McKinney & Prosper, TX October 2025

Page 1


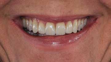
At Jensen Orthodontic Arts, we combine ART, SCIENCE, and EXPERTISE in orthodontics to customize your smile and improve or reconstruct the function and harmony of your teeth. That alone says a lot, but Dr. Doug Jensen also uses his training in the closely-related specialty of PROSTHODONTICS and dental aesthetics to create wonderful outcomes for unusual or complex dental problems– Think VENEERS, CROWNS, IMPLANT CROWNS, and DENTURES. Dr. Jensen is one of the few dual specialists in both orthodontics and prosthodontics in America, and we are lucky to have his experience in this area. He offers clear orthodontic treatment options including CLEAR BRACES, LINGUAL BRACES, and CLEAR ALIGNER THERAPY to meet your aesthetic needs. Count also on getting treatment rendered efficiently without ignoring the balance that should be present between the teeth, joints and muscles in a properly functioning bite.

Dr. Doug Jensen, DDS, MS

Board-Certified Orthodontist, Prosthodontist

Don’t wait! Come see us for an expert’s Complimentary Evaluation

Get a straightforward assessment and roadmap to the PERFECT SMILE!

Veneers
Photos & Smiles by Dr. Jensen

October’s Food And Drinks

Welcome, fall! As the temperatures cool, our cravings shift toward comforting flavors that warm both body and soul. October is one of our most delectable editions of the year, and this month we’re celebrating the food and drink that makes our area such a delight for the senses. For me, it's the delicious bowls of fresh ice cream that my family shared.

There’s an art to creating a dish that not only satis fies your taste buds but also stirs memories of home. Food has a unique way of connecting us to our past while bringing us together in the present. Whether you’re enjoying a meal out with friends or hosting a cozy dinner at home, these shared moments are what make life flavorful.

Here’s to savoring every bite this fall.

SHARON

October 2025

PUBLISHER

Sharon Duffy Thomas | sharon.duffy@citylifestyle.com

PUBLICATION DIRECTOR

William Thomas | william.thomas@citylifestyle.com

EDITOR

Julie Brown Patton | julie.patton@citylifestyle.com

SALES DIRECTOR

Anju Rao | anju.rao@citylifestyle.com

STAFF WRITER

Alexis Jacobs

CONTRIBUTING WRITERS

Alexis Jacobs, Amy Bailey, Mel Boban, Julie Brown Patton, Angela Broockerd

CONTRIBUTING PHOTOGRAPHERS

Amy Bailey, Isra Yaghi, Janie Jones

Corporate Team

CEO Steven Schowengerdt

COO Matthew Perry

CRO Jamie Pentz

VP OF OPERATIONS Janeane Thompson

VP OF SALES Andrew Leaders

AD DESIGNER Mary Albers

LAYOUT DESIGNER Emily Lisenbee

QUALITY CONTROL SPECIALIST Hannah Leimkuhler

Summer Endless

Summer Endless

Indulge in the Season that Never Ends

Indulge in the Season that Never Ends

At Omni PGA Frisco Resort & Spa, summer isn’t just a season—it’s a state of mind. Indulge in the warmth of golden days and breezy nights where the sun never sets on unforge able experiences. Whether you're lounging by the pool with a handcra ed cocktail, teeing o on championship golf courses, or unwinding at the spa with treatments inspired by the spirit of summer, every moment is designed to feel timeless. Savor fresh, seasonal cuisine, dance under the stars to live music, and explore curated events that celebrate the joy of endless sunshine. This is your invitation to escape the ordinary and embrace the season that never ends.

At Omni PGA Frisco Resort & Spa, summer isn’t just a season—it’s a state of mind. Indulge in the warmth of golden days and breezy nights where the sun never sets on unforge able experiences. Whether you're lounging by the pool with a handcra ed cocktail, teeing o on championship golf courses, or unwinding at the spa with treatments inspired by the spirit of summer, every moment is designed to feel timeless. Savor fresh, seasonal cuisine, dance under the stars to live music, and explore curated events that celebrate the joy of endless sunshine. This is your invitation to escape the ordinary and embrace the season that never ends.

Discover your endless summer at Omni PGA Frisco Resort & Spa, where every day feels like vacation.

Discover your endless summer at Omni PGA Frisco Resort & Spa, where every day feels like vacation.

Your Hill Country Holiday Escape awaits

UNWRAP THE MAGIC OF THE HOLIDAYS IN THE TEXAS HILL COUNTRY.

