Sir Paul McCartney The Man, The Music, The Legend

+ Magic in Morriset


+ Saving a Sanctuary in Coffs Harbour
+ Love of Musical Theatre

Leads to Starring Role












+ Magic in Morriset
+ Saving a Sanctuary in Coffs Harbour
+ Love of Musical Theatre
Leads to Starring Role
Welcome to the October issue of intouch, packed with exciting and diverse stories that capture the spirit of our beautiful region.
If you think the city is buzzing this month, then you’d be right! Sir Paul McCartney hits the stage this month for a historic first, with the first of his concerts to ever be played outside an Australian capital city. Now 81 years young and widely recognised as a creative genius, he has an extraordinary list of multi-disciplinary achievements to his name, but it’s his cross-generational music that will draw the fans in what is sure to be a sell-out concert.
The Beatles are perhaps the most culture-defining and influential band in the world, responsible for revolutionising not just music but how it was produced and promoted, gender stereotypes, fashion and media. As an individual, McCartney is an extraordinarily creative and driven human being who has spent his life challenging himself and pushing the boundaries of his creative output. As a musician, he is responsible for a large amount of the world’s most popular music. Read more in our exclusive on page 14.
With a glittering façade, 5-star resort vibes, luxe seating for 350 people, and a sprawling lawn overlooking the marina, diners at Morriset’s 8 at Trinity are transported to wherever in the world they long to be. We were lucky to be among those diners this month when we took a trip down the M1 to spend the weekend in Morriset. Read more about this gastronomic adventure as we uncover a hidden culinary gem on page 27.
This month we caught up with local gal Alana Tranter to talk about her starring role in Beauty & The Beast – currently playing in Sydney. A local talent whose love for musical theatre has catapulted her into the spotlight, discover Alans’s journey, dedication to her craft, and the magic of musicals on page 38.
Some childhood moments are well and truly etched into your memory, and I’d be willing to bet that the old Porpoise Pool at Coffs Harbour is one such memory for most Novocastrians. The marine sanctuary (now known as Dolphin Marine Conservation Park) is not just a tourist attraction; it’s a lifeline for marine rescue animals and is currently under threat. Can you help? Of course you can! Read more on page 36. Enjoy!
WE MAKE EVERY EFFORT POSSIBLE TO BE CORRECT, HOWEVER EVENTS DO CHANGE. PLEASE CHECK INDIVIDUAL EVENTS ONLINE BEFORE PLANNING.
5, or 6 and eager to participate in a STEM program using the latest tech during the spring school holidays? Register your child for the 4-Day Beacon Education program! (Tues 3–Fri 6 Oct). Participants will be able to solve real-world sustainability problems through emerging technology. Exploring the realms of land, air and sea, students will get hands-on experience using immersive virtual reality, coding, artificial intelligence, 3D modelling and more! If your child is interested in participating, visit www.bit.ly/beacon-edu to register your interest.
◀ Inflatables on the Green at Club Lambton. Inflatables on the Green return for the final week of the Spring school holidays (Tues 3–Fri 6 Oct)! Let the kids enjoy the outdoors with large jumping castles and obstacles before going back to school. The inflatable play is for up to three hours, and for only $10, it is sure to be a great event for the family. For more information, visit www.trybooking.com
TUESDAY
■ Tom Shark Storytime at Newcastle Library and Wallsend Library. Join local children's author Teighan Laino during this school holidays (Tues 3 and Thur 5 Oct), where, through a captivating storytime reading of her recently released book 'Tom Shark: Oceans of Emotions', the children will gently explore themes of mental health, resilience, and kindness. Engaging in activities will enhance their understanding of these crucial life skills, empowering them to care for their own well-being and extend compassion to others. Tickets are free, but spaces are limited, so please cancel if you can no longer attend. Bookings are essential at www. newcastle.nsw.gov.au/library/whats-on/ events
■ Beacon Tech Camp at Wallsend Library. Attention parents! Is your child in Years 4,
THURSDAY 5 OCTOBER
■ Sydney Comedy Festival Showcase at Warners Bay Theatre. The Sydney Comedy Festival Showcase is bringing a lineup of
For the spirit and cocktail enthusiasts who are looking to try something new! Sample the best of our new spirit selection and find your favourite flavour. This guided tasting
festival favourites and some of the best emerging talent on the road. With a show of two hours, it is sure to be a night full of entertainment and laughs for all. For more information or to book tickets, visit www.eventbrite.com.au
THURSDAY 5 OCTOBER
▲ Troy Kinne | Made Wrong at City Hall Troy Kinne is on tour with his stand-up show Made Wrong, where he’ll share too much information about all the things that go wrong in his life. Troy Kinne shares his humorous stories to have the audience walk away feeling better about themselves. Book your tickets now, you don’t want to miss this hilariously fun night out! For more information or to book tickets, visit www.civictheatrenewcastle. com.au
SATURDAY 7 OCTOBER
◀ Riverlights Multicultural Festival at The Levee. Riverlights Multicultural Festival is a celebration of diversity through food, dance, music, and experiences! Journey through The Levee’s global village, where you’ll be able to feel, taste, and see the many cultures from around the world in one place, with
includes pours of gin, vodka, liquor creams, espresso, cosmo's and more, this is a not to be missed flavour experience!
Cost: $15 pre-paid reservations for parties of 1 – 20 people.
Visit www.mcguiganwines.com.au and click on Visit Us to book.
events from Tues 3–Sat 7 Oct. There are many activities on offer, including dance classes, learning skills in another language, cooking demonstrations, a lantern-making class, and so much more. The event’s main attraction is at night, when the parade and lantern flotilla on the Hunter River will amaze attendees. You definitely don’t want to miss this! For more information, visit www.maitlandriverlights. com.au
▼ Barefoot Beats 2.0 at Newcastle Surf Life Saving Club. Enjoy the spring sunshine with a day at the beach while listening to a great lineup of local DJs! The Surf Club Kitchen will be serving food all day, with the Cattleyard Brewery on site to provide beverages. With a dancefloor and games provided as entertainment, you’ll be sorted for a fun afternoon. For more information or to book tickets, visit www.eventbrite.com.au
FRIDAY
■ The Angels at Shoal Bay Country Club. The Angels present their 50 Years in the Making Tour, the first with Nick Norton as lead singer. With two hours featuring an unforgettable collection of hits and rarities, it is not to be missed! There will also be another show on Saturday, 21 October at the Toronto Hotel. For more information or to book tickets, visit www. theangels.com.au
SUNDAY 1 OCTOBER
River of Snakes Hamilton Station Hotel
WEDNESDAY 4 OCTOBER
No Warning The Newcastle Hotel
THURSDAY 5 OCTOBER
The Paunch Pad The Wickham Park Hotel
FRIDAY 6 OCTOBER
Fonika The Newcastle Hotel
Telurian The Hamilton Station Hotel
SATURDAY 7 OCTOBER
Chase the Sun Stag & Hunter Hotel
Phil Burton and Band Toronto Hotel
SUNDAY 8 OCTOBER
SUNDAY 15 OCTOBER
THURSDAY
■ The Witches of Eastwick the Musical at The Playhouse. Stand & Deliver Inc. presents a musical that includes comedy, drama, and horror. Three not-so-wicked witches, Alexandra Spofford, Sukie Rougemont, and Jane Smart, are divorcees living in the New England town of Eastwick. One night together, they make a wish for a man to make their own, but soon learn that the wish has consequences they could never have imagined. For more information or to book tickets (shows on Thurs 12 to Sat 14 Oct), visit www.civictheatrenewcastle.com.au
▲ Dachshtober Longdog Festival at Tocal Agriculture College. This fun, family-friendly event aims to bring together sausage dogs and their owners from all over the country to raise awareness and funds for the research of Intervertebral Disc Disease. There will be plenty of activities on offer, including The Longdog Dash Race, fancy dress competitions, loads of stalls, and so much more. Go along and help to break the world record for the largest number of sausage dogs at one event. For more information or to book tickets, visit www.mymaitland.com.au
SATURDAY 21 OCTOBER
■ Grapevine Gathering at Hope Estate. Enjoy a day filled with wine, food, and live music! The winery event is back to raise a glass and toast to the good times. Tantalise your senses and indulge in a grape escape while dancing and singing along to the finest artists. With a lineup including Spacey Jane, The Wombats, Hayden James, Teenage Joans, and more, it’s sure to be a great festival. For more information or to secure your tickets, visit www.grapevinegathering.com.au
Continued next page ▶
Phoenix Pritchard The Wickham Park Hotel
FRIDAY 13 OCTOBER
The Angels Shoal Bay Country Club
The Radiators Mezz Bar at Wallsend
Diggers
Angel Du$t The Newcastle Hotel
Illy King Street
SATURDAY 14 OCTOBER
Teenage Dads King Street
SUNDAY 15 OCTOBER
Road Hogs The Wickham Park Hotel
FRIDAY 20 OCTOBER
Bury Tomorrow The Newcastle Hotel
DMA’s Bar on the Hill
Kim Churchill Shoal Bay Country Club
FRIDAY 27 OCTOBER
Dog Trumpet Stag & Hunter Hotel
SATURDAY 28 OCTOBER
British India King Street
Katie & Feff Club Lambton
SUNDAY 29 OCTOBER
Floyd Vincent and the Temple Dogs
The Wickham Park Hotel
■ Miss Porters House Paranormal Investigation Night at Miss Porter’s House. What better way to celebrate Halloween than with a ghost tour? An evening at Miss Porter’s House is for those ready to experience paranormal investigating. During the two hours, you will sit in quiet areas of the house while learning about the basics of investigating all things paranormal. You must be over 18 to attend this event. For more information or to book tickets, visit www. newcastleghosttours.com.au
■ Modus Oktoberfest at Modus Merewether. Visit Modus this month for Oktoberfest, where you’ll be treated to a German-inspired lunch and a 3-hour beverage package! Dress up and enjoy a day of food, drinks, and fun with your friends. Book your tickets, plan your
outfit, and get ready to raise your steins! For more information or to book tickets, visit www. eventbrite.com.au
◀ Street Paws Festival at The Station. Enjoy the many pet stalls, comps, food trucks, kid’s activities, and more on offer at the Street Paws Festival! Take your pets out and enjoy a day in the sunshine. For more information, visit the Facebook event page.
