Newcastle, Lake Macquarie, Port Stephens and Hunter Valley | INTOUCH MAGAZINE JUL 23' ISSUE

Page 1

School GUIDE Holiday pg. 32 Magic, Thrills and Hoverboards... It’s Disney On Ice! Proudly Locally Owned and Produced FREE TAKE ME I’M ISSUE #89 JULY 2023 + Newcastle’s History Set to Shine at Victoria Theatre + Anastasia the Musical to Captivate Audiences + Musical Midsummer Dreams Arriving at City Hall
2 4 August 22-23 Written and directed Christine Dunstan Productions Adapted for the stage by Tim McGarry Colleen McCollough’s Tim Tantrum Youth Arts Good Mourning Written by Sonia Dodd shake & stir theatre co Roald Dahl’s The Twits Adapted for the stage by shake & stir theatre co Sydney Dance Company presents Ascent An inspired triple bill from renowned choreographers Tickets civictheatrenewcastle.com.au or 4929 1977 September by Wesley Enoch. Music by John Rodgers Sunshine Club Sydney Comedy Festival Showcase Civic
presents...
Theatre

Disney On Ice has become as synonymous with Newcastle School Holidays as the Knights are to McDonald Jones Stadium – and that’s not set to end anytime soon. With some of the most advanced ice-skating technology ever seen, the magic and thrills are dialled up to breathtaking levels that will have you creating memories for a lifetime when the icy production returns to the Newcastle Entertainment Centre this month. And there are real-life hoverboards too!

Since it began, Disney On Ice has entertained an astounding 320 million guests in 68 countries in more than 545 cities and performed in more than 41 languages. In fact, over this last year alone, Disney on Ice performers have travelled over 2.25 million kilometres worldwide, bringing LIVE Disney magic to millions in 16 countries throughout nearly 2,000 performances, and now it’s our turn! Read more on page 17.

Also a Novocastrian institution is the Victoria Theatre on Perkins Street which holds the mantra of being the oldest theatre building still standing in NSW. It’s been home to vaudeville, opera, acrobats, concerts, boxing matches, early legitimate theatre, silent films and cinema, not to mention various retail incarnations since it closed as a theatre/cinema in 1966.

Today, this historically significant site continues to attract the passion and commitment of a group of individuals who work tirelessly to ensure the future of the building for not just Newcastle but the country and our culture. We caught up with some key players this month and discovered that we won’t have much longer to wait until we can all enjoy this significant part of Newcastle’s theatre history again. Read more on page 42.

Colder days tend to mean more hours spent inside and more pent-up energy with the kids (and there is nothing quite as terrifying as pent-up, bored children lurking in your midst!) Don't despair! Check out our School Holiday Guide on page 32 for the best local hits to keep the kids warm and enjoy family time at some genuinely fabulous local productions or get them outside for a healthy dose of fresh air at events throughout the holidays.

Enjoy!

4 PAGE 25 12 Celebrating The Vibrancy Of Raymond Terrace 14 Musical Midsummer Dreams For Newcastle In August 17 Magic, Thrills And Hoverboards...It's Disney On Ice! 22 The Story Of An Extraordinary Girl Who Changed History 25 Get Skating This School Holidays 27 Cosmopolitan Cape Town to Wild Kruger 29 Supporting Wine and Food Tourism with Handy Guide 32 School Holidays Guide – Winter 2023 37 On Tour With The Kid | How To Save a Life 42 Newcastle's History Set To Shine Again 44 Love The Skin You're In...At Any Age 46 Hunting For The Hunter's Best Young Business Minds 48 Community News | What's Happening in Your Community? REGULARS PAGE 49 View this month’s Issue of intouch Magazine on your phone, tablet or computer. SUBSCRIBE ONLINE AT www.intouchmagazine.com.au Facebook intouchmagazines Instagram intouchmagazines GET MOBILE! Publishers Two Tribes Media Editorial Content & Advertising Di von Essen Quentin von Essen Meghan Piggott Graphic Designer Katrina Reeves Features Writer Liane Morris Contributors Dr Kathryn Holmes Dr Alex Huszti Tanya Obreza Chloe O’Sullivan 6 What's On in July 26 Eat. Drink. Travel. 36 Family & Community 50 Horoscopes 51 Hunter Homes & Lifestyle 53 Trades & Services Directory ON THE COVER This month sees the return of everyone’s family favourite, Disney on Ice, presenting 100 Years of Wonder Guaranteed to be an adventure the whole family will enjoy, it stars some of the world’s most beloved characters. Read more on page 17. Cover Image: Courtesy of Feld Entertainment Credit: Matt Garrick Contents ISSUE #89 | JULY 2023 Publisher Two Tribes Media Address 297 Brunker Road, Adamstown, NSW 2289 Web www.intouchmagazine.com.au Email getintouch@intouchmagazine.com.au Advertising Sales 0432 195 942 Editorial Enquiries 0439 496 403 Artwork Enquiries 0406 503 088 © Copyright 2023 Two Tribes Media. Published monthly by Two Tribes Media. All rights reserved. Permission to reprint or quote excerpt granted by written request only. While every attempt has been made, Two Tribes Media cannot guarantee the legality, completeness or accuracy of the information presented and accepts no warranty or responsibility for such.
EDITORS... FRO M THE
TICKETS: NORTHSTARS.THUNDERTIX.COM

WE MAKE EVERY EFFORT POSSIBLE TO BE CORRECT, HOWEVER EVENTS DO CHANGE. PLEASE CHECK INDIVIDUAL EVENTS ONLINE BEFORE PLANNING.

correctional facility. Although a family-friendly tour, children must be accompanied by a supervising adult. The tour will be available from Sat 1 to Sun 30 July. For more information or to book tickets, visit www.maitlandgaol. com.au

■ Upriver Downriver at Maitland Regional Art Gallery The Upriver Downriver exhibition will take you on a journey through the eyes of artists as they take you from the Upper Hunter down through Maitland and into the Port of Newcastle. The exhibition will energise all gallery space to celebrate the expansive range of art and the community of artists throughout our region. Upriver Downriver will run from Sat 1 July to Sun 13 August. For more information, visit www.mrag.org.au

planners, and more. The Expo provides the perfect opportunity to plan your special day all under one roof. For more information or to book tickets, visit www. weddingexposaustralia.com

SATURDAY 1 JULY

▲ Independent Galleries Newcastle 2023 Art Fair at Various Newcastle Galleries. The IGN Art Fair returns for its third year! Galleries across Newcastle will host exhibitions and programs (until Sunday 2 July) that showcase the talent of local artists. See the best original works at affordable prices while exploring the studios and exhibitions or attending Q&A sessions with artists and directors. See what the local art scene has to offer! For more information, visit www. independentgalleriesnewcastle.com.au

■ 150 Years Under Lock and Key Guided Tour at Maitland Gaol. Enjoy a 90-minute tour of Maitland Gaol as you discover a range of stories of prisoners and their treatment. Immerse yourself in the history of Australia's oldest continually operating

SUNDAY 2 JULY

▲ Annual Wedding Expo at The NEX Newcastle’s Annual Wedding Expo is back with over 80 regional vendors. The day will be full of colour, inspiration, and fun for all attendees! Vendors include florists, photographers, celebrants, honeymoon

DISTILLER'S FLIGHT SPIRIT & COCKTAIL EXPERIENCE AT MCGUIGAN WINES

For the spirit and cocktail enthusiasts who are looking to try something new! Sample the best of our new spirit selection and find your favourite flavour. This guided tasting

WEDNESDAY 5 JULY

▲ Christmas in July at Newcastle Harbour

Enjoy the fun of Christmas early and escape the cold weather with Nova Cruises! With a hot Christmas lunch, live entertainment, carols, bon-bons and more on offer, you’ll want to secure tickets early so you don’t miss the boat! The cruises are availble from Wed 5 to Thurs 27 July. For more information or to book tickets, visit www.novacruises.com.au

FRIDAY 7 JULY

■ Newcastle 1899 at Newcastle Museum. Newcastle Museum is hosting one of Australia’s best model railways – and in the city that inspired it! For over a decade, Ross Balderson and a small group have recreated a representation of the Newcastle Railway station precinct in 1899. The miniature work is something to be seen! The exhibition will

includes pours of gin, vodka, liquor creams, espresso, cosmo's and more, this is a not to be missed flavour experience!

Cost: $15 pre-paid reservations for parties of 1 – 20 people.

Visit www.mcguiganwines.com.au and click on Visit Us to book.

6 WHAT'S
July
ON in
• WHAT'S ON

run from Friday 7 to Sunday 9 July. Entry to the exhibition is free. For more information, visit www.newcastlemuseum.com.au

■ Finding Nemo Jr. at Civic Playhouse. Hunter Drama is bringing Finding Nemo Jr. to the Civic Playhouse this month! The 60-minute musical is adapted from the beloved Pixar movie. Nemo goes on the adventure of a lifetime when he wants to explore the world away from his anemone home in the Great Barrier Reef, where he lives with his father, Marlin. Watch as the talented cast bring the underwater world to life in a vibrant way to focus on the importance of family and friendship, all while adventuring across the ocean. Finding Nemo Jr. promises to be a great show for guests of all ages to enjoy! Shows will run from Friday 7 to Sat 15 July. Visit www.hunterdrama.com.au for more information or to buy tickets.

in the Business, is sure to be spectacular as she brings an evening of fun and laughs to her audience. For more info or to book tickets, visit www.civictheatrenewcastle.com.au

▲ NAIDOC Week Celebration at Hunter Region Botanic Gardens. Celebrate the culture and traditions of Aboriginals in the local area! From dance workshops and coolamon-making workshops to guided walks and bush food tastings, there is so much on offer! Visit www.huntergardens.org.au for more information or to book tickets.

MONDAY 11 JULY

SATURDAY 1 JULY

Thomas Gould Newcastle City Hall

THURSDAY 6 JULY

The Launch Pad The Wickham Park Hotel

FRIDAY 7 JULY

Aodhan The Hamilton Station Hotel

Oran Vir 5 Sawyers

SUNDAY 9 JULY

Jack Biilmann Stag & Hunter Hotel

Loko Queen’s Wharf Hotel

THURSDAY 13 JULY

Doris The Hamilton Station Hotel

JB Paterson Stag & Hunter Hotel

SATURDAY 15 JULY

Rock Rhapsody Club Charlestown

FRIDAY 14 JULY

Isaac Compton Hotel Jesmond

Tre Soul Band Honeysuckle Hotel

SATURDAY 8 JULY

▲ PINK Race Day at Newcastle Racecourse

The upcoming Clubs in the Community PINK Race Day is aimed at supporting Hunter Breast Cancer Foundation. Wear your pink outfit and enjoy a day of good vibes with horse racing and hospitality. Give your support for a worthy cause and help gallop towards a cure for breast cancer! For more information or to book tickets, visit www. newcastleracecourse.com.au

SUNDAY 9 JULY

■ Julia Morris at Civic Theatre Newcastle Julia Morris is back after years of being trapped indoors! Her stand-up show, 75 Years

■ Hog Watts at 48 Watt St. Hog Watts is returning! From trivia, cocktail potion making to Hog Watts School, and dining spectaculars, there is a range of events to suit everyone. Be sure to check out the unique program of events and get tickets to your favourite! Events will run from Monday 11 to Sunday 16 July. For more information or to view the events and book tickets, visit www.48wattstreet.com.au

FRIDAY 14 JULY

■ The Waifs at Civic Theatre Newcastle The Waifs are celebrating the 20th anniversary of their breakthrough album, Up All Night, with a tour of Australia that includes a stop in Newcastle. The band will play the entire album alongside other fan favourites. It’s a night not to miss! For more information or to book tickets, visit www. civictheatrenewcastle.com.au

Continued next page ▶

SATURDAY 15 JULY

Rock Rhapsody Club Charlestown

FRIDAY 21 JULY

Darren Jack Stag & Hunter Hotel

Aaron Lenard 5 Sawyers

SATURDAY 22 JULY

Brien McVernon & The Rockets From Oz The Wickham Park Hotel

SUNDAY 23 JULY

Bones & Jones The Hamilton Station Hotel

WEDNESDAY 26 JULY

Subrigo The Hamilton Station Hotel

FRIDAY 28 JULY

Battlesnake Stag & Hunter Hotel

Windwaker The Hamilton Station Hotel

Ned Verway Band Honeysuckle Hotel

SATURDAY 29 JULY

Ray Beadle Stag & Hunter Hotel

7 WHAT'S ON •

WHAT'S ON in July

(Continued)

FRIDAY 14 JULY

■ Circus Rio Carnival at Maitland Showground

The Circus Rio will showcase incredible acts from around the world in a unique show! There will be aerialists, cloud swing artists, jugglers, and more to entertain the audience. It will surely be a family-fun adventure, so get your tickets before they sell out. The circus will run from Friday 14 to Sunday 23 July. Visit www.circusrio.com for more information or to book tickets.

