Canadian Healthcare Technology - Oct. 2023

Page 1

INSIDE:

Patient experience

Lime Health has created a platform that improves the flow of information from hospitals to patients and back again. An area of particular note is the improved collection of patient surveys.

Page 4

A new tech for wound care

A Canadian surgeon has produced a device using near-infrared light to analyze wounds and to determine the care that’s needed. Testing is in the works in Nova Scotia.

Page 10

Remote ECGs

Researchers in British Columbia have demonstrated that a robot, controlled remotely by a human ‘pilot’, is able to administer an ECG exam to a patient. Surprisingly, 72 percent of the patients said they preferred the robot exams to humans.

Page 22

MRI project combines training, research, exams

Breakthrough in data-sharing leads to better practices

Generating quality improvements from data analysis just got an order of magnitude easier for the Centre Intégré universitaire de santé et de services sociaux du Centre-Ouest de l’ile-de-Montréal (a Montreal-area health region) and the Nova Scotia Health Authority, following their recent acquisition of the ADAMS platform, a ground-breaking analytics solution from Israeli health-tech startup MDClone.

“My takeaway following our launch in July is that data analysis is no longer the overwhelming, daunting task that it was before,” said Sabine Cohen, associate director of digital health with the Montreal health network.

“It’s like night and day,” agreed Dr. Matthew Clarke, the Nova Scotia Health Authority’s associate chief medical informa-

tion officer. “My ability to access data in the past was extremely limited, very cumbersome and time consuming.

“If I wanted to know how many patients were being admitted for Chronic Obstructive Pulmonary Disease (COPD) and what their length of stay was, I’d have to apply, get

Faster

and analysis

approval and then manually go in and look at all the records. It could take a couple months. With MDClone’s ADAMS platform, I can log onto the platform in five or 10 minutes and run a query to see how we’re doing compared with peer averages.”

The ADAMS platform speeds data analy-

sis by generating data sets in response to a query that are statistically equivalent to the real source data but truly synthetic, eliminating concerns relating to the protection of patient privacy. The real patient data is never exposed.

An acronym for Ask, Discover, Act, Measure, Share, the ADAMS platform provides users with a self-serve environment that allows front-line health practitioners to perform data analysis without the involvement of the data team. Nor do they require a technical background themselves.

“In order to ask an intelligent question, you often need data from different systems, and bringing that data together – especially for health networks that have older systems, or systems that are not connected – was really challenging, so it often required who-

CONTINUED ON PAGE 2

The CIAMA project by Hamilton hospitals and schools will enable trainees, researchers and clinicians to share a leading-edge MRI Pictured (l to r): Wendy Lawson, Mohawk College; Paul O’Byrne, McMaster U; Ron McKerlie, Mohawk College; Rob MacIsaac, HHS; Sylvia Jones, Deputy Premier; Donna Skelly, MPP; David Farrar, McMaster U; Dr. Julian Dobranowski, McMaster U; John Aldis, St Joseph’s. SEE STORY ON PAGE 12
data collection
is expected to lead to better procedures and outcomes.
PHOTO: GEORGIA KIRKOS, McMASTER UNIVERSITY
Publications Mail Agreement #40018238 FEATURE REPORT: DEVELOPMENTS IN VIRTUAL CARE — SEE PAGE 18
CANADA’S MAGAZINE FOR MANAGERS AND USERS OF INFORMATION SYSTEMS IN HEALTHCARE VOL. 28, NO. 7 OCTOBER 2023
PHYSICIAN
FOCUS REPORT:
I.T. PAGE 8

Breakthrough in data analysis and sharing leads to better practices

ever is asking the question to work with the data team,” explained Dr. Justin Cross, chief digital health officer with the CIUSSS West-Central Montreal.

The ADAMS platform brings together data from different sources into one longitudinal data lake and leverages natural language processing capability to extract information from large amounts of unstructured text documents.

With the acquisition of the ADAMS platform by The Ottawa Hospital in 2020, there are now three Canadian medical organizations able to collaborate and share data to solve common healthcare issues.

Representatives of the three organizations met in Montreal in early July to discuss how they can work together on dataenabled operational performance and quality improvement projects.

“Collaboration is key because it’s naïve to think you can always solve your own problems, so having meaningful conversations about how we can share data and ideas for improvement is really exciting,” said Dr. Alan Forster, executive vice-president and chief innovation and quality officer at The Ottawa Hospital.

More than 300 users, including students, clinicians and researchers are currently using the ADAMS platform to access data from The Ottawa Hospital’s Epic EMR, as well as laboratory, pharmaceuti-

cal, diagnostic imaging, demographic and case costing data from as early as 2003.

“We’ve worked on a number of initiatives, ranging from population health to hospital costs by diagnosis,” said Dr. Forster. One research project he cited linked reduced lung cancer costs, hospitalizations and morbidity more to quality improvement practices by thoracic surgeons and medical oncologists than to a reduction in smoking rates. Another study validated the use of an expensive drug based on better outcomes and a reduction in overall costs to the hospital.

Canadian users of the ADAMS platform are also able to collaborate with ease across international borders. The Ottawa Hospital, for example, shared data with an ADAMS platform user in St. Louis, Missouri. “In the past,” said Dr. Forster, “that kind of work would have been years in the making. Using synthetic data from the ADAMS platform, it took one month.”

Having just launched the ADAMS platform in July, the CIUSSS West-Central Montreal has access to a half dozen data sources from the Jewish General Hospital, the health network’s acute care institution, but there are also plans to eventually add data from its rehabilitation hospitals, longterm care centres, community health centres, family practices and home care services.

“We started by positioning the platform to be used for internal quality improvements and inviting our administra-

Purpose-Built for Healthcare Mobility

Empower healthcare workers with powerful mobile computing solutions

• TC52ax-HC Mobile Computers

• ET4x-HC Tablet

Learn more at zebra.com/healthcare

tive leadership to become familiar with its capabilities,” said Dr. Cross. “We will then move on to our clinical leads, including our physician and nursing champions. Then we’re going to open it up to the rest of our community because you never know if someone on the front line has a great idea for a quality improvement project. We want to empower everyone to ask questions and create positive change.”

As of mid-August, 79 users at the CIUSSS West-Central Montreal were registered for training, half of whom were already up to speed.

Queries can focus on improving access to care, reducing length of stay and improving outcomes following surgery. “We’re just getting started,” said Dr. Cross, “but one ADAMS platform user in the U.S., Intermountain Healthcare, was able

to identify patients at risk of progressing toward impaired kidney function.

With chronic kidney disease, it’s important to intervene early and get patients on the right treatment to prevent unplanned ER visits and hospital admissions, so that’s an example of the quality improvement we’re going to be looking for.”

The Nova Scotia Health Authority went live in June with a subset of 35 clinicians and researchers who have access to 12 years’ worth of data from a variety of sources.

As an example of a possible query, Dr. Clarke cited the possibility of comparing the average length of stay for a COPD exacerbation across various hospitals to identify best practices and replicate them at other sites.

Using social determinants of health data from across the province, there is also the potential “to develop programs and services in those areas of need,” said Nelson Ventura, acting director of innovation with Nova Scotia’s Health Innovation Hub.

Eventually, the plan is to train front-line staff to use the platform because in their day-to-day work, they are aware of the challenges, inefficiencies and quality issues from anecdotal experience and may have ideas for resolving them but don’t have the data to back them up, noted Dr. Clarke.

Each user of MDClone’s ADAMS platform interviewed for this story offered advice for Canadian health networks and hospitals interested in taking advantage of their data for quality improvement and patient care.

The Ottawa Hospital’s Dr. Forster, who has had most experience with the platform, emphasized the need to first extract data from their EMR to make it accessible, claiming “most organizations believe that data within their EMR is immediately available for analysis, but that’s a fallacy.”

Dr. Cross’s team in Montreal stressed the importance of unique patient identifiers and Dr. Clarke of Nova Scotia underlined the need for data standardization, warning “if front-line clinicians are inputting data differently in the system, it affects the output and what we’re able to glean from it.”

CANADA’S MAGAZINE FOR MANAGERS AND USERS OF INFORMATION TECHNOLOGY IN HEALTHCARE

Volume 28, Number 7 October 2023

709-2258. Internet: www.canhealth.com. E-mail: info2@canhealth.com. Canadian Healthcare Technology will publish eight issues in 2023. Feature schedule and advertising kits available upon request. Canadian Healthcare Technology is sent free of charge to physicians and managers in hospitals, clinics and nursing homes. All others: $67.80 per year ($60 + $7.80 HST). Registration number 899059430 RT. ©2023 by Canadian Healthcare Technology. The content of Canadian Healthcare Technology is subject to copyright. Reproduction in whole or in part without prior written permission is strictly prohibited. Send all requests for permission to Jerry Zeidenberg, Publisher. Publications Mail Agreement No. 40018238. Return undeliverable Canadian addresses to Canadian Healthcare Technology, 1118 Centre Street, Suite 204, Thornhill ON L4J 7R9. E-mail: jerryz@canhealth.com. ISSN 1486-7133

Publisher & Editor Jerry Zeidenberg jerryz@canhealth.com

Office Manager Neil Zeidenberg neilz@canhealth.com

Contributing Editors

Dianne Craig dcraigcreative@yahoo.ca

Dianne Daniel dianne.l.daniel@gmail.com

Dr. Sunny Malhotra Twitter: @drsunnymalhotra

Norm Tollinsky tollinskyn@gmail.com

Art Director Walter Caniparoli art@canhealth.com

Art Assistant Joanne Jubas joanne@canhealth.com

Address all correspondence to Canadian Healthcare Technology, 1118 Centre Street, Suite 204, Thornhill ON L4J 7R9 Canada. Telephone: (905) 709-2330. Fax: (905)
CONTINUED FROM PAGE 1
Nelson Ventura (Nova Scotia); Dr. Alan Forster (Ottawa); Dr. Justin Cross (Montreal); Josh Rubel, MDClone.
2 CANADIAN HEALTHCARE TECHNOLOGY OCTOBER 2023 www.canhealth.com

Mobile

Access important patient data on mobile devices, via apps and browser.

Connected

Bridge care gaps, easily transfer information, and improve care consistency across the Traverse Exchange Canada network.

Efficient

Clinicians can personalize workflows and widgets to streamline routine tasks.

Advanced

Integrated technology and tools include AI powered and precision medicine solutions.

Flexible

Cloud solutions that fit your organization’s unique needs, including multi-site and clustered environments.

Secure

Safe access to health information for clinicians and patients.

A CLOUD-BASED PLATFORM DELIVERING CANADIAN HEALTHCARE TRANSFORMATION. Expanse’s industry-leading cloud-native EHR design is the foundation for innovation.
(781) 821-3000 • www.meditech.com • info@meditech.com • Connect with us:

Lime Health improves how organizations measure patient experience

We started Lime Health with the strong belief that giving a voice to patients and empowering them in their care journey could lead to better health outcomes and reduce the pressure on healthcare organizations. With his engineering background, our founder, Francis Robichaud, wanted to build a software platform to bridge the communication and collaboration gap between patients and the healthcare system.

After interviewing multiple stakeholders from various provinces, it became clear there was a need to simplify, optimize and improve how patients were contacted in the context of patient-reported experience measurements (PREMs).

After meeting with several organizations, we found our first innovative team willing to work with us in the context of PREMs and to test the first iterations of our product. The scientific literature clarified that a PREM platform dedicated to healthcare would fit our mission and match our belief that the healthcare system can be significantly improved by actively involving individuals in their patient journey.

Meanwhile, we had built a strong team of talented individuals. They are multi-lingual health technology developers and professionals who could collaborate with external stakeholders to innovate and enhance outcomes for patients,

healthcare providers and decision-makers in health systems across the country.

Fast-forward to today, Lime Health’s software platform has been adopted by healthcare organizations in three Canadian provinces and it’s having a daily impact on thousands of patients. We invested in our tools and processes to comply with many regulations to ensure the security, confidentiality and proper governance of personally identifiable information.

Beyond the positive impact on patients, our platform is designed to integrate with EHR systems and streamline communication processes and data collection without an additional burden on medical teams. We are proud to be a recognized vendor across the healthcare landscape that brings tangible benefits to patients, providers and managers.

Prior to using our software, teams heavily relied on paper or phone to contact patients with crucial information. Now, they can simply create patient content on Lime’s platform, define specific workflows, and automate the distribution to patients to increase their reach and engagement metrics.

Lime sees above-average results in terms of response rates and time to completion on patient surveys administered through its software. It’s a

regular occurrence for healthcare establishments that utilize Lime’s platform to attain an average SMS response rate of about 35 percent, and a combined response rate (via both email and SMS) of 28 percent. Furthermore, hospitals achieve notably short average response times of around eight hours for surveys sent through SMS.

The benefits of our automated patient experience survey solution are significant for health systems, healthcare providers and patients. Benefits for health systems include quality improvement, better operational efficiency and improved data-driven decision-making.

For healthcare providers, the solution offers timely feedback and improvement, patient-centered care, motivation and engagement, and reduced malpractice claims.

Patients, who are at the centre of the healthcare system, gain a stronger voice and empowerment, improved care, trust and transparency, and better outcomes.

