

1. to dissapear gradually; vanish; fade away
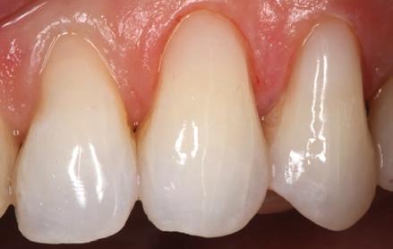
Natural aesthetics made simple THE EVANESCE
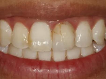
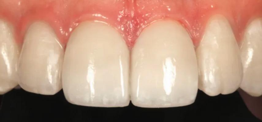
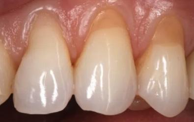
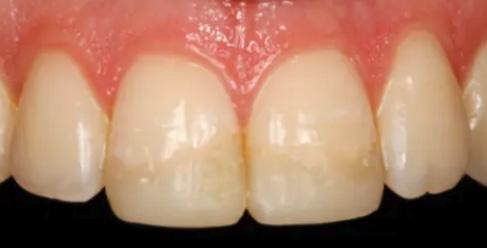
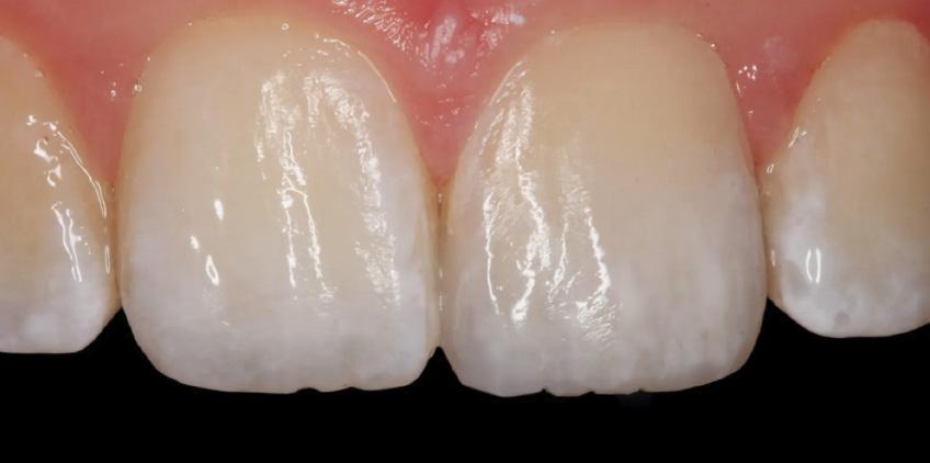
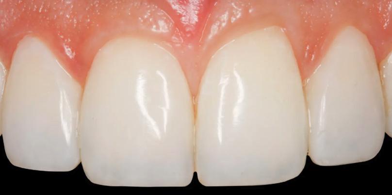
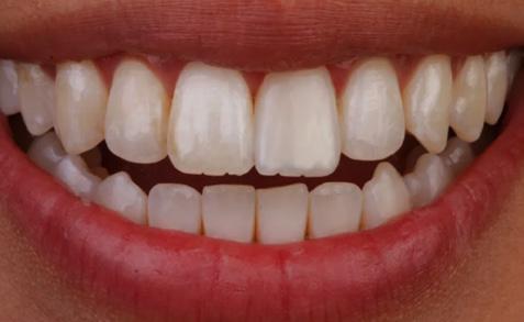
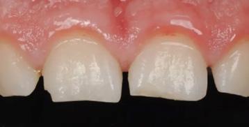
Designed with nano pigments and a propietary process to optimise the reflective and refractive index of both fillers and resin, Evanesce achieves the ultimate in natural-looking esthetics with margins that simply dissapear.
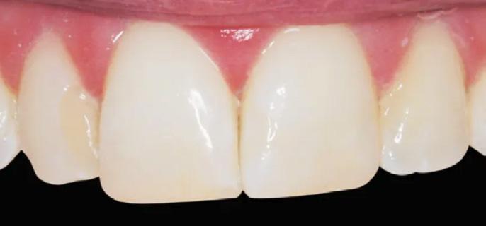
For more complex cases, Evanesce often requires fewer layers of composite, making it a more simple sysem to use every day and with every patient.
“ Developing detailed morphology on anterior restorations is easier with Evanesce due to its no slump handling”
“ The Evanesce composite / tooth margins now blend flawlessly and easily with the natural ethetics of the tooth”
“ The Evanesce system rivals the ethetics of porcelain restorations and mimics the beauty of natural tooth structure”
Evanesce is a nano-enhanced universal restorative composite designed to make all composite restoations more strong, simple, and beautiful.
