Oak Brook Magazine June 2022

Page 1

OAK BROOK'S FIRST MAGAZINE June/July Issue 2022 $5 US
Founder of Oak Brook… and
+ Oak Brook Polo 100 Years! Before Oak Brook there was Fullersburg
Who Shaped Oak Brook
PAUL BUTLER The
much more
Women
1225 W 22nd Street | Ste 130, Oak Brook, IL 60523 630-915-8646 elainezannis.cbintouch.com With EXPERIENCE, Comes TRUST. Specializing in Oak Brook Real Estate

ProPilot X Calibre 400

The joy of mechanics comes to the fore in the new ProPilot X Calibre 400, a titanium-cased watch inspired by more than a century of aviation heritage and powered by our five-day automatic.

The new ProPilot X Calibre 400 is designed to inspire joy no matter what angle you come at it from.

Beyond, the launch collection offers a choice of three dial colours: grey, blue and salmon. This is a fresh, expressive palette, chosen to augment the case’s dynamic proportions – and to bring life and colour to your wrist.

17W300 22nd Street, Oakbrook Terrace, IL 630.516.8000 MerryRichardsJewelers.com
Giannis Antetokounmpo

PowerBid Approval (the “Approval”) is contingent upon receipt of executed sales contract, an acceptable appraisal supporting value, valid hazard insurance policy, and a re-review of your financial condition. Guaranteed Rate reserves the right to revoke this Approval at any time if there is a change in your financial condition or credit history which would impair your ability to repay this obligation and/or if any information contained your application is untrue, incomplete or inaccurate. Receipt of an application does not represent an approval for financing or interest rate guarantee. Not all applicants will be approved for financing. Restrictions may apply, contact Guaranteed Rate for current rates and for more information.

Dan Gjeldum

SVP of Mortgage Lending

O: (773) 435-0654 C: (312) 543-9692 rate.com/dan dan@rate.com

14 W Hinsdale Ave., Unit A1 Hinsdale, IL 60521

NMLS ID: 686529, LO#: AK - AK686529, AL - 71162, AZ - 1002309, CA - CA-DOC686529, CA - CA-DOC686529 - 413 0699, CO - 100514541, CT - LO-686529, DC - MLO686529, DE - MLO-686529, FL - LO25886 - MLD1102, FL - LO25928, GA - 66014, IA - 32671, ID - MLO-2080686529, IL - 031.0031282, IL - 031.0031282 - MB.0005932, IN - 41417, KS - LO.0038379, KY - MC707165, LA - Licensed, MA - MLO686529, MD - 686529, MI - 686529, MI - 686529 - FR-0018846 & SR-0018847, MN - MNMLO-686529, MN - MN-MLO-686529 - MN-MO-20526478, MO - 20244-MLO, MT - 686529, MT - 686529 - 2611, NC - I-186207, ND - NDMLO686529, NJ - Licensed, OH - MLO-OH.686529, PA - 71774, SC - MLO - 686529, SD - MLO.09290, TN - 185702, TXLicensed, VA - MLO-40998VA, WA - MLO-686529, WI - 686529, WY - 7711 Guaranteed Rate Inc.; NMLS #2611; For licensing information visit nmlsconsumeraccess.org. Equal Housing Lender. Conditions may apply AK - Lic#AK2611 AL - Lic# 21566 AZ - 14811 N. Kierland Blvd., Ste. 100, Scottsdale, AZ, 85254, Mortgage Banker License #090707 CA - Licensed by the Department of Financial Protection and Innovation under the California Residential Mortgage Lending Act CO - Regulated by the Division of Real Estate, (866)-934-7283 CT - Lic #17196 DC - Lic #MLB2611 DE - Lic # 9436 FL - Lic# MLD1102 GA - Residential Mortgage Licensee #20973 IA - Lic #2005-0132 ID - Guaranteed Rate, Inc. Lic #MBL-5827 IL - Residential Mortgage Licensee - IDFPR, 122 South Michigan Avenue, Suite 1900, Chicago, Illinois, 60603, 312-793-3000, 3940 N. Ravenswood Ave., Chicago, IL 60613 #MB.0005932 IN - Lic #11060 & #10332 KS - Licensed Mortgage Company - Guaranteed Rate, Inc. - License #MC.0001530 KY - Mortgage Company Lic #MC20335 LA - Lic #2866 MA - Guaranteed Rate, Inc. - Mortgage Lender & Mortgage Broker License MC2611 MD - Lic #13181 MI - Lic #FR0018846 & SR0018847 MN - Not an offer for a rate lock agreement MO - Guaranteed Rate Lic # 14-1744-A MT - Lic# 2611 NC - Lic #L-109803 ND - Lic #MB101818 NJ - Licensed in NJ: Licensed Mortgage Banker - NJ Department of Banking & Insurance OH - MB 804160, 3940 N. Ravenswood Ave., Chicago, IL 60613 PA - Licensed by the Pennsylvania Department of Banking and Securities Lic #20371 SC - Lic #-MLS - 2611 SD - Lic# ML.04997 TN - Lic #109179 TX - 3940 N Ravenswood, Chicago, IL 60613, (866)-934-7283 VA - Guaranteed Rate, Inc. - Licensed by Virginia State Corporation Commission, License # MC-3769 WA - Lic #CL-2611 WI - Lic #27394BA & 2611BR WY - Lic#2247
Innovative Treatments for Hip and Knee Arthritis Committed to Excellence in Orthopaedic Surgical Care Dr. Justin LaReau, MD • Board Certified • Dual-Fellowship-Trained • Orthopaedic Surgeon specializing in: • Outpatient Joint Replacement • Minimally Invasive Hip and Knee Surgery • Robotic-Assisted Surgery • Anterior Approach Hip Replacement • Joint Preservation Surgery For a consultation with Dr. LaReau to discuss your joint issues, visit www.justinlareaumd.com or call 630•323•6116 550 W. Ogden Avenue, Hinsdale IL 60521

How three visionaries helped found Fullersburg, Hinsdale and then Oak Brook

This issue is devoted to three visionaries who affected three communities, within just miles of each other, within the last 200 years.

In chronological order, first, there was Ben Fuller, who came out from New York in the early 1830s with his parents, 11 brother and sisters and his wife and settled 17 miles southwest of Chicago. He saw an opportunity with the land and how it attracted others and created a town he called Fullersburg in the 1850s. His descendants are still very active in Hinsdale. You will read about the family history.

The second visionary is William Robbins, who founded Hinsdale in the late 1800s and attracted a railroad to come through the land he had platted, with others, which led to Hinsdale becoming an ideal community for well-to-do people who wanted to work in Chicago and live in a very comfortable setting.

You will read how his vision for Hinsdale eventually led to Hnsdale’s annexation of Fullersburg in the early 1920s.

The third visionary is Paul Butler, whose Hinsdale parents built a summer home in the late 1890s on Salt Creek near where 31st Street in Oak Brook is located. As he grew up, he came to appreciate his natural surroundings and literally saw a vision for a community as a pilot flying back and forth to tend to his father’s land development of ranches out west. With his foresight and leadership, and his ability to attract other talented developers, he founded Oak Brook, one of the most unique communities in the United States.

Butler is the most famous of all because ultimately, he had the grandest and most unique vision of the three. He not only developed the community, but he also combined the natural surroundings with extremely well-thought use of the land. He attracted the development of one of the finest shopping centers in the US. He created the Sports Core which included a world-class golf course that hosted the Western Open for decades. He made Oak Brook the national center for a relatively new sport called Polo. He not only created the team, but he also played the sport.

We’ll share how the Oak Brook Historical Society is successfully bringing the history of Oak Brook to life with its transformation of the Butler School building located at Spring Road and 31st Street.

We’ll also share how the current head of the Oak Brook Polo Club is following in the footsteps of founder Paul

Butler as the club celebrates its 100th year.

In this issue and upcoming issues, we’ll acknowledge the contributions of five Oak Brook women to the extraordinary history of Oak Brook.

And, speaking of future issues, in our next issue, we’ll chronicle the history of Oakbrook Center. After all, Oakbrook Center is celebrating 60 years in 2022. The next issue will be full of information of how the shopping center began, and little-known facts about its construction. It will also bring you up to date on what Oakbrook Center offers today as it successfully changes with the times.

By the way, there is a reminder of Paul Butler and his vision in the auditorium in the Oak Brook Village Hall. Behind where the Village Trustees, Village President, and Village Clerk all sit when in session, is a giant aerial map of Oak Brook.

It is just like the aerial map that Paul Butler created when he met with colleagues, residents, and various experts in the world of community development. His birds-eye view as a pilot was an excellent technique for literally describing and sharing his “vision” with those he worked with to create Oak Brook.

As Karen Bushy, a Butler colleague, trusted confidant and former President of the Village relates, “We would spend hours in the Chart Room, with Paul, and people he smartly surrounded himself with. We discussed ideas and directions for what ultimately became Oak Brook when it was formally incorporated in 1958. Naturally, we also discussed the community’s development in subsequent years as well.”

In this issue, we have included a 2-page map that shows how and when, and which parcels of land were acquired between 1958 to 2008 when acquisitions were completed.

Last, but not least, we are happy to tell you of the return of a Taste Of Oak Brook this coming July 4th holiday.

We have been heartened by the response from you the reader to our first issue. We welcome your continued support and contributions. Thank you. Enjoy this and future issues.

LETTER from THE PUBLISHER
HinsdaleMag.com | OAK BROOK MAGAZINE 8 June/July Issue 2022 $5 US
much more + Oak Brook Polo 100 Years! Before Oak Brook there was Fullersburg Women Who Shaped Oak Brook
PAUL
BUTLER The Founder of Oak Brook… and
SALES OPEN Mon–Fri 7:30am–8pm • Sat 7:30am–6pm SERVICE & PARTS OPEN Mon–Fri 7:30am–6pm (dropoff/pickup til 7pm) • Sat 7:30am–4pm www.BettenhausenCDJR.com 8355 W. 159th St. Tinley Park 708-532-2665 15941 S. 94th Ave. Orland Park 708-460-5337 Discover the pinnacle of American automotive design and engineering. Three outstanding available 4x4 systems. Maximum towing capacity of 10,000 pounds. Dynamic seating configurations, innovative storage options and up to eight passengers. Arrived and In Stock. Special lease available on the New 2022 Wagoneer Series II. THE ALL-NEW 2022 ©2021 FCA US LLC. All Rights Reserved. WAGONEER is a registered trademark of FCA US LLC.” *Qualified lessee can lease a new 2022 Grand Wagoneer Series II for $559 per month for 36 months when financed through ALLY. Total of $7999 due at signing, plus tax, title, license and doc fee. Lease includes Conquest Bonus Cash. See dealer for complete details. Not all consumers will qualify as determined by financial lender. Dealer not responsible for typographical errors. Images for display purposes only and may not represent actual vehicle purchased. ANTICIPATE GREATNESS
No person, organization or publication can copy or re-produce the content in this magazine or any part of this publication without a written consent from the publisher. The publisher, authors, contributors and designers reserve their rights with regards to copyright of their work. Hinsdale Magazine, Inc. assumes no liability or responsibility for any inaccurate, delayed or incomplete information. The information contained about each individual, event or organization has been provided by such individual, event organizers or organization. The opinion expressed in each article is the opinion of its author and does not necessarily reflect the opinion of Hinsdale Magazine, Inc. Comments are welcome, but they should be on-topic and well-expressed. Copyright ©2022 Hinsdale Magazine, Inc. All rights reserved. CONTENTS | June/July 2022 8 PUBLISHER LETTER 18 COVER STORY PAUL BUTLER The Founder of Oak Brook and More 24 HISTORIC ANNIVERSARY Celebrating 100 Years of Polo 28 CORRENT EVENTS The Taste of Oak Brook Returns 30 HISTORY How Oak Brook Grew 32 SPOTLIGHT Cafe LaFortuna HISTORY 36 Fullersburg and Hinsdale 48 Oak Brook Heritage Center Comes to Life SPOTLIGHT 50 Merry and Richard Cheng 52 Four More Remarkable Oak Brook Women 54 FOOD & DRINK Born to Cook 18 48 24 36 HinsdaleMag.com | OAK BROOK MAGAZINE 10
SHIPPING NOW! Our all-new GEN5 clubs are a master class in PXG style, performance, and forgiveness. With explosive distance, laser-like accuracy, and outstanding mishit performance, just one swing and you’ll agree—we killed it with these sticks. Step up to GEN5 and put Kaboom Baby on your side today. Our new clubs have arrived! CANNON-LIKE DISTANCE ANGELIC FORGIVENESS LASER-LIKE ACCURACY INCREDIBLE SOUND & FEEL NOBODY MAKES GOLF CLUBS THE WAY WE DO. PERIOD.® PXG clubs are only sold direct by PXG. PXG.COM | 844.PLAY.PXG PXG CHICAGO WEST 17W705 E Roosevelt Road Oakbrook Terace, IL 312.896.0900

FOUNDER & PUBLISHER

Scott Jonlich

sjonlich@HinsdaleMag.com

ASSOCIATE PUBLISHER

Anne Healy anne@hinsdalemag.com

MANAGING EDITOR

Larry Atseff larry@hinsdalemag.com

ARCHITECTURE & DESIGN EDITOR

Julie Jonlich

TRAVEL & LEISURE EDITOR

Kerrie Kennedy

CONTRIBUTING EDITORS

Adam Andrzejewski

Maureen Callahan

Valerie Hardy

Julie Jonlich

GRAPHIC DESIGNER

Jennifer Frencl

CREATIVE DEPARTMENT

Julia Sinogeikina

Dennis Stromberg

CONTRIBUTING WRITERS

Chuck Fieldman

Kerrie Kennedy

Emma Wolf

FEATURE PHOTOGRAPHERS

Carolina Menapace

Marcello Rodarte

ADVERTISING SALES

Anne Healy

Renee Lawrence (Now Hiring)

graphics@HinsdaleMag.com

CORRECTION:

“Red Light Camera Hell” article mistakenly had Sen. Martin Sandoval taking $700,000 in bribes. In fact, Sandoval pled guilty to taking $70,000 in federal government-funded bribes. None of that money came from SafeSpeed LLC.

