El Dentista Moderno Nº 92

Page 1


ENTREVISTAS

• Congreso Internacional Conjunto

SEDCYDO-SEGER-SEMO

• XLVI Reunión Anual de Odontopediatría SEOP

JÓVENES TALENTOS

Dr. Ángel García Cañas

ORTODONCIA – ORMCO

INVESTIGACIÓN

OPINIÓN www.eldentistamoderno.com

D4.0

ENTREVISTA A LA INDUSTRIA DENTAL

Leo Bernd, director de Barcelona Dental Show

PENSANDO EN EL FUTURO

@dentistamoderno @eldentistamoderno

@eldentistamoderno @eldentistamoderno

Siguiendo la evolución de la Odontología para el profesional del sector llamado a construir el futuro

PRETTAU ® SKIN ® (0,15 mm)

Plataformas: Estrecha y 3.0

IMPLANTES CORTOS

REPLANTÉATE LOS TRATAMIENTOS DE LAS ATROFIAS ÓSEAS

• Menor traumatismo: sin reconstrucciones complejas.

• Más éxito sin complicaciones postoperatorias.

• Mayor aceptación por parte del paciente: sin demoras en la rehabilitación y aumentos de costes.

SOLUCIONES BTI: MÍNIMAMENTE INVASIVAS.

staff

eldentistamoderno

Número 92 - Marzo 2025

Siguiendo la evolución de la odontología

DIRECTORA

Emiliana Rodríguez Charmes emi.rodriguez@eldentistamoderno.com

SUBDIRECTORA

Beatriz Suárez de la Vega beatriz.suarez@eldentistamoderno.com

REDACCIÓN Y FOTOGRAFÍA Departamentos propios Versys Ediciones Técnicas

COMITÉ CIENTÍFICO

Javier de la Cruz, José Nart, Jesús Daniel Parejo, Juan López Palafox, Miguel Burgueño, Juan Manuel Vadillo, Guillermo Galván, Rafael Martínez de Fuentes, Anna Ramiro, Carlos Repullo, Leticia Rodríguez, Marta Revilla, José María Malfaz, Eva Mª Martínez y Eva López de Castro

DISEÑO Y MAQUETACIÓN Manuel Beviá

DIRECTORA COMERCIAL ÁREA DE DISTRIBUCIÓN Mercedes Álvarez mercedes.alvarez@versysediciones.com

DIRECTORA DE CUENTAS DM

Emiliana Rodríguez Charmes emi.rodriguez@eldentistamoderno.com

EJECUTIVA DE CUENTAS DM Cristina Esquivel cristina.esquivel@eldentistamoderno.com

Impresión: Gama Color

Depósito Legal: M-33444-2013

ISSN: 2340-9703

ISSN (internet): 2340-9797

Versys Ediciones Técnicas S.L. Invierno, 17 28850 Torrejón de Ardoz (+34) 912 972 000 administracion@versysediciones.com

CEO

José Manuel Marcos Franco de Sarabia

DIRECTORA DE OPERACIONES

Esther Crespo

DIRECTOR DE EXPANSIÓN Y DESARROLLO

José Manuel Marcos de Juanes

Copyrigth Versys Ediciones Técnicas S.L. La suscripción a esta publicación autoriza el uso exclusivo y personal de la misma por parte del suscriptor. Cualquier otra reproducción, distribución, comunicación pública o transformación de esta publicación sólo puede ser realizada con la autorización de sus titulares. En particular, la Editorial, a los efectos previstos en el art. 32.1 párrafo 2 del vigente TRLPI, se opone expresamente a que cualquier fragmento de esta obra sea utilizado para la realización de resúmenes de prensa, salvo que cuente con la autorización específica. Diríjase a CEDRO (Centro Español de Derechos Reprográficos) si necesita fotocopiar, escanear, distribuir o poner a disposición de otros usuarios algún fragmento de esta obra, o si quiere utilizarla para elaborar resúmenes de prensa (www.conlicencia.com; 917021970/932720447)

Las opiniones y conceptos vertidos en los artículos firmados lo son exclusivamente de sus autores, sin que la revista los comparta necesariamente.

Premio de Comunicación SECIB 2019

Accede a El Dentista Moderno

Emi Rodríguez

Directora de Dentista Moderno y D4.0

LA LEVEDAD Y EL PESO

El pasado mes de febrero asistimos, junto a más de 2.000 dentistas, médicos y profesionales de la salud bucodental, al 7º Congreso Bienal del COEM en Madrid. Con un programa científico multidisciplinar de primer nivel y la participación de 60 ponentes, se abordaron diversos aspectos de la salud bucodental desde una visión integradora. Con un formato innovador nacido de la colaboración entre el COEM y la Consejería de Madrid, los médicos del SERMAS abordaron el tema “Patologías sistémicas y salud bucodental”, desde un enfoque holístico de la salud y el cuidado de los pacientes.

Esta perspectiva refuerza el principio fundamental en la odontología moderna: la salud bucodental no puede entenderse de manera aislada, sino como parte esencial de la salud general. La búsqueda del equilibrio y armonía del cuerpo y la mente en la promoción de la salud integral.

Sobre esta relación reflexiona en profundidad el Dr. Carlos López-Otín, catedrático de Bioquímica y Biología Molecular, en su libro “La levedad de las libélulas”, una metáfora positiva de la vida relacionando la salud, el bienestar y el conocimiento, y donde introduce por primera vez el nuevo concepto de trisbiosis, una idea que conecta la tristeza y las emociones negativas con el desarrollo de enfermedades físicas. Esta visión resalta la interdependencia entre el bienestar emocional y la salud del cuerpo, un vínculo crucial que también se refleja en la práctica odontológica, donde el estrés y la ansiedad pueden manifestarse en afecciones como el bruxismo o las enfermedades periodontales.

La noción de levedad y peso no es nueva. Desde una perspectiva filosófica, Milan Kundera, en “La insoportable levedad del ser”, reflexionó sobre la dualidad entre la liviandad y la carga de la existencia. En el ámbito de la salud, este dilema cobra un sentido diferente: ¿cómo encontrar el equilibrio entre una vida sin preocupaciones y la carga de enfermedades que afectan tanto al cuerpo como a la mente? En odontología, este equilibrio se traduce en la importancia de la prevención y el tratamiento, en la relación entre salud oral y salud sistémica, y en el impacto que el bienestar emocional tiene sobre el paciente.

En el 7º Congreso Bienal del COEM quedó patente que la colaboración entre disciplinas médicas es clave para avanzar hacia una atención más completa y efectiva. La sinergia entre odontología y farmacia, por ejemplo, destacó la necesidad de trabajar conjuntamente para combatir la resistencia antimicrobiana y la correcta prescripción de medicamentos. Esta integración de conocimientos y prácticas es un recordatorio de que el cuidado de la salud debe abordarse desde una visión global, en la que la odontología juega un papel fundamental.

Porque la ciencia, al igual que la vida, nos enseña a encontrar la levedad en medio de la carga, a equilibrar la intervención con la prevención y a comprender que la salud no es solo la ausencia de enfermedad, sino también el bienestar emocional y social. La odontología, como parte esencial de este paradigma, tiene la oportunidad y la responsabilidad de seguir desarrollando y avanzando en su modelo de atención integral.

3

6

EDITORIAL

La levedad y el peso

Por Emi Rodríguez Charmes, directora de Dentista Moderno y D4.0

ENTREVISTA

“El Congreso Internacional Conjunto SEDCYDO-SEGER-SEMO pretende ser un encuentro integrador, multidisciplinar e innovador en el que se expongan y afiancen nuevas técnicas terapéuticas”

Dr. Miguel de Pedro Herráez, presidente por SEDCYDO; Dra. María Jesús Suárez García, presidenta por SEGER; y Dra. Rocío Cerero Lapiedra, presidenta por SEMO, del Congreso Internacional Conjunto SEDCYDO-SEGER-SEMO

12

20

ORTODONCIA-ORMCO

Expansión maxilar con MARPE y alineadores transparentes: reporte de un caso clínico

Autores: Dra. Nerea Frances, Nour Salman, Gilberto Duran, Iñigo Etxeberria y Teresa Cobo.

JÓVENES TALENTOS

“La investigación es fundamental para ampliar el conocimiento, mejorar diagnósticos, optimizar protocolos y desarrollar nuevos tratamientos”

Dr. Ángel García Cañas, experto en Implantología, Periodoncia y Prostodoncia, Research Fellow en la Universidad de Columbia y Director Adjunto de Clínica Santamaría

28

INVESTIGACIÓN

Nuevos aspectos sobre el desarrollo y funciones de la fascia de los músculos infrahioideos

Por: Dra. Elena Martínez Sanz y Prof. José Ramón Mérida Velasco

30

34

ENTREVISTA

“Nuestro objetivo es ofrecer un espacio de actualización científica, técnica y profesional dirigido a todos los facultativos interesados en la especialidad de Odontopediatría”

Dra. Carmen García Sánchez y Dra. Paola Beltri Orta, presidentas del comité organizador y del comité científico, respectivamente, de la XLVI Reunión Anual de Odontopediatría SEOP

OPINIÓN

Frenillo lingual: un pequeño detalle con grandes implicaciones en el crecimiento y desarrollo

Por: Dra. Julia Bergaglio

40 OPINIÓN

Importancia de la formación en apnea obstructiva del sueño por parte del odontólogo

Por: Dra. Ana Boquete Castro

44 CONGRESO

CONSEURO Córdoba 2025 XXV National & XII International SEOC Congress

62 ACTUALIDAD DEL SECTOR DENTAL

70 NOVEDADES

D4.0

50

ENTREVISTA A LA INDUSTRIA DENTAL

“BDS acercará toda la innovación y tendencias de futuro a los profesionales del sector dental para ayudar en su transformación digital y adaptarse al nuevo entorno y profesionalizarse”

Leo Bernd, director de Barcelona Dental Show (BDS)

54 PENSANDO EN EL FUTURO

Impresión 3D en odontología: el secreto para ofrecer más por menos

Dr. Fernando Germán

60 REPORTAJE

7º Congreso Bienal del COEM

Experto Universitario

“EL CONGRESO INTERNACIONAL

CONJUNTO SEDCYDO-SEGER-SEMO

PRETENDE SER UN ENCUENTRO

INTEGRADOR, MULTIDISCIPLINAR

E

INNOVADOR

EN EL QUE SE

EXPONGAN Y AFIANCEN NUEVAS TÉCNICAS TERAPÉUTICAS”

Dr. Miguel de Pedro Herráez, presidente por SEDCYDO; Dra. María Jesús Suárez García, presidenta por SEGER; y Dra. Rocío Cerero Lapiedra, presidenta por SEMO, del Congreso Internacional Conjunto SEDCYDO-SEGER-SEMO (8-10 de mayo, Facultad de Medicina y Odontología de la UCM)

Los días 8, 9 y 10 de mayo la Facultad de Medicina y Odontología de la Universidad Complutense de Madrid acogerá el primer congreso organizado conjuntamente por la Sociedad Española de Disfunción Craneomandibular y Dolor Orofacial (SEDCYDO), la Sociedad Española de Gerodontología (SEGER) y la Sociedad Española de Medicina Oral (SEMO). Los presidentes por cada una de estas Sociedades Científicas nos detallan en esta entrevista las claves de este Congreso que se celebra con el objetivo de ofrecer a odontólogos de todas las especialidaes un encuentro multi e interdisciplinar con un amplio abanico de posibilidades científicas que les permitan mejorar sus tratamientos y realizar un manejo más completo de las patologías de sus pacientes.

 DM.- ¿Qué objetivos se han marcado para el Congreso “La Salud Oral en boca de todos”, organizado por SEDCYDO, SEGER y SEMO?

Dr. Miguel de Pedro Herráez (Dr. M. de P.H.).- El Congreso Internacional Conjunto SEDCYDO-SEGER-SEMO nace con el objetivo principal de unir fuerzas para hacer llegar el trabajo y conocimiento de nuestras Sociedades al mayor número de odontólogos. El dolor orofacial, los trastornos temporomandibulares, la medicina oral del sueño, el manejo del paciente mayor, la medicina oral y la repercusión oral de enfermedades sistémicas son partes médicas de la Odontología que todos deberíamos conocer pero que, lamentablemente, no gozan del seguimiento que tienen otras áreas. Pretendemos ser un Congreso integrador, multidisciplinar e innovador en el que se expongan y afiancen nuevas técnicas terapéuticas. Queremos servir de punto de reunión para odontólogos de todas las especialidades que quieran aumentar sus conoci-

mientos para mejorar sus tratamientos y realizar un manejo más completo de las patologías que pueden presentar sus pacientes. Nuestro Congreso nace con el objetivo de ser el evento multidisciplinar del año en la Odontología en España, donde todo el mundo es bienvenido.

 DM.- ¿Qué temáticas transversales se abordarán durante el congreso?

Dra. Rocío Cerero Lapiedra (Dra. R.C.L.).- Ha sido muy enriquecedor comprobar que tenemos muchos temas que puedan interesar a las tres Sociedades. Uno de ellos es el dolor; la Dra. Federica Canfora (Universidad de Milán) hará una ponencia sobre el Síndrome de Boca Ardiente, que es una entidad mucho más frecuente en personas a partir de la década de los 50 y que supone una importante disminución de la calidad de vida de los pacientes que la sufren. El dolor postraumático será otro tema muy interesante que abordará el Dr. Dominik Ettlin (Universidad de Zurich).

El Dr. Mallat (Universidad de Barcelona) hablará sobre los desgastes dentales y sus repercusiones, un tema interesante por muchos motivos no exclusivamente odontológicos.

El tema del papel de los telómeros en el envejecimiento es apasionante y todavía con muchas posibilidades por trabajar. Será la Dra. María Blasco, pionera en nuestro país en dicha investigación y una gran divulgadora, la que nos hable de ello. Otro tema candente es el microbioma. En este Congreso lo enfocaremos en relación a la edad y los hábitos de vida. Será el Dr. Tony Gabaldón el ponente que lo presente.

Es un orgullo haber logrado elaborar una Guía Clínica de la Boca Seca. Hemos estado implicados muchos profesionales tanto de SEGER como de SEMO. El Dr. José López López (Universidad de Barcelona) la presentará ya que ha sido director de este trabajo, junto a la Dra. Pía López Jornet (Universidad de Murcia).

 DM.- ¿A qué profesionales invitan desde las tres Sociedades (SEDCYDO, SEGER y SEMO) a asistir al encuentro?

Dra. María Jesús Suárez García (Dra. M.J.S.G.).Nuestra intención es que asistan por supuesto los socios de las 3 Sociedades científicas implicadas en el evento, pero también invitamos a todos los profesionales de la odontología. El evento tendrá un carácter multi e interdisciplinar en el que tienen

Tratamos patologías muy complejas, que afectan a la salud del paciente, por lo que el trabajo interdisciplinar es imprescindible para el éxito terapéutico

Dr. Miguel de Pedro Herráez, presidente por la Sociedad Española de Disfunción Craneomandibular y Dolor Orofacial (SEDCYDO)

cabida los intereses de un gran número de profesionales. Será una puesta al día en temas muy relevantes en el ámbito de cada una de las sociedades, incluyendo además temas transversales de gran interés que permitirán a los profesionales que asistan afrontar los retos de la odontología actual.

El evento tendrá un carácter multi e interdisciplinar en el que tienen cabida los intereses de un gran número de profesionales
Dra. María Jesús Suárez García, presidenta por la Sociedad Española de Gerodontología (SEGER)

 DM.- ¿Cuáles serán las principales temáticas que se tratarán en programa en el campo de la disfunción craneomandibular y dolor orofacial? ¿Qué expertos en la materia presentarán sus comunicaciones científicas durante el Congreso? Dr. M. de P.H.- SEDCYDO siempre construye sus congresos sobre tres pilares importantes: los trastornos temporomandibulares (articulares y musculares), el dolor orofacial (neuropático, idiopático y cefaleas) y la medicina oral del sueño (bruxismo y apnea obstructiva del sueño). En esta ocasión seguiremos construyendo nuestro programa en base a estos pilares. El jueves, el Doctor José Luis de la Hoz impartirá un taller demostrativo de toxina botulínica para el manejo de patología oral y la Doctora María Redondo hará lo propio con su taller de dispositivos de avance mandibular para el manejo de la apnea osbtructiva del sueño. El viernes, dentro de la mesa de dolor orofacial, el Doctor Dominik Ettlin nos hablará de dolor neuropático trigeminal postraumático (que aparece en nuestros pacientes, en ocasiones, tras intervenciones odontológicas y quirúrgicas). El sábado el Congreso tendrá tres programas paralelos organizados por cada Sociedad. SEDCYDO contará con los bloques de trastornos temporomandibulares musculares, trastornos temporomandibulares articulares y medicina oral del sueño. En el bloque de trastornos temporomandibulares y cefaleas, el Doctor Giancarlo de la Torre hablará de los fenotipos diagnósticos en trastornos temporomandibuares musculares y la Doctora María Martín (neuróloga) realizará una actualización en migraña. El bloque de sueño volverá a contar con el Doctor Dominik Ettlin para hablar de dispositivos de avance mandibular y el Doctor Carlos O´Connor (otorrinolaringólogo) nos hablará de anquiloglosia y apnea obstructiva del sueño. Cerraremos el Congreso con un bloque de trastornos temporomandibulares articulares en el que la Doctora Cristina Zamora (reumatóloga) nos hablará de artritis idiopática juvenil y el Doctor Eduardo Januzzi nos detallará las nuevas técnicas de viscosuplementación y medicina regenerativa de la articulación temporomandibular.

 DM.- En su opinión, ¿dónde reside la importancia del manejo multidisciplinar ante los trastornos temporomandibulares, el dolor orofacial y la medicina oral del sueño?

Dr. M. de P.H.- Después de leer nuestro programa, es fácil darse cuenta en nuestras áreas de traba-

jo que es indispensable la colaboración con otras profesiones como fisioterapeutas, cirujanos maxilofaciales, neurólogos, reumatólogos, psicológos, otorrinos, neumólogos… Tratamos patologías muy complejas, que afectan a la salud del paciente, por lo que el trabajo interdisciplinar es imprescindible para el éxito terapéutico.

 DM.- ¿Qué temáticas de interés para la Gerodontología se abordarán durante el Congreso? ¿Qué expertos de esta especialidad participarán como ponentes?

Dra. M.J.S.G.- Desde la perspectiva de la Gerodontología se abordarán temas de gran interés en las conferencias transversales tales como el Síndrome de Boca Ardiente, los desgastes dentarios y sus repercusiones, el papel de los telómeros en el envejecimiento, los implantes subperiósticos, la prótesis removible o la presentación de la Guía Clínica de la Boca Seca.

Además, el sábado tendrán lugar las sesiones específicas de SEGER con 3 grandes bloques. En el bloque de Cirugía e Implantología se abordarán temas como el reto de la cuarta dentición, odontología eficiente en el paciente de la tercera edad o la cirugía periapical. En el bloque de Prótesis se hablará de restauraciones BOPT en dientes e implantes, rehabilitaciones totales sobre implantes o las nuevas tecnologías e IA en prostodoncia. Finalmente, en el bloque Multidisciplinar se abordarán temas muy interesantes desde la perspectiva del paciente mayor como son la endodoncia, la estética o la prevención de las caries radiculares.

Para ello contamos con ponentes de gran relevancia como son los doctores José López, Ernest Mallat, Víctor Gil, David de Paz, Víctor de Paz, Arturo Bilbao, Juan Zufía, María Peñarrocha, Rubén Agustín, José Manuel Reuss, Alberto Ferreiroa, Ana Arias, Jorge García o Carmelo Ortolá.

 DM.- ¿Qué necesidades formativas requieren actualmente los odontólogos que trabajan con pacientes mayores?

Dra. M.J.S.G.- Es difícil contestar a esta pregunta porque en muchas de las universidades del país aún no existe como asignatura la Gerodontología en sus planes de estudios. Tampoco existen muchos postgrados con este perfil en la actualidad. Por ello, los odontólogos que trabajan con personas mayores tienen que ir adquiriendo su formación

Ha sido muy enriquecedor comprobar que tenemos muchos temas que puedan interesar a las tres

Sociedades, tales como el dolor, los desgastes dentales y sus repercusiones o el microbioma, entre otros ”

Dra. Rocío Cerero Lapiedra, presidenta por la Sociedad Española de Medicina Oral (SEMO)

El dolor orofacial, los trastornos temporomandibulares, la medicina oral del sueño, el manejo del paciente mayor, la medicina oral y la repercusión oral de enfermedades sistémicas son partes médicas de la Odontología que todos deberíamos conocer pero que, lamentablemente, no gozan del seguimiento que tienen otras áreas

Dr. Miguel de Pedro Herráez, presidente por la Sociedad Española de Disfunción Craneomandibular y Dolor Orofacial (SEDCYDO)

Este Congreso será una gran oportunidad para todos los profesionales que asistan de actualizar sus conocimientos, para poder ofrecer una atención integral y de calidad a sus pacientes mayores

Dra. María Jesús Suárez García, presidenta por la Sociedad Española de Gerodontología (SEGER) “

Es una preocupación el desconocimiento casi total que tiene la población sobre la Patología No Odontológica en la cavidad oral ”

Dra. Rocío Cerero Lapiedra, presidenta por la Sociedad Española de Medicina Oral (SEMO)

a través de las publicaciones especializadas, los cursos y los congresos. Es muy importante concienciar a la sociedad en general y a los dentistas en particular de la importancia de la salud bucodental en las personas mayores, y su relación con la salud general y la calidad de vida. Desde SEGER tratamos de promover un cuidado personalizado de nuestros pacientes mayores, mejorando su calidad de vida. Este Congreso será una gran oportunidad para todos los profesionales que asistan de actualizar sus conocimientos, para poder ofrecer una atención integral y de calidad a sus pacientes mayores.