Lime Health’s success is supported by its core values, which guide our decisions and foster a healthy, positive, and trusting work environment. Boldness is celebrated, and everyone is encouraged to contribute to innovation and growth. Transparency is vital, as Lime sets measurable goals and openly communicates progress and challenges. Working with the best people in their respective fields, we foster trust throughout our daily operations and interactions with partners and clients.

The company also sets itself apart by adopting values that prioritize sustainabil-

ity. We have applied to obtain the B Corp certification, a recognition awarded to companies that meet rigorous standards of social and environmental performance, accountability, and transparency. The certification assesses the company’s impact across various areas, including governance, workers, community, and the environment. It shows a genuine commitment to sustainable practices, ethical business conduct, and balancing profit with purpose. B Corp certification distinguishes companies that strive to use business as a force for good, promoting a more inclusive and sustainable economy.

Throughout its inception, Lime Health listened closely to the market and customer feedback, allowing us to make iterative improvements that resonated with end-users. This agile approach and a commitment to continuous improvement pushed our company forward. In doing so, we developed strong and lasting partnerships with healthcare organizations, expanding our reach and enhancing our credibility. As we gained traction in Quebec, our user adoption grew, further solidifying our position in our home province and opening opportunities in other provinces across Canada.

Today, we work with a total of eight major client organizations – including Fraser Health in British Columbia, the Montreal Heart Institute and CHU de Québec-Université Laval – and we’re regarded as one of the fastest-growing health-tech start-ups in Quebec.

Sébastien Nantel is chief revenue officer at Lime Health. For more information about the company, visit: www.lime.health

Saskatchewan uses Lumeca software to help keep rural EDs open

It’s the news no small town wants to hear: there’s no coverage in emergency this weekend, or this week, or this month. There are shortages of physicians (and other healthcare providers, particularly nurses) right across Canada, but they hit particularly hard in rural and small-town hospitals.

Google “hospital emergency department closures” with the name of any province and you’ll find plenty.

In Saanich B.C., the emergency department closed nightly all summer; in Manitoba’s Leaf Rapids, a town of 351 people 1,000 kilometres north of Winnipeg, the emergency department closed less than a week after residents were allowed back after being evacuated because of wildfires.

A few days later, the closure was extended to August 31.

Nova Scotia Health has “temporary service and facility closure notices” pages for all its counties, updated daily, along with information on where urgent care is available when an emergency is closed.

Alberta has something similar, listing

all bed closures and updated twice a week. In Ontario, a review by the Toronto Star found 158 emergency department closures in the year started February 2022, totalling 4,430 hours (the equivalent of 184 days) across 24 hospitals, most of them rural.

Saskatchewan is no exception. In February, Global News covered a “rancorous” meeting between residents of Oxbow (250 kilometres southeast of Regina) and representatives of the Saskatchewan Health Authority after the Galloway Health Centre’s ER closed at least a dozen times in the first seven weeks of the year.

“If our ER is closed in Oxbow we could end up driving an hour away for emergency care,” local paramedic David Dyck said, according to a February 22, 2023 story on Global’s website. “Transport time, getting someone to a higher level of care, can cost someone their life.”

Certainly, that’s the common fear when emergency departments close; but in Oxbow and Porcupine Plain (roughly 280 kilometres northeast of Saskatoon), it’s been at least somewhat alleviated this summer through a new virtual-care approach developed by the Saskatchewan

Health Authority (SHA), eHealth Saskatchewan, and Lumeca Health Inc., to help “stabilize” the situation in rural emergency departments.

That stabilization drew on action the province took during the pandemic. When the need for virtual care surged, the SHA added a second level to its 8-1-1 telehealth line: if people who called met certain criteria, the nurse on

(the SHA’s virtual care software provider) was the natural choice to develop a program that would add video capacity to telephone consults.

The strength of Lumeca’s new webbased solution is that it’s available to anyone with a smartphone but doesn’t require downloading an app or creating an account.

All consultations begin as phone calls, but it takes just three clicks to move to a secure video interface (it’s even possible to bring in other providers for their advice).

All the physician has to do is send a quick text, inviting the patient to click to join a meeting – there’s no switching to a computer, no interruption in workflow.

the phone could connect the patient with an on-call physician.

The change led to a roughly 70 percent reduction in the number of patients told to go to an emergency department.

More recently, when human-resource shortages started regularly shutting down emergency departments, Lumeca

“It’s not a huge change, but otherwise patients would have to automatically be transferred to an emergency that was open,” said Dr. Vern Behl, senior medical information officer for the SHA.

This way, in places where the emergency department is semi-open, with nurses and other staff remaining on the job, nurses can do an initial assessment to decide whether patients meet the criteria for a virtual consultation with the emergency physician on call.

NEWS AND TRENDS
Sébastien Nantel
www.canhealth.com 4 CANADIAN HEALTHCARE TECHNOLOGY OCTOBER 2023

Move knowledge, not staff.

syngo Virtual Cockpit – Your software for remote scanning.

Meet syngo Virtual Cockpit, a software solution designed to assist scan procedures from a distance. Expert colleagues receive access to the scanner and can support less-experienced technologists via chat, voice, and video. This helps you achieve greater efficiency, improve patient satisfaction, and maximize revenue.

Make the most of your imaging devices. Transform care delivery.

You want better technologists. They need better support.

With syngo Virtual Cockpit, lessexperienced staff can always call on live support to help them excel. Experts knowledge is made accessible across all sites and in real time.

Patient satisfaction matters. Availability is the key.

syngo Virtual Cockpit allows you to offer specialized procedures at every location, even when you are experiencing staff shortages.

The pressure is on. Respond with knowledge. By sharing expert knowledge throughout your enterprise, syngo Virtual Cockpit helps you improve standardization, which leads to higher productivity and optimized diagnostics.

siemens-healthineers.ca/syngo-virtual-cockpit

Ottawa Heart Institute expands remote monitoring to surgical patients

The University of Ottawa Heart Institute (UOHI) operates one of Canada’s biggest remote monitoring programs for acute care patients. The long-running program – started in 2005 – has reduced hospital readmissions for Heart Failure (HF) patients by 54 percent, all by closely monitoring them at home using electronic equipment.

This year, the UOHI added discharged surgical patients to the program. To help monitor them at home, it has trained patients to use tablet computers to take pictures of their wounds, and to send them back to the nurses at the medical centre for review.

“If the wound is looking serious, we can contact them and coach them on what to do,” said Erika MacPhee, vice president, Clinical Operations. “And if it looks like it’s getting really serious, we can intervene. We can bring them in.”

In this way, through virtual visits and monitoring, the hospital can continue to provide top-quality care while patients get to go home earlier.

As MacPhee observed, lengths of stay in hospitals are steadily decreasing, with patients being discharged surprisingly early. For example, a patient who has undergone a Transcatheter Aortic Valve Replacement may leave hospital in just 24 hours, and a bypass patient may return home in just five days.

Not only are the early discharges freeing up hospital beds, they’re also welcomed by the patients themselves. After all, hospitals

are noisy places with continuous interruptions, so it’s hard for patients to rest and recover. Home is much more relaxing.

As well, cardiac patients are commonly depressed after surgery – many of their favourite foods have been taken away from them as they learn to reshape their behaviours. Going home to their loved ones is often a big relief and a major compensation for what’s been taken away.

Still, when they’re discharged, they’re frail and need supervision. That’s where electronic patient monitoring is a boon.

Earlier this year, the UOHI changed it’s electronic monitoring to equipment that’s produced by Cloud DX of Kitchener, Ont. The previous supplier declared that it would no longer support Canadian customers, and a review of existing options found that Cloud DX was the best alternative.

Using the Cloud DX kits, the UOHI nurses can monitor a patient’s weight, oxygen, blood pressure, pulse and temperature. As well, the patients are asked to report on a few questions each day, revolving around how they’re feeling.

“We don’t ask too many questions, because we don’t want them losing interest,” said MacPhee. “We want them reporting every day, so the questions are well designed.”

The Cloud DX tablet is simple to use, with large buttons on the screen for patients to press. The vital signs devices are connected to it by Bluetooth, and the communication with the University of Ottawa Heart Institute is by cellular network or wi-fi. It’s easy for the patients to collect and send their data daily.

And of course, using the tablet that’s

part of the kit, patients can also capture photos of wounds.

But as MacPhee quips, the Samsung tablets are locked and dedicated to telehealth applications. “You can’t run Netflix on it, just Cloud DX.”

Three nurses at the UOHI are able to monitor over 400 heart failure patients annually, and another nurse is monitoring the newer surgical monitoring program, with about 35 patients each month.

The daily results are viewed at a station at the UOHI, and trouble spots are recognized immediately with red alerts. As well, the nurses can trend the information, so they see good news or problems in the works.

“It’s very simple for us to use,” said MacPhee. “Cloud DX created an interface that gives us just what is essential.”

Even if everything on a patient’s record is “green,” a nurse will still contact the patient two to three times a week.

It’s important to get the “human” feedback and to stay in the loop with the patient. The conversation can be supported by the data that’s sent each day, so the nurse can ask about things like weight and blood pressure.

“A lot of nursing attention is needed,” said MacPhee.

If they see that a patient’s weight has been increasing, for example, they can ask over the phone what’s been going on.

“In many cases, people will let a little loose over the weekend,” she said. “They might not realize the effect their food will have on their sodium levels.” She said a lot of coaching is required to get patients ontrack with healthier living.

The UOHI also helps regional hospitals

CONTINUED ON PAGE 10

Peterborough’s paramedics drive new path in remote patient monitoring

When we think about remote patient monitoring, it’s often nurse-run services that come to mind, with nurses working out of hospitals.

However, innovators in Peterborough have created a remote-patient monitoring system that’s operated by paramedics.

The 13-person team at Peterborough County City Community Paramedics (PCCCP) are effectively keeping tabs on local frail and elderly clients by using the Cloud DX Connected Health Platform, reducing transports of these persons to hospital ERs.

(Cloud DX, based in Kitchener, Ont., is an award-winning developer of remote monitoring hardware and software.)

The Peterborough program is aimed especially at keeping the elderly healthy at home while they’re waiting for a spot in a long-term care facility.

What’s more, the program is working.

“In January of this year, we were monitoring 30 people,” said Audrey Thomas, a community paramedic and lead paramedic for the remote monitoring program. “We’re now up to 100.”

She noted the team is open to moni-

toring all kinds of conditions, but most of the people being monitored have congestive heart failure, COPD and/or diabetes.

They also keep tabs on other chronic conditions, as well as on persons who have had repeat visits to the ER.

Thomas teaches the patients, in person in their homes, how to use the Cloud DX equipment, which includes a weight scale, blood pressure cuff, thermometer, and devices to measure blood oxygen and glucose.

Technical help is also available seven days a week from Cloud DX through a 1-800 number.

An Android tablet is preconfigured to help patients report their vitals and answer questions daily. It connects to wi-fi and cellular networks.

Thomas said she and other members of the team monitor the information daily and can quickly spot when the stats are off and someone needs attention.

In the four-month period from April to the end of August, Thomas flagged 56 episodes “where we prevented diversions to hospital,” she said.

These are incidents where, for example, weight gain in CHF patients surged more than 1 kilogram in 24 hours, two kilos in 24 hours or three kilos in seven

days. In other cases, there might have been a significant rise in blood pressure.

The paramedics in these cases quickly get the patients in touch with their GPs, cardiologists or other specialists, who can order treatment to bring the patient’s vitals under control.

In other cases, the paramedics have found the patients need further education about diet.

“They might have reported very high blood glucose,” commented Thomas.

weight, but upon investigating, Thomas discovered the patients have been using the equipment in odd ways.

“A patient might report a four-kilogram weight gain, and when we call them to investigate, the patient says it was really cold that day, so she put on her boots and coat and then stood on the scale.”

Because the paramedics’ remote patient monitoring system has been so effective, it’s now a permanent program.

Thomas and the team are considering ways of expanding it, to help additional members of the community.

For example, they’re in discussions with the local hospital’s ER department to provide short-term monitoring of medically fragile patients once they are discharged. It could be an effective way of preventing readmissions.

“When we call them to follow up, we might find out they’ve eaten three packages of Mr. Noodles the previous day, and they don’t realize the effect it has on their blood glucose level. The RPM program gives us a great opportunity to provide immediate feedback so that people can better appreciate how their actions and choices influence their health.”

There have also been cases where patients reported a sudden increase in

On another front, Thomas said she’s investigating whether a program for the marginalized population could be created. This would consist of monitoring people who don’t have a doctor, and those who don’t see a doctor regularly.

A shared device could be placed in a location that is visited by marginalized populations, such as an apartment building lobby; the device could be set up to support multiple log-ins.

In addition to heart failure patients, the UOHI now uses remote monitoring for discharged surgical patients.
NEWS AND TRENDS
In a four-month period, 56 episodes were flagged where the RMS prevented diversion of a patient to hospital.
www.canhealth.com 6 CANADIAN HEALTHCARE TECHNOLOGY OCTOBER 2023

Providing newfound hope to cancer patients

Personalized care with Theranostics

When it comes to Theranostics – the future is now.