Editor’s note: SafeSpeed has never been charged with wrongdoing. A company spokesman responded to our comment request after publication: “SafeSpeed remains dedicated to serving Illinois municipalities with honesty, integrity and a commitment to enforcing the law and fully supports the federal government’s efforts to root out corruption.”

ORDER ONLINE chefbeauskleankitchen.com 708.354.4844 26 CALENDAR AVE. LAGRANGE, IL 60525 #1 PERSONAL & PRIVATE CHEF SERVICE FOR IN-HOME MEALS FOR PICK-UP OR DELIVERY 2X A WEEK IN
BROOK Gluten Free Dairy Free Non-GMO Auto-Immunue ALLERGEN FRIENDLY & ½ OUR FOOD IS PLANT-BASED! ALL OF OUR FOOD IS 100 %
OAK
MAGAZINE
OAK BROOK
Hinsdale Magazine Group 700 Commerce Drive, Suite 5005, Oak Brook, IL 60523 630-655-3400 www.HinsdaleMag.com HinsdaleMag.com | OAK BROOK MAGAZINE 12
— Writen by Adam Andrzejewski, founder and CEO of OpenTheBooks.com and Contributing Editor for Hinsdale Magazine Group
LUXURY LOOKS LIKE THIS Colleen Wilcox is a team of Real Estate agents affiliated with Compass. Compass is a licensed Real Estate broker with a principal office in Chicago, IL and abides by all applicable Equal Housing Opportunity laws. All material presented herein is intended for informational purposes only, and is compiled from sources deemed reliable but is subject to errors, omissions, and changes without notice. Nothing herein shall be construed as legal, accounting or other professional advice outside the realm of Real Estate brokerage. OAK BROOK ROAD 630.291.9289 OAK BROOK, IL 203 / 215
WELLER DENTAL COSMETIC | GENERAL | IMPLANT | RESTORATIVE CHICAGO | 1050 N. STATE STREET | (312) 654-0606 HINSDALE | 920 N. YORK ROAD | (630) 654-2900 WWW.WELLERDENTAL.COM Weller Dental Welcomes You To Your New Dental Home Providing Teen to Adult Comprehensive Dental Solutions Where You Are Treated Like Family! CALL TODAY!
BOTH DENTISTS ARE LICENSED AS A GENERAL DENTIST IN STATE OF ILLINOIS
Dr. Jeffrey Weller
Weller Dental Welcomes Dr. Ayesha Sultan To Our Hinsdale Practice
Dr. Ayesha Sultan

Once upon a time, spanning much of the 20th century, a true visionary came on the scene in what is now the Village of Oak Brook. Paul Butler was the Father of Oak Brook—but he accomplished a whole lot more. What follows is a reminder of some of what he did, and how he did it all.

Karen Bushy, the last president of Oak Brook to know and spend time with Butler, has contributed many of the observations in this piece. Bushy was a person that Butler trusted during the years when his ideas were being translated into reality, as the dream began to be implemented on the scale he had imagined. Bushy met Butler

THE FOUNDER of Oak Brook and much more

PAUL BUTLER

shortly after moving to Oak Brook in 1973. They became good friends and remained so for the rest of Butler’s life.

The Butler Paper Company

Before there was a Paul Butler, there was the Butler Paper Company. Butler’s grandfather Julius Wales Butler and great uncle Oliver Morris Butler founded the J.W. Butler Paper Co. in the 1800s in the Chicago area. It grew to become one of the largest family-owned paper companies in the country until Paul Butler sold it in 1960. Nevertheless, Butler Paper was the foundation that enabled Butler to add companies and follow pursuits in a number of eclectic directions.

Paul Butler arrives on the scene

Tom and Mary Sterling, authors of Hinsdale & the World, relate that Butler was born on June 23, 1892 to Frank and Fannie Butler of Hinsdale, owners of the Butler Paper Co.

“When Paul and his brother, Julius, were still children, their father bought land on the west bank of Salt Creek as the site for their future home,” the Sterlings write. “The tall oaks surrounding the area together with the babbling brook gave it the name later shared with an entire village—Oak Brook. Frank Butler’s Oak Brook was a farmhouse like any other, consisting of a house, stables, and fields. When Frank bought nearby Natoma

HinsdaleMag.com | OAK BROOK MAGAZINE 18 Oak Brook Magazine | Cover Story

Dairy from George Robbins, son of Hinsdale’s founder William Robbins, he acquired Natoma’s lucrative dairy operation along with its fine herd of prize-winning dairy cows. The name Natoma, by the way, comes from the Indian word meaning ‘running water,’ no doubt a reference to Salt Creek. When Paul eventually acquired Natoma Farm from his father, he used it as headquarters for both the Butler Co. and his sports core, as he began systematically to develop the area.”

The influence of polo and horsemanship

According to a biography by the Oak Brook Polo Club, Butler attended the University of Illinois from 1910 to 1911, where he studied agriculture. He also served as a lieutenant in the 106th cavalry, which was known as the Black Horse Troop during the First World War. He also became a captain and a pilot during the war. After serving, he also spent time on Butler ranches in the Dakota territory and oversaw Montana ranches in the 1940s.

“The game of polo captured the heart of Paul Butler, whose enthusiasm for the game would shape the evolution of a village,” the Sterlings say. “As a member of the Wheaton polo team, in 1915, young Paul Butler helped lead his team to victory over a team from Onwentsia. His love for the game led to the creation of the Oak Brook Polo Club, and, in 1929, organizers put him in charge of setting up polo matches for the 1933 Chicago World’s Fair, which hoped to feature ‘games of every sport from archery to polo…with the greatest athletes from all nations competing.’”

When he played actively, he won six U.S. Open Polo Championships and four Butler Handicap titles, according to the biography.

Polo provided the Village of Oak Brook a lifestyle appeal—a social sporting scene, attracting people from across the country and polo teams from around the world. In many ways, polo created what became Oak Brook. The Oak Brook Polo Club was the largest polo plant in the world from 1954 to 1979, and would be billed the “polo

capital of the United States,” or “polo town.” Not only did the club host polo every week during the season, but it also “rode to the hounds” in full regalia with regularity.

By 1956, the Oak Brook Polo Club had 14 polo fields and stabling for 400 horses, with games, played six days a week during the season. The club also included grandstands, bleachers and box seats, a clubhouse, and 36 miles of tree-lined trails. Butler joined the two polo fields closest to Oak Brook Road (31st Street) and York Road so they could be used as an airstrip for incoming guests. Those guests included royalty, dignitaries, celebrities, and professional golfers, who loved playing at Butler National Golf Club.

Over the years, Prince Charles, Lord Cowdray, Maj. Ronald Ferguson, Lord Patrick Beresford, King Hussein, the Maharaja and Maharani of Jaipur, Audrey Hepburn, Vivien Leigh, and others visited the club. Mick Jagger was a frequent guest, as was Susan St. James. Butler’s Oak Brook team also traveled far and wide to support

about how Paul Butler worked with neighbors and others who could help him realize the dream of a special Oak Brook and other successes.

She says, “If you lived in Oak Brook, Butler considered you a ‘neighbor’. His friend and then village president George Howell had named Bushy to the plan commission, and Butler loved the idea that young people moving into the village were eager to catch his vision for what this could become. He gladly shared with those who cared to participate in what he called his ‘grand experiment’.”

other clubs, and Oak Brook hosted international teams from Argentina, Mexico, England, and India.

Editor’s note, Go to “How to Celebrate 100 years of polo” starting on page 34. Article includes schedule for 2022 season. Butler’s approach to business and Oak Brook

As noted, Karen Bushy moved into the village in 1973 and got to know Butler and his family as neighbors.

What follows are her recollections

“For Paul, it just made straightforward, practical sense to him to work where he lived,” Bushy said. “His polo operations were right nearby. He loved the surroundings— the trees, the water, and the earth itself—the reason the Oak Brook Polo Club colors were blue and green with a bit of brown accent. Here he could meet with his nearby friends, farmers, and landowners. One of the low-slung, rather unremarkable buildings that were part of the old dairy operation was actually the general headquarters for all of the far-flung Butler enterprises and interests. Known locally as ‘the

Continued on next page OAK BROOK MAGAZINE | HinsdaleMag.com 19
PAUL BUTLER NOT ONLY STARTED OAK BROOK POLO CLUB, HE ALSO PLAYED ON THE TEAM FOR YEARS.

GHQ,’ it was where Paul and others had their office—offices that were very, very casual: blue jeans and boots— never suits and ties, to be sure.”

Bushy said the GHQ contained a conference room that Butler called the “chart room.” One whole wall was covered with an aerial photograph of the Butler landholdings in the area, allowing Paul and those there to do business with him a chance to really appreciate the “big picture.” Two of the people there helped keep Paul “on track,” secretary Ann Spurrier, and his “houseman” Kenyon.

“His larger vision beyond polo and riding to hounds was to develop more activities at the sports core,” Bushy said. “He had the land and thought it could be turned into a world-class golf course. And so in 1972, Butler National Golf Club was created.”

Butler National hosted the Western Open from 1974 to 1990, and in May 2007, Golf Digest rated Butler No. 21 on its list of “America’s 100 Greatest Courses.”

She recalls, “In the same compound as the GHQ, folks from Oak Brook and others who knew it was there enjoyed one of the best restaurants around: The Oak Brook Saddle Club. Known for its ‘best available steaks’, and even more for the neighborly camaraderie, Friday

and Saturday nights you could always find friends and neighbors enjoying drinks and dinner at the Saddle Club, an atmosphere that grew over time, to be sure. You just had to know where to turn off on to the gravel road that led deep into the woods.”

Elsewhere on the “sports core” property, Butler had built the Oak Brook Bath & Tennis Club, a membership-only place for summer rest and relaxation and a lovely amenity to the polo operations, along with a small nine-hole executive golf course he’d built on the property. It became the site for the Sunday afternoon parties after the conclusion of the last polo game of the day.

Bushy said Butler “almost always”

enjoyed a good relationship with local residents.

“As they saw how he was developing the area, they looked to him when they wanted to sell their farmland,” she said. “Eventually, Butler Co. owned 3,600 acres in the area, simply by offering to buy their land when they wanted to sell. He interacted frequently with the neighbors, who had formed the Oak Brook Civic Association.”

An important quality about Butler that Bushy noted was his willingness to change his mind when he realized he made a mistake. For example, as companies moved their headquarters out to Oak Brook, he was adamant that the buildings be only one or two stories, square, boxy and white. After

Continued from the previous page CRATE & BARREL AT OAKBROOK CENTER
HOME HinsdaleMag.com | OAK BROOK MAGAZINE 20 Oak Brook Magazine | Cover Story
PAUL BUTLER'S OAK BROOK

a few went up, he admitted it was a “terrible idea”.

Polo activities and ranch holdings took Butler all over the country. That’s where his training as a pilot came in handy, enabling him to fly to often remote locations. Ever curious and observant, Butler noted that all these small airports had the same needs in terms of equipment, fuel, buildings and hangars, and so Butler Aviation was born.

In 1986, Paul sold Butler Aviation to North American Ventures for $140 million in cash and stock. The company, based in Montvale, N.J., grew to provide technical and management services to airports, marine, energy, electronics and telecommunications, employing 10,000 people with estimated revenues of $400 million.

By the time Bushy got to know Butler in the ‘70s, he had developed three major subdivisions in the village: Ginger Creek, York Woods, and Brook Forest. Butler never wanted to build the homes; instead, his focus was on the land and keeping everything as natural as possible.

Starting with so much raw land, much of it wooded and rolling, Butler was able to implement his vision on a grand scale. Lot sizes would be substantial. Homes would be set back from the roadway and generous separation between the homes was expected, for both privacy and beauty. He wanted the land to be left just as nature created it. There would be no leveling of hills and dales, no straight roads and streets. Instead, there would be winding roads and paths, following the natural contours of the land. The residents who would become the decision-makers for the village understood his goals and his vision, and they were the ones who

implemented those ideas and codified them into what became known as the subdivision control ordinance that governed all aspects of development in Oak Brook.