 DM.- ¿Qué temáticas sobre Medicina Oral se tratarán a lo largo del Congreso?

Dra. R.C.L.- Se hablará de lesiones blancas que siguen siendo un gran reto tanto de diagnóstico como de manejo. Lo hará el Dr. Alessandro Villa (Universidad de California).

El Dr. Adalberto Mosqueda (Universidad de Mexico) nos trasladará su gran experiencia en Patología Oral Infantil. No es frecuente dedicar un apartado a ello en los congresos de Medicina Oral, precisamente ésa es la razón de incluir este tema.

La IA está y, sobre todo, estará presente en nuestro quehacer diario en un futuro. El Dr. Bagán y Yolanda Vives Gilabert (Universidad de Valencia) nos hablarán de sus posibilidades en el diagnóstico de lesiones orales.

¿Qué utilidad tiene realmente el láser en Medicina Oral? El Dr. Dionisio Cortés (Universidad de Tenerife) expondrá la evidencia científica de este tipo de tratamiento. Y el Dr. José Manuel Aguirre (Universidad del País Vasco) impartirá la conferencia magistral que versará sobre el binomio diagnóstico clínico-diagnóstico microscópico en Medicina Oral.

 DM.- ¿Cuáles son actualmente las principales preocupaciones de los especialistas en Medicina Oral en su práctica diaria?

Dra. R.C.L.- Sin duda que los pacientes conozcan que existen este tipo de profesionales, ligados a la Odontología y dejen de ser “peregrinos” por otros especialistas.

Por otra parte, es una preocupación el desconocimiento casi total que tiene la población sobre la Patología No Odontológica en la cavidad oral. Desconocen, entre otras cosas, que existe el cáncer oral y que es fundamental de cara al pronóstico, un diagnóstico temprano. 

EXPANSIÓN MAXILAR CON MARPE Y ALINEADORES

TRANSPARENTES:

REPORTE DE UN CASO CLÍNICO

El tratamiento de las maloclusiones Clase III con compresión maxilar en pacientes adultos representa un gran desafío en la ortodoncia. En estos casos, la expansión palatina rápida (EPR) convencional del maxilar es limitada debido a la maduración de la sutura palatina, lo que hace necesario el uso de dispositivos de anclaje óseo, como el MARPE (Mini-Implant Assisted Rapid Palatal Expander). Este ecaso clínico respalda la eficacia del enfoque combinado MARPE + alineadores Spark™ en la corrección de maloclusiones complejas en adultos, subrayando la importancia de una planificación minuciosa y de la integración de tecnologías innovadoras en la práctica ortodóncica actual.

Dra. Nerea Frances Grado en Odontología por la Universidad del País Vasco.

Máster en Ortodoncia y Ortopedia dentofacial por la Universidad de Oviedo.

Profesora colaboradora en el Master de Ortodoncia de la Universidad de Oviedo (IAO).

Miembro de la Sociedad Española de Ortodoncia (SEDO) y American Association of Orthodontists (AAO).

Nour Salman, Gilberto Duran, Iñigo Etxeberria y Teresa Cobo.

Introducción

La deficiencia transversal del maxilar superior es un problema dental común que afecta tanto la función masticatoria como la estética dental, se encuentra aproximadamente en el 8-23% de los pacientes en dentición decidua y a menos del 10% de los pacientes adultos, representando un desafío común en la ortodoncia (1) (2). El origen de esta falta de desarrollo puede deberse a una etiología multifactorial incluyendo causas traumáticas, iatrogénicas, congénitas y del desarrollo (3). También puede ser debido a diferentes hábitos, como la respiración oral, la succión digital y obstrucción de las vías respiratorias superiores, que pueden provocar apnea obstructiva del sueño, así como síndromes congénitos (4). En pacientes adultos jóvenes mayores de 15 años o en fases avanzadas del crecimiento, la fusión de la sutura palatina debido al desplazamiento mutuo de los huesos implicados (el maxilar, el hueso palatino y el esfenoides) limita la eficacia de la EPR (Expansión Palatina rápida) convencional, haciendo necesaria la intervención quirúrgica (5). En respuesta a esta limitación, se ha desarrollado la expansión rápida del paladar asistida por mini-implantes (MARPE, por sus siglas en inglés. Mini-Implant Assisted Rapid Palatal Expander) (6). Esta técnica innovadora ha mostrado un gran potencial al proporcionar una expansión palatina efectiva y menos invasiva, incluso en pacientes más mayores, gracias a la aplicación de fuerzas directamente sobre los huesos maxilares mediante mini-tornillos.

En los últimos años, el uso de alineadores transparentes ha ganado popularidad gracias a su es-

tética, comodidad y control tridimensional del movimiento dental (7). En combinación con el MARPE, los alineadores permiten una secuencia de tratamiento más eficiente, facilitando la expansión maxilar y la corrección de discrepancias verticales y sagitales.

Este reporte de caso describe la planificación y ejecución de un tratamiento ortodóncico combinado con MARPE y alineadores Spark™, resaltando los beneficios clínicos de esta aproximación en la corrección de maloclusiones severas en adultos.

Reporte de un caso

Etiología y diagnóstico

Se presenta el caso clínico de un paciente masculino de 27 años. Su principal preocupación era mejorar la función masticatoria. El paciente no presentaba antecedentes médicos destacables ni había recibido tratamiento previo de ortodoncia.

1. Análisis extraoral (Ilustración 1):

 Biotipo facial dolicofacial compatible con Clase III.

 Sonrisa gingival superior.

 Asimetría mandibular con desviación del mentón hacia la izquierda.

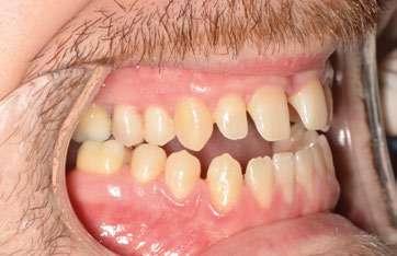
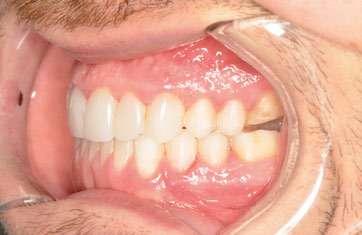
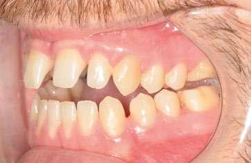
2. Análisis intraoral (Ilustración 2 y 3):

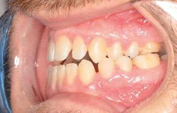
 Clase III molar y canina de Angle bilateral.

 Mordida abierta anterior > 3 mm.

 Compresión maxilar junto con mordida cruzada posterior bilateral.

 Línea media inferior desviada 2 mm hacia la derecha.

1 Ilustración 1. Fotografías extraorales iniciales de estudio.
Ilustración 2. Fotografías intraorales iniciales de estudio.
Ilustración 3. Modelos iniciales de estudio.

caso clínico

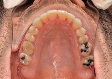
3. Análisis radiográfico y tomográfico (Ilustración 4):

 Constricción maxilar con deficiencia transversal

> 5 mm.

 Clase III esquelética.

 Patrón esquelético hiperdivergente con el plano oclusal mandibular compensado con rotación anti-horaria.

 Sutura palatina media parcialmente osificada (8) (9).

 Posición de terceros molares no favorable, por lo que se recomendó extracción.

El objetivo principal de este tratamiento fue la corrección de la discrepancia maxilar transversal esquelética (> 5 mm), seguida de la corrección vertical y sagital, para lograr una relación oclusal funcional y estable (10).

Plan de tratamiento y progreso

Se informó al paciente sobre varias opciones de tratamiento, incluyendo la cirugía ortognática combinada con ortodoncia. Sin embargo, el paciente optó por no someterse a cirugía. En consecuencia, tras realizar la extracción de los terceros molares y el tratamiento

4

de las caries existentes, se optó por un plan de tratamiento ortodóncico compensatorio utilizando MARPE, seguido de alineadores transparentes.

Objetivos del tratamiento:

1. Expansión del maxilar mediante MARPE, corrigiendo la mordida cruzada y la deficiencia transversal.

2. Cerrar la mordida abierta anterior mediante extrusión controlada de incisivos.

3. Establecer una relación molar y canina funcional.

4. Optimizar la alineación y la estética dental con alineadores.

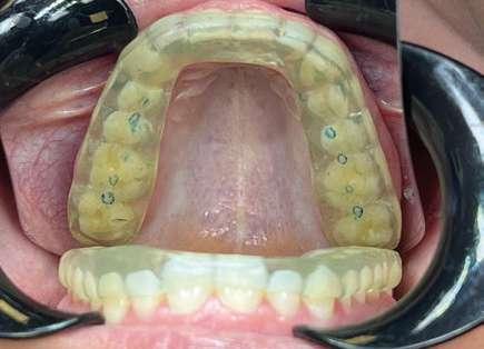
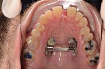
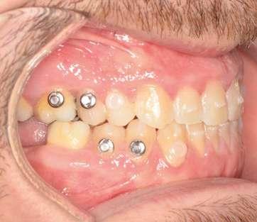
Fase 1: disyunción con MARPE

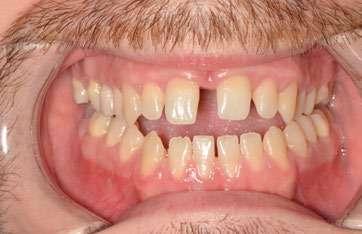
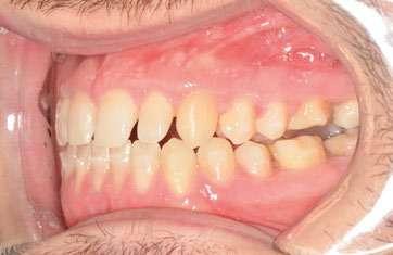
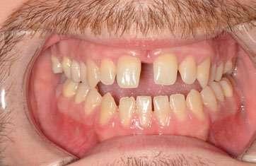
Tras colocar la anestesia palatina infiltrativa, el disyuntor osteo-soportado con tornillo hexagonal, se fijó de forma segura mediante los mini-tornillos utilizando un contra-ángulo de baja velocidad. Ese mismo día, se inició la expansión con pauta de 1 vuelta al día (0,16 mm por vuelta). Tras 43 días, se apreció la apertura de diastema inter-incisal y se continuó dando vueltas durante 18 días más hasta conseguir la corrección de la mordida cruzada posterior (Ilustración 5).

Ilustración 4. Registros radiográficos iniciales de estudio.

El paciente fue instruido en la higiene del dispositivo para evitar inflamación gingival y se realizaron controles rutinarios cada dos semanas. Al finalizar el procedimiento de expansión, el paciente fue monitoreado durante 75 días.

Evidencia clínica y radiográfica de la expansión:

 Separación visible de incisivos centrales, indicativa de apertura de la sutura palatina.

 Expansión confirmada mediante superposición de los modelos maxilares digitales previos y posteriores al tratamiento mediante MARPE (Ilustración 6). Se obtuvo un aumento transversal del 5,14 mm a nivel de los primeros molares.

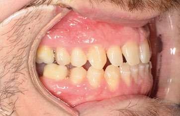
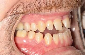
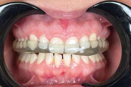
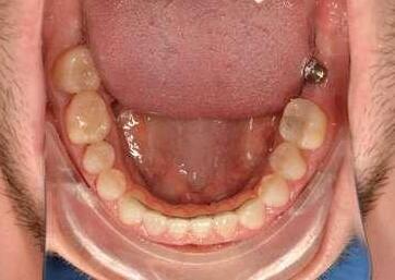
Fase 2: corrección con alineadores Una vez corregida la discrepancia transversal y finalizado el periodo de control, el tratamiento continuó con alineadores Spark™, con un protocolo de uso de 22 horas diarias y cambios de alineadores cada 10 días. El tratamiento con alineadores se planificó en 2 etapas. Una primera etapa para abordar el plano vertical y una etapa final para abordar el plano sagital.

Corrección vertical (Ilustración 7):

 Extrusión de incisivos superiores (1,7 mm) e inferiores (1,5 mm) con attachments de control radicular.

 Intrusión de molares mandibulares mediante turbo bites para facilitar el cierre de la mordida.

Como se puede apreciar en las imágenes adjuntas, la corrección vertical planificada se logró en su totalidad. En esta etapa, se colocaron carillas provisionales de composite de canino a canino en la arcada superior para mejorar la estética del paciente y compensar la discrepancia de Bolton (Ilustración 8). Para la corrección sagital se fabricó un nuevo juego de alineadores transparentes.

Corrección sagital (Ilustración 9):

 Corrección de la inclinación corono-distal de los premolares en el cuarto cuadrante mediante elásticos intermaxilares.

Ilustración 5. Fotografías intraorales tras la disyunción con MARPE.
Ilustración 6. Superposición del modelo inicial (azul) modelo y post-disyunción (gris).

caso clínicoORTODONCIA

Initial

Post-disjuncion

Ilustración 7. Fotografías iniciales, post-disyunción e intra-tratamiento tras el 1º set de alineadores Spark™ (corrección vertical).

Ilustración 8. Fotografía tras realizar carillas de composite provisionales.

Ilustración 9. Fotografías intraorales tras el 2º set de alineadores Spark™ (corrección sagital).
1º Set of aligners

Resultados de tratamiento

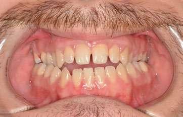
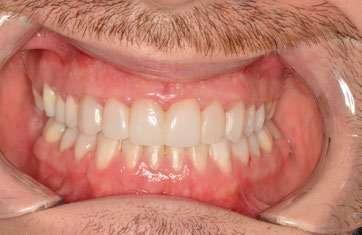
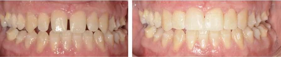
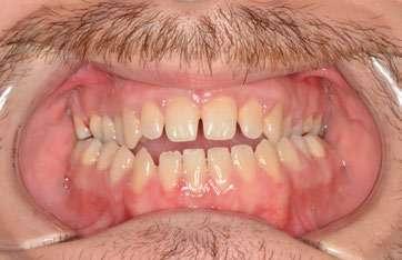
Tras 18 meses de tratamiento, se concluyó la fase ortodóncica y se colocaron las carillas de composite definitivas de canino a canino en la arcada maxilar, obteniendo los siguientes resultados:

1. Expansión maxilar efectiva junto con mejoría en la estética de la sonrisa (Ilustración 10):

 Se corrigió la mordida cruzada posterior bilateral disminuyendo los corredores bucales.

 La expansión obtenida fue > 5 mm, evidenciada en la tomografía post-tratamiento.

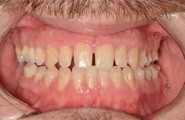
2. Corrección de la mordida abierta anterior (Ilustración 11):

 Extrusión controlada de los incisivos con alineadores y attachments.

 Reducción de la mordida abierta de 3 mm, logrando una sobremordida adecuada.

3. Mejora de la relación oclusal:

 Conversión de la relación molar y canina de Clase III a Clase I funcional.

 Centrado de las líneas medias.

Ilustración 10. Registros extraorales e intraorales finales.

caso clínico

4. Estabilidad y retención:

 Retención fija en el arco inferior.

 Retención removible de uso nocturno en ambos maxilares.

Discusión

El manejo de la maloclusión Clase III con compresión maxilar en adultos presenta desafíos inherentes, dada la maduración de la sutura palatina y la complejidad de corregir discrepancias tanto esqueléticas como dentoalveolares sin recurrir a la cirugía. El tratamiento ortodóncico ha evolucionado significativamente en los últimos años, permitiendo el uso de enfoques híbridos que combinan técnicas de ortodoncia fija y removible para optimizar los resultados clínicos (7). En este caso clínico, se describe la aplicación de un protocolo combinado de Expansión Rápida Palatina Asistida por mini-implantes (MARPE) y alineadores transparentes, lo que ofrece una alternativa mínimamente invasiva y estéticamente favorable en pacientes con deficiencias transversales maxilares.

El uso de MARPE ha demostrado ser una opción eficaz para la corrección de la deficiencia transversal en pacientes adolescentes tardíos y adultos jóvenes, en quienes la sutura palatina ha perdido parte de su capacidad de respuesta a la expansión

convencional con disyuntores dento-soportados. Múltiples estudios han evidenciado que el uso de mini-implantes anclados al paladar favorece la separación de la sutura palatina media con un menor grado de efectos adversos dentales, como la inclinación de molares o la reabsorción radicular (11). En el caso presentado, la expansión obtenida fue clínicamente significativa, permitiendo una mejora en la relación transversal sin comprometer la estabilidad periodontal.

Posterior a la expansión, la fase de alineación y nivelación con alineadores transparentes representó una ventaja clave en términos de comodidad, estética y control biomecánico (12). La adaptación de los alineadores a la nueva dimensión transversal facilitó la corrección de la maloclusión sin la necesidad de aparatología fija, permitiendo un mejor control de movimientos dentales específicos. Estudios recientes han indicado que los alineadores pueden ser una alternativa viable tras la expansión con MARPE, ya que pueden mantener la corrección obtenida y continuar con el tratamiento (13).

Es importante destacar que el éxito de este enfoque depende de múltiples factores, incluyendo la selección adecuada del paciente, el diseño del disyuntor MARPE, la correcta activación del dispositivo y la colaboración del paciente con los alinea-

Ilustración 11. Izquierda: CBCT y radiografía panorámica post-tratamiento. Derecha: superposición del CBCT inicial y final.

dores. En este sentido, la adherencia al protocolo de uso de alineadores y la retención posterior juegan un papel crucial en la estabilidad a largo plazo de la corrección.

Si bien la combinación de MARPE con alineadores transparentes ha demostrado resultados prometedores, se requieren más estudios longitudinales que evalúen su estabilidad a largo plazo y comparen sus resultados con enfoques tradicionales. Asimismo, sería beneficioso explorar nuevas estrategias de personalización de alineadores post-expansión para mejorar aún más la predictibilidad del tratamiento.

Conclusión

La combinación de MARPE y alineadores transparentes ha demostrado ser una alternativa eficaz en la corrección de discrepancias transversales en adultos, permitiendo una expansión ortopédica sin cirugía. La disyunción rápida esquelética aborda la compresión maxilar, mientras que los alineadores

permiten un mejor control del movimiento dental y fomentan la colaboración del paciente gracias a su comodidad. Este protocolo combinado se presenta como una alternativa viable para pacientes adultos que desean evitar procedimientos quirúrgicos, permitiendo alcanzar resultados clínicos predecibles y estéticamente satisfactorios. Los alineadores han demostrado ser efectivos para la corrección de mordidas abiertas y la alineación post-expansión. La precisión en la planificación y ejecución de su tratamiento no solo contribuyó a la corrección de la relación molar y canina de Clase III a Clase I, sino que además mejoró la estética y la comodidad del paciente durante todo el proceso En síntesis, el caso clínico respalda la eficacia del enfoque combinado MARPE + alineadores Spark™ en la corrección de maloclusiones complejas en adultos, subrayando la importancia de una planificación minuciosa y de la integración de tecnologías innovadoras en la práctica ortodóncica actual. 

Resumen

El tratamiento de las maloclusiones Clase III con compresión maxilar en pacientes adultos representa un gran desafío en la ortodoncia. En estos casos, la expansión palatina rápida (EPR) convencional del maxilar es limitada debido a la maduración de la sutura palatina, lo que hace necesario el uso de dispositivos de anclaje óseo, como el MARPE (Mini-Implant Assisted Rapid Palatal Expander).

Este artículo describe el caso de un paciente masculino de 27 años con maloclusión de Clase III, mordida abierta anterior y compresión severa del maxilar. Se planificó un tratamiento combinado de disyunción maxilar asistida por mini-implantes y alineadores Spark™. Los objetivos principales fueron corregir la deficiencia transversal del maxilar, mejorar la relación molar y canina, y cerrar la mordida abierta sin recurrir a la cirugía ortognática. Los resultados evidenciaron una expansión maxilar efectiva, acompañada de una mejora en la relación oclusal, logrando estabilidad funcional en la oclusión del paciente. Este caso clínico destaca la efectividad del protocolo MARPE + alineadores como alternativa en adultos que rechazan la cirugía ortognática.

Bibliografía

1. Brunelle JA, Bhat M, Lipton JA. Prevalence and distribution of selected occlusal characteristics in the US population, 1988–1991. J Dent Res. 1996;75:706–13.

2. da Silva Filho OG, Santamaria M Jr, Capelozza FL. Epidemiology of Posterior Crossbite. 2007.

