El Dentista Moderno Nº 93

Page 1


@dentistamoderno @eldentistamoderno

@eldentistamoderno @eldentistamoderno

Siguiendo la evolución de la Odontología para el profesional del sector llamado a construir el futuro

ENTREVISTAS

• VIII Congreso Internacional SCOI

• SEdO Murcia 2025

CIRUGÍA PERIAPICAL

II ENCUENTRO ANUAL MAEX

PERIODONCIA E IMPLANTES

D4.0 PENSANDO EN EL FUTURO IA en farmacología

ESTUDIO

La salud bucodental en la era digital

TRATAMIENTO NO INVASIVO CON VENEERS ULTRA FINAS DE ZIRCONIA

0,15 mm

TU ELECCIÓN EN CASOS DE BAJA DENSIDAD ÓSEA

Descubre toda la gama

staff

Número 93 - Abril 2025

www.eldentistamoderno.com

D4.0

Siguiendo

Impresión: Gama Color

Depósito Legal: M-33444-2013

ISSN: 2340-9703

ISSN (internet): 2340-9797

Versys Ediciones Técnicas S.L. Invierno, 17 28850 Torrejón de Ardoz (+34) 912 972 000 administracion@versysediciones.com

CEO

José Manuel Marcos Franco de Sarabia

DIRECTORA DE OPERACIONES

Esther Crespo

DIRECTOR DE EXPANSIÓN Y DESARROLLO

José Manuel Marcos de Juanes

la evolución de la odontología

DIRECTORA

Emiliana Rodríguez Charmes emi.rodriguez@eldentistamoderno.com

SUBDIRECTORA

Beatriz Suárez de la Vega beatriz.suarez@eldentistamoderno.com

REDACCIÓN Y FOTOGRAFÍA Departamentos propios Versys Ediciones Técnicas

COMITÉ CIENTÍFICO

Javier de la Cruz, José Nart, Jesús Daniel Parejo, Juan López Palafox, Miguel Burgueño, Juan Manuel Vadillo, Guillermo Galván, Rafael Martínez de Fuentes, Anna Ramiro, Carlos Repullo, Leticia Rodríguez, Marta Revilla, José María Malfaz, Eva Mª Martínez y Eva López de Castro

DISEÑO Y MAQUETACIÓN Manuel Beviá

DIRECTORA COMERCIAL ÁREA DE DISTRIBUCIÓN Mercedes Álvarez mercedes.alvarez@versysediciones.com

DIRECTORA DE CUENTAS DM

Emiliana Rodríguez Charmes emi.rodriguez@eldentistamoderno.com

EJECUTIVA DE CUENTAS DM

Cristina Esquivel cristina.esquivel@eldentistamoderno.com

Copyrigth Versys Ediciones Técnicas S.L. La suscripción a esta publicación autoriza el uso exclusivo y personal de la misma por parte del suscriptor. Cualquier otra reproducción, distribución, comunicación pública o transformación de esta publicación sólo puede ser realizada con la autorización de sus titulares. En particular, la Editorial, a los efectos previstos en el art. 32.1 párrafo 2 del vigente TRLPI, se opone expresamente a que cualquier fragmento de esta obra sea utilizado para la realización de resúmenes de prensa, salvo que cuente con la autorización específica. Diríjase a CEDRO (Centro Español de Derechos Reprográficos) si necesita fotocopiar, escanear, distribuir o poner a disposición de otros usuarios algún fragmento de esta obra, o si quiere utilizarla para elaborar resúmenes de prensa (www.conlicencia.com; 917021970/932720447)

Las opiniones y conceptos vertidos en los artículos firmados lo son exclusivamente de sus autores, sin que la revista los comparta necesariamente.

Premio de Comunicación SECIB 2019

Accede a El Dentista Moderno

sumario

6

EDITORIAL

Aranceles, regulación y reconocimiento: desafíos para la profesión dental

Por Emi Rodríguez Charmes, directora de Dentista Moderno y D4.0

8

20

26

CIRUGÍA PERIAPICAL

Navegación quirúrgica en cirugía periapical

Autores: Dr. Antonio Bowen Antolín, Dr. Alberto Bowen Varela, Dr. Francisco Segura González y Dra. Carolina Viola Ochoa

REPORTAJE

II Encuentro Anual MAEX

Experiencia, rigor clínico e innovación para alcanzar la excelencia dental

ENTREVISTA

“El VIII Congreso Internacional SCOI será una ocasión única para fortalecer lazos profesionales, generar colaboraciones y estar al día con las últimas tendencias del sector”

Dres. Jordi Gargallo y Nuria Noguerón Dorca, presidente y tesorera del Comité Organizador del VIII Congreso Internacional SCOI

“Por primera vez en la SEdO vamos a tratar en el curso precongreso el tema de la relación entre ortodoncia y medicina estética”

Dr. Raúl Ferrando Cascales, presidente del Comité Organizador de SEdO Murcia 2025

34

60

PERIODONCIA E IMPLANTES

Restauración con implantes en sector anterior del paciente con periodontitis estadio IV

Autores: Sergio García-Bellosta, Marià Santamaría y Ana Echevarría

ACTUALIDAD DEL SECTOR DENTAL

76 NOVEDADES

50 PENSANDO EN EL FUTURO

54

Inteligencia Artificial en farmacología: ¿en qué va a variar la investigación y desarrollo de los medicamentos que utilizas en Odontología?

Por: Dr. Rafael Areses

ESTUDIO

La salud bucodental en la era digital D4.0

PUBLIRREPORTAJES KAVO 16 DENTAID 32

ARANCELES, REGULACIÓN Y RECONOCIMIENTO: DESAFÍOS PARA LA PROFESIÓN DENTAL

Vivimos tiempos convulsos. La reciente decisión del presidente de Estados Unidos, Donald Trump, de imponer aranceles del 20% a productos procedentes de la Unión Europea —incluidos los de la industria tecnológica sanitaria, aunque no los farmacéuticos— es solo el último síntoma de una realidad global cada vez más inestable.

En este nuevo escenario, sectores clave como el sanitario se ven directamente amenazados por decisiones que no tienen en cuenta ni la salud pública ni la equidad en el acceso a la innovación médica.

Desde la Federación Española de Empresas de Tecnología Sanitaria (Fenin) se ha manifestado con claridad que la tecnología sanitaria permite el diagnóstico, cuidado, calidad de vida y supervivencia de los pacientes. Es un pilar esencial del sistema sanitario y los productos que fabrica permiten diagnosticar, cuidar y salvar vidas. Imponer aranceles a la tecnología sanitaria es condenar a muchos pacientes a una atención más limitada, más cara y, en el peor de los casos, menos efectiva.

España parte de una posición especialmente delicada. Nuestra balanza comercial en este sector es negativa —con un déficit de 1.700 millones de euros— y dependemos enormemente de las importaciones de tecnología para clínicas, hospitales y centros especializados. Medidas como la anunciada en Washington solo agravan una situación ya frágil, dificultando aún más el acceso a materiales de vanguardia, esenciales también para la práctica odontológica moderna.

Respecto al reconocimiento de la profesión dental, el Consejo General de Dentistas se ha sumado a las movilizaciones contra el nuevo Estatuto Marco del Personal Estatutario del Sistema Nacional de Salud, con la reivindicación de exigir un reconocimiento profesional justo, acorde a nuestra formación universitaria avanzada y a la enorme responsabilidad clínica que los profesionales dentales asumen cada día.

La defensa de una sanidad sólida, bien equipada, con profesionales formados y reconocidos, y con acceso a las mejores herramientas tecnológicas disponibles es una reivindicación justa y necesaria. Las decisiones políticas y comerciales no pueden seguir tomándose sin valorar el impacto real que tienen sobre los pacientes, sobre las clínicas y sobre la calidad de vida de toda una población.

En esta encrucijada internacional, Europa —y España con ella— tiene una oportunidad histórica para redefinir su modelo sanitario: menos burocracia, más inversión en innovación y un verdadero reconocimiento a quienes cada día sostienen el sistema desde la consulta en la clínica, el laboratorio... La tecnología y el talento deben ser las grandes apuestas.

Porque no hay futuro sin salud, y la salud oral es una parte esencial de la salud integral.

Emi Rodríguez
Directora de Dentista Moderno y D4.0

- CON NEMOCAST MEJORAMOS LA EFICIENCIA, PRECISIÓN Y EFICACIA EN LA PLANIFICACIÓN DE TRATAMIENTOS.

- VISUALIZACION Y CONTROL DE MOVIMIENTOS EN CADA ETAPA.

- COMPATIBLE CON TODAS LAS MARCAS DE ESCANER INTRAORAL O IMPRESIONES EN SILICONA.

- SEGMENTACIÓN REAL DE RAICES CBCT.

- PLANES DE TRATAMIENTO PREPARADOS POR ORTODONCISTAS.

- SMILERS® PARA ODONTÓLOGOS GENERALISTAS.

- SMILERS EXPERT® PARA ORTODONCISTAS

NAVEGACIÓN QUIRÚRGICA EN CIRUGÍA PERIAPICAL

El propósito de este artículo es presentar un caso clínico en el que la aplicación de las técnicas de navegación quirúrgica dinámica junto con los conceptos de “endodoncia quirúrgica moderna” y la utilización del láser de Er:Yag facilitan la realización de estos tratamientos y ofrecen unos resultados óptimos.

Contacto:

Dr. A. Bowen

Clinica Bowen. Madrid bowen@clinicabowen.com

Antonio Bowen Antolín

Médico Odontólogo. UCM

Doctor en Medicina y Cirugía . UCM

Postgraduate Oral Implantology. UCLA

Fellow European Board Oral Surgery. EFOSS

Director Master Implantología y Periodoncia. U. Isabel I

Alberto Bowen Varela

Alumno 5º Odontología. UEM

Francisco Segura González

Licenciado en Odontología. UCM

Master en Ortodoncia. UAX

Carolina Viola Ochoa

Licenciado en Odontología. UEM

Doctora en Odontología. UEM

Master en Endodoncia. U. Mississippi

Introducción

La apicectomía es una técnica quirúrgica desarrollada a finales del siglo XIX y en los principios del siglo XX con la intención de eliminar las porciones necróticas o infecciosas de los ápices dentarios y los tejidos periapicales enfermos. Los trabajos de Parstch (1) y de Neumann (2) fueron las primeras aproximaciones, que se mantuvieron sin demasiadas variaciones hasta finales del siglo XX. El éxito de estos tratamientos hasta el año 2021 fue aproximadamente del 69% y con importantes sesgos según la ubicación del diente, pero cuando se consideran solamente los estudios realizados a partir del año 2020 el éxito aumenta hasta un 76 - 95% (3). Las causas de ello pueden deberse a la aparición de la llamada “técnica moderna de endodoncia quirúrgica” que incluye la resección del ápice con mínima angulación, la preparación de la cavidad retrógrada con puntas de ultrasonidos y la utilización de nuevos materiales para el relleno de la cavidad (3).

Los principales factores quirúrgicos que influyen en el éxito de estos tratamientos están centrados en el uso de magnificación e iluminación (4), el tamaño de la osteotomía (5), el tipo de preparación de la cavidad retrógrada y el material de relleno (6) y la utilización de técnicas regenerativas para el relleno de la cavidad apical (7).

También la experiencia y formación del cirujano tienen un papel relevante en los resultados de la técnica (8).

La precisión de la técnica quirúrgica es, por lo tanto, un factor determinante en el resultado de la cirugía periapical. La ubicación del diente a tratar, la relación con estructuras anatómicas circundantes, el acceso a la lesión, el tamaño de la misma y la regeneración de los tejidos lesionados hace que sea necesaria una mayor precisión para conseguir los objetivos propuestos.

En los últimos años la utilización de técnicas de cirugía guiada tanto con guías estáticas cómo con técnicas de cirugía guiada dinámica han mejorado los resultados ya que facilitan el accesoa áreas con compromisos anatómicos, la localización precisa del ápice y la realización de una menos osteotomía de la porción vestibular, que es uno de los factores clave para el éxito de estos tratamientos. El propósito de este artículo es presentar un caso clínico en el que la aplicación de las técnicas de navegación quirúrgica dinámica junto con los conceptos de “endodoncia quirúrgica moderna” y la utilización del láser de Er:Yag facilitan la realización de estos tratamientos y ofrecen unos resultados óptimos.

Caso clínico

Se trata de un varón de 55 años, sin antecedentes médicos de interés, que acude a consulta por presentar una fístula con supuración a nivel de vestíbulo de diente 21 de más de 15 días de evolución. El paciente había sido tratado hace aproximadamente 15 años para la realización de endodoncia del diente 21 y posterior apicectomía.

El tratamiento inicial consistió en la administración de antibiótico amoxicilina-ác.clavulánico 875/125 durante una semana hasta que se consiguió el cierre del absceso y el fin de la supuración

El tratamiento quirúrgico consistió en la realización de técnica microquirúrgica con cirugía guiada dinámica (navegación quirúrgica) con el sistema Navident y magnificación con microscopio quirúrgico para la apicectomía del diente 21, con legrado de la cavidad quística, descontaminación con láser Er:Yag, resección apical, obturación retrógrada con cemento MTA, relleno de la cavidad con fosfato tricálcico (BTCP) y la inserción de una membrana de a-PRF para el cierre completo de la ventana de la corticotomía.

Preplanificación quirúrgica

Se aplicó el protocolo de Navident para la planificación quirúrgica de Implantología. Para ello se importó en el software de la aplicación el CBCT del paciente y el archivo stl del modelo maxilar. Tras localizar el área del ápice del diente 21, se procedió a diseñar la imagen de un implante adaptado al tamaño y morfología del área a resecar y se acopló en el punto adecuado, formando un ángulo respecto al eje del diente entre 0º y 10º (9), con una longitud de 3 mm respecto al ápice (9). Para la intervención, se acopló el trazador maxilar de casco y se realizó el trazado de los dientes superiores para ubicar la relación maxilar con la cámara del equipo.

Se identificó la pieza de mano, se ajustó la inclinación del eje y se calibró la longitud y diámetro de la trefina, previos a la intervención quirúrgica.

Descripción de la técnica quirúrgica

Tras anestesia infiltrativa de ramas anteriores de nervio maxilar superior y de paquete nasopalatino con articaína – adrenalina, para el acceso a la cavidad quística se realizó una incisión tipo Parstch de 8 mm apical al diente 21, a la altura de la línea mucogingival.

Tras la disección del colgajo muco-perióstico a espesor completo se usó una trefina calibrada de 5 mm para seccionar los 3 mm apicales del ápice.

La dirección de inserción de la trefina fue dirigida mediante el sistema Navident, llegando hasta la pared palatina de la lesión.

Se procedió a la resección del tejido inflamatorio y del ápice dentario y al legrado completo de la cavidad, y a la eliminación de los restos epiteliales y desinfección de la cavidad con láser Er:Yag a 350mJ/10Hz. Se realizó hemostasia de la rama intraósea de la arteria nasopalatina con electrocirugía. La cavidad a retro se realizó con ultrasonidos, con la punta adecuada de Piezosurgery©, con el inserto EN3 y se rellenó con MTA.

La regeneración ósea de la cavidad se realizó con BTCP, usando como barrera una membrana de colágeno nativo y protegiendo la misma con un coágulo de a-PRF. Finalmente se suturó con sutura monofilamento de PTFe de 6/0.

Evolución

El tratamiento post operatorio consistió en antibiótico (amoxicilina-clavulánico 500 /125) durante una semana y antiinflamatorio (dexketoprofeno 25 mg) y analgésico (paracetamol 1 g)

El cuadro evolucionó correctamente, retirando la sutura a los 15 días.

El control clínico y radiológico tras 1 año de evolución es correcto sin sintomatología, observándose radiológicamente la regeneración de los tejidos y la correcta evolución del caso.

caso clínicoCIRUGÍA

CBCT prequirúrgico.

Exposición del área quirúrgica.

Aspecto preoperatorio.

de la trefina.

Planificación con software Navident 4.0, con inserción de imoplante adaptado al área de la lesión. Incisión Parstch línea mucogingival.
Aplicación
Aplicación Laser Er:Yag.
Electrocoagulación vasos nasopalatinos.
Fresado inicial. Imagen de navegación en tiempo real.
Fresado final. Trefina en pared palatina de la lesión.

caso clínicoCIRUGÍA PERIAPICAL

Preparación cavidad retrógrada con piezocirugía.
Membrana de a-PRF.
Sutura PTFe 5/0.
CBCT final.
Obturación con MTA.
Relleno cavidad con BTCP en gel.

Discusión

Incisión y tamaño de la corticotomía

La incisión para acceder al ápice debe permitir un buen acceso a la lesión, así como facilitar la cicatrización posterior. En este sentido, las incisiones sobre encía queratinizada son las que tienen una mejor evolución, si bien las intrasulculares tienen el riesgo de producir una retracción marginal de la encía con las consiguientes alteraciones estéticas (10).

Por ello, las incisiones en el área mucogingival pueden estar indicadas en zonas con compromiso estético (11).

La osteotomía de la pared vestibular juega un importante papel, ya que está documentado que lesiones con diámetros entre 5-8 mm evolucionan correctamente (12), e incluso aquellas mayores (hasta 10-20 mm) pueden tener una cicatrización favorable, si bien el tiempo de cicatrización puede extenderse hasta más de 16 meses, en comparación con las de 2-6 mm (6 meses) o las de 6-10 mm (9 meses) (13), lo que indica la importancia de una osteotomía de la pared vestibular lo más limitada y ajustada para conseguir buen acceso y buena recuperación de los tejidos.

Resección apical

La resección del ápice debe extenderse por lo menos 3 mm desde la punta del mismo con el fin de eliminar todos los canales apicales laterales y eliminar los restos contaminados del mismo, si bien deberá individualizarse en función del caso.

El ángulo de la resección radicular debe hacerse lo más horizontal posible, (entre 0º-10º) con respecto al eje del diente con el fin de mantener lo más integra posible la estructura radicular y evitar fracturas (9).

Curetaje apical y descontaminación de tejidos

La eliminación de los tejidos inflamatorios es fundamental, debiendo retirar todos los tejidos blandos y restos epiteliales, así como descontaminar la cavidad tras la retirada de los mismos.

Las técnicas de magnificación y la microinstrumentación, facilitan estos procedimientos, paro no es posible asegurar la completa descontaminación de la cavidad, por lo que la aplicación de láser es fundamental para alcanzarla (14).

En este sentido, el láser Er:Yag juega un importante papel, ya que une la capacidad de cortar tejido óseo, tejidos blandos y descontaminar el área irradiada, de manera que su uso permite una sustancial mejora en los resultados de estas intervenciones (15,16,14).

Retropreparación

La preparación de las paredes internas del conducto radicular es similar a la de una cavidad de clase I, con paredes paralelas. El uso de ultrasonidos es de elección ya que evita la aparición de cracks en la dentina. Para ello, es importante seleccionar la punta específica y orientarla en sentido paralelo a las paredes (17).

Obturación del ápice con MTA

El MTA Se compone de silicato tricálcico, aluminato tricálcico, óxidos de silicio y óxido tricálcico, entre otros. Por sus características, muestra un buen comportamiento en cuanto a impermeabilización y biocompatibilidad y produce una menor inflamación de los tejidos circundantes. Otro efecto importante es la formación de una capa de hidroxiapatita en la superficie del MTA, lo que ha llevado a definir la “biomineralización”, que permite hablar de un sellado biológico entre dentina y MTA (18).

Regeneración con fosfato tricálcico (BTCP)

En 1969 Boyne et al. (19) demostraron cómo las dehiscencias de la pared vestibular mayores de 12mm tienden a la herniación de los tejidos, introduciendo tejido fibroso en la cavidad, si bien defectos de menor tamaño también tienden a invaginarse e invadir de tejido blando las cavidades

En este sentido, las técnicas de Regeneración ósea permiten de una manera sencilla favorecer la regeneración de los tejidos, para mantener la integridad de la pared ósea y mejorar el pronóstico de la intervención (13).

En este caso, la regeneración de tejidos en un espacio contenido dentro de marco óseo se puede realizar de manera sencilla con un gel de BTCP y una membrana de colágeno nativo (20). La adición de una membrana de a-PRF facilitará la cicatrización de los tejidos blandos (21).

Navegación quirúrgica (DNS) aplicada a la cirugía periapical

Sin duda alguna, la técnica de DNS aporta a la cirugía periapical una precisión muy superior a cualquier otra técnica empleada hasta el momento actual. La técnica no excluye la necesidad de realizar incisión y despegamiento mucoperióstico completos, pero permite acceder a la lesión de una manera precisa y exacta, llegando hasta la base de la lesión y realizando una osteotomía de la pared vestibular ajustada al tamaño de la lesión con un traumatismo mínimo, que redunda en una mejor cicatrización ósea.

caso clínicoCIRUGÍA

En nuestro caso, y a diferencia de otros autores (22, 23), realizamos la osteotomía y amputación apical en el mismo acto, extrayendo un cilindro que contiene la cortical ósea y el ápice. La principal ventaja de esta técnica es la rapidez de la misma y, al obtener en un solo cilindro toda la lesión, evitamos la difusión en continuidad de posibles restos contaminados.

La planificación del caso es fundamental, ya que es indispensable calibrar el navegador y seleccionar y ubicar el área de la intervención de manera exacta previamente. Además, esto redunda en el resultado de la intervención, ya que evita errores durante la ejecución de la misma

La navegación quirúrgica permite ver la evolución en tiempo real de la intervención, pudiendo corregir errores o variar algún parámetro durante el acto quirúrgico. Esto puede permitir incluso definir varias trayectorias de perforación en el caso de lesiones más extensas. Una de las complicaciones más frecuentes durante el legrado de la cavidad es la perforación de la cortical lingual/palatina, que complica la cicatrización posterior. Con la DNS se respeta la extensión de la osteotomía, al ver ésta en tiempo real y saltar la alarma del sistema cuando se acerca a la pared opuesta.

Hay múltiples sistemas de Navegación Quirúrgica disponibles en el mercado, pero en nuestra experiencia trabajamos con Navident Evo 4.0©, por su simplicidad de uso, versatilidad, fácil manejo de software, rapidez de configuración, exactitud del trazado y coste razonable. Por otra parte, la combinación de fotogrametría para la ubicación de referencias y la tecnología de vídeo en movimiento, con cabeza buscadora, hace que

estas intervenciones, habitualmente realizadas bajo anestesia local y con movimiento del paciente, tengan una duración inferior a la habitual.

En contra de este sistema, se puede notar el coste del equipamiento y la curva de aprendizaje de la técnica. En cuanto a lo último, la curva es muy corta, en especial para aquellos cirujanos acostumbrados a trabajar con aplicaciones de planificación o con experiencia en cirugía endoscópica. En cuanto al coste del sistema, es fácilmente amortizable, dado el ahorro de tiempo y la absoluta precisión que se consigue.

Finalmente y desde el punto de vista del paciente, es percibido como una técnica diferenciadora y de muy alta calidad. Y en cuanto a la eficacia del mismo, es la más alta precisión que actualmente existe en el mercado (22,23).

Conclusiones

Este caso demuestra cómo es posible utilizar de una manera sencilla la técnica de DNS aplicada a la cirugía periapical. Se trata de una técnica mínimamente invasiva, con una duración de procedimiento sensiblemente inferior a los tradicionales y con una precisión mucho mayor. La evolución postoperatoria es mucho más favorable que con técnicas anteriores y la sencillez del procedimiento hace que sea de elección para la cirugía periapical.

Las ventajas de esta técnica se pueden resumir en:

- Precisión.

- Mínimamente invasiva.

- Mayor velocidad de ejecución.

- Sencillez de planificación. 

Bibliografía

1. Partsch C. Über Wurzelspitzenresection. Deutsche Monatszeitschrift für Zahnheilkunde. 1898;16:80-86.

2. Neumann R. Atlas der radikal-chirurgischen Behandlungen der Paradentosen, Vol. 14. Berlin: Hermann Meusser; 1926.

3. Ng YL, Gulabivala K. Factors that influence the outcomes of surgical endodontic treatment. Int Endod J. 2023;56:116-139.

