The Lancashire & North West Magazine | June 2023

Page 1

June 2023 £2.45 www.lancmag.com Get Your Life in Balance We Talk to Kathryn Taylor of Balance Counselling and Coaching Ltd. Gordon Greaves Slate The family-run, South Lakes Stonemasonry Business, With Customers All Over the Country. Tweedies Bar and Lodge The Grasmere Venue Shows us The Latest Stage of Their Refurbishment With Three Fabulous New Rooms Including Luxurious New Bridal Suite H.Hogarth Jewellers Celebrating a Century of Tradition with the Kendal Jewellery Business Serving Multiple Generations with Cherished Items Felltarn Unique design and Publishing Business Based In Kendal, Founded By Two Fabulous Friends
Febland Group Ltd Flag House, Ashworth Road Blackpool, Lancashire, FY4 4UN Email: info@febland.co.uk SHOWROOM OPEN 7 DAYS A WEEK Mo N -F R i 9 AM - 5 : 30p M S A t 9 AM - 5p M S UN 10 : 30 AM - 4 : 30p M Web: www.febland.co.uk t el: 01253 600 600 FEBLAND FURNITURE | LIGHTING | ART & GIFTS
St YL i SH BAR RooM FURNitURE AND ACCESS oRi ES LUXURioUS D iNi NG t ABLES AND RooM SE tS St UNN i NG S tAt UES AND D iSp LAY piECES FABUL o US L i GHtiNG AND H o ME
DEC oR

118 NHS at 75 years

126 Tales of Manchester Life – Elizabeth Gaskell’s Manchester opens at Elizabeth Gaskell’s House

128 Things Affecting your Health More than you Know

136 Titanic Survivors including a Tragic Lancashire Hero

142 The Blackpool Grand Theatre Takes Pride in a glorious new show season

144 Daredevil cat rescued from 60ft high ledge in Salford

148 Lancashire housebuilder gives hospice a funding boost

150 La Locanda - 3 honours in one week

152 Cruise routes sail again after four-year wait

154 Spring spruce-up on railway as St Anne’s station prepares to celebrate 150th Anniversary

162 Liverpool Theatre Festival Returns For 2023

166 Stonyhurst College: Shakespeare Exhibition

168 New show at The Dukes: 5 Years

170 Roq becomes Platinum Investors in People company

172 Textile Student Involved in World Topiary Day

178 PTES: Protect Gorillas

180 Redrow ‘buys a dream’ for veteran group

182 Parbold Douglas Music Lancashire

184 Summer Is Round the Corner

186 Projection Stunt In Central London Draws Attention To Live Exports!

190 REBORN: Will sustainable art promote environmental change?

192 Southport Viking Golf

193 Redrow Helps Youth Group Build On Social Skills

194 Emma Hardinge Britten

198 Local Artist - Exhibition in Southport

202 Margaret Brecknell - William Gladstone

206 The Art and Design of Manhole Covers from Around the World and Greater Manchester

208 Supreme Queen Announce 2023 Shows Coming To Blackburn

34 116 CONTENTS...
Grand Theatre
New Launch! Carbon-Neutral, Vegan & Handcooked Crisps from 10 Acre
H Hogarth: 100 Year Anniversary
Inspiring visit to Lancashire by African
growing a ‘Diocese in exile’
Lancashire & South Cumbria
Foundation Trust: Wesham’s 1 year celebration
Help
fundraise for their 30th Anniversary Catch the Wind Kite Festival 28 Felltarn
Interview: Eloise Thomas 40 Brain Tumour Awareness 42 Ground Breaking Underwater Archaeological Project 46 Lancashire Pier Divers 50 Local Teen Archer hits the Bull’s-Eye with Funding from Dan’s Trust 52 Lip Reading Group Helped By Housebuilder’s Fund 54 Gordon Greaves Slate 58 Lighthouses of Lancashire in new print series and book from artist Roger O’Reilly 60 Pendle Powerfest 62 ARC Shelter 70 CHASE & STATUS DJ SET announced as headline act for Trentham Live 2023 72 Betty Boothroyd 76 Amazing Accrington Food Festival 78 Lakeland Motor Museum stars in Salvage Hunters TV show 82 Things you think are being recycled that probably aren’t… 88 May Whitty 94 “Time capsule” classic moves into Lakeland Motor Museum 96 Call For International Community Cultural Stories 98 Balance Counselling and Coaching Ltd 102 Wildlife World bitesize 108 Tweedies Bar and Lodge 112 Harold Cunliffe - Our families move to an overspill estate
Features 8
12
14
18
Bishop
20
NHS
24
More Music
34
206 72 152 3 www.lancmag.com LANCASHIRE & NORTH WEST MAGAZINE

Managing Director: Natalie Christopher natalie@lancashiremagazine.co.uk Editorial: 01253 336580

editorial@lancashiremagazine.co.uk

Design Manager: Stephen Mellows-Facer Sales Enquiries: 07918 685673 Accounts: 01253 336588

Seasiders
Lancashire
Writers: • Antony Johnston • Denise Mullen
Harold Cunliffe
Helen Donald • Lachlan Rae • Lara Besbrode Manish Kumar Arora • Margaret Brecknell
Max Wiseberg
Norman Wallis
Paul Cusimano Rozanne Kay
Sarah Harris • Sarah Ridgway June 2023 • Volume 46 Number 6 7 HayMax Column - Max Wiseberg 22 Lara Besbrode 66 Colour Me Beautiful - Sarah Harris 80 Book: Ada Lovelace 81 Book: Dog Sitter Detective 84 Zodiac Predictions By Manish 87 Unique Lady Of The Month 122 Antony Johnston: Lurchers 140 Aiming Higher 146 Lachlan rae column 156 Denise Mullen 158 Totally Local Lancaster 166 Southport Pleasureland 174 Rozanne Kay 200 Life of Di COVER: KATHRYN TAYLOR Note to contributors:- While every care is taken with manuscripts, drawings, photographs and transparencies, no responsibility is accepted during transmission or while in the Editor’s hands. The contents of this magazine are fully protected and nothing may be used or reproduced without permission. UK Only Subscription Rate: 1 year £25 – saving of £4.40 2 years £48 – saving of £10 3 years £73 – saving of £15 5 years £115 – saving of £32 June 2023 £2.45 www.lancmag.com Get Your Life in Balance We Talk to Kathryn Taylor of Balance Counselling and Coaching Ltd. Gordon Greaves Slate The family-run, South Lakes Stonemasonry Business, With Customers All Over the Country. Tweedies Bar and Lodge Providing Chauffeur Driven Vintage and Classic Rolls Royce Wedding Car Hire in Locations Across The North West. H.Hogarth Jewellers Celebrating a Century of Tradition with the Kendal Jewellery Business Operating for a Century Felltarn Design and Publishing Business Based In Kendal, Founded By Two Fabulous Friends Visit our website at www.lancmag.com F @lancmag I @lancashiremagazine ...CONTENTS Regulars 158 66 166 122 80 146 4 www.lancmag.com LANCASHIRE & NORTH WEST MAGAZINE
General Enquiries/Subscriptions: Tel • 01253 336588 accounts@lancashiremagazine.co.uk The Lancashire & North West Magazine Ltd,
Way Blackpool,
FY1 6NZ

We pride ourselves in building quality homes throughout Lancashire

Redrow strive to create environments that will stand the test of time, where people can appreciate and enjoy their surroundings. We create homes that are designed for the way we live today, yet are rooted in the time-honoured traditions of craftsmanship and care.

very Redrow
How
New homes across Lancashire Discover more about the new homes in Lancashire Visit: redrow.co.uk/lancashire Images typical of Redrow homes. Details correct at time of going to press.

IN THIS ISSUE...

This month we celebrate 75 years of the NHS and take a look at the history of this British Institution and look ahead to the future of the health service which is the envy of much of the rest of the world.

We also mark a century of tradition at H.Hogarth Jewllers in Kendal, which for a hundred years, has been a staple in the community, offering exquisite jewellery and exceptional service. This family-owned business has stood the test of time, with many customers returning generation after generation.

We take a look at the work of Gordon Greaves Slate, established way back in 1987 and based at Troutbeck Bridge, close to Windermere. The South Lakes company is renowned for the exceptional quality of its stonework and now has customers all over the country.

Tweedies Bar and Lodge opens it’s doors to us and shows us the latest stage of their refurbishment which includes three fabulous new rooms including luxurious new bridal suite.

Amy and Claire of Felltarn talk to us about their fabulous design and publishing company in the heart of Kendal, with many projects including designs and illustrations produced for town councils and business improvement districts.

Lachlan Rae shows us that by now our gardens will be bursting with life. With long days and warm temperatures, the plants in our gardens are growing with frightening pace.

Lara Besbrode of Matchmaker UK gives some useful advice for professionals looking for love, and Antony Johnston in his new column,

shows us how Lurchers are a writer’s best friend

Sarah Ridgway looks back at the life of Betty Boothroyd, former speaker of the house of commons, while Margaret Brecknell shares the fascinating tales of the Lancashire Pier Divers as well as some notable survivors of the Titanic.

Eloise Thomas of ITV series ‘The Bay’ and BBC’s ‘Chloe shares with us some insights in to working on the shows as well as looking at what the future holds for this rising star.

And of course, as always, we have features on homes, health, delicious recipes, fascinating history, a bit of wildlife and more - all in our June issue.

6 www.lancmag.com LANCASHIRE & NORTH WEST MAGAZINE

DON’T LET THE GRASS POLLEN GET YOU!

Who knew a few blades of grass could cause so much havoc? But late spring and early summer are the time of year when lawns everywhere are chugging out their pollen, engulfing hay fever sufferers and provoking the usual unpleasant symptoms. Here’s some handy advice to help combat all of this.

The grass pollen season usually starts in May and peaks in June and July. Grass pollen causes very unpleasant symptoms in the sufferer including sneezing, a runny nose, a stuffed up nose, itchy and watery or streaming eyes, nasal congestion and a general stuffed up feeling in the nose and throat. Some people also experience itching around the face and mouth including an itchy mouth, itchy roof of mouth, and a burning sensation in the throat. Headaches and wheezing can also occur. Chronic hay fever sufferers may experience more severe or prolonged symptoms.

SO HOW CAN YOU OVERCOME ALL OF THIS?

Antihistamines are a common remedy for hay fever. When we get these allergies our body reacts to the allergen and produces too many histamines which trigger the unpleasant symptoms. Antihistamines do exactly what it says on the box; they anti the histamine. However, histamines also help keep us alert, attentive and awake. This is why antihistamines can cause drowsiness. There are different types of antihistamines so if one doesn’t work, try another – look for the active ingredient on the box. Cetirizine and Loratadine have been joined by Fexofenadine for second generation options. Chlorphenamine is first generation which is more likely to cause drowsiness. If drowsiness is

experienced with antihistamines then you won’t be able to drive or operate machinery.

Antihistamine nasal sprays can quickly ease itching, sneezing and watering but are generally only proof against mild symptoms. Steroid nasal sprays and drops reduce inflammation in the nose; they work best for clearing nasal symptoms – itching, sneezing, watering and congestion – and sprays sometimes clear eye symptoms too. Eye drops may reduce itchy, watering, swollen eyes.

If you’re looking for something more natural to use, try HayMax organic allergen barrier balm (www.haymax.biz), which works by trapping allergens before they enter the body through the nose and eyes. It has been proven to trap over one third of pollen grains [1], and is drug free, organic and 100% natural, meaning it is suitable for everyone, including children and pregnant and breast-feeding women. You could also try a Sneeze Beam which uses phototherapy to combat allergy symptoms. Two light beams are inserted into the nostrils and they block the receptors which react to pollen.

The Qu-Chi Hayfever Band works by applying pressure to the LI-11 acupoint on the elbow, known as Quchi, via a small button. Acupuncturists believe stimulation of this point pulls energy away from the head, nose, face and throat. Physical pressure is applied to acupuncture points with the aim of clearing blockages, thereby relieving symptoms related to the nose and throat.

Tie your hair up and wear a hat when outside to prevent pollen particles being caught in your hair.

Shower at night before sleeping to remove pollen particles, dust and pet allergens from your hair and body.

Dry clothes indoors rather than on a clothes line to prevent pollen particles being blown onto the clothes by the outside wind.

Wear wraparound sunglasses when outdoors to prevent pollen particles coming in contact with your eyes.

If it gets really bad try putting together a Hay Fever First Aid Kit, consisting of one or more natural products (such as an allergen barrier balm), one antihistamine, one nasal spray and eye drops. Never take 2 antihistamines together, never take 2 steroid nasal sprays together, and consult your pharmacist or doctor about it if you are already taking another medication.

REFERENCE: [1] Chief Investigator: Professor Roy Kennedy, Principal Investigator: Louise Robertson, Researcher: Dr Mary Lewis, National Pollen and Aerobiology Research Unit, 1st February 2012.

ALL HAIL A STUNNING NEW SHOW SEASON AT THE GRAND…

Blackpool Grand Theatre announces a sparkling new season that’s bursting with spectacular new shows including the welcome return of The Royal Shakespeare Company with a powerful new production of JULIUS CAESAR that’s NOT TO BE MISSED!

The Royal Shakespeare Company will march back into The Grand from Tuesday 16 to Saturday 20 May with William Shakespeare’s fast-paced political thriller, Julius Caesar, directed by the renowned Atri Banerjee.

Looking for more leading lights in the world of theatre? West End and Broadway big hitters storming into The Grand this season include the Agatha Christie’s genre-defining murder mystery The Mousetrap celebrating 70 sensational years on stage, and the magical new musical Disney’s Winnie the Pooh featuring incredible life-size puppetry of all your favourite friends from Hundred Acre Wood.

There’s also no place like The Grand to enjoy fabulous family musicals! Take a stroll down the yellow brick road to see the wonderful Wizard of Oz with Blackpool and Fylde Light Opera Company and hold on tight for the ride of your life as Blackpool’s critically acclaimed Ensemble Theatre fly in with their Truly Scrumptious production of Chitty Chitty Bang Bang . It’s a sky high hit!

There’s bags more family fun tooDive deep into the wonderful world of science in the explosive

Ministry of Science and experience 20ft liquid nitrogen clouds and fire tornadoes; Julia Donaldson’s joyful tale of star-crossed aliens The Smeds and The Smoos brings music, laughs and interplanetary adventures for the little ones; Milkshake! Live – Monkey’s Musical is back in a spectacular NEW show with all his Milkshake! friends, and the fairytale Pop Princesses return by popular demand to sing a sizzling soundtrack of top pop hits and more.

One night stands with big names you won’t want to miss include a hilarious evening with Mock The Week’s comedy star Dara O’Briain ; a gloriously over the top evening with Ceri Dupree’s wonderfully wicked wit and vivacious vocal talent; an uproarious evening packed with mayhem and misfiring magic with The Very Best of Tommy Cooper ; a mesmerising evening of mediumship with the phenomenal Physic Sally, and there’s just a few tickets left for an unforgettable evening with controversial comic Frankie Boyle

Fill your dance card with awesome and inspiring physical live performances including the unmissable, five-star work 5 Soldiers from top contemporary dance choreographer Rosie Kay and expect jaw-dropping performances from internationally celebrated poppers, lockers, b-boys and b-girls in the welcome return of the ground-breaking hip hop festival Breakin’ Convention

And, of course, any new season at The Grand wouldn’t be complete without Blackpool’s number one pantomime

Aladdin starring everyone’s favourite comic and Britain’s Got Talent Finalist Steve Royle and West End star Tom Lister. Oh no it wouldn’t!

And if you want more, we have CIRQUE , where musical theatre meets jaw-dropping circus. If you are looking for classic theatre with a marvellously modern twist, Dickens goes digital for a revolutionary new staging of Michael Rosen’s Unexpected Twist featuring original beatbox, hip hop and grime musical numbers; while renowned theatre company Northern Broadsides bring a deliciously witty revival of JM Barrie’s Quality Street

You’ll be ‘buzzing’ with the hilarious new play The Birds and the Bees starring comic genius, writer and actress Helen Lederer (Absolutely Fabulous, French & Saunders) and Michael Starke (Brookside, The Royal, Benidorm) This “razor sharp and steamy new comedy” is going to be the Bee’s knees!

March to Blackpool’s beautiful Grand Theatre this season and enjoy a scintillating evening of entertainment and look out for the new Grand Theatre brochure or pick one up at the Box Office. All shows are also listed on the website.

Visit blackpoolgrand.co.uk for full show listings and bookings or call the box office on 01253 290 190 for bookings and further information.

SAT 29 TO SUN 30 JUL

SAT 12 TO SUN 13 AUG

Book online blackpoolgrand.co.uk

Box office 01253 290 190

Groups/Schools 01253 743232

CHEEKY NEW COMEDY IS THE BEE'S KNEES!

Hilarious new comedy romp

The Birds and The Bees has a heart as big as the laughs it will bring to Blackpool Grand Theatre this summer.

This ‘sweet as honey’ new show stars comic genius, writer and actress Helen Lederer (Absolutely Fabulous, Bottom and French & Saunders) and Michael Starke (Brookside, Benidorm, Hairspray and Waitress) and will buzz into Blackpool Grand Theatre from Tuesday 18 to Saturday 22 July!

is some local mead and the annual Turkey Day’s Dance to help them discover that the best way out of a crisis is to commit to those closest to you. Just don’t get stung!

The smash-hit Canadian comedy written by Mark Crawford has been re-imagined for a UK audience, relocating the play from modern-day Canada to Norfolk with additional material by James McDermott. Producer John Stalker said: “The Birds and the Bees is one of the funniest plays I have come across in a long time. Having seen the belly laughs from audiences and with Spring around the corner, I’m delighted to take this gem of a comedy across the UK and I can’t imagine the play in better hands than this stellar cast.”

The Birds and the Bees is not only very funny, it’s about ‘awakenings’It’s been worth the wait.”

Michael Starke is known and loved from his role as Sinbad in Brookside. He said: “The Birds and the Bees is a Valentine to nature in all its glory! I’m delighted to be part of this magnificent company and to be touring with the fantastic Helen Lederer and friends old and new."

This ‘razor sharp and steamy new romp tackles the tantalising topics of sex, love, science, family, and the even artificial insemination of turkeys!! Find out more at www.thebirdsandthebeesplay.com

The Birds and the Bees will have you buzzing this summer! Fly to the Box Office and book now!

On Gail’s East Anglian farm, the honeybees are dropping like flies –just like her love life. She hasn’t slept with anyone since her husband bolted years ago. Her daughter’s marriage is going bust just like her turkey farm. Neighbour Earl is fighting a losing battle with his sugar beet yield and his ‘no strings’ relationships.

Can bio-student Ben perk up the pollinators and give the turkeys a helping hand? Perhaps all they need

Helen Lederer is best known for her role as the dippy Catriona in Absolutely Fabulous and was part of a group of early 1980’s comedians, including Dawn French, Jennifer Saunders, the late Rik Mayall and Ben Elton who made their names at London’s Comedy Store and continues to perform her on stand up to this day. Helen said of her latest hit comedy role: “I am so looking forward to getting out on tour and channelling my middle aged ‘karma’ on stage with the fabulous Michael Starke.

strong

themes and partial nudity - recommended for ages 14+ Further casting to be announced.

Visit BlackpoolGrand.co.uk or call the box office on 01253 290 190 for bookings and further information. Please note: The Birds and The Bees contains
language, adult
John Stalker for BIRDS&BEES Limited presents a New Wolsey Theatre Ipswich, Norwich Theatre and Theatre Royal Bury St Edmunds co-production of Starring Helen Lederer Michael Starke
By Mark Crawford with additional material by James McDermott
“A razor sharp and steamy new comedy” Whatsonstage thebirdsandthebeesplay.com The show contains strong language, adult themes and partial nudity - recommended for ages 14+ Tue 18 -Sat 22 July 2023 blackpoolgrand.co.uk
Directed by Peter Rowe

BETTER FOR YOU, AND FOR THE PLANET: NEW CARBON-NEUTRAL, VEGAN, HAND-COOKED CRISPS FROM 10 ACRE

Sustainable snacking has never tasted so good – UK handcooked crisp brand, 10 Acre, is launching a NEW range that’s not only carbonneutral but low in fat, vegan and gluten-free!

Using potatoes grown on its farm and cooked on site for incredibly low food miles, the five flavours in the new range are: Cheese & Onion, Fried Chicken, BBQ Beef, Sea Salt and Cheesy Chilli (Sharing Bag: 135g, RRP: £2.30. Single Serve: 35g, RRP: 90p).

Set to truly innovate the plant-based crisp market, the inclusive range has been developed in direct response to the huge increase in demand for vegan snacks that don’t concede flavour. The Fried Chicken and BBQ Beef flavours were especially chosen after 10 Acre’s research showed that 80% of consumers who are already meat-reducing still love the taste of meat.

On shelf in vibrant packaging that features illustrations from artist Susan Burghart, you can find the exciting new range in Booths stores, and nationwide via Amazon and the 10 Acre online shop from February.

www.10acresnacks.co.uk 12 www.lancmag.com LANCASHIRE & NORTH WEST MAGAZINE

Celebrating a Century of Tradition: The Story of H.Hogarth Jewellers

H Hogarth is a family-owned jewellery business in Kendal that has been operating for a century.

The shop was founded by Robert Cyril Hogarth, who bought the jewellers at Branthwaite Brow, Kendal in 1923, and named it R.C. Hogarth. Unfortunately, he passed away at the age of 40 in 1942, leaving his wife Hilda to manage the business.

When the shop front was being re-painted, the painter asked Hilda her name having painted over the R.C.Hogarth signage, from then on the shop was H Hogarth.

In 1955, Hilda’s son, Alan, decided to leave his banking career to take over the business due to Hilda’s poor health. He underwent intense training and became a founding member of the Company of Master Jewellers. He and his wife, Rita, ran the jewellers together, travelling on study tours worldwide. In 1982, the third generation, Graeme, joined the business after working in Perth and studying in Switzerland.

Today, the family business is still thriving, with the fourth generation, Laura and Sam, working in the business. Laura started as a Saturday girl while she was still at school and after completing her professional jewellers diploma and working away for a year, joined the business fulltime in 2013. Sam, who graduated

14 www.lancmag.com LANCASHIRE & NORTH WEST MAGAZINE

from university and worked in finance for several years, joined the business in 2022.

For a hundred years, H Hogarth Jewellers has been a staple in the community, offering exquisite jewellery and exceptional service. This family-owned business has stood the test of time, with many customers returning generation after generation.

Today, H Hogarth Jewellers continues to thrive, thanks to a dedicated team of staff, a commitment to customer satisfaction, and a focus on creating an in-store experience.

One of the secrets to the jewellers’ success is their team of staff, many of whom have been with the company for over 20 years, including four of the current team. Their expertise and dedication to customer service have earned them a loyal following and a reputation for excellence.

Another factor that sets H Hogarth Jewellers apart is their private consultation room, recently refurbished to offer customers a luxurious and relaxing space to choose their rings. Customers can enjoy a complimentary glass of fizz, tea, or coffee while they browse the stunning collection of engagement, wedding, and eternity rings and bridal jewellery. To book an appointment, customers can visit the website.

In addition to their specialisation in engagement, wedding, and eternity

rings and bridal jewellery, H Hogarth Jewellers also offers a wide range of gold and coloured stone jewellery. Their sister store, the Silver Shop, boasts showrooms of silver jewellery and watches over two floors.

To mark the 100-year anniversary, H Hogarth are running a competition throughout the year with first, second, and third prizes worth over £7000. The competition will be run in-store and on their social media pages from May to the end of July.

15 www.lancmag.com LANCASHIRE & NORTH WEST MAGAZINE

The company also plans to give back to the local community. They have pledged to donate 100 items to Kings Food Bank, give away 100 free fitted watch batteries throughout the year, double charitable donations collected in the shop for jobs they carry out for free, and volunteer for local charities.

To further celebrate their milestone, H Hogarth Jewellers is running a competition for all local schools to design a 100-year logo. The winning school will receive £250 to spend, and the winning logo will be featured in one of their advertisements.

There will also be a week-long promotional event from the 8th of May, with 15% off all purchases (T&C’s apply) and cupcakes and prosecco served on the 12th and 13th of May. For the other three Saturdays in May, they will also pay for parking (T&C’s apply) for anyone who spends £50 or more with them.

As retail increasingly moves online, H Hogarth Jewellers continues to focus on creating an in-store experience for their customers, ensuring everyone, no matter their budget, receives excellent service. The jewellers’ extensive repair service and ability to carry out remodelling of current jewellery ensures that customers can continue to cherish their special pieces for years to come.

Over the past 100 years, H Hogarth Jewellers has been a part of countless special moments, from christenings and birthdays to engagements and anniversaries. Their commitment to excellence and dedication to customer service has earned them the loyalty of their customers, and they look forward to the next 100 years of creating memories.

Customers can keep up to date with all the events and promotions by following the jewellers on their social media pages.

d hhogarth.co.uk

f HHogarthJewellers

i hogarthjewellers

Or visit us at:

H.Hogarth Jewellers

43 - 45 Branthwaite Brow, Kendal LA9 4TX

16 www.lancmag.com LANCASHIRE & NORTH WEST MAGAZINE
17 www.lancmag.com LANCASHIRE & NORTH WEST MAGAZINE

Inspiring Visit to Lancashire by African Bishop Growing a ‘Diocese In Exile’

The Church of England in Lancashire is currently hosting a week-long visit by the Rt Rev. Joseph Aba from South Sudan; leader of a Diocese in exile but still full of hope.

Bishop Joseph was invited to the Diocese by Rt Rev. Philip North, Bishop of Burnley, who first heard him speak at the recent Lambeth Conference in 2022 (the once-adecade world gathering of Bishops of the Anglican Communion).

As he arrived in Lancashire, Bishop Joseph was welcomed in a special video message from the Archbishop of York, The Most Rev. and Rt Hon. Stephen Cottrell, who said: “It’s wonderful to be welcoming Bishop Joseph to the north of England. It’s really good to hear that his friendship with Bishop Philip, kindled at the Lambeth Conference, is bearing fruit in this way.

“May God richly bless his time among us and we pray that through his ministry and witness we will know more of what it means to be followers of Jesus Christ.”

Bishop Joseph’s Diocese of Liwolo has been destroyed by years of civil war. He and his people now live in refugee camps in neighbouring northern Uganda.

And yet his story and the story of the people of his Diocese, is an uplifting one; a church full of evangelistic energy and still growing in the face of unimaginable adversity.

Bishop Joseph has oversight of 117,000 refugees living in the bush and across several refugee camps. More than half attend his churches and he confirmed an astonishing 2,000 people into the Anglican church in 2022 including, on one occasion, 600 young people at once.

Bishop Philip said today: “Bishop Joseph is one of the most remarkable and courageous Christians I have ever met. He serves one of the poorest parts of one of the poorest nations on the planet. His Diocese has been destroyed and yet he has the most

Bishop Joseph meets the Anglican Bishop of Lancaster, Rt Rev. Dr Jill Duff at and event during his week in the Diocese.
18 www.lancmag.com LANCASHIRE & NORTH WEST MAGAZINE
At the World Mission Evening in Preston the panel consisted of (l-r) Rev. Sarah Gill, Bishop’s Advisor on UKME/GMH Matters and Vicar of St Stephen’s and St James’ in Blackburn; Bishop Saju Muthalaly of Loughborough (a former curate at St Thomas’ Lancaster); Bishop Joseph and Bishop Philip.

remarkable ministry as a reconciler and evangelist; with an unfailing trust in Jesus Christ.

“The energy and growth of the church he leads is incredibly inspiring and, following Lambeth, I invited him to share with us the courageousness of the church in other parts of the world. I am delighted he has been able to spend this time with us in Lancashire over the past few days.”

The highlight of Bishop Joseph’s visit to the County was a ‘World Mission Evening’ at St Cuthbert’s Church, Preston at the weekend.

In Preston he participated in a service and a special panel discussion on the global church and mission, alongside Bishop Saju Muthalaly of Loughborough (a former curate at St Thomas’ Lancaster) who was brought up in South India.

Also on the panel was Bishop Philip himself and Rev. Sarah Gill, Bishop’s Advisor on UKME/GMH Matters and Vicar of St Stephen’s and St James’ in Blackburn who brings experience of the Church in Pakistan.

Rev. Sarah added: “We welcome Bishop Joseph to the Diocese and rejoice in his presence with us. We have been able to learn about God’s work in South Sudan and we hope and pray Bishop Joseph has had a blessed time with us over the past few days.”

Bishop Joseph’s visit to Lancashire concludes later today when he will the keynote address to members of the Diocesan Synod at a meeting in Blackburn Cathedral.

That event follows a packed week where, in addition to spending some private time in the company of the senior clergy of the Diocese including Bishop Philip of course and the Anglican Bishop of Lancaster, Rt Rev. Dr Jill Duff, he has also...

• Attended two of this year’s clergy study mornings - one at christ church, thornton-le-fylde and the other at st stephen’s, burnley.

• Visited several schools in the chorley area, including st michael’s high school and st james’ cofe primary.

• Attended a confirmation service at parbold and appley bridge.

• Visited st luke’s in blackburn, one of our resourcing churches and a key part of our ‘lighting up new generations’ project to reach out in fresh ways to young people; visited st peter’s parish church in burnley.

• Met the diocesan link diocese committee in preston. Speaking at the World Mission Evening about how he and his people deal with their current situation in South Sudan Bishop Joseph, who was consecrated just a few days before the Diocese was displaced, said: “A church is not a building but the people and God has given us the grace to build a strong church with our people.

“Our pastors are strategically located to ensure each and every person is taken care of, so we can provide prayer, counselling and hope, through the word of God. Hope in the midst of hopelessness.

“The church has grown stronger than it was when we were in South Sudan. Whatever the enemy was intending for us, God has changed it for His own glory!”

Bishop Joseph concluded with a series of prayer requests saying: “I have enjoyed my visit to Lancashire and I thank everyone for their hospitality. Please continue to pray for the people of the Diocese of Liwolo every day. Pray for me to have wisdom, courage and power to lead them.

“Please also pray for the return of my people back to their homes in South Sudan. And please also pray for good crops and successful agriculture; so able to produce our own harvests and to be self-reliant.”

Bishop Joseph with Rev. Michael Print of St George’s in Chorley during their visit to St Michael’s High School in the town.
19 www.lancmag.com LANCASHIRE & NORTH WEST MAGAZINE
On his visit to St Luke’s in Blackburn, Bishop Joseph is joined by (l-r) Alan Gault, Curate; Rachel Gardner, Youth Resourcing Lead and Bishop Philip.

Lancashire & South Cumbria NHS Foundation Trust

Wesham - One Year Celebration

Getting It Right First Time (GIRFT) programme. Suzannah Davies, Workstream

Delivery Manager at the GIRFT programme and Clair Haydon, Consultant Occupational Therapist and Clinical Director for Mental Health Complex Care for North West England. Leading figures from LSCft were also in attendance and took the opportunity to introduce their peer mentor and volunteer system linked in with #RehabLegends, a charity that started in Plymouth.

Staff and patients at Wesham Rehabilitation Centre are celebrating the one year anniversary of the service providing rehabilitation care in the community.

The service, run by Lancashire and South Cumbria NHS Foundation Trust (LSCft), provides a mental health pathway that sits between acute care and community living and reopened last year after a £9.4million investment.

The centre has 28 beds and offers people who have been in hospital, often for long periods of time, the support to regain skills and confidence with everyday tasks such as cooking, cleaning and looking after their physical and mental health and wellbeing.

The inpatient mental health rehabilitation service was previously based at Royal Preston Hospital, before relocating to Wesham Rehabilitation Centre in March 2022. To mark one year since the reopening and relocation, the centre hosted a celebration event which included refreshments prepared by residents and staff, welcome speeches, an acoustic performance by a resident and networking opportunities with partner agencies such as Pet Therapy, Grow Your Own, Red Rose Recovery, AFC Fylde and Carers Link.

The event was open to residents, former residents, carers and their families and was attended by leading mental health figures including, Dr Sri Kalidindi CBE, National Clinical Lead for Mental Health Rehabilitation for the NHS England and Improvement

During the event residents and former residents had the opportunity to showcase some of their woodwork, artwork, music and share their own personal success stories before a plaque unveiling.

One resident said: “Being at Wesham has made me realise that I have a life to live and I need to look after myself. I cannot praise this place enough, it has changed my life for the better, more than I could ever have imagined.”

The centre includes treatment rooms, living space, therapy gardens and community café at the entrance. The centre offers service users a holistic approach including learning opportunities that help lead people towards happier and more fulfilling lives.

Emily Kaye, Consultant commented: “The last year in Wesham has been very busy but exciting. Our service

20 www.lancmag.com LANCASHIRE & NORTH WEST MAGAZINE

has developed rapidly, with residents and staff navigating together the challenges of moving location, moving work and meeting many new faces.

“Despite the significant pressures that the NHS faces, we have maintained our welcoming, compassionate atmosphere and

continue to help patients thrive.”

Since the service began in 2020, 52 patients have worked with the centre, helping them on their recovery journey and allowing them to rejoin the community and stay out of a hospital setting.

Emily continued: “We have multiple success stories and these are reflected in our DIALOG scores. DIALOG is a subjective quality of life and treatment satisfaction score, where patients rate their satisfaction with 8 life domains and 3 treatment aspects out of 7. On discharge their total scores have improved by 14.43%”

21 www.lancmag.com LANCASHIRE & NORTH WEST MAGAZINE

WHY PROFESSIONALS ARE TURNING TO THE MATCHMAKER UK FOR LASTING LOVE CONNECTIONS

This is where our team of expert matchmakers, led by multiaward winning, MMI-certified matchmaker Lara Besbrode, come in. We work tirelessly to help busy professionals find love connections that can last a lifetime, allowing them to focus on their career and personal growth with the peace of mind that their romantic life is in good hands. In this blog, we’ll delve into popular reasons why discerning professionals are turning to Lara and our team of expert matchmakers for their lasting love connections.

Lara, the founder of award-winning and high-end introductions agency The Matchmaker UK, leads a team of handselected dating experts in sparking meaningful connections for our discerning clientele. With passion and care, we meticulously curate matches that are tailored to each individual’s unique preferences and desires, ensuring that every introduction is a seamless and delightful experience.

OUR MATCHMAKERS ARE VALUED EXPERTS

The magic of what we do at The Matchmaker UK has been crafted through a pursuit of excellence, constantly refining our process and approach to ensure the best possible outcomes for our clients. We have a deep understanding of what it takes to create a lasting relationship. Our matchmakers use a variety of methods to match clients with compatible partners, including bespoke profile interviews, and background checks.

This ensures that our matches are based on more than just physical attraction.

OUR MATCHMAKERS SAVE YOU TIME

Professionals lead busy lives and often do not have the time to devote to finding a partner. By working with a matchmaker, clients can leave the arduous job of finding a partner to our experts, freeing up their time to focus on their career, family, and other hobbies. The Matchmaker UK takes care of all the details, from arranging the first date to providing feedback and advice throughout the dating journey.

ENJOY A PREMIUM, PERSONALISED AND DISCREET SERVICE

We work with each client on an individual basis, taking the time to

understand your unique needs and preferences. This means that the matches made by the matchmaker are tailored to your specific requirements, ensuring that you are more likely to be successful. Additionally, our professionals often value your privacy, and understand that you might not want to use online dating sites or apps that are open to the public. We offer a discreet and confidential service, ensuring that clients can maintain privacy throughout the matchmaking process.

SUPPORT AND GUIDANCE THROUGHOUT THE ENTIRE PROCESS

We work with our clients to ensure that you are ready for a relationship, providing advice on improving communication skills, building

At The Matchmaker UK, we know firsthand how demanding it can be for busy professionals to balance their work and personal lives. It’s not uncommon for highly successful individuals to find themselves struggling to make meaningful connections and find lasting love amidst their hectic schedules...
22 www.lancmag.com LANCASHIRE & NORTH WEST MAGAZINE

confidence, and overcoming any obstacles that might be standing in the way of finding love. We also provide feedback after each date, helping clients to understand what went well and what could be improved.

In conclusion, professionals are turning to us to find lasting love connections for a variety of reasons. Our matchmakers are experts in their field, we save you time, offer a personalised service, provide a discreet service, and offer support and guidance throughout the entire process. For busy professionals who are struggling to find love, a matchmaker might just be the solution you need to find a partner who is compatible, committed, and ready for a lasting relationship.

To learn more, check out our reviews on Trustpilot and Google. The Matchmaker UK is part of the Association of British Introduction Agencies (ABIA)

D www.thematchmaker.uk

N 07551 871180

I @thematchmakeruk

23 www.lancmag.com LANCASHIRE & NORTH WEST MAGAZINE

Help More Music Fundraise for Their 30th Anniversary Catch The Wind Kite Festival

In their 30th year, to make their annual Catch the Wind Kite Festival in Morecambe extra special, More Music are running a fundraising campaign, and are asking for the public’s help to reach their target and to spread the word.

Taking place on Morecambe Promenade on Saturday 24th and Sunday 25th June, for 2023 Catch the Wind Kite Festival will have a focus on the natural world,

climate change, the landscape and the future of the planet. It’s a free, inclusive, family friendly, weekend festival, with music, professional kite flyers, street performers and creative workshops.

Catch the Wind is one of the most popular events in the Morecambe festival calendar and also the longest running. It offers wonderful opportunities for local people, increases numbers of visitors to the district, provides employment, generates business for the economy, offers a platform for

24 www.lancmag.com LANCASHIRE & NORTH WEST MAGAZINE

diverse artists and showcases the natural beauty of the bay. By pledging, your support will ensure the festival is free and continues to provide great art and opportunities for everyone.

Although More Music are off to a flying start with their campaign, being 65% of the way to their target, they still need your help as the campaign is ‘all our nothing’. Individuals and businesses have already pledged as well as Lancashire Culture & Sport Fund backing the project too.

Whether small or large, from £1 to £100, any donation will help support the festival, and is massively appreciated by the More Music team.

Find out more and pledge at www.spacehive.com/catch-the-wind-kite-festivalmorecambe

25 www.lancmag.com LANCASHIRE & NORTH WEST MAGAZINE

LANCASHIRE HOUSEBUILDER GIVES HOSPICE A FUNDING BOOST

REDROW Lancashire has donated almost £13,000 to a Preston hospice

St Catherine’s Hospice was chosen as the Chorley-based housebuilder’s ‘charity of the year’ for 2022. Employees, suppliers and contractors came together to raise £12,855 throughout the year and several Redrow colleagues also volunteered their time to help with the hospice’s own events.

Redrow’s fundraising initiatives included selling on surplus bricks from sites, a spring event with Redrow staff and contractors, and a charity golf day and raffle, which alone raised more than £5,000.

As part of Redrow’s nationwide 1,000 days volunteering challenge, for which all staff were granted two days paid leave to volunteer, Redrow’s Lancashire colleagues also gave their time to prepare the hospice grounds for its Yellow Ribbon Day.

Emma Jacovelli, head of community engagement at St Catherine’s Hospice, said: “We’re so grateful for this generous donation from Redrow, which will really help in our efforts to reach more local people in our area who are affected by lifeshortening illnesses.

“Not only do we provide palliative and end-of-life care at the hospice; we also care for people in their own homes across Lancashire, helping patients to experience quality of life to the end of life. Our team supports families with emotional and bereavement support, and we offer a range of support for all

left:

Redrow donates £12,855 to St Catherine’s Hospice (L-R) Redrow Lancashire’s office manager Sharon Stewart with the hospice’s head of community engagement

Emma Jacovelli and chief executive Lynn Kelly, and Redrow Lancashire managing director Claire Jarvis

members of our community such as carers and people who are lonely and isolated, or bereaved.

“We can only continue this important work thanks to the ongoing support of our communities and the wonderful relationships we have with businesses like Redrow.

“Redrow staff have donated vital funds as well as volunteering time to our cause over many years, and we are delighted that they continue to be there for our charity and those we care for.

From everyone at St Catherine’s Hospice, I’d like to say a huge ‘thank you’ for everything they have done and continue to do for their local hospice.”

“We’ve partnered with St Catherine’s Hospice over many years to raise funds and support them to provide the wonderful and vital care they provide for patients,” said Claire Jarvis, managing director for Redrow Lancashire.

“It’s a privilege to hand over the cheque and I’d like to thank all of our staff, contractors and suppliers who worked hard and gave generously to raise such a brilliant total.”

For further information about St Catherine’s Hospice visit https://www.stcatherines.co.uk/

To find out more about where Redrow is building in Lancashire visit www.redrow.co.uk/lancashire

26 www.lancmag.com LANCASHIRE & NORTH WEST MAGAZINE

FELLTARN

Design Studio

All our cards are illustrated and designed in Kendal on the edge of the Lake District. Our local surroundings supply the endless creative inspiration for our designs including the happy Herdwick Sheep.

Our cards are created by award winning illustrator Claire Jane. Printed in Kendal, Felltarn cards are fully recyclable and the production is o set via the brilliant Carbon Capture scheme which works with the Woodland Trust to keep planting trees throughout the UK.

We also donate a percentage of the pro ts from the sale of the cards to the wonderful local charity - Animal Rescue Cumbria.

All our cards are available at:

Felltarn’s full range of unique, quirky cards are available on our website or our Etsy Shop. felltarn.co.uk

Etsy shop: Felltarn

felltarn.co.uk

At Felltarn we are specialists in design and illustration of maps and trails for town centres, visitor centres and holiday parks. We create children’s menus and activity sheets. We design marketing images, lea ets, social media, newsletters and logos for any industry or size business. We focus on producing engaging, clear and captivating content to ensure your business’s message comes across just the way you need it to.

Find out more: felltarn.co.uk

amy@felltarn.co.uk

FELLTARN DESIGN

MARKETING
ONLINE
PRINT NEWSLETTERS LOGOS & STATIONARY
ILLUSTRATION ONLINE
IMAGES
&
BROCHURES LEAFLETS
for
Felltarn @felltarn Please follow us
all the latest designs & news

Felltarn Design with a Difference

Felltarn - a design and publishing business based in Kendal, founded by two fabulous friends - Amy and Claire.

The ladies registered the business in May 2013 then launched their first book in January 2014 so technically they are celebrating 10 years’ of business this year.

Lancashire & North West Magazine spoke to Amy to find out just what Felltarn is all about and what they are striving to acheive?

Amy started telling us that they have a multitude of services, but she would begin with talking to us about the designs and illustrations they create for maps, produced for town councils and business improvement districts (BIDs). These projects have the intention of increasing footfall within the given locations, through use of Felltarn’s illustrated trail maps aimed at primary school age children and their families, because there has been a massive nationwide decline of the public visiting and shopping in the high streets.

So yes, they are a graphic design agency at Felltarn but actually the purpose is to help with regeneration of popularity in the high streets throughout use of their eye-catching, original trails, so there really is a bigger picture at play.

Maybe lockdown was largely responsible for this shift of vacancy amidst towns, as obviously during lockdown access to shops was limited, but the aftermath is that many stores and businesses were forced to fold. Even for those who managed to hold out, they now face a knock-on effect of people being in the habits of internet shopping rather than in person, and so the overall towncentre footfall has fallen dramatically.

The ladies like to help the independent shops that are still

standing to get acknowledged and then increase in popularity. They do this by featuring them in the trails on the maps that they produce. (The kind of smaller artisan stores which struggle to sell themselves online, maybe not offering next day delivery, or ability to run an extensive website, or not stocking a vast range etc.).

So, what they are doing at Felltarn through their creativity and through design elements, is offering you that reason to get out and into town, particularly for families - getting

28 www.lancmag.com LANCASHIRE & NORTH WEST MAGAZINE

kids outdoors and off electronic devices, with a real handheld map not an electronic tablet. Yes - you can do online trails, download apps to your phones etc. but isn’t the idea to sometimes step away from the electronic devices? This is the perfect way, by way of a wholesome family activity.

I asked Amy how do they decide upon which businesses to feature? Or do they go out and research?

The answer is yes, they do go out to some towns to pick out trail spots but they also work alongside and in conjunction with town councils; Felltarn offer the services and the councils who know their areas and best locations, then provide information to Felltarn.

They not only produce seasonal children’s trails for Easter, Halloween, Christmas – (and they did a fabulous Coronation trail for children featuring King Charles, Queen Camilla and their two Jack Russell dogs Bluebell and Beth), but bespoke trails. Their Food & Drink Maps feature restaurants, bars and pubs, complete with unique illustrations of key buildings. (These are brilliant, please take a look at all of this after reading, website and contact details at the bottom of the article).