SATURDAY 15 JULY

▶ Roller Derby at Newcastle Entertainment

out victorious! For more info or to book tickets, visit www.newcastlerollerderby.org.au

THURSDAY 20 JULY

◀ Silent Book Club at The Press Bookhouse

The Silent Book Club is designed for introverts to enjoy reading amongst a group. There is no pressure to talk, and participants can engage as much or as little as they’d like. Pick your beverage of choice and settle in comfortably for your reading time. After an hour of silent reading, guests can stay for the open mic night. For more information, visit www. silentbook.club

▶ Disney On Ice at Newcastle Entertainment Centre. Disney On Ice presents 100 Years of Wonder! It’s an adventure for the whole family with Mickey and Minnie Mouse, Buzz Lightyear and Woody, Elsa and Anna, and so many more characters from the wonder we all grew up with. Bringing some of the most

advanced ice-skating technology, the show promises world-class skating, acrobatics, unexpected stunts, and wow moments on the ice and in the air. It’s sure to be an action-packed show that kids of all ages will love! Disney On Ice will run from Thurs 20 to Sun 23 July. For more information or to book tickets, visit www.disneyonice.com or read more on page 17!

As Fresh As It Gets

Prawn

the Champa gne!

8
• WHAT'S ON
FRIDAY 28 JULY ■ Friendlyjordies Presents: Bruz at The NEX
Wickham ◆ Swansea ◆ Tacoma | www.fishcoop.com.au | Follow us on The Commercial Fishermen’s Co-Operative supplies local caught fresh seafood daily through our retail outlets at Wickham, Swansea, and Tacoma. Visit our website for Recipes and our fresh Seafood Catalogue. It’s King
Season, Pop
Courtesy of Feld Entertainment | Credit: Matt Garrick

SATURDAY 29 JULY

■ Lake Mac POP BAM: Popular Culture Festival at Warners Bay Theatre. The first-ever popular culture festival is coming to Lake Mac! Celebrate all things popular culture, including comics, superheroes, music, film, television and more. There will be something for everyone, from cosplay panel discussions to Swordcraft battles and magical wizard craft. Dressing up in your favourite cosplay is encouraged, with prizes for the best dressed. For more info, visit www.lakemac.com.au

SUNDAY 30 JULY

◀ Peek into the Past at Tocal Homestead Watch Tocal Homestead come alive with the sights, sounds, and smells of the past. Immerse yourself in the nostalgia while enjoying a piece of damper by the fire before participating in traditional bush games. You’ll find tractors at work, farm animals, clothing parades, machinery demonstrations, and so much more on offer. It is sure to be a perfect day out for the family! For more information or to book tickets, visit www.tocal.com.au

▼ Pinot & Picasso with Timberlina at Bartholomews. Enjoy an afternoon of sipping, painting, and grazing with special guest, Timberlina! You’ll be guided through steps to “Paint Your Inner Drag Queen” while being entertained by Timberlina’s classic comedic style – it’s the collab everyone has been waiting for. For more information or to book tickets, visit www.bartholomews.com.au

JULY MARKET GUIDE

EVERY SATURDAY IN JULY

■ Glendale Farmers & Artisans Market at Stockland Glendale, 7am–1:30pm

EVERY SUNDAY IN JULY

■ Lions Club of Adamstown Market, Cnr of Brunker and Glebe Rd, Adamstown, 6:30am–12pm

■ Newcastle City Farmers Market at Newcastle Showground, 7am–1pm

SATURDAY 1 JULY

■ Pelican Foreshore Markets at Pelican, 9am-1pm

SUNDAY 2 JULY

■ Maitland Community Markets at Maitland Showground, 9am–1pm

SATURDAY 15 JULY

■ Warners Bay Markets at Warners Bay Foreshore, 9am–2pm

9 WHAT'S ON • Visit our website to view weekly updates on events in the Hunter region. Stay Up to Date with What's On!
Handmade Items • Gifts • Entertainment • Food Trucks • Coffee • Beautiful Views
Market: 15 July
Bay Markets
Next
Warners

SNOW TIME IN THE GARDEN

> NOW – SUNDAY 23 JULY AT HUNTER VALLEY GARDENS

Experience an icy adventure with family and friends at the Hunter Valley Gardens! A range of fun-filled activities will be available, including a snow pit, building a snowman, an ice rink, and a giant toboggan. That’s not all – there are also amusement rides, entertainment, hearty food, and warm beverages on offer, so you can keep yourself warm between all the fun. Watch the gardens transform into a magical ice adventure for children of all ages to enjoy. What is more fun than spending a day of the school holidays playing in the snow without the long road trip to experience it? It’s sure to be the coolest family event, and you don’t want to miss it! For more information or to book tickets, visit www.huntervalleygardens.com.au

DISNEY’S FROZEN JR.

> 4 JULY – 5 AUGUST

AT YOUNG PEOPLE’S THEATRE NEWCASTLE

Be enchanted by Young People Theatre’s production of Disney’s Frozen Jr. The modern classic from Disney brings the magical land of Arendelle to life with Elsa, Anna, and many other beloved characters. It is based on the 2018 Broadway musical, which was adapted from the hit movie, and features all memorable songs from the film plus some original songs written for the Broadway production. The story explores the bond of sisters through love and acceptance, all with a little adventure, plenty of humour, and of course, magic! Get the family together and enjoy a show that will thaw even the coldest of hearts! For more information or to buy tickets, visit www.ypt.org.au

NIGHT NOODLE MARKETS

> FRIDAY 7 & SATURDAY 8 JULY

AT JAMES ST PLAZA, HAMILTON

The Hamilton Night Noodle Markets will transform James Street Plaza into a vibrant Asian street food marketplace across two nights! Presented by Hamilton Business Association in conjunction with the City

of Newcastle, the event will host a range of Asian food stalls and entertainment, including Chinese dance displays, face painting, balloon twisting, and more. Curious Legends will also bring their brilliant puppetry to the event with their giant roaming illuminated dragon – a sight to behold, adding warmth and colour to the dark Winter night. For more information, follow Hamilton Business Association on Facebook and Instagram at HelloHamilton.

with Ca é eore

Roast Dinner $19.90 with Pudding & Tea or Coffee $29.90

Open for Breakf ast and Lunc ursday for Dinner. Now Licensed.

n Lake Macquarie Square, 46 Wilsons Rd, M

Supplied by HVG Supplied by PWP Events Supplied by YPT

DIRTY ROTTEN SCOUNDRELS

> WEDNESDAY 12 – SATURDAY 22 JULY AT ST PHILIP’S CHRISTIAN COLLEGE

Based on the 1988 film, Dirty Rotten Scoundrels tells the story of two con men and a beautiful woman set on the French Riviera. The men attempt to work together but soon discover that the French town isn’t big enough for the both of them and come to an agreement – the first to extract $50,000 from a young female target wins, and the other must leave town. The battle of cons will keep audiences entertained with laughter while singing along to the brilliant music! Metropolitan Players’ production of Dirty Rotten Scoundrels guarantees to keep you guessing until the end, be sure to get your tickets so you don’t miss the excitement. For more information or to book tickets, visit www.spcc.sales.ticketsearch.com

THE PIRATE CODE

> WED 26 – SAT 29 JULY AT CIVIC THEATRE NEWCASTLE

Follow Captain Lucy Dastoor and her pirate crew as they hunt for treasure to prove to everyone that women can be some of the best pirates! The Pirate Code is full of adventure that includes Lucy and her crew coming up against villains, storms, and all kinds of trouble. Aspire’s production is designed to entertain audiences with a great storyline and a range of music and sea shanties. Focusing on young people as creative artists, the production offers excellent opportunities for catholic school students to participate. With over 150 young performers, musicians, designers, and production crew from Maitland Newcastle Catholic Schools, it will surely be a show you’ll remember. Tickets are selling fast, and you don’t want to miss it! For more information or to book tickets, visit www.civictheatrenewcastle.com.au

> THURS 3 – SAT 5 AUGUST AT CIVIC PLAYHOUSE

On October 30th, 1938, Orsen Welles and the Mercury Theatre changed the course of live broadcasting forever. The War Of The Worlds was a radio play that shocked a nation and had many terrified listeners convinced that an actual alien invasion of Earth was taking place. Directed and narrated by Orson Welles, this original script detailing the frightening tale of an extraterrestrial takeover is now available to

modern audiences to bring to life onstage and to thrill and chill audiences.

Behind the scenes, Hunter Drama has assembled a visionary creative team who passionately and meticulously bring the magic of the original 1930s broadcast to the modern era. The cast consists of 14 voice actors and four dedicated foley artists. This is a show not to be missed, offering an unforgettable experience for audiences young and old! Visit www.hunterdrama.com.au for more information or to book tickets.

For more information Call: 0427 586 079 or Email: glendale@nswfarmersmarket.com.au or visit glendalecityfarmersmarket.com.au or facebook.com/glendalefarmersartisans

11 WHAT'S ON | HIGHLIGHTS •
Farmers
7am–1:30pm Every Saturday @ Stockland Glendale - Under the Huge Big Top detailsWAR OF THE WORLDS
GLENDALE
& Artisans Market
Supplied by Hunter Drama Credit: Joerg Lehmann

SATURDAY 29 JULY

10AM TO 2PM

Celebrating the Vibrancy of Raymond Terrace A Festival for the Whole Community

Get ready for an awesome time at the Raymond Terrace Festival on Saturday, 29 July! Everyone is invited to the town centre to celebrate everything that makes Raymond Terrace so great. With the main street closed to traffic, the community can take over to enjoy food, stalls, performers and an amazing display of cars and power boats

at the Show and Shine on William Street – perfect for car and boat lovers of all ages!

There’ll be live music to enjoy, with talented local performers taking to the stage. Whether you're into rock, pop, or country, there’s something for everyone. It’s also an excellent opportunity to visit the Library, with face painting and balloon twisting located on the library lawn.

King Street will be the place to experience a little bit of the country vibe and learn about some of our history, with cool demos and fun activities to experience.

Plus, there’ll be loads of local businesses and community groups on hand to give you all the info and support you need. So grab your friends and family and come on down to the Raymond Terrace Festival – it's going to be a blast!

For more information, visit pscouncil.info/raymond-terracefestival or follow their Facebook for event updates.

