Oak Brook Magazine December 2022

Page 1

Lions Roar

OAK BROOK'S FIRST MAGAZINE December Issue 2022 $5 US
Brian Sheehan Leads Lions Club International Volunteers Worldwide
+ Oakbrook Center Outlook Bright Polo Club Celebrates 100, Friends of Conservation is 40 Drake Oak Brook Honored
Brian Sheehan, International Lions President
1 Parkview Plaza | Suite 100, Oakbrook Terrace, IL 60181 630-915-8648 ElaineZannis.com May Your Holidays Be Merry & Bright! Specializing in Oak Brook Real Estate Affiliated real estate agents are independent contractor sales associates, not employees. ©2022 Coldwell Banker. All Rights Reserved. Coldwell Banker and the Coldwell Banker logos are trademarks of Coldwell Banker Real Estate LLC. The Coldwell Banker® System is comprised of company owned offices which are owned by a subsidiary of Realogy Brokerage Group LLC and franchised offices which are independently owned and operated. The Coldwell Banker System fully supports the principles of the Fair Housing Act and the Equal Opportunity Act.
DIAMONDS FOR EVERY OCCASION Happy Holidays 17W300 22nd Street, Oakbrook Terrace, IL 630.516.8000 MerryRichardsJewelers.com
Looking to relocate? Reach out today to learn about my Private Client Network within Compass! Compass | A Fortune 500 Company Over half a billion in sales* • Top 10 Agent in DuPage County* • Compass | #1 Brokerage in the U.S** • Member of the Private Client Network with $7B in 2022 Sales and REALM Over $70M in Sales in 2022** Sold nearly 600 clients properties 01/01/22-10/23/22: All closed and pending MRED, Private Exclusive and Off Market transactions Kris Berger 630.975.0088 kris.berger@compass.com Lifetime Stats Wishing you a joyous holiday season and spectacular New Year! The Kris Berger Group Kris Berger is a Real Estate agent affiliated with Compass. Compass is a licensed Real Estate broker with a principal office in Chicago, IL and abides by all applicable Equal Housing Opportunity laws. All material presented herein is intended for informational purposes only, is compiled from sources deemed reliable but is subject to errors, omissions, and changes without notice. All measurements and square footages are approximate. This is not intended to solicit property already listed. Nothing herein shall be construed as legal, accounting or other professional advice outside the realm of Real Estate brokerage. 1 Grant Square, Hinsdale, IL 60521. Source, Real Trends 500, as of 2021 based on closed sales volume.” *Chicago Agent Magazine: DuPage County Top 20 Agents by Total Sales Volume Lifetime closed and pending MRED, Private Exclusive and Off Market transactions Looking to Buy or Sell in 2023? Work with Kris Berger!

Rosemont is the ultimate destination to capture the magic of the season!

From saving up to 75% while shopping for gifts at Fashion Outlets, to enjoying ice skating and spectacular light displays, Rosemont offers festive and memorable activities for the whole family.

ROSEMONT.COM

Oak Brook: Small Town Of Big Names, Notable Accomplishments

For a town of fewer than 4,000 homes and less than 10,000 residents, Oak Brook has more than its share of notable mainstays in business, sports, and worthy non-profits. In the past few months, several have made their mark.

We want to start out with our cover story about an organization that you may not even realize is an Oak Brook mainstay. Lions International, in Oak Brook, has quietly, but very effectively, been serving the largest group of volunteers in the world since 1917. They have been in their world headquarters building at York and 22nd Street since 1970. We give you a story of how just 300 workers in the building serve 1.4 million volunteers in nearly 50,000 clubs.

Now, to some well-known mainstays which are related, and are also celebrating milestones.

First, in late September, the Oak Brook Polo Club, started by the Butler family, celebrated 100 years of operation with a Polo Ball at the Oak Brook Hills Resort. Two days later, another Butler-initiated activity, Friends of Conservation, celebrated 40 years with a luncheon fundraiser. Friends of Conservation partners with the fabled Maasai people in Kenya to cultivate a sustainable future for the population, the magnificent wildlife and the wild lands. It was started by Paul Butler’s daughter, Jorie Kent Butler, and is now being led by Jorie’s daughter, Reute. Fittingly, the luncheon fundraiser was followed by the last polo match of the season, a competition for the Butler International Cup.

Speaking of milestones, the Drake Oak Brook Hotel has just been ranked as #2 in the Midwest, #11 in the US and #47 in the world by Conde Nast 2022 Traveler “Readers’ Choice” awards. Led by Jim Nagle and wife, Tely, Hinsdale Magazine writer Chuck Fieldman tells how the couple and their loyal staff kept busy upgrading the hotel during the downtime of the pandemic, and how it has paid off with this significant recognition.

On another note of success, Tim Geiges, Senior Property Manager, for Brookfield Properties’ Oakbrook Center revealed in a presentation to the Oak Brook Historical Society, that Oakbrook Center has been named one of the top ten shopping centers in the United States by Chain Store Age. In his presentation to the society, he explained how over the last ten years or so, Oakbrook Center has strategically enhanced the quality of the mall with several high-end retailers and other steps to enhance the experience of Oakbrook Center. Now, it is much more than shopping

that draws people, making it the second busiest shopping venue in all of Chicagoland.

For good measure, we point out that the Oak Brook Chapter of the Infant Welfare Society of Chicago not only raised funds at their Mistletoe Medley Fashion Show this year but added support from several Oakbrook Center locations to raise funds as well.

We would be remiss if we did not mention how the Wellness Annual Ball once again successfully raised funds to educate, support and empower cancer patients and their families.

For a change of pace, Hinsdale Magazine writer Maureen Callahan interviewed Hinsdale-born Marty Lloyd on how his Freddy Jones Band has developed quite a following over 30 years for what is best described as a “folksy/blues-influenced” sound. You will also find out who Freddy Jones is and where they will be playing next.

Make sure you check out our Things To Do pages for this holiday season. We remind you that the Morton Arboretum has its annual lights spectacular, as does the Oak Brook Park District. Elf, the musical, is playing at Drury Lane Theater, as is the Nutcracker at the Lyric Opera House. Toys for Tots is being collected at the Oak Brook Park District. Last, but not least, you can enjoy a live holiday music performance of the West Suburban Orchestra at Hinsdale Central on December 11.

Roar

If you are keen to get away, you will enjoy reading about Kelly Cruises & Tours. Nancy Kelly, and her daughter Susan, jointly gave the Oak Brook Women’s Club an entertaining and informative inside look at how this Oak Brook company has become a leader in luxury cruises and travel.

Lastly, if you want to get away for some nearby skiing, we offer a review of local ski offerings in Illinois and Wisconsin. Enjoy the holidays!

LETTER from THE PUBLISHER
December Issue 2022 $5 US Lions
Brian Sheehan Leads Lions Club International Volunteers Worldwide Brian Sheehan, International Lions President + Oakbrook Center Outlook Bright Polo Club Celebrates 100, Friends of Conservation is 40 Drake Oak Brook Honored HinsdaleMag.com | OAK BROOK MAGAZINE 8
ELMHURST MAGAZINE PREMIERING MARCH 2023 Advertising Inquiries: graphics@hinsdalemag.com 11 N. GRANT ST. HINSDALE IL 60521 ■ 107 W. FIRST ST. ELMHURST, IL 60126 630-655-3400 ■ GRAPHICS@HINSDALEMAG.COM Elmhurst Magazine is a Hinsdale Magazine Group publication. Scott Jonlich, Publisher | sjonlich@hinsdalemag.com Hinsdale Magazine Elmhurst Magazine Downers Grove Magazine Oak Brook Magazine GUITARIST MURIEL ANDERSON CURTAINS UP: LOCAL THEATER REALTOR PROFILES IN THE SPOTLIGHTwith Tony and Grammy Award Winner Lauren Patten $5 US VOLUME 4 ISSUE 1 MARCH 2022 HINSDALE’S FIRST MAGAZINE March/April 2022 $5 US SERVING HINSDALE, BURR RIDGE & CLARENDON HILLS EVA FIELD Why The Hinsdale Chamber Runs So Smoothly + GOING FOR THE STATE GOLD Hinsdale Central Girls LaCrosse DUPAGE COUNTY BOARD Candidates, Galassi & Hart BAR2TABLE A Cocktail in a Can OAK BROOK'S FIRST MAGAZINE Premier Issue 2022 $5 US DICK PORTILLO An American Success Story + RESTAURANT WEEK Oak Brook Dining OAK BROOK Women’s Club GOPAL LALMALANI Oak Brook President ARTS & ENTERTAINMENT West Suburban Symphony TRUSTEE MIKE MANZO Takes On Red Light Cameras GREG SUMMERS Village Manager
On the Cover: Brian Sheehan
provided by Lions International Contents December 2022 28 FOR THE LATEST NEWS, HAPPENINGS AND PHOTOS, VISIT @OAKBROOKMAGAZINE 52 20 16 TO-DOS Holiday Season 20 HOME GROWN Luxury Travel 24 GIVING BACK Going Gold 28 COVER STORY Lions Club International Roars 36 LEGACIES Milestone Moments 40 PROFILE Jim & Tely Nagle of the Drake Hotel 46 BUSINESS Oakbrook Center 52 TRAVEL Sking Local 58 GIVING BACK Wellness House 62 ARTS & ENTERTAINMENT Freddy Jones Band HinsdaleMag.com | OAK BROOK MAGAZINE 10
Photo
ORDER ONLINE chefbeauskleankitchen.com 708.354.4844 26 CALENDAR AVE. LAGRANGE, IL 60525 #1 PERSONAL & PRIVATE CHEF SERVICE FOR IN-HOME MEALS FOR PICK-UP OR DELIVERY 2X A WEEK IN OAK BROOK Gluten Free Dairy Free Non-GMO Auto-Immunue ALLERGEN FRIENDLY & ½ OUR FOOD IS PLANT-BASED! ALL OF OUR FOOD IS 100 %
Scott
MANAGING EDITOR Larry Atseff
CONTRIBUTING EDITORS Adam Andrzejewski Maureen Callahan Valerie Hardy Julie Jonlich GRAPHIC DESIGNER Jennifer Frencl CREATIVE DEPARTMENT Julia Sinogeikina Dennis Stromberg CONTRIBUTING WRITERS Chuck Fieldman Emma Wolf FEATURE PHOTOGRAPHERS Greg Kozlik Marcello Rodarte 726 Visuals ADVERTISING SALES Anne Healy Renee Lawrence graphics@HinsdaleMag.com OAK BROOK MAGAZINE Hinsdale Magazine Group 700 Commerce Drive, Suite 5005, Oak Brook, IL 60523 630-655-3400 www.HinsdaleMag.com No person, organization or publication can copy or re-produce the content in this magazine or any part of this publication without a written consent from the publisher. The publisher, authors, contributors and designers reserve their rights with regards to copyright of their work. Hinsdale Magazine, Inc. assumes no liability or responsibility for any inaccurate, delayed or incomplete information. The information contained about each individual, event or organization has been provided by such individual, event organizers or organization. The opinion expressed in each article is the opinion of its author and does not necessarily reflect the opinion of Hinsdale Magazine, Inc. Comments are welcome, but they should be on-topic and well-expressed. Copyright ©2022 Hinsdale Magazine, Inc. All rights reserved. HinsdaleMag.com | OAK BROOK MAGAZINE 12
FOUNDER & PUBLISHER
Jonlich sjonlich@HinsdaleMag.com ASSOCIATE PUBLISHER Anne Healy anne@hinsdalemag.com
larry@hinsdalemag.com
17W 727 Butterfield Road, Suite A, Oakbrook Terrace, IL 60181 630.705.7900 oakbrookortho.com Neal LaRoia, D.D.S. Board Certified Orthodontist SERVING THE WESTERN SUBURBS FOR OVER 10 YEARS State-of-the-art practice offering the latest in orthodontic technology LightForce The world’s first 3D printed braces customized for your smile. • Better outcomes • Faster treatment • Less worry Spark The latest innovation in clear aligners • Clearer • More comfortable • Stains less VOTED 2023’S TOP DENTISTS BY CHICAGO MAGAZINE
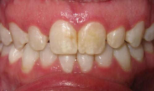
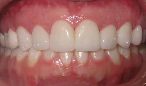
ACTUAL PATIENT. DENTISTRY BY DR. PETER HARNOIS, HINSDALE IL PRE-OP PRE-OP IMMEDIATE POST-OP Wishing you Happy & Bright Smiles this Holiday Season! THIN. DURABLE. AFFORDABLE. > Natural Looking Results in Only 2 Visits > No Removal of Sensitive Tooth Structure > Interest-Free Financing Available Bioloase Epic LASER TEETH WHITENING Painless. Quick. Effective. 60 minute treatment without sensitivity. SPECIAL PRICE $450 REGULAR PRICE $750 Offer valid through 12/31/2022. 2-WEEKS POST-OP 911 N. ELM, SUITE 230 | HINSDALE, IL | 630-323-4468 WWW.HINSDALEDENTISTRY.COM Peter T. Harnois, DDS Michael J. Kowalczyk, DDS DR. HARNOIS IS INTERNATIONALLY KNOWN AS A SUPERIOR AESTHETIC DENTIST. HE LECTURES WORLDWIDE ON EMERGING NON-INVASIVE TECHNOLOGIES.
WELLER DENTAL COSMETIC | GENERAL | IMPLANT | RESTORATIVE CHICAGO | 1050 N. STATE STREET | (312) 654-0606 HINSDALE | 920 N. YORK ROAD | (630) 654-2900 WWW.WELLERDENTAL.COM Weller Dental Welcomes You To Your New Dental Home Providing Teen to Adult Comprehensive Dental Solutions Where You Are Treated Like Family! CALL TODAY! Dr. Jeffrey Weller BOTH DENTISTS ARE LICENSED AS A GENERAL DENTIST IN STATE OF ILLINOIS
Ayesha Sultan Proud To Sponsor Wellness House, Service Club of Chicago and HJWC Weller Dental Group Welcomes You!
Dr.

