente de que la utilización de estos fármacos puede producir efectos secundarios como reacciones alérgicas, efectos adversos gastrointestinales o infecciones oportunistas.

Finalmente es esencial recalcar que, en la gran mayoría de los casos, el tratamiento etiológico de una infección bucal suele ser un procedimiento endodóntico o quirúrgico. Así, los antibióticos deben considerarse como agentes coadyuvantes de dichos tratamientos.

Guías y protocolos

Una encuesta realizada en España y publicada en el año 2018 sobre la prescripción profiláctica de antibióticos tras la colocación de implantes dentales ha puesto de manifiesto la falta de consenso sobre este tema. En concreto, los autores de

Dr. Rui Figueiredo, profesor agregado de Cirugía Bucal en la Universitat de Barcelona y vicepresidente de la Sociedad Española de Cirugía Bucal (SECIB)
Dr. Rui Figueiredo.

este trabajo encontraron una gran disparidad de pautas de prescripción entre los 247 odontólogos encuestados.

Las guías clínicas son herramientas muy útiles y ayudan a los profesionales a tomar decisiones informadas y responsables, basadas en las mejores prácticas y la evidencia disponible. Además, estas publicaciones proporcionan un marco para estandarizar el manejo de pacientes y garantizar que todos reciban el mismo nivel de atención de alta calidad.

Por este motivo, la Sociedad Española de Cirugía Bucal (SECIB) ha impulsado la elaboración de diversas Guías de Práctica Clínica (GPC) en los últimos años. En el campo concreto de la RAM, SECIB tiene prevista la elaboración de un documento de consenso sobre el uso de antibióticos en Cirugía Bucal, respondiendo de esta forma a una de las demandas más solicitadas por la comunidad profesional, así como por las instituciones sanitarias.

Estrategias de SECIB y colaboraciones

A lo largo de los últimos años, SECIB ha reservado un espacio en el programa de su congreso anual para ponencias sobre complicaciones infecciosas y también sobre RAM. Creemos que una de las labores más importantes de las sociedades científicas consiste en facilitar a sus asociados formación continuada en áreas con relevancia clínica. Por otro lado, SECIB ha solicitado la incorporación al Plan Nacional frente a la Resistencia a los Antibióticos (PRAN) para poder establecer colaboraciones con las distintas entidades para promover actividades docentes y de investigación sobre el uso racional de antibióticos y la prevención de infecciones dentro del campo de la Cirugía Bucal. El próximo mes de junio de 2025 se realizará un Simposio SECIB en Barcelona, que contará con médicos internistas especializados en infecciones, microbiólogos y odontólogos, con el fin de promover un uso adecuado de la antibioticoterapia en Odontología.

Finalmente, son necesarias campañas de sensibilización dirigidas a la población general, ya que la sobreprescripción de antibacterianos también está asociada a las demandas, expectativas y creencias de los pacientes. Los resultados de una encuesta realizada en España mostraron que aproximadamente el 75% de los pacientes esperaban que sus odontólogos les prescribieran un antibiótico después de una extracción dental no complicada.

Del mismo modo, casi la mitad de estos pacientes mencionaron que, si el profesional no les prescribía un antibiótico, ellos mismos solicitarían dicha medicación. En este contexto, SECIB pretende implementar una campaña de comunicación desde sus redes sociales, dirigida al público en general, para sensibilizar a los pacientes sobre las consecuencias del uso inadecuado de los antibióticos.

Importancia de la formación y la investigación para los profesionales de la Cirugía Oral La formación continua y la investigación son pilares fundamentales en la lucha contra la RAM. Por un lado, es crucial que los profesionales de la Cirugía Bucal se mantengan actualizados sobre las pautas adecuadas de prevención y tratamiento de las infecciones odontogénicas. Por otro lado, es necesario impulsar más estudios clínicos en este campo para valorar la incidencia de infecciones postoperatorias e identificar cuáles son los microorganismos más frecuentes asociados a estas complicaciones y su respectiva susceptibilidad antibiótica. En este apartado, las sinergias establecidas entre los grupos de trabajo universitarios vinculados a SECIB serán claves. En el futuro, SECIB estudiará la vía para fomentar el desarrollo de aquellos proyectos encaminados a la investigación de la eficacia y uso de los antibióticos en la profilaxis y tratamiento de las infecciones odontogénicas. 

LAS RESISTENCIAS A LOS ANTIMICROBIANOS: UN DESAFÍO GLOBAL PARA LA SALUD PÚBLICA Y LA ODONTOLOGÍA

Las resistencias a los antimicrobianos (RAM) representan una de las mayores amenazas para la salud pública a nivel global. Este fenómeno, impulsado principalmente por el uso inadecuado y excesivo de antibióticos, afecta no solo a los sistemas sanitarios, sino también a la estabilidad económica y social de las naciones. En el ámbito de la salud oral, las RAM tienen un impacto significativo, ya que los antibióticos son una de las herramientas terapéuticas más empleadas en odontología. Abordar este desafío requiere un enfoque integral que combine la concienciación profesional, la educación de la población y la implementación de estrategias basadas en el concepto OneHealth, unificando esfuerzos entre la salud humana, animal y ambiental.

Introducción a las RAM en la salud pública oral

El aumento de patógenos resistentes está dificultando el tratamiento de infecciones y poniendo en riesgo los avances de la medicina moderna, como

los trasplantes de órganos, la quimioterapia o ciertas cirugías. Según los últimos informes, las bacterias resistentes son la tercera causa de muerte a nivel global, responsables de 4,7 millones de muertes en 2019. Este problema afecta tanto a países de altos ingresos como a aquellos con recursos limitados, incrementando el gasto sanitario y la pérdida de productividad.

Entre los factores responsables del avance de las resistencias destacan el uso excesivo e inadecuado de antibióticos en medicina, veterinaria y la industria alimentaria. Para frenar este fenómeno, es crucial implementar estrategias basadas en el concepto OneHealth, que promuevan acciones coordinadas entre los sectores de la salud humana, animal y ambiental. Solo a través de una respuesta global y multidisciplinar será posible mitigar el avance de las RAM y proteger los logros alcanzados por la medicina contemporánea.

Impacto de las RAM en los tratamientos odontológicos

En odontología, los antibióticos representan aproximadamente el 10% del consumo total de estos medicamentos a nivel mundial. Sin embargo, diversos estudios han señalado que una proporción significativa de estas prescripciones no sigue las recomendaciones de las guías de práctica clínica. Este uso inapropiado contribuye al desarrollo y propagación de las RAM, poniendo en riesgo la efectividad de los tratamientos odontológicos. Los antibióticos están indicados en situaciones específicas, como complemento de procedimientos clínicos para tratar infecciones orales graves o, en casos de profilaxis, en pacientes con condiciones médicas que los hacen vulnerables a infecciones severas. No obstante, lamentablemente, en muchos casos se prescriben de forma innecesaria, como en infecciones autolimitadas o procedimientos odontológicos de rutina.

Dra. Almudena Rodríguez, Profesora Ayudante Doctora en el Área de Medicina Preventiva y Salud Pública de la Universidad Santiago de Compostela. Sociedad Española de Epidemiología y Salud Pública Oral-SESPO
Dra. Almudena Rodríguez.

La falta de concienciación sobre el uso racional de los antibióticos y la ausencia de protocolos estandarizados en muchos países agravan este problema. Promover la formación continua de los odontólogos, reforzar la implementación de guías basadas en la evidencia y educar a los pacientes sobre los riesgos del abuso de antibióticos son medidas esenciales urgentes para abordar la situación crítica en la que nos encontramos.

El papel del odontólogo de atención primaria en la lucha contra las RAM

Los odontólogos de atención primaria desempeñan un papel crucial en la lucha contra las RAM, tanto como prescriptores responsables como educadores de la población. Su compromiso con el seguimiento de guías clínicas basadas en la evidencia puede reducir significativamente las prescripciones innecesarias de antibióticos.

Además, su papel como educadores resulta clave para promover medidas de prevención y sensibilizar a los pacientes sobre el problema de las RAM. Explicar qué son las RAM, la importancia de evitar la automedicación y seguir las indicaciones sanitarias fomenta un uso responsable de los antibióticos. Paralelamente, enfatizar la importancia de una buena higiene bucal y las visitas regulares al dentista contribuyen a prevenir infecciones que puedan requerir tratamientos antimicrobianos.

Iniciativas de SESPO y colaboraciones estratégicas

La Sociedad Española de Epidemiología y Salud Pública Oral (SESPO) ha asumido un papel activo en la lucha contra las RAM, desarrollando iniciativas y colaboraciones con instituciones clave como el Consejo General de Dentistas, el Plan Nacional frente a la Resistencia a los Antibióticos (PRAN) y varias universidades.

Como miembros del grupo de trabajo de odontología del PRAN, SESPO ha participado en la actualización de la Guía Terapéutica Antimicrobiana del Sistema Nacional de Salud, proporcionando herramientas basadas en evidencia para la prescripción responsable de antibióticos. Además, en colaboración con la Universidade de Santiago de Compostela, SESPO ha liderado un estudio sobre el uso de antibióticos en odontología, identificando factores que influyen en la prescripción inadecuada. Estos resultados servirán como base para diseñar intervenciones educativas dirigidas a corregir estas prácticas.

Asimismo, SESPO trabaja con otras sociedades científicas y el Consejo General de Dentistas para desarrollar iniciativas conjuntas que promuevan la formación continua de los profesionales en materia de RAM. Estas alianzas aseguran la coherencia y efectividad de las estrategias implementadas, maximizando su impacto en la práctica clínica diaria.

La importancia de la formación y la investigación en salud pública

En septiembre de 2024, durante la Asamblea General de las Naciones Unidas, se firmó una Declaración Política en la que los países se comprometieron a intensificar las medidas para combatir las RAM. Entre los compromisos asumidos, se destaca la necesidad de promover el uso responsable de antibióticos y diseñar estrategias educativas y preventivas a nivel global.

La formación continua de los profesionales de la salud pública es esencial para abordar desafíos como las RAM, incluyendo:

 Actualización de guías terapéuticas: proveer herramientas basadas en evidencia para optimizar la prescripción de antimicrobianos.

 Capacitación en prevención y control de infecciones: fomentar prácticas que reduzcan la propagación de infecciones y la consecuente necesidad de antibióticos.

 Sensibilización sobre el impacto de las RAM: aumentar el conocimiento de los profesionales sobre las consecuencias de las resistencias antimicrobianas y su relación con los Objetivos de Desarrollo Sostenible. Además, la investigación desempeña un papel fundamental al identificar factores que contribuyen al uso inadecuado de antibióticos y al desarrollar estrategias innovadoras para prevenir infecciones. La colaboración entre instituciones académicas, sociedades científicas y organismos internacionales es clave para garantizar el éxito de cualquiera de estas iniciativas. En definitiva, las RAM representan una amenaza crítica para la salud pública global y los tratamientos odontológicos, requiriendo una respuesta integral y multidisciplinar. La formación de los profesionales, la implementación de guías basadas en evidencia y la sensibilización de la población son pilares fundamentales para combatir este problema. Iniciativas como el PRAN demuestran que la colaboración estratégica puede marcar la diferencia en la lucha contra las resistencias antimicrobianas, protegiendo la eficacia de los tratamientos y promoviendo un futuro más sostenible para la salud global. 

EL PROBLEMA DE LAS RESISTENCIAS BACTERIANAS EN LA PERIODONCIA

La resistencia a los antibióticos es hoy una de las mayores amenazas para la salud mundial, la seguridad alimentaria y el desarrollo. En España, una investigación en 130 hospitales reveló que estas bacterias multirresistentes matan ya 20 veces más que los accidentes de coche; en 2023, se reportaron más de 23.300 fallecidos a causa de infecciones que no responden a los antibióticos disponibles.

De manera adicional al impacto en Salud Pública y recursos económicos destinados a la gestión de las resistencias antibióticas, el mal uso de los antibióticos sistémicos genera además una derivada asistencial para los pacientes con periodontitis con ciertos perfiles microbiológicos asociados. El hecho de que España sea el tercer país con mayores tasas de resistencias antimicrobianas en el mundo, hace necesarias mayores dosis de antibiótico sistémico para conseguir erradicar la presencia de ciertas bacterias a nivel subgingival, dificultando así la resolución de algunas periodontitis y aumentando la posible aparición de efectos adversos asociados.

A fin de reducir el incremento en la incidencia de resistencias antibióticas en las ciencias de salud, el foco de atención se centra en diferentes niveles, que son responsabilidad de instituciones, profesionales de la salud y pacientes. El esfuerzo debe hacerse de manera conjunta para conseguir reducir el efecto que el uso irracional de antibióticos sistémicos tiene sobre el desarrollo de los genes de resistencia. Dichos genes se producen de manera evolutiva a través de diferentes procesos moleculares, pero el uso indebido de antibióticos aumenta de manera exponencial todos ellos.

Desde el punto de vista de los profesionales de la salud bucodental que tienen su práctica profesional centrada en el manejo de las enfermedades periodontales, es fundamental seguir las recomendaciones que fijan las recientemente publicadas Guías de Práctica Clínica (GPC) para el Tratamiento de la Periodontitis en sus diferentes estadios, así como otras guías que regulan el uso y la prescripción de los antibióticos en odontología. Estas guías se desarrollan a partir de la evidencia científica publicada que se sintetiza en revisiones sistemáticas y que, de manera adicional, se balancea con el análisis mi-

nucioso llevado a cabo por expertos y partes implicadas en un proceso estrictamente protocolizado que atiende a cuestiones importantes de equidad, disponibilidad del tratamiento, aceptabilidad entre los pacientes, viabilidad, balance de daños y beneficios, o al coste-efecto, entre otros. Las recomendaciones de una GPC en relación a un tratamiento atienden a todas estas variables y expresan la conveniencia o no de utilizar una estrategia terapéutica específica y las condiciones en las que debería hacerse. En 2019 y 2021, bajo el auspicio de la Federación Europea de Periodoncia, se llevaron a cabo dos Workshops de Periodoncia para la confección de unas guías de práctica clínica que regularan la manera en la que debe tratarse la periodontitis en sus diferentes estadios. Posteriormente, la Sociedad Española de Periodoncia fue pionera en el desarrollo del proceso de Adopción/adaptación de dichas guías, con el fin de adecuarlas al entorno español, lo que permite que los profesionales con práctica clínica en España dispongan de unos documentos en los que se desgrane y organice cómo debe llevarse a cabo cualquier el tratamiento de la periodontitis*.

En el caso del uso de los antibióticos en el tratamiento de la periodontitis, las GPC son rotundas y consistentes y no recomiendan el uso de los antibióticos sistémicos para el tratamiento de la periodontitis de manera rutinaria. Los resultados de la evidencia científica detrás nos dicen que su uso mejora la resolución de la enfermedad, sin embargo, el impacto en salud pública es tan grande, que la GPC hace una recomendación fuerte en contra de su uso. La periodontitis es una enfermedad infecciosa causada por bacterias, sin embargo, su tratamiento debe basarse en estrategias mecánicas y solo en algunos casos concretos, el uso de coadyuvantes puede estar indicado. Es fundamental que los profesionales conozcan y manejen el contenido de estas guías y el contexto científico en que se basan sus recomendaciones. Asimismo, y como bien recomiendan los planes para la reducción del uso de antibióticos, es importante impulsar la investigación, fomentar el conocimiento sobre la etiología y la terapéutica de las enfermedades periodontales, para obtener diagnósticos y tratamientos precisos con menor impacto negativo en la salud general de nuestros pacientes. 

*Las GPC adoptadas/adaptadas por la Sociedad Española de Periodoncia están disponibles de manera gratuita en la web https://sepa.es/info/recursos/

Dra. Paula Matesanz, vicepresidenta de la Sociedad Española de Periodoncia y Osteointegración (SEPA)
Dra. Paula Matesanz.

EL IMPACTO DE LOS ANTIBIÓTICOS

EN LA MICROBIOTA

Odontológica

Nuestra relación con los antibióticos

Desde que los antibióticos comenzaron a utilizarse en la práctica clínica se han establecido como medicamento esencial para tratar la mayoría de las infecciones bacterianas. Su uso ante cualquier infección es considerado un remedio infalible. El uso de antibióticos ha ido en aumento a nivel mundial en las últimas décadas. La mayoría de los antibióticos son prescritos a pacientes ambulatorios. La evidencia científica indica que los dentistas son contribuyentes significativos a este grupo, prescribiendo alrededor del 10% de las dosis ambulatorias. Organismos como la Federación Internacional de Odontología (FDI) han comunicado la importancia de las prácticas de gestión antimicrobiana en odontología. Para optimizar el uso de antibióticos, comentan la necesidad de implementar programas de gestión responsable y otras estrategias de intervención. Han propuesto el establecimiento de marcos para la gestión antimicrobiana tanto en la educación dental como en la práctica. Por eso, debido al aumento de este problema a nivel mundial, diversas entidades europeas llegaron a un consenso para crear un plan estratégico para reducir el riesgo de acción y diseminación de la resistencia a antibióticos en el año 2014.

Formación continua del odontólogo

El odontólogo, como profesional sanitario, recibe una formación muy extensa que le lleva a adquirir un conocimiento amplio sobre fármacos para el uso en su práctica clínica. Empieza por la farmacología, y las posibles interacciones entre medicamentos; seguido de un conocimiento sobre las patologías que pueden afectar a nuestros pacientes. Dicha formación, junto a los años de experiencia, hacen que tenga una base para desempeñar su trabajo. Las sociedades científicas, colegios profesionales y el Consejo de Dentistas nos proporcionan guías y protocolos para llevar a cabo una adecuada administración de dichos fármacos. Pero desde el incremento de resistencias a los antibióticos, el Consejo de la Unión Europea junto con otros organismos, entre ellos el Consejo de Dentistas de España, se han puesto de acuerdo para crear una iniciativa para concienciar sobre la importancia de un uso adecuado de los medicamentos. Las soluciones que se plantean no son sencillas. Las recomendaciones de la Organización Mundial de la Salud (OMS) y la Comisión Europea (CE) indican un planteamiento global y multidisciplinario.

Dra. Elisabeth Casañas, especialista en Periodoncia de la Universidad Europea, y Dr. Carlos Lagares, coordinador Clínico Clínica Universitaria
de la Universidad Europea y experto en Microbiota
Dra. Elisabeth Casañas.
Dr. Carlos Lagares.

Dicho esto, quizás deberíamos entender el impacto que tienen los antibióticos en la microbiota, y así implementar una iniciativa que sensibilice más al odontólogo y al paciente.

El impacto de los antibióticos en la microbiota oral y la importancia de un uso racional

Para el mantenimiento de una buena salud bucodental es primordial la microbiota oral, un campo de estudio del que cada vez tenemos más conocimiento. La microbiota oral es segunda en complejidad y numérica después del intestinal, y fundamental para mantener una buena salud en general.

Los riesgos del uso innecesario de antibióticos

El uso indiscriminado de antibióticos de forma rutinaria y sin una justificación clínica sólida lleva consigo la destrucción de bacterias beneficiosas que nos ayudan a mantener el equilibrio del ecosistema oral, lo que llamamos eubiosis. Esta alteración del equilibrio llamada disbiosis es la clave para la instauración de infecciones oportunistas como la candidiasis oral y sobre todo puede potenciar la resistencia antimicrobiana para situaciones donde los antibióticos sean necesarios, convirtiéndose esto último en un problema de salud pública.

Un tema candente actual en la práctica clínica sería si es tan necesaria la profilaxis antibiótica y qué tipo de profilaxis, en un paciente sano sin patología asociada y con una boca en eubiosis a la hora de la colocación de implantes, si se sigue un riguroso protocolo de asepsia en la intervención. Guías como las de la American Dental Association (ADA) o la del Plan Nacional frente a la Resistencia a los Antibióticos (PRAN) en España señalan la limitación del uso de antibióticos a aquellos

Bibliografía

casos de pacientes con condiciones médicas graves o alto riesgo de infecciones sistémicas.