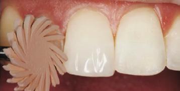
Evanesce is ideal for both single shade restorations as well as multi-shde layering techniques to create the ultimate esthetic result. Regardless of case complexity, Evanesce provides a wide range enamel, universal and dentin
shadesas well as 3 non-VITA shades called Enamel FX shades which allow you to build virtually any depth of translucency into your restoration, resulting in beautifu lesthetics everytime.
“ For posterior cases, composite / tooth margins now blenEvanesce packs and sculpts well with zero slump and no pullback from contact areas.”
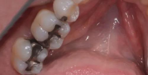
Evanesce exhibits excellent compressive strength which is crucial for long lasting posterior restorations. Clinicians appreciate the firm handling proerties of Evanesce, making Class I and II restorations more efficient and predictable.
Compared to bulk-fill composites, Evanesce can be packed more effectively into the proximal box, providing the ideal foundation for tight interproximal contacts.
Evanesce will not stick to your intrument - eliminating composite pull back and air bubbles that can result in post operative sensitivity and microleakage.
With Evanesce, margins dissapear and having the ability to sculpt perfect marginal ridges and occlusal inclines results in less finishing time, yet with consitent, outstanding aesthetic results.
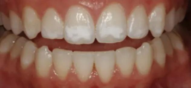
Many teeth exhibit varying degrees of translucency, which can pose a challenge to match with traditional VITA shaded composite.
These types of cases can be small, such as incisal chips or larger such as a diastema closure. Further, many restorative cases such as through and through Class IV or Class III restorations with translucent adjacent teeth require speciality shades to be placed withing the layers dentin, universal or enamel shades of composite in a layering technique. If you are challenged with matching translucent teeth. Evanesce Enamel FX shades are the answer.
The Evanesce system includes 3 non-VITA shaded composite Enamel FX shades which allow you to match virtually all degrees of translucent teeth commonly seen in today’s dental practice.
Reinforced microfill
Creates lingual shelf and small incisal defects, low moderate translucency
Available in 0.3g single dos or 3g syringe
Evanesce Enamel FX Incisal
70% opacity
Nano-hybrid
Incisal placement, medium translucency
Available in 0.3g single dos or 4g syringe Evanesce Enamel FX Clear 50% opacity
Reinforced microfill
Enhance facial lobes, thin clear coat, high translucency
Available in 0.3g single dos or 3g syringe
Many dentists prefer a more silky smooth viscosity, if this is your preference, choose Evanescence Silk.
Evanesce Silk maintains all of the outstanding features of the Evanesce formula including beautiful aesthetics, ideal shade match and blend with natural tooth structure, high strength and a fast, high shine polish.
Evanesce Silk has a silky swmooth consistency, ideal for both anterior and posterior restorations. Available in the most popular 6 VITA shades in a universal, 85% opacity.
Evanesce Silk is ideal for single shade restorations or can be used in conjunction with the Evanesce dentin, enamel and Enamel FX non-VITA shades to create outstanding aesthetic restorations. The only real difference is handling properties.
Evanesce Flow provides all of the aethetic and optical qualities of the Evanesce paste formula including the ability to blend in and dissapear into surrounding dentition with an excellent shade match , a high degree of radiopacity and a fast outstanding polish. What sets Evanesce Flow apart from other flowable materials is its thixotropic viscosity which provides outstanding control. Evanesce Flow will not slump when placed on a vertical surface such as Class and II restorations or as a stand alone restorative for small enamel defects and occlusal grooves. Evanesce Flow shades are designed to meet the needs of most restorative situations with various opacities including enamel (80% ), universal (85%) and dentin (90%).
A.S.A.P
“A.S.A.P. Polishers save chair time by quickly polishing porcelain and composite restorations in less than a minute”
Smile! A completed restoration exhibiting a high gloss polish, mimicking that of surrounding natural dentition is not only a goal for the clinician - but also essential to the patient. Composite polishing should be easy and fast. Formulated using a proprietary process to optimise the refractive index of its unique nano pigments and fillers. You’ll be amazed with how Evanesce polishes. Truly amazing aesthetics can be easily achieved with Evanesce, when used in conjunction with A.S.A.P. All surface Access Polishers.
You csn expect an immediate natural-looking high lustre finish that mirrors the surrounding tooth structure, and even porcelain, something many composites fail to accomplish. Evanesce’s ability to retain this high lustre polish is equalled by its outstanding resistance to wear ensuring that your anterior and posterior composite restorations maintain their aesthetics for as long as your anterior restorations do.