El Dentista Moderno Nº 95

Page 1


ENTREVISTAS

• Dra. Margarita Varela Morales y Dr. Pablo García-Camba Varela, Servicio de Ortodoncia del Hospital Universitario Fundación Jiménez Díaz

• Dr. Alberto Monje, SEPA Barcelona 2025

• Dr. José López y Dr. Bruno Ruiz, SEI Toledo 2025

ORTODONCIA

• Sistema Damon

• Alineadores invisibles

JÓVENES TALENTOS

Dra. Inma Martín Quintero, especialista en Ortodoncia

D4.0

ENTREVISTA

Prof. Dr. José Ramón Alonso, autor de “Historia de los dientes y los dentistas”

PENSANDO EN EL FUTURO

IA aplicada a la práctica clínica

GESTIÓN DE CLÍNICAS

Ciberseguridad en la clínica dental

Siguiendo la evolución de la Odontología para el profesional del sector llamado a construir el futuro

0,15 mm

TU ELECCIÓN EN CASOS DE BAJA DENSIDAD ÓSEA

Descubre toda la gama

staff

Número 95 - Junio/Julio 2025

Impresión: Gama Color

Depósito Legal: M-33444-2013

ISSN: 2340-9703

ISSN (internet): 2340-9797

Versys Ediciones Técnicas S.L. Invierno, 17 28850 Torrejón de Ardoz (+34) 912 972 000 administracion@versysediciones.com

CEO

José Manuel Marcos Franco de Sarabia

DIRECTORA DE OPERACIONES

Esther Crespo

Siguiendo la evolución de la odontología

DIRECTORA

Emiliana Rodríguez Charmes emi.rodriguez@eldentistamoderno.com

SUBDIRECTORA

Beatriz Suárez de la Vega beatriz.suarez@eldentistamoderno.com

REDACCIÓN Y FOTOGRAFÍA Departamentos propios Versys Ediciones Técnicas

COMITÉ CIENTÍFICO

Javier de la Cruz, José Nart, Jesús Daniel Parejo, Juan López Palafox, Miguel Burgueño, Juan Manuel Vadillo, Guillermo Galván, Rafael Martínez de Fuentes, Anna Ramiro, Carlos Repullo, Leticia Rodríguez, Marta Revilla, José María Malfaz, Eva Mª Martínez y Eva López de Castro

DISEÑO Y MAQUETACIÓN

Manuel Beviá

DIRECTORA COMERCIAL ÁREA DE DISTRIBUCIÓN

Mercedes Álvarez mercedes.alvarez@versysediciones.com

DIRECTORA DE CUENTAS DM

Emiliana Rodríguez Charmes emi.rodriguez@eldentistamoderno.com

DIRECTOR DE EXPANSIÓN Y DESARROLLO

José Manuel Marcos de Juanes

Copyrigth Versys Ediciones Técnicas S.L. La suscripción a esta publicación autoriza el uso exclusivo y personal de la misma por parte del suscriptor. Cualquier otra reproducción, distribución, comunicación pública o transformación de esta publicación sólo puede ser realizada con la autorización de sus titulares. En particular, la Editorial, a los efectos previstos en el art. 32.1 párrafo 2 del vigente TRLPI, se opone expresamente a que cualquier fragmento de esta obra sea utilizado para la realización de resúmenes de prensa, salvo que cuente con la autorización específica. Diríjase a CEDRO (Centro Español de Derechos Reprográficos) si necesita fotocopiar, escanear, distribuir o poner a disposición de otros usuarios algún fragmento de esta obra, o si quiere utilizarla para elaborar resúmenes de prensa (www.conlicencia.com; 917021970/932720447)

Las opiniones y conceptos vertidos en los artículos firmados lo son exclusivamente de sus autores, sin que la revista los comparta necesariamente.

Premio de Comunicación SECIB 2019

Accede a El Dentista Moderno

Emi Rodríguez Charmes

Directora de Dentista Moderno y D4.0

FORMACIÓN EN ODONTOLOGÍA: NUEVOS RETOS EN LA COLABORACIÓN

INTERNACIONAL

En un momento donde la colaboración científica y la excelencia académica deberían ser pilares incuestionables del progreso, los recientes acontecimientos en Estados Unidos han sembrado incertidumbre entre cientos de estudiantes internacionales, incluidos numerosos jóvenes españoles que aspiraban a especializarse en prestigiosas instituciones como la Universidad de Harvard.

Recientemente la Administración Trump ha activado una serie de medidas que afectan directamente a los estudiantes extranjeros, incluyendo la suspensión de nuevas entrevistas para la emisión de visas académicas y la revisión intensiva de redes sociales como parte del proceso de admisión. Más aún, un hecho sin precedentes ha sacudido el ámbito universitario: el Departamento de Seguridad Nacional revocó temporalmente la certificación del programa de estudiantes internacionales de la Universidad de Harvard, impidiéndole legalmente admitir alumnos extranjeros. Esta decisión ha sido restituida provisionalmente por un juez federal en Boston, aunque la situación sigue sujeta a litigios y debate público.

Este contexto impacta a estudiantes y profesionales de sanidad como la Odontología, donde Estados Unidos –y particularmente Harvard– representan un referente internacional en investigación, técnicas clínicas y formación avanzada. Harvard School of Dental Medicine, institución reconocida globalmente por su innovación y contribución científica, alberga una nutrida comunidad académica internacional, incluidos investigadores españoles que lideran líneas punteras en este ámbito.

El posible veto o limitación del acceso de estos perfiles a la educación estadounidense no solo obstaculiza trayectorias personales, sino que limita el intercambio de conocimiento, la diversidad en la investigación y la formación de redes académicas internacionales. En un campo tan dinámico como la Odontología, donde la ciencia se nutre de la colaboración global, cerrar las puertas al talento extranjero representa una amenaza a la evolución misma de la disciplina.

A partir de este escenario, se vuelve imprescindible reflexionar sobre la necesidad de fortalecer la formación en Odontología a nivel global y nacional. ¿Estamos preparados en Europa para ofrecer entornos de formación tan avanzados y atractivos como los de Harvard? ¿Qué políticas se deberían impulsar a nivel institucional con la educación global?

Es de vital importancia proteger el intercambio académico y la urgencia de construir alternativas sólidas y competitivas. En este contexto, corresponde a las administraciones actuar con responsabilidad y visión de futuro, garantizando marcos estables que protejan la formación.

La ciencia y la educación no pueden quedar sujetas a vaivenes políticos.

3

6

EDITORIAL

Formación en Odontología: nuevos retos en la colaboración internacional

Por Emi Rodríguez Charmes, directora de Dentista Moderno y D4.0.

ENTREVISTA

“El futuro de la ortodoncia pasa por unir los aspectos científicos, tecnológicos y psicológicos, sin perder nunca la perspectiva bioética de nuestra profesión”

Dra. Margarita Varela Morales, Consultora del Servicio de Ortodoncia del Hospital Universitario Fundación Jiménez Díaz, y Dr. Pablo García-Camba Varela, Jefe del Servicio de Ortodoncia del Hospital Universitario Fundación Jiménez Díaz

16

26

ORTODONCIA - ORMCO

Eficacia del Sistema Damon Ultima en los tratamientos de ortodoncia. Reporte de un caso clínico

Autores: Dr. Ramón Perera Grau y Dr. Ramón Perera Cabrera.

JÓVENES TALENTOS

“La Ortodoncia es una especialidad muy gratificante, especialmente cuando ves los resultados finales”

Dra. Inma Martín Quintero, especialista en Ortodoncia 56

ENTREVISTA

“Barcelona se convertirá en la capital mundial de la Periodoncia”

Dr. Alberto Monje, vocal de la Junta Directiva de SEPA 66

ENTREVISTA

“SEI Toledo 2025 es un congreso diseñado para abordar la Implantología en 360º”

Dr. José López, presidente de la SEI, y Dr. Bruno Ruiz Gómez, presidente del Comité Organizador del XXXV Congreso Nacional y XXVIII Congreso Internacional de la SEI 72

ORTODONCIA

Uso de alineadores invisibles en fases tempranas del tratamiento de ortodoncia: una revisión sistemática y meta-análisis

Autores: Dr. Javier Girón de Velasco, Dra. Miroslava Sánchez White y Dr. Enrique Ruiz Anillo.

102

NOVEDADES

Equipamiento, instrumental y material protésico, dental y clínico

D4.0

82

88

ENTREVISTA

“La historia de la odontología está repleta de curiosidades”

Prof. Dr. José Ramón Alonso, Doctor en Ciencias Biológicas, Catedrático en Biología Celular en la Universidad de Salamanca, neurocientífico y divulgador científico.

Autor de “Historia de los dientes y los dentistas”

PENSANDO EN EL FUTURO

Integrando la Inteligencia Artificial en nuestra práctica clínica

Por: Dra. Carmen Pomares, experta en IA en odontología

92

96

GESTIÓN DE CLÍNICAS

Los ciberataques ponen en jaque la reputación y la operatividad de las clínicas dentales

Por: Raúl Guillén, experto en ciberseguridad y Cybersecurity Strategy Evangelist en Trend Micro

EVENTOS Y CONGRESOS

Congreso “Implantology Game Changers” de Alpha-Bio Iberia

Sencillamente Esencial.

KaVo amiQa – 100% KaVo. Kompakt und bereit für jede Indikation. Alles, was du brauchst, in einer Einheit, die durch Qualität und Preis/ Leistung überzeugt. Die neue KaVo macht den Start in die Zukunft perfekt.

KaVo amiQa – 100% KaVo. El último y más vanguardista lanzamiento de KaVo. Compacta y lista para cualquier tratamiento, transmite una auténtica sensación de bienestar, tanto a ti como a tus pacientes. Todo en un conjunto perfectamente equilibrado, con la larga vida útil y la fiabilidad absoluta que solo el sello «Made in Germany» de KaVo puede garantizar.

KaVo amiQa. Die neue KaVo!

Sencilla. Precisa. Excelente. Porque lo que de verdad importa son los valores reales.

Erfahren Sie mehr: www.kavo.com/de/amiqa www.kavo.com

Más información en: www.kavo.com/es/amiqa

“EL FUTURO DE LA ORTODONCIA PASA POR UNIR LOS ASPECTOS CIENTÍFICOS, TECNOLÓGICOS Y PSICOLÓGICOS, SIN PERDER NUNCA LA PERSPECTIVA BIOÉTICA DE NUESTRA PROFESIÓN”

Dra. Margarita Varela Morales, Consultora del Servicio de Ortodoncia del Hospital Universitario Fundación Jiménez Díaz, y Dr. Pablo García-Camba Varela, Jefe del Servicio de Ortodoncia del Hospital Universitario Fundación Jiménez Díaz

El Dr. Pablo García-Camba Varela, nuevo Jefe del Servicio de Ortodoncia del Hospital Universitario Fundación Jiménez Díaz, y su madre, la Dra. Margarita Varela Morales, anterior Jefe y ahora Consultora del mismo Servicio, nos hablan de su trayectoria profesional y de su visión sobre la evolución de la ortodoncia en los últimos años y sobre el futuro de la especialidad.

 DM.- Acaba de asumir la jefatura del Servicio de Ortodoncia del Hospital Universitario Fundación Jiménez Díaz, tras 18 años integrado en el mismo, primero como postgrado y después como adjunto. ¿Cómo ha sido ese recorrido de crecimiento profesional y personal?

Dr. Pablo García-Camba Varela (Dr. P.G-C.V.).- Mi incorporación a la Unidad como alumno de postgrado en 2007, recién acabada la carrera de Odontología, fue un momento muy emocionante que siempre recordaré. Iba a formarme en el hospital que literalmente me vio nacer y que sentía como mi casa. A gran parte del equipo lo conocía desde la infancia y me hacía mucha ilusión pasar a formar parte de él, pero a la vez me preocupaba convertirme automáticamente en el “hijo de”, teniendo que demostrar a los demás (y a mí mismo) que merecía estar ahí. Nuestro postgrado fue siempre muy pequeño y familiar (solo 4 alumnos cada 3 años con dedicación exclusiva) y ¡no era fácil pasar desapercibido! Finalizado el postgrado, y poco después de concluir mi estancia de un año en Estados Unidos, en la Universidad de Nueva York, la Fundación Jiménez Díaz me contrató como adjunto. Una gran respon-

Dra. Margarita Varela Morales, Consultora del Servicio de Ortodoncia del Hospital Universitario Fundación Jiménez Díaz, y Dr. Pablo García-Camba Varela, Jefe del Servicio de Ortodoncia del Hospital Universitario Fundación Jiménez Díaz.

sabilidad, porque tenía claro que me incorporaba a una institución muy exigente y de máximo prestigio. En poco tiempo hice el doctorado y otras estancias más cortas en el extranjero y seguí comprometido con los trabajos de investigación del Servicio y con la docencia de nuestros alumnos de postgrado, ya como jefe de estudios. Y, por supuesto, sin abandonar mi propia formación continuada y colaborando a la vez como profesor invitado en otras instituciones. En este momento tan importante de mi trayectoria profesional me siento muy honrado de que la Fundación Jiménez Díaz y el Grupo Quirón Salud me hayan encargado asumir la jefatura del Servicio de Ortodoncia. Supone todo un reto, porque tengo que estar a la altura y no es fácil. Pero sin perder de vista la historia de nuestra Unidad y la aportación extraordinaria de los anteriores jefes, el Dr. Juan Canut y la Dra. Margarita Varela; estoy muy motivado para iniciar esta nueva andadura abierto a los desafíos del presente. Afortunadamente tengo la suerte de contar con el apoyo de todo el equipo, sobre todo de nuestra adjunta, la Dra. María Marcianes, una estupenda ortodoncista formada con nosotros, y de la Dra. Varela, que seguirá trabajando como consultora con total dedicación a la clínica.

 DM.- Como responsable del servicio, ¿cuáles son los mayores retos a los que se enfrenta, tanto a nivel profesional como de equipo?

Dr. P.G-C.V.- Desde un punto de vista profesional, creo que la ortodoncia afronta un momento convulso marcado por una creciente banalización de la especialidad por parte de muchos medios bajo la influencia de algunas casas comerciales. Parece que cada vez se ven más propuestas que reducen la ortodoncia a simples productos de consumo. Como ortodoncista creo fundamental reivindicar el valor de nuestra especialidad como ciencia de la salud y transmitírselo así a nuestros pacientes y a la sociedad en general. En cuanto al equipo, tengo la inmensa fortuna de contar con el mejor: un grupo pequeño pero magnífico en el que todas las personas, desde las más veteranas hasta las que se han incorporado recientemente, demuestran una gran profesionalidad y generan un magnífico ambiente humano. Creo que eso no es casualidad, sino la consecuencia de un estilo de liderazgo marcado por la Dra. Varela donde priman la empatía, la comunicación y el respeto entre todas las partes.

Me siento muy honrado de que la Fundación Jiménez Díaz y el Grupo Quirón Salud me hayan encargado asumir la jefatura del Servicio de Ortodoncia ”

Dr. Pablo García-Camba Varela,

Jefe del Servicio de Ortodoncia del Hospital

Universitario Fundación Jiménez Díaz

 DM.- ¿Qué objetivos o líneas de trabajo se ha planteado para esta nueva etapa al frente de la unidad?

Dr. P.G-C.V.- Fundamentalmente dar continuidad al estilo que siempre nos ha caracterizado y, a la vez, potenciar la innovación. A pesar de los cambios no siempre positivos a los que estamos asistiendo en nuestra especialidad, mi objetivo es seguir innovando sin renunciar a primar el rigor científico en el enfoque de nuestros tratamientos. Para ello es fundamental no perder la ilusión por seguir aprendiendo siempre, estudiando, participando en congresos y cursos e implementando, tras su valoración crítica, las nuevas herramientas que van surgiendo. Algunas de ellas en pocos años posiblemente revolucionarán la manera en la que hoy entendemos toda la sanidad y también la ortodoncia. Otro objetivo importante es mantener la atención personalizada a nuestros pacientes y el trato cálido y humano con nuestro equipo. En este sentido, tal como yo lo he vivido en la Fundación dentro, pero también fuera de nuestro servicio, sé que liderar no es sólo dirigir, sino también crear las condiciones para que todos podamos dar lo mejor de nosotros mismos en favor de los pacientes y de nuestra propia satisfacción.

 DM.- Usted ha mencionado el peso del legado de su madre, la Dra. Margarita Varela, y del Dr. Juan Canut Brusola. ¿Qué ha significado para usted crecer profesionalmente bajo la guía de su madre como mentora?

Dr. P.G-C.V.- Yo no coincidí con el Dr. Canut en activo, aunque conozco perfectamente la gran trascendencia de su figura y su legado en la historia de la ortodoncia en España y siento una gran admiración por él. En cuanto a mi madre, la Dra. Varela,

ha sido mi mentora más exigente. Tenerla como referente ha sido una gran suerte para mí, pero también mucha responsabilidad.

Ella es una profesional excepcional. Incansable, trabajadora, estudiosa, con gran vocación científica y, al mismo tiempo, una persona empática y gran comunicadora. Esa combinación de rigor científico y calidez humana hace que todo el mundo a su alrededor la quiera y respete tanto profesional como personalmente.

De ella he aprendido muchísima ortodoncia, pero también a tener una visión más médica de nuestra especialidad. Y a ser autoexigente, comprometido con el aprendizaje continuo y a luchar por mis metas, sin dejar jamás de lado la ética y el compañerismo. Puedo decir que haber crecido profesionalmente con una mentora así y hacerlo en la Fundación Jiménez Díaz, es un privilegio que me ha marcado para siempre.

 DM.- Teniendo en cuenta la historia de esta unidad, ¿cómo se vive la tradición dentro de un equipo que también busca estar a la vanguardia tecnológica y científica?

Dr. P.G-C.V.- Siempre me han interesado mucho la tecnología y sus avances en todos los ámbitos, y trato de incorporarlos en mi día a día. Pero desde mi punto de vista, tradición y vanguardia no son incompatibles, sino complementarias. Los ortodoncistas formados en la Fundación Jiménez Díaz, un hospital universitario de larguísima historia y tradición clínica y con uno de los institutos de investigación biomédica más importantes de España, nos hemos contagiado de ese estilo verdaderamente propio, lo que nos ha dado una base muy sólida gracias a una forma de enseñanza marcada por

la autonomía y la responsabilidad progresiva superponible al sistema MIR en Medicina. Yo, desde que me incorporé como staff al Servicio, asumí absolutamente esa “herencia” que, en mi opinión, se abre a los avances más vanguardistas de nuestra especialidad sin perder nunca la capacidad crítica ni nuestra identidad. La Fundación está a la vanguardia en numerosos ámbitos de la medicina y la investigación y recibe continuamente importantes reconocimientos nacionales e internacionales, así que me basta mirar a mi alrededor para tener valiosos modelos a los que, salvando las distancias, tratar modestamente de parecerme.

 DM.- Su visión profesional tiene un fuerte enfoque en la innovación. ¿Qué avances tecnológicos considera más prometedores para el futuro de la ortodoncia y cómo los está incorporando a la práctica diaria?

Dr. P.G-C.V.- La ortodoncia ha cambiado muchísimo desde que comencé mi formación de postgrado en 2007. La tecnología está transformando nuestra sociedad y la ortodoncia no es una excepción.

Uno de los avances más prometedores que ya estamos viviendo desde hace unos años y que irán mejorando muy rápido en el futuro inmediato es la digitalización completa del flujo de trabajo: desde el escaneado intraoral y la planificación 3D, hasta la impresión de aparatología personalizada.

Y qué decir de la Inteligencia Artificial (IA)... Aunque puede ser un arma de “doble filo”, tiene un tremendo potencial, sobre todo en términos de análisis predictivo y optimización de algunas decisiones clínicas gracias a su capacidad de analizar volúmenes de datos masivos. Mi sensación es que, aunque aún le falta tiempo para desarrollarse e implementarse de manera protocolizada, en muy pocos años la IA será totalmente imprescindible en ortodoncia y odontología en general, como en todas las ciencias de la salud.

En cualquier caso, la innovación tecnológica como tal no debe ser una meta aislada, sino una actitud en la que incluyo el adaptarse, aprender y aplicar lo que sea valioso de las novedades que vayan apareciendo, pero siempre con una visión crítica basada en una formación sólida e independiente. No podemos perder de vista los intereses de algunas casas comerciales por vender tecnologías y sistemas que no siempre del todo útiles o con una base científica sólida, por fines meramente comerciales. Esas mismas casas también pretenden hacer

obsoleta la ortodoncia tradicional de un plumazo... La industria es un elemento clave en sanidad, imprescindible protagonista del progreso tecnológico, pero deben ser los profesionales bien formados los que tienen que testar de manera independiente sus propuestas para recomendar su aplicación en la clínica atendiendo a las necesidades específicas de cada paciente.

 DM.- En su experiencia, ¿cómo se ha transformado la relación con los pacientes en los últimos años? ¿Qué papel juega la humanización del trato dentro de su enfoque clínico?

Dr. P.G-C.V.- La relación clínico-paciente ha cambiado mucho en los últimos años en toda la sanidad. El clásico enfoque un tanto paternalista en el que prevalecía entre los médicos y los dentistas el criterio de “todo para el paciente, pero sin el paciente” ahora es muy distinto. Hoy cualquier persona participa en las decisiones que afectan a su propio tratamiento y la sociedad está cada vez más informada, aunque no siempre bien, por cierto. Con mucha frecuencia los pacientes consultan en internet, comparan las opciones que les ofrecen en varias clínicas y quieren saber con todo tipo de detalle el “cómo, cuándo y dónde” de su tratamiento. Eso nos obliga a los profesionales a ser aún más claros, transparentes y “pedagógicos” en nuestras explicaciones. No es raro que incluso tengamos que “desmontar” errores y prejuicios del paciente, fruto de una sobreinformación que hace unos años era impensable.

Pero por encima de todos esos cambios en nuestra relación con los pacientes, hay un concepto que debe permanecer siempre y es que detrás de cualquier maloclusión hay una persona con su idiosincrasia que quiere ser escuchada, comprendida y tratada con respeto y empatía.

En mi experiencia, una buena comunicación paciente-profesional es un pilar fundamental de todo tratamiento de ortodoncia, que influye siempre en la satisfacción de los pacientes y de nosotros mismos, y también en los resultados del propio tratamiento.

 DM.- ¿Cuáles son los mayores retos que enfrenta un líder ortodoncista todavía joven en una institución con tanta historia?

Dr. P.G-C.V.- ¡El mayor reto es estar a la altura! La ortodoncia es una especialidad presente en la mayoría de los grandes hospitales europeos, pero no en muchos españoles. Nuestro fundador,

el Dr. D. Carlos Jiménez Díaz, tan adelantado a su tiempo, ya incluyó nuestra especialidad en su primer proyecto hospitalario y desde entonces la Fundación ha tenido una Unidad de Ortodoncia independiente, pequeña pero plenamente activa. Formar parte de nuestra institución ha sido siempre un motivo de orgullo para mí, pero también un aviso a navegantes por la responsabilidad que eso conlleva.

La Fundación está a la vanguardia en numerosos ámbitos de la medicina y la investigación y recibe continuamente importantes reconocimientos nacionales e internacionales, así que me basta mirar a mi alrededor para tener valiosos modelos ”
Dr. Pablo García-Camba Varela, Jefe del Servicio de Ortodoncia del Hospital
No es raro que incluso tengamos que ‘desmontar’ errores y prejuicios del paciente, fruto de una sobreinformación que hace unos años era impensable
Dr.

Pablo García-Camba Varela, Jefe del Servicio de Ortodoncia del Hospital

Universitario

Fundación Jiménez Díaz

Mis predecesores en el cargo también me han puesto el listón muy alto pero yo, que he tenido el privilegio de recorrer un camino único como “copiloto” de una gran mentora, confío en que estaré a la altura de la confianza que tantas personas, entre ellas nuestro Patronato Rector, nuestra dirección y nuestros pacientes, han puesto en mí para tomar el relevo.

 DM.- La ortodoncia es una disciplina que no deja de evolucionar. ¿Qué cambios considera fundamentales para el futuro de la especialidad en España?

Dr. P.G-C.V.- Quizá el cambio que considero más importante de cara al futuro es más filosófico que tecnológico: hay que recuperar la consideración de la ortodoncia como una parte trascendente de las ciencias de la salud, algo que amenaza con perderse. Las maloclusiones dentarias, asociadas con frecuencia con alteraciones del esqueleto maxilofacial, son problemas de salud que tienen por lo general un componente estético, pero que no se pueden considerar con frivolidad, ni por parte de los pacientes ni de los profesionales.

A mí me preocupa profundamente la creciente banalización de la ortodoncia, visible no solo en la percepción por la sociedad del trabajo de los ortodoncistas, sino también en algunos enfoques formativos actuales. Muchos odontólogos jóvenes ya no buscan una formación sólida y profunda en ortodoncia, basada en principios biomecánicos, científicos y clínicos contrastados, sino que se conforman con adquirir nociones básicas a través de cursos ofrecidos por empresas comercializadoras de sistemas de alineadores. Esta aproximación limitada deja de

lado técnicas tradicionales con eficacia demostrada y minimiza aspectos clave del diagnóstico y la planificación individualizada. Como consecuencia, puede comprometer la calidad de los tratamientos y aumentar el riesgo de complicaciones clínicas.