We know when you’re providing care to cancer patients, no one person is like the other. This is why Theranostics, the process of bringing together diagnostics and therapeutics, is seen as the pathway that may help achieve better outcomes, with its ability to enable intelligently efficient and precise, personalized care.

Connecting every step in molecular medicine

Now Licensed in Canada

Every step of the care you provide is an opportunity to make personalized decisions for your patients. That’s why we’re committed to providing total MI solutions for Theranostics.

Discovery DiagnosisTreatment

Increasing the availability of the radiotracers essential for diagnosis

Helping increase diagnostic confidence with ultra-high sensitivity and resolution

Designing innovative SPECT/CT systems and clinical applications to help you make precise decisions and accurately monitor treatment response

PETtrace™ Solid Target Platform

Incredibly productive and reliable

Omni Legend Answers at the speed of sight

StarGuide Precision imaging at the speed of tomorrow

Xeleris™ V AI processing and review

© 2023 GE HealthCare. PETtrace, StarGuide, and Xeleris are trademarks of GE HealthCare. GE is a trademark of General Electric Company used under trademark license. JB00958CA Scan here to know more

Doctors’ offices should ensure they’re using encryption and firewalls

Physicians are not expected to be cybersecurity experts. However, they do have a requirement of care for the ownership and handling of patient data, whether it is paper or digital files.

The majority of Canadians have a great deal of trust in their family doctor to keep their personal health information safe and secure. Nevertheless, many health practitioners lack proper security hygiene in their practice due to using obsolete operating systems like Windows 7. This is putting their patients’ data at risk.

Security hygiene needs to be a priority for all physician clinics to protect their patients and their practice. For the practice, a data breach can not only cause reputational damage, but it can also cost tens of thousands of dollars to notify patients of the breach.

The damage of a data breach for patients is also significant, as health data is irrevocable. Unlike a stolen or compromised credit card, health data cannot be quickly replaced to get you back to business as usual.

Instead, a breach in health information has the potential to expose patients to long-term reputational and financial risk.

When WELL Health acquires a clinic, one of our first steps is bringing their cybersecurity up to enterprise standard. For example, one of our minimum requirements is that all computers must be encrypted at the hard drive level, have an enterprise grade firewall and next generation anti-malware technology.

There are several important factors for security hygiene we look at, from how patient records are backed up to how data is shared, and whether physicians are investing in continued education around cybersecurity.

Backing up patient records: Common security shortcomings we see in physician clinics include not backing up EMR servers or storing sensitive patient data on an unencrypted USB key. If the server crashes or the USB key is lost, the clinic has a data incident on their hands. When providing electronic medical records (EMR) services to doctors, we always recommend they operate in cloud so that the server is being continuously backed up.

With a physical EMR server in the clinic, physicians take on the added responsibility of ensuring the physical safety of the server and that it is backed up properly and frequently.

If the server crashes, or is stolen, and patient records are lost, it is not only a data incident which must be reported to a provincial regulatory body, but it also damages doctor patient trust. By using a service provider for cloud technology, the onus is now on the service provider to back up the data to ensure nothing is lost in the event of a crash and to eliminate the possibility of physical theft.

Sharing patient data: When sharing data with the patient or other health providers, privacy is reliant on consent and security. Consent is a critical aspect of privacy, and privacy is only enabled by implementing security tools.

In order to share patient data via email, for example, healthcare practitioners must first obtain patient consent. Consent can be gathered in a number of ways, but as a best practice the duration of access to the

data, who will consume the data and whether the data will be identifiable to the patient should be shared with the patient before they give their consent.

A common cybersecurity hygiene gap amongst physicians is the use of personal

cybersecurity, especially as the use of computers and modern internet platforms continues to transform businesses and healthcare practices daily. This is why continuous education is the key to fighting cyberthreats.

Cyberthreats are always evolving, and doctors should be taking cybersecurity training, at minimum, on an annual basis so they’re aware of the types of threats that exist. Common cyberthreats physicians need to be up-to-date on are what phishing emails look like, what business email compromise looks like, and how frequently they should be updating their systems and software.

For example, we often find clinic computers are still operating on Windows 7 –Microsoft no longer provides extended security updates or support for computers that run Windows 7, leaving them vulnerable to cyber-attacks.

By investing in security hygiene, physician clinics can not only protect their patients’ privacy and information, but they can also protect their business from the potential devastating consequences of a data breach. Safeguarding patient data requires implementing a comprehensive approach that includes factors such as secure data backup, secure transfer of data with patient consent and regular security awareness training for clinic staff.

email accounts such as Hotmail instead of business email servers with enterprisegrade controls and visibility – for example, Microsoft 365 and Google Workspace. As a best practice, we always recommend clinics use multi-factor authentication on their email accounts as an additional layer of security.

Continued education: There is no such thing as “common sense” when it comes to

With over 15 years of experience in banking, government, healthcare and consulting, Iain Paterson leads cybersecurity for WELL Health Technologies, the largest clinic owner and operator in Canada providing primary, allied, diagnostic, specialized, and preventative care services. WELL Health supports physicians in running their clinics so they can focus on what they do best: providing patient care.

Patients losing faith in the healthcare systems, doctors overloaded

OTTAWA – Despite bolstered federal investments in health and a firm commitment by provincial and territorial leaders to fix healthcare, a survey conducted by the Angus Reid Institute indicates that Canadians are losing hope that the system is getting the attention it urgently requires. Only one quarter of Canadians (25 percent) are optimistic about improvements in healthcare in the next two years.

The survey, which was commissioned by the Canadian Medical Association (CMA) and conducted between Aug. 1 and 8, 2023, shows that only 26 percent of Canadians consider the healthcare system to be in excellent or very good condition, whereas half (48 percent) considered it to be excellent or very good in a 2015 survey also conducted by the Angus Reid Institute.

Canadians believe that both federal and provincial/territorial governments need to make healthcare a bigger prior-

ity, with 82 percent calling on provinces and territories and 84 percent calling on the federal government to do so. Beyond making healthcare a bigger priority, fully two-thirds (67 percent) of Canadians believe that improving measurement of the health system will lead to positive changes.

“We’re seeing a decline in Canadians’ satisfaction with the healthcare system, and this is a very worrying trend,” said Dr. Kathleen Ross, CMA president. “We need to do everything we can to restore Canadians’ trust in the health system. By working together and measuring progress in priority areas, we can build the system that patients and healthcare workers expect and deserve.”

The survey also shows that:

•among Canadians who do not have a family physician, 26 percent have given up looking while another 38 percent have been looking for more than a year; and

•66 percent believe that money alone will not fix healthcare, though 60

percent believe new funding will certainly help.

The survey also indicates that 24/7 access to emergency departments, shorter waiting times for surgery and shorter waiting lists to see a family doctor were among the top priorities identified by Canadians.

One of the many sessions held at the summit dealt with the ongoing issue of

president of advocacy for the Canadian Federation of Independent Business, explained the role that individual employers can play in reducing red tape. Dr. Nicole Stockley, the director of external engagement for the Newfoundland and Labrador College of Family Physicians, talked about how the province adopted a single EMR system, and Dr. Chandi Chandrasena, chief medical officer at OntarioMD, discussed the many promises of artificial intelligence and technology.

“Administrative burden is not a physician or clinic problem, but a health system problem, so system-oriented solutions are needed,” said Dr. Chandrasena

physician burnout and the heavy burden of paperwork and administrative tasks that doctors must perform. The session presented solutions to reduce the administrative load and maximize practice efficiency, protect physician wellness and improve patient care.

Corinne Pohlmann, executive vice-

At the end of the session, $10 million in funding for solutions to the administrative burden in medicine was announced. The Health Care Unburdened Grant – a partnership between the CMA, MD Financial Management and Scotiabank – will begin accepting applications this fall.

ILLUSTRATION: LINDA WEISS
FOCUS ON PHYSICIAN I.T.
www.canhealth.com 8 CANADIAN HEALTHCARE TECHNOLOGY OCTOBER 2023
A
CMA survey found that only 26 percent of Canadians think the healthcare system is excellent or very good.

Through

Intelligent healthcare made easy

ca.medical.canon
Altivity, we have developed smart solutions to achieve a whole new level of quality, insight, and value across the entire care pathway.
healthcare providers
the very best
Next generation AI-assisted imaging technologies Book your RSNA Appointment Today CMSCA-RSNA@medical.canon
Canon Medical is committed to supporting
with
AI tools that improve clinical decision-making and streamline workflows, enabling more personalized medicine and improved patient outcomes. Click here to learn more from Key Opinion Leaders >>

Grandfather’s death inspires next generation of wound care technology

HALIFAX – Clinical trials to test a new pocket-sized imaging technology that could vastly improve wound care will soon begin in Nova Scotia. The Mimosa Pro is a handheld device that uses near-infrared light to peer beneath the skin and detect injuries that are not visible to the naked eye.

Seeing the extent of the damage below the skin will help determine whether a patient needs to see a podiatrist, a vascular surgeon to help with blood flow, or if they require more urgent treatment to prevent limb loss. It is a significant advance for diabetic patients who develop wounds and for monitoring bedsores in bedridden patients in long-term care.

The technology was developed by Dr. Karen Cross, a plastic surgeon, CEO of Mimosa Diagnostics, and innovator in residence at the Nova Scotia Health Innovation Hub. She was inspired by her grandfather, Calvin Coates, whose health declined after he developed a tiny wound at the tip of his toe. It eventually led to an amputation and his death.

“Nobody could see it until it was too late. And that’s the story for everybody,” said Dr. Cross. “We catch people when it’s way too late. The tissue is already dead and it’s hard, hard to fix it.”

The Mimosa Pro would have changed that. “What if a family doctor would take the picture and say, there’s good blood flow here, but not here. You just need to restore blood flow. It gives people the information to say, what are the next steps,” said Dr. Cross. “When you start to get people

really late in the stage of their disease, it’s very hard to bring them back. If we can catch people earlier, then we have a chance to save that tissue and save their legs. That is the whole idea behind the tech.”

Most imaging technology used to assess wounds is only available in large hospitals. The Mimosa Pro is portable and can be taken anywhere, connecting patients to specialized care without leaving their community. “The bottleneck right now for the patient is getting to the hospital or a facility to have a test done, and the wait time. This enables us to take the technology to the patient whether they are in the hospital or a rural community,” said Dr. Cross.

It’s also bringing equity to wound care. “This is the first technology in the commercial landscape that truly can assess people of colour,” said Dr. Cross. Traditionally, the light from this type of technology is absorbed by melanin, meaning it doesn’t reach the layers where clinicians need to look. The Mimosa Pro however, has an algorithm that accounts for melanin, allowing the light to penetrate in people of any colour.

The technology is being tested and developed in Nova Scotia with support from the Nova Scotia Health Innovation Hub. It means Nova Scotians have “first access to this technology,” said Katie Cameron, busi-

ness development manager, Research and Innovation at the Health Innovation hub. “I think we will be able to accelerate her timeline in Canada. When you are a startup with no revenue, time is money.”

The team is helping Dr. Cross make connections with the research and tech community, and to set up clinical trials and procurement. Dr. Cross says working with the Health Innovation Hub was key to her decision to move from Toronto to Nova Scotia to develop the technology. “It’s very difficult to do these kinds of trials. As a small company that’s usually quite expensive and you are unable to make a lot of progress without their help.”

Dr. Cross says the Health Innovation Hub streamlines the process. “Something that might take six months to a year in another location could take you half that time in Nova Scotia and this is because of the Health Innovation Hub.”

Other companies are noticing too. “It’s already started to attract major industry players to the province who either want to do clinical trials or they want to partner with smaller startup companies who have interesting technology. If you want to get something done, you might as well come to Nova Scotia and that’s really why I came here.”

Because of the support, she predicts Nova Scotia will be “at the forefront in the country in med tech and health tech. I believe it 100 percent.”

Her great hope is that someday, her invention tested and tried in Nova Scotia will save lives. She believes her grandfather would be alive “if we had that screening tool that said yes, this is a problem, he needs to go to the hospital, he needs to be treated. Instead, he went weeks and sometimes months without having any intervention. It’s not the doctors’ or nurses’ fault. They didn’t know.”

Ottawa Heart Institute expands monitoring

CONTINUED FROM PAGE 6

manage their remote monitoring programs, as the UOHI is the sole provider in the region for cardiovascular services. Many patients come into Ottawa for their cardiac care. The UOHI has been providing monitoring services to patients of 16 area hospitals.

“It allows us to provide them with care closer to home,” said MacPhee. Those hospitals have been using the previous vendors’ equipment, but the plan is now to switch them over to Cloud DX, as well.

Regarding compliance with the telemonitoring equipment and reporting daily, MacPhee said it’s unusual for patients not to cooperate. The gear is easy to use, and it’s in their interests to participate in the daily reporting.

If there are any participation issues, Cloud DX co-founder and CEO Robert Kaul said the company lends a hand: “We stand out in RPM by offering our customers full support for patient compliance, which means the nurses don’t have to worry about compliance calls. We reduce their workflow interruptions and increase both worker and patient satisfaction.”