3. Silva-Montero JC, Faus-Matoses I, Ribas-Pérez D, Pourhamid H, Solano-Mendoza B. Analysis of the Frequency and Correlated Factors of Midpalatal Suture Maturation Stages in Young Adults, Based on Cone Beam Computed Tomography Imaging. J Clin Med. 2022 Dec 1;11(23).

4. Haas AJ. The treatment of maxillary deficiency by opening the midpalatal suture. Angle Orthod. 1965;35:200–17.

5. Melsen B, Melsen Aarhus F. The postnatal devezopment of the palatomaxillary region studied on human autopsy material.

6. Wehrbein H, Merz BR, Diedrich P. Palatal bone support for orthodontic implant anchorage—a clinical and radiological study. Eur J Orthod. Eur J Orthod. 1999;21:65–70.

7. Cárdenas Machuca HY, Granda Reyes HJ, Marchena Gómez XN, Sierra Carbajal LA, Soldevilla Galarza LC, Mattos-Vela MA. Fixed orthodontic appliances and clear aligner system: a comparative review. Rev Cient Odontol (Lima). 2024 Jun 27;12(2):198.

8. Angelieri F, Cevidanes LH, Franchi L, Gonçalves JR, Benavides E, McNamara JA Jr. Midpalatal suture maturation: classification method for individual assessment before rapid maxillary expansion. Am J Orthod Dentofacial Orthop. 2013 Nov;144(5):759-69.

9. Nearisoli S, Angelieri F, Goncalves JR, da Silva HDD, Maltaaliati LA, Raphaelli Nahás-Scocate AC. Assessment of the bone thickness of the palate on cone-beam computed tomography for placement of miniscrew-assisted rapid palatal expansion appliances. Am J Orthod Dentofacial Orthop. 2022 Jun;161(6):849-857.

1 0. Andrews LF. The six keys to normal occlusion. Am J Orthod. 1972 Sep;62(3):296-309. doi: 10.1016/ s0002-9416(72)90268-0. PMID: 4505873.

11. Zeng W, Yan S, Yi Y, Chen H, Sun T, Zhang Y, Zhang J. Long-term efficacy and stability of miniscrew-assisted rapid palatal expansion in mid to late adolescents and adults: a systematic review and meta-analysis. BMC Oral Health. 2023 Nov 3;23(1):829. doi: 10.1186/s12903-023-03574-y. PMID: 37924088; PMCID: PMC10623697.

12. Farronato G, Giannini L, Galbiati G, Maspero C. Sagittal and vertical effects of rapid maxillary expansion in Class I, II, and III occlusions. Angle Orthod. 2011 Mar;81(2):298-303.

13. Solano Mendoza B, Aceytuno Poch P. Expansión maxilar mediante el uso de MARPE. Gaceta Dental. 2024 Nov.

jóvenes talentos

“LA INVESTIGACIÓN ES FUNDAMENTAL PARA AMPLIAR EL CONOCIMIENTO, MEJORAR DIAGNÓSTICOS, OPTIMIZAR

PROTOCOLOS Y DESARROLLAR NUEVOS TRATAMIENTOS”

Dr. Ángel García Cañas, experto en Implantología, Periodoncia y Prostodoncia, Research Fellow en la Universidad de Columbia y Director Adjunto de Clínica Santamaría

Procedente de una familia con una clara vocación sanitaria, el Dr. Ángel García Cañas, experto en Implantología, Periodoncia y Prostodoncia, Research Fellow en la Universidad de Columbia y Director Adjunto de Clínica Santamaría, nos relata en esta entrevista lo que más le apasiona de su trabajo como odontólogo, detallando la importancia de la investigación por su contribución al desarrollo de la profesión, así como de una formación continua y desde una perspectiva multidisciplinar para ofrecer un enfoque integral en el cuidado del paciente.

 DM.- Actualmente usted es Director Adjunto de Clínica Santamaría, donde ejerce junto a su padre y su hermano. Teniendo en cuenta la vocación familiar, ¿qué fue lo que realmente le impulsó a dedicarse a la Odontología?

Dr. Ángel García Cañas (Dr. A.G.C.).- Desde muy pequeño tuve claro que quería dedicarme al mundo de la salud. Crecí en una familia donde la vocación sanitaria estaba muy presente, mi madre es enfermera, mi padre médico-odontólogo, mi hermano mayor es médico y mi hermano mediano odontólogo. Siempre me sentí inspirado por el respeto y la pasión con los que vivían su profesión. Elegí la Odontología porque creo firmemente en el impacto que la salud oral tiene en la vida de las personas. La sonrisa es una parte fundamental de nuestra identidad, influye en la confianza en uno mismo, en la forma en que nos relacionamos con los demás y, por supuesto, en nuestra capacidad para llevar a cabo funciones vitales como hablar, masticar y respirar. Tener la oportunidad de mejorar la calidad de vida de los pacientes, ayudándolos a recuperar la funcionalidad y la estética de su sonrisa, es lo que hace que esta profesión sea tan especial para mí.

 DM.- ¿Y qué le aporta, tanto a nivel personal como profesional, trabajar “en familia”?

Dr. A.G.C.- Junto a mis padres y mi hermano mediano, también se encuentra mi mujer, esto hace que el día a día de mi profesión sea acompañado de las personas que más quiero y en quienes más confío, por lo que me considero enormemente afortunado. A ello se suma un equipo excepcional de más de 20 profesionales, con quienes compartimos una visión común basada en la honestidad, la cercanía y la confianza. Estos valores no solo definen nuestro trabajo diario, sino que también se reflejan en la atención que brindamos a nuestros pacientes.

 DM.- En 2024 ha sido usted seleccionado para recibir una de las 30 becas otorgadas por el International Team for Implantology (ITI) a odontólogos de todo el mundo. ¿Qué significa este logro a nivel personal y profesional?

Dr. A.G.C.- A nivel profesional, ser elegido para esta beca en la Universidad de Columbia representa una gran responsabilidad y un inmenso honor. Es el resultado de años de estudio, esfuerzo y dedicación a la Odontología.

Tener la oportunidad de mejorar la calidad de vida de los pacientes, ayudándolos a recuperar la funcionalidad y la estética de su sonrisa, es lo que hace que esta profesión sea tan especial para mí ”

En el plano personal, salir de mi zona de confort y vivir en otro país, adaptarme a una nueva cultura, comunicarme en otro idioma y rodearme de personal de distintas partes del mundo está siendo la experiencia personal más enriquecedora que he vivido hasta el momento.

 DM.- Además, ha sido la primera vez que esta beca se concede en la Universidad de Columbia. ¿En qué ámbitos de la Implantología son punteros en esta universidad?

Dr. A.G.C.- La Universidad de Columbia es un referente global en Odontología y, en particular, en

jóvenes talentos

Implantología. Su enfoque multidisciplinar y su capacidad para integrar las tecnologías más avanzadas en el tratamiento y la investigación la convierten en una institución líder en el sector. Contamos con radiología 3D, escáneres intraorales, softwares CAD, maquinaria CAM, cirugía navegada para la colocación de implantes, fotogrametría y otras herramientas de vanguardia que nos permiten ofrecer tratamientos de máxima precisión y predecibilidad. Este entorno de innovación no solo mejora los resultados clínicos, sino que también impulsa el desarrollo de nuevas técnicas y protocolos que marcan el futuro de nuestra profesión.

 DM.- Y, por otro lado, ¿en qué áreas colabora durante su estancia en Nueva York a través de la beca del ITI?

Dr. A.G.C.- Como ITI Scholar en Columbia University, tengo la oportunidad de colaborar con expertos internacionales en implantología, periodoncia y prostodoncia. Estoy involucrado en proyectos de inves-

En el ámbito de la Odontología, destacamos tanto por la calidad como por la cantidad de nuestra producción investigadora, estamos a la vanguardia en protocolos clínicos y nuestros profesionales son altamente valorados a nivel internacional

tigación innovadores, asisto a la formación teórica y práctica de los residentes, participo de un entorno hospitalario multidisciplinar donde llevamos a cabo tratamientos de lo más innovadores y preparo conferencias y cursos sobre implantología que imparto en universidades y congresos a nivel global.

 DM.- En cuanto a la investigación, ¿qué es lo que más le fascina de este área?

Dr. A.G.C.- Lo que más me motiva es la posibilidad de contribuir al avance de nuestra profesión. La investigación es fundamental para ampliar el conocimiento, mejorar diagnósticos, optimizar protocolos y desarrollar nuevos tratamientos. En definitiva, el objetivo final siempre es mejorar la calidad de vida de nuestros pacientes.

 DM.- Gran parte de su formación la ha cursado en la UCM y la UEM. En su opinión, ¿cuál es el nivel de la formación en Odontología en España?

Dr. A.G.C.- Mi formación en la Universidad Europea durante el grado de Odontología y en la Universidad Complutense, donde realicé el Máster de Ciencias Odontológicas, el diploma de Periodoncia Avanzada, el diploma de Implantología Clínica y el Máster en Implantoprótesis Avanzada, fue fundamental en mi desarrollo profesional. Además, mi formación en el Máster en Cirugía Plástica Periodontal en la Universidad de Bolonia, que representó mi primera experiencia internacional, marcó un punto de inflexión en mi carrera. Estas tres instituciones no solo me brindaron una base teórica sólida y habilidades clínicas avanzadas, sino que también me inculcaron la importancia de trabajar con un alto estándar de excelencia. Sin duda, este tipo de oportunidades internacionales reflejan el alto nivel educativo que existe en España. En el ámbito de la Odontología, destacamos tanto por la calidad como por la cantidad de nuestra producción investigadora, estamos a la vanguardia en protocolos clínicos y nuestros profesionales son altamente valorados a nivel internacional. Debemos sentirnos orgullosos de nuestro país y seguir impulsando nuestra profesión para mantenernos en la élite mundial.

 DM.- ¿Cómo afecta a los jóvenes odontólogos el hecho de que España sea el único país de Europa que no tiene reconocidas oficialmente las especialidades odontológicas respecto a sus homólogos europeos?

Dr. A.G.C.- El reconocimiento oficial de las especialidades odontológicas es fundamental para garan-

tizar un alto nivel de formación en áreas específicas y para equiparar la preparación de nuestros profesionales con la de sus homólogos en el ámbito internacional. Esto no solo aportaría un marco más sólido para la excelencia académica y clínica, sino que también facilitaría la movilidad y el reconocimiento profesional fuera de nuestras fronteras. Sin embargo, en la práctica clínica, muchas especialidades están estrechamente relacionadas entre sí. La periodoncia, la prostodoncia y la implantología, por ejemplo, se complementan de manera constante, al igual que la ortodoncia con la estética o la endodoncia con la odontología restauradora. Por ello, aunque la especialización es clave, también lo es desarrollar una visión global e interdisciplinar, que nos permita integrar conocimientos de distintas áreas para ofrecer a nuestros pacientes el mejor tratamiento posible.

 DM.- ¿Qué papel juega entonces la formación especializada de cara a competir en el mercado laboral para estos profesionales?

Dr. A.G.C.- La formación especializada es esencial y debería ser un requisito indispensable para la práctica de ciertos tratamientos que requieren un alto grado de conocimiento y habilidades avanzadas. No obstante, en un entorno clínico donde las distintas disciplinas odontológicas están cada vez más interconectadas, limitarse a una única especialidad sin una formación continua y una perspectiva multidisciplinar puede ser contraproducente. El mercado laboral actual demanda odontólogos altamente cualificados, pero también capaces de colaborar con diferentes especialistas y adaptarse a los avances tecnológicos y científicos de la profesión. La clave para destacar no está solo en la especialización, sino en mantener una formación continua a lo largo de toda la carrera y en desarrollar una mentalidad abierta que permita ofrecer un enfoque integral en el cuidado del paciente.

 DM.- Teniendo en cuenta su experiencia, ¿qué aporta a los jóvenes odontólogos españoles la formación en el extranjero?

Dr. A.G.C.- Las experiencias internacionales amplían horizontes, permiten el acceso a tecnologías innovadoras, fomentan el intercambio de conocimientos y enriquecen el desarrollo profesional y personal. Aunque no es imprescindible, es altamente recomendable como complemento a la excelente formación en España.

 DM.- En este sentido, ¿cuál es el potencial de los odontólogos españoles en el ámbito internacional en cuanto a las oportunidades que se le abren a nivel formativo?

Dr. A.G.C.- Los odontólogos españoles contamos con una formación de alto nivel y un gran reconocimiento a nivel internacional, lo que nos permite acceder a múltiples oportunidades en el extranjero. Existen diversas opciones para continuar nuestra formación, como cursos de formación continua, másteres internacionales, residencias especializadas, programas de investigación, becas internacionales y preceptorships, entre muchas otras. Cada una de estas alternativas ofrece una experiencia única y la elección debe adaptarse a las circunstancias y objetivos personales y profesionales de cada odontólogo.

 DM.- Y, si tuviera ahora mismo la oportunidad de orientar a un odontólogo recién licenciado, ¿qué consejos le daría?

Dr. A.G.C.- Mi consejo para un odontólogo recién graduado sería que se enfoque en construir una sólida base de conocimientos durante su formación académica. Les animaría a que, con el apoyo de sus profesores, exploren desde temprano el mundo de la investigación, participen en congresos, presenten posters y comunicaciones, y traten de publicar un caso clínico o un artículo de revisión en alguna revista nacional.

El Dr. Karim el Kholy junto al Dr. Ángel García Cañas.

jóvenes talentos

Aunque la especialización es clave, también lo es desarrollar una visión global e interdisciplinar, que nos permita integrar conocimientos de distintas áreas para ofrecer a nuestros pacientes el mejor tratamiento posible ”

Una vez graduados, es fundamental ganar experiencia en la atención clínica. Deben desarrollar sus habilidades manuales y aprender a manejar la relación con los pacientes en el entorno cotidiano de una clínica dental. Después de al menos un año de práctica clínica, les recomendaría continuar su formación mediante un postgrado universitario en la especialidad que más les apasione, sin perder de vista la importancia de la investigación. En esta etapa, deben involucrarse activamente en un proyecto de investigación y aspirar a publicar artículos científicos en revistas de impacto. Además, vivir una experiencia internacional en este momento sería altamente enriquecedor. Finalmente, para aquellos interesados en la docencia y la investigación, los programas de doctorado

representan el paso siguiente en su carrera. Es una excelente oportunidad para profundizar y aportar al conocimiento en el campo de la odontología. Por último, como recomendación general, les diría que nunca subestimen el poder del esfuerzo y sacrificio constante, que se mantengan motivados y con ganas de aprender, que no se frustren con los fracasos y que nunca se comparen con los demás; el trabajo duro absolutamente siempre acaba dando sus resultados. 

GAMA EXPERTA EN EL CUIDADO DE ENCÍAS

1. Tratamiento Forte

Prevención 2. Control

Para unas encías sanas y unos dientes fuertes

SOLUCIONES EFECTIVAS PARA AYUDAR A PREVENIR Y TRATAR LA GINGIVITIS

Parogencyl cuenta con una gama experta en el cuidado de encías que ayuda a controlar la gingivitis y mejorar la salud de las encías.

La gingivitis, o inflamación de las encías, es uno de los problemas bucales más comunes. De hecho, el 90% de la población mundial padece gingivitis en algún momento de su vida1. Los síntomas incluyen hinchazón, enrojecimiento y sangrado durante el cepillado. Si no se trata a tiempo, la gingivitis puede evolucionar a periodontitis, una enfermedad más grave que daña los tejidos óseos y puede llevar a la pérdida de dientes.

La principal causa de la gingivitis es la acumulación de placa dental en la superficie de los dientes y encías. Las bacterias en la placa, si no se eliminan

con una buena higiene bucal, se combinan con los minerales de la saliva, formando sarro. Este sarro puede provocar infecciones crónicas. Además de una higiene bucal deficiente, otros factores como el tabaquismo, la diabetes, ciertas enfermedades, medicamentos, cambios hormonales, estrés, deficiencias nutricionales y problemas con prótesis dentales pueden contribuir a su desarrollo y evolución en una posible periodontitis.

Parogencyl cuenta con una gama experta en el cuidado de encías que ayuda a controlar la gingivitis y mejorar la salud de las encías.

Tratamiento de la Gingivitis con Parogencyl Encías Forte

Para aquellos pacientes que ya padecen gingivitis, Parogencyl Encías Forte ofrece una solución muy eficaz recomendada por el 99% de profesionales que la han probado en sus pacientes para la inflamación de encías 2

Por una parte, el dentífrico Parogencyl Encías Forte fue reformulado recientemente para ofrecer eficacia clínicamente probada desde la primera semana. Su fórmula incluye Clorhexidina, el ingrediente de referencia para los profesionales, que ayuda a reducir la acumulación de placa bacteriana, causante principal de la gingivitis. Además, se introdujo la Vitamina B3, o más conocida como Niacinamida, que ayuda a reducir la inflamación de las encías, y el flúor (1.450 ppm F) para mantener una adecuada pro -

tección anticaries y fortalecer el esmalte durante su uso.

Por otra parte, es muy importante el uso del Colutorio Parogencyl Encías Forte Acción Intensiva, ya que ayuda a reducir significativamente el crecimiento bacteriano, gracias a la combinación de Clorhexidina al 0,12% junto con el CPC al 0,07%, teniendo un efecto mucho superior que el que tiene la mortalidad bacteriana en los colutorios con únicamente Clorhexidina, incluso en mayor cantidad 3. A diferencia de la mayoría, el colutorio Parogencyl Forte tiene un sabor agradable y fresco, y el 88% de los pacientes que lo han probado aseguran que les gusta su sabor4. Todo el tratamiento se puede realizar durante un máximo de 3 semanas.

Mantenimiento de encías sanas con Parogencyl Encías Control Diario

Una vez ya hemos tratado la gingivitis del paciente, es hora de mantener las encías sanas para evitar que esto vuelva a ocurrir.

La pasta de dientes Parogencyl Encías Control Diario también fue recientemente reformulada para ofrecer una mejor protección contra la acumulación de placa y la inflamación gingival. Contiene Zinc para limitar la acumulación de placa y prevenir la inflamación gingival, flúor (1.450 ppm F) para fortalecer el esmalte y ayudar a prevenir la caries, y Vitamina E, un potente antioxidante que combate los radicales libres y ayuda a combatir la irritación de las encías. Se ha demostrado clínicamente que el uso de Parogencyl Encías Control Diario dos veces al día mejora la salud de las encías en el 97% de los casos5. Para complementar la rutina, además de la pasta, se recomienda el uso conjunto del enjuague bucal Parogencyl Encías Control Diario que, gracias a su acción antibacteriana, contribuye en la protección y mantenimiento de las encías. El colutorio actúa en

las zonas de difícil acceso en las que no se puede alcanzar bien con simplemente, el cepillado. Como en el dentífrico, también contiene Vitamina E, Zinc y flúor (225 ppm). Su uso se recomienda dos veces al día, cada mañana y noche después del cepillado. Como todos los colutorios de Parogencyl, no contiene alcohol y tiene un sabor freso duradero. En definitiva, la salud de las encías es fundamental para el bienestar general de la boca y la prevención de enfermedades más graves como la periodontitis. Parogencyl ofrece soluciones efectivas tanto para el tratamiento como para la prevención de la gingivitis, con productos clínicamente probados y recomendados por profesionales. Recomendar Parogencyl a tus pacientes no solo les ayudará a tratar y prevenir la gingivitis, sino que también les proporcionará una rutina de cuidado bucal completa y efectiva. Con Parogencyl, tus pacientes podrán disfrutar de una salud gingival óptima y una sonrisa más saludable.

1 Fuente: Noah S. Gasner; Ryan S. Schure, Periodontal disease, April 10, 2023.

2 Estudio interno realizado con 195 pacientes, resultados después de 3 semanas de uso de la gama Parogencyl Forte, octubre 2024.

3 El enjuague bucal CHX+CPC produjo una mortalidad bacteriana significativamente mayor que la supervivencia con CHX.

4 Estudio interno realizado con 195 pacientes, resultados después de 3 semanas de uso de la gama Parogencyl Forte, octubre 2024.

5 Estudio clínico durante 2 semanas comparando Parogencyl Control Diario con un dentífrico fluorado estándar.

Descubre más en www.parogencyl.es

UN ESTUDIO DE LA UCM DESVELA NUEVOS

ASPECTOS SOBRE

EL DESARROLLO Y FUNCIONES DE LA FASCIA DE LOS MÚSCULOS INFRAHIOIDEOS

El grupo de investigación de la Universidad Complutense de Madrid (UCM) dirigido por la Dra. Elena Martínez Sanz ha publicado un nuevo estudio que analiza el desarrollo de la capa muscular de la fascia cervical media profunda (MDCF, por sus siglas en inglés). Este análisis aporta nuevas perspectivas sobre la anatomía y fisiología del cuello humano, y abre la puerta a futuras investigaciones sobre las aplicaciones clínicas de la fascia cervical en los trastornos de esta región.