The town organisations that commission these trails often run competitions with the activity, and this gives another way for these businesses/organisations to communicate with the general public; people undertaking the trail, when they have completed their map (as this is a search and find style quest), will then submit entries, of course with their names and contact details, and this gets that communication train running for them. Prizes could be vouchers from the stores included etc.

The demographic for the children targeted with these trail maps is of primary school age (that’s not to say big kids won’t want to join in too) but the activities and tasks are tailored for that age group primarily. For example, on the trail it could be an image displayed in a particular store window that the children have to find and write what it is, or sometimes the children are asked to draw an example of something, or such.

Felltarn can tailor work and designs to any town, Amy mentioned them working with Inverurie in Scotland, then all the way down to Worthing on the south coast, Cornwall, Devon as well as Kendal and many more . . .

Not surprisingly, Amy says they do find that once they start producing maps for a town, they come back for more time and time again!

It’s not just the Business Improvement Districts (BIDs) that Amy and Claire work with though, as they work with town and district councils too. BIDs are organisations set up independently to councils, so they are completely separate, but they do have to be voted in. There is a process where a BID area is defined, it will be a specific marked out area within a town, (so some cities will have multiple different BIDs, their boundaries are clearly defined), and all businesses in that area then vote

as to whether they want to become a BID. This would mean they pay a small levy in accordance with their own business rates, (could be £40 or £50 a year, but in effect this becomes an additional tax), this money is collected and goes into a fund, and it is then decided how to spend the

29 www.lancmag.com LANCASHIRE & NORTH WEST MAGAZINE

fund in order to improve the overall business state of the BID area. Some BIDs may focus on things like security,

therefore installing extra cameras etc. (practical approaches for safety there), some areas which want to increase

tourist numbers will put on festivals or events say, some just need more general public footfall, and so every BID will have its own agenda or need.

Felltarn works with each BID to help them achieve their specific objective, and let them know how their services can help build business in a town using their trail maps and information guides. (There are already over 330 BIDs across UK. BIDs have a five-year term which will then be reviewed, and Kendal where Amy and Claire live, is approaching its third term!)

Felltarn has created some fantastic trails in Kendal – these are bespoke projects highlighting what Kendal has to offer, sharing historical facts and encouraging trail participants to explore the quieter corners of the town. Great fun for children and their families and a much-needed boost for hidden shops. Win-win!

Felltarn’s trails encourage children to step away from electronics, but this doesn’t mean they can’t incorporate a digital aspect, for example with the use of QR codes. This can even help bring additional advertising separate

30 www.lancmag.com LANCASHIRE & NORTH WEST MAGAZINE

to a trail, like a QR code which takes you to a website about an event going on in the area, etc.

Felltarn can incorporate anything their client wants to include but Amy says they do feel passionate about the tradition of a paper-based activity, and feedback from their clients is that this is welcomed by families and businesses.

So lets go back to 2013 when Amy and Claire first sparked into action.

Amy tells of how they were mums who met on the school run and they just clicked, becoming instant friends. She said how they made plans to get together to exercise but they never really got to that, they ended up being too excited drinking coffee and throwing around what Amy calls crazy ideas. (But they turned out to be not so crazy after all!)

They would talk about how they were not happy in their day jobs and

both strongly desired a change of lifestyle to break the mundane 9 to 5. They discovered this was not their only similarity, as Amy describes them as both being quirky, and crazy in some ways, but a craziness that made them brave enough to take the leap of faith to cook something creative up and path a new future for themselves.

We spoke with Amy but Claire being there too, we could hear them both credit each other for their part in the initial start-up; Amy saying that Claire is the driving engine who got them rolling, her art which is the magic of the actual products, but Amy then brings a marketing genius and business brain which is the glue that sticks all that amazing design work together. Amy describes it as their skillsets are key to each other but different enough not to step on each other’s toes. (Honestly, they really are like a dream team, enough to make you jealous when you don’t feel that brave, but you really want to be!)

Their first creation was their fun activity book/children’s travel guide – Felltarn Friends, Lake District Adventures. They created a whole series of animal characters who became the ‘Felltarn Friends’. Claire’s art style is one which you can tell comes from a well-practiced graphic designer, and yet she somehow makes that graphic style quality so cute and inviting. The Felltarn Friends are adorable - you can’t help but love them.

The book is gorgeous and even greater as it fills a gap in the market, it is a travel companion for kids. We get a great deal of travel guides for adults, but there are not enough for the kids, and what better place to start than the Lake District. There is so much to see, steeped in history and so beautiful, and for free. The book is packed full of facts about the whole area and specific spots, as well as fantastic artwork, crafting, activities and even jokes. This is a book which will encourage kids to get out and have them be the ones dragging the parents around and suggesting the highlighted tourist spots! (And that is a good example of an idea from a great marketing brain – thank you Amy!)

So, they made it through Covid together at Felltarn, and this reenforced to them even more that neither of them wanted that typical nine-to-five, or an ‘every day in the office’ job, so they made sure that wasn’t how it was going to be for them. It is down to the fact they both agree on their working ethos, that their principles and practices match, and maybe their craziness too, that their business is a resounding success. (I guess the key to any relationship really is being on the same page!)

They both work in the best space and time that suits the job in hand, be that together in an office, or Claire at home by the fire with the dogs creating her bespoke beautiful art work, (sounds like a dream right?), or Amy at her desk at home, business brain in full force at 5am (yes she is a ridiculously early bird, whereas apparently Claire sometimes works late until early hours like 2am - at the other end of the spectrum!). Being able to be flexible with your own work time management to best suit your brain, seems simple but is genius, if only we could all do this hey?

31 www.lancmag.com LANCASHIRE & NORTH WEST MAGAZINE

The Felltarn Friends book was the beginning of the brand, and during the past 10 years, Felltarn has evolved through a number of guises and products – children’s activity gift packs, birthday crafting parties and a range of bone china mugs to name a few. And now it’s greetings cards that are showcasing Claire’s designs, which are popular with online customers all over the world, as well as being available at a number of retailers and gift shops in the UK. There are fun, bright, eye-catching cards for every occasion, mostly featuring those iconic Lake District happy Herdwick sheep.

So how did the trail maps come about I asked Amy?

Barrow in Furness BID actually approached Amy and Claire in 2017, saying that they loved the illustrative style and branding of Felltarn, and asked if they could come up with something for Easter for the town. The blueprint for the Felltarn Town Trail was born! It proved a complete success and in no time, Kendal BID then followed suit and requested the services of Felltarn to create a series of Children’s Trails, and information leaflets – a History Map and a Food and Drink Map, and Amy says - it then all ran on from there.

The ladies have now designed a number of Food and Drink Maps, which have proved very popular, and provide something for the grown-ups too. It is a great excuse to explore town centres, and encourages you to try new foodie establishments, bars and pubs, which will no doubt soon become firm and regular favourites. Watford BID, Paisley BID and Rugby BID as well as Kendal and Morecambe BIDs here in the North West all have Felltarn Food & Drink Maps to help market their towns to visitors and locals alike. These distinctive maps feature illustrations of key buildings, drawn by hand by Claire. These visually appealing guides help promote the town on so many levels, and let’s face it, with the high street and hospitality struggling at the moment, these maps really give places a boost of fresh interest and all-important foot-fall.

I asked Amy if the pair had any inspirations for creating their original and founding project of Felltarn Friends?

Amy said that ironically their inspiration was in wanting to create something alternative to the traditional Beatrix Potter books, even though Beatrix Potter inspired her to become an avid reader from a young age! Claire is from South Africa and previously (before Felltarn) she wanted to send a book back to South Africa that represented the Lake District of England where she had moved to, but all she could find was Beatrix Potter, that’s where Claire realised there was a gap in the market to showcase the Lake District to children in a fresh new way.

When Claire moved over here, she did so under the agreement that she would only move somewhere that she could see sheep, so this might help you understand why Felltarn illustrate a lot of sheep characters in their designs, and a Herdwick sheep is a pretty good animal to choose to represent the Lake District or a rural quality. (She draws some fantastic and adorable sheep and like we said for all occasions, make sure you take a look!)

As well as the town trails and maps, Felltarn create bespoke maps for tourist attractions like petting farms, or parks. Then they design children’s menus for eateries of all kinds, alongside a listing of foods, there are Felltarn images to accompany and plenty of activities to keep kids occupied when waiting for food.

They even create bespoke marketing materials, from leaflets/flyers, to brochures, and digital marketing pieces like social media banners, which they can produce for any company/business including schools, cafes, hotels, or events or productions, like festivals. These can accompany a trail or map package or be an independent marketing package. (They have just done all the independent marketing for the Kendal Cycling Festival for example).

They create all the marketing materials for the BIDs that they work with too, to ensure a cohesive and complete package of services all round. Felltarn’s trails are available as design templates to customise, or they can create a completely new bespoke design. Recently, Southport BID commissioned one of Claire and Amy’s favourite projects ever - a bespoke town trail to coincide with EuroVision!

We were blown away with how much the girls actually do at Felltarn, and we asked Amy if there had been any projects they had worked on which particularly stood out?

32 www.lancmag.com LANCASHIRE & NORTH WEST MAGAZINE

Amy said that actually some of their bespoke projects have included rather surprising ones – for example, through a friend of a friend they made a contact in Egypt, who is the CEO of the store equivalent of Waterstones in Egypt, had seen and liked the design style of Felltarn and wanted them to produce a unique Egyptian themed colouring book for adults. Amy told us of how this project came in just before Christmas, but as enthusiastic as ever,

Claire took it on, working for the weeks over the festive period, tirelessly and relentlessly to complete these designs. She created 23 different designs in mere weeks, but they did it! Now this is on sale in the Egyptian equivalent of Waterstones.

Another big project included one at Brockhole Lake District Visitor Centre which used to have an indoor soft play centre at that site. The ladies designed a series of illustrations which were then

scaled up to be huge 8ft tall murals on the wall. So, the Felltarn Friends were large and proud – although sadly the soft play centre closed quite recently but it just goes to demonstrate the versatility of Felltarn.

Felltarn has such a range of services, these girls are not just an artist and a marketeer, they are an entire business and a fantastic one at that. Creative, passionate, driven, incredibly talented and brave, so take a leaf out of their book – in fact go and get yourself a copy of Felltarn Friends, for your kids, grandkids, relations, or friends’ kids, and have a read and get out for an adventure in the Lake District.

For any further information please contact Amy & Claire, check out their website or social media and get yourselves involved

www.felltarn.co.uk

Or checkout Felltarn on Facebook, Instagram and Twitter.

Elóise Thomas - The Bay

We have the pleasure of speaking with Eloise Thomas, who has appeared in popular shows like BBC’s ‘CHLOE’ and ‘The Bay’ on ITV. We’ll dive into Eloise’s experiences working on these productions, what it was like being on set, and what the future holds for this talented rising star.

Hi Elóise, it’s a pleasure to meet you. Tell me what viewers should expect in ‘The Bay’ series 4 and how your character fits in the story. Set in a unique coastal town, The Bay series 4 is centres around an investigation of the death of Beth Metcalf, wife of Dean Metcalf and mum of four kids (including Izzy who I play). Izzy is headstrong and independent who at first seems like an angsty, moody teenager but there is more to her than what surface appears as she has to process the tragic loss of her mother and her relationship with her father.

You must have been thrilled to land the role. What was the auditioning process like for you?

I was so thrilled! I was incredibly excited because this role felt like something I could develop over the months of filming. The audition process started off with a self-tape with the help of one of my actor friends reading in behind the camera and then landed a recall over zoom with the casting and production team. So it was all remote really. I always prefer being in the room but the fact

that we can just do castings over home tapes and video calls has really opened up opportunities for actors to be anywhere in the world and audition for roles that are anywhere in the world. As well, it’s always fun doing self- tapes with friends because you get to almost workshop ideas and play around with the role with more time on your hands

The series is set and filmed in Morecambe. How did you find your time on set?

I loved Morecambe, there was something very real about the area and it brought me back to being a kid and going on seaside holidays with my mum. It’s also amazing just getting to wake up everyday by the sea and also not be that far from the Lake District which I took trips to occasionally throughout the filming. Everybody within the cast and crew got on really well on set, I feel like Tom, Will and Ella, (Who played the other Metcalf kids) became like actual siblings to me and there was a lot of laughing on set! Especially because it was over summer, when the sun was out, it was a lovely, positive atmosphere.

I hope you had time to explore the town while you were here. Are there any specific places that stick out in your memory?

We mainly stayed in Morecambe and would sometimes go into Lancaster town for dinner and drinks which was a lovely, historical vibe but where we stayed in Morecambe definitely stuck out the most. It was this dated, artdeco building with the most eccentric rooms. I love staying in bizarre places and on top of that, having a balcony that looked over at the sea was a real treat in the mornings and evenings.

Readers may also recognise you for playing ’Teenage Becky’ in BBC’s ‘Chloe’. Talk to me a little about your experience working on that series.

Chloe was an amazing first TV role to do. The crew consisted of a lot women which was incredibly inspiring and I absorbed so much from being a part of such a wellwritten, brilliantly produced show. Like The Bay, everyone on this shoot were infectious to be around which just makes the experience even more memorable .

When did you first realise you wanted to be an actor? And how has the journey been like for you?

Wanting to be an actor was the first thing I knew really. I started performing arts at around 5 years old so it was one of my earliest memories. I went in and out of it over the years but the minute I hit 15/16 I definitely knew I wanted to pursue it seriously and that was where the long grind begun haha. I didn’t do full-time drama school, I really enjoyed being able to work my way up through doing acting jobs and dipping in and out of different types of classes around London (I even went to LA for a bit to train when I was 18). But yeah, it was definitely a lot of rejection and early work that may not have been very glamorous or rewarding but definitely taught me a lot about how to navigate a set, how to work fast, how to develop characters as you go a long, how to also work out the business side of acting too. When I was younger, I really loved working on the student films because I got to essentially hang out and meet people of a similar age who were also passionate about story-telling and

...
INTERVIEW 34 www.lancmag.com LANCASHIRE & NORTH WEST MAGAZINE
35 www.lancmag.com LANCASHIRE & NORTH WEST MAGAZINE

were at the start of their careers. Now it’s a lot more reassuring and exciting having done a few roles for television and film because I guess it’s proven what I’m capable of which sometimes was very easy to doubt when I wasn’t at that point yet in the past? It’s still obviously a very unpredictable industry but I feel like I’m in a lot more of a confident place where I enjoy the auditions and approach it more creatively and collaboratively rather than with this element of “I need to book my first professional gig”. I think as well because it was a long grind, whenever I do book nice work now, the overwhelming joy of starting a new job never fades, I think it’ll always be a ‘pinch me’ moment getting to do this career!

How do you like to spend your time when you’re away from the set?

When I’m not on set, I like to stay creative in different ways like going into nature, DJ’ing, finishing my art degree, watching films and theatre. I am definitely a busy bee and hate doing nothing, it’s very hard for me to fully relax, I feel like there’s too much to do in life!! Saying that though, I just finished filming a HBO series in Iceland and there’s a big geothermal, naturally heated outdoor pool, sauna / steam room culture going on out there which I HEAVILY indulged in so I do think now being back in the UK that is definitely going to be something I’d like to incorporate into my weekly routine.

Tell me about your dream role? Any projects you want to be involved with or people you would love to work with?

My dream direction I’d like to go in is cinema, I’d love to be in an A24 film, and PULSE films too . I’ve been in a few BFI shorts but would be amazing to do something on a feature-film level with them too. I love cinema that has really distinctive visuals and stories/ performances that the audience can sink their teeth into and come away jaw-dropped, I also love films that have an independent feel to it too but the ultimate dream would be to star in a Joachim Trier film, I adore his style and can watch The World’s Worst Person over and over again. I’m very ambitious, some might say too ambitious (Although I don’t think that exists!) so I always want to jump on to the next level of work and always feel slightly out of my comfort zone. I tend to do a lot of serious roles which are really fun and significant to throw myself into but it would be great to try out comedy and bring my silliness in front of the camera! As you can tell I think I just want to do everything haha!

What will we see you in next?

The latest series of The Bay is currently available to stream on ITVX. In the pipeline, I also will be in HBO’s new series of True Detective: Night Country airing later on this year. As well as a role in a BBC Drama that will be coming out in 2024. 

36 www.lancmag.com LANCASHIRE & NORTH WEST MAGAZINE

Photography: David Reiss

Styling: Katy Cutbirth

Hair & Makeup: Charlotte Yeomans

37 www.lancmag.com LANCASHIRE & NORTH WEST MAGAZINE
Open Monday, Wednesday, Thursday & Friday, Open Monday, Wednesday, Thursday & Friday, 9am - 3pm

Brain Tumour Awareness

worse.

“The doctors at hospital thought I was suffering from migraines but I couldn’t even talk because I felt so bad. All I wanted was for the pain to go away. I had a CT scan which showed there was a mass in my brain. More tests followed, including an MRI scan, which confirmed the mass was a tumour.”

What are brain tumours?

A brain tumour is a collection of brain cells that have grown out of control.

Normally, cells divide to replace old and damaged cells. But sometimes this process can go wrong, leading to changes to cells in the brain. This can lead cells to divide uncontrollably, forming a tumour.

Brain tumours can start anywhere in the brain. They cause different symptoms depending on their position in the brain.

Some signs and symptoms include:

• Headaches

• Feeling or being sick

• Fits (seizures)

You know what feels normal for you. If you’re worried, or if something feels unusual for you, speak to your doctor.

Brain cancer survival is improving and has doubled in the UK over the last 40 years.

Mary’s story

In July 2016 Mary was diagnosed with medulloblastoma, a form of brain tumour which is much more common in children than adults. Mary’s first symptoms were severe headaches, six months before her diagnosis, that continued to get

Mary’s had extensive treatment including surgery, radiotherapy and chemotherapy. The treatment affected her fertility so she also underwent IVF to improve her chances of having children in the future.

Her latest scans show no signs of cancer.

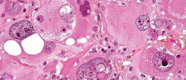
our scientists, changed brain tumour treatment forever. “For the first time, some people with glioblastoma clearly did respond to a drug,” says Professor Anthony Chalmers, a doctor and researcher who specialises in treating brain tumours. Those results showed the world that there was a way forward against glioblastoma, the most common and aggressive type of brain tumour. Temozolomide made what was beginning to look impossible possible, and gave researchers like Professor Chalmers hope.

That hope has taken us a long way. Now, with our funding, Chalmers and his fellow researchers are combining temozolomide with other drugs we helped develop, called PARP inhibitors, to make it more effective. They’re showing how our legacy of funding lifesaving research powers the advances we’re aiming to make in the future.

Using magnetic drug targeting for kinder brain tumour treatment

“Being told I needed brain surgery and that there was a risk I might never wake up has made me appreciate life so much more.”

Combining our breakthrough drugs to treat more brain tumours

Temozolomide, a chemotherapy drug discovered and developed by

A team of researchers at the University of Sheffield, partly funded by us, have been trialling using magnets to make chemotherapy a more effective treatment for gliomas (brain tumours that originate in glial cells, including glioblastomas).

As with most brain tumours, surgery is the most common treatment for gliomas. But it’s extremely invasive and often needs to be followed up with further treatment to ensure the tumour has been removed.

Image credit: Michael Bonert

40 www.lancmag.com LANCASHIRE & NORTH WEST MAGAZINE

In many cases, chemotherapy could be a kinder alternative to brain surgery. That said, chemotherapy isn’t used as commonly as it is for other types of cancer because of the bloodbrain barrier, a kind of security check that separates brain cells from the rest of the body.

The purpose of this barrier is to protect brain cells from anything that might harm them, like bacteria

or viruses you might have in your blood if you’re unwell. It also stops most chemotherapies, which is a big problem. If a drug can’t get through the barrier, it can’t treat a tumour.

This is where the magnets come in.

Early results showed that magnetised temozolomide is better at getting round the blood-brain barrier than

normal temozolomide. That suggests magnets could also help other chemotherapies cross the bloodbrain barrier, giving doctors many more treatment options.

Although it’s still at an early stage, this research shows us a hint of future, kinder, brain tumour treatments.

41 www.lancmag.com LANCASHIRE & NORTH WEST MAGAZINE
www.cancerresearchuk.org

Explore Ground Breaking Underwater Archaeological Project In Fascinating New Exhibition Debuting In The North Of England This

Spring

This is the most exciting maritime archaeological exhibition in years and can be seen for the first time in the north of England after successfully touring Portsmouth and Chatham Historic Dockyards.

Bringing the exhibition to Hartlepool allows it to go on display alongside HMS Trincomalee, the oldest warship still afloat in Europe and a ship built only 50 years after Invincible and comparative in size and design. Therefore, as visitors explore the extraordinary array of objects salvaged from HMS Invincible they are also able to gain a

clearer insight into life on board HMS Trincomalee.

In a first for the north of England, Diving Deep: HMS Invincible 1744 charts a voyage to The National Museum of the Royal Navy Hartlepool to take visitors on a fascinating journey under the sea, without getting their feet wet.

Maritime Archaeology Sea Trust Senior Archaeologist Giles Richardson with an artefact from HMS Invincible. Credit Mike Pitts.
42 www.lancmag.com LANCASHIRE & NORTH WEST MAGAZINE

This interactive exhibition tells the story of the iconic game changing 18th century warship HMS Invincible that revolutionised ship design, and the complex three-year archaeological project to save her precious objects

The exhibition, which launches for Easter and features objects recovered from the ship, is supported by The National Lottery Heritage Fund. It is intended to be the legacy of the three year-long excavation which has been followed closely by the media as the most complex underwater archaeological project since the raising of the Mary Rose

The most exciting maritime archaeological exhibition in years can be seen for the first time in the north of England when the new interactive Diving Deep: HMS Invincible 1744 exhibition opens this Easter at the National Museum of the Royal Navy Hartlepool.

Providing an insight into the extraordinary work of a team of professional and volunteer divers, the exhibition explores the fascinating discovery and underwater excavation of this 18th century battleship which sank in February 1758 when she hit a sandbank in the East Solent.

Diving Deep: HMS Invincible 1744 has been wowing audiences in Portsmouth and Chatham Historic Dockyards since 2020, but bringing the exhibition to Hartlepool allows it to go on display alongside HMS Trincomalee, a ship built only 50 years after Invincible and comparative in size and design. Therefore, as visitors explore the extraordinary array of objects salvaged from HMS Invincible they are also able to gain a clearer insight of life on board HMS Trincomalee..

HMS Invincible was a game changing iconic ship that revolutionised ship design but ran aground on a sand bank over 260 years ago, dramatically sinking beneath the waves and was preserved for over two centuries on the ocean floor. Whilst the wreck remains on the bed of the Solent, the exhibition is the result of an emergency underwater excavation to save her precious objects that was fought against time and tides.

Visitors to the exhibition will be able to follow the story of Invincible; her capture from the French, the contribution she made to the Royal Navy and ship design and her subsequent sinking and rediscovery by a local fisherman, Arthur Mack,

nearly 200 years later. It will also showcase some of the objects and findings from the Diving Deep: HMS Invincible 1744 archaeological excavation, probably the most important of its kind in UK waters for nearly 40 years.

Diving Deep will use the latest in digital technology including photogrammetry, 3D reconstruction of the excavation and new techniques in underwater filming captured on a three-screen projection, to bring the often unseen and mysterious world of underwater excavation to life in an innovative and inventive way.

The project, which is an important collaboration with the Maritime Archaeology Sea Trust, Bournemouth University and Chatham Historic Dockyard Trust has been made possible with funding from The National Lottery Heritage Fund, and after being on show at Portsmouth and Chatham’s Historic Dockyards.

HMS Invincible was a game changer in the way ships were built and influenced the design of one of the world’s most famous and enduring warships, HMS Victory. The 74-gun L’Invincible was originally built for the French navy in 1744 and captured by the Royal Navy in 1747. Her

43 www.lancmag.com LANCASHIRE & NORTH WEST MAGAZINE
Having fun at Diving Deep: HMS Invincible 1744 at the National Museum of the Royal Navy Hartlepool. Credit
NMRN

design was so important that by 1805, two thirds of the Royal Navy fleet were modelled on this ship, as were 16 of Nelson’s 27 ships at the Battle of Trafalgar.

She is probably the best preserved 18th century warship in the UK, and excavation over the last three years has been a race against time and tides. The ship was rediscovered in 1979 by a local fisherman Arthur Mack, and designated as a Historic

Wreck in 1980. It became crucial to recover items from the ship when it was discovered that the bank the ship sits on was migrating away. Due to the work of the team, the excavation is now complete and Historic England has been able to remove the site from its Heritage at Risk Register.

Full of stores, provisions and equipment, much of the ship survived below the waves and during three years of excavation work, the team recovered

significant finds such as swivel guns, a gun port lid, the main stay and even a mop head and bucket. Other finds include clay pipes, wig curlers and a number of bottles – some with their contents still preserved. Some of these items have been donated to the National Museum of the Royal Navy and will be on display in Diving Deep.

Roslyn Adamson from the National Museum of the Royal Navy Hartlepool explains: “This is a hugely important

NMRN 44 www.lancmag.com LANCASHIRE & NORTH WEST MAGAZINE
Volunteers from the National Museum of the Royal Navy working on artefacts retrieved from HMS Invincible 1744.
Credit

exhibition that brings the seabed to dry land and we are delighted to welcome it to Hartlepool. We know people will love it, and it will be the perfect addition to the site following last years well received Horrible Histories: Pirate exhibition. Added to HMS Trincomalee, our reconstructed Georgian quayside, and play park really will make this a full day visit.”

Clare Hunt, Principal Curator for the National Museum of the Royal Navy added, “We’ll be exploring life above and below the water plus life on board. Visitors will get their first glimpse of newly-excavated and treated artefacts and there’s ample opportunity for hands-on, fun activities especially suitable for children.”

The exhibition opens on Saturday 1st April. Tickets for entry to the National Museum of the Royal Navy Hartlepool are available at: www.nmrn.org.uk/ our-museum/hartlepool

45 www.lancmag.com LANCASHIRE & NORTH WEST MAGAZINE

LANCASHIRE’S PIER DIVERS

Divers were once a regular fixture on Lancashire’s piers during the summer, entertaining early 20thcentury holidaymakers by performing spectacular stunts. In Southport their feats have been immortalised in a series of modern metal sculptures.

Here are the remarkable stories of some of the men, or “Professors” to use the honorary title that they were given, who made a living from pier diving in the North-West during the first part of the 20th century.

SAMUEL LLOYD

Samuel, “Sam”, Lloyd was one of the earliest pier diving practitioners here in the North-West. He is known to have performed on Southport Pier from at least as early as 1897. A report in the Southport Visiter that year described how the diver had saved a man from drowning and had been commended for his bravery by the Royal Humane Society.

This was not the only occasion on which Lloyd generated publicity. He made further headlines when he attempted a sensational stunt at Liverpool’s Collingwood Dock. He planned to dive off the roof of

a moving train carriage into the water, but, twice on the same day, was thwarted by railway staff at the last minute. Presumably they were worried about the negative publicity the company would receive, should Lloyd injure himself, or be killed, whilst attempting the stunt. In the end, Lloyd abandoned his first idea and instead climbed the iron railings adjacent to the railway line, before launching himself into the water some 70 feet below.

In October 1901, a notice advertising the attractions on Southport Pier declared that, “One of the prettiest sights to be seen in Southport during

46 www.lancmag.com LANCASHIRE & NORTH WEST MAGAZINE

the autumn and winter months is the feeding of the seagulls at the pier head daily, at 12 noon, by Professor Lloyd, the renowned diver, who gives his celebrated diving exhibitions immediately afterwards”.

Just two months later, Lloyd was drowned when the boat in which he was travelling capsized in stormy weather on Christmas Eve 1901. Two of his fellow passengers were able to swim to safety, but Lloyd and a fourth passenger were lost at sea.

In April of the following year, it was reported that Lloyd’s wife, Jane, was so distraught at his death that she herself had tried to take her own life by drowning. Thankfully, she survived the attempt.

STEVE OSBOURNE

Following Sam Lloyd’s untimely death, Professor Osbourne was booked to perform at Southport Pier during the 1902 summer season. He also took on the late diver’s additional duty of feeding the seagulls daily.

Walsall-born Osbourne was already a well-known figure in the NorthWest, having previously proved a popular performer on the piers of Lytham, St Annes and Blackpool. He

was clearly a highly accomplished diver. “Ascending the trapeze, Osbourne fell from a height of about 85 feet, describing a graceful curve, and falling into the water in the most approved style”, wrote the Preston Herald of one of his early performances at Southport. “The exhibition was a masterly one, and impressed the spectators with the skill and grace of the performer”. The fearless Osbourne dived off the Tea House roof on Southport Pier three times a day.

By 1908, Osbourne had moved on from the North-West, as he was booked to perform on the piers at Great Yarmouth and Lowestoft. In the post World War I years, he plied his trade further up the east coast at Skegness.

BERT POWSEY

Born in 1866, Albert Edward “Bert” Powsey first took up pier diving in his native Kent, performing regularly on Herne Bay Pier for several years in the very early 1900s. By the time he moved to Brighton’s West Pier, he had already trained his son, Herbert, to take over his act and so the slot at Herne Bay Pier remained in the family.

In 1908, Bert Powsey began performing three dives a day from Southport Pier. In advertisements he was called “the champion high diver of the world”, but it’s probably only fair to mention that several other pier divers of the era were described in similarly hyperbolic terms.

One of his most famous stunts was “Professor Powsey’s Terrible Cycle Dive”. This involved riding a bicycle down a steep plank off the end of the pier and diving headlong into the chilly waters of the Irish Sea some 70 feet below. During his time in Southport, Powsey also perfected the “Sensational Dive in Flames”. For this stunt he was placed in sacking covered by pieces of cotton wool, which were doused in petrol and then set alight immediately before he dived into the sea.

Professor Powsey performed in Southport regularly until 1936, eventually moving from the Pier to the resort’s Pleasureland. Such was his reputation, he was also in high demand to perform at other venues across the country and, indeed, overseas.

Powsey made his final dive, aged 75, at a 1941 gala in Southport, which

47 www.lancmag.com LANCASHIRE & NORTH WEST MAGAZINE

was raising funds for the Soldiers’, Sailors’ and Airmen’s Charity Funds. He continued to live in the resort until his death, 15 years later, in 1956.

FRANK GADSBY

Born in December 1881, Professor Frank Gadsby, aka “Peggy” Gadsby, was one of the best-known pier divers of the era. However, his choice of profession was quite extraordinary, bearing in mind that he dislocated a hip at a very young age and had to have one of his legs amputated.

Despite only having one leg, Nottingham-born Gadsby began to have swimming lessons at the age of 12 and went on to enjoy some considerable success as a competitive swimmer. He only turned to diving in his late twenties, but proved to be so good at it that he was soon in demand for exhibitions.

By the summer of 1911, Gadsby was working as a high diver on Eastbourne Pier. During his time in the Sussex seaside resort he completed a challenging 14-mile swim from Hastings Pier to Eastbourne. One local newspaper reported that he

was accompanied by three men in a boat, who, halfway through his epic swim, gave him some hot milk to drink from a Thermos flask. Gadsby is said to have remarked, “That’s good! I wonder what my wife has put in it”. Whatever it was, it clearly did the trick, as Gadsby completed his swim in just under six hours.

Within two years, Gadsby was working as a professional diver on Southport Pier and living in the resort. In September 1913, he took on a new challenge, swimming from Formby to Southport Pier in just under three and a half hours. The water was said to be choppy and very cold, leading Gadsby to declare it a more difficult swim than the one he had completed off the South Coast two years previously.

“Daredevil Peggy”, as he was commonly known, continued his daredevil performances as a pier diver well into middle age. Just a few months before his 50th birthday, he is reported to have performed his trademark “death dive”. This involved diving from a height of 75 feet into a tank of water only 5 feet deep. That was only half the battle – the water in

the tank was also set alight with more than a gallon of flaming petrol.

Gadsby would subsequently come out of retirement, aged 71, to perform the “death dive” one last time. He died five years later, in February 1958, at home in his native Nottinghamshire.

SYDNEY SMITH

Wigan-born Sydney Smith also performed regularly as a pier diver in Southport during the pre-World War I years. In May 1914, he made headlines when, for a bet, he dived from the electric train which used to run along the pier into the water below.

During World War I, he was awarded a Distinguished Conduct Medal for conspicuous gallantry whilst on active service in Belgium with the Liverpool Scottish Regiment in 1915. A Manchester Evening News report in April 1917 revealed that he subsequently joined the Royal Flying Corps (the forerunner of the RAF) and was captured by Bulgarian forces as a Prisoner of War after being shot down behind enemy lines. Thankfully, he does appear to have survived the war.

48 www.lancmag.com LANCASHIRE & NORTH WEST MAGAZINE
One of Southport’s bronze statue’s, here depicting a one leged diver

JAMES MATCHETT

Born in 1876, James Matchett was the youngest child of a large Liverpool family, whose father died when he was still a baby. Even though his mother found work as a charwoman, life was hard for the family.

Despite this unpromising start to life, Matchett excelled as a swimmer before turning to pier diving. Under the name of Professor J.O. Matchett, he entertained the holiday crowds at New Brighton and Morecambe, as well as much further afield including the United States.

Wherever he appeared, he showcased his considerable repertoire of swimming/diving related stunts. He

performed various stunts underwater such as riding a unicycle and eating an orange, in addition to which he perfected his own versions of the hairraising “Cycle Dive” and “Sensational Dive In Flames”.

In later life, Matchett found work as a nightwatchman at Liverpool Docks, where, aged 62, he was tragically found dead one morning in early 1939.

BERNARD PYKETT

Bernard “Bernie” Pykett was another of the popular divers who appeared on New Brighton Pier. Like Frank Gadsby, Pykett was a distinctive figure, having lost his right leg on active service during World War I.

From 1919, he used to perform for the ferry passengers arriving from Liverpool by diving from the high pier into the murky waters of the River Mersey. Pykett would famously ask spectators to reward him by throwing coins into a net attached to a long pole, exclaiming, “Don’t forget the diver” and “Every penny makes the water warmer”. Sadly, his time in New Brighton came to an end in 1930, when Wallasey Council banned him from the pier because of the congestion caused by the large crowds who were attracted to his performances. 

49 www.lancmag.com LANCASHIRE & NORTH WEST MAGAZINE
The statue of Professor Powsey performing his ‘terrible bicycle dive’ at the Pier End in Southport.

Local Teen Archer hits the Bull’s-Eye with Funding from Dan’s Trust

the sport at such a high level, when she came across the opportunities from Dan’s Trust on Facebook.

She said: “I was so excited and grateful to find out that I’d been chosen as a Make A Difference Award Winner. It’s come at such an opportune time as I need to buy a new bow, arrows and further equipment which is really important as I move up to the under 18s category.

“The money will help me to achieve my dream of competing in the European Indoor Archery Championships in Croatia next year, where I hope to represent Team GB.”

For the forthcoming 2023 season Evie, whose current archery equipment is second hand, has moved up to the Under 18’s age group, which means that she will be competing at longer distances.

Evie continued: “If I’m to achieve my ambitions of achieving qualifying GB scores during 2023, my current bow and arrows desperately need replacing with a more powerful carbon-alloy bow and matched carbon arrows.

“So the funding from Dan’s Trust will go a long way to purchasing this new equipment - putting me on an ‘equipment-par’ with my fellow competitors as I move further into the more senior groups.”

The country’s current top Under 18s ladies Target Archer is the latest teen to have been awarded funding from Lancashire-based charity, Dan’s Trust.

Evie Finnegan, 16, who first tried her hand at archery at the age of 10 during a holiday camp, is now at the top of the sport, regularly representing Lancashire at both Senior and Junior levels, as well as for England Juniors.

And now with a £1,000 Make A Difference donation from Dan’s Trust to help fund her sporting progress, Evie is looking ahead to an even more successful 2023.

Evie explained: “Back in 2017 I successfully completed an Archery GB beginners course and joined a club in Manchester, Assheton Bowmen. Today I’m a member of the Bowmen of Pendle & Salmesbury archery club near Preston, where I train and receive coaching.

“To date I have achieved 24 National, 90 Regional and 159 County records in the sport.”

Evie, who is the current County, Regional and National Junior Ladies Individual Champion both Indoor and Outdoors, had been searching for funding and sponsorship opportunities to help with the costs towards competing in

Ian Bagshaw, co-founder and trustee of Dan’s Trust, commented: “Over the last 10 years we have funded teens participating in a diverse range of sports, dance categories and theatrical endeavors, but a female archer is definitely a first for us! We’re so excited to be able to help Evie on her journey towards the European Indoor Archery Championships and we’re hopeful that her enthusiasm for the sport will encourage other local youngsters to try their hand at archery too.”

Alongside Evie, Dan’s Trust - which was founded in 2012 following the sudden death of local sporting enthusiast Daniel Bagshaw - will also be funding another 10 teens across Lancashire throughout March and April, taking their 2023 donations so far to £20,000.

Dan’s Trust was founded by Peter and Shelagh Bagshaw of Clitheroe, together with their sons Ian and Gary. The charity was established after the death of their son and brother, Dan, who was just 27 when he died on the finish line of an ITU Olympic distance triathlon in Hong Kong after suffering from a sudden and unexplained arrhythmia. Dan was a cycling enthusiast and extremely talented and athletic young lawyer.

As well as its successful awards programme, Dan’s Trust promotes and funds research into the early diagnosis of cardiac risk in the young, as well as the improvement of treatment methods for sudden cardiac arrest at Sheffield University and Imperial College London.

50 www.lancmag.com LANCASHIRE & NORTH WEST MAGAZINE

For further information and to apply for one of the charity’s Make A Difference Awards, visit www.danstrust.org.uk and to donate head to: www.gofundme.com/f/dans-trust

Follow the journey of Dan’s Trust recent Award-winners and current ambassadors at www.instagram.com/dans_trust_charity and www.facebook.com/danstrustcharity

51 www.lancmag.com LANCASHIRE & NORTH WEST MAGAZINE

LIP READING GROUP HELPED BY HOUSEBUILDER’S FUND

Redrow sales consultants Abby Ritchie and Rob McCann, visited Hartford and District Lip Reading Group, having recently completed a sign language course themselves to enable them to better assist deaf customers.

The group, which meets every Friday at St John’s Church in Hartford, were given £1,600 from the voluntary community fund to secure its future by covering running costs.

All members are deaf or hard of hearing and, despite having hearing aids or cochlear implants, still find it hard to hear and follow conversations, particularly in social settings.

Catherine Walker, ATLA (Association of Teachers of Lipreading to Adults) teacher for the group said: “The classes provide a lifeline to communication to any adult who has a hearing loss. The skills I teach enable members to feel part of the community, to form friendships and avoid feelings of social isolation. Members currently include hearing spouses who want to support their families and friends.

“Teaching our members the skill of lip reading helps to combat loneliness and gives members confidence to face social interaction.

“The group do not receive any outside funding and usually pay for room hire themselves but Redrow’s kind donation will mean

they can meet the shortfall between income and expenditure and ensure the continuation of our classes until there are more members.”

Caroline Thompson-Jones, area sales manager at Redrow NW, said: “This group has such a huge impact on its members, and for that reason we really wanted to help them to continue with their sessions. Redrow strives to build a culture that is inclusive to all, which enables employees to be themselves at work, actively values difference and ensures everyone is treated fairly, and the lip reading group gives its members the same opportunities.”

As part of that culture, Redrow is also supporting sales consultants and customer service colleagues to train for their Level 1 British Sign Language qualification.

The community fund donation is linked to Redrow’s Hartford developments, Weaver Park and Water’s Reach. Both located on Woods Road, a selection of three and four-bedroom properties is currently for sale.

For more information call the sales team at Weaver Park on 01606 369800 or visit www.redrow.co.uk/weaverpark or www.redrow.co.uk/watersreach

A HARTFORD-based community group that provides the lifeline of communication for deaf and hard of hearing members and their families has been awarded £1,600 by home builder Redrow.
left: Redrow’s Abby Ritchie and Rob McCann, visiting Hartford and District Lip Reading Group
52 www.lancmag.com LANCASHIRE & NORTH WEST MAGAZINE
Gordon Greaves Slate Ltd Established Stonemasons Catering To Customers In Windermere & Across The UK For a wide range of custom stone products, From memorials to worktops, garden furniture and engraving Contact: Tel: 01539 446 737 | Email: gordongreavesstonemason@gmail.com gordongreaves.co.uk

Gordon Greaves Slate

The family-run stonemasonry business, Gordon Greaves Slate, has come a long way since it was established way back in 1987. Based at Troutbeck Bridge, close to Windermere, the South Lakes company is renowned for the exceptional quality of its stonework and now has customers all over the country.

Gordon Greaves focused mainly on architectural stonework in its early days, but over time has extended its activities significantly and now manufactures an extensive range of bespoke stone products. As

well a team of experienced craftsmen who offer a variety of different skills, the company has also invested in advanced computer-controlled machinery, allowing Gordon Greaves to provide stonework of the very highest standard..

Worktops

Gordon Greaves can supply stylish and elegant custom-made worktops for the home in a variety of stones including slate, granite, marble and quartz. They come in a range of styles and finishes, with something to suit all tastes and budgets.

The choice of worktop is a key element in planning a new kitchen. With today’s trend for open-plan

kitchens, the work surfaces need to look stylish, but it is essential that they also prove durable and practical. Gordon Greaves is vastly experienced in supplying and manufacturing topquality customised kitchen worktops at a competitive price. With such a wealth of experience in the trade, the team can provide invaluable advice on choosing the right type of worktop for your requirements.

The company is also expert in supplying and installing bespoke work surfaces for the bathroom including vanity units, bath surrounds, shower trays, cistern tops and shelving. For anyone looking to transform the appearance of their bathroom, the Gordon Greaves team is on hand to offer advice on how to achieve your perfect look whether that involves elegant Carrara marble or sleek polished black granite.

The team is happy to help with any other worktop requirements throughout the home and is also there to provide aftercare advice to ensure that all those smart new surfaces remain in pristine condition.

Fireplaces

The addition of a statement fireplace to a room can create a stunning focal point, as well as making your home more attractive to potential buyers if, in the future, you decide to sell the property.

54 www.lancmag.com LANCASHIRE & NORTH WEST MAGAZINE

With a range of traditional and contemporary stone fireplaces and fireplace surrounds, Gordon Greaves can help in finding the perfect design for your home whether you are looking for a hearth or a full surround. All the fireplaces are custom-made, using a variety of styles and materials including Lakeland and Brazilian slate, limestone, sandstone, granite and marble.

Memorials

Following the loss of a loved one, it is only natural that family members want to provide them with a fitting tribute. Gordon Greaves has supplied memorial plaques and headstones to customers all over the UK. The company can also assist those looking to commemorate a much-loved family pet with a lasting memorial.

Made from Lakeland/Westmorland slate, sandstone or granite, headstones and memorials come in a variety of designs. With years of experience behind them, the Gordon Greaves team can offer all the advice and guidance needed at this difficult time and are on hand to ensure that their customers are fully involved throughout the process. They are also able to handle arrangements with the church or cemetery regarding the memorial on behalf of the family.

Inscriptions are added to headstones using state-of-the-art machine cut lettering, or, alternatively, may be hand carved by one of the company’s skilled craftsmen. For an extrapersonal touch, it is also possible to add a hand-carved image to the memorial.

55 www.lancmag.com LANCASHIRE & NORTH WEST MAGAZINE

In addition, Gordon Greaves offers a highly professional restoration service. Their experienced craftsmen are skilled in repairing and cleaning headstones, restoring them to their very best. They are also expert in restoring inscriptions, using materials such as paint, gold leaf and lead.

Stonework Products for the Garden

Gordon Greaves offers a wide range of stonework products for the garden including beautiful stone garden ornaments, sundials, planters, birdbaths and garden benches. These top-quality stone statement pieces will stand the test of time and transform the appearance of your garden for years to come.

Exterior Architectural Stonework

Gordon Greaves manufactures and supplies exterior architectural stonework, using a variety of materials including Lakeland slate, sandstone and limestone. Examples include windowsills, lintels, quoins, copings and gateposts. Contact the company’s experienced team of advisers for expert advice or to discuss your specific requirements.