This season, Omni Barton Creek Resort & Spa becomes a sparkling winter wonderland. Stroll the Holiday in the Hills Light Trail, marvel at nightly snowfall and watch little ones light up with Santa’s Workshop, Letters to Santa, and visits from Santa & Mrs. Claus. Whether you’re gathering with loved ones, making new traditions, or simply soaking in the season’s joy, the Hill Country is calling.

SCAN THE QR CODE TO SAVE UP TO 20% ON YOUR STAY WITH OUR SPECIAL HOLIDAY OFFERS.

city scene

WHERE NEIGHBORS CAN SEE AND BE SEEN

1-7: Shop for a Cause organized by Volunteer McKinney was a wonderful success, with the local, amazing community coming together to celebrate and support area nonprofits in such a meaningful way. A special thank you to the incredible downtown McKinney shops who participated — their generosity, energy, and partnership made this event truly special. Photography by Volunteer McKinney

business monthly

Register Block Party By Oct. 2 For National Night Out

National Night Out is a great opportunity to build relationships. This annual event in Prosper encourages residents to gather and welcome visits from Prosper police officers. Residents are encouraged to host or participate in a neighborhood block party on Tuesday, Oct. 7. Officers will be visiting registered block parties across town from 6-9 p.m., following a special sendoff event at 5:30 p.m. at the Prosper Police Station, 801 Safety Way. Contact Erin Hubbard at ehubbard@prospertx.gov.

20th Annual Dinosaurs Live! Exhibition Returns To Heard In McKinney

Through March 1, 2026, visitors to Heard Natural Science Museum & Wildlife Sanctuary in McKinney can let imaginations run wild as they travel back in time along a half-mile nature trail with 14 life-size animatronic dinosaurs. These animatronic dinosaurs move and roar. The exhibit also offers interesting facts about herbivorous and carnivorous dinosaurs. New this year, the nature trail where the exhibit is located has been paved, making it even easier for families to visit.

See Who Won Oct. 4 At Celebrate Prosper

The top two winners of the Prosper Jam Off voting will perform as opening acts at Celebrate Prosper on Oct. 4 at Frontier Park, 1551 W. Frontier Parkway. Five talented finalists were up for public voting: Three Continents; Heat Wave; Myles Maestro; Steven Rizzo and The Dark Sparks. Their videos led the way in the official voting poll to decide who will kick off one of Prosper’s biggest events of the year.

Photography by Julie Brown Patton
Pistachio Chocolate

CRAFTING ELEGANCE With Dubai Chocolate

For Sue Yaghi, owner of Sue’s Chic Interiors, chocolate is more than a sweet indulgence; it’s a story. “I was first introduced to Dubai Chocolate as a brand that already embodied elegance and artistry, and I immediately felt a connection,” she shares.

That admiration soon turned into inspiration, leading Sue to craft chocolates infused with her own creativity and passion. Her signature flavors—pistachio, peanut butter, caramel with tea biscuits and lemon curd—showcase that artistry. “Pistachios have a distinct, slightly sweet, buttery flavor, and when paired with chocolate, they create something truly indulgent. The crunch of roasted phyllo dough with pistachios adds texture and elevates each bite into a luxurious experience,” Sue explains.

Sue offers gift boxes and custom creations for weddings, corporate events or personal celebrations. Each order can be tailored with unique flavors, packaging and personalization. Seasonal collections capture each time of year, from rich spiced chocolates in fall to light, fruity delights in spring.

“It’s about more than taste,” Sue says. “It’s about creating a moment of joy.”

Blending Artistry, Flavor and Elegance, Sue Yaghi Transforms Dubai Chocolate Into Unforgettable Indulgent Experiences

Pistachio Stuffed Cookies
Peanut Butter Dubai Chocolate

It’s Tea Time

ARTICLE BY JULIE BROWN PATTON | PHOTOGRAPHY PROVIDED BY OMNI PGA FRISCO RESORT & SPA
OMNI PGA FRISCO RESORT & SPA
TEES UP SPECIAL TEAS AND PASTRIES

Indulge in an afternoon of refined elegance at Omni PGA Frisco Resort's The Lookout Lounge & Bar via an exclusive Afternoon Tea experience. These special teas are available Saturdays and Sundays from 11 a.m. to 2 p.m.

Savor a curated tea selection by Dallas-headquartered zakti, featuring premium options such as White Down Silver Needle, Pearl Jasmine, Keemun Hao-Ya English Breakfast and Organic Peppermint. This company provides ethically sourced teas from small, family owned farms and larger plantations growing specialty teas. The team is known for their positive energy ethos.

