Hinsdale Magazine December 2022

Page 1

HINSDALE’S FIRST MAGAZINE NOVEMBER/DECEMBER 2022 $5 US SERVING HINSDALE, BURR RIDGE & CLARENDON HILLS RIO LEWIS Hinsdale resident is the New Face of American Girl Doll + HINSDALE TENNIS STATE CHAMPS BEST OF READERS’ FAVORITES FR. BURKE MASTERS OF ST. ISAAC JOGUES
Live it here drurydesigns.com Live Life Artfully CLIENT FOCUSED DESIGN™ SINCE 1987. GLEN ELLYN, ILLINOIS 630.469.4980 Kitchen & Bath Studio
DIAMONDS FOR EVERY OCCASION Happy Holidays 17W300 22nd Street, Oakbrook Terrace, IL 630.516.8000 MerryRichardsJewelers.com
Your
Now is
Time to Shine.
HinsdaleMag.com | HINSDALE MAGAZINE 6 Senior Vice President of Mortgage Lending C: (312) 543-9692 dan@rate.com 14 W Hinsdale Ave., Unit A1 Hinsdale, IL 60521

Orthopaedic care, Dr. Ronak Patel is who you can trust.

Dr. Patel is a leading Orthopaedic surgeon specializing in knee and shoulder preservation by using the most appropriate, least invasive techniques. From consultation to recovery, he is trusted for his care and concern for patients. His patients come to him for second and third opinions, and fellow surgeons turn to Dr. Patel for complex, specialized cases. Go to drronakpatel.com or call 630-929-2249 550 W. Ogden Avenue, Hinsdale IL 60521

HINSDALE MAGAZINE | HinsdaleMag.com 7
Dr. Ronak M. Patel, Board Certified Orthopaedic Surgeon
When you need
REQUEST APPOINTMENT

Twelfth on the Shelf: Hinsdale Magazine Celebrates 12 Years of Publishing

As we close out our twelfth holiday issue, we feature Hins dale Middle Schooler Rio Lewis, who is American Girl’s newest model for its newest doll.

American Girl is literally an iconic doll franchise, started in 1986. It is a line of 18-inch dolls of eight-to-fourteen-year-old boys and girls from a variety of ethnicities and social classes from different time periods throughout history. It is accompa nied by books with stories told from the viewpoint of the dolls.

With that bit of background, you will be able to better appre ciateHinsdale’s own Rio Lewis for her achievement to become the model for Claudie Mills, a young lady with many talents, trying to figure out what she wants to do best.

Rio not only fits the description in appear ance but, in her own right, she too is a young lady with many talents. Rio shared her story with Hinsdale Magazine Contributing Editor Maureen Callahan.

Maureen also interviewed Fr. Burke Mas ters, the new pastor at St. Isaac Jogues, for his story and how a historic performance in the College World Series ultimately led to the priesthood.

Also, we interviewed Hinsdale-born Marty Lloyd on how his Freddy Jones Band has developed quite a following over 30 years for what is best described as a “folksy/blues-influenced” sound. You will also find out who Freddy Jones is and where they will be playing next.

Make sure you check out our Things To Do pages for this holiday season. We remind you that the Morton Arboretum has its annual lights spectacular, as does the Oak Brook Park District. Elf, the musical, is playing at Drury Lane Theater, as is the Nutcracker at the Lyric Opera House. Toys for Tots is being collected at the Oak Brook Park District. You can also mail your wish list to Santa at the Hinsdale Village Hall.

Last, but not least, you can enjoy a live holiday music performance of the West Suburban Orchestra at Hinsdale Central on December 11.

You will be pleased to know that the nearby Drake Oak Brook Hotel has just been ranked as #2 in the Midwest, #11 in the US and #47 in the world by Conde Nast 2022 Traveler “Readers’ Choice” awards. Led by Jim Nagle and wife, Tely, reporter Chuck Fieldman tells how the couple and their loyal staff kept busy upgrading the hotel during the downtime of the pandemic, and how it has paid off with this significant recognition.

Speaking of rankings, we have to congratulate the Hinsdale Central Girls Tennis Team. Read the story about how they just won back-to-back state titles. Shawn Zsinca was quick to point out that makes 20 state titles, putting them at the top of rankings for Girls Tennis in the state.

Alas, not everything in the area of non-profits is going as well. The Hinsdale Humane Society, marking 70 years of great service to pets and their masters in 12 nearby communities, is under severe financial stress. Causes: spay/neuter surgeries dropped dramatically during the pandemic, and the shelter is overwhelmed with pets. Inflation has raised costs and reduced donations and the shelter has sounded an S. O. S. (Save Our Shelter). Recently, Burdi Clothing, Sweet William Women’s Clothing, Vistro Prime Restaurant, and Continental Auto Sports banded together and put on a fashion show at Burdi’s location in Hinsdale. Over $12,000 was raised for the Hinsdale Humane Society. It is hoped that other groups and individuals in other communities will take note.

The voting is in and you, our readers, have chosen the BEST OF for the seventh year in a row. Feedback from businesses in downtown Hinsdale is that you like the new parking arrange ments as you have voted for your favorite businesses.

Lastly, if you want to get away for some nearby skiing, we offer a review of local ski offerings in Illinois and Wisconsin.

Enjoy this edition of Hinsdale Magazine. And, Happy Holi days!

HinsdaleMag.com | HINSDALE MAGAZINE 8
LETTER from THE PUBLISHER
Scott
+ HINSDALE TENNIS STATE CHAMPS BEST OF READERS’ FAVORITES FR. BURKE MASTERS OF
ISAAC JOGUES
RIO LEWIS Hinsdale resident Is the New Face of American Girl Doll
ST.
HINSDALE MAGAZINE | HinsdaleMag.com 9 ELMHURST MAGAZINE PREMIERING MARCH 2023 Advertising Inquiries: graphics@hinsdalemag.com 11 N. GRANT ST. HINSDALE IL 60521 ■ 107 W. FIRST ST. ELMHURST, IL 60126 630-655-3400 ■ GRAPHICS@HINSDALEMAG.COM Elmhurst Magazine is a Hinsdale Magazine Group publication. Scott Jonlich, Publisher | sjonlich@hinsdalemag.com Hinsdale Magazine Elmhurst Magazine Downers Grove Magazine Oak Brook Magazine GUITARIST MURIEL ANDERSON CURTAINS UP: LOCAL THEATER REALTOR PROFILES IN THE SPOTLIGHTwith Tony and Grammy Award Winner Lauren Patten $5 US VOLUME 4 ISSUE 1 MARCH 2022 HINSDALE’S FIRST MAGAZINE March/April 2022 $5 US SERVING HINSDALE, BURR RIDGE & CLARENDON HILLS EVA FIELD Why The Hinsdale Chamber Runs So Smoothly + GOING FOR THE STATE GOLD Hinsdale Central Girls LaCrosse DUPAGE COUNTY BOARD Candidates, Galassi & Hart BAR2TABLE A Cocktail in a Can OAK BROOK'S FIRST MAGAZINE Premier Issue 2022 $5 US DICK PORTILLO An American Success Story + RESTAURANT WEEK Oak Brook Dining OAK BROOK Women’s Club GOPAL LALMALANI Oak Brook President ARTS & ENTERTAINMENT West Suburban Symphony TRUSTEE MIKE MANZO Takes On Red Light Cameras GREG SUMMERS Village Manager
HinsdaleMag.com | HINSDALE MAGAZINE 10 Contents December 2022 FOR THE LATEST NEWS, HAPPENINGS AND PHOTOS, VISIT @THEHINSDALEMAGAZINE
THE COVER: Rio Lewis
726 Visuals 22 63 27 14 TO-DOS Holiday Events 17 GIVING BACK Wellness House reinstates its annual in-person fundraiser 22 SPORTS Hinsdale Tennis State Champions 27 HOME GROWN St Isaac Jogues’ new pastor found the priesthood via baseball 32 COVER STORY Rio Lewis is the inspiration for American Girl Doll Claudie Wells 37 SPECIAL FEATURE Best of 2022 Best of Reader Favorite 43 PROFILE The Drake Hotel wins impressive award 47 ARTS & ENTERTAINMENT The Freddy Jones Band 51 SPOTLIGHT Hinsdale Humane Society Sounds an S.O.S. 57 GIFT GUIDE Shop local this season 60 COMMUNITY SCENE Hinsdale Rotary Run Charity Classic 63 TRAVEL The skinny on skiing local
ON
Photo by

Make it magical with 10,000+ ornaments.

Find something special with unique & hand-picked gifts.

Set the scene with outdoor net, icicle & flicker lights.

Deck the halls with trendy décor & more.

Spruce things up with live & life-like trees, wreaths & garlands.

Make it yours with custom porch pots.

GROWING FAMILY TRADITIONS FOR OVER 50 YEARS.

HINSDALE MAGAZINE
CELEBRATE IN STYLE ?
WANNE
Explore Wannemaker’s winter wonderland in Downers Grove today! FRESH, FUN AND OH-SO-FESTIVE, CHICAGOLAND’S HOLIDAY HEADQUARTERS HAS EVERYTHING YOU NEED FOR A FABULOUS HOLIDAY SEASON!
HinsdaleMag.com | HINSDALE MAGAZINE 12 Hinsdale Magazine Group 700 Commerce Drive, Suite 5005, Oak Brook, IL 60523 630-655-3400 www.HinsdaleMag.com FOUNDER & PUBLISHER Scott Jonlich sjonlich@HinsdaleMag.com ASSOCIATE PUBLISHER Anne Healy anne@hinsdalemag.com MANAGING EDITOR Larry Atseff larry@hinsdalemag.com CONTRIBUTING EDITORS Adam Andrzejewski Maureen Callahan Valerie Hardy Julie Jonlich GRAPHIC DESIGNER Jennifer Frencl CREATIVE DEPARTMENT Julia Sinogeikina Dennis Stromberg CONTRIBUTING WRITERS Chuck Fieldman Abbey Hayes FEATURE PHOTOGRAPHERS Marcello Rodarte 726 Visuals ADVERTISING SALES Gino Cosentino Anne Healy Renee Lawrence Cynthia Maquet No person, organization or publication can copy or re-produce the content in this magazine or any part of this publication without a written consent from the publisher. The publisher, authors, contributors and designers reserve their rights with regards to copyright of their work. Hinsdale Magazine, Inc. assumes no liability or responsibility for any inaccurate, delayed or incomplete information. The information contained about each individual, event or organization has been provided by such individual, event organizers or organization. The opinion expressed in each article is the opinion of its author and does not necessarily reflect the opinion of Hinsdale Magazine, Inc. Comments are welcome, but they should be on-topic and well-expressed. Copyright ©2022 Hinsdale Magazine, Inc. All rights reserved. ORDER ONLINE chefbeauskleankitchen.com 708.354.4844 26 CALENDAR AVE. LAGRANGE, IL 60525 #1 PERSONAL & PRIVATE CHEF SERVICE FOR IN-HOME MEALS FOR PICK-UP OR DELIVERY 2X A WEEK IN HINSDALE Gluten Free Dairy Free Non-GMO Auto-Immunue ALLERGEN FRIENDLY & ½ OUR FOOD IS PLANT-BASED! ALL OF OUR FOOD IS 100 %
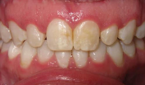
HINSDALE MAGAZINE | HinsdaleMag.com 13 ACTUAL PATIENT. DENTISTRY BY DR. PETER HARNOIS, HINSDALE IL PRE-OP PRE-OP IMMEDIATE POST-OP Wishing you Happy & Bright Smiles this Holiday Season! THIN. DURABLE. AFFORDABLE. > Natural Looking Results in Only 2 Visits > No Removal of Sensitive Tooth Structure > Interest-Free Financing Available Bioloase Epic LASER TEETH WHITENING Painless. Quick. Effective. 60 minute treatment without sensitivity. SPECIAL PRICE $450 REGULAR PRICE $750 Offer valid through 12/31/2022. 2-WEEKS POST-OP 911 N. ELM, SUITE 230 | HINSDALE, IL | 630-323-4468 WWW.HINSDALEDENTISTRY.COM Peter T. Harnois, DDS Michael J. Kowalczyk, DDS DR. HARNOIS IS INTERNATIONALLY KNOWN AS A SUPERIOR AESTHETIC DENTIST. HE LECTURES WORLDWIDE ON EMERGING NON-INVASIVE TECHNOLOGIES.

