Dental Technology Summer 2024

Page 1

VITA Celebrates 100 Years of Innovation as the Leading Pioneer in the Dental Industry

Made By Hand: When No-One Can See That It’s Dental Technology

ADTO Cruise: Come Aboard for a Night of Fun and Networking

DENTISTRY DEPENDS
TECHNOLOGY INSIDE PM#40065075 –Return Undeliverable Items To: Craig Kelman & Associates, 3C-2020 Portage Avenue, Winnipeg, MB R3J 0K4 THE OFFICIAL PUBLICATION OF THE DENTAL TECHNICIANS ASSOCIATION OF BRITISH COLUMBIA AND THE ASSOCIATION OF DENTAL TECHNOLOGISTS OF ONTARIO SUMMER 2024 Pacific Dental Conference & Technorama Recaps
ON

MultiColor

Nano-ceramic hybrid CAD/CAM disc with Invisible Layer Technology for Enhanced Esthetics

NANO-CERAMIC HYBRID CAD/CAM DISC

86% filled for enhanced strength and excellent wear resistance

Toothlike elasticity and thermal expansion

allows for thinner crown margins

Natural esthetics with enhanced color stability and polish retention

No firing required for true one-appointment dentistry

Easy intraoral polishability, characterization and repair

Available in 11 Vita shades, 2 transparencies and 6 MultiColor variations for enhanced, natural esthetics

98.4 mm × 15 mm size capable of up to 30 restorations per disc

Also available from VOCO’s CAD/CAM Milling Line:

Grandio blocs · Grandio disc

Structur CAD blocks

Structur CAD discs

FDA 510k-licensed biocompatible 3D print resin to produce clear thermo-flexible therapeutic splints, retainers and night-guards

High flexural strength and excellent wear resistance allow for device as thin as 1 mm

Thermo-flexibility, biocompatibility, odorless and neutral flavor increases patient acceptance

Extremely fracture resistant and durable

Clear-transparent, easy to polish and color stable for excellent esthetics

No sedimentation – no shaking or “rolling” prior to use

Introducing V-Print – a new line of sedimentation-free 3D Print resins:

V-Print® splint · V-Print® c&b temp

V-Print® SG · V-Print® dentbase

V-Print® DT · V-Print® Try-In

V-Print® model 2.0 · V-Print® tray

V-Print® cast

Validated for 3D printers from trusted partners like Asiga® , Dental Wings, rapidshape, Microlay® , Shining 3D® , MiiCraft, Ackuretta, Shera, Straumann and SolFlex. For a complete list go to www.voco.dental/3dprintingpartners

Asiga, Ackuretta, Microlay, MiiCraft, rapidshape, dental wings, Shera, and Straumann are not registered trademarks of VOCO GmbH

through and

VOCO Canada · toll-free 1-888-658-2584 · Fax 905-824-2788 · infousa@voco.com · www.voco.com Call 1-888-658-2584
SOME
V-Print®
THINGS NEED TO BE SHAKEN …
V-PRINT DOES NOT
splint comfort
STRONGEST STRONGEST IN ITS CLASS IN ITS CLASS No Firing Required! LEARN MORE LEARN MORE Available
other fine distributors. Incisal layer Cervical layer Basic tooth shade
Mediloy® RPD • • •
FLEX PROGRAM FLEX your purchasing power to get new equipment for LESS! Buy a new scanner, 3D printer, or mill and earn a 10% rebate on incremental merchandise purchases. Your rebate will be applied directly to the quarterly payment of your equipment. Contact your Zahn Canada Representative or Scan the QR Code to Learn More Supplies | Equipment | Practice Management Systems | Digital Technology | Technical Service | Practice Services Participating in a promotional discount program is only permissible in accordance with discount program rules. By participation in such program, you agree that, to your knowledge, your practice complies with the program requirements. Note: This promotion offers a bundled discount. You must fully and accurately report any discounts, rebates, or other price reductions (“Discounts”) to any other Federal or Provincial program upon request by any such program. You must claim the benefit of these discounts in the fiscal year in which the discounts are earned, or the following year. Accordingly, you should retain any documentation, including your invoice or purchase order, of Discounts. It is your responsibility to review any agreements or other documents applicable to these prices to determine if they are subject to any Discounts. Minimum terms and conditions: Rates and programs are subject to change at any time, without notice. All transactions are subject to the satisfaction of underwriting guidelines, credit approval, documentation requirements, and not all applicants will qualify. This program applies to qualifying equipment only and may be subject to and exclusive of, applicable taxes. Henry Schein Financial Services retains the right to modify or terminate the promotions at any time without further notice. This financing program is available through Henry Schein Financial Services only. Certain other restrictions and additional terms and conditions may apply. Purchases must be invoiced and funded by June 30, 2024. Offer expires June 30, 2024. Promotion not available in Quebec. © 2023 Henry Schein Canada. No copying without permission. Not responsible for typographical errors. 23BS1179 *Some exclusions may apply. Contact your Henry Schein representative for more information.

7181 Woodbine Avenue, Suite 235

Markham, ON L3R 1A3

Toll Free: 877-788-ADTO (2386) (within Ontario)

Telephone: 416-742-ADTO (2386)

Fax: 416-798-2613 www.adto.ca

MB #273 - 12100 Riverside Way Richmond, BC V6W 1K5

Ashley Opitz, Office Administrator Telephone: 604-278-6279 www.dtabc.ca

©2024 Craig Kelman & Associates Ltd.

All rights reserved. The contents of this publication may not be reproduced by any means, in whole or in part, without prior written consent from the publisher.

Published by:

3rd Floor, 2020 Portage Avenue

Winnipeg, MB R3J 0K4

Tel: 204-985-9780 Fax: 204-985-9795

Email: jenna@kelman.ca www.kelman.ca

Managing Editor: Jenna Conrad

Design/Layout: Dia Chea

Marketing Manager: Chad Morrison

Advertising Coordinator: Stefanie Hagidiakow

Return undeliverable Canadian addresses to:

Craig Kelman & Associates

3C-2020 Portage Avenue

Winnipeg, MB R3J 0K4

Publication Mail Agreement: PM#40065075

VITA is celebrating its 100th anniversary, known for pioneering technologies and innovations in the dental industry. The celebration includes a variety of activities, events, and educational formats, including product line extensions, educational courses, and a social media competition.

Made By Hand: When No-One

Ioulianos Moustakis discusses the art of creating realistic artificial teeth in dental technology with emphasis on the significance of creating a natural look and feel.

The ADTO Cruise is back on June 21, 2024, at the Marina Quay West in Toronto – a great way to celebrate the beginning of summer.