▼ Fernleigh 15 at The Fernleigh Track Experience the beauty of the old rail line that has become a favourite spot to run and ride! This 15km running event is designed for participants to get active while soaking up the beauty of Newcastle and Lake Macquarie. It’s a great opportunity to race in a professionally staged event in our local area. For more information or to enter, visit www.hevents. com.au
■ Paul McCartney at McDonald Jones Stadium
Sir Paul McCartney is bringing his Got Back tour to Newcastle this month! For the past decades, Paul has released countless hits that will entertain audiences at this concert. As an 18-time Grammy Award Winner and one of the most successful musicians of all time, it is a treat for him to be visiting Newcastle - you don’t want to miss it! For more info or to book tickets, visit www.ticketmaster.com.au
Source: PACC
▲ Bjorn Again at Performance Arts Culture Cessnock. Bjorn Again are returning to play ABBA’s biggest hits to audiences with a highly entertaining concert that is sure to be actionpacked! Regarded as the most successful tribute show and being personally endorsed by the members of ABBA shows, you will
be sure to have the time of your life. Dust off your flares, platform shoes, and satin, and get ready to enjoy the ABBA-SOLUTE fun! For more information or to book tickets, visit www. mypacc.com.au
▼ Marcia Hines at Performance Arts Culture Cessnock. With a career spanning five decades, musical treasure Marcia Hines is touring Australia with her performances being a celebration of her extraordinary career. With songs from her earlier albums, through to recent 2022 releases, Marcia Hines will amaze audiences with her vocal range and talent. Secure your tickets now and get ready for two hours of memories, musicality, and a little madness. For more information or to book tickets, visit www.mypacc.com.au
SUNDAY 29 OCTOBER
▼ Sleeping Beauty at Civic Theatre Newcastle. The Royal Czech Ballet is returning to Australia to present the classic masterpiece Sleeping Beauty. Follow along with the story of Princess Aurora as the ballerinas command the stage and capture the audience's amazement. After the success of The Royal Czech Ballet’s performance of Swan Lake last year, it is sure to be a wonderful evening! For more information or to book tickets, visit www. civictheatrenewcastle.com.au
EVERY SATURDAY IN OCTOBER
■ Glendale Farmers & Artisans Market at Stockland Glendale, 8am–2pm
EVERY SUNDAY IN OCTOBER
■ Lions Club of Adamstown Market, Cnr of Brunker and Glebe Rd, Adamstown, 6:30am–12pm
EVERY SUNDAY IN OCTOBER
■ Newcastle Farmers Markets at Newcastle Showground, 7am–1pm
SATURDAY 7 OCTOBER
■ Morisset Showground Markets, at 40 Ourimbah Street, Morisset from 7:30am–1pm
SATURDAY 21 OCTOBER
■ Warners Bay Markets at Warners Bay Foreshore, 9am–2pm
TUESDAY 31 OCTOBER
■ The Corrs at Newcastle Entertainment Centre The Corrs are Irish Celtic pop icons known all
Blanc de Blanc Encore has returned as part of the City of Newcastle’s New Annual Festival. Packed with new surprises and new local and international artists, it’s a hedonistic world of big dance numbers that will have you dancing in your seat and gasping for more. Believe the hype because this five-star champagne cabaret is full of the glitzy, glamorous, and extravagant world of vintage French flair, risqué humour, spectacular aerials, sparkling comedy and big dance numbers that we’ve all come to expect from Strut & Fret. The show is suitable for mature 18+ audiences only and is 115 minutes duration, including an interval. It comes with a content and sensory warning. For more information or to book tickets, visit www.strutnfret.com
> SATURDAY 7 – SATURDAY 21 OCTOBER AT CIVIC THEATRE NEWCASTLE
Newcastle is set to don ballet shoes and tutus this month as one of this century’s most thrilling pieces of musical theatre comes to town for the first time. The Very Popular Theatre Company (collaborating with the National College of Dance) will present Billy Elliot this month, and with a stellar cast and music by Elton John, this show promises to be a smash hit.
Set in a northern English town during the miners’ strike of 1984/5, the musical follows Billy’s journey from the boxing ring to ballet class, where he uncovers a passion for dance that unites his family, inspires his community, and changes his life forever. Captivating audiences worldwide, Billy Elliot promises to be a fun night out for the whole family. Secure your tickets now at www.verypopulartheatreco.com.au
> SUNDAY 29 OCTOBER AT THE STATION
The Bikers for Kids Newcastle Toy Run is an extraordinary festive season favourite for both spectators and riders alike. With an emphasis on family-friendly activities, the Toy Run aims to unite the community and bring joy to countless families in the Hunter Region through fundraising efforts benefiting the Salvos’ local Christmas Appeal.
This month sees the launch of the 2023 Newcastle Toy Run with a Motorcycle Show and Shine at The Station Newcastle. With some genuinely fantastic bikes on show, loads of trophies and prizes and a wide range of food and drinks available, the launch promises to be a great day out for a great cause. 2023 Toy Run Merchandise and raffle tickets will be available for your chance to win not one but two! bikes. Visit www.newcastletoyrun.com.au for more information.
We warmly invite you to return to Callaghan Campus for our reunion long weekend from 4th to 7th November 2023
FOR MORE INFO
www.biology50uon.org
Find us on facebook: “UoN Biology – 50-year reunion”
Contact Tim Roberts 0418 205 664
> FROM MONDAY 16 OCTOBER AT MAYFIELD CHURCH OF CHRIST
Hunter Women of Note Chorus invites women from across the Hunter region to join in and learn three Christmas songs over six weeks before performing a cappella onstage at their Christmas Show! Being taught the fundamentals of singing while enjoying the company of like-minded women is an excellent opportunity to get involved! All women aged 18 and over are invited to join, with no previous experience or ability necessary. If you’re looking for a break from your busy life, want to boost your endorphins or just have some fun - this is for you! For more information, visit www.hunterwomenofnotechorus.com, or to register, please phone their membership coordinator Jan on 0415 879 769.
> NOW – SUNDAY 29 OCTOBER
A funny animal pic brings joy and amusement to all, right? This was the thinking of wildlife photographer Paul
> SUNDAY 5 NOVEMBER
AT WARNERS BAY THEATRE
Audiences are in for a treat when the Lake Macquarie Philharmonic Orchestra presents Great Classics
– a program of fine music with conductor Dr. Steven Stanke. The performance will include three
Joynson-Hicks, who thought the concept would be perfect for an exhibition. Enter the Comedy Wildlife Photography Awards Exhibition!
While working as a wildlife photographer, Paul discovered that many images he had captured made him laugh and soon realised the entertaining humour that would capture audiences far and wide. The first Awards
pieces: Impresario Overture by Mozart, Pelléas et Mélisande by Sibelius, and Symphony No 3 Eroica by Beethoven.
Mozart’s Overtures are masterpieces of entertainment, and The Impresario is one of his best. Pelléas et Mélisande by Sibelius is a suite from incidental music for the play by Belgian Maurice Maeterlink. Dr. Stanke will showcase a Suite of 8 movements through a narrative of tragedy and loss in a medieval setting.
Beethoven’s Third Symphony was originally dedicated to Napoleon, but after the Frenchman declared himself Emperor, Beethoven tore up the dedication and rededicated the work to his patron, Prince Franz Joseph. It depicts the entirety of life, including triumphs, tragedies, heroic deeds, and the human condition. There are four movements - Allegro, Funeral March, Scherzo, and Allegro Molto.
Be sure to secure your tickets now, as seating is limited. For more information or to book tickets, visit www.lakemacquariemusicsociety. org.au.
were held in 2015 and have since grown to be a global competition aimed at making a meaningful contribution to the world of wildlife. Newcastle Museum’s exhibition will showcase images from a selection of the top 40 photos dating back to 2015. Be sure to check it out before it disappears! For more information, visit www.newcastlemuseum. com.au
Prepare to see strange goings on and hear things going bump in the night! This October, Maitland Gaol is channelling its scary side with a bumper series of paranormal events that explore the former maximum security facility’s haunted history and spine-tingling stories.
Thought to be one of the Hunter’s most haunted sites, Maitland Gaol will get into the spirit of the spooky season by putting on more ghost-hunting and paranormal investigation evenings than ever before.
Maitland Gaol Visitor Experience Lead Shaina Craig said the Gaol’s ‘paranormal activities were always popular.
“There’s nothing quite like exploring the Gaol’s storied cells and hallowed halls by torchlight,” she said.
“Whether you’re a self-proclaimed expert in the occult or a bit of a scaredy cat, there’s something for everyone to enjoy.”
Ghost Hunting 101 is a fun introduction to ghostly goings on, with a vigil, spirit box, K2 meters and more.
“And for those who are serious about the terrifying stuff, The Residence is a premium experience that takes visitors inside one of the Gaol’s more active paranormal sites – the former Lt Governor’s residence – and uses more advanced techniques to commune with souls in the great beyond,” said Ms Craig.
“Hardened hunters can even pair both experiences together on the scariest night in the run-up to Halloween – Friday the 13th –during our special double header evening.”
But that’s not all. Maitland Gaol is also catering to little ones looking to get that quintessential Halloween trick-or-treat experience, with parents and children invited to Snitch’s Spooky Halloween Spectacular from 5pm to 9pm on Tuesday, 31 October
This family-friendly event is where kids can explore the Gaol through a themed trick-or-treat
scavenger hunt, get stuck into arts and crafts, take cell selfies and enjoy a monster mash disco.
“Little goblins and ghouls can dress up, use the clues to complete the scavenger hunt and solve some riddles, and pick up plenty of sweet treats along the way,” Ms Craig said.
• Ghost Hunting 101 (ages 15 and up) – 6, 13, 14, 20, 27 and 31 October. Tickets are $55 per person.
• The Residence (adults only) – 7, 13 and 21 October. Tickets from $100 per person.
• Snitch’s Spooky Halloween Spectacular –31 October. Adult and child packages from $20. For more information and to book a ghastly and ghoulish experience at Maitland Gaol this Halloween, visit www.maitlandgaol.com.au/ whats-on
History will be made this October when Sir Paul McCartney, former Beatle, Wings frontman and acclaimed solo artist, takes to the stage in Newcastle at the McDonald Jones Stadium. It will be the first time the world’s most successful songwriter will perform outside an Australian capital city. Now 81 years young and widely recognised as a creative genius, he has an extraordinary list of multi-disciplinary achievements to his name, but it’s his cross-
generational music that will draw the fans in what is sure to be a sell-out concert.
McCartney was last in Australia in December 2017 and won a Helpmann Award for Best International Contemporary Concert in 2018, beating the likes of Ed Sheeran. He launched the Got Back tour in February 2022, completing 16 huge shows across the US before performing what the British Times newspaper described as the “best gig ever” with his history-making set at Glastonbury in June 2022. The second leg of the tour kicks off in Australia, in Adelaide,
on 18 October, playing seven dates that include Melbourne, Newcastle, Sydney, Brisbane and the Gold Coast before heading to Mexico and Latin America for a further nine dates, ending up on December 16 in Rio de Janeiro.
Featuring his longtime band members –Paul “Wix” Wickens (keyboards), Brian Ray (bass/guitar), Rusty Anderson (guitar) and Abe Laboriel Jr (drums) – and constantly upgraded state-of-the-art audio and video technology that ensures an unforgettable experience from every seat in the house, a Paul McCartney concert is
never anything short of life-changing. Paul and his band have performed in an unparalleled range of venues and locations worldwide. From outside the Colosseum in Rome, Moscow’s Red Square, Buckingham Palace, The White House and a free show in Mexico for over 400,000 people, to the last ever show at San Francisco’s Candlestick Park where The Beatles played their final concert in 1966, a 2016 week in the California desert that included two headline sets at the historic Desert Trip festival, a jampacked club gig for a few hundred lucky fans at Pappy & Harriet’s Pioneertown Palace, two Glastonbury Festival headline slots and even one performance broadcast live into Space!