Specialists in Stone Engraving

The company has the experience

and the technology to help you with all your bespoke stone engraving needs. Using modern state-of-the-art engraving machines and with a wide variety of fonts at their disposal, the company’s skilled workers can engrave anything from house nameplates to corporate logos on company signs. The company also offers traditional hand engraving services.

With such a long tradition of fine

craftsmanship, it is unsurprising to discover that Gordon Greaves has been commissioned to work on a variety of important commemorative plaques. Examples which may be viewed locally include two plaques commemorating the then Prince Charles’ official visit to the Lake District in April 2019 and the grand slate monument made, in 2018, for the Coniston Coppermine Valley project.

56 www.lancmag.com LANCASHIRE & NORTH WEST MAGAZINE

Personalised Engraved Gifts

Gordon Greaves also offers a selection of gift items that can be personalised with a special inscription including clocks, chopping boards, platters and placemats/coasters.

For more details on any of the services offered by Gordon Greaves, visit the company’s showroom at:

The Mill, Troutbeck Bridge, Windermere, Cumbria LA23 1HS, or their website at www.gordongreaves.co.uk

Alternatively, phone: 01539 446737, or email: gordongreavesstonemason@gmail.com

57 www.lancmag.com LANCASHIRE & NORTH WEST MAGAZINE

Lighthouses of Lancashire to be Included in New Print Series and Book from Artist Roger O’reilly

Lighthouses capture the imagination in a way that few other structures do. These iconic buildings evoke a keen sense of the romance and adventure of life at sea and a reassuringly benevolent presence when illuminated at night.

For sailors, they are a welcome first sight of safe harbour, while during daylight hours, they act as markers, beacons, and in the case of yacht races, destinations in themselves.

Beyond sailing, lighthouses have reportedly won a royal seal of approval – HRH Princess Anne is said to be fascinated by them and has visited almost every example on the British coast. She is the patron of the Northern Lighthouse Board, the General Lighthouse Authority for Scotland and the Isle of Man and explained on the BBC’s One Show “A lot of people think Bell Rock (Arbroath) is the best, I think Skerryvore (Isle of Tiree) is the most beautiful lighthouse.”

Now artist and author Roger O’Reilly has created a unique set of illustrated prints of the Lighthouses of Britain. Each artwork is a unique composition based on the artist’s own drawings and sketches, lovingly created after travelling from county to county. All the Scottish lighthouses are included, including Bell Rock and Eilean Mór, both recognised as some of the most important lighthouses in the UK.

The illustrations are now available to buy from Lighthouse Editions (LighthouseEditions.com) and will be the subject of a beautiful book of prints and stories which will go on sale in 2024.

Inspired by the travel posters of the 30s and 40s, the collection includes iconic and historical lighthouses from across Britain, from those we are familiar with from the Shipping Forecast to the more obscure structures that dot myriad harbours and estuaries. There are lighthouses with historical significance and amazing design, those that tell stories of pirates and wreckers, ones you can

stay in and ones with unexplained ghost stories.

Roger explains how his love of the lighthouse began, “I grew up near the mouth of the River Boyne, on Ireland’s East Coast. A few minutes from my door were three unusual estuarine lighthouses perched among the sand dunes. Drogheda North, East and West lights were truncated structures

58 www.lancmag.com LANCASHIRE & NORTH WEST MAGAZINE

that stood like daleks on stilts, gazing forlornly out to sea and only coming to life as the dusk crept in. I didn’t realise it at the time, but they imprinted in me a deep-seated love of lighthouses and all that they represent.”

In 2017 Roger began illustrating the lighthouses around Ireland’s South Coast. This quickly grew into a collection that culminated in an award-winning book, Lighthouses of Ireland, (Irish Book of the Year, 2018, now in its fifth print run). The Lighthouses of Britain project started with a holiday in Cornwall, not too far from Lizard Point Lighthouse and as his sketchbook filled with studies of harbours and lights on the Cornish and Devon coasts a new idea emerged.

Before long he was pouring over map of Somerset and South Wales. His collection of illustrations now runs to over 350 lighthouses and is still a work in progress. There are also over 100 smaller lights which provide navigation to our estuaries, harbour approaches and rivers, while a selection of best loved decommissioned lighthouses are also included.

Did you know?

• There are over 300 lighthouses around Britain’s shores from rock stations to harbour and breakwater lights.

• The tallest lighthouse is Skerryvore off Scotland’s west coast which soars to a height of over 40 metres.

• The smallest is Berry Head in Devon which stands at a mere 5 meters tall.

• The most southerly lighthouse on mainland Britain is Lizard Point in Cornwall.

• The world’s oldest existing lighthouse is considered to be the Tower of Hercules a UNESCO World Heritage Site that marks the entrance of Spain’s La Coruña harbour. The lighthouse, which was erected in the first century, is still operational.

• The oldest operational lighthouse in UK and Ireland is Hook Head Lighthouse on Ireland’s Wexford coast. The lighthouse has been in continuous use since the 13th century.

• Bell Rock off the coast of Arbroath in Scotland is the oldest sea washed lighthouse in the world and the oldest operating lighthouse in Britain.

• At almost two thousand years old, Pharos Dover in the grounds of Dover castle is the British isle’s oldest lighthouse building, dating back to 45AD.

• Fascinating Fact: There is a lighthouse right in the centre of London! Located at Trinity Buoy Wharf where the River Thames and the River Lee meet, the lighthouse, built in 1864, was originally used as a testing venue for new types of lamps and lighthouse technology. The lighthouse is now home to Longplayer, a continuous 1,000-year long piece of music. Initially switched on for the millennium celebrations, the music will run uninterrupted until midnight on the 31st December, 2999.

Lighthouse Edition prints are available in four formats; unframed in A4 and A3 and framed in A4 and A3. The artwork is printed on 250gsm stock with archival inks which produces a beautiful colour saturated imprint. All the prints are signed by the artist.

Prices: £30 for an unframed A4 print, £40 for an unframed A3 print, £55 for a framed A4 and £75 for a framed A3 print.

For further information or orders contact browse the collection at lighthouseeditions.com or email: info@LighthouseEditions.com

PENDLE POWERFEST 2023 10K TO CELEBRATE 10 YEARS

Pendle Powerfest returns to Nelson & Colne College in Lancashire on Sunday 28th May with their 10th annual Family Motorshow.

Bringing an eclectic mix of fantastic vehicles (four and two wheel), a new live arena, music & entertainment, food village and lots to entertain the family with model car racing, railways and some very special guests from far far away.

The show’s aim is to raise funds and awareness for Pendleside Hospice and NW Air Ambulance, this year we want to raise ten thousand pounds for these great causes. The rest of the show is made up of a wide range of motorbikes, clubs, classics, modified, super and sports cars plus lots of dealer and trade stands.

Families will be entertained throughout the day with a host of activities plus the Food village and family Chillout Area.

The show will be hosted from the new arena, supported by Ribble FM, with live updates throughout the day about the activities and cars. A new venture for this year, it aims to mix entertainment with owner interviews, demonstrations, challenges and more.

The show runs from 10am until 3pm, cars need to be pre booked in via https://www.ticketsource.co.uk/ pendle-powerfest whilst the public walk in and pay on the day with an entry charge of £5 for adults with accompanied under 12’s going free. (card or cash) Motorcycles only will be permitted display entry on the day priced at £2.50 or £5 with pillion.

For the latest information about the show visit: www.pendlepowerfest.com or search for Pendle Powerfest on all major social media platforms.

60 www.lancmag.com LANCASHIRE & NORTH WEST MAGAZINE

Event Details

Fixed Show Doors Open at 7:00AM From 10:00AM to 3:00PM Location Nelson & Colne College, NW040, BB9 7YT. 61 www.lancmag.com LANCASHIRE & NORTH WEST MAGAZINE

Animal Rescue Cumbria

Back in 1972, a group of local ladies formed Animal Rescue Cumbria after reading an article in the local press about the large number of pets that were being put to sleep because suitable homes were not available..

The group were determined to change this and started to take animals into their homes and board them at various establishments until permanent, approved homes could be found. They embarked on numerous fundraising activities to provide food, shelter and veterinary care.

In 1974 the group recruited Alfred & Betty Wainwright. Alfred Wainwright was elected Chairman of the organisation and, under his guidance, Animal Rescue Cumbria was registered as a charity. Through the generosity of A.W., a fund was

established with a view to creating a rescue centre. Eventually, sufficient funds were raised to purchase our current site, named Kapellan, in 1984. Just a year later, the site was up and running as a shelter for dogs and cats.

The early days of ARC were challenging. Wainwright and his small team of volunteers worked tirelessly to rescue and care for animals in need. They relied solely on donations from

the public and the support of local businesses to keep the organization going.

Over the years, ARC has grown and expanded its services. Today, the organization has a modern rescue center in Grayrigg, near Kendal, and a team of dedicated staff and volunteers who work round the clock to rescue, care for, and rehome animals.

62 www.lancmag.com LANCASHIRE & NORTH WEST MAGAZINE

The organization’s rescue center is a state-of-the-art facility that is equipped to handle a wide range of animal welfare issues. It has facilities for cats, dogs, rabbits, guinea pigs, and other small animals. The center also has a veterinary clinic, where animals receive the medical care they need.

ARC’s mission is to rescue, care for, and rehome animals that have been neglected, abandoned, or mistreated. The organization provides a safe haven for animals that have nowhere else to go, and its staff and volunteers work tirelessly to ensure that every animal in their care receives the love, attention, and medical care they need to recover.

ARC also plays an important role in educating the public about animal welfare issues. The organization runs a number of education and outreach programs, including talks and presentations at schools and community events. They also work with local businesses and organizations to promote responsible pet ownership and raise awareness about the importance of animal welfare.

Over the years, ARC has rescued and rehomed thousands of animals. The organization has a strict adoption

63 www.lancmag.com LANCASHIRE & NORTH WEST MAGAZINE

process that ensures that animals are placed in loving and responsible homes. ARC also provides ongoing support to adopters, including advice and guidance on pet care and behavior.

As ARC celebrates its 50th anniversary, it is clear that the organization’s work is more important than ever. Despite the progress that has been made in animal welfare in recent years, there are still far too many animals that are neglected, mistreated, and abandoned. ARC’s commitment to rescuing and caring for these animals is truly inspiring, and the organization’s impact on the lives of animals and people in the Lake District and beyond cannot be overstated.

As we look to the future, it is clear that ARC’s work will continue to be vital. The organization’s dedication to animal welfare and its tireless efforts to rescue and care for animals in need is a testament to the power of compassion and the human spirit. And as we celebrate 50 years of Animal Rescue Cumbria, we can be sure that Alfred Wainwright would be proud of the organization he founded and the legacy that it continues to build. 

64 www.lancmag.com LANCASHIRE & NORTH WEST MAGAZINE
65 www.lancmag.com LANCASHIRE & NORTH WEST MAGAZINE

Colour and Style

OUR SECTION ON COLOUR AND STYLE WITH SARAH HARRIS FROM ‘COLOUR ME BEAUTIFUL’

HELLO SUNSHINE

Summer Sunshine here we come……….

This month is starting to warm up and I’m sure you are all thinking about Summer holidays!! Whether you’re going abroad, doing a staycation or the odd day trip, it’s a chance to get dressed up and add some colour into your wardrobe! There is nothing better than a cool summer dress to set you in the mood for summer and why not take a leaf out of Prue Leith’s book and wear some wonderful bright colours that will not only put a smile on your face but those around you!

You’ll be glad to know that dresses are back in fashion. The easiest item of clothing to wear! So long as you know the colours, styles and fabrics that suit you! If your body is curvy you are better suited in a fabric that is softer that allows your curves to show naturally, whereas, if you have a straighter body line fabrics that are stiffer, for example crisper cottons will enhance your figure by giving it shape. Or you could be a combination of the two.

I’m Sarah Harris and I’m a Colour and Style Consultant who trained with Colour Me Beautiful the world’s leading Image consultants. My background is in fashion and after leaving school at 16, I travelled to London to work as a Fashion/Photographic Model, I enjoyed the life and it allowed me to travel the world, during my career I also worked in wholesale/retail within the fashion industry. I learnt all about fabrics, business, international companies and trying all those clothes on – the quality, cut and fabric. I took a break from the business when I married and had our two children. I retrained as an Image Consultant with Colour Me Beautiful who have been changing the lives of women and men for over 35 years.

I’d like to inspire you with Colour, Style and Skincare tips every month, I’m hoping to give you an interesting read. If there is something that you would like to know about please email me and I will do my best to help.

E sarah@sarahharrisstyle.co.uk D www.sarahharrisstyle.co.uk

Green Animal Print Halter Neck Sunshine Dress by www.sosandar.com
www.sarahharrisstyle.co.uk 66 www.lancmag.com LANCASHIRE & NORTH WEST MAGAZINE

Do you have a Curvy or Straight body line…

Understanding your body line will help you wear clothing that flatters your shape, and knowing your scale and proportions will help you balance everything out to compliment your look and bring everything into harmony.

Women who have fuller-figured curvy body lines are often tempted to hide behind their clothes rather than embrace their wonderful figure. Wearing the right types of fabrics and styles will help enhance their beautiful figure. On the other hand women with straighter body lines are often tempted to wear softer fabrics that don’t follow their bodies straight lines, making them appear larger than they are! It’s all about understanding your body line.

CURVY BODY LINE

The Image on the left shows the model with a straighter body line wearing a heavy weight deconstructed jacket which overwhelms her giving her a bulky cluttered look. However, The picture on the right is much more flattering - the shift style dress and waistcoat look so much better. The waistcoat gives her a good, straight shoulder line and as she hasn’t much waist definition the narrow belt under the waistcoat gives the appearance of a waist that isn’t really there! The waistcoat ends at her narrow point, her hips, giving the illusion of them being slightly wider which balances out her look. Because the model is tall she can afford to colour-block her clothes, and the colourful tights add a touch of drama to her look!

STRAIGHT BODY LINES

The image on the lefts shows the model in a unsuitable garment for a fuller bust, the fabric is too stiff and doesn’t flatter her figure. Also look at how the strap across her shoes make her legs appear shorter. Whereas, in the picture on the right the soft knitted dress flows beautifully over her curves and the openness of the shoe elongates her legs. It’s all in the detail!

STRAIGHT BODY LINE

Images Courtesy of Hamlyn for Colour Me Beautiful Images Courtesy of Hamlyn for Colour Me Beautiful Red Button Front Denim Dress Pink Boucle Shift Dress with Gold by www.sosandar.com Button Detail by www.sosandar.com CURVY BODY LINES
67 www.lancmag.com LANCASHIRE & NORTH WEST MAGAZINE
Coral Red Spot Print Mesh Wrap Dress Black Floral Print Ruffle Hem Midi www.sosandar.com Wrap Dress www.sosandar.com

You know that wearing colour can make you feel brighter and joyful! Well recently Dame Prue Leith has collaborated with Kettlewell colours www.kettlewellcolours.co.uk and is a wonderful ambassador for their brand! Being a Dramatic Style Personality Prue really loves colours and not only does she wear them in her clothes but also her wonderful accessories. I have always noticed Prue wearing colourful glasses and dramatic necklaces, she certainly looks amazing, joyful and full of fun! Just what we all need – a touch of colour to brighten our day!

MAKING A SPECTACLE

As you know Dame Prue Leith wears the most amazing colourful glasses!

Do you know how important it is to wear the right Colour and Style of spectacle? At Colour Me Beautiful we show you the Colours and Styles that work in harmony with you. Below you can see my lovely colleague Jo Joynes using CMB’s eyewear silhouettes which enables you to see your best shapes and colours of glasses which will make shopping for glasses a breeze! It is one of the wonderful tools we have to help our clients.

MOOD BUSTING COLOURS

Wear more colour this June and experience the joy it will bring!

Have a look at the wonderful Colourful conversation with Dame Prue Leith Kettlewells’ new brand ambassador!

www.kettlewellcolours.co.uk

Look after yourselves and each other!

Warm Wishes, Sarah x

E sarah@sarahharrisstyle.co.uk

D www.sarahharrisstyle.co.uk

WEAR YOUR COLOURS!
Chelsea Blazer with Prue Breton by www.kettlewellcolours.co.uk Photographs taken by David Lawson (David Lawson Studios @davidlawsonphotography) Image courtesy of Jo Joynes www.colourwithconfidence.co.uk
Style

THE RAKE TAPAS RESTAURANT, BAR & BOUTIQUE HOTEL

We believe in serving beautiful tapas, with the freshest ingredients from local producers. Our pizza oven creates the most mounth-watering pizza to tantilise your tastebuds. We have a excellent drinks menu, with local ales, mediterranean wines and we’re also quite partial to a G&T. If you’d like to stay with us, we offer four superb rooms with access to a private outdoor area. The Rake is an exceptional place to eat, drink and stay, especially with The Quay Side fish and chips shop located next-door!

Blackstone Edge Old Road | Littleborough | OL15 0JX N 01706 379689 | D theraketapas.co.uk | F @theraketapas

CHASE & STATUS DJ SET

ANNOUNCED AS HEADLINE ACT ALONG WITH SIGMA AND LUUDE FOR TRENTHAM LIVE 2023

The headline act for this year’s Trentham Live 2023 are the incredible dance act CHASE & STATUS performing a DJ set at the stunning grounds of The Trentham Estate, Staffordshire on Friday 18th August 2023. Performing alongside Chase & Status DJ Set on the Friday night will also include drum and bass legends Sigma and electronic dance music producer Luude.

Tickets for the Chase & Status DJ Set – Trentham Live 2023 show taking place on Friday 18th August are available from: www.ticketmaster.co.uk/artist/ 5345201

CHASE & STATUS

As one of the most successful British bands of the last decade Chase & Status have achieved widespread notoriety and universal respect for their achievements. Consummate professionals at every level, Will Kennard and Saul Milton, are contemporary vanguards of UK electronic music. Together they’ve channelled their deep-rooted passion for rave culture into six highly-

acclaimed, best-selling albums, an incendiary live show and a wide range of projects that have established them as an iconic outfit.

In 2022, Chase & Status released their sixth studio album which charted at number four in the official UK album chart. What Came Before, distilling 15 years of unparalleled experiences into a bold, invigorating sixth album; informed by global tours, sold out headline shows, five albums, multiple awards, chart success, underground kudos, top tier collaborations and remixes, and, above all else, that unwavering dance floor energy that remains as tangible

and transformative now as it has since the very beginning. This pure, unadulterated exhilaration is the glue that binds all of these experiences together, cultivating a legacy of positive vibes, unforgettable moments and the continued progression of British club culture.

Going back to the beginning, when Will and Saul appeared in 2003 they excelled on the DnB underground with a series of well-received EPs and support from the scene’s top tier, including luminaries such as Fabio, Grooverider, Zinc and Andy C who signed their first LP, ‘More Than A Lot’, to his iconic independent label

70 www.lancmag.com LANCASHIRE & NORTH WEST MAGAZINE

Ram Records in 2008 which went gold within three months of release. Three years later their follow-up ‘No More Idols’ pushed them into the mainstream domain with chart successes including their Top 5 hit ‘Blind Faith’ (with Liam Bailey) and ‘End Credits’ featuring Plan B. While the album itself was the second bestselling LP by a British band in 2011, hitting No.2 in the UK album charts and certified double Platinum with over 850,000 copies sold to date. That year they were also nominated in the Best Band category at the prestigious Brit awards, picking up the gong for Best Video (for ‘End Credits’) at the Q Awards and NME Awards.

For more information on Chase & Status DJ Set, see links below:

d chaseandstatus.co.uk/

f chaseandstatus

t chaseandstatus

i chaseandstatus

SIGMA

Sigma are one of the biggest Drum and Bass artists in the world, amassing over 7 million global sales including hit singles Nobody To Love, Changing and Find Me. With two U.K. number 1’s under their belt and countless main stage festival performances around the globe, Sigma firmly cemented their place as pioneers of drum and bass crossing into the mainstream.

very soon live sets too, could work on the biggest stages to the most diverse crowds. And they kept working worldwide - “even though you might find you’d booked yourself to be in Estonia on Sunday and Ibiza on Monday and have to take six flights” - just barely keeping themselves fit and sane as they did. Over the next five years, they just kept on smashing the biggest festival stages across the world, and kept new tracks coming with a-list vocalists like Birdy, John Newman and Jack Savoretti - while Joe, as obsessive about perfecting technical skills in the studio as he ever was behind the decks, was lending production and song writing skills to records by Savoretti, Take That and more.

Hitting 2022, Sigma released new album Hope and are now returning to their roots for a summer of tear our drum and bass sets across Europe.

For more information on Sigma, see links below:

d www.sigmahq.com

f sigma

t sigmahq

i sigma

LUUDE

Tasmanian born, Perth Raised, Gold-Coast based Australian Christian Benson aka LUUDE has quickly risen to the forefront of a new wave of producers coming out of Australia. An artist who is consistently evolving and finding success across multiple endeavours.

After bursting onto the scene in 2017 with a series of remixes and original tracks that amassed millions of streams, LUUDE quickly took hold of the local club circuit, becoming an in-demand name for all promoters. The hype quickly escalated into soldout hard ticket touring (10,000 sold across Australia and New Zealand) and festival sets on the country’s biggest stages.

continents and positioned LUUDE as one of the next global superstars in dance music.

Also recognised as one half of the well-respected Australian duo, Choomba, who have been endorsed by tastemakers such as The Magician, Claude Von Stroke, Richie Hawtin, Claptone, Riva Starr, and Erick Morillo - the duo host their own dance music radio show on Triple J Australia’s biggest youth focused station. All further testament to his abilities as a production powerhouse and tastemaker of the next sound, who finds success in everything he is doing.

“I always want to be making stuff that feels exciting - I’ve been working on this next phase for Luude for a while, just trying to find all the right elements while I was having fun with Choomba. It’s been surreal to see how quickly the project has blown up since finding that direction” - LUUDE

For more information on Luude, see links below:

f Luudeofficial

i luude

The Sigma hit machine became a well oiled creation. The Life album became their calling card and they just kept on expanding their remit. Spreading out from drum’n’bass to house and pure pop, they proved that they could work with vocalists of all stripes - and that their DJ, and

Fast forward to now and that constantly forward thinking take on dance music has connected with the world outside of Australia - landing a global hit with “Down Under (Feat. Colin Hay)” a bass heavy take on the Men At Work 80’s classic - which has rocketed up the charts in multiple

71 www.lancmag.com LANCASHIRE & NORTH WEST MAGAZINE

- The Trailblazing Life of BARONESS BETTY BOOTHROYD

Baroness Betty Boothroyd, the first female speaker at the House of Commons, died aged 93 on 26 February 2023. Her passing was announced the following day by current Speaker Sir Lindsay Hoyle, who described her as ‘an inspirational woman’ known for her quick wit and nononsense style.

Flags flew at half-mast in Westminster and MPs took part in a minute’s silence in the Commons, with Prime Minister Rishi Sunak commending her as a remarkable woman who dedicated her life to politics. The funeral on 29 March was at St George’s Church, Thriplow, the Cambridgeshire village she had lived in her later years, and close friend and actress Dame Patricia Routledge sang at the service.

Betty Boothroyd’s life began in a terraced house on Marriott Street, Dewsbury, Yorkshire, in 1929, where she recalls money was scarce “I come from a working-class family in a mill town in Yorkshire, I was an only child, my parents were textile workers when they worked, and my father was unemployed a lot of the time”. Parents Ben Archibald Boothroyd and wife Mary were both on low incomes, which meant the family lived in a succession of terraced houses with outside toilets. Betty credited being an only child had probably eased the financial burden on her parents. Aged 4, she attended Eastborough Infants school, moving up to its sister Eastborough Girls three years later. Although not educated, themselves, her parents wanted their daughter too to do well. Both worked long hours, and were often exhausted, but couldn’t assist with their young daughters’ studies. Betty was 10 when World War Two broke out, and she

remembered putting on her gas mask after the school assembly and her father being the local air-raid warden patrolling the streets. The war caused havoc for Betty’s education, and she failed her 11-plus, but managed to win a scholarship to the Dewsbury College of Commerce and Art, which she credits as being the making of her, and became a House Captain in her final year, a sign of things to come. She took a shop- assistant role age 16 at a high-end cosmetics shop in Dewsbury and later as a £1 a week office clerk, which she enjoyed, but said politics was always in her blood. Her mother was a Labour Party member and had taken Betty to rallies from a young age. Betty joined the local Labour youth league at 16, with dream of becoming an MP where she joined debates, and won a national public-speaking contest.

At the age of 17, Betty successfully auditioned for the Tiller Girls, a dance troupe with whom she performed for three months. This high-kicking chorus line, famous for being the longest-running in the world, are still performing at the London Palladium 128 years later. The group are well known for its precision mixed with Hollywood glamour and spectacular costumes. Betty’s father opposed her show business aspirations; she said, ‘My dreams of taking the West End by storm as a dancer flickered but then faded; my father’s ambition to see me in a steady office job was tried and abandoned’. Sadly, Betty’s father died at age 62 in 1948 when she was just 18 years old. Betty danced professionally from 1946 to 1948, but a foot infection cut her career short, and at 19, she turned her sights back to politics, which at that time was a heavily male-dominated world. During the mid-to-late 1950s, Boothroyd was a secretary to Labour MPs Barbara Castle and Geoffrey de Freitas. In 1960 she went to the United States to see the Kennedy campaign

working as a legislative assistant for an American Congressman, Silvio Conte, in Washington DC and stayed in the role until 1962. She described Kennedy as “different from the man who talks from platforms. He seems shy, almost alarmed by the closeness of so many people.”

Upon her return to the UK, she continued to work as a political assistant and secretary to various Labour politicians. In 1965 she was elected to a seat on Hammersmith Borough Council in Gibbs Green ward, where she remained until 1968.

After her fifth time, Boothroyd finally entered the Commons in 1973 at age 43 by winning the West Bromwich by-election, which doubled Labour’s majority. She said, as determined as she was, if not elected this time, she might have packed it all in. Boothroyd was appointed as an assistant Government Whip in 1974, an official of a political party to ensure party discipline in a legislature. In 1975 she became an MEP in the European Parliament, serving as a member of the Labour’s national executive committee. In 1987 Boothroyd was appointed Deputy Speaker, serving under Speaker Bernard Weatherill. When he stepped down in 1992, Boothroyd’s Labour colleagues, Gwyneth Dunwoody, Giles Radice, and George Robertson, encouraged her to go for the role, and she was elected Speaker on April 27, 1992, by 372 votes to 238, at age 62. Betty Boothroyd was the first female Speaker in the House of Commons’ 700-year history. She said, “I wasn’t sure at all if I would win – and I didn’t want to win by a handful of votes. I needed a big majority. I told myself ‘Just go for gold Betty. Just go for gold’. I went for gold. It’s tough, but you can win in the end. When elected, I couldn’t let down my own sex to start with and I couldn’t let the House down.”

72 www.lancmag.com LANCASHIRE & NORTH WEST MAGAZINE

As the first female Speaker there was debate over her attire and whether she should wear the traditional Speaker’s wig. She chose not to wear the wig and famously instructed

everyone to address her as Madam (Speaker). Boothroyd overcame barriers in a male dominated world where many were Eton and Oxbridge educated. Her appointment was even

more impressive as one of only 19 female MPs elected to parliament in 1979. As Speaker she stamped her personality on the role, as a staunch traditionalist, with a straightforward

73 www.lancmag.com LANCASHIRE & NORTH WEST MAGAZINE
Betty Boothroyd Official House of Commons Portrait: licensed under the Open Government Licence v3.0

approach. Betty brought theatricality to the Commons, and commanding “Order, order” needed no rehearsal as she had no problem projecting her voice. Boothroyd was synonymous for her no-nonsense style, and in 1993 Betty suspended the Democratic and Unionist Party leader, Dr Ian Paisley throwing him out of the House of Commons after he called a Tory cabinet minster a liar. Paisley had accused Northern Ireland Secretary Sir Patrick Mayhew of lying about secret Government contracts with the IRA and after refusing to withdraw from the House of Commons for the rest of the day at her request, MPs voted to suspend him for five days.

In 1998 Madame Tussaud’s unveiled a waxwork in her honour, of which she joked, “They’ve even measured the depth of my wrinkles!” as she came face-to-face with the lifelike dummy.” Even after all the exhausting sittings for sculpture Jim Mathieson, she said of the finished result, “I like everything about her.” She gave an interview on BBC 2 programme, Call Me Madam, where she recalled her high point walking down the steps of Westminster Hall holding hands with South African President Nelson Mandela. She had advised Mandela to take it easy as there was no banister to which he responded, ‘I know. I came here at six o’clock this morning to have a look.’ And he grabbed hold of my hand, and we helped each other down the steps.”

Former Tory leader William Hague said she ruled the Chamber ‘with exemplary courtesy, charm and when necessary, a little firmness…. augmented in pitch by a

© Andrew Festing (b.1941) - Parliamentary Art Collection
74 www.lancmag.com LANCASHIRE & NORTH WEST MAGAZINE
The Philip Sully building (Walton Hall - East Campus) was formally named by Betty Bothroyd 7th April 2006

packet of cigarettes everyday’. After retirement she remained a member of the Lords and Commons Pipe and Cigar Smokers’ Club, crediting her ‘lovely deep voice’ from smoking a packet a day. Her outspoken nature remained, and she criticised the slowness of the second Covid-10 Pfizer jab roll-out labelling the government a dictatorship. Boothroyd retired as Madame Speaker and an MP in 2000, aged 70, and Prime Minister Tony Blair paid tribute to her a “something of a national institution”. On 15 January 2001, she was created a life peer, taking as her title Baroness Boothroyd of Sandwell in the County of West Midlands. In April 2005, the Order of Merit was granted by the Queen, and she was awarded the Freedom of the City of London. The National Portrait

Gallery commissioned a painting to celebrate her career as Speaker.

Boothroyd never married but revealed she received three marriage proposals over the years, yet always claiming she ‘married to the House of Commons.’ She added, ‘I doubt I would have got where

I did if I had married.’ Boothroyd released her autobiography 2001 and teamed up with her goddaughter Jackie Martinez for a celebrity version of Who Wants to be a Millionaire the following year. The pair won £8,000 for her chosen charity Memorial to the Women of World War II Fund, of which Boothroyd was a patron. In 2022, Betty! A Sort of Musical debuted at the Royal Exchange in Manchester,

co-written and starring Maxine Peake as Madam Speaker, which celebrated the life of a remarkable woman. In her private life she loved Scrabble, gin and took up paragliding in the 1990s. She returned to her hometown of Dewsbury many times, and opened a centre named in her honour, the Boothroyd Centre at the Dewsbury, and District Hospital. The quick-witted Yorkshire woman was a trailblazer and famous for her wit and style, she said, “In all honesty for me the Commons has never just been a career, it is my life... I have enjoyed the job; I was about to say I enjoyed every minute of it... I enjoyed almost every minute. I haven’t had a boring day in my working life and for that I am grateful to all of you.”. 

London, UK, March18th 2017: Betty Boothroyd sends marchers off with a defiant speech at the #BromptonPatientsMatter march in Chelsea. London, UK,18th March 2017
75 www.lancmag.com LANCASHIRE & NORTH WEST MAGAZINE
Photo: Brian Minkoff

SPITFIRE FLYPAST CONFIRMED AS AMAZING

ACCRINGTON FOOD FESTIVAL & ‘D’ DAY WAR

RE-ENACTMENT RETURNS FOR 2023 BIGGER AND BETTER THAN EVER

Accrington Food Festival has always been a great spectacle and amazing day out, with international, regional and local food markets, drink stands, live entertainment, kitchen demonstrations and a sensational war re-enactment to commemorate the anniversary of the D-Day landings.

76 www.lancmag.com LANCASHIRE & NORTH WEST MAGAZINE

For 2023, the organisers are delighted to announce that they have secured a flypast of a Supermarine Spitfire, due to fly over at 13:40. More Spitfires were built than any other British combat aircraft, and they were crucial in the British victory at the battle of Britain in 1940. They are now flown by the RAF Aircrew at special events, to promote the outstanding work of the RAF, promote our military history and commemorate those who fell in service.

With limited available space remaining, organisers of the Food Festival, which takes place on Saturday 3rd June, Amazing Accrington, are encouraging local Lancashire businesses to book their food stalls now. For more information, contact editor@amazingaccrington.co.uk

The Food Festival is free to attend thanks to support from sponsors North Lancs Training Group, Property Shop, Hyndburn Borough Council and Financial Affairs. Taking place in Accrington Town Centre, Broadway will be transformed into a spectacular street of international cuisine, while an amazing regional and local food market will also be on show, offering wonderful local delicacies. Accrington Market will also be hosting both an indoor and outdoor market for Hyndburn Independents, with visitors to the event encouraged to #ShopLocal.

Murray Dawson, Chair of Amazing Accrington, said: “The Accrington Food Festival is one of the best events around. Every year I’m so excited to put the plans together, and securing a flypast really will be an absolute spectacle for everyone to enjoy.

“From putting on one of the best war re-enactments in the county, to offering a wide range of delicious foods and artisan stalls in our international, regional and local food markets, we’ve got something for everyone at this year’s Food Festival and there will be plenty of exciting surprises to announce along the way too.”

Gareth Lindsay, Managing Director of NLTG, added “We’re happy to support this great event and we will be there to see everyone enjoying themselves. The Spitfire flypast will be a great addition this year, can’t wait to see it!”

77 www.lancmag.com LANCASHIRE & NORTH WEST MAGAZINE

Lakeland Motor Museum to Star in Popular TV Show Salvage Hunters

One of Cumbria’s most popular attractions is about to make an appearance on national television. The Lakeland Motor Museum is to star in the hit TV show Salvage Hunters after presenter Drew Pritchard called in with a camera crew for a good look around.

It will be the second time the museum has featured on the programme with Drew being a well-known fan of the popular museum and its incredible collection of classic cars and motorcycles spanning over a century of motoring history.

It’s 10 years since Drew, one of the UK’s leading decorative salvage dealers, first visited the museum for the popular TV show now in its 17th series on the TV channel Quest.

But his love of the place is reflected in the fact he’s also visited a third time as a customer to take in the museum’s vast collection of automobilia without cameras present.

On his latest visit Drew explained: “I love this Museum because it shows people the dawn of motoring to the latter-day cars and alongside them tells you the history of the common man.”

He added: “It’s also got Café Ambio – The best thing I’ve had to eat all week!”

Drew is normally accompanied during filming by his friend and assistant Tee – but the Lakeland Motor Museum visit was part of a special “father and son road trip” edition of Salvage Hunters and he brought along his son, Tom.

During the visit they were shown around by Museum Curator Chris Lowe. “It was great to welcome Drew and the team back to the museum,” says Chris. “He had a really good look around and admired many of the exhibits and we chatted about the history of various items that caught his eye.

“We also took him to have a look around our storage facility where we keep extra or duplicate items that were all available for his consideration.”

You’ll have to watch the programme to see if Drew snapped up any of the items he spotted but among objects which caught his attention were a Meccano model of Bluebird 5 and a Glass fibre 1980s Bugatti sign.

The programme featuring the Lakeland Motor Museum at Backbarrow in Cumbria is available on the streaming service Discovery + now. 

ADA LOVELACE

The World’s First Computer Programmer

Author: Beverley Adams

ISBN: 9781399082501

PUBLISHED: March 2023

176 PAGES | HARDBACK PEN & SWORD HISTORY

The name Ada Lovelace perhaps is not a name that you would automatically link to computer science but she was in fact the first person to create a computer algorithm. Working with the renowned scientist Charles Babbage, Lovelace translated a set of notes on Babbage’s new mechanical computer, The Analytical Engine and discovered that in fact it could be programmed to do more than mere mathematical calculations.

Lovelace may have been a mathematical genius but as the only legitimate child of the poet Lord Byron she was also a figure of great scrutiny. Abandoned by her father at just four weeks old, Ada endured a strict childhood in the care of her mother who was adamant that her daughter would not inherit the so-called Byron madness. She ensured Ada was denied all things that were considered exciting and was pushed more towards the logical subjects such as science and mathematics. Did this strict approach work? Or, did Ada Lovelace inherit more than her genius from her father?

Ada was many things, a daughter, wife and mother but above all that she was an inspirational woman, one who defied Victorian ideals by entering the field of mathematical studies and by achieving greatness that is still recognised today.

• This book brings into focus the life of Ada, Countess of Lovelace; it explores how she became credited as being the world’s first computer programmer.

• It also delves into the other side of Ada’s life, mainly that of being the only legitimate child of the poet Lord Byron which led to a lifetime of scrutiny.

• Ada was a unique person; she traversed the social divide of Victorian Britain and became involved in world of mathematics.

• Ada was also a wife, mother and daughter and her behaviour within these roles became just as important as those within her scientific world.

• Following a strict upbringing by her mother, this book aims to explore just how alike her father she was. Did she inherit the so-called ‘Byron Madness’?

About the Author

Beverley Adams was born and raised in Preston, Lancashire. She gained her MA in English in 2018 and her first book, The Rebel Suffragette: The Life of Edith Rigby, was published in September 2021. She is passionate about bringing the lives of inspirational women back to life. Her interests include history, in particular local history, reading and travel.

80 www.lancmag.com LANCASHIRE & NORTH WEST MAGAZINE

THE DOG SITTER DETECTIVE

ISBN: 978-1445289410

PUBLISHED: 18 May 2023

Meet Gwinny, an unlikely bloodhound, and her four-legged friends determined to dig up the truth.

Bestselling author Antony Johnston launches a brandnew contemporary cosy crime series, ‘The Dog Sitter Detective’, following former actress Guinevere ‘Gwinny’ Tuffel who stumbles upon murder cases and embarks on a burgeoning romance, often accompanied by her canine companions. Each book follows a different breed of dog influenced by the author’s lifelong love for dogs and support of rescue charities.

Retired actress Guinevere ‘Gwinny’ Tuffel is finding life hard after inheriting her late father’s run-down house and discovering she’s broke. So she is delighted to be at Hayburn Stead in Hertfordshire for her best friend Tina’s upmarket wedding to a handsome Italian business magnate. But when the big day ends with a dead body and not a happily-ever-after, Gwinny is left with a situation as crooked as a dog’s hind leg.

When her friend is accused of murder, Gwinny takes it upon herself to sniff out the true culprit.

With a collection of larger-thanlife suspects and two pedigree Salukis in tow, she is set to have a ruff time of it.

About the Author

ANTONY JOHNSTON is a New York Times bestselling writer and podcaster. For more than twenty years he’s written books, graphic novels, non-fiction, videogames, film, and more. Much of it has been done with a snoozing hound curled up in his study.

Antony’s crime and thriller titles include the Brigitte Sharp spy thriller novels (The Exphoria Code, The Tempus Project and The Patrios Network) currently being developed for TV by Red Planet; The Fuse, a series of scifi murder mystery graphic novels

(starring an older female police detective); adapting Anthony Horowitz’s Alex Rider books to graphic novels; and the Charlize Theron movie Atomic Blonde, which was adapted from Antony’s graphic novel. He also wrote Stealing Life, an SFF crime caper novel, and Blood on the Streets, a ‘superhero crime noir’ for Marvel comics. His productivity guide The Organised Writer has helped authors all over the world take control of their workload, and he interviews fellow writers on his podcast Writing and Breathing.

Antony is joint vice chair of the Crime Writers’ Association, a member of the International Thriller Writers group, a Shore Scripts screenwriting judge, and formerly sat on the Writers’ Guild of Great Britain’s videogames committee. Born in Birmingham, Antony grew up in nearby Redditch before moving to London for work. He now lives and works close to Pendle Hill in Lancashire.

81 www.lancmag.com LANCASHIRE & NORTH WEST MAGAZINE
in hardback and as an eBook

THINGS YOU THINK ARE BEING RECYCLED THAT PROBABLY AREN’T

Data shows that the average person in the UK throws away around 400 kg of waste each year; the equivalent of seven times their body weight. Of the 26m tonnes of waste produced in the UK, 12m tonnes are recycled, with a whopping 14m tonnes ending up in landfill.

With so many of us trying to make a conscious effort to recycle more and help the planet, putting items in the recycling bins has become an everyday habit. But we often put bottles, boxes, paper and plastic into different bins whilst on autopilot, without ever really thinking about how they’re recycled at the end.

We might think that once we put our recycling into its allocated bins, we’ve done our bit for the environment. However, there are many regularly used items that actually don’t belong in recycling at all.

Manufacturing firm Airdri have rounded up the worst offenders below:

USED PIZZA AND TAKEAWAY BOXES

You’ve just finished a lovely takeaway and then you give yourself a mental pat on the back for conscientiously putting your pizza boxes into the cardboard recycling bin. Great intentions, but unfortunately used and greasy takeaway boxes can’t be recycled - so much so that some waste disposal services will refuse to collect your bin if these items are present.

Greasy takeaway boxes are unsuitable for recycling, as the cardboard gets turned back into pulp during the process and food grease can
82 www.lancmag.com LANCASHIRE & NORTH WEST MAGAZINE

have an adverse effect. To avoid contamination, cut the clean tops off your pizza boxes for recycling and put the bottoms in to the general waste bin.

PAPER COFFEE CUPS

Throwaway and single use paper cups used for coffee, tea and other drinks seem like they should be easily recyclable - but they’re not.

Most disposable cups used for hot liquids come with a plastic coating to make it more durable, and this is very difficult to separate from the paper when it comes to recycling, pulping and reprocessing.

If you know your daily coffee habit isn’t going to be changing any time soon, then you might consider using

a reusable mug to be kinder to the environment. Many coffee places including big chains will offer discounts and incentives for bringing your own cup to be refilled.

GIFT WRAP

Wrapping paper seems like it should be easy to recycle, and it’s one that many of us would throw into our paper recycling without another thought.

However, unless it’s simple brown wrapping paper like the one you would see in your local Post Office, then it’s most likely not being recycled at all. Wrapping paper is often dyed, laminated and can even come with glitter, plastics and non-paper additions. This alone can make it unfit for recycling and combine that with the fact that it usually also has sticky tape attached, it’s near impossible to recycle.

PLASTIC CUTLERY

Takeaway food often comes with plastic disposable cutlery, which again many people assume is recyclable - a survey carried out by Which found that 60% of people would put plastic cutlery into their mixed recycling. Unfortunately, plastic cutlery is usually made of tricky to recycle polystyrene, as well as being too small for the process and likely to fall out of the load as it’s being sorted.

PLASTIC BAGS

You could be forgiven for thinking that plastic bags can go in the plastics

bin to be recycled, after all it sounds like a no-brainer. Unfortunately they can’t and are in fact one of the hardest things to dispose of.

Plastic bags can pose all sorts of problems for the machinery at the recycling plant, often ending up wrapped around parts, including the conveyor belt, and bringing the entire process to a grinding halt.

Plastic bags that end up at landfill can also be an issue, as they often disintegrate into small pieces which can be a problem for wildlife and the environment.

Switching to reusable bags or using your plastic bags again is a much better option than throwing away plastic bags.

PLASTIC BOTTLES

When plastic bottles are recycled, they go through a process where they are sorted, cleaned, shredded, melted down and moulded into nurdles – small pieces of plastic about the size of a grain of rice – before being melted again and finally reborn as new plastic bottles.

It’s a convoluted and expensive process and, according to Oceana, less than 30% of plastic bottles are recycled this way. Instead they are downcycled to make an item of lower quality, which typically then cannot be recycled again.

83 www.lancmag.com LANCASHIRE & NORTH WEST MAGAZINE

MANISH’S ZODIAC PREDICTIONS

Manish Kumar Arora is a renowned KP Astrologer, Numerologist, Tarot Reader & Vastu Consultant. He has been rendering professional advice to clients with a reasonable degree of success. He has been conferred with the title of ‘Jyotish Varahamihir’ and ‘Jyotish Aryabhatt.’ He has been writing monthly astrological columns for many international magazines.

ARIES 21 Mar - 19 Apr

This is a good time for taking stock and reviewing the dance of life over the past few months and also thinking about the future. You will give more time and energy to aims and ambitions close to your heart and feel the empowerment that brings. The way should be clearer to improve things for yourself personally and definitely to be more ‘self‘ centred, doing whatever is most supportive of yourself physically, mentally and spiritually. A good idea would be to immerse yourself in nurturing pursuits which feed your soul whenever you can.