Creo por ello que uno de los grandes desafíos para el futuro de la ortodoncia es reivindicarla como una especialidad compleja que requiere competencias en diagnóstico, planificación individualizada del tratamiento y control riguroso por parte de profesionales formados específicamente para ello. No debemos dejarnos influir por casas comerciales que prometen el “maná” y que a los ortodoncistas nos consideran simples proveedores, atreviéndose incluso a establecer y difundir, como estrategia de marketing, rankings de los profesionales basados, no en su calidad y logros científico/técnicos, sino únicamente en relación con el volumen de tratamientos que realizan con aparatos de dicha casa comercial. Ni siquiera evaluando los resultados de los mismos.

Por otra parte, la formación continuada es algo fundamental en cualquier especialidad de la Odontología o la Medicina y en este momento en nuestro país está muy centrada en los sistemas de alineadores. Sin embargo éstos, siendo extraordinariamente útiles y un gran avance en nuestra especialidad, no son infalibles ni aplicables a todos los problemas que tratamos en ortodoncia. Por lo tanto, no podemos perder la perspectiva de que existen otros sistemas, que aunque algunos sectores de la industria quieran hacer ver como anticuados por intereses meramente económicos, siguen siendo herramientas muy útiles y con muchísimas indicaciones en nuestro día a día. Está claro que las nuevas tecnologías han llegado para quedarse y yo, como he dicho, soy un gran fan de esas valiosísimas nuevas herramientas, pero no debemos perder el juicio clínico. La IA, digitalización, nuevos materiales, softwares, etc., pueden ser fantásticos aliados, pero como cualquier sistema, deben tener evidencia científica detrás y estar siempre al servicio del clínico para beneficio del paciente y no del marketing.

En definitiva ¿cuál es el futuro de la ortodoncia? Desde mi perspectiva pasa por unir los aspectos científicos, tecnológicos y psicológicos, sin perder nunca la perspectiva bioética de nuestra profesión.

 DM.- Usted ha sido una figura clave en la ortodoncia española durante décadas. ¿Qué motivaciones personales la llevaron a especializarse en esta disciplina?

Dra. Margarita Varela Morales (Dra. M.V.M.).- Decir que yo he sido una figura clave en la ortodoncia española es un juicio demasiado generoso... Yo solo tuve la suerte de formarme y colaborar con los mejores ortodoncistas, especialmente con el Dr. Juan Canut, mi inolvidable maestro. Él sí fue una figura fundamental en los inicios de la ortodoncia en España y lo siguió siendo durante toda su vida. Mi motivación y mi trayectoria hasta convertirme en ortodoncista no fueron convencionales. Cuando terminé la carrera de Medicina en la UAM, hice la residencia en Medicina Interna-Hematología en la Fundación Jiménez Díaz. En ese momento, muchos de los pacientes hematológicos eran niños y jóvenes con leucemias de muy mal pronóstico. Yo, siendo todavía muy joven, sufría enormemente al afrontar esa realidad, hasta el punto en que me plantée un cambio de especialidad. Tras un periodo de reflexión trabajando como médico de familia y tutor de residentes de medicina familiar y comunitaria, tuve un golpe de suerte que cambió mi vida: conocí al Dr. Juan Canut, quien me ofreció la oportunidad de formarme como ortodoncista con él y con el Dr. Javier Álvarez Carlón en la Fundación Jiménez Díaz. Pero antes tenía que hacer la especialidad de Estomatología. Un gran esfuerzo, desde luego, pero descubriría mi verdadera vocación: la ortodoncia hacía compatibles mi amor incombustible por la medicina, la aplicación de habilidades técnicas propias de la odontología que siempre me encantaron y la posibilidad de establecer relaciones cercanas y duraderas con los pacientes y sus familias. Nuestros tratamientos siempre tenían un final feliz y, además, se me daba la oportunidad de desarrollar toda mi carrera en la Fundación. ¡No podía pedir más! Cuando analizo mi evolución profesional pienso que con frecuencia el “segundo novio” nos hace mucho más felices que el primero.

 DM.- Lideró durante años la Unidad de Ortodoncia del Hospital Jiménez Díaz. ¿Qué recuerda de los inicios y cuál considera que fue el mayor reto en aquel entonces?

Dra. M.V.M.- Tuve el honor —y también el gran desafío— de suceder en la unidad de ortodoncia de la Fundación Jiménez Díaz al Dr. Juan Canut, una de las personalidades más carismáticas de nuestra

profesión. Yo no podía reproducir ese carisma, pero sí podía aportar algo distinto: mi experiencia previa como médico especialista en la Fundación y en la asistencia primaria y mi compromiso absoluto de asumir como ortodoncista los tres pilares que el Dr. D. Carlos Jiménez Díaz estableció para todas las disciplinas al fundar nuestra institución: la asistencia, la docencia y la investigación. Mi mayor reto, pero también mi apuesta personal, fue mantenerme fiel a ese modelo institucional tan exigente, integrándome de forma exclusiva en el hospital, aunque eso significara tomar un camino muy distinto al de casi todos mis colegas y amigos dentistas, que ejercían como profesionales liberales.

 DM.- En un entorno médico históricamente dominado por hombres, ¿qué barreras enfrentó como mujer al abrirse camino y liderar un servicio hospitalario?

Dra. M.V.M.- Hace unas décadas la medicina no era una excepción en cuanto al trato discriminatorio de la mujer. Sin embargo, tengo que decir que, una vez me hice ortodoncista, encontré desde el principio un apoyo total en la dirección de la Fundación Jiménez Díaz (FJD).

La FJD siempre ha ido por delante en cuanto a calidad asistencial y nivel científico, pero en los últimos años hemos asistido a una modernización espectacular en el terreno de la gestión, incluyendo una creciente objetividad en la valoración de la mujer. De hecho, en este momento la dirección médica y otros puestos directivos y gerenciales clave de la Fundación están en manos de mujeres. La directora de Investigación también es una mujer y son mujeres las jefes de servicios tan importantes como Cirugía Maxilofacial, Urología, Cirugía Vas-

cular, Hematología, Neumología o Endocrinología, por citar algunos. Está claro que lo que buscan los pacientes es excelencia profesional en lo clínico, lo tecnológico y lo humano, sin importarles si esa asistencia excelente se la presta un hombre o una mujer. Hoy el porcentaje de mujeres graduados en las facultades de Odontología, como en Medicina, es muy superior al de hombres y la sociedad ya admite con naturalidad que su dentista o su médico en cualquier especialidad sea en muchos casos una doctora.

 DM.- A lo largo de su carrera ha formado a generaciones de ortodoncistas como directora del Programa de Postgrado en Ortodoncia. ¿Qué ha significado para usted el rol de docente?

Dra. M.V.M.- Ha sido uno de los mayores privilegios de mi carrera. Tuve el honor de continuar el legado del Dr. Juan Canut, quien en los años 60 creó el primer programa de ortodoncia en España en la Fundación Jiménez Díaz con la colaboración de otro grandísimo ortodoncista, el Dr. Javier Álvarez Carlón. Nuestro programa, que siempre ha sido

gratuito, ha seguido un modelo similar al de los programas MIR: una docencia viva, exigente, con inmersión total en la práctica clínica, dedicación exclusiva y participación en proyectos de investigación y formación continuada con posibilidad de convalidación parcial en estancias internacionales. El número de alumnos de nuestro programa ha sido siempre muy reducido —tres o cuatro por promoción—, lo que ha favorecido una convivencia cercana y muy enriquecedora.

Me enorgullece profundamente ver cómo nuestros antiguos alumnos han desarrollado carreras brillantes en distintos ámbitos, dentro y fuera de nuestro país, y algunos han colaborado de forma totalmente desinteresada como profesores invitados en nuestro programa. Las últimas promociones han tenido como profesoras invitadas a las doctoras Kika Cotrina y Patricia Arrieta, magníficas ortodoncistas, a las que desde aquí mando un gran abrazo y toda nuestra gratitud.

Tras la pandemia, decidimos pausar el programa a la espera de una regulación clara sobre la especialidad y la formación de postgrado en universidades, hospitales docentes y otras instituciones cualificadas.

 DM.- ¿Cómo ha visto evolucionar la formación especializada en ortodoncia y qué desafíos formativos cree que aún existen hoy?

Dra. M.V.M.- En España la formación especializada en ortodoncia ha evolucionado significativamente desde los modelos iniciales de enseñanza no regulados, a programas más estructurados en distintas universidades públicas y privadas. Aun así, persisten desafíos importantes:

1. En España, la ortodoncia aún no se reconoce como especialidad de la odontología como sí sucede en la mayoría de los países de nuestro entorno, lo que crea inseguridad jurídica y profesional.

La Sociedad Española de Ortodoncia (SEDO) y la Asociación Española de Ortodoncistas (AESOR), junto con otras entidades, trabajan activamente para alinearnos con la normativa europea.

2. La formación de los ortodoncistas debe incorporar de forma efectiva nuevas herramientas que se incorporan con rapidez a nuestra práctica. Muchos programas aún no preparan al ortodoncista para el entorno clínico altamente digitalizado que ya está presente, por lo que no se está ofreciendo a los jóvenes profesionales una formación homogénea e independiente en esas áreas.

3. En este momento la práctica clínica de la ortodoncia no está regulada y proliferan los cursos de corta duración patrocinados por plataformas comerciales que ofrecen formación sin la debida supervisión y acreditación.

En definitiva, es crucial avanzar hacia una formación oficialmente regulada, actualizada y ética, que garantice una ortodoncia de calidad para todos los pacientes de acuerdo siempre con la normativa europea.

 DM.- ¿Qué cambios más significativos ha observado en la práctica ortodóncica a lo largo de su carrera?

Dra. M.V.M.- A lo largo de mi trayectoria, he sido testigo de transformaciones importantes en la ortodoncia, especialmente en tres áreas:

1. La irrupción de la ortodoncia en adultos. Hace aproximadamente 25 años, hice mi tesis doctoral sobre los aspectos psicológicos de la ortodoncia en adultos en el departamento de Psiquiatría de la Universidad Autónoma de Madrid. El tema me apasionaba y contaba con la ayuda e inspiración de la Dra. Assuman Kiyac, psicóloga clínica de la Universidad de Seattle, y de mi marido, Eduardo García-Camba, psiquiatra experto en medicina psicosomática y Jefe hasta hace unos años del Servicio de Psiquiatría del Hospital Universitario de la Princesa. Pero me costó mucho reclutar una muestra suficientemente grande de pacientes mayores para la investigación, ya que más del 90% de nuestra práctica, como en la mayoría de las consultas, se centraba en niños y adolescentes. Hoy en día, la situación ha cambiado drásticamente y en muchas consultas la proporción de pacientes mayores supera el 30%.

Este cambio evidente en el “paisaje” de nuestras salas de espera ha ido de la mano de la incorporación de las nuevas tecnologías digitales y la ortodoncia invisible con alineadores, con todas sus consecuencias clínicas y económicas.

El aumento de pacientes adultos supone, a su vez, otros cambios en la práctica clínica y organizativa de los ortodoncistas, haciendo si cabe más importante el enfoque interdisciplinar de la ortodoncia con la colaboración de otros especialistas, dentistas y médicos. El paciente adulto presenta con frecuencia problemas dentales que precisan tratamientos especializados en periodoncia, restauración, implantología, rehabilitación... Por otra parte, a partir de cierta edad los adultos tienen

Se está subrayando en exceso el componente estético de nuestros tratamientos como una herramienta de marketing agresivo, olvidando los aspectos funcionales y de salud, que son irrenunciables ”

Dra. Margarita Varela Morales, Consultora del Servicio de Ortodoncia del Hospital Universitario Fundación Jiménez Díaz

también problemas médicos y están recibiendo tratamientos que deben ser tenidos en cuenta al diseñar nuestros tratamientos de ortodoncia. Por ejemplo, muchas pacientes en edad menopáusica con osteoporosis están siendo tratadas con bifosfonatos que dificultan los movimientos ortodóncicos. También son frecuentes en nuestras consultas los pacientes adultos con patologías generales, anticoagulados, diabéticos o que sufren trastornos dermatológicos que afectan a la cavidad bucal, todo lo cual es raro en la infancia. Un sector importante de pacientes adultos son los que necesitan ortodoncia como procedimiento previo y posterior a la cirugía ortognática por alteraciones del esqueleto maxilofacial o por otras causas como la apnea obstructiva del sueño. Y por último, no podemos olvidar los aspectos psicológicos, tan importantes en nuestra especialidad, que son muy distintos en la vida adulta y en la infancia.

2. La democratización de la ortodoncia. Hace unas décadas a la ortodoncia solo accedían familias privilegiadas pero hoy afortunadamente está al alcance de muchas familias y personas de todas las edades. Desde los futbolistas de éxito que sonríen felices con sus brackets en los medios de comunicación y los actores y cantantes que reconocen utilizar ortodoncia invisible, hasta las numerosas personas de “a pie” que nos atienden en la caja de nuestro supermercado, en el banco, o se sientan a nuestro lado en el cine y que están recibiendo tratamiento de ortodoncia. Por no hablar de los niños y adolescentes; muchos padres ya consideran una prioridad la salud bucodental de sus hijos, incluida la ortodoncia.

3. Una visión un tanto “frívola” de la ortodoncia. Junto con esos cambios positivos hemos asistido también a otros muy negativos; el más importante quizá sea la creciente “frivolización” de nuestra especialidad por muchos sectores de la sociedad e incluso por algunos sectores de la profesión. Se está subrayando en exceso el componente estético de nuestros tratamientos como una herramienta de marketing agresivo, olvidando los aspectos funcionales y de salud, que son irrenunciables. Algunos profesionales con una formación insuficiente en ortodoncia se sienten capaces de tratar una maloclusión por severa que sea simplemente alineando los dientes y ofreciendo así una mejoría de la sonrisa, pero sin resolver el verdadero problema oclusal de su paciente y con el riesgo de generar efectos indeseables. En mi opinión, esta visión frívola ha de ser considerada como un verdadero problema bioético en nuestra profesión.

 DM.- ¿Hay algún caso clínico, avance técnico o momento profesional que recuerde con especial orgullo?

Dra. M.V.M.- Son muchos. A lo largo de los años, nuestra unidad ha tenido el privilegio de organizar cursos con algunos de los mejores dentistas del mundo y presentarlos en nuestro Aula Magna, en el mismo estrado por donde también han pasado grandes figuras de la medicina mundial, incluidos numerosos Premios Nobel. La organización de estos eventos científicos de primer nivel ha sido siempre una fuente de orgullo para mí.

El aumento de pacientes adultos supone, a su vez, otros cambios en la práctica clínica y organizativa de los ortodoncistas, haciendo si cabe más importante el enfoque interdisciplinar de la ortodoncia con la colaboración de otros especialistas, dentistas y médicos ”
Dra.

También me hizo especial ilusión publicar, junto con excelentes colegas y amigos como coautores, el libro “Ortodoncia Interdisciplinar”, que fue muy bien recibido por la profesión. Y, sin duda, dirigir o codirigir las tesis doctorales de varios antiguos alumnos, en particular la de mi hijo Pablo y la de nuestra querida adjunta, María Marcianes, que leyó su tesis en plena pandemia dándonos un ejemplo de entusiasmo en un momento muy doloroso y de gran incertidumbre para todos. Ambas investigaciones han sido publicadas en revistas internacionales de impacto.

Sin embargo, con la perspectiva que da el tiempo, he podido descubrir que lo que más alegría y orgullo me ha dado en mi vida profesional es lo esencial de nuestra profesión: poder tratar junto con nuestro equipo a numerosos pacientes con grandes deformidades dentofaciales y otras patologías bucodentales importantes. Con la colaboración de pediatras, cirujanos maxilofaciales, psiquiatras y otros especialistas, hemos conseguido devolver a esos pacientes tan especiales para nosotros, una buena oclusión y una sonrisa armónica, y con ello algo fundamental: la autoestima que todo ser humano merece.

Y también ha sido una fuente increíble de alegría el poder tratar a un número creciente de pacientes de más de 60 años que hace algún tiempo daban por perdida la ilusión de recuperar una buena salud bucodental y una hermosa sonrisa y hoy acuden a la ortodoncia con una esperanza fundada. El otro día me contaron un chiste muy gracioso: “Un señor mayor le dice a un joven: A partir de los 70 solo nos quedan dos placeres y uno es comer. ¿Y el otro?, responde el joven. A lo que el primero contesta con resignación: ¡Cenar!”. Sin duda comer y cenar son dos grandes placeres que necesitan unos dientes sanos y una buena oclusión, pero nosotros los ortodoncistas añadimos otro maravilloso placer al que no hay que renunciar nunca: ¡Recuperar una sonrisa atractiva aunque ya no seas joven! La gratitud de nuestros pacientes de más edad es para mí una fuente enorme de alegría en el día a día de mi actividad clínica.

Realmente cuando analizo el papel profesional que me ha tocado vivir en el ¨Gran Teatro del Mundo”, siento un enorme agradecimiento.

 DM.- Hoy ocupa un rol de consultora, sin responsabilidad gerencial. ¿Cómo vive esta nueva etapa más libre, pero aún activa?

Dra. M.V.M.- Como un verdadero honor. La figura del consultor que existe en la Fundación Jiménez Díaz —y que, desafortunadamente, no está presente en otros hospitales de la sanidad pública— permite prolongar la carrera de muchos profesionales que aún están plenamente capacitados para seguir aportando algo tan valioso como es el talento senior. En ese sentido, soy afortunada de contar con el respaldo de la dirección del hospital. Además, cada día me siento acogida y valorada por mi nuevo jefe, el Dr. Pablo García-Camba; por nuestra adjunta, la Dra. María Marcianes; y por todo el equipo. Es una etapa distinta, pero muy gratificante porque sigo trabajando como siempre en la clínica pero sin ¨mando en plaza¨... Es decir, sin ningún estrés.

 DM.- Como madre y mentora del actual jefe de servicio, ¿cómo ha sido acompañar el crecimiento profesional de su hijo dentro del mismo entorno?

Dra. M.V.M.- Si Pablo García-Camba no fuera mi hijo me sentiría mucho más libre para decir cuánto le admiro como persona y como profesional. Es muy inteligente y un trabajador incansable, pero además tiene otras virtudes fundamentales para ser un gran ortodoncista como la empatía, el equilibrio emocional, la generosidad, la vocación innovadora y esa capacidad tan poco frecuente en nuestro entorno profesional como es la justa ambición con un sentido ético de amplio espectro. Él se formó en nuestro postgrado, pero antes de incorporarse al staff de nuestro servicio en la Fundación completó su preparación durante un año en el postgrado internacional de la Universidad de Nueva York. Durante estos años ha hecho aportaciones muy importantes a nuestro servicio en nuevas tecnologías, digitalización, gestión... Ha colaborado como jefe de estudios en nuestro programa de postgrado y en nuestras líneas de investigación y sinceramente, tengo que reconocer que, con el paso del tiempo, yo he ido aprendiendo cada vez más con él y de él. Entre los dentistas es frecuente que padres e hijos compartan la especialidad y trabajen juntos y cuando ese tándem funciona tan bien como en nuestro caso, es una situación perfecta.

 DM.- ¿Qué valores o enseñanzas considera que es más importante transmitir a las nuevas generaciones de ortodoncistas?

Dra. M.V.M.- En ortodoncia como en otras áreas de la odontología o de la medicina, es fundamental transmitir a los jóvenes dos valores esenciales:

1. Que deben considerar su formación continuada como un deber ético. Mantenerse actualizado no es una opción, sino una responsabilidad profesional y moral ineludible. El conocimiento en ortodoncia avanza con rapidez, y no mantenerse actualizado no solo limita la capacidad técnica del profesional, sino que compromete directamente la calidad de atención que recibe el paciente. Ningún ortodoncista puede dormirse en los laureles y vivir de las rentas de lo que un día aprendió. O actualizarse simplemente “picando” de aquí y de allá, sin ningún espíritu crítico entre lo que le ofrece la industria.

2. Que nunca olviden que el ortodoncista en la clínica se relaciona con pacientes, no con clientes, una diferencia que no es puramente semántica. Sin duda, nuestra práctica tiene una dimensión empresarial importante, pero el paciente no es un consumidor de servicios, sino una persona que confía en nosotros su salud oral y en mayor o menor medida su bienestar físico y psicológico. Esto exige de nosotros empatía y escucha activa. Con ello no solo mejoran nuestros resultados clínicos, sino que también se enriquece y dignifica nuestra práctica y la de nuestros equipos. Y como beneficio colateral, un paciente feliz y un equipo satisfecho e implicado son la mejor herramienta de marketing en cualquier área de la medicina y la odontología y, desde luego, de la ortodoncia. 

EFICACIA DEL SISTEMA DAMON ULTIMA EN LOS TRATAMIENTOS DE ORTODONCIA. REPORTE DE UN CASO CLÍNICO

En los últimos años, el Sistema Damon ha transformado significativamente la práctica ortodóncica, consolidándose como uno de los principales referentes entre los sistemas de autoligado pasivo. A diferencia de los sistemas convencionales, que emplean ligaduras elásticas o metálicas, el Sistema Damon utiliza brackets autoligables que permiten una mecánica más eficiente y fisiológica, minimizando la fricción entre el arco y el bracket. El uso combinado de arcos de última generación junto con brackets de autoligado pasivo, ha tenido un gran impacto en la optimización de la práctica clínica, permitiendo reducir significativamente el trabajo en clínica, minimizando la necesidad de realizar dobleces en los alambres y disminuyendo el recementado de brackets, lo que se traduce en tratamientos más cortos y eficientes. A través de este reporte de un caso clínico, conoceremos la eficacia del Sistema Damon Ultima en los tratamientos de ortodoncia.

Introducción

En los últimos años, el Sistema Damon ha transformado significativamente la práctica ortodóncica, consolidándose como uno de los principales referentes entre los sistemas de autoligado pasivo. A diferencia de los sistemas convencionales, que emplean ligaduras elásticas o metálicas, el Sistema Damon utiliza brackets autoligables que permiten una mecánica más eficiente y fisiológica, minimizando la fricción entre el arco y el bracket. [1,2]. El uso combinado de arcos de última generación, como los Damon® Optimal Force Copper NiTi junto con brackets de autoligado pasivo, ha tenido un gran impacto en la optimización de nuestra práctica clínica. Entre sus grandes ventajas podemos destacar: un movimiento dentario más rápido y más cómodo para el paciente, tratamientos de menor duración, con menos citas y más espaciadas y una mecánica simplificada de tratamiento. [3,4,5].

No obstante, uno de los problemas más frecuentes en los sistemas de autoligado pasivo ha sido el excesivo juego entre el arco y la ranura del bracket,

dificultando así el preciso control del torque, la rotación y la angulación dental. Como consecuencia, los ortodoncistas se han visto muchas veces obligados a realizar correcciones manuales, como dobleces en los arcos o recementado de brackets, disminuyendo así la eficiencia y predictibilidad de sus tratamientos. [6,7].

El Sistema Damon Ultima™ aporta una solución a este problema mediante un diseño muy novedoso que combina una ranura con forma de paralelogramo y arcos rectangulares con bordes redondeados (combiwires). Esta configuración permite cuatro puntos de contacto estables, ofreciendo un control más preciso del movimiento dental desde las fases iniciales del tratamiento. A diferencia de versiones previas, reduce el juego sin aumentar la fricción, manteniendo todas las ventajas del autoligado pasivo. [8,9] (Fig. 1)

Todo ello nos permite reducir significativamente el trabajo en clínica, minimizando la necesidad de realizar dobleces en los alambres y disminuyendo el recementado de brackets, lo que se traduce en tratamientos más cortos y eficientes. [10].

Caso clínico Etiología y diagnóstico

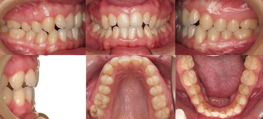
Paciente de 23 años que acude a nuestra consulta en busca de un tratamiento de ortodoncia.

1.- Análisis extraoral (Fig. 2)

De frente:

 Forma de cara ovalada.

 Tercios faciales horizontales y verticales proporcionados.

 Asimetría facial (ligera desviación del mentón hacia la derecha).

 Gap interlabial en norma.

De perfil:

 Birretrusión Labial.

 Perfil recto con ambos labios retruídos.

 Angulo Nasolabial (65º): Disminuido; (Norma 100º +-10º).

 Ángulo Mento-Labial: (113º): Disminuido; (Norma 130º+-10º).

De sonrisa:

 Línea labial superior: alta y asimétrica.

 Línea de la sonrisa: cóncava.

 Línea labial Inferior: asonante.

 Elevación simétrica de las comisuras labiales.

Dr. Ramón Perera Grau Licenciado en Medicina y Cirugía. Universidad de Barcelona.

Médico Especialista en Estomatología. Universidad de Barcelona.

Postgrado de Ortodoncia en el Centro Europeo de Ortodoncia de Madrid.

Diplomado por el “Roth-Williams Center for Functional Occlusion”.

Miembro Diplomado de la Sociedad Española de Ortodoncia (SEDO).

Co-Director, junto al Dr. García Espejo, del International Damon Master.

Dr. Ramón Perera Cabrera Licenciado en Odontología por la Universidad Internacional de Cataluña (UIC).