HOLIDAY TO-DOS

Are you looking for feel-good holiday experiences to enjoy with family and friends? Well, look no further because there’s something on this list for everyone. We’ve curated a holiday to-do list that’s filled with family-friendly fun. Mark your calendar and gather your loved ones, you won’t want to miss this!

“Elf The Musical” Drury Lane drurylanetheatre.com 11/9/22-1/8/23

When Buddy discovers that he’s a human raised as an elf, he travels from the North Pole to New York City to find his birth father. “Elf The Musical” is based upon the New Line Cinema film written by David Berenbaum. Showtimes vary by date.

Joffrey Ballet’s “The Nutcracker” Lyric Opera House Joffrey.org 12/3/22-12/27/22

The Joffrey Ballet’s performance of “The Nutcracker” is an annual holiday tradition. This critically acclaimed performance takes place from December 3rd-27th at the historic Lyric Opera in Chicago. Showtimes vary by date.

Illumination: Tree Lights at The Morton Arboretum mortonarb.org

11/19/22-1/7/23

Enjoy 50 acres of the Arboretum’s trees during its tenth annual Illumination: Tree Lights at The Morton Arboretum. The Arboretum is celebrating its 100th anniversary year and this year’s show will include a display at the new Grand Garden. Illumination is viewable on a one-mile paved walking path.

HinsdaleMag.com | HINSDALE MAGAZINE 14
TO-DOS
Courtesy of The MortonArboretum

Toys for Tots

Oak Brook Park District

Obparks.org

Collection Ends 12/9/22

Every child deserves a holiday filled with joy. This holiday season, donate to Toys for Tots at the Oak Brook Park District. The toy collection takes place at the Family Recreation Center and Tennis Center. Toys should be in their original packaging.

Hinsdale Chamber Christmas Walk Downtown Hinsdale Hinsdalechamber.com

12/2/22 5-7:30 p.m. Mark your calendar for the 56th annual Hinsdale Christmas Walk. Enjoy a tree lighting ceremony, meet Santa, ride on the carousel, and more! Bring the whole family to enjoy the holiday fun!

Village of Rosemont

Rosemont.com

Holiday Events & Activities

Rosemont is the ultimate destination to capture the magic of the season! From saving up to 75% while shopping for gifts at Fashion Out lets, to enjoying ice skating and spectacular light displays, Rosemont offers festive and memorable activities for the whole family. Visit Rosemont.com to learn more!

Santa’s Mailbox Village Hall in Hinsdale

Villageofhinsdale.org

11/28/22-12/16/22

Write a letter to Santa and drop it off in Santa’s Mailbox! The mailbox is located right outside Village Hall in Hinsdale. To receive a letter back from Santa, be sure to fill out a parent form. Forms are found online or at Village Hall.

Merry: Good Cheer for All Hinsdale Central westsubsymphony.org 12/11/22

Get into the holiday spirit with a performance by the West Suburban Sym phony. This is an annual performance that the whole family can enjoy. Kids under 12 years old receive free admission. Buy tickets online before attending.

Winter Lights at Central Park Central Park Obparks.org

11/24/22-1/8/23

Stop by Central Park for half a mile of beautiful holiday lights. Dogs are welcome if they’re on a leash. The paved pathway makes this light show accessible for all. This event is free to the community, so you won’t want to miss it! Winter Lights takes place from 4:30-9:30 p.m.

HINSDALE MAGAZINE | HinsdaleMag.com 15
TO-DOS
Courtesy of the OakBrookParkDistrict Courtesy of the Village ofRosemont
HinsdaleMag.com | HINSDALE MAGAZINE 16 Innovative Treatments for Hip and Knee Arthritis Committed to Excellence in Orthopaedic Surgical Care Dr. Justin LaReau, MD • Board Certified • Dual-Fellowship-Trained • Orthopaedic Surgeon specializing in: • Outpatient Joint Replacement • Minimally Invasive Hip and Knee Surgery • Robotic-Assisted Surgery • Anterior Approach Hip Replacement • Joint Preservation Surgery For a consultation with Dr. LaReau to discuss your joint issues, visit www.justinlareaumd.com or call 630•323•6116 550 W. Ogden Avenue, Hinsdale IL 60521

in-person fundraiser Going All Out to be All In

Wellness House reinstates

More than three decades ago, a group of concerned Hinsdaleans affected by cancer had a collective vision of a place of healing. The result was the Wellness House (WH). Having experienced the effects of cancer in family and friends, they strove to create a warm and welcoming place of healing- at no cost to the patients and families it serves. Now, 32 years in the making, WH benefits community members every day through programs that educate, support, and empower cancer patients and their families.

The organization has grown consid-

erably, now partnering with other Chicagoland healthcare organizations to benefit patients outside of the immediate area. “We hope to help as many people as possible, even if they

can’t physically get to us,” said WH Executive Director, Lisa Kolavennu. In addition to in-person programs, a variety of online programs are now available for patients and caregivers.

Significant fundraising is necessary, as all WH programs are complimentary. The organization’s main revenue-generating event, The Well ness House Ball, took place Saturday, Oct. 15, at the Four Seasons, Chicago. The theme of this year’s annual black-tie event was “All In.” It was the first in-person fundraiser in two years.

HINSDALE MAGAZINE | HinsdaleMag.com 17
“Wellness House hopes to foster a
Jeffrey Weller, Tina Weller, Matt Houder, Cortney Hall, Lauren Houder, Dottie Martin, Todd Martin Time Chicago (Band)
GIVING BACK
its annual

familial atmosphere to the patients and caregivers it serves,” Kolavennu remarked. Dinner, served at long, community-style tables, reinforced the feeling of togetherness it strives to provide. WH members were invited to share stories of their journeys through a life-altering condition at a frightening and vulnerable point in life. Supporters were offered a firsthand experience with the beneficiaries of their donations.

The guests danced until midnight, breaking to visit the expansive dessert and candy bar. A live auction with paddle raises rounded out the evening, ensuring the perpetuation of next year’s programs. Funds raised will go toward 500 online and in-person monthly offerings, touching on a variety of topics from information and education to exercise, nutrition, and stress management. Child and family support groups and counseling are also available. All WH programs are evidence-based and intended to help cancer patients reduce side-ef fects, learn coping and relaxation techniques, exercise safely, and most importantly, feel less isolated.

WH ball chairperson, Lauren Houder, summed up the evening as she offered the dinner blessing. “When my family gathers,” she began, “we always say ‘thank you for bringing us together and we certainly miss those who are not here.’” WH makes every effort to meet the needs of area cancer patients and their fam ilies- both physically and emotionally- to be sure they are here for as long as possible. ■

HinsdaleMag.com | HINSDALE MAGAZINE 18
Lori Naccarato, Dottie Martin Rob D’Arco, Janice D’Arco, Jenna Julian William Walker (former Executive Director), Luciana Butera, Ghadeer Yacoub, Lisa Kolavennu, Sonja Grujic
“Until you need us, you might not know we’re here. We’re here and happy to help.”
GIVING BACK
-WELLNESS HOUSE EXECUTIVE DIRECTOR LISA KOLAVENNU
HINSDALE MAGAZINE | HinsdaleMag.com 19
SWEET WILLIAM 15 E 1 st Street, Hinsdale sweetwilliamhinsdale.com 630-920-8444 Bring Your Style to Life Hinsdale MAGAZINE BESTof READER FAVORITE 2022 A DECADE OF PUBLISHING WWW.HINSDALEMAG.COM
HINSDALE MAGAZINE | HinsdaleMag.com 21 WELLER DENTAL COSMETIC | GENERAL | IMPLANT | RESTORATIVE CHICAGO | 1050 N. STATE STREET | (312) 654-0606 HINSDALE | 920 N. YORK ROAD | (630) 654-2900 WWW.WELLERDENTAL.COM Weller Dental Welcomes You To Your New Dental Home Providing Teen to Adult Comprehensive Dental Solutions Where You Are Treated Like Family! CALL TODAY! Dr. Jeffrey Weller BOTH DENTISTS ARE LICENSED AS A GENERAL DENTIST IN STATE OF ILLINOIS Dr. Ayesha Sultan Proud To Sponsor Wellness House, Service Club of Chicago and HJWC Weller Dental Group Welcomes You!

BACK-TO-BACK

The Hinsdale Central High School girls tennis team won the IHSA State Finals. The Red Devils had a lot to prove as returning champs hoping to secure the win for the second year in a row.

Shawna Zsinko has been the head coach at Hinsdale Central since 2017. Winning the state championship back-to-back is an impressive feat, and this is Zsinko’s third victory as head coach. She also led the Red Devils to win the IHSA State Finals in 2018 and 2021. Unfortunately, there was no state championship in 2020 due to the pandemic.

The history of the Red Devils is quite impressive. The Hinsdale Central girls tennis team has won 20 IHSA State Finals since its inception. This makes Hinsdale Central one of the most decorated schools in its bracket.

Hinsdale Central has a legacy to uphold, and Zsinko touched on that legacy when speaking about the Red Devils’ recent win. When asked what motivates the team to do well Zsinko said, “Legacy.” Being on a winning team is exciting, but there’s also a pressure to follow in the footsteps of teams before them. Zsinko mentioned that the “history of doing well” motivates the team to show up

and give it their all.