4. Tsesis I, Rosen E, Taschieri S, Telishevsky Strauss Y, Ceresoli V, Del Fabbro M. Outcomes of surgical endodontic treatment performed by a modern technique: an updated meta-analysis of the literature. J Endod. 2013;39:332-339.

5. Mehta D, Gulabivala K, Ng YL. A systematic review and prospective study investigating the clinical outcomes and prognostic factors of root-end surgery in teeth with persistent periapical disease following non-surgical root canal treatment. London: University College London; 2014.

6. Villa-Machado PA, Botero-Ramírez X, Tobón-Arroyave SI. Retrospective follow-up assessment of prognostic variables associated with the outcome of periradicular surgery. Int Endod J. 2013;46:1063-1076.

7. Deng Y, Zhu X, Yang J, Jiang H, Yan P. The effect of regeneration techniques on periapical surgery with different protocols for different lesion types: a meta-analysis. J Oral Maxillofac Surg. 2016;74:239-246.

8. Ericsson KA, Hoffman RR, Kozbelt A, Williams AM. The Cambridge handbook of expertise and expert performance. Cambridge: Cambridge University Press; 2018.

9. Kim S, Kratchman S. Modern endodontic surgery concepts and practice: a review. J Endod. 2006;32:601-623.

10. Velvart P, Peters CI, Peters OA. Soft tissue management: flap design, incision, tissue elevation, and tissue retraction. Endod Topics. 2005;11:78-97.

11. Brock DO. Minor oral surgery in general practice. VII-Apicoectomy. Br Dent J. 1961;110:216-218.

12. Boyne PJ. Restoration of osseous defects in maxillofacial casualities. J Am Dent Assoc. 1969;78:767-776.

13. Çalıskan MK, Tekin U, Kaval ME, Solmaz MC. The outcome of apical microsurgery using MTA as the root-end filling material: 2-to 6-year follow-up study. Int Endod J. 2016;49:245-254.

14. Gómez-Carrillo V, Díaz JG, Lozano LM, Ballesta JJG, Bustamante AC, Cruz JAR, et al. Apicectomía quirúrgica: propuesta de un protocolo basado en la evidencia. Rev Esp Cir Oral Maxilofac. 2011;33(2):61-66.

15. Leo Berrocal MI. Efectos del laser Er: Yag en Cirugía Periapical [tesis doctoral]. Madrid: Universidad Complutense de Madrid; 2004.

16. Çalıskan MK, Parlar NK, Oruçoglu H, Aydın B. Apical microleakage of root-end cavities prepared by Er, Cr: YSGG laser. Lasers Med Sci. 2010;25:145-150.

17. Beling KL, Marshall JG, Morgan LA, Baumgartner JC. Evaluation for cracks associated with ultrasonic root-end preparation of gutta-percha filled canals. J Endod. 1997;23:323-326.

18. Bird DC, Komabayashi T, Guo L, Opperman LA, Spears R. In vitro evaluation of dentinal tubule penetration and biomineralization ability of a new root-end filling material. J Endod. 2012;38:1093-1096.

19. Boyne PJ. Restoration of osseous defects in maxillofacial casualities. J Am Dent Assoc. 1969;78:767-776.

20. Putri TS, Hayashi K, Ishikawa K. Bone regeneration using β-tricalcium phosphate (β-TCP) block with interconnected pores made by setting reaction of β-TCP granules. J Biomed Mater Res A. 2020;108(3):625-632.

21. Miron RJ, Zucchelli G, Pikos MA, Salama M, Lee S, Guillemette V, et al. Use of platelet-rich fibrin in regenerative dentistry: a systematic review. Clin Oral Investig. 2017;21:1913-1927.

22. Han B, Wang Y, Zheng C, Peng L, Sun Y, Wang Z, et al. Evaluation of a dynamic navigation system for endodontic microsurgery: study protocol for a randomised controlled trial. BMJ Open. 2022;12(12):e064901.

23. Castilloa GA, Restrepo-Méndezb SA, Zuluagac OE, Escobar-Villegasd PA. Endodontic Microsurgery of a Mandibular Molar Using a Dynamic Navigation System (DNS) and Cortical Window Technique: Case Report. 2024.

Dental Putty Novabone Morsels

Estimula la regeneración ósea

Antibacteriano

Bioactivo

Hidrofílico

Radiopaco

Aplicación excepcional ¡Descubre la nueva Colección de Casos Clínicos NovaBone!

Dr. Emilio Rodríguez
¡Ver Protocolo Elevación de seno!

KAVO PRESENTA LA NUEVA GENERACIÓN DE PRODUCTOS DENTALES BAJO EL LEMA

“THE ELEMENTS OF EXCELLENCE”

Durante generaciones, ha sido evidente que la excelencia dental se fabrica en Alemania, o más precisamente, se fabrica por KaVo en Biberach. Con su combinación de innovación y productos de alta calidad, fiables y de diseño ergonómico atractivo, KaVo está a la vanguardia de los fabricantes en el mercado dental global.

KaVo Dental en IDS 2025 con más innovaciones que nunca

La Feria Internacional de Odontología (IDS), la feria comercial mundial para la industria dental, se ha llevado a cabo en Colonia del 25 al 29 de marzo de 2025, y KaVo ha vuelto a ser parte de ella este año. Bajo el lema “The Elements of Excellence”, la empresa dental con sede en Biberach ha presentado un verdadero despliegue de nuevos productos que aspiran liderar sus categorías.

La IDS es la feria comercial líder a nivel mundial y el punto de encuentro internacional para todos los profesionales dentales. KaVo Dental se ha presentado, junto con Planmeca, en un stand de más de 500 metros cuadrados en el Hall 1.

The Elements of Excellence

La campaña “The Elements of Excellence”, que KaVo ha lanzado en la feria, representa todo lo que define a la empresa: desde la visión, las personas, la historia, los clientes, la calidad hasta cada componente y, por supuesto, cada producto. Como un caleidoscopio que crea constantemente nuevas e impresionantes imágenes a través de la combinación de colores y formas, KaVo desarrolla continuamente nuevas tecnologías y productos que redefinen y mejoran la odontología. Con estas innovaciones, la empresa subraya una vez más su posición como fabricante premium y su pasión por la calidad, la precisión y la durabilidad.

Innovaciones genuinas de KaVo en IDS 2025

Los desarrollos de KaVo siempre están orientados hacia el progreso, porque la excelencia dental se trata de mejora continua. Justo a tiempo para IDS, KaVo presenta sus últimos “Elementos de la Excelencia”, un verdadero despliegue de nuevos productos dentales.

Sencillamente esencial: la nueva KaVo amiQa

La sucesora de la popular KaVo Primus 1058 destila la esencia misma de KaVo: calidad para máxima fiabilidad, soluciones de higiene ingeniosas, un impresionante concepto ergonómico y un diseño fresco y moderno.

La nueva KaVo amiQa no solo va a conquistar por lo que hay en su interior, sino también por su diseño. Con su estilo ligero, deportivo y sus líneas limpias y contemporáneas, encaja a la perfección incluso en las consultas más pequeñas.

Su sillón esbelto y compacto sigue la línea de diseño de la nueva generación de unidades dentales de KaVo, con esas líneas tan características. Y para darle el toque final a ese look fresco y con personalidad propia, KaVo amiQa se viste con los nuevos colores de la tapicería “Inspired by Nature”, una gama perfectamente alineada con las últimas tendencias en interiorismo, ya sea para su tapizado premium RELAXline con sus costuras de diseño de alta calidad, como para la tapicería clásica de KaVo, con acabado mate y nuevas líneas ergonómicas y de aspecto deportivo.

Además de todo esto, KaVo amiQa ofrece una versatilidad añadida. El elemento del odontólogo cuenta con alojamiento para cuatro instrumentos, diseñado de manera meticulosa, ofrece la configuración ideal para tratamientos preventivos. Y, si buscas mayor versatilidad, las versiones para cinco o incluso seis instrumentos cubren todas las aplicaciones, incluidas la endodoncia y la cirugía.  La pantalla táctil de última generación amiQa cuenta con alta resolución, un uso intuitivo y una respuesta táctil excelente para un acceso rápido y directo a todas las funciones principales. Los tres modelos de mesa compactos para usuarios diestros y zurdos: mesa en TM, mesa en S y Carro, permiten distancias cortas y ergonómicas de alcance. Con un sillón de paciente compacto que ofrece un confort ergonómico excepcional: amplio espacio para las piernas, control de pedal ligero y de fácil posicionamiento y diseño estilizado del respaldo y del reposacabezas para facilitar el acceso al paciente. Con un paquete muy completo y cuidadosamente elaborado, la nueva incorporación a la gama de unidades de dentales de KaVo, KaVo amiQa, es un socio sencillamente extraordinario para la práctica diaria. Sencilla. Precisa. Perfecta.

La obra maestra: la actualización de KaVo ESTETICA E70/E80 Vision

Los modelos ESTETICA E70 y E80 Vision se sitúan en lo más alto de las unidades dentales de KaVo. Ofrecen un confort excepcional, un diseño galardonado y, gracias a sus modelos de sillón flotante, logran el equilibrio perfecto entre un trabajo ergonómicamente saludable y unos flujos de trabajo precisos y eficientes.

La silla suspendida única ahora cuenta no solo con una ergonomía y espacio para las piernas inigualables, sino también con un nuevo elemento de iluminación en el segmento curvado, para ofrecer una luz de ambiente indirecta y premium. La nueva versión de mesa T cuenta con una impresionante pantalla panorámica de 12.3 pulgadas, más del doble del tamaño de la pantalla anterior; y la versión en S, ahora con 3 posiciones de anclaje. La navegación del usuario para el elemento de control ha sido refinada, con nuevos widgets que permiten una personalización inteligente. Y la pantalla táctil optimizada de KaVo cuenta con una operación aún más intuitiva, alta sensibilidad y resolución brillante. Cuenta con el nuevo bloque de agua DVGW y como elemento de diseño opcional, la nueva escupidera “Elegance”. La nueva obra maestra de KaVo es la máxima expresión de unidad dental de calidad. Todo un concepto premium al completo.

Únicamente premium: la actualización KaVo uniQa  ¡Hecha para ser única! Desde su lanzamiento al mercado, la KaVo uniQa ha sido, como ninguna otra unidad dental, un símbolo de singularidad y exclusividad. KaVo ha mejorado esta unidad de éxito premiada, añadiendo nuevas opciones de diseño y confort.

Publirreportaje

El nuevo elemento de iluminación ambiental en el segmento curvo y líneas de aspecto deportivo en la tapicería clásica, le dan al sillón del paciente, que ha sido rediseñado con un aspecto fresco y premium, y proporcionan una experiencia moderna y agradable. La alta calidad de la tapicería de las unidades dentales de KaVo ahora se puede preservar con un elegante protector de reposapiés premium, un pequeño detalle con un gran impacto. La nueva colección de colores de la tapicería “Inspired by Nature” de 14 nuevos colores proporciona un toque extra de personalidad y diseño a las consultas dentales. La amplia gama de equipos técnicos de la KaVo uniQa ha sido un éxito desde su lanzamiento al mercado. Disponible en mesa en T, mesa S o carrito, cada uno de los tres modelos de elementos para dentistas ahora cuenta con la pantalla táctil optimizada de última generación, con una navegación altamente intuitiva, resolución brillante y reactividad precisa y rápida. La nueva mesa S también tiene una característica nueva adicional optimizada: ahora con una tercera posición de anclaje y la pantalla ajustable a la izquierda para zurdos.

La nueva KaVo Lumina: la diferencia salta a la vista  La calidad de la luz juega un papel fundamental en los mejores resultados de tratamiento y en alcanzar un confort real para el paciente. KaVo Lumina, la nueva lámpara de tratamiento de KaVo, ha cambiado los estándares de la iluminación en las consultas dentales; con equipamiento innovador que eleva la tecnología de iluminación completamente a otro nivel, una variedad de características avanzadas que fijan los estándares más altos en términos de experiencia del usuario. La innovadora tecnología de iluminación UX proporciona una visibilidad

optimizada en todos los niveles de tratamiento, incluso en los molares, y sin molestos reflejos en los dientes frontales. Además, facilita la concentración al trabajar gracias a su campo de iluminación optimizado que no molesta en los ojos, con una reproducción cromática precisa, el espectro de luz natural ofrece la calidad «Made by KaVo». Lumina también tiene una característica especial para los pacientes: ayuda a crear un ambiente calmante y agradable antes del tratamiento. El espectro de colores cambiantes del modo innovador SPAlight fue diseñado basándose en hallazgos de la psicología moderna del color y crea un ambiente de calma, armonía y serenidad.

El nuevo KaVo eSCALER: fiable, eficiente, hecho por KaVo Junto con el lanzamiento de las nuevas unidades dentales y la nueva lámpara de tratamiento, KaVo también inicia una nueva era en los ultrasonidos eSCALER. Hecho por KaVo en Alemania, cuenta con una avanzada tecnología de movimiento lineal, Dynamic Performance Technology TM, que garantiza un tratamiento especialmente cuidadoso con la estructura dental; ideal tanto para aplicaciones de profilaxis como de periodoncia. Además, su innovador sistema de iluminación con LEDs en anillo proporciona una visibilidad óptima en la zona de tratamiento.

La regulación de potencia, directamente desde la unidad dental KaVo, permite un control intuitivo y preciso, facilitando el flujo de trabajo. Cuenta con una integración sin complicaciones y es totalmente compatible con las puntas de modelos anteriores. El nuevo KaVo eSCALER combina fiabilidad, tecnología punta y el máximo confort de uso: la solución ideal para clínicas dentales modernas que apuestan por la calidad. 

presenta sus nuevos

En KaVo, desarrollamos constantemente nuevas tecnologías y productos que redefinen y mejoran la odontología. Con estas innovaciones, reafirmamos una vez más nuestro compromiso como marca premium y nuestra pasión por la calidad, la precisión y la durabilidad.

Descubre la nueva unidad dental KaVo amiQa, así como las mejoras y actualizaciones en las unidades premium KaVo ESTETICA E70/E80 y KaVo uniQa. La innovadora lámpara de tratamiento KaVo Lumina y el nuevo KaVo eSCALER, „Made by KaVo“ son el complemento perfecto de su consulta dental.

EXPERIENCIA, RIGOR CLÍNICO E INNOVACIÓN PARA ALCANZAR LA EXCELENCIA DENTAL

El II Encuentro Anual MAEX celebrado recientemente en Málaga ha sido un fiel reflejo de la excelencia dental que define a este proyecto que combina experiencia, rigor clínico e innovación. Unas jornadas que, con la presencia de los directores médicos de MAEX, sus directores de clínica, el equipo directivo de MAEX DENTAL y el comité directivo de DONTE GROUP, han servido para evidenciar la maestría y el talento comprometido con el futuro de la odontología y el bienestar de sus pacientes dentro de este proyecto.

MAEX

Accede al video del encuentro: https://youtu.be/fq7Qq2yfLfs

celebró en Málaga su II Encuentro Anual. Un encuentro en el que la excelencia odontológica fue la protagonista gracias a las valiosas aportaciones de los directores médicos de MAEX: el Dr. Luis Antonio Aguirre (MAEX Bilbao), el Dr. Javier Elizondo (MAEX San Sebastián), el Dr. Juan Alberto Fernández (MAEX Ibiza) y el Dr. José Ferreras (MAEX A Coruña y Ferrol), y del Dr. José Montes, cirujano maxilofacial

de la clínica MAEX Cuevas Queipo de Málaga, quienes compartieron su experiencia sobre cirugía maxilofacial, periodoncia, regeneración ósea y soluciones en atrofias extremas.

La jornada fue inaugurada por Javier Martín Ocaña, CEO de DONTE GROUP, quien informó sobre la situación actual del proyecto MAEX, destacando la incorporación de seis centros en este último año, alcanzando hasta el momento un total de 11 clínicas, tras la reciente incorporación de la Clínica MAEX Bernabéu,

dirigida por el Dr. Borja Bernabéu. Teniendo en cuenta el propósito de excelencia del grupo, Martín Ocaña planteó dos retos: “por un lado, al tratarse de un proyecto de gran tamaño, la escalabilidad es un reto que sólo podemos afrontar desde la transformación y la tecnología; y, por otro lado, la gestión del cambio en todos nuestros centros supone un verdadero desafío para todo el equipo humano”.

De izq. a dcha.: Santiago Atienza, Director de Operaciones de MAEX, Jose María López, Delegado de Operaciones de MAEX; Trinidad Jareño, responsable de Personas y Cultura de MAEX; Guadalupe Fernández, responsable de Marketing de MAEX; y Filipa Nunes, coordinadora médica del área de Ortodoncia de DONTE GROUP.
Javier Martín Ocaña, CEO de DONTE GROUP.
Santiago Atienza, Director de Operaciones de MAEX.
María Quintana, directora de Laboratorio Risum.
Guadalupe Fernández, responsable de Marketing de MAEX.
Dra. Clara Esteban, directora médica de DONTE GROUP.

A continuación, Santiago Atienza, Director de Operaciones de MAEX, fue el encargado de explicar al detalle la visión de MAEX, señalando que ésta se resume en la siguiente misión: “Construyendo juntos la excelencia, inspirando el futuro”. Tras destacar la importancia del equipo humano en MAEX y en cada uno de sus centros, Atienza explicó el camino a seguir para llevar el proyecto al crecimiento y la sostenibilidad, destacando dos metas: “Queremos ser reconocibles, basándonos en la excelencia profesional del personal médico, equipo asistencial y equipo gestor; innovación y tecnología avanzada; y divulgación y formación. También queremos ser impulsores de nuevas generaciones, de nuevos equipos, atraer talento y ser fuente de inspiración, tratando de mantener el legado que nuestros profesionales se han labrado con tanto esfuerzo, dedicación y compromiso. Y todo ello adaptándonos al mercado y estando a la vanguardia de todos los avances tecnológicos, junto con nuestra ambición por ser pioneros en nuevos tratamientos y protocolos”.

Objetivo: seguir creciendo como referente

Sobre el plan de desarrollo para MAEX, Atienza avanzó que “el reto a corto y medio plazo es abordar las restantes principales ciudades del

país”, señalando que actualmente se encuentran analizando oportunidades con doctores de reconocido prestigio.

María Quintana, directora de Laboratorio Risum, intervino a continuación para explicar cómo desarrollan su trabajo en el laboratorio “siempre desde una visión de clínica en la que todos trabajamos para el paciente”, destacando además que “nos esforzamos en mejorar la precisión y calidad con la incorporación de avances tecnológicos; además, todos nuestros técnicos están digitalizados”. Por su parte, Guadalupe Fernández, responsable de Marketing de MAEX, explicó a los asistentes los objetivos de marketing para este 2025. Y a continuación, Jose María López, Delegado de Operaciones de MAEX; Trinidad Jareño, responsable de Personas y Cultura de MAEX; Filipa Nunes, coordinadora médica del área de Ortodoncia de DONTE GROUP; Guadalupe Fernández y Santiago Atienza hablaron sobre la excelencia operativa en MAEX basada en el compromiso, trabajo y dedicación que les ha permitido alcanzar una serie de hitos destacables en 2024 (duplicación del número de centros, adaptación continua de su sistema de gestión corporativo a las necesidades de gestión médica, nuevas incorporaciones de personal médico o cita online, entre otros), según explicaron.

Dr. Luis Aguirre (MAEX Bilbao).

Coloquio científico

La jornada científica comenzó con un coloquio médico, moderado por la Dra. Clara Esteban, directora médica de DONTE GROUP. El primero en intervenir fue el Dr. Luis Aguirre (MAEX Bilbao), quien dedicó su ponencia a las complicaciones biológicas y estéticas en implantología como reto diario para sus consultas a través de tres casos clínicos. “Según la EAO, 1 de cada 5 pacientes experimentará periimplantitis en 5 años tras la colocación de un implante, por lo que tenemos un gran reto en nuestras clínicas”, señaló el Dr. Aguirre, explicando a continuación los dos tipos de tratamientos para la periimplantitis: “El tratamiento no quirúrgico es el paso previo al tratamiento quirúrgico, pero en realidad no es un tratamiento en sí; y el tratamiento quirúrgico que se puede realizar con dos abordajes (resectivo o regenerativo)”. Sin embargo, destacó la impredictibilidad de estos tratamientos, ante posibles complicaciones estéticas como las recesiones, “sombras” o fenestraciones de tejidos blandos. “Y cuando falta hueso: ¿Qué hacemos?” fue el título de la ponencia del Dr. Javier Elizondo (MAEX San Sebastián). En ella, el Dr. Elizondo señaló que las principales áreas de déficit de hueso son el frente anterosuperior, seno maxilar con hueso insuficiente, mandíbula (sector posterior) y maxilar superior con

atrofia severa, y destacó el éxito del tratamiento con implantes cigomáticos en este tipo de casos y en concreto de la técnica Quad Zygoma. Posteriormente, el Dr. Alberto Fernández (MAEX Ibiza) continuó hablando de implantes cigomáticos, planteando a la audiencia el “reto” de rehabilitar a una paciente sin hueso ni tejido queratinizado en 16 semanas con prótesis fija y únicamente en 2 visitas. Durante su ponencia, titulada “Regeneración ósea simultánea a la colocación de implantes cigomáticos. Un recurso incomprensiblemente olvidado”, el Dr. Fernández demostró a los allí presentes la posibilidad de cumplir con su objetivo. Ante la ausencia total de tejidos duros y de tejidos blandos, propuso una regeneración con hueso de cadera y de tibia de la paciente, para luego emplear implantes cigomáticos y todo ello en régimen ambulatorio.

A continuación, el Dr. José Ferreras (MAEX Málaga), con su ponencia “¿Qué hago con este paciente?”, quiso destacar la importancia de “poner al paciente en el centro del tratamiento con el fin de ofrecer la mejor solución; el objetivo final debe ser la satisfacción del paciente, por lo que tenemos que escuchar al paciente antes de plantear cualquier tratamiento”; para ello, recomendó tener en cuenta la percepción tanto del paciente en cuanto a lo que le preocupa y lo que quiere conseguir como

Dr. Jose Ferreras (MAEX A Coruña y Ferrol).
Dr. Javier Elizondo (MAEX San Sebastián).
Dr. Alberto Fernández (MAEX Ibiza).
Dr. José Montes, cirujano maxilofacial de la clínica MAEX Cuevas Queipo de Málaga.

del profesional, señalando que “si la percepción de ambos es coincidente, significa que podemos tratar a ese paciente”. Asimismo, el Dr. Ferreras resaltó que “lo ideal en la mayoría de los casos es realizar un abordaje multidisciplinar” y también que “cuanto más se estudia un caso, más fácil resulta; la planificación 3D en casos de cirugía ortognática nos permite realizar guías de corte para un resultado perfecto”.

El Dr. José Montes (MAEX Málaga) también hizo referencia a la necesaria colaboración entre distintos profesionales ante casos complejos. Durante su ponencia “Con otro enfoque: soluciones totales en atrofias extremas y rescate de tratamientos”, el Dr. Montes habló sobre el abordaje de algunos casos complejos de atrofia ósea a los que se han enfrentado con mallas subperiósticas como, por ejemplo, ante una periimplantitis global supurada.

Premio SER MAEX

En el marco del II Encuentro Anual MAEX también tuvo lugar la entrega del Premio SER MAEX a José Manuel Mendoza, director de la clínica MAEX

Cuevas Queipo (Málaga), en reconocimiento a su compromiso, profesionalidad y a representar lo que significa ser parte de MAEX. A continuación, el Concejal del Área de Recursos Humanos, Calidad y Turismo del Ayuntamiento de Málaga, Jacobo Florido, fue el encargado de clausurar el evento. Además de una jornada científica, el II Encuentro Anual MAEX celebrado en Málaga ha sido “una oportunidad para conectar y reforzar nuestra esencia como marca de maestría y excelencia”, según indican los responsables del proyecto. Con la asistencia de sus directores médicos junto con los directores de clínica, el equipo directivo de MAEX DENTAL y el comité directivo de DONTE GROUP, este encuentro vuelve a reafirmarse como “una ocasión especial en la que disfrutar, fortalecer la colaboración y alinear nuestra visión para seguir creciendo y asentarnos como una marca referente en el sector odontológico premium”, concluyen desde MAEX DENTAL. 