HOLIDAY TO-DO LIST

'Tis the Season. Are you looking for feel-good holiday experiences to enjoy with family and friends? Well, look no further because there's something on this list for everyone. We've curated a holiday to-do list that's filled with family-friendly fun. Mark your calendar and gather your loved ones, you won't want to miss this!

Elf The Musical

Drury Lane www.drurylanetheatre.com 11/9/22-1/8/23

When Buddy discovers that he’s a human raised as an elf, he embarks on a journey from the North Pole to New York City to find his birth father. Elf The Musical is based upon the New Line Cinema film written by David Berenbaum. Showtimes vary by date.

Winter Open House at the Heritage Center

The Oak Brook Historical Society oakbrookhistory.com 12/11/2022 - 11:00 a.m. to 2:00 p.m. This fun winter family outing will be held at the Oak Brook Heritage Center (1200 Oak Brook Road) and will offer crafts for the children, tours of the historic Butler schoolhouse, and view of its artifacts and exhibit galleries. Enjoy a snack by warming up with hot cocoa and cookies. Visitors can don their Santa Claus hats and hop aboard the antique Butler family sleigh for a fun photo opportunity. There is no admission charge, however, donations are always accepted.

Illumination: Tree Lights at The Morton Arboretum mortonarb.org

11/19/22-1/7/23

Enjoy 50 acres of the Arboretum’s trees during its tenth annual Illumination: Tree Lights at The Morton Arboretum. The Arboretum is celebrating its 100th anniversary year and this year’s show will include a display at the new Grand Garden. Illumination is viewable on a one-mile paved walking path. Be the first to experience this limited run December 16, 23, and 30 from 9:30-11:00 p.m. Photo courtesy of The Morton Arboretum

TO-DOS
HinsdaleMag.com | OAK BROOK MAGAZINE 16

Hinsdale Chamber Christmas

Walk

Downtown Hinsdale hinsdalechamber.com

12/2/22 5-7:30 p.m. Mark your calendar for the 56th annual Hinsdale Christmas Walk. Enjoy a tree lighting ceremony, meet Santa, ride on the carousel, and more! Bring the whole family to enjoy the holiday fun!

Toys for Tots

Oak Brook Park District obparks.org Collection Ends 12/9/22

Every child deserves a holiday filled with joy. This holiday season, donate to Toys for Tots at the Oak Brook Park District. The toy collection takes place at the Family Recreation Center and Tennis Center. Toys should be in their original packaging.

Village of Rosemont Holiday Events & Activities

rosemont.com

Rosemont is the ultimate destination to capture the magic of the season! From saving up to 75% while shopping for gifts at Fashion Outlets, to enjoying ice skating and spectacular light displays, Rosemont offers festive and memorable activities for the whole family. Visit Rosemont.com to learn more! Photo courtesy courtesy of the Village of Rosemont.

Santa’s Mailbox

Village Hall in Hinsdale villageofhinsdale.org 11/28/22-12/16/22

Write a letter to Santa and drop it off in Santa’s Mailbox! The mailbox is located right outside Village Hall in Hinsdale. To receive a letter back from Santa, be sure to fill out a parent form. Forms are found online or at Village Hall.

Merry: Good Cheer for All

Hinsdale Central westsubsymphony.org 12/11/22

Get into the holiday spirit with a performance by the West Suburban Symphony. This is an annual performance that the whole family can enjoy. Kids under 12 years old receive free admission. Buy tickets online before attending.

Winter Lights at Central Park

Central Park obparks.org 11/24/22-1/8/23

Stop by Central Park for half a mile of beautiful holiday lights. Dogs are welcome if they’re on a leash. The paved pathway makes this light show accessible for all. This event is free to the community, so you won't want to miss it! Winter Lights takes place from 4:30-9:30 p.m.

TO-DOS
OAK BROOK MAGAZINE | HinsdaleMag.com 17

Business,

Done.
Conventions | Group Meetings | Reunions
“When companies traveling to Chicagoland want to get down to business, they have seven Oak Brook member hotels to choose from.”
www.OnlyinOakBrook.com

Presented by CSC Dermatology

Questions from the community answered by doctors

Q: What is a dermal filler?

A: Dermal fillers restore facial volume to smooth skin lines and wrinkles as well as enhance areas like the lips, chin, or jawline. This is done with gel-like materials that dermatologists inject under the skin at different depths. Fillers are seemingly unlimited when it comes to applications. They can be used to lift cheekbones, improve hollowness of the facial skin in areas like the temples and under the eyes. Moreover, fillers can be used to treat areas like the neck and chest to restore skin health and diminish the appearance of finely wrinkled and thin skin. Lastly, fillers can also be used to rejuvenate the hands.

Q: What is in a dermal filler?

A: Fillers are made with FDA approved substances injected beneath the skin. These include Hyaluronic Acid, Calcium Hydroxylapatite, and Poly-L-Lactic Acid. Poly-L-Lactic Acid also known as Sculptra is Dr. Steil’s favorite dermal filler. It is biocompatible, which makes it completely safe to use. It is a totally biodegradable synthetic substance,which means it dissolves. Lastly, it works by stimulating skin to rebuild the natural collagen resulting into smoother skin and greater volume.

Almost 20 years ago, Dr. Steil learned from the best, Danny Vleggar, MD. He was a trained Poly-L-Lactic Acid Specialist who taught her how to apply the filler like an expert. For aging facial skin, Poly-L-Lactic Acid can add volume, structure, balance and lift. For younger patients, it can be used to improve facial symmetry.

Q: Are fillers going to make my face look fake?

A: “I have been injecting in Hinsdale for 20 years, and everyone says the same

thing— I don’t want people to know and I want to look natural. At CSC, we will make your treatment look natural,” says Dr. Steil.

The physicians at CSC Dermatology, Dr. Steil and Dr. Bognet, have a combined 30 years of experience treating patients with fillers. They both agree that the best results are when you don’t look like you’ve had a filler. To make this possible, CSC offers only the most professional opinions and treatment styles in all of their procedures. The bottom line— experience matters. “Sometimes a filler is not the solution,” says Bognet and “we tell the patient no. An overfilled face is not on our style.”

Q: What does it feel like?

A: Getting a filler is a very comfortable experience. The filler material is mixed with numbing medication which makes it virtually painless. In addition, applying ice prior to a more sensitive area like the lips helps to aid in numbing.

Q

:

How much do fillers cost?

A: Filler treatments can range from $500-$2000 per session depending on the

exact product and the number of syringes used. “We often layer products to achieve the best result so more than one type of product may be used during a treatment session,” says Dr. Steil.

Q: How long will fillers last?

A: On average, fillers can last from six months to two plus years. After being injected, your body gradually and naturally absorbs filler particles. Factors that affect longevity include the product used, how much was injected, and where it was injected. Depending on your age and your goals, treatments are often repeated yearly.

Appointments are beginning to fill fast.

Call 630 455 0045 now to book a session at either one of our prominent locations in Hinsdale or Downers Grove.

CONSULT
DERM
125 W. 2nd St, Hinsdale 5157 Main, Suite 205,
Phone:
Web: cscdermatology.com
Location:
Downers Grove
630.455.0045
Dr. Rachel Bognet Dr. Christina Steil

LUXURY TRAVEL

Kelly Cruises & Tours celebrates 35 years in the industry

On October 25, The Oak Brook Women’s Club was given a very educational and entertaining behindthe-scenes look at what made Kelly Cruises & Tours a success.

It all began in 1964 when Nancy Kelly was looking for a job in the Los Angeles area. Fortunately, she got hired by the John Tetley Company, which specialized in booking people at luxury hotels in California and Las Vegas.

Nancy said, “I didn't know a thing about the hotel business, but by listening and watching and putting into practice everything I heard and saw from the best in the business, I learned all the right ways to treat customers in the luxury hospitality business. The biggest lessons I learned include to be a good listener to your clients and deliver. Secondly, get to know your contacts. Finally, work only with the best because when you are in the business of luxury personal service, you are putting your customers in the hands of others. I saw how well it all worked, and I came to love everything about the business!”