“His eager collaboration with those who lived here and who were willing

the south in Hinsdale. The side of the preserve facing 31st Street has been named Paul Butler Nature Area.

Butler also donated land for what would become Christ Church of Oak Brook. He hoped for a large church that would welcome all who came to Oak Brook. He thought that more appropriate than several small denominational churches. In the years when the Western Open was hosted in the village and international polo was being played throughout the summer, another of his ideas manifested: golfers, broadcasters, polo players, and fans alike all found a place to worship in town, alongside the “local folks.”

Butler further donated land for schools, and was involved with his father and uncle in building both the first and second Butler School. The original school at Spring Road and 31st Street is now the home of the Oak Brook Historical Society.

to devote their time to giving life to his dreams made for a beautiful, forwardlooking village,” Bushy said.

Concerned with the encroachment of the suburbs, Butler also consulted with several experts to complete a comprehensive plan for Oak Brook. The idea was to work out a plan for a well-organized commercial area that would support the homes and recreational areas. His vision was a village of no more than 10,000 residents.

In the same vein, Butler wanted to make sure that there would be plenty of natural land settings throughout Oak Brook. He donated the land that would become a large tract of forest preserve, which adjoins Fullersburg Woods to

“Paul did not want there to ever be development on his beloved sports core,” Bushy said. “The beauty of the open fields, the magnificent stands of old-growth oak forests, were to be preserved for the future, so he worked with George Howell, and they crafted an agreement to sell the sports core to the people of Oak Brook, provided the land would ‘in perpetuity be green space, owned by and for the benefit of the people of the Village of Oak Brook.’ That preserved another 270 acres in the center of the village.”

“Part of Butler’s vision was attracting businesses to the area to create a tax base. The fanfare of sporting activities was a natural springboard for contacts for bringing business headquarters out to Oak Brook. Companies were quick to recognize the ingenuity of Butler’s plan, which meant that

“The beauty of the open fields, the magnificent stands of old-growth oak forests, were to be preserved for the future, so he worked with George Howell, and they crafted an agreement to sell the sports core to the people of Oak Brook, provided the land would ‘in perpetuity be green space, owned by and for the benefit of the people of the Village of Oak Brook.’ That preserved another 270 acres in the center of the village.”
Continued on next page OAK BROOK MAGAZINE | HinsdaleMag.com 21
— KAREN BUSHY, former President of Oak Brook

property owners in the village, both residential and commercial, would pay no property taxes to operate the village. All of the revenues needed to sustain operations came from sales tax-producing commercial enterprises, which the business community greatly appreciated. All of this made Oak Brook even more attractive for companies to relocate.”

“As residential and commercial development evolved, Oak Brook was incorporated in 1958, and in the early 1960s, Oakbrook Center was developed into as a very desirable upscale shopping mall.”

Paul Butler’s children

Paul had four children: Michael, Jorie, Frank, and Norman. Michael and Jorie followed in their father’s footsteps in their own way.

As you might expect, with all of his contacts with notables through Polo and his many pursuits, Paul found time and interest to back a number of successful Broadway shows including Kismet, Peter Pan, and The Music Man. Paul’s son Michael followed his father by promoting the sport of polo, volunteering his talents to the US Polo

Association, and supported the arts. In fact, Michael became an American theatrical producer best known for bringing the rock musical Hair from the public theater to Broadway in 1968.

His daughter Jorie, became an excellent rider and polo player herself and was rated by the US Polo Association in 1969. She organized the USPA Polo Pony Championship and helped establish its rules and registry. She served on the board of directors for the National Polo Museum and the Hall of Fame selection committee.

Jorie also developed the Hunter Trails subdivision.

In 1971, she married Geoffrey Kent. He too was a polo player, and with him, she helped build a very successful travel business specializing in luxury photography safaris all over the world. Like her dad, she is also very committed to conservation efforts.

Last Observations

One of Paul Butler’s many passions was photography. Each year, he would select a photograph he’d taken, and have it made into a Christmas card that was sent to every home in the village. Sharing what he loved about nature and Oak Brook was important

to him, and he hoped others would enjoy it and appreciate it as much as he did. In a terrible irony, on June 21, 1981, he was standing in the middle of Oak Brook Road, right in front of his old homestead, taking photographs of the sunset, when he was struck by a car and killed.

Almost 40 years have passed since that date—enough time to see how many of his innovative ideas have become the accepted standard in so many of the areas he influenced.

“Paul Butler was a true visionary, a true Renaissance man,” Bushy said, “not only the Father of Oak Brook, but even more than you ever imagined.” ■

from the previous page HinsdaleMag.com | OAK BROOK MAGAZINE 22 Oak Brook Magazine | Cover Story
Continued
630-323-7750 Your Home Is Where Our Heart Is Serving Our Neighbors Since 2004. Plumbing • Electrical • Seasonal • Remodeling • Gutter Cleaning Basement Renovations • Screen Repairs • Lamp Repairs Small Engine Repairs for Lawn Mowers and Snow Blowers Clean Your Grill, Windows and Garages

CELEBRATING

Years of Polo

HinsdaleMag.com | OAK BROOK MAGAZINE 24 Oak Brook Magazine | Historic Anniversary
100

Jim Drury has been President of Oak Brook Polo for 7 years. He has had some very high standards to live up to ever since Paul Butler started the traditions of the game and the Oak Brook Polo Club 100 years ago. Jim has done it very well.

While he never knew Paul Butler, Jim knew of him and his love of the game. Photos over the years tell the story, from riders and ponies in action, to the pictures of the players including true royalty, to the pictures of the fans decked out in casual finery, enjoying the games and just getting together on a sunny Sunday afternoon.

As Jim wrote in the 2021 edition of SCORE Magazine given to fans who come to the games, “It is with great privilege that I welcome you to experience the magic, pageantry and thrill of polo. The tradition of Sunday polo at Oak Brook has been one of incomparable fun and excitement, the likes of which you may have never experienced-and will certainly never forget.”

As he puts it, “I started out in Naperville playing polo in the early 90’s and fell in love with the game. I got to know first-hand how athletic these magnificent animals are, how they instantly respond to your commands, and the skills it takes for horse and rider to work together.”

“Over the years, I have had the opportunity to become a ‘patrone’, or a patron of the game and became owner of the Oak Brook team. In an even larger sense, I have also tried to further the game locally. After all, you have to have teams to play against on a regular basis to keep up and improve skills of horses and riders, and teams.”

Put another way, in the tradition of excellence that Butler established, Jim has encouraged the finest polo professionals to come to the Chicago area to play on local teams.

When he says “it is with great privilege” he means it. “Where else can an owner of a professional sports team also be a player on the team? I’ve been honored to carry on what Paul Butler started.”

Through thick and thin, Jim has carried on. For example, he has worked with the Village of Oak Brook and the Butler National Golf Club to finally return the game to Cecil Smith Field in

2022. “That field is considered to be one of the finest and will go a long way toward attracting the highest rated teams and players from all over the US and the world.

He adds, “Polo was the only professional sport that continued to play continuously during the recent pandemic.”

In addition to the high quality of the games themselves, he and Managing Director, Danny O’Leary have made sure that people truly enjoy themselves. “Picture taking is highly encouraged. The people that come

Continued on next page

“I started out in Naperville playing polo in the early 90’s and fell in love with the game. I got to know firsthand how athletic these magnificent animals are, how they instantly respond to your commands, and the skills it takes for horse and rider to work together.”
— JIM DRURY, President of Oak Brook Polo
OAK BROOK MAGAZINE | HinsdaleMag.com 25

Continued from the previous page

out are like ambassadors, and they love to show their friends the fun and excitement. From car shows, to ‘best hat contests’, it is a great atmosphere. And you couldn’t be closer to the action on the field.”

As Jim says, “Coming to an Oak Brook Polo match is like going to Churchill Downs. And the action is a lot more than a two-minute horse race.”

He adds, in conclusion, “If there is one match you must not miss, it will be the match on September 25th, when several members of the Butler family will be in attendance. It should be a very special day.”

And, that’s how you do it, in the tradition of Paul Butler, and now, Jim Drury.

2022 Oak Brook Polo Season

June 26, July 17, 24, 31, August 14, 21, 28, September 11, 18, 25 All Sundays. Gates open to ticketed guests at 1pm Go to www.oakbrookpoloclub.com for more details. ■

HinsdaleMag.com | OAK BROOK MAGAZINE 26 Oak Brook Magazine | Historic Anniversary
POLO PATRONS ENJOY THE HISTORICAL SPORT ON A BEAUTIFUL WEEKEND IN OAK BROOK
Here comes the Bridal Party Things have been put on hold for too long. Your time has come. Bridal Showers | Weddings Receptions | Rehearsals www.OnlyinOakBrook.com

Oh! Hooray!

THE TASTE OF OAK BROOK

RETURNS ON JULY 3rd

An old friend is scheduled to return July 3 to Oak Brook after a three-year absence.

Taste of Oak Brook, which began in 2008 and is by far the village’s largest and most popular annual event, is due to be back at the polo field at 700 Oak Brook Road, starting at 3 p.m.

and continuing through a fireworks show at dusk. Admission is free.

The COVID-19 pandemic resulted in Taste of Oak Brook being canceled in 2020 and 2021, and in 2019, the event was canceled because heavy rains made the grounds unsuitable to hold it.

“I’m excited, and I think this is a really big deal for everyone because it brings us

back to normalcy after a couple of crazy years and helps start us getting back to our routines,” said Michael Manzo, an Oak Brook Village Board member who co-chairs the village’s Taste of Oak Brook Committee, along with fellow board member Suresh Reddy.

“Taste of Oak Brook has been very popular with people, especially families,

HinsdaleMag.com | OAK BROOK MAGAZINE 28 Oak Brook Magazine | Current Events

from Oak Brook and many other surrounding areas,” Manzo said. “You just don’t find many places, anymore, with all of that open green space like we have for the Taste. It’s such a beautiful setting, and there’s so much room, which gives people a wonderful space to spread out with their families and enjoy a great day.”

Reddy, a family care physician, said events, such as Taste of Oak Brook, are important right now.

“COVID has had a huge impact on people, and this is a way boost mental health,” he said. “I’m very excited because this is very important for everyone, to bring people together. The community has been scattered and isolated for a while.”

Duff Rice, the leader of Duff Entertainment, which has been contracted by Oak Brook for the past eight years to manage Taste of Oak Brook, agreed with Manzo that the Oak Brook polo field offers a very special setting for the event, as compared to most places outside of the village.

“The setting is different, a great place to bring families and get together,” he said.

Rice said he doesn’t believe it’s going to be a challenge, after three years off, to get people to come out for this year’s Taste of Oak Brook.

“Everyone’s so excited it’s coming back,” he said. “People are looking for things to do, and social media will help get the word out that Taste of Oak Brook is back.”

Village officials said the event typically attracts some 20,000 people throughout the day, which features several food vendors, kids activities, entertainment and the fireworks show at dusk.

Another tradition for Taste of Oak Brook is for many people to set up chairs and/or blankets along York Road and 22nd Street during the afternoon, often making it a picnic, to get a good spot to watch fireworks several hours later.

said he feels great about having had the opportunity to plan for the return of Taste of Oak Brook.

“This is important to Oak Brook, our iconic event,” he said. “It’s something that we’ve become known for and brings a lot of people together for a spectacular day. Our residents look forward to it, as do many people from several other communities. Taste of Oak Brook has always been about the food, family, friends, fun and the fireworks.

Both Manzo and Rice said events such as Taste of Oak Brook face challenges this year, as restaurants continue, in many cases, to struggle with staffing, something that has been the case since the pandemic began.

“With where the restaurant industry is, some of the restaurants are hesitant to make a commitment because of personnel issues,” Manzo said.

Lalmalani said village officials are continuing to look for sponsors to help make up for the loss of the annual $100,000 donation McDonald’s gave to the village for Taste of Oak Brook, before the company moved its corporate offices in 2018 to Chicago.

While organizers said Taste of Oak Brook will have a very familiar feel for those who have previously attended, there will be some changes.

No outside alcoholic beverages will be allowed into the Taste. The beverage tent will feature beer, wine, Sangria, water and soft drinks.

I’m very excited that it’s returning this year. My biggest hope now is for a day of good weather.”

“We just need to pray to the weather gods and hope that we have good weather, especially after not being able to have it the past three years.”

While entertainment and activities for children, such as face painting, are popular aspects of Taste of Oak Brook, the food available for purchase is a marquee attraction.

Event organizers have confirmed the following restaurants will be selling samples from their menus: Paul’s Pizza, Fogo De Chao, Real Urban Barbecue, Cold Stone Creamery, Labriola Cafe and Tone Capone’s Tacos, a truck.

“That’s a pretty good variety,” Manzo said.