La relevancia de los probióticos en el manejo de infecciones orales

Por el contrario, los probióticos tienen un papel cada vez más importante para el cuidado bucodental, ayudando a mantener el equilibrio oral cuando se combinan con la toma de antibióticos, pero principalmente es importante para recobrar la pérdida de ese equilibrio después de la toma de los mismos o incluso del uso de antisépticos orales. En estos casos, cepas específicas de Lactobacillus reuteri y Streptococcus salivarius tienen un efecto preventivo y de restablecimiento de la eubiosis, disminuyendo la inflamación gingival y facilitando una recuperación más rápida y efectiva.

Hacia una prescripción responsable Para avanzar hacia un modelo más sostenible y seguro, es primordial que los odontólogos y otros profesionales de la salud nos rijamos por los protocolos más recientes de las guías de prescripción de antibióticos que abogan por restringir los mismos a los casos estrictamente necesarios. Asimismo, debemos educar a nuestros pacientes sobre la importancia de cumplir con las pautas de tratamiento y considerar alternativas como los probióticos para prevenir infecciones y mantener la salud de la microbiota oral. En conclusión, el abuso de antibióticos en odontología es un problema mucho más amplio que afecta a nivel de Salud Pública; no solo perjudica la microbiota oral, sino que también contribuye al preocupante problema de la resistencia antimicrobiana. Un enfoque más racional y el uso de terapias complementarias como los probióticos son esenciales para garantizar un futuro más saludable. 

Plan de Resistencia a Antibióticos. AEMPS. https://www.aemps.gob.es/publicaciones/publica/plan-estrategico-antibioticos/v2/docs/plan-estrategico-antimicrobianos-AEMPS.pdf

- Stein K, Farmer J, Singhal S, Marra F, Sutherland S, Quiñonez C. The use and misuse of antibiotics in dentistry: A scoping review. J Am Dent Assoc. 2018;149(10):869-884.e5. doi:10.1016/j.adaj.2018.05.034

- Voidazan S, Moldovan G, Voidazan L, Zazgyva A, Moldovan H. Knowledge, Attitudes And Practices Regarding The Use Of Antibiotics. Study On The General Population Of Mures County, Romania. Infect Drug Resist. 2019 Oct 31;12:3385-3396. doi: 10.2147/IDR.S214574. PMID: 31802918; PMCID: PMC6827501.

- A HR, H P, E M. A comprehensive review of the application of probiotics and postbiotics in oral health. Front Cell Infect Microbiol [Internet]. 3 de agosto de 2023 [citado 12 de octubre de 2024];13. Disponible en: https://pubmed.ncbi.nlm.nih.gov/36968114/

- Plan Nacional Resistencia Antibióticos | PRAN [Internet]. [citado 26 de enero de 2025]. Disponible en: https:// www.resistenciaantibioticos.es/es

- Claudia Fierro-Monti1, Catalina Aguayo-Saldías2, Lillo-Climent F, Riveros-Figueroa F. Rol de los Probióticos como Bacterioterapia en Odontología. Revisión de la Literatura. Odontoestomatología. XIX(30):4-13.

MAEX: IMPULSANDO EL CRECIMIENTO A TRAVÉS DE UNA FILOSOFÍA DE EXCELENCIA, INNOVACIÓN Y CALIDAD ASISTENCIAL

En el marco de un sector bucodental que crece día a día y se actualiza constantemente, MAEX, el sello de excelencia dental de DONTE GROUP, se posiciona como un ejemplo destacado en el sector. Tras dos años de trayectoria, la marca ha logrado no solo aprovechar sus recursos para ofrecer calidad asistencial y excelencia dental; sino también para ampliar su presencia y fortalecer su posición como referente en el sector bucodental español. En la actualidad, el sello cuenta con 10 centros distribuidos a lo largo del territorio nacional./ Fotos: MAEX

El sello de excelencia de DONTE GROUP, MAEX, se posiciona como referente en el sector.

“MAEX nace de la unión de la experiencia y los recursos de una gran empresa en salud; y nuestra incorporación al grupo no ha hecho más que engrandecer la clínica. Al final, se trata de un proyecto de suma de centros que tiene como objetivo común crecer en la atención a los pacientes, aumentando el valor del trabajo bien hecho, y la

formación continuada en innovación para acercarla a todos los pacientes y compañeros de profesión”, comenta el Dr. Alberto Cuevas, director de la primera clínica MAEX Cuevas Queipo en Málaga. 2024 ha sido un año de expansión para MAEX, que consiguió duplicar su tamaño durante este periodo. Lo anterior no solo refleja su crecimiento; sino también su compromiso con la calidad y la innovación en el cuidado dental, dos elementos fun-

damentales en su filosofía. Siguiendo esta línea, el Dr. Eduardo Sirvent, de MAEX Indenta, en Alicante, cabeza de una de las últimas clínicas que se han sumado al sello, asegura que “todas las clínicas MAEX tienen un denominador común, la máxima calidad en los tratamientos, apoyados por los mejores profesionales y la tecnología más avanzada”. Entre las nuevas incorporaciones destacan las clínicas de Bilbao, Ibiza, Vigo, Pontevedra y Alicante, que se suman a las ya establecidas en Málaga, Ferrol, A Coruña, Santiago de Compostela y San Sebastián. Esta expansión, además de reforzar su compromiso con el cuidado de la salud bucodental, busca mejorar la accesibilidad para sus pacientes, asegurándose de que los servicios de alta calidad estén disponibles en diversas regiones del país. Por su parte, el Dr. Juan Alberto Fernández, director de MAEX Fernández en Ibiza, señala que “unirse a la familia MAEX ha supuesto, entre otras cosas, una oportunidad única para ampliar la proyección de sus tratamientos, permitiendo que más pacientes de fuera de la isla accedan a sus servicios”. Mientras que, para el Dr. Luis Antonio Aguirre, director de MAEX Dr. Aguirre en Bilbao, “unirse a este sello ha sido una oportunidad para continuar con su filosofía y sus objetivos de crear un equipo de profesionales de la salud enfocado en ofrecer el mejor tratamiento posible, basado en la evidencia científica y utilizando los mejores materiales y tecnologías”.

De la mano del crecimiento, llega también la innovación

“La meta de MAEX es el resultado de la unión del conocimiento y la pasión de los más destacados profesionales en odontología”, así lo describe el Dr. Francisco Javier Elizondo, director médico de MAEX Maxilaris en San Sebastián. Y es que MAEX no solo se centra en el crecimiento físico de su grupo de clínicas, sino también en el fortalecimiento de su reputación como líder en innovación dental mediante la implementación de tecnologías avanzadas y técnicas de tratamiento de última generación que aseguran que los pacientes reciban la mejor atención posible. Tanto la innovación como la calidad asistencial son constantes en la filosofía de la marca.

“MAEX nos proporciona los medios para generar verdaderos protocolos de consenso y calidad en odontología y nos brinda la oportunidad de tener al alcance cualquier tipo de medio técnico y aparataje que permita mejorar el tratamiento de

nuestros pacientes con las últimas innovaciones”, tal y como asegura el Dr. José Ferreras, director de MAEX Ferreras en Coruña y Ferrol. Desde sus inicios en 2022, MAEX ha buscado crear un grupo exclusivo de clínicas reconocidas y superespecializadas que ofrezcan prácticas asistenciales de vanguardia y atención excepcional al paciente. Por este motivo, cada centro está dirigido por un doctor de renombre y prestigio, cuya experiencia es fundamental para liderar un equipo profesional. Este enfoque promueve un entorno de aprendizaje continuo, impulsando la innovación y el perfeccionamiento de técnicas.

En este sentido, el Dr. Juan Carlos Pérez Varela, director médico de MAEX Pérez Varela en Santiago de Compostela, asegura que “la innovación y la investigación tienen que ir siempre dirigidas a la aplicación clínica y tener como fin la excelencia de los tratamientos y la mejora de la calidad asistencial. Y a esto, le añadimos la docencia para compartir los protocolos que puedan ser exitosos con el resto de nuestros compañeros odontólogos”.

A lo anterior, la Dra. Xiana Pousa, directora de las Clínicas MAEX Pousa en Vigo y Pontevedra, agrega que “la incorporación de mis clínicas de más de 15 años en el sector al proyecto representa la mejor de las posiciones dentro de su evolución natural porque les permite seguir creciendo en inversión, tecnología e inteligencia artificial; y mejorar su calidad de servicio, gracias a la mejora en la gestión de procesos y a la unión con otros grandes profesionales del sector”. 

publirreportaje

DOCTORES MAEX

Dr. Alberto Cuevas - MAEX Cuevas Queipo (Málaga)

“MAEX tiene como objetivo común crecer en la atención a los pacientes, aumentando el valor del trabajo bien hecho, y la formación continuada en innovación para acercarla a todos los pacientes y compañeros de profesión”

Doctor en Medicina y Cirugía (Universidad de Málaga) y en Odontología. Completó un Máster en diversas especialidades como Periodoncia, Cirugía, Ortodoncia, Estética Dental, Implantología y Prostodoncia. Creador de un equipo multidisciplinar de odontología y cirugía maxilofacial. Docente en universidades y escuelas de higiene dental, y miembro de juntas directivas de sociedades científicas nacionales e internacionales.

Dr. Juan Carlos Pérez Varela - MAEX Pérez Varela (Santiago de Compostela)

“La innovación y la investigación tienen que ir siempre dirigidas a la aplicación clínica y tener como fin la excelencia de los tratamientos y la mejora de la calidad asistencial. Y a esto, le añadimos la docencia para compartir los protocolos que puedan ser exitosos con el resto de nuestros compañeros odontólogos”

Licenciado en Medicina y Odontología y doctor en Medicina y Cirugía (Universidad de Santiago de Compostela). Además, es profesor invitado en diversas universidades españolas y en el extranjero. Cuenta con una larga y exitosa trayectoria en el sector bucodental. Actualmente, es presidente de la Sociedad Española de Ortodoncia (SEDO) y miembro de Board Español de Ortodoncia y del European Board Orthodontist.

Dr. José Ferreras - MAEX Ferreras (Coruña y Ferrol) “MAEX nos proporciona los medios para generar verdaderos protocolos de consenso y calidad en odontología y nos brinda la oportunidad de tener al alcance cualquier tipo de medio técnico y aparataje que permita mejorar el tratamiento de nuestros pacientes con las últimas innovaciones”

Doctor cum laude en Medicina y Cirugía (Universidad de Valladolid) y especialista en cirugía oral y maxilofacial; referente en implantología con más de 20 años de experiencia. Ha sido investigador en proyectos regionales y nacionales; y es miembro de la Sociedad Española de Cirugía Oral y Maxilofacial y de la Sociedad Española de Cirugía de Cabeza y Cuello. Ha publicado más de 30 artículos y capítulos de libros, y realizado más de 70 ponencias en congresos. Además, imparte seminarios y cursos sobre implantología compleja.

Dr. Alberto Fernández - MAEX Fernández (Ibiza)

“Unirse a la familia MAEX ha supuesto, entre otras cosas, una oportunidad única para ampliar la proyección de sus tratamientos, permitiendo que más pacientes de fuera de la isla accedan a sus servicios”

Licenciado en Medicina y Cirugía (Universidad de Navarra), el Dr. Fernández es especialista en Estomatología, Implantología y Cirugía Oral y Bucal. Tiene un compromiso firme con la formación y la docencia, así como con la difusión de los protocolos y técnicas de reconstrucción ósea y cirugía oral avanzada realizados en la clínica, que se han convertido en referencia en cirugía a nivel internacional.

DOCTORES MAEX

Dr. Francisco Javier Elizondo Lazcano - MAEX Maxilaris (San Sebastián)

“La meta de MAEX es el resultado de la unión del conocimiento y la pasión de los más destacados profesionales en odontología”

Doctor cum laude en Medicina y Cirugía (Universidad Autónoma de Barcelona) y está especializado en Cirugía Oral y Maxilofacial y en Estomatología. Además, es miembro de la Sociedad Española de Cirugía Oral y Maxilofacial (SECOM) y de la Sociedad Española de Periodoncia (SEPA).

Dr. Luis Antonio Aguirre - MAEX Dr. Aguirre (Bilbao)

“Unirse a este sello ha sido una oportunidad para continuar con su filosofía y sus objetivos de crear un equipo de profesionales de la salud enfocado en ofrecer el mejor tratamiento posible, basado en la evidencia científica y utilizando los mejores materiales y tecnologías”

Licenciado en Medicina y Cirugía, Especialista en Estomatología, y Doctor en Medicina (Universidad del País Vasco).

Además, tiene una Diplomatura en Periodoncia Clínica (Universidad de Gotemburgo). Con más de 30 años de experiencia, ha sido docente en Periodoncia e Implantes, y dirigió el Máster de Periodoncia y Osteointegración de la Universidad del País Vasco (2014-2023). Es conferenciante habitual en reuniones científicas y ha liderado un grupo de investigación, publicando numerosos artículos en revistas profesionales.

Dr. Eduardo Sirvent - MAEX Indenta (Alicante)

“Todas las clínicas MAEX tienen un denominador común, la máxima calidad en los tratamientos, apoyados por los mejores profesionales y la tecnología más avanzada” Especialista en Odontología y Estomatología y licenciado en Medicina y Cirugía (Universidad de Alicante), tiene amplia experiencia y formación en impresión dental digital, implantes, prótesis fija, prótesis sobre implantes, carillas y estética dental. Además, ejerce como profesor colaborador en la Universidad de Valencia. Ha participado en cursos, congresos y conferencias y es coautor de artículos, comunicaciones, etc.

Dra. Xiana Pousa - MAEX Pousa (Vigo y Pontevedra)

“La incorporación de mis clínicas de más de 15 años en el sector al proyecto representa la mejor de las posiciones dentro de su evolución natural porque les permite seguir creciendo en inversión, tecnología e inteligencia artificial; y mejorar su calidad de servicio, gracias a la mejora en la gestión de procesos y a la unión con otros grandes profesionales del sector” Es especialista en Microbiota Oral, Salud Periodontal e Implantología. Actualmente, es una de las pocas periodoncistas e implantólogas en la provincia de Pontevedra acreditada por la Federación Europea de Periodoncia y la SEPA. Sus más de 10 años de experiencia, junto con su constante actualización e investigación, respaldan sus excelentes resultados clínicos.

Caso clínico ganador del Premio Mejor Caso Clínico Multidisciplinar Dental Star en la categoría “Experta”

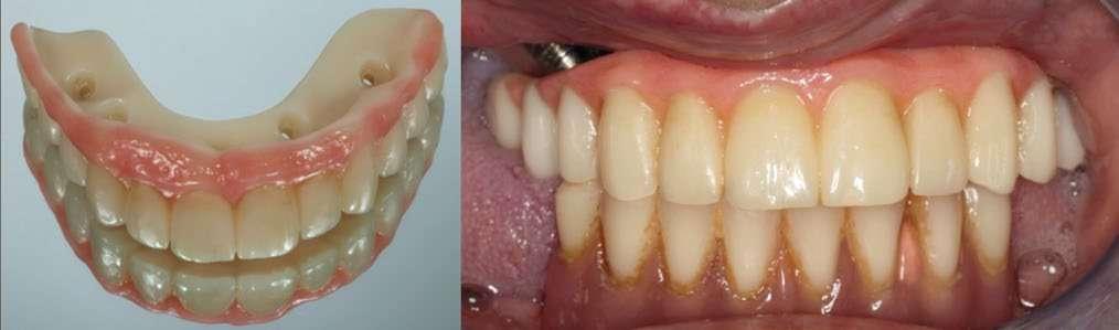
REHABILITACIÓN DE MAXILAR EXTREMADAMENTE ATRÓFICO: COMBINACIÓN DE TÉCNICAS AL SERVICIO DEL PACIENTE

Este caso clínico, galardonado en los Premios Sanitas Dental Star 2024 con el Premio al Mejor Caso Clínico Multidisciplinar en la categoría “Experta”, muestra la ayuda que supone la combinación de un abordaje multidisciplinar (cirujanos maxilofaciales, odontólogos e ingenieros biomédicos) junto a la utilización de las últimas novedades tecnológicas (cirugía ortognática virtual, cirugía guiada de colocación de implantes cigomáticos, elaboración de placas de osteosíntesis customizadas, navegación operatoria) en la solución de casos complejos.

Presentación del caso clínico

Presentamos el caso clínico de una paciente de 64 años de edad que acudió a nuestro centro con un problema dentofacial: una deformidad facial con hipoplasia maxilar a la que se añadía una atrofia maxilar extrema.

Dichos problemas ocasionaban a la paciente una invalidez funcional debida a su mala alimentación, junto a un problema estético que generaba a su vez un problema psicológico de larga evolución.

En la exploración física constatamos un grado severo de atrofia del maxilar superior, que dificultaba cada vez más la retención de sus prótesis removibles. A este problema se añadía una hipoplasia de dicho maxilar en sentido anteroposterior, que daba a la paciente una facies prognática y que impedía la correcta masticación (fig. 1-4).

Se formó un equipo multidisciplinar formado por tres cirujanos maxilofaciales, dos prostodoncistas, un ortodoncista y un ingeniero biomédico, para analizar si era posible resolver los tres problemas: funcional, estético y psicológico en una única intervención.

Planificación quirúrgica

Se confirmó el diagnóstico de atrofia extrema maxilar mediante CBCT (fig. 5) y se realizó un meticuloso estudio mediante tecnología 3D con simulación de todos los procedimientos (Mimics y 3-matic software, Materialise). Los archivos Dicom y STL se importaron al software de navegación (Elements software, Brainlab). En primer lugar, se valoró la posibilidad de una cirugía previa mandibular, colocando cuatro implantes, para tener una referencia de dimensión vertical con respecto al maxilar superior. Dicha intervención se realizó sin incidencias bajo anestesia local, dos meses antes de la cirugía maxilar. Para la intervención maxilar se realizó una simulación 3D en la que se realizaba, guiada por la prótesis que se consideró ideal, un avance del maxilar superior de 1 cm mediante una osteotomía de Lefort. En esta misma simulación, se diseñaron dos placas de osteosíntesis customizadas para fijar el maxilar superior en su nueva posición (fig. 6).

Dichas placas, además, debían permitir la colocación de cuatro implantes cigomáticos en la misma intervención, sin colisionar con ellas,

Dr. Jorge Caubet Biayna MD, PhD, FEBOMS, ITI Fellow

Licenciado en Medicina y Cirugía por la Universidad Autónoma de Barcelona.

Especialista en Cirugía Oral y Maxilofacial (vía MIR) Hospital Universitario Son Dureta.

Doctor en Medicina y Cirugía por la Universidad Autónoma de Barcelona.

Fellow del European Board of Oral and Maxillofacial Surgery.

Profesor colaborador del máster de Periodoncia e implantología. Facultad de odontología de la Universidad de Sevilla.

Práctica privada en implantología y cirugía maxilofacial en Palma de Mallorca (Clínica GBCOM).

para alcanzar una oclusión estable con los antagonistas mandibulares que habían sido colocados dos meses antes en la cirugía previa mandibular (fig. 7).

Fig. 1-4: Situación clínica preoperatoria de la paciente con vistas de frente, perfil y sonrisa.

caso clínico

Por parte del equipo de prótesis, se realizó un estudio preoperatorio con un prototipado también con tecnología 3D (Exoplan, Exocad) para poder tener las emergencias de los implantes y preparar una prótesis de carga inmediata maxilar anclada en los cuatro implantes cigomáticos (fig. 8)

Los trayectos de los implantes cigomáticos fueron cargados en el software del navegador Brainlab para poder tenerlos disponibles en la pantalla del navegador durante la cirugía (fig. 9).

Fig. 5: Imagen correspondiente al CBCT que muestra la severa atrofia ósea del maxilar.
Fig. 6: Simulación de la osteotomía maxilar Lefort de avance de 1 cm con diseño de placas customizadas.
Fig. 7: Simulación de la colocación de cuatro implantes cigomáticos sin colisionar con las placas de osteosíntesis.
Fig. 8: Prototipado para el diseño digital de la prótesis del maxilar superior.
Fig. 9: Simulación del trayecto de los cuatro implantes cigomáticos trazado en el software del navegador (Brainlab).

