HSS What's the Diagnosis Case 192

Page 1

What’s the Diagnosis – Case 192 1
What’s the Diagnosis – Case 192 2
What’s the Diagnosis – Case 192 3
What’s the Diagnosis – Case 192 4
What’s the Diagnosis – Case 192 5
What’s the Diagnosis – Case 192 6
What’s the Diagnosis – Case 192 7
What’s the Diagnosis – Case 192 8
What’s the Diagnosis – Case 192 9
What’s the Diagnosis – Case 192 10
What’s the Diagnosis – Case 192 11
What’s the Diagnosis – Case 192 12
What’s the Diagnosis – Case 192 13
What’s the Diagnosis – Case 192 14
What’s the Diagnosis – Case 192 15
What’s the Diagnosis – Case 192 16
What’s the Diagnosis – Case 192 17
What’s the Diagnosis – Case 192 18
What’s the Diagnosis – Case 192 19
What’s the Diagnosis – Case 192 20
What’s the Diagnosis – Case 192 21
What’s the Diagnosis – Case 192 22
What’s the Diagnosis – Case 192 23
What’s the Diagnosis – Case 192 24
What’s the Diagnosis – Case 192 25
What’s the Diagnosis – Case 192 26
What’s the Diagnosis – Case 192 27
What’s the Diagnosis – Case 192 28

Findings

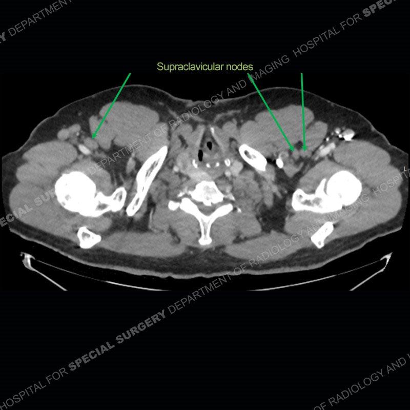
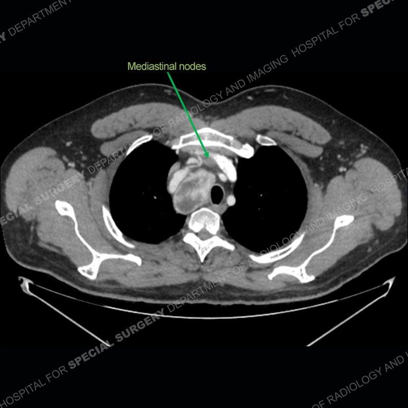
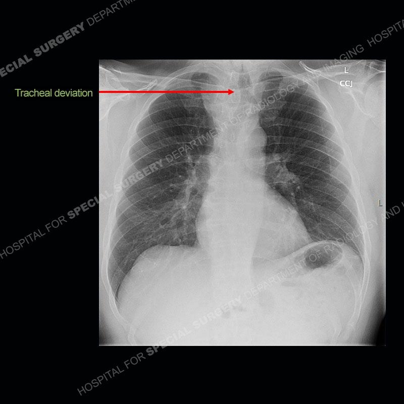
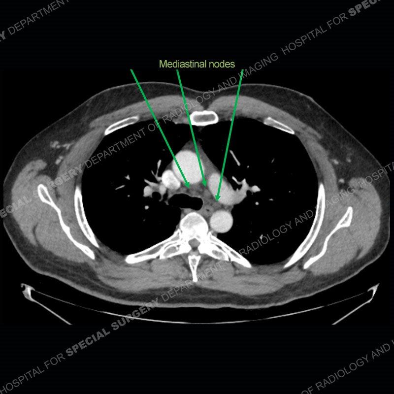
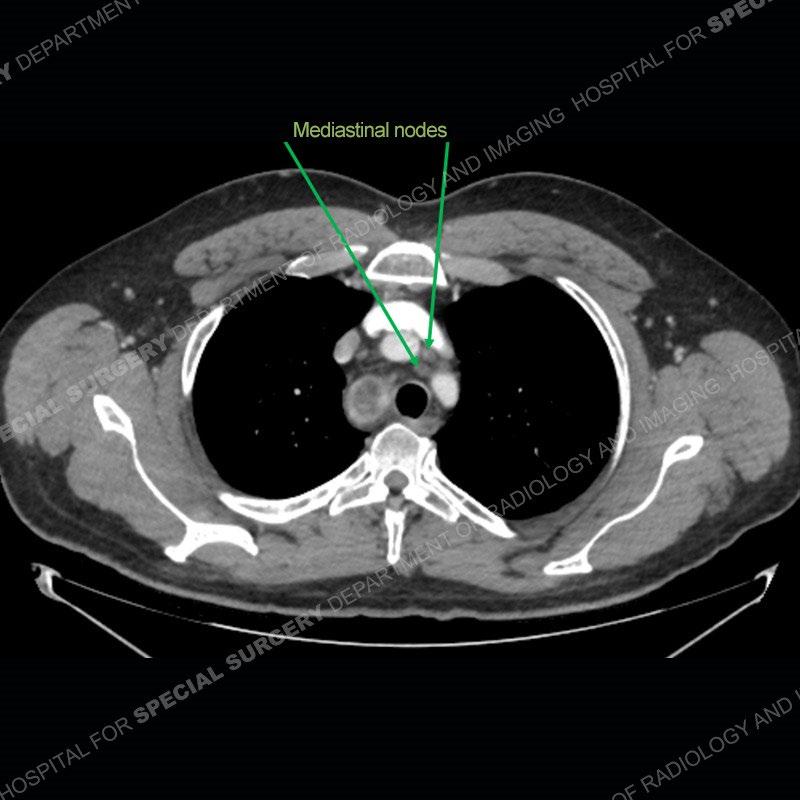
The chest radiographs demonstrate a leftward deviation of the trachea. CT images demonstrate a large, somewhat heterogeneous mass of the thyroid that extends outside the confines of the thyroid tissue. There is a subtle, enhancing soft tissue mass of the proximal right humerus. Slightly prominent mediastinal lymph nodes are present with additionally, multiple supraclavicular lymph nodes.