Everyone knows that Paul McCartney was one of The Beatles and that, along with John Lennon, he wrote most of the songs. Irrefutably one of the most successful singer-songwriters and performers of all time, McCartney is behind the most beloved catalogue in music. The Beatles are perhaps the most culture-defining and influential band in the world, responsible for revolutionising not just music but how it was produced and promoted, gender stereotypes, fashion and media.
As an individual, McCartney is an extraordinarily creative and driven human being who has spent his life challenging himself and pushing the boundaries of his creative output.
As a musician, he is responsible for a large amount of the world’s most popular music. His 1965 song Yesterday, which he wrote and performed alone when he was a member of the Beatles, is the most recorded song in history, with more than 3,000 cover versions. After the Beatles broke up, he took his family on the road and started Wings from scratch, playing university campuses and touring Europe in a hand-painted hippie bus. His goal was to create another band that was as popular as the Beatles. While that may have been a challenging goal, the band won six Grammy Awards and sold over 14 million records, seven platinum and nine gold. The past few decades have seen him write several classical music albums, a ballet score, and hit producing collaborations with artists such as Michael Jackson, Stevie Wonder, George Michael, Tony Bennett, Dave Grohl, Kanye West and Rihanna, to name just a few.
And that’s just the music. In addition, McCartney has acted or appeared in over forty films, including Pirates of the Caribbean and Give My Regards to Broad Street and children’s animations such as Rupert the Bear. For the past two decades, he’s been painting and now exhibits his work, which features an intensity of colour, life, humour, landscapes, and faces. He is a children’s author with a series titled
Hey Grandude and has also published poetry and lyric books, photography and art books. He and his children (he has five children) are the driving forces behind the global “Meat Free Monday” movement; he advocates for vegetarianism and animal rights and promotes international charities related to land mines, seal hunting, poverty and music education. His list of awards and accolades is too long to mention.
McCartney’s forthcoming Got Back tour commemorates almost six decades since the Beatles toured Australia in 1964, and Beatlemania gripped the country. According to McCartney, though, that trip was too frenetic to remember much of it.
“It is a bit of a blur … I mean, even when you look at the videos, it’s hard to sort of imagine what’s going on,” said Paul.
“But you know, the thing is, you’ve got to remember we were quite new to the game. It was a little bit of a whirlwind because, you know, big crowds, and you’re rushing from the hotel to the car and then from the car to the gig. But hey, those crazy times were great. We loved it – it was like, this is what we hoped we could get. This was great success for us.” ▶
The set list for the Got Back tour will feature many of the Beatles iconic songs, including Hey Jude, Let It Be, Ob-La-Di, Ob-La-Da, Love Me Do, Blackbird, Got to Get You into My Life and plenty more. The hits don’t stop there, though. Anyone who grew up in the 70s will remember Wings hits such as the Bond movie classic, Live and Let Die, Band on the Run, Jet, Letting Go and Junior's Farm. Some of his solo career hits are also included on the standard set list, such as Maybe I'm Amazed, Come On To Me, Fuh You and My Valentine
With such a long and outstanding career and countless hits – he’s sold over 100 million albums, released 100 million singles and won 18 Grammys - there’s every chance you won’t get
to hear every song on your wish list. And whilst there is a standard set list, things can always change.
“That’s always a decision,” said Paul. “Because with me, to put a new song in, I’ve got to get rid of something. I mean, so we do it – we will do it. … but to tell you the truth, it is a bit like a Broadway show. You know, kind of once you’ve sort of written it, it’s very tempting [to not change it]. And once everyone knows all the lighting crew lighting cues … but then again, what I’ll sometimes do, you know, I’m going to throw something in, I’ll say, ‘Okay, this is going to send the crew into a panic!’ Well, I’m going to do something we don’t normally do, but they’re great. They’ll improvise, you know, the lighting
guy will probably have more fun than he usually does. So, we do shake it up a bit, but not that much.”
Perhaps the show's highlight is the poignant rendition of I’ve Got a Feeling, which McCartney performs virtually with the late John Lennon. Documentary filmmaker Peter Jackson, who produced and directed the film series Get Back, covering the making of the 1970 album Let it Be, isolated the John Lennon voice track of the song, which was performed live during the Beatles’ 1969 famous rooftop concert.
“It’s one of my favourite bits in the show now,” said Paul.
“And it’s kind of magic for me, because I’m just backing John up at one point. I’m playing
guitar, and he’s singing in his middle bit [sings]: ‘Everybody had a good year’. And then I join him with ‘I got a feeling’. And so now there’s two of us together. And now I’ve got to actually really keep in with him. And that’s beautiful because that’s like it was when you played live, you know, to be conscious of the other person and do your part right alongside him. So yeah, it’s very emotional for me. I love it. Really. … it’s my buddy, who’s been dead a long time, and here he is, back, and I’m working with him again. And even though it’s mechanical trickery, it feels very real.”
Another great bonus for fans that is a consequence of McCartney having such a long and illustrious career is that a Paul McCartney
concert tends to go for a bit longer than the usual, with the Got Back concert running just under three hours. McCartney blames Bruce Springsteen for the longer length concerts, with Springsteen sometimes running for as long as four hours.
“I saw him the other day and said to him, ‘Listen, I blame you!’ Because people used to do sensible length concerts, and then he starts doing four hours, and it’s like, oh, wait a minute. So, we start thinking, oh, we could do a bit more. So, we’re working up towards the three hours.
“It’s the audience that keeps you going. And the adrenaline that comes because of it. It really is great. You get the feeling from the audience
that they’re there to have a good time. And you know, they’re really interested in seeing what show you’re putting on. So, we sort of work to that.”
McCartney is justifiably proud of the legacy of his music, acknowledging that certain songs have become more than iconic – they’ve become part of the fans’ DNA and have the power to bring instant joy to many people.
“It’s incredible. It really is. Because what happens is you write them, and you’re very pleased with them, you make a record of them, and you love it, and you go play them. But as time goes on, … people really know them. Their kids know them. So, it is amazing to look back and think, ‘Oh my gosh, wow’. And I’m super proud that they’ve had such an effect on the world. I’m very proud that I think they’ve mainly had a good effect – like, they’ve had a moral good effect.
“I look back on it, and you marvel. You know, it’s just me and John, how did we get together? How did that happen? Well, I don’t know. I just knew a friend, and he knew a friend, and I met him, and we just decided we both were the only people we knew who wrote songs. So, we suddenly were sitting down and writing them. It’s just staggering, but I’m very proud of it, and it is lovely to be the custodian of those songs.”
The concert is the second in a series of high-profile music events made possible by the partnership between the City of Newcastle and Venues NSW, the first event being Elton John in January and the third in the trifecta being Pink in February 2024.
Venues NSW CEO Kerrie Mather said it’s been a transformational year for Newcastle and McDonald Jones Stadium.
"Venues NSW has worked incredibly hard over the past 12 months to ensure Newcastle becomes a regular stop on the Australian leg of any artist’s world tour,” Ms Mather said.
With Newcastle attracting global superstars such as Elton John and Paul McCartney, and Novocastrians no longer having to travel to Sydney to see such amazing concerts, the city seems to be coming of age, providing a northern NSW hub for tourism and world-class events, sports and entertainment. Certainly, the opportunity to see Paul McCartney, the world’s most successful living songwriter perform hours of the greatest moments from the last 60 years of music right here in our backyard is a once-ina-lifetime event that is not to be missed. At the time of writing, tickets were still available.
Paul McCartney plays at McDonald Jones Stadium in Newcastle on Tuesday, 24 October; see www.frontiertouring.com for all details.
"IT’S THE AUDIENCE THAT KEEPS YOU GOING. AND THE ADRENALINE THAT COMES BECAUSE OF IT."
The rumours are true.
LWP Property Group’s award-winning master-planned community, Huntlee, is unveiling its latest masterpiece. Introducing Caphilly: a harmonious blend of urban convenience and suburban allure.
Caphilly marks a significant milestone as Huntlee's first new precinct in a decade, and it's now available for sale.
Caphilly is a unique precinct crafted with first-home buyers in mind, where urban convenience meets suburban Hunter Valley charm. With land starting at an affordable $220,000, this presents an incredible opportunity, particularly for first-time homebuyers looking to enter the property market.
Furthermore, its affordability is a no-brainer for families seeking to optimise their lifestyle without compromising on comfort. Caphilly offers varied lot sizes ranging from 272m2 to 471m2, establishing the perfect canvas for a low-maintenance lifestyle.
Nestled in Huntlee's lively Town Centre, Caphilly offers unparalleled convenience and connection right to your doorstep. The precinct is only a short stroll to the burgeoning Huntlee shopping village, where you’ll find the hugely popular Huntlee Tavern, cafes, full-line Coles supermarket, car wash, BWS, gym, early childhood centre and more. You’ll only need to take your car out of the garage for further afield adventures in the stunning Hunter Valley.
“Caphilly has been designed to blend urban proximity and suburban living with all the
modern convenience of a brand-new town, designed from the ground up. A harmonious marriage of suburban peace and urban vibrancy,” explains Huntlee Project Director Stephen Thompson.
Mr Thompson further paints a picture, “Imagine walking the children to school on your way to a gym class or heading out for your morning coffee – everything just a short stroll away. The kind of convenience and vibrancy one expects in a city yet set against the tranquil backdrop of the rolling hills of the Hunter Valley”.
Huntlee, renowned for its community-centric approach in its first village, Katherine’s Landing, promises to infuse the same ethos into Caphilly. You can again expect community managers orchestrating exciting regular events, farmers markets, and those delightful neighbourhood meetups.
Caphilly doesn’t just offer homes; it promises a lifestyle. The precinct boasts shared outdoor spaces, parks, playgrounds, BBQ areas, and picturesque cycling and walking trails. Moreover, the strategic location makes commutes and day trips a breeze. Only 45 minutes to Newcastle and 90 minutes from Sydney via The Hunter Expressway or Branxton Train Station. This underscores the fact that residents aren't just securing a home but investing in a flourishing region.
With projections indicating a population surge of over 60% by 2041 in the North Rothbury - Branxton - Greta region, the time is ripe to establish your haven in this booming area.
But the allure of Caphilly isn’t confined to its boundaries. A short drive immerses you in the enchanting experiences of the Hunter Valley –gourmet dining, wineries, captivating balloon rides, spa retreats, and beyond.
Surprisingly, this luxurious lifestyle is accessible without stretching your budget.
With lots starting from $220,000, Caphilly stands out as a golden opportunity to create your dream life, be it one or two storeys. Local home builders also offer competitive house and land packages tailored for every life stage.
“We anticipate a diverse community – firsttime homebuyers, professionals, downsizers, and families, all drawn by the affordability and value proposition,” says Mr Thompson.