Complement chosen teas with a variety of delectable tea cakes and pastries. The Omni PGA Frisco pastry team is led by Executive Pastry Chef Leen Kim Nunn. Other key members include Ryan Stipp and Gelyn Cruz Widelski. These professionals are known for their creativity and ability to deliver "authentic local flavor" in their desserts, including showstopping creations for events such as the Savor Festival.

In fact, Leen was one of four incredible finalists in the Chef's Roll 2025 Center Stage competition. Chef's Roll is a global

culinary community consisting of Michelin-starred chefs, culinary students, mixologists, sommeliers and hospitality industry representatives.

Tea time fare offerings include Raspberry Shortbread Cookies and Lemon-Yuzu Glazed Madeleine Cookies. The resort's scones and savory treats elevate the experience to the next level, featuring Blueberry Lavender Scones served with Clotted Cream and Seasonal Jam, as well as a selection of savory bites like Ham & Cheese Puff Pastry, Egg Salad Sandwiches and Smoked Salmon & Dill Sandwiches.

While enjoying tea times, soak in the spectacular, panoramic views of the rolling Frisco Hill Country and championship golf courses from this bar's location.

For an extra touch of indulgence, enjoy signature cocktails or sophisticated champagne options. Priced at $75 for adults and $35 for children 12 and younger, this experience is the perfect way to spend a leisurely afternoon in good company.

469.305.4500  OmniPGAFriscoResort.com

Omni PGA Frisco Resort's Afternoon Teas are available Saturdays and Sundays.

Local Food Truck Scene

DISCOVER UNIQUE EATS, CREATIVE MENUS AND MOBILE DINING ADVENTURES

Hibachi Master (Prosper)

This grill serves Japanese teppanyaki favorites, including chicken, steak, shrimp and salmon, plus egg rolls, spring rolls and gyozas. All entrees include fried rice and hibachi vegetables, with noodles available as a side.

DonutNV (McKinney)

Hot, fresh mini donuts and signature fresh-squeezed lemonade, limeade and orangeade in seven flavors to birthdays, weddings, corporate events and fundraisers. DonutNV delivers a fun, memorable treat for guests of all ages.

Babai Bandi (McKinney)

This Indian food truck serves a variety of dishes, including dosas, uttapams, IndoChinese options, street food and homemade Indian sweets. Complimentary chai provided with every order.

Triple G Catering (Prosper)

This team serves slow-smoked Texas barbecue for weddings, corporate events, private parties and charity functions. Menu features classics such as brisket, chicken, ribs, pork chops and traditional sides, including beans and slaw.

GOAT [Greatest of All Trucks] Prosper

Gourmet pizzas available, such as Mumbai Madness or classic cheese, flavorful wings, rich basil pesto pasta and crispy French fries, offering a bold variety of dishes packed with flavor.

Cajun Made Crawfish And Seafood (Prosper)

This team serves Louisiana Cajunstyle favorites, including crawfish and shrimp by the pound, sausage, corn and potatoes, all with signature B.J. Sauce. Offering everything from spicy boils to seafood platters.

King Kups (McKinney)

California-inspired Mexican street food is served and desserts, including birria tacos, carne asada fries, flavored elotes, mulitas, nachos, churro sundaes and fried birria wontons.

King Kups offers bold, flavorful dishes for every craving.

Kona Ice (McKinney)

Shaved ice from a tropical-themed truck, featuring fine, snow-like ice with customizable flavors. From classic favorites to unique options like Tiger’s Blood, Kona Ice is a delicious, fun treat for any event.

This full-service mobile espresso bar serves locally roasted beans, handcrafted lattes and specialty espresso at weddings, corporate events and pop-ups. They deliver personalized coffee experiences with friendly baristas and lasting impressions.

This family-owned spot serves soul food favorites such as chicken wing dings, catfish, pork chops, chicken fingers, BBQ ribs, fried okra, greens, cornbites, yams and fresh sides, as delicious, hearty food to feed one’s soul.

Heavenly Eatery (McKinney)
Zander Bean Coffee (Frisco)

G H

P O M O D O R O

ARTICLE AND PHOTOGRAPHY BY AMY BAILEY

Enjoy this simple, flavorful food for the soul. ‘Po modoro’ means  tomato in Italian, and that’s what this dish is - a fresh tomato sauce with basil, garlic, onion, and olive oil.

INGREDIENTS

• 1 Tbsp salt

• 3 Tbsp. extra-virgin olive oil

• 1/4 cup onion, finely diced

• 4 garlic cloves, finely diced or minced

• 1 lb fresh tomatoes, halved or chopped (I use garden cherry tomatoes if in season or Roma tomatoes are a good choice)

• Pinch of crushed red pepper flakes

• 3 basil sprigs, divided

• 1 lb. spaghetti

• 1 cup Parmesan, finely grated, divided

• 1 Tbsp butter

DIRECTIONS

1. Heat medium-size Dutch Oven or large skillet over medium heat then add extra virgin olive oil and a pinch of salt. Once hot, add chopped onion then saute until tender, 2-3 minutes. Add fresh garlic and saute until golden but not brown, another 30 seconds.