The purchase of tickets for food, beverages and some children’s activities are available only on the event date. Food and beverage items range from 2 tickets to 7 tickets and cost $1 per ticket. There will be several ticket booths to purchase tickets.

On-site Parking will be available for a fee of $20 per vehicle.

A new option this year is pre-paid premium parking, which is being sold online in advance of the event at https://www. ticketweb.com/event/taste-of-oak-brooktaste-of-oak-brook-vip-tickets/11996185.

Handicap parking will be available at the Oak Brook Golf Club, with courtesy carts available to shuttle attendees to and from the field on which Taste of Oak Brook is taking place.

No open-grilling, sparklers or pets are permitted.

A rain date, for fireworks only, is July 4. ■

“It’s something that we’ve become known for and brings a lot of people together for a spectacular day. Our residents look forward to it, as do many people from several other communities. Taste of Oak Brook has always been about the food, family, friends, fun and the fireworks. I’m very excited that it’s returning this year. My biggest hope now is for a day of good weather.”
OAK BROOK MAGAZINE | HinsdaleMag.com 29
— GOPAL LALMALANI, Oak Brook Village President

How Oak Brook Grew From 1958 to 2008

In the 1940’s as Paul Butler took over management of the Butler Company, he continued to purchase land so that eventually the company owned approximately 3600 acres of what is now Oak Brook. In 1942 a community wide organization called “The Oak Brook Civic Association” was created to serve the area between Hinsdale and Elmhurst as a World War II civil defense operation. It marked the first time that the words ‘Oak Brook’ were used to identify anything other than polo. In 1945 following World War II, the Oak Brook Civic Association was incorporated as a “not for profit corporation”. It flourished as a “quasi-governmental” organization that held monthly meetings at the Butler School.

In 1946-47 Theodore “Ted” Mohlman was hired by Paul Butler as General Manager of the Oak Brook division of the Butler Company. He became responsible

for the polo operation, ‘The Base Farm’, York Golf Course, and Upland Game Hunting facility. In 1951, Butler convinced the Illinois State Tollway Commission authorities to move the Tri-State road east to the DuPage-Cook County line, and re-locate the EastWest road north to the 22nd Street corridor.

In 1955 Marshall Field & Company purchased the vacant 150-acre Otto Ahren’s farm located at Route 83 and 22nd street for a future store and what became known as Oakbrook Center.

The original village of Oak Brook became a reality on February 21, 1958 when it consisted of one square mile and had only 103 residents. It is framed on the map in dark lines. Because the proposed shopping center was not contiguous to the village, it was not included on the petition. In turn, Paul Butler and Ted Mohlman convinced several residents of Utopia (subsequently

renamed Oakbrook Terrace) to disconnect themselves from Utopia and were annexed into Oak Brook. They brought with them the vacant land on which the shopping center would be built.

In April 1958, Ted Mohlman was elected first president of the Village of Oak Brook. During 1958 and 1959, Paul Butler annexed all of his property into the new Village.

ButterfieldEast/WestTollway Road 31st Street 22nd Street Meyers Road
HinsdaleMag.com | OAK BROOK MAGAZINE 30 Oak Brook Magazine | History
EXCERPTS FROM HISTORICAL TIMELINE PROVIDED BY WILLIAM WATSON 2008

Construction began in 1960 on the shopping center which opened in 1962.

In 1961, Paul Butler created the Oak Brook Park District that was co-terminus with the village borders. This prevented the newly formed Oakbrook Terrace Park District from including his vacant land holdings, some of it extremely valuable commercial properties,

as part of its tax base. Butler also donated land for a new elementary school on York Road.

In 1977, the village residents voted for the first village tax in order to purchase bonds to acquire the 270- acre Sports Core from Paul Butler at a cost of $11 million. Since that time, the Sports Core has been operated by the village to include the Bath & Tennis Club, an 18-hole

public golf course, fields for polo and other athletic events. As you look at the map, it indicates when blocks of land and subdivisions were annexed over the years. ■

Midwest Road
Cass Avenue Route 83 Roosevelt Road
York Road Oakbrook Center OgdenAvenue
OAK BROOK MAGAZINE | HinsdaleMag.com 31

COFFEE TALK with Cafe LaFortuna

Your coffee is famous for its aroma. What are your secrets?

It starts with the beans. Our beans are of single-origin and come from small plantations in Mexico. Our small-batch coffee-roasting process, on-premise, takes the just-picked green beans and turns them into dark brown beans. High temperatures vary, depending on whether we want a light roast or a darker roast, and then they are cooked quickly. The result is a bean that is ‘crunchy when chewed’ and is then ready to be ground and brewed. That’s the aroma that draws people to our door. We also offer Café de Olla: cinnamon quills and sugarcane infused with a signature roast. It is an aromatic duo of sweet and spice to soothe your senses. Our Mayan coffee is a pairing of Mexican hot chocolate and espresso. The cocoa is also sourced from Mexico. Other favorites are the Mexican hot chocolate and café con leche.

You have 7 paninis. Why are they so good?

Each is made fresh, and grilled to order, with the best ingredients. Included are these seven:

• Brie, apple and turkey, mayo and fig spread

• Spi Mo To: spinach, mozzarella, tomato and balsamic dressing.

• Our most popular is the breakfast panini. Once you try it, you’ll be back!

There is a family feeling when you walk through your door. Is it a family business? Who are your helpers?

• Grilled cheese: your choice of cheddar, muenster, jalapeño, pepperjack, provolone, spinach and red bell peppers

• Grilled veggies

• Italian prosciutto, soppressala, mortadella, provolone and mozzarella

• Peanut butter and jelly.

• Quesadilla flour tortilla with your choice of cheese

This is a family business which opened 10 years ago. All my children come and help. However, my daughter Alejandra has recently become a more permanent presence. And we do like to make people feel welcome like it is our kitchen.

How early do you open for commuters and those who want an early, tasty start to their day? We are open Monday through Saturday at 6 in the morning until 4 in the afternoon. As well as Sundays: 8am til noon. Our outside patio will now be open until October 31st, so make sure to come visit us and try one of our specialties!

CAFE LAFORTUNA OWNERS: ANGELA LAVELLI AND DAUGHTER ALEJANDRA
“The result is a bean that is ‘crunchy when chewed’ and is then ready to be ground and brewed. That’s the aroma that draws people to our door.”
HinsdaleMag.com | OAK BROOK MAGAZINE 32 Oak Brook Magazine | Spotlight
-ANGELA LAVELLI Owner of Cafe LaFortuna
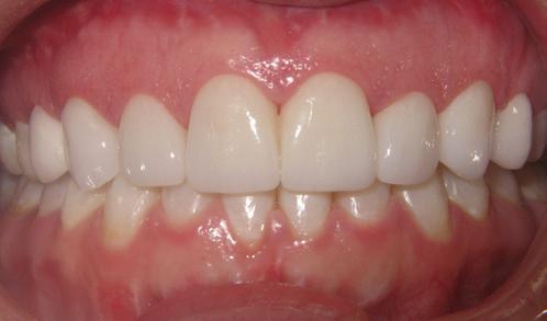
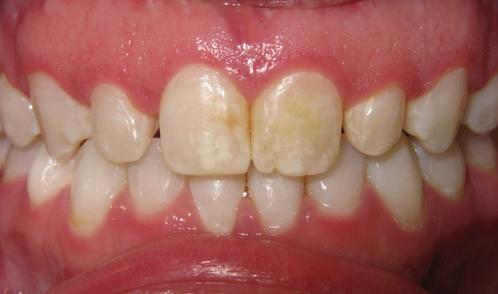
ACTUAL PATIENT. DENTISTRY BY DR. PETER HARNOIS, HINSDALE IL PRE-OP PRE-OP IMMEDIATE POST-OP Put some Summer in your smile! THIN. DURABLE. AFFORDABLE. > Natural Looking Results in Only 2 Visits > No Removal of Sensitive Tooth Structure > Interest-Free Financing Available Bioloase Epic LASER TEETH WHITENING Painless. Quick. Effective. 60 minute treatment without sensitivity. SPECIAL PRICE $450 REGULAR PRICE $750 Offer valid through 08/31/2022. 2-WEEKS POST-OP 911 N. ELM, SUITE 230 | HINSDALE, IL | 630-323-4468 WWW.HINSDALEDENTISTRY.COM Peter T. Harnois, DDS Michael J. Kowalczyk, DDS DR. HARNOIS IS INTERNATIONALLY KNOWN AS A SUPERIOR AESTHETIC DENTIST. HE LECTURES WORLDWIDE ON EMERGING NON-INVASIVE TECHNOLOGIES.

WHY PATIENTS TRUST HINSDALE DENTISTRY AND DR. PETER HARNOIS FOR THEIR SMILE MAKEOVERS

Hinsdale Dentistry transforms hundreds of smiles per year. Just why are so many patients choosing this practice for cosmetic dentistry? Because they know that Dr Harnois is an esthetics expert—not just regionally, but internationally. Combine his authority with the top-tier technologies available at his practice, and the decision becomes crystal clear

Hinsdale Dentistry has long been setting a standard for comfortable patient care, with the aid of multiple dental lasers and the iTero digital scanner for digital impressions. These tools provide more comfortable, precise and efficient treatment and give patients of all ages a new understanding of dental care. Whether Hinsdale Dentistry’s patients are children receiving fillings prepared with a water laser and no painful shots, adults prepping teeth for crowns or veneers, or anxious patients hoping to whiten their teeth without sensitivity or to avoid traditional impressions, the practice’s minimally invasive technologies revolutionize their experience.

Dr. Harnois’ mastery of these tools has led to him becoming a sought-out trainer for emerging dental technologies and techniques. He travels throughout North America teaching other doctors to provide similarly exceptional treatment, sharing his skills as a clinician and esthetics authority

DR. HARNOIS’

INTERNATIONAL LECTURING

As a clinical trainer and lecturer for The American Academy of Cosmetic Dentistry, the American Academy of Facial Esthetics, and DenMat, the manufacturer of Lumineers, Dr. Harnois provides handson training and education to dental and medical professionals across the country He shares his philosophy that every patient deserves the most gentle and minimally invasive cosmetic and metal-free dental treatments with natural results, and enables other dentists to elevate their patient care.

THE AMERICAN ACADEMY OF COSMETIC DENTISTRY (AACD)

Dr. Harnois is a 10-year member of the AACD, which is considered the highest body of knowledge of esthetic dentistry. He is also one of the main presenters at their annual educational symposium each year

THE AMERICAN ACADEMY OF FACIAL ESTHETICS (AAFE)

Dr. Harnois is the President of the Illinois American Academy of Facial Esthetics and trains dentists in Botox and dermal filler techniques. He is a nationally recognized leader in minimally invasive total facial esthetic techniques. Dr. Harnois has instructed thousands of healthcare

professionals through both lecture and hands-on courses and is an outstanding instructor who is known for his coherent and interactive style.

DENMAT, LUMINEERS MANUFACTURER

Dr. Harnois partners with DenMat to train other dentists in minimally invasive esthetics. He provides hands-on preparation and placement of minimally invasive, ultra-thin, highly esthetic veneers, and educates other dentists on smile design and case consultation and evaluation. He has also authored their educational platforms for the last four years.

As an educational leader for current dental technologies and minimally invasive procedures, Dr. Harnois is able to truly transcend and provide patients with unparalleled dental care. If you’re interested in learning more about a noninvasive smile makeover or full mouth rehabilitation, reach out today to schedule a complimentary consultation.

We are offering specials on Lumineers smile makeovers—reach out today to learn more!

911 N. ELM, SUITE 230 | HINSDALE, IL | 630-323-4468 | WWW.HINSDALEDENTISTRY.COM

FULLERSBURG The History of Hinsdale and the Fuller Family Legacy

BEN FULLER
HinsdaleMag.com | OAK BROOK MAGAZINE 36 Oak Brook Magazine | History

This is the story of the settlement of land about 17 miles southwest of Chicago in the early 1830’s by Ben Fuller, among others, and the involvement of the Fuller family from those days, into what is Hinsdale today.

We gratefully acknowledge the help of Don Fuller, patriarch of the Fuller family, his website: fullersburg.org, publications on that website, plus “Hinsdale & the World”, by Tom & Mary Sterling, “Hinsdale”, by Sandra Bennett Williams, and the Historical Society of Hinsdale. (Go see the artifacts from this entire era at the Oak Brook Historical Society on Spring Road and 31st Street. Artifacts include “projectile points” aka as arrowheads.)

How Land, Water, And Key Visionaries, Led To Fullersburg, … and, Eventually To Hinsdale.

Fullersburg, Hinsdale and even Oak Brook have been significantly influenced by the land, and the water upon which they were eventually built. As you will read, in turn, the topography influenced visionaries like Ben Fuller, Fred Graue, William Robbins and Paul Butler, and many others, in their decisionmaking in helping to establish these communities. Even today, the land and water affect us.