Pexels

El grupo de investigación de la Universidad

Complutense de Madrid (UCM) dirigido por la Dra. Elena Martínez Sanz ( nº 920202, Investigación en morfología y desarrollo. Aplicaciones clínicas ) ha publicado un nuevo estudio que analiza el desarrollo de la capa muscular de la fascia cervical media profunda (MDCF, por sus siglas en inglés). Este tejido, que envuelve a los músculos infrahioideos y es clave en la transmisión de la fuerza muscular y en la circulación linfática y venosa del cuello, ha sido estudiado en detalle a través de muestras de embriones y fetos humanos, proporcionando información inédita sobre su morfogénesis y funcionalidad.

La importancia de la fascia cervical

La fascia cervical es una estructura conectiva que envuelve músculos y órganos del cuello, formando parte de un sistema tridimensional que facilita la movilidad, estabilidad y comunicación entre tejidos. En particular, la MDCF juega un papel crucial en la interacción entre los músculos infrahioideos, los vasos linfáticos y el sistema venoso.

Pese a su relevancia, hasta ahora existían pocos estudios sobre el desarrollo embrionario de esta estructura. Este trabajo llena ese vacío y propone nuevas hipótesis sobre las funciones biomecánicas de la MDCF.

Metodología del estudio

El estudio analizó histológicamente 37 muestras humanas: 17 embriones (de 6 a 8 semanas de desarrollo) y 20 fetos (de 9 a 14 semanas). Las muestras fueron procesadas con técnicas convencionales de histología y microscopía óptica, permitiendo identificar las etapas clave del desarrollo de la MDCF.

Los investigadores clasificaron el desarrollo de la fascia en tres etapas principales:

 Etapa inicial (Semana 6): se identificó el primordio mesenquimatoso de la MDCF, en continuidad con los músculos infrahioideos.

 Etapa de formación (Semanas 7-8): aparición de fibroblastos y fibras de colágeno, que comienzan a organizarse en torno a los músculos y estructuras vasculares.

 Etapa de maduración (Semana 9 en adelante): consolidación de la MDCF y su interacción con la vaina carotídea, los vasos linfáticos y la vena yugular interna.

Hallazgos principales

El estudio reveló que el desarrollo de la MDCF está estrechamente ligado a la actividad mecánica del cuello durante las primeras etapas de la vida. Entre los hallazgos más destacados se encuentran los siguientes:

 La relación entre la MDCF y los vasos linfáticos, sugiriendo que esta fascia facilita la circulación linfática al mantener la permeabilidad de los vasos.

 La interacción entre la MDCF y la vena yugular interna, donde la tensión generada por los músculos infrahioideos podría contribuir a mantener el diámetro del vaso, favoreciendo el retorno venoso.

Implicaciones clínicas

En adultos, se sabe que los músculos infrahioideos, tensando la MDCF, desempeñan un papel esencial en la circulación venosa y linfática del cuello. Este estudio sugiere que estas funciones comienzan a desarrollarse desde etapas muy tempranas del desarrollo fetal, lo que podría tener implicaciones en el diagnóstico y tratamiento de las alteraciones de esta región.

Conclusiones

Este trabajo, financiado parcialmente por un proyecto Banco Santander-UCM y el propio Grupo de Investigación UCM 920202, y cuya publicación en acceso abierto ( open access ) ha sido posible gracias a la Política Institucional de Acceso Abierto a la producción científica y académica de la UCM, no solo aporta nuevas perspectivas sobre la anatomía y fisiología del cuello humano, sino que también abre la puerta a futuras investigaciones sobre las aplicaciones clínicas de la fascia cervical en los trastornos de esta región. El artículo completo está disponible en la revista Tissue and Cell bajo el título: “ Morphogenesis and Functional Aspects of the Muscular Layer of the Middle Deep Cervical Fascia in Humans ”. 

Bibliografía

Martínez-Sanz, E., Barrio-Asensio, C., Maldonado, E., Catón, J., Arráez-Aybar, L.A., Carvalho de Moraes, L.O., López-Fernández, P., Murillo-González, J., Mérida-Velasco, J.R. (2024). “Morphogenesis and Functional Aspects of the Muscular Layer of the Middle Deep Cervical Fascia in Humans”. Tissue and Cell, 102681. DOI: 10.1016/j.tice.2024.102681

Profesor José Ramón Mérida Velasco Profesor Catedrático del Departamento de Anatomía y Embriología de la UCM

Dra. Elena Martínez Sanz
Profesora Contratada
Doctora UCM. Secretaria Académica del Departamento de Anatomía y Embriología de la UCM.

“NUESTRO OBJETIVO ES OFRECER UN ESPACIO DE ACTUALIZACIÓN CIENTÍFICA, TÉCNICA Y PROFESIONAL DIRIGIDO A TODOS LOS FACULTATIVOS INTERESADOS

EN LA ESPECIALIDAD DE ODONTOPEDIATRÍA”

Dra. Carmen García Sánchez y Dra. Paola Beltri Orta, presidentas del comité organizador y del comité científico, respectivamente, de la XLVI Reunión Anual de Odontopediatría (SEOP Toledo, 8-10 de mayo)

Con un programa interdisciplinar, la Sociedad Española de Odontopediatría (SEOP) celebrará del 8 al 10 de mayo su XLVI Reunión Anual en el Palacio de Congresos “El Greco” de Toledo. Tal y como nos explican las doctoras Carmen García Sánchez y Paola Beltri Orta, presidenta del comité organizador y presidenta del comité científico, respectivamente, esta edición está dirigida a aquellos profesionales que deseen actualizarse en los últimos avances científicos y clínicos en el cuidado bucodental de niños y adolescentes, ofreciendo una puesta al día de las últimas opciones terapéuticas aplicadas al paciente infantil.

Dra. Carmen García Sánchez.
Dra. Paola Beltri Orta.

 DM.- ¿Cuál es el objetivo principal de la XLVI

Reunión Anual de Odontopediatría que organizará SEOP del 8 al 10 de mayo en Toledo? ¿Qué novedades se incorporarán en esta 46ª edición?

Dra. Carmen García Sánchez (Dra. C.G.S.).- Ofrecer un espacio de actualización científica, técnica y profesional dirigido a todos los facultativos interesados en la especialidad de Odontopediatría. La reunión la hemos diseñado para fomentar el intercambio de conocimientos sobre los últimos avances en la odontología infantil, a través de ponencias de profesionales de muy alto nivel, junto con talleres prácticos y la presentación de investigaciones recientes. Como novedades, temas sobre patología oral y diagnóstico, manejo de conducta y nuevas tecnologías e inteligencia artificial aplicada a la odontopediatría. Este último es un área que está transformando rápidamente nuestra práctica diaria y que será abordado por primera vez en esta edición. Estos tres bloques fundamentales, junto con actualización de tratamientos pulpares, MIH, enfermedad periodontal, actualización de composites, tratamiento con alineadores en edades tempranas y muchos otros temas van a ser tratados en los días en que se desarrollará el congreso. Además, contamos con una zona de exposición comercial muy amplia e interactiva, donde los congresistas van a poder tener contacto directo con los proveedores creando oportunidades para la actualización de equipos y herramientas.

 DM.- Actualmente, ¿cuáles son las principales preocupaciones de los odontopediatras? ¿Cómo se abordarán éstas a través de las distintas temáticas durante el congreso?

Dra. C.G.S.- Alta prevalencia de caries, hábitos nocivos y su impacto en el desarrollo orofacial, ansiedad y miedo al dentista, traumatismo dental en la infancia e impacto de la tecnología y las redes sociales. Además, problemas derivados de las enfermedades sistémicas en niños, así como la accesibilidad y la desigualdad en la atención odontológica. Hemos querido realizar un programa científico de alto nivel con ponentes nacionales e internacionales centrándonos en la mayoría de estas preocupaciones actuales.

Por otro lado, incluimos un curso para higienistas dentales, en la mañana del sábado 10 de mayo, que presenta un programa de gran interés para nuestros compañeros en el buen hacer diario en el gabinete dental infantil.

La inteligencia artificial aplicada a la odontopediatría es un área que está transformando rápidamente nuestra práctica diaria y que será abordado por primera vez en esta edición

Dra. Carmen

García

Sánchez, presidenta del comité organizador de la XLVI Reunión Anual de Odontopediatría “

Durante el congreso se tratarán aspectos de la ortodoncia interceptiva, aspectos relativos a la patología oral pediátrica, manejo del comportamiento en el paciente infantil, patología periodontal pediátrica y tratamiento de la patología pulpar en el diente inmaduro

Dra. Paola Beltri Orta, presidenta del comité científico de la XLVI Reunión Anual de Odontopediatría

 DM.- ¿Cómo han diseñado el programa científico de la XLVI Reunión Anual de Odontopediatría?

Dra. Paola Beltri Orta (Dra. P.B.O.).- El programa científico se ha diseñado teniendo en cuenta aspectos innovadores de la Odontopediatría como puede ser la aplicación de nuevas tecnologías y la IA, así como temas que requieren del odontopediatra una actualización permanente como la ortodoncia interceptiva, el manejo del comportamiento o la patología oral.

Para la elección de los temas y los ponentes nos hemos reunido el amplio Comité Científico dirigido y coordinado por la Dra. Carmen García y la Dra. Elena Navarro, donde cada miembro ha aportado sus propias inquietudes, así como el sentir de sus compañeros.

 DM.- ¿Cuáles serán los temas principales que se tratarán durante el congreso?

Dra. P.B.O.- Como ya he mencionado en la respuesta anterior, se tratarán aspectos de la ortodoncia interceptiva, aspectos relativos a la patología oral pediátrica, manejo del comportamiento en el paciente infantil, patología periodontal pediátrica y tratamiento de la patología pulpar en el diente inmaduro. Además están incluidas conferencias y talleres que estamos seguros que contribuirán a elevar el nivel científico.

 DM.- ¿Qué aspectos destacaría tanto de los contenidos como de los profesionales que participarán en la 46ª edición de la Reunión Anual de SEOP?

Dra. P.B.O.- Destacaría el alto nivel científico de los ponentes pero también, y no menos importante, su cercanía, su compromiso con el tratamiento del paciente infantil.

No podemos olvidar la presentación de comunicaciones científicas, que estamos seguros que tendrán un alto nivel científico y, como en otras ocasiones, que el número de comunicaciones nos obligue a realizar un trabajo laborioso al Comité Científico. Para no extenderme en la exposición de contenidos y en el currículo de los ponentes, invito a que conozcan el Programa del Congreso a través de nuestra página web. Es un congreso que no solo será atractivo para odontopediatras, sino para todos los profesionales de la Odontología. En este sentido, destacar también el interesante programa para higienistas dentales.

Hemos realizado un programa científico de alto nivel centrándonos en las preocupaciones actuales de los odontopediatras
Dra. Carmen García Sánchez
Queremos realizar una puesta al día de las últimas opciones terapéuticas aplicadas al paciente infantil ”
Dra. Paola Beltri Orta

 DM.- ¿A qué perfil de profesionales está dirigido este encuentro?

Dra. C.G.S.- Odontopediatras, odontólogos generales, ortodoncistas, especialistas en salud pública, estudiantes de Odontología, higienistas dentales y otros profesionales del área de la salud interesados en la atención odontológica infantil. Además, está abierto a investigadores y docentes que deseen actualizarse en los últimos avances científicos y clínicos en el cuidado bucodental de niños y adolescentes.

 DM.- En este sentido, ¿cómo han enfocado el programa para ofrecer contenidos innovadores y relevantes para la práctica clínica diaria de los profesionales de la Odontopediatría?

Dra. P.B.O.- El programa está enfocado a ofrecer aspectos innovadores no solo para la Odontopediatría, como es la incorporación de nuevas tecnologías o la aplicación de la Inteligencia Artificial, sino también aspectos importantes y actualizados sobre el manejo de la conducta y la anestesia general, patología pulpar, patología oral, prevención, etc. En resumen, queremos realizar una puesta al día de las últimas opciones terapéuticas aplicadas al paciente infantil.

 DM.- Como presidenta de SEOP Toledo, ¿cómo invitaría usted a los profesionales a acudir a este encuentro?

Dra. C.G.S.- Este congreso ha sido diseñado para ofrecer un espacio de aprendizaje, intercambio y actualización, reuniendo a expertos que abordarán las últimas innovaciones en prevención, diagnóstico y tratamiento de las patologías orales en niños y adolescentes. En él, compartiremos los más recientes avances en Odontopediatría y su impacto en la salud bucal infantil.

Los invito a ser parte de este evento único, donde juntos fortaleceremos nuestro compromiso con la salud bucodental infantil, impulsando la excelencia en nuestra práctica profesional. Todo esto tendrá lugar en el incomparable marco de Toledo, una ciudad cargada de historia y cultura que invita a la reflexión, al aprendizaje y al disfrute. Estamos convencidos de que este entorno contribuirá a que nuestro encuentro sea, además de fructífero en el ámbito científico, una experiencia inolvidable en lo personal. ¡Te esperamos en Toledo los días 8, 9 y 10 de mayo! 

Excelentes Resultados en menos tiempo

El sistema de matrices seccionales HALO le permite hacer restauraciones de composite anatómicamente contorneadas, de una manera muy sencilla y en muy poco tiempo.

FRENILLO LINGUAL: UN PEQUEÑO

DETALLE CON GRANDES

IMPLICANCIAS EN EL CRECIMIENTO Y DESARROLLO

El tratamiento temprano (antes de los 5 años de edad) de una maloclusión, así como de un frenillo lingual alterado o anquiloglosia, es fundamental para guiar el correcto y máximo potencial de crecimiento y desarrollo, teniendo en cuenta que el máximo crecimiento orofacial se da a los 4 años en un 60% del rostro del adulto y el 98% total se da aproximadamente a los 15 años. Entonces nuestro objetivo como profesionales de la salud debe ser establecer la respiración nasal acompañada de la correcta postura de la lengua para asegurarnos un desarrollo craneofacial adecuado y, lo más importante, lograr un sueño profundo y reparador que tan fundamental es para la salud de hoy y de nuestro futuro.

Introducción

Anquiloglosia

Es una apoptosis o una banda de tejido tensa (fascia) que ancla la punta y/o cuerpo de la lengua a la base de la boca / afecta la manera de hablar, comer, amamantar e interfiere en el desarrollo cráneo facial de los maxilares.

Síntomas

Dificultad en extender la lengua más allá de los incisivos inferiores, levantarla hacia los incisivos superiores en máxima apertura bucal y también la falta de acople de la totalidad de la lengua al techo del paladar.

A veces no presentan síntomas, pero siempre se sufren compensaciones de otros músculos para lograr los movimientos y las funciones.

Etiología

Es una malformación congénita generada por defectos en la Apoptosis de la membrana bucofaríngea. Se ha informado que una causa genética de anquiloglosia por una mutación genética en TBX22 asociado al síndrome del paladar hendido ligado al cromosoma

X. Mayormente en el sexo masculino (relación con el cromosoma X) puede aparecer también en algunas enfermedades o síndromes raros, incluidos Kindler,

Opitz y Van Der Woude que afectan el colágeno desde el desarrollo embrionario (Imagen 1).

Una hipótesis actual

Un mayor suministro de ácido fólico durante la organogénesis podría resultar en una síntesis excesiva de tejidos, que podría expresarse como un cierre más estrecho de las estructuras de la línea media. Esto podría dar lugar a un exceso de tejido conectivo en la base de la lengua, incluido el frenillo lingual. (Yona Amitai, Helen Shental, Luba Atkins-Manelis, Gideon Koren, Chen Stein)

Cuando hablamos de que el techo de la boca es el suelo y las paredes de la nariz, estamos haciendo referencia a que son órganos inseparables y la gran 1

importancia que tienen los 17 músculos de la lengua es generar esa expansión del techo de la boca, pero también del piso de las fosas nasales, cuando se ubica correctamente en reposo generando así una correcta respiración nasal (Imagen 2).

De esta manera cabe destacar la importancia del volumen en cuanto a espacio para la lengua dentro de la boca, así como el volumen de aire que debe pasar por las fosas nasales, que debe ser de un 95%.

Cuando los labios están sellados y la lengua se presiona contra el paladar, la dinámica de la pre-

sión intraoral ayudará a mantener una postura elevada de la lengua durante la condición de reposo natural. Esto ayuda a mejorar la respiración nasal, reducir la respiración bucal y los ronquidos, así como a mejorar la obstrucción de la base de la lengua y la apnea posicional del sueño. La terapia miofuncional y la frenectomia lingual pueden ayudar a los pacientes con posición baja de la lengua asociada con anquiloglosia funcional.

Clasificación de frenillos

La clasificación de frenillos es variada. Para determinar si intervenir un frenillo o no, lo correcto es evaluar la forma, la apariencia y la función para poder determinar junto al equipo transdisciplinario (logopeda, puericultora, odontopediatra, ortodoncista, otorrino, fisioterapeuta, etc.) el camino a seguir. Existen varias formas de evaluación, entre ellas Coryllos, Kotlow, Martinelli, Haselbaker, etc. Como elección personal de preferencia: Haselbaker ya que evalúa la apariencia y la función, así como Frelac Barcelona y las clasificaciones en base al rango de movilidad anterior y posterior del Dr. Zaghi, además de realizar una anamnesis completa de nuestro paciente. Existen diferentes tipos de frenillos: anterior, mixto, posterior y submucoso (tipo 1, 2, 3 y 4). Los más perjudiciales para la lactancia materna son el posterior y el mucoso que no permiten realizar una correcta peristalsis durante el amamantamiento con sus consecuencias sobre el binomio madre-lactante (Imagen 3).

Dra. Julia Bergaglio

Odontóloga Universidad Nacional de La Plata. Especialista en Odontopediatría Universidad Maimonides (Argentina).

Diplomada en Medicina del Sueño (Universidad Austral).

Diplomada en Ortopedia Neuromuscular (Solp Ucalp).

Sistema Myobrace y LM activator (Odontología Miofuncional).

Residencias clínicas sobre diagnóstico y tratamiento de las patologías de Atm (J.Learreta).

Diplomada en láser odontológico (mediare) Academy of Dentistry International.

Dictante de cursos y congresos.

Miembro de la Asociación Argentina de Medicina del Sueño.

Dictante en Fundación Creo.

Autora de artículos para la revista El Dentista Moderno (España) y artículo sobre bruxismo de sueño para revista Cúspide argentina.

Diplomatura en sueño infantil Instituto de Sueño Infantil Ipsi (Universidad Abierta Interamericana), avalado por la Sleep World Society y Association of Professional Sleep Consultants.

opinión

Los demás tipos de frenillo también son causales de problemas funcionales como algunas dislalias, problemas con la lactancia que se compensan y de maloclusiones como la mordida abierta.

Importancia de la postura correcta de la lengua Esto es fundamental, ya que el acople de la lengua en el techo del paladar, además de fomentar el correcto desarrollo de los tercios faciales, fomenta una correcta respiración nasal, previene trastornos respiratorios del sueño como los ronquidos y apneas del sueño, ya que ayuda a generar tono muscular en el paladar blando y paredes de la faringe.

Mejora la función del sistema nervioso autónomo activando el sistema parasimpático, relacionado con el estado de calma a través del nervio vago, quien regula el sistema respiratorio, circulatorio y digestivo.

Respirar por la nariz fomenta la producción de óxido nítrico que es vasodilatador, regula la inmunidad, es antimicrobiano, regula la tensión arterial y mejora el sueño y aquí la importancia en el neurodesarrollo, ya que una nariz funcional y una lengua funcionando correctamente, llevará a pasar por el sueno N3 y REM, importantes en la liberación de hormona de crecimiento y en fomentar las zonas de atención, aprendizaje y memoria.

Implicancias de un frenillo lingual alterado (FLA)

 Apiñamiento dental: paladar alto y estrecho.

 Respiración bucal mantenida.

 Hipertrofia de amígdalas y vegetaciones.

 Otitis a repetición.

 Problemas de deglución.

 Enfermedad periodontal.

 Dislalias (t, d, n,l, rr).

 Caries precoz.

 Dificultad para lamer un cono de helado.

 Dificultad para besar, tocar un instrumento de viento.

 Ronquidos y/o apneas de sueño.

 Maloclusiones.

 Bruxismo.

 Alteraciones en la postura craneocervicomandibular.

 Trastornos de la articulación temporomandibular.

Una lengua en baja posición, nos dará como resultado además de problemas anatómicos como la falta de desarrollo del tercio medio, una respiración oral, falta de masticación y una deglución atípica. La deglución atípica está asociada a trastornos temporomandibulares en el desarrollo.

Cuando existe una respiración oral esto afectará el bulbo olfatorio, quien envía información mediante conexiones neuronales al córtex, a la amígdala cerebral y al hipocampo (donde se regula la memoria, las emociones y el comportamiento) (Imagen 4, 5, 6).