2. Add the chopped tomatoes to the pan with a pinch of sugar then simmer on medium-low for 20-25 minutes. Stir and press the tomatoes against the bottom and sides of the pan to make saucier. If sauce begins to pop too much, turn down even further. (If sauce starts to thicken too much add pasta water as needed.)

3. Meanwhile, bring a pot of water to boil for the pasta and season generously with salt.

4. When sauce is almost ready, add fresh basil leaves torn into small pieces, plus butter, remaining salt, and freshly cracked pepper. Add more salt to taste if needed.

5. Cook the pasta until it’s just shy of al dente then transfer it to the sauce pot with tongs to finish cooking directly in the sauce. Add splashes of pasta water if needed to cook pasta all the way and to keep it saucy.

6. Toss pasta and sauce with 1/2 Parmesan cheese. Serve in pasta bowls and sprinkle remaining cheese on top. Garnish with fresh basil.

How To Stay Festive And Healthy? Sure Thing

Halloween is typically filled to the brim with salt, sugar and carbs. It can be hard to stay on the nutrition wagon during spooky season, but there are plenty of fun ways to add a festive spin to favorite healthy dishes.

pumpkinFRUIT BOWL

With luck finding a melon or watermelon at the store, simply carve it like a jack-o-lantern and make the mouth large enough to have other sliced fruit emerging, such as cut pineapple, sliced grapes and apple chunks. Along the side, peel mini oranges and add a green stem to mimic pumpkins.

spooky CHARCUTERIE

These fan favorite boards can easily be kept healthy with some additions. Make any treat spooky with edible eyeballs. Adding them to a small snack such as mini bell peppers or grapes and strawberries is a fun way to stay on theme without sacrificing a healthy streak. Eyeball salami rolls also can be added, starting first with a green olive in the center, surrounded by a roll of mozzarella cheese and then surrounded by salami or even prosciutto.

stuffed PEPPERS

This fall staple easily can be incorporated into a fall gathering or Halloween night by carving jacko-lantern faces in orange peppers, and resuming a favorite recipe from there. Serving bread on the side? Use a skull or pumpkin shaped cookie cutter to re-shape it.

ghostly DIP

Hummus and pitas can be made scary in no time. Use a ghost shaped cookie cutter to shape pita bread, lightly toast and serve with red pepper hummus, which is usually orange in color.

jack-o-lantern VEGGIE TRAY

The easiest bet for a quick and healthy Halloween treat? You can’t go wrong with a veggie tray shaped like a jack-o-lantern. Use baby carrots as the base, and cucumber or celery to shape the mouth and stem. The eyes? Two round bowls of veggie dip.

THE SEASON’S BEST SANDWICHES

Stacked forFall

There’s something deeply satisfying about a well-made sandwich—especially when it comes together with minimal effort but delivers big on flavor. As the season changes and appetites grow heartier, fall is the perfect time to get creative with ingredients tucked between slices of crusty bread or buttery rolls. Whether you’re looking to upgrade your lunch routine, enjoy comforting flavors and bold textures, or impress guests with a no-fuss meal, these easy-tomake sandwiches strike the perfect balance between simple and sensational.

Need top-notch plumbing services?

Look no further! At Pure Plumbing, we deliver phenomenal solutions for all your plumbing needs.

• Same- Day Appointments

•24/7 Emergency Services

•Residential & Commercial

•Affordable Financing Options

•Low Monthly Memberships For Hassle-Free Maintenance

Services We Offer:

• General Plumbing

•Tank & Tankless Water Heaters

•Drain Cleaning

•Hydro Jetting Services

• Gas Line Repairs

• Leak Detection

• Water Filtration Systems

INGREDIENTS

• French bread loaf, halved lengthwise

• 2 cups cherry tomatoes

• 2 garlic cloves, minced

• ¼ cup olive oil

• 1 tsp thyme or rosemary

• Salt, pepper, chili flakes (optional)

• 8 oz fresh mozzarella, sliced

• 1 cup arugula

• 2–4 tbsp pesto (thinned with olive oil)

• Balsamic glaze

• Optional: 4 slices prosciutto

• Fresh basil

INSTRUCTIONS

Toss cherry tomatoes with olive oil, garlic, herbs, salt, and pepper. Roast at 375°F for 20–25 minutes until soft and caramelized. Brush bread with olive oil. Toast in the oven at 375°F for 5–7 minutes until crisp. Layer mozzarella slices on the toasted bread. Add fresh basil. Return to the oven for 3–5 minutes, just until melted. Optional: Top with roasted tomatoes, arugula, and prosciutto (if using). Drizzle with pesto and balsamic glaze.