Plastic surgeon Dr. Karen Cross created a technology that uses near-infrared light to diagnose wounds.
NEWS
AND TRENDS
www.canhealth.com 10 CANADIAN HEALTHCARE TECHNOLOGY OCTOBER 2023
If your Strategic Plan includes Virtual Care, your due diligence starts with Cloud DX Book a brief discovery appointment: CanadaRPM.ca 1-888-543-0944 | sales@clouddx.com | clouddx.com | @clouddx Remote Patient Monitoring for: • Chronic Disease Management programs • Perioperative/post-surgical programs • Palliative care programs • Community Paramedicine programs Hospital at Home (HaH) for: • Admission avoidance programs • Readmission reduction programs • Reduce Length of Stay (LOS) • Improved patient outcomes & satisfaction 80 % market share in ON Community Paramedic RPM programs > 2k perioperative, post-surgical patients on system 1.9 day reduction in LOS on surgery > 94% clinicians with the platform > 96% of patients would recommend Cloud DX Cloud DX is Canada’s Leading Virtual Care Platform Mohawk Medbuy Members: Access the recently announced Master Contract with MMC, awarded to the Cloud DX Connected rigorous, detailed RFP process. CANADA HEALTH INFOWAY PRE-QUALIFIED VENDOR | ONTARIO HEALTH VERIFIED VENDOR SOC o Ser g n a o s Se ce O g a sn AICPA SOC aicpa.org/soc4so

HHS is evaluating Voyce’s medical language interpretation platform

HAMILTON, ONT. – Accessing Canada’s healthcare system can be a frightening and stressful experience for those with a language barrier. Patients and their families who are not proficient in English may struggle to express their concerns and symptoms and to understand medical terminology. This can lead to misunderstandings, frustration and even a lack of trust.

“People are at their most vulnerable state when trying to access health services, and the inability to speak in their native tongue to clinicians is an incredibly challenging barrier,” says Ted Scott, chief innovation officer at Hamilton Health Sciences (HHS). “So, we’re excited that Voyce can help us overcome this barrier and create a more seamless experience when accessing health care in our community.”

As one of Ontario’s largest and most comprehensive healthcare organizations, HHS recognizes the importance of equity, diversity, and inclusion in delivering exceptional care to a diverse community of 2.3 million people. When it comes to interpretive services, HHS previously relied on in-person interpreters or phone services. However, they were time-consuming and often unavailable when needed.

“Improving communication is essential to us as an organization that’s on a mission to provide ‘best care for all,’ says Scott. “Voyce was identified as an opportunity to serve our community better, but we needed to evaluate it in our organization

to understand where and how we could best use this service.”

Ontario Bioscience Innovation Organization (OBIO), a not-for-profit organization dedicated to advancing health technology innovation and commercialization, facilitated a partnership between HHS and Voyce Canada. This Toronto-based, technology-driven company offers a language interpretation solution. Through a partnership, HHS is evaluating Voyce’s medical interpretation platform.

To access Voyce, patients and their care team simply need an internet connection and a device such as a smartphone or

tablet. There is a diverse network of 2,000+ qualified interpreters in more than 240 languages who are trained in medical terminology, with an average connection time of less than 30 seconds.

Voyce has been deployed at HHS in select units representing a variety of settings, including an emergency department, inpatient and outpatient units. This allows any adoption barriers to be assessed before full implementation is considered – not only within HHS but across any other healthcare organization.

“Having the Voyce translation service really helps to promote allyship and inclusiv-

ity for a lot of our families who don’t speak English,” says Dr. Audry Lim, pediatrician and medical lead of complex care at HHS McMaster Children’s Hospital (MCH).

“Without the ability to interpret properly and timely, I find that it really impedes the care we can provide. But, by pulling Voyce into the room I can communicate with the families in real-time without any translation issues. It really helps to reassure the family and answer their questions immediately.”

By providing real-time interpretation services, care teams can ensure that patients and families can fully understand their medical conditions, treatment options, and instructions for follow-up care.

Aisha and Mahmoud Jomaa’s daughter Aline is a patient at MCH with multiple specialists, including Dr. Lim. They have been able to utilize Voyce since the pilot began.

“I know that with Aline’s condition, we need to come to the hospital a lot, so it’s very comfortable for me to have this service,” says Aisha. “Whatever I’m saying, I’m sure that it’s being relayed, no matter how I’m expressing it, in the same way. It feels like I’m the one who is speaking.”

Patients, staff and physicians have had extremely positive feedback on Voyce, so HHS has currently extended the pilot while it works on securing it as a standard service that can be accessed organization-wide.

“We’re also going to extend the service into our research and education areas, to help us better understand the needs of our non-English speaking community,” says Scott. “Voyce is game-changing.”

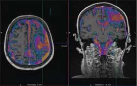
Hamilton creates new model for collaborative MRI usage

HAMILTON, ONT. – Mohawk College and McMaster University have announced the opening of a new facility for educational training, imaging research and magnetic resonance imaging (MRI) that promises to cut wait times and improve patient experience.

The Centre for Integrated and Advanced Medical Imaging (CIAMI), provides a space where education, clinical care, and research intersect through collaborative and unique models of care and approaches to training that have not been done before in Ontario.

In addition to education and research components, the centre partners with affiliated academic hospital systems, Hamilton Health Sciences and St. Joseph’s Healthcare Hamilton.

The centre is an excellent example of working with the community and partners to advance human and societal health and well-being, said McMaster president David Farrar.

“The new CIAMI facility is an excellent example of how close collaboration with our academic partner Mohawk College and our academic hospital partners Hamilton Health Sciences and St. Joseph’s Healthcare Hamilton is helping build a brighter, healthier future for our community,” said Farrar.

Located at the Mohawk-McMaster Institute of Applied Health Sciences building on McMaster’s main campus, the facility includes a newly installed advanced MRI unit, the second of its kind in Canada.

“The creation of CIAMI provides a clear example of how Mohawk College and McMaster University work together with community partners to everyone’s benefit,” said Mohawk president Ron McKerlie.

“Together, we will conduct research to identify best practices, will offer students exceptional training, and will provide greater access to MRI services for patients. We are excited to move forward on this initiative with our valued partners.”

The Ontario Ministry of Health has provided $5 million in funding over three years to support the creation, development, and testing of the CIAMI model, including funding to operate an MRI for clinical use.

CIAMI provides a revolutionary approach to cutting wait times and could double the speed of service for patients needing MRI scans. Currently, the average for MRI scans is 1.54 patients per hour in Ontario, but early CIAMI data from a pilot at St. Joseph’s suggests that could be improved.

CIAMI enables a new model of training with a living lab for interdisciplinary

teams to provide education, taking pressure off hospitals for clinical placements while expediting the capability to graduate MRI technologists into the system.

The centre will also be the site for continuing research, with access to innovative technologies and the use of artificial intelligence (AI) to enable cutting-edge discoveries. CIAMI brings technology and healthcare together in Hamilton to propel advancements in imaging research.

“We have a backlog of patients waiting for MRI scans in our region, we are

hance patient care across the province.”

The centre presents an exciting opportunity for patients, clinicians and students, said Rob MacIsaac, president of HHS.

“The combined focus on teaching and research will undoubtedly give way to new solutions to some of our health system’s most pressing issues, including healthcare worker shortages and diagnostic imaging wait times.”

“The opening of this centre will build on the important partnerships among our educational institutions and healthcare organizations,” said John Aldis, interim president, St. Joseph’s Healthcare Hamilton. “It brings together our brightest minds to challenge what we do today, improve the way imaging technologies are used and services are delivered, to benefit patients across our region and beyond.”

facing a health human resource crisis in Ontario, we have challenges in meeting the imaging needs of our hospital in-patients and our researchers need access to equipment that isn’t competing with clinical needs,” said Julian Dobranowski, professor and chair of the Department of Medical Imaging at McMaster and an adjunct professor at Mohawk College.

“CIAMI provides an innovative solution to all of these issues. We are excited to validate this new model of care to en-

CIAMI is supported by funding from Mohawk and McMaster, the Juravinski Research Institute, and a grant from the Government of Ontario’s College Equipment and Renewal Fund (CERF), with additional funding to operate an MRI coming from the province.

GE HealthCare (GEHC), the manufacturer of the MRI that has been installed in the facility, and CIAMI are collaborating on initiatives to increase access to resources to support education and research.

Voyce has a network of 2,000+ interpreters, all trained in medical terms, speaking more than 240 languages.
NEWS AND TRENDS
PHOTO: JOSH CAREY, HAMILTON HEALTH SCIENCES
www.canhealth.com 12 CANADIAN HEALTHCARE TECHNOLOGY OCTOBER 2023
This unique model, combining MRI research, training and clinical care, hasn’t been used in Ontario before now.

Read all about it.

Canadian Healthcare Technology, published eight times per year, is sent free of charge to managers of hospitals and clinics, and executives in nursing homes and home-care organizations. Qualified subscribers need only periodically renew their subscription information to ensure continued delivery of the magazine. Please take a minute to complete your renewal and make sure Canadian Healthcare Technology keeps coming to you – absolutely free.

Your organization’s business or industry?

Hospital

Health region

Long-term care institution

Home care

Clinic

Government University

Computer or software vendor

Telecommunications vendor

Medical device vendor

VAR or systems integrator

Education

Finance/insurance

Consulting/legal

Public relations

Other

If you are employed by a hospital, which of the following categories would best apply to you?

CEO/President/VP/Executive Director

Finance

MIS

Medical Director

Physician

Purchasing

Nursing

Pharmacy

Radiology

Pathology & Laboratory

Human resources

Health records

Public relations

Quality assurance

Other

SUBSCRIBE ELECTRONICALLY VISIT OUR WEBSITE www.canhealth.com Signature required for authenticity purposes only. All data must be supplied for subscription to be processed. Publisher reserves the right to determine qualification. Valid only in Canada. COMPLIMENTARY SUBSCRIPTION REQUEST
(PLEASE PRINT) Name Title Company Address City ProvincePostal Code Telephone Fax E-mail SignatureDate
THERE ARE TWO WAYS YOU CAN SUBSCRIBE: FILL OUT AND SUBMIT THE FORM ONLINE AT www.canhealth.com/subscribe or FILL OUT THE FORM BELOW AND FAX IT TO 905-709-2258 YES, I want to receive/continue to receive Canadian Healthcare Technology magazine. IF YOU HAVE SUBMITTED A SUBSCRIPTION REQUEST IN THE PAST 12 MONTHS, EITHER ONLINE OR BY FAX, PLEASE DISREGARD THIS NOTICE.

New Virtual Cockpit software gives technologists remote access to CT scanner

The Medical Imaging team at Royal Columbian Hospital now has access to CT remote scanning support through the syngo Virtual Cockpit software. The syngo Virtual Cockpit (sVC) software was developed by Siemens Healthineers and enables experienced technologists from the Medical Imaging team to become remote steering technologists, remotely supporting on-site technologists in operating up to three scanning machines.

“The technology is pretty spectacular – this software allows a CT technologist to remote into the CT scanner,” said Michael Milkovic, workflow implementation lead, Medical Imaging, Royal Columbian Hospital. “A remote technologist can help support staff with selecting protocol and additional imaging by taking the images and reconstructing them into different views.”

Remote steering technologists can connect with the modality technologist on-site through live video, audio and chat functions and can be given complete control or read-only access. The sVC software also allows them to review and adjust scan acquisition and contrast injection parameters through a live video stream of the patient and contrast injector.

Sharing the knowledge and expertise of senior technologists with junior technologists is one of the most significant advantages of this software, as it provides real-time support and encourages collaboration between the Medical Imaging teams.

“As a training tool, this software will give a junior technologist more autonomy towards the end of their training,” says Milkovic. “They can make the majority of the decisions but be at ease knowing they have real-

time support from a remote steering technologist.”

“We are excited to implement this technology into our department’s workflow,” said Debbie Huebner, supervisor, Medical Imaging, Royal Columbian Hospital, “It’s a huge benefit for the future of healthcare as we’ll be able to train new CT technologists faster than before and the remote steering technologists can support up to three scanners at a time using this software.”

Patient experience is at the core of this new tool as the software helps expand patient access to CT scans. In the future, Medical Imaging will also implement this technology into MRI suites at Royal Columbian Hospital.

“Our teams are excited to be the first in Canada to have access to the new syngo Virtual Cockpit software,” says Ken Winnig, executive director, Medical Imaging, Provincial Health Services Authority, “This technology is a tool to help us improve access and our patient experience by supporting staff when performing complex scans and improving our workflow, staff satisfaction and training.”

Watch to learn more about the syngo Virtual Cockpit (sVC) software: https://youtu.be/BFPxXSMQods

Gurleen Dhessi is a consultant in the Public Affairs department at Fraser Health.

Apollo enterprise imaging solution moves to AWS cloud

NEW YORK – At the AWS Summit held here in July, Apollo Enterprise Imaging discussed how hospitals are struggling to keep things upto-date when connecting their various imaging systems to the Electronic Medical Record. They may be linking radiology, cardiology, pathology, and many other systems to the EMR – each with its own interface to the electronic record system.

However, every time an imaging vendor upgrades their solution, the interface to the electronic record may have to be updated, as well. That’s an expensive and time-consuming activity.