Imagen 3. Con frenillo lingual tipo 3 o posterior donde se ve claramente como el cuerpo de la lengua no puede elevarse, solo puede hacerlo la punta de la lengua. Por eso es importante evaluar el rango de movilidad posterior con el acople lingual al paladar y en máxima apertura (zaghi).

respiración bucal, bruxismo del sueño y frenillo lingual posterior o tipo 3. Se realizó la frenectomía con laser de diodo, rehabilitación con terapia miofuncional y el uso de ortodoncia miofuncional. Se pueden ver los cambios posturales y en las vías aéreas y la mejoría del tono

Imagen 4. Rango de movilidad anterior (Dr. Zaghi).
Imagen 5. Rango de movilidad posterior (Dr. Zaghi).
Imagen 6. Caso clínico paciente niño con sobremordida,
muscular del paladar blando, en las radiografías de perfil.

opinión

Conclusiones

El tratamiento temprano (antes de los 5 años de edad) de una maloclusión, así como de un frenillo lingual alterado o anquiloglosia, es fundamental para guiar el correcto y máximo potencial de crecimiento y desarrollo, teniendo en cuenta que el máximo crecimiento orofacial se da a los 4 años en un 60% del rostro del adulto y el 98% total se da aproximadamente a los 15 años. Entonces nuestro objetivo como profesionales de la salud debe ser establecer la respiración nasal acompañada de la correcta postura de la lengua para asegurarnos un desarrollo craneofacial adecuado y lo más importante lograr un sueño profundo y reparador que tan fundamental es para la salud de hoy y de nuestro futuro.

Bibliografía

1. Messner AH, Walsh J, Rosenfeld RM, Schwartz SR, Ishman SL, Baldassari C, Brietzke SE, Darrow DH, Goldstein N, Levi J, Meyer AK, Parikh S, Simons JP, Wohl DL, Lambie E, Satterfield L. Declaración de consenso clínico: anquiloglosia en niños. Otolaryngol Head Neck Surg. Mayo de 2020; 162 (5):597-611. [ PubMed ]

2. Walsh J, Tunkel D. Diagnóstico y tratamiento de la anquiloglosia en recién nacidos y lactantes: una revisión. JAMA

Otolaryngol Head Neck Surg. 1 de octubre de 2017; 143(10):1032-1039. [ PubMed ]

3. Amir LH, James JP, Donath SM. Fiabilidad de la herramienta de evaluación de Hazelbaker para la función del frenillo lingual. Int Breastfeed J. 2006 Mar 09; 1 (1):3. [ Artículo gratuito de PMC ] [ PubMed ]

4. Moore GE, Ivens A, Chambers J, Farrall M, Williamson R, Page DC, Bjornsson A, Arnason A, Jensson O. Vinculación

de un gen del paladar hendido del cromosoma X. Nature. 1987 Mar 5-11; 326 (6108):91-2. [ PubMed ]

5. Martinelli M., Marchesan IQ, Gusmão RJ, Rodrigues AC, Berretin-Felix G. Características histológicas del frenillo lingual humano alterado. Revista internacional de pediatría y salud infantil. 2014;2(1):5–9. doi: 10.12974/2311-8687.2014.02.01.2. [ DOI ] [ Google Scholar ]

LA ERA DIGITAL TAMBIÉN HA LLEGADO A EXPADENT

…y como siempre con los precios más competitivos del mercado

Escanea el código QR con tu smartphone para acceder al listado de precios o accede a www.expadent.com/precios

CORONA ZIRCONIO MULTICAPA

49,90 euros

MÁNDANOS TUS ARCHIVOS STL Y NOS PONDREMOS MANOS A LA OBRA

YA DISPONIBLE

EXPADENT APP

Hemos mejorado nuestro sistema de gestión, y ahora cualquiera de nuestros clientes podrán realizar los pedidos directamente desde nuestra aplicación, intuitivamente.

También permite hacer un seguimiento total del proceso de fabricación y de envío del pedido realizado.

IMPORTANCIA DE LA FORMACIÓN EN APNEA OBSTRUCTIVA DEL SUEÑO POR PARTE DEL ODONTÓLOGO

La alta prevalencia de apnea obstructiva del sueño (AOS) a nivel mundial y sus graves consecuencias sobre la salud sistémica y calidad de vida del paciente la convierten en una entidad que es prioritario diagnosticar. A lo largo de este artículo se explica en qué consiste esta patología y las posibles causas, además de resaltar la importancia que han indicado diferentes sociedades científicas y docentes universitarios a nivel nacional de que se implemente la Medicina Dental del Sueño dentro del Grado en Odontología y en la formación posgraduada.

La apnea obstructiva del sueño (AOS) es una patología crónica que cursa con reducción del flujo respiratorio (hipopneas) y/o con pausas respiratorias (apneas), mientras el individuo duerme. Se caracteriza por la existencia de un ronquido de variable intensidad y por la existencia de pausas respiratorias de distinta duración que podrán ser detectadas por el compañero de cama, si existiera.

La AOS es una patología con una alta prevalencia a nivel mundial, sin embargo, se encuentra infradiagnosticada, con el perjuicio que esto supone para quienes la padecen: la existencia de AOS implica la existencia de una hipoxia crónica y una fragmentación repetida del sueño, que va a repercutir a todos los niveles del organismo (Figura 1):

Figura 1. Flow-chart resumen de etiología y consecuencias de la AOS. Arousal=microdespertar. Fuente: elaboración propia.

 Descompensación de glucemia.

 Sueño no reparador que cursa con somnolencia excesiva diurna.

 Alteración del equilibrio leptina/grelina, lo que altera el apetito/saciedad del individuo.

 Alteraciones hormonales.

 Hipertensión cardíaca y pulmonar. Asimismo, existen importantes comorbilidades derivadas de la presencia de AOS como infartos, ictus, reflujo gastroesofágico y otras patologías severas que afectan gravemente la salud del paciente y, en consecuencia, colapsan el sistema sanitario mundial.

La AOS se produce como consecuencia de un aumento en la colapsabilidad de la vía aérea superior (VAS). Esta colapsabilidad de la VAS puede deberse a diferentes causas:

Factores anatómicos:

 Obstrucción nasal: si no existe un adecuado paso de aire por las fosas nasales, debido a la presencia de pólipos, cornetes hipertrofiados, tabiques desviados, etc. el flujo respiratorio se verá reducido pudiendo desencadenar en un cuadro de AOS.

 Anomalías craneofaciales:

w Micrognatismo mandibular: los pacientes con un inadecuado desarrollo mandibular van a presentar menor espacio para la lengua, la cual va a tender a colocarse en una posición más posterior, favoreciendo el colapso de la VAS durante el sueño.

 Maloclusiones: la existencia de mordida cruzada posterior y paladar ojival va a causar una posición de la lengua más elevada y posterior, lo que favorecerá el colapso de la VAS cuando el individuo se encuentre en posición de dormir.

 Macroglosia: un gran tamaño de lengua va a ocupar parte del espacio de la orofaringe, dificultando el paso de aire durante el sueño.

 Hipertrofia amigdalar: la presencia de amígdalas hipertróficas crea un impedimento físico para el paso de aire, favoreciendo la aparición de AOS. A su vez, el ronquido producido por la dificultad del aire al pasar y la vibración que éste causa sobre los tejidos blandos, van a causar una irritación crónica e hipertrofia de las amígdalas, generándose un bucle repetitivo que aumenta el cuadro de AOS.

 Obesidad: el acúmulo de tejido adiposo en el cuello, reduce el calibre de la VAS, dificultando el paso de aire.

Factores no anatómicos:

 Actividad muscular: la alteración de la musculatura faríngea puede favorecer la aparición de AOS.

 Factores hormonales: la progesterona y los estrógenos protegen frente a la AOS, por eso, la llegada de la menopausia favorece la aparición de AOS en mujeres.

¿Cómo puede el odontólogo valorar el riesgo de AOS del paciente?

Son muchos los factores predisponentes a AOS que el odontólogo puede analizar de manera sencilla en un paciente que acude a consulta dental. Es crucial que los odontólogos aprendan a sospechar de la presencia de AOS en sus pacientes, para poder derivarlos a un especialista y evitar complicaciones severas en la salud de los mismos.

Antes de pasar al gabinete:

Test epworth/ Test de stop-bang: se trata de test que el paciente responde en menos de 5 minutos y que nos indican si la sospecha de AOS es baja, media o alta. Son muy sencillos de responder mientras se encuentra en la sala de espera y ofrecen una primera herramienta de cribado de AOS.

Una vez dentro del gabinete:

Exploración extraoral:

 IMC: los individuos obesos tienen mayor prevalencia de AOS. De igual manera, las mujeres embarazadas pueden sufrir AOS que se resuelve una vez pasado el proceso de ganancia de peso derivado de la gestación.

 Género y edad: las mujeres tienen una VAS más estable, que reduce su posibilidad de padecer AOS. Así, la AOS es más frecuente en hombres, siendo la proporción de aproximadamente 2:1. En cuanto a la edad, a más edad, más riesgo de AOS, ya que la musculatura es más lábil y más fácilmente colapsable al avanzar en edad.

 Exploración facial: un perfil retrognático tiene mayor predisposición a aparición de AOS. La realización de una teleradiografía lateral de cráneo permite valorar el calibre de la vía aérea y la necesidad de realizar un avance mandibular a dicho paciente. Exploración intraoral:

 Clasificación de Mallampati: indica la visibilidad que tenemos de úvula, istmo de las fauces y paladar blando cuando el paciente está sentado. A mayor grado de Mallampati, más riesgo de AOS (Figura 2).

Ana Boquete Castro. DDS, PhD
Responsable de Apnea Obstructiva del Sueño dentro del Máster Universitario de Ortodoncia de la UAX.

opinión

 Clasificación de Friedman: valora el tamaño de las amígdalas con respecto a la faringe. A mayor tamaño de las mismas, mayor riesgo de AOS (Figura 3).

 Maloclusiones transversales: la presencia de mordida cruzada posterior y/o el paladar ojival impide que la lengua ocupe su posición adecuada y se posicione más posteriormente, favoreciendo la obliteración de la VAS durante el sueño.

 Maloclusión anteroposterior: la hipoplasia maxilar y mandibular, en general, van a dar lugar a alteración del perfil facial, favoreciendo la aparición de AOS.

Cuantos más factores de riesgo presente el paciente, más probable es que padezca AOS y que la severidad de ésta sea más elevada. En casos de alta sospecha de AOS, siempre deberemos realizar un diagnóstico certero de la misma, para lo cual se precisa la remisión del paciente a un neumólogo para realización de poligrafía respiratoria.

Importancia de enseñar Medicina Dental del Sueño durante el Grado en Odontología y en la formación posgraduada

La alta prevalencia de AOS a nivel mundial y sus graves consecuencias sobre la salud sistémica y calidad de vida del paciente la convierten en una entidad que es prioritario diagnosticar.

Diferentes sociedades científicas y docentes universitarios a nivel nacional han indicado la importancia de que se implemente la Medicina Dental del Sueño dentro del Grado en Odontología. El odontólogo ha sido descrito en diferentes publicaciones internacionales como el profesional que se encuentra en primera línea de diagnóstico de AOS, ya que su conocimiento de la cavidad oral, la relación de ésta con la VAS y la interrelación entre desarrollo de los maxilares y de las fosas nasales, hacen que sea un profesional clave en el reconocimiento de pacientes con alto riesgo de AOS. Además, el odontólogo es el profesional que puede llevar a cabo el tratamiento de aquellos pacientes susceptibles de utilizar un Dispositivo de Avance Mandibular, por lo que es crucial que se forme a los odontólogos desde la etapa de pregrado y que cuando pasen a posgrado se formen de manera especializada en esta temática.

En la Universidad Alfonso X El Sabio somos conscientes de esta necesidad y por eso hemos celebrado la I Jornada en Apnea Obstructiva del Sueño, dirigida a alumnos del Grado en Odontología y del Máster Universitario en Ortodoncia, para ponerles al día en esta importante patología, los riesgos que de ella se derivan, cómo derivar al especialista para llevar a cabo un abordaje multidisciplinar y los tratamientos que se pueden realizar. 

Figura 2. Clasificación de Mallampati.
Fuente: elaboración propia.
Figura 3. Clasificación de Friedman.
Fuente: elaboración propia.

Pawel PLAKWICZ

Rodrigo GONZÁLEZ

Aukje BOUWMAN

Miguel ROIG

Álvaro FERRANDO

Frédéric BUKIET

Kostas KARAGIANNOPOULOS

Adaia VALLS

Marco VENEZIANI

Niek OPDAM

Jacobo SOMOZA

Bas LOOMANS

Nicola SCOTTI

Fernando DURÁN-SINDREU

Marleen PEUMANS

Laura CEBALLOS

Avijit BANERJEE

Andrea TINTI

Bruno BARACCO

Peter WETSELAAR

Reinhilde JACOBS

Jenifer MARTÍN

Guido FICHERA

Mariano SANTAMARÍA

Manuel CABEZAS Wenceslao

Pablo CASTELO Tugba TURK Jan KURTZ-HOFFMANN

Vicente BERBÍS
Hande SAR SANCAKLI
Jordi MANAUTA

XII EDICIÓN DE CONSEURO,

XXV CONGRESO NACIONAL Y XII INTERNACIONAL

DE SEOC

La 12ª edición de CONSEURO y el 25º Congreso Nacional y 12º Internacional de SEOC (Sociedad Española de Odontología Conservadora) tendrá lugar del 3 al 5 de abril en el Palacio de Congresos y Exposiciones de Córdoba, bajo el lema “Más que Odontología Conservadora”.

Esta nueva edición de CONSEURO, que se celebrará en colaboración con la Federación Europea de Odontología Conservadora (EFCD), se presenta como “una oportunidad única de unirnos como comunidad profesional, reuniendo a dentistas, investigadores, académicos y expertos en salud bucodental de toda Europa. Durante estos tres días, nos sumergiremos en un entorno estimulante

donde la innovación, la colaboración y el aprendizaje mutuo serán las piedras angulares de nuestro encuentro. Juntos, exploraremos los últimos avances en odontología conservadora y estética, compartiremos conocimientos y construiremos conexiones valiosas que enriquecerán nuestras prácticas”, explica Francesc Abella Sans, presidente del 12º CONSEURO y del 25º Congreso Nacional y 12º Internacional de SEOC.

Su programa científico cubrirá temas de vanguardia que van desde técnicas innovadoras de diagnóstico y tratamiento hasta debates sobre ética y gestión en la práctica odontológica. El Dr. Francesc Abella Sans, nombrado recientemente presidente de la Sociedad Española de Odontología Conservadora y Estética (SEOC), comenta que “estoy seguro de que los profesionales encontrarán sesiones que les inspirarán y brindarán herramientas valiosas para su desarrollo profesional y clínico”.

El Dr. Abella junto a la Junta Directiva, formada por la Dra. Isabel Giráldez (presidente saliente), la Dra. Núria Escribano (vicepresidenta), la Dra. Eva María Rosel (tesorera), la Dra. Anaïs Ramírez (secretaria), el Dr. José Bahíllo (vocal), y el Dr. Oliver Valencia (vocal), pretenden con más cantidad y calidad de programas formativos, como es este XXV Congreso Nacional & XII Congreso Internacional SEOC, que el clínico tengo acceso formativo para mejorar su trabajo y habilidades, y aprender nuevas técnicas que les permitan estar actualizados.

“Este Congreso que vamos a celebrar en Córdoba es el congreso europeo en mayúsculas de la odontología conservadora en el que vamos a tener el placer de escuchar los principales líderes europeos del sector. Es una oportunidad única para todos los odontólogos que les gusta la odontología conservadora de acercarse y disfrutar de este evento. Desde la Junta estamos inmersos en todos sus preparativos y estamos convencidos que tanto industria como odontólogos van a tener una reacción muy positiva.”

“CONSEURO es más que un congreso, es una plataforma de crecimiento colectivo donde cada participante aporta su visión y conocimiento únicos”
“Estoy seguro de que los profesionales encontrarán sesiones que les inspirarán y brindarán herramientas valiosas para su desarrollo profesional y clínico”

Francesc Abella Sans, presidente del 12º CONSEURO y del 25º Congreso Nacional y 12º Internacional de SEOC

Una de las novedades de este encuentro es la Reunión de Profesores de la Federación Europea de Odontología Conservadora, que se celebrará conjuntamente con el III Encuentro de Profesores de Odontología Conservadora. La reunión será el jueves 3 de abril, de 9:30 a 13:00 horas, como antesala al propio congreso, a partir de las 15:00 horas.La reunión de profesores estará presidida por los doctores Niek Opdam y Miguel Roig, quienes dirigirán una sesión sobre “Elevación de márgenes profundos. ¿Dónde está el límite?”. En palabras del presidente de CONSEURO Córdoba 2025, “CONSEURO es más que un congreso, es una plataforma de crecimiento colectivo donde cada participante aporta su visión y conocimiento únicos”. 

congreso

Primer Grupo de Prensa Profesional Especializado

NUESTROS CANALES DE DIFUSIÓN:

• Revista en Papel • Revista Digital

• Web • Newsletters • Redes Sociales

PUBLICACIONES MULTIPLATAFORMA CON CINCO PILARES QUE GARANTIZAN UNA VISIBILIDAD DEL 100%

NUESTRAS PUBLICACIONES:

AUTOMATIZACIÓN Y TECNOLOGÍA

Automática e Instrumentación www.automaticaeinstrumentacion.com

CONSTRUCCIÓN

CIC Arquitectura y Sostenibilidad - www.cicconstruccion.com

ClimaNoticias - www.climanoticias.com

ElectroNoticias - www.electronoticias.com

POSVENTA DE AUTOMOCIÓN

Talleres en Comunicación - www.posventa.info

Posventa de Automoción.com - Chapa y Pintura, Neumáticos y Mecánica Rápida, Nuestros Talleres, Recambios y Accesorios www.posventa.com

HOSTELERÍA Y RESTAURACIÓN

Hostelería, Diseño, Equipamiento, Food Service & Beverage www.revistahosteleria.com

DISTRIBUCIÓN

Aral - www.revistaaral.com

BeautyProf - www.revistabeautyprof.com

Nueva Ferretería - www.nuevaferreteria.com

INDUSTRIA

AutoRevista - www.auto-revista.com

Metales & Metalurgia-Máquinas - www.metalesymaquinas.com

Óleo - www.oleorevista.com

Revista PQ - www.revistapq.com

LOGÍSTICA Y TRANSPORTE

Autobuses & Autocares - www.autobusesyautocares.com

Logística Profesional - www.logisticaprofesional.com

Todotransporte - www.todotransporte.com

SANITARIO

DM Dentista Moderno - www.eldentistamoderno.com

Siguiendo la evolución de la Odontología para el profesional del sector llamado a construir el futuro

ENTREVISTA A LA INDUSTRIA DENTAL

PENSANDO EN EL FUTURO

Impresión 3D en odontología: el secreto para ofrecer más por menos

REPORTAJE

7º Congreso Bienal del COEM

Leo Bernd, director de Barcelona Dental Show

16 de mayo - Circuit de Montmeló, Barcelona

¡El futuro de la odontología te espera en el corazón de la velocidad!

El 16 de mayo de 2025, en el Circuit de Montmeló de Barcelona, vive una experiencia única. Un evento donde la impresión 3D dental se une al ritmo de la innovación y la excelencia.

Este es el momento perfecto para descubrir cómo la tecnología más avanzada está revolucionando el mundo de la odontología.

Más información en sprintrace.es o escaneado el código QR.

ENTRADAS LIMITADAS

“BDS ACERCARÁ TODA LA INNOVACIÓN Y TENDENCIAS DE FUTURO A LOS PROFESIONALES DEL SECTOR DENTAL PARA AYUDAR EN SU TRANSFORMACIÓN DIGITAL Y ADAPTARSE AL NUEVO ENTORNO Y

PROFESIONALIZARSE”

Barcelona Dental Show (BDS 2025) regresa en su tercera edición los días 10 y 11 de abril en el recinto Gran Via de Fira Barcelona.

Leo Bernd, director de BDS, nos explica en esta entrevista las claves de este punto de encuentro bienal que, además de acercar lo último en digitalización y soluciones tecnológicas, se convierte en una plataforma única para cualquier profesional de la salud bucodental al ofrecer un espacio de transferencia de conocimiento, innovación y networking.

 DM.- Barcelona Dental Show (BDS 2025) se celebrará los días 10 y 11 de abril en el recinto Gran Via de Fira Barcelona. ¿Cuál es el principal objetivo de este encuentro?

Leo Bernd (L.B.).- BDS – Barcelona Dental Show es el gran evento tecnológico del sector y como tal tiene como objetivo acercar toda la innovación y las tendencias de futuro a los profesionales del sector dental para ayudar en su transformación digital y adaptarse al nuevo entorno y profesiona-

siguiendo la evolución de la Odontología

lizarse en un mundo tan competitivo. Así, BDS nace de la necesidad de los profesionales de la salud bucodental de tener un punto de encuentro bienal los años impares en el que descubrir las últimas soluciones en equipos dentales, consumibles, instrumental de prótesis, materiales para implantes, equipamiento para clínicas y laboratorios, herramientas y tecnologías digitales, así como soluciones de higiene dental.

 DM.- ¿Qué novedades traerá consigo esta tercera edición de BDS?

L.B.- BDS – Barcelona Dental Show regresa en su tercera edición los próximos 10 y 11 de abril y lo hará en un nuevo recinto, en Fira Barcelona Gran Vía. Como evento tecnológico para el sector dental, tanto la zona expositiva como el congreso pondrán especial foco en las tecnologías y soluciones digitales que están transformando el sector: desde el flujo digital en la clínica y el laboratorio a la mejora de la eficiencia en la gestión de las clínicas dentales, hasta una práctica odontológica más precisa y menos invasiva para una mejor experiencia del paciente. Además, este año el Congre-

Como evento tecnológico para el sector dental, tanto la zona expositiva como el congreso pondrán especial foco en las tecnologías y soluciones digitales que están transformando el sector ”

so Nacional de Odontología Avanzada, celebrado en el marco de BDS, hará hincapié en las nuevas tecnologías, con 4 foros especializados en los que se abordarán casos prácticos de aplicación de diferentes tecnologías como la Inteligencia Artificial, la impresión 3D, el uso de escáneres intraorales o soluciones de digitalización.