This document is printed on paper certified to the standards of the Forest Stewardship Council® (FSC®). THE OFFICIAL PUBLICATION OF THE DENTAL TECHNICIANS ASSOCIATION OF BRITISH COLUMBIA AND
ASSOCIATION OF DENTAL TECHNOLOGISTS OF ONTARIO
THE
CONTENTS
A DTO President’s Message ....................................................................................................6 DTABC President’s Message 8 H R Insider 10 M anagement Tips 11 A DTO Member Profile 24 In Loving Memory ................................................................................................................... 26 Industry News 27 Classifieds 28 Advertiser Product & Service Centre 30 SUMMER 2024 This magazine is printed on paper certified to the standards of the Forest Stewardship Council® (FSC®). 2024 Pacific Dental Conference Recap .................................. 12 A recap of the 42nd Annual PDC, which took place from March 7-9, 2024. 2024 Technorama Recap ........................................................... 14 A
VITA Celebrates 100 Years of Innovation as the Leading Pioneer in the Dental Industry ...................... 16
recap of DIAC’s Technorama, which took place from April 5-6, 2024.
Can See That It’s Dental Technology ...................................... 19
ADTO Cruise:
Aboard for a Night of Fun and Networking ........................................... 23
Come
12 14 SUMMER 2024 5

Box 397, 101-1001 West Broadway

Vancouver, BC V6H 4E4

7181 Woodbine Avenue, Suite 235 Markham, ON L3R 1A3

Ashley Opitz, Administrative Assistant

Toll Free: 1-888-495-4566

Toll Free: 1-877-788-ADTO (2386) (within Ontario)

Telephone: 604-278-6279

www.dentaltechniciansofbc.com

Telephone: 416-742-ADTO (2386)

Fax: 416-798-2613

www.adto.ca

DTABC BOARD OF DIRECTORS

ADTO EXECUTIVE BOARD OF DIRECTORS

PRESIDENT

PRESIDENT

Hal Hamilton, RDT

Karim Sahil, MDT, RDT

VICE PRESIDENT

VICE-PRESIDENT

Chris Opitz, RDT

Shabana Mirza, RDT

John Eggeling, RDT

TREASURER

Nadja Jakobi, RDT

Aura Szigiato, RDT

Greg Tamkin, RDT

Stuart Thomson

SECRETARY

Debra Orozco Blanco, RDT

MANAGEMENT STAFF

ADTO PRESIDENT’S MESSAGE

Karim Sahil, MDT, RDT, President, Association of Dental Technologists of Ontario

Setting Sail and Celebrating Success

Summer is finally here, and we are one step closer to our goals. Technorama and ASM24 were both huge successes, and the future looks exciting with all the new technology and amazing products. The challenge is to choose which one is right for your business.

The great news is that when confusion occurs, we tend to create a longing to know, which is why we encourage our respected members to attend face-to-face tradeshows and social events. Meeting other professionals who can share their success stories has always drawn our attention, and we have become a better Board of Directors with your constructive feedback. So, join us at ADTO’s ‘All White Attire’ Yacht Cruise, which is back by popular demand.

On Friday, June 21, 2024, we will set sail around the beautiful Toronto islands and watch the sun slowly set to bring out the city lights. A sit-down dinner inside Toronto’s famous ‘Yankee Lady’ yacht promises elegance, a three-tier platform that can accommodate both fun and quiet, and a romantic scenery. Visit www.adto.ca for more information.

This year, we had another excellent opportunity to be a part of many groups and individuals who provided donations and awards to our future healthcare professionals. The School of Dental Health annual awards ceremony at George Brown College was a fantastic moment for many graduating students who received certificates for their hard work. I was proud to present these

Malcolm Ashford Executive Director

MEMBER BENEFITS

Chris Ji, RDT

DIRECTOR OF COMMUNICATIONS AND MEMBER SERVICES

DIRECTOR

Zhe Lin, RDT

Renata Cecconi 604-940-2995

PAST PRESIDENTS

2016-2020 - Franklin Parada

2010-2016 - Jason Robson

2007-2010 - Gabriel Ghazal

2004-2007 - Stephen DeLuca

2003 - Michael Hrabowsky

2001-2002 - Al McOrmond

2000 - David Kochberg

1999 - Thomas Kitsos

1998 - Feliks Dawidowicz

1997 - Wilhard Barth

1996 - Bob Huybrechts

1994-1995 - Andre Theberge

1992-1993 - Michael Hrabowsky

1990-1991 - Jamie Matera

1989 - Joe Nagy

“We are one province away from creating our dialogue for our approach to a national voice. With many RDTs highly in favour of this initiative, it serves right to begin a process, elevate our presence as dental technologists, and maintain our craft as regulated

healthcare professionals.”

CLICK HERE TO RETURN TO TABLE OF CONTENTS
SUMMER 2024 6
“This year, we had another excellent opportunity to be a part of many groups and individuals who provided donations and awards to our future healthcare professionals. The School of Dental Health annual awards ceremony at George Brown College was a fantastic moment for many graduating students who received certificates for their hard work.”

students with their awards as the President of the Association of Dental Technologists of Ontario. The ADTO has proudly supported its yearly donations to George Brown College. This year, our donations were able to help five hard-working students with bursaries for their school year.

We are one province away from creating our dialogue for our approach to a national voice. With many RDTs highly in favour of this

initiative, it serves right to begin a process, elevate our presence as dental technologists, and maintain our craft as regulated healthcare professionals. Every member’s feedback will not only be important but necessary for us to move forward. Please check emails and attend important meetings that will take place in the future.

On behalf of your Association, I would like to thank you for your consistent support and

for allowing your Board of Directors to be able to serve at such a high level. If you have any questions, please email us at info@adto.ca.

CLICK HERE TO RETURN TO TABLE OF CONTENTS
TECHNOLOGY
DENTISTRY DEPENDS ON
MDT, RDT
Association of Dental Technologists of Ontario
SUMMER 2024 7

MB #273 - 12100 Riverside Way Richmond, BC V6W 1K5

Ashley Opitz, Office Administrator Telephone: 604-278-6279 office@dtabc.ca www.dtabc.ca

DTABC BOARD OF DIRECTORS

PRESIDENT

Will N. Varda, RDT, Anvarda Dental Services Ltd.

VICE-PRESIDENT

Calvin Moon, RDT, Moon Dental Technology Solutions

PAST PRESIDENT

James Neuber, RDT, Ocean Ceramics Ltd.

Ayumi Hirose, RDT, Nacre Dental Ceramics Ltd.

Mohammad Lashgary, RDT, Kinetic Dental Laboratory

Olaf Lutz, RDT, Okanagan Dental Lab Inc.

Chris Opitz, RDT, Shanto Dental Ceramics Ltd.

Donald Park, Smile Innovations Group

MANAGEMENT STAFF

Lih Fen Young, RDT Executive Director lih@dtabc.ca

Ashley Opitz Office Administrator office@dtabc.ca

Will Varda, RDT, President Dental Technicians Association of BC

A Vision for a Collaborative Future

Hello everyone, I want to take this opportunity to introduce myself as the new President of the DTABC and share a bit about my journey and hopes for our profession’s future. With 25 years of experience under my belt and as the owner of Anvarda Dental Services in North Vancouver, BC, dentistry has been a part of my life for as long as I can remember. Growing up, my dad, a dental technician, ran a lab out of our house. Picture this: my childhood bedroom was down the hall from the lab, so I practically grew up surrounded by dental tech talk and the hustle of dental offices. Some might argue that it was a tad too early to be immersed in the world of dental technology, but I count myself lucky to have found my passion so young.

We’re living in a time of incredible change in our industry, and it’s nothing short of thrilling to be right in the midst of it. From 3D printing to AI, technological advancements are happening faster than ever. And with the recent amalgamation of all dental health professionals under the BCCOHP, we have a unique opportunity to explore new collaborations and expand our scopes of practice. My goal, not just during my term but in my day-to-day work at the lab, is to foster connections by openly sharing information and techniques. This not only benefits us individually but also strengthens our profession, creating a more open dialogue that extends beyond mere partnerships.

Remember the days when technicians guarded their techniques like precious family heirlooms? I vividly recall moments when I’d try to peek over a tech’s shoulder to learn their porcelain stacking methods, only to be met with a subtle turn away

or a crucial step conveniently omitted from the explanation. It felt like trying to pry a secret recipe from a skeptical family matriarch! But thanks to the internet and social media, those days are behind us. Now, techs everywhere are freely exchanging detailed workflows and ideas. I’ve personally forged many friendships online through open sharing and discussion. It’s a reminder that we’re not competitors but collaborators, each with unique insights to offer and lessons to learn.