José Manuel Mendoza, director de MAEX Cuevas Queipo (Málaga).
Jacobo Florido, Concejal del Área de Recursos Humanos, Calidad y Turismo del Ayuntamiento de Málaga.

DONTE

GROUP AMPLÍA LA PRESENCIA DE MAEX CON UNA NUEVA CLÍNICA EN SEVILLA

MAEX, la enseña de excelencia dental de DONTE GROUP, continúa extendiendo su presencia en España con la incorporación de una nueva clínica en Sevilla. Con esta apertura, el sello MAEX alcanza las 11 clínicas distribuidas por todo el territorio nacional, consolidando su rápido crecimiento y duplicando su alcance en el último año.

“En DONTE GROUP estamos muy ilusionados y orgullosos de incorporar un nuevo centro a nuestra firma MAEX. Esta nueva incorporación representa nuestra apuesta por la excelencia, con una trayectoria consolidada y un estándar de calidad asistencial alineado con nuestros valores. Esto nos permite ofrecer a nuestros pacientes las mejores prácticas y los tratamientos dentales más avanzados con garantía de éxito”, destaca Javier Martín, CEO de DONTE GROUP.

“Nuestro objetivo es claro: alcanzar al menos 50 centros distribuidos por toda España y acercar nuestra filosofía de excelencia dental a más personas”, añade el directivo.

Esta nueva clínica se suma a las ya operativas en Málaga, Ferrol, A Coruña, Santiago de Compostela, San Sebastián, Bilbao, Ibiza, Alicante, Vigo y Pontevedra, reforzando el compromiso de MAEX con la excelencia en la atención dental y la accesibilidad para sus pacientes en distintas regiones. Al igual que el resto de los centros que componen la marca, MAEX Bernabéu está dirigida por un odontólogo de renombre y prestigio en el sector bucodental, el Dr. Borja Bernabéu. Entre sus especialidades, destacan la cirugía bucal, la implantología y la rehabilitación integral de dientes e implantes.

“Estoy muy ilusionado de comenzar esta nueva etapa y formar parte de la familia MAEX, sinónimo de excelencia y compromiso”, expresa el Dr. Bernabéu. “Contamos con un equipo de profesionales de prestigio y amplia experiencia, lo que nos permite abordar múltiples tratamientos, incluyendo aquellos de mayor complejidad. En la clínica, analizamos cada caso de manera integral y personalizada para ofrecer la mejor solución a cada paciente. Junto al resto de doctores MAEX, estamos convencidos de que podemos contribuir a mejorar la salud bucodental de muchas personas”, añade el director médico de la nueva clínica MAEX.

La clínica MAEX Bernabéu en Sevilla está liderada por el odontólogo Borja Bernabéu, especialista en cirugía bucal, implantología y rehabilitación integral.

Clínica dental de referencia en Sevilla La Clínica MAEX Bernabéu, ubicada en la Avenida de la Borbolla 61, esquina con Felipe II (frente al parque de María Luisa), destaca como un centro de referencia en la ciudad. Moderna, acogedora y equipada con los últimos avances tecnológicos, ofrece tratamientos dentales altamente personalizados mediante técnicas y tecnologías de vanguardia en el sector bucodental. Además, cuenta con estacionamiento cercano y conexiones de transporte público que facilitan el acceso a todos los pacientes. Sus instalaciones han sido diseñadas para proporcionar comodidad y relajación a los pacientes, así como un entorno de trabajo agradable para el equipo. La clínica cuenta con cuatro boxes equipados con tecnología moderna, una sala de espera y una sala privada para pacientes que lo requieran y sus acompañantes. Además, incorpora tecnología avanzada como un escáner 3D para diagnósticos precisos y sistemas de impresión digital y fresado de cerámica instantáneo, permitiendo la creación de coronas y carillas con mayor precisión y rapidez. Una sala de esterilización con sistemas de alta higiene y un estudio fotográfico para documentar casos completan las instalaciones, que se destacan por su calidad y capacidad para ofrecer tratamientos precisos, rápidos y estéticos.

El paciente en el centro

La nueva incorporación de MAEX se distingue por una filosofía de trabajo centrada en el paciente, donde sus dentistas y odontólogos no escatiman en recursos técnicos ni humanos para ofrecer una odontología de máxima calidad, honesta y transparente; lo que se alinea a los valores de la red de clínicas.

“Adoptamos el concepto de Slow Dentistry, que enfatiza el cuidado y cariño en cada tratamiento; somos profesionales de la odontología apasionados por lo que hacemos, empeñados en dignificar nuestra profesión y seguros de que solo es posible si caminamos hacia la excelencia”, explica el Dr. Bernabeu, Director Médico de la clínica. Lo anterior se traduce en excelencia en los tratamientos, en el servicio y en el seguimiento de los pacientes, asegurando su salud bucodental a largo plazo.

“EL VIII CONGRESO INTERNACIONAL SCOI SERÁ UNA OCASIÓN ÚNICA PARA FORTALECER LAZOS

PROFESIONALES, GENERAR COLABORACIONES Y ESTAR AL DÍA CON LAS ÚLTIMAS TENDENCIAS DEL SECTOR”

Dr. Jordi Gargallo, presidente del Comité Organizador del VIII Congreso Internacional SCOI 2025 (30 y 31 de mayo de 2025, Tarragona), y Dra. Nuria Noguerón Dorca, tesorera

Hoy en día, la implantología es parte activa y diaria de las clínicas dentales. Conscientes de las necesidades formativas de los profesionales en esta especialidad, desde el Comité Organizador del VIII Congreso Internacional de la Sociedad Científica de Odontología Implantológica (SCOI) -que se celebrará los días 30 y 31 de mayo en Tarragonahan diseñado un encuentro en el que los asistentes podrán actualizar sus conocimientos en los últimos avances en implantología de la mano de 13 expertos internacionales de renombre mundial, además de hacer networking y establecer nuevas sinergias entre los distintos profesionales, tal y como nos avanzan en esta entrevista, los Dres. Jordi Gargallo y Nuria Noguerón Dorca, presidente y tesorera del Comité Organizador del VIII Congreso Internacional SCOI 2025, respectivamente.

 DM.- ¿Cómo han diseñado el programa del VIII Congreso Internacional SCOI 2025 para ofrecer una experiencia enriquecedora a todos los asistentes?

Dr. Jordi Gargallo y Dra. Nuria Noguerón Dorca (Dres. J.G. y N.N.D.).- Este congreso reunirá durante 2 días y en sala única a 13 ponentes internacionales de primer nivel. Estos ponentes son líderes mundiales y referentes en diferentes temáticas sobre implantes, lo que supondrá una oportunidad única poderlos ver en vivo y en directo en Tarragona. Será una excelente oportunidad para que los profesionales se actualicen en los últimos avances en implantología, hagan networking y puedan presentar sus trabajos científicos en formato póster y comunicación oral. Como novedad, este congreso deja de lado los premios en metálico. Todos los premios para los pósters y comunicaciones serán regalos extraordinarios patrocinados por casas comerciales que apoyan al congreso. ¡Se otorgará más de un premio por categoría! Tenemos confirmados los siguientes premios:

 Bicicleta Urban (Klockner).

 5 implantes Z1 + Kit quirúrgico (TBR).

 Inscripción + alojamiento Simposio Europeo en Varsovia (Megagen).

 Curso de formación continuada en implantes (NobelBiocare).

 Pack luces LED Bilumix 2.0 + lupa 1.5x (Oralsain).

 Kit instrumental básico de cirugía (Oralkits).

 DM.- En este sentido, ¿cuáles serán las principales temáticas que se abordarán durante el evento en materia de implantes, regeneración ósea, cirugía, inteligencia artificial y prótesis?

Dres. J.G. y N.N.D.- Siguiendo el lema del congreso “Innovation and Science in Dental Implantology”, la temática se distribuirá en dos bloques principales: 1) Flujo digital, nuevas tecnologías e inteligencia artificial; y 2) Manejo de tejidos blandos y duros. La incorporación de las nuevas tecnologías ha transformado radicalmente la implantología dental lo que obliga a los profesionales a adaptarse a ese cambio. La digitalización de todos los procesos de clínica y laboratorio, unido a la incorporación

Será una excelente oportunidad para que los profesionales se actualicen en los últimos avances en implantología, hagan networking y puedan presentar sus trabajos científicos en formato póster y comunicación oral ”

de la inteligencia artificial, ha permitido un avance espectacular en la precisión y la rapidez de los procedimientos con implantes, tanto a nivel quirúrgico como prostodóncico, mejorando la calidad, reduciendo las complicaciones y reduciendo enormemente el impacto para los pacientes. Además, los tejidos blandos y el hueso siguen siendo protagonistas principales en implantología, pero los avances científicos y las nuevas tecnologías permiten hoy en día un enfoque mucho más preciso y con mayor evidencia.

 DM.- ¿Por qué han elegido el formato de sala único para este encuentro?

Dres. J.G. y N.N.D.- Es frecuente que en los congresos internacionales haya conferencias simultáneas en dos o tres salas, y esta situación a veces puede resultar agridulce, ya que sientes que te estás perdiendo parte del congreso. Queremos dar la máxima importancia a nuestros ponentes, que hacen un gran esfuerzo para transmitir su experiencia y conocimiento a los oyentes; y no sólo eso, sino también dar a los congresistas un foco único, de manera que puedan aprovechar al máximo el contenido del congreso. En el fondo, nuestra intención es proporcionar una experiencia cómoda, agradable y provechosa.

 DM.- ¿Cómo fomentarán el debate y la participación durante las sesiones?

Dres. J.G. y N.N.D.- Para nosotros es de máxima importancia dar contenido útil, que uno pueda aplicar en la clínica el lunes después del congreso. Y eso sólo se puede conseguir si se resuelven las dudas, muchas de las cuales no se aclaran porque no hay tiempo ni tampoco la oportunidad de llegar a ser formuladas. Nuestra intención es reunir a los conferenciantes tras cada media jornada en una mesa redonda, y animar a nuestros oyentes a provocar debate. Si no hubiera preguntas, que lo dudamos, ya las haremos nosotros, ¡para eso están los moderadores!

 DM.- ¿Qué oportunidades de networking y colaboración ofrecerá el VIII Congreso Internacional SCOI 2025?

Dres. J.G. y N.N.D.- Todo está diseñado para fomentar el networking y la colaboración entre profesionales de implantología y odontología avanzada. Durante el congreso, los asistentes tendrán múltiples oportunidades para conectar con los expertos internacionales, compartir experiencias y establecer nuevas sinergias. Tendremos momentos únicos para compartir con los ponentes durante las

pausas de café y las comidas de trabajo, que van a celebrarse todas en la exposición comercial. Allí tendremos un espacio donde empresas del sector compartirán sus últimas innovaciones, permitiendo el contacto directo con profesionales clave de la industria, los ponentes y los congresistas. Además, los eventos de SCOI son foros de debate donde la objetividad y la ciencia es el pilar fundamental. Todas las sesiones se cerrarán con debates que constituirán oportunidades para intercambiar conocimientos y discutir los últimos avances en implantología con especialistas de renombre.

Sin duda, será una ocasión única para fortalecer lazos profesionales, generar colaboraciones y estar al día con las últimas tendencias del sector.

 DM.- ¿Cuáles serán los expertos internacionales que participarán como ponentes durante el congreso?

Dres. J.G. y N.N.D.- Trece expertos internacionales de renombre mundial participarán en el VIII Congreso Internacional SCOI 2025 en Tarragona y compartirán sus conocimientos y experiencias en el campo de la implantología avanzada:

 Shayan Barootchi (EE.UU.). Profesor de la Universidad de Harvard y de la Universidad de Michigan. Investigador sobre los tejidos blandos peri-implantarios.

 Marius Steigmann (Alemania). Profesor de la Universidad de Michigan. Referente mundial en el manejo de tejidos blandos en implantología.

 Marcus Engelschalk (Alemania). Investigador de la Universidad de Hamburgo. Referente mundial en inteligencia artificial.

 Cristian Dinu (Rumanía). Decano de la Facultad de Medicina y Farmacia. Cirujano oral y maxilofacial. Reconocido por su experiencia en protocolos quirúrgicos avanzados en implantología.

 Tomas Linkevicius (Lituania). Profesor de la Universidad de Vilnius. Reconocido mundialmente por sus aportaciones en implantes inmediatos y el “zero bone los concept”.

 Guhan Dergin (Turquía). Vicedecano y jefe de Departamento de la Universidad de Mármara. Cirujano oral y maxilofacial. Especialista en reconstrucción ósea avanzada en implantología.

 Junying Li (EE.UU./China). Profesor en la Universidad de Michigan, experto en inteligencia artificial y flujo digital en prótesis sobre implantes.

 Simone Marconcini (Italia). Profesor de la Universidad de Pisa. Investigador y docente en regeneración ósea y cirugía mucogingival.

 João Caramês (Portugal). Catedrático y Decano de la Facultad de Odontología de la Universidad de Lisboa. Experto en rehabilitación de arcadas completas con carga inmediata.

 João Paulo Tondela (Portugal). Profesor de la Universidad de Coimbra. Experto e investigados sobre rehabilitación oral con implantes.

 Dirk Neefs (Bélgica). Investigador en salud periodontal y metabolismo óseo aplicado a implantología.

 Eriberto Bressan (Italia). Profesor de la Universidad de Padova. Presidente de la Academia Italiana de Oseointegración.

 David Palombo (Italia). Profesor de la Universidad Complutense de Madrid. Experto en tejidos blandos peri-implantarios.

 DM.- ¿A qué perfil de profesionales se dirige el encuentro?

Dres. J.G. y N.N.D.- Queremos eliminar la idea de que nuestra Sociedad está dirigida exclusivamente a cirujanos. La implantología hoy en día es parte activa y diaria de las clínicas dentales, y se ha simplificado tanto que cualquier dentista general debería invertir tiempo y dinero en formarse bien. Además, técnicas tan predecibles como la cirugía guiada ayudan mucho a tener una buena predictibilidad en los tratamientos protésicos y, por tanto, hay que estar al día en odontología digital. Por tanto, pensamos que el objetivo de este congreso es que aúna conceptos quirúrgicos con conceptos prostodónticos, siendo una opción inmejorable y necesaria para actualizarse. Nuestros pacientes se lo merecen.

 DM.- ¿Cómo animaría a estos profesionales a acudir al VIII Congreso Internacional SCOI 2025? Dres. J.G. y N.N.D.- Hemos diseñado el VIII Congreso Internacional SCOI 2025 pensando en ofrecer una experiencia enriquecedora y accesible. Tarragona, una ciudad con un encanto único y un legado histórico incomparable, será el escenario perfecto para este encuentro. Además, al comenzar un viernes, facilitamos la asistencia sin interferir demasiado en la agenda laboral. Contaremos con ponentes de prestigio internacional, expertos en su campo y con un gran talento para la comunicación, que garantizarán conferencias inspiradoras y de alto nivel. Sin duda, una oportunidad única para actualizar conocimientos, establecer conexiones valiosas y disfrutar de un entorno excepcional. ¡Nos vemos en Tarragona!

Queremos dar la máxima importancia a nuestros ponentes, que hacen un gran esfuerzo para transmitir su experiencia

y conocimiento a los oyentes, y también

los congresistas un foco único,

dar
de manera

que puedan aprovechar al máximo

el contenido del congreso ”

 DM.- Como presidente de la Sociedad Científica de Odontología Implantológica (SCOI), ¿qué iniciativas ha llevado a cabo desde su nombramiento? ¿Qué objetivos le quedan por cumplir al frente de la Sociedad?

Dr. J.G.- En primer lugar, cuando esta junta directiva cogió la Sociedad en noviembre de 2022, tuvimos un periodo de reflexión, de ordenar las ideas y las bases de la Sociedad, donde se plantearon los objetivos y las perspectivas de futuro. Una vez pasado este periodo inicial, tuvimos claro que el objetivo principal de la actual junta directiva es posicionar a esta Sociedad en el lugar que se merece, haciéndose un hueco entre las sociedades más potentes ya establecidas, caracterizándose por su rigor científico y su seriedad. Dentro del contexto actual de saturación de actividades formativas, reuniones científicas y eventos comerciales, la SCOI tiene el objetivo de proporcionar una opción de formación y actualización científica diferente, objetiva, imparcial y sin sesgos, donde el debate y la evidencia científica adquieran un valor fundamental. En este contexto, hemos organizado con éxito diferentes eventos durante los años 2023 y 2024, en Granada, Madrid y Gerona, y hemos creado alianzas de colaboración con otras sociedades científicas nacionales e internacionales. Pero SCOI no ha celebrado ningún congreso desde el año 2022, lo que hace que tengamos depositada toda la ilusión y energía en este VIII Congreso Internacional que SCOI va a celebrar en Tarragona los días 30 y 31 de mayo de este año 2025. Este congreso marcará un antes y un después de la etapa actual que está viviendo SCOI, para comenzar a andar hacia el segundo objetivo marcado que no es más que revitalizar la ilusión de todos sus socios y seguidores. 

Consulta el Programa SCOI 2025 escaneando el QR

“POR PRIMERA VEZ EN LA SEDO VAMOS A TRATAR EN EL CURSO

PRECONGRESO EL TEMA DE LA RELACIÓN ENTRE ORTODONCIA Y MEDICINA ESTÉTICA”

Dr. Raúl Ferrando Cascales, presidente del Comité Organizador de SEdO Murcia 2025 (11-14 junio, Murcia)

La Sociedad Española de Ortodoncia y Ortopedia Dentofacial (SEdO) celebrará su 71 Congreso Anual entre los días 11 y 14 de junio de 2025 en la ciudad de Murcia. El Dr. Raúl Ferrando Cascales, presidente del Comité Organizador de SEdO Murcia 2025, nos detalla a lo largo de esta entrevista cómo este encuentro, con la ortodoncia quirúrgica como eje principal, reunirá a ponentes nacionales e internacionales para ayudar a los asistentes a descubrir los últimos avances y novedades en distintos campos de interés y ampliar así sus objetivos de tratamiento.

 DM.- ¿Qué novedades presentará el programa de este encuentro?

Dr. Raúl Ferrando Cascales (Dr. R.F.C.).- Tenemos varias novedades. La primera es el cambio de formato, introduciendo el miércoles día 11 de junio dos talleres que impartirán los doctores Jorge Ayala, por un lado, donde hablará de aplicaciones diagnósticas del CBCT en ortodoncia; y, por otro lado, Miguel Hirschaut y Carol Wenstein, sobre las nuevas tendencias en el diagnóstico y tratamiento de dientes incluidos. Son dos temas muy interesantes que seguro serán de gran utilidad a los asistentes tanto por la actualidad de los mismos como por la calidad de los ponentes.

La segunda novedad es que por primera vez en la SEDO vamos a tratar en el curso precongreso el tema de la relación entre ortodoncia y medicina estética. El objetivo es establecer indicaciones y contraindicaciones de la aplicación de la medicina estética en nuestros tratamientos. Hoy en día, los dentistas y los ortodoncistas recurrimos más a estas técnicas para lograr mejores resultados faciales. La ortodoncia debe incluir como complemento la medicina estética en los casos donde, a pesar de conseguir nuestros objetivos, se pueda mejorar el resultado en los pacientes. Será la Dra. Carla Barber, un referente de la medicina estética en España, la que nos ilustre con su experiencia en una sesión teórico-práctica sobre cómo debemos indicar los tratamientos.

La tercera es el tema del congreso: Ortodoncia quirúrgica, es decir, toda técnica quirúrgica que nos ayude a lograr los objetivos ortodóncicos. Para ello contamos con un impresionante cartel de ponentes nacionales e internacionales que seguro nos aportarán mucho para ampliar nuestros objetivos de tratamiento.

 DM.- ¿Cuáles son actualmente las principales preocupaciones de los especialistas en Ortodoncia y cómo se abordarán a lo largo del congreso?

Dr. R.F.C.- Creo que la primera preocupación es la falta de regulación en la formación académica de

Contamos con un impresionante cartel de ponentes nacionales e internacionales que seguro nos aportarán mucho para ampliar nuestros objetivos de tratamiento ”

nuestra especialidad. Es incomprensible que no estemos a la altura de la práctica totalidad de los países europeos en esta materia. Nuestros jóvenes ortodoncistas se ven agraviados para ejercer en Europa por no tener la especialidad regulada en España.

La segunda es la plétora profesional, que está llevando la especialidad a una situación de saturación de mercado. Pero estoy convencido de que con la regulación de la misma, mejoraremos las expectativas.

 DM.- En cuanto a la innovación, ¿qué avances y novedades podrán descubrir los asistentes en SEdO Murcia 2025?

Dr. R.F.C.- La ortodoncia quirúrgica ha supuesto un revulsivo en sentido positivo porque ha ampliado mucho el abanico de casos que ahora tratamos y antes no podíamos.

Vamos a ver las últimas tendencias en aceleración quirúrgica del movimiento dentario, aplicación del láser en ortodoncia, dientes impactados, disyunción asistida por mini tornillos, orto-perio, cirugía ortognática, corticotomías, anclaje esquelético y mucho más. Todo ello con independencia del uso de braquets o alineadores.

 DM.- Al frente del Comité Organizador de SEdO Murcia 2025, ¿cómo invitaría a los profesionales a asistir a esta cita?

Dr. R.F.C.- Llevamos dos años organizando el congreso trabajando para dar lo mejor a nuestros compañeros. Creemos que hemos logrado contar con un programa excelente.

¡Pero hay algo más! Nuestro programa social va a ser único ¡y con muchas sorpresas! Os esperamos a todos en Murcia, una ciudad acogedora y divertida. Con una gran historia y cultura. Donde se come fenomenal y sabemos disfrutar de la vida.

¡Aquí nos vemos! Un abrazo a todos. 

EXPERTOS EN SALUD BUCAL PROPONEN UNA ESTANDARIZACIÓN DE LAS TALLAS DE LOS CEPILLOS INTERDENTALES

A raíz de un estudio realizado por expertos en higiene bucodental de la Universidad de Heidelberg, Dentaid proporciona una nueva redistribución de tamaños de los cepillos interdentales, a través de Interprox, que cubre toda la escala PHD de 0,7 mm a 2,9 mm, dando respuesta así a las necesidades de higiene interdental de las personas a lo largo de toda la vida y siendo muy útil para los profesionales de la odontología en su papel de asesores a la hora de seleccionar el mejor tamaño para el paciente.

Expertos en higiene bucodental de la Universidad de Heidelberg han llevado a cabo el estudio “Dimensionamiento estandarizado de Interprox según el PHD”[i] en el que se da respuesta, desde una perspectiva científica y racional, a la necesidad detectada por Dentaid de abordar una nueva estandarización de los cepillos interdentales. Fruto de las conclusiones de este estudio, se ha establecido, por primera vez, una distribución de tallas cada 0,2 valores de PHD en tallas pequeñas y de 0,3 valores de PHD en tallas medianas y grandes, sistematizando todo el espectro en la escala de PHD.

La precisión en la determinación del PHD de los cepillos interdentales es esencial para garantizar una limpieza adecuada. Hasta ahora, la norma ISO establecía un método para calcularlo que permitía cierta interpretación en cuanto a la fuerza de inserción clínicamente relevante. Tomando el PHD como criterio y ante las discrepancias entre los PHD comunicados por los fabricantes y los calculados por los profesionales, Interprox ha diseñado una gama de cepillos que cubre cada espacio interdental, además de apostar por diferentes formas para el cuidado de los tejidos blandos (cepillo cilíndrico para obtener

mayor precisión; cónico para una mayor accesibilidad). Esta propuesta cuenta con el aval de expertos odontólogos, higienistas y auxiliares dentales de la Universidad de Heidelberg, lo que asegura no solo una adecuación perfecta para todos los tamaños de espacios interdentales sino la efectividad de la limpieza.