12
FAMILY FUN - LIVE MUSIC FOOD - STALLS CAR + BOAT SHOW AND SHINE pscouncil.info/raymond-terrace-festival
READ ONLINE
SEASON 15 - 29 July Wed, Fri, Sat 8.00pm MATINEES Sun 16 July & Sat 22 July 2.00pm 90 DeVitre St Lambton Bookings: Ph. 4952 4958 or online at newcastletheatrecompany.com.au MID-WEEK SPECIAL: all tickets on Wednesdays $30 2023 Maid Mother of the By Jane Anderson Directed by Craig Barnes By Arrangement with ORiGiN™ Theatrical. On Behalf of Samuel French. A Concord Theatricals Company
Lehmann
Photograph by Joerg

Musical Midsummer Dreams for Newcastle in August Mendelssohn & Beethoven at City Hall

Like all European young men of means in the 19th century, Felix Mendelssohn set off on a grand tour of Europe at the age of 20. Unusually, however, Mendelssohn elected to begin in Scotland – and while there, he was greatly moved by the dramatic landscape and the bloody history of Mary Queen of Scots. He began writing his Scottish Symphony while on his tour, although he didn’t complete it until a decade later. But clearly, Scotland had left its mark on him, and the symphony seems to evoke the striking countryside.

Equally evocative is Mendelssohn’s Overture to Shakespeare's A Midsummer Night's Dream,

written when he was just 16 – the quick, playful strings at the start suggest the scampering of fairies’ feet, and later one can even hear the braying of Bottom after he has been turned into a donkey!

Beethoven’s Eighth Symphony features a lightness of touch, but it is perhaps his most radical. It completely abandons the traditional structure of a symphony, leaps from loud to soft without warning, and at every turn surprises and confounds expectations. When asked by his pupil Carl Czerny why the Eighth was less popular than the Seventh, Beethoven is said to have replied, "Because the Eighth is so much

better" – an appropriately enigmatic answer for a fascinating work!

These two much-loved composers - and their three beautiful works - feature in the upcoming Midsummer Dreams concert by the Australian Romantic & Classical Orchestracoming to Newcastle City Hall on Saturday, 5 August, at 7pm.

Conducted by Rachael Beesley, the full symphony orchestra of over 40 instrumentalists for this stunning touring program features visiting overseas artists, returning Australian internationals and outstanding local musicians – all uniting for the national tour of this popular and critically-acclaimed Australian orchestra. Don’t miss their upcoming visit to Newcastlethe finale to their 10th-year celebrations.

“The Australian Romantic & Classical Orchestra delivers…with splendid playing, a unique sound and winning repertoire.” Limelight The full program, information and bookings can be found at www.arco.org.au

WHAT: Midsummer Dreams - Australian Romantic & Classical Orchestra

WHEN: Saturday 5 August | 7.00pm

WHERE: Newcastle City Hall, 290 King St, Newcastle

MORE INFO/TIX: www.arco.org.au

14
Credit: Robert Catto
READ ONLINE

Newcastle Grammar School’s Anastasia the Musical Set to Captivate Audiences

Based on the beloved animated film, the hit Broadway show Anastasia the Musical will be presented at the Civic Theatre Newcastle from 17 to 19 August. The enchanting production takes audiences on a journey to the past through Europe in the 1920s.

"Our students are excited to bring Anastasia to life. The students and the staff have all shown incredible commitment to taking the production above and beyond and really building on the success of previous years. We’re especially thrilled to return to the Civic Theatre to bring the

best of Newcastle Grammar’s young performing talent to our city’s premiere arts venue,” said Executive Producer, Musical Director and Newcastle Grammar School’s Director of Music, Kevin Young.

Anastasia, a fictional twist on the events of the downfall of the Russian monarchy, tells the tale of self-discovery and belonging. Events are set in motion by the reported escape of the Grand Duchess of Russia, daughter of Tsar Nicholas II, from the fate of her family at the hands of the Bolshevik revolution. When two lovable conmen hear of a reward posted by Anastasia’s exiled grandmother, they conspire to find a convincing imposter to claim the reward for her capture. They discover Anya – an orphan with amnesia who bears a striking resemblance to the missing princess.

Newcastle Grammar School’s major musical productions draw audience members from across the Hunter region, with outstanding performances supported by gorgeous costumes, spectacular sets and thrilling live music. Director Luke Aspinall says: “The level of production the students and staff are bringing to these shows is exciting. The students have set out to challenge themselves, and I think the audience will be amazed to see them really soar.”

THE MUSICAL

15
as Anastasia
Jack Martin as Gleb Gabby Waerea debuts
READ ONLINE
16

Magic, Thrills and Hoverboards…

WORDS LIANE MORRIS | FEATURE WRITER

This month sees the return of everyone’s family favourite, Disney On Ice, presenting 100 Years of Wonder. Guaranteed to be an adventure the whole family will enjoy, it stars some of the world’s most beloved characters. It features world-class skating and high-flying acrobatics, unexpected stunts, and wow moments both on the ice and in the air. With some of the most advanced ice-skating technology ever seen, the magic and thrills are dialled up to breathtaking levels that will have you creating memories for a lifetime. And there are real-life hoverboards too! This year’s production asks the audience to join the cast and embark on a quest with Mickey Mouse and pals as they follow Captain Hook’s treasure map for clues to find Tinker Bell after he attempts to capture her magic. A firm audience favourite, Tinker Bell (portrayed by seasoned Disney On Ice performer 32-yearold Canadian Sarah Nolan), is trapped in a lantern, and everyone wants to rescue her. The story journeys across the Marigold Bridge

with Miguel from Disney©Pixar’s Coco into the magnificent and mystical Land of the Dead to discover a vibrantly colourful performance with skeletons atop sway poles dancing over the audience in a beautiful cultural celebration of family.

Young Frozen fans will not be disappointed as the story travels to the wintry world of Arendelle, and the audience sings along with Elsa. This magical world is brought to life with video projection creating a kaleidoscope of crystals to help build Elsa’s ice palace. Beauty and the Beast’s Belle is also there, being lifted into the sky as the enchanted chandelier comes to life high over the ice. The story continues with the power of teamwork when Toy Story’s Buzz Lightyear, Woody and Jessie recruit the Green Army Men for a daring rescue in Andy’s room. Audiences will laugh hysterically as the hilarious pirates flip, tumble, and twist on tumble tracks, stilts and more in an effort to showcase their talents for Captain Hook. Sail away with Moana on her daring voyage across the ocean and bravely encounter the fiery wrath

of Te Ka. Aladdin and The Little Mermaid also join the search party, which becomes an all-out celebration.

Disney On Ice has been entertaining audiences since 1981, when it was called Walt Disney’s World on Ice. Created by entertainment producer Feld Entertainment, it began touring the world as early as 1986. Feld Entertainment is the worldwide leader in producing and presenting live touring family entertainment experiences that bring people together and uplift the human spirit. Properties include Ringling Bros. and Barnum & Bailey®, Monster Jam®, Monster Energy Supercross, Disney On Ice, Marvel Universe LIVE!, and Jurassic World Live Tour. Across the brand portfolio, Feld Entertainment has entertained millions of families in more than 75 countries and on six continents. Chairman and CEO of Feld Entertainment, Kenneth Feld, said on celebrating 40 years in the business of Disney On Ice that “Everything you do in life starts with one small step. The first Disney On Ice show premiered in 1981, and we are still ▶

17
IMAGES Courtesy of Feld Entertainment
READ ONLINE
Credit: Matt Garrick
IT’S DISNEY ON ICE!

bringing happiness to generations of families 40 years later. When we started it, we never knew it would last this long. Disney On Ice is everchanging, and there are always surprises for all of our Disney fans. That’s the key. Disney On Ice will always be around as long as we continue to do that.”

Since it began, it has entertained an astounding 320 million guests in 68 countries in more than 545 cities and performed in more than 41 languages. In fact, over this last year alone, Disney On Ice performers have travelled over 2.25 million kilometres worldwide, bringing LIVE Disney magic to millions in 16 countries throughout nearly 2,000 performances, and now it’s our turn with this latest tour visiting six Australian cities, including Newcastle.

The company is the largest employer of professional ice skaters in the world, with 400+ employed at any one time. The current tour includes 57 cast and 14 crew with the youngest

members only 18 years of age. The team can be touring up to nine or ten months per year and become like a family under the guidance of the Performance Director.

Alex Allen, who hails from Washington, DC and has been with Disney On Ice for 13 years, is the Performance Director for this tour. It is his first time in the role after many years as a key performer.

“I’ve been in the entertainment business for 16 years, and 13 of those have been as a skater and performer with Disney On Ice,” said Alex. “It’s my job to ensure that the show goes on as intended at the highest level of quality and integrity.

“Australia is one of those destinations where we have to spend a little bit of time recovering from jetlag because the time difference is 12 hours plus. One of the great things about all the travel we do is that we get to enjoy food from all over the world. I’m a big foodie, and Thai and

Indian foods are my favourites, but Australia is the home of Tim Tams and good steak, and I’ll be enjoying plenty of them while I’m here!

Alex is a consummate performer in his own right, having spent years as a main show host with Disney On Ice. Known for his skating artistry coupled with the razzle-dazzle of a Broadway star, he is passionate about what the show delivers to its audience, and he’s not the only one. The entire cast and crew share the same passion – spreading the magic of Disney.

“There is nothing else like it,” said Alex. “As performers, you get to see the faces of the audience members – both young and old. It sparks your inner child and opens your heart to the magic and wonder that everyone remembers feeling when they were little. We all love it. It’s deeply rewarding to be delivering such a fabulous feeling to everyone. I especially love the kids’ reactions – it’s like their toys have come to life for them. “

18
"IT SPARKS YOUR INNER CHILD AND OPENS YOUR HEART TO THE MAGIC AND WONDER THAT EVERYONE REMEMBERS FEELING WHEN THEY WERE LITTLE."

100 Years of Wonder features more acrobatics than ever before seen in a Disney On Ice production. According to Alex, the audience can expect to see a hybrid circus show on ice and in the air, taking the excitement and thrills to a whole new level.

“I’m very excited about this production because it includes such a unique blend of acrobatic elements along with video projections that blur the lines between the magic of film and live action. It creates a truly immersive experience. There’s as much action in the air as on the ice. And we are the first and only show to ever include ice hoverboards – real hoverboards!”

Securing a position with Disney On Ice is hotly contested across the whole globe. All the skaters are professionals, with more than 50 of them being former Olympic athletes. Auditions are held all over the world. Keen skaters are always encouraged to submit an audition tape

to Feld Entertainment. A quick look at their website shows that even now, they are seeking applications from figure skaters, freestyle or ramp skaters, aerialists, acrobats and gymnasts, as well as live-speaking hosts. Australianborn Nick Fernandez sent through his video application and is now the only Australian performing in this year’s show.

Nick grew up in Cranebrook, Western Sydney and took up ice skating for fun because his mother loved the sport. Nick went on to win multiple awards, including being the Australian National Champion over several years. He started with Feld Entertainment and Disney On Ice in 2012.

“I put a YouTube video together with all my skating skills and sent them to the Feld Entertainment office via e-mail,” said Nick. Once they saw it, they asked me to have a personal audition with them when they were in Australia. I couldn’t believe it when I was successful. It

was truly the best day of my life, and there may have been a tear or two. I have no regrets about leaving competitive skating behind – I’ve been having an absolute blast.

“I love being the only Aussie on the team, and it’s so cool to be back home. I’m looking forward to the Sydney shows when my family and friends will be able to come and see me perform. And Australian audiences are actually very different to others from around the world. They are much more vocal, and they really know how to have a good time! This show is very different too. There are a lot more gasps and awe because there’s so much more acrobatics. It’s like seeing a circus on ice.

“Travelling around the world performing is exciting. Seeing how much the kids love the show and watching their parents enjoy it just as much is very rewarding. The only downside to what we do is the constancy of living out of a suitcase for nine or ten months of the year, ▶

19

as well as being away from family and friends and never having a kitchen to do some home cooking. Food becomes quite important when you’re on the road so much. I’m looking forward to Tim Tams, Lamingtons and some good old Aussie fish and chips on the beach. I don’t think any country does fish and chips as well as we do.