For professionals, Huntlee ensures a seamless work-from-home experience with NBN fibre direct to your home, ensuring high-speed internet. Additionally, every lot purchase in Huntlee comes bundled with perks – recycled water system, side and rear fencing, and front yard landscaping, all-inclusive with the land purchase.
For the entrepreneurially inclined, the B4 MU1 zoned lots offer the perfect setting to kickstart or expand your ventures right from the comfort of your home.
Find out more about Huntlee and the next chapter of Caphilly by visiting huntlee.com. au/caphilly or reaching out to one of their dedicated sales team.
Your next chapter awaits at Caphilly.
Caphilly is the brand new precinct in the heart of the Huntlee Town Centre. Uniquely positioned where urban convenience seamlessly merges with the suburban charm of the Hunter Valley.
Just a stroll away, the Huntlee Shopping Village offers an abund ance of amenities right at your doorstep, while the famous Hunter Valley Wine Country is a short drive away from home.
With land starting as low as $220K, Caphilly brings the Australian dream to life without compromising on comfort.
Live a life of plenty at Caphilly today, and experience the epitome of connection, convenience, and affordability.
huntlee.com.au/caphilly
Land Selling from $220k
More than a year under construction and 15 years in planning, Lake Macquarie/ Newcastle’s newest pub, located in the rapidly expanding Cameron Park, has opened to patrons with a full weekend of entertainment.
A contemporary Australian “pub” style with an industrial aesthetic, Harrigan’s boasts expansive interior spaces, three bars and wide verandahs that bring a new level of sophistication to Newcastle’s flourishing pub scene.
The one-level premises are designed around an impressive central atrium/entry foyer anchoring two long wings, each with high vaulted ceilings to accentuate the feeling of space, and a double-sided open fireplace adds warmth and character to an interior that is dotted with long, easy-access bars replete with multi-tap beer fonts (18 varieties) alongside an extensive selection of wines and spirits, many from local producers.
The arrival of Harrigan’s brings to fruition keenly felt local expectations from the rapidly growing community, which has been devoid of a facility such as this until now.
“We are genuinely excited to be bringing this new iconic pub
to Cameron Park and are sure the patrons will adopt it as their local… a community pub which will be a place for family and friends to gather and make memories,” said Roche Group Pub Operations Manager Nic Barnett.
“Our menu is focused on providing our patrons with excellent pub food, highlighting locally sourced produce. We have invested in an Italian pizza oven and offer delicious chef-prepared meals across our extensive menu. While enjoying the wide range of beer, wine and spirits, guests can avail themselves of our entertainment experience with live music in a designated lounge at the northern end of the building.
“We have an indoor/outdoor children’s play area, including a fantastic mural by well-known Newcastle artist Mitch Revs. “
Three giant screens are situated in both the Sports and Terrace Bars to provide visitors with an immersive experience and will be broadcasting all the footy finals on the big screen; full TAB facilities are available inside the premises.
The multi-million-dollar development is the first new pub in the Newcastle/Lake Macquarie region for over 20 years and boasts state-of-the-art facilities.
Performance Arts Culture
Cessnock (PACC) has long been a home to performing arts in the Hunter Region. Now, the venue looks set to cement its future as a leading cultural hub for the area, with the official opening of its new Exhibition and Artist spaces on Friday, 13 October at 5pm.
The refurbishment is the culmination of many months of planning and construction, made possible thanks to grant funding obtained under the NSW Government’s Stronger Country Communities Fund, Resources for Regions, and Creative Capital Fund programs, with contributions from Cessnock City Council.
Opening in 2008, the PACC building is the result of the adaptive re-use of two existing buildings on the corner of Aberdare Road and Vincent Street, Cessnock. The complex has been designed using contemporary materials and finishes that subtly contrast with the older structures.
The new Exhibition and Artist spaces inhabit the older section of the complex, originally constructed by one-time Lord Mayor of Newcastle Morris Light as open-plan modern furniture display showrooms. Light was instrumental in raising funds for the Newcastle City Town Hall
and Civic Theatre. His Cessnock building is believed to be the first steel-framed building in the area.
The PACC team have been busy curating their inaugural exhibition ‘Artefact’. A retrospective of renowned local Indigenous artist Uncle Les Elvin, the exhibition also features work by artists Lesley Salem (nee Elvin), Saretta Fielding, and Ryan Andrew Lee.
PACC’s Curator of Performing and Creative Arts, Dr. Vicki Sienczuk, hopes the new spaces will help bring art lovers to the Cessnock local government area.
“It’s been a long process from conception to construction. We’re very excited to be at the point now where work is ready to be hung and exhibited.”
An Expression of Interest inviting established artists, emerging artists, curators, arts educators and collectives to submit exhibition proposals, workshops and public programs will be called annually for the PACC Gallery Exhibition and Artist spaces. Exhibition proposals for 2024 are currently open and close on Monday, 13 November 2023.
‘Artefact’ opens Friday 13 October at 5pm and runs until Sunday 26 November. Visit www.mypacc.com.au for more information.
When the idea of writing a travel piece about Morriset was raised, I was a little curious. On the upside, it was close to home; I could go straight after work on Friday, plus I’d be home for sundowners on Sunday – so why not?
Admittedly, I didn’t know much more about Morriset than roughly where it was. Situated on the western foreshore of Lake Macquarie and less than an hour from Newcastle, this lakeside suburb is a kayaker’s mecca and the perfect place to explore the saltwater haven that’s said to be home to resident dolphins and sea turtles.
First stop en route was local brewery The Yard Brewery & Smokehouse. Situated unassumingly within the expanding industrial area of Morriset, the venue is home to Yard Kings Brewing Co., complete with an onsite smokehouse and café. The Loaded Kransky Dog and Smoked Brisket Burger paired perfectly with a tasting paddle of IPAs, Lagers and Pale Ales—a very worthy halfway-ish stop on your next trip to or from Sydney.
A short drive had us meandering through the recently established holiday-home suburb of Trinity Point to our accommodation near the Trinity Point Marina. Most of the homes in the area seemed to be owner-occupied, but a selection of them (including a luxury boat) are
currently offered for accommodation ahead of the completion of the soon-to-be-approved luxury hotel overlooking the marina. But more on that later.
Our self-contained studio apartment looked brand-new and had everything we needed for a weekend away and, most importantly, was within walking distance of the marina and restaurant, 8 at Trinity
We welcomed Saturday with a chance to get out onto the water and explore the inlets and waterways that make up this part of Lake Macquarie. It’s the largest saltwater lake in the southern hemisphere and is between two to four times the size of Sydney Harbour (there seems to be some argument about that), yet we’d never ventured to the western side, and I’m ashamed to say that having lived in Newcastle for more than 15 years, we had never actually ventured out onto the water.
Our hosts for the morning were Maxine and Roy, owners of Sail Lake Macquarie and seriously experienced sailors, having sailed pretty much all over the world before returning to the Hunter in 2020. Their luxurious yacht MR, a 48-foot Beneteau Oceanis 2018, which we were lucky enough to have entirely to ourselves, was immaculate. Add to that the breezy morning that allowed us to hike up the sails (a technical term, I’m sure!) and blow out our late-
winter cobwebs, and you’ve got a thoroughly enjoyable experience.
Our bubbly breakfast included a grazing board, great conversation and a tour of some of the 174 km of bays, beaches and headlands that make up the lake’s foreshore. While the eastern side of the lake is well-developed and tourist-oriented, the western side is quieter and very scenic, with lakefront holiday cottages dotted around the foreshore around Sunshine, Balcolyn and Silverwater around to Bonnells Bay.
Had we been feeling active following our morning jaunt, Trinity Point Marina has a host of activities on offer. Many of them involved water (of course), and had I been more skilful and less likely to end up in the drink in the middle of winter, we probably would have availed ourselves of the complimentary kayaks, standup paddle boards and e-Bikes (ok that last one was just pure laziness).
Accommodation guests can also enjoy a day on the water aboard the self-drive pontoon BBQ boat, the 'Day Tripper', or for the more adventurous, an eFoil Fliteboard experience is also on offer for a truly unique activity that promises you can literally fly above the water. Maybe in Summer….
You may be wondering where the ‘magic’ part of this journey makes an appearance ▶
– and that’s around about now as we wander down to 8 at Trinity to be hosted by the restaurant’s visionary creator and Managing Director, Natalie Johnson.
To say 8 at Trinity is a destination in itself is a serious understatement. Natalie describes the venue as an ‘eight-million-dollar pop-up’ designed to give people a taste of what they can expect when the luxury 220-room hotel with two restaurants, function centre, pool and 218 carbon-neutral waterfront apartments are completed. There will also be a floating pontoon tennis court and a helipad as part of the 23-hectare project that will see it become a world-class destination.
And if anyone can achieve this lofty goal, it’s Natalie, alongside her husband – property developer, and head of The Johnson Group, Keith Johnson.
Creating the landmark restaurant was certainly a gamble, and Natalie admits people thought she was crazy. With a glittering façade, 5-star resort vibes, luxe seating for 350 people, and a sprawling lawn overlooking the marina, diners are transported to wherever in the world they long to be. For me, the design was reminiscent of Singapore, with the fabriccovered, light-filled column-trees mirroring the Asian city’s famous Gardens by the Bay.
And it's clear that many of us are craving a taste of the exotic, with the restaurant serving 1,000 patrons daily from Thursdays to Sundays.
But if the setting is stunningly international (and it is), then the menu is out of this world.
Natalie describes the offering as “fine-dining quality without pretentiousness,” and she’s 100 per cent correct. The menu is extensive, and while it has a fine dining quality, Natalie says she has also tried to cater for everyone – from families looking for wood-fired pizzas on a Sunday to business lunchers looking for the best of the best. The attention to detail is outstanding, from the crockery that Natalie imports from Italy to the professionalism of the service staff; it is clear from the get-go that this will be an unforgettable dining experience.
A former Chef, Natalie has had a hand in curating every item on the menu, and her passion for local produce is evident and applaudable. Determined to provide us with a taste of everything that’s ‘signature’ about the menu, Natalie ordered an amazing array of dishes for us to try, and there wasn’t a dish that didn't wow us.
It sounded simple, but the Roasted Watermelon with burrata, 30-year-old balsamic, river mint, EVOO and toasted crostini was so unique that I feel it needs a special mention. The roasting process converts the watermelon to a salmon-like consistency, and the combination of fruity sweetness with the buttery smoothness of the burrata is delicious.
The Sea Scallops with celeriac, pine nuts, blackcurrants, lemon, brown butter, parsley oil,
and chives were not only perfectly cooked and oh-so-tender but also took the award for the most Instagram-able dish of the evening, while the Kingfish Ceviche might just go down as the best we’d ever eaten.
To send us on an Asian-inspired gastronomic trajectory, Natalie suggests that we opt for sharing dishes with two mains inspired by her travels. The Singapore Chilli Style Prawns is a dish that 8 at Trinity is famous for. It’s balanced and lavish, with a sauce that begs to be mopped up with one of the house-warmed baoger buns it’s served alongside.