According to the “Fullersburg Chronicles” (available online at fullersburg.org/fullersburgchronicles), the influence of the local topography started when the last Ice Age formed a mile high glacier 12,000 years ago. Then, significant climate warming led to “ice and snow melting (until) the land was scoured flat. Landscape features… such as the Salt Creek valley emerged and pine forests grew in to replace the tundra. As warming continued, forests, prairies and wetlands of today replaced the pine forests.” Obviously, all of this took place over thousands of years.

The first people to inhabit the land were tribes of Native American hunters, including the Potawatomi, who immigrated to the area hunting for food by following herds of deer, elk

and buffalo. In turn, the herds used prairies, forests and wetlands for their sustenance. What became known as Salt Creek became a transportation route for tribes as well as fur traders and explorers, who also were attracted to the area.

In 1833, the entire northeastern area of Illinois was deeded by Native Americans to the US Government. It was called the Treaty of Chicago, and it was this step that encouraged families in the eastern US to start coming out west. One of those families were the Fullers.

The Fullers Of Fullersburg

Imagine yourself as Benjamin Fuller, one of 12 children, in Broome County, New York, at the age of 24.

According to the “Fullers of Fullersburg”, by George Ruchty, Jr. (also online at fullersburg.org): “he left his home and family and headed west in search of the land of his dreams. What he sought was a large tract of fertile soil with fresh, clear streams of water nearby, and open land for farming and forest areas which would provide for lumber for building cabins for shelter.”

“Young Ben’s journey was not easy. It led him over Indian trails and around swampy areas until, (after nearly 700 miles) in the spring of 1834 he finally reached Chicago, then a thriving settlement on the western shore of Lake Michigan. What he found was not to his liking. The entire area appeared to him to be a veritable sea of mud. Sidewalks, sometimes three or four feet high, had been built by driving posts into the ground to hold planks of rough lumber, making it possible to get from building to building. On warm nights the mosquitoes were unbearable.”

“Ben was just about ready to give up and return home, when by chance, he met a traveler from the west who told him about the beautiful rolling country some 17 miles southwest of Chicago. There, the traveler said, Ben would see those open fields, wooded areas, and streams of clean water the young man had come so far to find.”

He took the stranger’s advice and then returned home to New York where he “succeeded in influencing his family to sell the farm and move west’” In the spring of 1835, all 12 children, his Father Jacob and Mother Candace and Ben’s wife Olive got into covered wagons and rode horseback to Illinois. Due to crowding, the two eldest girls went by boat to Chicago.

According to Ruchty, they then trekked west to an area where Mays Lake is located (near today’s Route 83 and between 31st Street and 35th Street.) They purchased approximately 160 acres from the government at a cost of $1.25 an acre, cleared land for planting next spring, and for lumber to build a cabin. The cabin was 25 feet long and 15 feet wide…for 13 people (The Fuller family of 12 and Olive, Ben’s wife) As it turned out, the cabin was next to a village of friendly Pottawatamie, who didn’t want to move out of the area right away. In an interesting twist, “Ben taught them how to shoe their ponies, and in appreciation, the Indians gave his young son John a pony named Ninoldi.”

As Ruchty also relates: “About this same time, other settlers were going west of Chicago to start Downers Grove and Naper Settlement (Naperville)”… “The old Indian trail west from Chicago was open and improved with each wagon’s passing.” “…low spots were filled in with stone and logs placed across them so wagons could pass during the rainy season.” (Editor’s note: the method of using logs eventually led to the trail being named the Old Plank Trail, complete with collection of tolls. Today, you know it as Ogden Avenue)

All during this time, Ben Fuller noticed all the activity and had the foresight to see the potential that was developing before his very eyes. He himself built a frame house to replace the cabin the family lived in earlier. It is now on display on the Graue Mill grounds. From 1835 to 1855, according to Ruchty, Ben Fuller “purchased some 800 acres from the government

Continued on next page

OAK BROOK MAGAZINE | HinsdaleMag.com 37

Continued from the previous page

for what was to become Fullersburg. In the year 1851, Ben Fuller platted the town of Fullersburg to include not only the first hotel which he built, but also what is now the York Tavern. He even made provisions for a school and cemetery. And, he renamed Brush Hill as Fullersburg.”

At approximately the same time, others like the Torode family from France moved into the area. They bought land southeast of Mays Lake, on Salt Creek. They saw more families moving in and built a sawmill and a dam on the creek around 1837 to provide lumber for more and more building. They ran the mill until 1849, when it burned down, and then moved north on York Road to start a stone quarry where Roosevelt Road intersects York Road.

Nearby the creek where the Torodes located, was York Road, becoming established as a north and south route, intersecting Old Plank Trail. About the same time, a stagecoach line made the intersection the only stop between Chicago and Naperville. In turn, that led to hotels where people could stay. One of those hotels was built by the Fuller family. Eventually, three taverns opened and another hotel opened, and a wagon maker opened for business, as did a blacksmith.

Families moving in were locating in the area that was now called Brush Hill, so called because, according to Ruchty, the area was covered with “dense hazelnut brush which offered food and cover for deer and small game.” (Editor’s note: Brush Hill was the section of land in Hinsdale south of Old Plank Trail, and between what is now Lincoln and Garfield and south to Ayres Avenue.

One of the families moving into the area in 1842 was the Fred Graue family, from Germany. He brought with him expertise in mill construction and operation. In 1850, with the help of people like Sherman King, Graue began construction of a grist mill on the site of the sawmill. The mill was completed and opened in 1852 with internal wooden gear works that were well ahead of their time and are still in place. In fact,

the mill is recognized as an Illinois Historic Landmark, for its advanced technology. Graue also rebuilt the dam, “with stones and logs piled on top of the original dam, thus raising the water level in the creek and affording more power to be used grinding the grain.”

The mill was not only a place to take corn, wheat, oats and buckwheat to be ground into flour, it also became a gathering place, as farmers waited for their flour.

The crossroads of Old Plank Road and York kept growing as a convenient stop between Chicago and beyond Fullersburg to the west out to Naperville. Not only did it accommodate people in the area, it also attracted farmers and their livestock of cattle and hogs on their way to slaughterhouses in Chicago.

Again, Fuller saw an opportunity and constructed pens to hold the livestock overnight before they were herded east on Old Plank Road to Chicago.

All during this time, the Fuller family continued to grow as they married into families in the area. It was duly noted that “Inhabitants were either Fullers, or married to the Fullers”, according to Ruchty. And, so, Fullersburg continued to grow and the area around Old Plank Road, York Road, and Graue Mill, continued to grow. Incidentally, Mary Fuller, a sister of Ben Fuller, taught young children reading, writing and arithmetic. She literally would go from home to home,

TODAY ORIGINAL
HinsdaleMag.com | OAK BROOK MAGAZINE 38 Oak Brook Magazine | History
THE BEN FULLER FARMHOUSE YORK TAVERN BUILT BY BEN FULLER AT SAME SITE AS TODAY

accompanied by two large dogs, to keep her safe from the wolves.

How Topography And Another Visionary Led to The Rise of Hinsdale, and The decline of Fullersburg.

According to both Ruchty and fellow historian Sandra Bennett Williams, in her accounting of “Images of America Hinsdale”, the next chapter in the history of Fullersburg occurred “when the Chicago, Burlington & Quincy railroad showed interest in a rail line from Chicago to Aurora, passing through Lyons, Brush Hill (Fullersburg) Downers Grove, and Naperville. As Williams wrote, “In 1858, an enthusiastic petition was presented…by Ben Fuller and Fred Graue, citing the productivity of the town’s mill and the business it could

offer the new route. Eventually, the CB&Q railroad agreed to the new track and began studying topography to determine the exact route. What the land survey revealed was devastating to Fullersburg. ‘The joy with which the citizens along the proposed route had greeted the arrival of surveyors was short-lived for the inhabitants of Brush Hill’ wrote Marion Knoblauch in Progress on the Prairie. The cause of this unexpected turn of events lay in the contours of the land and recommendation that the roadbed be built, not through Fullersburg, but a mile to the south, cutting diagonally across the open prairie.”

According to Don Fuller, patriarch of the Fuller family these days, the contour referred to was the steep hill at what is now Washington to Lincoln Street that had to be cut through for

trains to run. It was determined that making the cut was going to be too expensive compared to the route that would run through Hinsdale.

Enter Hinsdale visionary

William Robbins in the late 1800s

(Editor’s note: Please note how the various accountings of history in this article dovetail so nicely, especially

with what follows.)

In their extensive accounting of the history of Hinsdale, “Hinsdale & the World”, Tom and Mary Sterling described Hinsdale’s early beginnings as follows:

“Hinsdale has always been a commuter village, set up in response to the Chicago, Burlington & Quincy Railroad’s plans to put a spur through this part of the country. It all began with a man named William Robbins, commonly known today as ‘The Father of Hinsdale’. Originally from New York State, by the mid-1800s, Robbins was farming and teaching in McHenry County, Illinois, when he heard of a way to make a quick fortune. Eager to improve his station in life he set out for the goldfields of California to stake his claim. He didn’t mine for gold, however, but chose the wiser path of selling supplies to wealthy miners. After making his

WILLIAM ROBBINS, FOUNDER OF HINSDALE
Continued on next page
THE FRED GRAUE HOUSE
OAK BROOK MAGAZINE | HinsdaleMag.com 39
EARLY PICTURE OF GRAUE MILL

Continued from the previous page

fortune he returned to Chicago where he spoke with officials about the railroad, learned about the new spur, and asked permission to accompany the railroad surveyors as they walked the proposed line. When they reached Hinsdale, Robbins knew he had found what he was looking for.”

“The gently rolling landscape had no swamps or other deterrents and was a good place to start a village. The year was 1862 when Robbins bought 640 acres at $14 an acre from Robert Jones. William Robbins drew up plans for the new village, mapped out streets and lined them with thousands of trees. He planted the trees even before the streets were built, explaining that the streets would be by those areas between the saplings.”

“Robbins gave the railroad permission to skirt the north side of his property and Alfred Walker, a progressive farmer in northern Hinsdale, gave the railroad permission to skirt the south side of his land, thus clearing the way for the railroad to come through the middle of presentday Hinsdale. Walker and Anson Ayres soon divided their north-side farms for home sites, and others, including Oliver J Stough, came to the village to build homes for the early residents.

CHICAGO, BURLINGTON & QUINCY RAILROAD TRAIN LOIE FULLER DANCED FOR THE FOLLIES BERGERE
HinsdaleMag.com | OAK BROOK MAGAZINE 40 Oak Brook Magazine | History

“To the far north of Hinsdale near the intersection of York and Ogden stood a much earlier settlement known as Fullersburg. Named for Ben Fuller, this area had managed to survive the 1830s thanks to heavy traffic on the Old Plank Road, a toll road leading from Aurora to Chicago now known as Ogden Avenue. Many famous travelers had used this road on their way to and from Chicago including Abraham Lincoln who

was known to have stopped at the Graue Mill. When news of the proposed railroad spur reached the area, Fullersburg merchants encouraged railroad officials to build the line along Ogden Avenue. Such a route wasn’t topographically feasible, however, and the railroad chose the Hinsdale location. With this decision, Fullersburg’s fate was sealed. Hinsdale businesses thrived, supported by the railroad

and a growing number of residents. Everyone from barbers to bankers sought out the peaceful streets of Hinsdale as an alternative to the hectic life in the city. By the time of its incorporation in 1873, Hinsdale had grown into a popular, wellrespected commuter village, and in this respect, little has changed.”

Continued on next page

OAK BROOK MAGAZINE | HinsdaleMag.com 41
TWO GENERATIONS OF FULLERS. DON FULLER ON THE LEFT AND KEN FULLER ON THE RIGHT ARE SONS OF BOB FULLER. IN THE MIDDLE IS THEIR NEPHEW DOUG FULLER, SON OF THE LATE DOUG FULLER SR.

IMPORTANT NOTE: IN 1923, FULLERSBURG WAS ANNEXED TO HINSDALE

The Fullers From The Late 1800s To Today.

For this, we turned to Fuller family patriarch Don Fuller, 74 years old, and the great, greatgrandson of Ben Fuller.

We asked Don, what have the Fullers been doing from the late 1800s to today? He replied, “The evidence is everywhere, sometimes in surprising ways.”

For example, he said, there is Loie Fuller, who became a world-famous dancer. She was born in January 1862 in the Castle Inn. To quote Hinsdale historian Sandra Williams, she “was introduced to the stage as a child reciting poetry and performing became her passion. With only modest success in America, Loie found international fame as a dancer, appearing throughout Europe to rave reviews. Paris, where she was embraced by the artistic elite,

became her home. Famed artist Jules Cheret captured movements and innovative use of colored spotlights. Her sensational Follies Bergere engagement brought her tremendous

The mission of the foundation, working in partnership with the Forest Preserve District of DuPage County, is to raise funds to restore the Ben Fuller Farmhouse and develop educational programs and exhibits. We continue to promote and support and officially declare a Fullersburg Historic District and its heritage sites, complete with signage and maps showing the boundaries of the district and the buildings,

From the late 1880s to the Second World War or about 60 years, the Fullers kept busy and productive by quietly focusing on farming. About the only notoriety for the family was that Grandfather Walter became successful and known as the “Sweet Corn King”.