“I’m one of the professional skaters in the show and don’t have a particular role. If you keep an eye out for a ‘spoon’ in the Beauty and the Beast piece, you might spot me, and I’m also

one of Kristoff’s mates in the Frozen segment. It takes a love of performing, persistence and determination to be a Disney On Ice skater, with over 550 hours of rehearsal required before performing in a new show. Skaters reach over 32 km per hour on the icy stage and can spin up to 300 rotations per minute! The costumes are sometimes very heavy, and quick changes are often required in under 30 seconds. The professional skaters that are employed in the show love their work. The record for the longest time spent on a Disney Ice show by a

professional skater is held by Isao Matsuura, who has performed 6,269 shows and is still performing. Disney On Ice provides professional skaters with ongoing employment, enabling them to continue to perfect, display and refine their unique talents.

As Nick said, “My original goal was to be with Disney On Ice for five years. It’s now been 11 years, and I’m still loving it. I have no plans to change any time soon.”

100 Years of Wonder has been toured extensively across the United States under the name of Mickey’s Search Party to rave reviews. Fans have been wildly enthusiastic about the acrobatics and aerial stunts, the use of technology to enhance the audience experience and make it even more immersive, and did we mention hoverboard tricks?

One thing is certain: Newcastle is very lucky to be on the touring schedule with every other city in Australia that the show tours to being a capital city. If you’re an old fan of Disney On Ice, you know you’ll enjoy it, but with all the additional acrobatics and video technology, it truly has something for everyone to enjoy. As the Performance Director Alex Allen says, “Just come to the show. Have a blast and feel like a kid again. Live your Disney dream!”

Disney On Ice 100 Years of Wonder is on at the Newcastle Entertainment Centre, 20-23 July, with general public tickets on sale now from www.ticketek.com.au/disneyonice

20
20- 23 JULY NEWCASTLE ENTERTAINMENT CENTRE Book at DisneyOnIce.com.au

The Story of an Extraordinary Teenage Girl who Changed History…..

Newcastle Theatre Company continues its tradition of staging engaging, serious modern theatre with Mother of the Maid, a moving and beautiful play by American playwright Jane Anderson. It was first performed in New York in 2018 with Glenn Close in the title role.

This is the story of Joan of Arc told from her mother’s perspective. Isabelle Arc is a sensible, hardworking, God-fearing woman who struggles with her headstrong daughter’s behaviour. Her plight will be familiar to parents today. But this daughter is set apart. She eschews romance, wears men’s clothing and insists she will lead the French army into battle against the enemy English army.

Isabelle and her husband are simple farmers who are devoutly Christian, but they struggle to believe Joan’s accounts of her conversations with St Catherine and the grand, holy purpose God has set out for her. When her cause is taken up by the rich and powerful – the Dauphin, no less

– they find themselves thrust into a world of privilege which they can barely understand and are reluctant to trust.

Isabelle follows the baffling journey of her odd and extraordinary daughter with a mother’s loving persistence— grappling with her own fears and challenged faith along the way.

Mother of the Maid is directed by Craig Barnes and features Leanne Guihot as Isabelle and Alyshia Barnes as Joan, along with Mark Williamson, Rory Pollock, Aiden Clark, Nerida Watson and Ellee Hall.

The season plays July 15 to 29 at Newcastle Theatre Company, 90 De Vitre Street Lambton, with evening performances at 8pm and matinees on Sunday, 16 July and Saturday, 22 July, at 2pm.

Get your tickets now at www. newcastletheatrecompany.com au or call the office on 4952 4958 between 3pm and 6pm, Monday to Friday.

22 BOOK ONLINE NOW 31 Morehead Street, Lambton Doors open from 6pm FULLY LICENSED LIVE SHOWS starting from $35 and see who else is coming to dinner! lizottes.com.au or PH 4956 2066
READ ONLINE

Get Skating This School Holidays

Hunter Ice Skating Stadium offers a variety of programs to help bring all your skating dreams to life, and this school holidays, there will be additional public skating sessions running every weekday. So now you have no excuse not to get your skates on!

For the week of 2-6 July, the daily session will begin at 11.30am, with the session on Friday, 7 July, starting at 11am. The week of 10-14 July will feature two daily sessions, beginning at 10.30am and 1.15pm.

With a café inside the rink, a range of

food and drink is available during your visit. From hot chips to spring rolls, chicken burgers, and hot and cold drinks, every taste is catered for. Spectators can enter for free and sit back and relax with a hot coffee in the heated café.

Hunter Ice Skating Stadium also offer birthday party packages that will make your child’s birthday the coolest place to be in Newcastle – without the stress, mess, and clean-up!

Four dedicated party rooms can be booked for 8+ children to attend. Prices include skate hire, decorations, food, drinks, and the cake, with packages starting from just $34pp.

Hunter Ice skating stadium offers lockers on site to give you peace of mind and security for your personal belongings, starting at $3 for 2 hours.

For up-to-date public skate session times, visit www.hiss.com.au.

Andy Griffiths’ universally celebrated book series JUST finally lands on stage in a dazzling production that vividly and hilariously brings the stories to life.

JUST…LIVE ON STAGE from Red Line Productions sees the much-loved books mashed together in a theatrical rodeo that rides into Cessnock for the July school holidays on Tuesday, 11 July, at 10am and 12.30pm.

For series creator Andy Griffiths, the live production is a thrilling opportunity to bring these rich and wild stories to life.

“The JUST series is where it all began for me, and it will be JUST amazing to see these crazy/annoying/stupid stories come alive on stage!” says Griffiths.

With everything from invisibility pills and mudmen to vomiting dogs and death-defying balloon rides, this won’t be for the faint farted. Or the fainthearted. This love letter to the powers of imagination will remind us that all it takes is just a little determination. For tickets, visit www.mypacc.com.au.

25 Get set for school holiday shenanigans! coming soon to performance • arts • culture Cessnock 198 Vincent Street Cessnock NSW 2325 02 4993 4266 mypacc.com.au TUE 11 JUL 10AM & 12:30PM TUE 29 AUG 7:30PM PACC | PERFORMANCE ARTS CULTURE CESSNOCK The home of live entertainment in the Hunter Valley!
READ ONLINE READ ONLINE
JUST…

E A T D rin k

Cosmopolitan Cape Town to Wild Kruger

No doubt you've probably dreamed of experiencing the ultimate African safari. There are literally hundreds of safaris you could choose from, but the classic Cape Town, Kruger National Park, and Victoria Falls itinerary is a must. This incredible journey will take you through some of Southern Africa's most iconic highlights and destinations, providing a perfect blend of wildlife, natural wonders, and cultural experiences.

The journey begins in the vibrant and culturally rich city of Cape Town, where you will experience a perfect blend of urban and natural environments. You'll have a chance to explore the city's many attractions, Table Mountain, Robben Island, and Cape Winelands, while sampling some of the city's many culinary delights.

I D Y LLIC DES T I N A T I ON HIDE A W A Y LIK E NO

The cosmopolitan vibes of Cape Town ticked off, it's time for the Kruger, one of Africa's largest and most iconic game reserves. Kruger boasts an incredible diversity of wildlife, including the Big Five. Enjoy guided game drives and bush walks, and witness Africa's magnificent wildlife up close.

Next up, the spectacular Victoria Falls of Zimbabwe, one of the Seven Natural Wonders of the World, a majestic spectacle that will leave you in awe.

While each destination in the Southern Africa Highlights itinerary offers unique and unforgettable experiences, the real magic happens when you combine them all into one trip. Safari Guru is in the business of crafting perfectly balanced holiday itineraries that will leave you with memories to last a lifetime.

If you want to learn more about our Southern African Highlights safari, click on the code and start planning your Safari Guru trip today!

OTHER AWAITS:

e Lodge at Mount Rivers.

With 200 acres of private sprawling countryside and 3.5 kilometres of exclusive Paterson River frontage, e Lodge at Mount Rivers is located just a short drive from the village of Gresford and just 45 minutes from Hunter Valley vineyards.

Elegantly decorated, e Lodge features 6 bedrooms and 4 bathrooms, accommodating up to sixteen guests. is stunningly presented property boasts a beautiful swimming pool, spectacular landscaping, air conditioning, numerous replaces, an undercover alfresco area, wi and parking.

27
AN
EAT DRINK TRAVEL • READ ONLINE

Supporting Wine and Food Tourism with Handy Guide

WORDS LIANE MORRIS

The biannual 20th issue of Wine & Dine Hunter Valley – the number one, quintessential guide to world-class Hunter Valley food and wine experiences was launched last month.

Over twelve years, Wine & Dine has evolved to become available across multiple platforms that include print, digital, online and social media - with online booking facilities, digitally

interactive indexes and trail maps, as well as specialty trail maps and a feature section on planning a wedding in wine country.

The digital capabilities have been further enhanced so that users can make bookings and get directions directly from their mobile phone, making it handy for travellers who are navigating their way around over 150 cellar doors and more than 80 restaurants in the region.

The Hunter Valley is not only home to some of the best wines in Australia and the world, but it's also an extraordinary culinary destination with some of the country's finest concentrations of food offerings. With the rise of gourmet tourism being one of the strongest travel trends globally, Wine & Dine Hunter Valley takes wine and food tourism to new heights, supporting the industry and the region by revealing the handson experiences, the hidden gems, unique wine tastings and the pockets of culinary excellence that only the locals know about, all in one place.

With over 1.5 million visitors to the Hunter Valley every year to explore the rich bounty of food, wine, gourmet produce, craft beers, ciders, distilled spirits and other speciality beverages on offer, Wine & Dine Hunter Valley has become an essential planning tool and marketing resource for the region. No matter what you're looking for, whether it's lovingly made sourdough, pastries, fresh handmade cheese or chocolates, locally picked olives, locally farmed lamb or perch, crisp Semillons or vibrant Shiraz – you'll find it in Wine & Dine Hunter Valley.

Pick up a copy at Visitor Information Centres, accommodation providers, cellar doors, restaurants and cafes or any other tourist attractions or visit www. wineanddinehuntervalley.com.au for the fully interactive, digital version.

HUNTER VALLEY CELLAR DOOR OF THE YEAR 2023

Winmark, Danish for “Field of Wines” is a celebration of the remarkable revival of the historical Poole’s Rock Vineyard and restoration of 130 breathtaking acres under the watchful eye of Danish vigneron Karin Adcock. Shortlisted for Best New Winery by Halliday and named 2023 Hunter Valley Cellar Door of the Year, Winmark is not just a premium

Chardonnay producer, it’s a destination designed to connect guests with wine, architecture, art and nature. A wonderland of sculptures, a perennial rose garden, dams and natural landmarks of historical significance. Winmark is a place of remarkable beauty and unexpected discovery. Cellar Door, Art Gallery, Sculpture Park and Coffee Cart open 7 days a week. CELLAR

29
DOOR AND
GALLERY
DAYS
0417 100 824
E:
ART
OPEN 7
FROM 10AM T:
|
info@winmarkwines.com.au | 229 Wollombi Road, Broke NSW 2330, Australia @winmarkwines | winmarkwines.com.au
Credit: Cessnock CIty Council EAT DRINK TRAVEL • READ ONLINE

at Bannisters

LIPSTICK LOVER

BANNISTERS PORT STEPHENS

Bannisters Port Stephens has partnered with Sephora to offer the Lipstick Lover package.

Stay 2 nights in a coastal chic room, enjoy bubbles upon arrival, savor 2 watermelon & lychee margaritas, receive a $100 hotel credit, and get a complimentary Sephora lipstick pack!

Packages are limited, book yours now!

30
BANNISTERS.COM.AU SCAN TO BOOK
live a little lux....
Lambton • Belmont • Charlestown urthfitness.com.au

School Holidays Guide

Winter 2023

MONDAY 3 JULY – FRIDAY 14 JULY

Colder days tend to mean more hours spent inside and more pent-up energy with the kids (and there is nothing quite as terrifying as pent-up, bored children lurking in your midst!) Don't despair! Check out our School Holiday Guide for the best local hits to keep the kids warm and enjoy family time at some genuinely fabulous local productions or get them outside for a healthy dose of fresh air at events throughout the holidays.