Máster en Ortodoncia y Ortopedia Dentofacial por la UCM.

Curso “Metodología de Investigación en Odontología” (SEPA).

Miembro de la Sociedad Española de Ortodoncia (SEDO).

Miembro de la Asociación Española de Ortodoncistas (AESOR).

Miembro de la European Orthodontic Society (EOS).

Fig. 1: Comparativa del slot del Sistema Damon Ultima respecto a versiones anteriores.
Fig. 2: Fotografías extraorales iniciales.

caso clínico

 Presencia de corredores bucales.

 Exposición dentaria del 100 % de los incisivos superiores.

 Exposición gingival aumentada a nivel de sectores postero-superiores.

 Línea media superior centrada respecto a la línea media facial.

2.- Análisis intraoral (Fig. 3)

 Relación molar y canina de clase I.

 Compresión dentoalveolar en ambas arcadas con leve apiñamiento.

 Retroinclinación de los incisivos superiores e inferiores.

 Mordida borde a borde (resalte disminuido).

 Tendencia a mordida abierta.

 Línea media superior centrada con respecto a la línea media facial.

 Desviación de la línea media inferior 1 mm hacia la derecha respecto a la línea media facial.

3.- Análisis radiográfico

- En la radiografía panorámica se puede observar (Fig. 4):

 Dentición permanente.

 Presencia de 18 y 28.

 Ausencia de patología ósea.

- Tras realizar el análisis de la cefalometría lateral de Ricketts y el WITS se pudo determinar que la paciente presentaba:

 Patrón Mesofacial.

 Clase I ósea.

 Incisivo superior en Linguoversión.

 Incisivo inferior en Linguoversión.

 Birretrognatia.

 Birretrusión labial.

Fig. 3: Fotografías intraorales iniciales.
Fig. 4: Registros radiográficos iniciales.
4

Objetivos del tratamiento

 Corregir la retroinclinación de incisivos superiores e inferiores.

 Corregir la mordida abierta.

 Alineación y nivelación dentaria.

 Establecer la clase I molar y canina.

 Expansión dentoalveolar y corrección de los torques negativos en los sectores posteriores.

 Mejorar la función y estética facial.

Selección de torques

 Inicisivos Centrales Superiores (11-21): Procline.

 Incisivos Laterales Superiores (12-22): Neutral.

 Caninos Superiores (13-23): Procline.

 Incisivos Inferiores (32,31,41,42): Neutral.

 Caninos Inferiores. (33-43): Procline.

Seguimiento del tratamiento

1ª Fase: inicial

- Se inició el tratamiento cementando brackets del Sistema Damon Ultima® en ambos maxilares utilizando torques diferenciales. (Fig. 5).

- Se colocaron arcos redondos de .014 CuNiti cementando levantes de mordida posteriores con adhesivo fotopolimerizable azul Resilience® (Ortho Technology, Tampa, FL) en los primeros molares superiores para disocluir las arcadas (Fig. 6).

- A los 2 meses, se cementaron los segundos molares superiores e inferiores (17,27,37,47) y se colocaron arcos de .018 de CuNiTi en ambas arcadas (Fig. 7).

2ª Fase: intermedia

- A los 4 meses, se colocaron los primeros arcos combiwire de .014 x .0275 CuNiTi. Hoy colocaríamos una cadeneta elastomérica de 3-3 en ambas arcadas para evitar la apertura de diastemas en los sectores anteriores. (Fig. 7).

- A los 6 meses, se realizó una radiografía panorámica de control para reevaluar la posición de los brackets (Fig. 8). Se recementaron el 21 y el 34 dejando de nuevo los arcos de .014 x .0275 CuNiTi. Además, se cambiaron los levantes de mordida de 16 y 26 a 17 y 27.

Se comenzó con el uso de elásticos intermaxilares: Clase II en caja (derecha) / Clase III en caja (izquierda), 3/16”, 4.5 oz. (Kangaroo), 24 horas. El objetivo de estos elásticos asimétricos fue el control vertical e inicio del centrado de las líneas medias. Actualmente la radiografía panorámica intermedia la realizamos más adelante, una vez hayan actuado los arcos .018 x .0275 CuNiTi.

- A los 8 meses, se colocaron arcos de .018 x .0275 CuNiTi en ambos maxilares (Fig. 9). Actualmente colocaríamos los Ultima Hooks en distal de los caninos superiores e inferiores para evitar la apertura de espacios en los segmentos anteriores.

- A los 10 meses, se decidió dejar los arcos de .018 x .0275 CuNiTi durante 1 mes más con el objetivo de conseguir más torque radiculo-palatino en 11-21 (Fig. 9). Se añadieron unos elásticos de mordida cruzada bilaterales durante 24h: 3/16”, 4.5 oz. (Kangaroo) con el objetivo de mejorar la compresión posterior existente.

3ª Fase: finalización

- A los 11 meses, se decidió emplear los arcos “Overdrive” para ganar más torque en 11 y 21. Se colocaron arcos de .019 x .0275 S.S. en ambas arcadas con el uso elásticos intermaxilares durante 24 horas: en caja Clase II (derecha) / en caja Clase III (izquierda), 3/16”, 4.5 oz. (Kangaroo) (Fig. 9, 11).

- A los 13 meses, se colocó un arco .021 x .0275 S.S. en el maxilar superior. Finalmente, tras dejar actuar durante 3 meses este arco, conseguimos el torque ideal en los incisivos centrales superiores (Fig. 11).

- A los 16 meses de tratamiento, se colocaron arcos de .018 x .0275 de TMA con elásticos de finalización: triangulares a nivel canino y premolar (1/8”, 6 oz.) y en caja posteriores a nivel de los molares (3/16”, 6 oz.) (Impala) (Fig. 10, 11).

Resultados del tratamiento

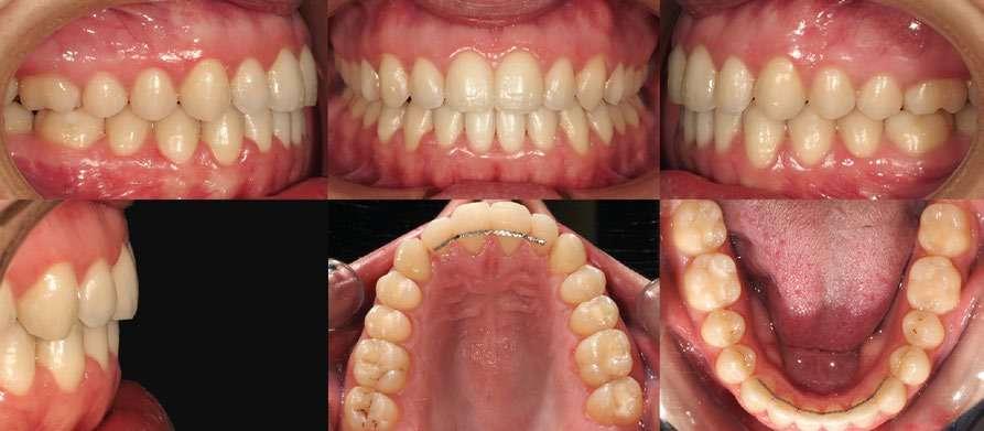
La duración total del tratamiento fue de 17 meses, obteniendo los siguientes resultados: (Fig. 12, 13, 14):

Fig 5: Selección de torques iniciales.

caso clínicoORTODONCIA

Fig. 8: Radiografía panorámica intermedia. 8
Fig. 7: Fotografías intraorales de la secuencia de arcos en 2ª fase. 7
Fig. 6: Fotografías intraorales del día del cementado inicial. 6

1. La expansión dentoalveolar en ambas arcadas fue posible mediante la corrección de los torques negativos en las piezas posteriores, lo que también supuso una mejoría muy notable en la estética de la sonrisa.

2. El cierre de la mordida abierta se llevó a cabo mediante la extrusión de los incisivos superiores (mejorando así el arco de la sonrisa) y el proceso denominado “adaptación transversal posterior”.

3. La corrección de los torques en los incisivos tanto superiores como inferiores (especialmente 11-21) se pudo conseguir mediante el empleo del Sistema Damon Ultima y el uso de los arcos Overdrive (.019 x .0275 y .021 x .0275).

4. El centrado de líneas medias se logró mediante el empleo de elásticos asimétricos durante las diferentes fases del tratamiento.

Fig. 9: Fotografías intraorales de la secuencia de arcos en 2ª y 3ª fase.
Fig. 10: Fotografías intraorales con los arcos de TMA de .018 x .0275.

caso clínico

Retención

Para mantener los resultados obtenidos, se combinó el uso de una retención fija y removible:

 Fija: Barras linguales de Ortho-FlexTech™ (Reliance).

w Arcada Superior: Barra lingual de 12 a 22.

w Arcada Inferior: Barra lingual de 33 a 43.

 Removible: Essixs A+ (Dentsply Sirona).

w Arcada Superior: Essixs.

w Arcada Inferior: Essixs.

Conclusiones

- La utilización del Sistema Damon Ultima™ en este caso, nos permitió lograr un control tridimensional preciso del movimiento dentario, evidenciado por la correcta expresión del torque, la angulación y la rotación a lo largo de todo el tratamiento.

- La integración del bracket con ranura en forma de paralelogramo y los arcos rectangulares con bordes redondeados (combiwires) nos facilitó el

Fig. 11: Evolución del torque de 11 y 21 tras el empleo de los arcos Overdrive.
Fig. 12: Fotografías intraorales del final del tratamiento.
13
Fig. 13: Fotografías faciales del final del tratamiento.
14
Fig. 14: Registros radiográficos finales.
15
Fig. 15: Fotografías pre y post-tratamiento.

caso clínico

Fig. 16: Fotografías de la sonrisa pre y post-tratamiento. control del caso ya desde las etapas iniciales del tratamiento, sin necesidad de realizar dobleces en los arcos.

- No obstante, tuvimos que recurrir a los arcos Overdrive (de mayor grosor) .019 x .0275 y .021 x.0275 para poder alcanzar el torque ideal en 11

Bibliografía

1. Siva S, Kishore S, Dhanapal S, Ravi J, Suresh C. The value of self-ligating brackets in orthodontics: About the Damon protocol. In: Dinesh Kumar K, editor. Current Trends in Orthodontics [Internet]. London: IntechOpen; 2021

2. Eliades T, Pandis N. Self-ligation in orthodontics. An evidence-based approach to biomechanics and treatment. Editado por Wiley-Blackwell. Reino Unido, 2009.

3. Zhou Y, Lin J, Chen W, Wang Y, Zhen M, Ni Z. Stability of treatment with self-ligating brackets and conventional brackets in adolescents: a long-term follow-up retrospective study. BMC Oral Health. 2019;19(1):267. doi:10.1186/s12903-019-0975-z

y 21. Probablemente, si hubiésemos cementado brackets de prescripción retrocline en 12 y 22 en lugar de prescripción neutral, se hubiese manifestado el efecto de “torque teaming” entre los incisivos superiores, mejorando el control del torque más rápidamente (Fig. 11). 

4. Eberting JJ, Straja SR, Tuncay OC. Treatment time, outcome, and patient satisfaction comparisons of Damon and conventional brackets. Clin Orthod Res 2001;4(4):228–34.

5. Santoro M, Nicolay OF, Cangialosi TJ. Pseudoelasticity and thermoelasticity of nickel–titanium alloys: a clinically oriented review. Am J Orthod Dentofacial Orthop 2001;119(6):594–603.

6. Omerza FF, Moore BK, Nelson G. Frictional resistance of Damon, Ormco, and 3M self-ligating and conventional brackets. Angle Orthod. 2010;80(3):526–31.

7. Burrow SJ. Can the use of “low-friction” brackets improve treatment efficiency? J Orthod. 2010;37(1):7–14.

8. Tucker M. Evaluating the Damon Ultima System’s new passive self-ligating bracket and wire design [Internet]. Orthodontic Products; 2022 Apr 18

9. Thomas V, Dol G, Tannouri Z, François O, Nicolas E, Soulier-Peigue D, El Helou M. Exploring bracket torque expression: A comparative in vitro study of new self-ligating bracket designs and archwire geometries. Int Orthod. 2024 Dec;22(4):100922. doi: 10.1016/j. ortho.2024.100922.

10. Bogdan F. Earned Placement: Clinical Efficiency With ‘True Straight Wire’. Orthotown Magazine. 2023 JanFeb; [citado 2025 May 4].

Una solución integrada para todo su flujo de trabajo digital.

Con todos los procesos conectados, toda su práctica opera en sincronía, simplificando flujos de trabajo y maximizando la productividad.

Más Información

jóvenes talentos

“LA ORTODONCIA ES UNA ESPECIALIDAD MUY GRATIFICANTE, ESPECIALMENTE CUANDO VES LOS RESULTADOS FINALES”

Dra. Inma Martín Quintero, especialista en Ortodoncia

Su vocación sanitaria le llevó a descubrir la Odontología, que ahora es su profesión. La Dra. Inma Martín Quintero, ortodoncista e investigadora en el ámbito de la Odontología, combina en su trayectoria la práctica clínica especializada con una intensa actividad académica y científica, destacando sus estudios de Inteligencia Artificial aplicada a la Sanidad (CEMP) y su Tesis Doctoral, reconocida con la calificación de sobresaliente cum laude y en la cual subraya su compromiso con la investigación aplicada a la mejora de la seguridad clínica.

 DM.- ¿Qué fue lo que le impulsó a estudiar Odontología?

Dra. Inma Martín Quintero (Dra. I.M.Q.).- Aunque no fue mi primera opción —comencé estudiando Enfermería en la Universidad de Valladolid—, siempre tuve claro que quería dedicarme a una profesión sanitaria, en la que pudiera contribuir de manera directa al bienestar de las personas. Conocí a varios compañeros dedicados a la Odontología y poco a poco descubrí que era el camino que realmente quería seguir. Eso me llevó a tomar una de las decisiones más importantes de mi vida: cambiar de ciudad y de carrera.

 DM.- Usted cursó el Grado de Odontología en la Universidad de Salamanca. ¿Cómo fue su experiencia en esta universidad?

Dra. I.M.Q.- Ahora que ejerzo, valoro aún más la formación que recibí, ya que salimos bien preparados. Estudiando en la clínica odontológica de la propia Universidad, tuvimos una experiencia muy realista del trabajo en una consulta, siendo éste mi primer contacto real con la práctica clínica. Además, Salamanca, como ciudad universitaria, ofrece un entorno excepcional para conocer a personas de distintos lugares y disfrutar de una vida académica enriquecedora. Recuerdo esa etapa con muchísimo cariño.

 DM.- Tras estos estudios, cursó el Máster de Ortodoncia de la Universidad Alfonso X el Sabio. ¿Por qué decidió especializarse en Ortodoncia? ¿Qué es lo que más le apasiona de esta especialidad?

Dra. I.M.Q.- Desde la carrera, fue la disciplina que más despertó mi interés. Al finalizar el grado, dudé entre comenzar directamente el máster o adquirir primero experiencia en odontología general. Finalmente, opté por trabajar, lo que me permitió elegir mi especialización con mayor criterio. Lo que más me atrajo de la Ortodoncia fue la importancia de un diagnóstico preciso y un plan de tratamiento bien estructurado. Disfruto mucho viendo cómo, poco a poco, se van alcanzando los objetivos propuestos. Es una especialidad muy gratificante, especialmente cuando ves los resultados finales.

 DM.- Además de especializarse en Ortodoncia, también ha cursado el Máster en Aplicaciones de Inteligencia Artificial (IA) en Sanidad del Centro Europeo de Másteres y Posgrados (CEMP). ¿Qué beneficios aporta la aplicación de la IA al ámbito de la Odontología?

Dra. I.M.Q.- La IA está llamada a transformar todos los sectores, y la Odontología no es una excepción. Considero fundamental mantenerse actualizada para aprovechar todo el potencial que la IA puede traer a nuestro campo. Por ejemplo, en el diagnóstico, la IA nos puede ayudar a interpretar, detectando lesiones o alteraciones que a veces podrían pasar desapercibidas en una revisión convencional. En el campo de la ortodoncia, los sistemas de IA también están facilitando el análisis cefalométrico automatizado, lo que puede apoyarnos en la planificación de los tratamientos.

 DM.- Sobre la formación en Odontología en nuestro país, ¿en qué nivel se sitúan estos estudios en España respecto a otros países?

Dra. I.M.Q.- La odontología en España goza de un nivel académico muy alto. De hecho, considero que los odontólogos formados en España estamos bien valorados en otros países, lo que refleja la calidad de nuestros estudios. Sin embargo, debido al incremento en la oferta formativa, resulta fundamental invertir tiempo en seleccionar bien los programas que mejor se adapten a las necesidades de cada uno.

Estudiando en la clínica

odontológica de Universidad de Salamanca, tuvimos una experiencia muy realista del trabajo en una consulta, siendo éste mi primer contacto real con la práctica clínica

Lo que más me atrajo de la Ortodoncia fue la importancia de un diagnóstico preciso y un plan de tratamiento bien estructurado. Disfruto mucho viendo cómo, poco a poco, se van alcanzando los objetivos propuestos

 DM.- En este sentido, ¿considera importante el reconocimiento de las especialidades odontológicas en España? ¿Cómo afecta a los jóvenes odontólogos el hecho de que nuestro país sea el único en Europa en el que no están reconocidas oficialmente?

Dra. I.M.Q.- En este aspecto, estamos claramente por detrás de otros países europeos. Hace tiempo que las especialidades deberían estar reconocidas oficialmente y debería existir un marco claro que defina los criterios de capacitación. Recuerdo que durante mi máster coincidí con compañeros europeos preocupados porque el título obtenido en España pudiera no serles reconocido en sus países de origen.

 DM.- Háblenos de su trabajo en clínica como ortodoncista. ¿Qué aspectos de la práctica diaria y del contacto con los pacientes le resultan más satisfactorios?

Dra. I.M.Q.- Me encanta la planificación de los tratamientos y el seguimiento continuo de los pacientes. Lo más gratificante es alcanzar el resultado esperado, ese momento en el que tanto el profesional como el paciente están plenamente satisfechos con el trabajo realizado. En este trabajo se combina muy bien el trato humano con el paciente, la precisión técnica y la posibilidad de generar un impacto positivo y visible en la vida de los pacientes.

jóvenes talentos

En este trabajo se combina muy bien el trato humano con el paciente, la precisión técnica y la posibilidad de generar un impacto positivo y visible en la vida de los pacientes ”
Considero fundamental mantenerse actualizada para aprovechar todo el potencial que la IA puede traer a nuestro campo ”

 DM.- Recientemente ha obtenido el doctorado en la Universidad de Salamanca con la calificación de sobresaliente cum laude, con su Tesis Doctoral “Disminución de la concentración de partículas y bioaerosoles durante los actos clínicos de ortodoncia”. ¿Qué le motivó a elegir esta temática para su tesis?

Dra. I.M.Q.- La pandemia de COVID-19 puso en primer plano la importancia de la calidad del aire en espacios cerrados, no solo por la transmisión de patógenos, sino también desde una perspectiva preventiva más amplia. Quise investigar qué medidas pueden adoptarse en la práctica clínica diaria para minimizar riesgos, protegiendo tanto a los pacientes como al personal sanitario.

 DM.- Además, en su Tesis Doctoral ha contado con la colaboración del Dr. Alberto Cervera Sabater, CEO de Grupo CEOSA. ¿Qué ha supuesto para usted contar con el apoyo del Dr. Cervera Sabater?

Dra. I.M.Q.- A lo largo del proceso, el Dr. Cervera Sabater ha sido un referente y un pilar fundamental durante la colaboración. Su conocimiento en metodologías de investigación y su capacidad para aportar ideas valiosas fueron fundamentales. Estoy muy agradecida por su apoyo que, junto al de los directores de mi tesis, ha reafirmado mi vocación por la investigación y la docencia, dos facetas de la odontología que cada vez me apasionan más.

 DM.- Por último, y teniendo en cuenta su formación y experiencia, ¿qué consejos le daría a un odontólogo recién licenciado?

Dra. I.M.Q.- Le recomendaría no subestimar la importancia de adquirir experiencia en odontología general antes de especializarse, ya que proporciona una visión mucho más completa de la profesión. Por supuesto, resalto la necesidad de estar actualizada y formarse constantemente, ya que la Odontología es un campo que está en cambio constante. También le animaría a luchar por unas mejores condiciones laborales, entendiendo que la calidad profesional empieza por dignificar nuestro propio trabajo en un contexto donde, lamentablemente, la precarización parece ir en aumento. 

Cuente con Tetric® plus

– 5 clases de cavidad

– 4 colores

– 3 segundos de polimerización

– 2 viscosidades

– 1 composite universal

Tetric® plus Composite universal simplificado ivoclar.com

Pasas 80.000 horas sentado

¿Cuántas bien sentado?

Lumbagia, fatiga, ciática, ¿tus pacientes lo perciben?

Bambach cuida tu postura, tu espalda y tu carrera

Pruébala GRATIS en tu clínica

En 10 días notarás la diferencia o la recogemos

Lláma ahora 94 668 04 03 607,50€ 675,00€ dto 10%

* IVA no incluido. Gastos de envío incluidos sólo en península

Toda la información está en este enlace; precios, oferta prueba, porque funciona, testimonios, etc

Bambach Ibérica

Tef 946680403

WhatsApp 689 889 273

Info@bambach.es

ww.bambach.es

¡La Original!

actualidad

“BARCELONA SE CONVERTIRÁ EN LA CAPITAL MUNDIAL DE LA PERIODONCIA”

Dr. Alberto Monje, vocal de la Junta Directiva de la Sociedad Española de Periodoncia y Osteointegración (SEPA)

Con el objetivo puesto en simplificar la labor del clínico, el Congreso SEPA Barcelona 2025, que se celebrará del 26 al 29 de noviembre, ha diseñado para esta edición especial un programa práctico y con las últimas tendencias, gracias a la participación de expertos de reconocido prestigio mundial. Así lo avanza en esta entrevista el Dr. Alberto Monje, vocal de la Junta Directiva de SEPA, quien destaca además la perspectiva multidisciplinar de este encuentro en el que tanto la utilidad de las tecnologías emergentes, el uso de inteligencia artificial y el tratamiento de las enfermedades periimplantarias serán protagonistas.

 DM.- ¿Qué objetivos se han marcado para el Congreso SEPA Barcelona 2025?

Dr. Alberto Monje (Dr. A.M.).- El objetivo es claro: trasladar la evidencia actual y las tendencias innovadoras que optan fundamentalmente por la mínima invasión y por tratar de conseguir la mayor satisfacción para el paciente. Todo ello se pretende transmitir a los congresistas de una manera sencilla y fácil de entender, para que se lleven mensajes muy certeros a casa y que se puedan aplicar al día siguiente en su práctica clínica.

 DM.- ¿Qué hace que SEPA Barcelona 2025 sea una edición especial y cuál es su enfoque principal dentro de la Periodoncia, la Implantología y la Salud Bucal?

Dr. A.M.- SEPA Barcelona será un evento único. Hay muchos motivos que justifican y avalan el carácter especial de este encuentro: 1) por la sede, volvemos a Barcelona; 2) por el cambio de Junta, donde el Dr. José Nart llega a su final como presidente y donde deja un legado excepcional; y 3) por el desarrollo de un programa científico espectacular, práctico y con las últimas tendencias, y la participación de expertos de reconocido prestigio mundial. En una odontología sometida a un constante cambio, principalmente influido por la inteligencia artificial y la robótica, nuestro propósito va a ser buscar un abordaje contemporáneo pero realista y útil para la práctica diaria. Todo ello desde un

punto de vista multidisciplinar y, cómo no, tratando de persuadir y convencer a la audiencia sobre la importancia de la salud periodontal para cualquier tipo de tratamiento dental.

 DM.- El lema de este año es “Más conocimiento, mejor experiencia clínica”. ¿Cómo se refleja esta filosofía en el programa científico y en la experiencia para los asistentes?

Dr. A.M.- A pesar de que el núcleo del Congreso de SEPA venga dictado por la evidencia científica, entendemos que no todo actualmente puede responderse en nuestra área dada la evidencia disponible. Por ello, nos apoyamos en la participación de los mejores expertos, para que nos indiquen cuáles son las tendencias y cuáles son las observaciones clínicas que han recogido en su práctica clínica, para poder dar solución a escenarios en los cuales actualmente aún haya carencia o insuficiente evidencia científica en relación con una determinada temática.

 DM.- El congreso cuenta con tres itinerarios formativos. ¿Qué novedades y enfoques diferenciales ofrece cada uno de ellos?

Dr. A.M.- Hay un eje pivotante en todos los itinerarios que es la inteligencia artificial, cómo implementarla en gestión, en higiene, en sostenibi-

El objetivo es trasladar la evidencia actual y las tendencias innovadoras que optan fundamentalmente por la mínima invasión y por tratar de conseguir la mayor satisfacción para el paciente ”

lidad de la clínica dental y en el tratamiento de enfermedades periodontales y periimplantarias, así como en su diagnóstico.

Más allá de esto, destacaría, por ejemplo, las sesiones de cáncer oral, centradas en su detección y su gestión, que se celebran en el itinerario de Higiene.