La nueva estandarización pone en valor la importancia de la correcta elección del tamaño del cepillo interdental. Éste viene determinado por factores como el diámetro del alambre, el diámetro del filamento, el diámetro del cepillo y la densidad del filamento a lo largo del vástago. Todos ellos, son factores que influyen en el volumen ocupado en el espacio interdental y por tanto en la determinación del PHD, siendo el PHD el único criterio que tiene en cuenta la suma de todos ellos.

Según datos del informe realizado por la consultoría Hamilton para Dentaid[i], el 62% de las personas no realiza higiene interdental de forma regular. A esto se suman datos sobre la relación entre la higiene interproximal con diferentes problemas o patologías bucales comunes como las caries[ii] (el 78% tiene origen interproximal), la gingivitis (existe un 50% de incidencia de gingivitis[iii] en la población general) o la halitosis[iv] (en el 60% de los casos es debida a la acumulación de placa bacteriana). En este sentido, la European Federation of Periodontology (EFP) es clara y recomienda el uso de cepillos interdentales por su eficacia ya que, el cepillo normal elimina la placa de las superficies, pero no es suficiente a la hora de limpiar a fondo la zona interdental.

Con la nueva redistribución de tamaños se garantiza a higienistas y dentistas tomar decisiones de forma más sencilla a la hora de hacer recomendaciones a sus pacientes, algo que, hasta ahora, la industria no posibilitaba. Asimismo, se facilita la toma de decisiones de los consumidores que podrán ver cubierta cualquier tipo de necesidad.

Según la Dra. Inmaculada Tomás, Catedrática de Universidad del Área de Estomatología en el Departamento de Cirugía y Especialidades Médico-Quirúrgicas en la Universidad de Santiago de Compostela (USC), expone que “la higiene interdental es indispensable para la prevención de las principales patologías bucales, como las caries y la enfermedad periodontal, siendo el espacio interproximal un nicho biológico cuyas características requieren de un instrumento específico que se adapte a una anatomía muy variable y que sea eficaz en la remoción de la placa a la vez que respete los tejidos blandos y duros”.

Por su parte, Manuel Pujades, responsable de desarrollo de productos físicos en Dentaid Research Center, destaca que “trabajar junto a los profesionales está en el ADN de Dentaid. En este caso, para garantizar la determinación precisa del PHD que requería la industria, se formó un grupo de trabajo con dentistas e higienistas dentales de la Universidad de Heidelberg por su experiencia y conocimiento, algo que nos ha permitido poder ofrecer esta innovación al mercado. De esta forma, podemos decir que Interprox es la única marca del mercado que está avalada por profesionales odontológicos”.

La nueva redistribución de tamaños que Dentaid proporciona a través de Interprox cubre toda la escala PHD de 0,7 mm a 2,9 mm, abarcando así todas las necesidades interdentales. Además, sus diferentes formas para cada talla aseguran el cuidado de los tejidos blandos (cepillo cilíndrico para obtener precisión; y el cónico para mejorar la accesibilidad).

“La nueva estandarización de cepillos interdentales marca un hito en el cuidado bucodental y posiciona a Dentaid a la cabeza de la innovación gracias a la definición de nuevos patrones que servirán de guía para toda la industria, siendo muy útil para los profesionales de la odontología en su papel de asesores a la hora de seleccionar el mejor tamaño para el paciente”, aseguran desde Dentaid. 

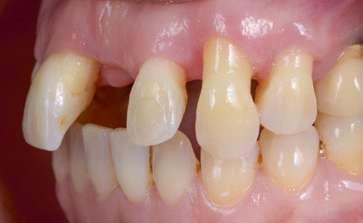
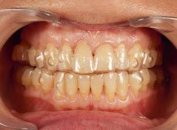
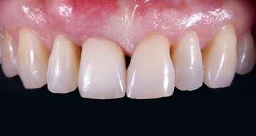
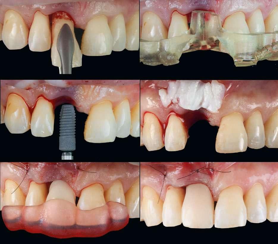
RESTAURACIÓN CON IMPLANTES EN

SECTOR ANTERIOR

DEL PACIENTE CON PERIODONTITIS ESTADIO IV

La colocación de implantes en el sector anterior en el paciente con periodontitis estadio IV tiene ciertas particularidades a nivel estético, biológico y mecánico que exigen al clínico estabilizar previamente la dentición con un plan de tratamiento interdisciplinar, un manejo preciso de la secuencia de tratamiento, así como soluciones restauradoras adaptadas a la gran pérdida de soporte que suelen presentar estos pacientes. En el presente trabajo se exponen dos casos que ponen en valor la apuesta por la dentición natural y el potencial del abordaje interdisciplinar para devolver la función y la calidad de vida a los pacientes con periodontitis estadio IV que requieren implantes en el sector estético, combinando un tratamiento periodontal, ortodóncico e implantológico.

Contacto: Sergio García-Bellosta garcia.bellosta@ub.edu

Artículo cedido por

Agradecimientos

Los autores quieren agradecer a Manel Cruz su excelente trabajo como técnico de laboratorio en la elaboración de restauraciones presentadas en este trabajo.

Introducción

El paciente con periodontitis estadio IV presenta unas características específicas que requieren un tratamiento de elevada complejidad y un enfoque interdisciplinar para restaurar la función, el confort masticatorio y, en última instancia, mejorar la calidad de vida (Papapanou y cols. 2018; Tonetti y cols. 2018; Tonetti y Sanz 2019). El control de la periodontitis en los pacientes en estadio IV demanda una terapia periodontal exitosa tras completar las intervenciones correspondientes a los pasos 1, 2 y 3 de la Guía de Práctica Clínica de Nivel S3 de la EFP para el tratamiento de la periodontitis en estadios I-III (Sanz y cols. 2020). Sin embargo, en estos pacientes son necesarias medidas terapéuticas adicionales, que pueden incluir un tratamiento ortodóncico y/o rehabilitador complejo.

La diferenciación entre las periodontitis en estadio III y IV se basa, principalmente, en las secuelas derivadas de la pérdida avanzada de soporte periodontal. Estas secuelas afectan particularmente al sector anterior, manifestándose como migración dental patológica, movilidad dentaria, disfunción masticatoria y, en última instancia, un mayor riesgo de pérdida de dientes (Kwok y Caton 2007; Ravidà y cols. 2020).

Si bien el uso de implantes en pacientes con periodontitis es un tratamiento que muestra altas tasas de supervivencia, conlleva un mayor riesgo de fracaso de las prótesis implanto-soportadas y de periimplantitis en comparación con los pacientes sin antecedentes de periodontitis, especialmente a partir de los 5 años de seguimiento (Carra y cols. 2022).

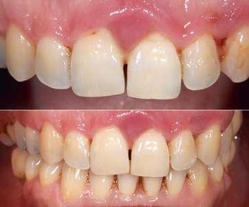
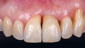
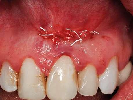
La reposición de dientes perdidos en el sector anterior mediante implantes es una situación clínica frecuente en los pacientes con periodontitis estadio IV, que presenta una serie de particularidades con implicaciones en la secuenciación del tratamiento, a nivel quirúrgico y prostodóntico. Este trabajo presenta, de acuerdo a las nuevas Guías de Práctica Clínica para el manejo del paciente con periodontitis estadio IV (Herrera y cols. 2022), dos casos clínicos que requirieron la colocación de un implante unitario en el sector estético, como parte de un plan de tratamiento interdisciplinar complejo. Los casos ilustran dos abordajes para el implante en el sector anterior: un implante inmediato posextracción y un implante diferido (Tonetti y cols. 2019).

Caso 1. Implante inmediato

1. Problema de la paciente

Mujer de 37 años, sana y no fumadora, que acudió a consulta en 1997 por sangrado gingival y sensación que apretaba los dientes (Figura 1). Tras la exploración (Figuras 2 y 3), se diagnosticó una periodontitis moderada de rápida progresión que, actualmente, encajaría en una periodontitis estadio III grado C (Caton y cols. 2018; Tonetti y cols. 2018). El tratamiento inicial consistió en 5 sesiones de instrumentación subgingival realizadas en un periodo de 3 meses. Entre 1998 y 2008, la paciente se incorporó en un programa de mantenimiento periodontal en intervalos de 6 meses. Durante este periodo, la paciente presentó recaídas intermitentes, principalmente en los molares superiores. En 2009, la paciente acudió al mantenimiento con la preocupación de que los “incisivos se le estaban inclinando”.

2. Diagnóstico

En 2009, tras una evaluación clínica, se diagnosticó una migración dental patológica de los incisivos centrales superiores (Brunsvold 2005), con la aparición de un diastema entre los dientes 1.1 y 1.2, con una proinclinación aumentada de los incisivos centrales. Debido a esto, y unido a la progresión de la pérdida de inserción, la pérdida de algunos molares

Profesor asociado, Universidad de Barcelona. Máster de Odontología

Integrada de Adultos, Universidad de Barcelona. Práctica privada en Barcelona e Ibiza, España.

Marià Santamaría

Profesor asociado, Universidad de Barcelona. Máster de Odontología Integrada de Adultos, Universidad de Barcelona.

Ana Echeverría

Máster de Periodoncia e Implantes, Universidad Complutense de Madrid. Máster de Bioética, Universidad de Barcelona. Directora de la revista Cuida Tus Encías

Sergio García-Bellosta
de SEPA.
Figura 1. Imagen inicial previa al tratamiento de la enfermedad periodontal.
Figura 3. Ortopantomografía previa al primer tratamiento ortodóncico.
Figura 2. Periodontograma inicial.

caso clínico

de la arcada superior y al deterioro de la función masticatoria, se reclasificó a la paciente en estadio IV (Tonetti y cols. 2018), indicando la necesidad de un tratamiento interdisciplinar mediante ortodoncia para mejorar la función masticatoria. Para determinar el grado, se utiliza la pérdida ósea radiográfica en el diente más afectado. En este caso, el diente 1.1 había perdido el 60% del soporte óseo que, al dividirlo por los 37 años de la paciente, se obtiene un valor de 1,62. Dado que este valor se encuentra por encima de 1,0, la paciente puede clasificarse como grado C.

3. Objetivo del tratamiento

Los objetivos del tratamiento incluyeron la corrección del abanicamiento de los dientes anteriores, corrigiendo el diastema entre 1.1 y 1.2, sin modificar la oclusión posterior debido al mal pronóstico de los molares superiores. En 2020, tras un traumatismo, se decidió realizar un tratamiento con implantes en la arcada superior, colocándose en las posiciones 1.1, 1.6 y 2.6.

4. Factores modificadores

La paciente estaba sana, no era fumadora y se mostró colaboradora desde el principio. Sin embargo, su alta predisposición a la periodontitis, su dificultad para mantener un correcto control del biofilm y su hábito bruxista dificultaron desde el primer momento la estabilidad del tratamiento a largo plazo.

5. Plan de tratamiento

En 2009 se realizó un primer tratamiento ortodóncico de 16 meses de duración mediante ortodoncia plástica con el sistema de alineadores transparentes Invisalign® (Align Technology, San José, CA, EE. UU.).

El tratamiento constó de dos etapas de alineadores: una primera etapa de 10 meses con 21 alineadores y una segunda fase de 6 meses con 13 alineadores (Figura 4). Una vez alcanzados los objetivos del tratamiento (Figura 5), se implementó una fase de retención fija mediante un alambre (Bond-A-Braid®

Figura 4. Planificación digital de los movimientos ortodóncicos de corrección de la migración dental patológica.
Figura 5. Visión oclusal pre y posortodoncia.

Reliance Orthodontic Products, Itasca, IL, EE. UU.) y composite fluido (Tetric EvoFlow® Ivoclar Vivadent, Schaan, Liechtenstein), complementada con una retención removible (Essix® Dentsply Sirona, York, PA, EE. UU.). La paciente continuó con el tratamiento periodontal de mantenimiento durante los siguientes 8 años. En 2018, durante una de las visitas de mantenimiento periodontal, la paciente manifestó que notaba que los incisivos centrales superiores se estaban abanicando de nuevo. Se observó la rotura de la retención fija, por lo que se decidió realizar un retratamiento ortodóncico mediante ortodoncia plástica (Figuras 6 y 7). Este tratamiento se efectuó en una sola fase de alineadores durante 4 meses, seguida nuevamente de una nueva fase de retención fija y removible (Vivera Retainer, Align Technology, San José, CA, EE. UU.).

En 2020, la paciente acudió de urgencia a consulta tras haber sufrido un traumatismo en los dientes anteriores, presentando movilidad tipo III en el diente 1.1 y una imagen radiolúcida alrededor del contorno radicular en la exploración clínica y radiográfica

(Figura 8). Tras el estudio del CBCT, se determinó un alvéolo tipo III según la clasificación de Elian y cols. (2007). Para la colocación precisa del implante,

Figura 6. Detalle del alineador plástico colocado durante el segundo tratamiento de ortodoncia.
Figura 7. Imagen posterior al segundo tratamiento ortodóncico.
Figura 8. Situación clínica previa a la extracción de 1.1.

caso clínico

se realizó una planificación digital con un software de cirugía guiada de implantes (BlueskyPlan 4. Blue Sky Bio) y se confeccionó una férula de cirugía guiada. Se realizó la extracción atraumática del diente afectado y se colocó de forma inmediata un implante ASTRA MicroThread® (Dentsply Sirona, York, PA, EE. UU.). Tras comprobar la estabilidad del implante, se decidió realizar una carga inmediata con la colocación de un injerto de tejido conectivo de la tuberosidad para mejorar

el biotipo gingival y aumentar el grosor del perfil de emergencia (Figura 9). A los 6 meses de la colocación de los implantes, se realizó la prótesis definitiva de las coronas de los primeros molares y del incisivo central superior derecho. Se eligió una solución cemento-atornillada mediante un pilar personalizado CAD-CAM Atlantis® (Dentsply Sirona, York, PA, EE. UU.) y una corona de zirconio con estratificación vestibular de cerámica feldespática (Figuras 10, 11, 12 y 13).

Figura 9. Paso a paso quirúrgico de la colocación del implante en 1.1. a) Extracción atraumática; b) Férula de cirugía guiada; c) Colocación del implante; d) Injerto de tejido conectivo de tuberosidad; e) Captura del pilar temporal con la corona provisional mediante posicionador impreso; f) Corona provisional atornillada y detalle de la sutura de posición del injerto.

6. Pronóstico

El pronóstico general del caso fue considerado bueno durante la mayor parte del tratamiento, aunque factores como la dificultad para mantener un buen control de placa en sectores posteriores y el trauma oclusal anterior modificaron dicho pronóstico durante ciertas etapas del tratamiento. Dichos factores pueden afectar al pronóstico en términos de estabilidad periodontal y, por tanto, con riesgo de progresión de la enfermedad (Kwok y Caton 2007). De acuerdo con la clasificación actual (Tonetti y cols. 2018), el grado C asignado a la paciente refleja tanto la velocidad de progresión de la periodontitis hasta el diagnóstico, como la respuesta previsible al tratamiento. El hecho de

11. Imágenes del diseño del pilar personalizado adaptado al perfil de emergencia registrado digitalmente.

Figura 10. Visión oclusal del perfil de emergencia creado con la restauración provisional tras 3 meses.
Figura
Figura 12. Imagen frontal final de tratamiento.
Figura 13. Seguimiento a 4 años del implante en posición 1.1.

caso clínico

que la paciente haya mantenido la mayor parte de su dentición durante las casi tres décadas de tratamiento resalta la capacidad de la terapia periodontal de cambiar el pronóstico, así como el hecho de que este sea considerado una entidad dinámica (Figuras 14, 15, 16 y 17).

7. Mantenimiento recomendado

La paciente presenta grandes dificultades para mantener un correcto control de placa. Asimismo,

no ha querido nunca ser portadora de una férula de descarga, lo cual ha influido en la evolución de su caso. Sin embargo, la paciente se ha mostrado siempre muy colaboradora con las visitas de mantenimiento, asistiendo cada 6 meses y fallando solo en tres ocasiones a lo largo de 28 años. Asimismo, ha demostrado una actitud proactiva frente a los tratamientos dirigidos a mejorar su situación, sometiéndose en dos ocasiones a tratamiento de ortodoncia y posteriormente a terapia con implantes.

Figura 14. Seguimiento radiográfico a 4 años comparado con la radiografía preoperatoria.
Figura 15. Visión frontal intraoral a 4 años tras la colocación del implante.
Figura 16. Ortopantomografía de seguimiento, 28 años después del inicio del tratamiento periodontal, y 4 años tras la colocación de los implantes.
Figura 17. Fotografía de sonrisa final de tratamiento.

Caso 2. Imlante diferido

1. Problema de la paciente

Paciente mujer de 52 años de edad, sana y no fumadora, que acudió a la clínica presentando movilidad, sangrado y supuración en los dientes anteriores, así como dificultades para la masticación (Figura 18). La paciente había sido tratada con implantes y ortodoncia en otro centro debido a la “aparición de espacios entre sus dientes”, pero no seguía ningún programa de mantenimiento periodontal ni llevaba retención tras dicho tratamiento.

2. Diagnóstico

En el maxilar superior, el sondaje periodontal reveló numerosas localizaciones con bolsas periodontales de más de 5 mm, con una afectación que se extendía al tercio medio y apical de la raíz, especialmente en el segundo y tercer sextantes (Figuras 19, 20 y 21). Existía un fuerte componente de trauma oclusal, con migración dental patológica y abanicamiento en el sector anterosuperior.

La exploración radiográfica mostró una pérdida ósea avanzada generalizada en el maxilar superior, con múltiples defectos verticales profundos en el segundo y tercer sextantes. La afectación era especialmente grave en los dientes 1.1 y 2.1, ambos con patología endoperiodontal. En estos dientes, la pérdida ósea se extendía hasta el tercio apical de la raíz, la vitalidad era negativa, y la movilidad era de grado 2 en 1.1 y de grado 3 en 2.1. El pronóstico del diente 1.1 se consideró cuestionable y el de 2.1 imposible. Se estableció un diagnóstico de periodontitis estadio IV grado C (Tonetti y cols. 2018; Tonetti y Sanz 2029).

3. Objetivo del tratamiento

El objetivo general fue detener la progresión de la periodontitis, así como introducir medidas terapéuticas adicionales dirigidas a rehabilitar la función

Figura 18. Imagen inicial previa al tratamiento de la enfermedad periodontal.
Figura 19. Radiografías periapicales iniciales de segundo y tercer sextantes que muestran los múltiples defectos infraóseos.
Figura 20. Periodontograma inicial de maxilar superior.
Figura 21. Ortopantomografía inicial.

caso clínico

y restablecer el confort masticatorio. Los objetivos específicos incluyeron mejorar el pronóstico de los dientes 1.1, 2.2, 2.3 y 2.4, tratar la migración dental mediante tratamiento ortodóncico, y reemplazar el diente 2.1 con una restauración implanto-soportada. Se asumió que la estética postratamiento implicaría coronas clínicas largas, asimetrías y la presencia de triángulos negros; sin embargo, se priorizó mantener el máximo número posible de dientes, en acuerdo con la paciente.

4. Factores modificadores

Se trataba de una paciente sana, no fumadora y que se mostró colaboradora desde un inicio sin factores añadidos que aumentaran la complejidad inherente a un tratamiento multidisciplinar.

5. Plan de tratamiento

El tratamiento se inició en 2020 con los pasos I-III del tratamiento periodontal (Sanz y cols. 2020). En una única sesión (Figura 22), se llevó a cabo la extracción de 2.1, la instrumentación subgingival del maxilar superior, la endodoncia del 1.1 y la provi-

sionalización con una prótesis parcial removible. A las 6 semanas, se revaluó el caso y, tras 8 semanas, se realizó una cirugía periodontal con colgajo de acceso en los dientes 2.2, 2.3, 2.4 y 2.5 (Deas y cols. 2016; Graziani y cols. 2018) (Figura 23). En una segunda revaluación, se consideraron alcanzados los objetivos del tratamiento periodontal y se estableció un programa de mantenimiento periodontal cada 4 meses durante el resto del tratamiento. Doce meses después de finalizar la fase activa de tratamiento (pasos 1, 2 y 3), y dada la buena respuesta de los dientes 1.1, 2.3 y 2.4 (Figura 24), se revaluó el caso por tercera vez y se propuso a la paciente la colocación de un implante en posición 2.1 e iniciar de inmediato el tratamiento ortodóncico.

La fase quirúrgica del implante en 2.1 se planificó con el software Simplant Pro (Dentsply Sirona Implants), teniendo en cuenta la posición final prevista de los dientes tras la ortodoncia (Figura 25). Se realizó la colocación guiada mediante una férula quirúrgica Simplant® SAFE de un implante DS Prime Taper (Dentsply Sirona Implants) de 3,6 mm de diámetro por 11 mm de longitud (Figura 26). Dada la presencia de un defecto óseo vertical profundo entre el implante y el diente 1.1, así como una dehiscencia vestibular en las primeras espiras del implante, se realizó un procedimiento de regeneración

Figura 22. Tratamiento periodontal básico, exodoncia de 2.1 y endodoncia de 1.1.
23
Figura 23. Cirugía periodontal de acceso a segundo y tercer sextantes. Detalle de los defectos infraóseos.
Figura 24. Situación a 1 año tras las etapas I-III del tratamiento periodontal, y previa al tratamiento ortodóncico.

25. Planificación digital de la cirugía guiada del implante en posición 2.1.

Figura 26. Paso a paso quirúrgico de la colocación del implante en 1.1. a) Inserción guiada del implante; b) Hueso autólogo recuperado del fresado y detalle de la dehiscencia de lasprimeras espiras en contacto con el defecto infraóseo de 1.1; c) Xenoinjerto particulado; d y e) Regeneración ósea horizontal; f) Sutura final de la intervención.

Figura
26a
26b
26c
26d
26e
26f

caso clínico

ósea guiada, utilizando hueso autólogo particulado del fresado combinado con xenoinjerto particulado Geistlich Bio-Oss® (Geistlich Pharma AG, Suiza) y una membrana reabsorbible de colágeno OSSIX® Plus (Dentsply Sirona Implants).

Inmediatamente después de la colocación del implante, se inició el tratamiento ortodóncico mediante ortodoncia plástica con el sistema de alineadores transparentes Invisalign® (Align Technology, San José, CA, EE. UU.). La primera etapa, de 14 alineadores, se realizó sin cargar el implante (Figuras 27 y 28). Tras estos primeros 4 meses, se cargó el implante mediante una corona provisional atornillada de PMMA (Telio® CAD, Ivoclar Vivadent), fabricada con una fresadora de clínica (Cerec® Dentsply Sirona) el mismo día en que se tomaron las impresiones digitales para una segunda etapa de 8 alineadores de refinamiento, ahora con el anclaje apropiado en la corona atornillada al implante de 2.1.

Una vez finalizado el refinamiento ortodóncico, el implante se restauró con una corona atornillada formada por una interfase personalizada CADCAM de titanio dorado Atlantis® Custom Base con tornillo angulado (Dentsply Sirona) y una corona de zirconia ceramizada cementada extraoralmente (Figuras 29, 30, 31, 32, 33 y 34).

El tratamiento activo finalizó con la colocación de una retención removible (Vivera Retainer, Align Technology, San José, CA, EE. UU.).

27 Figura 27. Superposición de la situación inicial (azul) y la situación final (blanco) planificada para el tratamiento ortodóncico.
28
Figura 28. Situación del tercer sextante preortodoncia y con el primer alineador.
Figura 29. Registros fotográficos con filtro polarizado para análisis del color. Corona provisional atornillada en boca.
Figura 30. Escaneado intraoral con registro del scanbody y del perfil de emergencia creado.
Figura 31. Perfil de emergencia creado con provisional en visión oclusal.
Figura 32. Restauración cemento-atornillada previa al cementado extraoral. Detalle del pilar de titanio dorado Atlantis CustomBase personalizado. Obsérvese la gran superficie cementable y la customización del perfil de emergencia.