Although legacy is a huge motivator, it’s not the only thing pushing these athletes to greatness. Zsinko said that internally the athletes must be moti vated. She explained that tennis is primarily an individual sport. For many tennis athletes, high school ten nis is their first experience on a team. Many have trained individually for years, but the excitement of being on the squad is also a huge motivator. The camaraderie helps pump up the team before competing.

Every coach has a coaching style that contributes to their team’s success. When asked to explain her

HinsdaleMag.com | HINSDALE MAGAZINE 22
SPORTS
The Hinsdale Central girls tennis team has won 20 IHSA State Finals since its inception.

CHAMPIONS

coaching style Zsinko said that she’s positive. She also mentioned that not taking excuses is an important aspect of her coaching style. Lastly, Zsinko added that it’s important to “pump up the team” and encourages them to keep their eye on the prize. If one thing is true about Hinsdale Central, they keep their eye on the prize.

Each season comes with a unique set of challenges. When asked about what issues the Red Devils faced this year, Zsinko had a few answers. One of the recurring challenges each season is choosing the right lineup. Zsinko explained that it can be challenging to choose which athletes play singles and doubles at the state finals. When it’s all said and done, there are two singles and two doubles teams selected.

Another challenge is all the talent present at the state finals. The hope is that the other teams will not have their two doubles and two singles teams qualify. Having two singles and two doubles qualify is ideal, but it increases the competition when other schools also have four qualifying teams. Lastly, Zsinko said a big challenge is keeping the athletes healthy. From illnesses to injuries, keeping ath letes healthy is a priority.

A few things happen leading up to the IHSA State Finals. The Wednesday before state, the athletes competing at state have one last practice. Then they ring the bell at Hinsdale Central. This is a tradition that started years ago. Every team at Hins dale Central rings the bell before something big. For the girls tennis team, they ring the bell before the state finals.

After ringing the bell, Zsinko and the six athletes competing at state go

2022-2023

VARSITY ROSTER:

Dalia Bajwa, Mia Batenic, Katie Brophy, Rachele Cameli, Abigail Gambla, Nicole Hu, Moira Hughes, Gia Kapur, Sophia Kim, Laima Marchertas, Kendall McCain, Sherine Nehme, Bridget Novatney, Lauren Panveno, Asha Sarai, Prachi Shah, Sydney Shuster, Elizabeth

Singer, Anjali Srinivasan, Shannon Stover, Shrija Sunkara, and Ava

Virmani.

to Giordano’s in Willowbrook. They sit at this one table and enjoy each other’s com pany. This is a superstition the team upholds. Zsinko mentioned that one year they went to a different restaurant and didn’t have a great finish. Since then, they haven’t changed where they go. In fact, Zsinko said that she remembers going to that exact Giordano’s 20 years ago when she played tennis at Hinsdale Central. To end the night, the athletes get their nails done together. And then they’re off to the IHSA State Finals.

The Hinsdale Central girls tennis team is an impressive group of young athletes. There are 22 athletes on the varsity tennis team. Six of those ath letes get to compete at the IHSA State Finals. Zsinko explained, “I have so many great players, I end up choosing close to state based on rankings, records, and seeding.” Once the six athletes are chosen, they must each qualify at sectionals. The six athletes that competed at the state finals this year include Prachi Shah, Sophia Kim, Bridget Novatney, Nicole Hu, Shannon Stover, and Abigail Gambla.

The Red Devils had quite the fan section at the IHSA State Finals. Zsinko mentioned that supporters were there the whole time. Hinsdale Central had half the day off on Thursday and the whole day off on Friday, so there was no shortage of devotees during the three-day state final.

On Thursday, with a score of 20 to 18, Hinsdale Central was down two points behind New Trier. Hinsdale Central took the lead on Friday with 29 points total.

On Saturday, Hinsdale Central won the IHSA State Finals with a score of 32 points. There were also some impressive individual finishes by the athletes that competed at the IHSA State Finals. Sophia Kim took third place in singles, Bridget Novatney and Nicole Hu took third place in dou bles, Shannon Stover and Abigail Gambla took fifth place in doubles, and Prachi Shah finished top 20 in singles.

Congratulations to the Red Devils on yet another winning season. ■

HINSDALE MAGAZINE | HinsdaleMag.com 23
SPORTS
HinsdaleMag.com | HINSDALE MAGAZINE 24 FULLER’S LAWN AND GARDEN SERVICE 630-323-7750 • Plumbing • Electrical • Seasonal Remodeling • Gutter Cleaning • Basement Renovations • Screen Repairs • Lamp Repairs • Small Engine Repairs for Lawn Mowers and Snow Blowers • Clean Your Grill, Windows and Garages Oh Christmas Tree , Oh Christmas Tree You pick out the tree and the Fuller team will deliver and install it.

Rosemont is the ultimate destination to capture the magic of the season!

From saving up to 75% while shopping for gifts at Fashion Outlets, to enjoying ice skating and spectacular light displays, Rosemont offers festive and memorable activities for the whole family.

ROSEMONT.COM

Presented by CSC Dermatology Questions from the community answered by doctors

Q: What is a dermal filler?

A: Dermal fillers restore facial volume to smooth skin lines and wrinkles as well as enhance areas like the lips, chin, or jawline. This is done with gel-like materials that dermatologists inject under the skin at different depths. Fillers are seemingly unlimited when it comes to applications. They can be used to lift cheekbones, improve hollowness of the facial skin in areas like the temples and under the eyes.

Moreover, fillers can be used to treat areas like the neck and chest to restore skin health and diminish the appearance of finely wrinkled and thin skin. Lastly, fillers can also be used to rejuvenate the hands.

Q: What is in a dermal filler?

A: Fillers are made with FDA approved substances injected beneath the skin. These include Hyaluronic Acid, Calcium Hydroxylapatite, and Poly-L-Lactic Acid. Poly-L-Lactic Acid also known as Sculptra is Dr. Steil’s favorite dermal filler. It is biocompatible, which makes it completely safe to use. It is a totally biodegradable synthetic substance,which means it dissolves. Lastly, it works by stimulating skin to rebuild the natural collagen resulting into smoother skin and greater volume.

Almost 20 years ago, Dr. Steil learned from the best, Danny Vleggar, MD. He was a trained Poly-L-Lactic Acid Specialist who taught her how to apply the filler like an expert. For aging facial skin, Poly-L-Lactic Acid can add volume, structure, balance and lift. For younger patients, it can be used to improve facial symmetry.

Q: Are fillers going to make my face look fake?

A: “I have been injecting in Hinsdale for 20 years, and everyone says the same

thing— I don’t want people to know and I want to look natural. At CSC, we will make your treatment look natural,” says Dr. Steil.

The physicians at CSC Dermatology, Dr. Steil and Dr. Bognet, have a combined 30 years of experience treating patients with fillers. They both agree that the best results are when you don’t look like you’ve had a filler. To make this possible, CSC offers only the most professional opinions and treatment styles in all of their procedures. The bottom line— experience matters. “Sometimes a filler is not the solution,” says Bognet and “we tell the patient no. An overfilled face is not on our style.”

Q

: What does it feel like?

A: Getting a filler is a very comfortable experience. The filler material is mixed with numbing medication which makes it virtually painless. In addition, applying ice prior to a more sensitive area like the lips helps to aid in numbing.

Q

: How much do fillers cost?

A: Filler treatments can range from $500-$2000 per session depending on the

exact product and the number of syringes used. “We often layer products to achieve the best result so more than one type of product may be used during a treatment session,” says Dr. Steil.

Q

: How long will fillers last?

A: On average, fillers can last from six months to two plus years. After being injected, your body gradually and naturally absorbs filler particles. Factors that affect longevity include the product used, how much was injected, and where it was injected. Depending on your age and your goals, treatments are often repeated yearly.

Appointments are beginning to fill fast.

Call 630 455 0045 now to book a session at either one of our prominent locations in Hinsdale or Downers Grove.

HinsdaleMag.com | HINSDALE MAGAZINE 26
DERM CONSULT
Location: 125 W. 2nd St, Hinsdale 5157 Main, Suite 205, Downers Grove Phone: 630.455.0045 Web: cscdermatology.com
Dr. Rachel Bognet
Hinsdale MAGAZINE BESTof READER FAVORITE 2022 A DECADE OF PUBLISHING WWW.HINSDALEMAG.COM
Dr. Christina Steil

GRAND SLAM

St

Isaac Jogues’

new

found the priesthood via baseball

pastor

When Fr Burke Masters hit a grand slam in a runup game to the Col lege World Series of baseball, he hoped his next stop was the MLB. The starting third baseman was 6 for 6. That grand slam was voted the ‘top sports moment’ in Mississippi State University’s history.

HINSDALE MAGAZINE | HinsdaleMag.com 27
Masters graduated with honors.
HOME GROWN
Father Burke Masters became the ninth pastor of St. Isaac Jogues Parish this past July. Photo by 726 Visuals.

What else would one assume? What Masters- St. Isaac Jogues’ new pastorrecognized years later, was that the moment belonged to him. The rest of his life, he realized, would belong to God.

“When God gave me that grand slam, he knew he had other plans for me,” Masters said. “I’m really grateful I got that moment in time.” Baseball was the conduit that eventually drew him to the priesthood. The path, how ever, was anything but direct.

Masters, the youngest of three sons, was born and raised in Joliet. Though his home life was steeped in Christian values, the Masters family did not attend a particular church. The priest remembers being surprised when his father-a United Church of Christ member, and mother, a devout Bap tist, encouraged him to attend Providence Catholic High School. Ironically, the school had the best baseball program in the area.

As Masters sat with his classmates during school masses, he was mysti fied at their reverence to a piece of bread. His theology teacher, Sister Margaret Anne, taught that the Eucharist was the body and blood of Christ. He tried to understand the mystery of communion. The confusion cleared during a retreat junior year. At mass, the celebrating priest had the students gather around the altar for the consecration. As Masters opened his mouth to tell the priest he

wasn’t Catholic, he inadvertently received his First Communion!

“I really think it was meant to be,” Masters said. “I felt the power of God in that moment.” If life has defining moments, that was Masters’. It led to his life’s vocation.

From early childhood, Masters’ par ents had encouraged their sons to learn about various faiths. While they promised to support their boys in whichever church they chose, they still felt their son should pray and study before making any decisions. He began individual instruction with a priest at school. The more he learned, the more Catholicism made sense to him. “May 26, 1985, was the day of my Baptism, Confirmation and also my second Communion,” Masters smiled.

An Illinois all-state baseball player, Masters received a scholarship to Mississippi State University. He found himself in an area which is about 2%

HinsdaleMag.com | HINSDALE MAGAZINE 28
Masters’ shining grand slam moment while attending Mississippi State University.
“Instead of trying to figure out what to do with your life, ask God what he wants you to do.”
HOME GROWN
-FR. BURKE MASTERS ON SEARCHING FOR ONE’S LIFE PURPOSE.