También subrayaría la sesión de higiene oral en el adolescente y en el infante, donde se aportarán consejos prácticos para que el equipo dental pueda hacer frente de una manera efectiva al control de la placa y optimizar la salud periodontal de estos pacientes.

También subrayar los foros corporativos, donde se han planteado sesiones cortas de alta trascendencia clínica con empresas y fundaciones corporativas vinculadas al tratamiento periodontal y a la terapia

SEPA Barcelona 2025 contará con un programa científico espectacular, práctico y con las últimas tendencias, y la participación de expertos de reconocido prestigio mundial

de implantes. Aparte de su contribución práctica, estas actividades ponen de relieve la cohesión y el compromiso de SEPA tanto con la industria como con las fundaciones corporativas.

 DM.- Las enfermedades periimplantarias serán protagonistas este año. ¿Por qué se ha elegido este tema y qué avances se van a presentar en su prevención y tratamiento?

Dr. A.M.- SEPA lidera la fuente de conocimiento de salud periimplantaria. Esta sociedad científica

adoptó hace varios años el liderazgo en la difusión de este conocimiento y, a mi juicio, la investigación que se realiza en España en este contexto es líder y única a nivel mundial. Por ello, y en base a la alta prevalencia que existe de este tipo de enfermedades y a la gran incertidumbre en profesionales de cualquier área de la Odontología, el propósito de SEPA es facilitar tanto su prevención como su tratamiento y hacerlo de la manera más sencilla posible para que se puedan adoptar fácilmente todas las recomendaciones actuales.

 DM.- La digitalización y la inteligencia artificial están ganando protagonismo en Odontología. ¿Qué innovaciones destacadas podrán conocer los asistentes en relación con estos ámbitos?

Dr. A.M.- Respecto a la digitalización, los asistentes al Congreso obtendrán información reciente y consejos prácticos sobre cómo transformar su clínica analógica en digital y cuáles son los beneficios que va a aportar este cambio en lo que respecta “

a la terapia de implantes, derivados fundamentalmente de la apuesta por la mínima invasión y la inmediatez.

Por su parte, los avances y aportaciones en inteligencia artificial se concretarán en este foro en diversas sesiones y ponencias, en las que se revelará su trascendencia presente y futura en ámbitos tales como el diagnóstico certero de enfermedades periodontales y periimplantarias; a pesar de que aún muchas de estas aportaciones no sean trasladables a la clínica diaria, es fundamental que empecemos a conocer ciertos matices y a familiarizarnos con modificaciones que vamos a tener que adoptar en la próxima década para facilitar y mejorar la exactitud diagnóstica de patologías dentro de nuestra área.

 DM.- Eventos como la mesa ‘Juego de Tronos’ y la Regeneration World Cup prometen ser grandes atractivos. ¿Qué aportan estas sesiones al Congreso y qué expectativas hay sobre ellas?

Dr. A.M.- La sesión de ‘Juego de Tronos’, más allá de haber apostado por los que posiblemente son los dos expertos con mayor experiencia y conocimiento en términos de regeneración vertical, servirá para arrojar luz sobre aspectos controvertidos y para resumir la experiencia de estos expertos de referencia sobre sus distintos abordajes. La Dra. Vanesa Ruiz Magaz articulará y orquestará un debate enriquecedor para captar cuáles son las indicaciones adecuadas, cómo realizarlo y, sobre todo, cómo poder manejar complicaciones en caso de que éstas ocurran.

Por su parte, la sesión final de la segunda edición de la Regeneration World Cup permite dar visibilidad a perfiles de profesionales, sobre todo jóvenes, pudiendo demostrar su talento; además de obtener un merecido reconocimiento, podrán demostrar y poner en valor el conocimiento que han adquirido y todas sus habilidades. Sin duda, será una sesión de aprendizaje para los más jóvenes que también servirá para comprobar el excelente nivel que existe en España en el área de periodoncia y terapia de implantes.

 DM.- Este congreso reúne a más de 130 ponentes y se esperan asistentes de más de 50 países. ¿Cómo ha trabajado SEPA para consolidarse como un referente internacional?

Dr. A.M.- SEPA lleva apostando durante más de una década por la internacionalización. Por eso, concebi-

Hay un eje pivotante en todos

los itinerarios que es la inteligencia artificial, cómo implementarla en gestión, en higiene, en sostenibilidad de la clínica dental y en el tratamiento de enfermedades periodontales y periimplantarias, así como en su diagnóstico

mos nuestro congreso no como un evento científico y formativo nacional, sino como una reunión global e internacional con un gran atractivo para los especialistas en todas las áreas de la Odontología. Uno de nuestros objetivos no es sólo conseguir que los expertos mundiales quieran mostrar sus hallazgos, sus técnicas, en nuestro Congreso, sino que, además, el programa previsto llame la atención y atraiga a participantes no solo de Latinoamérica, sino también de países de habla no hispana. La clave del éxito del Congreso de SEPA ha sido abrazar a todos los participantes; darles siempre un hueco en nuestro congreso, darles la oportunidad de que presenten a través de pósteres y a través de comunicaciones. Por todo ello, estamos convencidos de que Barcelona se convertirá en la capital de la Periodoncia a nivel mundial, y eso lo saben y lo valoran mucho todos los congresistas y ponentes.

 DM.- En esta edición habrá colaboraciones con sociedades científicas de prestigio. ¿Qué valor añadido aportan estas sinergias al programa del Congreso?

Dr. A.M.- Sí, es cierto. Cada vez es mayor la sinergia y entendimiento con otras sociedades científicas afines, del ámbito de la Odontología, pero resulta de especial novedad e importancia nuestra creciente vinculación con sociedades médicas. La Periodoncia no solamente interactúa con otras disciplinas en el área de la Odontología, sino también con otras disciplinas de la Medicina. Así, por ejemplo, no solamente nos hacemos eco de la estrecha relación que existe entre las enfermedades periimplantarias y periodontales y el éxito o longevidad de los dientes naturales e implantes, sino también de la relevancia que estas enfermedades pueden tener en la salud general. Por otro lado, mantenemos

entrevista

una campaña de difusión encaminada a concienciar a otras áreas médicas sobre la importancia que tiene la salud oral. Para nosotros es fundamental

Los asistentes al Congreso obtendrán información reciente y consejos prácticos sobre cómo transformar su clínica analógica en digital y cuáles son los beneficios que va a aportar este cambio en lo que respecta a la terapia de implantes, derivados fundamentalmente de la apuesta por la mínima invasión y la inmediatez

nutrirnos de todo su conocimiento, ya que esto terminará por redundar muy positivamente en la salud de nuestros pacientes.

 DM.- Barcelona se convertirá en la capital mundial de la Periodoncia durante el Congreso. ¿Qué impacto espera que tenga este evento en la comunidad científica y en la práctica clínica?

Dr. A.M.- Nuestro objetivo es aportar algo nuevo y, en esta ocasión, ponemos especialmente el foco en tratar de simplificar la labor del clínico de a pie, para mejorar en predictibilidad y en efectividad, tanto en términos de prevención y tratamiento de enfermedades periodontales como periimplantarias.

Científicamente, entendemos que SEPA Barcelona 2025, además de englobar una serie de ponentes del más alto reconocimiento científico, también aportará una fuente de inspiración para muchos jóvenes, para que puedan entender la relevancia de lo que hacen día a día. Sobre todo, deben entender que la parte clínica debe amalgamarse con un conocimiento científico; y, en este sentido, nuestra reunión también pretende incentivar a los asistentes a involucrarse también en proyectos científicos.

 DM.- Para los profesionales que aún no han decidido asistir, ¿qué razones les daría para que no se pierdan SEPA Barcelona 2025?

Dr. A.M.- En primer lugar, que no es un congreso solamente de Periodoncia: es el congreso de la Periodoncia y la Salud Bucal y General. Es el congreso en el que cualquier disciplina médica, especialmente odontológica, va a encontrar su sitio y va a encontrar respuestas a dilemas que se le plantean en el día a día, teniendo la garantía de que están avaladas científicamente. Y en aquellas situaciones en las cuales no se tiene el recurso científico específico para responder a alguna de esas preguntas, los asistentes contarán con la experiencia y la aportación directa de expertos mundiales que están marcando tendencias que definirán el futuro de la Periodoncia y de la Terapia de Implantes.

Por lo tanto, es un congreso imperdible. Un congreso que no entra en conflicto con ningún congreso nacional ni internacional y que, evidentemente, todo lo que ofrecerá a los asistentes será innovador, único y lo podrán trasladar a la práctica diaria a partir del día siguiente. 

PERIIMPLANTITIS Y AFLOJAMIENTOS DE TORNILLO: COMPLICACIONES

QUE DRENAN LOS RECURSOS DE TU CLÍNICA

La periimplantitis es una patología muy extendida que afecta gravemente los resultados de la implantología a largo plazo. Existe una prevalencia del 24% de los pacientes (1) y del 20% de los implantes con periimplantitis tras un mínimo de cinco años en boca. Se calcula que uno de cada cuatro pacientes desarrolla esta patología en el transcurso de cinco años, pero ¿conoces el impacto económico real que puede tener en tu clínica?

El tiempo que se invierte en tratar la periimplantitis se dejan de generar ingresos por otros tratamientos

El tratamiento de la periimplantitis supone unos costes directos (2) de alrededor de 1.000€. Estos costes afectan el margen de beneficio de un tratamiento con implantes, pero no son los únicos.

El profesional debe contemplar el coste de hora sillón de resolver esta patología -que se calcula en torno a cuatro horas-, los gastos fijos de la clínica y, sobre todo, el llamado coste de oportunidad. El tiempo que se invierte en tratar un caso de enfermedad periimplantaria supone dinero que perdemos al tener el sillón ocupado, tiempo en el que se podrían generar ingresos por otro tipo de tratamientos.

Un descenso de una estrella en la valoración supone un descenso de hasta un 9% en los ingresos Los costes psicológicos y reputacionales son otro de los factores importantes. Una mala experiencia del paciente se propaga rápidamente en su círculo social y en redes sociales, incluso en una recomendación negativa que repercute en la fidelización y atracción de nuevos pacientes. Un estudio de Harvard Business School demuestra que un descenso de una estrella en la valoración supone un descenso de entre el 5% y el 9% en los ingresos.

La práctica en la clínica: caso de negocio

En la práctica, ¿cuáles son los datos? De media, en una clínica que coloca 100 implantes anuales, con una prevalencia existente del 20% de los implantes con periimplantitis, la cuenta de pérdidas y ganancias arroja un beneficio perdido del 13% (3,4)

Es fundamental medir cómo afecta la periimplantitis al beneficio económico de una clínica y tomar medidas para reducir el riesgo de periimplantitis utilizando un sistema de implante y prótesis que cuente con tecnología gapZero® que garantice la salud periimplantaria de los pacientes a largo plazo, a través de la ausencia de filtración bacteriana entre el implante y el pilar.

Publirreportaje

Aflojamientos de tornillo: la complicación más común

El 39,5% de los pacientes presentan complicaciones técnicas durante el seguimiento a 10 años del tratamiento (2). El 43,4% de esas complicaciones en la terapia de implantes son aflojamientos de tornillo, los cuales se producen con mayor incidencia durante los 3 primeros años de seguimiento tras la restauración protésica definitiva (5)

El coste de resolver esta complicación supone para tu clínica desde 223€ (caso sencillo con corona atornillada) a 1.363€ (en caso de sustitución de corona cementada).

Una conexión con tolerancias de fabricación inadecuadas puede provocar una tensión rápida no deseada y aflojar el tornillo por las cargas derivadas de la masticación (6). Los microespacios presentes en marcas de implantes varían entre 3,93 y 59,93 μm (7); en Ticare, es inferior a 1 μm (8)

gapZero® Technology: la tecnología que disminuye el riesgo de periimplantitis

gapZero® Technology de Ticare está avalado por estudios científicos y ensayos clínicos. Promete avances significativos en la lucha contra esta patología, evitando que las bacterias entren entre el pilar y el implante, reduciendo así el riesgo de periimplantitis. Este enfoque permite minimizar los micromovimientos entre el implante y el pilar, reduciendo el riesgo de remodelación ósea y exposición del hueso.

Este resultado se consigue con una conexión cónica, trabajando con tolerancias exactas de fabricación, verificando el 100% de la producción y siguiendo unos estrictos protocolos de producción y calidad. 

Ticare pone en marcha una iniciativa para ayudar a las clínicas a reducir la incidencia de la periimplantitis ¿Quieres conocer cómo?

Descarga el informe: https://bit.ly/4kGu9kN

Bibliografía

1 Informe de SEPA basado en el estudio de Rodrigo et al (2018). J Clin Periodontol

2 Pirc et al. (2024). Clin Implant Dent Relat Res

3 Karisson et al. (2022). Clin Oral Implants Res

4 Vogel et al. (2013). JOMI

5 Brägger et al. (20025). Clin Oral Implants Res

6 Jung et al. (2008). Clin Oral Implants Res

7 Grobecket-Karl et al. (2017). Int J Prosthodont

8 Vélez et al. (2008). J Clin Med

S EPES

Bilbao 2025

54o Congreso Anual

9 - 11 de octubre

Jaime A. Gil Lozano Presidente del Congreso

El desafío interdisciplinar

Alfonso Gil López-Areal Presidente del Comité Científico

OS INVITAMOS A PROFUNDIZAR EN LAS SINERGIAS

ENTRE TODAS LAS DISCIPLINAS DE LA ODONTOLOGÍA,

TODAS ELLAS ESENCIALES PARA EL ÉXITO DE LAS REHABILITACIONES ORALES.

Consultar resto de tarifas en la web del congreso.

“SEI TOLEDO 2025 ES UN CONGRESO DISEÑADO PARA ABORDAR LA IMPLANTOLOGÍA EN 360º”

Dr. José López, presidente de la Sociedad Española de Implantes (SEI), y Dr. Bruno Ruiz Gómez, presidente del Comité Organizador del XXXV Congreso Nacional y XXVIII Congreso Internacional de la SEI (25-27 de septiembre de 2025, Toledo)

El Palacio de Congresos El Greco en Toledo acogerá los días 25, 26 y 27 de septiembre el XXXV Congreso Nacional y XXVIII Congreso Internacional de la Sociedad Española de Implantes (SEI). A lo largo de esta entrevista, el Dr. José López, presidente de la Sociedad, y el Dr. Bruno Ruiz Gómez, presidente del Comité Organizador del encuentro, nos detallan las claves de este congreso en el que se tratará la Implantología desde una perspectiva global e integradora, de la mano de expertos destacados, que darán a conocer los últimos avances como nuevos diseños de implantes, protocolos quirúrgicos extremadamente estratégicos, digitalización e IA aplicada a la Implantología, entre otros.

Dr. José López.
Dr. Bruno Ruiz Gómez.

 DM.- ¿Qué objetivos se han marcado para el XXXV Congreso Nacional y XXVIII Congreso Internacional de la SEI?

Dr. Bruno Ruiz Gómez (Dr. B.R.G.).- La SEI debe ser referencia en el ámbito implantológico. Así lo avala su larga historia como Sociedad cuyo objetivo principal siempre es brindar a la comunidad implantológica un congreso que permita afianzar las líneas de trabajo en cuanto a experiencia e innovación en el campo de la implantología.

 DM.- A la hora de diseñar el programa, ¿cuáles han sido las claves para ofrecer a los participantes una experiencia formativa valiosa para su desarrollo profesional?

Dr. B.R.G.- He querido plasmar en el congreso SEI Toledo 2025 todas las que, posiblemente, sean las necesidades de cualquier clínico que usa los implantes dentales como herramienta terapéutica para tratar a sus pacientes. Abordaremos un programa donde hablaremos de todas, absolutamente todas, las opciones que, a día de hoy, tenemos relacionadas con la Implantología tales como: implantología con implantes de dos cuerpos, implantología monobloque, implantes cigomáticos e implantes subperiósticos. Absolutamente todas las disciplinas bajo el rigor científico de los ponentes que forman parte del congreso. También, como no podía ser de otra manera, se abordarán temas como es la restauración protésica con enfoques biológicos, regeneración de tejidos duros y blandos, protocolos digitales en implantología, aplicación de flujos de trabajo basados en inteligencia artificial, tratamiento de la patología periimplantar y su prevención, así como resolución de complicaciones tanto protésicas como quirúrgicas. En definitiva, un congreso diseñado para abordar la Implantología en 360º y no dejar indiferente a sus asistentes.

 DM.- ¿Qué expertos de esta especialidad participarán como ponentes?

Dr. B.R.G.- Es un orgullo poder brindar a los asistentes un extenso programa repleto de auténticos embajadores de la Implantología. Sus dilatadas experiencias profesionales permitirán poder compartir una visión amplia de la Implantología, dotando a todas las conferencias de contenido tremendamente valioso para cualquier clínico dedicado a la implantología. Son expertos que compartirán de forma sencilla y cercana sus reflexiones y líneas de trabajo. De clínico a clínico, como siempre ha

Repasaremos los temas clásicos de la Implantología: carga inmediata, aspectos estéticos, regeneración y maxilares atróficos, entre otros; pero también revisaremos aspectos de plena actualidad como la periimplantitis, el valor de la planificación protética y los nuevos avances en digitalización

Dr. José López, presidente de la Sociedad Española de Implantes (SEI)

caracterizado a los congresos de SEI. Os invitamos a conocer nuestro programa de forma detallada en https://sociedadsei.com/seitoledo2025/

 DM.- En este sentido, ¿cuáles serán los avances científicos más destacados que se presentarán en SEI Toledo 2025?

Dr. B.R.G.- Abordaremos nuevos diseños de implantes, protocolos quirúrgicos extremadamente estratégicos que brindan oportunidades a pacientes francamente comprometidos desde el punto de vista de opciones implantológicas, biomateriales, materiales protésicos de última generación y protocolos basados en la digitalización tanto en la fase quirúrgica como en la fase de rehabilitación protésica. Mencionar que, entre otros, contaremos con líderes de opinión en digitalización que nos darán detalles importantes en cuanto a la utilización y el punto en que nos encontramos con los tan populares escáneres

intraorales y su aplicación en implantología. No dejaremos pasar tampoco la oportunidad conocer lo que la inteligencia artificial puede aportar al entorno implantológico.

 DM.- ¿Qué temáticas de interés para la Implantología se abordarán durante el Congreso?

El objetivo será brindar a la comunidad implantológica un congreso que permita afianzar las líneas de trabajo en cuanto a experiencia e innovación en el campo de la Implantología se refiere ”
Dr. Bruno Ruiz Gómez, presidente del Comité Organizador del XXXV Congreso Nacional y XXVIII Congreso Internacional de la SEI

Dr. José López (J.L.).- En este próximo congreso, repasaremos los temas clásicos de la Implantología: carga inmediata, aspectos estéticos, regeneración y maxilares atróficos, entre otros; pero también revisaremos aspectos de plena actualidad como la periimplantitis, el valor de la planificación protética y los nuevos avances en digitalización. Todo ello, de la mano de reconocidos profesionales en cada uno de los temas a tratar.

 DM.- Háblenos sobre los talleres que se desarrollarán en SEI Toledo 2025. ¿Qué valor añadido aportan estas formaciones de simulación práctica a los asistentes?

Dr. B.R.G.- Todos los clínicos necesitamos poner en práctica y ordenar nuestro conocimiento. Atendemos pacientes y requerimos de habilidades manuales para poder manejar instrumental, nuevos materiales y técnicas quirúrgicas novedosas. No hay nada

mejor manera de hacerlo que en un taller guiado por profesionales de reconocido prestigio. Somos conscientes de la importancia de estos talleres dentro de un congreso. Es por ello que hemos preparado numerosos talleres en los que abordaremos temas como la regeneración ósea en implantes postexodoncia, la novedosa oseodensificación para optimizar nuestras secuencias de fresado, protocolos de regeneración simplificados, uso y aplicaciones de implantología monobloque, tratamiento de las periimplantitis bajo protocolos definidos, etc.

 DM.- El Palacio de Congresos El Greco de Toledo albergará la celebración del trigésimo quinto congreso nacional y vigésimo octavo congreso internacional de la SEI. ¿Qué ofrecerá la ciudad y el programa social a los congresistas?

Dr. B.R.G.- Tengo que agradecer a la ciudad de las tres culturas que me vio nacer, su condición inigualable para albergar el próximo congreso SEI Toledo 2025. Su excepcional Palacio de Congresos, una joya arquitectónica ubicada a escasos metros de la emblemática Plaza de Zocodóver, centro neurálgico del casco histórico de Toledo, permitirá una fusión perfecta entre un congreso excepcional y

“ Esperamos más de 600 asistentes en SEI Toledo 2025 ”
Dr.

José López, presidente de la Sociedad Española de Implantes (SEI)

disfrutar de la maravillosa ciudad de Toledo. El Palacio de Congresos posee unas infraestructuras excepcionales que brindan a los congresistas la oportunidad de disponer de un espacio inigualable para que asistentes, conferenciantes e industria del sector compartan impresiones y afiancen sus lazos profesionales. Los congresistas podrán disfrutar durante los días 25, 26 y 27 de la magia de Toledo donde historia, cultura y gastronomía no les dejarán indiferentes. Hemos querido poner el broche final a un congreso muy especial como es éste que os presento, con una cena de clausura en el parque temático de recreación histórica Puy du Fou y además disfrutar, después de la cena, del impresionante espectáculo “El sueño de Toledo”. Momentos únicos durante todo el congreso que permitirán a los asistentes disfrutar de la ciudad, así como afianzar los lazos de pertenencia a la SEI, sin dejar de lado el formarse con rigor en Implantología. Todo ello bajo el lema del congreso: “Vive la implantología en SEI Toledo 2025”.

 DM.- ¿A qué perfil de profesionales invitan desde SEI a asistir al encuentro?

Dr. J.L.- La SEI es la Sociedad decana en el campo de la Implantología oral. En nuestros congresos la tratamos de una manera global e integradora. Es por eso, por lo que pueden asistir tanto profesionales con amplia experiencia en este campo, como aquellos que se estén iniciando en esta apasionante parcela de la Odontología. Siempre prestamos un especial cuidado en acercar y abrir las puertas de nuestra Sociedad a los estudiantes de posgrado en Implantología y los de grado odontológico, para que empiecen a tomar contacto con los procedimientos implantológicos. Estas reuniones científicas, como es este congreso en Toledo, son un escenario perfecto para que se acerquen a nuestra Sociedad y se inscriban como socios (que por cierto, es gratuito hasta los 30 años), facilitándoles de esta manera, perfilar sus carreras profesionales en el ámbito implantológico.

El programa del congreso SEIToledo25 plasma todas las que, posiblemente, sean las necesidades de cualquier clínico que usa los implantes dentales como herramienta terapéutica para tratar a sus pacientes ”

Dr. Bruno Ruiz Gómez, presidente del Comité

Organizador

del XXXV Congreso Nacional y XXVIII Congreso Internacional de la SEI

 DM.- Dentro de la hoja de ruta que se marcó al inicio de su presidencia en la SEI en 2023, ¿cómo han planteado el Congreso para cumplir con las principales preocupaciones de los especialistas en Implantología en su práctica diaria?

Dr. J.L.- Éste es el tercer congreso que realizaremos desde que la nueva Junta tomó el relevo para conducir la Sociedad, siempre con un espíritu continuista con la Junta previa. El primer congreso representó un reto al coincidir con el post-COVID, ser una Junta nueva y realizarse en las Islas Canarias, que siempre plantea un reto logístico. Fue conducido por el Dr. Cecilio Iess Marrero y representó un relanzamiento de la actividad presencial de la Sociedad. El año pasado realizamos un espléndido congreso en la ciudad de Vigo, conducido por el Dr. Mario Pérez Sayans y, tal y como manifestó su alcalde en la inauguración, se mostró como una ciudad francamente acogedora y disfrutamos de ponencias de actualidad que nos acercaron a las nuevas tecnologías. En el congreso que estamos preparando de la mano del Dr. Bruno Ruiz Gómez, hemos configurado un programa atractivo que va desde lo sencillo a lo complejo, siempre impartido por expertos en cada uno de los temas que abordamos en el congreso, que son muchos. Hay, además, talleres interactivos y un curso de auxiliares e higienistas dentales, para adentrarse o consolidar conocimientos en el magnífico mundo de la Implantología. También afrontaremos temas de extrema actualidad como la implantología monobloque, sobre la que se celebró un magnífico simposio, avalado por la SEI en Vilaseca (Tarragona), en marzo de este año; los implantes subperiósticos; y los implantes cigomáticos, entre otros temas. Como novedad interesante para este

congreso también queremos rendir un homenaje a profesionales que han representado un papel especial en la SEI, alguno de ellos a título póstumo como es el caso del Dr. Antonio Borrel Ribas, auténtico pionero de la Implantología.

 DM.- En estos dos años como Presidente de la SEI, ¿qué balance realiza de su trayectoria al frente de la Junta Directiva?

J.L.- Lo definiría en dos aspectos: trabajo e ilusión. Trabajo, porque conducir una sociedad odontológica hoy en día no es fácil y, en general, se puede presentar una cierta desmotivación. A pesar del creciente número de profesionales dedicados a la implantología, éste no tiene repercusión en cuanto a la participación de estos profesionales en congresos y actividades científicas.