Snow Time in the Garden | Image supplied by Hunter Valley Gardens

READ ONLINE

SNOW TIME IN THE GARDEN

Hunter Valley Gardens | Until 23 July

Build a snowman, have a snow fight, whiz around the ice or take a toboggan – why bother going south for snow when we have it right here in the Hunter Valley? For more information (including ticketing) visit www. huntervalleygardens.com.au

Builder’s creations from across Australia will impress and inspire visitors; you can even talk to the exhibitors and ask questions about their creations. Alongside the displays, there will be many activities on offer, including a building area, colouring in, a cosplay area, raffles, speed building, and more. This year, Newcastle Brickfest’s Charity Partner is the John Hunter Children’s Hospital Kids Club. If you’re a LEGO fan, this is the event for you! For more information or to book tickets, visit www. trybooking.com

MARY POPPINS

The workshops have half-day and full-day options, including Disney Magic, Carnival Day, Frozen, and so many more. For more information, to view the timetable or to book tickets, visit www.hivekids.com.au

NEWCASTLE BRICKFEST

Newcastle Jockey Club | Sat 1 & Sun 2 July

Rainbow Bricks presents Newcastle Brickfest, the premier LEGO fan event. Created for fans of all ages by local volunteers, the event is celebrating its 10th edition and plans to make it their biggest yet! The display of LEGO Master

The Civic Theatre Playhouse | Sun 2 July Hive Creative Studios Level 1 Musical Theatre students present a “Mary Poppins” themed showcase. Watch Hive’s musical theatre students perform songs like Superalifragilisticexpialidocious and Spoonful of Sugar. The showcase is a fun and entertaining experience with catchy tunes, vibrant visuals and memorable performances. For more information and tickets visit www. civictheatrenewcastle.com.au

WINTER HOLIDAY WORKSHOPS

CHILDREN’S DISCOVERY DAY 2023

Hunter Region Botanic Gardens

Tuesday 4 July

Hive Creative Studios | Mon 3 – Fri 14 July Hive Creative Studios are offering a range of workshops to suit children’s varying interests. ▶

The Discovery Day is an educational and entertaining day designed to emphasise the environment through different learning activities such as plant science, rainforest gemstone treasure hunt, craft activities, and so much more! Enjoy a day of family fun while getting the kids connected with nature. For more information or to book tickets, visit www. huntergardens.org.au

Giant Ice toboggan rink Ice Skating MEGA Snow play zone

33
SCHOOL HOLIDAYS GUIDE •

DR SEUSS’S THE CAT IN THE HAT LIVE ON STAGE

Civic Theatre Newcastle | Tuesday 4 July

School holidays are here, and what better way to entertain the kids than with the beloved story we all know and love but live on stage! Watch Dr Seuss’s The Cat in the Hat come to life as things run amuck right before your very eyes. You’ll get to join in the fun with two bored kids, one rainy day, and one crazy cat wearing a red-striped hat. Bring the whole family for an experience that they’ll never forget! For more information or to book tickets, visit www. civictheatrenewcastle.com.au

DISNEY’S FROZEN JR.

Young Peoples Theatre Hamilton

Various Dates from 4 July to 5 August

The enchanting modern classic from Disney brings Elsa, Anna, and the magical land of Arendelle to life onstage. For more information (including ticketing) visit www.ypt.org.au

ages are welcome. Admission is free, and all attending children must be supervised by an adult. For more information or to book tickets, visit www.portstephens.org.au

DISNEY'S FINDING NEMO JR

The Civic Theatre Newcastle

Friday 7 to Saturday 15 July

For the first time ever in Newcastle, Hunter Drama is so excited to bring Disney’s Finding Nemo JR. to the stage. This production is a 60-minute musical adaptation of the beloved 2003 Pixar movie Finding Nemo. Featuring memorable songs such as Just Keep Swimming, Fish Are Friends Not Food, and Go With the Flow, Disney's Finding Nemo JR. brings a vibrant underwater world to life on stage in a story full of family, friendship, and adventure. For tickets and more information, visit www. civictheatrenewcastle.com.au

JUST… LIVE ON STAGE

Performing Arts & Culture Cessnock

Tuesday 11 July 10am and 12.30pm

screening of Paddington 2 from a beanbag with your favourite snacks and drinks. It’s the perfect family activity to escape the winter cold! For more information or to book tickets, visit www. mymaitland.com.au

ROALD DAHL’S THE TWITS

KYM THE REPTILE MAN SHOW

Port Stephens Visitor Information Centre

Thursday 6 July

Kym, the Reptile Man, will be at Port Stephens these school holidays, it’s the perfect family activity! The interactive 45-minute reptile show features snakes, a lizard, a turtle, and more. All

Andy Griffiths’ universally celebrated book series JUST finally lands on stage in a dazzling production that vividly and hilariously brings the stories to life. JUST…LIVE ON STAGE from Red Line Productions sees the much-loved books mashed together in a theatrical rodeo that rides into Cessnock these holidays. With everything from invisibility pills and mudmen to vomiting dogs and death-defying balloon rides, this won’t be for the faint farted. Or the faint-hearted. This love letter to the powers of imagination will remind us that all it takes is just a little determination. For tickets, visit www. mypacc.com.au

CHILDREN’S BEANBAG CINEMA: PADDINGTON 2

Maitland Gaol | Wednesday 12 July

Enjoy the movies in a different way these school holidays at Maitland Gaol! Enjoy the special

Civic Theatre Newcastle | Saturday 22 July Roald Dahl’s The Twits has been adapted to a live on-stage performance by shake & stir theatre co. Full of trickery and pranks, the adored classic story encourages us to treat others with love and care. This visually spectacular and revoltingly funny production is perfect for the whole family to enjoy! For more information or to book tickets, visit www. civictheatrenewcastle.com.au

SHREK THE MUSICAL JR.

Hunter Theatre | Friday 28 & Saturday 29 July Hive Creative Studios presents Shrek The Musical JR., featuring everyone’s favourite ogre! The cast of fairytale misfits goes on an adventure to rescue the princess and learn about true acceptance. Based on the Oscarwinning film and Broadway musical, Shrek JR. is part romance and part twisted fairy tale, making it a fun show for the whole family! For more information or to book tickets visit www. hivekids.com.au

34
• SCHOOL HOLIDAYS GUIDE

Hunter Ice Skating Stadium

ALL AGES, ALL ABILITIES

Why not try ice skating this School Holidays! Enjoy top 40 music and video clips playing on the big screens, plus people can request their favourite songs to be added into the mix. There will also be a sectioned o area for beginners with available skating frames. For the non-skating spectators –why not relax in the café while the kids skate!

Rental Skate sizes range from a Kids 9 up to an Adults 14. Lockers are available for a small fee to secure your belongings.

DETAILS 230 Macquarie Road, Warners Bay. Prices are $17 for 6yrs or under, $22 for 7yrs or over, $18 seniors and $70 for a family

Sand Dune Safaris

ALL AGES, ALL ABILITIES

Come on the ultimate adventure!

Join Sand Dune Safaris in one of our purpose built o road vehicles and experience the magnificent Stockton Sand Dunes - the largest moving sand mass in the Southern Hemisphere, right here in beautiful Port Stephens.

We will be open every day of the NSW school holidays for our Sandboarding Adventure, starting

(1 adult + 3 kids OR 2 adults + 2 kids). These prices include skate hire. For more details and other session times please visit the website. www.hiss.com.au

Hunter HorseridingValley & Adventures

ALL AGES

Get away from city living and go horseriding! It’s the perfect day trip – just 30 minutes up the Hunter Expressway. Hunter Valley Horse Riding & Adventures o ers trail rides for both beginners and experienced riders – even the tiny tots can ride beautiful ponies with qualified guides leading the way. Other activities on o er include tractor hay rides to feed the animals, pedal go karts, farm animals, BBQ facilities, mountain bike trails (BYO bike), ATV

breeding barn and property tours, bush walking and ATV sunset tours with cheese and wine. We also o er race day packages in association with Muswellbrook Turf Club.

If you feel like staying a little longer, we o er great guest house and semi self contained villa accommodation, where kids stay free during school holidays! (Villas only). Be quick to book, as we have limited spots available.

DETAILS Open 7 days 288 Talga Road, Lovedale. Bookings are required.

PH Margaret on 4930 7111 or 0417 233 008, or visit www.huntervalleyhorseriding.com.au

at 9.30am with last shuttle to dunes at 3.30pm. Great for all ages and abilities, from toddlers to teens!

Try something unique for your child’s birthday party! Only $30 per person for a limited time. Email us for more details and don’t forget to mention this ad!

DETAILS Open every weekend and every day during NSW school holidays. Weekdays available by appointment. Operating times may vary according to season and weather conditions, please see our website for more details. Departure location - Lower car park, end of James Paterson St, Anna Bay. Look for the big army bus!

PH 0425 213 096

www.sanddunesafaris.com.au

35
SCHOOL HOLIDAYS GUIDE •
36

On Tour With the Kid

HOW TO SAVE A LIFE

I was that child who would drag home every animal I found who needed a home. I’m sure it drove my mother crazy. I would bring home injured birds and lizards; I adopted a feral cat

who was living in the gutter. After a year, I finally got her to come into the house. She ended up giving birth in my bedroom, and I talked Mum into keeping one of the kittens. When we lived

on the farm, we had Irish Setters (Red Setters) and German Shepherds (who were around before I was born). Once we moved into town, I had a sausage dog, then a Border Collie, then a brother and sister Kelpies, one of whom we still have who is 14 this year. All of those dogs we took in as rescues. Every one of them we had till they were no longer on the earth because that’s what you do.

Back in 2006, I lost the Border Collie I’d had since I was 15, and I was heartbroken. I didn’t think I could go through that again, and for the first time in my life, I didn’t have a pet for almost four years. Then one day, I got a call that this beautiful dog had been dumped off at the pound while she was pregnant, and a whole litter of puppies were in a foster home with mum waiting to be adopted. I went to visit and fell in love with the last two babies that were left and I didn’t have it in my heart to separate them. When they were ready to leave their mum, they became part of my family.

Two years later, after many years of hoping to be a mother, the kid finally came along. My mum wanted to make sure the dogs would be ok with the baby, so she came home from the markets with this secondhand doll, roughly the size of a new baby and got me to walk around with it in a baby carrier to get the dogs used

FOSTER CARERS are ORDINARY PEOPLE DOING EXTRAORDINARY THINGS in your local community and we urgently need more of them.

Fostering does not have to be full-time. Respite Carers look after children and young people on weekends or for short periods while their regular foster carer has a break. It can be difficult for a child to go to different people so we try to arrange for the child always to go to the same Respite Carer so they can get to know each other.

At Key Assets Australia, we provide our foster carers with ongoing training, 24/7 support, a dedicated social worker, and an allowance. We hold regular events and connect foster carers with each other for extra support.

Anyone can apply to become a foster carer. We celebrate diversity and welcome enquiries from people who are single or in a relationship, homeowners or renting. Your culture, religion or sexual orientation doesn’t affect your eligibility for foster care. We believe the diversity of our carers is vital when finding the best possible family for a foster child.

If you feel you have the love, space, and energy to provide a safe and happy home, then we would love to talk to you about the options of respite care, short-term, or long-term care.