Next up is the Japanese Kagoshima A5 Wagyu Scotch Fillet MBS 12+ MP. Served medium so as to allow the natural marbling and high-fat content to render during the cooking process, and partnered with crispy duck fat potato maxims, vinegar salt, roasted portobello mushrooms, pickled pearl onions, chargrilled spring onion and green peppercorn sauce.
By now, we’re lost for words (and wishing we’d worn our ‘eating pants’) when dessert arrives. The Croissant Bread & Butter Pudding served warm in a copper pan with an apricot glaze, almonds, crème anglaise and vanilla gelato and Affogato with a shot of espresso and Baileys were the perfect ending to a magical night (yes – in Morriset!).
To find out more about 8 at Trinity or to make a booking, visit www.8attrinitypoint. com.au
For a genuine taste of Italy, particularly Rome and Calabria, Novocastrians need to go no further than Beaumont Street Islington to Sapori at Tailors. Opened by Romans Fabrizio and Francesca Virgili in January 2021, it is now a firm favourite for locals and anyone looking for the authentic traditions of Italian fare.
Sapori means ‘flavours’ in Italian, and that’s what this rustic restaurant is all about - flavours and traditional cooking that is true to the origins of the recipes handed down through the family.
Francesca’s father, Rocco, has been making pizza since he was 12. You will not find pizza with BBQ sauce, pineapple or chicken schnitzel on it here, and it’s best not to ask for it - pizzas are made in the Roman style, a thinner crust with ingredients right to the edge of the pizza.
“We keep to the traditions,” says Francesca.
“We really care about that. Every recipe has a story behind it. Carbonara, for example, was a dish made for coal miners – that’s what it means. The pepper in the dish is meant to look like coal dust. And it is not made with cream. We make everything from scratch with the best produce. We import a lot of ingredients from Italy because if we want authentic flavours, we have to. The Italian speck is much less fatty than the Australian speck; the salami is spicier or more flavourful. It is all about the flavours.”
The pasta is handmade every day, as is the tiramisu and cannolo. The desserts change regularly, and Francesca makes the gelato without an expensive machine at home. She regularly makes pistachio, Nutella, hazelnut and zabaglione, much to the delight of returning customers.
Sapori at Tailors is located at 10 Beaumont Street, Islington, phone (02) 4962 3110.
Tuesday Night
Authentic
Italian Seafood
Degustation
BOOKING
REQUIRED
by Phone or Email
READ ONLINE
Travelling to Morocco is like stepping into a vibrant tapestry woven with ancient traditions, diverse landscapes, and rich cultural heritage. Nestled in North Africa, this enchanting country beckons adventurers with its beguiling blend of historic cities, desert dunes, and rugged mountains.
If you’ve ever dreamed of visiting this magical destination, then a Travel Managers tailored tour that includes the best of Morocco’s local hospitality might be just the ticket!
P (02) 4962 3110
W
sapori-at-tailors.square.site
This tour will see you exploring the blue-washed town of Chefchouen, riding camels across rolling dunes, staying
under the stars in the desert and experiencing Ait Benhaddou like a true gladiator!
Kick back in the coastal town of Essaouira, learn the unchanged culture of the locals living in the Atlas Mountains and Berber Villages, explore the local markets, street shops, and medinas and soak up the atmosphere and culture that only Morocco can offer.
Morocco's culinary scene is an adventure in itself, with flavours ranging from savory tagines and couscous to sweet pastries like baklava. Sipping mint tea in a traditional riad while absorbing the rhythms of traditional Moroccan music provides a perfect ending to a day of exploration.
Morocco beckons travellers to embrace the captivating blend of old-world charm and modern allure, making every journey an unforgettable experience.
Contact Natalie at your local Travel Managers on 0402-370371 and get ready for the trip of a lifetime.
One of the country’s most successful entrepreneurs, the woman who brought PANDORA Jewellery to Australia, has transformed one of the Hunter Valley’s iconic and historic vineyards into one of Australia’s newer superb wine tourism destinations.
And now, Karin Adcock’s efforts have been recognised by one of the industry’s most respected critics, James Halliday, when her prized winery was shortlisted for Best New Winery in the 2024 Halliday Wine Companion. Winmark Estate’s foray into the industry’s renowned Halliday “bible” came with a prized 5-star rating, which is rare for a winery's first listing. All four wines produced by this Chardonnay-only maker were rated in the 90s, including two outstanding 95 & 96-point scores.
Winmark Wines & Art Gallery was also recently named 2023 Hunter Valley Cellar Door of the Year at the Hunter Valley Wine Industry and Legends Awards. Winmark shone
above all other 18 finalists to be presented the award sponsored by Wine Selectors, which is determined by the results of a rigorous thirdparty secret-shopper style reviewing process.
Danish-born Karin has created a wine lover’s haven in the spectacular Broke Fordwich subregion of the Hunter Valley. Winmark Estate offers a place where everyone, from wine enthusiasts to art and nature lovers, can gather. This recognition confirms that the transformation of this 50-year-old vineyard, formerly known as Poole’s Rock and owned by Macquarie Bank executive David Clarke, is nothing short of incredible.
Open to visitors seven days a week, Winmark Estate offers a complete day out with an art gallery, gift store, immersive sculpture garden and walking tour, coffee cart and luxury accommodation for up to 34 guests across the guesthouses.
2023 has been a landmark year for Winmark Wines with its official launch into the trade with
a newly appointed wholesale distributor in NSW, and now this recognition by Halliday and the Hunter Valley Wine & Tourism Association. Having taken several years to build up vine quality and the wine range, the range now consists of four incredible Chardonnays, all 100% grown on the property and made by winemaker Xanthe Hatcher under the watchful eye of international winemaker John Belsham. The wines now adorn the wine lists of many great Sydney restaurants, and as distribution continues to grow, so will the enjoyment of Chardonnay lovers worldwide.
“Winning the trophy for the Best Young Chardonnay for our 2021 Winmark Reserve Chardonnay at the NSW Small Winemakers Wine Show last year was such a highlight for my young brand, but Halliday’s recognition and winning Hunter Valley Cellar Door of the Year has raised the bar for Winmark and puts us in amongst the top echelon of wine producers in Australia. It’s such a joy to be recognised in such great company,” said Karin.
“We are so humbled by this recognition. It’s a tough award to win with the secret shopper style of appraisal, so we are beyond excited to have won!”
Winmark Wines & Art Gallery is located at 229 Wollombi Road, Broke. The Cellar Door, Art Gallery, Boutique, Sculpture Garden, Coffee Cart and Sculpture Garden walks are open daily. For opening times, visit www.winmarkwines.com. au or call (0429) 265 268.
10% off Your Hunter Valley Flight when you use Code ITM10 online.
Alesco Senior College is set to celebrate its 21st year of success this year, and this wouldn’t have been possible without all the staff involved in creating a learning environment that is safe, supportive, and positive.
Alesco is a secondary school that believes that for students to have the greatest chance of success, well-being and learning must work closely together, a belief that has seen students benefit from the support of both teachers and peers.
From being named one of the fastest growing schools in NSW in 2018, Alesco now
has seven campuses spanning from Newcastle, Hunter Valley and up the coast.
“Alesco is different - we purposely limit the number of students in each class and how many students are on each campus,” says Atwea College CEO Rowan Cox.
“This ensures that the diverse needs of the students can be better accommodated in the classroom and the relationships of trust and teamwork can be better maintained between staff and students.”
In 2019, Alesco was named a finalist in the Australian Education Awards – Special Education School of the Year. With recognition
and an achievement like this, Alesco has been able to go from strength to strength in ensuring a safe, supportive, and positive learning environment for young people.
In the first years, Alesco offered a Life Skills program, but by 2004, they were offering HSC. Now offering HSC and further Vocational training, the Alesco teaching model has helped students re-engage in learning and assisted them in finding a sense of purpose and achievement.
With 21 years up its sleeve and looking forward to the next 21 years and beyond, Alesco Senior College has set its sights on a name change. With the increased demand for places for students who need assistance in finding a healthy transition to high school, the new name will reflect plans for the Alesco teaching method to be offered to all secondary school years.
“We have a strong well-being framework that goes beyond Academic well-being; it also includes emotional, social, cultural, physical, and financial well-being initiatives throughout the school,” Rowan says.
“Alesco emphasises the engagement of students. We achieve this through creating small, safe, supported environments, staff working with students based on empowerment, rather than a model of power and control”.
Curious
Dance Classes? Discover the benefits.
Dancing isn’t just social, its also a fantastic way to boost your physical and mental well-being and strengthen and tone your body effectively.
In fact, ballet in particular is great for improving balance, muscle strength and fitness, memory and flexibility and co-ordination
Join our experience adult dance teachers, Brett Morgan OAM (Pictured) and Ginevra Cicatello, as they deliver these exciting adult dance classes for all levels and abilities.
New daytime and evening class times available ENQUIRE NOW.
What can I say about Brett’s Adult Ballet classes?... only that it’s one of the best hours of my week! No matter how stressed, tired and to be frank, not feeling a bit like exercise I am, I’m magically transformed, and leave feeling those happy endorphins circulating!
ChrisWare
Conservation Park), I was thrilled to know she would share that same experience.
Then the news came through that the park I had loved so much as a kid had gone into administration.
Economic realities exist for every business that relies on tourism and the public spending money. I think we were all so relieved when COVID lockdowns were over and assumed that life would go back to normal, but it hasn’t. With interest rates and the cost of living increasing for many businesses, that fog has yet to lift. And it seems particularly cruel when it means vulnerable animals must be rehomed.
We decided that rather than missing our chance to make memories, we would take a quick drive up the freeway. I am a huge animal lover and will take any opportunity to see animals up close, but I have also spent time educating myself and the kid, and there are things I wouldn’t do. For a while, every second person I knew had a photo with a giant tiger or riding an elephant. As much as I would
much focused on the good of the animals and always has been.
Through the rescue foundation, they rehabilitate and release more than 400 marine animals each year. But the park funds the foundation, and without the park, the vital rescue and rehabilitation service would cease to exist. Over their time, they have helped educate more than 30,000 students and attracted more than 50,000 visitors each year, contributing significant tourism dollars to the Coffs Harbour region.
The marine sanctuary is not just a tourist attraction. It’s a lifeline for marine rescue animals. Most are rehabilitated and returned to the wild; others are deemed unfit to return to their natural habitat and are lovingly cared for by a team of very dedicated staff, becoming conservation education ambassadors for the community. We met some gorgeous animals while there, including a blind 18-year-old penguin who, without the park, would just have nowhere to go.
They are the only permanent rehabilitation facility in NSW that can handle this volume and variety of injured, sick and orphaned marine life and the only rescue and rehabilitation facility qualified and equipped to save sea lions and dolphins. They are home to the world’s most
successful breeding program for endangered Australian sea lions, a national incentive to help at-risk species. A permanent sanctuary to over 50 marine animals that cannot be released, including bottle-nosed dolphins, Australian sea lions and Little Blue Penguins, many of whom require ongoing medical care.
It’s not a cheap exercise; they do this without government support. However, despite exhaustive efforts, they are now at risk of closure.