Catholic. At times, he had sec ond-guessed his high-school decision to become Catholic. Ironically, it was in the Bible belt that Masters found assurance of his conversion to Catholicism. Searching for answers, he accepted classmates’ invitations to attend Sunday services at their churches. He then went to mass the same day. Although Masters had great respect for the music and preaching of his friends’ denominations, it was then that all doubts cleared. He realized how drawn he was to the Eucharist.

Still, however, the priesthood was nowhere on Masters’ radar. Having spent three years on second base and senior year on third base, he was enjoying a wildly successful college baseball career. After the grand slam moment, Masters took the next step toward the pros. He signed as a free agent with the White Sox and played in the minor leagues.

But it didn’t go as planned. “I played well, but not well enough,” he stated with a smile. “But at least I still get to wear black and white.” His college math degree in hand, Masters accepted an actuarial position with Kemper Insurance in Long Grove. Although the money was good, he was bored. Still chasing a career in baseball, he earned an MA in Sports Administration from The Ohio State University.

For four years, Masters worked his way up the ladder with the Kane County Cougars. Now dating Stephanie, a woman he thought seriously of marrying, an opportunity to negotiate contracts for the Florida Marlins was supposed to have been the next step. “I figured I would marry Stephanie and be a millionaire,” Masters said. “God had other ideas, though.” Every time he prayed, Mas ters felt God calling him to the priesthood. Although the idea seemed to linger constantly with Masters, he wasn’t totally sold on it.

Around that time, Masters noticed that people-those he knew well, but

also total strangers- constantly asked him if he had ever considered the religious life. Time spent in eucharistic adoration, a practice to which Stephanie had introduced him, rein forced the idea of the priesthood. “It’s a good place to just listen to God,” said Masters.

Torn between the promise of a family and career he was sure he would love on one hand and the religious life on the other, it was Stephanie who helped him answer his call. “She said she couldn’t compete with God,” Masters smiled. They agreed that he would try the seminary ‘for one year.’ The first time Masters walked into Mundelein Seminary, however, any confusion was cleared.

“I felt an overwhelming sense of peace,” he reminisced. “Like coming home.”

Masters was ordained in 2002. Now, two decades later, he has never looked back. In his first assignment at St. Mary’s in West Chicago, Masters ministered to a largely Spanish-speaking parish. Four years later, he went to work directly for the Diocese of Joliet as the vocation recruiter.

“I thought I would be recruiting base ball players, but I ended up recruiting

priests,” he laughed.

Although he enjoyed it, Masters felt somewhat disconnected to par ish life. He relayed how happy he was to be back in parish work at St. Isaac Jogues. “There’s great energy and excitement here,” Master said. “I hope to encourage parishioners to use the gifts and talents God has given each of us to do his work.” Masters also hopes to revitalize the importance of parish life. He would like to see the parish again become an extension of family life, as it was in times past.

As for baseball, it’s further in the outfield of Masters’ life than before, but still present. Each July, he helps coach a faith-based baseball camp with Kansas City Royals hall-offamer Mike Sweeney, for grade school students. The day begins with mass for the athletes and their families. After lunch, there is time for eucharistic adoration. A decade of the rosary finishes out the day, after which the priests are on the baseball field with the kids running out to them for confession.

Masters also stays connected to the game through Catholic Athletes for Christ (CAC), an organization that works to promote a Catholic sports culture. He currently serves as the chaplain for the Chicago Cubs. He also celebrates mass for the visiting teams on Chicago Bears home weekends. CAC seeks to combine sports with faith. “Sports is a great way for young people and their parents to get interested in their faith,” Masters believes.

The priest also hopes to stress the importance of prayer and listening to God, especially when searching for answers. Masters encourages par ents and children to ask God to help them find their path, instead of trying to figure it out themselves. “It’s important to take time to pray and just listen to God,” he said.

Clearly, Masters leads by example. ■

HINSDALE MAGAZINE | HinsdaleMag.com 29
HOME GROWN
Masters and Mike Sweeney, Kansas City Royals, coach a faith-based baseball camp.
HinsdaleMag.com | HINSDALE MAGAZINE 30
Bridal
Bridal Showers | Weddings Receptions | Rehearsals www.OnlyinOakBrook.com
Here comes the
Party Things have been put on hold for too long. Your time has come.
HINSDALE MAGAZINE | HinsdaleMag.com 31
COVER STORY
Lewis is proud to be the muse of the newest American Girl.

RIO LEWIS, AMERICAN GIRL

The Hinsdale middle schooler is the inspiration for Claudie Wells

Have you ever wondered where the inspi ration for American Girl characters come from? Just ask Hins dale Middle School student, Rio Lewis. Lewis is the muse for Claudie Wells, the newest American Girl. The accompanying story is set against the backdrop of the 1920s Harlem Renaissance. “Claudie is dif ferent than any other American Girl of African-American descent. She is the first to have a positive back story,” Rio’s mother Didi relayed as I interviewed her daughter. “Claudie’s main problem is that she has too many talents,” she laughed. “Kind of like Rio!”

See Rio’s big smile and you’ll understand why she was selected to be the inspiration for Claudie Wells, a sweet and energetic character with many gifts. Claudie is searching for her greatest talent, as New York Times best-selling author, Brit Bennett, penned in the storybook that accompanies the doll.

Hinsdale Magazine Contributing Editor Maureen Callahan inter viewed Rio one day after school at Toni’s Patisserie & Café, about her modeling and acting career thus far. There’s little doubt she is on to big things!

HOW DID YOU GET INTO MODELING?

I started modeling when I was two years old. It’s kind of funny that I

FAVORITES THINGS

Color: Gold

Holiday: Earth Day, Christmas

School subject: Social Studies/ History (particularly ancient Egypt).

Sports Team: Milwaukee Bucks

Clothing Brand: Zara Kids, Lola and the Boys

stayed with it because I used to cry when I was little whenever anyone brought out a camera. But one day that changed. Now I love the camera! When I was little, I tagged along on my brother RJ’s modeling jobs. We started doing commercials together. Our first one was for Chuck E. Cheese. We got to miss school and play there all day! We’ve done Humera ads together, too. It was fun because we would always see ourselves on TV. I’ve modeled for Kohl’s and Meier’s websites, and I’ve been on toy boxes and other things, too.

WHAT DO YOU FIND MOST CHALLENGING ABOUT ACTING AND MODELING?

Having to turn down roles I am offered due to scheduling. I tried out for the roll of Kate, one of the six main orphans in Annie. The audition was really fun! I went to New York for the callback and was offered the part. It would have been very hard to do that show, though, because I would have been on the road for nine months. We talked it over as a family. In the end, it would have just been too hard to miss a whole year of school. I would have had to constantly work with tutors. It would have been hard for my mom to be away from home with me for almost a year. I was also offered the role of Marta von Trapp in the Paramount Theater’s production of The Sound of Music . It was a very demanding schedule though, so I turned it down.

HINSDALE MAGAZINE | HinsdaleMag.com 33
Lewis with Claudie in a 1920s outfit gilded in gold.

WHAT IS YOUR FAVORITE PROJECT THUS FAR?

American Girl was really fun. It’s kind of a dream job around here. When a new American Girl is released, they have lots of events at the flagship store on Rockefeller Plaza in New York. My brother RJ had a job in New York the week Claudie Wells was introduced, so my whole family went. It was so fun! We had lunch there. I got my hair done in the salon and they gave me an out fit to match Claudie’s. All of her clothes were designed on New York’s fashion row, so she has great style!

HOW DID YOU BECOME THE INSPIRATION FOR AMERICAN GIRL CLAUDIE WELLS?

At first, I didn’t even realize that I was the face of Claudie Wells. I model with an agency, but don’t always know where my face will appear. I’ve been on toy boxes and not even known it until the toy is in the store and someone says they saw me on the box. It’s kind of funny. That was what happened with American Girl. I was driving in the car with my mom and her friend called and said I was in the American Girl catalog! We didn’t even know.

ARE YOU SIMILAR TO CLAUDIE WELLS?

I’m similar in the fact that Claudie is good at lots of things. That’s actu ally what the story is about. She has so many talents that she is trying to figure out what she does best. At the photo shoot, they had me pose with a trumpet. I decided to try it out for real and now I play trumpet in the band at my school. I probably would have learned the violin if not for Claudie, because several of my friends play. But since I had tried the trumpet at the photo shoot and blew a few notes, I decided to play trumpet.

WHAT WOULD BE YOUR DREAM ROLE/SHOW?

My dream role would be Angelica

Hamilton, the daughter of Alexander Hamilton. I saw Hamilton on Broadway. It was amazing! I met the actor currently playing Hamilton after ward. He signed my playbill. It was so exciting! (Rio broke into singing excerpts from Hamilton). I also think it would be fun to be on Stranger Things, but I don’t know how that would happen, because I’m not allowed to be in the room if there’s anything scary. I also think it would be fun to be the villain in a superhero show!

WHAT IS YOUR IDEA OF A GOOD TIME?

I love to doodle and paint, but I wouldn’t say I’m an artist. I LOVE to sing! If I’m bored, I sing. When I am

not bored, I sing. If I’m doing home work, I sing. I also love to dance. I’m really into floss dancing. I went to national finals in Las Vegas. We got to stay for a week, so that was fun. I like hip hop and ballroom and I compete in jazz, lyrical and tap. I really love to act, too. I’ve done some local productions of Muwana, Lion King and High School Musical.

WHAT DOES YOUR FAMILY DO FOR THE HOLIDAYS?

One of my favorite things to do is bake all day long! I love to make different holiday treats to give to my friends and neighbors. My family always visits the Chriskindlmarket in the city. I love all the decorations and the festive feeling it brings. ■

HinsdaleMag.com | HINSDALE MAGAZINE 34
COVER STORY
Claudie Wells is a historical character during the Harlem Renaissance.
HINSDALE MAGAZINE | HinsdaleMag.com 35 17W 727 Butterfield Road, Suite A, Oakbrook Terrace, IL 60181 630.705.7900 oakbrookortho.com Neal LaRoia, D.D.S. Board Certified Orthodontist SERVING THE WESTERN SUBURBS FOR OVER 10 YEARS State-of-the-art practice offering the latest in orthodontic technology LightForce The world’s first 3D printed braces customized for your smile. • Better outcomes • Faster treatment • Less worry Spark The latest innovation in clear aligners • Clearer • More comfortable • Stains less VOTED 2023’S TOP DENTISTS BY CHICAGO MAGAZINE
HinsdaleMag.com | HINSDALE MAGAZINE 36 2301 York Road, Oak Brook, IL 60523 | (630) 571-0000 | thedrakeoakbrook.com |@thedrakeoakbrook LUXURY GUEST ROOMS | CEREMONY & RECEPTION SPACE SUNDAY BRUNCH | LIVE ENTERTAINMENT | HIGH TEA VISIT OUR NEW AROMA DE CAFÉ! ESCAPE FROM THE ORDINARY Oak Brook MAGAZINE BESTof READER FAVORITE 2022 A DECADE OF PUBLISHING WWW.HINSDALEMAG.COM Hinsdale MAGAZINE BESTof READER FAVORITE 2022 A DECADE OF PUBLISHING WWW.HINSDALEMAG.COM

The votes are in for the winners this year

OF 2022 Best

This is our seventh salute to the winners, and this year, we want to congratulate everyone in town, from Village Officers to business owners, to shoppers.