For its part, Apollo, based in Tysons, Va., near Washington, offers a solution called Apollo Repository for Clinical Content (arcc®), an enterprise system that stores and manages medical imaging exams from 45 specialty departments – everything from pathology to radiology to en-

doscopy, and more.

arcc enables clinicians to access all these images on a single workstation with a single log-in. “And it all integrates with the Electronic Health Record, so you’ve got one integration, not 45,” said Kevin Stinson, Apollo’s chief revenue officer.

“There’s a big cost savings for hospitals when they eliminate these silos of imaging information,” said Stinson, noting that various forms of imaging are usually found in separate repositories. Using a single system like arcc, Apollo estimates the total cost savings for imaging storage can be reduced by 40 percent by leveraging cloud technology.

Apollo can manage nearly all imaging modalities in a single system because it automatically extracts the metadata contained in images. It can then use the metadata to assist with the hospital workflow.

By contrast, many PACS are limited to processing DICOM images,

which contain the metadata in a header. For its part, Apollo’s system works with both DICOM and nonDICOM images.

“This gives you much more ability to control and manage the images,” said Stinson.

Moreover, Apollo recently became an AWS partner company and is us-

Apollo’s platform, called arcc, is able to store and manage 45 types of medical imaging exams.

ing newly announced AWS HealthImaging, a purpose-built service in the cloud for medical imaging at scale, to provide customers with fast access to images, along with extensive sharing of images and data and tight security.

“The new service is extremely fast,” commented company founder

and CEO Mark Newburger. “It’s as if you were local.”

Partnering with AWS also gives Apollo and its customers access to Amazon’s security, something that’s becoming increasingly important in an era of escalating intrusions and ransomware attacks.

“No one has the capacity to do security on their own anymore,” said Newburger. “You’ve got to partner with someone like AWS, Microsoft or Google.”

For its part, Apollo went with AWS – in addition to the enhanced security, it obtains the speed of HealthImaging. And overall, the cloud makes the sharing of images for customers easier. Whether clinicians are at the hospital or at a remote site, they can share images and work together through the cloud. Apollo is currently used by 41 different health systems with over 150 hospitals in the United States and Canada.

MEDICAL IMAGING
The software allows senior technologists share their knowledge and expertise with junior technologists.
www.canhealth.com 14 CANADIAN HEALTHCARE TECHNOLOGY OCTOBER 2023
Michael Milkovic, workflow implementation lead, Medical Imaging, Royal Columbian Hospital can remotely support other staff.

Virtual Cockpit enables one remote tech to support up to three others

Imagine being able to offer high-quality training for on-site technologists, provide patients with top-level care in the imaging suite, and eliminate staff shortages at the same time. With syngo Virtual Cockpit, all of this is within reach.

Experts located anywhere can guide exams provided by on-site technologists. That way, you can provide top-tier supervision of up to three imaging sites while your junior technologists are supported and trained.

You achieve more confident staff, thanks to remote scanning assistance. As well, experts do not have to commute between different sites. And there are fewer bottlenecks, because one expert can support three scanners simultaneously.

Higher productivity: syngo Virtual Cockpit is a software from Siemens Healthineers for remote scanning assistance. With syngo Virtual Cockpit, hospitals and other imaging organizations can transform care delivery and achieve a higher level of standardization and diagnostic consistency.

By enabling virtual access to experts, syngo Virtual Cockpit allows care teams to increase productivity and provide the highest quality of care in all locations.

With syngo, you can:

•Securely connect to any CT, MRI, SPECT, or PET scanner within a fleet

•Offer remote scanning support independent of location

•Easily share in-house expertise and train new staff on the job

•Enhance patient satisfaction by improving availability

syngo Virtual Cockpit enables your imaging group to focus on employee wellbeing. You are able to connect teams across your locations and boost your staff’s confidence through easy and immediate knowledge sharing. It’s even possible to enable staff to (occasionally) work from home, if desired.

Improved patient care: You can also enhance patient satisfaction by improving the availability of imaging services. Save patients travel time and costs by offering all standard procedures at all locations, and offer appointments sooner with higher scanner throughput.

As well, you can increase productivity with remote support. syngo Virtual Cockpit allows you to utilize remote expert assistance for rare and challenging examinations. And you can offer all kinds of examinations across your network – even at smaller or more remote facilities. A hospital can maximize patient throughput by remotely steering multiple systems at the same time.

Better technologists: With syngo Virtual Cockpit, less-experienced staff can always call on live support to help them excel. Expert knowledge is made accessible across all

sites and in real time. This remote collaboration ensures high-quality care while promoting staff confidence and increasing workforce efficiency at the same time

Patient satisfaction matters. Knowledge and confidence are key to successful care

Standardization: By sharing expert knowledge throughout your enterprise, syngo Virtual Cockpit helps improve standardization, which leads to higher productivity and optimized diagnostics. The Siemens Healthineers solution includes advanced procedures – like cardiac and prostate imaging – at all locations. This translates into better numbers across the board. By sharing expert knowledge throughout an enterprise, syngo Virtual Cockpit helps optimize standardization of procedures, reducing unwarranted variations and improving diagnostic consistency everywhere.

delivery. With syngo Virtual Cockpit, lessexperienced staff can always call on live support to help them excel.

syngo Virtual Cockpit allows an organization to offer specialized procedures at every location, even when they are experiencing staff shortages. This means less time spent waiting and improved access to care for patients at their preferred location.

“We’re excited to be the first in Canada to have the new syngo Virtual Cockpit software. This innovative technology serves as a valuable tool to enhance our patient experience and accessibility, as it provides crucial support to our staff during complex scans and improves workflow, staff satisfaction, and training efforts. The integration of this technology into our department’s workflow is a significant breakthrough,” said Brenda Heartwell EMBA, RTR, senior project manager, Lower Mainland Medical Imaging, Fraser Health.

MEDICAL IMAGING
Introducing Streaming Client in AGFA HealthCare Enterprise Imaging — a groundbreaking leap forward for health systems. Say goodbye to routing data to different systems and welcome real-time streaming technology that brings you directly to the and back to your favorite activities on schedule. Exp Enterprise Imaging for Radiologists. Less time waiting for images to load.More time for your next adventure.
www.canhealth.com OCTOBER 2023 CANADIAN HEALTHCARE TECHNOLOGY 15

AI-powered pain assessment solution launches in North America

PainChek uses artificial intelligence and facial recognition technology to detect and quantify pain.

Two senior care facilities in Canada have reinforced their reputations as leaders in the provision of tech-assisted care by becoming the first longterm care facilities in North America to adopt a leading-edge technology that uses artificial intelligence (AI) technology to assess pain in residents.

The PainChek pain assessment solution was recently introduced at two Edmonton-based facilities, St. Michael’s Health Group and Sherwood Care (222 beds). These are the first pilot projects of their kind in North America and are already making a significant impact on the quality of care the facilities can provide for residents.

PainChek is the world’s first regulatory-cleared medical device for the assessment of pain, enabling best-practice pain management for people living with pain in any environment, from those who cannot reliably self-report their pain, to those who can, and for those whose ability to self-report their pain fluctuates. It uses artificial intelligence (AI) and facial recognition technology to detect and quantify pain in real-time by analyzing microfacial expressions indicative of pain.

James Matthias, head of product at PainChek, says: “We are delighted to launch our pilot projects in the Edmonton region, which is a hub for innovation and has a fantastic artificial intelligence ecosystem. Moving into Canada means PainChek can better facilitate best practice pain management for residents who need it most. Sherwood Care and St Michael’s Health Group are leading by example in recognizing the importance of accurate pain assessment, and ensuring their residents have access to gold standard care and support.”

Tatsiana Haidukevich, director of care, St Michael’s

Health Group, comments: “As an innovative facility, we are constantly looking for advancements in care to improve residents’ quality of life. We consider ourselves lucky that we came across PainChek through Edmonton Global, as it represents the next level of pain assessment.

“As director of care, I consider best practice very important, and PainChek has helped us provide best-practice pain assessment technology for our nurses and residents. Nurses now feel more confi-

work life for our staff. It’s not paper driven, it’s easier to trigger the assessment, and it’s easy to do.”

Danielle Buchanan, clinical education and RAI lead at Sherwood Care, adds: “I hope that use of PainChek will give us some real insight into some of our residents. They’re not able to tell us how they’re feeling. We see behaviors like agitation or vocalizations, and often, it’s just the norm to treat the behavior rather than looking into what’s the cause behind it. Our staff are really great at being detectives into what’s going on, and this is another great tool to use.”

PainChek, which started out in Australia and is now the most popular clinical digital tool in Australian aged care, has conducted over 3,000,000 digital pain assessments worldwide, with 70,000 aged care beds contracted internationally across the UK, Europe, Australia, New Zealand, Singapore, and now, Canada.

The PainChek app is available on smartphones and tablets and combines PainChek’s AI pain assessment tool, which intelligently automates the multidimensional pain assessment process, with the Numerical Rating Scale (NRS). This hybrid functionality allows accurate, consistent pain assessment at the point of care, and for care to be considered in PainChek’s detailed reporting suite, PainChek Analytics.

dent in conducting thorough pain assessments, and families are very happy to see improvements in pain assessments and medication management.”

Pain management is one of the top-quality indicators Sherwood Care is looking to improve on, according to its CEO Kathy Fortunat: “This was far too intriguing to pass up on and it matched our priorities,” she says. “It will improve the quality of life for our residents, and it will also improve the quality of

PainChek has successfully supported accurate pain assessment and management for thousands of adults worldwide living with dementia, disability, or other conditions impacting their ability to self-report pain. It also has applications within hospitals, hospices, home care, and other care environments, where the PainChek technology is enabling more personalized and targeted care for individuals facing pain-related challenges.

For more information about PainChek, visit: https://painchek.com

Three ways technology delivers the healthcare patients deserve

Since the pandemic, and with the help of technology, the lines between retail and healthcare have blurred. They continue to converge and have formed into what is now known as the consumerism of healthcare, meaning consumers are actively involved in their healthcare decisions.

Rather than passively receiving care, they seek, self-direct or choose the optimal care based on cost, quality and convenience, expecting a positive experience every step of the way.

And as it turns out, there are advantages for everyone involved. According to a recent McKinsey report, delivering the experience patients expect throughout every stage of the healthcare journey could substantially improve medical outcomes and reduces costs at the same time.

Technology is pivotal in providing the experiences people now expect in healthcare. While transforming to a

consumer or patient-centric model may be challenging, it’s becoming a mandate, with 90 percent of healthcare provider executives and 100 percent of chief marketing officers surveyed by McKinsey identifying healthcare consumerism as a top priority. Healthcare providers must use technology in new ways to give consumers what they expect and deserve. Let’s take a look at three ways to do it.

•Shift to an omnichannel approach: As healthcare consumerism transforms care delivery to be more convenient and patient-centric, providers will need to increasingly blend delivery channels, similar to omnichannel retail. For instance, a patient may use a healthcare provider’s mobile app to schedule appointments, ask questions and obtain medical records or test results from the palm of their hand, anytime, anywhere.

The ease and convenience can’t be beat. Telemedicine – a modern-day

house call – is another example: a healthcare visit may start out virtually but then move to in-person care either in the patient’s home with a visiting nurse, or in the provider’s office.

The omnichannel approach can even extend within a hospital with “smart” patient rooms featuring

solutions from clinical mobility to workforce augmentation and workflow automation is essential to transforming the patient care experience. Technology can unburden the delivery of care, which brings me to my next point.

self-serve kiosks and digital front doors – the technologies patients use to interact with healthcare providers throughout their healthcare experience.

For the omnichannel healthcare model to work for traditional healthcare systems and the patients being served, mirroring the omnichannel retail model in terms of technology

•Apply retail tech practices: Retailers had to accelerate technology implementations and scale utilization early in the pandemic to execute traditional in-store operations alongside newer e-commerce services. They understand how to optimize labor by automating workflows. They’re also astute at using prescriptive task management and workforce scheduling software to ensure the right person is at the right place at the right time with the right item or taking the right action.

Healthcare providers emulate this approach to workforce and workflow management as they move to a “care anywhere” model. The best way to do

VIEWPOINT
www.canhealth.com 16 CANADIAN HEALTHCARE TECHNOLOGY OCTOBER 2023 CONTINUED ON PAGE 23
Healthcare providers must use tech in new ways to give consumers what they expect and deserve.

Crisis in pediatric mental health spurs creation of a new care platform

Acrisis in pediatric emotional-behavioral and mental health (EBMH) was declared during the COVID pandemic, though data suggests this issue had been mounting previously. According to a National Centre for Health Statistics report in 2020, mental health related emergency department presentations for children and youth increased in proportion to total visits from 2.8 percent in 2006 to 5.1 percent in 2017, while United States data showed a 57 percent increase in suicide rates between 2007 and 2018 amongst youth aged 10-24.

EBMH services for children struggle with system fragmentation, lack of provider capacity, and overwhelming demand resulting in extreme delays in waiting time.

Furthermore, the use of medical model approaches to behavioral and mental health tends to persist, rather than the family-centered, biopsychosocial frameworks of care that are now considered appropriate.

It is self-evident that the rise in virtual care associated with the pandemic places more emphasis on the role of electronic information tools. Data collection and documentation in pediatric EBMH is particularly complex owing to its biopsy-

nurse as well as some occasional assistance from technical staff from the technology vendor of the health record being utilized. On average, the clinic would see 25 patients per week prior to the new workflow. Typically, substantial time would have to have been spent collating and reviewing

any pre-visit information that had been made available, whether received as paper or in a digital format.