Ideally, they would like to become an actual not-for-profit organisation so that everything can go towards the animals.
The Dolphin Marine Conservation Park is now on a deadline to raise 1 million dollars in corporate and private pledges between now and 26 October, or this safe haven for marine life will cease to exist. My hope is someone reading this might be able to help. Please head to www.dolphinmarineconservation.com.au to see what you can do to help.
"THEN THE NEWS CAME THROUGH THAT THE PARK I HAD LOVED SO MUCH AS A KID HAD GONE INTO ADMINISTRATION."
One of the world’s most beloved musicals is currently playing at the Capitol Theatre in Sydney. Beauty and the Beast is produced by Disney Theatrical Productions and is a reimagined, brand-new production featuring the iconic songs the original 1991 animated film was known for. With a stellar Australian cast featuring our own home-grown Alana Tranter, this is one magical experience worth the short trek south to Sydney.
The new production of Beauty and the Beast brings back members of the original creative team from the ground-breaking Broadway musical, including Olivier Award nominee Matt West who directs and choreographs, leading a team that includes original composer, Alan Menken, lyricist Tim Rice, book writer Linda Woolverton, scenic designer Stan Meyer and lighting designer Natasha Katz.
The principal cast includes Shubshri Kandiah as Belle, Brendan Xavier as Beast, Rohan Browne in the role of Lumiere, Andy Cook as Gaston, Gareth Jacobs as Cogsworth, Jayde Westaby as Mrs. Potts, Nick Cox as Le Fou, Rodney Dobson as Belle’s father, Maurice,
Alana Tranter, in the comedic role of Madame, who is a matchmaking, witty and sassy wardrobe, hails from Maitland and is no stranger to the Newcastle theatre scene, having honed her craft on our local stages. Indeed, her final role at St. Phillips Christian College, where she attended high school, was in the title role of Belle in Beauty and the Beast
“Performing in the professional Disney production of Beauty and the Beast is a dream come true for me,” said Alana.
“It was my last big role at school and the one in which I first realised that I might have the ability to make this my career. So, with this now being my first principal role, there’s a deeper significance for me, a kind of circular synergy to it. I’m super proud and grateful about it. And it shows that persevering and working on my skills has paid off.”
Alana’s love of musical theatre began when she was nine, and her mother took her to see Annie at the Civic Theatre.
“I knew instantly that that’s what I wanted to do and started singing, dancing and drama lessons from then on.”
It wasn’t long before Alana was playing the role of Annie in a local Maitland amateur theatre company around the age of ten and then again when she was 11 for Metropolitan Players. Michael Cooper, Director of Performing Arts at St. Phillips Christian College, saw her perform, and eventually, Alana earned a Performing Arts Scholarship to pursue her dreams of acting and performing at the school.
“St. Phillip’s Christian College was quite influential to my career. I went there because they had a great reputation for producing fabulous musical theatre. Their drama program was amazing, and I got to really hone my skills.
“My parents were really encouraging and supportive too. My siblings are older and had left home by the time I was in high school, so Mum could drive me to rehearsals three nights a week and wait for me in the car. I have memories of Mum sitting in the car with her portable radio. She drove me everywhere and paid for everything. My parents have been so helpful and encouraging. They share the highs and lows with me. They were here for opening night, and it was really special.”
Now 34, Alana studied at the Victorian College of the Arts, graduating in 2011 with
a Bachelor of Musical Theatre. Since then, she’s been working as a professional actress and appeared on stage at the Civic Theatre Newcastle in the professional production of Come from Away earlier this year as part of a four-year tour with the show as an understudy.
“Performing Come from Away at the Civic Theatre in Newcastle was wonderful. There has been nothing like it. It was very special – emotional in a good way. To have all of the community that helped me get to where I am in the audience and to see me performing as a professional was very special.
“The effect Newcastle has had on me and my career is hard to sum up in words. It’s where I fell in love with the craft and where I honed my skills. I carry Newcastle with me everywhere I go. I owe a lot to the training and the local industry. It’s a wonderful city for musical theatre. It’s close enough to Sydney – Mum and I would travel by train to see the shows. I wouldn’t be where I am today without Newcastle and all it offered.”
Alana has managed to find time in her hectic schedule over the years to try to give a little something back to her old hometown.
“In 2019 – pre-covid, I was lucky enough
to go back to Newcastle to teach a three-day workshop at the Voice Studio in Lambton. It was so rewarding teaching the young people who were just like I used to be. It was inspirational for me.”
Alana is clearly enjoying her experience of ‘owning’ her first principal role in a major commercial musical; the fact that it is an iconic Disney production is a bonus.
“I’m excited to be developing my character. We perform eight times every week, and it’s wonderful to be able to keep working on your character every night, to build your stamina and to really step up. Most actors work towards something like this – it’s the dream. It’s so satisfying to be able to put your stamp on a role. This is one of the first times this version of the show has been done. I got to work with some of the original creatives from the Broadway production, and we’ve developed the character. There is a comedic element to the role, and Madame certainly has some spunk to her. It’s a gift as an actor.
“Perhaps one of the biggest challenges in this production is the fact that I’m an object and that I have to dress up as a wardrobe. Learning how to navigate that has been challenging. I
may be biased, but I think my character is one of the best! I’ve had to figure out how to move, open my drawers, and dance. It’s rewarding, though, and the amazing costumes help inform the character and performance.
“One of the things I’ve enjoyed the most is working on such an iconic show with songs that mean so much to so many people. I love watching from the wings when the audience starts applauding before a song even begins. It’s wonderful to be a part of it all, and sometimes I have to pinch myself.
“I’m always learning, and I’m privileged to be working with incredible performers who’ve been treading the boards a long time. Their experience is a wonderful learning opportunity.”
Alana recognises that the Newcastle theatre industry has only grown since she left with more drama schools and opportunities than there were in her day. She has some advice for those young people who may be aspiring to a future in the performing arts industry.
“My advice to others would be to work hard. To do as much as you can. To immerse yourself in theatre and the world. Don’t be afraid to reach out to people. I am always happy to help. Persevere, stay positive, and be a good person to work with. Soak up everything you can in Newcastle. Amateur theatre is just as beneficial as going to classes. Everything you need is here in Newcastle, so use it, kids!”
Beauty and the Beast is a much-loved classic that will fill the hearts of a new generation with fabulous new sets, costumes and cutting-edge technology. There are performances in Sydney scheduled through until 24 December 2023, and prices start from as little as $50 for selected midweek performances. From Sydney, the show will tour to Brisbane, opening in February and then to Melbourne, opening in June. Tickets are on sale now exclusively through Ticketmaster.
The Mayah Clinic
Dr. Holmes has followed 15 years in general practice with another 20 years in Cosmetic Medicine, skin health and laser. She is a founding fellow of the Australasian College of Aesthetic Medicine and the Cosmetic Physicians College of Australasia.
“Is it important to look after my skin?"
It sure is! We have a whole lot of skin. In fact, our skin is the biggest body organ. It grows really fast. Your body gets rid of 30,000 to 40,000 old skin cells every day. Our skin performs many important functions to keep us healthy.
“What can happen if I don't look after my skin?”
We all know that we can get sunburnt, which is an immediate result of forgetting to look after our skin. We also know that we can get skin cancer. Don't think these are all problems only when we get old! Melanomas, in particular, can occur even in kids and young adults. They are the most deadly of the skin cancers. It is the third most common cancer in Australian women, and diagnosis numbers are rising.
“What else does UV light cause?”
Many of our common skin problems, like acne and rosacea, are made worse by the sun. Of course, freckles and other brown spots, lines and wrinkles are all from sun damage.
“But if I am outside a lot, I can’t help having my skin in the sun.” I think that’s a bit of a cop-out. There is always a choice. Better, healthy, glowing skin is a choice. Of course, it IS harder to protect your skin in an Australian summer! Perhaps in Australia, we just need to change our mindset about the summer sun and the bronzed Aussie.
“But it’s too late for me.”
It is never too late to reduce skin cancer risk and improve skin health and appearance. Reducing sun exposure from right now will help your skin in the future. We recently had a 90-year-old lady attend our clinic for a consultation, and five months later, with an inclinic and at-home plan, her skin was noticeably brighter, clearer and healthier.
CHIA-WEN YEH BelleDental
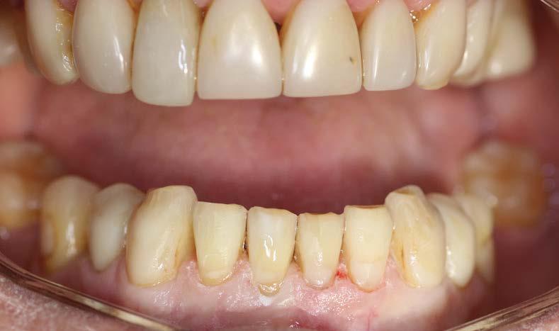
Chia is Belledental’s gum disease guru –dedicating herself in the realm of research and developing simple, effective strategies to control gum disease.
Have you been feeling stressed lately? Stress lowers your immune resistance, and gum disease is all about immunity. If you're grappling with persistent bad breath or noticing your teeth have become loose with bleeding gums
when you clean, irreversible gum disease might be knocking on your doorstep.
In Part 2 of our series on gum disease, we're diving into irreversible gum disease.
Gum disease, the loss of bone around your teeth, is usually silent and painless until it's well and truly advanced. Catching this early makes management easier and makes for better treatment outcomes because once bone is lost, you never get it back!
At your six-monthly cleans, you might repeatedly hear… "you have to floss more and brush better!" This is not good enough. Allocation of at least 60 minutes for deep cleaning right to the bottom of the pocket and precise instruction around home care is critical. Not cleaning to the full depth of pockets is akin to tightening the drawstring of a bag with rubbish in it; it accelerates the progression of gum disease inside the pocket.
Recently at Belledental, we have noticed an influx of patients who have been stable in the past yet are now showing red flag signs of irreversible type gum disease. This dental disease arises from neglecting your gums at home, skipping professional cleanings and from stress levels tipping the condition over the edge.
At Belledental, we focus on halting infection and maximising your healing capacity. Everyone is coached for enhanced oral homecare routines to prevent future relapse. If "gum disease" rings a bell or you are awaiting your specialist appointment, call Belledental and ask for me. My passion for gum disease is backed by success, research and many satisfied patients. I’ve got the plan to keep your teeth in your mouth, saving you money without surgery.
$
breastcancertrials.org.au
THINKING OF ADOPTING? Check out our… PETS
Sometimes, the best dogs get overlooked, but our Milo is one in a million. A handsome fella, Milo loves spending time indoors or sun baking in the yard. He is wellmannered with a sweet disposition and is very easygoing. He loves a cuddle but is also happy in his own company. He isn’t the biggest fan of other dogs as he loves the attention to himself. He would be best suited with a family used to big dogs. If you need a companion, Milo would be ideal for you!