What’s the Diagnosis – Case 192
29
What’s the Diagnosis – Case 192 30
What’s the Diagnosis – Case 192 31
What’s the Diagnosis – Case 192 32
What’s the Diagnosis – Case 192 33
What’s the Diagnosis – Case 192 34
What’s the Diagnosis – Case 192 35
What’s the Diagnosis – Case 192 36
What’s the Diagnosis – Case 192 37
What’s the Diagnosis – Case 192 38
What’s the Diagnosis – Case 192 39
What’s the Diagnosis – Case 192 40
What’s the Diagnosis – Case 192 41
What’s the Diagnosis – Case 192 42
What’s the Diagnosis – Case 192 43
What’s the Diagnosis – Case 192 44
What’s the Diagnosis – Case 192 45
What’s the Diagnosis – Case 192 46
What’s the Diagnosis – Case 192 47
What’s the Diagnosis – Case 192 48
What’s the Diagnosis – Case 192 49

Diagnosis: Thyroid Cancer with Bony Metastasis

Over the years we have shown a couple of these cases which may be considered more so an “eye test” then anything else. In clinical practice, these are often very difficult cases as the initial finding of the tracheal deviation may be easily overlooked. Screening radiographs are clearly most often used to assess cardiopulmonary function before induction of anesthesia but at times other findings of great and unfortunately grave consequence can be found. The evaluation of the incidental thyroid mass on CT and MRI is an ever changing situation. Parameters such as age of patient, extension outside of the thyroid, enhancing nodules, and local invasion of lymph nodes are evaluated to see if a lesion needs to be further evaluated.

Although not strictly a part of the evaluation of an “incidental” thyroid lesion, evaluation of the adjacent lymph nodes and bony structures can also be quite important. In this case, there is an enhancing mass of the right humerus. This is very subtle and can only really be recognized by evaluating the density of the bone. Typicaly marrow will have a fatty density or nearly fluid density. As the density, as in this case, approaches soft tissue an infiltrative process must be entertained. Thyroid mets are markedly vascular accounting for the areas of enhancement of the humeral mass. The mediastinal and supraclavicular lymph nodes although not individually enlarged, should raise suspicion of an underlying inflammatory/neoplastic process.

A sincere thank you to Shari Jawetz, MD for her outstanding work on this case.

What’s the Diagnosis – Case 192
50

References

Bin Saeedan M, Aljohani IM, Khushaim AO, Bukhari SQ, Elnaas ST. Thyroid computed tomography imaging: pictorial review of variable pathologies. Insights Imaging. 2016 Aug;7(4):601-17. doi: 10.1007/s13244-016-0506-5.

Epub 2016 Jun 7. PMID: 27271508; PMCID: PMC4956631.

What’s the Diagnosis – Case 192
51

Turn static files into dynamic content formats.

Create a flipbook
Issuu converts static files into: digital portfolios, online yearbooks, online catalogs, digital photo albums and more. Sign up and create your flipbook.