As a result, the watchword then and now for Nancy and her daughter Susan Kelly-Costello has always

been, “We appreciate your business and promise to take good care of you.”

After two years at Tetley, and nine months after getting married, Nancy and her new husband returned to Chicago. People at Tetley were good enough to put her in touch with people at the Ambassador East and West. She was hired and continued to learn more and more.

Her next step in hospitality occurred when her sister asked her to join a cruise agency where she was working. Nancy started in “outside” sales. She didn’t know a thing about this either, but she learned how to be good at finding groups for cruises for business meetings and those who wanted cruises for vacation pleasure. In fact, she got so good the company

said we are paying you too much, and with that, plus encouragement from family members, and knowledge and determination to do things better, she opened Kelly Cruises on March 17, 1987. That date was no accident.

As her business started growing, she made good connections. One was Wally Phillips, of WGN radio fame, who had heard about her. He asked if she would go on his show and talk about cruises. He started calling her at home on Sundays at 7:00 a.m. She spoke to his listeners about cruises, and she did that for years. That led to cruises hosted by WGN radio personalities, which are still popular today. Obviously, it led to more and more people booking cruises with Kelly Cruises.

NANCY KELLY AND SUSAN KELLY-COSTELLO HAVE BEEN INDUSTRY LEADERS FOR OVER 35 YEARS.
HOME GROWN
HinsdaleMag.com | OAK BROOK MAGAZINE 20

Her success led to a visit by a Royal Caribbean Cruise Line representative who interviewed her about how she went about promoting the cruise business. Little did she know that the interviewer was the President of the cruise line, who invited her to be on a panel with other experts in the cruise business.

Along the way, her daughter Susan was learning more about the business, helping in the office. After graduating from college in 1992, Susan worked in the rental car business and the incentive business, and in 1994, she joined her mother. As Susan said, “I started to learn about the business. My ‘owner's manual’ was my mom.” It worked out perfectly for an eventual transition; today, Susan owns the business.

From the 90s to today, the cruise business has grown dramatically. Ships are larger and more luxurious. Ocean cruises led to European river cruises and more interesting ports of call. And, all this time, Kelly Cruises has been on the crest of the wave of an extremely successful part of the

travel business...luxury tours. Because of its reputation, Kelly has also branched out into more “land” travel.

Kelly was put to the test when the pandemic hit in March 2020. From customers stranded in the middle of the ocean to closed airports to conflicting protocols between countries, Nancy and Susan and their staff continually made the best of terrible circumstances and got their customers home safely. Susan added, “And cruise lines have stepped up their care of passengers as well.”

Susan said, “Cruise travel is coming back because of the pent-up demand. There are also trends like three generations of families traveling together. Today, there are tours for art and architecture and music; you name the passion for experiencing the world, and there are tours and cruises for all of it. And Kelly is there to take good care of you.” ■

THE OAK BROOK WOMEN'S CLUB LUNCHEON WAS WELL ATTENDED BY MEMBERS.
OAK BROOK MAGAZINE | HinsdaleMag.com 21
PRESIDENT OF THE OAK BROOK WOMEN’S CLUB, MARCI SPINGOLA, WELCOMES MEMBERS TO THE EVENT AT BUTTERFIELD COUNTRY CLUB.
Life is fu LL of i m portant Choices u nder 65 and need help choosing the health insurance plan that fits you best or over 65 and need help making the right choice for health insurance Whether you are 8152 S. Cass Avenue ✧ Darien, Illinois 60561 Blue Cross and Blue Shield of Illinois is a name you can trust. As your Blue Cross Blue Shield of Illinois Local Authorized Exclusive General Agent, we are ready to help you review your current plan. We can show you how Blue Cross and Blue Shield of Illinois has plans to fit most budgets and needs. Se Ha B la eS p añol (630)963-2202 (800)572-7512 or Give us a caLL to arran G e a n o-ob Li Gation one-on-one appointment
Senior Vice President of Mortgage Lending O: (773) 435-0654 C: (312) 543-9692 dan@rate.com 14 W Hinsdale Ave., Unit A1 Hinsdale, IL 60521 Senior Vice President of Mortgage Lending C: (312) 543-9692 dan@rate.com 14 W Hinsdale Ave., Unit A1 Hinsdale, IL 60521

GOING GOLD

Local organization hosts 50th Anniversary Celebration

The Oak Brook Chapter, Infant Welfare Society (IWS) Auxiliary, hosted over 500 guests for its Mistletoe Medley 50th Anniversary Celebration, “Hearts of Gold,” on November 29th at the Drury Lane Theatre. It was a wonderful occasion and a perfect opportunity to celebrate a remarkable milestone. The festive event included a holiday gift boutique featuring distinctive merchandise, raffles, and a fashion show by Zzazz Productions.

A welcome and familiar presence at the event, Allison Rosati served as Master of Ceremonies. During her

comments at the podium, Allison announced an exciting fundraising initiative in conjunction with the “Hearts of Gold” fundraiser. Oakbrook Center, which is marking its 60th anniversary, is sponsoring a “Giving Week” from December 10-17, during which participating retailers will donate a percentage of their sales to the Chapter's fundraiser.

The locations include:

• C. D. Peacock (172 Oakbrook Center) will donate 10% of sales on Saturday, December 17.

• Antico Posto (118 Oakbrook Center) will donate $1.00 for every Gnocchi Delicati served from December 10 – 17.

• Jeni’s Ice Cream (521 Oakbrook Center) will donate 25% of sales on Tuesday, December 13.

• Kendra Scott (167 Oakbrook Center) will donate 20% of in-store and online purchases on Saturday, December 10.

• Lilly Pulitzer (421 Oakbrook Center) will donate 10% of sales on Friday, December 16.

Shoppers are asked to mention the Oak Brook Infant Welfare fundraiser when making purchases with these “Giving Week” retailers so that requests are recorded. The Oak Brook Chapter appreciates your support. ■

GIVING BACK
HinsdaleMag.com | OAK BROOK MAGAZINE 24
ALLISON ROSATI ADDRESSES GUESTS AT MISTLETOE MEDLEY 2021.
Your Staycation Destination Oak Brook Hotel, Convention and Visitors Committee www.OnlyInOakBrook.com 7 Great Places to Stay, Play, Shop, Dine and More
1 Parkview Plaza | Suite 100 | Oakbrook Terrace, IL 60181 630-915-8648 ElaineZannis.com JUST LISTED 119 Indian Trail • 7 Bedrooms • 8 Bathrooms • 1 acre • Hunter Trails A Gated Subdivision • Oak Brook Specializing in Oak Brook Real Estate Affiliated real estate agents are independent contractor sales associates, not employees. ©2022 Coldwell Banker. All Rights Reserved. Coldwell Banker and the Coldwell Banker logos are trademarks of Coldwell Banker Real Estate LLC. The Coldwell Banker® System is comprised of company owned offices which are owned by a subsidiary of Realogy Brokerage Group LLC and franchised offices which are independently owned and operated. The Coldwell Banker System fully supports the principles of the Fair Housing Act and the Equal Opportunity Act.
Innovative Treatments for Hip and Knee Arthritis Committed to Excellence in Orthopaedic Surgical Care Dr. Justin LaReau, MD • Board Certified • Dual-Fellowship-Trained • Orthopaedic Surgeon specializing in: • Outpatient Joint Replacement • Minimally Invasive Hip and Knee Surgery • Robotic-Assisted Surgery • Anterior Approach Hip Replacement • Joint Preservation Surgery For a consultation with Dr. LaReau to discuss your joint issues, visit www.justinlareaumd.com or call 630•323•6116 550 W. Ogden Avenue, Hinsdale IL 60521

LIONS ROAR in the Oak Brook Area

How Lions Club Headquarters serves volunteers worldwide

Did you know that the headquarters of the largest volunteer service organization in the world is located right in Oak Brook?

We are referring to Lions International which was started in 1917. A sidebar lists just a few key milestones, including locating in Oak Brook in 1971.

You are about to learn how just 300 employees, in a small, unassuming two-story building at the corner of 22nd Street and York Road in Oak Brook, provide unparalleled support, guidance, and encouragement to an astonishing 1.4 million volunteers in nearly 50,000 clubs around the world. Read that again.

Even more important, you are also going to learn how you can become involved locally with this

extraordinary group as a local Lion volunteer and/or as a donor to local causes as they push forward into 2023, in our area, with a renewed effort.

Why Have Lions Clubs Succeeded So Well, For More Than A Century?

For an answer to that key question, we spoke to Sanjeev (s-uh-n-j-ee-v) Ahuja, Executive Administrator of Lions International, who has a great vantage point of the entire enterprise.

As he put it, “First and foremost is the positive mindset of Lions, from top to bottom. Lions have a desire/ passion for helping people deal with local and global issues. They provide physical hands-on local support and raise money to help overcome local humanitarian problems. They also provide support for global initiatives like vision, childhood cancer, diabetes, hunger, and the

environment. They enjoy the fellowship of membership, and they do it all with a smile.”

“Second, the founder of the Lions Clubs International, Melvin Jones, had the vision to fashion LCI’s governance by leaning on key volunteer leadership, on a geographic basis, with minimal layers. Leaders would be called Governors of territories. That helped greatly as the organization grew efficiently around the world. These unpaid 2,500 volunteer leaders are well-trained, experienced facilitators between the HQ and the local clubs.

“Third, in turn, HQ and the facilitators support and encourage the local Clubs. The Clubs are made up of volunteer leaders and volunteer members. Clubs are autonomous. Members are the ‘doers’, whether it is contributing time and talent to a money-raising event like running a

LIONS INTERNATIONAL HEADQUARTERS IS LOCATED IN OAK BROOK.
HinsdaleMag.com | OAK BROOK MAGAZINE 28 COVER STORY

pancake breakfast, collecting money at street corners in return for candy, helping with a hands-on effort at a local disaster, helping to plant trees, collecting eyeglasses for recycled use… whatever the need, local or global.”

“Fourth, over the years, headquarters has collected an unmatched wealth of knowledge about how Clubs all over the world have run successful programs. That data is available to clubs as they work within their communities.”

“Fifth, then there is the Lions Clubs International Foundation, which provides grant funding to support the compassionate works of Lions, empowering their service and addressing the needs of their communities both locally and globally.”

“Together, We Can” Is the vision of International Lions President Brian Sheehan

Brian, like every International President, is elected to serve a oneyear term, by fellow Lion leaders, starting every June. It is the ultimate honor and recognition for outstanding service over a long span of time.

Each comes into the office with their own agenda. In Brian’s case, he has chosen to emphasize the genuine joy and positivity that comes when Lions work together. His watchwords: Together, We Can. And Together, We Will, complete with a great deal of energy and enthusiasm.

Brian grew up in a Lion family in the small town of Bird Island, Minnesota. His father was a

founding member of the local Lions Club in 1964. “We’re part of a fourth-generation Lions family. Service was simply a part of my childhood, from delivering Meals on Wheels to selling Christmas trees and then collecting them for the local Lions club bonfire. At 6 years of age, and in a small community, and with all the things we wanted to be done, we just tagged along.”