La SEI es consciente de este reto. Aun así, podemos afirmar que seguimos creciendo, encontrándonos con un sector, el odontológico, al cual le cuesta cada vez más convocar asistentes a sus congresos y hacer posible que las empresas del sector sigan apostando fuerte por la participación en estos eventos científicos tan sumamente importantes para el avance de nuestra profesión y, en definitiva, promover una asistencia sanitaria de calidad en beneficio de nuestros pacientes, que es lo más importante y por lo que trabajamos día a día.

Tenemos que dar las gracias a las empresas del sector que creen en la vitalidad de nuestro proyecto como Sociedad y, por supuesto, a todos nuestros socios y profesionales de la Implantología que participan en nuestras actividades.

Ilusión es el segundo aspecto, porque creemos en nuestra Sociedad y sabemos que, con esfuerzo, hay posibilidades de crecimiento. Toda la Junta está volcada en hacer crecer a la SEI. Tuvimos 375 asistentes en Tenerife, 700 en Vigo y esperamos superar los 600 en Toledo. Hemos publicado dos monográficos Avances-SEI y pronto verá la luz el tercero. Impartimos cursos en la sede de la Sociedad, ubicada en pleno centro de Madrid, de manera continuada. Hemos consolidado la guía de Antibióticos, de la mano del Dr. Ángel-Orión Salgado Peralvo, y ahora estamos a punto de publicar una encuesta, también conducida por él, sobre el Síndrome de Burnout en Implantología, en el que podrán leer interesantes resultados. Hemos establecido relaciones con Sociedades amigas sudamericanas y portuguesas. Nos hemos acercado a las universidades, etc. En fin, retomamos la ilusión cada día y seguimos trabajando para nuestros socios. 

USO DE ALINEADORES INVISIBLES EN FASES TEMPRANAS DEL TRATAMIENTO DE ORTODONCIA: UNA REVISIÓN SISTEMÁTICA Y META-ANÁLISIS

El uso de alineadores invisibles ha sido ampliamente tratado en la literatura de ortodoncia; sin embargo, aún faltan revisiones sistemáticas y meta-análisis que incluyan una gama amplia de estudios de esta área de la investigación en ortodoncia. El objetivo de la presente contribución es explorar y evaluar la literatura sobre estudios de alineadores invisibles, realizados en edades tempranas de los pacientes. Nuestros resultados sugieren que los artículos disponibles a la fecha presentan en general evidencia científica moderada, independientemente del diseño del experimento. Además, en nuestro análisis exploratorio se detectó algún grado de dependencia respecto de las variables reportadas (i.e., medidas cefalométricas), cuando se testea la heterogeneidad entre estudios. Por último, independientemente de la amplia gama de condiciones diferentes incluidas en los estudios analizados, la mayoría de ellos coinciden en que el tratamiento con alineadores invisibles puede abordar eficientemente la mayoría de las maloclusiones en niños y adolescentes.

Introducción

Uno de los avances más significativos en ortodoncia y ortopedia dentofacial, durante la segunda mitad del siglo pasado, fue sin duda el reconocimiento de los tratamientos ortopédicos como una fase diferenciada en el tratamiento de la maloclusión dental. Keski-Nisula et al. (2003) analizaron las oclusiones de 489 niños al inicio del período de dentición mixta (media de la edad = 5,1 años; rango = 4-7,8 años) y concluyeron que la prevalencia de maloclusión oscilaba entre 67,7% y 92,7%, dependiendo de los parámetros de aceptación utilizados para cada característica oclusal.

Además, probablemente la mayor revolución de la ortodoncia del siglo XXI sea el uso de alineadores como técnica de tratamiento. En las últimas décadas se ha producido un aumento significativo en el uso de alineadores transparentes para el tratamiento de maloclusiones en adultos y, más recientemente, en niños (Dianiskova et al., 2022). Sin embargo, los estudios que abordan los resultados obtenidos a partir del tratamiento de ortodoncia

con alineadores transparentes han demostrado que este método conduce a resultados dispares (Borda et al., 2020). Varios estudios comparativos, realizados sobre poblaciones adultas, han demostrado que el tratamiento con alineadores transparentes produce resultados significativamente peores que los obtenidos mediante el tratamiento con aparatos fijos de ortodoncia (Djeu et al., 2005; Kuncio et al., 2007; Pavoni et al., 2011; Li et al., 2015). Sin embargo, contribuciones más recientes han demostrado que ambos enfoques de tratamiento alcanzan niveles similares de eficacia (Hennessy et al., 2016; Gu et al., 2017).

El principal desafío asociado con el uso de alineadores transparentes en las primeras etapas del tratamiento, parece ser el de mantener un ajuste adecuado del aparato mientras los dientes están exfoliando y erupcionando. En este sentido, pocos autores han informado sobre el uso de alineadores transparentes secuenciales en dentición mixta (Blevins, 2019; Staderini et al., 2019; Staderini et al., 2020; Lionet et al., 2023).

Artículo cedido por

Uno de los objetivos del tratamiento de ortodoncia en dentición mixta es expandir la forma del arco maxilar para permitir la alineación adecuada de los dientes y la corrección de las maloclusiones sagitales y verticales. Según lo informado por McNamara et al. (2000), la deficiencia maxilar transversal es uno de los problemas esqueléticos más generalizados en ortodoncia, destacando que la coordinación transversal entre las formas de los arcos superior e inferior es un paso crucial para alcanzar un buen ajuste entre el maxilar y la mandíbula (McNamaraa, 2000; Eichenberger & Baumgartner, 2014).

Así como están científicamente aceptados los efectos esqueléticos de la expansión a temprana edad, algunos autores recomiendan un tratamiento interceptivo temprano para las maloclusiones sagitales Clase II, considerando que estas maloclusiones tienden a empeorar con el tiempo en lugar de autocorregirse (Keski-Nisula et al., 2003; Baccetti et al., 2005; Baccetti, 2006; Stahl et al., 2008), con empeoramiento de la deficiencia en la longitud total mandibular y la altura de la rama mandibular (Stahl et al., 2008). En maloclusiones de Clase III algunos autores concluyen que el tratamiento ortopédico en dentición mixta temprana es capaz de inducir adaptaciones craneofaciales más favorables que el tratamiento en dentición mixta tardía (Baccetti et al., 2000).

Dado que la eficacia de los alineadores en las primeras fases del tratamiento de ortodoncia aún no está bien descrita, tanto en términos de su alcance, como en términos de la colaboración del paciente, el objetivo de esta revisión sistemática es analizar la evidencia científica sobre los tratamientos de ortodoncia temprana con alineadores transparentes y arribar a conclusiones acerca del estado actual de esta técnica.

Materiales y métodos

Selección de estudios y evaluación de la calidad Los autores de este estudio examinaron de forma independiente bases de datos electrónicas de literatura publicada, utilizando PubMed/Medline y Google Scholar, para identificar estudios relevantes. Además de las búsquedas electrónicas, también se inspeccionaron manualmente revistas científicas como el American Journal of Orthodontics and Dentofacial Orthopaedics y el European Journal of Orthodontics (entre otras), a fin de complementar la búsqueda de artículos elegibles. Durante este proceso, no se aplicaron restricciones de idioma.

SEDO-DM

Los artículos finalmente seleccionados, tras pasar por la fase de filtrado, cumplían los siguientes criterios:

 Tipos de estudio: Meta-análisis, revisión sistemática, estudios de cohorte, ensayos aleatorios o casos y controles hasta septiembre de 2023.

 Tipos de pacientes: Niños o pacientes preadolescentes que necesitan tratamiento de ortodoncia.

 Intervención: Alineadores transparentes como método de tratamiento.

 Comparación: Ortopedia dentofacial (aparatos funcionales y expansores).

 Resultado: Efectividad del tratamiento en edades tempranas.

Por otro lado, se implementaron los siguientes criterios para el rechazo:

 Estudios que involucran a adultos o pacientes después de CVS5-6.

 Estudios centrados en aparatos fijos multibracket.

 Estudios que carecen de información relevante relacionada con nuestros objetivos establecidos. Durante el proceso de selección mencionado, se examinaron los registros identificados a través de las búsquedas en las bases de datos y se excluyeron los artículos duplicados. Posteriormente, luego de revisar los títulos y/o resúmenes de los artículos restantes y aplicar los criterios de inclusión y rechazo, se retuvieron los artículos apropiados para a los objetivos de este estudio, evaluándose el nivel de evidencia científica de los mismos, aplicando la escala de Jadad (Jadad et al., 1996) sobre los ensayos aleatorios y la escala de Newcastle-Ottawa (Wells et al., 2000) sobre los estudios de casos y controles y de cohortes.

Análisis estadístico

Los artículos que presentaron variables relevantes (i.e., superposición vertical y/o horizontal) e incluían grupos control o comparaban estadísticamente mediciones al principio y al final del tratamiento, fueron seleccionados a fin de evaluar la heterogeneidad entre estudios. A este efecto, se estimaron para cada variable en común las diferencias de medias (MD) y las diferencias de medias estandarizadas (SMD) entre estudios, así como sus respectivos intervalos de confianza (IC) al 95% (Lewis and Clarke, 2001).

Además, la presencia de heterogeneidad entre estudios y su magnitud se establecieron mediante la estimación de estadísticas relevantes como T2 para heterogeneidad absoluta e I2 para heterogeneidad

en Ortodoncia. UCM. MDS. Presidente del 68 Congreso de la Sociedad Española de Ortodoncia (SEDO) en Madrid.

Board y Miembro Diplomado de la Sociedad Española de Ortodoncia (SEDO).

Miembro Activo de: EOS; AAO; AESOR. Premio Juan Carol de la Sociedad Española de Ortodoncia (SEDO).

Premio Moriyon Costales de la Sociedad Española de Ortodoncia (SEDO). Práctica privada en Madrid.

Miroslava Sánchez White Licenciado en Odontología. Univ Central de Venezuela, DDS. Especialista en Ortodoncia. Univ Central de Venezuela. MDS. Práctica privada en Barcelona.

Enrique Ruiz Anillo

Licenciado en Odontología. Univ CEU Cardenal Herrera, Valencia, DDS. Máster propio en Ortodoncia Integral. Univ Católica de Valencia. Máster Universitario en Ortodoncia Integral. Univ Católica de Valencia, MDS. Miembro de la Sociedad Española de Ortodoncia (SEDO). Práctica privada en Marbella.

Javier Girón de Velasco Lic. en Odontología. UCM, DDS. Postgrado

relativa (también conocido como índice de inconsistencia). Respecto de este índice, se asumió que un I2 ≥ 75% indica una alta inconsistencia entre los estudios analizados (Law et al., 1997; Higgins et al., 2003). Todas estas estimaciones se realizaron utilizando funciones incluidas en los siguientes paquetes del lenguaje de programación estadística R (R Core Team, 2020): meta (Schwarzer, 2007), metafor (Viechtbauer, 2010) y MetaSense (Gong et al., 2021).

Resultados

Selección de muestras

Las búsquedas de artículos se realizaron entre los meses de julio y octubre de 2023, incluyendo ambos meses. Todo el proceso, que se aplicó de acuerdo con las recomendaciones de PRISMA (Page et al., 2020), es presentado en el siguiente diagrama de flujo. La búsqueda electrónica inicialmente dio como resultado 51 artículos identificados como candidatos potenciales, mientras que las búsquedas manuales y de referencias, recuperaron siete artículos adicionales. A continuación, tras aplicar el resto de pasos del protocolo (filtrar, eliminar duplicados y revisar títulos y resúmenes), finalmente se retuvieron doce artículos (Fig. 1).

Descripción de la muestra

La muestra de estudios seleccionados constó de 12 artículos, caracterizados de la siguiente forma:

una revisión sistemática (Gonçalves et al., 2022), un ensayo clínico aleatorizado (Da Silva et al., 2023) y ocho estudios de cohorte, entre los cuales, dos fueron prospectivos (Lione et al., 2021 y Glaser et al., 2022) y seis mientras fueron retrospectivos (Borda et al., 2020; Gonçalves et al., 2022; Lombardo et al., 2022; Sun et al., 2022; Lombardo et al., 2023 y Sabouni et al., 2023) (Tabla 1).

Además, cuatro de los estudios analizados fueron reconocidos como estudios de casos y controles (Ravera et al., 2021; Lombardo et al., 2023; Lu et al., 2023; y Wu et al., 2023). Complementariamente, no se hallaron artículos que describieran meta-análisis, revisiones bibliográficas o casos clínicos tratando el tema del uso de alineadores invisibles (Tabla 1).

Escala de Newcastle-Ottawa

La calidad metodológica de los estudios de cohortes y de casos controles se evaluó mediante la escala de Newcastle-Ottawa (NOS), la cual asigna una calificación de 1 a 8 estrellas de la siguiente forma: de 1 a 3 estrellas indican mala calidad, de 4 a 6 estrellas indican calidad moderada y de 7 a 8 estrellas indican calidad alta. Después de aplicar este criterio a los 11 artículos correspondientes, se obtuvo evidencia moderada en todos los puntos de evaluación, como se muestra a continuación (Tabla 2).

Fig. 1. Diagrama de flujo para la selección de estudios.

Escala de Jadad

A fin de evaluar la calidad metodológica de un ensayo clínico, se utilizó la escala de Jadad (Jadad et al., 1996). Esta escala sólo considera aspectos relacionados con la aleatorización, el cegamiento de los pacientes y los investigadores durante el tratamiento (doble ciego) y la descripción de las pérdidas en el seguimiento. Luego de pasar este filtro, la puntuación total fue de 2 puntos, lo que

indica que la calidad del único ensayo clínico aquí analizado (Da Silva et al., 2023) se estimó como baja (Tabla 3).

Los artículos seleccionados para esta revisión sistemática y meta-análisis proporcionan evidencia moderada en general, y todos adolecen de deficiencias notables, como tamaños de muestra pequeños (que van de 18 a 72 participantes) (Fig. 2A).

Tabla 1. Categorización de tipos y subtipos de estudios incluidos.
Tabla 2. Evaluación de los artículos incluidos mediante el criterio Newcastle-Ottawa.

Esta condición puede inducir sesgos de muestreo, lo que resultaría en malas representaciones de las poblaciones de interés (representatividad de la cohorte expuesta). Además, estos estudios muestran un plazo de seguimiento muy corto o la falta de mención de “abandonos” en sus resultados, especialmente para los dos estudios prospectivos (Lione et al., 2021 y Glaser et al., 2022). Sin embargo, los estudios citados se centraron en la evaluación del uso de alineadores en edades tempranas (Fig. 2B), que es el tema central de esta revisión. La atención se centra en los artículos que estudian el tratamiento en el plano transversal, comparando expansores (Hyrax o Hass) con alineadores. Estos estudios concluyeron que los tratamientos con alineadores son efectivos para la expansión dentoalveolar, siendo los segundos molares temporales superiores los más beneficiados, seguidos de los primeros molares permanentes superiores y finalmente los primeros molares superiores, pero no para la expansión esquelética.

Otro resultado a considerar para edades un poco mayores (alrededor de 8-9 años), es el uso de alineadores transparentes para corregir la hipoplasia mandibular mediante un sistema de avance mandibular, comparándolos con aparatos funcionales tipo Twin Block. Se obtuvieron resultados similares, observándose los cambios más significativos en el sector anterior, debido a la alteración en los contactos incisales de los dientes superiores e inferiores.

Análisis estadístico

La comparación estadística entre los estudios analizados se realizó a través de cinco variables (i.e. medidas cefalométricas) compartidas por los algunos de los artículos analizados, donde dos de ellas (superposición vertical y horizontal) se obtuvieron de cuatro artículos, y las tres restantes (ángulos ANB, SNA y SNB) de estos mismos cuatro artículos y otros dos artículos más (Fig. 3).

Los principales resultados mostraron que existe una heterogeneidad significativa y una alta inconsistencia entre los artículos analizados, cuando la comparación se basa en las medidas de superposición vertical y horizontal (Fig. 3A-B): I2 = 93% y 81%, T2 = 1,92 y 0,5 (en ambos casos el valor-p < 0,01 [se rechaza la hipótesis nula de homogeneidad entre estudios]). Además, ninguno de los IC calculados para la estimación de la diferencia de medias estandarizada (SMD) de las medidas de superposición vertical (Fig. 3A) incluyó el cero como valor posible, lo que sugiere fuertemente la falta de homogeneidad entre los estudios.

De manera similar, los IC para la estimación de la SMD de las medidas de resalte (Fig. 3B) solo incluyeron el cero como valor posible en el estudio de Lombardo et al. (2023), lo que nuevamente sugiere una alta heterogeneidad entre los estudios.

Por otro lado, cuando los análisis se basan en medidas de los ángulos ANB, SNA y SNB, no se detecta heterogeneidad significativa, y casi siempre los IC construidos para las SMD incluyeron al cero como valor posible (Fig. 3C-E), lo que sugiere homogeneidad entre los estudios.

Vale la pena señalar que estos análisis expusieron una clara sensibilidad con respecto a la variable analizada.

Fig. 2. Tamaño muestral (A) y rangos de edad de los pacientes incluidos en cada estudio analizado (B).
Tabla 3. Escala de Jadad aplicada sobre el estudio de Da Silva et al. (2023).

Discusión

El objetivo principal de esta revisión, fue evaluar y comprender la literatura actual sobre estudios de alineadores, llevados a cabo a partir de la aplicación de dicho tratamiento a pacientes en edades tempranas. En general, la mayoría de los estudios aquí analizados coinciden en que el tratamiento con alineadores invisibles puede abordar con notable eficacia la mayoría de las maloclusiones en niños y adolescentes. Además, se pudo observar que en los artículos donde se comparó la expansión maxilar con aparatos tipo Hass y alineadores, ambos resultaron efectivos para las expansiones dentoalveolares, pero no para la expansión esquelética. Adicionalmente, en muchos de estos estudios se destacan las ventajas del uso de alineadores invisibles en términos de comodidad, estética e higiene (e.g. Glaser et al., 2022).

Por otro lado, artículos que examinaron el uso de alineadores para el tratamiento de la hipoplasia mandibular, comparándolos con el uso de aparatos funcionales tipo Twin Block, arrojaron resultados similares (i.e. Wu et al., 2023). Vale la pena señalar que a estas edades, un alto nivel de cumplimiento por parte del paciente es crucial y este aspecto casi fue poco abordado y evaluado en los artículos analizados.

Por último, incluso cuando esta revisión representa un paso inicial para evaluar el desempeño de los alineadores invisibles en edades tempranas y diferentes condiciones de ortodoncia, el número de estudios publicados sigue siendo limitado. Para futuras investigaciones, es imperativo aumentar el tamaño de la muestra y analizar los resultados a largo plazo.

Conclusiones

Esta revisión sistemática incluyó 11 estudios, que se desarrollaron en condiciones notablemente diferentes como: poblaciones objetivo muy dispares (EE.UU., Italia, Portugal, China y Emiratos Árabes), diferentes tamaños de muestra (que van de 18 a 72), amplia gama de edades de pacientes al comienzo del tratamiento (que oscila entre los 5 y los 19 años), diferentes diseños experimentales (ensayos clínicos aleatorizados, estudios de cohortes prospectivos o retrospectivos y casos-controles), así como técnicas estadísticas para explorar la solidez de los resultados obtenidos (principalmente pruebas t pareadas o no apareada en casos de dos muestras, o ANOVA y comparaciones múltiples en casos de más de dos muestras). Respecto a este último aspecto, cabe señalar que ninguno de los estudios incluidos, exploró condiciones relacionadas con la independencia de los datos y los enfoques multivariados.

Finalmente, en términos generales se puede concluir que:

 Es necesario realizar mucha más investigación en términos de los efectos de los alineadores en tratamientos a edad temprana.

 Más allá de las diferencias estructurales entre los estudios analizados, todos ellos resaltaron los evidentes beneficios del tratamiento de ortodoncia con alineadores transparentes en edades tempranas, alcanzando resultados similares a los métodos tradicionales en términos de movimientos dentoalveolares en planos sagital, vertical y transversal durante la dentición mixta.

Fig. 3. Forest plots de las variables analizadas: superposición vertical (A) y horizontal (B), y ángulos ANB, SNA y SNB (C-E).

Bibliografía

 No se han demostrado resultados en términos de expansión esquelética con alineadores transparentes.

 Los alineadores parecen mejorar la experiencia de los pacientes en términos de comodidad, disminución del dolor y tiempo de tratamiento o visitas al ortodoncista.

Resumen

Como observación final, cabe decir que aún faltan estudios a largo plazo que demuestren la eficacia y estabilidad de este tratamiento. 

El uso de alineadores invisibles ha sido ampliamente tratado en la literatura de ortodoncia; sin embargo, aún faltan revisiones sistemáticas y meta-análisis que incluyan una gama amplia de estudios de esta área de la investigación en ortodoncia. El objetivo de la presente contribución es explorar y evaluar la literatura sobre estudios de alineadores invisibles, realizados en edades tempranas de los pacientes. Nuestros resultados sugieren que los artículos disponibles a la fecha presentan en general evidencia científica moderada, independientemente del diseño del experimento. Además, en nuestro análisis exploratorio se detectó algún grado de dependencia respecto de las variables reportadas (i.e., medidas cefalométricas), cuando se testea la heterogeneidad entre estudios. Por último, independientemente de la amplia gama de condiciones diferentes incluidas en los estudios analizados, la mayoría de ellos coinciden en que el tratamiento con alineadores invisibles puede abordar eficientemente la mayoría de las maloclusiones en niños y adolescentes.

1. KESKI-NISULA, K., LEHTO, R., LUSA, V., KESKINISULA, L., & VARRELA, J. (2003). Occurrence of malocclusion and need of orthodontic treatment in early mixed dentition. American journal of orthodontics and dentofacial orthopedics, 124(6), 631-638.

2. DIANISKOVA, S., RONGO, R., BUONO, R., FRANCHI, L., MICHELOTTI, A., & D’ANTÒ, V. (2022). Treatment of mild Class II malocclusion in growing patients with clear aligners versus fixed multibracket therapy: A retrospective study. Orthodontics & Craniofacial Research, 25(1), 96-102.

3. BORDA, A. F., GARFINKLE, J. S., COVELL JR, D. A., WANG, M., DOYLE, L., & SEDGLEY, C. M. (2020). Outcome assessment of orthodontic clear aligner vs fixed appliance treatment in a teenage population with mild malocclusions. The Angle Orthodontist, 90(4), 485-490.

4. PAVONI, C., LIONE, R., LAGANÀ, G., & COZZA, P. (2011). Self-ligating versus Invisalign: analysis of dentoalveolar effects. Annali di stomatologia, 2(1-2), 23.

5. DJEU, G., SHELTON, C., & MAGANZINI, A. (2005). Outcome assessment of Invisalign and traditional orthodontic treatment compared with the American Board of Orthodontics objective grading system. American journal of orthodontics and dentofacial orthopedics, 128(3), 292-298.

6. KUNCIO, D., MAGANZINI, A., SHELTON, C., & FREEMAN, K. (2007). Invisalign and traditional orthodontic treatment postretention outcomes compared using the American Board of Orthodontics objective grading system. The Angle Orthodontist, 77(5), 864-869

7. GU, J., TANG, J. S., SKULSKI, B., FIELDS JR, H. W., BECK, F. M., FIRESTONE, A. R., ... & DEGUCHI, T. (2017). Evaluation of Invisalign treatment effectiveness and efficiency compared with conventional fixed appliances using the Peer Assessment Rating index. American Journal of Orthodontics and Dentofacial Orthopedics, 151(2), 259-266.

8. LI, W., WANG, S., & ZHANG, Y. (2015). The effectiveness of the Invisalign appliance in extraction cases using the the ABO model grading system: a multicenter randomized controlled trial. International journal of clinical and experimental medicine, 8(5), 8276.

9. HENNESSY, J., GARVEY, T., & AL-AWADHI, E. A. (2016). A randomized clinical trial comparing mandibular incisor proclination produced by fixed labial appliances and clear aligners. The Angle Orthodontist, 86(5), 706-712.

10. DIANISKOVA, S., RONGO, R., BUONO, R., FRANCHI, L., MICHELOTTI, A., & D’ANTÒ, V. (2022). Treatment of mild Class II malocclusion in growing patients with clear aligners versus fixed multibracket therapy: A retrospective study. Orthodontics & Craniofacial Research, 25(1), 96-102.

11. BLEVINS, R. (2019). Phase I orthodontic treatment using Invisalign first. J Clin Orthod 53:73–83.

12. STADERINI, E., MEULI, S., & GALLENZI, P. (2019). Orthodontic treatment of class three malocclusion using clear aligners: A case report. Journal of oral biology and craniofacial research, 9(4), 360-362.

13. STADERINI, E., PATINI, R., MEULI, S., CAMODECA, A., GUGLIELMI, F., & GALLENZI, P. (2020). Indication of clear aligners in the early treatment of anterior crossbite: A case series. Dental Press Journal of Orthodontics, 25, 33-43.

14. MCNAMARAA, J. A. (2000). Maxillary transverse deficiency. American journal of orthodontics and dentofacial orthopedics, 117(5), 567-570.

15. EICHENBERGER, M., & BAUMGARTNER, S. (2014). The impact of rapid palatal expansion on children’s general health: a literature. Eur. J. Paediatr. Dent, 15, 67.