As President, my mission is to cultivate this culture of openness at the local level. I want to encourage partnerships with our friends in the Denturist Association of BC and put an end to the lingering suspicions among us dental technicians. There’s more than enough work to go around, and by working together, we can thrive in an increasingly demanding field.

I’m excited to organize more events that promote transparent sharing. I look forward to seeing all of our members at the DTABC AGM on Saturday, June 8, 2024, at the Richmond Holiday Inn Vancouver Airport. During our seminars, I’ll be sharing some digital workflow ideas, as will our other speaker, Angus Barrie RDT. Please visit www.dtabc.ca for more information.

I can’t wait to meet each and every one of you!

CLICK HERE TO RETURN TO TABLE OF CONTENTS DTABC PRESIDENT’S MESSAGE
DENTISTRY DEPENDS ON TECHNOLOGY
SUMMER 2024 8
1-800-268-4442 | www.centraldentalltd.com | 3420 Pharmacy Avenue, Scarbrough ON M1W 2P7 $27.40 (1x6) $11.75 (1x6) $4.85 (1x6) Available exclusively from Ruthinium acrylic teeth Premium Quality at an Economy Price

How to Create a Stress-Free Work Environment

Workplaces can have many stressors. These can make it more challenging for staff to get their work done, cause burnout, and reduce productivity. If left unmanaged, stress can take a major toll on an individual’s mental and physical well-being.

According to one study, nearly half (49%) of Canadians surveyed who are currently employed full-time say they feel fatigued at the end of a regular workday. 64% of respondents describe their position as ‘very stressful’ or ‘moderately stressful,’ and 33% have felt depressed because of work.

It’s clear that employees are feeling the effects of stress in the workplace, making it a topic employers must address. Reducing workplace stress benefits everyone across the business. It can increase employee satisfaction and morale, cause fewer workplace injuries, and reduce employee turnover.

What are some of the common signs of stress?

It’s important to recognize some of the common signs of stress. This will help employees develop the necessary strategies to provide support.

Some signs of too much stress:

• Headaches

• Trouble focusing

• Low energy

• Muscle tension

What causes work-related stress?

Stress has multiple causes, and it depends on the nature of the job and how individuals handle stress. However, there are common causes, such as:

• Heavy workload

• Lack of growth opportunities

• Poor work communication

• Unhealthy work environment

• No work-life balance

• Unsafe working conditions

“It’s clear that employees are feeling the effects of stress in the workplace, making it a topic employers must address. Reducing workplace stress benefits everyone across the business.”

What can employers do to help reduce stress in the workplace?

1. Create a teamwork culture: It’s important for employees to feel a sense of community within the workplace. Employees want to feel connected to their team members and the company’s core values. A positive work environment helps to build open communication and increases employee engagement.

2. Provide resources and support: If stress levels are significantly impacting someone’s work performance or daily life, employers should consider offering support, such as an Employee Assistance Program (EAP).

3. Encourage regular breaks: It’s essential to encourage employees to step away from their work and mentally disengage throughout the workday. Sometimes, when working too hard, you forget to take a break, leading to burnout even faster.

4. Maintain a work-life balance: A significant work stressor is a lack of work-life balance. Unless required, encourage staff not to check work emails or take calls after their regular work hours. Sometimes, staff may feel the need to do so, but this can lead to burnout.

5. Set clear expectations: Employees who are clear about their requirements and expectations surrounding their role and performance are less likely to become overstressed. Not knowing these things can be very stressful, and

employees may worry whether they are doing too much or not doing enough.

6. Encourage healthy eating and exercise: Exercise and healthy eating are great tools for reducing and preventing stress. Exercise helps reduce risk factors for virtually every negative health condition. Taking care of your body by being conscious of what you’re eating also helps control obesity and contributes to overall better health.

7. Offer flexible work: If the job allows, give employees flexibility by enabling them to work staggered hours, considering their needs and lifestyle.

By implementing these strategies, employers can take proactive steps to reduce workplace stress and ensure staff feel happy and motivated at work. Managing stress isn’t a one-time thing; it must be an ongoing process and catered to the way different individuals handle stress.

Peninsula has been helping businesses with HR and health and safety compliance for 40 years. We are now trusted by over 120,000 SMB owners across the globe. In Canada, we support over 6,500 businesses in eight provinces, providing a service tailored to your business needs. Clients benefit from access to our 24/7 employer HR and OHS adviceline and coverage on legal through our Peninsula Protect Plus service promise. For more information, please visit www.peninsulagrouplimited.com/ca

CLICK HERE TO RETURN TO TABLE OF CONTENTS HR INSIDER
SUMMER 2024 10

MANAGEMENT TIPS

The Loyalty Puzzle: Building a Revolving Door Stopper for Your Lab

he ebb and flow of staff is a constant reality. From personal milestones like starting a family to external factors like economic downturns, reasons for leaving a job are plentiful. However, the COVID-19 pandemic has undeniably exacerbated staff turnover, creating a revolving-door syndrome in many labs. This instability hinders growth and eats into productivity. So, how do you build loyalty and stop your lab from becoming a revolving door?

TThe answer lies not in a single magic formula but rather in assembling a comprehensive puzzle. Each piece – from addressing compensation to fostering a positive culture – contributes to the complete picture of a lab with a loyal and engaged workforce.

Understanding Why They Leave: Picking Up the Scattered Pieces

The sudden departure of a valued team member can leave you scrambling for answers. Were they lured away by a higher salary? Did they feel stagnant with no opportunities for advancement? Were they overworked and underappreciated? These are all valid concerns, and each one represents a potential missing piece in your loyalty puzzle.

Addressing the Concerns: Putting the Pieces Together

1. Recruiting Savvy: There will always be recruiters targeting your staff with enticing offers. However, a loyal team, well-compensated and valued within your lab’s culture, will be more likely to deflect these attempts.

2. Growth Opportunities and Training: Competent staff crave professional development. Feeling like a dead-end job stifles their growth and can push them to seek greener pastures. While upward mobility in positions might be limited, invest in training that broadens their skill sets and contributes to the lab’s success.

3. Production-Based Incentives: While year-end bonuses are appreciated, regular production bonuses are a more immediate motivator. This incentivizes efficiency and productivity – a win-win for both you and your team.

4. Managing Upsets: Investing in Your People: Great staff don’t leave solely for money. Effective management styles that address individual needs are crucial. Take the time to understand your team members, their strengths, and their challenges.

5. Cultivating Culture: Leading by Example As the lab owner, you set the tone. Your attitude and actions have a ripple effect. Strive to be a strong, fair, and approachable leader who fosters teamwork and a fun environment.

6. Performance Reviews: Building a Roadmap for Success Regular performance reviews address many of the remaining concerns. These reviews are valuable tools for identifying strengths and weaknesses, setting goals, and discussing compensation. Utilize them to empower your staff to reach their full potential while ensuring their pay is competitive (consider using resources like Glassdoor to stay informed on market rates). Aim to pay slightly above market value and supplement salaries with regular production bonuses.

The Power of Validation: The Missing Corner Piece

Beyond the tangible aspects, acknowledge and celebrate your staff’s achievements. Recognizing their efforts, privately and publicly, strengthens their sense of value and reinforces loyalty.