Cirugía

El día 7 de julio de 2022 se realizó bajo anestesia general todo el plan de tratamiento descrito. Se realizó en primer lugar la osteotomía de Lefort con la utilización del bisturí piezoeléctrico, realizando un avance del maxilar superior de 1 cm que fue fijado con las dos placas de osteosíntesis customizadas. Con el maxilar superior estabilizado y avanzado, se colocaron cuatro implantes cigomáticos asistidos por navegación quirúrgica, confirmando unas trayectorias seguras y compatibles con la propuesta de prótesis inmediata (fig. 10-11). Se realizó escaneado postoperatorio inmediato y a las 24 horas se colocó la prótesis provisional fija sobre los cuatro implantes cigomáticos, siendo sustituida por la prótesis definitiva a los cuatro meses (fig. 12-13).

Resultados, evolución y complicaciones

La paciente fue dada de alta a las 24 horas de la intervención con muy buen estado general y con la prótesis maxilar superior de carga inmediata en oclusión con la arcada antagonista.

La evolución postoperatoria fue excelente, siendo seguida de cerca por el equipo de cirujanos maxilofaciales y odontólogos. Se prestó especial atención a la dieta y parafunciones, para evitar complicaciones con la carga inmediata.

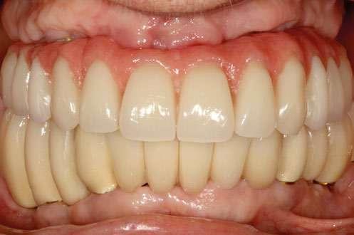
A los cuatro meses se realizó el recambio de la prótesis provisional por una prótesis definitiva de circonio, en la que se tuvieron en cuenta las preferencias estéticas dentales de la paciente (fig. 14-17) En el momento actual, pasados dos años y tres meses de la intervención, no hemos observado ninguna complicación. La paciente ha sido informada desde el principio del tratamiento de la importancia y necesidad del mantenimiento, motivo por el cual acude con periodicidad de 6 meses al mismo.

Discusión

El defecto tridimensional maxilar que presentaba la paciente suponía un reto desde el punto de vista reconstructivo y rehabilitador.

11 13

Fig. 10: Fotografía quirúrgica correspondiente a la colocación de los cuatro implantes cigomáticos viendo las relaciones entre los mismos y las placas de osteosíntesis customizadas.
Fig. 11: Fotografía quirúrgica correspondiente a las emergencias a través de la mucosa de los cuatro implantes cigomáticos colocados ya los pilares multiunit.
Fig. 12: Prótesis de PMMA inmediata provisional de carga inmediata colocada a las 24 horas.
Fig. 13: Aspecto de la paciente tras colocar la prótesis inmediata.

caso clínico

El manejo del maxilar atrófico ha ido evolucionando de una manera importante en los últimos 20 años.

Inicialmente se utilizaron los injertos óseos corticales para realizar reconstrucciones del maxilar. Mediante dichos injertos se podía reconstruir el maxilar con buenos resultados, pero no exentos de morbilidad. Las fuentes dadoras de injertos solían ser la cresta iliaca o la calota craneal. Otro de los inconvenientes de los injertos era la duración de los tratamientos, pues el periodo medio de espera de cicatrización de un injerto era de cuatro a seis meses. A este periodo de espera había que añadirle el periodo de espera de la osteointegración una vez colocados los implantes1-4. Asociar procedimientos de cirugía ortognática a la reconstrucción del maxilar con injertos óseos corticales es posible5, pero se aumenta de un modo importante el riesgo de infección y no está recomendado realizar procedimientos de carga

Fig. 14-17: Situación clínica actual de la paciente con vistas de frente, perfil y sonrisa.

inmediata. Por dichas razones la indicación de estas técnicas ha quedado muy limitada a pacientes muy concretos, fundamentalmente oncológicos donde los injertos microvascularizados tienen un rol importante.

Con la llegada de los implantes cigomáticos y especialmente del protocolo quad zygoma han aparecido publicaciones en las que se propone la rehabilitación del maxilar atrófico con cuatro implantes cigomáticos con muy buenos resultados. Se simplifica el procedimiento y además permite realizar carga inmediata de los mismos con excelentes resultados6-10, sin embargo, hay pocas publicaciones donde se realice la rehabilitación dental con implantes cigomáticos en el mismo procedimiento de avance del maxilar extremadamente atrófico11-12

El primer reto en nuestro caso clínico era conseguir realizar la osteotomía de Lefort de avance, guiada por la prótesis ideal, con la mínima morbilidad. Para ello, se utilizó cirugía piezoeléctrica combinada con guías de corte. La utilización de placas customizadas permitió fijar el maxilar en dicha posición ideal y además evitar la colisión con los implantes cigomáticos. Una vez colocados los implantes se siguió el protocolo digital de toma de impresiones y se colocó a las 24 horas una prótesis fija de PMMA. A los 4 meses se realizó el cambio de la prótesis provisional por la prótesis definitiva, entrando la paciente desde ese momento en un estricto programa de mantenimiento que consideramos clave para garantizar el éxito del tratamiento a largo plazo. El programa de mantenimiento es personalizado para cada paciente en función de la higiene que

RELEVANCIA CLÍNICA

presenta cada vez que se desmonta la prótesis en las revisiones.

Desde el punto de vista técnico, la navegación quirúrgica y la planificación 3D han permitido disminuir el margen de error en la colocación de implantes cigomáticos, lo que no solo mejora el pronóstico a largo plazo, sino que reduce las posibles complicaciones postoperatorias. La personalización de los trayectos y la visualización precisa mediante software avanzados se ha convertido en una herramienta indispensable para los cirujanos en estos casos complejos13

Un punto importante en el manejo de nuestro caso clínico ha sido el aspecto psicológico. La autoestima de los pacientes mejora drásticamente cuando se les restaura una sonrisa funcional y estéticamente aceptable. Estudios recientes demuestran que la rehabilitación bucodental en pacientes con problemas severos de atrofia maxilar, está asociada con una mejora notable en las escalas de bienestar psicológico y en la integración social de los pacientes14

Conclusiones

Este caso muestra la ayuda que supone la combinación de un abordaje multidisciplinar (cirujanos maxilofaciales, odontólogos e ingenieros biomédicos) junto a la utilización de las últimas novedades tecnológicas (cirugía ortognática virtual, cirugía guiada de colocación de implantes cigomáticos, elaboración de placas de osteosíntesis customizadas, navegación operatoria) en la solución de casos complejos. 

La combinación de especialistas haciendo uso de las últimas novedades tecnológicas, situando al paciente en el centro, permitió la rehabilitación de una grave disfunción dentofacial con una mínima morbilidad.

Resumen

La atrofia ósea severa del maxilar superior puede ser tan extrema que imposibilite al paciente usar prótesis removibles. Si además se presenta hipoplasia maxilar, la malposición del maxilar genera una mala oclusión que dificulta la alimentación, empeorando la calidad de vida del paciente. En estos casos, los implantes convencionales no son una opción, siendo una buena alternativa el uso de implantes cigomáticos. La hipoplasia maxilar requiere además un avance quirúrgico del maxilar, posible únicamente mediante la combinación con cirugía ortognática. El desarrollo de la tecnología 3D permite planificar todos los movi-

mientos quirúrgicos necesarios, tomando como referencia una prótesis ideal. Esta tecnología también facilita la creación de guías de corte personalizadas, placas de osteosíntesis a medida y la planificación de la trayectoria de los implantes cigomáticos, asistida mediante navegación quirúrgica. Presentamos el seguimiento a dos años de un caso clínico de atrofia maxilar extrema con hipoplasia, que impedía a la paciente alimentarse adecuadamente, creando un problema funcional, estético y psicológico. La combinación de estas técnicas permitió un resultado excelente.

jóvenes talentos

“ES FUNDAMENTAL DESARROLLAR

UNA VISIÓN

MULTIDISCIPLINAR,

INDEPENDIENTEMENTE DEL ÁREA DE LA ODONTOLOGÍA EN LA QUE TE ESPECIALICES”

Dr. Miguel Ángel Blanco, ortodoncista y profesor colaborador del Máster de Ortodoncia de la UCM

Atraído por la ciencia, el contacto directo con el paciente y la capacidad de ayudar a otras personas, el Dr. Miguel Ángel Blanco, ortodoncista y profesor colaborador del Máster de Ortodoncia de la UCM –y recientemente galardonado en la categoría Academic de los Premios Sanitas Dental Star 2024–, nos desvela en esta entrevista cómo ha sido su formación en Odontología, destacando el buen nivel que existe en España, a pesar de resaltar la necesidad del reconocimiento de las especialidades para una formación de postgrado reglada, entre otras cuestiones de interés para los jóvenes odontólogos.

El Dr. Miguel Ángel Blanco recogiendo el Premio Sanitas Dental Star 2024 por el caso “Tratamiento ortopédico y ortodóncico de un paciente adolescente con clase III esquelética y deficiencia transversal con expansión rápida maxilar asistida por miniimplantes, máscara facial y aparatología fija multibrackets”.

 DM.- ¿De dónde procede su interés por la Odontología? ¿Por qué decidió cursar estos estudios?

Dr. Miguel Ángel Blanco (Dr. M.A.B.).- Desde pequeño me han llamado la atención las profesiones sociosanitarias por el contacto directo con el paciente y la capacidad de ayudar a otras personas. Siempre había tenido experiencias agradables en la consulta dental y a la hora de elegir qué estudiar, Odontología siempre estuvo entre mis primeras opciones por su capacidad de aunar ciencia y destreza manual.

A pesar de no tener antecedentes familiares en la profesión, finalmente decidí estudiar el grado de Odontología en la Universidad Complutense de Madrid y, aunque en un primer momento tuve dudas por la gran cantidad de asignaturas comunes a otros grados de Ciencias de la Salud, gracias a asignaturas más específicas como “Introducción a la Odontología” confirmé que no me había equivocado de decisión.

 DM.- ¿Y qué fue lo que le impulsó a especializarse en Ortodoncia?

Dr. M.A.B.- Durante la carrera, Ortodoncia fue mi asignatura favorita. Sin embargo, el grado me permitió obtener una visión holística de la Odontología que quise implementar el primer año tras graduarme, trabajando como odontólogo general. Bajo mi punto de vista, es fundamental desarrollar una visión multidisciplinar, independientemente del área de la Odontología en la que te especialices puesto que, en la clínica diaria, el grueso de los pacientes deben de ser intervenidos por varios especialistas y es imprescindible un diagnóstico y tratamiento coordinado.

Uno de los principales aspectos que me motivaron a especializarme en Ortodoncia fue su capacidad de influir en la calidad de vida de las personas, ya que es capaz de mejorar la estética, que tiene mucha relación con el bienestar psicosocial, y también funciones como la masticación, la deglución y la respiración en muchos de los casos. Además, en Ortodoncia no solo se trabaja de manera conjunta con otros especialistas de la odontología, sino también con otros profesionales sanitarios como logopedas, otorrinolaringólogos y cirujanos maxilofaciales. Por otro lado, el dinamismo que aporta atender a pacientes de todas las edades fue otro punto positivo que me animó a optar por esta especialidad.

El reconocimiento de las especialidades odontológicas en España supondría la existencia de postgrados con una formación reglada que se vería reflejada en mejores profesionales y, en consecuencia, unos tratamientos de mayor calidad ”

 DM.- La Universidad Complutense de Madrid (UCM) ha sido el centro donde ha cursado el grueso de su formación. ¿Cuál ha sido su experiencia en esta universidad?

Dr. M.A.B.- Efectivamente. Decidí estudiar en la Universidad Complutense de Madrid el grado de Odontología porque era conocedor de su calidad. Rankings mundiales llevados a cabo de manera anual lo reconocen como el mejor de España y uno de los mejores de Europa y del mundo. La experiencia durante el grado fue muy positiva y me permitió adquirir una percepción integral de la Odontología. Por este motivo decidí estudiar en esta misma universidad el Máster Oficial en Ciencias Odontológicas que tiene como objetivo asentar las bases de la metodología de la investigación en vistas a una posible tesis doctoral. También cursé el Experto en Clínica Odontopediátrica para mejorar mi capacidad diagnóstica y terapéutica en el paciente infantil.

El Dr. Miguel Ángel Blanco con sus compañeros de promoción del Máster de Ortodoncia de la UCM.

jóvenes talentos

“ Es muy reconfortante devolver a los pacientes las ganas de sonreír ”

Finalmente estudié el Máster de Ortodoncia en la Universidad Complutense de Madrid que, además de ser el primer centro de formación en Ortodoncia en España, es miembro de la NEBEOP (Network of Erasmus Based European Orthodontic Postgraduate Programme). Esto implica que los tres años de duración del Máster se caracterizan por una educación de calidad, basada en las nuevas tecnologías y reglada de acuerdo a la normativa europea en cuanto a formación especializada en Ortodoncia.

 DM.- ¿En qué nivel se sitúa la formación en Odontología en España?

Dr. M.A.B.- Bajo mi punto de vista, el nivel de formación graduada de Odontología en nuestro país es bueno. Sin embargo, de cara a la formación posterior, existe una elevada oferta de programas de postgrado sin uniformidad en sus criterios y estándares como resultado de la falta de reconocimiento de las especialidades odontológicas en España. En ciertas áreas como Ortodoncia, el grado no proporciona una capacidad diagnóstica y terapéutica suficiente como para abordar la mayor parte de los casos. Y, dentro de la formación más allá del grado, es evidente que las competencias adquiridas en cursos de fin de semana no van a ser las mismas que las logradas en un máster de tres años de duración a tiempo completo. Es, por tanto, necesario que dicha formación esté regulada.

 DM.- En su opinión, ¿qué importancia tiene el reconocimiento de las especialidades odontológicas? ¿Cómo afecta a los jóvenes odontólogos que España sea el único país de Europa en el que no estén reconocidas oficialmente?

Dr. M.A.B.- Al hilo de la respuesta anterior, el reconocimiento de las especialidades odontológicas en España supondría la existencia de postgrados con una formación reglada que se vería reflejada en mejores profesionales y, en consecuencia, unos tratamientos de mayor calidad. En esta situación tan singular en la que nos encontramos, los especialistas de facto que hemos obtenido el postgrado en universidades españolas sufrimos un agravio comparativo frente a compañeros del resto de países de la Unión Europea puesto que vemos limitado nuestro ejercicio profesional fuera de nuestras fronteras.

 DM.- Actualmente ejerce como ortodoncista en varias clínicas privadas de Madrid. ¿Qué es lo que más le apasiona de su trabajo con pacientes?

Dr. M.A.B.- En una especialidad como Ortodoncia, uno de los aspectos más positivos es el seguimiento de los pacientes de manera prácticamente mensual a lo largo de sus tratamientos. Esto permite desarrollar una relación y un vínculo que facilita conversaciones cotidianas capaces de evadirte de la rutina de la consulta dental.

Además, aunque cada vez son más los pacientes adultos que reciben tratamiento ortodóncico, los pacientes infantiles y adolescentes suponen una gran parte del total. Acompañar a los pacientes en su crecimiento y desarrollo emocional tiene mucha importancia en mi opinión. Más aún cuando tienen inseguridades sobre el aspecto de su sonrisa que les hacen más susceptibles y limitan sus relaciones sociales. Es muy reconfortante devolverles las ganas de sonreír.

 DM.- Además, compagina esta faceta clínica con la de profesor colaborador del Máster de Ortodoncia de la UCM. ¿Qué le aporta esta labor docente a su desarrollo profesional?

Dr. M.A.B.- Transmitir los conocimientos que he adquirido en el mismo Máster donde me he formado supone una satisfacción muy grande. Para mí, es una forma de devolver parte de lo mucho que he recibido. Además, la Odontología, como cualquier otra profesión sanitaria, está en constante evolución y la docencia te ayuda a mantenerte

El Dr. Miguel Ángel Blanco en la evaluación de sus casos finales del Máster de Ortodoncia.

actualizado no solo a través del contacto con el resto del profesorado, sino también gracias a las dudas e inquietudes del alumnado. Es una manera de seguir creciendo profesionalmente más allá de la formación continuada, que es imprescindible en nuestro campo.

 DM.- Recientemente ha sido ganador en la categoría Academic de los Premios Sanitas Dental Star 2024 por el caso “Tratamiento ortopédico y ortodóncico de un paciente adolescente con clase III esquelética y deficiencia transversal con expansión rápida maxilar asistida por miniimplantes, máscara facial y aparatología fija multibrackets”. ¿Qué supone para usted este reconocimiento?

Dr. M.A.B.- Me he sentido muy orgulloso y agradecido. En primer lugar, a todos mis seres queridos por su apoyo constante e incondicional. Y también a mis compañeros y profesores del Máster de Ortodoncia de la Universidad Complutense de Madrid. Para mí no hubiera habido una mejor forma de finalizar mi postgrado de especialización. Era un caso al que tenía un especial cariño por su complejidad, que radicaba en el estadio de desarrollo del paciente y los dos problemas esqueléticos que tenía: compresión maxilar y clase III esquelética severa. Además, el paciente tenía antecedentes familiares de clase III y presentaba un compromiso en su vía aérea por el tamaño de sus adenoides y amígdalas, lo cual favorecía una posición lingual baja. Gracias a la aplicación del anclaje esquelético fue posible lograr una relación oclusal sagital, transversal y vertical correcta, tratando de evitar así un tratamiento ortodóncico-quirúrgico en el futuro.

La Odontología, como cualquier otra profesión sanitaria, está en constante evolución y la docencia te ayuda a mantenerte actualizado no solo a través del contacto con el resto del profesorado, sino también gracias a las dudas e inquietudes del alumnado ”

 DM.- Y, para finalizar, si tuviera ahora mismo la oportunidad de orientar a un odontólogo recién graduado, ¿qué consejos le daría?

Dr. M.A.B.- Sobre todo, que tuviera paciencia y perseverancia. Al empezar a trabajar fuera de la clínica universitaria, donde cuentas con la supervisión del profesorado, te sientes desamparado en muchas ocasiones. Por eso es importante comenzar realizando funciones más sencillas, reconociendo tus limitaciones y apoyándote en profesionales con más experiencia para ir asumiendo, de manera progresiva, la responsabilidad de tratamientos más complejos.

Mi consejo principal para orientar a un recién graduado sería trabajar como odontólogo general en primer lugar para mejorar la habilidad de diagnóstico y, posteriormente, en caso de tener la intención de especializarse en un área concreta, optaría por un programa de postgrado completo y de calidad que siguiera las normativas europeas de formación especializada. 

El Dr. Miguel Ángel Blanco Exponiendo un trabajo de investigación en el Congreso de la Sociedad Española de Ortodoncia 2024, celebrado en Gran Canaria.
El Dr. Miguel Ángel Blanco recogiendo la Beca de Estancia Clínica otorgada por la Sociedad Española de Ortodoncia.

IMPLANTES ESTRECHOS DE PLATAFORMA REDUCIDA COMO SOLUCIÓN DE MÍNIMA

INTERVENCIÓN

EN UNA PACIENTE AFECTADA POR EL SÍNDROME SAPHO. A PROPÓSITO DE UN CASO

El síndrome SAPHO es un trastorno raro que afecta al sistema musculoesquelético y la piel, donde se emplean tratamientos que pueden limitar la terapéutica con implantes. En el presente caso clínico, mostramos un abordaje mínimamente invasivo de una paciente tratada con bifosfonatos intravenosos y metotrexato, donde se han logrado colocar implantes dentales con éxito, mediante un abordaje mínimamente invasivo, con implantes cortos y estrechos, fresado biológico conservador con el lecho receptor y un protocolo cuidadoso, con el empleo de PRGF-Endoret como terapia de apoyo.

