Atlas de Patologia Veterinária Biopatologia
Maria dos Anjos Pires
Fernanda Seixas Travassos
Irina Amorim
Fátima Gärtner

400 imagens a cores

Maria dos Anjos Pires
Fernanda Seixas Travassos
Irina Amorim
Fátima Gärtner
400 imagens a cores
MARIA DOS ANJOS PIRES
FERNANDA SEIXAS TRAVASSOS
IRINA AMORIM
FÁTIMA GÄRTNER
Lidel – edições técnicas, lda. www.lidel.pt
da 2.ª edição
Professor Doutor Rui Henrique Prefácios da 1.ª edição
Professor Doutor Manuel Sobrinho Simões
Professor Doutor Fernando Oliveira Torres
1
2
2.4
2.3.2
2.4.1
2.4.1.1
2.4.2
2.4.3
2.4.4
2.5
2.6
5.1
4.2.1
5.5
5.6
6
6.1
6.1.4
6.2 A inflamação
6.2.1 Inflamação aguda: exsudados inflamatórios
6.2.1.1 Exsudado seroso
6.2.1.2 Exsudado catarral
6.2.1.3 Exsudado purulento
6.2.1.4 Exsudado fibrinoso
6.2.2 Inflamação crónica e inflamação crónica granulomatosa
6.2.2.1 Inflamação crónica ............................................................................
6.2.2.2 Inflamação granulomatosa ou granulomas
6.2.2.2.1 Granuloma da tuberculose
6.2.2.2.2 Granuloma de corpo estranho
6.2.2.2.3 Granuloma micótico
6.2.2.2.4 Granuloma parasitário
6.2.2.2.5 Piogranulomas
6.2.2.2.6 Tipos especiais de inflamação granulomatosa
6.2.2.2.7 Granuloma da paratuberculose
6.2.2.2.8 Actinogranulomas
7 RECONSTRUÇÃO TECIDULAR
7.1
9
8.1
8.1.3
8.2 Alterações que surgem durante o desenvolvimento embrionário
8.2.1
8.2.2
8.2.3
8.2.4
10
9.2.2.2 Aspetos histológicos e arquiteturais
9.2.2.3 Constituintes das neoplasias
9.2.2.4 Características citológicas e histológicas das células neoplásicas 179
9.2.2.5 Modificações da célula neoplásica
11 MÉTODOS MICROSCÓPICOS E MOLECULARES EM PATOLOGIA VETERINÁRIA
Fixação
Processamento
Métodos imuno‑histoquímicos
11.5 Métodos moleculares em Anatomia Patológica
11.5.1 Microdissecção de tecidos
11.5.2 Métodos de amplificação
11.5.2.1 Hibridação in situ
11.5.3 Reação em cadeia da polimerase e técnicas relacionadas 221
11.5.3.1 O fundamento da reação em cadeia da polimerase 221
11.5.3.2 Avaliação do produto da reação em cadeia da polimerase 222
Professora Associada com Agregação da Universidade de Trás os Montes e Alto Douro (UTAD); Mestre em Imunologia pelo Instituto de Ciências Biomédicas Abel Salazar (ICBAS) da Universidade do Porto; Responsável da área científica de Histopa tologia do Departamento de Ciências Veterinárias e pelo Laboratório de Histologia e Anatomia Patológica (LHAP) da UTAD; Docente de Patologia Geral e Imunologia; Investigadora do Centro de Ciência Animal e Veterinária (CECAV).
Professora Auxiliar da UTAD; Mestre em Oncologia pelo ICBAS da Universidade do Porto; Docente de Patologia Geral e Imunologia; Patologista do LHAP da UTAD; Inves tigadora do CECAV.
Professora Associada com Agregação do ICBAS da Universidade do Porto; Docente de Anatomia Patológica II; Patologista do Laboratório de Patologia Veterinária do ICBAS (LabPatVet); Investigadora no i3S/IPATIMUP.
Professora Catedrática de Patologia Veterinária (Jubilada) do ICBAS da Universidade do Porto; Investigadora Sénior do Instituto de Investigação e Inovação em Saúde/ /Instituto de Patologia e Imunologia Molecular da Universidade do Porto (i3S/IPATIMUP).
O estado de equilíbrio que permite a manutenção das condições compatíveis com a vida e função da célula denomina-se homeostasia. Em geral, as células possuem mecanismos que lhes possibilitam lidar com alterações do seu meio ambiente, dentro dos limiares fisiológicos, e manter a atividade bioquímica e normal morfologia e função. Quando a capacidade de adaptação é ultrapassada, a célula apresenta alterações morfológicas que são então observadas ao microscópio ótico.