16. STAHL, F., BACCETTI, T., FRANCHI, L., & MCNAMARA JR, J. A. (2008). Longitudinal growth changes in untreated subjects with Class II Division 1 malocclusion. American Journal of Orthodontics and Dentofacial Orthopedics, 134(1), 125-137.

17. BACCETTI, T., FRANCHI, L., & MCNAMARA JR, J. A. (2005, September). The cervical vertebral maturation (CVM) method for the assessment of optimal treatment timing in dentofacial orthopedics. In Seminars in Orthodontics (Vol. 11, No. 3, pp. 119-129). WB Saunders.

18. FRANCHI, L., & BACCETTI, T. (2006). Prediction of individual mandibular changes induced by functional jaw orthopedics followed by fixed appliances in Class II patients. The Angle Orthodontist, 76(6), 950-954.

19. BACCETTI, T., FRANCHI, L., & MCNAMARA JR, J. A. (2000). Treatment and posttreatment craniofacial changes after rapid maxillary expansion and facemask therapy. American Journal of Orthodontics and Dentofacial Orthopedics, 118(4), 404-413.

20. JADAD, A. R., MOORE, R. A., CARROLL, D., JENKINSON, C., REYNOLDS, D. J. M., GAVAGHAN, D. J., & MCQUAY, H. J. (1996). Assessing the quality of reports of randomized clinical trials: is blinding necessary? Controlled clinical trials, 17(1), 1-12.

21. WELLS, G. A., SHEA, B., O’CONNELL, D., PETERSON, J., WELCH, V., LOSOS, M., & TUGWELL, P. (2000). The Newcastle-Ottawa Scale (NOS) for assessing the quality of nonrandomised studies in meta-analyses.

22. LEWIS, S., & CLARKE, M. (2001). Forest plots: Trying to see the wood and the trees. British Medical Journal, 322(7300), 1479–1480. https://doi.org/10.1136/ bmj.322.7300.1479.

23. HIGGINS, J. P., THOMPSON, S. G., DEEKS, J. J., & ALTMAN, D. G. (2003). Measuring inconsistency in meta-analyses. Bmj, 327(7414), 557-560.

24. LAU, J., IOANNIDIS, J. P., & SCHMID, C. H. (1997). Quantitative synthesis in systematic reviews. Annals of internal medicine, 127(9), 820-826.

25. SCHWARZER, G. (2007). Meta: An R package for meta-analysis. R news, 7(3), 40-45.

26. VIECHTBAUER, W. (2010). Conducting meta-analyses in R with the metafor package. Journal of Statistical Software, 36(3), 1–48. https://doi.org/10.18637/jss.v036.i03.

27. GONG, J., SEOW, O., HONNET, C., FORMAN, J., & MUELLER, S. (2021). MetaSense: Integrating sensing capabilities into mechanical metamaterial. In The 34th Annual ACM Symposium on User Interface Software and Technology (pp. 1063-1073).

28. TEAM, R. C. (2020). A language and environment for statistical computing [Internet]. R Foundation for Statistical Computing.

29. PAGE, M. J., MCKENZIE, J. E., BOSSUYT, P. M., BOUTRON, I., HOFFMANN, T. C., MULROW, C. D., ... & ALONSO-FERNÁNDEZ, S. (2021). Declaración PRISMA 2020: una guía actualizada para la publicación de revisiones sistemáticas. Revista española de cardiología, 74(9), 790-799.

Siguiendo la evolución de la Odontología para el profesional del sector llamado a construir el futuro

ENTREVISTA

“La historia de la odontología está repleta de curiosidades”

Prof. Dr. José Ramón Alonso, Catedrático de Biología Celular en la Universidad de Salamanca.

Autor del libro “Historia de los dientes y los dentistas”

PENSANDO EN EL FUTURO

Integrando la Inteligencia Artificial en nuestra práctica clínica

Por: Dra. Carmen Pomares, experta en IA en odontología

GESTIÓN DE CLÍNICAS

Los ciberataques ponen en jaque la reputación y la operatividad de las clínicas dentales

Por: Raúl Guillén, experto en ciberseguridad y Cybersecurity Strategy Evangelist en Trend Micro

EVENTOS Y CONGRESOS

Congreso “Implantology Game Changers” de Alpha-Bio Iberia

“LA HISTORIA DE LA ODONTOLOGÍA ESTÁ REPLETA DE CURIOSIDADES”

Prof. Dr. José Ramón Alonso, Doctor en Ciencias Biológicas, Catedrático en Biología Celular en la Universidad de Salamanca, neurocientífico y divulgador científico

El Prof. Dr. José Ramón Alonso, Doctor en Ciencias Biológicas y Catedrático en Biología Celular en la Universidad de Salamanca, además de neurocientífico y divulgador científico, nos guía en su libro “Historia de los dientes y los dentistas” por milenios de historia de la odontología. En esta entrevista, nos revela su pasión por la precisión académica y la creatividad divulgativa que ha plasmado en este viaje por la evolución de esta disciplina que ha abandonado siglos de superstición, rituales y magia para emerger como una ciencia de verdadera vanguardia.

 DM.- Usted es catedrático en Biología Celular, neurocientífico y un prolífico divulgador. ¿Cuándo y por qué comenzó su pasión por contar la ciencia a través de las palabras?

Prof. Dr. José Ramón Alonso (Prof. Dr. J.R.A.).- La escritura fue una forma natural de conectar dos vocaciones: la científica y la literaria. Mi pasión por la ciencia comenzó muy pronto, de niño, un muchacho que soñaba con ser investigador y entender mejor la naturaleza y que era un lector compulsivo y entusiasta. Después me dediqué como investigador a hacer ciencia, en el ámbito de la Biología y la Neurociencia. La pasión por llegar a la sociedad surge de una preocupación al darme cuenta de que las personas interesadas en la ciencia somos una minoría. Vivimos en una época con un desarrollo tecnológico espectacular, pero compartimos este planeta con terraplanistas, antivacunas y bebedores de lejía. Creo en la figura del servidor público y pienso que una de mis obligaciones es contar la ciencia en un lenguaje que emocione, divierta e instruya, que acerque la ciencia a la sociedad.

 DM.- ¿Cómo compagina su carrera académica con la escritura? ¿Qué le aporta cada una de estas facetas?

Prof. Dr. J.R.A.- No lo veo como dos caminos separados, sino como vasos comunicantes. La docencia y la investigación me obligan a estar actualizado, a mantenerme crítico; la escritura me permite pensar con perspectiva, ordenar las ideas, explorar mundos diversos y dar profundidad a lo aprendido. Es un equilibrio entre la precisión académica y la creatividad divulgativa.

siguiendo la evolución de la Odontología

 DM.- En un mundo donde la inmediatez manda, ¿por qué sigue apostando por el libro como vehículo de divulgación científica?

Prof. Dr. J.R.A.- Uso muchos canales: radio, podcasts, redes sociales... Pero el libro tiene un aroma especial, permite respirar. No se trata solo de información, sino de comprensión, de contexto. Un libro te permite acompañar al lector en un viaje más largo, más pausado, donde la ciencia se puede entrelazar con la historia, la filosofía, el cine…. En este tiempo de estímulos fugaces y atropellados, escribir libros y leerlos son pequeños actos de resistencia.

 DM.- Muchos profesionales de la salud tienen un gran conocimiento, pero no se animan a divulgar. ¿Qué consejo les daría para dar ese salto?

Prof. Dr. J.R.A.- Que no se pierdan ese disfrute. Divulgar no es “rebajar” el conocimiento, es compartirlo. Todos sabemos poco de la mayoría de los temas y los profesionales de la salud suelen tener historias que contar y un enorme conocimiento. Contar lo que sabes a quienes no lo saben es una forma de devolver a la sociedad lo que ella ha hecho por ti. Y además, es una experiencia profundamente gratificante. Escritor y lectores formamos un círculo de amigos invisibles. ¡Que se animen!

 DM.- Su último libro se adentra en la historia de los dientes y los dentistas. ¿Cómo surgió la idea de abordar este tema tan específico pero al mismo tiempo universal?

Prof. Dr. J.R.A.- Surgió, como muchas ideas, por un cruce entre la curiosidad y la sorpresa. Vi una imagen de una mandíbula con caries de un neandertal y me pregunté: ¿Qué sabemos realmente sobre la historia de nuestros dientes y sus tratamientos? Es un tema cotidiano, universal, que todos experimentamos..., pero del que sabemos poco. Ahí supe que había una historia por contar.

 DM.- ¿Qué parte del proceso de documentación le resultó más sorprendente o fascinante?

Prof. Dr. J.R.A.- Me fascinó descubrir cuánto de lo que hoy damos por sentado fue, durante siglos, objeto de superstición, tortura o ignorancia. La historia de la odontología está repleta de curiosidades: desde dientes de animales trasplantados hasta instrumentos de extracción dignos de una novela de terror, pasando por los adornos dentales de los cantantes de hip-hop. Del ratoncito Pérez a los dentistas del Tercer Reich hasta las mujeres japo-

Creo en la figura del servidor público y pienso que una de mis obligaciones es contar la ciencia en un lenguaje que emocione, divierta e instruya, que acerque la ciencia a la sociedad ”

nesas y su costumbre de ennegrecerse los dientes para aumentar la belleza de sus rostros blanqueados con polvo de arroz. Pero también hay un relato humano: el del esfuerzo por aliviar el dolor, ayudar a un semejante y mejorar su vida.

 DM.- ¿Cuáles son las anécdotas históricas más curiosas que ha encontrado sobre el ejercicio dental en épocas pasadas?

Prof. Dr. J.R.A.- Hay muchas. Por ejemplo, los “sacamuelas” ambulantes que operaban en las plazas con músicos contratados para tapar los gritos de los pacientes. O el uso de orina como enjuague bucal en Roma, que motivó un lucrativo comercio. O también la creencia en el “gusano dental” como causa del dolor, una falacia que se mantuvo más de mil años. Son anécdotas que nos parecen absurdas, pero que revelan cómo la ciencia ha ido conquistando terreno frente al mito.

 DM.- ¿Cómo ha evolucionado el concepto de “salud dental” a lo largo de la historia, desde lo mágico y ritual hasta lo clínico y tecnológico?

Prof. Dr. J.R.A.- La salud dental pasó de ser un castigo divino o una maldición de espíritus malignos a entenderse como una cuestión médica, científica, pero con un componente social. Hoy sabemos que la salud bucal está conectada con la salud general del cuerpo, pero ese camino ha sido largo, lleno de errores, avances y retrocesos. Es un reflejo de cómo evoluciona el conocimiento, es historia de la ciencia y también historia de la humanidad.

 DM.- ¿Qué aportes o descubrimientos en la historia de la odontología destacaría como hitos imprescindibles?

Contar lo que sabes a quienes no lo saben es una forma de devolver a la sociedad lo que ella ha hecho por ti ” “ Hoy sabemos que la salud bucal está conectada con la salud general del cuerpo, pero ese camino ha sido largo, lleno de errores, avances y retrocesos. Es un reflejo de cómo evoluciona el conocimiento, es historia de la ciencia y también historia de la humanidad

Prof. Dr. J.R.A.- La anestesia marcó, sin duda, un antes y un después. También lo fue la invención del torno dental, el descubrimiento del flúor, el uso de la radiografía para detectar caries o el conocimiento de la microbiota de la boca. Pero me parece especialmente relevante la profesionalización del dentista, la idea de que no cualquiera podía tratar una boca, de que hacían falta expertos bien formados, con base científica y habilidad clínica. Eso cambió todo.

siguiendo la evolución de la Odontología

 DM.- El libro habla tanto de los dientes como de quienes los cuidan. ¿Qué papel ha jugado la figura del dentista en el cambio social?

Prof. Dr. J.R.A.- El dentista ha pasado de ser una figura temida o ridiculizada a representar una ciencia con plena autoridad y un alto nivel profesional. Su papel no es solo clínico, también es educativo y preventivo. Hoy es un experto que ayuda a mejorar la calidad de vida y eso ha transformado la relación con los pacientes. Han ganado respeto y también responsabilidad.

 DM.- ¿Qué cree que pueden encontrar los profesionales del sector dental en este libro que les haga mirarse a sí mismos desde otra perspectiva?

Prof. Dr. J.R.A.- Creo que encontrarán raíces. Un espejo donde verse como parte de una historia larga, compleja, llena de ingenio y humanidad. A veces, en la rutina diaria, se pierde la conciencia de estar insertos en una tradición y al mismo tiempo un proceso de descubrimiento y avance del que son también parte. Este libro puede ofrecerles una reconexión con esa historia. Y tal vez, me encantaría, renovar su vocación.

 DM.- ¿Hay alguna lección del pasado que cree que no deberíamos olvidar en medio de tantos avances tecnológicos actuales?

Prof. Dr. J.R.A.- Sí: la importancia de no perder de vista a la persona, a un ser humano que sufre y pide ayuda. En muchos momentos de la historia, el afán de intervenir fue más fuerte que la empatía. Los odontólogos no tratan dientes, tratan personas. Hoy tenemos una tecnología extraordinaria, pero la escucha, el trato humano, la compasión... Eso sigue siendo irremplazable.

 DM.- ¿Hay alguna figura histórica que le haya inspirado especialmente en la escritura de este libro?

Prof. Dr. J.R.A.- Sí, Pierre Fauchard, considerado por muchos el padre de la odontología moderna. Fue un visionario en el siglo XVIII, cuando aún se mezclaba lo médico con lo mágico. Su impulso por ordenar, sistematizar y enseñar lo que sabía fue profundamente inspirador. En muchos sentidos, fue un divulgador en su época.

 DM.- ¿Tiene pensado continuar explorando la historia de la medicina desde otros ángulos?

Prof. Dr. J.R.A.- Sin duda. Cuando estoy terminando un libro empiezo a pensar ya en el siguiente, pero

El papel del dentista no es solo clínico, también es educativo y preventivo. Hoy es un experto que ayuda a mejorar la calidad de vida y eso ha transformado la relación con los pacientes ”

hay que dar tiempo al tiempo. Empiezo ahora la etapa de documentación y eso me suele llevar uno o dos años, pero también es bonita esa fase y hay muchas historias que merecen ser recuperadas, pero ahora la prioridad es que los lectores conozcan y disfruten esta “Historia de los dientes y de los dentistas”. Un libro solo tiene sentido por sus lectores.

 DM.- Para finalizar, ¿qué le gustaría que los lectores se lleven al terminar su libro?

Prof. Dr. J.R.A.- Quisiera que terminen con una sonrisa —literal y metafórica—. Que hayan aprendido, sí, pero también que se hayan sorprendido y se hayan divertido. Con personajes como Edgar R. Parker, que ante las dificultades legales para publicitar su negocio odontológico se cambió el nombre a Painless Parker (Indoloro Parker, en español), nombre con el que fundó 30 clínicas, atendió a millones de pacientes y creó un sistema pionero de atención en cadena, que anticipaba los modelos corporativos actuales. Como dentista tuvo algunas prácticas discutibles, pero como referente del marketing médico fue, sin duda, pionero, agresivo, divertido y eficaz. ¡Todo un personaje! 

publirreportaje

CLÍNICAS W LANZA WIA: LA INTELIGENCIA ARTIFICIAL

MÁS HUMANA PARA REVOLUCIONAR LA ATENCIÓN

EN EL DENTISTA

La compañía dental Clínicas W apuesta por la innovación tecnológica responsable con WIA, una herramienta que centraliza procesos que logran reducir en un 30% las tareas rutinarias en recepción para dedicar ese tiempo al paciente.

Innovación, eficiencia y humanización. Tres conceptos que, lejos de ser incompatibles, marcan el camino de la transformación que Clínicas W está llevando a cabo en sus clínicas este año. Con el lanzamiento de la tecnología WIA, su nueva recepcionista virtual basada en inteligencia artificial, la red da un paso más en su compromiso por mejorar la gestión clínica sin renunciar a la esencia del trato cercano que caracteriza su Odontología Slow. Clínicas W reafirma su apuesta por una innovación responsable, integrando tecnología avanzada no para acelerar la atención, sino para hacerla más humana, eficiente y sostenible.

Tras un año de entrenamiento intensivo para dotarla de un tono muy humano y adaptada al sector salud, WIA ya está en funcionamiento en varias clínicas de la red, donde ha logrado reducir un 30% las tareas rutinarias en recepción, según sus primeros resultados. Este descenso se traduce en una liberación de tiempo que permite al personal de atención enfocarse en lo verdaderamente importante: la interacción directa y personalizada con cada paciente. A diferencia de otros modelos de automatización, en Clínicas W la tecnología se introduce con el claro objetivo de potenciar a las personas. La implementación de la recepcionista WIA libera a los equipos de las tareas más mecánicas y repetitivas y gestiona de forma proactiva los recordatorios de cita, la reprogramación e incluso el seguimiento postratamiento a través de WhatsApp, permitiendo que las personas del área de Atención al Paciente puedan dedicar más tiempo y atención al acompañamiento emocional de los pacientes.

También centraliza todos los procesos relacionados con el Plan W de prevención bucodental de la compañía, permitiendo una gestión integrada y coordinada de tratamientos, seguimientos y campañas preventivas.

Menos estrés y más calidad asistencial

Este enfoque responde a una necesidad real dentro del sector. Según un informe reciente de la Organización Mundial de la Salud (OMS), el 45% de los profesionales de atención al paciente en el ámbito sanitario considera que las tareas administrativas son una de las principales fuentes de estrés en su jornada laboral. Aplicado al entorno de la propia red, el 52% de las recepcionistas afirman sentirse saturadas por el tiempo dedicado al teléfono y al correo electrónico antes de la introducción de WIA.

La nueva tecnología busca precisamente equilibrar esta carga y mejorar el bienestar del equipo, repercutiendo de forma directa en la calidad asistencial. “Cuando liberamos al equipo de tareas repetitivas, ganamos eficiencia y tiempo para mirar a los ojos al paciente, escucharle y estar más presentes. WIA nos permite ganar tiempo para seguir centrándonos en lo esencial: cuidar de verdad, con tiempo y con calma”, afirma Paula García, responsable de Gestión y Atención al Paciente en la Clínica W García Cabo de Alcañiz (Teruel).

Naturalidad y cercanía, la clave

Desde la confirmación de citas hasta el seguimiento tras una intervención, cada interacción realizada por WIA ha sido diseñada para mantener la calidez y el cuidado que identifica a Clínicas W. Los pacientes saben en todo momento que están interactuando con un asistente virtual, pero la experiencia está cuidada para que el lenguaje y el tono sean cercanos, respetuosos y sensibles a cada situación clínica. Además de automatizar tareas, WIA centraliza la gestión de citas provenientes de múltiples canales, como WhatsApp, la página web o la propia app de pacientes, reduciendo errores de coordinación y optimizando los flujos de trabajo internos. La inteligencia artificial de Clínicas W también envía mensajes de bienvenida a los pacientes para establecer una relación de confianza con el equipo incluso antes de acudir a la primera visita, proporcionando información relevante para que disfrute de una experiencia realmente única.

El impacto es tangible desde los primeros meses, dado que las clínicas han registrado una disminución del 16% en las inasistencias a citas desde su implementación. 

pensando en el futuro

INTEGRANDO LA INTELIGENCIA

ARTIFICIAL EN NUESTRA PRÁCTICA CLÍNICA

No tenemos que ser informáticos para entender la Inteligencia Artificial (IA), pero sí que debemos comprender en qué consiste, cómo nos puede afectar en nuestro trabajo y cómo nos ayuda su uso, manteniendo un espíritu crítico ante el aluvión de información y productos que nos llega. Queremos saber hasta dónde podemos llegar sumando IA, porque no nos podemos quedar atrás, la IA es una realidad que ya está aquí, crece exponencialmente y se introduce en todos los sectores. En este artículo sintetizamos las aportaciones de la incorporación de la IA en nuestro proceder profesional y algunos matices.

Radiodiagnóstico con IA.

u Contacto

Dra. Carmen Pomares formacion@perioimplant.es

La IA es el campo de la informática que se centra en crear máquinas y sistemas capaces de realizar tareas que requieren inteligencia humana, como el reconocimiento de patrones, aprendizaje de datos, toma de decisiones y resolución de problemas. Abarca una amplia gama de disciplinas que van desde el aprendizaje automático hasta la visión por computadora y la robótica con aplicación en sectores como la Medicina, Educación, Transporte y Seguridad. Se considera una herramienta de optimización.

La integración de la IA en la Odontología ha venido a consolidar la digitalización de nuestros procedimientos, revolucionado los softwares de diagnóstico y la planificación de nuestros tratamientos, permitiéndonos un análisis más preciso de las condiciones orales para afrontar los casos desde las diferentes disciplinas.

Los sistemas de IA utilizan algoritmos de aprendizaje profundo para analizar imágenes radiográficas y detectar patologías como la caries o la enfermedad periodontal, superando con creces la precisión del ojo humano.

Una de las mayores ventajas de aplicar la IA es conseguir diagnósticos precisos usando algoritmos avanzados y el aprendizaje profundo, Deep Learning (otro asunto es familiarizarnos con el lenguaje IA: Open AI, Big Data, DataSet, Framework, Red Neuronal, Sesgo, Prompts...).

Ventajas y desafíos

Con un extenso análisis de datos y resultados clínicos anteriores nos sugieren tratamientos que podremos personalizar optimizando tiempos, recursos y la atención al paciente. Gracias a la constante recopilación de datos, los algoritmos aprenden y mejoran su capacidad (Machine Learning).

Pero la implementación de la IA conlleva desafíos y hándicaps a pesar de sus ventajas, como la necesidad de inversión, formación y capacitación no sólo del profesional en Odontología, sino del equipo clínico; o disponer de una completa regulación para garantizar un uso ético, estableciendo

siguiendo la evolución de la Odontología

responsabilidades para disfrutar de los nuevos estándares de precisión y eficiencia aportados por los sistemas con IA.

La herramienta con IA más cotidiana a incorporar en nuestra vida fue el ChatGPT que con IA Generativa y Procesamiento del Lenguaje Natural (NLP), destaca por comprender y crear lenguaje de manera lógica. Lo podremos usar desde para crear informes, generar imágenes o realizar búsquedas bibliográficas, entre otros.

La integración de la IA en equipos de diagnóstico para análisis en tiempo real proporciona rapidez y mejora la precisión, exactitud y eficiencia y, en suma, democratiza la atención al paciente.

Los algoritmos están diseñados para mejorar continuamente mediante técnicas de aprendizaje continuo y se podrán ajustar los modelos para mejorar precisión y adaptabilidad, lo que es vital en Odontología, donde la variabilidad entre pacientes y la diferencia entre las técnicas de imagen pueden afectar a la interpretación de los resultados.

Usaremos técnicas de segmentación de imagen, gracias a la visión por computadora, para detallar áreas específicas de interés, lo que nos permite focalizar la atención y acortar tiempos. También permite una clara comunicación con el paciente, al proporcionar mejor visualización 3D y predicción basada en datos.

Avances en prevención al analizar grandes volúmenes de datos e identificar factores de riesgo de enfermedades orales, con sistemas de educación y concienciación sobre salud oral con IA, hasta cepillos inteligentes con sensores que pueden reconocer zonas en que el paciente no limpia o en las que ejerce demasiada presión. Con aplicaciones y dispositivos móviles inteligentes que monitorizan y guían con retroalimentación en tiempo real y recordatorios personalizados como, por ejemplo, de qué le toca revisión en consulta.

Ya es factible predecir la respuesta al movimiento dental ortodóntico, para que el profesional pueda diseñar un tratamiento que minimice los tiempos de uso de alineadores, prever ajustes proactivos y maximizar resultados funcionales y estéticos.

Utilizaremos IA para crear modelos 3D precisos de cavidad oral impulsados por softwares avanzados de ingeniería y procesamiento de imágenes médicas a partir de TAC o CBCT.

Podremos analizar densidad y volumen óseo para la colocación de implantes en correcta ubicación y

La integración de la IA en equipos de diagnóstico para análisis en tiempo real proporciona rapidez y mejora la precisión, exactitud y eficiencia y, en suma, democratiza la atención al paciente

evitar complicaciones, ajustando parámetros como posición, ángulo y emergencia protésica. También es útil en cirugía reconstructiva maxilofacial, ya que permitirá a los cirujanos simular opciones quirúrgicas y prever complicaciones, lo que mejora resultados y minimiza riesgos.

El procesamiento de datos con algoritmos avanzados de IA que convierten la información en imagen tridimensional, eliminando artefactos y optimizando el modelo, ofreciendo realizar simulaciones y planificaciones, así como la fabricación de aparatos personalizados como coronas, puentes, prótesis de implantes o alineadores.

Dra. Carmen Pomares

Licenciada en Medicina y Cirugía por la Universidad de Alicante.

Especialista en Estomatología, Periodoncia e Implantología.

Patente y Propiedad intelectual de la Técnica del Doble Factor, fusión cirugía guiada y navegada para implantología.

Experta universitaria en Técnicas analíticas e IA en Odontología por la Universidad Tecnológica.

Directora del Master y Programa de Estudios en IA, Implantología Avanzada, Regeneración e Implanto-Prótesis para PgO-UCAM.

Directora Gerente de la Clínica Perio&Implant de Alicante y del Centro Formativo IDIT AI Center en Alicante.