Contacto:

Dr. Eduardo Anitua eduardo@fundacioneduardoanitua.org

Introducción

El síndrome SAPHO es un trastorno raro y crónico que afecta principalmente el sistema musculoesquelético y la piel, combinando características clínicas que incluyen sinovitis (inflamación de las articulaciones), acné severo, pustulosis (lesiones pustulares en las palmas de las manos y plantas de los pies), hiperostosis (engrosamiento anormal de los huesos) y osteítis (inflamación ósea)1-3. Aunque la etiología exacta del síndrome SAPHO sigue siendo desconocida, se considera que factores inmunológicos y genéticos podrían desempeñar un papel significativo en su desarrollo5. Suele afectar estructuras como el esternón, las clavículas, la columna vertebral y la mandíbula, causando dolor, inflamación y rigidez en las áreas involucradas. Los tratamientos actuales se enfocan en el manejo sintomático y pueden incluir el uso de antiinflamatorios no esteroides, inmunosupresores como el metotrexato, y en algunos casos bifosfonatos, para reducir el dolor y mejorar la función en los pacientes afectados1-5. Los bifosfonatos son fármacos análogos sintéticos del pirofosfato que regulan el metabolismo óseo del calcio y del fósforo (Ca, P), uniéndose a la hidroxiapatita e inhibiendo su reabsorción por los osteoclastos. Su estructura es completamente resistente a la destrucción enzimática

a nivel de la unión del fosfato y el carbono: P-C-P. Tienen una alta afinidad por el hueso mineral, y una vez absorbidos estos medicamentos, son incorporados a la matriz ósea6-8. Se encuentran además asociados, sobre todo cuando se emplean de forma intravenosa, con uno de los efectos adversos más graves en la odontología: la osteonecrosis de los maxilares (ONM)6-9. Esta condición implica la exposición ósea persistente en el maxilar o la mandíbula y una cicatrización deficiente tras procedimientos quirúrgicos en la cavidad oral, como la colocación de implantes dentales9. En el síndrome SAPHO pueden combinarse con agentes inmunosupresores, como el metotrexato, generándose un riesgo doble para el paciente, ya que el bifosfonato predispone al desarrollo de ONM y el metotrexato puede comprometer aún más la respuesta inflamatoria y la regeneración ósea3. La rehabilitación de estos pacientes con implantes, sobre todo cuando existen atrofias óseas moderadas-severas puede ser compleja, debido principalmente a la afectación del lecho receptor por la patología de base y a los tratamientos empleados para paliarla. Por ello, las técnicas mínimamente invasivas cobran una vital importancia en estos casos. Todos los procedimientos empleados que impliquen manipulación ósea y nueva integración

de biomateriales o de injertos pueden generar en estos pacientes problemas como la ONM, fracaso de la técnica, secuestro de los materiales e infecciones, por lo que debemos tratar de elegir procedimientos poco invasivos4. El uso de PRGF-Endoret como factor protector en intervenciones quirúrgicas sobre el hueso maxilar y mandibular en pacientes tratados con bifosfonatos intravenosos ha demostrado ser eficaz. Un estudio publicado por Mozzati et al. en 201210 reportó una cohorte de pacientes en los que se realizaron extracciones dentales, divididos en dos grupos: un grupo de 91 casos tratados con PRGF-Endoret tras la extracción dental y un grupo control de 85 pacientes sometidos a extracciones convencionales y atraumáticas.

Los resultados del estudio no mostraron complicaciones intraoperatorias en ninguno de los grupos. Sin embargo, el grupo tratado con PRGF-Endoret no desarrolló casos de osteonecrosis en 542 extracciones, mientras que en el grupo control, 5 de las 267 extracciones presentaron exposición ósea relacionada con necrosis inducida por bifosfonatos. Estos hallazgos respaldan el uso de PRGF-Endoret como un agente protector en procedimientos quirúrgicos en maxilar y mandíbula en pacientes con tratamiento de bifosfonatos intravenosos. Esta conclusión ha sido confirmada por una revisión sistemática posterior, que destaca los beneficios de emplear PRGF-Endoret en estos procedimientos11

En el presente caso clínico mostramos una paciente con síndrome SAPHO en tratamiento con bifosfonatos intravenosos y metotrexato concomitante rehabilitada con implantes mediante un protocolo mínimamente invasivo y el empleo de PRGF-Endoret como factor protector.

Caso clínico

Presentamos el caso de una paciente femenina de 65 años que acude a nuestra consulta demandando tratamiento implantológico para realizar rehabilitación de edentulismo superior completo y parcial inferior. Ha comenzado tratamiento en otro centro, donde se ha realizado una elevación de seno bilateral y ha tenido numerosas complicaciones en la cicatrización y un post-operatorio complicado tras la primera fase quirúrgica, por lo que solicita una segunda opinión. Es portadora actualmente de una prótesis completa superior, que se encuentra desajustada desde el punto de vista de la retención y una prótesis removible inferior que también tiene una movilidad importante sobre todo en la masticación (figuras 1- 4). Además la paciente tiene diagnosticado un síndrome SAPHO para el que lleva un tratamiento con metotrexato (Metoject subcutáneo semanal) y ácido zoledrónico intravenoso mensual, con última dosis en Julio de 2013. Desde la última inyección del bifosfonato hasta la cita en la que estamos viendo a la paciente han transcurrido dos años.

1Private practice in oral

2Clinical researcher, Eduardo Anitua Foundation, Vitoria, Spain. 3 University Institute for Regenerative Medicine and Oral Implantology - UIRMI (UPV/EHUFundación Eduardo Anitua), Vitoria, Spain.

Figuras 1 y 2. Imágenes iniciales de la paciente con sus prótesis removibles actuales en la primera visita.

Figuras 3 y 4. Al retirar las prótesis removibles, observamos como existe un gran espacio interoclusal a rehabilitar lo que nos indica que existe probablemente una atrofia ósea tanto en maxilar como en mandíbula. Esta atrofia ósea ha generado como consecuencia una discrepancia maxilo-mandibular con una relación ósea de clase III.

Dr. Eduardo Anitua DDS, MD, PhD1,2,3
implantology, Eduardo Anitua Institute, Vitoria, Spain.

caso clínicoIMPLANTOLOGÍA

El primer paso en el diagnóstico es realizar una tomografía cone-beam, que permite evaluar objetivamente el nivel de atrofia ósea y determinar la anchura y altura ósea disponible. Dado que la paciente aún presenta molestias en el área intervenida del maxilar superior, se opta por comenzar el tratamiento en la mandíbula. En las imágenes de diagnóstico y planificación, se observa una marcada atrofia ósea horizontal a lo largo de toda la mandíbula. Por esta razón, se planifica la colocación de implantes cortos y de diámetro reducido, lo cual permite posicionarlos en el lecho óseo sin necesidad de intervenciones adicionales que podrían comprometer la cicatrización en un hueso ya afectado por los fármacos. (figuras 5–11). Además, se emplea un protocolo de fresado conservador con el lecho receptor (fresado biológi-

co) a bajas revoluciones, minimizándose el daño en las células óseas que deben encargarse de la oseointegración12-13. Una vez colocados, en las imágenes intraorales de la cirugía podemos observar como la cresta ósea es muy estrecha, generándose incluso con los implantes de menor diámetro disponibles (plantaforma de 3 mm) expansiones puntuales (figuras 12 y 13). Tras la cirugía de inserción se lleva a cabo la carga inmediata de los implantes, con la excepción del penúltimo implante del cuarto cuadrante, en el que se ha generado una expansión mayor y el torque final de colocación del implante es menor. La estructura de fabricación de la prótesis de carga inmediata es con barras articuladas, terminada en resina, atornillada mediante elementos intermedios (transepiteliales) (figuras 14-16).

5- 11. Cone-beam de planificación de todo el espesor mandibular, donde se ve la atrofia ósea presente mucho más marcada en sentido horizontal. La inserción de implantes cortos y estrechos nos proporciona un enfoque altamente conservador a la hora de colocar los implantes.

Figuras

caso clínicoIMPLANTOLOGÍA

Figuras 12 y 13. Imagen post-quirúrgica de la colocación de los implantes estrechos y de diámetro reducido en ambos sectores posteriores mandibulares. Como vemos, en algunas zonas, el implante ha generado una ligera expansión de la cortical vestibular, apreciándose por ello la extrema atrofia horizontal que tiene la cresta, ya que son implantes de 3 mm de plataforma.

Una vez finalizada la primera fase de la cirugía mandibular, impulsados por los buenos resultados de la cirugía mínimamente invasiva a la que se somete a la paciente, comenzamos con el diagnóstico y planificación del arco superior. En el cone-beam inicial, podemos observar que, en el caso del maxilar superior, en la zona anterior, tenemos una atrofia horizontal por lo que en este caso se planifican implantes estrechos y de plataforma reducida también (figuras 17-20). En los sectores posteriores, gracias a la elevación realizada en ambos cuadrantes, tenemos actualmente volumen óseo para insertar los implantes sin problemas (figuras 21 y 22). En estos implantes se realiza de nuevo una carga inmediata, al igual que en la mandíbula, sobre transepitelial, con prótesis atornillada y estructura de barras articuladas.

Radiografía panorámica con los implantes recién colocados y cargados con las prótesis de carga inmediata elaboradas con las barras preformadas. El implante en posición 46 no se carga debido a que en él se ha generado una mayor expansión y tiene un menor torque de inserción final.

Cuatro meses después, se procede a la exodoncia de los dientes remanentes en el sector anterior, debido a que presentan movilidad. En esta zona, se coloca un implante post-exodoncia inmediata (figura 23), con la misma filosofía de mínima intervención y posteriormente son unidos a la rehabilitación protésica inferior creándose un juego de prótesis de carga progresiva (figura 24). Esta carga progresiva se mantiene durante cinco meses más hasta el momento de realización de la prótesis definitiva. En el momento de la toma de medidas para esta fase final de la prótesis, podemos observar el buen estado de los tejidos blandos periimplantarios tanto en el arco superior como en el inferior (figuras 25 y 26).

14
15 16
Figura 14.
Figuras 15 y 16. Imágenes tras la carga inmediata, horas después de finalizar la fase quirúrgica.

caso clínicoIMPLANTOLOGÍA

Figuras 17-20. Cortes del cone-beam de planificación del sector anterior-superior donde observamos una atrofia horizontal marcada.

21 y 22. Cortes del cone-beam correspondientes a ambos sectores posteriores con la planificación de los implantes en las zonas de la elevación de seno.

Figuras

caso clínicoIMPLANTOLOGÍA

Figura 23. Corte seccional del cone-beam donde se planifica la colocación del implante post-exodoncia.

Figura 24. Prótesis de carga progresiva superior e inferior, dejándose el implante recién colocado para la fase de confección de la prótesis definitiva.

24
25 26
Figuras 25 y 26. Imágenes clínicas del momento de la toma de medidas al retirar la prótesis de carga progresiva. Podemos observar el buen estado de los tejidos blandos.

Como primer paso para la confección de la prótesis definitiva se realiza un encerado tanto superior como inferior y se prueba en el paciente para terminar de ajustar los parámetros estéticos y funcionales necesarios. Una vez tenemos todos los requerimientos adaptados, procedemos a transformar el encerado en la prótesis final (figuras 27-29). El cambio estético, pero aún más importante, funcional, es evidente si comparamos las imágenes iniciales

y finales del caso (figuras 30-33). Además todo ello ha sido logrado mediante procedimientos poco invasivos con escasa repercusión en el lecho óseo, de vital importancia en pacientes médicamente comprometidos con fármacos que afectan el recambio y cicatrización ósea. La paciente continúa en seguimiento, no objetivándose cambios significativos en ninguno de los implantes ni complicaciones a largo plazo tras 6 años de seguimiento (figura 34).

Figuras 27 y 28. Imágenes de la prótesis definitiva terminada colocada en la paciente.
Figura 29. Radiografía final con las prótesis definitivas colocadas en la paciente.

caso clínicoIMPLANTOLOGÍA

Figuras 30-33. Imágenes comparativas iniciales y finales del caso. Podemos observar cómo ha cambiado la estética de la paciente y, más importante aún, su función.

Figura 34. Imagen tras 6 años de seguimiento sin pérdidas óseas ni complicaciones en ninguno de los implantes.

Discusión

El síndrome SAPHO es una patología inflamatoria rara que afecta el sistema musculoesquelético y la piel, lo que plantea desafíos significativos en su tratamiento y en la planificación de procedimientos invasivos, como la colocación de implantes dentales 1-5. La inflamación ósea crónica y las alteraciones en la densidad y calidad del hueso en estos pacientes aumentan el riesgo de complicaciones quirúrgicas, pudiendo comprometer tanto la osteointegración como la estabilidad a largo plazo de los implantes 5,14 Además de los riesgos intrínsecos al deterioro óseo en el curso de la enfermedad, muchos pacientes con SAPHO reciben tratamientos farmacológicos que impactan directamente en el metabolismo óseo y en los resultados de las intervenciones dentales. Una de las estrategias terapéuticas más comunes es el uso de bifosfonatos intravenosos, los cuales reducen la actividad osteoclástica y, por ende, limitan la destrucción ósea 1-5,8-9,16. Sin embargo, su papel en el contexto de la colocación de implantes dentales sigue en estudio, ya que los bifosfonatos pueden aumentar el riesgo de osteonecrosis de los maxilares (ONM), especialmente cuando se administran en dosis altas o por periodos prolongados 16-17. La ONM es una condición grave que puede comprometer tanto la estabilidad del implante como el proceso de cicatrización, siendo particularmente frecuente en pacientes con patologías inflamatorias tratados con bifosfonatos intravenosos a largo plazo18

Cada vez es más frecuente la combinación de bifosfonatos con agentes inmunosupresores como el metotrexato, debido a la acción sinérgica de ambos en la reducción de la inflamación y en la contención de las lesiones osteolíticas en estos pacientes 2-3,19-20. No obstante, el metotrexato, si bien es eficaz en el control de la inflamación en el síndrome SAPHO, puede inhibir la proliferación de células óseas, lo cual reduce la capacidad de regeneración en el sitio del implante. Asimismo, su efecto inmunosupresor incrementa el riesgo de infecciones postoperatorias, un aspecto crucial al considerar la colocación de implantes dentales en esta población 19-21

La implementación de procedimientos implantológicos mínimamente invasivos en pacientes con alta complejidad, como el uso de implantes cortos o estrechos, permite evitar técnicas regene -

rativas avanzadas que conllevan mayores riesgos de complicaciones 22-23. Este enfoque mejora el pronóstico de la intervención y reduce el riesgo de desarrollar osteonecrosis de los maxilares (ONM). Además, el empleo de factores protectores como el PRGF-Endoret aporta beneficios adicionales, favoreciendo la osteointegración, reduciendo la inflamación, y acelerando la cicatrización ósea y de los tejidos blandos, lo que disminuye significativamente el riesgo postoperatorio10-11,24-26. La utilización de un fresado biológico conservador con el lecho quirúrgico es también un punto importante en el proceso. Con este tipo de fresado, se evita el calentamiento del lecho y se limita el daño producido por la fresa en las células que posteriormente deben iniciar el proceso de integración del implante12-13

Conclusiones

En este caso clínico, la utilización de implantes estrechos y de plataforma reducida permitió realizar una intervención mínimamente invasiva, reduciendo el trauma óseo y logrando una rehabilitación efectiva y predecible en un contexto de alta complejidad. Esta estrategia minimiza la necesidad de técnicas regenerativas extensivas y disminuye el riesgo de complicaciones asociadas, mejorando la estabilidad inicial del implante y facilitando el proceso de osteointegración. Adicionalmente, la incorporación de terapias de factores de crecimiento autólogos, como el PRGF-Endoret, ha demostrado ser eficaz en la aceleración de la cicatrización ósea y de los tejidos blandos. Esta terapia biológica estimula la regeneración celular, reduce la inflamación postoperatoria y promueve una cicatrización más rápida y eficiente, optimizando los resultados clínicos y reduciendo el tiempo de recuperación del paciente. La combinación de estos enfoques proporciona una solución segura y con alta predictibilidad, ofreciendo resultados satisfactorios incluso en casos de alta complejidad clínica. 

Resumen

El síndrome SAPHO es un trastorno raro que afecta al sistema musculoesquelético y la piel, donde se emplean tratamientos que pueden limitar la terapéutica con implantes. En el presente caso clínico, mostramos un abordaje mínimamente invasivo de una paciente tratada con bifosfonatos intravenosos y metotrexato, donde se han logrado colocar implantes dentales con éxito, mediante un abordaje mínimamente invasivo, con implantes cortos y estrechos, fresado biológico conservador con el lecho receptor y un protocolo cuidadoso, con el empleo de PRGF-Endoret como terapia de apoyo.

caso clínicoIMPLANTOLOGÍA

Bibliografía

- Kishimoto M, Taniguchi Y, Tsuji S, Ishihara Y, Deshpande GA, Maeda K, Okada M, Komagata Y, Kobayashi S, Okubo Y, Tomita T, Kaname S. SAPHO syndrome and pustulotic arthro-osteitis. Mod Rheumatol. 2022 Jul 1;32(4):665-674.

- Demirci Yildirim T, Sari I. SAPHO syndrome: current clinical, diagnostic and treatment approaches. Rheumatol Int. 2024 Nov;44(11):2301-2313.

- Li SWS, Roberts E, Hedrich C. Treatment and monitoring of SAPHO syndrome: a systematic review. RMD Open. 2023 Dec 26;9(4):e003688.

- Li M, Lai W. Mandibular involvement in SAPHO syndrome. Joint Bone Spine. 2022 Jan;89(1):105293.

- Yang Y, Chen Q, Zhong W. The role of cytokines in the pathogenesis of SAPHO syndrome. Front Immunol. 2024 Sep 2;15:1427784.

- Lesclous P, Abi Najm S, Carrel JP, Baroukh B, Lombardi T, Willi JP, Rizzoli R, Saffar JL, Samson J. 2009. Bisphosphonate-associated osteonecrosis of the jaw: a key role of inflammation? Bone 45:843-852.

- Longo F, Guida A, Aversa C, Pavone E, Di Costanzo G, Ramaglia L, Ionna F. 2014. Platelet rich plasma in the treatment of bisphosphonate-related osteonecrosis of the jaw: personal experience and review of the literature. Int J Dent 2014:298945.

- Okada S, Kiyama T, Sato E, Tanaka Y, Oizumi T, Kuroishi T, Takahashi T, Sasaki K, Sugawara S, Endo Y. 2013. Inhibition of phosphate transporters ameliorates the inflammatory and necrotic side effects of the nitrogen-containing bisphosphonate zoledronate in mice. Tohoku J Exp Med 231:145-158.

- Marx RE. 2003. Pamidronate (Aredia) and zoledronate (Zometa) induced avascular necrosis of the jaws: a growing epidemic. J Oral Maxillofac Surg 61:1115-1117.

- Mozzati M, Arata V, Gallesio G. Tooth extraction in patients on zoledronic acid therapy. Oral Oncol. 2012 Sep;48(9):817-21.

- Del Fabbro M, Gallesio G, Mozzati M. Autologous platelet concentrates for bisphosphonate-related osteonecrosis of the jaw treatment and prevention. A systematic review of the literature. Eur J Cancer. 2015 Jan;51(1):62-74.

- Anitua E, Carda C, Andia I. A novel drilling procedure and subsequent bone autograft preparation: a technical note. Int J Oral Maxillofac Implants. 2007 Jan-Feb;22(1):138-45. Erratum in: Int J Oral Maxillofac Implants. 2007 Mar-Apr;22(2):309.

- Anitua E, Troya M, Zalduendo M, Flores J, Tierno R, Alkhraisat MH. The influence of alveolar bone healing degree on its potential as a source of human alveolar bone-derived cells. Ann Anat. 2020 Nov;232:151578.

- Schmidlin PR, Ramenzoni LL. Inflammatory stimulation of osteoblasts and keratinocytes from a SAPHO patient for implant risk evaluation. Swiss Dent J. 2023 May 15;133(5):297-303.

- Cheng W, Li F, Tian J, Xie X, Chen JW, Peng XF, Tang Q, Ge Y. New Insights in the Treatment of SAPHO Syndrome and Medication Recommendations. J Inflamm Res. 2022 Apr 13;15:2365-2380.

- Lee ES, Tsai MC, Lee JX, Wong C, Cheng YN, Liu AC, Liang YF, Fang CY, Wu CY, Lee IT. Bisphosphonates and Their Connection to Dental Procedures: Exploring Bisphosphonate-Related Osteonecrosis of the Jaws. Cancers (Basel). 2023 Nov 10;15(22):5366.

- Gelazius R, Poskevicius L, Sakavicius D, Grimuta V, Juodzbalys G. Dental Implant Placement in Patients on Bisphosphonate Therapy: a Systematic Review. J Oral Maxillofac Res. 2018 Sep 30;9(3):e2.

- Sher J, Kirkham-Ali K, Luo JD, Miller C, Sharma D. Dental Implant Placement in Patients With a History of Medications Related to Osteonecrosis of the Jaws: A Systematic Review. J Oral Implantol. 2021 Jun 1;47(3):249-268.