As he grew up, he became more involved, cooking homemade sausage for local events and taking part in the local demolition derby. Eventually, he joined. He knew that Lions were there making his community- and communities around the world, even stronger. Even better. Even closer. “I saw this team approach in our club. It was always community first.” (Continued on next page)

LIONS CLUB VOLUNTEERS DEDICATE THEIR TIME AND SERVICE THROUGH VARIOUS OPPORTUNITIES.
OAK BROOK MAGAZINE | HinsdaleMag.com 29 COVER STORY
LIONS CLUB VOLUNTEERS GIVE THEIR TIME AS WELL AS PHYSICAL EFFORT.

As he became more involved locally, he also started to become more involved with the organization on a larger scale beyond Bird Island. Eventually, he found himself contributing his ideas and his enthusiasm for teamwork at Headquarters, as the organization undertook a revitalization of the Lions Clubs in the United States, including adding more clubs.

Working with Sanjeev at Headquarters, and others, they developed the Global Membership Approach that emphasized that Lions Clubs can contribute more when there are more hands involved. This includes a plan that called for properly identifying community problems using SWOT analysis, (S=Strengths, W=Weaknesses, O=Opportunities, and T=Threats.) at District and Zone levels. This led to testing for the best ways to build teams, establish a longterm vision for each club, create plans, and develop more and better recognition of efforts. This program has been successful in growing Lions Clubs in the US.

As Brian sees it, these are the priorities for Lions Clubs today.

“First, share the joy of being a Lion. When our clubs grow, so does the kindness we bring. It takes healthy clubs to keep our service going, our members happy and our communities strong.

When we invite family, friends, and neighbors to join us, we increase what we can do together. And the fun we can have together.”

“Second, keep our Foundation strong. Our service is powered by our

our service and our voices matter. So be a champion for a local cause. Create awareness, education and change.

Become a local leader- and a vocal leader-for your club, your causes and your community.”

Bringing “Together, We Can”, to the Oak Brook area

We talked with Lion Jim Kiser, the District Governor for local Lions Clubs in and around Oak Brook about Sheehan’s “Together, We Can” approach.

Lions Club International Foundation, LCIF. Together, we take on bigger projects that lead to bigger impacts and bigger changes, where we live and around the world. Last year alone, LCIF awarded more than $35 million dollars in grant funding across the globe.”

“Third, think big when we serve. Let’s think about how we can make the projects we love even better, and let’s look for new ways to support our global causes because real change starts with big ideas. Don’t shy away from taking on a big, daring project, and be prepared to be amazed at what we can do together.”

“Fourth, be a local advocate. Lions are leaders in their communities, and

Currently, there are the following Lions Clubs in the area: Oak Brook/Hinsdale/ Burr Ridge (30-35 members), Darien (140 members), Westmont (35), Downers Grove (10), Oak Brook Terrace (15), Villa Park (1015) and Clarendon Hills (45). Included in these groups are many Lions employees from the Oak Brook Lions Headquarters. They not only talk the talk, but they also walk the walk.

Like elsewhere, the need for help in the past 3 years has grown, due to the pandemic, and now inflation that affects everyone, including those in affluent communities in which we live.

According to Jim, “Over the years, it turns out that the most effective way to help people in need is to give them money. The food banks are helpful, but often what is being made available may not always be what most people really need. This is

(Continued from the previous page)
“First and foremost is the positive mindset of Lions, from top to bottom. Lions have a desire/passion for helping people deal with local and global issues.”
-SANJEEV AHUJA Executive Administrator of Lions International
HinsdaleMag.com | OAK BROOK MAGAZINE 30 COVER STORY
LIONS CLUB VOLUNTEERS

sometimes caused when people donate “stuff” they no longer want… and that becomes the stuff the needy don’t need.”

“Instead of food, families might be more in need of toilet paper or personal items. In some cases, some outlets, like churches, become known for what they offer. In the final analysis, money becomes the most efficient, effective way to help people.”

“Therefore, the Lions put focus on fundraising to raise money. The traditional Candy Sale at intersections is a proven, perfect example. There are other interesting ways to raise money, like providing an American Flag with a pole and solar lighting that Lion members install on lawns so the flags can be waved every day. This kit is a very popular, patriotic way for Lions to raise money and promote patriotism at the same time.”

“Other perennial favorites used locally are the Pancake Breakfasts, and Raffle Tickets, which, incidentally, clear 50% of the money raised for each raffle, after winners are paid.”

One of the most effective ways that local clubs work is to support the HCS Food Pantry in Hinsdale. This non-profit has seen the number of cars lining up on Fridays to receive food baskets grow exponentially.

Jim would like to expand the impact of Lions Clubs in the greater Oak Brook area. It is, after all, the home of the International Headquarters. If Brian Sheehan’s call for action resonates with you, get involved by contacting Jim Kiser at 630 660 7944. For more information about how you can support Lions International, visit lionsclubs.org. ■

A Lot to Roar About: Notable Lions Milestones

1917- The Lions Club was formed in 1917, led by visionary Melvin Jones. He told members of a Chicago business club they should reach beyond business issues and address the betterment of their communities and the world. After contacting similar-minded groups around the United States, an organizational meeting was held in June 1917 in Chicago. The new group took on the name “Association of Lions Clubs,” after one of the attending organizations. A national convention was held in October in Dallas, complete with a constitution, by-laws, objectives, and a code of ethics. Chicago would be the Headquarters.

1920- Lions Clubs became international with the Lions Club charter in Windsor Ontario, Canada.

1925- Helen Keller appealed to Lions to become “Knights of the blind in the crusade against darkness.” This led to ongoing global support to fight blindness and improve vision. Today, Lions recycle eyeglasses worldwide and are at the forefront of research to create artificial vision systems.

1939- A Lion in Williamsport, Pennsylvania, appealed to local Lions Clubs and other partners to form the first organized sports program for children. They called it Little League.

1945- Because Lions Clubs were so influential worldwide, the Lions were called on to help form the United Nations charter.

1954- After an international contest, the official motto, “We Serve,” was adopted.

1957- A youth program called Leo Clubs was created.

1968- Lions Clubs International Foundation was created to grant money to significant causes worldwide. Since then, over 1.2 billion in grants have supported large humanitarian efforts such as disaster relief and youth programs in addition to 5 global causes: Childhood Cancer, Vision, Diabetes, Hunger, and the Environment.

1971- Lions Clubs International moved to Oak Brook.

1973- Lions Clubs International exceeds one-million members.

1986- Mother Teresa received the Lions Humanitarian Award.

1990- SightFirst was created, raising more than $415 million to help eradicate major causes of blindness.

2007- “Financial Times” rates Lions Clubs International Foundation as the best non-governmental organization to partner with.

2017- Lions celebrate a century of service by serving more than 250 million people worldwide through a special Centennial Service Challenge.

OAK BROOK MAGAZINE | HinsdaleMag.com 31 COVER STORY

Dr. Patel is a leading Orthopaedic surgeon specializing in knee and shoulder preservation by using the most appropriate, least invasive techniques. From consultation to recovery, he is trusted for his care and concern for patients. His patients come to him for second and third opinions, and fellow surgeons turn to Dr. Patel for complex, specialized cases. Go to drronakpatel.com or call 630-929-2249

When you
Dr. Ronak M. Patel, Board Certified Orthopaedic Surgeon
need Orthopaedic care, Dr. Ronak Patel is who you can trust.
550
Ogden Avenue,
REQUEST APPOINTMENT
W.
Hinsdale IL 60521
Dear Oak Brook Residents, As another year comes to end, I would like to say Thank You for Your continued support throughout the years. I wish you and yours a wonderful Holiday Season & May the New Year be filled with Health, Happiness, Peace and Laughter. Nikki Ricci Your Local Neighborhood Real Estate Specialist Opening the finest doors 630-290-3147 nikki.ricci@cbexchange.com Happy Holidays!

Milestone Moments

Butler organizations celebrate key dates together

Migration,” one of the truly epic remaining wonders of the natural world. Together, they are cultivating a sustainable future for the Maasai people and the magnificent wildlife and wild lands that are both their natural heritage and a global treasure.

Jorie Butler Kent served as Honorary Chairman of the Polo for Conservation benefit luncheon at the Polo Club grounds. Daughter Reute Butler, who chaired the event, was joined by her co-chairs Michelle Butler, Manuela Hung, Irene Michaels, Eleanor Sherman, Tara Wegner, and Wendy Wood-Prince in welcoming the 125 FOC guests who attended. The day included a champagne reception and gourmet al fresco luncheon, a live and silent auction, and a very popular hat contest.

With the support of James Drury, president of the Polo Club, and the sponsorship of James Drury Partners, the Polo for Conservation benefit raised $130,000 to assist FOC grassroots projects in the Masai Mara.

The last weekend in September 2022 marked important milestones for two closely related organizations.

The Oak Brook Polo Club (OBPC) held the Polo Ball to honor its 100th season

On September 23 at the Oak Brook Hills Resort, host and Club President Jim Drury was joined by the Chicago area polo community to honor the men and women who have established and helped keep Oak Brook Polo on the map for the last 100 years. Nearly 100 guests joined Drury to celebrate the club, which F.O. Butler and his son Paul, and their family, registered with the U.S. Polo Association in 1922.

Friends of Conservation (FOC) then celebrated 40 years

Two days later, on September 25,

Friends of Conservation (FOC) commemorated 40 years of success, with a Polo for Conservation benefit luncheon, before the last polo match of the season, which featured the finals of the Butler International Cup tournament.

As with the Polo Club, a Butler was at the forefront of FOC. FOC Founder & International Chairman Jorie Butler Kent, Paul Butler’s daughter, founded FOC in 1982, holding the first fundraiser for FOC that summer. It occurred at a match where The Prince of Wales was on the field for his polo club. Today, Jorie’s daughter, Reute Butler, carries on the critical work of FOC as the current President and International Director.

Since 1988, the FOC has partnered with the fabled Maasai people in Kenya’s renowned Masai Mara region to host the spectacular “Great

Generous donations to the live auction included a six-night stay in Cambodia contributed by The Bensley Collection Shinta Mani hotel properties, ten nights in Thailand with Anantara Resorts, and seven nights on safari in Kenya with Sarova Hotels, Resorts & Game Lodges. Peggy Drury was the winning bidder when Chicago producer and stalwart FOC supporter Arny Granat started the live auction with his on-the-spot donation of tickets to his acclaimed holiday event, Lightscape, at the Chicago Botanic Garden.