When the Village Board of Trustees voted to transition from the parking meters to time zone parking, the intent was to continue to support the vitality of the Village’s Central Business District.

And that is what has happened.

According to Brad Bloom, Assistant Village Manager, and Eva Field, Hinsdale Chamber of Commerce President, the new time zone parking has received positive feedback from businesses and customers alike. Business owners are seeing more foot traffic which ultimately is good for sales.

Of course, other things that help sales are great products and services, treating customers well, and value for the money. And those are areas where our winners excelled. Compare your choices to those who won in a variety of categories. And, then, get out and support your local businesses.

Hinsdale MAGAZINE BESTof READER FAVORITE 2022 A DECADE OF PUBLISHING WWW.HINSDALEMAG.COM SPECIAL FEATURE

ASIAN RESTAURANT

Jade Dragon Nabuki Wild Ginger

BARBECUE RESTAURANT

Chuck’s Southern Comforts Cafe Mission BBQ Uncle Bub’s BBQ & Catering

ITALIAN RESTAURANT

Capri Ristorante Giuliano’s Pizza Il Poggiolo

MEXICAN RESTAURANT Café Salsa Hacienda Cocula La Blanco Taco Salsa Bar

SEAFOOD RESTAURANT

Nabuki Parker’s Restaurant & Bar Season 52

STEAK RESTAURANT

The Capital Grille Gibsons Bar & Steakhouse Vistro Prime SUSHI RESTAURANT Nabuki Sushi House Wild Ginger

BREAKFAST RESTAURANT

Page’s Restaurant Patti’s Sunrise Café Yia Yia’s Pancake House & Restaurant

BRUNCH RESTAURANT

Drake Oak Brook Hotel Pinstripes Restoration Hardware Oak Brook

CASUAL DINING RESTAURANT Fuller House Giuliano’s Pizza Nabuki

Ristorante Lou Malnati’s

HAMBURGER

Fuller House Grill 89 York Tavern

OUTDOOR DINING

The Elm Fuller House Gibsons Bar & Steakhouse

DATE NIGHT

Nabuki

The Queen and the Carnivore Roka Akor Vie Restaurant

BAKERY

Kirschbaum’s Bakery Kirsten’s Danish Bakery Toni Patisserie & Cafe

SANDWICH SHOP

Fontano’s Subs Jimmy John’s Kirsten’s Danish Bakery

COFFEE HOUSE Café LaFortuna Starbucks Toni Patisserie & Cafe

GUILIANO’S PIZZA
DRAKE OAK BROOK HOTEL
Hinsdale MAGAZINE ®
2022 A DECADE OF PUBLISHING WWW.HINSDALEMAG.COM
NABUKI
BESTof READER FAVORITE
SPECIAL FEATURE
Ice Cream and Dairy Store
Old Fashioned Ice Cream The Daily Scoop
PUB Alter Brewing Company Fuller House Gold Finger Brewery
BAR Fuller House Grill 89 York Tavern
Civic Opera House Drury Lane McAninch Arts Center
DEALERSHIP OR AUTO CARE Fuller’s Auto Repair McGrath Lexus Napleton
All Cleaners Hinsdale Cleaners Silk Road
Elite Gym Western Springs Life Time Spark Fitness Hinsdale YOGA CorePower Yoga Life Time Spark Fitness Hinsdale FLORIST The English Garden Hinsdale Flower Shop Phillip’s GROCERY STORE Kramer Foods Standard Market
Browning & Sons Jewelers Merry Richards Razny Jewelers MANICURE OR PEDICURE Elysian Nail Spa Mani & Pedi Zazu Salon & Day Spa WOMEN’S BOUTIQUE Lepa Boutique Sweet William Vintage Charm MEN’S CLOTHING Burdi Cothing Nordstrom Von Maur KITCHEN & BATH Drury Design HomeWerks LaMantia
COMPANY DeSitter Flooring Floor and Décor Georgia Carpets
HOTEL Drake Oak Brook Hotel The Four Seasons The Hyatt Lodge
ICE CREAM Oberweis
TATE’S
MICROBREWERY OR
SPORTS
LIVE ENTERTAINMENT VENUE
AUTO
CLEANERS
FITNESS CENTER
JEWELRY
FLOORING
LUXURY
CLOTHING *Winners listed in alphabetical order.
SALONS
SWEET WIILLIAM BURDI
ZAZU
HinsdaleMag.com | HINSDALE MAGAZINE 42 Life is fu LL of i m portant Choices u nder 65 and need help choosing the health insurance plan that fits you best or over 65 and need help making the right choice for health insurance Whether you are 8152 S. Cass Avenue ✧ Darien, Illinois 60561 Blue Cross and Blue Shield of Illinois is a name you can trust. As your Blue Cross Blue Shield of Illinois Local Authorized Exclusive General Agent, we are ready to help you review your current plan. We can show you how Blue Cross and Blue Shield of Illinois has plans to fit most budgets and needs. Se Ha B la eS p añol (630)963-2202 (800)572-7512 or Give us a caLL to arran G e a n o-ob Li Gation one-on-one appointment

BUILDING A TOP TEAM THROUGH LOYALTY

The Drake Hotel

wins

impressive award

Jim and Tely Nagle took one for the team more than two years ago when the coronavirus pandemic pretty much shut down the hospitality industry all over the world.

Rather than listen to the advice of some advisors, who suggested they furlough the approximately 120 employees who worked for them at the Drake Oak Brook Hotel, the Nagles kept their team together by keeping everyone employed.

With guests not staying in the hotel, most of the usual work usually done at the Drake wasn’t necessary. So, the Nagles called an audible and had everyone take on other jobs at the hotel, mostly to help with the remodeling of the award-winning facility.

“We had people doing all kinds of work they had never done before, but

it kept them employed with their health insurance,” Jim Nagle said. “I think it made everyone feel appreciated, which they are, and now they still feel part of our family.”

And that feeling of family among the employees of the Drake is immediately present when listening to those employees talk about working there, especially since the pandemic began.

“They really care about everyone who works there,” said Anna Majus, the Drake’s director of banquets, who has worked at the hotel for the past 51/2 years. Majus said Jim Nagle’s inspiration to employees has been incredible. “He’s not just an owner, he’s a leader who listens to our ideas,” she said. “I’ve never met anyone who cares more about employees than Tely and Jim. People want to work here because they are so loyal. We all feel like family. Nobody wants to leave.

They created an amazing culture here.”

The loyalty that the Nagles have shown to their employees, who gladly have returned it, had a lot to do with the Drake recently being voted one of the best hotels in the world by Condé Nast Traveler, a luxury and lifestyle travel magazine published by Condé Nast.

The Drake Oak Brook Hotel was voted No. 2 in the Midwest, No. 11 in the United States and No. 47 in the world in the Condé Nast Traveler 2022 Readers’ Choice Awards.

It’s not the first time the Drake has received an award, but the status of the Condé Nast Traveler accolade takes it to a new level.

“The other awards we have won have been exciting, but this one is really extra special because it’s the gold standard,” said Jim Nagle, who along with his wife purchased the Drake in

HINSDALE MAGAZINE | HinsdaleMag.com 43
PROFILE
Jim and Tely Nagle managed to keep their team together through the pandemic.

2013 and reopened it two years later.

The Nagles certainly are entitled to take a bow for having received the Condé Nast Traveler award, but Jim Nagle deflects most of the credit to the employees, or “the team,” as her prefers to call them.

“Our team really is the reason for this,” he said. “They are very loyal and take a lot of pride in what we do here. They always do whatever they can to make sure everything we do is something we can be proud of. People who stay here always are commenting about their wonderful experiences with our team. You can have a beautiful hotel, but it really is having a great team that makes things special.”

Franco Sanfelice, the main carpenter at the Drake, has worked there for six years. And he agreed with Majus’ take about employees being very happy to work for the Nagles.

“Everybody loves being here, and nobody wants to leave,” Sanfelice said. “It’s been a roller coaster ride since the pandemic started, but a good one because of the way we have been treated.”

Sanfelice said all employees immediately took to working together for whatever needed to be done with the hotel’s remodeling. And his expertise in carpentry made him a valuable resource when remodeling took center stage.

“The only way we could keep everyone was if they helped with the construction,” Jim Nagle said. “Everyone really did want to work together and get things done, and (Sanfelice) was very generous in teaching others.”

Enrique Mexicano worked at several other hotels before coming to the Drake about seven years ago to work as a bartender and with banquets. And he said life at the Drake for employees is very different than what he experienced in previous jobs.

“The owners treat us like a family, and it feels very good because you

don’t get that kind of appreciation at most other hotels,” Mexicano said. “Everyone who works here takes a lot of pride in their work, and we always want the guests to have a great experience.”

Viceroy Chicago; W Chicago - City Center and Waldorf Astoria Chicago.

“We’re virtually the only hotel with any of these awards that’s in a suburb,” Nagle said. “I think the big thing that separates us from other great suburban hotels is our outdoor space, which we’ve fixed up.”

The history of the Drake in Oak Brook goes back to its original opening in 1962. In 2009, the hotel fell prey to a Ponzi scheme, shutting the doors.

The pandemic-caused shutdown at the Drake happened in March 2020, a month after the hotel received designation as part of the Autograph Collection, a group of independent upper-upscale to luxury hotels within the Marriott International portfolio.

Jim Nagle said he is particularly proud that the Drake has received recognition when it’s being compared to many well-known, big city hotels in consideration.

The Drake was the winner as Top Hotel 2020 and again in 2022 in Illinois in the World Travel Awards. Other 2022 nominees were Four Seasons Hotel Chicago, Kimpton Hotel Monaco Chicago, Nobu Hotel Chicago, Pendry Chicago, The Langham, Chicago; The Peninsula Chicago, The Ritz-Carlton, Chicago;

But the Nagles purchased the hotel from the Institute in Basic Life Principles, an Oak Brook-based organization that planned to use it for seminars and as a dormitory. Before that plan fell through, the hotel, which was then known as the Wyndham Drake Hotel, was a victim of the recession and other factors. A previous owner, an affiliate of Chicago-based investment firm Wextrust Capital LLC, purchased the hotel in 2008 for $20 million. Wextrust was later accused of operating a $100 million Ponzi scheme, according to a Tribune report. Both principals were sentenced to serve time in prison.

“It was always our goal and dream to get to the point where we could win an award from Condé Nast Traveler, but we didn’t think we’d get to this point this quickly,” Nagle said.