 DM.- ¿Qué ofrece BDS 2025 a los profesionales del sector dental?

L.B.- BDS ofrece un punto de encuentro único para odontólogos, ortodoncistas, higienistas, protésicos, auxiliares de clínica, cirujanos maxilofaciales, logopedas.…

El Summit de Inteligencia Artificial abordará los cambios que ha traído esta tecnología en la práctica odontológica

en el que descubrir las últimas soluciones, equipamientos y materiales para sus clínicas y laboratorios dentales y encontrar socio clínico y tecnológico. Además, a través de las más de 50 sesiones del Congreso Nacional de Odontología Avanzada, los profesionales del sector dental podrán aprender e inspirarse de otros profesionales que comparten sus casos clínicos y experiencias.

 DM.- ¿De qué manera se estructura este encuentro para acercar a toda la cadena de valor del sector dental lo último en innovación, digitalización y tendencias de futuro?

L.B.- Como comentaba, la configuración del evento en una zona expositiva con las últimas novedades para el sector dental, un congreso en el que descubrir las tendencias en odontología y casos clínicos innovadores, talleres hands-on donde poner en práctica estas soluciones de la mano de los expertos del sector y diferentes actividades de networking, hacen de BDS una plataforma comercial única para cualquier profesional de la salud bucodental. Así, BDS ofrece no solo un espacio de transferencia de conocimiento e innovación, sino también un punto de encuentro bienal en el que encontrar socio tecnológico y establecer sinergias.

 DM.- ¿Qué actividades y oportunidades de networking ofrecerá BDS 2025?

L.B.- Entre las actividades de networking que tendrán lugar en BDS 2025 destacan el Leadership Summit Lunch, un almuerzo con los líderes y expertos del sector; los Advanced Dentistry Awards 2025, los galardones que reconocen el trabajo, el liderazgo y la transformación de aquellas empresas que apuestan por la innovación y se adaptan a la nueva era de la digitalización; o los talleres Hands-on para que los profesionales del sector puedan conocer de primera mano las tecnologías y técnicas más disruptivas a través de talleres prácticos.

 DM.- Uno de los platos fuertes de BDS 2025 será el Congreso Nacional de Odontología Avanzada. ¿Cuáles serán los temas centrales del encuentro?

L.B.- Este año, el Congreso Nacional de Odontología Avanzada contará con más de 180 ponentes en una agenda de contenidos que abordará las tendencias más candentes en el sector de la salud bucodental, desde la digitalización de la odontología hasta técnicas y materiales de última generación

para la práctica dental, así como estrategias para la gestión de las clínicas.

Como novedad de este año, el Congreso contará con 4 foros de tecnología especializada en los que se abordarán casos prácticos de aplicación de diferentes tecnologías como la Inteligencia Artificial, la impresión 3D, el uso de escáneres intraorales o soluciones de digitalización. Asimismo, se volverán a celebrar diferentes summits enfocados a cada especialidad: odontología, higiene bucal, prótesis dental y ortodoncia.

 DM.- ¿Qué avances, innovaciones y tendencias se explorarán durante el Congreso?

L.B.- La digitalización y las soluciones tecnológicas será uno de los temas centrales del Congreso Nacional de Odontología Avanzada. Se explorarán las últimas herramientas digitales que están transformando la práctica odontológica, como los sistemas de implantología digital, cirugía navegada, todo el flujo digital, la impresión 3D y el uso de la realidad aumentada para diagnósticos más precisos y tratamientos. También se abordará el impacto de la Inteligencia Artificial tanto en el diagnóstico tem-

siguiendo la evolución de la Odontología

prano y el desarrollo de tratamientos más específicos para cada paciente como en la gestión de la clínica, mejorando la toma de decisiones. Por otro lado, también se presentarán avances en endodoncia, con el uso de láseres y otras innovaciones que mejoran la precisión y los resultados en estos procedimientos, y se analizarán las últimas tendencias en estética dental, como las carillas o la ortodoncia invisible. Asimismo, la agenda del Congreso también profundizará en la relación entre la odontología y los trastornos del sueño, como el bruxismo y la apnea del sueño, destacando nuevos enfoques terapéuticos y dispositivos para mejorar la calidad de vida de los pacientes.

 DM.- Un año más, el Congreso Nacional de Odontología Avanzada acogerá el Summit de Inteligencia Artificial. ¿Qué temáticas se abordarán? ¿Qué expertos participarán para analizar el impacto de la IA en odontología?

L.B.- El Summit de Inteligencia Artificial abordará los cambios que ha traído esta tecnología en la práctica odontológica, como el diagnóstico asistido por IA, que proporciona mayor precisión que

con los métodos tradicionales, o la simulación y planificación de tratamientos basados en predicciones. Asimismo, también se analizará la aplicación de la IA en la gestión de las clínicas dentales, mejorando la toma de decisiones y optimizando la experiencia del paciente. Todo ello de la mano de expertos como Tedy Karteva, fundadora de Autodontics; David Hurtado, Innovation Lead de Microsoft; el Dr. Rafael Areses, director de Tecnologías Emergentes de Alebat Education; el Dr. Pere Riutord, vicedecano de ADEMA; el Dr. Patrick Borbely; el Dr. Francesc Pérez Pastor, cofundador de TotIA; o el Dr. Francisco Llarena, director de Susana Palma Ortodoncia, entre otros.

 DM.- La industria dental conforma una parte importante de cada edición de BDS. En este caso, ¿cómo ha sido la respuesta por parte de las compañías del sector? ¿Cuál es el perfil de las empresas participantes en esta próxima edición?

L.B.- Se nota que esta tercera edición es la de consolidación del evento, ya que estamos percibiendo un interés creciente por parte de muchas compañías en participar como expositores. Este año prevemos reunir a más de 150 firmas que mostrarán sus últimas innovaciones para el sector. Nuestro posicionamiento totalmente marcado por ser una propuesta tecnológica y digital hace que los líderes en estas soluciones estén presentes y encuentren un alto valor en el perfil de los asistentes. Así, fabricantes, distribuidores, proveedores de servicios para la industria dental.… presentarán sus novedades en aparatología dental, consumibles, instrumental para la práctica odontológica, equipamiento para clínicas y laboratorios, equipamiento e instrumental para la higiene bucal, soluciones para implantología, así como soluciones digitales para la industria dental y servicios para la gestión de las clínicas.

 DM.- ¿Qué previsiones de asistencia tienen desde la organización para esta tercera edición de BDS?

L.B.- Para esta edición, prevemos reunir a más de 6.000 profesionales del sector, como odontólogos, ortodoncistas, higienistas, protésicos, auxiliares de clínica, cirujanos maxilofaciales, logopedas.… que acudirán a BDS en busca de las mejores soluciones y encontrar así a su socio clínico. La verdad es que vamos en el buen camino para conseguir estos objetivos, ya que a mes y medio de su celebración ya contamos con más de 2.100 profesionales inscritos. 

“ Este año prevemos reunir a más de 150 firmas que mostrarán sus últimas innovaciones para el sector ”

pensando en el futuro

IMPRESIÓN 3D EN ODONTOLOGÍA: EL SECRETO PARA OFRECER MÁS POR MENOS

Este artículo se centra en demostrar que la impresión 3D en conjunto con el flujo digital es una opción viable y accesible, destacando su aplicabilidad clínica, su potencial para generar retorno de inversión y su capacidad de adaptarse a las limitaciones económicas de los pacientes. Un desarrollo de cómo poder ofrecer distintos tratamientos con una pequeña curva de aprendizaje y una mínima inversión en tecnología digital.

Integración de flujos digitales y resinas SprintRay en odontología: una solución accesible para dentistas que inician en la impresión 3D

La impresión 3D ha revolucionado la odontología moderna, ofreciendo una alternativa rentable, versátil y eficiente frente a los métodos tradicionales. Sin embargo, muchos dentistas interesados en adoptar esta tecnología se enfrentan a dos preocupaciones comunes: el alto costo inicial de inversión y la percepción de una elevada curva de aprendizaje.

Este artículo se centra en demostrar que la impresión 3D en conjunto con el flujo digital desde el escaneado hasta la obtención de los diferentes productos que nos puede brindar SprintRay es una

opción viable y accesible, destacando su aplicabilidad clínica, su potencial para generar retorno de inversión y su capacidad de adaptarse a las limitaciones económicas de los pacientes.

El flujo digital comienza realmente en la primera visita, con el escáner intraoral, en este caso quien escribe, es usuario desde hace años del Medit, pasando por todas sus versiones, desde el Medit i500 hasta el último diseño de veloz Medit i900 táctil. En este caso el comienzo del escaneado se realiza con el objetivo de poder entrar en un mundo completamente digital para ofrecer desde el mismo momento de la consulta en la primera visita, la posibilidad de ofrecer al paciente:

siguiendo la evolución de la Odontología

1) Una vista completa de su situación bucal desde dentro y desde fuera.

2) Estudiar los problemas que tiene desde la perspectiva visual de entender qué piezas faltan, cómo ha repercutido con las piezas vecinas y cómo se podría solucionar.

3) Un estudio de la oclusión, tanto desde el punto de vista estático como dinámico a través de la movilidad de la mandíbula libremente en el escaneado dinámico.

4) Poder encontrar a través de su desarrollado programa dónde y cómo se ejercen las mayores fuerzas de oclusión y entender las posibles consecuencias de fracturas, desgastes o simplemente falta de función.

5) Reproducir las veces que sea necesario el archivo y recuperar en el tiempo los registros tomados.

6) Simular un diseño de sonrisa.

7) Poder desarrollar unos modelos para ser impresos en resina aditiva o trasladar el maxilar escaneado a un programa de cirugía guiada para posteriormente imprimir la guía para la colocación de implantes correctamente instalados en el maxilar.

8) Diseñar coronas, perfiles de emergencias, placas nocturnas de protección oclusas, puentes Maryland provisionales o cualquier otra implementación que la imaginación profesional permita.

En definitiva, todas estas alternativas digitales se complementan con una presentación tridimensional interactiva, donde el paciente visualiza su situación bucal en detalle, entendiendo las necesidades y opciones de tratamiento desde la primera visita. Este enfoque garantiza precisión diagnóstica, optimización del tratamiento y una experiencia informativa para el paciente.

Opciones de impresión con resinas SprintRay: versatilidad y economía

En el caso del sistema de impresión de SprintRay, nos ofrece una amplia gama de resinas diseñadas para cubrir todas las necesidades clínicas en una consulta odontológica. Una vez obtenido el escaneado y desarrollado el producto que necesitemos, podemos realizar la impresión con las siguientes opciones:

Dr. Fernando Germán Director Dentinova. Post Grado en Implantes New York University.

Sprintray Speaker & Medit instructor.

Especialista en fobia dental. Perito Asociación Peritos Barcelona.

Director Dentinova Academy.

pensando en el futuro

1. Resina OnX Tough 2:

 Diseñada para restauraciones provisionales en pacientes con implantes.

 Biocompatible, ideal para cargas inmediatas tras cirugías implantológicas.

 Su durabilidad y estética permiten su uso prolongado, mientras se estabilizan los tejidos periimplantarios.

 La resina de impresión 3D SprintRay OnX Tough 2 está compuesta por una matriz polimérica reforzada con nanopartículas cerámicas, lo que la clasifica como una resina híbrida nanocerámica. Esta composición se logra mediante la tecnología NanoFusion™, que asegura una distribución uniforme de las nanopartículas cerámicas dentro de la matriz polimérica.

Esta estructura híbrida proporciona a la resina propiedades mecánicas superiores, como alta resistencia a la flexión y a la fractura, además de una estética que imita la translucidez y opacidad del esmalte dental natural.

2. Ceramic Crown:

 Ideal para restauraciones definitivas o provisionales.

 Resistencia comparable a materiales cerámicos, pero con costos de producción significativamente menores.

 Permite mantener restauraciones en boca durante periodos prolongados dependiendo de la legislación local y el juicio clínico del dentista.

 La resina Ceramic Crown de SprintRay es un material híbrido nanocerámico diseñado para la impresión 3D de restauraciones dentales definitivas, incluyendo coronas completas, parciales y carillas. Su composición se destaca por contener más del 50% de contenido cerámico inorgánico, lo que le confiere propiedades mecánicas y estéticas superiores.

 Con la nueva impresora por presión (Midas) podemos obtener dentro de la clínica un diseño por inteligencia artificial e impresión inmediata en sólo 5 minutos. Hasta 6 coronas y 9 carillas dentales.

 Ideal para cualquier corona o puente y sobre todo por experiencia propia con inlays/onlays sin salir del gabinete dental.

3. SprintRay Temporary & Crown:

 Resina para restauraciones temporales como puentes y coronas de corta y mediana duración.

 Diseñada para ofrecer confort y estética mientras se planifican las restauraciones finales, una opción económica de transición temporaria.

4. Surgica Guide 3:

 Resina para fabricar guías quirúrgicas de alta precisión.

siguiendo la evolución de la Odontología

 Reduce el riesgo de errores durante procedimientos implantológicos complejos.

 Consistencia transparente, lo que permite una mejor visualización en las cirugías.

 También es posible realizar con esta misma resina tapones de cicatrización personalizados. (Perfiles de emergencia)

5. NigthGuard Flex:

 Diseñada para dispositivos de protección bucal personalizados, como placas para el tratamiento del bruxismo.

 Ofrece resistencia y adaptación superior para mejorar la experiencia del paciente.

 Adaptable a las piezas dentarias con el mismo calor corporal de la boca, mejorando su fijación y retención con las horas de uso.

 Durezas adecuada para una completa resistencia y comodidad.

 Posible diseñada por SprintRay a través de su conexión cloud o por Medit Splint (intuitivo y rápido para diseñar).

pensando en el futuro

¿Qué rentabilidad puedo tener con el sistema de impresión?

El costo inicial de un sistema de impresión 3D de alta calidad, como el de SprintRay, oscila entre 12.000 y 15.000 euros, dependiendo de la configuración y los accesorios incluidos. Sin embargo, esta inversión puede amortizarse rápidamente gracias a la versatilidad de las aplicaciones y la reducción de costos al fabricar directamente en la clínica.

Tabla de Amortización por Procedimientos Mensuales

Nota: Los valores pueden variar ligeramente según las tarifas locales y la capacidad de producción de la clínica. También puede variar si el diseño se hacer completamente por ejemplo utilizando la app de Medit Splint para realizar las placas de descarga y Medit Cad para realizar las coronas provisionales o por medio de la inteligencia artificial de SprintRay para diseñar e imprimir una corona.

Cálculo de amortización

El ingreso mensual total estimado con estos procedimientos asciende a 11.640 euros, lo que demuestra que la inversión inicial en un sistema de impresión SprintRay puede recuperarse en tan solo mes y medio si se utiliza a su máxima capacidad. Para un usuario que recién comienza, es natural que se necesite un tiempo para alcanzar el pleno aprovechamiento del flujo digital en la clínica. Sin embargo, la experiencia, la motivación y un adiestramiento adecuado son factores clave que acelerarán significativamente el retorno de la inversión. Esto permitirá alcanzar el punto de amortización del equipamiento digital mucho antes de lo esperado.

Además, este sistema no solo garantizará un conveniente margen de ganancia, sino que también ofrecerá una diferenciación estratégica a la clínica, tanto en términos del nivel profesional del equipo como en su capacidad para distanciarse de otras clínicas competidoras de la misma región.

Restauraciones provisionales o definitivas: una alternativa viable para democratizar la odontología La impresión 3D con SprintRay ofrece una solución revolucionaria al permitir la fabricación de restauraciones dentales de alta calidad y estética a bajo costo. Esto abre la puerta a una odontología más accesible, sin comprometer los estándares clínicos. Resinas avanzadas como OnX y Ceramic Crown permiten crear coronas y puentes en dos enfoques principales:

 Provisionales: estas restauraciones son ideales durante la fase de cicatrización tras una cirugía de implantes o mientras se estabilizan los tejidos periimplantarios. Pueden permanecer en boca durante meses, dependiendo de la legislación local y del criterio del profesional, brindando funcionalidad y estética en un período crítico del tratamiento.

 Definitivas: cuando las limitaciones económicas impiden a los pacientes optar por restauraciones cerámicas, las resinas de SprintRay ofrecen una alternativa accesible, duradera y visualmente aceptable. Su uso permite a las clínicas ajustar sus honorarios, aprovechando los márgenes de ganancia que ofrece la impresión 3D. Este enfoque no solo beneficia al paciente al reducir costos, sino que también mejora la rentabilidad y accesibilidad de los tratamientos ofrecidos por la clínica.

siguiendo la evolución de la Odontología

De esta manera, es posible ampliar la aceptación de tratamientos completos, ofreciendo restauraciones provisionales de larga duración o definitivas, según la legislación vigente en cada país. Esto resulta en una solución viable para casos que de otro modo podrían ser rechazados debido a restricciones económicas. Además, los profesionales tienen la flexibilidad de mantener estas restauraciones de manera indefinida o reemplazarlas por alternativas cerámicas una vez que los tejidos se estabilicen o las condiciones económicas del paciente lo permitan.

Conclusiones finales tras la implementación de un sistema de flujo digital completo La integración de tecnologías avanzadas como SprintRay y Medit en la práctica odontológica ofrece una oportunidad significativa para diferenciarse en el competitivo mercado actual. Estas herramientas facilitan la transición hacia un flujo digital completo, superando barreras tradicionales relacionadas con costos y curvas de aprendizaje.

SprintRay proporciona soluciones de impresión 3D accesibles y una amplia gama de resinas de alta calidad, permitiendo la producción de restauraciones dentales precisas y estéticamente satisfactorias. Por su parte, los escáneres intraorales de Medit, como el Medit i700 y Medit i900, destacan por su velocidad, precisión y facilidad de uso, elementos esenciales para optimizar los procedimientos clínicos y mejorar la experiencia del paciente.

La adopción de estas tecnologías no solo democratiza el acceso a tratamientos odontológicos de calidad, sino que también permite ofrecer alternativas viables y personalizadas a pacientes con limitaciones económicas.

La capacidad de adaptar las restauraciones según las necesidades específicas del paciente y las regulaciones locales garantiza una mayor flexibilidad y éxito clínico.

Estrategias para la implementación en el flujo digital

1. Capacitación continua: es fundamental invertir en la formación del equipo dental para maximizar el potencial de estas herramientas digitales. La familiarización con el software y los protocolos de escaneo asegura una transición fluida y eficiente. Sobre todo con el sistema de protocolos de SprintRay en donde todo el equipo de la clínica puede formarse y participar en el mismo flujo colaborando con el proceso.

2. Optimización del flujo de trabajo: integrar el escaneo intraoral y la impresión 3D en los procedimientos diarios puede reducir significativamente los tiempos de tratamiento y aumentar la precisión de las restauraciones.

3. Personalización del tratamiento: utilizar las capacidades de diseño digital para crear planes de tratamiento personalizados que se ajusten a las necesidades y expectativas de cada paciente, mejorando así la satisfacción y los resultados clínicos.

4. Comunicación efectiva con el paciente: mostrar a los pacientes visualizaciones digitales de sus tratamientos propuestos puede aumentar la comprensión y aceptación del plan de tratamiento, fortaleciendo la confianza en los servicios ofrecidos.

5. Actualización tecnológica constante: mantenerse al día con las innovaciones en tecnología dental garantiza que la práctica se beneficie de las últimas mejoras en eficiencia y calidad de atención.

El flujo digital de la clínica dental no solo transforma la práctica odontológica, sino que también mejora la calidad de vida de los pacientes al proporcionar soluciones más precisas, rápidas y accesibles aumentando los beneficios a la clínica no sólo a nivel cash flow, sino a nivel de mejoras en el tiempo y en la calidad de vida del profesional reduciendo el estrés y las visitas. 

EL COEM REÚNE EN SU 7º CONGRESO BIENAL A DENTISTAS, MÉDICOS E INDUSTRIA DENTAL EN KINÉPOLIS MADRID

Alrededor de 2.000 profesionales (dentistas, médicos e industria dental) se reunieron en la séptima edición del Congreso Bienal del Colegio de Odontólogos y Estomatólogos de la I Región (COEM). Con un formato dinámico e innovador, este encuentro ha ofrecido un programa científico dirigido a fomentar el debate y la reflexión desde un ámbito multidisciplinar.

El Colegio de Odontólogos y Estomatólogos de la I Región (COEM) celebró los días 7 y 8 de febrero en Kinépolis Madrid la séptima edición de su congreso bienal. El tradicional evento multidisciplinar de la Odontología española, que comenzó su andadura en 2013, ha reunido los días 7 y 8 de febrero a cerca de 2.000 profesionales del sector dental y médico.