Also for bid was a one-week stay in the Hamptons donated by “Architectural Digest” 100-list of top interior designers and passionate FOCsupporter Jennifer Post, as well as a collection of wines selected by the members of the FOC committees. Each bottle, at $40 or more, commemorated FOC’s 40th anniversary. The afternoon finished with tournament play for the celebrated Butler International Cup. ■

JIM DRURY, PRESIDENT OF THE OAK BROOK POLO CLUB
LEGACIES HinsdaleMag.com | OAK BROOK MAGAZINE 36

IN MEMORIUM

Michael Butler

November 26, 1926 – November 7, 2022

As this issue went to press, Oak Brook Magazine learned that Michael Butler, son of Paul Butler, passed away on November 7. He is survived by his sister Jorie Butler Kent, her daughter Reute Butler, his son Adam Butler, daughter-in-law Michelle Butler, and grandson Liam Butler. We look forward to publishing a retrospective on the full life of Michael Butler in a future issue. To commemorate Michael, contributions can be made to his favorite charity, the Friends of Conservation. Visit www.friendsofconservation.org.

OAK BROOK POLO TEAM: LEFT TO RIGHT, TOMMY COLLINGWOOD, TEAM CAPTAIN AND PATRON JIM DRURY, HORATIO ONETTO AND HERNDON RADCLIFF ADAM BUTLER, MANUELA HUNG, REUTE BUTLER, MICHELLE BUTLER, AND LIAM BUTLER
LEGACIES
ADAM BUTLER AND KITTY ROTHSCHILD JOHN WEBLEY AND PEGGY DRURY EVENT CO-CHAIR IRENE MICHAELS AND ARNY GRANAT PEGGY DRURY AND JUDITH COLEMAN, WITH OAK BROOK POLO CLUB. FOC PRESIDENT REUTE BUTLER AND OBPC PRESIDENT AND PRIMARY SPONSOR OF THE FOC EVENT, JIM DRURY
OAK BROOK MAGAZINE | HinsdaleMag.com 37
CAROLINE, CHUCK AND TARA WEGNER CO-CHAIR OF THE FOC

BUILDING A TOP TEAM THROUGH LOYALTY

The Drake Hotel wins Impressive award

Jim and Tely Nagle took one for the team more than two years ago when the coronavirus pandemic pretty much shut down the hospitality industry all over the world.

Rather than listen to the advice of some advisors, who suggested they furlough the approximately 120 employees who worked for them at the Drake Oak Brook Hotel, the Nagles kept their team together by keeping everyone employed.

With guests not staying in the hotel, most of the usual work usually done at the Drake wasn’t necessary. So, the Nagles called an audible and had everyone take on other jobs at the hotel, mostly to help with the remodeling of the award-winning facility.

“We had people doing all kinds of work they had never done before, but it

kept them employed with their health insurance,” Jim Nagle said. “I think it made everyone feel appreciated, which they are, and now they still feel part of our family.”

And that feeling of family among the employees of the Drake is immediately present when listening to those employees talk about working there, especially since the pandemic began.

“They really care about everyone who works there,” said Anna Majus, the Drake’s director of banquets, who has worked at the hotel for the past 51/2 years. Majus said Jim Nagle’s inspiration to employees has been incredible. “He’s not just an owner, he’s a leader who listens to our ideas,” she said. “I’ve never met anyone who cares more about employees than Tely and Jim. People want to work here because they are so loyal. We all feel like family. Nobody wants to leave. They created an amazing culture here.”

The loyalty that the Nagles have shown to their employees, who gladly have returned it, had a lot to do with the Drake recently being voted one of the best hotels in the world by Condé Nast Traveler, a luxury and lifestyle travel magazine published by Condé Nast.

The Drake Oak Brook Hotel was voted No. 2 in the Midwest, No. 11 in the United States and No. 47 in the world in the Condé Nast Traveler 2022 Readers’ Choice Awards.

It’s not the first time the Drake has received an award, but the status of the Condé Nast Traveler accolade takes it to a new level.

“The other awards we have won have been exciting, but this one is really extra special because it’s the gold standard,” said Jim Nagle, who along with his wife purchased the Drake in 2013 and reopened it two years later.

HinsdaleMag.com | OAK BROOK MAGAZINE 40 PROFILE
Jim & Tely Nagle managed to keep their team together through the pandemic.

The Nagles certainly are entitled to take a bow for having received the Condé Nast Traveler award, but Jim Nagle deflects most of the credit to the employees, or “the team,” as her prefers to call them.

“Our team really is the reason for this,” he said. “They are very loyal and take a lot of pride in what we do here. They always do whatever they can to make sure everything we do is something we can be proud of. People who stay here always are commenting about their wonderful experiences with our team. You can have a beautiful hotel, but it really is having a great team that makes things special.”

Franco Sanfelice, the main carpenter at the Drake, has worked there for six years. And he agreed with Majus’ take about employees being very happy to work for the Nagles.

“Everybody loves being here, and nobody wants to leave,” Sanfelice said. “It’s been a roller coaster ride since the pandemic started, but a good one because of the way we have been treated.”

Sanfelice said all employees immediately took to working together for whatever needed to be done with the hotel’s remodeling. And his expertise in carpentry made him a valuable resource when remodeling took center stage.

“The only way we could keep everyone was if they helped with the construction,” Jim Nagle said. “Everyone really did want to work together and get things done, and (Sanfelice) was very generous in teaching others.”

Enrique Mexicano worked at several other hotels before coming to the Drake about seven years ago to work as a bartender and with banquets. And he said life at the Drake for employees is very different than what he experienced in previous jobs.

“The owners treat us like a family, and it feels very good because you don’t get that kind of appreciation at most other hotels,” Mexicano said.

“Everyone who works here takes a lot of pride in their work, and we always want the guests to have a great experience.”

The pandemic-caused shutdown at the Drake happened in March 2020, a month after the hotel received

“We’re virtually the only hotel with any of these awards that’s in a suburb,” Nagle said. “I think the big thing that separates us from other great suburban hotels is our outdoor space, which we’ve fixed up.”

The history of the Drake in Oak Brook goes back to its original opening in 1962. In 2009, the hotel fell prey to a Ponzi scheme, shutting the doors.

designation as part of the Autograph Collection, a group of independent upper-upscale to luxury hotels within the Marriott International portfolio.

Jim Nagle said he is particularly proud that the Drake has received recognition when it’s being compared to many well-known, big city hotels in consideration.

The Drake was the winner as Top Hotel 2020 and again in 2022 in Illinois in the World Travel Awards. Other 2022 nominees were Four Seasons Hotel Chicago, Kimpton Hotel Monaco Chicago, Nobu Hotel Chicago, Pendry Chicago, The Langham, Chicago; The Peninsula Chicago, The Ritz-Carlton, Chicago; Viceroy Chicago; W Chicago - City Center and Waldorf Astoria Chicago.

But the Nagles purchased the hotel from the Institute in Basic Life Principles, an Oak Brook-based organization that planned to use it for seminars and as a dormitory. Before that plan fell through, the hotel, which was then known as the Wyndham Drake Hotel, was a victim of the recession and other factors. A previous owner, an affiliate of Chicago-based investment firm Wextrust Capital LLC, purchased the hotel in 2008 for $20 million. Wextrust was later accused of operating a $100 million Ponzi scheme, according to a Tribune report. Both principals were sentenced to serve time in prison.

“It was always our goal and dream to get to the point where we could win an award from Condé Nast Traveler, but we didn’t think we’d get to this point this quickly,” Nagle said.

“There are a lot of great hotels out there, but at the end of the day, people make people happy. And that’s what our great team does every day.” ■

“He’s not just an owner, he’s a leader who listens to our ideas”
OAK BROOK MAGAZINE | HinsdaleMag.com 41 PROFILE
-ANNA MAJUS Drake’s director of banquets
2301 York Road, Oak Brook, IL 60523 | (630) 571-0000 | thedrakeoakbrook.com |@thedrakeoakbrook LUXURY GUEST ROOMS | CEREMONY & RECEPTION SPACE SUNDAY BRUNCH | LIVE ENTERTAINMENT | HIGH TEA VISIT OUR NEW AROMA DE CAFÉ! ESCAPE FROM THE ORDINARY Hinsdale MAGAZINE BESTof READER FAVORITE 2022 A DECADE OF PUBLISHING WWW.HINSDALEMAG.COM

Is leaving a well-planned legacy important to you?

Is leaving a well-planned legacy important to you?

We can help.

We can help.

Many people delay establishing a thoughtful estate investment plan, thinking it doesn’t apply to them. Estate investment planning is about taking control of how your assets are managed and distributed along with deciding who will handle these tasks when you are unable to do so.

Many people delay establishing a thoughtful estate investment plan, thinking it doesn’t apply to them. Estate investment planning is about taking control of how your assets are managed and distributed along with deciding who will handle these tasks when you are unable to do so.

We can help.

The Barrett Group of Wells Fargo Advisors can guide you through the estate investment planning process through open communication, understanding the basics, sharing values and organizing documents. We’ll assist you in clearly defining what leaving a legacy means to you and your family.

Many people delay establishing a thoughtful estate investment plan, thinking it doesn’t apply to them. Estate investment planning is about taking control of how your assets are managed and distributed along with deciding who will handle these tasks when you are unable to do so.

The Barrett Group of Wells Fargo Advisors can guide you through the estate investment planning process through open communication, understanding the basics, sharing values and organizing documents. We’ll assist you in clearly defining what leaving a legacy means to you and your family.

The Barrett Group of Wells Fargo Advisors

The Barrett Group of Wells Fargo Advisors

Dick Barrett

Managing Director – Investments

Dick Barrett

The Barrett Group of Wells Fargo Advisors

Jessie Barrett, CFP®

The Barrett Group of Wells Fargo Advisors can guide you through the estate investment planning process through open communication, understanding the basics, sharing values and organizing documents. We’ll assist you in clearly defining what leaving a legacy means to you and your family.

Managing Director – Investments

Jessie Barrett, CFP®

Managing Director – Investments

111 South Lincoln Street, Suite 200 Hinsdale, IL 60521 (630) 734-8910

Managing Director – Investments

111 South Lincoln Street, Suite 200 Hinsdale, IL 60521 (630) 734-8909

111 South Lincoln Street, Suite 200 Hinsdale, IL 60521 (630) 734-8910

Dick Barrett

Managing

richard.barrett@wellsfargoadvisors.com www.barrettgroup.wfadv.com

Director

– Investments

richard.barrett@wellsfargoadvisors.com www.barrettgroup.wfadv.com

111 South Lincoln Street, Suite 200 Hinsdale, IL 60521 (630) 734-8910

Jessie Barrett, CFP®

111 South Lincoln Street, Suite 200 Hinsdale, IL 60521 (630) 734-8909

Managing Director – Investments

jessie.barrett@wellsfargoadvisors.com www.barrettgroup.wfadv.com

jessie.barrett@wellsfargoadvisors.com www.barrettgroup.wfadv.com

111 South Lincoln Street, Suite 200 Hinsdale, IL 60521 (630) 734-8909

Wells Fargo Advisors is not a legal or tax advisor. You should consult with your attorney, accountant and/or estate planner before taking any action.