“There are a lot of great hotels out there, but at the end of the day, people make people happy. And that’s what our great team does every day.” ■

HinsdaleMag.com | HINSDALE MAGAZINE 44
“He’s not just an owner, he’s a leader who listens to our ideas.”
PROFILE
-ANNA MAJUS Director of Banquets
630-325-0088 102 Chicago Ave, Hinsdale Serving Our Neighbors Since 1946. Full-Service Car Wash • Automotive Detailing Automotive Repair & Maintenance • Full-Service Lube Center Ice & Snow Services Let it SNOW ! LET it Snow! You have the FULLER Team at your SERVICE!

FREDDY JONES

Thirty years ago, midwestern roots rock group Freddy Jones Band (FJB) appeared on the local music scene. Their folks/blues-influenced sound was unique; their lyrics largely based on their own life experiences. Originally from South Bend, IN, they quickly captured the ear of local Chicago audiences, while working their way up the music charts. Their catalog of songs earned the respect of listeners in a style that would come to be recognized as a slice of Americana.

Downers Grove was honored to have FJB headline for District 58’s recent Oktoberfest fundraiser. The band was impressed, too. “Oktoberfest was really fun,” said founder and front man, Marty Lloyd. “The crowd and the crew brought their “A” game for sure.” Contributing Editor Maureen Callahan connected with Lloyd via telephone from his Brentwood, CA home.

WHERE ARE YOU FROM, ORIGINALLY?

I was actually born at Hinsdale Hospital. Shortly after, my parents

moved to Long Beach, IN, near the Michigan border. I grew up there. Most of my family has left that area, but the band was back there this past July. We played the Michigan City Botanic Gardens. I got to go back and see the beach and my old neighborhood. It was great catching up with the people I grew up with.

HOW DID FREDDY JONES BAND GET STARTED?

Paul Bolger from Mr. Blottoanother Chicago band- and myself both attended La Lumiere School in LaPorte, IN. He was a senior when I

HinsdaleMag.com | HINSDALE MAGAZINE 46
Thirty years later, Marty Lloyd still takes the time to daydream
FJB is one of America’s premiere rock bands. Left to Right: Ben Loshin, Marty Lloyd, Rich Ross, Terry Goldstein. Photo courtesy of FJB

BAND

was a freshman. His family had a summer house in Grand Beach, MI, and I lived in Long Beach, IN, which is pretty much next door. We started playing music together way back then. That was the beginning of how FJB came together. I ended up at Holy Cross College, with aspirations of getting into Notre Dame. At that point we were playing local gigs.

After a while, it became obvious that the band needed to be in Chicago. So, we moved up to Wrigleyville. We had some fun years and mostly played bars around that area. Then we opened for Widespread Panic at Park West. That’s when Capricorn Records showed up and invited us to their office in Nashville. From there, it happened kind of lightning fast. We were in the stu dio three weeks later recording our

first album, Waiting for the Night. Then we played HORDE (Horizons of Rock Developing Elsewhere) Fest dates in the 90s and accompanied Big Head Todd on the Sister Sweetly tour.

“Take the Time” was our first single. I don’t think the plan was to hold “Daydream” back, which was already written at that point. We thought the lead single should be “Take the Time,” which did very well. But then people really liked “Daydream.” That one definitely hit.

Fast forward to last summer. We played with Big Head Todd and The Samples in Denver. We sold a ton of tickets. The lineup was killer! I had kind of forgotten that these bands hadn’t really been in Chicago together since HORDE Fest. But we

crushed it! We’ve crossed paths over the years, but those three bands hadn’t played together in quite a while. So that’s how the summer kicked off.

WHO IS FREDDY JONES?

Funny you should ask that. We have been answering that question for years, but it’s never the same answer (Lloyd laughed). Back in the day, we would tell people Freddy Jones was the first Canadian to cross Lake Michigan in an inner tube, or some other crazy tale. Ridiculous, made-up stuff. Then we started read ing about ourselves in magazines and found that people printed those stories!

The real answer: we were still living in South Bend and some friends of ours from Notre Dame had a band called The Pat Gibson Band. Pat Gibson was not in the band; he was just a friend of theirs. So, we took it one step further and made up a fictitious person. It’s really just a college joke.

HOW DO YOU GET YOUR INSPIRATIONS FOR SONGS?

Songs kind of show up in a lot of different ways. Sometimes it’s just a melody that appears in your head. I can’t really pinpoint the inspiration. Sometimes it’s a lyrical phrase that I have in my head for a while. Sometimes it’s just playing around with the guitar. Some of the best songs are effortless to write. “In a Daydream” didn’t take long to write. I was in col lege when I wrote that song. I was sharing a house with a friend who recently reminded me he was in the next room while I was dinking around on his guitar, starting to write the song. I didn’t even have an acoustic guitar back then. It’s ironic, because it was not a nice day at all; it was an idle Tuesday morning with crummy weather. I kind of wrote it to cheer myself up.

HINSDALE MAGAZINE | HinsdaleMag.com 47
ARTS & ENTERTAINMENT

DOES FJB EMULATE A PARTICULAR STYLE OF MUSIC?

In the beginning, the band had very diverse music tastes. There was a blues element that entered into the music back then. Then some guitar hero creeped in. Then there was my type-kind of singer/songwriter Americana. I think as the years have passed, our music has evolved while still honoring our original sound. People are commenting that they have never heard the band sound this good. A little hard work has paid off to get to this point.

DO YOU HAVE A BUSY TOUR SCHEDULE?

We had a crazy tour schedule this past summer. Much more than I would have anticipated, going into this year. We hooked up with a new booking agency in Nashville in 2020. We started playing that year with ten dates in a row. We hadn’t played ten in a row in quite a while. But people were coming. We were selling the tickets. We played the Midwest, then the east coast- Boston, New York, etc. All these places we hadn’t been in years. Then boom! The world shut down. But we’re back on schedule now.

IS YOUR FAMILY INTO MUSIC?

Music was a big theme in my house when I was a kid. On my mom’s side, my whole family would be playing together at family reunions, sitting on the porch. Somebody would grab a guitar and we would all start singing together until late in the night. It’s carried on with me. I have two college-age daughters. The older one is at UC Santa Barbara. The younger one is at music school in Nashville. She plays keyboards, piano and guitar. She writes music. She’s a great singer. She’s studying music production to start.

BESIDES MUSIC, WHAT ARE YOUR OTHER INTERESTS?

I’m a hopeless fitness junkie. It’s my thing. I used to do a lot of triathlons. That’s one of the reasons I moved out here (CA). I wanted to be able to exer-

cise year-round. I love being able to swim all year out here. I’m always out running. Recently, there was a mountain lion in my neighborhood, right where I run, though, so I might have to find a new route! (Lloyd laughed). I opened a Fleet Feet store in Santa Monica. The guys in Chicago who started that company are good friends of mine. So, I reached out to them with the idea.

WHAT’S NEXT?

Big Head Todd and us at the Riviera in January. It’s going to be a good show. Guys from when we were first starting out that had us play at Gamekeepers and Joe’s on Weed Street are chiming in on social media to support us. Ryan Arnold from XRT has been talking about it on his show. The lineup is resonating with people who liked us from the beginning. They’re coming out to see us. We can’t wait! See you there!

Three decades along, Marty Lloyd still holds a clear vision of the band’s future. Listen for “Mirror Ball,” a new single set to release this fall. Get tickets for the FJB and Big Head Todd & The Monsters show, set for January 21, 2023 at the Riviera Theater. Visit FreddyJonesBand.net for more information.

HinsdaleMag.com | HINSDALE MAGAZINE 48
“I think as the years have passed, our music has evolved while still honoring our original sound.”
ARTS & ENTERTAINMENT
– MARTY LLOYD
FJB performed in Downers Grove in September. Photo by Chris Reidy
HINSDALE MAGAZINE | HinsdaleMag.com 49 Your Staycation Destination Oak Brook Convention and Visitors Committee www.OnlyInOakBrook.com 7 Great Places to Stay, Play, Shop, Dine and More
HinsdaleMag.com | HINSDALE MAGAZINE 50 Business, Done. “When companies traveling to Chicagoland want to get down to business, they have seven Oak Brook member hotels to choose from.” Conventions | Group Meetings | Reunions www.OnlyinOakBrook.com

Hinsdale Humane Society Sounds an S.O.S.

Hinsdale Humane Society has helped pets and pet owners in 12 nearby communities for 70 years. The time has come. Residents from these communities must return the favor.

The Hinsdale Humane Society (HHS) has launched an S.O.S.: SAVE OUR SHELTER Campaign to keep the doors open.

During COVID, thousands of spay or neuter surgeries did not occur in our area. As a result, litters of puppies and kittens are showing up on the shelter’s doorstep almost daily. HHS has been over capacity for months

and relies on foster homes to help with the overflow.

At the same time, donations have substantially diminished, and infla tion is causing costs to rise, creating an imbalance that has jeopardized this Hinsdale shelter.

“As we’re having conversations with our donors to explain what we’re up against, we’re hearing again and again that people assume we have an endowment and that because we are in Hinsdale with a beautiful facility we don’t need any financial help,” said Jacki Rossi, HHS Executive Director.

“That is just not the case. We receive

no government funding, have no endowments, and put every dollar into saving as many animals as possible,” Rossi says. “Couple that with the pandemic fallout of animals flooding our system and inflation cutting down charitable donations to our organization, and we are experiencing severe financial difficulty. We desperately need the help of the communities we serve.”

HHS provides stray services to police stations in the following 12 communities: Brookfield, Burr Ridge, Claren don Hills, Hinsdale, Indian Head Park, LaGrange, LaGrange Park, Oak Brook, Western Springs, Westmont, Willow Springs, and Willowbrook.

HINSDALE MAGAZINE | HinsdaleMag.com 51 SPOTLIGHT
The Hinsdale Humane Society seeks support from local communities. Photo courtesy of the Hinsdale Humane Society.
The shelter faces challenges heading into 70 years of serving local communities

“When stray pets come in from the communities we serve, we ensure they get proper medical care, food, water, socializing, exercise, and enrichment until we can reunite them with their families or get them adopted out,” said Dr. Kristin Tvrdik, Medical Director, of HHS.

Tvrdik continues, “a disturbing trend is that many stray pets coming in are no longer being claimed by their families. We are now caring for discarded pets, in addition to all of the homeless pets from a lack of spay or neuter surgeries.”

Dr. Tvrdik has performed nearly 3,000 spay and neuter surgeries this year, not only for HHS adoptable pets but also for 13 different rescue groups in need of surgeries for their pets.

The veterinarian shortage is another crisis we›re all up against in the animal welfare industry right now,» said Dr. Tvrdik. “It’s a tough time for rescue groups everywhere.”

Adoption fees, community services, and programming revenue don’t come close to covering the expense of caring for all animals that need help now. HHS is asking for the support of the communities it serves to ensure it will be here for its 70th year and beyond.

“There are so many more animals in need than ever before,” said Rossi. “We need the support of our communities to help us help them.”