Building a Loyal Team: Completing the Puzzle

By addressing these diverse aspects, you assemble a strong puzzle that fosters staff loyalty. Consider investing in leadership training to further refine your skills and become a leader who inspires and retains top talent. A loyal and engaged team isn’t just a feel-good outcome; it’s a critical factor in ensuring your lab’s long-term success and growth.

Remember, staff loyalty is an ongoing endeavour, not a one-time solution. Regularly revisit these puzzle pieces, adapt your approach as needed, and watch your lab transform into a place where talented individuals thrive and contribute to your shared vision.

JANICE WHEELER is the President and co-owner of The Art Of Management Inc., a practice management company dedicated to helping healthcare professionals reach their full potential. For more information, call 416-466 6217, email ami@amican.com, or go to www.amican.com

CLICK HERE TO RETURN TO TABLE OF CONTENTS
SUMMER 2024 11

HIGHLIGHTS FROM THE PACIFIC DENTAL CONFERENCE 2024

The three days of the Pacific Dental Conference (PDC) passed in a flash, filled with vibrant connections with colleagues and insightful lectures. It is undeniable: time truly flies when you are enjoying yourself!

With no virtual sessions available, the PDC buzzed with the energy of 14,845 attendees from every corner of the dental field. Being part of the bustling networking hub and collaboration among diverse dental professionals was nothing short of remarkable. The people radiated energy in connecting, sharing ideas, and immersing themselves in the learning process. The atmosphere, fostering a sense of constructive collaboration and camaraderie among professionals from various dental disciplines, was an invigorating experience, leaving us inspired and eager for more.

CLICK HERE TO RETURN TO TABLE OF CONTENTS
SUMMER 2024 12

We want to let you know that handouts from select sessions are still available for download on the PDC website. Additionally, please ensure to print your CE Credit Sheet and submit it to the BC College of Oral Health. Equally important is your feedback through the survey. Your insights drive improvements, shape future content, and ensure the PDC reflects your needs and interests. Your active participation is what makes the PDC truly your event. Access the survey at www.pdconf.com/ncs2024 to share your thoughts. Let us continue elevating the PDC together!

We are deeply grateful for the unexpected visit from the Honourable Mark Holland MP, Minister of Health, which was a remarkable highlight this year. On Friday, March 8, he made a special trip to the PDC with a specific agenda: to personally engage with all dental associations. With genuine concern, he allocated time to meet with each association individually. I had the privilege of engaging in a brief yet substantial conversation with him regarding our concerns regarding the dental technician profession.

A heartfelt thank you from DTABC and all its members to the incredible team behind the PDC, who work tirelessly every year to make this event possible. We also extend our gratitude to the sponsors whose unwavering support keeps DTABC thriving. Your commitment to advancing the oral health profession is truly commendable and deeply appreciated!

I wish you all a wonderful summer and look forward to meeting you again at the next Pacific Dental Conference – March 6-8, 2025.

CLICK HERE TO RETURN TO TABLE OF CONTENTS Visit the PDC website for upcoming program information at... pdconf.com Online Early Bird Register for the PDC and DTABC begins October 15th, 2024 Pacific Dental Conference March 6-8, 2025 Pacific Dental Conference Vancouver Canada Save these Dates!
SUMMER 2024 13

2024

DI AC ’S TECHNORAMA Recap

Tof Canada (DIAC) on April 5-6, 2024, at the Delta Toronto Airport Hotel & Conference Centre, marked another milestone of innovation and collaboration in the dental industry. Welcoming over 1,000 participants over two days, the 2024 show underscored Technorama’s enduring significance as a catalyst for progress and education. As a cornerstone of innovation and collaboration, Technorama annually convenes industry leaders and professionals to showcase cutting-edge advancements, foster valuable connections, and ignite transformative ideas. Exhibitors played a pivotal role in shaping discussions on products, services, and industry trends, reinforcing Technorama’s reputation as a driving force for innovation and advancement in dental technology.

Thanks to our top industry supporters for their generous prize contributions, four winners went home with something special. Once again, Technorama 2024 had a great turnout, a full house with great lectures, products, and, overall, a fantastic time!

Visit www.adto.ca for more amazing social events headed our way!

CLICK HERE TO RETURN TO TABLE OF CONTENTS
SUMMER 2024 14

PrimeTaper EV ™ Implant

Immed ate.

Shorten your implant installation procedure with the innovative PrimeTaper EV ™ Implant. Its self-cutting threads cut quickly and engage for linear torque build up. Its OsseoSpeed® surface maintains marginal bone for predictability and clinical confidence.1 And MicroThread® design mechanically stimulates long-term bone maintenance.

Experience an efficient approach to bone maintenance today. 1 Norton MR, Astrom M.

influence of implant surface on maintenance of marginal bone levels for three premium implant brands: A systematic review and meta-analysis. Int J Oral Maxillofac Implants 2020;35(6):1099-111
waive any right to its trademarks by not using the symbols ® or ™.
rights reserved. Advance with confidence with the PrimeTaper EV ™ Implant and our full EV Implant Family at www.dentsplysirona.com. Part of the Implants Signature Workflows powered by DS Core™. PrimeTaper EV™ Implant Astra Tech Implant® EV OmniTaper EV™ Implant
The
Dentsply Sirona does not
32672842-USX-2312 ©2023 Dentsply Sirona. All

VITA CELEBRATES

OF INNOVATION AS THE LEADING PIONEER IN THE DENTAL INDUSTRY

FOR 100 YEARS, VITA HAS BEEN CONTINUALLY CREATING BETTER SOLUTIONS FOR IDEAL PROSTHETICS

VITA Zahnfabrik and VITA North America are proud to celebrate the company’s 100th anniversary, a significant milestone in the history of the business. The fourth-generation family company is known for its pioneering technologies and innovations, including setting the shade standard for the industry. The company pioneered the field of tooth shade determination with the development of the world-renowned VITA classical A1-D4® shade guide and its proprietary VITA SYSTEM 3D-MASTER®, the first and only system of its kind that covers the complete range of natural tooth shades.

“The 100th anniversary is a special experience and another milestone in VITA’s history,” says Dr. Emanuel Rauter, Managing Partner of VITA Zahnfabrik. “We take pride in our accomplishments and look forward to the future, where we will continue to perfect and actively shape prosthetics. As a reliable partner in the dental industry, we are ready for another 100 years of innovative solutions, ensuring the best possible care for patients.”

The centennial celebration includes a variety of activities, events, and educational formats, including 100-highlighted educational courses and 100-minute webinars. A 100-year social media

competition was also launched, with monthly winners and a grand prize winner. Participants can enter by creating a post about VITA, using the hashtag #VITA100years, and tagging @VITA. The grand prize winner will receive an invitation to IDS2025 in Cologne, Germany, including travel and accommodations and two-day tickets to the show.

Several product line extensions will also be introduced during this momentous year: VITA MFT denture tooth line is now available in 16 VITA classical A1-D4® shades, 16 VITA SYSTEM 3D-MASTER® shades and three bleach shades. VITAPAN EXCELL® and VTAPAN LINGOFORM® are now available in all VITA classical A1-D4® and all VITA SYSTEM 3D-MASTER® shades. In honour of the 100th anniversary, VITA is also offering a limited-edition VITA VACUMAT® 6000M furnace in magenta.

VITA is a leading provider of innovative dental products, including pioneering tooth shade determination. From premium denture teeth and veneering materials to digital shade measurement, furnaces, and CAD/CAM restorations, VITA helps laboratory technicians and clinicians deliver high-quality and aesthetic results to patients quickly and efficiently.