Investment and Insurance Produc ts: NOT FDIC Insured / NO Bank Guarantee / MAY Lose Value Wells Fargo Advisors is not a legal or tax advisor. You should consult with your attorney, accountant and/or estate planner before taking any action.

richard.barrett@wellsfargoadvisors.com www.barrettgroup.wfadv.com

Wells Fargo Advisors is a trade name used by Wells Fargo Clearing Services LLC, Member SIPC, a registered broker-dealer and non-bank affiliate of Wells Fargo & Company. ©2021 Wells Fargo Clearing Services, LLC. All rights reserved. CAR-0221-00536

jessie.barrett@wellsfargoadvisors.com www.barrettgroup.wfadv.com

Wells Fargo Advisors is a trade name used by Wells Fargo Clearing Services LLC, Member SIPC, a registered broker-dealer and non-bank affiliate of Wells Fargo & Company.

©2021 Wells Fargo Clearing Services, LLC. All rights reserved. CAR-0221-00536

Investment and Insurance Produc ts: NOT FDIC Insured / NO Bank Guarantee / MAY Lose Value

Wells Fargo Advisors is not a legal or tax advisor. You should consult with your attorney, accountant and/or estate planner before taking any action.

Wells Fargo Advisors is a trade name used by Wells Fargo Clearing Services LLC, Member SIPC, a registered broker-dealer and non-bank affiliate of Wells Fargo & Company. ©2021 Wells Fargo Clearing Services, LLC. All rights reserved. CAR-0221-00536

Is leaving a well-planned legacy important to you?
Investment and Insurance Produc ts: NOT FDIC Insured / NO Bank Guarantee / MAY Lose Value

Plan Your Year-End Charitable Giving Now Through DuPage Foundation

Planning effectively in uncertain times is always challenging. If you’re like many people, you’ve probably been waiting to act on your 2022 charitable giving as we weather the continued unpredictability of the economy and evolving current affairs.

Despite these uncertainties, now is the time to nalize your year-end giving plans to ensure you accomplish your goals and maximize potential bene ts and tax savings.

If you already have your list of favorite charities ready to support, great!

If not, DuPage Foundation is here to support you. Below are some examples of how we can help:

• Provide effective and tax-ef cient giving strategies for you and your loved ones;

• Offer education about persistent and emerging community needs;

• Highlight ways to assist not-for-pro ts that are struggling to keep up with rising costs, supply chain challenges and staff shortages; and

• Work with you and your advisors to create a charitable legacy plan for your community and favorite causes through DuPage Foundation in accordance with your estate plans.

Members of our team will be on call through Friday, December 30, to help you—but remember—acting sooner is better.

Reach out to us today at 630.665.5556 or donate directly at dupagefoundation.org/donate.

3000 Woodcreek Dr., Ste. 310 Downers Grove, IL 60515 630.665.5556 | dupagefoundation.org

OAKBROOK CENTER

Shares bright future with Historical Society

Tim Geiges, Senior General Manager of Oakbrook Center, impressed a very attentive Oak Brook Historical Society crowd with the latest progress at the iconic shopping center.

Thanks to the efforts of Historical Society Director of Development, Marci Spingola, the timing of the October 16 presentation at the Village

Hall auditorium couldn’t have been better, since the holiday shopping season is right around the corner.

Geiges remarked, “For the past ten years, Brookfield Properties has been transforming Oakbrook Center into a true marketplace of the future, bringing together a curated collection of high-profile retailers, including Louis Vuitton, Burberry, David Yurman, Gucci, and now, a new

CHANEL Fragrance & Beauty boutique. A highly successful restaurant row, and new categories like entertainment, and fitness, meet consumers’ daily needs and further enhance the surrounding community.”

Opened in 1962 with then-anchor stores Sears and Marshall Field, Oakbrook Center is the second-largest shopping center in the Chicago metropolitan area, generating over

CENTER TODAY
OAKBROOK
HinsdaleMag.com | OAK BROOK MAGAZINE 46 BUSINESS

$800 million in retail sales annually. The well-located shopping destination — with easy access across Chicago’s western suburbs — is also the most visited retail venue in the greater Chicago area, drawing shoppers from nearby hotels, convention centers, and office buildings.

A major renovation project has reimagined this ‘60s-era mall into what it is today, introducing more green spaces throughout while further establishing Oakbrook Center as a mixed-use community destination.

In fact, according to Geiges. Oakbrook Center was recently named one of 2022’s Top 10 Retail Center Experiences by Chain Store Age. “It’s the hub of the Western suburbs and beyond,” Geiges told Chain Store Age. “It’s also the place where retailers want to launch and expand their brand.”

One of the most notable new concepts is the new 60,000-square-foot, three-level RH Gallery, an integrated shopping/dining/design experience that opened at Oakbrook Center in 2021. The stunning stand-alone store, featuring a glass-encased rooftop restaurant and wine bar, aligns with Brookfield Properties’ mission to move beyond just shopping to meet shifting consumer demand for experiences.

Oakbrook Center has also become an incubator for e-commerce brands testing the brick-and-mortar waters, among them sneaker brands Allbirds and Golden Goose, home furnishings brand Ballard Designs, fine jewelry brand Blue Nile, and sustainable fashion brand Goodlife.

In 2023, C.D. Peacock’s Oakbrook Center presence will be considerably enlarged with its new “Flagship Mansion in the Cloud” building. It will be one of the largest watch and jewelry stores in the United States.

Indeed, Oakbrook Center’s rich array of culinary offerings is yet another reminder that modern malls are no longer just places to shop. The District Food Hall offers a variety of

(Continued on next page)
OAK BROOK MAGAZINE | HinsdaleMag.com 47 BUSINESS
TIM GEIGES, SENIOR GENERAL MANAGER, OAKBROOK CENTER

(Continued from the previous page)

trendy fast-casual dining options, including Stan’s Donuts & Coffee, Pie Five, Cilantro Taco Grill. Among the 20 fine dining restaurants at Oakbrook Center are Roka Akor, Antico Posto, Perry’s Steakhouse & Grill, Beatrix, Old Town Pour House, Piccolo Buco — a new concept from Cooper’s Hawk — and Table at Crate, Crate & Barrel’s in-store restaurant.

But what sets Oakbrook Center apart is its placemaking environment, which offers numerous opportunities to have fun. Thanks to its open-air design and plentiful green spaces — including The Lawn — visitors can attend open-air markets, watch movies on The Lawn, and enjoy family festivals. In addition, the shopping destination boasts a plethora of entertainment tenants, including Pinstripes, Immersive Gamebox,

Oakbrook Center also hosts a variety of unique, engaging experiences that showcase art and culture. Recent offerings include a “Stranger Things” pop-up store, Louvre Fantastique: The Exhibition, Michelangelo’s Sistine Chapel exhibition, and Princess Diana

Sandbox VR, Escape the Room, AMC Theatre, and high-tech mini-golf concept Puttshack, the first of two U.S. locations to open this year. ARCHITECT'S RENDERING OF C.D. PEACOCK'S "FLAGSHIP MANSION IN THE CLOUD" IS THE EPITOME OF POSITIVE CHANGE AT OAKBROOK CENTER.
HinsdaleMag.com | OAK BROOK MAGAZINE 48 BUSINESS
MICHELANGELO’S SISTINE CHAPEL EXHIBITION

Accredited Access Exhibition, a walkthrough photographic documentary.

According to Geiges, Oakbrook Center has truly become a community entertainment venue. “We have a lot of people who come to Oakbrook, but

not to shop,” he said. “It’s not unusual for some people to come here on a shopping trip and end up staying several hours.”

After his presentation, the audience moved over to the Oak Brook

Historical Center next door for a reception and more conversation about what is new at the re-imagined shopping center. Clearly, Oakbrook Center is, more than ever, a one-ofkind destination for shopping, and a whole lot more. ■

PART OF THE LARGE CROWD LISTENING CLOSELY. LISA GRIFFITH, PRESIDENT, OAK BROOK HISTORICAL SOCIETY INTRODUCING TIM GEIGES. TIM GEIGES, SENIOR GENERAL MANAGER, OAKBROOK CENTER, AND MARCI SPINGOLA, DIRECTOR OF DEVELOPMENT, OAK BROOK HISTORICAL SOCIETY. MRS. SPINGOLA ARRANGED THE PRESENTATION. CRATE & BARREL
“It’s the hub of the Western suburbs and beyond. It’s also the place where retailers want to launch and expand their brand.”
-TIM GEIGES
OAK BROOK MAGAZINE | HinsdaleMag.com 49 BUSINESS
Senior General Manager of Oakbrook Center

Lions believe in changing the world by serving the needs of our communities and are responding to challenges with kindness and care.

Lions Clubs International Foundation (LCIF) empowers our service – both locally and globally – through grants and programs that magnify the impact any individual or club could make alone. With

Service Go
Helping Lions
Further
of donations
benefiting
service, donors can
Support our mission today. lionsclubs.org/donate Learn more at LCIF.org Lions Clubs International Foundation | 300 W. 22nd Street | Oak Brook, IL 60523
100%
to LCIF
Lions
give with confidence that every donation, no matter the amount, will help a world in need.
Terrence M. Sullivan and Brian D. Sullivan C
are SERVING THE COMMUNITY SINCE 1984. 60 S GRANT STREET | HINSDALE | 630.323.0275 SULLIVANFUNERALHOMEHINSDALE.COM We’re
ompassionateC
dedicated to providing personalized, professional and compassionate services to help lighten your burden and support you through the difficult times that follow the loss of a loved one. You can rely on us to provide your family with the highest quality care and service in your time of need.

The Skinny on

SKIING LOCAL

When winter weather arrives, many Midwesterners head south in search of some sun. A key exception, however, is the portion of the population that has been anxiously awaiting the first snowfall in hopes of the perfect powder to usher in another season on the slopes. While the temptation to travel east or west to ski or snowboard is understandable, those who choose to head for the hills –literally – and ski or snowboard closer to home will not be disappointed. Ski destinations in and around Illinois promise snowfilled fun for seasoned skiers and novices alike. So when the temperature takes a dip, be sure to take a trip to one of these drivable destinations to ski or snowboard a sampling of some of the best runs in the Midwest.

ILLINOIS

Four Lakes Alpine Snowsports –Lisle, IL

Four Lakes has been offering a unique ski experience right in the heart of the

western suburbs for the past 60 years. With beginner, intermediate, and advanced trails as well as “The Alley” Terrain Park, it is the perfect place to hit the slopes for an hour or the day. Seven rope tows take visitors up the slopes, making Four Lakes a particularly accessible experience for first-time skiers and snowboarders. Four Lakes’ newer Twilight Saturdays offer a discounted ticket price from 5-9 p.m.

Villa Olivia – Bartlett, IL

People from all over the Chicagoland area visit Villa Olivia for downhill skiing and snowboarding. The hill at Villa Olivia features seven runs, a chairlift, and six rope tows, giving rookie and

veteran skiers and snowboarders opportunities tailored to their skill level. Not a skier or snowboarder? Tubing is also available. Visitors can purchase a two-hour unlimited tubing package, which includes use of the magic carpet conveyor lift and a snow tube. After hitting the hill, warm up with a hot drink or snack at Villa Olivia’s Ski Café.