- Przepiera-Bedzak H, Brzosko M. SAPHO syndrome: pathogenesis, clinical presentation, imaging,

comorbidities and treatment: a review. Postepy Dermatol Alergol. 2021 Dec;38(6):937-942.

- Firinu D, Garcia-Larsen V, Manconi PE, Del Giacco SR. SAPHO Syndrome: Current Developments and Approaches to Clinical Treatment. Curr Rheumatol Rep. 2016 Jun;18(6):35.

- Przepiera-Bedzak H, Fischer K, Brzosko M. Serum interleukin-23 protects, whereas methotrexate treatment stimulates selected components of the metabolic syndrome in patients with SAPHO syndrome. Arch Med Sci. 2018 Jul 5;17(1):120-126.

- de-Freitas NR, Lima LB, de-Moura MB, Veloso-Guedes CC, Simamoto-Júnior PC, deMagalhães D. Bisphosphonate treatment and dental implants: A systematic review. Med Oral Patol Oral Cir Bucal. 2016 Sep 1;21(5):e644-51.

- Mendes V, Dos Santos GO, Calasans-Maia MD, Granjeiro JM, Moraschini V. Impact of bisphosphonate therapy on dental implant outcomes: An overview of systematic review evidence. Int J Oral Maxillofac Surg. 2019 Mar;48(3):373-381.

- Mozzati M, Arata V, Giacomello M, Del Fabbro M, Gallesio G, Mortellaro C, Bergamasco L. Failure risk estimates after dental implants placement associated with plasma rich in growth factor-Endoret in osteoporotic women under bisphosphonate therapy. J Craniofac Surg. 2015 May;26(3):749-55.

- Anitua E, Begoña L, Orive G. Treatment of hemimandibular paresthesia in a patient with bisphosphonate-related osteonecrosis of the jaw (BRONJ) by combining surgical resection and PRGF-Endoret. Br J Oral Maxillofac Surg. 2013 Dec;51(8):e272-4.

- Anitua E, Zalduendo M, Troya M, Orive G. PRGF exerts a cytoprotective role in zoledronic acid-treated oral cells. Clin Oral Investig. 2016 Apr;20(3):513-21.

Siguiendo la evolución de la Odontología para el profesional del sector llamado a construir el futuro

SOLDOUT

REPORTAJES: EVENTOS DEL SECTOR DENTAL

• SEPES: Consensus Internacional de restauraciones cerámicas de mínima invasión

• BTIDAY´24: 25 Aniversario BTI

• I Simposio Salugraft Dental

• Congreso XX Aniversario Ziacom Group

• Premios Consejo General Dentistas España

• Premios SECIB 2024

• Premios Fundación COEM

• VII Premios Sanitas Dental Star

• SEPA Joven 2024

• SEPES Clínica 2025

NART NART MITRANI

Mariano SANZ GÓMEZ MEDA

S EPES

VILABOA José Manuel REUSS VILABOA BAHAT RÁBAGO

Susana PÉREZ DE LA FUENTE

Arturo LLOBELL Víctor CAMBRA

Bilbao 2025

54o Congreso Anual

9 - 11 de octubre

El desafío interdisciplinar

Andrea RICCI PELEKANOS KINZER JANAKIEVSKI

José Luis ANTONAYA

SAILER FEHMER JUNG

David GARCÍA BAEZA GIERTHMÜHLEN

BERBIS

Giuseppe ROMEO Pablo RAMÍREZ

Óscar GONZÁLEZ

Eva BERROETA Jon GURREA

Arturo VELA ZABALEGUI

Martín LAGUNA ZABALEGUI FONSECA PATTISON

PRÓTESIS / PLAN DE TRATAMIENTO | PRÓTESIS / PERIODONCIA | PRÓTESIS / ORTODONCIA | PRÓTESIS ADHESIVA EN PACIENTES CON PÉRDIDA DE LA DIMENSIÓN VERTICAL | REHABILITACIÓN DEL PACIENTE CON DESGASTES OCLUSALES | PRÓTESIS GUIADA EN IMPLANTOLOGÍA Y REMODELACIÓN CRANEOFACIAL | TRATAMIENTOS MULTIDISCIPLINARES: VIAJE A LARGO PLAZO | MUCOGINGIVAL - RESTAURACIONES PARCIALES - ALINEADORES | REHABILITACIONES ORALES ANALÓGICAS | REHABILITACIONES ORALES DIGITALES | IMPLANTOPRÓTESIS - PLAN DE TRATAMIENTO | BATALLA DE CONCEPTOS - DESAFÍOS CLÍNICOS: EUROPA VS. USA | PROTOCOLOS DIGITALES APLICADOS EN EL PACIENTE MULTIDISCIPLINAR | EVOLUCIÓN Y NUEVOS HORIZONTES | NUEVOS HORIZONTES DIGITALES EN REHABILITACIONES REMOVIBLES EN IMPLANTOLOGÍA | RESTAURACIONES MONOLÍTICAS VS. ESTRATIFICADAS EN REHABILITACIONES COMPLEJAS | ESTÉTICA EN PACIENTES CON DENTICIÓN TERMINAL | 30 AÑOS EVOLUCIÓN ORTO / ENDO / PERIO | IMPLANTS: THE SURGICAL/ RESTORATIVE CONNECTION | CURSO DE FOTOGRAFÍA DENTAL | CURSO HIGIENISTAS Y AUXILIARES

José
DE FRANCO IOANNIDIS
Gonzalo BLASI
BLASI
SOLANO
Irena
Eduardo ANITUA

S EPES

2025

54o Congreso Anual

9 - 11 de octubre

SEPES LIDERÓ EN MADRID

EL CONSENSUS MEETING

INTERNACIONAL

SOBRE

LAS RESTAURACIONES CERÁMICAS DE MÍNIMA INVASIÓN

La Sociedad Española de Prótesis Estomatológica y Estética (SEPES) ha liderado en Madrid el Consensus Meeting Internacional sobre las restauraciones cerámicas de mínima invasión, un proyecto científico de gran interés que se convertirá en una herramienta de gran utilidad para la profesión, especialmente para aquellos dentistas dedicados a la rehabilitación protésica y estética. / Fotos: SEPES

SEPES, como sociedad anfitriona, lideró la Joint Meeting Consensus Conference on Minimally Invasive Restorations, co-organizada por la Sociedad Española de Prótesis Estomatológica y Estética (SEPES), la Swiss Society of Reconstructive Dentistry (SSRD) y la Platform for Research, Operation, Science and Education with Ceramics (PROSEC), que tuvo lugar los días 14, 15 y 16 de no-

viembre en la facultad de Odontología de la Universidad Complutense de Madrid (UCM). Dirigida por el Prof. Guillermo Pradíes y coordinada por el Dr. Alfonso Gil por parte de SEPES, el Prof. Alexis Ioannidis por la SSRD y el Prof. Jörg Strub por parte de PROSEC, esta reunión ha sido la culminación de un exhaustivo proyecto científico a dos años sobre restauraciones mínimamente invasivas que di-

“Este relevante proyecto científico que se inició en 2023 y que culminará a lo largo de 2025 supone un paso fundamental en la consolidación de un consenso internacional sobre restauraciones mínimamente invasivas. La relevancia que tiene que del grupo de 60 expertos que conforma el elenco de investigadores y clínicos que participan en este estudio 17 de ellos sean españoles, demuestra el elevado nivel de expertise de nuestros clínicos prostodoncistas y el prestigio científico y formativo de nuestros investigadores, clínicos y docentes”

Dr. Alfonso Gil, Coordinador del Consensus Meeting e investigador participante

rige el prestigioso docente e investigador suizo Prof. Cristoph Hämmerle. A lo largo de los dos años que lleva el proyecto en marcha se ha realizado una detallada labor de revisión bibliográfica sistemática con aplicación clínica que se ha puesto en común en las sesiones de intenso trabajo que han llevado a cabo los tres grupos de expertos en Madrid, con el objetivo de llegar a un consenso sobre los seis temas clave que recogerá el documento de consenso definitivo:

 Rehabilitación de la estructura dental perdida debido a caries con enfoque en la zona posterior.

 Rehabilitación estética mínimamente invasiva en la zona anterior.

 La necesidad de un periodo de evaluación en procedimientos de aumento de la dimensión vertical de oclusión.

 Restauraciones directas vs. indirectas para el aumento de la dimensión vertical de oclusión.

 Uso de preparaciones verticales versus horizontales para restauraciones mínimamente invasivas.

 Precisión de los escáneres intraorales para la odontología mínimamente invasiva.

“Este consensus sobre las 6 revisiones sistemáticas, así como las aportaciones de los casos clínicos, es de gran interés y una herramienta de utilidad para la profesión y en especial para todos aquellos dentistas dedicados a la rehabilitación protésica y estética

Prof. Guillermo Pradíes, Director de uno de los tres grupos de trabajo e investigador participante

En esta reunión de trabajo se han reunido expertos del campo de la Prótesis, la Odontología restauradora y digital, y de Biomateriales, procedentes de Suiza, España, Alemania y Estados Unidos como el Prof. Florian Beuer, de la Universidad de Munich o los mencionados profesores Hämmerle, Pradíes, Ioannidis y Strub. Así como todos los miembros de la Junta Directiva de SEPES, Rafael Martínez de Fuentes, Jaime Jiménez, Sandra Fernández, Iria López, Ernest Mallat y el propio Guillermo Pradíes, presidente de la Sociedad, integrados todos ellos en los grupos de trabajo. Destacados investigadores, docentes y clínicos nacionales e internacionales de gran prestigio hasta un total de 60, han participado en esta reunión de Madrid. En palabras del Dr. Alfonso Gil, Coordinador del Consensus Meeting e investigador participante, “este relevante proyecto científico que se inició en 2023 y que culminará a lo largo de 2025 supone un paso fundamental en la consolidación de un consenso internacional sobre restauraciones mínimamente invasivas. La relevancia que tiene que del grupo de 60 expertos que conforma el elenco de investigadores y clínicos que participan en este estudio 17 de ellos sean españoles, demuestra el elevado nivel de expertise de nuestros clínicos prostodoncistas y el prestigio científico y formativo de nuestros investigadores, clínicos y docentes”. En palabras del Prof. Guillermo Pradíes, presidente de SEPES y director de uno de los tres grupos de trabajo, “este consensus sobre las 6 revisiones sistemáticas, así como las aportaciones de los casos clínicos, es de gran interés y una herramienta de utilidad para la profesión y en especial para todos aquellos dentistas dedicados a la rehabilitación protésica y estética”. 

BTI CELEBRA SU 25 ANIVERSARIO EN EL BTIDAY´24 DE MADRID

BTI Biotechnology Institute celebró la jornada científico-clínica BTIDAY´24 en el Teatro Goya de Madrid, una edición muy especial de la reunión anual de la compañía vitoriana, que celebró su 25 aniversario, además de presentar las últimas novedades desarrolladas por el equipo de I+D de BTI.

Biotechnology Institute, compañía especializada en implantología oral, medicina regenerativa y trastornos del sueño, celebró el 16 de noviembre la jornada científico-clínica BTIDAY´24 en el Teatro Goya de Madrid. Una edición muy especial de la reunión anual de la compañía vitoriana, que celebró su 25 aniversario, en la que se presentaron las últimas novedades desarrolladas por el equipo de I+D de BTI.

Bajo el lema “Futuro a tiempo real”, se desarrolló una jornada fundamentada en la ciencia, la evidencia, la biología y el pensamiento crítico, en la que se realizó una puesta al día sobre diversos temas de gran interés clínico, como las novedades en soluciones digitales en prótesis, software o cirugía, los últimos tratamientos en mandíbula extremadamente atrófica, los avances en el manejo del alveolo postextracción, la presentación del último

BTI
El Dr. Anitua presentó su último libro “Desafíos y soluciones en la atrofia ósea vertical. Una perspectiva clínico-biológica” durante el BTIDAY’24 en Madrid.

libro del doctor Eduardo Anitua: “Desafíos y soluciones en la atrofia ósea vertical. Una perspectiva clínico-biológica”, así como las novedades en el estudio de las apneas del sueño y su aplicación en la clínica dental.

Al igual que en anteriores ediciones del BTI Day, además de los temas científicos, durante el encuentro tuvieron cabida otros contenidos divulgativos y de entretenimiento, como la conferencia “El poder positivo del cambio” ofrecida por José Luis Izquierdo (Mago More), quien además fue el conductor de la jornada.

En cuanto al programa, el BTIDAY’24 contó con la participación de reconocidos expertos como el Dr. Ion Zabalegui, quien centró su exposición sobre

“Tratamiento del fracaso en el maxilar anterior”; el Dr. César Muelas, quien habló sobre las “Claves para lograr resultados predecibles en el sector anterior”; el Dr. José Luis Cebrián, quien centró su ponencia en las “Opciones implantológicas en pacientes oncológicos”; el Dr. Pedro Mayoral, con la ponencia sobre “Prescripción de un dispositivo intraoral para el tratamiento de ronquido y apnea”; y el Dr. Guillermo Pradíes, quien aprovechó su ponencia para hablar sobre “Robótica e inteligencia artificial en implantología. El futuro es ahora”. Además de esta Jornada en Madrid, anteriormente BTI Biotechnology Institute había celebrado este encuentro en el Palacio de Congreso Europa de Vitoria el 9 de noviembre de 2024. 

ñía vitoriana, que celebró su 25 aniversario.

En la reunión anual de la compañía vitoriana se presentaron las últimas novedades desarrolladas por el equipo de I+D de BTI.
BTI
En la imagen (de izq. a dcha.), el Dr. Eduardo Anitua, el Mago More y Dani de la Cámara.
BTI
Ponentes del BTIDAY’24 en Madrid.
BTI Biotechnology Institute celebró la jornada científico-clínica BTIDAY´24 en el Teatro Goya de Madrid, una edición muy especial de la reunión anual de la compa-
BTI

SALUGRAFT DENTAL REÚNE A LOS MEJORES EXPERTOS EN REGENERACIÓN EN SU I SIMPOSIO

Más de 160 profesionales se reunieron en el I Simposio Salugraft, un evento científicosolidario donde los mejores expertos en regeneración de nuestro país hablaron sobre regeneración tisular y ósea y todas sus derivadas biológicas. Un encuentro en el que, además, la empresa conmemoró su décimo aniversario. / Fotos: Salugraft Dental

Salugraft Dental celebró el 23 de noviembre su

I Simposio, un evento científico-solidario que reunió a los mejores expertos en regeneración de nuestro país. La empresa, que conmemoró también en dicho acto su décimo aniversario, aglutinó en el COEM a más de 160 dentistas entusiasmados de la regeneración tisular y ósea y todas sus derivadas biológicas. El acto fue inaugurado por el presidente actual de SEPA, José Nart, quien felicitó los 10 años de camino de la empresa y animó a todos los ponentes y asistentes a disfrutar de una intensa jornada de formación regenerativa. La directora de Comunicación Médica, Miriam Orteu, presentó a Ramón Lorenzo Vignau, moderador del evento, quien introdujo y condujo magistralmente las 7 sesiones del evento.

Cada una de las sesiones contó con 2 o 3 ponentes, quienes presentaban su experiencia y casos clínicos, agrupándose en una mesa redonda posterior, en la que debatían entre ellos y el moderador,  y respondían las preguntas que el incombustible público les hacía llegar por whatsapp.

15 ponentes, 7 sesiones y más de 25 casos clínicos La Sesión 1, Factores de crecimiento en el aloinjerto, contó con Ramón Pons y Germán Barbieri como ponentes, quienes presentaron sus casos con el innovador aloinjerto moldeable en fibras OraGRAFT Prime, que libera factores de crecimiento BMP-2 y BMP-7 y arroja unos excelentes resultados, en defectos periimplantarios y periodontales.

A continuación, en la Sesión 2, Selección del aloinjerto en pacientes médicamente comprometidos, subieron al estrado José Mª Delgado y Miguel González, quienes expusieron su larga experiencia con el aloinjerto con antibiótico SaluMYCIN. En el caso de este último y los esperanzadores resultados del estudio con 30 pacientes diabéticos tratados con este aloinjerto, como colofón de su teórica y útil presentación de tratamiento de pacientes con enfermedades tan comunes como cáncer, hipertensión o enfermedades coronarias. Un capítulo en el que muchos doctores confiesan no acabar de sentirse del todo cómodos o bien formados, hecho que se confirmó con las muchas preguntas que recibió el ponente.

Después de una reconfortante pausa para tomar un café y retomar fuerzas, se inició la Sesión 3,  Cómo minimizar cirugías en periodontitis/ periimplantitis , en la que Leticia Sala, Vanessa Ruiz-Magaz y Esteban Padullés nos describieron su experiencia con el innovador protocolo Clean&Seal, a base de hipoclorito sódico con aminoácidos, Perisolv, y ácido hialurónico, Hyadent BG. Ambos productos, agrupados en el protocolo Clean&-

Más de 160 personas se reunieron en el COEM durante el I Simposio Salugraft.

Seal, están mostrando espectaculares resultados clínicos y estéticos, tal y como los ponentes mostraron en su sesión, con muchas preguntas en su debate posterior. Javier Barberà inauguró la Sesión 4, Elevación de seno mínimamente invasiva en pocos minutos, presentando su tesis doctoral, con más de una cuarentena de casos resueltos mediante la innovadora técnica de Oseodensificación con las genuinas fresas Densah, fabricadas por Versah, del Dr. Salah Huwais, y el aloplástico NovaBone Dental Putty. A continuación, Ramón Gómez Meda mostró también varios de sus casos resueltos en base a este mismo protocolo de oseodensificación, que domina desde hace muchos años. Después de una ágil y suculenta comida servida en la exposición comercial del COEM, se dio inicio a la Sesión 5 sobre Elevaciones de seno altamente demandantes por atrofias severas, iniciada con una ilustrativa presentación de Sergio Rodríguez, quien sentó las bases de las innumerables situaciones clínicas a las que se puede enfrentar el odontólogo ante este tipo de elevaciones. Ramón Gómez Meda mostró varios de sus casos más complicados en contraposición a los resueltos de forma mínimamente invasiva presentados en la sesión anterior. Para finalizar este bloque, Juan Alberto Fernández cerró la sesión defendiendo el uso del hueso

autógeno, y en su defecto, el aloinjerto mineralizado, culminando todos en una interactiva mesa redonda sobre ambos tipos de elevaciones de seno. Tocó el turno a la  Membrana alogénica desmineralizada, nuevos horizontes, en la Sesión 6, donde Ramón Lorenzo, Erik Regidor y Germán Barbieri presentaron casos muy variados con Cortiflex y Cortiflex Thin, respectivamente. En el estrado se compartió desde varias regeneraciones óseas, alguna en corticotomía a arcada completa, hasta regeneración de dientes y alrededor de implantes, e incluso la salvación de dientes con pérdida severa de inserción, de pronóstico imposible. Germán Barbieri, uno de los usuarios de Cortiflex con mayor experiencia en el país, impulsó el desarrollo de la versión más fina posible junto al banco de tejidos DIZG, para dar respuesta a su inquietud de disponer de aloinjerto desmineralizado en un nuevo formato lo más fino posible. Para concluir las presentaciones, se pasó a la sesión 7, Actualización en el aumento vertical , en la que Sergio G. Moreno nos mostró sus casos a boca partida con membrana no reabsorbible Cytoplast en un lado vs la innovadora malla perforada Cytoplast RPM  en el otro. En contraposición, Erik Regidor presentó el estudio realizado con la lámina mineralizada OraGRAFT Cortical Plate como alternativa a hueso de rama en la técnica Khoury. Finalizando la sesión y el evento a su vez, J. Alberto Fernández con

El I Simposio de Salugraft reunió a los mejores expertos en regeneración de nuestro país.
En la imagen, la directora de Comunicación Médica de Salugraft, Miriam Orteu.
Ramón LorenzoVignau, moderador del evento, fue el encargado de introducir y conducir las 7 sesiones del evento.

una clase magistral sobre aumentos verticales en casos de senos con defectos comunicantes.

El I Simposio Salugraft se trataba de un evento científico-solidario en el que el beneficio recogido se donó íntegra y equitativamente a tres proyectos (ProBoca el Cambio, Zimbabwe See and Smile, ambos de Smile is a Foundation, y SomRiures), y a su vez, Salugraft donó el mismo importe recaudado a los tres proyectos.