Join us at last W Wednesday of the month, at 6 pm for Foster Family Information Nights

• Level 3, Suite 301, 83 Flushcombe Rd, Blacktown

• Level 1, Building 8, Lord Street, Botany

• 100 Nelson Street, Wallsend

Get in touch with one of our friendly team members today on on 1800 932 273 or visit canifoster.com.au

37
Scan me!
FAMILY & COMMUNITY •
READ ONLINE

to the need to be gentle. On a side note, we still own that doll, and 12 years on, we still call her practice baby. It obviously worked because both dogs were so gentle with the kid and just loved her from the moment we got home.

The only downside of how this all worked out is that the kid never experienced the joy of having a puppy. In January, at almost 14 years old, we lost Diesel, and I was in no way ready to commit to a new dog. In a weird twist of

fate, through my job, I worked on a project with Dog Rescue Newcastle, and I came to learn about the amazing work they do, all completely volunteer based.

I also learned that they were screaming out not only for people to adopt but also for foster carers. I thought about it for months and finally decided that fostering might bring the best of both worlds. It would be company for my dog, who I knew was missing her brother, and the kid could get used to having a puppy.

We had no sooner made the decision than a 6-week-old staffy-cross puppy who was out of the pound needed to be collected that day. The day before the kid’s birthday. Just like that, Mackie came into our lives. People keep telling me that he is an apparent foster failure because we love him so much, but time will tell. All I can say is if you are looking to bring a dog into your home, please look at Dog Rescue Newcastle - at Mackie and the other gorgeous dogs on the site. You can also check out our “Pets of the Month” each month (see page 46 in this issue.) Saving a life could change your life for the better and forever.

If you want more info about Mackie specifically, please reach out on the On Tour with the Kid Facebook page. You can also check out our “Pets of the Month” (see page 46).

38 • FAMILY & COMMUNITY ALL WELCOME • ALL OCCASIONS The perfect location for your personal ceremony or service Cnr Wine Country Dr & Kerlew St, Cessnock (02)4998 2244 WEDDINGS (02)4991 2555 FUNERALS Located five minutes from the heart of the Hunter Valley within Cessnock Chapel accommodates 130 people
39 themutual.com.au | 1300 688 825 Grow your wealth with our Term Deposits Ask us how... We have not considered your objectives, financial situation, or needs. You should consider these things along with the Product Disclosure Statement before making a decision to acquire this product. PDS and Target Market Determination available at www.themutual.com.au. Maitland Mutual Limited trading as The Mutual Bank, ABN 94 087 651 983, AFSL/Australian Credit Licence 238139.
Enrol or enquire 4925 4200 atwea.edu.au Study with us for TERM 3 Whether for fun, or to enhance your skills for your career, we have a course for you. Business Health & Beauty Hospitality & Retail Community Services Creative Arts & Music

Newcastle’s History Set to Shine Again

WORDS LIANE MORRIS | FEATURE WRITER

The Victoria Theatre on Perkins Street Newcastle is the oldest theatre building that is still standing in New South Wales. Originally built on the site in 1876, it was rebuilt in 1891 after a number of prominent businessmen created a syndicate to purchase the theatre building and establish a first-class theatre in Newcastle. Today, this historically significant site continues to attract the passion and commitment of a similar group of individuals who work tirelessly to ensure the future of the building for not just Newcastle but the country and our culture.

Representing 132 years of Novocastrian history, The Victoria Theatre has been home to vaudeville, opera, acrobats, concerts, boxing matches, early legitimate theatre, silent films and cinema, not to mention various retail incarnations since it closed as a theatre/cinema in 1966.

The 1890 rebuild was designed by architect James Henderson. It was an elaborately furnished three-level auditorium in a Grecian

theme, including a large stage house and a small first-class hotel. In 1897 the theatre was the location for major celebrations of Her Majesty Queen Victoria's Record Reign, with the exterior of the theatre being brilliantly illuminated with a transparency of Her Majesty – proving that today’s Vivid is nothing new!

The early 1900s saw the theatre flourish with all sorts of weird and wonderful entertainments as well as a slight upgrade with redecoration and extra dressing rooms. The stage saw live horses and sheep in The Squatter’s Daughter, and the legendary Les Darcy and Bob Whitelaw spent eight hours in the Great Glove Contest Boxing match with 20 brutal rounds in 1913. There is even a story about a lion escaping from one of the shows and wandering down Perkins Street, heading to the Crown and Anchor before it was recaptured.

In 1921 the theatre saw another major internal refurbishment making it suitable to use as a cinema. It was redecorated by artist Norman Carter with painted Grecian murals of dancing nymphs on the proscenium arch. Live theatre shows continued to be presented at the

theatre and included opera, Gilbert and Sullivan, ice skating shows, symphony orchestras, Ziegfield Follies from America, and all the greats of the time. Hoyts took control of the theatre in 1942, and CinemaScope was installed around 1955. Cinema was an extremely popular form of cheap entertainment during this ‘golden age of Hollywood’ period, and the theatre was a place of first dates, family memories, and fun with friends. It closed in 1966, and by 1967 it was home to Eastham’s Theatre Store – a fashion retail outlet. Over the next 30-odd years, it was altered slightly to fit its new purpose, with much of its faded glory hiding behind the retail façade.

In 2015 the owners of the building, the Laundy Hotel Group, put the site up for auction. A local community group, 'Revive the Vic', was founded and attracted 1000+ members, all committed to preserving the Victoria Theatre, creating awareness of what Newcastle stood to lose if the site was purchased by a developer less sympathetic to its history. Enter Century, the team behind Sydney’s Enmore Theatre, Chatswood Concourse Theatre, The Metro and

42
• FAMILY & COMMUNITY READ ONLINE
Usherettes Fay Steggles & Vilma Hunter Images courtesy of Out of the Square

more. Century purchased the site with every intention of returning it to its original purpose.

“Our country’s old theatre buildings get snapped up by developers because they are large buildings that can be repurposed,” said Greg Khoury, Executive Director of Century.

“Generally, they can satisfy the heritage requirements through clever design, but we lose so much in the process. It’s an issue the whole industry faces. The best way to preserve these beautiful theatre buildings is to return them to their original purpose, which is our intent.”

From 2016 to 2018, Century spent $800,000 on clearing the site and formulating the development application. In 2020, history repeated itself when a group of local business people formed the Founding Ambassadors, ten leaders from across the Hunter and the live performance industry who committed significant financial resources to enable an advocacy campaign to aid in securing funding. In 2022 this resulted in a $4 million grant awarded through the Create NSW Creative Capital Fund. Like their 19th-century counterparts, the ambassadors believed

Newcastle deserved a venue like the Victoria Theatre.

“I grew up in Newcastle, and I’m proud of our city; I think it’s the best place in the world,” said Marty Adnum, Founder and Managing Director of Out of the Square Media (OOTS) and one of the ten Founding Ambassadors.

“The future of our city is in our arts and smarts – we have a rich arts and live entertainment industry that we need to support and celebrate, as well as preserve our heritage. Revitalising the Victoria Theatre will create a perfect complement to the Civic Playhouse and the Civic Theatre in terms of seating capacity and location. The Victoria Theatre will seat around 800, whereas the Playhouse is 180 and the Civic around 1500. Venues of this size are sorely needed in the city – perfect for local theatre and music.”

As part of the awareness campaign, OOTS, Century and Gavin Patton of Regional Heritage Planning created an oral history series titled Remembered & Revisited that has recently won a prestigious National Trust Australia Heritage Award. The series sympathetically conveys the

heartfelt stories of those who had worked there or had a connection with The Vic throughout the years.

“We put the call out for people who had some connection to the theatre and were blown away by the response,” said Marty. “Winning the award for this video series is thrilling news for all involved. Not least the beautiful people who came forward to tell their stories. From usherettes to performers, projectionists to lolly boys and even those who had their very first date there. It was a privilege to produce and then donate this series. It was emotional, joyful and beautiful to hear their stories.” To see the stories go to www.victoriatheatre.com.au Gavin Patton from Regional Heritage Planning was chuffed with the win, saying, “You can achieve amazing things when the right people come together over a shared passion. We’ll continue to collect content as the work on the theatre continues as well. The stage area, the fly tower and the proscenium arch are all intact from the 1890s, and I’m hopeful that those dancing nymphs added to the proscenium arch in 1921 are still hidden under the layers of paint. It’s such an exciting project to be involved with.”

According to Greg Khoury from Century, we won’t have much longer to wait until we can all enjoy this significant part of Newcastle’s theatre history.

“We’re confident we can be open within 18 to 20 months from now,” said Greg. “There’s actually not a lot to be built. We’re working with architects Scott Carver and are currently recosting with a view to reopening the entire theatre, not just the stalls. The aim is to make it as functionally practicable as possible. This is not a restoration – that would be cost-prohibitive. It is a revitalisation or conservation, stripping back the layers to reveal the origins of the building, then making it functional for its contemporary purpose –leaving the historical context exposed to be appreciated and enjoyed. We’re arresting the decay, making it safe, and adding modern amenities and functionality. It will be a lovely juxtaposition against the regal splendour of the Civic Theatre and ideal as a music venue.”

For decades, our city’s history has been there for us all to see, but we rarely look up at the architectural facades of our beautiful buildings. We can all thank groups such as Revive the Vic and the Founding Ambassadors for their passion and commitment to raising awareness of all we stood to lose. It will be an exciting time in Newcastle’s history when the first opening night of the Victoria Theatre in more than 60 years takes place. See you there!

43
FAMILY & COMMUNITY •
(L-R) Greg Khoury (Century Venues), Gavin Patton (Regional Heritage Planning), Hannah Jordan (Out of the Square), Marty Adnum (Out of the Square)

Love the Skin You’re in …at Any Age!

WORDS DR KATHRYN HOLMES

The Mayah Clinic

Dr Kathryn Holmes is a Founding Fellow of the Australasian College of Aesthetic Medicine and a Fellow of the Cosmetic Physician College of Australasia.

I am proudly anti-ageist. I value individuality and the wisdom, knowledge and experience only years on this earth can deliver, and this mindset influences my approach to skin health.

Let’s not throw out the value of our individual uniqueness by creating clones of famous folk. Let’s not try and deny that we are all ageing from the minute we are born.

And let’s champion ageing while maintaining as much health and well-being as possible - in our bodies and our skin.

Skin health means achieving our best, brightest, most glowing skin. This skin will resist skin cancers. This skin will feel comfortable and not be red and irritated all the time. This skin will be strong and springy, resisting deep lines and wrinkles. This skin will be clear and even in tone.

Some folds in facial skin can develop dermatitis and become very red and raw. Let’s avoid that.

No one would suggest that just because aching joints are part of ageing, we shouldn’t do all we can to have healthy joints. Or that we shouldn’t exercise and eat well to keep our hearts and muscles as good as they can be?

The same goes for our skin. Brown spots, lumps and bumps, and sun damage are part of unhealthy skin. So let’s use the tools we have to remove those brown spots, lumps and bumps and reverse that sun damage. Red, overly vascular skin is more sensitive, so let’s control those issues. If unhealthy skin is leathery and thickly lined, let’s use all of the tools we have to boost the health of our skin, which will, of course, improve many lines and wrinkles.

At the Mayah Clinic, we champion natural glowing skin at any age, achieved by addressing skin issues or proactively preventing damage to your skin without losing your unique beauty.