Essas alterações celulares são também conhecidas como acumulações de produtos anómalos (anteriormente designadas como degenerescências). Se a alteração do meio ambiente ou agressão (stress) desaparece num período temporal em que as alterações celulares não são graves, ou a célula estava fisiologicamente preparada para a resposta a essa agressão, a célula regressa ao seu estado homeostático, com recuperação do estado fisiológico, bioquímico, morfológico e funcional inicial. É, neste caso, uma lesão reversível.
Caso a agressão seja severa, ultrapassando a capacidade de adaptação da célula às alterações do seu microambiente, poderá levar à sua morte. O preciso momento em que a agressão é severa ao ponto de a célula deixar de a suportar, não está definido, e é considerado o “ponto de não retorno”.
A capacidade de as células se adaptarem às situações adversas, com alteração do seu metabolismo ou da sua função, depende de vários fatores:
• Estado metabólico da célula: quanto mais ativa é uma célula, mais sensível é à agressão; isto explica porque as células do fígado, do rim, do músculo e os neurónios são tão sensíveis;
• Localização da célula dentro do órgão: certas células encontram-se mais expostas à lesão; por exemplo, pelo deficiente suporte em oxigénio, os hepatócitos periacinares são mais sensíveis à hipoxia do que os centroacinares;
• Duração e intensidade da lesão;
• Vascularização, oxigenação, pH e temperatura da célula;
• Estrutura celular.
Determinados fatores secundários podem, a posteriori, agravar a lesão, tais como:
• Aumento da pressão: por alteração do fluido intracelular e do desequilíbrio eletrolítico;
• Diminuição do pH: por acumulação de metabolitos, como é o caso do lactato, produto da respiração anaeróbia, que leva à acidose;
• Aumento do índice metabólico, como acontece, por exemplo, quando existe febre;
Alterações metabólicas: acumulação de compostos orgânicos | 17
Esta substância hialina pode ter uma localização e origem muito diversas e não se refere a um padrão único de acumulação | FIGURA 2.23. A composição varia com as proteínas que estão na sua origem | FIGURA 2.22
Alteração no metabolismo das proteínas
Metabolismo do colagénio: fibrose ou esclerose
Metabolismo da queratina: hiperqueratose
Alteração hialina
Intracelulares
Gotas hialinas
Origem vírica
Corpos de Russel Outra origem
Figura 2.22 | Esquema da alteração das diferentes proteínas.
Extracelulares
Fibrina alterada
Proteinúria renal
Amiloide ou amiloidose
Quistos hialinos
Cilindros hialinos
O material hialino pode depositar-se sobre uma grande quantidade de tecidos, sendo característica a sua localização sobre cicatrizes, tornando-as menos resistentes.
2.4.1.1
A acumulação de proteínas no citoplasma das células é designada genericamente por gotas hialinas. Esta alteração que já foi descrita, no Capítulo 1, “Adaptação e Lesão Celular Subletal”, como inclusão intracitoplasmática, reflete um aumento da absorção proteica por determinadas células ou uma diminuição da sua capacidade de digestão por parte dos lisossomas.
Esta acumulação é muito comum nas células dos túbulos contornados proximais do rim, nas quais a quantidade de proteína presente está frequentemente alterada. As proteínas são substâncias que normalmente não são filtradas pelos glomérulos, mas devido a lesões destes ou a anomalias no material circulante passam para os túbulos, sendo incompletamente reabsorvidas pelas células (vide | FIGURAS 1.10, 1.11 E 2.24) ou incompletamente degradadas por elas. São uma evidência de perda de proteína para a urina.
As células de Mott, descritas no capítulo anterior, são um exemplo da acumulação hialina intracelular. Nestes plasmócitos, ocorre deposição de proteína intracitoplasmática por acumulação e/ou alteração na exocitose das imunoglobulinas (vide | FIGURA 1.12), sendo então observada sob a forma de corpos de Russell.
Morfologicamente, as inclusões hialinas ou gotas hialinas são glóbulos amorfos, densos e acidófilos e não estão relacionadas com nenhuma estrutura citoplasmática em particular.
Alterações metabólicas: acumulação de compostos inorgânicos | 57
Figura 3.24 | Pigmentação patológica endógena.
Bovino, músculo esquelético (diafragma). Presença de pigmento granular castanho escuro no endomísio. Melanose maculosa.
H-E 200x
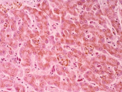
Figura 3.25 | Pigmentação patológica endógena: hemossiderose.
Ave, fígado.