Si no pudiste acudir al I Simposio Salugraft y quieres ver alguna de las sesiones, no dudes en contactar en formacion@salugraftdental.com 

La Sesión 1, Factores de crecimiento en el aloinjerto, contó con Ramón Pons y Germán Barbieri como ponentes.
En la Sesión 2, Selección del aloinjerto en pacientes médicamente comprometidos, subieron al estrado José Mª Delgado y Miguel González.
La Sesión 3, Cómo minimizar cirugías en periodontitis/ periimplantitis, contó con Leticia Sala, Vanessa Ruiz-Magaz y Esteban Padullés como ponentes.
Javier Barberà inauguró la Sesión 4, Elevación de seno mínimamente invasiva en pocos minutos, presentando su tesis doctoral; y Ramón Gómez Meda mostró también varios de sus casos resueltos.
Sergio Rodríguez, Ramón Gómez Meda y Juan Alberto Fernández participaron como ponentes en la Sesión 5 sobre Elevaciones de seno altamente demandantes por atrofias severas
En la Sesión 6, Membrana alogénica desmineralizada, nuevos horizontes Ramón Lorenzo, Erik Regidor y Germán Barbieri, presentaron casos muy variados con Cortiflex y Cortiflex Thin, respectivamente.
En la sesión 7, Actualización en el aumento vertical, participaron como ponentes Sergio G. Moreno, Erik Regidor y J. Alberto Fernández.

SaluMYCIN™

Aloinjerto esponjoso particulado con Vancomicina

Oseodensificación

SOLUCIONES ÚNICAS E INNOVADORAS en regeneración

NovaBone Dental Putty

Fresas para Oseodensificación y su complemento ideal para regeneración

Soluciones regenerativas 360º

Cortiflex

Lámina cortical flexible desmineralizada

Clean&Seal

Tratamiento periodontal no quirúrgico

Hyadent BG

Ácido hialurónico

OraGRAFT Prime

Matriz ósea cortical desmineralizada en fibras moldeables

Cytoplast RPM

Malla perforada de PTFEd con refuerzo de titanio

Perisolv

Gel desbridamiento

Fresas Densah

ZIACOM GROUP CELEBRA SU XX ANIVERSARIO CON UN CONGRESO INTERNACIONAL

QUE MARCA EL FUTURO DE LA ODONTOLOGÍA

Para conmemorar sus 20 años de trayectoria, Ziacom Group ha celebrado su Congreso

Odontológico Internacional. Un encuentro con el que la compañía reafirma su compromiso con la innovación y su apuesta por la tecnología avanzada y la excelencia en beneficio de profesionales y pacientes de todo el mundo, con el objetivo de avanzar hacia una odontología más eficiente, precisa y personalizada. / Fotos: Ziacom Group

El Teatro Goya de Madrid fue el escenario elegido para conmemorar los 20 años de trayectoria de Ziacom Group con su Congreso Odontológico Internacional que reunió a más de 600 profesionales de todo el mundo los días 22 y 23 de noviembre de 2024. Este evento se consolidó como un referente global en la odontología gracias a la participación de expertos de renombre como Carlos Parra, Juan Delgado, Luis Cuadrado, Norberto Manzanares, Pablo Galindo, Silvio Meloni y Joseph Choukroun, entre otros. A lo largo del congreso, se compartieron ideas innovadoras, casos clínicos y técnicas avanzadas que prometen transformar la práctica odontológica.

Alejandro del Valle, CEO de Ziacom, inauguró el evento con un discurso emotivo en el que resaltó los logros alcanzados durante estas dos décadas, señalando que “hoy no solo celebramos 20 años de trayectoria, sino también el compromiso, la pasión y la dedicación que nos han traído hasta aquí. Hemos enfrentado desafíos, superado obstáculos y alcanzado metas que alguna vez parecieron inalcanzables. Pero lo más importante es que lo hemos logrado juntos, unidos por una visión común: mejorar la calidad de vida de las personas a través de soluciones innovadoras en el ámbito de la salud dental”, añadió el CEO de Ziacom.

Soluciones que redefinen la odontología

Entre las principales innovaciones presentadas destacó el sistema de cirugía guiada Ziacom 3D y la caja quirúrgica Galaxy 3D. La caja Galaxy 3D ha sido desarrollada junto con su KOL el Dr. Juan Delgado. Esta tecnología permite realizar procedimientos quirúrgicos con una precisión total. Además, este sistema facilita la planificación detallada y la ejecución de las intervenciones, y optimiza la seguridad y los resultados, reduciendo el margen de error en la cirugía y el tiempo de recuperación de los pacientes. Este sistema de cirugía guiada se posiciona como uno de los más avanzados de la odontología moderna.

Otro de los hitos de la compañía ha sido el sistema Di2gital Arch, diseñado en colaboración con el Dr. Luis Cuadrado. Di²gital Arch es un revolucio-

nario sistema de impresión digital que garantiza la máxima sencillez y precisión en tratamientos con implantes. Durante su ponencia, el Dr. Luis Cuadrado explicó que “este sistema de impresión es una herramienta revolucionaria para la odontología, ya que sirve como estructura de referencia fija para facilitar la alineación y superposición de los archivos virtuales obtenidos en diferentes situaciones clínicas de un mismo paciente”.

Otra herramienta que resaltó durante las ponencias fue la llave de inserción VPress de Ziacom. Los doctores César Braña y Carlos Pascual destacaron algunas de sus características, como la facilidad para colocar el implante con precisión, la reducción del riesgo de contaminación y la mejora en la exactitud al posicionarlo correctamente sin riesgo de dañarlo. Además, gracias a las indicaciones de profundidad en milímetros, facilita la colocación del implante en la posición óptima. Asimismo, la jornada contó con un concurso de casos clínicos dirigido a profesionales del sector. Los participantes presentaron soluciones y técnicas a casos clínicos que ellos abordaron, siendo evaluados por un comité científico de renombre, el cual tuvo como presidenta a la Dra. Carmen Vera y a profesionales como el Dr. Eduard Ferrés Amat, el Dr. Carlos Mazón y las Dras. Ana Adell e Isabel González Bueso. Los ganadores recibieron premios en productos de Ziacom, incentivando el talento y la excelencia entre los profesionales.

“Hemos enfrentado desafíos, superado obstáculos y alcanzado metas que alguna vez parecieron inalcanzables. Pero lo más importante es que lo hemos logrado juntos, unidos por una visión común: mejorar la calidad de vida de las personas a través de soluciones innovadoras en el ámbito de la salud dental”
Alejandro del Valle, CEO de Ziacom

Las nuevas propuestas del grupo

El congreso también sirvió como plataforma para presentar otras novedades, como los alineadores invisibles RealAligner, que están revolucionando la ortodoncia. Estos alineadores ofrecen un tratamiento cómodo y discreto, adaptándose a las necesidades particulares de cada paciente. Gracias a su diseño y tecnología avanzada, este sistema se presenta como una opción predecible y segura, facilitando la labor del ortodoncista. Durante el evento, profesionales como el Dr. David Suárez Quintanilla y las Dras. Ana Sada y Beatriz Orellana compartieron casos clínicos que demostraron la adaptabilidad y precisión de RealAligner. Por otro lado, Ziaderma, la línea de fillers de ácido hialurónico de Ziacom, fue otro de los productos que causó gran interés entre los asistentes. La KOL

Alejandro del Valle, CEO de Ziacom.

Dra. Cristina Orellana impartió una masterclass sobre el producto y técnicas avanzadas de relleno dérmico en el tercio medio inferior. Los asistentes pudieron conocer sus aplicaciones tanto faciales como dentales, enfocadas en el rejuvenecimiento y la mejora estética. Con Ziaderma, Ziacom refuerza su presencia en el campo de la medicina estética dental, ampliando su portafolio de soluciones y fortaleciendo su compromiso con la innovación. En las dos jornadas que duró el evento, se incluyó un espacio para la exposición de productos, donde destacaron marcas como UBGEN, recientemente adquirida por Ziacom y que está especializada en regeneración ósea y membranas de pericardio bovino y colágeno, y Ziacor Cad/Cam, el laboratorio de prótesis personalizables de Ziacom.

Networking, inspiración y celebración

La celebración no se limitó a los avances científicos y a las ponencias de doctores e investigadores; también ofreció un espacio para el intercambio de ideas y la conexión entre profesionales. Además, se organizaron diversas actividades sociales que añadieron un toque único al evento. Entre los momentos más destacados, se contó con la charla de Víctor Küppers, que motivó a los asistentes, así como con la magia y los trucos del Mago Javi Rufo

y la actuación de la cantante Nia, ganadora de OT, quien cautivó con su voz a todos los presentes. Para culminar esta gran celebración, todos los asistentes al evento fueron invitados a una exclusiva cena de gala en la sala Opium, donde una espectacular actuación en vivo con cantantes y bailarines dejó una huella imborrable en todos los asistentes.

Doble protagonismo en la OMD Expodentária

Ziacom Group también tuvo una destacada participación en la OMD Expodentária de Lisboa (Portugal), el mayor evento odontológico del país. Este doble protagonismo reafirma el liderazgo de Ziacom en el mercado ibérico y su firme compromiso de construir puentes entre profesionales y mercados, llevando soluciones dentales de vanguardia a más países.

Un futuro de expansión y crecimiento global

Con este congreso y su vigésimo aniversario, Ziacom Group no solo celebra su trayectoria, sino que reafirma su compromiso con la innovación, marcando el camino hacia el futuro de la odontología. Su apuesta firme por la tecnología avanzada y la excelencia sigue elevando los estándares del sector, en beneficio de profesionales y pacientes de todo el mundo. La compañía sigue liderando el camino hacia una odontología más eficiente, precisa y personalizada. 

Dr. Chourkoun.
Dr. Juan Delgado.
Dra. Cristina Orellana.
Dra. Ana Sada.
Entrega de premios.
Stand UBGEN.
Stand Ziacom.

EL CONSEJO GENERAL DE DENTISTAS Y LA FDE ENTREGAN SUS GALARDONES ANUALES

Un año más el Consejo General de Dentistas y la Fundación Dental Española (FDE) han celebrado la gala de entrega de sus Premios anuales, unos galardones con los que se reconoce a aquellas personas e instituciones que han destacado por impulsar y mejorar la Odontología en nuestro país. En esta última edición, el Dr. Daniel Torres Lagares, presidente de la Sociedad Española de Cirugía Bucal (SECIB), ha sido reconocido con el Premio Dentista del Año 2023, y el Premio Santa Apolonia 2023 ha sido concedido al Dr. Borja Zabalegui Andonegui. / Fotos: Consejo General de Dentistas de España

El Consejo General de Dentistas y la Fundación Dental Española (FDE), presididas por el Dr. Óscar Castro Reino, entregaron el 13 de diciembre de 2024 sus Premios anuales, que reconocen a aquellas personas e instituciones que han destacado por impulsar y mejorar la Odontología en nuestro país. Al evento asistieron representantes de la Organización Colegial de Dentistas, Sociedades Científicas, personalidades políticas y del ámbito sanitario, y representantes de los medios de comunicación.

Distinciones

El evento dio comienzo con la entrega de distinciones a los Dictantes de Honor de la organización, los Dres. Francisco Cardona y Bernardo Perea, quienes han completado diez años como dictantes de

los cursos de formación para dentistas que organiza la Fundación Dental Española.

A continuación, se procedió a conceder las distinciones de Consejeros de Honor, que este año han sido para los Dres. Alejandro de Blas Carbonero, expresidente del Colegio de Dentistas de Segovia; Alfonso Mateos, expresidente del Colegio de Dentistas de Salamanca; Emilio Martínez, expresidente de la Junta provincial de Dentistas de Huesca; José Francisco Navajas, expresidente del Colegio de Dentistas de Guipúzcoa; y, por último, se entregó esta distinción a título póstumo, al Dr. Lucas Bermudo Añino, el que fuera presidente del Colegio de Dentistas de Málaga y del Consejo Andaluz de Dentistas. La condecoración la recogió el Dr. Daniel Navas Lavado, actual presidente del Colegio de Dentistas de Málaga.

Imagen de los premiados junto al Comité Ejecutivo del Consejo General de Dentistas.

Asimismo, se reconoció como Miembros de Honor del Consejo a D. José Manuel Cuadrillero Martín, asesor jurídico y director gerente del Colegio de Dentistas de la VIII Región; a la Dra. María Jesús Lamas Díaz, directora de la Agencia Española de Medicamentos y Productos Sanitarios; al Dr. José Luis Bancalero Flores, consejero de Sanidad de Aragón; y al Dr. Juan José Pedreño Planes, consejero de Salud de Murcia. Todos ellos agradecieron “este nombramiento tan significativo” al Consejo General de Dentistas tras recoger sus insignias.

Premios de la FDE

En cuanto a los galardones que otorga la FDE, las Dras. María Ariza Merino y Concepción Beltrán Martínez, de la Universidad de Granada, recibieron el Premio Alejandro López Quiroga por su Trabajo Fin de Grado “Análisis de la patología bucodental en una población de niños de Uganda”.

El galardón Ayuda a ONG’s fue para Human Coop, por su proyecto de salud oral en Bir Mogrein, Mauritania, 2025, liderado por Óscar Rodríguez Varela. Asimismo, los Dres. Ana Mª Rodríguez-Ces, María Mercedes Suárez y Óscar Rapado fueron premiados por su artículo “La biopsia líquida: una nueva herramienta en el manejo del cáncer oral”, elegido como el mejor de todos los publicados en la revista RCOE durante 2023. El Premio José Navarro Cáceres recayó en la periodista Eva Sainz Corada, redactora del suplemento “A tu salud”, del diario La Razón, por su trabajo objetivo y divulgativo sobre salud bucodental.

Premios del Consejo

El Premio Dentista del Año 2023 ha sido para el Dr. Daniel Torres Lagares, presidente de la Sociedad Española de Cirugía Bucal (SECIB). Torres es doctor en Odontología por la Universidad de Sevilla, donde actualmente es catedrático de Cirugía Bucal. En el último año ha sobresalido por su extraordinaria labor en la Comisión de Especialidades del Consejo General de Dentistas. Aunque conseguir el reconocimiento de las especialidades odontológicas es una tarea ardua y costosa,

Debemos afrontar los retos futuros, como el reconocimiento de las especialidades, y otros proyectos personales y profesionales, con la mente abierta, con audacia, pero también con generosidad e ilusión ”

Dr. Daniel Torres Lagares,  presidente de SECIB Premio Dentista del Año 2023

el Dr. Torres ha sabido aunar las diferentes sensibilidades existentes en esta materia tan compleja, dándole un gran impulso para que sean una realidad lo antes posible. Del mismo modo, también ha destacado por sus estudios y trabajos de investigación en Odontología, publicaciones y actividades formativas.

“Este reconocimiento pone en valor que Sevilla, además de ser la ciudad más hermosa del mundo, es un ejemplo de excelencia, trabajo y ciencia”, aseguró el Dr. Torres Lagares durante su discurso de agradecimiento, además de animar a todos los presentes en la gala a “afrontar los retos futuros, como el reconocimiento de las especialidades, y otros proyectos personales y profesionales, con la mente abierta, con audacia, pero también con generosidad e ilusión. Ahí me encontraréis siempre”.

El Premio Santa Apolonia 2023, la máxima distinción que concede el Consejo General de Dentistas a título individual, ha sido concedido al Dr. Borja Zabalegui Andonegui. Este premio reconoce a los dentistas que más han destacado por sus trabajos, su dedicación y su contribución al prestigio y desarrollo de la Odontología a lo largo de toda su trayectoria profesional.

Con

el deseo siempre de ser mejor y mi actitud perserverante, finalmente creé el Centro de Formación en Endodoncia Clínica y Microscópica, donde se han formado más de 300 expertos

Dr. Borja Zabalegui Andonegui Premio Santa Apolonia 2023

De izq. a derecha: el Dr. Borja Zabalegui (Premio Santa Apolonia 2023); el Dr. Óscar Castro, presidente del Consejo General de Dentistas; y el Dr. Daniel Torres (Premio Dentista del Año 2023).
“ Nuestra misión en el Consejo General de Dentistas es velar por una Odontología ética, íntegra y basada en la excelencia. Cada día trabajamos para que la salud bucal sea considerada como un derecho fundamental de toda la población
Dr. Óscar Castro Reino, presidente del Consejo General de Dentistas y la Fundación Dental Española

Zabalegui es doctor en Medicina y Cirugía por la Universidad del País Vasco, especialista en Estomatología por la Universidad Complutense y posgrado de Endodoncia por la University Southern de California, y ha centrado su carrera en la Endodoncia y en la Cirugía Endodóntica. Entre sus hitos destacan la incorporación del microscopio operatorio en su práctica clínica diaria y la creación del Centro de Formación en Endodoncia Clínica y Microscópica, en Leioa. Además, hay que destacar su vocación docente, de hecho, ha impartido cursos de formación sobre Endodoncia en prácticamente todos los Colegios de Dentistas de Espa -

ña. Asimismo, ha colaborado con universidades de todo el mundo, ha sido ponente en congresos nacionales e internacionales y ha publicado infinidad de artículos.

En su discurso, el Dr. Zabalegui quiso agradecer a todas las personas que le han acompañado a lo largo de toda su trayectoria profesional, asegurando sentirse “un privilegiado” por haber sido reconocido con el Premio Santa Apolonia. Realizando un recorrido por toda su carrera, el Dr. Zabalegui quiso destacar la importancia de la multidisciplinariedad y la formación continuada para los profesionales especializados en Endodoncia . “Con el deseo siempre de ser mejor y mi actitud perserverante, finalmente creé el Centro de Formación en Endodoncia Clínica y Microscópica, donde se han formado más de 300 expertos. Y nunca pensé que esto me hubiera dado tantas satisfacciones y tan buenos amigos”. Y, finalmente, quiso agradecer a su especialidad porque “todo esto no hubiera sido posible sin la Endodoncia; una especialidad que, con un poco de cariño, te lo devuelve con creces. A mí me lo ha dado todo: mis amigos, satisfacciones, mi mujer y mi familia”. La entrega de premios fue clausurada por el Dr. Óscar Castro Reino con un discurso en el que, además de felicitar a todos los premiados, lanzó un mensaje de compromiso y esperanza: “Nuestra misión en el Consejo General de Dentistas es velar por una Odontología ética, íntegra y basada en la excelencia. Cada día trabajamos para que la salud bucal sea considerada como un derecho fundamental de toda la población. Ofrecemos dedicación, tenacidad y sapiencia y ponemos nuestros conocimientos a disposición de toda la sociedad en su conjunto”. En este sentido, el Dr. Castro reivindicó que la profesión odontológica sigue demandando mejoras y pidió a las autoridades “que tomen decisiones valientes, se dejen asesorar y tengan la determinación necesaria para garantizar el futuro de nuestra profesión y, con ello, la salud oral de la población”. 

El Premio Dentista del Año 2023 ha sido para el Dr. Daniel Torres Lagares, presidente de la Sociedad Española de Cirugía Bucal (SECIB).
El Premio Santa Apolonia 2023, la máxima distinción que concede el Consejo General de Dentistas a título individual, ha sido concedido al Dr. Borja Zabalegui Andonegui.

LA SOCIEDAD ESPAÑOLA DE CIRUGÍA BUCAL

ENTREGA SUS PREMIOS

SECIB 2024 EN GIRONA

En el marco de su XXI Congreso Nacional celebrado en Girona, la Sociedad Española de Cirugía Bucal (SECIB) hizo entrega de los Premios SECIB 2024.

En la imagen, los ganadores de los Premios SECIB 2024 en su modalidad Nacional, Internacional y Comunicación.

La Sociedad Española de Cirugía Bucal (SECIB) ha llevado a cabo, en el marco del XXI Congreso Nacional celebrado en Girona los días 14 y 15 de noviembre, el acto de entrega de sus Premios 2024.

Los Premios SECIB 2024 en su modalidad Nacional, Internacional y Comunicación se entregaron el día 14 y fueron recogidos por Mª Àngels Sánchez, la Sociedad Venezolana de Cirugía Buco-Maxilofacial y la publicación digital iSanidad, respectivamente.