Favourable Dates: June 2, 3, 11, 12, 20, 21

Favourable Colours: Red & Blue

TAURUS 20 Apr - 20 May

It’s definitely an intriguing time for you, because the thing you’ve been looking for to complete the balance in your life will be discovered and enjoyed to the maximum. This month will bring a shift in your energies that allows for more time to be spent doing fun activities. Your confidence is soaring which provides extra motivation to follow your dreams. Now’s the time to act and put your itchy feet into some walking boots. However keep being strict with your wallet, since there’s no major change occurring in that department.

Favourable Dates: June 2, 3, 11, 12, 20, 21

Favourable Colours: White & Yellow

GEMINI 21 May - 20 Jun

You need to stay open minded and alert to opportunities. A touch of travel and a training session are highly likely this month which will help to heighten your level of interest in a few old topics. Relationships with loved ones that have been light-hearted and fun, begin to seep into the depths of your heart and you’ll start to form a solid connection to them. If you appreciate the old and the loyal this month in all areas of your life, you’ll feel as if no one can knock you down.

Favourable Dates: June 1, 3, 10, 11, 19, 21

Favourable Colours: White & Red

CANCER 21 Jun - 22 Jul

You’ll be yearning to bring back a little creativity into your life. You finally get what it will take for you and your family to push your living standards above average and what’s most important is that you’ve got the willpower to make it happen. Your confidence is increasing which will make for some easy relationship bonding this June. Relationships with loved ones will find a new rhythm together and become stronger. Think twice before spending frivolously, because you have some busy days coming up that’ll require more investment than you think.

Favourable Dates: June 3, 7, 12, 16, 21, 25

Favourable Colours: Blue& Red

LEO 23 Jul - 22 Aug

Your regular routine is due for a good shake up and there’ll be plenty of opportunities for travelling and exploring the world coming up. You’ll soon be teaching others, learning new skills and putting your name and reputation out there. A time to put those people skills to work as you outline intentions or ideas more clearly and accurately to others. At times there may be so much coming at you that you feel a bit scattered so engineer quiet spaces for yourself whenever you can.

Favourable Dates: June 2, 5, 11, 14, 20, 23

Favourable Colours: White & Yellow

VIRGO 23 Aug - 22 Sept

Your creative side is running close to the surface this month, which will give you plenty of ideas to run with, both at home and at work. A late night social event will put you in contact with some fascinating people who you feel quite drawn to. Quite a close and exciting friendship may be started as a result. You’re mentally in a wonderful place, which means people will be falling over themselves to speak to you and help you if you need it. You’ll inspire others to raise the bar with their behaviour or the quality of work they do.

Favourable Dates: June 2, 4, 11, 13, 20, 22

Favourable Colours: Red & Purple

LIBRA 23 Sept - 22 Oct

Your regular routine is due for a good shake up and there’ll be plenty of opportunities for travelling and exploring the world coming up. Your confidence is soaring which provides extra motivation to follow your dreams. You’ll soon be teaching others, learning new skills and putting your name and reputation out there. There may be more paperwork or other things to get your head around and mental processes may be accelerated. Communications equipment, vehicles, travel or transport might also be on your mind.

Favourable Dates: June 4, 6, 13, 24, 22, 24

Favourable Colours: White & Purple

SCORPIO 23 Oct - 21 Nov

Your physical energy may be in limelight as you push the envelope of daily life. Some of you may be getting out and about more and this is a good time to shake out the cobwebs. If you’re looking for something that’ll push you out of your comfort zone, consider conducting a training session, whether in person or in the form of an online video. You definitely know your stuff and you’ll get to help others right outside of the routine box by stretching yourself mentally or physically.

Favourable Dates: June 3, 7, 12, 25, 21, 25

Favourable Colours: White & Yellow

SAGITTARIUS 22 Nov - 21 Dec

You may gain a reputation for communicating your knowledge or experience through some medium of expression. You will also appreciate and even wish to emulate certain others who can teach you a lot. You’ll be so in sync with your partner this month that you’ll barely need to speak. If single, you will have an easy time of finding people who have some chemistry with them. You need to put your investment in speculation of shares, horse races, etc. cautiously as returns may be hard to come.

Favourable Dates: June 6, 9, 15, 18, 24, 27

Favourable Colours: Red & Yellow

CAPRICORN 22 Dec - 19 Jan

You could be mulling over the past and finding emotions getting in the way of the present. Your inner spirit is yearning to be connected with the real world and “the bigger picture” of life and what better way than to help others. Nothing will disrupt your tranquillity this month, even tiny arguments with your loved ones will just bounce right off you. You may feel more responsibility because of any of these areas or have to take more seriously wider communications, travel or legal matters.

Favourable Dates: June 4, 8, 13, 17, 22, 26

Favourable Colours: White & Yellow

AQUARIUS 20 Jan - 18 Feb

You will tend to come across as more welcoming and attractive – good news for business as well as your personal life. You could be feeling somewhat self-indulgent and inclined to treat yourself to activities, or purchases which boost morale or are a valuable asset. Thinking will revolve around essential needs and gathering information about whatever would be best for yourself or others financially. Plans may focus upon certain desirable resources or practical ways of achieving this or that result. It is likely you can benefit materially through others related to these environments

Favourable Dates: 2, 8, 11, 17, 20, 26

Favourable Colours: Blue & Yellow

PISCES 19 Feb - 20 Mar

You will get the chance to experience new work or health routines You’ve found where you stand in life and that gives you the confidence to mark your territory and hunt it down. Employers or colleagues will tend to be more appreciative of your abilities and your contribution. Reaching out more to connect with others and some of you could be tying the knot with a loved one. Developing a new understanding will be gradual like chipping a shape out of stone. So be steady and patient.

Favourable Dates: June 7, 8, 13, 14, 22, 23

Favourable Colours: White & Purple

Manish Kumar Arora, 91-9871062000 | K.P. Astrologer, Numerologist, Tarot Card Reader & Vastu Consultant F www.facebook.com/manishastroconsultant | E manish@manishastrologer.com

84 www.lancmag.com LANCASHIRE & NORTH WEST MAGAZINE
And as always - our regulars. The towns this month are: Bolton, Penrith and Wilmslow. Deborah Hatswell has a few strange and unusual witness reports of unexplained phenomena. Sarah Harris Style talks about National Handbag Day and takes a look at our skin care routines as the weather is becoming cooler, Denise Mullen tells us hilarious stories about snow angels and bodies being a temple, Nicola Parker talks about using herbs for cholesterol, Ken Harcombe the RNLI tells us about the RNLI’s two main assets: its volunteers and their lifeboats, and Miles Consult & Construct are in the mood to decorate. And of course - homes, health, delicious recipes, fascinating history, and a bit of wildlife and more, all in our October issue. Be inspired by 1,000s of customers’ kitchens, search #wrenovation The UK’s Largest Independent Kitchen Specialist. www.lancmag.com LAKELAND FlagshipWindermere StoreandCafé LANCASTER BED COMPANY HeretoHelpYouGeta GreatNight’sSleep DaveGregson AnAdventureBegins BACKUP North West TacklingHomelessness AmongstYoungPeople ULTRASPACE GARDEN ROOMS BespokeGardenRooms Without a Premium Cost GetBackYour Glow at the DrYusraClinic FARFIFIELD MILL Art,craft&heritagegalleryset ontheedgeoftheYorkshireDales October2021 £2.45 www.lancmag.com YOUR AD HERE Our magazine has been writing about Lancashire for over 50 years. We cover everything from people to places, Lancashire’s history to Lancashire’s future. BE A PART OF OUR FUTURE AND ADVERTISE WITH US Email: accounts@lancashiremagazine.co.uk or call: 01253 33 65 88 for rates and to reserve your placement

Halewood Charity Gets a Helping Hand From Redrow

A HALEWOOD based charity that works to tackle concerns around poverty, social isolation and education has received funding for one of its projects.

Torrington Drive Community Association received a donation towards its “social supermarket” for pallets of food and resources, a er applying for Redrow’s Halewood Community Fund last year.

The charity established the Helping Halewood Project following the pandemic to meet local needs, including those who were lonely, socially isolated or medically vulnerable and families who were facing hardship and poverty.

“During the past two years a number of initiatives have been established by us, to ensure that we can continue to meet the needs of local people who have been e ected by the pandemic, and reduce the impact on local residents moving forward,” said Gary See, chief operating o icer at Torrington Drive Community Association.

“Thank you to Redrow for their generous support. This funding will be a huge help to our social supermarket and emergency food/resources o ering to local residents.”

Redrow launched the community fund a er starting work on two new developments in the town - The Finches at Hilton Grange, o Lower Road, and Grace Fields at Hilton Grange, o Greensbridge Lane.

This voluntary gi to the community is over and above the statutory investment from Redrow linked to the Halewood planning consents.

As well as new homes, the developments will include green open spaces and wildlife habitats, providing places for future homeowners to enjoy nature on their doorstep.

To support the growth of the neighbourhood Redrow has agreed to significant investment to improve local facilities, from healthcare and schools to highways, bus services and even equipment for the local leisure centre.

Sian Pitt, sales director at Redrow Lancashire, said: “Our funds are all about supporting the great work that is carried out by groups in our communities.

“The team at Torrington Drive Community Association have been providing a service to this community for 34 years. I hope this funding will make a big di erence to the charity.”

For further information about Torrington Drive Community Association visit www.tdcaonline.co.uk

For further information about The Finches visit www.redrow.co.uk/thefinches or call 0151 391 7310

le : Bev Usher, Gary See, Anne Mackerel and Redrow’s Julie Madden

Unique Lady of the Month

As well as being a Mum and Grandma to 3 fabulous adults and 2 gorgeous children, I’m a host family for international students – well over 120 students have lived in my house, for week or months, from many nationalities, and many have stayed in touch over the years, and I regularly have invitations to visit them in their home. Never a dull moment!!

Q & A with Emma

Which Unique Ladies group(s) do you attend?

I attend Unique Ladies Salford as it’s my nearest.

WHAT’S YOUR FAVOURITE…

…holiday destination?

I love travelling, and would go almost anywhere. Having said that, we do live in a most beautiful country here, and there’s still so much I want to see.

…food?

Always better if someone else has cooked!

…authors?

JoJo Moyes, Karen Swann, Sally Page, Sarah Winman – my list is endless, I love a good read, where I can’t put the book down!

…books you have read recently?

JJudith is a kiltmaker, working in many beautiful tartans to create made-to-measure handmade kilts for individuals who either have Scottish roots or like her, just love a kilt!

“My background has always been in sewing, learning when I was very young, and I have run my own dressmaking business from home for many years. Making someone’s wedding dress is an honour and a privilege, (especially when it’s my daughter who’s asking) along with bridesmaid dresses, waistcoats and ties for the men, and equally special is being asked to make clothes for friends and their children for everyday wear, and always great fun. Curtains and cushions also bring me joy, as I’m enhancing their homes with their choice of fabrics – can you tell I love fabric?

More recently, I took the opportunity to learn the technical skills of an authentic kiltmaker in Edinburgh and loved the work so much that I decided to leave my then current day job, and make kilts full time. Retraining is always a bit of leap into the unknown, but we are never too old to give it a try! I love what I do now, love tartan and love the people I meet along the way. I also teach sewing classes, either to individuals or to a group.

My involvement with Unique Ladies started in Liverpool before lock-down happened, and the meetings were a great place to meet like-minded businesswomen and share stories, and learn from each other’s journeys. Sadly this group closed, and then I found Salford Unique Ladies about 5 months ago – what an adventure of personal growth and confidence it has been for me, and what a delightful group of inspiring Ladies, beautifully led by Kathy, that I have the privilege to walk alongside in their own individual journeys!

Me before You Trilogy, Together for Christmas, The Keeper of Stories and A Year of Marvellous Ways. All these made me laugh, cry, feel inspired, moved, uplifted, joyful, and thoughtfully provoked – what’s not to love?

Will you share an interesting fact about yourself?

Here are a couple of interesting facts about myself – I spent 2 months stranded in the Sahara desert, with 9 friends, because the truck I was travelling in broke its crankshaft, and while we waited for more friends to rescue us, we were well and truly looked after by the Algerian army, and received an abundance of food from fellow travellers, including fresh meat, ice cold pears, and chocolate – what an adventure!

Another fact is that I marshal at motorsport events, and sometimes navigate for drivers while they drive at speed round country lanes.

Favourite Quote

“I am amazing” – a life-changing quote I love living my life under its banner.

One Thing you couldn’t live without?

Sewing, obviously. That includes tartan, a sewing machine, full kit, loads of fabric, buttons, ribbon, etc, etc.

To attend the group and for more information call: N 07794 143171 or email E kathryn@uniqueladies.co.uk

Judith Pegram

MAY WHITTY - Liverpool’s Forgotten Theatrical Dame

When 82-year-old May Whitty passed away at her Hollywood home 75 years ago, one obituary writer described her as a “grand old trouper of the stage and screen”. This description was well deserved, as, by the time of her death in May 1948, the Liverpool-born star had been working as an actor for over 65 years.

Mary Louise (aka May) Whitty was born on 19th June 1865 at the family home on Catharine Street in what is today known as Liverpool’s Georgian quarter. Her Irish-born grandfather, Michael James Whitty, was a wellknown local figure. He had served eleven years as Chief Constable for Liverpool, before, in 1855, founding the Liverpool Daily Post. The paper became a local institution and only ceased publication in December 2013.

May’s father, Alfred, died when she was just ten years old, but she may well have inherited her love of the stage from him. In a later interview she recalled that he had been involved for a time in theatre management.

May herself made her stage debut at Liverpool’s old Royal Court Theatre in an 1881 production of a now long forgotten operetta called The Mountain Sylph. Aged just 16, she made her first appearance on the London stage the following year at the

88 www.lancmag.com LANCASHIRE & NORTH WEST MAGAZINE

Comedy Theatre. She subsequently worked as an understudy at St James’s Theatre, but her acting career really began to take off when she joined a provincial touring company.

She began for the first time to play lead roles and, from early on, received enthusiastic reviews. “She is least like an actress when acting, so admirably does she portray the high-minded, trusting English gentlewoman”, commented the South Wales Daily News in August 1886 of May’s performance as Dora Vane in melodrama, The Harbour Lights.

In August 1892, May married fellow actor, Ben Webster, in London. They were both becoming well-known figures on the London scene and, in the early autumn of 1895, set off together for America with the Lyceum Company as support to British theatre superstars of the day, Henry Irving and Ellen Terry. The tour lasted over six months, starting in Toronto before taking in most of America’s leading cities and ending in New York.

It introduced May to the American theatre-going public for the first time, but she was not the only Whitty sister to make a name for herself in the US during the 1890s. Her elder sister, Gertrude, also appeared on stage there during the latter part of the decade and made headlines of her own when she married US comedy actor, Thomas Wise.

In 1899, May appeared alongside her husband and new brother-in-law in a London production of a comedy called The Last Chapter. By this time she had left the Lyceum Company, having, it is said, become unhappy with the roles she was being given. Her sister, Gertrude, was also set to star in The Last Chapter, but at the last minute was recalled to America by the US theatre company for which she worked. May, already “a favourite with Londoners”, was later reported to have played “a delightful and sympathetic role” in the production.

May and her husband continued to divide their time between England and America. Five years later, May was winning more plaudits in the British press for her performance as Susan Throssell in Quality Street by JM Barrie (subsequently author of the much more famous Peter Pan). “Miss May Whitty deserves a large share of praise for her capital performance, which is

natural and telling”, wrote The Stage. This is all the more commendable, bearing in mind that at the time May was still recovering from the trauma of having just lost her first baby.

The couple were advised to try for no more children. However, May became pregnant again and, in March 1905, their only child, Margaret, was born prematurely in New York whilst Ben was appearing on stage there. Margaret would later follow her parents onto the stage and become a successful theatre actor/director in her own right.

After several years in the States, May returned to the London stage in 1910 when she starred as Amelia Madras in Harley Granville-Barker’s comedy, The Madras House. This was notable for being the first time in her career that she played the type of middleaged and elderly character role, for which she later became famous on the big screen.

In a later memoir regarding her parents called The Same Only Different, May’s daughter, Margaret, recalled how her mother was initially taken aback by Granville-Barker’s

89 www.lancmag.com LANCASHIRE & NORTH WEST MAGAZINE
May’s sister Gertrude Whitty

novel approach to directing. May was given “a long dissertation on the history, habits, idiosyncrasies and antecedents of a character in The Madras House, all of which she was to convey to the audience by the significance with which she said her first line. The line was ‘Good afternoon’.”

May made her first screen appearance, along with husband Ben, in the 1914 British silent film version of Enoch Arden, which was based on an 1864 Tennyson poem of the same name.

Following the outbreak of war, however, May largely focused on charitable work. She was already

heavily involved with the Actresses’ Franchise League (AFL), which had been established in 1908 by female theatrical professionals who supported the suffragette movement. During World War I she served as its President and so played a prominent role in several women-led organisations that the AFL set up to help with the war effort.

One was the Women’s Emergency Corps, whose work was wide-ranging but essential. When penniless refugees began to arrive on a daily basis from war-torn Europe, the Women’s Emergency Corps set up food banks and found accommodation for them. As the war progressed, thousands of women took on jobs in factories and

on farms that had previously been the sole domain of men now on active service. Women also travelled to the battlefields of Europe, running canteens for the troops and driving the ambulances that ferried injured soldiers to field hospitals. All of this was only achieved because of the efforts of the Women’s Emergency Corps.

Another was the British Women’s Hospital Committee, of which May was the Chairman. This was established in 1915 to raise a sum of £50,000, which would enable the former Star & Garter Hotel in Richmond to be converted into a brand-new convalescent home for

90 www.lancmag.com LANCASHIRE & NORTH WEST MAGAZINE
May Whitty in the 1937 film ‘Night Must Fall’

severely disabled ex-servicemen. In the event, the project proved much more costly than originally anticipated, but the Committee raised an impressive total of more than £220,000 (equivalent to some £25 million today).

May also acted as Chairman of the Three Arts Women’s Employment Fund, which was set up to help women who had previously worked in the arts and now found themselves unemployed because of the war. In the days before the benefits system came into force, these women could have easily found themselves destitute, so this charity’s work in helping them to find employment in other professions was vital. May was also a prime mover in organising morale-boosting productions to entertain the troops.

With such an impressive roster of charitable war work behind her, May became, in 1918, the first actress to be awarded a Damehood. “These Dameships are strange things”, she modestly declared. “No one knows what to call me. Some call me Dame Whitty, some Dame May Whitty, some Dame Ben Webster and some Dame Webster”.

She later recalled that the only occasion on which she experienced stage fright was at the rehearsal for the ceremony when her Damehood was to be conferred by King George V.

Following the war, May resumed her successful stage career, but also remained a keen campaigner. The British actors’ trade union, Equity, first came into being during the late 1920s in the London home on Bedford Street that she shared with her husband. Founded by a group of leading West End performers, Equity was intended from the start to protect the interests of lesser known actors in a profession that has always been notoriously precarious.

May celebrated her 70th birthday in June 1935, but she remained as busy as ever. The following year, she returned to New York to star in the Broadway premiere of Night Must Fall and won huge plaudits for her performance as Mrs Bramson. When Metro-Goldwyn-Mayer decided to adapt the psychological thriller for the cinema, May was invited to reprise the role she had played in the stage production. Thus, she unexpectedly made her Hollywood film debut at the age of 72 in what was also her first talking film role.

The film proved a great critical success and received several Oscar nominations, including May who was shortlisted for the Best Supporting Actress award. She now suddenly found herself in huge demand as a Hollywood actress, to such an extent that, in the late 1930s, she and her

husband emigrated permanently to California.

May is probably best remembered today for playing Miss Froy, the title character in the 1938 Hitchcock thriller, The Lady Vanishes. She also received a second Oscar nomination for Best Supporting Actress in respect of her role as Lady Beldon in the highly successful wartime drama, Mrs Miniver.

The famous US gossip columnist, Hedda Hopper, wrote an article about the 78-year-old May in April 1944. Describing her as “the centre of attention wherever she goes”, the columnist compared May to a “spring tonic”. “If by so doing they would capture even a part of her vitality and great courage”, she continued, “it would be more than worth their while to make a textbook of her life”.

The indefatigable May Whitty continued to appear on stage and screen into her early eighties, as well as contributing to the US-based British War Relief charity during World War II. She was once quoted as saying that, “So long as I can do my bit, I’ll keep right on doing it”.

Her husband of 55 years, Ben Webster, died in Hollywood from complications during surgery for cancer in February 1947. She herself passed away there 14 months later, after a short illness, in May 1948.

May’s Hollywood career may only have started in her 71st year, but by the time of her death she had appeared in over thirty films and her passing was greeted with a genuine outpouring of grief in her adopted land, as well as back home in England. Such was her timeless quality that The Stage remarked, “Even at the age of 82 the death of May Whitty in Hollywood on Sunday comes as a shock”.

Like so many stage and screen stars of her era, Dame May Whitty is seldom remembered today, but this should in no way detract from her considerable achievements, both as a performer and social campaigner.

91 www.lancmag.com LANCASHIRE & NORTH WEST MAGAZINE
Actresses’ Franchise League Votes for Women badge
Tailored incentives available | Completion 2023 01772 687677 | 07568 326324 Live the dream in Great Eccleston within a luxury gated community of just 16 exclusive family homes. Tailored incentives available | Completion 01772 07568

ONLY 3 PLOTS REMAIN

“Time capsule” classic with only 15,000 miles on clock moves into Lakeland Motor Museum

It may look like it’s just driven out of a showroom – but the latest attraction at the Lakeland Motor Museum belies its true age.

It’s a classic Mazda RX7 Sports Coupe which was first registered way back in January 1985 – making it nearly 40 years old. But it has just 15,000 miles on the clock and is in mint condition.

It has been donated to the museum by the family of Sheila Sides – a former Cheshire hotel owner – who drove it for just six years after buying it new from a dealership in Warrington for £10,995 in 1985.

Her son, Chris Sides, says: “Throughout her life my mum always

had a love of stylish cars and had owned a Morris Minor, a Vauxhall Viva HB GT and a Lancia Fulvia.

“But when the Lancia started rusting, she looked round for a new car and fell in love with the Mazda. She loved the lines of the car and of course it was quite fast as well, a common theme with all her cars!”

She snapped it up and even used it in advertising material for the Highlands Private Hotel which she ran in Helsby, Cheshire.

“She loved it but there were a few issues which she hadn’t really considered,” explains Chris. “Firstly, she wasn’t very tall and the Mazda had a long bonnet she couldn’t really see over! We partly resolved this with the addition of a cushion to sit on.”

Chris adds: “The car didn’t have power steering either and was very heavy to drive. With advancing years, it became too much for her and was used less frequently as the months passed.”

It was stored in the garage at the family home at the end of 1991 and left unused until 2020 when the family decided to donate it to the Lakeland Motor Museum.

Chris explains that when his mother died in 2008, his father did not have the will to dispose of the car after all those years. When he died, it was left to Chris and his sister to decide what to do with the car which remained in pristine condition.

“We decided to go with their original wishes that it be donated to a motor

94 www.lancmag.com LANCASHIRE & NORTH WEST MAGAZINE
Chris Lowe, Curator of the Lakeland Motor Museum with the Mazda RX7 Sports Coupe

museum,” says Chris. “We had visited the Lakeland Motor Museum with my father in his later years and he really enjoyed the visit – so we decided to approach them to see if they might be interested.”

Chris Lowe, Curator at the museum, says: “We were delighted to accept the generous offer – and have spent time carefully cleaning and restoring the car before giving it pride of place in the museum.

“It’s a First-Generation 3rd Series RX7 with a twin rotor Wankel rotary engine. It is in a wonderful condition and is a great addition to our collection. We would like to thank the family for donating such a lovely example of this classic.”

Chris Sides says: “They have done a wonderful job of cleaning it up because after all those years in the garage it was rather dusty!

“We are delighted that it has a new home and that many people will get pleasure from seeing a classic like this in such good condition.”

The Mazda joins a collection of over 140 classic cars and motorbikes at the museum in Backbarrow, Cumbria. It also has thousands more exhibits of automobilia, historical displays and a riverside café. Nestled in the scenic Leven Valley and open seven days a week, the Museum is about more than just cars. The entire collection is presented in a social context, with

a host of rarities to awaken some special motoring memories.

Find out more by visiting: www.lakelandmotormuseum.co.uk

Above: The Mazda features in an advert for The Highlands Hotel.
95 www.lancmag.com LANCASHIRE & NORTH WEST MAGAZINE
Below: Chris Sides with his mother Sheila

Call For International Community Cultural Stories

New sub-categories for Page Turner Awards 2023 include Best True Story and Best Animated Story. These go alongside other sub-categories, such as Best Golden Writer (over 60s), Best Illustrated Book and Best Genre.

Page Turner Awards is providing inspiration, and a genuine launchpad for many authors, writers, and screenwriters.

Now in its fourth year, the Page Turner Awards is open until early June when judging will then commence, before culminating in the spectacular online Winners’ Ceremony around October.

The Page Turner Awards celebrates outstanding writing from authors, writers, and screenwriters.

Sponsored by writing giants, ProWritingAid and IngramSpark, Page Turner Awards, offers authors, writers, and screenwriters the chance to enter the first 10 pages of their writing project, where a judging panel of literary experts and film producers will read the work.

Over the past few years, many aspiring writers have walked off with life-changing prizes, including unpublished writers who have won literary agency representation and publication offers, LA Entertainment Agency representation for screenwriters, writing mentorships for new aspiring writers, book adaptations and audiobook productions for published authors, and many other high-value prizes for writers at varying stages of their writing careers.

Page Turner Awards has awards for all writers, including a Book Award (for published books), a Writing Award (for unpublished, completed manuscripts), a Writing Mentorship Award (for unpublished, uncompleted manuscripts), a Young Writer Award (for writers aged between 18 and 25) and a Screenplay Award (for film and TV screenplays, as well as authors who want to win a book adaptation to film script).

Founder of Page Turner Awards and award-winning novelist, Paula Wynne said: “There are writers from all walks of life, from manual labourers to academics, all with stories to tell, and most of them heart-warming and moving. We’re proud that our awards celebrate excellent writing and help writers and authors to get their stories discovered.”

Page Turner Awards is particularly keen to see cultural and diversity stories from different communities. The heart of a community always comes from stories that are told within the community that stem from the soul of the culture. If you have such a story, Page Turner Awards would love to see it!

Submissions for the 2023 Awards are now open and will close on 1 June 2023.

Find out how you too can enter your writing into The Page Turner Awards: https://pageturnerawards.com

www.balancecounsellingandcoaching.co.uk BALANCE COUNSELLING & COACHING PUT YOUR LIFE IN BALANCE services that will help you overcome personal challenges, and allow you to achieve your individual goals. For a confidential discussion email: info@balancecounsellingandcoaching.co.uk or call on: 07794 143 171 Moments of INSPIRATION INSPIRATION CARDS • FRAMED PRINTS • COASTERS • NOTELETS

Balance Counselling and Coaching Ltd

WHY I BECAME A

There were two really key moments in my life that led me to train to become a counsellor.

The first time was fairly early on in my career when a very popular member of my team began to suffer from depression and was having suicidal thoughts. I worked with the HR team at the time and we provided internal support via regular meetings with the individual and also by ensuring that they received professional support from a therapist and support team.

Sadly, despite all the support that was provided, after some bad news the individual received, they felt that they couldn’t cope with it at the time and sadly they decided and succeeded in taking their own life.

The death happened over a weekend and whilst covering a shift on a Sunday, inevitably the rumours started that the individual had committed suicide, with no senior support or HR team available at the time, I made a decision to bring my team back into the office, (we worked in a warehouse spread across three old mills and comprising of approx. 12 different floors) and briefed them of the possibility of their colleague’s death. I had to repeat the information on the following Monday for every member of the team but this time I was confirming their death.

The next few months were difficult times in supporting his colleagues and ensuring they had the emotional support they needed at that sad time.

It also impacted me in terms of the constant thoughts of what if?

What if I had done something differently?

What if I had added in another 1-1 on Friday, could I have changed things, could I have made a difference?

It took many months for me to come to terms with what had happened and acknowledge that I/ the business had done what we could to support in providing professional aid and working with them supporting them in the workplace.

Even though I came to accept what had happened it was always something I reflected on when other individuals in my life both professionally or personally talked to me about how they were feeling.

Moving on….

Several years later and I was working for a different company in a progressively senior role and having noticed a change in the behaviour of one member of the team. I asked them if they were they ok. They opened up and talked to me about their personal issues and struggles with depression. They were having suicidal thoughts and struggling to cope with things like getting out of bed, coming to work, doing anything really.

98 www.lancmag.com LANCASHIRE & NORTH WEST MAGAZINE

COUNSELLOR & COACH

They had had several absences because of this but had been unable to tell their manager the real reason for the absences so had reported stomach upsets each time and they were now been managed for their absence which was just adding to their feelings of what’s the point?

I spoke to him and supported him as best I could, referring him to our Healthcare provider for professional support and ensuring he got it quickly, provided a space where he could come and talk to me and off-load what was going on for him and gave him space to share his feelings and emotions. I was always conscious that I felt out of my depth and worried I would say or do the wrong thing.

I spoke to the HR team and was given advice which to me felt wrong and likely to push the individual over the edge. Luckily, I was in a position senior enough to be able to acknowledge their advice but respectively ignore it and do what I felt would be more helpful.

On this occasion my decision was right and over time with the support of both the Healthcare team and the support in work he recovered and started to move forward again and have fortunately not felt that low or depressed since.

At the time the second incident happened it brought back all the memories of my early management experience of one of my team committing suicide and throughout all my conversations it was in the back of my mind.

99 www.lancmag.com LANCASHIRE & NORTH WEST MAGAZINE

A Career in Counselling

It was at this point I spotted an advert for a 10-week evening course called ‘An Introduction to Counselling’ which I decided to enrol on to help me understand what I should be doing or saying in situations like the ones I had experienced.

The course was really good, informative and useful but, despite this, in the end, I had learnt a lot but was conscious of the fact there was so much more that I didn’t know or understand and it left me feeling I needed to know more.

I signed up for a 12-month Certificate in Counselling and that led on to several more years of training before I became a fully qualified counsellor.

Collectively and in tandem with the other skills I trained as a coach, and NLP master practitioner and trainer and since I have continued to develop both my counselling and coaching skills with continuous professional development learning new skills and keeping up to date with changes in the industries.

It wasn’t an easy journey through my training, as throughout it, I had to face up to some of my own issues and demons but the process helped me understand what a client can go through, the feelings of vulnerability, the fear of judgement, feeling out of control etc and made me more determined to succeed on this path and be able to help others in a professional way utilising all I had learnt.

I used my qualifications by undertaking voluntary work initially alongside utilising the skills in my career in logistics but found that more and more the part of my role I enjoyed most was supporting individuals to develop and grow or just understand themselves and what made them feel/behave the way they do.

Based on this I made the decision several years ago to set up my own business and focus on coaching and counselling working both with businesses and individuals to provide a vitally needed service.

Since 2013, I’ve been working as a certified Counsellor and Coach who specialises in helping people cope with their issues. I work with my clients in a variety of ways based on the individual/business and what they require/best works for them.

100 www.lancmag.com LANCASHIRE & NORTH WEST MAGAZINE

I offer counselling and coaching, face to face, over the telephone and via Zoom.

I offer a variety of services to my clients including:

• Counselling

Life can be a struggle sometimes. It’s been a difficult and challenging year for many.

Difficulties at work or at home, worries about the future, or just the general stresses of life can take their toll on your confidence and ability to cope. Big changes - like the loss of a loved one through bereavement or divorce, redundancy, children leaving home, or a trauma such as a car accident or being the victim of a crime can leave us feeling rudderless and unsure of where we go from here.

• Coaching

o Business Coaching – working with business supporting managers and staff to develop

o Executive Coaching – Working with senior managers to provide, coaching, mentoring and use as a sounding board

o Private Coaching – I can help you to become more confident, improve your relationships, change your career or improve your existing one? I can also help you to take control of your destiny and be clear on your goals and how to achieve them?

As COVID 19 became part of our daily life and impacted everyone in terms of how they lived and worked, it affected me in similar ways and had a major affect on my business as companies shut for long periods and staff worked from home and like many other businesses and individuals I had to look at different ways to operate and ensure I had enough business to cover my salary and pay my bills.

During this period I had to change the way I worked, all my sessions were now being completed over zoom which had some benefits but many challenges especially initially as people got used to using it. I also had to look at ways to replace the income I had lost.

That’s what drove me to create my moments of inspiration range, which started as an idea for a set of inspirational quotes that I wanted to be unique and not just copies of someone else’s words.

There are 31 individual cards to enable you to have a different quote for each day of the month should you want but they are designed to be used in whatever way you wish. You can work through the pack using one each day, pick a random card or dip in and out as you see fit.

There is no right way just your way.

That has then led on to a full product range that includes, coasters, notelets, calendars and posters (framed and unframed).

I started a blog which had been on my to do list for months and that in turn has led to me starting to write my own book. Something I never thought I would do.

The book is going to be a self help book which is a mix of:

• events in my life that have been challenging to myself and will share how I overcame the obstacles and moved forward

• techniques and guidance on how you can achieve results for yourself and turn your life around

I am facing some challenges in creating this as I have decided to self-publish and am on a steep learning curve but am aiming to have it launched early in the new year.

If you would like to know more about my services / products and how I can help, please contact me either via the website www.balancecounsellingandcoaching.co.uk or email info@balancecounsellingandcoaching.co.uk or call on 07794 143 171

101 www.lancmag.com LANCASHIRE & NORTH WEST MAGAZINE

Exploring the Cumbrian landscape in the name of wood pasture conservation

The Wood Pasture and Parkland Network (WPPN) is a working group of conservation professionals from a number of different organisations who meet quarterly to share information, promote a wider understanding of the habitat and provide advice on its protection. We usually meet virtually, but once a year we meet in person at an exemplary or interesting site where we can discuss the issues in front of us and learn more from our colleagues.

Wild Ennerdale

We had fantastic weather for our trip to Cumbria, where 16 keen Wood Pasture and Parkland professionals visited three sites

run by two inspiring farming couples, and explored their farms, learning how they are restoring the land in their care back to wood pasture.

Within a landscape of the scale and majesty of Ennerdale, the conifer forests look as natural and at home as the local oak woodlands beside them. Below the rugged skyline of scree slopes, the conifers fill the wide valley sides. Here, the River Liza takes its natural course, cutting new channels and pushing up shingle banks among the riparian woodland and wet meadows. Wild Ennerdale is a visionary project managed by a partnership between Forestry England,

Natural England, National Trust and United Utilities. Here, they are using a natural process led approach to landscape-scale nature restoration.

WILDLIFE
UK
102 www.lancmag.com LANCASHIRE & NORTH WEST MAGAZINE
The River Liza

Our guide, Rachel Oakley, Partnership Officer for Wild Ennerdale, welcomed us, and told us more about this amazing habitat. We walked among the mature Scots pine which have a diverse understorey of rowan and we climbed up through dense Sitka spruce stands. Rachel told us how the vision of the wilding project had been brought to life by a local farmer, willing to replace sheep flocks with black Galloway cattle. The three herds of 45 – 50 cattle are given free range within 2000 hectares of the forest.

The focus of the WPPN group, however, was on Silver Cove. This is on the hillside where a larch stand had been felled 30 years ago and which for the last 20

years the cattle had of had access to. Here there was scattered, regenerating woodland, composed of birch, larch and Sitka spruce with a dense grassy herb-rich sward.

But was this wood pasture or not? Would the trees remain open grown or close canopy? They were certainly unpalatable tree species and grown above the browsing reach. The group debated – and lunched. More scattered trees within an area of block scree immediately above us caught the eye of the experienced WPPN members. This was determined as being akin to the woodlands within the Ffridd habitats of Wales. The gnarled stems of oak and rowan protruding from the rocks, did indeed look ancient.

The visit concluded with a walk along the River Liza and learning more about species reintroductions, including details of the preparatory work for Wild Ennerdale’s next planned occupant, the European beaver.

Ullswater

Gowbarrow Hall Farm is a family run farm. Claire and Sam Beaumont took over this farm from Claire’s parents five years ago. The Beaumonts have moved away from the traditional sheep farming, instead keeping Shorthorn cattle, Kune Kune pigs and fell ponies.

Throughout the summer, they use electric fencing to coral their cattle into small grazing areas which are moved daily, mimicking the way herds of herbivores would have naturally roamed through the landscape (mob grazing). In winter, they are moved to an area of rough grazing which has been growing all summer. The pigs free roam a large area of rough grazing and require no supplementary feeding.

Regenerative Farming is a relatively new approach to farming that seeks to regenerate the land, soil and water, as well as enhance the wider environment and improve the nutrient density of food produced. Using a combination of natural regeneration and a small amount of planting, the Beaumonts aim to increase the tree cover across their land.

For me, it was a fascinating insight into upland farming and

The group stop for lunch Scattered trees within an area of block scree
103 www.lancmag.com LANCASHIRE & NORTH WEST MAGAZINE
The group learning of the preparatory work being done for the reintroduction of European beavers.

it was a pleasure to meet the Beaumonts who are so passionate about not only their patch, but how their (and all our) actions impact the environment globally. It was refreshing to hear that the move away from sheep is not only benefitting the landscape but the family themselves and giving them a better work / life balance.

Glencoyne Park

Glencoyne Park was once part of a hunting estate owned by the Duke’s of Norfolk. Since Medieval times, deer, sheep, cattle and horses would have grazed amongst the trees. Today, this tradition continues, with the farmers at Glencoyne grazing their sheep and shorthorn cattle in Glencoyne Park.

There we met farmers Sam and Can Hodgeson who are long-term tenants with National Trust. Together they are working towards regenerating the wood pasture that was once there by reducing the number of sheep and adding cattle, planting trees and allowing natural regeneration.

The Hodgsons have always farmed with conservation in mind. When they applied to take over the tenancy nearly 30 years ago they submitted a conservation plan – something no one had done before! They now graze a flock of 200 Herdwicks and a herd of shorthorn cows. They have always planted trees and kept sheep out of some areas to allow natural regeneration.

The field visit was invaluable – bringing us together with colleagues we had never met in person, learning more about upland wood pasture and inspiring the group to continue to work hard for wood pasture conservation.

Old oak and Shorthorn at Glencoyne Kune kune pigs Gowbarrow Farm
104 www.lancmag.com LANCASHIRE & NORTH WEST MAGAZINE
Veteran Alder Alder regeneration

Update: Emergency appeal to help the animals in Kenya affected by drought

North-eastern Kenya continues to experience its worst drought in 40 years

In Garissa County, East Kenya, our colleague Dr Abdullahi Ali Hussein is fighting against the effects of the drought. Many wild animals, especially those dependent on grass, are dying due to the severely dry conditions. Giraffes, hirola

antelope, desert warthogs, Beisa oryx, Grevy’s zebras, buffalo and coastal topi are all badly affected. They’re having to travel much further to find water and the vegetation is poor. Shortages of food and water mean they’re much more susceptible to malnutrition and disease.

Livestock are suffering too, forcing locals to venture into areas normally left for wildlife to find enough pasture for their

animals to survive, putting even more pressure on wild animals. And sadly, poaching is increasing as local people have to find their own ways to survive the drought themselves. Poachers trade bushmeat with locals for items like sugar and powdered milk, to sell in neighbouring Somalia. The situation’s extremely fragile and volatile – for wildlife, livestock and all the people living in the region.

Emergency funding has been vital in the past

In 2021 and 2022 we helped Ali with emergency funding to combat the effects of the drought. With this funding from PTES, Ali and his team have:

Increased the availability and access to water for wildlife, livestock and locals. By renting two water trucks, Ali’s team brought water to residential and wildlife areas twice a week, providing over 2,000,000 litres of water so far. They’ve also

INTERNATIONAL WILDLIFE
Grey Zebras spotted adjacent to restored areas Image Credit - Ali Hussein
105 www.lancmag.com LANCASHIRE & NORTH WEST MAGAZINE

constructed 11 new water pans and repaired another 16.

Provided high quality feeds to key wildlife species and livestock. The team supplied hay and acacia pods twice a week to areas with hirola antelope, Somali giraffe and Grevy’s zebra. This has improved their body conditions and reduced susceptibility to diseases and death. Supplies of nutritious pellets to livestock has enhanced health and production, improving local livelihoods, and reducing the number of livestock encroaching into wildlife areas.

Opened wildlife water access corridors along the Tana River. Farms along the Tana River threaten the survival of wildlife during drought periods as the animals have limited access to the water, and they’re more likely to be trapped and injured by snares set to prevent them eating crops. With an urgent need to reopen access to the river for wildlife, Ali mapped out access points for wildlife along the Tana River in collaboration with the county government. He subsequently opened up 58 wildlife access corridors to increase access to water for wildlife.

Carried out a vaccination drive and treatment exercise. Ali’s team carried out a vaccination drive to prevent the spread of highly contagious diseases amongst livestock, which could spill over to wildlife. With mobile units they vaccinated an impressive 61,400 livestock in 30 days, and treated sick wildlife.

Conducted a seven-day joint force to halt an emerging cross border giraffe bushmeat trade. During the drought, the cross-border bushmeat trade increased, so Ali’s team joined forces with the Kenyan police and rangers to crack down on those involved. They established barricades on the major roads to inspect vehicles and multiple checkpoints on different days and roads. They arrested nine suspected poachers who were transporting game meat. And 30 community individuals and scouts across the region are now trained to

monitor the bushmeat trade and its causes.

Thank you to everyone who helped by donating and helping us provide Ali with emergency funding.

Restoring habitat and working with communities to tackle the threats

We are also funding Ali to protect hirola antelope in this area of Kenya, on top of the emergency work he is doing to help them, and other grazing animals who are suffering in the drought. This project is focused on restoring their habitat – creating grassland areas and working with local communities to help tackle the threats they face. If you would like to support Ali with this vital work, we would be most grateful as the situation is so difficult right now.

Thank you. d ptes.org

Rangers: Image Credit - Ali Hussein
106 www.lancmag.com LANCASHIRE & NORTH WEST MAGAZINE
Land before and after restoration: Image Credit - Ali Hussein

Make yourself at home...

Please call reception on 015394 35300 or email

Tucked discreetly away behind a wall of fir trees in the heart of Grasmere. Our homely bedrooms and comfy lounge invites you to relax away from the bustle of modern life.

This is more than a hotel, it’s the ultimate place to escape. Dogs are welcome too, an essential companion for exploring.

to book

hello@tweediesgrasmere.com
Bar & Lodge F @tweedies1 Grasmere, The Lake District, Cumbria, LA22 9SW T @TweediesBar www.tweediesgrasmere.com I @tweediesbar
Tweedies

Behold our brand new ‘Bridal Suite...

We’ve very recently completed the latest stage of our refurbishment and just wanted to shout it from the rooftops of Grasmere!!! So hear you are folks, a wee preview of what we’ve been up to over the Winter months...

We’ve gone a bit bonkers for bathrooms!

The ginormous bath in the bay window of Room 10, or ‘Houndstooth’ as we’ve called it, just begs bubbles - the perfect place to soak away your aches and pains following a hard day on the Fells!

Three fabulous new rooms

One Bridal Suite, one Tweed Suite and a snazzy new Nest & Nook king - there’s never been a better reason to book a getaway to your favourite home from home in the heart of The Lakes...

108 www.lancmag.com LANCASHIRE & NORTH WEST MAGAZINE

Did you know we do elopements and small weddings?

Just Us Wedding Package

To include:

• 2 nights accommodation in a Tweed Suite

• Afternoon Tea on arrival

• Welcome Hamper to include Champagne and Gin & Tonics

• Pre-wedding dinner

• Breakfast

• Room hire for your ceremony and two witnesses

• Post ceremony Champagne

• 3 course wedding breakfast to include a bottle of wine

• Room service breakfast and late checkout the following day

From £995.00

Find Out More at: www.tweediesgrasmere.com 109 www.lancmag.com LANCASHIRE & NORTH WEST MAGAZINE

Home of the ultimate thirst quencher

With friends, family, your trusted four-legged companion or simply a cheeky quiet pint on your own. Tweedies bar is the perfect setting for you to enjoy your chosen tipple.