This gorgeous boy has been waiting patiently for his perfect home. Smudge is a curious, playful kitten who is a healthy, happy boy but is still a little wary of new people, so he will need some time to settle in. A home without dogs would be best suited for him, and he must be an indoor boy. A bit of love and care and Smudge will be the perfect family member. It is time for this very handsome boy to find his family!
Please get in touch with Dog Rescue Newcastle if you’re interested in adopting one of this month’s pets. www.dogrescuenewcastle.com.au
Australia, it's time to say NO. I Run For Her, the annual community event by Got Your Back Sista, is sparking critical conversations around domestic violence on a national scale for the first time, with events hosted across Australia on 15 October 2023.
Highlighted in recent media as a “national shame”, Australia’s abuse rates are a problem of epidemic proportions. The shocking statistics* indicate the issue is showing no signs of decreasing:
• one in three women experienced physical violence
• one in four women experienced
violence by an intimate partner or family member
• one in five women experienced sexual violence
one woman every nine days is killed by a current or former partner.
“Let’s talk about it, Australia. Let’s take a close look at the prevalence of family and domestic violence and ask why, in 2023, this is still happening. Let’s take practical steps to make our communities a safer place. Let’s encourage people who need help to access available services,” said Got Your Back Sista Founder Melissa Histon.
Australian celebrity Madeleine West is an ambassador for this year’s I Run For Her after participating in last year’s event.
“We cannot change what we cannot see, and domestic violence has been lurking in the shadows for too long. The social, economic and personal cost is too great to ignore. These are difficult but necessary conversations. For those experiencing domestic violence, the sense of isolation is crushing. But you are not alone; united, we can make a difference,” said Madeleine.
Got Your Back Sista will be hosting free community BBQs in Newcastle, Lake Mac and Hunter Region for I Run For Her participants (wearing their event t-shirts) on the day:
• Newcastle: Empire Park, 8.30am to 11am
• Lake Macquarie: Warners Bay Foreshore near the Rotunda, 8.30am to 11am
• Muswellbrook: Simpson Park, 8.30am to 11am
• Maitland: Hosted by Hope UC churchat Maitland Park (between the Croquet Club and Netball Courts), 12pm This is the fourth year the event has been held in Newcastle. For more information, visit www. gotyourbacksista.com
*Source: Australian Bureau of Statistics 2021-22 Personal Safety Survey
Fostering does not have to be full-time. Respite Carers look after children and young people on weekends or for short periods while their regular foster carer has a break. It can be difficult for a child to go to different people so we try to arrange for the child always to go to the same Respite Carer so they can get to know each other.
At Key Assets Australia, we provide our foster carers with ongoing training, 24/7 support, a dedicated social worker, and an allowance. We hold regular events and connect foster carers with each other for extra support.
Anyone can apply to become a foster carer. We celebrate diversity and welcome enquiries from people who are single or in a relationship, homeowners or renting. Your culture, religion or sexual orientation doesn’t affect your eligibility for foster care. We believe the diversity of our carers is vital when finding the best possible family for a foster child.
If you feel you have the love, space, and energy to provide a safe and happy home, then we would love to talk to you about the options of respite care, short-term, or long-term care.
Contact us to join an online Foster Family Information night at 6pm on the last Wednesday of the month
• Blacktown
• Botany
• Wallsend
Get in touch with one of our friendly team members today on 1800 932 273 to RSVP canifoster.com.au
CARERS are ORDINARY PEOPLE DOING EXTRAORDINARY THINGS in your local community and we urgently need more of them.
Estate litigation is a complex legal area with significant implications for Australians. In this article, we explore estate litigation, emphasising its importance in preserving your inheritance and legacy with the assistance of our expert legal team.
Estate litigation occurs when disputes arise over estate distribution after someone’s passing. These conflicts involve Will contests, claims of undue influence, Will validity disputes, and estate administration concerns.
Individuals and business owners alike often accumulate substantial assets. Ensuring their proper distribution is crucial for preserving their legacy and their family's well-being. Estate litigation can impact a business's financial stability and family members' security.
1. Contested Wills: Beneficiaries challenge Wills, alleging duress, undue influence, or lack of capacity.
2. Family Provision Claims: Disputes emerge when family members feel inadequately provided for in the Will.
3. Executor Disputes: Issues arise when the executor fails in their duties or faces
mismanagement allegations.
4. Property and Asset Disputes: Legal battles over asset division, including businesses, real estate, and investments.
At Jenkins Legal & Advisory, our estate litigation lawyers can help you navigate this complex area of law. We offer:
1. Expert Guidance: We provide expert assistance in interpreting Wills, resolving conflicts, and finding efficient solutions to estate disputes.
2. Court Representation: If needed, our experienced litigators represent you in court to protect your interests.
3. Strategic Planning: We help minimise the risk of future estate litigation, preserving your legacy.
Jenkins Legal & Advisory will proactively reduce your estate litigation risk. Our personalised approach safeguards your estate, preserves your legacy, and provides for your loved ones. We ensure a smooth asset transition to the next generation. Secure your family's future with Jenkins Legal & Advisory's trusted lawyers.
Almost one hundred thousand spectators are expected to line Newcastle Harbour to catch a glimpse of thrilling aerial displays and flypasts as part of the Newcastle Williamtown Air Show 2023.
City of Newcastle has partnered with the Royal Australian Airforce (RAAF) to host the one-off event on Saturday, 18 November, with an RAAF aircraft flying display from 10am to 12.30pm and again from 1.30pm to 4pm.
Formation and aerial displays will feature heritage and vintage aircraft like the Harvard,
Winjeel, Spitfire, Mustang and Canberra in addition to flypasts from F/A-18F, EF/A-18G Super Hornet and the Growler.
City of Newcastle will host free viewing areas at Nobbys Beach, Foreshore Park and Stockton, featuring family-friendly activities to create a festival atmosphere at the free community event.
Newcastle Lord Mayor Nuatali Nelmes said the spectacular community event was not to be missed, offering something for both die-hard
aviation enthusiasts and families looking for a fun weekend out.
"City of Newcastle is proud to partner with the RAAF to deliver the Newcastle Williamtown Air Show 2023," Cr Nelmes said.
“Attracting significant events of this calibre is a testament to Newcastle's growth as a worldclass events and cultural city and indicative of a thriving local economy.”
A Park and Ride facility will operate from McDonald Jones Stadium, with parking available at Stockton, within an easy walk to prime vantage points.
"We encourage spectators to make the most of public transport options available to ease traffic congestion with the crowd numbers we anticipate,” Cr Nelmes added.
A ticketed premium viewing area at Fort Scratchley will provide access to the only licenced viewing site for both air shows, with a variety of food and beverage options available to purchase. Tickets are on sale now and are restricted to patrons 18+.
Tickets to the RAAF Open Day at Williamtown on Sunday, 19 November, will go on sale on 1 October.
For more information about the Newcastle Williamtown Air Show 2023, 18 to 19 November 2023, visit www.visitnewcastle.com.au/airshow-2023.
LIBRA 23 SEPTEMBER – 22 OCTOBER
You’ve experienced many years of monumental foundational and family shifts, and now that your roots have a firm hold, you can grow to new heights. Starting with yourself is an excellent plan. The solar eclipse suggests you’re beginning to evaluate and appraise your identity, although you’re keeping it on the down-low. Shed a layer of who you used to be and allow a more authentic version of yourself to emerge. It’s not all esoteric navel-gazing, though; the material realm is front and centre at the lunar eclipse. Finance and security are amplified as you seesaw between generosity and autonomy.
from rough-cut coal to high-clarity diamond. Enthusiastically chase pleasure and creativity to expand your mind and your social circle.
AQUARIUS 20 JANUARY – 18 FEBRUARY
The ghosts of the past are calling last drinks and getting ready to let you sleep through the night. Taking a white glove into the now rather familiar dark corners of your psyche helps clear the way forward for the intensified focus on identity, which is quietly brewing. Pursuing spiritual harmony accelerates under the solar eclipse.
PISCES 19 FEBRUARY – 20 MARCH
You finally understand how you engage best in social situations and how to optimise your experience of group dynamics. Some Pisceans farewell a friend or close their involvement with a community group. The next frontier is within. The solar eclipse indicates that a new financial agreement is imminent.
ARIES 21 MARCH – 20 APRIL
of your hobbies and leisure activities. Be brave. The secrets you encounter aren’t as scary as you expect.
CANCER 22 JUNE – 22 JULY
The dust begins to settle in a key relationship after a long and life-changing arc of personal growth through partnership and projection. If your relationship is still intact, it’s now nuclear bunker secure. Less intensity is the way forward. The solar eclipse opens a new chapter of balance and harmony at home and in family relationships from mid-month. Professional networks are worth the effort.
LEO 23 JULY – 22 AUGUST
SCORPIO 23 OCTOBER – 21 NOVEMBER
You’re putting the finishing touches on grounding your deepest levels of awareness into your local environment and everyday life. These encounters have a lasting impact. It’s also your final chance to complete your mental preparation for the groundbreaking shifts to come. Drop into the quiet space within. You know the place, right?
SAGITTARIUS
22 NOVEMBER – 21 DECEMBER
Your days of white-knuckling it from pay to pay are behind you – or should be. If there are any financial goals you are yet to commit to or achieve, October supports one last epic push. Your friendships and social networks are changing. Make it easy for yourself by accepting the situation, even though it means letting some people drift out of your life.
CAPRICORN 22 DECEMBER – 19 JANUARY
October presents a powerful opportunity to reflect on the incredible human you have become. Look back on who you were a decade (or two!) ago and marvel at all you have been through and how you have transformed
Watch for last-minute professional power plays as a career chapter as the full-time siren nears. If you haven’t quite accomplished what you set out to achieve, hold your nerve and push forward now. Your personal life is most active this month, as eclipse season brings ‘me vs. we’ into acute focus. Take care with (emotional) investments.
TAURUS 21 APRIL – 20 MAY
October opens with intense scrutiny of your long-term spiritual transformation, like the final exams on your soul-expanding learning journey. Open your mind and let the revelations land. Bringing these lofty concepts into everyday life becomes increasingly important as the month progresses. Enhance your mental health and physical well-being by looking objectively at your daily habits.
GEMINI 21 MAY – 21 JUNE
The final stages of integration of the deepthinking, spooky side of your personality click into place in early October. The dark twin is a key contributor to your creativity and helps you see the other side of the story. The midmonth solar eclipse presents an important realignment
October opens with the beginning of the end of a persistent well-being issue or period of mundane obligation. Tidy up any loose ends and prepare for upcoming shifts in your partnerships. Check in with yourself at the solar eclipse and be curious about your mental state. Quieten your mind and ask your inner voice to offer fair and balanced counsel. The calmer you are, the brighter you shine.
VIRGO 23 AUGUST – 22 SEPTEMBER
Your obsessive focus on finding your edge in the realm of pleasure and creativity draws to a close. Edit the photos, frame the art, and simply enjoy what you’ve brought into the world. Recognise the feeling of satisfaction. The solar eclipse midmonth suggests curtailed spending and consumption won’t just help you balance your budget; it also promises to help you regain a sense of calm.
intouch contributor
KIM FAIRMINERKim is an astrologer, writer, and witch who has helped thousands of people achieve their goals, navigate challenges, make important decisions, and live their best life. Her readers, clients, and students rave about the deep spiritual insights she delivers with honesty, humour, and uncanny accuracy. Learn more about her work at www.kimfairminer.com
Big celebrations are set to take place again at Blueheath at The Bower, Medowie’s newest retirement village.