Programa científico y sala 360º

A lo largo de jornada y media de congreso se han sucedido los 10 bloques de contenido en los que los 60 ponentes, en un formato innovador, han presentado sus propuestas en charlas de 15 minutos con debate posterior con moderador: Diagnóstico radiológico, Implantología, Desgaste dentario, Alineadores, Blanqueamientos, Hipomineralización Incisivo Molar (MIH), Tratamiento de la enfermedad

periimplantaria, Endodoncia, Materiales restauradores y Gestión. La sala 360º presentó un variado programa formativo que trataba temas tan diversos como ácido hialurónico, toxina botulínica, hilos tensores y competencias y límites en Odontología, la obtención de neuronas a través de los dientes de leche, el flujo clínico para la producción de los alineadores in-office, etc.

La directora general de Inspección de la Comunidad de Madrid, Pilar Jimeno, fue una de las colaboraciones destacadas en la charla sobre las inspecciones de clínica. Además, dentro de la buena relación existente entre el COEM y el Colegio de Farmacéuticos de Madrid (COFM), se presentó la ponencia “Odontología y Farmacia”, para unir sinergias y combatir la resistencia antibiótica y los errores más frecuentes en la prescripción de medicamentos, y en la que participó el presidente del COFM, Manuel Martínez del Peral.

Colaboración con SERMAS

Por primera vez en la historia del Congreso COEM, los médicos del SERMAS asistieron a la cita. Para ellos se preparó una sala especial, fruto de la unión entre el Colegio y la Consejería de Sanidad de la Comunidad de Madrid. Con el título de “Patologías sistémicas y salud bucodental” se presentó el abordaje de la salud mediante un enfoque multidisciplinar en el cuidado de los pacientes. La Dra. Rosario Azcutia Gómez, gerente asistencial de Atención Primaria, dio la bienvenida al acto, que contó con la participación del Dr. José Enrique Villares, director técnico de Procesos Asistenciales, gerencia adjunta de Asistencia Sanitaria SERMAS, entre otros ponentes odontólogos y médicos.

Presentación del libro “Cine, dentistas y dientes”

Dentro de las actividades del 7º Congreso COEM la Dra. Beatriz Lahoz, coautora del libro y expresidenta del Colegio de Dentistas de Navarra, presentó la publicación “Cine, dentistas y dientes” y se obsequió con un ejemplar a todos los asistentes al Congreso.

Industria dental

La industria dental con presencia de 32 marcas patrocinadoras de las principales empresas de la industria dental nacional e internacional apoyaron el Congreso COEM con su presencia en la exposición comercial y patrocinio. Asimismo, organizaron sendos talleres prácticos que completaron la oferta formativa.

Música con la banda en directo, cócteles de cine temáticos, paseo de la fama, alfombra roja, galería de fotos, concursos y sorteos… Un congreso de cine para la Odontología que una edición más ha sido todo un éxito. La próxima cita será dentro de dos años, en 2027. 

EL CONSEJO GENERAL DE DENTISTAS PUBLICA EL MANUAL “ARMONIZACIÓN OROFACIAL. LABIOS Y SURCOS”

El Consejo General de Dentistas de España ha anunciado la publicación y disponibilidad para consulta y descarga del trabajo “Armonización Orofacial. Labios y Surcos”, una obra de referencia elaborada por la Dra. Esther Hernández-Pacheco, presidenta de la Sociedad Española de Armonización Orofacial, y el Dr. Gonzalo Ruiz de León, experto en esta disciplina.

Este manual básico de infiltración está dirigido a los dentistas interesados en la armonización orofacial y tiene como objetivo proporcionarles una herramienta útil para abordar estas técnicas con un enfoque científico y técnico riguroso.

El Dr. Óscar Castro Reino, presidente del Consejo General de Dentistas, ha destacado la importancia de esta iniciativa en un contexto donde existen numerosos comentarios, afirmaciones y documentos sobre las técnicas de infiltración en armonización orofacial: “Gracias a la generosidad de sus autores, la Dra. Esther Hernández-Pacheco y el Dr. Gonzalo Ruiz de León, quienes han cedido al Consejo General esta valiosa obra, los dentistas interesados en esta temática podrán contar con un material de verdadera referencia basado en estrictos criterios científicos”, ha explicado. Además, el Dr. Castro ha subrayado el valor del manual como guía esencial para los profesionales del sector, puesto que, según ha indicado, “este trabajo proporciona a los dentistas dedicados a la armonización orofacial una guía sobre las competencias necesarias para su ejercicio profesional, recordando que éstas son indisociables de las atribuciones”.

“Este trabajo proporciona a los dentistas dedicados a la armonización orofacial una guía sobre las competencias necesarias para su ejercicio profesional, recordando que éstas son indisociables de las atribuciones”
Dr. Óscar Castro Reino, presidente del Consejo General de Dentistas de España

En este sentido, ha incidido en que los profesionales interesados en la materia tendrán, con este manual ilustrado, las herramientas necesarias para aplicar estos conocimientos con seguridad, precisión y excelencia. “Solo así es posible aspirar a una Odontología de calidad, basada en la evidencia científica y en pautas regladas”, ha precisado. El manual “Armonización Orofacial. Labios y Surcos” ya está disponible en el apartado Guías y Materiales de la página web del Consejo General de Dentistas para su consulta y descarga. 

DENTISTAS Y MÉDICOS

SON LOS ÚNICOS

PROFESIONALES

CON ATRIBUCIONES

PARA USAR TOXINA

BOTULÍNICA Y ÁCIDO

HIALURÓNICO EN SUS RESPECTIVOS CAMPOS DE ACTUACIÓN

Ante la creciente preocupación por los últimos casos de intrusismo profesional detectados en los tratamientos con toxina botulínica (bótox) y ácido hialurónico y que ha denunciado públicamente el Ministerio del Interior, el Consejo General de Dentistas de España manifiesta que únicamente odontólogos y médicos tienen atribuciones legales para aplicar estos procedimientos dentro de sus respectivos campos de actuación.

Cabe recordar que el Consejo General de Dentistas y el Consejo General de Médicos suscribieron en febrero de 2023 una declaración conjunta alertando precisamente sobre el aumento de casos de intrusismo profesional, especialmente relacionados con el uso de toxina botulínica y ácido hialurónico. En este documento, quedó claramente especificado que dentistas y médicos son los únicos profesionales con competen-

El Consejo General de Dentistas y el Consejo General de Médicos renuevan su convenio de colaboración hasta 2026

El Consejo General de Dentistas de España y el Consejo General de Colegios Oficiales de Médicos han renovado, por un año más, el convenio marco de colaboración firmado por primera vez en febrero de 2023, y que estará vigente hasta el año 2026.

Este acuerdo refuerza el compromiso mutuo de ambas instituciones para desarrollar actividades de interés común y fomentar el desarrollo profesional de sus colegiados, contribuyendo así a la mejora de la atención sanitaria y al bienestar de los pacientes. La renovación del convenio establece un marco general para seguir avanzando en iniciativas conjuntas que aborden cuestiones de interés estratégico tanto para dentistas como para médicos.

cias y atribuciones para la realización de determinados tratamientos mediante el uso de microfillers (ácido hialurónico) o toxina botulínica dentro de sus respectivos campos de actuación.

Tal y como ha confirmado la Agencia Española de Medicamentos y Productos Sanitarios (AEMPS), en el caso de los dentistas, la toxina botulínica puede ser utilizada, con carácter general, para el tratamiento de la sialorrea crónica (exceso de salivación) en adultos y niños. Concretamente, el Xeomin, que es el único medicamento con toxina botulínica que tiene autorizado su uso para el tratamiento de esta patología dentro del campo del dentista.

Por otro lado, el ácido hialurónico tiene diferentes usos en el campo de la armononización orofacial y para el tratamiento de determinadas patologías en el campo de actuación del dentista, lo que lo convierte en un producto sanitario de uso cada vez más común en las clínicas dentales.

Desde el Consejo General de Dentistas insisten en “la necesidad de que los pacientes verifiquen siempre la titulación del profesional que vaya a aplicar estos tratamientos, para evitar ser víctima de este tipo de delitos”.

Los últimos casos detectados hacen referencia a personas que carecen de la titulación requerida y que aplican estos medicamentos o productos sanitarios, respectivamente, en peluquerías o centros de estética, incluso empleando materiales exportados que carecen de autorización de comercialización por las autoridades competentes, lo que supone un riesgo importantísimo para la salud de los pacientes.

Ante ello, el Consejo General de Dentistas incide en que la seguridad del paciente debe ser prioritaria, y solo dentistas y médicos cuentan con la formación, competencias y respaldo legal necesario para garantizar procedimientos seguros y eficaces en sus respectivos campos de actuación. 

UN ESTUDIO DE LA UNIVERSITAT DE VALÈNCIA ANALIZA EL IMPACTO DE LOS INSTRUMENTOS MUSICALES DE VIENTO EN EL SISTEMA OROFACIAL

Los instrumentos de viento requieren un uso extensivo de los músculos orofaciales y pueden afectar la salud del sistema estomatognático. Un estudio reciente realizado en la Universidad de Valencia -publicado en Diagnostics- ha analizado el impacto de la práctica musical en el sistema orofacial, destacando problemas potenciales. El estudio se centró en dos grupos: músicos y no músicos, analizando parámetros como la oclusión dentaria, la sensibilidad y las alteraciones de los tejidos blandos.

La muestra estuvo compuesta por 39 estudiantes que tocaban instrumentos de viento y 19 estudiantes no músicos como grupo control. Los investigadores evaluaron varios parámetros orales y dentales, incluidos sobremordida horizontal, presencia de abrasión y/o erosión labial, clase molar de Angle, índice de irregularidad de Little, abrasión dental, presencia de herpes labial, presencia de sensibilidad dental y presencia de ruidos articulares y dolor muscular. Además, se prestó especial atención a las diferencias entre los intérpretes de instrumentos de metal y los de instrumentos de boca fina, como el clarinete y la flauta.

Resultados del estudio

Los resultados mostraron diferencias significativas entre los grupos en cuanto a resalte, apiñamiento dentario, erosión del labio inferior y abrasión dental, siendo mayor en los músicos. Por último, dentro del grupo de músicos, se evidenció que la sensibilidad dental fue mayor en el grupo de músicos de viento. Sobre las implicaciones clínicas, este estudio concluye que la práctica de instrumentos de viento puede ser un factor de riesgo para desarrollar alguna afectación orofacial, no existiendo diferencias entre las distintas boquillas existentes. Por ello resulta importante que los dentistas controlen periódicamente a los pacientes musicales para detectar precozmente problemas como sensibilidad dental, erosiones labiales o disfunción muscular. Enseñar una postura adecuada durante la interpretación musical y utilizar protección personalizada podrían reducir estos riesgos. 

UN ESTUDIO DE LA UCV ANALIZA EL IMPACTO DE LAS BEBIDAS ENERGÉTICAS

EN EL DETERIORO DE LA SALUD DENTAL DE LOS ATLETAS AFICIONADOS

La profesora de Odontología de la Universidad Católica de Valencia (UCV), Laura Marqués, junto a su equipo de investigación, ha realizado un estudio en el que concluye que todas las bebidas energéticas y el 87,5% de los suplementos con un pH inferior al umbral crítico de 5,5 están directamente relacionados con el desgaste dental erosivo, afectando la estructura de los dientes y facilitando la pérdida de tejido dental. Marqués ha analizado el impacto del consumo de bebidas energéticas y suplementos preentrenamiento en atletas aficionados, poniendo especial énfasis en los riesgos para la salud dental. En el estudio han participado 113 deportistas, de los cuales el 65% eran hombres y el 35% mujeres, se ha analizado el consumo de 67 bebidas y se han evaluado los hábitos de ingesta. Los resultados han revelado que el consumo antes del entrenamiento fue el patrón más común, tanto en hombres como en mujeres, sobre todo en quienes practican deportes de resistencia. La investigación también ha arrojado datos sobre la frecuencia de consumo de estas bebidas, de modo que un 40,7% de los participantes consumían bebidas energéticas o suplementos preentrenamiento de 3 a 5 veces por semana, mientras que un 37,3% los ingería entre 1 a 2 veces por semana. Los atletas de deportes de resistencia mostraron

una mayor frecuencia, superando las 6 veces por semana. Además, el análisis ha mostrado que los hombres consumían más estas bebidas que las mujeres, un hallazgo que también ha sido confirmado por otros estudios previos.

El estudio también muestra una correlación positiva entre la edad y el consumo de estas bebidas, pues los atletas mayores de 30 años mostraron una mayor inclinación hacia las mismas, especialmente los hombres. Estos hallazgos sugieren que, a medida que los atletas avanzan en edad, los hábitos de consumo tienden a intensificarse, lo que podría aumentar su riesgo de sufrir desgaste dental erosivo.

Por todo ello, los investigadores subrayan la necesidad de evaluar este tipo de bebidas no sólo desde una perspectiva nutricional, sino también desde la óptica de la salud dental.

Asimismo, los autores del estudio proponen aumentar la educación sobre los riesgos que implican estas bebidas, especialmente entre los atletas amateurs, y que se implementen regulaciones más estrictas sobre la publicidad de estas bebidas, especialmente dirigida a la población juvenil. Además, recomiendan el uso de pastas dentales con flúor y calcio para contrarrestar los efectos de la erosión dental y proteger la salud bucal de los deportistas. 

EXPERTOS EN SALUD BUCAL PROPONEN UNA ESTANDARIZACIÓN DE LAS TALLAS DE LOS CEPILLOS INTERDENTALES

o la halitosis (en el 60% de los casos es debida a la acumulación de placa bacteriana). En este sentido, la European Federation of Periodontology (EFP) es clara y recomienda el uso de cepillos interdentales por su eficacia ya que, el cepillo normal elimina la placa de las superficies, pero no es suficiente a la hora de limpiar a fondo la zona interdental.

Expertos en higiene bucodental de la Universidad de Heidelberg han llevado a cabo el estudio “Dimensionamiento estandarizado de Interprox según el PHD” en el que se da respuesta, desde una perspectiva científica y racional, a la necesidad detectada por Dentaid de abordar una nueva estandarización de los cepillos interdentales. Fruto de las conclusiones de este estudio, se ha establecido, por primera vez, una distribución de tallas cada 0,2 valores de PHD en tallas pequeñas y de 0,3 valores de PHD en tallas medianas y grandes, sistematizando todo el espectro en la escala de PHD. La precisión en la determinación del PHD de los cepillos interdentales es esencial para garantizar una limpieza adecuada. Hasta ahora, la norma ISO establecía un método para calcularlo que permitía cierta interpretación en cuanto a la fuerza de inserción clínicamente relevante. Tomando el PHD como criterio y ante las discrepancias entre los PHD comunicados por los fabricantes y los calculados por los profesionales, Interprox ha diseñado una gama de cepillos, que cubre cada espacio interdental además de apostar por diferentes formas para el cuidado de los tejidos blandos (cepillo cilíndrico para obtener mayor precisión; cónico para una mayor accesibilidad). Esta propuesta cuenta con el aval de expertos odontólogos, higienistas y auxiliares dentales de la Universidad de Heidelberg, lo que asegura no solo una adecuación perfecta para todos los tamaños de espacios interdentales sino la efectividad de la limpieza.

La nueva estandarización pone en valor la importancia de la correcta elección del tamaño del cepillo interdental. Éste viene determinado por factores como el diámetro del alambre, el diámetro del filamento, el diámetro del cepillo y la densidad del filamento a lo largo del vástago. Todos ellos, son factores que influyen en el volumen ocupado en el espacio interdental y por tanto en la determinación del PHD, siendo el PHD el único criterio que tiene en cuenta la suma de todos ellos. Según datos del informe realizado por la consultoría Hamilton para Dentaid, el 62% de las personas no realiza higiene interdental de forma regular. A esto se suman datos sobre la relación entre la higiene interproximal con diferentes problemas o patologías bucales comunes como las caries (el 78% tiene origen interproximal), la gingivitis (existe un 50% de incidencia de gingivitis en la población general)

Con la nueva redistribución de tamaños se garantiza a higienistas y dentistas tomar decisiones de forma más sencilla a la hora de hacer recomendaciones a sus pacientes, algo que, hasta ahora, la industria no posibilitaba. Asimismo, se facilita la toma de decisiones de los consumidores que podrán ver cubierta cualquier tipo de necesidad.

Según la Dra. Inmaculada Tomás, Catedrática de Universidad del Área de Estomatología en el Departamento de Cirugía y Especialidades Médico-Quirúrgicas en la Universidad de Santiago de Compostela (USC), expone que “la higiene interdental es indispensable para la prevención de las principales patologías bucales, como las caries y la enfermedad periodontal, siendo el espacio interproximal un nicho biológico cuyas características requieren de un instrumento específico que se adapte a una anatomía muy variable y que sea eficaz en la remoción de la placa a la vez que respete los tejidos blandos y duros”.

Por su parte, Manuel Pujades, responsable de desarrollo de productos físicos en Dentaid Research Center, destaca que “trabajar junto a los profesionales está en el ADN de Dentaid. En este caso, para garantizar la determinación precisa del PHD que requería la industria, se formó un grupo de trabajo con dentistas e higienistas dentales de la Universidad de Heidelberg por su experiencia y conocimiento, algo que nos ha permitido poder ofrecer esta innovación al mercado. De esta forma, podemos decir que Interprox es la única marca el mercado que está avalada por profesionales odontológicos”.

La nueva redistribución de tamaños que Dentaid proporciona a través de Interprox cubre toda la escala PHD de 0,7 mm a 2,9 mm, abarcando así todas las necesidades interdentales. Además, sus diferentes formas para cada talla aseguran el cuidado de los tejidos blandos (cepillo cilíndrico para obtener precisión; y el cónico para mejorar la accesibilidad).

“La nueva estandarización de cepillos interdentales marca un hito en el cuidado bucodental y posiciona a Dentaid a la cabeza de la innovación gracias a la definición de nuevos patrones que servirán de guía para toda la industria, siendo muy útil para los profesionales de la odontología en su papel de asesores a la hora de seleccionar el mejor tamaño para el paciente”, aseguran desde Dentaid. 

actualidad

LA CLÍNICA DENTAL SOLIDARIA COLOMA VIDAL CIERRA 2024 CON UN BALANCE POSITIVO

La Clínica Dental Solidaria Coloma Vidal de la Fundación Dentistas Sobre Ruedas ha concluido el año 2024 con cifras destacadas, reafirmando su compromiso con las personas en situación de vulnerabilidad social. A lo largo del año, la clínica ha atendido a 972 personas, realizando un total de 5.322 intervenciones odontológicas, lo que refleja el esfuerzo y dedicación del equipo en proporcionar atención a quienes más lo necesitan. Este año, además, ha sido especialmente significativo, ya que la Clínica Solidaria celebró su décimo aniversario. Diez años ofreciendo atención sanitaria de calidad y acompañamiento integral a personas que carecen de acceso a otros recursos. Durante esta década de servicio, la clínica ha sido un pilar fundamental para mejorar la salud y el bienestar de las personas en riesgo de exclusión social.

citación profesional, ofreciendo 4 cursos de formación en sus instalaciones, dirigidos tanto a profesionales del sector sanitario como al voluntariado. Estas iniciativas refuerzan la misión de la Clínica Solidaria de proporcionar un espacio de aprendizaje y desarrollo en el ámbito de la salud.

Además de su atención directa a las personas en situación de vulnerabilidad, este año se ha dado un paso importante en la capa -

DONTE GROUP FIRMA UN ACUERDO DE COLABORACIÓN CON CRUZ ROJA ESPAÑOLA

Donte

Group ha firmado un acuerdo de colaboración con Cruz Roja Española, una organización humanitaria de carácter voluntario que tiene entre sus fines la atención a las personas y colectivos en situación de vulnerabilidad de nuestra sociedad, para facilitar el acceso a servicios de salud bucodental a las personas.

En concreto, mediante este convenio, de un año de vigencia con probabilidad de prórroga, Donte Group ofrece a Cruz Roja Española “tarifa social” y unas prestaciones gratuitas específicamente diseñadas para que estos colectivos menos favorecidos puedan acceder de forma universal a una salud bucodental de calidad en las cerca de 400 clínicas bajo marca Vitaldent, la marca especializada en odontología integral del grupo español de salud bucodental.

“Esta colaboración representa los valores y la misión de Donte Group de hacer la salud bucodental accesible a quienes más lo necesitan. Estamos convencidos de que el acceso a una atención bucodental de calidad es un derecho fundamental para todos. Por ello, iniciativas como la que desarrollamos junto a Cruz Roja Española forman parte de nuestro compromiso como empresa con la inclusión social y la generación de un impacto positivo en la salud oral de las personas que más lo necesitan”, señala Javier Martín Ocaña, CEO de Donte Group. 

En el ámbito de la investigación, la Clínica ha logrado un gran avance con la aprobación por parte del Comité de Ética de les Illes Balears de un ambicioso proyecto de investigación titulado  “Estudio del grado de satisfacción y calidad de vida de personas edéntulas o parcialmente edéntulas 2024-2027”. Este estudio tiene como objetivo analizar la calidad de vida de las personas con pérdida dental, y representa un esfuerzo fundamental para mejorar la atención odontológica y la calidad de vida de estos pacientes, alineado con los valores de la Clínica de promover tanto la formación como la investigación. 