44 • HEALTH & WELLBEING
VISIT US 5/149 Ambleside Circuit, Lakelands 02 4954 5044 • www.themayahclinic.com.au Balancing innovation and technology with traditional values.
Dr. Kathryn Holmes AHPRA reg : Reg no MED0001147509 General
READ ONLINE
Dr. Kathryn Holmes
registration, Fellow of CPCA and ACAM

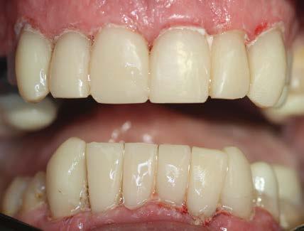
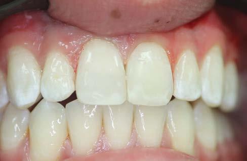
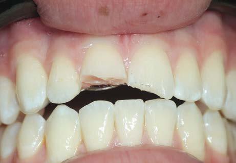
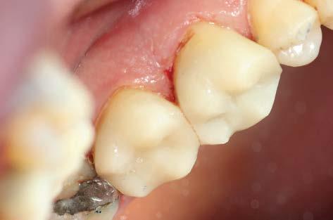
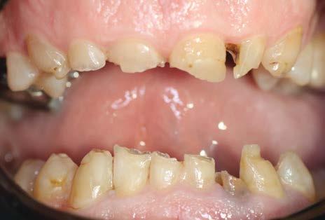
Shift Workers Dental Health

intouch contributor

DR ALEX HUSZTI BelleDental

Alex has had a career focused on lowbiologic cost reconstructive cosmetic dental care – common sense teeth for life.

1. Stay hydrated with WATER. Your brain is 75% water – water – good hydration is critical to the functioning of your brain and maintaining concentration. Remember that any caffeinated drink (such as tea or coffee) will dehydrate you and cause water loss. This must be replenished regularly if you wish to maintain concentration and ward off drowsiness.

2. Avoid soft drinks and energy drinks. This includes sugar-containing drinks, “no sugar” drinks, fruit juices of any kind, still drinks (sweet drinks), sparkling drinks (including sparkling water), and rehydration aids. The combination of sugar and acids (buffered acids used to preserve these commercially produced drinks) will dissolve your teeth. This is particularly true if you drink these kinds of drinks in regular sips or gulps.

As you can tell, I have seen many patients who have destroyed their dental health with these kinds of (soft) drinks – I do not advocate any of them. However, if you must

consume these kinds of drinks, observe the following: Only consume one serving per day, combine this with a meal and drink the beverage in one or two gulps to minimise tooth exposure (throw away the cap).

3. Drink tea or coffee – no sugar

4. Short regular periods of chewing sugarfree gum is an excellent way to stay alert. When you chew gum, the neural pathways that travel up your spinal cord to your brain stay open. When these are open, you have greater alertness, quicker reaction times and better concentration. If you have ever watched baseball – you may have noticed that the players chew gum. They are instructed to do this by their coach because it improves reaction times!

5. Avoid carbohydrate-laden meals, i.e. avoid bread, rice, pasta, sugary foods and potatoes. These types of foods will send you to sleep – which is OK after your shift but not before or during. Stick to meat (tuna, salmon, roast beef, sardines) and non-starchy vegetables (such as broccoli, cauliflower, tinned/bottled artichoke hearts) and to feel fuller, consider avocados. These foods will help avoid “food comas” brought on by carbohydrates.

3 Techniques That SAVE Your Teeth

Belledental CRC’s (Composite Resin Crowns)

CRC’s can rebuild teeth to a similar appearance, strength and functionality of conventional crowns with the added benefits of being much more conservative of tooth structure, repairable, and ONE appointment restorations that are often HALF the fee of conventional crowns.

Direct Resin Veneers (Zero cutting of tooth)

Direct Resin Veneers have a multitude of uses –they can be used to improve function, enhance the colour and shape of teeth, modify tooth position as well as in this case, restore teeth that have su ered trauma. Direct Resin Veneers can do this without cutting teeth – all in one visit.

45
New Patient O er Special o er for new patients! Comprehensive exam, x-rays, photos, impressions, cleaning, and a treatment plan, all for $250. Book today!
Resin Build-ups – All in ONE day! What if you have su ered with erosion... you have already lost much of your tooth structure – the last thing you need is your teeth being CUT AWAY EVEN MORE for crowns. Direct Resin Build-ups are a NO CUT, one day alternative that saves the remaining tooth structure and enhances the cosmetics and function of your teeth. They often require modifications to your bite to accomodate your new smile. 1 2 3 68 Dilkera Avenue, Valentine Open Mon–Thurs 8am–5pm; Fri 8am–12pm BelleDentalValentine www.belledental.com.au f Call us today on (02) 4946 9122
Direct
HEALTH & WELLBEING • READ ONLINE
Cheat Sheet

Hunting For The Hunter’s Best Young Business Minds

WORDS LIANE MORRIS

Hunter Young Business Mind Awards (HYBMA) are on the lookout for the Hunter region’s budding entrepreneurs. Now in its sixth year,

the awards recognise young people under 25 with an innovative business concept, product, service or solution.

Last year, 14-year-old Jahluvi Mtanda won his category, inspired by his mother, who

No one has applied for this gorgeous handsome man since being in care. Jezze has been waiting patiently for over 300 days, and we do not understand why he has not been adopted. He is affectionate, loving and fun. Jezze is very social; all he wants to do is hang around with you. He is still playful at two years old and will make someone a very loyal friend. It is time Jezze found his very own place to call home. Are you the person willing to give him that?

encouraged him to explore his artistic talent with an eye toward entrepreneurship.

“I won my award for my ‘off the screens onto the canvas’ project,” said Jahluvi. “I wanted to encourage young people to take time off the screens and explore their inner artist. I didn’t expect to win. It was surreal.”

Jahluvi now runs his own business, Jah Arts and Designs offering Munch & Paint packages for young people as well as selling his artworks and merchandise. Jahluvi was recently highly commended at the Hunter Business Excellence Awards.

“I have a fully operational business now and a busy week managing school, my business and basketball. I’ve learned how to manage money and gained so much confidence. My advice to anyone thinking about entering the awards is to do it. Do not ever be scared to do what you would like to do.”

Primary students enter the Innovation in Sustainability award as a classroom. Designed to encourage primary school students to take action towards protecting the environment by developing a sustainable project or business idea that positively impacts the planet, it aligns with the current curriculum.

Secondary students and under 25's enter as individuals choosing from five categories:

46
RUBY | Perfect indoor doggo
Salon: 0423 648 366 | Daycare: 0417 117 524 E: woof@blueyvuitton.com.au | www.blueyvuitton.com.au Treat your pooch to an exceptional grooming experience or daycare stay. We
forward to giving your fur baby
the care, love and
Please contact
Newcastle if you’re interested in adopting either Peanut or Ruby www.dogrescuenewcastle.com.au
look
all
style they deserve!
Dog Rescue
READ ONLINE
Jahluvi Mtanda with his mother at last year's Hunter Young Business Minds Awards

Sustainability, Business Enterprise, Design & Technology, Social Enterprise & Creative Industries. Designed to fold seamlessly into the work already being done in the classrooms, the teacher’s information packs even come with curriculum mapping. Not forgetting hard-working teachers, there’s even an award that recognises educators who have developed and implemented innovative ideas that have significantly impacted

teaching and learning outcomes in the classroom.

The awards are sponsored by Ampcontrol, Hunter Water, Newcastle Airport, University of Newcastle I2N, intouch Magazine and Spectrum Communications. Winners take home $1000 and an opportunity for business mentorship. Runners-up receive $500.

Entries for the awards are now open, with further details to be found at www.ybma.com.au

47 www.jenkinslegal.com.au | PH 4929 2000 AUTHENTIC | STRATEGIC | DEPENDABLE
Jahluvi Mtanda at work

Community News

WHAT'S HAPPENING IN YOUR LOCAL COMMUNITY?

HUNTER REGION HOUSING HOTSPOTS REVEALED

HIA recently revealed Australia’s strongest markets for home building in the 2023 edition of the HIA Population & Residential Building Hotspots Report. The report identifies Australia’s fastest-growing suburban regional ‘hotspots’ based on population growth and indicates areas with high levels of building activity and employment for the building industry. Once again, the HIA Hunter region was well represented in the report.

“Nine areas of the HIA Hunter region qualify as housing hotspots based on their strong performance in terms of building approvals and population growth,” commented HIA Hunter Executive Director Craig Jennion.

“Thornton-Millers Forest is once again the HIA Hunter region’s number one building hotspot with a population growth rate of 6.6% and $119.5 million in building approvals,” said Mr Jennion.

“Second on the list, Branxton-Greta-Pokolbin had a population growth rate of 5.6% and $145.7 million in building approvals. Up one place from last year, Kurri Kurri-Abermain was ranked third with a population growth rate of 3.5% and $71.2 million in building approvals.”

Five of the nine hotspots are located in the Hunter Valley, three in Newcastle and Lake Macquarie and one on the Central Coast.

An area qualifies as a hotspot in the Hunter Valley and Central Coast region if at least $50 million worth of residential building work was approved during the 2021/22 financial year, and its population growth rate is faster than the 1.2 per cent national average.

For more information, visit the Newsroom at the Housing Industry Association’s website at www.hia.com.au

CITY OF NEWCASTLE'S ENTERPRISE AGREEMENT PAVES THE WAY

A raft of progressive leave provisions and enhancements featured in City of Newcastle's

48
Donate now
www.samaritans.org.au/donate
READ ONLINE
Newcastle Lord Mayor Nuatali Nelmes, USU Official Luke Hutchinson with City of Newcastle workers at the Works Depot.

Government sector's commitment to inclusion, diversity and equity."

USU Official Luke Hutchinson said the proposed Award reaffirms the USU’s longstanding history of delivering improved pay and conditions for all 50,000 workers employed throughout all Councils in NSW.

July

2023

PLAYSTATE NAIDOC EXHIBITION

Mayor Kay Fraser with 2022 Excellence in Innovation Award winner The Blue Tribe Company

Up to 20 days of paid leave will be accessible to all NSW local government employees in domestic violence situations, along with Miscarriage Leave and a range of other initiatives offering employees greater support and flexibility if the proposed Local Government (State) Award 2023 is endorsed on 1 July.

Returned service people will also be recognised by being granted paid leave to attend Remembrance Day and Anzac Day, whilst apprentices and trainees will be given a leg-up with 100 per cent of their tool allowance covered.

Newcastle Lord Mayor Nuatali Nelmes said CN's industry-leading Enterprise Agreement 2023 had set the tone for the rest of the state in terms of a harmonious industrial sector across local government.

“As one of the first councils in NSW to lead the way in domestic violence leave provisions back in 2018, City of Newcastle is pleased to see the results of those successful negotiations presented to all local government employees in NSW," Cr Nelmes said.

"The success of CN's EA has challenged the rest of the Local Government sector to embrace the progressive elements of the agreement."

City of Newcastle CEO Jeremy Bath said the outcome achieved for local government employees statewide is a testament to all parties involved.

"The inclusion of these new provisions in the proposed State Award is a great outcome for local government employees in NSW, the unions, delegates and ratepayers," Mr Bath said.

"It's wonderful to see the progressive benefits and employment conditions led by City of Newcastle's EA now reflected in the proposed state Award, in addition to the Local

"This proposed Award provides improved workplace conditions that will enable optimum services for our community and delivers socially progressive conditions such as access to miscarriage leave, improved parental leave, improved workplace flexibility and improved family and domestic violence leave," Mr Hutchinson said.

"Following the resolution of the City of Newcastle Enterprise Agreement in late 2022, the USU challenged the rest of the Local Government sector to embrace the progressive elements of this agreement.

“Most importantly, this proposed Award provided our members some instant relief to address the current inflation crisis impacting workers across our communities."

LAKE MAC BUSINESS AWARDS FINALISTS REVEALED

Businesses ranging from hair salons to hightech virtual reality developers have been named finalists in the Lake Macquarie Business Excellence Awards 2023.

A panel of judges selected over 50 finalists across 14 categories from this year’s record field of almost 150 entries. Winners will be announced at a gala dinner at Belmont 16s on 21 July.

Lake Macquarie Mayor Kay Fraser said the annual awards highlighted the strength and diversity of businesses in Lake Mac.

“Our city is home to more than 13,500 businesses employing well over 73,000 people,” she said.

“We have an economic output of more than $26 billion, making us one of the regional powerhouses of NSW.