Hepatócitos tumefactos com elevada quantidade de pigmento citoplasmático, granular, castanho esverdeado, do tipo da hemossiderina. Agregados macrofágicos, contendo também esse pigmento (setas). Intoxicação por cobre.
H-E 200x
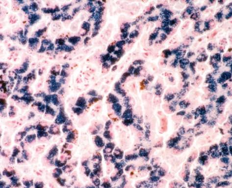
Figura 3.26 | Pigmentação patológica endógena: hemossiderose.
Ave, fígado.
Fígado da Figura 3.25, submetido a coloração de Azul de Prússia (AP).
Hepatócitos cujo citoplasma contém pigmento positivo à reação de Perls, confirmando a presença de hemossiderina. Observa-se, contudo, algum pigmento de cor castanha, negativo a esta reação, que pode corresponder a pigmento biliar. Intoxicação por cobre.
AP 200x
Figura 3.38 | Colelitos.
Homem.
Cálculos colesterínicos de cor esbranquiçada e superfície irregular.
Figura 3.39 | Colelitos.
Homem.
A: Cálculo colesterínico cristalino, evidenciando disposição radial e em camadas concêntricas dos cristais; B: Cálculo maioritariamente constituído por bilirrubina.
Figura 3.40 | Colelitos.
Homem.
Vários cálculos biliares de colesterol, facetados encontrados no interior de uma vesícula biliar.
Figura 3.41 | Colelitos.
Bovino.
Cálculos de cor escura, de morfologia irregular, por vezes morulados, constituídos principalmente por pigmentos biliares.
88 | Atlas de patologia veterinária
Figura 4.37 | Autólise.
Cão, fígado. Bacilos de putrefação, em grande quantidade, no espaço sinusoidal, evidência da circulação cadavérica.
H-E 400x
nota
dos, dependendo das espécies, que possuem conteúdo distinto do dos PMN. O núcleo é bilobado ou trilobado, excêntrico.
São os granulócitos com maior variação interespecífica no tamanho e na forma dos grânulos. Por exemplo, nas aves os grânulos são maiores do que os dos eosinófilos, enquanto no coelho os grânulos dos eosinófilos são 3-4 vezes maiores do que os dos heterófilos.
Em termos funcionais, são similares aos PMN e a sua atividade principal é a fagocitose, sendo a primeira linha de defesa contra agentes microbianos. Contrariamente aos neutrófilos, não possuem mieloperoxidase nem mecanismos oxidativos, pelo que não possuem grande atividade bactericida mediada pela explosão respiratória, recorrendo a mecanismos antimicrobianos não oxidativos. Como a mieloperoxidase e outras enzimas hidrolíticas estão envolvidas na liquefação dos tecidos, em aves e répteis, os exsudados heterofílicos são massas ou agregados sólidos, por vezes em camadas, concêntricos (macroscopicamente, é material caseoso).
Em determinadas espécies animais, nomeadamente em peixes, coexistem PMN e heterófilos;
• Basófilos: são os leucócitos mais raros do sangue circulante da maioria das espécies, constituindo cerca de 0,5% da série branca nos mamíferos. Possuem um núcleo em geral bilobado ou em forma de S e citoplasma pálido repleto de grandes grânulos heterogéneos, basófilos e metacromáticos para algumas colorações, que podem mascarar o núcleo | TABELA 6.1. Nos répteis, em particular nos quelónios, pode ser o leucócito mais frequente em circulação.
Tabela 6.1 | Resumo das características morfológicas das células sanguíneas dos mamíferos.
Célula Diâmetro (µm) Núcleo
Eritrócito 6-7 –
Neutrófilo 10-12
Eosinófilo 12-16
Basófilo 10-14
Linfócito 7-10
Monócito 14-16
Multilobado
Bilobado
Uni ou bilobado
Esférico
Reniforme ou indentado
Plaquetas 2-3 –
Tabela 6.2 | Diferenças morfológicas entre os eosinófilos e os heterófilos.
Compartimento celular Heterófilo
Citoplasma
Acidófilo
Grânulos azurófilos e acidófilos
Grânulos acidófilos brilhantes
Grânulos basófilos grandes
Escasso, levemente basófilo
Abundante, levemente basófilo
Central, granuloso, azul-avermelhado
Periferia pálida, basófila
Eosinófilo
Citoplasma Incolor Claro
Grânulos
Espiculados Redondos
Cromatina Pouco corada
Muito corada
6.2.1.2 Exsudado catarral
O exsudado catarral (ou mucoso) é uma inflamação que se manifesta em mucosas. A agressão leva ao aumento da secreção mucosa por parte das células caliciformes e glândulas mucosas presentes nestes epitélios | FIGURA 6.14
Os órgãos afetados apresentam, ao exame macroscópico, uma superfície coberta por material fluido a gelatinoso, e claro a ligeiramente opaco. Ao exame microscópico apresentam edema intercelular, aumento das células mucossecretoras e caliciformes (hiperplasia), com aumento de muco, que se acumula nas glândulas e na superfície das mucosas, associado a células mortas; a mucosa apresenta-se ligeiramente hiperémica, com moderado infiltrado de linfócitos e pode ocorrer edema e congestão da submucosa | FIGURA 6.15. Esta inflamação pode surgir em conjunto com outros exsudados.