LA CLÍNICA UNIVERSITARIA UEMC

REALIZÓ MÁS DE 6.000 TRATAMIENTOS ODONTOLÓGICOS EN 2024

La Clínica Universitaria de la Universidad Europea Miguel de Cervantes (UEMC) de Valladolid realizó el pasado año 2024 un total de 6.199 tratamientos odontológicos, consolidando su papel como referente en la atención odontológica y en la formación de futuros profesionales de la salud bucodental. Esta atención permitió que 1.994 pacientes, de los cuales 880 eran nuevos, accedieran a servicios que demuestran el compromiso de la clínica con la calidad y la accesibilidad en odontología.

El área de odontología conservadora fue la que más tratamientos llevó a cabo, con 1.341 intervenciones, incluyendo obturaciones y reconstrucciones, seguida de la implantología, que realizó 1.056 tratamientos. Los tratamientos de periodoncia sumaron 885 intervenciones, mientras que en cirugía se llevaron a cabo 682 tratamientos. Además, se realizaron 316 prótesis removibles y 515 tratamientos de odontopediatría, exclusivamente para niños.

La atención brindada por la Clínica UEMC ha contado con la participación activa de estudiantes del Grado de Odontología y de los másteres en Periodoncia, Rehabilitación Oral, Implantología y Regeneración, Estética, Rehabilitación Oral sobre Dientes e Implantes y Soluciones Digitales, así como el de Ortodoncia. Esta colaboración ha permitido a los estudiantes aplicar sus conocimientos en un entorno real, siempre bajo la supervisión de profesionales altamente cualificados. 

actualidad EVENTOS Y CONGRESOS

EXPODENTAL 2026 SE CELEBRARÁ EN DÍAS LABORABLES (11-13 MARZO)

PARA POTENCIAR SU CARÁCTER PROFESIONAL

IFEMA

MADRID y la Federación Española de Empresas de Tecnología Sanitaria (Fenin) anuncian las nuevas fechas para la próxima edición de Expodental, que se celebrará del miércoles 11 al viernes 13 de marzo de 2026, trasladándose a días laborables para reforzar su carácter profesional y facilitar la conciliación personal. Además, la feria modifica también su horario, abriendo de 10.00 a 20.00 horas durante los tres días para adaptarse mejor a las necesidades de los visitantes. En palabras de Luis M. Garralda, presidente del Comité Organizador de la feria, “tras un análisis en profundidad, decidimos adoptar este cambio que esperamos sea bien acogido tanto por los expositores como por los visitantes de Expodental. Esta modificación está en consonancia con la celebración de congresos y de otras ferias internacionales que, cada vez más, se circunscriben al horario laboral para resaltar el carácter profesional de los eventos y facilitar la conciliación con la vida personal y familiar”. Expodental sigue consolidándose como el evento clave para la industria den-

tal, un punto de encuentro indispensable para odontólogos, higienistas, protésicos y auxiliares. El salón ofrece una plataforma única para mostrar las innovaciones, novedades tecnológicas y avances en el mundo digital que están transformando el sector dental. Tras el éxito de su última edición, con cerca de 30.000 visitantes profesionales y la participación de 375 empresas, Expodental vuelve con más fuerza y energía, ofreciendo nuevas propuestas al conjunto de la industria que contribuyan a dinamizar y facilitar su interacción comercial.

Con el respaldo de un sector en constante evolución, la feria reafirma su papel como referente nacional e internacional. El cambio de fechas y horario está diseñado para mejorar la experiencia de los participantes, creando un entorno más profesional y dinámico que facilite la asistencia y potencie el networking. Y con este objetivo de dar respuesta a las necesidades y requerimientos de los profesionales de hoy, próximamente se darán a conocer otras novedades que se incluirán en Expodental 2026. 

“MÁS CONOCIMIENTO, MEJOR EXPERIENCIA CLÍNICA”, LEMA DEL CONGRESO SEPA BARCELONA’25

Del 26 al 29 de noviembre de 2025, Barcelona se convertirá en la capital mundial de la Periodoncia, Implantología y la Salud Bucal. El Congreso Sepa Barcelona’25, que organiza la Fundación SEPA y la Sociedad Española de Periodoncia (Sepa), reunirá en el Centro Internacional de Convenciones de Barcelona (CCIB) a los expertos nacionales e internacionales más sobresalientes en el campo de la Periodoncia y la Terapia de Implantes, así como a unos 5.000 profesionales de más de medio centenar de países. Las enfermedades periimplantarias serán protagonistas del Congreso de la Periodoncia y la Salud Bucal, una cita que gira en torno al lema “Más conocimiento, mejor experiencia clínica” y se asienta en cuatro ejes temáticos centrales: Periodoncia e Implantes, Interdisciplinar, Odontología Digital e Higiene y Prevención. Así, se abordarán, entre otros temas, los enfoques emergentes en el diagnóstico periodontal, el tratamiento actual de las recesiones en los implantes, la prevención de complicaciones, las novedades en regeneración tisular o el uso de antisépticos en la prevención y el tratamiento de las enfermedades periodontales y periimplantarias. Igualmente, no faltarán consejos clínicos para el manejo de la periodontitis, así como simposios sobre el cuidado de la salud bucal desde la preconcepción hasta la adolescencia o sobre las utilidades de la inteligencia artificial en la prevención y control de las enfermedades periodontales. En el ámbito de la higiene y prevención, se hablará sobre

la relación entre salud bucal y salud general, la dieta como eje para promover la salud bucal o el compromiso ineludible con la prevención del cáncer oral, entre otros muchos.

Más de 130 ponentes nacionales e internacionales estarán presentes en el Congreso de la Periodoncia y la Salud Bucal de SEPA Barcelona 2025, que incluirá casi medio centenar de sesiones monográficas sobre temas controvertidos de actualidad científica y clínica, charlas, talleres, foros corporativos y otros innovadores formatos. Todo ello dentro de un programa con tres itinerarios formativos (Periodoncia/Interdisciplinar/Digital, Higiene/Prevención y Gestión y Calidad Asistencial de la consulta dental), con traducción simultánea español-inglés en todas las sesiones oficiales y con más de 5.000 m2 dedicados a la exposición comercial, en la que participarán un centenar de empresas.

Entre los principales atractivos, destaca la mesa de ‘Juego de Tronos’, prevista para la mañana del jueves 27 de noviembre. Con el título “¿Encofrado o membranas?, Sepa Barcelona’25 ofrece una innovadora sesión de cirugías comentadas, donde Istvan Urban y Luca de Stavola se enfrentarán al reto de una cirugía compleja y las preguntas de los asistentes. 

MÁS DE 50 PONENCIAS SOBRE IA, INNOVACIÓN Y TECNOLOGÍA

DENTAL EN EL CONGRESO DE BDS2025

La Inteligencia Artificial (IA) está transformando la odontología, innovando en la forma en la que se abordan los tratamientos y mejorando la experiencia del paciente. Es por ello que la aplicación de la IA en el sector dental será uno de los temas centrales del Congreso Nacional de Odontología Avanzada, que se celebrará en el marco de BDS – Barcelona Dental Show 2025. BDS2025 reunirá a odontólogos, ortodoncistas, higienistas, protésicos, auxiliares de clínica, cirujanos maxilofaciales, logopedas… los próximos 10 y 11 de abril en Fira Barcelona Gran Vía. Durante dos días, más de 180 expertos participarán como ponentes del Congreso Nacional de Odontología Avanzada para compartir casos prácticos de aplicación de diferentes tecnologías como la IA, la impresión 3D, el uso de escáneres intraorales o soluciones de digitalización. Asimismo, se volverán a celebrar diferentes summits enfocados a cada especialidad: ortodoncia, implantología, higiene bucal, prótesis dental, y estética.

Como gran foro tecnológico, el Summit de Inteligencia Artificial será uno de los más destacados de esta edición. En él, expertos como el Dr. Rafael Areses, director de tecnologías emergentes de Alebat Education, abordará cómo se está adoptando la IA a nivel mundial en las diferentes especialidades y cómo puede transformar la práctica odontológica: desde el diagnóstico asistido por IA y la planificación de tratamientos, hasta la automatización de tareas clínicas y administrativas. Por su parte, Tedy Karteva, fundadora de Autodontics, explorará las oportunidades de la IA en el sector dental y las estrategias para su incorporación en la práctica diaria de manera eficiente. 

SEPES PARTICIPA EN LAS XXXVI JORNADAS IBÉRICAS DE PROFESORES

UNIVERSITARIOS DE PROSTODONCIA

Los días 14 y 15 de febrero se celebraron en el Palau de les Heures de Barcelona las XXXVI Jornadas Ibéricas de Profesores Universitarios de Prostodoncia, bajo la dirección y coordinación de los profesores de la Universitat de Barcelona (UB) Mariona Peraire y Raúl Ayuso, respectivamente, y el apoyo de SEPES dirigido a la promoción anual de estas jornadas.

Las Jornadas fueron inauguradas por el decano de la facultad de Ciencias de la Salud de la Universitat de Barcelona, el profesor Antoni Trilla. En la mesa inaugural, junto a los organizadores, intervino el vicepresidente de SEPES, el profesor Rafael Martínez de Fuentes quien destacó el compromiso de la junta directiva de SEPES en “apoyar de forma activa esta Jornada anual de formación de profesorado e impulsar una mayor y progresiva participación y presencia de profesores jóvenes de prótesis”.

Esta edición de 2025 reunió a medio centenar de profesores de prostodoncia de España y Portugal representando a las universidades Complutense de Madrid, Universidad de Granada, Universidad de Sevilla, Universidad de Viseu, Universidad de Porto, Universidad de Lisboa, Universidad Rey Juan Carlos, Universidad de Murcia, Universitat Internacional de Catalunya, Universidad del País Vasco, Universidad de Santiago y la Universitat de Barcelona, anfitriona de las Jornadas.

Las líneas de exposición y debate que estructuraron el programa de las Jornadas fueron la evaluación crítica de los planes de estudio de grado y su repercusión en la materia de Oclusión y Prostodoncia, la enseñanza de la técnica BOPT en el grado, y se establecieron las bases para consensuar unos protocolos clínicos comunes a todas facultades españolas y portuguesas. 

Imagen del acto inaugural de las Jornadas en el que participó el profesor Rafael Martínez de Fuentes (SEPES) junto al decano de Ciencias de la Salud de la UB, el profesor Antoni Trilla, y a los organizadores de las Jornadas: los profesores Mariona Peraire y Raúl Ayuso.
SEPES

MÁS DE 300 PROFESIONALES ASISTEN AL CURSO “DESGASTE DENTARIO” DE SEPES CLÍNICA EN VALENCIA

El Dr. Guillermo Pradíes, presidente de Sepes y director del curso, fue el encargado de inaugurar el curso “Desgaste dentario” de SEPES Clínica -que tuvo lugar los días 17 y 18 de enero en Fundación Bancaja (Valencia)-, junto con la Dra. Lucía Fernández de Estevan, del Centro de Estudios Odonto-Estomatológicos Valencia y codirectora del curso.

“Tras la tragedia sucedida en Valencia con el paso de la DANA, Sepes tenía que estar en Valencia este año sí o sí, y ha sido con Sepes Clínica, y tratando el tema del desgaste dentario, un tema de máximo interés”, aseguró el Dr. Guillermo Pradíes durante la inauguración de este evento formativo solidario.

Por su parte, la Dra. Lucía Fernández de Estevan quiso apuntar que “en el Centro de Estudios nos dedicamos a la formación continuada de forma desinteresada y como sociedad científica pequeña, para nosotros trabajar con una sociedad tan grande en todos los sentidos como es Sepes, ha sido todo un privilegio. Estamos muy orgullosos y satisfechos de este evento conjunto que hemos organizado, gracias a los ponentes que han participado de manera desinteresada y a todos los asistentes”.

Más de 300 personas participaron en este evento científico-solidario, con la primera fila destinada a la ayuda económica de los compañeros dentistas afectados por la DANA. 

LA REVOLUCIÓN DE LA IMPRESIÓN 3D DENTAL LLEGA A MONTMELÓ

CON SPRINTRACE DE SPRINTRAY

El próximo 16 de mayo de 2025, el icónico Circuit de Montmeló será el escenario de SprintRace, organizado por SprintRay. Un encuentro único donde la innovación en impresión 3D dental se une a la velocidad y la emoción de la competición.

Con un aforo limitado a 200 personas, SprintRace se posiciona como un evento imprescindible para los profesionales de la odontología que buscan estar a la vanguardia de la tecnología digital. Una oportunidad única para conocer las últimas novedades del sector y conectar con los principales expertos de la industria. El evento contará con conferencias de líderes de opinión de renombre, quienes compartirán su conocimiento y visión sobre el futuro de la odontología digital. Además, los asistentes tendrán la oportunidad de descubrir en primicia las últimas innovaciones de SprintRay. Pero SprintRace no será solo un espacio de aprendizaje: la jornada estará marcada por la emoción y la diversión, con una experiencia única en el Circuit de Montmeló y una fiesta exclusiva para los asistentes. 

Zirkonzahn Shade Guide, guías de colores de zirconia monolítica Prettau®

Con las nuevas Zirkonzahn Shade Guides de alta calidad, compuestas de muestras de dientes monolíticos de zirconia, se puede determinar con precisión el color de los dientes de los pacientes y al mismo tiempo elegir con exactitud la zirconia Prettau® Dispersive® más adecuada. El espectro de colores comprende 16 tonos (A1-D4) y 3 colores Bleach. Los dientes de muestra hechos de zirconia Prettau® Dispersive®, están diseñados monolíticamente y acabados con el 3D Base Glaze. La teoría de los colores ha demostrado que la forma y la estructura de la superficie de un objeto tienen una influencia considerable en el efecto del color, por lo que los dientes de muestra de las Zirkonzahn Shade Guides se han producido en tres zirconias diferentes de Prettau® Dispersive® y con las formas de incisivos superior e inferior, así como en forma de premolar. One-to-One Function: cuando el material de la guía de colores es idéntico al material de la corona de zirconia, podemos estar seguros que el color de la restauración de zirconia imitará al 100% el color natural del diente del paciente. Para los amantes de la personalización, las guías de colores también están disponibles con dientes de muestra sinterizados y ligeramente reducidos (cut-back minimal) para la caracterización individual con diferentes masas incisales. De esta manera, se pueden conseguir guías

de color verdaderamente únicas que reflejan exactamente las exigencias estéticas individuales.

Para la clínica dental, Zirkonzahn ha desarrollado especialmente la guía de colores Zirkonzahn Shade Guide Prettau® Line, con dientes de muestra monolíticos con las formas de premolar, incisivo superior e inferior, para determinar de manera fácil y precisa el color de los dientes del paciente.

Zirkonzahn www.zirkonzahn.com

VectorTAS, el sistema de anclaje temporal completo de Ormco

VectorTAS ha sido desarrollado por un equipo de ortodoncistas con la idea de que no todos los sistemas de minitornillos son creados de la misma forma. Aunque existen muchos TAD que se comercializan para el anclaje de ortodoncia, VectorTAS es el único sistema completo con toda una selección de minitornillos específicos para ortodoncia, accesorios e instrumentos específicos para TAD diseñados con el fin de hacer que el anclaje temporal sea fácil, automático y eficaz.

 VectorTAS es el único sistema completo que combina protocolos, productos, embalaje y mecánica fáciles de usar para simplificar el tratamiento y mejorar la atención al paciente.

 Un atlas simple, codificado con colores, lo guía para la correcta selección del minitornillo.

 Kit completo de inicio que le ofrece una compra integrada. Minitornillos autorroscantes y autoperforantes para minimizar la necesidad de punzones para tejido o fresas piloto.

Ormco

www.ormco.es

Invisalign® Palatal Expander System de Align, disponible para la expansión esquelética y dental en pacientes en edad de crecimiento

Align Technology ha anunciado la disponibilidad del sistema de expansión palatal Invisalign en las regiones de Europa, Oriente Medio y África (EMEA). Esta innovación marca otro hito significativo en los esfuerzos de Align por mejorar los resultados clínicos y la eficiencia en ortodoncia entre los pacientes en edad de crecimiento.

El sistema de expansores palatinos Invisalign es un moderno e innovador dispositivo impreso directamente en 3D basado en tecnología propia y patentada. Los expansores palatinos Invisalign están pensados para su uso en la expansión rápida y posterior sujeción de maxilares estrechos esqueléticos y/o dentales (maxilar superior) con dentición primaria, mixta o permanente durante el tratamiento de pacientes.

Simon Beard, vicepresidente ejecutivo y director general de Align Technology para Europa, Oriente Medio y África (EMEA), indica que “el sistema Invisalign Palatal Expander es un ejemplo de la dedicación constante de Align a la vanguardia de la ortodoncia digital”. Y destaca que “ofrece una mayor eficiencia para los doctores y mejores experiencias de tratamiento para los pacientes jóvenes. Estamos encantados de poner esta innovadora alternativa impresa en 3D a los expansores palatinos tradicionales a disposición de aún más médicos y sus pacientes en toda la región”. El sistema de expansores palatinos Invisalign consiste en una serie de expansores removibles escalonados en pequeños incrementos (hasta 0,25 mm de movimiento por etapa), sustituidos diariamente o con una frecuencia, prescrita individualmente por el doctor, para expandir el estrecho maxilar de un paciente hasta una posición determinada por su doctor. A continuación, los soportes sirven para estabilizar el paladar en la posición final. Cada dispositivo impreso directamente en 3D se personaliza según la anatomía única del paciente basándose en un escaneado digital intraoral iTero™. A continuación, se desarrolla un plan de tratamiento de expansión palatina y el diseño del dispositivo mediante el software de ortodoncia patentado de Align.

Con los aligners Invisalign First™ y los expansores palatinos Invisalign, Align Technology puede ofrecer a los doctores una solución completa de tratamiento

de intervención temprana para la Fase 1, un tratamiento de ortodoncia interceptiva temprana para pacientes jóvenes. El tratamiento de Fase 1 se realiza tradicionalmente mediante expansores de arcada o brackets metálicos parciales, antes de que hayan erupcionado todos los dientes permanentes, normalmente entre los 6 y los 10 años. Los aligners transparentes Invisalign First están diseñados específicamente para tratar una amplia gama de maloclusiones de pacientes jóvenes, incluyendo coronas clínicas más cortas, gestión de la dentición en erupción y expansión predecible del arco dental.

Align Technology www.invisalign.com

El tratamiento de una periimplantitis puede durar en torno a unas cuatro horas, sumando varias visitas que son necesarias; lo cual quiere decir que durante ese periodo de tiempo estamos teniendo costes en lugar de ingresos por otro tipo de tratamientos. Es fundamental medir cómo afecta la periimplantitis al beneficio económico de una clínica y tomar medidas para reducir el riesgo de periimplantitis utilizando un sistema de implante y prótesis que cuente con tecnología gapZero que garantice la salud periimplantaria de tus pacientes a largo plazo.

Ticare pone en marcha esta iniciativa para ayudar a las clínicas a reducir el riesgo de periimplantitis. Si quieres conocer cómo, contacta con tu Asesor Comercial Ticare.

Ticare Implants www.ticareimplants.com Ticare ayuda a las clínicas a reducir el riesgo de periimplantitis con gapZero

La periimplantitis es una patología muy extendida que afecta gravemente los resultados de la implantología a largo plazo. Se calcula que uno de cada cuatro pacientes desarrolla esta patología en el transcurso de cinco años, pero ¿conoces el impacto económico que puede tener en tu clínica?

novedades

EXCELENCIA en SALUD BUCODENTAL

Dr. Luis Antonio Aguirre Dr. Alberto Cuevas Millán Dr. Francisco Javier Elizondo Dr. Vicente Farga Monzó Dr. Juan Alberto Fernández
Dr. José Ferreras Dr. Juan Carlos Pérez Varela
Dra. Xiana Pousa
Dr. Javier Romero Requena Dr. Eduardo Sirvent Blanquer

Ofertas Especiales

3.499€*

8.448€*

MAYOR SEGURIDAD MAYOR CAPACIDAD

Su exclusivo sistema de calentamiento de tipo Calor Adaptativo permite alcanzar una temperatura uniforme en todo el interior de la cámara evitando dañar los instrumentos.

Cámara de 18 litros de capacidad con un volumen útil equivalente a un autoclave de 24 litros.

Cámara de cobre para una mayor eficacia térmica. Posee una conductividad térmica superior al 25% frente a las cámaras de acero.

Ergonómico: el sistema de bandejas especiales permite introducir un mayor número de piezas.

Rápido y seguro: su cámara de cobre ofrece una alta conductividad térmica en todo el tanque y por lo tanto los ciclos son más rápidos con un menor consumo energético.

Silencioso: ciclos de esterilización rápidos y silenciosos para tu clínica.

MODELO iClave plus REF. Y1003077
* Los precios no incluyen
IVA •
Ofertas limitadas hasta el 31 de agosto de 202 5
iClave plus
AUTOCLAVE DE CLASE B CON TECNOLOGÍA DE VANGUARDIA

Turn static files into dynamic content formats.

Create a flipbook
Issuu converts static files into: digital portfolios, online yearbooks, online catalogs, digital photo albums and more. Sign up and create your flipbook.