In developing the novel workflow, the majority of the effort that took place was spent in planning the clinical content for questionnaires that did not previously exist,

as well as in making adjustments to the content within the health record platform. A user interface was available to make such adjustments, and no custom software development was required on the part of the vendor.

Given the small team size, it was possi-

chosocial nature, which can create additional administrative burden for clinicians.

This in turn limits access to care, as greater time is necessary to collect, review, and document information before, during, and after an assessment.

Potentially usable data may be lost in an information wilderness of paper files, image-based PDF scanned databases and other locked silos of information. Restrictions in clinic visit duration limit timeconsuming interviews. Pencil and paper psychometric tools are widely still used and are prohibitively time-consuming to score and enter manually into patient records.

A new approach to pediatric EBMH: In 2017, Dr. Benjamin Klein embarked on a new clinical journey in his community pediatrics practice through the use of a novel digital health solution that had relatively recently entered the market.

The platform was a cloud-based electronic medical record (EMR) that had incorporated within it a number of patient engagement technologies, including embedded and customizable patient health questionnaires. The overarching goal was to design a novel clinical workflow that addresses the nuanced needs of pediatric EBMH in the community setting.

Development of this novel clinical workflow took place in an iterative fashion driven almost exclusively by Dr. Klein, a developmental pediatrician working in a community-based practice in Brantford, Ontario.

Administrative and operational support was provided by one full-time clinical staff, nursing support through one part-time

VIEWPOINT
CONTINUED ON PAGE 23
Development of a new model was driven almost exclusively by Dr. Benjamin Klein, a developmental pediatrician.
www.canhealth.com OCTOBER 2023 CANADIAN HEALTHCARE TECHNOLOGY 17

UHN’s Halo keeps an eye on hospital patients who need continuous attention

program to use two-way audio and video to remotely monitor hospital patients requiring constant care at Toronto’s University Health Network (UHN) has expanded to 11 sites in Alberta, Manitoba, Newfoundland and Ontario.

Launched in 2016, the UHN’s Halo service is delivered from a command centre in downtown Toronto by staff who are trained and enabled to each keep an eye on eight patients simultaneously, replacing the need for one-on-one bed sitters.

“We built our first prototype in 2016 and did a pilot in thoracic surgery and respirology at Toronto General,” recalled Marijana Zubrinic, a nurse practitioner and executive clinical lead for the program. Based on the positive impact on patient care, the service was expanded to Princess Margaret, Toronto Western, and eventually to all six UHN sites.

The service is now live in all UHN inpatient units, including surgical and medical specialties, rehab, dementia and behavioural units, complex continuing care and the emergency department. “The only area we’re not live in is intensive care, where they already have one-on-one care,” said Zubrinic.

The expansion of the program to external sites began in November 2021 with Alberta Health Services’ University Hospital site, in Edmonton.

The popularity of the program is directly related to the shortage of staff that healthcare organizations are experiencing and the cost of employing them. Dr. Shawn Young, chief operating officer at Winnipeg’s Health Sciences Centre cites both reasons for beginning a pilot with UHN in January.

“We saw they were having some success with the program, and we were very interested from the get-go because it ticked off all our boxes,” he said. “We have some significant healthcare resource challenges, and this is one way for us to monitor patients without the need for extra people that we don’t have. Hiring constant cares, as we call them, is an added expense and nobody has budgets for them. They’re always deficit funded, so UHN’s telemonitoring service is one way to avoid that expenditure.”

According to Dr. Young, the savings to date are in the six figures.

“Hospitals are spending millions of dollars on constant observers, so it’s a huge savings,” said Zubrinic, who came up with the idea and served as a bed sitter herself as a nursing student. Prior to the launch of the program, UHN was spending $4 million per year on PSWs and healthcare aides who were paid $25/hour pre-COVID. “Now it’s in the range of $40/hour and there aren’t enough of them.”

Predicting the healthcare workforce shortage will only get worse as our population ages, Zubrinic warns, “A lot of the burden will fall on our nursing staff as part of their workload.” Telemonitoring, she said, is one way to ease the pressure on hospital budgets and nursing staff while keeping vulnerable patients safe.

Patients selected for constant monitoring include those at high risk for falls or climbing out of bed when it’s dangerous to do so, as well as patients who get confused and try to pull out invasive lines.

One area of the hospital that is especially suited for telemonitoring is the pre-lung transplant unit, where patients on high-flow oxygen can go into respiratory arrest in the event of a problem with their oxygen supply while sleeping. Early in the rollout of the program, “monitoring techs reported not being able to tell if patients dependent on high-flow oxygen were sleeping or if something else was happening. That prompted us to add oxygen saturation monitoring to the solution,” said Dr. Shaf Keshavjee, UHN’s chief of innovation.

“Typically, in the past, we’d put patients with very high oxygen needs in a very high-resourced environment, like a step-down unit,” noted Dr. Young. “Now we can monitor them just as safely without having to put them in that environment.”

UHN’s Halo telemonitoring system is a mobile device on wheels consisting of two cameras, a speaker, a microphone and a notebook-sized screen that allows patients to see and hear their telemonitoring tech. Having another human being in their room even

the service provides constant monitoring for an average of 45 patients at any one time. Since inception, UHN has monitored 4,200 patients for a total of 600,000 remote patient monitoring hours.

Winnipeg’s Health Sciences Centre has seven camera systems for the pilot in its medical and neurosurgery units and generally monitors two to four patients at any one time. Once a patient is selected for telemonitoring, a camera system is simply wheeled to the patient’s bedside and plugged in. As of mid-August, the service has monitored 45 patients for a total of 8,800 hours.

UHN has 15 permanent telemonitoring techs on staff and another 12 part-time and casual employees, including PSWs, healthcare aides and internationally trained nurses who aren’t licensed to work as nurses in Canada.

They work in a Command Centre located in the Krembil Discovery Tower at Toronto Western Hospital and sit at workstations equipped with a large screen

if only on a screen was appreciated by patients who were in isolation during COVID.

To avoid disturbing patients at night while sleeping, the screen goes dark. There’s also a privacy hood that a nurse can flip over the camera during private care.

The meticulously engineered program, developed by UHN’s in-house Techna Institute health technology team and delivered by Altum Health Medical Solutions, includes integrated data-recording software that documents interventions by telemonitoring staff and attention detection functionality that alerts telemonitoring techs if they are distracted and not watching the screen.

To talk to patients, they simply touch the screen, and if a patient is trying to get out of bed or is in distress, they reach out to a nurse in the unit by telephone. If the battery on the phone dies or if the nurse doesn’t pick up because the phone has been misplaced, the system automatically cascades to the main desk at the nursing station, and if needed, to the manager on the inpatient unit.

Bed sitters are still required for some especially vulnerable patients, but telemonitoring suffices for 50 to 60 percent of patients requiring constant observation.

UHN has 90 camera systems across its six sites and was using up to 50 at a time during COVID. Currently, said Zubrinic, an average of 30 UHN patients are monitored daily. Including external sites,

monitor, computer and headset. Each telemonitoring tech goes through a training program that instructs them how to intervene in each situation.

Feedback from clinical staff and patients has been positive, and families are relieved, said Zubrinic. “In the past, they would be reluctant to go home and leave their loved ones alone because they knew there were fewer staff scheduled at night.” That’s not the case anymore.

The reluctance of hospitals across the country to develop their own telemonitoring programs isn’t surprising given the sophistication of the UHN technology.

“Initially, some of the hospitals started off with the idea of doing it themselves,” said Zubrinic, “but they quickly realized that it’s a lot to take on. It’s a total solution and, often, they don’t even have the people to do the monitoring locally.”

The expansion of the program to other sites is a good example of the power and potential of telehealth technology to deliver best-in-class solutions to other hospitals across Canada, but there is also the possibility of going global.

As a result of a recent expression of interest from Australia, Zubrinic and Dr. Keshavjee see the potential to also offer the service to healthcare institutions in other English-speaking countries, including the U.S., the U.K., Ireland and New Zealand.

FEATURE REPORT
The program has expanded its reach across Canada, and it’s attracting interest from around the world.
www.canhealth.com 18 CANADIAN HEALTHCARE TECHNOLOGY OCTOBER 2023
A
Marijana Zubrinic Dr. Shaf Keshavjee Dr. Shawn Young

Partnership has improved DI performance at Health Sciences North

Health Sciences North (HSN) in Sudbury, Ontario, boasts a first-class radiology department with an impressive complement of fellowship trained doctors, upto-date equipment and stellar turnaround times. Things weren’t always so rosy, but a special relationship with Toronto’s University Health Network (UHN), SickKids and Unity Health Toronto turned things around. It was a classic case of hospitals looking out for each other.

Five years ago, at a meeting of hospital CEOs, HSN’s Dominic Giroux was chatting with Dr. Kevin Smith and Dr. Gary Newton, his counterparts at UHN and Sinai Health, respectively, and told them about a “desperate situation” they had in Sudbury, recalled Dr. Heidi Schmidt, department head, Medical Imaging and program medical director of UHN’s Joint Department of Medical Imaging (UHN, Sinai Health, Women’s College Hospital).

“They were down to a handful of radiologists and had a huge backlog of hundreds of unreported studies that were months old,” she recalled. “Everyone was burned out working double shifts. It wasn’t a very pleasant environment.”

Following their meeting with Giroux (now president and CEO of Hôpital Monfort in Ottawa), “Kevin and Gary came to me and said, ‘Why don’t you go up there and see what you can do,’ so “I went to Sudbury in the fall of 2018, talked to people and looked at the situation.”

HSN had tried teleradiology, but that wasn’t going to be enough to fix the problem, according to Dr. Schmidt. Instead, she recommended an old-school approach: face-to-face, on-site coaching by UHN radiologists. Since the start of the collaboration, at least 200 days a year, there’s a Toronto radiologist in Sudbury, helping to enhance that local centre’s expertise.

“They’ll spend a couple days there, read a little, but mainly focus on culture change, training, meeting with clinicians, being of assistance and identifying needs,” she said. “They looked at stroke and obstetric imaging, introduced prostate MRI and improved rectal cancer staging.”

SickKids and Unity Health Toronto were persuaded to pitch in to help HSN with pediatric and trauma imaging.

At the same time, the IT departments at UHN and HSN worked together to establish a direct network connection between the two hospitals to facilitate the reading of exams from Sudbury by radiologists in Toronto.

“Bit by bit over the years, we have addressed every part of radiology,” said Schmidt. “Now, patients in Sudbury get the same level of quality care that they would get if they came to Toronto, and families don’t have to travel four hours to Toronto for their child to get an MRI.”

The relationship and the improvements that were made since 2018 helped HSN recruit radiologists who did their fellowship training at UHN, so by the end of this year, Sudbury will have 13 radiologists, up from five when the collaboration started.

“They do rectal, breast, pediatric care and trauma, and when you have all these specialties, you need a radiology department working at a high level. You need fellowship trained radiologists to address the specific needs of the referring specialties.”

Now, 80 percent of exams are read by

specially trained radiologists – up from 20 percent in 2019.

“Fellowship trained diagnostic and interventional radiologists are doing endovascular thrombectomies, so stroke patients can now get their clots removed,” said Schmidt. “That has a huge impact on survival.”

VIRTUAL CARE
www.canhealth.com OCTOBER 2023 CANADIAN HEALTHCARE TECHNOLOGY 19
Dr. Heidi Schmidt

Innovation in action: Telehealth and virtual care from e-Health 2023

Digital health professionals from across Canada gather annually at the e-Health Conference and Tradeshow to learn from one another as they work to improve and transform Canadian healthcare. In-person again for the first time in three years, eHealth 2023 took place in Toronto May 28-30 and featured 179 presentations.

Presenters came from across Canada and included digital health professionals, practitioners, frontline care delivery workers, vendors, patients, and caregivers. Topics covered in e-Health sessions include Virtual Community Care and Telehealth Strategies; Technology Innovation in Healthcare; Patient Experience, Engagement, and Outcomes; Mental Health and Addictions; Clinician and Provider Experiences; Evaluation; Artificial Intelligence and Automation; Accessibility = Improved Care; and Analytics and Data Governance.

Many case studies presented at e-Health focused on virtual care, remote care, telehealth, and telemonitoring implementations in a wide variety of settings, including:

Transforming care with access to virtual interpreters

Presented by: Simran Bhogal Clinical planner, Virtual Health Vancouver Coastal Health Clinicians seeking access to language interpretation services currently face many barriers including pre-scheduled bookings, infection control measures, and lack of language availability. In a health authority where an estimated 20 percent of patients have limited English proficiency, on-demand medical interpretation is necessary to maintain quality healthcare.

In 2019, a pilot program for the Virtual Interpreter was initiated to provide staff with on-demand, live, medical interpreters via a Wi-Fi-enabled tablet to 20 sites across the healthcare region. Results indicated overwhelmingly positive feedback from staff and patients. The most profound impact occurred in patient care metrics, with significant reductions in patient length of stay (47 percent), 7-day readmission rates (69 percent) and average time required for admission decision in the Emergency Department (28 percent).