“These awards recognise our top performers, from micro-businesses employing just a few people to large companies turning over millions and providing significant employment opportunities.”

Finalists this year include Mount Hutton’s Salon Ten beauty salon in the ‘Excellence in Diversity and Inclusion’ category, and Resonant Blue, a digital marketing agency that created a virtual reality coal mine for visitors to experience at the new Sugar Valley Library Museum, kirantakamyari, at Cameron Park.

Resonant Blue will compete for the Excellence in Innovation Award. The Lake Macquarie Business Excellence Awards are proudly supported by gold sponsor Dantia.

Sunday, 9 July 2023, 1pm to 6pm

Playstate Curate - 8 Union St Newcastle West, Entry: Free

As part of NAIDOC Week, Playstate Curate has collaborated with Jams Karaoke Bar to celebrate all the First Nations People in the Art and Music Industry. Alongside the NAIDOC Exhibition, there will be two wonderful musicians, Loren Ryan and Jacob Ridgeway, playing incredible music, live painting by a handful of local Indigenous artists, a community mural and beautiful storytelling.

WINTER WARMER AT THE LEVEE SUNDAY 23 JULY

Enjoy a family day out in the fresh air for The Levee’s Winter Warmer! It’ll be a day full of warm foods, hot drinks and the best locally-made fashion and accessories to keep you rugged up during winter. Explore the stalls of artisan and bespoke products before heading to your favourite local café or bar. There will also be live entertainment and kids’ activities to keep everyone happy throughout the day. For more information, visit www. thelevee.com.au.

49
Jams Karaoke Bar will supply food and beverages to allow visitors to sit back and enjoy in the sunshine. Playstate Curate would love for us all to come together to celebrate. We hope to see you there! COMMUNITY
CALENDAR
(CN) Enterprise Agreement (EA) 2023 is being extended to local government employees across NSW.

July Horoscopes

ASTROLOGER TANYA OBREZA ON WHAT’S IN THE STARS THIS MONTH

SCORPIO 23 OCTOBER – 21 NOVEMBER

READ

STAR OF THE MONTH CANCER 22 JUNE – 22 JULY

Forget about wanting a quiet life - it won’t happen soon. This month you’re swept along by high drama, with very little time for rest. This turns out to be a mixed blessing. On the one hand, you’re encouraged to do what you do well, but having this much licence gives your less responsible side free rein. The trick lies in balancing the two. That means dividing your time more evenly between work and play.

SAGITTARIUS

22 NOVEMBER – 21 DECEMBER

again, you’re motivated and heading towards success. If you have a brilliant proposal in the back of your mind, bring it to the fore. If you’re more inclined to hit the road for a while, now’s your chance to roam. It looks like an important financial leap could also be on the horizon.

ARIES 21 MARCH – 20 APRIL

LEO 23 JULY – 22 AUGUST

All of us have hidden tensions that can cause us to behave in ways we don’t always understand. But this month’s problems may not be that serious, so don’t make matters worse. If you feel you’ve lost direction, try to free yourself from any self-imposed rut. Be bold and believe in yourself. Don’t be afraid to tell it like it is, and don’t buckle to ideas that are second best.

VIRGO 23 AUGUST – 22 SEPTEMBER

If money and possessions are your priority, a generous cosmos now promotes a substantial increase in cash flow. At times it could even seem you're blessed with the Midas touch. Although it may not be a huge windfall, your financial circumstances could greatly improve. If your values are more spiritual, then expect personal growth in this area. Of course, there's no reason why it can't be a combination of the two.

LIBRA 23 SEPTEMBER – 22 OCTOBER

You’re good at making money, Libra. Even more so this month. Splitting expenses will help, as does an untapped new source of incomewhich means you could end July feeling more financially comfortable. Playful planets also spark a plethora of pleasurable appetites. Your capacity for personal enjoyment expands, as could your waistline. Just don’t overdo a good thing. Everything in moderation.

If you find yourself standing at a financial crossroads and wondering why you’ve never taken that deviation to the left, now’s your chance. The planets continue to support financial detours - so it’s a month to turn gambles into triumphs. The moon, too, waltzes in and out of your chart. Money matters require both give and take. Don’t be shy with your generosity, Sagittarius - what you give will all come back - and more.

CAPRICORN 22 DECEMBER – 19 JANUARY

With today’s hectic pace, we all tend to neglect our well-being more than we should. And we all have our various little addictions. Capricorns are prone to worrying about others. If you must obsess about anyone’s health this month, make it your own. Finances also figure big-time in July, with the emphasis being on damage control. Suddenly, everything has an overpriced fee attached to it.

AQUARIUS 20 JANUARY – 18 FEBRUARY

Who’d blame you for giving up on love? But let’s face it, sometimes you expect too much from relationships. Occasionally, our protective mechanisms hide vulnerabilities but can also shut out others in the process. Free up those emotional chains, and you have a chance of finding or keeping, your soulmate. In matters of love, there’s no hurry to decide, and the last week of July could surprise you.

PISCES 19 FEBRUARY – 20 MARCH

Sometimes it seems that fate gives with one hand and takes with the other. Thankfully, July signals the end of this struggle. Once

Independence becomes your keyword this month. Expect changes in joint finances, so don’t become too reliant on another’s resources. And despite the occasional temptation to take a risk, cover your bets and don’t borrow if you can’t afford the repayments. Romance, though, offers more excitement. A sexier new you emerges. The prospect of making a long-term commitment is high.

TAURUS 21 APRIL – 20 MAY

We each come into this world with our own unique talents and our own special tasks to perform. And this month, it’s your turn to shine. July highlights career and business travel. The time’s also right to make a significant purchase or start saving for something special. Perhaps even consider a down payment on property or a special luxury. You may spend a little extra but don’t settle for second best.

GEMINI 21 MAY – 21 JUNE

This month, Geminis develop a knack for transforming the seemingly insignificant into potential success. Every event, every job and every setback becomes an opportunity for growth. Not only on a material level but emotionally and spiritually as well. And in choosing to love life, no matter what crosses your path - you create an infectious aura of joy and prosperity which can’t help but captivate and inspire others.

Tanya was born in Slovenia and emigrated to Australia with her parents as a young girl. It was during her first visit to England that Tanya was introduced to astrology, and in 1980 she gained her London Faculty of Astrological Studies qualifications. Over the years, Tanya has established an extensive and wideranging international following, mostly due to her reassuring, down to earth presence.

50
This year the cosmos supercharges Cancer’s energies - reawakening dormant thoughts, ideas and intuition. It seems you’re given a second chance - a new lease on life. In a sense, you are - because through adversity, you’ve grown mentally, emotionally and spiritually. Problems which previously seemed insurmountable finally find resolution. Take advantage of your new adventurous spirit. If you’ve been tethered, it’s time to break free. Soon after, you become better able to judge your innate strengths and vulnerabilities. Basically, you’re ready to get on with the rest of your life. ONLINE

HUNTER HOMES & Lifestyle

52 • Custom Made • Professional • Blinds • Awnings • Shutters • Privacy Screens Manual • Automation • Sensor Options Available Proudly Family owned and operated providing Professional Standards with expertise servicing Newcastle, Lake Macquarie, Lower Hunter and Port Stephens areas for more than 75 years. Windsor Works Wonders with Windows lduorPLy o c a l ly Owned and Operated • FamilyBusine s s • 75 OVER Years Visit our website to see our vast range of Blinds, Awnings and Shutters or see our Showroom at 8 Torrens Avenue, Cardi . E sales@windsorblinds.com.au • No Obligation Measure and Quote - Call us on (02) 4956 6133 www.windsorblinds.com.au

READ ONLINE

As a carpenter, Alan Drablow has over 20 years of experience in the home construction and maintenance industries – so you could say he’s seen it all!

Alan Drablow

NIP 40 YEARS’ EXPERIENCE • NO JOB TOO SMALL OR LARGE

THE NIPPY NEW BTS TREE SERVICES All Tree Work & Pruning

“I’d come across a serious problem, and I’d think to myself that if this had been spotted sooner and nipped in the bud, the outcome would have been much easier and cheaper for the homeowner,” says Alan.

This gave Alan the idea of performing regular home ‘rego’ checks for homeowners, where issues could be pointed out early and nipped in the bud before becoming a costly repair exercise.

NIP IT was born!

NIP IT can help when it comes to your home maintenance. Whether you have an issue that needs fixing now or if you like to be proactive about your home maintenance, Nippit can provide regular reviews of your home so you don’t have unexpected costly home maintenance headaches in the future. Nippit will help you NIP them in the bud before they NIP your hip pocket!

Find out more about regular reviews or once-off repairs at www.nipit.au.

HUNTER HOMES & LIFESTYLE •

53 TRADES & SERVICES NEIL 4945 8923 OR 0438 506 949 MARK 0424 275 386 TREE LOPPING SPECIALISTS • Free, Prompt, No Obligation Quotes • Fully Insured • Pensioner Rebates • Stump Grinding • Hedge Trimming • Chipping Services • Reliable Service • Site Cleaned • Wood Chipping and Mulch Sales
WAY NIP IT today NIPPING issues early, to save you money in future home maintenance repairs. LIC: 309570C Mr
IT
TO PRESERVE YOUR PROPERTY IS HERE! NIP IT can fix home maintenance issues now or, we can provide a home maintenance review to locate issues that need attending. This means you can NIP IT in the bud before it NIPS your hip pocket! Stump Service • Palm & Hedge Trimming • Arborist Free Quotes • Pensioner Discounts Fully Insured • Prompt Reliable Service
While repairing hundreds of homes, Alan came across so many jobs that, if discovered earlier, may have cost homeowners much less to repair.
NEW Home Maintenance Company Nipping Problems in The Bud!
54 • New Homes • Extensions • Renovations • Maintenance D & J MILLER CONSTRUCTIONS No Job Too Big Or Small • Free Quotes Honest & Reliable Service PHONE DARYL 0400 117 867 OR 4920 7526 ALL ASPECTS OF BUILDING • HUNTER HOMES & LIFESTYLE NEW DOORS | AUTOMATION | REPAIRS & SERVICE Servicing Newcastle & Lake Macquarie - Call James 0402 224 375 | support@garagedoorassist.com LOCAL, HONEST, GARAGE DOOR SPECIALIST. TRADES & SERVICES DIRECTORY GYPROCKING Call Bill 0401 624 029 ALL WORK GUARANTEED FREE QUOTES • ALL AREAS LIC NO. 77284C • New Work • Renovations • Pre Paint Repairs • Small Jobs High Pressure Cleaning Soft Wash Whole House, removes all mould & grime TRADES & SERVICES DIRECTORY List your business here and on the intouch online directory each month! Email quentin@intouchmagazine.com.au or call Quentin on 0432-195-942 today! Check out the Local Business Directory at www.intouchmagazine.com.au

What makes a new home feel like home?

Come home to a home that is uniquely yours.

At Clarendon, we are dedicated to the love of coming home. It’s a feeling that only comes from building homes that you feel completely at home in. For first timers, up-sizers or down-sizers we o er more than 100 home designs that you can personalise with floorplan options and upgrades.

We’ve been building homes this way for over 45 years because it’s not just what we do, it’s who we are.

Explore more than 100 designs and floorplan options across our Sapphire and Aspire ranges.

56
Clarendon Homes (NSW) Pty Ltd (ABN 18 003 892 706) Builders License No 2298C. E&OE. 6/23
Sheridan 34 | Hamptons Facade
Boston 42
Sylvania Display Home The Cove 29 | Menangle Display Home 45 45 Visit a Display Centre in the Hunter at Chisholm, Thornton or Lochinvar – see our website for locations across NSW. CALL 13 63 93 | Clarendon.com.au
|

Turn static files into dynamic content formats.

Create a flipbook
Issuu converts static files into: digital portfolios, online yearbooks, online catalogs, digital photo albums and more. Sign up and create your flipbook.