Realidad aumentada.

pensando en el futuro

Además, es esencial en diseño e impresión 3D asegurando un ajuste y una función óptimos desde el diseño de férulas a la confección personalizada protésica y restauraciones con técnicas digitales.

También trae consigo avances en materiales en sus características y condiciones, ya que al crear modelos computacionales que repliquen las condiciones orales podremos predecir, por ejemplo, cómo se desgastará en el tiempo. Resulta útil para optimizar las propiedades y conseguir mejorar sus cualidades.

Los modelos digitales también podrán incluir aspectos dinámicos como la oclusión y la interacción dental bimaxilar. E incluso podrán hacer ya seguimiento de la prótesis producida, sugiriendo ajustes o previendo la durabilidad.

Son decisivos los sistemas de soporte a la decisión basados en IA como herramienta fundamental para la identificación y el manejo de complicaciones potenciales. También la predicción de riesgos en tratamientos dentales para mejorar la calidad diagnóstica y de tratamiento.

Innovación en robótica, desarrollando sistemas robóticos para asistencia en intervenciones den -

tales, tales como cirugías de implantes, endodoncia o periodoncia con gran precisión. ¡Su hándicap es el costo!

Para la enseñanza en Odontología, los simuladores robóticos y tecnologías como la realidad virtual y la realidad aumentada permiten interactuar con modelos tridimensionales de la anatomía oral en entorno virtual realista, facilitando el aprendizaje.

Sin olvidar que la IA está involucrada en la seguridad y mantenimiento predictivo de nuestros equipos dentales, con herramientas de diagnóstico automatizado para la detección de fallos.

A destacar la gestión de la práctica dental mediante IA, porque analiza el histórico de cada paciente para optimizar citas, reduciendo la carga de trabajo y los errores, aumentando la eficiencia operativa y administrativa. También facilita el acceso asistencial mediante teleodontología y consultas virtuales para diagnósticos remotos, como herramienta de comunicación segura entre pacientes y dentistas.

La IA también resulta crucial en marketing y gestión de relaciones con los pacientes, incrementando la fidelización y la comunicación.

Actualmente, disponemos cada vez más de plataformas que utilizan el almacenamiento de datos adaptadas a las necesidades específicas del entorno de la salud, para compartir datos entre diferentes proveedores y extraer valiosos insights; sobre todo, asegurando la privacidad con grandes medidas de seguridad para proteger los datos sensibles. El Machine Learning, por su parte, se usa desde la gestión a la investigación biomédica, sobre todo para diagnóstico y nuevas tecnologías.

Asimismo, cabe destacar la necesidad de colaboración interprofesional entre odontólogos, ingenieros y científicos para validar las soluciones propuestas por la IA y asegurar su efectividad en la práctica clínica.

Tendremos que hablar también de la sostenibilidad con la eficiencia energética y la reducción de residuos que nos asegura la implementación de los sistemas de IA.

Sin olvidar la importancia de cumplir con normativas de ética, privacidad, transparencia y responsabilidad profesional que nos corresponde.

Todos estos adelantos, gracias a la evolución que nos aporta la IA, prometen una Odontología más precisa y personalizada para el paciente. 

gestión de clínicas

LOS CIBERATAQUES PONEN EN JAQUE LA REPUTACIÓN Y LA OPERATIVIDAD DE LAS CLÍNICAS DENTALES

La llegada de la digitalización a la Odontología ha conllevado grandes beneficios para sus profesionales y los pacientes. Sin embargo, también ha incrementado exponencialmente los riesgos de seguridad. A lo largo de este artículo se analizan las debilidades y amenazas del sector en materia de ciberseguridad, además de dar las claves para crear una cultura de concienciación por parte de todos los miembros de la clínica dental y adoptar una nueva mentalidad hacia una ciberseguridad proactiva centrada en la gestión de riesgos, con el fin de proteger los datos clínicos y favorecer la continuidad asistencial.

El sector sanitario, incluyendo hospitales, clínicas dentales y laboratorios, se encuentra en el punto de mira de la ciberdelincuencia; con un contexto geopolítico cada vez más polarizado y un cibercrimen cada vez más profesionalizado España, es uno de los más atacados por los ciberdelincuentes, con previsión de superar los 2.361 ataques semanales por organización registrados actualmente.

Debilidades y amenazas en materia de ciberseguridad

La digitalización y la interconectividad han traído consigo grandes beneficios a la odontología, pero también han incrementado exponencialmente los riesgos de seguridad. La información sanitaria es extremadamente valiosa en el mercado negro, y la más mínima vulnerabilidad puede comprometer los datos de pacientes, paralizar sistemas y afectar

siguiendo la evolución de la Odontología

la calidad del servicio. Pero ¿en qué falla el sector sanitario en materia de ciberseguridad?

En primer lugar, muchas clínicas y centros odontológicos aún operan con sistemas obsoletos o con softwares anticuados, sin actualizaciones de seguridad, lo que los deja desprotegidos ante las nuevas amenazas y estrategias de ataque. La falta de segmentación de redes es otro problema habitual, ya que permite que una intrusión en un dispositivo conectado pueda comprometer el resto de los sistemas de la clínica. Además, el factor humano sigue siendo un punto crítico. La falta de concienciación y de formación del personal facilita, por ejemplo, ataques de phishing, en los que los ciberdelincuentes engañan a empleados para que entreguen credenciales de acceso o descarguen software malicioso sin darse cuenta. Puntos todos contemplados en la nueva directiva NIS2 donde, además, el riesgo tecnológico debe ser analizado, gestionado y mitigado elevándolo a la alta dirección.

A esto se suma una gestión deficiente de accesos, en la que no se implementan autenticaciones multifactor ni se limitan los permisos de usuarios. Otro aspecto crítico es la ausencia de copias de seguridad adecuadas, ya que muchas clínicas no realizan backups frecuentes ni los almacenan en entornos seguros, lo que dificulta la recuperación tras un ataque. Aunque, una vez que ya es tarde y el ataque ya se ha perpetrado, ¿cuáles son las consecuencias?

Las consecuencias pueden ser devastadoras. Un ataque llevado a cabo con éxito puede bloquear por completo los sistemas de una clínica dental, impidiendo el acceso a historiales médicos y paralizando la atención a los pacientes. En el peor de los casos, los atacantes pueden filtrar datos y amenazar con publicarlos si no se paga un rescate, exponiendo a la clínica a sanciones legales y pérdida de reputación. Además, un ataque podría provocar la alteración de diagnósticos y tratamientos, poniendo en riesgo la salud de los pacientes. Una de las principales amenazas de este sector es el ransomware, un tipo de ataque consistente en el robado y cifrado de los datos, que culmina con la petición de un pago para su liberación. Muchos centros de salud y clínicas dentales optan por pagar el rescate ante la imposibilidad seguir trabajando al no tener acceso a su información, fomentando así este tipo de delitos.

Los

directivos y responsables de las clínicas deben comprender que la ciberseguridad no es solo un asunto técnico, sino una parte crucial de la estrategia empresarial

Por sorprendente que parezca, el sector sanitario es uno de los que más rescates paga debido a su dependencia crítica de los datos, la falta de preparación para incidentes y la presión por restablecer servicios de manera urgente. Además, las clínicas también sufren en el ámbito económico, y es que la falta de medidas de seguridad adecuadas también provoca que muchas clínicas sean víctimas de accesos no autorizados a datos financieros, que suelen derivar en fraudes o robos de identidad de los pacientes.

Reforzar la ciberseguridad para minimizar riesgos Es necesario que el sector adopte, cuanto antes, medidas que refuercen la seguridad y minimicen los riesgos. La implementación de medidas de ciberseguridad básicas, como el uso de un software actualizado, la instalación de antivirus y firewalls robustos, y la autenticación multifactor, son fundamentales. La capacitación del personal es otra acción clave, ya que la formación en detección de correos fraudulentos y gestión de accesos consigue reducir drásticamente la vulnerabilidad ante ataques.

Además, la colaboración con expertos en ciberseguridad como Trend Micro, y el uso de soluciones especializadas como Trend Vision One, es fundamental para fortalecer la protección de las clínicas dentales. Este tipo de soluciones están diseñadas para adaptarse a cada sector y enfrentar los desafíos específicos, proporcionando un enfoque integral que abarca desde la protección de dispositivos hasta la gestión de la seguridad en la red y la nube. Frente a esta realidad, los directivos y responsables de las clínicas deben comprender que la ciberseguridad no es solo un asunto técnico,

Raúl Guillén Destacado experto en ciberseguridad y actualmente ocupa el cargo de Cybersecurity Strategy Evangelist en Trend Micro, donde lidera la estrategia de seguridad para España y Portugal. Con más de dos décadas de experiencia en el sector tecnológico, ha desempeñado roles clave en áreas como desarrollo de negocio, alianzas estratégicas y consultoría de seguridad.

gestión de clínicas

sino una parte crucial de la estrategia empresarial. Esto incluye no solo la asignación de recursos para la adquisición de tecnología adecuada, sino que también el compromiso con la formación continua y de calidad de todo el personal que trabaja en la clínica, además de la implementación de protocolos de seguridad que aseguren una respuesta rápida ante cualquier incidente. Ellos son los principales responsables de crear una cultura de concienciación sobre la ciberseguridad, en la que todos los miembros de la clínica, desde el personal administrativo hasta los profesionales de la salud, entiendan la importancia de sus acciones en la protección de la infraestructura digital. Además, deben colaborar con expertos externos en ciberseguridad para realizar auditorías periódicas y actualizar las políticas de seguridad, traduciéndose en una postura proactiva y una constante adaptación ante las nuevas amenazas en ciberseguridad. Un ataque a una clínica dental suele tener un impacto directo en la relación de confianza entre la clínica y sus pacientes. La confianza es uno de los pilares más importantes en el sector de la salud, y más aún en la odontología, donde los pacientes confían en que profesionales cuiden de su salud, pero también de su información personal y médica. Por eso, la pérdida de datos sensibles, como historiales médicos, diagnósticos, imágenes radiográficas o información financiera, genera un preocupante sentimiento de vulnerabilidad y desconfianza en los pacientes.

Además, cuando un ciberataque afecta al funcionamiento diario de la clínica, e impide el acceso a los historiales médicos o incluso paraliza la atención a los pacientes, también suele provocar que los pacientes pierdan la confianza en la capacidad de la clínica de ofrecer un servicio adecuado. En muchos casos, este tipo de incidentes suele llevar a la pérdida de pacientes y a una disminución en la reputación de la clínica dental.

Las clínicas tienen que dejar de ser el eslabón débil de la cadena de seguridad sanitaria. Para ello, la digitalización es un avance indiscutible, con múltiples e indudables beneficios, pero debe ir acompañada de las medidas de protección adecuadas. La prevención, la formación del personal y el acompañamiento de expertos en la adopción de una correcta postura de ciberseguridad, son fundamentales para garantizar el futuro en un entorno cada vez más vulnerable. En especial, en un momento en el que los ataques cibernéticos continúan aumentando, invertir en seguridad es una responsabilidad que se ha convertido en ineludible para todas las instituciones, organizaciones y empresas del sector sanitario.

La transformación digital del sector odontológico debe estar acompañada de una estrategia de ciberseguridad robusta que garantice la protección de los datos y la operatividad de los servicios. Las clínicas dentales ya no pueden permitirse ignorar los riesgos digitales. Es el momento de actuar y adoptar un enfoque proactivo para asegurar la seguridad de los pacientes y la estabilidad del sector.

No se trata solo de poner parches, sino de adoptar una nueva mentalidad, un nuevo paradigma: pasar de una ciberseguridad reactiva a una ciberseguridad proactiva, centrada en la gestión de riesgos. Las clínicas dentales deben ser capaces de identificar y priorizar las amenazas antes de que éstas afecten su operatividad. En este sentido, Trend Vision One actúa como una plataforma de detección y respuesta extendida (XDR), que correlaciona eventos de múltiples vectores (correo electrónico, endpoints , red, nube) para ofrecer una visión consolidada del entorno digital. Esto permite anticiparse a los ataques, reducir la superficie de exposición y responder de forma rápida y eficaz ante cualquier incidente. 

Primer Grupo de Prensa Profesional Especializado

NUESTROS CANALES DE DIFUSIÓN:

• Revista en Papel • Revista Digital

• Web • Newsletters • Redes Sociales

PUBLICACIONES MULTIPLATAFORMA CON CINCO PILARES QUE GARANTIZAN UNA VISIBILIDAD DEL 100%

NUESTRAS PUBLICACIONES:

AUTOMATIZACIÓN Y TECNOLOGÍA

Automática e Instrumentación www.automaticaeinstrumentacion.com

CONSTRUCCIÓN

CIC Arquitectura y Sostenibilidad - www.cicconstruccion.com

ClimaNoticias - www.climanoticias.com

ElectroNoticias - www.electronoticias.com

POSVENTA DE AUTOMOCIÓN

Talleres en Comunicación - www.posventa.info

Posventa de Automoción.com - Chapa y Pintura, Neumáticos y Mecánica Rápida, Nuestros Talleres, Recambios y Accesorios www.posventa.com

HOSTELERÍA Y RESTAURACIÓN

Hostelería, Diseño, Equipamiento, Food Service & Beverage www.revistahosteleria.com

DISTRIBUCIÓN

Aral - www.revistaaral.com

BeautyProf - www.revistabeautyprof.com

Nueva Ferretería - www.nuevaferreteria.com

INDUSTRIA

AutoRevista - www.auto-revista.com

Metales & Metalurgia-Máquinas - www.metalesymaquinas.com

Óleo - www.oleorevista.com

Revista PQ - www.revistapq.com

LOGÍSTICA Y TRANSPORTE

Autobuses & Autocares - www.autobusesyautocares.com

Logística Profesional - www.logisticaprofesional.com

Todotransporte - www.todotransporte.com

SANITARIO

DM Dentista Moderno - www.eldentistamoderno.com

eventos y congresos

“IMPLANTOLOGY GAME CHANGERS”, UN EVENTO CIENTÍFICO CON ALMA FESTIVA QUE REUNIÓ A MÁS DE 300 PROFESIONALES EN OPORTO

De un programa científico de vanguardia a juegos gigantes Pac-Man y música en directo: Alpha-Bio Iberia redefine cómo se vive un congreso dental con “Implantology Game Changers”.

¿Quién dijo que un congreso de implantología no puede parecerse a un festival? Los días 16 y 17 de mayo más de 300 profesionales del sector dental participaron en el Congreso “Implantology Game Changers”, organizado por Alpha-Bio Iberia. Una jornada en la que hubo ciencia, innovación, juegos retro, DJ e incluso una fiesta. Desde primera hora de la mañana del viernes, la Terminal de Cruceros de Matosinhos —una joya arquitectónica diseñada por el arquitecto Luís Pedro Silva, reconocida por su forma escultórica y sus sinuosas curvas que evocan el movimiento del mar— fue escenario de una intensa jornada científica marcada por el alto nivel de sus ponentes y contenidos. Un elenco de expertos de primer orden, liderado por figuras como el Dr. Ernest Lucas-Taulé, asesor científico y moderador del

Congreso, y el Dr. Paulo Carvalho, ofreció ponencias que no solo inspiraron, sino que también aportaron herramientas prácticas aplicables en el día a día clínico.

Junto a ellos, el Dr. Pedro Moura, el Dr. Antonio Armijo, el Dr. Juan Ballesteros, la Dra. Laura San Martín, el Dr. Darcio Fonseca, el Dr. Alberto Salgado y el Dr. Fernando Cebrián completaron la primera línea de un programa que destacó por su variedad temática y su enfoque actualizado. Las conferencias abordaron desde los fundamentos y soluciones para superar límites en implantología hasta los aspectos críticos para alcanzar el éxito en el sector estético, pasando por estrategias de rehabilitación con flujo 100% digital, tanto para casos unitarios como de arco completo.

Los Dres. Juan Ballesteros y Antonio Armijo.

Además, se exploraron enfoques innovadores como la atracción del paciente ideal mediante la diferenciación y la excelencia clínica, se analizaron los últimos avances digitales en procedimientos de regeneración ósea y se profundizó en el manejo sencillo de casos complejos, demostrando que, con las herramientas adecuadas, lo que parece difícil puede resolverse de forma predecible. También se presentaron diversas estrategias quirúrgicas en el sector anterior y se compartieron soluciones eficaces para la resolución de complicaciones estéticas en torno a implantes dentales.

Todo el Congreso mantuvo como hilo conductor la digitalización de los flujos de trabajo clínicos, una transformación ya imparable en la odontología contemporánea. Se puso de relieve no solo su impacto en la eficiencia y precisión de los tratamientos, sino también en la experiencia del paciente y en la gestión de la clínica. En este sentido, la participación de partners estratégicos como Sprintray, 3Shape y NIUM fue clave para mostrar, en tiempo real, cómo la tecnología ya está cambiando la forma de trabajar en las consultas.

Uno de los momentos más frescos y participativos del Congreso llegó de la mano de los Young Key Experts, jóvenes especialistas de España y Portugal que protagonizaron un formato ágil, didáctico y lleno de talento. Organizados en dos equipos —tres representantes por país—, abordaron tres bloques temáticos fundamentales: Digital Workflow, All On X y Regeneración. En cada bloque, los expertos defendieron casos clínicos propios, compartiendo su enfoque y experiencia ante el público. Por parte de Portugal participaron la Dra. Inês Santana, el Dr. Alexandru Miron y el Dr. Henrique Correia; mientras que el equipo español estuvo formado por la Dra. Adriana Castro, el Dr. Camilo Torres y el Dr. Jesús Muñoz. La sesión se presentó como una competición amistosa, pero lo verdaderamente relevante fue comprobar la gran proyección, preparación y pasión de esta nueva generación de profesionales, que dejó claro que el futuro de la implantología está en buenas manos.

El nivel científico, el enfoque práctico de las ponencias y la apuesta por un futuro digital pusieron de manifiesto que la implantología está evolucionando, y que congresos como éste son catalizadores imprescindibles para liderar ese cambio.

Queremos cambiar el juego, no solo en implantología, sino en cómo nos conectamos como comunidad ”
Marcos

Tafur, CEO de Alpha-Bio Iberia

Pero si el conocimiento fue de alto nivel, el ambiente no se quedó atrás. Los espacios amplios y ondulados de la Terminal se llenaron de networking de alto nivel, con numerosos reencuentros, nuevos contactos y bulliciosas conversaciones.

Y tras las ponencias, llegó el gran momento del congreso: la Sunset Party. La Terminal se transformó en una especie de “arcade dental” con guiños al universo retro. Los asistentes se batieron en duelo en máquinas de Pac-Man mientras sonaban grandes éxitos versionados en directo. El DJ Julio Zerpa puso la guinda final con una sesión que hizo las delicias de los asistentes. Después de una jornada intensa de conocimiento, tocaba desconectar, brindar… y dejarse llevar por el ritmo.

“La energía que hemos vivido estos días es la prueba de que la formación puede ser rigurosa, pero también divertida, inspiradora y humana”, comentaba Marcos Tafur, CEO de Alpha-Bio Iberia. “Queremos cambiar el juego, no solo en implantología, sino en cómo nos conectamos como comunidad”, añadió Tafur.

Según indican desde Alpha-Bio Iberia, “el Congreso ‘Implantology Game Changers’ ha dejado el listón muy alto para lo que está por venir. Porque si algo quedó claro es que, cuando se mezcla ciencia de primer nivel con pasión y un poco de espíritu lúdico, el resultado es imbatible”. 

Más información sobre Alpha-Bio Iberia en: www.alphabio-iberia.com

Dr. Ernest Lucas-Taulé, asesor científico y moderador del Congreso.

ESPAÑA ROZA LA CIFRA DE 43.000

DENTISTAS COLEGIADOS

Según los últimos datos publicados por el Instituto Nacional de Estadística (INE), España continúa registrando anualmente un número creciente de dentistas. En 2024, se alcanzó la cifra de 42.860 dentistas en nuestro país, frente a los 42.075 que había en 2023. Esto sitúa la tasa de dentistas en 100 por cada 100.000 habitantes, cuando en 2021 era de 85, y coloca a nuestro país entre aquellos de la UE con mayor densidad de profesionales por población, solamente superado por Grecia, Bulgaria, Lituania y Portugal.

De este total, 25.425 son mujeres (59,3%) y 17.435 son hombres (40,6%), lo que refleja que la tendencia hacia la feminización de la Odontología que empezó hace unos años ya está consolidada.

Distribución por comunidades autónomas

En términos de distribución autonómica, las comunidades con el mayor número de dentistas son Madrid, con 9.515 dentistas colegiados, seguida de Andalucía, con 7.070, y Cataluña, con 6.370. Por el contrario, las regiones con menos dentistas colegiados son Cantabria, con 481; Navarra, con 400, y La Rioja, con 270. En palabras del Dr. Óscar Castro Reino, presidente del Consejo General de Dentistas, estos datos demuestran el exceso de odontólogos que existe en nuestro país: “Para este curso, las 14 universidades privadas que ofrecen la titulación de Odontología disponían de 1.862 plazas, mientras que en las públicas sólo había 880”. De hecho, España es uno de los países de la Unión Europea que más titulados en Odontología egresa cada año, aun teniendo menos habitantes que Francia, por ejemplo.

El problema es que el mercado laboral no puede acoger cada año a cerca de 2.000 egresados en Odontología. De ahí surgen las condiciones laborales precarias y la fuga de talentos a otros países. “Por eso, desde el Consejo General de Dentistas insistimos en la necesidad de establecer un numerus clausus que evite la plétora profesional. No se trata de limitar el acceso a las vocaciones de los jóvenes, sino de ajustar la oferta a la demanda”, señala el Dr. Castro. 

LA AEMPS REFRENDA LAS RECOMENDACIONES DEL CONSEJO GENERAL DE DENTISTAS SOBRE LOS TRATAMIENTOS DE ORTODONCIA

La Agencia

Española de Medicamentos y Productos Sanitarios (AEMPS), organismo dependiente del Ministerio de Sanidad, ha publicado en sus perfiles oficiales de redes sociales una serie de recomendaciones dirigidas a aquellas personas que estén considerando iniciar un tratamiento de ortodoncia. En su comunicación, la AEMPS subraya la necesidad de acudir siempre a un profesional sanitario cualificado, alineándose así plenamente con los criterios y advertencias que desde hace años viene trasladando el Consejo General de Dentistas de España y la propia AEMPS, que ya publicó estas recomendaciones en julio de 2022.

El mensaje es claro: solo un dentista colegiado puede garantizar la seguridad y eficacia de un tratamiento de ortodoncia, ya que es el único profesional con atribuciones para diagnosti -

car, prescribir y hacer un seguimiento clínico riguroso de estos procedimientos, incluidos los que se realizan con alineadores dentales invisibles.

El presidente del Consejo General de Dentistas de España, el Dr. Óscar Castro Reino, ha valorado positivamente el recordatorio de la AEMPS, por cuanto confirma y respalda las reiteradas advertencias emitidas desde la Organización Colegial. “El Consejo General de Dentistas es taxativo y recordamos a la población que es imprescindible que cualquier tratamiento bucodental sea diagnosticado previamente por un dentista colegiado, como es el caso de los tratamientos de ortodoncia invisible con alineadores. Los alineadores son un producto sanitario revolucionario, útil y eficaz, pero siempre que sea bajo la supervisión de un dentista”, ha manifestado. 

La región con más dentistas colegiados es Madrid, con 9.515, frente a La Rioja, que con 270 es la que cuenta con menos profesionales de este sector.

EL ABORDAJE DE LA ATENCIÓN ODONTOLÓGICA EN ESPAÑA SE SUSTENTA EN LA SANIDAD PRIVADA

La salud bucodental es un pilar fundamental de la salud global: no solo influye en la capacidad de hablar, comer o respirar con normalidad, sino que también tiene un impacto directo en la calidad de vida y el bienestar emocional en la mayoría de la población. De hecho, se estima que los problemas bucodentales provocan más pérdida de años de vida saludable que enfermedades como el cáncer de próstata, el asma o la leucemia (años de vida ajustados por discapacidad). También suponen un fuerte impacto económico, tanto por los costes directos de tratamiento como por las pérdidas de productividad escolar y laboral. Así se recoge en el “Observatorio de salud bucodental” llevado a cabo por PwC para la Fundación IDIS (Instituto para el Desarrollo e Integración de la Sanidad), que señala la insuficiente financiación pública a la atención odontológica en nuestro país, donde apenas se destina el 2% del gasto sanitario público a esta área, frente al 31% de media en la Unión Europea; lo que se traduce en un gasto público en atención odontológica de 74 millones de euros en 2022, versus un gasto privado de 3.674 millones de euros (alrededor de 8.000 millones si se incluyen prótesis, ortodoncias, implantes y cirugía maxilofacial) en ese mismo año.