For more information, visit www.vitanorthamerica.com or call 800-828-3839.

CLICK HERE TO RETURN TO TABLE OF CONTENTS
SUMMER 2024 16

The new milling blank compliments the VITA VIONIC portfolio. The VITA VIONIC DENT DISC multiColor is made of anorganically filled PMMA and can create up to 14 unit arches - making it the perfect match for full and partial dentures.

• High quality VITA premium teeth

• Abrasion support for long-lasting

• Excellent polishability

• High esthetics with integrated shade gradient

NEW!
VIONIC® DENT
VITA
DISC multiColor
dentures
Composite milling disc for high-quality, long-lasting, esthetic denture teeth in a digital workflow www.vitanorthamerica.com 800-828-3839 © 2024 VITA North America. VITA VIONIC® Solutions is a registered trademark of VITA Zahnfabrik. Availabe
VITA classical shades: A1, A2, A3, A3.5, B3, D3 Available in VITA SYSTEM 3D-MASTER Shade 0M1 (Bleach) 100 YEARS
in
Killarney -Ontario - Balsam lake www.micrylium.com 1-800-489-8868 Less Waste • Less Space PACK

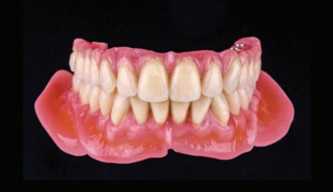
Dental technology is the art of imitation to ensure that only patients know that their teeth are artificial and that they feel them to be their own. In this way, we earn our money and make everyone just that little bit happier: patients, dentists, and even ourselves to a degree. Recognition of this is motivation for our customers and ourselves. It does not simply drop from the sky; it is hardearned, sometimes only gained with great effort, between the clinic and the laboratory by placing mutual trust in the expertise of the other for the planning of treatments, the selected procedure, the materials used, and the treatment and fabrication procedures used.

THE FULL DENTURE OF TODAY

Removable restorations are no longer the bread and butter of dental technicians’ business, with combination work instead taking their place. These include cover dentures in the form of hybrid dentures. They are today’s modern, highquality, periodontally or implant-supported full dentures.

CLICK HERE TO RETURN TO TABLE OF CONTENTS
WHEN NO-ONE CAN SEE THAT IT’S DENTAL TECHNOLOGY
WITH PERMISSION FROM CANDULOR –ORIGINALLY PRINTED AT WWW.CANDULOR.COM/EN/ EXPERT-KNOWLEDGE/MADE-HAND-WHEN-NOONE-CAN-SEE-ITS-DENTAL-TECHNOLOGY
I OULIANO S MOUSTAKIS
REPRINTED
MADE BY HAND: SUMMER 2024 19

It is best in these cases to draw on planning aids that are either available in one’s head and hands or software or both. One example is Gerber model analysis. Its advantage lies in its ability to identify statically secure support areas so that the posterior teeth occlude within a narrow, lingualized tunnel to reliably support the hybrid denture and to help prevent shear forces on implants.

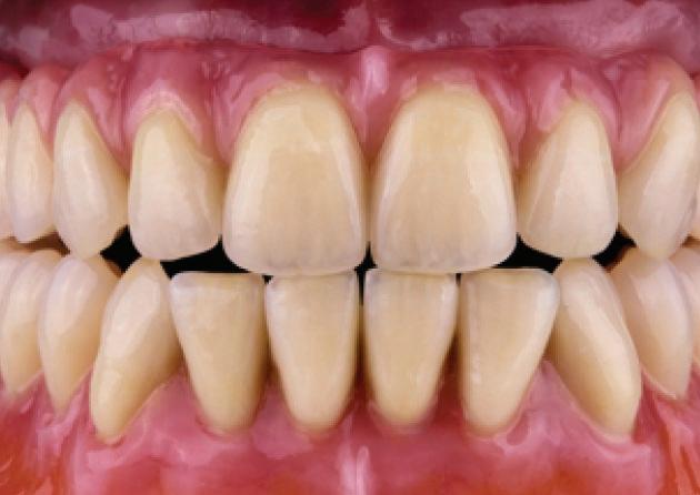
DECEPTIVELY REAL FOR THOSE AROUND THE PATIENT

It isn’t just dentists and dental technicians who look at people’s mouths and teeth. These days, just about everyone does it, and many are happy to confess to doing so. Whether patients can confidently enjoy this gaze with artificial anterior teeth reveals if dental manufacturers and the laboratory have done their job well or not. The anterior teeth act as a calling card for verbal and nonverbal communication, not just for hybrid dentures but also for all other removable restorations. The more life-like and thus natural they appear, the more difficult it is (for laypersons, and that is what’s important!) to identify the artificial.

For lips and mouth, naturally real…

If the laboratory has sufficient substance here to adapt the shape and foundation, the more effective the deception is, e.g., camouflaging combination and hybrid dentures. If the shapes and size of the range also coordinate, the surface texture creates life-like light refraction, and incisal translucence effects are imitated, as is the case with PhysioStar® NFC+, then based on my observations of patient reactions and those of the people around them, the perfect illusion has been created.

… also from the palatal view.

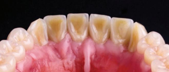
OCCLUSION IS BEST LINGUALIZED, CREATING A SAFE PATH, JUST LIKE A MARBLE RUN

With the Condyloform® II NFC+, static and dynamic contacts are present as tooth-to-tooth posterior tooth type within the periodontal or implant support area, with eccentric contacts (also for balancing) being reduced. The forces are transferred via BC contacts toward the bone-to-implant interface. Harmful leverage and shear forces acting on abutment teeth or implants are minimized thanks to the Gerber concept. Working time is also a relevant factor for premium dentures. The rapidly created support based on the mortar and pestle principle provides additional assistance here. Static and dynamic support is provided around the lingually moving parts of the chewing surfaces with guidance based on the shape of the joints. Contacts and their destabilizing effects are minimized by buccal wear cusps with sufficient volume to support the cheeks in the upper jaw. In a word, antagonists move on secure tracks just like a marble run. This is a contemporary approach and also boosts the longevity of the restoration, particularly if implants are used.

Tooth-to-tooth for autonomous occlusal stability.

CLICK HERE TO RETURN TO TABLE OF CONTENTS
Hybrid dentures are the full dentures of today. Lower jaw blueprint. Upper jaw blueprint.
SUMMER 2024 20

ABRASION-RESISTANT BECAUSE THE BITE HEIGHT IS FIXED

It is easy to write about good experiences and excellent reproducible results, even more so with mature techniques, materials, and semi-finished products for routine use. If quality and expertise are incorporated into the finished products, that is half the battle of working at a consistently high quality. This provides security for both the client and the dental laboratory. The key word here is ‘security.’ For implant-supported removable supraconstructions, the replacement teeth have to ‘adhere’ a great deal. Unlike natural teeth, implants have no receptors for neurological feedback about the occlusal pressure applied, which is why people wearing them often chew too hard. The material used here is crucial for success, and my experience and the feedback from my customers confirm that this is the case for NFC+, as this dental material is wear-resistant.

RED AESTHETICS: NATURAL APPEARANCE CREATED FROM THE INSIDE

Patients with hybrid denture restorations have had to endure a bit and would like to have a long-lived restoration and enamel that doesn’t chip. For this reason, I prefer to use intensive colours that are mixed into the denture base resin to stain dentures. This produces clean and outstanding craftsmanship, and the effect is always produced from the inside. As a result of aging, enamel develops cracks, and at some point, it chips; everyone is aware of this, but particularly, the red aesthetics must not be ‘brushed off’ and bleached out over time.