To make a donation, go to hinsdalehumanesociety.org and click the blue donate button. ■

THOUSANDS RAISED FOR THE HINSDALE HUMANE SOCIETY

Hinsdale business owners host a fashion show

On September 29th, Rino Burdi, owner of Burdi Clothing, hosted a well-attend ed fashion show along with several other local businesses to raise funds for the Hinsdale Humane Society.

The combined effort led to over $12,000 being donated. Continental Auto Sports displayed several Ferraris along the store’s sidewalk to add a luxury touch, and Vistro Prime pro vided the hors d’oeuvres while guests enjoyed a beverage and socialized.

When it was time for the show, Ben Bradley from WGN-TV served as host. Models strutted down the runway in fashions from Sweet William in the first half. Burdi not only hosted the show but asked several Hinsdale gentlemen to join in the fun by modeling the menswear brand from Burdi Clothing.

DJ Lee Michaels, the official game DJ for the Chicago Blackhawks, performed as guests mingled and then provided the music for the fashion show itself. Violinist Binta Kai added even more musical entertainment after the show.

To close out the evening, Hinsdale Humane Society Executive Director Jacki Rossi, and board member, Deborah Kraus, thanked everyone for their support. Both thanked attendees for their contributions since the shelter is being overwhelmed by more and more pets, and donations have fallen considerably.

HinsdaleMag.com | HINSDALE MAGAZINE 52
Kristi Smith, owner of Sweet William, Rino Burdi, owner of Burdi Clothing, Deborah Kraus, Hinsdale Humane Society Board Member, and Jacki Rossi, Executive Director of Hinsdale Humane Society partnered together to raise funds for the shelter at the fashion show.
SPOTLIGHT
Models donned clothing from both Sweet William and Burdi Clothing
HINSDALE MAGAZINE | HinsdaleMag.com 53
HinsdaleMag.com | HINSDALE MAGAZINE 54 Local & Nationwide (630) 719 5200 PhillipsFlowers.com Sleigh Bells #0X300 Holiday Glow Holiday Glow #T271C Christmas Wishes Premium Hinsdale-Mag-Dec-2021_Layout 1 11/9/2021 8:56 PM Page 1 hinsdalehumanesociety.org “If you don’t help them, they can’t help us. If you have given, Thanks.”
HINSDALE MAGAZINE | HinsdaleMag.com 55 Terrence M. Sullivan and Brian D. Sullivan C ompassionateC are SERVING THE COMMUNITY SINCE 1984. 60 S GRANT STREET | HINSDALE | 630.323.0275 SULLIVANFUNERALHOMEHINSDALE.COM We’re dedicated to providing personalized, professional and compassionate services to help lighten your burden and support you through the difficult times that follow the loss of a loved one. You can rely on us to provide your family with the highest quality care and service in your time of need.
HinsdaleMag.com | HINSDALE MAGAZINE 56 We specialize in Fresh Ingredients with a diverse menu inclusive of Appetizers, Salads, Sandwiches, Bowls, Flatbreads, Gourmet Pizzas, Burgers & More Family owned for 24 YEARS Dining room reservations at www.giulianospizza.com “Not just a pizza joint.” Thank You Hinsdale For Voting Giuliano’s “Best of” in 2022 for Italian Dining Hinsdale MAGAZINE BESTof READER FAVORITE 2022 A DECADE OF PUBLISHING WWW.HINSDALEMAG.COM Hinsdale MAGAZINE BESTof READER FAVORITE 2021 A DECADE OF PUBLISHING WWW.HINSDALEMAG.COM ITALIAN DINING ˜ ˜ ˜PIZZA˜ WE ARE GROWING! Join our team at Hinsdale Magazine Group. We are hiring: Writers Associate Publishers Advertising Sales Representatives Please send resume to: sjonlich@hinsdalemag.com GUITARIST MURIEL ANDERSON CURTAINS UP: LOCAL THEATER REALTOR PROFILES IN THE SPOTLIGHTwith Tony and Grammy Award Winner Lauren Patten SSUE HINSDALE’SFIRST ch/April US SERVING BURR CLARENDONHILLS EVA FIELD Why The Hinsdale Chamber Runs So Smoothly + GOING FOR STATE GOLD HinsdaleCentralGirlsLaCrosse DUPAGE COUNTY BOARD Candidates,Galassi Hart BAR2TABLE Cocktail Can DICK PORTILLO An American Success Story + GOPAL LALMALANI DR. JOSE OBERHOLZER Leading Diabetes Researcher RICH MELMAN Founder & CEO

shop local

GIFT GUIDE

Consider supporting the local boutiques and services in Hinsdale this holiday season while doing your shopping. This is your chance to bring some joy to someone in your life and support a local business at the same time. Give the gift of local this season. Happy shopping!

SWEET WILLIAM

15 East First Street in Hinsdale Velvet Liette Clutch by Marian Paquette

An accessory line founded by a former interior designer working with luxurious European textiles, Velvet from France, Mohair from London, and vintage wrist straps makes these colorful bags a perfect accent for your Holiday look.

LETTUCE ENTERTAIN YOU RESTAURANTS

Antico Pasta, Beatrix and Wildfire located in Oak Brook Center mall

From now until December 30, receive a free $25 holiday bonus for every $100 in Lettuce Gift Cards you buy. Treat yourself or family and friends this holiday season. For a list of all locations visit Lettuce.com

PHILLIP’S

FLOWERS & GIFTS

524 North Cass Avenue in Westmont

Enhance any Thanksgiving gathering with this compact candle centerpiece in rich Fall colors and textures with a Mercury Glass hurricane. Featured flowers include roses, lilies, alstroemeria, chrysanthemums, hypericum, or similar seasonal favorites.

ZAZÚ SALON -

18 E. Hinsdale Avenue in Hinsdale

A gift for ú, and one for me... Give the gift of Zazú this holiday season! Purchase a gift card to treat the ones you love (and treat yourself!) to a day of pampering and beauty. Enjoy our hair services, spa services, nail services and more! Available in stores and online at www.ZazuSalons.com

GIFT GUIDE
IMAGE
HinsdaleMag.com | HINSDALE MAGAZINE 58 Home. There’s no place like it. Pam Pivaronas Mortgage Originator NMLS# 427529 P: 630.328.8517 M: 815.922.4885 busey.com/mortgage/pam-pivaronas 7020 County Line Road | Burr Ridge, IL busey.com WE ARE GROWING! Join our team at Hinsdale Magazine Group. We are hiring: Writers Associate Publishers Advertising Sales Representatives Please send resume to: sjonlich@hinsdalemag.com GUITARIST MURIEL ANDERSON CURTAINS UP: LOCAL THEATER REALTOR PROFILES IN THE SPOTLIGHTwith Tony and Grammy Award Winner Lauren Patten US ISSUE 2022 March/April HINSDALE, RIDGE CLARENDON EVA FIELD Why The Hinsdale Chamber Runs So Smoothly + GOINGFOR STATE HinsdaleCentralGirlsLaCrosse DUPAGECOUNTY BOARD Candidates,Galassi&Hart BAR2TABLE Cocktail Can DICK PORTILLO An American Success Story + Oak Brook Dining OAK BROOK Oak Brook President ARTS & ENTERTAINMENT West Suburban Symphony Takes On Red Light Cameras GREG SUMMERS Village Manager ITALIAN TRATTORIA & PASTERIA Lunch M-F 11:30am-2:30pm Dinner M-F 5pm-9:30pm Saturday 5pm-10pm Sunday 4:30pm-8:30pm Private Events and Catering New! Our Italian Street Food menu is perfect for private & corporate events. SEE OUR WEBSITE
HINSDALE MAGAZINE | HinsdaleMag.com 59 Defeat Obesity And enjoy Your life Chicagoweightlossmd.com | 630.420.8080 2867 Ogden Avenue | Lisle IL | forever25.com Weight loss is about health Dr Suwan is a Chicago weight loss Medical Doctor, board Certified in Obesity medicine Obesity is not about lack of will power LETS HELP WITH YOUR WEIGHT LOSS JOURNEY Our patients lost up to 110 lbs With FDA approved Non surgical modalities.

HINSDALE ROTARY RUN CHARITY CLASSIC

The 28th annual Rotary Run Charity Classic took place at the beginning of October. Over 800 runners or walkers attended the race to support their communities and local charities. Participants made their way through the historic streets of Hinsdale and ended at The Community House where a variety of fam ily activities were featured.

The Rotary Club of Hinsdale was established in 1959. It’s a community organization of men and women of diversified backgrounds with a per sonal commitment to service. Rotarians meet every Friday at 12:15 p.m. at The Community House in Hinsdale. For more information or to visit the club, email hinsdalerotary@gmail. com. ■

HinsdaleMag.com | HINSDALE MAGAZINE 60 COMMUNITY SCENE
PHOTOS
BY 726 VISUALS
HINSDALE MAGAZINE | HinsdaleMag.com 61 2012 - 2022 46 Village Place, Hinsdale In the alley, 40 feet south from the train station. 630-537-1586 cafelafortuna.com THE BEST COFFEE & MORE at Café La Fortuna Hinsdale MAGAZINE BEST of READER FAVORITE 2017 HINSDALE60521.COM Hinsdale MAGAZINE BEST of READER FAVORITE 2016 HINSDALE60521.COM Hinsdale MAGAZINE BEST of READER FAVORITE 2020 HINSDALEMAG.COM Hinsdale MAGAZINE BEST of READER FAVORITE 2021 A DECADE OF PUBLISHING —ESTABLISHED 2011— Hinsdale MAGAZINE BESTof READER FAVORITE 2022 A DECADE OF PUBLISHING WWW.HINSDALEMAG.COM

Is leaving a well-planned legacy important to you?

We can help.

Many people delay establishing a thoughtful estate investment plan, thinking it doesn’t apply to them. Estate investment planning is about taking control of how your assets are managed and distributed along with deciding who will handle these tasks when you are unable to do so.

The Barrett Group of Wells Fargo Advisors can guide you through the estate investment planning process through open communication, understanding the basics, sharing values and organizing documents. We’ll assist you in clearly defining what leaving a legacy means to you and your family.

The Barrett Group of Wells Fargo Advisors

Dick Barrett

Managing Director – Investments

111 South Lincoln Street, Suite 200 Hinsdale, IL 60521 (630) 734-8910

richard.barrett@wellsfargoadvisors.com www.barrettgroup.wfadv.com

Jessie Barrett, CFP®

Managing Director – Investments

111 South Lincoln Street, Suite 200 Hinsdale, IL 60521 (630) 734-8909

jessie.barrett@wellsfargoadvisors.com www.barrettgroup.wfadv.com

Investment and Insurance Produc ts: NOT FDIC Insured / NO Bank Guarantee / MAY Lose Value

Wells Fargo Advisors is not a legal or tax advisor. You should consult with your attorney, accountant and/or estate planner before taking any action.