From 1946 on, however, the Fullers again started to become more active in the community.

success. Renowned for her spellbinding manipulation of flowing silk costumes, her considerable influence on modern dance is recognized to this day.”

Bob Fuller (his given name was Lloyd), a grandson of Fullersburg founder Ben Fuller, opened a Shell gas station at York and Ogden after he got out of the Navy in 1946. That was history repeating itself. As noted earlier, Ben Fuller himself was starting to be very active in the exact same area 110 years ago. Bob and his wife Dorothy had four boys, Walter, Douglas, Kenneth, and Don, the youngest. Between them, they had 32 children, and according to Don, well over 150 grandchildren.

The four boys lived and grew up at 550 N. Oak St, an address where

Continued from the previous page
DON FULLER AND HIS WIFE KATHY
the dam and the land that is included.”
HinsdaleMag.com | OAK BROOK MAGAZINE 42 Oak Brook Magazine | History
-DON FULLER Fuller patriarch and President of the Fullersburg Historic Foundation

Don and his wife Kathy live today. In operating the gas station at York and Ogden, Bob introduced the idea of washing cars, by hand, and the boys, as they grew up, would learn the value of hard work by washing cars as well. People would leave their cars, and the four young Fullers would wash their cars for them by hand while they were at work.

In 1959, Bob Fuller bought a gas station at 102 Chicago Avenue and started to convert it to an automatic wash, complete with tunnel, brushes, water spray and soap spray cleaning equipment. A year later, in 1960, he opened the first Fuller’s Car Wash. He also started selling car wash equipment, a business which is still operating today. They now have 26 Fuller’s Car Washes in the Chicago area.

With four boys, Bob also got involved with “Toys for Tots” for the holidays, working with the Marines. And, it was also a time when he got involved with baseball. There were two kinds of youth baseball.

There was baseball where everybody got a chance to bat and to play on the field. And then there was Little League baseball, where the best players played and the teams were very competitive. As Don says, “Our Dad taught us how to be competitive as well as hard-working.”

Little by little, the Fullers have gotten involved in businesses throughout the community. In 1962, they expanded the car wash services to total car repair services and installation of virtually every tire brand on the market. It is called Fuller’s Service Center and is known for the quality of service.

In 2004, Don’s brother, Doug Fuller, and wife Elizabeth took over the Soukup Hardware store and expanded it from a hardware store to add home services with experienced handymen to provide a host of services from Fuller’s Home and Hardware. Again, no one in town is surprised, given the tradition of high-quality service and family involvement in the business. Today, sisters Paula and Sarah, nieces

of Don run the home and hardware store and all the services.

They offer Exterior services like gutter cleaning, roof, and siding repair, power washing, fence, and deck repair and installation, window washing, and even window well cleaning. They offer 11 Interior services, everything from light bulb replacement to furniture assembly, interior painting, and eight more services. They offer Electrical services, full Plumbing services, and seasonal services like putting up and taking down decorations, and even snow removal. As they say, Home and Hardware Services, Done Right.

This is an Ace Hardware store that is owned by the Fuller family. The staff is very friendly and attentive. They carry not only supplies but offer services such as moving, repairs, lawn care, decorating/lighting services, and more. I don’t usually come here often because it is a little pricier than when I can just go to Home Depot, but you get the quality service here and it seems to me that anything “Fuller family-owned” gives you that excellent customer service!

Great service! We’ve used Fuller’s for installing new light fixtures, installing a dog door, moving some furniture, and a few general handyman things. Always easy to book and they are very pleasant, professional and on time. The quality of the work is great. We had no issues whatsoever. Will definitely call them again.”

For good measure, in 2015, Fullers converted the front of the hardware store into Fuller House, a great place for family dining. And why not? The Fuller House is the Fuller’s way of “paying homage to one of the first settlers of the town. Fuller House is a rustic-chic tavern, located in the heart of downtown Hinsdale.”

To conclude this installment, we turn to two sources. One source is a testimonial from a customer about Fuller’s Home & Hardware. The second is how the family takes care of people.

Below is a testimonial from a customer of Fuller’s Home & Hardware. It represents the regard the Hinsdale community has for all the Fuller family ventures.

“I love Fuller’s Hardware. The store itself was recently remodeled and the new interior competes with lots of private homes in Hinsdale. I think it's a really nice store and the service is GREAT!! You are quite likely to be served by a member of the Fuller family. They are so great and accommodating even if you don't really know your way around a hardware store (like me).

Back to Don Fuller as the Fuller patriarch. He is the president of the Fullersburg Historic Foundation and says  “The mission of the foundation, working in partnership with the Forest Preserve District of DuPage County, is to raise funds to restore the Ben Fuller Farmhouse and develop educational programs and exhibits. We continue to promote and support and officially declare a Fullersburg Historic District and its heritage sites, complete with signage and maps showing the boundaries of the district and the buildings, the dam and the land that is included.”

To sum up, the Fullers of yesterday and today, (and tomorrow) believe, first and foremost, in serving their neighbors. It could be like starting up a community. It could be like washing cars by hand and growing it into an auto repair and tire business, or, it could be expanding beyond a hardware store to providing complete services for inside and outside the home. The family also believes in preserving and honoring history. Overall, it is a good philosophy for running a business, and it sure keeps a growing family involved in the family business. ■

I’m proud of the way my family serves the people and how they take care of customers.”
OAK BROOK MAGAZINE | HinsdaleMag.com 43
-DOUG FULLER

SAVE THE DAM!

For decades, the Graue Mill dam, listed on the National Registry of Historic Places, has been photographed in all seasons by residents and visitors alike. Now, this scenic landmark in the Historic Fullersburg Gateway is threatened with a planned demolition by the Forest Preserve District of DuPage County and their licensed agents. For more information about the dam’s removal and how you may help Save the Dam!

visit the Fullersburg Historic Foundation website at www.fullersburg.org

Graue Mill & Museum

3800 York Road, Oak Brook, just north of intersection with Ogden Avenue.
WWW.YORKTAVERNOAKBROOK.COM 3702 York Road Oak Brook, IL 60523 630-323-5090 Hours Sunday - Thursday 11am-11pm | Friday & Saturday 11am-12am Pick Up & Delivery

Rooted in Excellence

“Opening The Finest Doors” Since 1986

When searching for a realtor to assist you in buying or selling, Nikki is the perfect fit.

She offers in-depth knowledge of Oak Brook, the Western Suburbs with national and global networking a benefit to her clients and future prospects.

Such is the case with Nikki. She is an accomplished Real Estate Professional with over 30 years of experience and impeccable market knowledge.

As a result, she knows how to recommend pricing strategies with well honed negotiation skills to secure a competitive edge.

Nikki is well entrenched in the community with vast knowledge of its neighborhoods, schools and amenities. Also a member of the Oak Brook Infant Welfare Auxiliary involved in the annual fundraiser to benefit Angel Harvey family Health Center of Chicago. Her top production has kept her in the Coldwell Banker Realty upper echelon of awards, including International President’s Circle and current International Diamond Society.

Nik k i Ricci Real Estate Professional 630.290.3147 Nikki.Ricci@cbexchange.com NikkiRicciHomes.com Oh, by the way I’m never too busy for your Referrals! Now may be the Perfect Time to make your move!! Again 2022 a very Robust real estate market and continues to Impress with home’s selling very, very quickly with Multiple Offers. Contact me to learn what is happening in your local Real Estate Market and take advantage of today’s exceptional opportunity’s!! LISTED and or SOLD by *NIKKI RICCI* Real Estate, Low Interest Rates, High Demand, Multiple Offers, Increasing Values, Decreasing Days on Market – The TIME is NOW 38 Steeple Ridge Oak Brook Offered at $685,000 156 Saddle Brook Dr. Oak Brook Offered at $799,900 28 Briarwood South Oak Brook Offered at $660,000 19 S 282 Governor Trail Oak Brook Offered at $360,000 SOLD SOLD SOLD SOLD SOLD OVER LIST PRICE 159 Saddle Brook Dr. Oak Brook Offered $949,900 7E. Kennedy Ln., Unit 208 Hinsdale Offered at $659,000 94 Bay Brook Ln. Oak Brook Offered at $1,499,000 SOLD SOLD SOLD SOLD OVER LIST PRICE

Oak Brook Heritage Center Comes To Life

There has been a considerable flurry of activity at the Oak Brook Heritage Center over the past few months which just culminated in a well-attended open house this past May 15. Nearly 100 showed up at Spring Road and 31st Street to find out what has been going on.

Board President Lisa Griffith and the new Board, and volunteers have been quite busy, and it shows. As Lisa puts it, “We all care deeply about Oak Brook, and knowing village history enriches everyone’s lives.”

History Of The Building Itself.

Let’s start first with the history of the building, where the Center is now located because the building itself is where a lot of early history took place. As Griffith says, “The building inspires us and strengthens our roots.”

Ten acres of land was donated by Frank O. Butler who then funded construction in circa 1921 for a new, 2-story schoolhouse. (Frank, of course, was the father of Paul Butler, who; in turn, is generally regarded as the father of what has become Oak Brook). The new schoolhouse replaced two one-room schoolhouses: Rabbit Hill School, and Torode School.

Frank Butler was quoted as saying “Ownership would revert to him if the school did not meet state standards as a superior school.” Naturally, it was called Butler School. It should be noted that the school is listed on the National Register of Historic Places.

The building’s architecture is known as Revival Georgian Style and the original floor plan for two schoolrooms has been retained. (Note, however, that over the years, the building has been used in different scenarios, as you

will read further.) One room was for grades 1-4 and the other was for grades 5-8. Combined class sizes averaged 52 students for decades up until 1961. Subjects included English, history, geography, math, science, art and gym. Music was taught by a traveling music teacher who would visit the school once a week. A piano was in the basement room which also was used as a meeting room, auditorium, and gym. Adults and children formed a Community Club

It didn’t take long for Butler School to become a “hub of activity”, well beyond school. Social activities in the ‘20s and ‘30s included square dancing, potluck suppers, music recitals, card games, dice games and even pig roasts. Softball, soccer and ice skating, of course, were outside.

During World War 2, from 1941 to 1945, a civil defense organization was

HinsdaleMag.com | OAK BROOK MAGAZINE 48 Oak Brook Magazine | History
OAK
BROOK POLICE UNIFORM BUTLER SCHOOL ROOM

created to cover areas served by the school. Eventually, the group took the name of Oak Brook Civic Association. It was the first time the words Oak Brook were used to define a specific geographic area.

As the population grew in the ‘50s, student enrollment also grew and it was necessary to look for a new school. The village was incorporated in 1958, and the building began serving as a Village Hall, Police Station and Library. In 1960-61 a new, larger Butler School was proposed and then built.

Eventually a new Village Hall was built in 1975 next door, and the

schoolhouse largely became a library, until a new library was built in 20002001. In the last 20 years, it has become a place where historical records have been kept, and organized, and donated items of the past from members of the community have been collected. As Kathy Maher, Griffith’s predecessor says, “The Old Butler School building has served as an educational facility for 40 years, a Village Hall for 15 years and a Library for 26 years. She has faithfully chronicled the history online at oakbrookhistory.com.

See Actual Oak Brook History

And, now, thanks to the recent considerable efforts of the new board, you can physically see how the building has been restored, and how artifacts have been unpacked and curated to date, as pictures of the Open House accompanying the article indicate. There is much more that will be done.

Village President Gopal Lalmalani attended the Open House and was very complimentary to the group for all the work that has been done to show the history of the building as well as the history of Oak Brook.

As Lisa says, “Now that we have items out on display to show, we want to invite everyone to come to see the history of Oak Brook come to life.”

One of the important goals of the Society is to encourage tours of the Heritage Center among students and other groups in the community. As Griffith puts it, “It will be worth your while to visit, it will also be worth your while to become a volunteer, and it will be worth your donations in money and historical memorabilia to keep the momentum going.”

Oak Brook Heritage Center, 1112 Oak Brook Road, Oak Brook, IL 60523 630 368 7750 www.oakbrookhistory.com email: oakbrookhistory@gmail.com ■

NOTABLES AT OPEN HOUSE: VILLAGE PRESIDENT GOPAL LALMALANI, FORMER VILLAGE PRESIDENT KAREN BUSHY, BOARD MEMBER MARCI SPINGOLA, BOARD MEMBER SUE DEVICK, BOARD MEMBER ELIZABETH ARTS, BOARD PRESIDENT LISA GRIFFITH, BOARD MEMBER RAY PAICE, VILLAGE CLERK CHARLOTTE PRUSS, VILLAGE TRUSTEE LARRY HERMAN NOT SHOWN: BOARD MEMBER JOHN BAAR DONATED DOLL: FROM THE EARLY DAYS OF WHAT BECAME OAK BROOK
OAK BROOK MAGAZINE | HinsdaleMag.com 49
DOROTHY KIEFER, WHO ATTENDED BUTLER SCHOOL AS A CHILD, CAME TO OPEN HOUSE

Merry and Richard Cheng

The Couple Behind Merry Richards Jewelers

If your wife’s first name was Merry, and your first name was Richard, and you wanted to open a jewelry store, would you consider naming it Merry Richards Jewelers? Well, that’s exactly what Merry and Richard Cheng did in 1985. It just seemed obvious and natural. According to Richard: “We also got a little encouragement from the Mary Tyler Moore tv show. Mary’s maiden name was Mary Richards.”