Whether it’s exploring our extensive range of beers, craft ales and perries (it may take you a while, there are 17 on offer), a chilled bottle of wine and two glasses watching the day close with the stunning fell’s sunset or a pre-dinner G&T served to start the evening celebrations. Whatever time of day, Alex and his pub team are here to serve you.

Opening times

Bar

Sunday to Thursday 12 noon - 11.00pm

Friday & Saturday 12.00 noon - 11.00pm

Lunch

Monday to Saturday 12 noon - 2.45pm

Sunday 12 noon - 3.30pm

Dinner

Everyday 5.30pm-8.30pm

Please note we allow 1.5 hours per table in the restaurant at busy times.

Telephone: 015394 35300 to book

Award-winning

Extremely proud beer enthusiasts.

Our award-winning Tweedies Bar provides good quality real ale, craft beers, ciders and perries for the community of Grasmere and our invited guests to enjoy.

There are beers from all over the UK, showcasing the best local breweries and from further afield, there is something to suit all tastes. We are proud to offer beers from progressive, modern, independant breweries as well as traditionally brewed cask ales. At Tweedies, there really is something for everyone!

110 www.lancmag.com LANCASHIRE & NORTH WEST MAGAZINE

Make

Gillian and Brian Roberts have been the proud family owners of Tweedies Bar and Lodge since 2005, priding themselves in creating a home-from-home experience for you to enjoy in the English Lakes District.

You’ll also get the chance to meet their sons Alex, James and Jack.

Alex’s passion for the pint is unrivalled in the Lakes, well so they say! Alex is in charge of the bar ensuring there are plentiful beers, ales and perries available for you to try.

at home.....

James leads the kitchen preparing fresh, locally sourced, exciting culinary delights and some familiar home comforts too.

Dancing in the daffodils with the two youngest members Etta and Phoebe is not compulsory but will most certainly place a spring in your step.

TWEEDIES BAR & LODGE M Grasmere, The Lake District, Cumbria, LA22 9SW N 015394 35300 E hello@tweediesgrasmere.com D www.tweediesgrasmere.com
yourself
111 www.lancmag.com LANCASHIRE & NORTH WEST MAGAZINE

COUNTRYSIDE TO CONCRETE JUNGLE

seated at the table enjoying his bacon butty suddenly related a conversation he had had with one of his workmates which would transform family life.

Next he announced, “They are as red as berries you know, those children who live on the new estate being built over at Middleton. The climate over there is really good and the kids play outside all day in the sunshine.”

Dad was in his usual Sunday morning position, standing next to the gas cooker turning the rashers of bacon in the frying pan, my sister was awaiting close by holding a slice of “White Chief” bread and eagerly awaiting dad to remove his breakfast from the pan so she can then make a dash to mop up the tasty bacon fat.

I being unable to compete in the bacon juice contest choose cereal. But this Sunday morning I was, for once, was the winner. For some reason this Sunday mornings happenings vividly remain in my young mind. Observing the cereal cascading in to the bowl something quite unexpectedly happened, an object appeared in the bowl, a free gift and to my delight it was a toy plastic submarine.

This was the start of the promotional period where toys were given away by cereal companies in a quest to inspire children to consume more of their product. This new toy worked on the theory of domestic science. A small hole was in the underside of the submarine in which baking powder was placed, then once the submarine was placed in a water filled screw

topped mineral bottle the submarine would dive and rise as the top of the bottle was tightened and released. This was pure magic for a six year old.

I was one of four children living in cramped conditions with my family in a Newton Heath terraced house which were known as, “two up, two down,” similar to those seen on Coronation Street, consisting of two bedrooms and two ground floor rooms which made living in such conditions, very challenging. But on this warm and sunny Sunday morning, dad, once

This was information that he had gained from his workmates at A.V.Roe, Chadderton, Oldham where the Vulcan bomber was in production. “I think we will all have a drive over this afternoon and have a look round,” he exclaimed. At this period our family owned an old and well used ‘Ford Pop’ which was a bit tired and not very powerful, it only just managed to make its way along the highway when empty, so heaven help us with a full pay load. The car was fitted with a running board along both sides.

Visible in old films were American gangsters who would travel at speed along the highway, standing on the running boards and firing their guns at gangsters as they sped along. But when I decided re-enact what the gangsters did by standing on the

Middleton Central Gardens
112 www.lancmag.com LANCASHIRE & NORTH WEST MAGAZINE
Wood St, Woodside Cottage

running board with my toy pistol dad did his nut, “Don’t stand on those, they are full of rust and will fall off.”

First Sight

That afternoon our family made its way along Greengate, passing the massive A.V.Roe aircraft factory at Chadderton, then as we approached the town of Middleton the first vision of the town to have a lasting effect was the Central Garden and its fountain, known as the ‘Pee Garden’ because of its underground toilets.

The beautifully maintained garden was packed with residents all enjoying the warm early summer weather. Our old black and green car in making it to the centre of town had now to transport the family to the new housing estate, a place for a new start.

The route taken was via Wood St, named to document the time that it was once the road to Coppice Wood. We could see in the distance, high on the hill that house building was being carried out on a massive scale, but worryingly we could also see a steep hill approaching. Our quest to find a

new home with all the mod cons fell at the first hurdle; our old car could not meet the challenge of the gradient and gave up the ghost.

The old fella took immediate action, “All out, get behind and give me a push.” This we did and once the old girl had sprung into life we had to walk to the top of the hill where we awaited the arrival of our ancient mode of transport. As we waited at the roadside we noticed that the public house opposite was named, ‘Who’d A Thowt it.’ Well I did not.

I thought that should we move to this estate the car would have to remain at Newton Heath. Next dad arrived and we all jumped in, mother seated herself in the front seat quite contentedly with her handbag placed on her knee then as we sat off for the remainder of our journey into new unexplored territory we found that our journey was short lived, the road at this point was unmade and also on an incline so our car journey ended at this point. All the roads were made of clay, dry and hard due to the May sunshine. Once again it was “All out.”

My memory is that of walking along the proposed extension to Wood Street to witness the vast new housing estate which was encroaching upon the farmland, the road in what was to be, and still remains is one of the main arteries to the estate.

As our family walked along inspecting the houses through holes in the brickwork where the windows were to be, we were joined by many other residents from the Manchester suburbs who also arrived to seek out better living conditions.

The first group of houses we came to which were in a state of nearing completion were in a close on the hillside which gave a fantastic view over the town of Middleton with its gas holder, mill chimneys and in the far distance the large cooling towers at the Chadderton Power Station. Facing north were the uninterrupted fields leading towards Heywood, moorland was visible on the horizon.

Both my parents were keen to move to this new estate because it was close to where my father worked. The problem we encountered was that both of my parents had no idea how you actually went about renting one of the new Langley council houses.

We were Manchester folk, these were Manchester owned properties, and so with this in mind the old fella took out his pen knife to stake his claim and carved his name on the back door of the house which he thought was to be our new home.

The following day my mother visited Manchester Town Hall to ‘claim our new home,’ but this plan did not work. All our details were recorded which included a priority marker being placed on the application due to overcrowding. The council acted promptly in our case and our desire to become one of the new residents on a Manchester Overspill Estate, because a letter arrived within days from Manchester Housing offering the Cunliffe family a new home miles away in the opposite direction of Langley at ‘Woodhouse Park,’ on the Wythenshawe Overspill Estate, the house was located at the edge of the estate, next to the Manchester Airport.

It was around 1958 when we moved to Woodhouse Park, where we spent two years before being allocated a

Wood St. Main route to Langley Overspill
113 www.lancmag.com LANCASHIRE & NORTH WEST MAGAZINE
Mr Greenhalgh, mowing prior to the area being developed

house at the Langley Estate, a house which was located close to the golf course, which was a nice area to live. One of the problems with living at Wythenshawe was that I could only spend time with dad at weekends. I would be in bed when he arrived home during the working week, and he set off for work by the time I was awake each day.

Apart from the noise of landing aircraft, living life in this area was great, fresh air and fields full of crops, plus in the distance was Cheshire with the telescope at Jodrell Bank clearly visible beyond the airport. I can also remember the excitement when the famous chandeliers arrived at Manchester Airport.

The Royals.

I, along with a number of other children would ask our parents to keep watch at the local news programmes. If any of the Royal family visited Manchester the media would report, “The Queen and Prince Phillip are now leaving the Manchester on their way to London.” Once we heard this announcement we would wait around thirty minutes, then we would take up a position at the junction of Shadow Moss Road, where it joined the road to Style, upon turning to the right was the route to Ringway Airport.

Shadow Moss Road was a long straight road from Cornish way; with this the children waiting patiently at the side of the road where they could identify the Royal party approaching, by the flags on the front of the black limousines. The people of interest would be in the second car of the convoy. Our little group would wave frantically as the highly polished limousines slowed down to navigate the junction.

Prince Phillip would normally be the closest to the children at the kerbside, seated at the nearside of the vehicle,

he always acknowledged any children waving. His driver was instructed to prompt him should a party of children be showing interest. I often wonder what their thoughts were as they drove past, witnessing a bunch of scruffy kids.

On The Move.

Around 1960-61 my sister and I were once again in the back of a furniture van along with the families belongings as we travelled from one side of Manchester to the opposite side to take up residence in the house near the golf course. Then after two years this house became too small so an exchange was agreed with another family who lived on higher ground.

It was also during the first part of the 1960’s that we had a bad winter. Severe frost and heavy snow caused havoc. The coal deliveries were disrupted due to a heavy fall of snow.

Freezing conditions caused the milk in their bottles to expand, which gave an unusual sight of a stalk of milk emanating out of the neck of the bottle capped off by the foil top.

year of 1937 was that 250,000 were to travel to London from all parts of the country to witness the Coronation celebrations.

Many adopted an all in one fare to the London which included meals and sightseeing tours. Mr Joel Halliwell, the only ever Victoria Cross holder from Middleton was invited to the Coronation. He met the Mayor and Mayoress of Middleton, Mrs & Mrs T. J. Hilton at the railway station and they travelled together. One pound and one shilling, a guinea, was presented to parents of all babies born on Coronation Day.

A competition took place to find the best decorated invalid chair held during the Coronation was made by the Alexandra Musical Society for badly disabled ex-Servicemen of Birmingham. The Japanese Cruiser “Asigara,” commanded by RearAdmiral Sonosuke Kobayashi took part in the Coronation Navel Review by invitation of the British Government.

At Manchester Town Hall, officials from Middleton Borough Council were in talks to acquire the area of land which was no longer required as a reservoir for housing. It was a condition within the city council that land was offered to other departments of Manchester Council prior to being sold off. Manchester Housing Dept expressed an interest in purchasing the land from the Waterworks Committee. The sale was completed by 1948.

We find that any development at Middleton by Manchester had to be cleared by the Borough Surveyor of Middleton, Mr John Pollard. The main concern, one which took two years to solve was the sewerage system.

History.

My family could not understand why Manchester City Council collected the rents on this estate, yet the Borough of Middleton provided the services like refuse collection, even providing the dustbins. From my research I find that in the 1920’s Manchester Water Board purchased an area of land at Middleton with the intention of building a storage reservoir.

This project however did not transpire so the area remained as farmland with many debates over the years about the future use and ownership taking place. Making the news in the Coronation

Today in one part of the estate a sewerage pump is in constant operation having been installed in 1955. The power supply is taken from a football pavilion with a notice on the main fuse outlet, “Do Not Turn Off.” I personally know the outcome if the power should fail at this pumping station.

About To Change Forever.

Originally the estate was to be named Bowlee, which was later named Langley estate after Langley Hall. The townsfolk of Middleton noticed that work on building the new housing estate began at a rapid

Langley sold
114 www.lancmag.com LANCASHIRE & NORTH WEST MAGAZINE
Children living in healthy conditions

rate, as one “Moonraker” commented, (Moonraker is a name given to those born in Middleton), “Great mechanical scoops and grabs are levelling the meadowland.

Hillocks and folds in the land which are now lost forever. Our pleasant Sunday walks over the Demesne are now lost forever, just a memory.” In 1951 the population of Middleton was 32,607 and during the period of 1956-57 the population had increased by almost 10,000, most of them on the new estate.

It was while I was researching the history of Langley Estate some years ago that a reader of my weekly newspaper column made contact relating their move to the estate from Newton Heath. In 1958 the transporting of the furniture to Langley was made by a second hand furniture shop owner, Mr Christie. The move did not involve the use of a motor vehicle; Mr Christie used a hand cart to move his goods. The cart would be loaded with furniture with the motive power being Mr Christie and the husband of the family where they would each take a handle and walk the cart to Middleton.

The wife and children would take the bus to their new house, taking with them a kettle, tea and a bottle of milk and a shilling for the gas meter. Total cost for his removal services was seven shillings and six pence. Thirty seven and a half pence today.

On the return journey he would spend a couple of hours in the pub and, after dark; an oil lamp would be hung onto the front and rear of the cart. Mr Christie once commented; “The hard work is going up Wood Street. The return journey is quite pleasant. I usually have a John Willie (Lees beer) with me, an empty cart and a light head.” On long journeys Christie would nestle down on the back of his cart, using an old sack as a blanket to have a nap.

New Church, New Parish.

In the early 1950’s new homes were being completed at a rapid rate at Manchester’s Overspill Estate which were being occupied by those Manchester folk who were living in slum type conditions. As the population increased Bishop Marshall took to the pleasant green fields above the town of Middleton to seek out a plot of land in which to build a new Catholic Church.

The Bishop chose a plot which was on the highest part of the new estate. By 1953 hundreds of houses were covering the farmland in what the locals regarded as a ‘concrete jungle.’ It was July of that year that Bishop Marshall returned to the site chosen for the new church with Fr John Murphy

in which he put his vision to him to provide the residents of the new estate with a place of worship.

The Bishop handed Fr Murphy £1,000 and left him ‘to get on with it.’ Father Murphy had a blank canvas, at this period there were no place of worship, no presbytery so the new priest took up residence in a council house, 96 Windermere Road. Not an ideal place to carry out religious services, but he was on hand to offer support and to welcome the new residents. One of the first Catholic residents related that her neighbour had given birth to a baby boy. In wanting the child blessed she took it to the home of Fr Murphy, but he was not at home. In making her way home the woman spotted Fr Murphy and begged him to bless the child.

Nearby was a wooden workman’s hut. The door was open so they used this hut to bless the child. Mrs McGinty who had charge of the child related that she remembers reading the names of the mugs on their hooks Mick, Les, Paddy etc, in the hut as Father Murphy carried out his ministrations. The wooden hut became a place of worship when not in use on Sundays, the workmen cleaning the interior on Friday afternoons in preparations for the Sunday Mass.

With the population increasing a temporary Romney hut was constructed on the site of the new church. Father John Murphy was certainly a man with a mission; he built the new church and another, St Columba at Windermere

Fr John Murphy
115 www.lancmag.com LANCASHIRE & NORTH WEST MAGAZINE
The ‘ Romney Hut ‘ a place of worship for 6 years

Road, plus two convents, a club and five schools. I knew Fr Murphy and we were good friends in later life, in fact, once he was in retirement. But in the early days when I was collections insurance premiums on the estate, it was a case of first come, first served where the money was concerned.

Should Murphy make it to my clients home before me on pay day, I would not be paid and have to wait until the following week. Fr John Murphy would personally ask his congregation for donations rather than announce it in church. At one house he requested a donation towards a moped so he could tour the estate quicker. The housewife was short of cash and had a job making ends meet, so she declined his request, but as he was leaving the house he noticed a jug which contained coins, tapping it with his foot it overturned and some coins rolled out, he said, “I thought you said you had no money?” I am saving up to have a perm,” she replied.

Father Murphy commented, “Our Lady never had her hair permed,” her reply was, “Jesus Christ never had a motorbike and he had a bigger parish than you have.” Fr Murphy was of the old school, often seen walking around the estate offering his services. In retirement he walked the halls of residence meting the new students attending Manchester University. He once told me: “I can go on holiday to Ireland once I have met the new students, once they know ‘who’ I am and ‘where’ I am should they require help. They are unfamiliar with the

new city, but at least they know that they can call on me anytime.”

Little Sisters, Little Angels.

For many people living on the Langley Estate, like myself, had never witnessed nuns riding mopeds around the roads of the estate. The Little Sisters of the Assumption were fully trained nurses and care workers, and no history of the estate can be written without which we pay tribute to the dedicated work that these sisters partook. They worked long hours attending to the needs of the sick and needy, and were on call at any time of the day or night. Duties included, personal hygiene, cooking, cleaning, and preparing the children for school. Attending to the shopping needs and a host of many other duties. Their weekly pay for this service, ‘Nothing.’ The Sisters worked for the love of God, lived in a deeply spiritual way and would not accept any payment whatsoever. In the home where care was being provided the nun would not accept a cup of tea; she would not take anything from the home, not even a glass of water. This service was provided to Catholics and nonCatholic irrespective of their race or creed.

Three Sisters.

Thousands of Manchester folk benefitted from the new homes built by the council, they now enjoyed the ‘mod cons,’ remember the outside toilet? With the ever increasing demand for better housing Manchester City Council announce on the 5 July 1963 that it was to build three 13 story skyscrapers at Langley.

Middleton Council requested that one block be allocated for the use by old people of the town, but the City Council were not having this clause included within their plans. On the 6 September the plans were passed for three blocks of 12 story blocks of flats and 41 garages at a cost of half a million pounds. Upon completion of the flats in 1965 the Housing Department hand-picked the residents. It was following a fatal accident at a block of flats at Heywood, Lancashire where a child fell down the lift shaft that no tenancy was offered to those who had children under the age of 14. The people who came to live in the flats were delighted with their new abode and took a pride in their environment by lacing flowers in the lifts and passageways.

One elderly lady I spoke to many years ago commented, “I moved to Lancashire from Northern Ireland to get away from the troubles.” Her flat was on the 5th floor and was ideal. She said, “I have fallen in love with my new home, it is very comfortable, warm, secure, and has a lovely view from my living room window. My flat is economical to heat, many residents pay between 15/- to a maximum of 25/- a week, that is 75p and £1.25 in decimal currency.

On the ground floor is a laundry where a full wash could be washed and dry in 90 minutes.” Many people sold their washing machines once they moved in. All the flats had a ‘plug in and go’ communal aerial at no extra cost. It was around 2010 that the three sisters were declared as having ‘unsatisfactory living conditions’ and the decision was made for them to be demolished by using one of the largest grab type machines in Europe.

From my records, I find that the flats were financed under a 60 year mortgage in 1965, so if the buildings were demolished in 2010 it means

Millbeck Ct coming down
116 www.lancmag.com LANCASHIRE & NORTH WEST MAGAZINE
Middleton Mayor planting a tree with the Little Sisters

that 15 years were left to run on the mortgage. During 1997 the flats were renovated. Three thousand wooden window frames were replaced with upvc. Fireproofing and decoration were included in the one million pound contract. At the start of the demise of the ‘Three Sisters’ the demolition contractor invited the press and media to attend. On that day however I had dropped into the newspaper office while in the centre of town.

Then one of the reporters had an urgent ‘shout’ for a photographer, but the one on duty was at the flats, out of contact. Next I offered to deliver the message to photographer Garry, who I knew very well, a good friend in fact. My idea was to grab an unrestricted shot of the million pound monster for posterity of that machine which was tearing the flats down with its jaws. So I offered to personally deliver the message.

Upon arrival the media were gathering in a group, so with being supplied with a high visual jacket and a hard hat I was allowed over to join the group. Then things happened very quickly, before I had realised we were all elevated to the roof of one of the blocks of flats, that being Bowness Court. This block holds a sad and dark memory for me. When I was Parks Foreman I was called to an incident where a 55 year old woman, who was cleaning her window, had accidentally fallen to her death from the 11th floor balcony into the soft grassed covered area below.

The sad sight of her upright body remains with all those concerned. Unlike some members of the press I am okay with heights, and with such a cracking view over the town I seized upon the opportunity to grab some images. Standing next to Garry we both realised that once we had left, we were the last people to record the view from this advantage point, following our departure all the flats were taken down. One of the best elevated images taken that day was that of Fr Murphy’s church, Our Lady of the Assumption, which cost a total of £100,000 when built.

Hot Cakes.

One of the most popular shops on the estate for children was the toy shop at Lakeland Court. Langley

Sports and Toys was once owned by Keven Walsh, who also owned a bakers shop in Norden, Rochdale. Each day prior to opening his toy shop he would be busy making products for the shop that his wife managed. When I was fifteen and a half years old Kevin offered me employment on Saturdays. First of all it was to fit wide shelving to his store room, then as Christmas approached he purchased a consignment of bikes from America in which he had no time to assemble so enlisted my help. Back then I wish that I could have purchased one of those bikes, they were super quality.

The cycles had white wall tyres, a comfortable seat and had some great features. One feature was a dynamo fitted to the front wheel which charged a battery as you cycled along the road, which during the period of darkness gave a constant light, even when stationary to the front and rear. As soon as I had assembled one of the new bikes it was placed in the front window of the shop and was quickly sold, they went like ‘hot cakes,’ I could not assemble them quickly enough. I am now showing my age, ‘but if only’ I had purchased and put into storage the retro items on sale back then, Dinky toys in their boxes like the gold James Bond car, and items relating to the space race, I could make a fortune today.

One perk however in being associated with this shop was that Mr Walsh allowed a dealer in records to erect an outlet in his shop. The records, 45’s were not new, they were taken from Juke boxes. You could own a fairly recent release for little money and could take your pick if you visited the shop on a Wednesday afternoon when new stock arrived. The only drawback was that each record had a large hole in the centre where it mounted the drive spindle in the Juke box. To make this playable on domestic players a plastic adapter was fitted. 

Foundation Stone At Our Lady of the Assumption
117 www.lancmag.com LANCASHIRE & NORTH WEST MAGAZINE
Our Lady of the Assumption

75 Years of the NHS

The NHS is one of the most cherished institutions in the United Kingdom. It is the backbone of the healthcare system, providing free healthcare to everyone in the country, regardless of their income or background.

As the NHS celebrates its 75th anniversary, it is essential to reflect on the remarkable journey of this beloved institution, its challenges, and its future.

The Birth of the NHS

On July 5th, 1948, the NHS was founded by the then Health Minister, Aneurin Bevan, with the goal of providing healthcare that was free at the point of delivery. The NHS was a revolutionary concept that was met with some skepticism, but it quickly won the hearts and minds of the British people.

Before the NHS, healthcare was provided by a patchwork of charities, private hospitals, and local authorities. People who could afford it would pay for private healthcare, while those

who couldn’t would rely on charity or go without. The NHS changed all that, providing free healthcare to everyone, regardless of their income.

The NHS was an instant success, with the number of patients treated increasing dramatically. In the first year alone, the NHS treated 8.5 million inpatients and 75 million outpatients. The NHS was also responsible for a significant decline in infant mortality and a rise in life expectancy.

The NHS Today

Today, the NHS is the fifth-largest employer in the world, with over 1.4 million employees. It is also one of the most respected healthcare systems in the world, with a reputation for providing world-class healthcare to its patients.

The NHS is funded by taxation, and healthcare is free at the point of delivery. Patients can access a wide range of healthcare services, including primary care, hospitals, and specialist care.

The NHS provides a range of

services, including:

Primary care: This is the first point of contact for patients, and it includes general practitioners (GPs), nurses, and other healthcare professionals.

Hospitals: The NHS has over 1,200 hospitals, providing a wide range of specialist services, including cancer care, mental health services, and emergency care.

Specialist care: This includes services such as dentistry, optometry, and physiotherapy.

The NHS has come a long way since its early days. It has undergone numerous changes and transformations, but its underlying values of providing high-quality healthcare to everyone in the country have remained unchanged.

The NHS and Innovation

The NHS has always been at the forefront of innovation, with numerous advances in healthcare technology and treatments being developed within its walls. From the first successful kidney transplant in 1960 to the development of the first-

118 www.lancmag.com LANCASHIRE & NORTH WEST MAGAZINE

ever COVID-19 vaccine in 2020, the NHS has been at the forefront of medical advancements.

The NHS has also been a pioneer in the use of digital technology in healthcare. The NHS App, launched in 2018, allows patients to access a range of healthcare services, including booking appointments, ordering repeat prescriptions, and viewing their medical records. The NHS is also exploring the use of artificial intelligence (AI) and machine learning in healthcare, which has the potential to transform the way healthcare is delivered.

The NHS and the COVID-19 Pandemic

The COVID-19 pandemic has put the NHS to the test, with frontline workers working tirelessly to provide care to patients in hospitals, clinics, and care homes. The pandemic has also highlighted the importance of the NHS and its dedicated workforce, who have worked selflessly to keep the nation safe and healthy.

The NHS has faced significant challenges during the pandemic, including a shortage of personal protective equipment (PPE) and a

lack of testing capacity in the early stages of the outbreak. However, the NHS has responded to the challenges, setting up new hospitals, increasing critical care capacity, and developing new treatments for COVID-19.

The NHS has also played a critical role in the vaccination rollout, with millions of people receiving their first and second doses of the vaccine. The NHS has worked with the government and other partners to deliver the vaccine to people across the country, with a focus on priority groups, including the elderly, frontline workers, and people with underlying health conditions.

The Future of the NHS

As the NHS celebrates its 75th anniversary, it is essential to look to the future and consider the challenges and opportunities that lie ahead. The NHS faces numerous challenges, including an aging population, rising demand for healthcare services, and funding constraints.

One of the biggest challenges facing the NHS is the recruitment and retention of staff. The NHS is facing a staffing crisis, with a shortage of nurses, doctors, and other healthcare professionals. The COVID-19 pandemic has also highlighted the

119 www.lancmag.com LANCASHIRE & NORTH WEST MAGAZINE

mental health toll on healthcare workers, who have worked tirelessly over the past year.

To address these challenges, the NHS is developing new strategies to recruit and retain staff, including offering more flexible working arrangements, investing in training and development, and improving working conditions. The NHS is also exploring new ways of delivering healthcare, including the use of digital technology, telemedicine, and community-based care.

Another challenge facing the NHS is the funding gap, with healthcare costs rising faster than funding. The government has committed to increasing funding for the NHS, but there are concerns that this may not be

enough to meet the rising demand for healthcare services.

To address this, the NHS is looking at ways to improve efficiency and reduce costs, including the use of digital technology, better management of resources, and improving patient outcomes. The NHS is also exploring new models of care, including integrated care systems (ICS), which bring together healthcare providers to work more closely together and provide better coordinated care for patients.

The NHS has come a long way since its founding in 1948, and it has become an institution that is deeply ingrained in the fabric of British society. The NHS is a symbol of the country’s commitment

to providing high-quality healthcare to everyone, regardless of their income or background.

It is essential to recognize the remarkable achievements of this institution and its dedicated workforce. The NHS has transformed healthcare in the UK, and it continues to be at the forefront of medical advancements and innovations.

Looking to the future, the NHS faces significant challenges, including rising demand for healthcare services, a shortage of staff, and funding constraints. However, the NHS is committed to addressing these challenges and improving healthcare for everyone in the country.

120 www.lancmag.com LANCASHIRE & NORTH WEST MAGAZINE

As we celebrate the NHS’s 75th anniversary, let us take a moment to reflect on its remarkable journey and its impact on the lives of millions of people in the UK. Let us also look to the future with hope and optimism, knowing that the NHS will continue to provide world-class healthcare to its patients for many years to come.

 121 www.lancmag.com LANCASHIRE & NORTH WEST MAGAZINE

Lurchers: The Perfect Writers’ Dog

I asked Burnley dog rescue for ‘a collie, perhaps; nothing bigger.’

There were two reasons for this. First, I’m a writer. I work for long periods at my desk, and I can’t be doing with a huge dog that needs exercise every half hour. Second, I live in a small terraced house in Barnoldswick. Even with only me and my partner, Marcia, living here, space is at a premium.

So when I answered the door a week later and found a volunteer standing in our yard holding a lurcher who stood 26” at the withers, I wanted to scream, ‘Are you mad? Look at this place! How will we ever manage with a huge dog like this?’

Six months later, we had two.

But I’m getting ahead of myself. Let me rewind and explain how I came to suddenly be caring for a type of dog I’d never even encountered before… and how it completely changed my life.

I should confess to being an off cum’d ’un, originally from Birmingham. Even worse, Marcia is a Yorkshire lass! The first time either of us set foot in Pendle was October 2004, when we drove up from Slough following a long summer that had burned the south to a crisp. I wasn’t only trying to escape the heat; it was a trip to research the Pendle witches for a comic book series I’d been commissioned to write (continuing a project begun by Alan Moore in the 1980s) and there’s no substitute for visiting in person.

Over the course of a long weekend, we fell for Pendle. I couldn’t believe how green and lush it was, and the wild, windswept beauty of the area quickly reeled us in. We’re the kind of people whose idea of a fun day out is looking at centuries-old stone ruins, so staying at Admergill Hall Farm, in the shadow of Pendle’s curious folly Blacko Tower, was irresistible.

Three days before Christmas that same year we rented a house in Nelson, and six months later we bought a house in Barnoldswick.

Why Barlick? Well, it’s a lovely quiet town; isolated within the main roads, nobody drives through it to get somewhere else. Also, its historic reputation as a haven of debauched sinners amused us, given that we ourselves live ‘over the brush’. We’re still there today, and still not married. Oh, the scandal.

We picked the house itself because it backs onto a local park. From my

122 www.lancmag.com LANCASHIRE & NORTH WEST MAGAZINE

study window I watch dog walkers all day long, and behind them the valley drops to Gillians Beck. On the other side rises Weets Hill, with Pendle Hill out of sight just beyond.

All of which brings me to hounds. We both grew up with dogs – me with collies, she with

terriers – but hadn’t been able to keep pets while renting. So having finally bought a place, I called up Burnley dog rescue and told them what I wanted. ‘A collie, perhaps; nothing bigger.’

When that volunteer stood on my doorstep, holding a dog twice the size of anything I’d expected, my instinct was to turn them away. But they explained that this tall, handsome boy had been found wandering the streets by a dog warden. He’d been scheduled to be put to sleep on the very day the rescue took him in. Besides, we only had to foster him until someone else came along to permanently adopt Connor, as the rescue had named him.

There’s a term in dog rescue circles: ‘failed fosterer’. But it doesn’t mean someone is bad at fostering. It describes someone who can’t let a dog go once they cross their threshold. There are, ahem, quite a lot of failed fosterers.

I’d never even met a lurcher before, let alone looked after one, and I knew absolutely nothing about this breed of sighthound. In fact, the very first thing I discovered is that they’re not

a breed at all, but rather a cross-bred type. (Some will argue that only a greyhound crossed with a collie or terrier is truly a lurcher, and all other sighthound crosses merely ‘longdogs’ – which may be technically true, but all the owners I know couldn’t care less, and call any cross a lurcher.)

So I dived in feet first, learning everything I could about these multifaceted dogs. I became something of a sighthound fanatic,

and after formally adopting Connor that summer I began helping out local lurcher rescues in small ways. I fostered everything from purebred exracing greyhounds to shaggy saluki crossbreeds, I attended fundraising events and shows, I joined informal group lurcher walks, and I did occasional home checks of other prospective adopters (lurchers are terrible at agility classes, as we soon discovered, but they can’t half jump; if you let one loose in the garden, nothing short of a five-foot fence will stop them escaping).

I needn’t have worried about Connor fitting in our small house, though. Lurchers are lanky and longbodied, but they can wrap themselves into impossibly tight balls to sleep. I’ll

123 www.lancmag.com LANCASHIRE & NORTH WEST MAGAZINE

never forget the morning I woke to find one particular foster dog, a saluki cross who stood 20” tall, somehow curled up on our pillows in the tiny space between our heads. Naturally, muggins here got the rear end.

For our second dog we crossed the border, adopting her from the Halifax-based rescue Lurcher Link. Rosie was a saluki-whippet cross, a good six inches shorter than Connor but perfectly capable of standing her

ground. We’d discovered Connor was quite dominant with other hounds, but would back down from assertive females. Rosie was the ideal companion for him, and together, they were the ideal companions for me.

You see, the most important thing I learned is that sighthounds are perfect writers’ dogs.

With their athletic bodies and incredible speed – a fit sighthound

can go from 0-40mph in three strides – everyone assumes they need tons of exercise all day long, but nothing could be further from the truth. If a border collie is a marathon runner, then a sighthound is a hundred-metre sprinter; unbeatable for the first few minutes, but quickly spent. A blast around the local field at full speed each morning is invariably followed by a day of sleep, rebuilding their energy for tomorrow. Apart from the occasional yip-yip as they dream, you’d hardly know they were there.

Someone like me who needs to be able to work uninterrupted for hours at a time couldn’t ask for more. Over the years I’ve written books, videogames, screenplays, graphic novels and more with a hound snoozing contentedly at my feet, followed by an evening with them curled up beside me on the sofa.

Oh, and they will curl up on your sofa. If you have a strict ‘no dogs on the furniture’ policy, either get a different dog or invest in large washable throws. Owners joke that we have sighthounds because we quite like sitting on the floor, actually.

The final discovery of good fortune was Pendle itself. Wild and untamed even by Lancashire standards, it’s ideal dog country. The LeedsLiverpool canal runs right through it, with the walk from Greenberfield locks down to Salterforth being a particular favourite of mine. Climbing to Trawden isn’t for the faint of heart, but rewards the effort with spectacular views. In Roughlee you can lose yourself among its nooks and crannies, or join the procession of walkers taking on Pendle Hill. Barrowford is a little easier on the knees, while Nelson’s Marsden Park is a wonderful mix of landscaping and dense woodland.

It’s not just me who thinks the area is perfect for dogs. While the council doesn’t keep official figures, there’s a consensus estimate that close to one in three Pendle households own at least one dog, with many owning several. Based on my observations a fair number are sighthounds, which isn’t surprising because this is also still lamping country. When I walk five minutes from my front door and find myself next to a field of livestock, or stand in my garden at night and hear cows lowing nearby, I’m reminded how unspoilt so much of Pendle is.

124 www.lancmag.com LANCASHIRE & NORTH WEST MAGAZINE

Sadly we lost both Connor and Rosie within the space of a year, just before the pandemic. They had good, long lives, but of course that doesn’t make things any easier.

So perhaps it’s no surprise that my new book, which I started writing during the first Covid lockdown, features a pair of sighthounds. The fictional dogs are purebred salukis, not lurchers, and aren’t entirely like my old dogs… but they’re not entirely un-like them, either. Writing dogs with the typically aloof personalities of sighthounds helped cheer me up no end, at a time when we all felt rather gloomy.

The glamorous world of The Dog Sitter Detective is far away from here; but every time I look out my study window and see a dog running around the park I know that without Pendle, and the sighthounds it allowed me to fall in love with, I could never have written it.

125 www.lancmag.com LANCASHIRE & NORTH WEST MAGAZINE

Tales of Manchester Life – Elizabeth Gaskell’s Manchester opens at Elizabeth

Gaskell’s House

2 April 2023 to 2 April 2024

A new exhibition at Elizabeth Gaskell’s House is set to open which for the first time will explore how Elizabeth Gaskell represented her home city in her novels and the impact of her writing from Victorian times to the present. Tales of Manchester Life – Elizabeth Gaskell’s Manchester will open on Sunday 2 April 2023 and continue until April 2024.

Elizabeth Gaskell reflected the world around her in her writing as she witnessed Manchester thriving on the one hand, as the world’s first industrial city and on the other, a place where the working class were living in overcrowded and unsanitary

conditions. Her work had a startling effect in its own time and was so painstakingly accurate that it was said to have pricked the conscience of the nation’, but as a woman the influence and importance of her writing has not been recognised by history in the way that it has for her contemporaries such as Charles Dickens

Elizabeth went into meticulous detail to describe her characters and the world that they occupied, even using Lancashire dialect in the dialogue. And it’s possible to plot some of the events that Elizabeth witnessed in Victorian Manchester paralleling subjects that appeared in her novels. For example, she moved to the city in 1832, the same year that a cholera epidemic broke out and where the world’s first intercity passenger railway line from

Manchester to Liverpool had opened in 1830, both of which feature in her novel Mary Barton. She was a radical campaigner who supported change and had a role within the foundations of the trade union movement, and in writing works such as North and South she used the power of her voice to express her opinion and shine a light on the ‘miserable living’ and ‘crowded dwellings’ that resulted in thousands dying due to the deplorable sanitation.

Sally Jastrzebski-Lloyd, Director of Elizabeth Gaskell’s House, says, “Visitors to Tales of Manchester Life will enjoy a fascinating insight into the mind of Elizabeth Gaskell, the world of Victorian Manchester and why her novels continue to make sure a powerful contribution. She had the skill not only to entertain the reader, but through fascinating detail and incredible observations, she has given us a unique window through to the past.”

The research for Tales of Manchester

126 www.lancmag.com LANCASHIRE & NORTH WEST MAGAZINE

Life has been carried out by a team of volunteers who support Elizabeth Gaskell’s House. To bring their findings to life and to appeal to visitors of all ages the exhibition includes interactive features, as does the whole experience of visiting the Grade II* listed house. There is a map that highlights some of the locations around Victorian Manchester that

inspired some of the settings and storylines that Elizabeth pursued; places like the Mechanics’ Institute, Angel Meadows and Hulme Barracks. A cosy, bright and inviting tea party corner is an important reminder from Mary Barton that working class life during the industrial revolution was not one dimensional.

Tales of Manchester Life – Elizabeth Gaskell’s Manchester has received funding from Art Fund and Museum Development North West. It will open on Sunday 2 April 2023 and is included within entry price to Elizabeth Gaskell’s House, which is open every Wednesday, Thursday and Sunday from 11:00am to 4:30pm. Entry is £7.00 for adults and free for children under 16, when accompanied by an adult.

Tickets are valid for 12 months from purchase and can be pre-booked via: www.ticketsource.co.uk/elizabethgaskell-house.

You can get a taste of the house here and for further information visit www.elizabethgaskellhouse.co.uk

127 www.lancmag.com LANCASHIRE & NORTH WEST MAGAZINE

Things Affecting Your Health More Than You Know

Maintaining a healthy lifestyle is essential for good health and helping us feel at our best. Many of us lead hectic lives, with busy family and work commitments meaning we don’t make time for the things we should.

Small changes can make huge improvements while reducing the risk of disease and helping us live longer. It is essential to pay attention to all aspects of achieving good health and be mindful of things affecting it that we might not be aware of.

Sitting Down for Long Periods of Time

Many of us work in environments that require us to sit down for long periods, whether at a desk or driving a bus. Studies have shown that sitting

down for long periods harms our health, and has connected being inactive with type 2 diabetes, some types of cancer and premature death. Sitting down for multiple hours is believed to slow down metabolism, which affects the ability to regulate blood sugar and blood pressure and metabolise fat, leading to weight gain and obesity. Research conducted in the 1950s on double-decker bus drivers showed they were twice as likely to have a heart attack as their bus conductor colleagues who climbed up to 600 stairs each working day.

Standing desks have become an increasingly popular feature in offices, and studies have shown that up to an extra 1000 calories can be burned each week by standing at one each afternoon. Standing desks have shown a positive impact on mood and energy levels, and a 7-week study found employees who used

them reported less stress and fatigue than those who sat down. We are all guilty of sitting down too much, and the NHS website offers helpful advice to reduce this.

For under 5s

Limit TV time, travelling by car, bus or train, or being in a buggy, walking aid or baby bouncer.

For children and teenagers

Reducing TV and screen time is also recommended, encouraging them to be active on their bike or scooter and going outside to play sports with friends.

For adults

Standing on the train or bus is advised, taking the stairs instead of the lift, remembering to get up every 30 minutes, and take a walking break. If you can, stand or walk when you take phone calls and swap TV for

128 www.lancmag.com LANCASHIRE & NORTH WEST MAGAZINE

more active hobbies such as going for a walk with a friend.

Not Getting Enough Sleep

Getting enough sleep is essential to set you up for a productive day and is one of the most important things we can do for our bodies. Studies have shown that people getting less than the recommended seven hours of sleep are more prone to weight gain and are at a higher risk than those who sleep for more than seven hours. While we sleep, our cortisol levels come down, which is the stress hormone. Therefore, lack of sleep will cause chronic levels of cortisol, which will put the body into a catabolic state, meaning the body is breaking things down instead of building them up. We have all woken up on the wrong side of the bed when we haven’t had enough sleep, and it’s because not enough sleep affects our mood, and our mood affects how much we sleep. Sleep deprivation may also make us hungrier, as this lowers leptin levels, a hormone that plays an integral part in fat metabolism, appetite and weight. Leptin suppresses the appetite, so with lower levels due to being tired, the hormone function will tell the brain you are hungry and over time, results in weight gain. Hair loss and a decreased libido are also related to lack of sleep, so prioritise getting at least seven hours a day. To achieve this, we can try and stick to a schedule. Aim to sleep every night at the same time; being consistent sets your body’s sleep-wake cycle. Don’t eat a heavy meal or drink alcohol before you go

to bed as it will cause disruption in the night, and create a calming space and avoid looking at a screen or your phone. If you have issues with getting into a consistent sleeping routine, contact your GP.

Eating an Unbalanced Diet

Eating a balanced diet is essential in maintaining good health, and you will often hear people say, “you are what you eat” Diet and nutrition plays a vital role in how we look, feel, think and act, and a bad diet can lead to a whole host of negative health problems. The most obvious being weight gain and obesity, which are from too much junk food, sugar and processed foods.

A healthy diet consists of seven different kinds of nutrient:

• Carbohydrates

• Proteins

• Lipids (fats and oils)

• Minerals

• Vitamins

• Dietary fibre

• Water

The NHS recommends:

• We eat at least five portions of fruit and vegetable a day.

• Incorporate high-fibre starchy foods into your meals such as potato, bread, pasta or rice, and beans,

• Incorporate pulses, fish, eggs, meat, other protein, and some form of dairy or dairy alternatives such as soya.

• Drink at least 6-8 glasses of water a day.

Eating an unbalanced diet will cause a decrease in energy levels, as unhealthy food will lead to spikes and crashes in your blood sugar, leaving you tired and low in energy. Unhealthy eating can also reduce your immunity and the ability to fight off illness. Studies have shown people with a poor diet are more likely to become ill and take longer to recover. It’s no surprise that diet has an impact on sleep quality and affects our mood, and research shows a healthy diet reduces levels of fatigue

129 www.lancmag.com LANCASHIRE & NORTH WEST MAGAZINE

and depression.

Lack of Exercise

Exercise is beneficial for the mind, body and soul, as it keeps us fit, and when we do it, the body releases chemicals called endorphins. Endorphins trigger a positive feeling and are why we always feel better after a workout. Exercise also benefits your heart, brain, bones, and muscles and is an effective method of weight management. Regular exercise keeps our minds sharp as we age and reduces the risk of depression. It also helps us get a better night’s sleep.

In our busy lives, exercise can get neglected, but it is essential for keeping us healthy. Exercise can reduce the risk of major illnesses such as stroke, type 2 diabetes, coronary heart disease, and cancer and could lower your risk of death by up to 30%. The NHS recommends that adults do some form of physical activity daily but advises you to speak with your GP before you start a new regime or if you are new to exercise or have any medical concerns.

Government research has shown that 1 in 3 men and 1 in 2 women are not active enough for good health.

The UK Chief Medical Officers’ Guidelines recommends adults do some form of physical activity every day, and their activity guidelines are:

• At least 150 minutes of moderateintensity activity, 75 minutes of vigorous-activity or a mixture of both

• Strengthening activities on two days

• Reducing extended periods of sitting

Adults should incorporate strengthening activities at least two days a week on top of their weekly 150 minutes of physical activity. Choose an exercise that works major muscle groups (hips, back, legs, abdomen, chest, shoulders and arms). This could include taking a yoga or Pilates class, lifting weights or doing body-weight exercises such as push-ups, squats, and sit-ups. Yoga is a good option for all ages and one of the best forms for older adults, as it improves flexibility and balance and is a great mood

130 www.lancmag.com LANCASHIRE & NORTH WEST MAGAZINE

booster. Yoga helps to strengthen bones which helps prevent the onset of osteoporosis, and promotes better balance and flexibility, which helps prevents falls.

Adults 65 years and older should exercise daily and fit in as many light activities as possible, such as cleaning, vacuuming the house, making a cup of tea, or going for a slow walk to reduce time spent sitting or lying down.