Roasted Tomato & Mozzarella Caprese French Bread Savory Roast Beef with Horseradish Cream

INGREDIENTS

• 2 slices crusty bread (sourdough, ciabatta, French bread)

• 6 oz roast beef

• 2 slices provolone cheese

• 2 tbsp butter (for toasting)

• 2 ½ tbsp mayonnaise

• 1 tbsp horseradish sauce

• 1 tsp Dijon mustard

• Arugula

• Cherry tomato

• Caramelized onions

INSTRUCTIONS

Toast the bread. Butter one side of each slice and toast in a skillet until golden. Heat roast beef briefly in a pan. To make the spread, mix mayo, horseradish sauce, and Dijon. Spread on the toasted bread. Layer roast beef, cheese, and broil briefly to melt. Add arugula, tomato, and caramelized onions if using. Top with the second slice of bread.

GETTING KIDS HOME SAFELY

Backpacks packed. We’ve got your back! At Taxi Mom, we go beyond the ride. Our CPR-certified, background-checked Transportation Specialists provide door-to-door service with live mobile tracking—giving you peace of mind and dependable support for your busy schedule. Choose Taxi Mom for safe, reliable transportation to and from school or activities and experience the trusted transportation solution your child deserves. www.taximom.com

events

A SELECTION OF UPCOMING LOCAL EVENTS

OCTOBER 3RD-4TH

McKinney Asian Food Festival

McKinney City Hall | 5:00 PM

Join a day filled with delicious Asian cuisine (from sushi to dim sum) cultural performances and fun activities for all ages, with free entry. Experience Flashmod dance, music and cosplay performance that showcase the rich heritage of Asian cultures. Oct. 3: 5-9 p.m. Oct. 4: 11 a.m. to 9 p.m. Contact texasws12@gmail.com; ask about associated tea ceremonies.

OCTOBER 4TH

Night At Movies With McKinney Philharmonic Orchestra

McKinney Boyd High School | 7:00 PM

Step into the mesmerizing world of favorite movies as the McKinney Philharmonic Orchestra performs iconic soundtracks from films such as Wicked, The Greatest Showman, Star Wars, Star Trek, Mission Impossible. Feel the thrill of adventure, the romance of love stories, and the excitement of action-packed scenes all through the power of live music. Visit: McKinneyPhilharmonic.org for pre-concert activity details. Tickets: App.gopassage.com/events/Night-at-the-Movies

OCTOBER 11TH

9th Annual McKinney Wine & Music Festival

District 121 | 12:00 PM

Enjoy a day filled with hundreds of wines from local award-winning wineries, renowned California vineyards, and beyond. Restaurants will be serving complimentary bites for ticketed guests from their patio! Three bands will take the Credit Union of Texas stage throughout the day as you sip and savor! Tickets: Eventbrite.com

OCTOBER 19TH

Halloween Costume Goat Yoga McKinney

Tupps Brewery | 10:30 AM

Get your GOGA on while goats graze and jump around (or on) you in their best Halloween pet costumes. Cost starts at $25. Bring your own yoga mat. Come dressed for the weather as the event will be outside. Goat yoga is for everyone age 5 and older, with a participating parent or guardian. Contact Goat Yoga Dallas with questions.

OCTOBER 25TH

McKinney Monster Dash 5K

Towne Lake Park | 8:00 AM

Whether running or walking, enjoy the beautiful trails and the lake view, and cross the finish line where a spooktacular celebration awaits. Costumes are encouraged to make this 5K event even more spooktacular. The fun doesn’t stop at the finish line. Enjoy music, local vendors, photo-ops and a festive costume contest. Tickets: McKinneyMonsterDash5k.eventbrite.com.

OCTOBER 25TH

McKinney Spooktacular Brews And Boos Walk

Historic Downtown McKinney | 11:00 AM

Grab a signature Spooktacular tasting cup and map when you arrive, then make your way to 20 unique stops located inside local shops, each one pouring craft beers or spirits from some of the best breweries and distilleries in Texas and beyond. Costumes encouraged.

Turn static files into dynamic content formats.

Create a flipbook
Issuu converts static files into: digital portfolios, online yearbooks, online catalogs, digital photo albums and more. Sign up and create your flipbook.