Why are they so successful?

As it turns out, Merry Richards has turned out to be the perfect name for what they do so well.

In fact, the very first thing Merry said when we sat down with the couple was, “Let me tell you. We love the business

we’re in because our customers are happy when they come in. They want to celebrate a happy occasion, like a wedding, or an anniversary, or a birthday, or something they want to remember, and they want to do it with jewelry. When they leave, they are even happier, because we have given them good advice on the jewelry they are looking for, we give them beautiful gems in custom settings that they like very much, and we give them a good value for the money. The way I spell my name, Merry, says happy; so It works.”

Richard adds, “We get great satisfaction from helping people celebrate. Our customers like our approach. We never push. They tell others. We are very fortunate that

they have spread the word.”

Simply put, the name, how they care for customers, along with valuable help along the way, and a lot of hard work, has paid off.

These two immigrants never met while growing up in Taiwan, but they eventually got married there in 1984.

Richard and his family came to the US from Taiwan in 1970 and settled in New York City. His father was an attorney, and his mother was a doctor. His brothers followed them to also become doctors and lawyers…except for Richard. “I was the black sheep. I started selling jade for my brother to jewelry stores, after college in the US, as a first job. I found that I liked selling and I liked to travel. I learned

HinsdaleMag.com | OAK BROOK MAGAZINE 50 Oak Brook Magazine | Spotlight
MERRY AND RICHARD CHENG AT HOME

the basics well so I could pick out the best gems for their quality and size, their clarity, and the way they were cut and mounted in their settings. I learned how to price jewelry for good value and still make a profit. I also learned to treat customers with great respect, which is most important in gaining trust.”

While Richard worked out of New York City, Chicago was part of his territory. He found the Chicago cost of living was a lot better than New York. He said, “I also found people to be more friendly. Someday, I thought, it would be a good place to live.”

During these years, Merry was growing up in Taipei, Taiwan. Her father was a two-star general who followed Chiang Kai-Shek, when he left mainland China for Taiwan.

She said, “Since my father was an important figure in Taiwan, my mother always made sure that she and my 5 sisters and one brother, were taught ‘good taste’”. Merry described her mother as elegant, and she loved jewelry. “She always dressed in nice clothes. She taught us about fashion and style.”

Merry grew up loving to read and learn. She particularly read books and magazines on fashion, so it was natural for her to develop a very good appreciation for fashion. She also developed an eye for how clothes and accessories like jewelry can go well together and reflect the person wearing them.

Love at first sight

Through a friend of one of her sisters, Merry met Richard completely by chance, when he visited Taiwan from the states.

As Richard tells it, “It was love at first sight. And, when I met Merry’s mother, I just knew one day I would like to marry Merry.” Indeed, they did get married in Taiwan in 1984.

They settled in Chicago in 1985, near “jewelry row”. For about a year, Richard continued to travel Monday through Friday, and Merry stayed at home. As she was getting restless with little to do, she said to Richard,

“Let’s open a jewelry store. You know about jewelry, I know about style and fashion, and we can work together and attract people to a store and make a business.”

Fortunately, Richard had impressed the owner of the jewelry company he represented. The owner, Sing Lau, said, “I will start your inventory and you can sell my jewelry and together we can make a good business.”

Merry and Richard worked hard 6 days a week, and slowly, but surely, they developed a loyal following. Merry is rightfully proud of combining her practical day-to-day experience in the store, with her love of reading to become a “self-taught businesswoman”. She also got her GIA Diamond Degree.

They have jewelers on premise who use CAD (computer advantage design) to turn design ideas into beautiful mountings and settings for the highquality gems that Richard and Merry have become expert at selecting. Further, every sale is backed with a 100% satisfaction guarantee.

In addition, they have also amassed a collection of very rare gems, for those who are looking for something that is not only valuable, but very unusual. They carry Paraiba Tourmaline from Brazil, Pink Imperial Topaz gems, Best Colombia Emeralds, Burma Rubies, and Ceylon Sapphires. Merry jokes: "Sometimes, Richard is more like a collector than a jeweler."

Today, Merry Richards Jewelers is located on 22nd street, just opposite Costco.

To carry on the tradition they started in 1985, fortunately their son Scott has joined the company and he is a Gemologist. In addition, as Merry says “We have a great team. They all are professional, skillful and knowledgeable.”

The Move to Oak Brook

As the business grew, they noticed that a lot of their customers lived in the Oak Brook area. One day, because they were curious, they came out, drove around, and fell in love with the village and the neighborhoods of Oak Brook. They moved to Oak Brook in 1989 and opened their store on Route 83, opposite Oakbrook Center.

Over the years, they have added well known jewelry designers, and fine Swiss watches. And, knowing that taking care of customers is so important, they do more and more custom jewelry work, which now accounts for about a third of their business. In this regard, Richard offers this tip for men who want to surprise: “Give her a gem in a neutral, solitary setting so she can see the gem. Then say, ‘I want you to design the setting around the gem’”. Likewise, they also attract couples getting married who want beautiful, loose diamonds that can be customized to mark weddings in memorable ways.

Giving Back

Merry and Richard devote time to important causes. Merry has been a member of the Oak Brook Chapter, Infant Welfare Society, for years. It provides quality, community-based healthcare to children and families in the Greater Chicago area who would otherwise lack access to basic medical services. The Chapter is famous for its annual Mistletoe Medley, a fashion show/luncheon that is a major fund raiser. In addition, both Merry and Richard belong to The International Leadership Foundation, a non-profit organization that promotes awareness of the economic effectiveness of the Asian American Pacific Islander (AAPI) community and provides scholarships and leadership training for over a thousand AAPI college students nationwide.

If you have something special coming up, you might Just remember Merry and Richard. ■

“Since my father was an important figure in Taiwan, my mother always made sure that she and my 5 sisters and one brother, were taught ‘good taste’.”
OAK BROOK MAGAZINE | HinsdaleMag.com 51
— MERRY CHENG

Four More Remarkable Oak Brook Women

There are many women in Oak Brook who have a passion to lead and/ or volunteer. From time to time, we want to acknowledge their contributions to Oak Brook.

In addition to Merry Cheng, here are four more women you should know more about.

Karen Bushy

Karen and her husband Gabor moved to Oak Brook in 1973 with their kids, Jim and Nancy. A family tradition for them? Jump in and help where you can. The warm, welcoming climate at Christ Church got them involved almost immediately with the huge Young Couples Club there. In 1976, Karen was appointed to the Oak Brook Plan Commission by President George Howell. It was a chance to spend countless hours learning about Paul Butler’s vision that became The Village of Oak Brook. She was elected to the Village Board of Trustees in 1985 and continued to enjoy the friendship of Mr. Butler and the Butler family.

In 1991, Karen was elected President of the Village and subsequently won two more elections, serving until 2003.

“During those years, we were building a village!” and Karen loved every minute of it. It was an important time for Oak Brook and the village was looked upon for leadership throughout the region. The Metropolitan Mayors Conference – including Chicago and the suburbs from 5 surrounding counties was a collaboration between Karen and thenMayor Richard M. Daley of Chicago, and it was born at the Oak Brook Bath

What is she most proud of, looking back at all those years in office? “Ethical government, without question!! The people of Oak Brook should demand no less! Employees LOVED working at a place they could be proud of, and the residents shared that pride.”

Karen also served two different two-year terms as President of the Oak Brook Women’s Club, and two terms as President of the Oak Brook Community Caucus is currently serving as Chairman of the Board of Trustees at her church and was recently appointed to the Board of the DuPage County Historical Museum, and is Secretary on the Graue Mill and Museum Board of Directors.

Minnie Sandstedt

Minnie is an excellent example of how women, and the Oak Brook Women’s Club, have had a positive impact on the village of Oak Brook.

& Tennis Club! Oak Brook was also part of the U.S.Conference of Mayors by invitation of Mayor Daley, who recognized the influence Oak Brook had over the region.

While in office, Karen was twice elected as President of the DuPage Mayors and Managers Conference; served as vice-chairman of the DuPage County Stormwater Management Committee; and was an active member of the Emergency Management and Disaster Mitigation Committees for both DuPage County and the State of Illinois. In Karen’s view, intense attention to that subject - the safety of our people in a tragedy, natural or manmade – is the primary responsibility of the President of the Village. It is not to be taken lightly!

Minnie and her husband Donald, now in their 90’s, moved to Oak Brook in 1970 and built their home. Donald wanted to be closer to his office in Oak Brook, where he worked as a manufacturer’s representative for industrial products. (They could

KAREN BUSHY WITH DAUGHTER NANCY BUSHY MILLER AND SON JIM BUSHY
HinsdaleMag.com | OAK BROOK MAGAZINE 52 Oak Brook Magazine | Spotlight
MINNIE SANDSTEDT

literally see each other from the home to the office).

At the outset, Minnie was a stayat-home mom, with 2 boys. As a new resident, Minnie was also looking for ways to get to know people; she heard about the Oak Brook Women’s Club and joined. It was the first women’s group in town. They characterize themselves as an organization dedicated to its members as a source of information, a support group, social networking, and entertainment. She has been President twice.

One approach has been to find a worthy cause and focus the efforts of the group on it.

Years ago, at one neighborhood picnic, attended by some of the Oak Brook volunteer firemen, she found out that the fire department was in need of a firetruck. Minnie had found a worthy project, and so had the Oak Brook Women’s Club.

To the community, she says “Thank you for your continued interest in the Oak Brook Women’s Club and our yearending donations. We always try to make them of interest—community-wide.”

Two Village Clerks Serving Beyond The Call Of Duty: Linda

Gonnella and Charlotte Pruss

The job of Village Clerk is not the most glamorous or visible position in village government, but it is a vital position. Village Clerks must seal and attest all contracts of the Village and all licenses, permits, and “such other documents as shall require this formality.”

They must be custodians of all records which are not assigned to custody of some other officer. They are to keep a register of all licenses and permits issued including payments and keep a register of all officers and other records required by the Board of Trustees. Deeds, the original of all annexation plats, plats of subdivisions, easements, vacated properties, titles, and other such records, and all official contracts and documents to be kept by the Village Clerk in the Village archives. Keep an index of the files. Attend all meetings of the Village Board and keep a full record of its proceedings in the journal which shall be preserved by the Clerk. Be custodian of the Village Seal

and affix its impression on documents when required. In Conduct of Elections, the Village Clerk shall keep a record of the election and appointment of officers and exhibit the name of officers and when they were elected, and dates when they leave the office. Post results of any election or appointment within 5 days.

In other words, the Village Clerk is the official record-keeper of all activities involved in running the Village. Paying close attention to detail, knowing the rules, and being well organized are pre-requisites.

Linda Gonnella was the Village Clerk for Oak Brook for 18 years, from 1989 to 2007. She learned as a Girl Scout and from her mom how to take responsibility and how to be organized. She learned the importance of keeping records correctly. Over time she took on responsibility for pensions for police and fire department employees. Because she knew the importance of records, she has also served as a historian for the Oak Brook Women’s Club.

As she puts it, “I loved the job, the responsibility, the attention to detail you have to have to be successful.” During her tenure, Linda took formal classes to become a Certified Municipal Clerk and became widely respected among her peers in the Village Clerk community.

One of her biggest accomplishments was the conversion of all paper documents to electronic storage, overcoming a fear that going electronic would lead to loss of control. She helped at the state level to lead clerks in local governments throughout Illinois in making a successful changeover from paper records to electronic record-keeping. Outside of being Village Clerk, she has used her talents in community fund-raising for several non-profits over the years.

Charlotte Pruss is the current Village Clerk and has been elected 4 times since 2007. Prior to becoming Village Clerk, she held director positions in human resources at University Hospital and Hartgrove Hospital. At Rush Presbyterian St. Lukes Hospital she served as Assistant Director for Personnel & Budget, managing a budget of $5 million. At one point,

she managed quality and cost control for the food production of a hospital serving 5,000 meals per day. In short, she brought great practical experience to the position of Village Clerk, in managing people and budgets.

Over and above fulfilling her official responsibilities of Village Clerk, she says, “I have become the “go-to” person when people call the village and ask questions about village services. I usually have the answers.”

Speaking of informing the public, one of Charlotte’s most valuable contributions has been her initiative to televise Trustee Board meetings on the internet. Thanks to her efforts, Oak Brook has been one of the first municipalities to televise such meetings. In addition to being Village Clerk, she finds time to be a member of the Oak Brook Women’s Club. ■

LINDA GONNELLA
OAK BROOK MAGAZINE | HinsdaleMag.com 53
CHARLOTTE, SON FRANK PRUSS AND HUSBAND STANLEY PRUSS

The Hyatt Lodge, Oak Brook, is known for its beautiful setting. Now you are about to learn a little about Joshua Karther, Executive Chef.