El Premio SECIB Joven Fin de Grado lo ha obtenido Tania Moya Martínez por el TFG “Accuracy of a dynamic guided surgery system for orthodontic miniscrew placement: an experimental in vitro study”. Los dos accésits han sido para Elena Oliva Ferrusola y para Cristina Ruiz Verdugo. Por otro lado, el viernes se entregaron los Premios Científicos SECIB 2024. El premio al mejor artículo publicado en la revista Medicina Oral, Patología Oral y Cirugía Bucal ha recaído en Juan Carlos Bernabéu Mira, David Peñarrocha Oltra y Miguel Peñarrocha Diago, por el trabajo “Coronectomy of impacted mandibular third molars: A clinical and radiological retrospective case series study with 2-9 years of follow-up”.

María Baus Domínguez, Felipe Rodrigo Aguilera, Fernando Vivancos Cuadras, Lourdes Ferra Domingo, Daniel Torres Lagares, José Luis Gutiérrez Pérez, Tanya Pereira Riveros, Teresa Vinuesa y María Ángeles Serrera Figallo han sido los depositarios del premio al mejor artículo de investigación sobre cirugía bucal en revistas de impacto extranjeras, por “Mucoadhesive pharmacology: Latest clinical technology in antiseptic gels”.

Mientras que el mejor artículo de investigación sobre implantología en revistas de impacto extranjeras ha sido “Accuracy of dental implant placement with or without the use of a dynamic navigation assisted system: A randomized clinical trial”, de los autores Adrià Jorba García, José Javier Bara Casaus, Octavi Camps Font, María Ángeles Sánchez Garcés, Rui Figueiredo y Eduard Valmaseda Castellón.

Por último, se entregaron los premios a las mejores comunicaciones orales y pósteres presentados en congreso. El Premio a la Mejor Comunicación Oral de Investigación Clínica ha sido, ex aequo, para “Aumento horizontal y vertical de la cresta alveolar con malla de titanio Cad-Cam individualizada: un ensayo clínico prospectivo”, de Casal Espino, L; Ragucci, GM; Fernández Augè, ML; Bertos Quilez, J; Hernández Alfaro, F y Altuna Fistolera, P, y para “Inflammasome activation and cellular dynamics in periodontitis and peri-implantitis”, de Herrera García, D; Galindo Fernández, P; Jauregui Herrera, J; López Galindo, P; El-Aklhal Odda, S; Martin Morales, N; O´Valle Ravassa, F; Padial Molina, M y Galindo Moreno, P.

“Estudio del daño genético producido por las partículas de titanio derivadas de los implantes dentales”, de Sanmartí García, G; Vegas Bustamante, E; Toledano Serrabona, J; Camps Font, O ; Pastor Benito, S; Marcos Dauder, R; Abbas, D; Figueiredo, R y Sánchez Garcés, MA, ha obtenido el Premio a la Mejor Comunicación Oral de Investigación Básica.

Los ganadores de la Mejor Comunicación Formato Póster de Investigación Clínica o Caso Clínico han sido Enfedaque Prat, M; González Barnadas, A; Jorba García, A; Vilarrassa, J; Toledano Serrabona, J; Figueiredo, R; Valmaseda Castellón, E y Camps Font, O, por el trabajo “Precisión de la técnica dual guiada en el alargamiento estético de corona: estudio de serie de casos prospectivo”.

Por su parte, González Lozano, M; Muñoz Soto, E; Martín Piedra, M; Garzón Bello, I; Romero Olid, M y Torres González, M, autores de “Factores que influyen en la funcionalización de matrices de colágeno con derivados plaquetarios”, recogieron el Premio a la Mejor Comunicación Formato Póster de Investigación Básica. 

LA FUNDACIÓN COEM ENTREGA SUS PREMIOS ANUALES

Diego Murillo, Margarita Alfonsel y Caridad Arias Macías han sido reconocidos en la última edición de los premios anuales de la Fundación COEM con el galardón a la dilatada trayectoria profesional.

La Fundación del COEM (FCOEM) hizo entrega de sus premios en la gala navideña que celebra cada año para agradecer a las comisiones, empresas, medios e instituciones su colaboración con el Colegio. Diego Murillo, Margarita Alfonsel y Caridad Arias Macías recibieron el premio a la dilatada trayectoria profesional. Diego Murillo Carrasco estudió la carrera de Medicina y Cirugía en Santiago de Compostela. Es especialista en Obstetricia y Ginecología. Entre otros cargos, ha sido concejal del Ayuntamiento de Pontevedra; Diputado Provincial por Pontevedra, Vicepresidente Primero del Consejo de Administración de la Caja de Ahorros Provincial de Pontevedra y Presidente del Colegio de Médicos Pontevedra y Presidente de Radio Televisión de Galicia. Miembro del Consejo de Administración de A.M.A. desde 1988 a 1996. En julio de 1996 es elegido presidente de A.M.A. En estos casi 30 años al frente, ha situado la compañía en uno de los puntos más privilegiados del sistema sanitario y empresarial español, además de reforzar sus resultados económicos, como muestran las cuentas de la compañía. Él fue el ideólogo de la mutua de los profesionales sanitarios, partiendo prácticamente de la nada, y siendo el artífice principal de la gran compañía que es en nuestros días.

Margarita Alfonsel, secretaria general de Fenin desde 2001, deja el cargo a comienzos de 2024. Margarita Alfonsel ha impulsado durante su mandato importantes iniciativas en relación con la expansión

y visibilidad de la industria de la tecnología sanitaria. Un ejemplo es la creación del departamento internacional para proyectar la marca Healthcare Technology from Spain en el exterior, o la fundación de la plataforma de innovación en tecnología sanitaria para apoyar el emprendimiento y potenciar la investigación en nuestro país. Durante de la crisis del Covid-19, con la puesta en marcha del Corredor Aéreo Sanitario. Ya en el periodo posterior a la pandemia, Alfonsel coordinó con el Ministerio de Sanitad el diseño del Plan de Inversiones en Equipos de Alta Tecnología (Inveat).

Caridad Arias, responsable del Grado de Odontología del CEU, es “una mujer extraordinaria, trabajadora, honrada, comprometida, volcada en sus alumnos y profesores y una colaboradora en todo lo que se le ha pedido desde el COEM. Es un ejemplo de esfuerzo y superación. Tuvo que salir en su día de Venezuela y se ganó, con mucho esfuerzo, todo lo que ha conseguido que es, entre otras cosas, el respeto y el cariño de todos los que hemos tenido el privilegio de trabajar a su lado”, aseguran desde FCOEM.

Además, se entregaron los premios a la entrega y generosidad a las Carmelitas Descalzas del Sagrado Corazón de Jesús y San José de la Aldehuela y a las Misioneras del Santísimo Sacramento y María Inmaculada. Así como los premios especiales a la labor colegial para el personal del Colegio de Farmacéuticos de Madrid y para Lola Blanco (COEM). 

VII PREMIOS SANITAS DENTAL STAR

SANITAS DENTAL PREMIA UN CASO CLÍNICO

EN EL QUE UNA PACIENTE RECUPERA LA TOTALIDAD DE SU DENTADURA DESPUÉS DE 50 AÑOS

Una edición más, Sanitas Dental ha galardonado la excelencia en la práctica clínica con sus VII Premios Sanitas Dental Star, en los que han resultado ganadores los casos del Dr. Jorge Caubet (categoría Experta), el Dr. Miguel Ángel Blanco (categoría Academic) y el odontólogo Ramón Pons (categoría Daily Clinic). / Fotos: Sanitas Dental

La séptima edición del Premio Mejor Caso Clínico Multidisciplinar Dental Star ha reconocido el trabajo del Dr. Jorge Caubet que, junto al Dr. Miguel A. Morey, el Dr. Javier Mareque, la Dra. Neus Bezares, el Dr. Toni Tomás Bonet y el Dr. Ignacio Caubet, ha presentado el caso clínico “Rehabilitación de maxilar extremadamente atrófico: combinación de técnicas al servicio del paciente”. Este caso muestra una rehabilitación dental compleja en una paciente de 65 años que había sido desdentada por completo a los 17. Esto le provocó un desgaste muy severo del maxilar superior que, combinado con prognatismo, condicionaba enormemente la calidad de vida de la paciente. Mediante implantes cigomáticos y cirugía ortognática con tecnología 3D han conseguido un excelente resultado tanto a nivel

estético y funcional como psicológico: a las 24 horas ya tenía una prótesis provisional y a los cuatro meses una definitiva. Este caso clínico ha sido premiado con 10.000 euros para los autores, un dinero que el ganador ha asegurado que donará a los afectados por la DANA. “Nos sigue asombrando el enorme nivel de la odontología española año tras año. Este caso en concreto, además, es el ejemplo perfecto de poner al paciente en el centro de la práctica clínica, y es esa excelencia asistencial lo que premiamos todos los años”, ha afirmado Jesús Bonilla, director general de Sanitas Dental. “Nos enorgullece profundamente haber creado una plataforma como estos premios para visibilizar y poner en valor la innovación y la excelencia en odontología”, ha añadido.

Foto de familia con los premiados de los Premios Sanitas Dental Star 2024, Jesús Bonilla y representantes de las empresas patrocinadoras de los galardones.

El accésit de este año en la categoría Experta, dotado con 7.000 euros, ha recaído en los doctores Lucía Fácil, Antonio Nobili e Isabel Córdova con el caso “Tratamiento multidisciplinar en paciente con múltiples recesiones gingivales y tetraciclinas”. Consiste en el tratamiento de un paciente con recesiones en las encías y manchas por tetraciclinas mediante cirugías para recubrir las raíces expuestas, ortodoncia con alineadores, un implante dental y blanqueamiento. Además, se colocaron carillas cerámicas para darle una apariencia estética renovada. El premio en la categoría Academic ha recaído en el caso “Tratamiento ortopédico y ortodóncico de un paciente adolescente con clase III esquelética y deficiencia transversal con expansión rápida maxilar asistida por miniimplantes, máscara facial y aparatología fija multibrackets”, presentado por el odontólogo Miguel Ángel Blanco y que cuenta con un reconocimiento económico de 7.000 euros. Se trata del caso de una paciente adolescente con problemas de compresión maxilar y clase III esquelética severa con el que se ha conseguido alinear la mordida y corregir la desviación de la línea media, evitando una cirugía ortognática en el futuro.

El accésit de la categoría Academic ha sido para el odontólogo Juan Ernesto del Rosal con el caso “Rehabilitación estética y funcional en paciente con Periodontitis Estadio IV Grado C”. Este caso presentaba una paciente preocupada por la estética de su prótesis fija dentosoportada, que presentaba además sangrado nocturno. Tras una exploración, se pudo diagnosticar que sufría una periodontitis avanzada (estadio IV, grado C). Este caso fue tratado con una limpieza profunda y regeneración periodontal, ajuste de la prótesis y restauración de espacios mediante implantes.

“Nos sigue sorprendiendo la enorme calidad de los trabajos presentados en la Categoría Academic. Las nuevas generaciones de odontólogos tienen un talento excepcional como hemos podido comprobar hoy, algunos de ellos podrían perfectamente optar a la categoría experta por la complejidad de sus casos”, comenta el director general de Sanitas Dental. La categoría Daily Clinic, que busca premiar la excelencia clínica del día a día en el gabinete y que cuenta con un galardón de 7.000 euros, ha recaído en el caso “Tratamiento multidisciplinar de una paciente joven con alta demanda estética”, realizado por el odontólogo

El caso clínico ganador destaca por su trabajo multidisciplinar en el que participaron también ingenieros biomédicos con el objetivo de mejorar el aspecto funcional de la paciente en una única cirugía

Ramón Pons. Este trabajo presenta un paciente que buscaba mejorar su sonrisa, especialmente por la translucidez de sus implantes y su tratamiento incluyó una fase periodontal, injertos de tejido conectivo para engrosar la encía, alargamiento de corona y finalmente carillas y coronas definitivas.

El accésit para la categoría Daily Clinic ha sido para el caso “Abordaje del paciente multidisciplinar” presentado por el Dr. Jesús González. En este caso clínico se aborda la pérdida de dientes y problemas óseos en la mandíbula. El tratamiento incluyó limpieza periodontal, regeneración ósea para implantes, injertos de encía y un diseño digital de sonrisa que permitió ajustar los dientes para una apariencia natural. Tras 14 meses de tratamiento la paciente logró una sonrisa mejorada tanto en estética como en funcionalidad.

La séptima edición de estos galardones, abiertos a toda la comunidad de la odontología, ha recibido más de 60 trabajos de profesionales.

Proceso de los Premios al Mejor Caso Clínico Multidisciplinar Dental Star

Todos los casos presentados han recibido una puntuación de 1 a 5 en cada uno de los criterios de evaluación: multidisciplinariedad como factor más importante, así como la complejidad y la resolución del caso. Los cinco trabajos preseleccionados de cada categoría se han presentado de forma presencial en una sesión de defensa de casos ante el jurado de los premios. Éste está formado por el Comité Asesor de Sanitas Dental, compuesto por reputados expertos de todas las disciplinas de la odontología. 

Jesús Bonilla, director general de Sanitas Dental, durante la gala de entrega de los VII Premios Sanitas Dental Star.
Sergio López, de W&H, fue el encargado de entregar el accésit de la categoría Academic en los VII Premios Sanitas Dental Star.

SEPA JOVEN CIERRA UNA EXITOSA EDICIÓN

CON MÁS DE 300 INSCRITOS

La última edición de Sepa Joven ha superado todas sus expectativas. Una cita científica y formativa diseñada por y para los profesionales más jóvenes que han podido disfrutar como novedad del concurso ‘The Winner’, un nuevo formato que se incorpora a los congresos para dinamizar y optimizar la adquisición y la puesta en común de conocimientos a través de ‘gamming’. / Fotos: Sepa

El concurso ‘The Winner’ ha sido un nuevo formato que se incorpora a los congresos, que sirve para dinamizar y optimizar la adquisición y la puesta en común de conocimientos a través de ‘gamming’.

Por la temática, el formato, su trayectoria, la elección de los ponentes, las importantes novedades incorporadas y los atractivos inigualables de Granada, la última edición de Sepa Joven, celebrada los días 29 y 30 de noviembre de 2024 en el Palacio de Congresos de Granada, ha superado todas las previsiones “con más de 300 participantes, un destacado nivel de las presentaciones, un fructífero networking y un concurso que abre el camino para nuevos formatos dinámicos y frescos que permiten aprender, formarse y compartir conocimientos de una manera distinta y amena”, según indican sus organizadores. El concurso ‘The Winner’ ha sido un nuevo formato que se incorpora a los congresos, que sirve para dinamizar y optimizar la adquisición y

la puesta en común de conocimientos a través de ‘gamming’. Un tipo de sesión que rompe moldes y que ha sido acogida satisfactoriamente por los jóvenes profesionales que han acudido a esta cita científica y formativa, señalan desde Sepa.

The ‘Winner’: cuando ganan todos

A diferencia de la conocida canción de ABBA, donde el ganador se lleva todo, el concurso ha demostrado que en este caso los ganadores son todos los participantes y asistentes, tanto por la posibilidad de adquirir conocimientos como por el hecho de poder hacerlo de una manera divertida, entretenida y diferente.

Gracias a este concurso-trivial sobre conocimientos científicos y clínicos en Periodoncia y Terapia de Implantes, se ha fomentado el trabajo en equipo y la formación basada en la colaboración y en compartir conocimientos. El concurso incluyó una fase clasificatoria, en la que participaron todos los equipos inscritos; en total, se conformaron una veintena de equipos, con tres integrantes cada uno de ellos. Atendiendo al número de respuestas correctas obtenidas, se clasificaron tres equipos para la final, pero lo de menos era ganar.

Por y para los más jóvenes

Por lo tanto, el regreso al formato 100% presencial de Sepa Joven, el congreso que organiza anualmente Sepa desde hace más de una década y que ahora recupera totalmente la presencialidad, no ha podido ser más exitoso. Se ha mantenido su filosofía, pero incorporando importantes novedades y alicientes para la formación de los profesionales más jóvenes que se encuentran en diferentes fases de formación académica y/o iniciando su andadura profesional.

En este encuentro, pensado para estudiantes de grado, de posgrado y para jóvenes profesionales, se han abordado algunos de los dilemas principales que se plantean actualmente en el plan de tratamiento en Periodoncia y colocación de implantes, ofreciendo una oportunidad para seguir formándose en Periodoncia y conocer la forma de trabajar de colegas de otras universidades. Para ello, se ha dispuesto de ponentes jóvenes y también se ha otorgado un hueco importante en el programa científico a las aplicaciones de la inteligencia artificial en Odontología, así como talleres prácticos.

La mayoría de los ponentes que han participado en este foro son profesionales destacados, que están aún en formación y que han sabido mostrar con eficacia y de forma muy práctica y didáctica su experiencia, así

como transmitir muy bien sus conocimientos de una manera directa y sencilla. En este sentido, Sepa hace una fuerte apuesta por la difusión de los conocimientos, y ahí es fundamental contar con la participación y la involucración de los profesionales más jóvenes, muchos de los cuales aún están en los últimos cursos universitarios o realizando másteres de especialización, pero que tienen mucho que aportar y que aprender. En palabras del Dr. Fernando Noguerol Sicilia, el principal responsable de la edición de este año y que coordina la Comunidad Joven de Sepa, “son el futuro y, en muchos casos, estas jóvenes promesas ya despuntan a nivel nacional e internacional y acuden con frecuencia a eventos científicos donde comparten protagonismo con expertos ilustres. Es fundamental darles instrumentos y argumentos nuevos para seguir progresando en su formación, así como facilitarles en todo lo posible una formación de excelencia”.

Ahora ya se piensa en la próxima edición de Sepa Joven, y en una nueva oportunidad de ganar jugando y aprendiendo. 

En el concurso “The Winner”, los ganadores son todos los participantes y asistentes, tanto por la posibilidad de adquirir conocimientos como por el hecho de poder hacerlo de una manera divertida, entretenida y diferente.
En esta última edición, Sepa Joven ha regresado al formato 100% presencial.

MÁS DE 300 PROFESIONALES ASISTEN AL CURSO “DESGASTE DENTARIO” DE SEPES CLÍNICA EN VALENCIA

SEPES Clínica 2025 cierra una nueva edición de este evento científico-solidario que, con el desgaste dentario como protagonista, reunió a expertos de alto nivel y más de 300 profesionales interesados en conocer, desde un enfoque multidisciplinar, las técnicas, materiales y tecnología para diferenciar las causas del desgaste, determinar su implicación interdisciplinar y aprender sus protocolos de tratamiento. / Fotos: SEPES

SEPES Clínica 2025, en colaboración con el Centro de Estudios

Odonto-Estomatológicos de Valencia (CEOE), reunió los días 17 y 18 de enero en la ciudad del Turia a reconocidos expertos en torno a un tema de gran prevalencia clínica como es el desgaste dentario. El objetivo de este curso, dirigido por Guillermo Pradíes, presidente de SEPES, y Lucía Fernández de Estevan, presidenta del CEOE, fue actualizar, desde un enfoque multidisciplinar, en las técnicas, materiales y tecnología para diferenciar las causas del desgaste, determinar su implicación interdisciplinar y aprender sus protocolos de tratamiento. “Tras la tragedia sucedida en Valencia con el paso de la DANA, Sepes tenía que estar en Valencia este año sí o sí, y ha sido con Sepes Clínica, y tratando el tema del desgaste dentario, un tema de máximo interés”, aseguró el Dr. Guillermo Pradíes durante la inauguración de este evento formativo solidario. Por su parte, la Dra. Lucía Fernández de Estevan quisó apuntar que “en el Centro de Estudios nos dedicamos a la formación continuada

de forma desinteresada y como sociedad científica pequeña, para nosotros trabajar con una sociedad tan grande en todos los sentidos como es Sepes, ha sido todo un privilegio. Estamos muy orgullosos y satisfechos de este evento conjunto que hemos organizado, gracias a los ponentes que han participado de manera desinteresada y a todos los asistentes”.