Following the success of the pilot project, the virtual health team developed a project plan to provide 96 virtual interpreters to all acute and ambulatory sites that would benefit from access to on-demand medical interpretation. The project plan included the procurement of a vendor that provides access to medical interpreters via video and audio conferencing, a tablet, and a rolling medical stand with sound amplification. The chosen vendor provides service in a form of an application that can connect to live interpreters in 240 languages, 24/7 in audio and over 40 languages via video conferencing.

Clinical decision support tools, quick guides, and videos were developed to support frontline clinicians and staff. Over 90 in-person education sessions were provided across the health authority to 15 different professional groups (e.g., nurses, physicians, allied health, admin staff) using a train-thetrainer model. The Virtual Interpreter was

well received and readily adopted by staff.

To maintain cost-effectiveness, guiding principles for device re-allocation were developed to ensure that the devices were placed in areas where they would be needed most. To date the virtual interpreters have been used over 48,000 times in 97 different languages for a total of over 493,000 minutes with an average call length of 10.13 minutes.

The Virtual Interpreter ensures that all patients can communicate with their healthcare providers, regardless of the language they speak. Future plans for the Virtual Interpreter include implementation in long-term care facilities and home health teams. A readily available Virtual Interpreter ensures that all patients’ cultural beliefs are recognized and that their needs are understood, resulting in a better healthcare experience for all.

HomeGIM: How virtual models of care facilitated early discharge in the pandemic

Presented by: Julie Matthews Manager, Virtual Care Operations Team Hamilton Health Sciences;

Kara

Manager, Virtual Care Operations Team Hamilton Health Sciences

Extraordinary pressures on inpatient resources and the need to reimagine new ways of providing patient care led to the creation of a new virtual unit at Hamilton Health Sciences, HomeGIM.

Previously, when patients presented to the emergency department and required internal medicine care, data showed that admission rates were approximately 95 percent. For a subset of these patients, it was not uncommon for them to have a length of stay (LOS) <48 hours and to not require additional diagnostic testing.

These metrics, coupled with a collaborative partnership with HHS Internal Medicine physicians, led to the creation of the HHS Virtual HomeGIM Clinic. This clinic bridges internal medicine patients from hospital to home with virtual nursing care and coordination. The program allows patients to decrease length of stay and be discharged from the hospital early. Internal physicians can refer medicine patients with any diagnosis, where requiring a specific follow up request such as symptom monitoring, outpatient testing, wait-

ing on results, etc. This allows the patient to receive the last portion of their care in the comfort of their own home, while still being followed by hospital providers.

The model is unique, with the referring GIM physician remaining MRP while the patient is in the program. MRPs receive communication when referral is received, for any escalations/concerns, and again at discharge.

virtual health within current models of care.

OVH and BCEHS have implemented a quick connection video-based care system for secondary triage clinicians and patients. Previously utilizing telephony, we have implemented a video connection between paramedics, patients, and secondary triage. Based on the success of the initial use case, we have started to implement this model of care with our Emergency Physician Outreach Service (EPOS) and have plans to expand to critical care outreach and patient transfer services. Enabling clinicians to have eyes on the patients in real-time using a video solution at the point of care has enhanced and improved accurate and timely diagnosis as well as expeditiously linking the patient to the appropriate resources.

The program uses a patient-centered model of care to enhance the ability of clinicians to view pre-hospital patients in realtime. Once a paramedic is on scene with a patient, and they determine a need for further triage, the paramedic can initiate a video connection with the paramedic specialist or physician within seconds. Our evaluation of the initial pilot included qualitative and quantitative methods, which aimed to evaluate the utility of this type of care model and the benefit for clinician and patient experience.

From the initial pilot we found that our video application and model of care provided the following benefits:

•Low barrier to access video connection with ‘one click’ which was well liked and accepted within BCEHS

When the patient is discharged, a summary is sent to the patient’s primary care physician.

Patients have overwhelmingly positive feedback about the program, able to recover in their homes with 1:1 RN support. In the program’s first eight months, over 125 bed days have been saved, decreasing length of stay by 2 bed days per patient on average.

Over 70 percent of patients in the program are:

•Discharged from hospital early;

•Saved an admission to the GIM unit;

•Prevented an ED visit; or

•Found to have a medication or requisition error post discharge from hospital.

In addition, this program thinks about the patient journey holistically. Almost 40 percent of patients need and receive additional social support such as helping patients find a family doctor or nearby walkin clinic or connecting the patient to community services. The program will also refer internally to an available social worker in addition to RN care.

The HomeGIM clinic offers patients a warm transition from hospital to home, allowing the patient to be followed by a medicine nurse, escalating any medical concerns as needed to the GIM physician who cared for them in hospital.

Enabling prehospital virtual health –paramedic video clinical consultation

Presented by: Shardae Brown

Senior clinical leader

Provincial Health Services Authority

BC Emergency Health Services (BCEHS) and the Office of Virtual Health (OVH) have identified a need to maximize/enhance efficiencies and effectiveness of care by utilizing

•Patients had increased feelings of confidence in decision-making with video visits

•Patients who did not receive video calls expressed an interest in the ability to do so We found the addition of a video call provided the most benefit assessing patients visually with lacerations, traumatic injuries, stroke assessment and coaching through first aid treatment.

By piloting instant video connection for the visual assessment of pre-hospital patients in the emergency healthcare setting, we were able to show clinical benefit as well as improved patient experience. Because of this success we have started planning the expansion of this service to other relevant clinical and emergency care settings including patient transfers, critical care outreach and emergency physician consultation and outreach.

Having a one-click video solution to put eyes on the patient enabled the clinician to have better clinical decision making and provided an enhanced level of patient confidence.

Alternative virtual care solutions in Ontario First Nations communities

Presented by: Wendy Sandberg

Regional telemedicine navigator

Keewaytinook Okimakanak eHealth; Brianna Emmerson

Assistant regional telemedicine navigator

Keewaytinook Okimakanak eHealth

The Managed Service Model (MSM) program was launched in 2017 to provides access to timely and culturally safe healthcare services to First Nations communities throughout Ontario. Service development partners KO eHealth Telemedicine Ser-

CARE
VIRTUAL
CONTINUED ON PAGE 23 www.canhealth.com 20 CANADIAN HEALTHCARE TECHNOLOGY OCTOBER 2023
BC’s paramedic video consultation enables physicians and paramedics to establish a connection with one click.

Virtual mental-health clinic for women and their families is growing rapidly

BRIA (www.betterbria.com) opened in May 2022. It is the first of its kind Canadian virtual mental health clinic, a one-stop shop for women and their families struggling with mental health issues throughout fertility, pregnancy, postpartum, early parenthood and perimenopause.

BRIA offers an array of services including talk therapy, couples/sex therapy, fertility decision-making support, MD psychiatric care, hormonal assessments for perimenopause, ADHD care, sleep and nutrition coaching, as well as care coordination to guide people on their recovery journey.

Since launching, BRIA has cared for over 1,500 patients, first in Ontario, and then in Alberta as of March 2023. Our virtual clinic has grown by +500 percent year over year. In its short existence, BRIA has become an innovative healthcare platform for patients and their families, an excellent workplace for healthcare providers, and a leading voice for women’s mental health.

BRIA leverages different technologies to create a smooth consumer/patient journey that includes an active website where patients learn about services, a virtual booking system allowing patients to initiate their care, an electronic medical record system for secure note-taking by staff, electronic surveys to monitor patient symptoms and outcomes over time and a video conferencing system to connect with patients/clients.

Using a creative combination of existing software services, BRIA has gathered together the technology required to provide integrated multidisciplinary care to women and their families.

To validate that BRIA services are meeting patient needs, we sent out a satisfaction survey, and 70 percent of respondents rated BRIA 10/10. Comments included:

•“This service was absolutely incredible and got me through the hardest times in my life. I am so thankful for the care they provided me. Services were provided quickly and everyone I saw was caring and so kind”

•“[BRIA] made finding help easy!”

•“Doctors are very skilful, experienced and specialized. Also, along with other services, it’s a good package in one place.”

BRIA was awarded the Excellence in Fertility Care Award in June 2023 by Fertility Matters Canada to acknowledge exceptional patient care, leadership in the fertility field, and dedication to improving the lives of individuals/couples on the path to parenthood. This public recognition validated the organization’s innovative model of care and quality of services.

In addition, BRIA is a sought-after workplace for healthcare providers due to the supportive, diverse, and expert team. Healthcare providers with BRIA thrive with the interdisciplinary model of care, where multiple healthcare providers with different expertise contribute collaboratively to patient care.

Using an array of technology services makes it easy for providers to work efficiently remotely.

At a time when healthcare providers are burned out and overworked, BRIA has created a workplace where people feel excited to show up. BRIA currently has 30+

healthcare providers and continues to expand the team. BRIA’s licensed clinicians are covered by a range of benefits plans and insurance providers. Since 2020, many Canadians have been offered enhanced employee mental health benefits. BRIA is connecting with employers to facilitate

awareness about the range of women’s mental healthcare services available, helping employers to improve the well-being of staff and to retain female talent.

VIRTUAL CARE Discover the future together. Experience the five spheres of MEDICA. Member of DÜSSELDORF GERMANY 13–16 NOVEMBER 2023 Canadian German Chamber of Industry and Commerce Inc. Your contact: Stefan Egge 480 University Avenue _ Suite 1500 _ Toronto _ Ontario _ M5G 1V2 Tel.: (416) 598-1524 _ Fax: (416) 598-1840 E-mail: messeduesseldorf@germanchamber.ca For Travel Information: LM Travel /Carlson Wagonlit Tel: 1-888-371-6151 _ Fax: 1-866-880-1121 E-mail: ahoule@vovagelm.ca med2301_7x10"_GB.indd 1 20.04.23 14:43
Dr Ariel Dalfen, MD, FRCPC is the CEO and Co-Founder of BRIA.
www.canhealth.com OCTOBER 2023 CANADIAN HEALTHCARE TECHNOLOGY 21
Dr. Ariel Dalfen

Automate patient-reported outcomes data through electronic care journeys

Over the past few decades, Patient Reported Outcomes (PROs) have been transformative for healthcare – incorporating the patient’s voice into how care delivery is measured and guiding clinical decision-making.

However, the benefits of PROs have not been fully realized because patient-reported data is typically limited. It’s not consistently gathered or attainable due to manual, often paper-based processes and lack of persistent follow-up. The collection itself is limited to a few specific points in time during the care continuum, with providers collecting single PRO measures in many cases.

As healthcare becomes more patientcentered and value-based, it is important to ask: how can PROs collection enhance virtual care delivery?

Remote care technologies like Digital Care Journeys automate and streamline the collection of PROs. Throughout their healthcare journey, patients can self-report aspects of their health status, such as condition-specific symptoms, physical, mental, and social health, protocol compliance, and more, enabling providers to evaluate the effectiveness of healthcare interventions and inform care decisions.

Patients receive digitized questionnaires via mobile and web-enabled app, email, or text message links, can respond from outside a clinic or hospital setting, and receive timely reminders via automated workflows to self-complete the surveys. Having that multi-modality drives higher response rates. Providers can review the responses and data via dashboards and export data for additional research and insights.

Marina Stegne, project manager at Niagara Health, said, “With SeamlessMD, collecting Patient-Reported Outcomes Measures (PROMs) and tracking opioid use in real-time has been made easier for our healthcare providers. The technology also

allows patients to digitally receive comprehensive information to facilitate more effective self-management from home, allowing healthcare providers to redistribute their time and expertise more effectively.”

Here are some benefits of automating your PROs data collection:

•Collect more data to improve outcomes. Providers can collect numerous types of data across each episode of care through Digital Care Journeys. They can utilize validated PROMs questionnaires like PROMIS-10 or VR-12 for general health status checks, quality of life scores, protocol compliance, especially in Enhanced Recovery After Surgery (ERAS) programs; condition-specific questionnaires, including HOOS and KOOS for Orthopedics, KCCQ-12 for Cardiac; or OS-18 for Thoracic.

•Providers can also collect surgical-optimization questionnaires, such as screening surveys for frailty scores or nutritional status, because those scores might impact interventions around prehabilitation or other perioperative measures.

•The platform-enabled analytics and dashboards provide actionable insights from PRO data through real-time, custom reports generated to measure response rates, graph trends, and benchmark performance over time for an entire patient population.

•Beyond validated PROM questionnaires, PROs collected daily/weekly for the first 2-4 weeks after discharge (vs the usual 30-days/ 90-days/one-year post-discharge data) can be leveraged for quicker intervention for at-risk patients to reduce unnecessary ED visits, readmissions, complications, infection and mortality rates – the ‘lagging indicators’. By benchmarking ‘early indicators’, including mobilization

or carb-loading compliance, providers can improve the big-picture clinical outcomes.

Grand River Hospital, which implemented SeamlessMD as part of Ontario Health’s Remote Patient Monitoring initiative, reduced readmissions by 89 percent and ED visits by 62 percent in just seven months.

Deviceless remote monitoring solutions like SeamlessMD’s Digital Care Journeys can enable safer hospital-to-home transitions and empower self-management while continuing to collect PROs beyond the hospital setting.