6.2.1.3 Exsudado purulento
Este exsudado caracteriza-se pelo predomínio de neutrófilos em diferentes estádios de maturação e em necrose que constituem o pus. O processo de necrose enzimática que os neutrófilos sofrem denomina-se supuração, apresentando o citoplasma mais eosinofílico. A congestão, fibrina, edema e macrófagos estão também presentes em proporções diferentes, dependendo da idade da lesão | FIGURAS 6.16 A 6.24.
Ao exame macroscópico, apresenta pus, material necrótico de consistência variável, consoante o tempo que decorreu desde o início da lesão e a intervenção de enzimas orgânicas e microbianas | FIGURAS 6.20 A 6.24:
• Consistência semissólida: se a lesão é recente; à observação microscópica apresenta muitas células e detritos celulares, em coliquação e supuração;
• Consistência líquida: quando é uma lesão tardia ou madura; neste caso, o aspeto microscópico apresenta uma lesão pobre em células, com algum exsudado e com a presença de linfócitos.
A cor do pus também varia de amarelo a castanho, dependendo do agente etiológico implicado e do teor em sangue.
Conforme os elementos associados ao exsudado purulento, este tem diferentes designações:
• Sobre superfícies mucosas e associado à inflamação catarral, denomina-se catarro, piorreia ou exsudado mucopurulento;
• Sobre superfícies serosas e associado a fibrina designa-se exsudado fibrinopurulento
De acordo com a localização anatómica, o exsudado purulento denomina-se:
• No tecido conjuntivo, sem limites definidos, fleimão;
• De localização intraepidérmica, é uma pústula | FIGURA 6.19. O exemplo mais comum desta lesão é o acne cutâneo;
Figura 7.1 | Hiperplasia nodular regenerativa.
Alpaca, fígado. Fígado com múltiplos nódulos associados a hiperplasia dos hepatócitos.
Cápsula esbranquiçada por fibrose.
Cirrose.
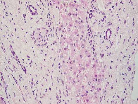
Figura 7.2 | Regeneração.
Bovino, fígado. Área de fibrose hepática com nódulo de hiperplasia regenerativa dos hepatócitos (setas). Observe que as células hepáticas não se dispõem em cordões em torno da veia central; esta alteração da organização celular dificulta a sua nutrição e oxigenação e causa um ciclo vicioso de morte celular e regeneração desorganizada.
Cirrose.
Hematoxilinaeosina (HE) 400x
Figura 7.3 | Reparação: tecido de granulação.
Cão, pele.
Aspeto macroscópico da reparação de ferida cutânea, com proliferação granular do tecido de granulação (seta).
Cortesia de Professora Carla Soares.
Lesões pré-neoplásicas e neoplasia | 181
Figura 9.1 | Representação esquemática de displasia.
As células apresentam alterações na maturação, que se traduzem num aumento da sua proliferação, na presença de multiestratificação e na desorganização arquitetural. As alterações nucleares são, em geral, discretas.
Ilustração de Francisca Patrocínio.
Tumores exofíticos
Papilar (viloso)
Pedunculado (pólipo)
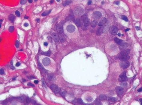
Figura 9.2 | Displasia.
Cão, estômago.
Displasia do epitélio glandular, que apresenta estratificação, perda da polaridade e nucléolos evidentes.
Carcinoma gástrico.
Hematoxilina-eosina (H-E) 600x
Úlcera (tumor ulcerativo)
Figura 9.3 | Esquema dos padrões morfológicos macroscópicos de crescimento das neoplasias.
Adaptado de Magnol e Achache, 1983. Ilustração de Francisca Patrocínio.
Nódulos
AAbcesso – coleção de pus localizada no seio de um órgão/tecido resultante de uma reação inflamatória purulenta, frequentemente provocada por bactérias.
Acidófilo – que tem afinidade para corantes ácidos tais como a eosina.