Débora R. Vilaboa, José M. Reuss, Javier Casas, Óscar González, Vincenzo Giovane, August Bruguera, José Luis de la Hoz, Álvaro y Raúl Ferrando, Vicente y Nacho Faus, Juan Manuel Prieto, Lluís Nogués, Jesús Maneiro, Jorge Alonso, Mercedes Jorquera, Pablo Castelo y Marta Romeo conformaron el grupo de expertos de varias áreas de la Odontología y de la psicología clínica (Mercedes Jorquera) que integraron el programa de este evento de elevado nivel clínico.

Aspectos como los factores estáticos y dinámicos en el diagnostico del paciente con desgaste dental; cómo puede ayudar el botox en el tratamiento restaurador en estos pacientes; los trastornos de la

conducta alimentaria y su relación con el desgaste dentario; el uso de composites inyectados para provisionalizar a los pacientes con desgaste; los composites estratificados en esos casos; incrustaciones vs. corona en el tratamiento; el reto del desgaste dentario para el técnico de laboratorio; la farmacología y las férulas en estos pacientes; o la predictibilidad orto-restauradora en pacientes con desgaste son solo algunos de los temas que se abordaron en la última edición de SEPES CLÍNICA.

Un evento solidario

Más de 300 personas participaron en este evento científico-solidario, en el que las juntas directivas de SEPES y del Centro de Estudios Odonto-Estomatológicos acordaron que parte de la recaudación de las inscripciones, así como las donaciones obtenidas por las inscripciones a Fila 0, se destinarán a ayudas directas a los colegiados de Valencia afectados por la DANA y que serán distribuidas directamente por el Colegio de Odontólogos y Estomatólogos de Valencia. 

LA PRIMERA CONFERENCIA MUNDIAL SOBRE SALUD

BUCODENTAL FIJA

LA

META

DE ALCANZAR LA COBERTURA SANITARIA UNIVERSAL DE AQUÍ A 2030

Delegaciones de más de 110 países se han reunido para elaborar hojas de ruta nacionales y negociar una declaración conjunta sobre salud bucodental en la primera reunión mundial sobre este tema que se celebra a instancias de la Organización Mundial de la Salud (OMS). Se espera que en la declaración se expongan los compromisos colectivos de los Estados Miembros para impulsar la aplicación del Plan de Acción Mundial sobre Salud Bucodental (2023-2030). Las afecciones bucodentales son las enfermedades no transmisibles más comunes en todo el mundo, pues se calcula que afectan a 3.500 millones de personas. A menudo, se interpreta erróneamente que la salud bucodental se refiere únicamente a la dentadura y se pasa por alto su importancia a un nivel más amplio. Entre las enfermedades bucodentales figuran la caries dental, las periodontopatías (enfermedades de las encías), la pérdida de dientes, el cáncer bucal, la noma y las anomalías congénitas que afectan a la boca, los dientes y las estructuras faciales que son esenciales para comer, respirar y hablar.

El Dr. Tedros Adhanom Ghebreyesus, director general de la OMS, apuntó que “la salud bucodental es una parte importante del bienestar, pero millones de personas carecen de acceso a los servicios que necesitan para protegerla y promoverla. La OMS hace un llamamiento a todos los países para que den prioridad a la prevención y amplíen el acceso a servicios de salud bucodental asequibles como parte del camino hacia la cobertura sanitaria universal”.

Este evento sin precedentes, ofrecido por el Gobierno del Reino de Tailandia, forma parte del proceso preparatorio para la Cuarta Reunión de Alto Nivel de las Naciones Unidas sobre las Enfermedades No Transmisibles prevista para 2025. Su objetivo es acelerar los progresos hacia la consecución de la cobertura sanitaria universal, reafirmar los compromisos políticos asumidos por los Estados Miembros y promover la aplicación del Plan de Acción Mundial sobre Salud Bucodental (2023-2030). El Excmo. Sr. Somsak Thepsutin, Ministro de Salud Pública de Tailandia, comentó que “la salud bucodental es un aspecto crucial de la salud en general, y Tailandia se enorgullece de acoger esta histórica reunión

mundial. Nuestro compromiso con la cobertura sanitaria universal incluye garantizar que todas las personas tengan acceso a servicios de salud bucodental de calidad y promover la prevención en nuestras comunidades, poniendo mucho más empeño en mejorar los resultados de salud para todos”.

El principal resultado de la reunión, la Declaración de Bangkok sobre salud bucodental, orientará el informe del director general de la OMS para la Cuarta Reunión de Alto Nivel y permitirá aumentar el reconocimiento y la integración de las enfermedades bucodentales en las actividades mundiales futuras en este ámbito.

El objetivo de la Declaración es que la salud bucodental se considere un derecho humano fundamental. En el texto se reconoce que no se puede mejorar el acceso a una atención de salud bucodental asequible sin integrarla en las medidas de atención primaria de salud y cobertura sanitaria universal.

La primera reunión mundial de la OMS sobre salud bucodental ha contado con la asistencia de delegaciones de los Estados Miembros, organismos de las Naciones Unidas, organizaciones internacionales, fundaciones filantrópicas, organizaciones de la sociedad civil y otras partes interesadas dedicadas a promover los programas de salud bucodental, enfermedades no transmisibles y cobertura sanitaria universal. 

La experiencia de Tayikistán demuestra que las inversiones a largo plazo en atención primaria de salud y fortalecimiento del personal de salud se traducen en poblaciones más sanas y en vidas salvadas.
OMS / Lindsay Mackenzie

NUEVO GABINETE DENTAL SOLIDARIO DEL COEM EN LA CAÑADA REAL, EJEMPLO

DE

SOLIDARIDAD Y COMPROMISO

El Colegio de Odontólogos y Estomatólogos de la I Región (COEM) inauguró el 27 de noviembre su nuevo gabinete dental solidario, situado en la Cañada Real (Madrid). Gestionado por dentistas voluntarios coordinados a través de la Comisión de Compromiso Social de la Fundación del COEM, este gabinete dará asistencia sanitaria en el ámbito de la salud bucodental a los alrededor de 1.800 niños en riesgo de exclusión social que habitan en la zona. El acto contó con la asistencia de Pilar Jimeno Alcalde, directora general de Inspección y Ordenación Sanitaria de la Consejería de Sanidad de la Comunidad de Madrid; José Enrique Villares Rodríguez, director técnico de Procesos Asistenciales, gerencia adjunta de Asistencia Sanitaria SERMAS; Ignacio Sánchez Segura, comisionado para la Cañada Real Galiana; Fernando Plaza Cordeiro, técnico de este Comisionado; Dra. Marisol Ucha Domingo, presidenta del COEM; Dra. Mónica Pérez Morad, responsable de la Comisión de Compromiso Social del COEM; y la Dra. Estefanía Moreno, secretaria de la Junta de Gobierno del COEM. El proyecto, que lleva en marcha desde 2014, pretende llevar a la población marginal de la Cañada Real Galiana educación para la salud oral y promover el funcionamiento de los mecanismos de salud que existen actualmente en la Comunidad de Madrid, integrando a la población en

el sistema de Salud Pública. Para ello, sus responsables consideran que es muy importante la cercanía y el acceso directo, señalando que “para no poner barreras al acceso, desde este gabinete dental solidario no exigimos ningún protocolo, ni documentación a los pacientes. La atención es directa y los tratamientos tienen un coste simbólico de 5 euros”.

En palabras de la Dra. Mónica Pérez Morad, el objetivo es “dar acceso a la salud oral infantil partiendo de una situación de exclusión y que puedan tener la oportunidad de ser jóvenes con una buena salud oral. Este proyecto cuenta con dos vertientes: por un lado, el gabinete, donde se da asistencia clínica a niños de 0 a 16 años; y, por otro, vamos a trabajar para prevenir a través de la educación”. Y para ello, “vamos a llevar a cabo además talleres de educación a la salud bucodental para madres y educadores (sobre el uso del cepillo, la pasta de dientes, dieta saludable, etc.), que son claves para abordar los factores que llevan a los niños a tener alta incidencia de patología oral”.

Con horario de mañana y tarde, este gabinete será asistido por la Dra. Pérez Morad, odontopediatra y ortodoncista, que trabajará con los más pacientes más pequeños (durante las mañanas), y por el Dr. Manuel De Feo, que tratará a los niños de 8 a 16 años (en horario de tarde). 

LA IDS CELEBRARÁ SU 41ª EDICIÓN DEL 25 AL 29 DE MARZO EN COLONIA

Del25 al 29 de marzo de 2025 se celebrará en Colonia International Dental Show (IDS) que, en su 41ª edición, volverá a subrayar su posición como la feria líder mundial de odontología y tecnología dental. Organizada por la GFDI (Gesellschaft zur Förderung der Dental-Industrie mbH) y puesta en escena por Koelnmesse, la IDS reunirá a los actores más importantes de la profesión dental, el comercio de tecnología dental, el comercio especializado en odontología y la industria dental, ofreciendo una plataforma única para las innovaciones, la creación de redes y la transferencia de conocimientos. Con alrededor de 2.000 expositores de más de 60 países y una cuota extranjera de alrededor del 77%, IDS 2025 está demostrando actualmente su fuerte alineación internacional. Se espera que los países más representados entre los expositores sean Corea, Italia, Estados Unidos, China, Turquía, España, Francia y Suiza. La oferta se enriquece con numerosos pabellones nacionales de todos los continentes. La fuerte demanda nacional e internacional demuestra que “como plataforma para las innovaciones, las tendencias del mercado y como plataforma

comercial central, IDS es la herramienta de gestión decisiva para el comercio mundial”, aseguran desde la organización.

En cuanto a los visitantes, la IDS también sigue siendo un punto culminante a nivel mundial: en 2023, alrededor de 120.000 visitantes profesionales de 122 países asistieron a la feria, y la IDS 2025 aspira a superar este punto de referencia.

La distribución optimizada de los pabellones, con cuatro entradas y un espacio de exposición de 180.000 metros cuadrados, ofrece las condiciones ideales para una visita eficiente a la feria.

Si bien la presentación de novedades sigue siendo de vital importancia, IDS se considera mucho más que una mera feria de productos, consolidándose como una red integradora que promueve el intercambio sobre temas centrales de la industria. El foco se centra en los retos actuales como la promoción de jóvenes talentos, la falta de mano de obra cualificada, la sostenibilidad y la implementación de la inteligencia artificial. 

LA FACTURACIÓN DE LAS CADENAS MARQUISTAS DE CLÍNICAS DENTALES

CRECIÓ UN 5,6% EN 2023

Según el estudio Sectores “Centros Médicos Especializados” publicado recientemente por el Observatorio Sectorial DBK de INFORMA (filial de Cesce), la facturación de los centros médicos especializados, incluyendo clínicas de cirugía estética, clínicas oftalmológicas y cadenas marquistas de clínicas dentales, mantuvo en 2023 la tendencia positiva de los dos ejercicios precedentes, si bien contabilizó una moderación en su ritmo de crecimiento.

Datos de síntesis 2023. FUENTE: Observatorio Sectorial DBK de INFORMAEstudio Sectores “Centros Médicos Especializados”

Los ingresos generados por este tipo de centros se situaron en 2.200 millones de euros al cierre de 2023, lo que supuso un 6% más que en el ejercicio anterior, tras crecer a un ritmo medio anual de alrededor del 20% en el bienio 2021-2022.

Las clínicas oftalmológicas y las cadenas marquistas de clínicas dentales, cuyos servicios cuentan con un mayor componente sanitario, fueron las que experimentaron un mayor dinamismo en 2023. Así, la facturación agregada de las clínicas oftalmológicas alcanzó los 670 millones de euros, aumentando un 9,8% respecto a 2022. Por su parte, las cadenas marquistas de clínicas dentales ingresaron 1.225 millones de euros, tras crecer un 5,6%. En cuanto al negocio de las clínicas de cirugía estética, se mantuvo estancado en 305 millones de euros. Respecto a la oferta de clínicas, algunos de los grandes grupos que operan en el sector han mantenido en el último año sus procesos de expansión mediante la incorporación de nuevos centros a su red. No obstante, la mayoría de las empresas ha mantenido más o menos estable el número de sus establecimientos.

El sector sigue caracterizado por la presencia de numerosas clínicas individuales que conviven con grandes grupos que acaparan buena parte del negocio, lo que determina un alto grado de concentración. Los cinco primeros operadores en términos de facturación reunieron el 49% del valor del mercado generado por el conjunto de clínicas de cirugía estética, clínicas oftalmológicas y cadenas marquistas de clínicas dentales en 2023. Por su parte, los diez primeros operadores llegaron a alcanzar una participación del 66% del negocio total. 

Zirkonzahn presenta nuevos componentes para prótesis sobre implantes disponibles para más de 40 sistemas de implantes

Cuando se elaboran restauraciones sobre implantes es sumamente importante la óptima precisión de los componentes entre sí. La línea de elementos protésicos de Zirkonzahn para implantes que incluye Scanmarkers, White Scanmarkers, análogos de laboratorio, ScanAnalogs (que combinan la función del análogo de laboratorio con la función del Scanmarker), pilares de impresión, Multi Unit Abutments, Raw-Abutments® y casquillos de cicatrización, se ha ampliado recientemente con nuevos productos:

 Zirkonzahn LOC-Connector (1): un sistema de fijación a presión para implantes y barras con el fin de sujetar prótesis dentales removibles sobre los implantes.

 Multi Unit Abutment 17° y 30° (2): caracterizado por un ángulo de 17° o 30° y están disponibles con dos tipos diferentes de conexión con bloqueo de rotación, que permiten posiciones intermedias.

 Bases de titanio K85 (3): se pueden cortar individualmente y, por lo tanto, se pueden adaptar de manera ideal a la longitud específica del diente. Además, están disponibles en diferentes alturas de la encía.

 Bases de titanio K80 Angled Screw Channel (4): se pueden cortar individualmente y por lo tanto a la longitud del diente; además, están

Nuevos retenedores removibles Spark

Los retenedores Spark con tecnología TruGEN™ ofrecen a los médicos una externalización sin complicaciones de sus retenedores y flujos de trabajo de pacientes, a la vez que proporcionan una retención de alta calidad que permite que los pacientes tengan la mejor de las sonrisas. Los nuevos retenedores removibles Spark son personalizables, duraderos y asequibles. Fabricados con el material TruGEN XR™ para garantizar durabilidad y resistencia a las tinciones, los nuevos retenedores removibles Spark permiten múltiples opciones de personalización (rampas de mordida, pónticos, ajuste la línea de recorte, eliminación digital de Brackets,…) a un precio atractivo. Desde Spark ofrecen a los profesionales la posibilidad de realizar pedidos flexibles dentro un flujo digital para sus pacientes cuando lo necesiten, a partir de un nuevo escaneado o de la posición T21

Además, permiten administrar a sus pacientes de Spark, Ormco™ Digital Bonding y retenedores Spark, todo en un solo portal digital.

Spark www.ormco.es

disponibles en diferentes alturas de la encía. Disponen de un canal de tornillo ajustable (0°-30°).

 White Metal Scanmarkers (5): scanmarkers reutilizables para registrar digitalmente la posición y la alineación del implante durante el escaneo intraoral o del modelo.

Todos los componentes de Zirkonzahn están disponibles para más de 140 sistemas de implantes y están completamente integrados en el Zirkonzahn. Software. Los pilares de implantes Zirkonzahn tienen una garantía de hasta 30 años, incluyendo los implantes de otros fabricantes utilizados con los abutments de implantes Zirkonzahn. Con el Zirkonzahn Library Download Center también los usuarios de 3shape y exocad® pueden implementar las bibliotecas en su software de diseño.

Zirkonzahn www.zirkonzahn.com

Implante Ticare + prótesis Ticare, el ajuste perfecto

La fórmula es sencilla: implante Ticare + prótesis Ticare = el ajuste perfecto. Sólo esta combinación asegura el gap cero, un implante libre de filtración bacteriana, diseñado para proteger lo que más importa: la salud periimplantaria de lus pacientes.

Puedes seguir la fórmula para el ajuste perfecto adquiriendo todos los elementos necesarios en Genetic, la tienda online de Ticare.

Ticare Implants www.ticareimplants.com

Primer Grupo de Prensa Profesional Especializado

NUESTROS CANALES DE DIFUSIÓN: 3 Revista en Papel 3 Revista Digital 3 Web 3 Newsletters 3 Redes Sociales

PUBLICACIONES MULTIPLATAFORMA CON CINCO PILARES QUE GARANTIZAN UNA VISIBILIDAD DEL 100%

NUESTRAS PUBLICACIONES:

AUTOMATIZACIÓN Y TECNOLOGÍA

Automática e Instrumentación www.automaticaeinstrumentacion.com

CONSTRUCCIÓN

CIC Arquitectura y Sostenibilidad - www.cicconstruccion.com

ClimaNoticias - www.climanoticias.com

ElectroNoticias - www.electronoticias.com

POSVENTA DE AUTOMOCIÓN

Talleres en Comunicación - www.posventa.info

Posventa de Automoción.com - Chapa y Pintura, Neumáticos y Mecánica Rápida, Nuestros Talleres, Recambios y Accesorios www.posventa.com

HOSTELERÍA Y RESTAURACIÓN

Hostelería, Diseño, Equipamiento, Food Service & Beverage www.revistahosteleria.com

DISTRIBUCIÓN

Aral - www.revistaaral.com

BeautyProf - www.revistabeautyprof.com

Nueva Ferretería - www.nuevaferreteria.com

INDUSTRIA

AutoRevista - www.auto-revista.com

Metales & Metalurgia-Máquinas - www.metalesymaquinas.com

Óleo - www.oleorevista.com

Revista PQ - www.revistapq.com

LOGÍSTICA Y TRANSPORTE

Autobuses & Autocares - www.autobusesyautocares.com

Logística Profesional - www.logisticaprofesional.com

Todotransporte - www.todotransporte.com

SANITARIO

DM Dentista Moderno - www.eldentistamoderno.com

Información para decidir

Solo aquella información basada en la responsabilidad y la calidad nos hace libres para tomar las mejores decisiones profesionales. En ConeQtia, entidad colaboradora de CEDRO, garantizamos contenido riguroso y de calidad, elaborado por autores especializados en más de 30 sectores profesionales, con el aval de nuestros editores asociados y respaldando el uso legal de contenidos. Todo ello con la nalidad de que el lector pueda adquirir criterio propio, facilitar la inspiración en su labor profesional y tomar decisiones basadas en el rigor.

Por este motivo, todos los editores asociados cuentan con el sello de calidad ConeQtia, que garantiza su profesionalidad, veracidad, responsabilidad y abilidad.

Con la colaboración de:

Oferta

VarioSurg

4

REF. Y1500706

El equipo se compone de:

• Unidad de control

• Pieza de mano LED con cable de 2m

• Pedal de control FC-86

• Cassette de esterilización

• Soporte para pieza de mano

• Tubo de irrigación (3 uds.) y otros accesorios

• Kit básico H-S (H-SG1, SG3, SG5, SG6D, SG7D, SG11 y soporte de puntas)

4.959€*

9.490€*

SISTEMA ULTRASÓNICO DE CIRUGÍA ÓSEA

Características:

• Gran aumento de potencia

• 3 modos (CIRUGIA, ENDO, PERIO)

• Modo ráfaga seleccionable (3 frecuencias)

• Funciones principales

• 9 programas (CIRUGIA × 5, ENDO × 2, PERIO × 2)

• Intensidad de luz LED regulable

• Modo de limpieza automático

• Función de retroalimentación

• Función de sintonización automática

• Función de enlace dinámico

Varios Combi Pro

El equipo se compone de:

• Unidad de control

Dispositivo para Tratamiento Periodontal Varios Combi Pro REF. Y1002843

Tratamiento Periodontal Subgingival Kit Perio REF. Y1003042

Pieza de mano Varios2 Lux REF. E351050

Carrito de soporte iCart Prophy REF. S9095

• Polvo FLASHpearl (5 sobres de 15 g)

• Prophy-System Incluye pieza de mano con boquilla de 60º para profilaxis supragingival

• Ultrasonidos Incluye pieza de ultrasonidos Varios2 LUX con luz LED

• Tres puntas: G4, G8 y G16

• Pedal de control multifuncional para regular la presión de agua y polvo

4.599€* 10.726€*

Turn static files into dynamic content formats.

Create a flipbook
Issuu converts static files into: digital portfolios, online yearbooks, online catalogs, digital photo albums and more. Sign up and create your flipbook.