Moderate-intensity activity will elevate your heart rate and quicken your breath, and you know you are doing it right when you can still talk but not sing. Some example activities are:

• Walking

• Dancing

• Mowing the lawn

• Hiking

• Riding a bike

Vigorous-intensity activities will make you breathe hard and fast, and you shouldn’t be able to talk without stopping for a breather, some examples of activities are:

• Running

• Swimming

• Riding a bike up hills or at speed

• Walking up the stairs

• Aerobics class

• Participating in sports such as rugby football, netball or basketball.

Very-vigorous activity is also known as High-Intensity Interval Training. It is when exercises are performed at maximum level, but in short bursts of time, and include:

• Lifting heavy weights

• Circuit training

• Hill sprints

• Interval running

• Spinning classes

The NHS Couch to 5K is a great free tool to get you towards running a 5K

in 9 weeks. It’s suitable for everyone, from beginners to the more confident runners. The plan consists of three runs a week and builds up your stamina, fitness, and distance with a mixture of running and walking to get you up to your 5K.

Stress

Stress is never a nice feeling, so it is no surprise that our stress hormones put our body into “fight or flight” mode. When these are triggered, it has a serious impact on our health. All of us will experience stress at some point in our lives, and some more than others, due to a busy family life or pressures at work. Short-term stress such as meeting a deadline, motivates us to achieve important goals, but long-term stress or chronic stress causes serious health issues.

Symptoms of Chronic Stress include:

• irritability

• Anxiety

• Depression

• Headaches

• Insomnia

Long-term stress results in physical symptoms such as headaches, digestive problems and muscle tension, which cause anxiety and feeling even more stressed. People who suffer from long-term stress will find their immunity compromised and are more susceptible to illness and infections.

Ways to reduce stress include:

• Getting a good night’s sleep and cutting out caffeine and smoking.

• Eating a balanced diet,

• Connecting regularly with your friends and family will help you feel more positive.

• Try meditation and breathing exercises,

• Get outside often for some fresh air to boost your mental health.

• If you don’t see an improvement, contact your GP.

131 www.lancmag.com LANCASHIRE & NORTH WEST MAGAZINE

Enjoy your mood is a lifestyle, it’s your lifestyle. It means feeling free to be yourself, to live the way you like it. Both outside and inside your house. Every moment is the right one to enjoy your sofa, but there is only one sofa that makes you enjoy every moment, the way you want it. It’s time to go with the flow.

Brookside Street, Oswaldtwistle, BB5 3PX Call Us: 01254 399906 F Find us on facebook: Vine Mill Home Furnishings
Showroom opening times: Mon-Fri 9am - 5pm | Sat 10am - 5pm | Sun 11am - 5pm
Brookside Street, Oswaldtwistle, BB5 3PX Call Us: 01254 399906 F Find us on facebook: Vine Mill Home Furnishings As well as our range of high quality hand-made Italian leather soafas, Vine Mill Home Furnishings has an extensive selection of dining furniture, soft furnishings, and beds at our warehouse showroom in Oswaldtwistle Visit our 20,000ft warehouse showroom with stock always available for 24hour delivery, including Sofas, Recliners, Beds, Dining Furniture and much more...
View our range in store of handmade Italian leather sofas Showroom opening times: Mon-Fri 9am - 5pm | Sat 10am - 5pm | Sun 11am - 5pm

Titanic Survivors including a Tragic Lancashire Hero

The sinking of the Titanic happened over a century ago, yet the story of the ill-fated voyage still captivates the public. The RMS Titanic set sail from Southampton on April 10, 1912, and was dubbed “the unsinkable Titanic.”

The cruise liner was the largest and most luxurious of its time, despite its sophisticated technology, after striking an iceberg at 11:40 p.m. on April 14, the Titanic sank off the coast of Newfoundland. Of the 2200 people on board the ship, only 706 survived, and 1,500 passengers perished due to a lack of sufficient lifeboats on board. The firstclass passengers were a prioritised for lifeboats, and 201 of the 324 firstclass passengers survived, while only 181 of the 708 third-class passengers lived.

Tragically more passengers could have survived if the lifeboats were properly allocated. Many prominent people also lost their lives, including the wealthiest passenger, John Jacob Astor IV and Thomas Andrews, the ship’s architect. Many of the survivors have gone on to share their inspiring stories with the world, and hundreds of books followed, including films, plays and musicals. The discovery of the Titanic 12,500 feet under the North Atlantic in 1985 sparked further fascination.

The Last Living Survivor, Millvina Dean

Millvena Dean was the last living survivor of the Titanic and died in her sleep aged 97 at a nursing home in Southampton, close to the port she

had departed from with her family in 1912. At just two months old, Dean was the youngest passenger on board the ship; after her parents decided to leave England for a new life in America. Millvena’s father, Bertram, had family in Kansas City and had ambitions of opening a tobacco shop there. Her parents, Bertram and Georgetta Dean, sold their London pub and booked tickets for another White Star Line ship, but due to a coal strike were transferred onto the Titanic as third-class passengers. Four days later, on the night of April 14, the family were jolted awake after the ship struck an iceberg, and Bertram Dean went to check what was wrong. When he returned, Bertram instructed his wife to dress the children warmly and get them to the lifeboat deck as soon as possible.

In 2002 Millvena commended his quick thinking and said, “I think it was my father who saved us,” Dean also said so many other people thought the Titanic would never sink, and they didn’t bother. My father didn’t take a chance. Despite Bertram reassuring his wife he would join them afterwards, he sadly went down with the ship when it sank on April 15 at about 2.20 am. Georgetta, Millvena, and two-year-old Bertram, were rescued by the Carpathia, the ocean liner that

was the first to respond to the distress signals of the Titanic. The three sailed to New York City and remained there for several weeks in a hospital. After it was clear her husband had not survived, Georgetta took her children back to Southampton to live with her parents. Dean had no memories of that fateful night and was not aware she had been on the Titanic until she was eight, when her mother told her about her father’s death.

During World War II, Millvena moved to London to attend secretarial school and worked as a mapmaker for the British Army. She returned to Southampton and worked as a secretary at an engineering company; she never married. Dean never drew attention to her incredible brush with

Milvina Dean with her Mother Georgetta
136 www.lancmag.com LANCASHIRE & NORTH WEST MAGAZINE

death, and it wasn’t until two years after the discovery of the Titanic in 1987 that she broke her anonymity by attending the 75th anniversary of the sinking of the Titanic in Southampton. Don Lynch, a Titanic historian, invited her to give a speech at a Titanic Historical Society the following year in Boston. Dean recalled that “suddenly everyone knew my name” and was a frequent guest at events related to the Titanic. Dean gave regular interviews on television and radio and received a constant flurry of letters from Titanic enthusiasts.

In 1998, 87 years after she had first crossed the Atlantic, Dean once again set sail from Southampton to New York City on Queen Elizabeth II; she hadn’t been on a ship since 1912. The

trip was a gift from Titanic enthusiast and travel agent Michael Rudd, and the pair gave a presentation together, and Rudd recalled in 2007, “people crowded around her; they just wanted to touch her.” Dean visited the Missouri house her family had intended to start their new life in America, a bittersweet experience she described as eerie.

Despite being invited to the screening of the 1997 AcademyAward-winning film Titanic, Dean refused to ever watch out of respect for her father’s memory. Dean remained active on the Titanic circuit well into her 90s, and in 2008 to raise money for her nursing home costs, Dean auctioned off some of her Titanic memorabilia, touchingly the items

sold at auction, including a suitcase of clothes and letters, were returned to her by the buyer. The stars of the film Leonardo DiCaprio and Kate Winslet also helped pay her nursing fees, and the film’s director James Cameron donated £20,000 to the Millvina Fund. Georgetta Dean died aged 95 in 1975, and her brother Bertram died in 1992, on the 80th anniversary of the sinking, at age 81.

Michel and Edmond Navratil: The Titanic Orphans

The last male survivor of the Titanic, Michel Navratil, died at age 92 in 2001 at his home in Montpellier, France. Navratil was four years old when he boarded the ill-fated voyage with his two-year-old brother Edmond. The brothers were put on the last

137 www.lancmag.com LANCASHIRE & NORTH WEST MAGAZINE

available lifeboat by their father, and Michel remembered his father telling him that his mother would come for him and tell her that he still loved her dearly. The boys arrived in New York and were thought to be orphans and became known as Louis and Lola. They spoke no English and were cared for by Margaret Hays, a Frenchspeaking passenger until they could trace their mother or guardian. The news of the Titanic’s sinking quickly reached a global audience, and their mother Marcelle Caretto spotted their photograph in a newspaper.

Marcelle and the boy’s father Michel had separated in early 1912, and Marcelle given full custody of their children. Over the Easter weekend, the boys stayed with their father, who had planned to emigrate to the United States, taking his sons with him. He registered the family under false names as second-class passengers to avoid detection by the French police. The family reunited on May 16, 1912, a month and a day after their rescue. Edmond died in 1953, and Michel became a philosopher. He still remembers his father dressing him in warm clothes and hugging him, saying “when I think of it now, I am very moved; they knew they were going to die,” Eve Miriam Hart, one of the youngest survivors at seven years old, also recalled her father placing her and her mother in a lifeboat; his body never found. Eve went on to be the most outspoken critic of the Titanic’s lack of lifeboats.

The Unsinkable Molly Brown

Molly Brown became known as “the Unsinkable Molly Brown” and remembered for her selfless spirit. Kathy Bates famously brought the “new money” socialite to life in the 1997 film Titanic, and viewers immediately took Molly to their hearts, a musical based on her life

was performed on Broadway. After assisting with evacuation efforts, Molly insisted her lifeboat crew return to rescue more people, but her pleas were ignored. Molly continued to help survivors aboard the Carpathia, handing out food and blankets, and by the time she reached New York, news of her actions had spread, and she was inundated with flowers, letters and telegrams. Molly continued to campaign for women’s and workers’ rights and even ran for congress. Her assistance with relief efforts in France during World War II earned her the French Legion of Honour, and she died at age 65 in 1932.

Tragic Lancashire Hero

Wallace Hartley the Bandmaster on the RMS Titanic

Lancashire that night was the band’s leader Wallace Hartley, who was born in Colne. His father Albion Hartley was a Sunday school choirmaster at Bethel Independent Methodist Chapel on Burnley Road, and Hartley learned to play the violin from a congregation member. Hartley took a job at the Craven & Union Bank in Colne after leaving school but shortly after joined the Huddersfield Philharmonic Orchestra after his family moved to the town. In 1903 Hartley left the family home to join the municipal orchestra in Bridlington, where he remained for six years. In 1909 Hartley got a job as a musician with the passenger liner company Cunard Line and served on the RMS Lucania, RMS Mauretania, and RMS Lusitania, which by an eerie coincident was sunk by a German U-boat three years after the sinking of the Titanic. On April 6, the illfated RMS Titanic departed on her maiden voyage for New York, and on board was Wallace Hartley, the newly assigned bandleader on the White Star Line ship. Hartley had been resistant to accept the position as he had not wanted to leave his fiancée Maria Robinson again for such a length of time but decided it would benefit his career and could provide future contacts, On the night of April 14, 1912, the RMS Titanic hit an iceberg and began sinking, Hartley and his band bravely continued to play music to keep the passengers calm with some survivors saying after that they continued to play until the very end. A newspaper reported after their tragic deaths, “the part played by the orchestra on board the Titanic in her last dreadful moments will rank among the noblest in the annals of heroism at sea.”

The 1997 blockbuster brought the tragic story of the sinking of the Titanic to the world and was the highestgrossing film for 12 years. A scene that sticks in the minds of many is when the musicians continue to play to keep people calm, while the women and children get into lifeboats. Far from

After the tragedy, over two hundred bodies were recovered from the freezing North Atlantic waters, and among them was Wallace Hartley, who was just 33 years old. The press reported he was found fully dressed and still with his music case strapped to him. The case enabled the violin to withstand the wet and freezing conditions and remained intact.

Hartley’s body was brought back, and his father met the ship at Liverpool to take him back to Colne, for a civic funeral on May 18, 1912. Up to one thousand people were in attendance for the service, and between 30,00040,000 lined the route for his

Photograph of Michel and Edmond Navratil, published 22 April 1912, identifying them as “Louis and Lola”
138 www.lancmag.com LANCASHIRE & NORTH WEST MAGAZINE
Margaret Brown, posthumously known as “The Unsinkable Molly Brown”

procession to pay their respects to their brave and heroic neighbour. Hartley’s violin was a gift from his fiancée, who later gave it to a music teacher at the Salvation Army. The instrument bears a loving engraving from her to Hartley that reads: “For Wallace, on our engagement. From Maria”. The violin

sold at auction in 2013 for £900,000, a world record price for memorabilia from the Titanic; it has since been on display at various museums.

There is a memorial to musicians in Southampton honouring the bands’ bravery, and the dedication under their names reads: “They died at their posts

like men” Hartley is buried in Keighley Road Cemetery and in 1915, a bronze bust memorial to Colne’s heroic son erected. The memorial reads:

Wallace Hartley, Bandmaster of the R.M.S Titanic who perished in the foundering of that vessel April 15th 1912. Erected by voluntary contributions to commemorate the heroism of a native of this town.

Above: Brown presenting Carpathia Captain Arthur Henry Rostron with an award for his service in the rescue of survivors of the Titanic
139 www.lancmag.com LANCASHIRE & NORTH WEST MAGAZINE
Left: Bust of Wallace Hartley in Albert Road, Colne, Lancashire

Aiming Higher

YOU CAN DONATE TO AIMING HIGHER USING THE FOLLOWING METHODS: WEBSITE | www.aiminghighercharity.org.uk/donate JUST GIVING | www.justgiving/aiminghigher/donate/ PAYPAL | Found on Aiming Higher website or call to make donations by phone POST | Aiming Higher, 231 – 233 Church Street, Blackpool, Lancashire FY1 3PB.

To see more of what we do please visit our website www.aiminghighercharity.org.uk or follow us on facebook @aiminghighercharity, Instagram @aiming_higher_charity or twitter @ahcharity

Please ring us on 01253 206447/8 for further information.

Aiming Higher Fundraising Ball

Aiming Higher for Disabled Children & their Families is the Blackpool based charity that supports hundreds of local children and their families. The charity has been bringing the families of children with disabilities together for over 11 years. They offer stay and play groups for under 5s, offer family support workers, counsellors, peer support and friendship through monthly family trips and weekly Coffee & Chat sessions for parents.

The Charity are always looking at new ways to finance the work they do and any fundraising is very gratefully received. Aiming Higher were therefore delighted when they

were approached by Burton’s Biscuits, on Mansfield Road Blackpool who wanted to make Aiming Higher their Blackpool bakery, Charity of the Year. The company has factories all over the UK but in their Blackpool bakery you’ll find their “biscuiteers” hard at work baking Maryland cookies, chocolate biscuit bars and the classic Fig Roll.

The company have also generously donated biscuits to the Charity for a

number of years. These have been used as part of food parcels for families who are struggling financially, as well as at Aiming Higher’s various groups for children, young people and parents/ carers. Charity Manager Latoya Sykes said “treats like biscuits and chocolate are often the first things to be removed from families’ shopping lists when they face financial hardship so we have always been grateful for Burton’s support enabling us to bring a smile

140 www.lancmag.com LANCASHIRE & NORTH WEST MAGAZINE

will be other fundraising activities and Fire and Ice entertainers through out the evening as well as a three course meal, full bar and dancing.

Tickets are on sale now for what promises to be another spectacular event. Book before May 1st for early bird discount. (£45 a head or £50 after May 1st).

back to children’s faces with their favourite cookies. Many of our children and young people have restricted diets due to their sensory needs so being able to help families with familiar brands is essential too.”

In March Charity Manager Latoya Sykes and Activities Co-ordinator, Ella Bicket attended a meeting with The Burton’s Team where they were presented with a cheque and were able to give a brief overview of the scope of Aiming Higher’s work as well as showing the charities promotional video. During the meeting one staff member who hadn’t previously known about Aiming Higher realised that they could get support with their own child who has a disability. With a staff of over 500 at the bakery, Aiming Higher are delighted to see the partnership improving local awareness of their work as well as raising funds. A member of the Burton’s team is planning a sponsored climb of the Yorkshire 3 peaks and the firm are also planning an “It’s a Knockout” style event for staff and their families.

Aiming Higher also hope to welcome the Burton’s team to their annual fundraising ball on September 2nd. Held at the Village Hotel, this year’s theme is Fire & Ice and local favourites The Deadbeats will be performing. There

If you would like more information regarding the support offered by Aiming Higher and would like to join our email mailing list please give us a call on 01253-206447 or email info@aiminghighercharity.org.uk

You can also view our new newsletter by visiting bit.ly/AHnewsspring2022

141 www.lancmag.com LANCASHIRE & NORTH WEST MAGAZINE

The Blackpool Grand takes Pride in a glorious new show season…

Blackpool Grand Theatre announces a sparkling new season that’s bursting with spectacular new shows including the Olivier award-winning comedy Pride and Prejudice* (*sort of)

Hundred Acre Wood.

There’s no place like The Grand to enjoy fabulous family musicals! Take a stroll down the yellow brick road to see the wonderful Wizard of Oz with Blackpool and Fylde Light Opera Company and hold on tight for the ride of your life as Blackpool’s critically acclaimed Ensemble Theatre fly in with their Truly Scrumptious production of Chitty Chitty Bang Bang. It’s a sky high hit!

It’s a stunning new show season at Blackpool Grand Theatre and it’s packed tighter than a period drama corset with a dazzling kaleidoscope of entertainment for all!

One shining jewel in the crown of theatrical gems direct from the West End is the Olivier award-winning Pride and Prejudice* (*sort of) sweeping into The Grand from Tuesday 2 to Saturday 6 May to perfectly join Jane Austen’s legendary tale of love and marriage with top pop hits in this riotous Regency rom com! Period drama goes pop as men, money and microphones are fought over in this irreverent but affectionate adaptation of the iconic novel, where the stakes for the Bennetts, the Bingleys and the infamous Mr Darcy couldn’t be higher when it comes to romance.

Book your seats now for this ‘smart, laugh out loud funny’

show featuring a soundtrack of pop classics including Young Hearts Run Free, Will You Love Me Tomorrow and You’re So Vain. It’s the 1800s. It’s party time. Let the ruthless matchmaking begin… More West End and Broadway big hitters paying a call at The Grand this season include the welcome return of the smash-hit rock ‘n’ roll spectacle Buddy - The Buddy Holly Story; Agatha Christie’s genre-defining murder mystery The Mousetrap celebrating 70 sensational years on stage, and the magical new musical Disney’s Winnie the Pooh featuring incredible life-size puppetry of all your favourite friends from

There’s bags more family fun too - Dive deep into the wonderful world of science in the explosive Ministry of Science and experience 20ft liquid nitrogen clouds and fire tornados; Julia Donaldson’s joyful tale of starcrossed aliens The Smeds and The Smoos brings music, laughs and interplanetary adventures for the little ones; Milkshake! Live –Milkshake! Monkey’s Musical is back in a spectacular NEW show with all his Milkshake! friends, and the fairytale Pop Princesses return by popular demand to sing a sizzling soundtrack of top pop hits, plus songs from all your favourite films and musicals.

One night stands with big names you won’t want to miss include a hilarious evening with Mock The Week’s comedy star Dara O’Briain; a gloriously over the top evening with Ceri Dupree’s wonderfully wicked wit and vivacious vocal talent; an uproarious evening packed with mayhem and misfiring magic with The Very Best of Tommy Cooper; a mesmerising evening of mediumship with the phenomenal Physic Sally, and there’s just a few tickets left for

142 www.lancmag.com LANCASHIRE & NORTH WEST MAGAZINE

an unforgettable evening with controversial comic Frankie Boyle.

Fill your dance card with awesome and inspiring physical live performances including the unmissable, five-star work 5 Soldiers from top contemporary dance choreographer Rosie Kay and expect jawdropping performances from internationally celebrated poppers, lockers, b-boys and b-girls in the welcome return of the ground-breaking hip hop festival Breakin’ Convention.

And, of course, any new season at The Grand wouldn’t be complete without Blackpool’s number one pantomime starring everyone’s favourite comic and Britain’s Got Talent Finalist Steve Royle and West End star Tom Lister. Oh no it wouldn’t! Join our hero Aladdin, his madcap mother Widow Twankey and his delightfully daft

brother Wishee Washee as they embark on a marvellous magical adventure to try to defeat the evil Abanazar and stop his cunning plan to become master of the world. With a little help from the Genie of The Lamp and the Spirit of The Ring of course…

Blackpool Grand Theatre Chief Executive, Adam Knight, said: “Our latest world-class line-up includes award-winning comedy, captivating children’s shows, magical family musicals, the very best in international hip-hop, sensational stand-up stars and ‘CIRQUE’ – where musical theatre meets jaw-dropping circus!

“Looking for classic theatre with a marvellously modern twist? Dickens goes digital for a revolutionary new staging of Michael Rosen’s Unexpected Twist featuring original beatbox, hip hop and grime musical numbers; renowned theatre

company Northern Broadsides bring a deliciously witty revival of JM Barrie’s Quality Street, and The RSC’s powerful new production of Julius Caesar explores exciting questions of gender in leadership and power.

“You’ll be ‘buzzing’ with the hilarious new play The Birds and the Bees starring comic genius, writer and actress Helen Lederer (Absolutely Fabulous, French & Saunders) and Michael Starke (Brookside, The Royal, Benidorm) This “razor sharp and steamy new comedy” is going to be the Bee’s knees! We take great Pride in this season’s line up of spectacular shows and we look forward to seeing you soon!”

Make a vow to visit Blackpool’s beautiful Grand Theatre this season and enjoy a scintillating evening of entertainment.

Look out for the new Grand Theatre brochure popping through your letterbox soon or pick one up at the Box Office. All shows are also listed on the website. You can also download a digital copy of the brochure here. Visit blackpoolgrand.co.uk for full show listings and bookings or call the box office on 01253 290 190 for bookings and further information.

LISTINGS

m Grand Theatre, 33 Church Street, Blackpool FY1 1HT

n 01253 290 190

d blackpoolgrand.co.uk

f @blackpoolgrand

t @Grand_Theatre

i grandtheatrebpl

143 www.lancmag.com LANCASHIRE & NORTH WEST MAGAZINE

Daredevil Cat Rescued From 60ft High Ledge in Salford

Chio endured icy conditions and a hail storm whilst stranded on the ledge

Curiosity almost got the better of a cat who found himself stranded 60ft (18.2m) in the air on a narrow building ledge in Salford.

After going missing overnight, Chio was eventually spotted nestling into a window corner, 60 ft above the ground after he escaped from an apartment last Tuesday (14 March).

Emily Davis, who was looking after Chio for a friend, contacted the RSPCA in distress after discovering the cat had escaped and spent the night napping on the dangerously high ledge.

RSPCA inspector Jessica Araujo arrived on the scene later that morning, but was unable to rescue the cat due to the height and difficult location.

Jessica contacted the local Fire and Rescue Service to see if they were

able to assist - given the equipment at their disposal - and firefighters quickly attended. The crew erected a ladder and attempted to coax the frightened cat over with food.

Jessica said: “The ledge was next to a large glass window and Chio was desperately trying to get in through it, but unfortunately the window didn’t open. The angle was really difficult and the crew eventually made the decision to come back down after fearing Chio was going to jump if they reached over. He kept stretching his front paws as though he wanted to jump so they backed off.”

Firefighters abandoned attempts to reach him by ladder, and called another crew from Stretford to bring their cherry picker.

“The second crew went up with a cat carrier in the cherry picker and were thankfully able to reach Chio and bring him back down to safety,” Jessica continued. “The poor lady who was looking after Chio was distraught. She said the flat had a balcony and roof garden area that the cat went out on all the time and he had never wandered off before.

144 www.lancmag.com LANCASHIRE & NORTH WEST MAGAZINE

“The apartment Chio lives in is on the other side of the building, so he’d roamed quite far away from home. He really picked his moment to go wandering, the weather was horrific. It was really cold and it had been hail storming and raining whilst he was out on that ledge.

“Situations like these really demonstrate the excellent relationship we have with the emergency services and what can be achieved when organisations work together for animal welfare.”

Thankfully, the daring Chio was rescued safely and returned to his owner.

Emily said: “I want to say a massive thank you to the fire and rescue teams and to the RSPCA inspector who helped bring Chio down safely. I was so distressed at the time I could only think of getting Chio back safely. I’m so relieved to have him back and that he is okay!”

Often if a cat is stuck up a tree, or on a roof, they are usually able to get themselves back down again. Unless there are severe weather conditions, the cat appears injured or hurt, or the cat is at an impossible height such as this one, the RSPCA advises that people monitor the situation for 24 hours and try coaxing them down with smelly treats or fish.

Anyone concerned about the welfare of an animal can visit the RSPCA website for advice on what to do.

To help the RSPCA continue rescuing, rehabilitating and rehoming animals in desperate need of care please visit: www.rspca.org.uk/give.

145 www.lancmag.com LANCASHIRE & NORTH WEST MAGAZINE

Lachlan Rae

Originally from Dumfries and Galloway, I have gardened my way around Britain arriving in Lancashire three years ago. Training in Botanical Horticulture at the Royal Botanic Gardens Edinburgh I have worked in a variety of garden settings as well as featured as an onscreen judge on Garden of the Year as shown on More 4 in August 2022. My time is mostly spent advising, looking after and designing gardens around Lancashire and the North West.

June

By June our gardens are bursting with life. With long days and warm temperatures, the plants in our gardens are growing with frightening pace. June is busy but bountiful.

By June the prepared kitchen gardener will be harvesting early sown or overwintered crops. As always, those with the ability to protect crops with a greenhouse, polytunnel or cloche will as always have the advantage. Maybe June has brought first strawberry. There is nothing more delicious than a properly ripe strawberry plucked from the plant- the real thing! Strawberries are easy to grow! They lend themselves to anywhere there is six or more direct sun hours in a day and are suited to being grown in pots or the garden. June marks quite a significant stage of development of top fruits like apples, plums and pears. Often described as the June drop, fruit

trees will naturally drop developing fruits to focus their energy on producing quality. Its often an advantage to assist your fruit trees in producing larger better quality fruit by removing a few more embryotic fruits. This is particularly useful for young fruit trees to prevent weak branches becoming warped or broken, unable to carry the weight of too much fruit.

The borders are busy by June. Lupins, delphiniums, roses, nepeta, alliums all fighting for center stage.

If you’ve missed it a bit earlier in the year, you might now be finding some of your plants getting a bit top heavy, falling over under their own weight. Its always best to forecast staking needs with canes, sticks or purpose made plant supports and address them before they ever become a problem but don’t despair if your prized poppies are toppling over. Grab a few canes and some string or whatever you can lay your hands on and prop them back up. The worst offenders are maybe delphinium but they are worth the extra staking for the reward of their towering blooms.

June borders flowering profusely
146 www.lancmag.com LANCASHIRE & NORTH WEST MAGAZINE
Delphiniums at their best

For me June marks a shift in the work. Once tender plants such as coleus, plectranthus, dahlia and salvia are planted out you are then onto keeping the garden performing with the weeding, keeping lawns and edges neat and deadheading to prolong flowering.

Topiary is something that often conjures images of opulence and grandeur. In reality topiary is a great way to provide constancy and form to your outdoor spaces. June is the beginning of the topiary clipping season and without dispute, the best plant to topiarize is box. Box can be clipped to any shape but classic forms include balls, cones or low hedges.

Unfortunately, box often suffers from box blight which can really leave your plants looking bad. In the instance of severe infection it might be worth replacing plants and even consider using alternatives like pittosporum or euonymus. In truth, the best strategy t avoiding box blight is in prevention. Using clean tools and maintaining good hygiene by tidying up all clippings and leaves dropped by the plant. Its often dead plant material that can cause infection. There are organic treatments and preventative products available which can help to alleviate box blight symptom.

Before you start to clip your topiary, carefully check for nesting birds and avoid clipping where nesting birds are present and wait till the baby birds have fledged.

Clipping topiary by hand is the best way to achieve a neat finish or rounded or more intricate shapes

As always, I would be trilled to help with any gardening matters on: enquiries@lachlanraegardens.com

Clipping topiary by hand is the best way to achieve a neat finish or rounded or more intricate shapes
147 www.lancmag.com LANCASHIRE & NORTH WEST MAGAZINE
Box Parterre in a North Lancashire private garden freshly clipped

The 50s and 60s Show Lipstick On Your Collar returns to Blackpool Grand

Step back in time to the golden era of music where the jukebox roared and feet didn’t touch the floor. Get your dancing shoes at the ready, grab yourself a milkshake and relax – you are in for an evening of back to back hits from the 1950s and 60s!

FROM the birth of Rock n Roll through to the Beat Group sounds of the British Invasion and beyond, Lipstick On Your Collar is packed with over forty hits from the likes of Connie Francis, Brenda Lee, Buddy Holly, Chuck Berry, The Beatles, The Ronettes, Cliff Richard, Cilla Black and many more.

Performed by a full live band, featuring some of the country’s top musicians, this incredible show features excellent vocals, tight harmonies and an infectious sense of fun.

Dancing in the aisles is strictly compulsory so bring your dancing shoes and let the good times roll!

Lipstick On Your Collar will be at Blackpool Grand on Sun

11 Jun

Start time 7:30pm

All seats £27.50.

Visit blackpoolgrand.co.uk or contact the box office on 01253 290 190 for bookings and further information.

148 www.lancmag.com LANCASHIRE & NORTH WEST MAGAZINE

FOOD WITH PASSION, SEASONALITY AND HERITAGE

Maurizio Bocchi, Chef Patron, takes you to the heart of Italian fine-dining in the Ribble Valley serving you the purest Italian cuisine. Creating authentic, seasonal dishes that go back generations using the highest quality local and Italian ingredients.

Main Street, Gisburn, Lancashire BB7 4HH Tel: 01200 445303
Info@lalocanda.co.uk F I @LaLocandaGisburn
|

It’s A ‘Hat Trick’ For

Ribble Valley Restaurant La Locanda - 3 Honours In One Week!

Leading the way promoting Lancashire as a must-visit food destination, the team at La Locanda in Gisburn were beyond thrilled to achieve not one, but THREE honours in one week!

La Locanda’s first WIN for the ‘Hospitality Business’ award at the Ribble Valley Business Awards 2023, held last week at the Mytton Fold Hotel. Star businesses across the Ribble Valley gathered together and shone brightly at the incredible awards ceremony sponsored by East Lancashire Chamber of Commerce. Attended by Nigel Evans MP, Andrew Stephenson MP, award finalists, judges and award category sponsors.

The Ospitalita’ Italiana Award (https:// bit.ly/LaLocandaOspitalitaItaliana) is a well-respected certification that highlights the best Italian restaurants around the world, to protect Italian cuisine and preserve its history,

culture, quality and authenticity. La Locanda are delighted to have been given this certification once again for 2023 (in fact they have been annual recipients since 2010!).

And last but not least receiving the certificate of achievement for ‘Very High-Quality Food 2023’ from the

trusted Hardens Guide, for the UK’s 3,000 most notable restaurants (www. hardens.com). Rated by real reviews through Harden’s own annual national diner’s poll.

La Locanda chef and chief proprietor, Maurizio Bocchi said “The Ribble Valley Business award was the cherry

(L to R) Jo Ogle, Sarah Valentine, Chef Maurizio Bocchi & Amanda Oldroyd - La Locanda, Gisburn.
150 www.lancmag.com LANCASHIRE & NORTH WEST MAGAZINE

on the cake (La ciliegina sulla torta)! Here at La Locanda we are committed to grow and be recognised as the BEST finedining Italian restaurant destination in Lancashire. Promising to offer a truly Italian meal that gives a flavour of the culture, heritage, tradition and hospitality of the place we are so proud to call our home.”

Highly regarded. Serving the ‘best Italian food outside Italy’ – La Locanda is the UK’s most awarded Italian restaurant outside of London. Highly regarded for its commitment to slow food, sourcing the best quality local produce and specialising in pure, authentic Italian cuisine.

Taste Ambassador. Chef Maurizio also represents the Lancashire region as ‘Taste Ambassador’ for Marketing Lancashire, joining a stellar line-up of the county’s most celebrated chefs. A highlight for Maurizio being an invite by Sir Lyndsay Hoyle to The House of Commons, London as part of a delegation to represent the county’s finest food and drink producers for Lancashire Day.After being given the Limoncello drink and some candies for the car home we left a little heavier than when we arrived but all of us excited to have found somewhere really special to bring our friends and family time and time again. 

151 www.lancmag.com LANCASHIRE & NORTH WEST MAGAZINE

Back by Popular Demand! Cruise Routes Sail Again After Four-Year Wait

For the first time in four years visitors to England’s longest lake will once again be able to experience three popular small wooden boat cruises suspended since the Covid pandemic.

The much-missed routes about to return to Windermere include:

• Cross Lake Shuttle – linking Bowness to Ferry House and the western shore of Windermere (Restarts April 1)

• Fell Foot Ferry – which links Lakeside Pier to the National Trust’s Fell Foot Park (Restarts at end of May)

The Cross Lake Shuttle also becomes an integral part of Windermere Lake Cruises’ popular Walker’s Ticket –where visitors leave their cars behind to enjoy a circular journey across Windermere including a 4-mile stroll on Windermere’s beautiful western shore.

“We know how much visitors have missed these special little routes which are very popular with families,” says Jennifer Cormack, Sales and Marketing Director at Windemere Lake Cruises.

“The last time they ran was in 2019 before the Covid pandemic. We suspended them to ensure passenger safety when social distancing measures were introduced. Since then, recruitment issues have made it impossible to reinstate them, until now.

“We are delighted they are setting sail again and will be available to our passengers throughout our peak season.”

152 www.lancmag.com LANCASHIRE & NORTH WEST MAGAZINE

The return of the Fell Foot Ferry means visitors can combine a visit to Lakeside Pier with a trip over to the National Trust’s Fell Foot Park with its picnic area and children’s adventure playground.

For people visiting Fell Foot – the service can also be used as a “mini cruise” of the southern end of Windermere and offers the chance to visit the Lakes Aquarium and the Lakeside and Haverthwaite Railway.

The Cross Lake Shuttle which links Bowness village to Ferry House is ideal for visitors keen to explore the wonderfully secluded western shore of Windermere and popular attractions including Claife Viewing Station.

It’s also a key leg of the popular Walker’s Ticket where visitors can disembark a boat on the traffic-free Western shore of Windermere and continue their journey between Wray Castle and Ferry House on foot, before catching the Cross Lake Shuttle back to Bowness.

The Walker’s Ticket – and all other scheduled cruise tickets – are still half price to people living in Cumbria and north Lancashire until the end of April thanks to the Local Residents’ Discount Card. They still qualify for a 20% discount from May to the end of October.

Those discounts are also available for entry to Windermere Lake Cruises’ sister attraction the Lakeland Motor Museum at Backbarrow.

d www.windermere-lakecruises.co.uk t @Windermereboats

f windermerelakecruises

153 www.lancmag.com LANCASHIRE & NORTH WEST MAGAZINE

Spring spruce-up on railway as St Anne’s station prepares to celebrate 150th Anniversary

Volunteers and railway workers join forces to clean up stations along the South Fylde line in preparation for landmark celebrations at St Anne’s.

St Anne’s station is firing the starting gun on six months of special events to mark its 150th Anniversary with a fresh coat of paint and seasonal display of spring blooms during Community Rail Week: May 22 – 28.

The station celebrates a century and half serving the communities of the Fylde in November. St Anne’s station was actually opened before the town of St Anne’s was built – one of about six stations in the UK where the stations preceded the building of the town they served.

Tony Ford, Chairman of the Station Friends Group said: “We are very pleased with our newly painted station. All credit to Northern Rail’s Regional Stakeholder Manager Owain

Roberts, who managed to arrange for the work despite the pressure on railway budgets.”

Volunteers at the station are now throwing their energies into painting the fencing, refreshing the paintwork on some of the platform furniture and will also be planting summer bedding plants and hanging baskets to ensure the station looks its best for the big day.

Amongst the other events and activities scheduled for what promises to be a spectacular summer of celebrations are the burying of a time capsule of contemporary railway artefacts from the current era, an exhibition of period photographs of the station and the line, an illustrated talk on the station’s history by local archivist David Hoyle and a series of guided walks based on the railway walk which starts at St Anne’s Station.

Community rail volunteers all along the South Fylde Line have been busy with spring cleaning their adopted stations to mark the arrival of spring.

On the footbridge over the railway line at Ansdell Station, Network Rail staff used power-washers to remove dirt and graffiti from the structure as part of the preparations for Ansdell in Bloom.

Friends of Ansdell Station member Karen Cornforth said: “I am really pleased that Network Rail have power-washed the graffiti and painted over the panels of the bridge.

“There is still work to do to make the steps more user-friendly, but this is a start and comes after much lobbying by the Community Rail Partnership and Ansdell in Bloom.”

Meanwhile, volunteers at St Anne’s Station took the opportunity to tackle litter and fly-tipping at Squires Gate Station between Blackpool and St Anne’s.

The clean-up mission was part of the Great British Spring Clean – Britain’s biggest mass-action environmental campaign. The volunteers collected nine bags of rubbish in total and nationwide, the campaign hopes to collect a million bags of litter by April 2.

The volunteers split into two teams – one to tackle the active platform and the other to work on the derelict platform area, which the station group has been turning into a wildlife haven and much more.

Station volunteer Paul Nettleton said: “We concentrated on a major litter pick today. The volunteers amassed a total of nine bags of rubbish.

“You name it, we’ve collected it: plastic bottles, crisp packets, beer cans, pieces of wood, footballs, blocks of polystyrene and a bicycle tyre. Squires Gate station now looks neat and tidy. It’s all in a day’s work!”

For the latest updates on events on the South Fylde Line, visit: communityraillancashire.co.uk/lines/ south-fylde-line/

Community Rail Lancashire (CRL) is the umbrella body for five community rail partnerships (CRPs) covering a total of eight lines or routes, forming one of the biggest groups of CRPs in the country.

Clitheroe Line: Clitheroe to Manchester Victoria

DalesRail Line: Blackpool North to Carlisle

East Lancashire Line: Preston to Colne

South Fylde Line: Preston to Blackpool South

Todmorden Curve: East Lancashire to Manchester & Salford via Burnley

West of Lancashire Lines: Preston to Ormskirk &, Wigan Wallgate to Southport

CRL has been involved in rail education work, restoring railway projects, responding to consultations, levelling up bids and access studies amongst general community rail work.

All The Leaves Are Brown…..And The Sky Is Grey (Just Like My Pants)

(n.) 1630s, as I’m sure we’re all aware, is “a woman negligent or disordered in her dress or household,” a word of uncertain origin, probably related to Low German Slattje, Dutch slodder, dialectal Swedish slata “slut” (in the older, non-sexual sense).

I scrub up ok but have to confess that, as I write in the chilly confines (even on a sunny day) of the she-shed, a short step from the stables’ muck heap (nice!), I am wearing the standard ‘slattern’ uniform. A delightful collection of woolly jumpers, fingerless mittens from recycled cashmere jumper sleeves (Turtle Doves they’re called, gift from a pal and total Godsend for typing in cold), a down jacket with the hood up, footless tights under jeans, Christmas Harley (our dog) socks x 2 pairs and wellies. Oh, and reading glasses.

Thing is, I know how to do it (housekeeping – well some of it), and, yes, I enjoy a tidy environment -when I’ve made an effort.

So I have some cashmere jumpers of indeterminate colour that feature quite a lot of bobbles and are of a size our smallest cat, Dorothy Elizabeth, would struggle to wriggle into. And then there’s the pants (mine). All grey.

Johnny has one of those boards men have in the man cave. You know, on the wall, where there are the spanners, hammers and manly ephemera hung up by order of size, colour, favouriteness – whatever. I’m not really allowed in there, but I’m subversive. Sometimes I go in there and turn a hammer the other way around and hang it back up. He always asks the same thing – ‘Have you moved one of my hammers?’ ‘No’, I lie.

I’m not allowed to touch ‘the wall’. He’s a gnat’s whisker from having same for his smalls but we resist, what with some of them already pants-pensioners (anything over three decades) and not terribly decorative.

I’m no domestic Goddess. In fact I’m not really domesticated. Feral would be nearer the mark if we’re talking housekeeping.

In the original sense of the word, I’m the personification of the word ‘Slut’. That’s the Oxford English Dictionary’s first definition of the word I’m talking. Originally used around 1450 in the late Middle English language, describing “a woman of dirty, slovenly, or untidy habits or appearance; a foul slattern.” I’m on the ‘just plain messy’ end of the scale. By the way, ‘slattern’

My husband is the polar opposite, tidy and orderly, everything in its place, but he’s a spreader of mucky paw prints, grit, mud, any sort of oil or grease.

Which brings me, naturally, to the fate of my pants.

There’s a reason all his man pants are black or grey. It’s genius. Because, you see, the one thing I do when I do the washing is split my whites from coloureds, darks and delicates, and my synthetics from my cottons. Husband uses the Tarzan method. Upend everything and wrestle it into the machine on programme 2.

In fact, he proudly held up his ‘mountaineering’ long Johns. ‘These are 30 years old’, he announced, glowing with pride. ‘Brilliant,’ I chirped, ‘so we’ll be throwing them away then.’

‘Nope’, he answered, holding them up to the window, prisms of light filtering through the holes of a thousand doilies, ‘I’m going for the 40.’

How pants is that?

Denise Mullen is a journalist, columnist, writer and entrepreneur.
156 www.lancmag.com LANCASHIRE & NORTH WEST MAGAZINE

In my own business, I’m experiencing far higher numbers of first time visitors to the City. In fact, yesterday (Saturday 22.04.23) the City had a vibe akin to that of a major tourist destination, with most of those that walked through my door falling into that category.

When you consider all that Lancaster has to offer, it’s no wonder that it ranks highly in studies pertaining to quality of life. In addition to all I have previously written about, Lancaster has a top University, fantastic schools, great housing and good access to healthcare.

Within the District of Lancaster, is Morecambe. It is famous for its stunning sunsets, beautiful beaches and the pending arrival of ‘Eden North’. It is currently the backdrop for the TV series ‘The Bay’, which is screening its fourth season. I met actor David Suchet when he was here filming one of the Poirot episodes that featured the immaculate Midland Hotel.

Many things can define a place; history, location, people, architecture, attractions and events. Now, when you come across somewhere that has all these things in abundance, then that’s a great place’.
Lancaster, The Norths Most Expensive Car Park
158 www.lancmag.com LANCASHIRE & NORTH WEST MAGAZINE
Over Sixty Ducati Circled The City Before Parking Up

Until this week, and I’m using this as my link, I had never heard of the 1960’s film, ‘The Entertainer’. Filmed in Morecambe, it tells the story of a down-on-luck music hall comic, plagued by debt who manipulates those around him in a selfish and defiant attempt to survive against improbable odds. It not only stared local girl, Thora Hird, but also Sir Laurence Olivier, Albert Finney and Shirley Anne Field, to name but a few.

Following on from the success of last years ‘Best Italian Actor Award’, won by Alessio Vassallo, which ran concurrently with ‘Lancaster Festa Italia’, this year sees the inaugural

‘Lancaster International Film Festival’ which takes place on Friday 26th May at The Storey in Lancaster.

Netflix and Broadway star Lisa O’Hare, who is originally from Morecambe, has just been announced as the Ambassador of the inaugural ‘Lancaster International Film Festival’. There will be a number of short film

screenings followed by an awards ceremony and a Q&A session.

Lisa O’Hare said: “I am thrilled to be the ambassador of Lancaster International Film Festival. Having recently moved back home from the

USA, it is wonderful to see such a thriving art scene.

“I look forward to seeing all of the wonderful talent on display and celebrating everyone’s unique and creative work.”

Lee Bradbury Presents Alessio Vassallo With The ‘Best Actor Award’ On Behalf Of R&B Estate Agents Lisa O’Hare, Ambassador Of The Inaugral ‘Lancaster International Film Festival’ Alessio Vassallo - Mimi In ‘The Young Montalbano’ Lisa O’Hare In The Netflix Series ‘New Amsterdam’
159 www.lancmag.com LANCASHIRE & NORTH WEST MAGAZINE
Katia Greco - Star of Italian TV & Films

Italian A-lister Katia Greco will also be making an appearance at the festival. Katia has starred in countless films and TV series, including some that are English speaking.