Following last year’s highly successful event, A Taste of Medowie, the festivities are back, inviting residents and visitors to enjoy live music, delicious treats from local producers, cooking demonstrations, wine and beer talks and tasting. A special lucky door prize is also up for grabs: a luxury Hunter Valley getaway.
David Kelly, Operations Manager of Blueheath, expressed his delight at the overwhelming response from the crowd on the day.
“Hundreds of people turned up, which inspired us to establish this as an annual event,” said Kelly.
“While some of our residents have always had a deep connection with and fondness for the area, we are also fortunate to have
residents from further afield. It’s incredible how quickly they develop an affinity for Medowie and the wider Port Stephens and the Hunter Valley areas, becoming an integral part of the community. This event will showcase the very best of Medowie and its magnificent surroundings - the stunning location, the thriving community, and the exceptional produce.”
In addition, visitors get a glimpse into retirement living at Blueheath. The retirement village welcomed its first residents in 2021, with new stages selling out rapidly. Blueheath has established a wonderful clubhouse with activities such as bowling, the gym, crafts, a heated pool, and many others.
“It’s a fantastic community here,” said Kelly. “We’ve even had a few residents form a band to jam together!”
Blueheath offers something for everyone, with its top-quality homes requiring no maintenance or lawn upkeep, a wide range of facilities, a vibrant community ambience, and an enviable location.
Don’t miss out on this delightful event. Mark your calendars for A Taste of Medowie on Saturday, 21 October, at Blueheath and experience all the fun of the day. It’s easy to book online at www.blueheath.com.au.
GET READY FOR A GREAT EXPERIENCE AT THE SECOND ANNUAL A TASTE OF MEDOWIE!
We’re thrilled to bring you this special and free event, where you can discover the stunning clubhouse and indulge in the finest o erings from Blueheath and its surrounding areas. Immerse yourself in live music, mouth-watering treats, sumptuous cooking demos, delightful wine tastings, and fascinating woodworking demonstrations. Secure your free ticket today by registering at blueheath.com.au.
Don’t miss out on this incredible opportunity to savour the best of Medowie!
0421 888 115
Family luxe, coastal chic or something a little more glam? When building a new home, many people know exactly what aesthetic expresses their personality and lifestyle. For those who simply can’t decide on the look that will make their house a dream home, Clarendon Homes is here to help.
Clarendon is a leading Australian home builder with over 45 years of experience in design and construction, making it the most reliable resource when it comes to all things home and design. And with its new interiors style guide, Clarendon makes it easy to visualise the design theme that speaks to you. The guide showcases everything from
modern coastal designs for those who are most at ease around a little sun and sand to classic and provincial designs for those who like a bold traditional living space. It also explores how to combine different materials, textures and colours to create a vision worthy of the glossiest interiors magazine.
“A lot of people might know what colours or kitchen fixtures they like but might need a little help finding a style that completes the look of the entire home,” says Julie McKinnon, Marketing Manager at Clarendon Homes.
“Our Find Your Style guide is designed to be an inspirational visual piece for our customers to assist them with planning and development, essentially making their Clarendon Home truly their own.”
“We have intentionally kept the reference in this guide to the styles that we currently have on display so that customers can visit these homes in person and see for themselves how different colours, textures, tones and finishes can bring a home to life.”
Over the past few decades, interior design trends have evolved to include new features that make a home even more luxurious, smart and liveable. For instance, kitchens have become the heart of the home, with butler’s pantries now de rigueur – in fact, they are either included, or offered as a floorplan option in all Clarendon Homes. Home theatres now provide a complete cinema experience, smart technology is in demand, and casual alfresco dining spaces are preferred over formal dining rooms. Walk-in wardrobes have meanwhile claimed the space that formerly belonged to the classic free- standing robe.
“We’re seeing a lot of open-plan interiors with plenty of natural light and earthy and botanical colour palettes,” says Sandra Gage, Clarendon’s Group Interior Designer. “Textures that have grown in popularity recently include stone, breeze blocks, terrazzo and natural timbers.
Arches, waves and rounded edges have made a comeback as people opt for more conscious, repurposed décor. Some of the themes that stand out are contemporary, country and industrial designs.”
Coastal. The ever-popular coastal style is modern and fresh, with a summer-inspired vibe. Think pale grey linens to complement light oak furniture, accented with sea green and hints of teal. If you seek a comfortable paradise away from paradise, this might be the style for you. You can visit Manning 31 Clarendon display homes in Lochinvar for a taste of this aesthetic.
Hamptons. With monochrome furnishing, warm/light timber and navy-blue accents, Hamptons styling is like an ode to the ocean. Typically, well-lit and applied to open-plan floorplans, this style creates the perfect blend of casual and affluent. Clarendon’s Boston 36 display home at Chisholm offers styling inspiration for those who seek this breezy, elegant look.
Contemporary. Clarendon’s newest NSW display home, the Saratoga 42 in West Pymble, features this minimalist and moody style with fresh motifs, modern fixtures, natural oak and terrazzo features. White on the outside, light and sleek on the inside, this home shows why Contemporary style is so popular among today’s urban buyers.
Modern Provincial A modern spin on oldworld design. Provincial styling features clean lines, contemporary architecture and rich materials and fabrics such as marble, silk and leather. Brass fixtures give this style a regal but contemporary look and feel. Examples of provincial design can be found in Clarendon’s Boston 42 display home in West Pymble.
“Your home is more than an expression of your individuality,” says Sandra Gage. “An interior tailored through style, texture and colour can provide a secure, calming and relaxed environment a personal sanctuary. It can boost productivity, creativity and even improve energy levels.”
Country. Clarendon’s Bowral 44 in Lochinvar and The Cove in Menangle displays are a modern take on traditional country-style interior design. This style is typically composed of a light, fresh palette accompanied by light timber floors. Other common features include cool toned joinery with glass inserts and milky-hued fabrics and furniture. If more authentic country is your style, take a look at the Bowral 52 display home in Braemar, consisting of an overall darker palette, including fluted glass to charcoal cabinetry with brass highlights.
For customers ready to take the leap and start selecting fixtures, fittings and finishes, the Clarendon Homes Lifestyle Studio showcases all items from roofing to flooring and everything in between, with qualified consultants and Style partners on hand to offer expert guidance. Located in Beresfield and Norwest, the studios open Monday to Friday 9am to 5pm. The Norwest studio is also open on Saturdays from 10am to 2pm. Phone (02) 8850 9111
For almost 80 years, local manufacturer Windsor Blinds, Awnings and Shutters has been at the forefront of design and technology, delivering window covering solutions to Newcastle and the Hunter. Owner Craig Young has been working in the industry, learning at the knee of his father, industry innovator B.J Young (Bill), since he was just a child, following him around in his factory, learning not just how to craft their products, but how to run a business with a strong focus on customer service.
The family behind Windsor have always been innovators. When Bill returned to Australia after World War II in 1946, after serving in the RAAF, he built his business and, with a patriotic nod to Britain, named it after Windsor Castle and the Royal Family. It didn’t take long for the business to be acknowledged as a leader in the Australian blind industry, a position that was further enhanced when, in 1967, it patented the Steel Curved Venetian Blind Slat design and became the first blind manufacturer to use Terylene cables and tapes. This put Windsor firmly at the forefront of design, innovation and technology in blind manufacturing.
Sadly, Bill passed away in 2013, but from 2011, Craig and his wife Zdenka have been running the company, relocating the premises from Carrington to Cardiff and expanding the product range.
“It’s a family business,” said Zdenka.
“We’re very proud of the history. Craig’s father was the first to do venetian blinds in Australia, so our customers, some of whom have been with us for generations, have come to expect the best. We make sure that we deliver that. With Craig’s extensive experience in the business, and unlike many of our competitors, we have the ability to craft bespoke solutions in terms of window coverings, awnings, and shutters.
“As our population ages and our climate puts energy efficiency, safety and bushfire risk to the forefront of our minds, more people are looking to build smarter and to future-proof their homes against these issues. We work with builders directly to create packages for new builds that address these things, but just as importantly, we work with the individual who may need a bespoke solution for their aging mother, with things such as awnings or shutters with smart automation options to make life easier.”
The range at Windsor is extensive and only of the very highest quality. Current best sellers include the ever-popular custom-made plantation shutters, made from your choice of several timbers, Polymer or T5 grade Aluminium with the best paint coating on the market, providing a silky and luxurious finish. And just like any customer, Zdenka is looking forward to the installation of her own white plantation shutters.
“Of course, we’re the last to get it done,” laughs Zdenka. “I’ve been renovating the living room, and we’re just installing the plantation shutters now. I can’t wait!”
Other best-selling products include the Duo Roller Blinds, which have a screen for the day and a block out for night with a contemporary streamlined look. Ziptrak Blinds are popular for decks to enclose alfresco areas, protect against harsh weather and keep the bugs out. Interior designers love the Veri Shades, which combine the style of curtains with the practicality and versatility of blinds. Made from soft fabric with alternating opaque folds that hang luxuriously, while blind-style folds provide privacy, light filtering and airflow control, this unique product enables you to walk through them freely, whether opened or closed. With stunning fabric choices, including sheer, it’s easy to get the current look without sacrificing practicality.
With a hot summer predicted, the team at Windsor are expecting to be busy. They have all the latest tech options and a long-standing reputation as one of the best in the industry. They offer a free measure and quote and custom-made solutions.
You're not just getting a piece of metal when you order a handmade wrought-iron product from Cosy Iron Design. You’re getting a physical manifestation of an age-old artisanal craft and the culmination of 50+ years of experience from artistic Blacksmith René Rasmussen.
René is the embodiment of the old-fashioned artisan. Follow the sounds of hammer and anvil, and you’ll find him ensconced in his forge, working with a combination of traditional and modern tools to create bespoke items for all manner of clients. Rene’s wife Judith also adds her creative talents to the mix; a diploma-certified welder with a good knowledge of fabrication and steel manufacturing, she
sculpts her own original designs for smaller products such as wine racks and candelabras. Rene has affectionately dubbed Judith ‘The Master’s Apprentice.’
Cosy Iron products are a combination of age-old artistry and uncompromising quality. René and Judith collaborate with architects, designers, builders, fabricators and individual clients to create a mix of classic and modern wrought-iron designs. They specialise in restoration as well as new work, so whether you’ve got a functional or decorative piece that needs some attention or you’re in search of something new, Cosy Iron is the place to call.
In an age of mass production where the art of handcrafting sometimes seems all but lost, master craftspeople like René are a rare find. So, if you do commission a product from Cosy Iron Design, be sure to treasure it. Not only will it become a unique focal point in your home or garden, but it can also be passed down as an heirloom for years to come.