6. Pronóstico

Tras el diagnóstico inicial, el pronóstico general del caso se estableció como favorable a corto y largo plazo, con la excepción del segundo y tercer sextantes, en los que el pronóstico se consideró cuestionable a corto plazo en 1.1, 2.3 y 2.4, e imposible en 2.1 (Kwok y Caton 2007). Una vez aplicados los pasos 1, 2 y 3 de la terapia periodontal, el pronóstico de estos dientes pasó a ser considerado favorable a corto plazo. Tras el tratamiento ortodóncico y la rehabilitación con un implante en 2.1, el pronóstico favorable también se consideró apropiado para el largo plazo, con un seguimiento actual de 4 años tras el inicio del tratamiento periodontal (Figuras 35, 36 y 37). Sin embargo, el grado C asignado a la paciente supone determinar el riesgo futuro de progresión de la periodontitis, y subraya la importancia del mantenimiento para la estabilidad a largo plazo.

35. Imagen de seguimiento del caso a 4 años tras el inicio del tratamiento periodontal.

37. Imagen radiográfica comparativa al inicio del tratamiento y en el seguimiento a 12 meses de la carga definitiva del implante.

38. Imagen previa y posterior al tratamiento combinado de ortodoncia e implante en posición 2.1.

Figura 33. Colocación de la restauración definitiva. a) Prueba del pilar de titanio customizado, previa al cementado extraoral de la corona; b) Atornillado de la corona definitiva.
33b
Figura 34. Restauración definitiva de 2.1 atornillada.
Figura
Figura 36. Detalle del sondaje del diente 1.1 con salud periodontal a 4 años tras el inicio.
Figura
Figura

caso clínico

7. Mantenimiento recomendado

Al tratarse de una paciente grado C, y tras haber recibido un tratamiento avanzado en el quinto sextante, se estableció una frecuencia alta de seguimiento, con visitas de mantenimiento periodontal cada 4 meses el primer año y cada 6 meses a partir del segundo año.

Discusión

El presente artículo describe el plan de tratamiento de dos casos de periodontitis estadio IV que requirieron la colocación de implantes en el sector anterior, de acuerdo con las recientes Guías de Práctica Clínica (Herrera y cols. 2022). Los casos presentados describen un protocolo de implante inmediato post-extracción en el primer caso, y un implante diferido en el segundo caso. En ambos casos, la terapia con implantes representa solo una herramienta más dentro de un plan de tratamiento complejo e interdisciplinar, pero su manejo en el sector estético presenta particularidades inherentes a las características singulares del paciente con periodontitis estadio IV.

El estadio IV de la periodontitis se caracteriza por una destrucción periodontal avanzada, que afecta gravemente la función y la estabilidad dental, comprometiendo tanto la salud bucal como la calidad de vida del paciente. Sus distintas presentaciones clínicas permiten identificar diferentes tipos de casos, en función de la presencia o no de trauma oclusal secundario, migración de dientes, apertura de diastemas, pérdida de soporte posterior o disfunción masticatoria. La complejidad de su manejo exige un abordaje integral y altamente especializado. La mayoría de estos casos pueden ser tratados con éxito, manteniendo la dentición natural en un estado de salud y función adecuados. Los dos casos presentados representan el tipo 2 de paciente descrito en las nuevas Guías de Práctica Clínica, caracterizado por presentar migración dental patológica en forma de extrusiones, desplazamiento y abanicamiento de los dientes del sector anterior, los cuales son susceptibles de ser tratados mediante ortodoncia. En este caso, se incluyó la pérdida de un diente en este sector debido a una destrucción periodontal muy avanzada.

El tratamiento de la periodontitis estadio IV debe incluir, como primera etapa del tratamiento, la aplicación de los pasos 1, 2 y 3, según la Guía de Práctica Clínica de Nivel S3 de la EFP para el tratamiento de la periodontitis en estadios I-III (Sanz y cols. 2020). Una vez alcanzados los objetivos de esta fase, será necesaria la introducción de medidas terapéuticas adicionales específicas para satisfacer las demandas con-

cretas de la periodontitis estadio IV, que en los casos presentados fueron la ortodoncia y la colocación de un implante en el sector anterior. Ambos casos comparten una misma filosofía de trabajo que prioriza el mantenimiento de la dentición natural en el sector anterior a pesar de la gran pérdida de soporte y de las secuelas estéticas asociadas.

Una evaluación del pronóstico sólida es probablemente uno de los aspectos más complejos en los casos presentados. Tal y como refleja la Guía de Práctica Clínica para pacientes con periodontitis estadio IV (Herrera y cols. 2022), la diferenciación entre dientes con pronóstico individual cuestionable e imposible es un proceso complejo, que depende en parte de la experiencia y habilidad del clínico. En los casos que involucran implantes anteriores, este proceso diagnóstico, orientado a identificar la capacidad del clínico para modificar el pronóstico, es crucial para evitar que la sustitución de dientes por implantes se convierta en un proceso recurrente. En este sentido, un manejo inadecuado podría afectar negativamente el resultado estético final. Los dos casos presentados ilustran este desafío de manera clara.

La utilización de implantes dentales en la rehabilitación de pacientes con periodontitis estadio IV es una indicación terapéutica habitual para sustituir los dientes perdidos y restaurar la función. Tal y como se refleja en el caso 1 presentado en este trabajo, una indicación clara del uso de implantes en estos pacientes es devolver el soporte posterior perdido con implantes como parte del tratamiento interdisciplinar, en combinación con la corrección de la migración dental patológica mediante tratamiento ortodóncico.

El uso de implantes en el paciente periodontal y, en especial, en formas severas como el estadio IV tiene ciertos riesgos a nivel biológico. Existe evidencia que indica que estos pacientes tienen un mayor riesgo de pérdida de implantes y periimplantitis en comparación con personas sin antecedentes de periodontitis (Carra y cols. 2022; Schwarz y cols. 2018). Por ello, es fundamental informar al paciente sobre el mayor riesgo de complicaciones biológicas, incluso en aquellos que reciben un tratamiento adecuado y se incluyen en un programa de mantenimiento periodontal. La revisión sistemática realizada por Carra y cols. (2022) reflejó que, aunque la tasa de supervivencia de los implantes, con un seguimiento de al menos 5 años, fue también alta en los pacientes con antecedentes de periodontitis (94,7%, CI: 95% [92,3%; 97,1%]), el análisis de los datos agrupados demostró que las prótesis dentales fijas implanto-soportadas tienen un

mayor riesgo de fracaso (RR [risk ratio]: 1,9, CI: 95% [1,31; 2,79]) y de periimplantitis (RR: 3,3, CI: 95% [1,31; 8,3]). La magnitud del riesgo se consideró clínicamente relevante, sobre todo a los 5 años de seguimiento desde la carga del implante (HR [hazard ratio]: 2,11; CI: 95% [1,18; 3,79]).

Los dos protocolos para el implante anterior presentados en este trabajo son opciones terapéuticas bien descritas en la literatura (Tonetti y cols. 2019). El implante inmediato posextracción con carga inmediata del primer caso representa la primera elección en situaciones en las que es posible estabilizar el implante en una posición protéticamente guiada (Gamborena y cols. 2021). El concepto de implante diferido colocado en una cresta ya cicatrizada de un diente con gran pérdida de soporte resulta, a menudo, en defectos óseos que requieren una regeneración ósea guiada simultánea al implante, como ilustra el segundo caso (Tonetti y cols. 2019).

Los dos casos presentados comparten la necesidad de un tratamiento de ortodoncia. El tratamiento combinado periodontal y ortodóncico ha demostrado ser efectivo y seguro siempre y cuando la inflamación periodontal esté totalmente controlada (Gkantidis y cols. 2010; Kessler 1976; Papageorgiou y cols. 2021). En los pacientes con periodontitis estadio IV se recomienda iniciar el tratamiento de ortodoncia una vez que se hayan alcanzado los objetivos finales de la terapia periodontal (ninguna localización con una profundidad de sondaje (PPD) = 5 mm y sangrado al sondaje, y ninguna localización con PPD ≥ 6 mm [Sanz y cols. 2020]). Para ambos casos se eligió un tratamiento ortodóncico mediante alineadores plásticos debido a la posibilidad de no mover los dientes con mal pronóstico durante el tratamiento, por su mayor grado de aceptación en pacientes adultos y por facilitar el control de placa a lo largo del tratamiento (Karkhaneki y cols. 2013; Levrini y cols. 2015; Miethke y cols. 2005; Santamaría y Echeverría 2016).

A nivel prostodóntico, para ambos casos, se eligió una corona implanto-soportada atornillada compuesta de una corona de zirconia ceramizada y un pilar personalizado de titanio dorado, realizadas con flujo digital. Esta solución podría ofrecer ventajas en términos de resistencia mecánica en el paciente periodontal avanzado, en comparación con el uso de interfases genéricas, debido a que los perfiles de emergencia son a menudo profundos y estrechos, y las coronas unitarias susceptibles de recibir cargas elevadas, tanto por la longitud de la corona clínica como por la movilidad de los dientes adyacentes (Sailer y cols. 2022). El uso de

tornillos angulados permite rehabilitar con fiabilidad la mayoría de los casos con coronas atornilladas, evitando así excesos de cemento subgingival y facilitando el desmontaje en posibles retratamientos futuros (Wittneben y cols. 2017). La fiabilidad de los tornillos dinámicos ha sido examinada en diversos trabajos in vitro, con buenos resultados de soluciones anguladas a 20º y 25º (Mulla y cols. 2022; Swamidass y cols. 2021). Algunos estudios han señalado las ventajas del uso de pilares de zirconia, en comparación con los de titanio, para el trayecto transmucoso del perfil de emergencia en términos de pulido superficial y su impacto en los niveles de inflamación periimplantaria (Sanz-Martín y cols. 2018) o en el color de la mucosa (Pitta y cols. 2020). Sin embargo, en los casos presentados, se priorizaron las ventajas a nivel de estabilidad mecánica que podría ofrecer un pilar personalizado de titanio (Pitta y cols. 2021), por las características singulares de diseño de la corona clínica en el sector anterior que exige el paciente con periodontitis estadio IV y el riesgo de fractura o descementación de la interfase (Pitta y cols. 2021; Sailer y cols. 2022). Diferentes estudios sugieren un efecto de la altura gingival de la interfase, así como de la parte cementable, en el comportamiento biomecánico de estas soluciones, y, por tanto, personalizar esta interfase puede tener ventajas mecánicas en el paciente periodontal avanzado. Por otro lado, el recubrimiento dorado a base de nitruro de titanio de las interfases personalizadas elegidas minimiza en parte el impacto estético del metal en la mucosa (Totou y cols. 2021). En el manejo de la periodontitis estadio IV, un riguroso programa de mantenimiento es esencial antes, durante y después de la fase de rehabilitación, para asegurar la estabilidad a largo plazo y prevenir la recurrencia de la enfermedad (Axelsson y cols. 2004; Echeverría y cols. 1996). Los estudios han demostrado que los pacientes con periodontitis estadio IV, en comparación con los de estadio I, tienen un mayor riesgo de pérdida de dientes relacionada con la periodontitis tras un periodo de seguimiento de 10 a 30 años (Ravida y cols. 2020), así como un mayor riesgo de migración dental patológica y otras consecuencias funcionales (Kwok y Caton 2007). A efectos prácticos, que un paciente sea considerado estadio IV grado C, como los casos presentados, supone un gran desafío a medio y largo plazo debido a la dificultad para controlar factores de riesgo, hábitos desfavorables y/o a su mayor predisposición genética a la enfermedad (Manresa y cols. 2018). En estos casos, la mejor estrategia consiste en acortar los intervalos de visita entre mantenimientos e incidir sobre los hábitos modificables.

Conclusión

El éxito del tratamiento con implantes en el sector anterior en pacientes con periodontitis estadio IV depende de una terapia periodontal exitosa y un mantenimiento personalizado; sin embargo, requiere además de un tratamiento interdisciplinar, a menudo complejo, que estabilice la dentición, devuelva la función y, en definitiva, mejore la calidad de vida del paciente.

RELEVANCIA CLÍNICA

Con todo ello, podemos concluir que los casos descritos son pacientes representativos en la práctica diaria de las consultas dentales y sirven como ejemplo para aquellos profesionales cuyo interés es el de mejorar la calidad de su atención al paciente periodontal avanzado, sin renunciar a la preservación de la dentición natural, incluso en casos con pérdida severa del soporte periodontal en el sector estético. 

El abordaje terapéutico para la colocación de implantes en el sector anterior de pacientes con periodontitis estadio IV requiere una secuencia que se inicia con los pasos I-III de la terapia periodontal, seguidos de un programa de mantenimiento personalizado y un plan interdisciplinar que estabilice la dentición y devuelva la función masticatoria.

La planificación de la secuencia de tratamiento ortodóncico-restaurador, la posible modificación del plan inicial durante el curso del tratamiento, y la especial importancia del concepto de revaluación constante son puntos clave de cualquier tratamiento multidisciplinar complejo de los pacientes con periodontitis estadio IV. Asimismo, la colocación de implantes en el sector anterior de pacientes con periodontitis estadio IV presenta particularidades que exigen al clínico estabilizar previamente la dentición con un plan de tratamiento interdisciplinar, así como elegir soluciones restauradoras adaptadas a la gran pérdida de soporte que suelen presentar estos pacientes.

Resumen

El paciente con periodontitis estadio IV presenta unas características únicas que requieren tratamientos de una complejidad elevada y un enfoque interdisciplinar dirigido a estabilizar la dentición, devolver la función y mejorar la calidad de vida del paciente. La colocación de implantes en el sector anterior en el paciente con periodontitis estadio IV tiene ciertas particularidades a nivel estético, biológico y mecánico que exigen al clínico estabilizar previamente la dentición con un plan de tratamiento interdisciplinar, un manejo preciso de la secuencia de tratamiento, así como soluciones restauradoras adaptadas a la gran pérdida de soporte que suelen presentar estos pacientes. En el presente trabajo se exponen dos casos que ponen en valor la apuesta por la dentición natural y el potencial del abordaje interdisciplinar para devolver la función y la calidad de vida a los pacientes con periodontitis estadio IV que requieren implantes en el sector estético, combinando un tratamiento periodontal, ortodóncico e implantológico.

Bibliografía

- Axelsson P, Nyström B, Lindhe J. (2004) The long-term effect of a plaque control program on tooth mortality, caries and periodontal disease in adults. Results after 30 years of maintenance. Journal of Clinical Periodontology 31, 749-757.

- Brunsvold MA. (2005) Pathologic tooth migration. Journal of Periodontology 76, 859-866.

- Carra MC, Rangé H, Swerts PJ, Tuand K, Vandamme K, Bouchard P. (2022) Effectiveness of implant-supported fixed partial denture in patients with history of periodontitis: A systematic review and meta-analysis. Journal of Clinical Periodontology 49 Suppl 24, S208-S223.

- Caton JG, Armitage G, Berglundh T, Chapple ILC, Jepsen S, Kornman KS, Mealey BL, Papapanou PN, Sanz M. (2018) A new classification scheme for periodontal and peri-implant diseases and conditions - Introduction and key changes from the 1999 classification. Journal of Clinical Periodontology 45 Suppl 20, S1-S8.

- Deas DE, Moritz AJ, Sagun RS Jr, Gruwell SF, Powell CA. (2016) Scaling and root planing vs. conservative surgery in the treatment of chronic periodontitis. Periodontology 2000 71, 128-139.

- Echeverría JJ, Manau GC, Guerrero A. (1996) Supportive care after active periodontal treatment: A review. Journal of Clinical Periodontology 23, 898-905.

- Elian N, Cho SC, Froum S, Smith RB, Tarnow DP. (2007) A simplified socket classification and repair technique. Practical Procedures & Aesthetic Dentistry 19, 99-106.

- Gamborena I, Sasaki Y, Blatz MB. (2021). Predictable immediate implant placement and restoration in the esthetic zone. Journal of Esthetic and Restorative Dentistry 33, 158-172.

- Gkantidis N, Christou P, Topouzelis N. (2010) The orthodontic-periodontic interrelationship in integrated treatment challenges: A systematic review. Journal of Oral Rehabilitation 37, 377-390.

- Graziani F, Karapetsa D, Mardas N, Leow N, Donos N. (2018) Surgical treatment of the residual periodontal pocket. Periodontology 2000 76, 150-163.

- Herrera D, Sanz M, Kebschull M, Jepsen S, Sculean A, Berglundh T, Papapanou PN, Chapple I, Tonetti MS, & EFP Workshop Participants and Methodological Consultant. (2022) Treatment of stage IV periodontitis: The EFP S3 level clinical practice guideline. Journal of clinical periodontology 49 Suppl 24, S4-S71.

- Karkhanechi M, Chow D, Sipkin J, Sherman D, Boylan RJ, Norman RG, Craig RG, Cisneros GJ. (2013) Periodontal status of adult patients treated with fixed buccal appliances and removable aligners over one year of active orthodontic therapy. The Angle Orthodontist 83,146-151.

- Kessler M. (1976) Interrelationship between orthodontics and periodontics. American Journal of Orthodontics 86, 89-94.

- Kwok V, Caton JG. (2007) Commentary: prognosis revisited: A system for assigning periodontal prognosis. Journal of Periodontology 78, 2063-2071.

- Levrini L, Mangano A, Montanari P, Margherini S, Caprioglio A, Abbate GM. (2015) Periodontal health status in patients treated with the Invisalign(®) system and fixed orthodontic appliances: A 3 months clinical and microbiological evaluation. European Journal of Dentistry 9, 404-410.

- Manresa C, Sanz-Miralles EC, Twigg J, Bravo M. (2018). Supportive periodontal therapy (SPT) for maintaining the dentition in adults treated for periodontitis. The Cochrane Database of Systematic Reviews 1, artículo CD009376.

- Miethke RR, Vogt S. (2005) A comparison of the periodontal health of patients during treatment with the Invisalign system and with fixed orthodontic appliances. Journal of Orofacial and Orthopedics 66, 219-229.

- Mulla SH, Seghi RR, Johnston WM, Yilmaz B. (2022) Effect of cyclic loading on reverse torque values of angled screw channel systems. The Journal of Prosthetic Dentistry 128, 458-466.

- Papageorgiou SN, Antonoglou GN, Michelogiannakis D, Kakali L, Eliades T, Madianos P. (2022) Effect of periodontal-orthodontic treatment of teeth with pathological tooth flaring, drifting, and elongation in patients with severe periodontitis: A systematic review with meta-analysis. Journal of Clinical Periodontology 49 Suppl 24, S102-S120.

- Papapanou PN, Sanz M, Buduneli N, Dietrich T, Feres M, Fine DH, Flemmig TF, García R, Giannobile WV, Graziani F, Greenwell H, Herrera D, Kao RT, Kebschull M, Kinane DF, Kirkwood KL, Kocher T, Kornman KS, Kumar PS, Loos BG, Tonetti MS. (2018) Periodontitis: Consensus report of workgroup 2 of the 2017 World Workshop on the Classification of Periodontal and Peri-Implant Diseases and Conditions. Journal of Periodontology 89 Suppl 1, S173-S182.

- Pitta J, Hjerppe J, Burkhardt F, Fehmer V, Mojon P, Sailer I. (2021) Mechanical stability and technical outcomes of monolithic CAD/CAM fabricated abutment-crowns supported by titanium bases: An in vitro study. Clinical Oral Implants Research 32, 222-232.

- Pitta J, Zarauz C, Pjetursson B, Sailer I, Liu X, Pradies G. (2020) A Systematic review and meta-analysis of the influence of abutment material on peri-implant soft tissue color measured using spectrophotometry. The International Journal of Prosthodontics 33, 39-47.

- Ravidà A, Qazi M, Troiano G, Saleh MHA, Greenwell H, Kornman K, Wang HL. (2020) Using periodontal staging and grading system as a prognostic factor for future tooth loss: A long-term retrospective study. Journal of Periodontology 91, 454-461.

- Sailer I, Karasan D, Todorovic A, Ligoutsikou M, Pjetursson BE. (2022) Prosthetic failures in dental implant therapy. Periodontology 2000 88, 130-144

- Santamaría M, Echeverría A. (2016) Ortodoncia invisible removible en el tratamiento de la migración dental patológica. Serie de casos. Periodoncia Clínica 6, 45-53.

- Sanz M, Herrera D, Kebschull M, Chapple I, Jepsen S, Beglundh T, Sculean A, Tonetti MS, EFP Workshop Participants and Methodological Consultants. (2020) Treatment of stage I-III periodontitis-The EFP S3 level clinical practice guideline. Journal of Clinical Periodontology 47 Suppl 22, S4-S60.

- Sanz-Martín I, Sanz-Sánchez I, Carrillo de Albornoz A, Figuero E, Sanz M. (2018) Effects of modified abutment characteristics on peri-implant soft tissue health: A systematic review and meta-analysis. Clinical Oral Implants Research 29 , 118-129.

- Schwarz F, Derks J, Monje A, Wang HL. (2018). Peri-implantitis. Journal of Clinical Periodontology 45 Suppl 20, S246-S266.

- Swamidass RS, Kan JYK, Kattadiyil MT, Goodacre CJ, Lozada J. (2021) Abutment screw torque changes with straight and angled screw-access channels. The Journal of Prosthetic Dentistry 125, 675-681.

- Tonetti MS, Greenwell H, Kornman KS. (2018). Staging and grading of periodontitis: Framework and proposal of a new classification and case definition. Journal of Clinical Periodontology 45 Suppl 20, S149-S161.

- Tonetti MS, Sanz M. (2019). Implementation of the new classification of periodontal diseases: Decision-making algorithms for clinical practice and education. Journal of Clinical Periodontology 46 398-405.

- Tonetti MS, Jung RE, Avila-Ortiz G, Blanco J, Cosyn J, Fickl S, Figuero E, Goldstein M, Graziani F, Madianos P, Molina A, Nart J, Salvi GE, Sanz-Martín I, Thoma D, Van Assche N, Vignoletti F. (2019). Management of the extraction socket and timing of implant placement: Consensus report and clinical recommendations of group 3 of the XV European Workshop in Periodontology. Journal of clinical periodontology 46 Suppl 21, S183-S194.

- Totou D, Naka O, Mehta SB, Banerji S. (2021). Esthetic, mechanical, and biological outcomes of various implant abutments for single-tooth replacement in the anterior region: a systematic review of the literature. International Journal of Implant Dentistry 7, artículo 85.

- Wittneben JG, Joda T, Weber HP, Brägger U. (2017). Screw retained vs. cement retained implant-supported fixed dental prosthesis. Periodontology 2000 73, 141-151.

Siguiendo la evolución de la Odontología para el profesional del sector llamado a construir el futuro

PENSANDO EN EL FUTURO

Inteligencia Artificial en farmacología: ¿en qué va a variar la investigación y desarrollo de los medicamentos que utilizas en Odontología?

Por: Dr. Rafael Areses

ESTUDIO

La influencia de internet y las redes en los hábitos de cuidado bucodental de los españoles

NUESTRAS CLÍNICAS

MAEX AGUIRRE (Bilbao)

Rodríguez Arias K., 10, 1º Derecha, Abando 480009, Bilbao Tel.: (+34) 944 436 799 maexrodriguezarias@maexdental.com @maexdental

MAEX CUEVAS QUEIPO (Málaga )

Calle Especería, 11. Distrito Centro, 29005 Málaga Tel.: (+34) 952 213 708 / (+34) 608 511 238 info@clinicacuevasqueipo.com> @cuevasqueipo

MAEX FERRERAS (A Coruña)

Av. de Arteixo, 18, Bajo, 15004 A Coruña Tel.: (+34) 981 915 733 / (+34) 618 135 676 maexacoruna@maexdental.com @clinicamaexferreras

MAEX INDENTA (Alicante)

C. Gral. Lacy, 8, Entresuelo, 03003 Alicante Tel.: (+34) 965 202 223 clinica@indenta.es @clinicaindenta

MAEX PÉREZ VARELA (Santiago de Compostela)

Calle Doctor Teixeiro, 20 – Santiago de Compostela Tel.: (+34) 981 588 731 perezvarela.san@maexdental.com @perezvarela.unaclinicamaex

MAEX POUSA (Vigo)

Plaza de Compostela, 37, bajo. Vigo Tel.: (+34) 608 511 238 maexvigo@maexdental.com @clinicapousa

MAEX BERNABÉU (Sevilla )

Avenida de la Borbolla 61, esquina con Felipe II, 41013 Sevilla Tel.: (+34) 954 53 10 22 maexsevilla@maexdental.com / d.maexsevilla@maexdental.com @maexdental

MAEX FERNÁNDEZ (Ibiza)

Passatge de Balàfia, 1, Bajo, 07800 Ibiza, Islas Baleares Tel.: (+34) 971 302 138 d.maexibiza@maexdental.com @maexdental

MAEX FERRERAS (Ferrol)

Canton de Molins, 12, bajo, 15403 Ferrol, A Coruña Tel.: (+34) 981 356 924 / (+34) 670 909 888 maexferrol@maexdental.com @clinicamaexferreras

MAEX MAXILARIS (San Sebastián)

Plaza Centenario 1. Entr. Izq. – Donosti, San Sebastián Tel.: (+34) 943 426 767

maexsansebastian@maexdental.com d.maexsansebastian@maexdental.com @maexdental

MAEX POUSA (Pontevedra)

Rúa Augusto González Besada, 12, bajo. 36001 Pontevedra Tel.: (+34) 608 511 238 maexpontevedra@maexdental.com @clinicapousa

En nuestra página WWW.MAEXDENTAL.COM encontrarás información detallada sobre nuestros tratamientos y metodología, siempre pensados en ofrecer un trato cercano y de la máxima calidad.