Chestnut Mountain Resort –Galena, IL

Take a scenic drive from Chicagoland to see and ski the rolling hills of Galena. At Chestnut Mountain, a range of slopes awaits skiers and snowboarders of all skill types. Beginner slopes include the Old Main, Acorn, Bunny, and Rookie’s Ridge. Intermediate slopes are the Apache, Blackhawk, Bobcat, Buck, Catwalk, Chute, Crazy Horse, Fever, Fox, Geronimo, and Moser. For a true adrenaline rush, advanced skiers and snowboarders will want to check out the Eagle, Mine Shaft, and Warpath slopes or the Farside Terrain Park. Those who like a challenge but prefer to be on wheels may opt to go to the Farside Bike Park for lift-serviced downhill mountain biking. Onsite lodging is available.

MOUNTAIN
SUNDOWN
HinsdaleMag.com | OAK BROOK MAGAZINE 52 TRAVEL

Snowstar Winter Park –Andalusia, IL

Travel to the Quad Cities for a premiere ski and snowboard experience at Snowstar Winter Park. With 15 skiing and snowboarding trails, 11 snow tubing lanes, and a 28-acre terrain park with 40-foot jumps and over 40 features to try, this is the ideal outdoor playground for both beginner and advanced skiers and riders to practice their tricks and refine their techniques. Concession areas allow visitors to quickly refuel and return to the slopes.

IOWA

Sundown Mountain Resort –Dubuque, IA

For a ski and snowboard experience that is drivable but feels like a vacation, visit Sundown Mountain for a snowfilled adventure for both experienced enthusiasts and newbies. With a variety of scenic runs carved among picturesque cedar trees (21 trails in total), two terrain parks, and a park facility specifically designed for children ages 3-11, Sundown Mountain is a fit for winter athletes of all ages and

abilities. Offsite lodging in downtown Dubuque is plentiful, with Ski & Stay packages available at Hotel Julien, a boutique hotel that blends elegance and historic charm, and at the Holiday Inn Dubuque/Galena.

MICHIGAN

Timber Ridge Ski Area – Gobles, MI

When the temperature drops, hit the historic Timber Ridge Ski Area, Southwest Michigan’s oldest ski hill. Family-owned and operated, Timber Ridge offers skiing, snowboarding, tubing, and other snow sports. With green runs on up to double black diamonds, and with two terrain parks on the premises, there is a fit for each member of the family. Most lift rides are less than a minute long, which means less time getting cold and more time carving snow!

Bittersweet Ski Resort – Otsego, MI

Select from 20 runs, seven chairlifts, two wonder carpets, and two rope tows at Bittersweet Ski Resort. Learners of all levels can grow their snowboard and ski skills through the resort’s Snow School,

or just watch and learn from the master skiers in Bittersweet’s various racing programs. Snowboarding is allowed on all slopes, and night skiing is offered as well. Lodging is located offsite in nearby Kalamazoo.

Crystal Mountain –Thompsonville, MI

Crystal Mountain, located in the heart of Northern Michigan, is a communitybuilt ski resort operating for over 60 years. It features 59 downhill slopes, with 27 of these lighted for night skiing. Also prominent are the resort’s three terrain areas (Jester’s Alley, Little Vincent, and Megan’s Way Pump Track) and seven glade areas. Lifts number eight in total: one high-speed quad, three quads, two triple, and two carpet. For outdoor adventurers who would rather remain on flatter terrain, Crystal Mountain is home to 15.5 miles of cross-country ski trails, some of which are also equipped for nighttime use. The resort contains over 250 guest rooms and houses the Crystal Spa plus an indoor pool and fitness center.

(Continued on next page)

OAK BROOK MAGAZINE | HinsdaleMag.com 53 TRAVEL

(Continued from the previous page)

Boyne Mountain Resort –Boyne Falls, MI

With all Boyne Mountain Resort has to offer, it is well worth the drive! Over 60 downhill trails (with 12 lifts) await skiers, and Disciples 8 – the first eight-person chairlift in the Midwest – is opening this season. The resort also offers SnoGo downhill biking, horseback riding, ziplining, and so much more to explore the outdoors. Don’t miss the chance to take a walk on the wild side on SkyBridge Michigan, the world’s longest timbertowered suspension bridge. When it is time to come inside, the Avalanche Bay Indoor Water Park is there to greet guests of all ages.

WISCONSIN

Wilmot Mountain – Wilmot, WI Considered the “Matterhorn of the Midwest,” Wilmot Mountain celebrates 85 years of snow skiing and more this season. Owned by Vail Resorts, Wilmot invites patrons to ski or ride for $40 per day with an EPIC 7-Day Pass, making a day on the various green, blue, and black runs affordable. A substantial tubing area with its own entrance is also part of Wilmot’s winter offerings, and Walt’s Tavern (named for Wilmot Mountain’s founder, Walter Stopa) is visitors’ top stop for “Beers, Brats, Bloody’s and Tots.”

The Mountain Top at Grand Geneva Resort & Spa – Lake Geneva, WI Come for the day or stay at The

Mountain Top at Grand Geneva & Spa.

The Mountain Top boasts 20 downhill ski runs, a six-acre terrain park, and the Burton Riglet Park, built with younger children in mind. Here, young skiers learn through a series of stations, with certified instructors coaching the kids through the course. Visitors can also enjoy ice skating, sledding, snowshoeing, and cross-country skiing. Those interested in staying indoors can be pampered at the resort’s Well Spa + Salon or grab a bite and beverage at Leinenkugel’s Mountain Top Lodge or another restaurant on the property.

Alpine Valley Resort – Elkhorn, WI

If you are ready to shred, hit the slopes at Alpine Valley Resort. With over 100 skiable acres and 20 runs ranging from beginner to expert, Alpine Valley is a prime place to build or challenge your snowboard or ski skills. With four wonder carpet lifts, two rope tows, a snow carousel, three high-speed quad advanced chairlift systems, and four triple chairlifts, customers spend less time in line and more time on the slopes at Alpine Valley. With onsite lodging available, skiers and snowboarders may further maximize each moment on the mountain.

Cascade Mountain – Portage, WI

For winter adventurers looking to get a little further away from home, Cascade Mountain is a great escape. With 48 trails of varying difficulties, visitors may need to return a time or two to

experience them all.

The longest trail at Cascade is “Far Out,” a beginner cruising trail, just over a mile long, which takes skiers and snowboarders past forests, waterfalls, and other scenic terrain.

Three terrain parks –Cottontail, Mountain Top Park, and J.J. – provide progressive challenges for those looking to hone their jumps and tricks. Cascade also offers tubing, thrilling riders with a slide down a snowy 900-foot chute, a feature that is fun for the entire family.

Granite Peak – Wausau, WI

Skiing Granite Peak is like gliding through a piece of history. First opened in the late 1930s, Granite Peak is on Rib Mountain, a geological formation over two million years in the making. Rib Mountain is the second highest point in Wisconsin, bringing thrill-seekers from all over the state and beyond. Explore over 200 acres of terrain, spread across 60 trails and serviced by Wisconsin’s only 6-pack chairlift. Skiers and snowboarders looking to catch some air have four progressive terrain parks from which to choose. While there is no onsite lodging at Granite Peak, downtown Wausau, with its authentic ski town feel, is just minutes away and features a variety of hotel options. ■

THE MOUNTAIN TOP AT GRAND GENEVA
HinsdaleMag.com | OAK BROOK MAGAZINE 54 TRAVEL
GRANITE PEAK
630-325-0088 102 Chicago Ave, Hinsdale Serving Our Neighbors Since 1946. Full-Service Car Wash • Automotive Detailing Automotive Repair & Maintenance • Full-Service Lube Center Ice & Snow Services Let it SNOW ! LET it Snow! You have the FULLER Team at your SERVICE!
2012 - 2022 46 Village Place, Hinsdale In the alley, 40 feet south from the train station. 630-537-1586 cafelafortuna.com THE BEST COFFEE & MORE at Café La Fortuna Hinsdale MAGAZINE BEST of READER FAVORITE 2017 HINSDALE60521.COM Hinsdale MAGAZINE BEST of READER FAVORITE 2016 HINSDALE60521.COM Hinsdale MAGAZINE BEST of READER FAVORITE 2020 HINSDALEMAG.COM Hinsdale MAGAZINE BEST of READER FAVORITE 2021 A DECADE OF PUBLISHING —ESTABLISHED 2011— Hinsdale MAGAZINE BESTof READER FAVORITE 2022 A DECADE OF PUBLISHING WWW.HINSDALEMAG.COM
FULLER’S LAWN AND GARDEN SERVICE 630-323-7750 • Plumbing • Electrical • Seasonal Remodeling • Gutter Cleaning • Basement Renovations • Screen Repairs • Lamp Repairs • Small Engine Repairs for Lawn Mowers and Snow Blowers • Clean Your Grill, Windows and Garages Oh Christmas Tree , Oh Christmas Tree You pick out the tree and the Fuller team will deliver and install it.

Wellness House reinstates its annual in-person fundraiser Going All Out to be All In

More than three decades ago, a group of concerned Hinsdaleans affected by cancer had a collective vision of a place of healing. The result was the Wellness House (WH). Having experienced the effects of cancer in family and friends, they strove to create a warm and welcoming place of healing- at no cost to the patients and families it serves. Now, 32 years in the making, WH benefits community members every day through programs that educate, support, and empower cancer patients and their families.

The organization has grown considerably, now partnering with other Chicagoland healthcare organizations to benefit patients outside of the immediate area. “We

hope to help as many people as possible, even if they can’t physically get to us,” said WH Executive Director, Lisa Kolavennu. In addition to in-person programs, a variety of online programs are now available for patients and caregivers.

Significant fundraising is necessary, as all WH programs are complimentary. The organization’s main revenuegenerating event, The Wellness House Ball, took place Saturday, Oct. 15, at the Four Seasons, Chicago. The theme of this year’s annual black-tie event was “All In.” It was the first in-person fundraiser in two years.

Jeffrey Weller, Tina Weller, Matt Houder, Cortney Hall, Lauren Houder, Dottie Martin, Todd Martin Time Chicago (Band)
HinsdaleMag.com | OAK BROOK MAGAZINE 58 GIVING BACK

“Wellness House hopes to foster a familial atmosphere to the patients and caregivers it serves,” Kolavennu remarked. Dinner, served at long, community-style tables, reinforced the feeling of togetherness it strives to provide. WH members were invited to share stories of their journeys through a life-altering condition at a frightening and vulnerable point in life. Supporters were offered a first-hand experience with the beneficiaries of their donations.

The guests danced until midnight, breaking to visit the expansive dessert and candy bar. A live auction with paddle raises rounded out the evening, ensuring the perpetuation of next year’s programs. Funds raised will go toward 500 online and in-person monthly offerings, touching on a variety of topics from information and education to exercise, nutrition, and stress management. Child and family support groups and counseling are also available. All WH programs are evidence-based and intended to help cancer patients reduce side-effects, learn coping and relaxation techniques, exercise safely, and most importantly, feel less isolated.