The PMMA-based AESTHETIC Intensive Colours make this possible because they are incorporated into the base resin during fabrication. This is more elaborate than applying stains but has excellent durability and is no longer something for patients to discuss with the dentist after a long period of wear.

Based on my experience, the following sequence is optimal for the colouring effect to be achieved from the inside: papillae, tooth roots, vestibular shield, labial frenulum, and then, just before finishing the fabrication, the base of the denture. I prefer shade 34 mixed with the intensive colours yellow and white for the papillae and tooth roots. The characteristic marbling effect for the vestibular shield is best achieved if the resin dough is only lightly mixed with a spatula. Shade 34 and the intensive colours red, brown, blue, and pink are mixed together.

CRAFTSMANSHIP IS CRAFTING BY HAND

Analog and digital dental technology are not mutually exclusive. Digital procedures are automated fabrication processes that help us work efficiently and precisely, provided constructions and data sets are prepared with expert dental technology know-how. Expert dental technology know-how is technical expertise we employ using analog and digital approaches, particularly for producing work that I have described in various sections here. As a dental technician, I rely on products that facilitate our expertise and fabrication procedures. For ‘analog products’ from dental technicians for dental technicians, this manufacturer is impressive for achieving outstanding results so that the imitation creates a naturally real illusion.

IOULIANOS MOUSTAKIS

• 2020 – First-place winner of the 2020 Panthera Master Cup.

• 2010 – Since 2010, he has worked with MDT Michael Zirkler as a DGZI-certified dental technical in Zirkler & Partner Zahntechnik.

• 1998-2010 – Employed in own laboratory in Athens focusing on implant prosthetics.

• 1993-1998 – Employed in the practice laboratories and commercial laboratories of Dr. Alexandros Tsiplikidis, Thomas Paul Zahntechnik, and Dr. Ingo Brigmann in Berlin.

• 1987-1993 – Employed as an all-around technician in two laboratories in Athens.

• 1985-1987 – Dental technician training in Athens, Greece.

Ideal for implant-supported hybrid dentures Colouring from the inside so that the enamel does not chip.
CLICK HERE TO RETURN TO TABLE OF CONTENTS SUMMER 2024 21
Invisible third: The best advertisement for dentists and laboratories.

Use Paper Responsibly

Today’s forest industry is working hard to become one of the greenest industries on earth.

Paper is an essential part of human civilization. While we all use and depend upon electronic communications, it is easy to ignore that it comes at an environmental cost. Worldwide spam email traffic creates greenhouse gases equivalent to burning two billion gallons of gasoline yearly, with numbers rising. More than $55 billion in toxic e-waste material is thrown away every year in the US alone, with a recycling rate of only 20% compared to 64.7% for paper.

No industry is perfect. But the paper industry has made, and continues to make, huge investments in environmental responsibility. Specifying and buying paper from certified sources ensures the continuation and growth of carbon absorbing forests. Using paper with appropriate amounts of recycled fibre helps preserve forests, conserve energy, and maximize fibre usage through paper lifecycles.

ADTO Cruise: Come Aboard for a Night of Fun and Networking

Back by popular demand, the ‘All White Attire’ ADTO Cruise returns on Friday, June 21, 2024.

We’ll board a new yacht at a new location. What a great way to celebrate the beginning of summer! Don’t miss your chance for a great networking event that has always been successful and created many great memories. Come out and enjoy the beautiful city of Toronto. Remember, dress to impress!

We’ll board the ‘Yankee Lady IV’ (https://yankeelady.ca) at the Marina Quay West (539 Queens Quay West, Toronto) at 7:00 pm. It promises to be a fun night filled with music and celebration. Buffet-style dinner and drinks are included. Admission is free to ADTO members. Guests are welcome for a charge of $100 each plus HST, which is non-refundable.

Please visit www.adto.ca to download the Registration Form. Seating is limited, so act fast by returning the form by June 7, 2024, to info@adto.ca if you haven’t done so. Feel free to contact us if you have any questions.

CLICK HERE TO RETURN TO TABLE OF CONTENTS SUMMER 2024 23
$100

ADTO MEMBER PROFILE:

Debra Blanco, RDT

Why did you choose to become an RDT? Where did you receive your education/training? What has your career path looked like thus far?

I received my diploma in dental technology at George Brown College. I chose to become a Registered Dental Technologist to feel a sense of closure in my educational journey and grow as a professional. I started my career back in my hometown, where I had a taste of ‘the real world.’ Two years later, I moved back to Toronto, where I was welcomed at an implantology clinic with an in-house laboratory.

What specific area of dental technology are you most passionate about?

I enjoy working in all dental technology areas but am most passionate about All-on-X restorations. From designing surgery cases to talking with clinicians and patients about their next prototype design to staining prostheses – I wouldn’t have it any other way. Fixed full arch restorations will always have my heart. But secretly, I also love doing repairs. There’s something about restoring a broken prosthesis and returning it to life. I love finding subtle ways to improve the aesthetics and, of course, figuring out the root cause of the breakage so that it doesn’t happen again.

What is a recent accomplishment or project you’re proud of in dental technology?

There’s a little something called imposter syndrome. It once cast a shadow on my personal and professional growth, suffocating me with self-doubt and a sense of inadequacy. In the early days of my career, I grappled with a constant feeling of falling short, constantly comparing myself unfavourably to others. I ended up neglecting my own journey. There were days I would feel paralyzed, trapped in a toxic mindset. My unhealthy workplace environment made me believe every other professional setting would be the same. I didn’t know where to go or what to do with myself. It was at my lowest moment that I decided I needed change, and I needed it as soon as possible. Today, my proudest accomplishment isn’t just my growth as a dental technologist but kicking imposter syndrome to the curb. I am proud of myself for understanding that we are all fearfully and wonderfully made. I am proud of putting myself first and moving on from places that didn’t fulfill me. I am proud of breaking the toxic cycles of imposter syndrome: perfectionism, paralysis, people-pleasing, and procrastination. Now, I revel in the joy of self-discovery and professional growth,

MY APPROACH TO STAYING UP-TO-DATE IS ALWAYS KEEPING AN OPEN MIND AND BEING EAGER TO LEARN MORE. I AM VERY FORTUNATE TO WORK AT A CLINIC THAT PROMOTES LEARNING ABOUT NEW ADVANCEMENTS IN DENTISTRY AND DENTAL TECHNOLOGY.
“ SUMMER 2024 24

embracing failures as stepping stones rather than pesky little stumbling blocks. Today, I stand tall, (mentally, not physically), having embraced my personal journey of becoming the best version of myself and vowing to be the best dental technologist I can be.

What is your approach to staying up-to-date on the latest advancements in dental technology?

My approach to staying up-to-date is always keeping an open mind and being eager to learn more. I am very fortunate to work at a clinic that promotes learning about new advancements in dentistry and dental technology. Whether it involves clinicians or technologists sharing their most recent findings or testing new equipment, products, or techniques, there is always something to learn. I have also stayed up-to-date by attending dental conventions like LMT Lab Day Chicago and other dental seminars.

How do you collaborate with dentists and other dental professionals to achieve the best patient outcomes?

The best predictable outcomes always happen when there is clear communication and understanding between the provider, the technologist, and the patient. One of my roles as a dental technologist is providing clinical support. Once patients are in phase II of their All-on-X journey, I sit with them and the dentist to review any modifications for their next prototype or final design. We discuss functionality, aesthetics, comfort, concerns, and any changes the patient desires. Our environment is very open and secret-free. We give each other the space to be heard and communicate effectively.