Wells Fargo Advisors is a trade name used by Wells Fargo Clearing Services LLC, Member SIPC, a registered broker-dealer and non-bank affiliate of Wells Fargo & Company. ©2021 Wells Fargo Clearing Services, LLC. All rights reserved. CAR-0221-00536

HinsdaleMag.com | HINSDALE MAGAZINE 62

The Skinny on

SKIING LOCAL

When winter weather arrives, many Midwesterners head south in search of some sun. A key exception, however, is the portion of the population that has been anxiously awaiting the first snowfall in hopes of the perfect powder to usher in another season on the slopes. While the temptation to travel east or west to ski or snowboard is understandable, those who choose to head for the hills – literally – and ski or snowboard closer to home will not be disappointed. Ski destinations in and around Illinois promise snow-filled fun for seasoned skiers and novices alike. So when the temperature takes a dip, be sure to take a trip to one of these drivable destinations to ski or snow board a sampling of some of the best runs in the Midwest.

ILLINOIS

Four Lakes Alpine Snowsports –Lisle, IL

Four Lakes has been offering a unique

ski experience right in the heart of the western suburbs for the past 60 years. With beginner, intermediate, and advanced trails as well as “The Alley” Terrain Park, it is the perfect place to hit the slopes for an hour or the day. Seven rope tows take visitors up the slopes, making Four Lakes a particularly accessible experience for first-time skiers and snowboarders. Four Lakes’ newer Twilight Saturdays offer a discounted ticket price from 5-9 p.m.

Villa Olivia – Bartlett, IL

People from all over the Chicagoland area visit Villa Olivia for downhill ski-

ing and snowboarding. The hill at Villa Olivia features seven runs, a chairlift, and six rope tows, giving rookie and veteran skiers and snowboarders op portunities tailored to their skill level. Not a skier or snowboarder? Tubing is also available. Visitors can purchase a two-hour unlimited tubing package, which includes use of the magic carpet conveyor lift and a snow tube. After hitting the hill, warm up with a hot drink or snack at Villa Olivia’s Ski Café.

Chestnut Mountain Resort –Galena, IL

Take a scenic drive from Chicagoland to see and ski the rolling hills of Ga lena. At Chestnut Mountain, a range of slopes awaits skiers and snowboarders of all skill types. Beginner slopes include the Old Main, Acorn, Bunny, and Rookie’s Ridge. Intermediate slopes are the Apache, Blackhawk, Bobcat, Buck, Catwalk, Chute, Crazy Horse, Fever, Fox, Geronimo, and Moser. For a true adrenaline rush, advanced skiers and snowboarders will want to check out the Eagle, Mine

HINSDALE MAGAZINE | HinsdaleMag.com 63
TRAVEL
WILMOT MOUNTAIN

Shaft, and Warpath slopes or the Farside Terrain Park. Those who like a challenge but prefer to be on wheels may opt to go to the Farside Bike Park for lift-serviced downhill mountain biking. Onsite lodging is available.

Snowstar Winter Park –Andalusia, IL

Travel to the Quad Cities for a pre miere ski and snowboard experience at Snowstar Winter Park. With 15 skiing and snowboarding trails, 11 snow tubing lanes, and a 28-acre terrain park with 40-foot jumps and over 40 features to try, this is the ideal outdoor playground for both beginner and advanced skiers and riders to practice their tricks and refine their techniques. Concession areas allow visitors to quickly refuel and return to the slopes.

IOWA

Sundown Mountain Resort –Dubuque, IA

For a ski and snowboard experience that is drivable but feels like a vacation, visit Sundown Mountain for a snowfilled adventure for both experienced

enthusiasts and newbies. With a variety of scenic runs carved among picturesque cedar trees (21 trails in total), two terrain parks, and a park facility specifically designed for chil dren ages 3-11, Sundown Mountain is a fit for winter athletes of all ages and abilities. Offsite lodging in downtown Dubuque is plentiful, with Ski & Stay packages available at Hotel Julien, a boutique hotel that blends elegance and historic charm, and at the Holiday Inn Dubuque/Galena.

MICHIGAN

Timber Ridge Ski Area – Gobles, MI

When the temperature drops, hit the historic Timber Ridge Ski Area, Southwest Michigan’s oldest ski hill. Family-owned and operated, Timber Ridge offers skiing, snowboarding, tubing, and other snow sports. With green runs on up to double black diamonds, and with two terrain parks on the premises, there is a fit for each member of the family. Most lift rides are less than a minute long, which means less time getting cold and more time carving snow!

Bittersweet Ski Resort – Otsego, MI

Select from 20 runs, seven chairlifts, two wonder carpets, and two rope tows at Bittersweet Ski Resort. Learners of all levels can grow their snowboard and ski skills through the resort’s Snow School, or just watch and learn from the master skiers in Bittersweet’s various racing programs. Snowboarding is allowed on all slopes, and night skiing is offered as well. Lodging is located offsite in nearby Kalamazoo.

Crystal Mountain –Thompsonville, MI

Crystal Mountain, located in the heart of Northern Michigan, is a communi ty-built ski resort operating for over 60 years. It features 59 downhill slopes, with 27 of these lighted for night skiing. Also prominent are the resort’s three terrain areas (Jester’s Alley, Little Vincent, and Megan’s Way Pump Track) and seven glade areas. Lifts number eight in total: one high-speed quad, three quads, two triple, and two carpet. For outdoor adventurers who would rather remain on flatter terrain, Crystal Mountain is home to

HinsdaleMag.com | HINSDALE MAGAZINE 64
TRAVEL
BOYNE MOUNTAIN

15.5 miles of cross-country ski trails, some of which are also equipped for nighttime use. The resort contains over 250 guest rooms and houses the Crystal Spa plus an indoor pool and fitness center.

Boyne Mountain Resort –Boyne Falls, MI

With all Boyne Mountain Resort has to offer, it is well worth the drive! Over 60 downhill trails (with 12 lifts) await skiers, and Disciples 8 – the first eight-person chairlift in the Midwest – is opening this season. The resort also offers Sno-Go downhill biking, horseback riding, ziplining, and so much more to explore the outdoors. Don’t miss the chance to take a walk on the wild side on SkyBridge Michigan, the world’s longest timber-towered suspension bridge. When it is time to come inside, the Avalanche Bay Indoor Water Park is there to greet guests of all ages.

WISCONSIN

Wilmot Mountain – Wilmot, WI

Considered the “Matterhorn of the Midwest,” Wilmot Mountain celebrates 85 years of snow skiing and more this season. Owned by Vail Resorts, Wilmot invites patrons to ski or ride for $40 per day with an EPIC 7-Day Pass, making a day on the various green, blue, and black runs affordable. A substan tial tubing area with its own entrance is also part of Wilmot’s winter offerings, and Walt’s Tavern (named for Wilmot Mountain’s founder, Walter

Stopa) is visitors’ top stop for “Beers, Brats, Bloody’s and Tots.”

The Mountain Top at Grand Geneva Resort & Spa –Lake Geneva, WI

Come for the day or stay at The Moun tain Top at Grand Geneva & Spa. The Mountain Top boasts 20 downhill ski runs, a six-acre terrain park, and the Burton Riglet Park, built with younger children in mind. Here, young skiers learn through a series of stations, with certified instructors coaching the kids through the course. Visitors can also enjoy ice skating, sledding, snowshoe ing, and cross-country skiing. Those interested in staying indoors can be pampered at the resort’s Well Spa + Salon or grab a bite and beverage at Leinenkugel’s Mountain Top Lodge or another restaurant on the property.

Alpine Valley Resort – Elkhorn, WI

If you are ready to shred, hit the slopes at Alpine Valley Resort. With over 100 skiable acres and 20 runs ranging from beginner to expert, Alpine Valley is a prime place to build or challenge your snowboard or ski skills. With four wonder carpet lifts, two rope tows, a snow carousel, three high-speed quad advanced chairlift systems, and four triple chairlifts, customers spend less time in line and more time on the slopes at Alpine Valley. With onsite lodging available, skiers and snow -

boarders may further maximize each moment on the mountain.

Cascade Mountain – Portage, WI

For winter adventurers looking to get a little further away from home, Cascade Mountain is a great escape. With 48 trails of varying difficul ties, visitors may need to return a time or two to ex perience them all. The longest trail at Cascade is “Far Out,” a beginner cruising trail, just over a mile long, which takes skiers and snowboarders past forests, waterfalls, and other scenic terrain. Three terrain parks – Cotton tail, Mountain Top Park, and J.J. –provide progressive challenges for those looking to hone their jumps and tricks. Cascade also offers tubing, thrilling riders with a slide down a snowy 900foot chute, a feature that is fun for the entire family.

Granite Peak – Wausau, WI

Skiing Granite Peak is like gliding through a piece of history. First opened in the late 1930s, Granite Peak is on Rib Mountain, a geological formation over two million years in the making. Rib Mountain is the second highest point in Wisconsin, bringing thrill-seekers from all over the state and beyond. Explore over 200 acres of terrain, spread across 60 trails and serviced by Wisconsin’s only 6-pack chairlift. Skiers and snowboarders looking to catch some air have four progressive terrain parks from which to choose. While there is no onsite lodging at Granite Peak, downtown Wausau, with its authentic ski town feel, is just minutes away and features a variety of hotel options. ■

HINSDALE MAGAZINE | HinsdaleMag.com 65
TRAVEL
THE MOUNTAIN TOP AT GRAND GENEVA GRANITE PEAK
HinsdaleMag.com | HINSDALE MAGAZINE 66

Plan Your Year-End Charitable Giving Now Through DuPage Foundation

Planning effectively in uncertain times is always challenging. If you’re like many people, you’ve probably been waiting to act on your 2022 charitable giving as we weather the continued unpredictability of the economy and evolving current affairs.

Despite these uncertainties, now is the time to nalize your year-end giving plans to ensure you accomplish your goals and maximize potential bene ts and tax savings.

If you already have your list of favorite charities ready to support, great!

If not, DuPage Foundation is here to support you. Below are some examples of how we can help:

• Provide effective and tax-ef cient giving strategies for you and your loved ones;

• Offer education about persistent and emerging community needs;

• Highlight ways to assist not-for-pro ts that are struggling to keep up with rising costs, supply chain challenges and staff shortages; and

• Work with you and your advisors to create a charitable legacy plan for your community and favorite causes through DuPage Foundation in accordance with your estate plans.

Members of our team will be on call through Friday, December 30, to help you—but remember—acting sooner is better.

Reach out to us today at 630.665.5556 or donate directly at dupagefoundation.org/donate.

3000 Woodcreek Dr., Ste. 310 Downers Grove, IL 60515

630.665.5556 | dupagefoundation.org

HINSDALE MAGAZINE | HinsdaleMag.com 67
HinsdaleMag.com | HINSDALE MAGAZINE 68

Turn static files into dynamic content formats.

Create a flipbook
Issuu converts static files into: digital portfolios, online yearbooks, online catalogs, digital photo albums and more. Sign up and create your flipbook.