16 de mayo - Circuit de Montmeló, Barcelona

¡El futuro de la odontología te espera en el corazón de la velocidad!

El 16 de mayo de 2025, en el Circuit de Montmeló de Barcelona, vive una experiencia única. Un evento donde la impresión 3D dental se une al ritmo de la innovación y la excelencia.

Este es el momento perfecto para descubrir cómo la tecnología más avanzada está revolucionando el mundo de la odontología.

Más información en sprintrace.es o escaneado el código QR.

ENTRADAS LIMITADAS

pensando en el futuro

INTELIGENCIA ARTIFICIAL

EN FARMACOLOGÍA: ¿EN QUÉ VA A VARIAR LA INVESTIGACIÓN Y

DESARROLLO DE

LOS MEDICAMENTOS QUE UTILIZAS EN ODONTOLOGÍA?

Teniendo en cuenta que el impacto de la Inteligencia Artificial (IA) en los medicamentos que vas a utilizar en Odontología va a ser cada vez mayor, en este artículo vamos a explorar cómo el aprendizaje automático y la IA Generativa podrían redefinir la industria farmacéutica y las implicaciones que ello tendría en tu práctica diaria, analizando todas y cada una de las fases del proceso de investigación y desarrollo de fármacos.

Desarrollar un fármaco nuevo puede costar alrededor de 3.000 a 5.000 millones USD durante 10 a 13 años. Tan sólo un 30% de ellos supera esos costes y retorna la inversión realizada. No parece muy rentable la búsqueda en un laboratorio de la mayoría de las moléculas curativas. Tan sólo algunas lo hacen extremadamente bien y compensan todo el proceso. Son ésas que utilizas tú en tu clínica para abordar el tratamiento y cubrimiento de tus tratamientos dentales. Ahora que oímos tanto sobre Inteligencia Artificial (IA)... ¿Dón-

de impactaría la IA en la mejora de la investigación y producción de fármacos? ¿Podría la IA cambiar este paradigma aparentemente ruinoso del desarrollo de fármacos? ¿Podría ser el motor de cambio que acelerase la identificación de moléculas con probabilidades, optimizara ensayos clínicos y mejorase la eficiencia en las cadenas de producción? En este artículo vamos a explorar cómo el aprendizaje automático y la IA Generativa podrían redefinir la industria farmacéutica y las implicaciones que ello tendría en tu práctica diaria, analizando todas y cada una de las fases del proceso de investigación y desarrollo de fármacos.

Fase preclínica: la selección de las moléculas candidatas Un medicamento comienza por la búsqueda masiva de los compuestos químicos que puedan tener mayor potencial terapéutico. Es un proceso largo que dura años. Las redes neuronales y la metodología machine-learning lo hacen en días. La IA criba millones de moléculas para predecir de forma temprana la futura eficacia de un posible fármaco. Sólo con descartar las opciones con baja probabilidad de éxito que costarían los enormes recursos habituales, el ahorro sería relevante. Aquí empieza el proceso.

Pexels

siguiendo la evolución de la Odontología

Fijémonos en Halicin en 2020, por ejemplo. Desarrollado por un equipo de MIT, Halicin, cuyo nombre es en honor de HAL 9000, el famoso ordenador de la película de Kubrik “2001 una odisea del espacio”, era sólo una molécula prometedora entre millones de otras posibles. Su acción contra cepas bacterianas multirresistentes resultó potente, abriendo la puerta hacia toda una nueva familia de tratamientos. AlphaFold de Google-deepMind lidera hoy la revolución. Desde 2023 alcanzó el desdoblamiento 3D de 200 millones de proteínas, hasta entonces llevábamos tan sólo 100 mil. En 2025 AlphaFold3 y AlphaProteo lo hacen sobre casi cualquier otra molécula en biología. Con esta tecnología, compañías como la coreana Insilico Medicine o BenevolentAI en Cambridge UK, seleccionan nuevas moléculas curativas mediante ensayos preclínicos mucho más eficientes. Desde aquí nos sumergimos en las fases clínicas.

Las tres fases de ensayos clínicos

Una vez identificado un compuesto prometedor en la fase preclínica, necesitamos probar su seguridad y eficacia en humanos. Hablamos del 60-70% del costo total de desarrollo. ¿Qué puede hacer aquí la IA? Simularemos las rutas de selección de pacientes que probarán los fármacos. Según los resultados de estas pruebas, serán o no fabricados en serie.

La predicción de posibles efectos adversos y su toxicidad disminuirá la tasa de fracasos, así como el riesgo financiero derivado. Toda una nueva cadena de eficiencia.

Los modelos de IA pueden procesar enormes volúmenes de datos clínicos del historial médico, genómicos y factores de estilo de vida de los pacientes candidatos para encontrar los más idóneos para el tratamiento. Aumentamos la tasa de éxito de los ensayos, reducimos los riesgos y minimizamos los abandonos de este segundo proceso, el de ensayos clínicos.

El uso de dispositivos en contacto con el paciente (wearables) permite recopilar datos sobre la presión arterial, frecuencia cardíaca o niveles de actividad, todos en tiempo real. Las compañías farmacéuticas están usando wearables en análisis predictivos que detienen a tiempo ensayos con escasas probabilidades de éxito, frenando antes de que se disparen costes inútiles y ahorrando millones que se redirigen a otros programas con mayor probabilidad de éxito.

El fármaco se aprueba al completar la fase III de ensayos clínicos con éxito. En esta fase se ha evaluado eficacia y seguridad en el mayor número de pacientes posible. Se presenta la solicitud (NDA en inglés) a la agencia reguladora (FDA en EE.UU. o EMA en Europa), que revisa datos, y si considera que el fármaco es eficaz y seguro, aprueba su comercialización.

Monitorización y seguimiento

Entramos en la fase IV de estudios para monitorizar la seguridad y eficacia a largo plazo. Se hace en una población todavía más amplia y diversa que en las fases clínicas previas. Buscamos efectos adversos tardíos o raros, imposibles de detectar por el factor tiempo, en las tres fases clínicas. La COVID19 fue un caso paradigmático de ensayo en grandes masas de población, tras la certificación. Todos fuimos parte de la fase IV del ensayo, la de los efectos raros y tardíos, y por eso seguimos con las controversias. Las compensaciones ante una pandemia mundial podrían ser el efecto que olvidamos. Con la IA Generativa que hoy tenemos, probablemente comprobaríamos unos efectos bastante diferentes.

Fabricación y control de calidad con IA Una vez ensayado y obtenida la certificación, hay que fabricar en serie el fármaco. Habrá que obtener materias primas, sintetizar el principio activo, formular las dosis, el envasado y la distribución. Cada movimiento depende de múltiples variables, todas y cada una pueden ser probadas y optimizadas por IA en diferente medida. Combinadas con robótica y análisis de grandes bases de datos, asistimos a la “Industria 4.0” farmacéutica.

pensando en el futuro

La cadena de suministro nos predice la demanda, para ajustar la producción a lo que pide el mercado. Las compañías farmacéuticas automatizan para optimizar su logística y aseguran la disponibilidad de tratamientos en cada momento. No solo reducimos costos, sino que minimizamos errores humanos y evitamos desabastecimientos.

Los “gemelos digitales”, réplicas virtuales de toda la línea de producción, ensayan diferentes configuraciones posibles en digital de forma mucho más rápida y sin riesgos para detectar futuros cuellos de botella en el mundo real. Toda una fábrica en simulación para experimentar.

Impacto económico y futuro de la IA en farmacología Markets&Markets estima que la inversión global en IA en el ámbito de la salud podría superar los 45.000 millones USD para 2026, 77.000 para la próxima década. Una gran parte se destinará a la investigación de nuevos fármacos y a sus procesos de fabricación. A esto que estás leyendo.

Las compañías farmacéuticas y los laboratorios tradicionales están formando alianzas estratégicas con compañías tecnológicas. El talento en IA empieza a ser determinante, marca las diferencias. Equipos multidisciplinares que unen biología, química, informática y analítica de datos, aceleran como nunca antes la obtención de fármacos y la optimización de procesos industriales. Disminuye el gasto en investigación y desarrollo de las compañías, así que el precio de venta y la accesibilidad de los fármacos debería ser su consecuencia. ¿Conseguirán las farmacéuticas transformar todas estas eficiencias en ventajas para tus pacientes? ¿Tendrás de aquí en adelante mejores fármacos y más asequibles? Es un reto de competencia para la industria, porque el mercado seleccionará a los vencedores.

La IA es la mayor fuerza disruptiva a la que nos hemos enfrentado los humanos en nuestra reciente Historia, tal vez en la de toda la Humanidad. La industria farmacéutica no será la excepción, estará a la vanguardia. La fusión de la ciencia y la tecnología empuja los límites de lo posible en farmacología. Desde la rápida identificación de moléculas terapéuticas hasta la producción de medicamentos con precisión, cada paso del proceso se digitalizará, optimizará y escalará. Descubrir y fabricar un nuevo fármaco será más rápido y preciso que nunca, pero ¿también rentable? El impacto de la IA en los medicamentos que vas a utilizar en Odontología va a ser cada vez mayor. ¿Aceleraremos soluciones para enfermedades emergentes? ¿Llegaremos a abrir la puerta a terapias totalmente personalizadas? ¿Estaremos los humanos a la altura de esta tecnología? ¿Seremos capaces de convertirlo en mejoras reales y para más personas? Que consigamos aprovechar esta oportunidad para democratizar el acceso de quienes lo necesiten a tratamientos más efectivos, no será sólo cuestión de la tecnología sino de los modelos de negocio, de las alianzas y de la voluntad de quienes los impulsan. La IA aplicada a la farmacología en Odontología abre un tiempo de oportunidad y de esperanza. 

Pexels
Pexels

LA ERA DIGITAL TAMBIÉN HA LLEGADO A EXPADENT

…y como siempre con los precios más competitivos del mercado

Escanea el código QR con tu smartphone para acceder al listado de precios o accede a www.expadent.com/precios

CORONA ZIRCONIO MULTICAPA 49,90 euros

MÁNDANOS TUS ARCHIVOS STL Y NOS PONDREMOS MANOS A LA OBRA YA DISPONIBLE

EXPADENT APP

Hemos mejorado nuestro sistema de gestión, y ahora cualquiera de nuestros clientes podrán realizar los pedidos directamente desde nuestra aplicación, intuitivamente.

También permite hacer un seguimiento total del proceso de fabricación y de envío del pedido realizado.

LA INFLUENCIA DE INTERNET Y LAS REDES EN LOS HÁBITOS DE CUIDADO BUCODENTAL DE LOS ESPAÑOLES

La importancia de la prevención y la constancia en el cuidado de su salud bucodental es incuestionable, pero la dimensión estética de la odontología crece de forma exponencial alimentada por las nuevas formas de consumo de información en la era de la influencia y las redes sociales. Todas estas cuestiones, junto con el estado de la salud bucodental de los españoles, han sido analizadas en el Estudio Sanitas: “La salud bucodental en la era digital: ¿dónde buscamos información y qué nos preocupa?”.

La preocupación por la salud bucodental y la influencia de las redes sociales en la percepción de la imagen personal son dos factores que están modificando los hábitos de cuidado dental de los españoles. Así lo revela el Estudio Sanitas: “La salud bucodental en la era digital: ¿dónde buscamos información y qué nos preocupa?”, que destaca que el 66% de los españoles ha cambiado sus rutinas de cuidado dental a través

de la información que encuentra en Internet o redes sociales, especialmente entre los más jóvenes. El informe destaca que 8 de cada 10 españoles (79,2%) consultan contenidos sobre salud bucodental a través de redes sociales o Internet. Entre los formatos más populares se encuentran los vídeos explicativos (57,7%), los artículos en blogs (45,2%) y las publicaciones en redes sociales (42,2%).

A pesar del auge digital, las clínicas dentales y los profesionales del sector siguen siendo la principal fuente de información para el 82% de los españoles, seguidos por amigos y familiares (76%) y los buscadores online (70,7%). Google se posiciona como la plataforma más utilizada para informarse sobre salud bucodental (89,6%), seguida de las páginas web de clínicas dentales (72,2%) y YouTube (70,9%). Además, el estudio revela que el 38,1% ha probado algún consejo de salud bucodental tras haberlo visto en redes sociales.

“Aunque las redes sociales pueden ofrecer consejos útiles, es fundamental acudir a profesionales del sector para obtener información fiable y personalizada, evitando así seguir recomendaciones o remedios que no estén avalados por expertos. De hecho, el estudio revela que el 73,7% de los españoles de quienes realmente nos fiamos a la hora de seguir consejos de cuidado bucodental es de los profesionales, y esto es lo que deberíamos hacer todos ya que muchas veces se comparten mitos o consejos falsos que nos perjudican”, señala Michelle Pawly, odontóloga del departamento Asistencial, Innovación y Calidad Clínica de Sanitas Dental.

El cuidado diario, contenido estrella

Cada vez se habla más de salud bucodental en Internet. Así lo refleja el Estudio Sanitas sobre la salud bucodental en la era digital, en el que el aumento de publicaciones en los dos últimos años (+23%) demuestra la creciente relevancia de la salud bucodental en el entorno digital.

En cuanto a los contenidos sobre salud bucodental, los tres contenidos que los españoles declaran buscar más en redes sociales e Internet se pueden aglutinar en un mismo concepto: cuidado diario que, además, supone más del 30% del contenido sobre salud bucodental que se han podido observar en el medio digital, según el informe. Los tratamientos dentales, las enfermedades bucales y todo lo que tiene que ver con experiencias y recomendación completan las temáticas principales.

La influencia de las redes sociales en la salud bucodental

Aunque tal y como se refleja en este análisis las redes sociales e Internet no ocupan los primeros puestos del ranking de confianza de los españoles, sí es evidente su influencia en la toma dedecisiones. Así, el informe también revela que el 35,6% de los encuestados reconoce que las redes sociales

influyen mucho o bastante en su percepción sobre su salud bucodental, especialmente entre las mujeres y los jóvenes. Además, más de la mitad de los españoles (56,1%) adoptan siempre la misma expresión para salir mejor en las fotos, mientras que el 32,3% evita sonreír porque no le gusta su sonrisa. Cerca de la mitad de los encuestados que buscan información online siguen a influencers o profesionales de la salud bucodental, siendo los jóvenes los que más confían en estos perfiles. Además, el aumento de publicaciones en los dos últimos años (+23%) demuestra la creciente relevancia de la salud bucodental en el entorno digital.

estudio

El 66% de los españoles modifica sus hábitos de cuidado dental con la información encontrada en Internet y redes sociales

Tiktok está cambiando la forma en que buscamos y consumimos información. TikTok es una de las plataformas digitales más influyentes en España (16,74 millones de usuarios en 2024). El 40% de los jóvenes de la generación Z ya prefiere buscar contenido en TikTok o Instagram en lugar de utilizar Google, reflejando un cambio en los hábitos de búsqueda hacia formatos más visuales y dinámicos. Sobre los contenidos más virales en esta plataforma, el informe destaca que incluyen antes y después de tratamientos, experiencias con dentistas y recomendaciones sobre ortodoncia y blanqueamiento dental. Por otro lado, el estudio señala que el interés de los usuarios en TikTok está fuertemente ligado a la estética dental, con un 90,3% de las búsquedas relacionadas, lo que equivale a nueve de cada 10 consultas sobre salud bucodental en la plataforma.

La IA impulsa una nueva era

La IA está cambiando drásticamente la forma en que las personas buscan información. Con la evolución de las IAs conversacionales, como ChatGPT, Gemini y Copilot, cada vez más usuarios formulan preguntas en lenguaje natural y esperan respuestas inmediatas y contextualizadas. Esto también influye

enormemente en la búsqueda de información en el ámbito de la salud bucodental. Ahora, en lugar de escribir “blanqueamiento dental efectos secundarios”, los usuarios preguntan directamente a una IA: “¿Es peligroso blanquearse los dientes?”. Los datos del estudio señalan que más de 4 millones de usuarios tiene ya en España (Jun’24) una de las plataformas más importantes en este ámbito: ChatGPT y que el 30-40% de los usuarios jóvenes (GenZ y Millenials) prefieren usar IA a buscadores tradicionales.

Hábitos y problemas de salud bucodental

El estudio refleja que la mitad de los españoles (50,4%) ha sufrido algún problema bucodental en el último año, siendo las caries (40,7%) y la sensibilidad dental (37,7%) las complicaciones más comunes. A pesar de ello, solo el 43,9% acude al dentista cuando tiene algún problema. “Es fundamental realizar revisiones periódicas, limpiezas y acudir al odontólogo al detectar cualquier incidencia, ya que una atención temprana puede prevenir problemas más graves y mejorar la salud bucodental a largo plazo. Según este estudio, un 20% de la población lleva más de un año sin acudir al dentista, lo que puede derivar en problemas graves si no se tiene un correcto cuidado”, explica Michelle Pawly. En este sentido, son los jóvenes de entre 18 y 24 años los que más invierten en su salud bucodental. Este mayor gasto entre los jóvenes podría estar relacionado con la creciente preocupación por la estética

Pexels

dental y la influencia de las redes sociales, que promueven una imagen cuidada y una sonrisa perfecta como parte de los estándares de belleza actuales. De hecho, el estudio revela que los términos más buscados están relacionados con la estética dental. Destacan algunos conceptos como “carillas dentales”, “blanqueamiento dental”, “sonrisa perfecta”, “diseño de sonrisa” y “antes y después de ortodoncia”, lo que confirma una preferencia por resultados concretos y transformaciones visibles. Por otro lado, a la hora de buscar tratamientos concretos, los más buscados son “ortodoncia invisible”, “brackets estéticos”, “Invisalign”, “retenedores fijos”, “endodoncia” y “limpieza dental profesional”. Esto refleja la preocupación por tratamientos que permitan mejorar la apariencia.

Más información práctica en redes sociales

El informe también señala que más de la mitad de los españoles (54,9%) desearía encontrar más consejos prácticos sobre higiene bucal en redes sociales, así como información sobre prevención de problemas dentales (48,6%) y sesiones de preguntas y respuestas con expertos (48,6%).

La creciente digitalización y la importancia de la imagen personal están transformando los hábitos de cuidado bucodental.

Pexels Google, YouTube y las páginas web de clínicas dentales son las plataformas digitales más utilizadas para informarse sobre salud bucodental

Las clínicas dentales y los profesionales del sector se consolidan como la fuente principal de información sobre salud bucodental (82%), aunque las redes sociales y los buscadores online ganan protagonismo, especialmente entre los jóvenes

El peligro de la desinformación: el caso del hacking dental

En el análisis de los hábitos y productos de higiene bucodental más mencionados en las redes e Internet, el informe también aprecia una serie det endencias minoritarias, como la “cultura del hacking dental”. Son trucos caseros y bulos para el blanqueamiento dental, como el uso de carbón activado o fresas, aunque los expertos advierten sobre su efecto abrasivo.

Estas prácticas no están respaldadas por los profesionales y, sin embargo, se distribuyen muy rápidamente y sin control en redes e Internet. Este dato pone de manifiesto la necesidad de ofrecer información rigurosa y accesible para promover una correcta salud dental entre la población. 

EL CONSEJO GENERAL DE DENTISTAS SOLICITA AL MINISTERIO DE SANIDAD LA CREACIÓN DE LA CATEGORÍA PROFESIONAL A1+

El Consejo General de Dentistas ha solicitado al Ministerio de Sanidad la creación de una nueva categoría profesional denominada A1 Plus (A1+), donde estarían incluidos los dentistas. Esta petición se produce a raíz del borrador del Anteproyecto del Estatuto Marco del Personal Estatutario de los Servicios de Salud, donde se ubica a los odontólogos en el Grupo 7, que corresponde a “personas con título de Nivel 7 del Marco Español de Cualificaciones para el Aprendizaje Permanente (MECU) o nivel 6 del MECU con título de Especialista en Ciencias de la Salud”, reservando el Grupo 8 exclusivamente para aquellos profesionales con un título de especialista o con doctorado.

El problema se ve agravado por la inexistencia de especialidades en Odontología en España, una situación que lleva a perpetuar la exclusión de los odontólogos del Grupo 8 hasta que éstas no se aprueben.

Al igual que han declarado los Consejos Generales de Médicos y Farmacéuticos sobre sus respectivos colegiados, el Consejo General de Dentistas considera que los odontólogos deben tener el mismo reconocimiento que otros profesionales sanitarios con titulaciones de nivel superior.

En este sentido, las principales razones que el Consejo de Dentistas argumenta para la creación del grupo A1+ son:

 Mayor carga formativa: los odontólogos cursan un grado universitario de 300 créditos ECTS con prácticas clínicas obligatorias. Esto supone una preparación más extensa que otras titulaciones sanitarias como Enfermería o Fisioterapia (240 créditos ECTS) y que, al tener título de Especialidad, pertenecerán al mismo grupo que los odontólogos según el Anteproyecto del Estatuto Marco del Personal Estatutario de los Servicios de Salud, lo que supone una homogeneización injusta.

 Mayor responsabilidad en la salud pública: las competencias, atribuciones, funciones y responsabilidades de los odontólogos son muy diferentes a las de los profesionales sanitarios citados en el punto anterior. Los odontólogos tienen un papel fundamental en el diagnóstico y tratamiento de patologías complejas, con impacto directo en la salud general de la población.

 Impacto en la carrera profesional: incluir a los odontólogos en el grupo A1+ permitiría mejores condiciones retributivas y de acceso a puestos de responsabilidad en el ámbito público.

Por ello, el presidente del Consejo General de Dentistas, el Dr. Óscar Castro Reino, insiste en que la clasificación del Anteproyecto del Estatuto Marco supone “una discriminación y un desprestigio para la profesión de odontólogo como profesión sanitaria de alta cualificación, ignorando que sus competencias incluyen diagnóstico, prescripción y tratamiento odontológico y quirúrgico, con la responsabilidad y rigor que ello implica”.

De hecho, la profesión de dentista engloba las titulaciones de médico especialista en Estomatología y Odontología, de acuerdo con lo contemplado en la Ley 44/2003, de 21 de noviembre, de ordenación de las profesiones sanitarias (artículo 6.2.c). Además, ambas titulaciones tienen idénticas funciones estipuladas en la Ley 10/1986, de 17 de marzo, sobre odontólogos y otros profesionales relacionados con la salud bucodental y el Real Decreto 1594/1994, de 15 de julio, por el que se desarrolla lo previsto en la Ley 10/1986, que regula la profesión de Odontólogo, Protésico e Higienista dental.

“Por tanto, la creación del grupo A1+ es una necesidad para garantizar a los odontólogos el reconocimiento adecuado de su formación y responsabilidades dentro del Sistema Sanitario de nuestro país”, concluye el Dr. Castro. 