WH ball chairperson, Lauren Houder, summed up the evening as she offered the dinner blessing. “When my family gathers,” she began, “we always say ‘thank you for bringing us together and we certainly miss those who are not here.’” WH makes every effort to meet the needs of area cancer patients and their families- both physically and emotionally- to be sure they are here for as long as possible. ■

Lori Naccarato, Dottie Martin Rob D’Arco, Janice D’Arco, Jenna Julian William Walker (former Executive Director), Luciana Butera, Ghadeer Yacoub, Lisa Kolavennu, Sonja Grujic
“Until you need us, you might not know we’re here. We’re here and happy to help.”
OAK BROOK MAGAZINE | HinsdaleMag.com 59 GIVING BACK
-WELLNESS HOUSE EXECUTIVE DIRECTOR LISA KOLAVENNU

Here comes the Bridal Party

Things have been put on hold for too long. Your time has come. Bridal Showers | Weddings Receptions | Rehearsals www.OnlyinOakBrook.com

Local & Nationwide (630) 719-5200 PhillipsFlowers.com Sleigh Bells #0X300 Holiday Glow Holiday Glow #T271C Christmas Wishes Premium OAK BROOK MAGAZINE FACEBOOK.COM/ THE HINSDALE MAGAZINE WE INVITE YOU TO LIKE US ON FACEBOOK! LIKE US 30 DAY WARRANTY HOLIDAY SAVINGS • Apple Computers • PC Computers • ipads, iphones & MacBooks Unlocked phones 621 W North Ave, Villa Park 630.793.9195 www.techstreetusa.com APPLE LIQUIDATORS Your One Stop for all your Electronic Needs!

FREDDY JONES

Thirty years later, Marty Lloyd still takes the time to daydream

Thirty years ago, midwestern roots rock group Freddy Jones Band (FJB) appeared on the local music scene. Their folksy/blues-influenced sound was unique; their lyrics largely based on their own life experiences. Originally from South Bend, IN, they quickly captured the ear of local Chicago audiences, while working their way up the music charts. Their catalog of songs earned the respect of listeners in a style that would come to be recognized as a slice of Americana.

Downers Grove was honored to have FJB headline for District 58’s recent Oktoberfest fundraiser. The band was impressed, too. “Oktoberfest was really fun,” said founder and front man, Marty Lloyd. “The crowd and the crew brought their “A” game for sure.” Contributing Editor Maureen Callahan connected with Lloyd via telephone from his Brentwood, CA home.

WHERE ARE YOU FROM, ORIGINALLY?

I was actually born at Hinsdale Hospital. Shortly after, my parents moved to Long Beach, IN, near the

Michigan border. I grew up there. Most of my family has left that area, but the band was back there this past July. We played the Michigan City Botanic Gardens. I got to go back and see the beach and my old neighborhood. It was great catching up with the people I grew up with.

HOW DID FREDDY JONES BAND GET STARTED?

Paul Bolger from Mr. Blottoanother Chicago band- and myself both attended La Lumiere School in LaPorte, IN. He was a senior when I was a freshman. His family had a summer house in Grand Beach, MI,

FJB is one of America’s premiere rock bands.
ARTS & ENTERTAINMENT HinsdaleMag.com | OAK BROOK MAGAZINE 62
Left to Right: Ben Loshin, Marty Lloyd, Rich Ross, Terry Goldstein. Photo courtesy of FJB

JONES BAND

and I lived in Long Beach, IN, which is pretty much next door. We started playing music together way back then. That was the beginning of how FJB came together. I ended up at Holy Cross College, with aspirations of getting into Notre Dame. At that point we were playing local gigs.

After a while, it became obvious that the band needed to be in Chicago. So, we moved up to Wrigleyville. We had some fun years and mostly played bars around that area. Then we opened for Widespread Panic at Park West. That’s when Capricorn Records showed up and invited us to their office in Nashville. From there, it happened kind of lightning fast. We were in the studio three weeks later recording our first album, Waiting for the Night. Then we played

HORDE (Horizons of Rock Developing Elsewhere) Fest dates in the 90s and accompanied Big Head Todd on the Sister Sweetly tour.

“Take the Time” was our first single. I don’t think the plan was to hold “Daydream” back, which was already written at that point. We thought the lead single should be “Take the Time,” which did very well. But then people really liked “Daydream.” That one definitely hit.

Fast forward to last summer. We played with Big Head Todd and The Samples in Denver. We sold a ton of tickets. The lineup was killer! I had kind of forgotten that these bands hadn’t really been in Chicago together since HORDE Fest. But we crushed it! We’ve crossed paths over the years, but those three bands

hadn’t played together in quite a while. So that’s how the summer kicked off.

WHO IS FREDDY JONES?

Funny you should ask that. We have been answering that question for years, but it’s never the same answer (Lloyd laughed). Back in the day, we would tell people Freddy Jones was the first Canadian to cross Lake Michigan in an inner tube, or some other crazy tale. Ridiculous, made-up stuff. Then we started reading about ourselves in magazines and found that people printed those stories!

The real answer: we were still living in South Bend and some friends of ours from Notre Dame had a band called The Pat Gibson Band. Pat Gibson was not in the band; he was just a friend of theirs. So, we took it one step further and made up a fictitious person. It’s really just a college joke.

HOW DO YOU GET YOUR INSPIRATIONS FOR SONGS?

Songs kind of show up in a lot of different ways. Sometimes it’s just a melody that appears in your head. I can’t really pinpoint the inspiration. Sometimes it’s a lyrical phrase that I have in my head for a while. Sometimes it’s just playing around with the guitar. Some of the best songs are effortless to write. “In a Daydream” didn’t take long to write. I was in college when I wrote that song. I was sharing a house with a friend who recently reminded me he was in the next room while I was dinking around on his guitar, starting to write the song. I didn’t even have an acoustic guitar back then. It’s ironic, because it was not a nice day at all; it was an idle Tuesday morning with crummy weather. I kind of wrote it to cheer myself up.

DOES FJB EMULATE A PARTICULAR STYLE OF MUSIC?

In the beginning, the band had very diverse music tastes. There was a blues element that entered into the music back then. Then some guitar

ARTS & ENTERTAINMENT OAK BROOK MAGAZINE | HinsdaleMag.com 63

hero creeped in. Then there was my type-kind of singer/songwriter Americana. I think as the years have passed, our music has evolved while still honoring our original sound. People are commenting that they have never heard the band sound this good. A little hard work has paid off to get to this point.

DO YOU HAVE A BUSY TOUR SCHEDULE?

We had a crazy tour schedule this past summer. Much more than I would have anticipated, going into this year. We hooked up with a new booking agency in Nashville in 2020. We started playing that year with ten dates in a row. We hadn’t played ten in a row in quite a while. But people were coming. We were selling the tickets. We played the Midwest, then the east coast- Boston, New York, etc. All these places we hadn’t been in years. Then boom! The world shut down. But we’re back on schedule now.

IS YOUR FAMILY INTO MUSIC?

Music was a big theme in my house when I was a kid. On my mom’s side, my whole family would be playing together at family reunions, sitting on the porch. Somebody would grab a

guitar and we would all start singing together until late in the night. It’s carried on with me. I have two collegeage daughters. The older one is at UC Santa Barbara. The younger one is at music school in Nashville. She plays keyboards, piano and guitar. She writes music. She’s a great singer. She’s studying music production to start.

BESIDES MUSIC, WHAT ARE YOUR OTHER INTERESTS?

I’m a hopeless fitness junkie. It’s my thing. I used to do a lot of triathlons. That’s one of the reasons I moved out here (CA). I wanted to be able to exercise year-round. I love being able to swim all year out here. I’m always out running. Recently, there was a mountain lion in my neighborhood, right where I run, though, so I might have to find a new route! (Lloyd

laughed). I opened a Fleet Feet store in Santa Monica. The guys in Chicago who started that company are good friends of mine. So, I reached out to them with the idea.

WHAT’S NEXT?

Big Head Todd and us at the Riviera in January. It’s going to be a good show. Guys from when we were first starting out that had us play at Gamekeepers and Joe’s on Weed Street are chiming in on social media to support us. Ryan Arnold from XRT has been talking about it on his show. The lineup is resonating with people who liked us from the beginning. They’re coming out to see us. We can’t wait! See you there!

Three decades along, Marty Lloyd still holds a clear vision of the band’s future. Listen for “Mirror Ball,” a new single set to release this fall. Get tickets for the FJB and Big Head Todd & The Monsters show, set for January 21, 2023 at the Riviera Theater. Visit FreddyJonesBand.net for more information. ■

“I think as the years have passed, our music has evolved while still honoring our original sound.”
ARTS & ENTERTAINMENT
– MARTY LLOYD
Freddy Jones Band performed in Downers Grove in September.
HinsdaleMag.com | OAK BROOK MAGAZINE 64
Photo by Chris Reidy
WWW.YORKTAVERNOAKBROOK.COM 3702 York Road Oak Brook, IL 60523 630-323-5090 Hours Sunday - Thursday 11am-11pm | Friday & Saturday 11am-12am Pick Up & Delivery
Defeat Obesity And enjoy Your life Chicagoweightlossmd.com | 630.420.8080 2867 Ogden Avenue | Lisle IL | forever25.com Weight loss is about health Dr Suwan is a Chicago weight loss Medical Doctor, board Certified in Obesity medicine Obesity is not about lack of will power LETS HELP WITH YOUR WEIGHT LOSS JOURNEY Our patients lost up to 110 lbs With FDA approved Non surgical modalities.
Going The Extra Mile For My Clients... LINA SHAH Luxury Property Specialist # 1 Agent in Oak Brook* Named in top 23 in Chicago Magazine Best of Best Agents Top 1 % in NRT Nationally Named in Crain's Business Most Notable Brokers (g (312)593-4818 @) Linashah5@gmail.com @ WWW.LINASHAH.COM Homes by LINA SHAH Local Knowledge Global Connections • COMING SOON! 1916 Midwest Club Pkwy, Oak Brook Amazing Architecture! Resort living at its Best. Prestigious gated, guarded sub division The Midwest Club. Oak Brook District 53 and Hinsdale Central High School. ©2022 Coldwell Banker Residential Real Estate LLC. All Rights Reserved. Coldwell Banker Residential Brokerage fully supports the principles of the Fair Housing Act and the Equal Opportunity Act.@Operated by a subsidiary of NRT LLC. Coldwell Banker, the Coldwell Banker logo, Coldwell Banker Global Luxury and the Coldwell Banker Global Luxury logo are service marks registered or pending registrations owned by Coldwell Banker Real Estate LLC. Real estate agents affiliated with Coldwell Banker Residential Brokerage are independent contractor sales associates and are not employees of Coldwell Banker Residential Brokerage. [H 'MRED Source 2021,2020,2019,2018,2017,2016 Sold Properties, Cross Residential, OAK BROOK E&OE

Turn static files into dynamic content formats.

Create a flipbook
Issuu converts static files into: digital portfolios, online yearbooks, online catalogs, digital photo albums and more. Sign up and create your flipbook.