How do you ensure that your work in the lab results in a positive experience for dental patients?

I ensure that my work in the lab results in a positive experience for dental patients by doing everything with genuine care and not cutting corners. Working at an in-house laboratory has been a game changer for me. Interacting with patients has helped me understand the importance of effective communication and active listening. That said, I also believe that self-care is the

foundation of our ability to care for others. It’s important to prioritize our mental health and be in a good headspace. I start each day with a moment of reflection and prayer. During my morning drive, I give myself time to process my thoughts and emotions. By the time I get to the clinic, I’ve given myself the space to feel centred and prepared to offer compassionate care. This allows me to truly approach each task with love and patience. My dedication will always be to do what is right for the patient and never forget that behind every digital or stone model is a real human being.

Thinking back on your own career development, what qualities or approaches did a mentor have that were most helpful to you?

Looking back on my career development, Terry Xie has been a great inspiration and mentor to me. His generosity in sharing knowledge knows no bounds. He has shown me the value of staying open-minded and has created a space where my colleagues and I can thrive as professionals. His approach to a ‘no secrets’ environment has uplifted our workplace. His transparency, selflessness, and resilience are inspiring. He truly embodies the qualities of an exceptional leader and an outstanding RDT. All these things have contributed to my growth as a dental technologist. So, to Terry, I say thank you, and I’m very grateful to have had the opportunity to learn from him.

SUMMER 2024 25

Michael Hahn

A Message from BEGO Canada

Things happen that we do not understand but have to accept. It is with deep sadness and heavy hearts that we inform you of the loss of our colleague Michael Hahn, who passed away on April 2, 2024.

Words are still at a loss to us. The depth of our grief and sadness, which cannot be fully expressed, mirrors the profound despair felt by the BEGO team and all those who loved and respected Michael. Michael’s 15-year tenure with BEGO was marked by significant contributions to our business in Ontario, Atlantic Canada, and Manitoba.

Working with him was a pleasure and enriching. Michael, our colleague and friend, we shall miss you more than words can express, and we shall always think of you with the highest respect!

All of us at BEGO wish to convey our deepest condolences to Michael’s family, friends, and clients; our hearts will remain with you, Michael.

“MICHAEL’S 15-YEAR TENURE WITH BEGO WAS MARKED BY SIGNIFICANT CONTRIBUTIONS TO OUR BUSINESS IN ONTARIO, ATLANTIC CANADA, AND MANITOBA.”

Jerry Klein

A Message from ADTO

The ADTO extends condolences to the family of Jerry Klein, who passed away on April 15, 2024. In 1994, Jerry joined the ADTO Board of Directors and served on the Board for 15 years. In 1996, he was elected as the Continuing Education Chair, and over the next 13 years, he organized a string of successful seminars for his colleagues.

In recognition of his contribution to the profession, Jerry was awarded the prestigious Fellowship Award in 2012 (https://adto.ca/wp-content/uploads/2024/04/jerryklein-fellowship-award.pdf). He will be greatly missed for his leadership in the dental technology industry.

“IN 1994, JERRY JOINED THE ADTO BOARD OF DIRECTORS AND SERVED ON THE BOARD FOR 15 YEARS.”
IN LOVING MEMORY
SUMMER 2024 26

Passion for Full Dentures –KunstZahnWerk (KZW) Competition 2025

CANDULOR announces the 14th International KZW Competition. This year, the renowned Swiss dental competition once again focuses on full denture prosthetics and honours international talents with valuable awards.

The KunstZahnWerk Award from CANDULOR will once again be presented at the IDS in Cologne in 2025. Registration is now open, and interested participants should register by July 19, 2024, at the latest.

This KZW concerns solving a patient case that requires technical dental skills, precision, and a methodical approach. The case involves fabricating an age-appropriate, characterful, aesthetic, mucosasupported maxillary, and mandibular full denture.

A pronounced atrophy of the mandible represents a real challenge for the participants. The work should be fabricated using the GERBER set-up method (tooth-to-tooth relationship) and must be submitted using a CANDULOR articulator or a partially or fully adjustable articulator.

Oliver Benz, Head of Education at CANDULOR, comments, “As with every KZW, the primary goal should be ‘usability,’ consisting of functional, material and aesthetic aspects. In our opinion, the GERBER set-up method, with its multitude of approaches to a solution, is ideal for this case. The use of this technique is the condition to achieve an aesthetically perfect result.”

Particular attention is placed on a detailed model analysis and meaningful documentation presenting the fabrication of the restoration. As documentation is also awarded with prizes, it represents an important part of the competition. In addition, the

CANDULOR

best documentation is published in various professional journals, thus creating good publicity for dental professionals.

An independent jury of prosthetics experts and practitioners selects the best entries. The jury evaluates the achieved patient comfort and the fulfillment of the patients’ wishes for better hold, increased chewing performance, and natural aesthetics. It also evaluates the plausibility of the model analysis, the set-up of the teeth, and the characterization of the dentures according to predefined criteria.

The three best entries will be awarded.

The most important information at a glance:

• Registration deadline: July 19, 2024

• Submission of the completed works/documentation: January 12, 2025

• Award ceremony and announcement of the rankings: March 28, 2025

All further information and the registration form are available on the CANDULOR website at www.candulor.com. If you have any questions, please contact the CANDULOR Team at +41 44 805 90 00.

PERFECT PMMA Monolayer Disc

Perfect PMMA Monolayer Discs are ideal for occlusal splint production. They are highly resistant to abrasion and breakage. They are also used as quick and easy surgical guides for implant placement.

ADVANTAGES:

• Excellent comfort

• Finished shiny surface

• Good processing and polishing performance

Perfect PMMA Monolayer Disc – 98 mm x 20 mm

Shades: Clear

Item #940

Suggested Retail: $34.95

Perfect PMMA Monolayer Disc – 98 mm x 25 mm

Shades: Clear Item #941

Suggested Retail: $36.95

CLICK HERE TO RETURN TO TABLE OF CONTENTS
INDUSTRY NEWS
©
SUMMER 2024 27

CLASSIFIEDS

British Columbia Career Opportunities

CAM-Printing Tech Position

Aldergrove

Ocean has a position open for a CAM-printing technician who is familiar with VHF and Roland mills and the 3D printing processes. The income depends on the level of experience and capabilities required to maintain the milling machines and problem-solve milling parameters in the software. Ocean Ceramics is a full-service lab specializing in digital dentistry, from single molars to full mouth rehabs. We are located in Aldergrove, BC, and offer a full range of opportunities for people to grow professionally in the dental industry. Please email your resume to james@oceanceramics.com.

Dental Ceramist

Coquitlam

Our dental lab is looking for a full-time dental ceramist with at least four years of experience. The candidate must currently live in Canada and be available to start work as soon as possible. Can do e-max and zirconia shaping and glazing. Demonstrate precision in a fast-paced environment. Willing to learn new techniques. Work with minimum supervision. Able to read, understand, and speak English. We offer health benefits and a competitive salary. If you are interested, please email your resume to jobs.solarisdental@gmail.com.

Dental Technician

Vancouver

3D Dental Laboratory in Vancouver is looking for an individual to work in the plaster room to pour up models. Please email your resume to info@3ddentallab.ca.