BAHAT RÁBAGO
Mariano SANZ GÓMEZ MEDA
Gonzalo BLASI
Susana PÉREZ DE LA FUENTE BLASI SOLANO
Arturo LLOBELL Víctor CAMBRA
Irena SAILER FEHMER JUNG
Arturo VELA ZABALEGUI Eva BERROETA

LA FDI HACE UN LLAMAMIENTO MUNDIAL PARA INTEGRAR LA SALUD BUCODENTAL EN LOS ELECTRONIC HEALTH RECORDS

Ea Federación Dental Mundial (FDI) ha publicado recientemente una histórica Declaración de Consenso sobre los Historiales Médicos Electrónicos Integrados (HCE), en la que insta a los sistemas sanitarios de todo el mundo a integrar la salud bucodental en infraestructuras sanitarias digitales más amplias. La declaración identifica ocho indicadores básicos de salud bucal que deben compartirse de forma rutinaria y describe un marco estratégico para unir los registros dentales y médicos para brindar una atención más holística y centrada en la persona.

“La salud bucal es un componente crucial de la salud general, sin embargo, los indicadores de salud bucal a menudo se excluyen de los registros electrónicos de salud. La integración de estos indicadores en

La declaración identifica ocho indicadores básicos de salud bucal que deben compartirse de forma rutinaria y describe un marco estratégico para unir los registros dentales y médicos para brindar una atención más holística y centrada en la persona

los EHR puede mejorar significativamente los diagnósticos, la coordinación del tratamiento, la gestión de la medicación y los resultados de los pacientes, al tiempo que fortalece la colaboración interprofesional”, dijo el presidente de la FDI, el Dr. Greg Chadwick.

Desarrollados por expertos mundiales, los indicadores clave incluyen la enfermedad periodontal, la caries, las pruebas de detección de cáncer oral, el estado de salud bucal, la información sobre dispositivos médicos e implantes, los datos de prescripción, la información sobre alergias y las imágenes radiográficas. Dado que una mala salud bucal puede afectar significativamente la salud general, incluidas las enfermedades crónicas como la diabetes, la integración garantiza que ya no se trate de forma aislada. Este enfoque permite a los pacientes recibir una atención más coordinada, oportuna y personalizada, con un menor riesgo de errores, una mejor prevención de enfermedades y mejores resultados.

El proyecto de Historias Clínicas Electrónicas Integradas de FDI cuenta con el apoyo de Henry Schein y Henry Schein One. David Kochman, Director de Asuntos Corporativos de Henry Schein, se hizo eco de la importancia de la colaboración intersectorial y declaró: “Henry Schein y Henry Schein One se complacen en liderar el apoyo a la importante iniciativa de FDI para desarrollar un estándar básico de intercambio de información de salud del paciente”. El Dr. Ryan Hungate, Director Clínico y de Estrategia de Henry Schein One, añade que “la creación de un lenguaje común para la integración de registros médicos y dentales electrónicos permite a los médicos colaborar de manera más efectiva y eficiente en la adopción de enfoques sistémicos de atención médica, mejorando en última instancia la atención global al paciente, y estamos entusiasmados de continuar siendo pioneros a medida que utilizamos los estándares de la Declaración de Consenso”.

El informe también aborda los desafíos actuales, incluida la estandarización, la interoperabilidad, la seguridad de los datos, las barreras de costos y la coordinación internacional, al tiempo que describe soluciones estratégicas para la implementación. Con los cambios en las políticas sanitarias mundiales que ya están en marcha, la Declaración de Consenso explica por qué ahora es el momento oportuno para establecer un estándar de referencia para que los campos de datos de pacientes se integren entre los sistemas de atención sanitaria digital. 

EL GOBIERNO VASCO DESTINA MÁS DE 7 MILLONES DE EUROS AL PADI 2025

El

Consejo de Gobierno del País Vasco ha autorizado el gasto de 7.270.615 euros, correspondiente al Programa de Asistencia Dental Infantil (PADI) 2025, que garantiza la prestación sanitaria en materia de salud bucodental que ofrece desde hace más de tres décadas a la población vasca de 7 a 15 años. Euskadi cuenta, desde hace 34 años, con el PADI creado por el Departamento de Salud del Gobierno Vasco y Osakidetza para garantizar la salud bucodental de la población infantil, abarcando una franja de edad determinante para el desarrollo de una buena dentición y unos hábitos de cuidado saludables. El PADI atiende gratuitamente a alrededor de 200.000 niños y niñas cada año, contando para ello con la colaboración de los colegios oficiales de Odontólogos y Estomatólogos de Euskadi. De este modo, participa un extenso cuadro de personas dentistas habilitadas, además de los y las profesionales de Osakidetza. Con la revisión anual que incluye el PADI, el o la dentista puede detectar y tratar precozmente las caries en las etapas de erupción dental y recambio hacia la dentición permanente, aunque no se perciba ninguna alteración o molestia. Además, permite proporcionar los cuidados preventivos y

reparadores y reforzar los hábitos de higiene bucal necesarios. Acudir a las consultas periódicas es una forma de proteger y cuidar la salud bucodental tanto de la infancia como de la edad adulta. Además, desde el pasado mes de noviembre, Osakidetza ha ampliado esa cobertura que presta en toda su red también los niños y las niñas de entre 0 y 6 años, que pueden acudir a las consultas de odontología de su propio centro de salud de referencia. Se calcula que este nuevo servicio puede beneficiar a una población diana de alrededor de 108.000 menores. De esta manera, se incide en la prevención y detección precoz de las lesiones iniciales de caries, también en las etapas iniciales de la vida, cuando salen los primeros dientes de leche. Asimismo, desde 2023, Osakidetza viene incorporando colectivos a la nueva cartera de servicios de salud bucodental. Así, en 2024 se completó el despliegue de las actuaciones preventivas dentales durante el embarazo, recogidas en el proyecto de nueva cartera de servicios, en todas las unidades dentales de Atención Primaria de Osakidetza. Las prestaciones dentales a pacientes oncológicos, por su parte, también se vienen aplicando en las consultas públicas del Servicio Vasco de Salud. 

LA COMUNIDAD DE MADRID AUMENTA UN 10% LAS CONSULTAS DE SALUD BUCODENTAL EN LOS CENTROS DE ATENCIÓN PRIMARIA

La Comunidad de Madrid gestionó el año pasado 935.000 consultas de Salud Bucodental en sus centros de Atención Primaria (AP), un 10% más que en 2023. Este servicio se prestó en las 86 unidades monográficas del primer nivel asistencial, dirigidas a todos los grupos de edad.

Destacan las realizadas a embarazadas, colectivo en el que la Administración autonómica ha desarrollado un plan de mejora para impulsar su cobertura. Así, 7.226 mujeres se beneficiaron en 2024, con un incremento del 30% en relación al periodo anterior. Se realizan al menos una vez durante la gestación e incluyen exploración sobre la cavidad oral y diagnóstico; prevención de caries; defectos de desarrollo de esmalte; consejos sobre dieta y salud bucodental de la gestante y el bebé; aplicación de flúor; educación en higiene; y, en caso de ser necesario, una limpieza de la boca.

la boca. El objetivo es evitar patologías como la gingivitis u otras que puedan afectar incluso negativamente al bebé.

Otra de las actuaciones prioritarias en las Unidades de Salud Bucodental (USBD) es la asistencia a menores de hasta 16 años, que contempla además tratamientos adicionales fruto de convenios de colaboración entre la Consejería de Sanidad y el Colegio Oficial de Odontólogos y Estomatólogos de Madrid (COEM).

Las matronas de Atención Primaria recomiendan esta práctica, ya que durante los nueve meses de embarazo las futuras madres experimentan cambios hormonales que pueden afectar al estado de

Por otro lado, desde 2024 también se incluye en el primer nivel de la sanidad pública madrileña servicio a los mayores de 80 años que precisen obturación de piezas o prótesis dentales. Todo ello después de la valoración del odontólogo de Primaria y la correspondiente derivación a clínicas dentales adscritas a otro acuerdo del Gobierno regional con el COEM, actualmente pendiente de renovación. Los usuarios de la sanidad pública madrileña cuentan con un dentista asignado mediante consulta a través de las aplicaciones móviles Tarjeta Sanitaria Virtual y Cita Sanitaria, la página web, telefónicamente o presencialmente en el centro de salud. 

Comunidad de Madrid

UIC BARCELONA, ENTRE LAS 50 MEJORES UNIVERSIDADES DEL MUNDO EN ODONTOLOGÍA SEGÚN EL RANKING QS-WUR BY SUBJECT

La Universitat Internacional de Catalunya (UIC Barcelona) se encuentra entre las mejores universidades del mundo en la disciplina de Odontología en el ranking internacional QS World University Rankings by Subject. En concreto, ocupa la posición 50 de las 120 universidades clasificadas a escala mundial. A escala nacional, mantiene su posición respecto a la edición anterior con el segundo puesto de las cinco universidades clasificadas. En esta edición, se han incorporado a la clasificación de esta disciplina dos nuevas universidades españolas y UIC Barcelona sigue liderando, junto con la Universidad Complutense de Madrid, las primeras posiciones.

En la disciplina de Odontología, la participación en el ranking ha sido de 485 instituciones de educación superior de todo el mundo, de las cuales solo 120 han sido clasificadas, entre ellas UIC Barcelona. La puntuación general que recibe la Universidad en la disciplina de Odontología es de 69,9 y destaca en el indicador de impacto de la investigación (citaciones) con una puntuación de 91,3. En esta edición 2025 del ranking QS-WUR by subject se han analizado 55 disciplinas divididas en cinco grandes áreas: “Artes y Humanidades”, “Ingeniería y Tecnología”, “Ciencias de la Vida y Medicina”, “Ciencias Naturales” y “Ciencias Sociales y Gestión”. En total han sido clasificadas 1.747 instituciones de educación superior de 148 países.

Como plasma el ranking QS-WUR by subject, la Facultad de Odontología de UIC Barcelona es un referente nacional e internacional en formación, investigación y en salud innovación bucodental. Una muestra es la primera posición que ocupa la Facultad de Odontología en el ranking CyD, la segunda posición en el ranking 50 Carreras de El Mundo y la consolidación de la clasificación en ‘Dentistry & Oral Sciences’ en el Shanghai Ranking’s. Global Ranking of Academic Subjects 2023, donde se sitúa en tercera posición a nivel nacional. 

EL DR. ALBERTO MONJE RECIBE LA MEDALLA AL MÉRITO COLEGIAL

DEL COLEGIO DE DENTISTAS DE EXTREMADURA

El Colegio Oficial de Dentistas de Extremadura reconoció el 22 de febrero la destacada trayectoria profesional del Dr. Alberto Monje, otorgándole la Medalla al Mérito Colegial en un emotivo acto celebrado en la sede del Ilustre Colegio Oficial de Médicos de Badajoz.

La distinción fue entregada durante los actos conmemorativos del Día de Santa Apolonia, patrona de los dentistas, y contó con la presidencia de la consejera de Salud y Servicios Sociales de la Junta de Extremadura, Sara García Espada. La ceremonia estuvo marcada por la presencia de figuras destacadas del ámbito odontológico, como Óscar Castro, presidente del Consejo de Dentistas de España, y el Dr. Parvao, Bastonário da Ordem dos Médicos Dentistas de Portugal. El Dr. Monje recibió la Medalla de manos de M. Paz Moro Velasco, presidenta del Colegio de Dentistas de Extremadura.

sus compañeros y al equipo que lo ha acompañado a lo largo de su carrera, reconociendo que su apoyo y confianza han sido fundamentales para su carrera profesional.

La distinción fue otorgada por unanimidad de la directiva del Colegio, que destacó la contribución del Dr. Monje como uno de los investigadores más influyentes a nivel mundial en el campo de la implantología. Recientemente, la Universidad de Stanford lo incluyó entre los cinco investigadores más citados del mundo.

En su intervención, el Dr. Alberto Monje, director del área de Periodoncia de CICOM Monje, expresó su más sincero agradecimiento a

El Dr. Alberto Monje, especialista en Periodoncia por la Universidad de Michigan (EE. UU.) y en Implantología y Regeneración por la Universidad de Berna (Suiza), dirige el departamento de Periodoncia y Osteointegración en la Clínica CICOM Monje, en Badajoz. Con más de 200 artículos publicados en revistas científicas internacionales, es reconocido como uno de los mayores expertos en Implantología. 

UIC Barcelona
CICOM
Monje

EL CONSEJO GENERAL DE DENTISTAS Y LA FUNDACIÓN DENTAL ESPAÑOLA

LANZAN EL CONCURSO DE FOTOGRAFÍA “SONRISAS POR EL MUNDO”

El Consejo General de Dentistas y la Fundación Dental Española (FDE) convocan el concurso de fotografía “Sonrisas por el Mundo”, una propuesta abierta a todos los aficionados a la fotografía que sean mayores de 18 años, con el objetivo de retratar la sonrisa en su expresión más universal y diversa. Desde el 1 hasta el 30 de abril de 2025, los interesados podrán enviar hasta tres fotografías por participante, que reflejen cómo se vive la sonrisa en distintas culturas y rincones del planeta, incluyendo España. El certamen busca poner en valor el poder comunicativo de la sonrisa como lenguaje global, promoviendo al mismo tiempo la creatividad fotográfica y el intercambio cultural.

LA FDE APOYA EL PROGRAMA

“DISABILITY

PARA UNA ODONTOLOGÍA MÁS INCLUSIVA

La Fundación Dental Española (FDE) respalda el programa

“Disability Champions Award”, una iniciativa impulsada por Oral-B en colaboración con la International Association for Disability and Oral Health (iADH) y sustentada por la Sociedad Española de Odontoestomatología para Pacientes con Necesidades Especiales (SEOENE).

Este proyecto tiene como objetivo fomentar una odontología más accesible e inclusiva en Europa, animando a los dentistas a convertirse en líderes en la promoción de una actitud positiva hacia la discapacidad en sus clínicas.

A través de una formación online y la implementación de recomendaciones de accesibilidad propuestas por la iADH y Oral-B, las clínicas podrán obtener un distintivo para exhibir en su consulta y redes sociales. Este reconocimiento no solo demuestra su compromiso con la inclusión, sino que también motiva a otros profesionales a sumarse a la iniciativa. Además, las clínicas que terminen esta formación aparecerán en un mapa dentro del sitio web de Oral-B, facilitando así que las personas con discapacidad y sus cuidadores localicen con mayor facilidad centros dentales que cumplen con estos estándares de accesibilidad, ofreciendo un entorno más seguro y acogedor.

Más información en https://www.iadh.org/oral-b-iadh-disability-champions/. 

Premios y participación

Los autores de las mejores imágenes recibirán premios económicos y productos de cuidado bucodental:

 Primer premio: 3.000 € y un cepillo eléctrico

Oral-B.

 Segundo premio: 2.000 € y un cepillo eléctrico

Oral-B.

 Tercer premio: 1.000 € y un cepillo eléctrico

Oral-B.

Las imágenes deben ser originales, estar en formato JPEG con una resolución mínima de 300 píxeles por pulgada y enviarse a través del formulario alojado en https://consejodentistas.es/concursofotos. 

CHAMPIONS

AWARD” DE ORAL-B

aprovecha nuestra

TARIFA REDUCIDA

¡RESERVA

YA TU PLAZA!

solo hasta el 30 de abril

CONTENIDO

Ortoperio

Corticotomias

Cirugía ortognática

Aceleración quirúrgica del movimiento dentario

Láser en ortodoncia

PRECONGRESO

Diagnóstico digital e integración de planificación quirúrgica

Tratamiento orto-quirúrgico interdisciplinar

Indicaciones de la armonización orofacial en ortodoncia

Carla Barber: Medicina Estética y Ortodóncica

EL HOSPITAL SANT JOAN, EL PRIMERO DE ALICANTE EN LOGRAR LA ACREDITACIÓN EN CIRUGÍA ORAL Y MAXILOFACIAL

El Ministerio de Sanidad ha otorgado al Hospital Universitario Sant Joan d’Alacant la acreditación para formar a Médicos Internos Residentes (MIR) en Cirugía Oral y Maxilofacial. Es el primer centro de la provincia de Alicante que logra esta aprobación. Este curso, además, comienza a formarse en el hospital el primer residente de Radiofísica Hospitalaria, especialidad acreditada el año pasado.

Según ha destacado el jefe del servicio de Cirugía Oral y Maxilofacial, Fernando Valiente, “el Hospital Sant Joan d’Alacant es referente para el tratamiento de casos complejos de toda la provincia de Alicante e incluso de otras provincias”. Además, ha añadido que “hasta ahora venimos recibiendo residentes en formación de otras comunidades, como Madrid, Barcelona, Aragón o Castilla-La Mancha, que quieren venir aquí a rotar para completar su formación con las técnicas avanzadas como microcirugía, artroscopia o cirugía endoscópica de la articulación que realizamos”.

Con la acreditación, el Hospital Sant Joan d’Alacant da un paso más y se convierte en referente en formación en Cirugía Oral y Maxilofacial

en la provincia de Alicante. “Vamos a formar en Alicante los especialistas que puedan requerirse para la atención de la población con los criterios y capacidad técnica y profesional de la que disponemos en nuestro centro”, ha destacado Valiente.

El centro, que oferta este año 49 plazas formativas tanto en Medicina como en Enfermería, Farmacia, Psicología y Radiofísica Hospitalaria, ha celebrado la “IX Jornada de Puertas Abiertas a Residentes”. Durante la jornada, que también se ha podido seguir online, el gerente del Departamento de Salud Alicante-Sant Joan d’Alacant ha ofrecido una visión general sobre la dinámica diaria del hospital y los nueve centros de salud del área sanitaria. “Contamos con una oferta formativa de calidad y adaptada a las necesidades de cada residente, favoreciendo la cercanía entre profesionales en un entorno privilegiado, donde se aprende con altos estándares”, ha señalado. Por su parte, la jefa de estudios, Ruth Cañizares, ha destacado “que llevamos ya 31 años formando a especialistas, apostamos por una medicina centrada en el paciente y por ofrecer la mejor calidad asistencial, técnica y humana, con una formación personalizada y sin masificación”. 

TÉCNICO SUPERIOR EN HIGIENE BUCODENTAL, UN PERFIL PROFESIONAL CADA VEZ MÁS DEMANDADO

Elmercado laboral sigue recurriendo a los titulados de Formación Profesional como vía segura para la empleabilidad, y un claro ejemplo de ello es la contratación que generan los ciclos de la familia profesional de sanidad y, en concreto, el ciclo de Técnico Superior en Higiene Bucodental. Según los datos del Observatorio de las Ocupaciones del SEPE, este ciclo ha experimentado un crecimiento significativo en el número de contratos firmados, con un aumento del 60% en la última década. Y es que, mientras que en 2014 se registraron 3.705 contratos en esta especialidad, en 2024 la cifra ha ascendido a 5.983 contratos. La evolución de este puesto técnico no solo se explica por el volumen de empleo que genera en la actualidad, sino también por la calidad. En este sentido, la contratación indefinida ha experimentado un incremento del 420%, pasando de 387 contratos indefinidos que se firmaban en 2014 a 2.045 en durante el pasado año. Son cifras que reflejan la fuerte demanda de profesionales cualifica-

dos en el ámbito de la salud bucodental y la consolidación de esta titulación como una de las opciones más atractivas dentro de la Formación Profesional.

“La creciente concienciación sobre la importancia de la salud bucodental y el acceso a tratamientos preventivos han impulsado la demanda de estos profesionales, garantizando excelentes oportunidades laborales y estabilidad en el sector”, ha explicado Hector Rodríguez, Jefe de Estudios en el Centro Oficial de Formación Profesional CCC.

Las funciones de un Técnico Superior en Higiene Bucodental se basan en la exploración de la cavidad oral para detectar posibles patologías, la aplicación de tratamientos preventivos como fluorizaciones y sellado de fisuras, así como la educación en salud bucodental de los pacientes. Además, este profesional colabora en los tratamientos odontológicos bajo la supervisión del especialista y gestiona el material e instrumental necesario en la clínica. 

H. U. de Sant Joan d’Alacant
Mesa inaugural de la “IX Jornada de Puertas Abiertas a Residentes”, celebrada en el Hospital Sant Joan d’Alacant.
CCC

actualidad EVENTOS

LA IDS 2025 GUÍA A LA INDUSTRIA DENTAL

HACIA EL FUTURO A TRAVÉS DE LA INNOVACIÓN

La IDS 2025 ha sido más que un simple punto de encuentro de la industria dental para los profesionales: representó un paso adelante conjunto hacia un mundo dental con visión de futuro, cada vez más digitalizado y conectado. Más de 2.000 empresas de más de 60 países presentaron una oferta integral de productos de medicina dental y tecnología dental, con una motivación visiblemente mayor y profundidad y diversidad profesional. Los más de 135.000 visitantes de 156 países encontraron este compromiso con apertura y voluntad de invertir. A pesar de las incertidumbres geopolíticas y los desafíos económicos, el número de visitantes comerciales aumentó en más de un 15% en comparación con la edición anterior, con un crecimiento particularmente fuerte de Alemania. De esta manera, la IDS llegó a su fin el 29 de marzo de 2025 con un resultado general positivo que no solo superó las cifras clave del IDS 2023, sino que también confirmó su afirmación de ser el punto de referencia internacional en calidad, alcance y relevancia profesional. La feria dejó patente que Alemania es un centro de innovación clave del mundo dental, y aquí la ubicación de la feria, Colonia, sirve como una fuerza impulsora activa para el futuro de la industria.

“Afortunadamente, IDS ha superado claramente nuestras expectativas una vez más. En general, estamos observando que la industria dental alemana está muy bien posicionada en términos de competencia internacional y es líder en innovación. Esto también se refleja en el alto interés en productos innovadores y soluciones de sistemas. IDS es el faro para la industria dental global”, dijo Mark Stephen Pace, presidente de la Junta Ejecutiva de la Asociación de la Industria Dental Alemana (VDDI). “IDS 2025 fue un éxito total en todos los aspectos. Demostró que Colonia no solo es el hogar de la industria dental, sino también un lugar donde se da forma al futuro. Como la principal feria comercial mundial, es tanto el escaparate como el impulsor para el progreso sostenible, la calidad del suministro y las asociaciones globales”, agregó Oliver Frese, director de Operaciones de Koelnmesse.

Con herramientas digitales como la aplicación IDS e IDSconnect, así como formatos específicos para jóvenes trabajadores calificados, IDS 2025 una vez más satisfizo las demandas de un mundo dental moderno y conectado. Por lo tanto, la principal feria comercial mundial no solo sirvió como escaparate para innovaciones, sino también como plataforma para un intercambio a través de varias generaciones y fronteras. 

SEPES CELEBRA EL 25 ANIVERSARIO DE SU REUNIÓN DE INVIERNO

SEPES

Con un programa que combinó prótesis, estética y endodoncia tuvo lugar del 26 al 28 de febrero en Baqueira la 25 edición de la Reunión de Invierno de SEPES, con AEDE como sociedad invitada. El Dr. Gabriel García asumió la coordinación de esta edición aniversario, 25 años después de que en 2001 fuera también el encargado de organizar la Reunión de Invierno de aquel año. En esta ocasión ha contado en la labor de coordinación con los doctores Ion Zabalegui y José Aranguren, este último, presidente de AEDE.

A lo largo de las tres jornadas de la Reunión de este año, 150 clínicos dedicados a la prótesis, la estética y la endodoncia compartieron experiencias clínicas y debate en torno a temas como los protocolos actuales para maximizar la estética en tratamientos restauradores que presentaron los doctores Carla Vidal y Lucas Queiroz; o cómo, desde la planificación al resultado final, el uso de la tecnología ha llevado hoy en día a una mayor predictibilidad, tema que abordó el Dr. Andrés Mota.

La endodoncia y su abordaje en tratamientos multidisciplinares tuvo asimismo un espacio destacado en el programa. Las herramientas digitales para simplificar el autotrasplante dental, los limites de la endodoncia y sus beneficios en los tratamientos multidisciplinares endo-hueso fueron algunos de los aspectos que abordaron los expertos en endodoncia David Rubio, Javier Nieto y Gonzaga Zabalegui.