Katia said: “I’m really excited to be attending Lancaster International Film Festival.

“Collaborations between the Italian film industry and international festivals have always fascinated me and I am truly honoured to have been invited.”

The festival is a collaboration between Totally Local Lancaster and CinemaItaliano. Festival Director Bruno Buccelli said: “Lancaster and Morecambe have such a rich history of being featured on TV and in film, making the area the perfect place to host an international film festival.

“As well as being a landmark cultural event, the festival will boost the area’s economy at a time when it needs it most.”

There have been well over twenty films submitted which will be shortlisted to six. Most of the films submitted have come from outside of the UK, which has both surprised and pleased us.

There will be two prizes; one for ‘Best Director’, and the second, which is being described as ‘The Panel Prize’. This will be chosen by the panel of Judges and could be awarded to the best actor, or for the special effects, story, cinematography etc.

Each winner will receive, what can only be described as, a truly incredible prize – flights, accommodation and entry to every day of the ‘Venice Film Festival’ 2023 (30.08.23 – 09.09.23). Special thanks to R&B Estate Agents and Del Vigna Ltd for their sponsorship of this event.

Both the Festival and Festa will be documented by ‘Complitaly+’, who will be filming the event and carrying out interviews, which will be available to watch on their media platform. For more information, and to purchase tickets for the event, go to; https:filmfreeway.com/LIFF2023/ tickets

The Venetians Buccelli’s Deli Stall Dancing On The Streets ‘A Taste Of Italy’ Dance Show
160 www.lancmag.com LANCASHIRE & NORTH WEST MAGAZINE
Bennets Motorcycles - One Of The UK’s Oldest MV Agusta Dealerships

Festa ’22 was the first edition that we took back the organising of the event. Our aim was to expand it whilst ensuring it remained completely authentic.

We achieved this and received plaudits from all quarters. This year we will go again.

Festa ’23 will run from 20th-28th May. On Saturday the 20th, ‘Outreach Opera’ will be performing some of opera’s greatest music, from Puccini’s La Boheme to Mozart’s Le Nozze di Figaro, at the Lancaster Priory (for more information, and to purchase tickets, please visit; lancasterpriory. org)

To help others as we go, not only will all the funds raised through ticket sales remain with Lancaster Priory, we have also agreed to support the ‘Fairfield Association’ who are holding a ‘Pizza Day’ on the afternoon of the 20th. They are looking to raise £80,000 to regenerate a children’s community play area, which will include equipment suitable for children with disabilities.

On Saturday the 20th and 27th, there will be flash-mobs popping up in the City centre at various times and at various locations. Many of the City’s hospitality businesses also put on Italian ‘specials’ (food/drinks) during this period, and on Thursday 25th, many of the venues will have Italian music on.

This years ‘Gran Finale’ will take place on Sunday 28th, 11am-6pm. Once again, expect to experience something very special. Sights and sounds that will entertain everyone,

regardless of age. Authentic Italian street food, deli goods, drinks and leather goods from Lancaster’s very own, Tinbox Angel.

There will be live music and entertainment with the biggest symphony being the arrival of the Ferrari’s and Ducati’s (times tbc). The arrival of the Scooters is another favourite. They also have their own unique sound and are accompanied by a set of very well attired guys and gals. The odd Lamborghini, or two, and last year we even had a very rare Lancia Stratos find its way to Festa.

For the younger ones, once they’ve finished ogling at the automotive displays, there’s the ‘Bambino Zone’, which will be located in Dalton Square this year, along with the Abarth’s. Here all the entertainment and stalls will be child-focused.

Whether you’re going to be a first time, or are an occasional, visitor to Lancaster for Festa, Highest Point (11th-14th May), Lancaster Music Festival (12th-15th October), Lancaster Christmas Light Switch-On (26th November), or any other event/ celebration, please be sure to take the time to check out the property based independent businesses that the City has.

As the ‘Gran Finale’ falls on the Bank Holiday weekend, why not make the most of it and stay over. We have lots of fabulous accommodation available; rooms, studios and serviced apartments.

As with everything ‘Lancaster’, what we are and what we offer is driven by passion. 

Excellence At Every Age There’s Nothing Like The Smell Of Two-Stroke The Bambino Zone - Childrens Dancing, Acts & Entertainment
161 www.lancmag.com LANCASHIRE & NORTH WEST MAGAZINE
A Lamborghini Huracan Joined The Party

Liverpool Theatre Festival Announced For 2023

Organisers of Liverpool Theatre Festival have revealed plans for this year’s headline and fringe events – with the first six shows going on sale..

The fourth annual Liverpool Theatre Festival is back with a new date – this year taking place in Summer 2023. While new works and fringe event Little LTF will go ahead in Autumn 2023. The changes will ensure there is no clash with the city’s Eurovision celebrations

Both events will once again take place at St Luke’s Bombed Out Church in Liverpool city centre.

The first wave of six shows going on sale feature music, drama, and family shows. They go on sale at 10am on Wednesday 5 April 2023.

The main Liverpool Theatre Festival will run during the school Summer holidays from Thursday 20 July to Sunday 30 July 2023. The new dates will mean that an exciting programme of daytime family shows can be included in the programme.

Fringe event Little LTF – Liverpool Theatre Festival Of New Works will take place in the Autumn, running between Tuesday 3 October and Sunday 8 October 2023. Performances will be staged within the more intimate marquee at St Luke’s Bombed Out

Church. Further details about submitting work will be announced soon.

This year’s festival partners are Edge Hill University, Morecrofts Solicitors, Bill Elms Associates and Ticket Quarter.

This project is part-funded by the UK Government through the UK Shared Prosperity Fund with the Liverpool City Region Combined Authority as the lead authority. Along with Liverpool City Council and Culture Liverpool.

Last year the festival boasted its biggest and most diverse programme to date featuring variety and cabaret, comedy, opera, drama, musicals, family shows, and drag acts. Now organisers are continuing to build on the extensive choice of shows.

162 www.lancmag.com LANCASHIRE & NORTH
MAGAZINE
Photo Credit: David Munn
WEST

The news also includes the announcement of two new commissions which will be premiered at the main Liverpool Theatre Festival in July.

Sober Companion is a brand new play written and starring Joe McGann and Jake Norton, and new children’s show Fred The Musical, which is based on the book about a fire-sneezing dragon by Fay Evans.

Sober Companion is a new play written and performed by Joe McGann and Jake Norton which explores the funny, raw, and sometimes dark places of fame, addiction, and recovery. Dan (played by Jake Norton) is a high-flying prime time television presenter. He also has a bad habit which he denies, but it’s not hidden as well as he thinks. People close to him are concerned. Gerard

(played by Joe McGann) has seen it all before. He has personal experience of recovery that could be useful to Dan, so his services have been engaged. There is an intervention, intrusion of privacy, stranger in the midst. We all need a little help sometimes, but it can be difficult to admit. The play will run for two performances on Saturday 22 July at 3.30pm and 7.30pm.

Above: Bill Elms Photo Credit: Tom Kinton Above: Alex Norton and Joe McGann
163 www.lancmag.com LANCASHIRE & NORTH WEST MAGAZINE
Photo Credit: David Munn

Fred The Musical is a new interactive stage show for children aged eight and under, based on the best-selling rhyming picture book Fred The FireSneezing Dragon by Fay Evans. Fred is a lonely young dragon whose fiery sneezes cause chaos at school. He is teased by his human classmates, until he accidentally saves the day. The pupils eventually learn to accept and celebrate Fred in this heartwarming tale. At the heart of the show are themes of friendship, diversity, and inclusivity – encouraging children to accept everyone is different, and can be good at something. Aimed at toddlers and primary schoolchildren, the show is full of life and laughter and packed with pantomime-inspired interaction. Writer Fay Evans and producer Bill Elms have collaborated to bring the book to stage as a musical. The show is on Sunday 23 July at 11.30am and 1.30pm.

Liverpool Theatre Festival 2023 will open with a night of opera, Viva Tenori – A Celebration Of The Three Tenors is brought to the stage by Absolute Opera in association with Forever Tenors on Thursday 20 July at 7.30pm. Appearing for the fourth year in a row, Liverpoolbased Absolute Opera is proud to present this musical extravaganza featuring some of the UK’s leading performers – Absolute Opera’s Roy Locke appears alongside Adam Lacey and Rob Durkin from Forever Tenors. This concert celebrates the unforgettable music, romance and spectacle that were the concerts of the original Three Tenors – Carreras, Domingo, and Pavarotti with three classically trained world class opera singers from

the North and North West. They will be joined by special guest soprano Leigh Rhiannon Coggins, who lent her beautiful voice and charming on-stage presence to previous Absolutely Opera shows Opera Beneath The Stars at LTF in 2021 and 2022. Alongside opera classics Nessun Dorma and O Sole Mio, the programme will include a fresh approach to modern pop classics inspired by artists including Andrea Bocelli and Josh Groban, re-arranging and translating modern songs to create stunning classical versions.

This will be followed by Whatever Happened To Billy Kenny written by acclaimed Liverpool playwright Ian Salmon. It’s the question asked by Evertonians across the last three decades. This one-man show is built on Billy’s own words and written with his blessing, it stars Liverpool actor Jay Johnson. Nineteen-year-old Billy Kenny had the world at his feet – Man Of The Match in the Merseyside Derby while still on a YTS contract; hailed by Peter Beardsley as ‘The Goodison Gazza’; and sacked by Everton and retired by aged 21. A potentially glittering career lost to injury, alcohol, and cocaine. The play is on Friday 21 July at 7.30pm.

After proving to be such a hit with LTF audiences in 2021, Perfectly Frank returns to the LTF stage on Sunday 23 July at 7pm. Liverpool’s very own David Knopov keeps the swing of Sinatra alive throughout this show. The singer has entertained a global audience with his Sinatra act for more than 30 years, and is believed to be one of the most successful Frank Sinatra tributes in the

business. He performed for the late Her Majesty Queen Elizabeth II during the Golden Jubilee celebrations, and counts actors Bill Nighy and Dawn French amongst his celebrity fans.

Ahead of a run at the Edinburgh Fringe, Magic Gareth: Level Up will be at LTF on Wednesday 26 July at 1.30pm. Following on from the success of Magic Gareth’s Magic Eye show at last year’s Fringe, the magician is bringing a new production to Liverpool. This is a family magic show extravaganza, complete with a grumpy unicorn, games, and plenty of trickery and tomfoolery. Suitable for aged five upwards.

Liverpool Theatre Festival was created by Liverpool theatre producer Bill Elms, who has worked in the theatre industry for more than 30 years. Theatres and live entertainment venues were ordered to close immediately under the Government’s first national Covid-19 lockdown guidelines in March 2020. It was Bill’s mission and vision to reinvigorate and boost the city’s live performance and creative arts sector, offering a lifeline when it was needed most. Liverpool Theatre Festival was created in a matter of weeks.

Since its inaugural staging in Autumn 2020, it has gone on to win praise from audiences and critics alike, as well as winning many awards along the way. Liverpool Theatre Festival is committed to supporting local artists, creatives, and theatre companies.

Producer and artistic director Bill Elms commented: “Liverpool Theatre Festival was created out of a need to provide a lifeline and support for the creative arts industry during challenging times. We’re delighted that ethos has continued and developed into showcasing emerging talent and unearth the gems we have in our sector. This accessible platform is invaluable to empower new writers and performers, while making a return to live entertainment and we encourage audiences to experience the shows first-hand.

“This is now our fourth consecutive year. The festival continues to evolve which keeps it fresh and innovative with each year. We are now established and have become an important part in Liverpool’s thriving events calendar. We’re mixing it up a little this year by moving the dates round so we can include more daytime family shows

164 www.lancmag.com LANCASHIRE & NORTH WEST MAGAZINE
Perfectly Frank

during the Summer holidays. Plus the change of date also falls pre-Edinburgh, so it’s a great opportunity to catch some brilliant performers for a test run on their way to Edinburgh. We are grateful to once again be working with exciting partners, and would like to hear from any companies who may like to become involved in a sponsorship capacity.”

There are still opportunities for businesses to support the event as a partner or sponsor. To find out more contact producer and artistic director Bill Elms by emailing bill@billelms.com

Visit www.liverpooltheatrefestival.com for the latest news updates.

F T I

D
Whatever Happened To Billy Kenny
165 www.lancmag.com LANCASHIRE & NORTH WEST MAGAZINE
Magic Gareth

Exhibition Announced To Celebrate 400 Years Of Shakepeare’s First Folio

Stonyhurst has announced its Museum and Archives will host an exhibition this summer, ‘Folio 400: A Summer of Shakespeare’, featuring its very own copy of the First Folio of William Shakespeare as part of the worldwide 400thanniversary celebrations.

To celebrate 400 years since the publication of Shakepeare’s First Folio, the display at Stonyhurst will explore the history and stories of approximately 40 objects from its Museum and Archives, each of which have unique links to Shakespeare’s plays that feature within the First Folio. The focal point of the exhibition will be Stonyhurst’s copy of an original First Folio which will be exhibited in the historical Do Room at the

College. The display will touch on the significance of St Omers Jesuit drama, and the part played by the accrual at St Omers College of Jesuit relics from all over the world, and their influence on the dramatic performances for which Stonyhurst College was so famous for. The exhibition will be open to the public through a ticketed event from 7th July every Friday and Saturday until 17th August.

In 1623, it is believed 750 copies of the First Folio were printed, seven years after the death of its author, and was the first printed edition of Shakespeare’s collection of plays. 235 copies are known to have survived with 50 books still at home in the UK. Stonyhurst proudly holds one of these copies within its Museum and Archives, the oldest collection of museum objects in the Englishspeaking world.

Above: Stonyhurst Prep School Pupils in the Arundell Library Credit: Vanessa Fry Photography Above: Shakespeare’s First Folio Credit: Stonyhurst College
STONYHURST COLLEGE 166 www.lancmag.com LANCASHIRE & NORTH WEST MAGAZINE

One of the objects on display at the summer exhibition is a caiman, a South American relative to the alligator. This specimen was captured by the famous early 19th century naturalist, Charles Waterton, a pupil of Stonyhurst in 1796. His extensive collection of animal specimens was donated to Stonyhurst in 1915 by his granddaughter. Within the First Folio, the play of Anthony and Cleopatra features an amusing, and dismissive, exchange of comments between Antony and Lepidus which was central to the politics of the play. The crocodile represents Egypt, and the conversation between the two Romans reveals their lack of interest in the animal’s cultural significance in any other terms but their own as they pursue the conquest of Egypt for the Roman Empire.

To enable wider access to Shakespeare’s folio, Stonyhurst has invested in a new museum case, funded through donations. The display case will bring the Shakespeare First Folio into the heart of the College during the Folio400 anniversary for pupils. Our pupils will benefit from daily access to one of the most famous books in the world, exploring Shakespeare’s world, absorbing his writings and learning about his life at their own pace and time of their choosing. Academic staff at Stonyhurst College and Stonyhurst St Mary’s Hall Prep School will be inspired to draw up lessons, provoke conversations, and even put on dramatic performances to spark young minds by enriching the curriculum. The pages of the Folio will be turned daily so pupils can read through the plays in short bursts.

Stonyhurst is looking forward to sharing this significant part of history with its pupils and the wider community.

Above: Stonyhurst Pupils with the Shakespeare First Folio Credit: Vanessa Fry Photography Above: Charles Waterton Caimon to be on display at this summer’s Folio 400 exhibition Credit: Vanessa Fry Photography
167 www.lancmag.com LANCASHIRE & NORTH WEST MAGAZINE
Above: Stonyhurst Pupils and Jan Graffius Curator of Collections with the Shakespeare First Folio and Cardinal John Morton’s Skull Credit: Vanessa Fry Photography

NEW PLAY USES INNOVATIVE TECH TO DISCUSS TOXIC BEAUTY STANDARDS

undertake a radical cosmetic procedure that promises to deliver the perfect body and the contentment that seems just out of reach. But it comes at a cost.

Writer and performer Hayley Davis said, ‘I’m really excited to bring this play to the stage. Although the subject matter is quite serious, it’s a funny, warm, show and uses some really ambitious, innovative tech. As someone who has struggled with my own body image, I am very familiar with the damage that we can do to ourselves in the hope of measuring up to an ever shifting ideal of beauty. I think if more of us stopped and thought about it, we’d realise that our time could be better spent on pursuing other things.’

Would you trade five years of your life for the perfect body? A brand-new play touring the UK this spring asks audiences this very question and tells the story of one woman who is prepared to do just that.

5

Years, which comes to The Dukes 4th May, uses cutting edge hologram technology to turn the spotlight on body dissatisfaction and the devastating effects it can have on our mental health.

The show centres on Yasmin, a woman in her 30s who wants the exciting, glamorous life she has always dreamed of but that her XXL body doesn’t fit. She is about to

168 www.lancmag.com LANCASHIRE & NORTH WEST MAGAZINE

A 2011 survey conducted in the UK found that 30% of women would trade at least one year of their life to achieve their ideal body. 20% would trade five years of their life. In 5 Years, the possibility of this exchange is a reality. Yasmin will be the first woman to undergo this procedure. As she waits for the doctor to arrive and ‘fix’ her she reveals her experiences and the messages she has received that have brought her to this drastic decision.

5 Years is drama written by Hayley Davis, directed by Rebecca Gadsby and supported by Sheffield Theatres. Using innovative digital technology developed with Sheffield Hallam University, it looks at how we are bombarded with negative messages about our appearance and how this influences the way we see ourselves. Ultimately it asks, what do we lose in the quest for perfection?

169 www.lancmag.com LANCASHIRE & NORTH WEST MAGAZINE

Roq Becomes Platinum Investors in People Company

Lancashire quality engineering firm Roq has become a platinum accredited Investors in People company.

Quality Engineering consultancy, Roq, today announces that it has been awarded the prestigious Platinum accreditation by Investors in People. This three-year accreditation comes after significant investment in the development and wellbeing of its employees over many years. As a leading technology business, that puts its people at the forefront of everything, this is a hugely impressive achievement.

The Investors in People Platinum accreditation is the highest accolade that can be achieved against the Investors in People standard. It sets an international benchmark for leadership, employees, and companies to work together to create an effective environment. It recognises organisations that seek to improve performance through the management and development of its people.

Commenting on the Platinum accreditation, Stephen Johnson, CEO and Founder at Roq, says: “As a business, we are passionate about providing independent validation to our clients. So, when we engaged with Investors in People, we knew that they would really pull back the covers on the business over the last five-seven years and truly validate, independently, how much we invest in our team and how the future plans support even greater engagement with everyone that works for Roq. This achievement sets us apart across thousands of businesses across the UK, as so few achieve the Platinum standard. As a business owner, there is immense pride in achieving something so prestigious.”

To gain this Platinum accreditation which is only given to only 6% of applicants, Roq was assessed on key areas of:

• Leading - leading and inspiring people, values and behaviours, and empowering and involving people

• Supporting - managing performance, recognising and rewarding high performance, and structuring work

• Improving - building capability, delivering continuous improvement, and creating sustainable success

• Roq’s accreditation is well deserved, with the business achieving high performing grading across all areas.

Sarah Riggott, Head of People at Roq, says: “Our Investors in People Platinum accreditation, combined with our world-class net promoter score, truly highlights us as a Quality Engineering consultancy like no other.”

Sarah Riggott added: “Candidates often look to external sources to validate that what they are told about the company during the recruitment process is true – Glassdoor reviews, social media and employee LinkedIn profiles often help to shed light on this. An external accreditation as impressive as Investors in People Platinum accreditation demonstrates unequivocally that we invest in our people and work hard to ensure Roq is and continues to be a great workplace.”

170 www.lancmag.com LANCASHIRE & NORTH WEST MAGAZINE
Stephen Johnson, CEO and Founder at Roq
Casual, Smart Casual Or Formal
We Have Everything From Socks To Suits

Serendipity Sees Textile Student Involved in World Topiary Day 2023

A talented young textile design student is channelling inspiration provided by topiary, to create something super-special for both her degree and this year’s World Topiary Day celebrations at Cumbrian visitor attraction, Levens Hall and Gardens.

Hex Gregson, from Blackpool and in her final year of a BA Hons in textile design at UCLan in Preston, is helping to support World Topiary Day 2023, whilst completing her final Honours project. This is based on manor houses and designs used within their gardens and furnishings.

As luck would have it, just as Hex was finalising her plans for the final piece of work for her degree, Levens Hall and Gardens, the founders of World Topiary Day, were looking to create a fashion project linked to their global celebration. When Hex’s tutor, Phoebe Dean Sayell, heard about this, she put the two in touch.

Hex has now visited the world’s oldest topiary garden, ahead of its reopening on April 2, to take photos and sketch some of the ancient and more quirky modern topiary. The visit has already got her creative juices flowing and she is excited by the challenge. The plan is to unveil a unique Regency-style dress for World Topiary Day, which will carry the motif design which she develops over the coming weeks.

The dress will be the largest-scale project that Hex has tackled and will draw on all of her skills and her longheld interest in crafting, painting and crocheting.

She is currently putting together a colour palette and researching the topic of topiary. She will then produce more drawings and paintings, based on what she has seen in the Levens Hall Gardens, and consider ways to overlay and play with motifs. All

paintings will then come together in one design, which software will turn into a repeat design.

From there, samples will be printed for checking, before a full application to fabric occurs. Once the design has been printed onto the fabric, Hex will make the dress.

Hex says: “When I heard about the opportunity to work with Levens Hall and Gardens on this World Topiary Day project, I knew I had to seize it, as it is a dream for me. I have visited Levens Hall and Gardens at least ten times in the past and love historic houses in general. Gardens at historic

Hex Graham starting her degree project in the Levens Hall and Gardens topiary garden
172 www.lancmag.com LANCASHIRE & NORTH WEST MAGAZINE
Right: Hex Graham sketching under one of the topiary umbrella trees in the Levens Hall and Gardens topiary gardenthe world’s oldest topiary garden.

homes also inspire me with their gorgeous colours and displays. This love of historic houses was the reason for making manor houses the focus of my final degree project, but I never thought that something that I made would ultimately be on show in one.”

Levens Hall and Gardens cannot wait to see what Hex produces and will be putting the dress on display,

so visitors can view it. It hopes this will be possible at its World Topiary Day event, on Sunday May 14, when the eyes of the topiary world will be on Levens Hall and Gardens and its social media feeds.

Levens Hall and Gardens’ owner, Richard Bagot, says, “It was just serendipity that Hex was working on a manor houses’ project at exactly

the same time that Levens Hall and Gardens was also considering adding a fashion element to World Topiary Day 2023. Things could not have worked out more fortuitously and we are delighted to be able to not just help Hex with her project but also eventually showcase what she produces.”

Hex, who was formerly a pupil at both McKee College House and Blackpool Sixth Form College, will not be relinquishing her love of historic houses after this. Her goal is to see every single historic manor house in Britain, in her lifetime.

For more information about World Topiary Day, visit: www.levenshall.co.uk

Above and Right: Part of the world’s oldest topiary garden, at Levens Hall and Gardens, Cumbria, UK, founded in 1694 by Monsieur Guillaume Beaumont.
173 www.lancmag.com LANCASHIRE & NORTH WEST MAGAZINE
Levens Hall and Gardens, at Levens, near Kendal, in the Southern Lake District, UK. This Cumbria-based Elizabethan house and visitor attraction, with strong links to the Duke of Wellington, is also home to the world’s oldest topiary gardens.

HAPPY MIDSUMMER AND SOLSTICE BLESSINGS!

The Summer Solstice is one of the most magical moments of the year. It marks the beginning of the summer season and the transition from the astrological sign of Gemini to Cancer. During this time, the Earth’s axis is tilted towards the sun, causing the sun’s rays to shine directly on the Tropic of Cancer, resulting in the longest period of daylight and the shortest night of the year here in the northern hemisphere.

This celestial event has been celebrated by various cultures all over the world for thousands of years

as a time of fertility, growth and abundance. Crops were planted and harvested, and people gathered to celebrate with feasts and rituals as the sun reaches its highest point in the sky.

The solstice is not only significant astronomically, but also astrologically, representing passion, creativity, and transformation. It’s a moment to harness the energy of the sun and focus on our inner power, strength, purpose, and individual ability to shine. The veil between the physical and spiritual worlds thins, and it’s an ideal time for spiritual practices such as meditation, energy healing, divination, and manifestation.

This year the Solstice coincides with significant planetary alignments

which further promote the cycles of the seasons, and with it, influencing our personal growth. Ceres, the Roman goddess of agriculture, grain crops and motherly love, is located at 0° Libra, the Autumn Equinox point where the harvest season will begin. In Greek mythology, Ceres was known as Demeter.

Speaking of Greek mythology, the summer solstice has fascinating connections to the story of Hades, Persephone, and Demeter. In the myth, Hades, the god of the underworld, kidnapped Persephone, the daughter of Demeter, and took her to the underworld. Demeter was heartbroken and caused the earth to wither and die. Eventually, Persephone was allowed to return to the earth for half the year, causing the cycle of the seasons.

In the Astrological Solstice Chart, Ceres (Demeter) is making a harmonious trine to Pluto (Hades), which means that they are having a successful negotiation. It’s like Hades and his mother-in-law are finally on good terms! Meanwhile, Ceres’s brother, Jupiter - the god of expansion, optimism, abundance, and hope - has recently met up with the North Node of the moon and is currently transiting

174 www.lancmag.com LANCASHIRE & NORTH WEST MAGAZINE

through Taurus while Venus, the ruler of Taurus, is setting up for an extended stay in Leo.

All this cosmic energy conjures up the image of a luxurious banquet complete with all its fine wine, food, luxury clothing, art, beauty, playfulness, and decadence – not dissimilar to a 5* all inclusive holiday. In other words, we feel the abundance of summer, but we are at risk of taking that feeling to excess with overindulging and overspending.

The conversation between Ceres and Pluto wants to remind us of the cycle of the seasons and that Persephone will soon be entering the underworld, bringing about the decline of the sun,

the decay of the fallen leaves, and the need to prepare stocks for the winter. This reminder is not there to depress us, but to prepare us. They also remind us that the seeds we plant will come to fruition however to do so a transformational process needs to occur.

SO, WHAT CAN YOU DO TO CELEBRATE THE SUMMER SOLSTICE AND HARNESS ITS ENERGY?

Spend some time outdoors in nature. Take a walk in the park, hike in the woods, or simply sit under a tree and soak up the sun’s rays. Get in touch with the natural world around you and reflect on the growth and

abundance that is all around and practice gratitude for those simple pleasures and natural ways of resting and rejuvenation.

As we celebrate the summer solstice, it’s important to take time to reflect on the changes in the seasons and the cycles of life. The solstice is a reminder of the impermanence of all things and the importance of embracing each moment fully. Whether you’re spending time in nature, practicing meditation, or connecting with loved ones, take this opportunity to appreciate the abundance of life and the beauty of the world around us.

As we move into the summer season, it’s a time to focus on growth and abundance. The energy of the solstice encourages us to tap into our creativity, passion, and inner power. It’s a time to set intentions for the coming months and work towards manifesting our dreams. Whether you’re starting a new project, embarking on a new adventure, or simply enjoying the warmth of the sun on your skin, embrace the energy of the solstice and let it guide you towards a season of growth and expansion.

The summer solstice is a powerful moment of transition and transformation, what was struggling to push through the earth in growth is now becoming into full bloom. As the longest day of the year, it’s a time of light, warmth, and abundance. It’s a time to celebrate the cycles of life and the beauty of the world around us. Whether you’re interested in astrology or simply looking to connect with the natural world, the solstice is a moment to pause, reflect, and appreciate the magic of the universe. So as we welcome the summer season, let us embrace the energy of the solstice and let it guide us towards a season of growth, abundance, and joy.

Are you looking to tap into your inner power, strength and creativity at this time of the summer solstice? If so, why not consider booking an astrology reading? A natal chart reading can offer insights into your unique personality traits, strengths, and challenges, and provide guidance on how to make the most of the energy of the solstice. As an experienced astrologer, Rozanne can help you identify areas of your life where you may need to let go and

175 www.lancmag.com LANCASHIRE & NORTH WEST MAGAZINE

offer suggestions on how to embrace new opportunities for growth and transformation. So why not take the leap and book a reading to help you navigate the powerful energies of the summer solstice and the seasons to come?

Rozanne Kay is an Astrologer, Tarot Reader and Transformational Life Coach. She helps people to become empowered and to live a more fulfilling life through greater self-knowledge and removing their blocks to their greatest fulfilment. She is trained in Jungian coaching techniques, Hypnosis, NLP and EFT (tapping). You can book a consultation with her or enquire about her work at: rozannekaycoaching.com

176 www.lancmag.com LANCASHIRE & NORTH WEST MAGAZINE
177 www.lancmag.com LANCASHIRE & NORTH WEST MAGAZINE

Protect Gorillas from being killed

Western lowland gorillas live in the dense rainforests of central and West Africa. They’ve declined by an estimated 60% in the past 25 years, mainly due to loss of habitat, poaching, and breakouts of infectious diseases.

One of their key habitats is the Campo Ma’an National Park in Cameroon, a rainforest with incredible biodiversity. But it’s surrounded by logging concessions and rubber and oil plantations, which have huge camps attached to them. The increase in people has meant a rise in demand for illegal bushmeat. Gorillas and other wildlife living near the plantations are now at

much greater risk of being killed for their meat.

Historically, only the indigenous Bagyeli tribe hunted wildlife in the Campo Ma’an, and did so in a traditional, sustainable and non-exploitative way. As their ancestral forest home, the Bagyeli use it for shelter, food and to trade products for income with neighbouring tribes. But as more and more forest is cut down for logging and plantations, their

lifestyle and means of sustaining themselves is severely impacted. Commercial hunters and people living in plantation camps are exploiting the Bagyeli people, taking advantage of their skills and need for additional income, paying them to hunt illegally and transport bushmeat.

With more protection needed for gorillas, we’re funding a trial, run by African Wildlife Foundation (AWF). The team will recruit ten

178 www.lancmag.com LANCASHIRE & NORTH WEST MAGAZINE

men from Bagyeli villages who are likely to be susceptible to exploitation, and train them to be Gorilla Guardians instead. The guardians will be trained to:

• Monitor and identify individual gorillas

• Record human activity in the park

• Avoid transmission of diseases between gorillas and humans when collecting data at gorilla nest sites

• Carry out patrols in park with the conservation service and the AWF team.

When AWF provided antipoaching support to the forest rangers during Covid, they helped dismantle 15 hunting camps, seize ammunition and guns, and remove thousands of traps and snares. The Gorilla Guardians will continue this work by providing a much needed presence to prevent gorillas from being killed for their meat.

Would you be able to make a gift to train a Gorilla Guardian? It’ll help turn those most likely to be coerced into hunting bushmeat, into protectors of wildlife instead, by giving them an alternative livelihood. And, by protecting the gorillas and their forest home, you’ll benefit other species that depend on this rainforest, like chimpanzees, forest elephants, leopards, and giant pangolins. The Bagyeli are often described as custodians of the forest, and this programme puts them in the perfect position to protect gorillas and their forest habitat.

• £15 could help pay for the food and training materials for a Gorilla Guardian

• £25 could help buy waterproofs, boots, and camping equipment for a patrol team

• £50 could help buy rations for the teams on patrol over the coming months

ptes.org/ways-to-give/ protect-gorillas/

Right: Bagyeli children, image credit Kirstin Johnson
179 www.lancmag.com LANCASHIRE & NORTH WEST MAGAZINE

Redrow ‘Buys A Dream’ For Veteran Group

A NORTH West based veterans group has received a helping hand from housebuilder Redrow

The Armed Forces Community HQ works with partners across Lancashire, Cheshire, Merseyside and Greater Manchester to help reduce social isolation, increase health and wellbeing and provide housing and growth opportunities.

The Wigan-based not for-profit community interest company, which also has hubs in Merseyside and Manchester, has recently set up a donation platform to enable people to ‘Buy a Dream’ for a member of the Armed Forces Community or their family, which includes a range of support such as counselling sessions.

Redrow’s Daresbury-based North West division has funded a yearly membership for an Armed Forces Community’s child to attend a Cadet Service.

“Mental Health issues within the veteran community are wide and varied, with many suffering from severe PTSD and it is crucial to provide safe places and support services to them and their families,” said Andrea Bradley, company secretary at The Armed Forces Community HQ.

“We are delighted and honoured that Redrow are supporting our charity. By buying a dream Redrow is funding a Sea Cadet for a year, which is such an important programme to help young people.”

Anna Evans-Kerr, sales director at Redrow NW, said: “This group carries out amazing work within our communities, so we were very pleased to donate funds to ‘Buy a Dream’.

“The Cadet Service gives young people a great opportunity to build friendships, grow in confidence and embark on adventures so we’re really pleased our funding will support an Armed Forces Community’s child to join them.”

The Armed Forces Community HQ is currently organising A Million Veteran Dreams Gala Dinner to be held in a Big Top at Woodford Community Centre on Saturday, June 24.

The Greatest Showman themed black-tie event will include a meal, guest speakers, circus acts, raffle, auction and entertainment. Tables are still available for this event.

To purchase a table, contact Andrea on: info@armedforceshq.org.uk or for further information on the charity visit: armedforceshq.org.uk

left: Redrow’s Tyler Adams, Andrea Bradley and SGT Lizzie McGlinchey
180 www.lancmag.com LANCASHIRE & NORTH WEST MAGAZINE
www.issuu.com/stylemagazine AMAZ I NG N EW ST OC K Menswear 794 Edenfield Rd Norden OL12 7RB 42 King St Clitheroe BB7 2EU 74/76 High St Uppermill OL3 6AW Womenswear 798 Edenfield Rd Norden OL12 7RB 42 King St Clitheroe BB7 2EU NEW FOR SPRING 23 HOPE

New Concert Season Starts In Parbold, Lancashire with Classico Latino

Saturday 9 September, 7.45pm Parbold Village Hall, Lancashire

Each year, as summer draws to a close, the picturesque village of Parbold prepares to welcome music-lovers from across the region for its celebrated season of concerts.

Internationally acclaimed musicians perform to packed audiences in the unique surroundings of Parbold Village Hall, and the 2023/24 season begins with a particularly charismatic concert on Saturday 9th September 2023, 7.45pm.

Classico Latino are six musicians who blend the smooth sound and virtuosity of the classical tradition with the distinctive rhythms and melodies of authentic Latin American music. The group formed in 1998 following a chance encounter between Colombian pianist Ivan Guevara and English cellist Graham Walker.

Ever since then, Classico Latino has developed its uniquely powerful blend of Classical finesse and Latino

flair, releasing five studio albums and entertaining audiences from Ronnie Scott’s Jazz Club in London to the

Classico Latino 6 Piece Band
182 www.lancmag.com LANCASHIRE & NORTH WEST MAGAZINE
Janina Fialkowska: Piano

foothills of the Colombian Andes.

Drawing on the familiar Bolero and Tango as well as less familiar styles, such as Pasillo and Joropo, the concert will feature a wide selection of songs that tell the amazingly varied stories and emotions of Latin America. The group will perform music from their latest album, Havana Classic, which was awarded Runner-up Album of the Year in the 2019 UK Latin Awards.

The 2023/24 season continues later in September and an early announcement or the whole season has just been published [See page 3]. Full information will be available later in the Spring when Neil Brand can confirm his dates for April 2024 and a top US pianist in May 2024. The early announcement has been posted on Parbold Douglas website: www. parbolddouglasmusic.org.

All concerts take place at Parbold Village Hall where Douglas Music Parbold presents an annual series of concerts featuring world class musicians. The Hall boasts an impressively intimate concert hall where audiences can get thrillingly close to performers.

Car parking is also free.

Tickets will go on sale in August 2023. Tickets can be booked by visiting the website www. parbolddouglasmusic.org, emailing tickets@parbolddouglasmusic.org or phoning 01257 498452.

September to December 2023

Saturday Sept 9th Classico Latino

“A unique fusion of Latin and Classical with beautiful musicality” UK Latin Awards

Saturday Sept 30th.Janina Fialkowska, piano

“One of the Grandes Dames of piano playing” Frankfurter Allgemein.

Saturday Oct 21st Anna Tsybuleva, piano

“A pianist of rare gifts!” Winner: Leeds Piano Competition, 2015

Saturday Nov 11th. Benjamin Grosvenor, piano & Heyeyoon Park, violin Programmes includes ‘Lark Ascending’ “Hyeyoon Park & Benjamin Grosvenor are a major event.” Sueddeutsche Zeitung,.

Saturday Dec 9h Prince Bishops Brass Festive concert with the North East’s Premier Brass Ensemble.

January to June 2024

Saturday February 17th Martin Roscoe Piano Trio Martin Roscoe with Fenella Humphreys, Jessica Burroughs

Saturday March 16th.Lucy Parham, piano with an Actor [To be announced] A Composer Portrait: “Elégie- Rachmaninoff - A Heart in Exile”

Saturday April 20th. Neil Brand, TBC. Programme to be announced., Broadcaster, silent movie composer

Saturday May 25th. Garrick Ohlsson, piano

“One of the world’s leading exponents of the music of Chopin”

Saturday June 15th Peter Donohoe, piano

“One of the foremost pianists of our time”

Garrick Ohlsson, Piano
183 www.lancmag.com LANCASHIRE & NORTH WEST MAGAZINE
Benjamin Grosvenor, Piano & Heyeyoon Park, Violin

Summer is Just Around the Corner

With the official start of Summer on 21st June, we have pulled together some of our favourite summer products.

From East London Parasol’s stunning balinese Parasols, which provide shade from those long sunny days, to beautiful tableware from The Colombia Collective, for alfresco lunches with friends and family. Exquisite Parisian fine food, Petrossian provides the perfect fayre to nibble on in the sunshine, and the finest English Sparkling Wine from Tinwood, to sip on!

Her best collection yet, founder and designer of East London Parasol, Lucy Ferguson, has expanded her whimsical world of beautiful parasols, frilled outdoor cushions and hand carved parasol bases, with a splendid array of new designs inspired by both the natural world and ancient civilisations. Think beautiful pastels, vibrant fuchsias, intricate detail, scarlet chintz and chartreuse tassels… stripes, florals and busy designs!.

The Colombia Collective is one of the UK’s most sought after homeware brands and this summer they bring style, joy and a fun twist to the current trend to ‘tablescape’. Hosting alfresco picnics, lunches, afternoon tea or simply grazing tables has never been so chic, than with Colombia Collective’s summer edit!

184 www.lancmag.com LANCASHIRE & NORTH WEST MAGAZINE

Purveyors of the finest french food and drink, Petrossian, opened their first deli and cafe in London’s South Kensington this year, making it easier for lovers of the finest caviar, smoked salmon, taramasalata and much more, even more accessible. Pop down to the store or shop online for next day delivery, and stock up for the perfect picnic fayre, to enjoy with friends and family in the sunshine

No summer day is complete without some bubbles, and one of the UK’s most renowned English Sparkling vineyards, Tinwood, produces the most tantalizing fizz! Offering a Blanc de Blancs, a Brut and a Rose sparkling wine, perfect for sipping on whilst lounging in the hazy sun!

185 www.lancmag.com LANCASHIRE & NORTH WEST MAGAZINE

Projection Stunt in Central London Draws Attention to Live Exports

London (March 26, 2023) - On Saturday activists from pressure group, Animal Justice Project [1], used a projector to illuminate a message onto the Houses of Parliament to highlight the issue of live exports.

The projection demands the Prime Minister, Rishi Sunak, implement a ban on live animal exports, as published by the Government in May 2021 [2], but with the amendment of including all species and all purposes.

The Kept Animals Bill [3], which would see the live export ban come into effect, has stalled for over 15 months following after half a century of campaigning from the public, animal protection groups, veterinary bodies, and MPs.

The Kept Animals Bill will bring about a ban on the live export of certain species of animals for certain purposes. In its current form however, Animal Justice Project claims thousands of large animals such as

Sheep, pigs and cows will continue to be exported for breeding purposes and no birds such as turkeys, ducklings and chicks will be protected at all, leaving millions of vulnerable day-old chicks and ducklings to be exported to places as far flung as South-East Asia.

Animal Justice Project say that the

ban will include “just 4%” of animals exported from the UK – a percentage calculated using published live export statistics between 2016 and 2019 [e.g. 4 - 6], leaving the majority of the trade (breeding stock) to continue [5].

In 2018, 25 million chicks (including turkeys) and ducklings were live

186 www.lancmag.com LANCASHIRE & NORTH WEST MAGAZINE

exported, including 9 million to countries including Malaysia, the Philippines and Bangladesh [5], with most of the trade being for ‘high-value breeding stock for both egg layers and broilers, from chickens with soughtafter genetic characteristics’. In 2019, the National Farmers Union estimated that a combined 31,000 cattle, sheep and goats were exported from the UK to the EU, and only around 5% would have been exported for fattening for slaughter, with the rest going for breeding, the National Farmers’ Union (NFU) has estimated [6]. In 2020, figures from the National Pig Association state that 12,000 pigs were exported for breeding to the EU [6].

Concerns over the stalling of the Kept Animals Bill is not new. The British Veterinary Association, RSPCA and Compassion in World Farming have all voiced concerns on the stalling of it, with the RSPCA warning that the UK’s animal welfare reform agenda could collapse because of the continuing delay. In a December 2022 debate, called after more than 107,000 people signed a parliamentary petition [7] demanding the Government

“urgently” finds the time necessary to bring the long-awaited bill into law, the government has claimed it does not have the parliamentary time to allow them to move forward [8].

Animal Justice Project says it’s ‘Lives not Stock’ campaign [9] highlights the “forgotten” animals. Ayrton Cooper, Campaigns Manager for Animal Justice Project says: “Finally, in 2021 we were promised a ban on live exports. Yet, here we are still waiting for it to become a reality. Not only is this Bill unacceptably delayed, it also fails to

REFERENCES

[1] www.animaljusticeproject.com

[2] www.westdorsetconservatives.org.uk/ news/mps-animal-welfare-victory-planend-live-animal-exports-announced

[3] https://bills.parliament.uk/bills/2880

[4] https://researchbriefings.files. parliament.uk/documents/CBP-8031/ CBP-8031.pdf

[5] www.theguardian.com/ environment/2020/jan/28/uks-trade-inbreeding-chicks-may-not-be-covered-byplanned-live-export-ban

prevent birds from being exported, as well as larger animals for breeding. If the decision to ban live exports is based on animal welfare considering live exports cause overcrowding, stress, exhaustion, dehydration, hunger and even death, then there is no good reason why all animals should not be included. On Saturday we’ll be delivering a message direct to the government in London, that this cruel trade n live animals must endfor all species, and for all purposes.’ 

[6] www.theguardian.com/ environment/2021/feb/05/live-farmanimal-exports-to-mainland-eu-at-astandstill-post-brexit

[7] https://hansard.parliament. uk/Commons/2022-12-05/ debates/E75644F3-E8254054-9934-D62211BA8BBC/ AnimalWelfare(KeptAnimals)Bill

[8] www.vettimes.co.uk/news/welfareagenda-could-collapse-over-stalled-keptanimals-bill

[9] www.animaljusticeproject.com/ campaigns/lives-not-stock

187 www.lancmag.com LANCASHIRE & NORTH WEST MAGAZINE

The 50s and 60s Show Lipstick On Your Collar returns to Blackpool Grand

Step back in time to the golden era of music where the jukebox roared and feet didn’t touch the floor. Get your dancing shoes at the ready, grab yourself a milkshake and relax – you are in for an evening of back to back hits from the 1950s and 60s!

FROM the birth of Rock n Roll through to the Beat Group sounds of the British Invasion and beyond, Lipstick On Your Collar is packed with over forty hits from the likes of Connie Francis, Brenda Lee, Buddy Holly, Chuck Berry, The Beatles, The Ronettes, Cliff Richard, Cilla Black and many more.

Performed by a full live band, featuring some of the country’s top musicians, this incredible show features excellent vocals, tight harmonies and an infectious sense of fun.

Dancing in the aisles is strictly compulsory so bring your dancing shoes and let the good times roll!

Lipstick On Your Collar will be at Blackpool Grand on Sun

11 Jun

Start time 7:30pm

All seats £27.50.

Visit blackpoolgrand.co.uk or contact the box office on 01253 290 190 for bookings and further information.