Porcelain Technicians/Metal Technicians

Surrey

We are looking for porcelain technicians/metal technicians with over five years of experience. Our location is near Surrey Central Station. The position is permanent and can be full-time or part-time. Extended healthcare benefits are also provided. Please email your resume to gkdlchiny@gmail.com or call 236-777-6901 (leave a message only). We will contact you as soon as possible.

Ontario

Career Opportunities

Ceramist Wanted

London

Experienced ceramist (at least three years) required to add to our growing team at Advance Dental Studio in London, Ontario. We are not looking for trainees. Top salary for the right candidate with anterior and posterior work skills. Salary will be based on experience level. The ability to do custom shades would be an asset.

Lovely work environment, a relaxed pace. Three weeks paid personal vacation. Your interest will be valued and handled with complete discretion. For more information, please contact Ryan Kim, RDT, at ryan@advancedentalstudio.ca.

Dental Technician

London

London Denture Clinic & Hearing Care is looking for a dental technician to help them with their busy denture clinic, which has been in operation for 28 years in London, Ontario. The wage is based on experience. Please contact the office to set up an interview. For more information, please call 519-709-6067 or email mjdavakos@rogers.com.

Denture

Technician

Mississauga

Signature Dental Studio, located in Mississauga, is looking for an experienced denture technician (2-5 years of experience). The candidate must have experience with repairs, relines, denture setups, and thermoplastic night guards. Experience with flexible dentures is a bonus. Training will be provided. This is a full-time position. Please contact Kevin directly if interested at 416-669-2328 or admin@signaturedentalstudio.ca.

Experienced Ceramist

Mississauga

We are a well-established full-service laboratory in Mississauga that has been operating for over 30 years. We are looking for an experienced ceramist to join our friendly, knowledgeable team of 20+ employees. Our lab is clean and modern, and benefits are included. Inquire today! For more information, please call 416-845-2564 or email davor@prismdental.com.

Removables/Denture Technician

Barrie

Have you ever considered moving to a community where the rest of the province comes when it’s time to relax? Have you ever thought about joining a lab that considers its employees so important that they alone are the focus of the first line in the mission statement? Do you like the idea of living in a community where home ownership is more than a pipe dream? Then, consider a move to Image Dental Laboratory. IDL is a full-service, state-of-the-art dental laboratory, and we focus on the future. You can be a part of it. If you think you have what it takes to find a place on our team of all-stars, call us at 705-726-6301 or email kevin@imagedentallaboratory.com, and let’s talk about what your future can look like.

CLICK HERE TO RETURN TO TABLE OF CONTENTS
SUMMER 2024 28

For Sale

Dental Lab Equipment –

3Shape

E2 Scanner and Premium Software

3Shape E2 Scanner, premium software (HP computer supplied by 3Shape), monitor, keyboard, and mouse. Premium software with dongle (dongle renewal May 2024) supported by Argen Digital (C&B module, implant module, model-making module, night guards module, and appliance designer/denture module [would require purchase of module license]). Extra scan plates, an articulator scanning holder, and more are also included. All like-new condition! This is the perfect opportunity for new or existing labs and dental clinics to start in the digital restorative workflow at a minimal investment. Allows you to design and manufacture all dental restorations digitally. Accept digital impression scans immediately through 3Shape Communicate, iTero, and other scan platforms. $13,300. For more information, please contact da.2010@hotmail.com.

Half Price Einstein Printer for Sale Barrie

Brand New. I bought it at the end of 2022 and have never used it. These now retail at about $21,000-$22,000. I’m selling new (in the box) at a loss. Reduced to $11,000 or best offer. For more information, please call 705-726-6301 or email kevin@imagedentallaboratory.com.

Lab for Sale Durham

Dental lab for sale in the Durham region. The owner would like to stay on and facilitate the integration of accounts. Equipment is also available for purchase. For more information, please call 416-919-0498 or email lindakilgus@me.com.

Lab for Sale Scarborough

A full-service lab in Scarborough is available for sale. The owner plans to retire but can stay to help with the transition. Also, some new and used equipment are for sale. If interested, please call Tom at 416-332-0304 or email tommykung8628@gmail.com for details.

CLICK HERE TO RETURN TO TABLE OF CONTENTS CLASSIFIEDS Visit us online www.dtabc.ca www.adto.ca
SUMMER 2024 29

ADVERTISER PRODUCT & SERVICE CENTRE

Dental Technology Today would not be possible without the advertising support of these companies and organizations. Please think of them when you require a product or service. We have tried to make it easier for you to contact these suppliers by including their telephone numbers and websites. You can also go the electronic version at www.adto.ca or www.dtabc.ca and access direct links to any of these companies.

CLICK HERE TO RETURN TO TABLE OF CONTENTS
COMPANY PAGE PHONE WEBSITE Bego Canada 3 418-683-6567 www.begocanada.com Central Dental Ltd. 9 416-694-1118 www.centraldentalltd.com Dentsply Sirona Canada 15 416-407-6752 www.dentsplysirona.com Ivoclar Vivadent Inc. 32 800-263-8182 www.ivoclarvivadent.com Micrylium Professional Choice 18 800-489-8868 www.micrylium.ca SleepLabs Inc. 31 855-30-SLEEP (307-5337) www.sleeplabs.ca VITA North America 17 800-263-4778 www.vitanorthamerica.com VOCO Canada 2 888-658-2584 www.voco.com Zahn Canada, A Division of Henry Schein Canada 4 800-496-9500 www.zahncanada.ca PM#40065075 Return Undeliverable Items To: Craig Kelman Associates, 3C-2020 Portage Avenue, Winnipeg, MB R3J 0K4 BUYERS’ 2024 WINTER 2023 To reach dental technicians and technologists across Canada through Dental Technology Today and its targeted readership, contact Chad at your earliest convenience to discuss your company’s promotional plans. VITA Celebrates 100 Years of Innovation as the Leading Pioneer Night of Fun and Networking INSIDE SUMMER 2024 Pacific Dental Conference & Technorama Recaps CHAD MORRISON , Marketing Manager LOOKING TO REACH DENTAL TECHNICIANS AND TECHNOLOGISTS ACROSS CANADA? Toll Free: 866-985-9788 Email: chad@kelman.ca PM#40065075 Return Undeliverable Items Craig Kelman Associates, 3C-2020 Portage Avenue, Winnipeg, MB R3J 0K4 Pacific Dental Conference Save The Date ADTO’s Solstice Soirée Great Success Meet Chloe Nguyen, Second-Year Student at Vancouver Community College DENTISTRY DEPENDS ON TECHNOLOGY INSIDE FALL 2023 Minimally Invasive Treatment Using the New Prettau® Skin® Protocol The Ultimate Discipline: Craftsmanship and Individual Specifications INSIDE PM#40065075 Return Undeliverable Items To: Craig Kelman Associates, 3C-2020 Portage Avenue, Winnipeg, MB R3J 0K4 PACIFIC DENTAL CONFERENCE 42nd DTABC Annual Conference March 7-9, 2024 Vancouver Convention Centre SPRING 2024 SUMMER 2024 30

The key to amazing e iciency.

Ivotion®

• Customized, monolithic complete dentures made from one disc, thanks to the unique Shell Geometry

• One uninterrupted milling process

• Only polishing required

© 2023 Ivoclar Vivadent, Inc. Ivoclar and Ivotion are registered trademarks of Ivoclar Vivadent, Inc. Rev.3 10/2023
ivoclar.com Making People Smile
Scan to learn more about Ivotion!

Turn static files into dynamic content formats.

Create a flipbook
Issuu converts static files into: digital portfolios, online yearbooks, online catalogs, digital photo albums and more. Sign up and create your flipbook.