Acumulação (ou alteração) – distúrbio caracterizado por perda da integridade estrutural e funcional das células, que implica na estrutura e função dos tecidos e órgãos em que estão integrados; é uma lesão reversível, anteriormente designada por degenerescência.
Adenite – inflamação de uma glândula.
Adenocarcinoma – neoplasia maligna do epitélio glandular ou secretor.
Adenoma – neoplasia benigna do epitélio glandular ou secretor.
Aderência – união de dois órgãos ou duas superfícies contíguas que normalmente se encontram separadas (por exemplo, folhetos do pericárdio, pregas do intestino após peritonite) por uma porção anormal de tecido conjuntivo (brida); pode ser congénita (sinequia) ou secundária a processo infamatório.
Agenesia – alteração congénita caracterizada pela ausência do desenvolvimento de um órgão ou estrutura durante a embriogénese.
Agudo – processo que surge e evolui rapidamente (por exemplo, inflamação aguda), mas não necessariamente intenso como no uso comum (contrário de crónico).
Alopecia – queda de pelo; pode ser difusa ou focal.
Amiloide – material hialino extracelular insolúvel de composição complexa e variável com a sua etiopatogenia (por exemplo, cadeias leves de imunoglobulinas, proteína amiloide A); causa acumulação nos tecidos, com endurecimento, aumento e disfunção dos órgãos em que se deposita.
Anaplasia – ausência de características diferenciadas nas células tumorais (tumor anaplásico); quanto mais marcada é a anaplasia, maior é a agressividade biológica da lesão.
Anemia – concentração anormalmente baixa de hemoglobina sanguínea.
Aneurisma – dilatação anómala e permanente na parede de um vaso sanguíneo ou parte de uma cavidade cardíaca; surge em locais de resistência diminuída, por lesão, malformação ou traumatismo.
Angioma – tumor benigno, muitas vezes congénito, formado por um aglomerado de vasos sanguíneos ou linfáticos.
Anisocitose – variação anormal no tamanho e forma das células.
Anoxia – ausência do fornecimento de oxigénio às células e tecidos.
Anticorpo (Ac) – imunoglobulina que reage com especificidade a um determinado antigénio.
Antigénio (Ag) – substância que o organismo considera estranha, de composição bioquímica complexa, que promove a resposta imunitária, com a produção de um anticorpo específico ou recetor de antigénio da célula T, ou outras células (nomeadamente macrófagos e células apresentadoras de antigénio).
Este livro, agora na sua 2.ª edição , explica os fenómenos e mecanismos gerais da doença nos seus processos macro e microscópicos, ilustrados com um riquíssimo atlas com mais de 400 imagens originais a cores de elevada qualidade. Esta nova edição, revista e reformulada, desenvolve os seguintes conteúdos:
Adaptação e lesão celular subletal
Alterações metabólicas: acumulação de compostos orgânicos e inorgânicos
Lesão celular letal
Alterações circulatórias
Inflamação
Reconstrução tecidular
Adaptação celular do crescimento e diferenciação
Lesões pré-neoplásicas e neoplasia
Fenómenos post mortem
Métodos microscópicos e moleculares em Patologia Veterinária
Esta obra será indispensável a alunos das áreas das Ciências Veterinárias e muito útil para profissionais destas áreas que procurem uma sistematização de conhecimentos, enriquecida com imagens exemplificativas.
MARIA DOS ANJOS PIRES
Professora Associada com Agregação da Universidade de Trás-os-Montes e Alto Douro (UTAD). Mestre em Imunologia pelo Instituto de Ciências Biomédicas Abel Salazar (ICBAS) da Universidade do Porto. Patologista do Laboratório de Histologia e Anatomia Patológica (LHAP) da UTAD. Docente de Patologia Geral e Imunologia. Investigadora do Centro de Ciência Animal e Veterinária (CECAV).
FERNANDA SEIXAS TRAVASSOS
Professora Auxiliar da UTAD. Mestre em Oncologia pelo ICBAS da Universidade do Porto. Docente de Patologia Geral e Imunologia. Patologista do LHAP da UTAD. Investigadora do CECAV.
IRINA AMORIM
Professora Associada com Agregação do ICBAS da Universidade do Porto. Docente de Anatomia Patológica II. Patologista do Laboratório de Patologia Veterinária do ICBAS (LabPatVet). Investigadora no i3S/IPATIMUP
FÁTIMA GÄRTNER
Professora Catedrática de Patologia Veterinária (Jubilada) do ICBAS da Universidade do Porto. Investigadora Sénior do Instituto de Investigação e Inovação em Saúde/ Instituto de Patologia e Imunologia Molecular da Universidade do Porto (i3S/IPATIMUP).