“La salud es mucho más que la asistencia sanitaria hospitalaria. Cada vez que elaboramos un nuevo informe sobre las necesidades y la demanda sanitaria de la población, se hace más evidente la creciente relevancia del sector privado en la respuesta a estas necesidades. Su aportación no solo complementa al sistema público, sino que resulta clave para garantizar una atención más cercana y flexible. En este contexto, el informe se adentra en el análisis del ámbito bucodental, subrayando la importancia de fomentar la prevención y la educación desde edades tempranas. A pesar de los esfuerzos del sistema público, el gasto en salud bucodental en España continúa siendo insuficiente, lo que refuerza la urgencia de seguir avanzando hacia una mayor cobertura y equidad en el acceso a servicios odontológicos para toda la ciudadanía”, ha asegurado Juan Abarca, presidente de la Fundación IDIS, en el marco de la jornada “¿Cómo cuidamos nuestra salud bucodental?”, que ha reunido a expertos del sector, contando además en la bienvenida institucional con Óscar Castro Reino, presidente del Consejo General de Dentistas de España, y Luis Garralda, presidente del Sector Dental de Fenin.

No podemos hablar de salud sin incluir la salud bucodental, y el sector sanitario privado tiene un papel crucial en la provisión de servicios en este ámbito: el 99% de las clínicas dentales en nuestro país son privadas, lo que evidencia que la prestación de servicios bucodentales depende casi en su totalidad del sector privado, donde la innovación y la digitalización han transformado la atención odontológica. “La escasa cobertura pública odontológica hace que la mayoría de la población tenga que recurrir a la atención privada para recibir tratamientos esenciales. Este modelo refuerza el rol del sector privado como el prin-

cipal proveedor de atención odontológica en el país, permitiendo un acceso más amplio y soluciones personalizadas para los pacientes”, señala Marta Villanueva, directora general de la Fundación IDIS. El informe evidencia que existe un fuerte desequilibrio entre las necesidades médicas y odontológicas no cubiertas en España, sobre todo en comparación con los países de nuestro entorno. España destaca positivamente en necesidades médicas no cubiertas (1%), pero tiene una de las tasas más altas de necesidades dentales no cubiertas en la UE (12%, frente al 7% de media). Se observa además que la prevención es un aspecto clave a reforzar en la salud bucodental en España, con menos de la mitad de la población acudiendo al dentista de manera regular (al menos una vez al año), un dato que refleja la existencia de importantes barreras de concienciación y en ocasiones económicas en el acceso a los servicios odontológicos: antes de la pandemia, solo el 39% de los ciudadanos acudía al dentista anualmente, y un 34% lo hacía únicamente ante un problema. Además, ambos aspectos, el económico y la falta de concienciación, impiden una atención preventiva eficaz, agravando problemas que podrían evitarse.

Por otro lado, el número de dentistas ha crecido y supera en densidad a la mayoría de los países europeos, mientras que la demanda asistencial permanece comparativamente baja; una discrepancia que se debe en parte a factores estructurales (entre ellos la falta de integración de la odontología en la sanidad pública y el alto coste para el paciente).

Los datos del informe muestran que la limitada cobertura pública y el alto coste de los tratamientos han impulsado el crecimiento del seguro dental. El volumen de primas del seguro dental supone solo el 3% del total de primas de salud, pese a representar el 27% de los asegurados. Dentro del ámbito privado, que emplea a 77.706 personas, la mayoría son clínicas independientes (94%), aunque las corporativas también tienen presencia (6%). Estos datos reflejan un modelo asistencial altamente privado donde las pequeñas clínicas juegan un papel fundamental en la provisión de servicios odontológicos. 

DAVID HERRERA TOMA POSESIÓN DE SU CARGO COMO NUEVO DECANO DE LA FACULTAD DE

ODONTOLOGÍA DE LA UCM

El 12 de mayo, en el salón de actos de la Facultad de Odontología de la Univeresidad Complutense de Madrid (UCM), David Herrera González tomó posesión de su cargo como nuevo decano de la Facultad de Odontología, siendo el primer licenciado exclusivamente en Odontología que ocupa ese puesto, porque todos los anteriores eran licenciados en Medicina y, en ocasiones, con una doble titulación en alguna especialidad médica y Odontología. El nuevo decano ha explicado que él también ha realizado prácticamente toda su carrera en la Complutense, donde comenzó sus estu-

dios hace casi 36 años, donde desde hace 30 es profesor, y donde desde hace 12 ha formado parte de los diferentes equipos decanales. El rector Joaquín Goyache le ha mostrado su plena confianza por todos esos años de dedicación previa a la UCM y por desear trabajar “por la universidad a la que le debemos tanto”.

Herrera González ha confesado que su decanato no va a ser revolucionario, pero sí “será una evolución, porque como decía Heráclito, nada es permanente, excepto el cambio”. En su programa lleva propuestas como la actualización del plan de estudios para adaptarse a las universidades europeas; facilitar el acceso de los estudiantes a la Clínica Odontológica de la UCM; crear una fundación que gestione dicha Clínica; incorporar nuevas titulaciones; renovar simuladores y software; mejorar la sostenibilidad del edificio y completar las obras previstas, o mejorar la comunicación y la imagen. El objetivo de todas esas medidas es, según ha indicado, mantener la excelencia de una facultad que en estos momentos está considerada la decimocuarta mejor del mundo.

El decano saliente, Gonzalo Hernández Vallejo, a quien el rector ha definido como “un líder capaz, a la vez que divertido y entrañable”, ha declarado sentirse “muy afortunado por haber estado en el lugar y el momento adecuados, coincidiendo además con dos grandes equipos, el decanal y el rectoral”.

Ha aconsejado a los dos nuevos decanos, sobre todo a su sucesor, que asimilen que trabajan para la administración, donde las cosas van despacio, así que lo mejor es que tengan una “buena dosis de templanza y paciencia”. 

MARGARITA GÓMEZ SÁNCHEZ, NUEVA DECANA DE LA FACULTAD DE ODONTOLOGÍA DE LA UNIVERSIDAD ALFONSO X EL SABIO

Margarita Gómez Sánchez ha sido nombrada nueva Decana de la Facultad de Odontología de la Universidad Alfonso X el Sabio (UAX). Su incorporación se produce en un momento estratégico para la Universidad, impulsado por la reciente creación de la unidad One Health UAX, que refuerza su apuesta por una visión integral de la salud. Con una reconocida trayectoria en docencia, investigación y gestión universitaria, la Dra. Gómez Sánchez asume este nuevo reto con una “visión transformadora y estratégica”. Desde la UAX aseguran que “su liderazgo será clave para seguir consolidando una facultad de referencia a nivel nacional, comprometida con la excelencia académica, la innovación y la formación de profesionales sanitarios con vocación y compromiso social. Estamos convencidos de que su experiencia contribuirá decisivamente a esta nueva etapa de crecimiento e impacto en el ámbito de las ciencias de la salud”. 

UN INFORME DE SEPA REVELA LA EFICACIA DE LOS ANTISÉPTICOS BUCALES PARA MANTENER LA SALUD PERIODONTAL

La evidencia científica demuestra que los enjuagues bucales antisépticos son una herramienta altamente efectiva en el manejo de la gingivitis y la periodontitis, así como en la prevención de la recurrencia de la periodontitis, según el informe “Principios para la Salud Bucal”, presentado por la Fundación SEPA en EuroPerio11, el principal congreso mundial de periodontología que se celebra cada tres años. Este documento científico es la base de la nueva iniciativa de SEPA, “Principios para la Salud Bucal” (POH), patrocinada por Listerine. Esta ambiciosa campaña global de concienciación se basa en las contribuciones de 14 expertos líderes de siete países.

El informe POH proporciona a los profesionales de la salud bucodental y al público en general a nivel internacional un resumen actualizado, práctico y basado en la evidencia de los beneficios clínicos de los enjuagues bucales y dentífricos antimicrobianos/antisépticos, así como del cuidado bucal en el hogar. Todos los enfoques y recomendaciones se alinean con las últimas guías de práctica clínica de la Federación Europea de Periodoncia (EFP).

La Fundación SEPA presentó en EuroPerio11 las principales conclusiones del informe “Principios de la Salud Bucal”.

El informe afirma que el uso de agentes antisépticos es eficaz, seguro y rentable para reducir la inflamación gingival y la acumulación de biopelícula de placa dental, que son el origen de la enfermedad periodontal. Esto es especialmente cierto cuando se utilizan como complemento a la eliminación mecánica de la biopelícula, junto con el autocepillado en casa dos veces al día con una pasta dental con flúor y la limpieza interdental. “Los antisépticos orales son eficaces para controlar la inflamación gingival y para la tan necesaria prevención secundaria de la periodontitis”, explica Paula Matesanz, coautora del informe POH y vicepresidenta de SEPA. “Generalmente son seguros, aunque en algunos casos pueden presentarse efectos secundarios, por ejemplo, en niños menores de 7 años, mujeres embarazadas y lactantes, consumidores de alcohol o personas con problemas de deglución”, advierte la profesora Matesanz.

Los pacientes que más se benefician del uso de antisépticos son aquellos con altos niveles de inflamación gingival a pesar de tener bajos niveles de biofilm, así como aquellos con dificultades de accesibilidad para cepillarse alrededor de dientes o implantes debido al apiñamiento dental, restauraciones sobresalientes, aparatos de ortodoncia fijos o factores anatómicos que actúan como elementos retenedores del biofilm, como las concavidades radiculares o las perlas de esmalte. Factores sistémicos, como el compromiso inmunitario debido a enfermedades crónicas, la fragilidad, la baja motivación o la destreza limitada, también hacen que los antisépticos sean especialmente recomendables. Dado que la evidencia demuestra que los antisépticos ayudan a reducir el biofilm y los índices gingivales, desempeñan un papel importante en el manejo de la gingivitis. Puesto que la gingivitis y la periodontitis se consideran un proceso continuo de la misma enfermedad inflamatoria, el manejo eficaz de la gingivitis puede ayudar a prevenir el desarrollo de periodontitis. En ese sentido, a nivel poblacional, los antisépticos podrían reducir potencialmente el riesgo de aparición de periodontitis (prevención primaria). Además, la evidencia directa respalda la eficacia de los antisépticos para prevenir la recurrencia de la periodontitis en pacientes bajo cuidado periodontal de apoyo (prevención secundaria). 

Tetric plus, el nuevo composite universal simplificado de Ivoclar

El Grupo Ivoclar lanza Tetric® plus, un nuevo composite simplificado especialmente diseñado para establecer nuevos estándares en composites universales. Tetric plus ofrece un ajuste de color simplificado con sólo 4 colores, incrementos de hasta 4 mm para una mayor eficiencia, opciones de aplicación versátiles en los 4 cuadrantes y una tecnología optimizada de 4 rellenos para un excelente manejo y resultados estéticos.

4 tonos para una fácil selección

Tetric plus revoluciona la selección de colores en odontología, permitiendo una fácil combinación de colores gracias a su innovador concepto de nube de color. Sólo 4 tonos cubren todo el espectro de los tonos clásicos de VITA. De este modo, la selección del color adecuado no sólo es más sencilla, sino también más eficaz.

4 mm para una eficacia máxima

4 cuadrantes para una aplicación universal Tetric plus es un composite universal simplificado apto para todas las clases de cavidades, de la Clase I a la V. Con un solo producto, los odontólogos pueden tratar una amplia gama de indicaciones en los 4 cuadrantes, reduciendo significativamente el consumo de material y agilizando el flujo de trabajo.

Para una máxima comodidad de manejo, Tetric plus está disponible en dos viscosidades: modelable y fluida.

4 rellenos para resultados excepcionales

Otra característica destacable de Tetric plus es su capacidad para admitir grosores de capa variables que van de 0,1 a 4 mm, lo que permite una mayor flexibilidad al tiempo que reduce el consumo de material. Otro descuento notable es su fiable tiempo de curado de sólo 3 segundos, que permite una aplicación rápida y sencilla.

La calidad de Tetric plus se define por su innovadora tecnología de 4 rellenos, que integra una combinación de nanopartículas y micropartículas para ofrecer unas propiedades mecánicas extraordinarias. Tetric plus garantiza un curado fiable para capas de hasta 4 mm, al tiempo que ofrece una alta radiopacidad para facilitar una detección precisa durante el diagnóstico.

Grupo Ivoclar www.ivoclar.com

Innovaciones de vanguardia de la mano de Dexis

Dexis, especialista en tecnologías de imagen dental, anuncia las nuevas tecnologías dentro del ecosistema digital de Dexis, una plataforma impulsada por inteligencia artificial que conecta cada paso del flujo de trabajo digital, desde el diagnóstico hasta la entrega. El ecosistema combina IA, imágenes 2D y 3D, escaneo intraoral, diagnóstico y planificación del tratamiento para crear una solución integrada que optimiza procesos y aumenta la productividad.

Entre estas innovaciones se encuentra Imprevo, el nuevo escáner intraoral que la empresa está desarrollando. Con un diseño elegante, hardware completamente reconstruido y un algoritmo impulsado por inteligencia artificial, el nuevo IOS se convertirá en el nuevo buque insignia de alto rendimiento del portfolio IOS de Dexis.

IS ScanFlow, el software que impulsa la línea de escáneres intraorales Dexi, llega ahora en una nueva versión: IS ScanFlow 2.0, que incluye una nueva herramienta de Visualizador de Sonrisas. Dexis también anuncia actualizaciones del Orthopantomograph™ OP 3D™ EX, que pronto incluirá capacidades de imagen cefalométrica. La nueva modalidad cefálica, que presenta el diseño patentado ORTHOceph™ Plus de la compañía, proporcionará protocolos necesarios como proyecciones laterales y laterales pediátricas, proyecciones postero-anteriores e imágenes del carpus* – todo con tiempos de escaneo rápidos y una dosis limitada.

Además, el portafolio de imágenes 3D de Dexis introduce una función de Control Automático de Dosis para el Orthopantomograph™ OP 3D™ LX. La función medirá la anatomía de los pacientes y ajustará automáticamente los niveles de exposición para una calidad de imagen y dosis óptimas. También presenta las nuevas características dentro de DTX Studio™ Clinic, el software principal del ecosistema digital Dexis, que incluyen un conjunto de herramientas diseñadas para agilizar el proceso de planificación del tratamiento de implantes. Los usuarios ahora pueden planificar un tratamiento de implante y generar una plantilla quirúrgica automatizada al lado del paciente en menos de 3 minutos. La compañía también contará con nuevas innovaciones, entre las que se encuentra una nueva capacidad endodóntica impulsada por IA, que proporcionará visualizaciones en 3D de los conductos radiculares, mejorando la precisión diagnóstica y la eficiencia en el tratamiento.

DTX Studio Clinic también introduce una nueva solución basada en la nube que permitirá a los clínicos conectar sus prácticas y consolidar datos en un solo lugar.

* Carpus es un programa de imagen opcional

Dexis

www.dexis.com/es-es

Detection Eye, el nuevo escáner intraoral de Zirkonzahn para el flujo de trabajo digital

El escáner intraoral Detection Eye se distingue por su extrema precisión en la toma de impresiones y su alta velocidad de escaneado, permitiendo digitalizar la arcada del paciente en menos de 60 segundos. El escáner realiza escaneos en color y en tiempo real con límites de preparación bien definidos, garantizando un proceso más sencillo gracias a la digitalización sin la presencia de polvo.

Gracias al intuitivo software, el usuario puede escanear con un solo botón o utilizar la función de “Motion Sensing” para emitir órdenes con sólo mover el escáner. Esta tecnología simplifica la manipulación y garantiza una impresión sin riesgo de contaminación cruzada por contacto con el PC. El software de inteligencia artificial identifica y elimina automáticamente los datos superfluos de los tejidos blandos, para lograr un proceso de exploración rápido y optimizado.

La opción del uso de dos tipos de puntas diferentes (estándar y pequeña), hace posible que el procedimiento sea más cómodo para el paciente. El Cart Basic (carrito) permite mover el escáner y el portátil de forma segura y regular la altura de forma ergonómica. Incluye una herramienta de calibración y un cajón para almacenar ordenadamente las puntas y accesorios de escaneo.

Además, el escáner intraoral también está disponible en una versión inalámbrica con WiFi.

Innovación compacta para la consulta dental moderna con la nueva KaVo amiQa

KaVo presenta KaVo amiQa, su nueva unidad de tratamiento dental diseñada para ofrecer un equilibrio perfecto entre funcionalidad, ergonomía y diseño. Inspirada en el legado del icónico KaVo Primus 1058, esta nueva incorporación redefine el estándar en rendimiento y comodidad en consultas dentales de todos los tamaños. KaVo amiQa destaca por su versatilidad en espacios compactos, sin comprometer prestaciones. Disponible en tres versiones (mesa S, mesa TM y carrito), se adapta a diferentes estilos de trabajo y está pensada tanto para diestros como para zurdos. Su diseño ergonómico garantiza máxima comodidad para el profesional, mientras que el sillón del paciente, con tapicería suave y reposabrazos giratorios, asegura una experiencia relajante y segura.

La nueva pantalla táctil intuitiva permite un manejo sencillo, con programas de higiene guiados y conectividad inteligente a través de KaVo Connect. Esta tecnología permite una comunicación fluida entre el software de gestión y la unidad de tratamiento, mejorando la eficiencia diaria.

En cuanto a higiene, KaVo amiQa ofrece una guía de higiene intuitiva y dentro de higiene compacto para el enjuague automático y la reducción de gérmenes de las mangueras de los instrumentos. Con un diseño fresco, de aspecto moderno y deportivo, nuevos elementos de iluminación premium y nuevas opciones de tapicería de su última colección “Inspired by Nature”, KaVo amiQa no solo mejora la

funcionalidad de la consulta, sino también su estética. “Cada inversión en un producto KaVo es una apuesta por la calidad, durabilidad y confort ergonómico, asegurando la salud y bienestar de todo el equipo de la consulta y sus pacientes”, indican desde KaVo Dental.

KaVo Dental www.kavo.com

BioHorizons Camlog amplía su cartera de biomateriales con CeraOss® HYA para satisfacer todas las necesidades regenerativas importantes

BioHorizons Camlog lanza CeraOss® HYA, una innovadora combinación de sustituto óseo de origen bovino y ácido hialurónico. Con la introducción de CeraOss® HYA, BioHorizons Camlog amplía su cartera de biomateriales para cubrir todas las necesidades regenerativas importantes, tanto para tejidos duros como blandos. El producto se utiliza en procedimientos de regeneración ósea guiada, proporcionando facilidad de manejo y aplicación, estabilidad de volumen y excelente rendimiento clínico. CeraOss® HYA se caracteriza por tener micro y macroporos interconectados y una superficie rugosa, lo que le permite ofrecer un andamiaje osteoconductor para el crecimiento de células y vasos sanguíneos que formarán la nueva matriz ósea [1-3]. Los huesos bovinos sólo se absorben superficialmente, lo que resulta ventajoso, por ejemplo, a la hora de sostener el tejido blando en la zona estética [4-5] y de minimizar la pérdida de volumen en combinación con hueso autólogo o aloinjertos [6]. Tras la hidratación se forma una masa cohesiva de consistencia moldeable («sticky bone») que facilita la aplicación y acelera el procedimiento quirúrgico. En una encuesta realizada a más de 100 clínicos, el 78,5% afirmó que CeraOss® HYA era más fácil o significativamente más fácil de aplicar que un hueso bovino idéntico sin ácido hialurónico añadido [7-8]. El ácido hialurónico ofrece varios beneficios biológicos, como el efecto proangiogénico [9], el aumento de la actividad de proliferación y migración de los osteoblastos [10] y el aumento de la formación ósea en el tratamiento de periimplantitis [11]. Se produce biotecnológicamente mediante fermentación, lo que lo hace biocompatible, no inmunogénico y naturalmente reabsorbible por degradación enzimática. Estas propiedades han sido confirmadas por evaluaciones histológicas tras la implantación [12].

Referencias:

[1] Cerabone® plus usability test.

[2] 78.5% of users reported easier or much easier application compared to particulate material without hyaluronic acid; Data on file: Customer survey among 156 clinicians.

[3] Tadic et al. Comparison of different methods for the preparation of porous bone substitution materials and structural investigations by synchrotron μ-computer tomography. Mat.-wiss. u. Werkstofftech. 2004, 35, No. 4.

[4] Seidel and Dingeldein 2004. cerabone® – Bovine Based Spongiosa Ceramic Seidel et al. Mat.wiss. u. Werkstofftech. 35:208–212.

[5] Qasim SSB, Trajkovski B, Zafiropoulos GG. The response of human osteoblasts on bovine xenografts with and without hyaluronate used in bone augmentation. J Biomater Sci Polym Ed. 2024 Apr;35(6):880-897. doi: 10.1080/09205063.2024.2311454. Epub 2024 Feb 12. PMID: 38346177.

[6] Zhao, N., Wang, X., Qin, L., Zhai, M., Yuan, J., Chen, J., & Li, D. (2016). Effect of hyaluronic acid in bone formation and its applications in dentistry. Journal of biomedical materials research Part A, 104(6), 1560-1569.

[7] Tawil et al. 2018. Sinus Floor Elevation Using the Lateral Approach and Window Repositioning and a Xenogeneic Bone Substitute as a Grafting Material: A Histologic, Histomorphometric, and Radiographic Analysis. Int J Oral Maxillofac Implants.33(5):1089-1096.

[8] Riachi et al. 2012. Influence of material properties on rate of resorption of two bone graft materials after sinus lift using radiographic assessment. Int J Dent. 2012:737262.

[9] Kloss et al. First Clinical Case Report of a Xenograft-Allograft Combination for Alveolar Ridge Augmentation Using a Bovine Bone Substitute Material with Hyaluronate (Cerabone® Plus) Combined with Allogeneic Bone Granules (Maxgraft®). J Clin Med. 2023. 12(19):6214.

[10] Brown et al. New studies on the heat resistance of hamster-adapted scrapie agent: threshold survival after ashing at 600 degrees C suggests an inorganic template of replication, PNAS 2000. 97(7): 3418–3421.

[11] Pröhl A et al. In Vivo Analysis of the Biocompatibility and Bone Healing Capacity of a Novel Bone Grafting Material Combined with Hyaluronic Acid. Int J Mol Sci. 2021. 22(9):48

[12] Rakašević et al. Reconstructive Peri-Implantitis Therapy by Using Bovine Bone Substitute with or without Hyaluronic Acid: A Randomized Clinical Controlled Pilot Study.

J Funct Biomater. 2023 Mar 8;14(3):149.

BioHorizons Camlog Ibérica www.biohorizonscamlog.es

Fidelis, el nuevo set de cirugía guiada de Ticare

El nuevo set Fidelis de cirugía guiada de Ticare te guía al gapZero y te permite realizar tus cirugías guiadas con la precisión más sencilla. El set Fidelis de cirugía guiada presenta varias mejoras entre las que destacan una instrumentación simplificada para mayor sencillez y su precisión de guiado. Para facilitar su uso, este set se presenta sin cucharillas y con topes incorporadas en las fresas para asegurarnos la precisión en la profundidad de fresado. Además, es completamente desmontable para su limpieza. El set, y el desglose de todos sus elementos, está disponible en la tienda online Genetic www.genetic.ticareimplants.com

Ticare Implants www.ticareimplants.com

LA ERA DIGITAL TAMBIÉN HA LLEGADO A EXPADENT

…y como siempre con los precios más competitivos del mercado

Escanea el código QR con tu smartphone para acceder al listado de precios o accede a www.expadent.com/precios

CORONA ZIRCONIO MULTICAPA

49,90 euros

MÁNDANOS TUS ARCHIVOS STL Y NOS PONDREMOS MANOS A LA OBRA

YA DISPONIBLE

EXPADENT APP

Hemos mejorado nuestro sistema de gestión, y ahora cualquiera de nuestros clientes podrán realizar los pedidos directamente desde nuestra aplicación, intuitivamente.

También permite hacer un seguimiento total del proceso de fabricación y de envío del pedido realizado.

DESDE EL 1 DE MARZO HASTA EL 31 DE AGOSTO DE 2025

Ti-Max Z

TURBINAS DE TITANIO CON LUZ

POTENCIA 44W

Conexión NSK

Z990L

REF. PA2373

Conexión KaVo® MULTIflex®

Z990KL

REF. PA2375

• Cabezal en ángulo de 100° • Cuerpo de Titanio con DURAGRIP Resistente a arañazos • Rodamientos de Cerámica • Óptica de Vidrio Celular

• Portafresas Push Botton • Spray Quattro • Sistema de Cabezal Limpio • Parada rápida • Microfiltro • DYNAMIC POWER SYSTEM • DURAPOWER CHUCK

• Fácil cambio de cartucho • Velocidad: 280.000-360.000 min-1 • Tamaño del Cabezal: ø12,1 x H 12,7 mm

Ti-Max Z

CONTRA-ÁNGULOS DE TITANIO CON LUZ

C1034

• Clean Head System (Anti-Retorno) • Spray Quattro (2 tipos de Spray: bruma y chorro) • Velocidade Máxima: 200.000 min-1

• Portafresas Push Button • Rodamientos de Cerámica • Microfiltro

2 años de garantía

3 años de garantía

• Clean Head System (Anti-Retorno) • Cuerpo de Titanio con DURAGRIP resistente a arañazos • Óptica de Vidrio Celular • Portafresas Push Botton • Microfiltro • Spray Simple • Para fresas CA (ø2,35) • Velocidad Máx: 40.000 min-1

Turn static files into dynamic content formats.

Create a flipbook
Issuu converts static files into: digital portfolios, online yearbooks, online catalogs, digital photo albums and more. Sign up and create your flipbook.