La Reunión de Invierno de SEPES se caracteriza principalmente por los debates clínicos que se abren en las sesiones a propósito de los casos que presentan los diferentes ponentes, la adhesión y su fiabilidad en ciertos casos restauradores o la decisión entre pilares customizados o pilares mecanizados fueron este año dos de los temas que suscitaron más debate. 

BTI CELEBRA EL SIMPOSIO DE TERAPIA REGENERATIVA EN ODONTOLOGÍA

El 22 de marzo ha tenido lugar en la sede del Colegio Oficial de Odontólogos y Estomatólogos de la Iª Región (COEM), el Simposio de Terapia Regenerativa en Odontología, organizado por BTI con la colaboración de la Fundación Dental Española.

En la jornada se han abordado los últimos avances y aplicaciones del plasma rico en factores de crecimiento (PRGF-Endoret) en regeneración ósea, tratamientos en ATM, manejo de MRONJ y aplicaciones en medicina oral, con un enfoque en la evidencia científica y la práctica clínica.

El Dr. Sabino Padilla inauguró el simposio hablando sobre los elementos que componen el PRGF-Endoret y su mecanismo de acción en diferentes puntos de la inflamación previa a la regeneración. A continuación, el Dr. Eduardo Anitua explicó en su ponencia los factores de crecimiento contenidos en el PRGF y su acción principal en la regeneración de los tejidos orales (tanto duros como blandos), haciendo hincapié en la importancia de la exclusión de los leucocitos y los glóbulos rojos en el preparado.

Seguidamente, el Dr. Eduardo Vázquez presentó el protocolo de uso del PRGF-Endoret en la ATM, tanto para los problemas articulares degenerativos o inflamatorios como para problemas dolorosos crónicos.

El Dr. Sourav Panda habló sobre terapia regenerativa periodontal con PRGF Endoret, dando paso a continuación a la Dra. Laura Piñas, que habló sobre nuevos enfoques de tratamiento con el uso del PRGF en patologías como el liquen plano.

Por su parte, el Dr. Gorka Orive hizo un repaso sobre las diferentes áreas de la medicina en las que se está utilizando el PRGF-Endoret y sus diferentes ventajas, destacando avances en terapia ocular y en tratamientos de fertilidad.

Al final de la jornada, la Dra. Aintzane Torre destacó el papel del PRGF-Endoret en la prevención de la necrosis por fármacos, tanto en las exodoncias como en otras cirugías orales, y la Dra. Alia Murias hizo la presentación de un nuevo ensayo multicéntrico sobre alveolo posextracción en la zona estética y su tratamiento con PRGF-Endoret. 

BTI
De izq. a dcha.: Ion Zabalegui, Guillermo Pradíes, Gabriel García, Javier Nieto, David Rubio, José Aranguren y Javier R. Vallejo.
En la imagen, los ponentes del Simposio de Terapia Regenerativa en Odontología, organizado por BTI con la colaboración de la Fundación Dental Española.

MÁS DE 450 ODONTÓLOGOS SE REÚNEN

EN EL IV VITALDENT DENTAL SUMMIT

La cuarta edición del Vitaldent Dental Summit, organizada por Vitaldent, marca pionera de Donte Group, congregó el 7 de marzo en Madrid a más de 450 odontólogos colaboradores de la red de clínicas. Este evento se ha consolidado como un espacio de referencia para compartir los últimos avances y tendencias en salud bucodental. Con esta nueva edición, Donte Group reafirma su compromiso con la innovación y la formación continua, impulsando el desarrollo de la odontología y la excelencia en el cuidado de la salud bucodental.

“Donte Group es una compañía de empresas que crecen con alma y nos enorgullece el impacto positivo que todas nuestras marcas están dejando en la sociedad y en el planeta. En los últimos cinco años, la innovación, el crecimiento y el compromiso con los pacientes y los profesionales sanitarios han marcado la actividad de Vitaldent, pero también hemos logrado transformar la marca consolidando nuestra misión de transformar la odontología, haciendo accesible la salud bucodental a todo el mundo y, en especial, a aquellos que más la necesitan”, ha celebrado Javier Martín, CEO de Donte Group.

“Este encuentro anual supone una oportunidad para que los especialistas en odontología de Vitaldent conozcan de primera mano las innovaciones, nuevas técnicas y protocolos de actuación que permiten

La Dra. Clara Esteban, directora médica de Donte Group, durante la inauguración del Vitaldent Dental Summit 2025.

mejorar la atención a los pacientes y llevar la práctica clínica a los más altos estándares de eficacia y eficiencia”, apunta la doctora Clara Esteban, directora médica de Donte Group. En este sentido, más del 80% de las 400 clínicas de Vitaldent ya están equipadas con técnicas de imagen avanzada como el escáner intraoral y están incorporando las técnicas más avanzadas de cirugía guiada o integrando la sedación consciente para el mayor bienestar de los pacientes. Siguiendo la línea de ediciones anteriores, el encuentro ha contado con la participación de destacados expertos, quienes han abordado temas clave como el pasado, presente y futuro de la cirugía guiada para implantes dentales, que ha cobrado especial protagonismo en el encuentro. 

ENTREGA DE LOS XI PREMIOS REVISTA HIGIENISTAS DENTALES MARISA CASARES

La sede del Colegio Profesional de Higienistas

Dentales de Madrid acogió el 15 de marzo la XI edición de la entrega de los Premios Revista Higienistas Dentales Marisa Casares. Este año, como novedad, se retransmitió en directo desde el canal de YouTube del Colegio, por lo que se contó con un mayor número de asistentes.

Tal y como señaló Cristina Navarro Martín, directora de Revista Higienistas, con este acto se pretende “reconocer y premiar el talento, el conocimiento, la experiencia profesional y la capacidad de trabajo investigador y esfuerzo de crecer profesionalmente de los higienistas dentales”. Cristina Navarro tuvo también unas palabras de agradecimiento para todos los profesionales que han participado en esta edición con sus artículos, por su esfuerzo, trabajo e implicación.

Cabe destacar la labor del Comité Científico, formado por la Dra. Elena Martínez Sanz, Presidenta del Comité; Dª Gema Mª Antúnez; Dª Mª José Melchor Zamorano; y el Dr. Juan Carlos Muñoz García, por su profesionalidad, su experiencia, su tiempo y su rigor a la hora de seleccionar los artículos galardonados.

El presidente del Colegio Profesional de Higienistas Dentales de Madrid, César Calvo Rocha, reconoció la labor que el Colegio y sus profesionales realizan para promocionar y poner en valor la figura del higienista dental, destacando su compromiso con la formación continuada y la educación en salud bucodental.

De todos los trabajos recibidos, han destacado dos por su originalidad, por su desarrollo de investigación científica y su promoción de la salud bucodental y la figura del higienista dental. Por un lado, el artículo finalista, de Fernando Justa González, titulado “Clorhexidina y presión arterial: la interconexión entre microbiota oral y regulación cardiovascular”. Y por otro, el proyecto ganador, titulado “¡Mira qué boca! Combinación Estudio + Intervención sobre Higiene Bucodental en niños y adolescentes con especial énfasis en el contraste Hábito vs Conocimiento” de Mª Asunción Pérez López y otros siete higienistas dentales de Atención Primaria de Ourense. Por último, desde el Colegio destacan el apoyo de Oral B un año más, representado en este acto de entrega de premios por el Dr. Ángel Alcaide, como patrocinadores del Premio Marisa Casares. 

ALPHA-BIO IBERIA CELEBRARÁ EL CONGRESO IMPLANTOLOGY

GAME CHANGERS EN MAYO EN

El Congreso Implantology Game Changers, que se celebrará en Oporto el próximo mes de mayo, abordará las últimas innovaciones en el campo de la implantología. Organizado por Alpha-Bio Iberia, y con la digitalización como eje principal, este evento reunirá a más de 300 profesionales de la odontología para conocer cómo la tecnología está cambiando el panorama de los tratamientos implantológicos. El congreso abordará temas como la planificación digital, la regeneración ósea avanzada, la resolución de complicaciones en la zona estética y la atracción de pacientes a través de una buena gestión en clínica. Además, contará con la participación de líderes de renombre en el sector, y presentará un enfoque interactivo inspirado en el videojuego Pac-Man, para hacer la experiencia más dinámica y colaborativa.

OPORTO

El Congreso Implantology Game Changers abordará las temáticas clave en el mundo de la implantología, con un énfasis particular en los beneficios que ofrece la tecnología en términos de precisión, eficiencia, atención al paciente y reducción de costes. Así, el encuentro estará totalmente enfocado en la Era Digital y en cómo las innovaciones

tecnológicas están superando las limitaciones de los métodos tradicionales.

En esta nueva era digital, los “Game Changers” son los profesionales que están llevando estos avances tecnológicos a la práctica clínica diaria. Referentes del sector, como los doctores Antonio Armijo, Juan Ballesteros, Paulo Carvalho, Pedro Moura, Ernest Lucas Taulé, Fernando Cebrián, Alberto Salgado, Dárcio Fonseca o Laura San Martín, entre otros, se darán cita en Oporto para desplegar un programa científico de primer nivel y mostrar el camino a otros colegas del sector.

Según palabras del Dr. Ernest Lucas Taulé, asesor científico del congreso, “Implantology Game Changers no es solo una oportunidad para conocer las últimas innovaciones en implantología, sino una experiencia única que combina ciencia, tecnología y diversión. El programa científico ha sido diseñado para ofrecer contenido de alto nivel, con ponentes de referencia y enfoques vanguardistas que reflejan el futuro de la odontología digital. Además, el formato interactivo y dinámico hará que cada sesión sea tan entretenida como enriquecedora. Será un evento diferente, lleno de aprendizaje y sorpresas”. 

LA REVOLUCIÓN DE LA IMPRESIÓN 3D DENTAL LLEGA A MONTMELÓ CON SPRINTRACE DE SPRINTRAY

Elpróximo 16 de mayo el icónico Circuit de Montmeló será el escenario de un evento sin precedentes en el mundo de la odontología digital: SprintRace, organizado por SprintRay. Un encuentro único donde la innovación en impresión 3D dental se une a la velocidad y la emoción de la competición. Con un aforo limitado a 200 personas, SprintRace se posiciona como un evento imprescindible para los profesionales de la odontología que buscan estar a la vanguardia de la tecnología digital. Una oportunidad única para conocer las últimas novedades del sector y conectar con los principales expertos de la industria. El evento contará con conferencias de líderes de opinión de renombre, quienes compartirán su conocimiento y visión sobre el futuro de la odontología digital. Además, los asistentes tendrán la oportunidad de descubrir en primicia las últimas innovaciones de SprintRay.

Pero SprintRace no será solo un espacio de aprendizaje: la jornada estará marcada por la emoción y la diversión, con una experiencia única en el Circuit de Montmeló y una fiesta exclusiva para los asistentes. SprintRace promete ser un evento de referencia en el sur de Europa, con un formato dinámico. Una ocasión para descubrir cómo la impresión 3D está transformando la odontología y experimentar de primera mano el futuro del sector. 

Los nuevos retenedores removibles Spark son personalizables, duraderos y asequibles

Fabricados con el material TruGEN XR™ para garantizar durabilidad y resistencia a las tinciones, los nuevos retenedores removibles Spark permiten múltiples opciones de personalización (rampas de mordida, pónticos, ajuste de la línea de recorte, eliminación digital de brackets…) a un precio atractivo.

Desde Spark ofrecen a los profesionales la posibilidad de realizar pedidos flexibles dentro un flujo digital para sus pacientes cuando lo necesiten, a partir de un nuevo escaneado o de la posición T21. Y también administrar a sus pacientes de Spark, Ormco™ Digital Bonding y retenedores Spark, todo en un solo portal digital.

Spark www.sparkaligners.com/es-es

Zirkonzahn presenta su nueva zirconia Prettau® 3 Dispersive® con Gradual-Triplex-Technology: un triple gradiente en el color natural,

La zirconia Prettau® Dispersive® está caracterizada desde la fase de producción por matices naturales de color, gracias a una técnica especial que no distribuye los colores en capas, sino que los “dispersa“ de forma homogénea. Con la GradualTriplex-Technology, Zirkonzahn ha desarrollado un triple gradiente para la nueva zirconia Prettau® 3 Dispersive®: además del color, el gradiente también abarca a la translucidez y a la resistencia a la flexión. Mientras que la translucidez se desvanece hacia el cuello del diente y es extremadamente alta en el borde incisal, la resistencia a la flexión disminuye hacia el borde incisal y es extremadamente alta en el área cervical. Estas propiedades hacen que la zirconia Prettau® 3 Dispersive® sea ideal para la elaboración de todo tipo de restauraciones, aunque es especialmente adecuada para las restauraciones monolíticas.

Para determinar con precisión y rapidez el color más adecuado de la restauración de zirconia y lograr que sea idéntica al color natural del diente del paciente, se dispone de guías de colores especiales, las Zirkonzahn Shade Guides, que consisten en muestras monolíticas de la gama de zirconia Prettau® Dispersive® con formas de premolar e incisivos inferior y superior, este último con un ligero cutback para

obtener una guía de color personalizada. Si la restauración final se fresa a partir de un bloque de material Prettau® Dispersive® idéntico a la guía de colores utilizada, se garantiza que el color final reflejará al 100% el color natural del diente.

Zirkonzahn www.zirkonzahn.com

Experto Universitario

Align Technology incorpora capacidades restauradoras al nuevo escáner intraoral iTero Lumina™ y al nuevo sistema de imágenes dentales iTero Lumina™ Pro

Align Technology, Inc. ha anunciado la incorporación de capacidades restauradoras a su escáner intraoral de próxima generación iTero Lumina™ [sin tecnología de Imágenes de Infrarrojo Cercano de iTero (NIRI)] y al nuevo sistema de imágenes dentales iTero Lumina™ Pro (con tecnología NIRI de iTero), para permitir flujos de trabajo restaurativos y orto-restaurativos multidisciplinarios eficientes y apoyar el diagnóstico de caries interproximales por encima de la encía, ayudando a los odontólogos a alcanzar nuevos niveles de eficiencia y crecimiento en la práctica mientras ofrecen resultados clínicos excepcionales. Lanzado inicialmente en febrero de 2024, el escáner intraoral iTero Lumina™ ofrece una velocidad de escaneo más rápida, mayor precisión, visualización superior y una experiencia de escaneo más cómoda. Las capacidades mejoradas de las soluciones iTero Lumina brindan una experiencia de escaneo y rendimiento excepcionales, óptimos desde los casos restaurativos más simples hasta los más desafiantes. Estas capacidades se complementan con flujos de trabajo restaurativos simplificados que incluyen la captura de coronas dentales de una sola unidad hasta un arco dental completo con múltiples preparaciones en una sola pasada, con un movimiento de la varita iTero Lumina.

• Eficiencia y crecimiento de la clínica: experiencia de escaneo sin esfuerzo y flujos de trabajo optimizados que simplifican la toma de registros de pacientes y minimizan el tiempo en el sillón y el espacio ocupado.

• Resultados clínicos excepcionales: precisión clínica superior.

• Experiencia elevada para el personal y el paciente.

“Nos complace anunciar que el nuevo escáner iTero Lumina™ y el nuevo sistema de imágenes dentales iTero Lumina™ Pro ahora pueden ayudar a los doctores a ofrecer resultados restaurativos excepcionales con solo un movimiento de varita”, señala Karim Boussebaa, vicepresidente ejecutivo y director general de Align Technology para el negocio de escáneres y servicios iTero. “Las soluciones iTero Lumina™ incluyen visualizaciones superiores en 3D y 2D, para aumentar y amplificar la evaluación y comunicación de la salud oral utilizando Align™ Oral Health Suite, diseñada para aumentar la participación del paciente y su comprensión de su condición de salud oral”, añade.

Quienes posean el actual escáner iTero Lumina™ recibirán el nuevo software, que incluye capacidades de soporte restaurativo y diagnóstico (sin la tecnología iTero NIRI), a partir de abril mediante una actualización directa del software, después de la aprobación regulatoria en sus países.

Align Technology www.aligntech.com

Ticare ayuda a las clínicas a reducir la incidencia del aflojamiento de tornillos

Los micromovimientos provocan desgaste por rozamiento, deformación plástica y aflojamiento de los tornillos (1). El aflojamiento de tornillos es una complicación costosa, que merma los recursos económicos de la clínica.

El 39,5% de los pacientes presentan complicaciones técnicas durante el seguimiento a 10 años del tratamiento (2). El 43,4% de esas complicaciones en la terapia de implantes son aflojamientos de tornillo, los cuales se producen con mayor incidencia durante los 3 primeros años de seguimiento tras la restauración protésica definitiva (3). El coste de resolver esta complicación supone para tu clínica desde 223€

(caso sencillo con corona atornillada) a 1.363€ (en caso de sustitución de corona cementada).

Ticare pone en marcha una iniciativa para ayudar a las clínicas a reducir la incidencia de esta complicación ¿Quieres conocer cómo? ¡Contacta con tu Asesor Comercial Ticare!

(1) Liu et al. (2017). Arch Oral Biol. (2) Pirc et al. (2024). Clin Implant Dent Relat Res. (3) Brägger et al. (2005). Clin Oral Implants Res.

Ticare Implants www.ticareimplants.com

3Shape presenta el escáner intraoral TRIOS 6 y el software de diagnóstico TRIOS Dx Plus en IDS

3Shape presenta su revolucionario escáner intraoral TRIOS 6, el software de diagnóstico TRIOS Dx Plus* y la aplicación para pacientes DentalHealth.

El nuevo escáner intraoral TRIOS 6 no solo incorpora diversas mejoras, como la tecnología hiperespectral, sino que también añade capacidades diagnósticas gracias al nuevo software TRIOS Dx Plus con inteligencia artificial. Este software ayuda a los dentistas a detectar afecciones clave de la salud bucal, como caries superficiales y proximales¹, placa, desgaste dental y recesión gingival.

El nuevo TRIOS 6 trabaja en conjunto con el software TRIOS Dx Plus para proporcionar soporte diagnóstico a los profesionales de la salud bucal, quienes pueden compartir esta información directamente con los dispositivos móviles de sus pacientes. (Consulte la descripción completa del software más abajo). Además, el escáner inalámbrico introduce la tecnología hiperespectral, una innovación que capta datos de fuentes de luz blanca, fluorescente e infrarrojo simultáneamente. Esto permite la detección de cinco afecciones clave de la salud oral: caries superficiales y proximales¹, placa, desgaste dental y recesión gingival.

El TRIOS 6 ofrece una resolución de escaneo hasta un 110% mayor en comparación con escáneres anteriores de 3Shape, proporcionando la mejor calidad de escaneo hasta la fecha. También incorpora la tecnología patentada de alineación inteligente ScanAssist de 3Shape y respuesta sensorial para un escaneo más fluido y sencillo.

Por su parte, el software TRIOS Dx Plus, compatible exclusivamente con el escáner TRIOS 6, utiliza inteligencia artificial para detectar de manera objetiva afecciones clave de la salud bucal en los datos de escaneo intraoral, como caries superficiales y proximales¹, placa, desgaste dental y recesión gingival. Los dentistas pueden visualizar estas afecciones junto con sus pacientes en pantalla y hacer un seguimiento de su evolución en el tiempo. Además, pueden compartir directamente los escaneos y las visualizaciones de diagnóstico con los pacientes a través de la nueva aplicación DentalHealth de 3Shape. Para complementar el lanzamiento del escáner más innovador de 3Shape hasta la fecha, la compañía también presenta la aplicación “DentalHealth”, diseñada específicamente para pacientes. Esta aplicación permite a los pacientes visualizar sus propios escaneos intraorales, incluidas las visualizaciones de diagnóstico, en sus dispositivos. Además, ofrece consejos e información interactiva para fomentar mejores hábitos de cuidado dental.

¹ La detección de caries proximales estará disponible a finales de 2025 y no se basa en inteligencia artificial. Para información sobre la disponibilidad en su país o región, contacte con su distribuidor o representante de 3Shape.

TRIOS Dx no está autorizado por la FDA para uso clínico en EE.UU.

3Shape www.3shape.com

KaVo lanza una nueva gama de productos bajo el lema “The Elements of Excellence”

Bajo el lema “The Elements of Excellence”, KaVo Dental lanza una gama de nuevos productos que destacan por su diseño ergonómico, fiabilidad y tecnología avanzada, y con ello marca el comienzo de la nueva generación de unidades dentales e instrumentos.

KaVo amiQa

La última y más vanguardista unidad dental de la marca. Sucesor indiscutible de su popular KaVo Primus 1058, ofrece calidad, fiabilidad, soluciones de higiene ingeniosas y un diseño moderno y compacto. Ideal y esencial para cualquier consulta dental y para cualquier tratamiento y paciente.

Actualización de KaVo ESTETICA

E70/E80 Vision

Las obras maestras de la marca; las unidades dentales más premium y galardonadas. Combinan una ergonomía superior y confort, con una pantalla panorámica de 12.3 pulgadas y navegación intuitiva.

Actualización de KaVo uniQa

Su reciente lanzamiento en unidad dental, mejorada. Representa la exclusividad y singularidad con nuevas características de diseño y confort, incluyendo la nueva colección de colores de su tapicería “Inspired by Nature”.

KaVo Lumina

Lámpara de tratamiento con tecnología de iluminación ”UX Light Technology“, modo SPAlight y COMPOshape y manejo excepcionalmente sencillo, con sensor y sin contacto.

KaVo eSCALER

Scaler ultrasónico eficiente y preciso, para una limpieza eficaz – Made by KaVo; ideal para profilaxis y periodoncia.

Cada inversión en un producto KaVo es una apuesta por la calidad, durabilidad y confort ergonómico, asegurando la salud y bienestar de todo el equipo de la consulta y sus pacientes.

KaVo www.kavo.com

Tener los dientes más blancos puede darle a tus pacientes la confianza para sonreír más.

Una sonrisa más blanca puede iluminar tu mundo

Los tratamientos de blanqueamiento dental Opalescence™ tienen como misión ofrecer a tus pacientes sonrisas más blancas y brillantes, para convertir sus días buenos, en mejores. Como líder global en blanqueamiento profesional1, Opalescence™ ha iluminado más de 100 millones de sonrisas.1 Esos son muchos días mejores.

DESDE EL 1 DE MARZO HASTA EL 30 DE ABRIL DE 2025

Ti-Max Z TURBINAS DE TITANIO CON LUZ

Conexión NSK

Z990L

REF. PA2373

POTENCIA 44W

Conexión KaVo® MULTIflex®

Z990KL

REF. PA2375

• Cabezal en ángulo de 100° • Cuerpo de Titanio con DURAGRIP Resistente a arañazos • Rodamientos de Cerámica • Óptica de Vidrio Celular

• Portafresas Push Botton • Spray Quattro • Sistema de Cabezal Limpio • Parada rápida • Microfiltro • DYNAMIC POWER SYSTEM • DURAPOWER CHUCK

• Fácil cambio de cartucho • Velocidad: 280.000-360.000 min-1 • Tamaño del Cabezal: ø12,1 x H 12,7 mm

OFERTA 1 + 1

Ti-Max Z CONTRA-ÁNGULOS

DE TITANIO CON LUZ

Z95L Con Luz 1:5 REF. C1034

• Clean Head System (Anti-Retorno) • Spray Quattro (2 tipos de Spray: bruma y chorro) • Velocidade Máxima: 200.000 min-1

• Portafresas Push Button • Rodamientos de Cerámica • Microfiltro

1 + 1

Z25L Con Luz 1:1 REF. C1038

Clean Head System (Anti-Retorno) • Cuerpo de Titanio con DURAGRIP resistente a arañazos • Óptica de Vidrio Celular • Portafresas Push Botton • Microfiltro • Spray Simple • Para fresas CA (ø2,35) • Velocidad Máx: 40.000 min-1 SPRAY SWITCH

Turn static files into dynamic content formats.

Create a flipbook
Issuu converts static files into: digital portfolios, online yearbooks, online catalogs, digital photo albums and more. Sign up and create your flipbook.