With the effort required to manually submit PROs (via mail or in-person), patients can find the process tedious or feel they aren’t seeing enough value-for-ef-

rural populations. Care teams can track patient progress through real-time, granular PROs, effectively remote monitor, and intervene faster for at-risk patients.

“As a large proportion of our patient demographic often have to travel considerable distances for hospital visits, SeamlessMD’s innovative platform has demonstrated the value of offering virtual services to reduce in-person visits,” shared Dr. Travis Marion, orthopaedic surgeon, Thunder Bay Regional Health Sciences Centre (TBRHSC).

Boasting 85 percent patient enrolment, TBRHSC saw improved clinical outcomes and higher surgical throughput across 12 surgical pathways in just 16 months:

• 48 percent decrease in Length of Stay

• 32 percent decrease in ED

Visits

• 97 percent felt more confident at home after surgery

Meanwhile, the Montreal Heart Institute, which introduced SeamlessMD for their TAVI program to remote monitor and digitally collect PROs, reduced Emergency Department visits by 50.1 percent and readmissions by 33.5 percent.

fort, leading to low response rates. Digital Care Journeys provide value to patients throughout their episode of care via personalized feedback, reminders, education, progress tracking, etc., while workflow automation reduces burden for patients and providers alike. Patients are more willing to complete surveys as part of a comprehensive digital care journey experience.

Accessibility to care through digital platforms plays an important role in serving

Discharging patients sooner with the ability to remote monitor can free up bed capacity, thereby reducing the need to cancel procedures due to lack of beds, shorten wait times, and increase surgical throughput for outpatient procedures.

Automated PRO data collection through daily symptom questionnaires, surveys, and to-do lists prompt patients to adhere to care pathways, acts as a surveillance system for early signs of complications, and ensures both patients and providers feel confident.

This article was supplied by SeamlessMD.

Tele-robots can administer ECG exams, providing remote care

Robot-assisted care may be just around the corner. Research led by Vancouver Coastal Health Research Institute researcher Dr. Kendall Ho demonstrated the feasibility of using a general-purpose robot with humanlike capabilities to conduct a heart-related medical examination.

Dr. Kendall Ho is an emergency medical specialist, professor in the Faculty of Medicine, Department of Emergency Medicine at the University of British Columbia and lead of the Digital Emergency Medicine Unit.

Equipped with a touch feedback system, the robot was designed and programmed to simulate human touch to enhance the interpersonal relationship between it and study participants.

“For persons who live in remote locations, far away from hospitals or specialists, tele-robots can act as a conduit for

personalized and tactile care between a physician and patient,” said Dr. Ho.

Dr. Ho’s study – published in the Journal of Rehabilitation and Assistive Technologies Engineering (JRATE) – involved a robot with a moving arm and hand, the latter of which was designed to simulate human touch.

The robot was operated by a research team member called a ‘pilot’. The pilot donned a haptic glove, which controlled the robot’s hand, and an augmented reality (AR) headset that live-streamed video from the robot’s head-mounted camera.

While AR headsets have been around since the late 1960s, their use in healthcare delivery is still in its early stages.

The first AR-supported surgery took place as recent as June 2020 at Johns Hopkins University in Baltimore.

The AR headset used in Dr. Ho’s study was worn over the pilot’s eyes, projecting a virtual version of the test environment from the robot’s point of

view. In some cases, AR can superimpose computer-generated information on top of an environment to provide additional layers of information or engagement.

Eleven volunteers aged 19-49 years with no known existing health conditions individually attended a one-hour test session in a study room with the robot and a

– an important vital sign and health indicator. These ECG readings were stored in a cloud-based database for later analysis by the study team.

The research team monitored the safety of the robot in performing these tasks for the duration of the exam, including the degree of pressure exerted by the mechanical hand on a participant’s body, as well as the accuracy of the robot’s ECG scan readings and ability to form a connection with each study participant.

“We found that the robot’s ECG readings were relatively consistent across all participants,” said Dr. Ho.

clinician. In another room, the pilot moved a haptic glove to direct the movements of the robot’s arm in performing an electrocardiogram (ECG) examination.

The robot’s hand was guided by the pilot to place a digital ECG stethoscope remote against each participant’s chest to pick up electrical signals in the heart

Dr. Ho and his team found that all participants felt comfortable with their tele-robot examiner and safe during the exam. Seventy-two percent of participants also noted a preference for remote medical exams in the future.

VIRTUAL CARE
This article was supplied by the Vancouver Coastal Health Research Institute.
www.canhealth.com 22 CANADIAN HEALTHCARE TECHNOLOGY OCTOBER 2023
A human-controlled robot was able to conduct ECG exams from a distance, providing heart-related care.

ble to make adjustments to the workflow and content in a rapid fashion, as decisions could be made quickly and there was no need to re-train other people.

The impact of the evolving workflow was periodically assessed informally from the perspective of the clinician experience, the overall efficiency of the clinic and the patient/caregiver. From the perspective of the clinician, a marked reduction in burden of documentation was noted.

Furthermore, time was invested during or after the visit manually producing a clinical note. While this efficiency was not quantified, a high degree of satisfaction was noted during clinical encounters.

Without any change in staffing or other significant operational changes, a 91.6 percent increase in number of visits was noted within three years of maturation of the workflow.

A feedback questionnaire was also made available to the patient’s caregivers to complete on a voluntary basis in the first year of the deployment, and 26 responses were obtained. There was a net positive response to the questions “The questionnaire helped me express my concerns” and “I am satisfied with these questionnaires as a way to provide information about my child to the medical team”.

Challenges and opportunities: Understanding the possibilities and limitations of available technologies can be challenging. The project was closely tied to the clinic’s transition to a new electronic medical record, providing an opportunity to reevaluate the existing workflow and explore market solutions.

However, this required a significant time investment and stakeholders had to experiment with the technology platform.

Another obstacle was the dependence on information from other healthcare providers, often received in a static PDF format, necessitating manual extraction and coding into the patient’s chart. Though the option of structured electronic information submission existed,

3 ways tech delivers

CONTINUED FROM PAGE 16

this is through a combination of hardware, software and wireless solutions designed specifically for healthcare’s required privacy, security and safety standards.

Patient appointments, diagnostics, transports, transfers, and treatments need to be well orchestrated, and telehealth and remote patient monitoring must be managed alongside on-site patient appointments and monitoring.

Executing such a diverse healthcare model with precision requires dynamic, real-time communication and information sharing between geographically dispersed care team members and nonclinical staff, as well as a certain level of automation.

How to do it? By leveraging tailored clinical mobility solutions, real-time location systems, secure healthcare information databases, and efficient automation tools that are proven to support

there was no incentive for providers to adopt it, creating a hurdle in workflow efficiency.

Privacy concerning personal health information (PHI) was a critical consideration. The software used in the project complied with Canadian privacy regulations and underwent third-party audits.

Reliability and bias in electronic data collection, particularly in automatic tasks, were also important concerns. Nonetheless, the software had been extensively used for research data collection, including validated clinical questionnaires.

Patient accessibility was another crucial factor. Some caregivers lacked access to mobile devices or the internet, while others faced physical disabilities, language barriers, or cultural considerations.

In such cases, questionnaires were col-

lected during the visit with the clinician, and efficiencies gained in other areas were redirected to accommodate patients who couldn’t complete the questionnaires electronically.

Future efforts include supporting clinical content in multiple languages and ad-

sion making, efficiency of deployment and utilization of rapid iterations of updates allowed the clinic to quickly optimize the workflow and extract the greatest efficiency.

dressing feedback from patient experience questionnaires.

Conclusions: It is believed that the success of this particular project was largely due to it involving one lead clinician with administrative support. The speed in deci-

Once a clear value proposition can be articulated and demonstrated, the eagerness for others to come onboard allows for organic expansion within a community. Utilizing the need for the clinic to move onto a new EMR platform meant an opportunity to reevaluate the organization’s goals and reassess every aspect of the clinic’s workflow. Allocating enough time to allow for this process is essential along with an open mind to possibilities.

Dr. Puneet Seth was an employee and shareholder of the company producing the software discussed in this article at the time of the study.

Telehealth and virtual care from e-Health 2023

CONTINUED FROM PAGE 20

vices (KOeTS) and the legacy Ontario Telemedicine Network (OTN) designed the MSM Program as a response to Ontario’s First Nations Health Action Plan. MSM’s aim is to provide virtual point-ofcare access to clinical services for Indigenous people living in community. The project is facilitated using OTNinvite, a videoconferencing feature that allows individuals external to OTN’s network to participate in real-time video visits.

MSM is a virtual care entry point for Indigenous populations where access to home-based computing and reliable broadband services are limited or where the family home is not a safe or appropriate location for confidential clinical encounters. There is no community cost for MSM, and the program provides a PC videoconference package. MSM Navigators facilitate appointment booking. Communities provide a private consult room and an internet connection and assign an unpaid local resource to assist with client’s access to the room.

Unlike room-based service models,

positive patient identification, inventory management and a “single source of truth” about a patient’s history.

•Institute care models rooted in patient expectations – patient-centered care: At its core, healthcare is about taking care of people. And part of doing that is meeting their expectations. It’s really not a new idea, but patient expectations for their care have changed – especially post-pandemic and with technology intertwined in just about every aspect of life. It’s up to the healthcare industry and providers to leverage tech solutions to ensure their care models put patients and their expectations for ease, convenience and visibility front and centre.

Healthcare thought leaders recognize that bringing disparate functions of the hospital into a single cohesive system is the key to providing the finest patient care in the most operationally efficient way.

Many are making a move to unified systems for greater visibility. In fact, according to Zebra’s Global Healthcare Vision Study, 88 percent of decision-makers

MSM access requires nominal community administration and engages no dedicated administrative or clinical supports at the patient site. Clinical appointments are limited to an ‘interview-style’ format and are not supported by diagnostic peripherals. Consults are enabled through a private and secure web link.

Community engagement is continuously provided by a regional telemedi-

MSM is facilitated by OTNinvite, a videoconferencing service that allows real-time visits.

cine navigator (RTN) and assistant navigator located in KOeTS Hub office in Balmertown, Ont. They identify and schedule healthcare providers and services to meet the needs of the community members.

Delivery: KOeTS and legacy-OTN staff note the post pandemic surge in utilization which reflects both the predominance of virtual care delivery during the pandemic

surveyed agree that patients expect increased visibility in their treatment plans and more control over their care. And three technology-powered strategies are leading the way: real-time intelligence, intelligent workflow automation and healthcare-optimized mobility solutions.

Clinical mobility puts powerful devices into the hands of both clinical and support staff across the hospital. No longer confined to communications alone, de-

and MSM’s capacity to engage new providers and service-level strategies. The absence of dedicated/paid staff at community endpoints is associated with limited enthusiasm for program engagement/promotion among community members and providers.

Program Management: Access to services via MSM comes with no direct costs to the community; however, indirect costs associated with service-level requirements appear to exceed the capacities of many Indigenous communities. The MSM program is available at 46 virtual points-ofcare. MSM was designed to close healthcare access gaps on-reserve by enabling Indigenous people in Ontario to meet with providers in their community.

This is just a sample of the wealth of knowledge and experience shared at e-Health every year. Come to e-Health to ask soak up new ideas, ask questions, and learn from your digital health and healthcare delivery peers from across Canada. The next e-Health Conference and Tradeshow takes place in Vancouver from May 26-28, 2024. Visit e-healthconference.com for more information.

ness. Moreover, 80 percent of clinicians and 87 percent of executives agree patient care would improve if nurses, clinicians and nonclinical healthcare workers had collaboration tools and healthcare applications.

By working with technology in new ways – shifting to an omnichannel healthcare model mirroring modern retail environments and providing patientcentered care – the healthcare industry and providers can give patients the experiences they deserve.

vices and applications are evolving to meet the changing needs of the healthcare environment. It has also proven to deliver the care patients today expect.

Based on Zebra’s survey results, eight-in-10 clinicians and decisionmakers agree mobility solutions increase the focus on patient care and attentive-

Rikki Jennings, BSN, RN, CPN is currently the chief nursing informatics officer (CNIO) at Zebra Technologies where she is responsible for combining her knowledge of patient care, informatics concepts, and change management to effectively address the information and knowledge needs of healthcare professionals and patients to promote safe, effective, and efficient use of IT in clinical settings. Rikki holds a Bachelor of Science in Nursing from University of Iowa. Learn more at www.zebra.com

Pediatric health crisis
FROM PAGE 17
CONTINUED
Patients expect increased visibility in their treatment plans and more control over their care.
www.canhealth.com OCTOBER 2023 CANADIAN HEALTHCARE TECHNOLOGY 23
In the view of the clinician, a marked reduction in the burden of documentation was noted.

The quickest way from a billion points of data to a point of view

In a world that produces more data than ever, find answers 30 times faster than ever. SAS® Viya® is the AI and analytics platform that also lowers cloud operating costs by an average of 86%, so you can build models faster and scale further.*

Start turning data into insights at sas.com/viya.

Turn static files into dynamic content formats.

Create a flipbook
Issuu converts static files into: digital portfolios, online yearbooks, online catalogs, digital photo albums and more. Sign up and create your flipbook.