188 www.lancmag.com LANCASHIRE & NORTH WEST MAGAZINE

Delamere Health Ltd is the UK’s only purpose-built residential addiction treatment clinic. We provide exemplary care and a truly innovative addiction treatment programme.

Guests come to stay with us when an aspect of their life is overwhelming all else. Whether it be their relationship with alcohol, substances or behaviour, we help guests heal and take back control. Our award winning clinic is set discreetly amidst 6 acres of grounds beside Delamere Forest in Cheshire. Since opening in 2020 we have helped nearly 1,000 people grow beyond addiction.

As much as this was our son’s recovery, we as parents have also become stronger for the future.
Call now: 01606 664 212 or visit: delamere.com grow beyond addiction Helen & Mark

Reborn Will sustainable art promote environmental change?

The world has been facing an environmental crisis, and YagoEco, a passionate artist, is dedicated to increasing social awareness about this problem.

As a mother of two young children, she asks herself every day what kind of world her children will live in 10, 20 or 50 years

from now. YagoEco believes that it is her generation’s responsibility to start clearing the mountains of rubbish created from the human desire for a comfortable and convenient life.

In her work, YagoEco incorporates a zero-waste policy, and she encourages her local community to save bottle tops from their households so that she can upcycle them in her projects. She

collects single-use plastic waste along her walks and uses them to create stunning works of art that provide both visual and emotional experiences, while also provoking intellectual battles within the audience.

Her ultimate goal is to raise awareness in people and encourage them to repurpose the waste they produce. She wants people to stop

YagoEco Submission to Luxembourg Academy of Art Awards 2022.
190 www.lancmag.com LANCASHIRE & NORTH WEST MAGAZINE

in the middle of their busy lives and redirect their attention to the environmental footprint we leave behind. YagoEco’s creations aim to provide a solution to the global problem of waste, and she wants to inspire others to take up the challenge.

The wall art YagoEco submits today is her first-ever mosaic, which is the extended scale of her designer work. She plans to produce more art pieces incorporating faulty items that come off her jewellery production line. What distinguishes her from other artists is the unique combination of

techniques and patterns she applies. The mosaic itself is influenced by Islamic art, and each block in her piece has its random colour pattern that cannot be recreated.

YagoEco’s art piece represents global eco-consciousness, with each tile depicting randomly selected individuals from the general population. The colours symbolize the various levels of people’s environmental awareness. The contrast created in the middle of the piece illustrates the interaction between people. The gold threads/

leaves in the middle represent the propagation of environmental knowledge, and YagoEco’s hope to improve the situation, raising more awareness.

The mosaic itself is imperfect, with the audience easily noticing the skewed position of the mosaic on the base. The squares are not exact in their shapes, and the resin application is not finished in many places. Through producing such an imperfect work, YagoEco wants to spread the message that sustainable living is destined to only ever be imperfect. She invites the audience to look at the whole piece and choose one square that represents their eco-awareness.

The art piece was created both from recycled materials and from ones YagoEco purchased but have not used in the way she originally planned to. It is also an example of incorporating a zero-waste policy in her jewellery design work.

The contributors to the art piece were Edyta McRae, Anna WaludaGil, Jolanta Sudak, Beatrix Konya, Christian Howard, Daniel Keshani, Conrad Harshaw, and Simon Morgan from Metre Squared ARTS HUB CIC, who through discussions and support contributed to the development of YagoEco’s idea.

YagoEco’s mosaic is a stunning piece of art that encourages us to think about our impact on the environment. It is a reminder that every individual has the power to make a difference and that sustainable living is essential to preserving our planet for future generations. We can all take inspiration from YagoEco’s creativity and start incorporating eco-friendly practices into our daily lives. 

191 www.lancmag.com LANCASHIRE & NORTH WEST MAGAZINE
Left: Luxembourg Art Prize 2022, artist recognition certificate

Southport’s Viking Village Gets Thumbs Up from Visually Impaired Guests

Southport’s new Viking Golf experience invited visually impaired guests and Merseyside Sight Loss Council representatives to ‘road test’ the attraction ahead of the 2023 season.

Kelly Barton, SLC Engagement Manger for the North West and Mick Spriggs, Volunteer for the Merseyside Sight Loss Council, together with his guide dog Kip, spent time on the course as guests of Southport Pleasureland. The park was pleased to receive positive feedback on the experience, which its design team has worked hard to make as user-friendly as possible for all guests.

Suggestions for minor adjustments were welcomed, included adding a detailed description of each hole on the website so that visually impaired people could understand if the holes are straight, curved, uphill, or through an obstacle.

Southport Pleasureland CEO, and owner of the Viking Golf attraction, Norman Wallis, said: “We are very appreciative of the positive feedback, and the suggestions – which we will action. Both of our visitors said they thoroughly enjoyed themselves and would definitely come back with their families.”

Viking Golf Southport is open every weekend and all school holidays. The nearby Southport Pleasureland officially opens for the 2023 season this Easter from 1st April.

VIKING-GOLF.COM
192 www.lancmag.com LANCASHIRE & NORTH WEST MAGAZINE
Kelly Barton and Mick Spriggs with Mick’s guide dog Kip (Top) and Kelly tackles one of the holes (Bottom)

REDROW HELPS YOUTH GROUP BUILD ON SOCIAL SKILLS

A CHARITY that works to break down social barriers faced by disabled children has received a community fund donation from Redrow

Friends for Leisure provides short breaks for disabled children and their families. One activity the charity, based on Canal Street in Congleton, offers its members is trips to local pubs and restaurants.

They received a donation from housebuilder Redrow that meant they could take 19 children and their families to a local pub for lunch and a quiz.

Charity manager, Gillian Jones, said many young people with disabilities face barriers to social and leisure activities and Friends for Leisure aims to bridge this gap: “Our young people love eating out with their friends and it is always a popular request as many of our children admit that they have experienced negative experiences while out and about. In some cases, this can lead them to feeling incredibly isolated, meaning their independence is impacted. Friends for Leisure helps address some of these disadvantages by providing termly restaurant outings for the youth groups we operate in Congleton and similar opportunities during school holidays.

“Most of us take it for granted heading out for a meal with friends and family, yet for disabled young people this can be extremely difficult. Our supportive staff and volunteers help them go to different mainstream restaurants as a group, meet new people and strengthen existing relationships. They can try new foods, build communication skills and confidence, plus understand the value of money and importance of social skills.”

Friends for Leisure received a donation from Redrow that meant they could take 19 children and their families to a local pub for lunch and a quiz.

The trips for children also mean that parents and carers can also take the opportunity to socialise whilst knowing their children are safe.

Amanda Hollins, area sales manager at Redrow NW, said: “The benefits of socialising and being out and about are vast and something many of us will take for granted. Friends For Leisure is supporting disabled children to gain their independence and confidence and also to bring people together. It looks like the group had a great trip out and I’m glad Redrow could facilitate this.”

Friends for Leisure received £1,000 from Redrow’s community fund, linked to its Round Hill Gardens development.

The development, off Manchester Road, will bring a mix of three, four and five bedroom properties split into two phases – Blossoms and Woodlands.

Areas of the site are also earmarked for a new primary school, 12.5 acres of open space and local shops and will be subject to future planning applications..

Potential customers can explore a new customer experience suite that is digitally led, with interactive screens, showing site plans and local information including nearby schools and amenities.

The development is open seven days a week, usually from 10am-5.30pm. For further information call 01260 460058

193 www.lancmag.com LANCASHIRE & NORTH WEST MAGAZINE

EMMA HARDINGE BRITTEN - Spirtualist and Social Campaigner

May 2023 marks the bicentenary of the birth of Emma Hardinge Britten, one of the 19th century’s most eloquent public speakers and a prolific author on the subject of spiritualism. She was also a passionate social and political campaigner, who became a huge celebrity during the 1860s, particularly in the United States, before eventually returning to England where she settled in Manchester. Here is the tale of her extraordinary life.

Emma was born in Bethnal Green, London, on 2nd May 1823, the eldest daughter of Ebenezer and Ann Sophia Floyd. According to her autobiography, which was produced posthumously by her sister, Margaret Wilkinson, she displayed psychic powers even as a young child. Emma is said to have described hearing strange voices that uttered “prophecies of future events, especially in coming misfortunes”. She also attributed similar psychic abilities to her father, whom she described as “a gentleman of wonderful powers of prevision and other qualities of a high spiritualistic order”.

The young Emma also excelled at music and singing. When her beloved father died in 1834, she was just 11 years of age but, as the eldest of four children, the responsibility fell on her to support her family financially and she became a music teacher. Soon afterwards, she also began to appear on stage.

At around this time she came into contact with a Parisian instrument maker named Pierre Erard, who employed her to play the pianos in his London showroom. She subsequently appears to have performed a similar role at Erard’s showroom in the French capital, but it seems that this was not the only explanation for her relocation

194 www.lancmag.com LANCASHIRE & NORTH WEST MAGAZINE

to Paris. As a young teenager, she became involved in a mysterious spiritualist sect called the Orphic Circle which was known to make use of children as clairvoyants.

By the time of Emma’s 19th birthday, she had returned to England and was forging a career on the stage as an actress. In the mid-1840s she began to use the stage name of “Emma Hardinge” rather than her family surname, “Floyd”. Much later on in life, Emma claimed to have been married briefly to “a gentleman far above myself in rank” before being widowed, leading to suggestions that she took the surname Hardinge as a result of this short marriage.

If this was indeed the case, the man in question could have been the Doctor Hardinge who placed the following advertisement in The Times during April 1853,

“Mr Hardinge and English medium will give SPIRITUAL SEANCES every evening, for the purpose of delineating the truth and use of these wonderful communications. Most interesting, instructive and useful impressions are written out by the medium while subjected to the influence of spirits…”

Elsewhere a published account of the seances hosted by Mr Hardinge indicates that the medium was a close family member. Hence, if Emma was indeed married to Hardinge for a time, she could have been the “English medium”, to whom the advertisement refers.

Whatever the truth of the matter, by 1855, Emma had returned to acting and in that year travelled to New York, accompanied solely by her mother, following an invitation to perform in a Broadway production. She would not return to her native England until a decade later.

195 www.lancmag.com LANCASHIRE & NORTH WEST MAGAZINE
Above: Emma on the New York stage in 1855

Within a year of her arrival in the United States, Emma became actively involved in the rapidly emerging spiritualist movement. At a time when the long-held beliefs of mainstream religion were being challenged by new scientific discoveries, spiritualism proved a popular alternative, particularly as it seemed to offer the living the opportunity to communicate with the dead through séances.

In July 1857, Emma made her public debut as an inspirational lecturer on spiritualism in New York. She later recalled how she fell into a trance-like state as she climbed onto the stage, “Conducted finally to the platform, my last clear remembrance was of listening to a lovely quartette beautifully sung by the “Troy Harmonists” and then I had a dim perception that I was myself standing outside of myself, by the side of my dear father – dead when I was only a little child – but whose noble form I could plainly see close by me, gesticulating to, and addressing somehow, my second self, which was

imitating him, and repeating all the thrilling words he was uttering.”

Thereafter, she made a successful career as a trance-speaker, travelling all over the US. Some of her lectures appeared in print, in addition to which she started to contribute to the popular spiritualist periodicals of the day.

Emma also began to take an active interest in some of the leading social issues of the time, notably women’s rights and the movement for the abolition of slavery. In an era when it was considered unladylike for women to express views on such controversial issues, she initially avoided attracting undue criticism by claiming to be merely repeating what was said to her by the spirits whilst in a trance-like state.

In 1864, Emma became involved in President Abraham Lincoln’s re-election campaign at a time of particular significance in US history, as the country was in the midst of what is now known as the American

Civil War. She gave an address at San Francisco in favour of the President, who, like her, supported the abolition of slavery, under the title The Coming Man, or the Next President of the United States.

His campaign team was so impressed with her speech that Emma was invited to undertake a tour of California, delivering pro-Lincoln lectures at over thirty different venues. Bearing in mind that women were not even allowed to vote at this juncture, nor would they for several decades to come, this seems an extraordinary testament to her abilities as a speech writer and public speaker.

No more did she have to claim to be guided by unworldly spirits. Now Emma was regarded as an orator in her own right and gave a series of political lectures in New York during the early months of 1865. In April of that year, only weeks after he was re-elected as President, Lincoln was assassinated. Emma was invited to deliver a eulogy in New York to the late President in front of over 3000 audience members, little more than a day after his death. Despite having little time to prepare, Emma’s speech was a triumph and was subsequently published as a pamphlet under the title of The Great Funeral Oration on Abraham Lincoln.

Emma’s reputation in the States was now at an all-time high. In August of that same year, she departed for London, intent on developing a following in her homeland similar to that which she now enjoyed in the States. Upon her return home, she gave a series of speeches on “Modern Spiritualism”, claiming to be under spirit influence, as well as more mainstream lectures on the state of American politics.

It is fair to say that she received a rather more mixed reception from critics back home than the unreserved adulation she had enjoyed in the States. “Miss Hardinge has all the faults of American oratory: violent gesticulation and a turgid style”, wrote one reviewer. Even he was forced to acknowledge the “power” of her oratory, but tempered the compliment with the cutting remark that, “Some will, perhaps, think her all the more powerful because she has very little taste”.

196 www.lancmag.com LANCASHIRE & NORTH WEST MAGAZINE
Madame Blavatsky with whom Emma quarrelled

Thereafter, Emma constantly travelled to and fro between the two countries. On one of those sea voyages across the Atlantic, she met a fellow spiritualist named William Godwin Britten and the two were married in New Jersey in September 1870.

The couple spent most of the following decade travelling around the world to promote the spiritualist cause, even making the then long and arduous journey to Australia and New Zealand. In the mid-1870s, they also became actively involved in a new spiritualist movement called the Theosophical Society.

Followers of theosophy, meaning “divine wisdom”, sought to transcend normal human consciousness by gaining greater spiritual understanding through the comparative study of the world’s major religions and the discovery of the universal laws of

nature. The couple were both founding members of the Theosophical Society, which was established in New York during 1875, and early meetings were often held at their home in the city. However, Emma soon appears to have quarrelled with the only other female member of the Society, one Madame Blavatsky, and the couple severed their links with the movement.

In 1881, they returned to England and set up home in Manchester, where Emma’s mother and sister, Margaret, already lived. Emma continued to lecture locally, as well as focusing on her writing. One of her most prominent works, Nineteenth Century Miracles, was published in 1884. She subsequently founded and edited one of the spiritualist movement’s most influential magazines, Two Worlds.

William Britten passed away, aged 73, at home in Manchester on 24th November 1894. Emma herself died

five years later, aged 76, in October 1899. Despite her celebrity in the States during the 1860s, her passing barely merited a mention in the local Manchester Evening News.

Emma’s spiritualist beliefs may have been very much driven by the time in which she lived, but she was clearly a highly accomplished writer and orator who was not afraid to speak out on the era’s most contentious topics. She was also one of the few 19thcentury women to make her mark in the then male-dominated world of politics. For those reasons alone, her accomplishments deserve to be remembered on the bicentenary of her birth. 

197 www.lancmag.com LANCASHIRE & NORTH WEST MAGAZINE
Illustration from Emma Hardinge Britten’s book Art Magic

Local Artist - Exhibition in Southport 29th July - 23rd September 2023

As the Tide Turns

H 60cm x 60cm - Acrylic

Experimentation and evolution remain important features of her process and the catalyst behind ‘colourscape’ came during recent lockdown excursions along the Sefton coastline.

Multi-disciplinary artist, Carole Dawber, continues to break down the barriers between craft and art by advocating a reciprocal rearrangement of traditional values.

Carole has been a practising artist ever since graduating from Liverpool College of Art in 1978 and was subsequently elected a Fellow of the Royal Society of Arts. She has over 35 years experience as a senior academic within the University sector and has exhibited at venues in Britain, France, Italy and Finland.

“I intuitively operate in an experimental way using different resources to allow the work to evolve organically. Usually supported within linked themes, they often overlap or emerge from previous stimuli that I have exploited along my creative journey. Attention to colour has always played a vital role in my design ethic.”

In her new solo exhibition‘colourscape’ - at The Atkinson in Southport, Carole reinvents her longterm love of the landscape of the North Sefton coastline by constructing an abstracted narrative that captures the tones, patterns, shapes and textural details of the region.

“I find the coastline a magical place, one that brings a sense of hope and optimism with the renewing nature of the turning tides. For the ‘colourscape’ series I wanted to I heighten the colour of the landscape and use unexpected hues that jolt the sense of place and makes you question the reality of what is depicted. My two main agents are acrylic paint and textiles, with colour central to both expressions. When working in paint I prefer to use a limited palette from which I mix a variety of sympathetic hues and tints. For my textile pieces I apply acid dyes on reclaimed sari silk to generate an extensive range of shades from which to select.”

“The preciousness of these escapes into the outside world during the pandemic compelled me into capturing the essence of my strolls along the coast in a series of works. I wanted to portray how I viewed and remembered elements of the distant sea, the moving tidal channel erosions and elusive glimpses of a sandy beach under the encroaching grasslands. By documenting my explorations through multiple photos and sketches, I began to initiate ideas in sketchbooks creating photomontages and smallcollaged compositions. I enjoy the freedom of expression afforded when working within a sketchbook. It is key to working out my objectives. I particularly love the way you can trial ideas from page to page, exhausting compositional options and colour variations, without the constraints of ‘final piece’ syndrome. As scenarios developed I simplified and heighten areas of colour and began to see how land, sea and sky became bounded by invisible horizontal and vertical boundaries.”

Played out against a backdrop of seasonal change, the relentless interruptions of the sea’s tidal rhythm, the ebb and flow of crashing waves and the scratchy tumble of the tundra tossed by incoming winds, continually challenged Carole’s interpretation.

“As the ‘colourscape’ paintings developed my intention was to conjure up a more abstracted portrayal of the coastline and evoke a sense of atmosphere that prompts each viewer to discover their own landscape. The evolution of the compositions triggered blocks of unexpected colour from which to represent land and sea and I used gestural brush marks, splatters and scratching to form textured surfaces.”

198 www.lancmag.com LANCASHIRE & NORTH WEST MAGAZINE

Unlike the horizontal rectangle adopted in traditional landscapes, Carole prefers her own paintings to exist within the symmetry of a square ratio. Although this often presents a compositional challenge, the results are undoubtedly more impactful and aesthetically pleasing.

“As I moved onto creating final pieces I use a square format as my ‘go to’ compositional frame. For me a square format creates a better balance for elements to interplay with each other and although I am translating landscape, I wanted a more focused image rather than a panoramic vista. The coastal sea in Sefton is notorious at ebb tide for retreating up to 2miles from the shore. I translated this through narrow horizontal planes of sky and sea with greater emphasis on the canvas depicting the vast expanse of the shore and its acquired vegetation.”

Preferring the versatility and vibrancy of acrylics rather than oils or watercolours, Carole always establishes an underpainting in monochrome to guarantee that the increase in size from preliminary sketchbook ideas still displays the same narrative and balance.

“I work solely in acrylic paint, often with a limited palette of cyan, magenta, yellow and white from which I will mix a variety of shades, although I do like to add some of the fluorescent colours that are now available to add a ‘zing’ to the tones. Acrylic has the fabulous ability to work ‘light over dark’ which also gives a ‘pop’ to the colour and the quick dry time allows for spontaneous brush marks to register immediately. I incorporate various acrylic mediums to the paint so that I can achieve translucent tints and build a depth of colour. As I apply the paint I will scratch back into the applied paint using the end of my paintbrush to reveal earlier underlying colours and give a sense of the textures of the landscape.”

Subsequently, Carole employed an associated narrative to further develop the theme, swapping to a needle and thread to compose a variety of expressive stitches in imitation of her painted brushstrokes.

The results skilfully articulate her fascination with the tactile elements and sculptural forms found in Nature and each final canvas became an attempt to subvert the sweetness and sentimentality too often associated with traditional embroidery.

“Within the textile ‘colourscape’ pieces I wanted to move the description of the Sefton coastline into a more decorative direction, while still maintaining abstract concepts of earlier research and the consequent paintings. I adore the kaleidoscope of colours I can achieve by using silk fibres and the translucent tones of luminosity they characteristically emit.”

Carole’s core fabrics were from recycled sources (mostly reclaimed sari silk) providing a wide variety of silk qualities from lightweight habotai to iridescent dupions. Often purchased as ribbon hanks, she separated and over dyed them before re-winding to create the myriad colour palette she later employed.

“Using a needle felting Embellishing machine gave me the freedom to experiment with the brush-like application of the various weights of sari silks. By exploiting the random widths of the silk ribbons, I was able to imitate the mark making in my original paintings by felting and blending hues together. In turn, this provided a variety of colours to re-interpret marshland, dunes and sandy pathways under the influence of the tidal currents and winds. Once the pieces had been “painted” via the embellisher, I then used rhythmic machine stitching in rayon to anchor the silk, adding a tracery of tangled lines to echo the movement of the grasses. Finally, random ornate edges of the original sari silks were decoratively machine stitched, creating representative interpretations of man-made boundaries within each composition.”

Both the painting and textile compositions will be on show in the ‘colourscape’ exhibition at The Atkinson in Southport from 29th July through to 23rd September 2023.

www.caroledawber.com i

@caroledawber_artist
Radiant Landscape H 40cm x W 40cm - Acrylic
199 www.lancmag.com LANCASHIRE & NORTH WEST MAGAZINE
Beach in Bloom H 58cm x W 52cm - Stitch /Silk

The life of Di

A monthly column by Di Wade, the author of ‘A Year In Verse’

ANYONE WANT A CRISP?

I’m bound to say, being as blind as a bat and deaf as a post’s not dull. Add to the mix dodgy arms, and the daftness of a brush, and it’s positively interesting –if you don’t mind your interesting being in a distinctly “interesting times”, or “interesting, in inverted commas” kind of way.

Take sparrow fart this morning – which found me discovering a whole new proficiency in languages I’d never before considered, as I fought like mad to get my hearing-aids in – knowing that if I didn’t, the said sparrow could fart to the tune of fifty foghorns, and I shouldn’t hear him. Womanfully resisting the urge for a lie down in a darkened room once done, I instead checked out a text from a friend, which was gratifyingly enthusiastic about a meal out we’d shared last night. Phew, so she hadn’t been excessively put off by the faceful of fish delivered her by my erratic cod-cutting - nor by my directing my starter order to a passing toddler, and my main to our vinegar bottle: I AM something of a liability when out. Well I’m not that much better at home come to that: I’d long since waved off a visiting friend recently when I finally remembered the rail full of knickers I’d fully intended removing from the airer,

and out of sight before she got there. Poor woman was probably scarred for life. In the somewhat more public domain of restaurants however, I’ve invariably lost my serviette within the first ten seconds, then proceed to shoot peas at everyone within a twelve-mile radius, before causing something sticky to miss both mouth and plate, and land ideally for me to dump my elbow in it later – unceremoniously, and inevitably. I should therefore have lost no time in sending a grateful reply to my friend –had my phone not had other ideas. It always does unfortunately – this time mangling my dictation so consistently and thoroughly that I was forced to create the text by hand – via a keyboard I could neither see nor feel. It was therefore over half an hour later, and after many R’s instead of T’s, Deletes instead of Returns, and unwanted visits to the Emoji section, not to mention after further forays into foreign languages, before I’d finally produced something comprehensible. By this point moreover, I was fancying a double whisky to go with the lie down in a darkened room. Instead, I was distracted by the doorbell – which over the intercom, I learned was the postman with a delivery. Great, I said, could he leave it on the top step? I received a squawk of indignation in response, in which I thought I just made out the words “braille books”. OK, so that made him unlikely to be a mad axemurderer or anything. Still, why’d he not just dumped the books in the box by the front door, the one with “braille” written across it in fluorescent foot-high letters? Ten minutes later, I had my answer. I also had a Blackpool Tower of Ken Follett blocking my hallway. This IS the problem with braille books: The shortest is in several volumes, the longest, several scores of volumes. You’ve practically to move out to make room for them, and can’t take them away with you – well not unless you’ve a wardrobe full of suitcases, and no great aversion to extra baggage costs.

On the other hand, I’ve lost count of the audiobooks I’ve discarded owing to the reader’s sounding like Pinky or Perky, Marvin the Paranoid Android, or an extra-posh Archbishop of Canterbury. THAT’S the problem with audiobooks: Get a reader whose voice makes you want to stick your head under the pillow, and it’s game over, no matter how good the book might be.

Moreover, braille can be read in the garden, soaking up the sunshine, and listening to the birds – whose songs are not blotted out by headphones. One can also read it alongside others, and not miss anything important which might be said, like, “Anyone want a crisp?”, or “Can I get you another glass of wine?”

I spent Easter weekend at my parents’ –and in between the pleasant strolls on the prom, taking in fishermen, bathers, the atmospheric screams from the big one, and the constant clop of horse-drawn Cinderella coaches, it was lovely just to sit in their living-room, in companionable silence save for the turning of the pages of the books in which we were variously engrossed. Bliss, not least as the maddest book plot has yet to seem as anything compared to mere hours in the life of Di.

200 www.lancmag.com LANCASHIRE & NORTH WEST MAGAZINE

ESTABLISHED OVER 20 YEARS WITH OVER 60 DEALERS ON TWO FLOORS

The perfect place to find unusual and perfect gifts! Our experienced staff are here to help whether buying or selling. Antiques Centre open 7 days a week: 10am - 4:30pm.

Closed: Christmas Day, Boxing Day New Years Day and Easter Sunday.

ANTIQUES • COLLECTABLES • FURNITURE • ART

COUNTRY & FINE FURNITURE

CLOCKS & WATCHES

GOOD RANGE OF ANTIQUE & VINTAGE JEWELLERY

MILITARIA CERAMICS BOOKS PAINTINGS

HOLDEN WOOD ANTIQUES TEA ROOMS

A stylish yet relaxed atmosphere where you can enjoy an excellent range of homemade food from Breakfast, Lunch to Afternoon Tea. Takeaway service available. Also available for Functions.

Open from 9:30am to 4pm every day, with cakes & drinks served until 4:30 at weekends.

HOLDEN WOOD ANTIQUES | GRANE ROAD | HASLINGDEN | LANCASHIRE | BB4 4AT N 01706 830803 | D www.holdenwood.co.uk | E john@holdenwood.co.uk
N 01706 211630

WILLIAM GLADSTONE

The extraordinary spectacle of the late Queen Elizabeth II’s lying-in-state at Westminster Hall, prior to her funeral last September, remains fresh in the memory. Only seven other people have been afforded the same rare honour and it is perhaps surprising to discover that the first person to lie in state there 125 years ago this month was not a member of the royal family, but a former Prime Minister who was born here in the North-West.

The man in question was one of the 19th century’s most influential statesmen, William Gladstone. When he died in May 1898, he was granted a state funeral at Westminster Abbey and lay in state beforehand at Westminster Hall. This location was chosen because of Gladstone’s long association with the Palace of Westminster, but it has since become indelibly associated with the pomp and circumstance attached to the passing of senior members of the royal family.

William Ewart Gladstone was born at the family’s grand Georgian Liverpool home on Rodney Street in December 1809. A Scot by birth, Gladstone’s father, John, had, by 1809, become one of Liverpool’s wealthiest merchants through his acquisition of extensive sugar plantations in the West Indies. His Caribbean estates were worked by slaves and John Gladstone had a considerable number. He is estimated to have owned around 2500 slaves in total.

Like his three elder brothers, William was educated at Eton College. He then continued his studies at Christ Church College, Oxford, where he read Classics and Mathematics and graduated, in 1831, with a double first-class degree.

During his time at university, Gladstone began to hone the debating skills for which he later became renowned. The Oxford Union, the university’s famous Debating Society, was then still very much in its infancy, having only been established in 1823, and Gladstone became one of its earliest Presidents. Even at this early stage in his career, Gladstone was considered a fine orator, with one particularly powerful anti-reform speech at the Oxford Union bringing him to the attention of a wider audience.

Soon after he left Oxford University, Gladstone was invited by a prominent Conservative Party patron, the Duke of Newcastle, to stand as one of the two Tory candidates for the Nottinghamshire town of Newark at the forthcoming General Election. Gladstone, aged 23, won the seat and, in December 1832, entered Parliament for the first time.

The future Prime Minister attracted controversy almost from the start of his political career. In 1833, the Slavery Abolition Act was passed, which finally paved the way for the abolition of the slave trade throughout the British Empire. Gladstone used his maiden parliamentary speech to argue in favour of financial compensation

for slave owners, much to the chagrin of anti-slavery campaigners. His own father subsequently received a sum of over £100,000 (equivalent to a figure of around £15m plus today) in compensation for the loss of his slaves.

Over time, Gladstone’s attitude towards the issue changed, possibly as his father’s influence waned. By the mid-1840s, it became abundantly clear that the two men no longer saw eye to eye on the question of slavery. In 1844, Gladstone, as President of the Board of Trade,

supported measures to “secure the effectual exclusion of slave-grown sugar” from UK markets. This was achieved by halving the import duties levied on foreign sugar that was not produced by slave labour. His father, John, was openly critical of the policy and even wrote to The Times outlining his opposition to it.

Gladstone’s early political mentor at Westminster was the then Prime Minister, Robert Peel, who is today widely recognised as the founder of the modern Conservative Party. During the mid-1840s, Peel faced a rebellion within his own party regarding a proposal to abolish the Corn Laws. These laws had originally come into force to protect the

of British

interests Gladstone’s birthplace on Rodney Street
202 www.lancmag.com LANCASHIRE & NORTH WEST MAGAZINE
203 www.lancmag.com LANCASHIRE & NORTH WEST MAGAZINE

farming – and, by extension, many of the country’s wealthiest landowners - by preventing the import of cheap foreign grain into Britain. However, as the 19th century progressed, this policy proved increasingly unpopular with the general populace.

When the Irish potato famine crop failed in 1845, this brought matters to a head. Prices rose sharply because of food shortages and, unable to afford to eat, there was a real danger that the poorest members of society would literally starve to death. Gladstone was instrumental in persuading Peel to repeal the Corn Laws on humanitarian grounds and eventually, in June 1846, they were abolished. However, many Conservative MPs voted against the reform and Peel had to rely on the support of the opposing Whig party to achieve his aim.

With the Tories now deeply divided, Peel was compelled to resign as Prime Minister and he and his followers, including Gladstone, formed a breakaway faction from the main party. The “Peelites”, as they became popularly known, advocated a policy of free trade over protectionism and were generally regarded as more supportive of Britain’s rapidly growing urban industrialised areas than the traditional Conservative party’s rural heartlands.

Peel died in 1850, after being thrown from his horse while out riding, but the Peelites continued to operate as a separate faction and, in late 1852, joined forces with the Whig party to form a coalition government.

Gladstone, as one of the leading Peelites, was appointed Chancellor of

Exchequer. His first budget speech as Chancellor lasted nearly five hours. A famous diarist of the era, Charles Greville, described it as “one of the grandest displays and most able financial statement that ever was heard in the House of Commons”. “It has raised Gladstone to a great political elevation”, he asserted, “and has given the country assurance of a man…fit to lead parties and direct governments”.

Gladstone went on to serve as Chancellor for much of the following decade. He was that rare commodity, a popular Chancellor who was judged to have done much to improve the financial lot of the working man by looking to reduce income tax and actively seeking to reduce import duties on a wide range of commodities. In turn, other countries began to reciprocate by reducing their own taxes on goods imported from Britain. Without doubt, this contributed hugely to the unprecedented growth experienced in the British economy during the Victorian era. Gladstone is thus rightly credited with having played a significant part in the emergence of Britain as the world’s foremost manufacturing nation during the second half of the 19th century.

His reputation as a “man of the people” was also well served by his vociferous support of the campaign to extend the vote to all the British male population. He once famously remarked that, “I venture to say that every man who is not presumably incapacitated by some consideration of personal unfitness or of political danger is morally entitled to come within the pale of the Constitution”.

Eventually, the Peelites merged with the Whigs and the Radicals to form the new Liberal Party. In 1867, Gladstone became Liberal leader, at a time when his greatest political rival, Benjamin Disraeli, was serving as Conservative Prime Minister. In that same year, the Second Reform Act was passed, which extended the vote for the first time to working class males who fulfilled certain property requirements and doubled the electorate to two million.

When a General Election was called the following year, Disraeli believed that this new electorate would

204 www.lancmag.com LANCASHIRE & NORTH WEST MAGAZINE
1891 political cartoon by Tom Merry Credit: Wellcome Images/CC BY 4.0

support his Conservative Government in gratitude for being given the vote. Instead, the change greatly favoured Gladstone’s Liberals and the party swept to power. This heralded Gladstone’s first term of office as Liberal Prime Minister. He would go on to achieve what no Prime Minister has done before or since, serving on four separate occasions, in 1868-74, 1880-85, 1886 and 1892-94.

His first stint as Prime Minister from 1868 to 1874 proved to be the most successful, heralding a time of radical change in British society. The groundbreaking 1870 Education Act established the principle of free schooling for all British children up to the age of twelve. By effectively bringing education to the masses, this provided opportunities for social mobility that simply had not existed previously.

In addition, the recruitment process for both the army and civil service was revolutionised. The practice of purchasing army commissions was abolished and applicants to the civil service were for the first time able to sit an examination rather than having to rely on the support of an influential patron. This opened up the professions to more candidates, who were able to apply regardless of wealth or social standing.

The 1872 Ballot Act was another piece of significant legislation enacted during Gladstone’s first spell as Prime Minister. This introduced the requirement for parliamentary

and local government elections to be conducted by secret ballot, thus, in theory at least, scuppering the opportunity for unscrupulous individuals to bribe or coerce voters at the polling station.

The first General Election to use a secret ballot took place in 1874. Despite all of Gladstone’s pioneering legislation over the previous six years, the Conservatives achieved their first majority since the early 1840s, mainly because of their superior planning and infrastructure which meant that they won over 100 seats unopposed.

This meant the return of Gladstone’s arch rival, Disraeli, as Prime Minister, presumably much to the delight of Queen Victoria who made no secret of her preference for the Conservative leader. She once famously wrote of Gladstone that, “He speaks to me as if I were a public meeting”. Disraeli was naturally more outgoing and a master of flattery, who knew how to win the Queen’s favour. Upon his return to office, he personally oversaw the legislation which enabled Victoria to be officially recognised as Empress of India (the Royal Titles Act 1876).

On the other hand, Gladstone’s leanings towards a more democratic Britain did not sit well with the monarch. Such was his popularity with the working classes, who affectionately referred to him as the “Grand Old Man”, it may be the case that the Queen was simply a little envious of the high regard in which he was held.

When the Liberals returned to power in 1880, the Queen tried unsuccessfully to use her considerable influence to ensure that another leading party member, the Marquess of Hartington, was appointed as Prime Minister. Instead her nemesis, Gladstone, returned to the role.

This time they clashed more than ever, mainly because of their conflicting views regarding one of the most controversial political issues of the day, namely the question of Irish Home Rule. Gladstone was strongly in favour of granting Ireland political independence and set out proposals to give the country its own parliament. Queen Victoria, along with many of Gladstone’s fellow Westminster MPs, strongly opposed the idea.

In the end, Gladstone did introduce an Irish Home Rule Bill during his third spell in office, but was defeated, and he lost the following General Election held in July 1886. Undeterred, he continued to campaign on the issue. When, at the grand old age of 82, he became Prime Minster for an unprecedented fourth time in 1892, the Home Rule Bill was reintroduced. On this occasion it was passed by the Commons, but was heavily defeated by the House of Lords. Many more lives would be lost before Ireland finally gained political independence in 1922.

With old age now finally beginning to catch up with him, Gladstone resigned as Prime Minister in early 1894. He retired to the family estate at Hawarden in North Wales and this is where he died in May 1898. Queen Victoria is said to have disapproved of the decision to grant him a state funeral. Presumably not all members of the royal family agreed with her, as two future Kings, Edward VII and George V, were among those who acted as pallbearers.

Whilst on a visit to his birthplace of Liverpool in June 1886, Gladstone famously declared in a speech that, “All the world over, I will back the masses against the classes”. His political objective to create a more democratic Britain, offering equal opportunities to a wider cross-section of society, remains one of which any modern politician can be proud. 

205 www.lancmag.com LANCASHIRE & NORTH WEST MAGAZINE
Statue of Gladstone in Albert Square, Manchester

400 Years Of Shakepeare’s First Folio

Greater Manchester writer/photographer Peter Sishton is thrilled to announce the publication of his first book, Heavy Metal: A Tribute to Manholes

This fascinating and captivating book features more than eighty stunning images of manhole covers from around the world, including Japan, Spain, Canary Islands, France, Goa, Sri Lanka, Glossop, and Manchester

Exhibition
Announced To Celebrate
206 www.lancmag.com LANCASHIRE & NORTH WEST MAGAZINE

As Peter explains, “manholes represent art at the heart of towns and cities,”. “I’m delighted to share my passion for these magnificent objects of industrial art and hope they receive the adoration they deserve.” All profits from the book go to Survivors Manchester, a charity close to Sishton’s heart, which supports male survivors of sexual abuse, rape, and sexual exploitation across Greater Manchester.

Heavy Metal is an easy and humorous read filled with intriguing facts that will captivate friends and family. Did you know that over 240,000 manhole covers were stolen in Beijing during 2014?

Ideal for anyone with an interest in industrial design or urban culture, Heavy Metal is the perfect gift for those curious about these fascinating masterpieces.

www.funkistkunst.com

207 www.lancmag.com LANCASHIRE & NORTH WEST MAGAZINE

SUPREME QUEEN

FEATURING SCOTT MALEY COME TO BLACKBURN – King George’s Hall on Friday 9th June 2023

Now one of the most recognisable tribute bands in the world, SUPREME QUEEN continue to take things to a whole different level, with their homage to the halcyon days of one of the planet’s greatest ever rock bands.

Since their formation in the nineties, SUPREME QUEEN have played to hundreds of thousands of Queen fans across the world, headlining at major events including St. Tropez’s International Queen Convention, where they played to 10,000 people.

Scott Maley’s incredible vocal and visual resemblance to Freddie Mercury, fronting this remarkable band of musicians has seen SUPREME QUEEN become one of the most respected bands of their genre anywhere on earth.

Closely following the ethos of the original band, they have always strived to create the Original Queen Live Experience.

Now we enter a new era for SUPREME QUEEN. As musically brilliant as ever, the new presentation benefits from stunning production values, plus sound and lighting effects designed to transport the audience to the halcyon days of their heroes.

Simply, a stage show designed to provide the most memorable of evenings for Queen’s millions of fans worldwide.

SUPREME QUEEN

Spring 2023 UK Tour Dates include:

Friday 21st April

LONDON – New Wimbledon Theatre

Friday 2nd June

YORK – Barbican

Friday 9th June

BLACKBURN – King George’s Hall

Sunday 18th June

CREWE – Lyceum

Friday 30th June

HIGH WYCOMBE – Swan Theatre

Tickets available from - www.supremequeen.co.uk/tour-dates/ 208 www.lancmag.com LANCASHIRE & NORTH WEST MAGAZINE
Book Your Next Special Event In One Of Our Beautiful Newly Refurbished Suites & Enjoy The Modern Luxury With Historical View contact the events team today: Functions@cliftonarmslytham.com to book your show round CLIFTON ARMS HOTEL | WEST BEACH | LYTHAM | FY8 5QJ F 01253 739898 E Functions@cliftonarmslytham.com D www.cliftonarmslytham.com
ADVERTISER INDEX To advertise with us please call 01253 336588 or email: accounts@lancashiremagazine.co.uk May 2023 £2.45 Canine Groom School Talk to Steven Maney, the Huge Co-Founder Canine Groom School and Sister Company, Canine Health Hydro. Forest WeddingBowland Car Hire Providing Driven Vintage Royce Hire in Locations West. Alpha Drive Super Car Hire Customers Unrivalled Choice of the World’s Luxury North Beyond. Luxurious Church Renovation Accommodation Amazing Converted Perfect for The Fylde Lancashire GP We Mani, Founder Lancashire GP Surgery Based in 2023 Designer Living In Elswick Create Homes luxury new homes in this award-winning village Deep Beauty Whalley fantastic range treatments trained therapists Southport Pleasureland BuildingBack throughVision, CommercialIntelligence, Understanding International Womens Day Celebrating social, economic, and political achievements women. Pierce Business Advisory & Accountancy Group skilled forensic accountants based Lancashire Grand Theatre Discover best for The Blackpool Torpenhow Farmhouse Dairy Award-winningorganic andbutter, madeby Cumbria. Products The Extractioninthe Burnley Mother’ssuggestionsDay andThe Goddess Style & Design Discover Your Style Expression Christophers PROFESORA IRVINE GeorginaIrvine: LanguageConsultant MOWBRECK PARK Perfect EscapeThe Bustle MARINADES Amazing Become Award-Winning Marinade Brand PREMIER TAXIS CutlerOfBlackpool TaxiFirm Tells Fleet P.S. CATS RyanStrange Lancashire Group WENNINGDALE ESCAPES Luxury Glamping COMPOSED WITH PASSION Discover The Cayenne Platinum Edition Porsche Preston February £2.45 www.lancmag.com Feblands 2 Redrow 5 Grand Theatre Blackpool 11 Hogarth Jewellers 13 Fell Tarn 27 Plumbs 38 gordon greaves 53 The Rake 69 Baxters 92 Balance Counselling 97 Tweedies Bar and Lodge 107 Vine Mill 132 La Locanda 149 Wenningdale 157 Joseph and Co 171 Hope Menswear 181 Delamere 189 Holdenwood 201 Clifton Arms 209 Happa 209 PAD 211 Rolex 212 Andasalways ourregulars. The towns this month are: Bolton, Penrith and Wilmslow. DeborahHatswellhas fewstrangeandunusualwitnessreportsof unexplainedphenomena.Sarah HarrisStyletalksaboutNational ourHandbagDayandtakesalookat skin care routines as the weatherisbecomingcooler,DeniseMullen tells us hilarious stories about snowangelsandbodiesbeingatemple, forNicolaParkertalksaboutusingherbs cholesterol, Ken Harcombe the RNLI tells us about the RNLI’s two main assets: its volunteers and their lifeboats, and Miles Consult Construct are in the mood decorate.And of course - homes, health,deliciousrecipes,fascinating allhistory,andabitofwildlifeandmore, in our October issue. Be inspired by 1,000s customers’ kitchens, search #wrenovation The UK’s Largest Independent Kitchen Specialist. www.lancmag.com LAKELAND FlagshipWindermere StoreandCafé LANCASTERBEDCOMPANY HeretoHelpYouGeta GreatNight’sSleep DaveGregson AnAdventureBegins BACKUPNorthWest TacklingHomelessness AmongstYoungPeople ULTRASPACEGARDENROOMS BespokeGardenRooms Without a Premium Cost GetBackYour Glowatthe DrYusraClinic FARFIFIELDMILL Art,craft&heritagegalleryset ontheedgeoftheYorkshireDales October2021 £2.45 www.lancmag.com YOUR AD HERE Our magazine has been writing about Lancashire for over 50 years. We cover everything from people to places, Lancashire’s history to Lancashire’s future. Email: info@lancashiremagazine.co.uk or call: 01253 33 65 88 for rates and to reserve your placement BE A PART OF OUR FUTURE AND ADVERTISE WITH US 210 www.lancmag.com LANCASHIRE & NORTH WEST MAGAZINE

Celebrating 16 years of beautiful living at Pad

PAD showroom exhibits the best in quality furniture at Affordable Prices. Showcasing beautiful Italian leather sofa’s supplied by Nicoletti and fabric designs by Calia Italia which show a collection of pure design classics. We offer Bedroom furniture from German manufacturer Nolte, with measurements to suit all customer needs. Beds can be supplied to any specifications, colour and design with mattresses to suit.

Pad offer a free design service and TV wall system’s can be installed to customer’s specifications.

“At PAD we don’t sell, we offer a stress free and friendly environment to find what you are looking for”

Poulton Business Park | 4 Millennium Court | Furness Drive | Poulton-Le-Flyde, FY6 8JS n 01253 893334 d PADCL.CO.UK f facebook.com/PadPoulton LIVING•SLEEPING•DINING•LIGHTING

Turn static files into dynamic content formats.

Create a flipbook
Issuu converts static files into: digital portfolios, online yearbooks, online catalogs, digital photo albums and more. Sign up and create your flipbook.