In his position, in a typical day, he has to make sure the cooks in the kitchen are efficiently, and consistently, preparing delicious food and drink at breakfast, lunch, and dinner for banquets, room service, the Water’s Edge Restaurant, and the Hearth Lounge, each with its own ambiance and menu specialties. Of course, there is also the Piazza Restaurant, which features “premiere Italian cuisine”. On top of all that, there is getting catering orders out the door, plus Sunday brunches and wedding receptions. And then, there are the

Born To Cook

Hyatt Lodge, Oak Brook Executive Chef, Joshua Karther

memorable signature events like an authentic pig roast he recently prepared for a company looking for something “really unique”. It even made WGN-TV.

Joshua has learned how to do all of this in top-notch hotels from Kansas City to Hilton Head Island, to San Antonio, and now the Hyatt Lodge in Oak Brook. At every hotel in his career, he has been both an eager student and…very importantly, a teacher of cuisines as diverse as German, Mexican, Thai, Tex-Mex, Southern, Barbecue, Cajun, Mediterranean and Italian. As he says, “I have never stopped learning and teaching. I just love working with food.”

“I even enjoy the rush of mealtimes. You never know what kind of rush you are going to get. It makes time go

by so quick when you are busy. I got a taste of this early when I was just 18. I was put in charge of the grilling station at T-bone Charlie’s restaurant at the Marriott at the Kansas City airport, and there were nights when we did 150 steak dinners. It is a rewarding accomplishment for me and my team, even today, to see how the restaurant does at the end of the day.”

We asked, so how did you get started?

Joshua replies, “I got interested around 10 or so, because my brother, 6 years older, was in the kitchen and I watched him making all this great tasting food, and I thought, that looks like fun. I actually learned about authentic Mexican cuisine from my mother and one Grandma, and I learned about authentic German cuisine from my other Grandma.”

LARRY ATSEFF I PHOTOGRAPHY BY MARCELLO RODARTE
HinsdaleMag.com | OAK BROOK MAGAZINE 54 Oak Brook Magazine | Food & Drink

In listening to him, in his low-key, matter-of-fact manner, he does it all with a calm sense of confidence and a big helping of dry humor.

When asked, what memories you have from your early days in your mom’s kitchen he said, “The first thing I learned was how to catch things on fire.” Another memory. “I told my little sister and mom that because I was a chef, I didn’t have to clean up. I got away with it with them, but not at the Platte City, Missouri Vocational Culinary School, where I learned that you clean as you go, as well as all the other basics.”

He recalls, without boasting, that he was so much into cooking that, he liked going the extra mile. Unlike the other culinary students, he would bring dishes home and it just came naturally to him to add a little touch here and there to add a little extra flavor. “From time to time, my Dad would try some of the dishes, and when I went back to school the next day for critiques, I told the teachers ‘my Dad ate my homework’.” In effect, Joshua was getting a master’s degree in culinary.

For certain, all this energy,

enthusiasm, willingness to learn and experiment a little, a calm demeanor, and never taking himself too seriously, have served him extremely well. He has risen rapidly in the hotel restaurant business because he knows how to run kitchens and treat his people well, and “I let my food speak for itself.”

Robert Brand, the Hyatt Lodge’s general manager adds, “Joshua’s approach has not only served him well, most importantly; it has served this hotel and our guests and diners from around the area, extremely well. One weekend recently, we handled 7 weddings without a hitch. I couldn’t have a better executive chef in charge of all dining.”

Joshua’s enthusiasm for cooking not only inspires staff. For example, while his father never set foot in the kitchen until he retired, he is now an expert in barbecue. And Joshua’s 14-year-old son is learning how to prepare Asian cuisine. One last example. In his early days at the KC Airport Marriott, he would be working the omelet station for brunch, and week after week, a family and young boys got interested

in watching me making and flipping omelets. “I even took them into the kitchen and gave them chef hats.” Years later, one of those boys asked my sister, who was working there as a server, if I was still in food service. She said I sure was. Today, that young man is a sous chef at that Marriott.”

Find out for yourself what dining is like when led by Joshua. And, don’t be surprised if he stops by your table to say hello and to make sure you are enjoying your meal, especially if you chose one of the specialties from the variety of cuisines he and his kitchen staff have mastered

Continued on next page

GRILLED SALMON SALAD
OAK BROOK MAGAZINE | HinsdaleMag.com 55
“I got interested around 10 or so, because my brother, 6 years older, was in the kitchen and I watched him making all this great tasting food, and I thought, that looks like fun. I actually learned about authentic Mexican cuisine from my mother and one Grandma, and I learned about authentic German cuisine from my other Grandma.”
— JOSHUA KARTHER, Executive Chef, The
Hyatt
Lodge, Oak Brook
TART TRIO HOT SMOKED SALMON, CUCUMBER ONION RELISH BARRAMUNDI, TAMARIND SAUCE, ENGLISH PEAS
HinsdaleMag.com | OAK BROOK MAGAZINE 56 Oak Brook Magazine | Food & Drink
SMOKED PORK BELLY, GRILLED APRICOT, CREAMY POLENTA, BASIL OIL
630-325-0088 102 Chicago Ave, Hinsdale Serving Our Neighbors Since 1946. Full-Service Carwash • Automotive Detailing Automotive Repair & Maintenance • Full-Service Lube Center Ice & Snow Services

In changing times, is there a process behind your investment plan?

process behind your investment plan?

In changing times, is there a

A fast-evolving environment may mean unexpected changes to your financial life. Our Envision® planning process is a goals-based planning tool that helps you explore your life goals, plan your investments around meaningful benchmarks and track your progress towards them. Put our team – and our technology – to work for you.

In changing times, is there a process behind your investment plan?

If it’s time to resync – or rethink – your approach, we’re available for a complimentary review using appropriate social distancing for your safety.

A fast-evolving environment may mean unexpected changes to your financial life. Our Envision® planning process is a goals-based planning tool that helps you explore your life goals, plan your investments around meaningful benchmarks and track your progress towards them. Put our team – and our technology – to work for you.

A fast-evolving environment may mean unexpected changes to your financial life. Our Envision® planning process is a goals-based planning tool that helps you explore your life goals, plan your investments around meaningful benchmarks and track your progress towards them. Put our team – and our technology – to work for you.

If it’s time to resync – or rethink – your approach, we’re available for a complimentary review using appropriate social distancing for your safety.

If it’s time to resync – or rethink – your approach, we’re available for a complimentary review using appropriate social distancing for your safety.

The Barrett Group of Wells Fargo Advisors

Dick Barrett

Managing Director – Investments

Dick Barrett Managing Director – Investments 111 South Lincoln Street, Suite 200 Hinsdale, IL 60521 (630) 734-8910

Jessie Barrett, CFP® Managing Director – Investments 111 South Lincoln Street, Suite 200 Hinsdale, IL 60521 (630) 734-8909

Jessie Barrett, CFP®

richard.barrett@wellsfargoadvisors.com www.barrettgroup.wfadv.com

111 South Lincoln Street, Suite 200 Hinsdale, IL 60521 (630) 734-8910

Dick Barrett Managing Director – Investments

richard.barrett@wellsfargoadvisors.com www.barrettgroup.wfadv.com

111 South Lincoln Street, Suite 200 Hinsdale, IL 60521 (630) 734-8910

richard.barrett@wellsfargoadvisors.com www.barrettgroup.wfadv.com

Jessie Barrett, CFP® Managing Director – Investments 111 South Lincoln Street, Suite 200 Hinsdale, IL 60521 (630) 734-8909

jessie.barrett@wellsfargoadvisors.com www.barrettgroup.wfadv.com

Managing Director – Investments 111 South Lincoln Street, Suite 200 Hinsdale, IL 60521 (630) 734-8909

jessie.barrett@wellsfargoadvisors.com www.barrettgroup.wfadv.com

jessie.barrett@wellsfargoadvisors.com www.barrettgroup.wfadv.com

&

In estment and Insurance Produc ts:
FDIC Insured / NO Bank Guarantee / MAY Lose Value Wells Fargo Advisors is a trade name used by Wells Fargo Clearing Services LLC, Member SIPC, a registered broker-dealer and non-bank affiliate of Wells Fargo & Company. ©2021 Wells Fargo Clearing Services, LLC. All rights reserved.
The Barrett Group of Wells Fargo
Advisors
NOT
CAR-0121-00262
Barrett
Investment and Insurance Produc ts: NOT FDIC Insured / NO Bank Guarantee / MAY Lose Value Wells Fargo Advisors is a trade name used by Wells Fargo Clearing Services LLC, Member SIPC, a registered broker-dealer and non-bank affiliate of Wells Fargo
Company. ©2021 Wells Fargo Clearing Services, LLC. All rights reserved. CAR-0121-00262
The
Group of Wells Fargo
Advisors
Investment and Insurance Produc ts: NOT FDIC Insured / NO Bank Guarantee / MAY Lose Value Wells Fargo Advisors is a trade name used by Wells Fargo Clearing Services LLC, Member SIPC, a registered broker-dealer and non-bank affiliate of Wells Fargo & Company. ©2021 Wells Fargo Clearing Services, LLC. All rights reserved. CAR-0121-00262
Visit hinsdalebank.com/meetus to learn more about our services or to schedule an appointment. HINSDALE’S COMMUNITY BANK 25 E. First St. | Hinsdale, IL 60521 630-323-4404 | www.hinsdalebank.com At Hinsdale Bank & Trust, we understand that while not everyone is in the same boat, we’re all weathering the same storm. As a community, we’re in uncharted waters, but our philosophy as your true local bank hasn’t changed. Our lobbies are now open, and you can still take advantage of our drive-up service, utilize our digital tools and online financial resources, and make an appointment to safely meet with a local banker. We’re committed to doing what we’ve always done: work hard to be there for our customers and support our community. WE’RE HERE FOR YOU Hinsdale MAGAZINE BEST of READER FAVORITE 2021 A DECADE OF PUBLISHING —ESTABLISHED 2011—

GREG HART: Moving DuPage Forward

Emsculpt Neo: CELEBRITIES’

CHOICE!

EMSCULPT NEO, by simultaneously emitting both radio frequency and high intensity electromagnetic energies, results in more fat reduction and muscle growth, than any single gold standard product, for less time and less money.

We are open 8am-4pm weekdays and Saturdays.

Open House for Emsculpt Neo demonstration 11am-4pm on Friday. By appointments

Forever25 Medical Center, 2867 Ogden Ave, Lisle, IL 60532 • (630) 420-8080

Website: Forever25.com • Instagram: forever25_medical

We offer PDO thread face lift, Lip fillers, Y Lift, JUVEDERM, Restylane, and Versa

Forever 25 Medical Center approaches self-care from seemingly every direction. Leading the charge is DR. NESREEN SUWAN, an anti-aging specialist who has years of extensive training and experience in cosmetic Botox, Dysport, and Juvederm. Her expertise includes Laser treatments, Fractora, Weight loss, Body Contouring - Emsculpt Neo, Coolsculpting, Kybella , PDO Thread Face Lift, Hydrafacial, PRP Face Rejuvenation, PRP Hair Restoration, Restylane and Sculptra.

Hinsdale MAGAZINE GROUP A DECADE OF PUBLISHING WWW.HINSDALEMAG.COM ® HINSDALE’S FIRST MAGAZINE March/April 2022 $5 US SERVING HINSDALE, BURR RIDGE & CLARENDON HILLS EVA FIELD Why The Hinsdale Chamber Runs So Smoothly + GOING FOR THE STATE GOLD Hinsdale Central Girls LaCrosse DUPAGE COUNTY BOARD Candidates, Galassi & Hart BAR2TABLE A Cocktail in a Can DICK PORTILLO An American Success Story + GOPAL LALMALANI Oak Brook President DR. JOSE OBERHOLZER Leading Diabetes Researcher RICH MELMAN Lettuce Entertain You Founder & CEO MORE Reach, MORE Substance Contact Scott Jonlich at sjonlich@hinsdalemag.com
FULLER’S LAWN AND GARDEN SERVICE 630-323-7750 Seasonal Cleanup • Mowing • Weed Control Hedge Trimming • Flower Planting • Power Washing• Fencing Your Home Is Where Our Heart Is F

We’re dedicated to providing personalized, professional and compassionate services to help lighten your burden and support you through the difficult times that follow the loss of a loved one. You can rely on us to provide your family with the highest quality care and service in your time of need.

C ompassionateC are SERVING THE COMMUNITY SINCE 1984. 60 S GRANT STREET | HINSDALE | 630.323.0275 SULLIVANFUNERALHOMEHINSDALE.COM
Terrence M. Sullivan and Brian D. Sullivan
CHICAGO I ADDISON I HIGHLAND PARK I HINSDALE

Turn static files into dynamic content formats.

Create a flipbook
Issuu converts static files into: digital portfolios, online yearbooks, online catalogs, digital photo albums and more. Sign up and create your flipbook.